 La pared interna del tórax está revestida por la
pleura parietal, mientras que cada lóbulo está
rodeado por la pleura visceral.
 El espacio entre la pleura visceral y la parietal
ha sido denominado espacio pleural.
El espacio situado entre los lóbulos ,
donde las superficies de la pleura
visceral entran en contacto, es la
cisura o septo interlobular.
Dado que la pleura visceral tiene una espesor
inferior a 1 mm, el haz de rayos X tiene que
incidir paralelo a su superficie para ser visible
en la Rx.
Si una cisura no es paralela al haz
de rayos X, no se verá.
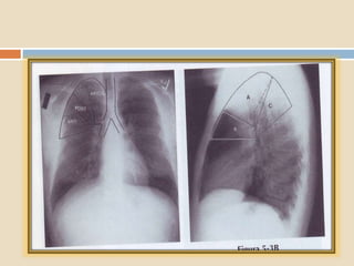
En el pulmón izquierdo,
el lóbulo superior esta
separado del inferior por
la cisura mayor.
La cisura mayor solo es
paralela al haz de rayos
X en la proyección
lateral.
La cisura mayor
desciende oblicuamente
desde la altura de la 5ª
VD, hacia el diafragma, a
un punto muy próximo a
la pared anterior del
tórax.
 La cisura mayor no es visible en la proyección
frontal por:
 No es paralela al haz de rayos
 En el pulmón derecho, la cisura mayor separa los
lóbulos superior, medio del inferior. En el pulmón
izquierdo separa los lóbulos superior e inferior.
 La cisura tiene un aspecto de línea blanca y fina .
 Existen dos excepciones:
 si un lóbulo sufre consolidación , la cisura parece
como un borde
 si entra líquido pleural en la cisura esta aumenta
de espesor.
 La cisura menor u horizontal separa el lóbulo
medio derecho del lóbulo superior derecho .En
el paciente erguido , la cisura menor suele ser
horizontal. Es paralela al suelo. Esta cisura
debe ser visible en la proyección frontal y
lateral.
Un pequeño porcentaje de personas tiene una
cisura menor izquierda entre la língula y el resto
del lóbulo superior .
En muchas personas, la cisura menor no es perfectamente
horizontal. En la parte anterior toda la cisura se dirige hacia
abajo , haciéndola invisible en la proyección frontal. En otras la
cisura menor es incompleta anatómicamente y no es visible en
una o ambas proyecciones.
 En la placa lateral, la cisura menor comienza
en la pared torácica anterior y termina en la
cisura mayor derecha. Esto ayuda a
diferenciar la cisura mayor derecha de la
izquierda en la proyección lateral.
I: cisura menor
II: cisura mayor derecha
III: cisura mayor
izquierda
1 y 2: lóbulos
superiores
3 y 5: lóbulos inferior y
medio derechos.
Existen tres cisuras accesorias, que se ven en
menos del 5% de las personas.
La cisura de la ácigos está formada por un
desarrollo anormal de la vena ácigos. La vena
migra a través de la porción interna del lóbulo
superior derecha, arrastrando consigo la pleura
visceral y parietal. El lóbulo de la ácigos está
separado del resto del lóbulo superior por la
cisura de la ácigos.
 La cisura de la ácigos separa una cantidad
variable de la región medial superior del lóbulo
superior derecha. Esta porción del pulmón se
denomina lóbulo de la ácigos.
 Otra posición anómala ,
la cisura accesoria
inferior, separa el
segmento medial basal
del lóbulo inferior
derecha del resto del
lóbulo.
 La cisura de la ácigos y
accesoria inferior
discurren en un plano
AP. Son visibles en la
proyección frontal.
La tercera cisura accesoria es la cisura
accesoria superior. Esta situada en el mismo
plano y por detrás de la cisura menor, debe ser
visible en la proyección frontal y lateral, a
menudo superpuesta a la cisura menor en la
proyección frontal.
La cisura accesoria
superior divide el lóbulo
en dos porciones : los
segmentos basales y el
segmento superior.
El desplazamiento de
las cisuras es el signo
más confiable de
atelectasias.
 1. C. ácigos
 2. C. menor
 3. C. accesoria
inferior
 4. C. mayor derecha
 5. C. menor
 6. C. accesoria
superior
 7. C. mayor
izquierda
1.
2.
3.
4.
ANATOMIA SEGMENTARIA
Cada pulmón
está dividido
en lóbulos y
cada lóbulo en
segmentos.
Cada
segmento
recibe su
propio
bronquio
segmentario.
La tráquea se
bifurca en la
carina, en los
bronquios
principal
derecho e
izquierdo.
El bronquio
principal
derecho se
divide en tres
bronquios:
superior,
medio e
inferior.
El bronquio
principal
izquierdo se
divide en
superior e
inferior ( la
língula forma
parte del
superior).
 El bronquio del LSD se origina próximo a la
carina. Se divide en tres bronquios
segmentarios: apical, anterior y posterior.
 La TB de reactivación suele darse en los
segmentos apical y posterior de los lóbulos
superiores. En el segmento anterior la TB de
reactivación es rara , mientras que en el
cáncer en los adultos mayores es común.
 A continuación del bronquio principal derecho,
después de la salida del bronquio del LSD, se
encuentra el bronquio intermediario.
 El bronquio del lóbulo medio derecho sale del
bronquio intermediario, se dirige hacia
adelante y se divide en dos bronquio
segmentarios lateral y bronquio segmentario
medial.
 El segmento lateral
está limitado por la
cisura menor en su
parte superior, tanto en
la placa PA como la
lateral.
 El segmento medial
está situado junto al
borde cardíaco derecho
, en su parte medial, y
contra la cisura mayor
en su parte posterior.
LATERAL
MEDIAL
En la proyección lateral , el primer bronquio segmentario
del LID sale hacia atrás, enfrente del bronquio del LMD,
se dirige hacia atrás para ventilar el segmento superior
del lobulo inferior derecho.
El bronquio del lóbulo inferior derecho es la prolongación
directa del bronquio intermediario después de la salida
del bronquio del LMD.
 En la proyección frontal , el segmento superior
del LID se superpone a los lóbulos medio y
superior.
Los cuatro bronquios segmentarios
restantes ventilan los cuatro segmentos
basales del LID. Reciben su localización
en la base pulmonar .
Dos segmentos basales están localizados
en posición anterior: el medial y anterior ;
dos segmentos basales hacia atrás : el
lateral y posterior.
Los dos segmentos basales
que están en contacto con la
cisura mayor son el medial y
el anterior.
Los dos que están en la
pared torácica posterior son
el posterior y medial.
El segmento posterior de los lóbulos
superiores y los segmentos superiores y
basales posteriores de los lóbulos
inferiores son los más declives.La
neumonitis por aspiración ,y el absceso
son más frecuentes en estos segmentos.
H.BASAL MEDIAL
I. BASAL LATERAL
K. BASAL
ANTERIOR
J. BASAL
POSTERIOR
 En el pulmón izquierdo hay dos lóbulos:
superior e inferior. El homologo del LMD es la
língula.
 El primer bronquio lobular que sale del
bronquio principal izquierdo es el bronquio del
lobulo superior izquierdo. Se ramifica en una
división superior y una división inferior se
llama língula.
 La división superior del bronquio se divide en
dos: segmento apical posterior y el segmento
anterior.
 El segmento apical posterior del LSI es el
equivalente a los segmentos apical y
posterior del LSD.
 El bronquio del LMD sale del bronquio
intermediario. La lingula es la continuación del
bronquio del LSI inmediatamente distal al
bronquio de la división superior.
 La división inferior o lingula del LSI se
subdivide en dos segmentos: superior e
inferior. Son similares en cuanto a su
localización , a los segmentos lateral y medial
del LMD.
 La anatomia segmentaria del LII : superior,
basal medial, basal anterior, basal lateral,
basal posterior.
SEGMENTACION BRONQUIAL
PULMON DERECHO PULMON IZQUIERDO
Lóbulo Segmento Lóbulo Segmento
Superior
Apical
Posterior
Anterior
Superior
Culmen
Apicoposterior
Anterior
Língula
Superior
Inferior
Medio
Lateral
Medial
Inferior
Superior o
apical
Basal medial
Basal anterior
Basal lateral
Basal posterior
Inferior
Superior o apical
Basal anteromedial
Basal lateral
Basalposterior

Anatomia lobular

  • 2.
     La paredinterna del tórax está revestida por la pleura parietal, mientras que cada lóbulo está rodeado por la pleura visceral.  El espacio entre la pleura visceral y la parietal ha sido denominado espacio pleural.
  • 3.
    El espacio situadoentre los lóbulos , donde las superficies de la pleura visceral entran en contacto, es la cisura o septo interlobular. Dado que la pleura visceral tiene una espesor inferior a 1 mm, el haz de rayos X tiene que incidir paralelo a su superficie para ser visible en la Rx. Si una cisura no es paralela al haz de rayos X, no se verá.
  • 5.
    En el pulmónizquierdo, el lóbulo superior esta separado del inferior por la cisura mayor. La cisura mayor solo es paralela al haz de rayos X en la proyección lateral. La cisura mayor desciende oblicuamente desde la altura de la 5ª VD, hacia el diafragma, a un punto muy próximo a la pared anterior del tórax.
  • 7.
     La cisuramayor no es visible en la proyección frontal por:  No es paralela al haz de rayos
  • 8.
     En elpulmón derecho, la cisura mayor separa los lóbulos superior, medio del inferior. En el pulmón izquierdo separa los lóbulos superior e inferior.  La cisura tiene un aspecto de línea blanca y fina .  Existen dos excepciones:  si un lóbulo sufre consolidación , la cisura parece como un borde  si entra líquido pleural en la cisura esta aumenta de espesor.
  • 9.
     La cisuramenor u horizontal separa el lóbulo medio derecho del lóbulo superior derecho .En el paciente erguido , la cisura menor suele ser horizontal. Es paralela al suelo. Esta cisura debe ser visible en la proyección frontal y lateral.
  • 10.
    Un pequeño porcentajede personas tiene una cisura menor izquierda entre la língula y el resto del lóbulo superior . En muchas personas, la cisura menor no es perfectamente horizontal. En la parte anterior toda la cisura se dirige hacia abajo , haciéndola invisible en la proyección frontal. En otras la cisura menor es incompleta anatómicamente y no es visible en una o ambas proyecciones.
  • 11.
     En laplaca lateral, la cisura menor comienza en la pared torácica anterior y termina en la cisura mayor derecha. Esto ayuda a diferenciar la cisura mayor derecha de la izquierda en la proyección lateral.
  • 13.
    I: cisura menor II:cisura mayor derecha III: cisura mayor izquierda 1 y 2: lóbulos superiores 3 y 5: lóbulos inferior y medio derechos.
  • 14.
    Existen tres cisurasaccesorias, que se ven en menos del 5% de las personas. La cisura de la ácigos está formada por un desarrollo anormal de la vena ácigos. La vena migra a través de la porción interna del lóbulo superior derecha, arrastrando consigo la pleura visceral y parietal. El lóbulo de la ácigos está separado del resto del lóbulo superior por la cisura de la ácigos.
  • 16.
     La cisurade la ácigos separa una cantidad variable de la región medial superior del lóbulo superior derecha. Esta porción del pulmón se denomina lóbulo de la ácigos.
  • 17.
     Otra posiciónanómala , la cisura accesoria inferior, separa el segmento medial basal del lóbulo inferior derecha del resto del lóbulo.  La cisura de la ácigos y accesoria inferior discurren en un plano AP. Son visibles en la proyección frontal.
  • 18.
    La tercera cisuraaccesoria es la cisura accesoria superior. Esta situada en el mismo plano y por detrás de la cisura menor, debe ser visible en la proyección frontal y lateral, a menudo superpuesta a la cisura menor en la proyección frontal.
  • 19.
    La cisura accesoria superiordivide el lóbulo en dos porciones : los segmentos basales y el segmento superior. El desplazamiento de las cisuras es el signo más confiable de atelectasias.
  • 20.
     1. C.ácigos  2. C. menor  3. C. accesoria inferior  4. C. mayor derecha  5. C. menor  6. C. accesoria superior  7. C. mayor izquierda 1. 2. 3. 4.
  • 21.
  • 22.
    Cada pulmón está dividido enlóbulos y cada lóbulo en segmentos. Cada segmento recibe su propio bronquio segmentario. La tráquea se bifurca en la carina, en los bronquios principal derecho e izquierdo. El bronquio principal derecho se divide en tres bronquios: superior, medio e inferior. El bronquio principal izquierdo se divide en superior e inferior ( la língula forma parte del superior).
  • 24.
     El bronquiodel LSD se origina próximo a la carina. Se divide en tres bronquios segmentarios: apical, anterior y posterior.  La TB de reactivación suele darse en los segmentos apical y posterior de los lóbulos superiores. En el segmento anterior la TB de reactivación es rara , mientras que en el cáncer en los adultos mayores es común.
  • 26.
     A continuacióndel bronquio principal derecho, después de la salida del bronquio del LSD, se encuentra el bronquio intermediario.  El bronquio del lóbulo medio derecho sale del bronquio intermediario, se dirige hacia adelante y se divide en dos bronquio segmentarios lateral y bronquio segmentario medial.
  • 27.
     El segmentolateral está limitado por la cisura menor en su parte superior, tanto en la placa PA como la lateral.  El segmento medial está situado junto al borde cardíaco derecho , en su parte medial, y contra la cisura mayor en su parte posterior.
  • 28.
  • 29.
    En la proyecciónlateral , el primer bronquio segmentario del LID sale hacia atrás, enfrente del bronquio del LMD, se dirige hacia atrás para ventilar el segmento superior del lobulo inferior derecho. El bronquio del lóbulo inferior derecho es la prolongación directa del bronquio intermediario después de la salida del bronquio del LMD.
  • 31.
     En laproyección frontal , el segmento superior del LID se superpone a los lóbulos medio y superior.
  • 32.
    Los cuatro bronquiossegmentarios restantes ventilan los cuatro segmentos basales del LID. Reciben su localización en la base pulmonar . Dos segmentos basales están localizados en posición anterior: el medial y anterior ; dos segmentos basales hacia atrás : el lateral y posterior.
  • 33.
    Los dos segmentosbasales que están en contacto con la cisura mayor son el medial y el anterior. Los dos que están en la pared torácica posterior son el posterior y medial. El segmento posterior de los lóbulos superiores y los segmentos superiores y basales posteriores de los lóbulos inferiores son los más declives.La neumonitis por aspiración ,y el absceso son más frecuentes en estos segmentos.
  • 34.
  • 35.
  • 36.
     En elpulmón izquierdo hay dos lóbulos: superior e inferior. El homologo del LMD es la língula.  El primer bronquio lobular que sale del bronquio principal izquierdo es el bronquio del lobulo superior izquierdo. Se ramifica en una división superior y una división inferior se llama língula.
  • 38.
     La divisiónsuperior del bronquio se divide en dos: segmento apical posterior y el segmento anterior.  El segmento apical posterior del LSI es el equivalente a los segmentos apical y posterior del LSD.  El bronquio del LMD sale del bronquio intermediario. La lingula es la continuación del bronquio del LSI inmediatamente distal al bronquio de la división superior.
  • 40.
     La divisióninferior o lingula del LSI se subdivide en dos segmentos: superior e inferior. Son similares en cuanto a su localización , a los segmentos lateral y medial del LMD.  La anatomia segmentaria del LII : superior, basal medial, basal anterior, basal lateral, basal posterior.
  • 42.
    SEGMENTACION BRONQUIAL PULMON DERECHOPULMON IZQUIERDO Lóbulo Segmento Lóbulo Segmento Superior Apical Posterior Anterior Superior Culmen Apicoposterior Anterior Língula Superior Inferior Medio Lateral Medial Inferior Superior o apical Basal medial Basal anterior Basal lateral Basal posterior Inferior Superior o apical Basal anteromedial Basal lateral Basalposterior