HELMINTOS
Parásitos multicelulares
Características
 Los Helmintos son gusanos, se encuentran en
el intestino y en ciertos órganos como hígado,
músculos, cerebro, pulmones.
 Producen huevos que son expulsados por las
heces.
 Su tamaño varía de varios milímetros hasta
más de 10 m.
 Identificación al observar huevo, gusano
adulto o larvas.
Clasificación
Nemátodos
 Gusanos alargados, cilíndricos, fusiformes y
filiformes.
 Revestidos por cutícula
 Tamaño de 0.5cm a 1 m
 Sexualmente diferenciados
 Producen huevos
Enterobius vermicularis
(Oxiuro)
Generalidades
• Ubican I. grueso
• Hembra mide 30
mm, macho 10
mm
• Más común en
climas templados
• Infesta
mayormente a
niños
• Viven varios
meses
Patogenia
• Prurito perianal
hembra pone
huevos en la
noche
• Irritabilidad,
insomnio
• Transmisión
manual/bucal
• Diagnóstico
técnica cinta
adhesiva en
mañana
Prevención
• Lavar con agua
caliente lencería
de
cama, toallas, rop
a interior para
evitar reinfección
• Lavado de
manos y uñas
• TRATAMIENTO
Mebendazol
Pamoato de
pirantel
Trichuris trichuria (Tricocéfalo)
Generalidades
• Ubicación ciego
y colon
• Miden 30 – 50
mm
• Macho más
pequeño
• Gusano adulto
aspecto de látigo
• Contagio al
consumir huevos
infectantes
• Distribución
mundial
• Viven 10 años
Patogenia
• Hemorragias
pequeñas de
mucosa intestinal
• Dolor, distensión
• Diarrea
• Inf. Intensa
anemia, diarrea
sanguinolenta, có
licos, tenesmo, ur
gencia de
defecación y
prolapso rectal
• En apéndice
apendicitis .
Tratamiento
• Albendazol
• Mebendazol
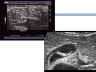
Ascaris lumbricoides
Generalidades
• Ubica intestino
delgado
• Produce
Ascariasis
• Distribución
mundial
• Hembra 20 a 50
cm, macho 10 -
15 cm
Patogenia
• Obstrucción
intestinal y
conductos
biliares y
pancreáticos
• Migran al recibir
anestésicos y
corticoides
• Perforación
intestinal y
peritonitis
• Neumonitis y
síndrome de
Löefler
Tratamiento
• Albendazol
• Mebendazol
Parásito Infección Patogenia Tratamiento
Ancylostoma
duodenale,
Necator
americanus
10mm
Sobreviven en
suelo húmedo
varias semanas,
penetra la piel,
migran intestino.
Se fijan en
vellocidades del
intestino y succionan
sangre y tejido.
Anemia, ferropenia.
Albendazol,
mebendazol
Strongyloides
stercoralis
Intestino delgado,
larvas a través de
piel y pulmones.
Infección por años
inmunodeprimidos
hiperinfección, mortal.
Diarrea, dolor
abdominal,
hemorragia, naúsea,
vómito
Tos, silibancias,
hemoptisis
Piel, erupción prurito,
larva migratoria
Albendazol,
Ivermectina.
CÉSTODOS
 Se los conoce como Tenias
 Gusanos planos como cintas
 Ubican en tracto intestinal de vertebrados
 Se infestan por ingestión de larvas de
huésped intermediario o huevos
 Morfológicamente tienen 3 partes
 Escolex
 Estrobilo
 Proglótides
Miden hasta 10 m, pueden vivir 20 años
Taenia saginata
Generalidades
• Produce teniasis
• Distribución mundial
• Hombre huésped definitivo
• Ubica en i delgado
• Taenia o gusano de la vaca
Patogenia
• Contagio al ingerir carne de
vaca cruda o mal cocida
• Dolor abdominal, diarrea,
anemia, mal nutrición
Tratamiento
• Praziquantel
• Alternativas: Albendazol
Niclosamida Nitazoxanida
Taenia solium
Generalidades
• Gusano del cerdo
• Distribución mundial
• Ubica i delgado
• Se adquiere al ingerir carne cruda o mal cocida de
cerdo o ingesta de huevos en comida contaminada .
Patogenia
• Hiporexia, dolor
abdominal, flatulencia, naúsea, diarrea, pérdida de
peso, irritabilidad, prurito anal
• Neurocisticercosis, cefalea, convulsiones. Disfunción
cerebral, ataxia, movimientos involuntarios, déficit
sensorial.
• Deficiencias intelectuales hasta demencia
Tratamiento
• Praziquentel
• Alternativas: Albendazol Niclosamida Nitazoxanida
Hymenolepis nana
Generalidades
• Produce
Himenolepiasis
• Distribución
mundial
• Ubicación i
delgado
• Comun en
ratones
• Mide 4 cm
Patogenia
• Dolor
abdominal
• Diarrea
• Anorexia
• Irritabilidad
• Cefalea
• Anorexia
Tratamiento
• Paziquantel
• Alternativa
Nitazoxanida
TREMATODOS
 Llamados duelas o distomas
 Miden de 10 – 70 mm
 Son hermafroditas
 Tienen 1 ventosa oral y otra para fijación
 Los huevos llegan al exterior por las
heces, esputo y orina según la especie
 En ciclo requieren 2 huéspedes intermedios
Fasciola hepática
Generalidades
• Produce
fasciolosiasis
• Distribución
mundial
• Afecta al
hígado, canales
biliares y vesícula
biliar de herbívoros
y omnivoros
• Huevos salen en
heces
Patogenia
• Hígado con
reacción
inflamatoria y
fibrosis
• Cólico, ictericia
obstructiva, dolor
abdominal, colecist
itis, eosinofilia
Tratamiento
• Triclabendazol
• Bitionol
Paragonimus westermani
Generalidades
• Produce
Paragonimiasis
• Enfermedad pulmonar
del
hombre, gatos, perros.
• Ubicación parénquima
pulmonar, también en
viceras, SNC, peritone
o, hígado, bazo, gangli
os
linfáticos, riñones, ojos
, genitales
• Viven 20 años
Patogenia
• Tos
• Expectoración
• Fiebre
• Escalofríos
• Eosinofilia
• Infiltrados nodulares y
calcificaciones
• Esputo achocolatado
• Disnea
• Anorexia
• Perdida de peso
• Dolor
pleural, sensación de
opresión
Tratamiento
• Praziquantel
 Suministro y uso de agua salubre
 Mejoramiento del saneamiento ambiental
 La promoción de buenas prácticas
higiénicas y de saneamiento entre los
escolares y los cuidadores (lavado de las
manos, uso de letrinas, uso de calzado), a
través de actividades de capacitación en la
comunidad y en la escuela
Prevención
 Lavado constante de manos
 Aseo de utensilios de cocina
 Adecuado cocimiento de carnes
 Desinfección de vegetales y frutas que se
ingieren sin cocción
 Cuidar que los niños no manipulen objetos o
jueguen en el piso mientras comen
 Los artrópodos son invertebrados
 Constituyen el 80% de los animales
conocidos
 Pueden causar patología
Artrópodos
 Son animales de simetría bilateral
 Cuerpo segmentado
 Exoesqueleto y apéndices articulados
cefálicos, torácicos o abdominales (antenas y
patas)
 El desarrollo va desde huevo hasta adulto a
través de una metamorfosis gradual.
Características generales
Insectos
piojos, pulgas, c
ucarachas, chin
ches, abejas, av
ispas, hormigas,
escarabajos, pol
illas, moscas y
mosquitos
Arácnidos
escorpiones, ar
añas, garrapata
s, ácaros.
Crustáceos
y Miriápodos
Cangrejos,
langostas
Ciempies
Principales grupos
Invasión tisular
directa
Envenenamiento
Vesiculación
Pérdida de
sangre Reacciones de
hipersensibilidad
Transmisión de
agentes
infecciosos
Patogenia
Saneamiento
básico
Seleccionar
el tipo de
insecticida
adecuado
Manejo de
desechos
, reciclaje y
disposición
de basura
Disposición
de excretas y
aguas
servidas
Prevención
Helmintos 130701161815-phpapp01

Helmintos 130701161815-phpapp01

  • 1.
  • 2.
    Características  Los Helmintosson gusanos, se encuentran en el intestino y en ciertos órganos como hígado, músculos, cerebro, pulmones.  Producen huevos que son expulsados por las heces.  Su tamaño varía de varios milímetros hasta más de 10 m.  Identificación al observar huevo, gusano adulto o larvas.
  • 3.
  • 4.
    Nemátodos  Gusanos alargados,cilíndricos, fusiformes y filiformes.  Revestidos por cutícula  Tamaño de 0.5cm a 1 m  Sexualmente diferenciados  Producen huevos
  • 5.
    Enterobius vermicularis (Oxiuro) Generalidades • UbicanI. grueso • Hembra mide 30 mm, macho 10 mm • Más común en climas templados • Infesta mayormente a niños • Viven varios meses Patogenia • Prurito perianal hembra pone huevos en la noche • Irritabilidad, insomnio • Transmisión manual/bucal • Diagnóstico técnica cinta adhesiva en mañana Prevención • Lavar con agua caliente lencería de cama, toallas, rop a interior para evitar reinfección • Lavado de manos y uñas • TRATAMIENTO Mebendazol Pamoato de pirantel
  • 8.
    Trichuris trichuria (Tricocéfalo) Generalidades •Ubicación ciego y colon • Miden 30 – 50 mm • Macho más pequeño • Gusano adulto aspecto de látigo • Contagio al consumir huevos infectantes • Distribución mundial • Viven 10 años Patogenia • Hemorragias pequeñas de mucosa intestinal • Dolor, distensión • Diarrea • Inf. Intensa anemia, diarrea sanguinolenta, có licos, tenesmo, ur gencia de defecación y prolapso rectal • En apéndice apendicitis . Tratamiento • Albendazol • Mebendazol
  • 11.
    Ascaris lumbricoides Generalidades • Ubicaintestino delgado • Produce Ascariasis • Distribución mundial • Hembra 20 a 50 cm, macho 10 - 15 cm Patogenia • Obstrucción intestinal y conductos biliares y pancreáticos • Migran al recibir anestésicos y corticoides • Perforación intestinal y peritonitis • Neumonitis y síndrome de Löefler Tratamiento • Albendazol • Mebendazol
  • 16.
    Parásito Infección PatogeniaTratamiento Ancylostoma duodenale, Necator americanus 10mm Sobreviven en suelo húmedo varias semanas, penetra la piel, migran intestino. Se fijan en vellocidades del intestino y succionan sangre y tejido. Anemia, ferropenia. Albendazol, mebendazol Strongyloides stercoralis Intestino delgado, larvas a través de piel y pulmones. Infección por años inmunodeprimidos hiperinfección, mortal. Diarrea, dolor abdominal, hemorragia, naúsea, vómito Tos, silibancias, hemoptisis Piel, erupción prurito, larva migratoria Albendazol, Ivermectina.
  • 17.
    CÉSTODOS  Se losconoce como Tenias  Gusanos planos como cintas  Ubican en tracto intestinal de vertebrados  Se infestan por ingestión de larvas de huésped intermediario o huevos  Morfológicamente tienen 3 partes  Escolex  Estrobilo  Proglótides Miden hasta 10 m, pueden vivir 20 años
  • 19.
    Taenia saginata Generalidades • Produceteniasis • Distribución mundial • Hombre huésped definitivo • Ubica en i delgado • Taenia o gusano de la vaca Patogenia • Contagio al ingerir carne de vaca cruda o mal cocida • Dolor abdominal, diarrea, anemia, mal nutrición Tratamiento • Praziquantel • Alternativas: Albendazol Niclosamida Nitazoxanida
  • 23.
    Taenia solium Generalidades • Gusanodel cerdo • Distribución mundial • Ubica i delgado • Se adquiere al ingerir carne cruda o mal cocida de cerdo o ingesta de huevos en comida contaminada . Patogenia • Hiporexia, dolor abdominal, flatulencia, naúsea, diarrea, pérdida de peso, irritabilidad, prurito anal • Neurocisticercosis, cefalea, convulsiones. Disfunción cerebral, ataxia, movimientos involuntarios, déficit sensorial. • Deficiencias intelectuales hasta demencia Tratamiento • Praziquentel • Alternativas: Albendazol Niclosamida Nitazoxanida
  • 28.
    Hymenolepis nana Generalidades • Produce Himenolepiasis •Distribución mundial • Ubicación i delgado • Comun en ratones • Mide 4 cm Patogenia • Dolor abdominal • Diarrea • Anorexia • Irritabilidad • Cefalea • Anorexia Tratamiento • Paziquantel • Alternativa Nitazoxanida
  • 31.
    TREMATODOS  Llamados duelaso distomas  Miden de 10 – 70 mm  Son hermafroditas  Tienen 1 ventosa oral y otra para fijación  Los huevos llegan al exterior por las heces, esputo y orina según la especie  En ciclo requieren 2 huéspedes intermedios
  • 32.
    Fasciola hepática Generalidades • Produce fasciolosiasis •Distribución mundial • Afecta al hígado, canales biliares y vesícula biliar de herbívoros y omnivoros • Huevos salen en heces Patogenia • Hígado con reacción inflamatoria y fibrosis • Cólico, ictericia obstructiva, dolor abdominal, colecist itis, eosinofilia Tratamiento • Triclabendazol • Bitionol
  • 35.
    Paragonimus westermani Generalidades • Produce Paragonimiasis •Enfermedad pulmonar del hombre, gatos, perros. • Ubicación parénquima pulmonar, también en viceras, SNC, peritone o, hígado, bazo, gangli os linfáticos, riñones, ojos , genitales • Viven 20 años Patogenia • Tos • Expectoración • Fiebre • Escalofríos • Eosinofilia • Infiltrados nodulares y calcificaciones • Esputo achocolatado • Disnea • Anorexia • Perdida de peso • Dolor pleural, sensación de opresión Tratamiento • Praziquantel
  • 38.
     Suministro yuso de agua salubre  Mejoramiento del saneamiento ambiental  La promoción de buenas prácticas higiénicas y de saneamiento entre los escolares y los cuidadores (lavado de las manos, uso de letrinas, uso de calzado), a través de actividades de capacitación en la comunidad y en la escuela Prevención
  • 39.
     Lavado constantede manos  Aseo de utensilios de cocina  Adecuado cocimiento de carnes  Desinfección de vegetales y frutas que se ingieren sin cocción  Cuidar que los niños no manipulen objetos o jueguen en el piso mientras comen
  • 40.
     Los artrópodosson invertebrados  Constituyen el 80% de los animales conocidos  Pueden causar patología Artrópodos
  • 41.
     Son animalesde simetría bilateral  Cuerpo segmentado  Exoesqueleto y apéndices articulados cefálicos, torácicos o abdominales (antenas y patas)  El desarrollo va desde huevo hasta adulto a través de una metamorfosis gradual. Características generales
  • 42.
    Insectos piojos, pulgas, c ucarachas,chin ches, abejas, av ispas, hormigas, escarabajos, pol illas, moscas y mosquitos Arácnidos escorpiones, ar añas, garrapata s, ácaros. Crustáceos y Miriápodos Cangrejos, langostas Ciempies Principales grupos
  • 43.
    Invasión tisular directa Envenenamiento Vesiculación Pérdida de sangreReacciones de hipersensibilidad Transmisión de agentes infecciosos Patogenia
  • 44.
    Saneamiento básico Seleccionar el tipo de insecticida adecuado Manejode desechos , reciclaje y disposición de basura Disposición de excretas y aguas servidas Prevención