POLARIDAD CELULAR
Polaridad celular
• Características morfológicas, bioquímicas y
fisiológicas  disposición geométrica de las células
• Región apical: orientada hacia la periferia (luz)
• Región lateral: contacto intimo con células
contiguas, posee adhesiones especializadas
• Región basal: se apoya sobre la membrana basal y
se fija al T.C subyacente
REGION O DOMINIO
APICAL
POLARIDAD CELULAR
Región apical
• Modificaciones en la superficie libre para incrementar la
propia superficie o desplazar partículas.
• Posee canales iónicos, enzimas, proteínas
transportadoras (acuaporinas), GCP
• Microvellosidades: prolongaciones citoplasmáticas
digitaliformes, desde la superficie celular
• Cilios y Flagelos: prolongaciones citoplasmáticas
móviles
• Estereocilios: microvellosidades de gran longitud
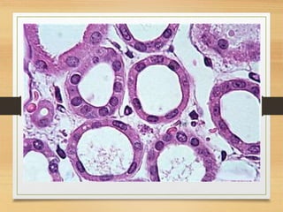
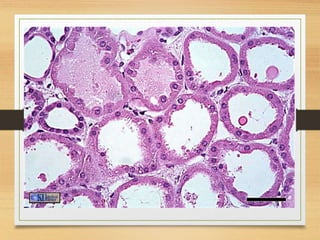
Microvellosidades
• Proyecciones citoplasmáticas digitiformes
• Epitelios Cilíndricos y cúbicos (Simples)
• Aspecto uniforme, altas, paralelas y juntas
• Borde estriado = Células Intestinales
• Borde en cepillo = Túbulos Renales
• Fx: Aumentar la superficies libre para facilitar la
absorción y el transporte
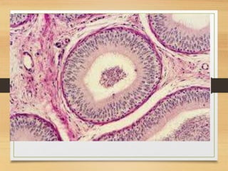
Cilios (Fimbrias)
• Estructuras filiformes con movilidad
• Epitelio Respiratorio y Tuba uterina = Ciliado
• Fx: Propulsión de sustancias y moléculas
• Complejo interno de microtúbulos = Axonema
• Patrón “9+2” = 9 pares de dobletes (subunidad A y
B) y 2 individuales (Singletes)
Estereocilios
• Microvellosidades largas e inmóviles NO SON CILIOS
• Únicamente en epidídimo y Células piliformes del oído
interno
• Carecen de complejos filamentosos
• Fx?: incrementar el área de superficie celular y facilitar el
movimiento de moléculas
Flagelos
• Solo se presenta en los espermatozoides
• Estructura similar a cilios
• Mas largos y movimiento distinto a los cilios
• Base molecular de movimiento similar
REGION O DOMINIO
LATERAL
POLARIDAD CELULAR
Región Lateral
• Posee puntos de contacto entre células = barras
terminales  uniones celulares
• Permite la formación de estratos con permeabilidad
selectiva
• Proteínas exclusivas = moléculas de adhesión celular
• Forma invaginaciones y evaginaciones
• Complejos de Unión = Uniones ocluyentes,
adherentes y comunicantes
UNIONES OCLUYENTES
• Zónula Occludens o de Oclusión – unión estrecha
• Impiden el movimiento de proteínas de membrana
• Localización apical
• Similares a cinturón, circunda la célula
• Fxs: 1) prevenir la difusión de moléculas entre células.
2) evitar la migración lateral de proteínas.
UNIONES DE FIJACIÓN O
ADHERENTES
• Zónula Adherens o Adherentes
• Inmediatamente inferior a Zónula de Oclusión
• Similar a cinturón
• Posee moleculas de adhesión celular dependiente de
calcio = caderina
• Fascia adherente:*
• No circunda
• Músculo cardíaco
• Contribuyen a la unión de células contiguas
UNIONES DE FIJACIÓN O
ADHERENTES
• Desmosomas – Mácula adherentes
• Puntos de soldadura
• Proporciona estabilidad mecánica
• Bien desarrolladas en E. plano estratificado queratinizado
• Compuestos por Desmogleinas y desmocolinas
UNIONES COMUNICANTES
• Nexos – gap – uniones de hendidura – uniones de
intersticio
• Diseminadas en todos los epitelios, no en M. esquelético
• Permiten la difusión selectiva adyacente y comunicación entre
células
• Importantes en tejidos encargados del transporte de líquidos y
electrolitos
• Formados por 6 conexinas  1 conexon
• 2 conexones = 1 nexo
REGION O DOMINIO
BASAL
POLARIDAD CELULAR
REGION BASAL
• Conformada por:
• Membrana o Lámina Basal
• Uniones célula – MEC = Hemidesmosomas
• Repliegues de la Membrana plasmática
• Membrana Basal
• Límite entre el Epitelio y el Tejido conjuntivo subyacente
PLEGAMIENTOS DE LA
MEMBRANA PLASMÁTICA
• Aumentan la superficie en epitelios que participan en
el transporte.
• Gran cantidad de mitocondrias
• Aspecto estriado característico
UNIONES CÉLULA – MEC
• Fijan la membrana celular basal a la membrana basal
subyacente
• Mantienen la integridad morfológica del epitelio y la
MEC
• Hemidesmosomas = Medio desmosoma
• Placas de inserción = Superficie citoplasmática
• Inserción a través de integrinas
Consultar
• Renovación de las células epiteliales

Polaridad celular

  • 1.
  • 2.
    Polaridad celular • Característicasmorfológicas, bioquímicas y fisiológicas  disposición geométrica de las células • Región apical: orientada hacia la periferia (luz) • Región lateral: contacto intimo con células contiguas, posee adhesiones especializadas • Región basal: se apoya sobre la membrana basal y se fija al T.C subyacente
  • 3.
  • 4.
    Región apical • Modificacionesen la superficie libre para incrementar la propia superficie o desplazar partículas. • Posee canales iónicos, enzimas, proteínas transportadoras (acuaporinas), GCP • Microvellosidades: prolongaciones citoplasmáticas digitaliformes, desde la superficie celular • Cilios y Flagelos: prolongaciones citoplasmáticas móviles • Estereocilios: microvellosidades de gran longitud
  • 5.
    Microvellosidades • Proyecciones citoplasmáticasdigitiformes • Epitelios Cilíndricos y cúbicos (Simples) • Aspecto uniforme, altas, paralelas y juntas • Borde estriado = Células Intestinales • Borde en cepillo = Túbulos Renales • Fx: Aumentar la superficies libre para facilitar la absorción y el transporte
  • 11.
    Cilios (Fimbrias) • Estructurasfiliformes con movilidad • Epitelio Respiratorio y Tuba uterina = Ciliado • Fx: Propulsión de sustancias y moléculas • Complejo interno de microtúbulos = Axonema • Patrón “9+2” = 9 pares de dobletes (subunidad A y B) y 2 individuales (Singletes)
  • 17.
    Estereocilios • Microvellosidades largase inmóviles NO SON CILIOS • Únicamente en epidídimo y Células piliformes del oído interno • Carecen de complejos filamentosos • Fx?: incrementar el área de superficie celular y facilitar el movimiento de moléculas
  • 22.
    Flagelos • Solo sepresenta en los espermatozoides • Estructura similar a cilios • Mas largos y movimiento distinto a los cilios • Base molecular de movimiento similar
  • 23.
  • 24.
    Región Lateral • Poseepuntos de contacto entre células = barras terminales  uniones celulares • Permite la formación de estratos con permeabilidad selectiva • Proteínas exclusivas = moléculas de adhesión celular • Forma invaginaciones y evaginaciones • Complejos de Unión = Uniones ocluyentes, adherentes y comunicantes
  • 26.
    UNIONES OCLUYENTES • ZónulaOccludens o de Oclusión – unión estrecha • Impiden el movimiento de proteínas de membrana • Localización apical • Similares a cinturón, circunda la célula • Fxs: 1) prevenir la difusión de moléculas entre células. 2) evitar la migración lateral de proteínas.
  • 28.
    UNIONES DE FIJACIÓNO ADHERENTES • Zónula Adherens o Adherentes • Inmediatamente inferior a Zónula de Oclusión • Similar a cinturón • Posee moleculas de adhesión celular dependiente de calcio = caderina • Fascia adherente:* • No circunda • Músculo cardíaco • Contribuyen a la unión de células contiguas
  • 31.
    UNIONES DE FIJACIÓNO ADHERENTES • Desmosomas – Mácula adherentes • Puntos de soldadura • Proporciona estabilidad mecánica • Bien desarrolladas en E. plano estratificado queratinizado • Compuestos por Desmogleinas y desmocolinas
  • 33.
    UNIONES COMUNICANTES • Nexos– gap – uniones de hendidura – uniones de intersticio • Diseminadas en todos los epitelios, no en M. esquelético • Permiten la difusión selectiva adyacente y comunicación entre células • Importantes en tejidos encargados del transporte de líquidos y electrolitos • Formados por 6 conexinas  1 conexon • 2 conexones = 1 nexo
  • 35.
  • 36.
    REGION BASAL • Conformadapor: • Membrana o Lámina Basal • Uniones célula – MEC = Hemidesmosomas • Repliegues de la Membrana plasmática • Membrana Basal • Límite entre el Epitelio y el Tejido conjuntivo subyacente
  • 38.
    PLEGAMIENTOS DE LA MEMBRANAPLASMÁTICA • Aumentan la superficie en epitelios que participan en el transporte. • Gran cantidad de mitocondrias • Aspecto estriado característico
  • 39.
    UNIONES CÉLULA –MEC • Fijan la membrana celular basal a la membrana basal subyacente • Mantienen la integridad morfológica del epitelio y la MEC • Hemidesmosomas = Medio desmosoma • Placas de inserción = Superficie citoplasmática • Inserción a través de integrinas
  • 42.
    Consultar • Renovación delas células epiteliales