PANCREATITIS AGUDA
M.R. Medicina Interna
M.C. Alarcon Gironzini Alvaro
H.N. “L.N.S. – P.N.P.”
PANCREAS
 .
FISIOLOGIA
 EXOCRINO (Acinos Pancreaticos)
 Secrecion de jugo pancreático.
 Componentes: Bicarbonato sódico, Cl, Ca, K
 Enz. Tripsina, quimiotripsina, lipasa pancreática y amilasa
pancreática.
 Enz. De diq. De grasa: Lipasa Pancreatica
 Enz. De dig. Proteoliticas: Tripsina, quimiotripsina
 Enz. De Dig. H. de C. : Amilasa Pancreatica
 ENDOCRINO (Islotes de Langerhans)
 Insulina y Glucagón
PANCREATITIS AGUDA
 DEFINICIÓN:
 Condición inflamatoria aguda del páncreas derivada de la
activación precoz de las enzimas digestivas de las células
acinares, con compromiso variable del páncreas, tejidos
adyacentes y otros órganos.
 La pancreatitis aguda es un proceso inflamatorio agudo que
afecta a la glándula pancreática, activando una serie de
sistemas inflamatorios de efectos sistémicos.
 Proceso inflamatorio agudo del páncreas que puede afectar
a los tejidos vecinos o a órganos a distancia.
EPIDEMIOLOGÍA
Raza:
Negra: Blanca
3:1
Sexo: M>F
Prevalencia:
Otras
11%
Biliar
35%
Alcohol
30%
Idiopática
20%
ETIOLOGIA
CLASIFICACIÓN
LEVE O
AUTOLIMITADA
GRAVE
80-90%
10-20%
EDEMA, MIN. DISFUNCION,
RECUPERACION SIN
INCIDENCIAS
AMENAZA LA VIDA,
COMPLICACIONES LOCALES Y
SISTEMICAS,NECROSIS
GRASA PERIPANCREATICA Y
HEMORRAGIA.
NECROSANTE (PAN).
PANCREATITIS BILIAR
Obstrucción periódica de la ampolla de Vater con reflujo biliar y bacteriano
Movilización de cálculos a conducto común
Cámbios histopatologicos de obstrucción biliar
Hipersecreción
pancreática y
paso de jugo
pancreático al
intersticio
Hiperpresión
PANCREATITIS ALCOHÓLICA
Alcoholismo (5-
20 anos)
Inflamación duodenal
Inflamación en el
conducto gástrico
Toxicidad directa en
células acinares con
concentración de
enzimas proteolíticas
Activación
prematura y
liberación de
enzimas
Aumento de la
permeabilidad
del conducto
pancreático
Liberación de
enzimas y daño
del parénquima
pancreático
El suero
hiperlipémico post-
alcohólico tiene
densidad
Daño
isquémico
pancreático
FISIOPATOLOGIA
“ÉS UN PROCESO INFLAMATORIO EN LA CUAL LA
GLANDULA ES DIGERIDA POR SUS PROPIAS ENZIMAS”
FISIOPATOLOGIA
 DIVERSIDAD ETIOLOGICA.
Alteracion en el metabolismo celular pancreático.
Activación de diversos zimógenos.
Lesion acinar
La act. De zimógenos Interior del tej. Pancreatico
“LESION ACINAR” Proceso continuo y en cadena.
FISIOPATOLOGÍA
FISIOPATOLOGÍA
FISIOPATOLOGÍA
MANIFESTACIONES CLÍNICAS
1.- Diagnóstico clínico:
 Dolor abdominal: Constante, terebrante, en epigastrio y región
periumbilical, irradiado a espalda, torax, flancos y región inferior del
abdomen.
 Empeora en decúbito, y mejora con el tronco flexionado y rodillas
recogidas.
 Intensidad progresiva (max.30-60min.), persiste más de 24 horas sin alivio.
 Intensidad moderada a muy intensa.
 Asociada a nauseas, vomitos y distensión abdominal, asociado a
motilidad gástrica e intestinal.
 En P.A. Biliar, el dolor es súbito, epigástrico, transfictivo e irradiado a
espalda.
 En P.A. alcohólica en el inicio es menos abrupto, no se encuentra bien
localizado.
 Hipersensibilidad y rigidez muscular en abdomen, RHA disminuidos o
ausentes.
 Nodulos en la piel, secundarios a necrosis de la grasa subcutánea.
 10-20% con sx pulmonares, como estertores basales, atelectasias o
derrame pleural.
 Signo de Cullen y Turner.
Evaluación clínica
 85 – 100% dolor abdominal;
 54 – 92% náuseas e vómitos;
 83% anorexia;
 6 – 20% masa abdominal;
 50 – 80% íleo;
 12 – 80% fiebre.
Signo de Cullen
COMPLICACIONES LOCALES DE LA
PANCREATITIS
• COLECCIONES DE LIQUIDO PANCREATICO Y PERIPANCREATICO.
• NECROSIS PANCREATICA INFECTADA.
• ABSCESO PANCREATICO.
• PSEUDOQUISTE PANCREATICO.
• ASCITIS PANCREATICA.
•OBSTRUCIÓN DUODENAL.
• OBSTRUCION BILIAR.
• TROMBOSIS VENA ESPLÉNICA.
• COLANGITIS BILIAR.
DIAGNÓSTICO
2.- LABORATORIO
 AMILASA.
• Se eleva a las 2 a 12 hrs de comienzo del dolor.
• Normalizarse 2-5 días.
 LIPASA.
Presenta mayor sensibilidad (94%)
Especificidad (96%)
Se eleva el primer día y permanecen elevados 5-7
días.
La determinación simultánea de amilasa y lipasa
tiene una S y E > 97%
Hoy em día se define una pancreatitis aguda
como leve o grave, según el cuadro clínico,
escores pronósticos, Marcadores biológicos y
técnicas de imagem
• Marcadores Biológicos Independientes
 Interleucina IL6
 PCR
 Lipasa
 Tripsina
 Quimiotripsina
 Elastasa
 Ribonucleasa
 Fosfolipasa A2
 ALT(alanintransaminasa)
 TAP(péptido activador de la tripsina)
TÉCNICAS DE IMAGEN
o Radiografia simples(Descarta afecciones quirúrgicas abdominales)
o Ecografia Abdominal(Para identificación de litiasis biliar)
oTomógrafo Computadorizado(TC)
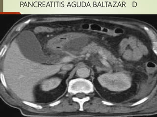
o Criterios radiológico de gravedad de Balthazar
El sistema desarrollado por
Balthazar valora La extensión de
la necrosis pancreática y
presencia de lesiones
extrapancreáticas en niveles de
puntuación de 0-10, en que la
puntuación 7-10 se asocia com
mayor mortalidad 17% y
morbilidad 92%
TOMOGRAFÍA ABDOMINAL
 Reservada para pacientes con pancreatitis aguda severa o
que muestren deterioro durante su evolución.
 Realización: A las 48-72 horas!!!
 Primero hidratación intensa y estabilización.
 Uso de contraste EV puede producir o empeorar daño
renal al inicio.
 Se debe dejar tiempo para que ocurran los cambios de
inflamación o necrosis y/o colecciones.
 En pancreatitis aguda severa se debe realizar TAC cada 7-10
días para evaluación de complicaciones.
Panc. Grado Pts Descripción
morfológica
Necrosis Pts
PAL A O Páncreas
normal
O% O
PAL B 1 Aumento
focal o
difuso de
páncreas
O% O
?? C 2 B+
Inflamación
Peri-
Pancreática
<33% 2
PAG D 3 C+
Colección
líquida
única
33-50% 4
PAG E 4 D+ dos
colecciones
líquidas y
gás
50% 6
PANCREATITIS AGUDA BALTAZAR A
PANCREATITIS AGUDA BALTAZAR B
PANCREATITIS AGUDA BALTAZAR C
PANCREATITIS AGUDA BALTAZAR D
PANCREATITIS AGUDA BALTAZAR E
PANCREATOCOLANGIOGRAFIA
RETRÓGRADA ENDOSCÓPICA.
ESFINTERECTOMÍA ENDOSCÓPICA:
-PCRE terapéutica urgente: P.A severa de origen biliar sospechado o
probado.
-Es mejor realizarlo dentro de las primeras 72 hrs.
-Cuando hay colangitis, ictericia o colédoco dilatado.
- EN PAG biliar se debe realizar esfinterotomía se encuentre o no
cálculos en ella.
PCRE
COLANGIORESONANCIA
ECOGRAFÍA
Escalas de Gravedad
La valoración de la gravedad en la pancreatitis aguda tiene no solo
importancia pronostica, sino terapéutica, pues indica datos clínicos,
humorales e imagenológicos.
Las escalas mas utilizadas para estabelecer la severidade en la
pancreatitis son:
oCriterios de gravedad de Ranson
oCriterios de Glasgow
oAPACHE II
Criterios de gravedad de Glasgow
Sistema pronóstico
multifactorial
Edad(Años) >55
TGO(U|I) >100
Leucocitosis (mm³) >15000
Glucemia (mol|L) >10
Urea (mMol|L) >16
PaO2 (mmhg) <60
Calcio (mg|dl) <8
Albumina (g|dl) <3.2
LDH (u|L) >600
APACHE II
NUEVOS INDICADORES DE
SEVERIDAD DE LA
PANCREATITIS AGUDA
 “Hemoconcentración como predictor temprano de falla
orgánica y necrosis pancreática”
Hematocrito mayor o igual a 44% a la admisión o durante las
primeras 24 horas tienen mayor riesgo de necrosis
pancreática .
 Medición del estado de hipercatabolismo:
Incremento de 5mg/dl de urea durante las primeras 24 horas
se correlaciona con un incremento de la mortalidad en 2.2
veces con una sensibilidad del 89%
 TEST DE BISAP : Mayor o igual a tres criterios.
ORIENTACIÓN TERAPEUTICA
Se emplean medidas de Tratamiento medico y quirúrgico, siendo que las
bases de tratamiento son medidas de soporte y la cirurgia queda reservada
para las complicaciones.
Medidas Generales Tx. Individualizado
Dieta Absoluta ERCP y Papilotomia
endoscópica
Rehidratación IV Lavados peritoneales
Antagonistas H2 Tx de Soporte:
-Ventilación mecánica
-Drogas Vasoactivas
-Nutrición Parenteral
Antibióticos Hemodiafiltración
Inhibidores de Proteasas y
Lipasas
Analgésicos
CIRUGÍA PRECOZ EN PANCREATITIS
AGUDA:
o Abdomen Agudo com hemorragia pancreática
masiva
o Infección precoz del páncreas
oPerforación Intestinal
oNecrosis pancreática extensa com complicaciones
sistémicas

Pancreatitis aguda expo

  • 1.
    PANCREATITIS AGUDA M.R. MedicinaInterna M.C. Alarcon Gironzini Alvaro H.N. “L.N.S. – P.N.P.”
  • 2.
  • 3.
    FISIOLOGIA  EXOCRINO (AcinosPancreaticos)  Secrecion de jugo pancreático.  Componentes: Bicarbonato sódico, Cl, Ca, K  Enz. Tripsina, quimiotripsina, lipasa pancreática y amilasa pancreática.  Enz. De diq. De grasa: Lipasa Pancreatica  Enz. De dig. Proteoliticas: Tripsina, quimiotripsina  Enz. De Dig. H. de C. : Amilasa Pancreatica  ENDOCRINO (Islotes de Langerhans)  Insulina y Glucagón
  • 4.
    PANCREATITIS AGUDA  DEFINICIÓN: Condición inflamatoria aguda del páncreas derivada de la activación precoz de las enzimas digestivas de las células acinares, con compromiso variable del páncreas, tejidos adyacentes y otros órganos.  La pancreatitis aguda es un proceso inflamatorio agudo que afecta a la glándula pancreática, activando una serie de sistemas inflamatorios de efectos sistémicos.  Proceso inflamatorio agudo del páncreas que puede afectar a los tejidos vecinos o a órganos a distancia.
  • 5.
  • 7.
  • 8.
    CLASIFICACIÓN LEVE O AUTOLIMITADA GRAVE 80-90% 10-20% EDEMA, MIN.DISFUNCION, RECUPERACION SIN INCIDENCIAS AMENAZA LA VIDA, COMPLICACIONES LOCALES Y SISTEMICAS,NECROSIS GRASA PERIPANCREATICA Y HEMORRAGIA. NECROSANTE (PAN).
  • 9.
    PANCREATITIS BILIAR Obstrucción periódicade la ampolla de Vater con reflujo biliar y bacteriano Movilización de cálculos a conducto común Cámbios histopatologicos de obstrucción biliar Hipersecreción pancreática y paso de jugo pancreático al intersticio Hiperpresión
  • 10.
    PANCREATITIS ALCOHÓLICA Alcoholismo (5- 20anos) Inflamación duodenal Inflamación en el conducto gástrico Toxicidad directa en células acinares con concentración de enzimas proteolíticas Activación prematura y liberación de enzimas Aumento de la permeabilidad del conducto pancreático Liberación de enzimas y daño del parénquima pancreático El suero hiperlipémico post- alcohólico tiene densidad Daño isquémico pancreático
  • 11.
    FISIOPATOLOGIA “ÉS UN PROCESOINFLAMATORIO EN LA CUAL LA GLANDULA ES DIGERIDA POR SUS PROPIAS ENZIMAS”
  • 12.
    FISIOPATOLOGIA  DIVERSIDAD ETIOLOGICA. Alteracionen el metabolismo celular pancreático. Activación de diversos zimógenos. Lesion acinar La act. De zimógenos Interior del tej. Pancreatico “LESION ACINAR” Proceso continuo y en cadena.
  • 13.
  • 14.
  • 15.
  • 16.
    MANIFESTACIONES CLÍNICAS 1.- Diagnósticoclínico:  Dolor abdominal: Constante, terebrante, en epigastrio y región periumbilical, irradiado a espalda, torax, flancos y región inferior del abdomen.  Empeora en decúbito, y mejora con el tronco flexionado y rodillas recogidas.  Intensidad progresiva (max.30-60min.), persiste más de 24 horas sin alivio.  Intensidad moderada a muy intensa.
  • 17.
     Asociada anauseas, vomitos y distensión abdominal, asociado a motilidad gástrica e intestinal.  En P.A. Biliar, el dolor es súbito, epigástrico, transfictivo e irradiado a espalda.  En P.A. alcohólica en el inicio es menos abrupto, no se encuentra bien localizado.  Hipersensibilidad y rigidez muscular en abdomen, RHA disminuidos o ausentes.  Nodulos en la piel, secundarios a necrosis de la grasa subcutánea.  10-20% con sx pulmonares, como estertores basales, atelectasias o derrame pleural.  Signo de Cullen y Turner.
  • 19.
    Evaluación clínica  85– 100% dolor abdominal;  54 – 92% náuseas e vómitos;  83% anorexia;  6 – 20% masa abdominal;  50 – 80% íleo;  12 – 80% fiebre.
  • 20.
  • 21.
    COMPLICACIONES LOCALES DELA PANCREATITIS • COLECCIONES DE LIQUIDO PANCREATICO Y PERIPANCREATICO. • NECROSIS PANCREATICA INFECTADA. • ABSCESO PANCREATICO. • PSEUDOQUISTE PANCREATICO. • ASCITIS PANCREATICA. •OBSTRUCIÓN DUODENAL. • OBSTRUCION BILIAR. • TROMBOSIS VENA ESPLÉNICA. • COLANGITIS BILIAR.
  • 22.
    DIAGNÓSTICO 2.- LABORATORIO  AMILASA. •Se eleva a las 2 a 12 hrs de comienzo del dolor. • Normalizarse 2-5 días.  LIPASA. Presenta mayor sensibilidad (94%) Especificidad (96%) Se eleva el primer día y permanecen elevados 5-7 días. La determinación simultánea de amilasa y lipasa tiene una S y E > 97%
  • 23.
    Hoy em díase define una pancreatitis aguda como leve o grave, según el cuadro clínico, escores pronósticos, Marcadores biológicos y técnicas de imagem • Marcadores Biológicos Independientes  Interleucina IL6  PCR  Lipasa  Tripsina  Quimiotripsina  Elastasa  Ribonucleasa  Fosfolipasa A2  ALT(alanintransaminasa)  TAP(péptido activador de la tripsina)
  • 24.
    TÉCNICAS DE IMAGEN oRadiografia simples(Descarta afecciones quirúrgicas abdominales) o Ecografia Abdominal(Para identificación de litiasis biliar) oTomógrafo Computadorizado(TC) o Criterios radiológico de gravedad de Balthazar El sistema desarrollado por Balthazar valora La extensión de la necrosis pancreática y presencia de lesiones extrapancreáticas en niveles de puntuación de 0-10, en que la puntuación 7-10 se asocia com mayor mortalidad 17% y morbilidad 92%
  • 25.
    TOMOGRAFÍA ABDOMINAL  Reservadapara pacientes con pancreatitis aguda severa o que muestren deterioro durante su evolución.  Realización: A las 48-72 horas!!!  Primero hidratación intensa y estabilización.  Uso de contraste EV puede producir o empeorar daño renal al inicio.  Se debe dejar tiempo para que ocurran los cambios de inflamación o necrosis y/o colecciones.  En pancreatitis aguda severa se debe realizar TAC cada 7-10 días para evaluación de complicaciones.
  • 26.
    Panc. Grado PtsDescripción morfológica Necrosis Pts PAL A O Páncreas normal O% O PAL B 1 Aumento focal o difuso de páncreas O% O ?? C 2 B+ Inflamación Peri- Pancreática <33% 2 PAG D 3 C+ Colección líquida única 33-50% 4 PAG E 4 D+ dos colecciones líquidas y gás 50% 6
  • 27.
  • 28.
  • 29.
  • 30.
  • 31.
  • 32.
    PANCREATOCOLANGIOGRAFIA RETRÓGRADA ENDOSCÓPICA. ESFINTERECTOMÍA ENDOSCÓPICA: -PCREterapéutica urgente: P.A severa de origen biliar sospechado o probado. -Es mejor realizarlo dentro de las primeras 72 hrs. -Cuando hay colangitis, ictericia o colédoco dilatado. - EN PAG biliar se debe realizar esfinterotomía se encuentre o no cálculos en ella.
  • 33.
  • 34.
  • 35.
  • 36.
    Escalas de Gravedad Lavaloración de la gravedad en la pancreatitis aguda tiene no solo importancia pronostica, sino terapéutica, pues indica datos clínicos, humorales e imagenológicos. Las escalas mas utilizadas para estabelecer la severidade en la pancreatitis son: oCriterios de gravedad de Ranson oCriterios de Glasgow oAPACHE II
  • 38.
    Criterios de gravedadde Glasgow Sistema pronóstico multifactorial Edad(Años) >55 TGO(U|I) >100 Leucocitosis (mm³) >15000 Glucemia (mol|L) >10 Urea (mMol|L) >16 PaO2 (mmhg) <60 Calcio (mg|dl) <8 Albumina (g|dl) <3.2 LDH (u|L) >600
  • 39.
  • 40.
    NUEVOS INDICADORES DE SEVERIDADDE LA PANCREATITIS AGUDA  “Hemoconcentración como predictor temprano de falla orgánica y necrosis pancreática” Hematocrito mayor o igual a 44% a la admisión o durante las primeras 24 horas tienen mayor riesgo de necrosis pancreática .  Medición del estado de hipercatabolismo: Incremento de 5mg/dl de urea durante las primeras 24 horas se correlaciona con un incremento de la mortalidad en 2.2 veces con una sensibilidad del 89%  TEST DE BISAP : Mayor o igual a tres criterios.
  • 41.
    ORIENTACIÓN TERAPEUTICA Se empleanmedidas de Tratamiento medico y quirúrgico, siendo que las bases de tratamiento son medidas de soporte y la cirurgia queda reservada para las complicaciones. Medidas Generales Tx. Individualizado Dieta Absoluta ERCP y Papilotomia endoscópica Rehidratación IV Lavados peritoneales Antagonistas H2 Tx de Soporte: -Ventilación mecánica -Drogas Vasoactivas -Nutrición Parenteral Antibióticos Hemodiafiltración Inhibidores de Proteasas y Lipasas Analgésicos
  • 42.
    CIRUGÍA PRECOZ ENPANCREATITIS AGUDA: o Abdomen Agudo com hemorragia pancreática masiva o Infección precoz del páncreas oPerforación Intestinal oNecrosis pancreática extensa com complicaciones sistémicas