RELAJACION DE LOS TEJIDOS
CLASES DE TIEMPOS

   El tiempo de relajación longitudinal se
    llama T1 y depende de la relación entre el
    protón y el medio que lo rodea (existen
    medios de distinta estructura
    molecular, viscosidad, etc.)
   El tiempo de relajación transversal se llama
    T2 y depende de la relación entre el protón
    y los protones vecinos.
Tiempo de Relajación


 T1 = relajación   longitudinal

 T2 = relajación transversal
RELAJACIÓN
   Es el proceso en el cual los
    protones vuelven al estado que
    tenían antes de la aplicación del
    pulso de excitación RF, y
    devuelve la energía absorbida al
    entorno molecular, al medio de
    alrededor recuperándose el
    vector de magnetización
    longitudinal (spin-red o lattice).

   Simultáneamente, los protones
    se desfasan (dejan de ir
    acompasados) y disminuye el
    vector transversal. Estos dos
    procesos son simultáneos pero
    independientes.
Relajación T1 o relajación longitunidal
    El T1 de un tejido se define como el tiempo que tarda
     en recuperarse el 63% de su magnetización longitudinal.

    Después de interrumpir el pulso de RF los protones
     vuelven desde su estado de mayor energía al de menor
     energía. (orientados hacia arriba otra vez). En resumen
     la relajación T1 es la recuperación de la magnetización
     longitudinal (Z), que será diferente para cada tejido
     porque no todos los protones se relajan al mismo
     tiempo.(están en distintas estructuras moleculares).

    La energía que han absorbido después del pulso de RF
     es liberada al medio de alrededor por eso se llama
     también spín red (laticee).
Relajación T1 o relajación
            longitudinal




Depende de la relación entre el protón y el
medio que lo rodea (distintas moléculas)
Imágenes potenciadas en T1 de los diferentes
    tejidos según su grado de relajacion T1 en un
               momento determinado
   Los tejidos con un T1 mas corto, como la grasa
    muestran mayor intensidad de
    señal, (hiperintensa o blanco en la imagen).
   El hígado tiene un T1 mas corto que el bazo y
    su señal es mas intensa que la del bazo.
Imágenes potenciadas en T1 de los diferentes
tejidos según su grado de relajación T1 en un
           momento determinado

• En el cerebro el LCR, tiene un T1 largo y la señal es
  hipointensa.
• La sustancia gris tiene menor intensidad de señal (agua)
  que la sustancia blanca (grasa)
Relajación T2 o relajación transversal
    El T2 de un tejido se define como el tiempo que
    tarda en perderse el 63% de la mag. transversal
    (Mxy) de su valor inicial. (o hasta el 37% de su
    valor original). La relajación T2 mide el tiempo que
    los protones permanecen en fase después del pulso
    de RF.

   El T2 También se denomina relajación spin-spin o
    protón-protón. Porque los protones pierden la
    coherencia de fase y dejan de ir acompasados
    (sincrónicamente).

   Cada protón es influido por los pequeños campos
    magnéticos de los núcleos vecinos que favorecen el
    desfase.
Relajación T2 o relajación transversal
Ej   Observamos desde arriaba el desfase de este conjunto de protones




      Depende de la relación entre el protón y los
                  protones vecinos
Imágenes potenciadas en T2 de los diferentes
tejidos según su grado de relajación T2 en un
           momento determinado

   Los tejidos con liquido y los tejidos
    patológicos tienen en general un T2 mas
    largo (mas agua libre) y su señal será mayor
    (hiperintensa en la imagen).

   En la pelvis se muestra acumulo de orina en
    la vejiga que tiene una relajación T2 largo y
    en consecuencia una señal intensa en la
    imagen.
Imágenes potenciadas en T2 de los diferentes
tejidos según su grado de relajación T2 en un
           momento determinado
    En el cerebro un sangrado de cierto tiempo tiene un T2
     corto porque sustancias de degradación de la sangre
     (hemosiderina) produce heterogeneidades locales y
     como consecuencia un desfase rápido de los
     protones, poca señal que se ve oscura en la imagen
     (hipointensa).
Relajación
longitudinal




  Relajación
  transversal
EN RMI LAS IMÁGENES SE
 PUEDEN POTENCIAR EN 3
   SECUENCIAS BASICAS
REGULANDO 2 PARAMETROS
PARAMETROS PARA POTENCIAR LA
         IMAGEN


        --TE TIEMPO DE ECO




       --TR TIEMPO DE RELAJACION
PARAMETROS PARA POTENCIAR LA IMAGEN

   Al elegir la secuencia de pulsos, el técnico
    puede influir en el resultado final de la señal de
    un tejido, haciendo que ciertos parámetros se
    destaquen mas que otros.

                           T2



                                                T1
       DP
PARAMETROS PARA POTENCIAR LA IMAGEN
   Estos parámetros básicos en una secuencia son: el tiempo
    entre pulsos de excitación (RF) denominado Tiempo de
    Repetición (TR.). (inclinan el vector magnético).
    .El tiempo transcurrido entre el pulso de excitación y la
    formación del eco, denominado Tiempo de Eco (TE).




   El pulso de excitación mas el eco se denomina Ciclo de
    Pulsos. Para crear una imagen hay que repetir el ciclo
    128,256,512 o 1024 veces. (depende de la matriz)
SECUENCIAS SE




La secuencia base consiste en aplicar un pulso de 90º para
  colocar a los protones en fase y luego cuando estos se
desfasan aplicar un pulso de 180º para recuperacion de la
         fase e incrementar la señal nuevamente.
SECUENCIA SE
SECUENCIA SE
Potenciación en T2
   Para una potenciación en T2 el TR tiene que ser
    largo (1500-3000 ms) para que la relajación T1
    se haya completado y no influya en la señal en la
    imagen.
   El TE debe ser largo (80-120 ms) para que la
    imagen refleje las diferencias en el T2, las cuales
    se hacen mas pronunciadas.
   Cuanto mas largo es el T2 mas intensa (brillante)
    se ve la imagen.
CURVA T2




   TR (Largo) y TE (Largo)
Potenciación en T2

   TR (Largo) y TE (Largo)




            ESTA SECUENCIA SIRVE PARA
              EVALUAR EDEMA, PATOLOGIA
Potenciación en T1
   Para una potenciación en T1 el TR tiene que ser
    corto (400-600 ms) para resaltar diferencias en la
    señal de relajación T1 en los tejidos. (rapidez de
    la recuperación de la mag. Long.).
   El TE debe ser corto(30ms) para evitar que se
    manifieste el efecto T2.
   Cuanto mas corto el T1 mas intensa la señal.
CURVA T1




   TR (Corto) y TE (Corto)
Potenciación en T1
     TR (Corto) y TE (Corto)




      ESTA SECUENCIA SE USA
    PARA EVALUAR ANATOMIA
Potenciación en DP densidad protónica
    Para una potenciación de DP el TR tiene que
     ser largo (1500-2000 ms) para que la relajacion
     T1 se haya completado y no influya la señal en la
     imagen.
    El TE debe ser lo mas corto posible (10-25 ms)
     para que las diferencias en señal T2 no hayan
     tenido tiempo de manifestarse.
    La señal esta determinada por la densidad de
     protones en el tejido.
CURVA DE DENSIDAD
   PROTONICA




   TR (Largo) y TE (Corto).
Potenciación en DP
   TR (Largo) y TE (Corto).
Líquido: señal hiperintensa
                              (color blanco)
                T2
                     Grasa: señal hipointensa
                               (color gris )
Ponderación
 (secuencias)

                     Líquido: señal hipointensa
                             (color negro)
            T1
                     Grasa: señal hiperintensa
                              (color blanco)
   La comparación de las imágenes en ambas
    secuencias T2 y T1 es lo que proporciona la
    información de la lesión.



   La densidad protónica es una secuencia
    intermedia que fundamentalmente lo que detecta
    es la calidad de los protones.
Secuencias de un mismo paciente




   T1         T2         DP
RECONOCER IMAGEN DE RM
 SEGÚN SU POTENCIACION
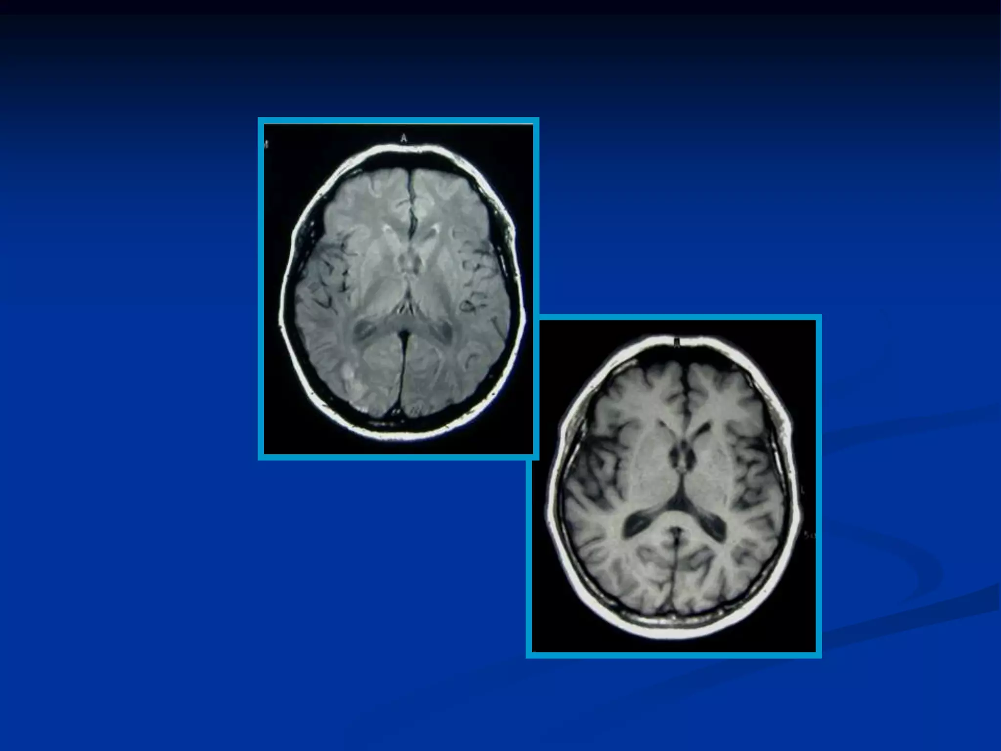
T1 SE


TR=500 ms


TE=15 ms
T2 SE


TR=3370 ms


TE=110 ms
MAMA Y FETO
SEÑALES DE TEJIDOS Y ORGANOS
   La comparación de las imágenes en ambas
    secuencias T2 y T1 es lo que proporciona la
    información de la lesión.


   La densidad protónica es una secuencia
    intermedia que fundamentalmente lo que detecta
    es la calidad de los protones.
Aneurisma y disección de aorta
Hematoma
RNM Relajacion y potenciacion 885
RNM Relajacion y potenciacion 885
RNM Relajacion y potenciacion 885
RNM Relajacion y potenciacion 885

RNM Relajacion y potenciacion 885

  • 1.
  • 2.
    CLASES DE TIEMPOS  El tiempo de relajación longitudinal se llama T1 y depende de la relación entre el protón y el medio que lo rodea (existen medios de distinta estructura molecular, viscosidad, etc.)  El tiempo de relajación transversal se llama T2 y depende de la relación entre el protón y los protones vecinos.
  • 3.
    Tiempo de Relajación T1 = relajación longitudinal T2 = relajación transversal
  • 4.
    RELAJACIÓN  Es el proceso en el cual los protones vuelven al estado que tenían antes de la aplicación del pulso de excitación RF, y devuelve la energía absorbida al entorno molecular, al medio de alrededor recuperándose el vector de magnetización longitudinal (spin-red o lattice).  Simultáneamente, los protones se desfasan (dejan de ir acompasados) y disminuye el vector transversal. Estos dos procesos son simultáneos pero independientes.
  • 5.
    Relajación T1 orelajación longitunidal  El T1 de un tejido se define como el tiempo que tarda en recuperarse el 63% de su magnetización longitudinal.  Después de interrumpir el pulso de RF los protones vuelven desde su estado de mayor energía al de menor energía. (orientados hacia arriba otra vez). En resumen la relajación T1 es la recuperación de la magnetización longitudinal (Z), que será diferente para cada tejido porque no todos los protones se relajan al mismo tiempo.(están en distintas estructuras moleculares).  La energía que han absorbido después del pulso de RF es liberada al medio de alrededor por eso se llama también spín red (laticee).
  • 6.
    Relajación T1 orelajación longitudinal Depende de la relación entre el protón y el medio que lo rodea (distintas moléculas)
  • 7.
    Imágenes potenciadas enT1 de los diferentes tejidos según su grado de relajacion T1 en un momento determinado  Los tejidos con un T1 mas corto, como la grasa muestran mayor intensidad de señal, (hiperintensa o blanco en la imagen).  El hígado tiene un T1 mas corto que el bazo y su señal es mas intensa que la del bazo.
  • 8.
    Imágenes potenciadas enT1 de los diferentes tejidos según su grado de relajación T1 en un momento determinado • En el cerebro el LCR, tiene un T1 largo y la señal es hipointensa. • La sustancia gris tiene menor intensidad de señal (agua) que la sustancia blanca (grasa)
  • 9.
    Relajación T2 orelajación transversal  El T2 de un tejido se define como el tiempo que tarda en perderse el 63% de la mag. transversal (Mxy) de su valor inicial. (o hasta el 37% de su valor original). La relajación T2 mide el tiempo que los protones permanecen en fase después del pulso de RF.  El T2 También se denomina relajación spin-spin o protón-protón. Porque los protones pierden la coherencia de fase y dejan de ir acompasados (sincrónicamente).  Cada protón es influido por los pequeños campos magnéticos de los núcleos vecinos que favorecen el desfase.
  • 10.
    Relajación T2 orelajación transversal Ej Observamos desde arriaba el desfase de este conjunto de protones Depende de la relación entre el protón y los protones vecinos
  • 11.
    Imágenes potenciadas enT2 de los diferentes tejidos según su grado de relajación T2 en un momento determinado  Los tejidos con liquido y los tejidos patológicos tienen en general un T2 mas largo (mas agua libre) y su señal será mayor (hiperintensa en la imagen).  En la pelvis se muestra acumulo de orina en la vejiga que tiene una relajación T2 largo y en consecuencia una señal intensa en la imagen.
  • 12.
    Imágenes potenciadas enT2 de los diferentes tejidos según su grado de relajación T2 en un momento determinado  En el cerebro un sangrado de cierto tiempo tiene un T2 corto porque sustancias de degradación de la sangre (hemosiderina) produce heterogeneidades locales y como consecuencia un desfase rápido de los protones, poca señal que se ve oscura en la imagen (hipointensa).
  • 13.
  • 14.
    EN RMI LASIMÁGENES SE PUEDEN POTENCIAR EN 3 SECUENCIAS BASICAS REGULANDO 2 PARAMETROS
  • 15.
    PARAMETROS PARA POTENCIARLA IMAGEN --TE TIEMPO DE ECO --TR TIEMPO DE RELAJACION
  • 16.
    PARAMETROS PARA POTENCIARLA IMAGEN  Al elegir la secuencia de pulsos, el técnico puede influir en el resultado final de la señal de un tejido, haciendo que ciertos parámetros se destaquen mas que otros. T2 T1 DP
  • 17.
    PARAMETROS PARA POTENCIARLA IMAGEN  Estos parámetros básicos en una secuencia son: el tiempo entre pulsos de excitación (RF) denominado Tiempo de Repetición (TR.). (inclinan el vector magnético). .El tiempo transcurrido entre el pulso de excitación y la formación del eco, denominado Tiempo de Eco (TE).  El pulso de excitación mas el eco se denomina Ciclo de Pulsos. Para crear una imagen hay que repetir el ciclo 128,256,512 o 1024 veces. (depende de la matriz)
  • 18.
    SECUENCIAS SE La secuenciabase consiste en aplicar un pulso de 90º para colocar a los protones en fase y luego cuando estos se desfasan aplicar un pulso de 180º para recuperacion de la fase e incrementar la señal nuevamente.
  • 19.
  • 20.
  • 21.
    Potenciación en T2  Para una potenciación en T2 el TR tiene que ser largo (1500-3000 ms) para que la relajación T1 se haya completado y no influya en la señal en la imagen.  El TE debe ser largo (80-120 ms) para que la imagen refleje las diferencias en el T2, las cuales se hacen mas pronunciadas.  Cuanto mas largo es el T2 mas intensa (brillante) se ve la imagen.
  • 22.
    CURVA T2  TR (Largo) y TE (Largo)
  • 23.
    Potenciación en T2  TR (Largo) y TE (Largo) ESTA SECUENCIA SIRVE PARA EVALUAR EDEMA, PATOLOGIA
  • 24.
    Potenciación en T1  Para una potenciación en T1 el TR tiene que ser corto (400-600 ms) para resaltar diferencias en la señal de relajación T1 en los tejidos. (rapidez de la recuperación de la mag. Long.).  El TE debe ser corto(30ms) para evitar que se manifieste el efecto T2.  Cuanto mas corto el T1 mas intensa la señal.
  • 25.
    CURVA T1  TR (Corto) y TE (Corto)
  • 26.
    Potenciación en T1  TR (Corto) y TE (Corto) ESTA SECUENCIA SE USA PARA EVALUAR ANATOMIA
  • 27.
    Potenciación en DPdensidad protónica  Para una potenciación de DP el TR tiene que ser largo (1500-2000 ms) para que la relajacion T1 se haya completado y no influya la señal en la imagen.  El TE debe ser lo mas corto posible (10-25 ms) para que las diferencias en señal T2 no hayan tenido tiempo de manifestarse.  La señal esta determinada por la densidad de protones en el tejido.
  • 28.
    CURVA DE DENSIDAD PROTONICA  TR (Largo) y TE (Corto).
  • 29.
    Potenciación en DP  TR (Largo) y TE (Corto).
  • 30.
    Líquido: señal hiperintensa (color blanco) T2 Grasa: señal hipointensa (color gris ) Ponderación (secuencias) Líquido: señal hipointensa (color negro) T1 Grasa: señal hiperintensa (color blanco)
  • 31.
    La comparación de las imágenes en ambas secuencias T2 y T1 es lo que proporciona la información de la lesión.  La densidad protónica es una secuencia intermedia que fundamentalmente lo que detecta es la calidad de los protones.
  • 32.
    Secuencias de unmismo paciente T1 T2 DP
  • 33.
    RECONOCER IMAGEN DERM SEGÚN SU POTENCIACION
  • 34.
  • 35.
  • 55.
  • 56.
  • 57.
    La comparación de las imágenes en ambas secuencias T2 y T1 es lo que proporciona la información de la lesión.  La densidad protónica es una secuencia intermedia que fundamentalmente lo que detecta es la calidad de los protones.
  • 58.
  • 60.