Lorena Pérez García T.S.I.D  H.S.J.D.A  CALIDAD RELATIVA A LA IMAGEN  EN  RADIOLOGÍA  CONVENCIONAL
Calidad Conjunto de propiedades inherentes a una  cosa  que permite caracterizarla y valorarla con respecto a las restantes de su especie:  De buena calidad De mala calidad  Diccionario Real Academia Española.
Calidad en una imagen radiográfica Conjunto de propiedades inherentes a la IMAGEN RADIOGRÁFICA , que permite  caracterizarla y valorarla con respecto a  las restantes de su especie.
PROPIEDADES INHERENTES VALORAR ANÁLISIS  DE  RESULTADOS CRITERIOS Calidad en una imagen radiográfica
Obtener imágenes para ofrecer un diagnóstico La calidad de una imagen radiológica dependerá de su valor diagnóstico Calidad en una imagen radiográfica
Factores inherentes a la imagen Análisis de resultados Valor diagnóstico Calidad en una imagen radiográfica
Calidad en una imagen radiográfica Calidad  Resultante en la Imagen Haz  De Radiación Técnica Utilizada
Características del Haz de Radiación Cantidad de rayos x Calidad de rayos x
Nº de rayos x en  el haz útil   Intensidad  de salida de rayos x Exposición a  la radiación  Características del haz de radiación CANTIDAD DE RAYOS X
Características del haz de radiación Capacidad  de penetración del haz Energía del haz Si  la E  la c. penetración Si  la E  la c. penetración CALIDAD DE RAYOS X Nº atómico Los  rayos  x de cualquier E son más penetrantes en materiales de Z bajo.
“ UNA RADIOGRAFÍA” Criterios de evaluación relativos a la imagen
Criterios de calidad de la imagen   Densidad radiológica o densidad óptica Contraste Detalle Distorsión  Anatómicos Exposición:
Para garantizar un buen análisis de estos criterios en la imagen: Hay que reconocerlos( bien/mal) Hay que corregirlos (Factores que determinan dichos criterios en la imagen) Criterios de calidad de la imagen
Reconocer Criterios  de Calidad en la Imagen
DENSIDAD RADIOLÓGICA
¿ QUÉ ES   ? Densidad Radiológica Es el oscurecimiento de la radiografía
“ SOBRE-EXPUESTA ”
“ SUB-EXPUESTA ”
CONTRASTE
¿QUÉ ES ? Contraste Radiológico Es la diferencia de densidades entre estructuras adyacentes
Contraste Radiológico 1 2
Contraste Radiológico 2 1
DETALLE
¿QUÉ ES  ? Detalle Radiológico Es la capacidad de apreciar las pequeñas estructuras  en la radiografía
DETALLE Tenemos que distinguir tres conceptos: Nitidez del detalle Visibilidad Borrosidad
DETALLE NITIDEZ Es la habilidad de un sistema para reproducir y resaltar los más mínimos detalles anatómicos del sujeto. Se refiere a los bordes, si se ven claros hay buena nitidez y viceversa.
DETALLE VISIBILIDAD Se refiere a la capacidad para ver el detalle, si se aprecian bien las pequeñas estructuras hay buena visibilidad y viceversa.
DETALLE BORROSIDAD Es la reproducción defectuosa de trazos o bordes que aparecen desvanecidos y confusos. La nitidez y la borrosidad son por tanto términos antagónicos.
DETALLE 1 2
DISTORSIÓN
¿ QUÉ ES  ? Distorsión Radiológica Es la representación errónea del tamaño y la forma de un  objeto en la radiografía .
DISTORSIÓN Elongación: aumento de tamaño. Acortamiento: disminución del tamaño.
DISTORSIÓN 1 2
DISTORSIÓN ELONGACIÓN DEL CORAZÓN 1 2
ANÁLISIS DE LOS CRITERIOS DE CALIDAD EN LA IMAGEN
DENSIDAD CONTRASTE DETALLE DISTORSIÓN
DENSIDAD CONTRASTE DETALLE DISTORSIÓN
DENSIDAD CONTRASTE DETALLE DISTORSIÓN
Corregir Criterios de Calidad en la Imagen
Factores controlados por el técnico: Factores que dependen del diseño de la equipo. E. Analógico E. Digital - Parámetros  utilizados en la exposición radiológica: La corriente (mA) Tiempo de exposición (s) La tensión (Kv) Foco fino/grueso Distancia Foco Película  Factores que determinan los criterios de calidad en la imagen
FACTORES CONTROLADOS POR EL TÉCNICO
Corriente mA Determina el nº de rayos x producidos, controlando la  cantidad  de radiación. Una modificación de la corriente varia proporcionalmente la  cantidad  de rayos x. No varia la  calidad  del haz de  rayos x.
Tiempo de exposición Segundos Este parámetro está íntimamente relacionado con el mA, ya que si aumentamos el tiempo de exposición habrá que reducir el mA para que la intensidad se mantenga constante. Una modificación del tiempo  varia proporcionalmente la  cantidad  de rayos x. No varia la  calidad  del haz de rayos x.
mAs La  cantidad  de rayos x es directamente proporcional a la corriente medida en mAs Cuando se doblan los mAs se duplica la  cantidad  de rayos x emitidos I 1 /I 2 = mAs 1 / mAs 2 AFECTA A LA CANTIDAD DE RX
Tensión Kv Este  factor afecta tanto a la  cantidad  como a la  calidad  del haz. El cambio en la intensidad de radiación se ve afectada por la llamada “ regla del 15%”. Si  un 15% la tensión se produce un  de la  intensidad al doble. Al aumentar la tensión aumenta la energía del los rayos x, por lo que aumenta la  calidad  del haz . AFECTA A LA CANTIDAD Y A LA CALIDAD DE RX
Punto focal El tamaño del foco no afecta ni la  cantidad  ni la  calidad  de los rayos x. La diferencia estriba en la capacidad de producción de rayos x, que es mayor en el grande.  El empleo de foco fino proporciona más detalle en la radiografía. NO AFECTA A LA CANTIDAD NI A LA CALIDAD DE RX
Distancia foco-película Este  factor afecta a la  cantidad  de radiación pero no a la  calidad . La intensidad de radiación varia inversamente proporcional al cuadrado de la distancia (Ley del cuadrado de la distancia)   I1/I2=(D2/D1) AFECTA A LA CANTIDAD DE RX 2
Radiación dispersa REJILLAS RADIOGRÁFICAS O BUCKY COLIMACIÓN COMPRESIÓN
¿Cómo influyen estos factores en los criterios de la imagen? ¿ CÓMO CORREGIRLOS ?
Depende de la CANTIDAD de rayos x, por tanto  los parámetros que influyen sobre ella son: mAs Kv Distancia foco-película DENSIDAD
DENSIDAD El  parámetro  que utilizaremos para modificar la dens. óptica son los mAs: Si la Rx está blanda o subexpuesta  mAs Si la Rx está dura o sobreexpuesta  mAs Como mínimo se debe variar los mAs un  30%  para obtener resultados apreciables en la radiografía.
mAs  mAs  DENSIDAD
Depende de la CALIDAD de los rayos x en el haz de radiación. El factor que modifica el contraste radiográfico  son los kv. CONTRASTE
El único parámetro que influye en el contraste son los Kv, y lo hace de la siguiente manera: A  la tensión (kv)  el contraste Al  la tensión (Kv)  el contraste  Se necesita cambiar como mínimo  4 kv  para que sean perceptibles los cambios. CONTRASTE
Kv mAs CONTRASTE
Distancia foco-objeto A  DFO  EL DETALLE El punto focal Reduciendo la radiación dispersa por cualquiera de los mecanismos que conocemos. DETALLE No depende de la CANTIDAD O CALIDAD del haz.  Se controla:
DETALLE I Con Rejilla Sin Rejilla
Es causada por la divergencia del haz de radiación, y los parámetros que influyen sobre ella son: La alineación del foco con el centro de la radiografía. Posición del paciente. Centraje de la proyección radiológica. DISTORSIÓN
DISTORSIÓN 1 2
Densidad Contraste Detalle
Factores que dependen del diseño del equipo ANALÓGICO DIGITAL
EQUIPO  ANALÓGICO Distribución continua de matices de grises en la cual las discontinuidades son las que producen la visualización de los detalles anatómicos. Una vez obtenida la imagen apenas se puede hacer nada para mejorar la información. Factores que afectan la calidad en imagen analógica: Sistema pantalla-películas Proceso de revelado Negatoscopios
EQUIPO DIGITAL La distribución de matices de grises se corta en trozos discretos correspondientes  a diferentes niveles de grises. Una vez obtenida la imagen, se puede procesar y manipular los datos hasta conseguir unos resultados óptimos Factores que afectan la calidad en imagen digital: La resolución espacial, tamaño del píxel o potencia resolutiva El resolución de contraste (bit) DEQ La relación señal-ruido Rango dinámico
Continuamos Enseguida
Criterios de Calidad Relativos a la Imagen en la Radiografía de Tórax
Criterios de evaluación Anatómicos Exposición
Campos pulmonares Ápex -Senos costodiafragmático 10 costillas Escápalas fuera del campo  pulmonar Criterios de evaluación 2.  Corazón
No rotación  Extremos claviculares equidistantes con la c. vertebral Misma distancia entre c. vertebral  y costillas Sombra de tráquea centrada sobre   c. vertebral Pequeña cantidad de corazón a  la derecha de la c. vertebral Criterios de evaluación
Exposición adecuada A través de la sombra cardiaca  debe verse la sombra de costillas   y v. dorsales Corazón y diafragmas contorno nítido Visualización de vasos pulmonares Visualización  hilio Insinuación de tórax óseo Criterios de evaluación
Posicionamiento del paciente Instrucciones para la respiración Técnica utilizada PROCEDIMIENTO TÉCNICO
Posición erecta Ingurgitación de los vasos pulmonares Posición baja del diafragma PROCEDIMIENTO TÉCNICO POSICIONAMIENTO DEL PACIENTE Completa expansión de los campos pulmonares
PROCEDIMIENTO TÉCNICO POSICIONAMIENTO DEL PACIENTE
PROCEDIMIENTO TÉCNICO POSICIONAMIENTO DEL PACIENTE
PROCEDIMIENTO TÉCNICO POSICIONAMIENTO DEL PACIENTE
PROCEDIMIENTO TÉCNICO POSICIONAMIENTO DEL PACIENTE
PROCEDIMIENTO TÉCNICO POSICIONAMIENTO DEL PACIENTE
PROCEDIMIENTO TÉCNICO POSICIONAMIENTO DEL PACIENTE
En inspiración - Para ver pulmones (final de inspiración compl)  - Para corazón (final de la inspiración normal) En espiración: - Detectar cuerpos extraños - Neumotórax - Enfisemas PROCEDIMIENTO TÉCNICO INSTRUCCIONES PARA LA RESPIRACIÓN Se inhala más aire y con menos esfuerzo durante la 2º respiración
PROCEDIMIENTO TÉCNICO INSTRUCCIONES PARA LA RESPIRACIÓN Bien inspirada Mal inspirada
Se utiliza la técnica: Alto kilovoltaje(  120 kv) Poco mA (consonancia con el Kv) Tiempo de exposición muy corto (borrosidad cinética) DFP( 1,50-1,80) PROCEDIMIENTO TÉCNICO TÉCNICA DE EXPOSICIÓN
Criterios de Calidad Relativos a la Imagen en la Radiografía de Abdomen
Criterios de evaluación Anatómicos Exposición
Criterios de evaluación Incluir desde el abdomen superior hasta la sínfisis púbica
Criterios de evaluación Adecuada alineación del paciente La c. vertebral   debe estar alineada   con el centro de la radiografía Las costillas, la pelvis, y las caderas  han de estar equidistantes del borde   de la radiografía en ambos lados
Criterios de evaluación No rotación Las apófisis espinosas deben  estar en el centro de las vértebras lumbares  Si son observables, las espinas  Isquiáticas de la pelvis deben ser simétricas Las alas de los iliacos deben ser simétricas
Criterios de evaluación Exposición adecuada Los músculos psoas, el borde inferior del hígado y los riñones Las costillas inferiores Apófisis espinosas de las vértebras lumbares La pared abdominal lateral y la  capa grasa peritoneal
Posicionamiento del paciente Instrucciones para la respiración Técnica utilizada PROCEDIMIENTO TÉCNICO
PROCEDIMIENTO TÉCNICO POSICIONAMIENTO DEL PACIENTE Centraje a nivel  de crestas iliacas Evitar movimientos del paciente
PROCEDIMIENTO TÉCNICO INSTRUCCIONES PARA LA RESPIRACIÓN Exposición 1 ó 2 seg. después del cese de la respiración La exposición se realizará en apnea, en espiración forzada
Se utiliza la técnica: Bajo kilovoltaje( no más de 80 kv) Elevado mA (grosor del abdomen) Tiempo de exposición muy corto (borrosidad cinética) Rejilla antidifusora ( grosor irradiado) PROCEDIMIENTO TÉCNICO TÉCNICA DE EXPOSICIÓN
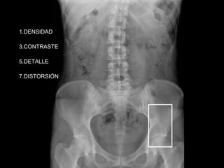
PROCEDIMIENTO TÉCNICO TÉCNICA DE EXPOSICIÓN 80 Kv 95 Kv
Conclusiones Todo lo que hacemos en el proceso de adquisición de la imagen, tiene repercusión sobre la calidad resultante de la imagen.  ¡¡ No dejes que la rutina elija por tí !!
Lorena  Pérez García. e-mail:  [email_address] Muchas gracias por su atención

Power Point Calidad Imagen

  • 1.
    Lorena Pérez GarcíaT.S.I.D H.S.J.D.A CALIDAD RELATIVA A LA IMAGEN EN RADIOLOGÍA CONVENCIONAL
  • 2.
    Calidad Conjunto depropiedades inherentes a una cosa que permite caracterizarla y valorarla con respecto a las restantes de su especie: De buena calidad De mala calidad Diccionario Real Academia Española.
  • 3.
    Calidad en unaimagen radiográfica Conjunto de propiedades inherentes a la IMAGEN RADIOGRÁFICA , que permite caracterizarla y valorarla con respecto a las restantes de su especie.
  • 4.
    PROPIEDADES INHERENTES VALORARANÁLISIS DE RESULTADOS CRITERIOS Calidad en una imagen radiográfica
  • 5.
    Obtener imágenes paraofrecer un diagnóstico La calidad de una imagen radiológica dependerá de su valor diagnóstico Calidad en una imagen radiográfica
  • 6.
    Factores inherentes ala imagen Análisis de resultados Valor diagnóstico Calidad en una imagen radiográfica
  • 7.
    Calidad en unaimagen radiográfica Calidad Resultante en la Imagen Haz De Radiación Técnica Utilizada
  • 8.
    Características del Hazde Radiación Cantidad de rayos x Calidad de rayos x
  • 9.
    Nº de rayosx en el haz útil Intensidad de salida de rayos x Exposición a la radiación Características del haz de radiación CANTIDAD DE RAYOS X
  • 10.
    Características del hazde radiación Capacidad de penetración del haz Energía del haz Si la E la c. penetración Si la E la c. penetración CALIDAD DE RAYOS X Nº atómico Los rayos x de cualquier E son más penetrantes en materiales de Z bajo.
  • 11.
    “ UNA RADIOGRAFÍA”Criterios de evaluación relativos a la imagen
  • 12.
    Criterios de calidadde la imagen Densidad radiológica o densidad óptica Contraste Detalle Distorsión Anatómicos Exposición:
  • 13.
    Para garantizar unbuen análisis de estos criterios en la imagen: Hay que reconocerlos( bien/mal) Hay que corregirlos (Factores que determinan dichos criterios en la imagen) Criterios de calidad de la imagen
  • 14.
    Reconocer Criterios de Calidad en la Imagen
  • 15.
  • 16.
    ¿ QUÉ ES ? Densidad Radiológica Es el oscurecimiento de la radiografía
  • 17.
  • 18.
  • 19.
  • 20.
    ¿QUÉ ES ?Contraste Radiológico Es la diferencia de densidades entre estructuras adyacentes
  • 21.
  • 22.
  • 23.
  • 24.
    ¿QUÉ ES ? Detalle Radiológico Es la capacidad de apreciar las pequeñas estructuras en la radiografía
  • 25.
    DETALLE Tenemos quedistinguir tres conceptos: Nitidez del detalle Visibilidad Borrosidad
  • 26.
    DETALLE NITIDEZ Esla habilidad de un sistema para reproducir y resaltar los más mínimos detalles anatómicos del sujeto. Se refiere a los bordes, si se ven claros hay buena nitidez y viceversa.
  • 27.
    DETALLE VISIBILIDAD Serefiere a la capacidad para ver el detalle, si se aprecian bien las pequeñas estructuras hay buena visibilidad y viceversa.
  • 28.
    DETALLE BORROSIDAD Esla reproducción defectuosa de trazos o bordes que aparecen desvanecidos y confusos. La nitidez y la borrosidad son por tanto términos antagónicos.
  • 29.
  • 30.
  • 31.
    ¿ QUÉ ES ? Distorsión Radiológica Es la representación errónea del tamaño y la forma de un objeto en la radiografía .
  • 32.
    DISTORSIÓN Elongación: aumentode tamaño. Acortamiento: disminución del tamaño.
  • 33.
  • 34.
  • 35.
    ANÁLISIS DE LOSCRITERIOS DE CALIDAD EN LA IMAGEN
  • 36.
  • 37.
  • 38.
  • 39.
    Corregir Criterios deCalidad en la Imagen
  • 40.
    Factores controlados porel técnico: Factores que dependen del diseño de la equipo. E. Analógico E. Digital - Parámetros utilizados en la exposición radiológica: La corriente (mA) Tiempo de exposición (s) La tensión (Kv) Foco fino/grueso Distancia Foco Película Factores que determinan los criterios de calidad en la imagen
  • 41.
  • 42.
    Corriente mA Determinael nº de rayos x producidos, controlando la cantidad de radiación. Una modificación de la corriente varia proporcionalmente la cantidad de rayos x. No varia la calidad del haz de rayos x.
  • 43.
    Tiempo de exposiciónSegundos Este parámetro está íntimamente relacionado con el mA, ya que si aumentamos el tiempo de exposición habrá que reducir el mA para que la intensidad se mantenga constante. Una modificación del tiempo varia proporcionalmente la cantidad de rayos x. No varia la calidad del haz de rayos x.
  • 44.
    mAs La cantidad de rayos x es directamente proporcional a la corriente medida en mAs Cuando se doblan los mAs se duplica la cantidad de rayos x emitidos I 1 /I 2 = mAs 1 / mAs 2 AFECTA A LA CANTIDAD DE RX
  • 45.
    Tensión Kv Este factor afecta tanto a la cantidad como a la calidad del haz. El cambio en la intensidad de radiación se ve afectada por la llamada “ regla del 15%”. Si un 15% la tensión se produce un de la intensidad al doble. Al aumentar la tensión aumenta la energía del los rayos x, por lo que aumenta la calidad del haz . AFECTA A LA CANTIDAD Y A LA CALIDAD DE RX
  • 46.
    Punto focal Eltamaño del foco no afecta ni la cantidad ni la calidad de los rayos x. La diferencia estriba en la capacidad de producción de rayos x, que es mayor en el grande. El empleo de foco fino proporciona más detalle en la radiografía. NO AFECTA A LA CANTIDAD NI A LA CALIDAD DE RX
  • 47.
    Distancia foco-película Este factor afecta a la cantidad de radiación pero no a la calidad . La intensidad de radiación varia inversamente proporcional al cuadrado de la distancia (Ley del cuadrado de la distancia) I1/I2=(D2/D1) AFECTA A LA CANTIDAD DE RX 2
  • 48.
    Radiación dispersa REJILLASRADIOGRÁFICAS O BUCKY COLIMACIÓN COMPRESIÓN
  • 49.
    ¿Cómo influyen estosfactores en los criterios de la imagen? ¿ CÓMO CORREGIRLOS ?
  • 50.
    Depende de laCANTIDAD de rayos x, por tanto los parámetros que influyen sobre ella son: mAs Kv Distancia foco-película DENSIDAD
  • 51.
    DENSIDAD El parámetro que utilizaremos para modificar la dens. óptica son los mAs: Si la Rx está blanda o subexpuesta mAs Si la Rx está dura o sobreexpuesta mAs Como mínimo se debe variar los mAs un 30% para obtener resultados apreciables en la radiografía.
  • 52.
    mAs mAs DENSIDAD
  • 53.
    Depende de laCALIDAD de los rayos x en el haz de radiación. El factor que modifica el contraste radiográfico son los kv. CONTRASTE
  • 54.
    El único parámetroque influye en el contraste son los Kv, y lo hace de la siguiente manera: A la tensión (kv) el contraste Al la tensión (Kv) el contraste Se necesita cambiar como mínimo 4 kv para que sean perceptibles los cambios. CONTRASTE
  • 55.
  • 56.
    Distancia foco-objeto A DFO EL DETALLE El punto focal Reduciendo la radiación dispersa por cualquiera de los mecanismos que conocemos. DETALLE No depende de la CANTIDAD O CALIDAD del haz. Se controla:
  • 57.
    DETALLE I ConRejilla Sin Rejilla
  • 58.
    Es causada porla divergencia del haz de radiación, y los parámetros que influyen sobre ella son: La alineación del foco con el centro de la radiografía. Posición del paciente. Centraje de la proyección radiológica. DISTORSIÓN
  • 59.
  • 60.
  • 61.
    Factores que dependendel diseño del equipo ANALÓGICO DIGITAL
  • 62.
    EQUIPO ANALÓGICODistribución continua de matices de grises en la cual las discontinuidades son las que producen la visualización de los detalles anatómicos. Una vez obtenida la imagen apenas se puede hacer nada para mejorar la información. Factores que afectan la calidad en imagen analógica: Sistema pantalla-películas Proceso de revelado Negatoscopios
  • 63.
    EQUIPO DIGITAL Ladistribución de matices de grises se corta en trozos discretos correspondientes a diferentes niveles de grises. Una vez obtenida la imagen, se puede procesar y manipular los datos hasta conseguir unos resultados óptimos Factores que afectan la calidad en imagen digital: La resolución espacial, tamaño del píxel o potencia resolutiva El resolución de contraste (bit) DEQ La relación señal-ruido Rango dinámico
  • 64.
  • 65.
    Criterios de CalidadRelativos a la Imagen en la Radiografía de Tórax
  • 66.
    Criterios de evaluaciónAnatómicos Exposición
  • 67.
    Campos pulmonares Ápex-Senos costodiafragmático 10 costillas Escápalas fuera del campo pulmonar Criterios de evaluación 2. Corazón
  • 68.
    No rotación Extremos claviculares equidistantes con la c. vertebral Misma distancia entre c. vertebral y costillas Sombra de tráquea centrada sobre c. vertebral Pequeña cantidad de corazón a la derecha de la c. vertebral Criterios de evaluación
  • 69.
    Exposición adecuada Através de la sombra cardiaca debe verse la sombra de costillas y v. dorsales Corazón y diafragmas contorno nítido Visualización de vasos pulmonares Visualización hilio Insinuación de tórax óseo Criterios de evaluación
  • 70.
    Posicionamiento del pacienteInstrucciones para la respiración Técnica utilizada PROCEDIMIENTO TÉCNICO
  • 71.
    Posición erecta Ingurgitaciónde los vasos pulmonares Posición baja del diafragma PROCEDIMIENTO TÉCNICO POSICIONAMIENTO DEL PACIENTE Completa expansión de los campos pulmonares
  • 72.
  • 73.
  • 74.
  • 75.
  • 76.
  • 77.
  • 78.
    En inspiración -Para ver pulmones (final de inspiración compl) - Para corazón (final de la inspiración normal) En espiración: - Detectar cuerpos extraños - Neumotórax - Enfisemas PROCEDIMIENTO TÉCNICO INSTRUCCIONES PARA LA RESPIRACIÓN Se inhala más aire y con menos esfuerzo durante la 2º respiración
  • 79.
    PROCEDIMIENTO TÉCNICO INSTRUCCIONESPARA LA RESPIRACIÓN Bien inspirada Mal inspirada
  • 80.
    Se utiliza latécnica: Alto kilovoltaje( 120 kv) Poco mA (consonancia con el Kv) Tiempo de exposición muy corto (borrosidad cinética) DFP( 1,50-1,80) PROCEDIMIENTO TÉCNICO TÉCNICA DE EXPOSICIÓN
  • 81.
    Criterios de CalidadRelativos a la Imagen en la Radiografía de Abdomen
  • 82.
    Criterios de evaluaciónAnatómicos Exposición
  • 83.
    Criterios de evaluaciónIncluir desde el abdomen superior hasta la sínfisis púbica
  • 84.
    Criterios de evaluaciónAdecuada alineación del paciente La c. vertebral debe estar alineada con el centro de la radiografía Las costillas, la pelvis, y las caderas han de estar equidistantes del borde de la radiografía en ambos lados
  • 85.
    Criterios de evaluaciónNo rotación Las apófisis espinosas deben estar en el centro de las vértebras lumbares Si son observables, las espinas Isquiáticas de la pelvis deben ser simétricas Las alas de los iliacos deben ser simétricas
  • 86.
    Criterios de evaluaciónExposición adecuada Los músculos psoas, el borde inferior del hígado y los riñones Las costillas inferiores Apófisis espinosas de las vértebras lumbares La pared abdominal lateral y la capa grasa peritoneal
  • 87.
    Posicionamiento del pacienteInstrucciones para la respiración Técnica utilizada PROCEDIMIENTO TÉCNICO
  • 88.
    PROCEDIMIENTO TÉCNICO POSICIONAMIENTODEL PACIENTE Centraje a nivel de crestas iliacas Evitar movimientos del paciente
  • 89.
    PROCEDIMIENTO TÉCNICO INSTRUCCIONESPARA LA RESPIRACIÓN Exposición 1 ó 2 seg. después del cese de la respiración La exposición se realizará en apnea, en espiración forzada
  • 90.
    Se utiliza latécnica: Bajo kilovoltaje( no más de 80 kv) Elevado mA (grosor del abdomen) Tiempo de exposición muy corto (borrosidad cinética) Rejilla antidifusora ( grosor irradiado) PROCEDIMIENTO TÉCNICO TÉCNICA DE EXPOSICIÓN
  • 91.
    PROCEDIMIENTO TÉCNICO TÉCNICADE EXPOSICIÓN 80 Kv 95 Kv
  • 92.
    Conclusiones Todo loque hacemos en el proceso de adquisición de la imagen, tiene repercusión sobre la calidad resultante de la imagen. ¡¡ No dejes que la rutina elija por tí !!
  • 93.
    Lorena PérezGarcía. e-mail: [email_address] Muchas gracias por su atención

Notas del editor

  • #2 Hola buenos días ,como ya ha dicho mi compañera me llamo Lorena y este año voy a tratar el tema de la calidad relativa a la imagen en radiología convencional. CALIDAD es una palabra que en estos tiempos esta sonando constantemente, es una palabra muy de moda, y por eso en primer lugar me gustaría hacer un análisis de qué realmente queremos decir con calidad y sobre todo a que nos referimos cuando hablamos de calidad en la imagen radiológica.
  • #3 Pues bien, Según el diccionario de la real academia de la lengua española uno de los significados de la palabra calidad es: Por tanto podemos decir que
  • #4 Entonces Si nos detenemos a analizar la ESENCIA de esta definiciones podemos EXTRAER 2 CONCEPTOS importantes en los que debemos detenernos
  • #5 Estos dos conceptos son: Las propiedades inherentes Valorar dichas propiedades Por una parte las P: INH. Es lo que nosotros llamamos criterios de calidad de la imagen y el valorar esos criterios es lo que nosotros como profesionales realizamos al final de cada radiografía
  • #6 Por otra parte el OBJETIVO DE NUESTRO TRABAJO ES obtener imágenes para ofrecer un diagnostico, por lo que la calidad de una imagen dependerá del valor diagnostico de la misma. Cuanto mayor sea la calidad de imagen mayor será el valor diagnostico de la misma.
  • #7 Resumiendo un poco todos estos conceptos la calidad de la imagen va a ser: Una serie de FII que tendremos que analizar al finalizar del estudio y que en función del valor diagnostico obtenido podremos decir el grado de calidad q tiene la imagen
  • #8 ¿De que depende la calidad resultante de la imagen? De la técnica utilizada para la realización de la radiografía=es decir el posicionamiento del paciente, el equipo del que disponemos y sobre todo depende muy directamente de De las características del haz de radiación Por ello vamos ha hacer un breve recordatorio de cuales son la características del haz
  • #9 Aquí tenemos un dibujo esquematizado de un tubo de Rx,si nos fijamos en el centro observamos que a través de la ventana sale el haz de radiación útil, sus características van a depender de la cantidad de Rx y de la Calidad de RX que tiene al haz. Vamos a ver mas detenidamente cada uno de estos puntos.
  • #10 Se mide definiendo la ionización que los rayos x producen en el aire. La unidad clásica es el roentgen (nº de pares de iones producidos en el aire por una cantidad de radiación),en el sistema internacional culombio/Kgr
  • #11 izquierda: la calidad de los rx se refiere a la capacidad de penetración de la materia Derecha: Un haz de gran E se denomina haz de alta calidad o haz duro,y si es de baja E haz de baja calidad o haz blando Centro: Por este motivo se emplea el plomo Z:82 para blindar las paredes en los servicios de rx La calidad de un haz de rx se mide con el filtro hemireductor. Y bien, Esta caracteristicas del haz influye muy directamente en la calidad de la rx
  • #12 Y finalmente, después detener un determinado haz de radiación con unas características determinadas, obtendremos una radiografía y esta radiografía va atener una calidad concreta que nosotros vamos a analizar con el llamado análisis de resultado , vamos a valorar esos factores inherentes a la imagen que nos va a permitir decidir si la radiografía es de buena o mala calidad. Y¿ como lo vamos a hacer ? Decíamos que los factores inherentes son los criterios de calidad de la imagen, y dentro de estos criterios tenemos que diferenciar dos grupos:
  • #13 Anatómicos zona anatómica a estudiar Exposición van a ser d,c,d,d Es obligatorio para un buen profesional el garantizar estos criterios de forma adecuada en la imagen.
  • #15 En esta primera parte de la ponencia vamos a aprender a reconocer estos criterios en la imagen, para ello tenemos que saber primero que son (por lo que veremos sus definiciones) , y después realizaremos un análisis de algunas radiografías para reconocerlos de forma practica.
  • #18 Si esta mas oscura de lo que debería esta sobre-expuesta o dura
  • #19 Si esta mas blanca de lo que debería esta sub-expuesta o blanda
  • #22 Es la diferencia de densidades entre estructuras adyacentes
  • #30 Aquí tenemos un ejemplo, decíamos que el detalle se refiere a los bordes, si se ven claros y si se aprecian bien las pequeñas estructuras. En este caso tenemos dos RX en la imagen 2 observamos mejor las trabéculas óseas del cúbito se visualizan mas claramente que las trabéculas óseas del cúbito del la imagen 1 detalle que en la imagen 1 .
  • #34 Aquí tenemos 2 radiografías de la misma persona como podéis observar en la imagen 2 se aprecia un corazón de tamaño considerablemente aumentado con respecto a la imagen 1.
  • #35 Si realizamos la medición del mismo observamos ver que el 2 tiene 4 cm mas aproximadamente ,es un ejemplo claro de distorsion de la imagen mas concretamente elongación
  • #36 Y hasta aquí las definiciones de cada uno de los criterios de calidad, Ya sabemos que son ahora tenemos que reconocerlos
  • #37 Densidad era el oscurecimiento de la radiografía, en este caso la radiografía no es ni mas clara ni mas oscura de lo que debería ser para el estudio de esta zona del cuerpo, por tanto podemos decir que tiene una densidad adecuada. Contraste la diferencia de densidades entre estructuras adyacentes, En esta radiografía se puede distinguir muy bien las densidades de las distintas estructuras abdominales Por ejemplo, podemos ver claramente la línea del músculo soaps diferenciando la densidad agua del músculo con la densidad grasa del retroperitoneo . Si nos fijamos en las costillas, distinguimos tambien la densidad calcio del hueso, proyectada sobre la densidad agua del higado a la dch, y del bazo a la izq. EN la C. lumbar distinguimos muy bien las apófisis espinosas de cuerpo vertebral y los pedículos, 3. Detalle: Capacidad de apreciar las pequeñas estructuras, Si ampliamos una zona en la radiografía para poder analizar mejor las pequeñas estructuras, visualizamos de forma muy calra las trabeculas óseas en el hueso de la pelvis, podemos ver incluso las trabéculas ósea del reborde del cotilo y la espina iliaca anteroinferior, de las trabeculas óseas de la cabeza femoral, permitiéndonos así visualizar muy bien el espacio articular de la cadera. El detalle en esta rx es x tanto adecuado. 4. distorsion: representación errónea del tamaño y la forma de un objeto en la radiografía en este caso no hay distorsión. Por tanto estamos ante una rx cuya calidad de imagen es muy buena
  • #38 Densidad era el oscurecimiento de la radiografía, en este caso la radiografía es un poco mas clara de lo que debería ser para el estudio de esta zona del cuerpo, por tanto podemos decir un poco esta subexpuesta . Contraste la diferencia de densidades entre estructuras adyacentes, Músculo soaps Costillas Cuerpos vértebras lumbares Riñones?¿ 3. Detalle: Capacidad de apreciar las pequeñas estructuras, Si ampliamos una zona en la radiografía para poder analizar mejor las pequeñas estructuras, no visualizamos tan claramente las trabeculas óseas en el hueso de la pelvis, si analizamos esta zona las trabéculas ósea del reborde del cotilo y la espina iliaca anteroinferior, de las trabéculas óseas de la cabeza femoral, permitiéndonos así visualizar muy bien el espacio articular de la cadera. El detalle en esta rx es x tanto adecuado. 4. distorsión: representación errónea del tamaño y la forma de un objeto en la radiografía en este caso no hay distorsión. ¿ Que grado de calidad otorgamos a esta radiografía ? no tiene buena calidad, pero según el motivo diagnostico de su realización diríamos que es apta o no para el diagnostico, por ejemplo si lo que buscamos es un calculo, tendríamos que repetirla, pues con esta calidad el calculo puede pasar desapercibido. Si por el contrario lo que se sospecha es que el paciente esta perforado y buscamos la presencia de aire ,la radiografía si seria apta para el diagnostico .
  • #39 Distorsión lo que podemos visualizar en la imagen parece que no representa ninguna estructura errónea
  • #40 Ya sabemos reconocer cada uno de los criterios de calidad en las radiografía, en esta segunda parte vamos a detenernos a estudiar como corregir estos criterios en el caso en el que no estén suficientemente adecuados. ¿Y como lo haremos? En primer lugar tenemos que conocer que factores determinan a estos criterios, y una vez sepamos cuales son esos factores y cuales son sus características, tenemos que analizar como influyen sobre los criterios para poder finalmente corregirlos
  • #41 Dependiendo del equipo vamos a tener caracteristicas distintas que influyen de manera distinta en la calidad de la imagen.
  • #42 Comencemos a ver las características de los factores controlados por el técnico
  • #45 Como el mA y el tiempo están tan íntimamente relacionado, el parámetro que manejamos en la práctica son los mAs. SI AUMENTAMOS DE 20 A 40 MAS SE PRODUCE UN AUMENTO DEL 100% en el nº de Rx , SI AUMENTAMOS DE 20 A 30 SE PRODUCE UN AUMENTO DE RX DEL 50%
  • #49 Este factor esta puesto aquí, porque aunque no es un parámetro de elección del técnico, si que afecta de manera considerable en la calidad de la imagen, y si que podemos intentar reducirla. La radiación dispersa se produce como consecuencia del efecto Compton al atravesar la materia , de forma que se generan unos rayos que pueden tener cualquier dirección y que no contribuyen a la formación de la imagen radiológica produciendo mala calidad en la imagen . Esto hace que sea un elemento indeseable y para reducir los efectos de esta radiación utilizaremos: HABLAR DE LAS REJILLAS: Es un estructura plana situada entre el paciente y la película, formada por laminas de plomo, que reducen la cantidad de radiación dispersa capaz de llegar a la película. COLIMACIÓN: Evita irradiar zonas no necesarias y a su vez la producción de radiación dispersa de esas zonas COMPRESIÓN: Reduce el Volumen de materia irradiada y por tanto la producción de Radiación dispersa.
  • #50 Y bueno, estas son las características de los factores que afectan a los criterios de calidad de imagen, pero ¿como influyen estos factores en la calidad de imagen? y ¿como los corregimos?
  • #51 Lo que ocurre es que cuando queremos modificar exclusivamente la densidad el factor que utilizaremos para la corrección serán los mAs. Por que no utilizaremos los Kv ? Porque modificaríamos también la calidad del Haz y con ello otros parámetros que veremos continuación Por que no la DFP ? Sabemos que la DFP influye en la d. óptica produciendo una sub-exposición en la Rx al aumentar dicho parámetro. Ley del cuadrado de la distancia o ley inversa de los cuadrados .Pero este factor no influye en nuestro trabajo habitual, ya que se utilizan DFP estándar para cada rx.
  • #55 Esto es porque al aumentar el Kv aumenta la capacidad de penetración del haz, y como consecuencia el contraste será menor, y viceversa, por este motivo utilizamos en el tórax parénquima un alto kv para atravesar costillas y ver pulmón y en el óseo una técnica de bajo Kv pues necesitamos mucho contraste entre las distintas estructuras torácicas.
  • #56 Tendríamos que bajar kv y subir mAs pues al bajar Kv también influimos como ya sabemos en la cantidad de RX y POR tanto en la densidad.
  • #57 La distancia foco objeto ayuda a conseguir mas detalle en la imagen de la siguiente manera: a dfo mas larga mayor detalle. Por ello cuanto mas pegado a la placa este el objeto a radiografiar, mejor detalle obtendremos. El punto focal no afecta ni cantidad ni calidad del haz pero si al detalle. Cuanto menor sea el foco mejor detalle. Cuando describíamos el detalle, diferenciábamos tres conceptos dentro de este mismo entre los cuales veíamos que uno de ello era la borrosidad . todo sabemos que la radiación dispersa produce borrosidad en la imagen ,por eso reduciendo la radiación dispersa conseguimos un mejor contraste.
  • #58 Aquí tenemos un ejemplo de dos imágenes con distintas características en le detalle la imagen derecha tiene mejor detalle que la izq el motivo es que una esta realizada con rejilla y la otra si
  • #59 Tiene que existir una correcta alineación entre el foco y el centro de la radiografía, pues si no es así dará lugar a una distorsión en las estructuras radiografiadas, a causa de la divergencia del haz. Lo mismo ocurre con la posición del paciente y el centraje de la proyección en la radiografía.
  • #61 ya hemos hablado de cuales son las características de cada uno de los criterios de calidad en la imagen, y hemos visto que influye y como influyen en cada uno de ellos los distintos factores que son necesarios en la adquisición de la imagen, Pero hay que tener en cuenta que todos los criterios de calidad son dependientes unos de otros ya que una radiografía con una mala densidad no nos va a permitir diferenciar el contraste entre las distintas estructuras ,y si no tenemos un buen contraste, será muy difícil el visualizar el detalle en la radiografía. Además hay otros factores que van a influir en la calidad de la imagen son:
  • #62 Y ahora, para finalizar esta ponencia, vamos a ver algunos factores que como decíamos aunque influyen en la calidad de la imagen no son dependientes del técnico ,sino de las características del equipo con el que se trabaje. Pues no es lo mismo trabajar con R. Analógica q con R. digital. Sus características son distintas e influyen en la imagen de manera distinta.
  • #63 Hablamos de rd analógica cuando el receptor de imagen es un dispositivo que graba directamente estas imagen. Lo que se obtiene es una imagen bidimensional formada por una gran variedad de densidades fotográficas que se deben a que cada punto anatómico producirá diferentes atenuaciones en el haz de radiación incidente, lo cual dará lugar a una gran variedad de intensidades energéticas en el haz emergente.
  • #64 El año pasado mi compañero enrique expuso sobre este tema ,y pudimos ver como podemos mejorar la calidad en la imagen gracias a esas herramientas que nos ofrece la R digital
  • #65 Ahora vamos ha hacer un breve descanso, para continuar con los criterios de calidad en la rx de torax
  • #66 A continuación vamos a profundizar en los criterios de calidad relativos a la imagen de tórax, La proyección de tórax mas habitual y la que forma parte de todos los exámenes pulmonares y cardiacos es la Rx en proyección PA, aunque tambien se utilizan otras proyecciones como laterales, apical lordótica, según sea necesario y según sea solicitadas por el facultativo. Nosotros vamos a centrarnos solo en la proyección PA, debido a que no tenemos mucho tiempo. Y ¿Qué es lo que vamos a hacer? Pues vamos a realizar el análisis de resultado en una imagen posteroanterior de TX.
  • #67 Anatómicos Visualización de las Vísceras torácicas( Pulmones y corazón) Exposición que señales observamos en la imagen para saber que estos criterios son adecuados y óptimos para esta proyección en concreto.
  • #68 Mostrar con claridad los campos pulmonares: Desde el ápex pulmonar hasta los senos costodiafragmáticos Deben verse 10 costillas por encima del diafragma. Las escápulas deben proyectarse fuera del campo pulmonar. Mostrar correctamente el corazón: Una ligera rotación causa una considerable distorsión de la sombra cardiaca
  • #69 Una ligera rotacion causa una considerable distorsión de la sombra cardiaca No rotación de las extructuras : Los extremos esternales de las clavículas deben ser equidistante desde la columna. Debe haber la misma distancia entre la columna vertebral y el borde lateral de las costillas en ambos lados. Debe verse una pequeña cantidad de corazón a la derecha de la columna vertebral. La sombra aérea de la traquea debe estar centrada sobre la columna vertebral
  • #70 Técnica de exposición adecuada: Insinuación del tórax óseo y el ver A través de la sombra cardiaca, tenuemente la sombras de las costillas y las vértebras dorsales superiores .nos indican una dens. adecuada El corazón y el diafragma deben mostrar contornos nítido Visualización nítida del hilio nos indica un buen contraste en la RX Cuando Visualizamos los vasos apicales y basales en el pulmón, tenemos un detalle adecuado.
  • #71 Para conseguir que todos estos criterios se cumplan de forma correcta, y obtengamos una imagen con una excelente calidad tendremos que tener muy en cuenta, el procedimiento técnico que seguimos, deteniéndonos cuidadosamente en :
  • #72 Posición Erecta siempre que sea posible. En posición tendida las vísceras abdominales y el diafragma se mueven hacia arriba, comprimen las vísceras torácicas y evitan la completa expansión de los campos pulmonares. Ingurgitación = Congestión vascular = dilatación de los vasos
  • #78 En esta posición y debido a las circunstancias en la que se encuentran los pacientes ,la calidad de la imagen en muchas ocasiones suele ser muy baja, pero como ya hemos dicho hay veces que no tenemos posibilidad de hacer otro tipo de posicionamiento
  • #79 El siguiente punto en el proceso técnico es las instrucciones para la respiración. Para evitar la elongación del organo por el movimiento descendente completo del diafragma. En espiracion cuando haya una posible alteracion del volumen residual de aire que pudieran quedar oscurecida en la film correspondiente Es interesante saber esto, pues en muchas ocasiones tenemos pacientes con dificultades para inhalar aire, en estas ocasiones podemos realizar la exposición en la segunda inhalación, para conseguir así una mayor expansión de los pulmones.
  • #80 Bien inspirada:de 10 a 11 arcos costales posteriores
  • #81 Para terminar con el procedimiento técnico q debemos seguir para conseguir una imagen de buena calidad vamos a ver la técnica de exposición q debemos seguir: TECNICA Nos permite penetrar el hueso de la parrilla costal, permitiendo ver así el parénquima pulmonar. Como decíamos antes con elevado KV se consigue poco contraste que es lo que pretendemos en este caso, poco contraste entre las costillas y el pulmón. En consonancia con los Kv empleados y debido a la elevado tensión utilizada ,se empleará una técnica de pocos mA, para conseguir una exposición adecuada del receptor de imagen. Debido a el movimiento del corazón, para evitar la borrosidad cinética. Para evitar la magnificación del corazón
  • #82 Continuamos ahora con los criterios de calidad relativos a la imagen en la RX de abdomen, y al igual que en el tórax por la falta de tiempo , no vamos a ver todas las proyecciones que existen para estudiar esta zona con la radiografía convencional, nos centraremos en la RX simple de abdomen. Y para estudiar estos criterios vamos a realizar el análisis de resultado de un RX simple de abdomen
  • #83 Ya es conocido por todos q los criterios que vamos a analizar son : Anatomicos Visualización de el abdomen en su totalidad y sus vísceras Exposición D, C, D, D
  • #85 Este punto es importante ya que el abdomen es una parte voluminosa y si no existe una correcta alineación ,se cortara por algún lado la imagen
  • #87 Los signos a tener en cuenta en la rx son:
  • #88 Pues para conseguir una imagen cuya calidad cumpla cada uno de los criterios anteriormente nombrados, tenemos q tener en cuenta el procedimiento técnico, cuidando en cada ocasión:
  • #89 En el interior de la cavidad abdominal se producen continuos movimientos tanto voluntarios (la respiración) como involuntarios (peristaltismo intestinal) Por ello tenemos que evitarlos para evitar la borrosidad que estos causan en la imagen . Es importante que el paciente este COMODO para evitar los movimientos por tensión muscular, A veces se pueden utilizar bandas de compresión pero la presión debe de ser reducida.
  • #90 La respiración se suspende al final de una espiración , consiguiendo interrumpir el movimiento del diafragma que desplaza las estructuras abdominales . Es importante que el técnico explique correctamente las instrucciones al paciente para q este lo haga lo mejor posible La exposición no se realizará hasta 1 o 2 segundos después de que cese la respiración pues el paciente queda en reposo y contribuye a que cesen los movimientos involuntarios de lasa vísceras
  • #91 En el abdomen se incluyen una gran cantidad de estructuras con una densidad no muy diferente , que deben visualizarse en la rx de abdomen. Por ello es necesario adaptar la técnica de exposición para conseguir que esas partes blandas se diferencien lo mejor posible entre si en la imagen radiológica TECNICA Nos permite obtener un contraste adecuado para diferenciar las distintas estructuras de tejidos blandos entre si. Dado el grosor del abdomen y en consonancia con los Kv empleados ,se empleará un mA elevado ,para conseguir una exposición adecuada del receptor de imagen. Debido a los movimientos del paciente y a limitar la dosis de radiación del paciente Para eliminar la rad. dispersa generada por la interacción de la radiación primaria con el abdomen.
  • #92 Aquí tenemos un ejemplo de la importancia de la técnica en el abdomen,
  • #93 Para terminar me gustaría concluir con un pensamiento o una reflexión , y es que hemos visto que todo lo que hacemos en el proceso de adquisición de la imagen,( posicionamiento del paciente, Instrucciones de respiración la técnica utilizada ,etc.) tiene repercusión sobre la calidad resultante de la imagen. Por eso en nuestro trabajo diario tenemos que pararnos y pensar en lo que hacemos y por qué lo hacemos. y no dejarnos llevar por la rutina . No dejes que la rutina elija por ti.
  • #94 Sin mas ,