Soto Vera Libia Mitsuko
 
Enfermedad del hombre moderno. Se puede prevenir. Raymond Pearl´s 1938  Tabaco
1ª causa de muerte en hombres y mujeres. 85% NSCLC Raro en <40 años, incrementa 80 años. Probabilidad  8% hombres y  6% mujeres. Incidencia mas alta en hombres afroamericanos.  Adenocarcinoma, Carcinoma de cels escamosas y Carcinoma de cels grandes.
 
 
 
Fumar [80-90%] 20 veces más. Riesgo para: Ca células escamosas, células pequeñas y células grandes.  Fumadores pasivos 20-30% [2000%]. Exposición ocupacional:  asbesto, arsénico, cromio hexavalente, gas mostaza, níquel e hidrocarburos aromáticos policíclicos.
Dieta y nutrición [pobre en frutas y vegetales]. Radiación ionizante. Radiación alfa del radón. Enfermedades:  bronquitis crónica, enfisema, asbestosis, tuberculosis. Hereditario
Dejar de fumar a edad temprana reduce en un 90% todo el riesgo atribuible al tabaco. Se asocia a: mayor sobrevida, menos efectos secundarios de la terapia, mejor calidad de vida.
Factores  extrínsecos e intrínsecos. Predisposición familiar. Mutación de EGFR  - No fumadores. -Adenocarcinomas. -Asiaticos > Cromosomas 3p, 9p,8p. P53 [10%]
Engrosamiento epitelial Crecimiento celular desorganizado Núcleos atípicos DISPLASIA ESCAMOSA
 
Hiperplasia adenomatosa atípica Lesión no invasiva <5mm. Celulas alrededor del alveolo en ausencia proceso inflamatorio. Lesión incidental  Rx “vidrio esmerilado”
 
Carcinomas de celulas escamosas: -Papilar. -Cels claras. -Cels pequeñas. -Basaloide Carcinoma de celulas pequeñas: -Carcinomas de celulas pequeñas combinado. Adenocarcinoma: -Patrón mixto. -Acinar. -Papilar -Bronquioloalveolar -mucinoso -no mucinoso -mixto -Adenocarcinoma fetal -Carcinoma mucinoso -Cistadenocarcinoma mucinoso -Signet ring -Celulas claras Carcinoma de celulas grandes -Carcinoma neuroendocrino de celulas grandes. -Carcinoma basaloide -Carcinoma linfoepitelioma -Carcinoma de cels claras -Carcinoma de cels grandes fenotipo rabdoide. Carcinoma adenoescamoso Carcinoma sarcomatoide Tumor carcinoide Tumor de las gls salivales
Central Asociado tabaquismo Cels con puentes y keratina. Cels escamosas malignas infiltrantes con necrosis central y cavitaciones  
Papilar  crecimiento exofitico endobronquial. Basaloide 
Mas común en América y Japón Fumadores. No fumadores. Periféricos, multifocales o cubrir todo un lóbulo. Rx  opacidad solida, vidrio esmerilado.  Histología  gls, estructuras papilares, patrón bronquioloalveolar, cels mucinosas  2 en 80%. Patrón micropapilar y sólido= mal pronostico. Variantes: signet ring, cels claras, mucinoso, adenocarcinoma fetal.
GLANDULAR BRONQUIOLOALVEOLAR PAPILAR
Noinvasivo <3cm Mucinoso, no mucinoso, mixto. Se debe evaluar arquitectura de todo el tejido.
10% todos Ca. Periféricos. Carcinomas poco diferenciados, sin evidencia microscópica de otro tipo de Ca. Cels malignas + necrosis. Celulas se agrupan o pueden estar solas.
Diferenciación neuroendocrina [rosetas, trabeculas, nidos, patrones perilobulares  de empalizado.] 3% Ca. >10 mitosis/2mm Marcadores neuroendocrinos [+] Dx diferencial de Ca cels pequeñas. Es muy agresivo.
Tumor neuroendocrino poco diferenciado. Central Tabaquismo Mayor incidencia en hombres.  Celulas pequeñas con un citoplasma pequeño <21 mm. Cromatina granular. 10 mitosis/2 mm Patrón neuroendocrino. Necrosis Coexistir con otros Ca.
 
Tumor neuroendocrino de bajo grado. Celulas uniformes, no necrosis, no actv mitótica elevada [2 mitosis/2mm No fumadores Periférico o endobronquial Cromatina granular. Excelente pronostico 10-15% metástasis.
Morfología neuroendocrina. Más agresivo. Mitosis 2-10/2mm Alto riesgo de metástasis [50%] Celulas mas atípicas  y alargadas.
Carcinoide típico Carcinoide atipico Carcinoma de C L Celulas pequeñas
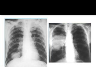
Lesión primaria Diseminación intratoracica. Metástasis Síndromes paraneoplasicos Fumador, cualquier genero, 7ª década, síntomas de masa bultosa intratoracica   tos, disnea, dolor, voz ronca, hemoptisis.  O síntomas de mets   dolor de huesos, síntomas de SNC.
Síntomas generales: debilidad, anorexia, pérdida de peso, fiebre. Fumador pasivo   mujer, joven, adenocarcinoma, igual presentación, mejor pronostico. Tos, disnea y molestia   común. Tos crónica/hemoptisis fumador crónico. Neumonía persistente. Diseminación   voz ronca, hemidiafragma elevado en Rx.
Dolor en pecho, invasión a pared, pleura o costillas.  Dolor pleural disminuye  derrame pleural  empeora disnea. Obstrucción vena cava superior [SCLC]  venas dilatadas de cuello y pecho cianosis plétora facial edema de miembro superior.  1/3 metástasis:  -hueso: dolor -hígado: perdida peso y debilidad. -gls suprarrenales: insf. Adrenal. -ganglios intraabdominales: paraorticos. -medula espinal -cerebro:SCLC, adenocarcinoma   dolor cabeza, vomito, confusión, etc.  -nódulos linfáticos : fosa supraclavicular. -piel.
Síndromes Paraneoplasicos [SCLC]: Hipercalcemia. Hiponatremia. Producción ectopica de hormonas adrenocorticotropicas [Sx Cushing] Sx Lambert-Eaton Encefalomielitis Degeneración cerebelosa. Muchos más.
TUMOR PRIMARIO TNM T0 No tumor primario  IA Tis Carcinoma in situ  IB T1 Tumor <3 cm no involucra bronquios principales. IIA T2 Tumor >3 cm; a >2 cm de carina, invade pleura visceral, atelectasia, pneumonitis obstructiva. IIB T3 Invasión de pared torácica, diafragma, pleura mediastinal, pericardio, <2 cm carina, derrame, nódulos satélites.  IIIA T4 Invasión mediastino, carina, derrame, nódulos mismo lóbulo. Ganglios regionales N0 No mets regional IIIB N1 Mets ipsilateral N2 Mets ipsilateral mediastinicos, subcarinal. N3 Mets contralateral, ipsilateral, supraclavicular. Metástasis a distancia M0 No IV M1 Mets a distancia.
Biopsia transbronquial. FNA transbronquial o transtoracica. Cepillado bronquial. Lavado bronquial. Lavado bronquioloalveolar. Citología Esputo  cribado? Lesiones centrales   examinación broncoscopica [80%] Lesiones periféricas   FNA, esputo.
Verificar diferenciación neuroendocrina en un tumor:  neuron-specific enolase, CD56 or neural cell adhesion molecule, synaptophysin, chromogranin, and Leu7. Distinguir tumor primario de metástasis: Adenocarcinomas. -TTF-1 -Citokeratinas 7,20.
Placa de toráx. Citología de 3 muestras.  Para pacientes con factores de riesgo. EN POBLACION DE ALTO RIESGO: Mayor proporción de lesiones tempranas y resecables No se demostró efecto en Mortalidad Por lo que no se recomienda un programa de escrutinio en Población abierta.
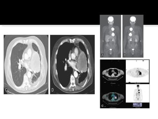
Historia clínica Examen físico Lab  BH,QC Citología seriada esputo. Broncoscopia [biopsia] Medistianoscopia [afección ganglios] Rx AP y lateral. TAC   pulmones, mediastino, hígado, suprarrenales. PET   metástasis. No detecta <15mm.  RM cerebro si hay metástasis. Gammagrama óseo.
 
 
 
 
Evaluación ganglios mediastinales: Estadio (I,II) PET (-): cirugía. PET (+): biopsia. Mediastinoscopia cervical Mediastinostomia Ultrasonido endoscopico transesofagico Broncoscopia  Enfermedad avanzada, usar método  menos invasivo, en cirugía muestra de todos ganglios.
 
Nódulo pulmonar solitario: Lesión redonda o discretamente ovalada No mayor de 3 cm de diámetro Rodeada por tejido pulmonar Libre de cavitaciones e infiltrados pulmonares secundarios Mayo clinic Edad Historia tabaquismo Dx Ca 5 años atrás. 3 características: Diámetro Espiculado Localizado lóbulo superior.
Estadio I: -Cx -Qt ? -Rt Estadio II: -Cirugía -Qt adyuvante -Rt Estadio IIIA: -Cx -Qt neoadyuvante, adyuvante.  -Rt Estadio IIIB: -Qt con Rt Estadio IV: -Qt paliativa.
Solo 25% sobreviven a 5 años.  Evaluación: -TAC -MRI SNC -Gammagrafía ósea -Biopsia medula si hemograma anormal. Tratamiento: Enfermedad limitada:  -Qt [etoposido, cisplatino] -Rt -Radiación cerebro. Enfermedad extendida: -Qt
ETAPAS I Y II influye:   Tama ño Tumoral Estado ganglionar Otros factores: Tipo histopatol ógico  (Ca Epidermoide y Adenocarcinoma Bronquioloalveolar -> Mejor pronóstico) Grado de diferenciación tumoral Invasión linfovascular Etapa misma ETAPAS AVANZADAS   Estado funcional Pérdida ponderal
Supervivencia a 5 a ñ os para Carcinomas Pulmonares de Células No Peque ñ as ETAPA SUPERVIVENCIA IA 60% IB 40% IIA 35% IIB 25% IIIA 15% IIIB 5% IV NULA
 

Cáncer de pulmón

  • 1.
  • 2.
  • 3.
    Enfermedad del hombremoderno. Se puede prevenir. Raymond Pearl´s 1938 Tabaco
  • 4.
    1ª causa demuerte en hombres y mujeres. 85% NSCLC Raro en <40 años, incrementa 80 años. Probabilidad 8% hombres y 6% mujeres. Incidencia mas alta en hombres afroamericanos. Adenocarcinoma, Carcinoma de cels escamosas y Carcinoma de cels grandes.
  • 5.
  • 6.
  • 7.
  • 8.
    Fumar [80-90%] 20veces más. Riesgo para: Ca células escamosas, células pequeñas y células grandes. Fumadores pasivos 20-30% [2000%]. Exposición ocupacional: asbesto, arsénico, cromio hexavalente, gas mostaza, níquel e hidrocarburos aromáticos policíclicos.
  • 9.
    Dieta y nutrición[pobre en frutas y vegetales]. Radiación ionizante. Radiación alfa del radón. Enfermedades: bronquitis crónica, enfisema, asbestosis, tuberculosis. Hereditario
  • 10.
    Dejar de fumara edad temprana reduce en un 90% todo el riesgo atribuible al tabaco. Se asocia a: mayor sobrevida, menos efectos secundarios de la terapia, mejor calidad de vida.
  • 11.
    Factores extrínsecose intrínsecos. Predisposición familiar. Mutación de EGFR - No fumadores. -Adenocarcinomas. -Asiaticos > Cromosomas 3p, 9p,8p. P53 [10%]
  • 12.
    Engrosamiento epitelial Crecimientocelular desorganizado Núcleos atípicos DISPLASIA ESCAMOSA
  • 13.
  • 14.
    Hiperplasia adenomatosa atípicaLesión no invasiva <5mm. Celulas alrededor del alveolo en ausencia proceso inflamatorio. Lesión incidental  Rx “vidrio esmerilado”
  • 15.
  • 16.
    Carcinomas de celulasescamosas: -Papilar. -Cels claras. -Cels pequeñas. -Basaloide Carcinoma de celulas pequeñas: -Carcinomas de celulas pequeñas combinado. Adenocarcinoma: -Patrón mixto. -Acinar. -Papilar -Bronquioloalveolar -mucinoso -no mucinoso -mixto -Adenocarcinoma fetal -Carcinoma mucinoso -Cistadenocarcinoma mucinoso -Signet ring -Celulas claras Carcinoma de celulas grandes -Carcinoma neuroendocrino de celulas grandes. -Carcinoma basaloide -Carcinoma linfoepitelioma -Carcinoma de cels claras -Carcinoma de cels grandes fenotipo rabdoide. Carcinoma adenoescamoso Carcinoma sarcomatoide Tumor carcinoide Tumor de las gls salivales
  • 17.
    Central Asociado tabaquismoCels con puentes y keratina. Cels escamosas malignas infiltrantes con necrosis central y cavitaciones 
  • 18.
    Papilar  crecimientoexofitico endobronquial. Basaloide 
  • 19.
    Mas común enAmérica y Japón Fumadores. No fumadores. Periféricos, multifocales o cubrir todo un lóbulo. Rx  opacidad solida, vidrio esmerilado. Histología  gls, estructuras papilares, patrón bronquioloalveolar, cels mucinosas  2 en 80%. Patrón micropapilar y sólido= mal pronostico. Variantes: signet ring, cels claras, mucinoso, adenocarcinoma fetal.
  • 20.
  • 21.
    Noinvasivo <3cm Mucinoso,no mucinoso, mixto. Se debe evaluar arquitectura de todo el tejido.
  • 22.
    10% todos Ca.Periféricos. Carcinomas poco diferenciados, sin evidencia microscópica de otro tipo de Ca. Cels malignas + necrosis. Celulas se agrupan o pueden estar solas.
  • 23.
    Diferenciación neuroendocrina [rosetas,trabeculas, nidos, patrones perilobulares de empalizado.] 3% Ca. >10 mitosis/2mm Marcadores neuroendocrinos [+] Dx diferencial de Ca cels pequeñas. Es muy agresivo.
  • 24.
    Tumor neuroendocrino pocodiferenciado. Central Tabaquismo Mayor incidencia en hombres. Celulas pequeñas con un citoplasma pequeño <21 mm. Cromatina granular. 10 mitosis/2 mm Patrón neuroendocrino. Necrosis Coexistir con otros Ca.
  • 25.
  • 26.
    Tumor neuroendocrino debajo grado. Celulas uniformes, no necrosis, no actv mitótica elevada [2 mitosis/2mm No fumadores Periférico o endobronquial Cromatina granular. Excelente pronostico 10-15% metástasis.
  • 27.
    Morfología neuroendocrina. Másagresivo. Mitosis 2-10/2mm Alto riesgo de metástasis [50%] Celulas mas atípicas y alargadas.
  • 28.
    Carcinoide típico Carcinoideatipico Carcinoma de C L Celulas pequeñas
  • 29.
    Lesión primaria Diseminaciónintratoracica. Metástasis Síndromes paraneoplasicos Fumador, cualquier genero, 7ª década, síntomas de masa bultosa intratoracica  tos, disnea, dolor, voz ronca, hemoptisis. O síntomas de mets  dolor de huesos, síntomas de SNC.
  • 30.
    Síntomas generales: debilidad,anorexia, pérdida de peso, fiebre. Fumador pasivo  mujer, joven, adenocarcinoma, igual presentación, mejor pronostico. Tos, disnea y molestia  común. Tos crónica/hemoptisis fumador crónico. Neumonía persistente. Diseminación  voz ronca, hemidiafragma elevado en Rx.
  • 31.
    Dolor en pecho,invasión a pared, pleura o costillas. Dolor pleural disminuye  derrame pleural  empeora disnea. Obstrucción vena cava superior [SCLC]  venas dilatadas de cuello y pecho cianosis plétora facial edema de miembro superior. 1/3 metástasis: -hueso: dolor -hígado: perdida peso y debilidad. -gls suprarrenales: insf. Adrenal. -ganglios intraabdominales: paraorticos. -medula espinal -cerebro:SCLC, adenocarcinoma  dolor cabeza, vomito, confusión, etc. -nódulos linfáticos : fosa supraclavicular. -piel.
  • 32.
    Síndromes Paraneoplasicos [SCLC]:Hipercalcemia. Hiponatremia. Producción ectopica de hormonas adrenocorticotropicas [Sx Cushing] Sx Lambert-Eaton Encefalomielitis Degeneración cerebelosa. Muchos más.
  • 33.
    TUMOR PRIMARIO TNMT0 No tumor primario IA Tis Carcinoma in situ IB T1 Tumor <3 cm no involucra bronquios principales. IIA T2 Tumor >3 cm; a >2 cm de carina, invade pleura visceral, atelectasia, pneumonitis obstructiva. IIB T3 Invasión de pared torácica, diafragma, pleura mediastinal, pericardio, <2 cm carina, derrame, nódulos satélites. IIIA T4 Invasión mediastino, carina, derrame, nódulos mismo lóbulo. Ganglios regionales N0 No mets regional IIIB N1 Mets ipsilateral N2 Mets ipsilateral mediastinicos, subcarinal. N3 Mets contralateral, ipsilateral, supraclavicular. Metástasis a distancia M0 No IV M1 Mets a distancia.
  • 34.
    Biopsia transbronquial. FNAtransbronquial o transtoracica. Cepillado bronquial. Lavado bronquial. Lavado bronquioloalveolar. Citología Esputo  cribado? Lesiones centrales  examinación broncoscopica [80%] Lesiones periféricas  FNA, esputo.
  • 35.
    Verificar diferenciación neuroendocrinaen un tumor: neuron-specific enolase, CD56 or neural cell adhesion molecule, synaptophysin, chromogranin, and Leu7. Distinguir tumor primario de metástasis: Adenocarcinomas. -TTF-1 -Citokeratinas 7,20.
  • 36.
    Placa de toráx.Citología de 3 muestras. Para pacientes con factores de riesgo. EN POBLACION DE ALTO RIESGO: Mayor proporción de lesiones tempranas y resecables No se demostró efecto en Mortalidad Por lo que no se recomienda un programa de escrutinio en Población abierta.
  • 37.
    Historia clínica Examenfísico Lab  BH,QC Citología seriada esputo. Broncoscopia [biopsia] Medistianoscopia [afección ganglios] Rx AP y lateral. TAC  pulmones, mediastino, hígado, suprarrenales. PET  metástasis. No detecta <15mm. RM cerebro si hay metástasis. Gammagrama óseo.
  • 38.
  • 39.
  • 40.
  • 41.
  • 42.
    Evaluación ganglios mediastinales:Estadio (I,II) PET (-): cirugía. PET (+): biopsia. Mediastinoscopia cervical Mediastinostomia Ultrasonido endoscopico transesofagico Broncoscopia Enfermedad avanzada, usar método menos invasivo, en cirugía muestra de todos ganglios.
  • 43.
  • 44.
    Nódulo pulmonar solitario:Lesión redonda o discretamente ovalada No mayor de 3 cm de diámetro Rodeada por tejido pulmonar Libre de cavitaciones e infiltrados pulmonares secundarios Mayo clinic Edad Historia tabaquismo Dx Ca 5 años atrás. 3 características: Diámetro Espiculado Localizado lóbulo superior.
  • 45.
    Estadio I: -Cx-Qt ? -Rt Estadio II: -Cirugía -Qt adyuvante -Rt Estadio IIIA: -Cx -Qt neoadyuvante, adyuvante. -Rt Estadio IIIB: -Qt con Rt Estadio IV: -Qt paliativa.
  • 46.
    Solo 25% sobrevivena 5 años. Evaluación: -TAC -MRI SNC -Gammagrafía ósea -Biopsia medula si hemograma anormal. Tratamiento: Enfermedad limitada: -Qt [etoposido, cisplatino] -Rt -Radiación cerebro. Enfermedad extendida: -Qt
  • 47.
    ETAPAS I YII influye: Tama ño Tumoral Estado ganglionar Otros factores: Tipo histopatol ógico (Ca Epidermoide y Adenocarcinoma Bronquioloalveolar -> Mejor pronóstico) Grado de diferenciación tumoral Invasión linfovascular Etapa misma ETAPAS AVANZADAS Estado funcional Pérdida ponderal
  • 48.
    Supervivencia a 5a ñ os para Carcinomas Pulmonares de Células No Peque ñ as ETAPA SUPERVIVENCIA IA 60% IB 40% IIA 35% IIB 25% IIIA 15% IIIB 5% IV NULA
  • 49.