 MV. Dawson J. Duno
Objetivos
• Clasificar y diferenciar el tejido conectivo
propiamente dicho y el especializado
• Conocer los componentes y tipos de tejido
conectivo general: denso, laxo y adiposo
▫ Sostén y relleno
▫ Almacenamiento:
 lípidos (reserva nutritiva).
 mucopolisacáridos (almacena agua y electrolitos).
 proteínas (1/3 de las proteínas plasmáticas del organismo)
 células fagocitarias y células productoras de anticuerpos
▫ Reparación: Las áreas de conectivo destruidas por la
inflamación o por lesión traumática son reconstruidas
nuevamente por la proliferación del conectivo adyacente
▫ Transporte: El tejido conectivo transporta sustancias nutritivas
de los capilares sanguíneos a los diversos tejidos. Trasporta
también productos de desecho del metabolismo en el sentido
inverso.
Funciones:
Mesénquima embrionario
Generalidades
• Se originan del
Mesénquima
embrionario.
ELEMENTOS DEL TEJIDO CONECTIVO
• CÉLULAS
▫ FIBRAS:
 Fibras de colágeno
 Fibras Reticulares
 Fibras Elásticas
▫ MATRIZ EXTRACELULAR:
 Parte de la sustancia intercelular en la que están
incluidas las fibras.
 Es líquida (coloidal) y amorfa. Según el tipo de
tejido tiene unas sustancias u otras.
Matriz extracelular: 1.Sustancia
fundamental
• Es de material
amorfo e
hidratado.
• Compuesta por:
a. Glicosamino-
glicanos.
a. Proteoglicanos
b. Glucoproteínas
de adherencia
(Lamininas)
2.Fibras: Colágenas
• No son elásticas y poseen una gran fuerza de
tensión.
• Tipos de colágeno:
Tipo I: tejido conectivo propiamente dicho, hueso,
dentina y cemento.
Tipo II: cartílagos hialino y elástico.
Tipo III: fibras reticulares.
Tipo IV: lámina densa de la lámina basal.
Tipo V: relacionado con la colágeno tipo I y observada
en la palacenta.
Tipo VII: une la lámina basal a la lámina reticular.
Fibras elásticas
• Compuesto de elastina y microfibrillas.
• Son altamente elásticas.
• Se estiran sin romperse hasta un 150% de su
longitud en reposo.
Componentes celulares: células fijas y
móviles.
• Las células fijas: son células residentes que se
desarrollaron y permanecieron en su sitio dentro
del tejido conectivo, en donde llevan a cabo sus
funciones. Tienen una vida prolongada.
• Las Células móviles (libres o errantes) se
originan en la médula ósea y circulan en el
torrente sanguíneo. Tienen una vida corta.
Células fijas del tejido
conectivo.
Células móviles del tejido
conectivo.
• Cél. Mesenquimales
indiferenciadas.
• Fibroblastos/cito.
• Mastocitos
• Macrófagos.(Histiocitos)
• Células adiposas.
• Linfocitos.
• Células plasmáticas.
• Neutrófilos.
• Eosinófilos.
• Basófilos.
• Monocito-Macrófagos.
CÉLULAS MESENQUIMALES INDIFERENCIADAS
Fibroblastos
• Es la célula más
abundante del tejido
conectivo.
• Su función es la síntesis
de casi toda la matriz
extracelular.
• Hay de dos tipos: activos
e inactivos.
FIBROBLASTOS: H.E.
Células adiposas
• Son células plenamente diferenciadas que
funcionan en la síntesis, almacenamiento y
liberación de grasa.
• Tipos:
a. Células de grasa uniloculares (Tejido adiposo
blanco): una gotita de lípido grande y única.
b. Células de grasa multiloculares (tejido adiposo
pardo): múltiples gotitas de lípidos, pequeñas.
Características histológicas
Adipocitos uniloculares Adipocitos multiloculares
• Son esféricas, grandes.
• En el tejido adiposo son
poliédricas.
• El núcleo y el citoplasma se
desplazan a la periferia “célula
en anillo de sello”.
• Son pequeñas y poligonales.
• El núcleo no se comprime
contra la membrana
plasmática.
CÉLULAS ADIPOSAS
CÉLULAS ADIPOSAS
Células cebadas ó mastocitos
• Se originan de cél. troncales de la médula ósea.
• Actúan en la mediación de procesos
inflamatorios y reacciones de hipersensibilidad
inmediata.
• Son ovoides y poseen un núcleo esférico central.
• La principal característica es la presencia de
gránulos de citoplasma.
• Histamina Éstas sustancias, en la respuesta
inmune, aumentan la
permeabilidad vascular y por
lo tanto producen edema de
los tejidos. Proalérgicas.
• Serotonina
• Heparina Anticoagulante
• Sustancia de reacción lenta
de la anafilaxia (Leucotrieno
C).
Broncoconstrictor e inflamación
crónica
• Factor quimiotáctico para
eosinófilos
inflamación
• Factor quimiotáctico para
neutrófilos.
inflamación
 Células Plasmáticas: ó plasmocitos
• Frecuentes en mucosa gastrointestinal, urogenital y
respiratoria
• Se originan de los linfocitos B
• forma ovoide y núcleo esférico y excéntrico y su
cromatina con un aspecto similar a los radios de una
rueda de carro
• citoplasma basófilo por su abundante RER
• Su función es la síntesis de Inmunoglobulinas
(anticuerpos específicos).
Macrófagos
• Pertenecen al sistema fagocito mononuclear.
• Se dividen en: fagocitos y células presentadoras
de antígenos.
• Célula grande, de bordes no uniformes.
• Citoplasma basófilo.
• Núcleo es excéntrico, ovoide y con una
indentación (forma ariñonada).
• En ciertos tejidos reciben nombres específicos.
▫ Células de Kupffer: hígado
▫ Macrófago alveolar: pulmón
▫ Células de Langerhans: piel
▫ Osteoclastos: hueso
▫ Microgliocitos: SNC
▫ Macrófagos del, bazo, ganglio linfático, timo, médula
ósea.
Histiocito: T.C.
Funciones del macrófago.
• Fagocitan sustancias extrañas.
• Células dañadas , viejas y desechos celulares.
• Contribuyen al inicio de la reacción inmunitaria.
LINFOCITOS
Tipos:
L-T Y L-B
• LINFOCITOS “T”
Por un lado, inducen a
la formación de
linfocitos B.
Y por otro lado,
desencadenan la
respuesta
inmunitaria celular.
• Linfocito
LINFOCITOS “B”
• La FUNCION principal es la
producción de Anticuerpos
(IgA, IgG, IgM, IgD, IgE).
• Por tanto, están relacionados
con la inmunidad
humoral
• Reacción Ag-AC
Linfocito
Clasificación del tejido conectivo
Tejido conectivo embrionario
T.C Mesenquimal T.C. Mucoso
• Sólo se halla en el embrión.
• Son amorfa, parecidas a un
gel. Cél estrelladas.
• Sólo se encuentra en el tejido
conectivo del embrión y en el
cordón umbilical (gelatina de
Warthon).
Tejido conectivo (laxo)
• Está situado por debajo de los
epitelios delgados de las vías
digestivas y respiratorias.
• Formado por:
1. Abundante densidad
celular.
2. Fibras colágenas y elásticas
3. Líquido extracelular.
4. Células fijas: fibroblastos,
células adiposas,
macrófagos, células cebadas
e indiferenciadas.
Tejido conectivo (laxo)
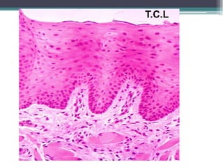
T.C.L
Tejido conectivo denso
• Contiene mayor abundancia
de fibras y menos células que
el tejido conectivo laxo.
• Se divide en:
1. Irregular: fibras colágenas.
2. Regular : tendones,
ligamentos.
TC denso irregular
Tejido C. reticular
• Forma estructura de:
• Sinusoides hepáticos.
• Tejido adiposo.
• Médula ósea.
• Ganglios linfáticos.
• Bazo.
• Islotes de Langerhans.
TEJIDO CONECTIVO ELASTICO
Tejido adiposo: blanco (unilocular)
• Los encontramos
en todo el cuerpo.
• En ambos sexos se
acumula en
cavidad
abdominal.
T. Adiposo multilocular
• Grasa marrón o parda
• Desarrollo independiente del tejido adiposo
unilocular
• Metabolizar grasa y producir calor durante el
periodo neonatal
• ME: gran cantidad de mitocondrias y vacuolas
lipidicas
• No persiste en la vida adulta
• Tejido de sostén del cuello, hombros, espalda y
regiones perirrenal y paraaortica
T.C. LAXO ó AREOLAR
T.C. LAXO O AREOLAR
T.C. LAXO O AREOLAR
TEJIDO ADIPOSO BLANCO
TEJIDO ADIPOSO BLANCO
TEJIDO ADIPOSO PARDO
TEJIDO ADIPOSO PARDO
TEJIDO ADIPOSO BLANCO Y PARDO
Tej. Conectivo MESÉNQUIMAL
TEJIDO CONECTIVO MUCOSO
fibroblastos estrellados
TEJIDO CONECTIVO MUCOSO
T. CONECTIVO DENSO REGULAR CON PREDOMINIO DE FIBRAS COLÁGENAS
T. CONECTIVO DENSO IRREGULAR
Tejido Conectivo

Tejido Conectivo

  • 1.
  • 2.
    Objetivos • Clasificar ydiferenciar el tejido conectivo propiamente dicho y el especializado • Conocer los componentes y tipos de tejido conectivo general: denso, laxo y adiposo
  • 4.
    ▫ Sostén yrelleno ▫ Almacenamiento:  lípidos (reserva nutritiva).  mucopolisacáridos (almacena agua y electrolitos).  proteínas (1/3 de las proteínas plasmáticas del organismo)  células fagocitarias y células productoras de anticuerpos ▫ Reparación: Las áreas de conectivo destruidas por la inflamación o por lesión traumática son reconstruidas nuevamente por la proliferación del conectivo adyacente ▫ Transporte: El tejido conectivo transporta sustancias nutritivas de los capilares sanguíneos a los diversos tejidos. Trasporta también productos de desecho del metabolismo en el sentido inverso. Funciones:
  • 5.
  • 6.
    Generalidades • Se originandel Mesénquima embrionario.
  • 7.
    ELEMENTOS DEL TEJIDOCONECTIVO • CÉLULAS ▫ FIBRAS:  Fibras de colágeno  Fibras Reticulares  Fibras Elásticas ▫ MATRIZ EXTRACELULAR:  Parte de la sustancia intercelular en la que están incluidas las fibras.  Es líquida (coloidal) y amorfa. Según el tipo de tejido tiene unas sustancias u otras.
  • 8.
    Matriz extracelular: 1.Sustancia fundamental •Es de material amorfo e hidratado. • Compuesta por: a. Glicosamino- glicanos. a. Proteoglicanos b. Glucoproteínas de adherencia (Lamininas)
  • 9.
    2.Fibras: Colágenas • Noson elásticas y poseen una gran fuerza de tensión. • Tipos de colágeno: Tipo I: tejido conectivo propiamente dicho, hueso, dentina y cemento. Tipo II: cartílagos hialino y elástico. Tipo III: fibras reticulares. Tipo IV: lámina densa de la lámina basal. Tipo V: relacionado con la colágeno tipo I y observada en la palacenta. Tipo VII: une la lámina basal a la lámina reticular.
  • 12.
    Fibras elásticas • Compuestode elastina y microfibrillas. • Son altamente elásticas. • Se estiran sin romperse hasta un 150% de su longitud en reposo.
  • 17.
    Componentes celulares: célulasfijas y móviles. • Las células fijas: son células residentes que se desarrollaron y permanecieron en su sitio dentro del tejido conectivo, en donde llevan a cabo sus funciones. Tienen una vida prolongada. • Las Células móviles (libres o errantes) se originan en la médula ósea y circulan en el torrente sanguíneo. Tienen una vida corta.
  • 18.
    Células fijas deltejido conectivo. Células móviles del tejido conectivo. • Cél. Mesenquimales indiferenciadas. • Fibroblastos/cito. • Mastocitos • Macrófagos.(Histiocitos) • Células adiposas. • Linfocitos. • Células plasmáticas. • Neutrófilos. • Eosinófilos. • Basófilos. • Monocito-Macrófagos.
  • 20.
  • 22.
    Fibroblastos • Es lacélula más abundante del tejido conectivo. • Su función es la síntesis de casi toda la matriz extracelular. • Hay de dos tipos: activos e inactivos.
  • 24.
  • 26.
    Células adiposas • Soncélulas plenamente diferenciadas que funcionan en la síntesis, almacenamiento y liberación de grasa. • Tipos: a. Células de grasa uniloculares (Tejido adiposo blanco): una gotita de lípido grande y única. b. Células de grasa multiloculares (tejido adiposo pardo): múltiples gotitas de lípidos, pequeñas.
  • 27.
    Características histológicas Adipocitos unilocularesAdipocitos multiloculares • Son esféricas, grandes. • En el tejido adiposo son poliédricas. • El núcleo y el citoplasma se desplazan a la periferia “célula en anillo de sello”. • Son pequeñas y poligonales. • El núcleo no se comprime contra la membrana plasmática.
  • 29.
  • 30.
  • 31.
    Células cebadas ómastocitos • Se originan de cél. troncales de la médula ósea. • Actúan en la mediación de procesos inflamatorios y reacciones de hipersensibilidad inmediata. • Son ovoides y poseen un núcleo esférico central. • La principal característica es la presencia de gránulos de citoplasma.
  • 32.
    • Histamina Éstassustancias, en la respuesta inmune, aumentan la permeabilidad vascular y por lo tanto producen edema de los tejidos. Proalérgicas. • Serotonina • Heparina Anticoagulante • Sustancia de reacción lenta de la anafilaxia (Leucotrieno C). Broncoconstrictor e inflamación crónica • Factor quimiotáctico para eosinófilos inflamación • Factor quimiotáctico para neutrófilos. inflamación
  • 35.
     Células Plasmáticas:ó plasmocitos • Frecuentes en mucosa gastrointestinal, urogenital y respiratoria • Se originan de los linfocitos B • forma ovoide y núcleo esférico y excéntrico y su cromatina con un aspecto similar a los radios de una rueda de carro • citoplasma basófilo por su abundante RER • Su función es la síntesis de Inmunoglobulinas (anticuerpos específicos).
  • 38.
    Macrófagos • Pertenecen alsistema fagocito mononuclear. • Se dividen en: fagocitos y células presentadoras de antígenos. • Célula grande, de bordes no uniformes. • Citoplasma basófilo. • Núcleo es excéntrico, ovoide y con una indentación (forma ariñonada). • En ciertos tejidos reciben nombres específicos.
  • 39.
    ▫ Células deKupffer: hígado ▫ Macrófago alveolar: pulmón ▫ Células de Langerhans: piel ▫ Osteoclastos: hueso ▫ Microgliocitos: SNC ▫ Macrófagos del, bazo, ganglio linfático, timo, médula ósea. Histiocito: T.C.
  • 40.
    Funciones del macrófago. •Fagocitan sustancias extrañas. • Células dañadas , viejas y desechos celulares. • Contribuyen al inicio de la reacción inmunitaria.
  • 42.
  • 43.
    • LINFOCITOS “T” Porun lado, inducen a la formación de linfocitos B. Y por otro lado, desencadenan la respuesta inmunitaria celular. • Linfocito
  • 44.
    LINFOCITOS “B” • LaFUNCION principal es la producción de Anticuerpos (IgA, IgG, IgM, IgD, IgE). • Por tanto, están relacionados con la inmunidad humoral • Reacción Ag-AC Linfocito
  • 45.
  • 46.
    Tejido conectivo embrionario T.CMesenquimal T.C. Mucoso • Sólo se halla en el embrión. • Son amorfa, parecidas a un gel. Cél estrelladas. • Sólo se encuentra en el tejido conectivo del embrión y en el cordón umbilical (gelatina de Warthon).
  • 47.
    Tejido conectivo (laxo) •Está situado por debajo de los epitelios delgados de las vías digestivas y respiratorias. • Formado por: 1. Abundante densidad celular. 2. Fibras colágenas y elásticas 3. Líquido extracelular. 4. Células fijas: fibroblastos, células adiposas, macrófagos, células cebadas e indiferenciadas.
  • 48.
  • 49.
  • 50.
    Tejido conectivo denso •Contiene mayor abundancia de fibras y menos células que el tejido conectivo laxo. • Se divide en: 1. Irregular: fibras colágenas. 2. Regular : tendones, ligamentos. TC denso irregular
  • 54.
    Tejido C. reticular •Forma estructura de: • Sinusoides hepáticos. • Tejido adiposo. • Médula ósea. • Ganglios linfáticos. • Bazo. • Islotes de Langerhans.
  • 56.
  • 57.
    Tejido adiposo: blanco(unilocular) • Los encontramos en todo el cuerpo. • En ambos sexos se acumula en cavidad abdominal.
  • 59.
    T. Adiposo multilocular •Grasa marrón o parda • Desarrollo independiente del tejido adiposo unilocular • Metabolizar grasa y producir calor durante el periodo neonatal • ME: gran cantidad de mitocondrias y vacuolas lipidicas • No persiste en la vida adulta • Tejido de sostén del cuello, hombros, espalda y regiones perirrenal y paraaortica
  • 61.
    T.C. LAXO óAREOLAR
  • 62.
    T.C. LAXO OAREOLAR
  • 63.
    T.C. LAXO OAREOLAR
  • 64.
  • 65.
  • 66.
  • 67.
  • 68.
  • 69.
  • 70.
  • 71.
  • 72.
    T. CONECTIVO DENSOREGULAR CON PREDOMINIO DE FIBRAS COLÁGENAS
  • 73.