CATEDRA  DE  RADIOLOGIA  FACULTAD  DE  CIENCIAS  MEDICAS U.N.L.P TORAX NORMAL Mediastino Segmentación Pulmonar EDICION  2004 TC y RM
Las imágenes normales son la base para comprender la patología macroscópica. La clínica tiene un correlato práctico directo con las alteraciones  de cada una de las estructuras. Entonces, se trata de “enfermar” los distintos sectores anatómicos, para “crear” las distintas patologías. Por ejemplo a partir de los nervios ocurrirán los neurinomas,de los vasos arteriales los aneurismas,los transtornos del calibre y hasta algunos infrecuentes tumores vasculares etc.,etc. En general no existen en el cuerpo espacios vacíos. Cuando una estructura aumenta de tamaño desplaza a las vecinas de alli el enorme valor del conocimiento de la anatomía por cortes o “topográfica” como se la denominaba antes. La utilización clínica de esta metodología de examen por imágenes permite sucesivamente la detección (hallazgo), caracterización (diagnósticos diferenciales) y la estadificación (extensiones) de las alteraciones patológicas, para programar la terapéutica adecuada a cada paciente. Por último, le recomendamos buena suerte en la búsqueda de detalles y relaciones anatómicas en su práctica de la Medicina de todos los días.
MEDIASTINO  EDICION  2004 TC y RM CATEDRA  DE  RADIOLOGIA  FACULTAD  DE  CIENCIAS  MEDICAS U.N.L.P
CATEDRA  DE  RADIOLOGIA  U.N.L.P.   Mediastino normal  Edición  2004 F r e n t e
L a t e r a l traquea CATEDRA  DE  RADIOLOGIA  U.N.L.P.   Mediastino normal  Edición  2004
Compartimientos mediastínicos traquea CATEDRA  DE  RADIOLOGIA  U.N.L.P.   Mediastino normal  Edición  2004 anterior medio superior posterior
yugular int. carótida  v. axilar gland. tiroides T clavícula esófago TC axial con contraste CATEDRA  DE  RADIOLOGIA  U.N.L.P.   Mediastino normal  Edición  2004 T: tráquea
T yugular carótida v.axilar a. subclavia a. axilar E TC axial con contraste E: esófago CATEDRA  DE  RADIOLOGIA  U.N.L.P.   Mediastino normal  Edición  2004
v. braquiocef. T a. subclavia v. subclavia v. axilar clavícula E a. subclavia TC axial con contraste CATEDRA  DE  RADIOLOGIA  U.N.L.P.   Mediastino normal  Edición  2004 carótidas primitivas
TC axial con contraste v. braquiocef. T E carótidas primitivas a. subclavia v. braquiocef. v. axilar clavícula CATEDRA  DE  RADIOLOGIA  U.N.L.P.   Mediastino normal  Edición  2004
v. braquiocef. T E a. subclavia carótida izquierda t. a. braquiocef. v. braquiocef. manubrio esternal 1 a  costilla articulación esternoclavicular TC axial con contraste CATEDRA  DE  RADIOLOGIA  U.N.L.P.   Mediastino normal  Edición  2004
TC axial con contraste v. braquiocef. T E carótida a. subclavia tr. arterial braquiocef. vena braquiocef. CATEDRA  DE  RADIOLOGIA  U.N.L.P.   Mediastino normal  Edición  2004
vena braquiocef. T E cayado  aórtico carótida t. a. braquiocef. v. braquiocef. TC axial con contraste CATEDRA  DE  RADIOLOGIA  U.N.L.P.   Mediastino normal  Edición  2004
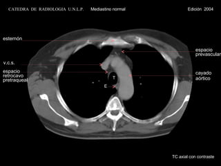
T E v.c.s. cayado aórtico espacio prevascular esternón espacio retrocavo pretraqueal TC axial con contraste CATEDRA  DE  RADIOLOGIA  U.N.L.P.   Mediastino normal  Edición  2004
T v.c.s. espacio  retrocavo pretraqueal E espacio prevascular aorta  ascendente ventana  aortopulmonar aorta descendente vasos tímicos TC axial con contraste CATEDRA  DE  RADIOLOGIA  U.N.L.P.   Mediastino normal  Edición  2004
T esternón v.c.s. cayado v. ácigos v. ácigos espacio prevascular aorta  ascendente ventana aorto-pulm. aorta descendente TC axial con contraste CATEDRA  DE  RADIOLOGIA  U.N.L.P.   Mediastino normal  Edición  2004
TC axial con contraste esternón v.c.s. carina v. ácigos espacio  prevascular aorta ascendente a. pulmonar izquierda aorta descendente vasos mamarios internos CATEDRA  DE  RADIOLOGIA  U.N.L.P.   Mediastino normal  Edición  2004
aorta ascendente v.c.s. v. ácigos espacio prevascular a. pulmonar izq. bronquio derecho bronquio izquierdo aorta descendente espacio interpleural vasos mamarios internos TC axial con contraste CATEDRA  DE  RADIOLOGIA  U.N.L.P.   Mediastino normal  Edición  2004
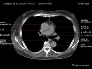
aorta ascendente v.c.s. br. derecho receso pleuro- acigoesofágico rama a. pulmonar tronco a. pumonar a. pulm. der. br. izquierdo aorta descendente espacio prevascular TC axial con contraste E CATEDRA  DE  RADIOLOGIA  U.N.L.P.   Mediastino normal  Edición  2004
aorta ascendente v.c.s. a. pulmonar derecha espacio prevascular tronco a. pulmonar aorta descendente v. ácigos E rama a. pulmonar TC axial con contraste CATEDRA  DE  RADIOLOGIA  U.N.L.P.   Mediastino normal  Edición  2004
a. pulmonar v.c.s. v. ácigos ramas a. pulmonar E TC axial con contraste aorta ascendente aorta descendente CATEDRA  DE  RADIOLOGIA  U.N.L.P.   Mediastino normal  Edición  2004
E ventrículo der. aurícula izq. v. pulmonar aurícula der. raíz aórtica v. pulmonar v. ácigos TC axial con contraste aorta descendente CATEDRA  DE  RADIOLOGIA  U.N.L.P.   Mediastino normal  Edición  2004
aurícula der. aurícula izq. ventrículo der. ventrículo izq. receso pleuro- acigoesofágico TC axial con contraste aorta descendente CATEDRA  DE  RADIOLOGIA  U.N.L.P.   Mediastino normal  Edición  2004
TC axial con contraste ventrículo der. aurícula izq. v. ácigos aurícula der. aorta descendente CATEDRA  DE  RADIOLOGIA  U.N.L.P.   Mediastino normal  Edición  2004 ventrículo izq. tabique interventric. pericardio
TC axial con contraste E ventrículo der. aurícula der. tabique interventric. ventríc. izq. v. ácigos pericardio aorta descendente CATEDRA  DE  RADIOLOGIA  U.N.L.P.   Mediastino normal  Edición  2004
TC axial con contraste aurícula der. ventrículo der. ventríc. izq. E pericardio pericardio aorta descendente seno coronario CATEDRA  DE  RADIOLOGIA  U.N.L.P.   Mediastino normal  Edición  2004
TC axial con contraste E v.c.i. ventrículo der. grasa prevascular pericardio esófago aorta ácigos hemiácigos conducto torácico ganglios grasa espacio  retrocrural aurícula der. aorta descendente v. hemiácigos CATEDRA  DE  RADIOLOGIA  U.N.L.P.   Mediastino normal  Edición  2004
TC axial con contraste E hígado v.c.i. estómago espacio retrocrural aorta descendente CATEDRA  DE  RADIOLOGIA  U.N.L.P.   Mediastino normal  Edición  2004
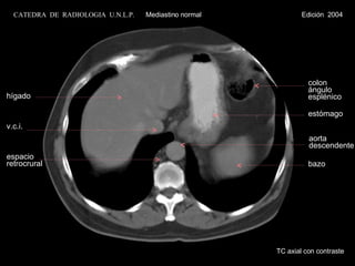
TC axial con contraste hígado v.c.i. espacio retrocrural colon ángulo esplénico estómago bazo aorta descendente CATEDRA  DE  RADIOLOGIA  U.N.L.P.   Mediastino normal  Edición  2004
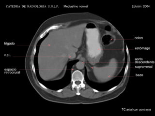
suprarrenal TC axial con contraste hígado v.c.i. espacio retrocrural colon estómago bazo aorta descendente CATEDRA  DE  RADIOLOGIA  U.N.L.P.   Mediastino normal  Edición  2004
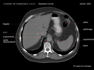
TC axial con contraste hígado v.c.i. suprarrenal bazo suprarrenal estómago colon aorta descendente CATEDRA  DE  RADIOLOGIA  U.N.L.P.   Mediastino normal  Edición  2004
RM axial T1 cayado aórtico esófago tráquea v.c.s. CATEDRA  DE  RADIOLOGIA  U.N.L.P.   Mediastino normal  Edición  2004
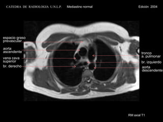
RM axial T1 aorta ascendente vena cava superior br. derecho tronco  a. pulmonar espacio graso prevascular br. izquierdo aorta descendente CATEDRA  DE  RADIOLOGIA  U.N.L.P.   Mediastino normal  Edición  2004
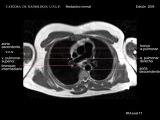
RM axial T1 aorta ascendente v.c.s. v. pulmonar superior. tronco  a.pulmonar a. pulmonar derecha bronquio intermediario aorta descendente CATEDRA  DE  RADIOLOGIA  U.N.L.P.   Mediastino normal  Edición  2004
RM axial T1 raiz aórtica ventrículo derecho v.c.s aurícula derecha aurícula  izquierda v. pulmonar  sup. derecha v. ácigos aorta descendente CATEDRA  DE  RADIOLOGIA  U.N.L.P.   Mediastino normal  Edición  2004
RM axial T1 aurícula der. aurícula izq. ventrículo der. raíz aórtica aorta descendente CATEDRA  DE  RADIOLOGIA  U.N.L.P.   Mediastino normal  Edición  2004
RM axial T1 pericardio ventrículo der. ventrículo izq. septo Interventric. v. ácigos aorta descendente CATEDRA  DE  RADIOLOGIA  U.N.L.P.   Mediastino normal  Edición  2004
RM axial T1 pericardio ventrículo izq. ventrículo der. v.c.i. aorta descendente CATEDRA  DE  RADIOLOGIA  U.N.L.P.   Mediastino normal  Edición  2004
RM axial T1 ventrículo izq. ventrículo der. v.c.i. aorta descendente CATEDRA  DE  RADIOLOGIA  U.N.L.P.   Mediastino normal  Edición  2004
RM sagital T1 aurícula derecha vena cava inferior vena cava sup. aurícula izquierda a. pulmonar der. tráquea CATEDRA  DE  RADIOLOGIA  U.N.L.P.   Mediastino normal  Edición  2004
RM sagital T1 bronquio fuente derecho aurícula izquierda aorta ascendente aurícula  derecha vena cava inferior aorta descendente CATEDRA  DE  RADIOLOGIA  U.N.L.P.   Mediastino normal  Edición  2004
RM sagital T1 ventrículo izquierdo aurícula izquierda cayado  aórtico a. pulmonar  derecha bronquio derecho tr. innominado arterial CATEDRA  DE  RADIOLOGIA  U.N.L.P.   Mediastino normal  Edición  2004
RM sagital T1 ventrículo  izquierdo ventrículo derecho septo  interventric. CATEDRA  DE  RADIOLOGIA  U.N.L.P.   Mediastino normal  Edición  2004
RM coronal T1 ventrículo izquierdo septo  interventric. ventrículo  derecho CATEDRA  DE  RADIOLOGIA  U.N.L.P.   Mediastino normal  Edición  2004
RM coronal T1 ventrículo izquierdo septo  interventricular ventrículo derecho a. pulmonar CATEDRA  DE  RADIOLOGIA  U.N.L.P.   Mediastino normal  Edición  2004
RM coronal T1 ventrículo izq. (tracto de salida) a. pulmonar aurícula der. aorta CATEDRA  DE  RADIOLOGIA  U.N.L.P.   Mediastino normal  Edición  2004
RM coronal T1 aurícula der. a. pulmonar ventrículo izq. (tracto de salida) v. braquiocef. derecha v. braquiocef. izquierda tráquea CATEDRA  DE  RADIOLOGIA  U.N.L.P.   Mediastino normal  Edición  2004
RM coronal T1 vena cava inferior vena cava superior cayado aórtico carótida izq. tr. innominado  arterial aurícula izq. v. pulmonar  superior izq. a. pulmonar CATEDRA  DE  RADIOLOGIA  U.N.L.P.   Mediastino normal  Edición  2004
RM coronal T1 vena cava inferior v. pulmonar superior der. a. pulmonar der. tráquea a. pulmonar izq. aurícula izq. a.subclavia  izquierda cayado aórtico CATEDRA  DE  RADIOLOGIA  U.N.L.P.   Mediastino normal  Edición  2004
bronquio izq. a. pulmonar izq. bronquio del lóbulo superior aorta bronquio derecho (intermediario) RM coronal T1 CATEDRA  DE  RADIOLOGIA  U.N.L.P.   Mediastino normal  Edición  2004
 

Imagenes Normales De Torax

  • 1.
    CATEDRA DE RADIOLOGIA FACULTAD DE CIENCIAS MEDICAS U.N.L.P TORAX NORMAL Mediastino Segmentación Pulmonar EDICION 2004 TC y RM
  • 2.
    Las imágenes normalesson la base para comprender la patología macroscópica. La clínica tiene un correlato práctico directo con las alteraciones de cada una de las estructuras. Entonces, se trata de “enfermar” los distintos sectores anatómicos, para “crear” las distintas patologías. Por ejemplo a partir de los nervios ocurrirán los neurinomas,de los vasos arteriales los aneurismas,los transtornos del calibre y hasta algunos infrecuentes tumores vasculares etc.,etc. En general no existen en el cuerpo espacios vacíos. Cuando una estructura aumenta de tamaño desplaza a las vecinas de alli el enorme valor del conocimiento de la anatomía por cortes o “topográfica” como se la denominaba antes. La utilización clínica de esta metodología de examen por imágenes permite sucesivamente la detección (hallazgo), caracterización (diagnósticos diferenciales) y la estadificación (extensiones) de las alteraciones patológicas, para programar la terapéutica adecuada a cada paciente. Por último, le recomendamos buena suerte en la búsqueda de detalles y relaciones anatómicas en su práctica de la Medicina de todos los días.
  • 3.
    MEDIASTINO EDICION 2004 TC y RM CATEDRA DE RADIOLOGIA FACULTAD DE CIENCIAS MEDICAS U.N.L.P
  • 4.
    CATEDRA DE RADIOLOGIA U.N.L.P. Mediastino normal Edición 2004 F r e n t e
  • 5.
    L a te r a l traquea CATEDRA DE RADIOLOGIA U.N.L.P. Mediastino normal Edición 2004
  • 6.
    Compartimientos mediastínicos traqueaCATEDRA DE RADIOLOGIA U.N.L.P. Mediastino normal Edición 2004 anterior medio superior posterior
  • 7.
    yugular int. carótida v. axilar gland. tiroides T clavícula esófago TC axial con contraste CATEDRA DE RADIOLOGIA U.N.L.P. Mediastino normal Edición 2004 T: tráquea
  • 8.
    T yugular carótidav.axilar a. subclavia a. axilar E TC axial con contraste E: esófago CATEDRA DE RADIOLOGIA U.N.L.P. Mediastino normal Edición 2004
  • 9.
    v. braquiocef. Ta. subclavia v. subclavia v. axilar clavícula E a. subclavia TC axial con contraste CATEDRA DE RADIOLOGIA U.N.L.P. Mediastino normal Edición 2004 carótidas primitivas
  • 10.
    TC axial concontraste v. braquiocef. T E carótidas primitivas a. subclavia v. braquiocef. v. axilar clavícula CATEDRA DE RADIOLOGIA U.N.L.P. Mediastino normal Edición 2004
  • 11.
    v. braquiocef. TE a. subclavia carótida izquierda t. a. braquiocef. v. braquiocef. manubrio esternal 1 a costilla articulación esternoclavicular TC axial con contraste CATEDRA DE RADIOLOGIA U.N.L.P. Mediastino normal Edición 2004
  • 12.
    TC axial concontraste v. braquiocef. T E carótida a. subclavia tr. arterial braquiocef. vena braquiocef. CATEDRA DE RADIOLOGIA U.N.L.P. Mediastino normal Edición 2004
  • 13.
    vena braquiocef. TE cayado aórtico carótida t. a. braquiocef. v. braquiocef. TC axial con contraste CATEDRA DE RADIOLOGIA U.N.L.P. Mediastino normal Edición 2004
  • 14.
    T E v.c.s.cayado aórtico espacio prevascular esternón espacio retrocavo pretraqueal TC axial con contraste CATEDRA DE RADIOLOGIA U.N.L.P. Mediastino normal Edición 2004
  • 15.
    T v.c.s. espacio retrocavo pretraqueal E espacio prevascular aorta ascendente ventana aortopulmonar aorta descendente vasos tímicos TC axial con contraste CATEDRA DE RADIOLOGIA U.N.L.P. Mediastino normal Edición 2004
  • 16.
    T esternón v.c.s.cayado v. ácigos v. ácigos espacio prevascular aorta ascendente ventana aorto-pulm. aorta descendente TC axial con contraste CATEDRA DE RADIOLOGIA U.N.L.P. Mediastino normal Edición 2004
  • 17.
    TC axial concontraste esternón v.c.s. carina v. ácigos espacio prevascular aorta ascendente a. pulmonar izquierda aorta descendente vasos mamarios internos CATEDRA DE RADIOLOGIA U.N.L.P. Mediastino normal Edición 2004
  • 18.
    aorta ascendente v.c.s.v. ácigos espacio prevascular a. pulmonar izq. bronquio derecho bronquio izquierdo aorta descendente espacio interpleural vasos mamarios internos TC axial con contraste CATEDRA DE RADIOLOGIA U.N.L.P. Mediastino normal Edición 2004
  • 19.
    aorta ascendente v.c.s.br. derecho receso pleuro- acigoesofágico rama a. pulmonar tronco a. pumonar a. pulm. der. br. izquierdo aorta descendente espacio prevascular TC axial con contraste E CATEDRA DE RADIOLOGIA U.N.L.P. Mediastino normal Edición 2004
  • 20.
    aorta ascendente v.c.s.a. pulmonar derecha espacio prevascular tronco a. pulmonar aorta descendente v. ácigos E rama a. pulmonar TC axial con contraste CATEDRA DE RADIOLOGIA U.N.L.P. Mediastino normal Edición 2004
  • 21.
    a. pulmonar v.c.s.v. ácigos ramas a. pulmonar E TC axial con contraste aorta ascendente aorta descendente CATEDRA DE RADIOLOGIA U.N.L.P. Mediastino normal Edición 2004
  • 22.
    E ventrículo der.aurícula izq. v. pulmonar aurícula der. raíz aórtica v. pulmonar v. ácigos TC axial con contraste aorta descendente CATEDRA DE RADIOLOGIA U.N.L.P. Mediastino normal Edición 2004
  • 23.
    aurícula der. aurículaizq. ventrículo der. ventrículo izq. receso pleuro- acigoesofágico TC axial con contraste aorta descendente CATEDRA DE RADIOLOGIA U.N.L.P. Mediastino normal Edición 2004
  • 24.
    TC axial concontraste ventrículo der. aurícula izq. v. ácigos aurícula der. aorta descendente CATEDRA DE RADIOLOGIA U.N.L.P. Mediastino normal Edición 2004 ventrículo izq. tabique interventric. pericardio
  • 25.
    TC axial concontraste E ventrículo der. aurícula der. tabique interventric. ventríc. izq. v. ácigos pericardio aorta descendente CATEDRA DE RADIOLOGIA U.N.L.P. Mediastino normal Edición 2004
  • 26.
    TC axial concontraste aurícula der. ventrículo der. ventríc. izq. E pericardio pericardio aorta descendente seno coronario CATEDRA DE RADIOLOGIA U.N.L.P. Mediastino normal Edición 2004
  • 27.
    TC axial concontraste E v.c.i. ventrículo der. grasa prevascular pericardio esófago aorta ácigos hemiácigos conducto torácico ganglios grasa espacio retrocrural aurícula der. aorta descendente v. hemiácigos CATEDRA DE RADIOLOGIA U.N.L.P. Mediastino normal Edición 2004
  • 28.
    TC axial concontraste E hígado v.c.i. estómago espacio retrocrural aorta descendente CATEDRA DE RADIOLOGIA U.N.L.P. Mediastino normal Edición 2004
  • 29.
    TC axial concontraste hígado v.c.i. espacio retrocrural colon ángulo esplénico estómago bazo aorta descendente CATEDRA DE RADIOLOGIA U.N.L.P. Mediastino normal Edición 2004
  • 30.
    suprarrenal TC axialcon contraste hígado v.c.i. espacio retrocrural colon estómago bazo aorta descendente CATEDRA DE RADIOLOGIA U.N.L.P. Mediastino normal Edición 2004
  • 31.
    TC axial concontraste hígado v.c.i. suprarrenal bazo suprarrenal estómago colon aorta descendente CATEDRA DE RADIOLOGIA U.N.L.P. Mediastino normal Edición 2004
  • 32.
    RM axial T1cayado aórtico esófago tráquea v.c.s. CATEDRA DE RADIOLOGIA U.N.L.P. Mediastino normal Edición 2004
  • 33.
    RM axial T1aorta ascendente vena cava superior br. derecho tronco a. pulmonar espacio graso prevascular br. izquierdo aorta descendente CATEDRA DE RADIOLOGIA U.N.L.P. Mediastino normal Edición 2004
  • 34.
    RM axial T1aorta ascendente v.c.s. v. pulmonar superior. tronco a.pulmonar a. pulmonar derecha bronquio intermediario aorta descendente CATEDRA DE RADIOLOGIA U.N.L.P. Mediastino normal Edición 2004
  • 35.
    RM axial T1raiz aórtica ventrículo derecho v.c.s aurícula derecha aurícula izquierda v. pulmonar sup. derecha v. ácigos aorta descendente CATEDRA DE RADIOLOGIA U.N.L.P. Mediastino normal Edición 2004
  • 36.
    RM axial T1aurícula der. aurícula izq. ventrículo der. raíz aórtica aorta descendente CATEDRA DE RADIOLOGIA U.N.L.P. Mediastino normal Edición 2004
  • 37.
    RM axial T1pericardio ventrículo der. ventrículo izq. septo Interventric. v. ácigos aorta descendente CATEDRA DE RADIOLOGIA U.N.L.P. Mediastino normal Edición 2004
  • 38.
    RM axial T1pericardio ventrículo izq. ventrículo der. v.c.i. aorta descendente CATEDRA DE RADIOLOGIA U.N.L.P. Mediastino normal Edición 2004
  • 39.
    RM axial T1ventrículo izq. ventrículo der. v.c.i. aorta descendente CATEDRA DE RADIOLOGIA U.N.L.P. Mediastino normal Edición 2004
  • 40.
    RM sagital T1aurícula derecha vena cava inferior vena cava sup. aurícula izquierda a. pulmonar der. tráquea CATEDRA DE RADIOLOGIA U.N.L.P. Mediastino normal Edición 2004
  • 41.
    RM sagital T1bronquio fuente derecho aurícula izquierda aorta ascendente aurícula derecha vena cava inferior aorta descendente CATEDRA DE RADIOLOGIA U.N.L.P. Mediastino normal Edición 2004
  • 42.
    RM sagital T1ventrículo izquierdo aurícula izquierda cayado aórtico a. pulmonar derecha bronquio derecho tr. innominado arterial CATEDRA DE RADIOLOGIA U.N.L.P. Mediastino normal Edición 2004
  • 43.
    RM sagital T1ventrículo izquierdo ventrículo derecho septo interventric. CATEDRA DE RADIOLOGIA U.N.L.P. Mediastino normal Edición 2004
  • 44.
    RM coronal T1ventrículo izquierdo septo interventric. ventrículo derecho CATEDRA DE RADIOLOGIA U.N.L.P. Mediastino normal Edición 2004
  • 45.
    RM coronal T1ventrículo izquierdo septo interventricular ventrículo derecho a. pulmonar CATEDRA DE RADIOLOGIA U.N.L.P. Mediastino normal Edición 2004
  • 46.
    RM coronal T1ventrículo izq. (tracto de salida) a. pulmonar aurícula der. aorta CATEDRA DE RADIOLOGIA U.N.L.P. Mediastino normal Edición 2004
  • 47.
    RM coronal T1aurícula der. a. pulmonar ventrículo izq. (tracto de salida) v. braquiocef. derecha v. braquiocef. izquierda tráquea CATEDRA DE RADIOLOGIA U.N.L.P. Mediastino normal Edición 2004
  • 48.
    RM coronal T1vena cava inferior vena cava superior cayado aórtico carótida izq. tr. innominado arterial aurícula izq. v. pulmonar superior izq. a. pulmonar CATEDRA DE RADIOLOGIA U.N.L.P. Mediastino normal Edición 2004
  • 49.
    RM coronal T1vena cava inferior v. pulmonar superior der. a. pulmonar der. tráquea a. pulmonar izq. aurícula izq. a.subclavia izquierda cayado aórtico CATEDRA DE RADIOLOGIA U.N.L.P. Mediastino normal Edición 2004
  • 50.
    bronquio izq. a.pulmonar izq. bronquio del lóbulo superior aorta bronquio derecho (intermediario) RM coronal T1 CATEDRA DE RADIOLOGIA U.N.L.P. Mediastino normal Edición 2004
  • 51.