Ma. Eugenia Fernández Ma. Luciana Orellano Residencia Medicina Interna  Hospital Rawson  28 de Abril de 2011 Reunión de Casuística  Sección de Neumonología Hospital Rawson Centro Lázaro Langer
DATOS FILIATORIOS : Sexo masculino 58 años Lugar de nacimiento: Córdoba Residencia actual: Córdoba Estado civil: Separado (3 hijos sanos).  Ocupación: transporte de pasajeros
FECHA DE INGRESO : 27/02/11 MOTIVO DE CONSULTA : AEA : Consulta por  fiebre constatada de 38,5ºC,  acompañada de  astenia ,  tos con expectoración mucosa  y  disnea   progresiva  hasta  GF III,  de dos días de evolución. Además refiere polaquiuria y disuria de 24 hs de evolución. FIEBRE, TOS CON EXPECTORACIÓN Y DISNEA
ANTECEDENTES PERSONALES PATOLÓGICOS  … ANTECEDENTES PERSONALES TÓXICOS  Tabaquista de 10-20 cig/dia desde hace 25 años ANAMNESIS SISTÉMICA Parestesias en manos y pies Disminución de AV bilateral a predominio izquierdo
EXAMEN FÍSICO  FC 101  TA 110/60  Tº 38ºC FR 26 SatO2 92% (AA) Peso: 90 Kg Talla: 1,75 m  IMC: 29 Acantosis nigricans. Tórax simétrico, reducción difusa del MV, estertores crepitantes  bilaterales de tono alto, roncus aislados, subcrepitantes en la base derecha.  Acropaquia. R1 R2 NF, regulares  sin ruidos agregados.  IY (-). Edemas con godet (+) bimaleolares. Lúcido, OTE, paresia 3/5 mano izquierda y pie derecho. No signos meníngeos.
 
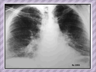
Rx 1993
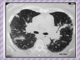
TAC 1993
INGRESO 03/11
 
NEUMOPATÍA INFECCIOSA  EDEMA PULMONAR CARDIOGÉNICO  Hemocultivo. Urocultivo. Cultivo de esputo.  Se inicia tratamiento  PHP Hidrocortisona 100mg c/12 (EV) NBZ con B2 agonistas O2 húmedo Doxiciclina 100 mg c/12 hs (VO) Ampicilina sulbactam 1,5 gr c/6 hs (EV) Ingreso a  sala general
Insuficiencia respiratoria progresiva, refractaria.  Edemas progresivos, anasarca Luego de 10 días de internación ingresa a UTI.  VNI TET ARM AFEBRIL Hemocultivos, urocultivo y cultivos de aspirados traqueales negativos Laboratorio:  GB estables, solo un día leucocitosis que motivo rotación ATB a PTZ. Plaquetopenia progresiva.  Incremento de la LDH hasta 2000 UI  Hiperbilirrubinemia a predominio directo. Deterioro de la función renal. Enzimas cardíacas negativas  Fallece tras 34 días de hospitalización. EVOLUCIÓN
 
 
ELECTROCARDIOGRAMA D I AVR D II D III AVL AVF V1 V2 V3 V4 V5 V6
OCT’10 MARZO’11 DDVI / DSVI 48 mm / 32 mm 61 mm / 45 mm DVD (en 4 cav) 30 mm 46 mm FA FE 34 % 63% 28 % 53 % PSAP 25 mmHg 30 mmHg AI 38 mm  50 mm Disfunción diastólica  de VD y VI Dilatación de cavidades Derrame pericárdico leve
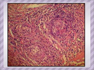
APP Sarcoidosis torácica  (1993, dx por biopsia ganglionar del mediastino. Estadio II) Compromiso cutáneo (eritema nodoso recurrente y refractario en MMII), ocular (uveítis) y del SNP ( mononeuropatía múltiple). Tratamiento prolongado con corticoides y azatioprina.  Cushing exógeno Diabetes inducida por esteroides Serología positiva para Hepatitis C en 2006
 
 
ERITEMA NODOSO
IMPRESIÓN DIAGNÓSTICA  EDEMA PULMONAR CARDIOGÉNICO 2° A CARDIOMIOPATÍA SARCOIDÓTICA, REFRACTARIA AL TRATAMIENTO MÉDICO.

Caso rawson 05.2011

  • 1.
    Ma. Eugenia FernándezMa. Luciana Orellano Residencia Medicina Interna Hospital Rawson 28 de Abril de 2011 Reunión de Casuística Sección de Neumonología Hospital Rawson Centro Lázaro Langer
  • 2.
    DATOS FILIATORIOS :Sexo masculino 58 años Lugar de nacimiento: Córdoba Residencia actual: Córdoba Estado civil: Separado (3 hijos sanos). Ocupación: transporte de pasajeros
  • 3.
    FECHA DE INGRESO: 27/02/11 MOTIVO DE CONSULTA : AEA : Consulta por fiebre constatada de 38,5ºC, acompañada de astenia , tos con expectoración mucosa y disnea progresiva hasta GF III, de dos días de evolución. Además refiere polaquiuria y disuria de 24 hs de evolución. FIEBRE, TOS CON EXPECTORACIÓN Y DISNEA
  • 4.
    ANTECEDENTES PERSONALES PATOLÓGICOS … ANTECEDENTES PERSONALES TÓXICOS Tabaquista de 10-20 cig/dia desde hace 25 años ANAMNESIS SISTÉMICA Parestesias en manos y pies Disminución de AV bilateral a predominio izquierdo
  • 5.
    EXAMEN FÍSICO FC 101 TA 110/60 Tº 38ºC FR 26 SatO2 92% (AA) Peso: 90 Kg Talla: 1,75 m IMC: 29 Acantosis nigricans. Tórax simétrico, reducción difusa del MV, estertores crepitantes bilaterales de tono alto, roncus aislados, subcrepitantes en la base derecha. Acropaquia. R1 R2 NF, regulares sin ruidos agregados. IY (-). Edemas con godet (+) bimaleolares. Lúcido, OTE, paresia 3/5 mano izquierda y pie derecho. No signos meníngeos.
  • 6.
  • 7.
  • 8.
  • 9.
  • 10.
  • 11.
    NEUMOPATÍA INFECCIOSA EDEMA PULMONAR CARDIOGÉNICO Hemocultivo. Urocultivo. Cultivo de esputo. Se inicia tratamiento PHP Hidrocortisona 100mg c/12 (EV) NBZ con B2 agonistas O2 húmedo Doxiciclina 100 mg c/12 hs (VO) Ampicilina sulbactam 1,5 gr c/6 hs (EV) Ingreso a sala general
  • 12.
    Insuficiencia respiratoria progresiva,refractaria. Edemas progresivos, anasarca Luego de 10 días de internación ingresa a UTI. VNI TET ARM AFEBRIL Hemocultivos, urocultivo y cultivos de aspirados traqueales negativos Laboratorio: GB estables, solo un día leucocitosis que motivo rotación ATB a PTZ. Plaquetopenia progresiva. Incremento de la LDH hasta 2000 UI Hiperbilirrubinemia a predominio directo. Deterioro de la función renal. Enzimas cardíacas negativas Fallece tras 34 días de hospitalización. EVOLUCIÓN
  • 13.
  • 14.
  • 15.
    ELECTROCARDIOGRAMA D IAVR D II D III AVL AVF V1 V2 V3 V4 V5 V6
  • 16.
    OCT’10 MARZO’11 DDVI/ DSVI 48 mm / 32 mm 61 mm / 45 mm DVD (en 4 cav) 30 mm 46 mm FA FE 34 % 63% 28 % 53 % PSAP 25 mmHg 30 mmHg AI 38 mm 50 mm Disfunción diastólica de VD y VI Dilatación de cavidades Derrame pericárdico leve
  • 17.
    APP Sarcoidosis torácica (1993, dx por biopsia ganglionar del mediastino. Estadio II) Compromiso cutáneo (eritema nodoso recurrente y refractario en MMII), ocular (uveítis) y del SNP ( mononeuropatía múltiple). Tratamiento prolongado con corticoides y azatioprina. Cushing exógeno Diabetes inducida por esteroides Serología positiva para Hepatitis C en 2006
  • 18.
  • 19.
  • 20.
  • 21.
    IMPRESIÓN DIAGNÓSTICA EDEMA PULMONAR CARDIOGÉNICO 2° A CARDIOMIOPATÍA SARCOIDÓTICA, REFRACTARIA AL TRATAMIENTO MÉDICO.