TEJIDO CONECTIVO
INTRODUCCION
• Tejido de sostén
• MEC > Células
• Tejido Conectivo embrionario
• Tejido Conectivo propiamente dicho
• Tejido Conectivo especializado ?
• Tejido Conectivo laxo: células > importancia que fibras
• Tendones: fibras > importancia que células
FUNCIONES DEL T. CONJUNTIVO
• Proporcionar soporte estructural
• Servir como un medio de intercambio
• Contribuir a la defensa y protección del
cuerpo
• Crear un sitio para el depósito de grasa
Tipos de Colágeno
• Tipo I: Tejido conjuntivo propio, hueso,
dentina y cemento
• Tipo II: Cartílagos hialino y elástico
• Tipo III: Fibras reticulares
• Tipo IV: Lamina densa de la Lámina basal
• Tipo V: Placenta
• Tipo VII: Unión de la lámina basal con la
lámina reticular
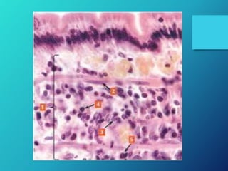
Componentes celulares
Células Fijas
• Fibroblastos
• Adipocitos
• Pericitos
• Mastocitos
• Macrófagos
Células Móviles
• Plasmocitos
• Linfocitos
• Neutrófilos
• Eosinófilos
• Basófilos
• Monocitos
• Macrófagos
CELULAS FIJAS T. CONJUNTIVO
• FIBROBLASTOS: Mas abundante  MEC
• PERICITOS: Rodean C. Endoteliales
• ADIPOCITOS: Almacenamiento grasa
• MASTOCITOS: Procesos inflamatorios y
Reacciones de Hipersensibilidad Inmediata
• MACROFAGOS: Sistema fagocítico
mononuclear
• Larga vida
Fibroblastos
• Mas abundantes y difundidas
• Provienen de Células Mesenquimatosas
indiferenciadas
• Sintetizan MEC del Tejido Conectivo
• Relación estrecha con Fibras de colágeno
• Fusiformes y alargados, citoplasma pálido, núcleo
basófilo, nucléolo bien definido
• Ap. Golgi notorio y RER abundante
• Miofibroblastos: Cicatrización de heridas
PERICITOS
• Derivados de Células Mesenquimatosas
indiferenciadas
• Circundan parcialmente Células Endoteliales
• Características de Células endoteliales y
musculares lisas => actina, miosina y
tropomiosina
• Sistema Circulatorio
Mastocitos (C. Cebadas)
• Ovoides, núcleo central esférico
• Se derivan de Células Madre de la Médula Ósea
• Se identifican por la presencia de múltiples gránulos en
su interior = heparina
• Gránulos => histamina, proteasas neutras, arilsulfatasas,
factores quimiotácticos
• Sintetizan mediadores inflamatorios
• T. Conectivo, S. Respiratorio, S. Digestivo
Macrófagos
• Actúan en la eliminación de desechos y protegen
al organismo de microrganismos invasores
• 10 – 30 µm, forma irregular
• Citoplasma basófilo, muchas vacuolas pequeñas
• Núcleo excéntrico, ovoide, similar a un riñón, no
se observan nucléolos
• Golgi bien desarrollado, RER acentuado y
lisosomas abundantes
Desarrollo y distribución
• Pertenecen al Sistema Fagocítico Mononuclear
• Provienen de una célula madre común de la MO,
poseen lisosomas, capaces de fagocitar,
receptores especiales
• Los monocitos se originan en la MO  reciben
una señal migran del endotelio al T.C 
maduran  Macrófagos
• Los macrófagos surgen de los monocitos y se
activan por un factor estimulante de colonias
(M-CSF)
Desarrollo y distribución
• HIGADO = Células de Kupffer
• PULMÓN = Células de Polvo
• PIEL = Células de Langerhans
• SANGRE = Monocitos
• T. CONECTIVO, BAZO, G- LINFÁTICOS, TIMO, MO:
Macrófagos
• Hacen parte del S. Fagocítico Mononuclear
• Inflamación crónica => T. epitelioide
CÉLULAS MÓVILES DEL TEJIDO
CONECTIVO
• Todas derivan de precursores de la M.O
• C. Plasmáticas:
• derivan de linfocitos B
• diseminadas en todos los T.C
• áreas de inflamación crónica
• producen y secretan anticuerpos
• ovoides, núcleo excéntrico, citoplasma
basófilo, heterocromatina en forma de
“rayos”
• Viven alrededor de 2 – 3 semanas
LEUCOCITOS
• Migran al T.C. durante la inflamación y
reacciones inmunitarias
• Neutrófilos = bacterias en áreas de inflamación
aguda  pus (neutrófilos muertos + desechos)
• Eosinófilos = parásitos, inflamación aguda,
reacciones alérgicas
• Basófilos = modulan proceso inflamatorio
• Linfocitos = virus e inflamación crónica
• Monocitos
CLASIFICACION DEL TEJIDO
CONECTIVO
CLASIFICACIÓN DEL TEJIDO
CONECTIVO
T. CONECTIVO EMBRIONARIO
• T.C. MESENQUIMATOSO
• Solo en el embrión, formado por c.
mesenquimatosas en una sustancia base amorfa
• Forman T. conectivo laxo
• T.C. MUCOSO
• Amorfo y laxo, similar a gelatina
• Poblada por fibras de colágeno I y III
• Conocido como Gelatina de Warthon  Cordón
umbilical
T. CONJUNTIVO LAXO (AREOLAR)
• Delicado, flexible, poco resistente a la tracción
• Sustancia fundamental abundante
• Contiene fibras de colágeno, elásticas y reticulares
• Predominancia celular = Fibroblastos, Macrófagos,
Leucocitos, Mastocitos y Plasmocitos
T. CONJUNTIVO LAXO (AREOLAR)
• Dermis papilar
• Lámina propia de S. respiratorio y digestivo
• Debajo del mesotelio de cavidades internas
corporales
• Rodea vasos sanguíneos y el parénquima glandular
T. CONECTIVO DENSO
• Predominan las fibras de colágeno
• Menos flexible, más resistente
• Tejido Conectivo Denso Regular Colagenoso: Tendones y
ligamentos
• Tejido Conectivo Denso Regular Elástico: Grandes vasos
sanguíneos, Lig. Amarillo y Lig. Suspensorio del Pene
• Tejido Conectivo Denso Irregular: Dermis reticular,
vainas nerviosas, cápsula del Hígado, Bazo, Páncreas,
Riñones, Ovarios y Testículos
T. CONECTIVO RETICULAR
• Constituido por fibras de colágeno tipo III
• Sintetizadas por fibroblastos
• Disposición arborescente y ramificada
• Sinusoides hepáticos, médula ósea,
ganglios linfáticos, bazo, tiroides y
páncreas.
Tejido conectivo
Tejido conectivo
Tejido conectivo
Tejido conectivo
Tejido conectivo
Tejido conectivo
Tejido conectivo
Tejido conectivo

Tejido conectivo

  • 1.
  • 2.
    INTRODUCCION • Tejido desostén • MEC > Células • Tejido Conectivo embrionario • Tejido Conectivo propiamente dicho • Tejido Conectivo especializado ? • Tejido Conectivo laxo: células > importancia que fibras • Tendones: fibras > importancia que células
  • 4.
    FUNCIONES DEL T.CONJUNTIVO • Proporcionar soporte estructural • Servir como un medio de intercambio • Contribuir a la defensa y protección del cuerpo • Crear un sitio para el depósito de grasa
  • 5.
    Tipos de Colágeno •Tipo I: Tejido conjuntivo propio, hueso, dentina y cemento • Tipo II: Cartílagos hialino y elástico • Tipo III: Fibras reticulares • Tipo IV: Lamina densa de la Lámina basal • Tipo V: Placenta • Tipo VII: Unión de la lámina basal con la lámina reticular
  • 6.
    Componentes celulares Células Fijas •Fibroblastos • Adipocitos • Pericitos • Mastocitos • Macrófagos Células Móviles • Plasmocitos • Linfocitos • Neutrófilos • Eosinófilos • Basófilos • Monocitos • Macrófagos
  • 10.
    CELULAS FIJAS T.CONJUNTIVO • FIBROBLASTOS: Mas abundante  MEC • PERICITOS: Rodean C. Endoteliales • ADIPOCITOS: Almacenamiento grasa • MASTOCITOS: Procesos inflamatorios y Reacciones de Hipersensibilidad Inmediata • MACROFAGOS: Sistema fagocítico mononuclear • Larga vida
  • 11.
    Fibroblastos • Mas abundantesy difundidas • Provienen de Células Mesenquimatosas indiferenciadas • Sintetizan MEC del Tejido Conectivo • Relación estrecha con Fibras de colágeno • Fusiformes y alargados, citoplasma pálido, núcleo basófilo, nucléolo bien definido • Ap. Golgi notorio y RER abundante • Miofibroblastos: Cicatrización de heridas
  • 14.
    PERICITOS • Derivados deCélulas Mesenquimatosas indiferenciadas • Circundan parcialmente Células Endoteliales • Características de Células endoteliales y musculares lisas => actina, miosina y tropomiosina • Sistema Circulatorio
  • 16.
    Mastocitos (C. Cebadas) •Ovoides, núcleo central esférico • Se derivan de Células Madre de la Médula Ósea • Se identifican por la presencia de múltiples gránulos en su interior = heparina • Gránulos => histamina, proteasas neutras, arilsulfatasas, factores quimiotácticos • Sintetizan mediadores inflamatorios • T. Conectivo, S. Respiratorio, S. Digestivo
  • 18.
    Macrófagos • Actúan enla eliminación de desechos y protegen al organismo de microrganismos invasores • 10 – 30 µm, forma irregular • Citoplasma basófilo, muchas vacuolas pequeñas • Núcleo excéntrico, ovoide, similar a un riñón, no se observan nucléolos • Golgi bien desarrollado, RER acentuado y lisosomas abundantes
  • 19.
    Desarrollo y distribución •Pertenecen al Sistema Fagocítico Mononuclear • Provienen de una célula madre común de la MO, poseen lisosomas, capaces de fagocitar, receptores especiales • Los monocitos se originan en la MO  reciben una señal migran del endotelio al T.C  maduran  Macrófagos • Los macrófagos surgen de los monocitos y se activan por un factor estimulante de colonias (M-CSF)
  • 20.
    Desarrollo y distribución •HIGADO = Células de Kupffer • PULMÓN = Células de Polvo • PIEL = Células de Langerhans • SANGRE = Monocitos • T. CONECTIVO, BAZO, G- LINFÁTICOS, TIMO, MO: Macrófagos • Hacen parte del S. Fagocítico Mononuclear • Inflamación crónica => T. epitelioide
  • 22.
    CÉLULAS MÓVILES DELTEJIDO CONECTIVO • Todas derivan de precursores de la M.O • C. Plasmáticas: • derivan de linfocitos B • diseminadas en todos los T.C • áreas de inflamación crónica • producen y secretan anticuerpos • ovoides, núcleo excéntrico, citoplasma basófilo, heterocromatina en forma de “rayos” • Viven alrededor de 2 – 3 semanas
  • 25.
    LEUCOCITOS • Migran alT.C. durante la inflamación y reacciones inmunitarias • Neutrófilos = bacterias en áreas de inflamación aguda  pus (neutrófilos muertos + desechos) • Eosinófilos = parásitos, inflamación aguda, reacciones alérgicas • Basófilos = modulan proceso inflamatorio • Linfocitos = virus e inflamación crónica • Monocitos
  • 27.
  • 28.
  • 29.
    T. CONECTIVO EMBRIONARIO •T.C. MESENQUIMATOSO • Solo en el embrión, formado por c. mesenquimatosas en una sustancia base amorfa • Forman T. conectivo laxo • T.C. MUCOSO • Amorfo y laxo, similar a gelatina • Poblada por fibras de colágeno I y III • Conocido como Gelatina de Warthon  Cordón umbilical
  • 35.
    T. CONJUNTIVO LAXO(AREOLAR) • Delicado, flexible, poco resistente a la tracción • Sustancia fundamental abundante • Contiene fibras de colágeno, elásticas y reticulares • Predominancia celular = Fibroblastos, Macrófagos, Leucocitos, Mastocitos y Plasmocitos
  • 36.
    T. CONJUNTIVO LAXO(AREOLAR) • Dermis papilar • Lámina propia de S. respiratorio y digestivo • Debajo del mesotelio de cavidades internas corporales • Rodea vasos sanguíneos y el parénquima glandular
  • 40.
    T. CONECTIVO DENSO •Predominan las fibras de colágeno • Menos flexible, más resistente • Tejido Conectivo Denso Regular Colagenoso: Tendones y ligamentos • Tejido Conectivo Denso Regular Elástico: Grandes vasos sanguíneos, Lig. Amarillo y Lig. Suspensorio del Pene • Tejido Conectivo Denso Irregular: Dermis reticular, vainas nerviosas, cápsula del Hígado, Bazo, Páncreas, Riñones, Ovarios y Testículos
  • 47.
    T. CONECTIVO RETICULAR •Constituido por fibras de colágeno tipo III • Sintetizadas por fibroblastos • Disposición arborescente y ramificada • Sinusoides hepáticos, médula ósea, ganglios linfáticos, bazo, tiroides y páncreas.