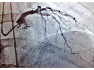
CASO CLINICO # 1
MUJER 50 AÑOS DE EDAD
PADRE Y MADRE CON HISTORIA DE ENFERMEDAD CORONARIA
DIABETES TIPO 2 DESDE HACE 5 AÑOS BUEN CONTROL METABOLICO
HIPERTENSION LEVE. OBESIDAD GRADO I.
CUADRO CLINICO: ANGINA TIPICA DE RECIENTE INICIO (2 SEMANAS, UN PAR DE
EPISODIOS DE REPOSO, FATIGA Y ALTERACIONES DEL SUEÑO)
TA 130/ 90 mm Hg. FC 87/min Fr 16/ min
Glucosa en Ayunas 145 mg /dL. Colesterol total 200 mg/dL, LDL 120 mg d/L
Creatinina 0.9 mg/dL
EXAMEN FISICO ANODINO
ECG DE REPOSO: NORMAL
1. EL 75% DE LAS HOSPITALIZACIONES
2. EL 80% DE TODAS LAS MUERTES
3. EN SU PRIMER INFARTO, EL RIESGO EQUIVALE AL DE UN SEGUNDO INFARTO EN
NO-DIABETICO
4. DIABETES IGUAL A ENFERMEDAD CORONARIA
5. MUJERES DIABETICAS NO TIENEN PROTECCION ESTROGENICA
6. SON UN TERCIO DE LOS PACIENTES CON SINDROMES CORONARIOS AGUDOS
7. SON UN CUARTO DE LOS PACIENTES A REVASCULARIZAR
8. SON UN TERCIO DE LOS PACIENTES CON SHOCK CARDIOGENICO
SWISS MED WKLY 2 0 0 9;139(45–46):654–664 · www.smw. ch
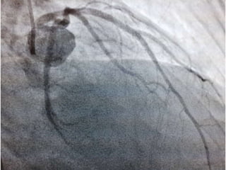
CASO CLINICO # 2
MASCULINO 70 AÑOS DE EDAD
GANADERO, ACTIVO FISICAMENTE
DIABETES TIPO 2 DESDE HACE 15 AÑOS. CONTROL METABOLICO POBRE
HIPERTENSION ARTERIAL CONTROLADA CON ATENOLOL.
CUADRO CLINICO: INFARTO AGUDO DEL MIOCARDIO CON ELEVACION ST DE
LOCALIZACION ANTERIOR EXTENSO. REFERIDO DESDE JUIGALPA A LAS 8 HORAS
DESPUES DEL EVENTO
TA 110/ 50 mm Hg. FC 117/min Fr 19/ min
Glucosa 245 mg /dL. Colesterol total 277 mg/dL, LDL 170 mg d/L
Creatinina 1.6mg/dL. Marcadores cardiacos de daño miocárdico elevados
EXAMEN FISICO: Killlip KimbalI II.
CLINICAMENTE CON ANGOR E INESTABILIDAD HEMODINAMICA
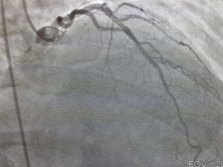
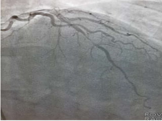
CASO CLINICO # 3
MASCULINO 65 AÑOS DE EDAD
DIABETES TIPO 2 DESDE HACE 15 AÑOS POBRE CONTROL METABOLICO
DISLIPIDEMIA. OBESIDAD GRADO II.
CUADRO CLINICO: ANGINA DE PECHO ATIPICA. CHEQUEO DE RUTINA. ECG DE
REPOSO NORMAL. PRUEBA DE ESFUERZO POSITIVA Y PRECOZ PARA ISQUEMIA.
TA 120/ 68 mm Hg. FC 67/min Fr 13/ min
Glucosa en Ayunas 215 mg /dL. Colesterol total 260 mg/dL, LDL 135 mg d/L
Creatinina 1.2 mg/dL
EXAMEN FISICO ANODINO
Revascularizacioncoronariaendiabetesamn2017
Revascularizacioncoronariaendiabetesamn2017
Revascularizacioncoronariaendiabetesamn2017
Revascularizacioncoronariaendiabetesamn2017
Revascularizacioncoronariaendiabetesamn2017
Revascularizacioncoronariaendiabetesamn2017
Revascularizacioncoronariaendiabetesamn2017
Revascularizacioncoronariaendiabetesamn2017
Revascularizacioncoronariaendiabetesamn2017
Revascularizacioncoronariaendiabetesamn2017
Revascularizacioncoronariaendiabetesamn2017
Revascularizacioncoronariaendiabetesamn2017
Revascularizacioncoronariaendiabetesamn2017
Revascularizacioncoronariaendiabetesamn2017
Revascularizacioncoronariaendiabetesamn2017
Revascularizacioncoronariaendiabetesamn2017
Revascularizacioncoronariaendiabetesamn2017
Revascularizacioncoronariaendiabetesamn2017
Revascularizacioncoronariaendiabetesamn2017
Revascularizacioncoronariaendiabetesamn2017
Revascularizacioncoronariaendiabetesamn2017
Revascularizacioncoronariaendiabetesamn2017

Revascularizacioncoronariaendiabetesamn2017

  • 2.
    CASO CLINICO #1 MUJER 50 AÑOS DE EDAD PADRE Y MADRE CON HISTORIA DE ENFERMEDAD CORONARIA DIABETES TIPO 2 DESDE HACE 5 AÑOS BUEN CONTROL METABOLICO HIPERTENSION LEVE. OBESIDAD GRADO I. CUADRO CLINICO: ANGINA TIPICA DE RECIENTE INICIO (2 SEMANAS, UN PAR DE EPISODIOS DE REPOSO, FATIGA Y ALTERACIONES DEL SUEÑO) TA 130/ 90 mm Hg. FC 87/min Fr 16/ min Glucosa en Ayunas 145 mg /dL. Colesterol total 200 mg/dL, LDL 120 mg d/L Creatinina 0.9 mg/dL EXAMEN FISICO ANODINO ECG DE REPOSO: NORMAL
  • 9.
    1. EL 75%DE LAS HOSPITALIZACIONES 2. EL 80% DE TODAS LAS MUERTES 3. EN SU PRIMER INFARTO, EL RIESGO EQUIVALE AL DE UN SEGUNDO INFARTO EN NO-DIABETICO 4. DIABETES IGUAL A ENFERMEDAD CORONARIA 5. MUJERES DIABETICAS NO TIENEN PROTECCION ESTROGENICA 6. SON UN TERCIO DE LOS PACIENTES CON SINDROMES CORONARIOS AGUDOS 7. SON UN CUARTO DE LOS PACIENTES A REVASCULARIZAR 8. SON UN TERCIO DE LOS PACIENTES CON SHOCK CARDIOGENICO SWISS MED WKLY 2 0 0 9;139(45–46):654–664 · www.smw. ch
  • 14.
    CASO CLINICO #2 MASCULINO 70 AÑOS DE EDAD GANADERO, ACTIVO FISICAMENTE DIABETES TIPO 2 DESDE HACE 15 AÑOS. CONTROL METABOLICO POBRE HIPERTENSION ARTERIAL CONTROLADA CON ATENOLOL. CUADRO CLINICO: INFARTO AGUDO DEL MIOCARDIO CON ELEVACION ST DE LOCALIZACION ANTERIOR EXTENSO. REFERIDO DESDE JUIGALPA A LAS 8 HORAS DESPUES DEL EVENTO TA 110/ 50 mm Hg. FC 117/min Fr 19/ min Glucosa 245 mg /dL. Colesterol total 277 mg/dL, LDL 170 mg d/L Creatinina 1.6mg/dL. Marcadores cardiacos de daño miocárdico elevados EXAMEN FISICO: Killlip KimbalI II. CLINICAMENTE CON ANGOR E INESTABILIDAD HEMODINAMICA
  • 22.
    CASO CLINICO #3 MASCULINO 65 AÑOS DE EDAD DIABETES TIPO 2 DESDE HACE 15 AÑOS POBRE CONTROL METABOLICO DISLIPIDEMIA. OBESIDAD GRADO II. CUADRO CLINICO: ANGINA DE PECHO ATIPICA. CHEQUEO DE RUTINA. ECG DE REPOSO NORMAL. PRUEBA DE ESFUERZO POSITIVA Y PRECOZ PARA ISQUEMIA. TA 120/ 68 mm Hg. FC 67/min Fr 13/ min Glucosa en Ayunas 215 mg /dL. Colesterol total 260 mg/dL, LDL 135 mg d/L Creatinina 1.2 mg/dL EXAMEN FISICO ANODINO