La primera prótesis de la que se tiene constancia no es un diente natural o
artificial atado a los dientes vecinos, como se ha encontrado en cráneos
egipcios o fenicios, sino que es una implantación necrópsica realizada
durante el Neolítico (hace unos 9000 años). Este hallazgo tuvo lugar en el
poblado de Faid Souard, en Argelia. El cráneo encontrado era de una mujer
joven y presentaba un fragmento de falange de un dedo introducido en el
alvéolo del segundo premolar superior derecho.
Los restos antropológicos más remotos de implantes dentales colocados “in
vivo” son los de la cultura maya. El arqueólogo Popenoe, en 1931, descubrió
en la Playa de los Muertos de Honduras una mandíbula, que data del año 400
d.n.e., con tres fragmentos de concha introducidos en los alvéolos de los
incisivos. Los estudios radiológicos determinaron la formación de hueso
compacto alrededor de los implantes, haciendo suponer que dichos
fragmentos se introdujeron en vida.
Duval, en 1633, podría considerarse como innovador, ya que hizo
muchas reimplantaciones, pero distinguiéndose de sus antecesores
en que tomaba la precaución de extirpar la pulpa y sustituirla por
plomo u hojas de oro
A principios del siglo XIX se llevó a cabo la colocación de los primeros implantes
metálicos intraalveolares, destacando autores como Maggiolo, odontólogo que
en 1809 introdujo un implante de oro en el alvéolo de un diente recién
extraído, el cual constaba de tres piezas. Pero esto no era suficiente y el
siguiente gran avance llegó de manos de la cirugía
Los cirujanos introducían alambres, clavos y placas para resolver las fracturas.
Imitándolos, hubo varios dentistas a finales del siglo XIX que lo intentaron. Harris,
en 1887, implantó una raíz de platino revestida de plomo en un alvéolo creado
artificialmente. Durante las primeras décadas del XX se destacó, entre otros, R.
Payne, quien presentó su técnica de implantación en el III Congreso Dental
Internacional celebrado en 1901, utilizando para ello una cápsula de plata colocada
en el alvéolo de una raíz. Posteriormente, en 1909, Algrave demostró el fracaso de
esta técnica con plata, dada la toxicidad de este metal en el hueso.
Durante la Primera Guerra Mundial se insertaron tornillos, clavos y placas en los
hospitales militares. Fracasaron casi todos. En boca nadie se atrevía. Venable y Strock en
1937 publicaron su estudio sobre el tratamiento de fracturas con prótesis e implantes
elaborados con un nuevo material, el Vitallium (aleación de cobalto, cromo y
molibdeno).
La odontología se aprovechó de esta experiencia y así surgieron las dos escuelas clásicas.
La subperióstica del sueco Dahl y la intraósea de Strock, aunque su verdadero precursor
fue el italiano Formiggini.
Dahl no pudo desarrollar sus trabajos en Suecia por prohibición de las autoridades
sanitarias (1943), Gerschkoffr y Goldberg discípulos estadounidenses suyos,
publicaron en 1948 sus resultados con implantes de vitalium. Su influencia en Estados
Unidos decayó pronto y nada nuevo hicieron a continuación. Por el contrario, en
Europa, la implantología se difundió rápidamente. En la década de los cincuenta, se
trabajaba en Italia la implantología yuxtaósea. Marzini abría, tomaba la impresión del
hueso y luego, al mes, volvía a abrir y colocaba la infraestructura de tantalio.
Formiggini diseñó un implante intraóseo en espiral, inicialmente de tantalio y luego de
vitalio, que tuvo muchos adeptos. En los primeros tiempos también tuvo gran auge la
implantología en Francia e Italia.
La implantología se establece como una ciencia odontológica en Buenos Aires,
Argentina en 1971 con la investigaciones de:
Rafaél Chércheve y Jean Pierre Hubert de Francia
Baldomero Sol y Salagaray de España
Carlos M. Giró de Nueva York USA
Sami Sandhaus de Suiza
Giordano Morattori de Italia
Pedro Bocci, Dr. Vaamonde, Emma Amelia Tomatis y Mabel Bartolomé de Argentina
Jorge Bruno de Uruguay
Antonio Carlos Dias de Oliveira y Eloy Borgo de Brasil
Jorge Luis Rivas Galindo de México
Todo el mundo es candidato para recibir un implante?
Qué es el rechazo ?
Hay algunas condicionantes para ser candidato a recibir un implante?
Es mejor el implante al diente natural?
Zacapu 1970
Reimplante ortodóncico
Odontoma
1977
Receptor
Donante
Donante
Donante
Receptor momento de trasplante
Trasplante 3 meses de evolución
Implantes de titanio en cara
Consideraciones generales en implantología
Implante meta-endodóntico de Stroke 1940
Formiginni 1947
Agujas de Scialóm 1970
Implante subperióstico Cherchève 1972
Implante tipo Linkow 1970
Implantes de carbón vítreo
Implantes Bicon
Implantes Bicon, con menor longitud y mayor area de contacto
Se ha comprobado que entre el .5 y el 1 % de los implantes producen rechazo
desde el punto de vista alergénico. La formación de óxido de titanio altera la
fagocitosis periimplantaria. El óxido de titanio también altera el mecanismo
osteoblasto-osteoclasto.
Otra condición adversa es la actividad eléctrica entre el titanio y las prótesis que
soporta, incluso el flúor del agua o las pastas dentales reaccionan con el titanio.
Vidrio
Porcelana
Plomo
Fragmentos de metralla
Acrílico
Acero inoxidable
Vitalium
Titanio
Esta moda de los implantes me
ha dado un modo muy confortable
de vivir, sobre todo con la defensa
de mi abogado . . . . . .
Locales:
Metales incompatibles con la cavidad oral
Fallas del protesista adecuado
Hábitos orales:
Mal cepillado dental
Uso de palillo dental
Uso inadecuado de seda dental
Uso inadecuado de Water Pik
Sistémicas:
Respiratorio
Respiración bucal
Infecciones frecuentes del tracto aéreo superior:
Sinusitis,
Rinitis
Otitis,
Faringitis
Padecimientos broncopulmonares:
Asma
Fiebre del heno
Bronquitis crónica
Enfisema pulmonar
Tabacomanía
Cuidades con alto índice de contaminación,
Etc……
Sistémicas Cardiovasculares
Padecimientos del árbol arterial
Hipertensión
Arterioesclerosis
Secuelas de tromboembolismos, etc.
Padecimientos miocárdicos:
Insuficiencia cardiaca
Isquemia
Secuelas de infartos
Etc.
Sistémicas endocrinológicas
Sistémicas autoinmunes:
Síndrome de Sjörgen
Artritis reumatoide
Lupus Eritematoso
Poliarteritis nodosa
Etc.
Sistémicas:
Enfermedad ácido péptica
Sistémicas:
Nefropatías agudas y crónicas
Dr. Branemark
Qué es Osteointegración ?
Branemark:
Es la unión íntima entre tejido óseo vivo y ordenado y la superficie del
implante, sometido a carga funcional.
Leckholm y Espósito:
Es la ausencia de dolor y movilidad de los implantes bajo carga funcional
Implantología Oral
Implantes Óseointegrados
Generalidades
Biología aplicada
Anatomía aplicada
Diagnóstico prequirúrgico
Técnica de aplicación
Complicaciones
I
Definición de Oseointegración
• Branemark:
Es la unión íntima entre tejido óseo vivo y
ordenado y la superficie del implante,
sometido a carga funcional.
• Leckholm y Espósito:
Es la ausencia de dolor y movilidad de los
implantes bajo carga funcional
Criterios de Éxito de Oseointegración
• Éxito Clínico:
– Ausencia de movilidad
– Ausencia de dolor
– Sonido metálico a la percusión
• Éxito Radiológico
– Ausencia de áreas radiolúcidas
– Pérdida ósea vertical hasta 0,2 mm por
año
• Éxito Histológico:
– Unión íntima entre hueso e implante
Períodos de Oseointegración
• Etapa de oseointegración inicial:
– Desde la colocación hasta la carga protética
• Remodelación ósea
– Desde la carga hasta los 18 meses
• Estabilización
– Desde los 18 meses, se logra mediante un
equilibrio de neoformación y reabsorción ósea
bajo cargas funcionales
Tipos de Hueso
Cátedra de Cy T.B.M.F. II
Clasificación de Lekholm y Zarb
Según la calidad
• Hueso tipo I
• Hueso tipo II
• Hueso tipo III
• Hueso tipo IV
Según la cantidad
• Hueso “A”
• Hueso “B”
• Hueso “C”
• Hueso “D”
• Hueso “E”
Cantidad Ósea
Hay que tener en cuenta:
• Amplitud
• Espesor
• Altura
Hueso Tipo “A”
Amplitud
>7 mm
Reborde alveolar conservado
Espesor
>5 mm
Altura
>13mm
Hueso Tipo “B”
Amplitud
>7 mm
Reborde alveolar conservado
Espesor
>3 mm
Altura
>13mm
Hueso Tipo “C”
Amplitud
>7 mm
Reborde alveolar conservado
Espesor
>5 mm
Altura
<8mm
HuesoTipo “D” y “E”
“D”
Compromiso
inicial del
hueso basal
“E”
Reabsorción
avanzada del
hueso basal
“E”
Rreabsorción
avanzada del
hueso basal
Calidad Ósea
Hay que tener en cuenta:
• Densidad de corticales
• Densidad travecular
Estructura ósea
I: BIC
80 %
Calidad ósea
(BIC: Bone Implant Contact)
II: BIC
70 %
III: BIC
40 %
IV: BIC
15 %
Anatomía aplicada
Maxilar superior
Seno maxilar
Fosas nasales
Maxilar inferior
Conducto Dentario Inferior y Agujero Mentoniano
Maxilar Superior
Seno maxilar
Fosas nasales
Anatomía relacionada
Tabiques Intrasinusales
Conducto Dentario Inferior
C.Interna
2,5mm
C. Externa
5,5mm
Basal
8mm
I
Distancia al Apice de los Molares
Según E. Oliver
Lingual Vestibular
5 a 6mm
Dentario Inferior-Basal
Mandibular
Distancia máxima
12 mm
Distancia promedio
8 mm
Distancia mínima
5mm
NO
Area crítica inmediata para el
implante
Unión gingivo-implantaria
Inicio de la periimplantitis
La principal causa de fracaso de los implantes dentales es la
isquemia ósea periimplantaria.
Se comportan igual todos los implantes en el organismo?
Diagnóstico en Implantología
• Clínico
• Por Imágenes Rx. Tomografía
• Modelos
Diagnóstico y Planificación
• Determina:
• - Si el paciente esta apto para la colocación de
implantes.
• - Tipo de prótesis.
• - Cantidad, distribución, diámetro, longitud,
posición y tipo de implante
Diagnóstico Clínico General
Para descartar Trastornos de:
• Coagulación
• Cicatrización
• Metabolismo
• Respuesta Inmunológica
• Patologías Psíquicas y Mentales
Diagnóstico: factores de riesgo
• Edad
• Biotipología Facial
• Hábitos
• Colaboración
• Higiene
Diagnóstico Clínico Local
• Apertura Bucal
• Soporte Labial y Plenitud Facial
• Compromiso Estético
• Salud de Tejidos Blandos
• Piezas Dentarias Remanentes
• Forma y Tamaño de los Rebordes
Cátedra de Cy T.B.M.F. II
Planificación
• Cantidad de implantes
• Distribución
• Alineación
• Nivel
• Paralelismo
• Tipo de prótesis
Cantidad
Cantidad ideal: 1 a 1
Cantidad mínima:
mitad más 1
Distribución:
Distancias mínimas
3mm 1,5mm
Nivel y Paralelismo
Nivel Paralelismo
Alineación
Diagnóstico por Imágenes
• Rx Extraorales: Teleradiografías y
Ortopantomografías
• Rx intraorales: Oclusales y Rx. Periapicales.
• Fundamentalmente Tomografías
Rx Intraoral: Técnica De Cono Largo
• Altura de hueso disponible
• Relación con estructuras
anatómicas
• Amplitud
• Relación con piezas vecinas
• Presencia de patologías y-o
cuerpos extraños
• Traveculado óseo
Controles Radiográficos a Distancia
• Zonas Radiolúcidas Alrededor del Implante
• Perdidas Óseas Verticales
• Ajuste y Asentamiento de la Supraestructura
Rx Periapical
• Es el método más
importante para los
controles postoperatorios
Controlan
fundamentalmente:
Asentamiento y
Ajuste protético
Estabilidad ósea
periimplante
Rx Periapical
Altura de Hueso Disponible: Relación con
estructuras anatómicas nobles
Es la altura de hueso que va desde la cresta alveolar hasta
1,5 o 2 mm de las estructuras anatómicas a preservar
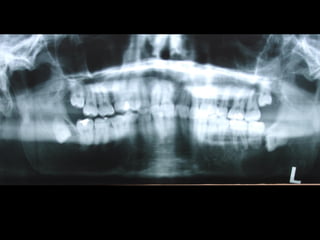
Rx Panorámica
Distorciónes en Diferentes Sectores de la Panorámica
En Sentido Vertical
30 %30 %
Sector
Anterior
10 %10 %
Sector
Posterior
10 %10 %
Sector
Posterior
Distorciónes de la Panorámica
En Sentido Horizontal
Hasta un 70 %Hasta un 70 %
Tomografía Convencional
(sobre película)
Poseen distorsiones homogéneas, estandarizadas
y calculadas para cada tipo de aparato
Tomografía Computada
Imágenes cortesía Rx Oral
Estereolitografía para planeación de implantes
Diagnóstico Sobre Modelos
• Planificación Quirúrgica
• Guías Protéticas, Radiológicas y Quirúrgicas
Guías Contrastadas
Guía con elementos
radioopacos
Guías Contrastadas
Colocación de la guía
en el momento de las
exposiciones
Imágen del panorexes
central
Rx Panorámica con Guía Contrastada
Clasificación de Implantes
Según el diámetro
Según la longitud
Según la superficie
Tipos de Implantes
Según la longitud
Corto Regular Largo
5 a 8 mm > 15 mm
10 mm
a
15 mm
Por cada
mm de
longitud
se gana un
10% de
oseointegr
ación
3.75
a
4 mm
< 3.75 mm
> 4 mm
Tipos de Implantes
Según el diámetro
Mini Estándar Macro
Por cada
mm de
diámetro
se gana
un 40%
de
oseointe
gración
Tipos de Implantes
Según la superficie
• Superficie Maquinada
• Superficies Tratadas
• Superficies Híbridas
Superficie Maquinada
Superficie
expuesta del
maquinado
Superficie Tratada
Complicaciones
Quirúrgicas
Protéticas
Causas de Fracasos en:
• Etapa de oseointegración inicial:
– Técnica quirúrgica incorrecta
– Cargas protéticas prematuras
• Etapa de remodelación ósea:
– Diseños protéticos incorrectos
• Etapa de estabilización:
– Hábitos y parafunción del paciente
– Falta de controles adecuados
• Paciente de 25 años con
pérdida casi total de
dientes superiores y
prótesis mal adaptada.
• Ganchos que no
cumplen su función.
Modelos de estudio, a la izquierda sin la prótesis a la derecha con la prótesis, el
molar izquierdo con destrucción casi total de la corona y sin utilidad protésica.
Primer tiempo quirúrgico; Exposición del maxilar para tomar una impresión del
hueso y poder elaborar la estructura implantaria.
Exposición del maxilar para tomar la impresión
Previamente se ha elaborado un portaimpresiones en acrílico de autopolimerización, el
cual será llenado con silicona para obtener el duplicado de la estructura ósea.
En el modelo que se obtuvo en el primer tiempo quirúrgico se elabora en el
laboratorio la estructura que se adptará al maxilar por mecanismo de grapa.
Segundo tiempo quirúrgico para aplicar la estructura.
Estructura en íntimo contacto con la superficie ósea, quedando los postes
fuera de la fibromucosa gingival..
Sutura de colgajos que cubren la estructura, dejando los postes bien visibles.
Colocación de la prótesis dentaria.
Estructuras metálicas subperiósticas:
Tornillos para fijación en hueso:
Prótesis:
Segundo tiempo quirúrgico:
Estructura implantada por debajo del periostio:
• Los implantes subperiósticos son parte de la historia de la
Odontología, sin embargo en su momento fueron una buena
solución para casos protésicos difíciles.
Implantes fabricados en Brasil
Lingitud de hueso
Disponible 20 mm.
Implante en posición
Dejamos el implante sepultado por 4 meses previos al inicio del procedimiento
Protésico.
• Los implantes deben dejarse sin carga unLos implantes deben dejarse sin carga un
promedio aproximado de cuatro meses,promedio aproximado de cuatro meses,
después de los cuales se inicia el trabajodespués de los cuales se inicia el trabajo
protésico.protésico.
• Cuidados postoperatorios: Analgésicos,Cuidados postoperatorios: Analgésicos,
antibióticos y antiinflamatorios, hielo local lasantibióticos y antiinflamatorios, hielo local las
primeras horas y dieta licuada los 3 primerosprimeras horas y dieta licuada los 3 primeros
días.días.
Mini-implantes Odontit
Mario Herzberg
Buenos Aires
Mini-implantes para apoyo de fuerzas ortodóncicas
AmeloblastomaAmeloblastoma
AmeloblastomaAmeloblastoma
Ameloblastoma
Neumólogo: Dr. Crescenciano González OlivaresNeumólogo: Dr. Crescenciano González Olivares
Trismus importante debido a queTrismus importante debido a que
El tumor ya rompió el hueso com-El tumor ya rompió el hueso com-
Pacto de la cara interna de laPacto de la cara interna de la
Mandíbula y empezó a tomar elMandíbula y empezó a tomar el
Músculo pterigoideo interno.Músculo pterigoideo interno.
Orbicular de los labiosOrbicular de los labios
Cuadrado del mentónCuadrado del mentón
MentónMentón
Agujero mentonianoAgujero mentoniano
Tejido celular subcutáneoTejido celular subcutáneo
DigástricoDigástrico
Compartimiento submandibularCompartimiento submandibular
Conducto de StenonConducto de Stenon
Arteria facialArteria facial
Nervio facialNervio facial
Cutáneo del cuelloCutáneo del cuello
GanglioGanglio
Arteria facial pinzadaArteria facial pinzada
Sierra de GigliSierra de Gigli
Luxación de hemimandíbulaLuxación de hemimandíbula
Pieza quirúrgicaPieza quirúrgica
Plantilla flexible para dar forma previa al implante
Se respetó el cóndilo para anclar la prótesisSe respetó el cóndilo para anclar la prótesis
Límite tumoralLímite tumoral
Area de lisis ósea a nivel de la líneaArea de lisis ósea a nivel de la línea
Miliodes que contracturó los músculosMiliodes que contracturó los músculos
Milohioideo y pterigoideo internoMilohioideo y pterigoideo interno
Dificultando la deglución y determinandoDificultando la deglución y determinando
Trismus importante.Trismus importante.
Pieza en proceso de examen por histopatologíaPieza en proceso de examen por histopatología
Dr. Ismael Espejo Plascencia PatólogoDr. Ismael Espejo Plascencia Patólogo
48 horas de post-operatorio48 horas de post-operatorio
Plastia de maxilares para implantes dentales.
Plastia alveolar con factores de crecimiento y
traspalnate de hueso cadaverico
La conformación quirúrgica de un contorno alveolar adecuado es
determinante para la correcta aplicación y aceptación de los implantes
de titanio, aquí proponemos una técinica para lograr el espesor óseo
suficiente y la corrección estética del proceso, ya que antiguamente al
extraer un diente se acostumbraba presionar las tablas alveolares
“para cohibir la hemorragia”, con el colapso subsiguiente de la región.
Area de defecto. Con prótesis a
utilizar durante el proceso de
integración del trasplante de hueso
Toma de sangre para obtención de factores de crecimiento en plasma
rico en plaquetas.
Canalización y sedación del paciente con Midazolam
La sangre se vierte en tubo de ensayo con
anticoagulante a base de citrato.
Centrifugación de la sangre por el protocolo de Anitua
Etiquetado cuidadoso
de los diferentes tipos
de sangre a obtener, en
este caso Plasma
Pobre en Plaquetas.
Tubo para Plasma
Rico en Plaquetas o
PRP.
Sangre centrifugada con plasma en parte superior
Fracción I – PPP
Fracción II – Plasma equiplaquetario
Fracción II – PRP o PRGF
Pipeteo cuidadoso de Fracción I
Pipeteo meticuloso de la
fracción III, si se
contamina con fórmula
roja habrá de
deshecharse y cambiar
de pipeta
Gradilla con tubos
debidamente
etiquetados, cuando
son más de dos
pacientes, alerta!
Habrá que poner el
nombre de cada uno.
Material de trabajo
Asepsia y campos
Anestesia de la región
Incisión
Disección cuidadosa del colgajo
Defecto óseo a corregir
Múltiples perforaciones en hueso compacto
Aspecto de hueso cribado
Hueso de cadáver
El plasma rico en
plaquetas se activa con
gluconato de calcio para
desencadenar la cascada
de coagulación.
Hueso en recipiente
PRP activado
Se ha iniciado el proceso de coagulación con el hueso formando
cuerpo con el PRGF.
Material en posición
El resto del PRP sobrante se coloca por encima del implante previo
Apósito de FCPRP por encima del
trasplante óseo.
Se plancha el colgajo sobre el area trasplantada
Sutura meticulosa
La aplicación de implantes requiere de una cantidad y calidad de hueso
Importantes para sostener el metal en un área de estroma óseo
Saludable. Esto se logra efectuando una valoración adecuada de las
Características sistémicas del paciente y no injertando hueso o haciendo
Plastías indiscriminadamente.
He dado algunas directrices en el área de “consideraciones sobre
Implantes”
Este tipo de procedimientos puede considerarse como una forma de cirugía
preprotésica, la cual debe efectuarse con un conocimiento integral de las
alteraciones locales y sistémicas del paciente.
En mi práctica he observado el entusiasmo simplista de muchos odontólogos
practicando este tipo de intervenciones en pacientes con padecimientos que
afectan directamente al hueso (vejez, osteoporosis, diabetes, tumores óseos, etc.)
De ahí mi invitación a que estos procedimientos se efectúen apoyándose en
personas que hayan tenido un entrenamiento hospitalario a nivel de Residencia en
Cirugía Máxilofacial.
Tomografía computarizada
De seno maxilar corte sagital.
Area de implantación
Dentaria.
Material osteoconductor
para elevar el piso antral
Nuevo piso del seno y su
margen de seguridad para
contener el implante
dentario
Antro maxilar visto desde la cara interna del un hueso
Aparentemente normal
Seno maxilar aumentado de tamaño por
neumatización y edentulosis.
No compatible para aplicación de
implantes por exposición del mismo a la
luz del antro.
Colocación de material biológico o
no para aumentar el espesor del
piso y poder contener implante
dentario en un lecho de “hueso
sano”.
Uno de los fenómenos fisiológicos más comunes es la falta de hueso en el
Piso del antro de Highmore, secundario a la neumatización de los senos y
Que en muchas ocasiones aproxima el piso antral al proceso alveolar, por
Lo que sobre todo en pacientes jóvenes es factible dar volumen a este
Área con la aplicación de injerto de hueso humano, equino o derivados de
arcillas de sílice. Las indicaciones de usar uno u otros depende de la experiencia
Clínica del operador.
Hueso humano desnaturalizado y liofilizado
Hueso equino desnaturalizado y liofiliozado
Arcilla de sílice que tiene características osteógenas
Antro de Highmore
Es mandatorio respetar la mucosa
del antro como se muestra en esta
imagen, si la mucosa pierde su
continuidad, él material implantado
actuará como cuerpo extraño con
el consecuente fracaso de la
intervención.
Dados en armonía bajo la sombra de la religión, unidos por el lazo fraterno
de la fé hacia la luz de la verdad.
www.maxilofacial.mx
www.maxilofacial.mex.tl

Implant zamora

  • 6.
    La primera prótesisde la que se tiene constancia no es un diente natural o artificial atado a los dientes vecinos, como se ha encontrado en cráneos egipcios o fenicios, sino que es una implantación necrópsica realizada durante el Neolítico (hace unos 9000 años). Este hallazgo tuvo lugar en el poblado de Faid Souard, en Argelia. El cráneo encontrado era de una mujer joven y presentaba un fragmento de falange de un dedo introducido en el alvéolo del segundo premolar superior derecho.
  • 7.
    Los restos antropológicosmás remotos de implantes dentales colocados “in vivo” son los de la cultura maya. El arqueólogo Popenoe, en 1931, descubrió en la Playa de los Muertos de Honduras una mandíbula, que data del año 400 d.n.e., con tres fragmentos de concha introducidos en los alvéolos de los incisivos. Los estudios radiológicos determinaron la formación de hueso compacto alrededor de los implantes, haciendo suponer que dichos fragmentos se introdujeron en vida.
  • 8.
    Duval, en 1633,podría considerarse como innovador, ya que hizo muchas reimplantaciones, pero distinguiéndose de sus antecesores en que tomaba la precaución de extirpar la pulpa y sustituirla por plomo u hojas de oro
  • 9.
    A principios delsiglo XIX se llevó a cabo la colocación de los primeros implantes metálicos intraalveolares, destacando autores como Maggiolo, odontólogo que en 1809 introdujo un implante de oro en el alvéolo de un diente recién extraído, el cual constaba de tres piezas. Pero esto no era suficiente y el siguiente gran avance llegó de manos de la cirugía
  • 10.
    Los cirujanos introducíanalambres, clavos y placas para resolver las fracturas. Imitándolos, hubo varios dentistas a finales del siglo XIX que lo intentaron. Harris, en 1887, implantó una raíz de platino revestida de plomo en un alvéolo creado artificialmente. Durante las primeras décadas del XX se destacó, entre otros, R. Payne, quien presentó su técnica de implantación en el III Congreso Dental Internacional celebrado en 1901, utilizando para ello una cápsula de plata colocada en el alvéolo de una raíz. Posteriormente, en 1909, Algrave demostró el fracaso de esta técnica con plata, dada la toxicidad de este metal en el hueso.
  • 11.
    Durante la PrimeraGuerra Mundial se insertaron tornillos, clavos y placas en los hospitales militares. Fracasaron casi todos. En boca nadie se atrevía. Venable y Strock en 1937 publicaron su estudio sobre el tratamiento de fracturas con prótesis e implantes elaborados con un nuevo material, el Vitallium (aleación de cobalto, cromo y molibdeno). La odontología se aprovechó de esta experiencia y así surgieron las dos escuelas clásicas. La subperióstica del sueco Dahl y la intraósea de Strock, aunque su verdadero precursor fue el italiano Formiggini.
  • 12.
    Dahl no pudodesarrollar sus trabajos en Suecia por prohibición de las autoridades sanitarias (1943), Gerschkoffr y Goldberg discípulos estadounidenses suyos, publicaron en 1948 sus resultados con implantes de vitalium. Su influencia en Estados Unidos decayó pronto y nada nuevo hicieron a continuación. Por el contrario, en Europa, la implantología se difundió rápidamente. En la década de los cincuenta, se trabajaba en Italia la implantología yuxtaósea. Marzini abría, tomaba la impresión del hueso y luego, al mes, volvía a abrir y colocaba la infraestructura de tantalio. Formiggini diseñó un implante intraóseo en espiral, inicialmente de tantalio y luego de vitalio, que tuvo muchos adeptos. En los primeros tiempos también tuvo gran auge la implantología en Francia e Italia.
  • 15.
    La implantología seestablece como una ciencia odontológica en Buenos Aires, Argentina en 1971 con la investigaciones de: Rafaél Chércheve y Jean Pierre Hubert de Francia Baldomero Sol y Salagaray de España Carlos M. Giró de Nueva York USA Sami Sandhaus de Suiza Giordano Morattori de Italia Pedro Bocci, Dr. Vaamonde, Emma Amelia Tomatis y Mabel Bartolomé de Argentina Jorge Bruno de Uruguay Antonio Carlos Dias de Oliveira y Eloy Borgo de Brasil Jorge Luis Rivas Galindo de México
  • 17.
    Todo el mundoes candidato para recibir un implante? Qué es el rechazo ? Hay algunas condicionantes para ser candidato a recibir un implante? Es mejor el implante al diente natural?
  • 19.
  • 27.
  • 29.
  • 46.
  • 49.
  • 50.
  • 52.
  • 53.
  • 54.
  • 55.
    Trasplante 3 mesesde evolución
  • 56.
    Implantes de titanioen cara Consideraciones generales en implantología
  • 59.
  • 60.
  • 61.
  • 63.
  • 66.
  • 68.
  • 71.
  • 72.
    Implantes Bicon, conmenor longitud y mayor area de contacto
  • 74.
    Se ha comprobadoque entre el .5 y el 1 % de los implantes producen rechazo desde el punto de vista alergénico. La formación de óxido de titanio altera la fagocitosis periimplantaria. El óxido de titanio también altera el mecanismo osteoblasto-osteoclasto.
  • 75.
    Otra condición adversaes la actividad eléctrica entre el titanio y las prótesis que soporta, incluso el flúor del agua o las pastas dentales reaccionan con el titanio.
  • 76.
  • 77.
    Esta moda delos implantes me ha dado un modo muy confortable de vivir, sobre todo con la defensa de mi abogado . . . . . .
  • 78.
    Locales: Metales incompatibles conla cavidad oral Fallas del protesista adecuado Hábitos orales: Mal cepillado dental Uso de palillo dental Uso inadecuado de seda dental Uso inadecuado de Water Pik
  • 79.
    Sistémicas: Respiratorio Respiración bucal Infecciones frecuentesdel tracto aéreo superior: Sinusitis, Rinitis Otitis, Faringitis Padecimientos broncopulmonares: Asma Fiebre del heno Bronquitis crónica Enfisema pulmonar Tabacomanía Cuidades con alto índice de contaminación, Etc……
  • 80.
    Sistémicas Cardiovasculares Padecimientos delárbol arterial Hipertensión Arterioesclerosis Secuelas de tromboembolismos, etc. Padecimientos miocárdicos: Insuficiencia cardiaca Isquemia Secuelas de infartos Etc.
  • 81.
  • 82.
    Sistémicas autoinmunes: Síndrome deSjörgen Artritis reumatoide Lupus Eritematoso Poliarteritis nodosa Etc.
  • 83.
  • 84.
  • 88.
  • 89.
    Qué es Osteointegración? Branemark: Es la unión íntima entre tejido óseo vivo y ordenado y la superficie del implante, sometido a carga funcional. Leckholm y Espósito: Es la ausencia de dolor y movilidad de los implantes bajo carga funcional
  • 90.
    Implantología Oral Implantes Óseointegrados Generalidades Biologíaaplicada Anatomía aplicada Diagnóstico prequirúrgico Técnica de aplicación Complicaciones
  • 91.
    I Definición de Oseointegración •Branemark: Es la unión íntima entre tejido óseo vivo y ordenado y la superficie del implante, sometido a carga funcional. • Leckholm y Espósito: Es la ausencia de dolor y movilidad de los implantes bajo carga funcional
  • 92.
    Criterios de Éxitode Oseointegración • Éxito Clínico: – Ausencia de movilidad – Ausencia de dolor – Sonido metálico a la percusión • Éxito Radiológico – Ausencia de áreas radiolúcidas – Pérdida ósea vertical hasta 0,2 mm por año • Éxito Histológico: – Unión íntima entre hueso e implante
  • 93.
    Períodos de Oseointegración •Etapa de oseointegración inicial: – Desde la colocación hasta la carga protética • Remodelación ósea – Desde la carga hasta los 18 meses • Estabilización – Desde los 18 meses, se logra mediante un equilibrio de neoformación y reabsorción ósea bajo cargas funcionales
  • 94.
  • 95.
    Cátedra de CyT.B.M.F. II Clasificación de Lekholm y Zarb Según la calidad • Hueso tipo I • Hueso tipo II • Hueso tipo III • Hueso tipo IV Según la cantidad • Hueso “A” • Hueso “B” • Hueso “C” • Hueso “D” • Hueso “E”
  • 96.
    Cantidad Ósea Hay quetener en cuenta: • Amplitud • Espesor • Altura
  • 97.
    Hueso Tipo “A” Amplitud >7mm Reborde alveolar conservado Espesor >5 mm Altura >13mm
  • 98.
    Hueso Tipo “B” Amplitud >7mm Reborde alveolar conservado Espesor >3 mm Altura >13mm
  • 99.
    Hueso Tipo “C” Amplitud >7mm Reborde alveolar conservado Espesor >5 mm Altura <8mm
  • 100.
    HuesoTipo “D” y“E” “D” Compromiso inicial del hueso basal “E” Reabsorción avanzada del hueso basal “E” Rreabsorción avanzada del hueso basal
  • 101.
    Calidad Ósea Hay quetener en cuenta: • Densidad de corticales • Densidad travecular
  • 102.
  • 103.
    I: BIC 80 % Calidadósea (BIC: Bone Implant Contact) II: BIC 70 % III: BIC 40 % IV: BIC 15 %
  • 104.
    Anatomía aplicada Maxilar superior Senomaxilar Fosas nasales Maxilar inferior Conducto Dentario Inferior y Agujero Mentoniano
  • 105.
    Maxilar Superior Seno maxilar Fosasnasales Anatomía relacionada
  • 106.
  • 107.
  • 108.
    I Distancia al Apicede los Molares Según E. Oliver Lingual Vestibular 5 a 6mm
  • 109.
    Dentario Inferior-Basal Mandibular Distancia máxima 12mm Distancia promedio 8 mm Distancia mínima 5mm
  • 110.
  • 113.
    Area crítica inmediatapara el implante
  • 114.
  • 116.
    La principal causade fracaso de los implantes dentales es la isquemia ósea periimplantaria.
  • 117.
    Se comportan igualtodos los implantes en el organismo?
  • 121.
    Diagnóstico en Implantología •Clínico • Por Imágenes Rx. Tomografía • Modelos
  • 122.
    Diagnóstico y Planificación •Determina: • - Si el paciente esta apto para la colocación de implantes. • - Tipo de prótesis. • - Cantidad, distribución, diámetro, longitud, posición y tipo de implante
  • 123.
    Diagnóstico Clínico General Paradescartar Trastornos de: • Coagulación • Cicatrización • Metabolismo • Respuesta Inmunológica • Patologías Psíquicas y Mentales
  • 124.
    Diagnóstico: factores deriesgo • Edad • Biotipología Facial • Hábitos • Colaboración • Higiene
  • 125.
    Diagnóstico Clínico Local •Apertura Bucal • Soporte Labial y Plenitud Facial • Compromiso Estético • Salud de Tejidos Blandos • Piezas Dentarias Remanentes • Forma y Tamaño de los Rebordes
  • 126.
    Cátedra de CyT.B.M.F. II Planificación • Cantidad de implantes • Distribución • Alineación • Nivel • Paralelismo • Tipo de prótesis
  • 127.
    Cantidad Cantidad ideal: 1a 1 Cantidad mínima: mitad más 1
  • 128.
  • 129.
  • 130.
  • 131.
    Diagnóstico por Imágenes •Rx Extraorales: Teleradiografías y Ortopantomografías • Rx intraorales: Oclusales y Rx. Periapicales. • Fundamentalmente Tomografías
  • 132.
    Rx Intraoral: TécnicaDe Cono Largo • Altura de hueso disponible • Relación con estructuras anatómicas • Amplitud • Relación con piezas vecinas • Presencia de patologías y-o cuerpos extraños • Traveculado óseo
  • 133.
    Controles Radiográficos aDistancia • Zonas Radiolúcidas Alrededor del Implante • Perdidas Óseas Verticales • Ajuste y Asentamiento de la Supraestructura
  • 134.
    Rx Periapical • Esel método más importante para los controles postoperatorios Controlan fundamentalmente: Asentamiento y Ajuste protético Estabilidad ósea periimplante
  • 135.
    Rx Periapical Altura deHueso Disponible: Relación con estructuras anatómicas nobles Es la altura de hueso que va desde la cresta alveolar hasta 1,5 o 2 mm de las estructuras anatómicas a preservar
  • 136.
  • 137.
    Distorciónes en DiferentesSectores de la Panorámica En Sentido Vertical 30 %30 % Sector Anterior 10 %10 % Sector Posterior 10 %10 % Sector Posterior
  • 138.
    Distorciónes de laPanorámica En Sentido Horizontal Hasta un 70 %Hasta un 70 %
  • 139.
    Tomografía Convencional (sobre película) Poseendistorsiones homogéneas, estandarizadas y calculadas para cada tipo de aparato
  • 140.
  • 147.
  • 149.
  • 151.
    Diagnóstico Sobre Modelos •Planificación Quirúrgica • Guías Protéticas, Radiológicas y Quirúrgicas
  • 152.
    Guías Contrastadas Guía conelementos radioopacos
  • 153.
    Guías Contrastadas Colocación dela guía en el momento de las exposiciones Imágen del panorexes central
  • 154.
    Rx Panorámica conGuía Contrastada
  • 155.
    Clasificación de Implantes Segúnel diámetro Según la longitud Según la superficie
  • 156.
    Tipos de Implantes Segúnla longitud Corto Regular Largo 5 a 8 mm > 15 mm 10 mm a 15 mm Por cada mm de longitud se gana un 10% de oseointegr ación
  • 157.
    3.75 a 4 mm < 3.75mm > 4 mm Tipos de Implantes Según el diámetro Mini Estándar Macro Por cada mm de diámetro se gana un 40% de oseointe gración
  • 158.
    Tipos de Implantes Segúnla superficie • Superficie Maquinada • Superficies Tratadas • Superficies Híbridas
  • 159.
  • 160.
  • 161.
  • 162.
    Causas de Fracasosen: • Etapa de oseointegración inicial: – Técnica quirúrgica incorrecta – Cargas protéticas prematuras • Etapa de remodelación ósea: – Diseños protéticos incorrectos • Etapa de estabilización: – Hábitos y parafunción del paciente – Falta de controles adecuados
  • 166.
    • Paciente de25 años con pérdida casi total de dientes superiores y prótesis mal adaptada. • Ganchos que no cumplen su función.
  • 167.
    Modelos de estudio,a la izquierda sin la prótesis a la derecha con la prótesis, el molar izquierdo con destrucción casi total de la corona y sin utilidad protésica.
  • 168.
    Primer tiempo quirúrgico;Exposición del maxilar para tomar una impresión del hueso y poder elaborar la estructura implantaria.
  • 169.
    Exposición del maxilarpara tomar la impresión
  • 170.
    Previamente se haelaborado un portaimpresiones en acrílico de autopolimerización, el cual será llenado con silicona para obtener el duplicado de la estructura ósea.
  • 171.
    En el modeloque se obtuvo en el primer tiempo quirúrgico se elabora en el laboratorio la estructura que se adptará al maxilar por mecanismo de grapa.
  • 172.
    Segundo tiempo quirúrgicopara aplicar la estructura.
  • 173.
    Estructura en íntimocontacto con la superficie ósea, quedando los postes fuera de la fibromucosa gingival..
  • 174.
    Sutura de colgajosque cubren la estructura, dejando los postes bien visibles.
  • 175.
    Colocación de laprótesis dentaria.
  • 179.
    Estructuras metálicas subperiósticas: Tornillospara fijación en hueso: Prótesis:
  • 180.
  • 181.
    Estructura implantada pordebajo del periostio:
  • 183.
    • Los implantessubperiósticos son parte de la historia de la Odontología, sin embargo en su momento fueron una buena solución para casos protésicos difíciles.
  • 236.
  • 238.
  • 283.
  • 284.
    Dejamos el implantesepultado por 4 meses previos al inicio del procedimiento Protésico.
  • 371.
    • Los implantesdeben dejarse sin carga unLos implantes deben dejarse sin carga un promedio aproximado de cuatro meses,promedio aproximado de cuatro meses, después de los cuales se inicia el trabajodespués de los cuales se inicia el trabajo protésico.protésico. • Cuidados postoperatorios: Analgésicos,Cuidados postoperatorios: Analgésicos, antibióticos y antiinflamatorios, hielo local lasantibióticos y antiinflamatorios, hielo local las primeras horas y dieta licuada los 3 primerosprimeras horas y dieta licuada los 3 primeros días.días.
  • 373.
  • 375.
    Mini-implantes para apoyode fuerzas ortodóncicas
  • 389.
  • 390.
  • 395.
  • 397.
    Neumólogo: Dr. CrescencianoGonzález OlivaresNeumólogo: Dr. Crescenciano González Olivares
  • 398.
    Trismus importante debidoa queTrismus importante debido a que El tumor ya rompió el hueso com-El tumor ya rompió el hueso com- Pacto de la cara interna de laPacto de la cara interna de la Mandíbula y empezó a tomar elMandíbula y empezó a tomar el Músculo pterigoideo interno.Músculo pterigoideo interno.
  • 412.
    Orbicular de loslabiosOrbicular de los labios Cuadrado del mentónCuadrado del mentón MentónMentón Agujero mentonianoAgujero mentoniano Tejido celular subcutáneoTejido celular subcutáneo DigástricoDigástrico Compartimiento submandibularCompartimiento submandibular Conducto de StenonConducto de Stenon Arteria facialArteria facial Nervio facialNervio facial Cutáneo del cuelloCutáneo del cuello
  • 413.
  • 414.
  • 416.
  • 417.
  • 419.
    Plantilla flexible paradar forma previa al implante
  • 420.
    Se respetó elcóndilo para anclar la prótesisSe respetó el cóndilo para anclar la prótesis
  • 425.
  • 426.
    Area de lisisósea a nivel de la líneaArea de lisis ósea a nivel de la línea Miliodes que contracturó los músculosMiliodes que contracturó los músculos Milohioideo y pterigoideo internoMilohioideo y pterigoideo interno Dificultando la deglución y determinandoDificultando la deglución y determinando Trismus importante.Trismus importante. Pieza en proceso de examen por histopatologíaPieza en proceso de examen por histopatología
  • 428.
    Dr. Ismael EspejoPlascencia PatólogoDr. Ismael Espejo Plascencia Patólogo
  • 439.
    48 horas depost-operatorio48 horas de post-operatorio
  • 447.
    Plastia de maxilarespara implantes dentales.
  • 448.
    Plastia alveolar confactores de crecimiento y traspalnate de hueso cadaverico
  • 449.
    La conformación quirúrgicade un contorno alveolar adecuado es determinante para la correcta aplicación y aceptación de los implantes de titanio, aquí proponemos una técinica para lograr el espesor óseo suficiente y la corrección estética del proceso, ya que antiguamente al extraer un diente se acostumbraba presionar las tablas alveolares “para cohibir la hemorragia”, con el colapso subsiguiente de la región.
  • 450.
    Area de defecto.Con prótesis a utilizar durante el proceso de integración del trasplante de hueso
  • 451.
    Toma de sangrepara obtención de factores de crecimiento en plasma rico en plaquetas.
  • 452.
    Canalización y sedacióndel paciente con Midazolam
  • 453.
    La sangre sevierte en tubo de ensayo con anticoagulante a base de citrato.
  • 454.
    Centrifugación de lasangre por el protocolo de Anitua
  • 455.
    Etiquetado cuidadoso de losdiferentes tipos de sangre a obtener, en este caso Plasma Pobre en Plaquetas.
  • 456.
    Tubo para Plasma Ricoen Plaquetas o PRP.
  • 458.
    Sangre centrifugada conplasma en parte superior Fracción I – PPP Fracción II – Plasma equiplaquetario Fracción II – PRP o PRGF
  • 459.
  • 460.
    Pipeteo meticuloso dela fracción III, si se contamina con fórmula roja habrá de deshecharse y cambiar de pipeta
  • 461.
    Gradilla con tubos debidamente etiquetados,cuando son más de dos pacientes, alerta! Habrá que poner el nombre de cada uno.
  • 462.
  • 463.
  • 464.
  • 465.
  • 467.
  • 468.
  • 470.
  • 471.
  • 472.
  • 473.
    El plasma ricoen plaquetas se activa con gluconato de calcio para desencadenar la cascada de coagulación.
  • 474.
  • 475.
  • 478.
    Se ha iniciadoel proceso de coagulación con el hueso formando cuerpo con el PRGF.
  • 481.
  • 482.
    El resto delPRP sobrante se coloca por encima del implante previo
  • 483.
    Apósito de FCPRPpor encima del trasplante óseo.
  • 484.
    Se plancha elcolgajo sobre el area trasplantada
  • 485.
  • 503.
    La aplicación deimplantes requiere de una cantidad y calidad de hueso Importantes para sostener el metal en un área de estroma óseo Saludable. Esto se logra efectuando una valoración adecuada de las Características sistémicas del paciente y no injertando hueso o haciendo Plastías indiscriminadamente. He dado algunas directrices en el área de “consideraciones sobre Implantes”
  • 504.
    Este tipo deprocedimientos puede considerarse como una forma de cirugía preprotésica, la cual debe efectuarse con un conocimiento integral de las alteraciones locales y sistémicas del paciente. En mi práctica he observado el entusiasmo simplista de muchos odontólogos practicando este tipo de intervenciones en pacientes con padecimientos que afectan directamente al hueso (vejez, osteoporosis, diabetes, tumores óseos, etc.) De ahí mi invitación a que estos procedimientos se efectúen apoyándose en personas que hayan tenido un entrenamiento hospitalario a nivel de Residencia en Cirugía Máxilofacial.
  • 506.
    Tomografía computarizada De senomaxilar corte sagital. Area de implantación Dentaria.
  • 508.
  • 509.
    Nuevo piso delseno y su margen de seguridad para contener el implante dentario
  • 510.
    Antro maxilar vistodesde la cara interna del un hueso Aparentemente normal
  • 511.
    Seno maxilar aumentadode tamaño por neumatización y edentulosis. No compatible para aplicación de implantes por exposición del mismo a la luz del antro.
  • 512.
    Colocación de materialbiológico o no para aumentar el espesor del piso y poder contener implante dentario en un lecho de “hueso sano”.
  • 513.
    Uno de losfenómenos fisiológicos más comunes es la falta de hueso en el Piso del antro de Highmore, secundario a la neumatización de los senos y Que en muchas ocasiones aproxima el piso antral al proceso alveolar, por Lo que sobre todo en pacientes jóvenes es factible dar volumen a este Área con la aplicación de injerto de hueso humano, equino o derivados de arcillas de sílice. Las indicaciones de usar uno u otros depende de la experiencia Clínica del operador. Hueso humano desnaturalizado y liofilizado Hueso equino desnaturalizado y liofiliozado Arcilla de sílice que tiene características osteógenas
  • 514.
  • 527.
    Es mandatorio respetarla mucosa del antro como se muestra en esta imagen, si la mucosa pierde su continuidad, él material implantado actuará como cuerpo extraño con el consecuente fracaso de la intervención.
  • 572.
    Dados en armoníabajo la sombra de la religión, unidos por el lazo fraterno de la fé hacia la luz de la verdad.
  • 573.

Notas del editor

  • #92 Esta definición toma en cuenta un criterio histol÷ogico que no es posible comprobar en la clínica. Otra definición más útil a la clínica es la de Leckholm y Espósito: Es la ausencia de dolor y movilidad de los implantes bajo carga funcional
  • #95 Otras clasificaciones útiles son: Falschussell o la de Caadwood y Howell
  • #97 Amplitud: es la distancia mesio=distal de la brecha disponible para la colocación de los implantes. La amplitud ideal para la colocación de un implantes es de 7 mm y la amplitud mínima es 5 mm
  • #98 Es el hueso ideal para colocar los implantes con técnicas simples
  • #99 Solo se ha perdido el espesor
  • #100 Falta altura pero el espesor gralmente es adecuado
  • #101 En el hueso tipo D y E ya ha comenzado la reabsorción del hueso basal y no son adecuadas ni la altura ni el espesor del hueso disponible
  • #103 Puede observarse que en un mismo sitio óseo pueden existir diferentes calidades óseas
  • #104 Relación entre la calidad ósea y el porcentaje de superficie de contacto hueso implante: BIC Esto también se conoce como “Tasa de Oseointegración”
  • #107 Se da por sabida la anatomía normal de seno maxilar. En este caso solo se muestra un tabique intrasinusal que es de interés en la Elevación de Piso de Seno
  • #108 Medidas a la altura del Primer Molar Inferior
  • #109 Medidas a la altura del Primer Molar Inferior
  • #110 Es importante conocer la distancia entre la basal mandibular y el conducto dentario inferior ya que esta distancia no varía con los años como lo hace la distancia entre este conducto y el reborde alveolar. Esta medida sirve para tener un a idea del hueso disponible para los implantes
  • #128 Cantidad mínima: se divide la cantidad de piezas a reponer por dos y se le suma uno. Ej: si se desean reponer cuatro piezas, la cantidad mínima recomendada es 3
  • #129 Distancia mínima entre implantes es de 3 mm y la distancia mínima entre el implante y el periodonto es de 1,5 mm
  • #130 Nivel: el la altura a la que queda el cuello del implante en sentido ápico oclusal El paralelismo tiene en cuenta el eje de inserción de los implantes
  • #131 Tiene en cuenta la posición del cuello del implante en sentido vestíbulo lingual
  • #133 En implantología se recomienda la técnica de cono largo. Si bién esta técnica tiene una distorción mayor que la periapical, mantiene el isomorfismo