OBSTRUCCIÓN
INTESTINAL
DAISY YANETH REYES SUAREZ
OBSTRUCCIÓN INTESTINAL
Es una alteración parcial o completa de la progresión del contenido
intestinal por oclusión de la luz.
CLASIFICACIÓN
• Según su patogenia
Mecánico
Funcional
cuando es ei
resultado de una
alteración de la
motilidad intestinal,
sin obstrucción
orgánica.
Si proviene de una
obstrucción intestinal
orgánica.
• Según el nivel de la obstrucción
Altas
Bajas
Cuando el sitio de la
obstrucción asienta
en el duodeno y
primeras asas del
Yeyuno e íleon.
Cuando asienta en las
últimas asas del
yeyuno e íleon o el
colon.
Aguda
Crónica
Cuando se instala
bruscamente
Si se instala en forma
progresiva.
• Según su forma clínica evolutiva
EPIDEMIOLOGÍA
Constituyen alrededor de un
20% de las urgencias
quirúrgicas
de un hospital
80% de estos casos, resuelven
espontáneamente o con
manejo médico y solo el 20%
de ellos deben ser llevados al
quirófano
Otras causas de obstrucción
intestinal son la enfermedad
de Crohn (7%), las neoplasias
(5-10%), las hernias (2%) y la
enteritis inducida por
radiación (1%)
Las adherencias
intraabdominales
postquirúrgicas representan
75% de los casos de
obstrucción del intestino
delgado
OBSTRUCCIONESGASTRODUODENALES
Vólvulo Gástrico: Corresponde a situaciones anormales por torsión del
estómago con diferentes grados de obstrucción.
Los vólvulos primarios o idiopáticos existen en un porcentaje mínimo; en
cambio, es mucho más frecuente la anormalidad de posición secundaría a
factores predisponentes.
CLASIFICACIÓN
Existen dos planos de rotación, el transversal y el longitudinal.
• Mesentericoaxial Órgano Axial
Diagnóstico:
• vólvulos agudos: Comienzan con dolor brusco y distensión
abdominal superior. La tríada sintomatológica de Borchardt-
Lenormand.
• Tratamiento:
Desvolvulación y la fijación gástrica
laparotomía o laparoscopia
En la radiología se observa que: a) el contraste instilado produce lleno gástrico
difícil v tardío: b) la cámara gástrica es muy pronunciada, y c) el píloro está
desplazado.
• Vólvulos Crónicos
Tratamiento
Desvolvulación y fijación del estómago al peritoneo parietal
anterior
La gastrostomía
Si el vólvulo es secundario se tratarán primero las patologías desencadenantes o
predisponentes, para proceder luego a la fijación gástrica.
Bezoares
Son cuerpos extraños constituidos por materias orgánicas
• Tricobezoares: Están compuestos por una masa aglutinada y
moldeada de pelos
• Fitobezoares: Son de fibras vegetales de origen alimenticio.
• Tricofitobezoares: Combinan ambos elementos.
Masa epigástrica movible en pacientes con dolor abdominal, náuseas y vómitos.
Las complicaciones pueden incluir obstrucción, ulceración o inanición.
Diágnóstico
• La radiología contrastada muestra imágenes lacunares grandes
y desplazables.
• La endoscopia ratifica el diagnóstico
• La cirugía sigue siendo una alternativa válida para removerlos.
• Divertículos gastroduodenales
• VSon malformaciones saculares, de dimensiones variables, que comunican con la
luz del tracto digestivo por medio de un orificio.
 Son asintomáticos
 Constituyen hallazgos radiológicos
 No requieren tratamiento
• Pólipos y poliposis gástrica
Son tumores proliferativos benignos de la mucosa gástrica que se proyectan a la
luz del estómago. Se dividen en pediculados o sésiles y en hiperplásicos o
adenomatosos.
Adenomas
P.
hiperplásicos
Se asocian con gastritis crónica
atrófica y pueden ser precursores del
carcinoma gástrico
Pueden ser aislados o grupales sobre
una gastritis crónica o una mucosa
con reacción inflamatoria subyacente
• Tratamiento
La polipectomía simple por vía endoscópica
Resección de la mucosa circundante normal cuando es sésil y
chico
Ileo Biliar
Término dado a la obstrucción intestinal mecánica secundaria al impacto
intraluminal de un lito.
EPIDEMIOLOGÍA
Esta condición es
responsable de 1 a 4% de
todas las causas de
obstrucción intestinal
mecánica.
Es más frecuente en
ancianos y la mayoría de las
series internacionales
informa un promedio de
edad entre los 65 Y 75 años
80-90% de los pacientes
presenta enfermedades
crónicas Concomitantes (las
enf cardiovasculares y la
diabetes mellitus )
Afecta principalmente al
sexo femenino, se precede
de un cuadro de colecistitis
aguda o crónica (75% de los
casos)
El antecedente de la
enfermedad biliar está
presente sólo en 50%de los
casos
FISIOPATOLOGÍA
El íleo biliar es
precedido por un
episodio de colecistitis
Aguda.
Inflamación de la
vesícula y tejidos
adyacentes =
adherencias entre
estructuras.
Isquémia por (- ) del
flujo arterial, venoso y
linfático; además de la
presión ejercida por los
litos.
Erosión de las paredes y
la formación de fístula
colecistoentérica que
permite el paso de los
litos hacia el intestino
Localización: Duodeno (68-96.5%), seguida del ileon, colon (5-25%) y estomago
El ileon terminal y la valvula ileocecal son los sitios mas comunes de obstruccion del lito
MANIFESTACIONES CLINICAS
DIAGNÓSTICO
Triada de
Mordor:
• Historia de
litiasis
vesicular
• Signos clinicos
de colecistitis
• Obstruccion
intestinal
Radiografia Abdominal:
Triada de Rigler. Neumobilia,
imagen radiopaca ectopica
(lito) y distensión intestinal +
cambio de posición del lito
en relación al estudio
radiográfico previo.
 Ultrasonido
 Tomografía
contrastada
TRATAMIENTO
Alivio de la
obstrucción
intestinal
Optimizar
condiciones
prequirurgicas
Enterotomía con
extracción del lito
(enterolitotomía)
Enterotomía,
extracción del
lito,
colecistectomía y
cierre de la fístula
Resección
intestinal
Resección
intestinal y cierre
de la fístula
La cirugia recomendada por la mayoria de los autores es la enterolitotomia
OBSTRUCCIÓNDELINTESTINODELGADO
La obstrucción mecánica del intestino delgado es el trastorno quirúrgico que se
encuentra con mayor frecuencia en esta parte del cuerpo.
ETIOLOGÍA
Intraluminal
Intramural
Extrínsecas
FISIOPATOLOGÍA
Motilidad intestinal y actividad contráctil (+)
Acumulación de agua y electrólitos dentro de su luz y de la
propia pared
Deshidratación e hipovolemia
(+) presión intraabdominal, (-) del retorno venoso y la elevación
del diafragma, que dificulta la ventilación pulmonar.
(+)presión intraluminal en el intestino,(-) el flujo sanguíneo por
la mucosa
Motilidad intestinal y Contracciones (-)
Con la obstrucción, la luz del intestino delgado
cambia y es posible cultivar diversos
microorganismos de su contenido.
Si la presión intramural es bastante alta, se
deteriora la irrigación microvascular = isquemia
intestinal.
En última instancia, necrosis, este trastorno se
denomina obstrucción intestinal estrangulante.
• Obstrucción parcial del intestino delgado
• Obstrucción completa del intestino delgado
• Obstrucción de asa cerrada
CLASIFICACIÓN
MANIFESTACIONES CLINICAS
• Dolor abdominal
tipo cólico
• Náuseas
• Vómito
• Estreñimiento
SIGNOS DE OBSTRUCCIÓN
• Distensión abdominal
• Borborigmos
hiperactivos y (-) en
etapas avanzadas
• Hemoconcentración y
anormalidades
electrolíticas
• Leucocitosis leve
OBSTRUCCIÓN
ESTRANGULADA
• Dolor abdominal
• Taquicardia
• Dolor localizado a la
palpación abdominal
• Fiebre, leucocitosis
marcada y acidosis
ILEO
• Ileo Mecánico: ausencia o presencia de estrangulación, lo cual
define al íleo como simple o estrangulado.
Asa cerrada o incarcerada que se
distiende progresivamente
Asa cerrada o incarcerada que se
distiende progresivamente
Esta asa puede luego girar en el eje
mayor debido a su peso, y en su torsión o
vólvulo secundario ocluir el pedículo
vascular.
Puede sobrevenir la desvolvulación
el infarto y la perforación.
• Ileo Funcional: La motilidad intestinal es un fenómeno complejo que
depende de factores neurales, humorales y metabólicos.
Ileo Funcional Difuso
•Peritonitis generalizada, los traumatismos vertebromedulares, la enterocolitis y el
postoperatorio normal.
Ileo Funcional Localizado
•La Seudoobstrucción intestinal como el íleo regional inflamatorio se producen
por una alteración motora localizada en un segmento intestinal
• Íleo vascular: Ocurre en el contexto del síndrome de
isquemia/trombosis mesentérica, y se produce por alteraciones
arteriales o venosas de los vasos que irrigan el intestino
OBSTRUCCIÓNDELINTESTINO GRUESO
La obstrucción del colon suele estar causada principalmente por
cáncer colorrectal (más frecuente en recto y sigma); también la
pueden causar vólvulos, diverticulitis, EII.
ETIOLOGÍA
Extrínsecas
• Adherencias
• Hernias
• Vólvulos
• Endometriosis
Intrínsecas
• Carcinoma
de colon
• Lesiones
congénitas
como el ano
imperforado
Lesiones
inflamatorias
• Colitis ulcerativa
• Diverticulitis
• Enteritis
postradiación
Obstrucción
intraluminal
• Ileo meconial
• Intususcepcion
• Impactación
fecal, cuerpos
extraños
FISIOPATOLOGIA
A medida que
aumenta la presión
intraluminal, se
dificulta el retorno
venoso mesentérico
Se afecta el flujo de
la mucosa intestinal
= edema de pared y
trasudación de
líquido hacia la luz
intestinal
Las secreciones
normales del
intestino quedan
secuestradas
Al producirse la obstrucción, el colon responde
con un (+) inicial del peristaltismo en la zona
proximal al “stop”, junto con una (-) de la
actividad del hemicolon derecho y del íleon
terminal, en un intento de vencer la obstrucción
Deshidratación
con pérdida de
electrólitos, K.
SINTOMAS
• Dolor y distensión abdominal
• Vómitos y estreñimiento
• Incapacidad para expulsar gases y heces
• Deshidratación,
• Septicemia
• Alteración del borborigmo intestinal
• Masa abdominal palpable y peritonitis.
DIAGNÓSTICODEOBSTRUCCIÓNINTESTINAL
Exploración Rectal y vaginal
• Descartar impactación fecal
• Presencia de tumores
rectales
Estudios de laboratorio
• Leucocitos en banda: (+)
12.000
• Hematócrito: (+) en la
deshidratación
• Alteraciones Electroliticas:
Hipokalemia
• Acidosis: Sepsis
ESTUDIOS DE IMAGEN
• Rx de torax y abdomen
• Tomografía computarizada Tránsito Intestinal
TRATAMIENTO
• Rehidratación: solución salina 0.9% hasta que haya una adecuada diuresis 0.5 cc
por kg de peso.
• Corrección del desequilibrio hidroelectrolítico: Con soluciones complementadas
con kcl.
• Aplicar sonda de Foley. Para monitorizar la diuresis
• Sonda nasogástrica. Disminuye la distensión abdominal, mejorando el dolor y la
ventilación.
• Intubación del intestino delgado. Con tubo de Miller Abbott o de cantor.
• Antibioticoterapía: Metronidazol + Aminoglucósido.
• Tratamiento Quirúrgico
Oclusión de asas delgadas: Se resuelven seccionando, en unos
pacientes, el o los anillos herniaros o bridas y en otros,
realizando resecciones intestinales y anastomosis primarias.
Tiene indicación en las obstrucciones mecánicas con asa cerrada, incarcerada o
volvulada, sobre todo cuando existen evidencias clínicas de estrangulación,
obstrucciones mecánicas simples, cuando se instalan en forma aguda.
Oclusión de asas delgadas:
• Sección de el o los anillos herniarios o bridas
• resecciones intestinales y anastomosis primarias.
 Enterostomias o
extracción de
cuerpos extraños
• Sección de los anillos
herniarios o bridas.
• Hemicolectomia
• Colectomía
• Ileocolectomia
Oclusión de intestino grueso
PSEUDOOBSTRUCCIÓNINTESTINAL
trastorno crónico en el que existen signos y síntomas de obstrucción
sin lesión obstructiva
• Esclerodermia
• Mixedema
• Lupus Eritematoso
• Amiloidosis
• Miopatía
• Neuropatía
Visceral
• El síndrome de Ogilvie
 La sintomatología intermitente
 Dolor
 Distensión abdominal sin dolor
 Vómitos
 Afecta al colon derecho y
transverso.
• Tratamiento
Descompresión
con enemas
Colonoscopia
descompresiva
Resección
quirúrgica
Neostigmina: Se administra por vía
iv (bolo de 2-2,5 mg)
BIBLIOGRAFIA
• Principios de Cirugía Schwartz. Ed 9
• Cirugía de Michans. Ed 5
• Manual AMIR. Digestivo y Cirugía General. Ed 6
• Síndrome de obstrucción intestinal. Revista del Hospital
General “La Quebrada”. Vol 2
• Íleo Biliar Y Fistula Bilioentérica. Revista Medica De Costa Rica
Y Centroamerica Lxx (605) 155-158, 2013

Obstrucción Intestinal

  • 1.
  • 2.
    OBSTRUCCIÓN INTESTINAL Es unaalteración parcial o completa de la progresión del contenido intestinal por oclusión de la luz.
  • 3.
    CLASIFICACIÓN • Según supatogenia Mecánico Funcional cuando es ei resultado de una alteración de la motilidad intestinal, sin obstrucción orgánica. Si proviene de una obstrucción intestinal orgánica.
  • 4.
    • Según elnivel de la obstrucción Altas Bajas Cuando el sitio de la obstrucción asienta en el duodeno y primeras asas del Yeyuno e íleon. Cuando asienta en las últimas asas del yeyuno e íleon o el colon.
  • 5.
    Aguda Crónica Cuando se instala bruscamente Sise instala en forma progresiva. • Según su forma clínica evolutiva
  • 6.
    EPIDEMIOLOGÍA Constituyen alrededor deun 20% de las urgencias quirúrgicas de un hospital 80% de estos casos, resuelven espontáneamente o con manejo médico y solo el 20% de ellos deben ser llevados al quirófano Otras causas de obstrucción intestinal son la enfermedad de Crohn (7%), las neoplasias (5-10%), las hernias (2%) y la enteritis inducida por radiación (1%) Las adherencias intraabdominales postquirúrgicas representan 75% de los casos de obstrucción del intestino delgado
  • 7.
    OBSTRUCCIONESGASTRODUODENALES Vólvulo Gástrico: Correspondea situaciones anormales por torsión del estómago con diferentes grados de obstrucción. Los vólvulos primarios o idiopáticos existen en un porcentaje mínimo; en cambio, es mucho más frecuente la anormalidad de posición secundaría a factores predisponentes.
  • 8.
    CLASIFICACIÓN Existen dos planosde rotación, el transversal y el longitudinal. • Mesentericoaxial Órgano Axial
  • 9.
    Diagnóstico: • vólvulos agudos:Comienzan con dolor brusco y distensión abdominal superior. La tríada sintomatológica de Borchardt- Lenormand. • Tratamiento: Desvolvulación y la fijación gástrica laparotomía o laparoscopia En la radiología se observa que: a) el contraste instilado produce lleno gástrico difícil v tardío: b) la cámara gástrica es muy pronunciada, y c) el píloro está desplazado.
  • 10.
    • Vólvulos Crónicos Tratamiento Desvolvulacióny fijación del estómago al peritoneo parietal anterior La gastrostomía Si el vólvulo es secundario se tratarán primero las patologías desencadenantes o predisponentes, para proceder luego a la fijación gástrica.
  • 11.
    Bezoares Son cuerpos extrañosconstituidos por materias orgánicas • Tricobezoares: Están compuestos por una masa aglutinada y moldeada de pelos • Fitobezoares: Son de fibras vegetales de origen alimenticio. • Tricofitobezoares: Combinan ambos elementos. Masa epigástrica movible en pacientes con dolor abdominal, náuseas y vómitos. Las complicaciones pueden incluir obstrucción, ulceración o inanición.
  • 12.
    Diágnóstico • La radiologíacontrastada muestra imágenes lacunares grandes y desplazables. • La endoscopia ratifica el diagnóstico • La cirugía sigue siendo una alternativa válida para removerlos.
  • 13.
    • Divertículos gastroduodenales •VSon malformaciones saculares, de dimensiones variables, que comunican con la luz del tracto digestivo por medio de un orificio.  Son asintomáticos  Constituyen hallazgos radiológicos  No requieren tratamiento
  • 14.
    • Pólipos ypoliposis gástrica Son tumores proliferativos benignos de la mucosa gástrica que se proyectan a la luz del estómago. Se dividen en pediculados o sésiles y en hiperplásicos o adenomatosos. Adenomas P. hiperplásicos Se asocian con gastritis crónica atrófica y pueden ser precursores del carcinoma gástrico Pueden ser aislados o grupales sobre una gastritis crónica o una mucosa con reacción inflamatoria subyacente
  • 15.
    • Tratamiento La polipectomíasimple por vía endoscópica Resección de la mucosa circundante normal cuando es sésil y chico
  • 16.
    Ileo Biliar Término dadoa la obstrucción intestinal mecánica secundaria al impacto intraluminal de un lito.
  • 17.
    EPIDEMIOLOGÍA Esta condición es responsablede 1 a 4% de todas las causas de obstrucción intestinal mecánica. Es más frecuente en ancianos y la mayoría de las series internacionales informa un promedio de edad entre los 65 Y 75 años 80-90% de los pacientes presenta enfermedades crónicas Concomitantes (las enf cardiovasculares y la diabetes mellitus ) Afecta principalmente al sexo femenino, se precede de un cuadro de colecistitis aguda o crónica (75% de los casos) El antecedente de la enfermedad biliar está presente sólo en 50%de los casos
  • 18.
    FISIOPATOLOGÍA El íleo biliares precedido por un episodio de colecistitis Aguda. Inflamación de la vesícula y tejidos adyacentes = adherencias entre estructuras. Isquémia por (- ) del flujo arterial, venoso y linfático; además de la presión ejercida por los litos. Erosión de las paredes y la formación de fístula colecistoentérica que permite el paso de los litos hacia el intestino Localización: Duodeno (68-96.5%), seguida del ileon, colon (5-25%) y estomago El ileon terminal y la valvula ileocecal son los sitios mas comunes de obstruccion del lito
  • 19.
  • 20.
    DIAGNÓSTICO Triada de Mordor: • Historiade litiasis vesicular • Signos clinicos de colecistitis • Obstruccion intestinal Radiografia Abdominal: Triada de Rigler. Neumobilia, imagen radiopaca ectopica (lito) y distensión intestinal + cambio de posición del lito en relación al estudio radiográfico previo.  Ultrasonido  Tomografía contrastada
  • 22.
    TRATAMIENTO Alivio de la obstrucción intestinal Optimizar condiciones prequirurgicas Enterotomíacon extracción del lito (enterolitotomía) Enterotomía, extracción del lito, colecistectomía y cierre de la fístula Resección intestinal Resección intestinal y cierre de la fístula La cirugia recomendada por la mayoria de los autores es la enterolitotomia
  • 24.
    OBSTRUCCIÓNDELINTESTINODELGADO La obstrucción mecánicadel intestino delgado es el trastorno quirúrgico que se encuentra con mayor frecuencia en esta parte del cuerpo.
  • 25.
  • 28.
    FISIOPATOLOGÍA Motilidad intestinal yactividad contráctil (+) Acumulación de agua y electrólitos dentro de su luz y de la propia pared Deshidratación e hipovolemia (+) presión intraabdominal, (-) del retorno venoso y la elevación del diafragma, que dificulta la ventilación pulmonar. (+)presión intraluminal en el intestino,(-) el flujo sanguíneo por la mucosa
  • 29.
    Motilidad intestinal yContracciones (-) Con la obstrucción, la luz del intestino delgado cambia y es posible cultivar diversos microorganismos de su contenido. Si la presión intramural es bastante alta, se deteriora la irrigación microvascular = isquemia intestinal. En última instancia, necrosis, este trastorno se denomina obstrucción intestinal estrangulante.
  • 30.
    • Obstrucción parcialdel intestino delgado • Obstrucción completa del intestino delgado • Obstrucción de asa cerrada CLASIFICACIÓN
  • 31.
    MANIFESTACIONES CLINICAS • Dolorabdominal tipo cólico • Náuseas • Vómito • Estreñimiento SIGNOS DE OBSTRUCCIÓN • Distensión abdominal • Borborigmos hiperactivos y (-) en etapas avanzadas • Hemoconcentración y anormalidades electrolíticas • Leucocitosis leve OBSTRUCCIÓN ESTRANGULADA • Dolor abdominal • Taquicardia • Dolor localizado a la palpación abdominal • Fiebre, leucocitosis marcada y acidosis
  • 32.
    ILEO • Ileo Mecánico:ausencia o presencia de estrangulación, lo cual define al íleo como simple o estrangulado. Asa cerrada o incarcerada que se distiende progresivamente Asa cerrada o incarcerada que se distiende progresivamente Esta asa puede luego girar en el eje mayor debido a su peso, y en su torsión o vólvulo secundario ocluir el pedículo vascular. Puede sobrevenir la desvolvulación el infarto y la perforación.
  • 34.
    • Ileo Funcional:La motilidad intestinal es un fenómeno complejo que depende de factores neurales, humorales y metabólicos. Ileo Funcional Difuso •Peritonitis generalizada, los traumatismos vertebromedulares, la enterocolitis y el postoperatorio normal. Ileo Funcional Localizado •La Seudoobstrucción intestinal como el íleo regional inflamatorio se producen por una alteración motora localizada en un segmento intestinal
  • 35.
    • Íleo vascular:Ocurre en el contexto del síndrome de isquemia/trombosis mesentérica, y se produce por alteraciones arteriales o venosas de los vasos que irrigan el intestino
  • 36.
    OBSTRUCCIÓNDELINTESTINO GRUESO La obstruccióndel colon suele estar causada principalmente por cáncer colorrectal (más frecuente en recto y sigma); también la pueden causar vólvulos, diverticulitis, EII.
  • 37.
    ETIOLOGÍA Extrínsecas • Adherencias • Hernias •Vólvulos • Endometriosis Intrínsecas • Carcinoma de colon • Lesiones congénitas como el ano imperforado Lesiones inflamatorias • Colitis ulcerativa • Diverticulitis • Enteritis postradiación Obstrucción intraluminal • Ileo meconial • Intususcepcion • Impactación fecal, cuerpos extraños
  • 38.
    FISIOPATOLOGIA A medida que aumentala presión intraluminal, se dificulta el retorno venoso mesentérico Se afecta el flujo de la mucosa intestinal = edema de pared y trasudación de líquido hacia la luz intestinal Las secreciones normales del intestino quedan secuestradas Al producirse la obstrucción, el colon responde con un (+) inicial del peristaltismo en la zona proximal al “stop”, junto con una (-) de la actividad del hemicolon derecho y del íleon terminal, en un intento de vencer la obstrucción Deshidratación con pérdida de electrólitos, K.
  • 39.
    SINTOMAS • Dolor ydistensión abdominal • Vómitos y estreñimiento • Incapacidad para expulsar gases y heces • Deshidratación, • Septicemia • Alteración del borborigmo intestinal • Masa abdominal palpable y peritonitis.
  • 40.
    DIAGNÓSTICODEOBSTRUCCIÓNINTESTINAL Exploración Rectal yvaginal • Descartar impactación fecal • Presencia de tumores rectales Estudios de laboratorio • Leucocitos en banda: (+) 12.000 • Hematócrito: (+) en la deshidratación • Alteraciones Electroliticas: Hipokalemia • Acidosis: Sepsis
  • 41.
    ESTUDIOS DE IMAGEN •Rx de torax y abdomen
  • 42.
    • Tomografía computarizadaTránsito Intestinal
  • 43.
    TRATAMIENTO • Rehidratación: soluciónsalina 0.9% hasta que haya una adecuada diuresis 0.5 cc por kg de peso. • Corrección del desequilibrio hidroelectrolítico: Con soluciones complementadas con kcl. • Aplicar sonda de Foley. Para monitorizar la diuresis • Sonda nasogástrica. Disminuye la distensión abdominal, mejorando el dolor y la ventilación. • Intubación del intestino delgado. Con tubo de Miller Abbott o de cantor. • Antibioticoterapía: Metronidazol + Aminoglucósido.
  • 44.
    • Tratamiento Quirúrgico Oclusiónde asas delgadas: Se resuelven seccionando, en unos pacientes, el o los anillos herniaros o bridas y en otros, realizando resecciones intestinales y anastomosis primarias. Tiene indicación en las obstrucciones mecánicas con asa cerrada, incarcerada o volvulada, sobre todo cuando existen evidencias clínicas de estrangulación, obstrucciones mecánicas simples, cuando se instalan en forma aguda. Oclusión de asas delgadas: • Sección de el o los anillos herniarios o bridas • resecciones intestinales y anastomosis primarias.  Enterostomias o extracción de cuerpos extraños • Sección de los anillos herniarios o bridas. • Hemicolectomia • Colectomía • Ileocolectomia Oclusión de intestino grueso
  • 45.
    PSEUDOOBSTRUCCIÓNINTESTINAL trastorno crónico enel que existen signos y síntomas de obstrucción sin lesión obstructiva • Esclerodermia • Mixedema • Lupus Eritematoso • Amiloidosis • Miopatía • Neuropatía Visceral • El síndrome de Ogilvie  La sintomatología intermitente  Dolor  Distensión abdominal sin dolor  Vómitos  Afecta al colon derecho y transverso.
  • 46.
  • 47.
    BIBLIOGRAFIA • Principios deCirugía Schwartz. Ed 9 • Cirugía de Michans. Ed 5 • Manual AMIR. Digestivo y Cirugía General. Ed 6 • Síndrome de obstrucción intestinal. Revista del Hospital General “La Quebrada”. Vol 2 • Íleo Biliar Y Fistula Bilioentérica. Revista Medica De Costa Rica Y Centroamerica Lxx (605) 155-158, 2013

Notas del editor

  • #8 Estrictamente hablando, "vólvulo" supone obstrucción completa, pero está aceptado que dicho término corresponde a situaciones anormales por torsión del estómago con diferentes grados de obstrucción. posición secundaría a factores predisponentes. En un 25 % de los pacientes existen defectos en el diafragma (eventración izquierda, hernia hiatal paraesofágica) o en la pared abdominal (hernia, eventración, onfalocele) que permiten al estómago rotar. Ejemplos de otros factores son la laxitud o pérdida de los ligamentos de sostén, grandes tumores gástricos benignos que por su masa pueden crear una tendencia a la rotación del estómago, úlceras pépticas que retraen la curvatura menor y crean un punto fijo para que rote un estómago distendido en forma aguda o crónica. El síndrome de Ehlers-Danlos (Linnemann y Johnson, 1975), por su laxitud ligamentosa anormal, también crea una condición propicia.
  • #9 Al clasificarlos según estos ejes, en el primero o mesentericoaxial. más frecuente y asociado a síntomas crónicos, el estómago rota sobre un eje que cruza ambas curvaturas, lo que hace que la unión esofagogástrica se ubique distal al píloro (el antro rota a proximal cuando se pierde la fijación pilórica, o el fundus rota a distal con la pérdida de la fijación esplénica). En el segundo u organoaxial, que produce generalmente obstrucción completa y está asociado a síntomas agudos, el eje de rotación es el cardiopilórico y la curvatura mayor pasa a la derecha de la menor (fig. 41-41). Puede corresponder a todo el cuerpo, o ser parcial superior o inferior. Cuando la rotación combina los dos ejes el vólvulo se denomina mixto. En estados avanzados es difícil determinar el origen longitudinal o transversal. En su desarrollo pueden desplazar o arrastrar concomitantemente al epiplón mayor y a! colon transverso. El vólvulo puede ser parcial o total, y anterior o posterior si lo que rota pasa ventral o dorsal mente al resto del estómago. Desde el punto de vista clínico puede ser crónico o agudo.
  • #10 La tríada sintomatológica de Borchardt-Lenormand (Gosin y Ballinger, 1965) consiste en: a) náuseas severas con dificultad para vomitar; b) dolor epigástrico localizado, y c) imposibilidad de introducir una sonda hasta el estómago distal. Se intenta rápidamente la descompresión colocando una sonda nasogástrica o por endoscopia. Si se logra, una alternativa es fijar el estómago por medio de una gastrostomía percutánea (Gosh, 1993). Si estas tentativas mínimamente invasivas fracasan, es necesario el tratamiento quirúrgico clásico por laparotomía o, en casos seleccionados, por laparoscopia (
  • #11 Los vólvulos crónicos, en su mayoría, se pueden controlar con tratamiento sintomático y el de la patología causal Cuando se decide una intervención quirúrgica en ei vólvulo idiopático primario, sin patología asociada, la conducta es ia desvolvulación y fijación del estómago al peritoneo parietal anterior (Nissen tipo I). La gastrostomía es también una forma de fijación gástrica. Si el vólvulo es secundario se tratarán primero las patologías desencadenantes o predisponentes, para proceder luego a la fijación gástrica.
  • #12 Se habla de tricobezoares si están compuestos por una masa aglutinada y moldeada de pelos, y de fitobezoares si son de fibras vegetales de origen alimenticio. Cuando se combinan ambos elementos se denominan tricofitobezoares. Las concreciones son formas raras de bezoares producidas por sustancias químicas solidificadas o precipitadas, que se ingirieron accidental o voluntariamente. En los tricobezoares los pacientes afectados son generalmente mujeres jóvenes con hábitos nerviosos o psiconeuróticos, con cabellos largos accesibles a la boca. En los fitobezoares las estructuras vegetales (hojas, raíces, semillas y fibras insolubles) se moldean juntas en una masa firme. Los portadores son varones adultos y la patología parecida a la de los afectados por tricobezoares.
  • #13 La endoscopia ratifica el diagnóstico, y puede utilizarse para la desintegración o la disolución de las formaciones
  • #14 Luego del colon, el duodeno constituye el lugar con mayor incidencia de divertículos. Los divertículos verdaderos se producen por un mecanismo de pulsión en áreas de debilidad muscular, y son el resultado de una motilidad alterada. Ño tienen un cuadro clínico específico, pero puede indicarse la resección del divertículo cuando la sintomatología es continua e invalidante y no se encuentra otra patología. Las complicaciones de tipo inflamatorio (diverticulitis y peridiverticulitis) y hemorrágicas son raras, y ante el fracaso del tratamiento sintomático puede requerirse una operación. Cuando se perforan se los debe operar de urgencia (Duarte, 1992). En esta situación la radiología simple muestra en el 25 % de los casos aire retroperitoneal. Los divertículos gástricos, generalmente únicos, asientan con mayor frecuencia en el área subcardial de la curvatura menor o en la cara posterior del tercio proximal. Es necesario el diagnóstico diferencial con imágenes diverticulares del cáncer y de la úlcera subcardial, lo cual puede aclararse por endoscopia. La ubicación más frecuente de los divertículos duodenales es en la segunda porción, en el borde interno, por detrás o en el espesor de la cabeza pancreática, cerca de la ampolla de Vater. Este tipo de divertículos, llamados extraluminales (fig. 41-43), deben diferenciarse de los seudodivertículos bulbares debidos a deformaciones ulcerosas de la primera porción. Los yuxtavaterianos pueden determinar patología biliopancreática. Los intraluminales, más raros, aparecen como un saco dentro de la luz del duodeno. Con la radiología contrastada se observa un área central llena de bario, rodeada por un halo radiotranslúcido que corresponde a la pared del saco Divertículos duodenales: La enfermedad diverticular duodenal es una entidad común, típicamente asintomática y representa uno de los diagnósticos diferenciales de patología abdominal frecuente. Los divertículos duodenales son lesiones formadas por una saculación de mucosa y submucosa herniadas a través de un defecto muscular, que se rellenan y se vacían por efecto de la gravedad como resultado de las presiones generadas durante el peristaltismo duodenal. En el tubo digestivo, el duodeno es el segundo segmento más frecuentemente afectado. Estas lesiones generalmente se observan entre los 50 y 65 años, son más raros antes de los 30 años, pero pueden estar presentes en todas las edades y afectar a ambos géneros, con discreto predominio en las mujeres.
  • #15 Los pólipos hiperplásicos son regenerativos, pueden ser aislados o grupales sobre una gastritis crónica o una mucosa con reacción inflamatoria subyacente. Los adenomas son los que tienen mayor importancia; es común que se asocien con la gastritis crónica atrófica y pueden ser precursores del carcinoma gástrico. Pueden ser simples o múltiples, con un tamaño desde pocos milímetros hasta varios centímetros, y localizarse en cualquier parte del estómago, con preferencia en el antro. La incidencia. del 0,4 % en autopsias, aumenta a 1,5 % en las endoscopias, al 3 % en la aclorhidria y al 7 % en la anemia perniciosa.
  • #16 polipectomía simple por vía endoscópica debe efectuarse en los pólipos no mayores de 2 cm y con pedículo definido. Se realizará resección de la mucosa circundante normal cuando es sésil y chico, y una biopsia incisional en los pólipos mayores
  • #17 dicho se presenta como una complicación de la colelitiasis que termina fistulizando a tubo digestivo, permitiendo la migración del lito [1,2], aunque en ocasiones ocurre por paso natural a través de la vía biliar debido a alteraciones del esfínter de Oddi, sobre todo tras la ampliación quirúrgica del mismo
  • #18 Afecta principalmente al sexo femenino, con un relación hombre:mujer que va de 1:3 a 1:6, atribuyéndose a la mayor frecuencia en dicho sexo de la enfermedad biliar.
  • #19 En raras ocasiones la fistula puede ser de origen iatrogenico, secundario a una esfinterotomia endoscopica por coledocolitiasis o a una cirugia biliodigestiva En una tercera parte de los pacientes no se documenta la presencia de un fistula bilioenterica, en estos casos la explicacion es la migracion del lito a traves de la ampula de Vater con posterior crecimiento in situ. Es importante el tamano del lito, ya que de este depende si puede pasar espontaneamente a traves del tracto gastrointestinal o puede impactarse en algun sitio. Los litos de 2-2.5 cm pasan de manera espontanea la mayoria de las veces, a traves del tracto gastrointestinal en ausencia de patologia digestiva (estenosis, espasmos, adherencias, enfermedad de Crohn), mientras que los litos mayores de 5 cm pueden llegar a impactarse en algun sitio y causar datos de oclusion intestinal. Es importante el tamano del lito, ya que de este depende si puede pasar espontaneamente a traves del tracto gastrointestinal o puede impactarse en algun sitio. Los litos de 2-2.5 cm pasan de manera espontanea la mayoria de las veces, a traves del tracto gastrointestinal en ausencia de patologia digestiva (estenosis, espasmos, adherencias, enfermedad de Crohn), mientras que los litos mayores de 5 cm pueden llegar a impactarse en algun sitio y causar datos de oclusion intestinal El ileon terminal y la valvula ileocecal son los sitios mas comunes de obstruccion del litoy a que en esta zona el lumen es relativamente estrecho y el peristaltismo es potencialmente menos activo. La obstruccion del lito en el duodeno ocurre en el 3-10% de los casos y se conoce como sindrome de Bouveret, descrito por Bouveret en 1896.
  • #20 Los sintomas del ileo biliar son insidiosos y pueden ser vagos, los pacientes se presentan con datos de obstruccion del intestino delgado. El dolor abdominal es tipo cólico y ocurren en episodios intermitentes, por lo que los pacientes pueden demorar tres a ocho días antes de acudir al hospital [15], de tal forma, la presentación suele ser insidiosa por el llamado fenómeno de tumbling, en el que el lito obstructivo migra continuamente; produciendo síntomas cuando obstruye un punto en el intestino delgado y mejoría de los síntomas al avanzar el lito por la luz intestinal, para volver a presentar síntomas cuando de nueva cuenta haya obstrucción de nuevo. en algunas ocasiones hematemesis por erosion de la mucosa secundaria a la migracion del lito. Los sintomas pueden ser intermitentes como resultado del paso del lito, el cual puede alojarse y desalojarse en varios niveles del intestino, lo que retrasa el diagnostico9. Ademas, pueden presentar desequilibrio hidroelectrolitico (hipopotasemia, hiponatremia), anorexia y perdida de peso. La presencia de diarrea es frecuente y puede causar confusion con un cuadro de gastroenteritis
  • #21 el íleo biliar sea convertido en una entidad de difícil diagnostico, y solo el 40% de los casos [3, 4] es identificado antes de la intervención quirúrgica. Los hallazgos al examen físico suelen ser inespecíficos, y el paciente típicamente pasa varios días en el hospital (de 3 a 5 días) antes de ser llevar a sala de operaciones, en menos del 50% de los casos la presencia de 2 signos son suficientes para considerar el diagnostico. La neumobilia tambien se puede presentar posterior a derivaciones biliodigestivas, esfinterotomia endoscopica. El ultrasonido puede confirmar la presencia de litos residuales en la vesicula biliar, litos ectopicos, fistula bilioenterica y en algunas ocasiones el lito impactado en el intestino4,5. La tomografia contrastada tiene una sensibilidad del 93% y especificidad del 100%, por lo que se considera el estudio optimo para el diagnostico de ileo biliar ya que puede determinar la localizacion y la causa de la obstruccion, ademas de determinar el nivel de la obstruccion, presencia del lito ectopico, tamano del lito y presencia de fistula bilioenterica
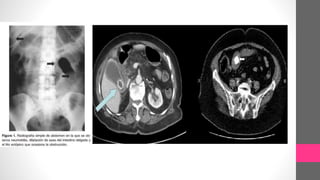
  • #22 Fig. 4: Gran litiasis biliar (marcada con flecha) en paciente asintomática. Corte axial de la TAC que muestra la presencia de un cálculo impactado en el intestino
  • #23 El objetivo del tratamiento es el alivio de la obstruccion intestinal, optimizar las condiciones del paciente antes de la intervencion quirurgica, con un adecuado balance hidroelectrolitico, manejo de las comorbilidades existentes como: enfermedades cardiacas, diabetes mellitus e infeccion La cirugia recomendada por la mayoria de los autores es la enterolitotomia por presentar un bajo indice de complicaciones y cierre de la fistula de manera espontanea en el 50% de los casos7. La enterolitotomia se realiza en forma longitudinal en el borde antimesenterico a una distancia de 15-20 cm proximales al sitio de la obstruccion en un area sana, posteriormente se procede a la extraccion del lito y finalmente se realiza enterotomia transversa en 1 o 2 planos. Cuando el lito no puede ser movilizado para su extraccion, existe compromiso vascular o perforacion intestinal, se prefiere reseccion del segmento intestinal con anastomosis terminal7. La enterolitotomia se puede realizar con abordaje laparoscopico en el caso de personal con experiencia; no representa el estandar de oro en cuanto a tratamiento, ya que se dificulta la exploracion por la distension de asas, lo que aumenta el tiempo quirurgico2,5.
  • #24 Tambien se puede realzar una laparoscopia diagnostica y posteriormente realizar minilaparotomia en linea media de 4-5 cm por donde se extrae el asa intestinal y se realiza la enterolitotomia longitudinal y cierre transversal, posteriormente se introduce el asa intestinal a la cavidad abdominal y se procede al cierre de la minilaparotomia con resultados similares4. Las complicaciones posquirurgicas mas frecuentes son falla renal aguda, infeccion de vias urinarias, infeccion de la herida, dehiscencia de la Herida Enterotomia de yeyuno en 2 planos. La edad del paciente y sus comorbilidades pueden contraindicar la cirugia en un solo tiempo (enterolitotomia + tratamiento de la fistula + colecistectomia). La cirugia de un solo tiempo esta indicada en pacientes con colecistitis aguda, colecistitis gangrenosa, colelitiasis residual cuando las condiciones del paciente lo permiten3,5. La colecistectomia esta indicada en pacientes sintomaticos, de lo contrario puede abordarse en una segunda intervencion de 4-6 semanas posteriores cuando el paciente se encuentre en mejores condiciones generales, ya que puede presentar recurrencia del ileo biliar, colecistitis, colangitis. En pacientes asintomaticos se recomienda una segunda intervencion quirurgica en pacientes con expectativa de vida alta. Se ha reportado incidencia de 15% de cancer de vesicula biliar cuando la fistula esta presente en comparacion con 0.8% en pacientes con colecistectomia7,9,12. En la actualidad se puede considerar la extraccion endoscopica asociada con litrotripsia, siendo la mejor opcion en paciente con alto riesgo quirurgico5.
  • #25 Las principales causas de obstrucción de esta parte del intestino se engloban en las causas generales de la obstrucción, ya que al ser la parte más larga de las vísceras huecas, se encuentra más expuesto a sufrir alguna patología que lo obstruya.
  • #26 1. Intraluminal (p. ej., cuerpos extraños, cálculos biliares o meconio). dentro de la luz de cualquier estructura u órgano tubular. 2. entre tubos, o en medio de ellos. 2. Intramural (p. ej., tumores, estenosis inflamatorias relacionadas con la enfermedad de Crohn). 3. Extrínsecas (p. ej., adherencias, hernias o carcinomatosis).
  • #27 Las adherencias intraabdominales causadas por intervenciones quirúrgicas previas representan 75% de los casos de obstrucción del intestino delgado. Las causas menos frecuentes de obstrucción del intestino delgado son hernias, obstrucción neoplásica del intestino y enfermedad de Crohn. La frecuencia con que se encuentra obstrucción relacionada con estos padecimientos varía según la población de pacientes y la especialidad. Por lo regular, la compresión extrínseca o invasión por neoplasias malignas avanzadas que se originan en otros órganos diferentes al intestino delgado provoca la obstrucción del intestino delgado relacionada con cáncer Adherencias. Es la causa más frecuente de obstrucción, en más del 90% de los casos en pacientes con historia previa de cirugía intraabdominal generalmente complicada como en la úlcera péptica perforada y peritonitis generalizada secundaria. Las adherencias se producen por una reacción exagerada del organismo por limitar y reparar así como para evitar mayor daño, pueden ser laxas que se despegan fácilmente o fibrosas en relación con una reacción inflamatoria local más intensa, como en una apendicitis perforada con peritonitis localizada. Hernias. La segunda causa más frecuente de obstrucción en general y la primera en pacientes que no han sido intervenidos quirúrgicamente. Las hernias se clasifican en internas como la obturatriz y a través de un defecto del mesenterio que no se suturó durante una resección intestinal posterior a la anastomosis y la externa como cualquier hernia de la pared abdominal, tales como la inguinal o la femoral, las hay congénitas como la hernia de Bodeleck del diafragma o adquiridas como las hernias postincisionales luego de cierres defectuosos de la pared abdominal
  • #29 tratando de impulsar el contenido luminal mas alla del lugar de la obstruccion Este hiperperistaltismo de las primeras fases de la obstruccion intestinal esta presente por encima y por debajo del lugar de obstruccion y explica la diarrea que puede acompanar a la obstruccion intestinal parcial o aun completa de la primera fase. lo que explica el dolor tipo incluso en presencia de obstrucción intestinal completa. La mayor parte del gas que se acumula proviene del aire deglutido, aunque parte se produce en el intestino. Mas adelante, el intestino se fatiga y se dilata y las contracciones van tornandose menos frecuentes e intensas. Esta pérdida masiva de líquidos en un tercer espacio explica la deshidratación y la hipovolemia Los efectos metabolicos de las perdidas dependen del asiento de la obstrucciony de su evolucion.En una obstruccion proximal, la deshidratacion puede acompanarse de hipocloremia, hipopotasemia y acidosis metabolica, junto con vomitos acentuados. La obstruccion distai del intestino delgado determina la acumulacion de grandes cantidades de liquido; sin embargo, las anomalias de los electrolitos sericos son bastante menos llamativas. La deshidratacion puede acompanarse de oliguria, azoemia y hemoconcentracion. A estas les siguen hipotension y shock.Otras secuelas de la obstruccion intestinal comprenden el aumento de la presion intraabdominal, la disminucion del retorno venoso y la elevacion del diafragma, que dificulta la ventilacion pulmonar. Todos estos factores contribuyen a empeorar los efectos de la hipovolemia.
  • #30 Al final, la motilidad intestinal se reduce y hay menos contracciones. Con la obstrucción, la luz del intestino delgado, que casi siempre es estéril, cambia y es posible cultivar diversos microorganismos de su contenido. Ya se demostró la migración de estas bacterias a los ganglios linfáticos regionales, aunque no se comprende bien la importancia de este proceso. Si la presión intramural es bastante alta, se deteriora la irrigación microvascular del intestino, lo cual origina isquemia intestinal y, en última instancia, necrosis. Este trastorno se denomina obstrucción intestinal estrangulante.
  • #31 sólo hay una porción ocluida de la luz intestinal, lo cual permite el paso de un poco de gas y líquido En la obstrucción parcial del intestino delgado sólo hay una porción ocluida de la luz intestinal, lo cual permite el paso de un poco de gas y líquido. La progresión de los fenómenos fisiopatológicos es más lenta que en la obstrucción completa del intestino delgado y es menos probable que haya estrangulamiento. Una forma muy peligrosa de obstrucción intestinal es la obstrucción de asa cerrada, en la que un segmento del intestino se obstruye en sentido proximal y distal (p. ej., con vólvulo). En tales casos, la acumulación de gas y líquido no puede escapar en ninguno de los dos sentidos del segmento obstruido, lo que provoca un aumento rápido de la presión luminal y pronta progresión hasta el estrangulamiento.
  • #32 El vómito es un síntoma más prominente en las obstrucciones proximales que en las distales. El carácter del vómito es importante, ya que con crecimiento bacteriano excesivo, el vómito es más fecaloide, o que sugiere una obstrucción más establecida (fig. 28-12). La expulsión continua de flatos y/o heces más de 6 a 12 h después del inicio de los síntomas es característica de la obstrucción parcial, más que completa. Los signos de obstrucción del intestino delgado incluyen distensión abdominal que es más pronunciada si el sitio de obstrucción está en el íleon distal, y que puede estar ausente si la obstrucción está en la parte proximal del intestino delgado. Es probable que los ruidos intestinales sean hiperactivos al principio, pero en etapas avanzadas de la obstrucción se escuchan ruidos mínimos. Los hallazgos de laboratorio reflejan deficiencia de volumen intravascular y consisten en hemoconcentración y anormalidades electrolíticas.
  • #33 Ileo mecánico. La obstrucción mecánica puede ser secundaria a una patología intrínseca de la pared intestinal, a una patología extrínseca o a la obturación de la luz intestinal (fig. 42-30). Sin embargo, el aspecto patogénico más importante del íleo mecánico es la ausencia o presencia de estrangulación, lo cual define al íleo como simple o estrangulado diferencia del íleo mecánico simple, en que el sitio de obstrucción es único (fig. 42-31), en la estrangulación el intestino está por lo general obstruido en dos sitios distintos, aunque adyacentes. Como resultado, se crea al comienzo un asa cerrada o incarcerada que se distiende progresivamente. Esta asa puede luego girar en el eje mayor debido a su peso, y en su torsión o vólvulo secundario ocluir el pedículo vascular. La anoxia y la interrupción del retorno venoso comprometen rápidamente la vitalidad del intestino, y de no mediar la desvolvulación sobrevienen el infarto y la perforación.
  • #35 La peritonitis generalizada, los traumatismos vertebromedulares, la enterocolitis y el postoperatorio normal son todas causas de íleo funcional difuso que puede afectar simultáneamente al estómago, intestino delgado y colon, aunque en el caso del íleo postoperatorio la alteración motora se limita al estómago y al colon. Tanto la seudoobstrucción intestinal como el íleo regional inflamatorio se producen por una alteración motora localizada en un segmento intestinal. Sin embargo, mientras que en el fleo regional inflamatorio la actividad motora del intestino proximal es normal o está disminuida, en la seudoobstruccion intestinal se halla francamente aumentada, al extremo de que tanto el cuadro clínico como las complicaciones son similares a los del fleo mecánico Íleo funcional Ocurre por alteración motora y es menos frecuente que el anterior. En general produce dilatación de asas intestinales con acumulación de líquidos y gases que hacen que las asas, por su excesivo peso, produzcan una alteración del drenaje venoso, con edema de la pared intestinal que puede condicionar un posterior íleo mecánico. Este tipo de oclusión se subdivide en dos tipos: íleo paralítico por abolición del peristaltismo (postoperatorio, peritonitis, etc.) e íleo espástico, muy raro, con contractura permanente o intermitente de la pared intestinal.
  • #37 El estrecho calibre del colon sigmoide da lugar a que esta sección del intestino grueso sea la más susceptible a obstrucciones. Según la Ley de Laplace la presión intraluminal será mayor en el punto en que la luz sea más estrecha y la pared más gruesa.
  • #38 VOLVULOS principalmente de sigmoides en un 80% y del ciego en un 20% Carcinoma de colon en un 60% de los casos LA INTUSUSCEPCIÓN es el deslizamiento de una parte del intestino dentro de otra. es causada por una parte del intestino que se introduce en sí mismo, lo cual puede obstruir el paso de los alimentos a través del mismo intestino. Si se interrumpe el suministro de sangre, el segmento del intestino que se ha introducido puede morir. Algunas veces, un ganglio linfático, un tumor o un pólipo pueden desencadenar el problema. EL ÍLEO MECONIAL es una obstrucción intestinal intraluminal del íleon terminal que ocurre en etapa prenatal o neonatal temprana, producto de un meconio(Sustancia mucilaginosa de color verde oscuro contenida en el intestino fetal que se elimina a las pocas horas del nacimiento y durante dos o tres días. Está formado por secreciones de las glándulas intestinales, líquido amniótico, restos de pigmentos biliares, células, sangre y sustancias mucosas. Su expulsión antes del parto o durante éste indica sufrimiento fetal. ) anormalmente espeso; en 10 a 15% de los pacientes puede ser la primera manifestación clínica de fibrosis quística; se asocia a polihidramnios materno y las manifestaciones neonatales son la de obstrucción intestinal con distensión abdominal, vómito bilioso y ausencia de deposiciones
  • #39 El lugar más frecuente de perforación es el ciego porque tiene un diámetro mayor, y según la Ley de Laplace, soporta una mayor tensión de pared. También se perfora el lugar de la tumoración primaria por adelgazamiento y distorsión de las capas normales del intestino. El defecto de riego sanguíneo produce una translocación bacteriana hacia los vasos y linfáticos mesentéricos, lo que multiplica las posibilidades de complicación séptica en el postoperatorio. (+) el defecto de riego y la distensión.
  • #40 La obstrucción debida a cáncer colorrectal suele instaurarse de forma lenta, mientras que la debida a un vólvulo se produce de forma súbita. La distensión cólica es mayor si se produce en asa cerrada o si la válvula ileocecal es competente, lo que aumenta el riesgo de isquemia y perforación. La perforación se produce con más frecuencia en el ciego y en el mismo tumor. La aparición de hepatomegalia y ascitis en un paciente intervenido de cáncer colorrectal, sugiere carcinomatosis y, por tanto, mal pronóstico. En un paciente con obstrucción de intestino grueso en el que aparece fiebre, taquicardia o signos de irritación peritoneal, debemos sospechar estrangulación o perforación, lo que requiere laparotomía de urgencia.
  • #41 Leucocitos. Puede estar una cuenta normal si no hay complicaciones, ésta se eleva marcadamente en las complicaciones. Si hay un proceso infeccioso se encontrará elevada de inicio, las formas jóvenes como bandas se encontrarán en procesos sépticos severos, menores de 12 mil/mL en una obstrucción simple; mayores de 20 mil/mL sugieren una enfermedad vascular mesentérica aguda. Hematócrito. Elevado en los estados como en la deshidratación, pero disminuidos en hemorragias subclínicas como en el adenocarcinoma de colon izquierdo. Alteraciones en los electrólitos. Particularmente en la hipocalemia. Alcalosis. En la obstrucción pilórica secundaria a vómitos de contenido ácido. Acidosis. Secundaria a sepsis como en el caso de un estrangulamiento de asa con infarto intestinal
  • #42 Figura 1. Radiografía simple de abdomen en la que se observa dilatación de asas de intestino delgado organizadas y sin gas distal, compatible con obstrucción intestinal. Figura 2. Niveles hidroaéreos en obstrucción intestinal. Es el método de mayor valor en el diagnóstico y manejo clínico de la obstrucción intestinal. Radiografías simples. Las placas simples deben ser tomadas en decúbito dorsal y en posición de pie, poniendo especial cuidado en incluir el diafragma y la pelvis. Los signos característicos de obstrucción son el hallazgo de gas intraintestinal en la radiografía tomada en decúbito y la presencia de niveles hidroaéreos en la tomada en posición de pie. Las asas yeyunales dilatadas se reconocen por la presencia en su interior de bandas aéreas que se extienden de uno a otro lado de la pared intestinal; estas imágenes, llamadas "en pila de monedas", son la consecuencia del resalto intraluminal de las válvulas conniventes. Estas bandas no se aprecian en la dilatación del íleon,
  • #43 Figura 28-13. Obstrucción del intestino delgado. Tomografía computadorizada de un paciente con signos y síntomas de obstrucción intestinal. La imagen muestra asas intestinales muy dilatadas, con íleon terminal (I) y colon ascendente (C) descomprimidos, lo que sugiere una obstrucción completa de la parte distal del intestino delgado. En la laparotomía se identificaron y dividieron El estudio de tomografía por computadora (CT) tiene una sensibilidad de 80 a 90% y especificidad de 70 a 90% para detectar una obstrucción del intestino delgado.17 Los hallazgos comprenden una zona de transición discreta con dilatación proximal del intestino, descompresión distal del intestino, contraste intraluminal que no pasa más allá de la zona de transición y colon con poco gas o líquido (fig. 28-13). El estudio de CT proporciona también una valoración total del abdomen y, por consiguiente, algunas veces revela la causa de la obstrucción
  • #44 onda nasogástrica. Con la ayuda de esta sonda hasta un 78% de los pacientes obstruidos por adherencias se han recuperado, requiriéndola en un promedio de 6 días. A. Disminuye la distensión abdominal, mejorando el dolor y la ventilación. B. Se permite vaciar el estómago para la inducción anestésica y evitar complicaciones, ya que la anestesia relaja el esfínter esofágico inferior y permite la regurgitación. Esta sonda se retira cuando la cantidad de material gastrointestinal disminuye francamente o cuando la calidad es de tipo gástrico hialino y obviamente cuando el enfermo ha iniciado con evacuaciones y flatulencia. Generalmente se indica la cobertura contra bacterias Gram (-) y bacterias anaerobias, ya que es muy posible que por el compromiso circulatorio se presente cierto grado de translocación bacteriana
  • #46 El tratamiento es el de la enfermedad de base y de apoyo (MIR 98-99, 46). El síndrome de Ogilvie es la pseudoobstrucción aguda de colon, y ocurre en pacientes ancianos, encamados, con enfermedades crónicas o en traumatismos (fractura vertebral). La sintomatología es intermitente, siendo característica la distensión abdominal sin dolor en las fases tempranas, que típicamente afecta al colon derecho y transverso. Son raros los niveles hidroaéreos en las radiografías.
  • #47 La neostigmina es el único fármaco que ha demostrado ser beneficioso en el tratamiento del síndrome de Ogilvie2 . Se trata de un inhibidor reversible de la acetilcolinesterasa, enzima que metaboliza a la acetilcolina, con lo que se consigue incrementar el efecto colinérgico. Se administra por vía iv (bolo de 2-2,5 mg), obteniendo con ello un aumento la actividad contráctil gastrointestinal. Está contraindicada en casos de obstrucción urinaria e intestina