Republica Bolivariana De Venezuela
Ministerio Del Poder Popular Para La Educación Superior
Universidad Nacional Experimental “Francisco De Miranda”.
Hospital Luis Razetti – Barinas.
NEOPLASIA
PULMONAR
IPG:
Brian Ojeda.
Karla Ortega.
Andrea Ortiz.
Dr. Jose Reyes.
Barinas, Agosto del 2017.
NEOPLASIA
Masa anormal de tejido producida por la multiplicación de algún tipo de
células: descoordinada con los mecanismos que controlan la multiplicación
celular en el organismo.
NEOPLASIA PULMONAR
Son aquellos tumores que surgen en el epitelio respiratorio
(bronquios, bronquiolos y alveolos).
Farreras & Rozman Medicina Interna 17 edicion, capitulo 81, Pag 722.
EPIDEMIOLOGIA
EL CA de pulmón es el mas frecuente y letal
Representa el 15% de todos los CA y el 30% de
las muertes debidas a esta enfermedad
Debido a la alta prevalencia de tabaquismo en
los países desarrollados, el CA de pulmón figura
entre las 10 causas de muerte mas frecuente
En Venezuela según la sociedad anticancerosa
en el 2016…
Farreras & Rozman Medicina Interna 17 edicion, capitulo 81, Pag 722.
FACTORES DE RIESGO
Habito
tabáquico
Tabaquismo
pasivo
Sexo Etnia
Dieta
Polución
atmosférica
Enfermedades
respiratorias
Predisposición
hereditaria
Farreras & Rozman Medicina Interna 17 edicion, capitulo 81, Pag 722.
PATOGENIA
El humo del tabaco
llega a los alveolos
Los componentes
liposolubles no son
absorbidos por la
mucosa
La brea es fagocitada
por los macrófagos
alveolares y
eliminada con los
mismos en el esputo
La glotis se rompe
dejando libre la brea
Esta se va a
depositar en la
confluencia de los
bronquios
la brea irrita la
mucosa y destruye la
superficie del epitelio
respiratorio
Obligando a la
membrana basal a
aumentar su
capacidad
proliferativa
Causando hiperplasia
de células basales,
metaplasia, displasia
Anaplasia como
carcinoma in situ y
carcinoma invasor.
CLASIFICACION HISTOPATOLOGICA
Carcinoma escamoso
Adenocarcinoma
Carcinoma de células
grandes
Carcinoma de células
pequeñas
Farreras & Rozman Medicina Interna 17 edicion, capitulo 81, Pag 723.
Representa el 30% de los TU malignos de pulmón
Esta fuertemente relacionado con el tabaco (90%)
Suelen originarse en los bronquios principales y su
crecimiento es lento.
Produce una marcada respuesta en el tejido pulmonar
del huésped con presencia de infiltrados
linfoplasmocitarios y células histocitarias gigantes
multinucleadas
CARCINOMA ESCAMOSO
Farreras & Rozman Medicina Interna 17 edicion, capitulo 81, Pag 723.
ADENOCARCINOMA
35-50% de CA de pulmón
Su incidencia es similar en
hombres que en mujeres
Suelen desarrollarse en la
periferia del pulmón
Farreras & Rozman Medicina Interna 17 edicion, capitulo 81, Pag 723.
CARCINOMA BRONCOALVEOLAR
Subclasificacion del
adenocarcinoma
Se presenta con mayor
frecuencia en no fumadores
Lesión preinvasiva
Adenocarcinoma in situ
Adenocarcinoma invasivo
CARCINOMA DE CÉLULAS GRANDES
Representa un 5% de los TU
pulmonares malignos
TU de células grandes con abundante
citoplasma sin diferenciación escamosa
o alveolar
Mal pronostico
Farreras & Rozman Medicina Interna 17 edicion, capitulo 81, Pag 723.
CARCINOMA DE CELULAS PEQUEÑAS
Representa el 20% de los TU pulmonares
malignos
Deriva de las células basales de tipo
neuroendocrino o células de Kulchitsky
Es de localización central y se asocia con
frecuencia a adenopatías mediastinicas
Es un TU de extrema malignidad con
gran facilidad para desarrollar metástasis
tanto por vía linfática como hematógena
Farreras & Rozman Medicina Interna 17 edicion, capitulo 81, Pag 723.
CUADRO CLINICO
1)Propios del tumor
2) Su extensión intratoracica
3) Su diseminación metastasica
4) Manifestaciones sistémicas no
metastasicas (Síndromes paraneoplasicos)
Farreras & Rozman Medicina Interna 17 edicion, capitulo 81, Pag 724.
PROPIAS DEL TUMOR
Tos (síntoma mas
frecuente)
Expectoración mucosa
abundante
Disnea
Hemoptisis
Fiebre
Farreras & Rozman Medicina Interna 17 edicion, capitulo 81, Pag 724.
EXTENSION INTRATORACICA
Invasión linfática
Disfonía
Elevación del
hemidiafragma
Síndrome de vena cava
superior
Disfagia
Tumor de Pancoast
Farreras & Rozman Medicina Interna 17 edicion, capitulo 81, Pag 724.
DISEMINACION METASTASICA
• Déficit neurológico (cefaleas, nauseas,
vómitos y cambios de conducta)
Metástasis
cerebral
• Afecta huesos del esqueleto axial
(columna, costillas, pelvis, fémur)
Metástasis
Oseas
• Síntomas inespecíficos como anorexia y
epigastralgia
Metástasis
hepática
• Suelen afectar cuello y tronco en forma de
nódulos indoloros de crecimiento rápido
Metástasis
cutánea
Farreras & Rozman Medicina Interna 17 edicion, capitulo 81, Pag 724.
SÍNDROMES PARANEOPLASICOS
- El CA de pulmón es la neoplasia que con mayor frecuencia causa
síndrome paraneoplásico.
- Este síndrome paraneoplasico puede ser la primera manifestación
de la enfermedad y aparecer en una fase tardía o incluso en el
momento de la recidiva.
- La neoplasia de células pequeñas es el que con mayor frecuencia
causa síndrome paraneoplasico.
Farreras & Rozman Medicina Interna 17 edicion, capitulo 81, Pag 725.
MANIFESTACIONES GENERALES:
• Anorexia, perdida de peso, caquexia y fiebre.
SINDROMES ENDOCRINOS:
•Síndrome de Cushing, síndrome de secreción inadecuada de
ADH, hipercalcemia, ginecomastia.
SINDROMES NEUROLOGICOS:
•Neuropatías periféricas, mononeuritis múltiple.
SINDROMES HEMATOLOGICOS
•Anemia, policitemia, trombocitosis, eosinofilia.
SINDROMES ESQUELETICOS
•Acropatia, osteoartropatia hipertrofiante.
Farreras & Rozman Medicina Interna 17 edicion, capitulo 81, Pag 725.
DIAGNOSTICO
ANAMNESIS Y EXAMEN FISICO.
• Varones.
• >45 años de edad.
• Fumadores de 40 cigarillos diarios.
• Antecedentes familiares de CA de pulmon
• Presencia de enfermedades respiratorias a repeticion
Farreras & Rozman Medicina Interna 17 edicion, capitulo 81, Pag 726.
EXPLORACIONES COMPLEMENTARIAS
Radiografia de tórax
Ensanchamiento
hiliar
Atelectasia
Condensación
distal
Neumonitis
infecciosa
secundaria
Farreras & Rozman Medicina Interna 17 edicion, capitulo 81, Pag 726.
Carcinoma de células pequeñas
• Localización prehiliar en el 80% y se asocia a
adenopatías mediastinicas.
Carcinoma escamoso
• Masa central de gran tamaño que a menudo se cavita.
Adenocarcinoma
• Se presenta como nódulo o masa de distribución
periférica y ocasional presencia de broncrograma aéreo.
• Carcinoma bronquioalveolar presenta broncograma
aéreo y puede presentar cavitación
Farreras & Rozman Medicina Interna 17 edicion, capitulo 81, Pag 726.
CARCINOMA ESCAMOSO
CARCINOMA ESCAMOSO
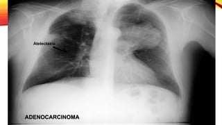
ADENOCARCINOMA
ADENOCARCINOMA
ADENOCARCINOMA
Atelectasia
ADENOCARCINOMA
BRONCOALVEOLAR
Masa pulmonar en lóbulo inferior izquierdo con
múltiples imágenes nodulares bilaterales de
predominio en campos inferiores
CARCINOMA DE CELULAS GRANDES
CARCINOMA DE CELULAS PEQUEÑAS
CARCINOMA DE CELULAS PEQUEÑAS
TC DE TÓRAX
- Es la técnica de elección para la evaluación
de la lesión neoplásica y su extensión
intratoracica.
- Permite identificar lesiones adicionales que
no se evidencian en la radiografía de tórax y
definir relación con estructuras vecinas.
- La inyección IV de contraste ayuda a la
detección de adenopatías mediastinicas y es
esencial en la valoración de posibles
metástasis hepática.
Farreras & Rozman Medicina Interna 17 edicion, capitulo 81, Pag 727.
FIBROBRONCOSCOPIA
- Es fundamental en la extensión de la
enfermedad al definir la relación existente
entre el tumor y las estructuras anatómicas
vecinas.
- La rentabilidad diagnostica global es de un
70% y es alta en los casos en que se
visualiza la tumoración.
Farreras & Rozman Medicina Interna 17 edicion, capitulo 81, Pag 727.
PUNCIÓN PULMONAR TRANSPARIETAL
- Guiada a través de la TC, es la
técnica diagnostica de elección en
los casos en que la
fibrobroncoscopia no aporta el
diagnostico
- Tiene sensibilidad y valor predictivo
positivo superior al 90%
Farreras & Rozman Medicina Interna 17 edicion, capitulo 81, Pag 727.
ESTADIFICACIÓN
T: Tamaño tumoral
N: Afectacion de ganglios linfaticos
regionales
M: Presencia o ausencia de
metástasis a distancia
Farreras & Rozman Medicina Interna 17 edicion, capitulo 81, Pag 728.
Farreras & Rozman Medicina Interna 17 edicion, capitulo 81, Pag 728.
Farreras & Rozman Medicina Interna 17 edicion, capitulo 81, Pag 728.
ESTADIFICACIÓN PARA EL
TRATAMIENTO
Farreras & Rozman Medicina Interna 17 edicion, capitulo 81, Pag 729.
TRATAMIENTO QUIRURGICO
Resección pulmonar
y disección
ganglionar sistémica.
Resecciones
pulmonares
menores.
Farreras & Rozman Medicina Interna 17 edicion, capitulo 81, Pag 731.
CONTRAINDICACIONES PARA LA
CIRUGIA
Edad
Función pulmonar
Enfermedades subyacentes
Perdidas considerables de peso
Alteraciones cardiovasculares
COMPLICACIONES
Metástasis
Deficiencia
de la
inmunidad
Edema
pulmonar
Obstrucción
de las vías
aéreas
Alteraciones
del flujo
sanguíneo
Síndromes
para
neoplásicos
Farreras & Rozman Medicina Interna 17 edicion, capitulo 81, Pag 732.
Neoplasias Pulmonares

Neoplasias Pulmonares

  • 1.
    Republica Bolivariana DeVenezuela Ministerio Del Poder Popular Para La Educación Superior Universidad Nacional Experimental “Francisco De Miranda”. Hospital Luis Razetti – Barinas. NEOPLASIA PULMONAR IPG: Brian Ojeda. Karla Ortega. Andrea Ortiz. Dr. Jose Reyes. Barinas, Agosto del 2017.
  • 2.
    NEOPLASIA Masa anormal detejido producida por la multiplicación de algún tipo de células: descoordinada con los mecanismos que controlan la multiplicación celular en el organismo. NEOPLASIA PULMONAR Son aquellos tumores que surgen en el epitelio respiratorio (bronquios, bronquiolos y alveolos). Farreras & Rozman Medicina Interna 17 edicion, capitulo 81, Pag 722.
  • 3.
    EPIDEMIOLOGIA EL CA depulmón es el mas frecuente y letal Representa el 15% de todos los CA y el 30% de las muertes debidas a esta enfermedad Debido a la alta prevalencia de tabaquismo en los países desarrollados, el CA de pulmón figura entre las 10 causas de muerte mas frecuente En Venezuela según la sociedad anticancerosa en el 2016… Farreras & Rozman Medicina Interna 17 edicion, capitulo 81, Pag 722.
  • 4.
    FACTORES DE RIESGO Habito tabáquico Tabaquismo pasivo SexoEtnia Dieta Polución atmosférica Enfermedades respiratorias Predisposición hereditaria Farreras & Rozman Medicina Interna 17 edicion, capitulo 81, Pag 722.
  • 5.
    PATOGENIA El humo deltabaco llega a los alveolos Los componentes liposolubles no son absorbidos por la mucosa La brea es fagocitada por los macrófagos alveolares y eliminada con los mismos en el esputo La glotis se rompe dejando libre la brea Esta se va a depositar en la confluencia de los bronquios la brea irrita la mucosa y destruye la superficie del epitelio respiratorio Obligando a la membrana basal a aumentar su capacidad proliferativa Causando hiperplasia de células basales, metaplasia, displasia Anaplasia como carcinoma in situ y carcinoma invasor.
  • 6.
    CLASIFICACION HISTOPATOLOGICA Carcinoma escamoso Adenocarcinoma Carcinomade células grandes Carcinoma de células pequeñas Farreras & Rozman Medicina Interna 17 edicion, capitulo 81, Pag 723.
  • 7.
    Representa el 30%de los TU malignos de pulmón Esta fuertemente relacionado con el tabaco (90%) Suelen originarse en los bronquios principales y su crecimiento es lento. Produce una marcada respuesta en el tejido pulmonar del huésped con presencia de infiltrados linfoplasmocitarios y células histocitarias gigantes multinucleadas CARCINOMA ESCAMOSO Farreras & Rozman Medicina Interna 17 edicion, capitulo 81, Pag 723.
  • 8.
    ADENOCARCINOMA 35-50% de CAde pulmón Su incidencia es similar en hombres que en mujeres Suelen desarrollarse en la periferia del pulmón Farreras & Rozman Medicina Interna 17 edicion, capitulo 81, Pag 723.
  • 9.
    CARCINOMA BRONCOALVEOLAR Subclasificacion del adenocarcinoma Sepresenta con mayor frecuencia en no fumadores Lesión preinvasiva Adenocarcinoma in situ Adenocarcinoma invasivo
  • 10.
    CARCINOMA DE CÉLULASGRANDES Representa un 5% de los TU pulmonares malignos TU de células grandes con abundante citoplasma sin diferenciación escamosa o alveolar Mal pronostico Farreras & Rozman Medicina Interna 17 edicion, capitulo 81, Pag 723.
  • 11.
    CARCINOMA DE CELULASPEQUEÑAS Representa el 20% de los TU pulmonares malignos Deriva de las células basales de tipo neuroendocrino o células de Kulchitsky Es de localización central y se asocia con frecuencia a adenopatías mediastinicas Es un TU de extrema malignidad con gran facilidad para desarrollar metástasis tanto por vía linfática como hematógena Farreras & Rozman Medicina Interna 17 edicion, capitulo 81, Pag 723.
  • 12.
    CUADRO CLINICO 1)Propios deltumor 2) Su extensión intratoracica 3) Su diseminación metastasica 4) Manifestaciones sistémicas no metastasicas (Síndromes paraneoplasicos) Farreras & Rozman Medicina Interna 17 edicion, capitulo 81, Pag 724.
  • 13.
    PROPIAS DEL TUMOR Tos(síntoma mas frecuente) Expectoración mucosa abundante Disnea Hemoptisis Fiebre Farreras & Rozman Medicina Interna 17 edicion, capitulo 81, Pag 724.
  • 14.
    EXTENSION INTRATORACICA Invasión linfática Disfonía Elevacióndel hemidiafragma Síndrome de vena cava superior Disfagia Tumor de Pancoast Farreras & Rozman Medicina Interna 17 edicion, capitulo 81, Pag 724.
  • 15.
    DISEMINACION METASTASICA • Déficitneurológico (cefaleas, nauseas, vómitos y cambios de conducta) Metástasis cerebral • Afecta huesos del esqueleto axial (columna, costillas, pelvis, fémur) Metástasis Oseas • Síntomas inespecíficos como anorexia y epigastralgia Metástasis hepática • Suelen afectar cuello y tronco en forma de nódulos indoloros de crecimiento rápido Metástasis cutánea Farreras & Rozman Medicina Interna 17 edicion, capitulo 81, Pag 724.
  • 17.
    SÍNDROMES PARANEOPLASICOS - ElCA de pulmón es la neoplasia que con mayor frecuencia causa síndrome paraneoplásico. - Este síndrome paraneoplasico puede ser la primera manifestación de la enfermedad y aparecer en una fase tardía o incluso en el momento de la recidiva. - La neoplasia de células pequeñas es el que con mayor frecuencia causa síndrome paraneoplasico. Farreras & Rozman Medicina Interna 17 edicion, capitulo 81, Pag 725.
  • 18.
    MANIFESTACIONES GENERALES: • Anorexia,perdida de peso, caquexia y fiebre. SINDROMES ENDOCRINOS: •Síndrome de Cushing, síndrome de secreción inadecuada de ADH, hipercalcemia, ginecomastia. SINDROMES NEUROLOGICOS: •Neuropatías periféricas, mononeuritis múltiple. SINDROMES HEMATOLOGICOS •Anemia, policitemia, trombocitosis, eosinofilia. SINDROMES ESQUELETICOS •Acropatia, osteoartropatia hipertrofiante. Farreras & Rozman Medicina Interna 17 edicion, capitulo 81, Pag 725.
  • 19.
    DIAGNOSTICO ANAMNESIS Y EXAMENFISICO. • Varones. • >45 años de edad. • Fumadores de 40 cigarillos diarios. • Antecedentes familiares de CA de pulmon • Presencia de enfermedades respiratorias a repeticion Farreras & Rozman Medicina Interna 17 edicion, capitulo 81, Pag 726.
  • 20.
    EXPLORACIONES COMPLEMENTARIAS Radiografia detórax Ensanchamiento hiliar Atelectasia Condensación distal Neumonitis infecciosa secundaria Farreras & Rozman Medicina Interna 17 edicion, capitulo 81, Pag 726.
  • 21.
    Carcinoma de célulaspequeñas • Localización prehiliar en el 80% y se asocia a adenopatías mediastinicas. Carcinoma escamoso • Masa central de gran tamaño que a menudo se cavita. Adenocarcinoma • Se presenta como nódulo o masa de distribución periférica y ocasional presencia de broncrograma aéreo. • Carcinoma bronquioalveolar presenta broncograma aéreo y puede presentar cavitación Farreras & Rozman Medicina Interna 17 edicion, capitulo 81, Pag 726.
  • 23.
  • 24.
  • 25.
  • 26.
  • 27.
  • 28.
  • 29.
  • 30.
    Masa pulmonar enlóbulo inferior izquierdo con múltiples imágenes nodulares bilaterales de predominio en campos inferiores
  • 31.
  • 32.
  • 33.
  • 34.
    TC DE TÓRAX -Es la técnica de elección para la evaluación de la lesión neoplásica y su extensión intratoracica. - Permite identificar lesiones adicionales que no se evidencian en la radiografía de tórax y definir relación con estructuras vecinas. - La inyección IV de contraste ayuda a la detección de adenopatías mediastinicas y es esencial en la valoración de posibles metástasis hepática. Farreras & Rozman Medicina Interna 17 edicion, capitulo 81, Pag 727.
  • 35.
    FIBROBRONCOSCOPIA - Es fundamentalen la extensión de la enfermedad al definir la relación existente entre el tumor y las estructuras anatómicas vecinas. - La rentabilidad diagnostica global es de un 70% y es alta en los casos en que se visualiza la tumoración. Farreras & Rozman Medicina Interna 17 edicion, capitulo 81, Pag 727.
  • 36.
    PUNCIÓN PULMONAR TRANSPARIETAL -Guiada a través de la TC, es la técnica diagnostica de elección en los casos en que la fibrobroncoscopia no aporta el diagnostico - Tiene sensibilidad y valor predictivo positivo superior al 90% Farreras & Rozman Medicina Interna 17 edicion, capitulo 81, Pag 727.
  • 37.
    ESTADIFICACIÓN T: Tamaño tumoral N:Afectacion de ganglios linfaticos regionales M: Presencia o ausencia de metástasis a distancia Farreras & Rozman Medicina Interna 17 edicion, capitulo 81, Pag 728.
  • 38.
    Farreras & RozmanMedicina Interna 17 edicion, capitulo 81, Pag 728.
  • 39.
    Farreras & RozmanMedicina Interna 17 edicion, capitulo 81, Pag 728.
  • 40.
    ESTADIFICACIÓN PARA EL TRATAMIENTO Farreras& Rozman Medicina Interna 17 edicion, capitulo 81, Pag 729.
  • 42.
    TRATAMIENTO QUIRURGICO Resección pulmonar ydisección ganglionar sistémica. Resecciones pulmonares menores. Farreras & Rozman Medicina Interna 17 edicion, capitulo 81, Pag 731.
  • 43.
    CONTRAINDICACIONES PARA LA CIRUGIA Edad Funciónpulmonar Enfermedades subyacentes Perdidas considerables de peso Alteraciones cardiovasculares
  • 44.
    COMPLICACIONES Metástasis Deficiencia de la inmunidad Edema pulmonar Obstrucción de lasvías aéreas Alteraciones del flujo sanguíneo Síndromes para neoplásicos Farreras & Rozman Medicina Interna 17 edicion, capitulo 81, Pag 732.