PANCREATITIS AGUDA
Por: Alina Vásquez
Estudiante de Medicina
PANCREATITIS AGUDA
DEFINICIÓN
• La pancreatitis aguda es una reacción inflamatoria aguda del
páncreas, que asienta sobre una glándula anteriormente sana
y provoca su auto digestión
• Compromete otros tejidos vecinos y a distancia
• Tiene diferente presentación clínica
ANATOMÍA DEL PÁNCREAS
Forma: ligeramente alargada, y está colocado horizontalmente.
Localización: Está situado en la región superior y posterior izquierda
del abdomen ,detrás del estómago y por delante de la columna
vertebral, estando en contacto directo también con el intestino
delgado y el hígado.
Conductos pancreáticos: El conducto pancreático
principal o conducto de Wirsung drena la secreción exocrina del
páncreas
Zonas del Páncreas
Cabeza: es la parte más gruesa, está situada a la derecha,
colocada por detrás del hígado y rodea parcialmente al
(primera porción del intestino delgado).
Cuerpo: situado por detrás del hígado e intestino delgado.
Cola: es la parte más estrecha y está a la izquierda, en contacto
con la cara posterior del estómago y con el bazo.
ANATOMÍA DEL PÁNCREAS
ANATOMÍA DEL PÁNCREAS
Cabeza: A.pancreatoduodenal superior, rama de la
gastroduodenal y A.pancreatoduodenal inferior, rama de
la A. Mesentérica superior.
Cuerpo y Cola: Arteria pancreática
dorsal que discurre por detrás del cuello del
páncreas,origen es variable, puede ser rama de la arteria
esplénica
(40%), del tronco celiaco (22%), de la arteria mesentérica
superior (14%) o de la arteria hepática común (12%).
FISIOLOGÍA
El páncreas es responsable de la secreción de múltiples enzimas:
- Amilolíticas: amilasa
- Lipolíticas: lipasa (junto a co-lipasa), fosfolipasa A y esterasa del
colesterol
- Proteolíticas: (zimógenos inactivos)
- Endopeptidasas: tripsina y quimotripsina
- Exopeptidasas: carboxi y aminopeptidasa
- Elastasa
Una vez en el intestino, la tripsina activa estos zimógenos
PANCREATITIS AGUDA
EPIDEMIOLOGÍA
• Incidencia: 4,9 a 73,4 casos por 100000 habitantes
• Sexo variable en función de causa (VaronesAlcohol,
Mujereslitiasis biliar)
• Edad pico:45-55 años
PANCREATITIS AGUDA
ETIOLOGÍA
Obstructivas Toxinas y
Fármacos
Metabólicas Infecciosas Trauma Vascular
• Coledocolitiasis
• Tumores
pancreáticos o
ampullares
• Parásitos o
cuerpos
• Toxinas
• Alcohol
etílico
• Alcohol
metílico(
veneno
de
escorpió
y
organofo
sforado
• Fármacos
• Hipertriglicerid
emia
• Hipercalcemia
• Virus
parotiditis,VH
A,VHB,Epstei
Barr,etc
• Bacterias
Mycoplasmas
Campylobact
r.
• Accidental
• Iatrogénico:p
ostoperatorio
CPRE.
• Isquemia-
hipoperfución
postcirugía.
• Embolias
• Vasculitis
PANCREATITIS AGUDA
FISIOPATOLOGÍA
PANCREATITIS AGUDA POR LITIASIS BILIAR
• 40-50% de las pancreatitis
• Generalmente litiasis pequeñas que
descienden hasta el colédoco y obstruyen el
orificio de salida del conducto pancreático.
• Microlitiasis, causante de una porción de las
pancreatitis designadas como idiopáticas.
PANCREATITIS AGUDA POR ALCOHOL
• 10% de los alcohólicos crónicos
• 4 o más consumiciones de bebidas
alcohólicas al día a lo largo de al menos 2
décadas.
PANCREATITIS AGUDA POR
OBSTRUCCIÓN NO LITIÁSICA
• Tumores de páncreas o del conducto colédoco
• Alteraciones estructurales de la encrucijada
biliopancreática.
• Divertículos duodenales y coledococele
• Hipertonía o fibrosis del esfínter de Oddi
• Parásito (Áscaris)
PANCREATITIS AGUDA
IATROGÉNICA
• Secundaria a CPRE
• Fármacos:Entre éstos los diuréticos (del
asa o tiazidas) y a los empleados para
enfermedad inflamatoria intestinal:
azatioprina y mesalazina.
PANCREATITIS AGUDA POR CAUSA
METABÓLICA
• Hipertrigliceridemia, a partir de un nivel de 500 mg/dl,
pero sobre todo a partir de 1.000 mg/dl.
• Hipercalcemia por hiperparatioidismo.
PANCREATITIS AGUDA
CLÍNICA
• Dolor abdominal en barra, irradiado a espalda,
intenso, de inicio rápido.
• Náuseas y vómitos (en 90% de los casos) que
persiste por varias horas. El cuadro es precedido de
ingesta copiosa de alimentos ó 2-3 días después del
último trago de alcohol
PANCREATITIS AGUDA
CLÍNICA
• -Dolor en el epigastrio irradiado a ambos
hipocondrios y espalda “Dolor en cinturón”
• Náuseas y vómitos (90% de los casos)
• Examen físico
Dolor e hipersensibilidad a la palpación
predominantemente en el hemiabdomen superior y
mesogastrio.
• Pueden tener datos de Respuesta inflamatoria
Sistémica: Fiebre, Tauicardia, y taquipnea
PANCREATITIS AGUDA
CLÍNICA
• -Abdomen Blando distendido y con
disminución de los ruidos intestinales.
• Pancreatitis Necrotizante: Signo de Gray
Turner y el signo de Cullen.
PANCREATITIS AGUDA
DIAGNÓSTICO
• Laboratorios
• Hemograma
• -Leucocitosis
• -Hematocrito (más de 50% en casos graves)
• Química
• -Amilasemia (3 veces los valores normales)
• -Lipasa elevada
• ALT (GPT) mayor de 150 mg/dl orienta hacia una etiología biliar
PANCREATITIS AGUDA
DIAGNÓSTICO
• -Radiografía: Datos inespecíficos(colon cortado, halo perirrenal,
calcificaciones pancreáticas,etc)
• -Ecografía: para descartar etiologías de la vía biliar
• Páncreas agrandado y deformado.
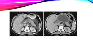
• -CAT: Clasifica gravedad de la pancreatitis
Glándula aumentada de tamaño, de bordes mal definidos,
heterogeneidad del parénquima, presencia de colecciones líquidas
PANCREATITIS AGUDA
PRONÓSTICO
APACHE II
En la admisión:
1) Edad >55 años
2) Leucocitos >16.000
3) Glicemia >200 mg/dl
4) LDH >350 UI/L
5) AST (SGOT) >250 U
En el curso de las primeras 48
horas:
6) BUN >5 mg/dl
7) PaO2 <60 mmHg
8) Hematocrito >10%
9) Calcio <8 mg/d
10) Déficit base >4 mEq/
11) Secuestro líquidos >6.000
ml
PANCREATITIS AGUDA
PRONÓSTICO
Criterios de Ranson
3 o más factores la morbilidad y
mortalidad es alta
• Necrosis
• Usualmente se presenta como complicación local de un ataque de
pancreatitis severa
• Se diagnostica con alta sensibilidad con CT con contraste IV
• Puede evolucionar
• Colección líquida “necrosis organizada” (2-4 semanas)
• Necrosis infectada: paciente que no mejora o que
repentinamente se deteriora
Pancreatitis aguda
Complicaciones
Pancreatitis aguda
Complicaciones
• Necrosis Infectada
• En presencia de necrosis, 40-60% se infectan. Bacilos Gram neg.
• Suele presentarse 1-2 semanas después del ataque inicial. Paciente
previamente mejorando inicia descompensación.
• Factores de riesgo: pancreatitis severa con falla multiorgánica, grado de
extensión de necrosis.
• Tratamiento requiere cirugía con evacuación del material necrótico y
colocación de tubos para irrigación contínua.
• Mortalidad 20-60%
Pancreatitis aguda
Complicaciones
PSEUDOQUISTE
S
• Proceso inflamatorio peripancreático extensión a estructuras
adyacentes (o distantes)  encapsulamiento (PSEUDOQUISTE)
• 15 % de casos de pancreatitis aguda
• Contenido es líquido mayormente (enzimas, bicarbonato, sangre) con
algo de detritos
• Localización: 85% cuerpo y cola, 15% cabeza
• Suelen aparecer como colecciones agudas desde la primera semana,
pero no “maduran” sus paredes hasta 4-6 semanas (verdadero
pseudoquiste)
Pancreatitis aguda
Complicaciones
PSEUDOQUISTE
• Síntomas: ninguno, dolorimiento, efecto de masa,
hiperamilasemia (75%)
• Detección: ultrasonido o TAC
• Evolución:
• 25-40% involucionan y desaparecen (< 5 cms)
• Sintomáticos y > 5 cms, considerar drenaje percutaneo vs
endoscópico (cist-enterotomía)
• Complicaciones
• Sangrado tiene muy alta mortalidad (60 %)
Pancreatitis aguda
Complicaciones
PANCREATITIS AGUDA
DIAGNÓSTICO DIFERENCIAL
• Colecistitis aguda
• Colangitis, isquemia
• Mesentérica aguda
• Perforación de víscera hueca
• Cetoacidosis diabética
• Obstrucción intestinal,
• Apendicitis aguda
• Embarazo ectópico.
TRATAMIENTO DE LA PANCREATITIS
AGUDA
• -Hidratación
• -Analgésicos
• -Suspensión de la Vía Oral
• -Antibióticos profilácticos
• -CPRE
• -Colecistectomía para evitar recidiva

Pancreatitis aguda

  • 1.
    PANCREATITIS AGUDA Por: AlinaVásquez Estudiante de Medicina
  • 2.
    PANCREATITIS AGUDA DEFINICIÓN • Lapancreatitis aguda es una reacción inflamatoria aguda del páncreas, que asienta sobre una glándula anteriormente sana y provoca su auto digestión • Compromete otros tejidos vecinos y a distancia • Tiene diferente presentación clínica
  • 3.
    ANATOMÍA DEL PÁNCREAS Forma:ligeramente alargada, y está colocado horizontalmente. Localización: Está situado en la región superior y posterior izquierda del abdomen ,detrás del estómago y por delante de la columna vertebral, estando en contacto directo también con el intestino delgado y el hígado. Conductos pancreáticos: El conducto pancreático principal o conducto de Wirsung drena la secreción exocrina del páncreas
  • 4.
    Zonas del Páncreas Cabeza:es la parte más gruesa, está situada a la derecha, colocada por detrás del hígado y rodea parcialmente al (primera porción del intestino delgado). Cuerpo: situado por detrás del hígado e intestino delgado. Cola: es la parte más estrecha y está a la izquierda, en contacto con la cara posterior del estómago y con el bazo. ANATOMÍA DEL PÁNCREAS
  • 5.
    ANATOMÍA DEL PÁNCREAS Cabeza:A.pancreatoduodenal superior, rama de la gastroduodenal y A.pancreatoduodenal inferior, rama de la A. Mesentérica superior. Cuerpo y Cola: Arteria pancreática dorsal que discurre por detrás del cuello del páncreas,origen es variable, puede ser rama de la arteria esplénica (40%), del tronco celiaco (22%), de la arteria mesentérica superior (14%) o de la arteria hepática común (12%).
  • 6.
    FISIOLOGÍA El páncreas esresponsable de la secreción de múltiples enzimas: - Amilolíticas: amilasa - Lipolíticas: lipasa (junto a co-lipasa), fosfolipasa A y esterasa del colesterol - Proteolíticas: (zimógenos inactivos) - Endopeptidasas: tripsina y quimotripsina - Exopeptidasas: carboxi y aminopeptidasa - Elastasa Una vez en el intestino, la tripsina activa estos zimógenos
  • 7.
    PANCREATITIS AGUDA EPIDEMIOLOGÍA • Incidencia:4,9 a 73,4 casos por 100000 habitantes • Sexo variable en función de causa (VaronesAlcohol, Mujereslitiasis biliar) • Edad pico:45-55 años
  • 8.
    PANCREATITIS AGUDA ETIOLOGÍA Obstructivas Toxinasy Fármacos Metabólicas Infecciosas Trauma Vascular • Coledocolitiasis • Tumores pancreáticos o ampullares • Parásitos o cuerpos • Toxinas • Alcohol etílico • Alcohol metílico( veneno de escorpió y organofo sforado • Fármacos • Hipertriglicerid emia • Hipercalcemia • Virus parotiditis,VH A,VHB,Epstei Barr,etc • Bacterias Mycoplasmas Campylobact r. • Accidental • Iatrogénico:p ostoperatorio CPRE. • Isquemia- hipoperfución postcirugía. • Embolias • Vasculitis
  • 9.
  • 10.
    PANCREATITIS AGUDA PORLITIASIS BILIAR • 40-50% de las pancreatitis • Generalmente litiasis pequeñas que descienden hasta el colédoco y obstruyen el orificio de salida del conducto pancreático. • Microlitiasis, causante de una porción de las pancreatitis designadas como idiopáticas.
  • 11.
    PANCREATITIS AGUDA PORALCOHOL • 10% de los alcohólicos crónicos • 4 o más consumiciones de bebidas alcohólicas al día a lo largo de al menos 2 décadas.
  • 12.
    PANCREATITIS AGUDA POR OBSTRUCCIÓNNO LITIÁSICA • Tumores de páncreas o del conducto colédoco • Alteraciones estructurales de la encrucijada biliopancreática. • Divertículos duodenales y coledococele • Hipertonía o fibrosis del esfínter de Oddi • Parásito (Áscaris)
  • 13.
    PANCREATITIS AGUDA IATROGÉNICA • Secundariaa CPRE • Fármacos:Entre éstos los diuréticos (del asa o tiazidas) y a los empleados para enfermedad inflamatoria intestinal: azatioprina y mesalazina.
  • 14.
    PANCREATITIS AGUDA PORCAUSA METABÓLICA • Hipertrigliceridemia, a partir de un nivel de 500 mg/dl, pero sobre todo a partir de 1.000 mg/dl. • Hipercalcemia por hiperparatioidismo.
  • 15.
    PANCREATITIS AGUDA CLÍNICA • Dolorabdominal en barra, irradiado a espalda, intenso, de inicio rápido. • Náuseas y vómitos (en 90% de los casos) que persiste por varias horas. El cuadro es precedido de ingesta copiosa de alimentos ó 2-3 días después del último trago de alcohol
  • 16.
    PANCREATITIS AGUDA CLÍNICA • -Doloren el epigastrio irradiado a ambos hipocondrios y espalda “Dolor en cinturón” • Náuseas y vómitos (90% de los casos) • Examen físico Dolor e hipersensibilidad a la palpación predominantemente en el hemiabdomen superior y mesogastrio. • Pueden tener datos de Respuesta inflamatoria Sistémica: Fiebre, Tauicardia, y taquipnea
  • 17.
    PANCREATITIS AGUDA CLÍNICA • -AbdomenBlando distendido y con disminución de los ruidos intestinales. • Pancreatitis Necrotizante: Signo de Gray Turner y el signo de Cullen.
  • 18.
    PANCREATITIS AGUDA DIAGNÓSTICO • Laboratorios •Hemograma • -Leucocitosis • -Hematocrito (más de 50% en casos graves) • Química • -Amilasemia (3 veces los valores normales) • -Lipasa elevada • ALT (GPT) mayor de 150 mg/dl orienta hacia una etiología biliar
  • 19.
    PANCREATITIS AGUDA DIAGNÓSTICO • -Radiografía:Datos inespecíficos(colon cortado, halo perirrenal, calcificaciones pancreáticas,etc) • -Ecografía: para descartar etiologías de la vía biliar • Páncreas agrandado y deformado. • -CAT: Clasifica gravedad de la pancreatitis Glándula aumentada de tamaño, de bordes mal definidos, heterogeneidad del parénquima, presencia de colecciones líquidas
  • 20.
  • 21.
    En la admisión: 1)Edad >55 años 2) Leucocitos >16.000 3) Glicemia >200 mg/dl 4) LDH >350 UI/L 5) AST (SGOT) >250 U En el curso de las primeras 48 horas: 6) BUN >5 mg/dl 7) PaO2 <60 mmHg 8) Hematocrito >10% 9) Calcio <8 mg/d 10) Déficit base >4 mEq/ 11) Secuestro líquidos >6.000 ml PANCREATITIS AGUDA PRONÓSTICO Criterios de Ranson 3 o más factores la morbilidad y mortalidad es alta
  • 22.
    • Necrosis • Usualmentese presenta como complicación local de un ataque de pancreatitis severa • Se diagnostica con alta sensibilidad con CT con contraste IV • Puede evolucionar • Colección líquida “necrosis organizada” (2-4 semanas) • Necrosis infectada: paciente que no mejora o que repentinamente se deteriora Pancreatitis aguda Complicaciones
  • 23.
  • 24.
    • Necrosis Infectada •En presencia de necrosis, 40-60% se infectan. Bacilos Gram neg. • Suele presentarse 1-2 semanas después del ataque inicial. Paciente previamente mejorando inicia descompensación. • Factores de riesgo: pancreatitis severa con falla multiorgánica, grado de extensión de necrosis. • Tratamiento requiere cirugía con evacuación del material necrótico y colocación de tubos para irrigación contínua. • Mortalidad 20-60% Pancreatitis aguda Complicaciones
  • 25.
    PSEUDOQUISTE S • Proceso inflamatorioperipancreático extensión a estructuras adyacentes (o distantes)  encapsulamiento (PSEUDOQUISTE) • 15 % de casos de pancreatitis aguda • Contenido es líquido mayormente (enzimas, bicarbonato, sangre) con algo de detritos • Localización: 85% cuerpo y cola, 15% cabeza • Suelen aparecer como colecciones agudas desde la primera semana, pero no “maduran” sus paredes hasta 4-6 semanas (verdadero pseudoquiste) Pancreatitis aguda Complicaciones
  • 27.
    PSEUDOQUISTE • Síntomas: ninguno,dolorimiento, efecto de masa, hiperamilasemia (75%) • Detección: ultrasonido o TAC • Evolución: • 25-40% involucionan y desaparecen (< 5 cms) • Sintomáticos y > 5 cms, considerar drenaje percutaneo vs endoscópico (cist-enterotomía) • Complicaciones • Sangrado tiene muy alta mortalidad (60 %) Pancreatitis aguda Complicaciones
  • 28.
    PANCREATITIS AGUDA DIAGNÓSTICO DIFERENCIAL •Colecistitis aguda • Colangitis, isquemia • Mesentérica aguda • Perforación de víscera hueca • Cetoacidosis diabética • Obstrucción intestinal, • Apendicitis aguda • Embarazo ectópico.
  • 29.
    TRATAMIENTO DE LAPANCREATITIS AGUDA • -Hidratación • -Analgésicos • -Suspensión de la Vía Oral • -Antibióticos profilácticos • -CPRE • -Colecistectomía para evitar recidiva