Obstrucción intestinal
MIGUEL ANGEL CUBILLOS SUAREZ
XI SEMESTRE
MEDICINA UROSARIO
Conceptos
• Obstrucción intestinal
• Interrupción parcial o
completa del transito
intestinal
• Obstrucción mecánica
• No paso del contenido
de la luz intestinal
porque está bloqueada
• Obstrucción funcional
• No paso del contenido
por trastornos en la
motilidad intestinal
Adhesiones
Hernia puede causar obstrucción +
estrangulación
• Obstrucción intestinal
simple
• Lumen
parcial/totalmente
ocluido SIN
COMPROMISO DEL FLUJO
SANGUINEO intestinal
• Estrangulación
• Compromiso del flujo
sanguíneo
Clasificación obstrucción
mecánica
• Localización
Proximal
• Píloro
• Duodeno
• Yeyuno
proximal
Intermedio
• Yeyuno
medio
• Íleon
medio
Distal
• Íleon
distal
• Válvula
ileocecal
• Colon
proximal
• Asa intestinal cerrada • Asa intestinal abierta
• Etiología
Intraluminal
• Intusucepción
• Parásitos
• Cuerpo extraño
• Cálculos
Intramural
• Diverticulitis
• Enf. Chron
• Neoplasias del
colon
• Hematoma
intramural
Extrínseco
• Adhesiones
• Hernias
• Volvulus
• Efecto de masa
(endometriosis,
abscesos)
Fisiopatología
Obstrucción
asa intestinal
Acumulación
de gas y líquido
intestinal
Estasis del
contenido del
lumen
Alteración en
al motilidad
Crecimiento
flora
bacteriana
Disminución
flujo vascular y
linfático
GAS INTESTINAL
• 80% aire deglutido
• Ansiedad y dolor
deglución excesiva
• Sonda nasogástrica
FLUIDO INTRALUMINAL
• P >20 cmH2O inhibe
absorción y estimula
secreción Na+ a la luz
• Obstrucción asa cerrada
P>50cmH2O
• Asa abierta no supera (-12
cmH2O
FLUJO SANGUINEO
• Aumento presión
intraluminal aumento
flujo sanguíneo inicialmente
• Aumento presión
hidrostática + paso de
agua al lumen
• > Aumento presión >
compromiso irrigación
MOTILIDAD INTESTINAL
• Acumulación gas y líquido
cambios mioeléctricos en
intestino
• 1. Aumento contractilidad
• 2. Contracciones asincrónicas
• 3. Distensión segmento
obstruido
Complicaciones
ASA CERRADA
• Compromiso perfusión
pared intestinal
• Gangrena necrosis
• Perforación intestinal
• Peritonitis
• Toxicidad sistémica
• Shock
• Muerte
ASA ABIERTA
• Vómito mecanismo
descompresión en
obstrucción proximal
• Pérdida de electrolitos
• Obstrucción distal
pérdida de electrolitos
+ compromiso
perfusión
(acumulación gas y
líquido)
Clínica
• Dolor abdominal espasmódico
• Vómito (proximales > distales)
• Distensión abdominal
• Ausencia deposiciones y flatos
• Antecedentes: cirugías intraabdominales, familiares,
viajes (parásitos)
• Dx diferencial
• Apendicitis, diverticulitis, colecistitis,
Examen físico
• Puede haber:
• Taquicardia, diaforesis, hipotensión DHT
• Fiebre estrangulación
• Fases iniciales ondas peristálticas (hiperperistaltismo)
• Fases tardías ausencia ruidos
• Masa
• Rebote y defensa muscular peritonitis
• Hernias
Diagnóstico
• Objetivos
• Identificar obstrucción
• Determinar causa
• Total vs parcial
• Simple vs estrangulamiento
Rx abdomen simple
• Dx en 67-87%
• Rx abdominal en
posicion supina y de
pie.
• Hallazgos:
• Niveles hidroaéreos
escalonados
• Ausencia de gas en
ampolla rectal
• Distensión de asas
(>3cm diámetro ID,
>8cm colon prox)
• Obstrucción de asa
cerrada
• Puede tener poco gas
• No tan clara en rx simple
• “Asa centinela
distendida”
• Dolor abdominal no
congruente con examen
físico Rx simple normal
NO DESCARTA DX
Volvulus del sigmoide signo de
U invertida
TAC Abdominal
• S 80-90% E 70-90%
• Determinar completo
o incompleto
• Hallazgos
1. Zona de transición.
2. Dilatación proximal.
3. Descompresión distal.
4. Contraste intraluminal
que no pasa de 1.
5. Colon con poco
contenido
6. Neoplasias
• Hallazgos de
estrangulación
• Engrosamiento de la
pared intestinal (>2mm)
• Edema mesentérico
• Congestión vascular
• Neumatosis intestinal
• Gas en vena porta
Vólvulus
Asas
distendidas
Punto de
torsión
Estudios contrastados
• Obstrucción parcial
• Localización
• Enema con bario
• No en sospecha de
perforación
Tratamiento
MANEJO MÉDICO
• Reposicion de
electrolitos
• Hidratación
• Corrección del equilibrio
ácido-base
• Descompresión  SNG
• Control de diuresis SV
• Antibiótico
• Isquemia, necrosis o
peritonitis
• Éxito 65-81%
MANEJO QUIRURGICO
• Sospecha de
estrangulación
• Aumento de dolor y
fiebre
• No resolución en 3-5 días
Manejo
TIPOS ESPECÍFICOS DE
OBSTRUCCIÓN INTESTINAL
Bridas o Adherencias crónicas
• Adhesiones peritoneales: 75% obstrucciones de ID.
• Antecedentes Quirúrgicos!
• Procedimientos de abdomen bajo:
• Apendicectomias.
• Histerectomias.
• Colectomia.
• Resecciones abdominoperineales.
• Otros procedimientos:
• Colecistectomia.
• Gastrectomia.
• 5% de intervenciones por laparotomía.
• 10 – 13% nuevos episodios.
• 80% resolución no Qx.
• Tratamiento Qx a episodio agudo reduce 15 a 6% recidivas.
• Biopatología
• Reacción a cuerpo extraño (talco, almidón, pelusa, contenido
intestinal.
• Sustancias transformadoras TGF y VEGF útiles para..
• Prevención en formación de adherencias.
• Respuesta inmunológica.
Células
mesoteliales
TPA y
citocinas
Fibrina y
plasminógeno
Formación
adherencias
• Prevención:
• Membrana de acido hialurónico-carboximetilcelulosa.
• Seprafilm, Genzyme. (Disminución en densidad y
vascularización)
• Absorción en 7 días: Fase fibrosis.
• No reduce la incidencia.
• Técnica Quirúrgica.
• Cierre superficial con monofilamento para evitar cierre
peritoneal.
Hernias
• Segunda causa mas frecuente en países occidentales
• Síntomas de obstrucción: Hernia femoral o inguinal.
• Hernias femorales:
• Encarcelación.
• Necrosis intestinal
• Tamaño pequeño
• Hernias internas: Laparoscopia.
• Hernias del obturador.
• Hernias Paraduodenales
• Identificar tipo de hernia y compromiso.
• Antibioticoterpia, reducción de hernia, evaluar viabilidad
intestinal.
• Hernia de Richter:
• Obstruccion incompleta.
• Encarcelamiento y estrangulación de una porción intestinal.
• >50% completa
Íleo biliar
• Erasmus Bartolim en
1654
• 1-4% de obstrucciones
mecánicas
• Sospechar en:
• Cólico biliar recurrente.
• Historia de colelitiasis
• Fistula entre árbol
biliar e intestino.
• >2,5 cm
• Triada de mordor
• Historia de colelitiasis,
signos clinicos de
colecisitis y obstrucción
intestinal
• Localización
• Ileon 60.5%
• Yeyuno 16.1%
• Estomago 14.2%
• Colon 4.1%
• Duodeno 3.5%
• Extracción quirúrgica de cálculos + resección de tejido
intestinal necrótico.
• Recurrencia 5 – 10% en < 30 días.
• Controversia en colecistectomía y reparación fistula para
evitar recurrencia de íleo biliar y colangitis por reflujo .
• Consenso de colecistectomía en segunda intervención en
pacientes seleccionados.
Intususcepción
• Frecuente en pediatría.
• Invaginación de segmentos ”telescopicos” al segmento
adyacente = Obstrucción y lesión isquémica.
• Secundario a patologías neoplásicas. 65%
• Asociados a líneas de sutura 20%
• Tipos:
1. Entérica.
2. Ileocólica.
3. Ileocecal.
4. Colon.
• Radiografía no es muy especifica.
• Pilares diagnósticos: TAC
• Intervención Qx:
• Alta incidencia tumoral
• Reducción presión hidrostática.
Obstrucción maligna
• Cáncer colorrectal: 10 – 2 8%
• Cáncer de ovario: 20 – 50%
• Lesión primaria:
• Obstrucción intraluminal.
• Adenocarcinoma y linfomas.
• Probabilidad de recurrencia:
• Origen de neoplasia primaria.
• Etapa de malignidad primaria.
• Objetivo quirúrgico: Curativo o paliativo
Vólvulos
• Torsión de asa intestinal > 180 grados en su propio eje.
• Designado para ciego, colon transverso, flexión esplénica y
el colon sigmoide (65%).
• Descompresión por endoscopia o por proctorectosigmoidoscopio
rígido o flexible (85 – 95%)
• Indicación quirúrgica:
• Hallazgos peritoneales, sepsis, shock.
• Tiempo de evolución.
• Cecostomia o cecopexia.
• No es recomendada-.
Enteritis por radiación
• Pueden existir periodos asintomáticos de hasta 10 años.
• Vasculitis subyacente + fibrosis =Obstrucción y estenosis.
• Indicación quirúrgica:
• Síntomas incapacitantes.
• Sin respuesta a manejo conservador.

Obstrucción intestinal

  • 1.
    Obstrucción intestinal MIGUEL ANGELCUBILLOS SUAREZ XI SEMESTRE MEDICINA UROSARIO
  • 2.
    Conceptos • Obstrucción intestinal •Interrupción parcial o completa del transito intestinal • Obstrucción mecánica • No paso del contenido de la luz intestinal porque está bloqueada • Obstrucción funcional • No paso del contenido por trastornos en la motilidad intestinal Adhesiones
  • 3.
    Hernia puede causarobstrucción + estrangulación • Obstrucción intestinal simple • Lumen parcial/totalmente ocluido SIN COMPROMISO DEL FLUJO SANGUINEO intestinal • Estrangulación • Compromiso del flujo sanguíneo
  • 4.
    Clasificación obstrucción mecánica • Localización Proximal •Píloro • Duodeno • Yeyuno proximal Intermedio • Yeyuno medio • Íleon medio Distal • Íleon distal • Válvula ileocecal • Colon proximal
  • 5.
    • Asa intestinalcerrada • Asa intestinal abierta
  • 6.
    • Etiología Intraluminal • Intusucepción •Parásitos • Cuerpo extraño • Cálculos Intramural • Diverticulitis • Enf. Chron • Neoplasias del colon • Hematoma intramural Extrínseco • Adhesiones • Hernias • Volvulus • Efecto de masa (endometriosis, abscesos)
  • 7.
    Fisiopatología Obstrucción asa intestinal Acumulación de gasy líquido intestinal Estasis del contenido del lumen Alteración en al motilidad Crecimiento flora bacteriana Disminución flujo vascular y linfático
  • 8.
    GAS INTESTINAL • 80%aire deglutido • Ansiedad y dolor deglución excesiva • Sonda nasogástrica FLUIDO INTRALUMINAL • P >20 cmH2O inhibe absorción y estimula secreción Na+ a la luz • Obstrucción asa cerrada P>50cmH2O • Asa abierta no supera (-12 cmH2O FLUJO SANGUINEO • Aumento presión intraluminal aumento flujo sanguíneo inicialmente • Aumento presión hidrostática + paso de agua al lumen • > Aumento presión > compromiso irrigación MOTILIDAD INTESTINAL • Acumulación gas y líquido cambios mioeléctricos en intestino • 1. Aumento contractilidad • 2. Contracciones asincrónicas • 3. Distensión segmento obstruido
  • 9.
    Complicaciones ASA CERRADA • Compromisoperfusión pared intestinal • Gangrena necrosis • Perforación intestinal • Peritonitis • Toxicidad sistémica • Shock • Muerte ASA ABIERTA • Vómito mecanismo descompresión en obstrucción proximal • Pérdida de electrolitos • Obstrucción distal pérdida de electrolitos + compromiso perfusión (acumulación gas y líquido)
  • 10.
    Clínica • Dolor abdominalespasmódico • Vómito (proximales > distales) • Distensión abdominal • Ausencia deposiciones y flatos • Antecedentes: cirugías intraabdominales, familiares, viajes (parásitos) • Dx diferencial • Apendicitis, diverticulitis, colecistitis,
  • 11.
    Examen físico • Puedehaber: • Taquicardia, diaforesis, hipotensión DHT • Fiebre estrangulación • Fases iniciales ondas peristálticas (hiperperistaltismo) • Fases tardías ausencia ruidos • Masa • Rebote y defensa muscular peritonitis • Hernias
  • 13.
    Diagnóstico • Objetivos • Identificarobstrucción • Determinar causa • Total vs parcial • Simple vs estrangulamiento
  • 14.
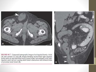
    Rx abdomen simple •Dx en 67-87% • Rx abdominal en posicion supina y de pie. • Hallazgos: • Niveles hidroaéreos escalonados • Ausencia de gas en ampolla rectal • Distensión de asas (>3cm diámetro ID, >8cm colon prox)
  • 15.
    • Obstrucción deasa cerrada • Puede tener poco gas • No tan clara en rx simple • “Asa centinela distendida” • Dolor abdominal no congruente con examen físico Rx simple normal NO DESCARTA DX Volvulus del sigmoide signo de U invertida
  • 16.
    TAC Abdominal • S80-90% E 70-90% • Determinar completo o incompleto • Hallazgos 1. Zona de transición. 2. Dilatación proximal. 3. Descompresión distal. 4. Contraste intraluminal que no pasa de 1. 5. Colon con poco contenido 6. Neoplasias • Hallazgos de estrangulación • Engrosamiento de la pared intestinal (>2mm) • Edema mesentérico • Congestión vascular • Neumatosis intestinal • Gas en vena porta
  • 17.
  • 18.
    Estudios contrastados • Obstrucciónparcial • Localización • Enema con bario • No en sospecha de perforación
  • 19.
    Tratamiento MANEJO MÉDICO • Reposicionde electrolitos • Hidratación • Corrección del equilibrio ácido-base • Descompresión  SNG • Control de diuresis SV • Antibiótico • Isquemia, necrosis o peritonitis • Éxito 65-81% MANEJO QUIRURGICO • Sospecha de estrangulación • Aumento de dolor y fiebre • No resolución en 3-5 días
  • 21.
  • 22.
  • 23.
    Bridas o Adherenciascrónicas • Adhesiones peritoneales: 75% obstrucciones de ID. • Antecedentes Quirúrgicos! • Procedimientos de abdomen bajo: • Apendicectomias. • Histerectomias. • Colectomia. • Resecciones abdominoperineales. • Otros procedimientos: • Colecistectomia. • Gastrectomia.
  • 24.
    • 5% deintervenciones por laparotomía. • 10 – 13% nuevos episodios. • 80% resolución no Qx. • Tratamiento Qx a episodio agudo reduce 15 a 6% recidivas.
  • 25.
    • Biopatología • Reaccióna cuerpo extraño (talco, almidón, pelusa, contenido intestinal. • Sustancias transformadoras TGF y VEGF útiles para.. • Prevención en formación de adherencias. • Respuesta inmunológica. Células mesoteliales TPA y citocinas Fibrina y plasminógeno Formación adherencias
  • 26.
    • Prevención: • Membranade acido hialurónico-carboximetilcelulosa. • Seprafilm, Genzyme. (Disminución en densidad y vascularización) • Absorción en 7 días: Fase fibrosis. • No reduce la incidencia. • Técnica Quirúrgica. • Cierre superficial con monofilamento para evitar cierre peritoneal.
  • 27.
    Hernias • Segunda causamas frecuente en países occidentales • Síntomas de obstrucción: Hernia femoral o inguinal. • Hernias femorales: • Encarcelación. • Necrosis intestinal • Tamaño pequeño • Hernias internas: Laparoscopia. • Hernias del obturador. • Hernias Paraduodenales
  • 29.
    • Identificar tipode hernia y compromiso. • Antibioticoterpia, reducción de hernia, evaluar viabilidad intestinal. • Hernia de Richter: • Obstruccion incompleta. • Encarcelamiento y estrangulación de una porción intestinal. • >50% completa
  • 31.
    Íleo biliar • ErasmusBartolim en 1654 • 1-4% de obstrucciones mecánicas • Sospechar en: • Cólico biliar recurrente. • Historia de colelitiasis • Fistula entre árbol biliar e intestino. • >2,5 cm • Triada de mordor • Historia de colelitiasis, signos clinicos de colecisitis y obstrucción intestinal • Localización • Ileon 60.5% • Yeyuno 16.1% • Estomago 14.2% • Colon 4.1% • Duodeno 3.5%
  • 33.
    • Extracción quirúrgicade cálculos + resección de tejido intestinal necrótico. • Recurrencia 5 – 10% en < 30 días. • Controversia en colecistectomía y reparación fistula para evitar recurrencia de íleo biliar y colangitis por reflujo . • Consenso de colecistectomía en segunda intervención en pacientes seleccionados.
  • 34.
    Intususcepción • Frecuente enpediatría. • Invaginación de segmentos ”telescopicos” al segmento adyacente = Obstrucción y lesión isquémica. • Secundario a patologías neoplásicas. 65% • Asociados a líneas de sutura 20%
  • 36.
    • Tipos: 1. Entérica. 2.Ileocólica. 3. Ileocecal. 4. Colon. • Radiografía no es muy especifica. • Pilares diagnósticos: TAC • Intervención Qx: • Alta incidencia tumoral • Reducción presión hidrostática.
  • 37.
    Obstrucción maligna • Cáncercolorrectal: 10 – 2 8% • Cáncer de ovario: 20 – 50% • Lesión primaria: • Obstrucción intraluminal. • Adenocarcinoma y linfomas.
  • 38.
    • Probabilidad derecurrencia: • Origen de neoplasia primaria. • Etapa de malignidad primaria. • Objetivo quirúrgico: Curativo o paliativo
  • 39.
    Vólvulos • Torsión deasa intestinal > 180 grados en su propio eje. • Designado para ciego, colon transverso, flexión esplénica y el colon sigmoide (65%).
  • 40.
    • Descompresión porendoscopia o por proctorectosigmoidoscopio rígido o flexible (85 – 95%) • Indicación quirúrgica: • Hallazgos peritoneales, sepsis, shock. • Tiempo de evolución. • Cecostomia o cecopexia. • No es recomendada-.
  • 41.
    Enteritis por radiación •Pueden existir periodos asintomáticos de hasta 10 años. • Vasculitis subyacente + fibrosis =Obstrucción y estenosis. • Indicación quirúrgica: • Síntomas incapacitantes. • Sin respuesta a manejo conservador.