República Bolivariana de Venezuela
Universidad del Zulia
Facultad de Medicina
Escuela de Medicina
Cátedra. Cirugía y Ortopedia
Maracaibo-Edo Zulia Marzo/2017
Ponentes:
Br. Sánchez Yovanny
Br. Rodríguez Jeffer
Tutor.
Dr. Orlando Martin
1. Identificar la anatomía del pie y tobillo
2. Recordar el estudio semiológico del pie y tobillo
3. Conocer las diferentes causas de lesiones.
4. Valorar el correcto empleo de las pruebas
diagnósticas, tratamiento conservador y las
indicaciones quirúrgicas.
OBJETIVOS
Tibia:
Cuerpo
• Cara interna: se
insertan los músculos
de la pata de ganso.
• Cara externa: donde se
inserta el tibial anterior
• Cara posterior: se
inserta el soleo,
presenta la línea
oblicua de la tibia donde
por arriba se inserta el
poplíteo y por debajo el
flexor común de los
dedos y el tibial
posterior,
Osteología Tibia
La extremidad superior está
formada por las tuberosidades
de la tibia: interna, externa y
anterior
• Interna: acá se encuentra el
canal por donde se desliza el
tendón anterior del
semitendinoso.
• Externa: posee una faceta
articular para la cabeza del
peroné
• Anterior: donde se inserta el
ligamento rotuliano
La extremidad inferior que se
adapta al astrágalo
Osteología Tibia
Peroné:
Cuerpo
• Cara externa: en la parte inferior
presenta una cresta oblicua que la
divide en anterior (que está en
contacto con la piel) y posterior (en
relación con los tendones de los
peroneos laterales), mientras que en
la parte superior sirve de inserción
del peroneo largo y corto lateral.
• Cara interna: Vamos a encontrar la
inserción de los extensores de los
dedos y peroneo anterior
• Cara posterior: porción superior
(inserción del soleo), parte media
(inserción del flexor del dedo gordo)
Osteología Peroné
Extremidad superior:
• En su base se articula la
faceta articular de la tibia
• Por encima de la faceta se
encuentra la apófisis
estiloides donde se
insertan el ligamento
lateral externo de la rodilla
y el tendón inferior del
bíceps crural
Extremidad inferior:
• Formada por el maléolo
externo
• Cara externa en contacto
con la piel
• Cara interna se articula
con el astrágalo
Osteología Peroné
Huesos del tarso:
• Astrágalo: Único hueso del tarso
sin inserciones musculares o
tendinosas
• Calcáneo: Más largo del pie, sirve
de sostén para el astrágalo y
encontramos la tuberosidad del
calcáneo
• Escafoides: Aplanado con forma
de barco que se une en su cara
posterior al astrágalo y en su cara
anterior a los huesos
cuneiformes.
• Cuneiformes o cuñas: conjunto
de 3 huesos cortos que se unen
con sus respectivas huesos
metatarsianos .
• Cuboides: tiene forma de cubo y
encontramos la tuberosidad del
cuboides donde pasa el tendón
del musculo peroneo largo.
Osteología Pie
Articulaciones del tarso:
• Subtalar: cara posterior del
calcáneo y astrágalo realiza
inversión y eversión del pie.
• Taloncalcaneonavicular:
cabeza del astrágalo,
calcáneo y navicular, realiza
deslizamiento y rotación.
• Calcaneocuboidea: calcáneo
y cara post del cuboides,
realiza inversión, eversión y
circunduccion.
• Cuneonavicular: parte
anterior del navicular con
cara posterior de las cuñas.
Osteología Pie
Huesos del
metatarso:
• Constan de 5
metatarsianos y
pertenecen al pie
anterior, forman
articulaciones
tarsometatarsianas
con los huesos del
tarso, con movimiento
de deslizamiento.
Osteología Pie
Huesos de las falanges
• Todos los dedos tienen 3
falanges menos el primero
que solo tiene 2, se dividen
en proximal, media y distal
• La falange proximal se
articula con el metatarsiano
correspondiente formando
una articulación
metatarsofalángica que es
sinovial codilea con
movimientos de flexión,
extensión, abducción,
abducción y circunducción.
• Las articulaciones
interfalángicas son en
bisagra realizando solo
flexión y extensión.
Osteología Pie
Ligamento lateral externo: conformado
por tres fascículos diferentes, que unen
el astrágalo y el calcáneo con el
peroné.
• ligamento peroneoastragalino
anterior: borde anterior del maléolo
peroneo para acabar insertándose
en el astrágalo.
• ligamento calcáneoperoneo: surge
del maléolo peroneo para insertarse
en la cara externa del calcáneo.
• ligamento peroneoastragalino
posterior: se origina en la cara
interna del maléolo peroneo para
insertarse en el tubérculo
posteroexterno del astrágalo.
Ligamentos
Compartimiento anterior: inervados por el
nervio peroneo profundo o tibial anterior.
• Tibial anterior:
• Origen: 2/3 superiores cara lat de la tibia,
se inserta en el primer metatarsiano y
cuña medial. Flexor y aductor del pie
• Extensor común de los dedos:
• Origen: Cóndilo lateral de la tibia, se
inserta en la falange distal de los 4 dedos
lat. Extensor de los dedos del pie y flexor
del pie
• Extensor propio del Hallux 1er dedo:
• Origen: cara interior del peroné, se
inserta en la falange distal del dedo
gordo. Extensor del dedo gordo y flexor
del pie.
• Peroneo anterior:
• Origen: cara anterior del peroné, se
inserta en el quinto metatarsiano. Flexor y
abductor del pie.
Miología de la pierna
Compartimiento lateral:
Inervado por el nervio
peroneo superficial.
• Peroneo lateral largo:
• Origen: Cara externa del
peroné, se inserta en el
primer metatarsiano y
hueso cuneiforme
medial. Extensor,
abductor y rotador del
pie.
• Peroneo lateral corto:
• Origen: Cara externa del
peroné, se inserta en
tuberosidad del 5to
metatarsiano. Abductor
del pie.
• Compartimiento Posterior:
• Gastrocnemio: N. tibial y
peroneo
• Origen: desde los cóndilos
femorales hasta el tendón
calcáneo (tendón de
Aquiles). Extensor del pie
sobre la pierna y flexor de la
pierna con el muslo.
• Soleo: N. tibial y peroneo
• Origen: Línea Oblicua de la
tibia y cabeza del peroné
hasta el calcáneo. Extensor
del pie sobre la pierna.
• Plantar Delgado: N. tibial
• Origen: Cóndilo externo del
fémur hasta cara interna del
tendón calcáneo. Extensor
del pie.
• Poplíteo: N. tibial
• Origen: Línea oblicua de la tibia y
se inserta en la porción superior del
cóndilo externo. Flexiona y gira
hacia adentro la pierna sobre el
muslo.
• Tibial Posterior: N. tibial y peroneo
• Origen: Cara posterior de la tibia,
se inserta en es escafoides, cara
plantar de las 3 cuñas y bases de
todos menos el 1er metatarsiano.
Extensor del pie sobre la pierna.
• Flexor largo de los dedos: N.
peroneo
• Origen: porción superior y externa
de la tibia y superior y medial del
peroné se inserta en las falanges
medias y distales de todos menos
el dedo gordo. Flexión simultanea
de los dedos 2do al 5to del pie.
• Flexor largo del dedo gordo: N.
peroneo
• Origen: Cara posterior del peroné
hasta 3era falange del primer dedo.
Flexor del dedo gordo.
Dorsales
• Interóseos Dorsales: N.
plantar lat
• Origen: lados adyacentes de
los metatarsianos, hasta las
falanges del 2do, 3er y 4to
dedo. Flexión de falanges
proximales, abducción de los
dedos laterales.
• Extensor corto de los
dedos: N. peroneo
• Origen: Cara dorsolateral del
calcáneo, hasta falange prox
del 1er dedo y tendones
extensores del 2do, 3ero y 4to
dedo. Extensión de los dedos
del pie.
Miología del Pie
Plantares
• Interóseo Plantares: N. plantar lat
• Origen: Base y lado medial de los
metatarsianos 3-4-5, hasta lado medial de las
falanges de los dedos 3-4-5. Aducción y flexión
de los 3 dedos lat de los pies.
• Músculos Lumbricales del pie: inervados:
1ero por N. plantar medial, 2-3-4 N. plantar
lateral.
• Origen: tendones del musculo flexor largo de
los dedos hasta lado medial de las falanges
proximales y tendones extensores de los 4
dedos laterales. Flexión de los dedos en las
articulaciones metatarsofalangicas.
• Flexor corto de los dedos: N. plantar y rama
del tibial
• Origen: Calcáneo hasta 2 falange desde 2do
hasta el 5to dedo. Flexión de la 2 falange del
2do al 4to dedo.
• Flexor breve del Hallux: N. plantar medial
• Origen: Cuboides hasta primera falange del 1er dedo. Flexiona el 1er dedo
• Aductor de Hallux: N. plantar lat
• Origen: Vientre oblicuo (cuboides y base de 3er y 4to metatarsiano) y
vientre transversal (en la cabeza de 3er, 4to y 5to metatarsiano), ambos
hasta cara lat de la primera falange del 1er dedo. Aducción del 1er dedo.
• Abductor del Hallux: N. plantar interno
• Origen: tuberosidad calcáneo hasta parte proximal y lat de la primera
falange del 1er dedo. Abducción del 1er dedo
• Abductor del 5to dedo: N. plantar lat
• Origen: Aponeurosis plantar, hasta parte lat de las falanges del 5to dedo.
Abducción del 5to dedo.
• Oponente del 5to dedo: N. plantar lat
• Origen: parte anterior del cuboides hasta diáfisis del 5to metatarsiano.
Flexión del 5to metatarsiano
• Flexor breve del 5to dedo: N. plantar lat
• Origen: base 5to metatarsiano hasta 1era falange del 5to dedo. Flexión del
5to dedo.
• Contar los dedos.
• Dedos, rectos, planos y en proporción
normal (un dedo no proporcional pude
estar tumefacto).
• Observar el arco longitudinal (entre primer
metatarsiano y el calcáneo).
• Diferenciar entre pie plano y cavo.
• Observar si el segmento posterior del pie
esta excesivamente varo o valgo.
Semiología
• Zona 1 CABEZA DEL
PRIMER
METATARSIANO: El área
que rodea la cabeza del
primer metatarsiano es
propensa a presentar una
alteración patológica
conocida como valgo del
dedo gordo causando
formación de una bolsa
dolorosa en la cabeza del
primer metatarsiano o
formación de un juanete.
Palpación de tejidos blandos
• Zona 2 TUBERCULO
DEL ESCAFOIDES Y
CABEZA DEL
ASTRAGALO: Se va
a palpar el tendón
tibial posterior y el
ligamento
calcaneoescafoideo
inferior puesto que
estos cubren la
brecha entre las
articulaciones
astragalocalcanea y
astrágaloescafoideoa
• Zona 3 MALEOLO
MEDIAL: Donde por
debajo del maléolo
medial se palpara el
ligamento deltoideo,
que en caso de
producir dolor podría
ser por esguince del
ligamento, en la
superficie posterior al
maléolo palparemos
el tendón de Aquiles
y otros elementos
importantes.
• Zona 4 DORSO
DEL PIE ENTRE
LOS MALEOLOS:
Hay 3 tendones y
un vaso que pasan
entre los maléolos.
Desde la parte
medial a la lateral
tenemos:
• Zona 5 MALEOLO
LATERAL: Hay 3
ligamentos
importantes que
componen los
ligamentos laterales
de la articulación del
tobillo desde
adelante hacia atrás
tenemos:
• Zona 6 SENO
TARSIANO: El seno
del tarso está
afectado a menudo
por esguinces de
tobillos y puede ser
llenado por edema
causando dolor en la
trayectoria del
ligamento
peroneoastragalino
anterior (maléolo
lateral hasta el cuello
del astrágalo).
• Zona 7 CABEZA
DEL 5TO
METATARSIANO:
Sobre la cabeza
lateral de 5to
metatarsiano hay
una bolsa que es
propensa a
inflamarse
causando bursitis
conocida como
juanete de sastre.
• Zona 8 CALCANEO:
Se evaluara el tendón
calcáneo, probando la
continuidad de los
músculos soleo y
gemelos exprimiendo la
pantorrilla, esto debería
causar flexión plantar
del pie en condiciones
normales. También
deben pellizcarse los
tejidos blandos para
ubicar inflamación de la
bolsa del tendón
calcáneo y la bolsa
calcanea el cual de ser
positivo seria bursitis.
• Zona 9 SUPERFICIE
PLANTAR DEL PIE: Se debe
palpar la región posterior de la
planta del pie por la posibilidad
de presencia de un espolón del
talón que sobresalga lo cual
causa dolor y afecta al choque
sobre la marcha. La superficie
plantar debería ser lisa,
indolora y sin nódulos
palpables. El dolor indica
fascitis y los nódulos palpables
indican contractura de
Duputyren. Entre la cabeza de
los metatarsianos se busca
dolor y tumefacción, Cabe
destacar el neuroma de Morton
en la cabezas de los 3er y 4to
metatarsianos (degeneración
del N. digital plantar
acompañada con fibrosis)
• Zona 10: DEDOS DEL PIE
• Dedos en garra: Hiperextensión de las
articulaciones metatarsofalángica y flexión de las
articulaciones interfalangicas proximales y
distales.
• Dedos en martillo: Hiperextensión de las
articulaciones metatarsofalángica e interfalangicas
proximales y flexión de las interfalangicas distales.
• Callosidades: Entre los dedos son suaves por la
humedad de los dedos, a menudo dolorosas,
mientras que en las zonas de presión son duras.
• Uñas encarnadas: Se producen en la porción
medial o lateral del dedo gordo, las esquinas de la
uña se enclava en la piel circundante y producen
tumefacción e infección de tejidos blandos
adyacentes.
• Para evaluar el
ligamento
peroneoastragalino
anterior que es el más
afectado en esguinces
de tobillo se realiza
flexión plantar e
inversión, buscando
presencia de dolor que
muestras distención o
desgarro, esto a su vez
permitirá al astrágalo
deslizarse adelante en
relación con la tibia.
Pruebas de estabilidad
• Los ligamentos
peroneoastragalino
anterior y
peroneocalcaneo deben
desgarrarse para que
se produzca
inestabilidad lateral en
el tobillo, esto se evalúa
invirtiendo el calcáneo,
si esto hace que el
astrágalo se separe y
tuerza, la lesión será
positiva.
• Flexión plantar se prueba
poniéndose de puntas.
• Dorsiflexion del pie se prueba
apoyándose en los talones
• Inversión se prueba parándose en
los bordes lat de los pies
• Eversión se prueba parándose en
los bordes mediales de los pies
Arcos activos de movilidad
• Dorsiflexión del tobillo 20°
• Flexión plantar del tobillo 50°
• Inversión subastragalina 5°
• Eversión subastragalina 5°
Arcos pasivos de movilidad
• Aducción 20° del segmento anterior del
pie
• Abducción 10° del segmento anterior del
pie
• Primera articulación metatarsofalángica
• Flexión 45°
• Extensión 70 a 90°
• Tibial anterior: andar sobre los talones y los
pies en inversión. Prueba manual: forzar el
pie en flexión plantar y eversión.
• Musculo extensor propio del dedo gordo:
andar en los talones y pies en posición
neutra para palpar el tendón. Prueba manual:
paciente hace dorsiflexión del dedo gordo y
nos oponemos.
• Extensor común de los dedos del pie: andar
en los talones y pies en posición neutra.
Prueba manual: se sostiene el calcáneo y se
pide hacer extensión de los dedos a lo que
nos oponemos.
Pruebas musculares: Dorsiflexores
• Peroneo lat largo y corto: ponemos el pie
en flexión plantar y eversión.
• Gemelos y Soleo: Ponerse de puntas y
luego saltar y caer sobre los metatarsos
primero de un lado luego del otro.
• Musculo Flexor del dedo gordo
• Musculo flexor largo común de los dedos
• Musculo tibial posterior: llevar el pie a
flexión plantar e inversión mientras nos
oponemos.
Pruebas musculares: Flexores plantares
• Prueba del pie plano rígido o flexible: Si el
arco longitudinal medial falta estando de
puntas y sentado es pie plano rígido, pero
si solo falta al estar parado normal es
flexible.
Pruebas especiales
• Prueba de torsión tibial: Si hay sospecha
de torsión tibial (presencia de dedos hacia
adentro) se ubican los puntos óseos fijos
en los extremos de la tibia que deben
estar en rotación externa de 15°
normalmente , si hay torsión la línea
maleolar mirará directamente adelante.
• Prueba de dorsiflexión del tobillo: Se usa
cuando no se sabe si la limitación de
movimiento es causada por los gemelos o
el soleo.
• Signo de Homans: Se fuerza la
dorsiflexión con la pierna en extensión y si
duele es a causa de causa de troboflebitis
aguda.
Traumas
Lesión que involucra uno, dos o
incluso tres huesos que conforman
la articulación del tobillo
Fractura de Tobillo
Mecanismo de
lesión
Directo
Indirecto
Supinación
Pronación
Traumatismo directo de baja energía
Practica deportiva o caídas de un
terreno irregular
Accidentes automovilísticos
 Arma de fuego
Etiología
 Unimaleolares 66%
 Bimaleolares 25%
 Trimaleolares 7%
 Abierta 2%
Epidemiología
Factores de Riesgo Signos clásicos
Adulto joven o edad
avanzada
Actividad deportiva
Alteraciones congénitas
Diabetes Mellitus
 Incapacidad funcional
 Deformidad
 Dolor
 Movilidad anormal o limitada
 Aumento e volumen
 Equimosis
 Crepitación
Evaluación
Reglas de OTTAWA
1. Si hay dolor a la palpación en la parte posterior de
los últimos 6cm del peroné (cerca del maléolo
lateral) o de la tibia (cerca del maléolo tibial)
2. Si hay dolor a la palpación en la base del 5to
metatarsiano o en la zona del hueso escafoides
3. Incapacidad para ponerse de pie y soportar su
propio peso corporal inmediatamente después de la
lesión o incapacidad para dar 4 pasos en la
exploración.
6cm 6cm
Reglas radiológicas de OTTAWA
Borde posterior o la
punta del maléolo
externo
Borde posterior
o la punta del
maléolo interno
Base del 5to
metatarsiano
Escafoides
Rx de tobillo
 Dolor a la palpación del borde posterior o
maléolo lateral
 Dolor a la palpación de los 6cm distales
del borde posterior o maléolo tibial
 Incapacidad para mantener su peso
corporal
Rx de pie
 Dolor a la palpacion de la base del 5to
metatarsiano
 Dolor a la palpacion del hueso escafoide
 Incapacidad para mantener su peso
corporal
Clasificación de las
fracturas
A. Primer grado: Fractura de un solo maleolo (Medial o
Lateral)
B. Segundo grado: Fractura de los dos maleolos (Bimaleolar)
C. Tercer grado: Fx bimaleolar + Fx PPSAI tibia (Trimaleolar)
Clasificación de Pott
1.Supinación - Aducción
2.Pronación - Abducción
3.Pronación - rotación externa
4.Supinación - rotación interna
Nota:
«La primera palabra es la posición del pie al momento
de la lesión»
«La segunda es la dirección o sentido de la fuerza
traumática»
Clasificación de Lauge-Hansen
 Mecanismo de producción
Ruptura del ligamento lateral
externo
Avulsión del maléolo externo
Ruptura del LL + fx maléolo inter,
oblicua
Supinación – Aducción
Pronación - Abducción
Ruptura simple del ligamento interno o avulsión
del maléolo lateral y una fx transv del peroné
Fx peronea por arriba del ligamento tibioperoneo
interóseo
Pronación – rotación externa
Estadio 1: Fx del maléolo tibial
Estadio 2: Fx + ruptura del ligamento peroneotibial
ant
Estadio 3: Fx del peroné oblicua
Estadio 4: Ruptura del ligamento peroneotibial
posterior
Pronación – rotación externa
Supinación – rotación externa
Estadio 1
- Ruptura del ligamento peroneotibial anterior
- Avulsión de su inserción
Estadio 2
- Fx espiroidal del maléolo externo
- Ruptura del ligamento peroneotibial post
Estadio 3
- Fx del maléolo tibial
Supinación – rotación externa
Clasificación de Danis - Weber
Fundamento anatómico del trazo
fracturario:
 Infrasisdesmótica – A
 Transindesmótica – B
 Suprasindesmótica -- C
El 50% de las transindesmótica son
quirúrgica
Transindesmótica SuprasindesmóticaInfrasisdesmótica
Fractura Infrasindesmótica o tipo A
Fractura transversa del peroné por debajo de la
sindesmosis
El maleolo medial puede estar intacto
Mecanismo de producción: Inversión
Fractura Transindesmótica o tipo B
 El peroné tiene fractura oblicua ascendente
 Se puede acompañar de fractura transversa del
maléolo tibial
 Mecanismo: Eversión
 El 50% de estas son quirúrgicas
Fractura Suprasindesmótica o tipo C
 El peroné se encuentra fracturado por arriba de la sindesmosis
 El maléolo tibial presenta fractura transversa
 Mecanismo de lesión: Abducción – rotación
 Yeso corto
Fractura de Maisonneuve
1. Peroné
2. Tibia
3. Membrana interósea
4. Maléolo lateral
5. Sindesmosis
6. Superficie articular de la
tibia
7. Maléolo medial
8. Astrágalo
A. Fractura de Maisonnueve
B. Desgarro de la membrana
interósea
Articulación del la rodilla
Parte interna
Articulación del tobillo
Esta fractura de Weber C es una
rotura del peroné en que al mismo
tiempo se desgarran la sindesmosis
y la piel interósea entre la tibia y el
peroné.
A
B
Cuadro Clínico
-. Dolor intenso
-. Aumento de volumen
-. Limitación del movimiento
-. Imposibilidad de apoyar el pie
-. Cojera antálgica
-. Deformidad
Exploración
 Pulso pedio
 Pulso Tibial posterior
 Llenado capilar
 Temperatura de la extremidad
 Sensibilidad distal
Quirúrgico ConservadorEspecífico
Weber A – B – CUni, Bi y Trimaleolares
Tratamiento
Conservador
Fracturas estables
Fracturas no desplazadas
Sindesmosis intacta
Yeso, pie a 90° durante 6 a 8 semanas
Fractura inestable con reducción
anatómica estable
Fractura de peroné + lesión interna con
astrágalo centrado
Radiografía semanal durante 1 mes
Quirúrgico
 Indicaciones quirúrgicas
 Fracaso de la reducción cerrada
 Fracturas desplazadas
 Fracturas inestables
Fracturas maleolares internas desplazadas
Fracturas abiertas
Tto especifico
Weber C por lo general se indica tratamiento con
yeso bota corta por 8 semanas en la mayoría de
los casos
Weber B en la que la sindesmosis se encuentran
sin disrupción, puedes ser manejadas con yeso
por 10 a 12 semanas aproximadamente
Weber B en la que la sindesmosis se encuentra
lesionada deberán ser quirúrgicas
Weber A todas las lesiones de este tipo deberán
se manejaras quirúrgicamente.
Fx Unimaleolares
 Pueden ser manejadas con yeso por 6 a 8 semanas
Fx Bimaleolares
 Fx de manejo quirúrgico. Reducción abierta y fijación
interna del maléolo externo y tibial cuando existe
fractura del mismo
Fx Trimaleolares
 Se manejan igual que las Bimaleolares
Exploración física
Antecedentes de
trauma en tobillo Rx simple (A-P y Lat)
Diagnóstico
Clasificación
Tto Conservador
 Yeso
 AINEs
Tto Quirúrgico
Clavo
Placa + tornillo
REABILITACION
Complicaciones
Infecciones (Postquirúrgicas)
Artrosis
Fijación inadecuada del maléolo posterior
Formación de callo vicioso
Necrosis de piel
Infección superficial y profunda

Perdida de la fijación
Pseudoartrosis
Fractura de Pie
 Ante pie
 Medio pie
 Retro pie
Fracturas del
Astrágalo
Retropie
Son las segundas fracturas del tarso en
frecuencia
3-6% Fracturas del pie
1% total de fracturas
Cuello 50%, Cuerpo 40%, Cabeza10%
50% Accidentes viales
13% Fracturas expuestas
Asociadas a Fx. Maleolares en 44%,
Calcáneo 11-18% y Metatarso 18%
Epidemiología
Mecanismo de lesión
Dorsiflexión forzada del pie
Fuerza plantar dirigida
dorsalmente que actúa sobre el
pie fijo
Supinación forzada del tobillo
Clasificación
Fx de la cabeza
Fractura de la Cabeza
Son raras estas lesiones
Forma de presentación :
 Por compresión
 Longitudinalmente u oblicuas
 El mecanismo de producción es una carga axial sobre
un pie en flexión plantar
4 tipos según su severidad
I. Sin desplazamiento (10%)
II. Acompañadas de subluxación (50%)
III. Por dorsiflexión (85%)
IV. La cabeza del astragalo se disloca
del escafoide asociado a lesion I y II
 Las Fx de la cabeza pueden pasar desapercibidas
El tratamiento es quirúrgico
Clasificación
Fx de la cabeza
Fx del cuerpo
Fractura del Cuerpo
 13-20% de las fracturas del
astrágalo
 Asociadas a fracturas maleolares
 Mecanismo de lesión: Carga axial
Clasificacion de Boydn´Knight
Tipo I
Coronal
Sagital
Tipo II
 Horizontal
Tratamiento
I. Bota sin apoyo 8 semanas o
consolidación radiológica
II. Tracción esquelética + bota corta
Clasificación
Fx de la cabeza
Fx del cuerpo
Fx del cuello
Fractura del Cuello
 > 50% de las fracturas
 > Hombres < Mujeres
 15-45% expuestas
Asociadas:
 28% a fx de maléolo medial
 15% lesión de columna
 10% lesión del maléolo
lateral
Tratamiento
Yeso sin carga por 6 a 12
semanas
Tobillo neutro a 90°
Fijación in situ (rígida)
Fracturas del
Calcáneo
Caída de altura con compromisos de los
talones
Apariencia clínica
Ancho
Corto y aplanado
Con ligera desviación
Signo de inflamación
Equimosis notable en el
talón
Fracturas del
Escafoides
tarsiano
Clasificación de Sangeorzan y Col
Tipo I: Fractura por astillamiento
dorsal
Tipo II: Fracturas del tubérculo.
Tipo III Fracturas del cuerpo.
Tipo IV: Fracturas por
aplastamiento y conminusión
Astilla dorsal TubérculoCuerpo Aplastamiento
Miren fijo la siguiente
imagen.!
Se les parece
a alguien.?
Fracturas del
Metatarso
Son fácilmente detectables
en radiografías
Consideraciones
 Mecanismo directo: Aplastamiento del pie, impacto sobre
el pie (Objeto pesado)
 Fx expuestas  Pie aplastado  Llanta de vehículo
 Las lesiones cerradas generalmente no presentan
complicaciones si en el tratamiento se conserva eñ arco
transverso del pie.
 La Fx mas comun es a nivel del V metatarsiano
provocada por mecanismo de eversion del pie. Es
frecuente en danza
Proyecciones radiológicas
A-P, Lateral y Oblicua de pie
Fractura de Falanges
Consideraciones
Se producen generalmente por aplastamiento
Las mas comunes son las del hallux
Constituye la lesión mas común del antepie
Muchas de las lesiones son expuestas
El desplazamiento de los fragmentos es mínimo
Las falanges proximales, si están desplazadas
pueden presentar angulación plantar
El tratamiento por lo general es conservador
Dx clínico
Antecedentes de trauma
Dolor
Edema
Equimosis
Proyecciones radiológicas
Conducta Inicial
 AINEs
 Si la lesión es expuesta, cobertura
de la herida
Inmovilizar con férula de yeso
o Corbatín
Pie elevado
Hielo local
Cansados.?
Agradézcanselo a
los pies.!
A nosotros NO…
Diagnóstico
 Fractura articular del falange proximal (hallux)
izquierdo
Trauma seminario tobillo y pie

Trauma seminario tobillo y pie

  • 1.
    República Bolivariana deVenezuela Universidad del Zulia Facultad de Medicina Escuela de Medicina Cátedra. Cirugía y Ortopedia Maracaibo-Edo Zulia Marzo/2017 Ponentes: Br. Sánchez Yovanny Br. Rodríguez Jeffer Tutor. Dr. Orlando Martin
  • 2.
    1. Identificar laanatomía del pie y tobillo 2. Recordar el estudio semiológico del pie y tobillo 3. Conocer las diferentes causas de lesiones. 4. Valorar el correcto empleo de las pruebas diagnósticas, tratamiento conservador y las indicaciones quirúrgicas. OBJETIVOS
  • 4.
    Tibia: Cuerpo • Cara interna:se insertan los músculos de la pata de ganso. • Cara externa: donde se inserta el tibial anterior • Cara posterior: se inserta el soleo, presenta la línea oblicua de la tibia donde por arriba se inserta el poplíteo y por debajo el flexor común de los dedos y el tibial posterior, Osteología Tibia
  • 5.
    La extremidad superiorestá formada por las tuberosidades de la tibia: interna, externa y anterior • Interna: acá se encuentra el canal por donde se desliza el tendón anterior del semitendinoso. • Externa: posee una faceta articular para la cabeza del peroné • Anterior: donde se inserta el ligamento rotuliano La extremidad inferior que se adapta al astrágalo Osteología Tibia
  • 6.
    Peroné: Cuerpo • Cara externa:en la parte inferior presenta una cresta oblicua que la divide en anterior (que está en contacto con la piel) y posterior (en relación con los tendones de los peroneos laterales), mientras que en la parte superior sirve de inserción del peroneo largo y corto lateral. • Cara interna: Vamos a encontrar la inserción de los extensores de los dedos y peroneo anterior • Cara posterior: porción superior (inserción del soleo), parte media (inserción del flexor del dedo gordo) Osteología Peroné
  • 7.
    Extremidad superior: • Ensu base se articula la faceta articular de la tibia • Por encima de la faceta se encuentra la apófisis estiloides donde se insertan el ligamento lateral externo de la rodilla y el tendón inferior del bíceps crural Extremidad inferior: • Formada por el maléolo externo • Cara externa en contacto con la piel • Cara interna se articula con el astrágalo Osteología Peroné
  • 8.
    Huesos del tarso: •Astrágalo: Único hueso del tarso sin inserciones musculares o tendinosas • Calcáneo: Más largo del pie, sirve de sostén para el astrágalo y encontramos la tuberosidad del calcáneo • Escafoides: Aplanado con forma de barco que se une en su cara posterior al astrágalo y en su cara anterior a los huesos cuneiformes. • Cuneiformes o cuñas: conjunto de 3 huesos cortos que se unen con sus respectivas huesos metatarsianos . • Cuboides: tiene forma de cubo y encontramos la tuberosidad del cuboides donde pasa el tendón del musculo peroneo largo. Osteología Pie
  • 9.
    Articulaciones del tarso: •Subtalar: cara posterior del calcáneo y astrágalo realiza inversión y eversión del pie. • Taloncalcaneonavicular: cabeza del astrágalo, calcáneo y navicular, realiza deslizamiento y rotación. • Calcaneocuboidea: calcáneo y cara post del cuboides, realiza inversión, eversión y circunduccion. • Cuneonavicular: parte anterior del navicular con cara posterior de las cuñas. Osteología Pie
  • 10.
    Huesos del metatarso: • Constande 5 metatarsianos y pertenecen al pie anterior, forman articulaciones tarsometatarsianas con los huesos del tarso, con movimiento de deslizamiento. Osteología Pie
  • 11.
    Huesos de lasfalanges • Todos los dedos tienen 3 falanges menos el primero que solo tiene 2, se dividen en proximal, media y distal • La falange proximal se articula con el metatarsiano correspondiente formando una articulación metatarsofalángica que es sinovial codilea con movimientos de flexión, extensión, abducción, abducción y circunducción. • Las articulaciones interfalángicas son en bisagra realizando solo flexión y extensión. Osteología Pie
  • 12.
    Ligamento lateral externo:conformado por tres fascículos diferentes, que unen el astrágalo y el calcáneo con el peroné. • ligamento peroneoastragalino anterior: borde anterior del maléolo peroneo para acabar insertándose en el astrágalo. • ligamento calcáneoperoneo: surge del maléolo peroneo para insertarse en la cara externa del calcáneo. • ligamento peroneoastragalino posterior: se origina en la cara interna del maléolo peroneo para insertarse en el tubérculo posteroexterno del astrágalo. Ligamentos
  • 13.
    Compartimiento anterior: inervadospor el nervio peroneo profundo o tibial anterior. • Tibial anterior: • Origen: 2/3 superiores cara lat de la tibia, se inserta en el primer metatarsiano y cuña medial. Flexor y aductor del pie • Extensor común de los dedos: • Origen: Cóndilo lateral de la tibia, se inserta en la falange distal de los 4 dedos lat. Extensor de los dedos del pie y flexor del pie • Extensor propio del Hallux 1er dedo: • Origen: cara interior del peroné, se inserta en la falange distal del dedo gordo. Extensor del dedo gordo y flexor del pie. • Peroneo anterior: • Origen: cara anterior del peroné, se inserta en el quinto metatarsiano. Flexor y abductor del pie. Miología de la pierna
  • 14.
    Compartimiento lateral: Inervado porel nervio peroneo superficial. • Peroneo lateral largo: • Origen: Cara externa del peroné, se inserta en el primer metatarsiano y hueso cuneiforme medial. Extensor, abductor y rotador del pie. • Peroneo lateral corto: • Origen: Cara externa del peroné, se inserta en tuberosidad del 5to metatarsiano. Abductor del pie.
  • 15.
    • Compartimiento Posterior: •Gastrocnemio: N. tibial y peroneo • Origen: desde los cóndilos femorales hasta el tendón calcáneo (tendón de Aquiles). Extensor del pie sobre la pierna y flexor de la pierna con el muslo. • Soleo: N. tibial y peroneo • Origen: Línea Oblicua de la tibia y cabeza del peroné hasta el calcáneo. Extensor del pie sobre la pierna. • Plantar Delgado: N. tibial • Origen: Cóndilo externo del fémur hasta cara interna del tendón calcáneo. Extensor del pie.
  • 16.
    • Poplíteo: N.tibial • Origen: Línea oblicua de la tibia y se inserta en la porción superior del cóndilo externo. Flexiona y gira hacia adentro la pierna sobre el muslo. • Tibial Posterior: N. tibial y peroneo • Origen: Cara posterior de la tibia, se inserta en es escafoides, cara plantar de las 3 cuñas y bases de todos menos el 1er metatarsiano. Extensor del pie sobre la pierna. • Flexor largo de los dedos: N. peroneo • Origen: porción superior y externa de la tibia y superior y medial del peroné se inserta en las falanges medias y distales de todos menos el dedo gordo. Flexión simultanea de los dedos 2do al 5to del pie. • Flexor largo del dedo gordo: N. peroneo • Origen: Cara posterior del peroné hasta 3era falange del primer dedo. Flexor del dedo gordo.
  • 17.
    Dorsales • Interóseos Dorsales:N. plantar lat • Origen: lados adyacentes de los metatarsianos, hasta las falanges del 2do, 3er y 4to dedo. Flexión de falanges proximales, abducción de los dedos laterales. • Extensor corto de los dedos: N. peroneo • Origen: Cara dorsolateral del calcáneo, hasta falange prox del 1er dedo y tendones extensores del 2do, 3ero y 4to dedo. Extensión de los dedos del pie. Miología del Pie
  • 18.
    Plantares • Interóseo Plantares:N. plantar lat • Origen: Base y lado medial de los metatarsianos 3-4-5, hasta lado medial de las falanges de los dedos 3-4-5. Aducción y flexión de los 3 dedos lat de los pies. • Músculos Lumbricales del pie: inervados: 1ero por N. plantar medial, 2-3-4 N. plantar lateral. • Origen: tendones del musculo flexor largo de los dedos hasta lado medial de las falanges proximales y tendones extensores de los 4 dedos laterales. Flexión de los dedos en las articulaciones metatarsofalangicas. • Flexor corto de los dedos: N. plantar y rama del tibial • Origen: Calcáneo hasta 2 falange desde 2do hasta el 5to dedo. Flexión de la 2 falange del 2do al 4to dedo.
  • 19.
    • Flexor brevedel Hallux: N. plantar medial • Origen: Cuboides hasta primera falange del 1er dedo. Flexiona el 1er dedo • Aductor de Hallux: N. plantar lat • Origen: Vientre oblicuo (cuboides y base de 3er y 4to metatarsiano) y vientre transversal (en la cabeza de 3er, 4to y 5to metatarsiano), ambos hasta cara lat de la primera falange del 1er dedo. Aducción del 1er dedo. • Abductor del Hallux: N. plantar interno • Origen: tuberosidad calcáneo hasta parte proximal y lat de la primera falange del 1er dedo. Abducción del 1er dedo • Abductor del 5to dedo: N. plantar lat • Origen: Aponeurosis plantar, hasta parte lat de las falanges del 5to dedo. Abducción del 5to dedo. • Oponente del 5to dedo: N. plantar lat • Origen: parte anterior del cuboides hasta diáfisis del 5to metatarsiano. Flexión del 5to metatarsiano • Flexor breve del 5to dedo: N. plantar lat • Origen: base 5to metatarsiano hasta 1era falange del 5to dedo. Flexión del 5to dedo.
  • 20.
    • Contar losdedos. • Dedos, rectos, planos y en proporción normal (un dedo no proporcional pude estar tumefacto). • Observar el arco longitudinal (entre primer metatarsiano y el calcáneo). • Diferenciar entre pie plano y cavo. • Observar si el segmento posterior del pie esta excesivamente varo o valgo. Semiología
  • 21.
    • Zona 1CABEZA DEL PRIMER METATARSIANO: El área que rodea la cabeza del primer metatarsiano es propensa a presentar una alteración patológica conocida como valgo del dedo gordo causando formación de una bolsa dolorosa en la cabeza del primer metatarsiano o formación de un juanete. Palpación de tejidos blandos
  • 22.
    • Zona 2TUBERCULO DEL ESCAFOIDES Y CABEZA DEL ASTRAGALO: Se va a palpar el tendón tibial posterior y el ligamento calcaneoescafoideo inferior puesto que estos cubren la brecha entre las articulaciones astragalocalcanea y astrágaloescafoideoa
  • 23.
    • Zona 3MALEOLO MEDIAL: Donde por debajo del maléolo medial se palpara el ligamento deltoideo, que en caso de producir dolor podría ser por esguince del ligamento, en la superficie posterior al maléolo palparemos el tendón de Aquiles y otros elementos importantes.
  • 24.
    • Zona 4DORSO DEL PIE ENTRE LOS MALEOLOS: Hay 3 tendones y un vaso que pasan entre los maléolos. Desde la parte medial a la lateral tenemos:
  • 25.
    • Zona 5MALEOLO LATERAL: Hay 3 ligamentos importantes que componen los ligamentos laterales de la articulación del tobillo desde adelante hacia atrás tenemos:
  • 26.
    • Zona 6SENO TARSIANO: El seno del tarso está afectado a menudo por esguinces de tobillos y puede ser llenado por edema causando dolor en la trayectoria del ligamento peroneoastragalino anterior (maléolo lateral hasta el cuello del astrágalo).
  • 27.
    • Zona 7CABEZA DEL 5TO METATARSIANO: Sobre la cabeza lateral de 5to metatarsiano hay una bolsa que es propensa a inflamarse causando bursitis conocida como juanete de sastre.
  • 28.
    • Zona 8CALCANEO: Se evaluara el tendón calcáneo, probando la continuidad de los músculos soleo y gemelos exprimiendo la pantorrilla, esto debería causar flexión plantar del pie en condiciones normales. También deben pellizcarse los tejidos blandos para ubicar inflamación de la bolsa del tendón calcáneo y la bolsa calcanea el cual de ser positivo seria bursitis.
  • 29.
    • Zona 9SUPERFICIE PLANTAR DEL PIE: Se debe palpar la región posterior de la planta del pie por la posibilidad de presencia de un espolón del talón que sobresalga lo cual causa dolor y afecta al choque sobre la marcha. La superficie plantar debería ser lisa, indolora y sin nódulos palpables. El dolor indica fascitis y los nódulos palpables indican contractura de Duputyren. Entre la cabeza de los metatarsianos se busca dolor y tumefacción, Cabe destacar el neuroma de Morton en la cabezas de los 3er y 4to metatarsianos (degeneración del N. digital plantar acompañada con fibrosis)
  • 30.
    • Zona 10:DEDOS DEL PIE • Dedos en garra: Hiperextensión de las articulaciones metatarsofalángica y flexión de las articulaciones interfalangicas proximales y distales. • Dedos en martillo: Hiperextensión de las articulaciones metatarsofalángica e interfalangicas proximales y flexión de las interfalangicas distales. • Callosidades: Entre los dedos son suaves por la humedad de los dedos, a menudo dolorosas, mientras que en las zonas de presión son duras. • Uñas encarnadas: Se producen en la porción medial o lateral del dedo gordo, las esquinas de la uña se enclava en la piel circundante y producen tumefacción e infección de tejidos blandos adyacentes.
  • 31.
    • Para evaluarel ligamento peroneoastragalino anterior que es el más afectado en esguinces de tobillo se realiza flexión plantar e inversión, buscando presencia de dolor que muestras distención o desgarro, esto a su vez permitirá al astrágalo deslizarse adelante en relación con la tibia. Pruebas de estabilidad
  • 32.
    • Los ligamentos peroneoastragalino anteriory peroneocalcaneo deben desgarrarse para que se produzca inestabilidad lateral en el tobillo, esto se evalúa invirtiendo el calcáneo, si esto hace que el astrágalo se separe y tuerza, la lesión será positiva.
  • 33.
    • Flexión plantarse prueba poniéndose de puntas. • Dorsiflexion del pie se prueba apoyándose en los talones • Inversión se prueba parándose en los bordes lat de los pies • Eversión se prueba parándose en los bordes mediales de los pies Arcos activos de movilidad
  • 34.
    • Dorsiflexión deltobillo 20° • Flexión plantar del tobillo 50° • Inversión subastragalina 5° • Eversión subastragalina 5° Arcos pasivos de movilidad
  • 35.
    • Aducción 20°del segmento anterior del pie • Abducción 10° del segmento anterior del pie
  • 36.
    • Primera articulaciónmetatarsofalángica • Flexión 45° • Extensión 70 a 90°
  • 37.
    • Tibial anterior:andar sobre los talones y los pies en inversión. Prueba manual: forzar el pie en flexión plantar y eversión. • Musculo extensor propio del dedo gordo: andar en los talones y pies en posición neutra para palpar el tendón. Prueba manual: paciente hace dorsiflexión del dedo gordo y nos oponemos. • Extensor común de los dedos del pie: andar en los talones y pies en posición neutra. Prueba manual: se sostiene el calcáneo y se pide hacer extensión de los dedos a lo que nos oponemos. Pruebas musculares: Dorsiflexores
  • 38.
    • Peroneo latlargo y corto: ponemos el pie en flexión plantar y eversión. • Gemelos y Soleo: Ponerse de puntas y luego saltar y caer sobre los metatarsos primero de un lado luego del otro. • Musculo Flexor del dedo gordo • Musculo flexor largo común de los dedos • Musculo tibial posterior: llevar el pie a flexión plantar e inversión mientras nos oponemos. Pruebas musculares: Flexores plantares
  • 39.
    • Prueba delpie plano rígido o flexible: Si el arco longitudinal medial falta estando de puntas y sentado es pie plano rígido, pero si solo falta al estar parado normal es flexible. Pruebas especiales
  • 40.
    • Prueba detorsión tibial: Si hay sospecha de torsión tibial (presencia de dedos hacia adentro) se ubican los puntos óseos fijos en los extremos de la tibia que deben estar en rotación externa de 15° normalmente , si hay torsión la línea maleolar mirará directamente adelante.
  • 41.
    • Prueba dedorsiflexión del tobillo: Se usa cuando no se sabe si la limitación de movimiento es causada por los gemelos o el soleo.
  • 42.
    • Signo deHomans: Se fuerza la dorsiflexión con la pierna en extensión y si duele es a causa de causa de troboflebitis aguda.
  • 44.
  • 45.
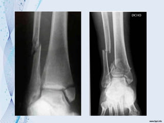
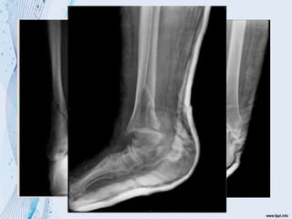
    Lesión que involucrauno, dos o incluso tres huesos que conforman la articulación del tobillo Fractura de Tobillo
  • 46.
  • 47.
    Traumatismo directo debaja energía Practica deportiva o caídas de un terreno irregular Accidentes automovilísticos  Arma de fuego Etiología
  • 48.
     Unimaleolares 66% Bimaleolares 25%  Trimaleolares 7%  Abierta 2% Epidemiología
  • 49.
    Factores de RiesgoSignos clásicos Adulto joven o edad avanzada Actividad deportiva Alteraciones congénitas Diabetes Mellitus  Incapacidad funcional  Deformidad  Dolor  Movilidad anormal o limitada  Aumento e volumen  Equimosis  Crepitación Evaluación
  • 50.
    Reglas de OTTAWA 1.Si hay dolor a la palpación en la parte posterior de los últimos 6cm del peroné (cerca del maléolo lateral) o de la tibia (cerca del maléolo tibial) 2. Si hay dolor a la palpación en la base del 5to metatarsiano o en la zona del hueso escafoides 3. Incapacidad para ponerse de pie y soportar su propio peso corporal inmediatamente después de la lesión o incapacidad para dar 4 pasos en la exploración.
  • 51.
    6cm 6cm Reglas radiológicasde OTTAWA Borde posterior o la punta del maléolo externo Borde posterior o la punta del maléolo interno Base del 5to metatarsiano Escafoides
  • 52.
    Rx de tobillo Dolor a la palpación del borde posterior o maléolo lateral  Dolor a la palpación de los 6cm distales del borde posterior o maléolo tibial  Incapacidad para mantener su peso corporal
  • 53.
    Rx de pie Dolor a la palpacion de la base del 5to metatarsiano  Dolor a la palpacion del hueso escafoide  Incapacidad para mantener su peso corporal
  • 54.
  • 55.
    A. Primer grado:Fractura de un solo maleolo (Medial o Lateral) B. Segundo grado: Fractura de los dos maleolos (Bimaleolar) C. Tercer grado: Fx bimaleolar + Fx PPSAI tibia (Trimaleolar) Clasificación de Pott
  • 56.
    1.Supinación - Aducción 2.Pronación- Abducción 3.Pronación - rotación externa 4.Supinación - rotación interna Nota: «La primera palabra es la posición del pie al momento de la lesión» «La segunda es la dirección o sentido de la fuerza traumática» Clasificación de Lauge-Hansen  Mecanismo de producción
  • 57.
    Ruptura del ligamentolateral externo Avulsión del maléolo externo Ruptura del LL + fx maléolo inter, oblicua Supinación – Aducción
  • 58.
    Pronación - Abducción Rupturasimple del ligamento interno o avulsión del maléolo lateral y una fx transv del peroné Fx peronea por arriba del ligamento tibioperoneo interóseo
  • 59.
    Pronación – rotaciónexterna Estadio 1: Fx del maléolo tibial Estadio 2: Fx + ruptura del ligamento peroneotibial ant Estadio 3: Fx del peroné oblicua Estadio 4: Ruptura del ligamento peroneotibial posterior
  • 60.
  • 61.
    Supinación – rotaciónexterna Estadio 1 - Ruptura del ligamento peroneotibial anterior - Avulsión de su inserción Estadio 2 - Fx espiroidal del maléolo externo - Ruptura del ligamento peroneotibial post Estadio 3 - Fx del maléolo tibial
  • 62.
  • 63.
    Clasificación de Danis- Weber Fundamento anatómico del trazo fracturario:  Infrasisdesmótica – A  Transindesmótica – B  Suprasindesmótica -- C El 50% de las transindesmótica son quirúrgica
  • 64.
  • 65.
    Fractura Infrasindesmótica otipo A Fractura transversa del peroné por debajo de la sindesmosis El maleolo medial puede estar intacto Mecanismo de producción: Inversión
  • 66.
    Fractura Transindesmótica otipo B  El peroné tiene fractura oblicua ascendente  Se puede acompañar de fractura transversa del maléolo tibial  Mecanismo: Eversión  El 50% de estas son quirúrgicas
  • 68.
    Fractura Suprasindesmótica otipo C  El peroné se encuentra fracturado por arriba de la sindesmosis  El maléolo tibial presenta fractura transversa  Mecanismo de lesión: Abducción – rotación  Yeso corto
  • 70.
    Fractura de Maisonneuve 1.Peroné 2. Tibia 3. Membrana interósea 4. Maléolo lateral 5. Sindesmosis 6. Superficie articular de la tibia 7. Maléolo medial 8. Astrágalo A. Fractura de Maisonnueve B. Desgarro de la membrana interósea Articulación del la rodilla Parte interna Articulación del tobillo Esta fractura de Weber C es una rotura del peroné en que al mismo tiempo se desgarran la sindesmosis y la piel interósea entre la tibia y el peroné. A B
  • 71.
    Cuadro Clínico -. Dolorintenso -. Aumento de volumen -. Limitación del movimiento -. Imposibilidad de apoyar el pie -. Cojera antálgica -. Deformidad
  • 72.
    Exploración  Pulso pedio Pulso Tibial posterior  Llenado capilar  Temperatura de la extremidad  Sensibilidad distal
  • 73.
    Quirúrgico ConservadorEspecífico Weber A– B – CUni, Bi y Trimaleolares Tratamiento
  • 74.
    Conservador Fracturas estables Fracturas nodesplazadas Sindesmosis intacta Yeso, pie a 90° durante 6 a 8 semanas Fractura inestable con reducción anatómica estable Fractura de peroné + lesión interna con astrágalo centrado Radiografía semanal durante 1 mes
  • 75.
    Quirúrgico  Indicaciones quirúrgicas Fracaso de la reducción cerrada  Fracturas desplazadas  Fracturas inestables Fracturas maleolares internas desplazadas Fracturas abiertas
  • 76.
    Tto especifico Weber Cpor lo general se indica tratamiento con yeso bota corta por 8 semanas en la mayoría de los casos Weber B en la que la sindesmosis se encuentran sin disrupción, puedes ser manejadas con yeso por 10 a 12 semanas aproximadamente Weber B en la que la sindesmosis se encuentra lesionada deberán ser quirúrgicas Weber A todas las lesiones de este tipo deberán se manejaras quirúrgicamente.
  • 77.
    Fx Unimaleolares  Puedenser manejadas con yeso por 6 a 8 semanas Fx Bimaleolares  Fx de manejo quirúrgico. Reducción abierta y fijación interna del maléolo externo y tibial cuando existe fractura del mismo Fx Trimaleolares  Se manejan igual que las Bimaleolares
  • 78.
    Exploración física Antecedentes de traumaen tobillo Rx simple (A-P y Lat) Diagnóstico Clasificación Tto Conservador  Yeso  AINEs Tto Quirúrgico Clavo Placa + tornillo REABILITACION
  • 79.
    Complicaciones Infecciones (Postquirúrgicas) Artrosis Fijación inadecuadadel maléolo posterior Formación de callo vicioso Necrosis de piel Infección superficial y profunda  Perdida de la fijación Pseudoartrosis
  • 80.
    Fractura de Pie Ante pie  Medio pie  Retro pie Fracturas del Astrágalo
  • 81.
    Retropie Son las segundasfracturas del tarso en frecuencia 3-6% Fracturas del pie 1% total de fracturas Cuello 50%, Cuerpo 40%, Cabeza10% 50% Accidentes viales 13% Fracturas expuestas Asociadas a Fx. Maleolares en 44%, Calcáneo 11-18% y Metatarso 18% Epidemiología
  • 82.
    Mecanismo de lesión Dorsiflexiónforzada del pie Fuerza plantar dirigida dorsalmente que actúa sobre el pie fijo Supinación forzada del tobillo
  • 83.
  • 84.
    Fractura de laCabeza Son raras estas lesiones Forma de presentación :  Por compresión  Longitudinalmente u oblicuas  El mecanismo de producción es una carga axial sobre un pie en flexión plantar 4 tipos según su severidad I. Sin desplazamiento (10%) II. Acompañadas de subluxación (50%) III. Por dorsiflexión (85%) IV. La cabeza del astragalo se disloca del escafoide asociado a lesion I y II  Las Fx de la cabeza pueden pasar desapercibidas El tratamiento es quirúrgico
  • 85.
    Clasificación Fx de lacabeza Fx del cuerpo
  • 86.
    Fractura del Cuerpo 13-20% de las fracturas del astrágalo  Asociadas a fracturas maleolares  Mecanismo de lesión: Carga axial Clasificacion de Boydn´Knight Tipo I Coronal Sagital Tipo II  Horizontal Tratamiento I. Bota sin apoyo 8 semanas o consolidación radiológica II. Tracción esquelética + bota corta
  • 87.
    Clasificación Fx de lacabeza Fx del cuerpo Fx del cuello
  • 88.
    Fractura del Cuello > 50% de las fracturas  > Hombres < Mujeres  15-45% expuestas Asociadas:  28% a fx de maléolo medial  15% lesión de columna  10% lesión del maléolo lateral Tratamiento Yeso sin carga por 6 a 12 semanas Tobillo neutro a 90° Fijación in situ (rígida)
  • 89.
  • 90.
    Caída de alturacon compromisos de los talones Apariencia clínica Ancho Corto y aplanado Con ligera desviación Signo de inflamación Equimosis notable en el talón Fracturas del Escafoides tarsiano
  • 91.
    Clasificación de Sangeorzany Col Tipo I: Fractura por astillamiento dorsal Tipo II: Fracturas del tubérculo. Tipo III Fracturas del cuerpo. Tipo IV: Fracturas por aplastamiento y conminusión Astilla dorsal TubérculoCuerpo Aplastamiento
  • 92.
    Miren fijo lasiguiente imagen.! Se les parece a alguien.? Fracturas del Metatarso
  • 93.
    Son fácilmente detectables enradiografías Consideraciones  Mecanismo directo: Aplastamiento del pie, impacto sobre el pie (Objeto pesado)  Fx expuestas  Pie aplastado  Llanta de vehículo  Las lesiones cerradas generalmente no presentan complicaciones si en el tratamiento se conserva eñ arco transverso del pie.  La Fx mas comun es a nivel del V metatarsiano provocada por mecanismo de eversion del pie. Es frecuente en danza
  • 94.
    Proyecciones radiológicas A-P, Lateraly Oblicua de pie Fractura de Falanges
  • 95.
    Consideraciones Se producen generalmentepor aplastamiento Las mas comunes son las del hallux Constituye la lesión mas común del antepie Muchas de las lesiones son expuestas El desplazamiento de los fragmentos es mínimo Las falanges proximales, si están desplazadas pueden presentar angulación plantar El tratamiento por lo general es conservador Dx clínico Antecedentes de trauma Dolor Edema Equimosis
  • 96.
  • 97.
    Conducta Inicial  AINEs Si la lesión es expuesta, cobertura de la herida Inmovilizar con férula de yeso o Corbatín Pie elevado Hielo local
  • 98.
  • 104.
    Diagnóstico  Fractura articulardel falange proximal (hallux) izquierdo