Ecografía:Ecografía:
Cortes principalesCortes principales
ECOGRAFÍA BÁSICA DE URGENCIAS
FAST/PREP/RUSH
9 de Mayo de 2014
Dr Joaquín Álvarez Gregori, Dra Elena Ortiz Muñoz y Dr J. F. Sastre García
Unidad de Urgencias
Hospital Nuestra Señora
Del Prado
PRINCIPALES PLANOS DEPRINCIPALES PLANOS DE
CORTECORTE
• Corte
longitudinal
• Corte
transversal
• Corte coronal
o frontal
CORTES TRANSVERSALESCORTES TRANSVERSALES
Cortes TransversalesCortes Transversales
H : higado.
V : vesicula biliar.
P : pancreas.
Ci : vena
cava inferior. A :
arteria aorta.
Co : columna
vertebral. Rd : riñón
derecho. Ri :
riñón izquierdo.
Co
RD
RI
A
V
P
H
Ci
Corte TransversalCorte Transversal
-Diafragma.
-LHD
-Cava
-Cuerpo Vertebral
-Aorta
-Diafragma.
-LHD
-Cava
-Cuerpo Vertebral
-Aorta
CORTE TRANSVERSALCORTE TRANSVERSAL
EPIGASTRIOEPIGASTRIO
Hígado.
RD
Vesícula
Páncreas
Cava
Cuerpo Vertebral
Aorta
RI
Hígado.
RD
Vesícula
Páncreas
Cava
Cuerpo Vertebral
Aorta
RI
Cava y Suprahepáticas dilatadasCava y Suprahepáticas dilatadas
Paciente con
aumento de la
GGT y que
refiere disnea,
presenta
edemas en
MMII
¿Qué medida puede que¿Qué medida puede que
falte?falte?
Eje longitudinal de la
Vesícula: hasta 90
mm.
Eje transverso de la
vesícula: hasta 40mm.
Grosor máximo de la
pared de la vesícula:
3-4mm
Barro biliar
ColelitiasisColelitiasis
Dolor,
postpandrial, no
pirosis, continuo,
a veces más
intenso, a veces
menos, en
paciente obeso.
¿Dónde está el Páncreas?¿Dónde está el Páncreas?
Colecistitis AgudaColecistitis Aguda
Dolor abdominal, en
hemiabdomen
superior.
Fiebre, Leucocitosis
No semiología
infecciosa
respiratoria ni
urinaria
¿Qué es?
¿Qué estamos
Midiendo?
AortaAorta
A nivel EPIGASTRICO:
Hasta 25 mm de diámetro
A nivel UMBILICAL (Mesogastrio)
Hasta 20 mm de diámetro
Calibres entre 25 y 30 mm:
ECTASIAS
Calibres superiores a 30 mm:
ANEURISMAS
CORTES LONGITUDINALESCORTES LONGITUDINALES
Corte Sagital Axilar derechoCorte Sagital Axilar derecho
Diafragma
LHD
Riñón derecho
Diafragma
LHD
Riñón derecho
¿Qué significa?
-Imagen
de densidad
aumentada
-Sombra
acústica
posterior
Corte Longitudinal paramedial derechoCorte Longitudinal paramedial derecho
Corte medial EpigastrioCorte medial Epigastrio
Diafragma
Hígado
Porta
Cabeza del
páncreas.
Cava inferior
Columna Vertebral
inferior.
Diafragma
Hígado
Porta
Cabeza del páncreas.
Cava inferior
Columna Vertebral
inferior.
Corte longitudinal paramedialCorte longitudinal paramedial
izquierdoizquierdo
Diafragma
Hígado, LHI
Aorta
Arteria
Mesentérica
superior
Cuerpo del
páncreas
Diafragma
Hígado, LHI
Aorta
Arteria Mesentérica
superior
Cuerpo del páncreas
AortaAorta
Corte Longitudinal: AxilarCorte Longitudinal: Axilar
izquierdo, Bazoizquierdo, Bazo
ORGANO
INTRAPERITONEAL
LOCALIZADO EN
HIPOCONDRIO
IZQUIERDO. EN
CONTACTO CON:
HEMIDIAFRAGMA
IZQUIERDO
ESTÓMAGO
COLA DE PÁNCREAS
ÁNGULO ESPÉNICO DEL
CÓLON
RIÑON IZQUIERDO
MEDIDAS NORMALES:
DIAMETRO LOG.: < 12 cm
ÁREA: HASTA 60 cm2
Corte longitudinal axilarCorte longitudinal axilar
posterior izquierdoposterior izquierdo
Diafragma
Bazo
Riñón
izquierdo
Corte longitudinal RenalCorte longitudinal Renal
Dolor cólico
flanco
Hematuria en
el sedimento.
Control,
decidir si alta
o no.
NefrolitiasisNefrolitiasis
¿Esa imagen negra?¿Esa imagen negra? Corte longitudinal
axial posterior
izquierdo.
Diafragma
Bazo.
Riñón izquierdo.
Imagen
hipoecogénica,
cortical, medial-
inferior anterior.
Dx: QUISTE
CORTICAL
SIMPLE
Diferencia, con…Diferencia, con… Adulto joven de 27
años.
Hipertensión arterial
Aumento no
explicado de
creatinina.
Múltiples imágenes
anecogénicas que
alteran la
diferenciación
córticomedualr.
Dx: Riñón
poliquístico
Quistes Parapiélicos
¿Hombre o mujer?¿Hombre o mujer?
VOLUMEN DE LA PRÓSTATAVOLUMEN DE LA PRÓSTATA
VolumenVolumen= Diámetro AP * Transverso *
lateral/2=mm cúbico / 1000 cc.
Grado I: 30 a 60cc
Grado II: 60 a 90cc
Grado III: > 90
Hombre y mujerHombre y mujer
Corte longitudinal medialCorte longitudinal medial
hipogastriohipogastrio
Corte longitudinal
de Vejiga.
Hematuria
Imagen
excrecente en
pared anterior
CÁNCER DE
VEJIGA
¿qué es lo negro…y lo gris…?¿qué es lo negro…y lo gris…?
Varón de 83 años,
con infecciones
urinarias de
repetición.
Reconoce además
tenesmo e
incontinencia.
Sedimento urinario
muy alterado
Pielocaliectasia, dilatación de víaPielocaliectasia, dilatación de vía
PEILOCALIECTASIA.PEILOCALIECTASIA.
GRADOSGRADOS
Grado 1:
◦ Diámetro dilatación 5 a 10mm
Grado II:
◦ Diámetro dilatación de 10 a 15mm
Grado III:
◦ Diámetro dilatación > 15mm
Retención Crónica de OrinaRetención Crónica de Orina
 URETERONEFROSIS:
 Dilatación de los ureteres: en
corte transversal las
imágenes redondeadas; en
corte longitudinal imagen
tubular por debajo de la
vejiga
 RESIDUO POSTMICCIONAL:
 Medir volumen vejiga tras
micción.
 Volumen= AP por Lat por
CC //2, mm cúbicos // 1000=
cc
 Significativo > 50
 Indicación Cirugía/sondaje>
150
¿Qué se está midiendo?¿Qué se está midiendo?
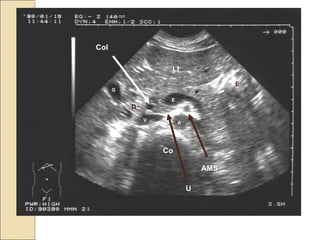
Corte oblícuo-
transversal
subcostal
derecho.
Con o sin apnea
respiratoria
Médida máxima
Porta 12 mm.
Médida máxima
Colédoco (Vía
biliar común) 5 –
7 mm.
C
P
E
V
LI
G
A
Co
Col
D
E
U
AMS
WIRSUNG

Ecografía cortes anatómicos