Danna Sofía Salazar Gómez
Definición
Se trata de una hernia de vísceras. Consiste en la protrusión de vísceras
abdominales, más frecuentemente el estómago, hacia el mediastino y el tórax, a
través del hiato esofágico del diafragma.
Epidemiología
oHernia más frecuente 20% de la población y 10% asintomático
oSu edad de aparición esta entre 40 a 60 años
oFrecuente en países occidentales
oMas frecuente en mujeres
Etiología
Ocurre cuando existe un debilitamiento del diafragma por
diversas disfunciones fisiológicas, enfermedades o lesiones:
Embarazo
ObesidadEnvejecimiento
Tos crónica
EstreñimientoVómitos
Estrés
Tabaquismo
Sedentarismo
Genética
Levantar objetos pesados
constantemente
Clasificación
Tipo Nombre Características
I Deslizante Aparece cuando el ligamento freno-esofágico no mantiene la unión
gastro-esofágica en la cavidad abdominal. Así pues, el cardias se
desplaza entre el mediastino posterior y la cavidad peritoneal.
II Paraesofágica La UGE está anclada al abdomen pero el hiato, que suele ser grande,
deja espacio para que las vísceras se desplacen al mediastino.
Habitualmente, el fondo del estómago se desplaza al mediastino
III Mixta Son una combinación de la tipo I y II, en las que la UGE y el fondo se
desplazan libremente por el mediastino.
IV Mixta gigante Aparecen cuando otros órganos en lugar o además del estómago se
hernian a través del hiato. De forma característica estas hernias son
grandes y contienen parte del colon o del bazo, además del estómago,
dentro del tórax
Clasificación
Manifestaciones clínicas
oAsintomático
oSíntomas típicos: Reflujo
gastroesofágico (Pirosis, regurgitación)
oDisfagia
oPlenitud postprandial
oNáuseas y arcadas
oDolor epigástrico
oDolor de pecho
oSangrado (Hematemesis o Melenas)
oPérdida de peso
oAnemia
Importancia clínica: Obstrucción,
isquemia o vólvulo gástrico
Diagnostico
o Historia clínica
o Endoscopia de vías digestivas altas: si hay síntomas de la enfermedad o
signos de alarma
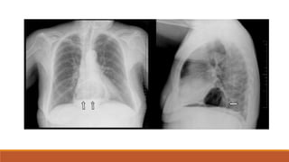
o Radiología
• Radiografía: Liquido blanquecino (Bario) que recubre el tracto digestivo para
ver el contorno del esófago, estomago e inicio del intestino.
• Tomografía: No es un procedimiento estándar
Diagnostico diferencial
oSimula el dolor anginoso: dolor retroesternal, dolor o dificultad para tragar los
alimentos o retorno de la comida a la boca, irradiado a brazo y maxilar inferior.
oDesencadenado por exceso de alcohol, alimentos muy condimentados o
posición decúbito, si se come rápido y masticando mal o con bebidas gaseosas,
frías o calientes; puede presentarse tras acostarse llegando a despertar de
noche.
oMejora en posición erecta. Mejora con nitroglicerina sublingual como el dolor
de origen cardiaco, pero también con antiácidos.
Tratamiento
oMODIFICAR EL ESTILO DE VIDA:
•Perder peso
•Evitar alimentos 3h antes de dormir
•Permanecer en posición vertical después de comer
•Elevar la cabecera de la cama 15-20cm
•Evitar comidas grasosas y picantes.
Tratamiento
oINHIBIDOR DE LA BOMBA DE PROTONES:
•Lanzoprasol 15/30mg
•Omeprasol 20/40mg
•Esomeprasol 20/40mg
oANTIACIDOS
oANTAGONISTAS DE RECEPTORES DE
HISTAMINA 2:
•Ranitidina 150/300mg
•Cimetidina 200/300/400/800 mg
•Famotidina 40mg
•Nizatidina 150/300mg
Piedra angular del tratamiento: Alivio de los síntomas de reflujo gastroesofágico
Tratamiento
oCIRUGÍA: Funduplicatura laparoscópica: reducción de hernia hiatal
INDICADO EN: Pacientes con regurgitación persistente a pesar del tratamiento o que aparezcan
complicaciones.
Cirugía antirreflujo NISSEN
Hernia hiatal

Hernia hiatal

  • 1.
  • 2.
    Definición Se trata deuna hernia de vísceras. Consiste en la protrusión de vísceras abdominales, más frecuentemente el estómago, hacia el mediastino y el tórax, a través del hiato esofágico del diafragma.
  • 3.
    Epidemiología oHernia más frecuente20% de la población y 10% asintomático oSu edad de aparición esta entre 40 a 60 años oFrecuente en países occidentales oMas frecuente en mujeres
  • 4.
    Etiología Ocurre cuando existeun debilitamiento del diafragma por diversas disfunciones fisiológicas, enfermedades o lesiones: Embarazo ObesidadEnvejecimiento Tos crónica EstreñimientoVómitos Estrés Tabaquismo Sedentarismo Genética Levantar objetos pesados constantemente
  • 5.
    Clasificación Tipo Nombre Características IDeslizante Aparece cuando el ligamento freno-esofágico no mantiene la unión gastro-esofágica en la cavidad abdominal. Así pues, el cardias se desplaza entre el mediastino posterior y la cavidad peritoneal. II Paraesofágica La UGE está anclada al abdomen pero el hiato, que suele ser grande, deja espacio para que las vísceras se desplacen al mediastino. Habitualmente, el fondo del estómago se desplaza al mediastino III Mixta Son una combinación de la tipo I y II, en las que la UGE y el fondo se desplazan libremente por el mediastino. IV Mixta gigante Aparecen cuando otros órganos en lugar o además del estómago se hernian a través del hiato. De forma característica estas hernias son grandes y contienen parte del colon o del bazo, además del estómago, dentro del tórax
  • 6.
  • 7.
    Manifestaciones clínicas oAsintomático oSíntomas típicos:Reflujo gastroesofágico (Pirosis, regurgitación) oDisfagia oPlenitud postprandial oNáuseas y arcadas oDolor epigástrico oDolor de pecho oSangrado (Hematemesis o Melenas) oPérdida de peso oAnemia Importancia clínica: Obstrucción, isquemia o vólvulo gástrico
  • 8.
    Diagnostico o Historia clínica oEndoscopia de vías digestivas altas: si hay síntomas de la enfermedad o signos de alarma o Radiología • Radiografía: Liquido blanquecino (Bario) que recubre el tracto digestivo para ver el contorno del esófago, estomago e inicio del intestino. • Tomografía: No es un procedimiento estándar
  • 11.
    Diagnostico diferencial oSimula eldolor anginoso: dolor retroesternal, dolor o dificultad para tragar los alimentos o retorno de la comida a la boca, irradiado a brazo y maxilar inferior. oDesencadenado por exceso de alcohol, alimentos muy condimentados o posición decúbito, si se come rápido y masticando mal o con bebidas gaseosas, frías o calientes; puede presentarse tras acostarse llegando a despertar de noche. oMejora en posición erecta. Mejora con nitroglicerina sublingual como el dolor de origen cardiaco, pero también con antiácidos.
  • 12.
    Tratamiento oMODIFICAR EL ESTILODE VIDA: •Perder peso •Evitar alimentos 3h antes de dormir •Permanecer en posición vertical después de comer •Elevar la cabecera de la cama 15-20cm •Evitar comidas grasosas y picantes.
  • 13.
    Tratamiento oINHIBIDOR DE LABOMBA DE PROTONES: •Lanzoprasol 15/30mg •Omeprasol 20/40mg •Esomeprasol 20/40mg oANTIACIDOS oANTAGONISTAS DE RECEPTORES DE HISTAMINA 2: •Ranitidina 150/300mg •Cimetidina 200/300/400/800 mg •Famotidina 40mg •Nizatidina 150/300mg Piedra angular del tratamiento: Alivio de los síntomas de reflujo gastroesofágico
  • 14.
    Tratamiento oCIRUGÍA: Funduplicatura laparoscópica:reducción de hernia hiatal INDICADO EN: Pacientes con regurgitación persistente a pesar del tratamiento o que aparezcan complicaciones. Cirugía antirreflujo NISSEN