Sistema Nervioso Introducción
    Es la base de la conciencia, de los
 sentimientos, emociones, pensamientos,
  logros y atrocidades del ser humano.
El cerebro humano esta formado por dos
mentes en un mismo ser, una es el espejo
  de la otra, con una disponibilidad una a
una, proporcionando una percepción única
         del mundo, aparentemente
 ininterrumpida, en una sola corriente de
                 conciencia
Cerebro Humano
      Hemisferio Izquierdo                          Hemisferio Derecho
            • Real                                         • Amable
           • Lógico                                       • Soñador
         • Calculador                                    • Emocional
        • Particulariza                             • Percepción sensorial
      Pensamiento concreto                                • Holistico
     Pensamiento Occidental                          Pensamiento abstracto
                                                     Pensamiento Oriental
     El hemisferio izquierdo el que           La orientación espacial, el reconocimiento de
normalmente tiene el lenguaje, y parece               caras, y la imagen corporal.
ser el principal responsable de sistemas   También parece que gobierna nuestra capacidad
  similares como las matemáticas y la                de apreciar el arte y la música.
                  lógica                    • hemisferio derecho tiene un poco de lenguaje
                                                también: tiene una buena comprensión de
                                                           insultos y palabrotas
TAC: Con Rx, distingue lo que no se ve a los Rx
 convencionales: tálamo, ganglios básales, sustancia gris y
blanca de la corteza, los ventrículos.“Estática no funcional:”
Resonancia magnética: crea una imagen del agua de los tejidos,
   revela las principales regiones del SNC (hemisferios, cuerpo
calloso, tallo, medula espinal) y el sistema ventricular. No se ve el
hueso compacto, si la medula espinal. Campo magnético 100.000
                   veces superior al de la tierra.
•SPECT/PET y RM
Cerebro primitivo de reptil, que se remonta a más de
doscientos millones de años de evolución, nos guste o
no nos guste reconocerlo, aún dirige parte de nuestros
 mecanismos para cortejar, casarse, buscar hogar y
 seleccionar dirigentes. Es responsable de muchos de
    nuestros ritos y costumbres (y es mejor que no
     derramemos lágrimas de cocodrilo por esto).
Cerebro medio o emocional El sistema límbico, también
   llamado cerebro medio. El sistema límbico está en
 constante interacción con la corteza cerebral. Una
transmisión de señales de alta velocidad permite que el
sistema límbico y el neocórtex trabajen juntos, y esto
 es lo que explica que podamos tener control sobre
                 nuestras emociones
   Neocerebro el neocórtex o neopalium o corteza
                     cerebral
La corteza cerebral la más distintivamente humana. La
   mayor parte de nuestro pensar o planificar, y del
    lenguaje, imaginación, creatividad y capacidad de
      abstracción, proviene de esta región cerebral.
     Así, pues, el neocórtex nos capacita no sólo para
  solucionar ecuaciones de álgebra, para aprender una
     lengua extranjera, para estudiar la Teoría de la
Relatividad o desarrollar la bomba atómica. Proporciona
también a nuestra vida emocional una nueva dimensión.
  Amor y venganza, altruismo e intrigas, arte y moral,
 sensibilidad y entusiasmo van mucho más allá de los
 rudos modelos de percepción y de comportamiento
             espontáneo del sistema límbico.
SNC
  Hemisferios
  cerebrales
   Di encéfalo
  Mesencéfalo
 Protuberancia
 Bulbo raquídeo
    Cerebelo
 Medula espinal
S.N. PERIFERICO
Nervio y ganglios

      Funcionalmente: sen-afer/mot-efer: soma-visceral
 Medula espinal
 Tallo cerebral
   Bulbo raquídeo. Funciones
     vitales, (respiración, PA,
     frecuencia cardiaca), digestión
   Protuberancia. Distribuye
     información desde los
     hemisferios hasta el cerebelo
   Cerebelo. Unido al tallo por los
     pedúnculos. Recibe información
     sensorial de la medula,
     información motora de la
     corteza e información del
     equilibrio desde los órganos
     vestibulares del oído. Coordina
     y modula los movimientos, el
     equilibrio, el aprendizaje
Tallo cerebral
 Bulbo, protuberancia y
         mesencefalo
     Centros vitales.
 esenciales para la vida, ya
 que controlan la actividad
  respiratoria, cardiaca y
  vasomotora. Además de
  estos centros vitales, el
   tallo cerebral contiene
      otros centros que
     controlan la tos, el
    estornudo, el hipo, el
    vómito, la succión y la
          deglución.

 La formación reticular
 Los 12 pares craneales
Tallo cerebral
Medula espinal
Funciones: Motoras - Sensitivas - Autonómicas - Reflejos
Mesencéfalo (Cerebro medio). Control de funciones sensoriales
y motoras, relevo y coordinación de reflejos oculares y auditivos
Diencéfalo.
          T. Relevo sensitivo, procesa y distribuye la
información sensitiva y motora.Regula nivel de conciencia y el
aspecto emocional de las sensaciones.
          HT: Funciones autónomas, viscerales y endocrinas
Hemisferios cerebrales: Cx, Ganglios básales-Hipocampo-N
amigdaloide
Cx: cada uno con funciones especificas, pero trabajan en
asociación en cuanto a funciones perceptivas, cognitivas y
motoras superiores, emociones y memoria
Diencéfalo.
TALAMO.
Relevo sensitivo, procesa y distribuye la información
sensitiva y motora. Regula nivel de conciencia y el aspecto
emocional de las sensaciones.

HIPOTALAMO:
Funciones autónomas- Viscerales- Endocrinas- Regulación
térmica
Sexualidad- el hambre y la sed.
El hipotálamo también juega un papel en las emociones.
lateralmente parece estar involucrado con el placer y la
ira. Más que todo con la expresión de las emociones que
con la génesis de los estados afectivos
Hemisferios: la corteza cerebral es la región donde la mayor parte
  de la información es procesada, se divide en distintas áreas
  anatómicas y funcionales encargadas de procesar distintas
                modalidades sensoriales y motoras
Cx: cada uno con funciones especificas, pero trabajan en asociación
en cuanto a funciones perceptivas, cognitivas y motoras superiores,
                      emociones y memoria
Área prefrontal
Grande en el hombre y en algunas especies
de delfines sus conexiones bidireccionales
  intensas con el tálamo, amígdala y otras
   estructuras subcorticales explican su
       importante rol en la génesis y,
  especialmente, expresión de los estados
afectivos. Cuando se produce una lesión en
 esta área, la persona pierde su sentido de
   responsabilidad social como también la
        capacidad de concentración y
                abstracción.
En 1937, el neuroanatomista, James Papez
  demostraría que la emoción no es una función de
ningún centro cerebral específico, sino de un circuito
 que involucra cuatro estructuras interconectadas:
     el hipotálamo con sus cuerpos mamilares,
             el núcleo talámico anterior,
                 el gyrus cingulata y
                   el hipocampo.
   Este circuito (circuito de Papez), actuando en
armonía, es responsable de las funciones centrales de
    las emociones (afecto) como también de las
         expresiones periféricas (síntomas).
SNC
  Hemisferios
  cerebrales
   Di encéfalo
  Mesencéfalo
 Protuberancia
 Bulbo raquídeo
    Cerebelo
 Medula espinal
S.N. PERIFERICO
Nervio y ganglios

      Funcionalmente: sen-afer/mot-efer: soma-visceral
Cerebro primitivo de reptil, que se remonta a más de
doscientos millones de años de evolución, nos guste o
no nos guste reconocerlo, aún dirige parte de nuestros
 mecanismos para cortejar, casarse, buscar hogar y
 seleccionar dirigentes. Es responsable de muchos de
    nuestros ritos y costumbres (y es mejor que no
     derramemos lágrimas de cocodrilo por esto).
Cerebro medio o emocional El sistema límbico, también
   llamado cerebro medio. El sistema límbico está en
 constante interacción con la corteza cerebral. Una
transmisión de señales de alta velocidad permite que el
sistema límbico y el neocórtex trabajen juntos, y esto
 es lo que explica que podamos tener control sobre
                 nuestras emociones
   Neocerebro el neocórtex o neopalium o corteza
                     cerebral
La corteza cerebral la más distintivamente humana. La
   mayor parte de nuestro pensar o planificar, y del
    lenguaje, imaginación, creatividad y capacidad de
      abstracción, proviene de esta región cerebral.
     Así, pues, el neocórtex nos capacita no sólo para
  solucionar ecuaciones de álgebra, para aprender una
     lengua extranjera, para estudiar la Teoría de la
Relatividad o desarrollar la bomba atómica. Proporciona
también a nuestra vida emocional una nueva dimensión.
  Amor y venganza, altruismo e intrigas, arte y moral,
 sensibilidad y entusiasmo van mucho más allá de los
 rudos modelos de percepción y de comportamiento
             espontáneo del sistema límbico.
NEURONAS MADRE?
 EN EL CEREBRO HUMANO CONTINUAN NACIENDO
NEURONAS TODA LA VIDA (HASTA 500 NEURONAS POR
            DIA EN EL HIPOCAMPO)

 ESTO ABRE NUEVAS PERSPECTIVAS TERAPEUTICAS
            FUNCIONES PLASTICAS?
           APRENDIZAJE Y MEMORIA?

  EQUILIBRARIA A LAS NEURONAS NUEVAS CON LAS
VIEJAS Y REFLEJARIA EL QUE EXISTA UNA MEMORIA A
             CORTO Y A LARGO PLAZO
 NEURONA MADRE: CAPAZ DE DIFERENCIARSE EN
CUALQUIER TIPO NEURONAL, REGENERAR TEJIDO Y
       ESTAR DISPONIBLE TODA LA VIDA
NEURONAS
Unidad funcional y estructural del SN
Función recibir y transmitir estímulos
Específicamente presentan Nt –
   canales iónicos, transporte
         axonal y receptores.

                   Diámetro
                 Clasificación
                Cito arquitectura
                   1. Pericarion
                      2. Axón
                   3. Dendritas
                    4. Sinapsis
TIPOS DE NEURONAS
(Según la forma, la función, la localización)

Bipolar




Pseudo
monopolar




Multipolar
Golgi I el axón sobrepasa al árbol
          dendrítico , las
    Golgi II no lo sobrepasan
SNC
       Sustancia gris y sustancia blanca
     Las neuronas se relación estructural y
funcionalmente formando la corteza cerebral y
 cerebelosa además de núcleos aquí entre sus
  cuerpos neuronales se encuentra el neuropilo
      (axones-dendritas y células gliales)

Si las neuronas se disponen en capas , forman un
estratos o laminas ejem en la corteza cerebral
o cerebelosa, si forman grupos longitudinales se
               llamaran columnas

   Los haces de axones en el SNC forman los
     tractos, fascículos (haces) o lemniscos
SNP

      Los agregados de cuerpos
neuronales forman ganglios (como en
  el ganglios sensitivo ) o motores
     (ganglios visceromotores o
             autónomos).

    Los axones derivados de los
 ganglios conformaran los nervios,
    ramas o raíces periféricas
Corteza cerebral humana
Corteza cerebelosa humana
Neurona multipolar
Neurona multipolar
Neurona multipolar- Células gliales
Sustancia gris-
    blanca
 Este aspecto se
    debe a la
 presencia de la
     mielina

 Sustancia Gris:
  Neuronas y
 Células Gliales

Sustancia Blanca:
 Terminaciones
   y Tractos

Ubicación variable
 Médula Espinal
     Corteza
    Cerebelo
Los filamentos
         Sitio                                           intermedios , son
                                                           quienes ms dan
 receptor de
                                                        estabilidad al cito
      señales                                          esqueleto neuronal,
 Aumenta su                                               se lesionan en la
   superficie                                         enfermedad de LOU
       con las                                          GHERING, ELA, m
      espinas                                               moto neuronas
   Con micro                                                   centrales o
    túbulos y                                                  periféricas
neurofilamen
  tos al igual
 que el axón,



    Contiene el pericarion , el núcleo, las Se origina en el cono axónico,
  organelas para las síntesis de proteínas,    sitio donde se genera el
 fosfolípidos y macromoléculas, abundantes     potencial de acción o de
ribosomas,  grumos de Nissl, apto de Golgi             gatillo
                                              Diferente a las dendritas
   y mitocondrias lisosomas y gránulos de
                                             este mantiene constante su
                 lipofuscina                diámetro, para terminar en el
                                                      telodendron
Pericarion
                                            Dendrita



Grumos de Nissl


Núcleo-Nucleolo




                                    Células gliales
      Cada neurona específicamente presenta Nt –
        canales iónicos, transporte y receptores.
Dendritas
Permiten recibir e integrar
     señales
Su gran extensión aumenta la
     superficie celular
Iguales organelas que el
     pericarion
Con espinas° Sind Down
            Desnutrición
            Edad
            Trisomía del 18
 Sinapsis recibidas variable
     (En Neuronas motoras 10.000 vs en células
     de Purkinje 150.000)
AXÓN
•Unico
•Longitud variable (0.1mm a 2 metros)
•Diámetro constante (0.2 a 20 micras)
     ~velocidad de conducción
     ~neurofilamentos.
•Originado en el cono axónico.
•Ramas colaterales...Botón sináptico.
•Sin RER, abundantes mitocondrias y vesículas.
•Revestidos por Oligodendrocitos (SNC)
                Cel Schwann (SNP)
                Mielinizado o no (sus gris o blanca)
1. Citosólicas:*
        a. Fibrilares – citoesqueleto
          b. Enzimas metabólicas

     2. Nucleares y Mitocondriales:
          a. Expresión genética
            b. Generar energía

3. De membrana y productos de secreción:
Asociadas al retículo como grumos de Nissl
CITOESQUELETO
Dan la forma a la Neurona – Sostiene las organelas
Permite cambios en la configuración celular
Permite el transporte axonal
En la enfermedad de Alzheimer – Ovillos de
           Degeneración Neurofibrilar.

        A la MO: Neurofibrillas – Ag--*”
        A la ME: Diámetros de 24 – 10 – 6 nm:
           Microtúbulos*
           Neurofilamentos*
           Microfilamentos”-actina de la m
Transporte axonal
Basado estructuralmente en el citoesqueleto
       Conduce los materiales para el
  mantenimiento del cito esqueleto y para la
síntesis de neurotransmisores necesarios para
            la conducción Nerviosa
Mantiene y garantiza la estabilidad del axón
  Indispensable la fosforilación oxidativa
   Util en la investigación de Neurovías
   El rápido se ha evidenciado por vídeo
                 ampliaciones
ANTERÓGRADO
 Organelas y vesículas pequeñas, actina,
  miosina, clatrina y enzs de síntesis de Nts en el
  botón sináptico ~ Cineina

                                 RETROGRADO
    Enzimas y componentes proteicos de
     microtúbulos y neurofilamentos
    Material de endocitosis
    Proteínas en degradación hacia los lisosomas.
       Colchicina, Vinblastina, Azúcar marcado,
       peróxidasa del rábano, Virus de la Rabia, Herpes,
       Toxinas, poliomielitis
   Dineina
MIELINIZACIÒN
Axones amielinicos
El segmento
      de
revestimiento
   forma el
 internodo de
  Ranvier, el
 espacio entre
  dos de estos
internodos es el
    nodo de
 Ranvier (sitio
de regeneración
  del impulso
   nervioso).
OLIGODENDROCITO
MIELINIZA A VARIOS
   AXONES: SNC
MIELINA: MICROSCOPÍA
     ELECTRÓNICA
MIELINA: MICROSCOPÍA
     ELECTRÓNICA
MIELINA-MIELINIZACIÒN

 Desde los 6 meses de gestación, proceso secuencial y
  regional, evidenciable imaginológica y funcionalmente,
            (mot-sen), en el adulto es continuo
Formada por 7 proteínas (codificadas por un solo gen, 3
son las mas importantes
       proteína básica de la mielina,
       proteína proteolipidica y
       proteína cero de la mielina,
     (proteínas altamente alérgenicas ejemplo en las
   enfermedades autoinmunes de Guillan Barre y EM)

  •Para este proceso es indispensable la vitamina B12 o
cobalamina, una adecuada nutrición, tanto en la lactancia
 (lactancia materna!!), como durante el resto de la vida.
MIELINA-MIELINIZACIÒN

 La mielina es la base estructural de la teoría saltatoria
                        del impulso nervioso
  El segmento de revestimiento forma el internodo de
 Ranvier, el espacio entre dos de estos internodos es el nodo de Ranvier
              (sitio de regeneración del impulso nervioso).


 Existen varios tipos de enfermedades desmielinizantes
          Afectan a los oligodendrocitos y a la mielina no al axon
       a. Autoinmunes Esclerosis múltiple-Guillan Barre
 b. Hereditarias adrenoleucodistrofia, ligada al X, en el suero ácidos
    grasos de cadena corta, daño en el gen que codifica las proteínas de los
                                 peroxisomas
  c. Metabólicas déficit de B12, mielinolisis pontina, en pacientes a
    quienes se les corrige hiponatremias por alcoholismo o por desnutrición
d. Inducidas por virus encefalopatía focal progresiva, en el VIH sida
           los oligodendrocitos son invadidos por virus oportunistas
                          e. Quimio-Rtpia
Ojo fotocopiar taller
   Biopotenciales
 Quiz viernes de la
  próxima semana
MIELINA-MIELINIZACIÒN
Ojo fotocopiar taller Biopotenciales
 Quiz viernes de la prox semana
Diferencias entre la mielina del SNC y del
                          SNP

 El SNP tiene mas esfingomielinas y glucoproteínas
  Proteína básica de la mielina, presente tanto en
                SNC como en SNP
      Proteína proteolipidica exclusiva del SNC
    Proteína cero de la mielina es la proteína mas
                 importante del SNP
Lamina basal en las Cels de Shwann importante para la regeneración nerviosa en el SNP
     Las fibras amielinicas son verdaderamente
                 desnudas en el SNC
 Los nodos de Ranvier son mas grandes en el SNP,
mas eficaz la teoría saltatoria del impulso nervioso
http://images.google.com.co/images?q=esclerosis+multiple&svn
         um=10&hl=es&lr=&start=20&sa=N&ndsp=20
GENERACIÓN Y CONDUCCIÓN DEL
           IMPULSO
Los impulsos nerviosos son señales eléctricas generadas
en las neuronas como resultado de la despolarización de
                   sus membranas

     LA NEURONA “SINTETIZA” DIFERENTES
                 ESTIMULOS
  DEL CONO DE ARRANQUE AXÓNICO SE INICIA
 EL POTENCIAL DE ACCIÓN O DESPOLARIZACIÓN
 DE LA MEMBRANA (“UNIDIRECCIONALMENTE”)

            POTENCIAL DE REPOSO: -70 mV
En la mayoría se las células es constante, en las neuronas y
en las células musculares, cambia, de tal manera que estas
         células pueden conducir señales eléctricas
1.Los neurotransmisores son almacenados en las vesículas sinápticas del pericarion y llevados al
     botón sináptico mediante el transporte axonal anterogrado-cinesina)
2. Se unen las proteínas de anclaje vesicular con las proteínas de
   anclaje de la membrana pre sináptica, ya unidas “aterrizan “
sobre la proteína sinapsina del “punto de acción” de la membrana
                            pre sináptica
  3. La despolarización del botón sináptico conlleva a la entrada
masiva de calcio, mediante canales dependientes de voltaje, esto
           induce la exocitosis de las vesículas sinápticas
4. El mensajero sináptico, el neurotransmisor, liberado en la hendidura
  sináptica tipo acetilcolina, adrenalina, noradrenalina…pasaran a los
               receptores de la membrana post sináptica
 5. El mensajero qco, neurotransmisor es degradado enzimáticamente
 por acetilcolinesterasa, o retomado por endocitosis (norepinefrina) o
           degradado por las mitocondrias mediante la MAO
80% del
neurotransm
  isor sufre
     una
recaptación
    de alta
 afinidad el
     20%
 restante es
 degradado
por enzimas
presentes en
      la
 membrana
posinaptica
Sinapsis
SINAPSIS
   Contacto físico, transmisión y comunicación de impulsos
nerviosos, eléctricos o qcos de neurona con neurona, N-músculo
 o N-glándula mediante el botón sináptico o por los botones de
                              “paso”
                             TIPOS
 Eléctricos (tallo, retina, corteza POR NEXOS) y/o químicos
                               POR:

             ELEMENTOS PRESINÁPTICOS.
                oVesículas-mitocondrias-REL
     oNeurotransmisores del soma o de producción local
      o Sinapsina I y II, sinaptofisina,Sinaptogtagmina.
                    o Enzimas protectoras
                         oSitio activo.
                   ESPACIO SINÁPTICO
             ELEMENTOS POSTSINÁPTICOS
                          Receptores
Vesiculas sinapticas (VS)




                                         Vesículas de reserva adheridas a la actina




 Sinapsina ll y la RAb3a controlan unión
      de las Vesiculas a la actina
Sinapsina I reúne vesículas de reserva,
Al fosforilarse se “liberan” hacia el sitio
   activo, si se desfosforila se uen de
                   nuevo                                          Sitio
                                                               activo,
 Las Sinaptotagmina y la Sinaptofisina
   regulan el acople a la membrana                           de unión con
             preesinatica                                   las vesículas
Sinapsis-Vesículas sinápticas




                                                      Endocitosis
                                                 mediada por clatrina



La sinaptobrevina, proteína de las vesículas sinápticas, es el blanco
de las toxinas tetánicas y botulínica---se bloquea selectivamente la
                             exocitosis
AXO-DENDRÍTICA
                 AXO-SOMÁTICA



                                AXO-AXÓNICA
Sinapsis
Vesículas sinápticas
Receptor postsinaptico




Abre canales ionicos, altera la permeabilidad
 de la membrana postsinaptica e invierte el
          potencial de membrana
MOLECULAS DE SEÑALAMIENTO

Son sustancias liberadas en las sinapsis que se unen a los receptores actuando
                          sobre las neuronas post así:

        Canales iónicos (neurotransmisores) Rápido-milisegundos

  Proteína G (neuromoduladores – neurohormonas) lenta en minutos
                                     TIPOS:
                        Pequeñas mol transmisoras*
                               Neuropéptidos^
                                    Gases
     * Ach- aa (glutamato, aspartato, glicina y GABA), aminas biogénas
  (monoaminas), Serotonina, y las 3 catecolaminas (DOPAMINA – NA –A. )
                        ^ ENCEFALINAS-VIP-RF...
                                  NO - CO
RESPUESTA
Variable de acuerdo al sitio y al receptor
Un mismo neurotransmisor puede dar diferentes respuestas

Demostrada la comunicación neuronal:
a. TRANSMISIÓN DE VOLUMEN a la MEC activando
grupos o campos de Neuronas (es “lenta” y en relación con la
función autónoma, alerta, percepción, sueño, dolor, humor)
b. TRANSMISIÓN CELULAR (individual rápida).
RIOS CEREBRALES
DOPAMINA: Endocrino, motor y afecto
SEROTONINA: Bienestar
Ach: Atención, aprendizaje, memoria, movimiento.Alzheimer
NA: Excitatorio, físico, mental, ánimo, control central del placer
Glutamato: Excitatorio, aprendizaje y Memoria a largo plazo
Del griego glía … pegamento

                    Comprenden
                     Astrocitos
                 Oligodendrocitos
        Microglia (se deriva del mesodermo)
    Células de Schumann y células ependimarias

  Su función es dar sostén soporte estructural a las
 neuronas y mantener las condiciones locales para su
                   funcionamiento
   No propagan potenciales de acción, no reciben ni
transmiten señales eléctricas por sus prolongaciones
Mas numerosas que las neuronas
   Conservan la capacidad de multiplicarse
    Origina la mayor parte de los tumores
                  cerebrales
  En lesiones del SN se movilizan y eliminan
los deshechos, sellan el área  cicatriz glíal
   a veces deletérea que interfiere con la
            regeneración neuronal
•Mas del 50% de las células glíales
             •Inducen y conforman la B.H.E.
                 •Depredadores de iones
            •Equilibran el medio extracelular.
        •Aportan glu de su glucógeno (corteza)
          •Reciben y metabolizan múltiples nt
 •Conforman cicatrices en el SNC (epileptogenas ?)
•Forma tumores (astrocitomas), 80% de los Neos del
                           adulto
   •Protoplasmáticos (s.Gris) y fibrosos (s. Blanca)
•PAGF especifica, filamentos intermedios, marcador
               útil para su reconocimiento
     •“Cubren” la sinapsis y los Nodos de Ranvier
Astrocitos

        Sus prolongaciones celulares terminan en
    ensanchamientos llamados pies terminales que se
relacionan con los vasos sanguíneos (pies peri vasculares
    *BHE) y con la superficie interna de la piamadre
          (membrana pial glíal o glía limitante)

            PROTOPLASMATICOS ( gris)
                Células satélites

            FIBROSOS (sustancia blanca)
 Con grandes prolongaciones largas no ramificadas en
relación con la pía y los vasos sanguíneos* separados por
                             mb
ASTROCITOS




        A la microscopia óptica
       Núcleos ovales , grandes y
         de poca tinción “micro
              granulares”
Oligodendrocito
Mas pequeños que los Astrocitos, núcleo irregular de
                 cromatina densa
 Con muchas prolongaciones celulares, formando
  hasta 40 y 50 internodos en axones diferentes
         En sustancia blanca˜ mieliniza
       En sustancia gris˜ soporte neuronal
 vs Schwann carece de membrana basal y tejido
                     conectivo
OLIGODENDROCITO




 Núcleo de cromatina densa
Parte integrante del SMNM, origen mesodérmico
              Diseminadas por todo el SNC
 Protectores inmunológicos del encéfalo y de la medula
                           espinal
 Interaccionan con neuronas y con astrocitos para migrar
 a buscar neuronas muertas y allí proliferar y fagocitarlas
 Pequeñas, oscuras, núcleo en forma de coma, triangular
               Tachonada de espinas o púas
           Macrófagos de desechos y lesiones
   En la embriogénesis del SN fagocitan las células que
                  murieron por apoptosis
En el SIDA, no son afectadas las neuronas pero si infecta
a las microglias quienes liberan toxinas que si lesionaran a
                       las neuronas
Parte integrante del SMNM, origen mesodérmico
           Diseminadas por todo el SNC
  Protectores inmunológicos del encéfalo y de la
                    medula espinal
 Interaccionan con neuronas y con astrocitos para
 migrar a buscar neuronas muertas y allí proliferar y
                     fagocitarlas
Son las cels responsables frente a lesiones cerebrales
  Producen sustancias químicas atrayentes de GB,
 quienes atraviesan la BHE generando enfermedades
                 neuro inmunológicas
Pequeñas, oscuras, núcleo en forma de
                coma, triangular
        Tachonada de espinas o púas
     Macrófagos de desechos y lesiones
 En la embriogénesis del SN fagocitan las
      células que murieron por apoptosis
 En el SIDA, no son afectadas las neuronas
    pero el virus si infecta a las microglias
quienes liberan toxinas que si lesionaran a las
                    neuronas
Núcleo de cromatina en “coma”
                                ,
Soporte estructural y consistencia

     Producen mielina.- Tampón de potasio

 En el desarrollo dirigen migración Neuronal y
                   crecimiento axonal

Generan y mantienen la barrera hematoencefálica

    Hay indicios de que nutren a las neuronas

No reaccionan ni propagan el impulso Neuronas el
                      dllo
•De la cresta neural

•Célula envolvente de axones del SNP, mielinizandolos
                        o no.

•Forman una vaina de mielina 1 mm de largo, segmento
                     internodal.

   •Aplanadas, apto de Golgi y unas mitocondrias.

 •Mieliniza un solo trayecto axonal. Pero en axones
    amielinicos puede envolver a varios de ellos

 •Revestida externamente por una lamina basal, que
  actúa como un cilindro guía para la regeneración
                      neuronal.
Nodo de Ranvier

Segmento Internodal
Son células cilíndricas o cúbicas sin lamina basal,
     abundantes mitocondrias y filamentos
 intermedios unidas por desmosomas, con o sin
                       cilios

            Origen del neuroepitelio
  Conforman el epitelio de revestimiento de la
   cavidad medular central y de las cavidades
   ventriculares, están en relación con el LCR


  Forman los plexos coroideos en los ventrículos
laterales , tercer y cuarto ventrículos, encargado
                 de secretar LCR
En eltercer ventrículo algunas celulas
ependimarias son llamadas tanicitos y
    presentas 2 rasgos distintivos
  a. Uniones ocluyentes con células
            ependimarias vecinas
b. Prolongaciones basales que forman
        pies terminales con los vasos
          sanguíneos, proyecciones
  citoplasmáticas que contactarían LCR
    a las células endoteliales vecinas…
  y a las células neurosecretoras del
        hipotálamo (les llevan LCR?)
Haces (fascículos) de fibras nerviosas
 (Axones y dendritas), rodeados de
                t.C.*

    Macroscópicamente blancos:
           mielinizados.

   Cada fascículo puede contener
componentes motores y/ o sensitivo.
*EPINEURO: externo, tejido conectivo
 denso, irregular, previene lesiones por
         estiramiento excesivo.

   PERINEURO: fascículos - T.C.D.I.

  ENDONEURO: Axon - TC laxo (fibras
reticulares de Schwann, fibroblastos, M?,
  capilares, MAST, por fuera de lamina
             basal Schwann).
Haces de fibras nerviosas rodeadas de TC
Rama motora eferente
*ENDONEURO: ^ axón: TC laxo por fuera de
        membrana basal de Schwann
            (fibras reticulares de
 Schwann, Fibroblastos, M?, capilares, MAST)
Clasificación:
              Sensitivo
               Motor
               Mixto


Directamente proporcional al grado de
                mielinizacion.
 Despolarización ˜ nodos de Ranvier:
  -Canales de sodio compuerta de voltaje
   -La mielina impide la salida de sodio.
Epineuro


Perineuro



Endoneuro
FIBRAS Y VELOCIDAD DE CONDUCCION
Tipo A: Velocidad de 15-120m/seg ; Diámetro 1-20 micras
  Tipo B: Velocidad de 3-5 m/seg ; Diámetro 1-3 micras
Tipo C: Velocidad de 0.5-2 m/seg ; Diámetro 0.5-1.5 micras
•Tejido conectivo denso irregular.

           •Adhesión fuerte al cráneo.

                •Espacio epidural
                 • Virtual craneal
   • Real medular: tcl-vasos, adiposo, anestesia
                     epidural.

•Se repliega formando: Hoz del cerebro, tienda del
         • cerebelo y diafragma silla turca.

  •Se desdobla: senos venosos de la duramadre*

     •Drena el LCR mediante las vellosidades
                  aracnoideas.
 • *No existen senos venosos en la medula espinal
•TCAL, avascular, semitransparente, aspecto de sólida tela
   de araña. Superficie externa adherida fuertemente a la
 duramadre: potencial espacio subdural. Superficie interna
                          irregular.

•PROYECTA las trabucaciones aracnoideas que contactan
 y se mezclan con la piamadre para sostener en flotación al
                          SNC.

•ESPACIO SUBARACNOIDEO: Superficie interna de la
 Aracnoides - superficie externa de la Piamadre: LCR, Vs
  sanguíneos, Trabeculas aracnoideas: Forma la cisterna
                Magna, Superior, Basales.
Tejido conectivo, areolar laxo vascularizado

Reviste externamente la superficie y contorno del SN.

Forma el espacio perivascular de Virchow.
              Vía funcional de comunicación entre
el espacio
              extracelular neuronal, el espacio
subaracnoideo
              y el sistema linfático cervical

Vía de entrada de los linfocitos al LCR.
SUSTANCIA GRIS-BLANCA
Este aspecto se debe a la presencia de la
                mielina
        Sustancia Gris:
   Neuronas y Células Gliales

          Sustancia Blanca:
           Terminaciones
             y Tractos

         Ubicación variable
          Médula Espinal
              Corteza
             Cerebelo
Corteza cerebral humana
Corteza cerebelosa humana
Corteza cerebelosa humana
•En el SNP - Bordes cercanos
 •Reacción local: retracción de bordes, fusión de
  membranas para impedir perdida de axoplasma
•Reacción anterograda degeneración walleriana-
   proliferación de células de Schwann dirigen
                   regeneración
 •Reacción retrograda hipertrofia del pericarion
     -Cromatolis, primordios a vainas de sinapsis
            •Velocidades 3 a 4 mm/día
Degeneración transneuronal Por efecto trófico pre/pos
       en las neuronas blanco o en las células vecinas
Papel en la supervivencia Neuronal*(factores propios y locales)
          50% de las Ns mueren en la ontogénesis- apoptosis
                         Identificados:
               Factor de crecimiento nervioso
          Factor neurotrofico derivado del encéfalo.
                       Neurotrofina 3.
                  Factor neurotrofico ciliar.
   * Cada uno facilita la supervivencia de grupos distintos
                         de neuronas
Protege el normal funcionamiento neuronal,
  evita los cambios bruscos en la concentración
   iónica del LEC e impide el paso de moléculas
               desde la circulación.
           Lesionada  edema cerebral
Los capilares del SN sin transporte vesicular*
                 o muy restringido
                     Dado por:
1. Capilares continuos y su membrana                  basal
2. Uniones ocluyentes (dependientes del buen
         funcionamiento del Astrocito,
 3. Astrocitos. (algunos no los incluyen como integrante si
                      como mantenedor)
La glucosa, aminoácidos, nucleótidos, vits,
      por proteínas transmembranales..

     O/H2O/CO2 por su liposolubilidad

…Otros receptores, fijación a proteínas, flujo
 sanguíneo y por requerimientos metabólicos
                 (colesterol).

 No hay barrera en : eminencia media, neuro
  hipófisis, Glándula pineal, área postrema,
    sustancia nigra ni en el locus ceruleus
   Los fármacos pequeños pasan la BHE (no la dopamina-abs)
Los Astrocitos, en sus pies perivasculares tienen canales
    acuosos, importantes en el edema cerebral para
      restablecer el equilibrio osmótico encefálico.
                   Acuaporinas AQP4

Tejido Nervioso

  • 2.
    Sistema Nervioso Introducción Es la base de la conciencia, de los sentimientos, emociones, pensamientos, logros y atrocidades del ser humano. El cerebro humano esta formado por dos mentes en un mismo ser, una es el espejo de la otra, con una disponibilidad una a una, proporcionando una percepción única del mundo, aparentemente ininterrumpida, en una sola corriente de conciencia
  • 3.
    Cerebro Humano Hemisferio Izquierdo Hemisferio Derecho • Real • Amable • Lógico • Soñador • Calculador • Emocional • Particulariza • Percepción sensorial Pensamiento concreto • Holistico Pensamiento Occidental Pensamiento abstracto Pensamiento Oriental El hemisferio izquierdo el que La orientación espacial, el reconocimiento de normalmente tiene el lenguaje, y parece caras, y la imagen corporal. ser el principal responsable de sistemas También parece que gobierna nuestra capacidad similares como las matemáticas y la de apreciar el arte y la música. lógica • hemisferio derecho tiene un poco de lenguaje también: tiene una buena comprensión de insultos y palabrotas
  • 4.
    TAC: Con Rx,distingue lo que no se ve a los Rx convencionales: tálamo, ganglios básales, sustancia gris y blanca de la corteza, los ventrículos.“Estática no funcional:”
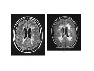
  • 5.
    Resonancia magnética: creauna imagen del agua de los tejidos, revela las principales regiones del SNC (hemisferios, cuerpo calloso, tallo, medula espinal) y el sistema ventricular. No se ve el hueso compacto, si la medula espinal. Campo magnético 100.000 veces superior al de la tierra.
  • 6.
  • 7.
    Cerebro primitivo dereptil, que se remonta a más de doscientos millones de años de evolución, nos guste o no nos guste reconocerlo, aún dirige parte de nuestros mecanismos para cortejar, casarse, buscar hogar y seleccionar dirigentes. Es responsable de muchos de nuestros ritos y costumbres (y es mejor que no derramemos lágrimas de cocodrilo por esto). Cerebro medio o emocional El sistema límbico, también llamado cerebro medio. El sistema límbico está en constante interacción con la corteza cerebral. Una transmisión de señales de alta velocidad permite que el sistema límbico y el neocórtex trabajen juntos, y esto es lo que explica que podamos tener control sobre nuestras emociones Neocerebro el neocórtex o neopalium o corteza cerebral
  • 8.
    La corteza cerebralla más distintivamente humana. La mayor parte de nuestro pensar o planificar, y del lenguaje, imaginación, creatividad y capacidad de abstracción, proviene de esta región cerebral. Así, pues, el neocórtex nos capacita no sólo para solucionar ecuaciones de álgebra, para aprender una lengua extranjera, para estudiar la Teoría de la Relatividad o desarrollar la bomba atómica. Proporciona también a nuestra vida emocional una nueva dimensión. Amor y venganza, altruismo e intrigas, arte y moral, sensibilidad y entusiasmo van mucho más allá de los rudos modelos de percepción y de comportamiento espontáneo del sistema límbico.
  • 9.
    SNC Hemisferios cerebrales Di encéfalo Mesencéfalo Protuberancia Bulbo raquídeo Cerebelo Medula espinal S.N. PERIFERICO Nervio y ganglios Funcionalmente: sen-afer/mot-efer: soma-visceral
  • 11.
     Medula espinal Tallo cerebral Bulbo raquídeo. Funciones vitales, (respiración, PA, frecuencia cardiaca), digestión Protuberancia. Distribuye información desde los hemisferios hasta el cerebelo Cerebelo. Unido al tallo por los pedúnculos. Recibe información sensorial de la medula, información motora de la corteza e información del equilibrio desde los órganos vestibulares del oído. Coordina y modula los movimientos, el equilibrio, el aprendizaje
  • 12.
    Tallo cerebral Bulbo,protuberancia y mesencefalo  Centros vitales. esenciales para la vida, ya que controlan la actividad respiratoria, cardiaca y vasomotora. Además de estos centros vitales, el tallo cerebral contiene otros centros que controlan la tos, el estornudo, el hipo, el vómito, la succión y la deglución.  La formación reticular  Los 12 pares craneales
  • 13.
  • 14.
    Medula espinal Funciones: Motoras- Sensitivas - Autonómicas - Reflejos
  • 15.
    Mesencéfalo (Cerebro medio).Control de funciones sensoriales y motoras, relevo y coordinación de reflejos oculares y auditivos Diencéfalo. T. Relevo sensitivo, procesa y distribuye la información sensitiva y motora.Regula nivel de conciencia y el aspecto emocional de las sensaciones. HT: Funciones autónomas, viscerales y endocrinas Hemisferios cerebrales: Cx, Ganglios básales-Hipocampo-N amigdaloide Cx: cada uno con funciones especificas, pero trabajan en asociación en cuanto a funciones perceptivas, cognitivas y motoras superiores, emociones y memoria
  • 16.
    Diencéfalo. TALAMO. Relevo sensitivo, procesay distribuye la información sensitiva y motora. Regula nivel de conciencia y el aspecto emocional de las sensaciones. HIPOTALAMO: Funciones autónomas- Viscerales- Endocrinas- Regulación térmica Sexualidad- el hambre y la sed. El hipotálamo también juega un papel en las emociones. lateralmente parece estar involucrado con el placer y la ira. Más que todo con la expresión de las emociones que con la génesis de los estados afectivos
  • 17.
    Hemisferios: la cortezacerebral es la región donde la mayor parte de la información es procesada, se divide en distintas áreas anatómicas y funcionales encargadas de procesar distintas modalidades sensoriales y motoras Cx: cada uno con funciones especificas, pero trabajan en asociación en cuanto a funciones perceptivas, cognitivas y motoras superiores, emociones y memoria
  • 23.
    Área prefrontal Grande enel hombre y en algunas especies de delfines sus conexiones bidireccionales intensas con el tálamo, amígdala y otras estructuras subcorticales explican su importante rol en la génesis y, especialmente, expresión de los estados afectivos. Cuando se produce una lesión en esta área, la persona pierde su sentido de responsabilidad social como también la capacidad de concentración y abstracción.
  • 25.
    En 1937, elneuroanatomista, James Papez demostraría que la emoción no es una función de ningún centro cerebral específico, sino de un circuito que involucra cuatro estructuras interconectadas: el hipotálamo con sus cuerpos mamilares, el núcleo talámico anterior, el gyrus cingulata y el hipocampo. Este circuito (circuito de Papez), actuando en armonía, es responsable de las funciones centrales de las emociones (afecto) como también de las expresiones periféricas (síntomas).
  • 26.
    SNC Hemisferios cerebrales Di encéfalo Mesencéfalo Protuberancia Bulbo raquídeo Cerebelo Medula espinal S.N. PERIFERICO Nervio y ganglios Funcionalmente: sen-afer/mot-efer: soma-visceral
  • 27.
    Cerebro primitivo dereptil, que se remonta a más de doscientos millones de años de evolución, nos guste o no nos guste reconocerlo, aún dirige parte de nuestros mecanismos para cortejar, casarse, buscar hogar y seleccionar dirigentes. Es responsable de muchos de nuestros ritos y costumbres (y es mejor que no derramemos lágrimas de cocodrilo por esto). Cerebro medio o emocional El sistema límbico, también llamado cerebro medio. El sistema límbico está en constante interacción con la corteza cerebral. Una transmisión de señales de alta velocidad permite que el sistema límbico y el neocórtex trabajen juntos, y esto es lo que explica que podamos tener control sobre nuestras emociones Neocerebro el neocórtex o neopalium o corteza cerebral
  • 28.
    La corteza cerebralla más distintivamente humana. La mayor parte de nuestro pensar o planificar, y del lenguaje, imaginación, creatividad y capacidad de abstracción, proviene de esta región cerebral. Así, pues, el neocórtex nos capacita no sólo para solucionar ecuaciones de álgebra, para aprender una lengua extranjera, para estudiar la Teoría de la Relatividad o desarrollar la bomba atómica. Proporciona también a nuestra vida emocional una nueva dimensión. Amor y venganza, altruismo e intrigas, arte y moral, sensibilidad y entusiasmo van mucho más allá de los rudos modelos de percepción y de comportamiento espontáneo del sistema límbico.
  • 29.
    NEURONAS MADRE? ENEL CEREBRO HUMANO CONTINUAN NACIENDO NEURONAS TODA LA VIDA (HASTA 500 NEURONAS POR DIA EN EL HIPOCAMPO) ESTO ABRE NUEVAS PERSPECTIVAS TERAPEUTICAS FUNCIONES PLASTICAS? APRENDIZAJE Y MEMORIA? EQUILIBRARIA A LAS NEURONAS NUEVAS CON LAS VIEJAS Y REFLEJARIA EL QUE EXISTA UNA MEMORIA A CORTO Y A LARGO PLAZO NEURONA MADRE: CAPAZ DE DIFERENCIARSE EN CUALQUIER TIPO NEURONAL, REGENERAR TEJIDO Y ESTAR DISPONIBLE TODA LA VIDA
  • 30.
    NEURONAS Unidad funcional yestructural del SN Función recibir y transmitir estímulos Específicamente presentan Nt – canales iónicos, transporte axonal y receptores. Diámetro Clasificación Cito arquitectura 1. Pericarion 2. Axón 3. Dendritas 4. Sinapsis
  • 31.
    TIPOS DE NEURONAS (Segúnla forma, la función, la localización) Bipolar Pseudo monopolar Multipolar
  • 32.
    Golgi I elaxón sobrepasa al árbol dendrítico , las Golgi II no lo sobrepasan
  • 33.
    SNC Sustancia gris y sustancia blanca Las neuronas se relación estructural y funcionalmente formando la corteza cerebral y cerebelosa además de núcleos aquí entre sus cuerpos neuronales se encuentra el neuropilo (axones-dendritas y células gliales) Si las neuronas se disponen en capas , forman un estratos o laminas ejem en la corteza cerebral o cerebelosa, si forman grupos longitudinales se llamaran columnas Los haces de axones en el SNC forman los tractos, fascículos (haces) o lemniscos
  • 34.
    SNP Los agregados de cuerpos neuronales forman ganglios (como en el ganglios sensitivo ) o motores (ganglios visceromotores o autónomos). Los axones derivados de los ganglios conformaran los nervios, ramas o raíces periféricas
  • 35.
  • 36.
  • 37.
  • 38.
  • 39.
  • 44.
    Sustancia gris- blanca Este aspecto se debe a la presencia de la mielina Sustancia Gris: Neuronas y Células Gliales Sustancia Blanca: Terminaciones y Tractos Ubicación variable Médula Espinal Corteza Cerebelo
  • 49.
    Los filamentos Sitio intermedios , son quienes ms dan receptor de estabilidad al cito señales esqueleto neuronal, Aumenta su se lesionan en la superficie enfermedad de LOU con las GHERING, ELA, m espinas moto neuronas Con micro centrales o túbulos y periféricas neurofilamen tos al igual que el axón, Contiene el pericarion , el núcleo, las Se origina en el cono axónico, organelas para las síntesis de proteínas, sitio donde se genera el fosfolípidos y macromoléculas, abundantes potencial de acción o de ribosomas,  grumos de Nissl, apto de Golgi gatillo Diferente a las dendritas y mitocondrias lisosomas y gránulos de este mantiene constante su lipofuscina diámetro, para terminar en el telodendron
  • 50.
    Pericarion Dendrita Grumos de Nissl Núcleo-Nucleolo Células gliales Cada neurona específicamente presenta Nt – canales iónicos, transporte y receptores.
  • 52.
    Dendritas Permiten recibir eintegrar señales Su gran extensión aumenta la superficie celular Iguales organelas que el pericarion Con espinas° Sind Down Desnutrición Edad Trisomía del 18  Sinapsis recibidas variable (En Neuronas motoras 10.000 vs en células de Purkinje 150.000)
  • 53.
    AXÓN •Unico •Longitud variable (0.1mma 2 metros) •Diámetro constante (0.2 a 20 micras) ~velocidad de conducción ~neurofilamentos. •Originado en el cono axónico. •Ramas colaterales...Botón sináptico. •Sin RER, abundantes mitocondrias y vesículas. •Revestidos por Oligodendrocitos (SNC) Cel Schwann (SNP) Mielinizado o no (sus gris o blanca)
  • 54.
    1. Citosólicas:* a. Fibrilares – citoesqueleto b. Enzimas metabólicas 2. Nucleares y Mitocondriales: a. Expresión genética b. Generar energía 3. De membrana y productos de secreción: Asociadas al retículo como grumos de Nissl
  • 55.
    CITOESQUELETO Dan la formaa la Neurona – Sostiene las organelas Permite cambios en la configuración celular Permite el transporte axonal En la enfermedad de Alzheimer – Ovillos de Degeneración Neurofibrilar. A la MO: Neurofibrillas – Ag--*” A la ME: Diámetros de 24 – 10 – 6 nm: Microtúbulos* Neurofilamentos* Microfilamentos”-actina de la m
  • 56.
    Transporte axonal Basado estructuralmenteen el citoesqueleto Conduce los materiales para el mantenimiento del cito esqueleto y para la síntesis de neurotransmisores necesarios para la conducción Nerviosa Mantiene y garantiza la estabilidad del axón Indispensable la fosforilación oxidativa Util en la investigación de Neurovías El rápido se ha evidenciado por vídeo ampliaciones
  • 57.
    ANTERÓGRADO  Organelas yvesículas pequeñas, actina, miosina, clatrina y enzs de síntesis de Nts en el botón sináptico ~ Cineina RETROGRADO  Enzimas y componentes proteicos de microtúbulos y neurofilamentos  Material de endocitosis  Proteínas en degradación hacia los lisosomas. Colchicina, Vinblastina, Azúcar marcado, peróxidasa del rábano, Virus de la Rabia, Herpes, Toxinas, poliomielitis Dineina
  • 58.
  • 59.
  • 60.
    El segmento de revestimiento forma el internodo de Ranvier, el espacio entre dos de estos internodos es el nodo de Ranvier (sitio de regeneración del impulso nervioso).
  • 61.
  • 62.
  • 63.
  • 64.
    MIELINA-MIELINIZACIÒN Desde los6 meses de gestación, proceso secuencial y regional, evidenciable imaginológica y funcionalmente, (mot-sen), en el adulto es continuo Formada por 7 proteínas (codificadas por un solo gen, 3 son las mas importantes proteína básica de la mielina, proteína proteolipidica y proteína cero de la mielina, (proteínas altamente alérgenicas ejemplo en las enfermedades autoinmunes de Guillan Barre y EM) •Para este proceso es indispensable la vitamina B12 o cobalamina, una adecuada nutrición, tanto en la lactancia (lactancia materna!!), como durante el resto de la vida.
  • 65.
    MIELINA-MIELINIZACIÒN La mielinaes la base estructural de la teoría saltatoria del impulso nervioso El segmento de revestimiento forma el internodo de Ranvier, el espacio entre dos de estos internodos es el nodo de Ranvier (sitio de regeneración del impulso nervioso). Existen varios tipos de enfermedades desmielinizantes Afectan a los oligodendrocitos y a la mielina no al axon a. Autoinmunes Esclerosis múltiple-Guillan Barre b. Hereditarias adrenoleucodistrofia, ligada al X, en el suero ácidos grasos de cadena corta, daño en el gen que codifica las proteínas de los peroxisomas c. Metabólicas déficit de B12, mielinolisis pontina, en pacientes a quienes se les corrige hiponatremias por alcoholismo o por desnutrición d. Inducidas por virus encefalopatía focal progresiva, en el VIH sida los oligodendrocitos son invadidos por virus oportunistas e. Quimio-Rtpia
  • 66.
    Ojo fotocopiar taller Biopotenciales Quiz viernes de la próxima semana
  • 67.
    MIELINA-MIELINIZACIÒN Ojo fotocopiar tallerBiopotenciales Quiz viernes de la prox semana
  • 68.
    Diferencias entre lamielina del SNC y del SNP El SNP tiene mas esfingomielinas y glucoproteínas Proteína básica de la mielina, presente tanto en SNC como en SNP Proteína proteolipidica exclusiva del SNC Proteína cero de la mielina es la proteína mas importante del SNP Lamina basal en las Cels de Shwann importante para la regeneración nerviosa en el SNP Las fibras amielinicas son verdaderamente desnudas en el SNC Los nodos de Ranvier son mas grandes en el SNP, mas eficaz la teoría saltatoria del impulso nervioso
  • 69.
  • 71.
    GENERACIÓN Y CONDUCCIÓNDEL IMPULSO Los impulsos nerviosos son señales eléctricas generadas en las neuronas como resultado de la despolarización de sus membranas LA NEURONA “SINTETIZA” DIFERENTES ESTIMULOS DEL CONO DE ARRANQUE AXÓNICO SE INICIA EL POTENCIAL DE ACCIÓN O DESPOLARIZACIÓN DE LA MEMBRANA (“UNIDIRECCIONALMENTE”) POTENCIAL DE REPOSO: -70 mV En la mayoría se las células es constante, en las neuronas y en las células musculares, cambia, de tal manera que estas células pueden conducir señales eléctricas
  • 76.
    1.Los neurotransmisores sonalmacenados en las vesículas sinápticas del pericarion y llevados al botón sináptico mediante el transporte axonal anterogrado-cinesina) 2. Se unen las proteínas de anclaje vesicular con las proteínas de anclaje de la membrana pre sináptica, ya unidas “aterrizan “ sobre la proteína sinapsina del “punto de acción” de la membrana pre sináptica 3. La despolarización del botón sináptico conlleva a la entrada masiva de calcio, mediante canales dependientes de voltaje, esto induce la exocitosis de las vesículas sinápticas
  • 77.
    4. El mensajerosináptico, el neurotransmisor, liberado en la hendidura sináptica tipo acetilcolina, adrenalina, noradrenalina…pasaran a los receptores de la membrana post sináptica 5. El mensajero qco, neurotransmisor es degradado enzimáticamente por acetilcolinesterasa, o retomado por endocitosis (norepinefrina) o degradado por las mitocondrias mediante la MAO
  • 80.
    80% del neurotransm isor sufre una recaptación de alta afinidad el 20% restante es degradado por enzimas presentes en la membrana posinaptica
  • 81.
  • 82.
    SINAPSIS Contacto físico, transmisión y comunicación de impulsos nerviosos, eléctricos o qcos de neurona con neurona, N-músculo o N-glándula mediante el botón sináptico o por los botones de “paso” TIPOS Eléctricos (tallo, retina, corteza POR NEXOS) y/o químicos POR: ELEMENTOS PRESINÁPTICOS. oVesículas-mitocondrias-REL oNeurotransmisores del soma o de producción local o Sinapsina I y II, sinaptofisina,Sinaptogtagmina. o Enzimas protectoras oSitio activo.  ESPACIO SINÁPTICO  ELEMENTOS POSTSINÁPTICOS Receptores
  • 83.
    Vesiculas sinapticas (VS) Vesículas de reserva adheridas a la actina Sinapsina ll y la RAb3a controlan unión de las Vesiculas a la actina Sinapsina I reúne vesículas de reserva, Al fosforilarse se “liberan” hacia el sitio activo, si se desfosforila se uen de nuevo Sitio activo, Las Sinaptotagmina y la Sinaptofisina regulan el acople a la membrana de unión con preesinatica las vesículas
  • 84.
    Sinapsis-Vesículas sinápticas Endocitosis mediada por clatrina La sinaptobrevina, proteína de las vesículas sinápticas, es el blanco de las toxinas tetánicas y botulínica---se bloquea selectivamente la exocitosis
  • 85.
    AXO-DENDRÍTICA AXO-SOMÁTICA AXO-AXÓNICA
  • 86.
  • 87.
    Receptor postsinaptico Abre canalesionicos, altera la permeabilidad de la membrana postsinaptica e invierte el potencial de membrana
  • 88.
    MOLECULAS DE SEÑALAMIENTO Sonsustancias liberadas en las sinapsis que se unen a los receptores actuando sobre las neuronas post así: Canales iónicos (neurotransmisores) Rápido-milisegundos Proteína G (neuromoduladores – neurohormonas) lenta en minutos TIPOS: Pequeñas mol transmisoras* Neuropéptidos^ Gases * Ach- aa (glutamato, aspartato, glicina y GABA), aminas biogénas (monoaminas), Serotonina, y las 3 catecolaminas (DOPAMINA – NA –A. ) ^ ENCEFALINAS-VIP-RF... NO - CO
  • 89.
    RESPUESTA Variable de acuerdoal sitio y al receptor Un mismo neurotransmisor puede dar diferentes respuestas Demostrada la comunicación neuronal: a. TRANSMISIÓN DE VOLUMEN a la MEC activando grupos o campos de Neuronas (es “lenta” y en relación con la función autónoma, alerta, percepción, sueño, dolor, humor) b. TRANSMISIÓN CELULAR (individual rápida). RIOS CEREBRALES DOPAMINA: Endocrino, motor y afecto SEROTONINA: Bienestar Ach: Atención, aprendizaje, memoria, movimiento.Alzheimer NA: Excitatorio, físico, mental, ánimo, control central del placer Glutamato: Excitatorio, aprendizaje y Memoria a largo plazo
  • 90.
    Del griego glía… pegamento Comprenden Astrocitos Oligodendrocitos Microglia (se deriva del mesodermo) Células de Schumann y células ependimarias Su función es dar sostén soporte estructural a las neuronas y mantener las condiciones locales para su funcionamiento No propagan potenciales de acción, no reciben ni transmiten señales eléctricas por sus prolongaciones
  • 91.
    Mas numerosas quelas neuronas Conservan la capacidad de multiplicarse Origina la mayor parte de los tumores cerebrales En lesiones del SN se movilizan y eliminan los deshechos, sellan el área  cicatriz glíal a veces deletérea que interfiere con la regeneración neuronal
  • 92.
    •Mas del 50%de las células glíales •Inducen y conforman la B.H.E. •Depredadores de iones •Equilibran el medio extracelular. •Aportan glu de su glucógeno (corteza) •Reciben y metabolizan múltiples nt •Conforman cicatrices en el SNC (epileptogenas ?) •Forma tumores (astrocitomas), 80% de los Neos del adulto •Protoplasmáticos (s.Gris) y fibrosos (s. Blanca) •PAGF especifica, filamentos intermedios, marcador útil para su reconocimiento •“Cubren” la sinapsis y los Nodos de Ranvier
  • 93.
    Astrocitos Sus prolongaciones celulares terminan en ensanchamientos llamados pies terminales que se relacionan con los vasos sanguíneos (pies peri vasculares *BHE) y con la superficie interna de la piamadre (membrana pial glíal o glía limitante) PROTOPLASMATICOS ( gris) Células satélites FIBROSOS (sustancia blanca) Con grandes prolongaciones largas no ramificadas en relación con la pía y los vasos sanguíneos* separados por mb
  • 94.
    ASTROCITOS A la microscopia óptica Núcleos ovales , grandes y de poca tinción “micro granulares”
  • 95.
    Oligodendrocito Mas pequeños quelos Astrocitos, núcleo irregular de cromatina densa Con muchas prolongaciones celulares, formando hasta 40 y 50 internodos en axones diferentes En sustancia blanca˜ mieliniza En sustancia gris˜ soporte neuronal vs Schwann carece de membrana basal y tejido conectivo
  • 96.
  • 97.
    Parte integrante delSMNM, origen mesodérmico Diseminadas por todo el SNC Protectores inmunológicos del encéfalo y de la medula espinal Interaccionan con neuronas y con astrocitos para migrar a buscar neuronas muertas y allí proliferar y fagocitarlas Pequeñas, oscuras, núcleo en forma de coma, triangular Tachonada de espinas o púas Macrófagos de desechos y lesiones En la embriogénesis del SN fagocitan las células que murieron por apoptosis En el SIDA, no son afectadas las neuronas pero si infecta a las microglias quienes liberan toxinas que si lesionaran a las neuronas
  • 98.
    Parte integrante delSMNM, origen mesodérmico Diseminadas por todo el SNC Protectores inmunológicos del encéfalo y de la medula espinal Interaccionan con neuronas y con astrocitos para migrar a buscar neuronas muertas y allí proliferar y fagocitarlas Son las cels responsables frente a lesiones cerebrales Producen sustancias químicas atrayentes de GB, quienes atraviesan la BHE generando enfermedades neuro inmunológicas
  • 99.
    Pequeñas, oscuras, núcleoen forma de coma, triangular Tachonada de espinas o púas Macrófagos de desechos y lesiones En la embriogénesis del SN fagocitan las células que murieron por apoptosis En el SIDA, no son afectadas las neuronas pero el virus si infecta a las microglias quienes liberan toxinas que si lesionaran a las neuronas
  • 100.
    Núcleo de cromatinaen “coma” ,
  • 102.
    Soporte estructural yconsistencia Producen mielina.- Tampón de potasio En el desarrollo dirigen migración Neuronal y crecimiento axonal Generan y mantienen la barrera hematoencefálica Hay indicios de que nutren a las neuronas No reaccionan ni propagan el impulso Neuronas el dllo
  • 103.
    •De la crestaneural •Célula envolvente de axones del SNP, mielinizandolos o no. •Forman una vaina de mielina 1 mm de largo, segmento internodal. •Aplanadas, apto de Golgi y unas mitocondrias. •Mieliniza un solo trayecto axonal. Pero en axones amielinicos puede envolver a varios de ellos •Revestida externamente por una lamina basal, que actúa como un cilindro guía para la regeneración neuronal.
  • 104.
  • 107.
    Son células cilíndricaso cúbicas sin lamina basal, abundantes mitocondrias y filamentos intermedios unidas por desmosomas, con o sin cilios Origen del neuroepitelio Conforman el epitelio de revestimiento de la cavidad medular central y de las cavidades ventriculares, están en relación con el LCR Forman los plexos coroideos en los ventrículos laterales , tercer y cuarto ventrículos, encargado de secretar LCR
  • 108.
    En eltercer ventrículoalgunas celulas ependimarias son llamadas tanicitos y presentas 2 rasgos distintivos a. Uniones ocluyentes con células ependimarias vecinas b. Prolongaciones basales que forman pies terminales con los vasos sanguíneos, proyecciones citoplasmáticas que contactarían LCR a las células endoteliales vecinas… y a las células neurosecretoras del hipotálamo (les llevan LCR?)
  • 111.
    Haces (fascículos) defibras nerviosas (Axones y dendritas), rodeados de t.C.* Macroscópicamente blancos: mielinizados. Cada fascículo puede contener componentes motores y/ o sensitivo.
  • 112.
    *EPINEURO: externo, tejidoconectivo denso, irregular, previene lesiones por estiramiento excesivo. PERINEURO: fascículos - T.C.D.I. ENDONEURO: Axon - TC laxo (fibras reticulares de Schwann, fibroblastos, M?, capilares, MAST, por fuera de lamina basal Schwann).
  • 113.
    Haces de fibrasnerviosas rodeadas de TC
  • 114.
  • 115.
    *ENDONEURO: ^ axón:TC laxo por fuera de membrana basal de Schwann (fibras reticulares de Schwann, Fibroblastos, M?, capilares, MAST)
  • 116.
    Clasificación: Sensitivo Motor Mixto Directamente proporcional al grado de mielinizacion. Despolarización ˜ nodos de Ranvier: -Canales de sodio compuerta de voltaje -La mielina impide la salida de sodio.
  • 117.
  • 118.
    FIBRAS Y VELOCIDADDE CONDUCCION Tipo A: Velocidad de 15-120m/seg ; Diámetro 1-20 micras Tipo B: Velocidad de 3-5 m/seg ; Diámetro 1-3 micras Tipo C: Velocidad de 0.5-2 m/seg ; Diámetro 0.5-1.5 micras
  • 119.
    •Tejido conectivo densoirregular. •Adhesión fuerte al cráneo. •Espacio epidural • Virtual craneal • Real medular: tcl-vasos, adiposo, anestesia epidural. •Se repliega formando: Hoz del cerebro, tienda del • cerebelo y diafragma silla turca. •Se desdobla: senos venosos de la duramadre* •Drena el LCR mediante las vellosidades aracnoideas. • *No existen senos venosos en la medula espinal
  • 120.
    •TCAL, avascular, semitransparente,aspecto de sólida tela de araña. Superficie externa adherida fuertemente a la duramadre: potencial espacio subdural. Superficie interna irregular. •PROYECTA las trabucaciones aracnoideas que contactan y se mezclan con la piamadre para sostener en flotación al SNC. •ESPACIO SUBARACNOIDEO: Superficie interna de la Aracnoides - superficie externa de la Piamadre: LCR, Vs sanguíneos, Trabeculas aracnoideas: Forma la cisterna Magna, Superior, Basales.
  • 121.
    Tejido conectivo, areolarlaxo vascularizado Reviste externamente la superficie y contorno del SN. Forma el espacio perivascular de Virchow. Vía funcional de comunicación entre el espacio extracelular neuronal, el espacio subaracnoideo y el sistema linfático cervical Vía de entrada de los linfocitos al LCR.
  • 122.
    SUSTANCIA GRIS-BLANCA Este aspectose debe a la presencia de la mielina Sustancia Gris: Neuronas y Células Gliales Sustancia Blanca: Terminaciones y Tractos Ubicación variable Médula Espinal Corteza Cerebelo
  • 125.
  • 126.
  • 127.
  • 129.
    •En el SNP- Bordes cercanos •Reacción local: retracción de bordes, fusión de membranas para impedir perdida de axoplasma •Reacción anterograda degeneración walleriana- proliferación de células de Schwann dirigen regeneración •Reacción retrograda hipertrofia del pericarion -Cromatolis, primordios a vainas de sinapsis •Velocidades 3 a 4 mm/día Degeneración transneuronal Por efecto trófico pre/pos en las neuronas blanco o en las células vecinas
  • 130.
    Papel en lasupervivencia Neuronal*(factores propios y locales) 50% de las Ns mueren en la ontogénesis- apoptosis Identificados: Factor de crecimiento nervioso Factor neurotrofico derivado del encéfalo. Neurotrofina 3. Factor neurotrofico ciliar. * Cada uno facilita la supervivencia de grupos distintos de neuronas
  • 131.
    Protege el normalfuncionamiento neuronal, evita los cambios bruscos en la concentración iónica del LEC e impide el paso de moléculas desde la circulación. Lesionada  edema cerebral Los capilares del SN sin transporte vesicular* o muy restringido  Dado por: 1. Capilares continuos y su membrana basal 2. Uniones ocluyentes (dependientes del buen funcionamiento del Astrocito, 3. Astrocitos. (algunos no los incluyen como integrante si como mantenedor)
  • 132.
    La glucosa, aminoácidos,nucleótidos, vits,  por proteínas transmembranales.. O/H2O/CO2 por su liposolubilidad …Otros receptores, fijación a proteínas, flujo sanguíneo y por requerimientos metabólicos (colesterol). No hay barrera en : eminencia media, neuro hipófisis, Glándula pineal, área postrema, sustancia nigra ni en el locus ceruleus Los fármacos pequeños pasan la BHE (no la dopamina-abs)
  • 133.
    Los Astrocitos, ensus pies perivasculares tienen canales acuosos, importantes en el edema cerebral para restablecer el equilibrio osmótico encefálico. Acuaporinas AQP4