Piel y faneras



           Dr. Jonatan Kasjan
Jefe de trabajos prácticos de histología normal
        y ayudante anatomía patológica
                 UBA medicina
Piel

 La piel (lat. cutis) y sus derivados (anexos o
  faneras) constituyen el tegumento. La piel forma
  la cubierta externa del cuerpo y es el órgano más
  grande dado que representa del 15 al 20% de la
  masa corporal total.

 La piel está constituida por dos estratos
  principales, la epidermis y la dermis (dentro de la
  cual encontramos a la hipodermis).
Derivados epidérmicos, anexos o faneras

 Folículos pilosos y pelo.

 Glándulas sudoríparas.

 Glándulas sebáceas.

 Uñas.

 Glándulas mamarias.
Funciones de la piel
 Actuar como una barrera de protección contra
  agentes físicos, químicos y biológicos del medio
  externo.
 Proveer información inmunológica obtenida
  durante el procesamiento antigénico.
 Participar en la homeostasis al regular la
  temperatura corporal y la pérdida de agua.
 Transmitir información sensitiva acerca del medio
  externo al sistema nervioso.
 Intervenir en la excreción a través de la secreción
  exocrina de las glándulas sudoríparas ecrinas y
  apocrinas y de las glándulas sebáceas.
Función endócrina de la piel (Vit D)
 La vitamina D se adquiere con la dieta y también
  se produce en la piel durante la exposición a la
  luz ultravioleta por la conversión de 7-
  dehidrocolesterol.
 El hígado convierte la vitamina D en 25-
  hidroxicolecalciferol.
 En los riñones ocurre la conversión adicional de la
  vitamina D en 1,25-dihidroxicolecalciferol
  (calcitriol), la forma más activa de la vitamina D.
 La deficiencia de vitamina D se asocia con
  raquitismo (chicos) y osteomalacia (adultos).
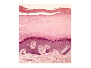
Epidermis
 La epidermis está compuesta por un epitelio
  plano estratificado en el que pueden identificarse
  cuatro estratos bien definidos.

 Existe una regla mnemotécnica para poder
  recordar fácilmente el nombre y el orden de los
  diferentes estratos, la regla dice:

    “Ahí va la espina gorda luciendo su córnea”
 Estrato basal, también llamado estrato
  germinativo por la presencia de células con
  actividad mitótica, que son las células madre de
  la epidermis.
 Estrato espinoso, también llamado capa
  espinocítica o de células espinosas por el
  aspecto microscópico óptico característico de sus
  componentes celulares con proyecciones cortas.
 Estrato granuloso, cuyas células contienen
  gránulos abundantes que se tiñen intensamente.
 Estrato lúcido, limitado a la piel gruesa y
  considerado una subdivisión del estrato córneo.
 Estrato córneo, compuesto por células
  queratinizadas.
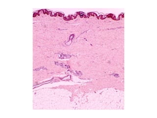
Dermis
 Los cortes de piel perpendiculares a la superficie
  dejan ver abundantes evaginaciones digitiformes
  de    tejido    conectivo,   llamadas     papilas
  dérmicas, que empujan la parte profunda de la
  epidermis.

 Una serie de hemidesmosomas vincula los
  filamentos intermedios del citoesqueleto con la
  lámina basal. Además, también hay adhesiones
  focales (contactos focales) que vinculan los
  filamentos de actina con la lámina basal.
Capas de la dermis

 La dermis papilar, la más superficial, consiste en
  tejido conectivo laxo ubicado justo debajo de la
  epidermis.
 Esta delicada red colágena contiene en forma
  predominante moléculas de colágeno de tipo I y de
  tipo III. De modo similar, las fibras elásticas son
  filiformes y se organizan en una red irregular.
 Los vasos sanguíneos y las terminaciones nerviosas
  sensoriales son bien visibles en las papilas
  dérmicas.
 La dermis reticular es profunda con respecto a la
  dermis papilar.

 Se caracteriza por tener gruesos haces irregulares
  de fibras colágenas sobre todo de tipo I y fibras
  elásticas mucho menos delicadas.

 En la piel de las aréolas, el pene, el escroto y el
 periné hay células musculares lisas que forman
 una red laxa en las partes más profundas de la
 dermis reticular.
 Profunda con respecto a la dermis reticular hay una capa
  de tejido adiposo, el llamado panículo adiposo, que
  tiene un espesor variable.
 Esta capa y su tejido conectivo laxo asociado constituyen
  la hipodermis o tejido celular subcutáneo.
Células de la epidermis

Queratinocitos

Melanocitos

Células de Langerhans

Células de Merkel
Queratinocitos
 El queratinocito es el tipo celular predominante
  de la epidermis.

 Producen queratina, la principal proteína
  estructural de la epidermis. La queratina
  constituye casi el 85% de los queratinocitos
  diferenciados por completo.

 Participan en la formación de la barrera contra el
  agua de la epidermis.
Queratinocitos
 Presentan filamentos de queratina, estos filamentos
  se clasifican como filamentos intermedios del
  citoesqueleto, aunque es muy común que se llamen
  tonofilamentos (debido a su función mecánica).
 En la parte más superficial del estrato espinoso los
  ribosomas libres dentro de los queratinocitos
  comienzan a sintetizar gránulos de queratohialina que
  se convierten en la característica distintiva de las
  células del estrato granuloso.
 También producen vesículas limitadas por membrana
  que reciben el nombre de cuerpos laminares.
Melanocitos
 Las células precursoras de los melanocitos migran
  desde las crestas neurales y se introducen en la
  epidermis en desarrollo.
 El melanocito epidérmico es una célula dendrítica que
  está dispersa entre las células del estrato basal.
 Los melanosomas en desarrollo y su contenido de
 melanina se transfieren a los queratinocitos vecinos
 por donación pigmentaria, comprende la fagocitosis
 del extremo de la prolongación melanocítica por el
 queratinocito, es un tipo de secreción citocrina porque
 también se fagocita una pequeña cantidad de
 citoplasma alrededor del melanosoma.
Células de Langerhans
 Las células de Langerhans son células presentadoras
  de antígenos de aspecto dendrítico que están en la
  epidermis, captan y presentan antígenos que entran a
  través de la piel.

 Durante su migración desde la piel hasta el ganglio
  linfático, las células de Langerhans se transforman
  primero en células veladas en los vasos linfáticos y
  luego en células interdigitantes en el ganglio
  linfático, donde presentan el antígeno a los linfocitos T.
Células de Merkel
 Las células de Merkel son células epidérmicas
  modificadas que están localizadas en el estrato
  basal.

 Son muy abundantes en la piel donde la
  percepción sensorial es aguda, como en los
  pulpejos de los dedos.

 La combinación de fibra nerviosa y célula
  epidérmica, llamada corpúsculo o disco de
  Merkel, forma un mecanorreceptor sensorial.
Anexos cutáneos
 Folículos pilosos y su producto, los pelos.

 Glándulas sebáceas y su producto, el unto sebáceo.

 Glándulas sudoríparas ecrinas y su producto, el sudor.

 Glándulas sudoríparas apocrinas y su producto mixto.

 Uñas, que están formadas por queratina dura y sirven
  como protección.
Glándulas sebáceas
 Las glándulas sebáceas se desarrollan como
  brotes de la vaina radicular externa del folículo
  piloso y suele haber varias glándulas por folículo.
 La porción secretora de las glándulas sebáceas se
  compone de alvéolos redondeados que en
  conjunto forman una masa en forma de “racimo
  de uvas”, los alvéolos se continúan con un corto
  conducto excretor hacia el folículo piloso.
 La sustancia sintetizada por la glándula se
  denomina sebo, es producto de una secreción
  holocrina.
Glándulas sudoríparas
 Las glándulas sudoríparas ecrinas son estructuras
  independientes, no asociadas con el folículo
  piloso, que se originan como brotes en la
  profundidad de la epidermis fetal.

 Las glándulas sudoríparas ecrinas desempeñan
  un papel importante en la regulación de la
  temperatura a través del enfriamiento causado
  por la evaporación del agua del sudor sobre la
  superficie del cuerpo.
Glándulas sudoríparas
 Las glándulas sudoríparas apocrinas tienen su origen
  en los mismos brotes epidérmicos de los que surgen
  los folículos pilosos.
 Los adenómeros de las glándulas apocrinas están
  compuestos por un epitelio simple, tienen un solo tipo
  celular y el citoplasma de las células es eosinófilo. El
  mecanismo de secreción es de tipo merocrino.
 Cuando se secreta el líquido es inodoro, pero por la
  acción de bacterias en la superficie de la piel adquiere
  un olor acre.
 Se cree que las secreciones apocrinas funcionarían
  como feromonas en los seres humanos.
Bibliografía consultada
 Finn Geneser. Histología. 3ª Edición 2000 Editorial
  Panamericana.
 Ross MH-Pawlina. Histología Texto y Atlas color
  con Biología Celular y Molecular. 5ª Edición 2007
  Editorial Panamericana.
 Fawcett D.W. Tratado de Histología. 12ª Edición
  1995 Editorial Interamericana. Mc Graw-Hill.
 Manuales Micromeds Histología (Riobamba 781
  1ºA, esquina Av. Córdoba).

Piel y faneras

  • 1.
    Piel y faneras Dr. Jonatan Kasjan Jefe de trabajos prácticos de histología normal y ayudante anatomía patológica UBA medicina
  • 2.
    Piel  La piel(lat. cutis) y sus derivados (anexos o faneras) constituyen el tegumento. La piel forma la cubierta externa del cuerpo y es el órgano más grande dado que representa del 15 al 20% de la masa corporal total.  La piel está constituida por dos estratos principales, la epidermis y la dermis (dentro de la cual encontramos a la hipodermis).
  • 3.
    Derivados epidérmicos, anexoso faneras  Folículos pilosos y pelo.  Glándulas sudoríparas.  Glándulas sebáceas.  Uñas.  Glándulas mamarias.
  • 4.
    Funciones de lapiel  Actuar como una barrera de protección contra agentes físicos, químicos y biológicos del medio externo.  Proveer información inmunológica obtenida durante el procesamiento antigénico.  Participar en la homeostasis al regular la temperatura corporal y la pérdida de agua.  Transmitir información sensitiva acerca del medio externo al sistema nervioso.  Intervenir en la excreción a través de la secreción exocrina de las glándulas sudoríparas ecrinas y apocrinas y de las glándulas sebáceas.
  • 5.
    Función endócrina dela piel (Vit D)  La vitamina D se adquiere con la dieta y también se produce en la piel durante la exposición a la luz ultravioleta por la conversión de 7- dehidrocolesterol.  El hígado convierte la vitamina D en 25- hidroxicolecalciferol.  En los riñones ocurre la conversión adicional de la vitamina D en 1,25-dihidroxicolecalciferol (calcitriol), la forma más activa de la vitamina D.  La deficiencia de vitamina D se asocia con raquitismo (chicos) y osteomalacia (adultos).
  • 6.
    Epidermis  La epidermisestá compuesta por un epitelio plano estratificado en el que pueden identificarse cuatro estratos bien definidos.  Existe una regla mnemotécnica para poder recordar fácilmente el nombre y el orden de los diferentes estratos, la regla dice: “Ahí va la espina gorda luciendo su córnea”
  • 7.
     Estrato basal,también llamado estrato germinativo por la presencia de células con actividad mitótica, que son las células madre de la epidermis.  Estrato espinoso, también llamado capa espinocítica o de células espinosas por el aspecto microscópico óptico característico de sus componentes celulares con proyecciones cortas.  Estrato granuloso, cuyas células contienen gránulos abundantes que se tiñen intensamente.  Estrato lúcido, limitado a la piel gruesa y considerado una subdivisión del estrato córneo.  Estrato córneo, compuesto por células queratinizadas.
  • 10.
    Dermis  Los cortesde piel perpendiculares a la superficie dejan ver abundantes evaginaciones digitiformes de tejido conectivo, llamadas papilas dérmicas, que empujan la parte profunda de la epidermis.  Una serie de hemidesmosomas vincula los filamentos intermedios del citoesqueleto con la lámina basal. Además, también hay adhesiones focales (contactos focales) que vinculan los filamentos de actina con la lámina basal.
  • 11.
    Capas de ladermis  La dermis papilar, la más superficial, consiste en tejido conectivo laxo ubicado justo debajo de la epidermis.  Esta delicada red colágena contiene en forma predominante moléculas de colágeno de tipo I y de tipo III. De modo similar, las fibras elásticas son filiformes y se organizan en una red irregular.  Los vasos sanguíneos y las terminaciones nerviosas sensoriales son bien visibles en las papilas dérmicas.
  • 12.
     La dermisreticular es profunda con respecto a la dermis papilar.  Se caracteriza por tener gruesos haces irregulares de fibras colágenas sobre todo de tipo I y fibras elásticas mucho menos delicadas.  En la piel de las aréolas, el pene, el escroto y el periné hay células musculares lisas que forman una red laxa en las partes más profundas de la dermis reticular.
  • 13.
     Profunda conrespecto a la dermis reticular hay una capa de tejido adiposo, el llamado panículo adiposo, que tiene un espesor variable.  Esta capa y su tejido conectivo laxo asociado constituyen la hipodermis o tejido celular subcutáneo.
  • 14.
    Células de laepidermis Queratinocitos Melanocitos Células de Langerhans Células de Merkel
  • 15.
    Queratinocitos  El queratinocitoes el tipo celular predominante de la epidermis.  Producen queratina, la principal proteína estructural de la epidermis. La queratina constituye casi el 85% de los queratinocitos diferenciados por completo.  Participan en la formación de la barrera contra el agua de la epidermis.
  • 16.
    Queratinocitos  Presentan filamentosde queratina, estos filamentos se clasifican como filamentos intermedios del citoesqueleto, aunque es muy común que se llamen tonofilamentos (debido a su función mecánica).  En la parte más superficial del estrato espinoso los ribosomas libres dentro de los queratinocitos comienzan a sintetizar gránulos de queratohialina que se convierten en la característica distintiva de las células del estrato granuloso.  También producen vesículas limitadas por membrana que reciben el nombre de cuerpos laminares.
  • 18.
    Melanocitos  Las célulasprecursoras de los melanocitos migran desde las crestas neurales y se introducen en la epidermis en desarrollo.  El melanocito epidérmico es una célula dendrítica que está dispersa entre las células del estrato basal.  Los melanosomas en desarrollo y su contenido de melanina se transfieren a los queratinocitos vecinos por donación pigmentaria, comprende la fagocitosis del extremo de la prolongación melanocítica por el queratinocito, es un tipo de secreción citocrina porque también se fagocita una pequeña cantidad de citoplasma alrededor del melanosoma.
  • 21.
    Células de Langerhans Las células de Langerhans son células presentadoras de antígenos de aspecto dendrítico que están en la epidermis, captan y presentan antígenos que entran a través de la piel.  Durante su migración desde la piel hasta el ganglio linfático, las células de Langerhans se transforman primero en células veladas en los vasos linfáticos y luego en células interdigitantes en el ganglio linfático, donde presentan el antígeno a los linfocitos T.
  • 22.
    Células de Merkel Las células de Merkel son células epidérmicas modificadas que están localizadas en el estrato basal.  Son muy abundantes en la piel donde la percepción sensorial es aguda, como en los pulpejos de los dedos.  La combinación de fibra nerviosa y célula epidérmica, llamada corpúsculo o disco de Merkel, forma un mecanorreceptor sensorial.
  • 23.
    Anexos cutáneos  Folículospilosos y su producto, los pelos.  Glándulas sebáceas y su producto, el unto sebáceo.  Glándulas sudoríparas ecrinas y su producto, el sudor.  Glándulas sudoríparas apocrinas y su producto mixto.  Uñas, que están formadas por queratina dura y sirven como protección.
  • 24.
    Glándulas sebáceas  Lasglándulas sebáceas se desarrollan como brotes de la vaina radicular externa del folículo piloso y suele haber varias glándulas por folículo.  La porción secretora de las glándulas sebáceas se compone de alvéolos redondeados que en conjunto forman una masa en forma de “racimo de uvas”, los alvéolos se continúan con un corto conducto excretor hacia el folículo piloso.  La sustancia sintetizada por la glándula se denomina sebo, es producto de una secreción holocrina.
  • 27.
    Glándulas sudoríparas  Lasglándulas sudoríparas ecrinas son estructuras independientes, no asociadas con el folículo piloso, que se originan como brotes en la profundidad de la epidermis fetal.  Las glándulas sudoríparas ecrinas desempeñan un papel importante en la regulación de la temperatura a través del enfriamiento causado por la evaporación del agua del sudor sobre la superficie del cuerpo.
  • 29.
    Glándulas sudoríparas  Lasglándulas sudoríparas apocrinas tienen su origen en los mismos brotes epidérmicos de los que surgen los folículos pilosos.  Los adenómeros de las glándulas apocrinas están compuestos por un epitelio simple, tienen un solo tipo celular y el citoplasma de las células es eosinófilo. El mecanismo de secreción es de tipo merocrino.  Cuando se secreta el líquido es inodoro, pero por la acción de bacterias en la superficie de la piel adquiere un olor acre.  Se cree que las secreciones apocrinas funcionarían como feromonas en los seres humanos.
  • 30.
    Bibliografía consultada  FinnGeneser. Histología. 3ª Edición 2000 Editorial Panamericana.  Ross MH-Pawlina. Histología Texto y Atlas color con Biología Celular y Molecular. 5ª Edición 2007 Editorial Panamericana.  Fawcett D.W. Tratado de Histología. 12ª Edición 1995 Editorial Interamericana. Mc Graw-Hill.  Manuales Micromeds Histología (Riobamba 781 1ºA, esquina Av. Córdoba).