Líquidos corporales
Facultad de Ciencias Veterinarias
“José Benjamin Burela”
U.A.G.R.M.
Fisiología Veterinaria I
Dra. Rosa M. Teruya Burela
2013
Introducción
Una de las características fundamentales de la
vida es el agua. Se denomina líquido a
toda aquella sustancia que fluye.
El agua es el componente corporal con mayor
porcentaje y forma los líquidos corporales que
junto con los solutos disueltos en ella, mantienen
el volumen y su composición
relativamente
constante y estable.
A esta constancia en la composición y
volumen, se la llama homeostasis (del
griego homeo = similar, stasis= estabilidad).
El agua constituye el 57 a 80% del peso
corporal en un individuo adulto y que está
en relación inversa a la edad y a la cantidad
de tejido adiposo que tenga en su cuerpo.
Funciones fisiológicas del agua
• Las principales funciones del agua son las
siguientes:
• Actúa como solvente de numerosas
sustancias.
• Participa en la hidrólisis de: proteínas,
grasas, carbohidratos.
• Interviene en la absorción de los
nutrientes.
• Participa en el transporte de los desechos
y su excresión.
• Regula la temperatura corporal
En el interior del organismo los líquidos no
se encuentran distribuidos, de manera
homogénea.

Se encuentran separados por membranas
celulares, que dividen el contenido de
líquido en: el compartimiento intracelular y
en el compartimiento extracelular.
División de los líquidos
corporales
Los líquidos corporales se dividen en:
• Líquido intracelular y extracelular.
• El líquido intracelular (LIC) se encuentra
en el interior de las células y corresponde
a las 2/3 partes de los líquidos corporales.
En él se efectúan una serie de reacciones
metabólicas
El líquido extracelular (LEC) es 1/3 parte de
los líquidos corporales. Es el vehículo de
intercambio para todas las sustancias necesarias
para las células y para excretar todas las que se
producen como consecuencia del metabolismo.
A su vez este líquido se subdivide en:
• Líquido intersticial y linfa
• Líquido vascular o plasma
• Líquido especial o transcelular
Líquido intersticial y linfa
• El líquido intersticial o tisular es aquel que
baña las células de los tejidos corporales.
• Dentro de este grupo se incluye la linfa,
porque se forma del líquido intersticial
gracias a que los vasos linfáticos drenan el
fluido. La linfa es ligeramente diferente del
fluido intersticial, porque contiene leucocitos
• En condiciones normales los capilares
linfáticos conducen la linfa hasta las venas
cavas.
Líquido vascular o plasma
Es la parte líquida de la sangre en la cual
están disueltas sustancias orgánicas e
inorgánicas y están suspendidos los
elementos celulares como eritrocitos,
leucocitos y trombocitos.
Su función es ser intermediario entre el
compartimiento intersticial, que rodea
Células y tejidos, con el medio exterior.
Líquidos transcelular o especial
• Agrupa a fluidos orgánicos especializados
que se encuentran separados por un
sistema de membranas fisiológicas.
• Entre ellos tenemos: el líquido
cefalorraquídeo, humor vítreo, humor
acuoso y fluidos del oído interno, de las
cápsulas articulares y fluidos de todas las
cavidades internas recubiertos por
serosas.
Pérdidas de agua
 En condiciones normales el organismo
experimenta una inevitable pérdida de fluidos de
manera perceptible e imperceptible que ocurre de
forma:
 Perceptible, visible y normal, a través del sudor,
excreción urinaria y fecal.
 No perceptible y normal, a través de la respiración
como vapor de agua que sale con el aire expirado,
a través de la piel y mucosas por evaporación del
agua se originan pérdidas insensibles de agua.
• Pérdida patológica perceptible, por
alteraciones en el sistema gastrointestinal,
respiratorio y excretor.
• Se pierde en la deshidratación ya sea por
sudoración excesiva, diarrea y/o vómito,
fiebre, exposición al sol y otros que
causan pérdidas adicionales de líquidos
Porcentaje de pérdida de agua en los
animales

• La resistencia a la deshidratación que
tienen los animales varía de acuerdo a la
especie.
• El camello por ejemplo resiste pérdidas de
agua de 25% o más de su peso corporal.
Aguanta de 5 a 7 días con poca comida y
agua ó sin ella y puede perder un cuarto de
su peso sin alterar el normal funcionamiento
de su cuerpo.
• Esto se debe a la elasticidad de la
membrana de sus células y la resistencia a
la dilución de sus fluidos. También el agua
ingerida se absorbe poco a poco en su
estómago y también a que se forma orina
más concentrada
• Mientras que otros animales no soportan
pérdidas mayor al 15%. Esto se debe a que
la absorción de agua a nivel del sistema
gastrointestinal se realiza de manera rápida
y lo que no se absorbe se elimina, como
orina.
Vías de incorporación de agua
• Se incorpora agua al organismo ingiriéndola
en cantidad variable al beberla sola o a
través de los alimentos; también como agua
metabólica producida por el catabolismo del
organismo.
• Cuando no se la puede beber, se incorpora
por vía venosa como sueros: fisiológico,
glucosado, ringer, ringer-lactato y otros.
Sangre
• Es el principal líquido corporal del cual derivan
todos los otros líquidos del organismo. Es un
tejido conectivo o conjuntivo que consta de una
matriz líquida llamada plasma y una parte
sólida formada por células y sustancias
orgánicas e inorgánicas disueltas en él.
• La parte líquida, está compuesta por agua en
91-92% y por 8-9% de sustancias orgánicas e
inorgánicas disueltas en ella, tales como
azúcares, proteínas, elementos de coagulación,
defensas, hormonas, enzimas, electrolitos,
lípidos, sustancias nitrogenadas y otros.
• La parte sólida o celular, está compuesta por:
eritrocitos, leucocitos y trombocitos
Funciones de la sangre
•
•
•
•
•
•
•
•
•
•
•
•

Regula la temperatura
Regula el pH sanguíneo y otros líquidos corporales
Regula la presión osmótica
Regula la presión oncótica
Regula la presión arterial
Regula la presión hidrostática
Transporta nutrientes
Transporta desechos metabólicos
Transporta oxígeno y anhídrido carbónico
Transporta enzimas
Transporta hormonas
Transporta defensas (anticuerpos)
Electrolitos
• Un electrolito es una sustancia que se
descomponen en iones, estas son partículas
cargadas de electricidad, que cuando se
disuelven en el agua o en los líquidos
corporales permiten que la electricidad pase
a través de ellos.
• Juegan un papel importante en los seres
vivos ayudan a mantener el flujo eléctrico
adecuado y el balance ácido-base dentro del
cuerpo, llevan nutrientes hacia las células y
sacan desechos fuera de ellas.
Electrolitos plasmáticos
• El plasma sanguíneo contiene, muchos
electrolitos siendo los principales: H+, Na+,
K+, Ca++, Mg++, Cl- HCO3-, HPO4aniones y cationes de ácidos inorgánicos y
proteicos importantes pero en
concentraciones menores.
Calcio
Participa en la excitabilidad y contractibilidad
neuromuscular. Transmisión del impulso nervioso
Es el principal componente de los huesos y
dientes. Actúa en la coagulación sanguínea,
muchas reacciones enzimáticas y otras.
La concentración media es de 10 mg/100 ml.
Los valores van desde 9,5 mg a 13,5 mg/ml.
proviene de varias corrientes de entradas y
salidas.
El calcio procedente del hueso, es decir, por
reabsorción ósea, se aumenta por acción de la
hormona paratiroidea.
La vitamina D estimula la absorción de calcio,
a nivel intestinal y renal.
Disminuyen su absorción la calcitonina y los
glucocorticoides.
Hipercalcemia.- Es el aumento del nivel normal
de calcio en la sangre. Se da por sobre
dosificación de calcio o de vitamina “D”. También
en afecciones neoplásicas e hiperproteinemia.
Hipocalcemia.- Es la disminución del nivel
normal de calcio en sangre. Se da por
insuficiencia de calcio en la dieta o por una
Mala absorción.
También sucede deficiencia en el
hipoparatiroidismo, deficiencia de vitamina
D y en la osteodistrofia.
Se la conoce también como fiebre de leche,
tetania, paresia de parturienta. La deficiencia
de calcio trae como consecuencia:
 El raquitismo en animales jóvenes o en
crecimiento con alimentación deficiente en
calcio, o provenientes de madres deficientes en
calcio.
 La osteomalacia en adultos, especialmente
hembras preñadas. Se conoce también como
fiebre de leche, tetania, paresia de parturienta.
También sucede en la deficiencia de vitamina
D, hiperparatiroidismo y osteodistrofia.
 Osteoporosis, en animales viejos en quienes
predominan los osteoclastos sobre los
osteoblastos
Mangnesio
Participa en la excitabilidad y contractibilidad neuromuscular conjuntamente con el calcio.
Proviene de la ingestión de alimentos que contienen
magnesio. Los factores que afectan su absorción son:
la alta ingestión de calcio, fosfatos, grasas, álcalis,
amoniaco ruminal y diarrea.
No es afectado por la vitamina “D”, ni por la
paratiroides
Se absorbe en el intestino, se elimina por orina y heces
 La concentración normal en la mayoría de las
especies es de 2-5 mg/100 ml., disminuye con el
ayuno o cuando la comida ingerida es pobre en
magnesio en relación al potasio, nitrógeno y fósforo.
 Hipermagnesemia.- Es el aumento del valor
normal de magnesio de sangre. Se da durante el
parto en la mayoría de los casos en vacas con
edad avanzada. A nivel de sistema nervioso
produce sedación y depresión.
 Hipomagnesemia.- Es la disminución del valor
de magnesio en sangre. Se da durante el
invierno (déficit en la homeostasis calórica), en
diarrea, absorción deficiente, también en las
dietas pobres en energía y ricas en proteína.
 En el sistema nervioso produce desorientación y
convulsiones.
Fósforo
• Es el segundo elemento más abundante en
el organismo después el calcio, es insoluble
en el agua.
• El fósforo y el calcio se encuentran en
proporción balanceada en el organismo, de
tal manera que, la abundancia o la carencia
de uno afecta a la absorción del otro.
• La relación entre estos dos minerales está
regulada por la hormona paratiroidea.
• Se encuentra en plasma de la mayoría de las
especies, con la concentración de 4-8
mg/100 ml.
• …….excepto en el perro, caballo y hombre que
tienen 2-5 mg/100 ml., en tanto que los animales
jóvenes tienen 3 mg más que los adultos de la
misma especie.
Funciones:
• Como fosfolípidos que intervienen en la
formación del ADN y de las membranas
celulares. Como fosfatos de calcio que es el
elemento esencial para constituir huesos y los
dientes.
• En los eritrocitos se encuentra como ésteres.
Los animales jóvenes necesitan mayor cantidad
de fósforo para poder crecer y desarrollarse.
….Funciones
 El fósforo es esencial para el crecimiento, al
participar activamente en la división de las
células.
 Es esencial para garantizar el funcionamiento
del sistema nervioso central y la correcta
transmisión del impulso nervioso.
 El fósforo tiene una importante función
energética (el ATP y el fosfato de creatina).
 Es importante para el funcionamiento de las
vitaminas del complejo B implicadas en las
reacciones energéticas dentro de la célula.
 Hiperfosfatemia.- Es el aumento de los
niveles normales de fósforo en sangre se
asocia con enfermedades renales graves,
paresia de parturienta, intoxicaciones con
EDTA y durante la cicatrización de fracturas
 Hipofosfatemia.- Es el nivel inferior a los
normales de fósforo en sangre y se da en
casos de hemoglobinuria y paresia de
parturienta.
Cloro
• Principal anión de los líquidos extracelulares
las concentraciones séricas de cloruro son
reguladas por la aldosterona. Se absorbe a
nivel intestinal y se elimina por riñón.
• La concentración plasmática en la mayoría de
las especies es de 100-115 meq/litro.
• Funciones.- Las principales son la regulación
ácido base, en la conservación de agua, la
presión osmótica, presión arterial, debido a su
efecto osmótico, es componente importante del
ácido estomacal, necesario para la digestión y
por su efecto bactericida.
• Hipercloremia.- Ocurre por privación de
agua, en la alcalosis respiratoria y cuando
se ingiere en exceso Na, K y NH4.
• Hipocloremia.- Ocurre en la depresión de
la respiración por medicamentos, por
enfermedad pulmonar, o por depresión del
sistema nervioso, enfermedad renal,
crónica, en alcalosis metabólica.
Potasio

• Principal catión intracelular. Su función es
juntamente con otros factores osmóticos regular
la distribución de agua dentro y fuera de la
célula.
• Desempeña un papel importante como co-factor
numerosas
reacciones enzimáticas, en la
conducción eléctrica en el miocardio y músculos
estriados, en el equilibrio ácido base, influye en
la función renal y en el metabolismo de los
carbohidratos y proteínas.
• La concentración en el plasma es de 3,5-5,5
meq. Debe evitarse la hemólisis.
FUNCIONES
•
•
•
•
•
•
•

Ayuda en la función muscular.
En la conducción de los impulsos nerviosos.
En la acción enzimática.
En el funcionamiento de la membrana celular.
En el ritmo cardiaco.
En el funcionamiento del riñón.
En el almacenamiento de glucógeno y el
equilibrio de hidratación.
Sodio
• Es el catión extracelular mas importante del
organismo. El ión de sodio es más pequeño que el
ión de potasio y no entra libremente en el espacio
intracelular por su cubierta de hidratación, ya que
es muy higroscópico.
• Ayuda a la regulación de la hidratación, disminuye
la pérdida de fluidos por la orina y participa en la
transmisión de impulsos electroquímicos a través
de los nervios y músculos. La transpiración
excesiva provoca pérdida de sodio.
• La pérdida de cualquiera de los electrolitos
ocasiona cambios en la función metabólica, que
se pueden ver reflejados de diversas maneras:
mareos, desmayos, pérdida de peso,
inconsciencia y otros síntomas. Esta pérdida suele
suceder por varias razones como:
•
•
•
•
•
•

Deshidratación por vómitos
Por diarrea persistente.
Insolación.
Fiebre intensa.
Enfermedades como la bulimia y anorexia.
Enfermedades infecciosas diversas
Glucosa
 La glucosa es el hidrato de carbono sencillo
a partir del cual el organismo obtiene energía
de rápida utilización. Es el monosacárido
más importante en el ámbito de la nutrición
por constituir el combustible principal de las
células.

 La mayoría de los hidratos de carbono de los
alimentos acaban transformados en glucosa
después de la digestión. Es el producto de la
digestión de carbohidratos y es el
combustible básico, en el metabolismo
energético de la mayoría de los animales.
• La glucosa también proviene de la
descomposición del almidón.
• En la mayoría de las personas la glucosa
normal en ayunas entre 80 y 120 mg/100
ml.
• Los no rumiantes tienen de 60 a 120
mg/100 ml.
• Los rumiantes entre 30 a 60mg/100ml.,de
plasma.
• La glucosa puede ser almacenada en el
cuerpo como glucógeno. Éste es un
almidón altamente ramificado, que se
encuentra en el hígado, en el músculo
esquelético y riñón.
• El glucógeno es la única forma de
almacenamiento de glucosa en el hígado,
riñón y músculos, para la obtención a
corto plazo.
• Cuando se libera la glucosa del glucógeno
muscular, es para ser usado por el propio
músculo.(glucogenólisis)
.
Función
• La glucosa proporciona energía a los miles de
millones de células que conforman nuestro
cuerpo. Sin embargo, para entrar en ellas
necesita una “llave”, a saber, la insulina, una
hormona que secreta el páncreas, de lo
contrario se mantendría en el plasma.
Hipoglicemia
• Es el nombre que se da a la deficiente
concentración de glucosa en sangre.
• Es decir que está más baja de lo normal.
Se desarrolla más frecuentemente cuando
hay deficiencia de carbohidratos en la
dieta.
• También cuando se está administrando
insulina o medicamentos hipoglucemiantes
para tratar la diabetes.
Síntomas de hipoglucemia
Entre ellos se pueden presentar
languidez,
confusión,
convulsiones,
taquicardia, trastornos visuales, conducta
maniática y
depresión del sistema
nervioso central.
La hipoglucemia se asocia con el hambre
en los animales de estómago simple. Sin
embargo puede deprimir la ingestión de
alimento en los rumiantes, la hipoglucemia
también reduce la producción láctea.
HIPERGLICEMIA
• La hiperglicemia significa que el nivel de
glucosa en la sangre es más alto que el
nivel normal. Esta elevación puede ser de
manera transitoria o permanente.
• Transitoria, después del consumo de
alimentos ricos en carbohidratos.
• De forma permanente y superior a 130 en
ayunas en animales de estómago simple
es característico de diabetes mellitus.
SINTOMAS DE HIPERGLICEMIA
•
•
•
•
•
•

Sed intensa (polidipsia)
Orina abundante y frecuente (poliuria)
Apetito aumentado (polifagia)
Peso alterado (pérdida sin causa aparente)
Visión borrosa, cataratas, ceguera
Somnolencia, náuseas, piel seca
Entre otros síntomas de diabetes, que varían
de un individuo a otro (humanos principalmente),
los más comunes son:
•
•
•
•
•
•
•

Sensación de hambre,
Adormecimiento en extremidades,
Cansancio, piel pálida,
A menudo aparece una transpiración fría,
Nerviosismo, mal humor, visión borrosa,
Sensación de temblor en manos y pies,
Pérdida de conciencia.
LIPIDOS
Los lípidos son un conjunto de moléculas
orgánicas, compuestas principalmente por
carbono e hidrógeno y en menor número oxígeno,
también pueden contener fósforo, azufre y
nitrógeno
Tienen como característica principal el ser
insolubles en agua (hidrofóbicas) y ser solubles
en solventes orgánicos como la bencina, el éter,
alcohol, el benceno y el cloroformo.
Funciones
 Función de reserva energética. Los
triglicéridos son la principal reserva de energía.
 Función estructural. Los fosfolípidos, los
glucolípidos y el colesterol forman las bicapas
lipídicas de las membranas celulares.

Los triglicéridos del tejido adiposo recubren y
proporcionan consistencia a los órganos y
protegen mecánicamente estructuras y son
aislantes térmicos.
 Función reguladora. Las hormonas esteroides
regulan el metabolismo y las funciones de la
reproducción.
 Función relajante. Los lípidos se acumulan en el
tejido adiposo formando grandes tejidos grasosos
que se manifiestan en aumento de peso en caso
de sedentarismo, lo que aumenta la concentración
de la hormona en sangre.

En la neurohipófisis, esta elevada concentración
de TRL estimula a la hipófisis para que inhiba la
secreción hormona ACTH provocando una
sensación relajamiento general del cuerpo.
Cuerpos cetónicos
Los cuerpos cetónicos son compuestos
químicos producidos por cetogénesis en las
mitocondrias hepáticas.
Su función es suministrar energía al corazón y
cerebro en ciertas situaciones excepcionales.
En la diabetes mellitus tipo 1, se pueden
acumular una excesiva cantidad de cuerpos
cetónicos en sangre, produciendo cetoacidosis
diabética.
Glicerol
Es un fluido untuoso incoloro e inodoro que se
disuelve en agua o alcohol pero no en grasas o
aceites.
Dada su elevada capacidad de absorción de la
humedad, es una excelente sustancia para hidratar,
sin embargo al reaccionar con ácidos grasos
cambia totalmente sus características.
Siendo la base de todos los acilglicéridos Tiene
sabor dulce y la propiedad de cambiar su aspecto al
absorber vapor de agua.
Colesterol
El colesterol pertenece al grupo esterol de
las grasas. Está presente en todos los tejidos
animales pero está ausente en las plantas.
El colesterol es esencial como componente de
las membranas celulares y como precursor de
de los ácidos biliares y de ciertas hormonas.
hormonas.
El cuerpo puede producir su propio colesterol,
así que no se necesita una fuente dietética.
Funciones
 Precursor de la vitamina D que es esencial en
el metabolismo del calcio.

 Precursor
de
las
hormonas
sexuales:
progesterona, estrógenos y testosterona.
 Precursor de las hormonas corticoesteroides :
cortisol y aldosterona.
 Precursor de las sales biliares: esenciales en la
absorción de algunos nutrientes lipídicos y vía
principal para la excreción de colesterol corporal
 Precursor de las balsas de lípidos.
Ácidos grasos volátiles
 Los ácidos grasos volátiles constituyen los
principales productos de la fermentación animal,
principalmente de los hidratos de carbono.
 Los ácidos grasos volátiles primarios son: el
ácido acético, propiónico, y butírico.
 Con frecuencia los ácidos grasos volátiles son
denominados como sus iones disociados:
acetato, propionato y butirato.
 Otros
ácidos
grasos
volátiles
son
cuantitativamente
menores
pero
metabólicamente importantes como: el valérico,
isovalérico, isobutírico y otros.
Absorción de ácidos grasos volátiles
 Los ácidos grasos volátiles, representan
del 60 a 80 % de los requerimientos
energéticos del animal (rumiantes).
 Se absorben directamente en el epitelio
de los pre-estómagos.
 Las condiciones anaeróbicas en el rumen
dan lugar a las actividades metabólicas
que conlleva a la producción de ácidos
grasos volátiles.
Vitaminas liposolubles
 Son sustancias orgánicas insolubles en agua,
se disuelven en grasa.

 Se encuentran en tejidos vegetales y animales
se almacenan en el hígado y tejido adiposo, por
lo que es posible, tras un aprovisionamiento
suficiente, subsistir una época sin su aporte.
 Sirven de portadores de nutrientes no grasos,
especialmente vitaminas liposolubles A, D, E y
K.
 Si se consumen en exceso pueden resultar
tóxicas. (más de 10 veces las cantidades
recomendadas).
Vitamina A
 La vitamina A sólo está presente como tal
en los alimentos de origen animal, aunque
en los vegetales se encuentra como
provitamina A, en forma de carotenos.

 Sus elementos precursores son varios
pigmentos vegetales como la criptoxantina
carotenos alfa, beta y gama, todos ellos
son de color amarillo.
 La vitamina A es incolora de modo que no
se puede decir que el color amarillo de la
leche se relacione con esta vitamina.
 Se almacena en el hígado en grandes
cantidades y también en el tejido graso
subcutáneo.
 La vitamina A es un antioxidante, interviene
también en la formación de las células
sanguíneas y transcripción de los genes
Funciones
 La función principal de la vitamina A es la
formación de rodopsina en la retina y su
intervención es esencial en este proceso
necesario para la visión con poca luz.
 Es esencial para la protección de la piel,
pelo, uñas, huesos y dientes, es necesaria
para el crecimiento normal todos los tejidos.
 También participa en la elaboración de
enzimas en el hígado y de hormonas
sexuales y de las suprarrenales.
 El déficit de vitamina A produce: ceguera
nocturna, ceguera completa, sequedad en
los ojos (membrana y conjuntiva), diversas
afecciones en la piel, mucosas y
degeneración de los epitelios.
 El exceso de vitamina A produce:
trastornos, como alteraciones óseas,
inflamaciones y hemorragias en diversos
tejidos.
 Algunos efectos tóxicos son náuseas, vómito
dolor de cabeza, dolor y debilidad muscular
y abdominal, ictericia, irritabilidad,
somnolencia y estados de alteración mental.
Vitamina D - (calciferol)
• Esta formada principalmente por las
fracciones D2 y D3 o la primera calciferol
esta formada por la radiación ultravioleta
del ergosterol.
• La D3 se forma por la radiación del 7dehidrocolesterol por la luz solar.
• Se forma en la piel con la acción de los
rayos ultravioleta en cantidad suficiente
para cubrir las necesidades diarias.
• Si se toma el sol de vez en cuando, no se
tendrá necesidad de buscarla en la dieta.
Funciones

• Cumple un papel importante en el
mantenimiento de órganos y sistemas a través
de múltiples funciones, tales como:
• La regulación de los niveles de calcio y
fósforo en sangre.
• La vitamina D es fundamental para la
absorción del calcio y del fósforo.
• Inhibe las secreciones de la hormona
paratiroidea (PTH) desde la glándula
paratiroides, afecta el sistema inmune por su
rol inmuno-supresor, acción de fagocitosis y
actividad antitumoral.
Deficiencia:
 Provoca raquitismo, osteomalacia, porque
la vitamina D, interviene decisivamente en
la absorción del calcio en el tubo digestivo
y renal.
Exceso:
 Provoca trastornos digestivos (vómitos,
diarreas) y calcificaciones en el riñón,
hígado, corazón, etc...
Vitamina E - (tocoferol)
• En el hombre la función de la vitamina E,
no está del todo definida.
• En los animales indispensable en la
reproducción y previene el aborto
espontáneo.
• Es necesaria para la gametogénesis
normal, tanto en el macho como en la
hembra.
• También actúa como antioxidante, gracias
a su capacidad para captar el oxígeno,
actúa en las células frente a los radicales
libres presentes en nuestro organismo.
• Al impedir la oxidación de las membranas
celulares, permite una buena nutrición y
regeneración de los tejidos.
• Falta
de
vitamina
E,
provoca
degeneración del epitelio germinal en el
macho y la reabsorción de embriones de
la hembra.
• El déficit de vitamina E, puede ocasionar
anemia, destrucción de los glóbulos rojos
de la sangre, degeneración muscular y
desórdenes en la reproducción.
• El exceso de vitamina E, puede dar lugar
a trastornos metabólicos, por lo que se
debe limitar al consumo en los alimentos
de la dieta (cereales integrales,
germinados, aceites vegetales, etc.)
Vitamina K (antihemorrágica)
• Se la llama antihemorrágica porque es
fundamental en los procesos de
coagulación de la sangre.
• Es necesaria para la formación de
protombina (sustancia esencial en la
coagulación de la sangre).
• Se encuentra en las hojas verdes, en los
vegetales verdes y en el hígado de
bacalao, pero normalmente es sintetizada
por las bacterias de la flora intestinal.
• Es muy difícil que se produzcan carencias
de vitamina K en los adultos, pero puede
darse en el caso de un tratamiento con
antibióticos durante un período prolongado.

• En caso de déficit de vitamina K pueden
producirse hemorragias nasales, en el
aparato digestivo y en el genito-urinario, por
dificultad de coagulación de la sangre.
TRANSAMINASA GLUTAMICA PIRÚVICA (TGP)
• Es una enzima catalítica que se encuentra
normalmente en grandes concentraciones
en las mitocondrias de los hepatocitos. El
aumento de sus niveles en el suero indica
lesión hepática.
• Cataliza la transferencia de un grupo alfa
amino de la
alanina, al ácido alfa
cetoglutárico.
TRANSAMINASA GLUTAMICA OXALACÉTICA (TGO)

Enzima catalítica existe en varias partes del
cuerpo, especialmente el tejido muscular,
también en el corazón e hígado.
• Sus niveles séricos aumentan en el infarto de
miocardio, hepatopatías agudas por la
administración de determinados fármacos y
en cualquier enfermedad o trastorno en que
se produzca una lesión celular grave.
• Esta enzima cataliza la transferencia de un
grupo alfa amino del ácido aspártico al ácido
alfa cetoglutárico
Amilasa
• La amilasa, denominada también ptialina, es
una enzima hidrolítica que tiene la función de
digerir el glucógeno y el almidón para formar
azúcares simples, se produce principalmente
en las glándulas salivares (sobre todo en las
glándulas parótidas) y en el páncreas.
• Tiene un pH de 7. Cuando una de estas
glándulas se inflama aumenta la producción
de amilasa y aparece elevado su nivel en
sangre.
• Fué la primera enzima en ser identificada y
aislada por Anselme Payen en 1833, quien la
bautizó en un principio con el nombre de
diastasa.
SUSTANCIAS NITROGENADAS
• Las proteínas en la sangre entera
constituyen el 98 a 99 % de nitrógeno
presente, de éste el 1% a 2% restante es
de naturaleza no proteica o NNP, que
está distribuido desigualmente entre la
célula y el plasma.
• La mitad del NNP de la sangre es
nitrógeno proveniente de la urea, ácido
úrico, creatina, creatinina, amonio y
aminoácidos.
NITROGENO NO PROTEICO
• NITRÓGENO NO PROTEICO o NNP.-Las
principales fuentes del NNP son los
productos finales del catabolismo celular
como resultado de procesos metabólicos
normales como la absorción del conducto
gastrointestinal

• El contenido de NNP en la sangre de todos
los animales domésticos es de 20 – 40
mg/100m.
Las elevaciones se deben a
fiebre, deshidratación, preñez, obstrucción
intestinal y prostática, insuficiencia renal,
insuficiencia cardiaca, o cualquier elevación
del nitrógeno en la dieta.
Urea
• La urea es un compuesto orgánico
relativamente simple producido en los
mamíferos por el hígado como producto final
del catabolismo de las proteínas.
• La urea se produce en el hígado por fases
sucesivas de desanimación de aminoácidos
que se incorporan al ciclo de krebs como
resultado la formación de urea.
• La urea es sintetizada en el hígado por las
enzimas del ciclo de la urea. Es secretada a
la sangre y captada por los riñones para su
excreción
por
la
orina.
Amoniaco
• Es un compuesto muy tóxico y sólo se halla en
niveles muy bajos.
Es producido por el metabolismo bacteriano en
el intestino de donde es absorbido y llevado por
la sangre al hígado en donde se convierte en
urea.
También se produce en el riñón como parte del
equilibrio ácido-base, en rumiantes es producido
en el rumen.

• Los animales acuáticos excretan amoniaco y los
organismos vivientes que excretan amonio son
los amoniotélicos.
ACIDO URICO
• Producto final del catabolismo de
proteínas en aves y reptiles, como
producto final del catabolismo de las
purinas y pirimidinas de los mamíferos.
• El ácido úrico se convierte en alantoína en
el hígado en la mayoría de las especies
excepto en el hombre, primates y perro.
• El ácido úrico excretado por la aves y
reptiles terrestres, organismos que se
denominan uricotélicos.
Coagulación sanguínea
• Se denomina coagulación al proceso en el
cual la sangre pierde su estado líquido.
Cuando una lesión afecta la integridad de las
paredes de los vasos sanguíneos se ponen
en marcha una serie de mecanismos que
tienden a limitar la pérdida de sangre.
• Estos mecanismos llamados de “hemostasia"
comprenden la vasoconstricción local del
vaso, el depósito y agregación de plaquetas
y la coagulación de la sangre propiamente
dicha.
• Es decir que coagulación es el proceso en
el cual la sangre de líquida se vuelve
sólida. Se torna similar a un gel en primera
instancia y luego sólida, sin experimentar
un verdadero cambio de composición.
• Este proceso es debido a que una proteína
soluble: el fibrinógeno que se encuentra en
la sangre, experimenta un cambio químico
y se convierte en insoluble. Con la
capacidad de entrelazarse con otras
moléculas iguales, para formar enormes
agregados macromoleculares en forma de
una red tridimensional.
• Un coágulo es, por lo tanto, una red
tridimensional de fibrina que atrapa entre sus
fibras a otras proteínas, agua, sales y
células sanguíneas.
• El fibrinógeno, una vez transformado, recibe
el nombre de fibrina.
• Coagulación es por lo tanto, el proceso
enzimático por el cual el fibrinógeno soluble
se convierte en fibrina insoluble, capaz de
polimerizar y entrecruzarse.
• Se denomina “ trombo” a un coágulo en el
interior de un vaso sanguíneo formado por
los trombocitos o plaquetas, células de
unos 3 um, de diámetro, que se forman a
partir de un tipo celular denominado
megacariocito.
• Los megacariocitos son células irregulares,
sin núcleo ni otros orgánulos y vida media
de 7 a 10 días. Tienen gran importancia en
la coagulación sanguínea por su capacidad
para agregarse unas con otras en
respuesta a diversos estímulos.
• Los trombocitos forman coágulos, gracias a
que poseen gránulos de sustancias
activadoras de la coagulación.
• Los trombocitos son los elementos celulares
más abundantes de la sangre, después de
los eritrocitos.
• Tienen su origen en el tejido hematopoyético
(formador de sangre) de la médula ósea,
por fragmentación del citoplasma de unas
células gigantes, llamadas megacariocitos,
que son las más grandes hematopoyético.
• Los trombocitos cumplen con un papel
muy importante en la coagulación. Para
ello forman nudos en la red fibrina, liberan
substancias importantes para acelerar la
coagulación y aumentan la retracción del
coágulo sanguíneo.
COMPONENTES DE COAGULACION DE LA SANGRE

• Pared Vascular. Influye en la hemostasia, el
sangrado puede ser detenido por la
disminución de la presión sanguínea y por la
adherencia mutua de células endoteliales.
• Plaquetas sanguíneas.- Las plaquetas
sufren notables cambios electroquímicos,
se adhieren unas a otras, a la pared vascular
y la relación de estos fenómenos con la
coagulación propiamente dicha.
• Coagulación de la sangre.- Depende de
varios factores que actúan conjuntamente
para producir el factor de conversión del
fibrinógeno en fibrina que es importante para
la estabilización del trombo.
Factores de coagulación












I. Fibrinógeno
II. Protrombina
III. Tromboplastina
IV. Calcio
V. Globulina ácida, proacelerina, factor lábil
VI. Acelerina
VII. Proconvertina
VIII. Factor antihemofílico
IX. Componente tromboplastínico
X. Factor stuart – prower
XI. Antecedentes tromboplastínico del
plasma
 XII. Factor Hageman
 XIII. Factor estabilizador de la fibrina
Eritrocito o glóbulo rojo
 Eritrocito, hematíe o glóbulo rojo es una
célula muy especializada que en los
mamíferos es un disco biconvexo que carece
de núcleo y gránulos citoplasmáticos; en las
aves tiene forma ovoide y tiene núcleo.
 El eritrocito se compone de una solución de
proteínas(95%), hemoglobina, electrolitos y
enzimas requeridas para la producción de
energía para el mantenimiento de la
hemoglobina, para el transporte de oxígeno y
anhídrido carbónico y la regulación del pH,
todo esto rodeado por una membrana.
Eritrocito- Vista frente y perfil

Eritrocitos
Eritropoyesis
 La formación de eritrocitos se conoce como
eritropoyesis. En la fase embrionaria temprana la
producción se realiza en el saco vitelino, luego en
el bazo e hígado fetal y en la la vida adulta en la
médula ósea roja.
 Todas las células sanguíneas circulantes derivan
de las células madres denominadas células
primordiales, indiferenciadas o pluripotenciales
que
se
encuentran
en
los
órganos
hematopoyéticos. En la maduración de las células
sanguíneas la primera división es en dos series:
 La linfoide de donde derivan los linfocitos y la
mieloide de donde derivan los eritrocitos y
trombocitos.
• Fisiológicamente los eritrocitos pueden
alterarse por: la altitud sobre el nivel del
mar, edad, sexo, raza, gestación estado
nutricional, ejercicio, hora de toma de la
muestra, también cada día se destruye y
se repone el 1% de eritrocitos.
• Policitemia, o aumento del número de
eritrocitos puede ser Relativa, fisiológica o
compensatoria y Vera cuando es
patológica porque la médula ósea roja
esta afectada.
• Anemia, es la disminución del número de
eritrocitos o de la hemoglobina, es decir
de su capacidad funcional en relación con
lo normal y puede deberse a:
• Menor número de eritrocito o menor
cantidad de hemoglobina en cada
eritrocito.
• Alimentación escasa o con deficiencia de
hierro, cobalto, vitamina B12 y del factor
intrínseco del estómago que permite la
absorción de vitamina B12 del complejo B.
• Deficiencia de la hormona eritropoyetina
Función de los eritrocitos
 Transporta oxigeno a través de la
hemoglobina
 Interviene en el transporte de anhídrido
carbónico
 Participa en la regulación del pH de la
sangre
Leucocitos o glóbulos blancos
 Son células que están principalmente en
la sangre y circulan por ella con la función
de combatir infecciones y cuerpos
extraños, es una parte de defensas
inmunitarias del cuerpo.
 La función de los leucocitos difiere de la
de los eritrocitos y trombocitos ya que la
función de estos dos últimos se realiza en
la sangre, en tanto que la de los leucocitos
se realizan en el espacio extravascular.
 Los linfocitos se pueden producir en
diversas partes del cuerpo, en cambio los
neutrófilos,
eosinófilos,
basófilos
y
monocitos se producen solamente en la
médula ósea.
 Hay diferentes tipos de glóbulos blancos;
los polimorfonucleares que son los
neutrófilos, eosinófilos y basófilos.
 Los glóbulos blancos mononucleares que
son los
linfocitos y los monocitos.
Courtesy: Department of Histology, Jagiellonian University

a - erythrocytes
b - neutrophil
c - eosinophil
d - lymphocyte

Medical College [1]
FUNCIONES:
• Las reacciones en contra de sustancias
extrañas al organismo se
realiza
mediante dos mecanismos generales:
• Fagocitosis de sustancias extrañas
• Desarrollo de una respuesta inmunitaria,
produciendo anticuerpos que van en
contra de los antígenos, este tipo de
inmunidad se conoce como inmunidad
humoral
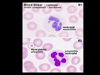
Neutrófilo
 Son células blancas que presentan
movimientos ameboideos, se deslizan por la
pared de los capilares entre células
adyacentes y son importantes en la
destrucción de bacterias y otros agentes
infecciosos, a través de la
fagocitosis,
también eliminan restos de células muertas.
 Los neutrófilos junto a los monocitos, son las
células encargadas de fagocitar las
sustancias
extrañas
protegiendo
al
organismo de infecciones bacterianas
agudas.
Eosinófilo

 EOSINÓFILOS
 Son células fagocíticas y ameboideas, que
aumentan considerablemente su número durante
las reacciones alérgicas y durante las infecciones
por parásitos.
 Todas las funciones del eosinófilo no están bien
definidas. En los tejidos que han liberado
histamina, presentan quimiotaxis y allí son
capaces de neutralizar efectos inflamatorios.
 Su número se incrementa en los tejidos en que se
ha producido una reacción alérgica, donde
fagocitan y destruyen los complejos antígeno
alergénico.
Basófilo
 Formados en la médula ósea son
leucocitos menos abundantes en la
sangre de los animales domésticos donde
representan menos del 0.5%.
 Se conoce muy poco de su producción,
actúan sobre todo como células
secretoras, ya que son poco móviles y con
fagocitosis escasa.
Monocitos macrófagos
 Los monocitos son las células de mayor tamaño
en sangre circulante. Se mueven activamente de
manera ameboidea y fagocitan bacterias al estar
activas después varias horas.
 Tienden a aumentar de tamaño para formar
macrófagos que pueden desplazarse con rapidez
y devorar más de 100 bacterias.
 Los macrófagos pueden ingerir grandes restos
celulares y tienen importancia en la limpieza de la
región infectada tras haber sido muertas son
eliminadas las bacterias, especialmente en las
infecciones crónicas
• Leucopenia. Es la disminución del número total
de leucocitos ocurre, en ciertas enfermedades
como fallo en la médula ósea, enfermedad
autoinmune, enfermedad del hígado o riñón,
exposición a radiaciones y sustancias citotóxicas,
por
antibióticos,
anticonvulsivantes,
antihistamínicos,
antitiroideos,
arsenicales,
barbitúricos,
diuréticos
quimioterápicos,
sulfamidas y otros.
• Leucocitosis. Es el aumento total del número de
leucocitos ocurre en el daño de los tejidos por
quemaduras,
enfermedades
infecciosas
e
inflamatorias, por autoinmunidad, enfermedades
reumáticas, alergias, estrés, leucemia, por
medicamentos como alopurinol, epinefrina,
cortisona, cloroformo, heparina, quinina.
A veces se ve afectado el número de sólo uno de
los tipos de leucocitos por lo que suele llamarse:

 Neutrofilia es el aumento de neutrófilos
en:
estrés,
infección
bacteriana,
enfermedades inflamatorias crónicas,
reumatismo,
leucemia,
traumatismo,
Síndrome de Cushing.
 Neutropenia es la disminución de
neutrófilos ocurre en: anemia aplásica,
alteraciones
de
la
alimentación,
enfermedad de Addison, infecciones
virales,
medicamentos,
radio
y
quimioterapia.
• Linfocitosis es el aumento de linfocitos
en: infecciones bacterianas crónicas,
infecciones
virales,
leucemias,
mononucleosis infecciosa, hepatitis.
• Linfopenia es la disminución de linfocitos
en: infecciones avanzadas de VIH,
leucemia,
inmunodeficiencias, lupus
eritematoso diseminado, radioterapia.
• Monocitosis es el aumento de monocitos
en: enfermedades inflamatorias crónicas,
infecciones virales, malaria, tuberculosis,
mononucleosis infecciosa.
• Monocitopenia
o
disminución
de
monocitos en: cortisona, medicamentos
• Basofilia es el aumento de basófilos en: ocurre en
leucemias y policitemia vera.
• Basopenia es la disminución de basófilos en: casos de
anafilaxia, estrés, hipertiroidismo.
• Eosinofilia es el aumento de eosinófilos en: enfermedades
alérgicas, autoinmune, enfermedad del suero, asma
bronquial, rinitis extrínseca, alergia alimentaria, eosinofilia
familiar de herencia recesiva, por medicamentos, picadura
de insectos y serpientes, en la púrpura anafilactoide,
urticaria, edema angioneurótico, infecciones parasitarias,
endocrinopatías,
pénfigo,
dermatitis
herpetiforme,
neurodermitis, dermitis atópica, prúrigo, leucemia, anemia
perniciosa, enfermedad de Hodgkin, neoplasias.
• Eosinopenia es la disminución de eosinófilos por:
corticoides endógenos y exógenos, intoxicación por
alcohol, medicamentos
LIQUIDO CEFALORRAQUIDEO
 El líquido cefalorraquídeo o cerebroespinal es un
liquido acuoso que baña la superficie del encéfalo y
médula espinal, circula por los ventrículos
cerebrales, los espacios subaracnoideos y el canal
medular central.
 Es producido en los plexos coroideos de los
ventrículos, que son como ovillos de capilares
sanguíneos cubiertos por células ependimales.
 El líquido cefalorraquídeo es claro transparente, no
coagulable, tiene también semejanza con el
plasma del cual deriva pero sin tanta proteína y
casi sin células, excepto por la presencia de
algunos linfocitos.
• Las células ependimales en los ventrículos
cerebrales, absorben el plasma sanguíneo y
lo secretan al interior de ellos.
• El líquido cefalorraquídeo pasa desde el
interior los ventrículos al espacio
subaracnoideo a través de tres aberturas u
orificios.
• Una vez en el espacio subaracnoideo, se
absorbe y vuelve nuevamente a la corriente
sanguínea a través de las vellosidades de la
membrana aracnoidea.
Funciones:
 Mantener flotando el encéfalo y la médula
espinal, disminuyendo el peso de ellos.
 Actúa como un colchón o amortiguador
hidráulico para que la presión que resulta
de un golpe en el cráneo sea transmitida
por el líquido con cierta igualdad en todas
direcciones, lo que evita el daño y así
proteger el SNC.
• Sirve de vehículo para transportar los
nutrientes al sistema nervioso central para
que se desarrolle .
• Elimina los desechos, producto del
metabolismo de las células nerviosas.
• El líquido cefalorraquídeo también sirve
para proteger el SNC de fuerzas físicas
peligrosas, como la presión atmosférica y
otras agresiones (debido a la blanda
consistencia del tejido nervioso).
LINFA
 La linfa es un líquido claro, incoloro similar al
plasma sanguíneo porque deriva de él. Es pobre
en proteínas y rico en lípidos. Las únicas
células que contiene son los glóbulos blancos
que, migran desde los capilares o proceden de
los ganglios linfáticos, No contiene hematíes.

 La linfa recorre el sistema linfático gracias a las
contracciones de los músculos, a la pulsación
de las arterias cercanas, a la negatividad del
tórax, a la presencia del válvulas en los vasos
linfáticos y al movimiento de sístole y diástole
del corazón.
 Si un vaso sufre una obstrucción, el líquido
se acumula en la zona afectada, se produce
una hinchazón denominada edema.
 La linfa es parte del líquido que atraviesa las
paredes de los capilares para distribuirse por
los espacios entre los tejidos y se reabsorbe
en los capilares venosos
.
El desplazamiento de la linfa se realiza por
los vasos y conductos linfáticos
.
 La linfa puede contener microorganismos
que al pasar por el filtro de los ganglios
linfáticos son eliminados, de allí la linfa no
solo sale filtrada sino que se carga de
leucocitos.
 La composición normal de la linfa es similar a
la del plasma sanguíneo y contiene:
Proteínas plasmáticas, ácidos grasos de
cadena larga (absorbidos del contenido
intestinal), fibrinógeno, células hemáticas,
células cancerosas, gérmenes, restos
celulares y metabólicos.
 Las células blancas como los macrófagos,
linfocitos y granulocitos, son elementos
celulares responsables de la defensa y
reacción frente a los microorganismos y
que se añaden a la linfa procedentes de
los ganglios linfáticos.
 Los ganglios linfáticos son estaciones
para la filtración de la linfa.
Función
 Recolectar, filtrar y devolver el líquido
intersticial a la sangre.
 Defender el cuerpo contra los organismos
patógenos.
 Absorber los nutrientes del aparato
digestivo y trasladarlos juntamente con
oxigeno a los lugares de donde no hay
vasos capilares sanguíneos.
Líquido sinovial

 La sinovia es un líquido espeso y adhesivo
(pegajoso), presentes en las cavidades
articulares.
 El líquido sinovial es un fluido viscoso y claro
que se encuentra en las articulaciones, tiene
la consistencia de la clara de huevo.
 Su composición es la de un ultrafiltrado del
plasma, con la misma composición iónica.
 Este líquido contiene pocas proteínas y
células pero es rico en ácido hialurónico
sintetizado por los sinoviocitos de tipo B.
 Debe sus propiedades físicas y su calidad
lubricante a la presencia de mucopolisacáridos
 Funciones .- El líquido sinovial nutre los
cartílagos articulares, reduce la fricción entre
los huesos, cartílagos y otros tejidos, en las
articulaciones para lubricarlas y acolcharlas
durante el movimiento, evita el roce para que
no se calienten ni desgasten.
Humor acuoso
 El humor acuoso es un líquido claro
derivado de la sangre, que fluye desde la
cámara anterior (entre la córnea y el iris) y
la cámara posterior (entre el iris y el
cristalino. Se encuentra en el espacio
existente entre el cristalino y la córnea.
 El humor acuoso es secretado
activamente en el cuerpo ciliar. Se drena
hacia la cámara posterior, pasa por la
pupila hasta la cámara anterior. Abandona
el ojo por el canal de Schlemm, ubicado
en el ángulo iridocorneal.
 El humor acuoso está en contacto con el ángulo
irido-corneal por la red trabecular. Por ella pasa
el humor acuoso de la cámara anterior al
conducto de Schlemm. De éste hacia las venas
acuosas que lo conducen finalmente al sistema
venoso coroideo.

 Funciones. Dentro de sus funciones más
importantes está el aporte de nutrientes y
oxígeno para la córnea.
 También tiene la función de mantener la presión
ocular constante, lo que ayuda a conservar el
tono adecuado al globo ocular y la convexidad
original de la córnea.
 Baña la córnea y el cristalino, los nutre los
oxigena, remueve y expulsa los desechos
fisiológicos.
 Debe existir un perfecto equilibrio entre su
producción y su salida. Se produce de manera
constante en el interior del ojo en el cuerpo ciliar
 Su exceso traerá como consecuencia un aumento
de la presión intraocular que se llama glaucoma.
 Esta enfermedad provoca alteraciones y
destrucción en la capa de fibras nerviosas de la
retina y el consecuente daño al nervio óptico.
Humor vítreo
 Es también un líquido proveniente de la sangre
tiene aspecto gelatinoso y transparente. Está
contenido en la cavidad vítrea. Delimitada por
delante por el cristalino y el cuerpo ciliar. Por
detrás por la retina.
 Constituye el volumen más grande del ojo y
participa de manera importante en el
mantenimiento de la forma del glóbulo ocular.
 El humor vítreo es un líquido que rellena el
espacio comprendido entre la retina y el
cristalino (cumple la función de amortiguación
ante posibles traumas), es más denso que el
humor acuoso.
 Está compuesto en un 99.98% por agua (el
resto consiste en cantidades menores de
cloro, sodio, glucosa y potasio).
 La cantidad de proteínas del humor vítreo es
aproximadamente una centésima parte de la
de la sangre.
 Es un gel que llena las 4/5 partes del
volumen intraocular llamada la cámara vítrea.
 Este material gelatinoso y transparente está
compuesto por ácido hialurónico sostenido
en una fina trama de fibrillas colágenas.
 El lento movimiento de este material
fibroso parece ser el origen de la visión
pelusas y puntos negros desplazándose
delante de los ojos cuando se desprende
de la pared retinal.
 El humor vítreo igual que el humor acuoso
provee de los elementos necesarios para
el metabolismo de los tejidos avasculares
como la córnea y el cristalino.
 El humor vítreo, el cristalino junto a la
córnea y el humor acuoso constituyen los
4 medios transparentes del ojo.
 Cuando el humor vítreo se pone nublado,
se aplica la vitrectomía, que es una cirugía
que sirve para recuperar la vista, en la que
el cirujano elimina el humor vítreo nublado
en el ojo y lo reemplaza con una solución
salina.
 La vitrectomía no está indicada
generalmente a menos que la vista ya
esté afectada. La operación en sí tiene
complicaciones como el desprendimiento
de retina, infección y sangrado intraocular.
 La causa más frecuente de opacidad del
vítreo es el sangrado producido por la
retinopatía diabética, importante causa de
la ceguera irreversible.
Trasudado
 Es una acumulación de líquido en alguna
cavidad recubierta por serosa y/o como
edema corporal. Se produce por:
 Por un trastorno físico- químico.

 Por un aumento de la presión en capilares
venosos.
 Por mayor permeabilidad capilar, por
toxinas, hipoproteinemia y otros.
• El líquido de color claro, excepto los
trasudados que contienen sangre es de color
rojizo.
• En animales con ictericia es de color
amarillo. y lechoso por la presencia de grasa
(obstrucción del conducto torácico).
• No coagulan y si lo hacen el coágulo es muy
débil.
• Su densidad es menor de 1018.
• Contenido proteico menor a 3% gramos.
• El contenido celular es escaso.
• Los trasudados reciben el nombre
correspondiente a la región en las que se
acumula, por ejemplo:
hidrocéfalo, en cabeza
hidrotórax, en tórax
hidropleura, en pleura
hidropericardio, en pericardio
hidroartrosis, en articulación
hidrocele, en escroto o pene
ascitis, en abdomen.
etc.
Exudado
 Se produce como consecuencia de la
invasión de agentes bacterianos, parásitos,
bilis o cualquier sustancia irritante, al líquido
normal. El líquido se acumula, siendo de un
color gris, amarillo pálido, rosado, o depende
del agente causante.








Puede ser: seroso, serofibrinoso, purulento
Odorífero o inodoro,
Coagula muy fácilmente.
Tiene abundancia de células inflamatorias
Su densidad es superior es a 1018
El contenido proteico mayor a 3 grs./100 ml.
¡¡Gracias!!
Trabajos encargados unidad 1
 Describa los líquidos corporales, ubicación,
composición y la función que realizan.
 Realice un hemograma completo de un perro,
un bovino, un equino, un caprino, un ovino y
un cerdo; identifique bien al animal.
 Realice los grupos sanguíneos de un cerdo del
Centro agropecuario El Prado; identifique bien
al animal
 Complete el trabajo con información teórica e
interpretación de los resultados hallados.

Liquidoscorporales 1-130327193259-phpapp02

  • 1.
    Líquidos corporales Facultad deCiencias Veterinarias “José Benjamin Burela” U.A.G.R.M. Fisiología Veterinaria I Dra. Rosa M. Teruya Burela 2013
  • 2.
    Introducción Una de lascaracterísticas fundamentales de la vida es el agua. Se denomina líquido a toda aquella sustancia que fluye. El agua es el componente corporal con mayor porcentaje y forma los líquidos corporales que junto con los solutos disueltos en ella, mantienen el volumen y su composición relativamente constante y estable.
  • 3.
    A esta constanciaen la composición y volumen, se la llama homeostasis (del griego homeo = similar, stasis= estabilidad). El agua constituye el 57 a 80% del peso corporal en un individuo adulto y que está en relación inversa a la edad y a la cantidad de tejido adiposo que tenga en su cuerpo.
  • 4.
    Funciones fisiológicas delagua • Las principales funciones del agua son las siguientes: • Actúa como solvente de numerosas sustancias. • Participa en la hidrólisis de: proteínas, grasas, carbohidratos. • Interviene en la absorción de los nutrientes. • Participa en el transporte de los desechos y su excresión. • Regula la temperatura corporal
  • 5.
    En el interiordel organismo los líquidos no se encuentran distribuidos, de manera homogénea. Se encuentran separados por membranas celulares, que dividen el contenido de líquido en: el compartimiento intracelular y en el compartimiento extracelular.
  • 6.
    División de loslíquidos corporales Los líquidos corporales se dividen en: • Líquido intracelular y extracelular. • El líquido intracelular (LIC) se encuentra en el interior de las células y corresponde a las 2/3 partes de los líquidos corporales. En él se efectúan una serie de reacciones metabólicas
  • 7.
    El líquido extracelular(LEC) es 1/3 parte de los líquidos corporales. Es el vehículo de intercambio para todas las sustancias necesarias para las células y para excretar todas las que se producen como consecuencia del metabolismo. A su vez este líquido se subdivide en: • Líquido intersticial y linfa • Líquido vascular o plasma • Líquido especial o transcelular
  • 8.
    Líquido intersticial ylinfa • El líquido intersticial o tisular es aquel que baña las células de los tejidos corporales. • Dentro de este grupo se incluye la linfa, porque se forma del líquido intersticial gracias a que los vasos linfáticos drenan el fluido. La linfa es ligeramente diferente del fluido intersticial, porque contiene leucocitos • En condiciones normales los capilares linfáticos conducen la linfa hasta las venas cavas.
  • 9.
    Líquido vascular oplasma Es la parte líquida de la sangre en la cual están disueltas sustancias orgánicas e inorgánicas y están suspendidos los elementos celulares como eritrocitos, leucocitos y trombocitos. Su función es ser intermediario entre el compartimiento intersticial, que rodea Células y tejidos, con el medio exterior.
  • 10.
    Líquidos transcelular oespecial • Agrupa a fluidos orgánicos especializados que se encuentran separados por un sistema de membranas fisiológicas. • Entre ellos tenemos: el líquido cefalorraquídeo, humor vítreo, humor acuoso y fluidos del oído interno, de las cápsulas articulares y fluidos de todas las cavidades internas recubiertos por serosas.
  • 11.
    Pérdidas de agua En condiciones normales el organismo experimenta una inevitable pérdida de fluidos de manera perceptible e imperceptible que ocurre de forma:  Perceptible, visible y normal, a través del sudor, excreción urinaria y fecal.  No perceptible y normal, a través de la respiración como vapor de agua que sale con el aire expirado, a través de la piel y mucosas por evaporación del agua se originan pérdidas insensibles de agua.
  • 12.
    • Pérdida patológicaperceptible, por alteraciones en el sistema gastrointestinal, respiratorio y excretor. • Se pierde en la deshidratación ya sea por sudoración excesiva, diarrea y/o vómito, fiebre, exposición al sol y otros que causan pérdidas adicionales de líquidos
  • 13.
    Porcentaje de pérdidade agua en los animales • La resistencia a la deshidratación que tienen los animales varía de acuerdo a la especie. • El camello por ejemplo resiste pérdidas de agua de 25% o más de su peso corporal. Aguanta de 5 a 7 días con poca comida y agua ó sin ella y puede perder un cuarto de su peso sin alterar el normal funcionamiento de su cuerpo.
  • 14.
    • Esto sedebe a la elasticidad de la membrana de sus células y la resistencia a la dilución de sus fluidos. También el agua ingerida se absorbe poco a poco en su estómago y también a que se forma orina más concentrada • Mientras que otros animales no soportan pérdidas mayor al 15%. Esto se debe a que la absorción de agua a nivel del sistema gastrointestinal se realiza de manera rápida y lo que no se absorbe se elimina, como orina.
  • 15.
    Vías de incorporaciónde agua • Se incorpora agua al organismo ingiriéndola en cantidad variable al beberla sola o a través de los alimentos; también como agua metabólica producida por el catabolismo del organismo. • Cuando no se la puede beber, se incorpora por vía venosa como sueros: fisiológico, glucosado, ringer, ringer-lactato y otros.
  • 16.
    Sangre • Es elprincipal líquido corporal del cual derivan todos los otros líquidos del organismo. Es un tejido conectivo o conjuntivo que consta de una matriz líquida llamada plasma y una parte sólida formada por células y sustancias orgánicas e inorgánicas disueltas en él. • La parte líquida, está compuesta por agua en 91-92% y por 8-9% de sustancias orgánicas e inorgánicas disueltas en ella, tales como azúcares, proteínas, elementos de coagulación, defensas, hormonas, enzimas, electrolitos, lípidos, sustancias nitrogenadas y otros. • La parte sólida o celular, está compuesta por: eritrocitos, leucocitos y trombocitos
  • 17.
    Funciones de lasangre • • • • • • • • • • • • Regula la temperatura Regula el pH sanguíneo y otros líquidos corporales Regula la presión osmótica Regula la presión oncótica Regula la presión arterial Regula la presión hidrostática Transporta nutrientes Transporta desechos metabólicos Transporta oxígeno y anhídrido carbónico Transporta enzimas Transporta hormonas Transporta defensas (anticuerpos)
  • 18.
    Electrolitos • Un electrolitoes una sustancia que se descomponen en iones, estas son partículas cargadas de electricidad, que cuando se disuelven en el agua o en los líquidos corporales permiten que la electricidad pase a través de ellos. • Juegan un papel importante en los seres vivos ayudan a mantener el flujo eléctrico adecuado y el balance ácido-base dentro del cuerpo, llevan nutrientes hacia las células y sacan desechos fuera de ellas.
  • 19.
    Electrolitos plasmáticos • Elplasma sanguíneo contiene, muchos electrolitos siendo los principales: H+, Na+, K+, Ca++, Mg++, Cl- HCO3-, HPO4aniones y cationes de ácidos inorgánicos y proteicos importantes pero en concentraciones menores.
  • 20.
    Calcio Participa en laexcitabilidad y contractibilidad neuromuscular. Transmisión del impulso nervioso Es el principal componente de los huesos y dientes. Actúa en la coagulación sanguínea, muchas reacciones enzimáticas y otras. La concentración media es de 10 mg/100 ml. Los valores van desde 9,5 mg a 13,5 mg/ml. proviene de varias corrientes de entradas y salidas.
  • 21.
    El calcio procedentedel hueso, es decir, por reabsorción ósea, se aumenta por acción de la hormona paratiroidea. La vitamina D estimula la absorción de calcio, a nivel intestinal y renal. Disminuyen su absorción la calcitonina y los glucocorticoides. Hipercalcemia.- Es el aumento del nivel normal de calcio en la sangre. Se da por sobre dosificación de calcio o de vitamina “D”. También en afecciones neoplásicas e hiperproteinemia.
  • 22.
    Hipocalcemia.- Es ladisminución del nivel normal de calcio en sangre. Se da por insuficiencia de calcio en la dieta o por una Mala absorción. También sucede deficiencia en el hipoparatiroidismo, deficiencia de vitamina D y en la osteodistrofia. Se la conoce también como fiebre de leche, tetania, paresia de parturienta. La deficiencia de calcio trae como consecuencia:
  • 23.
     El raquitismoen animales jóvenes o en crecimiento con alimentación deficiente en calcio, o provenientes de madres deficientes en calcio.  La osteomalacia en adultos, especialmente hembras preñadas. Se conoce también como fiebre de leche, tetania, paresia de parturienta. También sucede en la deficiencia de vitamina D, hiperparatiroidismo y osteodistrofia.  Osteoporosis, en animales viejos en quienes predominan los osteoclastos sobre los osteoblastos
  • 24.
    Mangnesio Participa en laexcitabilidad y contractibilidad neuromuscular conjuntamente con el calcio. Proviene de la ingestión de alimentos que contienen magnesio. Los factores que afectan su absorción son: la alta ingestión de calcio, fosfatos, grasas, álcalis, amoniaco ruminal y diarrea. No es afectado por la vitamina “D”, ni por la paratiroides Se absorbe en el intestino, se elimina por orina y heces  La concentración normal en la mayoría de las especies es de 2-5 mg/100 ml., disminuye con el ayuno o cuando la comida ingerida es pobre en magnesio en relación al potasio, nitrógeno y fósforo.
  • 25.
     Hipermagnesemia.- Esel aumento del valor normal de magnesio de sangre. Se da durante el parto en la mayoría de los casos en vacas con edad avanzada. A nivel de sistema nervioso produce sedación y depresión.  Hipomagnesemia.- Es la disminución del valor de magnesio en sangre. Se da durante el invierno (déficit en la homeostasis calórica), en diarrea, absorción deficiente, también en las dietas pobres en energía y ricas en proteína.  En el sistema nervioso produce desorientación y convulsiones.
  • 26.
    Fósforo • Es elsegundo elemento más abundante en el organismo después el calcio, es insoluble en el agua. • El fósforo y el calcio se encuentran en proporción balanceada en el organismo, de tal manera que, la abundancia o la carencia de uno afecta a la absorción del otro. • La relación entre estos dos minerales está regulada por la hormona paratiroidea. • Se encuentra en plasma de la mayoría de las especies, con la concentración de 4-8 mg/100 ml.
  • 27.
    • …….excepto enel perro, caballo y hombre que tienen 2-5 mg/100 ml., en tanto que los animales jóvenes tienen 3 mg más que los adultos de la misma especie. Funciones: • Como fosfolípidos que intervienen en la formación del ADN y de las membranas celulares. Como fosfatos de calcio que es el elemento esencial para constituir huesos y los dientes. • En los eritrocitos se encuentra como ésteres. Los animales jóvenes necesitan mayor cantidad de fósforo para poder crecer y desarrollarse.
  • 28.
    ….Funciones  El fósforoes esencial para el crecimiento, al participar activamente en la división de las células.  Es esencial para garantizar el funcionamiento del sistema nervioso central y la correcta transmisión del impulso nervioso.  El fósforo tiene una importante función energética (el ATP y el fosfato de creatina).  Es importante para el funcionamiento de las vitaminas del complejo B implicadas en las reacciones energéticas dentro de la célula.
  • 29.
     Hiperfosfatemia.- Esel aumento de los niveles normales de fósforo en sangre se asocia con enfermedades renales graves, paresia de parturienta, intoxicaciones con EDTA y durante la cicatrización de fracturas  Hipofosfatemia.- Es el nivel inferior a los normales de fósforo en sangre y se da en casos de hemoglobinuria y paresia de parturienta.
  • 30.
    Cloro • Principal aniónde los líquidos extracelulares las concentraciones séricas de cloruro son reguladas por la aldosterona. Se absorbe a nivel intestinal y se elimina por riñón. • La concentración plasmática en la mayoría de las especies es de 100-115 meq/litro. • Funciones.- Las principales son la regulación ácido base, en la conservación de agua, la presión osmótica, presión arterial, debido a su efecto osmótico, es componente importante del ácido estomacal, necesario para la digestión y por su efecto bactericida.
  • 31.
    • Hipercloremia.- Ocurrepor privación de agua, en la alcalosis respiratoria y cuando se ingiere en exceso Na, K y NH4. • Hipocloremia.- Ocurre en la depresión de la respiración por medicamentos, por enfermedad pulmonar, o por depresión del sistema nervioso, enfermedad renal, crónica, en alcalosis metabólica.
  • 32.
    Potasio • Principal catiónintracelular. Su función es juntamente con otros factores osmóticos regular la distribución de agua dentro y fuera de la célula. • Desempeña un papel importante como co-factor numerosas reacciones enzimáticas, en la conducción eléctrica en el miocardio y músculos estriados, en el equilibrio ácido base, influye en la función renal y en el metabolismo de los carbohidratos y proteínas. • La concentración en el plasma es de 3,5-5,5 meq. Debe evitarse la hemólisis.
  • 33.
    FUNCIONES • • • • • • • Ayuda en lafunción muscular. En la conducción de los impulsos nerviosos. En la acción enzimática. En el funcionamiento de la membrana celular. En el ritmo cardiaco. En el funcionamiento del riñón. En el almacenamiento de glucógeno y el equilibrio de hidratación.
  • 34.
    Sodio • Es elcatión extracelular mas importante del organismo. El ión de sodio es más pequeño que el ión de potasio y no entra libremente en el espacio intracelular por su cubierta de hidratación, ya que es muy higroscópico. • Ayuda a la regulación de la hidratación, disminuye la pérdida de fluidos por la orina y participa en la transmisión de impulsos electroquímicos a través de los nervios y músculos. La transpiración excesiva provoca pérdida de sodio.
  • 35.
    • La pérdidade cualquiera de los electrolitos ocasiona cambios en la función metabólica, que se pueden ver reflejados de diversas maneras: mareos, desmayos, pérdida de peso, inconsciencia y otros síntomas. Esta pérdida suele suceder por varias razones como: • • • • • • Deshidratación por vómitos Por diarrea persistente. Insolación. Fiebre intensa. Enfermedades como la bulimia y anorexia. Enfermedades infecciosas diversas
  • 36.
    Glucosa  La glucosaes el hidrato de carbono sencillo a partir del cual el organismo obtiene energía de rápida utilización. Es el monosacárido más importante en el ámbito de la nutrición por constituir el combustible principal de las células.  La mayoría de los hidratos de carbono de los alimentos acaban transformados en glucosa después de la digestión. Es el producto de la digestión de carbohidratos y es el combustible básico, en el metabolismo energético de la mayoría de los animales.
  • 37.
    • La glucosatambién proviene de la descomposición del almidón. • En la mayoría de las personas la glucosa normal en ayunas entre 80 y 120 mg/100 ml. • Los no rumiantes tienen de 60 a 120 mg/100 ml. • Los rumiantes entre 30 a 60mg/100ml.,de plasma.
  • 38.
    • La glucosapuede ser almacenada en el cuerpo como glucógeno. Éste es un almidón altamente ramificado, que se encuentra en el hígado, en el músculo esquelético y riñón. • El glucógeno es la única forma de almacenamiento de glucosa en el hígado, riñón y músculos, para la obtención a corto plazo. • Cuando se libera la glucosa del glucógeno muscular, es para ser usado por el propio músculo.(glucogenólisis) .
  • 39.
    Función • La glucosaproporciona energía a los miles de millones de células que conforman nuestro cuerpo. Sin embargo, para entrar en ellas necesita una “llave”, a saber, la insulina, una hormona que secreta el páncreas, de lo contrario se mantendría en el plasma.
  • 40.
    Hipoglicemia • Es elnombre que se da a la deficiente concentración de glucosa en sangre. • Es decir que está más baja de lo normal. Se desarrolla más frecuentemente cuando hay deficiencia de carbohidratos en la dieta. • También cuando se está administrando insulina o medicamentos hipoglucemiantes para tratar la diabetes.
  • 41.
    Síntomas de hipoglucemia Entreellos se pueden presentar languidez, confusión, convulsiones, taquicardia, trastornos visuales, conducta maniática y depresión del sistema nervioso central. La hipoglucemia se asocia con el hambre en los animales de estómago simple. Sin embargo puede deprimir la ingestión de alimento en los rumiantes, la hipoglucemia también reduce la producción láctea.
  • 42.
    HIPERGLICEMIA • La hiperglicemiasignifica que el nivel de glucosa en la sangre es más alto que el nivel normal. Esta elevación puede ser de manera transitoria o permanente. • Transitoria, después del consumo de alimentos ricos en carbohidratos. • De forma permanente y superior a 130 en ayunas en animales de estómago simple es característico de diabetes mellitus.
  • 43.
    SINTOMAS DE HIPERGLICEMIA • • • • • • Sedintensa (polidipsia) Orina abundante y frecuente (poliuria) Apetito aumentado (polifagia) Peso alterado (pérdida sin causa aparente) Visión borrosa, cataratas, ceguera Somnolencia, náuseas, piel seca
  • 44.
    Entre otros síntomasde diabetes, que varían de un individuo a otro (humanos principalmente), los más comunes son: • • • • • • • Sensación de hambre, Adormecimiento en extremidades, Cansancio, piel pálida, A menudo aparece una transpiración fría, Nerviosismo, mal humor, visión borrosa, Sensación de temblor en manos y pies, Pérdida de conciencia.
  • 45.
    LIPIDOS Los lípidos sonun conjunto de moléculas orgánicas, compuestas principalmente por carbono e hidrógeno y en menor número oxígeno, también pueden contener fósforo, azufre y nitrógeno Tienen como característica principal el ser insolubles en agua (hidrofóbicas) y ser solubles en solventes orgánicos como la bencina, el éter, alcohol, el benceno y el cloroformo.
  • 46.
    Funciones  Función dereserva energética. Los triglicéridos son la principal reserva de energía.  Función estructural. Los fosfolípidos, los glucolípidos y el colesterol forman las bicapas lipídicas de las membranas celulares. Los triglicéridos del tejido adiposo recubren y proporcionan consistencia a los órganos y protegen mecánicamente estructuras y son aislantes térmicos.
  • 47.
     Función reguladora.Las hormonas esteroides regulan el metabolismo y las funciones de la reproducción.  Función relajante. Los lípidos se acumulan en el tejido adiposo formando grandes tejidos grasosos que se manifiestan en aumento de peso en caso de sedentarismo, lo que aumenta la concentración de la hormona en sangre. En la neurohipófisis, esta elevada concentración de TRL estimula a la hipófisis para que inhiba la secreción hormona ACTH provocando una sensación relajamiento general del cuerpo.
  • 48.
    Cuerpos cetónicos Los cuerposcetónicos son compuestos químicos producidos por cetogénesis en las mitocondrias hepáticas. Su función es suministrar energía al corazón y cerebro en ciertas situaciones excepcionales. En la diabetes mellitus tipo 1, se pueden acumular una excesiva cantidad de cuerpos cetónicos en sangre, produciendo cetoacidosis diabética.
  • 49.
    Glicerol Es un fluidountuoso incoloro e inodoro que se disuelve en agua o alcohol pero no en grasas o aceites. Dada su elevada capacidad de absorción de la humedad, es una excelente sustancia para hidratar, sin embargo al reaccionar con ácidos grasos cambia totalmente sus características. Siendo la base de todos los acilglicéridos Tiene sabor dulce y la propiedad de cambiar su aspecto al absorber vapor de agua.
  • 50.
    Colesterol El colesterol perteneceal grupo esterol de las grasas. Está presente en todos los tejidos animales pero está ausente en las plantas. El colesterol es esencial como componente de las membranas celulares y como precursor de de los ácidos biliares y de ciertas hormonas. hormonas. El cuerpo puede producir su propio colesterol, así que no se necesita una fuente dietética.
  • 51.
    Funciones  Precursor dela vitamina D que es esencial en el metabolismo del calcio.  Precursor de las hormonas sexuales: progesterona, estrógenos y testosterona.  Precursor de las hormonas corticoesteroides : cortisol y aldosterona.  Precursor de las sales biliares: esenciales en la absorción de algunos nutrientes lipídicos y vía principal para la excreción de colesterol corporal  Precursor de las balsas de lípidos.
  • 52.
    Ácidos grasos volátiles Los ácidos grasos volátiles constituyen los principales productos de la fermentación animal, principalmente de los hidratos de carbono.  Los ácidos grasos volátiles primarios son: el ácido acético, propiónico, y butírico.  Con frecuencia los ácidos grasos volátiles son denominados como sus iones disociados: acetato, propionato y butirato.  Otros ácidos grasos volátiles son cuantitativamente menores pero metabólicamente importantes como: el valérico, isovalérico, isobutírico y otros.
  • 53.
    Absorción de ácidosgrasos volátiles  Los ácidos grasos volátiles, representan del 60 a 80 % de los requerimientos energéticos del animal (rumiantes).  Se absorben directamente en el epitelio de los pre-estómagos.  Las condiciones anaeróbicas en el rumen dan lugar a las actividades metabólicas que conlleva a la producción de ácidos grasos volátiles.
  • 54.
    Vitaminas liposolubles  Sonsustancias orgánicas insolubles en agua, se disuelven en grasa.  Se encuentran en tejidos vegetales y animales se almacenan en el hígado y tejido adiposo, por lo que es posible, tras un aprovisionamiento suficiente, subsistir una época sin su aporte.  Sirven de portadores de nutrientes no grasos, especialmente vitaminas liposolubles A, D, E y K.  Si se consumen en exceso pueden resultar tóxicas. (más de 10 veces las cantidades recomendadas).
  • 55.
    Vitamina A  Lavitamina A sólo está presente como tal en los alimentos de origen animal, aunque en los vegetales se encuentra como provitamina A, en forma de carotenos.  Sus elementos precursores son varios pigmentos vegetales como la criptoxantina carotenos alfa, beta y gama, todos ellos son de color amarillo.
  • 56.
     La vitaminaA es incolora de modo que no se puede decir que el color amarillo de la leche se relacione con esta vitamina.  Se almacena en el hígado en grandes cantidades y también en el tejido graso subcutáneo.  La vitamina A es un antioxidante, interviene también en la formación de las células sanguíneas y transcripción de los genes
  • 57.
    Funciones  La funciónprincipal de la vitamina A es la formación de rodopsina en la retina y su intervención es esencial en este proceso necesario para la visión con poca luz.  Es esencial para la protección de la piel, pelo, uñas, huesos y dientes, es necesaria para el crecimiento normal todos los tejidos.  También participa en la elaboración de enzimas en el hígado y de hormonas sexuales y de las suprarrenales.
  • 58.
     El déficitde vitamina A produce: ceguera nocturna, ceguera completa, sequedad en los ojos (membrana y conjuntiva), diversas afecciones en la piel, mucosas y degeneración de los epitelios.  El exceso de vitamina A produce: trastornos, como alteraciones óseas, inflamaciones y hemorragias en diversos tejidos.  Algunos efectos tóxicos son náuseas, vómito dolor de cabeza, dolor y debilidad muscular y abdominal, ictericia, irritabilidad, somnolencia y estados de alteración mental.
  • 59.
    Vitamina D -(calciferol) • Esta formada principalmente por las fracciones D2 y D3 o la primera calciferol esta formada por la radiación ultravioleta del ergosterol. • La D3 se forma por la radiación del 7dehidrocolesterol por la luz solar. • Se forma en la piel con la acción de los rayos ultravioleta en cantidad suficiente para cubrir las necesidades diarias. • Si se toma el sol de vez en cuando, no se tendrá necesidad de buscarla en la dieta.
  • 60.
    Funciones • Cumple unpapel importante en el mantenimiento de órganos y sistemas a través de múltiples funciones, tales como: • La regulación de los niveles de calcio y fósforo en sangre. • La vitamina D es fundamental para la absorción del calcio y del fósforo. • Inhibe las secreciones de la hormona paratiroidea (PTH) desde la glándula paratiroides, afecta el sistema inmune por su rol inmuno-supresor, acción de fagocitosis y actividad antitumoral.
  • 61.
    Deficiencia:  Provoca raquitismo,osteomalacia, porque la vitamina D, interviene decisivamente en la absorción del calcio en el tubo digestivo y renal. Exceso:  Provoca trastornos digestivos (vómitos, diarreas) y calcificaciones en el riñón, hígado, corazón, etc...
  • 62.
    Vitamina E -(tocoferol) • En el hombre la función de la vitamina E, no está del todo definida. • En los animales indispensable en la reproducción y previene el aborto espontáneo. • Es necesaria para la gametogénesis normal, tanto en el macho como en la hembra.
  • 63.
    • También actúacomo antioxidante, gracias a su capacidad para captar el oxígeno, actúa en las células frente a los radicales libres presentes en nuestro organismo. • Al impedir la oxidación de las membranas celulares, permite una buena nutrición y regeneración de los tejidos. • Falta de vitamina E, provoca degeneración del epitelio germinal en el macho y la reabsorción de embriones de la hembra.
  • 64.
    • El déficitde vitamina E, puede ocasionar anemia, destrucción de los glóbulos rojos de la sangre, degeneración muscular y desórdenes en la reproducción. • El exceso de vitamina E, puede dar lugar a trastornos metabólicos, por lo que se debe limitar al consumo en los alimentos de la dieta (cereales integrales, germinados, aceites vegetales, etc.)
  • 65.
    Vitamina K (antihemorrágica) •Se la llama antihemorrágica porque es fundamental en los procesos de coagulación de la sangre. • Es necesaria para la formación de protombina (sustancia esencial en la coagulación de la sangre). • Se encuentra en las hojas verdes, en los vegetales verdes y en el hígado de bacalao, pero normalmente es sintetizada por las bacterias de la flora intestinal.
  • 66.
    • Es muydifícil que se produzcan carencias de vitamina K en los adultos, pero puede darse en el caso de un tratamiento con antibióticos durante un período prolongado. • En caso de déficit de vitamina K pueden producirse hemorragias nasales, en el aparato digestivo y en el genito-urinario, por dificultad de coagulación de la sangre.
  • 67.
    TRANSAMINASA GLUTAMICA PIRÚVICA(TGP) • Es una enzima catalítica que se encuentra normalmente en grandes concentraciones en las mitocondrias de los hepatocitos. El aumento de sus niveles en el suero indica lesión hepática. • Cataliza la transferencia de un grupo alfa amino de la alanina, al ácido alfa cetoglutárico.
  • 68.
    TRANSAMINASA GLUTAMICA OXALACÉTICA(TGO) Enzima catalítica existe en varias partes del cuerpo, especialmente el tejido muscular, también en el corazón e hígado. • Sus niveles séricos aumentan en el infarto de miocardio, hepatopatías agudas por la administración de determinados fármacos y en cualquier enfermedad o trastorno en que se produzca una lesión celular grave. • Esta enzima cataliza la transferencia de un grupo alfa amino del ácido aspártico al ácido alfa cetoglutárico
  • 69.
    Amilasa • La amilasa,denominada también ptialina, es una enzima hidrolítica que tiene la función de digerir el glucógeno y el almidón para formar azúcares simples, se produce principalmente en las glándulas salivares (sobre todo en las glándulas parótidas) y en el páncreas. • Tiene un pH de 7. Cuando una de estas glándulas se inflama aumenta la producción de amilasa y aparece elevado su nivel en sangre. • Fué la primera enzima en ser identificada y aislada por Anselme Payen en 1833, quien la bautizó en un principio con el nombre de diastasa.
  • 70.
    SUSTANCIAS NITROGENADAS • Lasproteínas en la sangre entera constituyen el 98 a 99 % de nitrógeno presente, de éste el 1% a 2% restante es de naturaleza no proteica o NNP, que está distribuido desigualmente entre la célula y el plasma. • La mitad del NNP de la sangre es nitrógeno proveniente de la urea, ácido úrico, creatina, creatinina, amonio y aminoácidos.
  • 71.
    NITROGENO NO PROTEICO •NITRÓGENO NO PROTEICO o NNP.-Las principales fuentes del NNP son los productos finales del catabolismo celular como resultado de procesos metabólicos normales como la absorción del conducto gastrointestinal • El contenido de NNP en la sangre de todos los animales domésticos es de 20 – 40 mg/100m. Las elevaciones se deben a fiebre, deshidratación, preñez, obstrucción intestinal y prostática, insuficiencia renal, insuficiencia cardiaca, o cualquier elevación del nitrógeno en la dieta.
  • 72.
    Urea • La ureaes un compuesto orgánico relativamente simple producido en los mamíferos por el hígado como producto final del catabolismo de las proteínas. • La urea se produce en el hígado por fases sucesivas de desanimación de aminoácidos que se incorporan al ciclo de krebs como resultado la formación de urea. • La urea es sintetizada en el hígado por las enzimas del ciclo de la urea. Es secretada a la sangre y captada por los riñones para su excreción por la orina.
  • 73.
    Amoniaco • Es uncompuesto muy tóxico y sólo se halla en niveles muy bajos. Es producido por el metabolismo bacteriano en el intestino de donde es absorbido y llevado por la sangre al hígado en donde se convierte en urea. También se produce en el riñón como parte del equilibrio ácido-base, en rumiantes es producido en el rumen. • Los animales acuáticos excretan amoniaco y los organismos vivientes que excretan amonio son los amoniotélicos.
  • 74.
    ACIDO URICO • Productofinal del catabolismo de proteínas en aves y reptiles, como producto final del catabolismo de las purinas y pirimidinas de los mamíferos. • El ácido úrico se convierte en alantoína en el hígado en la mayoría de las especies excepto en el hombre, primates y perro. • El ácido úrico excretado por la aves y reptiles terrestres, organismos que se denominan uricotélicos.
  • 75.
    Coagulación sanguínea • Sedenomina coagulación al proceso en el cual la sangre pierde su estado líquido. Cuando una lesión afecta la integridad de las paredes de los vasos sanguíneos se ponen en marcha una serie de mecanismos que tienden a limitar la pérdida de sangre. • Estos mecanismos llamados de “hemostasia" comprenden la vasoconstricción local del vaso, el depósito y agregación de plaquetas y la coagulación de la sangre propiamente dicha.
  • 76.
    • Es decirque coagulación es el proceso en el cual la sangre de líquida se vuelve sólida. Se torna similar a un gel en primera instancia y luego sólida, sin experimentar un verdadero cambio de composición. • Este proceso es debido a que una proteína soluble: el fibrinógeno que se encuentra en la sangre, experimenta un cambio químico y se convierte en insoluble. Con la capacidad de entrelazarse con otras moléculas iguales, para formar enormes agregados macromoleculares en forma de una red tridimensional.
  • 77.
    • Un coáguloes, por lo tanto, una red tridimensional de fibrina que atrapa entre sus fibras a otras proteínas, agua, sales y células sanguíneas. • El fibrinógeno, una vez transformado, recibe el nombre de fibrina. • Coagulación es por lo tanto, el proceso enzimático por el cual el fibrinógeno soluble se convierte en fibrina insoluble, capaz de polimerizar y entrecruzarse.
  • 78.
    • Se denomina“ trombo” a un coágulo en el interior de un vaso sanguíneo formado por los trombocitos o plaquetas, células de unos 3 um, de diámetro, que se forman a partir de un tipo celular denominado megacariocito. • Los megacariocitos son células irregulares, sin núcleo ni otros orgánulos y vida media de 7 a 10 días. Tienen gran importancia en la coagulación sanguínea por su capacidad para agregarse unas con otras en respuesta a diversos estímulos.
  • 79.
    • Los trombocitosforman coágulos, gracias a que poseen gránulos de sustancias activadoras de la coagulación. • Los trombocitos son los elementos celulares más abundantes de la sangre, después de los eritrocitos. • Tienen su origen en el tejido hematopoyético (formador de sangre) de la médula ósea, por fragmentación del citoplasma de unas células gigantes, llamadas megacariocitos, que son las más grandes hematopoyético.
  • 80.
    • Los trombocitoscumplen con un papel muy importante en la coagulación. Para ello forman nudos en la red fibrina, liberan substancias importantes para acelerar la coagulación y aumentan la retracción del coágulo sanguíneo.
  • 81.
    COMPONENTES DE COAGULACIONDE LA SANGRE • Pared Vascular. Influye en la hemostasia, el sangrado puede ser detenido por la disminución de la presión sanguínea y por la adherencia mutua de células endoteliales. • Plaquetas sanguíneas.- Las plaquetas sufren notables cambios electroquímicos, se adhieren unas a otras, a la pared vascular y la relación de estos fenómenos con la coagulación propiamente dicha. • Coagulación de la sangre.- Depende de varios factores que actúan conjuntamente para producir el factor de conversión del fibrinógeno en fibrina que es importante para la estabilización del trombo.
  • 82.
    Factores de coagulación            I.Fibrinógeno II. Protrombina III. Tromboplastina IV. Calcio V. Globulina ácida, proacelerina, factor lábil VI. Acelerina VII. Proconvertina VIII. Factor antihemofílico IX. Componente tromboplastínico X. Factor stuart – prower XI. Antecedentes tromboplastínico del plasma  XII. Factor Hageman  XIII. Factor estabilizador de la fibrina
  • 83.
    Eritrocito o glóbulorojo  Eritrocito, hematíe o glóbulo rojo es una célula muy especializada que en los mamíferos es un disco biconvexo que carece de núcleo y gránulos citoplasmáticos; en las aves tiene forma ovoide y tiene núcleo.  El eritrocito se compone de una solución de proteínas(95%), hemoglobina, electrolitos y enzimas requeridas para la producción de energía para el mantenimiento de la hemoglobina, para el transporte de oxígeno y anhídrido carbónico y la regulación del pH, todo esto rodeado por una membrana.
  • 84.
    Eritrocito- Vista frentey perfil Eritrocitos
  • 85.
    Eritropoyesis  La formaciónde eritrocitos se conoce como eritropoyesis. En la fase embrionaria temprana la producción se realiza en el saco vitelino, luego en el bazo e hígado fetal y en la la vida adulta en la médula ósea roja.  Todas las células sanguíneas circulantes derivan de las células madres denominadas células primordiales, indiferenciadas o pluripotenciales que se encuentran en los órganos hematopoyéticos. En la maduración de las células sanguíneas la primera división es en dos series:  La linfoide de donde derivan los linfocitos y la mieloide de donde derivan los eritrocitos y trombocitos.
  • 86.
    • Fisiológicamente loseritrocitos pueden alterarse por: la altitud sobre el nivel del mar, edad, sexo, raza, gestación estado nutricional, ejercicio, hora de toma de la muestra, también cada día se destruye y se repone el 1% de eritrocitos. • Policitemia, o aumento del número de eritrocitos puede ser Relativa, fisiológica o compensatoria y Vera cuando es patológica porque la médula ósea roja esta afectada.
  • 87.
    • Anemia, esla disminución del número de eritrocitos o de la hemoglobina, es decir de su capacidad funcional en relación con lo normal y puede deberse a: • Menor número de eritrocito o menor cantidad de hemoglobina en cada eritrocito. • Alimentación escasa o con deficiencia de hierro, cobalto, vitamina B12 y del factor intrínseco del estómago que permite la absorción de vitamina B12 del complejo B. • Deficiencia de la hormona eritropoyetina
  • 88.
    Función de loseritrocitos  Transporta oxigeno a través de la hemoglobina  Interviene en el transporte de anhídrido carbónico  Participa en la regulación del pH de la sangre
  • 89.
    Leucocitos o glóbulosblancos  Son células que están principalmente en la sangre y circulan por ella con la función de combatir infecciones y cuerpos extraños, es una parte de defensas inmunitarias del cuerpo.  La función de los leucocitos difiere de la de los eritrocitos y trombocitos ya que la función de estos dos últimos se realiza en la sangre, en tanto que la de los leucocitos se realizan en el espacio extravascular.
  • 90.
     Los linfocitosse pueden producir en diversas partes del cuerpo, en cambio los neutrófilos, eosinófilos, basófilos y monocitos se producen solamente en la médula ósea.  Hay diferentes tipos de glóbulos blancos; los polimorfonucleares que son los neutrófilos, eosinófilos y basófilos.  Los glóbulos blancos mononucleares que son los linfocitos y los monocitos.
  • 91.
    Courtesy: Department ofHistology, Jagiellonian University a - erythrocytes b - neutrophil c - eosinophil d - lymphocyte Medical College [1]
  • 92.
    FUNCIONES: • Las reaccionesen contra de sustancias extrañas al organismo se realiza mediante dos mecanismos generales: • Fagocitosis de sustancias extrañas • Desarrollo de una respuesta inmunitaria, produciendo anticuerpos que van en contra de los antígenos, este tipo de inmunidad se conoce como inmunidad humoral
  • 93.
    Neutrófilo  Son célulasblancas que presentan movimientos ameboideos, se deslizan por la pared de los capilares entre células adyacentes y son importantes en la destrucción de bacterias y otros agentes infecciosos, a través de la fagocitosis, también eliminan restos de células muertas.  Los neutrófilos junto a los monocitos, son las células encargadas de fagocitar las sustancias extrañas protegiendo al organismo de infecciones bacterianas agudas.
  • 95.
    Eosinófilo  EOSINÓFILOS  Soncélulas fagocíticas y ameboideas, que aumentan considerablemente su número durante las reacciones alérgicas y durante las infecciones por parásitos.  Todas las funciones del eosinófilo no están bien definidas. En los tejidos que han liberado histamina, presentan quimiotaxis y allí son capaces de neutralizar efectos inflamatorios.  Su número se incrementa en los tejidos en que se ha producido una reacción alérgica, donde fagocitan y destruyen los complejos antígeno alergénico.
  • 97.
    Basófilo  Formados enla médula ósea son leucocitos menos abundantes en la sangre de los animales domésticos donde representan menos del 0.5%.  Se conoce muy poco de su producción, actúan sobre todo como células secretoras, ya que son poco móviles y con fagocitosis escasa.
  • 99.
    Monocitos macrófagos  Losmonocitos son las células de mayor tamaño en sangre circulante. Se mueven activamente de manera ameboidea y fagocitan bacterias al estar activas después varias horas.  Tienden a aumentar de tamaño para formar macrófagos que pueden desplazarse con rapidez y devorar más de 100 bacterias.  Los macrófagos pueden ingerir grandes restos celulares y tienen importancia en la limpieza de la región infectada tras haber sido muertas son eliminadas las bacterias, especialmente en las infecciones crónicas
  • 101.
    • Leucopenia. Esla disminución del número total de leucocitos ocurre, en ciertas enfermedades como fallo en la médula ósea, enfermedad autoinmune, enfermedad del hígado o riñón, exposición a radiaciones y sustancias citotóxicas, por antibióticos, anticonvulsivantes, antihistamínicos, antitiroideos, arsenicales, barbitúricos, diuréticos quimioterápicos, sulfamidas y otros. • Leucocitosis. Es el aumento total del número de leucocitos ocurre en el daño de los tejidos por quemaduras, enfermedades infecciosas e inflamatorias, por autoinmunidad, enfermedades reumáticas, alergias, estrés, leucemia, por medicamentos como alopurinol, epinefrina, cortisona, cloroformo, heparina, quinina.
  • 102.
    A veces seve afectado el número de sólo uno de los tipos de leucocitos por lo que suele llamarse:  Neutrofilia es el aumento de neutrófilos en: estrés, infección bacteriana, enfermedades inflamatorias crónicas, reumatismo, leucemia, traumatismo, Síndrome de Cushing.  Neutropenia es la disminución de neutrófilos ocurre en: anemia aplásica, alteraciones de la alimentación, enfermedad de Addison, infecciones virales, medicamentos, radio y quimioterapia.
  • 103.
    • Linfocitosis esel aumento de linfocitos en: infecciones bacterianas crónicas, infecciones virales, leucemias, mononucleosis infecciosa, hepatitis. • Linfopenia es la disminución de linfocitos en: infecciones avanzadas de VIH, leucemia, inmunodeficiencias, lupus eritematoso diseminado, radioterapia. • Monocitosis es el aumento de monocitos en: enfermedades inflamatorias crónicas, infecciones virales, malaria, tuberculosis, mononucleosis infecciosa. • Monocitopenia o disminución de monocitos en: cortisona, medicamentos
  • 104.
    • Basofilia esel aumento de basófilos en: ocurre en leucemias y policitemia vera. • Basopenia es la disminución de basófilos en: casos de anafilaxia, estrés, hipertiroidismo. • Eosinofilia es el aumento de eosinófilos en: enfermedades alérgicas, autoinmune, enfermedad del suero, asma bronquial, rinitis extrínseca, alergia alimentaria, eosinofilia familiar de herencia recesiva, por medicamentos, picadura de insectos y serpientes, en la púrpura anafilactoide, urticaria, edema angioneurótico, infecciones parasitarias, endocrinopatías, pénfigo, dermatitis herpetiforme, neurodermitis, dermitis atópica, prúrigo, leucemia, anemia perniciosa, enfermedad de Hodgkin, neoplasias. • Eosinopenia es la disminución de eosinófilos por: corticoides endógenos y exógenos, intoxicación por alcohol, medicamentos
  • 105.
    LIQUIDO CEFALORRAQUIDEO  Ellíquido cefalorraquídeo o cerebroespinal es un liquido acuoso que baña la superficie del encéfalo y médula espinal, circula por los ventrículos cerebrales, los espacios subaracnoideos y el canal medular central.  Es producido en los plexos coroideos de los ventrículos, que son como ovillos de capilares sanguíneos cubiertos por células ependimales.  El líquido cefalorraquídeo es claro transparente, no coagulable, tiene también semejanza con el plasma del cual deriva pero sin tanta proteína y casi sin células, excepto por la presencia de algunos linfocitos.
  • 106.
    • Las célulasependimales en los ventrículos cerebrales, absorben el plasma sanguíneo y lo secretan al interior de ellos. • El líquido cefalorraquídeo pasa desde el interior los ventrículos al espacio subaracnoideo a través de tres aberturas u orificios. • Una vez en el espacio subaracnoideo, se absorbe y vuelve nuevamente a la corriente sanguínea a través de las vellosidades de la membrana aracnoidea.
  • 107.
    Funciones:  Mantener flotandoel encéfalo y la médula espinal, disminuyendo el peso de ellos.  Actúa como un colchón o amortiguador hidráulico para que la presión que resulta de un golpe en el cráneo sea transmitida por el líquido con cierta igualdad en todas direcciones, lo que evita el daño y así proteger el SNC.
  • 108.
    • Sirve devehículo para transportar los nutrientes al sistema nervioso central para que se desarrolle . • Elimina los desechos, producto del metabolismo de las células nerviosas. • El líquido cefalorraquídeo también sirve para proteger el SNC de fuerzas físicas peligrosas, como la presión atmosférica y otras agresiones (debido a la blanda consistencia del tejido nervioso).
  • 109.
    LINFA  La linfaes un líquido claro, incoloro similar al plasma sanguíneo porque deriva de él. Es pobre en proteínas y rico en lípidos. Las únicas células que contiene son los glóbulos blancos que, migran desde los capilares o proceden de los ganglios linfáticos, No contiene hematíes.  La linfa recorre el sistema linfático gracias a las contracciones de los músculos, a la pulsación de las arterias cercanas, a la negatividad del tórax, a la presencia del válvulas en los vasos linfáticos y al movimiento de sístole y diástole del corazón.
  • 110.
     Si unvaso sufre una obstrucción, el líquido se acumula en la zona afectada, se produce una hinchazón denominada edema.  La linfa es parte del líquido que atraviesa las paredes de los capilares para distribuirse por los espacios entre los tejidos y se reabsorbe en los capilares venosos . El desplazamiento de la linfa se realiza por los vasos y conductos linfáticos .
  • 111.
     La linfapuede contener microorganismos que al pasar por el filtro de los ganglios linfáticos son eliminados, de allí la linfa no solo sale filtrada sino que se carga de leucocitos.  La composición normal de la linfa es similar a la del plasma sanguíneo y contiene: Proteínas plasmáticas, ácidos grasos de cadena larga (absorbidos del contenido intestinal), fibrinógeno, células hemáticas, células cancerosas, gérmenes, restos celulares y metabólicos.
  • 112.
     Las célulasblancas como los macrófagos, linfocitos y granulocitos, son elementos celulares responsables de la defensa y reacción frente a los microorganismos y que se añaden a la linfa procedentes de los ganglios linfáticos.  Los ganglios linfáticos son estaciones para la filtración de la linfa.
  • 113.
    Función  Recolectar, filtrary devolver el líquido intersticial a la sangre.  Defender el cuerpo contra los organismos patógenos.  Absorber los nutrientes del aparato digestivo y trasladarlos juntamente con oxigeno a los lugares de donde no hay vasos capilares sanguíneos.
  • 114.
    Líquido sinovial  Lasinovia es un líquido espeso y adhesivo (pegajoso), presentes en las cavidades articulares.  El líquido sinovial es un fluido viscoso y claro que se encuentra en las articulaciones, tiene la consistencia de la clara de huevo.  Su composición es la de un ultrafiltrado del plasma, con la misma composición iónica.  Este líquido contiene pocas proteínas y células pero es rico en ácido hialurónico sintetizado por los sinoviocitos de tipo B.
  • 115.
     Debe suspropiedades físicas y su calidad lubricante a la presencia de mucopolisacáridos  Funciones .- El líquido sinovial nutre los cartílagos articulares, reduce la fricción entre los huesos, cartílagos y otros tejidos, en las articulaciones para lubricarlas y acolcharlas durante el movimiento, evita el roce para que no se calienten ni desgasten.
  • 116.
    Humor acuoso  Elhumor acuoso es un líquido claro derivado de la sangre, que fluye desde la cámara anterior (entre la córnea y el iris) y la cámara posterior (entre el iris y el cristalino. Se encuentra en el espacio existente entre el cristalino y la córnea.  El humor acuoso es secretado activamente en el cuerpo ciliar. Se drena hacia la cámara posterior, pasa por la pupila hasta la cámara anterior. Abandona el ojo por el canal de Schlemm, ubicado en el ángulo iridocorneal.
  • 117.
     El humoracuoso está en contacto con el ángulo irido-corneal por la red trabecular. Por ella pasa el humor acuoso de la cámara anterior al conducto de Schlemm. De éste hacia las venas acuosas que lo conducen finalmente al sistema venoso coroideo.  Funciones. Dentro de sus funciones más importantes está el aporte de nutrientes y oxígeno para la córnea.  También tiene la función de mantener la presión ocular constante, lo que ayuda a conservar el tono adecuado al globo ocular y la convexidad original de la córnea.
  • 118.
     Baña lacórnea y el cristalino, los nutre los oxigena, remueve y expulsa los desechos fisiológicos.  Debe existir un perfecto equilibrio entre su producción y su salida. Se produce de manera constante en el interior del ojo en el cuerpo ciliar  Su exceso traerá como consecuencia un aumento de la presión intraocular que se llama glaucoma.  Esta enfermedad provoca alteraciones y destrucción en la capa de fibras nerviosas de la retina y el consecuente daño al nervio óptico.
  • 119.
    Humor vítreo  Estambién un líquido proveniente de la sangre tiene aspecto gelatinoso y transparente. Está contenido en la cavidad vítrea. Delimitada por delante por el cristalino y el cuerpo ciliar. Por detrás por la retina.  Constituye el volumen más grande del ojo y participa de manera importante en el mantenimiento de la forma del glóbulo ocular.  El humor vítreo es un líquido que rellena el espacio comprendido entre la retina y el cristalino (cumple la función de amortiguación ante posibles traumas), es más denso que el humor acuoso.
  • 120.
     Está compuestoen un 99.98% por agua (el resto consiste en cantidades menores de cloro, sodio, glucosa y potasio).  La cantidad de proteínas del humor vítreo es aproximadamente una centésima parte de la de la sangre.  Es un gel que llena las 4/5 partes del volumen intraocular llamada la cámara vítrea.  Este material gelatinoso y transparente está compuesto por ácido hialurónico sostenido en una fina trama de fibrillas colágenas.
  • 121.
     El lentomovimiento de este material fibroso parece ser el origen de la visión pelusas y puntos negros desplazándose delante de los ojos cuando se desprende de la pared retinal.  El humor vítreo igual que el humor acuoso provee de los elementos necesarios para el metabolismo de los tejidos avasculares como la córnea y el cristalino.
  • 122.
     El humorvítreo, el cristalino junto a la córnea y el humor acuoso constituyen los 4 medios transparentes del ojo.  Cuando el humor vítreo se pone nublado, se aplica la vitrectomía, que es una cirugía que sirve para recuperar la vista, en la que el cirujano elimina el humor vítreo nublado en el ojo y lo reemplaza con una solución salina.
  • 123.
     La vitrectomíano está indicada generalmente a menos que la vista ya esté afectada. La operación en sí tiene complicaciones como el desprendimiento de retina, infección y sangrado intraocular.  La causa más frecuente de opacidad del vítreo es el sangrado producido por la retinopatía diabética, importante causa de la ceguera irreversible.
  • 124.
    Trasudado  Es unaacumulación de líquido en alguna cavidad recubierta por serosa y/o como edema corporal. Se produce por:  Por un trastorno físico- químico.  Por un aumento de la presión en capilares venosos.  Por mayor permeabilidad capilar, por toxinas, hipoproteinemia y otros.
  • 125.
    • El líquidode color claro, excepto los trasudados que contienen sangre es de color rojizo. • En animales con ictericia es de color amarillo. y lechoso por la presencia de grasa (obstrucción del conducto torácico). • No coagulan y si lo hacen el coágulo es muy débil. • Su densidad es menor de 1018. • Contenido proteico menor a 3% gramos. • El contenido celular es escaso.
  • 126.
    • Los trasudadosreciben el nombre correspondiente a la región en las que se acumula, por ejemplo: hidrocéfalo, en cabeza hidrotórax, en tórax hidropleura, en pleura hidropericardio, en pericardio hidroartrosis, en articulación hidrocele, en escroto o pene ascitis, en abdomen. etc.
  • 127.
    Exudado  Se producecomo consecuencia de la invasión de agentes bacterianos, parásitos, bilis o cualquier sustancia irritante, al líquido normal. El líquido se acumula, siendo de un color gris, amarillo pálido, rosado, o depende del agente causante.       Puede ser: seroso, serofibrinoso, purulento Odorífero o inodoro, Coagula muy fácilmente. Tiene abundancia de células inflamatorias Su densidad es superior es a 1018 El contenido proteico mayor a 3 grs./100 ml.
  • 128.
  • 129.
    Trabajos encargados unidad1  Describa los líquidos corporales, ubicación, composición y la función que realizan.  Realice un hemograma completo de un perro, un bovino, un equino, un caprino, un ovino y un cerdo; identifique bien al animal.  Realice los grupos sanguíneos de un cerdo del Centro agropecuario El Prado; identifique bien al animal  Complete el trabajo con información teórica e interpretación de los resultados hallados.