Cáncer de
PULMÓN
Anatomía
Cada pulmón tiene forma de medio cono, con
una base, un vértice, dos caras y tres bordes
La base se apoya en el diafragma
El vértice se proyecta por
encima de la costilla I hacia la
raíz del cuello
Cara costal: queda inmediatamente
adyacente a las costillas y los
espacios intercostales de la pared
torácica.
Cara mediastínica se apoya en el
mediastino anteriormente y en la
columna vertebral posteriormente
y contiene el hilio pulmonar en
forma de coma, a través del
cual entran y salen las diversas
estructuras.
Bordes
Borde inferior del pulmón es
agudo y separa la base de la
superficie costal
Los bordes anterior y posterior
separan la superficie costal de la
superficie medial. A diferencia de
los bordes anterior e inferior, que
son agudos, el borde posterior es
liso y redondeado.
Hilio Pulmonar
En el interior del pedículo
y el hilio se encuentran:
■ Una arteria pulmonar.
■ Dos venas pulmonares.
■ Un bronquio principal.
■ Los vasos bronquiales.
■ Nervios.
■ Linfáticos.
Pulmón derecho:
Pulmón izquierdo:
Árbol Bronquial
Bronquio Principal  Primario
Bronquios lobulares  secundarios
Bronquios segmentarios  Terciarios
20-25 generaciones de ramificaciones de bronquiolos de
conducción
Bronquiolos terminales
Varias generaciones de Bronquiolos respiratorios (Alveolos)
2-11 conductos alveolares
5-6 sacos alveolares
Tumores
Pulmonares
Pulmones
Asiento frecuente de
metástasis de cánceres
originados en órganos
extratorácicos
95%
5%
0%
10%
20%
30%
40%
50%
60%
70%
80%
90%
100%
Frecuencia
Tumores Pulmonares Primarios
Carcinomas Grupo misceláneo
Grupo misceláneo:
• Neoplasias carcinoides
• Malignos
mesenquimatosos:
 Fibrosarcomas
 Leiomiosarcomas
• Linfomas
• Algunas lesiones
benignas
Tumor benigno
más frecuente…
• Esférico
• Pequeño
• (3-4 cm) y bien
delimitado
• En la radiografía de
tórax, suele
identificarse como
una lesión numular.
Hamarto
Constituci
ón:
Constitución
Tejido cartilaginoso maduro Grasa
Tejido fibroso Vasos
Carcino
mas
Causa más importante
de muertes por cáncer
en los países
industrializados.
El cáncer de pulmón de células
no pequeñas (cpcnp)
representa el 76% de todos los
tipos de cáncer de pulmón en
México.
• d
0
10
20
30
40
50
60
70
80
90
30 40 50 60 70 80
Frecuencia
Frecuencia
La incidencia
máxima de
este
se observa en
personas de
entre 50 y 70
años
50%
25%
25%
Momento del Diagnostico
Metastasis Afectación de los ganglios regionales
Pronostico:
•Supervivencia a los 5 años para
todos los estadios combinados del
16%
•Enfermedad localizada en el
pulmón, la supervivencia a los 5
años solo es del 45%.
Tipos
Histológicos
Principales
Adenocarcinoma
Carcinoma
Epidermoide
Carcinoma
microcítico
Carcinoma de
células grandes
Asociación mas potente con el
tabaquismo:
Carcinomas epidermoides y
microcíticos.
Historia
Características
y tratamiento
Denominación
Carcinoma de
Pulmón
Clasificación
Carcinoma de
células pequeñas
pulmonar (CCPP)
Metástasis en el
momento del Dx.
No curables
mediante cirugía
Quimioterapia con
o sin Radioterapia
Carcinoma no de
células pequeñas
pulmonar (CNCPP),
Más probabilidad
de ser resecable
Respondía mal al
tratamiento con
quimioterapia.
Patogeni
a
Carcinomas
pulmonares
asociados al
tabaquismo…
Aparecen
mediante la
acumulación
escalonada
de
alteraciones
genéticas
múltiples
Pueden ser miles
en el caso del
carcinoma
microcítico
Culminan en la
transformación
de las células
progenitoras
benignas
pulmonares en
células
neoplásicas.
Secuencia de cambios
moleculares no es
aleatoria…
Sigue una
secuencia
predecible
que
evoluciona en
paralelo con
la progresión
histológica
hacia el
cáncer
Acontecimiento Precoz
Inactivación de los
posibles genes
supresores de
tumores localizados
en el brazo corto
del cromosoma 3
(3p)
Relativamente tarde
Mutaciones
de TP53 o la
activación del
oncogén KRAS
¡Más Importante!
Algunos cambios genéticos, como la pérdida del
material cromosómico en 3p, pueden encontrarse
incluso en el epitelio bronquial benigno de pacientes
con cáncer de pulmón, así como en el epitelio
respiratorio de fumadores sin cáncer de pulmón, lo
que sugiere que extensas áreas de la mucosa
respiratoria sufren una mutagenia tras exponerse a
los carcinógenos («efecto de campo»). Sobre este
terreno abonado las células que acumulan
mutaciones adicionales acaban por desarrollar un
cáncer.
Subgrupo de Adenocarcinomas:
Afectan a mujeres no
fumadoras de origen
oriental
Contienen
Mutaciones activadoras del
receptor del factor de
crecimiento epidérmico (EGFR ).
Son sensibles a una clase de
fármacos que inhiben la
transmisión de señales por
EGFR
Respuesta de corta duración
30% de los adenocarcinomas
Mutaciones
de EGFR
Mutaciones
KRAS
Mutuamente excluyentes
Otras mutaciones identificadas en
el 4-6 % de los adenocarcinomas:
• Genes de
fusión de
tirosina
cinasa EML4-
ALK
• Amplificación
del gen de la
tirosina
cinasa c-MET
Implicaciones terapéuticas
Pueden ser
antagonizadas
mediante inhibidores
de la tirosina cinasa
EGFR
ALK
MET
Sobreactivados
Nueva era del tratamiento
<<PERSONALIZADO>> del
cáncer
La genética del
tumor orienta
la selección de
los fármacos.
El tabaquismo y, en
mucha menor medida,
otras agresiones
medioambientales son
los principales
responsables de los
cambios genéticos que
conducen a la aparición
del cáncer de pulmón.
Asociación con el tabaquismo
0% 10% 20% 30% 40% 50% 60% 70% 80% 90% 100%
Relación
No fumadores Fumadores o dejaron de fumar hace poco
Se ha
reconocido una
correlación
prácticamente
lineal entre la
frecuencia de
cáncer de
pulmón y la
intensidad del
tabaquismo,
medida en
paquete-años.
El aumento del
riesgo es 60 veces
superior en los
fumadores
importantes
habituales (dos
paquetes diarios
durante 20 años)
que en los no
fumadores
Solo el II % de los
fumadores
importantes
desarrollan cáncer,
por lo que deben
existir otros factores
predisponentes en la
patogenia de esta
mortal enfermedad
Por razones no
aclaradas del todo, las
mujeres presentan una
mayor susceptibilidad
frente a los
carcinógenos del
tabaco que los
hombres
Aunque, con el
tiempo, el abandono
del hábito tabáquico
reduce el riesgo de
desarrollar cáncer de
pulmón, nunca se
vuelve a valores
basales.
Los cambios genéticos
que anteceden en el
tiempo al cáncer de
pulmón pueden
persistir durante
muchos años en el
epitelio bronquial de
los exfumadores.
El
tabaquism
o pasivo
(cercanía a
fumadores
activos)
aumenta el
riesgo de
desarrollar
un cáncer
de pulmón
Hasta
llegar a ser
doble que
en los no
fumadores.
Fumar
puros y en
pipa
aumenta
también el
riesgo, pero
de forma
modesta.
Trabajos:
• Mineros que trabajan con sustancias radiactivas
• Trabajadores del amianto
• Profesionales expuestos a polvos que contienen
• arsénico,
• cromo,
• uranio,
• níquel,
• Cloruro de vinilo o gas mostaza.
La exposición
al amianto
incrementa el
riesgo de
cáncer de
pulmón cinco
veces en no
fumadores
La exposición al
asbesto siendo
fumadores
intensos aumenta
el riesgo de
desarrollar un
cáncer de pulmón
unas 55 veces
sobre los no
fumadores no
expuestos al
amianto.
Es muy probable
que el efecto
mutágeno de los
carcinógenos
venga
determinado
por factores
hereditarios
(genéticos).
↑Riesgo
de cáncer
pulmonar
Mayor capacidad de
metabolizar los
procarcinógenos
derivados del humo
del tabaco
Personas con
polimorfismos
genéticos
específicos de
los genes P-
450
↑Riesgo 10
veces mayor de
cáncer pulmonar
Personas cuyos
linfocitos en sangre
periférica sufren
roturas del cromosoma
por exposición a los
carcinógenos
vinculados al tabaco
Intensidad de la exposición al humo del tabaco
Leve
Moderada
Severa
Cambios epiteliales cada ves más
preocupantes
Hiperplasia
inofensiva de
células basales
metaplasia
escamosa
displasia
escamosa
Carcinoma in situ
Carcinoma Infiltrante
M
o
r
f
o
l
o
g
í
a
Comienzan como pequeñas lesiones
mucosas, que suelen ser son firmes y de
color gris-blanco.
Pueden formar masas intraluminales, invadir
la mucosa bronquial o dar lugar a grandes
masas voluminosas que comprimen el
parénquima pulmonar adyacente.
Algunas masas grandes
experimentan cavitación producida
por necrosis central o presentan
zonas focales de hemorragia.
Estos tumores se pueden extender hasta la
pleura, invadir la cavidad pleural y la pared
torácica, y propagarse a estructuras
intratorácicas adyacentes.
Carcinomas Escamosos:
Frecuencia de genero
Aparición
Hombres Mujeres
• f
Tienden a aparecer central
ente en bronquios de gran
tamaño
Se extienden a los ganglios
Hiliares locales
se diseminan fuera del tórax
más tarde que otros tipos
histológicos
Las lesiones grandes pueden
experimentar necrosis
central y producir cavitación.
Lesiones Preneoplásicas
•Metaplasia o displasia
escamosa en el epitelio
bronquial
•Después se transforma en
carcinoma in situ (una fase
que puede durar varios años)
En la actualidad:
•Se pueden identificar células
atípicas en los frotis citológicos
del esputo o en el líquido del
lavado bronquial o el cepillado,
aunque la lesión sea
asintomática e indetectable en
las radiografías.
Finalmente
Pequeña
neoplasia
alcanza una
fase
sintomática,
en la que una
masa tumoral
bien definida
comienza a
obstruir la luz
de un
bronquio de
gran tamaño.
Frecuentemente
Produciendo
atelectasia
distal e
infección
Simultáneamente
La lesión
invade el
tejido
pulmonar
circundante
Cambios más tempranos (y «leves»)
del epitelio respiratorio lesionado por
el tabaquismo se encuentran:
Hiperplasia de las células
caliciformes
Hiperplasia de las células
basales (células de reserva) metaplasia escamosa
Otras alteraciones más ominosas son:
Displasia escamosa, que se
caracteriza por la presencia
de un epitelio escamoso
alterado con pérdida de la
polaridad nuclear,
hipercromasia nuclear,
pleomorfismo y figuras
mitóticas
El carcinoma in situ (CIS) es
la fase que precede
inmediatamente al
carcinoma escamoso
invasivo
Las características citológicas
son similares a las del
carcinoma desarrollado.
Salvo que se trate, el CIS
progresará, finalmente,
hasta un cáncer invasivo.
Adenocarcinomas:
•Pueden ser lesiones
centrales, como la
variante escamosa, pero
suelen tener una
localización más periférica
Frecuencia
Predominancia:
Fumadores No fumadores Mujeres
En general:
•Crecen lentamente
•Dan lugar a masas más
pequeñas que otros subtipos
•Tienden a ocasionar metástasis
diseminadas en estadios
precoces.
Estudio Histológico
• Revela muchos patrones, entre los que se
encuentran:
• Acinar (formador de glándulas)
• Papilar
• Mucinoso (antes carcinoma bronquioalveolar
mucinoso)
• Sólido (demostrar la producción de mucina
intracelular con técnicas especiales de tinción
para establecer que se trata de un
adenocarcinoma.)
Hiperplasia
adenomatosa con
atipia con epitelio
cúbico y una ligera
fibrosis intersticial
Adenocarcinoma in situ,
subtipo mucinoso, que
muestra un crecimiento
característico siguiendo los
tabiques alveolares
preexistentes, sin
infiltración.
Adenocarcinoma que
forma glándulas; el
recuadro pequeño
muestra la positividad
para el factor de
transcripción tiroideo I
(TTF-1), que se observa
en la mayor parte de
los adenocarcinomas
de pulmón.
Posible Precursor:
• Hiperplasia adenomatosa atípica que evoluciona a
adenocarcinoma in situ
Estudio microscópico de la HAA
• Se reconoce como un foco bien delimitado de
proliferación epitelial (con un espesor de hasta 5
mm)
• Constituido por células cúbicas a cilíndricas bajas,
en las que se reconoce atipia citológica en grado
variable, con hipercromatismo nuclear,
pleomorfismo y nucléolos llamativos, aunque sin
alcanzar el grado propio del adenocarcinoma.
• Los análisis genéticos han demostrado que las
lesiones de la HAA son monoclonales y comparten
muchas de las alteraciones moleculares propias del
adenocarcinoma
Adenocarcinoma in situ:
Adenocarcinoma
mínimamente
invasivo
Tumores
menores de 3 cm
Componente
infiltrante mide
5mm o menos
Adenocarcinoma infiltrante:
Tumor de
cualquier
tamaño que
invade más
de 5 mm
Adenocarcinom a in situ (AIS ):
• Antes llamado carcinoma
bronquioloalveolar,
• Afecta a las porciones
periféricas del pulmón como un
nódulo solitario.
• Las características clave del AIS
son un diámetro de 3 cm o
inferior
• Crecimiento siguiendo
estructuras preexistentes
• Conservación de la arquitectura
alveolar
AIS:
•Células tumorales que pueden ser
• Mucinosas
• No mucinosas
• mixtas
•Crecen formando una capa única que
sigue los tabiques alveolares y que sirve
como andamiaje (este patrón de
crecimiento se ha llamado «lepídico»)
Carcinoma de células grandes:
• Tumores epiteliales
malignos
indiferenciados
• Carecen de las
características
histológicas del
carcinoma de células
pequeñas y de
diferenciación
glandular o escamosa.
Características celulares:
•núcleos grandes
•nucléolos
prominentes
•Cantidad
moderada de
citoplasma.
Carcinoma de células pequeñas:
Carcinomas de células
pequeñas pulmonares
(CCPP) aparecen como
masas de localización
central de color gris
pálido, con extensión
hacia el parénquima
pulmonar, y afectación
temprana de los
ganglios hiliares y
mediastínicos.
Tipos de células:
Formados por células
tumorales de forma
redonda a fusiforme,
citoplasma escaso y
cromatina finamente
granular Con
frecuencia se
observan figuras
mitóticas
¿Pequeñas?
•Tamaño de las células neoplásicas suele
ser dos veces mayor que el de los
linfocitos en reposo.
•De forma invariable hay necrosis, que
puede ser extensa. Las células
tumorales son muy frágiles y, con
frecuencia, muestran fragmentación y
«artefacto de aplastamiento» en las
muestras de biopsia pequeñas.
Patrones combinados:
• Una significativa minoría de
carcinomas broncógenos
muestra más de una línea de
diferenciación celular, a veces
varias.
• La afectación del ganglio
supraclavicular izquierdo
(ganglio de Virchow) es
particularmente característica
y a veces llama la atención
sobre la existencia de un
tumor primario oculto.
 Estos tumores constituyen un grupo heterogéneo de neoplasias.
 Se originan en las células neuroendocrinas de la cresta neural,
glándulas endocrinas, islotes o sistema endocrino difuso.
 Los TNE son relativamente poco frecuentes
Tumor de células de Merkel
Tumores neuroendocrinos
pulmonares
Carcinoma medular de tiroides
Tumores adenohipofisarios
Tumores endocrinos
gastroenteropancreáticos (TEGEP)
Tumores neuroendocrinos de
primario desconocido Tumores secretores de
catecolaminas
(feocromocitoma, paraganglioma,
ganglioneuroma,
ganglioneuroblastoma,
simpatoblastoma,
neuroblastoma)
Tumores endocrinos
gastroenteropancreáticos
(TEGEP)
Tumores
neuroendocrinos
pancreáticos
(TNP)
Tumores
carcinoides (TC)
Los tumores neuroendocrinos más frecuentes son
los TEGEP
Se originan a partir de
células neuroendocrinas
dispuestas de manera
localizada en los islotes del
páncreas
Se originan de células
neuroendocrinas (células de
Kulchitsky )localizadas de
forma difusa en la mucosa del
tracto gastrointestinal.
TUMORES CARCINOIDES DE
PULMÓN
 Nueva clasificación de
2004 de la OMS:
 Tumores carcinoides típicos
 Tumores carcinoides
atípicos
 Carcinoma
neuroendocrino de célula
grande
 Carcinoma de célula
pequeña
Los tumores neuroendocrinos pulmonares
representan un 20% de los carcinomas
pulmonares
Neoplasia de estirpe neuroendocrina que se origina de las células
basales glandulares enterocromafines (células de Kulchitsky) del
sistema endocrino difuso de la mucosa bronquial
TIPICOS
Estos crecen
lentamente y producen
metástasis con poca
frecuencia.
Hemoptisis, neumonitis
obstructiva, disnea.
Adenopatías al diagnóstico en
15 % y metástasis hepáticas
en menos del 15 %.
ATIPICOS
Aparecen en la sexta
década de la vida,
tienen mayor tamaño
que los típicos, son más
agresivos.
Adenopatías
mediastinales al
diagnóstico en 30-50 %.
• Aplica a neoplasias neuroendocrinas bien diferenciadas con
<2mitosis/10 CGA, sin necrosis y >0.5 cm.
Carcinoide Tipico
• Aplica a neoplasias neuroendocrinas bien diferenciadas con 2-10
mitosis/10 CGA, y/o necrosis focal.
Carcinoide Atipico
• Aplica a neoplasias neuroendocrinas de células grandes con >10
mitosis/10 CGA y necrosis
Carcinoma de celulas grandes
• Aplica a neoplasias neuroendocrinas de células pequeñas con >10
mitosis/10 CGA y necrosis.
Carcinoma de celulas pequeñas
 El 25%-39% de los pacientes con un tumor carcinoide
pulmonar permanecen asintomáticos.
 los carcinoides pueden producir distintos péptidos y hormonas
con actividad biológica como serotonina, (ACTH), (ADH),
(MSH) y otros.
 Los tumores carcinoides típicos y atípicos se asocian a
producción ectópica de ACTH y síndrome de Cushing.
 Los hallazgos clínicos más
frecuentes son los relacionados
con obstrucción bronquial:
 Tos persistente
 Hemoptisis
 Neumonitis obstructiva o
recurrente.
También pueden tener sibilancias, dolor
torácico y disnea.
Pruebas de laboratorio:
 Determinaciones de
sustancias neuroendocrinas
específicas: ACTH, MSH,
hormona de crecimiento
(GH) y otras hormonas o
péptidos
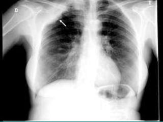
Radiografia de torax
En la radiografía simple de tórax se observó
una posible opacidad parahiliar derecha
 Tomografía computarizada
 Resonancia magnética
 Tomografía por emisión de positrones (PET)
Una gammagrafía de receptores de somatostatina con111In-pentetreótida
(Octreoscan®) mostró múltiples captaciones del trazador en ambos lóbulos
hepáticos (fig. 3, puntas de flechas), y en hemitórax derecho se observó un
depósito del trazador de moderada intensidad de captación, en el lóbulo
inferior del pulmón derecho
x
• z
Curso clínico
Son lesiones
silentes e
insidiosas que la
mayoría de las
veces se
diseminan hasta
ser irresecables
antes de producir
síntomas.
- En algunos casos, la
tos y la expectoración
crónicas resultan
llamativas sobre una
enfermedad
resecable y todavía
localizada.
+ Cuando aparecen
disfonía, dolor torácico, el
síndrome de la vena cava
superior, derrame
pericárdico pleural, o una
atelectasia o neumonitis
segmentaria persistente,
el pronóstico es sombrío.
• El tumor se
manifiesta con
síntomas debidos a su
diseminación
metastásica hacia el:
• Encéfalo (cambios
mentales o
neurológicos),
• El hígado
(hepatomegalia)
• O los huesos (dolor).
Con demasiada
frecuencia
CNCPP CCPP
La mediana de la supervivencia,
incluso con tratamiento, es de 1 año.
Síndromes paraneoplásicos
Se ha estimado que el 3-10% de los pacientes con cáncer de
pulmón presentan síndromes paraneoplásicos clínicamente
evidentes, entre los que se encuentran:
1) hipercalcemia producida por la secreción de un péptido
relacionado con la hormona paratíroidea.
2) Síndrome de Cushing
3) Síndrome de secreción inadecuada de hormona
antidiurética
4) síndromes neuromusculares, como síndrome miasténico,
neuropatía periférica y Polimiositis
5) Acropaquia y osteoartropatía pulmonar hipertrófica.
6) Alteraciones de la coagulación, como tromboflebitis
migratoria, endocarditis no bacteriana y coagulación
intravascular diseminada.
Tratamiento
Resección
quirúrgica
Lobectomía
Quimioterapia Radioterapia
Opciones

Cáncer de pulmón

  • 1.
  • 2.
  • 3.
    Cada pulmón tieneforma de medio cono, con una base, un vértice, dos caras y tres bordes La base se apoya en el diafragma El vértice se proyecta por encima de la costilla I hacia la raíz del cuello Cara costal: queda inmediatamente adyacente a las costillas y los espacios intercostales de la pared torácica. Cara mediastínica se apoya en el mediastino anteriormente y en la columna vertebral posteriormente y contiene el hilio pulmonar en forma de coma, a través del cual entran y salen las diversas estructuras.
  • 4.
    Bordes Borde inferior delpulmón es agudo y separa la base de la superficie costal Los bordes anterior y posterior separan la superficie costal de la superficie medial. A diferencia de los bordes anterior e inferior, que son agudos, el borde posterior es liso y redondeado.
  • 5.
    Hilio Pulmonar En elinterior del pedículo y el hilio se encuentran: ■ Una arteria pulmonar. ■ Dos venas pulmonares. ■ Un bronquio principal. ■ Los vasos bronquiales. ■ Nervios. ■ Linfáticos.
  • 6.
  • 7.
  • 8.
  • 9.
    Bronquio Principal Primario Bronquios lobulares  secundarios Bronquios segmentarios  Terciarios 20-25 generaciones de ramificaciones de bronquiolos de conducción Bronquiolos terminales Varias generaciones de Bronquiolos respiratorios (Alveolos) 2-11 conductos alveolares 5-6 sacos alveolares
  • 10.
  • 11.
    Pulmones Asiento frecuente de metástasisde cánceres originados en órganos extratorácicos
  • 12.
    95% 5% 0% 10% 20% 30% 40% 50% 60% 70% 80% 90% 100% Frecuencia Tumores Pulmonares Primarios CarcinomasGrupo misceláneo Grupo misceláneo: • Neoplasias carcinoides • Malignos mesenquimatosos:  Fibrosarcomas  Leiomiosarcomas • Linfomas • Algunas lesiones benignas
  • 13.
    Tumor benigno más frecuente… •Esférico • Pequeño • (3-4 cm) y bien delimitado • En la radiografía de tórax, suele identificarse como una lesión numular. Hamarto
  • 14.
  • 15.
  • 16.
    Causa más importante demuertes por cáncer en los países industrializados.
  • 17.
    El cáncer depulmón de células no pequeñas (cpcnp) representa el 76% de todos los tipos de cáncer de pulmón en México.
  • 18.
  • 20.
    0 10 20 30 40 50 60 70 80 90 30 40 5060 70 80 Frecuencia Frecuencia La incidencia máxima de este se observa en personas de entre 50 y 70 años
  • 21.
    50% 25% 25% Momento del Diagnostico MetastasisAfectación de los ganglios regionales
  • 22.
    Pronostico: •Supervivencia a los5 años para todos los estadios combinados del 16% •Enfermedad localizada en el pulmón, la supervivencia a los 5 años solo es del 45%.
  • 23.
  • 25.
    Asociación mas potentecon el tabaquismo: Carcinomas epidermoides y microcíticos.
  • 26.
    Historia Características y tratamiento Denominación Carcinoma de Pulmón Clasificación Carcinomade células pequeñas pulmonar (CCPP) Metástasis en el momento del Dx. No curables mediante cirugía Quimioterapia con o sin Radioterapia Carcinoma no de células pequeñas pulmonar (CNCPP), Más probabilidad de ser resecable Respondía mal al tratamiento con quimioterapia.
  • 27.
  • 28.
    Carcinomas pulmonares asociados al tabaquismo… Aparecen mediante la acumulación escalonada de alteraciones genéticas múltiples Puedenser miles en el caso del carcinoma microcítico Culminan en la transformación de las células progenitoras benignas pulmonares en células neoplásicas.
  • 29.
    Secuencia de cambios molecularesno es aleatoria… Sigue una secuencia predecible que evoluciona en paralelo con la progresión histológica hacia el cáncer Acontecimiento Precoz Inactivación de los posibles genes supresores de tumores localizados en el brazo corto del cromosoma 3 (3p) Relativamente tarde Mutaciones de TP53 o la activación del oncogén KRAS
  • 30.
    ¡Más Importante! Algunos cambiosgenéticos, como la pérdida del material cromosómico en 3p, pueden encontrarse incluso en el epitelio bronquial benigno de pacientes con cáncer de pulmón, así como en el epitelio respiratorio de fumadores sin cáncer de pulmón, lo que sugiere que extensas áreas de la mucosa respiratoria sufren una mutagenia tras exponerse a los carcinógenos («efecto de campo»). Sobre este terreno abonado las células que acumulan mutaciones adicionales acaban por desarrollar un cáncer.
  • 31.
    Subgrupo de Adenocarcinomas: Afectana mujeres no fumadoras de origen oriental Contienen Mutaciones activadoras del receptor del factor de crecimiento epidérmico (EGFR ). Son sensibles a una clase de fármacos que inhiben la transmisión de señales por EGFR Respuesta de corta duración
  • 32.
    30% de losadenocarcinomas Mutaciones de EGFR Mutaciones KRAS Mutuamente excluyentes
  • 33.
    Otras mutaciones identificadasen el 4-6 % de los adenocarcinomas: • Genes de fusión de tirosina cinasa EML4- ALK • Amplificación del gen de la tirosina cinasa c-MET Implicaciones terapéuticas Pueden ser antagonizadas mediante inhibidores de la tirosina cinasa
  • 34.
    EGFR ALK MET Sobreactivados Nueva era deltratamiento <<PERSONALIZADO>> del cáncer La genética del tumor orienta la selección de los fármacos.
  • 35.
    El tabaquismo y,en mucha menor medida, otras agresiones medioambientales son los principales responsables de los cambios genéticos que conducen a la aparición del cáncer de pulmón.
  • 36.
    Asociación con eltabaquismo 0% 10% 20% 30% 40% 50% 60% 70% 80% 90% 100% Relación No fumadores Fumadores o dejaron de fumar hace poco
  • 37.
    Se ha reconocido una correlación prácticamente linealentre la frecuencia de cáncer de pulmón y la intensidad del tabaquismo, medida en paquete-años.
  • 38.
    El aumento del riesgoes 60 veces superior en los fumadores importantes habituales (dos paquetes diarios durante 20 años) que en los no fumadores
  • 39.
    Solo el II% de los fumadores importantes desarrollan cáncer, por lo que deben existir otros factores predisponentes en la patogenia de esta mortal enfermedad
  • 40.
    Por razones no aclaradasdel todo, las mujeres presentan una mayor susceptibilidad frente a los carcinógenos del tabaco que los hombres
  • 41.
    Aunque, con el tiempo,el abandono del hábito tabáquico reduce el riesgo de desarrollar cáncer de pulmón, nunca se vuelve a valores basales. Los cambios genéticos que anteceden en el tiempo al cáncer de pulmón pueden persistir durante muchos años en el epitelio bronquial de los exfumadores.
  • 42.
    El tabaquism o pasivo (cercanía a fumadores activos) aumentael riesgo de desarrollar un cáncer de pulmón Hasta llegar a ser doble que en los no fumadores.
  • 43.
    Fumar puros y en pipa aumenta tambiénel riesgo, pero de forma modesta.
  • 44.
    Trabajos: • Mineros quetrabajan con sustancias radiactivas • Trabajadores del amianto • Profesionales expuestos a polvos que contienen • arsénico, • cromo, • uranio, • níquel, • Cloruro de vinilo o gas mostaza.
  • 45.
    La exposición al amianto incrementael riesgo de cáncer de pulmón cinco veces en no fumadores
  • 46.
    La exposición al asbestosiendo fumadores intensos aumenta el riesgo de desarrollar un cáncer de pulmón unas 55 veces sobre los no fumadores no expuestos al amianto.
  • 47.
    Es muy probable queel efecto mutágeno de los carcinógenos venga determinado por factores hereditarios (genéticos).
  • 48.
    ↑Riesgo de cáncer pulmonar Mayor capacidadde metabolizar los procarcinógenos derivados del humo del tabaco Personas con polimorfismos genéticos específicos de los genes P- 450
  • 49.
    ↑Riesgo 10 veces mayorde cáncer pulmonar Personas cuyos linfocitos en sangre periférica sufren roturas del cromosoma por exposición a los carcinógenos vinculados al tabaco
  • 50.
    Intensidad de laexposición al humo del tabaco Leve Moderada Severa Cambios epiteliales cada ves más preocupantes Hiperplasia inofensiva de células basales metaplasia escamosa displasia escamosa Carcinoma in situ Carcinoma Infiltrante
  • 51.
  • 52.
    Comienzan como pequeñaslesiones mucosas, que suelen ser son firmes y de color gris-blanco. Pueden formar masas intraluminales, invadir la mucosa bronquial o dar lugar a grandes masas voluminosas que comprimen el parénquima pulmonar adyacente. Algunas masas grandes experimentan cavitación producida por necrosis central o presentan zonas focales de hemorragia. Estos tumores se pueden extender hasta la pleura, invadir la cavidad pleural y la pared torácica, y propagarse a estructuras intratorácicas adyacentes.
  • 53.
    Carcinomas Escamosos: Frecuencia degenero Aparición Hombres Mujeres
  • 54.
  • 55.
    Tienden a aparecercentral ente en bronquios de gran tamaño Se extienden a los ganglios Hiliares locales se diseminan fuera del tórax más tarde que otros tipos histológicos Las lesiones grandes pueden experimentar necrosis central y producir cavitación.
  • 56.
    Lesiones Preneoplásicas •Metaplasia odisplasia escamosa en el epitelio bronquial •Después se transforma en carcinoma in situ (una fase que puede durar varios años)
  • 58.
    En la actualidad: •Sepueden identificar células atípicas en los frotis citológicos del esputo o en el líquido del lavado bronquial o el cepillado, aunque la lesión sea asintomática e indetectable en las radiografías.
  • 59.
    Finalmente Pequeña neoplasia alcanza una fase sintomática, en laque una masa tumoral bien definida comienza a obstruir la luz de un bronquio de gran tamaño. Frecuentemente Produciendo atelectasia distal e infección Simultáneamente La lesión invade el tejido pulmonar circundante
  • 60.
    Cambios más tempranos(y «leves») del epitelio respiratorio lesionado por el tabaquismo se encuentran: Hiperplasia de las células caliciformes Hiperplasia de las células basales (células de reserva) metaplasia escamosa
  • 61.
    Otras alteraciones másominosas son: Displasia escamosa, que se caracteriza por la presencia de un epitelio escamoso alterado con pérdida de la polaridad nuclear, hipercromasia nuclear, pleomorfismo y figuras mitóticas El carcinoma in situ (CIS) es la fase que precede inmediatamente al carcinoma escamoso invasivo Las características citológicas son similares a las del carcinoma desarrollado. Salvo que se trate, el CIS progresará, finalmente, hasta un cáncer invasivo.
  • 62.
    Adenocarcinomas: •Pueden ser lesiones centrales,como la variante escamosa, pero suelen tener una localización más periférica
  • 63.
  • 64.
    En general: •Crecen lentamente •Danlugar a masas más pequeñas que otros subtipos •Tienden a ocasionar metástasis diseminadas en estadios precoces.
  • 65.
    Estudio Histológico • Revelamuchos patrones, entre los que se encuentran: • Acinar (formador de glándulas) • Papilar • Mucinoso (antes carcinoma bronquioalveolar mucinoso) • Sólido (demostrar la producción de mucina intracelular con técnicas especiales de tinción para establecer que se trata de un adenocarcinoma.)
  • 66.
    Hiperplasia adenomatosa con atipia conepitelio cúbico y una ligera fibrosis intersticial Adenocarcinoma in situ, subtipo mucinoso, que muestra un crecimiento característico siguiendo los tabiques alveolares preexistentes, sin infiltración.
  • 67.
    Adenocarcinoma que forma glándulas;el recuadro pequeño muestra la positividad para el factor de transcripción tiroideo I (TTF-1), que se observa en la mayor parte de los adenocarcinomas de pulmón.
  • 68.
    Posible Precursor: • Hiperplasiaadenomatosa atípica que evoluciona a adenocarcinoma in situ
  • 69.
    Estudio microscópico dela HAA • Se reconoce como un foco bien delimitado de proliferación epitelial (con un espesor de hasta 5 mm) • Constituido por células cúbicas a cilíndricas bajas, en las que se reconoce atipia citológica en grado variable, con hipercromatismo nuclear, pleomorfismo y nucléolos llamativos, aunque sin alcanzar el grado propio del adenocarcinoma. • Los análisis genéticos han demostrado que las lesiones de la HAA son monoclonales y comparten muchas de las alteraciones moleculares propias del adenocarcinoma
  • 70.
    Adenocarcinoma in situ: Adenocarcinoma mínimamente invasivo Tumores menoresde 3 cm Componente infiltrante mide 5mm o menos Adenocarcinoma infiltrante: Tumor de cualquier tamaño que invade más de 5 mm
  • 71.
    Adenocarcinom a insitu (AIS ): • Antes llamado carcinoma bronquioloalveolar, • Afecta a las porciones periféricas del pulmón como un nódulo solitario. • Las características clave del AIS son un diámetro de 3 cm o inferior • Crecimiento siguiendo estructuras preexistentes • Conservación de la arquitectura alveolar
  • 72.
    AIS: •Células tumorales quepueden ser • Mucinosas • No mucinosas • mixtas •Crecen formando una capa única que sigue los tabiques alveolares y que sirve como andamiaje (este patrón de crecimiento se ha llamado «lepídico»)
  • 73.
    Carcinoma de célulasgrandes: • Tumores epiteliales malignos indiferenciados • Carecen de las características histológicas del carcinoma de células pequeñas y de diferenciación glandular o escamosa.
  • 74.
  • 75.
    Carcinoma de célulaspequeñas: Carcinomas de células pequeñas pulmonares (CCPP) aparecen como masas de localización central de color gris pálido, con extensión hacia el parénquima pulmonar, y afectación temprana de los ganglios hiliares y mediastínicos.
  • 76.
    Tipos de células: Formadospor células tumorales de forma redonda a fusiforme, citoplasma escaso y cromatina finamente granular Con frecuencia se observan figuras mitóticas
  • 77.
    ¿Pequeñas? •Tamaño de lascélulas neoplásicas suele ser dos veces mayor que el de los linfocitos en reposo. •De forma invariable hay necrosis, que puede ser extensa. Las células tumorales son muy frágiles y, con frecuencia, muestran fragmentación y «artefacto de aplastamiento» en las muestras de biopsia pequeñas.
  • 79.
    Patrones combinados: • Unasignificativa minoría de carcinomas broncógenos muestra más de una línea de diferenciación celular, a veces varias. • La afectación del ganglio supraclavicular izquierdo (ganglio de Virchow) es particularmente característica y a veces llama la atención sobre la existencia de un tumor primario oculto.
  • 81.
     Estos tumoresconstituyen un grupo heterogéneo de neoplasias.  Se originan en las células neuroendocrinas de la cresta neural, glándulas endocrinas, islotes o sistema endocrino difuso.  Los TNE son relativamente poco frecuentes
  • 82.
    Tumor de célulasde Merkel Tumores neuroendocrinos pulmonares Carcinoma medular de tiroides Tumores adenohipofisarios Tumores endocrinos gastroenteropancreáticos (TEGEP) Tumores neuroendocrinos de primario desconocido Tumores secretores de catecolaminas (feocromocitoma, paraganglioma, ganglioneuroma, ganglioneuroblastoma, simpatoblastoma, neuroblastoma)
  • 83.
    Tumores endocrinos gastroenteropancreáticos (TEGEP) Tumores neuroendocrinos pancreáticos (TNP) Tumores carcinoides (TC) Lostumores neuroendocrinos más frecuentes son los TEGEP Se originan a partir de células neuroendocrinas dispuestas de manera localizada en los islotes del páncreas Se originan de células neuroendocrinas (células de Kulchitsky )localizadas de forma difusa en la mucosa del tracto gastrointestinal.
  • 84.
    TUMORES CARCINOIDES DE PULMÓN Nueva clasificación de 2004 de la OMS:  Tumores carcinoides típicos  Tumores carcinoides atípicos  Carcinoma neuroendocrino de célula grande  Carcinoma de célula pequeña Los tumores neuroendocrinos pulmonares representan un 20% de los carcinomas pulmonares
  • 85.
    Neoplasia de estirpeneuroendocrina que se origina de las células basales glandulares enterocromafines (células de Kulchitsky) del sistema endocrino difuso de la mucosa bronquial TIPICOS Estos crecen lentamente y producen metástasis con poca frecuencia. Hemoptisis, neumonitis obstructiva, disnea. Adenopatías al diagnóstico en 15 % y metástasis hepáticas en menos del 15 %. ATIPICOS Aparecen en la sexta década de la vida, tienen mayor tamaño que los típicos, son más agresivos. Adenopatías mediastinales al diagnóstico en 30-50 %.
  • 86.
    • Aplica aneoplasias neuroendocrinas bien diferenciadas con <2mitosis/10 CGA, sin necrosis y >0.5 cm. Carcinoide Tipico • Aplica a neoplasias neuroendocrinas bien diferenciadas con 2-10 mitosis/10 CGA, y/o necrosis focal. Carcinoide Atipico • Aplica a neoplasias neuroendocrinas de células grandes con >10 mitosis/10 CGA y necrosis Carcinoma de celulas grandes • Aplica a neoplasias neuroendocrinas de células pequeñas con >10 mitosis/10 CGA y necrosis. Carcinoma de celulas pequeñas
  • 87.
     El 25%-39%de los pacientes con un tumor carcinoide pulmonar permanecen asintomáticos.  los carcinoides pueden producir distintos péptidos y hormonas con actividad biológica como serotonina, (ACTH), (ADH), (MSH) y otros.  Los tumores carcinoides típicos y atípicos se asocian a producción ectópica de ACTH y síndrome de Cushing.
  • 88.
     Los hallazgosclínicos más frecuentes son los relacionados con obstrucción bronquial:  Tos persistente  Hemoptisis  Neumonitis obstructiva o recurrente. También pueden tener sibilancias, dolor torácico y disnea.
  • 89.
    Pruebas de laboratorio: Determinaciones de sustancias neuroendocrinas específicas: ACTH, MSH, hormona de crecimiento (GH) y otras hormonas o péptidos Radiografia de torax En la radiografía simple de tórax se observó una posible opacidad parahiliar derecha
  • 90.
     Tomografía computarizada Resonancia magnética  Tomografía por emisión de positrones (PET)
  • 91.
    Una gammagrafía dereceptores de somatostatina con111In-pentetreótida (Octreoscan®) mostró múltiples captaciones del trazador en ambos lóbulos hepáticos (fig. 3, puntas de flechas), y en hemitórax derecho se observó un depósito del trazador de moderada intensidad de captación, en el lóbulo inferior del pulmón derecho
  • 92.
  • 93.
    Son lesiones silentes e insidiosasque la mayoría de las veces se diseminan hasta ser irresecables antes de producir síntomas.
  • 94.
    - En algunoscasos, la tos y la expectoración crónicas resultan llamativas sobre una enfermedad resecable y todavía localizada.
  • 95.
    + Cuando aparecen disfonía,dolor torácico, el síndrome de la vena cava superior, derrame pericárdico pleural, o una atelectasia o neumonitis segmentaria persistente, el pronóstico es sombrío.
  • 96.
    • El tumorse manifiesta con síntomas debidos a su diseminación metastásica hacia el: • Encéfalo (cambios mentales o neurológicos), • El hígado (hepatomegalia) • O los huesos (dolor). Con demasiada frecuencia
  • 97.
  • 98.
    La mediana dela supervivencia, incluso con tratamiento, es de 1 año.
  • 99.
    Síndromes paraneoplásicos Se haestimado que el 3-10% de los pacientes con cáncer de pulmón presentan síndromes paraneoplásicos clínicamente evidentes, entre los que se encuentran: 1) hipercalcemia producida por la secreción de un péptido relacionado con la hormona paratíroidea. 2) Síndrome de Cushing 3) Síndrome de secreción inadecuada de hormona antidiurética 4) síndromes neuromusculares, como síndrome miasténico, neuropatía periférica y Polimiositis 5) Acropaquia y osteoartropatía pulmonar hipertrófica. 6) Alteraciones de la coagulación, como tromboflebitis migratoria, endocarditis no bacteriana y coagulación intravascular diseminada.
  • 100.
  • 101.

Notas del editor

  • #53 La diseminación a más distancia se puede producir a través de los ganglios linfáticos o por vía hematógena.
  • #64 En muchos casos con una cicatriz central
  • #73 Los estudios de modelos de lesión pulmonar en ratones han Identificado una población de células pluripotenciales en la unión del conducto bronquioloalveolar, que se han llamado células madre bronquioloalveolares (CMBA). Cuando se produce una lesión pulmonar periférica, estas CMBA pluripotenciales se expanden y sustituyen a las células normales (células de Clara bronquiolares y células alveolares) de esta región, lo que facilita la regeneración epitelial. Se ha planteado la posibilidad de que las CMBA pueden sufrir el acontecimiento oncógeno inicial (p. ej., mutación somática de KRAS) que les permite escapar de los mecanismos de los «puntos de control» normales y dar origen al adenocarcinoma pulmonar
  • #75 Los carcinomas de células grandes probablemente representen carcinomas escamosos o adenocarcinomas que están tan indiferenciados que ya no pueden reconocerse mediante microscopía óptica. Sin embargo, en lo relativo a la ultraestructura, es frecuente que exista una diferenciación glandular o escamosa mínima.
  • #81 Estos cánceres, cuando están avanzados, con frecuencia se extienden hacia los espacios pericárdico o pleural, con lo que producen inflamación y derrames. Pueden comprimir o infiltrar la vena cava superior y provocar congestión venosa o un síndrome de la vena cava totalmente desarrollado (v. capítulo 9). Las neoplasias apicales pueden invadir el plexo braquial o el simpático cervical y producir un intenso dolor en la distribución del nervio cubital o causar el síndrome de Horner (enoftalmos homolateral, ptosis, miosis y anhidrosis). Estas neoplasias apicales a veces se denominan tum ores de Pancoast, y la combinación de hallazgos clínicos se conoce como síndrome de Pancoast. Con frecuencia, el tumor de Pancoast se acompaña de destrucción de la primera y segunda costillas, y a veces de las vértebras torácicas. Al igual que para otros cánceres, se han establecido categorías TNM (del inglés tumor-node-metastasis, «tumor-ganglio-metástasis») que indican el tamaño y la diseminación de la neoplasia primaria.
  • #88 ACTH Hormona adenocorticotropica o corticotropina ADH Hormona antidiurética MSH Hormona estimulante de melanocitos
  • #97 Aunque las glándulas suprarrenales pueden estar casi obliteradas por la enfermedad metastásica, la insuficiencia corticosuprarrenal (enfermedad de Addison) es infrecuente, ya que suelen persistir suficientes islas de células corticciles como para mantener la función suprarrenal.