¡La universidad de todos!
Escuela Profesional
ANATOMÍA DE MIEMBRO
INFERIOR: REGIÓN GLUTEA
Dr. Iván Ciriaco Guzmán
MEDICINA HUMANA
PREGUNTAS DE UNIDAD
1. Nombre de las estructuras vasculares y nerviosas que
emergen por encima del músculo piramidal.
2. Inserción distal o inferior del músculo glúteo mayor.
3. Músculo que se insertan en la fosita digital del fémur.
4. Raíces del nervio Ciático Mayor .
5. El músculo glúteo mayor está inervado por el nervio.
REGION GLUTEA
• Situación: parte posterior
cadera
• Límites:
• Cresta iliaca
• Pliegue glúteo
• Cresta sacra
• Línea EIAS—trocánter
mayor—pliegue glúteo
REGION GLÚTEA
REGION GLUTEA
• MUSCULOS:
• Plano superficial
• Plano medio
• Plano profundo
GLUTEO MAYOR
Grueso, cuadrilátero.
• Inserción A:
• Cuarto post de la cresta
• Aponeurosis dorso
lumbar (cresta sacra)
• Tubérculos sacros
posteriores
• Ligamento sacro ciático
mayor
• Inserción B:
• Rama trifurcación
externa de línea áspera
• Aponeurosis femoral.
Acción: Extensor y rotador
lateral del muslo
GLUTEO MEDIANO
• Grueso y radiado
• Inserción A:
• ¾ anteriores de cresta iliaca
• Entre líneas SC anterior y posterior
• Inserción B:
• Trocánter mayor
• Acción: Abductor del muslo
PLANO PROFUNDO
• GLUTEO MENOR:
• A: Delante de la LSCA
• B: Trocánter mayor
• Acción :
Abductor del muslo
PLANO PROFUNDO
• PIRAMIDAL:
• A: Cara anterior sacro
• B: Trocánter mayor borde
sup
• Pasa por escot ciát mayor
• Acción :
Rotador lateral y abductor
muslo
PLANO PROFUNDO
• OBTURADOR INTERNO:
• A: Contorno agujero obturador, Cara Interna
membrana obturatriz
• B: Trocánter mayor
• Pasa por la escot ciát menor
• Acción: rotador lateral muslo.
• GEMINOS SUP E INF
• Inserción GS: Espina ciática
• Inserción GI: Escot ciát menor
• B : Trocanter mayor
• Acción: rotador lateral muslo
VASOS REGION GLUTEA
• Arteria Glútea Superior: encima del
piramidal
• Rama superficial,
• Rama profunda,
• Arteria Inferior ( Isquiática ): por debajo
del piramidal
• Arteria Pudenda Interna.
• Arteria Circunfleja posterior
• Venas satélites
NERVIOS REGION GLUTEA
• NERVIO GLÚTEO SUPERIOR
• NERVIO GLÚTEO INFERIOR
• NERVIO PUDENDO INTERNO
• NERVIO DEL OBTURADOR
INTERNO
• NERVIO HEMORROIDAL
• NERVIO CIÁTICO MAYOR
• NERVIO CIÁTICO MENOR
• TODOS RAMOS DEL PLEXO
SACRO
PROCEDIMIENTO DE INYECCION
INTRAMUSCULAR
• Para administrar una inyección
con seguridad en la región
glútea, sólo debe utilizarse la
porción superolateral de las
nalgas, es decir, la zona craneal
al tubérculo de la cresta iliaca, ya
que existen muchos nervios y
vasos sanguíneos importantes en
la región glútea.
• Las inyecciones intramusculares
tienen la ventaja de su amplia y
rápida absorción.
PROCEDIMIENTO DE INYECCION
INTRAMUSCULAR
• La aguja se debe introducir
con una profundidad
suficiente a través del tejido
subcutáneo grueso hasta
penetrar en el músculo
glúteo medio que no esta
cubierto por el músculo
glúteo mayor.
• Cualquier inyección en otra
zona resulta peligrosa y
puede dañar al nervio ciatico
u otros envíos y vasos
sanguíneos
PLEXO LUMBAR Y PLEXO SACRO
• Son dos plexos nerviosos
destinados a la inervación
motora y sensitiva del miembro
inferior.
• EL PLEXO LUMBAR: Se forma
a partir de las ramas anteriores
y posteriores de las raíces
raquídeas T12, L1,L2, L3, L4 y
L5.
• El plexo lumbar se ubica
inicialmente entre el abdomen y
la pelvis.
• Sus ramas se distribuyen tanto
en la pared abdominal, en la
pared de la pelvis y finalmente
llegan al miembro inferior.
PLEXO LUMBAR Y PLEXO SACRO
PLEXO LUMBAR Y PLEXO SACRO
APLICACIONES: MIEMBRO INFERIOR
REGIÓN GLÚTEA
¡La universidad de todos!
Escuela Profesional
ANATOMÍA DE MIEMBRO
INFERIOR: REGIÓN MUSLO
Dr. Iván Ciriaco Guzmán
MEDICINA HUMANA
PREGUNTAS DE UNIDAD
1. Músculos que forman la “Pata de Ganso”
2. Contenido del triángulo de Scarpa”
3. Límites del Rombo Poplíteo
4. Quién inerva a los músculos aductores.
5. Mencione las ramas de la arteria femoral profunda.
MUSLO: INERVACIÓN SENSITIVA
Rama femoral
genito crural
Femoro
cutaneo
lateral
Obturador
interno
Abdomino
genital
Cutaneo
femoral
anterior
Cutaneos
laterales(L1-L3)
Cutaneo
femoral
lateral
Cutaneo
femoral
posterior
R.Cutaneo
del obturador
MUSLO
Aponeurosis del muslo
inicio en la aponeurosis
del tensor de la fascia lata
llega al sartorio y se desdo
bla fascia cribiforme que
envuelve al primer aductor,
la hoja posterior cubre al
pectinio se distribuye la
aponeurosis posterior cubre
a estos musculos de esta
region.
VENAS SUPERFICIALES
VENA SAFENA
INTERNA
(MAYOR)
VENA
FEMORAL
VENA SAFENA
EXTERNA
(MENOR)
VENA
POPLÍTEA
REGION FEMORAL
PLANO – MUSCULAR
• Compartimiento
fascial anterior.
• Compartimiento
fascial medial.
• Compartimiento
fascial posterior.
REGION FEMORAL
COMPARTIMIENTO
ANTERIOR
•Tensor de la
fascia lata.
• Sartorio.
• psoas.
• iliaco.
• pectíneo.
• cuadriceps
crural
TENSOR DE LA FASCIA LATA
• EIAS.
• Cintilla iliotibial , tuberosidad
externa de la tibia.
ACCION
• Extensor de la rodilla.
• Rotador lat. de la pierna.
• Rotador medial del muslo.
• En posición erecta , afirma
la pelvis en la cabeza
femoral, y fija los cóndilos
del fémur sobre la tibia.
INERVACIÓN:
N. glúteo superior ( L5, S1)
SARTORIO
• EIAS.
• cara int. de la tibia. “pata de
ganso”
FUNCIONES:
• Flexor del muslo sobre la pelvis.
• Flexor de la pierna sobre el muslo.
• Rotación medial de la pierna
• Rotador lateral del muslo
• Abductor del muslo.
INERVACIÓN : N. crural ( L2,L3)
Musculocutáneo lateral
MÚSCULO ILIACO
• Fosa iliaca interna
MÚSCULO PSOAS
• Apófisis transversa y cara lateral
de los cuerpos vertebrales de D12 a
L5.
•Tendón del iliopsoas al trocánter
menor.
INERVACIÓN
• Iliaco: N. femoral ( L2,L3.)
• Psoas : Plexo lumbar L,1L2,L3
FUNCIÓN:
• Flexión del muslo sobre el tronco.
• Flexión del tronco sobre el muslo.
MUSCULO PECTINEO
• Cresta pectínea
• Línea pectínea –
trifurcación medial de la
línea áspera
FUNCIÓN:
• Flexor del muslo.
• Aductor del muslo
INERVACIÓN:
• Nervio femoral ( L2, L3)
• N. obturador ( L2,3,4)
MUSCULOS DEL MUSLO: CUADRICEPS
RECTO ANTERIOR
Insercion:
Desde la EIAI
al tendón rotuliano base
Tuberosidad tibial
Inervacion:
Nervio Crural
Accion:
Flexion del muslo
Extension de la pierna
CRURAL
Cara anterior del fémur
Tendón rotuliano
VASTO MEDIAL Y LATERAL
Línea intertrocanterica,
labio lateral y medial
línea áspera hasta tendón
rotuliano
Inervacion:
Nervio crural
Accion:
Extension de la pierna
MUSCULO CUADRICEPS
FEMORAL
RECTO ANTERIOR:
• Tendón directo- EIAI.
• Tendón reflejo , ceja
cotiloidea.
• A base de la rótula.
CRURAL O VASTO
INTERMEDIO
• Superficie anterior y
lat. diáfisis del fémur.
• Borde lateral de la
rótula
MUSCULO CUADRICEPS
FEMORAL
VASTO LATERAL:
• Borde lateral de la línea
áspera.
• Borde lateral de la rótula
VASTO MEDIAL:
• Borde medial de la línea
áspera.
• Línea supracondilea lateral
• Borde medial de la rótula
MUSCULO CUADRICEPS
FEMORAL
El tendón del cuadriceps termina en:
• Bordes superior y laterales de la
patela ( rótula)
• Tuberosidad anterior de la tibia a
través del ligamento de la patela (
rotuliano)
• fascia de vasto lateral y medial
terminan en la capsula articular de la
rodilla y las fortalece.
FUNCIONES.
• Extensor de la rodilla.
• El recto anterior flexiona el muslo
sobre la cadera .
MUSCULOS DEL COMPARTIMENTO
FASCIAL MEDIAL DEL MUSLO
• Recto medial o Grácil
• Aductor largo o aductor
mediano o primer aductor.
• Aductor breve o aductor
menor o segundo aductor.
• Aductor magno o mayor o
tercer aductor.
• Obturador externo.
RECTO INTERNO O GRÁCIL
• superficie externa de
la rama inferior del
pubis
• Superficie medial del
cuerpo de la tibia “ pata
de ganso”
FUNCIONES;
• Aducción del muslo
sobre la cadera.
• flexor de la pierna
INERVACIÓN:
N. Obturador ( L2, L3,
L4 )
M. ADUCTOR MEDIANO O PRIMER ADUCTOR
• cuerpo del pubis.
• 1/3 medio de la Línea áspera
entre el vasto medio y aductores
mayor y menor
FUNCIONES
• Aductor del muslo.
• Rotación medial
INERVACIÓN:
Rama anterior del N. obturador.
( L2, L3, L4 )
M. ADUCTOR BREVE, O SEGUNDO ADUCTOR O
ADUCTOR MENOR
•Superficie externa de
la rama inferior y
cuerpo del pubis.
• Línea áspera – central
FUNCIONES:
• Aductor del muslo.
• Rotación medial
INERVACIÓN:
N. Obturador ( L2,
L3,L4)
M. ADUCTOR MAGNO- MAYOR -TERCER O ADUCTOR
porción aductora, y rotación
Medial
• cara ext. de la rama
inferior del pubis
• Línea áspera – superior
•Inervación :
obturador L2, L3, L4
Porción extensora
• tuberosidad isquiática
• cóndilo medial del fémur
• Extensor del muslo .
Inervación:
• tibial del ciático mayor
• HIATOS
M. OBTURADOR EXTERNO
•Superficie externa de la membrana
obturatriz, rama púbica e isquiática
• Cara medial del trocánter mayor ( fosa
digital)
FUNCION
Rotador lateral del muslo , estabiliza la
cabeza del fémur
INERVACIÓN : Rama posterior del Nervio
obturador ( L3,4)
ARTERIA FEMORAL COMÚN O CRURAL
• ORIGEN.
• VAINA FEMORAL
•TRIÁNGULO FEMORAL.
• CONDUCTO DE LOS ADUCTORES
• ANILLO DEL III ADUCTOR
• CONDUCTO FEMORAL.
• ANILLO FEMORAL
VAINA FEMORAL.
• extensión de la F.T, 2- 4 cm
• debajo del ligamento inguinal.
• por delante cubre a los vasos
femorales .
•Por detrás cubre a la fascia
iliaca.
• forma: de embudo, ancha a
nivel superior y angosta en la
inferior.
• lateralmente perforado por la
rama crural de genitocrural.
• medialmente perforado por la
vena safena interna y linfáticos
COMPARTIMENTOS DE LA VAINA
FEMORAL
3 compartimentos:
• LATERAL: arteria
femoral.
• MEDIO: Vena
femoral.
• MEDIAL: Conducto
femoral
ANILLO FEMORAL
• Mide 1.25 cm.
• Más amplio en la
mujer que en el hombre
por la amplitud de la
pelvis
LIMITES
• Anterior : ligamento
inguinal
• Posterior :M. pectíneo
y ligamento pectíneo
• Medial : Ligamento
lacunar.
• Lateral : Vena femoral
ANILLO FEMORAL
INFUNDÍBULO O
CONDUCTO FEMORAL
Hernias crurales
TRIANGULO FEMORAL
SCARPA
LIMITES
• LATERAL : Borde
medial del sartorio.
• MEDIAL: borde interno del
aductor mediano
• BASE: Ligamento inguinal.
• VÉRTICE – Unión del sartorio
y 1º aductor
•PISO:
• Lateral : psoasliaco
• Medial: pectíneo y
aductor mediano
formando el canal íleo
pectíneo
TRIANGULO FEMORAL- SCARPA
CONTENIDO
• VAN femoral
• Linfáticos y Ganglios
femorales profundos
• Tejido graso
• Desembocadura de la
safena interna .
• Safena accesoria .
• Estrella venosa
• arterias: Epigástrica
superficial, circunfleja
iliaca superficial, pudenda
externa superficial y
profunda
TRIANGULO FEMORAL- SCARPA
CONDUCTO DE LOS ADUCTORES O DE HUNTER O
SUBSARTORIAL
• inicio en el vértice del triángulo de
Scarpa y detrás del sartorio.
• Termina en el anillo del III aductor
• Mide 7cm. Forma triangular.
LIMITES
• ANTERO- LATERAL : vasto medial.
• ANTERIOR MEDIAL : Sartorio
• POSTERIOR- SUPERIOR : aductor
mediano.
• POSTERO –INFERIOR : aductor
mayor.
• TECHO: Fascia desde sartorio al
vasto interno
CONDUCTO DE LOS ADUCTORES O DE HUNTER O
SUBSARTORIAL
CONTENIDO
• Art. y vena femoral.
• Nervio safeno interno
se separa antes de cruzar
el anillo del III aductor
• N. del vasto medial.
• rama final del n.
obturador
• Vasos linfáticos
profundos
RELACIONES DE LA ARTERIA
FEMORAL COMÚN
ANTERIOR :
• Piel y fascia subcutánea.
• ganglios inguinales
• Vena circunfleja iliaca sup.
• Rama femoral del
genitofemoral.
• N. femorocutáneo interno
POSTERIOR
• M. ileopsoas y pectíneo.
• Capsula articular por
tendón del psoas.
LATERAL : N. crural
RAMAS DE LA ART. FEMORAL COMÚN
• Sub cutánea abdominal o
epigástrica superficial.
• Circunfleja iliaca superficial.
• Pudenda externa superficial.
• Pudenda externa profunda.
• Ramas musculares ( sartorio,
vasto interno, aductores).
• Femoral profunda
• Anastomótica magna ( ramas:
safena, musculares, articulares
ART. FEMORAL PROFUNDA
• Nace de la pared externa o
posterior de la femoral a 3 cm
del ligamento inguinal.
• En el triangulo femoral
• entre pectíneo y aductor
mediano.
• desciende entre los
aductores mediano y mayor.
• anillo del 3º aductor
• Terminal se anastomosa con
ramas musculares de la
poplítea.
ART. FEMORAL PROFUNDA
RAMAS
• Circunfleja femoral lateral.
• Circunfleja femoral medial
• Perforantes : I, II, III
• Musculares: aductores,
flexores, extensores
• Rama Terminal : cuarta
perforante?
Terminal
RAMAS DE LA ART. FEMORAL PROFUNDA
• Circunfleja femoral lateral
Ramas ascendente
• debajo de tensor de la
fascia lata.
• Se anastomosa con las
arterias: glútea superior
y circunfleja iliaca
profunda.
• Junto con la circunfleja
femoral medial hacen un
anillo anastomótico
alrededor del cuello del
fémur e irrigan el cuello
y cabeza femoral.
RAMAS DE LA ART. FEMORAL PROFUNDA
• Circunfleja femoral
lateral.
• anastomosis con la
circunfleja femoral
medial
Rama ascendente
• Circunfleja femoral lateral
Ramas descendente
• Baja por detrás del recto
anterior luego por el borde
del vasto medial.
• Llega hasta la rodilla se
anastomosa con la
articular superoexterna de
la poplítea.
• Acompañado del nervio
del vasto medial.
Rama transversal
• Es la más pequeña.
• anastomosis con: circunfleja femoral
medial, glúteo inferior y primera
perforante.
ANASTOMOSIS TROCANTÉRICA
• Irrigación de la cabeza
del fémur, articulación de
la cadera.
• Glútea superior
• Glútea inferior.
• Circunfleja femoral
medial.
• Circunfleja femoral
lateral
ARTERIAS PERFORANTES
1º Perforante .
• perfora al aductor mayor.
• se va hacia atrás.
• se anastomosa con: glútea
inferior, circunflejas
femorales medial y lateral y
2º perforante.
2º perforante
• De mayor calibre.
• perfora a los aductores
mayor y menor.
• Ramas ascendente y
descendente. Y anastomosis
con la 1ª y la 3º perforante
• Da la rama nutricia para el
fémur.
ARTERIAS PERFORANTES
3º Perforante .
• se anastomosa con la
2º perforante.
• con la rama Terminal
del profunda ( 4º
perforante?)
ANASTOMOSIS DE LA
REGION FEMORAL
POSTERIOR
• Glúteas Superior e
inferior con la circunfleja
femoral medial.
• circunflejas femorales
con la 1º perforante.
• Anastomosis entre las
3 perforante.
• anastomosis de la rama
terminal de la femoral
profunda con rama
musculares superiores
de la poplitea
CANALES DE CIRCULACION
COLATERAL EN M. INF.
SI SE LIGARA LA ARTERIA FEMORAL POR
ENCIMA DE LA FEMORAL PROFUNDA:
1. Glúteas con las circunflejas femorales y
1º perforante de la femoral profunda.
2. Obturatriz con la circunfleja femoral
medial de la f. profunda.
3. Pudenda interna con las iliacas
superficial y profunda de la femoral.
4. Glútea inferior con las perforantes de la
femoral prof.
5. Circunfleja iliaca superficial de la femoral
con la circunfleja iliaca profunda de la
iliaca externa .
VENA FEMORAL
ORIGEN: Vena poplítea.
TERMINA: anillo femoral.
•Recibe a la vena femoral
profunda formada por las
venas perforantes
NERVIO FEMORAL O CRURAL ( L2, L3, L4)
DIVISIÓN ANTERIOR
• Musculocutáneo lateral ( sartorio).
• accesorio del safeno interno.
• Musculocutáneo medial ( pectíneo
• N. del cuadriceps.
• N. Safeno interno, unión y
separación de la art. Femoral
DIVISION POSTERIOR
• Ramas para la Inervación de la
rodilla.
Nervio safeno interno
y su accesorio
REGION FEMORAL POSTERIOR
• Fémoro cutáneo
posterior. S1,S2,S3
• Fémoro cutáneo lateral
L2,L3
INERVACIÓN SENSITIVA
PLANO MUSCULAR-
POSTERIOR
SEMITENDINOSO
• Tuberosidad isquiática.
• pata de ganso.
PLANO MUSCULAR-
POSTERIOR
SEMIMEMBRANOSO
• Tuberosidad isquiática
• 5 fascículos distales :
• principal: cara posterior del
cóndilo tibial medial.
• borde medial de la tibia por detrás
del ligamento lateral medial.
• Una expansión fibrosa que cubre
al m. popliteo.
• Ligamento poplíteo oblicuo: hacia
la línea intercondilea y cóndilo
femoral externo.
PLANO MUSCULAR-
POSTERIOR
SEMIMEMBRANOSO
Función:
• Flexión y rotación medial de la
pierna.
• extensión del muslo.
INERVACIÓN
Rama tibial del isquiático.
PLANO MUSCULAR POSTERIOR
BICEPS FEMORAL
PORCION LARGA:
• Tuberosidad isquiática.
• Inervado por la rama tibial
PORCION CORTA:
• Línea áspera labio lateral y línea
supra condílea lateral del fémur
• ambas porciones terminan en la
cabeza del peroné , en el ligamento
lat. Externo y cóndilo lateral de la
tibia
• Inervado por la peronea común
FUNCIÓN:
• Flexión y rotación lateral de la
pierna
• La porción larga es también
extensor del muslo.
NERVIOS DE LA CARA POSTERIOR DEL
MUSLO
NERVIOS DE LA CARA POSTERIOR DEL
MUSLO
NERVIO CIATICO MAYOR
COMPONENTES:
• Tibial: L4,L5,S1,S2,S3
•peróneo ( fibular) común
• L4,L5,S1,S2
N. fémoro cutáneo posterior S2, S3, S4
IRRIGACIÓN
Arteria acetabular – rama
de la art. Obturatríz
• Rama acetabular.
• rama del ligamento
de la cabeza femoral.
INERVACIÓN
• N. femoral.
• N. obturador.
• Gluteo inferior
FLEXORES DEL MUSLO SOBRE LA PELVIS (Cadera)
• SARTORIO.
• RECTO ANTERIOR DEL CUADRICEPS.
• PECTINEO.
• PSOAS ILIACO
EXTENSORES DEL MUSLO ( Cadera )
• GLUTEO MAYOR .
• TENSOR DE LA FASCIA LATA AYUDA AL
GLUTEO >
ABEDUCTORES DEL MUSLO
(cadera )
• GLUTEO MEDIANO.
• GLUTEO MENOR
• SARTORIO
ADUCTORES DEL MUSLO ( Cadera )
• RECTO INTERNO
• PECTINEO
• 1º ADUCTOR.
• 2º ADUCTOR,
• 3º ADUCTOR
ROTADORES LATERALES DEL
MUSLO ( cadera )
• PIRIFORME
• GEMINO SUPERIOR.
• OBTURADOR INTERNO
• GEMINO INFERIOR.
• CUADRADO CRURAL.
• OBTURADOR EXTERNO
• SARTORIO
• GLUTEO MAYOR
• ADUCTOR MEDIANO.
• ADUCTOR MENOR
• ADUCTOR MAYOR
AYUDAN A LA
ROTACION LATERAL
ROTADORES MEDIALES DEL
MUSLO ( Cadera )
• GLUTEO MEDIANO.
• GLUTEO MENOR
• ILEOPSOAS
• TENSOR DE LA FASCIA LATA
IRRIGACION DEL MUSLO
Limites
Ubicación
Ramas:
Circunfleja superf.
Epigastrica superf.
Subcutanea abdominal
Tronco de las pudendas
Art. Del cuadriceps
Femoral profunda
Circunfleja medial y
Lateral
Ramas perforantes
INERVACION DEL MUSLO
NERVIO CRURAL
INERVACION DEL MUSLO
NERVIO CIÁTICO
CANAL DE HUNTER
SARTORIO
BASTO INTERNO DEL CUADRICEPS
ADUCTORMEDIANO Y MAYOR
MUSLO
Tejido celular sub cutaneo
Tiene dos hojas :
fascia aereolar
fascia laminar
Entre ellas transcurren
los vasos y nervios
superficiales
MUSLO
TRIANGULO DE SCARPA
Region triangular en la
Parte superior e interna
del muslo
Limites:
- Arco crural
- Sartorio
- Aductor mediano
Piso :
- Psoas iliaco, pectineo
ARTERIA
FEMORAL
¡La universidad de todos!
Escuela Profesional
ANATOMÍA DE MIEMBRO
INFERIOR: PIERNA Y PIE
Dr. Iván Ciriaco Guzmán
MEDICINA HUMANA
PREGUNTAS DE UNIDAD
1. Qué músculos forman el tendón de Aquiles.
2. Quien inerva a los músculos del compartimento anterior
de la pierna.
3. Donde desemboca o termina la vena safena menor o
externa.
4. A nivel del pie se puede tomar el pulso arterial, mencione
el nombre de la arteria.
5. Mencione un músculo de la región plantar interna.
VENAS SUPERFICIALES
VENA SAFENA
INTERNA
(MAYOR)
VENA
FEMORAL
VENA SAFENA
EXTERNA
(MENOR)
VENA
POPLÍTEA
VENA POPLÍTEA
VENA SAFENA
EXTERNA
(MENOR)
ARCO VENOSO DORSAL DEL PIE
PIERNA
COMPARTIMIENTOS
A.- ANTERIOR
B.- LATERAL
C.- POSTERIOR
- Superficial.
- Profundo.
A
B C
C
GRUPO ANTERIOR:
- Músculo Tibial Anterior.
- Músculo Extensor Propio
del Primer Dedo.
- Músculo Extensor Común
de los Dedos.
- Músculo Peroneo Anterior
PIERNA
MÚSCULO ORIGEN INSERCIÓN IRRIG – INERV
FUNCIÓN
TIBIAL
ANTERIOR
TIBIA:
Tuberosidad,
cara externa
1º Cuña
1º
Metatarsiano
VAN TIBIAL
ANTERIOR
Flexión dors.
INVERTOR
EXTENSOR
PROPIO
DEL
PRIMER
DEDO
PERONÉ:
1/3 medio
cara antero-
interna.
Membrana
Interósea
1º DEDO.
Falange
distal
VAN TIBIAL
ANTERIOR
Extensor del
1º dedo.
Flexión dors.
MÚSCULO ORIGEN INSERCIÓN IRRIG – INERV
FUNCIÓN
EXTENSOR
COMÚN DE
LOS DEDOS
TIBIA:
tuberosidad.
MEMB
INTEROSEA
.PERONÉ
Falanges
distales de
los dedos
VAN TIBIAL
ANTERIOR
Flexión
dorsal
EVERTOR
Extensión
PERONEO
ANTERIOR
PERONÉ.
Cara antero-
interna tercio
inferior
5º
Metatarsiano
cara dorsal
de la base
VAN TIBIAL
ANTERIOR
Flexión dors
EVERTOR
M. TIBIAL
ANTERIOR
M. Extensor Común
de los Dedos
M. Extensor
Propio del
Primer dedo
NERVIO
PERONEO
COMÚN
NERVIO
PERONEO
SUPERFICIAL
NERVIO
PERONEO
PROFUNDO
PIERNA
COMPARTIMIENTO
LATERAL:
-Músculo Peroneo
Lateral Largo.
-Músculo Peroneo
Lateral Corto
MÚSCULO ORIGEN INSERCIÓN IRRIG – INERV
FUNCIÓN
PERONEO
LATERAL
LARGO
PERONÉ,
cabeza, dos
tercios
superiorea
1º Cuña
1º Metatars
Nervio
Músculocuta
neo.
Evertir el pie
PERONEO
LATERAL
CORTO
PERONÉ-
tercio inferior
5º Metatars Nervio
Músculocuta
neo.
Evertir el pie
M. Peroneo
Lateral
Largo.
M. Peroneo
Lateral
Corto
PIERNA POSTERIOR
PROFUNDO
MÚSCULOS:
-Poplíteo
-Tibial Posterior.
-Flexor Común de los dedos.
-Flexor Propio del 1º dedo
SUPERFICIAL
-Gemelos.
-Plantar Delgado.
-Sóleo
MÚSCULO ORIGEN INSERCIÓN IRRIG – INERV
FUNCIÓN
GEMELO
INTERNO
FEMUR.-
Cóndilo
interno, cara
poplítea
CALCÁNEO
Tendón de
Aquiles
VAN TIBIAL
POSTERIOR
Flexor
Plantar
GEMELO
EXTERNO
FEMUR.-
Cóndilo
externo cara
externa parte
posterior.
CALCÁNEO
Tendón de
Aquiles
VAN TIBIAL
POSTERIOR
Flexor
Plantar
MÚSCULO ORIGEN INSERCIÓN IRRIG – INERV
FUNCIÓN
PLANTAR
DELGADO
FEMUR.-
Cóndilo
Externo
TENDÓN DE
AQUILES.
VAN TIBIAL
POSTERIOR
Flexor
Plantar
SÓLEO Línea
Oblícua de la
Tibia ( Línea
del Sóleo)
Peroné
CALCÁNEO
Tendón de
Aquiles.
VAN TIBIAL
POSTERIOR
Flexor
Plantar
GEMELOS
SÓLEO
PLANTAR
DELGADO
MÚSCULO ORIGEN INSERCIÓN IRRIG – INERV
FUNCIÓN
POPLÍTEO Cóndilo
externo del
fémur
Cápsula
articular
TIBIA.-Por
encima de la
línea oblícua
VAN TIBIAL
POSTERIOR
Rotador
interno de la
pierna
TIBIAL
POSTERIOR
TIBIA.-cara
posterior.
Peroné.
Membrana
Interósea.
Escafoides.-
tubérculo.
Cuñas.Metat
arsianos.
Cuboides.
VAN TIBIAL
POSTERIOR
Supinador.
Aproximador
Invertor
MÚSCULO ORIGEN INSERCIÓN IRRIG – INERV
FUNCIÓN
FLEXOR
COMÚN DE
LOS DEDOS.
TIBIA.- Cara
posterior
tercio medio.
FALANGES
DISTALES
VAN TIBIAL
POSTERIOR
Flexor
Común
FLEXOR
LARGO DEL
PRIMER
DEDO
PERONÉ.-
Cara
posterior,
tercio inferior.
FALANGE
DISTAL DEL
PRIMER
DEDO.
VAN TIBIAL
POSTERIOR
Flexor del
primer dedo.
TIBIAL
POPSTERIOR
M. FLEXOR
LARGO PROPIO
DEL PRIMER
DEDO
M. FLEXOR
COMUN DE LOS
DEDOS
NERVIO
TIBIAL
NERVIO
SAFENO
INTERNO
NERVIO
CRURAL
VENA SAFENA
INTERNA
NERVIO SAFENO
INTERNO
NERVIO
CUTÁNEO
SURAL
MEDIAL
NERVIO
CUTÁNEO
SURAL
LATERAL
NERVIO
SURAL
Rama Comunicante
NERVIO
PERONEO
SUPERFICIAL
(Rama Cutánea)
NERVIO
PERONEO
COMÚN
NERVIO
PERONEO
PROFUNDO
(TIBIAL
ANTERIOR)
VAN TIBIAL
POSTERIOR
ARTERIA TIBIAL
POSTERIOR
MOVIMIENTOS DEL PIE
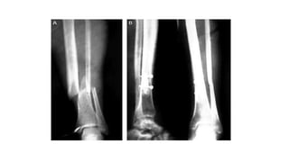
FRACTURA TIBIOPERONEA
REGION PIE
Superficie del pie
T
I
V
Tipos de pies en función a la longitud de los dedos
Pie Egipcio Pie Greco Pie Cuadrado
n. sural
N. Tibial post.
N.Peroneo Sup.
N. Peroneo Prof.
Arcos del pie
Transmisión del peso
Tibia
Astrágalo
Cabeza de los metatarsianos
Calcáneo
Arco Transversal
Arco Longitudinal
HUESOS DEL TARSO
LISFRANC
CHOPART
HUESOS Y MÚSCULOS– Vista Dorsal
MUSCULOS DEL PIE REGION DORSAL
• La zona tendinosa formado por:
tendón flexor común
flexor propio del I ortejo
• EXTENSOR CORTO DE DEDOS (
MUSCULO PEDIO )
Origen:
Astrágalo y calcáneo
Insercion:
Tres tendones (2,3 y 4to.)
Accion:
Extiende falanges proximales.
Inervacion:
N. Tibial Anterior
MUSCULOS DEL PIE
MUSCULOS INTEROSEOS
• DORSALES : (4)
• PLANTARES : (3)
ACCION:
• FLEXIONA FALANGE
PROXIMAL DEDOS
• DORSALES SEPARAN LOS
DEDOS
• PLANTARES APROXIMAN.
INERVACION:
• N. PLANTAR EXTERNO
APONEUROSIS PLANTAR
PIE: Anatomía
MÚSCULOS: Vista Inferior (Planta del Pie)
MUSCULOS REGION PLANTAR
FLEXOR CORTO DEDOS
Origen:
calcáneo
Inserción:
4 últimos dedos
Acción:
flexiona falange media de los
4 últimos dedos
Inervacion:
n. plantar interno
• CUADRADO PLANTAR.
• Origen:
CALCANEO
• Insercion:
FLEXOR LARGO DEDOS.
• Accion:
FLEXION DE 4 ULTIMOS
DEDOS.
• LUMBRICALES (4)
• ANEXOS A FLEXOR LARGO
DEDOS
Inervacion:
1° Lumbrical: N. Plantar Interno.
2°, 3°, 4° Lumbricales: N. Plantar
Extterno
REGION PLANTAR INTERNA
FLEXOR CORTO DEL DEDO
GORDO
• A: BIFURCADO EN INSERCION
ANTERIOR
BORDE INFERIOR DE
CUNEIFORMES
• B: SESAMOIDEOS DE ARTIC MT-F
• ACCION:
FLEXOR DEDO GORDO
• Inervacion:
N. Plantar interno
REGION PLANTAR INTERNA
ADUCTOR DEL DEDO
GORDO
• A: TUBEROSIDAD
CUBOIDES (OBLICUA)
3 LENGUETAS MT-F
(TRANSVERSA)
• B: BASE 1ER DEDO
• ACCION:
FLEXOR Y ADUCTOR
• Inervacion:
N. plantar interno
REGION PLANTAR INTERNA
ABDUCTOR DEL DEDO
GORDO
• A: CALCANEO
• B: 1ER DEDO
• ACCION: FLEXOR Y
ABDUCTOR
• Inervacion:
N. plantar interno
REGION PLANTAR EXTERNA
• FLEXOR CORTO DEL
DEDO PEQUEÑO
• A: 2DA FILA TARSO
• B: 5 TO DEDO
• ACCION: FLEXOR DE
FALANGE PROXIMAL
• INERVACION:
N. Plantar Externo
REGION PLANTAR EXTERNA
• ABDUCTOR DEL DEDO
PEQUEÑO
• A: CALCANEO
• B: DEDO PÈQUEÑO
• ACCION : ABDUCE Y
FLEXIONA.
N. PLANTAR EXTERNO
CORREDERAS
PRIMERA : MUSCULO PEDIO
SEGUNDA EXTENSOR COMUN Y PERONEO
ANTERIOR
TERCERA: EXTENSOR PROPIO DEL PRIMER
ORTEJO
CUARTA : TIBIAL ANTERIOR
QUINTA : PERONEOS LATERALES
SEXTA : FLEXOR COMUN DE LOS DEDOS
FLEXOR LARGO DEL PRIMER ORTEJO
ARTERIAS PIERNA Y PIE
NERVIOS
• CIATICO
• CIATICO POPLITEO EXTERNO
• TIBIAL ANTERIOR
• MUSCULOCUTANEO
• CIATICO POPLITEO INTERNO
• TIBIAL POSTERIOR
• PLANTAR INTERNO
• PLANTAR EXTERNO
ARTERIA PEDIA
JUANETE
CUERNO CUTANEO
GOTA
PIE DIABETICO
Pie cavo
Pie cavo: Dedos en garra
Pie cavo equino
En este caso existe una retracción del tendón de Aquiles, de
las cápsulas posteriores y de la aponeurosis plantar.
Pie zambo
MMII  region glutea.pptx
MMII  region glutea.pptx
MMII  region glutea.pptx
MMII  region glutea.pptx

MMII region glutea.pptx

  • 1.
    ¡La universidad detodos! Escuela Profesional ANATOMÍA DE MIEMBRO INFERIOR: REGIÓN GLUTEA Dr. Iván Ciriaco Guzmán MEDICINA HUMANA
  • 2.
    PREGUNTAS DE UNIDAD 1.Nombre de las estructuras vasculares y nerviosas que emergen por encima del músculo piramidal. 2. Inserción distal o inferior del músculo glúteo mayor. 3. Músculo que se insertan en la fosita digital del fémur. 4. Raíces del nervio Ciático Mayor . 5. El músculo glúteo mayor está inervado por el nervio.
  • 3.
    REGION GLUTEA • Situación:parte posterior cadera • Límites: • Cresta iliaca • Pliegue glúteo • Cresta sacra • Línea EIAS—trocánter mayor—pliegue glúteo
  • 4.
  • 5.
    REGION GLUTEA • MUSCULOS: •Plano superficial • Plano medio • Plano profundo
  • 6.
    GLUTEO MAYOR Grueso, cuadrilátero. •Inserción A: • Cuarto post de la cresta • Aponeurosis dorso lumbar (cresta sacra) • Tubérculos sacros posteriores • Ligamento sacro ciático mayor • Inserción B: • Rama trifurcación externa de línea áspera • Aponeurosis femoral. Acción: Extensor y rotador lateral del muslo
  • 7.
    GLUTEO MEDIANO • Gruesoy radiado • Inserción A: • ¾ anteriores de cresta iliaca • Entre líneas SC anterior y posterior • Inserción B: • Trocánter mayor • Acción: Abductor del muslo
  • 8.
    PLANO PROFUNDO • GLUTEOMENOR: • A: Delante de la LSCA • B: Trocánter mayor • Acción : Abductor del muslo
  • 9.
    PLANO PROFUNDO • PIRAMIDAL: •A: Cara anterior sacro • B: Trocánter mayor borde sup • Pasa por escot ciát mayor • Acción : Rotador lateral y abductor muslo
  • 10.
    PLANO PROFUNDO • OBTURADORINTERNO: • A: Contorno agujero obturador, Cara Interna membrana obturatriz • B: Trocánter mayor • Pasa por la escot ciát menor • Acción: rotador lateral muslo. • GEMINOS SUP E INF • Inserción GS: Espina ciática • Inserción GI: Escot ciát menor • B : Trocanter mayor • Acción: rotador lateral muslo
  • 11.
    VASOS REGION GLUTEA •Arteria Glútea Superior: encima del piramidal • Rama superficial, • Rama profunda, • Arteria Inferior ( Isquiática ): por debajo del piramidal • Arteria Pudenda Interna. • Arteria Circunfleja posterior • Venas satélites
  • 12.
    NERVIOS REGION GLUTEA •NERVIO GLÚTEO SUPERIOR • NERVIO GLÚTEO INFERIOR • NERVIO PUDENDO INTERNO • NERVIO DEL OBTURADOR INTERNO • NERVIO HEMORROIDAL • NERVIO CIÁTICO MAYOR • NERVIO CIÁTICO MENOR • TODOS RAMOS DEL PLEXO SACRO
  • 13.
    PROCEDIMIENTO DE INYECCION INTRAMUSCULAR •Para administrar una inyección con seguridad en la región glútea, sólo debe utilizarse la porción superolateral de las nalgas, es decir, la zona craneal al tubérculo de la cresta iliaca, ya que existen muchos nervios y vasos sanguíneos importantes en la región glútea. • Las inyecciones intramusculares tienen la ventaja de su amplia y rápida absorción.
  • 15.
    PROCEDIMIENTO DE INYECCION INTRAMUSCULAR •La aguja se debe introducir con una profundidad suficiente a través del tejido subcutáneo grueso hasta penetrar en el músculo glúteo medio que no esta cubierto por el músculo glúteo mayor. • Cualquier inyección en otra zona resulta peligrosa y puede dañar al nervio ciatico u otros envíos y vasos sanguíneos
  • 16.
    PLEXO LUMBAR YPLEXO SACRO • Son dos plexos nerviosos destinados a la inervación motora y sensitiva del miembro inferior. • EL PLEXO LUMBAR: Se forma a partir de las ramas anteriores y posteriores de las raíces raquídeas T12, L1,L2, L3, L4 y L5. • El plexo lumbar se ubica inicialmente entre el abdomen y la pelvis. • Sus ramas se distribuyen tanto en la pared abdominal, en la pared de la pelvis y finalmente llegan al miembro inferior.
  • 17.
    PLEXO LUMBAR YPLEXO SACRO
  • 18.
    PLEXO LUMBAR YPLEXO SACRO
  • 19.
  • 20.
    ¡La universidad detodos! Escuela Profesional ANATOMÍA DE MIEMBRO INFERIOR: REGIÓN MUSLO Dr. Iván Ciriaco Guzmán MEDICINA HUMANA
  • 21.
    PREGUNTAS DE UNIDAD 1.Músculos que forman la “Pata de Ganso” 2. Contenido del triángulo de Scarpa” 3. Límites del Rombo Poplíteo 4. Quién inerva a los músculos aductores. 5. Mencione las ramas de la arteria femoral profunda.
  • 22.
    MUSLO: INERVACIÓN SENSITIVA Ramafemoral genito crural Femoro cutaneo lateral Obturador interno Abdomino genital Cutaneo femoral anterior Cutaneos laterales(L1-L3) Cutaneo femoral lateral Cutaneo femoral posterior R.Cutaneo del obturador
  • 23.
    MUSLO Aponeurosis del muslo inicioen la aponeurosis del tensor de la fascia lata llega al sartorio y se desdo bla fascia cribiforme que envuelve al primer aductor, la hoja posterior cubre al pectinio se distribuye la aponeurosis posterior cubre a estos musculos de esta region.
  • 24.
  • 25.
    REGION FEMORAL PLANO –MUSCULAR • Compartimiento fascial anterior. • Compartimiento fascial medial. • Compartimiento fascial posterior.
  • 26.
    REGION FEMORAL COMPARTIMIENTO ANTERIOR •Tensor dela fascia lata. • Sartorio. • psoas. • iliaco. • pectíneo. • cuadriceps crural
  • 27.
    TENSOR DE LAFASCIA LATA • EIAS. • Cintilla iliotibial , tuberosidad externa de la tibia. ACCION • Extensor de la rodilla. • Rotador lat. de la pierna. • Rotador medial del muslo. • En posición erecta , afirma la pelvis en la cabeza femoral, y fija los cóndilos del fémur sobre la tibia. INERVACIÓN: N. glúteo superior ( L5, S1)
  • 28.
    SARTORIO • EIAS. • caraint. de la tibia. “pata de ganso” FUNCIONES: • Flexor del muslo sobre la pelvis. • Flexor de la pierna sobre el muslo. • Rotación medial de la pierna • Rotador lateral del muslo • Abductor del muslo. INERVACIÓN : N. crural ( L2,L3) Musculocutáneo lateral
  • 29.
    MÚSCULO ILIACO • Fosailiaca interna MÚSCULO PSOAS • Apófisis transversa y cara lateral de los cuerpos vertebrales de D12 a L5. •Tendón del iliopsoas al trocánter menor. INERVACIÓN • Iliaco: N. femoral ( L2,L3.) • Psoas : Plexo lumbar L,1L2,L3 FUNCIÓN: • Flexión del muslo sobre el tronco. • Flexión del tronco sobre el muslo.
  • 30.
    MUSCULO PECTINEO • Crestapectínea • Línea pectínea – trifurcación medial de la línea áspera FUNCIÓN: • Flexor del muslo. • Aductor del muslo INERVACIÓN: • Nervio femoral ( L2, L3) • N. obturador ( L2,3,4)
  • 31.
    MUSCULOS DEL MUSLO:CUADRICEPS RECTO ANTERIOR Insercion: Desde la EIAI al tendón rotuliano base Tuberosidad tibial Inervacion: Nervio Crural Accion: Flexion del muslo Extension de la pierna CRURAL Cara anterior del fémur Tendón rotuliano VASTO MEDIAL Y LATERAL Línea intertrocanterica, labio lateral y medial línea áspera hasta tendón rotuliano Inervacion: Nervio crural Accion: Extension de la pierna
  • 32.
    MUSCULO CUADRICEPS FEMORAL RECTO ANTERIOR: •Tendón directo- EIAI. • Tendón reflejo , ceja cotiloidea. • A base de la rótula. CRURAL O VASTO INTERMEDIO • Superficie anterior y lat. diáfisis del fémur. • Borde lateral de la rótula
  • 33.
    MUSCULO CUADRICEPS FEMORAL VASTO LATERAL: •Borde lateral de la línea áspera. • Borde lateral de la rótula VASTO MEDIAL: • Borde medial de la línea áspera. • Línea supracondilea lateral • Borde medial de la rótula
  • 34.
    MUSCULO CUADRICEPS FEMORAL El tendóndel cuadriceps termina en: • Bordes superior y laterales de la patela ( rótula) • Tuberosidad anterior de la tibia a través del ligamento de la patela ( rotuliano) • fascia de vasto lateral y medial terminan en la capsula articular de la rodilla y las fortalece. FUNCIONES. • Extensor de la rodilla. • El recto anterior flexiona el muslo sobre la cadera .
  • 35.
    MUSCULOS DEL COMPARTIMENTO FASCIALMEDIAL DEL MUSLO • Recto medial o Grácil • Aductor largo o aductor mediano o primer aductor. • Aductor breve o aductor menor o segundo aductor. • Aductor magno o mayor o tercer aductor. • Obturador externo.
  • 36.
    RECTO INTERNO OGRÁCIL • superficie externa de la rama inferior del pubis • Superficie medial del cuerpo de la tibia “ pata de ganso” FUNCIONES; • Aducción del muslo sobre la cadera. • flexor de la pierna INERVACIÓN: N. Obturador ( L2, L3, L4 )
  • 37.
    M. ADUCTOR MEDIANOO PRIMER ADUCTOR • cuerpo del pubis. • 1/3 medio de la Línea áspera entre el vasto medio y aductores mayor y menor FUNCIONES • Aductor del muslo. • Rotación medial INERVACIÓN: Rama anterior del N. obturador. ( L2, L3, L4 )
  • 38.
    M. ADUCTOR BREVE,O SEGUNDO ADUCTOR O ADUCTOR MENOR •Superficie externa de la rama inferior y cuerpo del pubis. • Línea áspera – central FUNCIONES: • Aductor del muslo. • Rotación medial INERVACIÓN: N. Obturador ( L2, L3,L4)
  • 39.
    M. ADUCTOR MAGNO-MAYOR -TERCER O ADUCTOR porción aductora, y rotación Medial • cara ext. de la rama inferior del pubis • Línea áspera – superior •Inervación : obturador L2, L3, L4 Porción extensora • tuberosidad isquiática • cóndilo medial del fémur • Extensor del muslo . Inervación: • tibial del ciático mayor • HIATOS
  • 40.
    M. OBTURADOR EXTERNO •Superficieexterna de la membrana obturatriz, rama púbica e isquiática • Cara medial del trocánter mayor ( fosa digital) FUNCION Rotador lateral del muslo , estabiliza la cabeza del fémur INERVACIÓN : Rama posterior del Nervio obturador ( L3,4)
  • 41.
    ARTERIA FEMORAL COMÚNO CRURAL • ORIGEN. • VAINA FEMORAL •TRIÁNGULO FEMORAL. • CONDUCTO DE LOS ADUCTORES • ANILLO DEL III ADUCTOR • CONDUCTO FEMORAL. • ANILLO FEMORAL
  • 42.
    VAINA FEMORAL. • extensiónde la F.T, 2- 4 cm • debajo del ligamento inguinal. • por delante cubre a los vasos femorales . •Por detrás cubre a la fascia iliaca. • forma: de embudo, ancha a nivel superior y angosta en la inferior. • lateralmente perforado por la rama crural de genitocrural. • medialmente perforado por la vena safena interna y linfáticos
  • 43.
    COMPARTIMENTOS DE LAVAINA FEMORAL 3 compartimentos: • LATERAL: arteria femoral. • MEDIO: Vena femoral. • MEDIAL: Conducto femoral
  • 44.
    ANILLO FEMORAL • Mide1.25 cm. • Más amplio en la mujer que en el hombre por la amplitud de la pelvis LIMITES • Anterior : ligamento inguinal • Posterior :M. pectíneo y ligamento pectíneo • Medial : Ligamento lacunar. • Lateral : Vena femoral
  • 45.
  • 46.
  • 47.
    TRIANGULO FEMORAL SCARPA LIMITES • LATERAL: Borde medial del sartorio. • MEDIAL: borde interno del aductor mediano • BASE: Ligamento inguinal. • VÉRTICE – Unión del sartorio y 1º aductor •PISO: • Lateral : psoasliaco • Medial: pectíneo y aductor mediano formando el canal íleo pectíneo
  • 48.
    TRIANGULO FEMORAL- SCARPA CONTENIDO •VAN femoral • Linfáticos y Ganglios femorales profundos • Tejido graso • Desembocadura de la safena interna . • Safena accesoria . • Estrella venosa • arterias: Epigástrica superficial, circunfleja iliaca superficial, pudenda externa superficial y profunda
  • 49.
  • 50.
    CONDUCTO DE LOSADUCTORES O DE HUNTER O SUBSARTORIAL • inicio en el vértice del triángulo de Scarpa y detrás del sartorio. • Termina en el anillo del III aductor • Mide 7cm. Forma triangular. LIMITES • ANTERO- LATERAL : vasto medial. • ANTERIOR MEDIAL : Sartorio • POSTERIOR- SUPERIOR : aductor mediano. • POSTERO –INFERIOR : aductor mayor. • TECHO: Fascia desde sartorio al vasto interno
  • 51.
    CONDUCTO DE LOSADUCTORES O DE HUNTER O SUBSARTORIAL CONTENIDO • Art. y vena femoral. • Nervio safeno interno se separa antes de cruzar el anillo del III aductor • N. del vasto medial. • rama final del n. obturador • Vasos linfáticos profundos
  • 52.
    RELACIONES DE LAARTERIA FEMORAL COMÚN ANTERIOR : • Piel y fascia subcutánea. • ganglios inguinales • Vena circunfleja iliaca sup. • Rama femoral del genitofemoral. • N. femorocutáneo interno POSTERIOR • M. ileopsoas y pectíneo. • Capsula articular por tendón del psoas. LATERAL : N. crural
  • 53.
    RAMAS DE LAART. FEMORAL COMÚN • Sub cutánea abdominal o epigástrica superficial. • Circunfleja iliaca superficial. • Pudenda externa superficial. • Pudenda externa profunda. • Ramas musculares ( sartorio, vasto interno, aductores). • Femoral profunda • Anastomótica magna ( ramas: safena, musculares, articulares
  • 54.
    ART. FEMORAL PROFUNDA •Nace de la pared externa o posterior de la femoral a 3 cm del ligamento inguinal. • En el triangulo femoral • entre pectíneo y aductor mediano. • desciende entre los aductores mediano y mayor. • anillo del 3º aductor • Terminal se anastomosa con ramas musculares de la poplítea.
  • 55.
    ART. FEMORAL PROFUNDA RAMAS •Circunfleja femoral lateral. • Circunfleja femoral medial • Perforantes : I, II, III • Musculares: aductores, flexores, extensores • Rama Terminal : cuarta perforante? Terminal
  • 56.
    RAMAS DE LAART. FEMORAL PROFUNDA • Circunfleja femoral lateral Ramas ascendente • debajo de tensor de la fascia lata. • Se anastomosa con las arterias: glútea superior y circunfleja iliaca profunda. • Junto con la circunfleja femoral medial hacen un anillo anastomótico alrededor del cuello del fémur e irrigan el cuello y cabeza femoral.
  • 57.
    RAMAS DE LAART. FEMORAL PROFUNDA • Circunfleja femoral lateral. • anastomosis con la circunfleja femoral medial Rama ascendente
  • 58.
    • Circunfleja femorallateral Ramas descendente • Baja por detrás del recto anterior luego por el borde del vasto medial. • Llega hasta la rodilla se anastomosa con la articular superoexterna de la poplítea. • Acompañado del nervio del vasto medial. Rama transversal • Es la más pequeña. • anastomosis con: circunfleja femoral medial, glúteo inferior y primera perforante.
  • 59.
    ANASTOMOSIS TROCANTÉRICA • Irrigaciónde la cabeza del fémur, articulación de la cadera. • Glútea superior • Glútea inferior. • Circunfleja femoral medial. • Circunfleja femoral lateral
  • 60.
    ARTERIAS PERFORANTES 1º Perforante. • perfora al aductor mayor. • se va hacia atrás. • se anastomosa con: glútea inferior, circunflejas femorales medial y lateral y 2º perforante. 2º perforante • De mayor calibre. • perfora a los aductores mayor y menor. • Ramas ascendente y descendente. Y anastomosis con la 1ª y la 3º perforante • Da la rama nutricia para el fémur.
  • 61.
    ARTERIAS PERFORANTES 3º Perforante. • se anastomosa con la 2º perforante. • con la rama Terminal del profunda ( 4º perforante?)
  • 62.
    ANASTOMOSIS DE LA REGIONFEMORAL POSTERIOR • Glúteas Superior e inferior con la circunfleja femoral medial. • circunflejas femorales con la 1º perforante. • Anastomosis entre las 3 perforante. • anastomosis de la rama terminal de la femoral profunda con rama musculares superiores de la poplitea
  • 63.
    CANALES DE CIRCULACION COLATERALEN M. INF. SI SE LIGARA LA ARTERIA FEMORAL POR ENCIMA DE LA FEMORAL PROFUNDA: 1. Glúteas con las circunflejas femorales y 1º perforante de la femoral profunda. 2. Obturatriz con la circunfleja femoral medial de la f. profunda. 3. Pudenda interna con las iliacas superficial y profunda de la femoral. 4. Glútea inferior con las perforantes de la femoral prof. 5. Circunfleja iliaca superficial de la femoral con la circunfleja iliaca profunda de la iliaca externa .
  • 64.
    VENA FEMORAL ORIGEN: Venapoplítea. TERMINA: anillo femoral. •Recibe a la vena femoral profunda formada por las venas perforantes
  • 65.
    NERVIO FEMORAL OCRURAL ( L2, L3, L4) DIVISIÓN ANTERIOR • Musculocutáneo lateral ( sartorio). • accesorio del safeno interno. • Musculocutáneo medial ( pectíneo • N. del cuadriceps. • N. Safeno interno, unión y separación de la art. Femoral DIVISION POSTERIOR • Ramas para la Inervación de la rodilla.
  • 66.
  • 67.
    REGION FEMORAL POSTERIOR •Fémoro cutáneo posterior. S1,S2,S3 • Fémoro cutáneo lateral L2,L3 INERVACIÓN SENSITIVA
  • 68.
  • 69.
    PLANO MUSCULAR- POSTERIOR SEMIMEMBRANOSO • Tuberosidadisquiática • 5 fascículos distales : • principal: cara posterior del cóndilo tibial medial. • borde medial de la tibia por detrás del ligamento lateral medial. • Una expansión fibrosa que cubre al m. popliteo. • Ligamento poplíteo oblicuo: hacia la línea intercondilea y cóndilo femoral externo.
  • 70.
    PLANO MUSCULAR- POSTERIOR SEMIMEMBRANOSO Función: • Flexióny rotación medial de la pierna. • extensión del muslo. INERVACIÓN Rama tibial del isquiático.
  • 71.
    PLANO MUSCULAR POSTERIOR BICEPSFEMORAL PORCION LARGA: • Tuberosidad isquiática. • Inervado por la rama tibial PORCION CORTA: • Línea áspera labio lateral y línea supra condílea lateral del fémur • ambas porciones terminan en la cabeza del peroné , en el ligamento lat. Externo y cóndilo lateral de la tibia • Inervado por la peronea común FUNCIÓN: • Flexión y rotación lateral de la pierna • La porción larga es también extensor del muslo.
  • 72.
    NERVIOS DE LACARA POSTERIOR DEL MUSLO
  • 73.
    NERVIOS DE LACARA POSTERIOR DEL MUSLO NERVIO CIATICO MAYOR COMPONENTES: • Tibial: L4,L5,S1,S2,S3 •peróneo ( fibular) común • L4,L5,S1,S2
  • 74.
    N. fémoro cutáneoposterior S2, S3, S4
  • 75.
    IRRIGACIÓN Arteria acetabular –rama de la art. Obturatríz • Rama acetabular. • rama del ligamento de la cabeza femoral. INERVACIÓN • N. femoral. • N. obturador. • Gluteo inferior
  • 76.
    FLEXORES DEL MUSLOSOBRE LA PELVIS (Cadera) • SARTORIO. • RECTO ANTERIOR DEL CUADRICEPS. • PECTINEO. • PSOAS ILIACO EXTENSORES DEL MUSLO ( Cadera ) • GLUTEO MAYOR . • TENSOR DE LA FASCIA LATA AYUDA AL GLUTEO >
  • 77.
    ABEDUCTORES DEL MUSLO (cadera) • GLUTEO MEDIANO. • GLUTEO MENOR • SARTORIO ADUCTORES DEL MUSLO ( Cadera ) • RECTO INTERNO • PECTINEO • 1º ADUCTOR. • 2º ADUCTOR, • 3º ADUCTOR
  • 78.
    ROTADORES LATERALES DEL MUSLO( cadera ) • PIRIFORME • GEMINO SUPERIOR. • OBTURADOR INTERNO • GEMINO INFERIOR. • CUADRADO CRURAL. • OBTURADOR EXTERNO • SARTORIO • GLUTEO MAYOR • ADUCTOR MEDIANO. • ADUCTOR MENOR • ADUCTOR MAYOR AYUDAN A LA ROTACION LATERAL ROTADORES MEDIALES DEL MUSLO ( Cadera ) • GLUTEO MEDIANO. • GLUTEO MENOR • ILEOPSOAS • TENSOR DE LA FASCIA LATA
  • 79.
    IRRIGACION DEL MUSLO Limites Ubicación Ramas: Circunflejasuperf. Epigastrica superf. Subcutanea abdominal Tronco de las pudendas Art. Del cuadriceps Femoral profunda Circunfleja medial y Lateral Ramas perforantes
  • 80.
  • 81.
  • 82.
    CANAL DE HUNTER SARTORIO BASTOINTERNO DEL CUADRICEPS ADUCTORMEDIANO Y MAYOR
  • 83.
    MUSLO Tejido celular subcutaneo Tiene dos hojas : fascia aereolar fascia laminar Entre ellas transcurren los vasos y nervios superficiales
  • 84.
    MUSLO TRIANGULO DE SCARPA Regiontriangular en la Parte superior e interna del muslo Limites: - Arco crural - Sartorio - Aductor mediano Piso : - Psoas iliaco, pectineo
  • 85.
  • 86.
    ¡La universidad detodos! Escuela Profesional ANATOMÍA DE MIEMBRO INFERIOR: PIERNA Y PIE Dr. Iván Ciriaco Guzmán MEDICINA HUMANA
  • 87.
    PREGUNTAS DE UNIDAD 1.Qué músculos forman el tendón de Aquiles. 2. Quien inerva a los músculos del compartimento anterior de la pierna. 3. Donde desemboca o termina la vena safena menor o externa. 4. A nivel del pie se puede tomar el pulso arterial, mencione el nombre de la arteria. 5. Mencione un músculo de la región plantar interna.
  • 88.
  • 89.
  • 90.
  • 91.
    PIERNA COMPARTIMIENTOS A.- ANTERIOR B.- LATERAL C.-POSTERIOR - Superficial. - Profundo. A B C C
  • 92.
    GRUPO ANTERIOR: - MúsculoTibial Anterior. - Músculo Extensor Propio del Primer Dedo. - Músculo Extensor Común de los Dedos. - Músculo Peroneo Anterior PIERNA
  • 93.
    MÚSCULO ORIGEN INSERCIÓNIRRIG – INERV FUNCIÓN TIBIAL ANTERIOR TIBIA: Tuberosidad, cara externa 1º Cuña 1º Metatarsiano VAN TIBIAL ANTERIOR Flexión dors. INVERTOR EXTENSOR PROPIO DEL PRIMER DEDO PERONÉ: 1/3 medio cara antero- interna. Membrana Interósea 1º DEDO. Falange distal VAN TIBIAL ANTERIOR Extensor del 1º dedo. Flexión dors.
  • 94.
    MÚSCULO ORIGEN INSERCIÓNIRRIG – INERV FUNCIÓN EXTENSOR COMÚN DE LOS DEDOS TIBIA: tuberosidad. MEMB INTEROSEA .PERONÉ Falanges distales de los dedos VAN TIBIAL ANTERIOR Flexión dorsal EVERTOR Extensión PERONEO ANTERIOR PERONÉ. Cara antero- interna tercio inferior 5º Metatarsiano cara dorsal de la base VAN TIBIAL ANTERIOR Flexión dors EVERTOR
  • 95.
    M. TIBIAL ANTERIOR M. ExtensorComún de los Dedos M. Extensor Propio del Primer dedo
  • 97.
  • 98.
  • 99.
    MÚSCULO ORIGEN INSERCIÓNIRRIG – INERV FUNCIÓN PERONEO LATERAL LARGO PERONÉ, cabeza, dos tercios superiorea 1º Cuña 1º Metatars Nervio Músculocuta neo. Evertir el pie PERONEO LATERAL CORTO PERONÉ- tercio inferior 5º Metatars Nervio Músculocuta neo. Evertir el pie
  • 100.
  • 102.
    PIERNA POSTERIOR PROFUNDO MÚSCULOS: -Poplíteo -Tibial Posterior. -FlexorComún de los dedos. -Flexor Propio del 1º dedo SUPERFICIAL -Gemelos. -Plantar Delgado. -Sóleo
  • 103.
    MÚSCULO ORIGEN INSERCIÓNIRRIG – INERV FUNCIÓN GEMELO INTERNO FEMUR.- Cóndilo interno, cara poplítea CALCÁNEO Tendón de Aquiles VAN TIBIAL POSTERIOR Flexor Plantar GEMELO EXTERNO FEMUR.- Cóndilo externo cara externa parte posterior. CALCÁNEO Tendón de Aquiles VAN TIBIAL POSTERIOR Flexor Plantar
  • 104.
    MÚSCULO ORIGEN INSERCIÓNIRRIG – INERV FUNCIÓN PLANTAR DELGADO FEMUR.- Cóndilo Externo TENDÓN DE AQUILES. VAN TIBIAL POSTERIOR Flexor Plantar SÓLEO Línea Oblícua de la Tibia ( Línea del Sóleo) Peroné CALCÁNEO Tendón de Aquiles. VAN TIBIAL POSTERIOR Flexor Plantar
  • 105.
  • 106.
    MÚSCULO ORIGEN INSERCIÓNIRRIG – INERV FUNCIÓN POPLÍTEO Cóndilo externo del fémur Cápsula articular TIBIA.-Por encima de la línea oblícua VAN TIBIAL POSTERIOR Rotador interno de la pierna TIBIAL POSTERIOR TIBIA.-cara posterior. Peroné. Membrana Interósea. Escafoides.- tubérculo. Cuñas.Metat arsianos. Cuboides. VAN TIBIAL POSTERIOR Supinador. Aproximador Invertor
  • 107.
    MÚSCULO ORIGEN INSERCIÓNIRRIG – INERV FUNCIÓN FLEXOR COMÚN DE LOS DEDOS. TIBIA.- Cara posterior tercio medio. FALANGES DISTALES VAN TIBIAL POSTERIOR Flexor Común FLEXOR LARGO DEL PRIMER DEDO PERONÉ.- Cara posterior, tercio inferior. FALANGE DISTAL DEL PRIMER DEDO. VAN TIBIAL POSTERIOR Flexor del primer dedo.
  • 110.
    TIBIAL POPSTERIOR M. FLEXOR LARGO PROPIO DELPRIMER DEDO M. FLEXOR COMUN DE LOS DEDOS NERVIO TIBIAL
  • 112.
  • 113.
  • 114.
  • 115.
  • 117.
  • 118.
  • 119.
  • 121.
  • 123.
  • 124.
  • 125.
    Tipos de piesen función a la longitud de los dedos Pie Egipcio Pie Greco Pie Cuadrado
  • 126.
    n. sural N. Tibialpost. N.Peroneo Sup. N. Peroneo Prof.
  • 127.
    Arcos del pie Transmisióndel peso Tibia Astrágalo Cabeza de los metatarsianos Calcáneo Arco Transversal Arco Longitudinal
  • 128.
  • 129.
  • 130.
  • 131.
    MUSCULOS DEL PIEREGION DORSAL • La zona tendinosa formado por: tendón flexor común flexor propio del I ortejo • EXTENSOR CORTO DE DEDOS ( MUSCULO PEDIO ) Origen: Astrágalo y calcáneo Insercion: Tres tendones (2,3 y 4to.) Accion: Extiende falanges proximales. Inervacion: N. Tibial Anterior
  • 132.
    MUSCULOS DEL PIE MUSCULOSINTEROSEOS • DORSALES : (4) • PLANTARES : (3) ACCION: • FLEXIONA FALANGE PROXIMAL DEDOS • DORSALES SEPARAN LOS DEDOS • PLANTARES APROXIMAN. INERVACION: • N. PLANTAR EXTERNO
  • 133.
  • 134.
    PIE: Anatomía MÚSCULOS: VistaInferior (Planta del Pie)
  • 135.
    MUSCULOS REGION PLANTAR FLEXORCORTO DEDOS Origen: calcáneo Inserción: 4 últimos dedos Acción: flexiona falange media de los 4 últimos dedos Inervacion: n. plantar interno
  • 136.
    • CUADRADO PLANTAR. •Origen: CALCANEO • Insercion: FLEXOR LARGO DEDOS. • Accion: FLEXION DE 4 ULTIMOS DEDOS. • LUMBRICALES (4) • ANEXOS A FLEXOR LARGO DEDOS Inervacion: 1° Lumbrical: N. Plantar Interno. 2°, 3°, 4° Lumbricales: N. Plantar Extterno
  • 137.
    REGION PLANTAR INTERNA FLEXORCORTO DEL DEDO GORDO • A: BIFURCADO EN INSERCION ANTERIOR BORDE INFERIOR DE CUNEIFORMES • B: SESAMOIDEOS DE ARTIC MT-F • ACCION: FLEXOR DEDO GORDO • Inervacion: N. Plantar interno
  • 138.
    REGION PLANTAR INTERNA ADUCTORDEL DEDO GORDO • A: TUBEROSIDAD CUBOIDES (OBLICUA) 3 LENGUETAS MT-F (TRANSVERSA) • B: BASE 1ER DEDO • ACCION: FLEXOR Y ADUCTOR • Inervacion: N. plantar interno
  • 139.
    REGION PLANTAR INTERNA ABDUCTORDEL DEDO GORDO • A: CALCANEO • B: 1ER DEDO • ACCION: FLEXOR Y ABDUCTOR • Inervacion: N. plantar interno
  • 140.
    REGION PLANTAR EXTERNA •FLEXOR CORTO DEL DEDO PEQUEÑO • A: 2DA FILA TARSO • B: 5 TO DEDO • ACCION: FLEXOR DE FALANGE PROXIMAL • INERVACION: N. Plantar Externo
  • 141.
    REGION PLANTAR EXTERNA •ABDUCTOR DEL DEDO PEQUEÑO • A: CALCANEO • B: DEDO PÈQUEÑO • ACCION : ABDUCE Y FLEXIONA. N. PLANTAR EXTERNO
  • 142.
    CORREDERAS PRIMERA : MUSCULOPEDIO SEGUNDA EXTENSOR COMUN Y PERONEO ANTERIOR TERCERA: EXTENSOR PROPIO DEL PRIMER ORTEJO CUARTA : TIBIAL ANTERIOR QUINTA : PERONEOS LATERALES SEXTA : FLEXOR COMUN DE LOS DEDOS FLEXOR LARGO DEL PRIMER ORTEJO
  • 143.
  • 144.
    NERVIOS • CIATICO • CIATICOPOPLITEO EXTERNO • TIBIAL ANTERIOR • MUSCULOCUTANEO • CIATICO POPLITEO INTERNO • TIBIAL POSTERIOR • PLANTAR INTERNO • PLANTAR EXTERNO
  • 147.
  • 148.
  • 150.
  • 151.
  • 152.
  • 153.
    Pie cavo equino Eneste caso existe una retracción del tendón de Aquiles, de las cápsulas posteriores y de la aponeurosis plantar.
  • 154.