MMVII
Músculo Geniogloso
Amígdala lingual
Músculo Hiogloso
Músculo Palatogloso
Músculo Estilogloso
Nervio lingual
(sobre la pinza, por encima del nervio el conducto de Warthon)
Conducto de Warthon
Glándula sublingual
Nervio Hipogloso
Arteria Lingual
A su salida de la carótida
La causa de los hábitos de manejo
inadecuado de la lengua tienen en su
gran mayoría un fondo de tipo
psicológico:
Trumas de infancia,
niños sobreprotegidos
Niños inadaptados
Hijos únicos
Progenitores no aptos para la
paternidad.
Puede haber causas Fisiopatológicas
como la hiperactividad cerebral en el
centro cerebral regulador del habla,
centro de Broca que no deja de
emitir estímulos motores a la lengua.
En ambos casos hemos observado
que la aparatología que interfiere con
su actividad resulta poco útil, si no,
un estimulante para aumentar la
hiperactividad lingual.
La posición de reposo se efectúa presionando fuertemente el órgano lingual contra los dientes anteriores.
Este fenómeno activa también la contracción constante del buccinador, al actuar éste, la coaptación de los
Labios no se efectúa, teniendo el mecanismo para un problema disgnático.
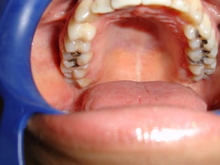
Observese el implemento ortognapédico por detrás de los incisivos, inconciente y hábilmente
La paciente logró evadirlo para recolocar la lengua en su posición de comodidad.
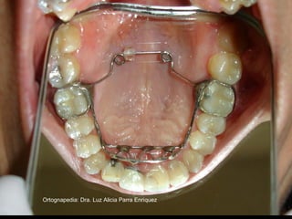
Ortognapedia: Dra. Luz Alicia Parra Enríquez
Lengua en posición viciosa a pesar de los implementos intrabucales de corrección de hábito
Protrusión bimaxilar por hábito lingual incontrolable
Posición viciosa de la lengua entre los dientes, no respondió a manejo conservador
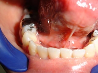
Sedal en la punta de la lengua para su control durante la operación
Trazado de líneas de incisión
Torniquete lingual hasta el rafé
Seda de cara ventral a dorsal
Torniquete cerrado a ambos lados
Incisión
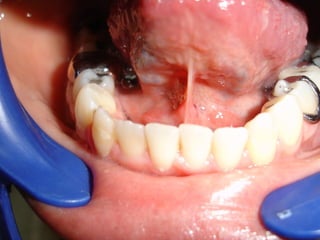
Colgajos con hemostasia
Colgajos con hemostasia
Primer punto referencial exactamente en la punta de la lengua
Resto de los puntos profundos para que actúen como transficción
Pieza operatoria cara ventral
Cara dorsal de lengua
Estos pacientes deben continuar obligatoriamente con tratamiento
foniátrico, psicologico y control máxilofacial..
www.maxilofacial.mx

Cirugiadelengua