Streptococcus pneumoniae
∗ La vacunacion ha disminuido la frecuancia de la
infeccion.
∗ Principal causa de otitis media, rinosinusitis purulenta
aguda, neumonia y meningitis.
Streptococcus pneumoniae
Características generales

∗ Cocos Gram positivos
∗ Catalasa negativo
∗ Capsulado
Streptococcus pneumoniae
Epidemiología

∗ Coloniza Nasofaringe
∗ Se aisla de 5-10% de los adultos sanos y de 20-40%
niños sanos
∗ De 25 - 60% portadores adultos que puede durar hasta
4-5 semanas a 6 meses meses
∗ Se transmite por contacto prolonado en lugares de
mala ventilacion
∗ Sin vacunación afectara en mayor parte a los niños < 2
años y a los adultos >65 años.
∗ Es mas común en varones
∗ Su incidencia aumenta en invierno y disminuye en
verano
Mecanismos Patógenos
∗ Coloniza por continuidad
∗ En los casos de neumonía, se debe a una aspiración
del patógeno a los bronquiolos, no eliminación de
este por aumento de moco o alteración del epitelio
ciliar(casos de fumadores y sustancia toxica)
∗ Las células PMN son atraídas a sitios estériles como
los senos paranasales y pulmones, en casos de
neumonías.
∗ Las infecciones sistémicas por neumococos se
produce a través de un foco respiratorio.
Infecciones Mas Comunes
∗
∗
∗
∗

Otitis Media
Sinusitis
Neumonia
Meningitis
Neumonia

SINDROMES CLINICOS

∗ Gran cantidad de esputo con sangre (en
inmunocoprometidos puede ser poca)
∗ Escalofríos intensos
∗ Fiebre de 39 a 40ºC mantenida
∗ Síntomas de infección virica respiratoria 1 a 3 días
antes
∗ Tos, pleuresía (dolor torácico)
∗ Hemocultivos positivos 20-30% de los casos
Factores Predisponentes
SINDROMES CLINICOS

COMPLICACIONES:
Abscesos pulmonares
Infecciones pericárdicas
Empiema (pus en el espacio pleural)
Derrames pleurales
Endocarditis
Otitis Media y Sinusitis
SINDROMES CLINICOS

∗ Causa de infecciones agudas de los senos
paranasales y oído
∗ Común en niños
∗ 20 – 30% agente causal
Streptococcus pneumoniae
SINDROMES CLINICOS

Meningitis
∗Diseminación a sistema nervioso central
∗Afecta a todas las edades.
Bacteremia
∗Despues de neumonia neumocòcica en 20 a 30%
de los casos y en ás del 80% con meningitis
Streptococcus pneumoniae
IDENTIFICACION

Prueba de optoquina (Clorhidrato de etil
hidrocupreína):
Inhibición del desarrollo con un halo mayor a 14 mm de
diámetro
Tratamiento, prevención y control

∗ Antibiograma: Penicilina, ampicilina, Cefalosporinas.
∗ No hay resistencia a vancomicina
∗ Resistente a tetraciclina
Tratamiento, prevención y control
∗ Vacuna desde 1914
∗ Actual contiene 23 polisacáridos capsulares diferentes
(94% de las cepas)
Primera Opción
∗Amoxicilina
∗Otitis 3-5 días no sobrepasar los 7 dias.
∗Sinusitis 7-10 días no sobrepasar 2 semanas
Segunda opción
Amoxicilina mas acido clavulanico
Fluoroquinolona
Telitromicina
Mismo esquema
∗ Tercera Opcion
∗ Ceftriaxona
∗ 3-5 dia en sinusitis y otitis
Neumonía adquirida en la comunidad
∗ Proceso inflamatorio agudo del parénquima pulmonar,
que afecta a estructuras de la vía aérea distal; puede estar
provocado por agentes infecciosos, físicos o químicos,
que llegarían a la vía aérea inhalados, por aspiración,
continuidad o hematógena.
Neumonía adquirida en la comunidad
∗ Incluye
∗ Hospitalización, síntomas respiratorios en <48 h

∗ Excluye (asociada a instituciones de salud)
∗ Hospitalización >48 h, antes de 90 días
∗ En los últimos 30 días: ATB IV, quimioterapia,
curaciones
∗ Hemodiálisis
∗ 48 luego de IET (Asociada a ventilador)
ESTADOS DE PROGRESION

Torres C., Awad C., Chaparro C., Maldonado D., Neumología 6a Ed. 2007, Cap 5, 117-154
Ramzi S,Vinay Kumar. Tucker Collins . Robbins Patologia Estructural y Funcional Sexta edicion .. 748-753
Síntomas Clínico (típicos)
General
∗
∗
∗
∗
∗
∗

Compromiso del estado general
Disnea, Tos
Expectoración
Taquicardia
Taquipnea
Fiebre

Exploración pulmonar
∗ Matidez
∗ Disminución del murmullo
vesicular
∗ Broncofonía

Radiografía
 Condensación en

lóbulo/s
Sintomas Clínicos(atípicos)
General
∗ Tos no productiva
∗ Alteración del estado de
conciencia
∗ Faringitis
∗ Adenopatías cervicales
∗ Leucocitosis leve

Exploración pulmonar
∗ Hallazgos difusos
∗ No hallazgos

Radiografía
 Difusa
 Como parches
 Bronconeumonía
Radiológico
Community acquired pneumonia (Streptococcus pneumoniae) (a) and (b): PA and
lateral chest films show consolidation in the lateral segment of the middle lobe,
abutting the major and minor fissures.
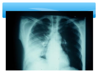
PA chest radiograph shows an alveolar consolidation involving the right and left lower
lobes in a patient infected by Streptococcus pneumoniae
Mycoplasma pneumonia: chest radiograph. There is a diffuse peripheral and bilateral
interstitial involvement.
TAC VS RX
PA/LATERAL
FACTORES DE RIESGO PARA ETIOLOGIA NO HABITUAL
Edad > 65 años.
Enfermedades crónicas debilitantes (comorbilidad)
EPOC
Insuficiencia cardiaca
Cirrosis Hepática
Insuficiencia Renal Crónica
Diabetes Mellitus
Alcoholismo
Inmunosupresión
Falta de respuesta a un tratamiento antibiótico empírico correcto.
(pasadas 48-72h)
Presencia de cavitaciones en Rx de tórax
Procedencia de ancianatos.
Presentación inicial muy grave.
Pacientes postrasplantados.
Exámenes Clínicos

Ambulatorio
∗ Radiografía de tórax

Hospitalizado
∗
∗
∗
∗
∗
∗
∗

Radiografía de tórax
Gram y cultivo de esputo.
Hemocultivos (#2).
Cuadro hemático, VSG.
PCR.
Electrolitos (Na, K).
Gases arteriales

Neumococo

  • 1.
  • 2.
    ∗ La vacunacionha disminuido la frecuancia de la infeccion. ∗ Principal causa de otitis media, rinosinusitis purulenta aguda, neumonia y meningitis.
  • 3.
    Streptococcus pneumoniae Características generales ∗Cocos Gram positivos ∗ Catalasa negativo ∗ Capsulado
  • 4.
    Streptococcus pneumoniae Epidemiología ∗ ColonizaNasofaringe ∗ Se aisla de 5-10% de los adultos sanos y de 20-40% niños sanos ∗ De 25 - 60% portadores adultos que puede durar hasta 4-5 semanas a 6 meses meses ∗ Se transmite por contacto prolonado en lugares de mala ventilacion
  • 5.
    ∗ Sin vacunaciónafectara en mayor parte a los niños < 2 años y a los adultos >65 años. ∗ Es mas común en varones ∗ Su incidencia aumenta en invierno y disminuye en verano
  • 6.
    Mecanismos Patógenos ∗ Colonizapor continuidad ∗ En los casos de neumonía, se debe a una aspiración del patógeno a los bronquiolos, no eliminación de este por aumento de moco o alteración del epitelio ciliar(casos de fumadores y sustancia toxica)
  • 7.
    ∗ Las célulasPMN son atraídas a sitios estériles como los senos paranasales y pulmones, en casos de neumonías. ∗ Las infecciones sistémicas por neumococos se produce a través de un foco respiratorio.
  • 8.
    Infecciones Mas Comunes ∗ ∗ ∗ ∗ OtitisMedia Sinusitis Neumonia Meningitis
  • 9.
    Neumonia SINDROMES CLINICOS ∗ Grancantidad de esputo con sangre (en inmunocoprometidos puede ser poca) ∗ Escalofríos intensos ∗ Fiebre de 39 a 40ºC mantenida ∗ Síntomas de infección virica respiratoria 1 a 3 días antes ∗ Tos, pleuresía (dolor torácico) ∗ Hemocultivos positivos 20-30% de los casos
  • 10.
  • 11.
    SINDROMES CLINICOS COMPLICACIONES: Abscesos pulmonares Infeccionespericárdicas Empiema (pus en el espacio pleural) Derrames pleurales Endocarditis
  • 12.
    Otitis Media ySinusitis SINDROMES CLINICOS ∗ Causa de infecciones agudas de los senos paranasales y oído ∗ Común en niños ∗ 20 – 30% agente causal
  • 13.
    Streptococcus pneumoniae SINDROMES CLINICOS Meningitis ∗Diseminacióna sistema nervioso central ∗Afecta a todas las edades. Bacteremia ∗Despues de neumonia neumocòcica en 20 a 30% de los casos y en ás del 80% con meningitis
  • 14.
    Streptococcus pneumoniae IDENTIFICACION Prueba deoptoquina (Clorhidrato de etil hidrocupreína): Inhibición del desarrollo con un halo mayor a 14 mm de diámetro
  • 15.
    Tratamiento, prevención ycontrol ∗ Antibiograma: Penicilina, ampicilina, Cefalosporinas. ∗ No hay resistencia a vancomicina ∗ Resistente a tetraciclina
  • 16.
    Tratamiento, prevención ycontrol ∗ Vacuna desde 1914 ∗ Actual contiene 23 polisacáridos capsulares diferentes (94% de las cepas)
  • 17.
    Primera Opción ∗Amoxicilina ∗Otitis 3-5días no sobrepasar los 7 dias. ∗Sinusitis 7-10 días no sobrepasar 2 semanas Segunda opción Amoxicilina mas acido clavulanico Fluoroquinolona Telitromicina Mismo esquema
  • 18.
    ∗ Tercera Opcion ∗Ceftriaxona ∗ 3-5 dia en sinusitis y otitis
  • 19.
    Neumonía adquirida enla comunidad ∗ Proceso inflamatorio agudo del parénquima pulmonar, que afecta a estructuras de la vía aérea distal; puede estar provocado por agentes infecciosos, físicos o químicos, que llegarían a la vía aérea inhalados, por aspiración, continuidad o hematógena.
  • 20.
    Neumonía adquirida enla comunidad ∗ Incluye ∗ Hospitalización, síntomas respiratorios en <48 h ∗ Excluye (asociada a instituciones de salud) ∗ Hospitalización >48 h, antes de 90 días ∗ En los últimos 30 días: ATB IV, quimioterapia, curaciones ∗ Hemodiálisis ∗ 48 luego de IET (Asociada a ventilador)
  • 22.
    ESTADOS DE PROGRESION TorresC., Awad C., Chaparro C., Maldonado D., Neumología 6a Ed. 2007, Cap 5, 117-154 Ramzi S,Vinay Kumar. Tucker Collins . Robbins Patologia Estructural y Funcional Sexta edicion .. 748-753
  • 23.
    Síntomas Clínico (típicos) General ∗ ∗ ∗ ∗ ∗ ∗ Compromisodel estado general Disnea, Tos Expectoración Taquicardia Taquipnea Fiebre Exploración pulmonar ∗ Matidez ∗ Disminución del murmullo vesicular ∗ Broncofonía Radiografía  Condensación en lóbulo/s
  • 24.
    Sintomas Clínicos(atípicos) General ∗ Tosno productiva ∗ Alteración del estado de conciencia ∗ Faringitis ∗ Adenopatías cervicales ∗ Leucocitosis leve Exploración pulmonar ∗ Hallazgos difusos ∗ No hallazgos Radiografía  Difusa  Como parches  Bronconeumonía
  • 25.
  • 29.
    Community acquired pneumonia(Streptococcus pneumoniae) (a) and (b): PA and lateral chest films show consolidation in the lateral segment of the middle lobe, abutting the major and minor fissures.
  • 30.
    PA chest radiographshows an alveolar consolidation involving the right and left lower lobes in a patient infected by Streptococcus pneumoniae
  • 31.
    Mycoplasma pneumonia: chestradiograph. There is a diffuse peripheral and bilateral interstitial involvement.
  • 32.
  • 33.
    FACTORES DE RIESGOPARA ETIOLOGIA NO HABITUAL Edad > 65 años. Enfermedades crónicas debilitantes (comorbilidad) EPOC Insuficiencia cardiaca Cirrosis Hepática Insuficiencia Renal Crónica Diabetes Mellitus Alcoholismo Inmunosupresión Falta de respuesta a un tratamiento antibiótico empírico correcto. (pasadas 48-72h) Presencia de cavitaciones en Rx de tórax Procedencia de ancianatos. Presentación inicial muy grave. Pacientes postrasplantados.
  • 34.
    Exámenes Clínicos Ambulatorio ∗ Radiografíade tórax Hospitalizado ∗ ∗ ∗ ∗ ∗ ∗ ∗ Radiografía de tórax Gram y cultivo de esputo. Hemocultivos (#2). Cuadro hemático, VSG. PCR. Electrolitos (Na, K). Gases arteriales