{
RECIST
(Evaluación de Respuesta al Tratamiento)
(Response Evaluation Criteria In Solid Tumors)
RAMIRO TUPAYACHI
Jefe Unidad de Oncología HNAGV
2015
 1979 criterios de respuesta de la OMS.
 Se basa en la reducción del tamaño tumoral.
 Imagen como herramienta para la medición de
lesiones.
 Ambas cosas la reducción del tumor (respuesta
objetiva) y el tiempo para el desarrollo de
progresión de la enfermedad son criterios de
valoración importantes en clinical trial sobre en
Cáncer.
 2000 RECIST
 2008 RECIST 1.1
Resonancia Magnética - RMN
TAC
TC Helicoidal
Medición
 LESIÓN MEDIBLE:
 Diámetro en su eje mayor >10 mm. con TC
helicoidal.
 Deberá medirse con precisión en al menos una
dimensión, diámetro más largo, con un tamaño
mínimo de 10 mm por exploración TC scan,
grosor de corte no superior a 5 mm.
Criterios de Medición
 LESIÓN NO MEDIBLE:
 Diámetro en su mayor eje < 10 mm.
 Ascitis.
 Derrame pleural.
 Derrame Pericárdico.
 Linfangitis.
 Infiltración Leptomeningea.
 Cáncer de mama Inflamatorio.
 Organomegalia.
 Lesiones blásticas no medibles.
Criterios de Medición
LESIONES NO MEDIBLES:
 Clasificarse como:
 Presente.
 Ausente.
 Progresión inequivoca.
 ADENOPATÍAS:
 Para ser considerado patológicamente grande y
medible, un ganglio linfático debe ser > ó igual a
15 mm. en el eje corto cuando se evalúa por
exploración TC.
 Eje corto > 15 mm.
 Eje corto entre 10 - 15mm.: lesiones no medibles.
 Eje corto < de 10 mm.: no patológicos.
 LESIONES LÍTICAS ÓSEAS:
 lesiones líticas óseas, o lesiones blásticas líticas
mezclados con componentes de tejidos blandos
identificables que pueden ser evaluados
mediante técnicas de imágenes de sección
transversal tales como TC o RMN pueden
considerarse medible si el componente de tejido
blando cumple la definición de la mensurabilidad
descrito anteriormente.
 Lesiones quísticas o necróticas:
 Lesiones quísticas simples: no son lesiones
malignas.
 Metástasis quísticas (lesiones necróticas).
 Medibles si cumplen con criterios.
 Lesiones medibles:
 Hasta un máximo de cinco en total, MAX = 5.
 No más de dos lesiones por órgano, NO + 2.
 Seleccionar sobre la base del tamaño.
 Debe ser representativa de todos los organos
afectados.
LESIONES DIANA
 Incluyen:
 Lesiones medibles (no cumplen criterios).
 Lesiones no medibles.
 Las que exceden dos por órgano o al total de cinco.
LESIONES NO DIANA
CRITERIOS DE RESPUESTA
 Respuesta Completa (RC):
 Desaparición de todas las lesiones diana.
 Los ganglios linfáticos patológicos, ya sean
TARGET o NO TARGET debe tener reducción
en eje corto a < 10 mm.
 Respuesta Parcial (RP):
 Reducción del 30% en la suma de los
diámetros de las lesiones diana.
LESIONES DIANA
 Progresión de la enfermedad (PE):
 Incremento del 20% en la suma de los
diámetros de las lesiones diana, y un
incremento absoluto de al menos 5 mm.
 Enfermedad Estable (EE):
 No reducción ni incremento para RP o PE.
 Respuesta completa (RC):
 Desaparición de lesiones no diana y
normalización del nivel de marcador tumoral.
 No Remisión Completa/ No Progresión de la
Enfermedad (No-RC/No-PE):
 Persistencia de una o más lesiones no diana
y/o niveles del marcador tumoral por encima
de los límites normales.
LESIONES NO DIANA
 Progresión de la Enfermedad (PE) o progresión
inequívoca de enfermedad no diana.
 Si el aumento en la carga tumoral basado en
el cambio de las lesiones no diana es
comparable en magnitud al incremento que
sería necesario para considerar PE en caso de
enfermedad medible.
Lesión nueva = Progresión de la Enfermedad
LESIONES DE NUEVAS
CATEGORIZACIÓN FINAL
DE LA RESPUESTA
Criterios RECIST 1.1, Sociedad Española de Radiología Médica, 2010
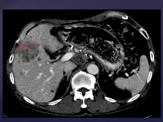
 No necesariamente seleccione las lesiones más grandes como target.
 Seleccione aquellos que mejor define y reproducible medible.
 Debido a inconsistente calidad de imagen, las modalidades y los
parámetros, este paciente es probable que sea NE = no evaluable.
 Una visualización precisa y consistente de lesiones es esencial.
Escaneo sin iv contraste generalmente es inútil en un estudio clínico
y por lo general hace que el paciente NE = no evaluable.
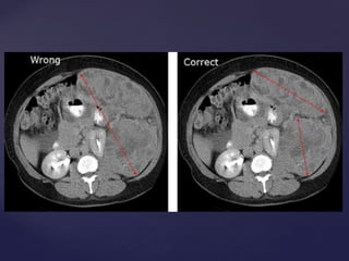
 Mida donde la lesión diana
es más grande, incluso
cuando la rebanada y la
orientación son diferentes en
comparación con el valor
basal.
 Sólo un ligero aumento en las lesiones no diana existentes
sola no justifica la EP. La progresión debe ser clara y
evidente para determinar un empeoramiento sustancial.
 Mejora variable
 Incluir el hipervascular, si está presente, en la medida más
larga de diámetro. Medir el diámetro más largo,
independientemente de una necrosis central.
 Lesión pulmonar que desarrolla cavidad.
 Continuar midiendo lesiones diana en su diámetro más
largo, incluso cuando se desarrollan las cavidades
centrales o necrosis.
 En primer lugar, identificar el
diámetro más largo de un
ganglio linfático o la masa
ganglionar (17.6mm en este
ejemplo) y luego medir el
diámetro más largo
perpendicular a que a medida
que el eje corto (10.6mm en
este ejemplo).
 10.6mm en el eje corto define
este ganglio linfático como
patológica, pero no mensurable.
Como tal, se registrará como
una lesión no objetivo.
 En primer lugar es necesario identificar el diámetro más largo de un ganglio
linfático o la masa ganglionar (aquí 56.0mm) y luego elegir el diámetro más
largo perpendicular con la medida del eje corto (aquí 45.3mm). Esta lesión aquí
calificaría como una lesión diana mensurable.
 Lesiones óseas líticas, con un componente identificable de tejido
blando, evaluada por CT o MRI, pueden ser considerados como
lesiones medibles si el componente de partes blandas de otro modo
cumple la definición de la mensurabilidad descrito anteriormente.
 Lesiones óseas blásticas no son medibles.
 RM tiene un contraste excelente, espacial y resolución temporal; sin
embargo, hay muchas variables de adquisición de imágenes implicados
en MRI, que afectan en gran medida la calidad de imagen, visibilidad de
la lesión y de medición. La disponibilidad de la RM es variable a nivel
mundial. MRI del pecho no se recomienda "
 Las mediciones se pueden realizar en las reconstrucciones isotrópicos y
en planos no axiales de RM: sagital, coronal, (oblicuo).
 También aquí el punto clave es la consistencia. Mida siempre en el
mismo plano.
Gracias …

Recist 1.1 2015

  • 1.
    { RECIST (Evaluación de Respuestaal Tratamiento) (Response Evaluation Criteria In Solid Tumors) RAMIRO TUPAYACHI Jefe Unidad de Oncología HNAGV 2015
  • 2.
     1979 criteriosde respuesta de la OMS.  Se basa en la reducción del tamaño tumoral.  Imagen como herramienta para la medición de lesiones.  Ambas cosas la reducción del tumor (respuesta objetiva) y el tiempo para el desarrollo de progresión de la enfermedad son criterios de valoración importantes en clinical trial sobre en Cáncer.  2000 RECIST  2008 RECIST 1.1
  • 3.
    Resonancia Magnética -RMN TAC TC Helicoidal Medición
  • 4.
     LESIÓN MEDIBLE: Diámetro en su eje mayor >10 mm. con TC helicoidal.  Deberá medirse con precisión en al menos una dimensión, diámetro más largo, con un tamaño mínimo de 10 mm por exploración TC scan, grosor de corte no superior a 5 mm. Criterios de Medición
  • 5.
     LESIÓN NOMEDIBLE:  Diámetro en su mayor eje < 10 mm.  Ascitis.  Derrame pleural.  Derrame Pericárdico.  Linfangitis.  Infiltración Leptomeningea.  Cáncer de mama Inflamatorio.  Organomegalia.  Lesiones blásticas no medibles. Criterios de Medición
  • 6.
    LESIONES NO MEDIBLES: Clasificarse como:  Presente.  Ausente.  Progresión inequivoca.
  • 7.
     ADENOPATÍAS:  Paraser considerado patológicamente grande y medible, un ganglio linfático debe ser > ó igual a 15 mm. en el eje corto cuando se evalúa por exploración TC.  Eje corto > 15 mm.  Eje corto entre 10 - 15mm.: lesiones no medibles.  Eje corto < de 10 mm.: no patológicos.
  • 8.
     LESIONES LÍTICASÓSEAS:  lesiones líticas óseas, o lesiones blásticas líticas mezclados con componentes de tejidos blandos identificables que pueden ser evaluados mediante técnicas de imágenes de sección transversal tales como TC o RMN pueden considerarse medible si el componente de tejido blando cumple la definición de la mensurabilidad descrito anteriormente.
  • 9.
     Lesiones quísticaso necróticas:  Lesiones quísticas simples: no son lesiones malignas.  Metástasis quísticas (lesiones necróticas).  Medibles si cumplen con criterios.
  • 10.
     Lesiones medibles: Hasta un máximo de cinco en total, MAX = 5.  No más de dos lesiones por órgano, NO + 2.  Seleccionar sobre la base del tamaño.  Debe ser representativa de todos los organos afectados. LESIONES DIANA
  • 11.
     Incluyen:  Lesionesmedibles (no cumplen criterios).  Lesiones no medibles.  Las que exceden dos por órgano o al total de cinco. LESIONES NO DIANA
  • 12.
  • 13.
     Respuesta Completa(RC):  Desaparición de todas las lesiones diana.  Los ganglios linfáticos patológicos, ya sean TARGET o NO TARGET debe tener reducción en eje corto a < 10 mm.  Respuesta Parcial (RP):  Reducción del 30% en la suma de los diámetros de las lesiones diana. LESIONES DIANA
  • 14.
     Progresión dela enfermedad (PE):  Incremento del 20% en la suma de los diámetros de las lesiones diana, y un incremento absoluto de al menos 5 mm.  Enfermedad Estable (EE):  No reducción ni incremento para RP o PE.
  • 15.
     Respuesta completa(RC):  Desaparición de lesiones no diana y normalización del nivel de marcador tumoral.  No Remisión Completa/ No Progresión de la Enfermedad (No-RC/No-PE):  Persistencia de una o más lesiones no diana y/o niveles del marcador tumoral por encima de los límites normales. LESIONES NO DIANA
  • 16.
     Progresión dela Enfermedad (PE) o progresión inequívoca de enfermedad no diana.  Si el aumento en la carga tumoral basado en el cambio de las lesiones no diana es comparable en magnitud al incremento que sería necesario para considerar PE en caso de enfermedad medible.
  • 17.
    Lesión nueva =Progresión de la Enfermedad LESIONES DE NUEVAS
  • 18.
    CATEGORIZACIÓN FINAL DE LARESPUESTA Criterios RECIST 1.1, Sociedad Española de Radiología Médica, 2010
  • 21.
     No necesariamenteseleccione las lesiones más grandes como target.  Seleccione aquellos que mejor define y reproducible medible.
  • 22.
     Debido ainconsistente calidad de imagen, las modalidades y los parámetros, este paciente es probable que sea NE = no evaluable.
  • 23.
     Una visualizaciónprecisa y consistente de lesiones es esencial. Escaneo sin iv contraste generalmente es inútil en un estudio clínico y por lo general hace que el paciente NE = no evaluable.
  • 24.
     Mida dondela lesión diana es más grande, incluso cuando la rebanada y la orientación son diferentes en comparación con el valor basal.
  • 25.
     Sólo unligero aumento en las lesiones no diana existentes sola no justifica la EP. La progresión debe ser clara y evidente para determinar un empeoramiento sustancial.
  • 30.
     Mejora variable Incluir el hipervascular, si está presente, en la medida más larga de diámetro. Medir el diámetro más largo, independientemente de una necrosis central.
  • 31.
     Lesión pulmonarque desarrolla cavidad.  Continuar midiendo lesiones diana en su diámetro más largo, incluso cuando se desarrollan las cavidades centrales o necrosis.
  • 32.
     En primerlugar, identificar el diámetro más largo de un ganglio linfático o la masa ganglionar (17.6mm en este ejemplo) y luego medir el diámetro más largo perpendicular a que a medida que el eje corto (10.6mm en este ejemplo).  10.6mm en el eje corto define este ganglio linfático como patológica, pero no mensurable. Como tal, se registrará como una lesión no objetivo.
  • 33.
     En primerlugar es necesario identificar el diámetro más largo de un ganglio linfático o la masa ganglionar (aquí 56.0mm) y luego elegir el diámetro más largo perpendicular con la medida del eje corto (aquí 45.3mm). Esta lesión aquí calificaría como una lesión diana mensurable.
  • 34.
     Lesiones óseaslíticas, con un componente identificable de tejido blando, evaluada por CT o MRI, pueden ser considerados como lesiones medibles si el componente de partes blandas de otro modo cumple la definición de la mensurabilidad descrito anteriormente.  Lesiones óseas blásticas no son medibles.
  • 35.
     RM tieneun contraste excelente, espacial y resolución temporal; sin embargo, hay muchas variables de adquisición de imágenes implicados en MRI, que afectan en gran medida la calidad de imagen, visibilidad de la lesión y de medición. La disponibilidad de la RM es variable a nivel mundial. MRI del pecho no se recomienda "  Las mediciones se pueden realizar en las reconstrucciones isotrópicos y en planos no axiales de RM: sagital, coronal, (oblicuo).  También aquí el punto clave es la consistencia. Mida siempre en el mismo plano.
  • 36.