GREISSI KELLI AP. BATISTA
GRUPO: V
PÓLIPOS NASALES

QUE SON LOS PÓLIPOS NASALES?
 Son simplemente tumefacciones
inflamatorias hipertróficas y no
neoplásicas verdaderas .
 Los pólipos nasales se consideran una
condición inflamatoria de la mucosa nasal
y senos paranasales
 Estas formaciones crecen y se proyectan a
la pared lateral de las fosas nasales, sobre
todo a nivel del meato medio y a todo lo
largo de los cornetes medio y superior,
ocluyendo fácilmente los orificios de
comunicación entre senos paranasales y
coanas

PÓLIPOS NASALES
La Poliposis nasal o pólipos
nasales es una enfermedad
que afecta el interior de
la nariz
(y los senos paranasales) por
el crecimiento de tumores
benignos que obstruyen
la respiración. Es una forma
especial
de sinusitis (llamada
"sinusitis polipoidea").


Pueden medir de 0.3 hasta
0.5 mm Consistencia
suave y cauchosa.
Superficie lisa y brillante
Con coloración blanco
grisácea o rosado
amarillenta.
 Se presentan como consecuencia de procesos
inflamatorios crónicos de la mucosa nasal

PÓLIPOS NASALES
 La Poliposis nasal se
consideran una
condición
inflamatoria de la
mucosa nasal y senos
paranasales
 Se presentan como
formaciones únicas o
múltiples,
pediculadas
tapizadas de una
mucosa brillante de
una superficie lisa
 Son indoloros

Los pólipos
nasales
típicamente
comienzan cerca
de los senos
etmoidales
obstruir los senos
paranasales o la vía
respiratoria nasal.
Existen personas
con las siguientes
afecciones son más
susceptibles a
desarrollar también
pólipos nasales
CAUSAS

CAUSAS
 Sensibilidad al
ácido
acetilsalicílico
(sibilancias)
 Asma
 Infecciones
sinusales crónicas
 Fibrosis quística
 rinitis alérgica

TEORÍAS: MECÁNICA
(FENOMENO DE BERNOULLI).
 Inflamación persistente.
 Edema de la mucosa nasal por efecto de inflamación crónica sobre todo
en la región etmoidal donde el tejido subepitelial es más laxo.
 Progresivamente la mucosa va dando origen a un tejido elástico que
crece por gravedad y flujo.
 Se crea un efecto de válvula y presión negativa resultante de pólipos.

TEORÍAS: VASOMOTORA.
 Disfunción autonómica de la mucosa naso-sinusal.
 Existe un incremento de las aminas (Catecolaminas,
histamina, serotonina) en los pólipos y la mucosa naso-
sinusal.
 Se ha propuesto que existe activación de receptores alfa
adrenérgicos por sustancias vasoactivas.
 Aumento de la permeabilidad vascular y el edema
submucoso.

TEORÍAS: INMUNOLÓGICA
 Se basa en la reacción alérgica mediada por IgE
sustentada por mecanismos de hipersensibilidad.
 Hallazgos de Eosinófilos en moco nasal e incremento
de los mediadores químicos.
 Los eosinófilos no son el principal factor de
patogénesis.

TEORÍAS: INFLAMATORIA
 Procesos inflamatorios.
 Existe evidencia histológica de flebitis, linfangitis e infiltrados
celulares.
 Diferentes citocinas están presentes en los pólipos nasales, en especial
las interleucinas IL-4, IL-5 y IL-6.
 Postulados recientes de RANTES (Celulas T reguladas y normales,
expresadas y secretadas), que actúan como quimiotácticos para
eosinófilos.
 El efecto es el mecanismo de inflamación local.
 Además se estimulan las células por la inflamación y se produce
colágena lo que condiciona la formación de los pólipos.

TEORÍAS: INFECCIOSA.
 Existe evidencia de la participación bacteriana en la
formación de los pólipos.
 Se evaluó la presencia de IgE específica frente a
enterotoxinas estafilocócicas A y B.

Rinorrea.
Alteraciones del olfato.
Respiración bucal
Obstrucción nasal
puede ser bilateral
Estornudos constantes.
Cefalea.
Alteraciones del sueño
Irritabilidad
Prurito nasal.
MANIFESTACIONES CLÍNICAS.

DIAGNOSTICO CLÍNICO
 Antecedentes no patológicos.  Antecedentes patológicos.
 Es mas frecuente en
hombres relación 2-1.
 Se presenta a cualquier
edad con edad media de 35
a 40 años.
 En todas las razas.
 Triada de Sampter:
(intolerancia a la aspirina,
pólipos y asmáticos)
 Fibrosis quística 6-48%
 Asmas 16,5%
 Intolerancia a ASA 11 –
20%
 Rinitis no alérgica 5%
 Rinitis alérgica 0,5 – 1,5%
 Antecedente familiar
poliposis nasal 14 – 52%

SIGNOS & SÍNTOMAS
 Obstrucción nasal
 Rinorrea
 Dolor o sensación de
presión facial
 Hiposmia o anosmia.
 Cefalea
 Rinolalia
 Epistaxis
 Apnea obstructiva del
sueño.

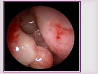
EXPLORACIÓN FÍSICA.
 Tumores con aspectos de uva.
 Se pueden encontrar en ambas fosas
nasales.
 Pueden adoptar la forma de la región
anatómica donde se encuentran.
 Blandos, tersos, translucidos.
 Ulceraciones con sangrado en ocasiones.
 Se encuentran en la parte superior de la
cavidad nasal y proceden del complejo
osteomeatal.
 La rinoscopia anterior
confirmara la presencia
de pólipos.
 Características macroscópicas de
los pólipos nasales…

PRUEBAS DIAGNOSTICAS.
 Diagnostico es
fundamentalmente clínico
 Estudios de laboratorio se
solicitan ante la sospecha de
alguna patología asociada.

EXÁMENES DE LABORATORIO
Estudio
histopatológico
• Ante la sospecha de
neoplasia maligna o
granulomatosis .
Características
microscópicas
de los pólipos
•Formados de tejido conectivo
laxo.
•Eosinofilos
•Edema
•Células inflamatorias
•Neutrofilos
•Mastositos
•Linfocitos
•monocitos

EXÁMENES RADIOGRÁFICO
RX SENOS PARANASALES
De poca ayuda en el dx de pólipos
nasales altos falsos positivos y falsos
negativos.
TUMOGRAFIA COMPUTADA TC
Para confirmar localización y
extensión de la lesión. De gran
utilidad permite planear tipo de
cirugía y evitar complicaciones .
RMN.
Se usa para diferenciar pólipos de:
-Tumores
-Mucoceles
-Infección fúngica

POLIPO NASAL

DIAGNOSTICO DIFERENCIAL
 Neoplasia maligna
 Rinitis vasomotora
 Rinitis alérgica sinusitis crónica
 Desviación septal
 Hipertrofia de cornete
 Quiste nasoalveolar
 Nasoangiofibroma.

TRATAMIENTO FARMACOLÓGICO
 Restauración de la fisiología de la nariz.
 Esteroides tópicos.
 Corticosteroides sistémicos por periodos cortos.
 Antihistamínicos
 Cirugía
 Se recomienda uso de glucocorticoides tópicos y sistémicos e irrigación nasal con
(suero) en el tratamiento de pólipos porque:
Disminuye los
síntomas de
obstrucción nasal
Mejora el olfato
Disminuye el
tamaño de los
pólipos en
algunos casos

CLITERIO MEDICO
• Antihistamínicos
• Antileucotrienos
• Mucoliticos
• Inmunomoduladores
• Descongestionantes
• Estabilizadores de la membrana del mastosito
• Antibióticos
• Antimicóticos
Dependerá de la patología
asociada y queda a juicio
del otorrinolaringólogo

TRATAMIENTO QUIRÚRGICO
Polipectomía endoscópica.
Indicaciones:
1.- pacientes con obstrucción nasal grave.
2.- individuos con rinosinusitis recurrente debido a
los pólipos por obstrucción del drenaje.
3.- personas con mala respuesta al tratamiento
médico.
4.- individuos con contraindicación para el uso de
esteroides.

TRATAMIENTO QUIRÚRGICO

TRATAMIENTO QUIRÚRGICO
El tratamiento quirúrgico esta indicado cuando no hay respuesta al
tratamiento medico.
 Pólipos nasales sin patología de senos paranasales = POLIPECTOMIA DE
ASA.
 Pólipos nasales con sinusitis maxilar = CALDWELL LUC.
 Pólipos nasales con sinusitis etmoidal = ETMOIDECTOMIA.
 Pólipos nasales con sinusitis esfenoidal = ESFENOIDECTOMIA.
 La cirugía endoscópica esta indicada en poliposis nasal masiva y
recidivas.

POLIPECTOMIA DE ASA.

CALDWELL LUC

ETMOIDOSCOPIA
ETMOIDECTOMIA INTRANASAL
ETMOIDECTOMIA INTRANASAL
ETMOIDECTOMIA INTRANASAL

CIRURIA ENDOSCOPICA

INDICACIONES
Tratamiento
quirúrgico de pólipos
sin patología agregada
• Hemorragias
• Senequias
• Perforación septal
Complicaciones de
tratamiento quirúrgico
de pólipos nasales con
sinusitis
•Celulitis periorbitaria
•Celulitis orbitaria
•Absceso subperiostico
•Absceso orbitario
•Trombosis del seno cavernoso

VIDEO EXTRACION DE POLIPO
NASAL

 1. Settipane GA. Epidemiology of nasal polyps. Allergy
Asthma
 Proc 1996; 17: 231-6.
 Lildholdt T, Fogstrup J. Surgical versus medical treatment
of
 nasal polyps. Acta Otolaryngol 1988;105:140-3.
 2. Fajardo-Dolci G. Rinosinusitis crónica: evidencia de
factores
 anatómicos, infecciosos y alérgicos. Rev Med Hosp Gen
Mex 1999;
 62(2): 102-6.
REFERENCIAS:
IMAGENES













POLIPOS NASALES  GREISSI KELLI
POLIPOS NASALES  GREISSI KELLI
POLIPOS NASALES  GREISSI KELLI
POLIPOS NASALES  GREISSI KELLI

POLIPOS NASALES GREISSI KELLI

  • 1.
    GREISSI KELLI AP.BATISTA GRUPO: V
  • 2.
  • 3.
     QUE SON LOSPÓLIPOS NASALES?  Son simplemente tumefacciones inflamatorias hipertróficas y no neoplásicas verdaderas .  Los pólipos nasales se consideran una condición inflamatoria de la mucosa nasal y senos paranasales  Estas formaciones crecen y se proyectan a la pared lateral de las fosas nasales, sobre todo a nivel del meato medio y a todo lo largo de los cornetes medio y superior, ocluyendo fácilmente los orificios de comunicación entre senos paranasales y coanas
  • 4.
     PÓLIPOS NASALES La Poliposisnasal o pólipos nasales es una enfermedad que afecta el interior de la nariz (y los senos paranasales) por el crecimiento de tumores benignos que obstruyen la respiración. Es una forma especial de sinusitis (llamada "sinusitis polipoidea").
  • 5.
  • 6.
     Pueden medir de0.3 hasta 0.5 mm Consistencia suave y cauchosa. Superficie lisa y brillante Con coloración blanco grisácea o rosado amarillenta.  Se presentan como consecuencia de procesos inflamatorios crónicos de la mucosa nasal
  • 7.
     PÓLIPOS NASALES  LaPoliposis nasal se consideran una condición inflamatoria de la mucosa nasal y senos paranasales  Se presentan como formaciones únicas o múltiples, pediculadas tapizadas de una mucosa brillante de una superficie lisa  Son indoloros
  • 8.
     Los pólipos nasales típicamente comienzan cerca delos senos etmoidales obstruir los senos paranasales o la vía respiratoria nasal. Existen personas con las siguientes afecciones son más susceptibles a desarrollar también pólipos nasales CAUSAS
  • 9.
     CAUSAS  Sensibilidad al ácido acetilsalicílico (sibilancias) Asma  Infecciones sinusales crónicas  Fibrosis quística  rinitis alérgica
  • 10.
     TEORÍAS: MECÁNICA (FENOMENO DEBERNOULLI).  Inflamación persistente.  Edema de la mucosa nasal por efecto de inflamación crónica sobre todo en la región etmoidal donde el tejido subepitelial es más laxo.  Progresivamente la mucosa va dando origen a un tejido elástico que crece por gravedad y flujo.  Se crea un efecto de válvula y presión negativa resultante de pólipos.
  • 11.
     TEORÍAS: VASOMOTORA.  Disfunciónautonómica de la mucosa naso-sinusal.  Existe un incremento de las aminas (Catecolaminas, histamina, serotonina) en los pólipos y la mucosa naso- sinusal.  Se ha propuesto que existe activación de receptores alfa adrenérgicos por sustancias vasoactivas.  Aumento de la permeabilidad vascular y el edema submucoso.
  • 12.
     TEORÍAS: INMUNOLÓGICA  Sebasa en la reacción alérgica mediada por IgE sustentada por mecanismos de hipersensibilidad.  Hallazgos de Eosinófilos en moco nasal e incremento de los mediadores químicos.  Los eosinófilos no son el principal factor de patogénesis.
  • 13.
     TEORÍAS: INFLAMATORIA  Procesosinflamatorios.  Existe evidencia histológica de flebitis, linfangitis e infiltrados celulares.  Diferentes citocinas están presentes en los pólipos nasales, en especial las interleucinas IL-4, IL-5 y IL-6.  Postulados recientes de RANTES (Celulas T reguladas y normales, expresadas y secretadas), que actúan como quimiotácticos para eosinófilos.  El efecto es el mecanismo de inflamación local.  Además se estimulan las células por la inflamación y se produce colágena lo que condiciona la formación de los pólipos.
  • 14.
     TEORÍAS: INFECCIOSA.  Existeevidencia de la participación bacteriana en la formación de los pólipos.  Se evaluó la presencia de IgE específica frente a enterotoxinas estafilocócicas A y B.
  • 15.
     Rinorrea. Alteraciones del olfato. Respiraciónbucal Obstrucción nasal puede ser bilateral Estornudos constantes. Cefalea. Alteraciones del sueño Irritabilidad Prurito nasal. MANIFESTACIONES CLÍNICAS.
  • 16.
     DIAGNOSTICO CLÍNICO  Antecedentesno patológicos.  Antecedentes patológicos.  Es mas frecuente en hombres relación 2-1.  Se presenta a cualquier edad con edad media de 35 a 40 años.  En todas las razas.  Triada de Sampter: (intolerancia a la aspirina, pólipos y asmáticos)  Fibrosis quística 6-48%  Asmas 16,5%  Intolerancia a ASA 11 – 20%  Rinitis no alérgica 5%  Rinitis alérgica 0,5 – 1,5%  Antecedente familiar poliposis nasal 14 – 52%
  • 17.
     SIGNOS & SÍNTOMAS Obstrucción nasal  Rinorrea  Dolor o sensación de presión facial  Hiposmia o anosmia.  Cefalea  Rinolalia  Epistaxis  Apnea obstructiva del sueño.
  • 18.
     EXPLORACIÓN FÍSICA.  Tumorescon aspectos de uva.  Se pueden encontrar en ambas fosas nasales.  Pueden adoptar la forma de la región anatómica donde se encuentran.  Blandos, tersos, translucidos.  Ulceraciones con sangrado en ocasiones.  Se encuentran en la parte superior de la cavidad nasal y proceden del complejo osteomeatal.  La rinoscopia anterior confirmara la presencia de pólipos.  Características macroscópicas de los pólipos nasales…
  • 19.
     PRUEBAS DIAGNOSTICAS.  Diagnosticoes fundamentalmente clínico  Estudios de laboratorio se solicitan ante la sospecha de alguna patología asociada.
  • 20.
     EXÁMENES DE LABORATORIO Estudio histopatológico •Ante la sospecha de neoplasia maligna o granulomatosis . Características microscópicas de los pólipos •Formados de tejido conectivo laxo. •Eosinofilos •Edema •Células inflamatorias •Neutrofilos •Mastositos •Linfocitos •monocitos
  • 21.
     EXÁMENES RADIOGRÁFICO RX SENOSPARANASALES De poca ayuda en el dx de pólipos nasales altos falsos positivos y falsos negativos. TUMOGRAFIA COMPUTADA TC Para confirmar localización y extensión de la lesión. De gran utilidad permite planear tipo de cirugía y evitar complicaciones . RMN. Se usa para diferenciar pólipos de: -Tumores -Mucoceles -Infección fúngica
  • 22.
  • 23.
     DIAGNOSTICO DIFERENCIAL  Neoplasiamaligna  Rinitis vasomotora  Rinitis alérgica sinusitis crónica  Desviación septal  Hipertrofia de cornete  Quiste nasoalveolar  Nasoangiofibroma.
  • 24.
     TRATAMIENTO FARMACOLÓGICO  Restauraciónde la fisiología de la nariz.  Esteroides tópicos.  Corticosteroides sistémicos por periodos cortos.  Antihistamínicos  Cirugía  Se recomienda uso de glucocorticoides tópicos y sistémicos e irrigación nasal con (suero) en el tratamiento de pólipos porque: Disminuye los síntomas de obstrucción nasal Mejora el olfato Disminuye el tamaño de los pólipos en algunos casos
  • 25.
     CLITERIO MEDICO • Antihistamínicos •Antileucotrienos • Mucoliticos • Inmunomoduladores • Descongestionantes • Estabilizadores de la membrana del mastosito • Antibióticos • Antimicóticos Dependerá de la patología asociada y queda a juicio del otorrinolaringólogo
  • 26.
     TRATAMIENTO QUIRÚRGICO Polipectomía endoscópica. Indicaciones: 1.-pacientes con obstrucción nasal grave. 2.- individuos con rinosinusitis recurrente debido a los pólipos por obstrucción del drenaje. 3.- personas con mala respuesta al tratamiento médico. 4.- individuos con contraindicación para el uso de esteroides.
  • 27.
  • 28.
     TRATAMIENTO QUIRÚRGICO El tratamientoquirúrgico esta indicado cuando no hay respuesta al tratamiento medico.  Pólipos nasales sin patología de senos paranasales = POLIPECTOMIA DE ASA.  Pólipos nasales con sinusitis maxilar = CALDWELL LUC.  Pólipos nasales con sinusitis etmoidal = ETMOIDECTOMIA.  Pólipos nasales con sinusitis esfenoidal = ESFENOIDECTOMIA.  La cirugía endoscópica esta indicada en poliposis nasal masiva y recidivas.
  • 29.
  • 30.
  • 31.
  • 32.
  • 33.
     INDICACIONES Tratamiento quirúrgico de pólipos sinpatología agregada • Hemorragias • Senequias • Perforación septal Complicaciones de tratamiento quirúrgico de pólipos nasales con sinusitis •Celulitis periorbitaria •Celulitis orbitaria •Absceso subperiostico •Absceso orbitario •Trombosis del seno cavernoso
  • 34.
  • 35.
      1. SettipaneGA. Epidemiology of nasal polyps. Allergy Asthma  Proc 1996; 17: 231-6.  Lildholdt T, Fogstrup J. Surgical versus medical treatment of  nasal polyps. Acta Otolaryngol 1988;105:140-3.  2. Fajardo-Dolci G. Rinosinusitis crónica: evidencia de factores  anatómicos, infecciosos y alérgicos. Rev Med Hosp Gen Mex 1999;  62(2): 102-6. REFERENCIAS:
  • 36.
  • 37.
  • 38.
  • 39.
  • 40.
  • 41.
  • 47.
  • 48.
  • 49.
  • 50.
  • 51.
  • 52.
  • 53.
  • 54.