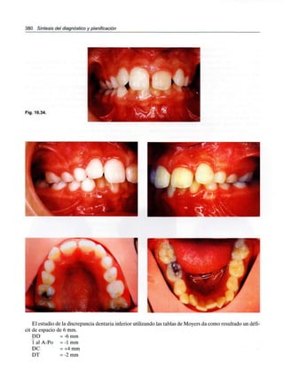
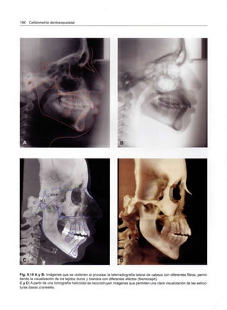
ORTODONCIA
Y CIRUGÍA ORTOGfNATICA
DIAGNOSTICO Y PLANIFICACIÓN
2a EDICIÓN
JORGE GREGORET
ELISA TUBER
HORACIO ESCOBAR
A. MATOS DA FONSECA
ORTODONCIA
Y CIRUGÍA ORTOGNATICA
diagnóstico y planificación
JORGE GREGORET
Presidente de la Fundación GNATHOS
Director del curso de especialización en Ortodoncia de la
Universidad de Belgrano - Buenos Aires, Argentina
Ex-Profesor invitado en el Master de Ortodoncia de la
Facultad de Odontología - Universidad de Barcelona, España.
ELISA TUBER
Vicepresidente de la Fundación GNATHOS
Co-Directora del curso de especialización en Ortodoncia
de la Universidad de Belgrano - Buenos Aires, Argentina
Ex-Docente de la Facultad de Odontología - UNR - Argentina
LUIS HORACIO ESCOBAR P.
Director de GNATHOS, centro de Estudios
de Ortodoncia - Madrid, España
Docente del curso de especialización en Ortodoncia
de la Universidad de Belgrano - Buenos Aires, Argentina
ANTONIO MATOS DA FONSECA
Cirujano Maxilofacial
Director de la Clínica da Face - Lisboa, Portugal
Fellow of the European Board of Maxillofacial Surgery.
e d i c i o n e i
Prólogo
En la primera edición de este libro desarro-
llamos una metodología destinada a la transmisión
de conceptos referidos al diagnóstico y la planifi-
cación del tratamiento ortodóncico, que facilitara
el aprendizaje al estudiante.
Pretendimos crear una sistematización lógica
con la finalidad de ordenar los conocimientos que
el lector poseía y los que habría de adquirir en el
futuro, creando un esquema sólidamente estruc-
turado, capaz de evitar que los procedimientos te-
rapéuticos se convirtieran en un conjunto de ma-
niobras azarosas sin orientación ni objetivos
precisos.
Diez años después, los avances tecnológicos
han generado cambios en las metodologías diag-
nósticas y terapéuticas. Pero además surgieron
otras modificaciones de naturaleza social y cultu-
ral que llevan al paciente a requerir terapias
específicas que, si bien existían en aquella época,
estaban circunscriptas a una población minori-
taria.
Estos requerimientos son fundamentalmente
de índole estética y ese es uno de los motivos por
los que hoy el ortodoncista se ve involucrado en
procedimientos que años atrás, en cierto modo, le
eran ajenos.
Al ganar importancia el aspecto estético, resul-
ta necesario implementar una rutina de estudios
más amplios que incluyan los problemas alveolo-
dentarios en un campo mucho más complejo,
como es el de la estética facial.
En la cadena de procedimientos que involucraese
enfoque holístico, el ortodoncista adquiere un papel
relevante y hasta en algunoscasos, prioritario.
Esto se debe a que los problemas de estética
facial, muchas veces son vistos por el paciente
como problemas ubicados en la región dentoalve-
olar, probablemente porque esta porción de la
cara quizás sea la más perceptible por personas
carentes de un conocimiento que les permita dilu-
cidar la verdadera causa del problema.
Muchas veces el paciente no puede imaginar la
naturaleza de su trastorno estético y consulta en
primera instancia al ortodoncista, porque piensa
que es la persona idónea que dará solución a su
problema. Así, este profesional se convierte en el
depositario de las dudas del paciente en un aspec-
to muy trascendente, que hace a la propia identi-
dad del sujeto: su cara.
En una primera instancia, quien padece un
problema de estética facial no piensa en el ciru-
jano. Y por eso con frecuencia el ortodoncista
aparece como el eslabón inicial de la cadena de
procedimientos destinados a tratarlo con un crite-
rio integral.
La estética facial es algo que puede recono-
cerse o apreciarse intuitiva o subjetivamente, pero
tiene la dificultad de que sus componentes no
pueden ser definidos con objetividad mediante
una observación superficial. Para ello, primero se
debe encontrar un método de diagnóstico que per-
mita analizar la compleja interrelación de los
múltiples y variados factores que se conjugan en
un rostro, dando un resultado final que se aparta o
no de lo que es percibido como bello. Sólo un
análisis profundo puede hacernos conocer la
intimidad del problema y, a partir de este
conocimiento, planificar los procedimientos desti-
nados a restablecer el equilibrio y la armonía per-
didos.
Es por eso que resulta imprescindible valemos
de un protocolo que permita un abordaje siste-
matizado del diagnóstico, para luego planificar los
cambios ortodóncicos y quirúrgicos y definir te-
rapias que puedan ser aplicadas en todos los nive-
les de complejidad que presentan los casos.
El libro está estructurado en siete secciones
que secuencialmente abordan los siguientes temas:
Estudio Clínico del Paciente, dentro del cual ocu-
pan un papel preponderante los métodos de análi-
sis de la estética facial; Estudio Gnatológico con
los modelos montados en articulador semia-
justable, que nos dará precisión para el diseño del
tratamiento, teniendo en cuenta la oclusión fun-
cional y las ATM; Cefalometría Estática, su
Interpretación; y como paso siguiente, la Síntesis
del Diagnóstico y Planificación. En ella se desar-
rollan técnicas de VTO para casos ortodóncicos,
además de las áreas de superposición que consti-
tuyen unaherramienta imprescindible no sólo para
la planificación del tratamiento, sino también para
la eva-luación de los casos tratados.
La sección seis aborda los mecanismos para el
diagnóstico y la planificación del tratamiento
ortodóncico-quirúrgico, incluyendo los proce-
dimientos cefalométricos estáticos y dinámicos, y
de laboratorio.
6 Prólogo
En esta sección se destina un capítulo a la
motivación del paciente, tema generalmente
tratado de manera superficial, pero que nosotros
consideramos de suma importancia, ya que en
nuestras primeras experiencias pudimos observar
situaciones que en algunos casos fueron descon-
certantes. Este capítulo intenta advertir al profe-
sional, que este tipo de procedimientos, al provo-
car una profunda transformación del rostro, afecta
al paciente no sólo en su fisonomía sino también
en su subjetividad y además influye en su entorno
social, provocando situaciones de consideración.
El lector encontrará en este capítulo algunas re-
ferencias psicoanalíticas que obrarán a modo de
herramientas para comprender los fundamentos
de los fenómenos desencadenados por esta
metodología terapéutica que toca en profundidad
toda la estructura del sujeto.
En la última sección se ejemplifica con casos clí-
nicos el contenido de las seis secciones anteriores.
También se muestra la utilización de tec-
nología informática mediante la aplicación de soft-
ware para diagnóstico y planificación, y para la
creación de imágenes de morphing que se utilizan
para la motivación y ajustes de las planificaciones.
En nuestra práctica clínica nos valemos desde hace
casi dos décadas del sistema digital Nemoceph,
pero hemos preferido desarrollar en este texto los
métodos manuales por dos razones: la primera de
ellas apunta a no afectar la motivación de aquellos
que por diversas circunstancias no acceden ruti-
nariamente a la tecnología digital; y la otra, a que
el método manual es más efectivo en el proceso de
enseñanza-aprendizaje, y le permitirá al iniciado
ingresar con suma facilidad a los procedimientos
informáticos en el corto plazo.
Pensamos que con la actualización de concep-
tos que hemos incorporado a esta nueva edición
saldamos una deuda con nuestros lectores de la
primera, transmitiéndoles los conocimientos y las
experiencias que recogimos en estos últimos años.
Nuestro propósito, como siempre, es el de con-
tribuir a la búsqueda de la excelencia en la forma-
ción de profesionales en esta especialidad, que al
ampliar sus objetivos, alcanzó niveles mucho más
altos que los tradicionales y que en el futuro
seguirá apuntando a metas cada vez más evolu-
cionadas.
Los autores
AGRADECIMIENTOS
A los integrantes del cuerpo docente de la Fundación Gnathos, Doctores: Jorgelina
Leanza, Patricio Soto Payva, José Barros, Gustavo Gregoret, Guillermo Leanza,
Fernando Perrero. Imazul Agustyniak, Lucía Bolasco, Patricia Tarquini, Francisca
Chuliá Z., Mayka Rodríguez E. y Rui Barracha.
A los cirujanos, Doctores: Gabriel Girotti y José Crestanello.
Al personal no docente, Señoras: Luisa Lofiego, Daniela Moreno, Nancy Zulaica,
Beatriz Barros y Rita Rocha.
Por su permanente colaboración y estímulo para la concreción de esta obra.
índice
SECCIÓN 1
ESTUDIO CLÍNICO DEL PACIENTE
Introducción 15
Capítulo 1- Estética facial 19
Metodología para el examen facial 19
Obtención de la PNC 19
Procedimientos para la evaluación facial 23
Examen facial de frente 24
Examen facial de perfil 36
Posiciones complementarias 45
Auxiliares del diagnóstico clínico 46
La fotografía en ortodoncia 48
Capítulo 2 - Examen bucodental 57
Examen clínico 57
Exámenes complementarios 63
Localización de caninos retenidos 66
Análisis de las arcadas dentarias 73
Las seis llaves de la oclusión 81
Análisis de la longitud de la arcada 88
Capítulo 3 - Examen funcional 101
Respiración 101
Deglución 107
Fonación 111
Hábitos de succión 111
Bibliografía de la Sección 1 115
Capítulo 5 - Placa de reposicionamiento man-
dibular 131
Construcción 131
Adaptación 133
Capítulo 6 - Montaje en articulador 135
Articulador SAM 135
Obtención de registros 139
Montaje de modelos 143
Registros de posicionamiento condilar 145
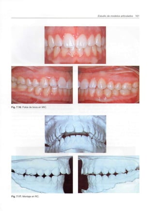
Capítulo 7 - Estudio de modelos articulados 151
Análisis transversal 151
Análisis vertical 155
Análisis sagital 158
Modelos segmentados 158
Análisis de un caso clínico 160
Capítulo 8 - Conversión cefalométrica 165
Procedimiento para el trazado 166
Variante del método de conversión
cefalométrica 169
Bibliografía de la Sección 2 175
SECCIÓN 3
CEFALOMETRÍA DENTOESQUELETAL
SECCIÓN 2
ESTUDIO GNATOLÓGICO
Capítulo 4 - Conceptos gnatológicos 119
Introducción 121
Relación céntrica 122
Objetivos funcionales oclusales 124
Capítulo 9 - Telerradiografía 177
Introducción 179
Tipos de telerradiografías 180
Posicionamiento de la cabeza 183
Obtención de la telerradiografía en PNC 185
Aplicación de la Horizontal Verdadera o
el plano de Frankfort para el estudio
cefalométrico 190
10 índice
Técnica de calco y trazado cefalométrico 192
Técnica de calco y trazado cefalométrico
lateral 193
SECCIÓN 5
SÍNTESIS DEL DIAGNÓSTICO Y
PLANIFICACIÓN
Capítulo 10 - Cefalometría lateral 201
Introducción 201
Puntos 202
Planos 206
Medidas e interpretación 213
Análisis cefalométrico lateral básico 228
Análisis de Bjórk-Jarabak 241
Trazado 243
Medidas e interpretación 244
Caso clínico 262
Método de McNamara 267
Normas compuestas 272
Capítulo 14 - Selección de elementos de diag-
nóstico y metodología de planificación 327
Proceso de planificación 327
Pasos del proceso de planificación 330
Planificación para pacientes con denti-
ción primaria 331
Planificación para pacientes con denti-
ción mixta 334
Planificación para pacientes con denti-
ción pemanente 335
Planificación para pacientes adultos 336
Definición del tratamiento en los pacien-
tes con discrepancias básales 336
Capítulo 11 - Cefalometría frontal
Introducción
Trazado
Bibliografía de la Sección 3
279
279
279
285
Capítulo 15 - Crecimiento y predicción
arquial 339
Introducción 339
Predicción arquial de crecimiento a
largo plazo sin tratamiento 340
Método de trazado 345
SECCIÓN 4
INTERPRETACIÓN CEFALOMÉTRICA
Capítulo 12 - Biotipo facial
Introducción
Biotipo facial
Determinación del vert
289
289
289
291
Capítulo 13 - Interpretación de la cefalometría
lateral 297
Estudio esqueletal de los maxilares 297
Factores estéticos asociados 304
Problema dentoalveolar 312
Campo estético del cefalogramabásico 319
Bibliografía de la Sección 4 323
Capítulo 16 - Síntesis del diagnóstico 355
Análisis de la arcada dentaria inferior 355
Procedimientos para crear espacios 363
Procedimientos para cerrar espacios 375
Determinación de la posición definitiva
del incisivo inferior 376
Planificación de la arcada superior 386
Planificación de casos con clases denta-
rias asimétricas 393
Planificación de los cambios ortopédicos 407
Capítulo 17 - Visualización de objetivos de
tratamiento 413
Métodos para el trazado de VTO 414
VTO resumido con crecimiento 418
VTO resumido sin crecimiento 430
Mini VTO 432
Introducción 11
Capítulo 18 - Áreas de superposición
Incrementos de crecimiento anual
promedio
Cantidad relativa de crecimiento
Direcciones generales de crecimiento
Trazado e interpretación de las áreas
Bibliografía de la Sección 5
433 Capítulo 22 - VTO ortodóncico-quirúrgico 521
434
436
437
438
453
SECCIÓN 6
TRATAMIENTO ORTODÓNCICO-
QUIRÚRGICO
1a Etapa: Planificación ortodóncica 521
2 Etapa: Planificación quirúrgica 525
VTO ortodóncico-quirúrgico 525
Perfil cutáneo 531
Procedimientos de mentoplastia 533
Capítulo 23 - Cambios en los tejidos blandos
asociados a la cirugía ortognática 541
Introducción
Cirugía maxilar
Cirugía mandibular
Cirugía del mentón
541
542
544
546
Capítulo 19 - Motivación del paciente para
elTOQ 455
Capítulo 20 - Estética y diagnóstico en el
paciente quirúrgico 469
Diagnóstico 476
Examen facial clínico y fotográfico 480
Estudios cefalométricos utilizados en
los pacientes quirúrgicos 484
Análisis sagital del perfil 494
Capítulo 21 - Bases para la planificación 507
Objetivos verticales 507
Objetivos sagitales 513
Cambios en la inclinación del plano
oclusal 518
Capítulo 24 - Planificación
Introducción
Planificación quirúrgica
Trazado de VTO quirúrgico
Técnica de preparación de los splints
Bibliografía de la Sección 6
SECCIÓN 7
EJEMPLOS DE PLANIFICACIÓN
Capítulo 25 - Casos clínicos
553
553
553
555
557
571
575
SECCIÓN
ESTUDIO CLÍNICO DEL PACIENTE
Introducción
Estética facial
Examen bucodental
Examen funcional
INTRODUCCIÓN
La ortodoncia tradicional priorizaba el proble-
ma dentario del paciente y la relación con el
reducido contexto de las bases alveolares. Así,los
estudios estaban enfocados a las posiciones y rela-
ciones dentoalveolares (apiñamientos, desniveles,
inclinaciones) y su efecto sobre los labios y lason-
risa.
Con el paso del tiempo, fue ganando importan-
cia el aspecto estético y con ello la necesidad de un
estudio más amplio y profundo, que permitiera
incluir esos problemas alveodentarios en un
campo mucho más amplio, como lo es la estética
facial.
Hoy el ortodoncista se ha convertido, en mu-
chos casos, en el primer eslabón de la cadena que
involucra una serie de procedimientos destinados
a diagnosticar, evaluar, planificar y ejecutar ma-
niobras destinadas a tratar el problema con uncri-
terio integral.
¿Por qué decimos que el ortodoncista se ha
convertido en el primer eslabón de la cadena?
Esto se debe a que,en primera instancia, el pa-
ciente atribuye su problema estético a un posi-
cionamiento dentario incorrecto, aunque ésto, en
un gran número de casos, sea sólo la punta del ice-
berg. Lo que sucede en realidad es que probable-
mente la relación dento-alveolo-labial sea la más
perceptible para personas que no tienen el
conocimiento necesario para observar con mayor
profundidad y percibir el problema real.
Por ejemplo, es muy frecuente que el paciente
nos consulte preocupado por el aspecto de sus
dientes "hacia adelante", cuando en realidad lo
que causa su problema es un micrognatismo. En
muchas Clases III el paciente lo único que ve es la
mordida invertida de sus incisivos, no pudiendo
percibir y menos aún evaluar que su problema es
una Clase III esqueletal motivada por una despro-
porción en las dimensiones maxilomandibulares
que sólo puede tener una solución ortodóncico-
quirúrgica.
Otro caso notablemente frecuente es aquel en
que el paciente relata que su problema es la
imposibilidad de cortar los alimentos con sus inci-
sivos. No comprende, y en muchos casos ni puede
imaginar, que su problema es un trastorno vertical
debido a alteraciones estructurales que,igual que
los anteriores, no tendrá una solución ortodóncica.
Esto nos lleva a la necesidad de profundizar el
estudio del paciente en relación a su configuración
facial total, con el propósito de lograr una gran
precisión en la evaluación de las estructuras
involucradas y reunir los elementos necesarios
para, posteriormente, hacer una correcta planifi-
cación.
Dentro de la gran variedad de pacientes que
acuden al ortodoncista podemos distinguir tres
grupos:
Grupo 1
Son pacientes sin discrepancias esqueletales,
llamados pacientes ortodóncicos, cuyo problema
asienta en la región dentoalveolar y no ofrecen
dificultades para su tratamiento. Generalmente no
presentan más alteraciones estéticas que aquellas
provocadas por malposiciones dentarias que
tienen repercusión en la zona labial o peribucal.
En su mayoría, las alternativas consisten en el
posicionamiento retruido o protruido de la región
labial; este último caso suele acompañarse de un
cierre labial con esfuerzo.
Hay que tener en cuenta que la estética de los
labios no solamente se relaciona con la posición de
los incisivos, sino que también se involucran carac-
terísticas intrínsecas como espesor, tono y longitud
labial.
Las modificaciones dentarias del tratamiento
tendrán como objetivo contribuir al logro de una
mejoría estética de los labios y de la sonrisa,ade-
cuando nuestra planificación a estos requerimien-
tos más que a parámetros dentarios cefalométri-
cos.
Grupo 2
Este grupo muestra falta de equilibrio entre los
componentes de la cara provocada por discrepan-
cias básales moderadas.
El tratamiento ideal para este tipo de ano-
malías indudablemente será el ortodóncico-
quirúrgico porque si bien estos casos pueden ser
tratados mediante maniobras ortodóncicas de
camuflaje, también llamados tratamientos
15
16 Estudio clínico del paciente
ortodóncicos de compensación o de compromiso,
éstos no alcanzarán a eliminar las secuelas estéti-
cas de esas discrepancias.
Estos tratamientos de compensación ofrecen
más dificultad que los del grupo 1 y susresultados,
sin alcanzar los niveles óptimos de los casos
ortodóncicos puros, serán satisfactorios en los
aspectos de estética dentaria y oclusión funcional.
No obstante se debe tener en cuenta que para
realizar las compensaciones de las alteraciones
sagitales o transversales de las básales, general-
mente se deberán realizar inclinaciones dentarias
que si bien no traspasan los límites biológicos, se
apartan de las normas.
El caso del grupo 2 es el que se "puede" com-
pensar. Aquí cabe la pregunta: ¿Se debe compen-
sar siempre? El profesional debe en estos casos:
-Saber qué objetivos se podrán alcanzar y cuá-
les no.
-Tener claro cuál será el resultado estético del
tratamiento de compensación y del tratamiento
ortodóncico-quirúrgico.
En esta decisión entre el tratamientoortodón-
cico de compensación y el tratamiento ortodónci-
co quirúrgico, también interviene el paciente, que
podrá evaluar en el VTO o en el morphing digital
hecho a partir de él, si su deseo de cambio estético
queda satisfecho o no mediante una compensación
dentaria, o podrá visualizar también algún cambio
facial que aumenta aun más su problema haciendo
que esta vía terapéutica sea inaceptable.
Dependerá de la motivación que tenga el paciente
la aceptación de la cirugía como parte de su
tratamiento.
Es necesario utilizar los medios a nuestro
alcance que le posibiliten ver con claridad su pro-
blema, sus posibles soluciones y ser partícipe de la
elección de la opción más apropiada, porque algu-
nas veces el deseo del paciente suele ser un tanto
difuso.
Algunos son sumamente exigentes y buscan la
perfección. Otros, enfocan sus objetivos en la den-
tición y no son tan exigentes con ciertos detalles de
estética facial.
De todos modos, la elección de la metodología
terapéutica en los pacientes con discrepancias
esqueletales, también estará influida por el or-
todoncista, ya que puede tener diferentesactitudes
en cuanto a la cirugía ortognática, debido al mayor
o menor conocimiento de este campo. Otros no
cuentan con un equipo interdisciplinario adecuado
y en otros casos pueden haber tenido malas expe-
riencias.
El factor económico también incide, creando
en algunos casos impedimentos insalvables.
Ante todas estas situaciones, el clínico deberá
ser objetivo y tratar de proporcionarle al paciente
las alternativas posibles, desde lo ideal hasta lo
meramente paliativo, pero nunca realizar
tratamientos que puedan empeorar el caso, o que
impidan o dificulten posibles tratamientos futuros.
GrupoS
Pacientes con discrepancias esqueletales se-
veras, cuyo tratamiento exclusivamente ortodónci-
co no puede ser realizado sin provocar la aparición
de problemas adicionales como inclinaciones den-
tarias sumamente anormales, problemas en los
tejidos de soporte, deficiencias oclusales, disfun-
ción de ATM. aumento de los problemas estéticos,
etc.
Al operador con escasa experiencia se le crea
un problema para encasillar correctamente el caso
en uno u otro de estos dos últimos grupos, es decir,
tiene dificultad para contestar a la pregunta
"¿puedo o no compensar este caso?"
Para ello se debe utilizar un criterio objetivo
que permitirá resolver con claridad esta duda, ya
que existen dos herramientas excelentes para este
propósito:
- El montaje de los modelos en relación céntri-
ca
- El VTO ortodóncico
Estos procedimientos pondrán en evidencia la
factibilidad biológica de los movimientos denta-
rios necesarios para alcanzar los siguientes obje-
tivos:
- inclinaciones axiales aceptables
- relaciones dentolabiales estéticamente satis-
factorias
- una oclusión mutuamente protegida con los
cóndilos correctamente asentados en lascavidades
glenoideas
- ausencia de un deslizamiento céntrico consi-
derable
- estabilidad de los resultados
- estética facial aceptable
Introducción 17
Grupo 1
Planificación Ortodóncica
Grupo 2
Grupo 3
Planificación
Ortodóncico-Quirúrgica
18 Estudio clínico del paciente
Estos dos estudios rutinarios, trazarán un límite cionalizar los métodos de diagnóstico y planifi-
nítido a través de esa frontera difusa que puede cación. Esta racionalización va dirigida, por una
presentarse entre ambos grupos. parte, a evitar un enfoque excesivo en los protoco-
Cuando no se puedan alcanzar estos objetivos, los de diagnóstico y planificación en los casos
el paciente pertenece al grupo 3, para el cual la puramente ortodóncicos; y por otra, a desarrollar
indicación es únicamente el tratamiento ortodón- métodos más completos y detallados, que hacen
cico-quirúrgico. posible el estudio con precisión de los casos de
En este libro tenemos el propósito de ra- mayor complejidad.
C A P I T U L O 1
Estética facial
METODOLOGÍA PARA EL EXAMEN
FACIAL DEL PACIENTE
El diagnóstico clínico del paciente comenzará
siempre por el examen facial, que se realizará con
distinto énfasis dependiendo del tipo de paciente
que se deba evaluar.
Los pacientes del grupo 1 requieren una obser-
vación clínica dirigida más hacia el examen buco-
dental y funcional que al facial, ya que como diji-
mos, tienen su problema ubicado en la región
dentoalveolar, donde pueden existir discrepancias
que se traducen en apiñamientos, desniveles, giro-
versiones, mordidas cruzadas dentoalveolares,
mordidas abiertas funcionales, dientes retenidos o
impactados, sobremordidas, protrusión o retrusión
incisiva, etc.
La repercusión en la estética facial de estas alte-
raciones ortodóncicas se focaliza en la región labial
y en las relaciones labiodentales.
Aquellos pacientes que presentan discrepancias
básales (grupos 2 y 3) tendrán alteraciones estéticas
consecuentes y por lo tanto requerirán un examen
facial muy exhaustivo.
En todos los casos, el examen facial se realiza
con el paciente de pie, estudiándolo de frente y de
perfil, en distintas posiciones estáticas y dinámicas.
Condiciones para el examen facial
La primera consideración en la metodología del
examen facial es la utilización de lo que se denomi-
na posición natural de la cabeza (PNC) y la refe-
rencia horizontal denominada "Horizontal Verda-
dera". Ambas serán indispensables tanto para la
observación clínica como para la obtención de foto-
grafías y telerradiografías (Fig. 1.2).
OBTENCIÓN DE LA POSICIÓN NATU-
RAL DE LA CABEZA (PNC)
El paciente deberá estar relajado con la mirada
hacia el horizonte (Fig. 1.3).
Fig. 1.2: El examen facial de frente y de perfil, se realiza en PNC. La utilización de líneas que dividen los tercios facia-
les permite comprobar que en ambas vistas la posición es la misma.
19
20 Estudio clínico del paciente
En la sala de examen resulta útil un espejo ubi-
cado a una distancia mínima de 2 metros del
paciente, pero es aconsejable siempre que sea posi-
ble, una distancia mayor. El paciente deberá estar
parado frente al espejo y mirarse a los ojos. Se
logra así una posición natural de la cabeza, que a su
vez es repetible.
Es impotante destacar que esta posición debe
ser lograda por el paciente, el operador no debe
ejercer ninguna influencia para provocar ese posi-
cionamiento dado que la PNC está influida por
múltiples factores tales como la forma de pararse,
que a su vez depende de la morfología y posición de
pies y piernas, caderas, columna vertebral, lumbar,
dorsal y cervical. También influyen en esta posición
los inputs visuales, el peso corporal, etc.
Es aconsejable que el paciente, antes de mirar
sus ojos en el espejo, realice oscilaciones de su
cabeza en sentido anteroposterior y lateral con el
objeto de lograr una mayor relajación, ya que la
tensión originada por la situación de examen clíni-
co puede provocar posiciones no habituales de la
cabeza. '
Esta PNC se deberá tener en cuenta para el
estudio de frente y de perfil. Si bien las diferencias
entre esta posición o un giro de la cabeza hacia
arriba o hacia abajo son más evidentes en el perfil,
Fig. 1.3: La PNC obtenida simulando la mirada al
horizonte permite obtener la Horizontal Verdadera
a partir de una referencia vertical.
también se producirán alteraciones en la interpre-
tación de proporciones en la posición de frente.
Obtención de la Horizontal Verdadera (HV)
Con la PNC se puede determinar la Horizontal
Verdadera. Esto requiere previamente una refe-
rencia vertical exacta, que se puede obtener
mediante una cuerda o cadena de la que pende un
peso , y en forma perpendicular a ella, se obtiene la
HV(Fig. 1.3).
Introducir este concepto de horizontal verdade-
ra puede crear alguna confusión, porque si habla-
mos desde la física o la geometría, el término "ver-
dadera" parecería un adjetivo innecesario para una
horizontal, porque ésta tiene una única posición. Si
no tiene esa posición pierde su esencia, no se pue-
de hablar de una "falsa horizontal", porque simple-
mente no sería horizontal.
Lo que en realidad sucede, es que se denomina
así para diferenciarla del Plano de Frankfort (Ver
capítulo 10). Dicho plano, utilizado en la cefalome-
tría dentoesqueletal, es un plano antropométrico,
llamado también "Horizontal de Frankfort", deno-
minación que tiene cierta lógica, porque su posi-
ción es bastante aproximada y a veces hasta coinci-
Estética facial 21
Fig. 1.4: El plano de Frankfort es un plano antropométrico utilizado para la orientación del cráneo en el espacio y con-
secuentemente, para la orientación de las telerradiografías laterales.
dente con un plano horizontal en el cráneo ubicado
en posición postural (Fig. 1.4).
Sin embargo, existen divergencias angulares
entre Frankfort y Horizontal que si bien no son en
general de gran magnitud, la sola existencia de una
mínima divergencia entre ambas, invalida al Plano
de Frankfort para su utilización en los casos en que
están en juego decisiones que pueden afectar la
estética facial de un sujeto.
En algunos casos las diferencias angulares entre
los planos mencionados son de una magnitud tal,
que provocan interpretaciones muy diferentes
acerca de la posición sagital de ciertas estructuras
del perfil y con ello, graves errores de diagnóstico.
En la figura 1.5 A puede observarse la cefalo-
metría de Ricketts de una paciente de clase III, con
la utilización del plano de Frankfort. Por las medi-
das de profundidad maxilar y facial, se interpreta
que la Clase III se debe a una mandíbula adelanta-
da.
O
Prof. maxilar:92
Prof.facial: 96,4'
Fig. 1.5 A: Cefalograma de Ricketts de una paciente con
Clase III esqueletal.
22 Estudio clínico del paciente
Fig. 1.5 B
En la figura 1.5 B la misma paciente orientada
en PNC. Al observar la posición sagital del tejido
blando relacionado con la posición sagital del men-
tón y del maxilar, es evidente que clínicamente la
mandíbula no se encuentra en una posición avan-
zada.
Al superponer la cefalometría en el perfil en
PNC, se observa que el plano de Frankfort resulta
con una marcada inclinación (Fig. 1.5 C).
La discrepancia de 14 grados entre la HV y el
plano de Frankfort (Fig. 1.5 D) es el origen de la
diferencia en la interpretación que observamos
entre el cefalograma y la fotografía en PNC.
Estas apreciaciones no tienen la finalidad de
desacreditar el plano de Frankfort como referencia
en la cefalometría, pero sí advertir sobre la necesi-
dad de tomar otro parámetro para los estudios de
la estética facial, sobre todo cuando éstos conducen
a decisiones quirúrgicas.
Fig. 1.5 C Fig. 1.5 D
Estética facial 23
A continuación describiremos los procedimien-
tos destinados a realizar el examen clínico, fotográ-
fico y radiográfico de los pacientes que presentan
problemas de estética facial relacionados a la posi-
ción, forma y tamaño de los maxilares.
Es imprescindible que todos ellos sean realiza-
dos en posición natural de la cabeza (PNC).
Procedimientos utilizados para el exa-
men facial:
• Examen facial clínico.
• Fotografías de frente, de perfil y sectoriza-
das.
Son útiles para complementar el estudio clínico
y fotográfico:
• Telerradiografía lateral.
• Telerradiografía frontal.
• Radiografía panorámica.
El examen facial debe hacerse con un criterio
tridimensional, es decir, observando la cara desde
diversos ángulos.
Las fotografías, no nos dan muchos detalles por
ser bi-dimensionales, pero son auxiliares muy útiles
cuando deseamos obtener algunas mediciones o
para confirmar ciertos datos mediante el procesa-
mientos de ellas con software, como se verá mas
adelante al referirnos al estudio fotográfico.
Al examen de frente y de perfil ya mencionado
agregaremos la palpación, con el objeto de analizar
la consistencia y el espesor de los tejidos blandos.
El habla y lo gestual indudablemente son dos
factores imprescindibles del examen debido a que
ambos provocan desplazamientos de las estructuras
cutáneas que nos darán una percepción aun mayor
y más detallada de los problemas de los tejidos
blandos faciales.
Posiciones para el examen facial
• Frente musculatura en reposo.
• Frente con sonrisa.
• Frente con sonrisa forzada.
• Perfil y 3/4perfil en la mismas posiciones que
en el examen de frente.
• Axial superior - Axial inferior.
En todas las posiciones mencionadas se deben
tener en cuenta los siguientes parámetros:
• Posición natural de la cabeza.
• Mandíbula en relación céntrica.
• Arcadas dentarias relacionadas conel primer
contacto dentario.
• Musculatura facial relajada.
Definición de los puntos de referencia cutáneos
utilizados para el examen facial (Fig. 1.6)
Trichion (Tr)
Nacimiento del cabello en la línea media.
Glabela (Gl)
Punto más anterior de la región frontal.
Nasion cutáneo (NaC)
Punto más profundo de la curvaturanasofrontal.
Fig. 1.6: Puntos cutáneos utilizados en el examen facial.
24 Estudio clínico del paciente
Pronasal (Pn)
Punto más anterior de la pirámide nasal.
Columela (Cl)
Punto más anterior de la columela.
Subnasal (Sn)
Punto más profundo de la curvatura nasolabial.
Labio superior (L sup)
Punto más anterior del vermilion del labio superior.
Stomion superior (St sup)
Punto más inferior del labio superior.
Stomion inferior (St inf)
Punto más superior del labio inferior.
Labio inferior (L inf)
Punto más anterior del vermilion del labio inferior.
Pogonion cutáneo (PoC)
Punto más anterior del mentón cutáneo.
Mentón cutáneo (MeC)
Punto más inferior del mentón cutáneo.
Cervical (C)
Punto más profundo de la curva formada entre la
región cervical anterior y la región submaxilar.
Gnation cutáneo (GnC)
Punto localizado en la intersección de dos líneas,
una trazada desde el punto subnasal hacia abajo,
tangente al pogonion cutáneo y la otra desde el
punto cervical hacia adelante, tangente al men-
tón cutáneo.
EXAMEN FACIAL DE FRENTE
En el examen facial de frente se hacen las
siguientes observaciones:
• Contorno facial.
• Proporción ancho-altura.
• Línea media.
• Simetría.
• Niveles.
• Proporciones verticales.
• Relaciones labiodentales.
1- Contorno facial (Fig. 1.7)
Las referencias para el análisis del contorno de
la cara son, desde arriba hacia abajo:
• Perfil de los parietales.
• Arcos zigomáticos.
• Ramas ascendentes.
• Ángulos goníacos.
• Cuerpo mandibular.
• Mentón.
Fig. 1.7: Contorno facial.
Estética facial 25
Cada una de estas porciones del contorno debe
relacionarse comparativamente con sus homologas
del otro lado. En caso de alteraciones muy peque-
ñas de la simetría, algunas veces no resulta fácil su
detección visual. En esos casos, recurriremos a otras
observaciones clínicas como las posiciones axiales y
también al análisis de las fotografías y telerradio-
grafías frontales. La observación del contorno nos
da una idea de la forma general y podemos hablar
de una cara ovoide, alargada o redondeada.
2- Proporción ancho-altura
Se obtiene relacionando la distanciabicigomáti-
ca (ancho) con la distancia trichion-mentón cutá-
neo (altura). En caras normales el ancho es 30%
menor que la altura. Estas proporciones varían
según el biotipo facial del paciente y definen una
cara corta, normal o larga (Fig. 1.8).
3- Línea Media
Para estudiar la línea media la mandíbula debe
estar posicionada en RC, es decir, con los cóndilos
centrados.
La ubicación mandibular en RC, es una manio-
bra que nos aporta elementos de juicio para la
identificación de la naturaleza del desplazamiento
lateral de algunas estructuras, permitiéndonos dife-
renciar las alteraciones estructurales de las funcio-
nales (Fig. 1.13).
La línea media se determina trazando una línea
imaginaria que pasa por el centro del puente nasal
y por el centro de la parte más superior del filtrum
(Fig. 1.9).
Para identificar el primero de ellos debemos
determinar un punto equidistante de los cantos
oculares internos. Luego la observación debe diri-
girse a la posición de los siguientes puntos que en
condiciones normales deben estar ubicados en la
línea media:
Con musculatura en reposo
-Trichion
-Glabela
-Base nasal
-Dorso nasal
-Punta nasal
-Base del filtrum
AZ
Me
Fig. 1.8: Proporción ancho-altura. Fig. 1.9: Determinación de la línea media facial.
26 Estudio clínico del paciente
-Extremo inferior del filtrum
-Línea media labio inferior
-Línea media mentón
Con sonrisa y/o sonrisa forzada
-Línea media dentaria superior
-Línea media dentaria inferior
Como ya hemos visto, el centro de la base del
filtrum es un punto que se usa junto con el centro
de la base nasal, para trazar la línea media facial.
En la observación con sonrisa, evaluamos las
líneas medias dentarias en relación a la línea media
facial.
La línea media dentaria superior constituye fre-
cuentemente motivo de consulta, al ser un punto
sumamente importante de la estética de la sonrisa.
El paciente la observa, y cualquier desplazamiento
será detectado inmediatamente.
Fig. 1.10: Puntos mediales.
Fig. 1.11: Paciente con asimetría mandibular, con desvíos
de líneas medias.
La línea media superior se encuentra desviada hacia la
izquierda con respecto a la línea media facial. La observa-
ción oclusal corrobora este desvío, ocasionado por la pér-
dida de una pieza dentaria en dicha hemiarcada.
La línea media inferior, desviada hacia la derecha, no coin-
cide con la línea media del mentón, sino que también pre-
senta una desviación en la arcada debida a la extracción
del primer molar inferior derecho.
Estética facial 27
La evaluación de la línea media inferior serea-
liza en relación a la línea media facial y en el caso
de pacientes con asimetría mandibular se evaluará
también en relación al punto medio del mentón.
Debemos recordar que estas observaciones se
realizan con la mandíbula en posición de RC por lo
que se descarta cualquier factor funcional en una
desviación de la línea media inferior.
Este examen de las líneas medias dentarias refe-
rido a la línea media facial se complementa con un
minucioso estudio de las arcadas por oclusal (ver
estudio bucodental, Pag. 73 y Fig 2.15A y B) para
detectar posibles desviaciones de origen dentario.
Estas desviaciones que se deben frecuentemente a
la falta unilateral de piezas, pueden presentarse en
pacientes con o sin asimetría esqueletal (Fig.1.11).
4- Simetría
Respetando los mismos parámetros de posicio-
namiento (cóndilos centrados y primer contacto
dentario), el examen consiste en la observación de
la equidistancia o la falta de ella con respecto a la
línea media, de las siguientes estructuras (Fig.
1.12):
- Eminencias frontales laterales
- Ángulo externo del ojo
- Pómulos
- Pabellones auriculares
- Alas nasales
- Comisuras.
- Ángulos goníacos
- Puntos laterales del mentón
Los casos que presenten asimetrías de escasa
magnitud crean algunas dificultades para su detec-
ción. Recurriremos a las fotografías ycefalometrías
frontales con el propósito de analizar con mayor
exactitud la magnitud de la alteración, ya que sobre
ellas podemos hacer mediciones.
En las laterodesviaciones funcionales de la man-
díbula, el paciente presenta asimetría en su posi-
ción de máxima intercuspidación, y ésta desapare-
ce al llevar la mandíbula a relación céntrica (Fig.
1.13). Por ello, en esta posición, todas las asimetrí-
as que se observen obedecen a un factor etiológico
estructural, generalmente esqueletal.
Fig. 1.12: Puntos bilaterales para el estudio de la sime-
tría.
Las asimetrías se estudian de manera "ascen-
dente", siendo las más leves las que involucran la
forma del mentón solamente, siguiendo las origina-
das por asimetrías en el cuerpo y la rama de la man-
díbula, que comprometen el contorno facial lateral,
y si son marcadas, pueden llegar a desviar la comi-
sura labial.
Aumentando el grado de complejidad, encon-
tramos las asimetrías máxilo-mandibulares (involu-
cran mandíbula y maxilar superior). Éstas podrán
ser mejor evaluadas en sonrisa, con el estudio de
los planos oclusales (punto 6).
Las asimetrías más complejas comprometen
también las órbitas y el contorno craneal en diver-
sa magnitud, pudiendo ser leves, apenas percepti-
bles, o de una magnitud mayor, tratándose estos
casos generalmente de microsomías hemifaciales.
Existen también asimetrías en la forma nasal,
desviaciones del dorso y de la punta, que pueden
presentarse solas o combinadas con una asimetría
más compleja.
28 Estudio clínico del paciente
'
B
Fig. 1.13 A: Asimetríafacial producida por una desviaciónfuncional de la mandíbula. B: La posición de relacióncéntrica
corrige la asimetríafacial. En las fotos de boca se observa el comportamientode las líneas medias antes y después de
la expansión que logra el centradomandibular.
Es importante destacar que los pacientes asimé-
tricos generalmente presentan una posición postu-
ral de compensación de la asimetría, es decir, tien-
den a mantener centrada la posición del mentón
con una lateroinclinación de la cabeza. Esta posi-
ción enmascara la asimetría y puede en una prime-
ra observación, crear confusión acerca de la línea
media del paciente y de cuáles son las estructuras
desviadas.
Se deberá corregir la posición de la cabeza
basándonos en obtener una línea media vertical
que pase, como dijimos anteriormente, por el cen-
tro de la distancia entre ambos cantos oculares
internos y por el centro de la parte alta del filtrum
labial. Una vez corregida la línea media, se podrá
lograr una correcta interpretación de la asimetría
(Fig. 1.16).
5- Niveles (musculatura en reposo)
El estudio de los niveles es muy importante por-
que su alteración es la manifestación de asimetrías
verticales de las estructuras esqueletales. En el
punto referido a teleradiografías frontales tratare-
mos nuevamente este tema con más detalle.
Para el examen clínico de los niveles, el operador
deberá observar la posición de estructuras laterales
Estética facial 29
Fig. 1.14: Niveles en reposo. Fig. 1.15: Niveles en sonrisa.
uniéndolas mediante líneas que "traza" de manera
imaginaria.
Estas estructuras son: (Fig. 1.14)
- Arcos superciliares
- Línea interpupilar
- Pabellones auriculares
- Base nasal.
- Comisuras
- Ángulos goníacos
- Mentón
Para mayor precisión en esta observación resul-
ta muy útil disponer de fotografías donde las líneas
podrán ser trazadas con exactitud.
En pacientes simétricos estas líneas son hori-
zontales y paralelas entre sí; la alteración de ese
paralelismo es indicio de asimetría de origen verti-
cal.
Recordamos que, como en todas las asimetrías,
en la observación de los niveles se deberá partir de
obtener un plano medio sagital vertical para poder
interpretar correctamente cuáles y en qué forma se
encuentran alterados estos niveles (Fig. 1.16).
6- Niveles (en sonrisa y en sonrisa forzada)
Este estudio posibilita la observación de altera-
ciones de las porciones gingival, dentaria y labial
que no son visibles con los labios en reposo.
La utilización de la sonrisa forzada muestra con
mayor claridad la porción gingival de los sectores
posteriores y el plano oclusal, que a veces no es
posible ver con una sonrisa natural. Además,
muchos pacientes no pueden realizar una sonrisa
espontánea, probablemente debido a la circunstan-
cia de sentirse observados.
En estos casos es muy útil valemos de la sonrisa
forzada, donde observaremos (Fig. 1.15):
- Comisuras labiales derecha e izquierda
- Exposición gingival derecha e izquierda
- Plano oclusal superior e inferior
La inclinación del plano oclusal superior es un
indicativo de una asimetría del maxilar superior.
Donde el plano oclusal asciende, el maxilar tiene
un menor desarrollo vertical y por lo general, la
exposición gingival es menor a la del lado opuesto.
30 Estudio clínico del paciente
Fig. 1.16: Paciente con asimetría maxilomandibular. A La izquierda, postura habitual, donde la lateralización de la cabe-
za tiende a mantener el mentón centrado.
En el centro, la posición corregida verticalizando la línea media facial pone en evidencia el desvío de las estructuras facia-
les y la asimetría.
A la derecha, en sonrisa, se observa la inclinación del plano oclusal superior propia del compromiso del maxilar superior
en la asimetría.
Al observar la exposición gingivaldeberá tener-
se en cuenta el comportamiento de los labios y las
comisuras en la sonrisa, que puede estar afectado
por una desviación del mentón o por causas propias
de la motricidad labial.
Proporciones verticales
Es un estudio de las proporciones entre y dentro
de los tercios faciales.
Desde hace siglos se dividió la cara en tres ter-
cios. Artistas de todas las épocas (dibujantes, pin-
tores, escultores) utilizaban estas medidas para ela-
borar sus obras, y si bien pueden haber sufrido
algunas modificaciones producto de diferentes
parámetros de belleza que se utilizaron en distintas
etapas de la historia, puede considerarse que se
mantienen sin variantes hasta la actualidad
La cara quedaba así dividida en (Fig. 1.17):
- tercio superior: trichion-glabela
- tercio medio: glabela-punto subnasal
- tercio inferior: subnasal-mentón cutáneo
La igualdad de estos tercios es considerada
como relación vertical armónica del rostro. Sin
embargo es frecuente que en caras con buena esté-
tica, los tercios medio e inferior tengan una ligera
desproporción. Si bien es importante la proporción
existente entre los tercios, las alteraciones que pue-
den existir dentro del tercio inferior producen efec-
tos más evidentes.
Este tercio inferior se divide en 3 partes:
- Labio superior
- Espacio interlabial
- Labio inferior y mentón
Se considera normal un espacio interlabial deO
a 3 mm.
A la longitud del labio superior (Sn- St Sup) se
la relaciona con las siguientes áreas faciales (Fig.
1.18):
- Tercio medio de la cara
- Altura del labio inferior + mentón
Idealmente la longitud del labio superior debe
ser la tercera parte del tercio medio.
Estética facial 31
Fig. 1.17: Los tercios faciales de frente y perfil.
Fig. 1.18: Estudio del tercio inferior. La medida del labio superior está comprendida 3 veces en el tercio medio y 2
veces en el labio inferior y mentón.
32 Estudio clínico del paciente
En base a esta relación podemos definir un labio
superior corto, normal o largo. A su vez, debe ser la
mitad de la longitud del área labio inferior + men-
tón. La incidencia en la estética de una alteración
de estas proporciones es mayor cuando se estable-
ce dentro del tercio inferior, que cuando la altera-
ción se produce en la relación del labio superior
con el tercio medio.
Relaciones labiodentales
La estética de la sonrisa debe considerarse un
objetivo sumamente importante, por ello es necesa-
rio un pormenorizado estudio de los teijos cutáneos
en reposo y en la dinámica gestual. Un paciente
puede tener al final de un tratamiento ortodóncico
una perfecta relación de las bases esqueletales entre
sí y con el resto del macizo craneofacial, y una per-
fecta oclusión funcional, y a pesar de ello, puede no
tener una sonrisa agradable, con toda la influencia
negativa que ello implica.
Un objetivo importante de un tratamiento orto-
dóncico u ortodóncico-quirúrgico es armonizar la
exposición de los dientes anteriores durante el
habla y la sonrisa. Se deberá obtener el posiciona-
miento adecuado de los dientes anteriores no sólo
en los tres planos del espacio, vertical, transversal y
anteroposterior, sino también lograr una orienta-
ción del plano oclusal en sentido transversal y sagi-
tal que permita una relación estéticamente satisfac-
toria de las estructuras involucradas: dientes, labios
y encía.
En la estética de una sonrisa, un factor indiscu-
tible es la apreciación subjetiva de quien la percibe,
que tendrá influencias culturales y sociales propias.
También habrá factores que son inherentes a la
calidad de los tejidos blandos, como la forma, el
espesor y la dinámica de los labios, que son inmo-
dificables. Sin embargo, es importante parametri-
zar todos los aspectos posibles de estas relaciones
labiodentales, estáticas y dinámicas, para que del
análisis de los mismos surjan los objetivos de trata-
miento que permitan lograr como resultado la
mejor estética posible de la sonrisa.
Exposición del incisivo superior
La exposición del incisivo superior con los
labios en reposo, será de 2,5 a 4 mm, según la edad
y sexo del paciente.
Si bien tradicionalmente se establece que el
rango de normalidad en la exposición del incisivo
superior se extiende desde 1 a 5 mm. consideramos
que los valores extremos sólo serán aceptables en
escasas oportunidades.
Por lo general, en pacientes jóvenes se planifica
una exposición mayor, ya que se producirá con la
edad una disminución,porque más allá de un posi-
ble desgaste de los bordes incisales, se produce un
alargamiento del labio por pérdida de tensión de
los tejidos subcutáneos. A su vez, en los varones, se
considera nomal una exposición es más baja.
En sonrisa plena, la exposición normal oscila
entre las tres cuartas partes de la corona de los inci-
sivos, y 2 mm de exposición gingival anterior (Fig.
1.19).
Cuando la exposición es mayor a 2 mm, se deno-
mina "sonrisa gingival", y está originada por un
exceso vertical del maxilar en la parte anterior, o en
algunos casos, por un labio superior corto (Fig. 1.20).
Fig. 1.19: Exposición normal de incisivos, en reposo y sonrisa.
Estética facial 33
Fig. 1.20: Exposiciónaumentada,en reposo y sonrisa, ("sonrisa gingival")
I
Fig. 1.21: Exposición disminuida, en reposo y sonrisa.
Una exposición en sonrisa menor al 75% de la
corona de los incisivos es debida a un maxilar de
escaso desarrollo vertical (Fig. 1.21).
Por lo general, tanto el aumento como la dismi-
nución de la exposición gingival en sonrisa se co-
rresponden con un aumento o disminución en la
exposición de los incisivos en reposo.
En los sectores posteriores, la exposición en
sonrisa plena debe ser ligeramente menor a la ante-
rior. La exposición gingival aumentada en el sector
posterior se debe a un exceso vertical posterior, y
puede acompañarse o no de sonrisa gingival ante-
rior.
En casos de mordida abierta esqueletal es fre-
cuente observar que la exposición gingival está
aumentada en el sector posterior, y es normal o
menor en el sector anterior (Fig. 1.22).
Lo inverso, es decir, el aumento de exposición
gingival sólo en el sector anterior, suele acompañar
Clases II esqueletales severas (Fig. 1.23).
Fig. 1.22: Sonrisa gingival posterior.
Fig. 1.23: Sonrisa gingivalanterior.
34 Estudio clínico del paciente
Curvatura de la sonrisa
Otro aspecto que se evaluará en la estética de la
sonrisa de frente, es la línea que sigue los bordes
incisales de los dientes superiores y se continúa
hacia atrás con el contorno oclusal de las caras ves-
tibulares de premolares.
Esta línea se denomina también arco de la son-
risa. En condiciones ideales, debe ser paralela a la
curvatura del labio inferior durante la sonrisa; es
decir, presentar una concavidad superior que
puede ser más o menos marcada según la forma de
los labios (Fig. 1.24 A).
En la vista frontal, los bordes incisales aparecen
más bajos en los incisivos centrales, y van ascen-
diendo en laterales, caninos y premolares. Para que
este efecto se produzca, no solamente deberá exis-
tir un correcto posicionamiento vertical de cada
una de las piezas dentarias, sino que se deben ana-
lizar una serie de factores tridimensionales. Si
observamos la arcada superior desde oclusal. la
curvatura anterior debe ser lo suficientemente
marcada, con una posición adelantada de losincisi-
vos centrales, intermedia de los laterales y más pos-
terior de los caninos. Además, el plano oclusal
debe tener una inclinación normal, ascendente
hacia atrás, con un ángulo de 7 ° a 10 ° con respec-
to a la HV. Si el paciente presenta una arcada muy
plana en el sector anterior, con una distancia inter-
canina aumentada, y un plano oclusal que tiende a
ser horizontal, seguramente esta línea de la sonrisa
tendrá un aspecto más plano (Fig. 1.24 B).
Un arco de sonrisa de concavidad hacia abajo
(curvatura invertida) es generalmente consecuen-
cia de una mordida abierta y se acompaña de una
menor exposición de los incisivos superiores, de un
exceso gingival posterior, o de ambos problemas
combinados en los casos más severos (Fig. 1.24 C).
Una línea plana de la sonrisa o de concavidad
invertida, tiene un efecto negativo en la estética de
la sonrisa, dando un aspecto de envejecimiento.
Por el contrario, una sonrisa juvenil es aquella
donde no sólo hay una exposición normal de los
incisivos, sino también una adecuada curvatura.
Fig. 1.24 A: Curvatura de la sonrisanormal.
B: Línea de sonrisarecta.
C: Curvatura de sonrisa invertida.
Estética facial 35
Exposición de incisivos inferiores
En reposo labial, la exposición del incisivo infe-
rior debe ser de O mm. Su exposición en reposo
puede deberse a una extrusión de los mismos, o a
una eversión del labio inferior. Esta eversión es fre-
cuente en pacientes con escaso desarrollo mandi-
bular o del mentón (Fig. 1.25 A y B).
Corredores bucales
Es el espacio que existe entre el contorno lateral
de los primeros premolares de la arcada superior y
el borde interno de la comisura en una vista frontal
de la sonrisa plena (Fig. 1.26).
Se visualiza como un triángulo de sombra con
base en la cara vestibular de los premolares y vérti-
ce en la comisura.
Este término fue agregado al glosario dental por
los prostodoncistas al final de la década del 50.
Cuando rehabilitaban, estos clínicos querían recre-
ar una dentición natural desde el punto de vista
transversal, y observaron que la presencia de corre-
dores bucales amplios producía un efecto estético
negativo y antinatural.
Cuando una rehabilitación bucal tenía una
forma de arco del tipo triangular, se obtenía una
sonrisa "de molar a molar" que desde el punto de
vista estético era consideradaincorrecta.
Frecuentemente se lo representa con una propor-
ción entre el ancho intercomisural y la distancia entre
las caras vestibulares de ambos primeros premolares.
La dimensión del corredor bucal está íntima-
mente relacionada a la forma y el ancho de la arca-
da e influenciada además por la posición sagital del
maxilar. Además se deberán tener en cuenta las
características de los labios en la sonrisa, ya que se
encuentran variables en este aspecto referidas a la
extensión de la distancia intercomisural que influ-
yen en la estética de los corredores bucales.
Los procedimientos ortopédicos como la dis-
yunción rápida de maxilar superior, la expansión
dentoalveolar con métodos ortodóncicos, además
de procedimientos quirúrgicos de avance y expan-
sión del maxilar, logran disminuir los corredores
bucales favoreciendo la estética de la sonrisa.
Fig. 1.25 A: Exposición aumentadadel incisivoinferior
provocada por el aumentodel espacio interlabialy la
eversión del labio inferior.
Fig. 1.25 B: Perfil de la paciente que muestra la posición
retruida del mentón.
Fig. 1.26: Corredores bucales en una paciente con un
maxilar ligeramente estrecho y retruido.
36 Estudio clínico del paciente
EXAMEN FACIAL DE PERFIL
Igual que para el estudio frontal se deben tener en
cuenta los parámetros ya descriptos (PNC, mandíbu-
la en RC, arcadas relacionadas con el primer contac-
to dentario, labios y musculatura en reposo).
Evaluación vertical
El examen vertical del perfil es idéntico a lo des-
cripto para el examen vertical de frente, pero es más
utilizado en el perfil debido a que se realiza a partir de
la telerradiografía lateral de cabeza, que permite
obtener el trazado de las estructuras del paciente en
escala 1a 1,incluido el perfil cutáneo, y sobre este tra-
zado se hacen las mediciones.
Evaluación sagital
Aquí las observaciones clínicas son sólo estima-
ciones iniciales, todas estas medidas deberán ser rea-
lizadas sobre el perfil de fotografías o sobre el traza-
do del perfil blando de la telerradiografía lateral.
Es sumamente importante realizar este estudio
en una correcta PNC, ya que las alteraciones de dicha
Fig. 1.27: Evaluación sagital del perfil. Posición de estu-
dio.
Fig. 1.28: Importancia de la evaluación en PNC. Las medidas sagitales que toman como referencia la HV se distorsio-
nan notablemente con las rotaciones de la cabeza sobre el eje transversal.
Estética facial 37
posición distorsionan notablemente la mayoría de las
observaciones (Fig. 1.27 y 1.28).
Si bien en la bibliografía existe un gran número
de análisis cefalométricos de los tejidos blandos,
con un criterio de selección que evite la obtención
de datos redundantes, utilizaremos las siguientes
medidas para la evaluación sagital:
-Vertical de glabela
-Curvatura nasogeniana
-Vertical de Sn
-Ángulo nasolabial
-Proporción cervical-facial inferior
Vertical de Glabela
Se traza una línea perpendicular a la horizontal
verdadera desde la glabela cutánea (Fig.1.29).
Se miden las distancias desde el punto subnasal
(Sn) y desde el pogonion cutáneo (PoC) a esa línea.
Las normas son:
Sn-VertGl: 6mm+-3
PoC- Vert. Gl: Omm +-4
Estas medidas describen el contorno del perfil
total. Un perfil recto, tendrá los valores en la
norma o desviados dentro de las mismas hacia el
mismo signo, sea positivo o negativo.
Aunque estas medidas se encuentren dentro de
las normas, la desviación en un punto en sentido
contrario a la desviación del otro punto medido
significará una alteración en el perfil. Por ejemplo,
un perfil que presenta el punto Sn ubicado 9mm
por delante de la Vert. Gl y el punto PoC en -4mm,
indican un perfil de Clase II a pesar de que ambas
medidas están dentro de las normas.
Curvatura Nasogeniana
En caras normales, la curvatura nasogeniana
que corresponde al área paranasal, describe una
línea ligeramente convexa hacia delante (Fig. 1.30).
Si fuera plana, o presentara una concavidad
anterior, expresa una posición retruida del maxilar
superior.
Además de esta observación, un tercio medio
hundido se acompaña de una nariz aparentemente
larga y un reborde orbitario y contorno malar apla-
nado, como se observa en la figura 1.31.
Fig. 1.29: Vertical de glabela.
Fig. 1.30: Curvatura nasogeniana.
38 Estudio clínico del paciente
Fig. 1.31.A: Paciente de Clase III con una curvatura nasogeniana prácticamenteinexistentedebido a la retrusión del
maxilar superior. B: El avance del maxilar mejora el aspecto del tercio medio.
Ángulo Nasolabial
El ángulo nasolabial total está conformado por
la columela nasal y el labio superior, tomando co-
mo vértice el punto subnasal.
El valor normal para el ángulo total está entre
102° +- 8°.
El ángulo está influenciado por 2 variables, la
inclinación de la base de la nariz y la posición ante-
roposterior del labio superior, por lo que es conve-
niente analizar separadamente ambas variables y
de esta manera poder identificar cuál de ellas es la
responsable de su eventual alteración. Por ello,
dividiremos al ángulo nasolabial total en 2 partes:
una superior y otra inferior, con una línea paralela
a la Horizontal Verdadera que pasa por el punto
subnasal (Figs. 1.32 y 1.33).
Las variantes de la inclinación de la base nasal,
propias de la forma de cada nariz, pueden no tener
una significación estética, por lo que resulta difícil
hablar de normas para la parte superior del ángulo
nasolabial, cuyo promedio oscila entre los 15°y 20°.
Sí destacaremos el estudio del ángulo nasolabial
inferior, que tiene relación con la posición del labio
superior y por consiguiente, con la posición sagital
del maxilar superior y los incisivos superiores (Figs.
1.34 y 1.35).
El valor normal del ángulo nasolabial inferior es
de 85° +- 5°.
Su alteración, especialmente un aumento del
ángulo por una retrusión del maxilar y/o del grupo
incisivo superior, tiene una gravitación muy negati-
va en la estética del perfil (Fig. 1.35).
5
Fig. 1.32: Ángulo nasolabialtotal y su división en
superior e inferior.
Estética facial 39
Fig. 1.33: Un mismo valor del ángulo nasolabial total puede corresponder a pacientes con características morfológicas total-
mente dispares, que se describen acertadamente a través de las medidas de los ángulos nasolabial superior e inferior.
Fig. 1.34: Cambio favorable del ángulo nasolabial inferior en un paciente ortodóncico portador de una biprotrusión den-
taria, donde se han realizado 4 extracciones y una gran retrusión de inicisivos.
40 Estudio clínico del paciente
Fig. 1.35: Paciente con biprotrusión dentaria, donde la retrusión realizada durante el tratamiento ortodóncico modificó el
ángulo nasolabial inferior en forma desfavorable.
Vertical de Sn
Es una perpendicular a la Horizontal Verdade-
ra que pasa, como su nombre lo indica, por el punto
subnasal y permite analizar los componentes del
tercio inferior de la cara en sentido sagital, median-
te 3 medidas lineales.
Se evalúan: (Fig. 1.36)
-Labio superior - Vert. Sn: 2mm +-2
-Labio inferior - Vert. Sn : Omm +-2
-Poc - Vert. Sn : -2mm +-2
Igual que en el caso de las medidas de la Verti-
cal de Gl, las desviaciones dentro de las normas
deberán ser cuidadosamente analizadas, porque de
ocurrir en distinto sentido pueden alterar la armo-
nía estética del tercio inferior (Fig. 1.37).
Al estar referida exclusivamente al tercio infe-
rior de la cara, la vertical de Sn es muy utilizada
para el estudio de casos ortodóncicos y ortodónci-
co-quirúrgicos.
í> *
Fig. 1.36: Vertical de Sn.
Estética facial 41
Sus medidas involucran la descripción de
estructuras cutáneas, óseas y dentarias. Por ello
estarán influenciadas por factores que atañen a
estas tres estructuras, como son (Fig. 1.39):
- Volumen, tonicidad muscular y posiciones pos-
turales de los tejidos blandos.
- Posiciones sagitales del maxilar superior y el
mentón.
- Forma y volumen del pogonion óseo.
- La posición de rotación de la mandíbula, que
se expresará en la sínfísis proyectando en mayor
o menor grado el pogonion.
- Posiciones sagitales e inclinaciones de los inci-
sivos.
La medida del labio superior a la vertical de Sn
indica si el labio se encuentra en una posición nor-
mal, protruido o retruido. Tiene relación con la
inclinación y posición sagital del incisivo supe-
rior, con la posición sagital del maxilar superior y
con el espesor y postura del labio superior.
En la mandíbula, mediante la vertical de Sn ana-
lizamos:
- La posición sagital del labio inferior.
- La posición sagital del pogonion.
También se evaluará la forma del surco labio-
mentoniano, cuyo punto más profundo se encuen-
tra ubicado en sentido sagital aproximadamente 2
o 3 mm por detrás del pogonion.
Fig. 1.37: Valores dentro de las normas perodesviados
en sentidosopuestos pueden no corresponderse a un
balance óptimo, como en esta paciente de Clase III.
Las variaciones en las posiciones de los incisivos
que se planifiquen en el tratamiento ortodóncico
afectarán la posición sagital del labio superior e
inferior. En la posición del Po, serán muy esca-
sas las posibilidades de cambio que podrá obtener
un tratamiento ortodóncico.
También es útil para evaluar los cambios que
el crecimiento produce en el tercio inferior, sobre
todo en la posición sagital del pogonion en los
pacientes braquifaciales.
Fig. 1.38: Vertical de Sn en pacientes ortodóncicos de Clase I, II y III esqueletal.
42 Estudio clínico del paciente
Fig. 1.39: Factores que intervienen en la definición de la posición sagital del mentón. La diferente forma y rotación de la
mandíbula y el mentón óseo, y las disímiles características del tejido blando influyen en la proyección que logra el pogo-
nion cutáneo en el perfil.
Estética facial 43
Relación cervical-facial inferior
Evalúa la proporción que existe entre el perfil
del tercio inferior de la cara y la porción submental.
Se trazan 2 líneas, una desde Sn tangente a PoC;
y otra desde el punto cervical (C) tangente al punto
mentoniano cutáneo (MeC). La intersección de
ambas líneas determina el punto gnation cutáneo
(GnC).
Se relaciona Sn-GnC , la relación normal es 1,2
C-GnC
(Fig. 1.40)
Esta relación varía con la diferente proyección
del mentón, un mentón retruido tiende a aumentar
el valor, un mentón prognático, por el contrario, lo
disminuye (Fig. 1.41).
Pero hay que tener en cuenta que una altura
anormal del tercio inferior de la cara también ten-
drá incidencia en el resultado. Cuando está aumen-
tado, aún con una posición normal del mentón, el
resultado dará un valor mayor a 1,2. Por el contra-
rio, si el tercio inferior de la cara está disminuido,
el resultado tiende a disminuir también.
Fig. 1.40: Relación cervical-facial inferior.
Fig. 1.41: Relación cervical-facial inferior en pacientes con diferente patrón esqueletal. Ala izquierda, un paciente de
Clase I con una relación en la norma, en el centro un paciente de Clase II muestra una relación con un valor aumenta-
do, y a la derecha se observa una relación disminuida en un paciente de Clase III.
44 Estudio clínico del paciente
Inclinación del filtrum labial
En el perfil del paciente, también se hará la
observación del labio superior en sonrisa, especial-
mente del filtrum labial (Fig. 1.42).
Esto permite tener una apreciación clínica de la
posición sagital del maxilar y de los incisivos supe-
riores, que con labios relajados puede estar enmas-
carada por características propias de los tejidos
blandos. Por ejemplo, en pacientes de escaso desa-
rrollo vertical y sagital del maxilar, el labio superior
se presenta evertido por falta de soporte y esta
situación puede dar una apariencia normal del
ángulo nasolabial inferior cuando el paciente está
con labios en reposo.
Pero en la sonrisa se hace evidente esta retru-
sión porque a causa de la contracción provocada
por la sonrisa, el labio superior se apoya firmemen-
te en los incisivos y la parte anterior del reborde
alveolar superior.
Como consecuencia de esto, el filtrum labial
asume una inclinación muy marcada hacia atrás,
desfavoreciendo la estética de la sonrisa (Fig. 1.43).
Fig. 1.42: Inclinación normal del filtrum
labial en reposo y en sonrisa.
Fig. 1.43: Paciente de Clase III con
hipodesarrollo del maxilar superior.
La observación del perfil en sonrisa
pone en evidencia la necesidad de
un avance maxilar.
Estética facial 45
POSICIONES COMPLEMENTARIAS
Axial superior
Para esta evaluación el paciente deberá estar
ubicado en posición reclinada, de manera que per-
mita al operador observar desde la parte superior
de la cabeza, el contorno de los tercios superior y
medio (Fig. 1.44 A y 1.45 A).
Este examen pone en evidencia la existencia o
no de asimetrías frontales, malares y la posición del
dorso y la punta nasal en sentido transversal
Axial inferior
Requiere que el paciente esté en la misma posi-
ción que la descripta para el examen axial superior,
pero debe girar la cabeza hacia atrás para que el
operador pueda observar la mandíbula desde abajo
(Fig.1.44 B y 1.45 B).
Esta posición muestra con mucha claridad las
asimetrías de los pómulos, nariz (en forma y posi-
ción) y mandíbula, que muchas veces no son evi-
dentes utilizando otros ángulos de observación.
Fig. 1.44: Posiciones axial superior e inferior en una
paciente simétrica.
Fig. 1.45: Posiciones axiales en una paciente con asimetría facial leve.
46 Estudio clínico del paciente
AUXILIARES DEL DIAGNÓSTICO CLÍ-
NICO
Escapa al propósito de este capítulo hablar de
técnica de trazado cefalométrico y cefalometría
dentoalveolar, tema que será desarrollado en la
sección 3. Sin embargo, al realizar el estudio clínico
del paciente, las telerradiografías lateral y frontal, y
la radiografía panorámica, nos aportarán datos que
complementarán y profundizaránel diagnóstico.
Utilización de la telerradiografía lateral en el
diagnóstico clínico.
- Permite realizar el trazado del perfil blando,
donde se realizarán mediciones correspondientes al
estudio vertical y sagital del perfil. Las medidas
obtenidas son reales, porque la escala de tamaño en
la telerradiografía es prácticamente 1 a 1 con res-
pecto a la cabeza del paciente.
- Distingue en determinados puntos del perfil
(mentón, labios) la posición de las estructuras óseas
o dentarias, que puede estar enmascarada o poten-
ciada por el espesor de los tejidos blandos.
- En los casos de cierre labial con esfuerzo, nos
brinda el detalle del cambio de disposición de los
tejidos blandos entre el cierre y el reposo labial.
- Permite visualizar las vías aéreas y la posición
de la lengua, de importancia en el diagnóstico fun-
cional.
- En los casos de asimetría, el desdoblamiento
de imágenes es un elemento que ayuda aldiagnós-
tico; pero serán más útiles en este aspecto las eva-
luaciones realizadas en la telerradiografía frontal y
en la radiografía panorámica.
Utilización de la telerradiografía frontal en el
diagnóstico clínico
La telerradiografía frontal es un elemento indis-
pensable para el estudio de las asimetrías verticales
y transversales.
Además, cuando esas asimetrías son de pequeña
magnitud, pueden no ser percibidas en el examen
clínico porque asientan sobre estructuras profun-
das y en muchos casos los tegumentos enmascaran
el problema, especialmente cuando el operador no
tiene gran experiencia.
Se hace necesaria en estos casos una observa-
ción muy minuciosa con el propósito de detectar
signos mínimos que evidencien pequeñas alteracio-
nes en cualquier sentido del espacio.
Como se obtienen en RC, queda descartado el
factor funcional en cualquier laterodesviación de la
mandíbula que se observe, interpretándose así de
etiología esqueletal.
La radiografía frontal obtenida con la boca
entreabierta permite visualizar el plano oclusal
superior e inferior y evaluarlos por separado, per-
mitiendo corroborar alteraciones de los niveles que
se hubieran detectado clínicamente.
Son muy útiles los datos que aporta sobre las
líneas medias dentarias, en pacientes simétricos o
asimétricos.
También nos permite realizar mediciones de
precisión, convirtiéndose así en una indispensable
herramienta de planificaciónen los casos de cirugía
ortognática, ya que con ellos podemos determinar
los movimientos necesarios de los planos oclusales
en sentido transversal, estructuras que juegan el
papel más relevante cuando se planifica la correc-
ción con cirugía en los casos de asimetrías vertica-
les y transversales de los maxilares.
Remitimos al lector al capítulo 11. donde se
desarrolla la técnica de calco y trazado de cefalo-
metría frontal, indispensable en el diagnóstico de
las asimetrías.
Radiografía panorámica como comple-
mento del estudio de las asimetrías
Más allá de la gran utilidad de este tipo de
radiografías en el estudio dentoalveolar del pacien-
te de todas las edades, la radiografía panorámica
brinda una imagen de la anatomía del maxilar y la
mandíbula útil para complementar el diagnóstico
clínico en los casos de asimetría (Fig. 1.46).
La comparación de las estructuras óseas del lado
derecho e izquierdo y la observación del comporta-
miento de los planos oclusales aportan datos rele-
vantes en estos casos.
Resulta útil realizar mediciones de estructuras
homologas del lado derecho e izquierdo para reali-
zar comparaciones, por ejemplo:
En las ramas mandibulares, medir la altura
desde el punto gonion al centro de la escotadura
sigmoidea, o desde la escotadura antegonial a la
cara superior del cóndilo. Medidas desiguales
expresarán una diferencia en el crecimiento vertical
de la rama y/o cóndilo mandibular.
Estética facial 47
Fig. 1.46: Asimetría mandibular. La observación clínica se
corrobora en las radiografías panorámica y frontal, donde
se visualizan aspectos anatómicos que definen la asime-
tría.
En la radiografía panorámica se observa la diferencia de
altura entre una rama mandibular y otra, medida de esco-
tadura antegonial a cóndilo. La radiografía frontal comple-
menta además el estudio de las líneas medias dentarias y
esqueletales de ambos maxilares y la apreciación de los
tonques posteriores. En este caso ambas líneas medias
están centradas en su base esqueletal y se observan tor-
ques compensatorios en los sectores posteriores que
enmascaran en la oclusión la magnitud de la asimetría
esqueletal.
48 Estudio clínico del paciente
También se podrá medir el ancho de las ramas,
la longitud y ancho de los cuellos condíleos, obser-
var el tamaño de los cóndilos, comparar la anatomía
de los mismos, el espaciointerarticular.
Muchas asimetrías se limitan a una diferencia
anatómica de los cóndilos, por hiperdesarrollo de
uno de ellos, o hipodesarrollo o reabsorción en
otros casos.
En el cuerpo mandibular, se podrá tomar la
medida desde el centro del borde inferior del men-
tón a ambos puntos goníacos, y evaluar la altura del
cuerpo en los sectores laterales de uno y otro lado,
a la altura de premolares y molares.
En el mentón, se observarán las eminencias
mentonianas laterales derecha e izquierda en el
contorno del borde inferior del mentón. No es
extraño encontrar asimetrías esqueletales del men-
tón, solas o combinadas con otros componentes
esqueletales asimétricos.
Las asimetrías maxilomandibulares muestran
diferencias en los planos oclusales.y la asimetría de
la mandíbula se acompaña también de un creci-
miento vertical asimétrico del maxilar superior que
se pone de manifiestoen la radiografía panorámica.
LA FOTOGRAFÍA EN ORTODONCIA
El uso de la fotografía es especialmente impor-
tante en la práctica clínica. No sólo es uno de los
elementos auxiliaresque intervienen en laelabora-
ción de un correcto diagnóstico, sino que además
permite monitorear la evolución del tratamiento y,
una vez finalizado, controlar la estabilidad de los
resultados, registrando posibles cambios en las
posiciones dentarias que pueden producirse como
consecuencia de una falta de estabilidad o por la
natural evolución con el tiempo del aparato esto-
matognático.
Más allá de estos fines clínicos, los registros
fotográficos son indispensables para la documenta-
ción legal del caso y para la creación de material
utilizado en publicaciones científicas o con fines
didácticos.
Es necesario contar con un equipamiento y
entrenamiento adecuados, que permitan imple-
mentar una rutina de baja complejidad, que no
requiera la destreza de un profesional en la mate-
ria.
La cámara
En la actualidad existen un sinnúmero de cáma-
ras aptas para el trabajo en ortodoncia. Las digita-
les presentan una serie de ventajas en relación a las
cámaras convencionales, que por otra parte están
prácticamente en desuso. Estas ventajas se pueden
resumir en:
• Las fotos pueden visualizarseen elmomento.
Esto permite eliminar las incorrectas y repe-
tir la toma sin tener que esperar alrevelado.
• Se pueden hacer infinidad de copias sin pér-
dida de calidad de la imagen original.
• Amplísima capacidad de almacenamiento
(esto depende de la tarjeta de memoriaadi-
cionada).
• La imagen digital es rápidamente llevada a la
computadora para ser utilizada enaplicacio-
nes informáticas, fichaje de pacientes, pro-
gramas de cefalometrías o interconsultas,
procesadores de texto, e-mail. etc.
• Permiten utilizar algún programa de retoque
fotográfico posibilitando la mejora de la cali-
dad de la imagen en los aspectos de brillo,
color, enfoque, contraste, ampliación, reduc-
ción, etc, pero cabe destacar en este punto
que esta edición de la fotografía no debe
prestarse al fraude.
• La fotografía digital es inalterable con el
tiempo ya que el formatodigital se basa en el
almacenamiento de la imagen mediante
pixeles que se mantendrán inmutables a lo
largo del tiempo.
• Las cámaras pueden grabar además peque-
ños clips de vídeo.
• Economía debida al bajo gasto en consumi-
bles (películas de fotografía, revelado) y aho-
rro de tiempo del profesional.
Funcionamiento de la cámara digital
El elemento principal común a todas estas
cámaras es un chip semiconductor sensible a la luz
llamado CCD (Charge Coupled Device dispositivo
de carga acoplada) o CMOS (Complementary
Metal Oxide Semiconductor). La película es susti-
tuida por este dispositivo sensor que después de fil-
trar los colores transforma la luz en una señal eléc-
trica y la almacena en la memoria de la cámara.
Estética facial 49
Cuantos más valores sea capaz de recibir este sen-
sor mejor será la calidad de las fotografías obteni-
das con la cámara.
El funcionamiento de una cámara de estas
características se basa en el siguiente proceso:
• Se activa la cámara, se ajusta el dispositivo
de resolución, el flash y los demás paráme-
tros. Se enfoca el objeto a fotografiar y se
pulsa el botón disparador
• La luz reflejada por el objeto entra a través
de la lente de la cámara.
• La luz incide sobre el sensor que contiene
múltiples elementos sensibles a la luz y la
descompone en rojo, verde y azul. La canti-
dad de luz reflejada se convierte en una señal
eléctrica analógica y se transfiere a la elec-
trónica de la cámara.
• Mediante el software interno de la cámara la
imagen obtenida se comprime y se almacena
sobre la memoria de tipo flash, PCMCIA,
disco duro o disquete.
• Por último, al conectar la cámara a la PC,
pueden transferirse las imágenes.
Elementos auxiliares
permitan visualizar mejor el campo a fotografiar
(Fig. 1.47 y 1.48). Existen para tal fin separadores
de tejidos blandos con diferentes formas y funcio-
nes, espejos, fondos de diversos colores que desta-
quen el objeto fotografiado. Para las tomas extrao-
rales, se puede recurrir a elementos accesorios que
sirven como referencias horizontales y verticales.
El más común es el uso de un hilo con una ploma-
da que constituye una referencia exacta de la verti-
cal, a partir de la cual se podrán determinar líneas
paralelas o perpendiculares a ella, de acuerdo al
estudio que se deba realizar.
Conjuntamente con la cámara fotográfica es
necesario utilizar algunos elementos auxiliares que
Fig. 1.47: Espejos bucales utilizados para la tomas late-
rales de boca (A y B) y para las fotos oclusales (C).
Fig. 1.48: Separadores de tejidos blandos. A: Para labios y carrillos, en las tomas de frente y laterales. B: Retractores
labiales para fotografíasoclusales.
50 Estudio clínico del paciente
Fig. 1.49: Serie básica de fotografías para ortodoncia.
Estética facial 51
Tipo de fotografías
La serie básica de fotografías está compuesta por
8 tomas: 3 extraorales y 5 intraorales (Fig. 1.49).
Serie básica:
Extrabucales:
• fotografía de la cara de frente en reposo,
• de frente en sonrisa
• del perfil derecho en reposo.
Intrabucales:
• frente, lateral derecha, lateral izquierda,
todas con dientes en contacto
• oclusal superior y oclusal inferior.
Existen además otras fotografías adicionales
que serán utilizadas en casos donde es necesario
realizar un estudio más profundo del paciente.
Éstas son:
Extrabucales:
• En pacientes con cierre bucal forzado, las
fotografías de frente y perfil se toman con
labios en reposo y en contacto (Fig. 1.50).
• En pacientes quirúrgicos, se toman además
fotografías de perfil en sonrisa y toda la serie
de tres cuartos de perfil, es decir con labios
en contacto, en reposo y en sonrisa (ver fig.
20.25, capítulo 20). El perfil en sonrisa puede
brindar información acerca de posibles retru-
siones del maxilar superior en casos de Clase
III, que no se manifiestan tan claramente con
labios en reposo (ver Fig. 1.43).
• Se debe registrar también la exposición del
incisivo superior, para lo cual se realiza una
toma con boca ligeramente entreabierta en
los casos en que el espacio interlabial es insu-
ficiente para poder visualizar dicha exposi-
ción (Fig. 1.55).
• En casos de asimetría: ambos perfiles, en
reposo y sonrisa; y toma axial superior e infe-
rior (ver Fig. 1.45).
Intrabucales:
• Imagen lateral o frontal inferior del overjet
(Fig. 1.52).
• De frente con boca entreabierta en los casos
de sobre mordida profunda para visualizarla
curva de Spee (Fig. 1.53).
• Laterales y overjet en RC, cuando exista una
diferencia clínica apreciable con la MIC (Fig.
1.54).
Fig. 1.50: Paciente con espacio interlabial aumentado: en la toma de frente, se registra con labios en contacto y en
reposo.
52 Estudio clínico del paciente
Fig. 1.51: Perfil de la paciente de la figura 1.50, también con cierre forzado y en reposo.
Fig. 1.52: Toma del overjet frontal y lateral.
Fig. 1.53: Paciente con sobremordida: Frente con boca cerrada y entreabierta.
"* "*-•' 'I'/í ' H , '' í
Fig. 1.54: Fotografías en RC y MIC, en un paciente con diferencias apreciables entre ambas posiciones.
Estética facial 53
Fig. 1.55: Para registrar la exposicióndel insicivo supe-
rior, resulta útil una toma con boca entreabierta.
Condiciones para las fotografías
Para todas las fotografías son importantes la
posición del paciente y del operador, este último
por la relación que tiene en la incidencia de la toma
la posición que guarda la cámara fotográfica en
relación al campo a fotografiar.
Alteraciones en alguna de ellas pueden inducir
a errores de interpretación y diagnóstico.
Tomas extraorales. Posición del pacien-
te y del operador.
Para la toma extraoral, la cabeza debe orientar-
se en posición natural y sin rotaciones en los tres
sentidos del espacio (ver Pag. 20, Fig. 1.3).
Para la fotografías de frente la cabeza debe posi-
cionarse con el plano bipupilar paralelo al piso y el
pelo recogido detrás de las orejas para poder con-
firmar que se observa la misma cantidad de hemi-
facie derecha e izquierda y sin inclinaciones hacia
arriba o hacia abajo (Fig. 1.57).
El operador debe ubicarse con la cámara per-
pendicular a la cara del paciente y a la altura de un
punto medio de la cabeza (Fig. 1.56 A).
Encuadre: 2 o 3 cm por fuera de las orejas y por
encima de la cabeza y unos 5 cm por debajo del
mentón, registrando hasta la base del cuello (Fig.
1.56 B).
Las fotografías de frente con boca entreabierta
y con sonrisa plena se toman en las mismas condi-
ciones.
Para las fotografías laterales, el perfil que se
registra habitualmente es el derecho, el izquierdo
puede utilizarse en casos de pacientes con severas
asimetrías. La cabeza debe estar en posición relaja-
Fig. 1.56: Fotografíade frente: Posición del operador y encuadre de la toma.
54 Estudio clínico del paciente
Fig. 1.57: Errores en la orientación de la cabeza para la toma frontal. A: Rotación que se manifiestaen la diferente
posición de las orejas. B: Lateroinclinación,donde el plano bipupilar pierde el paralelismocon el piso.
Fig. 1.58: Errores de la orientación de la cabeza para la toma lateral.A: Giro sobre el eje vertical. B y C: Giro sobre el
eje transversal.
da con la mirada fija en un punto lejano del hori-
zonte. Es fundamental para esta toma que la cabe-
za no tenga rotaciones a lo largo de un eje trans-
versal, es decir, que el paciente no esté mirando
hacia abajo o hacia arriba porque podría inducir a
errores en la valoración sagital del caso (Fig. 1.58).
Las posiciones de 3/4 perfil son posiciones inter-
medias de la cabeza del paciente entre la toma de
frente y la del perfil.
En todas las posiciones, cuando no haya con-
tacto labial en reposo, se realizarán dos tomas: con
labios en reposo y en contacto (esta imagen puede
ser útil para realizar morphings fotográficos ya que
estos softwares no trabajan bien cuando existe
espacio interlabial).
Para las fotografías axiales el paciente debe
estar reclinado en el sillón y el operador se ubica:
- por detrás del paciente con el lente por encima
de la cabeza para la toma axial superior
- por delante del paciente, con el lente por
debajo del mentón para la toma axial inferior (en
este caso el cuello del paciente deberá estar en
hiperextensión).
Estética facial 55
Tomas intraorales. Posición del pacien-
te y del operador.
Para las fotografías intraorales, el paciente se
reclina en el sillón dental y el operador se ubica
hacia la derecha o hacia la izquierda y, con ayuda
de su asistente, posiciona la cabeza para facilitar la
toma. Es necesaria la utilización de separadores de
tejidos blandos y espejos.
Para la fotografía de frente, el lente de la cáma-
ra se ubica paralelo al plano oclusal y de frente a
ambas arcadas de manera de representar la bisec-
triz del ángulo formado por la dirección general de
los procesos alveolares. De esta manera, el reborde
alveolar derecho se mostrará en la misma medida
que el izquierdo.
En la imagen, el plano oclusal debe dividir a la
fotografía en 2 partes iguales, una superior y otra
inferior, debe ser paralelo al borde inferior de la
fotografía y la línea media dentaria en la imagen
debe reflejar la misma desviación que presenta el
paciente en el examen de modelos.
El encuadre de la imagen en sentido lateral
debe permitir visualizar totalmente hasta el último
molar derecho e izquierdo y en sentido vertical,
hasta el fondo de surco superior e inferior.
Para las fotografías laterales, el lente de la
cámara debe estar a la altura del plano oclusal y la
incidencia debe ser lo más perpendicular posible a
la zona de premolares (Fig. 1.59). El plano oclusal
debe dividir la imagen en dos mitades iguales y
debe quedar ubicado paralelo al borde inferior de
la fotografía.
Un encuadre correcto requiere: en la parte ante-
rior, una distancia de aproximadamente 5 mm de la
cara vestibular de los incisivos al borde de la foto,
en la zona posterior debe registrar la clase molar.
En sentido vertical, debe abarcar hasta el fondo de
los surcos vestibulares superior e inferior.
En las fotografías de frente y laterales deben
utilizarse separadores como se muestra en la figura
1.48 y se pueden visualizar en boca en la serie de la
figura 1.49.
Para las fotografías oclusales, la incidencia de la
toma debe aproximarse lo máximo posible a la per-
pendicularidad con el plano oclusal y para lograrlo
es necesario utilizarespejos y separadores de tejidos.
El campo deberá comprender desde 2 o 3 mm
por delante de los incisivos hasta vestibular y distal
de los últimos molares embandados.
B
Fig. 1.59: Fotografía lateral de boca.
A: Incidencia correcta.
B: Una incidencia anterior varía la percepción de la rela-
ción interdentaria.
En las imágenes del overjet, ya sea fotografiado
de perfil o desde abajo, obtenemos información
acerca de la funcionalidadde la guía anterior.
En caso de incluir fotografías de los modelos
montados en articulador, éstas serán de similares
características a las intraorales.
CAPITULO 2
Examen bucodental
Comprende dos aspectosprincipales:
• Examen clínico
• Exámenes complementarios (radiografías,
modelos y fotografías intraorales)
Ambos están íntimamente relacionados porque
un completo examen clínico no puede prescindir de
los datos aportados por los diferentes tipos de
radiografías.
Los modelos, por su parte, complementan y
amplían este examen.
EXAMEN CLÍNICO
Se consideran tres áreas:
1.Examen de los tejidos blandos.
2. Examen periodontal.
3. Examen de la dentición.
Antes de iniciar el estudio del problema orto-
dóncico, el examen clínico deberá dirigirse a valo-
rar la salud de los tejidos duros y blandos.
No es propósito de este libro desarrollar los
innumerables temas referidos a las patologías en
estas tres áreas.
En los casos en que se detecten problemas pato-
lógicos de etiología local o general, éstos deberán
ser controlados antes del inicio del tratamiento por
los especialistas en las distintas disciplinasinvolu-
cradas.
Sólo nos referiremos en este capítulo a los
aspectos que tienen relación con la etiología del
problema ortodóncico.
Tejidos blandos
Labios
En este examen se evalúa el grado de flaccidez o
tensión, es decir, el tonismo del músculo orbicular de
los labios, su espesor, humedad o sequedad, color,
elasticidad, existencia de cicatrices o bridas yfisuras.
Mucosa bucal
Se examina para detectar modificaciones de
forma y volumen localizados, que pueden tener
relación con dientes retenidos o malposicionados.
Las sobremordidas profundas pueden provocar
impresiones o ulceraciones de los dientes inferio-
res en la mucosa palatina.
Un estudio profundo del espacio oro-faríngeo,
que comprenderá amígdalas, paladar blando y
úvula, deberá hacerse en casos de pacientes respi-
radores bucales o con trastornos funcionales en la
fonación y deglución. Este examen deberá estar a
Fig. 2.1. Diastemas producidos por frenillos con inserción
en la papila interincisiva.
A. Entre incisivos centrales superiores.
B. Entre incisivos centrales inferiores.
57
58 Estudio clínico del paciente
cargo del otorrinolaringólogo, y aportará datos de
valor para los tratamientos que sean necesarios, en
el área de la fonoaudiología o la ortodoncia.
Frenillos
El frenillo labial superior puede provocar un
diastema interincisivo cuando su inserción en la
papila incisiva es a nivel palatino (Fig. 2.1).
Los frenillos vestibulares inferiores tienen a
veces inserciones que traccionan la encía libre y la
adherida provocando retraccionesgingivales.
Estos casos requieren una intervención precoz
con cirugía periodontal para evitar lesiones muco-
gingivales mayores.
El frenillo lingual, cuando su inserción llega a la
punta de la lengua, limita sus movimientos. Estos
pacientes suelen presentar una lengua baja, disla-
lias y falta de estímulo en el maxilar superior.
Lengua
Debe considerarse su volumen, su forma, color,
posición y motilidad.
El diagnóstico de macroglosia, requiere un exa-
men más profundo que la sola observación de su
tamaño, porque deberá relacionar la posición y
motilidad de la lengua dentro de su continente
alvéolo dentario.
Indudablemente el aspecto más importante del
estudio clínico de la lengua es el funcional. Nos
referiremos a él en el capítulo 3.
Encías
Este tema será desarrollado a continuación en el
tópico examen periodontal.
Examen periodontal
La práctica de la Ortodoncia estuvo dirigida
durante años al tratamiento de pacientes en perío-
do de crecimiento o en sus estadios finales, por lo
que el especialista estaba habituado a trabajar en
un campo periodontalmente sano o con tejidos con
gran capacidad de regeneración.
En la actualidad, el número de pacientes adultos
ha mostrado un gran aumento. Hoy, el adulto soli-
cita el tratamiento ortodóncico por razones estéti-
cas que van desde pequeñas malformacionesden-
tarias hasta el tratamiento ortodóncico-quirúrgico,
por alteraciones funcionales más complejas con
compromiso de la dinámica mandibular,alteracio-
nes de las ATM o por indicación de otros especia-
listas para preparaciones pre-protéticas, etc.
Estos pacientes, con cierta frecuencia son porta-
dores de cuadros periodontales activos o tienen
alguna experiencia periodontal que modifica, con-
diciona y a veces impide la instalación de la apara-
tología ortodóncica.
Fig. 2.2: Gingivitis por mala higiene. Se observan las diferentes características (coloración, tamaño, textura,presencia
de placa, etc.) con respecto a encías sanas.
Examen bucodental 59
El tratamiento de ortodoncia tiene como carac-
terística principal el ser prolongado, lo que nos
obliga a mantener una constante atención sobre
este tipo de alteraciones.
Si bien el tratamiento en sí no aumenta la pre-
disposición para que se instale un cuadro periodon-
tal, algunos tipos de movimientosdentarios pueden
transformar la placa supragingivalen subgingivaly
esto puede causar una pérdida de inserción.
En ausencia de inflamación, las fuerzas orto-
dóncicas mantenidas dentro de límites fisiológicos
no inducen a una pérdida de inserción,pero ésta sí
podrá aparecer cuando exista un cuadro inflamato-
rio previo, aunque las fuerzas estén aplicadas den-
tro de rangos correctos.
Todo esto nos lleva a comprender que no podre-
mos colocar aparatos de ortodoncia en pacientes
con problemas periodontales activos.Toda terapia
mecánica sólo podrá ser iniciada cuando se ha eli-
minado la inflamación y logrado un alto grado de
higiene.
No es nuestro propósito profundizar en el diag-
nóstico periodontal y menos aún en la planificación
de estos tratamientos, ya que eso corresponde al
especialista; pero el ortodoncista debe saber anali-
zar las condiciones periodontales del paciente y
realizar un diagnóstico correcto que le permita
conocer si está ante un paciente sano o con un com-
promiso leve o si por el contrario éste padece una
patología periodontal más severa.
Ante la presencia de un problema periodontal
siempre se estima pertinente recurrir a la colabo-
ración de un periodoncista.
En el examen periodontal consideraremos:
a) Examen clínico
b) Examenradiográfico
c) Examen de laboratorio
a) Examen clínico periodontal
Comprende los siguientes aspectos:
• Evaluación de la higiene oral
• Profundidad de sondaje
• Nivel de inserción
Fig. 2.3: La profundidaddel surco aumenta por hipertro-
fia gingival o pérdida de inserción.
• Inserción de frenillos
• Evaluación de la movilidad dentaria
• Evaluación del sangrado
• Presencia de exudadoinflamatorio
Evaluación de la higiene oral
Cambios en la coloración así como en la textura
de la encía, la presencia de tártaro supra o sub-
gingival o depósitos de materia alba son fácil-
mente detectables clínicamente y orientan al
operador sobre los hábitos de higiene del
paciente (Fig. 2.2).
Otras veces, para poner de manifiestola presen-
cia de placa, se puede recurrir a soluciones reve-
ladoras como la fucsina o tinturas a base de fluo-
resceína, expuestas a la luzultravioleta.
Para el registro de la cantidad de placa bacteria-
na, se utilizan diferentes índices, como el de
O'Leary.
60 Estudio clínico del paciente
Estos registros tienen un gran valor diagnóstico
porque nos permiten evaluar los hábitos de
higiene de cada paciente, así como seleccionar
la metodología preventiva más adecuada para
eliminar la placa bacteriana y mantener el esta-
do de salud.
Profundidad de sondaje:
El aumento de la profundidad del surco gingi-
val, que origina la bolsa, puede ser causado por
hipertrofia gingival o por pérdida de inserción
(Fig.2.3).
Introduciendo una sonda milimetrada en el surco
gingival o bolsa periodontal se mide la distancia
desde el margen libre de la encía hasta donde
penetra el extremo de la sonda (Fig. 2.4 A).
Se habla de profundidad de sondaje y no de pro-
fundidad de bolsa ya que cuando los tejidos
están inflamados no ofrecen resistencia a la
sonda y ésta puede atravesar el fondo de la
bolsa. La profundidad real de ésta sólo puede
medirse por medio de un corte histológico.
Los resultados de las mediciones de profundi-
dad de sondaje sólo en raras situaciones (cuan-
do el margen libre de la encía coincide con el
límite amelocementario) dan información apro-
piada referente a la extensión de la pérdida de
inserción. Factores que pueden producir errores
en el sondaje:
- grosor de la sonda (sondas muy agudas sonmás
penetrantes),
- mala ubicación de la sonda debido a rasgos ana-
tómicos (aquellos dientes como los incisivos
ofrecen menos dificultad que otros),
- grado de infiltración celular (la sonda penetra
más en zonas de mayor inflamación),
- presión aplicada al instrumento durante el son-
deo. La presión indicada es de 20 gr. lo que lógi-
camente exige un cierto grado de entrenamien-
to. Para obviar esto, actualmente se encuentran
en el mercado sondas que al llegar a la presión
adecuada para la medición, avisan al operador
mediante un sonido.
- Nivel de inserción:
Según Lindhe los niveles de inserción pueden
ser evaluados mediante la sonda graduada y ex-
presados como la distancia en milímetros desde
el límite cementoadamantino hasta el fondo de
la bolsa gingival (Fig. 2.4 B).
Se registra la distancia mayor para cada superfi-
cie dentaria y se la incluye en la ficha periodon-
tal.
Este método de diagnóstico es muy importante
y proporciona datos acerca de la historia de la
lesión o evolución de la enfermedad.
Fig. 2.4. A: Profundidad de sondaje: Se mide desde el
margen libre de la encía hasta donde penetra el extremo
de la sonda.
Fig. 2.4 B: Nivel de inserción. Distancia entre el límite
cemento adamantino y el fondo de la bolsa gingival.
Examen bucodental 61
Inserción de frenillos:
La tracción de los labios y la separación de las
mejillas, permiten observar la actividad de los
frenillos labiales y vestibulares sobre la encía
libre, que en algunos casos puede provocar su
separación, abriendo el surco gingival.
La sola presencia de isquemia delata una hiper-
actividad muscular o una inserción alta que afec-
tará la integridad del periodonto vestibular.
Se observa esto con cierta frecuencia en el freni-
llo labial inferior, que puede provocar exposi-
ción radicular en algún incisivo. Otras veces el
frenillo lingual tracciona la encía por encima de
las apófisis geni, provocando isquemia y separa-
ción entre la encía libre y la superficie dentaria.
Estas maniobras, en algunos casos determinan la
necesidad de realizar una cirugía mucogingival.
Evaluación de la movilidad dentaria:
La pérdida continua de tejidos de sostén en la
enfermedad periodontal progresiva puede pro-
vocar un aumento en la movilidad dentaria.
Clinicamente, esta movilidad puede clasificarse
de la siguiente manera:
Grado O movilidad fisiológica,
Grado 1 movilidad en sentido vestibulolin-
gual,
Grado 2 movilidad en sentido vestibulolin-
gual y mesiodistal,
Grado 3 se suma a las anteriores la intrusión
Evaluación del sangrado:
Nos permite determinar siuna bolsa es activa o no.
Se introduce tres veces una sonda en el interior
de la bolsa. Con esta maniobra, se provocará el
sangrado de las bolsas activas.
Otra técnica utilizada es el paso repetido (tres
veces) de un palillo interdentario a través del
espacio proximal.
Presencia de exudado:
El exudado purulento está presente en la enfer-
medad periodontal activa y se detecta mediante
la presión digital sobre la superficie gingival.
Este signo y el del sangrado son los que mejor
reflejan la presencia de enfermedad periodontal
activa.
b) Examen radiográfico periodontal
El examen radiográfico es complementario al
estudio clínico. Nos informa sobre el nivel de la
cresta marginal, hueso interdentario, septum inter-
radicular, presencia de defectos óseos, compromiso
de la enfermedad, tipo y grado de ésta.
Esta información se obtiene mediante un set de
radiografías periapicales y bite wing. La radiografía
panorámica no es de utilidad porque no da detalles
precisos y está sujeta a distorsiones mayores.
1. Aplicaciones:
Las radiografías son muy útiles para determinar:
• el nivel óseo;
• tipo de pérdida ósea: horizontal y vertical,
localizada o generalizada;
• caries, cálculos, obturaciones desbordantes o
restauraciones protésicas con falta de ajuste;
• número y forma de las raíces;
• lesiones de furcación.
Actualmente, para ver el hueso se utiliza un
nuevo método: radiografías por sustracción digital
computarizada, que permiten ver una lesión antes
de que se haya perdido el 5% del material mineral.
2. Limitaciones de las radiografías en periodoncia:
• no permiten diferenciar una gingivitis de una
periodontitis;
• no son de ayuda para el diagnóstico precoz de
la enfermedad periodontal;
• las lesiones sólo se visualizan en la radiografía
cuando ya se ha perdido 40% del mineral del
hueso;
• en el 60% de los casos se pierden 4 mm de in-
serción antes de que esa pérdida aparezca en las
radiografías;
62 Estudio clínico del paciente
Fig. 2.5: Paciente con enfermedad periodontal
Fig. 2.6: La radiografía panorámica permite sólo una evaluación superficial del estado periodontal. Con las tomas peria-
picales se obtiene una mejor definición del problema.
Examen bucodental 63
• no se observa la movilidad;
• no se detecta enfermedad de las caras libres;
• no permiten distinguir entre un caso tratado o
no, muestran siempre un cuadro más leve que la
realidad clínica;
• no reflejan la diferencia entre cuadro activoy
pasivo.
c) Exámenes bacteriológicos
Se utilizan en casos de persistencia de la enfer-
medad a pesar del control de hábitos, de la elimi-
nación mecánica del cálculo subgingival y de la
remoción quirúrgica del tejido de granulación.
Examen de la dentición
En el examen de la dentición debemos distin-
guir dos aspectos:
Uno es el referido a las patologías que pueden
afectar a las piezas dentarias, y el otro es el estudio
que, con criterio ortodóncico, deberá contemplar:
• Número de piezas dentarias.
• Tamaño y forma.
• Posiciones (apiñamientos, giroversiones, vestí-
bulo o linguo versiones, posiciones ectópicas.etc.).
• Relaciones interoclusales de incisivos,caninos
y molares.
Este examen requiere la utilización de algunos
auxiliares de diagnóstico.
EXÁMENES COMPLEMENTARIOS
Radiografías
Panorámicas
La radiografía panorámica es un método de exa-
men auxiliar de suma utilidad en el diagnóstico clí-
nico para estudiar las variaciones en la topogénesis
y estructuras dentomaxilares y patologías de tejidos
duros y blandos.
En odontopediatría y ortodoncia esta técnica
aporta una valiosa información de los detalles mor-
fológicos y de la cronología del desarrollo de la
dentición y sustituyó a las tomas seriadas que en el
niño presentan una dificultad adicional.
Permiten una valoración global bastante satis-
factoria. Los detalles que no pueden ser observados
con precisión en ellas, se limitan a ciertas situacio-
nes y áreas que necesitarán el complemento de
otras tomas.
Es también útil para el estudio de la simetría,
comparando el lado derecho con el izquierdo. A
este respecto debemos señalar que las posibilidades
de distorsión son mayores en el sentido horizontal
que en el vertical, por la posibilidad de un giro de
la cabeza del paciente alrededor de su eje vertical.
Algunos autores aconsejan dividir laradiografía
panorámica en cinco zonas:
1- Nasomaxilar.
2- Mandibular.
3- ATM.
4- Dentición superior.
5- Dentición inferior.
1 - Nasomaxilar
Comprende la parte central y superior de la
radiografía. Se pueden visualizar en ella: arcos
cigomáticos, fosas pterigomaxilares, senos maxi-
lares, abertura piriforme, tabique y cornetes
nasales, paladar duro, paladar blando y espina
nasal anterior.
2 - Mandibular
Comprende el cuerpo y la rama mandibular, y
los tejidos que lo rodean. Se observa el contor-
no mandibular, ángulo goníaco y escotadura
antegonial, sínfisis, apófisis geni (importantes
para la determinación de la línea media mandi-
bular), orificios mentonianos, conductos denta-
rios inferiores. A veces se visualiza el hueso
hioides.
3 -ATM
Zona de la articulación, cóndilo mandibular,
cavidad glenoidea, apófisis coronoides, zona de
la tuberosidad maxilar.
En esta región se pueden apreciar alteraciones
morfológicas de los cóndilos. Es importante
recordar que una rotación de la cabeza del
paciente alrededor de su eje vertical puede oca-
sionar distorsiones en sentido horizontal que no
deben atribuirse a malformacionesestructurales.
64 Estudio clínico del paciente
La panorámica no es adecuada para el análisis
de las disfunciones temporomandibulares ni
para el estudio de las relaciones entre cóndilo y
cavidad glenoidea.
4- Dentición superior
5- Dentición inferior
En estas dos zonas estudiamos:
• el estado de desarrollo de la dentición,
• presencia de supernumerarios,
• agenesias,
• posiciones preeruptivas,
• transposiciones y posiciones ectópicas,
• dientes retenidos,
• quistes foliculares,
• malformaciones coronarias de los gérmenes,
• dirección axial de los dientes,
• anatomía radicular (dilaceraciones),
• anquilosis,
• presencia de caries y estado de las restaura-
ciones existentes,
• naturaleza de algunas desviaciones de línea
media.
La panorámica también brinda unainformación
superficial concerniente al estado periodontal.
Todos estos factores tienen gravitación en la
oportunidad y planificación del tratamiento.
Estas radiografías constituyen también una
herramienta para el control de las posiciones radi-
culares obtenidas con el tratamiento ortodóncico.
Fig. 2.7: Trasposición de incisivo lateral inferior izquierdo, que erupcionó pordistal del canino primario. En la radiografía
panorámica se observa la ubicación del canino permanente por mesial del incisivo lateral.
Examen bucodental 65
Fig. 2.8. A: La observación de la forma y dirección radicular es imprescindible antes de la colocación de la aparatología
en boca. En casos de dilaceraciones, la anatomía coronaria no podrá ser la referencia para la ubicación del bracket, ya
que provocaría una posición radicular muy comprometida para ese diente y los vecinos. En la panorámica se observa
una marcada dilaceración en el segundo premolar inferior izquierdo, presentando una dirección vertical de su corona clí-
nica que no deberá ser modificada.
Fig. 2.8 B: En una preparación anatómica puede obser-
varse una marcada dilaceración en un canino inferior.
,r*~,m *
Fig. 2.8 C: En dentición mixta, la radiografía panorámica es de utilidad en la planificación del tratamiento por los datos
que aporta sobre presencia y estado de desarrollo de los gérmenes. En este caso, se observan agenesias de segundos
premolares inferiores.
66 Estudio clínico del paciente
Periapicales
Si bien el campo de evaluación es más restringi-
do, estas radiografías dan la misma información
que las anteriores, agregando mayor definición
para la evaluación radiográfica periodontal y tam-
bién para el estudio del estado radicular, y la inte-
gridad de los tejidos dentarios.
Como se verá más adelante, están indicadas
para la técnica radiográfica de localización de dien-
tes retenidos y en la técnica de Huckaba para la
predicción individualizada del espacio libre de
Nance.
Oclusales
Su uso es limitado; complementan a las anterio-
res en la localización de los dientes retenidos y se
indican también para la observación de la sutura
media palatina.
Localización radiográfica
de caninos retenidos
La retención de caninos puede ser profunda
(intraósea) o superficial(subgingival).
También puede ser uni o bilateral y consideran-
do la posición en relación al reborde alveolar, pala-
tina o vestibular.
El diagnósticorequiere la inspección, palpación
y el examen radiográfico.
Inspección
Mediante ella visualizamos la ausencia del canino
permanente en la arcada que puede acompañarse
con la persistencia o no del homólogo temporario.
En ocasiones se visualiza además una elevación o
relieve en el paladar o en la zona vestibular (Fig.2.9).
Palpación
Por medio de ella se investiga la consistencia de
esa elevación. En el caso de corresponder a la
retención dentaria, su consistencia es dura. Por el
contrario, una consistencia fluctuante puede indi-
car un proceso infeccioso o quístico.
Examen radiográfico
Mediante las radiografías panorámicas, oclusa-
les y periapicales, se obtendrán datos acerca de:
• Posición del canino retenido en sentido ante-
roposterior o vertical.
• Ubicación de la corona.
• Presencia de sacopericoronario.
• Relacionescon órganos y dientes vecinos.
• Existenciade procesos quísticos. óseos, peri-
coronarios. etc.
Es muy importante verificar radiográficamente
la posición en sentido vestíbulo-palatino del canino
retenido con el fin de planificar la vía de abordaje.
Se utilizapara ello la radiografía oclusal y lastomas
periapicales con distinta incidencia del rayo,aplicando
la "ley del objeto bucal" (Ley de Ennisy Bern. 1959).
.2.9. A: Relieve palatino en el sector izquierdo producido por una retención de
sos por vestibular correspondientes a caninos retenidos en ambas hemiarcadas
Examen bucodental 67
La toma oclusal se realiza sosteniendo la pelícu-
la entre los dientes en oclusión debiendo conservar
una posición horizontal.
La incidencia del rayo debe ser paralela al eje
mayor de los incisivos para lo cual, el cono del apa-
rato radiográfico se coloca sobre la cabeza del
paciente a nivel del hueso frontal, 2 a 3 mm por
encima de la glabela.
Con esta incidencia los incisivos aparecen como
si hubieran sido cortados en su ecuador, es decir, de
forma elíptica, no visualizándose la proyección de
sus raíces.
El diente retenido aparece hacia vestibular o
palatino de los dientes del sector anterior.
En general los caninos en posición horizontal se
encuentran en palatino.
En vestibular la conformación anatómica de
esta región del maxilar superior entre el incisivo
lateral y el primer premolar no permite la retención
de un canino horizontal, por ello las retenciones
vestibulares se presentan generalmente en posición
vertical. Esto es de cierta ayuda para un diagnósti-
co inicial.
Cuando la incidencia del rayo para la toma oclu-
sal se hace a nivel de los huesos nasales, o bien su
dirección no es correcta, puede aparecer una ima-
gen que no se ajusta a la realidad. Por ejemplo, en
algunos casos en que el canino retenido está en ves-
tibular, su imagen puede aparecer en la región
palatina.
Por lo tanto, no es aconsejable el uso de una
radiografía oclusal solamente.
La localización es mucho más exacta con el méto-
do de las tres películas periapicales (anterior, media y
posterior), aplicando la ley del objeto bucal.
Por un principio de óptica aplicado a la toma
radiográfica, si se colocan dos objetos sobre un
mismo plano y se proyecta un haz de rayos sobre
una película, se obtiene una imagen en la que
ambos cuerpos se superponen.
Sin modificar la posición de la película y de los
objetos, si se desplaza la fuente de rayos hacia ade-
lante, los objetos ya no aparecerán superpuestos,
sino movilizados en el sentido del rayo emitido
pero con las siguientes diferencias:
• el objeto más próximo al aparato se desplaza
en mayor grado en sentido contrario al que se
desplazó la fuente;
• el objeto más alejado de la fuente, o sea el
más cercano a la película, se desplaza en el
mismo sentido pero en menor grado;
• relacionando ambos objetos entre sí, al dejar
de superponerse podemos decir que se han des-
plazado. El que se desplaza hacia el lado contra-
rio al movimiento de la fuente está más próximo
a ella. El que se desplaza hacia el mismo lado
está más alejado de la fuente.
En el estudio de la posición vestíbulo-palatina
del canino retenido, este principio óptico se aplica
de la siguiente manera:
Los dos objetos a comparar son:
• raíz de dientes próximos al canino (incisivo
lateral, generalmente),
• canino retenido.
La película se coloca por palatino, y la fuente de
rayos incide desde vestibular.
Si la retención es palatina (Figs. 2.10 A y 2.11 A)
el canino se desplaza en la imagen radiográfica
hacia el mismo lado que la fuente de rayos. Esto
puede comprobarse comparando su posición con
respecto al incisivo lateral:
• En la toma anterior aparece mesializado.
• En la posterior, con una ubicación más distal.
Cuando la retención es vestibular, es a la inver-
sa (Fig. 2.10 B).
El canino es el objeto próximo a la fuente de
rayos y se desplazará, con respecto de la raíz del
lateral, en el sentido contrario al que se despla-
zó la fuente de rayos.
Caninos inferiores
La retención de caninos inferiores es menos fre-
cuente que la de los superiores.
Dada la diferente topografía del terreno su loca-
lización es más simple.
La palpación complementada con un examen
radiográfico, con panorámica y oclusal, general-
mente es suficiente para un correcto diagnóstico
(Fig. 2.11 B).
68 Estudio clínico del paciente
Fig. 2 10 A: Canino retenido en la zona palatina. Se observa en las tres películas que el movimiento del canino con res-
pecto a los dientes vecinos es en la misma dirección del desplazamiento de la fuente de rayos.
B
Fig. 2.10 B: Localización de caninos retenidos. Comparando las tres tromas se observa un desplazamiento del canino
en sentido contrario al de la fuente de rayos. Esto indica una retención vestibular.
Examen bucodental 69
Fig. 2.11 A: Retención del canino superior derecho. Las radiografías panorámica y oclusal no definen su ubicación en sen-
tido vestíbulo-palatina. En las tres radiografías periapicales se observa que el canino se desplaza hacia adelante en la
toma anterior y hacia atrás en la posterior, es decir, en la misma dirección que la fuente de rayos, lo que confirma su ubi-
cación por palatino.
Fig. 2.11 B: Retención de canino inferior. La toma
de dos radiografías, panorámica y oclusal inferior,
define su ubicación con exactitud. La radiografía
periapical es sólo un complemento.
70 Estudio clínico del paciente
Fig. 2.12: Tomografía helicoidal de maxilar superior
en un caso de canino superior retenido. Cortes en los
planos oblicuo, panorámico y 3D. Mediante las imá-
genes se diagnostica una posición que compromete
vestibular y palatino. La pieza retenida atraviesa el
reborde alveolar por mesial del primer premolar,
estando su corona por palatino de los incisivos supe-
riores y el ápice por vestibular, a la altura del premo-
lar. En su trayecto no afectó la integridad de las
piezas vecinas.
Examen bucodental 71
Utilización de Tomografía Computada
en el diagnóstico de caninos retenidos
Los métodos mencionados anteriormente para
la localización de caninos, si bien pueden ubicarlo
con bastante certeza, no siempre logran diagnosti-
car si existe daño en las raíces que se relacionan con
el diente retenido.
El diente que sufre reabsorción radicular con
mayor frecuencia es el incisivo lateral; el incisivo
central y los premolares también suelen estar afec-
tados , dependiendo de la posición del canino rete-
nido. Si la reabsorción involucra la parte apical
completa, o las caras proximales de la raíz, será visi-
ble en las radiografías de rutina, periapicales y
panorámica. La radiografía oclusal generalmente
no aporta datos en este aspecto. Pero en algunos
casos, cuando la incidencia de la pieza retenida
afecta solamente la cara palatina o vestibular de la
raíz, pueden existir reabsorciones que no son perci-
bidas en las tomas radiogáficas mencionadas. En
estos casos, el estudio podrá ser profundizado con
la tomografía axial computada que en los cortes
horizontales muestra la relación que se establece
entre el diente retenido y las raíces contiguas, cual-
quiera sea la relación espacial que se establezca
entre ellas, pudiendo así ser evaluadas (Fig. 2.13).
Este estudio será útil en todos los casos en que
se observe contacto del diente retenido con raíces
próximas, en los casos donde ya se observa reab-
sorción, para evaluar mejor el grado de compromi-
so, y en los casos donde no se observa, para descar-
tar totalmente la lesión. Además define con gran
exactitud la posición del canino, aunque general-
mente no sea éste el motivo de su prescripción.
La tomografía computada helicoidal amplía las
posibilidades de visualizaciónde dientes retenidos,
y con el complemento de procesador de imágenes
en estación de trabajo independiente se logran imá-
genes de 3D de alta resolución (Fig. 2.12).
Fig. 2.13: Retención de ambos caninos superiores.
Imágenes de la radiografía panorámica y de los cortes de
la TAC, donde se visualiza el compromiso de las raíces
próximas.
72 Estudio clínico del paciente
n
ANÁLISIS
TRANSVERSAL
ESTUDIO
DE
MODELOS
ARTICULADOS h
ANÁLISIS
SAGITAL
ANÁLISIS
VERTICAL
— INDIVIDUALES
ESTUDIO
DE LONGITUD
DE ARCADA
ÍNDICE
DE BOLTOh
SEIS LLAVES
DÉLA
OCLUSIÓN
DE
ANDREWS
Examen bucodental 73
ANÁLISIS DE LAS ARCADAS DENTA-
RIAS
El estudio de las arcadas dentarias con un crite-
rio ortodóncico, involucra varios aspectos del diag-
nóstico:
-Evaluación clínica, mediante la observación de
la boca del paciente o las fotografías
-Estudio de los modelos montados en articula-
dor.
A su vez en ambos se considera cada arcada
independientemente o en la relación oclusal.
En este capítulo se describirá el estudio de las
arcadas en los tres planos del espacio: transversal,
anteroposterior o sagital, y vertical, que permite
conformar una base de datos indispensable para el
proceso de planificación.
Para la descripción de la relación interoclusal,
los datos que aporta el estudio clínico son limita-
dos, por lo que debemos recurrir al análisis de los
modelos montados en articulador en RC, porque, si
bien clínicamente se puede observar la oclusión en
RC cuando el paciente está debidamente despro-
gramado, es muy difícil que éste se pueda abstraer
del comportamiento neuromuscular habitual que lo
conduce a la posición de máxima intercuspidación,
lo cual dificulta un estudio minucioso. Por otra
parte, la visualización desde distintos ángulos que
permite estudiar en profundidad el problema, es
imposible clínicamente.
Para el abordaje de este tema, remitimos al lec-
tor al capítulo 7 referido al análisis de los modelos
montados en articulador.
A- Análisis transversal:
El plano de referencia utilizado para la determi-
nación de las desviaciones transversales (com-
presiones uni o bilaterales de las arcadas, sime-
tría, mordidas cruzadas laterales) es el plano
medio sagital.
B- Análisis anteroposterior o sagital:
El análisis de los problemas sagitales (overjet,
relación canina y molar y las posiciones denta-
rias en sentido mesiodistal de los sectores late-
rales) toma como plano de referencia el plano
transversal.
sentido vertical (overbite o sobremordida, infra
o supra erupción de uno o de un grupo de dien-
tes), se utiliza el plano oclusal, al que se lo con-
sidera como plano horizontal.
Análisis transversal de las arcadas den-
tarias
Se utiliza como referencia el plano medio sagital
para evaluar: (Fig. 2.14)
1. La coincidencia o no de la línea media denta-
ria con línea media del maxilar superior o mandi-
bular.
2. La simetría transversal de ambas arcadas.
3. La relación transversal interarcadas.
Las líneas medias del maxilar y la mandíbula
son una referencia para el estudio de las líneas
medias dentarias, que se definen como el punto de
contacto mesial de los incisivos centrales (Fig.
2.15).
Estos dientes pueden sufrir migraciones que
desplazan la línea media. Debe hacerse un análisis
intramaxilar de cada una de ellas para luego rela-
cionarlas entre sí.
1. En el maxilar superior la línea media está repre-
C- Análisis vertical:
Para el estudio de las posiciones dentarias en
Fig. 2.14: El análisis transversal utiliza el plano medio
sagital como referencia.
74 Estudio clínico del paciente
sentada por el rafe palatino. Se toma en consi-
deración su parte posterior porque no está
influenciada por desviaciones dentarias que
pueden desplazarlo lateralmente.
La determinación de la línea media mandibular
ofrece más dificultad.Se ubica en el sector ante-
rior en el punto de inserción del frenillo lingual
y en la parte posterior, en los pacientes simétri-
cos, corresponde a la proyección vertical del
plano del rafe.
Esta localización de la línea media inferior es
más exacta si se realiza con los modelos monta-
dos en articulador, reproduciendo la relación
céntrica del paciente, de modo que la mandíbu-
la esté correctamente centrada.
Para corroborar este estudio en los modelos, se
Fig. 2.15: Falta de coincidencia de líneas medias denta-
rias superior e inferior. A: Desviación de línea media den-
taria superior, que se corrobora con la observación por
palatino. B: Caso de desviaciónde línea mediadentaria
inferior.
Examen bucodental 75
recurre a las radiografías panorámicas y telerra-
diografías frontales, en las que la línea media del
maxilar está representada por el plano que pasa
por la espina nasal anterior (plano medio sagi-
tal). En la mandíbula, la referencia central está
dada por las apófisis geni.
La integración de los datos obtenidos en los exá-
menes clínico, radiográfico y de los modelos nos
permitirá determinar con precisión las desvia-
ciones de línea media.
2. Con las líneas medias de los maxilares como
referencia se pueden medir la simetría transver-
sal de la arcada, frecuentemente alterada en
casos de mordidas cruzadas uni o bilaterales.
Para estas mediciones se utilizan reglas milime-
tradas comunes y compás de punta seca o un
simetroscopio, que consiste en una placa de
material transparente que lleva impreso un reti-
culado milimetrado. Se coloca sobre las superfi-
cies oclusales de los modelos centrado en la
línea media, facilitando la observación del com-
portamiento transversal de una y otra hemiar-
cada.
3. La relación transversal entre ambas arcadas
puede establecerse en forma: (Fig. 2.16)
• normal
• mordida cruzada
• mordida en tijera
Estas anomalías pueden ser uni o bilaterales y a
su vez afectar una o varias piezas de cada sector.
Para su evaluación es indispensable el estudio de
los modelos en posición de oclusión habitual y
en posición de relación céntrica, para lo cual se
recurre al montaje en articulador. Éste permite
observar las variaciones en la relación transver-
sal intermaxilar entre una posición y otra, como
por ejemplo en las mordidas cruzadas unilatera-
les causadas por desviaciones funcionales de la
B
Fig. 2.16: Relación transversal interarcadas: A: Normal, B: Mordida cruzada, C: Mordida en tijera.
76 Estudio clínico del paciente
mandíbula, que se manifiestan sólo en la oclu-
sión habitual.Al reposicionarse la mandíbula en
céntrica esta relación se modifica y adopta una
posición cúspide a cúspide de ambos lados.
En los casos de una alteración de la relación
interoclusal transversal, se estudiarán los tor-
ques de los sectores laterales y el comporta-
miento de las básales óseas de dichas zonas,
para poder diferenciar si la anomalía es de natu-
raleza dentaria (por alteración de los torques) o
esqueletal.
En casos de asimetrías esqueletales, se realizará
esta observación aún cuando no exista una mor-
dida cruzada o en tijera, dado que pueden exis-
tir torques compensatorios que impiden que se
exprese en la oclusión la discrepancia transver-
sal de las básales.
Un complemento importante del estudio clínico
y de los modelos en sentido transversal, lo cons-
tituyen las radiografías frontales.
Fig. 2.17. Análisis sagital: utiliza como referencia el plano
transversal.
Análisis sagital de las arcadas
La referencia utilizada para este estudio es el
plano transversal (Fig. 2.17).
Para la descripción de la relación anteroposte-
rior entre arcadas superior e inferior se utiliza la
clasificación de Angle: Clase I, II y III, y se la con-
sidera a nivel molar y canino.
Además, se analiza el overjet o resalte incisivo.
Relación molar:
Clase I: la cúspide mesiobucal del 1er molar
superior ocluye en el surco bucal del 1er
molar inferior (Fig. 2.18 A).
Clase II: el surco vestibular del 1er molar
inferior está en posición distal con respecto
a la cúspide mesiovestibular del 1er molar
superior.
Dentro de la Clase II se distinguen dos
variedades:
Clase II, División 1:
Cuando los incisivos superiores están pro-
truidos, con overjet aumentado (Fig. 2.18
B).
B
Fig. 2.18: A: Clase I molar y canina. B: Clase II división
primera. C: Clase II división segunda.
Examen bucodental 11
Clase II, División 2:
Cuando los incisivos centrales superiores
tienen una posición de retroinclinación
coronaria, con los incisivos laterales en ves-
tibuloversión (Fig. 2.18 C). Son casos con
overjet disminuido y sobremordida profun-
da en el sector anterior.
Según la magnitud de la anomalía, se la cla-
sifica en:
Clase II completa:
Cuando la cúspide mesiovestibular superior
ocluye en el espacio interdentario entre el
1er molar inferior y el diente que le antece-
de.
Clase II incompleta:
Cuando existe una relación cúspide a cúspi-
de en el sentido sagital, por lo que las caras
mesiales de ambos primeros molares (supe-
rior e inferior) están en un mismo plano.
Estas Clases II en general son debidas a
rotaciones mesiales de los primeros molares
superiores (Fig. 2.19 y 2.20).
Cuando la Clase II molar se observa unila-
teralmente se habla de Clase II subdivisión
(derecha o izquierda).
B
Fig. 2.19: Clase II incompleta. A: Se observa por vestibu-
lar una relación cúspide a cúspide. B: Por palatino la rela-
ción es de Clase I (cúspide palatina superior en fosa
central inferior).
Fig. 2.20: La foto oclusal muestra la rotación mesial de los
primeros molares superiores. Cuando la proyección de
una línea que une las cúspides distovestibular y mesiopa-
latina del primer molar superior cae por distal del canino
del lado opuesto, dicho molar se encuentra en posición de
mesiorrotación.
78 Estudio clínico del paciente
Clase III: Son aquellas en las que el surco
vestibular del primer molar inferior está
ubicado por mesial de la cúspide mesioves-
tibular del primer molar superior. En el
caso de ser unilateral, también se la deno-
mina subdivisión (Fig. 2.21).
Relación canina:
Clase I: El canino superior se sitúa por
detrás del inferior quedando sus cúspides a
una distancia de 3 mm (Fig. 2.18 A).
Clase II: Esta distancia es menor o bien el
canino superior está ubicado por delante
del inferior (Fig. 2.18 B y C).
Clase III: Cuando la cúspide del canino
superior está a más de 3 mm por detrás de
la cúspide del inferior (Fig. 2.21).
Overjet o resalte incisivo
Es la distancia entre la cara labial del incisivo
central inferior y el borde incisal del incisivo supe-
rior, medida en dirección paralela al plano oclusal.
Es positivo cuando el incisivo superior se halla
delante del inferior. Cuando las caras vestibulares
Fig. 2.21: Clase III, molar y canina.
de ambos dientes están en un mismo plano, se con-
sidera overjet O,es negativo en las mordidas inver-
tidas anteriores.
La norma es de +2 mm (Fig. 2.22).
El resalte incisivo se observa en los exámenes
clínicos, cefalométrico y en el de los modelos.
Fig. 2.22: A: Overjet normal. B: Overjet aumentado. C: Overjet negativo.
Examen bucodental 79
Su alteración puede deberse a múltiples factores:
• Relación molar: la relación molar de Clase II o
Clase III, con dientes totalmente alineados y de
tamaños armónicos, producirán un overjet
aumentado o negativo respectivamente.
• Presencia de apiñamientos y/o diastemas: Aún
con una relación molar de Clase I la presencia
de apiñamientos inferiores y/o diastemas supe-
riores provocan un aumento del overjet. Lo
inverso, es decir apiñamientos superiores y dias-
temas inferiores, favorecen un resalte negativo.
• Tamaño dentario: La macrodoncia de un sector
incisivo tiene un efecto directo en la alteración
del overjet.
• Rotaciones en dientes del sector lateral: Cuando
los dientes del sector lateral están rotados, ocu-
pan un espacio mayor en la arcada, provocando
desplazamientos del sector incisivo en sentido
anterior.
Muchas veces la alteración del overjet es un pro-
blema multifactorial, por lo que la elaboración de
un diagnóstico diferencial requerirá, como ya se ha
dicho, el estudio cefalométrico que aportará datos
precisos en lo referente a torque incisivo, anomalí-
as horizontales, verticales y dentoesqueletales que
pueden ser causa de alteración en el resalte incisi-
vo.
Análisis vertical de las arcadas dentarias
En este análisis el plano de referencia utilizado
es el horizontal que corresponde al plano oclusal
(Fig. 2.23).
Overbite o sobremordida
Es la distancia en sentido vertical entre los bor-
des incisales de los incisivos centrales superior e
inferior.
Se proyecta el borde incisal superior sobre la
cara vestibular del inferior en forma paralela al
plano oclusal y se mide la distancia desde esta
marca al borde incisal del incisivo inferior.
Se considera positivo cuando el borde incisal del
superior está por debajo del inferior. En los casos
de mordida abierta los valores son negativos. La
norma es de + 2,5 a 3 mm y presenta variaciones de
acuerdo con las inclinaciones de las vertientes cus-
pídeas de los sectores posteriores y la guía condílea
con las cuales debe armonizar. Desde un punto de
vista funcional, el overbite normal para un caso
dado, es aquel que permita la desoclusión de los
premolares y molares cuando los incisivos realicen
un movimiento protrusivo.
La magnitud del overbite está en relación a las
características de la curva de Spee (Fig. 2.24). Ésta
se mide en el modelo inferior. Su profundidad es la
distancia desde un plano que va desde la cúspide
distovestibular del segundo molar al borde incisal
del incisivo, hasta la parte más profunda de la línea
curva descrita por las cúspides vestibulares de los
premolares y molares. Cuando esta curva es plana
existe un overbite normal. Las curvas profundas
están indicando una supraerupción incisiva y pro-
ducen un entrecruzamiento excesivo. Las inverti-
das se presentan en las mordidas abiertas.
La evaluación vertical visual del modelo supe-
rior puede hacerse mediante un plano que pase por
las cúspides vestibulares de premolares y primeros
molares, que en condiciones normales pasa tam-
bién por los bordes incisales de los incisivos supe-
riores. Se puede evaluar así, la supra o infraerup-
ción de los sectores anteriores.
Fig 2.23: Análisis vertical: utiliza como referencia el
plano horizontal.
80 Estudio clínico del paciente
Fig. 2.24: Las características de la curva de Spee definen el overbite. A: Overbite normal. Curva de Spee casi plana. B:
Ovrbite aumentado. Hay profundización de ambas curvas. C: Overbite negativo. Las curvas de Spee están invertidas.
Examen bucodental 81
Las seis llaves de la oclusión normal de
Andrews
Analizar un caso clínico implica hacer un estu-
dio comparativo entre las condiciones que presenta
ese paciente con los parámetros considerados nor-
males.
En este capítulo se incluyen los conceptos de
Andrews sobre la oclusión normal, por dos razo-
nes:
1. Porque están basados en análisis de modelos
sobre los que este autor formuló nuevos con-
ceptos para definir una oclusión óptima.
2. Comparando los modelos del paciente con estos
parámetros se podrán valorar fácilmente las
condiciones del caso y con ello realizar un diag-
nóstico más exacto.
En el trabajo titulado "Seis claves para la oclu-
sión normal", Andrews describe los seis factores
que consideró comunes a ciento veinte oclusiones
normales no tratadas ortodóncicamente. Eran
modelos pertenecientes a pacientes con oclusiones
perfectas desde el punto de vista anatómico y fun-
cional que no podían ser mejoradas con terapia
ortodóncica.
Estas características comunes se refieren a:
1. Relación molar.
2. Angulación o tip de la corona (mesiodistal).
3. Inclinación coronaria o torque (labiolingual).
4. Rotaciones.
5. Espacios o diastemas.
6. Plano oclusal (curva de Spee).
Es necesario antes de desarrollar las "Seis llaves
de la oclusión normal", hacer referencia a la termi-
nología que se menciona en ellas:
Plano de Andrews:
Es un plano que divide las coronas de los
dientes en oclusión normal a la altura de sus puntos
EM, o en el caso de un diente aislado, separa la
porción oclusal de la gingival a la altura de EM
(Fig.2.25).
EMMC
EM
Fig. 2.25: Plano deAndrews.
Corona clínica
Corona clínica de un diente es la cantidad de
corona visible intraoralmente o en modelos de
estudio. En las llaves de Andrews, este concepto se
aplica para la dentición mixta tardía o la perma-
nente (es decir, cuando los dientes se encuentran
erupcionados en su totalidad), y donde el estado
gingival es saludable.
En caso de existir recesiones o hipertrofias gin-
givales, se deberá considerar, siguiendo el criterio
de Orban, que la longitud de la corona clínica es1,8
mm menos que la longitud de la corona anatómica.
82 Estudio clínico del paciente
Eje mayor de ¡a corona clínica:
EMCC (llamado por Andrews FACC: facial
axis of the clinical crown).
En todos los dientes, es la porción más promi-
nente del lóbulo central de cada cara vestibular con
excepción de los molares, en los que sigue el surco
que separa las cúspides vestibulares.
Este eje puede ser determinado apoyando de
lado la mina de un lápiz desde gingivalhasta incisal
u oclusal, y se visualiza en cada corona como una
línea recta.
Punto EM:
Punto medio del eje mayor de la corona clínica
(Fig. 2.26).
Fig. 2.26: Eje mayor de la corona clínica (EMCC) y
punto EM.
Llave 1:
RELACIÓN MOLAR
• La cúspide mesiovestibular del primer molar
superior ocluye en el surco entre las cúspides
vestibulares mesial y media del primer molar
inferior.
• La cúspide mesiopalatina del primer molar supe-
rior asienta en la fosa central del primer molar
inferior.
La corona del primer molar superior debe tener
una inclinación de manera que la vertiente dis-
tal del reborde marginal distal ocluya sobre la
vertiente mesial del reborde marginal mesial del
segundo molar inferior.
B
Fig. 2.27: La relación molar descrita por Andrews requie-
re que el molar superior presente un mayor grado de
inclinación (Fig. D)
Examen bucodental 83
El primer punto de esta definición se ajusta a la
definición de Clase I de Angle.
Los dos restantes se refieren a dos aspectos que no
sólo definen una correcta relación entre ellos,
sino que además posibilitan la interdigitación
normal de los dientes ubicados hacia mesial,
hasta el canino (Fig. 2.27 D).
En la figura 2.27 A, B y C se observa que la falta de
una inclinación adecuada del molar provoca una
alteración de la relación de Clase I canina que
será mayor cuanto más vertical sea la posición
del molar.
Llave 2:
ANGULACIÓN MESIODISTAL DE LAS CORONAS (TIP)
• La porción gingival del eje mayor de la corona
clínica debe estar ubicada en una posición más
distal que la porción oclusal (Fig. 2.28).
En la figura 2.29 se observan los distintos grados
de inclinación de las coronas dentarias.
PL. ANDREWS
Fig. 2.28: La inclinación coronaria se mide entre el eje
mayor de la corona clínica (EMCC) y una perpendicular al
plano de Andrews que pasa por el punto EM (punto medio
del eje mayor de la corona clínica).
Fig. 2.29: Valores de angulación de cada una de las piezas dentarias.
84 Estudio clínico del paciente
B
PL. ANDREWS
Fig. 2.30: A: La inclinación coronaria adecuada requiere
un espacio mesiodistal mayor. B: Se observa el canino
en posición vertical.
Fig. 2.31: El torque coronario está medido en grados entre
una perpendicular al plano de Andrews que pasa por el
punto EM y una tangente a la cara vestibular del diente
que, pasando por el mismo punto, tiene sus extremos a
igual distancia de la posición incisal y gingival de la coro-
na.
Llave 3:
INCLINACIÓN LABIOLINGUAL DE LAS CORONAS
(TORQUE)
• La tangente que pasa por el centro del eje mayor
de las coronas clínicas de los incisivos centrales
y laterales superiores tiene una inclinación
desde gingival y palatino hacia incisal y vestibu-
lar (torque positivo).
• En los restantes dientes del maxilar superior yen
todos los del maxilar inferior, la dirección de
esta tangente es desde vestibular y gingival
hacia incisal (u oclusal) y lingual. Esto es deno-
minado torque negativo.
Fig. 2.32: Diferencias entre las mediciones de torque
coronario y de torque dentario en una misma pieza den-
taria.
Examen bucodental 85
_ 70 _ 70 _ 70 , 3 0 , 7 0
-9°
-35 -22° -17° -11° -1
Fig. 2.33: Valores de torque coronario para cada una de las piezas dentarias. Los incisivos centrales y laterales superio-
res son los únicos que poseen torque positivo.
Fig. 2.34: Influencia del torque en la relación interocusal.
A: Torque normal. B: Ante una falta de torque en el sec-
tor anterior se pueden producir diastemas. C: La falta de
torque origina una relación de Clase II.
86 Estudio clínico del paciente
Fig. 2.35: Inclinación y torque adecuados. Obsérvese el torque negativo progresivo de los sectores posteriores, espe-
cialmente del inferior.
Llave 4 Llave 5
ROTACIONES ESPACIOS O DIASTEMAS
En una oclusión normal no deben existir rota-
ciones dentarias (Fig. 2.36 A).
Los molares y premolares rotados ocupan más
espacio del normal en la arcada.
Los incisivos rotados necesitan menos espacio
que los correctamente alineados (Fig. 2.36 B).
Los caninos rotados generan problemas estéti-
cos y funcionales.
Los dientes están ubicados con sus puntos de
contacto perfectamente relacionados, sin espa-
cios entre sí.
Esto requiere que no existan malformaciones
dentarias ni discrepancias en el ancho mesiodis-
tal de los dientes de ambos maxilares (ver índi-
ce de Bolton).
B
Fig. 2.36 A: Rotaciones dentarias en el sector posterior.
B: Rotaciones dentarias en el sector anterior.
Examen bucodental 87
Llave 6
CURVA DE SPEE
• La curva de Spee en la oclusión normal debe ser
prácticamente plana.
En la mandíbulano debe tener una profundidad
mayor de 1,5mm (Fig. 2.37 A).
• Una curva de Spee profunda producirá un con-
finamiento de las raíces de los dientes del
maxilar superior. Esta situación provoca alte-
raciones en el plano oclusal impidiendo una
correcta intercuspidación, generando una
oclusión traumática (Fig. 2.37 B).
La curva de Spee invertida determina un exceso
de espacio en los dientes del maxilar superior
provocando alteraciones similares a las señala-
das en el punto anterior y falta de guía incisiva
(Fig. 2.37 C).
B
Fig. 2.37: A: La curva plana favorece una óptima relación intercuspal. B: Una curva profunda genera un espacio restrin-
gido para los dientes del maxilar superior provocando alteración del plano oclusal. C: La curva invertida provoca altera-
ciones del plano oclusal, falta la guía incisiva y mayor espacio disponible en el maxilar superior.
88 Estudio clínico del paciente
Análisis de la longitud de la arcada
Análisis de la relación entre el espacio disponi-
ble en la arcada dentaría y el espacio requerido
para el correcto posicionamiento de los dientes.
Discrepancia dentaria.
Cuando realizamos un análisis intramaxilar de
la posición de los dientes en sus arcadas podemos
encontrar tres situaciones diferentes (Fig. 2.38).
1. Los dientes están perfectamente alineados, con
sus puntos de contacto correctamente estableci-
dos.
2. Se observan diastemas.
3. Existen apiñamientos.
En el primer caso no existe discrepancia entre el
material dentario y la longitud de la arcada.
En el segundo, el espacio disponible es mayor
que el requerido, por lo que se denomina discre-
pancia dentaria positiva.
En el último, por el contrario, el espacio reque-
rido es mayor que el disponible en la arcada. Se
habla en este caso de una discrepancia dentaria
negativa.
El estudio de esta discrepancia se hace en la
dentición permanente o en la dentición mixta.
Es necesario cuantificarla con la mayor exacti-
tud posible debido a que es uno de los datos funda-
mentales que utilizaremos en la planificación del
tratamiento.
La longitud real de la arcada (espacio disponi-
ble), es la longitud de una línea que va desde la cara
mesial de un primer molar permanente a la cara
mesial de su homólogo del lado opuesto, pasando a
través de los puntos de contacto de premolares y
caninos y los bordes incisales de los incisivos.
El espacio requerido está dado por la suma de
los anchos mesiodistales de los dientes mesiales a
los primeros molares. Como estos dientes pueden
estar erupcionados o no, distinguiremos métodos
diferentes para el análisis de la dentición perma-
nente y de la dentición mixta.
Fig. 2.38: Discrepancia dentaria. A: Arcada sin discrepancia. B: Arcada con discrepancia negativa (apiñamientos). C:
Arcada con discrepancia positiva (diastemas)
Examen bucodental 89
Se han descrito innumerables métodos para el
estudio de la discrepancia dentaria, entre los
que se cuentan el método visual, la medición
con compás balustrín, la utilización del alambre
de latón, mediciones individualesy por sectores,
métodos computarizados, set-up, etc.
Describiremos los que usamos corrientemente:
1. Método visual
Este método requiere cierto entrenamiento.
Se observan cuidadosamente los modelos y se
evalúa mentalmente el espacio, los apiñamien-
tos, los dientes en correcta posición, los diaste-
mas y las magnitudes de las giroversiones si exis-
tieran. Es un método muy difundido, que
presenta variaciones de un operador a otro pero
cuando se ha logrado una cierta experiencia su
grado de exactitud es similar al de otros méto-
dos.
En los casos más dificultosos podemos utilizar el
método de mediciones con compás balustrín.
2. Mediciones realizadas con compás balustrín
Se divide la arcada dentaria en segmentos.
Dos segmentos correspondientes a los premola-
res, dos al área de caninos y dos segmentos para
el sector incisivo. Se mide el ancho mesiodistal
de esos segmentos (Fig.2.39).
La suma de ellos constituye el espacio disponi-
ble (la longitud de la arcada).
Se suman los anchos mesiodistales de los diez
dientes anteriores, también medidos con com-
pás balustrín (espacio requerido).
La diferencia entre ambas medidas es la discre-
pancia dentaria (Cuadro 2.1).
3. Método computarízado
En muchas ocasiones utilizamos el ordenador,
para lo cual obtenemos una fotocopia del mode-
lo que luego se utiliza para digitalizar con lápiz
óptico los puntos de referencia para mediciones
de espacios y anchos dentarios.
PM
Fig. 2.39:Método para hallar la discrepancia dentaria, con el uso del compás balustrín. Se miden seis segmentos en total
(espacio disponible) y los anchos mesiodistales de los dientes de cada segmento (espacio requerido).
Cuadro 2.1: Ficha para la obtención de la discrepancia dentaria utilizando mediciones por segmentos.
SEGMENTOS
Ancho M-D dientes
Ancho M-D segmentos
Diferencia
PMder. Cder. I der. I izq. C izq. PM izq.
DISCREPANCIA
90 Estudio clínico del paciente
Arcada en dentición mixta
El estudio de la discrepancia en este período
consiste en relacionar la longitud del arco (que se
considera de la misma forma que en la arcada per-
manente) con los diámetros mesiodistales de los
permanentes erupcionados (generalmente los inci-
sivos) y los que aún no lo están (premolares y cani-
nos). Por ello debemos contar con métodos que nos
permitan evaluar los diámetros mesiodistales de
estos dientes subyacentes.
Se pueden utilizar dos métodos que se describen
a continuación, aunque el más utilizado es el de
Moyers
A. Predicción matemática mediante la utilización
de ¡as tablas de Moyers.
1. Se mide con un calibre de puntas finas o un com-
pás balustrín el mayor diámetro mesiodistal de
los cuatro incisivosinferiores (Fig. 2.41).
2. Se determina la cantidad de espacio necesario
para el correcto alineamiento de estos dientes:
Se coloca el calibre en una medida igual al diá-
metro mesiodistal del incisivo central y lateral
de uno de los lados.
Se apoya una de las puntas del calibre en el
punto de contacto o cresta alveolar entre los
incisivos centrales y la otra hacia distal sobre el
arco dentario del mismo lado. Se hace una
marca en este punto que corresponderá a la cara
distal del incisivo lateral cuando haya sido ali-
neado (Fig. 2.42).
Se hace lo mismo en el lado opuesto de la arcada.
Si el incisivo central estuviese muy desplazado
hacia labial o lingual,la punta del calibre corres-
pondiente a la línea media se coloca simulando
una correcta posición. Para esta maniobra pode-
mos valemos de los datos de la cefalometría con
respecto a este diente.
Fig 2.40: Modelo en dentición mixta sobre el que se obten-
drá el valor de la DD utilizando las tablas de Moyers.
Fig. 2.41.
Fig. 2.42.
Examen bucodental 91
3. Se mide la cantidad de espacio disponible rema-
nente, después del alineamiento de los incisivos,
desde la cara mesial del primer molar hasta el
punto marcado sobre el arco en el paso 2 (Fig.
2.43). Se repite el procedimiento en el lado
opuesto
4. Usando tablas de probabilidad, se predice el
tamaño mesiodistal del canino y los dos premo-
lares (Cuadro 2.2).
La tabla se usa del modo siguiente:
En la parte superior se busca la cifra correspon-
diente a la suma de los diámetros mesiodistales
de los cuatro incisivos inferiores. Debajo de
estas cifras están encolumnados los valores del
ancho esperado del canino y premolares corres-
pondientes a varios niveles de probabilidad
(desde 95% a 5%), Moyers aconseja utilizar el
nivel 75% porque lo encontró práctico desde el
punto de vista clínico.
El método tiene algunas imprecisiones porque
diferentes pacientes con el mismo ancho mesio-
distal de incisivos tienen distintos diámetros
mediodistales de canino y premolares. No obs-
tante, lo consideramos útil porque nos da una
idea bastante aproximada a la realidad.
Fig. 2.43.
5. Se relaciona el espacio disponible en ambos sec-
tores laterales (obtenido en el punto 3) con el
requerido para caninos y premolares que surge
de la utilización de las tablas. Se obtiene de esta
manera la discrepancia dentaria.
Suma anchos M - D 2 -1 1 -2 = 24 mm.
Espacio necesario para 3 - 4 - 5 = 22,8 mm.
(ver tablas)
Espacio presente:
Lado derecho = 19 mm Dif.: -3,8 mm
Lado izquierdo = 23 mm Dif.: 0,2 mm
Discrepancia dentaria: -3,6 mm
Fig. 2.44: Ejemplo de la utilización de las tablas de Moyers. Discrepancia dentaria en una arcada en dentición mixta,
obtenida mediante las tablas.
92 Estudio clínico del paciente
Cuadro 2.2: Tablas de Moyers.
Tabla de probabilidad para predecir la suma de los anchos de 345 a partir de 21 ¡12
21/12 =
95%
85%
75%
65%
50%
35%
25%
15%
5%
19,5
21,6
21,0
20,6
20,4
20,0
19,6
19,4
19,0
18,5
20,0
21,8
21,3
20,9
20,6
20,3
19,9
19,7
19,3
18,8
20,5
22,1
21,5
21,2
20,9
20,6
20,2
19,9
19,6
19,0
21,0
22,4
21,8
21,5
21,2
20,8
20,5
20,2
19,9
19,3
21,5
22,7
22,1
21,8
21,5
21,1
20,8
20,5
20,2
19,6
22,0
22,9
22,4
22,0
21,8
21,4
21,0
20,8
20,4
19,9
22,5
23,2
22,6
22,3
22,0
21,7
21,3
21,0
20,7
20,1
23,0
23,5
22,9
22,6
22,3
21,9
21,6
21,3
21,0
20,4
23,5
23,8
23,2
22,9
22,6
22,2
21,9
21,6
21,3
20,7
24,0
24,0
23,5
23,1
22,8
22,5
22,1
21,9
21,5
21,0
24,5
24,3
23,7
23,4
23,1
22,8
22,4
22,1
21,8
21,2
25,0
24,6
24,0
23,7
23,4
23,0
22,7
22,4
22,1
21,5
Tabla de probabilidad para predecir la suma de los anchos de 345 a partir de 21 112
21/12 =
95%
85%
75%
65%
50%
35%
25%
15%
5%
19,5
21,1
20,5
20,1
19,8
19,4
19,0
18,7
18,4
17,7
20,0
21,4
20,8
20,4
20,1
19,7
19,3
19,0
18,7
18,0
20,5
22,7
21,1
20,7
20,4
20,0
19,6
19,3
19,0
18,3
21,0
22,0
21,4
21,0
20,7
20,3
19,9
19,6
19,3
18,6
21,5
22,3
21,7
21,3
21,0
20,6
20,2
19,9
19,6
18,9
22,0
22,6
22,0
21,6
21,3
20,9
20,5
20,2
19,8
19,2
22,5
22,9
22,3
21,9
21,6
21,2
20,8
20,5
20,1
19,5
23,0
23,2
22,6
22,2
21,9
21,5
21,1
20,8
20,4
19,8
23,5
23,5
22,9
22,5
22,2
21,8
21,4
21,1
20,7
20,1
24,0
23,8
23,2
22,8
22,5
22,1
21,7
21,4
21,0
20,4
24,5
24,0
23,5
23,1
22,8
22,4
22,0
21,7
21,3
20,7
25,0
24,4
23,8
23,4
23,1
22,7
22,3
22,0
21,6
21,0
También es posible conocer con este método, el
espacio que queda para el ajuste de la oclusión
molar.
En una arcada en dentición mixta con todas las
piezas dentarias y donde no existan apiñamien-
tos, el resultado de las tablas de Moyers es posi-
tivo, es decir, sobrará espacio para la ubicación
correcta de todos los permanentes.
Ese remanente de espacio, proviene de la caída
del segundo molar primario, que tiene un ancho
mesiodistal mayor que el segundo premolar per-
manente de aproximadamente 1,7 a 2 mm. Se
conoce como espacio libre de Nance.
Cuando el desarrollo de la erupción es normal,
ese espacio está destinado a la mesialización
espontánea del primer molar permanente. Es un
movimiento natural destinado al ajuste de la
relación molar en Clase I (Fig. 2.45).
En los casos en que ese movimiento fuera nece-
sario para dicho ajuste no debe ser tenido en
cuenta como discrepancia positiva.
Para los dientes del sector lateral del maxilar
superior se usa también la suma de los anchos
de los incisivos inferiores y el procedimiento es
similar al descrito.
El uso de radiografías periapicales le confiere
mayor exactitud a este método, ya que si se
observa en ellas un tamaño mayor del que puede
esperarse según las tablas, se usa un valor de
predicción mayor (85% a 95%).
Este método puede ser utilizado tanto en la arcada
inferior como en la superior (ver tablas).
Examen bucodental 93
Fig. 2.45: Espacio libre en ambas arcadas. Al ser mayor en la mandíbula,permite la mesialización del molar inferior y el
ajuste de laoclusión.
B. Método radiográfico de G. H. Huckaba
Es un procedimiento que permite predecir el
ancho mediodistal de premolares y caninos no
erupcionados utilizando radiografíaspericapica-
les tomadas con cono largo. Se parte de la pre-
misa de que el grado de magnificación radiográ-
fica qe sufre un diente primario que está
presente en la arcada será el mismo que el del
permanente subyacente. El procedimiento con-
siste en medir el ancho mesiodistal del diente
primario en la película radiográfica. Esta medi-
ción se llama (Y') y el ancho de su sucesor per-
manente (X').
Luego se mide el diente primario en el modelo
(Y).
Por regla de tres simple se calcula el ancho del
diente permantente no erupcionado (X).
X = Y
por lo tanto:
X = X' x Y
En nuestra esperiencia, el método no es de gran
utilidad porque frecuentemente los gérmenes de
los premiares aparecen girados en la radiografíay,
en consecuencia, su imagen essignificativamente
mayor que el tamaño real del diente. Esta distor-
sión lo hace inaplicable en la mayoría de los casos.
Cuando no se presenta este incoveniente, es de
mayor exactitud que el anterior, debido a que el
resultado no indica una probabilidad sino una
medida real del paciente.
94 Estudio clínico del paciente
índice de So/fon
El tamaño de los dientes de ambas arcadas debe
guardar una proporción armónica.
El desequilibrio en esta relación suele manifes-
tarse en las fases finales del tratamiento, imposibi-
li-tando el logro de una correcta relación interocm-
sal, especialmente la relación canina, así como
también la corrección del overjet y/o del overbite,
según los casos.
El índice de Bolton es un procedimiento que
determina la proporción existente entre la suma de
los diámetros mesiodistales de los doce dientes
anteriores inferiores (de primer molar a primer
molar) y la suma de esos mismos diámetros de los
homólogos superiores. Se denomina relación total.
También permite obtener la proporción entre la
suma de los anchos de los seis anteriores inferiores
y superiores (relación anterior) mediante la cual
podemos conocer si la anomalía asienta en el sector
anterior o en los segmentos laterales.
La utilización de este método permite detectar
antes del comienzo del tratamiento desarmonías
entre los tamaños dentarios de la arcada superior e
inferior, con la finalidad de anticipar las alteracio-
nes de las relaciones interdentarias que se observa-
rán a su finalización. También sirve para evaluar el
efecto de las extracciones, para hacer una correcta
elección de las piezas a extraer y para diseñar pro-
cedimientos terapéuticos destinados a compensar
las dificultades originadas por lasincompatibilida-
des entre las dimensiones de los dientes antagonis-
tas.
Relación total (Fig. 2.46):
El procedimiento es el siguiente:
1. Con un compás de punta fina o balustrín se mide
el diámetro mesiodistal de los doce dientes anterio-
res de ambos maxilares.
2. La relación total se obtiene dividiendo la suma
de los anchos de los doce dientes inferiores por la
suma de los doce dientes superiores y se multiplica
por 100.
SUMA MAND. 12 x 100 = 91,3% ±0,26
SUMA MAX. SUP. 12
Fig. 2.46: índice de Bolton. Relación total.
Este resultado de 91,3% ±0,26 indica una pro-
porción normal entre los diámetros mesiodistales
de ambas arcadas que dará las condiciones para
una relación "overbite-overjet" normal como así
también para una correcta relación canina y una
oclusión normal de los sectores posteriores.
Si el índice supera ese porcentaje, los dientes
inferiores son excesivamente grandes en relación a
los superiores.
Una cifra inferior a 91,3% nos indica que hay
un exceso de tamaño de los superiores en relación
a los inferiores.
El exceso de material dentario tanto en una
arcada como en otra, debe interpretarse siempre
como exceso en relación a la arcada antagonista. El
índice no nos aclara si es exceso en esa arcada o
defecto en la antagonista.
Por ejemplo: Una arcada superior con incisivos
laterales conoides y una arcada inferior con dientes
de tamaño normal se reflejará en una alteración del
índice de Bolton como un exceso de material den-
tario inferior, cuando en realidad es un déficit de
tamaño superior.
Examen bucodental 95
3. Uso de las tablas de Bolton para cuantificar las
discrepancias de tamaño.
a) Cuando el porcentaje es superior a 91,3% existe
un exceso de material dentario inferior en propor-
ción al superior.
Se busca en la tabla la cifra correspondiente a la
suma de los dientes superiores y en la columna
vecina se obtiene la medida que corresponde al
valor teórico de los dientes mandibulares.La dife-
rencia entre esta medida y la medida inferior real
es el exceso de material dentario inferior.
b) Cuando el porcentaje es inferior a 91.3% hay
exceso de material dentario superior. Se busca en la
tabla la cifra obtenida de la suma de los dientes infe-
riores y se obtiene el valor teórico de los dientes
superiores que le corresponde. La diferencia entre
esta medida y el valor superior real es el exceso de
material dentario superior en relación al inferior.
Cuadro 2.3: Relación ideal del ancho mesiodistalde los doce dientes anteriores superiores con sus homólogosinferio-
res.
Relación total
Max. 12
85
86
87
88
89
90
91
92
93
Mand. 12
77,6
78,5
79,4
80,3
81,3
82,1
83,1
84,0
84,9
Max. 12
94
95
96
97
98
99
100
101
102
Mand. 12
85,8
86,7
87,6
88,6
89,5
90,4
91,3
92,2
93,1
Max. 12
103
104
105
106
107
108
109
110
Mand. 12
94,0
95,0
95,9
96,8
97,8
98,6
99,5
100,4
Cuadro 2.4: Ficha para el cálculo del índice de Bolton (doce dientesanteriores).
Ancho mesiodistal 12 anteriores:
Relación total- Suma 12 mand. mm Y 1QQ = 0/0
Suma 12 Max. mm
Relación total > 91,3%
Max 12 pac corresp mand 12 ideal
Mand. 12 pac. Mand. 12 ideal Exceso inferior
Relación total < 91,3%
Mand 12 pac corresp max 12 ideal
Max. 12 pac. Max. 12 ideal Exceso superior
96 Estudio clínico del paciente
Relación anterior (Fig. 2.47):
4. La relación anterior se obtiene con la siguiente
fórmula:
SUMA MAND. 6 x 100 = 77,2% ±0,22
SUMA MAX. SUP. 6
Una cifra mayor a 77,2% indica que la causa de
la discrepancia debe ser atribuida a un tamaño
excesivo de los dientes anteroinferiores. En cam-
bio, si el índice es inferior a 77,2% se debe a un
mayor tamaño de los superiores. Para cuantificar la
alteración se procede como en el paso 3.
Como se señaló anteriormente, el análisis de la
proporción anterior nos permite individualizar el
sector en que asienta la discrepancia.
Es necesario conocer esto con certeza, porque la
finalización del caso exigirá, algunas veces, la
reducción del ancho de algún diente mediante des-
gaste interproximal del esmalte y otras la recons-
trucción mesial y/o distal de los dientes cuyo tama-
ño sea proporcionalmente reducido.
Fig. 2.47: índice de Bolton: Relación anterior. Una proporción armónica entre tamaños superiores e inferiores permite
establecer una correcta relación interarcada.
Cuadro 2.5: Relación ideal del ancho mesiodistal de los seis dientes anteriores superiores y sus homólogos inferiores.
Relación anterior
Max. 6
40,0
40,5
41,0
41,5
42,0
42,5
43,0
43,5
44,0
44,5
45,0
Mand. 6
30,9
31,3
31,7
32,0
32,4
32,8
33,2
33,6
34,0
34,4
34,7
Max. 6
45,5
46,0
46,5
47,0
47,5
48,0
48,5
49,0
49,5
50,0
Mand. 6
35,1
35,5
35,9
36,3
36,7
37,1
37,4
37,8
38,2
38,6
Max. 6
50,5
51,0
51,5
52,0
52,5
53,0
53,5
54,0
54,5
55,0
Mand. 6
39,0
39,4
39,8
40,1
40,5
40,9
41,3
41,7
42,1
42,5
Examen bucodental 97
Cuadro 2.6: Ficha para el cálculo del índice de Bolton (seis dientesanteriores).
Ancho mesiodistal 6 anteriores:
D 1
Relación total: Suma 6 mand. mm
x 100 =
Suma 6 Max. mm
Relación total > 77,2 %
Max. 6 pac corresp mand. 6 ideal
Mand. 6 pac. Mand. 6 ideal Exceso inferior
Relación totaK 77,2%
Mand. 6 pac corresp max. 6 ideal
Max. 6 pac. Max.6 ideal Exceso superior
Ejemplos: Para la formulación de los siguientes
ejemplos, se toman como referencia los 6 anterio-
res ya que allí se presentan las discrepancias de
tamaño con mayor frecuencia.
• Caso de incisivos laterales conoides (Fig. 2.48).
Suma de 6 superiores = 40,5 mm.
Suma de 6 inferiores = 37,1 mm.
SUMA MAND. 6x100 = 37,1 mm x 100 = 92%
SUMA MAX. 6 40,5 mm
Según las tablas de Bolton:
Para 40,5 mm de material dentario superior co-
rresponderían 31,3 mm de material dentario
inferior.
La diferencia entre 37,1 mm (material dentario
inferior real) y 31,3 mm (material dentario infe-
rior teórico) es de 5,8 mm.
Hay un exceso de 5,8 mm de material dentario
inferior con respecto al superior. Por ser un caso
de laterales superiores conoides debe interpre-
tarse como déficit superior.
Desde el punto de vista clínico, esta desarmonía
afectará el correcto ajuste de la clase canina al
final del tratamiento. El canino superior ocupa-
rá una posición más hacia mesial originando una
ligera Clase II (Fig. 2.49).
Fig. 2.48: Incisivos laterales conoides. El índice de Bolton
determina exceso de material dentario inferior en relación
al superior.
98 Estudio clínico del paciente
Fig. 2.49: Efecto de la desarmonía de tamaños entre dientes superiores e inferiores. Se establece una relación lateral de
Clase II.
De esta manera sabemos que si nuestro objetivo
es una perfecta Clase I canina estaremos obliga-
dos a dejar diastemas en el sector anterosupe-
rior (Fig. 2.50 A), lo cual provoca un problema
estético que puede no ser aceptado por el
paciente.
Es conveniente que éste conozca con anticipa-
ción la necesidad de una remodelación corona-
ria (en este caso por adición) de los incisivos
laterales superiores al finalizar el tratamiento
ortodóncico (Fig. 2.50 B).
Fig. 2.50 A: Exceso de material dentario inferior con respecto al superior. Para mantener una relación canina de Clase I,
será necesario dejar diastemas superiores.
Examen bucodental 99
Fig. 2.50 B: La reconstrucción de los incisivos laterales permite armonizar los tamaños y eliminar los diastemas.
Se logrará de este modo armonizar los tamaños
dentarios superiores con los inferioresalcanzan-
do objetivos estéticos y funcionales.
Caso de macrodoncia de incisivos superiores
Suma 6 dientes superiores = 54.5 mm.
Suma 6 dientes inferiores = 38,2 mm.
SUMA MAND. 6 x 100 = 38,2 x 100 = 70%
SUMA MAX. 6 54,5
Según las tablas de Bolton:
Para 38,2 mm. de material dentario inferior
corresponderían 49,5 mm. de material dentario
superior.
Por lo tanto, si el material dentario superior real
es de 54,5 mm y el teórico es de 49,5 mm hay un
exceso de 5 mm de material dentario superior.
Para hacer la relación total se utiliza el mismo
procedimiento.
En este caso, se debe prever que al finalizar el
tratamiento será necesario dejar un overjet mayor
que la norma.
La opción de normalizar el resalte tendría que
contemplar una remodelación coronaria por sus-
tracción (desgastes proximales, coronas, etc.).
Una cifra de alrededor de 1 mm de diferencia
entre el tamaño real y el teórico no será tenida en
cuenta porque puede deberse a errores de medi-
ción. Si esa cifra fuera correcta, por su escasa mag-
nitud, no tendrá consecuencias en el resultado del
tratamiento.
Cuando esta diferencia supere los 2 mm debe-
mos prever los mecanismos de compensación que
permitan conseguir una correcta relación interden-
taria.
Fig. 2.51: La macrodoncia de incisivos superiores determina un exceso de material dentario superior y es la causa del
mayor overjet al finalizar el tratamiento.
C A P Í T U L O 3
Examen funcional
Además del análisis estético y descriptivo facial
y bucodental, el examen clínico comprende tam-
bién el estudio funcional del sistema estomatogná-
tico.
Este concepto de examen funcional o diagnósti-
co funcional, en la ortodoncia clásica involucraba
solamente el estudio de la respiración, la deglución,
la fonación y los hábitos. No incluía sistemática-
mente las ATM, la función neuromuscular y la
dinámica oclusal porque no se contemplaban obje-
tivos gnatológicos dentro de las metas del trata-
miento.
La consecuencia de esto, eran las recidivas aun
en pacientes sin alteraciones de las funciones estu-
diadas, y tratados de acuerdo a objetivos tradicio-
nales, es decir, oclusión en Clase I canina con
correcto alineamiento dentario, en posiciones cefa-
lométricas consideradas normales y con buenos
resultados estéticos.
Por ello, el estudio funcional de la oclusión y las
ATM debe ocupar un lugar primordial y ser el
punto de partida de cualquier procedimiento que
se realice con fines diagnósticos.
Se hace necesario entonces, que el examen fun-
cional del paciente incluya:
Función oclusal y articular
Respiración
Deglución
Fonación
Hábitos
Succión (digital, labial, carrillos, persistencia del
uso del chupete).
La consideración de estas distintas áreas funcio-
nales en el diagnóstico será decisiva para detectar
la etiología de muchas anomalías, instaurar meto-
dologías terapéuticas más racionales y efectivas y
conseguir estabilidad de los resultados.
FUNCIÓN OCLUSAL Y ARTICULAR
Dada la importancia que le asignamos será
desarrollado en la Sección 2.
En este capítulo nos referiremos a los restantes.
RESPIRACIÓN
La respiración normal, también llamada respira-
ción nasal, es aquella en la que el aire ingresa por la
nariz sin esfuerzo con un cierre simultáneo de la
cavidad bucal.
Se crea así una presión negativa entre la lengua
y el paladar duro en el momento de la inspiración.
La lengua se eleva y, al apoyarse íntimamente con-
tra el paladar, ejerce un estímulo positivo para su
desarrollo (Fig. 3.1).
En los casos en que la respiración se realiza por
la boca, la lengua adopta una posición descendida
para permitir el paso del flujo de aire. Este fenó-
meno acarrea dos consecuencias (Fig. 3.2):
l.Por una parte, provoca una falta de creci-
miento transversal del maxilar superior al quedar
sometido a las fuerzas centrípetas de la musculatu-
ra mímica, especialmente del músculo buccinador.
Esto se manifiesta clínicamente con un maxilar
superior estrecho, elevación de la bóveda palatina
y apiñamientos y/o protrusión de los dientes ante-
riores.
2. La lengua descendida está asociada con un
crecimiento rotacional posterior de la mandíbula,
con apertura del eje facial y aumento de la altura
facial inferior. Este tipo de crecimiento se ve favo-
recido también por la mayor apertura bucal que
tienen estos pacientes en la posición de reposo
mandibular.
Las causas de la respiración bucal están relacio-
nadas con la poca permeabilidad de la vía aérea
superior, ya sea por hipertrofia de las adenoides,
amígdalas palatinas, rinitis alérgicas, desviaciones
del tabique nasal y cavidad nasal estrecha con
101
102 Estudio clínico del paciente
Fig. 3.1: Gráfico del flujo de aire en un paciente con res-
piración nasal, con un normal desarrollo de lasestructu-
rascráneo-maxilocervicales.
Fig. 3.2: Gráfico de un paciente con respirador bucal,
que provoca cambios morfológicos y posturales.
hipertrofia de cornetes. Se hace necesario el diag-
nóstico diferencial entre respiradores bucales con
causa determinada y los respiradores bucales por
hábito, donde ninguno de los factores citados ante-
riormente estarían presentes.
El examen respiratorio debe hacerse en seis
áreas:
• Historia clínica
• Evaluación de la respiración
• Estructura facial
• Examen bucal
• Estudio postural
• Estudios radiográficosy cefalométricos
La historia clínica del paciente puede alertarnos
sobre la existencia de alguna enfermedad causante
de la respiración bucal.
Evaluación de la respiración: La respiración
nasal puede ser controlada por distintos métodos
que van desde la simple colocación de una loseta de
vidrio o espejo nasal debajo de las narinas, obser-
vándose la condensación producida sobre él, hasta
el empleo de espirómetros que miden el flujo de
aire nasal.
Estructura facial: El típico respirador bucal
exhibe falta de competencia e hipotonicidad labial,
con un labio superior corto que deja muy expuestos
los incisivos superiores y un labio inferior grueso y
evertido, debilitamiento en los músculos faciales,
aumento del tercio inferior de la cara y retrusión
del mentón.
La deficiente oxigenación da al paciente un
aspecto poco saludable, frecuentemente con ojeras.
Todas estas características son las que le otorgan el
nombre de "fascie adenoidea" (Fig. 3.3).
Examen bucal: Es característica de estos pacien-
tes la falta de desarrollo del maxilar superior que
crea en la mayoría de los casos mordidas cruzadas
Examen funcional 103
Fig. 3.3: Caso R.P., 11 años.
Respirador bucal con la típica "fascie adenoidea". Clase
II esqueletal, con arcada superior estrecha y protrusión
dentoalveolar superior. El tercio inferior está aumentado,
el cierre labial se realiza con esfuerzo y el mentón se
encuentra sumamente retruido.
La inflamación gingival es producida por el hábito.
104 Estudio clínico del paciente
Fig. 3.3: Paciente R.P. Telerradiografía lateral y cefalograma
Examen funcional 105
laterales, con incisivos superiores protruidos y/o
apiñados y tendencia a la mordida abierta. La arca-
da dentaria superior es de forma triangular. Las
encías son hipertróficas y sangrantes debido a la
sequedad a la que se ven sometidas por la falta de
cierre bucal y el paso del aire (Fig. 3.3).
Como consecuencia de la posición baja de la
lengua y la hiperdivergencia bucal se asocia fre-
cuentemente el hábito de interposición lingual en
deglución.
Estudio postural: La postura corporal en estos
pacientes debe ser motivo de especial considera-
ción por su influencia en la génesis de esta disfun-
ción (Fig. 3.4).
Estudios radiográficos y cefalométricos: Permi-
ten obtener datos sobre el grado de obstrucción
que presenta la vía aérea superior por medio de
una serie de mediciones de la nasofaringe en las
telerradiografías laterales. Distintos autores han
realizado estudios sobre este tema:
• Pruzansky y Handelman realizaron estudios
comparativos entre medida de las adenoides y
porcentaje de área ocupada en la nasofaringe. La
conclusión fue que el mayor tamaño relativo de
las adenoides se encuentra entre los 4 y 6 años de
edad.
• Linder-Aronson estudió el efecto de las ade-
noides en el flujo de aire y su influencia en el desa-
rrollo facial y la dentición.
• Ricketts presentó mediciones de la profundi-
dad nasofaríngea que determinan su grado de per-
meabilidad.
• McNamara realiza un estudio del estado de
la vía aérea basado en dos medidas (Fig. 3.5):
1. Diámetro faríngeo superior: Es la menor dis-
tancia desde la pared posterior de la faringe a la
mitad anterior del velo del paladar.
La norma en adultos es de 17,4 mm. con una
desviación estándar de ± 4 mm. Una disminución
marcada de esta medida es un indicador de un
posible deterioro de la vía aérea superior.
Fig. 3.4: Postura típica del paciente respirador bucal.
2.Diámetro faríngeo inferior: Se mide sobre el
plano mandibular desde el perfil de la pared ante-
rior (base de la lengua) a la pared posterior de la
faringe.
La norma es de 11,3 mm. para mujeres y 13,5
mm. para varones con una desviación estándar de
± 4 mm.
Un ancho faríngeo inferior de más de 15 mm
sugiere una posición adelantada de la lengua, como
resultado de una postura habitual o como conse-
cuencia de un agrandamiento de las amígdalas.
En el primer caso, esta posición lingual se aso-
cia a ciertas anomalías como prognatismo mandi-
bular, mordida cruzada dentoalveolar anterior o
biprotrusión dentoalveolar.
106 Estudio clínico del paciente
Fig. 3.5: Diámetros faríngeos superior e inferior A: en un paciente con respiración nasal. B: en un paciente con respira-
ción bucal.
El segundo caso, cuando existe agrandamiento
de amígdalas, es el que se presenta en el respira-
dor bucal, casi siempre acompañado de un patrón
dolicofacial, con eje facial abierto y un plano man-
dibular muy inclinado.
Todos estos estudios son útiles para determi-
nar el grado de bloqueo nasofaríngeo y por lo
tanto complementan el estudio clínico de las
amígdalas y adenoides. La cefalometría del
paciente respirador bucal, detecta casi siempre un
patrón dolicofacial, muchas veces severo (Fig.
3.3). Se considera que éste es un patrón morfoge-
nético predisponente, y que a su vez es agravado
por este tipo de respiración. Ricketts cita casos de
respiradores bucales con bloqueo total de la vía
aérea superior producido como secuela de manio-
bras quirúrgicas a quienes se les constató apertu-
ras de eje facial de hasta 6 grados durante el cre-
cimiento.
El diagnóstico y tratamiento del respirador
bucal es tarea de un equipo multidisciplinario, por-
que esta anomalía suele estar asociada con proce-
sos infecciosos crónicos de las vías aéreas, asmas,
alergias, problemas cardiopulmonares, inmunoló-
gicos, trastornos del crecimiento craneofacial, mor-
fología maxilar y dentoalveolar alterados y proble-
mas posturales generales.
Por todo esto, sólo una historia clínica muy
completa aumentará las posibilidades de éxito del
tratamiento de esta afección.
El requerimiento terapéutico puede ser muy
variado e incluye:
• Extirpación quirúrgica de amígdalas y tejido
adenoideo.
• Medicación en casos de rinitis alérgicas,
asmas, procesos infecciosos, etc.
• Tratamiento fonoaudiológico que comprende
la reeducación mediante gimnasia respiratoria para
la creación de nuevos esquemas neuromotores.
Examen funcional 107
• Tratamiento ortopédico-ortodóncico para
aumentar el ancho nasal por medio de la disyun-
ción palatina, y corregir protrusiones que impidan
el cierre labial.
El papel del ortodoncista es importante en las
áreas diagnóstica y terapéutica.
En la primera, tendrá a su cargo, además del
estudio clínico, los estudios cefalométricos latera-
les y frontales; y en el área terapéutica, los proce-
dimientos ortopédicos y ortodóncicos destinados
a la corrección de la morfología de las estructuras
maxilares y dentoalveolares, que al armonizarse
posibilitarán una función normalizada.
DEGLUCIÓN
Está definida como el tránsito del bolo alimenti-
cio o la saliva desde la cavidad bucal al estómago.
Se distinguen dos fases principales:
a) fase oral o voluntaria
b) fase faríngea o involuntaria o refleja
La primera se caracteriza por:
• Detención de la respiración.
• Cierre labial.
Fig. 3.6: Deglución normal. A: corte sagital. B: cortetransversal.
Fig. 3.7: Interposición lingual en deglución. A: corte sagital. B: cortetransversal.
108 Estudio clínico del paciente
• Relajación de la musculatura perioral.
• Contracción de los músculos maseteros y
temporales que colocan a los dientes superiores e
inferiores en contacto.
• Movimiento peristáltico lingual que se inicia
en la punta de la lengua, la cual está en contacto
con el paladar duro detrás de los incisivos, y llega
hasta su base.
• Elevación del velo del paladar.
• Ascenso del hioides.
Cuando el bolo alimenticio pasa los pilares
anteriores del velo del paladar, comienza la segun-
da fase, faríngea o refleja, que conduce este bolo
o saliva hasta el esófago, mediante la continuación
de la onda peristáltica.
La deglución descrita es la llamada "adulta" o
"madura" (Fig. 3.6). Se denomina "deglución in-
fantil" a la que existe desde el nacimiento hasta
aproximadamente los 2 años de edad. Se realiza
de la siguiente manera:
• Los maxilares se separan.
• Con la lengua interpuesta entre ellos, el
movimiento es guiado por un intercambio senso-
rial entre los labios y la lengua.
El cambio al patrón de deglución adulta se va
estableciendo gradualmente debido a la aparición
de la dentición, al menor tamaño proporcional de
la lengua con respecto a la cavidad bucal (dado
que crece mucho menos que las dimensiones
generales orofaciales), a la maduración neuromus-
cular y al cambio en la alimentación al comenzar
la ingestión de alimentos sólidos.
Así comienza un período de transición que se
extiende desde los 8 a los 16 meses aproximada-
mente, edad en que ya se observan las caracterís-
ticas de la deglución adulta.
Deglución atípica
Si persiste el patrón de deglución de los prime-
ros meses de vida, la lengua se apoyará entre
ambos grupos incisivos, originando generalmente
una mordida abierta anterior y protrusión de estos
dientes, creando también una disfunción muscular
en la deglución porque la actividad no será ya de
maseteros y temporales sino de la musculatura
perioral, exactamente lo contrario que en la
deglución adulta. Esto es debido a la necesidad de
crear un cierre bucal anterior (Figs. 3.7 y 3.8).
La deglución es un mecanismo que se repite
entre 800 y 1.000 veces por día generando fuerzas
suficientes para provocar modificaciones denta-
rias o dentoalveolares, sin llegar a ser responsable
de alteraciones esqueletales. Con el aumento de la
protrusión de los incisivos y la creación de una
mordida abierta anterior, aumenta aún más la
actividad de la musculatura perioral, que debe
compensar la falta de cierre bucal.
En el examen clínico, la deglución infantil se
detecta fácilmente porque el paciente realiza una
mueca característica que consiste en una contrac-
ción labial en el momento de deglutir y además
por la mordida abierta anterior que acompaña a
esta disfunción.
Ésta se caracteriza por ser simétrica y alargada
involucrando algunas veces la zona de caninos.
En el diagnostico se deberá evaluar el patrón
esqueletal del paciente: en patrones con tendencia
braqui el efecto negativo de la deglución atípica
será menor (Fig. 3.9). Cuando se acompañe de un
patrón de modida abierta el pronóstico es más
desfavorable Fig 3.10).
Fig. 3.8: Deglución atípica. Posición anterior de la lengua
en la primera etapa de la deglución.
Examen funcional 109
Fig. 3.9: Paciente N.M. Mordida abierta por hábito de
deglución atípica, en una paciente sin alteraciones
esqueletales. El pronóstico de tratamiento es favorable
en cuanto a la evolución de la mordida abierta una vez
eliminado el hábito.
110 Estudio clínico del paciente
Fig. 3.10: Paciente V.T., hábito de deglución atípica en
un patrón esqueletal de mordida abierta. Habrá más difi-
cultad para el cierre de la mordida, no dependerá sólo de
la eliminación del hábito.
Examen funcional 111
FONACIÓN
Es una función que requiere la coparticipación
de varios órganos. La laringe es el órgano emisor;
el tórax, tráquea y faringe, velo del paladar, pala-
dar duro y mandíbula constituyen la caja de reso-
nancia. Otros elementos son modificadores de los
sonidos; entre ellos la lengua, cuya gran movilidad
le permite modificar su posición en función del
sonido a emitir, además de los labios y carrillos y
las arcadas dentarias, sobre todo los dientes ante-
riores.
Un examen clínico debe tener en cuenta los
problemas de fonación, que pueden ser: retardos
del lenguaje o fonación anormal. Para solucionar
los primeros se necesitará un equipomultidiscipli-
nario. La fonación anormal nos está indicando
problemas motores o estructurales. La pronuncia-
ción de algunas consonantes, como la F (labioden-
tal) o la S (dentodental) requieren una armoniza-
ción de las estructuras involucradas en esta
función (Fig. 3.11).
No obstante, no siempre una alteración de la
relación de estas estructuras causa una fonación
anormal. Esto se debe a la singular capacidad de
adaptación que tienen fundamentalmente los
labios y la lengua, que permite que algunas veces
pueda coexistir una correcta fonación con una
maloclusión de cierta severidad.
Fig. 3.11: Posición de labios y dientes para la pronuncia-
ción de las consontantes S y F.
HÁBITOS DE SUCCIÓN
Los hábitos orales como la interposición lin-
gual o deglución atípica, interposición o succión
labial, succión de carrillos, succión digital o uso
del chupete y la respiración bucal, pueden incidir
directamente en la génesis de problemas ortopédi-
cos y ortodóncicos. Al interferir en el normal
desarrollo de los procesos alveolares, estimulando
o modificando la dirección del crecimiento en
ciertas estructuras, pueden generar:
• protrusiones dentarias
• protrusiones dentoalveolares
• mordidas abiertas anteriores y/o laterales
• mordidas cruzadas anteriores o laterales
• inhibición de la erupción de uno o más dientes
• vestíbulo o linguoversiones, etc.
El grado de la alteración producida dependerá
de la duración, intensidad y frecuencia del hábito,
como así también de las características biotipoló-
gicas del paciente.
En el estudio clínico resulta muy fácil detectar
la relación causa-efecto de un hábito ya que ellos
dejan la impronta de su acción; por lo que, en la
mayoría de los casos, la simple observación de la
alteración nos permite deducir el hábito oral que
la causó.
Esto se corrobora fácilmente mediante la
anamnesis y el estudio de las funciones orales. En
algunos casos es necesario realizar un diagnóstico
diferencial que incluya estudios cefalométricos, de
modelos, etc.
El área de las alteraciones producidas por
hábitos en general se limita a la región dentoal-
veolar. Entre las anomalías que producen se
encuentran las mordidas abiertas llamadas funcio-
nales por su origen. Cefalométricamente en estos
casos no se observan alteraciones estructurales.
Una mordida abierta con aumento de la altura
facial inferior estará indicando un componente
esqueletal aunque algunas veces pueda estar aso-
ciada a un hábito. En este caso, éste no es la causa
de la mordida abierta, por lo que su eliminación
no corregirá totalmente la anomalía.
112 Estudio clínico del paciente
En cambio, las mordidas abiertas funcionales
prácticamente se autocorrigen al desaparecer el
hábito que las originó.
Succión
Succión digital
Es un hábito muy común en los niños. Se presen-
ta muy precozmente; generalmente su aparición
coincide con algún hecho capaz de provocar una alte-
ración emocional del paciente, como el nacimiento
de un hermano, problemas familiares, comienzo de
escolaridad, etc. y luego persiste como hábito.
Otras veces no hay causa aparente. En nuestra
práctica clínica, hemos visto imágenes ecográficas
que muestran la existencia de este hábito desde la
etapa intrauterina.
Al igual que el uso del chupete, está ligado a la
sensación placentera que experimenta el niño con
la succión.
La succión de dedos se presenta en una gran
variedad de formas en cuanto a intensidad, fre-
cuencia, etc. pero además en cuanto al número de
dedos involucrados, siendo el más frecuente el
pulgar. Éste es presionado sobre la parte anterior
del paladar provocando mordida abierta anterior
con protrusión dentoalveolar superior y retrusión
Fig. 3.12: Mordida abierta irregular provocada por la suc-
ción del pulgar. El hábito ha generado un ligero avance
de la premaxila, el resto de las medidas esqueletales se
encuentra dentro de las normas.
Examen funcional 113
Fig. 3.13:Paciente de la figura 3.12, una vez eliminado el hábito. Ante un patrón esqueletal favorable, la corrección fue
espontánea y estable en el tiempo.
del sector incisivo inferior, causando a veces giro-
versiones en estos dientes (Fig.3.12).
La intensidad también es muy variable. Hay
niños que succionan fuertemente produciendo
una callosidad en el dorso del pulgar, otros en
cambio lo colocan de manera pasiva o realizan
succiones muy suaves.
En el primer caso, además del efecto mencio-
nado en el sector anterior puede generarse una
mordida cruzada uni o bilateral, debida a una
compresión transversal del maxilar superior pro-
vocada por la presión de la musculatura perioral
como resultado del vacío intrabucal generado por
la succión.
Los pacientes con biotipo dolicofacial con
patrón de crecimiento rotacional posterior y mus-
culatura débil serán propensos a padecer una
deformidad mayor que aquellos con patrones bra-
quifaciales (Fig.3.12).
La característica de esta mordida abierta es su
asimetría y su forma más circunferencial que la
producida por interposición lingual, que es más
alargada y simétrica.
La reducción total de estas anomalías es muy
frecuente siempre que se haya eliminado el hábi-
to en edad temprana, 6 o 7 años, o menos.
Succión labial
Generalmente se presenta en casos con marcado
overjet. El labio inferior se coloca detrás de los
incisivos superiores manteniendo o agravando esta
situación, provocando inclinaciones linguales de los
incisivos inferiores o retrusiones dentoalveolares
de ese mismo sector (Fig.3.14).
Esta malformación labial se asocia con hiperto-
nía del músculo mentoniano.
Fig. 3.14:Succión de labio inferior en un paciente con
overjet
114 Estudio clínico del paciente
Fig. 3.15: Paciente LB, con hábito de succión labial. En la cefalometría se observa la retrusión dentoalveolarinferior
que provocó el hábito.
Succión de carrillos Persistencia del uso del chupete
La mucosa de la cara interna de los carrillos se
interpone entre ambas arcadas en los sectores
laterales provocando mordidas abiertas en estas
zonas.
Puede considerarse el uso del chupete como un
hecho normal cuando no excede los 2 años de
edad. Cuando se prolonga por más tiempo provo-
ca alteraciones semejantes a las descritas en suc-
ción del pulgar. Al eliminarse el hábito la autoco-
rrección es muy frecuente debido a la corta edad
del paciente.
115
Bibliografía
Ackerman, J. L., Proffít, W. R.: The characteristics
of maloclusion: a modern approach to classifica-
tion and diagnosis. Am. J. Orthod. 56:443, 1969
Ackerman, J. L., Proffit, W. R.: Treatment respon-
se as an aid in diagnosis and treatment planning.
Am. J. Orthod 57:490-496, 1970
Andrews, L. F 1972 The six keys to normal occlu-
sion. American Journal of Orthodontics. 62:296-
307.
Arnett G W, Bergman R T 1993 Facial keys to ort-
hodontic diagnosis and treatment planning - part
I. American Journal of Orthodontics and
Dentofacial Orthopedics 103: 299-312.
Arnett G W, Bergman R T 1993 Facial keys to ort-
hodontic diagnosis and treatment planning - part
II. American Journal of Orthodontics and
Dentofacial Orthopedics 103: 393-411.
Arnett G W, Macdonald Worley C 1999 The treat-
ment motivation survery: defining patient motiva-
tion for treatment. American Journal of
Orthodontics and Dentofacial Orthopedic
115:233-238.
Barbosa AL, Marcantonio E, Barbosa CE,
Gabrielli MF, Gabrielli MA Psychological evalua-
tion of patients scheduled for orthognathic sur-
gery. J Nihon Univ Sch Dent 1993; 35:1-9
Baume, L. J.: Principies of cephalofacial develop-
ment revealed by experimental biology. Am. J.
Orthod. 47:881-901, 1961
Bister D, Edler R J, Tomm B D M et al 2002
Natural head posture - considerations of reprodu-
cibility. European Journal of Orthodontics 24:457-
470
Bolton, W. A.: Desarmonía en el tamaño dentario
y su relación con el análisis y el tratamiento de las
maloclusiones. Angle Orthodont. 28:113-130,1958.
Bolton, W. A.: The clinical application of a tooth
size analysis. A.J.O. 48:504-529, 1962.
Brodie, A. G.: On the growth pattern of the human
head. Am. J. Anat. 68:209-262, 1941.
Brodie, A. G.: The fourth dimensión in orthodon-
tics. Angle Orthod. 24:15-30, 1954.
Canut Brusela, J. A.: Ortodoncia Clínica. Salvat.
Barcelona, 1988
Carranza, F. A., Carraro, J. J.: Periodoncia -
Patología y Diagnóstico de las enfermedades
periodontales. Ed. Mundi. Buenos Aires, 1978
Cooke M S, Wei S h y 1988 The reproducibility of
natural head posture: a methodological study.
American Journal of Orthodontics and Dental
Orthopedics 93:280-288.
Cozzani, G., Giannelly, A.: Ortodonzia concetti
Pratici. Instituto per la Comunicazione
Audiovisiva. Milán. 1985
Duterloo, H. S.: Atlas de la Dentición infantil.
Diagnóstico ortodóncico y radiología panorámica.
Mosby-Wolfe. London. England.
Farkas, L. G., Munro, I. R.: Anthropometric facial
proportions in medicine. Springfield III. Charles C.
Thomas. 1987
Glickman, L: Clinical periodontology. 4a Edición.
W.B. Saunders Co. Philadelphia. 1972
Graber, T. M., Swain, B.: Ortodoncia. Principios
generales y técnicas. Panamericana. Buenos Aires,
1988
Haas, A. J.: Rapid expansión of the maxillary den-
tal arch and nasal cavity by opening the mid-pala-
116
tal suture. Angle Orthod. 31: 73-90, 1961
Haas, A. J.: Palatal expansión: just the beginning
of dento-facial orthopedics. Am. J. Orthod.
57:219-255, 1970.
Helm, S., Kreiborg, S., Solow, B.: Psychosocial
implications of malocclusion: a 15 year follow-up
study in 30-year-old Danés. Am. J. Orthod. 87:110-
118,1985
Howe, R. P., McNamara, J. A., et al: An examina-
tion of dental crowding and its relationship to
tooth size and arch dimensión. Am. J. Orthod.
83:363-373, 1983
Huckaba, G. W.: Arch size analysis and tooth size
prediction. D. CLin. North America. July 1964
431:440
Langlade, M.: Diagnostic Orthodontique.
Maloine S.A. Editeur. París, 1981
Laskin J.L. Clinical history and physical examina-
tion. In: Laskin DM (ed) Oral and Maxillofacial
Surgery, vol I St Louis: Mosby, 1980: 399
American Journal of Orthodontics
Dentofacial Orthopedics 101 (3): 244-247.
and
McNamara, J. A.: Influence of respiratory pattern
on craniofacial growth. Angle Orthod. 51:269-300,
1981
Moorrees, C. F. A., Thomson, S. O. et al:
Mesiodistal crown diameters of the deciduous and
permanent teeth in individuáisJ. Dent. Res. 36:39-
47, 1957.
Moyers, R.: Manual de Ortodoncia. Ed. Mundi.
Buenos Aires. 3a Edición.
Petrelli, E., et al: Ortodontia contemporánea.
Sarvier. Sao Paulo (Brasil), 1988
Powell, N., Humphreys, B.: Proportions of the aes-
tetics face. Thime-Stratton Inc. New Yorks. 1984
Proffit, W. R.: Ortodoncia, teoría y práctica.
Mosby. Doyma. Madrid, 1994
Rakosi, T., Joñas, L: Atlas de Ortopedia Maxilar.
Masson-Salvat (Odontología). Barcelona,1992
Linder-Aronson, S.: Adenoids: their effect on
mode of breathing and nasal airflow and their rela-
tioship to characteristics of the facial skeleton and
the dentition: acta oto-laryngologica. Supp.
265,1970.
Linder-Aronson, S.: Effects of adenoidectomy on
the dentition and facial skeleton over a period of
five years. Europ. Orthod. Soc. 1973.
Richards. A. G.: The buccal object rule. Dental
Radiography and photography. Vol 53 N° 3 37:56,
1980
Ricketts, R. M.: Respiratory obstruction syndro-
me. Am. J. Orthod. 54:495,1968
Schulhof, R.: Consideration of airway in ortho-
dontics. J.C.O. Vol.12, N° 6, p.p. 440. 444, 1978
Lindhe, J.: Periodontología Clínica. 2a Edición Ed.
Panamericana. Bs. As. 1992
Lundstrom, A.: Introduction to Orthodontics.
New York, 1960. Me Graw. Hill Book
Lundstrom F, Lundstrom A 1992 Natural head
position as a basis for cephalometric analysis.
Shah, S. M., Joshi, M. R.: An assesment of asy-
metry in the normal cranio facial complex. Angle
Orthodont. 48:141-148. 1978
Steele, C. N., Fairchild, R. C., Ricketts, R. M.:
Forum on the tonsil and adenoid problem in ort-
hodontics. Am. J. Orthod. 54:485-514. 1968
117
Sutton, P. R. N.: Lateral facial asymetry methods Thurow, R. C: Atlas de Principios Ortodóncicos.
of assessment. Angle Orthodont. 38:82,92.1968 Intermédica. Buenos Aires (Argentina), 1979.
SECCIÓN
ESTUDIO GNATOLOGICO
Conceptos gnatológicos aplicados al
diagnóstico y la planificación
Placa de reposicionamiento mandibular
Montaje en articulador
Estudio de modelos articulados
Conversión cefalométrica
CAPITULO 4
Conceptos Gnatológícos
INTRODUCCIÓN
La motivación fundamental que lleva al pacien-
te al ortodoncista es el problema estético, por esto
la palabra "ortodoncia" fue desde siempre sinóni-
mo de estética dentaria.
A esta lógica respondía el esfuerzo del ortodon-
cista, que creaba diversos procedimientos de diag-
nóstico y tratamiento, todos ellos destinados al
abordaje de esos problemas que se le planteaban
con un criterio eminentemente estético.
Transcurrieron muchos años y la especialidad
continuó con este criterio generando progresos en
muchos aspectos, a la vez que se alejaba de la odon-
tología básica y sus conceptos. Pero con el paso del
tiempo, se observaba con frecuencia que muchos
tratamientos cuyos resultados podrían haberse cali-
ficado a su finalización como excelentes desde la
perspectiva de objetivos como alineación dentaria
correcta, arcadas morfológicamente normalizadas
y parámetros cefalométricos respetados, padecían
un mal generalizado: la recidiva.
A este problema, que indudablemente era el
más importante ya que tenía una gran trascenden-
cia en la relación ortodoncista-paciente, porque la
estabilidad de los resultados o la falta de ella era la
medida del éxito o del fracaso profesional, se aña-
dían otros de mucha importancia clínica como
abrasiones cuspídeas, algunas veces localizadas y
otras generalizadas, desgastes de dientes anterio-
res, movilidad en algunas piezas, y en algunos casos
y a distancia en el tiempo, trastornos de ATM.
Se comenzó entonces a pensar que el alinea-
miento dentario de acuerdo con estándares cefalo-
métricos y estéticos clásicos, no normalizaba la fun-
ción del sistema estomatognático.
Surge así la necesidad de un cambio que consi-
derara la ortodoncia una verdadera rehabilitación
de todo el sistema al igual que otras ramas de la
odontología.
Pero en esos momentos, la rehabilitación oclusal
pertenecía, en cierto modo, a otras áreas de la
odontología. Eran los prostodoncistas, quienes uti-
lizaban otros conceptos, recursos y materiales, con-
siderando el fisiologismomandibular y oclusal, para
devolverle al sistema su integridad física y funcio-
nal. Su punto de partida era la relación céntrica del
paciente, algo que el ortodoncista no tenía en con-
sideración en sus diagnósticos y sus tratamientos.
Actualmente nuestra especialidad debe asumir
la responsabilidad de devolverle la normalidad al
sistema con métodos no tradicionales que se valen
no ya de dientes y caras oclusales fabricadas con
materiales artificiales sino mediante dientes natu-
rales en perfecto estado de salud. Este cambio radi-
cal de concepto del tratamiento ortodóncico, cons-
tituyó un gran desafío que implica un giro en el
abordaje diagnóstico, en los objetivos de trata-
miento, en su planificación y en su ejecución.
Tradicionalmente el ortodoncista realizaba sus
estudios tomando en consideración la información
ofrecida por modelos relacionados mediante ceras
en máxima intercuspidación que representaban
una posición de la mandíbula impuesta por las con-
diciones oclusales del paciente.
A la luz de estos nuevos criterios ya no resulta-
ría razonable hacer este tipo de evaluación de la o-
clusión, porque no es posible establecer ninguna re-
lación con las articulaciones temporomandibulares.
Los patrones de cierre y los movimientos man-
dibulares son impuestos en gran parte por la oclu-
sión existente. El mecanismo neuromuscular pro-
tector del paciente evita el cierre sobre los
contactos prematuros, desplazando la mandíbula
para eludir dichos contactos, buscando una posi-
ción de estabilidad oclusal (Fig. 4.1).
Este cambio de posición genera habitualmente
un avance mandibular, con algún componente de
laterodesviación. Esta es la denominada Posición
de Máxima Intercuspidación (PMI ), en la cual la
posición de la mandíbula se establece mediante la
musculatura, a expensas de las ATM, con el objeto
de lograr una mejor interdigitación de los dientes.
Entre esta posición, que era la posición interoclusal
que el ortodoncista utilizaba como punto de parti-
da, constituyendo el mayor error conceptual para el
diagnóstico y la planificación del tratamiento, y
aquella en la que la musculatura está relajada y los
cóndilos situados correctamente, es decir, la Rela-
ción Céntrica (RC), existe indudablemente una
desarmonía de grado variable (Fig. 4.2).
121
122 Estudio gnatológico
B
Fig. 4.1 A: Esquema de la relación céntrica mandibular,determinada por la posición condilar sin dependenciade la
oclusión. B: Posición de máxima intercuspidación donde, la estabilidad oclusal se logra a expensas de ladistracción
del cóndilo.
Relación Céntrica
Durante muchos años se generó bastante confu-
sión alrededor de este concepto, por ello conside-
ramos necesario hacer una breve reseña histórica
con el objeto de aclararlo.
La primera definición denominaba relación cén-
trica a "la posición no forzada más posterior en la
cavidad glenoidea, a partir de la cual pueden reali-
zarse movimientos de lateralidad".
Esta definición respondía a la idea que había
surgido a principios del siglo XX acerca de que los
cóndilos debían estar en una posición relajada y
estable dentro de las cavidades glenoideas.
Con el transcurso del tiempo estos conceptos
fueron cambiando y las diferentes escuelas adopta-
ban algunos de estos cambios, que a su vez eran cri-
ticados y rechazados por otras.
Los gnatólogos, por ejemplo, definían la RC
como la posición condilar más alta y posterior en la
cavidad glenoidea, pero esta posición no se adap-
taba a las necesidades del paciente. Para registrar
esta relación la mandíbula era llevada mediante
varios procedimientos a una posición de retrusión
forzada y como consecuencia de ésto las bocas
rehabilitadas en esta posición provocaron numero-
sos problemas articulares, musculares y dentarios.
Posselt, un clínico e investigador perteneciente
a la escuela escandinava,observó que la mayoría de
los pacientes sin trastornos de ATM presentaban
un pequeño deslizamiento entre la posición de RC
y la de MIC, concepto en el que se apoyó la escue-
la de Pankey y Mann, que desde al punto de vista
de la relación oclusal del sistema, utilizó la que
denominaron "céntrica larga", que consistía en un
pequeño deslizamientoentre las mencionadas posi-
ciones.
Ricketts, apoyado en estudios laminográficos,
encontró que la mayoría de los pacientes sanos
desde el punto de vista de las ATM, tenía una posi-
ción centrada del cóndilo en la cavidad. Estadísti-
camente, en 100casos normales, estableció normas
para la ubicación del cóndilo: a 1.5 mm +- O.Smm
de la eminencia articular, a 2.5 mm +- Imm de la
parte superior de la cavidad glenoidea y a 7.5 mm
del centro del conducto auditivo externo.
A pesar de las críticas, el concepto de que la RC
se localizaba en la parte más superior y posterior,
se mantuvo aproximadamente 50 años.
Cuando este concepto perdió sustentación, se
definió la RC como la más superior y adelantada.
Esto también provocó numerosos errores clínicos y
se adoptó el concepto actual de que la posición con-
dilar debe estar determinada por la musculatura y
Conceptos gnatológicos 123
Fig. 4.2: Caso clínico. La serie superior muestra la oclusión lateral y el ovejet en PMI. En las fotografías inferiores se
registra la RC, observándose que la relación interoclusal varia notablemente.
la anatomía de los componentes articulares. En
realidad, los cóndilos se encuentran en una posi-
ción superior y adelantada pero de ninguna mane-
ra esta posición debe ser lograda mediante manio-
bras que lo sitúen allí de manera forzada.
La RC puede definirse como: ¡a posición mandi-
bular en la cual el complejo cóndilo-disco, correc-
tamente relacionado, se sitúa en unaposición supe-
rior y anterior de la cavidad glenoidea, indepen-
dientemente de la posición de los dientes o de la
dimensión vertical, y como requisito fundamental
debe requerir una actividad neuromuscular míni-
ma (Fig.4.3).
Lo importante en la definición que hemos adop-
tado es el concepto de armonía fisiológica que
surge de ella, porque permite una función neuro-
muscular normal, sin esfuerzo. Es una posición
estable y repetible, y cuando no existen factores
que la desvíen, se dan las mejores condiciones para
la salud de todo el sistema.
Por ello, la oclusión del paciente no debe consti-
tuir un factor de desadaptación de esa posición con-
dilar óptima, es decir que lo ideal sería situar la
mandíbula en una posición estable con una RC
coincidente o muy próxima a la MIC que no impli-
que un esfuerzo muscular excesivo ni alteraciones
de los otros componentes del sistema.
Fig. 4.3: Complejo cóndilo-disco en la posición de RC.
124 Estudio gnatológico
Objetivos funcionales oclusales
Con una concepción gnatológica del caso orto-
dóncico, uno de los objetivos es el correcto posicio-
namiento dentario con una oclusión en armonía
con la fisiología y la dinámica de las ATM, es decir,
una nueva oclusión que requiera una mínima adap-
tación neuromuscular.
Se hace necesario por ésto, tener información
sobre la dinámica mandibular del paciente, es
decir, reconocer y definir la postura adoptada por
la mandíbula como resultado de su máxima inter-
cuspidación para, mediante el tratamiento orto-
dóncico, ubicarla en una posición más estable y
favorable para su función.
Un paciente puede sufrir alteraciones oclusales
por distintas y variadas razones. Las erupciones
ectópicas, la pérdida de longitud de arcada, la
expresión de los hábitos y un sinfín de factores
crean alteraciones oclusales de diversa magnitud.
Sin olvidar también a la propia práctica odontoló-
gica como un posible factor generador de alteracio-
nes oclusales.
En definitiva el paciente que acude a nuestra
consulta ha tenido que adaptarse a su alteración
oclusal generando una reposición mandibular que
puede ser de mayor o menor magnitud. Esto se
hace mediante la participación del mecanismo pro-
pioceptivo neuromuscular que adapta la oclusión a
expensas de las ATM, llevando los cóndilos fuera
de la posición de RC. Por ejemplo, la presencia de
un contacto prematuro en el segmento posterior de
la oclusión puede actuar, inicialmente, como un ful-
crum y ser responsable de una inestabilidad orto-
pédica mandibular, con una distracción del cóndilo
en el momento de la máxima intercuspidación (Fig.
4.4 A y B).
Al estar fuera de su posición de RC, la mandí-
bula podrá estar con la musculatura contracturada,
será difícil de manipular y tendrá limitación en sus
,
U
B
Fig. 4.4 A: Montaje en articulador en RC. El contacto interoclusal se establece sólo a nivel de los segundos molares
que actúan como fulcrum para llegar a la PMI. B: en PMI se cierra la mordida, provocando la distracción del complejo
cóndilo-disco, como se observa en el gráfico de la derecha.
Conceptos gnatológicos 125
movimientos funcionales que en algunos pacientes
puede manifestarse como espasmos dolorosos.
Esta situación debe ser diagnosticada. De no ser
así puede llevar a un error en la valoración del caso,
al considerar a esa relación intermaxilar, como una
relación estable y válida para la rehabilitación oclu-
sal.
Por lo tanto, deberá llevarse la mandíbula a RC,
para lo cual es necesaria la relajación de la muscu-
latura, para luego realizar el diagnóstico a partir de
una posición músculo-esquelética estable, con los
discos articulares interpuestos adecuadamente, con
independencia de la oclusión dentaria. Esta posi-
ción articular será el punto de partida para el diag-
nostico dentoesqueletal y las decisiones del trata-
miento. En muchos casos, cuando las diferencias
entre la posición de MIC y RC son considerables, la
planificación del tratamiento puede variar notable-
mente al considerar la posición de RC (Figs. 4.5 y
4.6).
Nuestro tratamiento tendrá como objetivo fun-
damental evitar la adaptación neuromuscular y el
reposicionamiento mandibular en la nueva oclu-
sión, o si ésta se produjera debería ser de la menor
magnitud posible. De esta manera:
• se evitarán deslizamientos céntricos que pro-
voquen movilizaciones dentarias;
• se asegurará el fisiologismo neuromuscular
normal;
• se protegerán los componentes articulares, al
favorecer una posición discocondilar adecuada
No sólo constituirá un objetivo ante la presencia
de signos patológicos, para su eliminación, sino que
lo será también en los casos de ausencia de estos
síntomas, con la finalidad de no agregar un factor
que eventualmente los produzca.
En una posición estática, el objetivo será lograr
una oclusión en RC, que como lo hace J. Okeson,
puede definirse así:
En cierre, los cóndilos se encuentran en suposi-
ción músculo-esquelética más estable con los discos
interpuestos adecuadamente. En esta posición con-
tactan, de manera uniforme y simultánea, todas las
piezas posteriores. El contacto de las piezas ante-
riores es menor, pero también contactan.
Es decir, en MIC existirá el denominado "aco-
ple" entre los dientes anteriores y durante cual-
quier movimiento, los dientes posteriores se encon-
trarán en desoclusión, conceptos que basan la
denominación de "oclusión mutuamente protegi-
da": la lateralidad se hará con guía canina y en pro-
trusiva tendremos guía incisiva. Esta dinámica se
hace más factible con las posiciones dentarias des-
critas por Andrews en sus "Seis llaves de la oclu-
sión normal".
Estos objetivo gnatológicos, comunes en las
diferentes áreas de la odontología, son alcanzados
de diferentes maneras según la vía terapéutica uti-
lizada. Por ejemplo, un prostodoncista, en su reha-
bilitación, establece un punto de partida en el sec-
tor anterior, con una óptima relación de overjet y
overbite de incisivos y caninos en Clase I. Así
determina una relación intermaxilar con garantías
de guía incisiva y canina en protrusión y laterali-
dad, permitiendo el asentamiento de los cóndilos
en la posición de RC. Luego, diseña los segmentos
posteriores creando un plano oclusal sin curva de
Spee o bien con una mínima profundidad de la
curva, evitando generar contactos prematuros en el
cierre o interferencias en los movimientos mandi-
bulares.
De esta manera la rehabilitación estará en con-
diciones de cumplir con los conceptos de una oclu-
sión mutuamente protegida.
En ortodoncia se deben cumplir estas mismas
premisas para poder crear una oclusión que sea
funcional, estable y que favorezca la salud y la fun-
ción articular. A diferencia del rehabilitador, el
ortodoncista debe trabajar bajo condiciones de
limitación mucho mayores ya que no cuenta con la
libertad de diseñar la anatomía de las caras oclusa-
les ni puede determinar las alturas de las coronas
clínicas para un caso determinado. El ortodoncista
debe, con su aparatología, direccionar los movi-
mientos de cada una de las piezas dentarias en los
tres planos del espacio para poder compatibilizar
las variables anatómicas de las coronas antagónicas
y lograr un engranaje oclusal lo más favorable posi-
ble (Fig. 4.6).
126 Estudio gnatológico
A1
Fig. 4.5: El tratamiento ortodóncico en un paciente con distracción condilar inicial, puede efectuarse sin tener en cuenta
las ATM (A1), realizando un tratamiento en PMI, en este caso sin extracciones (A2) que está expuesto a un cambio oclu-
sal de producirse la desprogramación mandibular (A3).
En la serie B, la reposición condilar en RC realizada en la etapa diagnóstica (B1) produce un cambio en la relación oclu-
sal que modifica la anomalía de forma considerable, transformándola en una Clase II que requiere extracciones superio-
res (B2). En B3 se gráfica el objetivo de MIC en coincidencia con RC al finalizar el tratamiento.
Conceptos gnatológicos 127
. 4.6 A: Serie perteneciente a un paciente de Clase I, con sintomatología muscular asociada al deslizamiento cén
co. En el montaje en el articulador en RC se observa el cambio en la relación molar, que se transforma en Clase II. B:
el tratamiento ortodóncico se realiza con extracciones de los primeros premolares superiores, obteniendo al finalizar una
relación de clase I canina y Clase II molar. C: vista del acople anterior, indispensable para la funcionalidad oclusal.
128 Estudio gnatológico
En nuestro ejercicio clínico el abordaje del pro-
blema oclusal debe ser distinto al del rehabilitador
y debemos tener como punto de partida para nues-
tra rehabilitación oclusal, el abordaje de ese pro-
blema desde atrás hacia adelante, trabajando pri-
mero el factor vertical del sector posterior. Es una
metodología opuesta a la de un rehabilitador, pero
persigue el mismo fin. Esta diferencia en el aborda-
je del problema se basa en las limitaciones de los
movimientos verticales del segmento posterior y la
posibilidad de la compensación que podemos hacer
en el segmento anterior.
En el sector posterior se realizarán modificacio-
nes del torque que afectan la posición vertical de las
cúspides fundamentales (torque negativo) para la
disminución de los contactos prematuros (Fig. 4.7).
La capacidad de intrusión a nivel de molares es
bastante limitada con técnicas convencionales, sí
aumentan con la aplicación de fuerzas aplicadas a
un anclaje esqueletal como son los microtornillos y
ésta puede ser una de las posibilidades para poder
eliminar contactos prematuros que sean responsa-
bles de una inestabilidad ortopédica mandibular
Movimientos en sentido sagital como la mesiali-
zación de los molares, o bien en sentido transversal
como la expansión o contracción de la arcada supe-
rior, pueden mejorar la relación oclusal posterior,
aceptando, por último, la posibilidad de realizar al-
gún tipo de tallado o remodelación coronaria que
permita finalmente el asentamiento oclusal.
Es una práctica común en ortodoncia, la utiliza-
ción de elásticos intermaxilares para conseguir un
adecuado entrecruzamiento anterior, reconociendo
de esta manera, las limitaciones del control del seg-
mento posterior. Si no se logra el overbite necesa-
rio es porque existe un obstáculo en el sector poste-
rior que impide el cierre anterior. Las limitaciones
del control posterior nos inducen a "compensar"
con movimientos de extrusión anterior. Esta com-
B
Fig 4.7 A: El inadecuado torque de los molares (torque positivo) provoca un problema vertical que se traduce en insufi-
ciente overtbite. B: Cuando se realiza el torque negativo de los molares, se produce el asentamientooclusal posterior
con el consiguiente aumento del overbite.
Conceptos gnatológicos 129
pensación no debe ser una práctica habitual sino un
recurso en casos extremos.
Estas consideraciones mecánicas se deberán
tener en cuenta para realizar una planificación del
tratamiento orientada hacia la función oclusal que,
a su vez, debe favorecer la función y estabilidad de
las ATM. En algunos casos, no podrán cumplirse la
totalidad de los objetivos, y esto deberá evaluarse
ya desde la etapa de diagnóstico, para poder esta-
blecer las limitaciones de un tratamiento sólo orto-
dóncico, o la necesidad de terapias combinadas
con prótesis o cirugía ortognática por ejemplo,
para mejorar los resultados oclusales funcionales.
Elementos que intervienen en el diagnóstico gna-
tológico
Junto con los objetivos gnatológicos, se incor-
pora el articulador en la rutina de trabajo del orto-
doncista.
Los modelos articulados en RC ofrecen una
información de gran importancia en el diagnóstico
del caso, porque en ellos podremos analizar los
contactos prematuros responsables de la reposi-
ción mandibular, valorar desde diferentes perspec-
tivas la posibilidad de eliminar estos contactos para
lograr el asentamiento del cóndilo y determinar el
grado de dificultad del tratamiento para alcanzar
los objetivos funcionales oclusales (Fig. 4.8).
En muchos casos está indicada la utilización de
placas de desprogramación con el objeto de facili-
tar el registro de la relación céntrica del paciente
El procedimiento de laboratorio de medir, por
medio del Indicador de Posición condilar, el com-
portamiento del cóndilo desde la Relación Céntri-
ca (RC) a la Máxima Intercuspidación (MIC) per-
mite evaluar la dirección de ese desplazamiento y
medir su magnitud. Será utilizado como método de
registro y control de esta posición condilar antes,
durante y después del tratamiento, y también para
realizar la conversióncefalométrica
La cefalometría, que provee datos sobre posi-
ciones dentarias, relación de bases esqueléticas y
proporciones faciales, se realiza habitualmente a
partir de una telerradiografía obtenida en máxima
intercuspidación. Por ello es necesario afectar los
valores obtenidos a una posición de RC en aquellos
casos en que exista una marcada disparidad entre
ambas posiciones. Este procedimiento se denomi-
na conversión cefalométrica.
Después de esta introducción, los próximos
capítulos tratarán extensamente estos temas, deta-
llando los procedimientos y materiales necesarios
para su implementación y su utilidad en el diagnós-
tico y la planificación.
Fig. 4.8
CAPITULO 5
Placa de reposicionamiento mandibular
CONSTRUCCIÓN
El uso de placas de reposicionamiento mandi-
bular en forma rutinaria para el diagnóstico orto-
dóncico, es la expresión práctica de los conceptos
gnatológicos vertidos en este nuevo enfoque. Por
esto, es frecuente encontrar en los libros de texto
diferentes modalidades para la construcción de
estas placas.
En nuestro criterio, no es tan importante el
modo de construcción sino el compromiso con una
serie de objetivos a lograr, cualquiera que sea la
técnica para construirla.
El uso cada vez más extendido de las máquinas
de estampado al vacío, ha permitido un acerca-
miento del profesional a la fase de construcción de
las placas, obviando el uso del laboratorio, con el
consiguiente beneficio de costo y tiempo.
Muchos especialistasrecomiendan lautilización
de este tipo de aparatos que, sin duda, cuentan con
grandes ventajas.
Nosotros hemos comprobado que son de gran
utilidad en aquellos casos en que es posible conse-
guir el resultado deseado en períodos de tiempo
relativamente breves, porque su superficie oclusal
suele ser muy delgada, y a pesar de la adición de
resinas acrílicas de autopolimerización, se rompe
con relativa facilidad.
Creemos preferible el uso de placas de despro-
gramación construidas con resinas de termopolime-
rización, porque permiten absorber errores del clí-
nico en el proceso de ajuste, debido al mayor
espesor y dureza de la resina. Por esta misma razón
su duración en boca es mayor.
El profesional podrá elegir el material en fun-
ción de su habilidad para el ajuste de estas placas y
del tiempo que pretenda utilizarla. Esto último
dependerá del cuadro clínico que presente el
paciente.
Describiremos brevemente la construcción de
las placas de reposicionamiento con resinas de ter-
mopolimerización, a partir de modelos montados
en articulador con registros de RC presuntiva, ob-
tenidos con maniobras manuales de desprogra-
mación (Fig. 5.1).
Se marcan los límites de la placa sobre las super-
ficies vestibulares y linguales de los dientes del
modelo con lápiz de grafito (Fig. 5.2). Luego, con
dos capas de cera rosa reblandecidas en el baño tér-
mico, se cubren las caras oclusales, vestibulares,
Fig. 5.1.
Fig. 5.2.
131
132 Estudio gnatológico
Fig. 5.3. Fig. 5.4.
palatinas y parte de la mucosa palatina o lingual
según sea el caso, intentando adaptar la cera lo más
íntimamente posible a la superficie del modelo, con
la finalidad de obtener una retención aceptable
(Fig. 5.3).
Se recortan los excesos, dejando cera sobre la
mucosa con el fin de darle más resistencia en las
maniobras iniciales. Luego se recorta hasta los lími-
tes prefijados en las superficies linguales.
Se alisa la superficie oclusal, evitando todo tipo
de irregularidades que provoquen interferencias en
los movimientos.
El contacto oclusal de las piezas antagonistas,
debe ser sólo a través de las cúspides de soporte o
fundamentales, en forma puntiforme sobre la cera,
que representará sólo una mesa de apoyo, sinrelie-
ves oclusales (Fig. 5.4).
Utilizando los movimientos permitidos por el
articulador, tanto en protrusiva como en laterali-
dad, se talla en la zona palatina de los incisivos, una
suave rampa que permita la desoclusión posterior
al menor movimiento mandibular protrusivo (Fig.
5.5).
Debe construirse también una guía canina suave
y sin interrupciones, que desocluya el lado de ba-
lance y el resto de las piezas del lado de trabajo,
en los movimientos de lateralidad derecha e iz-
quierda (Fig. 5.6).
Fig. 5.5. Fig. 5.6.
Placa de reposicionamiento mandibular 133
Fig. 5.7. Fig. 5.8.
Una vez logradas estas condiciones, se reempla-
za la cera por la resina acrílica mediante el enmu-
flado (Fig. 5.7).
ADAPTACIÓN
Una vez instalada la placa en boca, se deberá
constatar que reúna los siguientes requisitos:
• Contactos puntiformes de las cúspides funda-
mentales antagonistas en los sectores laterales.
• Acople incisivo con una separación que permita
el pasaje de un papel shimstock de 0,0005".
• Guía anterior que permita la desoclusión de los
sectores posteriores durante el movimiento pro-
trusivo, y en la cual deben participar los incisi-
vos y/o los caninos.
• Guías caninas que permitan la desoclusión en los
lados de trabajo y no trabajo, durante las excur-
siones de lateralidad izquierda y derecha.
El uso de esta placa debe ser permanente duran-
te la desprogramación. Se debe controlar periódi-
camente al paciente para reajustarla a los cambios
de posición mandibular que ocurran durante ese
período, procurando mantener siempre, o mejorar
' '
'
• !|
•
•
•
Fig. 5.9: Placa terminada.
si fuese posible, las condiciones iniciales de contac-
to y protección de las guías (Fig. 5.8).
Después de un período de tiempo, que variará
según el grado de alteración que presente el
paciente, cuando ya no se perciban cambios en la
posición mandibular y se compruebe su libre mani-
pulación, así como el control del paciente sobre los
diferentes tipos de movimientos mandibulares,
podremos estar en condiciones de realizar los
registros pertinentes para el montaje definitivo,
que nos permitirá realizar un correcto análisis de
las relaciones esqueléticas y dentarias del caso a
tratar.
CAPITULO 6
Montaje en articulador
ARTICULADOR SAM
El articulador "SAM" es un articulador semia-
justable tipo ARCON, de uso en odontología res-
tauradora, que por sus características se ha trans-
formado en uno de los aparatos de elección para el
diagnóstico y planificación del tratamiento de orto-
doncia. En este capítulo haremos una descripción
de este aparato y de su manejo, con el propósito de
facilitar al clínico su utilización.
Como ya se ha dicho, hoy no es posible hablar
de diagnóstico ortodóncico considerando sólo la
relación dentaria intermaxilar observada clínica-
mente o en modelos de estudio tradicionales, sin
considerar la articulación temporomandibular.
Éste es probablemente uno de los temas más
importantes que debemos considerar para definir
adecuadamente nuestro cuadro clínico. Ignorar o
minusvalorar la importancia de la ATM puede alte-
rar o falsear la relación interarcada y, en conse-
cuencia, inducirnos a un error diagnóstico.
El conocimiento de la ATM y de su mecánica de
trabajo, así como también su comportamiento en
estado de salud o de alteración, ayudará al clínico a
elaborar un plan de tratamiento correcto. Éste po-
drá verse en muchos casos condicionado olimitado
por las características de esta articulación, cuyos
aspectos funcionales serán determinantes en el
pronóstico del caso. El tratamiento ortodóncico
correctamente planificado deberá alcanzar como
resultado ideal un perfecto engranaje oclusal,
teniendo a los cóndilos en relación céntrica (RC).
En consecuencia, todos los casos clínicos some-
tidos a estudio ortodóncico deberán ser montados
en un articulador semiajustable en posición de RC
(Fig. 6.2).
Además se deberá definir y medir la posición
condilar en RC y MIC. Para ello el articulador debe
proveer un dispositivo denominado Indicador de
Posición Mandibular o más precisamente Indicador
de Posición Condilar. Aun cuando presentan dife-
rencias significativas en su diseño y en su construc-
ción, la aplicación clínica de los distintos modelos
de articulador es la misma.
Este aparato ha sido diseñado ante la evidencia
de las diferentes posiciones que asume la mandíbu-
la como resultado de la respuesta de la neuromus-
culatura ante la presencia de interferencias o con-
tactos prematuros, que desplaza los cóndilos de su
relación con el medio articular.
Tomando como punto de partida la RC, el des-
plazamiento mandibular hasta la MIC se realiza
Fig. 6.1: Articulador SAM 3
135
136 Estudio gnatológico
Fig. 6.2: Montaje de modelos en RC.
Se reproduce la posición de ambas arcadas
dentarias en los tres sentidos del espacio y el
eje de bisagra arbitrario, representado por el
eje condíleo del articulador.
hacia adelante y puede tener un componente de
lateralidad. A nivel condilar, se manifiesta de dife-
rente manera. Por razones de anatomía, en todos
los casos los cóndilos que salen de su posición de
céntrica sufren además un desplazamiento hacia
abajo.
El articulador SAM, tiene el ya mencionado
Indicador de Posición Mandibular (MPI). Es una
segunda rama superior que permite la representa-
ción gráfica de la posición del cóndilo en el espacio
de la cavidad glenoidea durante la posición de
máxima intercuspidación (MIC). El operador
puede, así, conocer el comportamiento de la articu-
lación desde la posición de relación céntrica a
máxima intercuspidación (Figs. 6.1 y 6.2).
Posee dos bases: una superior y otra inferior, y
como ya dijimos una segunda base superior, llama-
da MPI.
• Base superior: para la colocación del modelo
superior, presenta en su extremo posterior dos
cajas articulares que representan a las cavidades
glenoideas; en el sector anterior, esta base superior
puede alojar indistintamente el pin o la mesa inci-
sal.
• Base inferior: para la colocación del modelo
homólogo. Lleva incorporados en su extremo pos-
terior dos pilares con sus correspondientes cóndi-
los. Al igual que en la superior, en el sector anterior
puede colocarse el pin o la mesa incisal.
• MPI: permite la colocación del modelo supe-
rior. En sus extremos laterales las cajas glenoideas
están reemplazadas por unos cubos que servirán de
base de registro para la representación gráfica de la
posición de los cóndilos.
Base o rama superior
La base superior presenta en su extremo ante-
rior una ranura, destinada a incorporar en ella un
Fig. 6.3: Ramasuperior.
Montaje en articulador 137
tope de plástico amarillo (mesa incisal) o un vasta-
go o pin milimetrado (vastago incisal) (Fig. 6.3).
En el centro de la rama superior se encuentra el
tornillo de sujeción de platinas, que por su cara
inferior presenta dos pequeñas salientes que son las
guías que impiden la rotación de los modelos.
En el extremo posterior de la rama y colocados
lateralmente, se encuentran las cajas glenoideas,
dos semihesferas metálicas que representan a las
cavidades del mismo nombre.
Estas cajas derecha e izquierda (figuras 6.4 y
6.5), pueden ser ajustadas en su inclinación (torni-
llo posterosuperior de la base), para dar la inclina-
ción a la cavidad glenoidea en una escala de 5°a65°
y permitir así su ajuste según la inclinación que
pueda presentar cada pared anterior de las cavida-
des glenoideas del paciente. Ésta es la guía condi-
lea. A su vez, las cajas presentan un tornillo en su
cara superior, para ajustar la angulación de su
pared medial, en una escala de 0° a 35° y fijar así el
ángulo de Bennet. En la parte lateral, tiene una ani-
lla que se mueve lateralmente para asegurar la
posición del cóndilo en el fondo de la cavidad
durante el montaje.
Fig. 6.4: Cajas glenoideas.Vistasuperior.
Fig. 6.5: Cajas glenoideas.Vistainferior.
Base o rama inferior
La rama inferior posee en su extremo anterior
una ranura similar a las descritas para la rama supe-
rior y con el mismo objetivo: permitir alojar en ella
la mesa o el vastago incisal milimetrado.
En el centro de la rama inferior, encontramos
un tornillo de sujeción para las platinas de montaje
y por su cara superior los topes que impedirán la
rotación de los modelos.
En el extremo distal, dos columnas laterales
soportan en su extremo superior los cóndilos dere-
cho e izquierdo (Fig. 6.6).
Fig. 6.6: Ramainferior.
138 Estudio gnatológico
Indicador de posición mandibular (MPI)
El indicador de posición mandibular (MPI), es
una segunda base superior, intercambiable con la
base superior ya mencionada.
Presenta en el sector anterior una ranura igual a
las bases superior e inferior y con la misma finali-
dad.
En el centro tiene un tornillo central y las guías
para la fijación de la platina de montaje del mode-
lo superior.
En el sector posterior y lateral se observan dos
cubos de plástico negro, uno en cada lado, que tie-
nen movilidad en sentido transversal y un pequeño
pin que perfora el centro de su cara externa, sobre
la que se adhieren unas láminas autoadhesivas de
papel milimetrado para el registro de la posición
condilar.
En la porción posterosuperior, una esfera con
dos cuadrantes, el menor graduado en milímetros y
el mayor en décimas de milímetros, está destinada
a la medición de la desviación transversal de la
mandíbula (Fig. 6.7).
Arco facial
El arco facial es un elemento que registra la
posición del maxilar superior respecto a la base del
cráneo, y la transfiere al articulador en el momen-
to del montaje del modelo superior. El tornillo cen-
tral en su cara superior es para impedir el movi-
miento de apertura o cierre del arco cuando está en
posición. En su cara inferior lleva un aditamento
para posicionar la horquilla.
En sus extremos distales se encuentran las oli-
vas, que se insertan en los conductos auditivos ex-
ternos. Tiene además:
- Un apoyo nasal desmontable y ajustable.
- Una pieza de transferencia articulada, desmonta-
ble y ajustable en los tres planos del espacio.
- Una horquilla para el registro del plano oclusal
superior (Fig. 6.8).
Secuencia de montaje
Se describirá el montaje en el modelo SAM 3.
Como ya hemos dicho, este montaje relaciona
los modelos de estudio en las mismas condiciones
espaciales en que se encuentran los maxilares en el
macizo facial, mediante una serie de registros que
permiten trasladar estas condiciones al articulador.
Fig. 6.7: Indicador de posición mandibular (MPI).
Fig. 6.8: Arco facial y accesorios
En el caso que aquí ejemplificamos no hay coin-
cidencia entre la relación céntrica y la máxima
intercuspidación, situación frecuente en casos con
maloclusión (Fig. 6.9).
Para ajustar nuestro diagnóstico, debemos con-
siderar:
- la posición del cóndilo en relación céntrica,
que presenta una determinada relación interoclusal
- la posición del cóndilo en máxima intercuspi-
dación, en la que se observará una relación intero-
clusal diferente.
Montaje en articulador 139
Por esta razón, los registros necesarios para
hacer nuestro montaje en articulador serán dos: los
que obtengamos mediante las ceras de relación
céntrica y aquellas obtenidas en máxima intercus-
pidación.
La planificación y la ejecución de nuestro trata-
miento deben estar orientadas a disminuir la dis-
tancia que existe entre la posición del cóndilo en
relación céntrica (RC) y máxima intercuspidación
(PMI) o lo que es igual, corregir la oclusión que
presenta el paciente cuando sus cóndilos se encuen-
tran en RC. El resultado final será lograr la coinci-
dencia en dichas posiciones o al menos aproximar-
las lo máximo posible.
OBTENCIÓN DE REGISTROS
CLÍNICOS PARA EL MONTAJE
Relación céntrica (RC)
Para el registro de la relación céntrica se utiliza la
cera azulDelar, que debe ser reblandecida en un baño
térmico hasta obtener una textura lo suficientemente
dúctil como para hacer con ella un registro de las caras
oclusales de los molares superiores e inferiores y de
los incisivos, sin que el grado de dureza de la cera
represente un obstáculo u oposición al movimiento
mandibular de cierre que pueda alterar el registro.
El registro de la relación céntrica se obtiene tras
lograr la máxima relajación mandibular, con amplia
libertad de movimientos y en las mejores condicio-
nes de manipulación, para llevar los cóndilos a la
zona de relación céntrica. En ocasiones, el pacien-
te deberá ser preparado previamente mediante el
uso de placas tipo Michigan para eliminar contrac-
turas que puedan impedir o dificultarlas maniobras
destinadas a registrar esta posición.
Deberá estar cómodamente sentado, con el apo-
yacabeza colocado de tal forma que su cuello no se
encuentre en sobreextensión ni en deflexión.
El sillón debe estar reclinado en un ángulo aproxi-
mado a los 45° en relación al piso y con la cabeza a la
altura del codo del operador para favorecer las
maniobras de manipulación mandibular.
Antes de tomar los registros se hace una mani-
Fig. 6.9. A: Posición mandibular en RC; registrada con cera azul Delar. B: Desplazamientomandibular en la MIC, regis-
trada con cera Moyco rosa.
140 Estudio gnatológico
pulación de la mandíbula, utilizando para ello
algún método de inducción que el operador mane-
je habitualmente, con el fin de determinar el con-
tacto prematuro. Este contacto frecuentemente se
encuentra en el sector posterior y es necesario loca-
lizarlo para realizar el registro sin llegar a él.
En otras ocasiones, este primer contacto puede
manifestarse en el sector anterior por erupciones
ectópicas de los incisivos o en aquellos casos de
moderadas Clases III dentarias.
Cuando se localiza en el segmento posterior uti-
lizaremos la técnica de doble registro de cera (figu-
ras 6.10 y 6.11). El primero corresponde al segmen-
to anterior y se extiende de canino a canino, re-
gistrando la relación de entrecruzamiento horizon-
tal (overjet). En un segundo tiempo, se hace el re-
gistro de cera del segmento posterior.
El primer registro se debe hacer controlando
visualmente el sector dentario posterior, que no
debe ocluir durante esta maniobra. El contacto pre-
maturo debe quedar en inoclusión y con una sepa-
ración máxima de 2 mm o algo menos.
El registro del sector anterior se hace con un
espesor de cera variable en función del grado de
overbite que presente el caso. Si el paciente tiene
una sobremordida, dos capas de cera serán sufi-
cientes para hacerlo, pero si el paciente presenta
una disminución del overbite o incluso una mordi-
da abierta, deberemos aumentar las capas de cera
para obtenerlo sin contacto posterior.
Teniendo en cuenta la relación anterior, prepa-
raremos el bloque de cera del menor tamaño posi-
ble. En sentido transversal no debe superar el diá-
metro intercanino y en sentido anteroposterior
podrá ser más o menos ancho en función del over-
jet del paciente, para asegurar la impronta de los
incisivos inferiores.
Para realizar los registros las ceras se tratan tér-
micamente en un baño de agua a una temperatura
próxima a los cincuenta y cinco grados centígrados.
Se posiciona la cera anterior presionándola sobre
los bordes incisales superiores para darle una mínima
estabilidad y se procede a la maniobra de inducción
manipulando la mandíbulaen cierre hasta llegar casial
primer contacto oclusal (Fig. 6.12). En esta posición se
procede a enfriar la cera con agua para endurecerla y
retirarla sin deformación, y se introduce inmediata-
mente en un recipiente con agua fría.
Fig. 6.10: Cera para registro RC.
Fig. 6.11: Vista lateral.
Durante este procedimiento el operador debe
evitar cualquier movimiento mandibular de avance
que pueda provocar un error en el registro. Esta
precaución es de destacar porque todo paciente
cuando se le coloca algo entre los incisivos, respon-
de con un reflejo de movimiento de corte, que
implica normalmente un avance.
Montaje en articulador 141
A continuación se recoloca la cera anterior ya
enfriada y se repite la maniobra de cierre para che-
quear el registro y también, familiarizar al paciente
con esta cera que le servirá de tope de cierre y de
guía en el registro posterior. La cera posterior debe
tener un ancho igual a la suma de los diámetros
mesiodistales de un premolar y un molar (alrede-
dor de 12 milímetros), el espesor será siempre de
dos capas de cera y transversalmenteno debe supe-
rar las caras vestibulares de los molares inferiores.
Colocada la cera anterior se posiciona la poste-
rior en la arcada superior y se le pide al paciente
que cierre lentamente guiado por la anterior, que le
impedirá llegar al contacto interoclusal. En este
momento la musculatura elevadora utiliza la cera
anterior como un fulcrum, propulsando los cóndi-
los hacia arriba y adelante para llegar a la posición
de Relación Céntrica. En este registro no se practi-
ca ninguna maniobra de inducción.No se debe per-
forar la cera posterior (Fig. 6.13)
Es crítica en esta maniobra la resistencia que
pudiera hacer la cera posterior, que si no está sufi-
centemente blanda será un obstáculo para que el
cóndilo ascienda en la cavidad articular.
En aquellos casos en que el contacto dentario es
anterior será necesario hacer este registro con el
uso de una sola cera. Se preparará una cera de
forma trapezoidal que comprometa una amplia zo-
na oclusal, habitualmente desde el primer molar
hasta las proximidades del canino. El ancho tam-
bién debe respetar el límite vestibular de las piezas
de la arcada inferior y el espesor será el necesario
para evitar el primer contacto anterior.
En este caso se coloca la cera y se hace la induc-
ción, manipulando la mandíbula para captar la
posición de RC en un solo registro,
En el montaje,los modelos superior e inferior se
relacionan entre sí a través de esta cera azul. Por las
características de esta cera, que le otorgan una gran
estabilidad en frío, estos registros formarán un trí-
pode que dará estabilidad a los modelos impidien-
do que alteren su relación durante este procedi-
miento (Fig. 6.14).
De esta forma se relacionan los modelos en el
articulador a través de la relación condilar de RC
en ausencia de contactos oclusales.
Fig. 6.12: Registro anterior.
Fig. 6.13: Registroposterior.
Fig. 6.14: Modelos relacionados en RC.
142 Estudio gnatológico
Máxima intercuspidación (MIC)
Este registro se realiza con cera rosa "Moyco" y
relaciona los maxilaresentre sí, a través de la mayor
cantidad de puntos de contacto oclusales (MIC). Se
denomina también oclusión habitual.
Se recorta una lámina de cera rosa, teniendo
como referencia la forma de la arcada inferior y
cuyo tamaño no exceda las cúspides vestibulares de
los sectores posteriores. Este registro se hace sin
necesidad de manipular la mandíbula, el paciente
deberá morder la cera en forma habitual hasta per-
forarla (Figuras. 6.15 y 6.16).
Esta cera sólo sirve como un elemento estabili-
zador entre el modelo superior e inferior y debe
estar perforada para no añadir un problema verti-
cal inexistente.
En aquellos casos en que el paciente presenta
una mordida abierta con escaso contacto interoclu-
sal la cera deberá ser construida de diferente espe-
sor para lograr el objetivo de estabilización de los
modelos.
Estas ceras serán de utilidad solo durante la
colocación de los modelos en el lector de posición
mandibular (MPI).
Una vez obtenidos estos registros, tendremos la
posibilidad de relacionarlos entre sí de dos mane-
ras: a través de los contactos oclusales (MIC) o a
través de la relación cóndilo/cavidad glenoidea
(RC).
Registro con arco facial
En primer lugar, es necesario hacer el registro
de las caras oclusales de la arcada superior, colo-
cando en la superficie de la horquilla tres puntos de
godiva, dos en los sectores laterales y uno en el sec-
tor anterior, que captarán la superficie oclusal de
los molares y de los incisivos, formando un trípode
para el apoyo del modelo superior. Éste, deberá
quedar completamente estable sobre las improntas
de godiva para evitar movimientos durante su mon-
taje en el articulador. Las huellas de las superficies
oclusales no deben ser profundas ni perforar la
godiva hasta la superficie metálica de la horquilla.
Los dientes restantes tampoco deberán contactar
con ésta.
Se calienta la godiva y se lleva a posición,
teniendo como referencia el vastago anterior de la
horquilla, que debe ser colocado mirando al frente
y centrado en la línea media del paciente. En esa
•
Fig. 6.15: Registro de MIC.
Fig. 6.16: Cera de la MIC, con las perforaciones del con-
tacto interoclusal.
posición, se impresiona la superficie oclusal de la
arcada superior (Fig. 6.17). Se enfría la godiva con
agua y posteriormente se retira. Es preciso com-
probar, una vez enfriado el material de impresión,
que el modelo superior asiente perfectamente en
las huellas oclusales de la horquilla.
Colocaremos el arco facial al paciente con el
apoyo nasal, sin la pieza de transferencia y sin la
horquilla. Se ajustan las olivas en el conducto audi-
tivo externo y se coloca el apoyo nasal en su sitio
presionándolo ligeramente, como si fuese el émbo-
lo de una jeringa, contra el puente nasal. Se ajus-
tan el tornillo central del arco facial para fijarlo en
sentido transversal, y el tornillo del apoyo nasal,
que lo fija en sentido anteroposterior. En estas con-
diciones, deberá quedar sustentado por sí mismo y
paralelo al plano de Frankfort. En esta posición, se
le pide al paciente que abra la boca y se colocan
Montaje en articulador 143
unidas la horquilla y la pieza de transferencia con
todos los componentes de fijación flojos, para per-
mitir el libre movimiento de todas sus partes.
Los elementos de fijación deben ser colocados
mirando al operador. Se fija la pieza de transferen-
cia al arco facial, y se recoloca la horquilla utilizan-
do las huellas oclusales impresas en ella.
Una vez posicionada, debemos comprobar que
los componentes de la pieza de transferencia se
encuentren firmemente ajustados para evitar des-
plazamientos indeseados (Fig. 6.18). Se ajustan los
elementos de unión y se retira de la boca.
Ya fuera de la boca se separa la pieza de trans-
ferencia del arco facial y se lleva al articulador para
ubicar el modelo superior.
MONTAJE DE MODELOS
Montaje del modelo superior
El articulador será ajustado con valores pro-
medios de inclinación sagito-condilar y ángulo de
Bennet para realizar el estudio del caso. Nos inte-
resa la evaluación de la oclusión en estática. Su
valoración desde el punto de vista transversal, ver-
tical y sagital se hace con los modelos en la oclusión
en RC, por esta razón no se busca laindividualiza-
ción en el ajuste dinámico del articulador.
Se fijan en la rama superior los parámetros de
trayectoria sagital condílea en 30°y ángulo de Ben-
net en 15°.
Según el tipo de pieza de transferencia que uti-
licemos colocaremos el aditamento adecuado para
su fijación sobre la rama inferior del articulador.
Existen en este tipo de articuladores diferentes
piezas de transferencia para el montaje del modelo
superior. Algunas utilizan una pequeña mesa de
montaje que se adiciona en la rama inferior del arti-
culador. Otras más nuevas tienen una columna cen-
tral que también se fija en la rama inferior
La pieza de transferencia quedará vinculada a la
rama inferior y la horquilla en condiciones de reci-
bir el modelo superior. Este modelo tendrá su pe-
so, que aumentará de forma significativa cuando se
le agregue el material de cementado (en este caso
Fig. 6.17: Registro de la arcada superior con la horquilla.
Fig. 6.18: Arco facial totalmenteajustado.
escayola rápida) resultando crítico cuando se pro-
cede al cierre de la rama superior del articulador.
Para evitar cualquier movimiento del conjunto
horquilla-modelo superior e impedir su descenso
por el peso, situación que también modificaría la
inclinación del plano oclusal, será necesario colocar
algún elemento que estabilice la horquilla antes de
la colocación de la escayola.
El articulador tiene un aditamento diseñado pa-
ra este fin, que consiste en una torreta telescópica
que apoyándose en la platina de la rama inferior da
sustento a la horquilla evitando cualquier movi-
miento indeseado. También es común colocar de-
bajo de ella una pieza de acrílico que le sirva de
apoyo; si fuese necesario, esta pieza se ajustará en
altura con escayola hasta hacer contacto con la hor-
quilla.
144 Estudio gnatológico
La pieza de transferencia y la horquilla así esta-
bilizada permiten reproducir en el articulador la
ubicación espacial que se registró con el arco facial,
transfiriendo la inclinación del plano oclusal del
paciente.
Una vez posicionada la pieza de transferenciay
la horquilla estabilizada, se ubica sobre la horquilla
el modelo superior, asegurando un perfecto asenta-
miento en la impronta de la godiva. El operador
deberá comprobar, cerrando la rama superior del
articulador, que exista espacio suficiente por enci-
ma del modelo superior para la colocación de la
escayola rápida (Fig. 6.19).
Con este material se prepara una pequeña
columna que sirva de unión entre la platina y el
modelo superior. Se prepara sólo una pequeña can-
tidad para evitar (o minimizar) las distorsiones que
provoca su fraguado.
El articulador con su rama superior horizontal
al apoyar en la pieza de transferencia, evita la dis-
torsión de la posición espacial de los modelos y la
inclinación del plano oclusal.
En un segundo tiempo y con yeso común hace-
mos la terminación del montaje del modelo supe-
rior (Fig. 6.20).
Montaje del modelo inferior
El cementado del modelo inferior se hace rela-
cionando ambos modelos, superior e inferior, a tra-
vés de las ceras de relación céntrica (registro de
cera azul).
Es necesario recortar las ceras azules para poder
observar que las cúspides vestibulares de ambas
arcadas asienten perfectamente. Es conveniente
eliminar en las ceras azules cualquier contacto con
los tejidos blandos, especialmente aquellos en rela-
ción con la papila retroincisiva. De esta manera las
ceras adaptarán sólo en los tejidos dentarios, y para
poder visualizar ésto se recortarán excesos tanto
en la cera anterior como en la posterior.
Una vez perfectamente asentados en las ceras
azules se fijan mediante un elástico para evitar
cualquier desplazamiento durante la colocación del
material que fijará el modelo inferior. (Fig. 6.21)
El cóndilo de la rama inferior del articulador
debe estar colocado en el fondo de la cavidad arti-
cular (posición de RC) permitiendo sólo el movi-
miento de apertura y cierre, para lo cual se ajustan
hacia adentro las anillas de céntrica que en esta
posición bloquean los movimientos de lateralidad
Fig. 6.19: Instalación de la pieza de transferencia con la
horquilla estabilizada para el montaje del modelo superior.
Fig. 6.20: Modelo superior montado.
Fig. 6.21: Modelo inferior relacionadocon las ceras de RC
y el articulador invertido para procedera su montaje.
Montaje en articulador 145
Fig. 6.22 A y B: Montaje terminado.
para evitar algún desplazamiento en el momento
del cementado del modelo inferior.
Para compensar el espesor de las ceras de rela-
ción céntrica, que relacionan el modelo superior
con el inferior, deberemos aumentar la altura del
pin incisal dos a cuatro milímetros en función del
espesor de las ceras. Se coloca una pequeña colum-
na de escayola rápida sobre el modelo inferior y se
fijan también las ramas del articulador con una
banda elástica a fin de disminuir o minimizar las
posibilidades de variación de tamaño con la expan-
sión de fraguado de la escayola.
Es muy importante conocer las variaciones de la
posición mandibular entre RC y MIC. El diagnósti-
co del caso se basará en la posición de relación cén-
trica, pero es necesario el registro de ambas posi-
ciones por varias razones:
1. Para comprender con más profundidad el pro-
blema oclusal.
2. El registro inicial será la referencia para el
permanente control del caso.
Debe recordarse que el tratamiento tendrá
como objetivo reducir el rango de diferencia entre
ambas posiciones.
3. En los casos en que ese rango sea de cierta
consideración, deberá estar reflejado en la cefalo-
metría inicial, modificándola con el procedimiento
de conversión cefalométrica.
REGISTROS DE POSICIÓN CONDILAR
Con el articulador:
Una vez realizado el montaje de los modelos, se
toman los registros para determinar el desplaza-
miento de la mandíbula desde RC a MIC.
Se hacen dos registros con el articulador:
1. Altura del pin incisal en RC:
La medición del contacto prematuro es el pri-
mer registro que realizamos.
En la ficha se registra de la siguiente manera:
Altura PIN en RC: mm.
Altura PIN en MIC: mm.
Diferencia PIN RC-MIC: mm.
Con los cóndilos firmemente asegurados en RC,
se retira la cera azul, se suelta el tornillo de fijación
del pin incisal y se permite el cierre bucal del arti-
culador en busca del primer contacto interoclusal.
En este momento se realiza la lectura de la escala
del pin. Ésta es la altura en milímetros de la oclu-
sión en RC, es decir la que corresponde al primer
contacto oclusal (Fig. 6.23 A).
La altura del pin en MIC se obtendrá con el
modelo superior colocado en el MPI. Se mide la
altura del pin incisal en relación de máxima inter-
cuspidación (cera rosa) (Fig. 6.23 B). La diferencia
146 Estudio gnatológico
Fig. 6.23 A: Altura del pin incisal en RC. B: la misma medición en MIC.
entre ambas mediciones es la altura del contacto
prematuro.
Este registro es orientativo y no representa, en
rigor, la altura real del contacto prematuro. Las
medidas se hacen en el pin incisal que se encuentra
muy alejado de la zona del contacto prematuro y
esto genera una distorsión. El pin incisal puede
estar a más de cincuenta milímetros del contacto
prematuro y esto hace que la medida sufra un au-
mentosignificativo.
Esta medición sólo sirve de orientación, para
evaluar, por ejemplo, la influencia de un contacto
prematuro en el overbite, o la magnitud de los des-
gastes selectivos necesarios para la corrección.
2. Registro en la platina incisal:
El segundo registro se realiza sobre la mesa inci-
sal con el articulador en las mismas condiciones
que las descritas para el primer registro.
Sobre la mesa incisal se adhiere un papel mili-
metrado e interponiendo un papel de articular, se
presiona con el pin incisal sobre la mesa, registran-
do así la posición sagital y transversal de la mandí-
bula en el plano horizontal.
Los registros mantienen un código de colores;
los de RC se hacen en azul y los de MIC en rojo
(Fig. 6.24).
Este registro se repetirá en la mesa incisal del
MPI y evaluamos así la dirección del desplaza-
miento mandibular desde la posición de RC a MIC.
Siempre el desplazamiento es en sentido anterior, y
puede o no tener un componente de lateralidad.La
lectura se hará en ambos sentidos. En el sentido an-
teroposterior, observaremos la magnitud; en senti-
do lateral, sólo la dirección ya que el rango de des-
plazamiento estará magnificadocon respecto al del
sector incisivo, debido a la posición alejada del pin
que es el que determina el registro.
Este registro debe relacionarse con el contacto
que se establece entre los incisivos inferiores y los
superiores con el desplazamiento de la mandíbula.
Explica en muchos casos la presencia de apiña-
mientos en los incisivos inferiores, y la aparición de
diastemas o vestíbulo inclinación en los superiores,
dependiendo de la dirección del desplazamiento
mandibular en MIC.
Fig. 6.24: Registro en la platina incisal.
Montaje en articulador 147
Con el MPI
Debemos ahora registrar la posición de los cón-
dilos en sus respectivas cavidades glenoideas, cuan-
do las arcadas están en máxima intercuspidación.
• Se retira el modelo superior desmontándolo
de la rama homologa junto a su platina y se fija
mediante ella al MPI (Fig. 6.25).
• Se lo relaciona con el modelo inferior inter-
poniendo entre ambos la cera rosa de MIC. En este
momento, ambas ramas (rama inferior y MPI) con
sus respectivos modelos, están vinculadas solamen-
te mediante la oclusión (Fig. 6.26).
El MPI es una rama superior que en la zona de
las cajas articulares tiene un cubo, cuya cara externa
sirve de base para adherir una lámina autoadhesiva
Fig. 6.25: Modelo superior fijado al MPI.
El centro de los cubos de MPI reproduce la
posición del cóndilo en RC, y con una aguja
perfora la lámina autoadhesiva para hacer el
registro.
Fig. 6.26: Cuando se relacionan los modelos
en MIC, el desplazamiento del cóndilo podrá
ser registrado en la grilla de la lámina auto-
adhesiva, a través de la impronta de la esfe-
ra condilar.
148 Estudio gnatológico
de papel milimetrado. Se adhieren dos, uno a la
cara exterior del cubo derecho y el otro a la homo-
loga del izquierdo. Los cubos tienen en el centro
una pequeña aguja que perfora la lámina de papel
(Fig 6.27).
Presentados así, indicador de posición mandibu-
lar (MPI) con el modelo superior, cera de máxima
intercuspidación y rama inferior con su correspon-
diente modelo inferior, se registra la posición man-
dibular en MIC.
1. Altura del PIN incisal en MIC:
Este registro, ya mencionado, mide en el pin
incisal la altura de la oclusión en MIC y comple-
menta la medición hecha previamente en el articu-
lador con los modelos en RC.
2. Registro de la platina incisal en MIC:
El segundo registro en la platina incisal consiste
en marcar en su lámina autoadhesiva, con papel
rojo, la posición mandibular en MIC (Fig. 6.28)
3. Registros de la posición condilar:
El tercer registro a realizar es el registro del
cóndilo en MIC en el plano sagital. Este registro se
hace sobre las caras externas de los cubos que han
reemplazado a las cavidades glenoideas en el arti-
culador.
Se coloca papel articular rojo (MIC) entre el
cóndilo y los cubos. Estos tienen movilidad en sen-
tido transversal para perforar, en su movimiento en
sentido medial, la lámina autoadhesiva con la aguja
central (RC) y en el de expansión, contactar contra
el cóndilo de la rama inferior (MIC) .
De esta manera, marcaremos dos puntos en la
lámina. Uno de ellos corresponde a la perforación
hecha por la aguja (RC) y el otro al marcado por el
papel de articular al presionar el cubo sobre el cón-
dilo (MIC) (Figs. 6.25 y 6.26).
Estos puntos podrán coincidir o no y represen-
tan el desplazamiento del cóndilo desde la relación
céntrica a la máxima intercuspidación, en sentido
anteroposterior y vertical.
4. Registro del desplazamiento condilar transversal:
Será necesario también, registrar posibles cam-
bios de la posición condilar en sentido transversal
Fig. 6.27: Láminas autoadhesivas para el registro de posi-
ción condilar.
Fig. 6.28: Registros de la platina incisal en MIC y RC.
ya que la interdigitación de las superficies oclusales
con sus planos inclinados puede provocar, a veces,
un desplazamiento condilar en sentido transversal
a lo largo del eje bicondileo.
Este movimiento se mide con la esfera del MPI
ya mencionada, que expresará en décimas de milí-
metros la desviación de los cóndilos hacia el lado
derecho o izquierdo según la naturaleza de los con-
tactos.
En MIC los cóndilos pueden desplazarse late-
ralmente hacia la derecha o hacia la izquierda en
función de la orientación que impongan los planos
inclinados de las caras oclusales.
Montaje en articulador 149
Este movimiento en sentido transversal, será
registrado por la esfera graduada del MPI, que se
activa al colocar su brazo gatillo en la ranura del
cubo. El brazo empuja la caja hacia el exterior has-
ta que entra en contacto con el cóndilo y registra la
distancia recorrida por éste en sentido transversal
desde la RC a MIC (Fig. 6.27).
Por razones anatómicas, es fácil comprender
que las desviaciones en sentido transversal estarán
limitadas por el espacio existente entre el cóndilo y
la pared medial de la cavidad glenoidea.Por ello las
desviaciones que se registran en esta esfera son de
pequeña magnitud
En la esfera del MPI. destinada a la medición de
este desvío, se encuentra una pequeña semiesfera
con una escala de cero a dos milímetros, en color
rojo hacia abajo y en color negro hacia arriba que
marca la dirección del desvío condilar en milíme-
tros. Si la aguja pequeña se mueve desde el punto
cero hacia la numeración negra significa que los
cóndilos se desviaron hacia la izquierda y si se
mueve hacia la numeración roja significa que la
desviación es hacia la derecha.
La esfera mayor que marca las décimas de milí-
metro de la desviación, presenta en las distintas
divisiones números en color rojo y en color negro.
Se leerá el número que corresponde al color im-
puesto en la semiesfera que marca los milímetros
(Fig. 6.29)
Interpretación de los Registros del MPI
Una vez obtenidos los registros, será necesaria
una interpretación correcta de estos datos, para
poder utilizar esta información en el caso a tratar.
Como ya fue dicho, se debe tener como objetivo
ideal lograr que en la máxima intercuspidación los
cóndilos estén en RC, o muy próximos a ella. Se
deberá realizar una planificación orientada a tal fin,
así como implementar los recursos mecánicos nece-
sarios para su obtención.
Esta situación ideal, no siempre será posible de
alcanzar con métodos ortodóncicos, por depurados
que sean. Se evaluará en cada caso la posibilidad de
recurrir a otros procedimientos terapéuticos, reha-
bilitación protética, quirúrgica o combinados.
En los casos en que el profesional deba optar
por una solución de compromiso, aceptando la
imposibilidad de conseguir lo óptimo, es decir,
MIC = RC, el tratamiento deberá estar orientado a
disminuir la diferencia entre ambos puntos, o al
Fig. 6.29: Registro transversal del MPI.
La esfera pequeña señala el sentido de la desviación, la
esfera mayor mide en décimas de milímetros el desvío, en
el color definido por la esfera menor.
menos, mantener la situación inicial, pero nunca
aumentar la discrepancia ya existente.
Si la posición mandibular está regida por la
oclusión y nuestro tratamiento ortodóncico provo-
ca movilización dentaria, y por lo tanto cambios en
las relaciones oclusales, es lógico pensar que puede
modificar la relación cóndilo / fosa. Esta nueva
relación oclusal podría ser beneficiosa o a veces
provocar una alteración en la articulación
Se ha obtenido el registro de la posición de cada
uno de los cóndilos en dos situaciones: RC y MIC.
A pesar de ser una articulación bicondilar, que
constituye en su dinámica una unidad, los registros
deberán interpretarse independientemente.
Es posible, por ejemplo, encontrar un desplaza-
miento hacia adelante en el cóndilo derecho y el
cóndilo izquierdo permanecer en la misma posición
o desplazarse hacia atrás.
El cóndilo puede sufrir desplazamiento desde su
posición de RC en los tres sentidos del espacio.
En las grillas milimetradas del MPI, se miden los
desplazamientos en sentido anteroposterior (utili-
zando el plano X) y en el vertical (plano Z).
En general, las distracciones condilares se hacen
hacia abajo, combinándose la mayoría de las veces
con un componente de dirección anteroposterior,
dependiendo de la magnitud, número y ubicación
de las interferencias oclusales que las generen.
150 Estudio gnatológico
Fig. 6.30: Interpretación de los registros del MPI.
A: El registro de RC es automático, por la perforación de la láminaautoadhesiva.
B: Desplazamiento en MIC hacia abajo y atrás.
C: Desplazamiento vertical.
D: Desplazamiento hacia abajo y adelante
En la figura 6.30 se grafican diferentes posibili-
dades de desplazamientos verticales y sagitales, en
el campo en el que se pueden producir.
Un registro más alto de MIC que de RC no es
un registro a considerar, puede deberse a un error
en el montaje o los registros, o bien a un estado de
contractura muscular que impide el posicionamien-
to del cóndilo en RC. En estos casos, la manipula-
ción de la mandíbula en la toma de los registros se
habrá hecho con dificultad y se indicará la terapia
de placa de reposicionamiento mandibular. Duran-
te este tratamiento se observará en sucesivos regis-
tros una ubicación más alta del punto correspon-
diente a la RC hasta que, lógicamente, supere el
nivel del registro de MIC.
En desplazamientos transversales, hacia la dere-
cha por ejemplo, el cóndilo derecho se moverá
hacia afuera y el cóndilo izquierdo hacia la pared
medial. En un movimiento hacia la izquierda, ocu-
rre lo inverso.
Este movimiento tiene un rango muy limitado
debido a que el desplazamiento medial del cóndilo
está condicionado por la conformación anatómica
de las cavidades glenoideas, no pudiendo superar
los 0,5 mm. Es causado generalmente por el asen-
tamiento de la oclusión en piezas cuyas vertientes
vestibulares o linguales no coinciden transversal-
mente. Valores superiores, nos obligan a pensar en
un error de montaje o en una reabsorción del cón-
dilo.
CAPITULO 7
Estudio de modelos articulados
INTRODUCCIÓN
El estudio de modelos articulados se hace una
vez montados en relación céntrica. Esta relación es
guiada por los cóndilos, los ligamentos y la neuro-
musculatura y no por los contactos dentarios.
Es un estudio auxiliar que complementa a otros,
como el clínico y el cefalométrico, ofreciendo una
información insustituible para el diagnóstico del
paciente y la planificación tridimensional del caso.
Permite hacer un análisis de las relaciones exis-
tentes entre ambas arcadas en sentido transversal,
vertical y sagital, en estática y en dinámica.
Este estudio está enfocado a analizar el problema
inicial, evaluando la factibilidad del logro de objeti-
vos fundamentales, como son la obtención de un
correcto overjet y overbite y Clase I canina. Desde el
punto de vista gnatológico, para la finalización del
tratamiento se acepta tanto la relación molar de
Clase I como la de Clase II, siempre que exista una
relación de Clase I canina y un adecuado entrecru-
zamiento vertical y sagital del grupo incisivo que
aseguren una oclusión mutuamente protegida.
Análisis transversal
Para el análisis transversal se deben observar los
modelos de frente y se evalúan las relaciones inter-
maxilares de las básales y de la dentición, con el
objeto de identificar la presencia de alteraciones
esqueléticas, dentarias, o ambas.
Los desvíos laterales de la mandíbula de origen
funcional, no se ponen de manifiesto en este estu-
dio porque los modelos se montan en relación cén-
trica. En estos casos habrá una diferencia notable
en la relación intermaxilar transversal que se esta-
blece en una y otra posición. (Fig. 7.1)
En el montaje en relación céntrica se estudiará
la causa del desvío. Es muy frecuente en mordidas
cruzadas unilaterales en MIC, encontrar en RC una
relación transversal cúspide a cúspide, que general-
mente se acompaña de una alteración mayor de los
torques en el lado de la mordida cruzada.
Es importante que los modelos reflejen fielmente
la anatomía de los rebordes alveolares porque este
análisis intenta también determinar la relación trans-
versal de estos rebordes, descartando o confirmando
anomalías transversales de origen esquelético.
Fig. 7.1: Discrepancia transversal de origen funcional.
A: En la MIC se observa desvío de la línea media inferior
y una mordida cruzada del lado izquierdo.
B: En RC se produce la coordinación transversal y se
ponen de manifiesto los contactos prematuros del incisivo
lateral superior izquierdo y del primer molar superior
izquierdo, que provocan el desplazamiento mandibular.
151
152 Estudio gnatológico
Problema transversal de origen esque-
lético
Las alteraciones transversales de las básales
pueden ser de 2 tipos:
-Alteraciones simétricas
-Alteraciones asimétricas
En las primeras, se incluye la falta o el exceso de
desarrollo transversal del maxilar superior, pero
con una relación de simetría.
Las segundas corresponden a las asimetrías, que
se pueden combinar con un diferente desarrollo
transversal entre el maxilar y la mandíbula.
Con frecuencia el paciente puede presentar alte-
raciones transversales a nivel de rebordes alveola-
res, pero esta alteración podría no llegar a tener
una manifestación clínica evidente por la presencia
de compensaciones dentarias que ocultan el pro-
blema y que inducen a errores en la valoración
transversal del caso. Estas compensaciones denta-
rias se expresan con exceso de torque negativo en
la arcada inferior y de torque positivo en la supe-
rior, minimizando o en muchas ocasiones compen-
sando totalmente, el problema transversal del
paciente. La expresión de la aparatología durante
el tratamiento de ortodoncia, elimina las compen-
saciones y evidencia el problema transversal en
forma tardía.
La identificación de estos problemas es de gran
importancia ya que la vía terapéutica a utilizar será
completamente diferente según donde asiente. Si
es esquelético, la vía elegida deberá estar enfocada
hacia este sector. Recordemos que estos problemas
sólo pueden ser resueltos durante la fase de creci-
miento, por medio de un tratamiento de tipo orto-
pédico. En el adulto se deberá abordar el problema
con la asistencia de la cirugía.
En cambio si asienta únicamente en la denti-
ción, la solución se puede alcanzar mediante el tra-
tamiento ortodóncico.
- Alteraciones simétricas (Fig 7.2)
La alteración del desarrollo transversal por
exceso o por defecto puede afectar al maxilar supe-
rior, al maxilar inferior o a ambos, pero como el
tratamiento de estas alteraciones esqueléticas es
siempre abordado en el maxilar superior se clasifi-
can en función de éste, independientemente del
maxilar en que asiente. Por lo tanto este problema
esqueletal se divide en:
- Exceso transversal del maxilar superior.
- Falta de desarrollo transversal del maxilar
superior.
El primero de ellos, es una alteración que se
observa con poca frecuencia a nivel de las bases
esqueléticas y su expresión clínica es la presencia
de mordida en tijera. Esta situación genera una
gran inestabilidad vertical en las piezas dentarias
del segmento posterior que presentan como conse-
cuencia de ello una gran extrusión. Este tipo de
alteraciones requiere para su solución el recurso
quirúrgico.
La falta de desarrollo transversal del maxilar
superior es una alteración más frecuente y se pre-
senta con variada magnitud, desde muy leves hasta
muy severas.
Estas alteraciones afectan principalmente al
maxilar superior, pero suelen involucrar a modo de
compensación la forma del reborde alveolar infe-
rior.
La solución a este problema transversal sólo se
puede abordar en el maxilar superior por medio de
un tratamiento ortopédico como es la disyunción.
Este procedimiento está limitado al estadio de cre-
cimiento del paciente, no pudiendo ser utilizada en
el adulto. En éstos sólo podríamos solucionar este
tipo de problemas con la asistencia quirúrgica.
Es necesario señalar que los pacientes con seve-
ras alteraciones sagitales, como los casos de Clase
II o de Clase III, pueden mostrar alteraciones
transversales asociadas, aunque podría tratarse de
maxilares perfectamente armónicos si se normaliza
la relación sagital. Es decir, no resultan compati-
bles transversalmente como consecuencia de su
desplazamiento sagital.
Estos casos generalmente son quirúrgicos. Ade-
más del montaje en articulador, se deberán relacio-
nar los modelos en mano y observar así la compati-
bilidad transversal.
- Alteraciones asimétricas (Fig. 7.3)
Recordamos que estas asimetrías serán conside-
radas de etiología esqueletal, una vez descartado en
el montaje en RC el factor funcional.
Estudio de modelos articulados 153
B
Fig. 7.2: Alteraciones transversales simétricas. Evaluación en RC.
A: Falta de desarrollo transversal del maxilar superior.
B: Exceso transversal del maxilar superior.
B
Fig. 7.3: Alteraciones transversales asimétricas. Evaluación en RC
A: Asimetría esqueletal, sin compensaciones dentarias.
B: Asimetría esqueletal, con compensaciones dentarias que enmascaran a nivel oclusal el problema esqueletal.
Fig. 7.4: Alteración transversal asimétrica con compensación dentaria.
A: Asimetría esqueletal mandibular, desvío hacia la derecha que se manifiesta a nivel de las básales y en el frenillo inferior.
B: En apertura se pueden observar más claramente los torques compensatorios que enmascaran el problema esqueletal:
En la arcada inferior, un excesivo torque negativo del sector derecho, y torque positivo en el sector izquierdo. En
la arcada superior, torque positivo en el sector derecho.
154 Estudio gnatológico
Fig. 7.5: Asimetría esqueletal. A: Las compensaciones
dentarias transversales evitan su manifestación a nivel
oclusal.
B: La aparatologfa totalmente programada, al normalizar
los torques, logrará la expresión del problema transversal
en la relación interdentaria, requisito indispensable en la
preparación prequirúrgica.
En la mayoría de los casos se observa un desfa-
saje transversal bilateral entre la base esqueletal
superior e inferior. En una hemiarcada, la basal in-
ferior se encuentra hacia vestibular, en la otra, ha-
cia lingual.
Es menos frecuente encontrar una asimetría
esqueletal que involucra a una sola hemiarcada.
En ambos casos, pueden existir compensacio-
nes dentarias que enmascaran el problema, dificul-
tando su diagnóstico, por lo que deben ser cuida-
dosamente evaluados los torques de los sectores
laterales (Fig. 7.3 B). Por ejemplo, la presencia de
torques anormales y de sentido opuesto del lado
derecho e izquierdo en un paciente que tiene una
relación transversal normal entre la arcada supe-
rior e inferior, puede ser un indicio de este tipo de
compensaciones (Fig. 7.4). Este tipo de torques
compensatorios es una contraindicación para el uso
de aparatología totalmente programada en aque-
llos casos en que no se planifique una solución qui-
rúrgica del problema transversal (Fig. 7.5).
En los casos de asimetría, este estudio de los
modelos montados será sólo una parte de los que se
deberán realizar para llegar a un correcto diagnós-
tico, complementándose siempre con el estudio clí-
nico, radiográfico, y fundamentalmente con la cefa-
lometría frontal que también se realiza en RC.
Problema transversal de origen dentario
A diferencia de lo que se estima comúnmente,
las alteraciones transversales de origen dentario
son menos frecuentes que las de origen esquelético.
Los problemas transversales de origen dentario
son aquellos en los que está comprometida la rela-
ción dentaria pero con bases esqueletales compati-
bles transversalmente (Fig 7.6 y 7.7).
Son provocados por una alteración en la posi-
ción de las piezas dentarias y esta malposición afec-
ta el torque de las piezas comprometidas. En con-
diciones normales la arcada inferior presenta un
torque negativo que progresa hacia distal. En la
arcada superior, el torque también es negativo pero
de menor grado. Esta condición se debe respetar y
es una limitación a la hora de hacer expansiones
con la intención de corregir una anomalía transver-
sal dentaria.
Estudio de modelos articulados 155
Fig. 7.6: Mordida cruzada de origen dentario. Lasbásales
son compatibles transversalmente,pero hay un excesivo
torque negativo en la arcada superior.
Fig. 7.7: Alteración transversal de origen dentario. Mor-
dida en tijera en un sector de la oclusiónlateral.
La alteración transversal de origen dentario
puede comprometer a un número variable de pie-
zas y suele expresarse de forma asimétrica, es decir
que sólo afecta a uno de los lados de la oclusión.
Puede verse afectada una sola arcada, o involucrar
también la antagonista, lo que crea la sensación de
un problema mayor.
Su corrección consiste en movimientos de
expansión en la arcada superior y la recuperación
del torque o contracción en la arcada inferior. Nor-
malmente se alcanza este objetivo mediante la
expresión del torque incorporada en la propia apa-
ratología y en otras ocasiones puede utilizarse apa-
ratología auxiliarcomo el quadhelix,el expansor de
NiTi o un arco lingual.
Análisis vertical
Una correcta oclusión debe tener contactos bila-
terales y simultáneos de todas las piezas de los seg-
mentos posteriores y una relación de contacto de
los bordes incisales inferiores con las caras palati-
nas superiores, llamado acople anterior, que es de
menor intensidad que el de los posteriores (tiene
una separación de 8 micrones). Este contacto vir-
tual se transforma en real ante cualquier movi-
miento mandibular dando lugar así a la disclusión
inmediata de los sectores posteriores, evitando la
aparición de interferencias. Es la denominada guía
anterior.
Recordando el concepto: "La mejor oclusión es
la que tiene la mejor disclusión", adquieren suma
importancia los factores que la producen.
Los conceptos de oclusión funcional destacan la
relevancia de la guía anterior, y ésta está directa-
mente relacionada con la curva de Spee del plano
oclusal. Ante una curva de Spee profunda va a ser
necesaria una guía incisiva profunda para que se
produzca la disclusión del segmento posterior. En
cambio, una curva de Spee poco profunda o bien,
un plano oclusal sin curva de Spee, permite la dis-
clusión con una mínima guía incisiva (Fig 7.8). De
la misma manera la presencia de una curva de Wil-
son condiciona la profundidaddel entrecruzamien-
to vertical del canino, que podrá ser mayor o menor
en función del torque que presenten los sectores
posterosuperiores. La guía canina deberá ser más
pronunciada en aquellos casos con curva de Wilson
acentuada y podrá ser de menor profundidad en
aquellos que presenten una curva más plana. (Figs.
7.9 y 7.10)
Esto hace necesario un minucioso examen de
los sectores anterior (canino a canino) y posterior
(del canino hacia atrás).
El entrecruzamiento vertical de los sectores
anteriores debe ser personalizado para cada caso
particular, y dependerá de las posibilidades mecá-
nicas de corrección de la curva de Spee. Es un obje-
tivo primordial del tratamiento ya que es el res-
ponsable de la guía que protegerá la oclusión
durante los movimientos mandibulares excéntricos.
156 Estudio gnatológico
B
Fig. 7.8 A: Curva de Spee pronunciada y escaso overbite. En protrusiva, se generan contactos prematurosen el sector
posterior. B: Con curva de Spee plana, el mismo overbite produce la disclusión posterioren el movimiento protrusivo.
En sentido vertical, las relaciones incisivas y
canina inicial pueden presentarse con overbite nor-
mal, aumentado o disminuido.
En los casos en que no se produzca disclusión en
los sectores posteriores el diagnóstico debe dirigir-
se a determinar si la alteración asienta en el sector
anterior o en el posterior.
Generalmente existe una concordancia natural
entre profundidad de la guía anterior y la altura cús-
pide de los posteriores. Este grupo de dientes a su
vez debe tener contactos Ínteroclusales simultáneos.
Si existiese algún contacto prematuro, es nece-
sario individualizar la pieza que lo ocasiona, su
magnitud y el tipo de relación que mantiene con el
antagonista, porque cuando sea mayor que la guía
incisiva, impedirá la disclusión total de los sectores
posteriores durante los movimientos excéntricos
mandibulares, favoreciendo el desarrollo de posi-
bles parafunciones.
El estudio del overbite de incisivos se relaciona
siempre con un análisis de los sectores posteriores,
porque las relaciones interoclusales de éstos tienen
una gran repercusión en el entrecruzamiento ante-
rior.
Si las piezas del segmento posterior tienen una
relación de cúspide a cúspide, el movimiento orto-
dóncico de estas piezas propiciará un cambio en su
relación oclusal a cúspide-fosa. Esta nueva relación
tendrá una gran repercusión en el entrecruzamien-
to anterior (Fig. 7.11). Si por el contrario esta rela-
ción es de cúspide-fosa, el movimiento dentario
provocado por la ortodoncia no creará, por si
mismo, un cambio significativo. El movimiento
dentario en sentido vertical, en particular el que se
Estudio de modelos articulados 157
Fig. 7.9 A: Curva de Wilson pronunciada. El torque negativo aumentado en el arco inferior y disminuido en el superior
aumenta la altura de las cúspides fundamentales. B: En los movimientos de lateralidad, la medida del overbite de los cani-
nos debe ser suficiente para salvar las cúspides y evitar contactos posteriores.
Fig. 7.10 A: Curva de Wilson poco pronunciada. Hay una menor altura de las cúspides fundamentales. B: En la laterali-
dad, para evitar los contactos prematuros será suficiente un menor overbite de los caninos.
B
Fig. 7.11: Incidencia de la relación oclusal posterior en el overbite. A: Una relación cúspide a cúspide disminuye el over-
bite. B: Una relación cúspide-fosa lo aumenta.
158 Estudio gnatológico
refiere a la intrusión de los segmentos posteriores
es de muy pequeña magnitud y por lo tanto, de una
escasa expresión en el segmento anterior.
Es necesario considerar también la incidencia que
puede tener la migración mesial de los segmentos pos-
teriores en el entrecruzamiento anterior. Por lo gene-
ral estas migraciones producen un cambio poco signi-
ficativo desde el punto de vista vertical anterior, ya
que sólo pueden tener un efecto de cierre cuando no
exista un contacto oclusalpor delante de laspiezas que
se mesializan, que actúa como estabilizador de la rela-
ción vertical de ambas arcadas.
Para hacer un análisis de modelos más detallado
desde el punto de vista vertical, se aconseja realizar
un montaje en articulador de modelos segmentados
como veremos más adelante en el análisis de algu-
nos casos clínicos.
Análisis sagital
El estudio sagital de los modelos articulados es
determinante del tipo de tratamiento que recibirá
el paciente y complementa la información del estu-
dio cefalométrico. Con este estudio se define el tipo
de relación sagital de la dentición, siendo tres las
posibilidades: Clase molar I, II o III. Por su parte,
la Clase II molar podrá ser completa o incompleta
siendo esta última subclasificada en verdadera o
falsa Clase II que es aquella en la que existe una
rotación mesial del molar superior y la cúspide
mesiopalatina de éste ocluye en la fosa central del
primer molar inferior. Este análisis solo puede ha-
cerse en modelos articulados observándolos desde
atrás para poder ver la oclusión por palatino.
Además se debe analizar el grado de overjet que
tiene el paciente. Cuando es normal están acopla-
dos el borde incisal del incisivo inferior con la cara
palatina del incisivo superior. En otros casos puede
estar aumentado o disminuido.
Se estudian en este punto las alteraciones del
índice de Bolton, dada la incidencia que las discre-
pancias de tamaño tienen sobre la obtención de un
correcto overjet simultáneamente con una relación
de Clase I canina.
Modelos segmentados
Para realizar este tipo de estudio es necesario
preparar los modelos de manera tal que puedan ser
removidos los sectores posteriores con el objeto de
evaluar la relación anterior que se obtiene sin la
distorsión vertical provocada por los contactos
oclusales de molares y premolares.
En oclusión, los contactos de las piezas poste-
riores al incorporar un componente verticalinducen
también a errores en la evaluación sagital anterior.
Este contacto posterior abre la mordida provocan-
do una retrusión relativa de la mandíbula que nos
puede llevar a percibir una relación de Clase I como
una de Clase II. Este efecto vertical también puede
ser responsable de un error en la valoración sagital
a nivel de caninos, en los que puede evidenciar una
Clase II o bien acentuar este efecto.
Fig. 7.12: Caso clínico. Fotografíasde la MIC, con una relación de Clase I molar y canina y overjet levementeaumentado.
Estudio de modelos articulados 159
Fig. 7.13 A: Montaje en RC. Se observa un cambio en la relación sagital, con una relación canina y molar de Clase II, y
un aumento vertical producido por los contactos prematuros posteriores.
Fig. 7.13 B: El reposicionamiento de la mandíbula hacia atrás crea un problema transversal.
f
Fig. 7.14: En el modelo superior, se comprueba una mesiorrotación de los primeros molares superiores. En la observa-
ción del montaje en RC por palatino se puede ver la relación de la cúspide mesiopalatina del primer molar superior en la
fosa central del primer molar inferior, complementando el diagnóstico de una "falsa Clase II".
160 Estudio gnatológico
Para obtener el máximo de información de las
relaciones oclusales existentes será necesario pre-
parar los modelos de modo que permitan la mani-
pulación de los segmentos superiores y la observa-
ción de las relaciones oclusales en diferentes
situaciones.
En función del tipo de alteración oclusal que se
observe, uno de los modelos, de preferencia el
superior, se segmentará y se individualizarán los
dientes con pines en toda la arcada o bien en un
sector de la misma.
En aquellas situaciones en que el paciente no
presenta mordida cruzada anterior bastará, para ha-
cer un estudio detallado, la utilización de pines sólo
en los sectores posteriores y en una de las arcadas.
Los modelos que no son preparados con esta
técnica, al ser articulados, presentan una rigidez
impuesta por el propio articulador que impide ana-
lizar la relación oclusal más allá del primer contac-
to. En estas condiciones el clínico se vería obligado
a desgastar ese primer contacto para observar la
nueva relación oclusal, perdiendo de esta manera la
integridad del modelo de estudio e inutilizándolo
para una segunda observación.
Análisis de un caso clínico.
A continuación se desarrolla un ejemplo de aná-
lisis en el que se determinan las posiciones denta-
rias en forma individual dentro de cada arcada, su
relación de conjunto dentro de cada reborde alveo-
lar y por último las relaciones interoclusales exis-
tentes desde el punto de vista transversal, vertical y
sagital.
Se trata de una paciente mujer de 15 años y el
motivo de la consulta es un dolor periarticular re-
currente y relacionado con periodos de estrés. Clí-
nicamente se observa mordida cruzada de la pieza
17, Clase I dentaria sin alteraciones significativas
(Figs. 7.15 y 7.16).
Al análisis cefalométrico en máxima intercuspi-
dación se observa una Clase I esquelética y una
moderada biprotrusión dentaria.
Caso clínico
Fig. 7.15: Fotos de frente y perfil.
Estudio de modelos articulados 161
Fig. 7.16: Fotos de boca en MIC.
Fig. 7.17: Montaje en RC.
..
162 Estudio gnatológico
i
•
Fig. 7.18: Vista oclusal de los modelos con la marca del primer contactointeroclusal.
Se montó el caso en articulador después de un
período de estabilización mandibular con una féru-
la de tipo Michigan con el resultado que se observa
en la foto de los modelos articulados (Fig. 7.17). En
ellos se aprecia una relación de Clase II dentaria de
una magnitud aproximada al ancho mesiodistal de
medio premolar. En la observación frontal se
observa un marcado desajuste transversal. En la
relación interoclusal se observa un único contacto
entre las piezas 17 y 47 señalado por el papel de
articular en las cúspides palatina superior y lingual
inferior (Fig. 7.18).
En las fotos de boca, es decir en máxima inter-
cuspidación, la relación oclusal es de Clase I. Un
diagnóstico que no tuviera en cuenta el estudio
gnatológico del caso y estuviese basado en MIC lle-
varía a una planificación de Clase I. Pero en la rela-
ción intermaxilar de los modelos montados se apre-
cia una marcada Clase II dentaria. Esto quiere
decir que la terapia indicada por la observación clí-
nica en máxima intercuspidación no se ajusta al
cuadro que presenta el paciente en RC.
Este error de diagnóstico está inducido por la
valoración del caso bajo los criterios de un examen
clínico que no tiene en cuenta la variación que
pueda provocar el reposicionamiento mandibular
que, en este caso particular, es de una magnitudsig-
nificativa.
En la imagen obtenida en ausencia de contactos
posteriores, podemos observar que el canino necesi-
ta ser retruido 3.5 milímetros (Fig. 7.20) y en la mis-
ma proporción deberán ser retruidos los incisivos.
Fig. 7.19: Modelo de estudio con técnica de muñones individualizado con pines.
Estudio de modelos articulados 163
Fig. 7.20: Estudio de los modelos con los seis dientes anteriores en oclusión.
•EK3F
Fig. 7.21: Con el agregado de los primeros premolares.
•
Fig. 7.22: Incluyendo hasta los segundos premolares
H
Fig. 7.23: Hasta los primeros molares.
Fig. 7.24: Oclusión con las arcadas completas.
164 Estudio gnatológico
Para realizar el análisis vertical se incorporan
sucesivamente al modelo superior cada una de las
piezas desde mesial a distal y se hace una evalua-
ción de su ingerencia en el problema vertical,
observando que éste aumenta a medida que se van
posicionando de adelante hacia atrás los dientes de
los sectores laterales (Figs. 7.20 a 7.24).
Analizando la relación interoclusal en sentido
transversal, si el contacto oclusal es de cúspide a
cúspide cualquier movimiento dentario que modifi-
que esta relación oclusal va a tener una gran reper-
cusión en sentido vertical. Pero si la relación oclu-
sal es de cúspide a fosa la modificación de la
posición dentaria no tendrá prácticamente repercu-
sión vertical.
En este caso los sectores laterales superiores
presentan un exceso de torque positivo, esto es, un
aumento de la curva de Wilson y es objetivo del tra-
tamiento disminuir esta curva para evitar las inter-
ferencias en el lado de balance. Desde el punto de
vista transversal, los contactos intermaxilares son
cúspide a cúspide. La expresión del torque incor-
porado en la información de la aparatología dismi-
nuirá la curva de Wilson, lo cual favorecerá la rela-
ción intermaxilar y la corrección vertical del caso.
También es importante analizar la posición sagi-
tal de cada una de las piezas del segmento posterior.
La relación interoclusal final debe ser cúspide
reborde marginal. Si el paciente presentaba una re-
lación de antagonismo de cúspide-fosa,la solución
pasa por el desplazamiento sagital de las piezas,
hasta lograr la relación cúspide-reborde marginal.
Este caso, desde el punto de vista sagital, tiene
una relación aproximada a lo que se considera una
relación de cúspide-fosa. Está prevista una pérdida
de anclaje de 3.5 milímetros, lo que llevará a una
relación de cúspide reborde marginal.
El resultado del control del torque superior, así
como la mesialización de los molares superares
permitirán la solución del problema vertical.
Estudiando de esta manera las relaciones oclu-
sales intermaxilares, podremos planificar movi-
Derecha Izquierda
L
(+)
X: -1.5 mm
Z: *45
Promedio X(horizontal) -1
mm
mm
Promedio Z (vertical) mm
Transversal
Fig. 7.25: Registro de posición condilar.
mientes dentarios con el objeto de mejorar su rela-
ción intermaxilar y lograr una oclusión funcional.
Si se observa la imagen de la relación oclusal
intermaxilar y se la relaciona con la imagen del
MPT (Fig. 7.25) se comprende fácilmente la vincu-
lación directa que hay entre la oclusión y el com-
portamiento del cóndilo. Como se aprecia en la
imagen del registro de posición mandibular, el cón-
dilo se distrae varios milímetros cuando la paciente
ocluye en máxima intercuspidación.
Si se logran los movimientos ortodóncicos nece-
sarios para la normalización de las posiciones ana-
lizadas anteriormente, el paciente podrá realizar
una vez terminado el tratamiento, una máxima
intercuspidación sin la distracción condilar o al
menos será de menor magnitud que la inicial.
C A P I T U L O 8
Conversión cefalométrica
Los pacientes con maloclusión suelen presentar
una adaptación de tipo funcional de las ATM, debi-
do a la posición mandibular impuesta por la máxi-
ma intercuspidación (MIC). Esta situación es la
responsable de la descoordinación que sufre la
musculatura que participa directamente en los
movimientos mandibulares,la que a su vez desen-
cadena una serie de alteraciones en el sistema neu-
romuscular de la región. Además, es causal de un
importante porcentaje de lesiones articulares.
Los pacientes que sufren estas alteraciones y
requieren un tratamiento, deben ser sometidos a
una desprogramación muscular, y algunas veces a
un período de desinflamación de la articulación,
para luego estabilizar su oclusión en relación cén-
trica (RC) mediante una rehabilitación.
Los métodos tradicionales de rehabilitación han
sido los protéticos que, mediante coronas y puentes,
han intentado reconstruir planos oclusales que se
ajusten mejor a los requerimientos de la articula-
ción. Hoy el profesional debe evaluar la posibilidad
de conseguir estos objetivosmediante un tratamien-
to ortodóncico que garantice un buen resultado, con
el consiguiente beneficio estético, y con un mejor
pronóstico.
Las radiografías cefalométricas se obtienen con
el paciente en máxima intercuspidación,por lo que
el trazado se realiza con los cóndilos en una posi-
ción que depende de esa oclusión en MIC. En
muchos casos, estarán con un grado de distracción
importante desde la posición de RC.
Un diagnóstico que partiera de esa posición
habitual, podría llevarnos a cometer errores de
diagnóstico y planificación. Un ejemplo claro de
esto es una Clase I, que sin una evaluación gnatoló-
gica previa, se planifica con cuatro extracciones.
El paciente, en realidad, presentaba una oclu-
sión habitual de Clase I y, al ser desprogramado, la
mandíbula sufría una importante modificación en
su posición, convirtiéndose en una relación de
Clase II. Esto cambia totalmente los valores cefalo-
métricos del caso. Es un paciente con una convexidad
mayor, más dolicofacial, la posición del 1 al A-Po
varía de tal manera que no necesita ser retruido,
haciendo innecesarias las extracciones inferiores.
Se transformó en un caso de Clase II que requiere
extracciones superiores solamente.
La no consideración de la cefalometría inicial en
posición de RC, podría habernos llevado a un diag-
nóstico erróneo.
Pensar que es posible tratar el caso en oclusión
habitual, posición en la que habría sido diagnosti-
cado erróneamente, no es aceptable por dos moti-
vos:
1. No estamos respetando el objetivo de rehabili-
tar esa oclusión en RC con un tratamiento de
ortodoncia.
2. Es muy probable que el sólo hecho de instalar la
aparatología en boca y producir cambios oclusa-
les, actúe como un desprogramador muscular y
la mandíbula llegue espontáneamente a la RC,
por lo que el tratamiento deberá encaminarse a
solucionar el problema en esa nueva posición.
Tomando como base el ejemplo anterior, si esto
ocurriera después de realizadas las extracciones
inferiores, el error sería muy difícil o aun impo-
sible de reparar.
Queda claro entonces, que el diagnóstico debe
partir de RC, por lo que deberá ajustarse la cefalo-
metría obtenida en MIC, mediante un procedi-
miento denominado conversión cefalométrica, que
utiliza como base los datos aportados por los regis-
tros condilares del articulador.
No sería correcto realizar la telerradiografía con
el paciente en RC, porque las interferencias provo-
cadas por los contactos prematuros distorsionarían
la dimensión vertical del caso, alterando una gran
cantidad de medidas. La conversión cefalométrica,
en cambio, coloca la mandíbula en RC evitando los
efectos de dichas interferencias.
Debe aclararse que este procedimiento está
reservado sólo para casos de discrepancia impor-
tante entre la RC y MIC. Hacerlo en casos de
pequeñas diferencias no es necesario, porque las
variaciones del cefalograma serían mínimas.
165
166 Estudio gnatológico
Procedimiento para el trazado
de la conversión cefalométrica
1. Se colocan las láminas adhesivas con los regis-
tros condilares derecho e izquierdo en la ficha
de registros.
2. Se miden los milímetros de diferencia entre RC
y MIC, en el sentido horizontal (X) y vertical
(Z), teniendo en cuenta lossignos+ y- queindi-
can el sentido del desplazamiento.
3. Se promedian los valores del desplazamiento de
los cóndilos derecho e izquierdo en ambos senti-
dos (horizontal: promedio X, vertical: promedio
Z), (Fig. 8.1).
4. Con estos promedios se marca el eje de bisagra
en RC en la grilla correspondiente de la ficha
(Fig. 8.2).
5. Obsérvese que en la grilla, los signos están inver-
tidos en relación a las láminas adhesivasde regis-
tro. En la grilla, el punto central corresponde a la
MIC, mientras que en las láminas adhesivas el
punto que tiene una posición más centralizadaes
el que indica la RC.
Fecha:..../..../.
POSICIÓN CONDILAR INICIAL
......
Z: ........ +.3 mm
IZQUIERDA
+3
X:
Z: +2
mm
mm
PROMEDIO X (Horizontal): +3,25. mm
PROMEDIO Z (Vertical): +2,5 mm
Fig. 8.1: Parte de la ficha que utilizamos para los distin-
tos registros.
Eje de bisagra en RC
©
©
Fig. 8.2: Grilla para marcar el eje de bisagra en RC.
6. Se coloca sobre la mesa de trabajo el calco de la
telerradiografía inicial obtenida en posición de
máxima intercuspidación (MIC). Este calco se
realiza en color negro y debe tener trazado el
plano oclusal (Fig. 8.3).
7. Utilizando como punto de referencia los bordes
incisales de los incisivos superior e inferior, se
hacen dos pequeños trazos paralelos al plano
oclusal. Registramos así el overbite (Fig. 8.3).
Conversión cefalométríca 167
8. Se traza el plano de Frankfort (Fig. 8.3).
9. Se construye el plano axio-orbitario trazando
una línea que partiendo del punto orbitario
tiene una angulación de 6,5° con respecto al
plano de Frankfort (Fig. 8.3).
10. El tramo del plano axio-orbitario comprendi-
do dentro de los límites del cuello del cóndilo
se divide en tres partes iguales mediante dos
marcas. La marca más anterior corresponde al
eje de bisagra arbitrario (Fig. 8.3).
11. En la ficha de registros donde previamente ubi-
camos el eje de bisagra en RC, señalándolo en
color rojo, superponemos el trazado en MIC de
la siguiente manera:
• se superpone el plano axio-orbitario con la
línea horizontal, haciendo coincidir el eje de
bisagra arbitrario con el punto central de la
grilla;
• en esta posición, calcar en rojo el eje de bisa-
gra en RC en el trazado de MIC (Fig. 8.4).
Eje de
bisagra
arbitrario
Fig. 8.3
Fig. 8.4
168 Estudio gnatológico
12. Se retira la ficha de registros.
13. En un papel vegetal, se calcan en color rojo:
mandíbula, dientes inferiores, labio inferior,
mentón y las marcas del overbite realizadas en
el paso 2 (Fig. 8.5).
14. Calcar en color negro el punto correspondien-
te al eje de bisagra arbitrario (Fig. 8.5).
15. Se superpone este punto con el eje de bisagra
en RC del trazado en MIC (Fig. 8.6).
16. Manteniendo esta superposición, se rota el tra-
zado hasta que coincidan las marcas del over-
bite (Fig. 8.6).
17. En esta posición se calcan también en color
rojo el resto de las estructuras que completan
el trazado, incluyendo el perfil blando desde la
glabela hasta la comisura (Fig. 8.7).
Éste es el trazado en RC, sobre el que se reali-
zarán los estudios cefalométricos.
Fig. 8.5.
Fig. 8.6. Fig. 8.7.
Conversión cefalométríca 169
VARIANTE DEL MÉTODO DE CONVER-
SIÓN CEFALOMÉTRÍCA
El procedimiento clásico de conversión cefalo-
métrica que se describió, se basa en reubicar la
mandíbula en RC manteniendo el overbite que
presenta el paciente en la MIC.
Por lo general, se observa una superposición de
los molares que correspondería a la magnitud de
los contactos posteriores que están generando la
distracción del cóndilo e impiden que se ubique en
la posición de RC.
Obtener la intrusión de los sectores posteriores
en la magnitud que requiere lograr ese overbite,
convalidaría esta conversión para ser la base del
diagnóstico y la planificación del caso.
Pero en muchos casos, dada la magnitud del
problema vertical posterior, los métodos ortodón-
cicos son insuficientes para realizar al control total
de dicho problema.
Las posibilidades en este caso son:
-Recurir a un tratamiento ortodóncico-quirúrgi-
co, donde la impactación quirúrgica de la parte
posterior del maxilar corregirá el problema verti-
cal.
-Realizar una conversión ajustada a las posibili-
dades ortodóncicas de corrección vertical poste-
rior, para luego, a partir de ella, planificar el trata-
miento ortodóncico.
Conversión con overbite individualizado
l-En el montaje en articulador, se simula en el
sector posterior de los modelos el "asentamiento
de la oclusión" esperable con el tratamiento orto-
dóncico:
-Desgastando los contactos hasta lograr una
relación cúspide-fosa en los casos en que hay ini-
cialmente una oclusión cúspide a cúspide
-Desgastando las cúspides en la medida que
podrán ser intruidas al corregir torques
2-Se mide el overbite resultante después del tra-
bajo de simulación
3-Se realizan todos los pasos de la conversión
cefalométrica de la misma manera que se detalló en
el procedimiento anterior, solo que en el punto 7,
los trazos paralelos al plano oclusal responden a la
medida del overbite del articulador después del tra-
bajo de simulación. Se modifica la marca que
corresponde al borde incisal del incisivo inferior.
De esta forma, la mandíbula se ubica en RC
pero adaptando su posición vertical a las caracte-
rísticas y posibilidades de cada caso. Esto no sólo
incide en la relación vertical de los maxilares y de
las arcadas dentarias, sino también en la relación
sagital de los mismos. Esta conversión individuali-
zada permitirá un punto de partida más realista
para el diagnóstico y la planificación del caso.
Ejemplo de conversión con overbite individualizado - caso clínico
Fig. 8.8: Paciente MFD.
170 Estudio gnatológico
Fig. 8.9: Oclusión en MIC.
Fig. 8.10: Overjet en MIC y RC
Conversión cefalométrica 171
Derecha
X: -2.5 mm
Z: +3 mm
Izquierda
X: -4,5 mm
Z: ,..,..±3 mm
Promedio X (horizontal) -3,5 mm
Promedio Z (vertical) mm
. . .
Fig. 8.11: Montaje de modelos en RC. Se observan los contactos de cúspides palatinas superiores con cúspides vestibu-
lares inferiores por falta de torque en los sectores superiores. El problema posterior crea una mordida abierta en RC,
el desplazamiento de los cóndilos es muy marcado en sentido vertical, existiendo también un desplazamiento sagital.
172 Estudio gnatológico
Fig. 8.12: Conversión cefalométrica realizada con el método clásico. Se reproduce el overbite de la máxima intercuspi-
dación y se observa una superposición considerable de los molares.
Fig. 8.13: Se desgastan las cúspides palatinas superiores para simular el trabajo de torque de las barras palatinas.
Cerrando el articulador se observa en el sector anterior que la mordida abierta ha disminuido, se mide un overbite de
-1 mm.
Conversión cefalométrica 173
Fig. 8.14: Se traslada una marca horizontal a 1 mm por debajo del borde incisal del incisivo superior, que será referen-
cia para la ubicación del punto incisivo inferior al realizar la conversión con overbite individualizado.
2.8 mrr
Fig. 8.15: Cefalometría y planificación del tratamiento basada en la conversión de la figura 8.14.
175
Bibliografía
Dawson, P.: Evaluación Diagnóstico y
Tratamiento de los Problemas Oclusales. Salvat
Editores S. A. Barcelona, España, 1991.
Echeverri Guzmán, E., Sencherman Kovalski, G:
Neurofiiología De la Oclusión. Ediciones
Monserrate Ltda. Colombia 1991.
Parrar, W., Me Carthy, W.: A clinical outline of
temporomandibular joint diagnosis and treatment.
Walker Printing Co. 7° Ed. 1983.
Greene, C. S.: Orthodontics and the temporoman-
dibular joint. Angle Orthod 52:166,172, 1982.
Gugino, C. F.: Sam 2 system MPI with cephalo-
gram CO-CR conversión. Tonawanda. N.Y.:Great
Lakes Orthodontics, 1983.
Guichet, N.: Occlusion - The Denar Corporation -
Second Edition, 1977.
Ismail, Y. H., Rokni, A.: Radiographic Study of
condylar position in centric relation and centric
occlusion. J. Prosthet. Dent. 43:327-30,1980.
Lauritzen, A.: Atlas de Análisis Oclusal. H. F.
Martines de Murgía Editores. Madrid, España, 1977.
Manns, A., Díaz, G.: Sistema Estomatognático.
Fac. de Odontología. Univ. de Chile.
McHorris, W.: The condyle-disc dilema. The
Journal of Gnathology. Vol 3 N° 1, p.p. 3,16, 1984.
Okeson J P ed 1996 Orofacial pain: Guidelines for
assessment, diagnosis and management. The
Academt of Orofacial Pain. Quintessence
Publishing Co.
Okeson, J. P.: Management of temporomandibular
disorders and occlusion. St. Louis. C. V. Mosby.
109,453-78, 1989.
Parker, W. S.: Centric relation and centric occlu-
sion an orthodontic responsibility. Am. J. Orthod.
74:481-500,1978.
Posselt, U.: An analyzer for mandibular positions.
J. Prosthet Dent. 7:365-74,1957.
Ricketts, R. M.: Occlusion. The médium of den-
tistry. J. Prosth Dentistry 21. Jan 1969.
Ricketts, R. M.: Pathologic occlusion. Proceedings
of the foundation for orthodontics research. 1974.
Roth R H 1970 Gnathologic concepts and ortho-
dontic treatment goals. In: Jarabak J R (ed)
Technique and treatment with light wire applian-
ces. C V Mosby, St Louis, pp 1160-1223.
Roth, R. H.: Temporomandibular pain-dysfunc-
tion and occlusal relationships. Angle Orthod.
43:136-53, 1973.
Roth, R. H.: The maintenance system and occlusal
dynamics. Dent Clin North Am. 20:761-88, 1976.
Roth, R. H., Ware, W.: Orthognathic treatment in
patients with temporomandibular joint pain-dys-
function. J.C.O. Vol. 14 N° 2. Feb. 1980.
Roth, R. H. and Rolfs: Functional occlusion for
the orthodontist. Fabrication of a repositioning
splint. J.C.O. Vol. 15 N° 2. Feb. 1981.
Roth, R. H.: Functional occlusion for the Ortho-
dontist, Part I. J. Clin Orthod. 15:parts 1to 4, 1981.
Roth, R. H.: Point/Counterpoint. Am. J. Orthod.
107:318, 1995.
S.A.M.-M.P.I.: 200 Mandibular Position Indicator
(Instruction manual) Tonawanda, New York:
Great Lakes Orthodontics. Ltd.
SAM Articulator and Model Block, Great Lakes
176
Orthodontics Ltd, 200 Cooper Ave, Tonawanda, Williamson, E. H., Caves, S.A., Edenfield, R. J.,
NY 14150 800-828-7626, e-mail: info@greatlake- Morse, P. K.: Cephalometric analysis: comparison
sortho.com between máximum intercuspation and centric
relation. Am. J. Orthod., 74:672-7, 1978.
Slavicek, R.: Part IV. Instrumental analysis of
mandibular casts using the mandibular position Williamson, E. H.: Centric relation: a comparison
indicator. J. Clin. Orthod. 22:566-75, 1988. of muscle determined position and operator gui-
dance. A.J.O. and Dentofac. Orthop. 77:133-45,
Tuverson, D. L.: Anterior occlusal relations. Am. 1980.
J. Orthod. 78:361-370, 1980.
SECCIÓN
CEFALOMETRIA DENTOESQUELETAL
Telerradiografía (lateral y frontal)
Cefalometría lateral
Cefalometría frontal
CAPITULO 9
Telerradiografía
INTRODUCCIÓN
La telerradiografía es el instrumento básico
para la elaboración de diferentes estudios cefalo-
métricos. De su nitidez, de la precisión de su enfo-
que y del criterio utilizado para obtenerla depen-
derá su aptitud para las diferentes situaciones
clínicas que se presenten.
En pacientes ortodóncicos, la utilización de la
cefalometría dinámica para la visualización de los
objetivos del tratamiento requiere un posiciona-
miento de los labios y dientes en contacto indis-
pensable para el trazado del VTO
En pacientes con discrepancias básales en los
que se realizará el VTO de un tratamiento orto-
dóncico de compensación, este requisito de labios
en contacto puede llevar a un cierre forzado que
no es habitual.En estos pacientes, se observará en
el perfil radiográfico una modificaciónsustancial
de la morfología facial, sobre todo del tercio infe-
rior.
En la actualidad el enfoque del tratamiento está
dirigido a la estética facial y esto hace necesario
estudiar detalladamente la forma, tamaño, posi-
ción, proporciones e interrelación de estructuras
esqueletales y cutáneas. Está destinado además, a
la visualización de objetivos más complejos como
son los que se pretenden alcanzar mediante el tra-
tamiento ortodóncico quirúrgico. Esto obliga a
nuevos criterios de posicionamiento del paciente,
más acordes con el enfoque terapéutico elegido.
La posición de labios y dientes en contacto será
útil en los pacientes en los que desde el punto de
vista postural exista esta relación, pero indudable-
mente estará muy lejos de reflejar una situación
real en aquellos pacientes con alteraciones estruc-
turales como modidas abiertas esqueletales, incom-
petencia labial, etc.
Lo dicho anteriormente, obliga al clínico a ana-
lizar cuidadosamente al paciente para personalizar
las tomas telerradiográficas.
Así, en algunos casos se indicará la toma con
dientes y labios en contacto y en otros con la mus-
culatura relajada y en posición de relación céntrica.
Fig. 9.1: Posicionamiento de la cabeza del paciente A: para la telerradiografíalateral. B: para la telerradiografíafrontal.
179
180 Cefalometría dentoesqueletal
En este capítulo se describirán los requisitos
para las tomas radiográficas en los diferentes casos,
además de la técnica de calco y trazado cefalomé-
trico que constituye la base de los procedimientos
de cefalometría de tejidos blandos y duros que se
desarrollan en los próximos capítulos.
TIPOS DE TELERRADIOGRAFÍAS
Telerradiografía lateral
El haz de rayos incide perpendicularmente al plano
medio sagital de la cabeza del paciente (Fig. 9.1 A).
Fig. 9.2: Cambios de la disposición del tejido blando del perfil en una paciente con alteraciones esqueletales. A: labios en
contacto. B: labios en reposo. Al superponer el contorno del perfil de la foto A, se pueden observar los cambios entre
ambas posturas.
Fig. 9.3: Caso quirúrgico. En un paciente con aumento del espacio interlabial, el perfil que se obtiene en la telerradiogra-
fía con labios en contacto no permite obtener una apreciación real de los problemas de los tejidos del tercio inferior de la
cara, por lo que es indispensable la toma con labios en reposo.
Telerradiografía (lateral y frontal) 181
Describiremos las condiciones que debe reunir
la telerradiografía lateral para ser utilizada con
diferentes propósitos.
1- Para pacientes ortodóncicos
2- Para pacientes quirúrgicos
1- Para pacientes ortodóncicos
La telerradiografía lateral se toma en posición de
máxima intercuspidación (MIC), con labios y dientes
en contacto y en posición natural de la cabeza (PNC).
Esta última condición no sería indispensable en los
pacientes ortodóncicos puros porque en estos casos
sólo realizaremosuna evaluación cefalométrica den-
toesqueletal que toma como referencia al plano de
Frankfort y no la Horizontal Verdadera. Por ello,
dichas medidasno sufrirán variaciones con rotaciones
de la cabeza hacia arriba o hacia abajo (sobre el eje
transversal), como se explica más adelante (Fig. 9.13).
Sin embargo, siempre es conveniente utilizar la
PNC, así se podrá obtener un perfil facial con una
ubicación espacial y disposición de los tejidos de
las distintas estructuras blandas sin distorsiones.
En los pacientes con discrepancias básales pue-
den ser necesarias algunas veces dos tomas, cuando
en estado de relajación exista un espacio interlabial
importante. Esta situación hace que los tejidos
blandos se deformen para lograr el cierre bucal y
ésto puede provocar confusiones en el diagnóstico,
especialmente al evaluar las estructuras blandas del
mentón y labio inferior (Fig. 9.2 y 9.3).
Por ello, se hace necesaria la obtención de una
imagen radiográfica con los labios en contacto y
otra con labios relajados. La primera, permitirá
confeccionar el VTO ortodóncico y la segunda a-
portará datos sobre los tejidos blandos que también
serán útiles para trazar algunas estructuras del
VTO, como son el mentón y el surco labiomento-
niano (Fig. 9.4). Las dos tomas antes mencionadas
Fig. 9.4: Paciente con discrepancias básales, donde se planificarán dos opciones de tratamiento. A: la radiografía
tomada con labios en contacto será utilizada para la planificación ortodoncica (VTO ortodóncico). B: para la confección
del VTO ortodóncico quirúrgico la toma realizada con labios en reposo permite tener un contorno real de los tejidos
blandos del tercio inferior.
182 Cefalometría dentoesqueletal
Fig. 9.5: Telerradiografía frontal y lateral en un paciente quirúrgico, con mordida abierta, exceso vertical inferior y asime-
tría. Ambas en relación céntrica. La ortogonalidad de ambas tomas se puede verificar al comprobar la equidistancia entre
el borde incisal de incisivo superior y el punto infraorbitario.
en los casos que así lo requieran, permiten obtener
una noción de la longitud real de los labios, de su
posición en relación al plano oclusal y también la
forma, tamaño y el estado de la musculatura perio-
ral y mentón.
2- Para pacientes quirúrgicos
La telerradiografía será realizada siempre con
labios en reposo y en PNC.
A diferencia de la radiografía con fines orto-
dóncicos, que se toma en MIC, en los pacientes qui-
rúrgicos se obtiene en la relación interoclusal que
logra el primer contacto dentario en RC.
En los casos donde se observe clínicamente una
diferencia entre la MIC y la RC, es aconsejable
tomar, previamente a la obtención de la telerradio-
grafía lateral, una mordida de cera que registre la
posición de RC en el primer contacto dentario.
Este registro será colocado en boca en el momento
de la toma radiográfica.
Telerradiografía frontal:
Para esta incidencia,el paciente está orientado
de espalda al tubo de rayos, es decir mirando hacia
el chasis (Fig. 9.1 B). Al posicionarse de esta mane-
ra, las estructuras faciales quedan más alejadas del
centro de emisión de rayos y sufren menos distor-
sión de tamaño.
En la posición frontal es suficiente una sola
toma, pero para su obtención debe interponerse
entre las arcadas un trozo de cera previamente pre-
parado, con el objeto de lograr la posición de RC y
una falta de contacto en los planos oclusales ya que
deberán ser estudiados siempre independiente-
mente.
La toma en RC hace que se elimine la posibili-
dad de que un contacto prematuro, o una o más
piezas dentarias mal posicionadas provoquen un
desplazamiento lateral de la mandíbula y con ello
una asimetría funcional, que sería muy dificultoso
diferenciar de una esqueletal.
Telerradiografía (lateral y frontal) 183
POSICIONAMIENTO DE LA CABEZA
DEL PACIENTE
A pesar de la correcta colocación del paciente
mediante la ayuda del cefalostato, hay algunos fac-
tores que influyen negativamente en la correcta
superposición de estructuras:
• Asimetrías faciales de diferentes grados
• Asimetría mandibular
• Asimetría maxilomandibular
• Distinta altura de los conductos auditivos
• Anomalías morfológicas de distinta naturale-
za (malformaciones, traumas, etc.)
• Asimetrías craneofaciales completas (micro-
somía hemifacial)
A su vez, en las asimetrías hay que distinguir si
son de origen vertical (alteración de los niveles) o
de origen transversal
Otras veces la mala orientación de la cabeza se
debe a problemas del operador, en casos de:
• Un paciente inestable, temeroso, que presen-
ta mucha movilidad
• Niños con trastornos de conducta
• Incorrecto ajuste del cefalostato
Fig. 9.6: Una cabeza mal posiciona-
da causa distorsiones en la telerra-
diografía.
Giro sobre el eje transversal:
A. Eje de giro.
B. Malposición.
Fig. 9.7: Giro sobre el eje vertical:
A. Eje de giro.
B. Malposición.
184 Cefalometría dentoesqueletal
Fig. 9.8: Giro sobre el eje sagital:
A. Eje de giro.
B. Malposición.
La cabeza del paciente se orienta en el espacio
como un cuerpo sólido, es decir, mediante 3 planos
o ejes que confluyen en el centro, que son: el verti-
cal, el sagital y el transversal. Las malposiciones
influyen de manera variable sobre las tomas latera-
les o frontales provocando distorsiones que a veces
inutilizan la radiografía (Fig. 9.6, 9.7 y 9.8). Para
constatar la correcta orientación del paciente, Fie-
rre Vion aconseja observar ciertos detalles:
1- En las telerradiografías laterales:
Las olivas deben estar perfectamente super-
puestas y no mostrar una doble imagen en sentido
vertical ni sagital. Si un desfase del conducto audi-
tivo externo se acompaña de un desdoblamiento de
los bordes mandibulares, se debe a que el paciente
está mal centrado y tiene una rotación en el eje ver-
tical, sagital o en ambos. Las imágenes, en cual-
quiera de los casos, estarán afectadas en propor-
ción a la rotación que haya existido. Según este
mismo autor, las consecuencias de estas rotaciones
indeseadas son distintas según el eje alrededor del
cual se hayan realizado.
• Sila rotación se produjo alrededor del eje ver-
tical, se observarán:
Distorsiones, asimetrías y desdoblamiento de
imágenes en el plano vertical (por ejemplo: borde
posterior de la rama mandibular).
• Sobre el eje sagital o anteroposterior:
Desdoblamiento de imágenes en el plano
horizontal (por ejemplo: doble borde inferior man-
dibular).
• Sobre el eje transversal:
En este caso no existirá desdoblamiento de
imágenes, pero sí una mala orientación de la cabe-
za y posiciones anormales de estructuras cervicales,
que crearán dificultad para la interpretación de los
tejidos blandos del perfil.
Desde luego, la combinación de estas rotaciones
multiplicará los efectos negativos.
2-En las telerradiografías frontales:
Al igual que en las laterales, un incorrecto posi-
cionamiento puede involucrar:
Giro sobre el eje transversal
Giro sobre el eje vertical
Giro sobre el eje sagital
Giro sobre el eje transversal (Fig. 9.6.)
Como el plano de Frankfort es horizontal,
ambos pisos de órbita están sobre la línea que une
el centro de las imágenes radiológicas de los arcos
cigomáticos izquierdo y derecho. El foramen mag-
nun, situado en la línea media, se encuentra inme-
diatamente debajo de esta línea. En esta incidencia
el giro de la cabeza sobre su eje transversal puede
Telerradiografía (lateral y frontal) 185
dar una imagen acortada o alargada de la cara. Es
fácil detectar la alteración de la posición en este
sentido por la no coincidencia del plano de Frank-
fort con la línea bicigomática. Como en la cefalo-
metría frontal no realizaremos ningún tipo de
medición vertical, pequeñas variaciones en este
sentido carecen de importancia. Sin embargo, un
giro sobre el eje transversal de mayor magnitud
puede no permitir una buena visualización de los
planos oclusales superior e inferior que, como men-
cionamos anteriormente, estarán ligeramente sepa-
rados para la toma frontal para poder ser estudia-
dos independientemente.
Giro sobre el eje vertical (Fig. 9.7)
Si existiera un giro alrededor del eje vertical,
aparecerán distorsionadaslas mediciones transver-
sales, pudiéndose interpretar erróneamente que el
paciente presenta una asimetría. Este error de posi-
ción provoca desplazamientos transversales de las
estructuras bilaterales provocando un arbitrario
acercamiento o alejamiento de ellas con respecto a
la línea media, generando asimetrías inexistentes ,
otras veces agudizando las que existen y otras
enmascarando asimetrías transversales.
Por ejemplo: un giro de la cabeza sobre el eje
vertical hacia la izquierda, provocará el acerca-
miento hacia la línea media de estructuras laterales
del mismo lado como ángulo goníaco, procesos
zigomatomalares, etc. Simultáneamente estará au-
mentando las distancias de las estructuras laterales
del lado derecho a la línea media sagital con lo cual
perdemos toda noción de la magnitud real de la
simetría o de la asimetría.
En la radiografía frontal, un mal ajuste de las
olivas en los conductos auditivos del paciente
puede permitir un giro sobre el eje vertical o una
inclinación lateral (giro sobre el eje sagital).
Giro sobre el eje sagital (Fig. 9.8)
Una inclinación lateral de la cabeza distorsiona-
rá la imagen de la columna vertebral, y podría, en
una observación superficial, interpretarse como
una asimetía. Pero al determinar el plano medio
sagital en las estructuras óseas y realizar las medi-
ciones con ese parámetro, la asimetría quedará des-
cartada si sólo era atribuible a una malposición de
la cabeza en la toma de la radiografía.
Sobre el plano medio sagital se deben observar
las siguientes estructuras (de arriba hacia abajo):
• Apófisis Crista Galli
• Lámina vertical del etmoides (constituye el
tabique nasal y puede presentar algunadesviación).
• Espina nasal anterior
• Sutura medio palatina
Estas estructuras son generalmente constantes en
su ubicación coincidente con el plano medio sagital,
y a partir de éste se verifica la existencia o no de des-
viaciones en líneas medias dentarias y en línea media
mandibular.
Si se desea verificar la ortogonalidad de las tele-
rradiogradiografías frontal y lateral, se debe com-
probar la equidistancia entre el punto orbitario y el
borde incisal del incisivo superior de ambas tomas
(Fig. 9.5). Las distancias de la punta de la apófisis
odontoides a la sutura medio palatina también de-
ben ser iguales.
OBTENCIÓN DE LA TELERRADIOGRA-
FÍA EN PNC
El método tradicional posiciona la cabeza con
el cefalostato,mediante la inserción de las olivas en
los conductos auditivos externos y la utilización del
apoyo frontal, siendo éstos los únicos referentes
para el posicionamiento de la cabeza del paciente.
Este método no garantiza la ubicación de la
cabeza en su posición postural, las telerradiografías
así realizadas por lo general presentan giroversio-
nes sobre el eje transversal.
Para la obtención de la telerradiografía en
PNC, Moorees y Kean (1958) aconsejan un proce-
dimiento que nosotros hemos adoptado (Fig. 9.9):
-Paciente ubicado en el cefalostato mirando sus
ojos en un espejo.
-El operador debe verificar que la pupila está en
el centro del ojo. Cuando la pupila se desplaza
hacia arriba indica una rotación de la cabeza hacia
abajo y viceversa si se desplaza hacia abajo.
186 Cefalometría dentoesqueletal
Fig. 9.9: Método para obtener la telerradiografía en PNC. Se utiliza el cefalostato sin ajuste del posicionador frontal y se
simula la mirada al horizonte mediante la utilización de un espejo. Se adhiere al chasis una cadena de esferas metálicas
para obtener el registro de una línea vertical exacta, a partir de la cual se traza la HV.
- Las olivas no deben introducirse en los conduc-
tos auditivos. Sólo deben estar apoyadas suavemen-
te, sin ejercer presión sobre la piel. El paciente debe
estar relajado, con sus brazos colocados a los costa-
dos de su cuerpo y los pies ligeramente separados.
- Controlar las rotaciones e inclinaciones de la
cabeza.
- Observar al paciente de frente, confirmar la
posición correcta de la cabeza. Es aconsejable no
colocar el apoyo frontal debido a que puede provo-
car un estímulo que lleve la cabeza hacia atrás.
- No debe prolongarse este procedimiento más allá
de los 2 o 3 minutos, debido a que el cansancio puede
provocar alguna alteración a la posición deseada.
Con el objeto de obtener una correcta orienta-
ción de las telerradiografías se utiliza una cadena
metálica o un hilo metálico pendiente del borde
superior del chasis y alejada del perfil blando para
que no provoque superposiciones con estructuras
involucradas en la evaluación. Este procedimiento
asegura obtener un registro exacto de la vertical,
mas confiable que la ortogonalidad del cefalostato
y/o del chasis.
Obtenemos así una referencia vertical total-
mente segura para trazar la horizontal y todas las
paralelas o perpendiculares a ella que sean necesa-
rias en el trazado.
Esta horizontal, llamada horizontal verdadera
(HV) constituye una referencia muy precisa para el
estudio de las estructuras del perfil.
En la práctica utilizamos un software para el tra-
zado del cefalograma de tejidos blandos.
Este procedimiento se inicia en el scanner, con
el auxiliar de una escuadra que se apoya en el mar-
gen del mismo en el lado que corresponda y se gira
la Rx hasta que la imagen del hilo metálico coinci-
da con una de los lados de la escuadra.
Muchas veces, los procedimientos para la obten-
ción de la tele en PNC, son ejecutados por otros
operadores que pueden cometer errores o no res-
petar cuidadosamente las maniobras.
Telerradiografía (lateral y frontal) 187
Esto crea la necesidad de utilizar algunos méto-
dos destinados a verificar tales procedimientos.
Para ello utilizamos una fotografía del paciente
obtenida en PNC que incluya una vertical que se
obtiene mediante la utilización de un hilo delante
del telón de fondo.
La utilización de la fotografía para la verifica-
ción se debe a que, comparativamente, la obten-
ción de la tele en PNC por muchas razones ofrece
más dificultades que la fotografía.
Métodos para trasladar la posición de la fotografía
a la telerradiografía lateral.
La colocación del paciente en el aparato en Rx,
la aplicación de los apoyos sobre la piel de la región
auricular y algunas otras maniobras, pueden intro-
ducir algunas distorsiones en la posición de la cabe-
za y con ello, la radiografía obtenida no garantiza
una correcta orientación (Fig. 9.10.).
La fotografía, al no exigir tantos requisitos, se
obtiene con mayor facilidad, en menor tiempo y con
menor margen de error en su orientación dado que
generalmente está realizada por el ortodoncista.
Por otra parte las estructuras faciales se obser-
van con mayor claridad debido a los colores que le
dan una naturalidad que no existe en la tele que
tiene su imagen limitada por los tonos en blanco
negros y grises.
Esto convierte a las fotografías en PNC en regis-
tros fundamentales para confirmar o corregir la orien-
tación de la telerradiografía lateral antes de realizar el
trazado de los planos y de las mediciones del perfil
blando, donde es imprescindible trabajar con una
correcta orientación del trazado del perfil blando.
Podemos realizar este trabajo de verificación, y
en el caso que sea necesario, de ajuste de la posi-
ción de la telerradiografía a la posición de la foto-
grafía, mediante dos procedimientos: uno manual,
y el otro con la utilización de herramientas de un
software específico.
El procedimiento manual para la orientación de
la tele a partir de una fotografía es el siguiente (Fig.
9.11.):
1- Se toma una fotografía de perfil, posicionando
al paciente en PNC, registrando una vertical
mediante un hilo pendiente del telón o de una pared.
Fig. 9.10: Fotografía de una paciente, tomada con una correcta orientación en PNC, y radiografía de la misma paciente
con una orientación dudosa.
188 Cefalometria dentoesqueletal
Fig. 9.11: Pasos a realizar manualmente para corregir la posición de la telerradiografía, ajusfándola a la foto obtenida
en PNC
2- Se traza el plano estético de la fotografía, y se
mide el ángulo que forma con la línea vertical
3- En la telerradiografía, se traza el plano estéti-
co, y reproduciendo la angulación tomada en la
fotografía, se traza una línea que reproduce la ver-
tical de la fotografía.
A partir de esa vertical, en forma perpendicular
se obtiene la HV.
La misma verificación puede realizarse también
mediante la implementación de herramientas de
software.
Ejemplificaremos esto con imágenes obtenidas
de un software de cefalometría que incluye las
mencionadas herramientas, como es el caso del
Nemoceph.
El procedimiento es el siguiente:
Telerradiografía (lateral y frontal) 189
Fig. 9.12: Método para corregir la posición de la telerradiografía a través de un software específico, en este caso Ne-
moceph. A: superponiendo el trazado de la telerradiografía sobre la foto. B: Utilizando la herramienta "giro respecto a
la foto".
1- Se realiza el trazado cefalométrico sobre la
radiografía en la posición obtenida.
2- Se superpone dicho trazado sobre la fotografía.
3- Trabajando sobre 2 puntos de referencia (Po
y Na ) se adapta el tejido blando del trazado sobre
el de la foto hasta lograr una perfecta superposi-
ción. Si la posición de la cabeza no era coincidente
en ambas, se deberá realizar la rotación necesaria
del trazado para lograr el ajuste del perfil. Para
lograr la impresión del trazado en la nueva posi-
ción, se utiliza una herramienta denominada "rota-
ción de la radiografía", eligiendo la opción "giro
respecto a la foto"
4- Este proceso logra entonces la impresión del tra-
zado en PNC, manteniendo la relación de tamaño 1/1.
190 Cefalometría dentoesqueletal
Algunos autores sugieren trazar un plano para-
lelo a la vertical que pase por el punto subnasal y se
extienda desde la glabela cutánea hasta la parte
inferior del mentón en la foto y en la Rx.
Mediante la comparación de las distancias entre
esta línea y los puntos glabela y Po cutáneo en
ambas imágenes (fotográfica y radiográfica) y la
observación de la relación de los distintos segmen-
tos, su coincidencia o no, se evalúa el grado en que
la telerradiografía reproduce la PNC y se realizan
ajustes de la posición si fuera necesario, variando la
rotación de la radiografía.
APLICACIÓN DE LA HORIZONTAL VER-
DADERA O EL PLANO DE FRANKFORT
PARA EL ESTUDIO CEFALOMÉTRICO
Utilización del plano de Frankfort
En la figura 9.13 se observa una telerradiografía
lateral tomada con cefalostato, donde se evidencia
una posición de la cabeza inclinada hacia arriba (A),
y luego la toma en posición natural de la cabeza (B).
En ambas se realizó el mismo trazado cefalométrico.
La diferencia en la posición no provoca ningún
cambio angular ni lineal en el cefalograma, ya que
las medidas están tomadas en referencia al plano
de Frankfort. Esto es lo que permite su utilización
en casos de anomalías dentarias o dentolveolares
que no presenten alteraciones estéticas que deban
ser modificadas.
En el primer grupo, pueden ser utilizadas tele-
rradiografías tomadas con cefalostato, siguiendo
métodos tradicionales. Las teles así obtenidas cum-
plen perfectamente su cometido como una herra-
mienta de diagnóstico que dará más precisión a
nuestras observaciones clínicas y como elemento
indispensable de planificación.
La utilización de la horizontal verdadera para
orientar las telerradiografías, ha traído cierta con-
fusión en cuanto a la fiabilidad de loscefalogramas
trazados en relación al plano de Frankfort y a las
medidas angulares y lineales obtenidas en relación
a él para evaluar el tamaño, la ubicación y la inte-
rrelación de las estructuras alveolodentarias y
esqueléticas de la cara.
Esta confusión puede llevar a cuestionar la vali-
dez de la cefalometría convencional.
Fig. 9.13: Cefalogramas obtenidos en dos radiografías de un mismo paciente, con distinta orientación de la cabeza. Al uti-
lizar el plano de Frankfort como referencia horizontal, no se observan variaciones en las medidas.
Telerradiografía (lateral y frontal) 191
Para evitar esto, debemos simplemente pensar
cuál es el campo que se hace necesario estudiar, que
puede ser el dentoesqueletal o los tejidos cutáneos y
la estética facial.
El primero de ellos es un reducido campo de aná-
lisis que puede ser perfectamente estudiado con
cefalometría convencional utilizando como referen-
cia el plano de Frankfort.
Por ejemplo, si estudiamos un paciente del grupo
1, ortodóncico puro, o del grupo 2, con una altera-
ción esqueletal que por ser leve será tratado sólo con
ortodoncia, no será necesario un estudio profundo
de la estética facial. Por otro lado, los cambios del
tratamiento ortodóncico se limitarán al campo den-
toalveolar, sin afectar aquellos puntos que pueden
tener una diferente interpretación de su posición si
el plano de Frankfort no está coincidente con la
Horizontal verdadera, por ejemplo: el mentón.
Otro aspecto a tener en cuenta en relación a la
utilización del Pl. de Frankfort o la horizontal ver-
dadera, está referido a la constancia en la ubicación.
La horizontal verdadera se traza a partir de la PNC,
que si bien es una posición repetible, está influencia-
da por factores inherentes a la subjetividad y per-
cepción del operador que pueden provocar peque-
ñas variaciones en ella. Cuando se requiere gran
precisión, como ocurre en la evaluación cefalométri-
ca de los casos tratados donde se compara el pre y
postratamiento, una diferencia mínima puede afec-
tar dicha evaluación, por lo que es aconsejable
superponer parcial o totalmente cefalometrías reali-
zadas a partir del plano de Frankfort, que es cons-
tante en su ubicación.
Utilización de la Horizontal Verdadera
En la cefalometría dentoesqueletal del paciente
de la Fig. 9.14 se observa una profundidad facial
aumentada que puede ser interpretada como una
posición adelantada del mentón; pero al corroborar
la orientación de la tele con la fotografía en PNC,
nos encontramos con una falta de horizontalidad
en el plano de Frankfort.
Si este paciente es tratado sólo con ortodoncia,
no se podrán realizar cambios en la posición sagital
del mentón, o serán muy pequeños, por lo que
carece de importancia clínica dicha interpretación.
En cambio, si se realizara un tratamiento orto-
dóncico-quirúrgico, en el cual deberemos planificar
cambios esqueletales, hacerlo en base a la interpre-
tación de las medidas tomadas en referencia al
Frankfort nos daría un resultado totalmente fuera
de parámetros de estética. Se planificaría errónea-
mente llevar el mentón hacia atrás, lo que desme-
joraría la relación cervical-facial inferior y la medi-
da del PoC a la vertical de Sn.
Fig. 9.14: Paciente con falta de horizontalidad del plano de Frankfort. La interpretación de medidas esqueleta-
les basadas en este plano, no concuerdan con las determinaciones basadas en el estudio estético del perfil.
192 Cefalometría dentoesqueletal
La planificación de los cambios quirúrgicos se
hace a partir de la estética del paciente, por lo que
resulta imprescindible obtener la telerradiografía
en PNC en todos los pacientes quirúrgicos. Esta-
mos refiriéndonos entonces a los pacientes del
grupo 3, y también a los del grupo 2 donde se con-
temple la cirugía corno posibilidad terapéutica.
En la sección 6 describiremos los procedimientos
destinados a realizar el diagnóstico y la planifica-
ción del tratamiento en aquellos pacientes que
requieren la solución de problemas de estética
facial por lo que será imprescindible que todos
ellos sean realizados en posición natural de la cabe-
za (PNC).
A continuación se desarrolla la técnica de calco
y trazado cefalométrico para la telerradiografía la-
teral, base para la posterior realización de los dis-
tintos cefalogramas.
Técnica de calco y trazado cefalométrico
Una de las mayores dificultades que enfrenta el
estudiante de ortodoncia en su proceso de aprendi-
zaje es el calco radiográfico. Este aprendizaje
puede resultar sumamente lento, tedioso y plantea
un sinnúmero de dificultades si no se observa una
metodología coherente y estricta.
1.Las imágenes radiográficasson muy variables,
por lo que el trazado cefalométrico debe hacerse, al
comienzo, bajo la observación y la supervisión de
un técnico experimentado. Por su parte, el estu-
diante debe saber que deberá trazar y evaluar un
gran número de placas, comparando sus trazados
antes de lograr una verdadera destreza.
De la intensidad de su entrenamiento depen-
derá el tiempo necesario para aprender esta técni-
ca.
2. Sugerimos repetir varias veces y siempre con
intervalos de tiempo, el trazado de la misma radio-
grafía para constatar la fiabilidad de su calco. Se
debe tener en cuenta que las estructuras sevisuali-
zan cada vez con más precisión mediante la repeti-
ción de los calcos y trazados.
3. La calidad de la radiografía debe ser eva-
luada desde varios puntos de vista: posición,
toma, revelado, etc. y cualquier otro factor que
pueda afectar sus condiciones de nitidez, clari-
dad, contraste, etc. antes de intentar un calco
que resultará frustrado de antemano.
4. Detectar si las imágenes dobles se deben a
incorrecta posición o a problemas inherentes a la
estructura cráneo-maxilo-facialdel paciente.
5. El trazado del cefalograma sobre un calco
hecho con precisión no ofrecerá ningunadificultad.
No obstante, se requiere entrenamiento para trazar
con exactitud y realizar correctamente las medicio-
nes angulares y lineales.
Si bien la cefalometría no es ni pretende ser un
procedimiento exacto, no debemos ser nosotros los
que mediante malas maniobras en el calco, inco-
rrecta ubicación de los puntos durante el trazado y
mediciones apresuradas, agreguemos al método
una suma de errores que provoquen una impreci-
sión tal que pueda desvirtuarlo.
Materiales necesarios
para calcos y trazados
1. Un negatoscopio de luz fría para evitar el
calentamiento y la deformación de la película
radiográfica con el calor, con reóstato para regular
su intensidad, imprescindible algunas veces para
visualizar ciertas estructuras.
2. Un portaminas de 0 0.5 mm con minas de
grafito Hb de color negro. Diámetros superiores
quitan exactitud al calco y al trazado.
3. Goma para borrar.
4. Cartulina negra.
5. Regla de Ricketts o similar.
6. Compás de punta seca o balustrín.
7. Cinta adhesiva transparente.
8. Film poliéster, lámina de acetato o papel
vegetal de buena transparencia, de 18 x 24 cm.
9. Modelos del paciente.
10. Radiografías panorámicas o periapicales.
11. Fotografías.
12. Para los trazados cefalométricos interme-
dios, hechos con la finalidad de controlar la evolu-
ción del tratamiento, se necesitan los trazados
cefalométricos del status inicial. Cuando el trazado
corresponda al final del tratamiento se deben tener
además de los trazados iniciales, los realizados
durante el control del tratamiento. Para distinguir
estos diferentes trazados se usan los siguientes
colores:
Telerradiografía (lateral y frontal) 193
• Trazado inicial: negro
• Predicción de crecimiento: verde
• Visualización de objetivos terapéuticos
(VTO) con o sin crecimiento: rojo
• Durante el tratamiento: marrón
• Trazado final: azul
• Postcontención: violeta
Montaje del papel o film
de trazado sobre la radiografía
La telerradiografía lateral se coloca sobre el
negatoscopio con el perfil orientado hacia la dere-
cha. La toma frontal se coloca de manera que los
lados derecho e izquierdo del paciente coincidan
con los del operador.
Orientar la radiografía de manera que el plano
de Frankfort quede paralelo a uno de los bordes
del papel, y perpendicular al otro. Si se obtiene la
horizontal verdadera (HV), ésta será tomada como
referencia en vez de Frankfort.
El papel se coloca 2 o 3 cm por encima del na-
sión y 2 o 3 cm por delante de la punta de la nariz y
se fija a la radiografía mediante 2 pequeños trozos
de cinta adhesiva transparente (Fig. 9.15). De esta
manera evitamos su basculamiento y al mismo
tiempo facilitamos una acción de bisagra para lev-
antarlo repetidas veces durante las maniobras de
calco con el propósito de observar directamente la
placa radiográfica.
Es aconsejable no fijar la radiografía sobre el
negatoscopio para permitir su desplazamiento
durante el calco y facilitar el trazado, dándole co-
modidad a la mano del operador, aumentando de
esta manera la precisión del dibujo.
Visualización de las distintas áreas
Algunas veces, el contraste entre las zonas
radiolúcidas y radiopacas puede crear alguna difi-
cultad para distinguir ciertas estructuras.
Se puede mejorar la Visualización de estas áreas
accionando el reóstato del negatoscopio y así con-
trolar el flujo lumínico a través de la película o uti-
lizando cartulina negra para cubrir las áreas muy
luminosas que a veces provocan deslumbramiento,
impidiendo ver con claridad. También puede redu-
cirse el exceso de luz haciendo un tubo con cartuli-
na negra para enfocar como con una lente distintas
zonas de la radiografía.
Fig. 9.15: Correcta colocación del papel de trazado sobre
la telerradiografía.
Las estructuras que están en la línea media no
presentan problemas, por ejemplo la silla turca. A
medida que las imágenes correspondan a estructuras
más alejadas de ese plano, existe mayor posibilidad
de desdoblamiento. No nos referimos a la asimetría
por posición incorrecta, sino al desdoblamiento de
imágenes por asimetrías craneofaciales o por magni-
ficación de las estructuras periféricas debido a su
mayor distancia del film. En estas circunstancias
aconsejamos promediar las imágenes dobles.
Trazado cefalométrico lateral.
Calco de estructuras
Seguiremos el procedimiento aconsejado por
Ricketts.
a) Trazado de los tejidos blandos:
Se comienza más arriba del seno frontal y se
traza hasta debajo del área del mentón. Los cefa-
lostatos con apoyo nasal comprimen los tejidos
194 Cefalometría dentoesqueletal
Fig. 9.16:Estructuras del cráneo y su imagen en
la telerradiografíalateral.
• Silla turca
• Frontal y huesos nasales
• Maxilar superior y dientes superiores
Fig. 9.17:
• Conducto auditivo externo.
• Cavidad glenoidea y cóndilo del temporal.
• Fosa ptérigo-maxilar.
Telerradiografía (lateral y frontal) 195
I
Fig. 9.18:
• Reborde orbitario.
• Mandíbula y dientes inferiores.
blandos de la nariz. En ese caso se corrige esta
pequeña deformación. Se traza el contorno palpe-
bral, la curvatura de la pupila, y el contorno del ala
de la nariz (en forma de S itálica). Luego, parte del
contorno de la lengua, paladar blando y faringe.
b) Trazado de los tejidos duros:
1.Nasion: la zona del nasion está formada por el
contorno externo de los huesos nasales y el frontal.
Se calca la unión de ambos en la sutura frontonasal.
En los casos en que ésta no se visualiza, el punto
nasion se ubica en el vértice de la V formada por la
unión de ambos huesos.
2.Fosa pterigomaxilar: imagen radiolúcida de
contornos radiopacos bien definidos, de forma
triangular con base superior, forma que también se
describe como de gota invertida debido al redon-
deamiento que presentan sus vértices superiores.
En la unión del borde superior con la pared poste-
rior se ubica la desembocadura del agujero redon-
do mayor, que corresponde al punto Pt. En reali-
dad, el agujero redondo mayor es un conducto de
pequeña longitud que a veces se visualiza.El punto
Pt se ubica en la posición de las 11hs. en la fosa pte-
rigomaxilar.
3.Maxilar superior: se dibuja todo el contorno
del maxilar determinando con exactitud la espina
nasal anterior y el borde anterior de este hueso, o
sea la pared alveolar, donde se ubica el punto A.
Es necesario tener la mayor precisión posible al
calcar esta zona que suele presentar algunas difi-
cultades debido a la superposición del tejido celular
subcutáneo de la mejilla que, al tener buen espesor,
se visualiza como una franja radiopaca.
La diferencia entre este tejido y el contorno an-
terior del maxilar consiste en que el primero pre-
senta un borde recto o ligeramente convexo, en
cambio el contorno anterior del maxilar siempre es
cóncavo.
La zona de la espina nasal posterior en pacientes
jóvenes, generalmente se superpone con molares
no erupcionados (2.°, 3er molar) por lo que a veces
su exacta ubicación no puede ser determinada.
196 Cefalometría dentoesqueletal
B
Fig. 9.19 A y B: Imágenes que se obtienen al procesar la telerradiografía lateral de cabeza con diferentes filtros, permi-
tiendo la visualización de los tejidos duros y blandos con diferentes efectos (Nemoceph).
C y D: A partir de una tomografía helicoidal se reconstruyen imágenes que permiten una clara visualización de las estruc-
turas óseas craneales.
Telerradiografía (lateral y frontal) 197
Cuando esto suceda, debe tenerse en cuenta que lo
importante es que el trazado debe seguir la inclina-
ción del hueso palatino, sin tener mayor importan-
cia su exacto límite posterior.
Cuando se traza el borde superior del contorno
del maxilar superior se debe seguir la línea radio-
paca bien definida sin excederse hacia arriba,
siguiendo una imagen que corresponde a la base
del tabique nasal, que nos lleva a dibujar un maxi-
lar muy voluminoso.
4. Órbitas: se traza el borde posterior y el infe-
rior de las cavidades orbitarias . Estas estructuras
son bilaterales, por lo tanto cuando no existe una
superposición perfecta deben ser promediadas. En
realidad esto es frecuente debido a que los malares
son las estructuras más alejadas del plano medio
sagital, por lo que es muy difícil obtener una ima-
gen única aun en radiografías perfectamente toma-
das. Aquí es justamente donde se manifiesta el
fenómeno de magnificación de las estructuras ale-
jadas de la placa, que fue mencionado anterior-
mente. Lo importante de las cavidades orbitarias es
su borde inferior, donde se determinará el punto
infraorbitario. Este borde suele ser difícil de visua-
lizar porque se superpone con las celdas etmoida-
les; puede ser de ayuda ubicar el orificio suborbita-
rio que está 3 mm aproximadamente por debajo de
dicho borde. Otra estructura que suele superponer-
se provocando alguna confusión es el techo del
seno maxilar debido a la anatomía del maxilar
superior, que hace que el seno en su parte interna,
se eleve más arriba del borde inferior de la órbita
(Fig. 9.20).
5. Mandíbula: generalmente el contorno mandi-
bular es de muy fácil visualización.
Las dificultades se presentan en la cabeza del
cóndilo a causa de la superposición con la porción
petrosa del hueso temporal, y en la escotadura sig-
moidea y apófisis coronoides. Para facilitar el calco
de estas estructuras se aconseja tener en cuenta las
relaciones entre conducto auditivo externo y cóndi-
lo, que suelen presentar su borde superior a la
misma altura. La apófisis coronoides se superpone
de manera prácticamente constante con la parte
inferior de la fosa pterigomaxilar, y la escotadura
sigmoidea puede trazarse con relativa facilidad des-
pués de haber identificado las estructuras anterio-
res.
También podemos ayudarnos en esta difícil zo-
na con el uso del reóstato, cubriendo con cartulina
negra las zonas vecinas o utilizando el tubo hecho
con el mismo material.
Fig. 9.20: Relaciones del borde inferior de la órbita: A: Con el agujero infraorbitario..En línea de puntos, el contorno del
seno maxilar B: Detrás del seno, se observan células etmoidales. C: Imagen de la zona en la telerradiografía lateral.
198 Cefalometría dentoesqueletal
B
Fig. 9.21: Relaciones constantes útiles para la identificación radiográfica de ciertas estructuras. A: Apófisis odontoides-
basion-conducto auditivo externo. B: Variación con la edad. C: relación conducto auditivo interno-conducto auditivo exter-
no. D: conducto auditivo externo y cóndilo mandibular.
Los bordes inferior y posterior pueden presentar
una doble imagen. En este caso aconsejamos prome-
diar ambos en el momento de calcar, haciendo un solo
trazo. No creemos conveniente el calco de la duplica-
ción de estructuras porque no agrega exactitud al tra-
zado y en cambio lo hace más confuso al aumentar el
número de líneas.
6. Silla turca - Basion: constituyen una estructura
que se determina con mucha facilidad y al estar ubica-
da en la línea media no suele presentar doble imagen.
Se calca todo el cuerpo del esfenoides, relacionando su
borde inferior con la fosa pterigomaxilar que se
encuentra inmediatamente por debajo. El borde supe-
rior se encuentra excavado por la silla turca . El cuer-
po del esfenoides se encuentra ocupado por el seno
esfenoidal, que comúnmente está tabicado, y se conti-
núa hacia atrás y abajo con la porción basilar del occi-
pital, al que se halla unido por la sutura esfeno-occipi-
tal.
Debemos diferenciar la zona del basion del extre-
mo de la apófisis estiloides, con cuya imagen suele
superponerse dando la ilusión de un basion ubicado
más hacia abajo. Se la puede identificar por ser una
estructura delgada, radiopaca y frecuentemente cón-
cava hacia adelante. Una forma de localizar correcta-
mente el basion es observar el ángulo de vértice infe-
rior formado por las corticales de la apófisis basilar del
occipital. La apófisis odontoides también contribuye a
su localización porque, generalmente, prolongando su
eje hacia arriba encontraremos el basion (Fig. 9.21).
7. Conducto auditivo extemo: ubicado en la zona
temporal, presenta una forma ovalada con una incli-
nación de su diámetro mayor en 45°. En su borde
superior ubicamos el punto porion.
Debido a que no es un conducto rectilíneo, el orifi-
cio suele verse radiolúcido solamente en su parte pos-
teroinferior, en forma de media luna.
Debido a la superposición con la zona petrosa del
temporal y dada la gran importancia que tiene su
correcta ubicación,debemos tener en cuenta una serie
de referencias que nos ayudan a ubicarlo con la mayor
precisión posible.
Telerradiografía (lateral y frontal) 199
Éstas son: (Fig. 9.21)
• Con respecto al cóndilo mandibular:
como se mencionó anteriormente, el conduc-
to auditivo externo se ubica por detrás, estando
ambos bordes superiores a la misma altura.
• Con respecto al conducto auditivo interno:
este último es mucho más pequeño y general-
mente más nítido en las radiografías. Está por
detrás y por arriba del conducto auditivo externo.
Es útil el esquema de la figura 7.15C para aclarar la
relación que presentan ambos orificios.
• Con respecto al basion y apófisis odontoides:
el conducto auditivo externo se ubica en la
misma línea vertical que pasa por ambas estructu-
ras.
En el caso de tener una doble imagen del con-
ducto auditivo externo se calcan los dos, y para ubi-
car el porion se promedian los dos bordes superio-
res.
8. Dientes superiores e inferiores: se trazan con
la plantilla no solamente por estética sino para faci-
litar la construcción del VTO.
El diseño con plantilla suele no coincidir en
forma y tamaño con los dientes del paciente, pero
debe respetar ciertas normas para que sea posible
realizar mediciones correctas.
• Incisivos superior e inferior: debe colocarse
la plantilla de modo tal que los bordes incisales,
caras vestibulares y dirección del eje mayor del
diente se correspondan con la estructura dentaria
localizada.
Cuando la zona apical no está bien definida,
es de ayuda visualizarla cámara y el conducto radi-
cular que indican el eje mayor del diente.
• Molares: debe colocarse la plantilla de modo
tal que las superficies oclusales, caras distales y eje
mayor del diente coincidan con los de la radiogra-
fía. En los casos que lo requieran, el diámetro
mesiodistal del molar se puede transferir al trazado
cefalométrico con la ayuda de un compás a partir
del modelo. También la utilización de radiografías
periapicales puede ayudar en casos donde restaura-
ciones proximales están enmascarando los contor-
nos del molar.
El modelo generalmente es imprescindible
para determinar con certeza la clase molar.
Fig. 9.22: Modelo de calco radiográfico. Estructuras necesarias para el trazadocefalométrico.
CAPITULO 10
Cefalometría lateral
INTRODUCCIÓN
En este capítulo desarrollaremos todo lo refe-
rente a cefalometría lateral dentoesqueletal.
Se describirán los cefalogramas que usamos de
rutina en la clínica por su practicidad y su funcio-
nalidad.
Cefalograma lateral completo de Ricketts
Análisis cefalométrico lateral básico
Cefalograma de Bjórk-Jarabak
Análisis de McNamara
El estudio vertical y sagital del perfil, constituye
cefalometría exclusivamentede tejidos blandos por
lo que no forma parte de este capítulo, y se desa-
rrolla en los capítulos referidos a estética facial:
capítulo 1 y capítulo 20.
1- Cefalograma lateral completo de Ricketts
Este Cefalograma no es utilizado de rutina por-
que consideramos que carece de practicidad. No
obstante, al ser tan amplio se convierte en una va-
liosa fuente de información.
En algunos casos sirve de apoyo a la cefalome-
tría básica, aportando datos sobre la etiología del
caso y además es útil para trabajos de investigación.
2- Análisis cefalométrico lateral básico
Este Cefalograma, que utilizamos de rutina en la
clínica, es un Cefalograma dentó esqueletal basado
en el resumido de Ricketts al que le hemos agrega-
do algunos factores referidos a la estética del tercio
inferior de la cara. Aporta datos sobre a los aspec-
tos morfológicos del paciente, dirección de creci-
miento y respuesta al tratamiento. Además, los fac-
tores estéticos incorporados son aquellos sobre los
cuales los resultados del tratamiento ortodóncico
ejercen algunainfluencia.
Constituye además un instrumento insustituible
para la construcción del VTO y el trazado de las áreas
de superposición, útiles para diseñar el tratamiento y
seleccionar la secuencia aparatológica. También es
una herramienta imprescindible para la evaluación
del caso tratado.
Las modificaciones que hemos realizado al cefa-
lograma resumido original de Ricketts de 10 facto-
res consisten en la eliminación de algunos de ellos,
la incorporación de otros pertenecientes al cefalo-
grama completo o a otros estudios cefalométricos,
sumando en total 15 factores.
3- Cefalograma de Bjórk-Jarabak
La cefalometría lateral mencionada anterior-
mente nos permite estudiar la morfologíacraneofa-
cial del paciente, además de las posiciones e inte-
rrelaciones de las estructuras dentomaxilofaciales.
La incorporación del análisis de Bjórk-Jarabak
resulta de suma utilidad para determinar las carac-
teristicas del crecimiento en sus aspectos cualitati-
vos y cuantitativos.
Por ello, es nuestro método de elección para el
estudio del crecimiento remanente.
4- Análisis de McNamara
Utilizamos de este método cefalométrico sola-
mente el análisis de la relación intermaxilar, donde
se integran el problema vertical con el sagital, por
lo que es útil para el estudio esqueletal del caso. Si
bien la cefalometría lateral básica evalúa estos dos
aspectos, el análisis de McNamara lo aborda de una
manera muy simple, utilizando exclusivamente me-
didas lineales que se interrelacionan.
También realiza una evaluación superficial de
las vías aéreas, que apota informanción en el estu-
dio funcional del paciente.
201
202 Cefalometría dentoesqueletal
PUNTOS
Algunos de estos puntos se encuentran en las
estructuras anatómicas y otros, para su determina-
ción, necesitan del trazado de algunos planos en
cuya intersección se localizan.
A los primeros los llamamos puntos anatómicos
y a los segundos punios definidos por planos.
Puntos craneales anatómicos (Fig. 10.1).
• Nasion (Na):
Punto anterior de la sutura frontonasal.
• Basion (Ba):
Punto posteroinferior del hueso occipital en
el margen anterior del foramen magnum.
• Porion (Pr):
Punto más superior del orificio del conducto
auditivo externo.
• Orbitario (Or):
Punto más inferior del reborde orbitario.
• Pterigoideo (Pt):
Intersección de las paredes posterior y supe-
rior de la fisura pterigomaxilar.Allí se locali-
za el agujero redondo mayor.
Fig. 10.2.
Puntos craneales definidos por planos
• CF (Centro facial) (Fig. 10.2):
Punto ubicado en la intersección del plano de
Frankfort (Pr-Or) y la perpendicular a éste
que pasa tangente a la pared posterior de la
fisura pterigomaxilar (línea PTV).
• CC (Centro del cráneo) (Fig. 10.3):
Punto cefalométricoformado por la intersec-
ción de la línea Ba-Na y Pt-Gn (eje facial).
Ba
Fig. 10.1. Fig. 10.3.
Cefalometría lateral 203
Puntos maxilarBS (todos los puntos maxilares
son anatómicos) (Fig. 10.4).
• Espina nasal anterior (ANS):
Extremo anterior de la espina nasal anterior.
• Espina nasal posterior (PNS):
Extremo posterior de la espina nasal posterior.
• Punto A:
Punto más profundo de la curva del maxilar
entre la espina nasal anterior y el borde del
alvéolo dental.
Fig. 10.4.
Puntos mandibulares anatómicos
(Fig. 10.5).
• Pm (protuberancia rnenti o suprapogonion):
Punto donde la curvatura del borde anterior
de la sínfisis pasa de cóncava a convexa.
• Pogonion (Po):
Punto más anterior de la sínfisis en el plano
medio sagital.
• Mentoniano (Me):
Punto más inferior del contorno de la sínfisis.
Fig. 10.5.
204 Cefalometría dentoesqueletal
Puntos mandibulares definidos por pla-
nos
• Xi (Fig. 10.6 A, B y C):
Es el punto localizado en el centro de la rama
ascendente mandibular. Se ubica geométrica-
mente con respecto al plano de Frankfort y la
PTV de acuerdo al siguiente procedimiento:
1. Se trazan planos perpendiculares a Fr y PTV;
que forman un rectángulo.
2. Estos planos deben ser tangentes a los puntos
Rl - R2 - R3 y R4 que están ubicados en los bor-
des anterior, posterior, superior e inferior de la
rama.
Pto Rl: Es el punto más profundo del borde
anterior de la rama.
Pto R2: Es la proyección horizontal (paralela a
Fr) del punto Rl sobre el borde posterior de la
rama.
Pto R3: Localizado en la porción más inferior de
la escotadura sigmoidea.
Pto R4: Es la proyección vertical (perpendicular
a Fr) del punto R3 sobre el borde inferior de la
rama.
3. Se trazan las diagonales del paralelogramo for-
mado.
4. En la intersección de estas diagonales se ubica el
punto Xi.
B
Fig. 10.6.
Cefalometría lateral 205
• De (Fig. 10.7):
Punto cefalométrico que representa el centro
del cóndilo sobre el plano Ba-Na.
• Gnation (Gn) (Fig. 10.7):
Punto formado por la intersección de la tan-
gente al punto mentoniano y al punto más
inferior de la rama (Plano mandibular) con el
plano Na-Po (Plano facial).
• Gonion (Go) (Fig. 10.7):
Punto formado por la intersección del plano
mandibular con una tangente al borde poste-
rior de la rama.
Fig. 10.7.
(Fig. 10.8)
(estos puntos son anatómicos)
Al Incisivo:
Borde incisal del incisivo superior.
Ar Incisivo:
Ápice radicular del incisivo superior.
Bl Incisivo:
Borde incisal del incisivo inferior.
Br Incisivo:
Ápice radicular del incisivo inferior.
A6 Molar superior:
Punto sobre el plano oclusal determinado
por una perpendicular tangente a la cara dis-
tal del primer molar superior.
B6 Molar inferior:
Punto sobre el plano oclusal determinado
por una perpendicular tangente a la cara dis-
tal del primer molar inferior. Fig. 10.8.
206 Cefalometría dentoesqueletal
Puntos del tejido blando
(son puntos anatómicos) (Fig. 10.9).
• En (Nasal):
Punto más anterior del tejido blando de la
nariz.
• Dt (Mentón):
Punto más anterior del tejido blando del
mentón.
• UL (Labio superior):
Punto más anterior del labio superior.
• LL (Labio inferior):
Punto más anterior del labio inferior.
• Em (Comisura):
Punto donde se encuentran el labio superior
e inferior.
Fig. 10.9.
PLANOS
Para quien realiza manualmente este cefalogra-
ma, recomendamos respetar el siguiente orden en
el trazado de los planos. La lógica de esta secuen-
cia es sólo didáctica, porque contempla las dificul-
tades del operador para trazar ciertos puntos como
el Xi. Si éste se traza en los pasos iniciales, se evita
que los demás planos del trazado provoquen algu-
na confusión a quien no tiene suficiente entrena-
miento.
1. Al concluir el calco de las estructuras anatómi-
cas, se traza con la radiografía aún colocada
sobre el negatoscopio, el plano oclusal funcio-
nal, que por definición necesita de la visualiza-
ción de todos o de algunos dientes del sector
lateral.
El plano oclusal funcional es la línea que pasa
por el punto de contacto interoclusal más distal
de los l.os molares y por el punto medio del over-
bite de los caninos. En ausencia de éstos, a tra-
vés del entrecruzamiento de los premolares; en
casos de dentición mixta se deberán tener en
cuenta los molares primarios.
Este plano pasa próximo al punto Xi, constitu-
yendo una bisectriz aproximada del ángulo de la
altura facial inferior (Fig. 10.10).
Es bastante paralelo al plano de Frankfort y al
plano palatal. Su prolongación hacia adelante
suele pasar 3 mm por debajo de la comisura.
Fig. 10.10.
Cefalometría lateral 207
2. Plano de Frankfort: Se traza desde el punto
podón al punto orbitario. Es la línea horizontal
básica de referencia en el trazado cefalométrico
(Fig. 10.11).
3. Vertical pterlgoidea: Se construye trazando una
línea perpendicular al plano de Frankfort tan-
gente al borde posterior de la fisura pterigo-
maxilar. La intersección de estos planos (punto
Cf) es muy estable, es decir, el cambio en la ubi-
cación de este punto como resultado del creci-
miento es mínimo, por consiguiente, los traza-
dos cefalométricos seriados de un paciente
pueden superponerse en este punto para obte-
ner un panorama general de su crecimiento
(Fig. 10.12).
4. Punto Xi: Utilizando el plano de Frankfort y la
PTV se traza el punto Xi como fue indicado an-
teriormente (Fig. 10.13).
Fig. 10.11.
Fig. 10.12. Fig. 10.13.
208 Cefalometría dentoesqueletal
Fig. 10.14.
5. Ba-Na: Este plano constituye el límite entre la
cara y el cráneo. Es el mejor plano para evaluar
el comportamiento del mentón. Constituye una
referencia para el estudio de la posición, rota-
ción y crecimiento mandibular (Fig. 10.14).
6. Planofacial: Une el punto Na con Po, y debe pro-
longarse unos milímetros para facilitar su entre-
cruzamiento con el plano mandibular. El ángulo
que forma con el plano de Frankfort indica la
posición del mentón en sentido sagital. Es de uti-
lidad para definir el biotipo facial (Fig. 10.15).
7. Plano mandibular. Es una tangente al borde
inferior mandibular que une el punto Me con el
punto más inferior de la rama mandibular. Es
una referencia que nos describe la morfología
y/o posición mandibular. En la unión de su
extremo anterior con el plano facial forma el
punto gnation cefalométrico (Fig. 10.16).
Fig. 10.15. Fig. 10.16.
Cefalometría lateral 209
8. Eje facial: Se traza desde el punto Pt al Gn cefa-
lométrico. Describe la dirección de crecimiento
del mentón. En la cara promedio, forma un
ángulo recto con el plano Ba-Na (Fig. 10.17).
9. Eje del cuerpo mandibular: Se determina trazan-
do una línea desde Xi al punto Pm. Línea de
referencia para evaluar los cambios de la denta-
dura inferior, tamaño y morfología mandibular
(Fig. 10.18).
10. Eje del cóndilo (Xi-Dc): Se utiliza este plano
para describir la morfología de la mandíbula. En
relación con el eje del cuerpo mandibular forma
el ángulo llamado arco mandibular (Fig. 10.19).
Fig. 10.17.
Fig. 10.18. Fig. 10.19.
210 Cefalometría dentoesqueletal
11. Xi-ANS.: Une ambos puntos. Con el eje del
cuerpo de la mandíbula, forman el ángulo de
la altura facial inferior (Fig. 10.20).
12. Plano A-Po: Relaciona las bases dentarias
superior e inferior, por lo que se lo denomina
también, plano de las dentaduras. Constituye
la referencia más usada para determinar la
posición de los dientes anteriores en sentido
sagital. Se prolonga 20 mm aproximadamente
por debajo del borde inferior mandibular para
diferenciarlo del plano facial y facilitar de este
modo las mediciones (Fig. 10.21).
13. Eje del incisivo superior: Une los puntos Al y
Ar y se prolonga hasta el plano de Frankfort.
Describe la inclinación del incisivo superior
(Fig. 10.22).
Fig. 10.20.
Fig. 10.21. Fig. 10.22.
Cefalometría lateral 211
14. Eje del incisivo inferior: Une los puntos Bl y
Br. Se prolonga al igual que el plano A-Po más
o menos 20 mm por debajo del plano mandi-
bular, y por arriba hasta encontrar al eje del
incisivo superior. Estas prolongaciones facili-
tan también la toma de medidas (Fig. 10.23).
15. Plano estético: Se traza desde el punto En al
punto Dt. Describe la armonía estética de los
labios en relación a la nariz y el mentón (Fig.
10.24).
16. Na - A: Se estudia el ángulo que forma esta
línea con el plano de Frankfort. Preferimos no
trazarlo con la finalidad de evitar superposi-
ción con otros planos que pueden confundir en
la toma de mediciones (Fig. 10.25).
Fig. 10.23.
Fig. 10.24. Fig. 10.25.
212 Cefalometría dentoesqueletal
Fig. 10.26.
Los planos mencionados hasta aquí son losutili-
zados en el trazado del cefalograma de Ricketts
resumido.
No obstante, el cefalograma completo utiliza
mediciones que requieren el trazado o considera-
ción de otros planos. Ellos son:
CF-Na/CF-A (Fig. 10.26):
Se utilizan para determinar la altura maxilar
(factor 24).
Plano palatal (ANS - PNS) (Fig. 10.27):
Se utiliza para medir su inclinación con respecto
a Frankfort (factor 25).
CF - Go (Fig. 10.27):
Para determinar la altura facial posterior (fac-
tor 28).
Xi-CF (Fig. 10.28):
Para estudiar la posición de la rama mandibular.
Útil en la predicción del patrón de Clase III
(factor 29).
Go
Fig. 10.27. Fig. 10.28.
Cefalometría lateral 213
MEDIDAS E INTERPRETACIÓN DEL CEFALOGRAMA
LATERAL COMPLETO DE RICKETTS
32 Factores agrupados en 6 campos
1. PROBLEMA DENTARIO
2. RELACIÓN MAXILOMANDIBULAR
3. DENTOESQUELETAL
4. PROBLEMA ESTÉTICO
5. RELACIÓN CRANEOFACIAL
6. ESTRUCTURAL INTERNO
Campo I
Problema dentario
1. Relación molar:
Es la distancia entre las caras distales del primer
molar superior y su homólogo inferior medida
sobre el plano oclusal.
Valor normal:
Clase 1-3 mm.
Clase II mayor de Omm.
Clase III menos de-6 mm.
D.S.: ± 3 mm.
Interpretación: Define la clase molar. Un número
negativo indica que la cara distal del molar inferior
está ubicada en una posición mesial con respecto a
la del molar superior.
2. Relación canina:
Es la distancia existente entre el centro de lascús-
pides de los caninos superior e inferior, medida al
igual que la anterior sobre el plano oclusal.
Valor normal:
Clase I - 2 mm.
Clase II +1 mm ymás.
Clase III menos de -5 mm.
CU
Fig. 10.29.
CU
CIII cini
Jj5=£=±S^V
CIII CIIII
D.S.: ± 3 mm. Fig. 10.30.
214 Cefalometría dentoesqueletal
Interpretación: Define la clase canina. Un número
negativo indica que la cúspide del canino inferior
está ubicada hacia mesial con respecto a la del su-
perior.
3. Overjet incisivo:
Es la distancia entre los bordes incisales superior e
inferior medida a la altura del plano oclusal.
Valor normal: 2,5 mm.
D.S.: ± 2,5 mm.
Interpretación: Describe la anomalía del sector
anterior en sentido sagital (normal, borde a borde,
positivo o negativo).
Normal Positivo Negativo
Fig. 10.31.
Normal Aumentado Disminuido
4. Overbite incisivo:
Es la distancia entre los bordes incisales inferior y
superior. Se mide perpendicular al plano oclusal.
Valor normal: 2,5 mm.
D.S.: ± 2,0 mm.
Interpretación: Define la oclusión del sector incisi-
vo en el plano vertical (mordida normal, abierta,
sobremordida profunda).
Fig. 10.32.
5. Extrusión del incisivo inferior:
Es la distancia entre el borde incisal del incisivo
inferior y el plano oclusal.
Valor normal: + 1,25 mm.
D.S.:± 2,0 mm.
Interpretación: La observación de esta medida nos
dice si la alteración del overbite se debe al incisivo
inferior, superior o a ambos.
Normal Extruido Intruido
Fig. 10.33.
Cefalometría lateral 215
6. Ángulo interincisivo:
Es el ángulo formado por los ejes de los incisivos
centrales superior e inferior.
Valor normal: 130°
D.S.: ± 10°
Interpretación: En los casos de protrusión dentaria
este ángulo es menor. Ángulos de valores grandes
corresponden generalmente a sobremordidas pro-
fundas.
En condiciones normales, en los biotipos dólicos
este ángulo tiene medidas mayores que en los bra-
quifaciales, esto se debe a la diferente conforma-
ción estructural de ambos biotipos.
Normal Aumentado Disminuido
Fig. 10.34.
Campo II
Relación maxilomandibular
7. Convexidad:
Es la distancia entre el punto A y el plano facial.
Valor normal:
2 mm a la edad de 8^/2 años.
Disminuye 0,2 mm por año.
D.S.: ± 2 mm.
Interpretación: Define el patrón esqueletal. Como
es una medida relativa (relaciona punto A con pla-
no facial), tiene dos variables: la posición del pun-
to A y la posición del plano facial.
Valores mayores que la norma definen un patrón
de Clase II, medidas menores, un patrón de Clase
III. Para un diagnóstico más profundo de la ano-
malía habría que evaluar la posición del punto A y
del Po independientemente, con las medidas de la
profundidad maxilar y facial.
La medida de la convexidad puede ser modificada
por crecimiento o por efectos del tratamiento.
Na
Pto.
Po
Cl II
CIIII
Fig. 10.35.
216 Cefalometría dentoesqueletal
8. Altura facial inferior:
Ángulo formado por los planos Xi-ANS y Xi-Pm.
Valor normal:
47°. Permanece constante con la edad.
D.S.: ± 4°
Interpretación: Valores altos corresponden a pa-
trones dolicofaciales, además pueden indicar mor-
dida abierta.
Valores menores corresponden a un patrón braqui
y a una sobremordida profunda.
Debe ser tenido en cuenta para el diagnóstico dife-
rencial de los patrones de Clase II esqueletal. Tam-
bién es útil para el diagnóstico diferencial de las
mordidas abiertas.
ANS
Pm
Campo III
Dentoesqueletal
Fig. 10.36.
9. Posición del molar superior:
Es la distancia desde la cara distal del primer molar
superior permanente hasta la vertical pterigoidea
(PTV), medida en forma perpendicular a esta últi-
ma.
Valor normal:
Edad del paciente en años +3 mm.
D.S.: ± 3 mm.
Interpretación: La vertical pterigoidea indica el
límite posterior del maxilar superior. Esta medida
determina si la relación molar alterada es debida a
la posición del molar superior o del inferior. Nos
alerta también sobre la posibilidad de impactación
de los terceros molares superiores y puede ayudar
en la decisión de extracciones.
PTV.
Fig. 10.37.
Cefalometría lateral 217
10. Protrusión del incisivo inferior:
Es la distancia entre el borde incisal del incisivo
inferior y el plano A-Po medida paralelamente al
plano oclusal.
Valor normal: +1 mm.
D.S.: ± 2 mm.
Interpretación: Indica el límite anterior de la ar-
cada dentaria inferior. Define además la posición
de esta arcada en relación a ambos maxilares. Es de
suma importancia para la planificación del trata-
miento.
11. Protrusión del incisivo superior:
Es la distancia desde el borde incisal del incisivo su-
perior al plano A-Po.
Valor normal: + 3,5 mm.
D.S.: ± 2 mm.
Interpretación: Define la posición del incisivosupe-
rior en relación a los maxilares. Es uno de los prin-
cipales motivos de consulta y de indicación del tra-
tamiento ortodóncico.
Po
Fig. 10.38.
Po
Fig. 10.39.
12. Inclinación del incisivo inferior:
Es el ángulo formado por el eje del incisivo infe-
rior y el plano A-Po.
Valor normal: 22°
D.S.: ± 4°
Interpretación: Esta medida está relacionada con la
estabilidad del incisivo inferior. Nos indica las limi-
taciones del tratamiento en lo referente al cambio
de posición de este diente
Fig. 10.40.
218 Cefalometría dentoesqueletal
13.Inclinación del incisivo superior:
Es el ángulo formado por el eje del incisivo supe-
rior y el plano A-Po.
Valor normal: 28°
D.S.: ± 4°
Interpretación: Indica la inclinación del incisivo
superior con respecto al plano A-Po. En nuestra
práctica clínica el parámetro que tenemos en cuen-
ta en lo referente a estabilidad de este incisivo, es
su paralelismo con el eje facial (se aconseja una
posición 5° más vertical que el eje facial).
14. Plano oclusal a la rama mandibular:
Es la distancia entre el plano oclusal y el centro de
la rama mandibular (Xi). Una cifra positiva indica
que el plano oclusal está hacia arriba del punto Xi,
una cifra negativa indica que el plano oclusal está
por debajo de Xi.
Valor normal:
O mm a la edad de 91/2 años.
El plano oclusal desciende 0,5 mm por año respec-
to del punto Xi.
D.S.: ± 3 mm.
Interpretación: Un plano oclusal alto en relación al
punto Xi nos indica extrusión de molares inferio-
res. A la inversa,un plano oclusal descendido, indi-
ca extrusión de los molares superiores.
15. Inclinación del plano oclusal:
Es el ángulo formado por el eje del cuerpo y el pla-
no oclusal.
Valor normal:
22° a la edad de 8 años. Aumenta 0,5° por año.
D.S.: ± 4°
Interpretación: Mediante las dos medidas prece-
dentes, podemos localizar el plano oclusal en re-
lación a la mandíbula.
Po
Fig. 10.41.
Fig. 10.42.
Fig. 10.43.
Cefalometría lateral 219
Campo IV
Problema estético
(Relación labial)
16. Protrusión labial:
Es la distancia desde la parte más anterior del labio
inferior al plano estético.
Valor normal:
- 2 mm a la edad de 8^2 años y disminuye 0,2° mm
por año.
D.S.: ± 2 mm.
Interpretación: Indica la relación entre los labios
por una parte y la nariz y el mentón por la otra. El
labio inferior se apoya sobre la cara vestibular del
incisivo. Por lo tanto, la protrusión de este diente,
producirá un labio inferiorprotrusivo.
Valores negativos indican que el labio está por
detrás del plano E.
17. Longitud del labio superior:
Es la distancia entre la espina nasal anterior (ANS)
y el stomion superior.
Valor normal:
24 mm para la medida promedio de un paciente de
8^/2 años de edad.
D.S.: ± 2 mm.
Interpretación: Es útil para estudiar la causa de una
sonrisa gingivalo una insuficienteexposición de los
incisivos superiores.
Un labio corto, puede ser la causa de una muscula-
tura perilabial contracturada.
Fig. 10.44.
sup.
18. Comisura labial - Plano oclusal:
Es la distancia entre la comisura de los labios y el
plano oclusal.
Valor normal:
-3,5 mm a los 8^/2 años. Se eleva 0,1 mm por año.
Los valores negativos indican que el plano oclusal
está debajo de la comisura labial.
Fig. 10.45.
220 Cefalometría dentoesqueletal
Interpretación: Un plano más bajo indica general-
mente un labio superior corto y una sonrisa gingi-
val.Cuando la distancia se inclina hacia cero o valo-
res positivos significa que el plano oclusal está
ubicado hacia arriba o el labio superior es largo.
Esta medida debe ser tenida en cuenta cuando
construimos el VTO, para realizar las modificacio-
nes necesarias en el plano, y llevarlo a medidas que
permitan lograr una estética correcta en la relación
labio-incisal.
Fig. 10.46.
Campo V
Relación craneofacial
19. Profundidad facial:
Es el ángulo formado por el plano facial y el plano
de Frankfort (ángulo facial de Downs).
Valor normal:
87° a los 9 años. Aumenta 0,33° por año.
D.S.: ± 3°
Interpretación: Localiza el mentón en sentido sagi-
tal. Determina si la Clase II o Clase III esqueletal
se deben a la mandíbula. Es útil estudiar esta medi-
da en conjunto con la convexidad facial, la profun-
didad maxilar y la altura facial inferior para com-
pletar el diagnóstico esqueletal.
20. Eje facial:
Es el ángulo formado por el eje facial y el plano
basion-nasion.
Valor normal: 90°
D.S.: ± 3°
Interpretación: Indica la dirección del crecimiento
del mentón. Es de importancia en la determinación
del biotipo facial.
Pl. Fr.
Fig. 10.47.
Ba
Fig. 10.48.
Cefalometría lateral 221
21. Cono facial:
Ángulo formado por el plano facial y por el plano
mandibular.
Valor normal: 68°
D.S.: ± 3,5°
Interpretación: Los valores altos se observan en los
patrones braquifaciales. Valores menores que la
norma corresponden a biotipos dólicos.
22. Ángulo del plano mandibular:
Está formado por el plano mandibular y el plano
horizontal de Frankort.
Valor normal:
26° a los 9 años. Disminuye 0,3° por año.
D.S.: ± 4°
Interpretación: Valores bajos corresponden a los
pacientes braquifaciales, con mandíbula cuadrada.
Un valor alto corresponde a un biotipo dolicofacial,
y está indicando una morfología mandibular con
ángulo muy obtuso, una implantación mandibular
rotada en el sentido de las agujas del reloj o a una
combinación de ambas cosas.
Na
Fig. 10.49.
Fig. 10.50.
23. Profundidad maxilar:
Es el ángulo formadopor el plano de Frankforty la
línea Na-A.
Valor normal: 90°
D.S.: ± 3°
Interpretación: Indica la posición del maxilar supe-
rior en sentido sagital. Útil para hacer el diagnósti-
co de Clase II o III esqueletal en conjunto con la
convexidad, la profundidad facial y la altura facial
inferior.
Valores altos se presentan muchas veces como
secuela de succión del pulgar.
Pl. Fr.
Fig. 10.51.
222 Cefalometría dentoesqueletal
24. Altura maxilar:
Es el ángulo formado por los puntos Na, CF (la
intersección del plano de Frankfort y PTV) y el
punto A.
Valor normal:
53°. Aumenta 0,4° por año.
Interpretación: Indica la posición del maxilar su-
perior en el plano vertical. Al igual que el plano
mandibular, es útil para el diagnóstico de las mor-
didas abiertas esqueletales. En este caso el ángulo
tendrá valores bajos.
25. Plano palatal:
Es el ángulo formado por el plano de Frankfort y el
plano palatal (ANS - PNS).
Valor normal: 1°
D.S.: ± 3,5°
Interpretación: Indica la inclinación del plano pala-
tal. Un valor positivo indica una inclinación desde
atrás y abajo hacia adelante y arriba y se asocia gene-
ralmente a los patrones esqueletales de Clase III.
Na
Fig. 10.52.
Pl. Fr.
Campo VI
Estructural interno
Fig. 10.53.
26. Deflexión craneal:
Es el ángulo formado por el plano Na-Ba y el plano
de Frankfort.
Valor normal: 27°
D.S.: ± 3°
Interpretación: Un ángulo alto indica una posición
adelantada de la cavidad glenoidea, por lo tanto,
una implantación adelantada de la mandíbula. Útil
para la predicción de patrones de crecimiento de
Clase III. Fig. 10.54.
Cefalometría lateral 223
27. Longitud craneal anterior:
Es la distancia entre el punto CC y Na.
Valor normal:
55 mm para un paciente de medida promedio a la
edad de 8^/2 años. Debe ser corregido según la edad
del paciente; aumenta 0,8 mm por año.
D.S.: ± 2,5 mm.
Interpretación: Nos dice si el patrón esqueletal de
Clase II es debido a una base craneal anterior lar-
ga o si el patrón de Clase III tiene su origen en una
corta.
Fig. 10.55.
28. Altura facial posterior:
Es la distancia entre el gonion y el punto CF.
Valor normal:
55 mm para un paciente de medida promedio a la
edad de 8V2 años. Debe ser corregido según la edad
del paciente. Aumenta 1mm por año.
D.S.: ± 3,3 mm.
Interpretación: Indica la altura de la rama. Ramas
cortas corresponden a patrones dolicofaciales con
un crecimiento rotacional posterior de la mandíbu-
la. Por el contrario, valores mayores indican ra-
mas largas, pertenecientes a patrones braquifacia-
les y crecimiento de la mandíbula hacia adelante.
Go
Fig. 10.56.
29. Posición de la rama:
Es el ángulo formado por la PTV y el plano CF-Xi.
Valor normal: 76°
D.S.: ± 3°
Interpretación: Los patrones de Clase II pueden
deberse a la localización posterior de la rama
(ángulo pequeño), los de la Clase III pueden ser
causados por la posición avanzada de la rama
(ángulo grande). La posición avanzada está asocia-
da con patrones de Clase III latente, siendo útil
para su detección.
PTV!
Fig. 10.57.
224 Cefalometría dentoesqueletal
30. Localización del porion
Es la distancia entre el porion y PTV.
Valor normal: - 39mm para pacientes normales a la
edad de 9 años. Debe ser corregido según la edad
(0,8 mm por año). Se usa signo negativo para indicar
un porion distal a PTV.
D.S.: ± 2,2 mm.
Interpretación: Esta medida indica la posición de la
cavidad glenoidea y por lo tanto el lugar de im-
plantación del cóndilo mandibular. Una localiza-
ción adelantada del porion está asociada con un
crecimiento latente de Clase III. También se lo uti-
liza para la detección precoz de esta anomalía.
PTV
Fig. 10.58.
31. Arco mandibular:
Es el ángulo formado entre el eje del cuerpo y el eje
condilar.
Valor normal:
26° a la edad de 8l/2 años. Aumenta 0,5° por año.
D.S.-: ± 4°
Interpretación: Es un indicador de las características
musculares del paciente. Ángulos grandes corres-
ponden a mandíbulas cuadradas, mordidas profun-
das y patrones braquifaciales. Ángulos de bajo valor
indican mordidas abiertas, patrones dolicofaciales y
débil musculatura.
Fig. 10.59.
32. Longitud del cuerpo:
Es la medida del eje del cuerpo mandibular (Xi-
Pm) prolongado hasta el plano A-Po. (Suele to-
marse erróneamente hasta Pm.)
Valor normal:
65 mm para un paciente normal de 8^/2 años de
edad. Aumenta 1,6 mm por año y debe corregirse
de acuerdo con la edad del paciente.
D.S.>: ± 2,7 mm.
Interpretación: Evalúa la longitud del cuerpo man-
dibular y es útil en el diagnóstico diferencial del
prognatismo o retrognatismo mandibular. Fig. 10.60.
Cefalometría lateral 225
ANÁLISIS LATERAL DE RICKETTS - 32 FACTORES
CAMPO 1 - PROBLEMA DENTARIO
1
2
3
4
5
6
- Relación molar
- Relación canina
- Overjet incisivo
- Overbite incisivo
- Extrusión incisivo inferior
- Ángulo interincisivo
Valor normal
81/2 años - 9 años
- 3 mm ± 3 mm
- 2 mm ± 3 mm
2,5 mm ± 2,5 mm
2,5 mm ± 2 mm
+ 1,25 mm ± 2 mm
130° ± 10°
CAMPO II - MAXILOMANDIBULAR
7 - Convexidad 2 mm + 2 mm
8 - Altura facial inferior 47° ± 4°
CAMPO III - DENTOESQUELETAL
9-
10-
11 -
12-
13-
14-
15-
Posición molar superior
Protrusión incisivo inferior
Protrusión incisivo superior
Inclinación incisivo inferior
Inclinación incisivo superior
Plano oclusal a rama mandibular
Inclinación plano oclusal
Edad + 3 mm ± 3 mm
+ 1 mm ± 2 mm
+ 3,5 mm ± 2 mm
22° ± 4°
28° ± 4°
0 mm ± 3 mm
22° ± 4°
CAMPO IV - PROBLEMA ESTÉTICO
16 - Protrusión labial
17 - Longitud labio superior
18 - Comisura labial - Plano oclusal
- 2 mm ± 2 mm
24 mm ± 2 mm
- 3,5 mm
CAMPO V - RELACIÓN CRANEOFACIAL
19 - Profundidad facial
20 - Eje facial
21 - Cono facial
22 - Ángulo plano mandibular
23 - Profundidad maxilar
24 - Altura maxilar
25 - Plano palatal
87° ± 3°
90° ± 3°
68° ± 3,5°
26° ± 4°
90° ± 3°
53° ± 3°
1°±3,5°
CAMPO VI - ESTRUCTURAL INTERNO
26 - Deflexión craneal
27 - Longitud craneal anterior
28 - Altura facial posterior
29 - Posición de la rama
30 - Localización del porion
31 -Arco mandibular
32 - Longitud cuerpo mandibular
27° ± 3°
55 mm ± 2,5 mm
55 mm ± 3 mm
76° ± 3°
- 39 mm+ 2 mm
26° ± 4°
65 mm ± 2,7 mm
226 Cefalometría dentoesqueletal
ANÁLISIS i
COMPLETO:
I. PROBLEMA DENTARIO
- RELACIÓN MOLAR
- RELACIÓN CANINA
- OVERJET INCISIVO
- OVERBITE INCISIVO
- EXTRUSIÓN INCISIVO INFERIOR
-ÁNGULO INTERINCISIVO
II. RELACIÓN MAXILOMANDIBULAR
-CONVEXIDAD ~*^
-ALTURA FACIAL INFERIOR -*—
III. DENTOESQUELETAL
- POSICIÓN DEL MOLAR SUPERIOR
- PROTRUSIÓN DEL INCISIVO INFERIOR
- PROTRUSIÓN DEL INCISIVO SUPERIOR
- INCLINACIÓN DEL INCISIVO INFERIOR
- INCLINACIÓN DEL INCISIVO SUPERIOR
- PL. OCLUSAL A LA RAMA MANDIBULAR
- INCLINACIÓN DEL PLANO OCLUSAL
IV. PROBLEMA ESTÉTICO
- PROTRUSIÓN LABIAL-»
- LONGITUD DEL LABIO SUPERIOR
- COMISURA LABIAL - PLANO OCLUSAL
V. RELACIÓN CRANEOFACIAL
- PROFUNDIDAD FACIAL ~*
-EJE FACÍALA
- CONO FACIAL
- ÁNGULO DEL PLANO MANDIBULAR
- PROFUNDIDAD MAXILAR^*^
-ALTURA MAXILAR
- PLANO PALATAL
VI. ESTRUCTURAL INTERNO
- DEFLEXIÓN CRANEAL
- LONGITUD CRANEAL ANTERIOR
- ALTURA FACIAL POSTERIOR
- POSICIÓN DE LA RAMA
- LOCALIZACIÓN DEL PORION
-ARCO MANDIBULAR -<
J CEFALOGRAMA
BÁSICO
FACTORES AGREGADOS
- DISTANCIA A-B.
- INCISIVO INF. - PLANO MANDIBULAR.
- INCISIVO SUPERIOR - PLANO BA-NA.
- EXPOSICIÓN DEL INCISIVO SUP.
- ÁNGULO NASOLABIAL INFERIOR.
- LONGITUD DEL CUERPO MANDIBULAR
Cefalometría lateral 227
ANÁLISIS CEFALOMETRICO LATERAL
BÁSICO
Clase esqueletal
01 - Convexidad facial
02 - Distancia A-B
Normal
+2 ± 2 mm
+4 ± 2 mm
Maxilar inferior
03
04
05
06
07
- Eje facial
- Prof. facial
-Ang. plano mandibular
- Altura facial inferior
-Arco mandibular
Normal
90° ± 3°
87° ± 3°
26° ± 4°
47° ± 4°
26° ± 4°
Maxilar superior
08 - Profundidad maxilar
Normal
90° ± 3°
Fig 10.61: Cefalograma lateral básico.
Dientes
09
10
11
12
- 1 - A-Po
- 1 - Plano Oclusal
- 1 - Plano Mandibular
-1- Plano BaNa
Normal
+1 ± 2 mm
+1 ± 1 mm
90° ± 5°
// E. Fac. -5°
Estética
13
14
15
- Exposición del 1_
- Labio inf.- Plano E
- Ángulo nasolabial Inf.
Normal
+2.5 a +3 mm
-2 ± 2 mm
85° ± 5°
228 Cefalometría dentoesqueletal
ANÁLISIS CEFALOMÉTRICO LATERAL
BÁSICO
Llamamos Análisis Cefalométrico Lateral Bási-
co al que utilizamos de rutina en nuestra práctica
clínica. Está basado en el Cefalograma Resumido
de Ricketts, al que le hemos realizado algunas
modificaciones, eliminando algunos factores y
agregando otros, pertenecientes al cefalograma
completo o a otros cefalogramas.
Analiza las siguientes áreas:
Clase esqueletal
Maxilar inferior
Maxilar superior
Dientes
Estética
Con las medidas inherentes al maxilar inferior
se determina el biotipo facial, cuya definición apor-
ta datos acerca de la dirección de crecimiento y la
respuesta del paciente a la mecánica ortodóncica.
Estos datos son de suma importancia a la hora de
hacer laplanificación.
Cuando los datos proporcionados por este cefa-
lograma sean insuficientes, o se requiera una eva-
luación de otro aspecto, como puede ser un estudio
estético profundo, o del potencial del crecimiento
del paciente, completaremos el estudio con otras
medidas del cefalograma completo u otros análisis.
1- Clase Esqueletal
• Convexidad facial
• Distancia A-B*
2- Maxilar inferior (Biotipo Facial)
• Eje facial
• Profundidad facial
• Ángulo del plano mandibular
• Altura facial inferior
• Arco mandibular
3- Maxilar Superior
• Profundidad maxilar
4- Dientes
• Incisivo inferior a A- Po
• Incisivo inferior - plano oclusal
• Incisivo inferior - plano mandibular *
• Incisivo superior- plano Ba-Na *
5- Estética
• Exposición del incisivo superior *
• Labio inferior - plano E
• Ángulo nasolabial inferior *
*Los factores señalados con asterisco son las
medidas cefalométricas complementarias agrega-
das al cefalograma resumido y no pertenecen a Ric-
ketts.
Clase Esqueletal
1- Convexidad facial:
Es el factor número 7 del cefalograma completo
(campo II).
Es la distancia en milímetros medida desde el
punto A al plano facial (Na-Po). La norma clínica
es +2 mm a los 9 años con una desviación clínica de
± 2 mm.
Como en la mayoría de los casos la mandíbula
crece hacia adelante más que el maxilar, esta medi-
da disminuyecon la edad 0,2 mm por año en la cara
promedio (Fig. 10.64). Debido a que el crecimiento
en los braquifaciales proyecta el mentón más hacia
adelante, esta disminución de la convexidad será en
ellos mayor que 0,2 mm por año.
En los dolicofaciales, por el contrario, debido al
crecimiento vertical de la sínfisis se producirá una
menor disminución de la convexidad, pudiendo lle-
gar en patrones dólicos severos a mantenerse sin
variación hasta la edad adulta. Esta medida descri-
be la relación de ambos maxilares en sentido sagi-
tal (Fig. 10.62). Una convexidad mayor que la
norma indica un patrón esqueletal de Clase II, una
convexidad negativa, por el contrario, un patrón de
Clase III. La alteración de esta medida, nos habla
solamente de una mala relación entre losmaxilares,
sin aclararnos cuál es el responsable del problema
ya que una convexidad aumentada puede deberse a:
Cefalometría lateral 229
A B C
Fig 10.62: La medida de la convexidad define el patrón esqueletal. A: Clase I, convexidad normal. B: Clase II, convexi-
dad aumentada. C: Clase III, convexidad disminuida.
a) Una retrusión mandibular con un maxilar
superior normal.
b) Una mandíbula normal y un maxilar protrui-
do.
c) Una combinación de A y B.
d) Una birretrusión esqueletal pero de mayor
grado en la mandíbula.
e) Una biprotrusión pero mayor en el maxilar.
Por ello, se hace necesario el estudio de la pro-
fundidad facial y de la profundidad maxilar para
conocer la verdadera situación del punto A y del
Po en el plano sagital (Fig. 10.63).
La convexidad facial también puede ser modifi-
cada por el tratamiento ortopédico u ortodóncico
por cambios a nivel del punto A o por la apertura o
cierre del eje facial, como será explicado en la sec-
ción planificación del tratamiento.
Fig 10.63: Una alteración en la medida de la convexidad
requiere el diagnóstico diferencial entre la profundidad
facial y maxilar.
230 Cefalometría dentoesqueletal
76°
A DOLICO B MESO
90C
C BRAQUI
96°
Fig. 10.64: Cambio de la convexidad con el crecimiento. En estos ejemplos, se ha medido a los 8 y 16 años. En el pa-
ciente A, dolicofacial, la convexidad se mantiene en el mismo valor. En el paciente B, mesofacial, ha disminuido 2 mm. En
el paciente C, braquifacial, la disminución fue mayor (4 mm).
Cefalometría lateral 231
2- Distancia A-B
Es la distancia medida en milímetros entre la
proyección perpendicular de los puntos A y B so-
bre el plano de Frankfort (Fig 10.65).
Define con claridad la relación sagital entre las
bases alveolares superior e inferior.
La norma para esta medida es de 4mm con una
desviación de + - 2mm.
Es un complemento a la medida de la convexi-
dad. Como ya hemos visto, esta última utiliza como
referencia al plano facial, que se apoya en estructu-
ras distantes del campo dentoalveolar (base crane-
al y sínfisis).
Estas estructuras pueden sufrir variaciones posi-
cionales y/o morfológicas que algunas veces enmas-
caran el problema sagital real de las bases apicales
induciendo a errores de diagnóstico (Fig 10.66 y
10.67) Po
Fig 10.65: Distancia A-B
Fig 10.66 A: Una diferente proyección anterior del nasion hace variar el valor de la convexidad. Un punto Na más ade-
lantado tiende a disminuir su medida. B: La variable anatomía de la sínfisis incide en la lectura de la convexidad. Un pogo-
nion más prominente tiende a disminuirla.
232 Cefalometría dentoesqueletal
+ 4,5 mm
Fig 10.67: Paciente con una convexidad negativa que
podría interpretarse como una Clase III esqueletal. Sin
embargo la distancia A-B es de 4,5 mm, de Clase I. La
convexidad se encuentra disminuida por un pogonion pro-
minente y una base craneal anterior larga.
Maxilar inferior:
Comprende 5 medidas que además de definir
forma, tamaño y posición mandibular y la relación
intermaxilar vertical, son útiles para la obtención
del biotipo facial del paciente (Fig. 10.68).
3- Eje facial:
Es el factor número 20 del cefalogramacomple-
to.
Es el ángulo formado por la intersección del
plano Ba-Na con la línea Pt-Gn. Se mide el ángulo
posterior. La norma clínica es de 90° ± 3°.
El eje facial expresa la dirección de crecimiento
del mentón y no cambia prácticamente con la edad
en los casos de crecimiento normal, por lo tanto, si
hubiera un cambio significativo éste debe ser atri-
buido al tratamiento.
Su valor depende tanto de la forma mandibular
como de la posición de ésta en el complejo cráneo-
facial.
Cuando la medida es menor de 90°(o sea ángu-
lo más cerrado que la norma), se habla de un "eje
facial abierto", y se corresponde con un biotipo
dólico. Al medirse como ya se dijo el ángulo poste-
rior, la expresión "apertura" está referida a una
apertura de la mordida y descenso del mentón.
Fig 10.68: 1- Eje facial. 2- Profundidad facial. 3- Ángulo
del plano mandibular. 4-Altura facial inferior. 5-Arco man-
dibular. Los cinco primeros factores estudian forma, tama-
ño y posición mandibular y definen el biotipo facial del
paciente.
Cefalometría lateral 233
Por el contrario, "eje facial cerrado" significa
que el ángulo aumenta su valor. A diferencia de la
apertura, está describiendo un cierre de la mordida,
un ascenso del mentón. Corresponde a un patrón
braquifacial (Fig. 10.69).
También se utiliza la expresión "abrir o cerrar"
el eje cuando, partiendo de cualquier medida del
ángulo, ésta disminuya o aumente respectivamente.
Por ejemplo, decir que un eje "se abrió" con el
tratamiento, implica que al finalizar éste, el valor
del ángulo es menor que en la cefalometría inicial.
Un ángulo mayor de 90°indica que la dirección
de crecimiento será más hacia adelante. Cuando es
menor de esa medida, se habla de un crecimiento
de dirección más vertical.
Pueden existir factores funcionales o patológi-
cos capaces de modificarlo, pero esto se considera
fuera de los parámetros de crecimiento normal.
En cuanto a su longitud (medido de Pt a gna-
tion) estadísticamente aumenta 2,5 mm por año.
Modificación del eje facial con el tratamiento
a) Apertura:
Las maniobras mecánicas que abren el eje facial
son las siguientes:
• Distalamiento de molares
• Extrusión de los dientes del sector posterior
b) Cierre:
El eje facial puede cerrarse mediante:
• Intrusión de los molares
• Mesialización de los sectores posteriores
En la sección de Planificación del tratamiento se
analizarán estos conceptos con mayor profundidad.
4- Profundidad facial:
Es el factor número 19del cefalograma completo.
Es el ángulo formado por la intersección del pla-
no facial y el plano de Frankfort. Indica la posición
del Po en el plano sagital. Norma clínica: 87° ± 3°.
Este ángulo aumenta con el crecimiento 1° cada
3 años. El cambio con la edad se debe a la diferen-
te magnitud de crecimiento de la base craneal ante-
rior en comparación con el del cuerpo mandibular.
La primera crece 0,8mm por año (medida desde
CC a Na), mientras que el cuerpo mandibular (Xi-
Pm) lo hace 1,6 mm por año. Por lo tanto, en el
n
Fig 10.69: Eje facial "abierto"'en un biotipo dolicofacial y
"cerrado" en un braquifacial.
Fig 10.70: La norma para la profundidad facial a los 81/2 -
9 años es de 87°. Por crecimiento diferencial esta norma
en la edad adulta será de 90°.
234 Cefalometría dentoesqueletal
O"
Fig 10.71: La profundidad facial aumentada, indica una posición adelantada del Po, característica braquifacial. Su dis-
minución implica una retrusión, que se asocia a un patrón dolicofacial.
adulto, la norma es de aproximadamente 90° (Fig.
10.70).
Medidas inferiores a la norma indican un bioti-
po dolicofacial. Medidas mayores corresponden a
un patrón braquifacial (Fig. 10.71).
5- Ángulo del plano mandibular:
Es el factor número 22 del cefalograma completo.
Es el ángulo formado por la tangente al borde
inferior de la mandíbula y el plano horizontal de
Frankfort. La norma es 26° ± 4°. Indica la inclina-
ción del cuerpo mandibular. Su valor depende de la
forma y de la posición mandibular en el complejo
craneofacial. Cuando este ángulo es mayor que la
norma, estamos en presencia de un paciente doli-
cofacial con musculatura débil y tendencia a la
mordida abierta. Los tipos braquifaciales con mus-
culatura potente y mordida profunda, tienen valo-
res menores (Fig. 10.72). Esta medida disminuye1°
cada tres años hasta la edad adulta, como resultado
del crecimiento arquial de la mandíbula (Fig. 10.75
A y B).
Fig 10.72: Relación del ángulo del plano mandibular con
el biotipo facial, ángulo mayor que la norma en un dolico y
disminuido en un braqui.
Cefalometría lateral 235
6- Altura facial inferior:
Esta medida es el factor número 8 del cefalo-
grama de 32factores.
Es el ángulo que forma la línea Xi-ANS (espina
nasal anterior) con el eje del cuerpo mandibular
(Xi-Pm). La norma es de 47°con una desviación clí-
nica de ± 4°. Es una medida gnómica, por lo tanto
no cambia con la edad.
Variaciones en su valor deben atribuirse al tra-
tamiento. Todas aquellas maniobras que tienden a
abrir el eje facial harán lo mismo con la altura facial
inferior y viceversa.
Un ángulo mayor que la norma, indica diver-
gencia entre la mandíbula y el maxilar superior.
Corresponde a un patrón dolicofacial con muscula-
tura débil y tendencia a mordida abierta esqueletal.
A la inversa, valores menores indican patrones
braquifaciales, con musculatura fuerte, y general-
mente con sobremordida profunda (Fig. 10.73).
Fig 10.73: Altura facial inferior en un patrón dolico y bra-
qui.
7- Arco mandibular:
Es el factor número 31 del cefalogramacomple-
to. Es el único factor del campo VI (estructural
interno) que se incorpora al cefalogramaresumido.
Está formado por la intersección del eje condi-
lar (Dc-Xi) con la prolongación distal del eje del
cuerpo mandibular (Xi-Pm).
Describe la forma de la mandíbula. Un ángulo
grande indica una mandíbula fuerte y cuadrada,
característica del patrón braquifacial. Un ángulo
menor representa una mandíbula con rama corta,
forma obtusa y un patrón de crecimiento vertical
(dolicofacial) (Fig. 10.74).
La norma es 26°± 4°,aumenta 0,5° por año. Este
aumento debe atribuirse a un leve cambio en la
morfología mandibular como consecuencia del cre-
cimiento arquial (Fig. 10.75 A y B).
Fig 10.74: Arco mandibular aumentado en una mandíbu-
la braqui, y disminuido en una dolicofacial.
236 Cefalometría dentoesqueletal
Fig 10.75 A y B: El crecimiento mandibular hace variar el arco y el ángulo del plano mandibular, desviando sus medidas
hacia patrones más braquifaciales.
Maxilar superior
Esta medida, junto con la convexidad y la pro-
fundidad facial, completan el análisis del patrón
esqueletal en sentido sagital
8- Profundidad maxilar:
Es el factor 23 del campo V.
Es el ángulo formado por el plano de Frankfort y
la línea Na-A. Tiene una norma clínica de 90°±3°.
Indica la localización del maxilar superior en
sentido anteroposterior, valores superiores expre-
san una protrusión esqueletal del maxilar. Un
ángulo menor de 90°, por el contrario, nos habla de
una retrusión esqueletal del maxilar superior (Fig.
10.76). Esta medida no varía con el crecimiento
normal. Un cambio, sólo puede deberse a la mecá-
nica del tratamiento o estar asociada a un hábito
como succión del pulgar, etc.
Fig 10.76: Profundidad maxilar normal, disminuida y
aumentada.
Cefalometría lateral 237
Dientes:
Esta área define las posiciones de los incisivos
superiores e inferiores en el plano vertical, sagital,
y su inclinación.
9- Incisivo inferior a A - Po:
Es el factor número 10 del campo III (dento-
esqueletal).
Es la distancia desde el punto incisivoinferior al
plano A-Po, medida perpendicularmente a este
plano. Describe la posición del incisivo inferior en
el plano sagital
Tiene una norma clínica de + 1mm con una des-
viación estándar de ± 2 mm y permanece constante
con la edad. Es una medida clave para el estudio de
la arcada inferior (Fig 10.77).
D. C. - D. C. +
Fig 10.77: La posición sagital del punto incisivo inferior
define la discrepancia cefalométrica, que será negativa
cuando el incisivo se encuentre por delante de la norma, y
positiva cuando esté por detrás.
Normal Extruido Intruido
10- Incisivo inferior al plano oclusal:
Factor número 5 del campo I, (dentario).
Este factor es llamado también extrusión del
incisivo inferior. Es la distancia entre el borde inci-
sal del incisivo inferior y el plano oclusal. Tiene
una norma de +1,25 mm con una DS de ±2 mm. Es
una medida de suma utilidad para el análisis de la
sobremordida o de la mordida abierta dentaria.
Mediante su observación se determina fácilmente
el responsable de un overbite anormal.
Al evaluar la posición del incisivo inferior con
respecto al plano oclusal, es importante observar
previamente la posición de este plano en su parte
anterior. Debe pasar 3 mm por debajo de la comi-
sura labial.
En los casos en que el plano oclusal esté ubica-
do a una distancia significativamente mayor o
menor, la planificación de la posición del incisivo
inferior requerirá la "normalización" de este plano
para armonizar la relación de los dientes anteriores
con el labio superior (Fig. 10.78).
Fig 10.78 A: Posición del 1 con respecto al plano oclusal
B: Incisivos ubicados correctamente en relación a un
plano oclusal bajo (aumento de la distancia plano oclusal -
comisura labial) tienen un exceso de exposición del incisi-
vo superior.
238 Cefalometría dentoesqueletal
11- Incisivo inferior al plano mandibular:
Esta medida, también llamada por Tweed
IMPA, es una guía a tener en cuenta para planificar
el avance o retroceso del grupo incisivo inferior. La
estrecha forma del reborde alveolar inferior en esta
zona y la proximidad de las corticales vestibular y
lingual con las raíces dentarias, obran a modo de
"corsé" sobre ellas, permitiendo solamente un mo-
vimiento ortodóncico de inclinación. En la varia-
ción que provocará sobre este ángulo la protrusión
o la retrusión, se podrá encontrar el límite a estos
desplazamientos con la finalidad de evitar llevarlos
a posiciones deventajosas, en las que estarán some-
tidos a fuerzas oclusales tangenciales.
La norma es de 90a +- 5a.
Debemos tener en cuenta que en el movimien-
to del incisivo, 1mm hacia adelante o hacia atrás el
modifica el ángulo en +2° y en -2° respectivamente
(Fig. 10.79).
Fig 10.79: Inclinación del incisivo inferior, medida con res-
pecto al plano mandibular.
12- Incisivo superior al plano Ba-Na
Este factor permite analizar el grado de parale-
lismo existente entre el eje del incisivo superior y el
eje facial.
Estadísticamente se comprobó que la inclina-
ción ideal del incisivo superior, corresponde a una
angulación de su eje 5 ° más vertical que el eje
facial.
En realidad este ángulo no tiene una norma fija
en grados debido a la variabilidad de la relación del
eje facial con el plano Ba-Na en los distintos bioti-
pos. La norma se individualiza para cada paciente
restándole 5° al ángulo del eje facial.
Al igual que el factor anteriormente descrito,
indica la situación de estabilidad o no a la que nues-
tro tratamiento puede llevar al grupo incisivo supe-
rior. También es un indicador del torque necesario
para llegar o aproximarnos a esa situación de para-
lelismo mencionada (Fig. 10.80).
Fig 10.80: Inclinación del incisivo superior, medida con
respecto al eje facial.
Cefalometría lateral 239
Estética:
En los cefalogramas convencionales, la estética
del perfil está considerada de manera muy superfi-
cial. Si bien no es precisamente un cefalograma
dentoesqueletal el medio que utilizaremos para
estudiar la estética, porque para ello existen los
cefalogramas específicos de tejidos blandos, es
importante que el análisis de rutina del caso estudie
aquellas áreas del tercio inferior de la cara que
podrán ser influenciadas por el tratamiento orto-
dóncico.
13- Exposición del incisivo superior
Es la medida que existe entre el borde incisal del
incisivo superior y el borde libre del labio superior.
La norma es de 2.5 a 4 mm, dentro de esta
norma, los pacientes más jóvenes deben tener una
exposición mayor.
Para medirlo en el calco radiográfico, es conve-
niente utilizar una radiografía con labios en reposo.
Si el paciente tiene un cierre labial forzado, puede
haber algún efecto en el labio superior que distor-
sione dicha medida.
Los movimientos de intrusión o extrusiónde los
incisivos superiores modifican su exposición, y hay
que tener en cuenta que éste es un factor muy
importante en la estética, inclusive en lo gestual
(Fig. 10.81).
14- Labio inferior - plano E :
Factor número 16, del campo IV (estético).
Es la distancia desde el labio inferior al plano E
(punta de la nariz a la parte más anterior del men-
tón blando).
Norma clínica: -2 mm a los 8 1/2 años.
Disminuye 0,2 mm por año.
Desviación estándar: + 2 mm.
Es muy importante para determinar el equili-
brio entre los elementos del perfil (labios, nariz y
mentón). Los cambios en esta medida se deberán
no sólo al movimiento de los dientes anteriores
sino también al crecimiento de las estructuras que
se utilizan para trazar el plano estético (Fig. 10.82).
Fig 10.81: Exposición del incisivo superior.
13
Fig 10.82: El factor número 14 evalúa la protrusión labial.
240 Cefalometría dentoesqueletal
15- Ángulo nasolabial inferior
Está formado por una línea paralela a la H.V.
que pasa por el punto Sn blando y una línea que
partiendo de este mismo punto es tangente al
punto más anterior del labio superior.
La norma para este ángulo es de 85° +-5°.
Un ángulo menor indica protrusión del labio
superior, uno mayor se deberá probablemente a
una retrusión de incisivos y/o del maxilar superior.
Los movimientos sagitales del incisivo superior
modifican este ángulo. Su observación en relación
al movimiento dentario requerido para la correc-
ción del caso nos alerta sobre consecuencias favo-
rables o desfavorables del tratamiento en el perfil
del paciente (Fig 10.83).
Aclaración: Para trazar el cefalograma básico y
para su interpretación utilizamos el plano de
Frankfort como referencia horizontal.
El ángulo nasolabial inferior es el único factor
que toma como referencia la H.V. por lo que. ante
la falta de certeza en la posición de la cabeza en la
telerradiografía, se prefiere medirlo en una foto-
grafía de perfil tomada en P.N.C.
Fig. 10.83: Ángulo nasolabial y su división en superior e
inferior.
Cefalometría lateral 241
ANÁLISIS DE BJÓRK - JARABAK
La cefalometría estática propuesta por Ricketts
nos permite un minucioso estudio de:
• la morfología craneofacial del paciente y con
ello la determinación del biotipo facial,
• lasposiciones e interrelaciones de los distintos
componentes de las estructuras dentomaxilo-
faciales en varios campos.
Este estudio estático es el punto de partida
para la cefalometría dinámica, que nos permite
prever:
• los cambios que se producirán con el creci-
miento,
• los cambios que se producirán con el trata-
miento,
• la conjunción de ambos (VTO),
y con estos elementos, cefalometría estáticay di-
námica, confeccionar las áreas de superposición
imprescindibles para la planificación del caso y su
posterior evaluación.
Ésta es nuestra base para el diagnóstico y pen-
samos que lo ideal es obtener la mejor visión del
caso con la menor cantidad posible de medidas
cefalométricas. Esta misma conducta es propuesta
por Ricketts quien, para los estudios de rutina, creo
un análisis resumido donde el número de factores
no excede la docena.
En nuestra práctica clínica, hemos constatado la
efectividad del uso de este análisis resumido. No
obstante, preferimos la utilización de un set de
medidas, modificando este análisis de Ricketts
resumido e incorporando el polígono de Bjórk-
Jarabak.
La incorporación de este último, resulta de
suma utilidad para determinar las características
del crecimiento en sus aspectos cualitativos y cuan-
titativos, es decir, dirección y potencial.
Además contribuye a una mejor definición de la
biotipología facial.
Consideramos que el análisis de Bjórk-Jarabak
hace un valioso aporte en ambos aspectos.
Cuando el ortodoncista analiza clínicamente a
un paciente de corta edad que requiere tratamien-
to ortodóncico, ortopédico o ambos, se ve en la
necesidad de conocer, con la mayor precisión posi-
ble, las características del crecimiento de ese pa-
ciente. La predeterminación de éstas, es particular-
mente útil en los problemas esqueletales donde el
crecimiento puede actuar en forma favorable para
la corrección, cooperando de esta manera con la
mecánica de tratamiento o, en caso contrario, agra-
vando aún más la anomalía. Esto último nos permi-
tirá adaptar nuestra mecánica a esa situación yfun-
damentalmente establecer objetivos acordes con
las posibilidades que el caso nos ofrece yenunciar
pronósticos más acertados.
En casos extremos, se corre el peligro de instau-
rar terapéuticas totalmente estériles, dado que la
expresión de un potencial de crecimiento muy
anormal requerirá la intervención de la cirugía al
final de las etapas del desarrollo.
Esto se podía observar con cierta frecuencia en
las Clases III tratadas desde los primeros estadios
de la anomalía. A pesar de la utilización de diver-
sas metodologías biomecánicas aplicadas en las dis-
tintas etapas del crecimiento, era necesaria una
cirugía ortognática al final del desarrollo. Ello crea-
ba en el paciente la sensación de un fracaso tera-
péutico que, en realidad, no existió. El verdadero
fracaso consistió en no haber detectado precoz-
mente los potenciales anormales que tenía el caso,
y hacérselo conocer oportunamente al paciente o a
sus padres.
En otro aspecto, aun cuando Ricketts describe
muy bien los biotipos faciales, encontramos que el
polígono es eficaz también para detectar la reac-
ción que tendrán frente a los procedimientos tera-
péuticos aquellos pacientes pertenecientes a bioti-
pos no muy definidos,como son los que están cerca
del VERT O. Esto será explicado más adelante
cuando se desarrollen en este capítulo los factores
del polígono que tienen una estrecha relación con
la biotipología facial.
Bjórk tuvo una actuación muy destacada como
investigador en el campo de la cefalometría. En
una serie de trabajos publicados entre los años 1947
y 1963 estudió el comportamiento de las estruc-
turas craneofaciales durante el crecimiento. Sus
investigaciones se basan en un estudio de aproxi-
madamente 300 niños de 12 años y de un número
aproximado de soldados de 21 a 23 años en los que
tomó cerca de 90 mediciones.
242 Cefalometría dentoesque/etal
En este capítulo nos referiremos al polígono de
Bjork, analizando las medidas que consideramos
más importantes para el estudio de los dos aspectos
mencionados anteriormente:
• dirección y magnitud de crecimiento rema-
nente,
• complemento del estudio del biotipo facial.
El tema será desarrollado en el siguiente orden:
1. Trazado del polígono - Planos y ángulos.
2. Interpretación de las mediciones angulares.
3. Relaciones de las medidas angulares entre sí.
Suma total.
4. Mediciones lineales.
5. Relaciones entre las medidas lineales.
6. Relación entre altura facial posterior / altura
facial anterior.
Go
Fig. 10.84: Puntos de referencia para trazar el polígono de
Bjórk-Jarabak.
Puntos de referencia:
(Fig. 10.84)
Na (Nasion): punto en el límite anterior de la
sutura frontonasal.
S (Silla turca): centro geométrico de la silla
turca.
Ar (Articular): punto donde el borde posterior
del cuello del cóndilo intersecta el borde inferior
del macizo esfeno occipital.
Go (Gonion): intersección de la tangente al
borde posterior de la rama y la tangente al borde
inferior del cuerpo mandibular.
Me (Mentoniano): punto más inferior de la sín-
fisis mandibular.
Cefalometría lateral 243
TRAZADO DEL POLÍGONO:
(Fig. 10.85)
Planos:
1. S - Na. Base craneal anterior.
2. S - Ar. Base craneal posterior.
3. Ar - Go. Altura de la rama.
4. Go - Me. Longitud del cuerpo mandibular.
5. Na - Me. Altura facial anterior.
6. S - Go. Altura facial posterior.
7. Go - Na. Divide el ángulo goníaco en dos
mitades, una superior y una inferior.
Las líneas Na-Po y S-Gn que muestran los tra-
zados clásicos, han sido omitidas por no conside-
rarlas de utilidad en el enfoque que damos al polí-
gono de Bjórk.
Fig. 10.85: Polígono trazado.
Ángulos del polígono:
(Fig. 10.86)
1- Ángulo de la silla
2- Ángulo articular
3- Ángulo goníaco
Na -S - Ar
S - Ar - Go
Ar - Go- Me
4- Ángulo goníaco superior Ar - Go - Na
5- Ángulo goníaco inferior Na - Go - Me
Fig. 10.86: Ángulos del polígono.
244 Cefalometría dentoesqueletal
MEDIDAS E INTERPRETACIÓN
Interpretación de las medidas angulares
Ángulo de la silla:
Llamado también ángulo en silla de montar. Es
la unión de la base craneal anterior con la poste-
rior.
La base craneal anterior está representada por
la línea que va desde el punto nasion (punto más
anterior de la fisura nasofrontal) al punto S (cen-
tro geométrico de la silla turca). La base craneal
posterior, por la línea trazada desde el punto S al
punto Ar.
Este punto se localiza en la intersección del con-
torno radiográfico inferior del macizo esfenoocci-
pital y el borde posterior del cuello del cóndilo.
Representa a la articulación temporomandibular
ya que está situado donde el cóndilo emerge de la
cavidad glenoidea.
La base craneal posterior se completa lateral-
mente con los huesos temporales.
Para interpretar las medidas del ángulo de la
silla, es necesario tener en cuenta la existencia de
un centro de crecimiento endocondral constituido
por la sincondrosis esfenooccipital. Al estar ubica-
das las cavidades glenoideas en el hueso temporal,
serán influenciadas por ese centro de crecimiento,
como así también otros huesos que completan esta
porción de la base craneal (Fig. 10.87).
Fig. 10.87: La sincondrosis esfenooccipi-
tal. Centro de crecimiento endocondral.
Fig. 10.88: Relación entre el ángulo de la
silla y la ubicación de la cavidad glenoidea
y el cóndilo.
Cefalometría lateral 245
Según Enlow, las sincondrosis basicraneales
deben considerarse como unidades autónomas de
crecimiento que se desarrollan en forma conjunta
con el cerebro pero independiente de él, respon-
diendo a un "tipo filogenético" que relacionará la
forma y tamaño de la base con el cerebro que sos-
tiene. Cabe señalar que existe una capacidad gené-
tica propia de estas sincondrosis, es decir no depen-
den del estímulo del crecimiento cerebral, por lo
cual pueden funcionar aun en caso de agenesia de
cerebro.
En cuanto a su actividad, debemos recordar que
el crecimiento de la sincondrosis esfenooccipital
terminará cerca de los 15 años y la fusión se com-
pleta alrededor de los 20 años (Fig. 10.87).
La norma para este ángulo de la silla es de 122°.
Un ángulo mayor, nos indica una línea S-Ar
más horizontal; y un ángulo menor, mayor vertica-
lidad de esta línea. Con esta variación se producirá
también una distinta ubicación de la cavidad gle-
noidea, por lo que influirá en la posición de la man-
díbula en sentido anteroposterior (Fig. 10.88).
Si consideramos el crecimiento, veremos en los
casos de ángulos más pequeños que la norma, un
desplazamiento de la cavidad articular hacia abajo
y levemente hacia atrás, que resultará en una
implantación más adelantada de la mandíbula (Fig.
10.89 A).
En cambio, cuando el ángulo está más abierto
que la norma, la fosa articular con el crecimiento se
ubicará hacia abajo y más hacia atrás, provocando
una implantación más distal de la mandíbula (Fig.
10.89 B).
Dicho de otro modo, una mandíbula implantada
más distalmente que la norma, deberá crecer más
para alcanzar un perfil ortognático; por el contra-
rio, una implantación adelantada del cóndilo,
Fig. 10.89: Comparación de los desplazamientos del cón-
dilo con el crecimiento, en casos de diferentes ángulos de
la silla.
A: Ángulo de la silla menor que la norma.
B: Ángulo de la silla mayor que la norma.
podrá provocar, aun con un crecimiento normal de
la mandíbula, un perfil esqueletal de Clase III
(Figs. 10.90 A y B).
Este ángulo puede tener medidas mayores o
menores que la norma en los tres biotipos faciales.
En general los ángulos más abiertos son más fre-
cuentes en los dolicofaciales, mientras que los más
cerrados lo son en los braqui y mesofaciales.
El ángulo de la silla, es un factor estructural que
deberá ser tenido en cuenta en los pronósticos de
crecimiento, por la proyección mandibular que
puede resultar de las distintas variantes de su angu-
lación.
B
• -
246 Cefalometría dentoesqueleta!
B
Fig. 10.90 A y B: Efecto del tamaño del ángulo de la silla sobre el perfil facial. Siendo las mandíbulas de iguales dimen-
siones, en A (ángulo de la silla disminuido), la sínfisis se proyecta más hacia adelante que en la figura B (ángulo de la silla
aumentado).
Ángulo articular:
Es una relación angular formada por la base cra-
neal posterior (S-Ar) y la tangente al borde poste-
rior de la rama ascendente mandibular (Ar-Go). La
norma establecida por Bjork es de 143° (Fig. 10.91).
La posición de la rama está afectada durante su
crecimiento y desarrollo por el entorno muscular y
el crecimiento dentoalveolar.
Ángulos articulares aumentados se encontrarán
en pacientes con ramas de dirección vertical.Ángu-
los de menor valor se corresponden con ramas
inclinadas desde atrás y arriba hacia adelante y
abajo.
Un valor disminuido tiende a favorecer el prog-
natismo mandibular, por el contrario, un ángulo de
mayor valor favorecerá el retrognatismo (Fig. 10.92).
Este ángulo debe ser tenido en cuenta no sólo
en los pronósticos de crecimiento, sino también en
el estudio biotipológico del pacientey, por lo tanto,
en la planificación de la mecánica del tratamiento.
Refiriendo este ángulo al crecimiento, podemos
decir que cuanto más hacia adelante esté orientada
la línea Ar-Go, cerrando el ángulo articular, el cre-
cimiento favorecerá la proyección sagital de la sín-
fisis. Nos indica además un tipo muscular fuerte.
Ángulos articulares abiertos se observan en
patrones dolicofaciales con ramas de dirección ver-
tical que con el crecimiento no proyectarán las sín-
fisis hacia adelante. Advierten, asimismo, acerca de
la posibilidad de extrusiones del sector posterior,
apertura de mordida y cambios en la posición del
cóndilo durante un tratamiento de ortodoncia.
Como veremos más adelante, esto nos obligará a
incluir en la planificaciónde la mecánica, el control
vertical de los sectores posteriores.
Éste es uno de los dos ángulos del polígono que
puede ser modificado por el tratamiento.
Cefalometría lateral 247
Go
Fig. 10.91: Ángulo articular. Fig. 10.92: Efecto del ángulo articular sobre el perfil facial.
Fig. 10.93: Cambios del ángulo articular con la apertura
del eje facial.
Fig. 10.94: Una distracción condilar durante el tratamiento
cierra el ángulo articular y el eje facial.
248 Cefalometría dentoesqueletal
Cuando se han producido cambios en la angu-
lación del eje facial, se habrá rotado la mandíbu-
la y por lo tanto se modifica también el ángulo
articular.
En los patrones musculares débiles, pueden pro-
ducirse extrusiones de dientes posteriores, con la
consecuente apertura del eje facial y por lo tanto
también apertura del ángulo articular porque la
mandíbula ha rotado hacia abajo y atrás quedando
la rama más vertical (Fig. 10.93).
Pero también estas extrusiones pueden provo-
car un cambio de posición condilar, sin apertura
de la mordida y con un cierre aparentemente favo-
rable del ángulo articular, y del eje facial. Esto
sólo es el enmascaramiento de una distracción
condilar, al haber descendido el cóndilo como
consecuencia de la acción muscular sobre un con-
tacto dentario posterior que acciona como ful-
crum (Fig. 10.94).
Existe sí la posibilidad de un cierre del eje y
por lo tanto del ángulo articular que puede consi-
derarse real, porque no está provocado por un
cambio de la posición condílea. Esto ocurre en
casos de mesialización de los molares y en los que
mediante un efectivo control vertical de la erup-
ción de los sectores posteriores, o hasta intrusión
de los mismos, se consigue un cierre del eje (Fig.
10.95). En nuestra práctica lo hemos comprobado
en casos de uso de fuerzas extraorales altas con
barras transpalatinas bajas, en los que se obtienen
estos resultados aun en patrones no muy favora-
bles desde el punto de vista muscular.
Ángulo goníaco:
Está formado por las tangentes al borde poste-
rior de la rama ascendente de la mandíbula (Ar-
Go) y al borde inferior del cuerpo de la misma
(Go-Me).
La norma para este ángulo según Bjórk es de
130°.
Se lo analiza de dos formas:
- La primera es considerar su medida total y
luego relacionarlo con los dos ángulos ante-
riormente estudiados haciendo la suma de
los tres. Esto será explicado más adelante.
- La otra forma de analizarlo es dividirlo en
dos partes, una superior y otra inferior.
Fig. 10.95: Cambios del ángulo articular con el cierre del
eje.
goníaco 55°
superior,
Fig.10.96: Ángulo goníaco superior.
Cefalometría lateral 249
goniaco
inferior
Fig. 10.97: Ángulo goníaco inferior.
El ángulo goníaco superior está formado por la
tangente al borde posterior de la rama (Ar-Go) y
por una línea trazada desde el ángulo goníaco hasta
el punto nasion (Go-Na). Se llama también Ar-Go-
Na (Fig. 10.96).
El inferior está constituido por la unión de la
línea Go-Na con la tangente al borde inferior del
cuerpo (Go-Me), el ángulo se denomina Na-Go-
Me (Fig. 10.97).
La norma para el ángulo goníaco superior es:
52° a 55° y para el goníaco inferior: 70° a 75°.
El ángulo goníaco total describe la morfología
mandibular. Esta estructura puede ser considerada
como el centro alrededor del cual el resto de la cara
realiza un crecimiento adaptativo; además, es la
determinante de la dirección de crecimiento de la
parte inferior de ésta.
Cuando este ángulo es menor que la norma,
estamos en presencia de una mandíbula cuadrada,
escotadura antegonial poco marcada, con arco
mandibular de valor alto, que se corresponde en
general a biotipos braquifaciales y perfiles ortogná-
ticos (Fig. 10.98).
Fig. 10.98: Ángulo goníaco cerrado. Perfil ortognático.
Patrón braquifacial.
Fig. 10.99: Ángulo goníaco abierto. Perfil retrognático.
Patrón dolicofacial.
250 Cefalometría dentoesqueletal
B
126 126
Fig. 10.100 A y B: Estos dos pacientes tienen un ángulo goníaco total de igual valor. Obsérvese la diferente implantación
de las mandíbulas, y cómo esto determina valores diferentes de la mitad superior e inferior de este ángulo.
Fig. 10.101 A y B: Mitad superior aumentada (A). Mitad superior disminuida (B). Con el crecimiento en A hay mayor pro-
yección del mentón hacia adelante que en B.
NOTA: Las figuras 10.101 a 10.106 no pertenecen a calcos radiográficos. Son diseños realizados con la finalidad de facilitar la
comprensión. Se confeccionaron haciendo variar los valores de los ángulos goníacos superior e inferior manteniendo cons-
tante la inclinación de la línea Go-Na en las figuras que se comparan entre sí, y adicionando módulos iguales de crecimiento en
el cuerpo y en la rama mandibular.
Cefalometría lateral 251
Medidas mayores que la norma, indican una
mandíbula dolicofacial, con arco mandibular pe-
queño y una marcada escotadura antegonial, perfil
convexo y eje facial abierto (Fig. 10.99).
El valor aislado del ángulo goníaco totaldescri-
be cómo se relacionan el cuerpo y la rama entre sí.
En las figuras 10.100 A y B podemos observar
dos mandíbulas que tienen un ángulo goníaco de
126°, pero si consideramos la mitad superior e infe-
rior por separado veremos las distintas medidas
que presentan debido a que la mandíbula asume
diferentes relaciones con el macizo craneofacialsin
variar su forma total.
Indudablemente, estas dos mandíbulas influirán
de distinta manera sobre el crecimiento y la estruc-
tura facial.
En la figura 10.100 A, la inclinación de la rama
es hacia abajo y hacia adelante; muestra una mitad
superior del ángulo goníaco grande y una mitad
inferior disminuida. En este caso hay una mayor
proyección de la sínfisis hacia adelante y el creci-
miento remanente se manifestará siguiendo esa
dirección.
En la figura 10.100 B, la rama tiene una direc-
ción más vertical; la mitad superior del ángulo goní-
aco se reduce y la mitad inferior tiene un mayor
valor angular, hay una menor proyección de la sín-
fisis y el crecimiento no se expresará hacia adelan-
te como en el caso A sino que lo hará en dirección
más hacia abajo.
En resumen, la mitad superior del ángulo gonía-
co describe la oblicuidad de la rama y su aumento
indicará una mayor proyección de la sínfisis hacia
adelante (Fig. 10.101 A).
A la inversa, una mitad superior disminuida
pronostica poco avance del mentón (Fig. 10.101 B).
Fig. 10.102 A y B: Mitad inferior aumentada (A). Mitad inferior disminuida (B). En A hay mayor crecimiento vertical que
en B.
252 Cefalometría dentoesqueletal
Fig. 10.103 A y B: Este esquema resume las diferencias en la posición y en la proyección del mentón con el crecimien-
to, relacionadas a distintos valores del ángulo goníaco superior e inferior. A. En rojo: ángulo goníaco superior aumenta-
do. En azul: ángulo goníaco superior disminuido. B. En rojo: ángulo goníaco inferior aumentado. En azul: ángulo goníaco
inferior disminuido. La línea de puntos indica la expresión del crecimiento en cada caso.
La mitad inferior describe la oblicuidad del
cuerpo. Su aumento indicará mayor inclinación del
cuerpo hacia abajo. El crecimiento se manifiestará
proyectando la sínfisis en ese sentido, es decir con
tendencia a la mordida abierta (Fig. 10.102 A).
Por el contrario, la mitad inferior disminuida
nos muestra un cuerpo mandibular más horizontal.
El crecimiento vertical será escaso, con tendencia a
la sobremordida (Fig. 10.102 B).
En las figuras 10.103 A y B se puede observar el
efecto del cierre o la apertura de estos ángulos, en
la proyección de la sínfisis.
A continuación se ilustran algunas de las varia-
ciones que pueden presentar estos ángulos en sus
medidas, y su influencia en la dirección de creci-
miento.
• Un aumento en la medida del ángulo superior
debe interpretarse como una posibilidad de
crecimiento hacia adelante de la sínfisis siem-
pre y cuando la mitad inferior esté disminuida
(Fig. 10.104).
Fig. 10.104: Ángulo goníaco superior aumentado e inferior
disminuido. Obsérvese la proyección del mentón hacia
adelante con el crecimiento.
Cefalometría lateral 253
Esta situación se considera favorable en los
casos de Clase II (que generalmente presentan
una disminución del ángulo de la profundidad
facial). El crecimiento favorecerá su corrección
esqueletal. Por el contrario, este mismo caso sería
sumamente desfavorable en la Clase III.
Para los pacientes que presentan estos valores
del ángulo goníaco (mitad superior grande, mitad
inferior de menor valor que la norma), Jarabak
plantea la necesidad de dejar un "overjet" mayor
que el normal al finalizar el tratamiento, dejando
una zona de libertad para el crecimiento mandibu-
lar, evitando con esta maniobra un posible api-
ñamiento del sector anteroinferior o una mordida
invertida en el sector anterior cuando el crecimien-
to remanente se manifieste.
• Un aumento de ambas partes del ángulo goní-
aco como se observa en la figura 10.105 pro-
ducirá la aparición o el incremento de una
mordida abierta, como lo está indicando la
mitad inferior aumentada y al mismo tiempo
con características de Clase III como nos lo
advierte el ángulo goníaco superior.
Fig. 10.106: Mitad superior del ángulo goníaco disminuido
y mitad inferior normal. El crecimiento se expresa más en
sentido vertical.
Fig. 10.105: Características del crecimiento cuando
ambas mitades del ángulo goníaco están aumentadas.
Haciendo la comparación con la figura 10.103, se observa
un crecimiento vertical mayor.
Fig. 10.107: Cuando la mitad superior del ángulo goníaco
está disminuida y la inferior aumentada, hay una marcada
tendencia al crecimiento vertical.
254 Cefalometría dentoesqueletal
Otra posibilidad es la representada en la figu-
ra 10.106 donde vemos un ángulo goníaco
superior disminuido con respecto a la norma y
un ángulo inferior normal. Esta rama de
dirección vertical nos muestra que las posibi-
lidades de crecimiento remanente hacia ade-
lante son menores.
El incremento se manifestará más hacia abajo.
La variante de la figura 10.107 donde se
observa un considerable aumento del ángulo
goníaco inferior en presencia de una mitad
superior disminuida, nos indica una tendencia
de crecimiento mandibular en sentido verti-
cal. Esto es muy desfavorable en perfiles
retrognáticos, porque el crecimiento no pro-
ducirá el avance de la sínfisis y por el contra-
rio tenderá a la creación o al agravamiento de
una mordida abierta anterior.
Ar°
Fig. 10.108: Distinta inclinación de la línea S-Ar. Efecto
sobre el ángulo de la silla y articular.
Suma total en A - B y C: 396'
Fig. 10.109: La suma total en A, B y C de los ángulos de la silla, articular y goníaco es igual, pero los ángulos individual-
mente presentan variaciones. La resultante de crecimiento es similar en los tres casos.
Cefalometría lateral 255
Relaciones de las mediciones angula-
res entre sí.
Suma total
Todos los ángulos a los que nos hemos referido
en el punto 2 se interrelacionan íntimamente debi-
do a que tienen lados en común.
Un ejemplo de esto es la línea S-Ar que forma
parte del ángulo de la silla y del ángulo articular.
Cuando esta línea se hace más vertical cierra el án-
gulo de la silla pero abre el articular (Fig. 10.108).
Analizando esto se comprende la necesidad de un
estudio en conjunto, ya que a veces se establecen
mecanismos de compensación que hacen que un
valor aislado se interprete de diferente manera al
haberse compensado o potenciado con el valor del
ángulo con el que tiene una directa interdependencia.
Una forma práctica de relacionarlos es la suma
de los tres ángulos descritos (ángulo de la silla, arti-
cular y goníaco total). Al sumarse los valores, se
anulan las compensaciones que pudieran existir en-
tre ellos y se obtiene una "resultante" de la direc-
ción de crecimiento (Fig. 10.109).
Esta suma tiene una norma de 396°± 6°. Cuando
esa cifra disminuyenos indica un crecimiento de la
sínfisis en sentido anterior (Fig. 10.110 A). Por el
con-trario, cuando es mayor, el crecimiento se
manifestará en sentido más vertical, es decir, con
poco avance del mentón (Fig. 10.110 B).
B
Suma: 380° Suma: 409°
Fig. 10.110: A: Suma menor de 396°. B: Suma mayor de 396°.
256 Cefalometría dentoesqueletal
Mediciones lineales
Son las medidas de las líneas que forman los 5
lados del polígono:
• Base craneal anterior (S - Na)
• Base craneal posterior (S - Ar)
• Altura de la rama (Ar - Go)
• Longitud del cuerpo mandibular (Go - Me)
• Altura facial anterior (Na - Me)
A las que se agrega la:
• Altura facial posterior (S - Go)
En la figura 10.111 están las normas para estas
medidas a los 11 años y el incremento anual para
varones y mujeres.
En nuestra práctica diaria no utilizamos sólo las
normas de las medidas lineales, sino también cier-
tas proporciones que ellas mantienen entre sí,
como se verá a continuación.
71 mm ± 3
1 mm/a
0,7 mm/a
32 mm ± 3
0,5 mm/a
0,4 mm/a
44 mm ± 5
1 mm/a
0,7 mm/a
71 mm ± 5
1,1 mm/a
0,7 mm/a
Fig. 10.111: Normas e incrementos anuales para varón y
mujer según Jarabak.
Relaciones entre las medidas lineales
Base craneal anterior -
Longitud del cuerpo mandibular
La relación normal es de 1 a 1. Si ése es el valor
observado o uno muy cercano, indica que la longi-
tud del cuerpo mandibular aumentará término
medio 1 a 1,5 mm por cada mm de crecimiento de
la base craneal anterior.
En los casos en los que la longitud del cuerpo
mandibular sea de 3 a 5 mm mayor que la longitud
de la base craneal anterior, el incremento de creci-
miento mandibular es mayor que el que se produ-
ce anualmente en los casos que tienen una relación
l a l .
Esto nos estaría indicando un crecimiento con
tendencia a Clase III
Base craneal posterior - Altura de la rama
Según Jarabak, una relación base craneal pos-
terior-altura de la rama 3 a 4 ó 3 a más de 4, indi-
ca que habrá un buen crecimiento vertical de la
altura facial posterior. Por el contrario, con rela-
ciones de base craneal posterior-altura de la rama
1 a 1 o cercanas a esto la parte posterior de la cara
no alcanza una buena altura, haciéndose más
retrognática.
Una relación 3 a 4, favorable para elcrecimien-
to, puede darse con valores mayores o menores que
las normas. Estas normas son: base craneal poste-
rior 32 mm, altura de la rama 44 mm.
Por ejemplo, los varones de 11 a 12 años tienen
una longitud de base craneal posterior de 30 a 34
Cefalometría lateral 257
mm, y una altura de la rama de 40 a 46 mm. En las
niñas, estas mismasmedidas son de 28 a 30mm y de
38 a 40 mm respectivamente.
Cuando la relación 3 a 4 se da en pacientes con
medidas mayores que la norma, el incremento de
longitud de la altura facial posterior es mayor que
en los casos en que esa proporción 3 a 4 se da con
medidas menores que la norma. Lo mismo sucede
con la altura de la rama. En el esquema de la figu-
ra 10.111 observamos que la cantidad del incre-
mento vertical será mayor en los varones que en
las niñas.
Estas proporciones e incrementos ya menciona-
dos son una aproximación al conocimiento de la
predicción de crecimiento de la parte posterior de
la cara. El aumento de la altura facial posterior
posibilita una mayor proyección del mentón hacia
adelante. A veces, una sínfisis que avanza con el
43 mm
Inicial
Superposición
Fig. 10.112: Paciente C.F. La paciente tenía una buena proporción entre la base craneal posterior y altura de la rama. Al
finalizar el tratamiento el buen crecimiento de la rama favoreció el incremento de la altura facial posterior y la proyección
de la sínfisis.
258 Cefalometría dentoesqueletal
crecimiento, no se debe tanto a un incremento en la
longitud del cuerpo como a un aumento de la altu-
ra de la rama (Fig. 10.112).
Un buen crecimiento vertical de la parte poste-
rior de la cara, es también un factor favorable al
tratamiento, porque disminuye las posibilidades de
subluxación condilar en casos de mecánica de dis-
talamiento o extrusiones de los dientes del sector
posterior.
Con el cefalograma de Ricketts podemos definir
el biotipo facial del paciente. Calculando el valor
de varios factores, se obtiene un coeficiente de
variación (VERT) que nos indica mediante un va-
lor numérico, el biotipo facial del paciente.
Cuando este valor numérico es de O o valores
muy cercanos, estamos frente a un paciente meso-
facial.
Podríamos comparar esta situación con la de la
balanza que tiene sus platillos perfectamente equi-
librados. Si en uno de ellos colocamos un peso de
un valor insignificante,el fiel de la balanza se incli-
nará inmediatamente hacia ese lado.
En nuestra experiencia clínica hemos podido
observar que pacientes considerados mesofaciales
reaccionaban al tratamiento como dólicos, otros,
mesofaciales con leve tendencia dolicofacial, lo
hacían como dólicos severos.
¿ A qué se debe esa reacción inesperada?
Indudablemente, algunos pacientes mesofacia-
les, suelen presentar características pertenecientes
a los tres biotipos faciales.
Un paciente puede ser meso porque tiene todos
los factores que se utilizan para obtener el VERT
dentro del rango de la norma (medidas mesofacia-
les), otras veces se obtiene un coeficiente mesofa-
cial al promediar factores inclinados unos hacia
dólico y otros hacia braqui, pudiendo existir ade-
más algún factor mesofacial.
Este cocktail de medidas podrá dar un resultado
O o cercano al Oy de esta manera, entonces, puede
pensarse que el paciente es meso, y hacemos nues-
tra planificación con este criterio.
Son éstos los casos que pueden tener caracterís-
ticas que no hayan sido correctamente detectadas
en el diagnóstico. En estas situaciones la medida
del ángulo articular y la proporción base craneal
posterior - altura de la rama pueden ser de gran uti-
lidad en la definición del biotipo.
Resumiendo, en los casos que tengan un VERT
con valor O o muy próximo a él, es aconsejable
observar las dos medidas antes mencionadas del
polígono, que nos advertirán acerca de una res-
puesta dolicofacial en aquellos pacientes clasifica-
dos como meso, cuando tengan un ángulo articular
muy abierto o una proporción base craneal vertical
- altura de la rama 1 a 1 o valores próximos.
Un ángulo articular cerrado o proporción base
craneal vertical - altura de la rama 3 a 4 ó 3 a más
de 4, nos indicará una respuesta braquifacial.
Relación entre la altura facial
posterior/altura facial anterior
Para la mejor comprensión de este tópico hare-
mos algunas consideraciones básicas sobre el creci-
miento y desarrollo facial.
El eje facial indica la dirección del desplaza-
miento de la sínfisis como consecuencia de ciertos
procesos de crecimiento. Podría considerarse
como la resultante de mecanismos cuya dirección
estaría dada por el equilibrio entre el descenso de
las cavidades glenoideas y el crecimiento vertical
de los cóndilos (parte posterior de la cara) en con-
traposición con el desplazamiento vertical hacia
abajo del maxilar superior y el crecimiento hacia
arriba del proceso alveolar mandibular (parte
anterior).
Los trabajos de Bjork y Skieller, Luder, Teu-
cher y otros, citados por Stóckli son sumamente
útiles para comprender cómo se realiza el creci-
miento en la parte anterior y posterior de la cara y
los desplazamientos que este crecimiento origina
en las distintas estructuras faciales en sentido ver-
tical y sagital.
Según estos estudios, en un patrón promedio, el
crecimiento de la cara anterior se realiza por el
incremento vertical que tiene el complejo maxilar
superior, que desciende 0,7 mm por año, el aumen-
to de altura dentoalveolar superior que es de apro-
ximadamente 0,9 mm por año y el aumento dento-
alveolar inferior que es de 0,7 mm por año.
Sumando los tres valores obtenemos que el incre-
mento vertical anterior esperado en un año sería
aproximadamente de 2,3 mm.
Para equilibrarlo, en la parte posterior de la cara
hay un descenso de la cavidad glenoidea cercano a
los 0,3 mm por año y un crecimiento condilar que
está en un promedio de aproximadamente 2,6 mm
por año. Sumados hacen un promedio de 2,9 mm
anuales, lo que supera en una pequeña magnitud al
crecimiento de la cara anterior (Fig. 10.113).
Cefalometría lateral 259
Fig. 10.113: Valores anuales promedio
para el crecimiento de las distintas
estructuras en la parte anterior y poste-
rior de la cara. Tomado de Stóckli.
2,6 mm/á
Como hemos dicho, son valores promedio
donde se comprueba que al ser algo mayor el incre-
mento vertical posterior con respecto al anterior, la
expresión de ese crecimiento resultará en el senti-
do de horizontalizar el plano mandibular y adelan-
tar la sínfisis. Estas conclusiones respecto del creci-
miento facial, son similares al criterio sustentado
por Ricketts, cuando propone la modificación por
la edad de las normas para los ángulos del plano
mandibular, de la profundidad facial y del arco
mandibular, que con el crecimiento promedio se
hacen más braquifaciales.Esto además está demos-
trado en su teoría de crecimiento arquial de la man-
díbula. Jarabak señala que aunque es posible pre-
decir la dirección de crecimiento en ciertas áreas
del complejo craneomaxilofacial, no es posible
hacerlo con exactitud en lo referente a las magnitu-
des del mismo.
No obstante, conociendo las direcciones en las
que el crecimiento se va a realizar, es factible utili-
zar esta información para el diseño del plan de tra-
tamiento. Es así que con propósitos descriptivos,
señala tres tipos de crecimiento de acuerdo a su
dirección general (Fig. 10.114 A, B y C).
A. En sentido contrario a las agujas del reloj.
B. En el sentido de las agujas del reloj.
C. Directo hacia abajo.
El crecimientonormal, de acuerdo a lo expues-
to, se encuadraría como "en sentido contrario a las
agujas del reloj", porque el desarrollo vertical an-
terior es menor que el crecimiento de la cavidad
glenoidea y el cóndilo, y por lo tanto la sínfisis se
desplaza hacia adelante.
En pacientes braquifaciales este desequilibrio
entre crecimiento posterior / crecimiento anterior,
estaría más marcado aún, resultando en un aumen-
to de la altura facial posterior y un mayor avance
de la sínfisis, porque hay un marcado crecimiento
en sentido contrario a las agujas del reloj (Fig.
10.114 A). Ya se mencionó anteriormente la direc-
ta relación existente entre crecimientoverticalpos-
terior y avance del mentón.
260 Cefalometría dentoesqueletal
B
Fig. 10.114: A. Crecimiento en sentido contrario a las agujas del reloj. B. Crecimiento en sentido de las agujas del reloj.
C. Crecimiento directo hacia abajo.
Cefalometría lateral 261
Por el contrario, si el crecimiento vertical del
maxilar superior y los procesos alveolares superior
e inferior son mayores que el de la zona posterior,
el desplazamiento de la sínfísis se hará hacia abajo.
Éste sería el crecimiento "en el sentido de las
agujas del reloj", característico de los dolicofaciales
(Fig. 10.114 B).
El crecimiento "directo hacia abajo" sólo será
posible cuando exista un equilibrio de los incre-
mentos en ambas zonas, es decir, cuando sean exac-
tamente iguales (Fig. 10.114 C).
La planificación del caso tiene como uno de sus
objetivos básicos adaptar el tratamiento alcrecimien-
to de ese paciente. Es en la relación porcentual entre
la altura facial posterior / altura facial anterior donde
encontraremos respuestas bastante precisas para rea-
lizar un estudio prospectivo sobre el tipo de creci-
miento que se manifestará en el paciente. De esta
manera, podremos conocer una de las facetas de la
respuesta al tratamiento, para poder realizar una
planificación que nos permita visualizar con mayor
exactitud los objetivos terapéuticos a alcanzar.
Cuando la altura facial posterior (S - Go) tiene
una medida equivalente entre el 54 y el 58 % de la
altura facial anterior (Na - Me), la cara será de tipo
retrognático.
El crecimiento será menor en el sector poste-
rior que en una cara ortognática, por lo que se
habla de un crecimiento en el sentido de las agujas
del reloj, también llamado crecimiento rotacional
posterior.
Cuando la relación altura facial posterior / ante-
rior es del 64 al 80 %, el crecimiento de la mandí-
bula tendrá una rotación en sentido anterior, tam-
bién llamado "en sentido contrario a las agujas del
reloj", debido a que el incremento de la altura de la
parte posterior de la cara es mayor que en la parte
anterior. Esto influye favorablemente para el avan-
ce de la sínfisis. Se corresponde al biotipo braquifa-
cial de Ricketts.
Entre ambos extremos de relaciones porcentua-
les, es decir 54 a 58 % y 64 a 80% existe un rango
que va desde el 59% al 63%; este porcentaje co-
rrespondería a un crecimiento neutral, o sea casos
que crecen directamente hacia abajo, sin rotación
en ninguno de los 2 sentidos.
Roth explica esto con las esferas direccionales
de crecimiento craneofacial (Fig. 10.115).
Fig. 10.115: Esferas rotacionales.
262 Cefalometría dentoesqueletal
Los pacientes ubicados en las esferas A y C ten-
drán características de crecimiento bien definidas;
es decir, no existirán dudas de su tendencia dolico-
facial o braquifacial. Pero los pacientes de la esfera
B si bien tienen un porcentaje que correspondería
a lo que Jarabak llama un crecimiento directamen-
te hacia abajo, pueden reaccionar de diferentes
maneras. Este comportamiento estaría determina-
do por la musculatura.
Para una mejor interpretación, se consideran
dentro de esta esfera intermedia dos áreas denomi-
nadas "zonas grises". La primera de ellas corres-
pondería a los valores más bajos de la esfera neu-
tral (59 a 61 %). En mujeres y en pacientes de
musculatura débil, se suele observar una inclina-
ción hacia la esfera A (crecimiento rotacional pos-
terior) mientras que pacientes de esta zona gris con
mejor musculatura, en general varones, manten-
drían un crecimiento neutro.
En la segunda de las zonas grises (61 - 63%)
pueden producirse desviaciones hacia la esfera C
(crecimiento en sentido contrario a las agujas del
reloj) cuando el paciente tenga buena musculatura,
pero los que con esta relación porcentual tengan
musculatura débil, podrán mantenerse en la esfera
neutra.
Pensamos que ésta es una forma muy sencilla de
definir de qué manera va a crecer nuestro paciente
ya que este análisis se hace mediante el estudio de
medidas muy fáciles de obtener.
En este capítulo se ha expuesto la forma en que
se utilizan las medidas de Bjork-Jarabak como com-
plemento del análisis cefalométrico de Ricketts.
Su uso es muy práctico debido a la facilidad de
su trazado y su interpretación es muy sencilla una
vez que se ha comprendido el significado de las
medidas.
La utilización de un gran número de cefalogra-
mas, mediciones, etc es importante para trabajos de
investigación; no obstante, las metodologías de diag-
nóstico deberían ser siempre racionalizadas cuando
se les da una aplicación exclusivamente clínica, es
decir, no utilizar mediciones repetitivas que dificul-
tan la tarea del profesional. Siguiendo este criterio,
recomendamos su uso de la siguiente manera.
1. En pacientes en crecimiento:
• Para aumentar la precisión en la predicción
del crecimiento remanente.
• Como complemento del estudio del biotipo
facial cuando el paciente tenga un Vert cerca-
no al O y haya que definir alternativas de tra-
tamiento.
2.En pacientes adultos:
Al haber finalizado los procesos de crecimiento
y desarrollo sólo tiene aplicación la segunda de las
indicaciones anteriormente citadas.
No obstante, debe tenerse en cuenta, que si bien
las alternativas de tratamiento son menores en el
adulto, la elección de procedimientos terapéuticos
inadecuados puede implicar serios riesgos, por lo
que la planificación debe acompañarse siempre de
un profundo estudio biotipológico que nos indique
la respuesta muscular. Si ésta no fuera apropiada se
pueden producir serios problemas oclusales, y a
causa de esto, disturbios en las ATM que suelen ser
de muy difícil solución.
El cuadro de la página siguiente es el resumen
de todas las medidas lineales estudiadas en el aná-
lisis de Bjórk-Jarabak.
CASO CLÍNICO
La figura 10.116 ilustra la evolución de un pa-
ciente que accede a la consulta a los 9 años, por la
presencia de una mordida cruzada anterior y un
aspecto facial ligeramente prognático.
En la anamnesis se constata la existencia de
antecedentes familiares de clase III.
Se realiza el estudio cefalométrico de Bjork-
Jarabak, con la finalidad de estudiar el crecimiento
remanente, siendo en este caso sumamente impor-
tante definir si existe un potencial anormal de cre-
cimiento mandibular.
Se realizan las siguientes observaciones (Fig.
10.116 A):
1- La relación entre la base craneal posterior y
la altura de la rama es de 3 a 5.
La norma para dicha relación es 3 a 4, por lo que
en el paciente se manifiesta un predominio del cre-
cimiento de la rama mandibular sobre la base cra-
neal posterior.
2- La relación base craneal anterior-longitud del
cuerpo mandibular también se encuentra alterada.
A esta edad la relación entre ambas debería ser 1a
1, y las medidas que se obtuvieron indican un exce-
so mandibular de 6 mm.
Cefalometría lateral 263
A 9 anos B 10 anos
C 13anos D 17anos
37
O
Fig. 10.116: Evolución del crecimiento en un paciente de Clase III. El análisis de Bjork-Jarabak permitía establecer, ya a
los 9 años, un pronóstico de Clase III quirúrgica.
264 Cefalometría dentoesqueletal
Se realiza un tratamiento ortopédico, con pro-
nóstico reservado dado el potencial de crecimiento
desfavorable que se evidencia en el análisis de
Bjork-Jarabak.
El tratamiento promovió, al establecer un over-
jet normal, un cambio en la inclinación de los inci-
sivos superiores e inferiores que mejoró la relación
anterior.
Se finaliza el tratamiento y se hacen los contro-
les cefalométricos (Fig. 10.116 B).
En ellos se observa que, a pesar de la mejoría
clínica, el crecimiento mandibular fue importante,
con un incremento de 5 mm, mientras que la base
craneal anterior se mantuvo constante.
En un control dos años después de finalizado el
tratamiento, la relación interincisiva se muestra
borde a borde, y en el análisis de Bjork-Jarabak la
prevalencia del crecimiento del cuerpo mandibular
con respecto a la base craneal anterior se sigue
manifestando en las medidas, que muestran un
exceso mandibular de 15 mm (Fig. 10.116 C).
A esta edad se mantiene una conducta expec-
tante, sin iniciar el tratamiento de problemas den-
tarios leves que aun restaban resolver, dado lo des-
favorable del pronóstico de crecimiento y la
posibilidad de requerir un tratamiento ortodónci-
co-quirúrgico en el futuro.
En estos pacientes, cuyo pronóstico de creci-
miento remanente indica la posibilidad de un trata-
miento combinado con cirugía, las maniobras orto-
dóncicas que compensan la relación dentaria ante-
rior están totalmente contraindicadas por varias
razones:
-El problema esqueletal a los 13 años puede ser
apto para una compensación, pero el crecimiento que
resta aumentara la discrepancia sagital de losmaxila-
res y expondrá al fracaso el tratamiento iniciado.
-El sentido de los movimientos dentarios de
compensación, es decir, la retroinclinación exage-
rada de los incisivos inferiores o la protrusión mar-
cada de los superiores, es generalmente inverso al
indicado para el tratamiento prequirúrgico, don-de
los incisivos deberán ser llevados a inclinaciones
normales con respecto a parámetros propios de
cada uno de los maxilares, independientemente de
la relación que se establezca entre ellos. Por ello, el
intento de una compensación dentaria complica en
gran medida la preparación ortodóncica prequirúr-
gica.
Si bien el método de Bjork Jarabak para el pro-
nóstico de crecimiento no es de una total exactitud,
nos alerta sobre la posibilidad de realizar trata-
mientos decepcionantes para el paciente y para el
profesional.
En el paciente que describimos se observa a los
17 años, la expresión de ese potencial de creci-
miento anormal, con una diferencia de 20 mm
entre la longitud del cuerpo mandibular y la base
craneal anterior que llevó la anomalía al terreno
quirúrgico (Fig. 10.116 D).
Cefalometría lateral 265
Factores del polígono BJORK-JARABAK, utilizados para el estudio del crecimiento.
MEDIDA LINEAL NORMA A LOS
11 AÑOS
ÍNDICE ANUAL DE CRECIMIENTO
VARONES MUJERES
- Base craneal anterior
(S - Na)
- Longitud cuerpo
mandibular
(Go - Me)
- Base craneal posterior
(S-Ar)
•Altura rama
mandibular
(Ar - Go)
71 mm ± 3
71 mm + 5
32 mm ± 3
44 mm ± 5
+ 1mm
+ 1,1 mm
+ 0,5 mm
+ 1 mm
+ 0,7 mm
+ 0,7 mm
+ 0,4 mm
+ 0,7 mm
Base craneal anterior (BCA)
Long. cuerpo mandibular (LCM)
i BCA > LCM = Bajo potencial de crecimiento
mandibular.
BCA < LCM = Alto potencial de crecimiento
mandibular.
R . ., Base craneal posterior (BCP) 3
Altura rama (HR) 4
I Tendencia 3/5=Alto potencial de crecimiento
de la rama mandibular.
Tendencia 3/3 = Bajo potencial de crecimiento
de la rama mandibular.
Altura facial anterior
Altura facial posterior
(Na . Me)
(S . Go)
No se consideran normas longitudinales
de estas medidas sino sus relaciones
porcentuales.
„ , ., Altura facial posterior x 100
Relación
Altura facial anterior
54 a 58 % crecimiento en sentido de las agujas del reloj.
64 a 80 % crecimiento en sentido contrario a las agujas del reloj.
59 a 63 % crecimiento directo hacia abajo (zonas grises).
266 Cefalometría dentoesqueletal
Ficha modelo para el Análisis de Bjórk-Jarabak
Potencial de crecimiento Norma
01
02
03
04
- Base Craneal posterior, S-Ar
- Altura de la rama, Ar-Go
- Base craneal anterior, S-Na
- Longitud del cuerpo mandibular, Go-Me
29
39
68
66
a
a
a
a
35
49
74
76
mm
mm
mm
mm
Dirección de crecimiento Norma
05
06
07
08
09
10
11
12
13
- Ángulo de la silla, Na-S-Ar
- Ángulo articular, S-Ar-Go
- Ángulo goniaco, Ar-Go-Me
- Suma total 5-6-7
- Mitad superior ángulo goniaco, Ar-Go-Na
- Mitad inferior ángulo goniaco, Na-Go-Me
- Altura facial posterior, S-Go
- Altura facial anterior, Na-Me
- Altura facial posterior/anterior, S-Go/Na-Me
123° ± 5°
143° ± 6°
130° ±7°
396° ± 6°
52° a 55°
70° a 75°
70 a 85 mm
105 a 120 mm
62 a 65%
Respuesta a la mecánica Favorable Desfavorable
14 - Ángulo articular
15 -Altura facial posterior/anterior, S-Go/Na-Me
16 - Relación base craneal posterior/altura de la rama, Ar-Go
< norma
> 65%
>=3/4
> norma
< 62%
<3/4
Cefalometría lateral 267
MÉTODO DE EVALUACIÓN CEFALOMÉ-
TRICA DE McNAMARA
Introducción
Esta metodología, desarrollada por el Dr. James
McNamara en la Universidad de Michigan, deriva
en gran parte de los análisis de Ricketts y Harvold
y, además, introduce algunos aspectos originales.
En este método, McNamara propone la construc-
ción de una línea que, partiendo del nasion, es per-
pendicular a Frankfort (nasion perpendicular).
Según su autor, la creación de este método se
debe a que la mayoría de los análisis hasta hoy uti-
lizados fueron desarrollados entre 1940 y 1970,
cuando ciertas modificaciones en las relaciones de
las estructuras craneomaxilofaciales eran conside-
radas difíciles o imposibles. Sin embargo, durante
los últimos 20 años la ortodoncia ha visto la apari-
ción de numerosos procedimientos de cirugía
ortognática que permiten reposicionar casi toda la
estructura ósea de la región maxilofacial. Por otra
parte, se utilizan también procedimientos ortopédi-
cos sumamente efectivos en el tratamiento de las
discrepancias esqueletales. A partir de estos avan-
ces, el autor lo presenta como un análisis que pro-
fundiza en el estudio de las relaciones de los maxi-
lares y las estructuras craneales. En síntesis,
relaciona dientes con dientes, dientes con los maxi-
lares, los maxilares entre sí y ambos con la base cra-
neal.
Las ventajas de este método se podrían resumir
así:
1. Depende principalmente de medidas lineales
más que de medidas angulares. Esto facilita por
una parte el estudio ortopédico y por otra la
comunicación con el paciente y/o sus padres.
2. Analiza la relación intermaxilarno sólo en sen-
tido sagital sino que le agrega el estudio de los
cambios o alteraciones en sentido vertical.
Otros métodos como el de Steiner, Ricketts, etc.
evalúan también horizontal y verticalmente la
posición de los maxilares, pero McNamara
cuantifica la incidencia de los cambios verticales
en la relación sagital; es decir, los integra de tal
manera que forman una unidad de análisis y
hace que la consideración de estos factores por
separado pierda valor diagnóstico.
3. Es útil para estudiar superficialmente el estado
de la vía aérea.
En definitiva, es un elemento que nos ayuda en
el diagnóstico, planificación y evaluación del trata-
miento.
Su desarrollo se basó en estudios de:
1. Valuacionesesqueletales derivadas de los están-
dares de Bolton.
2. Valores seleccionados de un grupo de niños nor-
males del Centro de Investigaciones Ortodónci-
cas de Burlington.
3. Una muestra de Ann Arbor que considera 111
adultos jóvenes con una configuración facial de
buena a excelente.
Los estándares normativos compuestos presen-
tados por McNamara, fueron determinados por
valores promedio de las muestras de Bolton, Bur-
lington y Ann Arbor.
Dijimos al comienzo del capítulo que el cefalo-
grama de McNamara se basaba fundamentalmente
en el de Ricketts y en el de Harvold. En nuestra
práctica, como ya hemos visto, basamos el estudio
del caso en el análisis de Ricketts, al cual conside-
ramos sumamente completo, preciso y eficaz para
el diagnóstico, la planificación y también, debido a
sus aspectos dinámicos, de gran utilidad para el
monitoreo del tratamiento y la evaluación de los
resultados. Por ello, sólo utilizaremos medidas del
cefalograma de McNamara que no impliquen nin-
guna redundancia, circunscribiéndonos a las que
son de utilidad para el estudio esqueletal en los
siguientes casos:
• Pacientes en crecimiento cuya observación
clínica nos alerta sobre posibles problemas
ortopédicos.
• Pacientes adultos en los que los problemas
esqueletales plantean la posibilidad de una
búsqueda de soluciones quirúrgicas.
268 Cefalometría dentoesqueletal
PLANOS Y MEDIDAS UTIZADAS
a) Estudio esqueletal
1. Nasion perpendicular (conocida también como
línea o vertical de McNamara).
2. Distancia lineal punto A a nasion perpendicular.
3. Distancia lineal punto Po a nasion perpendicular.
4. Longitud maxilar.
5. Longitud mandibular.
6. Altura facial anteroinferior.
b) Análisis de la vía aérea
7. Diámetro faríngeo superior.
8. Diámetro faríngeo inferior.
Estudioesqueletal
1. Nasion perpendicular (línea o vertical de Mc-
Namara): Perpendicular al plano de Frankfort
trazada desde el punto nasion. Llega hasta la
altura del mentón (Fig. 10.117).
2. Punto A a nasion perpendicular:Medida lineal
entre estas dos referencias. Relaciona el maxilar
superior con la base craneal.
Fig. 10.117: La línea o vertical de McNamara es la referencia para el estudio sagital de los maxilares (Punto A-Pogonion).
Cefalometría lateral 269
La norma para pacientes en dentición mixta es
O mm. Significa que la vertical pasa por el punto
A. Si éste se encuentra por delante de la vertical
la medida tendrá un valor positivo.
Los valores negativos corresponden a los casos
en los que el punto A se sitúa por detrás.
Esta norma, se mantiene prácticamente sin va-
riaciones en el adulto.
McNamara considera que la norma en el adulto
es de +1 mm, aceptando que el ángulo SNA tiene
un incremento de 1°entre los 6 y los 18 años.
3. Punto pogonion a nasion perpendicular:
También es la distancia lineal entre estas dos
referencias. Relaciona la sínfisis mandibular con
la base craneal.
Cuando el Po está por delante de la vertical se le
da a la medida un valor positivo. Cuando está
por detrás, negativo.
Esta medida no admite una norma constante
debido al crecimiento mandibular cuyo incre-
mento anual tiene algunas diferencias con los
incrementos de la base del cráneo.
McNamara encontró que en un paciente de
dentición mixta con buen balance del perfil, el
Po está ubicado - 8 a - 6 mmde la vertical.
Con el crecimiento promedio el Po se acerca a
la vertical, por lo que en el adulto se establecen
normas de - 4 a O en la mujer y de - 2 a + 2mm
en el hombre (Fig. 10.118).
Pto A - Vertical
Po - Vertical
DENTICIÓN
MIXTA
0 mm
-8 a -6 mm
ADULTO
+ 1 mm
-4 a 0mm
(hasta +2 mm en )
i anos 17 años
Vert-Pto A
O mm
Vert-Po:
-7 mm
Vert-Pto A
O mm
Vert-Po:
-2 mm
Fig. 10.118: La norma vertical-punto A permanece prácticamente estable con el crecimiento. La norma vertical-Po varía,
ya que el crecimiento promedio tiende a avanzar más el mentón que el resto de las estructuras faciales.
270 Cefalometría dentoesque/etal
Pto A:
O mm
Pto A:
-7 mm
Fig. 10.119: Diagnóstico diferencial de Clase III realizado con la vertical de McNamara: En A, es debida a la mandíbula
(Pto. A = Omm,Po = + 8 mm). En B, al maxilar superior (Pto. A = -7 mm, Po = -2 mm).
Pto. A:
+ 6 mm Pto. A:
O mm
Po:
-14mm
Fig. 10.120: Clases II de similar valor de convexidad, reconocen distinta causa al ser analizadas con la vertical de
McNamara: En A, es debida a la ubicación del maxilar superior (Pto. A = + 6 mm, Po = Omm). En B, la causa es una retru-
sión mandibular (Pto. A = Omm, Po = - 14mm)
Cefalometría lateral 271
Fig. 10.121: Medidas de lon-
gitud maxilar y longitud man-
dibular.
Gn
4. Longitud maxilar: Es la distancia desde el
punto condilion (punto más posterosuperior en
el contorno del cóndilo mandibular) al punto
A. Se llama también longitud mediofacial (Fig.
10.121).
5. Longitud mandibular: Se mide desde el pun-
to condilion hasta el gnation anatómico (Fig.
10.121).
Esta medida y la anterior se utilizan para es-
tablecer una relación geométrica entre el largo
de la cara media y el de la mandíbula. Es decir,
para una longitud de la cara media dada corres-
ponde una determinada longitud mandibular.
Puede pensarse que el uso del punto condilion
resta exactitud al procedimiento, porque a veces
es difícil de localizar debido a que el cóndilo se
encuentra en una zona crítica de la telerradio-
grafía por su superposición con la zona petrosa
del temporal. Esto se soluciona en gran parte
usando un filtro para tejidos blandos ypantallas
intensificadoras.
Además, como el punto condilion es usado
para medir las dos longitudes (maxilar y mandi-
bular), un mínimo error en su localización prác-
ticamente no afectará la relación geométrica
entre ambas medidas.
6. Altura facial anteroinferior: Se mide desde la
espina nasal anterior (ANS) al punto mentonia-
no (Me) (Fig. 10.122).
Un aumento o disminución en esta medida
puede tener un profundo efecto en la relación
sagital del maxilarsuperior y la mandíbula como
veremos más adelante. Esta medición lineal au-
menta con la edad y tiene correlación con la lon-
gitud maxilar.
Estas últimas tres medidas no se utilizan aisla-
damente sino en conjunto.
En los estudios longitudinales, sobre los que se
basa este cefalograma, se hallaron promedios
por edad y sexo para cada una de ellas. A partir
de estos promedios se extrapolaron normas
compuestas que representan una relación geo-
métrica entre las medidas de longitud maxilar,
longitud mandibular y altura facial anteroinfe-
rior. No están relacionadas directamente con la
edad y sexo del sujeto.
272 Cefalometría dentoesqueletal
NORMAS COMPUESTAS
3- Longitud maxilar
4- Longitud mandibular
5- Altura facial anteroinferior
Una vez que se conoce la longitud maxilar,
puede estimarse la longitud mandibular correspon-
diente.
Veamos un ejemplo: Para una longitud maxilar
de 85 mm corresponde una longitud mandibular de
105 a 108 mm. La concordancia de estas dos longi-
tudes no significa una correcta posición de la sínfi-
sis en el plano sagital, porque su ubicación está
afectada por la altura facial anteroinferior. Por lo
tanto, las normas compuestas se completan con los
valores de esta última que correspondan a los valo-
res de las dos primeras.
Un incremento o disminución de la altura facial
anteroinferior, tiene un efecto muy evidente sobre la
relación sagital maxilomandibular.
El gráfico de la figura 10.123, perteneciente a Mc-
Namara, muestra la relación entre la altura facial ante-
roinferior y la posición de la sínfisis en sentido sagital.
Un aumento de la dimensión vertical de 15 mm
produce una retrusión mandibular de 13mm. Por el
contrario, una reducción de 15mm en la altura pro-
duce una protrusión mandibular de 15 mm.
Como conclusión podemos decir que la protru-
sión o retrusión mandibular se realiza en una pro-
porción de 1 a 1 en relación al aumento o disminu-
ción de la altura facial anteroinferior.
Fig. 10.122: La medida de la altura
facial anteroinferior complementa a
las dos longitudes, maxilar y man-
dibular, para el estudio proporcional
que se realiza con las normas com-
puestas.
Cefalometría lateral 273
NORMAS COMPUESTAS - ANÁLISIS McNamara
LONGITUD
MAXILAR (mm)
80
81
82
83
84
85
86
87
88
89
90
91
92
93
94
95
96
97
98
99
100
101
102
103
104
105
LONGITUD
MANDIBULAR (mm)
97-100
99-102
101-104
103-106
104-107
105-108
107-110
109-112
111-114
112-115
113-116
115-118
117-120
119-122
121-124
122-125
124-127
126-129
128-131
129-132
130-133
132-135
134-137
136-139
137-140
138-141
ALTURA FACIAL
ANTEROINFERIOR (mm)
57-58
57-58
58-59
58-59
59-60
60-62
60-62
61-63
61-63
62-64
63-64
63-64
64-65
65-66
66-67
67-69
67-69
68-70
68-70
69-71
70-74
71-75
72-76
73-77
74-78
75-79
Longitud maxilar
Longitud mandibular
Altura facial anteroinferior
Medida
paciente
Normas
compuestas
274 Cefalometría dentoesqueletal
Fig. 10.123: Relación de la altura facial anteroinferior con la posición sagital del Po. En A: Un aumento de 15 mm (de 70
mm a 85 mm) produce un retroceso del Po de 13 mm. En B: Una disminución de 15 mm (de 70 mm a 55 mm) avanza el
Po 15 mm.
Fig. 10.124: Paciente EM.
Cefalograma de Ricketts.
Cefalometría lateral 275
Veamos en estos dos ejemplos, la interpretación
de las normascompuestas:
Ejemplo N°l: (Figs. 10.124 y 10.125)
El paciente EM., sexo masculino, de 13 años y
medio, es un dolicofacial severo con una relación
esqueletal de Clase II.
En el cefalograma de Ricketts se observa una
convexidad aumentada (+6 mm): la profundidad
maxilar está disminuida (86°) y la profundidad facial
más disminuida aún (80°).
Es un caso de Clase II con birretrusión esquele-
tal, pero el mayor retroceso del pogonion provoca
el aumento de la convexidad.
La medida de la alturafacial inferiormuestra un
exceso vertical que incide sobre la posición del
mentón.
Utilizando las normas compuestas, vemos lo
siguiente:
La longitud maxilar es de 84 mm.
La medida de la mandíbula correspondiente
para esa longitud maxilar es de 104 a 107 mm.
En el paciente la mandíbula mide 108mm.
- 19 mm
Fig. 10.125: Paciente EM. Medidas de McNamara.
LONGITUD MAXILAR
LONGITUD MANDIBULAR
ALTURA FACIALANTEROINFERIOR
VALOR PACIENTE
84 mm
108 mm
73 mm
NORMAS COMPUESTAS
84 mm
104 - 107 mm
59 - 60 mm
Esto describe una longitud armónica de ambos
maxilares.
Analizando la altura facial anteroinferior, en-
contramos una medida de 73 mm, pero las normas
compuestas le asignan en este caso 59 a 60 mm. Por
lo tanto, el paciente tiene un exceso vertical de 13mm
que como ya vimos provoca una retrusión de la sín-
fisis de igual magnitud.
Con respecto a la vertical, el punto A y el Po
están a - 4 y -19 mm respectivamente.
Si la altura fuera normal el Po estaría 13 mm
más adelante o sea a -6 mm, con lo que se lograría
el equilibrio del perfil esqueletal; se evidencia así
con claridad la naturaleza de la anomalía.
Este estudio nos orienta además sobre el pro-
nóstico y la metodología terapéutica.
Por ejemplo, en este caso, el tratamiento orto-
dóncico sólo constituirá un paliativo que modifica-
rá posiciones dentarías logrando una mejoría esté-
tica parcial (solución de compromiso).
El tratamiento ortopédico que podría intentarse
dada la edad del paciente, deberá dirigirse a corre-
gir el problema vertical, y probablemente tenga un
pequeño efecto beneficioso (cierre del eje), pero
estará lejos de lograr la solución completa del pro-
blema. Esta alteración por lo tanto, exige un trata-
miento ortodóncico quirúrgico.
Ejemplo N°2: (Figs. 10.126 y 10.127)
La paciente BB, de 11 años de edad tiene un
perfil esqueletal de Clase III. La cefalometría de
Ricketts muestra una convexidad de -4 mm. Al
276 Cefalometría dentoesqueletal
-8mm
Fig. 10.126: Paciente BB. Cefalograma de Ricketts. Fig. 10.127: Paciente BB. Medidas de McNamara.
LONGITUD MAXILAR
LONGITUD MANDIBULAR
ALTURA FACIAL ANTEROINFERIOR
VALOR PACIENTE
83 mm
107 mm
54 mm
NORMAS COMPUESTAS
83 mm
103 - 106 mm
58 - 59 mm
analizar la ubicación sagital de los maxilares ob-
servamos que existe una birretrusión, pero en
mayor grado del maxilar superior. La profundidad
facial es de 85°, y la maxilar de 82°.
La altura facial inferior está disminuida, su
medida es de 38°, lo que induce a pensar que está
favoreciendo el prognatismo del perfil.
Comenzamos el análisis de McNamara compa-
rando la longitud maxilar con la mandibular. La
primera es de 83 mm, en las normas compuestas
observamos que corresponden 103 a 106 mm de
longitud mandibular. En el paciente esta medida es
de 107mm, por lo que, también en este caso vemos
que la relación de ambas longitudes es bastante
buena, sólo existe un pequeño exceso en el tamaño
mandibular. Analizamos la tercer medida corres-
pondiente a las normas compuestas, es decir, la
altura facial anteroinferior. Corresponde una medi-
da de 58-59 mm y en la paciente es de 54 mm.
Los 4-5 mm de disminución de la altura han pro-
vocado la relación sagital de Clase III, podemos
decir que si esta altura se normalizara, el Po retro-
cedería 4 a 5 mm.
La medida de punto A a la vertical es de -9 mm,
y el Po está a - 8 mm.El aumento de altura hasta su
normalización lo dejaría a -12, -13mm.
Esto, si bien no corresponde a una buena po-
sición con respecto a la vertical de McNamara,
haría que el punto A estuviese más cerca de ella
que el Po y el perfil esqueletal sería de Clase I.
Cefalometría lateral 277
Análisis de la vía aérea
McNamara realiza un estudio superficial del estado
de la vía aérea basado en dos medidas: (Fig. 10.128)
7. Diámetro faríngeo superior: Es la menor distan-
cia desde la pared posterior de la faringe a la
mitad anterior del velo del paladar.
La norma en adultos es de 17,4 mm con una des-
viación estándar de ± 4 mm. Una disminución
marcada de esta medida se utiliza sólo como un
indicador de un posible deterioro de la vía aérea
superior. Un diagnóstico más preciso deberá ser
hecho por un otorrinolaringólogo en un examen
clínico más profundo.
8. Diámetro faríngeo inferior: Se mide sobre el
plano mandibular desde el perfil de la pared
anterior (base de la lengua) a la pared posterior
de la faringe.
La norma es de 11,3 mm para mujeres y 13,5
mm para varones con una desviación estándar
de ± 4 mm.
Un ancho faríngeo inferior de más de 15 mm su-
giere una posición adelantada de la lengua, como
resultado de una postura habitual o como conse-
cuencia de un agrandamiento de las amígdalas.
En el primer caso, esta posición lingual se asocia
a ciertas anomalías como prognatismo mandibu-
lar, mordida cruzada dentoalveolar anterior o
biprotrusión dentoalveolar.
El segundo caso, cuando existe agrandamiento
de amígdalas, es el que se presenta en el respi-
rador bucal, casi siempre acompañado de un
patrón dolicofacial, con eje facial abierto y un
plano mandibular muy inclinado (Fig. 10.129).
Resumiendo, estas dos medidas nos dan una
idea aproximada del estado de la vía aérea, pero
en caso de detectarse alguna anormalidad,
deberán realizarse estudios más profundos.
Fig. 10.128: Paciente con estado normal de la vía aérea. Fig. 10.129: Paciente con respiración bucal. Obsérvese la
disminución de la vía aérea superior y el agrandamiento
del ancho faríngeo inferior.
278 Cefalometría dentoesqueletal
ANÁLISIS DE McNamara
SAGITAL
MAXILAR
MANDIBULAR
PtoA
Po
Na PERPENDICULAR
LONGITUD MEDIOFACIAL
DIÁMETRO FARÍNGEO SUPERIOR
DIÁMETRO FARÍNGEO INFERIOR
ANÁLISIS VÍA AÉREA
C A P I T U L O 11
Cefalometría frontal
INTRODUCCIÓN
Esta cefalometría es utilizada por nosotros
como apoyo del estudio clínico y o fotográfico fron-
tal, especialmente en los casos de asimetría con el
propósito de dimensionar con exactitud las magni-
tudes de las alteraciones verticales y transversales.
La cefalometría frontal es una importante
herramienta para:
• el estudio de la simetría de los componentes
del complejodentomaxilofacial;
• el diagnóstico diferencial en los casos de asime-
trías y desviaciones de líneas medias dentarias;
• la evaluación de tratamientos de expansión
dentoalveolar o disyunción del maxilar superior;
• el diagnóstico de malformaciones que puedan
afectar distintas estructuras;
• la determinación del espesor de las ramas
ascendentes mandibulares, dato de suma utili-
dad en los casos quirúrgicos, que no se puede
obtener en las radiografíaslaterales.
• la planificación quirúrgica sobre modelos, y la
posterior construcción de los splintsquirúrgicos,
aportando datos en sentido transversal.
El análisis cefalométrico frontal ha sido poco
valorado en ortodoncia, porque la mayoría de los
análisis descriptos no tienen utilidad práctica.
El que utilizamos es importante para el diagnós-
tico, especialmente de los casos quirúrgicos. Es un
excelente auxiliar para corroborar y mensurar
datos del examen facial frontal, referidos a asime-
trías y desplazamientos de línea media dentaria.
En los casos de asimetría esqueletal, se utiliza-
rá este procedimiento en la etapa de diagnóstico
previa a la ortodoncia prequirúrgica, donde ade-
más de definir las características de la asimetría,
facilita la visualización de torques posteriores com-
pensatorios y desvíos de línea media de origen den-
tario, que deberán ser corregidos en la preparación
ortodóncica prequirúrgica.
Una vez finalizada ésta, se repetirá el procedi-
miento con el objeto de obtener medidas precisas
destinadas a equilibrar los planos oclusales,y lograr
el correcto centrado esqueletal, que serán traslada-
das a la predicción de laboratorio.
En el método que describimos empleamos como
referencia estructuras fácilmente identificables y
que sufren poca distorsión.
La toma radiográfica tiene la particularidad de
ser efectuada en posición de relación céntrica man-
dibular, sin contacto oclusal, con el objeto de:
- eliminar la visualización de una asimetría de
tipo funcional, originada por un contacto oclusal
que desvía la mandíbula;
- aislar dos planos oclusales distintos.
Para la toma radiográfica, resulta útil emplear
una cera de R C con una altura de 3 a 4 mm a nivel
del primer contacto dentario, que permita visuali-
zar individualmenteambos planos oclusales
Podemos definir este método como: Cefalome-
tría frontal en R.C. con arcadas sin contacto oclu-
sal.
Este examen radiográficoposteroanterior no es-
tá exento de dificultadesy quizás la más importan-
te se relaciona con la determinación de la línea me-
dia facial.
La estructura más confiable que pueda repre-
sentar una referencia medial fidedigna es la apófi-
sis crista galli, y que a pesar de las dificultades que
presenta su visualización como consecuencia de la
calidad radiográfica o la malformación del pacien-
te, es generalmente la más fácilmenteidentificable.
TRAZADO DEL CEFALOGRAMA
1- Se traza el contorno craneal y las apófisis
mastoides.
279
280 Cefalometría dentoesqueletal
2- Se trazan las órbitas derecha e izquierda. Se
localizan las intersecciones de la línea innominada
en ambos rebordes orbitarios externos, que están
aproximadamente en la ubicación de 10 hs. en la
órbita izquierda y 2 hs. en la órbita derecha.
3- Se calca las apófisis Crista Galli del etmoides,
que es útil para la determinación del plano medio
sagital; por debajo de ella el septum nasal y se com-
pletan las cavidades nasales derecha e izquierda.
Por debajo del septum nasal se localiza la espina
nasal anterior, también en el plano medio sagital.
4- Para completar la cara media se calca el con-
torno externo del maxilar superior por encima de
los molares, continuando por el malar hasta la apó-
fisis cigomática.
5- Se traza la mandíbula incluyendo el contorno
interno de las ramas ascendentes, las apófisis coro-
noides y los cóndilos, cuidando en señalar bien los
ángulos goníacos . En la parte anterior se ubican la
prominencia del mentón y las apófisis geni, que nos
indicarán la línea media mandibular.
6- Para completar el trazado frontal se dibujan,
a mano o con plantilla, los incisivos centrales supe-
riores, incisivos centrales inferiores, y los primeros
molares superiores e inferiores.
Se marcan en el trazado los puntos de referen-
cia.
Puntos de referencia mediales
Punto M
Punto medio de la línea que une los puntos orbi-
tarios externos (plano interorbitario).
Punto interradicularsuperior (Rs)
Punto medio situado entre los ápices de los inci-
sivos superiores.
Go
Fig. 11.1: Cefalograma frontal. En los casos simétricos los puntos mediales deben coincidir con la línea media. Los pun-
tos laterales se evalúan con respecto a dos planos paralelos al plano medio situados a 33 mm de este.
Cefalometría frontal 281
Punto incisivo superior (Is)
Punto medio superior, situado en la cresta al-
veolar interincisiva.
Punto incisivo inferior (li)
Punto medio inferior, situado en la cresta alveo-
lar interincisiva.
Punto interradicular inferior (Ri)
Punto medio situado entre los ápices de los inci-
sivos inferiores.
Punto mentoniano (Me)
Punto situado en el reborde inferior de la sínfi-
sis, debajo de la protuberancia mentoniana. Es
el punto medial de dicho borde, cuya proyec-
ción coincide con las apófisis Geni.
Puntos de referencia laterales
Punto O (orbitario externo).
Punto de intersección de la línea innominada
con el reborde externo del trazado de la órbita
Punto jugal (J)
En la intersección de la tuberosidad del maxilar
con el contorno inferoexterno del malar.
Punto molar superior (Ms)
Punta de la cúspide vestibular más saliente del
primer molar superior.
Punto molar inferior (Mi)
Punta de la cúspide vestibular más saliente del
primer molar inferior.
Fig. 11.2: Trazado cefalométrico frontal. Los planos horizontales deben ser paralelos entre sí y perpendiculares a la
línea media.
282 Cefalometría dentoesqueletal
Punto goníaco (Go)
Punto más saliente de la protuberancia goníaca
en el plano frontal.
El punto de partida para el análisis es la
correcta ubicación de la línea media facial.
• Se unen los puntos O con una línea y sobre
ella se marca el punto medio de la distancia inter-
orbitaria interna (M).
• A partir del punto M se traza una perpendi-
cular a la línea que une ambos puntos O. Esta per-
pendicular constituye la línea media de la cara.
Verificar que pase por la base de la apófisis Crista
Galli y por la espina nasal anterior.
En pacientes con asimetrías que involucran las
órbitas y la bóveda craneana, hemos encontrado
dificultad para usar la línea que une ambos puntos
O como referencia horizontal, siendo más estable
la ubicación medial de la apófisis crista galli y la
espina nasal anterior .En estos casos, nos limitare-
mos a trazar la línea media facial utilizando sola-
mente estas dos estructuras como referencia , pro-
longando hacia abajo la línea que une ambos
puntos.
Se verifica clínicamente si esta línea media
puede ser utilizada como línea media del trazado o
si es necesario realizar algún ajuste.
Este análisis define, a partir de un plano de refe-
rencia medial, las asimetrías craneofaciales
A una distancia de 33mm a cada lado de la línea
media, se trazan dos paralelas a ésta que se pro-
longan hasta el nivel del mentón.
A partir de los puntos bilaterales se definen los
planos horizontales, jugal (Jd-Ji), oclusal superior
(Msd-Msi), oclusal inferior (Mid-Mii) y goníaco
(God-Goi).
Utilizamos además un plano horizontal,perpen-
dicular a la línea media, que pasa por el punto men-
toniano (plano mentoniano). Como es obvio este
plano nunca sufre inclinaciones y se utiliza para
analizar la simetría del mentón. Para ello se deben
comparar las zonas triangulares formadas a ambos
lados de la linea media y delimitadas en la parte
superior por el contorno mandibular y por debajo
por el plano mentoniano (Fig. 11.3).
Fig. 11.3: La comparaciónde las zonas triangulares nos
permite determinar la simetría o asimetría del cuerpo
mandibular.
Los puntos interradiculares e interdentarios
definen los respectivos planos interdentarios supe-
rior e inferior; en condiciones normales, estos pla-
nos se confunden con el plano medio sagital.
Normalmente, los puntos mediales se encuen-
tran todos sobre la línea media. Los puntos latera-
les se unen entre sí con líneas, que resultan parale-
las entre sí y perpendiculares a la línea media
El objetivo del tratamiento quirúrgico es colo-
car los puntos medios sobre la línea media facial,
alineando simultáneamente los puntos bilaterales
correspondientes en un mismo plano horizontal.
En una laterogenia, por ejemplo, se mide la dis-
tancia del punto mentoniano a la línea media facial,
y también la distancia de este punto al plano oclu-
sal definiendo así su desvío lateral y su posición
vertical.
Cuando sólo las líneas inferiores (oclusal y goní-
aca) son oblicuas, la asimetría es mandibular. La
inclinación del plano oclusal superior, dependerá
de la existencia o no de compensaciones dentoal-
veolares que originaron una asimetría también en
el maxilar superior.
Si los puntos bilaterales correspondientes se
encontraran "desnivelados", es decir, no ubicados
sobre líneas horizontales, sino sobre líneas obli-
cuas, sus posiciones verticales serán determinadas
por las distancias de estos puntos al plano interor-
bitario (entre ambos puntos O). En el caso de que
la asimetría involucre las órbitas y la bóveda era-
Cefalometría frontal 283
Fig. 11.4: Paciente con asimetría maxilomandibular. En el estudio cefalométrico frontal se corrobora el desvío de la
línea media superior y torques compensatorios en los sectores laterales. En la arcada inferior la línea media está cen-
trada con respecto a su base esqueletal. Obsérvense las zonas triangulares desiguales que permiten determinar la asi-
metría del cuerpo mandibular.
neal, este plano no se puede considerar como refe-
rencia horizontal, habrá que corregirlo trazando
una perpendicular a la línea media que pase por el
punto M.
En la microsomía facial, todas las líneas trans-
versales se encontrarán alteradas y serán conver-
gentes hacia un mismo punto.
Cuanto más cerca del plano medio se encuentre el
punto de convergencia,mayor será la deformidad.
En el trazado frontal inicial, tienen especial
interés las posiciones de los planos interdentarios
superior e inferior en relación a la línea media
facial, ya que, en los pacientes asimétricos existen
habitualmente compensaciones dentarias laterales
con inclinaciones o desvíos de los planos interden-
tarios (Fig. 11.4).
La planificación ortodóncica frontal, tendrá en
cuenta el establecimiento de arcadas simétricas,
con planos interdentarios perpendiculares a los res-
pectivos planos oclusales, donde la línea media
dentaria coincida con la línea media del maxilar
correspondiente.
En el final de la preparación ortodóncica pre-
quirúrgica cuando el maxilar y la mandíbula son asi-
métricos, los planos oclusales se encuentran obli-
cuos y el plano interdentario en cada uno de ellos
no coincide ni es paralelo al plano medio sagital.
Para la corrección se deberá tener en cuenta la hori-
zontalización del plano oclusal y además se deberá
eliminar la inclinación del plano interdentario.
En la predicción en modelos, una vez considera-
das las inclinaciones de los planos interdentarios en
relación a los planos oclusales respectivos, se colo-
ca la línea interincisiva superior en la línea media
facial y se nivela el plano oclusal superior teniendo
como referencia la norma clínica de la relación inci-
sivo superior-labio superior. Las medidas de nive-
lamiento de los molares, hechas en el trazado fron-
tal, son transferidas directamente a los modelos.
Si la preparación ortodóncica prequirúrgica de
la mandíbula está realizada con los mismos princi-
pios, las arcadas se adaptarán, restando solamente
la corrección de las anomalías estructurales de las
regiones goníaca y mentoniana si existieran.
El estudio radiográfico de una asimetría puede
284 Cefalometría dentoesqueletal
ser complementado con la incidencia vertex-men-
tón que, adicionando otra dimensión al estudio,
ayuda a esclarecer el origen de la deformidad, en
particular cuando se trate de anomalías de las
ramas mandibulares.
La combinación de los exámenes laterales, pos-
teroanterior y vertex-mentón, permite una recons-
trucción tridimensional, importante para el estudio
de las ramas mandibulares y de las tuberosidades
del maxilar.
En la búsqueda de la verdadera causa de la asi-
metría, con el propósito de su corrección, es útil el
recurso del examen tomográfico frontal, con varios
cortes anteroposteriores, que permiten obtener
informaciones más precisas, caracterizando con
mayor exactitud la localización anteroposterior de
las zonas afectadas.
A partir de los tomogramas obtenidos en los
cortes se diseñan los respectivos trazados, que se
reúnen en un trazado final de reconstrucción.
Finalmente, la reconstrucción tridimensional a
partir del estudio tomodensitométrico, además de
permitir una visualización más esclarecedora del
esqueleto craneofacial, permite confeccionar
modelos tridimensionales, verdaderos dimensiona-
dores del problema.
Fig. 11.5: La reconstrucción tridimensional helicoidal
permite apreciar con mayor precisión las estructuras
craneofaciales, y es especialmente útil para el estu-
dio de las asimetrías.
285
Bibliografía
Holdaway RA A soft tissue cephalometric, analy-
sis and its use in orthodontic treatment planning,
Part II Am J Orthod 1984; 85:279-293.
1956: 26 (4): 191-211.
Benvenga, M. N.: Comunicación personal. Sao-
Paulo, Brasil, 1980
Bjórk, A: La naturaleza del prognatismo facial y su
relación con la oclusión normal de los dientes.
A.J.O. 37:106-124, 1951
Bjórk, A: Cranial base development. Am. J.
Orthod. 41:198,1955
Bjórk, A: Facial growth in man, studied with the
aid of metalic in implants, acta Odonto Scand.
13:9-34. 1955.
Bjórk, A: Crecimiento facial en el hombre estudia-
do con la ayuda de implantes metálicos. A.J.O.
42:62, 1956
Bjórk, A: Prediction of mandibular growth rota-
tion. Amer. J. Orthodont. 55:585,1969
Damerell, J. M.: Cephalometric objetives for the
maxilary central incisors. Masters thesis. Loma
Linda University. 1977.
Downs, W. B.: Variations in facial raltionships:
their significance in treatment and prognosis. Am.
J. Orthod. 38:812 y 812-840, 1948
Downs, W. B.: The role of cephalometrics in ort-
hodontic case analysis and diagnosis. Am. J. ort-
hod. 38: 162-182, 1952
Downs, W. B 1956 Analysis of the dentofacial pro-
file. Angle Orthodontist 26:191-212.
Ellis, E., McNamara J. A.: A cephalometric eva-
luation of incisor position. Angle Orthod. 56:324-
344,1986
Enlow, D. H., Moyers, R. E., et al: Procedure for
the analysis of intrinsic facial form and growth.
Am. J. Orthod. 56:6-23,1969.
Enlow, D. H.: Manual sobre Crecimiento Facial.
Intermédica. Buenos Aires (Argentina), 1982
Holdaway RA A soft tissue cephalometricanalysis
and its use in orthodontic treatment planning, Part
I Am J Orthod 1983; 84; 1-28.
Jarabak, J. R., Fizzell, J.: Aparatología del arco de
canto con alambres delgados. Técnica y tratamien-
to. Ed. Mundi. Buenos Aires (Argentina)
Langlade, M.: Cefalometrie Orthodontique.
Maloine S.A. Editeur. París, 1978
Langlade, M.: Diagnostic Orthodontique.
Maloine S.A. Editeur. París, 1981
Luder, H. V.: Effects of activator treatment -
Evidence for the occurrence of two different types
of reaction. Eur. J. Orthod. 3:205, 1981
Lundstrons, F., Lundstrons, A.: Natural head posi-
tions as a basis for cephalometric analysis. Am. J.
Orthos Dentofacial Orthop 101:244-247,1992
McNamara, J. A.: Functional determinants of cra-
niofacial size and shape. Eur. J. Orthodontics.
2:131, 1980
McNamara, J. A.: Components of Class II malo-
clussion in children, 8-10 years of age. Angle
Orthod. 51:177-202, 1981
McNamara, J. A.: A method of cephalometric eva-
286
luation. Am. J. Orthod. Vol. 86 N° 6. p.p. 449-468.
Dec. 1984
McNamara J, Brudon WL Orthodontic Treatment
in the Mixed Dentition Ann Arbor, MI: Needham
Press, 1993.
Ricketts, R. M.:New perspectives on orientation and
their benefit to clinical orthodontics. Part I and II.
Angle Orthod. 45:238,248,1975. 46:26,36,1976
Ricketts, R. M.: Perspectives in the clinical appli-
cation of cephalometrics. Angle Orthod. 57:115-
150,1981
Ricketts, R. M., Roth, R. M., et al: Orthodontic
diagnosis and treatment planning. Rocky
Mountain Data System
Ricketts, R. M.: A cephalometric syntesis. Am. J.
Orthod. 46:647,673, 1960
Ricketts, R. M.: A foundation for cephalometric
communication. Am. J. Orthod. 46:330,357. May
1960
Ricketts, R. M.: The influence of Orthodontic tre-
atment on facial growth and development. Angle
Orthodont. 30:103,133, 1960
Ricketts, RM Cephalometric analysis and synthe-
sis Angle Orthod 1961; 31: 141-156
Ricketts, R. M.: Esthetics, environment and the
law of lip relation. Am. J. Orthod. 54,4:272,289.
April 1968
Ricketts, R. M.: The evolution of diagnosis to
computerized cephalometrics. Am. J. Orthod.
55,6: 795,803. June 1969
Ricketts, R. M.: Analysis - The Interim. The
Angle Orthod. Vol. 40 N° 2. April 1970
Ricketts, R. M.: The valué of cephalometrics and
computerized technology. Angle Orthod. 42,3:
179,199. July 1972
Ricketts, R. M.: Perspectives in the clinical appli-
cation of cephalometrics. (The first fifty years)
Angle Orthod. Vol. 51 N° 2. April 1981
Ricketts, R. M., et al: Técnica Bioprogresiva.
Panamericana. Buenos Aires (Argentina), 1983
Steiner, C. C: Cephalometrics for you and me.
Am. J. Orthod. 39:729-755, 1953
Steiner, C.C.: Cephalometrics in clinical practice.
Angle Orthod. 29:8-29,1959
Steiner, C. C.: The use of cephalometrics as an aid
to planning and assessing Orthodontic treatment.
Am. J. Orthod. 46: 721-735,1960
Tweed, C. H 1954 Frankfort mandibular incisor
angles in diagnosis:treatment planning and prog-
nosis. Angle Orthodontist 24:121-169
Steele, C. N., Fairchild, R. C., Ricketts, R. M.:
Forum on the tonsil and adenoid problem in ort-
hodontics. Am. J. Orthod. 54:485-514. 1968
Sutton, P. R. N.: Lateral facial asymetry methods
of assessment. Angle Orthodont. 38:82,92. 1968
Thurow, R. C.: Atlas de Principios Ortodóncicos.
Intermédica. Buenos Aires (Argentina).
SECCIÓN
INTERPRETACIÓN CEFALOMETRICA
Biotipo facial
Interpretación de la cefalometría lateral
C A P Í T U L O 12
Biotipo facial
INTRODUCCIÓN
En esta sección nos referiremos al manejo de los
diferentes métodos cefalométricos utilizados para
el diagnóstico de las anomalíasy la planificación de
su tratamiento. La tendencia actual de la ortodon-
cia apunta a un concepto integrador de la estética
facial con los métodos tradicionales de diagnóstico.
Por ello cada uno de los temas de cefalometría den-
toesqueletal desarrollados en esta sección estará
relacionado con otros referidos al examen clínicoy
cefalométrico de los tejidos blandos.
La relación entre el problema dentoalveolar y
las consecuencias estéticas del mismo no es siem-
pre constante, sin embargo, en la mayoría de los
casos existe cierto grado de correlación. El hecho
de que en algunos pacientes no existe esa correla-
ción, nos obliga a considerar siempre aquellos fac-
tores intrínsecos de los tejidos blandos y posturales
craneocervicales que tienen incidencia en esta dis-
paridad.
En esta sección de interpretación cefalométrica
se incluyen dos capítulos.
1- Biotipo facial
2- Interpretación de los datos de la cefalometría
laeral
BIOTIPO FACIAL
Es el primer dato a obtener a partir del cefalo-
grama básico.
Es de suma importancia para el estudio de
pacientes en crecimiento porque a partir de su
determinación podremos adaptar la planificación
acorde a las características faciales que tendrá el
paciente una vez expresado el crecimiento. Ade-
más, señala conductas mecánicas a seguir y alerta
sobre la utilización de procedimientos que resulta-
rán inadecuados para cada patrón, en pacientes con
o sin crecimiento. En resumen, sugiere una direc-
ción inicial para la planificación. Pensamos que en
el pasado, el desconocimiento de la biotipología era
una importante fuente de errores en la planifica-
ción del tratamiento ortodóncico.
Existen tres patrones faciales:
• Dolicofacial (dirección de crecimiento verti-
cal)
• Mesofacial (crecimiento promedio)
• Braquifacial (crecimiento horizontal)
Es necesario identificarlos correctamente para
planificar el tratamiento de los problemas existen-
tes y hacer el pronóstico de los resultados.
Si bien diferentes anomalías pueden asentar en
un mismo biotipo facial, ciertas maloclusiones
están asociadas con biotipos específicos, o dicho de
otra manera, se presentan con mayor frecuencia en
un determinado patrón facial.
Lo importante es tener en cuenta que la res-
puesta a la mecánica de tratamiento está indisolu-
blemente ligada a la tipología del paciente.
Patrón dolicofacial
En estos pacientes la cara es larga y estrecha , el
perfil convexo y generalmente el tercio inferior de
la cara está aumentado. La posición del mentón
está retruída, con un acortamiento de la distancia
cérvico-mentoniana. Poseen musculatura débil,
ángulo del plano mandibular muy inclinado con
una tendencia a la mordida abierta anterior, debido
a la dirección de crecimiento vertical de la mandí-
bula (Fig. 12.1).
Este patrón suele estar asociado con maloclu-
siones de Clase II División 1.
289
290 Interpretación cefalométrica
I
Fig. 12.1: Paciente dolicofacial con tendencia al aumentodel tercio inferior de la cara y a una posición retruída del men-
tón. En boca se observa una anomalía de mordida abierta.
El pronóstico frecuentemente es desfavorable
porque las características mencionadas pueden
causar dificultades durante el tratamiento.
Los labios generalmente están tensos debido al
exceso en la altura facial inferior y a la protrusión
de los dientes anterosuperiores. Además, la confi-
guración estrecha de las cavidades nasales hace
propensos a estos pacientes a la respiración bucal.
Ésto, en pacientes en crecimiento, produce un
agravamiento notable del patrón facial.
En este biotipo, la tendencia vertical del creci-
miento del mentón, no favorece un avance de la
sínfisis y el mejoramiento de la convexidad por cre-
cimiento diferencialcon respecto a la base craneal.
Patrón mesofacial
En este biotipo la cara suele tener proporciona-
dos sus diámetros vertical y transverso, con maxila-
res y arcadas dentarias de configuraciónsimilar. La
anomalía asociada con este patrón es la Clase I, con
una relación maxilomandibular normal y perfil
blando armónico (Fig. 12.2).
El crecimiento se realiza con una dirección
hacia abajo y hacia adelante (eje facial alrededor
de 90°). Además, la musculatura tiene característi-
cas más favorables que el biotipo anteriormente
mencionado, por lo que el pronóstico para el trata-
miento es favorable.
Biotipo facial 291
Fig. 12.2: Paciente mesofacial con una anomalía dentaria de Clase I con relaciones intermaxilaresnormales.
Patrón braquifacial
Corresponde a caras cortas y anchas con mandí-
bula fuerte y cuadrada. Las arcadas dentarias son
amplias en comparación con las ovoides de los meso
y las triangulares y estrechas de los dolicofaciales.
Este patrón es característico de las anomalías de
Clase II División 2 con sobremordida profunda y
generalmente de origen esqueletal (Fig. 12.3).
El vector de crecimiento se dirige más hacia ade-
lante que hacia abajo. Por esta razón, los pacientes
en crecimiento con patrones braquifaciales cuya
anomalía consiste en una biprotrusión leve y sin
apiñamientos, frecuentemente evolucionan hacia la
autocorrección. Además, la mayoría de las oclusio-
nes ideales sin tratamiento que se hallan en la
población, exhiben tendencias braquifaciales como
consecuencia de que el patrón muscular es muy
favorable al normal desarrollo de las arcadas den-
tarias.
Determinación del biotipo facial
(obtención del Vert)
En algunos pacientes, las características biotipo-
lógicas son muy marcadas pudiendo detectarse su
patrón ya desde el examen clínico. En estos casos,
todas o casi todas las medidas están desviadas hacia
el biotipo correspondiente.
292 Interpretación cefalométrica
Fig. 12.3: Paciente braquifacialcon tendencia a la disminución del tercio inferior de la cara y una posición avanzada del
mentón. Presenta una anomalía de Clase II con mordida profunda.
Sin embargo, otros pacientes no evidencian con
tanta claridad su patrón, y podemos observar en sus
medidas cefalómetricas desviaciones en distintas
direcciones que nos crean ciertas dudas sobre la
naturaleza de su biotipo.
En ambas situaciones, es decir, con medidas más
definidas o menos definidas, resulta útil obtener un
índice denominado VERT, que nos define no sólo
el patrón facial del paciente, sino que también lo
clasifica por el grado de severidad dentro del bioti-
po correspondiente.
Se procede de la siguiente manera:
1. Se observan las primeras cinco medidas del
cefalograma resumido:
Eje facial
Profundidad facial
Ángulo del plano mandibular
Altura facial inferior
Arco mandibular
2. Para cada una de ellas calculamos la desvia-
ción a partir de la norma.
3.Las desviaciones hacia patrón dolico llevan
signo negativo (-), y las desviaciones en sentido
braqui, positivo (+). Las que se mantienen en la
norma (0).
4. Se promedian las cinco desviaciones con su
correspondiente signo.
Biotipo facial 293
••2
Fig. 12.4: Comparación cefalométrica de los pacientesde las figuras 12.1, 12.2 y 12.3. Se manifiestan las diferencias
estructurales en las medidas esqueletales que determinan el biotipo facial.
Ricketts llama VERT a este coeficiente de
variación. Si el VERT es negativo el paciente es
dolicofacial y cuanto más alto el valor negativo más
dolicofacial será el paciente. Del mismo modo, un
número positivo indica un paciente braquifacial y
cuanto mayor sea ese número positivo indicará un
patrón más severo.
Ricketts ha elaborado una tabla para laidentifi-
cación biotipológica del paciente de acuerdo al
resultado del VERT.
Veamos a continuación un ejemplo (Cuadro
12.6):
1. En la primera columna están enumerados los
cinco factores necesarios para la obtención del
VERT.
2. En la segunda, las normas. En la tercera la
desviación estándar para cada una de ellas. En la
cuarta columna se colocan las medidas del pacien-
te.
3. En la quinta columna se opera del modo
siguiente:
• Comparar la medida del paciente con la
norma y colocar:
a) cuando la medida está desviada hacia
dolico: signo negativo (-),
b) hacia braqui: signo positivo (+),
c) en la norma: cero (0).
• Calcular la diferencia entre la norma y la
medida del paciente, a esta cifra la acompaña el
signo correspondiente.
DOLICO
SEVERO
-2
DOLICO
-1
DOLICO
SUAVE
-0,5
MESO
0
BRAQUI
+0,5
BRAQUI
SEVERO
+ 1
Cuadro 12.5: Tabla de Ricketts. Es una guía útil para la interpretación del VERT.
294 Interpretación cefalométrica
FACTORES
Eje facial
Profundidad facial
Ángulo del plano mandibular
Altura facial inferior
Arco mandibular
NORMA
90°
87°
26°
47°
26°
DESV.
EST.
±3°
±3°
±4°
±4°
±4°
MEDIDA
PAC.
90°
83°
25°
43°
35°
DIFERENCIA
DESV. EST.
0 + 3
-4 +3
+ 1 +4
+ 4 - 4
+ 9 - 4
DESV.
PAC.
0
-1,3
+ 0,2
+ 1
+ 2,2
SUMA ALGEBRAICA: + 2,1 * 5 = + 0,4 BRAQUI
Cuadro 12.6
MEDIDA
Eje facial
Profundidad facial
Ángulo del plano mandibular
Altura facial inferior
Arco mandibular
NORMA A
LOS 9 AÑOS
90°
87°
26°
47°
26°
AJUSTE
EDAD
no varía
+0,3° x año
-0,3° x año
no varía
+0,5° x año
NORMA A
LOS 14 AÑOS
90°
88,5°
24,5°
47°
28,5°
Cuadro 12.7
FACTORES
Eje facial
Profundidad facial
Ángulo del plano mandibular
Altura facial inferior
Arco mandibular
NORMA
INDIV.
90°
88,5°
24,5°
47°
28,5°
DESV.
EST.
+ 3°
±3°
±4°
±4°
±4°
MEDIDA
PAC.
90°
83°
25°
43°
35°
DIFERENCIA
DESV. EST.
0 + 3
-5,5 + 3
+ 0,5-4
+ 4 + 4
+ 6,5 + 4
DESV.
PAC.
0
- 1,8
+ 0,1
+ 1
+ 1,6
SUMA ALGEBRAICA: + 0,7 •*• 5 = + 0,1 MESO
Cuadro 12.8
Observación:
Con el crecimiento, las normas tienden a ser más braquifaciales, por lo que el mismo paciente relacionado a esas nor-
mas individualizadas tiene un VERT menos braqui que con el cálculo anterior (normas para 9 años).
Biotipo facial 295
• Dividir esta cifra por la desviación estándar
de la medida analizada.
4. En la sexta columna se coloca el resultado de
la división, conservando siempre el mismo signo
(Cuadro 12.6).
5. Por último, se realiza la suma algebraica de
los valores obtenidos y se obtiene el promedio divi-
diendo por 5 (cinco) que es el número de factores
estudiados. Este resultado es el VERT del pacien-
te y se compara con las cifras dadas por Ricketts
(Cuadro 12.5).
Este cálculo del VERT se puede hacer con la
norma para los 9 años, o si se quiere mayor exacti-
tud se individualizan las normas para la edad del
paciente. Esto se realiza con aquellas medidas del
biotipo que cambian con el crecimiento por lo que
las normas sufren pequeñas variantes. Recordemos
que:
• La profundidad facial aumenta 0,3° por año;
• El ángulo del plano mandibular disminuye
0,3° por año;
• El arco mandibular aumenta 0,5° por año.
El eje facial y la altura facial inferior son medi-
das gnómicas por lo que sus normas no varían con
el crecimiento.
Si el paciente del ejemplo anterior tuviese 14
años, es decir, 5 años más que la edad de las normas
consideradas (normas para 9 años) la modificación
consistiría en lo siguiente: ver cuadro 12.7.
En el ejemplo anterior el VERT fue +0,4.
Calculando el VERT con las normas modifica-
das por la edad, el resultado será +0,1 (Cuadro
12.8)
La tabla para obtener el VERT con ajuste por
edad del paciente contiene las normas individuali-
zadas año a año. En las mujeres, éstas variarán
hasta los 14 años y en los varones hasta los 16 años,
edad en que se considera prácticamente finalizado
el crecimiento (Cuadro 12.9).
Edad
Eje facial
Profundidad facial (áng. facial)
Ángulo plano mandibular
Altura facial inferior
Arco mandibular
Normas individualizadas para cada edad
9
90°
87°
26°
47°
26°
10
90°
87,3°
25,7"
47°
26,5°
11
90°
87,6°
25,4°
47°
27°
12
90°
87,9°
25,1°
47°
27,5°
13
90°
88,2°
24,8°
47°
28°
14
90°
88,5°
24,5°
47°
28,5°
VARONES Y MUJERES
15
90°
88,8°
24,2°
47°
29°
16
90°
89,1°
23,9°
47°
29,5°
VARONES
Cuadro 12.9: Tabla con las normas de los factores del VERT ajustadas con la edad.
C A P I T U L O 13
Interpretación de la cefalometría lateral
Estudio esqueletal de los maxilares:
Cuando el paciente presenta problemas esque-
letales sagitales y/o verticales, será necesario com-
plementar la cefalometría dentoesqueletal con una
evaluación estética más completa, que incluya el
cefalograma de tejidos blandos.
La repercusión de un problema esqueletal sagi-
tal, por ejemplo una clase II, variará según la etio-
logía del mismo. Yendo a casos extremos, la signi-
ficación en el perfil será muy distinta si se debe a
que el maxilar está protruido, o es la mandíbula la
que está retruida (Fig. 13.1).
Es importante aclarar que no existe una relación
constante entre anomalía esqueletal o posiciones
óseas, y anomalías o posiciones de los tejidos cutá-
neos. Estas últimas estarán sustentadas no sólo por
el componente esqueletal subyacente, sino que par-
ticipan otros factores, como son el espesor de los
tejidos blandos, el tono muscular, la postura del
paciente, etc.
La anomalía esqueletal pone en evidencia la
necesidad de evaluar la estética mediante la cefalo-
metría de tejidos blandos.
Estos pacientes podrán tener generalmente dos
alternativas de tratamiento:
Una es el tratamiento ortodóncico-quirúrgico,y la
otra es el tratamiento de compensación o camuflaje.
Para ambas alternativas es imprescindible el es-
tudio de la estética facial.
En el tratamiento ortodóncico quirúrgico,direc-
cionará las modificaciones esqueléticas necesarias
buscando lograr un balance óptimo de los tejidos
blandos.
El tratamiento de compensación es mucho más
limitado en cuanto a las posibilidades de mejorar la
estética; los movimientos dentarios que se planifi-
can obedecen más a posibilidades biológicas que a
requerimientos estéticos.
Sin embargo, en la evaluación de la alternativa de
los tratamientos de compensación el cefalograma de
tejidos blandos es un elemento que permite hacer un
planteo real de las posibilidadesdel tratamiento, seña-
lando en muchos casos los objetivos o necesidades
estéticas que no podrán ser satisfechaspor esta vía.
En todos los pacientes con discrepancias bása-
les se indica el cefalograma vertical y sagital de los
tejidos blandos. A partir de su integración en el
Fig. 13.1: Perfiles de clase II. A: Clase II por retrusión mandibular. B: Clase II por protrusión maxilar.
297
298 Interpretación cefalométríca
diagnóstico se podrán determinar y dimensionar las
consecuencias estéticas del problema esqueletal; y
será un elemento decisivo para determinar la vía
terapéutica.
Problema esqueletal de los maxilares
Se estudia
a) En sentido sagital (Fig.13.2)
1- Convexidad
2- Profundidad maxilar
3- Profundidad facial
Factores estéticos asociados:
4- Vertical de Gl
5- Ángulo nasolabial inferior
6- Vertical de Sn
7- Relación cervical- facial inferior
Esta correlación planteada entre problema es-
queletal sagital- repercusión estética es válida para
los casos donde el plano de Frankfort no presenta
una diferencia apreciable con la Horizontal Verda-
dera (ver capítulo 1, pág 21).
Fig. 13.2.
b) En sentido vertical (Fig.13.3)
1- Altura facial inferior
Factores estéticos asociados:
2- Análisis vertical del perfil
Fig. 13.3.
Interpretación de la cefalometría lateral 299
En sentido sagital
Convexidad
El estudio esqueletal debe comenzar por la me-
dida de la convexidad que describe la relación in-
termaxilar en sentido sagital.
Cuando su valor es cercano a la norma (+2 mm
con una DS de ± 2) esta relación está equilibrada.
Cuando escapa a la desviación estándar, es de-
cir, es mayor de +4 mm o menor de O, nos indicará
un patrón de Clase II o III respectivamente.
Un valor alterado de la convexidad señala la
existencia de un problema esqueletal pero no defi-
ne la causa que lo provoca. Ésta debe buscarse ana-
lizando la profundidad facial y la profundidad ma-
xilar, medidas que describen la posición sagital de
cada uno de los maxilares.
Si analizamos separadamente estas dos medi-
das, podemos encontrarnos con una serie de alter-
nativas:
1. Convexidad aumentada
Debido a: (Fig. 13.4)
• Profundidad facial disminuida acompañada
de una profundidad maxilar:
a) normal
b) aumentada
c) disminuida, pero en menor grado que la
profundidad facial.
Esta última variante del patrón esqueletal de
Clase II corresponde a las llamadas birretrusiones y
es frecuente en las anomalías de Clase II División
1. A pesar del aumento de la convexidad ambos
maxilares están retruidos con respecto a la base de
cráneo.
• Profundidad facial normal con profundidad
maxilar aumentada
Esto suele observarse como secuela del hábito
de succión del pulgar.
2. Convexidad disminuida
La disminución de la medida de la convexidad
(patrón esqueletal de Clase III), puede deberse a
distintas causas: (Fig. 13.5)
• Profundidad facial aumentada acompañada
de una profundidad maxilar:
B
Fig. 13.4: Clase II esqueletal (convexidad aumentada). Diferentes variantes: A, B y C: Profundidad facial disminuida, con
profundidad maxilar normal (A), aumentada (B) o disminuida (C). D: Profundidadfacial normal y profundidad facial aumen-
tada
300 Interpretación cefalométrica
A , B . C
or^. 13.5:Clase III esqueletal (convexidad disminuida). Diferentes variantes: A, B y C: Profundidad facial a
profundidad maxilar normal (A), disminuida (B) o aumentada (C). D: Profundidad facial normal y profundidad maxilar dis-
minuida.
Fig. 13.6: Un patrón esqueletal de Clase I (convexidad normal) puede presentar: A: Ambos maxilares en la norma. B:
Birretrusión. C: Biprotrusión.
Interpretación de la cefalometría lateral 301
a) normal
b) disminuida
c) excepcionalmente podrá estar aumentada,
pero en menor grado que la profundidad facial.
• Profundidad facial normal con profundidad
maxilar disminuida
3. Convexidad normal (Fig. 13.6)
Indica que los maxilares están en normoposi-
ción (profundidad facial y maxilar normales), o que
ambos están alterados en igual proporción por lo
que conservan una relación armónica entre ambos,
como puede suceder en una biprotrusión o en una
birretrusión esqueletal.
Profundidad maxilar
Es una medida imprescindible para el estudio de la
convexidad, como ya fue visto en el punto anterior.
El aumento de esta medida se asocia general-
mente a factores funcionales que provocan el estí-
mulo del crecimiento de la premaxila,como succión
digital, labial, persistencia del uso del chupete, etc.
La disminución está ligada a patrones de Clase III.
Profundidad facial
Se analiza conjuntamente con la anterior para el
diagnóstico de la convexidad.
Define la posición sagital del pogonion. Una
disminución o aumento de la profundidad facial in-
dica sólo una posición retruida o avanzada del
mentón, pero no nos aclara el porqué de esa situa-
ción. El diagnóstico diferencial debe considerar
factores que pueden dividirse en mandibulares y
craneales.
• Factores Mandibulares: (Fig. 13.7)
Tamaño mandibular
Implantación sagital de la mandíbula
Altura facial inferior
• Craneales:
Base craneal anterior
Analizaremos la forma de realizar el diagnósti-
co diferencial, considerando una disminución de la
profundidad facial.
Factores mandibulares
Se deberán considerar:
1. Tamaño mandibular
Para determinar con exactitud el tamaño man-
dibular del caso debemos recurrir a dos medidas
del cefalograma completo de Ricketts.
• Longitud del cuerpo mandibular (factor 32
del campo VI - estructural interno)
• Altura facial posterior (factor 28 - campo VI-
estructural interno)
Fig. 13.7: Profundidad facial: ante una medida alterada, el
diagnóstico diferencial debe incluir los siguientes aspec-
tos: a) Tamaño mandibular, b) Implantación sagital de la
mandíbula, c) Altura facial inferior.
302 Interpretación cefalométrica
Cuando una o ambas medidas están disminuidas
se puede inferir que el desarrollo mandibular es
escaso, siendo éste el causante de la posición retrui-
da de la sínfisis.
Como análisis complementario pueden utilizar-
se dos medidas del análisis de Bjórk-Jarabak:
• Longitud del cuerpo mandibular y su relación
con la base craneal horizontal.
La norma para esta proporción es 1 a 1.
• Altura de la rama
Se evalúa no sólo la medida en milímetros de la
altura de la rama sino su proporción con respec-
to a la base craneal posterior (base craneal pos-
terior 3 - altura de la rama 4).
2. Implantación sagital de la mandíbula
Una mandíbula de tamaño normal, puede alcan-
zar una mayor o menor proyección anterior, según
su lugar de implantación en la base del cráneo.
Algunas medidas cefalométricas permiten eva-
luar la posición de las cavidades glenoideas en sen-
tido sagital:
• Deflexión craneal (factor 26 - campo VI-
estructural interno)
• Localización del porion (factor 30 - campo VI
• estructural interno)
Una disminución en el ángulo de la deflexión
craneal o un aumento de la distancia Po-PTV indi-
can una posición distal de la mandíbula.
Se puede hacer un estudio complementario ana-
lizando el ángulo de la silla del polígono de Bjórk-
Jarabak.
Un ángulo de mayor medida que la norma indi-
ca una ubicación retruida de la fosa glenoidea.
3. Altura facial inferior
Una alteración en la altura facial inferior, tendrá
incidencia en la localización sagital del pogonion.
Puede decirse que por cada grado de aumento
en la altura facial inferior, la sínfisis retrocede apro-
ximadamente 1 mm. Lo inverso sucede con la dis-
minución.
El aumento de la altura facial inferior puede
atribuirse a:
Fig. 13.8: Aumento de la altura facial inferior causada por
una mandíbula de ángulo goníaco aumentado.
Fig. 13.9: Aumento de la altura facial inferior causada por
una mandíbula rotada distalmente.
Interpretación de la cefalometría lateral 303
a) Forma mandibular: (Fig. 13.8)
Un arco mandibular disminuido indica una mor-
fología mandibular con ángulo goníaco obtuso. Co-
mo consecuencia de esta forma el ángulo del plano
mandibular generalmente está aumentado.
b) Rotación distal de la mandíbula: (Fig. 13.9)
Cuando una mandíbula tiene un arco mandibu-
lar dentro de la norma pero el ángulo del plano
mandibular está aumentado, estamos en presencia
de una mandíbula ubicada en rotación distal.
En los patrones esqueletales de Clase II dolico-
faciales, las dos características antes mencionadas:
forma obtusa y rotación distal suelen encontrarse
asociadas.
Nos hemos referido solamente a la disminución
de la profundidad facial, pero en el aumento de
esta medida también inciden los mismos factores.
Factores Craneales
• Base craneal anterior
Si bien estadísticamente se ha comprobado que
es una estructura prácticamente inalterable en
pacientes normales, ligeros cambios dimensionales
pueden tener influencia en el patrón esqueletal. Al
determinar la posición sagital del nasion, influye en
la medida de la convexidad facial.
Un aumento de la longitud de la base craneal
anterior (medida 27 - campo VI estructural inter-
no) puede indicar un aumento del crecimiento sagi-
tal del tercio medio de la cara, acompañando a un
patrón esqueletal de Clase II (Fig. 13.10 A).
Por el contrario, una medida más corta expresa-
ría un hipodesarrollo del tercio medio y puede aso-
ciarse a un patrón de Clase III (Fig. 13.10 B).
B
Fig. 13.10: A: Patrón esqueletal de Clase II con una base craneal anterior larga. B: Paciente de Clase III esqueletal, con
hipodesarrollo del maxilar superior asociado con una base craneal anterior disminuida.
304 Interpretación cefalométrica
Factores estéticos asociados
Vertical de Gl
El perfil blando refleja en su contorno total las
alteraciones de la convexidad. Así, encontramos
contornos faciales convexos, rectos o cóncavos.
La relación de los puntos Sn y PoC con respec-
to a la vertical de Gl describe este contorno. Las
normas, son:
Vert. Gl - Sn : 6mm -+ 3 mm
Vert. Gl - PoC: Omm +- 4 mm.
En los casos de convexidad esqueletal aumenta-
da el Po C se ubica generalmente por detrás de la
norma, con un Sn dentro de valores normales o a-
delantado. Un perfil convexo puede también tener
una normoposición del PoC, en asociación con un
Sn avanzado. (Fig. 13.11)
A la inversa, los casos de convexidad disminui-
da presentan el punto Sn en una ubicación normal
o retruida, y la posición del PoC avanzada.
La glabela es una estructura que puede presen-
tar variaciones en su proyección, dependiendo de la
anatomía del hueso frontal y del desarrollo de la
base craneal anterior. Esa proyección suele estar
disminuida, lo que determina una posición poste-
rior de la línea vertical que se traza tangente a ella,
con la consiguiente distorsión de las medidas que se
toman en relación a esta línea. En estos casos, con-
siderar las desviaciones que presentan las medidas
de Sn y PoC entre sí nos brindará una información
útil.
Ángulo nasolabial inferior
Si bien el ángulo nasolabial inferior está influen-
ciado primordialmente por la inclinación del incisi-
vo superior, los pacientes con convexidad aumenta-
da debido a una mayor proyección sagital del
maxilar presentan generalmente un ángulo nasola-
bial inferior disminuido (Fig. 13.12).
Sin embargo, estadísticamente el aumento de la
convexidad se debe más a un déficit en la profundi-
dad facial, estando la profundidad maxilar normal
o también disminuida (clase II con birretrusión de
los maxilares).En estos casos, es frecuente encon-
trar una angulación normal del ángulo nasolabial
inferior (Fig. 13.13).
Gl Gl
Poc
Poc
Fig. 13.11: Vertical de glabela. A: Valores normales. B: En un caso de clase II. C: En un caso de clase
Interpretación de la cefalometría lateral 305
B
Fig. 13.12: A: Ángulo nasolabial inferior cerrado en una paciente con incisivos superiores protruidos. La retrusión de los
incisivos abrirá el ángulo, llevándolo a valores más cercanos a la norma de 85°. B: El aumento de la medida del labio
superior a la vertical de Sn tiene la misma interpretación.
En ellos, la compensación ortodóncica tiene co-
mo objetivo la reducción del overjet a través de la
retrusión de los incisivos superiores. Esta maniobra
provocará el retroceso del labio superior creando
un efecto negativo en la estética del perfil por la
apertura del ángulo nasolabial inferior, como se
observa en el paciente de la figura 13.13. Esta situa-
ción se agrava cuando el labio superior es delgado.
En los casos de clase III, la repercusión del hipo-
desarrollo del maxilar superior en la medida del
ángulo nasolabial inferior dependerá de las carac-
terísticas anatómicas y posturales del labio supe-
rior. Si el labio es de buen espesor, o si se encuen-
tra evertido por el déficit de desarrollo del maxilar,
se enmascara el problema sagital esqueletal.
Este camuflaje del labio desaparece si observa-
mos el perfil del paciente en sonrisa, donde la incli-
nación del filtrum hacia atrás es un signo clínico
que pone de manifiesto la retrusión del maxilar.
En los casos de clase III donde la etiología del
problema sagital es exclusivamente mandibular, las
características del ángulo nasolabial en reposo y en
sonrisa no están alteradas.
Vertical de Sn
Las observaciones realizadas en el ángulo naso-
labial referidas a la posición del labio superior son
válidas y deberán tenerse en cuenta también al eva-
luar la posición de dicho labio con respecto a la ver-
tical de Sn (Fig. 13.12).
La medida del PoC a la vertical de Sn está
aumentada en los pacientes de Clase II, y está dis-
minuida o es positiva , en las Clases III.
Relación cervical-facial inferior
La profundidad facial indica la posición sagital
del pogonion óseo, siendo una de las variables de la
proporción de la relación cervical-facial inferior.
Una posición retruida del pogonion (Clase II)
tiende a aumentar el valor, mientras que un avance
del mentón se traduce en una disminución en la
proporción.
No siempre una posición sagital alterada del po-
gonion óseo tiene una influencia directa en la estéti-
ca del perfil. Ello se debe a la variabilidad del volu-
306 Interpretación cefalométrica
Fig. 13.13: Comparación de dos pacientes con Clase II esqueletal, de similares características en la anomalía dentaria
(Clase II , con overjet aumentado y sobremordida), pero con diferente posición sagital de los maxilares. El paciente de la
izquierda presenta una birretrusión esqueletal, la paciente de la derecha tiene una protrusión del maxilar y mandíbula en
normoposición. En la estética del perfil, ambas anomalías se expresan de diferente manera.
Interpretación de la cefalometrla lateral 307
Fig. 13.14: El tratamiento ortodóncico realizó en ambos la retrusión de los incisivos, abriendo el ángulo nasolabial inferior.
Este efecto fue crítico en el primer paciente, y tolerado por la segunda, que presentaba antes del tratamiento una posi-
ción sagital del labio más favorable. Además, la posición sagital del mentón, que no se modifica en ninguno de los dos por
ser un tratamiento ortodóncico, ejerce una marcada influencia en la estética final del caso.
308 Interpretación cefalométrica
men de los tejidos blandos de la sínfisis, que pueden
enmascarar o potenciar el problema esqueletal.
Esta situación es válida también para aquellas
medidas estéticas que describen la posición sagital
de los tejidos blandos del mentón (Vert. de Gl y
Vert. de Sn).
En sentido vertical
Altura facial inferior
En el estudio de la profundidad facial nos he-
mos referido a la incidencia que tiene la variación
de la altura facial inferior en el problema sagital del
paciente.
En cuanto a la descripción esqueletal en sentido
vertical, hablaremos de dos patrones:
• Patrón esqueletal de mordida abierta
• Patrón esqueletal de sobremordida profunda.
Patrón esqueletal de mordida abierta
Es el que presenta un aumento de la altura fa-
cial inferior. Este aumento puede obedecer a cau-
sas maxilares o mandibulares.
Causas maxilares. Se deberán observar:
(Figs 13.15 y 13.18)
• Altura maxilar
• Plano palatino
Cuando la altura maxilar esté disminuida o el
plano palatino presente una inclinación hacia arri-
ba y adelante, el aumento de la altura facial inferior
obedecerá a una causa maxilar.
Causas mandibulares. Este patrón esqueletal de
mordida abierta será atribuible a la mandíbula
cuando: (Figs 13.16 y 13.17)
• El ángulo del plano mandibular esté aumen-
tado. El plano mandibular está muy inclinado,
debido a la forma (mandíbula obtusa) o posi-
ción (implantación en posterorrotación)
Fig. 13.15:Aumento de la altura facial inferior debido al
maxilar.
Fig. 13.16: Aumento de la altura facial inferior de origen
mandibular.
Interpretación de la cefalometría lateral 309
Fig. 13.17: Paciente con tercio inferior aumentado. En la cefalometría se observa una altura facial inferior aumentada,
por un exceso vertical del maxilar y una forma obtusa de la mandíbula, que se expresa por un arco mandibular dismi-
nuido y un ángulo de plano mandibular aumentado.
Fig. 13.18: Paciente con tercio inferior aumentado en relación al tercio medio de la cara. La altura maxilar está disminui-
da, generando un aumento de la altura facial inferior. En la estética de la cara, se observa una nariz corta que tiene rela-
ción con la altura maxilar escasa.
310 Interpretación cefalométrica
• El arco mandibular esté disminuido. Esto re-
vela una forma obtusa del ángulo goníaco.
A veces en un mismo caso, el aumento de la
altura facial inferior puede deberse a la combina-
ción de factores maxilares y mandibulares. Gene-
ralmente este patrón esqueletal de mordida abierta
se observa en pacientes dolicofaciales y se asocia
también a una mordida abierta dentaria. En estos
casos debe hacerse un diagnóstico diferencial con
aquellas de origen funcional, en los que la anoma-
lía asienta solamente en la porción dentoalveolar.
Sin embargo este aumento de la altura facial in-
ferior en algunos casos se acompaña de un overbi-
te normal, presentando entonces un excesovertical
del maxilar superior en la parte anterior.
Un exceso vertical del mentón no podrá ser eva-
luado claramente a través de la altura facial infe-
rior, dado que ésta toma como referencia el punto
Pm, dejando de lado la estructura que está por
debajo de él, es decir, la basal de la sínfisis, que
interviene en la alteración.
Patrón esqueletal de sobremordida profunda
(Fig. 13.20).
Se definen así, aquellos casos que tienen la altu-
ra facial inferior disminuida más allá de la desvia-
ción estándar.
Se caracterizan por un ángulo del plano mandi-
bular muy pequeño (tendencia al paralelismo con
el plano de Frankfort) y arco mandibular de valo-
res grandes que indican una configuración mandi-
bular más cuadrada y con una rotación en sentido
anterior. Generalmente se corresponde con patro-
nes braquifaciales.
Este patrón esqueletal se asocia generalmente a
una sobremordida dentaria, pero en casos de un dé-
ficit vertical del maxilar superior puede coexistir
con una relación de overbite normal.
Como en el caso del anterior, un escaso desarro-
llo vertical de la sínfisis, no podrá tener una reper-
cusión en la altura facial inferior muy evidente.
Factores estéticos asociados
Para el estudio vertical del tercio inferior de la
cara, el análisis cefalométrico vertical de los tejidos
blandos es más completo y preciso que el estudio
esqueletal. Esto se debe a varias razones:
1- Se basa en medidas lineales y no angulares
como la altura facial inferior de Ricketts. Esta últi-
ma, al ser angular, no interpreta con certeza el pro-
blema vertical del paciente porque no tiene en
cuenta la variable sagital. (Fig. 13.19)
Fig. 13.19: Una misma medida de altura facial inferior, al ser una medida angular, puede estar referida a distintas longi-
tudes del tercio inferior.
Interpretación de la cefalometría lateral 311
Fig. 13.20: Tercio inferior disminuido en una paciente con patrón esqueletal de sobremordida profunda.
Fig. 13.21: Tercio inferior aumentado en un paciente con patrón esqueletal de mordida abierta.
312 Interpretación cefalométríca
Por lo tanto, un mismo valor angular puede
corresponder a diferentes dimensiones verticales
según la longitud que tenga el ángulo que estamos
midiendo.
2- Integra la porción basal de la sínfisisy el espe-
sor de los tejidos blandos.
3-Las relaciones que describe dentro del tercio
inferior, como el estudio de los labios, del espacio
interlabial y de la relación labiodental vertical no
son contempladas en las medidas esqueletales y son
de mucha importancia en las planificaciones or-
todóncicas y ortodóncico-quirúrgicas.
La relación que se establece entre el aumento o
disminución de la altura facial inferior en la estéti-
ca del perfil debe buscarse en el aumento o la dis-
minución del tercio inferior.
Por lo general, el aumento de la altura facial
inferior se manifiesta también en un espacio inter-
labial aumentado, ya se trate de una mordida abier-
ta o de un exceso vertical del maxilar. En este últi-
mo caso, se observa también un aumento en la
exposición del incisivo superior.
En la disminución de la altura facial inferior, nor-
malmente el tercio inferior es menor que el tercio
medio de la cara, el espacio interlabial es de Omm,
pudiendo existir redundancia labial, y la exposición
de los incisivos superiores tiende a estar disminuida.
La altura del mentón óseo se expresa claramen-
te en el estudio vertical del perfil en la medida D,
es decir, St inf-Me C, y puede potenciar odisminuir
la expresión clínica de un aumento o disminución
de la altura facial inferior.
Problema dentoalveolar
Distancia A-B
Es la distancia medida en milímetros entre la
proyección perpendicular de los puntos A y B so-
bre el plano de Frankfort.
Define con claridad la relación sagital entre las
bases alveolares superior e inferior, que constituyen
el campo esqueletal del tratamiento ortodóncico.
La norma para esta medida es de 4mm con una
desviación de ± 2mm.
Puede ser equivalente al valor de la convexidad,
pero en pacientes con determinadas características
morfológicas del mentón o de la base craneal ante-
rior, la interpretación de ambas medidas es dispar.
Como ya hemos visto, esta última utiliza como
referencia al plano facial, que se apoya en estructu-
ras distantes del campo dentoalveolar (base crane-
al anterior y sínfisis).
Estas estructuras pueden sufrir variaciones posi-
cionales y/o morfológicas que afectan el valor de la
convexidad.
Por ejemplo:
Una base craneal corta, enmascara en la medida
de la convexidad la relación de clase III que existe
entre el maxilar y la mandíbula. Por el contrario,
una base craneal anterior larga tiende a magnificar
el problema de clase III en la medida de la conve-
xidad. (Fig. 13.23)
La forma de la sínfisis es otro factor que puede
ocasionar confusiones.Por ejemplo, un caso con un
pogonion muy prominente, que presenta un valor
normal de convexidad, puede ser portador de una
relación de clase II significativa a nivel de los pun-
tos A y B. (Fig.13.22)
Esta relación entre el punto A y B es la que des-
cribe el campo ortodóncico y nos revela la necesi-
dad de realizar o no compensaciones dentariaspara
solucionar un problema sagital.
Fig. 13.22: Convexidad normal, con distancia A-B aumen-
tada por una posición adelantada del Na y una marcada
forma de la sínfisis ósea.
Interpretación de la cefalometría lateral 313
O
B
Fig. 13.23: A: Paciente de Clase III con una convexidad de -2 mm, y una distancia A-B de -7 mm. B: Paciente de Clase
III, con una mayor convexidad negativa debido a la forma de la sínfisis y a una mayor longitud de base craneal, pero con
una distancia A-B de -1 mm.
Si bien un análisis superficial basado en el valor de la convexidad podría hacer pensar que el caso A es más favorable
para un tratamiento de compensación ortodóncica, la distancia A-B revela que, por el contrario es mucho menos factible
la compensación que en el caso B.
314 Interpretación cefalométrica
Problema dentario
Incisivo inferior a A-Po
Iniciamos el estudio del problema dentario, mi-
diendo la distancia lineal desde el borde incisal del
incisivo inferior hasta el plano A-Po.
Esta medida define la posición sagital de la arca-
da inferior con respecto al límite anterior de ambos
maxilares.
El valor obtenido determina cuántos milímetros
por delante o por detrás del plano A-Po está ubica-
da la arcada dentaria inferior. Relacionando esta
medida con la norma (que tiene un valor de +lmm)
se obtiene la discrepancia cefalométrica del caso,
dato fundamental para la planificación .
La posición del incisivo inferior en sentido ante-
roposterior es uno de los objetivos que se definen
con el proceso de planificación. Constituye la clave
de la estética labial, porque es la que dicta la posi-
ción sagital del incisivo superior, y éste es en defi-
nitiva el soporte de los labios. En el estudio inicial
del caso, deberán ser estudiadas y relacionadas la
posición sagital de los incisivos y la posición sagital
de los labios, evaluando la medida del labio inferior
al plano E, el ángulo nasolabial y el contacto labial.
Por lo tanto, la decisión sobre la posición ade-
cuada para el incisivo inferior no debe estar basada
solamente en parámetros cefalométricos, porque
no siempre la medida de +lmm resultará la más
adecuada para la estética de los labios y el perfil.
(Fig. 13.24)
Overjet o resalte incisivo
La medida del resalte es de muy fácil aprecia-
ción, ya que consiste en la distancia lineal entre el
borde incisal de ambos incisivos medida en forma
paralela al plano oclusal. La norma es de 2,5 mm.
Cuando se relacionan los incisivos inferiores con
sus homólogos superiores, se determina la natura-
leza del overjet, es decir, se define si un overjet
aumentado o disminuido se debe a una posición
incorrecta del incisivo inferior, del superior o de
ambos.
Partiendo de la norma de -i-lmm del 1 al A-Po,
se puede comprender en caso de alteración del
overjet, en qué medida es responsable cada uno de
los incisivos.
Observemos los ejemplos de la figura 12.25.
Los tres dibujos muestran un overjet anormal,
en este caso, aumentado.
Fig. 13.24: Pacientes con los incisivos en la norma cefalométrica con respecto al plano A-Po. En A, por lascaracterísti-
cas braquifaciales y del perfil se podría recurrir a una protrusión mayor. En B, al tratarse de un paciente dolicofacial, con
un perfil en el límite de la protrusión labial y con cierre labial forzado, está contraindicado un avance de los incisivos.
Interpretación de la cefalometría lateral 315
Fig. 13.25: Estudio del overjet. Casos A, B y C.
En A, el incisivo inferior está en una posición
normal, es decir, a +1 mm con respecto al plano A-
Po. En este caso la alteración del overjet debe ser
atribuida exclusivamente al incisivo superior.
B, nos muestra el caso contrario, el overjet
aumentado se debe a una posición retruida del inci-
sivo inferior.
En C existe una combinación de los dos anterio-
res, es decir, ambos incisivos son responsables del
aumento del resalte.
Inclinación del incisivo inferior.
Se evalúa mediante el ángulo que forma el eje
del incisivo con el plano mandibular. La norma es
de 90a +- 5°,cuando el ángulo está aumentado, con-
sideramos a ese incisivo proinclinado, y cuando es-
tá disminuido, retroinclinado
Esta medida es una guía a tener en cuenta al
planificar el avance o retroceso del grupo incisivo
inferior, movimientos que se pueden realizar sólo
en base a inclinación, dada la estrecha forma del
reborde alveolar inferior en esta zona y la proximi-
dad de las corticales vestibular y lingual con las raí-
ces dentarias. En la variación que provocará sobre
este ángulo la protrusión o la retrusión, se podrá
encontrar el límite a estos desplazamientos con la
finalidad de evitar llevarlos a posiciones deventa-
josas, en las que estarán sometidos a fuerzas oclu-
sales tangenciales.
Debemos tener en cuenta que en el movimien-
to del incisivo, 1 mm de movimiento hacia adelan-
te o hacia atrás modifica este ángulo en +2° y en
-2° respectivamente (Fig. 13.26).
Al estudiar el caso, relacionamos la posición sa-
gital del incisivo inferior con su inclinación.
Si el incisivo está protruido, es favorable encon-
trar aumentado este ángulo, porque la retrusión
que deberemos realizar favorecerá su normaliza-
ción.
Por el contrario, si el valor del ánguloes normal, el
movimiento de retrusión creará una retroinclinación.
Estas situaciones son frecuentes en pacientes
con discrepancias básales, donde se optará por la
posición más conveniente para el caso, sabiendo
que nunca podrá ser óptima en ambos sentidos, en
posición sagital e inclinación. Generalmente se pri-
vilegia la posición del 1 al A-Po por su relación con
el objetivo estético.
316 Interpretación cefalométrica
Fig. 13.26: El movimiento sagital del incisivo inferior se planifica sin torque, por lo que la modificación del ángulo que
forma con el plano mandibular puede calcularse en 2 grados por cada mm de movimiento sagital del borde incisal, abrien-
do el ángulo la protrusión y cerrándolo la retrusión.
Inclinación del incisivo superior
Para analizar la inclinación del incisivo superior
adoptamos el concepto de J. M. Damerell quepro-
pone utilizar como referencia al eje facial e indivi-
dualizar la posición del incisivo central superior
con su eje 5° más vertical que el eje facial (Fig.
13.27).
Esto es coincidente con la mayor verticalidadde
los incisivos superiores en los dolicofaciales y lo
inverso en los patrones braqui.
Cuando es paralelo, o más horizontal que eleje,
el incisivo superior se halla proinclinado. A la in-
versa, cuando se encuentra más vertical, el incisivo
se encuentra retroinclinado.
Una vez evaluada la inclinación de este incisivo
con respecto al parámetro mencionado, se la rela-
ciona con su posición en sentido sagital, es decir, la
medida del overjet y la necesidad de movimiento
en sentido anterior o posterior que requiera para su
corrección.
Al igual que el factor anteriormente descripto,
indica si la inclinación actual del incisivo es favora-
ble o no para corregir su posición sagital.
Sin embargo, en los casos de discrepancias bása-
les, la necesidad de comprometer la inclinación del
incisivo superior al corregir su posición sagital es
menor que en el incisivo inferior, porque en elsec-
Fig. 13.27: Inclinación ideal del incisivo superior
Interpretación de la cefalometría lateral 317
Fig. 13.28: Por las características del eje facial en los distintos biotipos, el eje del incisivo superior idealmente tendrá una
posición más vertical en los dólicos que en los braquifaciales.
tor anterosuperior, dado el volumen del reborde
alveolar, se podrán realizar movimientos de torque.
En general, en los casos de patrón esqueletal de
clase I, incisivos superiores protruidos tienen su eje
más horizontal en relación al eje facial mientras
que los retruidos lo tendrán más vertical.
Al igual que la inclinación del incisivo inferior,
no se puede sustraer del contexto esqueletal, por-
que un patrón de Clase II podrá presentar un inci-
sivo superior con una inclinación normal con res-
pecto al eje facial y, sin embargo, ser la causa del
overjet y requerir una retrusión importante.
En el caso contrario, es decir en patrones de
Clase III, un incisivo normalmente inclinado, pue-
de necesitar un movimiento de protrusión. Proba-
blemente en ninguno de los dos casos antes men-
cionados se logrará una inclinación ideal del
incisivo superior (Fig. 13.29).
B
Fig. 13.29: A: Para compensar una Clase II esqueletal se requiere generalmente una posición más vertical del incisivo
superior que la ideal. B: En una Clase III esqueletal, lo inverso.
318 Interpretación cefalométrica
Fig 13.30: Medida del incisivo inferior con respecto al plano oclusal. En ambos casos de sobremordida está aumentada.
En A, observamos un plano oclusal más bajo en el sector anterior, evidenciado por su relación con la comisura. En este
caso, esta medida no tiene validez, porque no habrá que planificar una intrusión de los incisivos inferiores sino de los
superiores, para lograr una buena exposición de estos dientes.
El caso B presenta una posición normal del plano oclusal con respecto a la comisura, por lo que es correcto planificar
la intrusión del incisivo inferior.
Incisivo inferior al plano oclusal y overbite
La corrección de un overbite alterado debe pla-
nificarse teniendo en cuenta:
• La medida de +1 al plano oclusal.
• La ubicación del plano oclusal en relación a la
comisura.
• El grado de exposición del incisivo superior.
Si bien existe una norma para la posición del 1
con respecto al plano oclusal, es necesario verificar
la correcta posición de este plano en relación a la
comisura labial, que es de 3 mm por debajo de ésta
(Fig. 13.30).
Sólo así tiene validez la norma citada para el 1.
En los casos en que la relación plano oclusal-
comisura no esté dentro de límites normales, debe-
rá trazarse un nuevo plano oclusal (normalizado)
con el objetivo de establecer una relación labio-
diente armónica, es decir, lograr una exposición
estética de los incisivos superiores.
En el capítulo 17 nos referimos a lamodificación
del planooclusalen el momento del trazadodel VTO.
La modificación del plano oclusal que se puede
realizar con un tratamiento ortodóncico, obvia-
mente tiene limitaciones que no siempre podrán sa-
tisfacer los requerimientos estéticos del paciente.
En estos casos se optará por una solución de com-
promiso y cuando ésta sea insuficiente, se deberá
recurrir a procedimientos quirúrgicos.
Clase molar
Evaluar la clase molar es el punto de partida pa-
ra la planificaciónde la arcada superior, que se rea-
liza después de haber planificado la inferior.
En algunas radiografías, la relación molar no
puede visualizarsecon claridad porque no existe una
perfecta superposición de las imágenes de los mola-
res izquierdos y derechos. Esto puede deberse:
• a asimetrías esqueletales,
• a migraciones molares unilaterales, obilatera-
les de distinto grado.
Interpretación de la cefalometría lateral 319
• a que por ser una imagen bidimensional de un
problema tridimensional, no puede reflejar en
una imagen plana las rotaciones de los molares.
Estas rotaciones, se manifiestan en la telerra-
diografía como si hubiera existido un desplaza-
miento del molar en sentido sagital.
Si a todo esto agregamos que las rotaciones pue-
den ser de distinto grado en ambas hemiarcadas, o
existir de un solo lado, se comprenden aún más los
motivos de la doble imagen. En estos casos se debe-
rá promediar la doble imagen de los molares.
Con el objeto de dar mayor exactitud al calco, se
aconseja realizarlo observando la posición de los
molares en los modelos.
No es propósito de la cefalometría el estudio de
la clase molar, en muchos casos no es igual del lado
derecho que del izquierdo y esta situación no se
puede volcar en el trazado, que representará sólo
una de las dos hemiarcadas , o bien, un promedio
de ambas que no se ajusta a la posición de ninguna
de ellas.
Por otra parte, como se describe en el cap 7, el
estudio de la relación molar se hace sobre los
modelos montados en articulador en posición de
relación céntrica y se tienen en cuenta los concep-
tos de Andrews de la primer llave de la oclusión.
CAMPO ESTÉTICO DEL CEFALOGRA-
MA BÁSICO
El cefalograma lateral básico incluye un mínimo
campo estético que consiste en evaluar aquellas
áreas que pueden ser afectadas por el tratamiento
ortodóncico.
Al referirnos al estudio esqueletal, se planteó la
necesidad de evaluar la estética más profundamen-
te en aquellos pacientes que presentan alteraciones
esqueletales. En ellos se realizará el estudio vertical
y sagital del perfil, que se encuentra desarrollado
en este texto en los capítulo 1 y 20, ambos referidos
a la estética facial.
El campo estético básico será suficiente para
aquellos pacientes del Grupo I, donde la anomalía
se limita al terreno dentoalveolar, y lo integran 3
factores:
Fig 13.31:Cuando el labio superiores corto, en el cierre el
labio inferior se apoya en el incisivo superior, y por consi-
guiente, con el tratamiento ortodóncico responderá a las
modificaciones posicionalesde dicho diente.
-Labio inferior al plano E
-Ángulo nasolabial inferior
-Exposición del incisivo superior
Labio inferior al plano E
La distancia del labio inferior al plano estético es
el factor que define la posición de los labios en rela-
ción a otras estructuras del perfil: la nariz y el men-
tón. Nos da una idea del grado de equilibrio que
existe entre el labio y los dos puntos más salientes
del perfil, y permite analizar cómo influirán los
movimientos que requieren los incisivos en dicho
balance.
La posición de los labios dependerá de:
l.La ubicación de las estructuras que le sirven
de soporte: incisivos superior e inferior.
La posición del labio superior depende exclusi-
vamente de la ubicación del incisivo superior.
El labio inferior, en general debe su posición a
un balance de la ubicación en sentido sagital de am-
bos dientes de soporte (incisivo superior e inferior).
Esto tiene excepciones, por ejemplo los pacientes
320 Interpretación cefalométrica
Fig. 13.32: A: Paciente con un ángulo nasolabial inferior cerrado , pero con una buena posición de los labios con respecto
al plano estético (-2mm).La decisión sobre la posición deseable de los incisivos debe contemplar ambos parámetros, por
lo que se indica sólo una leve retrusión. B: Caso con overjet y protrusión de incisivos superiores, con un ángulo nasola-
bial inferior abierto y un perfil labial muy retruído (-8mm).La retrusión del incisivo superior es sumamente desfavorable.
con labio superior corto y falta de cierre bucal, sus-
tentan el labio inferior en el incisivo superior al
contactar los labios (Fig. 13.31).
2. La configuración muscular y mucocutánea, es
decir, espesor, tono, etc.
Existen variaciones individualesasociadas algu-
nas veces al tipo constitucional y otras a caracterís-
ticas raciales.
3. El estado de contracción o relajación de la
musculatura perioral.
La toma radiográfica se hace con dientes y
labios en contacto, únicamente con la finalidad de
poder construir la predicción de crecimiento y el
VTO.
Cuando por la protrusión dentaria o por una
escasa longitud del labio superior este contacto
requiere un esfuerzo, se observarán modificaciones
de su posición y su espesor, como así también en los
tejidos blandos del mentón.
En este último caso, es necesario realizar dos
tomas radiográficas. Una, con labios en contacto,
permitirá trazar el VTO y la otra, con labios en
posición relajada, servirá para evaluar la disposi-
ción normal de los tejidos blandos.
Ángulo nasolabial inferior
Este ángulo fue descripto en la sección de exa-
men clínico y también entre los factores del cefalo-
grama básico.
Como está afectado por la posición e inclinación
del incisivo superior, al interpretar los datos de la
cefalometría lateral se evalúa el efecto del movi-
miento dentario requerido sobre este ángulo
Así, cuando es necesaria la retrusión del incisi-
vo superior, la presencia de un ángulo cerrado es
favorable para la obtención de un buen resultado
estético, mientras que si está en la norma, o más
abierto, dicha retrusión resultará desfavorable.
(Fig. 13.32)
El movimiento de protrusión del incisivo, que se
indica con menos frecuencia, produce el avance del
Interpretación de la cefalometría lateral 321
labio superior y consecuentemente el cierre del án-
gulo nasolabial inferior. Por lo tanto, mejorará un
ángulo abierto, y puede ser tolerado ante un ángu-
lo en la norma. Sólo es desfavorable esta indicación
ortodóncica ante la presencia de un ángulo muy
cerrado.
Exposición del incisivo superior
La exposición del incisivo superior puede ser
modificada por movimientos ortodóncicos, sólo en
pequeña magnitud, mediante la intrusión o extru-
sión del sector anterosuperior. A su vez, la retru-
sión tiende a aumentar la exposición de los incisi-
vos, por el efecto de extrusión aparente que tiene
dicho movimiento, y la protrusión, a disminuirla
por el efecto inverso.
Cuando, por ejemplo, incisivos superiores muy
expuestos necesitan ser retroinclinados, se deberán
aplicar los recursos mecánicos para evitar un mayor
aumento, y en la medida que sea posible, dismi-
nuirla con la intrusión previa al movimiento sagital.
Otras veces, el movimiento sagital requerido
puede ser favorable para mejorar un problema de
exposición de incisivos, por ejemplo, si en el caso
de necesitar retroinclinación, la exposición está dis-
minuida.
Estos conceptos, tenidos en cuenta en la etapa
de diagnóstico, permitirán evaluar la complejidad
del caso.
Cuando alcanzar una exposición normal supere
los límites ortodóncicos, la indicación es quirúrgica.
323
Bibliografía
Bench, R. W., Gugino, C. F., Hilgers, J. J.: Bio-pro-
gresive therapy III. Visual treatment objective
(VTO). J. Clin Orthod 11:744-763, 1977
Benvenga, M. N.: Comunicación personal. Sao
Paulo, Brasil, 1982, 1983
Bjórk, A:Timing of interceptive orthodontic mea-
sures based on stages of maturation. Trans. Europ.
Orthod. Soc. 62:1972
Brodie, A. G.: On the growth pattern of the human
head. Am. J. Anat. 68:209-262, 1941b
Burstone, C.: Process of maduration and growth
prediction. Am. J. Orthod. 49:907,919. 1963
Cristie, T. E.: Cephalometric patterns of adults
with normal occlusion. Angle Orthod. 47:2. April
1977
Engel, G., Cornforth, G., Damerell, J. M., et al:
Treatment of deep-bite cases. Am J. of Orthod.
Vol. 77 N° 1 pag. 1,13. Jan. 1980
Graber, T. M., Swain, B.: Ortodoncia. Principios
generales y técnicas. Panamericana. Buenos Aires,
1988
Gugino, C. F.: An orthodontic philosophy. Rocky
Mountain Ed. USA. 1970
Isaacson, R. J., et al: Effects of rotational jaw
growth on the occlusion and profile. A.J.O. 72-
276,1977
Langlade, M.: Cefalometrie Orthodontique.
Maloine S.A. Editeur. París, 1978
López Velarde, G.: Comunicación personal.
Córdoba, Argentina, 1988
Mauchamp, O., Sassouni, V.: Growth and predic-
tion of the skeletal and soft tissue profiles. Am. J.
Orthod. 64:83,94, 1973
McNamara, J. A., Ellis, E.: Cephalometric analy-
sis of untreated adults with ideal facial and occlu-
sal relationships. Int. J. Adult Orthodont. Oral
Surg. 3:221-231, 1988
McNamara, J. A., Brudon, W. L.: Tratamiento
Ortodóncico y Ortopédico en la Dentición Mixta.
Needham Press. Ann. Arbor, 1995
Moore, A.: Observation on facial growth and its
significance. Am. J. Orthod. 45:399,423. 1959
Moss, M. L.: Vertical growth of the human face.
Am. J. Orthod. 50:359,376, 1964
Moss, M. L.: Space and space. Time in cranial
facial growth. Am. J. Orthod. 77:591,612. 1980
Petrelli, E., et al: Ortodontia contemporánea.
Sarvier. Sao Paulo (Brasil), 1988
Ricketts, R. M.: The influence of orthodontic tre-
atment on facial growth and development. Angle
Orthod. 30,3:103,133. July 1960
Ricketts, R. M.: Philosophies and methods of
facial growth prediction. Foundation for ortho-
dontic research. Proc. 4 p.p. 11,30. 1971
Ricketts, R. M.: A principie of arcial growth of the
mandible. Angle Orthod. 42. p.p. 368,386. Oct. 1972
Ricketts, R. M.: Review of methods of prediction.
Proceedings of the foundation for orthodontic
research, 1971, James Mulick, Ed. Canoga Park
(USA) 1972
Ricketts, R. M.: The discovery of a law of arcial
growth of the mandible. Proceedings of the foun-
324
dation for orthodontic research 1971, James
Mulick, Ed. Canoga Park (USA) 1972
Ricketts, R. M.: On growth prediction. Journal C.
Orthod. Vol. 9 N° 6 p.p. 340,362. June 1975
Ricketts, R. M., Roth, R, et al: Orthodontic
Diagnosis and Planning. Rocky Mountain Data
Systems, 1982
Ricketts, R. M., et al: Técnica Bioprogresiva.
Panamericana. Buenos Aires (Argentina), 1983
Tweed, C. H.: The Frankfort-mandibular incisor
angle (FMIA) in orthodontic diagnosis, treatment
planning and prognosis. Angle Orthod 24:121-169,
1954
Weislander, L.: The effect of orthodontic treat-
ment on the concurrent development of the cra-
niofacial complex. Am. J. Orthod 49:15-27,1963
Steele, C. N., Fairchild, R. C., Ricketts, R. M.:
Forum on the tonsil and adenoid problem in ort-
hodontics. Am. J. Orthod. 54:485-514. 1968
Sutton, P. R. N.: Lateral facial asymetry methods
of assessment. Angle Orthodont. 38:82,92. 1968
Thurow, R. C.: Atlas de Principios Ortodóncicos.
Intermédica. Buenos Aires (Argéntea).
SECCIÓN
SÍNTESIS DEL DIAGNÓSTICO
Y PLANIFICACIÓN
Selección de elementos de diagnóstico y
metodologías de planificación
Crecimiento. Predicción arquial
Síntesis del diagnóstico
Visualización de objetivos del tratamiento
Áreas de superposición
PACIENTE
EN
CRECIMIENTO
PACIENTE
SIN
CRECIMIENTO
CEFALOGRAMA
LATERAL
BÁSICO
TRATAMIENTO
ORTODÓNCICO
PACIENTE
SIN
ALTERACIONES
ESQUELETALES
PACIENTE
CON
ALTERACIONES
ESQUELETALES
TRATAMIENTO
ORTODÓNCICO
•
TRATAMIENTO
ORTOPÉDICO
•
TRATAMIENTO
ORTODÓNCICO
MEDIDAS
COMPLEMENTARIAS
CEF.
COMPLETO
ANÁLISIS
VERTICAL
Y
SAGITAL
DEL
PERFIL
•
TRATAMIENTO
DE
COMPENSACIÓN
"*"•
TRATAMIENTO
ORTODÓNCICO-QUI-
RÚRGICO
McNAMARA
•
-
C A P Í T U L O 14
Selección de elementos de diagnóstico y
metodologías de planificación.
GENERALIDADES
Un correcto y completo diagnóstico de un pro-
blema ortodóncico, es fundamental para la planifi-
cación del tratamiento y la implementación de los
procedimientos terapéuticos necesarios para com-
pletar la corrección del caso.
En los capítulos precedentes hemos descrito la
metodología que utilizamos para elaborarlo.
Existe una gran diversidad de métodos para el
diagnóstico. Sus diferencias están referidas a su
grado de complejidad, a los aspectos que analizan,
etc., pero a pesar de estas diferencias sus conclusio-
nes nunca podrán ser dispares y menos aún opuestas.
Es decir, el diagnóstico es un proceso científico
y, como tal, debe ser objetivo.
Pero cuando entramos en el terreno de la plani-
ficación, aparecen elementos subjetivos. El diag-
nóstico debe ser único pero la planificación puede
tener alternativas que se deberán a causas inheren-
tes al profesional, al paciente, o a otras.
Inherentes alprofesional:
• Su criterio sobre lo que puede o debe hacer-
se y sus conocimientos acerca de métodos
terapéuticos.
• La forma de jerarquizar los problemas clíni-
cos.
Inherentes al paciente:
• La valoración personal de su problema.
• Susprioridades.
• Sumotivación.
• Susposibilidades socioeconómicas.
• Su disponibilidad de tiempo.
• Grado de cooperación previsible.
Inherentes a otras causas:
• La consideración de los riesgos en relación a
los beneficios.
Todos estos condicionamientos pueden llevar-
nos a valorar distintas alternativas de tratamiento
para un mismo caso.
PROCESO DE PLANIFICACIÓN
Paso previo al inicio de laplanificación:
Elección de los métodos de diagnóstico
Antes de iniciar el proceso de planificación, se
deben seleccionar los métodos de diagnóstico, con
el objeto de evitar, por una parte, aquellos que no
resultarán de utilidad para el paciente en estudio; y
por otra, no caer en excesos que aportarán datos no
pertinentes o redundantes que pueden generar
confusión en el operador, además de someter al pa-
ciente a procedimientos que insumen tiempo, mo-
lestias y recursos económicos.
Para poder hacer esta selección de los métodos
de diagnósticoindicados,se deberán tener en cuen-
ta dos aspectos:
1) tipo de anomalía
2) edad del paciente
1) Tipo de anomalía
Consiste en ubicar al paciente en uno de los
tres grupos principales, ya definidos en la Introduc-
ción de la Sección 1:
Grupo 1:
Este grupo está constituido por pacientes con
las siguientes características:
No tienen discrepancias básales transversales,
verticales o sagitales
Su problema asienta en la región dentoalveolar
Generalmente no presentan más alteraciones
estéticas que aquellas provocadas por malposicio-
nes dentarias que tienen repercusión en la zona
labial o peribucal.
La alteración de la estética facial está limitada a
la posición retruida o protruida de los dientes del
sector anterior
Las anomalías dentarias que pueden presentar
afectan la estética dentaria (apiñamientos, girover-
siones, desnivelamientos, impactaciones, diaste-
mas, sobremordidas, etc) y la función oclusal.
327
328 Síntesis del diagnóstico y planificación
Son los llamados pacientes de Clase I esquele-
tal, en cuyos rebordes alveolares pueden asentar
anomalías de Clase I o Clase II dentaria, y algunas
veces de Clase III.
En general, no ofrecen dificultades para su tra-
tamiento.
Las modificaciones dentarias del tratamiento
tendrán como objetivo corregir la anomalía denta-
ria, la función oclusal y además contribuir al logro
de una mejoría estética de los labios y de la sonrisa,
adecuando nuestra planificación a estos requeri-
mientos más que a parámetros dentarios cefalomé-
tricos.
Grupo 2:
Este grupo muestra falta de equilibrio entre los
componentes de la cara provocada por discrepan-
cias básales moderadas.
Pueden ser tratados mediante maniobras orto-
dóncicas de camouflage, también llamados trata-
mientos ortodóncicos de compensación o de com-
promiso.
Se deberán realizar inclinaciones dentarias que
si bien no traspasan los límites biológicos, se apar-
tan de las normas.
Estos tratamientos de compensación ofrecen
más dificultad que los del grupo 1.
Sus resultados serán medianamente satisfacto-
rios en los aspectos de estética dentaria y oclusión
funcional, pero no alcanzarán a eliminar las secue-
las de esas discrepancias en la estética facial
Para estos pacientes, el tratamiento con resulta-
dos óptimos es el tratamiento ortodóncico-quirúr-
gico.
Grupo 3:
Pacientes con discrepancias esqueletales severas,
de una importante repercusión en la estética facial.
Por la magnitud de la anomalía, exceden a lasposi-
bilidades de los tratamientos ortodóncicos de com-
pensación porque provocarían múltiples problemas:
inclinaciones axiales sumamente anormales, pro-
blemas en los tejidos de soporte, deficiencias oclu-
sales, disfunción de ATM, aumento de los proble-
mas estéticos, etc.
El único tratamiento indicado es el tratamiento
ortodóncio-quirúrgico.
otros pacientes, dentro de los cuales podemos
encontrar:
• Malformaciones craneofaciales originadas
por síndromes genéticos, como la disostosis
cleidocraneal, displasia ectodérmica, síndro-
me de Treacher Collins, síndrome de Crou-
zon, etc.
• Malformacionesmaxilofaciales provocadas por
enfermedades sistémicas de origen endocrino.
• Malformaciones congénitas por embriopatías
causadas por virus, tóxicos, radiaciones, etc.
En este grupo se ubican los fisurados labio-
alvéolo-palatinos, que probablemente sea la
más frecuente de este tipo de anomalías.
• Deformaciones ocasionadas por traumatis-
mos o infecciones, como el síndrome de
Wolf, inducido por la anquilosis bilateral de
las ATM a una edad temprana.
Todos estos síndromes y malformaciones,
requerirán un abordaje terapéuticomultidisciplina-
rio que comprende equipos de especialistas como
cirujanos craneofaciales y generales, endocrinólo-
gos, nutricionistas, psicólogos, médicos clínicos
generales, kinesiólogos,fonoaudiólogos, etc.
Si bien el ortodoncistaparticipa en las terapias y
muchas veces jugando un papel muy importante,
no es propósito de este capítulo profundizar en este
tema.
Esto requiere una bibliografía especializada
debido a su gran amplitud y especificidad.
2) Edad del paciente
De acuerdo al estadio de desarrollo del pacien-
te, podremos dividirlos en:
1. Paciente con dentición primaria.
2. Paciente con dentición mixta.
3. Paciente con dentición permanente (en cre-
cimiento).
4. Paciente con dentición permanente (sin cre-
cimiento), o sea paciente adulto.
Además de los tres grupos mencionados, existen En una primera lectura, esta división puede pare-
Selección de elementos de diagnóstico metodologías de planificación 329
cer arbitraria, pero si nos remitimos al concepto de
tratamiento ortodóncico encontraremos su lógica.
"Comprende las maniobras mecánicas,dirigidas
al logro de objetivos de alineación y correcto posi-
cionamiento dentario, mejoramiento facial y del
perfil, y una oclusión en armonía con las articula-
ciones temporomandibulares, que se deberá apro-
ximar a los siguientes requisitos:
1. Debe ser eficaz para la masticación y apta
para la correcta fonación y deglución.
2. Debe requerir una adaptación neuromuscu-
lar mínima.
3. Ser confortable para el paciente.
4. Que evite factores que exacerben el bruxis-
mo de origen oclusal (contactos prematuros,
fulcrum, falta de guías caninas) etc.
5. Ofrecer resistencia eficiente y suficiente a las
fuerzas actuantes sobre los tejidos de soporte.
6. Ausencia de disfunción de ATM y neuro-
muscular.
7. Ausencia de enfermedad periodontal.
8. Debe cumplir con los requisitos de una oclu-
sión "mutuamente protegida".
De la lectura de la definición y de los requisitos
de una oclusión ideal se desprende la idea de que
el tratamiento ortodóncico debe ser realizado
cuando el paciente tiene erupcionados los segundos
molares, ya que deben ser incluidos en él y una vez
finalizado no habrá necesidad de un tratamiento
posterior.
Por definición, el tratamiento ortodóncico com-
prende maniobras que se realizarán cuando sehaya
completado la dentición permanente.
El tratamiento que se realice a pacientes que
estén en etapas de desarrollo anteriores a ésa, es
decir en dentición primaria o mixta, lo denomina-
mos: Pretratamiento, que comprende las manio-
bras ortodóncicas, ortopédicas o clínicas en gene-
ral, que se realizan previamente al tratamiento y
tienen por finalidad:
• Eliminar hábitos
• Hacer modificaciones esqueléticas que serán
más dificultosas o imposibles de realizar en
etapas más avanzadas.
• Evitar daños a los dientes y tejidos de sopor-
te.
• Conservar los espacios destinados a la
correcta erupción de los permanentes.
• Proveer los espacios requeridos por la nueva
dentición mediante extracciones seriadas,
ensanche o protrusión.
• Establecer una correcta guía anterior con
una posición cefalométrica aceptable de los
cuatro incisivos superiores e inferiores.
• Mejoramiento facial y del perfil.
A su vez, el pretratamiento debe ser divididoen:
1. Pretratamiento en dentición primaria.
2. Pretratamiento en dentición mixta,
Debido a que estas dos etapas del desarrollo tie-
nen diferentes objetivos de tratamiento requieren
distintas metodologías diagnósticas y como conse-
cuencia, diferentes planificacionesdel tratamiento.
Por ejemplo: los objetivos en dentición primaria
son más limitados que en los pacientes de estadios
posteriores. En consecuencia, realizaremos todo lo
concerniente a estudio clínico y de los modelos, pres-
cindiendo del estudio gnatológico y de la cefalome-
tría, que no se utiliza porque para la edad de estos
pacientes (inferior a los 7 años) no contamos con
parámetros cefalométricos. Las normas se establecen
a partir de los 81/2-9 años. En cambio, en otras eta-
pas pasan a ser herramientas muy importantes.
Teniendo en cuenta los dos aspectos: tipo de
anomalía y edad del paciente; y siguiendo el con-
cepto de optimización de los métodos de diagnósti-
co, podemos diseñar el siguiente esquema para su
selección:
330 Síntesis del diagnóstico y planificación
Cuadro 14.1: Elección de los métodos de diagnóstico en los distintos estadios del crecimiento.
ESTADIO
DENTICIÓN
PRIMARIA
DENTICIÓN
MIXTA
DENTICIÓN
PERMANENTE
PACIENTE EN
CRECIMIENTO
ADULTO
ESTUDIO
CLÍNICO
*
*
*
*
MODELOS
*
*
*
*
MODELOS
ARTICULADOS
*
*
RADIOG
TELE
*
*
*
RAFIAS
PAÑO
*
*
*
*
CEFALOMETRÍA
f Lateral básico
A J Jarabak
1 McNamara
*• Análisis de tej. blandos
B | Lateral básico
{
Lateral básico
Jarabak
McNamara
Análisis de tej, blandos
B { Lateral básico
í Lateral básico
A < McNamara
1 Análisis de tej. blandos
B { Lateral básico
A: Paciente con problemaesqueletal
B: Paciente sin problema esqueletal
PASOS DEL PROCESO DE PLANIFICA-
CIÓN
El proceso de planificación involucra los
siguientes pasos:
1- Recopilación de la información y clasifica-
ción de los problemas por grado de prioridad.
Es la reunión de los elementos de juicio obte-
nidos con los diferentes procedimientos de diag-
nóstico, para la creación de una base de datos que
nos permita obtener la información pertinente, en
cada uno de los campos estudiados. Es imprescin-
dible para el proceso de planificación.
Con estos datos se hará un listado de problemas
que deberán ser ordenados en una lista de priori-
dades.
Este orden estará dado, por una parte, por el
profesional, pero por la otra, estarán las priorida-
des del paciente, que muchas veces no serán coinci-
dentes con las de aquel.
Dentro de un margen lógico y razonable,
deberán tenerse en consideración, en primer lugar.
las expectativas delpaciente.
2- Evaluación de las posibilidades terapéuticas.
La evaluación de las posibilidades terapéuticas
está relacionada con el tipo de anomalía y la vía
que se considere apropiada para su corrección.
Los pacientes de los grupos 1 y 3 tendrán una
vía definida: en el grupo 1 será ortodóncica, en el
grupo 3, ortodóncico-quirúrgica.
En los pacientes del grupo 2, como ya mencio-
namos, se tendrán en cuenta en muchos casos
ambas alternativas.
En ellos debemos aceptar que no todos los pro-
blemas enunciados en nuestra lista de prioridades
tienen solución con el tratamiento ortodóncico.
Por ejemplo: una sonrisa gingival en un pacien-
te adulto, que acompañe a una Clase I con fuertes
apiñamientos superiores e inferiores, a pesar de su
Selección de elementos de diagnóstico metodologías de planificación 331
PROCESO DE PLANIFICACIÓN
| •
Elección y examen de los
métodos de diagnóstico
BASE de DATOS
LISTA de PRIORIDADES
Evaluación y elección de una
probable vía terapéutica
ORTOPÉDICA
ORTODÓNCICA
QUIRÚRGICA
Formulación de
objetivos preliminares
SÍNTESIS DIAGNÓSTICA
• Estéticos
- faciales
- bucodentales
• Cefaiométricos
« Gnatológicos
Objetivos definitivos
VTO
NO satisfactorio
Áreas de superposición
i1
• Posición 1 - A-Po
• Posición del 6
• Posición del 6
• Posición del 1
• Eje facial
• Punto A
Diseño de tratamiento
332 Síntesis del diagnóstico y planificación
relevancia estética, deberá dejarse de lado y no se
incluirá en la planificaciónde un tratamiento exclu-
sivamente ortodóncico, porque las posibilidades
terapéuticas por esa vía son prácticamente nulas.
Pero, en cambio, si ese problema fuese plantea-
do por el paciente como una prioridad, se deberá
optar por un tratamiento ortodóncico-quirúrgico,
en cuya planificación sí se incluirá la corrección de
esa sonrisa gingival.
Como no todas las vías terapéuticas nos brindan
las mismas posibilidades para la corrección de cier-
tos problemas, es necesario informar al paciente
sobre ellas, sus características, alcances, relación
riesgos-beneficios, tiempo de tratamiento, costos,
etc., y de esta manera se optará por una de ellas y
se enfocará, consecuentemente, la planificación.
3.- Formulación de objetivos preliminares.
Teniendo en cuenta el listado de problemas, las
prioridades del paciente y la opción terapéutica
elegida se podrán formular los objetivos prelimina-
res con el propósito de darle una dirección al estu-
dio más profundo del caso, tema que será desarro-
llado en el próximo punto.
Pueden abarcar, siempre con un criterio inicial,
los siguientes aspectos:
- Estéticos:
- Faciales: mejoramiento del balance facial y
cierre bucal sin esfuerzo.
El alcance de los objetivos estéticos variará
según la vía terapéutica elegida, siendo
mucho más amplios en el tratamiento orto-
dóncico-quirúrgico.
- Bucodentales: perfecto alineamiento dentario.
- Cefalométricos:
- Posibles cambios ortopédicos queseconside-
ren necesarios.
- Armonización de lasposiciones dentarias de
acuerdo a normas cefalométricas.
- Gnatológicos:
- Obtener unaPMI (posición demáxima inter-
cuspidación) coincidente o cercana a la RC
(relación céntrica) y una oclusión funcional
en armonía con las ATM.
Todos estos objetivos preliminares, deberán ser
considerados en este paso del proceso de planifica-
ción como "intenciones" de tratamiento en las dis-
tintas áreas, pero recordemos que sólo cuando
hayamos concluido la síntesis diagnóstica del caso,
podremos verificar su factibilidad.
4.- Síntesis diagnóstica y formulación de objeti-
vos definitivos.
Consiste en interrelacionar y articular en un
orden lógico los elementos estructurales y funciona-
les del caso, agregando el factor crecimiento cuan-
do existiese.
-Datos clínicos bucodentales y faciales
Observación clínica
Estudio de fotografías
Radiografías panorámicas eintrabucales
Evaluación periodontal
-Datos cefalométricos
Cefalometría dentoesqueletal
Cefalometría de tejidos blandos
- Estudio de modelos montados en articulador
Análisis de la relación intra e interarcadas
Estudio de la función oclusal
- Estudio de la musculatura y las ATM
- Consideraciones sobre el crecimiento
Biotipo facial
Análisis de Bjork-Jarabak
De esta síntesis surgirán los objetivos definiti-
vos del tratamiento, que determinan:
- Las estructuras que deberán ser modificadas.
- Los límites biológicos de esas modificacio-
nes, considerando:
a) características morfológicasy estructurales
b) el estado de salud dentario y/o periodontal
c) la oclusión en relación a sus ATM,
Selección de elementos de diagnóstico metodologías de planificación 333
d) la estética facial
e) la estabilidad de los resultados
• La influencia positiva o negativa del creci-
miento residual.
• Posibilidades de los medios terapéuticos a
nuestro alcance.
En este momento se formularán los objetivos
definitivos del tratamiento en las mismas áreas que
las señaladas para los objetivos preliminares, pero
no como una "intención" de tratamiento, sino
como una propuesta concreta que nos permita la
elaboración del VTO.
7.- Diseño del tratamiento y secuencia aparato-
lógica.
Ésta es la meta de todo proceso de planificación.
Son pasos lógicos que nos van llevando desde el
principio hasta llegar a una organización del trata-
miento que consiste en:
• Elección, secuencia y manejo de la aparato-
logía.
• Duración aproximada de cada una de las eta-
pas y del total del tratamiento.
• Tipo de contención a utilizar.
5.- Visualización de objetivos de tratamiento.
Los conceptos fundamentales y el procedimien-
to para la construcción del VTO en los casos orto-
dóncicos están desarrollados en el capítulo 17, y en
el 22 los referentes al VTO ortodóncico-quirúrgico.
En aquellos casos,que ofrezcan diferentes alter-
nativas de tratamiento, será necesario realizar la
planificación completa con las opciones que se con-
templen.
La visualización de objetivos terapéuticos
(VTO) de las diferentes opciones de tratamiento,
será de gran valor a la hora de definir el procedi-
miento a utilizar.
Ejemplo: En un paciente con una Clase II den-
toesqueletal, será conveniente la construcción de
un VTO que contemple una corrección dentaria
(tratamiento de compensación), y otro que muestre
los resultados de un tratamiento ortodóncico-qui-
rúrgico.
Indudablemente, la comparación de ambos
resultados, puede facilitar la opción y definir el
camino terapéutico.
Debemos señalar que estos trazados se cons-
truyen basados en los objetivos definitivos del tra-
tamiento. Permiten la visualización anticipada de
los resultados y hacen evidente, en algunos casos, la
necesidad de sumodificación.
6.- Trazado de las áreas de superposición.
Remitimos al lector al capítulo 18.
PLANIFICACIÓN PARA PACIENTES
CON DENTICIÓN PRIMARIA
1.- Recopilación de la información y clasifica-
ción de los problemas por grado de prioridad.
• Estudio clínico facial y bucodental:
Se realiza mediante maniobras clínicas ma-
nuales e instrumentales, fotografías, mode-
los (análisis de la simetría transversal y rela-
ción intermaxilar).
• Examen funcional:
Respiración, fonación, deglución y hábitos.
• Estudio radiográfico:
Generalmente se hace necesaria sólo una
radiografía panorámica, y algunas veces
periapicales o bite-wing.
2.- Evaluación de las posibilidades terapéuticas.
La terapia en esta etapa estará destinada funda-
mentalmente a la normalización de la función y a la
armonización esqueletal.
Es importante la motivación del paciente y sus
padres, ya que ésta condicionará el tratamiento ele-
gido y la oportunidad de su inicio.
334 Síntesis del diagnóstico y planificación
3.- Formulación de objetivos preliminares.
Estos objetivos están basados en los métodos
citados en el punto anterior, y como no agregamos
a ellos ningún estudio adicional que pueda modifi-
car nuestro diagnóstico, como por ejemplo el estu-
dio gnatológico o cefalométrico, estos objetivos
preliminares pasan a ser definitivos.
4.- Síntesis diagnóstica y formulación de objeti-
vos definitivos.
Este tema, tan extenso en estadios posteriores,
en los pacientes de dentición primaria se reduce a
hacer un ordenamiento lógico de los siguientes pro-
cedimientos:
a) La conservación de los espacios necesarios
para la correcta erupción y ubicación de los
dientes permanentes.
b) Corrección de hábitos, y con ello corrección
de mordidas abiertas funcionales.
c) Derivación al especialista por problemas de
respiración, fonación, etc.
d) Desgaste de los dientes que provoquen inter-
ferencias en los casos de desviaciones funcio-
nales de la mandíbula.
e) Corrección de mordidas cruzadas uni o bila-
terales y anteriores.
5.- Visualización de objetivos de tratamiento
En esta etapa del desarrollo no se hacen estu-
dios cefalométricos ya que no existen normas para
edades menores de 8 años. Por consiguiente, no se
realizará el VTO ni áreas de superposición
Por otra parte, las características de las correc-
ciones que se realizan no requieren estos estudios.
PLANIFICACIÓN PARA PACIENTES
CON DENTICIÓN MIXTA
1.- Recopilación de la información y clasificación
de los problemas por grado de prioridad.
• Estudio clínico facial y bucodental:
ídem al anterior, pero se acompaña del aná-
lisis de los modelos en los 3 planos del espa-
cio, evaluando:
- Análisis transversal:líneas medias, simetría y
relación transversal interarcada.
- Análisis sagital: overjet, relación canina y
molar.
- Análisis vertical: overbite, curva de Spee.
Se realiza también el estudio de la longitud de
la arcada y del espacio disponible mediante el uso
de las tablas de Moyers.
- Examen funcional:
ídem al anterior.
- Estudio radiográfico:
- De rutina: radiografía panorámica y telerra-
diografía lateral.
- Complementarios: radiografías oclusales, pe-
riapicales, telerradiografíasfrontales.
- Estudio cefalométrico:
- Cefalograma lateralBásico
- Análisis de Bjórk-Jarabak,
- Cefalogramade tejidos blandos
- Medidas de McNamara
- En algunos casos, medidas delcefalograma
completo de Ricketts
En los pacientes del grupo 1(paciente sin dis-
crepancias básales) sólo utilizaremos el Cefalogra-
ma Básico, en los pacientes de los Grupos 2 y 3
(pacientes con discrepancias básales) por lo general
se adicionarán los otros métodos.
2.- Evaluación de las posibilidades terapéuticas
Como se vio en el punto anterior, en esta etapa
del desarrollo se hace un diagnóstico más profundo
que para la dentición primaria, abarcando los
aspectos esqueletal y dentario.
Selección de elementos de diagnóstico metodologías de planificación 335
En este estadio, las modificaciones ortopédicas
constituirán siempre un objetivo prioritario e
impostergable, ya que serán difíciles o imposibles
de alcanzar en edades más avanzadas, una vez ago-
tado el crecimiento remanente.
Si bien el diagnóstico habrá definido también el
problema dentario, la terapia no siempre lo enfoca-
rá, debido a que los objetivos en este campo se
reducen a la conservación de los espacios destina-
dos a la erupción de los permanentes, creación de
los mismos mediante extracción seriada, ensanche
o protrusión, evitar daño a los dientes y tejidos de
soporte y a establecer una correcta guía anterior
con una posición cefalométrica aceptable de los
sectores incisivos. Por la amplitud de sus objetivos
el tratamiento ortodóncico sólo puede ser realizado
cuando han erupcionado todas las piezas dentarias,
hasta los segundos molares, que deben ser incluidos
en el tratamiento.
Estos conceptos inciden en la evaluación de las
posibilidades clínicas y en la elección de una pro-
bable vía terapéutica en el período de la dentición
mixta, teniendo como principio que en esta etapa
del desarrollo deberemos hacer la elección del
mejor y más efectivo tratamiento ortopédico y la
menor terapia ortodóncica posible, dado que este
aspecto será abordado con posterioridad en etapas
más oportunas.
3.- Formulación de objetivos preliminares.
Como fue visto en el punto anterior, los objeti-
vos preliminares se orientarán hacia la corrección
ortopédica y las modificaciones ortodóncicas estric-
tamente necesarias para cumplir los objetivos
enunciados para esta etapa.
4.- La Síntesis diagnóstica, así como también la
Visualización de objetivos de tratamiento, las
Áreas de superposición y el Diseño del trata-
miento y la secuencia aparatológica, serán desa-
rrollados en los respectivos capítulos.
PLANIFICACIÓN PARAPACIENTES
EN CRECIMIENTO CON DENTICIÓN
PERMANENTE
1.- Recopilación de la información y clasifica-
ción de los problemas por grado de prioridad.
• Estudio clínico facial y bucodental:
ídem al anterior, con la diferencia que el
estudio de la longitud del arco no requerirá
los métodos utilizados en dentición mixta,
siendo aconsejable hallar la discrepancia
dentaria por el método visual.
Se evalúa además la relación de tamaños
dentarios entre arcada superior e inferior,
con la utilización del índice de Bolton.
• Estudio funcional:
Igual a los anteriores.
• Estudio gnatológico:
Se realiza con modelos montados en RC en
articulador semiajustabley registros de posi-
ción condilar. En algunos casos puede ser
necesario el uso de placas de reposiciona-
miento mandibular.
• Estudio radiográfico:
ídem al anterior.
• Estudio cefalométrico:
ídem al anterior, con la salvedad que, en los
casos que requieran conversión cefalométri-
ca, las mediciones se realizarán sobre el tra-
zado en RC.
2.- Evaluación de las posibilidades terapéuticas.
Debe hacerse con una óptica diferente, porque
a los objetivos clásicos de alineación, mejoramien-
to estético y normalización cefalométrica, debemos
agregar los de oclusión funcional en armonía con
las ATM y el sistema neuromuscular, que induda-
blemente influirán en la elección de la vía terapéu-
tica.
Este punto es particularmente relevante para
los pacientes del Grupo dos, que presentan discre-
pancias básales moderadas, porque se podrán con-
templar generalmente dos vías terapéuticas:
336 Síntesis del diagnóstico y planificación
El tratamiento ortodóncico de compensación y
el tratamiento ortodóncico-quirúrgico.
3.- Formulación de objetivos preliminares.
• Corrección ortopédica posible.
• Modificaciones ortodóncicas.
• Control de la posición y dinámicamandibular.
• Mejoramiento de la estética facial.
En el grupo 2, los objetivos mencionados, serán
muy diferentes según la opción de tratamiento que
se proponga, sobre todo en lo que respecta a la
estética facial.
Cuando se realiza el proceso de planificación en
pacientes en crecimiento pertenecientes a los gru-
pos 2 o 3, que presentan discrepancias básales, hay
que tener en cuenta que el tratamiento ortodónci-
co quirúrgico podrá ser planificadocon cierta apro-
ximación, pero no podrá ser definido con exactitud
ni llevado a cabo hasta la finalización del creci-
miento, edad en que se indica la cirugía.
Por lo tanto, los objetivos para esta etapa, esta-
rán limitados a correcciones dentoalveolares que
no se contrapongan con los movimientos dentarios
indicados para la preparación ortodóncica prequi-
rúrgica.
PLANIFICACIÓN PARA PACIENTES
ADULTOS
ídem a la anterior, pero como no existe creci-
miento remanente, no se indicará el Análisis de
Bjórk-Jarabak ni se evaluarán posibilidades orto-
pédicas. En el caso de pacientes con discrepancias
básales (grupos 2 y 3), el tratamiento ortodóncico-
quirúrgico podrá ser planificadodefinitivamente.
DEFINICIÓN DEL TRATAMIENTO EN
LOS PACIENTES CON DISCREPANCIAS
BÁSALES
Al operador con escasa experiencia se le crea
un problema para encasillar correctamente el caso
con discrepancias básales en uno u otro de los dos
últimos grupos, es decir tiene dificultad para con-
testar a la pregunta "¿puedo o no compensar este
caso?"
Para ello se debe utilizar un criterio objetivo
que permitirá resolver con claridad esta duda, ya
que existen dos herramientas excelentes para este
propósito:
- El montaje de los modelos en relación cén-
trica.
- El VTO ortodóncico
Estos procedimientos pondrán en evidencia la
factibilidad biológica de los movimientos dentarios
necesarios para alcanzar los siguientes objetivos:
- inclinaciones axiales aceptables
- relaciones dentolabiales estéticamente satis-
factorias
- una oclusión mutuamente protegida con los
cóndilos correctamente asentados en las
cavidades glenoideas
- ausencia de un deslizamientocéntrico consi-
derable
- estabilidad de los resultados
- estética facial aceptable
Cuando el caso pertenece al Grupo 2, es decir,
es un caso que se "puede" compensar, cabe otra
pregunta: "¿Se debe compensar siempre?" El pro-
fesional necesita reconocer:
- Cuáles objetivos se podrán alcanzar y cuáles
no.
- Cómo será el resultado estético del trata-
miento de compensación y del tratamiento
ortodóncico-quirúrgico.
En esta decisión entre el tratamiento ortodónci-
co de compensación y el tratamiento ortodóncico
quirúrgico, también interviene el paciente, que
podrá evaluar en el VTO o en el morphing digital
hecho a partir de él, si su deseo de cambio estético
queda satisfecho o no mediante una compensación
Selección de elementos de diagnóstico metodologías de planificación 337
dentaria, o podrá visualizar también algún cambio
facial que aumenta aun más su problema haciendo
que este tratamiento sea inaceptable. Dependerá
de la motivación del paciente la aceptación de la
cirugía como parte de su tratamiento.
Es necesario utilizar los medios a nuestro alcan-
ce que le posibiliten ver con claridad su problema,
sus posibles soluciones y ser partícipe de la elección
de la opción mas apropiada, porque algunas veces
el deseo del paciente suele ser un tanto difuso.
Algunos son sumamente exigentes y buscan la
perfección. Otros, enfocan sus objetivos en la den-
tición y no son tan exigentes con ciertos detalles de
estética facial.
De todos modos, la elección de la metodología
terapéutica en los pacientes con discrepancias
esqueletales, también estará influida por el orto-
doncista, ya que puede tener diferentes actitudes
en cuanto a la cirugía ortognática, debido al mayor
o menor conocimiento de este campo. Otros no
cuentan con un equipo interdisciplinario adecuado
y en otros casos pueden haber tenido malas expe-
riencias.
El factor económico también incide, creando en
algunos casos impedimentos insalvables.
Ante todas estas situaciones, el clínico deberá
ser objetivo y tratar de proporcionarle al paciente
las alternativas posibles, desde lo ideal hasta lo
meramente paliativo, pero nunca realizar trata-
mientos que puedan empeorar el caso, dificulten o
impidan posibles tratamientos futuros.
Estos dos estudios rutinarios, trazarán un límite
nítido a través de esa frontera poco definida que
puede presentarse entre ambos grupos.
Cuando no se puedan alcanzar estos objetivos,
el paciente pertenece al grupo 3, para el cual la
indicación es únicamente el tratamiento ortodónci-
co-quirúrgico.
C A P I T U L O 15
Crecimiento. Predicción arquial.
INTRODUCCIÓN
La cefalometría debe ser considerada una herra-
mienta tanto para el diagnóstico como para la pla-
nificación.
El análisis cefalométrico básico es un sistema
estático que mediante medidas angulares y lineales
describe separadamente y en conjunto los factores
constitutivos del complejo craneofacial, evaluando
solamente el estado actual del paciente. No con-
templa los procesos de crecimiento.
Un gran número de tratamientos se realiza en
pacientes que aún no han completado su desarrollo
y, en ellos, los objetivos deben apuntar a obtener
resultados óptimos para la cara que tendrá el
paciente al finalizar el crecimiento.
Por esta razón, el uso de la cefalometría estática
únicamente, no nos permite determinar con exacti-
tud los procedimientos que se deben instrumentar
para lograr esos resultados. No debemos analizar
solamente con un criterio estático el problema den-
toesqueletal, porque todo el terreno que es objeto
de nuestro análisis es influenciado por el creci-
miento, que resulta ser un factor determinante en
los resultados del tratamiento.
En el niño en crecimiento, las características
craneofaciales y dentarias cambian constantemen-
te hasta llegar a la edad adulta, y estos cambios
muestran variaciones de un sujeto a otro. Se pre-
sentan tales variaciones en la dirección y en la
magnitud, que el proceso de crecimiento algunas
veces se torna un coadyuvante que facilitará las
maniobras terapéuticas y en otras un factor de inhi-
bición o de interferencia para el progreso del trata-
miento.
Si bien la cefalometría estática de Ricketts con-
tribuyó de manera decisiva a clarificar el conoci-
miento de la reacción que tendría un paciente fren-
te al tratamiento mediante la identificación de los
biotipos faciales, la incorporación de su cefalome-
tría dinámica es la que abre un horizonte totalmen-
te nuevo en el tema del diagnóstico y la planifica-
ción en ortodoncia. Permite la aplicación de
conceptos de crecimiento que antes ya habían sido
estudiados minuciosamente pero permanecían
totalmente aislados de la práctica clínica. Com-
prende una serie de procedimientos de diseño rea-
lizados a partir de la cefalometría estática, que con-
sisten en incorporar:
- Las expectativas de crecimiento del paciente.
- Las modificaciones que se realizarán con el tra-
tamiento.
- La combinación de ambas.
De esta manera, se reorienta el objetivo del tra-
tamiento ortodóncico que como hemos dicho, no se
dirige ya a intentar obtener una relación dento-
maxilar y labial para la cara que tiene el paciente al
comenzar el tratamiento, sino tratar de obtener los
resultados deseados para la cara que tendrá al fina-
lizar el crecimiento.
Tendremos así mayores posibilidades de apro-
vechar sus aspectos beneficiosos y minimizar los
indeseables.
Resumiendo, la cefalometría dinámica es una
metodología que permite:
- Pronosticar conbastante exactitud elcrecimien-
to del paciente.
- Evaluar la respuesta a los procedimientos tera-
péuticos.
- Predecir y visualizar la modificación de áreas
que pueden ser influenciadas por el tratamiento.
- Hacer una selección más racional de los recur-
sos mecánicos a utilizar.
- Medir y controlar el progreso del tratamiento,
mediante la superposición de trazados interme-
dios con el trazado original y las metas estable-
cidas en la predicción.
- Clarificar lasnecesidades delpaciente, evitando
emprender caminos erróneos que deberán ser
cambiados en el transcurso del tratamiento.
- Es muyútil para la motivación del paciente.
339
340 Síntesis del diagnóstico y planificación
- Influye positivamente en la relación ortodoncis-
ta paciente
- Es un medio excelente para la evaluación delos
resultados utilizando las superposiciones.
- Lo señalado en el punto anterior produce, a su
vez, un efecto de feed-back, que mejorará per-
manentemente la labor del clínico.
Los procedimientos de cefalometría dinámica se
podrían clasificar de la siguiente forma:
1. Predicción de crecimiento exclusivamente; que
tiene dos variantes:
a) A largo plazo (predicción arquial).
b) A dos años.
2. Predicción de tratamiento (VTO).
a) Con crecimiento.
• A largo plazo.
• A 2 años.
b) Sin crecimiento
3. Áreas de superposición.
En este capítulo se desarrollarán algunos de
estos métodos que son aquéllos a los cuales asigna-
mos utilidad desde el punto de vista clínico.
• Predicción de crecimiento a largo plazo (método
arquial)
• Visualización de objetivos terapéuticos (VTO)
con crecimiento para 2 años de tratamiento.
• Visualización de objetivos terapéuticos (VTO)
sin crecimiento.
PREDICCIÓN ARQUIAL
DE CRECIMIENTO A LARGO
PLAZO SIN TRATAMIENTO
En el año 1970, y tras más de 20 años de investi-
gación, Robert M. Ricketts publicó su teoría ar-
quial de crecimiento mandibular.
Entre las observaciones previas que hicieron
posible su teoría, es importante destacar las reali-
zadas sobre cráneos de incas en los que la cortical
de la mandíbula había desaparecido. Ricketts
observó en esos huesos la existencia de líneas de
fuerza paralelas que formaban curvas cóncavas que
convergían en una línea bastante marcada en el
cóndilo. Otras líneas iban desde la apófisis coronoi-
des hasta el punto Xi y continuaban a lo largo del
cuerpo de la mandíbula hasta la sínfisis. Esto le
hizo pensar que el crecimiento mandibular no se
hacía siguiendo una línea recta sino describiendo
un arco.
Para verificar su hipótesis trabajó con una mues-
tra de 40 individuos en los que mediante controles
radiográficos conocía su crecimiento hasta el final.
Sus hallazgos fueron los siguientes (Fig. 15.1):
• Cuando el arco utilizado para la predicción pasa-
ba por Pm y el cóndilo, el crecimiento tenía una
tendencia dolicofacial de Clase III con apertura
del eje facial (Fig. 15.1 A).
• En los casos en que el arco pasaba por Pm y la
apófisis coronoides, el crecimiento mostraba una
tendencia braquifacial de Clase II con cierre del
eje facial (Fig. 15.1 B).
Estos hallazgos lo llevaron a la conclusión de
que el arco para los patrones de crecimiento pro-
medio, no pasaba ni por el cóndilo ni por la apófi-
sis coronoides, aunque después constató que esas
situaciones correspondían a los casos extremos.
Siguiendo sus investigaciones, situó el arco man-
dibular en una zona intermedia, describiendo una
curva que pasa por Pm y un punto situado en el cua-
drante anterosuperior de la rama. A este hallazgo lo
Crecimiento. Predicción arquial 341C
B
Pm
Fig. 15.1: Determinación del arco de crecimientomandi-
bular. A: A través del cóndilo. B: A través de la apófisis
coronoides. C: Hallazgo del arco de crecimiento prome-
dio, que pasa por el punto EVA.
denominó punto EVA en recuerdo al nombre de su
madre (Fig. 15.1 C).
La prolongación hacia arriba de este arco, pa-
sa por la parte anterior de la escotadura sigmoi-
dea, cerca de su parte media. En este lugar seña-
ló el punto MURRAY (nombre de su padre). Este
arco sería el que rige el crecimiento promedio ya
que a él obedece más del 85 % de la población y
en él se encuadra la gran mayoría de nuestros pa-
cientes.
El pequeño porcentaje restante debe conside-
rarse como excepción y comprende los casos que
crecen siguiendo uno u otro de los arcos descritos
anteriormente por Ricketts.
Es importante agregar que esta teoría arquial de
crecimiento mandibular fue confirmada posterior-
mente por los trabajos de Moss, Woodside y otros
y más tarde por Donald Enlow.
Ventajas de la utilización de la predicción de
crecimiento a largo plazo sin tratamiento
1. Muestra con alto grado de exactitud el perfil del
paciente al finalizar el crecimiento, permitién-
donos evaluar la estética y el equilibrio de sus
componentes.
2. Posibilita observar con claridad el efecto del
crecimiento normal en ciertas áreas del perfil;
por ejemplo, la convexidad en los distintos bio-
tipos faciales.
3. Orienta sobre el tipo de tratamiento necesario
ya sea ortodóncico u ortopédico y la aparatolo-
gía más conveniente para la corrección del caso.
4. Permite formular pronósticos más acertados.
342 Síntesis del diagnóstico y planificación
5. A veces, advierte sobre tratamientos que serían
innecesarios ya que los procesos de crecimiento
y desarrollo producirán autocorrecciones fisio-
lógicas o naturales.
6. Ayuda a adoptar procedimientos racionales
evitando extracciones u otras maniobras tera-
péuticas que desde el punto de vista del estado
actual del paciente podrían considerarse correc-
tas, pero vistas en prospectiva resultarán deleté-
reas.
7. Es útil para la motivación del paciente.
8. Es un excelente elemento didáctico para el que
se inicia en el estudio del diagnóstico y la plani-
ficación, porque facilita la interpretación de los
fenómenos de crecimiento.
Si bien ninguna predicción biológica tiene una
exactitud del 100%, Ricketts sostiene que es co-
rrecto esperar resultados acertados dentro de un
rango del 90%.
La técnica a largo plazo (para predicciones más
allá de 3 años), se basa en 2 conceptos:
1. La mandíbula se predice como una variable in-
dependiente (Fig. 15.2).
2. La base de cráneo y el maxilar superior se cons-
truyen a partir de la mandíbula ya pronosticada
(Fig. 15.3).
Esto responde a que el tamaño y la forma de la
mandíbula son un factor dominante en la morfolo-
gía facial. Por lo tanto, una vez trazada la predic-
ción mandibular, el cráneo y la cara se adicionan
como pasos secundarios.
La cara, la base craneal y los arcos dentarios se
orientan de acuerdo a un fenómeno biológico des-
crito como comportamiento gnómico. Por lo tanto,
el orden de construcción será el siguiente:
1. Predicción arquial de la mandíbula.
2. Altura facial inferior. Plano oclusal.
Fig. 15.2: Crecimiento mandibular siguiendo el arco des-
cripto por Ricketts. Constituye el primer paso en la predic-
ción de crecimiento a largo plazo.
Crecimiento. Predicción arquial 343°
3. Base de cráneo, representada por el plano Ba-
Na. Su ubicación tiene en cuenta una de las 3
medidas gnómicas que es el ángulo del eje facial.
4. Maxilar superior. Se ubica tomando como refe-
rencia las dos medidas gnómicas restantes que
son: la altura facial inferior, que relaciona verti-
calmente el maxilar superior con la mandíbula,
y el ángulo Ba-Na-A que lo ubica en sentido
sagital (Fig. 15.3).
5. Estructuras dentarias, con el siguiente orden:
incisivo inferior, molar inferior, molar superior
e incisivo superior.
6. Perfil blando, comenzando en la zona frontal
y finalizando en el mentón.
Durante todo el procedimiento se van adicio-
nando los incrementos promedio de crecimiento,
establecidos estadísticamente para cada una de las
estructuras craneofaciales. Estos incrementos se
denominan módulos de crecimiento o factores K,
estableciéndose en mm por año.
Por ejemplo: el factor K para el crecimiento de
la base craneal anterior (CC-Na) es de 0,8 mm por
año (Fig. 15.4).
Se debe tener presente que se considera fin de
crecimiento para las mujeres la edad de 15 años y
para los varones 18 años aproximadamente.
A continuación desarrollaremos el procedi-
miento para la construcción de la predicción de cre-
cimiento a largo plazo sin tratamiento. Es la que
Ricketts denomina Long Range Forecast (L R F).
Con la finalidad de facilitar la tarea del opera-
dor, se ha simplificado el procedimiento de predic-
ción original, eliminando los pasos de remodelación
de ciertas estructuras óseas (como la apófisis coro-
noides, huesos propios de la nariz, sínfisis, zona
goníaca) que son determinadas por apreciaciones
9 años
15 años
Fig. 15.3: Después de predecir la forma y tamaño mandibular, se completan el resto de las estructuras óseascraneo-
faciales. Obsérvese el comportamiento gnómico de los ángulos del eje facial, de la altura facial inferior y del Ba-Na-A.
344 Síntesis del diagnóstico y planificación
bastante subjetivas, y cuya omisión según nuestra
experiencia, no altera el resultado global de la pre-
dicción ni varía conceptos de aplicación clínica.
Para su mejor comprensión se ilustrará cada
paso con figuras en tres colores:
• En negro el trazado original.
• En gris claro, el trazado original cuando tiene su-
perpuesto el papel vegetal en el que se construye
la predicción.
• En verde lospasos ya realizados de la predicción.
• En azul el trazo de la predicción que se realiza en
ese paso.
Las etapas del procedimiento son lassiguientes:
A. En trazado original:
1. Determinación del punto EVA y del arco de
crecimiento mandibular (pasos 1 al 5, Figs. 15.5
y 15.6).
B. En papel vegetal:
2. Mandíbula (pasos 6 al 10,Figs. 15.7 a 15.11).
3. Altura facial inferior, plano oclusal (paso 11,
Fig. 15.11).
4. Base de cráneo (pasos 12 a 14,Figs. 15.12 a 15.16).
5. Maxilar superior (pasos 15 a 17, Figs. 15.17 a
15.20).
6. Dientes (paso 18, Fig. 15.21).
7. Tejido blando (pasos 19 a 23, Figs. 15.22 a 15.30).
No es necesario que la predicción sea de pre-
cisión absoluta sobre todo en lo que a dimensiones
se refiere. Nuestro mayor interés está centrado en
prever los cambios que producirá el crecimiento en
las interrelaciones de las distintas estructuras y en
las modificaciones que estos cambiosproducirán en
el perfil facial.
El crecimiento es un proceso sumamente com-
plejo, no obstante, la predicción arquial nos hace
comprender y visualizar algunos aspectos de sus
mecanismos con bastante certeza.
A pesar de que existe un porcentaje de ex-
cepciones que no se ajustan a los parámetros ya
mencionados, pensamos que es un hallazgo extraor-
dinario que gravitará decisivamente en la formula-
ción de los objetivos y planificación del tratamiento.
Fig. 15.4: La cantidad de crecimiento por año de cada una de las estructuras se determina a través de los factores K.
Crecimiento. Predicción arquial 345°
MÉTODO DE TRAZADO
En trazado original
Punto EVA y arco de crecimiento mandibular
1. Se hace una marca 0,5 mm por año por detrás
del cóndilo y se traza una perpendicular a
Frankfort que pase por este punto (Fig. 15.5).
2. Desde Xi se traza una línea perpendicular a
Frankfort hasta la escotadura sigmoidea. Aquí
se marca el punto R3 (Fig. 15.5).
3. Se hace una marca en la mitad de esta línea y
desde allí se traza una paralela a Frankfort hasta
el borde anterior de la rama. Aquí se marca el
punto RR (Fig. 15.5).
4. Se traza una línea desde RR a R3, y en la mitad
de esta línea se marca el punto EVA (Fig. 15.5).
5. Con el compás, haciendo centro en EVA, llega-
mos hasta PM. Con esa medida del compás se
hacen dos trazos: uno tomando centro en EVA
y el otro en PM. En la intersección de estos dos
trazos (que está aproximadamente en la nariz
del trazado) se marca un punto que sirve de cen-
tro para trazar el arco mandibular. Donde éste
corte a la escotadura, se determina el punto
Murray (Fig. 15.6).
Mujeres: crecimiento máximo: 15 años
Varones: crecimiento máximo: 18 años
Fig. 15.5.
346 Síntesis del diagnóstico y planificación
En papel vegetal
Mandíbula
6. Se traza un arco igual al anterior, con la misma
medida del compás.
Estando superpuestos ambos arcos, se calca la
sínfisis (Fig. 15.7).
7. Para dar crecimiento a la nueva mandíbula,
dejando siempre las sínfisis y los arcos super-
puestos, a nivel de la escotadura hacemos una
marca sobre el arco 2,5 mm por año más arriba
del punto Murray. Este es el punto Murray 1 y
hacemos otra marca en la mitad de la distancia
entre Murray y Murray 1 que se llama 1/2
Murray (Fig. 15.7).
Fig. 15.6.
Fig. 15.7.
Crecimiento. Predicción arquial 347°
0,2 mm/a
Fig. 15.8.
8. Teniendo siempre superpuestos los arcos, se
hace coincidir Murray 1con el punto Murray del
trazado original y se calca la punta de la apófisis
coronoides, la escotadura sigmoidea y el borde
superior del cóndilo hasta unos mm por debajo
del punto articular. Se lo dibuja aumentando 0,2
mm por año en la parte superior (Fig. 15.8).
9. Se hace coincidir 1/2 Mu con Mu original y se
calca la zona del gonion, se la une al cóndilo y se
hace una marca 0,3 mm por año adelante del
punto RR.
Este es el punto RR' (Fig. 15.9).
Se lleva el trazado hacia atrás hasta que coinci-
dan RR y RR' y se calca el borde anterior de la
rama. Se calca el borde inferior de la mandíbula
hasta cerca de la sínfisis. Se traza el plano man-
dibular (Fig. 15.10).
Fig. 15.9. Fig. 15.10.
348 Síntesis del diagnóstico y planificación
Fig. 15.11.
10.Para localizar el nuevo punto Xi, se superponen
ambas ramas repartiendo uniformemente el cre-
cimiento en sus bordes superior e inferior y
anterior y posterior. Se calca el punto Xi (Fig.
15.11).
Altura facial inferior
11.Se traza Xi - PM. Superponiendo este plano en
Xi, se calca Xi - ANS prolongándolo hacia ade-
lante unos milímetros. Se calca además el pla-
no oclusal (Fig. 15.11).
Base de cráneo
12.Se superponen ambos cóndilos haciéndolos
coincidir en su borde superior. Llevar el cóndilo
nuevo hasta la línea de puntos trazada detrás del
cóndilo original.
Manteniéndolos a la misma altura, girar hasta
que queden paralelos los ejes del cuerpo man-
dibular. Se calca el plano Ba - Na (Fig. 15.12).
Fig. 15.12.
Crecimiento. Predicción arquial 349°
0,5 mm/a 4f
CC'
Fig. 15.13.
Fig. 15.14.
0,8 mm/a
13.Para ubicar CC, se hacen coincidir los planos
Ba-Na en la intersección con el borde posterior
del cóndilo, y se hace una marca 0,5 mm por año
por delante del CC original. Este punto es el
nuevo CC y se denomina CC' (Fig. 15.13).
14.Para ubicar Na, se hacen coincidir CC y CC' y se
marca 0,8 mm por año por delante del Na origi-
nal (Fig. 15.14). Desde este punto trazar el plano
facial, y desde CC' el nuevo eje facial (Fig.
15.15).
Aquí se puede constatar, superponiendo Ba-Na
en CC', que los ejes coinciden (Fig. 15.16).
Fig. 15.15. Fig. 15.16.
350 Síntesis del diagnóstico y planificación
Fig. 15.17.
Maxilar superior
15. Superponiendo Ba - Na en nasion, se traza la
línea Na-A prolongándola unos milímetros
hacia abajo (Fig. 15.17).
16.Para trazar el maxilar se superponen los planos
Xi - ANS en Xi (Fig. 15.18). Se desliza el traza-
do hacia atrás manteniendo superpuestos estos
planos, hasta que la línea Na-A caiga sobre el
punto A del trazado original. Se calca el contor-
no del maxilar superior (Fig. 15.19).
Fig. 15.18
Fig. 15.19.
Crecimiento. Predicción arquial 351C
17. Se traza el nuevo plano A - Po (Fig. 15.20).
Fig. 15.21.
Po
Fig. 15.20.
Dientes
18.Calcar el incisivo inferior, superponiendo los
planos oclusales en la intersección con el plano
A-Po. Mantener así y calcar los molares supe-
riores e inferiores y el incisivo superior. En los
casos de Clase II división 1, el incisivo superior
va a supraerupcionar a lo largo de su eje, intro-
duciéndose entre los labios. En las Clases II
división 2 supra-erupciona a medida que se des-
liza en el vestíbulo entre el labio inferior y el
incisivo inferior (Fig. 15.21).
Tejido blando
19. Superponer los planos faciales en Na y calcar el
puente de la nariz (Fig. 15.22).
Fig. 15.22.
352 Síntesis del diagnóstico y planificación
20.Superponer ambos maxilares, llevar el trazado
hacia atrás a lo largo del plano palatal 1mm por
año y calcar la punta de la nariz (Fig. 15.23).
21.Manteniendo superpuestos los maxilares supe-
riores, se hace una marca 0,5 mm por año hacia
abajo y adelante, para dar crecimiento al punto
subnasal (Fig. 15.24).
Se desliza el trazado hacia arriba y atrás hasta
que coincida la marca con el punto subnasal ori-
ginal y se calca la base de la nariz hasta el punto
A inclusive (Fig. 15.25).
22.Para trazar los labios: se superponen ambos
incisivos superiores. Se hace una marca 0,3 mm
por año por delante del labio superior, para
aumentar su espesor (Fig. 15.26).
Fig. 15.23. Fig. 15.25.
Fig. 15.24
0,3 mm/a
Fig. 15.26.
Crecimiento. Predicción arquial 353°
Fig. 15.27.
Desplazamos nuestra predicción hacia atrás,
siempre manteniendo paralelos los planos Ba-
Na, hasta que la marca coincida con el labio
superior original (Fig. 15.27).
En esta posición se calcan el labio superior e
inferior.
23.Se superponen las sínfisis y se calca el tejido
blando del mentón dándole un crecimiento de
0,3 mm por año. Por último, se lo une al labio
inferior (Figs. 15.28 y 15.29).
24.Se traza el plano estético (Fig. 15.30).
Fig. 15.28.
Fig. 15.29. Fig. 15.30.
C A P I T U L O 16
Síntesis del diagnóstico
Síntesis del diagnóstico
La información obtenida con los métodos selec-
cionados para el caso está referida a la estética
facial, a las relaciones esqueletales, a las posiciones
dentarias , al biotipo facial y a la cantidad y direc-
ción de crecimiento remanente .También involucra
la función oclusal y la salud articular y periodontal.
Al procesamiento de toda esta información la
denominamos Síntesis del diagnóstico, y llevará a
la elaboración de los objetivos de tratamiento, es
decir, modificaciones ortopédicas y/o movimientos
dentarios propuesto. La confección del VTO y la
evaluación del posible resultado estético final
puede condicionar a su vez el plan preliminar esco-
gido.
Este proceso de síntesis sigue un orden secuen-
cial estudiando cada uno de los problemas y plan-
teando su solución dentro del contexto que lo con-
diciona.
Comienza con el estudio de la arcada dentaria
inferior, sobre la cual tomaremos las primeras deci-
siones de tratamiento.
Elaboraremos así una "nueva" arcada inferior
que obrará a manera de infraestructura sobre la
que se relacionará la arcada superior.
¿Por qué comenzar por la arcada inferior?
Porque la posición del incisivo inferior, en rela-
ción al plano A-Po, es la primera posición que se
debe definir debido a su condición de llave estética
y de objetivo primordial de tratamiento. De él
dependerá la posición que deberá tener el incisivo
superior con el tratamiento, y por consiguiente la
de los labios, ya que los incisivos constituyen su
soporte.
ANÁLISIS DE LA ARCADA DENTARIA
INFERIOR
El caso se analiza desde dos perspectivas:
Una de ellas, tridimensional, consiste en el estu-
dio de los modelos en los tres planos del espacio:
• Plano sagital: es la referencia para estudiar las
desviaciones transversales.
• Plano transversal: para las desviaciones ante-
roposteriores.
• Plano horizontal: para las desviaciones en
sentido vertical.
Por otra parte, en el modelo inferior se observan
las posiciones dentarias, apiñamientos, giroversio-
nes, diastemas, inclinacionesy el espacio disponible
en la arcada. El resumen de toda esta observación
será la medida de la discrepancia dentaria (DD),
que cuantificará el problema del espacio inferior,
sin tener en cuenta la relación de esa arcada con las
estructuras del perfil.
La otra perspectiva, bidimensional, correspon-
diente al estudio cefalométrico, aporta los datos
indispensables para la ubicación espacial de esa
arcada dentaria en el macizo craneofacial.
El parámetro que indica dicha armonía en la
posición de la arcada inferior es la medida de la dis-
tancia del 1 al plano A-Po de +1 mm.
Si esta distancia lineal estuviera disminuida o
aumentada, significa que la dentadura de ese
paciente estará atrasada o adelantada con respecto
a los maxilares y al perfil. Existe en este caso una
discrepancia entre la ubicación del incisivo y la
norma de +1 mm, que llamamos: discrepancia cefa-
lométrica (DC).
Discrepancia dentaria (DD)
Para obtener la discrepancia dentaria de una
arcada, debemos relacionar la longitud de arcada,
medida de mesial a mesial de los segundos molares
(espacio disponible) con la suma de los diámetros
mesiodistales de los 12 dientes anteriores (espacio
requerido)
Como dijimos anteriormente la discrepancia
dentaria puede ser:
Discrepancia O :
Cuando el espacio disponible en la arcada es
igual al necesario para alinear todos los dientes.
355
356 Síntesis del diagnóstico y planificación
Fig. 16.1.
Fig. 16.2.
Esta discrepancia Ose puede presentar con dis-
tintas variantes.
• Cuando no existen diastemas ni apiñamien-
tos, es decir, cuando hay un perfecto alineamiento
de todos los dientes con sus puntos de contacto
bien ajustados (Fig. 16.1).
• Cuando existiendo apiñamientos dentarios la
corrección de las giroversiones de los dientes pos-
teriores, provean el espacio necesario para su
correcta alineación (Fig. 16.2).
• Cuando falta espacio para la erupción de
alguna pieza dentaria, pero existe en la arcada la
manera de proveerlo (diastemas, giroversiones del
sector lateral, etc.) (Fig. 16.3).
Fig. 16.3.
• En casos de dentición mixta cuando un api-
ñamiento o falta de espacio para un diente aún no
erupcionado en el sector anterior, pueda resolverse
mediante el espacio que dejarán los molares prima-
rios al ser reemplazados por sus sucesorios perma-
nentes. Puede predecirse utilizando las tablas de
Moyers (Fig. 16.4).
Fig. 16.4.
Síntesis del diagnóstico 357
Discrepancia negativa:
Cuando el espacio disponible en la arcada no es
suficiente para el correcto alineamiento de todas
las piezas dentarias. Pueden, por esta razón, existir
apiñamientos o falta de erupción total o parcial de
algunos dientes (Fig. 16.5).
Fig. 16.5.
Discrepancia positiva:
Cuando el espacio disponible es mayor que el
necesario para lograr correctas posiciones denta-
rias.
Se manifiesta en la presencia de diastemas, giro-
versiones de los dientes del sector lateral o un espa-
cio libre de Nance en una arcada en la que el sector
anterior está correctamente alineado.
Los métodos para estimar la DD fueron expli-
cados anteriormente (Fig. 16.6).
Fig. 16.6.
358 Síntesis del diagnóstico y planificación
Discrepancia cefalométrica (DC):
Este valor también puede ser O, positivo o nega-
tivo y estará determinado por la posición del incisi-
vo inferior con respecto al plano A-Po.
Cuando el incisivo esté ubicado en la norma, la
DC será O(Fig. 16.7).
Fig. 16.7.
Cuando esté por delante de la norma será nega-
tiva porque llevarlo a la norma implica una retru-
sión y por lo tanto se pierde longitud de arcada
(Fig. 16.8).
Fig. 16.8.
Una posición por detrás de la norma se conside-
ra una DC positiva, porque llevar el incisivo a + 1
mm significa adelantarlo, con lo que se gana longi-
tud de arcada (Fig. 16.9).
Fig. 16.9.
Síntesis del diagnóstico 359
El valor de la DC, se obtiene multiplicando por
dos la cantidad de milímetros existentes entre el
incisivo y la norma. La necesidad de multiplicar por
dos se debe a que la telerradiografía es una imagen
bidimensional, de una estructura tridimensional,
por lo que visualizamos sólo una hemiarcada.
Ejemplos:
a) Incisivo inferior a A-Po = +4 mm
DC = -6 mm
b) Incisivo inferior a A-Po = Omm
DC = +2 mm
En este paso de la planificación, debemos unir
DD y DC.
Como resultado de esta fusión, ambas discre-
pancias podrán:
• Compensarse totalmente
• Compensarse parcialmente
• Potenciarse
El resultado que obtenemos al relacionar ambas
discrepancias es lo que llamamos discrepancia total
(DT).
Éste es un concepto clave para el proceso de
planificación.
Discrepancia total es la cantidad de espacio
necesario para el correcto alineamiento de los dien-
tes, con una posición del incisivo inferior ajustada a
la norma cefalométrica, es decir su borde incisal 1
mm por delante del plano A-Po.
A-Po
1 al A-Po = - 2 mm
DD = - 6 mm DC = + 6 mm
Fig. 16.10.
DT = 0
En este caso faltan 6 mm para un alineamiento correcto, pero la posición del incisivo debe ser normaliza-
da mediante un avance que permitirá ganar la misma cantidad de espacio. Es decir, que ambas discrepan-
cias se compensan y la DT es O(Fig. 16.10).
360 Síntesis del diagnóstico y planificación
A-Po
1 al A-Po = + 3 mm
DD = + 4mm
Fig. 16.11. DT = O mm
DC = - 4mm
La posición adelantada del incisivo (1 al A-Po: +3 mm) podrá ser corregida cerrando los diastemas que
nos dan un espacio igual al necesario para posicionar el incisivo en la norma. Esta compensación es total
(DT:0) (Fig. 16.11)
A-Po
1 al A-Po = + O mm
DD = - 6 mm DC = + 2 mm
Fig. 16.12. DT = - 4mm
Un apiñamiento de 6 mm puede resolverse por una DC positiva, pero al ser ésta de +2 mm no llega a
compensarlo totalmente, por lo que la DT es -4 mm (Fig .16.12).
Síntesis del diagnóstico 361
DD = + 4 mm
Fig. 16.13.
DT = - 2 mm
1 al A-Po = + 4 mm
DC = - 6 mm
Los diastemas que existen en la arcada suman 4 mm. Serán utilizados para retruir un incisivo inferior
adelantado, pero no será suficiente para que éste puede ser ubicado en la norma (DT:-2 mm) (Fig. 16.13).
A-Po
DD = - 6 mm
Fig. 16.14. DT = - 14 mm
1 al A-Po = + 5 mm
DC = - 8 mm
Al apiñamiento inferior de 6 mm se adiciona la necesidad de una retrusión de 4 mm del incisivo inferior
(DC:-8 mm). Hacen una discrepancia total de -14 mm (Fig. 16.14).
362 Síntesis del diagnóstico y planificación
1 al A-Po = - 1 mm
DD = + 2 mm DC = + 4mm
Fig. 16.15.
DT = + 6 mm
En esta arcada hay un remanente de 2 mm de espacio, y a su vez el incisivo debe ser protruido para
alcanzar la norma. Ambas discrepancias son positivas (Fig. 16.15).
La DT define el problema de la arcada dentaria inferior. Cuando es Osignifica que no existen proble-
mas para alinear todos los dientes ajustados a la norma cefalométrica.
Un número negativo nos indica que para solucionar el problema se deberá crear espacio. Por el contra-
rio, una DT positiva significa que si queremos colocar los dientes en la norma cefalométrica sobrarán espa-
cios.
De estas dos posibilidades, la primera es la más frecuente y nos lleva a evaluar los procedimientos que
permitan crear espacios en la arcada.
MODELOS
DISCREP. DENTARIA
DISCREP. CEFALOMÉTRICA
CEFALOMETRÍA
DISCREP.
TOTAL
+ (Positiva)
O (Sin discrep.)
- (Negativa)—
Síntesis del diagnóstico 363
PROCEDIMIENTOS PARA CREAR
ESPACIOS
Éstos consisten en: (Fig.16.16).
1. Protrusión
2. Verticalización molar *
3. Expansión lateral o verticalización en sentido
lateral *
4. Desgastes proximales *
5. Las extracciones
1-2-3 y 4 Son los denominados procedimientos
conservadores. Los señalados con asteriscos * sólo
podrán ser planificados cuando las condiciones ini-
ciales de la arcada permitan recurrir a éstos.
0
Fig. 16.16: Procedimientos para crear espacios en la arcada inferior.
364 Síntesis del diagnóstico y planificación
1- Protrusión
También se la denomina expansión anterior.
Deben distinguirse en este punto, dos aspectos:
• uno es el movimiento dentario de protrusión
que genera 2 mm de espacio en la arcada por cada
milímetro de avance del incisivo (Fig. 16.17);
• el otro es protruir el incisivo más allá de la
norma para compensar una discrepancia total
negativa. Este es el aspecto que estamos consi-
derando.
Para explicar esto, daremos dos ejemplos:
1.Posición del incisivo con respecto al A-Po =
-1 mm, por lo que la DC es de +4mm.
DD = -4 mm.
Aquí la DT es O mm.
Los incisivos, mediante un movimiento de
protrusión, pueden ser llevados de la posición
-1 mm a +1 mm con respecto a A-Po.
2. La misma posición inicial del 1 al A-Po = -1
mm, pero con una DD de -8 mm resulta en una
DT de -4 mm.
Para alinear los incisivos, tendríamos que lle-
varlos a una posición final de +3 mm con res-
pecto a A-Po. En este caso consideramos la pro-
trusión del incisivo más allá de la norma como
un recurso para ganar espacio cuando la DT es
negativa.
¿Cuál es el límite para esa posición adelantada
del incisivo?
La respuesta la obtendremos a partir del estudio
de los factores que debemos considerar al modifi-
car la posición del incisivoinferior.
Estos factores pueden ser:
a) Funcionales
- Musculares
- Gnatológicos
b) Cefalométrícos
c) Estéticos
d) Periodontales
Debemos partir de la siguiente idea:
El paciente llega a nosotros con sus incisivos
apiñados, apiñados y protruidos, apiñados y retrui-
dos, alineados y protruidos o retruidos; es decir, en
diversas posiciones que pueden estar más o menos
alejadas de los parámetros normales.
Pero sin embargo, a pesar de la desarmonía de
su implantación en el reborde alveolar, muchas
veces son estables.
Nuestro tratamiento corregirá la anomalía colo-
cándolos en otra posición y, al hacerlo, puede crear
condiciones de inestabilidad.
Dicho en otras palabras, el tratamiento puede
transformar malposiciones estables en correcciones
inestables.
Una planificación adecuada debe minimizar
este riesgo, para lo cual debe tomar en cuenta los
factores que afectan la estabilidad de losincisivos.
1 mm 1 mm
T 1 mm
Fig. 16.17: Cada milímetro de protrusiónde los incisivosgenera 2 mm de espacio en la longitud del arco (1 mm por
cada hemiarcada).
Síntesis del diagnóstico 365
a) Funcionales
MUSCULARES (Fig. 16.18):
La estructura muscular tiene características
diferentes en los distintos biotipos.
En los dolicofaciales el perfil de la sínfisis se
caracteriza por ser alargado, con un pogonion muy
poco prominente.
El reborde suele ser muy alto y las tablas vesti-
bular y lingual muy delgadas.
La dirección del orbicular de los labios, que
desde su inserción en la sínfisis asciende hasta el
labio inferior, es en estos casos sumamente vertical.
Esta dirección no sólo se debe a las característi-
cas anatómicas de la sínfisis sino también al aumen-
to de la altura del tercio inferior de la cara, que
obliga a los labios a una tensión exagerada para
lograr el cierre bucal.
Si nuestro tratamiento llevara los incisivos a
posiciones muy adelantadas, quedarían sometidos
a una presión constante en sentido anteroposterior
y la recidiva sería inevitable.
Muy diferente es el caso del braquifacial, que
tiene generalmente una sínfisis más voluminosa
con un pogonion prominente asociado a una altura
facial inferior corta. Esto permite a los labios adop-
tar una postura más relajada. La dirección de las
fibras musculares será ascendente pero con una
inclinación de atrás y abajo hacia adelante y arriba,
permitiendo de esta manera una mayor protrusión
del grupo incisivo.
Ésta es una de las razones por las que puede pla-
nificarse una posición más adelantada de los incisi-
vos en los braquifaciales.
GNATOLÓGICOS
Los requisitos de una oclusión mutuamente pro-
tegida imponen una ubicación de los incisivos, de
manera tal que permitan una guía anterior inme-
diata para los movimientos de protrusión, evitando
los contactos en sectores posteriores, para lo cual,
deberán tener una relación de overbite acorde con
la profundidad de las cúspides de molares y premo-
lares y la inclinación de la guía condílea.
El ángulo inciso condilar de McHorris (Fig.
16.19) es una importante referencia para la inclina-
Fig. 16.18: Una posición estable del incisivo inferior deba planificarse al resguardo de las fuerzas musculares.
366 Síntesis del diagnóstico y planificación
ción del incisivo.
Está formado por una línea trazada desde el
centro del cóndilo hasta el borde incisal del incisivo
inferior, y el eje mayor de este diente.
Fig. 16.19: Ángulo de McHorris.
Tiene una norma de 88,5° con una DS de 5,5°.
McHorris encontró variaciones en el tamaño de
este ángulo que van desde 77° a 101°.
Esta medida contempla un aspecto dinámico.
Los incisivos que tengan una angulación dentro de
la norma no recibirán durante la masticación fuer-
zas tangenciales que tenderán a desplazarlo, sino
en dirección a su eje mayor.
b) Cefalométricos
Los factores cefalométricos que se deben consi-
derar para la colocación del incisivo inferior son:
(Fig. 16.20)
• La distancia en milímetros con respecto al
plano A-Po.
Nos permite lograr un balance óptimo entre la
posición del incisivo inferior y las bases esquele-
tales superior e inferior.
• Relación plano E-labio inferior.
• Relación del plano oclusal con la longitud
labial.
Ambos factores, si bien se basan en observacio-
nes cefalométricas, serán considerados dentro
de los factores estéticos.
• Inclinación del 1 con respecto alplano mandi-
bular.
Este ángulo fue estudiado por Downs y
Tweed entre otros. El primero encontró un
rango de 82° a 97°.
Tweed llamó a este ángulo IMPA y le dio un
valor promedio de 87°. Por lo tanto, se puede
considerar como norma una medida de alrede-
dor de los 90°.
Es una guía que nos permitirá evaluar la posi-
bilidad de protruir o no un incisivo inferior, sin
poner en peligro la estabilidad.
Los factores mencionados tienen relación con la
Fig.J6.20: Factores cefalométricos para lacolocación
deM.
1- Distancia 1 al A-Po.
2- Labio inferior-plano estético.
3- Plano oclusal-comisura.
4-Angulación 1- plano mandibular (Tweed).
Síntesis del diagnóstico 367
estabilidad del grupo incisivo inferior. Pero ade-
más, existen factores estéticos y periodontales que
también limitan el posicionamiento hacia adelante
de estos dientes.
c) Estéticos
El incisivo inferior es el que dicta la posición del
incisivo superior. Un movimiento de protrusión
implica un avance de los labios, por lo que subalan-
ce estético deberá ser evaluado antes de tomar la
decisión.
El estadio de crecimiento del paciente merece
una consideración especial en este momento, por-
que gracias a los procedimientos de cefalometría
dinámica, podemos elaborar en esta etapa un pro-
yecto de la cara que tendrá el paciente al finalizar
el crecimiento.
El balance de las estructuras del perfil (los
labios, respecto de nariz y mentón, convexidad,
etc.) tendrá variantes de acuerdo al biotipo facial.
Un tratamiento que se realice cuando aún
queda una cantidad considerable de crecimiento
remanente, debe considerar estos cambios y buscar
posiciones dentarias que permitan armonizar las
estructuras del futuro perfil del paciente.
Este cambio es muy evidente en losbraquifacia-
les, en los cuales el crecimiento suele provocar con-
siderables modificaciones del perfil, cuyo común
denominador es la retrusión labial.
A los 9 ó 10 años, una protrusión no muy mar-
cada del sector incisivo y labial se convertirá en un
balance óptimo del 1/3inferior de la cara en la edad
adulta. Por lo tanto, una planificación hecha para
una edad temprana en pacientes braquifaciales,
puede contemplar una posición más adelantada de
las arcadas (Fig. 16.21).
Otro factor estético a considerar al definir la
posición sagital de los incisivos es la competencia
labial. Avanzar los dientes en casos de labios lige-
ramente cortos puede provocar una dificultad para
el cierre bucal anterior lo que genera tensiones
labiales indeseadas y alteraciones del perfil.
Fig.16.21: Una posición más protruida del incisivo inferior a la edad de 9-10 años producirá una posición adelantada del
labio inferior, pero el crecimiento del patrón braquifacial, de dirección anterior, reducirá la protrusión en la edad adulta.
368 Síntesis del diagnóstico y planificación
Por otra parte, es muy importante el balance
estético de los incisivos con respecto a los labios en
sentido vertical. La referencia para la ubicación de
ambos incisivos en este plano, es el plano oclusal
funcional (1 al plano oclusal: +1 mm).
En condiciones normales el plano oclusal fun-
cional pasa, en el sector anterior, 3 mm por debajo
de la comisura labial. En esos casos, los incisivos
que tengan una normal relación con ese plano,
estarán ubicados armónicamente con respecto a los
labios.
Cuando la relación plano oclusal-comisura está
alterada, se debe modificar el plano oclusal en la
planificación (VTO) como veremos más adelante,
con el objeto de lograr un óptimo balance labio-
diente (fig.16.22).
N.F.
9A3 m.
Fig.16.22: Paciente N.F.: fotos de frente y perfil, donde
se observa aumento de exposición del incisivo debido
a un labio superior corto. En la cefalometría la medida
plano oclusal-comisura, se encuentra aumentada.
Deberá planificarse una corrección del plano oclusal e
intruir el incisivo superior para mejorar la estética labio-
dental.
Síntesis del diagnóstico 369
d) Periodontales
Las malposiciones de los incisivos, apiñamien-
tos, giroversiones, etc., traen aparejadas como
secuela reabsorciones de los tejidos de soporte del
diente. Una protrusión en estos casos debe ser cui-
dadosamente programada, evitando crear proble-
mas periodontales al grupo incisivo.
Las tablas alveolares vestibular y lingual tam-
bién son de diferente espesor según las característi-
cas esqueletales del paciente (Fig. 16.23).
Esto será estudiado en la telerradiografía lateral
y también clínicamente por medio de la palpación.
Si un caso con excesivo apiñamiento y tablas ves-
tibulares delgadas puede ser compensado parcial-
mente por una DC positiva, no es aconsejable pen-
sar en una protrusión más allá de la norma para
solucionar totalmente el problema. Se deberán eva-
luar otros recursos, generalmente las extracciones,
para disminuir el riesgo de mayor daño periodontal. Fig.16.23: Las tablas alveolares muy delgadas son un
factor limitante de la protrusión del sector anterior.
2- Verticalización molar
La verticalización del molar inferior consiste en
un enderezamiento de su eje mayor en el supuesto
caso de hallarse en mesioinclinación.
Este procedimiento permite ganar aproximada-
mente 0,5a 1mm por lado, dependiendo de la mag-
nitud de la inclinación del molar hacia mesial.
La verticalización molar no podrá ir más allá de
la obtención de una correcta inclinación de este
diente. Un exceso en su verticalización provocará
una elevación de sus cúspides mesiales generando
interferencias en el sector posterior (Fig. 16.24).
El movimiento de distalamiento de esta pieza,
entendiéndose como tal el desplazamiento del
molar hacia distal manteniendo la misma inclina-
ción de su eje, no es aconsejable debido a la topo-
grafía ósea de la zona.
Fig.16.24: Puede realizarse una verticalización del molar
a partir de una mesioinclinación del mismo (A).
Si se realiza a partir de una correcta inclinación del molar,
ocurrirá una excesiva verticalización con elevación de las
cúspides mesiales (B).
370 Síntesis del diagnóstico y planificación
3- Expansión lateral o verticalizaciónen
sentido lateral
Al igual que el anterior, este movimiento será
factible cuando exista una inclinación anormal del
eje de los dientes del sector lateral, en este caso una
linguoinclinación. Por esto, es más apropiado
hablar de una verticalización en sentido lateral que
de una verdadera expansión (Fig. 16.25).
Este movimiento deberá respetar también las
inclinaciones de los ejes de los dientes de este sec-
tor en sentido bucolingual, dado que una excesiva
verticalización traerá como consecuencia la altera-
ción de la curva de Wilson, cuyo mantenimiento es
necesario para evitar interferencias en las excursio-
nes laterales.
La magnitud de espacio que permite obtener
responde a la siguiente escala:
• 1 mm de "expansión" a nivel de caninos,
genera 1 mm de espacio en la arcada
• 1 mm a nivel de premolares, 0,5 mm.
• 1 mm a nivel de molares, 0,25mm.
Por lo tanto, si una arcada inferior es ensancha-
da 1 mm desde caninos a molares, ganaremos 1,75
mm (Fig. 16.26).
Tanto este recurso, como el precedente, no
admiten excesos. No podemos, con el propósito de
conseguir más espacio, ir más allá de las posiciones
naturales de los dientes.
El tratamiento con aparatología preajustada
facilita esta tarea porque por las características de
su concepción pone límites a estos movimientos.
Las aparatologías que no tienen esa condición,
pueden llevar al profesional a exagerar estos recur-
sos con el consiguiente efecto negativo en cuanto a:
• Estabilidad
• Relaciones interoclusales
• Función libre de interferencias
• Armonía de lasATM
• Agravamiento del patrón facial (apertura del
eje facial en dolicofaciales).
B
Fig.16.25: La expansión o verticalización lateral podrá
realizarse cuando los sectores laterales presenten una
excesiva lingualización (A). Realizarla cuando la inclina-
ción vestibulolinguales la adecuada, puede originar con-
tactos prematuros(B).
TOTAL:
1,75 mm
Fig.16.26: Magnitud de espacio producido por 1 mm de
expansión en la arcada inferior.
Síntesis del diagnóstico 371
4- Desgaste proximal (stripping)
Se realiza en las caras proximales de los cuatro
incisivos inferiores, a veces puede incluir los cani-
nos y los premolares. Permite obtener hasta 2 mm
de espacio.
Se realiza manualmente con tiras de acero dia-
mantado. El stripping debe ir acompañado de una
observación previa del índice de Bolton para evitar
un desbalance de las relaciones dentarias interarca-
das, con la consecuente pérdida de la correcta rela-
ción canina. Otras veces es una maniobra necesaria
para normalizar o armonizar diámetros mesiodista-
les.
Este tipo de desgaste requiere también una eva-
luación anatómica del diente y sus tejidos de sopor-
te (Fig. 16.27).
Los dientes deben tener una diferencia entre el
diámetro mesiodistal medido a nivel del punto de
contacto y el mismo diámetro a nivel cervical.
Si así no fuera, el desgaste provocaría una exce-
siva aproximación y hasta contacto de las raíces,
provocando la atrofia del septum interdentario.
Por ejemplo: Una relación canina alterada
puede deberse a una macrodoncia localizada de
algunos dientes, que podrá solucionarse mediante
este recurso (Fig. 16.28).
Fig.16.27: La diferente anatomía coronaria define las
características del septum interdentarioy con ello, la posi-
bilidad de realizar desgastesproximales.
B
Fig.16.28: El stripping como recurso para normalizar una discrepancia entre los diámetros mesiodístales superior e infe-
rior. En este caso, el stripping inferior permite el establecimientode una correcta clase canina. A: antes del stripping.
B: después de realizado.
372 Síntesis del diagnóstico y planificación
5- Las extracciones
El estudio de la arcada dentaria inferior des-
cripta hasta este momento consistió en determinar
la discrepancia total, concepto que resume la canti-
dad de milímetros necesarios para que la arcada
dentaria sea correctamente alineada respetando
parámetros cefalométricos.
Se describieron cuatro recursos clínicos y los
límites de cada uno de ellos para ganar espacio en
los casos en que la discrepancia total tenga valores
negativos. Estos recursos son conocidos también
como métodos conservadores.
Cuando la cifra de la discrepancia total exceda
las posibilidades de los métodos conservadores se
requerirá la creación del espacio mediante la
extracción de piezas dentarias.
Este recurso ha planteado y plantea en la actua-
lidad la gran disyuntiva:extraer o no extraer.
Es un tema de gran preocupación para el estu-
diante. Es frecuente que éste quiera una "receta"
precisa de la cifra de la discrepancia total que sepa-
ra el tratamiento conservador del tratamiento con
extracciones.
Es factible encontrar en los textos ciertas nor-
mas para la decisión de extracciones, referidas a la
"discrepancia de espacio", y podemos leer aprecia-
ciones como:
"hasta 4 mm de discrepancia de espacio se
resuelven sin extracciones".
"de 5 a 8 pueden a veces tratarse sin extraccio-
nes".
"9, 10 o más casi siempre requieren extraccio-
nes".
La crítica a esto, consiste en que no puede pre-
cisarse la necesidad o no de extracciones como
recurso terapéutico, con la sola cuantificación del
problema de espacio.
Creemos que la única manera de clarificar este
concepto es integrar varios aspectos diferentes:
• La discrepancia dentaria.
• La discrepancia cefalométrica.
• El biotipo facial.
• La información del estudio gnatológico (que
puede condicionar la utilización de métodos de
verticalización molar, expansión transversal, las
extracciones, etc.)
• Morfología dentaria (posibilidad de stripping)
• Características del perfil blando.
• Tipo de crecimiento remanente.
Un apiñamiento de -4 mm tendrá distinto signi-
ficado si está considerado en una arcada cuyo inci-
sivo está colocado a +4 mm del plano A-Po que un
apiñamiento igual al anterior en una arcada cuyo
incisivo está a -1 mm con respecto al mismo plano
(Fig. 16.29). Si a esto agregamos que el primer caso
está referido a un paciente dolico y el segundo
ejemplo a un braqui, el problema será muy diferen-
te a pesar de que las discrepancias dentarias son
iguales.
Al integrar dos datos del diagnóstico: discrepan-
cia dentaria y discrepancia cefalométrica, aparece
un tercero, discrepancia total, que involucra los dos
problemas que puede presentar una arcada: los
espacios insuficientes o sobrantes para la correcta
ubicación de los dientes en los rebordes alveolares
y los espacios insuficientes o excesivos para su
correcto posicionamiento dentro del contexto
facial.
Hemos repetido nuevamente estos conceptos
para que el lector no pierda el itinerario del proce-
dimiento de planificación.
De todo lo visto, surge que la discrepancia total
es un dato de suma importancia que nos orienta
sobre la manera de resolver el problema.
En el primero de los ejemplos dados, ambas dis-
crepancias son negativas:
DD
DC
DT
-4mm
-6 mm
-10 mm
Estos -10 mm de DT, hablan claramente de la
necesidad de hacer extracciones para obtener el
espacio (Fig. 16.29 A).
En cambio, en el segundo ejemplo:
DD = -4 mm
DC = +4 mm
DT = O mm
Síntesis del diagnóstico 373
La DT = O,expresa que no existe falta de espa-
cio (Fig. 16.29 B).
Aun teniendo en cuenta los valores de la DT, no
podemos dar normas precisas sobre cuando extraer
o no, porque restan evaluar posibilidades de pro-
trusión más allá de la norma, verticalización molar,
expansión transversal y stripping, procedimientos
éstos que no se atan a parámetros rígidos sino que,
como ya se vio, son opciones según el biotipo facial,
etapa del desarrollo, condición gnatológica (oclu-
sión, ATM y función neuromuscular), característi-
cas esqueletales y del perfil blando, morfología
dentaria, etc.
Resumiendo, se recurrirá a las extracciones,
cuando los métodos conservadores no sean sufi-
cientes para solucionar una DT negativa, porque
1 - A-Po = + 4 mm
DD = - 4mm DC = - 6 mm
DT = -10 mm (extracciones)
Fig.16..29: El mismo problema en la arcada dentaria inferior (DD: -4 mm) con diferentes posiciones cefalométricas del
incisivo. En A: para lograr un correcto alineamiento dentario dentro de parámetros cefalométricos aceptables, se deberá
recurrir a las extracciones.En B: la DT Oplantea una solución sin extracciones (página siguiente).
374 Síntesis del diagnóstico y planificación
B
1 - A-Po = - 1 mm
DD = - 4 mm DC = + 4 mm
DT = Omm (sin extracciones)
A-Po
Fig.16.29: (Continuación)
no son aplicables en el caso o porque siéndolo, el
valor negativo de la DT exceda a sus posibilidades.
Los dientes de elección para las extracciones
son los primeros premolares. En algunos casos,
cuando es necesario una gran pérdida de anclaje, se
extraen los segundos premolares. Se calcula que
proveen 15 mm de espacio, pero a veces será con-
veniente corroborar esta medida en los modelos de
estudio con la finalidad de ajustar nuestro cálculo.
Síntesis del diagnóstico 375
PROCEDIMENTOS PARA CERRAR
ESPACIOS
La DT positiva significa que hay exceso de espa-
cio en la arcada ubicando el incisivo en la norma
cefalométrica (+1 mm con respecto al plano A-Po).
Existen varias alternativas para cerrar los espa-
cios (Fig. 16.30):
• Dejar los incisivos por detrás de la norma.
• Colocar los incisivos en la norma ymesializar
los sectores posteriores.
• Dejar diastemas.
La combinación de algunas de estas alternati-
vas.
En estos casos se debe evaluar el compromiso
estético que implica dejar los incisivos por detrás
de la norma como así también la conveniencia de
mesializar los sectores posteriores. Esto último
puede traer aparejado un cierre del eje facial.
En patrones braquifaciales severos pueden estar
contraindicadas estas maniobras, por lo que suele
optarse por dejar diastemas que, lógicamente esta-
rán ubicados en lugares que no afecten la estética,
la fonación o las relaciones intercuspales. Otras
veces, se requerirá el auxilio de la odontología res-
tauradora.
Los casos de DT positiva suelen corresponder a
microdonciasgeneralizadas.
Fig.16.30: Una DT positiva puede solucionarse de 2 maneras:
A: Llevando los incisivos por detrás de la norma.
B: Mesializando los sectoresposteriores.
376 Síntesis del diagnóstico y planificación
Determinación de la posición definitiva
del incisivo inferior
La posición del incisivo inferior con respecto al
plano A-Po es uno de los objetivos definitivos del
tratamiento y además requisito indispensable para
la construcción del VTO.
El estudio de la arcada dentaria inferior nos per-
mite cuantificar el problema de espacio por medio
de las discrepancias (DD, DC y finalmente DT).
De acuerdo a la magnitud del problema y a las
características del caso se formula una posible vía
terapéutica para esa arcada inferior.
La Discrepancia Total será útil para aproximar-
nos a la forma de solucionar el problema de la
arcada inferior, esto es, con extracciones o no, pero
no siempre podemos o debemos ajustamos a su
valor al planificar la posición del incisivo;dicho en
otras palabras, no siempre planificaremos colocar
el incisivo inferior en +1.
1 - A-Po
1. Discrepanciadentaria
2. Discrepanciade Bolton
3. Verticalización molar
4. Expansión
5. Curva de Spee
6.Extracciones
7. Protrusión - Retrusión del!
8. Mesializaciónmolar
Total
+
Esta posición de +lmm es una norma a la que
no pueden ajustarse todos los casos, porque las
modificaciones dentarias del tratamiento tendrán
como objetivo contribuir al logro de una mejoría
estética de los labios y del perfil, adecuando nues-
tra planificación a estos requerimientos más que a
parámetros cefalométricos.
En esta estética de los labios intervienen otros
factores propios, no sólo la posición sagital de los
incisivos, como son la longitud, el espesor, el tono
muscular.
Habrá que planificar la posición ideal teniendo
en cuenta estas características, y esa posición ideal
puede no ajustarse estrictamente a la norma de +
Imm.
De todas maneras, la posición del incisivo resul-
tante de nuestro cálculo de la arcada inferior,algu-
nas veces será la óptima, y otras la más adecuada de
acuerdo a las posibilidades que el caso ofrezca.
Si bien puede haberse llegado a la decisión de
extracciones o, por el contrario, a la utilización de
métodos conservadores, no tenemos aún los ele-
mentos de juicio que nos permitan determinar la
posición definitiva de ese diente.
Esos elementos están reunidos en un cuadro
que a modo de guía nos permite hacer los cálculos
necesarios para determinarla (Cuadro 16.1).
Este cuadro tiene ordenados en una columna
una serie de maniobras clínicas y algunos factores
que influyen o condicionan la planificación de la
arcada.
El procedimiento consiste en seleccionar entre
todos ellos los que deban considerarse para el caso
particular y asignarles un valor numérico + o - que
nos permita hacer un cálculo que tendrá como fin
la solución del problema de espacio. Describiremos
estos factores en el mismo orden en el que deberán
ser considerados.
En la parte superior se coloca la medida de la
distancia del1 al A-Po, obtenida en lacefalometría
inicial. Esto nos da la medida de la DC.
Cuadro 16.1: Cuadro-guía para realizar los cálculos de
la arcada dentaria inferior.
Síntesis del diagnóstico 377
1. Discrepancia dentaria
Junto con la medida del 1 al A-Po constituirá la
DT, que representa la magnitud del problema a
resolver. Puede ser positiva o negativa.
En los casos de dentición mixta se utilizarán las
tablas de Moyers para la obtención de la discre-
pancia dentaria. En este cálculo se incorpora el
valor positivo del espacio libre de Nance, corres-
pondiente al menor tamaño de los segundos pre-
molares en relación a los molares primarios que
reemplaza.
En los casos en que el primer molar permanen-
te será mantenido en su posición para lautilización
de dicho espacio, la utilización del resultado de las
tablas Moyers en el cálculo de la discrepancia den-
taria del caso es correcta.
Pero si en cambio, se planifica lograr el ajuste de
la Clase I con la mesialización del primer molar
inferior, no podrá considerarse ese espacio de
Nance en el cálculo de la discrepancia.
2. Discrepancia de Bolton
Es importante evaluar el índice de Bolton por-
que indicará la posibilidad de realizar desgaste
interproximal inferior cuando haya un déficit de
tamaño de estos dientes respecto de los superiores.
Dicho valor se consignará como positivo en la tabla
de cálculo de discrepancia.
Sin embargo debemos tener en cuenta en estas
situaciones, que por razones estéticas muchas veces
la armonización del índice de Bolton requiere el
aumento de tamaño de los insicivos laterales supe-
riores que suelen presentar una anomalía en su
anatomía. En estos casos se limita la posibilidad de
stripping inferior.
Ante un índice de Bolton que evidencie un
menor tamaño de los dientes inferior en relación
con los superiores podrá ser necesario recurrir a
métodos alternativos que aumenten los diámetros
mesiodistales inferiores. En este caso se consigna
en la columna de los valores negativos el valor
correspondiente a dicha compensación.
3. Verticalización molar
Fue descripto entre los cinco métodos para
ganar espacio.
4. Expansión
Fue visto en este capítulo.
5. Curva de Spee
Una curva de Spee normal debe tener una pro-
fundidad no mayor de 1,5 mm. Esta medida se
toma desde la parte más profunda de la línea curva
descrita por las cúspides vestibulares de molares y
B
Fig.16.31: Dos mecanismosdiferentes para aplanar la curva de Spee. A: protrusión de incisivos. B: intrusiónanterior.
378 Síntesis del diagnóstico y planificación
+ 4 mm + 2,5 mm
Fig.16.32: En este ejemplo, la posición del 1 al plano oclusal se corrige mediante protrusión e intrusión.
premolares hasta un plano que va desde la cúspide
distovestibular del 2°molar inferior al borde incisal
del incisivo.
Curvas más profundas indican supraerupción de
los incisivos y pueden producir un overbite excesi-
vo. Además pueden provocar alteraciones en el
plano oclusal que impiden una correcta intercuspi-
dación. Por estas razones debe ser normalizada, lo
que trae aparejado una mayor necesidad de espacio
para el grupo incisivo y por consiguiente un aumen-
to negativo de la discrepanciacefalométrica.
Por cada milímetro de aplanamiento de la curva
(por intrusión de los incisivos) es necesario aproxi-
madamente 0,5 mm de aumento en la longitud del
arco.
Ante una curva que necesite ser normalizada,
debemos hacer algunas observaciones previas a la
estimación del aumento negativode ladiscrepancia
que esta corrección provocará.
Se debe verificar previamente que el plano oclu-
sal tenga una ubicación normal (-3 mm con respec-
to a la comisura). Una distancia mayor puede anu-
lar la necesidad de intruir los incisivos.
La protrusión de los incisivos, permite aplanar
una curva sin necesidad de intrusión. Por cada milí-
metro de protrusión habrá 0,5mm de nivelamiento.
Lo inverso también es válido.
Por lo tanto, el valor negativo por corrección de
la curva, sólo podrá ser evaluado después de haber
hecho una estimación más o menos precisa del
movimiento sagital planificadopara el incisivo infe-
rior.
Por ejemplo: (Fig. 16.32)
Incisivo inferior al plano oclusal +4 mm.
Supongamos que este incisivo debe ser protrui-
do 3 mm, lo que significa 1,5 mm de nivelación de
la curva.
Esto hace que el incisivo quede a una distancia
del plano oclusal de +2,5 mm por lo que resta ni-
velar 1,5 mm. Debemos colocar un valor de 0,75
mm en la columna negativa. Si este mismo caso no
requiriera protrusión, se deberá colocar en dicha
columna: 1,5 mm.
6. Extracciones
Mediante la extracción de premolaresinferiores
puede obtenerse en promedio 15 mm de espacio.
La medida puede ser individualizada midiendo con
un calibre el ancho mesiodistal de los dientes a
extraer.
7. Protrusión o retrusión del1
El conocimiento de la DC nos permite formular
un objetivo preliminar acerca de la posición desea-
da para el incisivoinferior. Este objetivo preliminar
es sólo una idea aproximada acerca de lo que debe-
ríamos hacer con este diente (mantener en la
misma posición, avanzar o retruir).
El estudio de los factores listados en el cuadro,
permitirá prever una recolocación del incisivo ajus-
tada a los requerimientos y posibilidades del caso.
Cuando en la arcada inferior no se planifican
extracciones, la protrusión o retrusión del incisivo
debe lograr el equilibrio entre los valores de la
columna positiva y negativa.
Suponiendo que el caso presente una discrepan-
cia dentaria negativa y cefalométrica positiva, la
protrusión del incisivo deberá compensar total-
mente la discrepancia dentaria. Si esto resulta en
una posición no conveniente de dicho incisivo exis-
tirá la posibilidad de aplicar otros métodos conser-
vadores, como la verticalización del molar, expan-
Síntesis del diagnóstico 379
sión, desgaste interproximal, que proveen espacios
para evitar así la necesidad de una excesiva protru-
sión del incisivo. De no ser aplicables estos proce-
dimiento conservadores, o resultar insuficientes se
deberá recurrir a las extracciones.
Si el problema de la arcada inferior debe resol-
verse con extracciones, se planifica (siempre con el
criterio de objetivo preliminar) una posición del
incisivo inferior adecuada para el caso.
Si bien el espacio obtenido por extracciones nos
da un rango de posibilidades bastante amplio para la
recolocación del 1,esta nueva posición deberá deter-
minarse teniendo en cuenta múltiples factores clíni-
cos y cefalométricos. Por lo tanto, cada caso plantea-
rá una diferente utilización de estos espacios.
8. Mesialización del 6
En los casos de extracciones, el balance entre las
columnas positivas y negativas hasta el punto 7
puede ser cero (caso de anclaje máximo) o positivo
(con pérdida de anclaje). En este último caso, se
debe asignar un valor negativo_equivalente en el
último ítem: "mesialización del 6", lo que significa
que cada molar deberá mesializarse la mitad de ese
valor, porque estamos planificando arcadas simé-
tricas.
La forma de utilización del cuadro se explica
con más detalles en los dos ejemplossiguientes:
Ejemplo I:
Paciente: M. V. C. - 10 años - Sexo femenino
Fig. 16.33.
380 Síntesis del diagnóstico y planificación
Fig. 16.34.
El estudio de la discrepancia dentaria inferior utilizando las tablas de Moyers da como resultado un défi-
cit de espacio de 6 mm.
DD = -6 mm
1 al A-Po = -1mm
DC = +4 mm
DT = -2 mm
Síntesis del diagnóstico 381
15°
-3 mm
Fig. 16.35: Cefalograma del caso M. V. C.
Estudiadas las características del caso y la magnitud de la DT la solución se plantea SIN EXTRAC-
CIONES. Se hará protrusión y verticalización molar.
1 - A-Po
1. Discrepancia dentaria
2. Discrepancia de Bolton
3. Verticalización molar
4. Expansión
5. Curva de Spee
6. Extracciones
7. Protrusión - Retrusión del 1
8. Mesialización molar
Total
-1 mm
+
-
1
-
-
-
6
-
7
6
-
-
-
1
-
-
-
7
Cuadro 16.2: Análisis de la arcada dentaria inferior•
Caso M. V. C.
382 Síntesis del diagnóstico y planificación
Estudio de la arcada dentaria inferior: (Cuadro 16.2)
1. Discrepancia dentaria: - 6 mm.
2. Discrepancia de Bolton
No es aplicable en dentición mixta.
3. Verticalización molar:
Dada la inclinación mesial del eje del molar (observar la cefalometría) asignaremos +1 mm (0.5 mm por
lado).
4. Expansión:
La observación de los modelos indica que no es posible realizarla.
5. Curva de Spee:
El incisivo está en +4 mm con respecto a un plano oclusal bien ubicado en relación a la comisura.
La posición del incisivo en -1 mm, crea la necesidad de su protrusión. Se calcula en aproximadamente
2 mm lo que producirá 1 mm de nivelamiento, quedando solamente 2 mm para terminar la nivelación
de la curva. Por ello se asigna un valor de -1 mm en la tabla.
6. Extracciones:
No son aplicables en el caso.
7. Protrusión-Retrusión del 1:
La columna de los negativos muestra, a esta altura del análisis, una cifra de - 7 mm, sólo compensada
hasta el momento por +1 mm de verticalización molar. Falta compensar -6 mm.
Para solucionar esa cifra de -6 sería necesaria una protrusión de 3 mm, lo que llevaría el incisivo de
-1 mm a +2mm.
La posición de +2 mm resulta apropiada para el caso.
8. Mesialización molar:
No es aplicable en el caso.
Conclusión:
La diferencia de -6 mm entre los valores positivos y negativos requirieron una recolocación del 1 para
lograr un equilibrio.
Si bien este avance era un objetivo preliminar, fue necesario cuantificar las distintas maniobras para
determinar con mayor exactitud la futura posición del ly con ello su angulación.
Posición definitiva del 1: +2 mm.
Angulación T-P1mandibular: 93°
Síntesis del diagnóstico 383
Fig. 16.36
Ejemplo II:
Paciente: M. V. B. - 20 años - Sexo femenino
384 Síntesis del diagnóstico y planificación
• m
DD
1 al A-Po
DC
DT
= -6 mm
= +4 mm
= -6 mm
= -12 mm
+1 mm
Fig. 16.37: Cefalograma del caso M. V. B.
Síntesis del diagnóstico 385
1 - A-Po
1. Discrepancia dentaria
2. Discrepancia de Bolton
3. Verticalización molar
4. Expansión
5. Curva de Spee
6. Extracciones
7. Protrusión - Retrusión del 1
8. Mesialización molar
Total
+4 mm
+
-
-
-
-
15
-
-
15
6
-
-
-
-
-
6
3
15
Cuadro 16.3: Análisis de la arcada dentaria inferior •
Caso MVB.
Estudio de la arcada dentaria inferior (Cuadro 16.3)
1. Discrepancia dentaria: - 6 mm.
2. Discrepancia de Bolton, 3. Verticalización del molar, 4. Expansión, 5. Curva de Spee:
No son aplicables en el caso.
6. Extracciones:
Por la magnitud de la discrepancia total se hace necesario indicar extracciones de premolares inferiores.
Generan un espacio de 15 mm en la arcada que corresponde a los valores positivos.
7. Protrusión - Retrusión del T:
Por las características del perfil y el valor de la discrepancia cefalométrica se indica en este caso llevar
el incisivo a la norma con respecto al A-Po. El movimiento hacia atrás de 3 mm insume 6 mm de longitud
de arcada que serán consignados en la columna negativa.
8. Mesialización del molar:
Hasta este punto, la suma de los valores negativos es de 12 mm: 6 mm son necesarios para solucionar el
apiñamiento y 6 mm para llevar el incisivo a la norma. Las extracciones proveen 15 mm, por lo que hay un
remanente de 3 mm que requerirá de la mesialización de los molares inferiores (1,5 mm por hemiarcada).
Conclusión:
El estudio de la arcada inferior permite prever una posición del incisivo ajustada a la norma cefalomé-
trica con una correcta inclinación con respecto al plano mandibular. Se necesitará una mesialización de 1,5
mm de cada molar con el objeto de cerrar espacios remanentes.
Posición definitiva del 1: +2 mm.
Angulación 1-P1 mandibular: 91°
386 Síntesis del diagnóstico y planificación
PLANIFICACIÓN DE LA ARCADA SUPE-
RIOR
La planificación de la arcada superior se hará
teniendo en cuenta los siguientes parámetros:
• Clase molar
• Planificaciónrealizada en la arcada inferior
Clase I:
El problema planteado por las discrepancias de
ambas arcadas será de magnitudsimilar.
En estos casos, la arcada superior requerirá una
solución igual a la inferior por las siguientes razo-
nes (Fig. 16.38):
• La relación molar es de Clase I y se debe man-
tener.
• Para que la relación canina y el overjet pue-
dan establecerse normalmente, se requiere que
el material dentario superior sea proporcional-
mente armónico con el inferior, por lo tanto:
1- Casos sin extracciones en la arcada dentaria
inferior se resuelven del mismo modo en la
superior.
2- Los casos con extracciones en la arcada infe-
rior, requerirán también extracciones en la
superior.
B
Fig.16.38: Esquemas de corrección de Clase I. A: sin extracciones. B: Con 4extracciones.
Síntesis del diagnóstico 387
Clase II:
En estos casos, la DT plantea diferentes proble-
mas en ambas arcadas.
• En la arcada dentaria inferior la DT puede
estar cercana al O, por lo que en general puede
resolverse sin extracciones.
• La arcada superior, por el contrario, plantea
problemas de DT negativa, porque puede estar
protruida, tener apiñamientos o ambas cosas a la
vez.
La solución de esta DT negativa superior debe
ser buscada entre (Fig. 16.39):
1-Los métodos conservadores que permiten
ganar espacio en la arcada superior, (rotación distal
de los molares, expansión, distalamiento) y la posi-
bilidad de un efecto ortopédico (FEO anteroposte-
rior) en casos de pacientes en crecimiento con el
objeto de producir una corrección de la clase molar
por crecimiento diferencial.
2-Recurriendo a las extracciones superiores con
el fin de obtener el espacio necesario.
l.La mecánica de Clase II sin extracciones
puede realizarse mediante:
a) Procedimientos ortodóncicos:
• rotación distal del molar
• distalamiento del molar superior
• mesialización de la arcada inferior
b) Procedimientos ortopédicos:
• inhibición de crecimiento del maxilar supe-
rior con el fin de que el crecimiento mandibular
equilibre las bases en sentido sagital
Fig.16.39: Esquemas de corrección de Clase II. A: sin extracciones. B: con dos extracciones superiores.
388 Síntesis del diagnóstico y planificación
a) Procedimientos ortodóncicos:
- La rotación distal de los molares superiores se
utiliza cuando la posición inicial del molar muestra
una rotación mesial. Para determinar esto, se reali-
zan las siguientes observaciones en el modelo supe-
rior:
- Se traza una línea que uniendo las cúspides
distovestibular y mesiopalatina del primer molar
superior se prolongue hasta la hemiarcada opuesta.
Cuando el molar tiene una rotación normal, la
prolongación de la línea debe pasar por la vertien-
te distal del canino opuesto (Fig. 16.40 A).
En los casos de rotación mesial lo hará a la
altura de premolares, y en casos severos hasta en la
zona de los molares (Fig. 16.40 B).
- También se observan lastroneras mesialesdel
primer molar:
Cuando exista rotación mesial, la tronera
palatina se verá mucho más amplia que la vestibu-
lar, siendo prácticamente iguales cuando la posi-
ción es correcta.
La aparatología preajustada es muy eficaz
para la corrección de estas malposiciones, más aún
si se adicionan ciertos auxiliares (barra transpalati-
na, quad-hélix, palatal expander, etc.).
Si se evalúan las posiciones previa y posterior
a la rotación del molar desde la perspectiva lateral,
veremos que la rotación distal produce el efecto de
un distalamiento. Se observará con claridad un
retroceso de su cara mesial (Fig. 16.41).
B
Fig.16.40: A: Molares con correcta rotación. B: rotación
mesial.
Fig.16.41: La rotación distal del molar permite ganar espacio y corregir la relación de Clase II de los sectores laterales.
Síntesis del diagnóstico 389
• Entendemos por distalamiento molar, al
movimiento de traslación del molar superior en
sentido posterior, con métodos mecánicos. Si con
esta maniobra no se logra una inclinación axial ade-
cuada (lera llave de oclusión normal de Andrews),
se habrá realizado solamente una inclinación distal.
Esta posición además de ser inestable, puede pro-
vocar contactos prematuros (Fig. 16.42).
Consideramos al distalamiento molar un
movimiento difícil e inconveniente.
Con la finalidad de no provocar trastornos
oclusales, debe evitarse la inclinación del eje del
diente como así también su extrusión.
Este movimiento de distalamiento, es aceptable
sólo si se realiza con la finalidad de recuperar la
dirección axial del molar cuando ha sufrido una
mesialización debida a pérdida prematura de dien-
tes vecinos ubicados por mesial.
• La mesialización de la arcada inferior está
referida a la posibilidad de avanzarla íntegramente,
incluyendo los molares.
Sólo podría planificarse si las condiciones ana-
tómicas del sector anterior lo permiten.
Los elásticos de Clase II fueron utilizados en mu-
chas técnicas buscando este efecto, pero fuerzas exce-
sivas provocaban un desplazamiento mandibular.
Si bien este desplazamiento aparenta clínica-
mente ser una "corrección", constituye un efecto
indeseado, debido a que se realiza a expensas de
una alteración de la relación cóndilo-disco.
Lograr la migración mesial de toda una arcada
por otros procedimientos mecánicos es bastante
complejo, porque la mesialización de los molares es
una maniobra que, al utilizar el sector anterior
como anclaje puede producir su colapso.
B
Fig. 16.42: A: Distalamiento molar. B: Inclinacióndistal.
390 Síntesis del diagnóstico y planificación
Actualmente estos conceptos están variando,
debido a la utilización de dispositivos de anclaje
intraóseos (microimplantes) que modifican los
esquemas de fuerzas tradicionales y las posibilida-
des mecánicas de la terapia ortodóncica.
b) Procedimientos ortopédicos
• La inhibición del crecimiento del maxilar
superior se logra con la utilización de fuerzas extra-
orales de dirección anteroposterior y de una inten-
sidad cercana a los 1.000 gr.
El grado de efectividad de mayor a menor es
el siguiente:
- Fuerza cervical (baja)
- Fuerza combinada (horizontal)
- Fuerza parietal
Lógicamente, el resultado se manifestará de
manera diferente en los distintos biotipos.
Debemos recordar que la corrección de la
clase molar se hace por crecimiento diferencial, por
lo tanto un patrón de crecimiento hacia adelante
(braquifacial) será el más favorable (Fig. 16.43).
2. La planificaciónde extracciones de dos premo-
lares superiores en las Clases II, es un procedimien-
to terapéutico que permite establecer una oclusión
de Clase I canina y Clase II molar que escompatible
con los requisitos de la oclusión funcional.
La elección entre una planificación sin extrac-
ciones o con extracciones de premolares superiores
dependerá de diversos factores:
a)Magnitud de la anomalía
b)Factores gnatológicos
c)Biotipo facial del paciente
d)Etapa del desarrollo
e) Condiciones estéticas
f) Grado de cooperación previsible
Fig. 16.43: Disminución de la convexidad por efecto orto-
pédico.
a) Magnitud de la anomalía:
La clase molar debe ser observada por vestibu-
lar y por palatino, con los modelos relacionados y
montados en RC.
En los casos que, observados desde vestibular
muestran una ligera relación de Clase II molar, la
inspección de los modelos por palatino nos permite
ver a veces la cúspide mesiopalatina del molar
superior ocluyendo en la fosa principal del inferior.
Estas no son verdaderas Clases II sino que son rela-
ciones de Clase I con mesiorrotación del molar
superior.
Su corrección es fácil porque consistirá en
devolver al molar su posición normal. Esta rotación
en sentido distal, por una parte restaura la relación
molar y por la otra genera espacio para la correcta
interdigitación de los sectores laterales. Exceptúan-
Síntesis del diagnóstico 391
do estos casos, podemos dividir las Clases II según
su magnitud en:
• Clase II cúspide a cúspide
• Clase II de una cúspide completa
La observación de la relación molar es un factor
orientador de la decisión terapéutica en lo referido
a posibles extracciones.
b) Factores gnatológicos:
El uso de elásticos de Clase II que se indican en
los casos sin extracciones, pueden generar interfe-
rencias o fulcrum que alteran la dinámica oclusal
provocando deslizamiento céntrico, distracciones y
hasta subluxaciones condilares y con ello una serie
de problemas de ATM.
Estos riesgos aumentan en los pacientes sin cre-
cimiento o con escaso crecimiento vertical de la
rama.
La presencia de interferencias detectadas en el
diagnóstico, nos impone una planificación que per-
mita eliminarlas (extracciones de premolares con
pérdida de anclaje, control vertical, etc.).
c) Biotipo facial del paciente:
En los dolicofaciales, el uso de elásticos de Clase
II abrirá el eje facial con desmejoramiento del per-
fil por aumento de la altura facial inferior y retro-
ceso del pogonión.
Además, estos biotipos son muy propensos a las
extrusiones de los sectores posteriores que a su vez
crearán problemas gnatológicos.
En los braquifaciales se pueden utilizar métodos
conservadores porque la utilización de la FEO so-
bre el maxilar superior es mas efectiva que en el dó-
lico. Debido a la dirección de crecimiento mandi-
bular, el efecto de crecimiento diferencial se
consigue con relativa facilidad. Sin embargo, no
están exentos de que la FEO provoque inclinación
y extrusión de los molares y con ello alteraciones
oclusales funcionales.
Sin embargo, Clases II muy marcadas y Clases II
en adultos, generalmente requieren extracciones
superiores, cualquiera que sea el biotipo facial del
paciente.
d) Etapa del desarrollo:
La mecánica para Clase II sin extracciones es
más efectiva en pacientes con crecimiento por las
posibilidades ortopédicas.
En el adulto las limitaciones son mayores.
e) Condiciones estéticas:
Se deberá relacionar el grado de modificación
estética deseable con la forma de corregir el over-
jet. Existen posibilidades de obtener un perfil den-
tario más adelantado en los casos sin extracciones,
cuando se realice la migración mesial completa de
la arcada inferior para corregir el overjet y la Clase
II.
Como lo mencionamos anteriormente, no sólo
es una mecánica bastante dificultosa, sino que ade-
más no podrá planificarse si las condiciones alveo-
lares inferiores no lo permiten.
f) Grado de cooperación previsible:
La mecánica para la corrección de estas anoma-
lías, requiere una gran cooperación del paciente
para el uso de elásticos intermaxilares, o de FEO
con arcos tipo Kloehn.
Una falta de cooperación variará el curso del
tratamiento y a veces deberemos, por este motivo,
recurrir a las extracciones.
El tratamiento conservador presenta muchas
limitaciones en el paciente adulto donde sólo
podría implementarse ante un gran compromiso
estético (perfil retruido), cuando se pueda recurrir
al avance de la arcada dentaria inferior y la rota-
ción distal del molar.
En los pacientes en crecimiento si bien es más
factible, puede comprometer el resultado del trata-
miento desde el punto de vista oclusal funcional.
Planificación de cuatro extracciones en
Clases II
Dadas las limitaciones de los métodos conserva-
dores, la mayoría de los casos de clase II requieren
extracciones de premolares superiores para su
corrección.
En algunos casos se presentará la necesidad de
extracciones también en la arcada dentaria inferior.
392 Síntesis del diagnóstico y planificación
Podríamos denominar a éstos "casos de Clase
II con 4 extracciones".
El propósito de las extracciones inferiores apun-
ta a alcanzar una mayor retrusión del sector ante-
rior. Indudablemente estos casos terminarán con
Clase I molar, aunque no sea éste en realidad el
propósito de las extracciones inferiores.
Para planificar cuatro extracciones en un caso
de Clase II debe analizarse cuidadosamente la cla-
se molar, teniendo en cuenta que todo caso tratado
con cuatro extracciones debe finalizar en Clase I.
Si inicialmente presenta una Clase II de cúspide
completa, alcanzar la Clase I molar habiendo reali-
zado las cuatro extracciones requerirá una mesiali-
zación del molar inferior prácticamente igual al
espacio creado con la extracción del premolar y no
se podrá retruir el incisivo.Por lo tanto, pasa a ser
una maniobra que complica el tratamiento
La terapia de cuatro extracciones sólo estaría
indicada en casos de Clase II cuando presenten una
relación molar cúspide a cúspide, y con apiñamien-
tos inferiores o con una posición avanzada del 1 al
A-Po y se indique una recolocación que requiera
un espacio que sólo las extracciones pueden gene-
rar. Pero siempre deberemos tener la precaución
de planificar una mesialización de los molares infe-
riores que permita establecer la Clase I molar al
final del tratamiento (Fig. 16.44).
A-Po
Fig. 16.44: Planificación de cuatro extracciones en una
Clase II cúspide a cúspide. Las extraccionesinferiores son
necesarias para retruir el incisivo inferior, pero deben per-
mitir la mesialización de los molares inferiores para esta-
blecer una Clase I molar al finalizar eltratamiento.
A-Po
A-Po
A-Po
Síntesis del diagnóstico 393
Planificación de casos con clases den-
tarias asimétricas
Cuando un paciente presenta clases dentarias
asimétricas, la planificación debe hacerse después
de un minucioso estudio, que en muchos casos arri-
bará a una decisión terapéutica diferente del lado
derecho e izquierdo.
La primera observación que debemos hacer en
estos casos, es definir si existe una asimetría man-
dibular que provoque esa diferencia entre ambas
clases molares. Si ambas arcadas tienen todas sus
piezas dentarias alineadas, las probabilidades de
que la causa sea una asimetría esqueletal son mayo-
res y como en todo caso de discrepancia esqueletal,
la solución óptima será quirúrgica.
Cuando esa asimetría de clases molares no es
originada por una asimetría esqueletal mandibular,
la causa debe buscarse en la posición de los mola-
res dentro de cada una de las arcadas. Probable-
mente se produjo un desplazamiento unilateral de
alguno de ellos hacia mesial, en la arcada superior
o inferior. Esto puede estar provocado por varias
razones:
la pérdida temprana de piezas primarias, o pér-
dida del tamaño mesiodistal, sin mantenimiento de
los espacios, la extracción o agenesia de alguna
pieza primaria o permanente, la guía de erupción
desviada del primer, molar, que produjo una reab-
sorción indebida del segundo molar primario y una
ubicación más adelantada de uno de los molares en
la arcada.
En primer lugar deberá individualizarsela arca-
da asimétrica, mediante la determinación de su
línea media y la confección de oclusogramas, como
se desarrollará a continuación en este capítulo.
Cuando la asimetría es de la arcada inferior, ésta
deberá planificarsepor hemiarcadas. Basados en la
clase molar que presenta el caso del lado derecho e
izquierdo, y de acuerdo a la planificación que se
realizó en cada una de las hemiarcadas inferiores,
se decide la terapéutica a implementar en cada
hemiarcada superior, siguiendo los lineamientos ya
descriptos en el ítem "Planificación de la arcada
superior" de este mismo capítulo, arribando a una
decisión similar del lado derecho y del lado
izquierdo.
Fig. 16.45 A: Ejemplo de clase dentaria asimétrica.
Clase II molar del lado derecho; y Clase I molar del lado
izquierdo.
En la arcada inferior el molar derechose encuentraen una
posición más distal que el izquierdo.
394 Síntesis del diagnóstico y planificación
Fig. 16.45 B: Ejemplo de asimetría de
arcada superior. El molar derecho se
ubica más hacia mesial que el izquierdo,
generando una Clase II molar.
Cuando la asimetría se localiza en la arcada
superior, debido a una diferente posición mesiodis-
tal de los molares superiores, y la arcada inferior es
simétrica, la individualización por hemiarcadas se
realizará en la planificación de la arcada superior.
Ocasionalmente, podemos observar un caso
donde las clases molares son simétricas y ambas
arcadas presentan una similar asimetría de la posi-
ción sagital de los molares. Esto hace necesario rea-
lizar el estudio por hemiarcadas en ambos maxila-
res.
Estudio de la simetría de las arcadas dentarias
Es conveniente realizar este estudio mediante
un oclusograma realizado sobre el escaneado oclu-
sal de los modelos.
1- Se determina la línea media de la arcada
En el maxilar superior: es la proyección de la
parte posterior del rafe sobre el reborde alveolar.
Para facilitar esta maniobra, previamente al esca-
neado se traza dicha referencia en el modelo.
En el inferior, su obtención es más difícil, la
referencia del frenillo lingual es un indicativo pero
no suficientemente determinante. Por lo tanto, es
aconsejable buscar una referencia más confiable.
Para ello realizamos sobre la imagen escaneada el
trazado de dos líneas tangentes a la tabla interna de
los rebordes alveolares. Estas líneas interceptan la
parte anterior en dos puntos, en la mitad de la dis-
tancia entre ambos se determina la línea media.
Hacia atrás, se proyecta hasta un punto equidistan-
te de las tablas internas a la altura de los segundos
molares.
2- Se trazan dos perpendiculares a la línea me-
dia que pasan por el punto medio de las caras dis-
tales de los primeros molares.
En las arcadas simétricas, estas perpendiculares
constituyen una sola línea; si no coincidieran, la dis-
tancia entre ellas medida sobre la línea media nos
da la magnitud de la asimetría en la posición de los
molares.
Los datos de este oclusograma se vuelcan a un
gráfico de la relación interarcada
Síntesis del diagnóstico 395
Fig. 16.46: Oclusograma superior. A: Referencia de la parte posterior del rafe medio. B: Línea media de la arcada y estu-
dio de la posición mesiodistal de los primeros molares.
Fig. 16.47: Oclusograma inferior. A: Referencia de la tabla interna de los rebordes alveolares. B y C: Determinación de
la línea media de la arcada. D: Estudio de la posición mesiodistal de los molares.
396 Síntesis del diagnóstico y planificación
Lado derecho Línea Media Lado izquierdo
Clase I Clase I
3 mm
Fig. 16.48: Gráfico de relación interarcada, en este caso correspondiente a la anomalía de la figura 16.45 A.
Se señala la clase molar derecha e izquierda, y
cuando una arcada es asimétrica, se indica la pieza
dentaria que esté ubicada en una posición más
mesial mediante una flecha en el lugar correspon-
diente.
También con una flecha, se señalan y cuantifican
los desvíos de la línea media dentaria, teniendo en
cuenta que la referencia vertical marcada corres-
ponde a la línea media de las arcadas dentarias.
Planificación de la arcada inferior asimétrica
En la planificación de la arcada inferior se ha
desarrollado el procedimiento destinado a las arca-
das simétricas.
Las arcadas asimétricas requieren un procedi-
miento diferente que básicamente consiste en la
planificación independiente de cada una de las
hemiarcadas inferiores.
Al igual que en el caso de las arcadas simétricas
debemos reunir diversos elementos en dos cuadros
que a modo de guía, permitan hacer los cálculos
necesarios para programar cada hemiarcada.
Estos cuadros son similares al ya visto, con una
columna que detalla la serie de maniobras clínicas
y factores que influyen en la planificación de la
arcada, pero aquí se incorpora un factor más: Dis-
crepancia por corrección de línea media.
Cuando la línea media dentaria está desviada
con respecto a la línea media de la arcada, la canti-
dad de milímetros de ese desvío constituye una dis-
crepancia positiva para la hemiarcada hacia donde
se desvía, y negativa en la hemiarcada opuesta.
Esto se basa en el concepto de que la corrección de
la línea media "creará" espacio en una hemiarcada
y "consumirá" espacio en la otra.
Para una mejor comprensión de este tema, lo
explicaremos con un ejemplo (Fig. 16.49).
Al finalizar un tratamiento siempre se deberá
obtener una línea media centrada y una posición
simétrica de caninos. Si no se realizan extracciones,
o se extrae en ambas hemiarcadas, los molares tam-
bién estarán en una posición sagital simétrica.
Cuando se resuelve una extracción unilateral, la
arcada debe conservar la simetría de canino a cani-
no, pero del lado de la extracción el molar estará de
7 a 7,5 mm más adelante que el del lado opuesto.
Cuando una arcada inferior presenta desviada
su línea media pero existe una posición simétrica
de los molares, no es necesario considerarla asimé-
trica para la planificación. El desvío de línea media
se deberá a algún problema de discrepancia (apiña-
miento mayor en una hemiarcada, falta de espacio
unilateral para la erupción de una pieza dentaria,
ausencia de algún diente, alteración del tamaño
mesiodistal de alguna pieza, etc). Este problema de
discrepancia habrá sido diagnosticado y al planifi-
car su solución, se logrará centrar la línea media.
¿Por qué esnecesario planificar por hemiarcadas?
Porque si no lo hiciéramos, y tratáramos esa arca-
da en forma simétrica, el resultado sería una arcada
totalmente alineada y con la línea media desviada.
Por ejemplo:
Si en una arcada inferior con todas sus piezas
dentarias con tamaño normal , existe una posición
más adelantada del molar derecho, y no se realizan
extracciones, al finalizar el tratamiento la línea
media de esa arcada estará desviada hacia la
izquierda.
Síntesis del diagnóstico 397
En el mismo caso, si se realizaran extracciones y
el movimiento de cierre de los espacios es igual del
lado derecho que del lado izquierdo, obtendríamos
el mismo resultado.
Quiere decir que, para que obtengamos una
línea media correctamente centrada cuando en una
arcada las posiciones sagitales de los molares son
asimétricas, la planificación de una hemiarcada
necesariamente será diferente a la de la otra.
Caso clínico
Paciente: A. M. - 27 años - Sexo masculino
Fig. 16.49: PacienteA.M. Fotografías de cara y boca.
398 Síntesis del diagnóstico y planificación
LADO DERECHO
,————e I
V/-^y
LÍNEA MEDIA LADO IZQUIERDO
Clase I
3 mm O
——
Fig. 16.50: Paciente A.M.Fotografías oclusales con estudio de asimetría y gráfico de relación interarcada.
/ -4 mm
Fig. 16.51: Paciente A.M.Cefalograma inicial.
Síntesis del diagnóstico 399
Arcada dentaria inferior asimétrica
1 - A-Po
1. Discrepancia dentaria
2. Discrepancia de Bolton
3. Corrección de la línea media
4. Verticalización molar
5. Expansión
6. Curva de Spee
7. Extracciones
8. Protrusión 1 - Retrusión del 1
9. Mesialización molar
Total
0 mm
+
-
-
-
-
-
7,5
2
-
9,5
3
-
3
-
-
-
-
-
3,5
9,5
1 - A-Po
1. Discrepancia dentaria
2. Discrepancia de Bolton
3. Corrección de la línea media
4. Verticalización molar
5. Expansión
6. Curva de Spee
7. Extracciones
8. Protrusión 1 - Retrusión del 1
9. Mesialización molar
Total
0 mm
+
-
3
-
-
-
-
2
-
5
5
-
-
-
-
-
-
-
-
5
Cuadro 16.4: Paciente A.M. Análisis de arcada dentaria inferior asimétrica.
• La discrepancia dentaria se considera por hemiarcadas a partir de la línea media de la arcada.
• La discrepancia por corrección de línea media considera el desvío de la línea media dentaria en rela-
ción a la línea media de la arcada, siendo un valor positivo para la hemiarcada hacia donde se desvió y
el mismo valor pero negativo para la hemiarcada opuesta.
• El valor protrusión I - retrusión T debe ser el mismo y de igual signo en ambas hemiarcadas.
• La magnitud de las discrepancias puede indicar la necesidad de extracciones en una hemiarcada y no
en la otra.
En el caso que analizamos por el desvío de línea media y el apiñamiento se hace necesaria la extracción
de un premolar del lado derecho. En la hemiarcada izquierda, el apiñamiento se resuelve con la corrección
de línea media y una ligera protrusión del incisivo. Dicho valor de protrusión debe trasladarse también a la
tabla de la hemiarcada derecha, aumentando la necesidad de la mesialización del 6.
Planificación de la arcada inferior (Fig. 16.52):
• Extracción del primer premolar derecho.
• Centrado de la línea media dentaria.
• 1mm de protrusión del 1.
• 3.5mm de mesialización del molar inferior derecho.
Fig. 16.52.
3 mm
mm
400 Síntesis del diagnóstico y planificación
Planificación de la arcada superior (Fig. 16.53).
Fig. 16.53.
Lado derecho: Clase I.
Al decidir la extracción del premolar inferior, se
realizara también la extracción del primer premo-
lar superior.
Lado izquierdo: Clase II molar.
Se decide la extracción del primer premolar
superior.
Fotos Finales
Fig. 16.54 A: PacienteA.M. Fotografías finales.
Síntesis del diagnóstico 401
Fig. 16.54 B: Paciente A.M. Fotografías finales. En las imágenes oclusales el estudio de simetría de la arcada muestra
las líneas medias centradas y posiciones mesiodistales simétricas en los molares superiores. En la arcada inferior se
observa la posición mesializada del primer molar derecho, debida a la extracción del primer premolar.
f-5 mm
Fig. 16.55: Paciente A.M. Cefalograma final.
402 Síntesis del diagnóstico y planificación
Planificación de la arcada superior asimétrica
Cuando la arcada inferior es simétrica y la dife-
rente clase molar del lado derecho e izquierdo obe-
dece a una alteración en la posición mesiodistal
de los primeros molares superiores, la meto-
dología de planificación varía sólo al conside-
rar la arcada superior.
Por consiguiente, se analiza la arcada infe-
rior en forma rutinaria, y luego, al planificar
la arcada superior, se estudiarán las hemiarca-
das por separado, con la relación molar que
corresponde a cada lado, variando consecuen-
temente la planificación.
Esta diferencia puede consistir en una dis-
tinta mesialización molar de un lado y de otro,
y en algunos casos, en la realización de una
extracción unilateral superior. Cuando seplani-
fique esta segunda opción, el caso finalizará con
clases molares asimétricas.
Caso clínico
Paciente: M.B.P. -17 años - Sexo femenino
Fig. 16.56: Paciente M.B.P. Fotografías iniciales.
Síntesis del diagnóstico 403
LADO DERECHO
Clase I
LADO IZQUIERDO
1 mm Clase I
Fig. 16.57: Paciente M.B.P. Fotografías oclusales
con estudio de simetría y gráfico de relaciones
interarcadas.
-4 mm
Fig. 16.58: Cefalograma inicial M.B.P.
404 Síntesis del diagnóstico y planificación
Arcada dentaria inferior
1 - A-Po
1. Discrepanciadentaria
2. Discrepanciade Bolton
3. Verticalización molar
4. Expansión
5. Curva de Spee
6. Extracciones
7. Protrusión - Retrusióndel 1
8. Mesializaciónmolar
Total
+1 mm
+
-
-
-
-
-
4
-
4
4
-
-
-
-
-
-
-
4 Cuadro 16.5: Paciente M.B.P. Análisis de arcada denta-
ria inferior.
El estudio de la arcada inferior determina que la discrepancia dentaria puede resolverse con protrusión
del incisivo inferior y permite prever una posición de dicho diente de +3 mm con respecto al plano A-Po,
movimiento tolerable por la estética de los labios. No se indica desgaste interproximal ya que el índice de
Bolton está en valores normales.
Planificación de la arcada superior (Fig. 16.59).
Fig. 16.59
Lado derecho: Clase I molar.
En la arcada inferior no se planifican extraccio-
nes, por consiguiente no se realizarán tampoco en
la arcada superior.
Lado izquierdo: Clase II molar.
Se decide la extracción del primer premolar
superior.
Síntesis del diagnóstico 405
Fotos finales
:,::-
Fig. 16.60 A: Paciente M.B.P. Fotografías finales.
406 Síntesis del diagnóstico y planificación
Fig. 16.60 B: Paciente M.B.P. Fotografías oclusales finales, con estudio de simetría. En la arcada superior se observa
la línea media centrada y una posición sagital asimétrica de los molares, con el primer molar izquierdo mesializado el
espacio completo del premolar que se extrajo en dicha hemiarcada.
-1 mm
Fig. 16.61: Paciente M.B.P. Cefalograma
final.
Síntesis del diagnóstico 407
PLANIFICACIÓN DE LOS CAMBIOS
ORTOPÉDICOS
¿Qué entendemos por cambios ortopédicos con
el tratamiento ortodóncico?
Modificación del Eje Facial
Modificación del punto A
Con una lógica clínica, nuestro tratamiento pre-
tenderá "corregir" los problemas ortopédicos que
presente el paciente. Desde esta perspectiva, ejes
muy abiertos requerirían su cierre y viceversa, con
la finalidad de acercarnos a la norma cefalométrica.
Una convexidad aumentada debería reducirse, y
por el contrario, una convexidad disminuida reque-
riría el avance del punto A para su normalización.
Sin embargo, debemos tener presente que el tra-
tamiento ortodóncico tiene generalmente alcances
muy limitados en el campo de estas modificaciones.
En el proceso de planificacióndel tratamiento el
ortodoncista deberá analizar diversos factores que
lleguen a responder:
¿Es posible esa modificación?
¿El tratamiento que proponemos es útil para
lograr esa modificación?
¿De qué magnitud pueden esperarse esos cam
bios ortopédicos?
Cuando se formulan los objetivos preliminares,
se hace un planteamiento inicial de lasmodificacio-
nes posibles del eje facial y del punto A.
Cambios en el eje facial
El eje facial es un concepto cefalométrico que
tiene una lectura oclusal. Hablar de cierre o aper-
tura del eje es hablar de cierre o apertura de la
mordida.
B
Fig. 16.62: Apertura del eje facial. A: Como consecuenciade maniobras que extruyeno distalan los molares superiores.
B: Por maniobras que extruyen o verticalizan los molares inferiores.
408 Síntesis del diagnóstico y planificación
Con nuestro tratamiento, el eje se puede abrir,
cerrar o mantener en la misma angulación.
Esto depende de:
a) Los procedimientos terapéuticos que se pla-
nifiquen.
b) Tipo facial del paciente.
Maniobras que abren el eje facial: la extrusión o
el distalamiento de los sectores posteriores (Fig.
16.62).
Maniobras que cierran el eje facial: la intrusión,
y en algunos casos, la mesialización de los molares
(Fig. 16.63).
Paradojamiente, tanto la apertura como el cie-
rre del eje son más fáciles de realizar en los biotipos
en que deben ser evitados por sus consecuencias
indeseadas. Por ejemplo, ante un mismo procedi-
miento mecánico capaz de abrir el eje, esta apertu-
ra será mayor en un dolico que en mesos o braqui-
faciales.
Apertura del eje facial
Una apertura del eje que resultaría favorable en
los braquifaciales,es difícil de obtener en estos bio-
tipos debido a las características musculoesqueleta-
les de este patrón facial.
A su vez, desde el punto de vista gnatológico, se
deberá tener en cuenta que la extrusión de los sec-
tores posteriores puede crear contactos prematuros
o fulcrum.
En pacientes de musculatura fuerte, este ful-
crum puede producir una distracción condilar y
trastornos en las ATM.
Cuando esto ocurre, observaremos en un primer
momento una apertura del eje . Pero en un control
posterior se comprueba que el eje volvió a su valor
original. Una observación superficial puede hacer-
nos pensar en una autocorrección de esaextrusión,
pero un control gnatológico con previa desprogra-
mación demostrará que ese cierre debe ser atribui-
do a la rotación de la mandíbula sobre ese fulcrum.
Considerando las dos perspectivas, el grado de
modificación planificado en el sentido de apertura
o cierre, deberá ser pequeño. Es eventual planificar
más de un grado de cambio. Además, en muchos
casos el eje tenderá a permanecer constante con
nuestro tratamiento.
Cierre del eje facial
Es consecuencia de maniobras ortodóncicas
difíciles de lograr, como es la intrusión de los sec-
tores posteriores. Esta intrusión se hace posible
casi exclusivamente en la dentición mixta, cuando
una FEO vertical en los primeros molares se acom-
paña de desgaste oclusal de los dientes primarios
para permitir el cierre de la mordida. En la actuali-
dad podemos lograr mejorar los resultados en otras
edades debido a la utilización de anclajes óseos en
los procedimientos de intrusión.
A su vez, este cierre siempre estaráinfluenciado
por el patrón muscular del paciente; en un braqui-
facial de musculatura fuerte, será mayor que en un
dolico. Y aquí se cumple también la paradoja de
que estas maniobras resultan más fáciles donde no
las requerimos.
Fig. 16.63: Cierre del eje facial. Es factible mediante pro-
cedimientos que intruyan o mesialicen los molares.
Síntesis del diagnóstico 409
B
Fig. 16.64: Modificación de laconvexidad.
A: Caso de Clase II.
B: La apertura del eje facial y la retrusión del pogonion por
rotación mandibular,aumentan laconvexidad.
C: El cierre del eje facial y el cambio de posición mandi-
bular producen el avance del pogoniony la disminuciónde
laconvexidad.
Otra maniobra que permite el cierre del eje es la
mesialización de los molares, pero sólo cuando por
mesial de ellos no exista un contacto interoclusal bien
establecido, que mantenga la dimensión vertical.
Cambios en el Punto A
Los cambios del punto A producen cambios en
el valor de la convexidad facial, y sólo se pueden
producir cuando el paciente se encuentra en el
período de crecimiento.
Modificaciones delpunto A
El ángulo Ba-Na-A, que con el crecimiento
tiene un comportamiento gnómico, puede variar
con el tratamiento.
Toda maniobra que inhiba o estimule el creci-
miento a nivel del punto A, modifica la relación de
éste con respecto al plano Ba-Na . Éstas son: modi-
ficaciones de la convexidad por cambios del punto
A, y deberán ser contemplados en nuestra planifi-
cación.
410 Síntesis del diagnóstico y planificación
Se logran mediante:
a) Inhibición del crecimiento (Fig. 16.65).
Se utilizan:
• Fuerzas extraorales anteroposteriores de efec-
to ortopédico (1.000 gr).
• Extracciones superiores con retrusión del sec-
tor anterior.
• Torque radículo-palatino del sector incisivo
(en casos de Clase II, división 2).
Hemos mencionado las maniobras destinadas a
modificar el punto A en orden de efectividad.
Cuantificar con exactitud la modificacióndel punto
A, nos parece una tarea muy difícil. Sólo se pueden
hacer estimaciones, basadas en el tipo de maniobra
utilizada, la edad, biotipo y motivación del pacien-
te.
Los mejores resultados en períodos relativa-
mente cortos, se obtendrán en pacientes con mayor
potencial de crecimiento remanente, con un patrón
de crecimiento en sentido anterior (braquifaciales,
con ejes mayores de 90°) y que además sean cola-
boradores ante el requerimiento de uso de fuerzas
extraorales.
En patrones más verticales, la fuerzas extraora-
les deberán ser más altas y por lo tanto, menos
efectivas que las cervicales utilizadas en los braqui
y mesofaciales. Por este motivo se deberán usar
durante períodos más largos y complementadas
con otras maniobras reductoras de la convexidad.
En un paciente cuyo crecimiento ha finalizado,
prácticamente es imposible realizar un cambio de
la convexidad a excepción de que sea originado por
una apertura o cierre del eje. El ángulo Ba-Na-A,
tiende a permanecer constante ante cualquier ma-
niobra ortodóncica. Sólo en casos de Clase II, divi-
sión 2, cuando se hace un torque radicular de mu-
cha magnitud, puede provocarse una ligera
remodelación del punto A.
b) Estímulo del crecimiento (Fig. 16.66):
• Máscara de tracción posteroanterior
El punto A podrá ser avanzado en edades tem-
pranas, de manera limitada, con la utilización de
Fig. 16.65: Efecto ortopédico sobre el punto A por inhibi-
ción del crecimiento. Hay un cierre del ángulo Ba-Na-A.
Fig. 16.66: Avance del punto a con apertura del ángulo
Ba-Na-A producido por maniobras ortopédicas que esti-
mulan el crecimiento del maxilar superior.
Síntesis del diagnóstico 411
máscara de tracción posteroanterior, preferente-
mente después de realizar una disyunción transver-
sal del maxilar.
Modificaciones de la convexidad por
cambios en el eje facial
Debemos aclarar que la convexidad no sólo se
modifica por un efecto ortopédico sobre el punto
A, también sufre modificaciones por cambios de
posición del plano facial (Na-Po).
La convexidad facial es una medida que relacio-
na el punto A con el plano facial, por lo tanto, un
"movimiento" de este plano afectará su medida.
Este cambio en la posición del plano facial
puede deberse a:
• Apertura o cierre del eje facial durante el tra-
tamiento.
• Crecimiento anterior de la sínfisis.
En nuestra planificación, estos cambios serán
llevados al VTO en el momento de trazar el eje
facial cuando damos crecimiento o cuando preve-
mos una apertura o cierre. De esta manera, esta-
mos introduciendo en el diseño una modificación
de la convexidad independientemente de la modifi-
cación o no del punto A.
La apertura o cierre del eje facial durante el tra-
tamiento pueden producirse en repuesta a cambios
posicionales de la mandíbula de diferente naturale-
za: por rotación o por desplazamientomandibular.
En la figura 16.64 se ilustran ejemplos de los cam-
bios posicionales mencionados y su efecto en el
valor de la convexidad.
Debemos destacar que la disminución de la con-
vexidad por desplazamiento mandibular es una
situación inestable que nos aleja del objetivo de
lograr una MIC coincidente con la RC, por lo que
deben evitarse aquellas maniobras ortodóncicas u
ortopédicas que puedan inducirla.
En cambio, si esta posición se presenta en el ini-
cio , será objetivo del tratamiento reposicionar la
mandíbula en RC, y como consecuencia de este
movimiento el pogonion por lo general retrocede,
con el consiguiente aumento de la convexidad.
C A P I T U L O 17
Visualización de objetivos del tratamiento
En el capítulo 14 se desarrolló el procedimiento
para la construcción de la predicción de crecimien-
to a largo plazo sin tratamiento a partir de la cefa-
lometría estática. En este, nos referiremos a la
visualización de objetivos de tratamiento con y sin
crecimiento, también llamada visualización de
objetivos terapéuticos o simplemente VTO.
La predicción de crecimiento con tratamiento a
largo plazo, llamada por Ricketts Forecast Long
Range Optimized (FLO), no será desarrollada
aquí, porque en nuestra experiencia, el VTO a
corto plazo llena los requisitos requeridos para una
correcta planificación.
Hemos reducido algunos pasos, que, sin restarle
precisión al método, lo hace más simple aún y faci-
lita su uso como procedimiento de rutina para las
planificaciones.
Considerarnos necesaria su utilización porque
permite un mejor conocimiento del caso y crea la
base para la comprensión de conceptos más com-
plejos sobre crecimiento y tratamiento.
Su efecto de "feed-back" se manifiesta a muy
corto plazo, produciendo estímulos sumamente
positivos en el proceso del aprendizaje, crean-
do condiciones para comprender con mayor fa-
cilidad aspectos del diagnóstico, planificación, pro-
nóstico y desarrollo de la mecánica de tratamiento.
La ortodoncia contemporánea tiene objetivos
que van más allá de las metas clásicas.
La visualización de objetivos de tratamiento, es
un plano dibujado, que nos permite combinar las
expectativas de crecimiento del paciente y su
influencia sobre los procedimientos terapéuti-
cos, con las modificaciones previstas con el trata-
miento.
Su realización requiere previamente:
• Un cuidadoso examen clínico.
• Un examen radiológico:
- Radiografías panorámicas, oclusales y/o pe-
riapicales.
- Telerradiografías laterales y algunas veces
también frontales.
• Estudio de los modelos montados en articulador
semiajustable.
• Registros de posición condilar.
• Análisis cefalométricos laterales y en algunos
casos se agregan análisis frontales.
• Conversión cefalométrica del trazado lateral de
PMI (posición de máxima intercuspidación) a
RC (relación céntrica) en los casos que lo re-
quieran.
• Determinación del biotipo facial.
Mediante estos elementos se determinarán los
objetivos preliminares de tratamiento, opciones
posibles, tipos de mecánicas ortodóncicas y / u orto-
pédicas requeridas y las posibles reacciones del
caso frente a ellas.
Se deben distinguir dos aspectos totalmente
diferentes referidos al VTO:
Uno de ellos, del que nos ocupamos en este
capítulo, es la mecánica de su construcción; es
decir, la secuencia de pasos que hay que realizar
para su trazado. Consiste en una rutina de trabajo
en la que no se requiere ninguna elaboración per-
sonal, sino solamente haber adquirido entrena-
miento para su diseño manual.
El otro, que es la clave para la realización de un
correcto VTO, consiste en haber determinado con
fundamento, cuáles serán los cambios que produci-
rá el tratamiento para lo cual hay que tener pre-
sente no solamente los objetivos sino además las
posibilidades del caso.
Esto significa que no podemos pretender que
nuestro VTO "normalice" en todos los casos todas
las estructuras alteradas que son factibles de modi-
ficar con un tratamiento, como la convexidad, posi-
ciones dentarias, eje facial. Sí se deben conocer los
conceptos que permitan comprender que muchas
modificaciones deseables, no serán posibles por
razones biológicas. Sólo así podremos aceptar solu-
ciones que no serán las ideales, pero sí más ajusta-
das a la realidad.
413
414 Síntesis del diagnóstico y planificación
Por ejemplo: una convexidad de 7 mm en un
paciente que está finalizando su período de cre-
cimiento no podrá ser reducida a parámetros nor-
males con ninguna alternativa de tratamiento. Al
construir el VTO se deberá mantener esta estruc-
tura con poca o ningunamodificación.
Por otra parte, las modificaciones programadas
deben tener coherencia con el plan básico de tra-
tamiento elaborado a partir de un profundo estudio
del caso.
Ventajas de la utilización del VTO
• Permite visualizar las modificaciones que sufri-
rán las estructuras dentoesqueletales con el cre-
cimiento y el tratamiento y anticipar la estética
de los tejidos blandos del perfil.
• Distingue con precisión la parte del tratamiento
que será efectuada por nosotros de la que será
realizada por influencia del crecimiento.
• Define las dificultades que presentará el caso,
facilitando las determinaciones de las posibilida-
des terapéuticas, como así también las respuestas
a la mecánica.
• Fija límites racionales en la formulación de obje-
tivos, llevándonos, muchas veces, a introducir
modificaciones al plan original.
Estas modificaciones que surgen de la visualiza-
ción anticipada de los cambios estéticos, no sólo
pueden inducirnos a variar la planificación de
una mecánica ortodóncica, sino que en algunos
casos nos evidenciará la necesidad de recurrir a
procedimientos quirúrgicos como vía terapéu-
tica.
• Es de gran ayuda para determinar la factibilidad
de los objetivos propuestos y su ordenamiento
jerárquico.
• Mediante la superposición con el trazado origi-
nal, podremos evaluar en distintas zonas el efec-
to de nuestro tratamiento.
• Haciendo la superposición del VTO con un tra-
zado cefalométrico del caso en tratamiento,
podremos monitoriar su evolución y de este
modo, introducir las correcciones pertinentes.
Dicho de otra forma, posibilita realizar un estric-
to y permanente control del desarrollo del trata-
miento.
Mediante la superposición con el trazado final, se
pueden comparar los objetivos fijados anticipa-
damente con los resultados obtenidos al finalizar
el tratamiento.
Se produce así un efecto de retroalimentación
que elevará el nivel de conocimiento del opera-
dor al permitirle capitalizar permanentemente la
experiencia adquirida en cada caso tratado.
Es un factor importantísimo para la motivación
del paciente.
Desde el punto de vista del aprendizaje, conside-
ramos a este procedimiento indispensable para la
formación del especialista.
MÉTODOS PARA LA CONSTRUCCIÓN
DEL VTO
Existen varios métodos de construcción:
1. El método original de Ricketts, cuya secuencia
está desarrollada en el libro "Técnica Bioprogresi-
va de Ricketts".
Las estimaciones se hacen en varias zonas en el
siguiente orden:
1. Base de cráneo.
2. Mandíbula.
3. Maxilar superior.
4. Plano oclusal.
5. Dentadura.
6. Tejidos blandos del perfil.
El crecimiento mandibular se determina por
aumento en la longitud de los planos XI - DC y XI
-PM.
La ubicación del maxilar superior no se realiza
mediante la utilización del ángulo gnómico Ba-Na-
A sino teniendo como única referencia sagital el
plano facial. Esto hace que no se visualicen las
modificaciones de convexidad debidas al creci-
miento o a los cambios del eje facial (apertura o
cierre). En el proceso de diseño del maxilar supe-
Visualización de objetivos de tratamiento 415
B
28'
2,5
Fig. 17.1: A: Cefalograma inicial. B: Visualización de los objetivos terapéuticos (VTO). C: Áreas de superposición (Ini-
cial - VTO).
416 Síntesis del diagnóstico y planificación
rior, se realiza la modificación prevista para el
punto A de acuerdo al razonamiento previo del
operador.
2. El Procedimiento arquial realizado a 2 años,
con el agregado de las modificaciones previstas con
el tratamiento.
Para su trazado se sigue la misma secuencia que
en la predicción de crecimiento a largo plazo sin
tratamiento introduciendo cambios en el eje facial,
punto A, posiciones dentarias y perfil blando.
Éste es, sin duda, el método que nos hace alcan-
zar la mayor precisión en la predicción mandibular
porque se diseña siguiendo el arco de crecimiento.
Además, para ubicar el maxilar superior se utiliza
el ángulo Ba-Na-A por lo que aparecen espontáne-
amente los cambios del punto A atribuidos al cre-
cimiento y a la apertura o cierre del eje facial. La
construcción de este procedimiento tiene mayor
cantidad de pasos, y por tanto, su trazado manual
requiere más laboriosidad y tiempo.
Como la finalidad principal de un VTO es ob-
tener áreas de superposición correctas para evaluar
modificaciones dentomaxilares y del perfil blando,
este método no ofrece ventajas respecto a otros
más sencillos, por lo cual no recomendamos su
elección.
3. VTO resumido con crecimiento a corto plazo.
En este procedimiento se eliminan varios pasos
referidos a la construcción de la mandíbula.
Directamente se proyecta la sínfisis aumentan-
do la longitud del eje facial para un crecimiento a 2
años.
El maxilar superior se ubica con los mismos pa-
rámetros del procedimiento arquial, reflejando,
como ya vimos, las modificaciones del punto A
debidas al crecimiento o al cierre o apertura del eje
facial.
Éste es nuestro procedimiento de elección por
su facilidad y rapidez de trazado y por ser su exac-
titud similar a los otros procedimientos citados.
4. La predicción de crecimiento a largo plazo con
tratamiento (F.L.O) cumple objetivos diferentes de
los anteriores.
Al sufrir grandes modificaciones debido a la in-
corporación de un número mayor de módulos de
crecimiento, las áreas de superposición logradas a
partir del trazado original no serán un marco de
referencia útil para nuestro trabajo ya que éste se
realizará en un plazo estimado en sólo dos años. No
obstante, este procedimiento nos brinda la verda-
dera proyección de la estética final del caso, pues
ésta se alcanzará recién finalizados los procesos de
crecimiento y desarrollo.
No creemos que deba ser considerado como un
método de rutina para nuestras planificaciones.
5. VTO resumido sin crecimiento.
En los procedimientos de VTO con crecimiento,
las alternativas se presentan en el modo de graficar
el crecimiento de las distintas estructuras.
La construcción del VTO sin crecimiento, al no
tener en cuenta esas variables, se simplifica no-
tablemente.
6. Mini VTO.
Es la máxima simplificación de los procedimien-
tos de VTO, en el que solamente se diseñan los
cambios dentarios y permite obtener al mismo
tiempo áreas de superposición circunscriptas a esta
zona. No obstante, muestra con claridad las manio-
bras mecánicas y el anclaje necesario con lo que
resulta útil para la planificación de la mecánica a
aplicar.
En casos sin crecimiento y cuando no se hace
necesaria una evaluación de la estética del perfil,
este método ofrece seguridad y bastante rapidez.
Desarrollaremos a continuación los siguientes
procedimientos:
• VTO resumido con crecimiento a corto plazo.
• VTO resumido sin crecimiento.
• Mini VTO.
Visualizado/! de objetivos de tratamiento 417
D
29'
Fig. 17.2: D: Cefalograma final. E: Áreas de superposi-
ción (inicial - VTO - final)
Aclaración:
Los gráficos se realizaron de la siguiente ma-
nera:
• Trazo negro: corresponde al calco original.
• Trazo rojo: corresponde al VTO.
• Trazo azul: corresponde al paso del VTO que se
está describiendo; en el paso subsiguiente, ese
mismo trazo estará en color rojo.
• Trazo gris: se eligió este color para mostrar con
mayor claridad el momento en que se está super-
poniendo la hoja del VTO con el trazado original.
418 Síntesis del diagnóstico y planificación
VTO RESUMIDO CON CRECIMIENTO
Fig. 17.3.
CEFALOGRAMA BÁSICO
Clase esqueletal
01 - Convexidad facial
02 - Distancia A-B
Normal
+2 ± 2 mm
+4 ± 2 mm
Paciente
+9 mm
-13 mm
Maxilar inferior
03 - Eje facial
04 - Prof. facial
05 - Áng. pl. mandibular
06 - Altura facial inferior
07 - Arco mandibular
Normal
90° ± 3°
87° ± 3°
26° ± 4°
47° ± 4°
26° ± 4°
Paciente
85°
85°
34°
47°
26°
Maxilar superior
08 - Prof. maxilar
Normal
90° ± 3°
Paciente
94°
Dientes
09 - T - A-Po
10 - 1 - Plano oclusal
11 - 1 - Pl. mandibular
12-1- Plano BaNa
Normal
+1 ± 2 mm
+1 ± 1 mm
90° ± 5°
// E. Fac. -5°
Paciente
+7,5 mm
+1 mm
103°
90°
VTO
Con crecimiento a 2 años (resumido).
Estética
13 - Exposición del 1_
14 - Labio inf. - Plano E
15 - Áng. nasolabial Inf.
Normal
+2.5 a +3 mm
-2 ± 2 mm
85° ± 5°
Paciente
+3,5 mm
+4 mm
82°
1 - Eje facial
2 - Convexidad
3 - T-A-Po
4-T-PI. mandibular
Se mantiene
Disminuye 2 mm
Queda en +3,5 mm
Queda en 95°
Visualización de objetivos de tratamiento 419
MÉTODO DE TRAZADO:
En papel vegetal
1. Calcar el plano Ba - Na desde CC a Na prolon-
gándolo 0,8 mm por año por delante del Na ori-
ginal (Fig. 17.4).
2. Desde CC trazar el eje facial, prolongándolo 2,5
mm por año a partir del gnation óseo.
0,8 mm/a
Na
Se calca directamente si no varía con el trata-
miento (Fig. 17.5).
Si el eje se abre, dejar superpuestos los puntos
CC y girar el punto Na hacia arriba 1 mm por
cada grado de apertura y calcar el eje facial (Fig.
17.6).
Si el eje se cierra, dejar superpuestos los puntos
CC y girar el punto Na hacia abajo 1 mm por
cada grado de cierre. En esta posición calcar el
eje facial (Fig. 17.7).
Apertura
Fig. 17.4. Fig. 17.6.
Cierre
CC
Fig. 17.5.
2,5 mm/a
Fig. 17.7.
420 Síntesis del diagnóstico y planificación
3. Se sube el trazado del VTO a lo largo del eje
facial, hasta que coincidan el extremo del eje tra-
zado con el borde de la sínfisis original (gnation
óseo).
Calcar la sínfisis, el punto apical del incisivo infe-
rior y el extremo anterior del eje del cuerpo man-
dibular (Fig. 17.8).
4. Trazar el plano facial (Fig. 17.9).
5. Superponiendo Ba -Na en Na, trazar la línea Na- A
prolongándola unos milímetros (Fig. 17.10).
Fig. 17.8.
Na
Po
Fig. 17.9. Fig. 17.10.
Visualización de objetivos de tratamiento 421
6. Superponiendo los planos faciales en Na, dividir
la distancia entre los puntos mentonianos viejo y
nuevo en tres partes mediante dos marcas (Fig.
17.11).
Modif
PtoA
Fig. 17.12.
Fig. 17.11.
7. Para ubicar el maxilar superior, manteniendo los
planos faciales superpuestos, subir el trazado
hasta que la marca superior se superponga con el
punto mentoniano original. Mover el trazado
horizontalmente hasta que la línea Na-A caiga
sobre el punto A, y paralelizar los planos Ba-Na.
En esta posición se calca el maxilar superior,
manteniendo o modificando el punto A según
nuestra planificación (Fig. 17.12).
8. Con los planos faciales superpuestos, subir el tra-
zado hasta que la marca inferior coincida con el
punto mentoniano original y calcar el plano oclu-
sal (Fig. 17.13). Fig. 17.13.
422 Síntesis del diagnóstico y planificación
9. Trazar el plano A - Po (Fig. 17.14).
Fig. 17.14.
10. Colocación del incisivo inferior: El incisivo
inferior se coloca en relación a la sínfisis man-
dibular, al plano oclusal y al plano A-Po. La
norma para su ubicación es: 1 mm por delan-
te del plano A-Po y 1 mm por encima del
plano oclusal.
Las exigencias de longitud de la arcada infe-
rior y los resultados que buscamos con nues-
tro tra-tamiento, son los parámetros que dic-
tarán su localización para el caso en
particular. Se debe tener en cuenta que por
cada milímetro de avance o retroceso del inci-
sivo, habrá 2° de aumento o disminución
rspectivamente en el ángulo 1-P1. mandibular.
Usando como modelo el dibujo original del
incisivo inferior de nuestro paciente o una
plantilla de Ricketts, se traza el incisivo infe-
rior en la posición planificada para el caso.
Fig. 17.15.
Se procede del siguiente modo:
• Colocar el punto incisivo inferior en la
posición deseada (Fig. 17.15).
Visualización de objetivos de tratamiento 423
Trazar el eje del diente uniendo el punto inci-
sivo con el punto apical marcado en el paso 3.
(Fig. 17.16).
Trazar el incisivo inferior (Fig. 17.17).
Fig. 17.17.
Fig. 17.16.
11. Colocación del molar inferior:
De acuerdo con el plan de tratamiento, el l.er
molar inferior podrá permanecer en el mismo
lugar, erupcionando en dirección al nuevo
plano oclusal o moviéndose mesialmente en
los casos de extracciones con pérdida de
anclaje, o cuando se utilizan elásticos de Clase
II.
Para trazar el primer molar inferior se super
ponen los ejes del cuerpo en Pm. Se hace una
marca desde mesial del l.er molar al nuevo
plano oclusal. Luego se traza el l.er molar de
acuerdo con el cálculo hecho para la longitud
del arco inferior. Se usa el molar original
como plantilla y se corrige su posición si estu-
viera inclinado (Fig. 17.18 A y B).
Las flechas de la figura 17.18 B indican la dire-
cción del desplazamiento del papel vegetal.
B
Fig. 17.18.
424 Síntesis del diagnóstico y planificación
12. Trace el l.er molar superior en relación de
Clase I con el inferior. En aquellos casos en
que se planifiquen extracciones superiores
solamente, se traza en relación de Clase II
(Fig. 17.19).
13. A continuación se coloca el incisivo central
superior en posición correcta de overbite-
overjet (2,5 mm de overbite y 2,5 mm de over-
jet) considerando que su eje debe tener una
inclinación aproximada a la del eje facial (5°
más vertical).
Fig. 17.19.
• Se ubica el punto incisivo superior (Fig.
17.20).
• Se traza su eje con la ayuda del semicír-
culo de la plantilla, dándole una inclina-
ción 5° más vertical que el eje facial (lo
que significa trazarlo con un ángulo con
respecto al plano Ba-Na 5°menor que el
ángulo del eje facial) (Fig. 17.21).
• Trazar el incisivo superior con la planti-
lla (Fig. 17.22).
Tejido blando
14. Superponer los planos faciales en Na y calcar
el puente de la nariz (Fig. 17.23).
15. Superponer ambos maxilares, llevar el traza-
do hacia atrás (a lo largo del plano palatal) 1
mm por año y calcar la punta de la nariz (Fig.
17.24).
16. Manteniendo superpuestos los maxilares
superiores, se hace una marca 0,5 mm por año
Fig. 17.20. Fig. 17.21.
Visualización de objetivos de tratamiento 425
Fig. 17.23.
Fig. 17.22.
(hacia abajo y adelante) para dar crecimiento
al punto subnasal (Fig. 17.25).
Se desliza el trazado hacia arriba y atrás hasta
que coincida la marca con el punto subnasal
original, y se calca la base de la nariz hasta el
punto A en los casos en que el punto A óseo
no ha sido modificado.
En caso contrario, si se modificó la convexi-
dad, al punto A lo vamos a retroceder igual
cantidad de mm que el punto A óseo (Fig.
17.26). Fig. 17.24.
426 Síntesis del diagnóstico y planificación
17. Labio superior
Superponer ambos planos oclusales en el en-
tre cruzamiento con el plano facial, y dividir el
overjet entre incisivo superior original y
nuevo en tres partes mediante dos trazos (Fig.
17.27).
Estos puntos deben ser proyectados sobre el
plano oclusal del VTO.
Manteniendo los planos oclusales superpues-
0,5 mm/a
Fig. 17.25.
tos, llevar la marca más cercana al VTO a
nivel del borde incisal del incisivo superior
original. En esta posición se calca el labio
superior (Fig. 17.28).
Fig. 17.26.
Fig. 17.27.
Visualizado/! de objetivos de tratamiento 427
18. Labio inferior
Determinar el punto medio de overjet y over-
bite en ambos trazados. (Fig. 17.29) Se super-
ponen los 2 puntos marcados y se mueve ver-
ticalmente el trazado hasta que los planos
oclusales coincidan. Calcar el labio inferior
(Fig. 17.30).
Fig. 17.29.
Fig. 17.28. Fig. 17.30.
19. Se superponen las sínfisis y se calca el tejido
blando del mentón, uniéndolo al labio inferior
(Fig. 17.31).
Fig. 17.31.
428 Síntesis del diagnóstico y planificación
B
Fig. 17.32. A: Trazado inicial. B: VTO resumido.
Observaciones:
1. Cuando realizamos un VTO, el parámetro utili-
zado para la colocación de los incisivos en sentido
vertical es el plano oclusal.
La norma para la ubicación de este plano en el
sector anterior es de 3 mm por debajo de la comi-
sura labial (a los 8 1/2años).
Esta medida es muy constante, pero en algunos
pacientes está aumentada. Son, en general, casos
donde se comprueba un labio superior corto.
La norma para la longitud del labio superior es
24 mm a los 9 años. Sin embargo, el diagnóstico de
la longitud de este labio, no debe basarse sólo en la
apreciación aislada de esta medida, sino que debe
ser considerada comparativamente con la altura de
los rebordes alveolares y el grado de erupción de
los incisivos.
Cuando la longitud del labio superior resulta
insuficiente, el paciente presenta:
• En reposo: aumento del espacio interlabial (más
de 3 mm).Mayor exposición del incisivo superior
(más del tercio medio).
• En sonrisa: mayor exposición gingival (sonrisa
gingival).
Esto, configura una alteración estética que en
los casos severos no podrá ser resuelta ortodónci-
camente, porque el único recurso del que dispone-
mos será la intrusión de los incisivos.
Mediante esta maniobra se solucionarán los ca-
sos leves y mejorarán los severos, teniendo en
cuenta que para su corrección completa se debe
recurrir a la cirugía del maxilar superior.
Visualización de objetivos de tratamiento 429
Los pacientes con sonrisa gingival, suelen tener
el plano oclusal más alejado de la comisura labial,
llegando a veces hasta 7 u 8 mm o más hacia abajo.
Si mantuviéramos en estos casos esta ubicación
del plano oclusal en la construcción del VTO, y
colocamos el incisivo inferior en una posición
estándar; es decir, 1mm por encima del plano oclu-
sal y el incisivo superior 1 mm por debajo de él, el
resultado estético de la sonrisa no será el adecuado,
porque no corregirá el aumento de la exposición
del incisivo y la sonrisa gingival. Por ello, debemos
modificar la posición del plano oclusal, elevándolo
en su parte anterior con el fin de acercarlo a la
norma y, con ello, lograr que la posición de los inci-
sivos (que como dijimos anteriormente, depende de
él) sea más adecuada para la estética del paciente.
Por ejemplo, en el caso N.C. (ver Fig. 17.33) la
sobremordida de la paciente debe ser atribuida a
una supraerupción del incisivo inferior, que está a
+ 5 mm del plano oclusal.
La corrección, si mantuviéramos este plano en
la posición en que se encuentra, debería hacerse
con intrusión de los incisivos inferiores exclusiva-
mente. Pero esto no beneficiará la estética de la
paciente, que, como se aprecia en la fotografía,
requiere una intrusión de los incisivos superiores
para la solución de su sonrisa gingival.
Corrigiendo el plano oclusal, colocándolo a 3
mm por debajo de la comisura, la interpretación de
la sobremordida cambia radicalmente; el incisivo
inferior quedaría en posición normal y el incisivo
superior es el que está extruido. Por lo tanto, al ubi-
carlos en el VTO con respecto a este nuevo plano
oclusal, veremos que deberá intruirse el incisivo
superior, y esta posición será mucho más armonio-
sa en relación con los labios y disminuirá la exposi-
ción gingival durante la sonrisa.
La posición del plano oclusal se corrige en el
trazado original con lápiz rojo, modificando su
inclinación hasta un máximo de 5°; para esto se
Fig. 17.33: Caso N.C. Planificación de cambio de inclinación del plano oclusal.
430 Síntesis del diagnóstico y planificación
mantiene estable el punto distal del plano oclusal
(punto de contacto oclusal más distal de los prime-
ros molares) y se sube o baja el trazo en el sector
anterior para acercarlo a la norma que es de 3 mm
por debajo de la comisura.
El plano oclusal modificado es el que deberá
tomarse como referencia para la construcción del
VTO.
Fig. 17.34: VTO del caso N.C. Cambios en los tejidos
blandos del mentón al ser normalizado el cierre labial.
2. Este procedimiento de VTO brinda automática-
mente los cambios de la convexidad debido al cre-
cimiento y a la apertura o cierre del eje facial, por-
que la referencia para la ubicación del maxilar
superior es la línea Ba-Na-A de igual manera que
en la predicción arquial.
3. Si la radiografía fue tomada con una posición
forzada de los labios, los tejidos blandos del tercio
inferior de la cara están alterados en su distribu-
ción. Esto debe modificarse en el VTO pues el
retroceso de los incisivos consigue su normaliza-
ción.
El tejido blando del mentón, por lo tanto, debe
aumentar su espesor en la parte inferior ydisminuir
a nivel del surco labiomentoniano. El superior, al
cesar la contracción, generalmente aumenta de
espesor (Fig. 17.34).
Es de gran ayuda la observación clínica del pacien-
te, la toma de otra placa radiográfica lateral con
labios en reposo, o la toma de fotografías de perfil
con labios en contacto y relajados.
4. En los casos donde el labio inferior se apoya
francamente en el incisivo superior, su trazado en
el VTO debe hacerse conjuntamente con el labio
superior.
5. El trazado de los incisivosen el VTO debe hacer-
se siempre respetando la porción alveolar de los
maxilares, especialmente en la sínfisis, donde el
espacio entre las corticales bucal y lingual es más
estrecho, es decir, se debe corroborar que las posi-
ciones e inclinaciones programadas para los incisi-
vos estén acordes con la factibilidad estructural que
nos ofrezca el caso.
VTO RESUMIDO SIN CRECIMIENTO
Es un procedimiento más simple porque no se
consideran las modificaciones producidas por el
crecimiento. Se puede utilizar en pacientes adultos
o para simplificar más aún el VTO en pacientes con
crecimiento.
En la mayoría de los casos, se calcan directa-
mente del trazado original y con las mismas dimen-
siones todas las estructuras y planos que se descri-
ben para el VTO anteriormente desarrollado,
haciendo modificaciones de convexidad, dentarias
y del perfil labial (Fig. 17.35).
En los casos donde se prevea un cambio en el
eje facial, se procede de igual forma que en el VTO
con crecimiento. A continuación damos una guía
para su trazado.
1. Calcar el plano Ba-Na desde CC a Na.
2. Desde CC trazar el eje facial, calcándolo directa-
mente si no varía con el tratamiento, o modifi-
cándolo en casos de apertura o cierre.
3. Si el eje se abre: dejar superpuestos los puntos
Visualización de objetivos de tratamiento 431
CC y girar el punto Na hacia arriba 1 mm por
cada grado de apertura.
Si el eje se cierra: dejar superpuestos los puntos
CC y girar el punto Na hacia abajo 1 mm por
cada grado de cierre.
Desde esta posición calcar el eje facial, la sínfisis
y el extremo anterior del eje del cuerpo mandi-
bular.
4. Trazar el plano facial.
5. Superponer Ba-Na en Na y calcar el maxilar
superior modificando el punto A de acuerdo a
nuestra planificación. Trazar el plano A-Po.
6. Para calcar el plano oclusal superponemos los
planos faciales. Si hubo modificación del eje,
el maxilar superior y la sínfisis de ambos tra-
zados no coinciden, se distribuye esta distan-
cia en partes iguales a nivel de ANS y mento-
niano y se calca el plano oclusal.
7. Ubicamos el punto incisivo inferior 1 mm por
encima del plano oclusal y a la distancia del
plano A-Po que hayamos previsto en nuestro
cálculo. Utilizando la plantilla damos la angu-
lación al incisivo previamente determinada
para el caso y se calca el incisivo inferior.
8. Superponiendo el eje del cuerpo en Pm se co-
loca el molar inferior en la posición deseada.
9. El molar superior se traza en relación de
Clase I con el inferior. En los casos de extrac-
ciones superiores se traza en Clase II.
10. Se traza el incisivo superior en posición
correcta de overbite y overjet colocando su
eje 5° más vertical que el eje facial.
Tejido blando
11. Superponiendo los planos faciales y la ENA,
se calca la nariz hasta su base. El punto A
blando se modifica de las misma manera que
el punto A óseo.
12. Para calcar el labio superior se superponen los
planos oclusales en la intersección con el
plano facial. Dividimos la distancia entre los
puntos incisales de ambos incisivos superiores
en 3 partes iguales mediante 2 trazos hechos
sobre el plano oclusal. Superponiendo siem-
pre los planos oclusales se desliza el trazado
hasta que la marca más cercana al incisivo
nuevo quede a la altura del punto incisal del
incisivo original. En esta posición se calca el
labio superior.
13. Para trazar el labio inferior se determina el
punto medio del overbite y overjet en ambos
trazados. Se superponen ambos puntos. Si los
planos oclusales no están superpuestos, se
mueve el trazado sólo verticalmente hasta que
éstos coincidan. Se calca el labio inferior.
14. Se superponen las sínfisis y se calca el tejido
blando del mentón, uniéndolo al labio infe-
rior.
15. Trazar el plano estético.
Fig. 17.35: VTO Resumido sin crecimiento.
432 Síntesis del diagnóstico y planificación
MINI VTO
Con lápiz negro
1. Se calcan maxilar superior, parte anterior de la
mandíbula, incisivos y molares superiores e in-
feriores, eje facial y plano oclusal.
Con lápiz rojo
2. Se modifica el punto A de acuerdo a nuestra pla-
nificación y se traza el nuevo plano A-Po.
3. Se coloca el incisivo inferior en la posición de-
seada con respecto al plano A-Po y 1 mm por
encima del plano oclusal.
4. Se traza el molar inferior de acuerdo a la planifi-
cación.
5. Se dibuja el molar superior en relación de Clase
I. En los casos de extracciones superiores sola-
mente, se los ubica en Clase II.
6. Se traza el incisivo superior en posición correcta
de overbite y overjet colocando su eje 5°más ver-
tical que el eje facial.
Este procedimiento nos permite obtener simul-
táneamente las áreas de superposición dentarias,
pero es menos preciso porque no muestra las modi-
ficaciones del eje facial ni del perfil blando (Fig.
17.36 A y B).
B
Fig. 17.36: A: Caso inicial. B: Mini VTO.
C A P I T U L O 18
Áreas de superposición
Las áreas de superposición constituyen la vincu-
lación entre la cefalometría estática y la dinámica,
es decir:
• entre el estado inicial del paciente y las modifi-
caciones que sufrirá debidas al crecimiento, (ce-
falograma inicial y predicción de crecimiento sin
tratamiento);
• entre el estado inicial y la predicción de las modi-
ficaciones del crecimiento y el tratamiento (cefa-
lograma inicial y VTO);
• entre el VTO y el cefalograma intermedio (para
control de la evolución del tratamiento);
• entre el cefalograma inicial, el VTO y el cefalo-
grama final (control de los resultados y evalua-
ción del tratamiento);
• entre los anteriores y un cefalograma postrata-
miento (evaluación de los resultados a distacia).
Hacen posible, así, la individualizaciónde la natu-
raleza de los cambios y separan los que fueron pro-
ducidos por el crecimiento y el desarrollo de aquellos
inducidos por nuestras maniobras terapéuticas.
También posibilitan la evaluación del caso tra-
tado por lo que se convierte en un auxiliar del clí-
nico que, mediante este efecto de retroalimenta-
ción, podrá mejorar constantemente la calidad de
su trabajo.
Las áreas reflejan gráficamente:
• El crecimiento en distintas zonasmaxilofaciales.
• Modificaciones del crecimiento inducidas por el
tratamiento.
• Cambios de la posición mandibular producidas
por la mecánica.
• Tipo, cantidad y dirección del movimiento den-
tario requerido para el caso particular.
- Tipo de anclaje necesario.
Estas informaciones son de gran importancia
para el clínico porque:
- facilitan la elección de la aparatología,
- permiten definir la secuencia de lamisma,
- orientan al operador antes y durante el trata-
miento evitando movimientos de ida y vuelta,
- son imprescindibles para el control del trata-
miento y la evaluación de los resultados,
- producen un efecto defeed-back.
A pesar de que históricamente se describen in-
tentos de evaluaciones del tratamiento atribuidos a
autores conocidos, mediante algunas superposicio-
nes, creemos que el ortodoncista nunca había teni-
do a su alcance una metodología cefalométrica que
separara estos cambios de tan distinta naturaleza,
con el grado de claridad, certeza y precisión con
que lo hacen las áreas de superposición de Ricketts.
Son éstas, en nuestra opinión, uno de los más
importantes aportes que hizo este genial maestro e
investigador a nuestra especialidad.
Para facilitar la comprensión de este tema cree-
mos necesario referirnos al crecimiento de las dis-
tintas estructuras maxilofaciales y dentarias, te-
niendo en cuenta 3 perspectivas diferentes.
1. Incrementos de crecimiento promedio por año: se
considera la cantidad de crecimiento de cada
estructura en forma independiente
2. Cantidad relativa de crecimiento: Las estructuras
se consideran como parte de un contexto mayor,
estudiando comparativamente el crecimiento de
una con respecto a otras.
3. Direcciones generales de crecimiento: Evalúa el
crecimiento a través de vectores constantes con
la edad.
433
434 Síntesis del diagnóstico y planificación
Incrementos de crecimiento
promedio por año
Base craneal (Fig. 18.1)
La dividimos en 2 partes: base craneal posterior
(Ba - Ce) y base craneal anterior (Ce - Na). Ambas
tienen un crecimiento de aproximadamente 0,8 a 1
mm por año.
Maxüar (Fig. 18.3)
El maxilar desciende en forma paralela al plano
de Frankfort 0,8 a 1 mm por año.
Fig. 18.1. Fig. 18.3.
Mentón (Fig. 18.2) Mandíbula (Fig. 18.4)
El eje facial tiene un crecimiento anual entre 2,5 El eje del cuerpo de la mandíbula Xi - Pm crece
y 3 mm por año. aproximadamente 1,6mm por año.
Fig. 18.2. Fig. 18.4.
/Áreas de superposición 435
Dientes (Fig. 18.5)
Arcada superior: Se produce un crecimiento
alveolar, que provoca un incremento anual de 0,9
mm aproximadamente, de la distancia tomada
desde la implantación de la base cigomática al
plano oclusal en mesial del primer molar.
Arcada inferior: el proceso alveolar inferior
tiene un crecimiento de 0,8 mm por año aproxima-
damente, medido desde el plano Xi-Pm al plano
oclusal en mesial del primer molar.
Fig. 18.5.
Tejidos blandos (Fig. 18.6)
a)Nariz: crece aproximadamente 1 mm por año.
b)Punto subnasal: crece aproximadamente 0,5 mm
por año.
c) Labio superior e inferior: 0,3 mm por año.
d)Mentón: 0,25 mm por año.
Fig. 18.6.
436 Síntesis del diagnóstico y planificación
Cantidad relativa de crecimiento
En la evaluación del crecimiento se debe tener
presente que lo más importante es su cantidad rela-
tiva, no la absoluta. Ejemplo: los incrementos de la
base craneal y el eje del cuerpo mandibular son com-
parativamente iguales. Esto permite una relación ar-
mónica en el crecimiento de ambos maxilares.
Si el crecimiento de una de esas dos estructuras
se desvía en una proporción de más del 50% se pro-
ducirá una marcada alteración del perfil esqueletal
(Fig. 18.7). Sólo pueden ser toleradas desviaciones
de hasta un 20% aproximadamente, un porcentaje
mayor se considera ya un crecimiento anormal.
Fig, 18.7: Paciente MC. Comparación del crecimiento de la base craneal anterior y el cuerpo mandibular en 6 años. A:
Trazado a los 9 años. B: Trazado a los 15 años. El crecimiento mandibular fue aproximadamente el doble de lo espera-
do y produjo un perfil de Clase III. C: Superposición de ambos trazados.
Áreas de superposición 437
Direcciones generales
del crecimiento (Fig. 18.8)
Los ángulos del eje facial, Ba - Na - A y la altu-
ra facial inferior (ángulo ANS - Xi - Pm) no cam-
bian durante largos períodos de tiempo y por lo
tanto deben considerarse como los vectores gene-
rales de crecimiento (crecimiento gnómico).
Fig. 18.8: Las medidas del eje facial, profundidad maxilar y altura facial inferior no varían con el crecimiento(medidas
gnómicas.)
438 Síntesis del diagnóstico y planificación
TRAZADO E INTERPRETACIÓN DE LAS
ÁREAS DE SUPERPOSICIÓN
Se emplean 5 áreas de superposición mediante
las cuales se pueden evaluar 7 zonas distintas.
Estas 5 áreas son: (Fig. 18.9)
l.Ba-NaenCc
2. Ba - Na en Na
3. Eje del cuerpo mandibular en Pm
4. Paladar en ANS
5. Plano estético en comisura
Para su trazado se fija sobre la mesa de trabajo
el calco original. Sobre un papel vegetal se calcan
en color negro las áreas como se puede observar en
la figura 18.9. En ella puede observarse la distribu-
ción más apropiada para las áreas en el papel de 18
x 24 cm.
Se retira el calco original y se fija sobre la mesa
de trabajo el trazado a superponer. Éste puede
corresponder:
• a la predicción de crecimiento sin tratamiento
(color verde);
• al VTO, con o sin crecimiento (color rojo);
• a un cefalograma intermedio para monitoreo del
tratamiento (color marrón);
• al cefalograma final (color azul);
• a un cefalograma postratamiento (color violeta).
• a otro cefalograma de un paciente habiendo me-
diado entre ellos solo crecimiento (color verde);
Con el color que corresponda, se calcan las mis-
mas áreas superponiendo en los planos y puntos de
registro ya citados. Esta variación en los colores
permite superponer 2 o más trazados a la vez.
Fig. 18.9: Trazado de las áreas de superposición.
Áreas de superposición 439
1.er Área de superposición
Ba - Na en Ce
l.er Área de evaluación: MENTÓN
La finalidad de esta l.er área de superposición es
evaluar los cambios posicionales del mentón.
Al ser el plano Ba-Na una referencia de esta-
bilidad comprobada en la base del cráneo, se puede
estudiar el comportamiento del eje facial cuya
angulación es considerada constante con el creci-
miento (Fig. 18.10).
En varios estudios longitudinales, realizados en
pacientes sin tratamiento, se comprobó que el pro-
medio de cambio del ángulo del eje facial es prácti-
camente 0°.
Ricketts y McNamara comprobaron en 50 casos
que el promedio anual de cambio en 10 años era de
- 0,22° (mínimo cierre del eje). Esto significa quela
norma de 90° para los 8 1/2 años, sigue teniendo
vigencia en el adulto. Pero, sin embargo, existen ca-
sos en los que se comprueban cambios de diferente
magnitud con el crecimiento, que estudiados estadís-
ticamente presentaron los siguientes resultados:
Si bien el promedio de cambio es de 0; existe
una desviación estándar de cambio que varía según
el período estudiado:
Para 10 años ± 2,2°.
Para 5 años ± 1,5°.
Para 2 años ± 1°.
Para 1 año ± 0,7°.
Como puede observarse, la cantidad de varia-
ción en el tiempo no es una medida lineal. Si lo
fuera, al cambio de 0,7° en 1 año correspondería un
cambio de 7° en 10 años.
Al no darse esto, es un modelo que se encua-
draría dentro de lo que en estadística se llama
"caminata al azar".
Fig. 18.10: El eje facial como vector de crecimiento. A: El paciente braquifacial. B: Paciente dolicofacial.
440 Síntesis del diagnóstico y planificación
Cualquiera de estas variaciones estándar de
cambio, ya sea para 1, 2, 5 ó 10 años, incluye el 70%
de los pacientes por estar comprendido dentro del
rango de la l.er desviación.
Al evaluar el resultado de un tratamiento, en un
período de 2 años, es posible esperar con el creci-
miento una variación de sólo 1° de apertura o de
cierre en el 70% de los casos. Pero como la proba-
bilidad promedio es de 0° de cambio, se llega a la
conclusión de que el ángulo del eje facial no varía
con el crecimiento, por lo tanto cualquier modifica-
ción observada debe ser atribuida al tratamiento,
más aún si supera el rango de 1°.
De ser así, ante una apertura o cierre de 1° a 2°
con el crecimiento estaríamos en la 2.da desviación,
que comprende una minoría del 25% por lo que
estadísticamente no tiene peso como para inferir
que ese cambio pueda ser natural y no debido al
tratamiento.
Excepcionalmente (5% de los casos) podemos
encontrar variaciones del eje en más de 2°en 2 años
con el crecimiento (3.ra desviación estándar).
VARIACIONES ESTÁNDAR
DE CAMBIO
2 años
5
10
1°
1,5°
2,5°
Ésta es la razón por la cual, el eje facial debe ser
considerado una medida gnómica y cualquier cam-
bio en su dirección debe considerarse un efecto de
la mecánica (Fig. 18.11).
Vimos anteriormente, que el incremento anual
en la longitud del eje facial es de 2,5 a 3 mm y como
este eje es el vector que indica la dirección de cre-
cimiento del mentón, de su angulación dependerá
el grado de avance y/o descenso de esta estructura.
Así, en los patrones braquifaciales con ángulos
mayores de 90°, el Po se adelanta notablemente y
en menor grado desciende (Fig. 18.11 A).
En los patrones dolicofaciales en los que el
ángulo es menor de 90°el desplazamiento más evi-
dente es en dirección hacia abajo (Fig. 18.11 B).
Esto es lo que hace que la dirección del eje jue-
gue un importante papel en la conformación del
perfil facial.
.' B
Fig. 18.11: Cambios del eje facial. A: Apertura. B: Cierre.
2.da Área de superposición
fia - Na en Na
2.a* Área de Evaluación: PUNTO A
El ángulo Ba-Na-A es casi una constante abso-
luta durante el crecimiento. Su medida promedio es
de 66° y estudiado en una población sin tratamien-
to, su variación estándar de cambio fue solamente
de ± 1° en 5 años.
Esto significa que el punto A, en sentido sagi-
tal, se comporta en forma similar al punto Na du-
rante el crecimiento, es decir, se adelanta aproxi-
madamente 1 mm por año.
Cualquier modificación en el ángulo Ba-Na-A
se debe a efectos del tratamiento sobre el punto A.
Estos pueden ser:
/Áreas de superposición 441
1. Cambios en el punto A por remodelación
ósea, es decir, cambios en la base alveolar única-
mente.
Pueden producirse cuando se realizan mo-
vimientos de torque sobre los incisivos superiores.
Esta remodelación es siempre de poca magni-
tud, 1 a 2 mm, y puede producirse aun sin creci-
miento (Fig. 18.12).
2. Efectos ortopédicos sobre el maxilar superior.
El ángulo Ba-Na-A se reduce por un efecto
ortopédico que básicamente se obtiene deteniendo
el crecimiento del maxilar superior, mientras el Na
sigue con su incremento normal de 1 mm por año.
Este mecanismo ortopédico logra mayores efectos
que el cambio por remodelación ya citado, y se
consigue mediante una variedad de recursos tera-
péuticos aplicados a pacientes en crecimiento
(FEO, extracciones, elásticos de Cl. II, etc.).
En la 2.da área de superposición se visualiza un
aparente retroceso del punto A. Esto no es real,
sino que es sólo la manifestación de la detención
del crecimiento del maxilar superior al haber
superpuesto los planos Ba-Na en Na. Esto ha sido
explicado gráficamente en la figura 18.13.
Fig. 18.12: Cambios del punto A por remodelación.
(Torque incisivo).
Fig. 18.13: Cambios ortopédicos del punto A. En A: crecimiento solamente. Superponiendo Ba-Na en CC, observamos
crecimiento a nivel del Na y del punto A. En B: si se detiene el crecimiento del maxilar superior; al superponer Ba-Na en
CC se visualiza el crecimiento en Na y detención del crecimiento en el maxilar superior. En C: el mismo efecto que en B;
visualizado en la 2a área de superposición: Ba-Na en Na. Al estar superpuestos los Na; se observa un aparente retroce-
so del punto A.
442 Síntesis del diagnóstico y planificación
Consideramos necesario diferenciar 2 concep-
tos que suelen provocar confusiones:
a) Modificación del punto A:
Como se dijo, es la modificación del ángulo Ba-
Na-A:
• Por remodelación, mediante torque de los incisi-
vos superiores.
• Por detención del crecimiento del maxilar supe-
rior.
b) Modificación de la convexidad
La convexidad facial es la distancia lineal desde
el punto A al plano facial. Un cambio en su medi-
da depende de 2 variables (Fig. 18.14):
• Las modificaciones inducidas al punto A
• El desplazamiento del plano facial, que estará
dado sobre todo por la proyección que tiene la
sínfisis con el crecimiento o con los cambios del
eje facial.
Con la lectura de esta 2.da área, podremos de-
terminar a qué se debe una reducción de convexi-
dad, ya que puede ser discriminado el comporta-
miento del punto A.
Sin embargo, puede suceder que ante dos mo-
dificaciones iguales del punto A, la convexidad
varíe en distinta magnitud, debido a que el cre-
cimiento del mentón hacia adelante en un caso, fue
mayor que en el otro (Fig. 18.15). Por lo tanto, los
biotipos faciales tienen una marcada influencia.
Además, el cambio de posición del mentón, puede
deberse a efectos del tratamiento (apertura o cierre
del eje).
El aumento del valor del ángulo Ba-Na-A se
produce también por un efecto ortopédico median-
te el uso de tracción posteroanterior del maxilar
superior con máscara de Delaire.
Fig. 18.14: Modificación de la medida de la convexidad. En A: por cambios del punto A. En B: por cambios del plano
facial, en este caso, avance del Po.
Áreas de superposición 443
Fig. 18.15: El mismo efecto ortopédico sobre el maxilar superior reduce más la convexidad en B que en A, debido al
mayor avance del mentón por el crecimiento.
3.er Área de superposición
Eje del cuerpo mandibular en Pm
3.er Evaluación: INCISIVO INFERIOR
4ta. Evaluación: MOLAR INFERIOR
Anteriormente, para evaluar el comportamien-
to de los dientes inferiores, se utilizaba como refe-
rencia la superposición sobre el plano mandibular;
pero como este plano sufre normalmente reabsor-
ciones y remodelaciones (Bjork), no sería confiable
debido a su inestabilidad durante el crecimiento.
Ricketts eligió el eje del cuerpo mandibular: Xi-
Pm por considerarlo un plano más estable para ser
usado como referencia en sentido vertical, para el
estudio de la erupción dentaria natural y de los
cambios debidos al tratamiento.
La referencia sagital estará dada por el punto de
registro Pm.
Con respecto a este punto, diremos que Ricketts
lo escogió porque se ubica en una zona de poco
cambio, en la que no parecen realizarse procesos de
aposición o reabsorción.
Resumiendo: La referencia para esta 3.er área
será el eje del cuerpo mandibular (Xi - Pm) en Pm.
El molar inferior erupciona alrededor de 0,8
mm por año en dirección hacia arriba, sin realizar
movimientos en sentido mesial o distal. De la
misma manera, el incisivo inferior se mueve tam-
bién directamente hacia arriba, por lo cual no se
observan cambios en la longitud del arco con el cre-
cimiento (Fig. 18.16 A).
Teniendo en claro estos conceptos, podremos
evaluar los cambios en ambos (incisivo y molar
inferior). Gráficamente podremos observar cam-
bios en sentido vertical y anteroposterior (Fig.
18.16 B y C).
444 Síntesis del diagnóstico y planificación
B
INTRUSIÓN INCISIVA
Paciente en crecimiento Paciente sin crecimiento
EXTRUSIÓN INICISIVA
Paciente en crecimiento Paciente sin crecimiento
Protruir
I/
Mantener Retruir
=W/ Sin crecimiento
Con crecimiento
Mantener Mesializar Verticalizar
Fig. 18.16: 3a área de superposición. A: Crecimiento solamente. B: Cambios en sentido vertical. C: Cambios en sentido
anteroposterior.
Áreas de superposición 445
4.a Área de superposición
Paladar en ANS
5.a Evaluación: MOLAR SUPERIOR
6.a Evaluación: INCISIVO SUPERIOR
Se superponen los planos espina nasal anterior
(ANS)-espina nasal posterior (ENP). El punto de
registro es ANS.
La superposición de los planos palatinos es la
referencia en sentido vertical. Con ella se verifica la
erupción por crecimiento y se la distingue de los
cambios realizados por el tratamiento.
La referencia sagital está dada por el punto de
registro ANS.
La arcada dentaria superior erupciona siguien-
do la dirección de los ejes mayores de los dien-
tes, en una cantidad similar a la inferior (0,8 mm
por año); pero hace una ligera migración mesial de
aproximadamente 0,2 a 0,3 mm por año, es decir
que describe una trayectoria similar a la del eje
facial (Fig. 18.17 A).
Cabe aclarar, que cuando hablamos de cantidad
y dirección de la erupción dentaria tanto en maxi-
lar superior como en mandíbula, esto está referido
únicamente a procesos naturalesy no se consideran
las interferencias generadas por trastornos funcio-
B
Con crecimiento Sin crecimiento
Intrusión
incisiva
Intrusión
incisiva
Fig. 18.17: 4.ta área de superposición. A:
Crecimiento solamente. B: Cambios en
sentido vertical. C: Cambios en sentido
anteroposterior (pág. siguiente).
Intrusión
molar
Extrusión
incisiva
446 Síntesis del diagnóstico y planificación
Sin crecimiento
Mantener Mesializar Distalar
Con crecimiento
Mantener Mesializar Distalar
Retrusión
sin torque
Retrusión
con torque
Protrusión
nales (respiración, deglución, hábitos, etc.), pérdi-
das prematuras o ausencias congénitas, que produ-
cirán una amplia gama de variaciones en este pro-
ceso.
La 5.ta evaluación corresponde a los molares
superiores (Fig. 18.17 B y C). Mediante su observa-
ción se podrá determinar el tipo de movimiento
necesario para estos dientes, los que podrán ser
mantenidos en su lugar, (anclaje máximo), distala-
dos, mesializados (casos de anclaje moderado y/o
mínimo), intruidos (control vertical) o extruidos.
En la 6.ta se evalúan los incisivos (Fig. 18.17 B y
C). Se visualiza el movimiento a realizar (superpo-
siciones con el VTO) o realizado (evaluación con
trazado final).
En el primer caso, la visualización del mo-
vimiento requerido, nos permitirá la selección de la
aparatología apta para realizar ese tipo de mo-
vimiento. En las superposiciones con el trazado
final, se evaluarán los resultados obtenidos.
Fig. 18.17:Continuación.
Paciente en crecimiento
Mesialización
anclaje mínimo) Retrusión e intrusión
Paciente en crecimiento
Sin modificación
Retrusión
B
Paciente sin crecimiento
Sin modificación
Retrusión con torque
D Paciente sin crecimiento
Verticalización
Protrusión
e intrusión
Fig. 18.18: 4a área de superposición. Interpretación de diferentes variantes.
/Áreas de superposición 447
5.a Área de superposición
Plano estético en comisura
7.a Evaluación: PERFIL BLANDO
En el crecimiento normal, el perfil se hace me-
nos protrusivo con respecto al plano estético en los
patrones braquifaciales. En menor grado, sucede lo
mismo en los mesofaciales.
En los patrones de crecimiento vertical (dolico-
faciales) al no producirse un avance significativo
del mentón con el desarrollo, el perfil labial no su-
fre prácticamente ninguna modificación.
Al superponer los perfiles pre y postratamiento,
se debe tener en cuenta que los cambios debidos al
crecimiento en aproximadamente 2 años son míni-
mos, por lo cual las modificaciones observadas,
deberán ser atribuidas exclusivamente al efecto del
tratamiento (Fig. 18.19). Por lo tanto, sólo podre-
mos evaluar los cambios del perfil con el creci-
miento, recurriendo a una predicción a largo plazo.
Cuando las superposiciones se realizan entre tra-
zado inicial y VTO (colores negro y rojo), son utili-
zadas para evaluar el tipo de anclaje, movimientos
ortodóncicos o fuerzas ortopédicas requeridas para
seleccionar la aparatología y planificarlas maniobras
necesarias para el logro de los objetivos.
La superposición de trazado inicial con uno inter-
medio, es decir durante el tratamiento (colores negro
y marrón), permitirá monitorizar su desarrollo para
decidir la continuación o modificación de las manio-
bras terapéuticas realizadas hasta ese momento.
Las áreas de superposición entre los trazados
inicial y final (colores negro y azul) se utilizan para
evaluar los resultados obtenidos y para distinguir
los cambios debidos al crecimiento de los provoca-
dos por el tratamiento.
La superposición al final del tratamiento de los
3 trazados: inicial - VTO y final es de suma utilidad
para evaluar en qué medida se han alcanzado los
objetivos propuestos, dónde no pudieron ser logra-
dos y hasta también, conocer si nuestro error radi-
có en el diagnóstico, en la planificación o en la eje-
cución de las maniobras mecánicas.
El uso de esta metodología y la puesta en prác-
tica de las áreas de superposición, le da un mayor
alcance al uso de la cefalometría y nos lleva a com-
prender con mayor profundidad el tratamiento.
Nos permite conocer con exactitud los efectos de
nuestra terapéutica, cosa imposible si sólo nos limi-
táramos a evaluar los resultados clínicamente o con
un simple trazado cefalométrico final.
Fig. 18.19: Superposición del perfil blando.
Paciente en crecimiento.A: Perfil pretratamiento. B:
Perfil postratamiento. Al superponer los planosesté-
ticos a la altura de la comisura labial se puedendife-
renciar los cambios de las distintas estructuras:
labios, mentón, nariz, punto A blando, surco labio-
mentoniano, punto subnasal.
448 Síntesis del diagnóstico y planificación
Un ejemplo de esto es el caso de la figura 18.20.
El paciente PG ha sido tratado entre los 12y 14
años de edad. Se realizaron 4 extracciones de pri-
meros premolares para corregir su marcada bipro-
trusión y mejorar el perfil (Fig. 18.21).
En la Cefalometría del inicio se observa una
convexidad de 5mm (Fig. 18.22). Al finalizar, la
convexidad mide O mm (Fig. 18.23). ¿Puede ser
Fig. 18.20: Paciente P.G. 12 años. Fotografíasiniciales.
/Áreas de superposición 449
atribuido este cambio a un trabajo ortopédico
sobre el punto A?. Analizaremos las áreas de
superposición (Fig. 18.24).
En la primer área, BA-Na en CC, observamos
un excesivo crecimiento mandibular, que
duplica los valores estadísticos de proyección
del eje facial para un periodo de dos años y
medio, que fue el tiempo de tratamiento y el
Fig. 18.21: Paciente P.G. 15 años. Fotografías finales.
450 Síntesis del diagnóstico y planificación
4mm
Fig. 18.22: Radigrafía y cefalometría inicial.
Fig. 18.23: Radiografía y cefalometría final.
/Áreas de superposición 451
Fig. 18.24: Paciente P.G. Áreas de superposición. Negro: cefalometría inicial.Azul: cefalometría final.
lapso entre una y otra radiografía. Si bien la direc-
ción del eje facial (88°) no contribuye demasiado a
la proyección anterior del mentón, la magnitud del
crecimiento ha logrado un considerable avance,
provocando un ligero cierre del eje facial.
Por otro lado en esta área también podemos
observar que el crecimiento de la base craneal
anterior ha sido mínimo, el Na se ha proyectado
menos de 1 mm hacia delante. Esto implica pocas
posibilidades de cambio en el ángulo BA-Na -A.
Sólo si hay crecimiento en la base craneal anterior
podemos tener un efecto ortopédico a nivel del
punto A.
Observamos entonces que la segunda área de
superposición, Ba-Na en Na expresa un importante
crecimiento vertical y el punto A aparece sólo leve-
mente retrocedido, indicando un pequeño efecto
ortopédico atribuible a la terapia de extracciones
en un paciente de escaso crecimiento en la base cra-
neal.
La conclusión en este caso es que los cambios
ortopédicos son generados en el crecimiento man-
dibular y no por el tratamiento con extracciones
(Fig. 18.25).
Este exceso de crecimiento mandibular ha oca-
sionado que, para poder finalizar el caso en clase I,
Fig. 18.25: Paciente P.G. Visualizacióntotal en la primer
área de superposición, donde se observa la magnitud del
crecimiento mandibular en contraposición con el escaso
crecimiento craneal.
452 Síntesis del diagnóstico y planificación
el cierre de espacio se haya realizado en la mandí-
bula con predominio de la retrusión y en el maxilar
superior con mayor pérdida de anclaje y escasa
retrusión.
Cabe aclarar que esto no responde al VTO y
áreas realizado para el caso, donde se estimaba un
crecimiento normal y correspondía una retrusión y
pérdida de anclaje similar en ambas arcadas para
seguir manteniendo la clase I molar y la relación
interincisiva normal.
Al conocer la naturaleza y la intimidad de todos
los cambios, podremos hacer nuestra planificación
dentro de límites más racionales, hacer pronósticos
más acertados y aprovechar mejor nuestros recur-
sos terapéuticos.
De este modo podemos dar al crecimiento la
verdadera dimensión que le corresponde en un tra-
tamiento de ortodoncia.
Toda esta metodología de planificación, moni-
torización y evaluación, por último, producirá tam-
bién un efecto de feed back que incidirá favorable-
mente en la formación del ortodoncista.
453
Bibliografía
Benvenga, M. N.: Comunicación personal. Sao
Paulo, Brasil, 1982, 1983
Burstone, C. J.: Lip posture and its signifícance in
treatment planning. Am. J. O. 53,1967
Case, C. S.: The question of extraction in ortho-
dontics, reprinted in Am J. Orthod 50:658-691,
1964
Damerell, J. M.: Cephalometric objetives for the
maxillary central incisors, Masters thesis. Loma
Linda University. 1977
Engel, G., Cornforth, G., Damerell, J. M., et al:
Treatment of deep-bite cases. Am. J. of Orthod.
Vol. 77 N° 1 pag. 1,13. Jan. 1980
Gardner, R. B.: A comparison of four methods of
predincting arch lengh. AJO pp.387-398,1979
Graber, T. M.: Ortodoncia. Teoría y práctica,
ínter-americana. México, 1972
Graber, T. M., Swain, B.: Ortodoncia. Principios
generales y técnicas. Panamericana. Buenos Aires,
1988
Holdaway, R. A.: Changes in relation of points A
and B during orthodontic treatment. Am. J.
Orthod. 42:176-193,1956
Jarabak, J. R.: Desarrollo de un plan de tratamien-
to a la luz de los conceptos propios sobre objetivos
de tratamiento. Amer. J. Orth. 46:481-514, 1960
Kloehn, S. J.: Guiding alveolar growth and erup-
tion of teeth to reduce treatment time and produce
a more balanced denture and face. Angle Orthod.
17:33, 1947
Langlade, M.: Diagnostic Orthodontique.
Maloine S.A. Editeur. París, 1981
Little, R. M.: Stability and relapse of dental arch
aligment. Brit. J. Orthod. 17:235-241, 1990
López Velarde, G.: Comunicación personal.
Córdoba, Argentina, 1988. México, 1995
McNamara, J. A., Ellis, E.: Cephalometric analy-
sis of untreated adults with ideal facial and occlu-
sal relationships. Int. J. Adult Orthodont. Oral
Surg. 3:221-231, 1988
McNamara, J. A., Brudon, W. L.: Tratamiento
Ortodóncico y Ortopédico en la Dentición Mixta.
Needham Press. Ann. Arbor, 1995
Moore, A. W.: Observations on facial growth an
its clinical significance. Am.J.Orthod. 45:(6) 399-
423,1959.
Nance, H. N.: The limitations of orthodontic treat-
ment I. Mixed dentition diagnosis and treatment.
Am. J. Orthod. 33:177, 223, 1947
Nance H. N.: The limitations of orthodontic treat-
ment II. Diagnosis an treatment in the permanent
dentition. Am. J. Orthod. 33:253,1957
Proffit, W. R., White, R. P. Jr.: Surgical-orthodon-
tic treatment. St. Louis. Mosby - Year Book, Inc.,
1991
Ricketts, R. M.: Planning treatment on the basis of
the facial pattern and estimate of its growth. Angle
Orthod. Vol. 27 N° 1. Jan. 1957
Ricketts, R. M.: Cephalometric synthesis. An
exercise in stating objectives and planning treat-
ment with tracings of the head roentgenogram.
Am. J. Orthod. 46:647-673,1960
454
Ricketts, R. M.: The influence of orthodontic tre-
atment on facial growth and development. Angle
Orthod. 30:103-151, 1960
Ricketts, R. M.: The keystone triad I - Anatomy,
phylogenetics and clinical significance. Am. J.
Orthod. 50:4, 244,264.April 1964
Ricketts, R. M.: The keystone triad II - Growth,
treatment and clinical significance.Am. J. Orthod.
50:10, 728,750. Oct. 1964
Ricketts, R. M.: A four-step method to distinguish
orthodontic changes from natural growth. J. C. O.
9:4,208,228. April 1975
Ricketts, R. M.: News perspectives on orientation
and their benefits to clinical orthodontic - Part I
and II. The Angle Orthod. Vol. 45 N° 4, Oct. 1975.
Vol. 46 N° 1. Jan. 1976
Ricketts, R. M.: On early treatment. J. C. O.
Interviews. Part I, Vol. 13 N° 1, Jan 1979. Part II,
Vol. 13 N° 2, Feb. 1979. Part III, Vol. 13 N° 3,
March 1979
Ricketts, R. M., Roth, R, et al: Orthodontic
Diagnosis and Planning. Rocky Mountain Data
Systems, 1982
Ricketts, R. M., et al: Técnica Bioprogresiva.
Panamericana. Buenos Aires (Argentina), 1983
Sheridan, J. J.: Air-rotor stripping update. J. Clin
Orthod. 21:781-788,1987
Slavicek, R.: Part IV. Instrumental analysis of
mandibular casts using the mandibular position
indicator. J. Clin. Orthod. 22:566-75,1988
Stockli, P. W., Teuscher, U.M.: Combined activa-
tor headgear orthopedics. In Graber TM,
Subtelny, J. D.: The soft tissue profile growth and
treatment changes.Angle Orthod. Vol.31, pp. 105-
122,1961
Swain, B. F. editors: Current orthodontic princi-
pies and techniques. St. Louis. Mosby- Year Book,
1985
Tweed, C. M.: A philosophy of orthodontic treat-
ment. Am. J. Orthod. 31:74-103, 1945
Tweed, C. M.: Clinical orthodontics. St. Louis, C.
V. Mosby Company, vols. I and II
Tweed, C. M.: The Frankfort-mandibular incisor
angle (FMIA) in orthodontic diagnosis, treatment
planning and prognosis. Angle Orthod 24:121-169,
1954
Weislander, L.: The effect of orthodontic treat-
ment on the concurrent development of the cra-
niofacial complex. Am. J. Orthod 49:15-27, 1963
Wylie, W. L.: The mandibular incisor, its role in
facial esthetics. Angle Orthod. 25:32,41,1955
SECCIÓN
TRATAMIENTO
ORTODÓNCICO-QUIRÚRGICO
Motivación del paciente para el tratamiento
ortodóncico-quirúrgico
Estética y diagnóstico en el paciente quirúrgico
Bases para la planificación
VTO ortodóncico-quirúrgico
Cambios en los tejidos blandos asociados
a la cirugía ortognática
Planificación quirúrgica cefalométrica y
de modelos
C A P I T U L O 19
Motivación del paciente para el tratamiento
ortodóncico-quirúrgico
Nora Marina Ménendez *
En el capítulo referido al estudio del paciente,
señalamos que dentro de la cadena de procedimien-
tos destinados al diagnóstico, la evaluación, la pla-
nificación y el tratamiento de los problemas de esté-
tica facial, el ortodoncista muchas veces es el primer
eslabón y que esto sucede por varios motivos.
Uno de ellos reside en el hecho de que la mayo-
ría de esos problemas, tienen manifestacionesmuy
evidentes en la región dentoalveolar y labial.
Como el paciente no tiene los conocimientos
necesarios para evaluarlos y definirlos, considera
que ellos se deben a problemas que están radicados
exclusivamente en esta región.
Otras veces la consulta inicial la hace con el
odontólogo, quien sin tener el entrenamiento espe-
cífico, necesario para definir el problema estético,
lo deriva al ortodoncista.
Lo primero que debe comprender el ortodoncis-
ta es que estos pacientes padecen una situación que
toca su más profunda intimidad, un problema que
atañe a su identidad, y a partir de ésta deberá esta-
blecer un trato sumamente prudente y delicado que
implica una motivación que contemple situaciones
pre y post-quirúrgicas, que informe, contenga y
prepare al paciente.
Quien no ha tenido experiencia en lo que deno-
minamos "tratamiento ortodóncico-quirúrgico"
puede suponer que sólo se trata de resolver un pro-
blema de índole dentaria, esqueletal y estética y
que lógicamente, una vez resueltos, todos los pro-
blemas emocionales, psicológicos y sociales del
paciente relacionados con su estética, encontrarán
rápida y fácilmente un cauce satisfactorio.
Pero los que hemos observado repetidamente la
transformación que implica esta cirugía, hemos
constatado que ella produce verdaderamente un
corte, que es un acontecimiento, es decir, que tiene
un antes y un después, y que esto acarrea conse-
cuencias muy variadas que a veces alcanzan niveles
muy preocupantes.
Dado que el tratamiento ortodóncico-quirúrgi-
co es un conjunto de procedimientos que provoca
en el paciente una profunda transformación en su
estética facial, afecta muchas veces no sólo al
paciente sino a su entorno familiar, social y laboral,
desencadenando situaciones de consideración.
Durante nuestras primeras experiencias en este
tipo de tratamientos pudimos observar estas situa-
ciones, que algunas veces fueron muy desconcer-
tantes.
La literatura que trata este tema generalmente
se limita a la descripción de todos los pasos clínicos
y/o de laboratorio que basados en un protocolo cui-
dadosamente elaborado, posibilite el logro de los
objetivos propuestos, pero es sumamente escasa en
lo relacionado a la esfera psicológica del paciente,
a su comprensión, su manejo, etc., razón por la cual
decidimos abordar la escritura de este capítulo.
Pensamos que si estamos convencidos de que lo
realmente importante es el paciente, debemos
tener presente en primera instancia el cuidado de
todo lo referente a su esfera emocional y afectiva,
es decir, tener presente que es un sujeto que pien-
sa, siente, sufre, etc.
Los profesionales que interactúan en estos tra-
tamientos son tradicionalmente el ortodoncista y el
cirujano.
El ortodoncista, por el hecho mismo de ser el
mediador, no puede estar desinformado de una
serie de pasos, maniobras e intermediaciones que
serán necesarias realizar en relación al paciente y
su entorno y a lo pre y post-quirúrgico.
La cirugía ortognática no es una cirugía menor,
es una cirugía de alta complejidad y que además
toca al sujeto en su ser, toca su más profunda inti-
midad. Aún cuando uno supone que resuelve un
problema estético o funcional, en realidad atañe a
la identidad de un sujeto.
En nuestra experiencia personal, a partir de
nuestro trabajo interdisciplinario, hemos sido
advertidos desde el Psicoanálisis, sobre una serie de
cuestiones respecto de las cuales el profesional
debe tener algún grado de conocimiento para
poder escuchar, interrogar, informar, aclarar y
457
458 Tratamiento ortodóncico-quirúrgico
hacer saber al paciente que esta cirugía va más allá
de la corrección estética y/o funcional.
Es por esta razón que el lector se va a encontrar
con una serie de referencias psicoanalíticas que
esperamos les sean útiles como herramientas para
este fin, de todos modos hemos trabajado cuidado-
samente este capítulo en una labor interdisciplina-
ria de ortodoncistas, psicoanalistas y cirujanos con
la finalidad de encontrar un lenguaje llano que faci-
lite la comprensión de quien no está familiarizado
con el lenguaje específico que se utiliza en este
capítulo, por lo que deberá ser leída detenidamen-
te para poder comprender los fundamentos de
estos fenómenos y su lógica.
Analizaremos ahora las cuestiones que mues-
tran cómo la especificidad de esta cirugía toca toda
la estructura del sujeto.
Cuerpo y estructurasubjetiva
La nueva cara es un nuevo real que irrumpe y
avanza sobre la imagen corporal anterior. Mientras
que el proceso de generación de la malformación es
progresivo y lento ya que su ritmo está impuesto
por el crecimiento, la cirugía es un corte abrupto.
Esto ya es algo de consideración en tanto incide en
el cuerpo y en la subjetividad.
Imaginario
Real Simbólico
Nuestra estructura subjetiva es un anudamiento
entre tres elementos heterogéneos: lo real del cuer-
po, la imagen corporal y la nominación simbólica.
El cuerpo de los animales es un puro organismo,
pero el cuerpo humano no es sólo un organismo,
porque el lenguaje ejerce una influenciafundamen-
tal sobre él, que a pesar de ser inadvertida, consti-
tuye nuestra imagen corporal y también la posibili-
dad de identificar ese cuerpo como propio a partir
de un nombre.
Estos elementos: Real, Simbólico e Imaginario
se anudan en un proceso identificatorio con la ima-
gen y la palabra del Otro. Con esta cirugía este
nudo se desarma y tiene que volver a anudarse.
Este proceso llevará tiempo y elaboración.
Hay un trastocamiento, el sujeto queda cuestio-
nado en su identidad y debe hacer algo con esa
nueva cara, con ese nuevo real, con esa diferencia
que se le presentifica visiblemente; con ese pasaje
abrupto del antes al después.
Es imposible responder a la exigencia inmedia-
ta que esta nueva imagen implica. La respuesta en
los pacientes no es unívoca, porque lo propio de
cada sujeto humano es su singularidad. Por lo tanto
debemos estar preparados para evitar o asumir los
problemas que en relación a esto, aparecerán a
veces de manera totalmente inesperada.
Ciencia y Psicoanálisis
Para facilitar la comprensión de estos problemas,
se debe tener en cuenta que cada disciplina recorta
su propio objeto de estudio y tiene por lo tanto su
propio enfoque. Todo lo que atañe a la subjetividad
del paciente y su singularidad, es de interés primor-
dial para el Psicoanálisis, que no tiene la especifici-
dad del discurso médico-científico.
La Ciencia no ha producido ningún elemento
que pueda dar alivio al sufrimiento psíquico salvo
el paliativo "ortopédico" de los psicofármacos, a
los que si bien no hay que desmerecer, deben ser
ubicados en su justo lugar, debido a que no contri-
buyen a la elaboración, a la tramitación de dicho
sufrimiento. La presencia humana, la palabra, la
mirada, el gesto o la caricia mantienen su plena
vigencia en este punto.
Existe una diferencia muy grande entre el campo
científico y el campo psicoanalítico. Este último per-
tenece a las disciplinas conjeturalesy obedece a otra
Motivación del paciente para el tratamiento ortodóncico quirúrgico 459
epistemología. El psicoanálisisno es científicojusta-
mente porque puede no serlo. Tiene parámetros
diferentes porque su objeto de estudio no es con-
vencional, y está apoyado en un sólido cuerpo teó-
rico conceptual y en una disciplina de casos.
El discurso científico delimita un campo. Marca
necesariamente una exclusión, un resto: es decir, lo
subjetivo, lo confuso, lo contradictorio, lo ambiguo,
lo emocional, lo singular de cada uno. Esto es pre-
cisamente lo que el Psicoanálisis toma como su
objeto de estudio.
Mientras la Ciencia señala rigurosamente las
pautas de la causalidad en lo observable, cuantifi-
cable y verificable; el Psicoanálisis considera a la
subjetividad como un orden de causalidad posible y
no exclusivo ni excluyente.
El sufrimiento tiene coordenadas diferentes de
la biología. Cada sujeto habla desde sus significa-
ciones singulares,propias, específicas de su historia
individual y social, en relación a los dictámenes de
la cultura. Esto hace que los síntomas y los padeci-
mientos sean inaccesibles a una generalización,
salvo en su nivel más amplio. Esta disciplina en
cambio, articula en cada caso lo particular.
Por esta razón en este capítulo plantearemos
cómo se constituye la idea de "cuerpo" desde una
perspectiva que nos permita articular "cuerpo" y
subjetividad; dado que acerca del cuerpo biológico,
cuerpo fisiológico, el odontólogo y el médico, tie-
nen un saber indiscutible.
Debemos tratar de ubicar el valor, no de lo racio-
nal, sino de lo aparentemente irracional del sujeto,
porque, por ejemplo, si fuéramos completamente
racionales sería impensable que un paciente cuya
estética ha mejorado drásticamente mediante un tra-
tamiento ortodóncico - quirúrgico sesienta angustia-
do ante el cambio, tanto él como su entorno afectivo.
Estos conceptos nos servirán para poder dimen-
sionar el impacto de la cirugía en algunos pacientes.
Este fino trabajo de entramado que es la constitu-
ción de la propia imagen, se realiza en el tiempo y
requiere un reacomodamiento en cada etapa de la
vida. Pensemos cuánto tiempo se pasan los adoles-
centes frente el espejo cuando advierten sus cam-
bios corporales. Pensemos cómo nos impactan las
primeras marcas del paso del tiempo.
En algunos casos de cirugías ortognáticas se evi-
dencia en lo que dicen los pacientes acerca de este
trastocamiento de la imagen corporal y el trabajo de
elaboración que este cambio les impone: esto indica
la conmoción que se produce en susubjetividad.
La incorporación del lenguaje transforma el orga-
nismo en cuerpo
Existe una relación entre el cuerpo y las pala-
bras, porque el cuerpo se constituye mediante la
inscripción de palabras que lo marcan. El cuerpo se
construye, se escribe, con imágenes y palabras.
El lenguaje está presente antes de nacer el niño:
en las estructuras sociales que operan en la familia,
en las relaciones de parentesco, en la historia, en
los ideales y objetivos de los padres que serán los
transmisores. Aun antes de nacer el niño, los
padres ya hablan de él, le han elegido un nombre y
hasta le han imaginado un futuro. Y aunque el
recién nacido apenas pueda captar este mundo sig-
nificante, éste le afectará su existencia.
Este singular encuentro entre las palabras y el
cuerpo nos lleva a pensar la constitución de la sub-
jetividad humana, no como el resultado de la vieja
dicotomía: cuerpo-mente, o su versión religiosa,
cuerpo-alma; sino como el resultado del anuda-
miento de los tres registros mencionados: Real,
Simbólico e Imaginario.
Todo lo que atañe a lo humano es una compleja
articulación de estos tres registros, por lo tanto el
cuerpo también lo es. Tres elementos heterogéneos
que hacen uno:
Lo Real: el puro organismo como maquinaria
homeostática.
Lo Imaginario: el esquema corporal, la imagen
del cuerpo.
Lo Simbólico: lo que atañe al lenguaje, a la
nominación.
Muchos casos de cirugías ortognáticas conclu-
yen en la necesidad de obtener un nuevo documen-
to de identidad, lo cual no es un dato anecdótico
simplemente, es la síntesis de la modificación
estructural de un rostro, del esquema corporal y
por ende de la identidad. Esta cirugía es ejemplar
para poder pensar sus efectos en los tres registros.
Se corta lo real del cuerpo (Real), se altera la ima-
gen (Imaginario) y también son modificados algu-
nos rasgos distintivos, que son aquellos que señalan
el nombre, la filiación (Simbólico).
460 Tratamiento ortodóncico-quirúrgico
1) Cuerpo real
El animal trae un esquema corporal innato, trae
una integración y coordinación de los datos corpo-
rales tal que a poco de nacer el ternero se pone en
pie y se dirige al seno de la madre a los fines de su
autoconservación.
Ante una necesidad el animal se dirige al obje-
to, porque está dotado de instinto. El instinto es un
saber innato, sin aprendizaje, que le dice cuál es el
objeto que le conviene. Se satisface y se vuelve a
repetir el ciclo. La vaca no duda, no necesita un
menú para orientar su deseo, va al pasto sin más.
Un ser humano, en cambio, no se puede autoa-
bastecer al igual que un ser de la naturaleza porque
las palabras le anulan el instinto. Hay un desarrai-
go instintivo. El sujeto no se encuentra sino con
palabras, el Otro le dirá qué le pasa y qué necesita:
"Tienes hambre, ¡quieres el biberón!" o bien "Tie-
nes frío, ¡te pondré un abrigo!". El objeto que
causa al ser humano es un objeto singular, tramado
por el discurso familiar y social.
La madre hace ingresar al bebé en el campo del
lenguaje cuando interpreta el llanto como hambre, o
frío, o dolor, o sueño; es decir lo escucha como un
pedido. Más que interpretar lo que el niño quiere, sea
correcto o no, lo que hace es nombrar, significar su
llanto, es decir, le busca el motivo o le inventa el sig-
nificado de su llanto. Porque entre el bebé y el obje-
to está la mediación del Otro, las palabras del Otro.
Entonces, con lo real del cuerpo solamente, no
hacemos un ser humano. Veamos brevemente
ahora como se anuda lo Imaginario.
2) Cuerpo imaginario
Lo imaginario es el registro de las representa-
ciones que hacen sentido. Es el dominio de la ima-
gen y también allí donde la palabra hace una ima-
gen cristalizada. Las palabras son verdaderos
espejos.
Constituimos nuestra propia imagen a partir de
la imagen del Otro. Antes de "vernos" nos vemos
en el Otro. Esto es verificable en lo que dicen los
pacientes, que relatan, por ejemplo, que comienzan
a ver sus propios problemas al observar un aspecto
similar en alguien conocido. He ahí la función de
espejo que tiene la imagen del semejante: es allí
donde ellos ven: en el espejo del otro.
Un paciente tendrá de sí una imagen corporal
buena o mala, según el mensaje que le llegue del
Otro, es decir que el ser humano se espeja en las
palabras del Otro.
Por ejemplo, pacientes portadores de un
micrognatismo, piensan que el problema lo consti-
tuyen sus dientes superiores adelantados, así perci-
ben ellos y los demás su problema, muchas veces
son apodados "dientudos" y reciben desde niños
alusiones al respecto.
Este es un buen ejemplo para constatar clara-
mente cómo la percepción humana está trabajada
por el lenguaje: tienen esa percepción a partir del
discurso del entorno.
He aquí la influencia de lo imaginario, de la
palabra del Otro, que le impide al paciente ver la
verdadera alteración estructural, que en estos casos
no asientan sobre el maxilar superior sino sobre la
mandíbula.
Vemos entonces que para hacer un cuerpo es
necesario en primer lugar, un organismo (Real)
vivo más una imagen (Imaginario), es decir, un
organismo animado por una imagen.
3) Cuerpo simbólico
Siguiendo con el ejemplo de los pacientes con
micrognatismo, a pesar de estar convencidos inicial-
mente de que tienen un problema exclusivamente
dentario, llegan a plantearse la necesidad de una
cirugía recién a partir de la intervención del orto-
doncista, comprendiendo que, en lugar de la retru-
sión de los dientes superiores, necesita el avance de
la mandíbula para solucionar su problema.
El ortodoncista al transmitirle parámetros esté-
ticos y funcionales definiendo cómo es una cara
armónica, utilizando parámetros cefalométricos u
otros, le permite realizar operaciones simbólicas:
discriminar, categorizar, evaluar, nombrar, es decir,
anudar lo simbólico. Esto rompe con el concepto
que tenía anteriormente sobre su imagen.
Los pacientes encuentran que hay algo deforme
pero no pueden precisar qué. Es el discurso médico
el que opera este trabajo de hacer conocer, nom-
brar, medir, diagnosticar.
En otros casos no han percibido ningún tipo de
problema estético en su rostro. Recién a partir de la
intervención del profesional comienzan a verlo.
Lo simbólico articula lo siguiente: establece una
diferencia, por ejemplo, el nombre, si es "Pedro"
no es "Juan". Sin esta nominación simbólica los
cuerpos harían masa. Si logramos diferenciar las
cosas es porque podemos nombrarlas.
Motivación del paciente para el tratamiento ortodóncico quirúrgico 461
Lo simbólico es todo lo que atañe a la cultura
transmitida a través del lenguaje. Implica la posi-
ción de los sujetos en la cultura, los significantes
que lo determinan, el conjunto de redes sociales, de
parentesco, culturales y lingüísticas en las que nace
un niño. Según el discurso que lo habita así se ima-
ginará el mundo y construirá su realidad. El len-
guaje nos organiza el mundo y nuestra percepción
del mundo. Es un operador estructural que nos per-
mite diferenciar entre Imaginario y Real.
Estos ejemplos nos permiten comprender lo que
sucede cuando se produce el "desanudamiento" de
estos tres registros a partir de la irrupción de la
nueva cara y justificar la conmoción, el shock, que
puede llegar a padecer el paciente, a pesar de haber
recuperado una apariencia estética satisfactoria.
Es frecuente en el post-operatorio que el
paciente esté muy shockeado, y se mire constante-
mente en el espejo, teniendo la sensación de "no
encontrarse" en él. ¿Qué es este ir al espejo reite-
radamente, sino la búsqueda de un reacomoda-
miento de su imagen?
Otra experiencia que relatan es el no ser reco-
nocidos en la calle, al punto de dudar en saludar.
En algunos casos sienten que han afectado rela-
ciones familiares que tienen que ver con los pareci-
dos físicos que se perdieron por causa de la cirugía,
o por el contrario, encontrar ahora rasgos que lo
identifican más con su padre, madre o hermanos.
Lo que impacta es lo perdido, lo que no está más,
la singular significación que portaba eso perdido: la
nariz del padre, el mentón de la madre o lo que
fuere. La significación está más allá de lo estético.
Nos miramos en el espejo para confirmar nues-
tra identidad, pero terminamos construyendo nues-
tra identidad sobre la imagen en el espejo. No hay
más imagen que la que se construye. Este acto de
construcción se convierte, para nosotros, en un acto
de autoconstrucción y autoconciencia, complejo,
pero necesario.
A continuación describiremos el más allá de los
cambios producidos por la cirugía en lo real del
cuerpo.
¿Qué pasa cuando alguien deja de ser visto o de
verse como era?
El motivo de consulta
Veamos en primer lugar cómo llegan a cirugía
estos pacientes. Salvo los pacientes portadores de
malformaciones severas, que muchas veces consul-
tan directamente al cirujano, generalmente el pri-
mer interlocutor es el ortodoncista. En muchos
casos no hay una demanda espontánea de cirugía
de parte del paciente y no podrá ser de otro modo
si éste desconoce las verdaderas causas y conse-
cuencias del problema que presenta.
El motivo de consulta muchas veces manifiesta
una preocupación que evidencia una malinterpre-
tación de la realidad, o una visión muy parcial o
focalizada del problema global. Es necesario ins-
truir al paciente sobre todos los aspectos de éste,
para seguir adelante en el camino de su motivación
que es fundamental para la aceptación de este tipo
de tratamiento (Fig. 19.2).
Si no hay saber no hay posibilidad de interrogar.
No es tan simple que puedan preguntarse dónde está
verdaderamente el problema, qué alternativas hay
para el tratamiento, cuáles son las posibilidades de
cada una de ellas,etc. Es por lo tanto fundamental dar
tiempo y lugar a la construcción de cada pregunta.
La demanda de cirugía
Ejemplificaremos los diferentes modos en que
esta demanda puede ser formulada con los tres
casos siguientes:
1) No quiero ser así, quiero cambiar.
Este es sin dudas el caso más sencillo ya que la
demanda expresa un deseo de cambio fundamen-
talmente estético, contundentemente visible. El
impacto del cambio será menor, pues es anhelado y
la respuesta post-quirúrgica será más favorable.
Es importante precisar el momento en que apa-
rece el deseo de cambiar.
En muchas oportunidades este deseo aparece
como consecuencia del fracaso de una relación sen-
timental y esto hace evidente que las personas tie-
nen, en la mirada del ser querido, una especie de
pantalla, nos vemos según cómo somos mirados por
el otro. Al desaparecer esta pantalla, aparece lo
real de su cara y la necesidad de cambio.
A través de estas experiencias se percibe en qué
medida el cuerpo femenino se sostiene de la mira-
da del varón, y viceversa,
Sabemos bien que en muchos casos la exigencia
de belleza o aun de delgadez, por ejemplo,pone en
juego una demanda estética tal que en muchos
casos frena a aspiraciones válidas de un cambio
social o laboral.
462 Tratamiento ortodóncico-quirúrgico
Fig. 19.2: El paciente debe conocer las verdaderas causas y consecuencias de su problemas. En este proceso se utili-
zarán recursos como la medición y comparación de los perfiles. A: Perfil con medidas ideales. B: Perfil y medidas del
paciente a tratar. C: El resultado obtenido con el tratamiento ortodóncico-quirúrgico de la paciente B son similares a las
ideales de la paciente A.
En cuanto al post-operatorio, si el paciente se
encuentra con lo que efectivamente buscaba, el
grado de aceptación será mayor. La cirugía queda-
rá inscripta en el registro del deseo planteado por
el paciente y no como una imposición del ortodon-
cista o del cirujano.
2) No hay una demanda explícita de cambio.
En otros pacientes no hay un cuestionamiento
estético, o no hay un deseo expreso de cambio o bien
este cambio es resistido. Recién comienzan a adver-
tir ciertos problemas en su cara a través del discurso
médico y de los parámetros estéticos. Ello sucede
porque la percepción, tramada en el lenguaje, nos
permite ver según el discurso que nos atraviesa.
Éste es generalmente el motivo por el cual no
hay una demanda explícita de cambio, es más bien
difusa, justificando la necesidad de una cirugía el
aspecto funcional, el mejoramiento de la calidad de
vida, de lo necesario desde el punto de vista médi-
co. Es decir que este argumento hace marco y fun-
ciona como paliativo a lo que para cada sujeto
representa el punto de mayor dificultad: donde
pueda aparecer lo traumático. Entiéndase por
"traumático", término muchas veces connotado
negativamente, una irrupción de estímulos para la
cual el aparato psíquico no está preparado para asi-
milarlos. Se trata de un exceso que sorprende. El
entender que es necesaria una cirugía es un hecho
traumático y requerirá un tiempo de elaboración.
3) Quiero seguir siendo como soy, pero acato la
decisión del profesional.
Esta posición muestra claramente que estamos
ante una gran dificultad. El sujeto no se implica y se
posiciona como objeto de experimentación. Se
Motivación del paciente para el tratamiento ortodóncico quirúrgico 463
trata de una posición de sometimiento del sujeto a
un supuesto poder médico y a lo que otros esperan
como respuesta.
La experiencia clínica permite advertir que es
diferente, a veces, lo que se enuncia como pedido,
de lo que verdaderamente se desea.
No es recomendable proceder al tratamiento
hasta que no se produzca del lado del paciente una
demanda manifiesta.
Veremos, en referencia a los pacientes del
grupo 2 y 3, algunas razones por las cuales puede
surgir esta resistencia al cambio.
A - El temor a no ser reconocido.
Estos pacientes relatan que lo que más le preo-
cupa de la cirugía no es el acto quirúrgico en sí;acu-
san el mayor impacto en el punto de no ser recono-
cidos y más aun, de no reconocerse.
Este es sin duda el acontecimientotraumático.
Toda cirugía lo es. Pero no toda cirugía toca un
punto tan crucial como nuestra identidad, nuestra
imagen corporal, esa que construimos a lo largo de
nuestra vida.
Que sea traumático no quiere decir que no deba
hacerse. Pero hay que tener cierta idea del tiempo
y la energía que necesita la metabolización de lo
traumático. Es una etapa a atravesar, y el ortodon-
cista deberá anticiparlo para dar tiempo a su elabo-
ración porque esta cirugía tiene las características
del accidente, del shock, de lo sorpresivo
Hay dos tiempos: trauma y olvido del trauma.
Cuando se elabora, se olvida el trauma. Hemos
constatado en el decir de estos pacientes que lo más
frecuente es que al tiempo, ellos olvidan su vieja
cara. Esto quiere decir que ha habido allí una ree-
laboración, una resignifícación y una apropiación
del nuevo rostro. Queda claro que se trata de un
trabajo de elaboración que requiere tiempo.
También es muy ilustrativo en estos pacientes el
trabajo de elaboración de su imagen. De noche, de
día, aun para comer se miran en el espejo una y
otra vez, y una y otra vez necesitan que le confir-
men quiénes son. El espejo real y el espejo como
metáfora del Otro son fundamentales aquí para
reestructurar la subjetividad.
B - El cambio percibido como desafiliación.
A veces expresan que la causa de su verdadero
temor es la pérdida del parecido físico que le pro-
porcionan sus rasgos actuales con alguno de sus
progenitores.
Sabemos que en algunos casos los cambios son
verdaderamente notables. A veces, esa sensación
de extrañeza inicial respecto de su propio rostro,
habla de una modificación profunda en relación a
los puntos de anclaje identificatorios. De tener los
rasgos filiatorios del lado paterno, súbitamente el
paciente pasa a ser parecido a la madre o a la inver-
sa. Es necesario estar bien parado en múltiples
soportes imaginarios y simbólicos para sortear la
conmoción estructural que esto implica.
Algunas veces, un detalle como por ejemplo, un
diastema interincisivo insignificante en sí pero que
al ser un rasgo de familia, tienen que ver con la
filiación, son valorados por el paciente y conviene
resguardarlos, si no afectan los resultados (Fig.
19.3).
El cambio percibido como desafiliación es vivi-
do como una pérdida. Tenga fealdad o no, el suje-
to valora los rasgos del otro porque además consti-
tuyen lo propio. Cada uno de nosotros recortamos
del Otro nuestros rasgos de identificacióny de filia-
ción, o tomamos una posición de fidelidad a deter-
minadas figuras familiares.
C - El temor al acto quirúrgico en sí.
En la fantasía del paciente surge la idea de que
su cara va a ser "desarmada y vuelta a armar", hay
temor de sufrir dolores, grandes incomodidades,
problemas en la alimentación, etc. Es necesario
hacer un trabajo en conjunto con el cirujano para
disipar los fantasmas que rodean al acto quirúrgico
en sí, con un enfoque que no se aleje de la realidad
pero sin exagerar en detalles técnicos que puedan
infundir temores exagerados en el paciente.
Una de las principales causas de rechazo de la
cirugía es la creencia por parte del paciente de la
necesidad de someterse a un período de inmovili-
zación maxilomandibular posquirúrgico, de una
duración de 6 a 8 semanas. Esta inmovilización,
exigida por la osteosíntesis con hilos de acero ino-
xidable que se hacía antiguamente, se asociaba a
pérdida de peso, debilidad física, aislamiento social
y ausentismo laboral prolongado. Estas experien-
cias, vividas por pacientes sometidos a cirugía
ortognática en décadas pasadas, suelen llegar a
oídos de pacientes en la actualidad y lograr un efec-
464 Tratamiento ortodóncico-quirúrgico
Fig. 19.3: Paciente de Clase
tencia del mismo.
con un importante diastema interincisivo. En las fotografías finales se observa la persis-
to esperable de resistencia a la cirugía. Es necesaria
la explicación por parte del profesional de los
métodos actuales de osteosíntesis con placas y tor-
nillos de titanio, y también de material reabsorbi-
ble, con todas las ventajas que significan en cuanto
a confort posquirúrgico al no requerir de un blo-
queo intermaxilar.
Vías que facilitan la aceptación de la
cirugía.
1). El énfasis en lo reparatorio.
En el decir de algunos de estos pacientes donde
el deseo de cambio se combina con la resistencia,
aparece mucho más el énfasis en lo reparatorio de
esta cirugía, en la posibilidad de recuperar funcio-
nes fisiológicas alteradas: masticar mejor, respirar
mejor, deglutir mejor, etc. Es decir, tratar esta ciru-
gía como una cuestión de salud.
Consideramos que ésta es la mejor vía para fun-
damentar la necesidad de cirugía. A pesar de no
tener caras armónicas, a muchos de estos pacientes,
el Otro les ofreció una buena mirada y si no hay
una buena razón, hay algo de sacrilego en tocar lo
que a uno le fue dado: sea Dios, la Naturaleza o los
propios padres. Convengamos que se modifica un
real. No sólo es lo fisiológicoy funcional una buena
razón, más allá de lo estético, que a veces puede
objetarse como banal, sino que también este argu-
Motivación del paciente para el tratamiento ortodóncico quirúrgico 465
mentó le hace marco a lo traumático que pueda
resultarle este cambio a algunos pacientes y le da
pie al ortodoncista para que les pueda dar lugar al
paciente en la decisión.
2). El acto de justicia.
Además del apoyo sobre lo correctivo de esta
cirugía para dar un soporte a las inquietudes del
paciente, hay otra vía sumamente eficaz para apa-
ciguar la incertidumbre en relación a las identifica-
ciones y además justa, auténtica.
Las madres suelen referir que después de la
cirugía encuentran nuevamente a sus hijos como
cuando eran pequeños, antes de que comenzara el
proceso de deformación.
Este es el acto de justicia, recuperar un rasgo
perdido no es lo mismo que la extrañeza ante un
rasgo nuevo. La cirugía se encargara, en cierto
modo, de corregir los "errores" del crecimiento de
la cara, que alejaron a los rasgos de los parámetros
de normalidad.
Suele ser útil para reforzar esta vía de acepta-
ción de la cirugía, recomendar al paciente y sus
padres que observen fotos de edades tempranas,
previas a la manifestación del crecimiento que pro-
vocó la anomalía.
La intermediación del ortodoncista.
Este trabajo es por lo tanto el terreno del caso
por caso, lo que no quiere decir que no se puedan
extraer conclusiones de temas paradigmáticos que
puedan ser instrumentadas como referentes y como
herramientas por el ortodoncista. Este último es
quien, por lo general, está en el lugar de interme-
diación entre el paciente y el cirujano.
Dado que lo específico del cirujano es efectivi-
zar el acto quirúrgico, es función de quien propone
esta solución hacer de intermediador.
Consideramos que el ortodoncista está mejor
posicionado para intermediar no solamente la rela-
ción del paciente con el cirujano, sino para inter-
mediar ese pasaje a veces difícil entre ese antes y
ese después.
Es generalmente el ortodoncista quien detecta-
rá y considerará la necesidad de cirugía. Es el orto-
doncista quien recibe la demanda más o menos
velada, o bien quien debe propiciar que esa deman-
da se formule.
En esto es crucial que se entienda la importan-
cia del "decir", del valor de las palabras, que pue-
dan funcionar como puente para que quien consul-
ta se ubique en el lugar de un paciente para cirugía.
Mientras "se habla" de esa posibilidad se transita
hacía la idea de que el cambio es posible y se le da
al paciente la perspectiva de que la cirugía tiene un
"costo emocional" tramitable.
Si bien una cirugía ortognática no se impone al
modo de la urgencia que suponen ciertas enferme-
dades, el apoyo en lo funcional permite aclararle
bien al paciente de qué se trata lo que se debe repa-
rar y los riesgos o dificultades que tendrá por no
operarse. Es sabido que más allá de lo funcional
será necesario también armonizar sus rasgos.
La primera función será informar, interrogar,
aclarar, develar cuestiones, y también ayudar a que
el paciente advierta qué quiere, qué quiere cambiar
y qué otros cambios conlleva esta cirugía. Un factor
que produce un gran monto de angustia es el des-
conocimiento e incide negativamente en el estado
de ánimo del paciente.
Lo que queda claro es que el ortodoncista que
intermedie este proceso, no debe invertir la deman-
da, porque el paciente inmediatamente se pondrá
en posición de objeto; de ser un objeto de investi-
gación, o un objeto para satisfacer el deseo de otro.
Esto no es culpa del ortodoncista, sino que se trata
de una pendiente estructural por la que nos desli-
zamos todos, a veces, propio de nuestros largos
años de dependencia del Otro. Es el modo de eva-
dir nuestra responsabilidad en las decisiones de la
vida.
Por ejemplo, hay que hacerle saber en primer
lugar que el problema es suyo, que vino a consultar
por eso, que no es un problema de ortodoncia sola-
mente, sino de exceso de crecimiento o falta de cre-
cimiento óseo, o aun de deformación, y que enton-
ces el tratamiento será sobre lo esqueletal.
Hay que dar tiempo hasta que el paciente deci-
da, hasta que haya una elección claramente enun-
ciada. El pago de los honorarios profesionales rea-
firmará la decisión del sujeto y pondrá freno a que
éste tome una posición pasiva como objeto de
manipulación.
La elección y la decisión es responsabilidad del
paciente. La intermediación del ortodoncista y/o
del terapeuta es hacer lugar desde la construcción
de las preguntas hasta la construcción de la deman-
da manifiesta. Es necesario brindarle argumentos
466 Tratamiento ortodóncico-quirúrgico
al paciente sin lo cual no hay posibilidad de inter-
venir. Por supuesto que esto llevará el tiempo y las
entrevistas que necesariamente acompañan el pro-
ceso de avances y resistencias. Los ortodoncistas y
los médicos saben que el paciente va a quedar
mejor, lo que no se sabe es cómo va a ser el proce-
so de adaptación a la nueva cara en cada caso sin-
gular.
La cautela y el sentido común son herramientas
que pueden ser muy apropiadas en estos casos.
El ortodoncista tiene aquí una función de bisa-
gra, de balancín entre la malformación o disfunción
y la subjetividaddel paciente.
En algunos casos es también el ortodoncista
quien evaluará la necesidad o no y si es viable una
derivación para una psicoprofilaxis pre-quirúrgica
con un terapeuta.
¿Cómo hacer la derivación a lo psicoprofiláctico
pre-quirúrgico?
La primera pregunta que surgirá en el paciente,
enunciada o no, será sin dudas: ¿porqué me man-
dan a un/a psicólogo/a? Esto, es todo un trabajo
para el ortodoncista. Es necesario ser claro y adver-
tirle que en algunas personas, al despertar de la
anestesia y ver su nuevo rostro puede tener un efec-
to de shock, de desconocimiento y angustia duran-
te el período post-quirúrgico, y esto es del orden de
lo inexorable.
Se trata de paliar el impacto del cambio antici-
pándoles efectos posibles. Decirle que recuperará
funciones y su rostro se verá mejor, pero que a
veces durante el período post-quirúrgico se puede
llegar a sentir mal.
Se trata de una intervención paradojal de difícil
manejo, pero es una manera de producir una res-
puesta de mayor compromiso: me comprometo a
esto aun sabiendo. Es necesario evitar que el
paciente se refugie en una posición de "inocencia".
La disponibilidad de un terapeuta en el equipo
permite también la posibilidad de hacer algunas
entrevistas conjuntas con el ortodoncista. La entre-
vista la lleva adelante el ortodoncista pero el psicó-
logo, escucha y/o interviene especialmente ayudan-
do a que el paciente pueda ir formulando sus
preguntas e inquietudes.
La situación previa a una cirugía desencadena, a
veces, algunas "urgencias" y es de gran alivio y con-
tención para el paciente saber que tiene a quién
recurrir. También esto genera alivio en el equipo
médico pues quedan protegidos de estas demandas
y advertidos por el terapeuta de la situación perso-
nal de cada paciente.
Los ortodoncistas, a quienes el terapeuta les
comenta algunas conclusiones, se asombran de que
los pacientes se muestren contentos con la cirugía
ante ellos, mientras que, a veces, con el psicólogo
lloran angustiados.
Hay que tener presente que uno habla según
quien nos escucha. Mientras la especificidad del
cirujano y del ortodoncista está en lo estético yfun-
cional, la del terapeuta está en la escucha, en dejar
que asome la subjetividad conflictiva que no ha
sido puesta en palabras, y ahoga.
Es un proceso de subjetivación favorecido sin
dudas por encontrarse en un lugar donde pueden
tomar la palabra. Tomar la palabra es un primer
paso en relación a tomar las riendas de sus vidas.
Siempre hay dos niveles del discurso: el nivel
manifiesto de lo que se dice y el nivel latente que se
entredice; donde podemos escuchar lo paradojal,la
contradicción, el equívoco, la duda, la incertidum-
bre, la enunciación, el tono. Tengamos en cuenta
que un nivel no borra ni desdice al otro, sino que
conviven. Somos sujetos divididos entre lo que
decimos y lo que se escucha más allá de lo dicho.
Desimplicar al cirujano
Entendemos que el cirujano no está para "escu-
char" lo que sucede con la subjetividad del pacien-
te, más allá de sus buenas intenciones y su disposi-
ción a tal fin, "opera" de otra manera. Y ése es su
hacer específico.
La disociación instrumental de la que se sirve el
cirujano es vital para el acto quirúrgico, cuya espe-
cificidad está muy lejos de la consideración de la
subjetividad de su paciente. Si así lo hiciera, le
resultaría más difícil ser eficaz en el acto quirúrgico.
Es de destacar que además de la reparación fun-
cional y estética, la cirugía corta un discurso que en
algunos pacientes ha sido sumamente pesado de
sobrellevar. En esos casos donde su existencia ha
estado abrumada por marcas tan pesadas como:
"soy fea", "soy dientuda", "tengo cara de
tonto","muerdes mal", "cierra la boca que se te ven
las encías" etc, etc. Allí es donde a lo funcional y
estético se le suma algo del orden de lo moral: "hay
algo mal en mí o hago algo mal". ¡Es aquí donde es
mucho más eficaz el bisturí que cualquier terapia
para producir el corte!
Motivación del paciente para el tratamiento ortodóncico quirúrgico 467
El acto médico
Los tres registros anudados, son tres que hacen
uno. No se pueden pensar por separado, cada uno
tiene su función. No se puede pensar la experiencia
analítica ni ninguna otra experiencia humana por
fuera de estos tres registros.
Pensemos, por ejemplo, en el encuentro del
médico con su paciente.
El médico en tanto discrimina y diagnostica, da
nombre a la enfermedad, y traza líneas de trata-
miento. Es una intervención en lo simbólico.
Todo lo que hace a la relación médico-paciente,
la empatia, el lazo que se establece, de confianza o
desconfianza, de colaboración o rechazo, es el
terreno de los afectos, dimensión de las interven-
ciones en lo imaginario.
Tener en cuenta los procesos hormonales o
fisiológicos específicos del paciente, la medicación,
la ortodoncia o la cirugía, es una intervención en lo
real del cuerpo.
La integración de estos tres registros es propia
de todo acto médico.
Si el cuerpo es un anudamiento de tres registros,
el acto médico necesariamente también los abarca,
ya que si se toma en cuenta sólo lo psicológico se
niega lo real del cuerpo y si se centra en lo biológi-
co no se toma en cuenta la subjetividad y los efec-
tos que ésta tiene sobre el cuerpo, es decir, la mane-
ra singular con que cada sujeto puede responder
ante determinado padecimiento. Son dos aspectos
que se implican y oponen en la práctica: el "arte
médico" es atender a lo singular, a la vez que a lo
general.
La interdisciplina
La interdisciplina sólo puede implementarse
cuando los que la realizan son expertos en su pro-
pia disciplina, al modo de los integrantes de una
orquesta. Lo fundamental es mantener la identidad
y la especificidad de cada uno. Cada disciplina
desempeña su función individualmente, pero no
independientemente.
Un equipo construye una trama interdiscursiva
de puntos de contacto, de divergencia, de cuestio-
namiento, de ampliación, de complementación, etc.
Lugar donde se configura una suerte de lenguaje
común que conlleva un efecto fundamental: una
verdadera acción preventiva.
No se trata de construir un saber único ni lograr
una suma de saberes. Sí lograr que el cruce de las
diferentes disciplinas y su mutua interrogación sean
el estímulo fundamental. Esto permite a cada uno
de los participantes reflexionar y apuntar las cues-
tiones de su práctica que encuentren respuesta en
esos puntos de intersección. El saber no se cierra
sobre sí;no hay quien lo abarque todo, es necesario
el cada uno del equipo.
Estar advertido de esto, permite sin dudas escu-
char mejor y maniobrar más eficazmente con la
complejidad que esta labor implica.
Conclusión
A la luz de estas complicaciones ¿entonces no
habría que operar?, ¿No habría que armonizar los
rasgos según parámetros propios de la estética
facial? De ninguna manera. Su valor esincuestiona-
ble. Es innegable la eficacia de esta cirugía para
otorgar una mejor calidad de vida por sus múltiples
efectos estéticos, funcionales,psicológicos y sociales.
Debemos tener presente que allí donde la efica-
cia de la cirugía tiene la inmediatez del corte, la ela-
boración psíquica de lo perdido y lo ganado necesita
tiempo, reflexión y trabajo a lo largo del proceso de
aprehensión del cambio. No hay cambio sin duelo, ni
reacomodamiento. Hay una tarea ineludible: sortear
el destiempo entre el acto quirúrgico y la capacidad
de adaptación subjetiva al cambio.
No siempre hay una correlación directa e inme-
diata entre la mejoría a nivel del organismo y la
mejoría a nivel de la subjetividad.Los tiempos sub-
jetivos implican pasos lógicos: el tiempo de ver, el
tiempo de comprender y el tiempo de concluir. El
pasaje inmediato: ver-concluir, no es sino una exi-
gencia propia de nuestros tiempos y que debemos
evitar.
En ese tiempo el paciente constatará que si la
fisiología mejoró y si su cara está ahora más armó-
nica, todo eso no fue sin pagar el precio de un cam-
bio de cara: es ésto, por esto otro.
468 Tratamiento ortodóncico-quirúrgico
Bibliografía y notas.
- "El primer año de vida del niño". Rene Spitz.
Editorial Fondo de Cultura.
El síndrome de hospitalismo, de depresión ana-
clítica y marasmo fue descrito por el Dr. Rene
Spitz, Profesor de Psiquiatría de la Universidad de
Colorado, U.S.A. Las observaciones de este sín-
drome fueron realizadas por Spitz en más de 170
niños estudiados en un orfanato durante casi 3 años
donde constató los efectos de la carencia afectiva.
- Jacques Lacan. Seminario XXII "R.S.I.". Iné-
dito.
- "Clínica de la subjetividad en territorio médi-
co". Benjamín Usorskis. Editorial Letra Viva.
- "La palabra amenazada". Dra. Ivonne Borde-
lois. Editorial El Zorzal. Buenos Aires 2003.
- "El estadio del espejo como formador de la
función del yo". Jacques Lacan. Escritos 1. Edito-
rial Siglo XXI
- "El tiempo lógico y el aserto de certidumbre
anticipada". Jacques Lacan. Escritos 1, Siglo XXI,
México, 1981.
- "Introducción del narcisismo". Sigmund
Freud. Tomo XIV. Amorrortu Editores.
- "El lazo especular". Guy Le Gaufey.
- "Clínica de los fracasos del fantasma". Silvia
Amigo. Homo Sapiens Ediciones.
^Psicoanalista
Ex-docente de la Facultad de Psicología de
Rosario, Argentina.
Ex-miembro de la Escuela de Psicoanálisis Sig-
mund Freud de Rosario, Argentina
Autora del libro: "Escenarios del cuerpo". Edi-
ciones Homo Sapiens-Serie Psicoanálisis. Argenti-
na-1996.
C A P Í T U L O 20
Estética y diagnóstico en el paciente quirúrgico
En el capítulo referido al estudio clínico del
paciente, hemos mencionado la importancia que en
los últimos años adquirió el aspecto estético y la
posición del ortodoncista frente a esta demanda,
que aumento exponencialmente en un periodo de
tiempo muy breve y que aun continúa creciendo
con el mismo ritmo.
Por ello, con el paso del tiempo esta demanda se
hizo rutinaria hasta el punto que hoy el ortodoncis-
ta ocupa en un porcentaje muy alto el primer lugar
como profesional de consulta entre aquellos que
están involucrados en los procesos destinados a
corregir los diversos problemas que presenta la
estética facial.
Indudablemente, esto se debe a que la mayoría
de estas alteraciones están en íntima relación con la
región dentoalveolar y labial que es la mas fácil-
mente percibida por el paciente, que frecuente-
mente atribuye su problema a la influencia de las
posiciones dentarias. Esto lo lleva a pensar que
probablemente su problema tenga una solución
ortodóncica. Sin embargo, los problemas de estéti-
ca facial responden a causas de mayor complejidad.
Por esta razón el ortodoncista deberá profundi-
zar el estudio de la configuración facial total para
lograr una gran precisión en la evaluación de las
estructuras profundas involucradas y su repercu-
sión en la zona cutánea que permitirá elaborar un
completo diagnóstico, a partir del cual se podrá
diseñar una planificación apropiada para el caso.
Históricamente, el ortodoncista se limitaba a
alinear los dientes en cada uno de los maxilares y
luego enviaba al paciente al cirujano, para que éste,
reposicionando las básales quirúrgicamente corri-
giera el overjet aumentado o invertido, la mordida
abierta o la laterodesviación mandibular, etc.
Esta forma de "compartir" el paciente, genera-
ba resultados frecuentemente poco satisfactorios.
La causa principal de que esto sucediera, era la ine-
xistencia de pautas claras y precisas referidas a la
incumbencia de cada uno de ellos en el conjunto de
maniobras requeridas por este tipo de tratamiento.
Al no existir una definición de los objetivos a
alcanzar, los resultados se evaluaban con diferentes
criterios. Por ejemplo, cuando se utilizaba un crite-
rio estético podía suceder que esos resultados no
fueran satisfactorios porque el tratamiento se había
realizado teniendo como objetivo la corrección
oclusal del caso.
Ante estos resultados deficientes, los profesio-
nales intervinientes no podían identificar los erro-
res que ocasionaban esos fracasos, que podían ser
de naturaleza ortodóncica o quirúrgica.
Si actualmente asumimos el criterio de que el
tratamiento ortodóncico-quirúrgico es un proceso
de integración de dos disciplinas, totalmente plani-
ficado desde el principio al fin, previo a la realiza-
ción de cualquier maniobra ortodóncica pre quirúr-
gica , surge la necesidad de lograr un conocimiento
integrado de ortodoncia y cirugía y de los procedi-
mientos de diagnóstico y planificación que les per-
mitirá hablar un "mismo idioma", intercambiar
ideas, y mantener una constante comunicación
desde el comienzo hasta el final de tratamiento.
Para desarrollar el tema, comenzaremos deline-
ando los pasos que requiere un TOQ:
1- Diagnóstico
2- Planificación : VTO ortodóncico-quirúrgico
3- Tratamiento ortodóncico prequirúrgico
4- VTO quirúrgico
5- Montaje en articulador y confección de splints
quirúrgicos
6- Cirugía
7- Finalización ortodóncica
8- Contención ortodóncica
En este libro se tratarán los puntos correspon-
dientes a Diagnóstico y Planificación, incluyendo
los procedimientos de Cefalometría Estática y
Dinámica (VTO), y los procedimientos de labora-
torio (Montaje en articulador y confección de
splints quirúrgicos).
469
470 Tratamiento ortodóncico-quirúrgico
Fig. 20.1 a 20.5: Paciente quirúrgica de Clase III. Fotografías iniciales.
Estética y diagnóstico en el paciente quirúrgico 471
Fig. 20.6: Telerradiografía inicial.
Fig. 20.7: Planificación ortodóncica.
Fig. 20.8: VTO ortodóncico quirúrgico.
"•
Fig. 20.9: Tratamiento ortodóncico prequirúrgico.
472 Tratamiento ortodóncico-quirúrgico
Fig. 20.10: Telerradiografía prequirúrgica.
Fig. 20.11 y 20.12: Montaje en articulador y confección de splints quirúrgicos.
Fig. 20.13 y 20.14: Elementos de fijación rigída (placas y tornillos de titanio) imagen intraoperatoria y radiografía post-
quirúrgica.
Estética y diagnóstico en el paciente quirúrgico 473
Fig. 20.15 a 20.19: Fotografías finales del caso.
474 Tratamiento ortodóncico-quirúrgico
DIAGNÓSTICO
Si bien existen gran cantidad de medidas dento-
esqueletales que tradicionalmente se utilizaron en
cirugía ortognática, nos limitaremos a describir los
procedimientos de diagnóstico que aplicamos en
nuestra práctica diaria en los pacientes quirúrgicos,
sin hacer mención a todos aquellos procedimientos
que, si bien son confiables, no permiten lograr con-
clusiones diagnósticas adecuadas a los objetivos del
tratamiento ortodóncico-quirúrgico en la actuali-
dad.
Por ello, lo primero que debemos mencionar es
que este tratamiento tendrá, como objetivo globali-
zador, la Estética de la cara.
Este objetivo direccionará las maniobras que
permitirán el logro de los objetivos de:
Oclusión
Función
Estabilidad
Comprendemos entonces que si buscamos estéti-
ca de la cara, las decisiones de tratamiento se basarán
en el estudio de la estética facial.
En los casos quirúrgicos, como es de rutina
para todos los pacientes, obtendremos una cefa-
lometría básica dentoesqueletal, que permitirá
cuantificar el problema esqueletal. También
podremos realizar el cefalograma completo de
Ricketts, y el polígono de Bjork Jarabak, para
investigar sobre los factores etiológicos de la
anomalía esqueletal; todos nos aportarán datos
que profundizan el estudio de los aspectos mor-
fológicos del macizo craneofacial
Pero será indispensable realizar un minucioso
estudio de la estética facial de frente y de perfil
para definir en qué sentido y magnitud deberán
realizarse los cambios quirúrgicos. El análisis cefa-
lométrico dentoesqueletal dimensiona los proble-
mas de los tejidos duros, revela la naturaleza de
una eventual discrepancia esqueletal, pero para
indicar la vía terapéutica más acertada es necesario
un análisis cefalométrico de tejidos blandos.
Fig. 20.20 A y B: El terreno de las modificacionesde la cirugía ortognática es el tercio inferior de la cara.A través de estas
modificaciones se buscará armonizar el perfiltotal.
C: Comparaciones pre y posquirúrgicasdel perfil de un paciente, con modificacionesverticales y sagitales de su tercio
inferior.
Estética y diagnóstico en el paciente quirúrgico 475
No se pueden planificar cambios quirúrgicos a
partir de medidas esqueletales, porque el objetivo
será armonizar tejidos blandos, equilibrar un perfil,
independientemente de las medidas del cefalogra-
ma dentoesqueletal. Si bien lo que se deberá modi-
ficar para buscar el resultado estético deseado es el
sostén óseo, la magnitud y dirección de los movi-
mientos necesarios serán determinados por los
requerimientos estéticos del paciente. Y éstos no
tienen una repercusión exacta en las medidas del
cefalograma, ¿por qué? Porque en los tejidos blan-
dos intervienen otros componentes que no partici-
pan en el análisis dentoesqueletal. Éstos son:
-Condiciones posturales.
-Espesor de los tejidos blandos.
-Relaciones cervicofaciales.
Fig. 20.20 D y E: La armonización del perfil observada en las fotos 20 A y B, requirió de cambios esqueletales tridimen-
sionales, que se realizaron en el maxilar superior, la mandíbula y el mentón: avance y tipping en sentido horario del maxi-
lar superior, retroceso mandibular, y mentoplastia de avance. En la cirugía de ambos maxilares se realizó
simultáneamente la corrección de su asimetría.
476 Tratamiento ortodóncico-quirúrgico
Fig. 20.21. En esta Clase III, la profundidad facial aumentada que observamos en la cefalometría indica una posición ade-
lantada del pogonion. La evaluación de la posición del mentón en el perfil no coincide con la observación cefalométrica.
La causa de la diferente interpretación se debe a la falta de horizontalidad del plano de Frankfort en la posición postural.
- Condiciones posturales
En el capítulo 1 se detalló la necesidad de diag-
nosticar la estética a partir de la PNC, utilizando
como referencia horizontal la HV, descartando las
interpretaciones que puedan hacerse en el cefalo-
grama de tejidos duros que utiliza el plano de
Frankfort para analizar las posiciones sagitales de
los maxilares, porque existen divergencias angula-
res entre Frankfort y Horizontal Verdadera que si
bien no son en general de gran magnitud, la sola
existencia de una mínima diferencia entre ambas
invalida al Plano de Frankfort para su utilización
en casos en que están en juego decisiones que afec-
tar la estética facial de un sujeto (Fig. 20.21).
En algunos casos las diferencias angulares entre
los planos mencionados son de una magnitud tal,
que provocan interpretaciones muy diferentes
acerca de la posición sagital de ciertas estructuras
del perfil y con ello, graves errores de diagnóstico.
- Espesor de los tejidos blandos
La gran variación individual en el espesor de los
tejidos blandos que cubren las estructuras dentoes-
queletales, puede llevar a que las medidas relacio-
nadas con los tejidos duros se encuentren conside-
rablemente desviadas del contorno facial que
presenta el paciente (Fig. 20.22).
Analizando las imágenes de los tejidos blandos
en las telerradiografías de perfil, observamos que
los tejidos blandos del área labiomentoniana tienen
diferente disposición y espesor, haciendo muchas
veces que se enmascare o se potencie un problema
esqueletal (Fig. 20.23).
Un ejemplo muy ilustrativo de ésto, es el pacien-
te que presenta un mentón muy prominente por
hiperdesarrollo muscular, con gran espesor de los
tejidos blandos en esa zona y una sínfisis ósea con
forma poco marcada. El resultado estético será una
Estética y diagnóstico en el paciente quirúrgico 477
Fig. 20.22: En esta paciente, la profundidad maxilar aumentada de la cefalometría nos induce a pensar en retruir el
punto A blando y el labio superior, sin embargo el ángulo nasolabial que se observa clínicamente contraindica dicho
retroceso.
proyección importante del mentón que contrasta
con la anatomía ósea, donde quizás se observe
hasta una profundidad facial disminuida.
De la misma forma, con el mismo soporte, la
posición anteroposterior de los labios, varía tam-
bién con su mayor o menor espesor. Las estructu-
ras blandas submentonianas y cervicales anteriores
presentan también la misma variabilidad.
- Relaciones cervicofaciales.
La relación que existe entre el tercio inferior de
la cara y la porción submental, definida como rela-
ción cervical-facial inferior o profundidad de cue-
llo, es una importante llave de la estética facial y no
existe ninguna medición análoga en los cefalogra-
mas dentoesqueletales.
Fig. 20.23: Distintas variantes en la disposición de los tejidos blandos del mentón en relación al soporte óseo subyacen-
te.
En las telerradiografías se observa que el espesor en el borde inferior, en el pogonion y en el surco labiomentoniano puede
ser muy variable.
478 Tratamiento ortodóncico-quirúrgico
Los tres componentes que intervienen en la
estética facial, son.
Simetría
Forma
Proporciones o equilibrio de las masas faciales
No todos ellos gravitan de la misma manera en
la estética de la cara, siendo a nuestro juicio las asi-
metrías las que menos efectos negativos producen.
Son motivo de consulta del paciente sólo cuando
son de una magnitud muy importante o bien se
acompañan de problemas verticales o sagitales.
La expresión de las formas en un rostro tiene su
mejor exponente en la nariz; suele ser una forma
curva del dorso, o la punta descendida, lo que moti-
ve una rinoplastia.
La desproporción o desequilibrio de las masas
faciales es el problema estético donde actúa princi-
palmente la cirugía ortognática, que corrige exce-
sos y mejora los déficits, buscando el equilibrio
vertical y sagital del rostro.
En el rostro, la manifestación de la despropor-
ción en sentido vertical se observa de frente y de
perfil, la desarmonía sagital en el perfil. En posi-
ciones complementarias como son la vista de 3/4
del perfil, se tiene una visión de ambas, es decir ,
de los problemas sagitales y verticales.
El estudio de la simetría se realiza de frente y en
las posiciones complementarias axial superior e
inferior. En casos de asimetrías muy severas, se
diferencian también los perfiles derecho e izquier-
do.
Los problemas se evalúan tridimensionalmente,
y las decisiones para la planificación de la ortodon-
cia prequirúrgica y de la cirugía, también se reali-
zan en los tres sentidos del espacio.
Se hará en estos pacientes un minucioso examen
facial, por medio de la observación clínica directa y
las fotografías; complementado por las telerradio-
grafías (de frente y de perfil) y radiografía panorá-
mica. Otros métodos de diagnóstico muy útiles
son:
- Tomografía axial computada con reconstruc-
ción 3D.
- Stereolitografía
En casos de asimetrías complejas, la stereolito-
grafía aportará datos que facilitarán una mejor
comprensión de la anomalía tridimensionalmente,
y facilita los procedimientos quirúrgicos.
EXAMEN FACIAL CLÍNICO Y
FOTOGRÁFICO
Se utilizan para diagnosticar los problemas esté-
ticos. Es imposible disociarlos, porque las fotogra-
fías son sólo un registro nítido, perdurable y siem-
pre disponible del objeto del estudio clínico: el
rostro del paciente.
El cefalograma de tejidos blandos realizado
sobre el trazado del perfil de la telerradiografía
lateral permitirá corroborar y cuantificar las obser-
vaciones del estudio clínico y fotográfico.
Por todo esto es que quizás no es exagerado
afirmar que, en los pacientes quirúrgicos, la obser-
vación clínica es el principal elemento de diagnósti-
co, para determinar los problemas estéticos yplani-
ficar los cambios quirúrgicos que lograrán
solucionarlos.
La evaluación de los problemas estéticos se sis-
tematiza de la siguiente manera:
1-Transversal
2-Vertical
3-Sagital
Los objetivos quirúrgicos que surgen del estudio
de la estética facial también se consideran en ese
orden, que no significa un orden de prioridades,
sino un ordenamiento en la planificación quirúrgi-
ca.
Por ejemplo, si el paciente en el análisistransversal
evidencia una asimetría bimaxilar, tendremos que
planificar un procedimiento quirúrgico bimaxilar.
Los problemas verticales y sagitales serán resueltos
teniendo en cuenta que estamos en presencia de un
paciente que necesitará de un doble procedimiento,
por consiguiente, aunque requiera de un mínimo
cambio en uno de los maxilares para corregir el pro-
blema vertical o sagital que presenta, éste podrá ser
planificado. Si en cambio, la asimetría se soluciona
sólo con una cirugía mandibular, puede obviarse
planificar un cambio quirúrgico mínimo en sentido
Estética y diagnóstico en el paciente quirúrgico 479
Fig. 20.24: La evaluación clínica de frente permite detectar problemas verticales y transversales, en este caso, un tercio
inferior aumentado por exceso vertical del mentón y asimetría mandibular.
En el perfil se evidencia nuevamente el problema vertical del mentón y se identifican las alteraciones sagitales: labio supe-
rior retruido, labio inferior ligeramente avanzado en relación al mentón y una posición sagital del pogonion cutáneo que se
debe mantener con la cirugía.
Una planificación quirúrgica basada en el estudio de la cara de frente y de perfil logrará un resultado que satisfaga los
requerimientos de la estética del paciente.
480 Tratamiento ortodóncico-quirúrgico
Fig. 20.25: Serie de fotografías en una paciente quirúrgica, de frente, de perfil y de 3/4.
Estética y diagnósticoen el paciente quirúrgico 481
Fig. 20.26 A: Fotografía axial superior. Fig. 20.26 A: Fotografía sectorizada inferior.
vertical o sagital del maxilar superior y buscar un
efecto compensatorio en la mandíbula, evitando
así la cirugía del maxilar superior.
Al abordar el examen facial es necesario referir-
nos a conceptos del capítulo 1, donde se trató
extensamente el estudio clínico, y a las condicio-
nes en que debe realizarse.
- En PNC
- Con labios y musculatura en reposo
- En posición de Relación Céntrica mandibular
- Con contacto dentario.
Estos pacientes requieren también registros
fotográficos completos, en las mismas condicio-
nes que las detalladas para el estudio clínico (Fig.
20.25).
Cuando se observe una discrepancia entre la MIC
y la RC, para asegurar la posición de relación céntica
en las fotografías se recomienda colocar una cera
de registro de RC tomado en el primer contacto den-
tario, convenientemente recortada para no distorsio-
nar la disposición de los tejidos blandos peribucales.
- Frente: Con labios en reposo
Con cierre labial
Con sonrisa plena
Perfil: Con labios en reposo
Con cierre labial
Con sonrisa plena
3/4 perfil: Con labios en reposo
Con cierre labial
Con sonrisa plena
En pacientes asimétricos además, pueden regis-
trarse ambos perfiles y ambos 3/4 del perfil, y tam-
bién son de mucha utilidad las tomas axiales (Fig.
20.26 A):
Axial superior
Axial inferior
Fotografías sectorizadas:
Las fotografías sectorizadas del tercio inferior
permiten un mejor estudio de las relaciones labioden-
tales y de las líneas medias. Se registran con labios en
reposo y en sonrisa, y cuando no hay espacio interla-
bial en reposo o éste es mínimo, se toman con una
apertura bucal de 3 a 5 mm.
Para estudiar mejor las líneas medias dntarias y los
planos oclusales, se puede fotografiar una apertura
mayor (Fig. 20.26 B).
482 Tratamiento ortodóncico-quirúrgico
ESTUDIOS CEFALOMÉTRICOS UTILI-
ZADOS EN LOS PACIENTES QUIRÚRGI-
COS
Al estudiar el perfil blando del paciente, podre-
mos determinar las alteraciones existentes y plani-
ficar las modificaciones dentoesqueletales necesa-
rias para alcanzar la armonía estética y funcional
deseada.
El estudio cefalométrico de los tejidos blandos
se realiza a partir de una radiografía tomada en
PNC, con labios relajados y en contacto dentario.
En el trazado estudiamos el perfil facial recu-
rriendo a un análisis sagital y vertical del mismo.
Ambos fueron desarrollados en el capítulo 1.
En este capítulo, relacionaremos las conclusio-
nes de estos estudios con los OBJETIVOS
QUIRÚRGICOS, por lo que estos temas se desa-
rrollarán con una amplitud mayor.
Análisis frontal
El estudio clínico de frente fue extensamente
tratado en el capítulo 1. Para su profundización en
los casos de asimetría se utiliza el cefalograma fron-
tal descripto en el capítulo 11. Remitimos al lector
a ambos capítulos.
Análisis vertical del perfil blando
El análisis vertical del perfil blando resulta
indispensable para la elección de la estrategia qui-
rúrgica más indicada para la resolución de un pro-
blema ortognático, teniendo en cuenta siempre que
el objetivo debe ser alcanzar el mejor equilibrio
estético y funcional.
Para delinear este conjunto integrado, se utili-
zan las siguientes medidas, tomadas sobre la per-
pendicular al plano horizontal (Fig. 20.27):
Fig. 20.27: Estudio vertical del perfil.
Estética y diagnóstico en el paciente quirúrgico 483
Medida A
Distancia del punto glabela al punto subnasal.
Medida B
Distancia del punto subnasal al punto mentón
cutáneo.
Medida C
Distancia del punto subnasal al punto stomion
superior.
Medida D
Distancia del punto stomion inferior al punto
mentón cutáneo.
Medida E (Espacio interlabial)
Distancia del punto stomion superior al punto
stomion inferior
Medida F (Exposición del incisivo superior)
Distancia del punto stomion superior al borde
incisal del incisivo superior.
Una vez determinadas estas medidas, se estu-
dian las siguientes proporciones:
1. Altura del tercio medio de la cara / Altura
del tercio inferior
Medida A / Medida B
Norma A = B
En caucásicos, el valor medio de esta relación,
en una cara armónica, es de 1 : 1, aceptándose des-
viaciones del orden del 5%.
El aumento de la altura del tercio inferior de la
cara es frecuente en los casos de exceso vertical del
maxilar, en los de exceso vertical del mentón, en la
mayoría de las Clases III con aumento de la dimen-
sión vertical, y en las mordidas abiertas esqueleta-
les (Fig. 20.28).
La disminución de la altura del tercio inferior de
la cara, se asocia a déficit vertical del maxilar, a
retrusión mandibular con mordida profunda y a
déficit vertical del mentón (Fig. 20.29).
B
Fig. 20.28: Aumento del tercio inferior de la cara.
A: Aumento del espacio interlabial por exceso vertical del maxilar superior.
B: Aumento del tercio inferior por exceso vertical del mentón.
C: Aumento del espacio interlabial por mordida abierta.
484 Tratamiento ortodóncico-quirúrgico
B
Fig. 20.29: Tercio inferior dis-
minuido. A: Por déficit vertical
del maxilar superior. B: Por
déficit vertical del mentón.
Fig. 20.30: Tercio inferior aumentado en un paciente de
Clase II. Aumento del espacio interlabial por mordida
abierta y aumento vertical del mentón.
Fig. 20.31: Tercio inferior aumentado en un paciente de
Clase III, aumento del espacio interlabial por mordida
abierta.
Estética y diagnóstico en el paciente quirúrgico 485
Fig. 20.32: Paciente de Clase II esqueletal con tercio infe-
rior disminuido con sobremordida, redundancia labial y
escaso desarrollo vertical del mentón.
Fig. 20.33: Paciente de Clase III esqueletal con tercio infe-
rior disminuido, hipodesarrollo vertical del maxilar y del
mentón.
Las figuras 20.30 a 20.33 grafican diferentes
anomalias verticales del tercio inferior, combinadas
con problemas sagitales.
2. Longitud del labio superior
Medida C / Medida A
Norma A = 3C.
La longitud del labio superior debe ser aproxi-
madamente 1/3 de la altura del tercio medio de la
cara. Cuando es mayor que la tercera parte, se
determina un labio largo y cuando es menor, un
labio corto (Fig. 20.34).
El análisis de la longitud del labio superior es
muy importante en la determinación de la altura
deseable del mentón.
A un labio superior anatómicamente corto se
asocia un aumento de la distancia interlabial y un
exceso de exposición del incisivo superior, aun en
presencia de un tercio inferior de altura normal.
No puede, esta circunstancia, confundirse con
situaciones de exceso vertical del maxilar, que pre-
sentan un aumento del espacio interlabial asociado
a un aumento de la exposición del incisivo superior
B
Fig. 20.34 A: Labio superior largo. B: Labio superior
corto.
486 Tratamiento ortodóncico-quirúrgico
y a un aumento de la altura del tercio inferior de la
cara.
Si la longitud del labio superior fuera mayor que
la normal, la altura del mentón podrá también ser
mayor que la normal, para que se pueda mantener
un balance vertical adecuado del tercio inferior de
la cara (Fig. 20.35).
Si el labio superior fuera largo y la distancia sto-
mion inferior-mentón cutáneo (medida D) fuera
normal, no existirá un balance satisfactorio. Por el
contrario, si el labio superior fuera corto, puede ser
deseable acortar la dimensión vertical del mentón,
para mantener el equilibrio vertical, teniendo en
cuenta las dimensiones del tercio facial medio.
3. Longitud del labio superior / Altura del mentón
Medida C / Medida D
Norma D = 2C
Es la relación entre la longitud del labio supe-
rior y la distancia stomion inferior a mentón cutá-
neo.
Cuando la medida D es más del doble de la
medida C indica que el labio superior es corto, o
que el mentón es excesivo.
Cuando D es menos del doble de C el paciente
presenta un déficit vertical del mentón, o un labio
superior largo.
El labio inferior corto anatómico, se asocia con
frecuencia a las Clases II; por el contrario el labio
inferior largo anatómico a las Clases III.
Las alteraciones secundarias y posturales no
deben ser confundidas con las alteraciones anató-
micas. Por ejemplo, en una Clase II con mordida
profunda y altura dentaria mandibular anterior
normal, la interferencia de los incisivos superiores,
da al labio la apariencia de corto. Esta apariencia
podrá ser corregida, por ejemplo, con un avance
mandibular.
El labio inferior puede presentar también una
disminución en su altura cuando se encuentra ever-
tido, a causa de una posición retruida del mentón.
Esto es corregidos mediante genioplastia de avan-
ce, que mejora el soporte labial y produce una efec-
to de ascenso del labio inferior (Fig. 20.36).
Cuando no es posible medir la longitud del labio
al existir interferencias posturales, se debe abrir la
mordida hasta que los labios se separen. Son los
casos de un contacto labial excesivo, que se produ-
ce generalmente por la presencia de un maxilar
Fig. 20.35: Caso donde el labio superior es largo
con respecto al tercio medio, pero proporcionado
dentro del tercio inferior.
El labio superior mide 24 mm; es la 1/2 de la medi-
da D (labio inferior y mentón: 48 mm).
La desproporción con el tercio medio se debe a que
éste tiene un escaso desarrollo vertical.
No podría planificarse en este caso igualar los ter-
cios medio e inferior.
Estética y diagnóstico en el paciente quirúrgico 487
Fig. 20.36: Paciente con el labio inferior evertido, por falta de soporte, debido a una retrusión del mentón. Esto afecta la
altura del labio inferior, que aparece disminuida. Ala derecha se puede observar el cambio producido por la mentoplastia
de avance, y la recuperación de la abertura del labio.
Además se ha realizado la impactación del maxilar superior para disminuir la exposición del incisivo superior, lo que pro-
voca una autorrotación mandibular y competa así el cierre del espacio interlabial.
corto. Éste se puede acompañar de un mentón de
las mismas características y/o sobremordida ante-
rior, agravando el problema.
Teniendo en cuenta las características del labio
superior, cuando la altura del mentón es más del
doble de la longitud del labio superior, la altura
vertical relativa del mentón resulta excesiva,
debiendo considerarse la necesidad de una genio-
plastia de reducción vertical.
Cuando es menos del doble de la longitud del
labio superior, la altura relativa del mentón será
insuficiente, debiendo planificarse una genioplastia
de aumento vertical.
4. Distancia Interlabial
La distancia normal entre el stomion del labio
superior y el stomion del labio inferior (medida E
distancia interlabial), en reposo, es de O -3 mm.
Valores elevados indican incompetencia labial.
Pacientes con exceso vertical del maxilar presen-
tan, con frecuencia, incompetencia labial. Al con-
trario aquellos que tienen déficit vertical del maxi-
lar presentan redundancia labial.
En pacientes con interferencias posturales de
los labios (por ejemplo: casos de Clase II o Clase
III con mordida profunda y casos de déficit vertica-
les del maxilar), se deberá tomar una segunda
radiografía cefalométrica, en posición de reposo,
con una distancia interlabial normal, a partir de la
cual evaluamos la longitud del labio superior y la
exposición del incisivo superior.
La distancia interlabial puede aparecer aumen-
tada, ya sea por falta de soporte esquelético del
labio inferior o por un labio inferior corto.
488 Tratamiento ortodóncico-quirúrgico
B
Fig. 20.37: Causas de un espacio interlabial aumentado. A: Exceso vertical del maxilar superior. B: Mordida abierta
anterior. C: Labio superior corto y eversión del labio inferior.
5. Exposición del incisivo superior
Es la distancia entre el stomion superior y el
borde del incisivo superior (Medida F).
En reposo, son deseables 2,5 a 4 mm de exposi-
ción de la corona del incisivo superior debajo del
borde inferior del labio superior, para que exista
una sonrisa armónica. Esta distancia es la llave de
la determinación de la posición del maxilar en sen-
tido vertical.
Existe, generalmente, menor exposición de los
incisivos superiores en los hombres que en las
mujeres.
Pacientes con exceso vertical anterior del maxi-
lar, presentan en reposo una exposición excesiva de
los incisivos superiores y una sonrisa que no es
armónica, habitualmente llamada "gingival".
No obstante, debemos estar atentos a la longi-
tud de la corona clínica que puede ser corta en rela-
ción a la corona anatómica y se traduce en un exce-
so gingival. En estos casos, está indicada la
corrección quirúrgica por gingivectomía / gingivo-
plastia.
También la exposición excesiva de los incisivos
puede deberse a un labio superior corto.
En estos casos, podemos planificar una exposi-
ción de 4 o 5 mm especialmente si se trata de una
mujer joven.
Pacientes con déficit vertical del maxilar presen-
tan muchas veces el aspecto facial tipico del pacien-
te desdentado. En estos pacientes, es preferible la
solución quirúrgica (descenso quirúrgico del maxi-
lar) a la solución ortodóncica (extrusión dentaria),
por la mejoría global de la armonía facial que se
asocia al aumento de su dimensión vertical.
Dos medidas fundamentales del análisis vertical
son la exposición del incisivo superior y la distancia
interlabial. Son las primeras que analizamos, ya
que nos revelan cuáles serán los objetivos quirúrgi-
cos verticales de nuestra planificación:
-Un aumento en la exposición del incisivo indi-
ca necesidad de impactación anterior del maxilar
-Un aumento de la distancia interlabial, o bien
coexiste con lo anterior, o el paciente presenta
mordida abierta. Este cierre de la mordida consti-
Estética y diagnóstico en el paciente quirúrgico 489
tuye un objetivo quirúrgico, que se logrará por
impactación posterior del maxilar, por rotación
antihoraria mandibular, o por una combinación de
ambos efectos. Para determinar esto, será necesa-
rio evaluar otro tipo de condiciones independientes
del análisis vertical de tejidos blandos, (inclinación
del plano oclusal resultante para cada opción,
grado de exposición gingival en sector anterior y
posterior, etc.) y la definición siempre será dada
por el VTO ortodóncico-quirúrgico.
La altura del mentón puede ser también deter-
minante de un objetivo quirúrgico vertical, requi-
riendo una disminución o su aumento a través de
una mentoplastia.
En conjunto, las decisiones que afecten al espa-
cio interlabial y a la altura del mentón, serán las
que incidiendo en la altura total del tercio inferior,
deben lograr el equilibrio de este tercio en relación
al tercio medio y a la totalidad de la cara.
Recordamos que la longitud del labio superior
es prácticamente inmodificable por los procedi-
mientos quirúrgicos ortognáticos o de tejidos blan-
dos.
Fig. 20.38: La exposición del incisivo superior es determinante de la posición vertical del maxilar en la planificación qui-
rúrgica. A: Caso con exposición disminuida donde se planifica un descenso anterior, (pre y post-quirúrgico). B: Caso con
exposición aumentada asimétrica. Se realiza para su corrección la impactación asimétrica del maxilar superior, (pre y post-
quirúrgico).
490 Tratamiento ortodóncico-quirúrgico
ANÁLISIS VERTICAL - Ejemplo
L.L.
Cabeza en posición natural
Labios en reposo Me
A: Gl - Sn
B:Sn - Me
Norma: A = B
Medida paciente:
A: 75 mm.
B: 84 mm.
C: Sn - St sup.
A:GI-Sn
Norma: A = 3C
Medida paciente:
C: 24 mm.
A: 75 mm.
INTERPRETACIÓN
Exceso vertical del tercio inferior:
9 mm.
Espacio interlabial o Sínfisis
PASO 2
INTERPRETACIÓN
Labio superior ligeramente corto en
relación con el tercio medio.
(Tendría que medir 25 mm).
PASOS
Estética y diagnóstico en el paciente quirúrgico 491
Exposición Inc. Sup.
F: St. Sup - Pto. Inc. sup.
Norma: 3 mm.
Medida paciente:
7 mm.
7>
INTERPRETACIÓN
Aumento en la exposición del incisivo.
Exceso vertical del maxilar sup. (4 mm)
4 PASO 4
C: Sn - St sup.
D:St. inf- Me
Norma: D = 2C
Medida paciente:
C: 24 mm.
D: 53 mm.
INTERPRETACIÓN
Exceso del labio inferior y el mentón (5
mm) en relación al labio superior.
PASOS
Espacio interlabial
E: St. sup - St. inf.
Norma: Oa 3 mm.
Medida paciente:
7 mm.
CONCLUSIÓN
INTERPRETACIÓN
Espacio interlabial aumentado en 4 - 7 mm.
Está en relación con la exposición aumen-
tada del incisivo.
Aumento del tercio inferior de aproximadamente 9 mm, atribui-
ble a un exceso vertical del maxilar superior, con aumento del
espacio interlabial y leve exceso vertical del mentón.
OBJETIVO TERAPÉUTICO
1.- Reducir el espacio interlabial »
- Impactación maxilar de la parte anterior (4 mm.)
4 mm.
2.- Mentoplastía de reducción vertical 5 mm.
492 Tratamiento ortodóncico-quirúrgico
ANÁLISIS SAGITAL DEL PERFIL
Si bien existe numerosas medidas que referidas
al perfil facial en sentido sagital, hemos selecciona-
do aquellas que nos permiten, con la menor canti-
dad de datos posible arribar a una descripción ade-
cuada de los cambios estéticos necesarios en el
perfil..
Nuestra evaluación de rutina consiste en estas
medidas:
1- Vertical de Glabela
2- Vertical de Sn
3- Ángulo Nasolabial
4- Ángulo y Relación cervical-facial inferior
5- Evaluación Nasal
Se recurre eventualmente a mediciones esquele-
tales, que están referidas en los ítems correspon-
dientes, y destacamos también el estudio detallado
del área del mentón, que se describe en el siguien-
te capítulo bajo el título "Cambios en la relación
sagital establecida entre el labio inferior, el surco
labiomentoniano y el pogonion cutáneo".
I-Vertical de Glabela (Fig. 20.39)
Se valoran las distancias lineales desde los pun-
tos Sn y Poc a la perpendicular de la glabela. Estos
dos puntos, Sn y PoC, representan la posición sagi-
tal del maxilar y la mandíbula respectivamente, y
determinan si las áreas a las que los puntos se refie-
ren, están protruidas o retruidas.
Al evaluarse en relación a la parte superior de
la cara, determinan la forma global del contorno
facial.
• Perp Gl-Punto Sn (6 ± 3 mm)
• Perp Gl- Punto PoC (O± 4 mm)
Si la posición anteroposterior de la glabela no
fuese aceptable, la localización de la vertical debe
ser corregida en el trazado previamente a la medi-
ción. En condiciones ideales, el nasion cutáneo se
localiza aproximadamente 9 a 13 mm en posición
anterior a la proyección de la córnea (R. Daniel)
A su vez, la distancia horizontal entre nasion
cutáneo y la glabela, es de 4 a 6 mm (Fig. 20.40).
Una posición retruida del punto Sn implica la
necesidad de avance del maxilar superior (Fig.
20.42). Lo inverso, generalmente está ocasionado
por una glabela en posición posterior, pero si esta
posición fuese corregida, y persiste esa interpreta-
ción, habrá que observar la posición sagital del men-
tón y evaluar la posibilidad de lograr un balance en
una posición sagital más avanzada. La retrusión del
maxilar superior a través de una cirugía tipo Lefort
I, que llevaría hacia atrás el punto Sn, es un procedi-
miento sumamente dificultoso y generalmente con-
traindicado.
La distancia del pogonion cutáneo a la perpen-
dicular de la glabela sólo revela la prominencia de
los tejidos blandos del mentón. Por sí sola, no per-
mite discernir si esta relación, positiva o negativa,
se debe a una anomalía de la forma del mentón
óseo, que se modificará mediante una genioplastia,
o si la forma del mentón es normal y se debe plani-
ficar un cambio sagital en la mandíbula. También
- Gl
PoC
Fig. 20.39: Vertical de Glabela.
Estética y diagnóstico en el paciente quirúrgico 493
Fig. 20.40: Cuando la glabela tiene una ubicación posterior (A), deberá ser corregida para poder evaluar sagitalmente
el punto Sn y el pogonion (B).
Fig. 20.41 A: Al evaluar la posición de Sn y pogonion con respecto a la vertical de subnasal, valores dentro de las nor-
mas, pero en extremos opuestos, manifiestan una alteración estética, en este caso un perfil de Clase II. B: En estos casos
la vertical de subnasal resulta más indicada para la descripción sagital del tercio inferior.
494 Tratamiento ortodóncico-quirúrgico
hay que considerar que los cambios rotacionales
(por autorrotación mandibular, o rotación antiho-
raria) modifican la posición sagital del PoC.
Esta medida, al basarse en una referencia aleja-
da de los puntos que son evaluados (como es la Gl
del Sn y Po), desvirtúa un poco su valor en cuanto
a describir un balance estético. Además, las desvia-
ciones standard de las normas son muy amplias.
Cuando las medidas están dentro de las normas,
pero en extremos opuestos de las desviaciones
standard, la estética resultante del perfil no es satis-
factoria, por lo que estas medidas deben estudiarse
cuidadosamente (Fig. 20.41).
2-Vertical de Sn (Fig. 20.43)
Al análisis de las relaciones posicionales de Sn y
PoC con la perpendicular de la glabela, debemos
adicionar otra perspectiva: la relación horizontal
con la perpendicular a la horizontal verdadera, que
pasa por subnasal.
- Punto labial superior-Vert. Sn (2 ± 2 mm)
- Punto labial inferior-Vert. Sn (O ± 2 mm)
- Punto pogonion cutáneo-Vert. Sn (-2± 2 mm)
Estas medidas permiten evaluar la expresión clí-
nica de las anomalías sagitales esqueletales (Fig.
20.44) y con el complemento de la relación cervical-
facial inferior, resulta decisiva para la planificación
sagital del mentón. Ambas toman los parámetros
para las mediciones dentro del tercio inferior, por
lo que definen de manera más apropiada el proble-
ma estético que la referencia trazada desde la gla-
bela.
La medida labio superior-Vert. Sn se afecta con
los cambios dentarios (protrusión o retrusión de los
incisivos) y esqueletales (avance o retroceso del
punto A). En realidad, con estos últimos lavariación
es menor, porque se acompaña de un cambio sagital
del Sn en el mismo sentido. Sin embargo, esta medi-
da se utiliza para la indicación de cambios sagitales
del maxilar cuando las inclinaciones de los incisivos
son adecuadas, o cuando las necesidades del caso
exceden las posibilidades de movimientos sagitales
de estos dientes. En promedio, el labio superior
Fig 20.43: Vertical de Sn.
Fig. 20.42: Paciente de Clase III con una posición retrui-
da del punto Sn, y un pogonion bien ubicado con respec-
to a la vertical de glabela.
PoC
Estética y diagnóstico en el paciente quirúrgico 495
avanza el 50 % del movimiento realizado por el inci-
sivo y/o el maxilar.
Es importante analizar la contextura del labio,
porque muchos casos de Clase III presentan un
engrosamiento y eversión del labio superior que
acompaña a un maxilar de escaso desarrollo sagital
y vertical. Esa característica del labio puede dar
una lectura normal de la medida del labio superior
a la Vert de Sn y enmascarar la necesidad del avan-
ce del maxilar superior. La observación del labio
superior en el perfil del paciente cuando sonríe
pondrá en evidencia la retrusión del maxilar en
estos casos, ya que desaparecerá el efecto de
engrosamiento por eversión, y por otro lado, el fil-
trum labial se inclina marcadamente hacia abajo y
atrás con un efecto muy antiestético (Fig. 20.47 y
20.48).
La medida del labio inferior a Sn también está
influida por cambios dentarios (protrusión o retru-
sión del incisivo inferior) y esqueletales (avance o
retroceso mandibular). El efecto de una posible
eversión también debe ser considerado, ésta ocurre
en casos donde falta soporte al labio inferior por
un mentón retruído.
La medida del Po cutáneo a la vertical de Sn
indica la necesidad de avance o retroceso del Po,
que podrá hacerse por una cirugía sagital mandibu-
lar o una mentoplastia.
En general, al relacionar las dos últimas medi-
das entre sí, surge la necesidad de un procedimien-
to adicional en el mentón. Por ejemplo, cuando el
labio inferior está normal o adelantado, y el men-
tón está atrás, habrá que realizar una mentoplastia
de avance (Fig. 20.45). Pero habrá que tener en
cuenta también posibles cambios posicionales de la
sínfisis que puedan ser necesarios para el caso y
que producen vaciaciones en la relación sagital de
estos dos componentes. De esta manera, una auto-
rrotación mandibular avanza más el mentón que el
labio, y en el caso de la rotación antihoraria, este
efecto es mayor, es decir, disminuye una diferencia
sagital entre el labio y el mentón, al proyectar este
último hacia delante.
Fig. 20.44 A: Vertical de Sn en un paciente de Clase I.
B: Clase II con retrusión mandibular. C: Clase III con una
posición normal del labio superior y un mentón avanzado.
496 Tratamiento ortodóncico-quirúrgico
Fig. 20.45: Tercio inferior de un paciente de Clase III, con retrusión del labio superior y del mentón. La posición sagital del
labio inferior es aceptable. Esta desarmonía que se produce en el sector labio inferior-mentón es debida a una forma de
sínfisis muy plana y una posición de posterorrotación mandibular.
Se planificó el avance del maxilar, leve retroceso mandibular y mentoplastia de avance. Esta última permite armonizar
sagitalmente la posición del labio y del mentón.
3-Angulo Nasolabial (Fig. 20.46)
El ángulo nasolabial está formado por la inter-
sección de las líneas Cl-Sn y Sn-Ls. Tiene un valor
promedio de 102°, con una DS de 8°.
Su importancia en cirugía ortognática siempre
fue cuestionable, porque su valor depende tanto de
la posición anteroposterior del labio superior,
como de la posición de la columela nasal.
En cirugía ortognática se puede modificar,
simultáneamente o aisladamente, la posición del
labio superior y/o la posición de la columela. No se
puede, por esto, hacer depender un avance o retro-
ceso del maxilar, de la medida del ángulo nasola-
bial.
En este sentido, desarrollamos un abordaje dife-
rente de este ángulo, dividiéndolo en dos compo-
nentes, uno superior y otro inferior. La línea que
divide al ángulo es una paralela a la horizontal ver-
dadera que pasa por el punto Sn.
De esta forma, en el diagnóstico de los casos
quirúrgicos, analizamos separadamente el ángulo
nasolabial superior y el ángulo nasolabial inferior,
lo que nos permite identificar cuál de los compo-
nentes es el responsable de su eventual alteración,
y así determinar la solución quirúrgica adecuada.
El ángulo nasolabial inferior tiene un valor nor-
mal de 85 ° +- 5°.
Es coincidente con la descripción sagital que
hace la medida Vert Sn- labio superior, donde la
norma es de 2mm. Está tomando en consideración
los mismos elementos, pero los mide de diferente
manera, siendo coincidente ambas en cuanto a la
norma, sólo que una lo mide en mms y la otra en
grados. En forma similar su valor se modifica con
los cambios sagitales de los incisivos (Fig. 20.49) y
del maxilar (Fig. 20.50).
También son válidas las observaciones realiza-
das cuando se describió la medida de la vert de Sn
al labio superior, referidas a una posible eversión
del mismo en los pacientes de Clase III (Fig. 20.47
y 20.48)
Fig. 20.46: Ángulo nasolabial
Estética y diagnóstico en el paciente quirúrgico 497
Fig. 20.47: Perfil de una paciente de Clase III con el labio superior evertido. El ángulo nasolabial inferior y la medida del
labio superior a la vertical de Sn. están normales, pero la inclinación del filtrum en la sonrisa pone de manifiesto la nece-
sidad de avance del maxilar superior.
Fig. 20.48: Post-quirúrgico de la paciente de la fig. 47, donde se ha realizado un avance del maxilar superior de 6 mm.
además del retroceso mandibular. Obsérvese que dicho avance no ha afectado tanto las medidas del ángulo nasolabial
y del labio superior con respecto a la vertical de Sn, pero es notorio en la observación del perfil con sonrisa.
498 Tratamiento ortodóncico-quirúrgico
Fig. 20.49: Paciente con un ángulo nasolabial dentro de la noma y un overjet aumentado. La corrección del overjet
mediante el tratamiento ortodóncico de dos extracciones superiores ha afectado negativamente la posición sagital del
labio y la medida del ángulo nasolabial.
Estética y diagnóstico en el paciente quirúrgico 499
Fig. 20.50: Ángulo nasolabial inferior aumentado en una paciente de Clase
ángulo, que se encuentra ahora dentro de las normas.
I. El avance del maxilar superior cierra dicho
Ángulo y Relación cervical-facial inferior(Fig.
20.51)
El ángulo cervical-facial inferior está formado
por la intersección de la línea Sn-Gnc con la línea
Gnc-C.
El valor promedio de Sn-Gnc-C es de 100°, con
una DS de 7°.
Un ángulo mayor contraindica un retroceso de
la mandíbula, sugiriendo si el paciente tiene una
Clase III, recurrir a un procedimiento que preserve
la posición sagital del mentón, como puede ser el
avance del maxilar superior o, en todo caso, el
retroceso mandibular combinado con una mento-
plastia de avance. Si se trata de una Clase II indica
la necesidad de avance, mandibular y/o del mentón.
En nuestra práctica clínica preferimos la utiliza-
ción de una proporción que relaciona la altura
facial inferior con la profundidad del cuello, por
considerarla más útil para las elecciones terapéuti-
cas relacionadas a la corrección quirúrgica de las
anomalías sagitales.
=1,2
GnC
Fig. 20.51: Ángulo y relación cervical-facial inferior.
500 Tratamiento ortodóncico-quirúrgico
J
Fig. 20.52: Relación cervical-facial inferior aumentada,
en un paciente de Clase II.
Fig. 20.53: Relación cervical-facial inferior disminuida, en
un paciente de Clase III.
Es la relación de las medidas lineales de Sn-Gnc
/ C-Gnc. La relación normal es de 1,2. Es decir, la
altura del tercio inferior de la cara debe ser un 20%
más que la medida submental (profundidad del
cuello).
Valores superiores a 1.2 indican que la profun-
didad de cuello es corta y que la proyección ante-
rior del mentón debe ser aumentada, y si la rela-
ción es menor, un retroceso del mentón es
favorable.
Esta medida es muy utilizada en los pacientes
de Clase III, porque es decisiva para la indicación
del retroceso mandibular. Cuando la relación en
estos casos es mayor a 1.2, no se aconseja este
movimiento de retroceso, a menos que se planifi-
que también una mentoplastia de avance que com-
pense dicho movimiento hacia atrás.
La lectura de esta relación debe ser interpretada
con certeza cuando el paciente presenta un tercio
inferior que no debe modificarse en altura.
Por esto, siempre debemos evaluar primero la
altura del tercio inferior (mediante el análisis verti-
cal del perfil) porque cuando está alterada, la pro-
porción resultante con respecto a la profundidad
del cuello no será útil para discernir los cambios
sagitales del mentón.
Por ejemplo, un paciente que presenta un tercio
inferior aumentado 10 mm y tiene una relación cervi-
cal-facial inferior de 1.2 ¿Podría interpretarse que
tiene una posición sagital aceptable, que se debe man-
tener en la planificación ortodóncico-quirúrgica?
En realidad no, porque cuando se planifique la
reducción vertical y el tercio inferior mida 10 mm
menos, esa profundidad de cuello resultará excesi-
va.
Se puede entonces corregir la medida del tercio
inferior, restando los milímetros que se planifica
disminuir la altura, y luego relacionarlo a la medi-
da de la profundidad de cuello. Así podremos eva-
luar si se deberá planificar dejar el mentón en esa
posición, más adelante o más atrás.
Estética y diagnóstico en el paciente quirúrgico 501
72
Fig. 20.54: Relación cervical-facial inferior nor-
mal en una paciente de Clase III (87/72 = 1,2).
Se observa un exceso de su tercio inferior de
7mm. Si eliminamos a la medida vertical dicho
exceso, la relación resultante varía (80/72 = 1,1)
y esta nueva relación indica que deberá planifi-
carse una posición más retruida del mentón des-
pués de la cirugía.
Fig. 20.55: Comparaciones pre y posquirúrgicas donde se evidencia el cambio vertical y sagital del mentón (Cirujano:
Dr. Roberto Blanco).
502 Tratamiento ortodóncico-quirúrgico
Evaluación del tercio medio
La observación de la zona paranasal permite
valorar la posición anteroposterior del maxilar
superior. Además se realiza la exploración clínica
del reborde orbitario, el área subpupilar,el contor-
no alar y la curvatura nasogeniana(Fig. 20.56).
En el perfil, la zona nasogeniana describe una
línea ligeramente convexa hacia delante. Una línea
plana, o con concavidad anterior, expresa una posi-
ción retruida del maxilar superior.
Se observa también la relación sagital que se
establece entre el contorno anterior del globo ocu-
lar y el punto más posterior de las alas nasales.
Cuando el maxilar superior tiene un desarrollo
normal, este punto se sitúa 7 u 8 mm por delante de
una línea vertical tangente al globo ocular.
La evaluación de estas zonas tiene por finalidad
planificación sagital del maxilar superior con un
criterio estético, pero en esta decisión suele ser útil
también una medida esqueletal: la posición del
punto A óseo con respecto a la vertical del Na óseo.
La norma es que el punto A coincida o se ubique
ligeramente por delante de dicha línea. Si está por
detrás, se corrobora la indicación del avance (Fig.
20.57).
Fig. 20.56: Tercio medio con relación sagital armónica de
sus estructuras, que se expresan en la curvatura nasoge-
niana, el ángulo nasolabial y la relación sagital óculo-alar.
Fig. 20.57 A: Paciente de Clase III, donde por la evaluación clínica del tercio medio y la posición retruida del punto A con
respecto a la vertical del Na, se planifica el avance del maxilar superior. B: Resultado de la cirugía, que se combinó con
rinoplastia.
Estética y diagnóstico en el paciente quirúrgico 503
Evaluación Nasal
La predicción nasal deberá ser hecha al final de
la predicción quirúrgica,después de establecida la
posición del labio superior.
El nasion cutáneo (Nc), también llamado
Sellion, es el punto cutáneo más profundo de la
curvatura nasofrontal Este punto es el vértice del
ángulo nasofrontal, formado por la intersección de
dos líneas: una tangente a la glabela (Gl-Nc), la
otra tangente a pronasal (Pn-Nc), que en presencia
de un dorso prominente lo intersecta.
El valor normal de este ángulo, se sitúa entre
120° y 135°.
La posición anteroposterior y vertical del vérti-
ce del ángulo nasofrontal (nasion cutáneo) es de
extrema importancia en la planificación.
En condiciones ideales, el nasion cutáneo se
localiza cerca de 6 mm por encima del cantus, entre
el pliegue supratarsal y el margen del párpado
superior, con los ojos abiertos, aproximadamente 9
a 13 mm en posición anterior a la proyección de la
córnea (R. Daniel) (Fig. 20.58).
La distancia, proyectada en la horizontal, entre
nasion cutáneo y la glabela, es en condiciones idea-
les, de 4 a 6 mm (Guyuron).
El reconocimiento de la importancia posicional
del nasion cutáneo altera no sólo los objetivos de la
planificación prequirúrgica, sino también la
secuencia operatoria.
La determinación del nasion cutáneo ideal
(Nci), permite la definición del ángulo naso-facial,
el cual establece la línea dorsal ideal (Pn-Nc) y con-
tribuye a la nueva proyección de la punta.
La línea dorsal ideal, es rectilínea en los hom-
bres, pudiendo en las mujeres presentar una ligera
concavidad, 1 a 2 mm por detrás de ésta.
El ángulo nasofacial resulta de la intersección
de la línea dorsal con la perpendicular del nasion
cutáneo: su valor es de 34° para mujeres y 36° para
hombres (Fig. 20.59).
Métodos complementarios de evaluaciónnasal:
En los casos donde se indican cambios en la
proyección nasal, se considera conveniente corro-
borarlos mediante métodos que evalúan la propor-
ción entre la longitud y la base de la nariz (métodos
de Baum y de Goode) y entre la proyección nasal y
la longitud del labio superior (método de Simons).
Fig. 20.58: Punto nasion cutáneo. Se lo analiza en rela-
ción a los párpados,globo ocular y glabela.
Fig. 20.59: Ángulo nasofrontaly nasofacial.
504 Tratamiento ortodóncico-quirúrgico
- Método deBaum (Fig. 20.60):
Se traza una línea desde nasion a subnasal
(llamada línea vertical).La línea llamada horizontal
es una perpendi- cular a la anterior que pasa por la
punta de la nariz. Se considera "punta de la nariz"
al punto del perfil nasal más elejado de la línea ver-
tical.
La relación de ambas líneas (dorso-base o
línea vertical-horizontal respectivamente) es 2 a 1.
Esta relación daría como resultante una proyec-
ción de la punta de la nariz considerable, por lo
que actualmente, y sobre todo en el sexo femenino
se utiliza una relación dorso-base 2,8 a 1, lo que
daría una proyección menor.
- Método deGoode (Fig. 20.61):
Es similar al anterior, pero la línea vertical
que parte de nasion pasa por el canal alar. El dorso
se mide desde nasion a la punta.
La proporción entre ala-punta (horizontal) y
nasion-punta (vertical) es 0,55 a 0,60.
- Método deSimons:
Establece una proporción de 1 a 1 entre la
longitud del labio superior y la base de la nariz.
El labio superior se mide desde subnasal al
borde mucocutáneo del labio superior (Vermilion
superior), la base de la nariz desde subnasal a la
punta de la nariz.
La limitación de este método consiste en la
variedad de la longitud labial, que no permite ajus-
tar la proyección nasal tomando esta proporción
como referencia.
La correlación de estas mediciones con el ángu-
lo nasolabial superior, permite planificar la correc-
ción del perfil nasal que se asociará al tratamiento
ortodóncico- quirúrgico.
Fig. 20.60: Método de Baum
Fig. 20.61: Método de Goode.
Estética y diagnóstico en el paciente quirúrgico 505
Fig. 20.63: Paciente donde se realizó una cirugía ortognática, con impactación y avance del maxilar superior, retroceso
mandibular y mentoplastia de avance y reducción vertical. Se complementó con una rinoplastia para mejorar el resulta-
do estético (Cirujano: Dr. Gabriel Girotti).
C A P I T U L O 21
Bases para la planificación
Una vez finalizada la etapa de diagnóstico, se
habrán definido los objetivos quirúrgicos, es decir,
los cambios esqueletales que posibilitarán armonizar
en los tres sentidos del espacio los componentes del
tercio inferior de la cara, con el agregado de algún
otro procedimiento que pueda planificarse por fuera
del terreno ortognático, con el fin de mejorar el resul-
tado estético final, por ejemplo una rinoplastia.
Se han definido OBJETIVOS, pero esto no impli-
ca necesariamente haber definido procedimientos qui-
rúrgicos. Estos objetivos quirúrgicos se refieren a los
cambios necesarios en el maxilar superior y la mandí-
bula, respondiendo a las siguientesposibilidades:
- Punto subnasal y área paranasal (necesidad de
avance)
- Labio superior (en sentido anteroposterior,
avance o retroceso y prácticamente sin posibilidad
de modificaciones en sentido vertical)
- Exposición de incisivos superiores (disminu-
ción o aumento)
- Espacio interlabial (disminución o aumento)
- Mentón (avance, retroceso, aumento o dismi-
nución vertical)
Estos objetivos nos orientan sobre cuáles son los
procedimientos quirúrgicos que será necesario apli-
car. En algunos casos las define con certeza, en
otros esta definición sólo podrá hacerse a través de
la planificación (VTO ortodóncico-quirúrgico)
Por ejemplo: Si se necesita disminuir la exposi-
ción del incisivo superior, se requerirá de una im-
pactación de la parte anterior del maxilar superior
; no existe otra posibilidad quirúrgica de lograr ese
objetivo.
Pero si el objetivo es, por ejemplo, avanzar el
mentón, habrá que evaluar si se logra a través de un
avance mandibular, una mentoplastia de avance, o
ambos procedimientos a la vez.
Los objetivos quirúrgicos que surgieron del
diagnóstico, se clasifican en verticales, sagitales y
transversales.
Los objetivos verticales y sagitales se formula-
ron a partir del estudio clínico de frente y de perfil,
y del análisis cefalométrico del perfil blando.
Los objetivos transversales surgen del estudio
clínico de frente y de la cefalometría frontal
Los objetivos verticales están orientados a
aumentar o disminuir:
• La exposición del incisivo superior
• El espacio interlabial.
• La altura del mentón
Los objetivos sagitales consisten en:
• Avance o retroceso del labio superior
• Avance o retroceso del mentón
• Cambios en la relación sagital establecida
entre el labio inferior, el surco labiomentoniano
y el pogonion cutáneo.
Los objetivos transversales consisten en:
• Centrar el maxilar superior y el mentón
• Armonizar transversalmente las básales óseas
• Lograr simetría en el contorno facial.
A continuación se detallan los procedimientos
quirúrgicos del maxilar superior, la mandíbula y el
mentón, destinados a alcanzar los objetivos pro-
puestos. Teniendo en cuenta cuáles de estos proce-
dimientos deberán ser considerados, se podrá reali-
zar el VTO ortodóncico-quirúrgico.
OBJETIVOS VERTICALES
- Aumentar la exposición del incisivo superior
(Fig. 21.1):
Se logra con el descenso del maxilar en la parte
anterior a través de la cirugía de Le Fort I. Puede
ser necesario el descenso completo, o sólo de la
parte anterior. En algunos casos de mordidas abier-
tas, cuando presentan un doble plano oclusal, se
agrega la segmentación y se realiza el descenso del
segmento anterior.
507
508 Tratamiento ortodóncico-quirúrgico
Fig. 21.1: Aumentar la exposición del incisivo. A: con un descenso completo del maxilar, B: con el descenso sólo ante-
rior y C: con la segmentación del maxilar y el descenso sólo del segmento anterior.
B
Fig. 21.2: Disminuir la exposición del incisivo. A: con la impactación completa del maxilar. B: con la impactación sólo
anterior.
- Disminuir la exposición del incisivo superior (Fig
21.2):
Se obtiene con la impactación anterior del maxi-
lar , a través de un procedimiento de Le Fort I, en
algunos casos con el agregado de segmentación
cuando existe un doble plano oclusal superior.
En ambos casos, ya se trate de aumentar o dis-
minuir la exposición del incisivo superior, al reali-
zar el movimiento vertical del maxilar, hacerlo en
forma completa o sólo en el sector anterior, será
decidido por la inclinación del plano oclusal que re-
sulte conveniente planificar, tema tratado en la
página 523 de este mismo capítulo.
Bases para la planificación 509
Fig. 21.3 A: Espacio interlabial aumentado con exceso vertical del maxilar y overbite normal. B: la impactación del maxi-
lar( ya sea completa o sólo anterior) disminuye el espacio interlabial y el tercio inferior, al inducir una posición más supe-
rior en el incisivo inferior y la sínfisis.
-Disminuir el espacio interlabial:
La disminución del espacio interlabial se podrá
realizar en diferentes situaciones:
1- Casos de overbite normal y aumento de expo-
sición del incisivo (Fig. 21.3):
La impactación anterior del maxilar se acompa-
ñará necesariamente de una ubicación más supe-
rior de los incisivos inferiores, por autorrotación
mandibular o cualquier procedimiento que se indi-
que en la mandíbula. Como resultado se obtiene
una disminución del espacio interlabial directa-
mente proporcional a la impactación realizada.
2- Casos de mordida abierta (Fig. 21.4):
Cerrar una mordida abierta quirúrgicamente
implicará la disminución del espacio interlabial.Se
pueden planificar dos mecanismos diferentes:
- Por autorrotación mandibular, que se produce
como consecuencia de la impactación del maxilar
superior en la parte posterior. Esta autorrotación
mandibular cierra la mordida, acortando el tercio
inferior y avanzando el mentón (Fig. 21.5)
También el avance del maxilar, que obedece a
objetivos sagitales, genera una ligera autorrotación. Fig. 21.4: Mordida abierta de tipo divergente, en la planifi-
cación se trabaja con un plano oclusal superior y otro infe-
rior.
510 Tratamiento ortodóncico-quirúrgico
Fig. 21.5: Autorrotación mandibular, por la impactación posterior del maxilar. La forma de la mandíbula no cambia, pero
sí su posición, al haber rotado sobre su eje de bisagra. En el perfil se observa el cierre del espacio interlabial, disminu-
ción del tercio inferior y avance del mentón.
Fig. 21.6: Rotación antihoraria para el cierre de una mordida abierta a través de una cirugía sagital de mandíbula. Se
obtiene un cierre del ángulo goníaco, el plano mandibular tiende a una mayor horizontalidad que en el caso anterior y
no disminuye la altura facial posterior. Se logra también cierre del espacio interlabial, disminución del tercio inferior y
avance del mentón.
Bases para la planificación 511
- Por rotación antihoraria, cuando a través de
una cirugía sagital de mandíbula, se realiza un
ascenso de la parte anterior del segmento distal
para cerrar la mordida. Se produce un verdadero
cambio en la forma de la mandíbula, que tiende a
ser más cuadrada, disminuyendo su ángulo gonía-
co. En este caso se acorta el tercio inferior de la
cara, pero no disminuye la altura facial posterior.
También se proyecta el mentón hacia delante, y el
incisivo inferior resulta más verticalizado que con
la autorrotación (Fig. 21.6)
- Por la combinación de ambos efectos: en los
casos de cirugía bimaxilar, pueden combinarse am-
bos mecanismos, es decir, el cierre de la mordida se
logra en parte por autorrotación y en parte por
rotación antihoraria.
- "Aumentar" el Espaciointerlabial:
Si bien el espacio interlabial no puede ser nunca
menos de O mm, lo que está dentro de la norma, nos
referimos aquí a los casos de colapso del tercio
inferior de la cara donde se presenta una redun-
dancia labial que necesita un mejor posicionamien-
to de los mismos. Esto lo referimos como "aumen-
to" del espacio interlabial, aunque resulte una
medida de O mm.
En casos de overbite normal y disminución de
exposición del incisivo:
El descenso anterior del maxilar superior se
acompaña de una posición más inferior de los inci-
sivos inferiores, con lo que mejora la redundancia
labial y aumenta el tercio inferior de la cara(Fig.
21.7).
En casos de Clase II:
El avance de la mandíbula logra un efecto de
aumento vertical, mayor cuanto más inclinado esté
el plano oclusal.
Fig. 21.7: El descensodel maxilar en un caso de overbi-
te normal, mejora la exposicióndel incisivo y aumenta el
tercio inferior.
- Aumentar la alturadel mentón (alargar el mentón):
Se logra a través de una mentoplastia con injerto
(Fig. 21.9 A y B).
Fig. 21.8: El avance mandibular en casos de Clase II con
sobremordida profunda,tiene un efecto de aumentoverti-
cal del tercioinferior.
512 Tratamiento ortodóncico-quirúrgico
Si en el caso es necesario realizar un avance o
retroceso y aumentar ligeramente la altura del
mentón, la proyección hacia abajo del mentón al
realizar el cambio sagital produce un efecto de
aumento vertical (Fig. 21.9 C).
Fig. 21.9 A y B: Mentoplastia con injerto.
C: Mentoplastia de avance con efecto de aumen-
to vertical
- Disminuir la altura del mentón:
Para acortar el mentón se indica una mentoplas-
tia con ostectomía intermedia (Fig. 21.10 A y B).
Si es necesario también un avance o retroceso,
la proyección hacia arriba del mentón al realizar el
cambio sagital produce un efecto de acortamiento
(Fig. 21.10 C).
Fig. 21.10 A y B: Mentoplas-
tia con ostectomía vertical.
B
Bases para la planificación 513
Fig. 21.10 C: Mentoplastia de avance con efecto de
acortamiento del mentón.
OBJETIVOS SAGITALES
- Avanzar el punto Sn y área paranasal (Fig.
21.11):
Este objetivo, requerido en un gran porcentaje
de los casos de Clase III,se alcanza con el avance
del maxilar superior, a través de una cirugía de Le
Fort. El Sn responderá avanzando el 30% de la
magnitud del avance del maxilar.
Fig. 21.11: El avance del maxilar modifica el punto Sn,
punto A blando y labio superior.
- Avanzar el labio superior (Fig. 21.11):
El avance del maxilar superior mediante la ciru-
gía de LeFort permitirá la protrusión del labio su-
perior conjuntamente con el avance del punto Sn y
el área paranasal.
La respuesta del tejido blando a nivel del punto
A cutáneo y labio superior es del 50% del cambio
del tejido duro subyacente (ya sea por movimiento
del maxilar o del incisivo).
Se debe contemplar, al analizar el caso, la nece-
sidad de protrusión de los incisivos superiores en la
ortodoncia prequirúrgica, que también tiene un
efecto de avance del labio superior (Fig. 21.12)..
Fig. 21.12 : La protrusión de los incisivos incide solamen-
te en la posición sagital del labio superior.
514 Tratamiento ortodóncico-quirúrgico
- Retruir el labio superior (Fig. 21.13):
El retroceso quirúrgico del maxilar superior se
puede realizar a través de una técnica de segmen-
tación, donde se retruye solamente el sector ante-
rior, pero esta técnica puede ser indicada excepcio-
nalmente (Técnica de Wassmund).
Por lo general se tiene en cuenta la posibilidad
de provocar el retroceso del labio mediante la re-
trusión ortodóncica de los incisivos superiores, con
o sin torque radicular, según la inclinación del eje
longitudinal que presenten inicialmente. Por sus li-
mitaciones, el retroceso del maxilar superior com-
pleto a través de la técnica de LeFort es realizado
sólo en casos muy puntuales.
- Avance del mentón:
Una mayor proyección del mentón en el perfil se
puede obtener con de un avance mandibular (Fig.
21.14) o del mentón (Fig. 21.15).
La aplicación de uno u otro procedimiento depen-
derá de varios factores. Para el avance mandibular, el
caso debe tener overjet o bien lo tendría que obtener
la ortodoncia prequirúrgica. Se debe tener en cuenta
también el contorno anterior del mentón, dado que
el avance mandibular no modifica sustancialmente
dicho contorno, mientras que la mentoplastia de avan-
ce sí lo hace. En casos severos de micrognatismo se
pueden combinar los dos procedimientos.
Fig. 21.13: La retrusión del labio superior a través de la
retrusión de los incisivos produce el cambio del ángulo
nasolabial y de la posición del labio a la vertical de Sn.
Fig. 21.14: Planificación de un avance del mentón utilizando un procedimiento de osteotomía sagital mandibular.
Bases para la planificación 515
Fig. 21.15: Mentoplastia para avanzar el mentón.
- Retroceso del mentón (Fig. 21.16):
El pogonion cutáneo es llevado hacia atrás qui-
rúrgicamente mediante dos procedimientos: el retro-
ceso mandibular y la mentoplastia de retroceso.
Generalmente se planificará un retroceso man-
dibular a través del procedimiento sagital de man-
díbula.
Sólo se puede realizar una mentoplastia de
retroceso cuando la sínfisis presente características
anatómicas que pongan de manifiesto una gran
protuberancia basal (Fig. 21.17). En la planificación
de los cambios del mentón se debe considerar que
su contorno es una de las llaves estéticas del perfil
de los tejidos blandos.
Fig. 21.16: Planificación de un retroceso del mentón a través de un procedimiento de osteotomía sagital mandibular.
516 Tratamiento ortodóncico-quirúrgico
Fig. 21.17: La mentoplastia de retroceso se indica en casos de sínfisis con un contorno anterior excesivamente marca-
do
- Cambios en la relación sagital establecida
entre el labio inferior, el surco labiomentoniano
y el pogonion cutáneo.
El balance del contorno anterior del perfil des-
de el stomion inferior al punto mentoniano, es muy
importante en la estética total del perfil, y es un
punto que debe ser estudiado y planificadocuida-
dosamente.
Bajo parámetros ideales, el pogonion blando
estará situado 2 o 3 mm por delante del punto más
deprimido del surco labiomentoniano (punto B
blando), y 2 o 3 mm por detrás del punto más ante-
rior del labio inferior (Fig. 21.18).
De los tres componentes que determinan este
contorno, es decir, pogonion cutáneo, surco labio-
mentoniano y labio inferior, este último también
está afectado por la posición de los dientes ante-
roinferiores.
Cuando se evalúa el caso inicial, se deberá con-
siderar la posibilidad de que el labio inferior sufra
modificaciones por los cambios que se realizarán
en los incisivos con la preparación ortodóncica pre-
quirúrgica, que tendrá consecuencias en la posición
sagital del labio.
Otra situación que modifica la posición sagital
del labio inferior es la eversión que presenta ante
la falta de soporte cuando el mentón se encuentra
retruído.En estos casos deberemos tener en cuenta
que el avance del mentón corregirá en parte esa
protrusión del labio.
Fig. 21.18: Una línea vertical tangente al pogonion permi-
te evaluar la relación sagital entre este punto, el labio infe-
rior y el surco labiomentoniano, que en este caso es armó-
nica.
Bases para la planificación 517
Independientemente de los cambios que pueda
sufrir el labio inferior por las dos alternativas men-
cionadas, se deben considerar cuáles son los proce-
dimientos quirúrgicos que afectan el contorno del
mentón. Tanto la autorrotación mandibular como
la rotación antihoraria tienen un efecto de avance
del mentón, variando la relación espacial entre el
mentón, el punto B blando y el labio inferior, sien-
do la segunda opción la que consigue un efecto
mayor de proyección del mentón en relación al
labio inferior (Fig. 21.20).
Pero sin dudas, cuando es necesario un cambio
importante en ese sentido, se recurrirá a la men-
toplastia de avance. Cuanto mayor sea la magnitud
del avance del mentón con la mentoplastia, más se
marcará el surco labiomentoniano y menor resulta-
rá la proyección del labio inferior, como se observa
al trazar una línea tangente al pogonion cutáneo
(Fig. 21.19).
Cuando el surco labiomentoniano es muy pro-
fundo, se puede requerir de un movimiento inverso
del mentón, es decir, una mentoplastia de retroce-
so. Pero también puede indicarse un aumento ver-
tical del mentón para lograr dicho efecto, si el estu-
dio vertical así lo determina.
Otra alternativa quirúrgica en estos casos de
surco labiomentoniano profundo, cuando el pa-
ciente presenta overjet, es planificar una cirugía
segmentaria de avance alveolar inferior.
Fig. 21.19: Cambios en el contorno del mentón provoca-
dos por una mentoplastia de avance
B
Fig. 21.20: Cambios en la proyección sagital de las estructuras blandas del mentón A: Con la autorrotación mandibular
B: Con la rotación antihoraria.
518 Tratamiento ortodóncico-quirúrgico
Cambios en la inclinación del plano oclusal. Su inci-
dencia en la posición sagital del mentón.
En los casos de cirugía bimaxilar, la inclinación
del plano oclusal es uno de los puntos a planificar,
por lo que haremos un análisis de las consecuencias
que se obtienen con los posibles cambios del mismo.
Estas consecuencias incumben a los resultados
estéticos y funcionales del caso, por lo que es una
decisión que no puede tomarse al azar, sino que
debe contemplar una serie de factores, que, consi-
derados en conjunto, permitirán acercarnos a la
inclinación ideal para el caso que planificamos.
Para explicar las consecuencias de los cambios
del plano oclusal, recurrimos a gráficos que repre-
sentan la estructura bimaxilar, una referencia sagi-
tal y una referencia horizontal.
A esta estructura bimaxilar, que incluye un plano
oclusal con una determinada inclinación,le generare-
mos una rotación horaria (mayor inclinación del
plano oclusal), haciendo fulcrum en el punto A.
Dado que la posición vertical y sagital del punto A
está completamente definida en el comienzo de la
planificación, es un punto que no se debe alterar y
por ello es tomado como centro de rotación.
Con la rotación en sentido horario de la estruc-
tura bimaxilar se produce una mayor inclinación
del plano oclusal y se observan las siguientes con-
secuencias (Fig. 21.21 A y B).
- Disminuye la proyección del mentón
- El incisivo superior queda más vertical y re-
truido.
- El incisivo inferior queda más adelante que el
pogonion, en la relación sagital que se establece
entre ambas estructuras.
- El plano mandibular resulta con una inclina-
ción mayor.
Con la rotación inversa, en sentido antihorario,
se produce una horizontalización del plano oclusal,
con el siguiente resultado (Fig. 21.21 A y C):
- Aumenta la proyección del mentón.
- El incisivo superior queda más inclinado y
protruido.
- En la relación sagital que se establece entre
ambas estructuras, el incisivo inferior queda más
atrás que el pogonion.
- El plano mandibular resulta más horizontal.
B
Fig. 21.21: Cambios producidos por la diferente inclinación del plano oclusal. A: Inicial B: Plano oclusal más inclinado
C: Plano oclusal más horizontal
Bases para la planificación 519
También se observa, en el primer caso, un ligero
descenso del incisivo superior, como así también en
la segunda alternativa el incisivo resulta con un
pequeño efecto de intrusión.
Esto no se tiene en cuenta porque cuando se rea-
liza el procedimiento de planificación se harán los
ajustes en la ubicación vertical del maxilar para com-
pensar ambos efectos.
Todos los efectos mencionados tienen su deriva-
ción en el resultado estético, siendo el más notable la
mayor o menor proyección del mentón. En este
campo, debemos agregar que, a igual exposición del
incisivo superior, se logra una menor exposición gin-
gival posterior cuando se inclina el plano oclusal, y
cuando se horizontaliza, la exposición posterior tien-
de a aumentar.
Conociendo las implicancias de una mayor o
menor inclinación del plano oclusal, habrá que plani-
ficar dicha inclinación en cada caso, siempre buscando
el mejor resultado en aquellos factoresque están invo-
lucrados con su cambio.
Factores que se deben considerar:
- Inclinación del plano oclusal: teniendo en cuen-
ta que la angulación ideal con respecto a la HV
es entre los 7 y 10°, con una D.S. de 3°.
- Posición sagital deseable del mentón.
- Necesidad de mayor o menor proyección de los
incisivos.
- Inclinación del plano mandibular, cuya norma
es de 26° +-3°.
- Como la inclinación del plano oclusal varía la
relación entre exposición gingival anterior y
posterior en sonrisa, también deberá considerarse
en el caso inicial el grado de exposición gingival
que presenta la sonrisa del paciente en el sector
incisivo y molar.
Los cambios de inclinación del plano oclusal im-
plican siempre un procedimiento bimaxilar. La deci-
sión que se tome con respecto a esta inclinación inci-
dirá en los movimientos quirúrgicos a aplicar en el
maxilar superior y la mandíbula:
Mayor inclinación del plano oclusal: cuando en
la cirugía Le Fort se realiza:
- Impactación posterior.
- Descenso anterior.
- La combinación de ambos efectos.
En la mandíbula, conlleva un movimiento en sen-
tido horario del segmento distal, mediante un proce-
dimiento de osteotomía sagital.
Horízontalización del plano oclusal: la cirugía
del maxilar superior debe considerar:
- Impactación anterior.
- Descenso posterior.
- La combinación de ambos efectos.
En la mandíbula, donde se realiza una osteotomía
sagital, ésta se acompaña de rotación antihoraria del
segmento distal.
OBJETIVOS TRANSVERSALES
Cabe aclarar que a estos objetivos en sentido ver-
tical y sagital, se agregan los objetivos quirúrgicos
transversales. Éstos incluyen fundamentalmente dos
aspectos:
-La armonización de las bases esqueletales, que se
realiza a expensas del maxilar superior, a través de la
disyunción quirúrgica o la segmentación del maxilar
para expansión o contracción.
-La corrección de asimetrías.
Estos objetivos no se podrán volcar en el VTO
ortodóncio- quirúrgico, pero se deben considerar en
conjunto porque muchas veces definen que un pro-
cedimiento sea bimaxilar, mientras que los objetivos
verticales y sagitales podrían haber sido alcanzados
por una cirugía monomaxilar.
Por ejemplo, si un caso de Clase III presenta asi-
metría mandibular, nunca puede ser resuelto sólo
con avance del maxilar superior. A su vez, cuando
una asimetría involucra el maxilar y la mandíbula,
requerirá siempre de una cirugía bimaxilar.
C A P Í T U L O 22
VTO ortodóncico-quirúrgico
Después de tener en cuenta objetivos y proba-
bles alternativasquirúrgicas, será necesario realizar
el VTO ortodóncico quirúrgico, que definirá los
procedimientos a aplicar.
El VTO ortodóncico quirúrgico es un procedi-
miento cefalométrico de planificación del trata-
miento que se realiza a partir del trazado originaly
por lo tanto involucra el sentido vertical y sagital
del problema.
Consta de 2 etapas:
1-Planificación ortodóncica
2-Planificación quirúrgica para la propuesta
ortodóncica definida en el punto 1. Permite
corroborar que se cumplan los objetivos que
surgieron del estudio vertical y sagital del perfil,
o en algunos casos, llevará a modificar la plani-
ficación ortodóncica para mejorar los resulta-
dos.
Mediante su implementación es posible:
- Visualizar el resultado del perfil cutáneo con
la planificación propuesta.
- Poner de manifiesto la necesidad de procedi-
mientos complementarios, como puede ser
una mentoplastia.
- Determinar los requisitos del tratamiento
ortodóncico para obtener como resultado
una correcta oclusión cuando las básales
hayan sido corregidas.
De él surge entonces una propuesta ortodóncica
y quirúrgica que, en conjunto, logran el resultado
esperado en el aspecto funcional y estético.
1a Etapa: Planificación ortodóncica
En forma general, los objetivos del tratamiento
ortodóncico prequirúrgico consisten en :
1) Alinear los dientes
2) Nivelar la curva de Spee
3) Ubicar los dientes en correcta relación con
sus bases, tanto en sentido sagital como
transversal, es decir "descompensar" el caso.
4- Coincidir la línea media dentaria con la línea
media esqueletal en cada uno de los maxila-
res.
5- Nivelar superficies oclusales en ambas arca-
das para conseguir una oclusión estable en la
posición posquirúrgica.
En el VTO. la planificaciónortodóncica definirá:
- La necesidad o no de extracciones.
- La posición e inclinación de los incisivos
superiores e inferiores.
- La posición de los molares.
Las arcadas se estudian por separado, evaluan-
do el problema de discrepancia dentaria en cada
una de ellas y la inclinación de los incisivos.
Estas inclinaciones pueden ser analizadas utili-
zando diferentes parámetros. Estos son: el plano
basal, o el plano oclusal
Tienen las siguientes normas (Fig. 22.1):
Maxilar superior:
Incisivo Superior - plano palatal (ENAnt-
ENPost.): 112°
Incisivo Superior - Plano oclusal: 57° +-3°.
Fig. 22.1: Normas para la angulación de los incisivos
superiores e inferiores.
521
522 Tratamiento ortodóncico-quirúrgíco
Mandíbula:
Incisivo Inferior- plano mandibular:90°
Incisivo Inferior-Plano oclusal: 64° +- 3°
Si bien se pueden aplicar cualquiera de estos dos
parámetros, preferimos utilizar la referencia del
plano oclusal.
Partiendo de la inclinación inicial del incisivo,se
establece la necesidad de protrusión o retrusión del
mismo, basándonos en lo siguiente:
- Con el movimiento de protrusión el ángulo
se cierra (Fig. 22.2).
- Con la retrusión, se abre (Fig.22.3)
Consideramos que ambos movimientos se reali-
zan sin control del torque, teniendo como centro un
punto situado en el tercio apical de la raíz, y que
cada milímetro de movimiento hacia adelante o
atrás del incisivo modifica el ángulo en 2°.
Para la etapa de ortodoncia prequirúrgica se
planificará darle a los incisivos una adecuada incli-
nación con el plano oclusal, teniendo en cuenta la
discrepancia dentaria de cada una de las arcadas y
la inclinación actual con el plano oclusal.
De acuerdo a las características de cada caso, se
realizarán o no extracciones, y se estimará la posi-
ción del molar.
Fig. 22.2: La protrusión cierra el ángulo que forma el inci-
sivo con el plano oclusal.
Fig. 22.3: La retrusión del incisivo abre el ángulo que
forma su eje con el plano oclusal.
Ejemplo de planificación ortodóncica
i
Fig. 22.4 A: Caso M.C. Fotografías de boca del caso a analizar.
i-
VTO ortodóncico-quirúrgico 523
Fig. 22.5: El estudio de los incisivos señala que el supe-
rior se encuentra con una angulación en la norma, mien-
tras que el incisivo inferior está sumamente verticalizado,
estando indicada su protrusión para cerrar el ángulo.
Fig. 22.4 B: Fotografías oclusales. Se han realizado las
extracciones de los primeros premolares superiores para
que el canino pueda erupcionar. En la arcada inferior hay
una discrepancia dentaria de 7 mm. Ambas arcadas pre-
sentan la línea media centrada.
Arcada dentaria inferior
1 - A-Po
1. Discrepancia dentaria
2. Discrepancia de Bollón
3. Verticalización molar
4. Expansión
5. Curva de Spee
6. Extracciones
7. Protrusión - Retrusión del 1
8. Mesialización molar
Total
95°
+
-
-
-
-
-
7
-
7
7
-
-
-
-
-
-
-
7
Cuadro 22.1: El incisivo inferior se encuentra con una
angulación de 95°. La discrepancia dentaria podrá ser
compensada con protrusión, que cerrará el ángulo acer-
cándolo a la norma. El incisivo se debe protruir 3,5 mm,
resultando una inclinación de 88°.
524 Tratamiento ortodóncico-quirúrgico
Arcada dentaria superior
1 - A-Po
1. Discrepancia dentaria
2. Discrepancia de Bolton
3. Verticalización molar
4. Expansión
5. Curva de Spee
6. Extracciones
7. Protrusión - Retrusión del 1
8. Mesialización molar
Total
57°
+
2*
-
-
-
-
-
-
-
2
-
-
-
-
-
-
-
2*
2
Cuadro 22.2: El caso presenta una buena inclinación del
incisivo superior, por lo que se planifica no modificarlo. El
espacio positivo de 2 mm señalado como discrepancia
dentaria corresponde a la hemiarcada izquierda, por lo
que se deberá mesializar sólo el molar de ese lado.
Fig. 22.6: Se realizan las modificaciones dentarias
que se planificaron en los cuadros 22.1 y 22.2:
- protrusión 3,5 mm del incisivo inferior.
- mesialización del molar superior (corresponde
solo a la hemiarcada izquierda).
Al realizarlas sobre el trazado inicial se podrá
observar cuál es el resultado que se puede espe-
rar al finalizar la ortodoncia prequirúrgica en el
overjet y la relación molar.
VTO ortodóncico-quirúrgico 525
La planificación ortodóncica llevará a solucio-
nar la discrepancia dentaria con la mejor inclina-
ción posible de los incisivos con respecto al plano
oclusal. El caso podrá planificarse:
1- Sin extracciones de premolares en ambas
arcadas.
2- Con extracciones de premolares en ambas
arcadas
3- Con extracciones de premolares en la arcada
superior solamente.
De acuerdo a esto, el resultado posquirúrgico
será de Clase I molar en las opciones 1 y 2, y de
Clase II molar en la opción 3. Se debe evitar plani-
ficar extracciones sólo de premolares inferiores,
porque se llegará a un resultado posquirúrgico de
Clase III molar, que, igual que en un caso sólo orto-
dóncico, no es óptimo funcionalmente.
En todas las opciones se deberá crear una
correcta relación de incisivos y caninos en Clase I,
las extracciones que se realicen modifican sólo la
clase molar.
En la necesidad de descompensación y buscan-
do acercarnos a los parámetros de inclinación ideal
de los incisivos, las extracciones dentarias que re-
quieren los casos quirúrgicos son inversas a las que
se realizan en las compensaciones ortodóncicas,
tanto se trate de una Clase II o Clase III esqueletal.
Así por ejemplo, en una Clase III pueden indi-
carse extracciones de premolares superiores sola-
mente, o si se realizan 4 extracciones, por los movi-
mientos dentarios requeridos se extraen gene-
ralmente los primeros premolares superiores y se-
gundos premolares inferiores.
En las Clases II, cuando son necesarias 4 extrac-
ciones, la indicación será extraer lros premolares
inferiores y 2dos premolares superiores.
En ambos casos, es decir, Clase II o Clase III,
esta decisión de extracciones permitirá llegar a la
cirugía con el overjet necesario para poder realizar
la modificación quirúrgica planificada. Este overjet
(positivo en las Clases II, negativo en las Clases III)
es el denominado Espacio libre quirúrgico.
Consideración del índice de Bolton en los
pacientes quirúrgicos
Es muy importante tener en cuenta el índice de
Bolton, porque las desarmonías entre el tamaño
mesiodistal de los dientes superiores e inferiores
pueden impedir lograr la relación posquirúrgica de
Clase I canina. En esos casos, en el análisis de
ambas arcadas se consignarán los mm de compen-
sación, ya sea por adición o por desgaste, que son
necesarios para armonizar dicho índice.
Es muy frecuente encontrar en pacientes de
Clase III una disminución del tamaño de los incisi-
vos laterales, que de no ser tenida en cuenta en la
preparación ortodóncica, llevará a una finalización
del caso en Clase II canina después de la cirugía.
2da Etapa: Planificación quirúrgica
Una vez realizada la planificación ortodóncica,
se realizan los cambios en las posiciones de los inci-
sivos y los molares, y se procede a realizar la simu-
lación de la cirugía a partir de una línea guía de pla-
nificación que es la Vertical del nuevo punto A.
Se toma la decisión de ubicar convenientemente
este punto después del estudio esqueletal y de teji-
dos blandos y se traza a partir de este nuevo punto
A una línea perpendicular a la horizontal verdade-
ra, que servirá de guía para la planificación.
Se describe a continuación todo el procedimiento.
VTO ORTODÓNCICO QUIRÚRGICO
Sobre el calco inicial
1- Se trabaja sobre un trazado en posición pos-
tural de la cabeza, con labios en reposo y oclusión
enRC.
2- Se trazan: la HV y el plano oclusal.
Determinación del plano oclusal: se debe locali-
zar un plano oclusal, o más de uno, de acuerdo a las
características oclusales de cada caso. Teniendo en
cuenta las modificaciones que provocará la nivela-
ción de la curva de Spee durante el tratamiento
ortodóncico prequirúrgico (Fig 22.7).
En mordidas abiertas se marcan dos planos
oclusales, uno superior y uno inferior. En algunos
casos, una arcada puede presentar más de un plano
oclusal (Fig 22.8). En ellos se planifica una orto-
doncia con arcos seccionados que crea un plano
oclusal para el sector posterior y otro para el sector
anterior. Este tipo de trabajo ortodóncico se reali-
za en aquellas mordidas abiertas que presentan al
inicio del tratamiento un escalón en la arcada gene-
526 Tratamiento ortodóncico-quirúrgico
Fig. 22.7: Trazado inicial de M.C:
- En posición postural y labios en reposo.
Se traza la HV y el plano oclusal. De acuerdo a los secto-
res posteriores y previendo que se realizará la protrusión
de los incisivos inferiores y ésto disminuirá el overbite, se
trazan sobre la radiografía dos planos oclusales que luego
se transfieren al calco.
raímente adyacente a los caninos, donde la nivela-
ción con arcos continuos generaría una extrusión
de los incisivos que puede resultar inestable y ori-
ginar una recidiva de la mordida abierta.
Estos casos que se trabajan con arcos secciona-
dos necesitarán una segmentación del maxilar para
poder establecer con la cirugía un plano oclusal
único.
3- Cuando cabe la posibilidad de planificar una
autorrotación mandibular, marcar el eje de bisagra
arbitrario (E.B.A.). Este procedimiento se describe
en los puntos 8, 9 y 10 de Conversión cefalométri-
ca, en la página 167 (Fig. 22.9).
La autorrotación será necesaria en casos donde
se considere la alternativa de una cirugía sólo del
maxilar superior y a su vez se deba realizar la
impactación del mismo por la presencia de mordi-
da abierta o por aumento de exposición del incisivo
B
Fig. 22.8 A: Mordida abierta que se prepara ortodóncica-
mente con arcos continuos. B: Mordida abierta con doble
plano oclusal superior, que se trabaja con arcos secciona-
dos.
VTO ortodóncico-quirúrgico 527
superior. El caso también deberá reunir otras con-
diciones:
- El mentón debe encontrarse retruido, porque
la autorrotación lo avanzará. Si se encuentra en una
posición normal o protruida, será necesario el
retroceso a través de la cirugía mandibular.
- No debe presentar asimetría, porque de existir
ésta se deberá realizar también la cirugía mandibu-
lar.
Fig. 22.9
Confección de plantillas (Fig. 22.10)
En papel vegetal se calcan del trazado original,
por separado, el maxilar superior y la mandíbula:
4- El maxilar y el plano oclusal superior en color
rojo. El incisivo y el molar superior en línea de pun-
tos, en color negro.
ídem con la mandíbula. Calcar E.B.A., realizar
los trazos de osteotomía sagital y mentoplastia si
estuviesen considerados como posibilidad quirúrgi-
ca. Se puede incluir también un pequeño trazo del
contorno anteroinferior del mentón cutáneo, que
permitirá ir chequeando la posición sagital del
mentón cutáneo al ir realizando el VTO.
5- En estas plantillas se realizan, en color rojo,
las modificaciones dentarias que resultaron de la
planificación ortodóncica
6- Recortar las plantillas del maxilar y la mandí-
bula.
Fig. 22.10.
- Sobre el trazado inicial
7- Se trazan las líneas de referencia sagitales del
maxilar superior y de los tejidos blandos:
- De acuerdo a lo planificado para el cambio
528 Tratamiento ortodóncico-quirúrgico
sagital del maxilar sup. Se traza una línea perpen-
dicular a la HV desde el nuevo punto A.
- Se puede trazar también una línea perpendicu-
lar a la HV desde el punto Sn, calculando que su
posición responderá en un 30 % al cambio del
punto A óseo. Esta línea permitirá, en los próximos
pasos del VTO, ir evaluando la posición del men-
tón blando representado por el trazo realizado en
la plantilla inferior.
Fig. 22.11.
8- Cuando es posible intentar la corrección con
autorrotación mandibular, realizando sólo la cirugía
del maxilar superior, proceder de la siguientemanera:
- Unir las plantillas maxilar y mandibularcoinci-
diendo los planos oclusales y con correcto overjet
Superponer la mandíbula y realizar la autorrota-
ción en el E.B.A hasta que el incisivo superior
quede con una exposición normal.
- Observar si la posición resultante del punto A
y de los incisivos es adecuada o no.
- Si no resulta adecuada se puede ajustar algo la
posición de los incisivos para mejorar el resultado,
dentro de las posibilidades ortodóncicas del caso.
- Por ejemplo: si se desea una posición algo más
avanzada del punto A, se podrán potruir los incisi-
vos inferiores para poder ubicar el maxilarsuperior
más adelante. Si por el contrario, resulta una posi-
ción adelantada del punto A, se podrán retruir algo
los incisivos inferiores. Estos cambios dentarios se
pueden planificar sin alejar demasiado los incisivos
de las normas de inclinación con respecto al plano
oclusal, y teniendo en cuenta las posibilidades orto-
dóncicas de lograrlos.
- Cuando la posición resultante del Punto A y de
los incisivos sea adecuada, pero el mentón no llega a
una posición óptima, se puede planificar una mento-
plastia de avance.
Fig. 22.12.
- Sino se puede alcanzar un resultado apropiado en
lo que respecta a posiciones dentarias y del punto A y
Po, se elimina la posibilidad de una cirugía monoma-
xilar y se planificará una cirugía bimaxilar.
VTO ortodóncico-quirúrgico 529
9- En los casos donde se deba realizar cirugía
bimaxilar, cortar la plantilla mandibular por la
línea de osteotomía realizada a la altura del segun-
do molar. Unir el segmento distal mandibular con
la plantilla superior haciendo coincidir los planos
oclusales en correcta relación de overbite y overjet
(Fig 22.13).
Fig. 22.13
10- Llevar las plantillas al trazado manejando
los siguientes parámetros para su ubicación (Fig.
22.14):
En sentido sagital: hacer coincidir el pto. A
sobre la vertical del pto. A planificada en el calco
inicial.
En sentido vertical: lograr una correcta exposi-
ción del incisivo superior (3mm).
Inclinación del plano oclusal o "rotación" de las
plantillas: Dentro de los parámetros normales para
la inclinación del plano oclusal, que es de 7 a 10°
con respecto a la HV, se rotarán las plantillas
(haciendo fulcrum en el punto A) para lograr una
posición del Po coincidente con la Vertical del
punto A.
Cuando se eleva el sector posterior del plano
oclusal, la proyección del mentón disminuye (Fig.
22.16). Cuando desciende el sector posterior, es
decir, cuando se horizontaliza el plano oclusal, el
mentón se proyecta hacia delante (Fig. 22.15).A su
vez, estos cambios inciden en la posición e inclina-
ción de los incisivos, por lo que se deberá observar
también que se obtenga:
- Un incisivo inferior coincidente, o unos mm
por delante de la vertical del punto A.
- Una inclinación adecuada de los incisivos.
Fig. 22.14
530 Tratamiento ortodóncico-quirúrgico
Fig. 22.15.
Fig. 22.16.
11- Cuando NO se logre una buena posición del
mentón con una conveniente inclinación del plano
oclusal, se planificará una mentoplastia de desliza-
miento, de avance o retroceso según el caso.
En este punto debemos tener en cuenta que
para conseguir un buen resultado estético del con-
torno del mentón, siempre el punto B debe estar
ubicado sagitalmente por detrás del Po, por lo que
el retroceso del mentón sólo podrá planificarse en
casos de una anatomía de sínfisis donde el Po sea
muy prominente.
También debe considerarse la altura del men-
tón, y realizar las correcciones de ser necesarias.
Esto se hace en forma aislada, cuando no se debe
modificar sagitalmente el mentón, o combinándolo
con el deslizamiento sagital.
La planificación de los diferentes tipos de men-
toplastia se encuentran detallados en la página 533.
12- Fijar las plantillas al trazado inicial.
13- En una nueva hoja de papel vegetal, calcar
en color rojo (Fig. 22.17): Base de cráneo, HV,
maxilar sup. y mandíbula de las plantillas (con los
dientes del VTO).
En la mandíbula, calcar todos los trazos quirúr-
gicos, de cuerpo y mentón si hubiera. Por último,
en color negro, calcar del trazado inicial espina
nasal anterior y posterior.
Fig. 22.17.
VTO ortodóncico-quirúrgico 531
PERFIL CUTÁNEO
Volver a trabajar superponiendo con el trazado
inicial, sin adherir:
Perfil superior
14- Superponiendo las estructuras de base de
cráneo, se calca el dorso de la nariz y perfil cervical
hasta el punto C (Fig. 22.18).
Fig. 22.18.
15-Realizar las modificaciones de la punta de la
nariz, punto subnasal y punto A que deban prever-
se, siguiendo los valores dados en los esquemas
"Cambios de tejidos blandos - Cirugía Maxilar
Superior":
- El Sn se modifica el 30% de la magnitud del
cambio sagital del maxilar superior.
- El punto A responde en un 50% al cambio del
punto A óseo.
16- Para la modificación del labio superior hay
que tener en cuenta los cambios quirúrgicos del
maxilar superior y los cambios ortodóncicos del
incisivo superior (que pueden afectar la modifica-
ción planificada por el cambio esqueletal).
Por este motivo se procede de la siguiente
manera:
- Teniendo superpuestos los trazados en la base
de cráneo medir la distancia entre la cara vestibular
del incisivo del VTO y del original. Dividir por 2
dicha medida
- Con el valor obtenido, hacer una marca por
delante del labio superior.
Fig. 22.19.
532 Tratamiento ortodóncico-quirúrgico
Hacer las marcas respectivas a nivel del punto
Sn, A blando y labio superior (Fig. 22.19) y desli-
zando horizontalmente el trazado hacia atrás, lle-
varlas a que se superpongan con la estructura
correspondiente del trazado original y calcarlas
(Fig. 22.20).
Perfil inferior:
17- Superponiendo las sínfisis (inicial y trazo
rojo del VTO), manteniendo paralelas las HV, cal-
car el contorno anteroinferior de la sínfisis y unirlo
al punto C (Fig. 22.21).
18-Para calcar el labio inferior se marca la inter-
sección del plano oclusal y la cara vestibular de los
incisivos inferiores en ambos trazados. Se superpo-
nen estos puntos y se rota el trazado hasta que las
HV queden paralelas entre sí. Se calca el labio infe-
rior y se une luego con el tejido del mentón (Fig.
22.22).
Fig. 22.20
Fig. 22.21 Fig. 22.22
VTO ortodóncico-quirúrgico 533
Fig. 22.23: VTO ortodóncico-quirúrgico finalizado
PROCEDIMIENTOS DE MENTOPLASTIA
Mentoplastia de avance:
En la plantilla mandibular:
Dibujar el trazo mentoplastia de acuerdo a los
requerimientos del caso:
• Si se desea mantener la altura del mentón el
trazo debe ser horizontal (Fig. 22.24).
Fig. 22.24
• Cuando deseamos aumentar levemente la
altura, la línea debe trazarse inclinada desde atrás y
arriba hacia delante y abajo (Fig. 22.25).
Fig. 22.25
534 Tratamiento ortodóncico-quirúrgico
• Para disminuir ligeramente la altura, la incli-
nación del trazo debe ser desde atrás y abajo hacia
adelante y arriba (Fig. 22.26).
• Un aumento vertical importante del mentón
se planificará con «injerto en sandwich», que
requiere un trazo horizontal, por debajo del cual se
adicionará dicho injerto (Fig. 22.27).
Fig. 22.26.
Fig. 22.27.
• Los casos que requieran una disminución ver-
tical considerable deben ser planificados realizando
una ostectomía intermedia, para lo cual se realizan
dos trazos que están separados en la parte anterior
la cantidad de mm que se desee disminuir, y se
unen por detrás a nivel del borde inferior mandi-
bular (Fig. 22.28).
Fig. 22.28.
Trazado del mentón blando en un caso con
mentoplastia
18- Si se realizó mentoplastia, se realizarán las
modificaciones del perfil cutáneo según las estima-
ciones de los gráficos referidos a los cambios de
tejidos blandos con mentoplastia.
Cuando se realiza una mentoplastia de avance,
el mentón blando que rodea al borde anteroinfe-
rior del mentón responde en un 100% a los cam-
bios del mentón óseo (Fig. 22.29). El tejido blando
a nivel del punto Pm refleja un avance del 50% del
avance del mentón. Para ello, hacer una marca en
la mitad de avance, y luego hacer coincidir dicha
marca con el contorno anterior de la sínfisis origi-
nal (Fig. 22.30). En esa posición, hacer un trazo
pequeño de referencia calcando el tejido blando a
la altura del punto B, y luego unir con el contorno
inferior del mentón ya trazado (Fig. 22.31).
Fig. 22.29.
VTO ortodóncico-quirúrgico 535
Fig. 22.30. Fig. 22.31.
Planificación ortodóncico-quirúrgica en
casos con intentos de compensación
previos
Muchas veces, cuando se hace el análisis del
problema de discrepancia dentaria y se busca su
solución acercando la inclinación del incisivo a la
norma con respecto al plano oclusal, el resultado
que obtenemos se aleja considerablemente de los
parámetros normales de dicha inclinación. Esto
suele ocurrir en pacientes que han tenido intentos
previos de compensación ortodóncica. En ellos,
aproximarnos más a la norma implica realizar mo-
vimientos ortodóncicos que, por ejemplo, abran es-
pacios en una arcada.
Nuestra propuesta para esos casos es la siguien-
te: Intentar un VTO ortodóncico-quirúrgico con las
posiciones dentarias que se lograrían solucionando
la discrepancia. En estos casos, por lo general la
discrepancia es cercana a O y existe una marcada
retroinclinación del incisivo superior, si se ha com-
pensado una Clase II o del incisivo inferior, .si se
trata de una Clase III.
Si en la compensación de la Clase II se encuen-
tra proinclinado el incisivo inferior, esta posición sí
podrá ser mejorada con las extracciones de los pre-
molares inferiores que permitan retroinclinar el
incisivo.
Lo opuesto puede ser necesario en una Clase
III, es decir, realizar extracciones de premolares
superiores para retroinclinar un incisivo superior
protruido en un intento de compensación.
Estas extracciones para retruir los incisivos
generan el espacio libre quirúrgico que es necesario
para la corrección de las básales.
Luego de la planificación ortodóncica, se traza
el VTO considerando alternativas para llegar a un
buen resultado, como: cambios en la inclinación del
plano oclusal o procedimientos de mentoplastia
aplicables según la anatomía del caso.
Ejemplo:
Si en el caso anterior (paciente M.C. Figs 22.4 a
22.23), donde el incisivo inferior se encuentra muy
retroinclinado, se hubiesen realizado las extraccio-
nes de premolares inferiores para intentar una
compensación, no existiría el apiñamiento que nos
da la posibilidad de protruir el incisivo inferior.
La planificación se podría intentar manteniendo
dicha posición del incisivo. Solamente se podría
realizar una ligera proinclinación que generaría el
efecto de la aparatología preajustada (Figs. 22.32 y
22.33).
Al llevar las plantillas sobre el trazado original
se observa que:
536 Tratamiento ortodóncico-quirúrgico
Fig. 22.33.
Fig. 22.32.
• Si se mantiene para la planificación un plano
oclusal de similar inclinación que el plano oclusal
superior original, el pogonion resulta demasiado
avanzado (Fig. 22.34).
Fig. 22.34.
• Si se rota el plano oclusal, subiéndolo en la
parte posterior hasta que el mentón se ubique
sobre la vertical del punto A, los incisivos resultan
muy retruidos (Fig. 22.35).
Cuando como en este caso no se obtuviera un
buen resultado, habrá que modificar la planifica-
ción ortodóncica para mejorar las posiciones de los
incisivos, acercándolos razonablemente a la norma
de inclinacióndel plano oclusal, y repetir el proce-
dimiento del VTO. Al decir "razonablemente" se
debe entender que se planificará un movimiento
(generalmente de protrusión del incisivo) dentro
de límites biológicos. Fig. 22.35.
VTO ortodóncico-quirúrgico 537
Esta modificación hará que el resultado entre
discrepancia dentaria y modificación del incisivo
por protrusión-retrusión no dé como resultado O,
sino que sea positivo e implique realizar un trata-
miento ortodóncico más complejo (por ej, mesiali-
zar los sectores posteriores, para en definitiva
lograr un movimimeto de protrusión de toda la
arcada) o dejar diastemas que necesitarán de reha-
bilitación con implantes, prótesis o restauraciones.
PLANIFICACIÓN TRANSVERSAL
El problema transversal requiere una considera-
ción independiente, dado que el VTO no puede
reflejar los requerimientos ortodóncicos ni quirúr-
gicos en este sentido.
Para su estudio, se recurre al análisis clínico,
fotográfico y de modelos. En los pacientes asimé-
tricos, será indispensable la utilización de telerra-
diografía y trazado cefalométrico frontal, y radio-
grafía panorámica además de los elementos ante-
riormente mencionados
Coordinación de los diámetros transversos
El primer paso es evaluar la relación transversal
que tienen entre sí ambas arcadas. Si el paciente
presenta una anomalía sagital, la observación de la
boca o de los modelos iniciales montados en articu-
lador, no nos determinará si hay compatibilidad o
no de los diámetros transversos, por lo que se debe-
rán relacionar los modelos en la posición posqui-
rúrgica para poder evaluarlo.
Es común observar en un paciente de Clase III
una mordida cruzada posterior, y al relacionar los
modelos en Clase I ésta desaparece, lo cual indica
que no se deberá planificar ningún cambio trans-
versal en la parte posterior. Lo contrario, es decir,
Fig. 22.36 : Oclusión de Clase III, en un paciente que recibió tratamiento de expansión superior y se observa una rela-
ción transversal normal.
Fig. 22.37 : Los modelos del paciente de la fig. 22.36, al ser llevados a la relación posquirúrgica, muestran una clara
discrepancia transversal, se expresa una sobreexpansión del maxilar superior
538 Tratamiento ortodóndco-quirúrgico
observar una relación normal, generalmente indi-
ca una desarmonía (Figs. 22.36 y 22.37).
Si en la posición posquirúrgica se observamor-
dida cruzada, deberemos planificar la manera de
solucionar esta falta de coordinación basándonos
en los siguientes principios:
- Corregir con ortodoncia el componente denta-
rio que pueda existir en la mordida cruzada, tanto
en la arcada superior como en la inferior. Es decir,
realizar la expansión dentaria en casos donde las
piezas superiores presentan un excesivo torque
negativo, o corregir un torque positivo de las infe-
riores con la aparatología preajustada o un arcolin-
gual.
- Si el problema es esqueletal, se tratará la
desarmonía en el maxilar superior:
- en pacientes donde aún hay crecimiento, se
puede realizar la disyunción ortodóncica.
- cuando ha finalizado el crecimiento, se plani-
ficará la disyunción asistida con cirugía o una
segmentación para expansión del maxilar.
- En ningún caso es conveniente realizar una
expansión dentaria si los torques laterales sonnor-
males, porque alterará dichos torques y esto puede
recidivar después de la cirugía, creando problemas
oclusales.
Línea Media dentaria y torques laterales (Fig.
22.38)
El centrado de la línea media dentaria en cada
uno de los maxilares es otro de los objetivos de la
planificación transversal. El estudio de estas líneas
medias se hará independientemente en cada uno de
los maxilares de la misma manera que en los casos
ortodóncicos (verpágina394).
También la ortodoncia prequirúrgica deberá lo-
grar un torque normal en los sectores laterales, re-
virtiendo las posibles compensaciones que natural-
mente suelen presentar los pacientes asimétricos.
En pacientes asimétricos, con el correcto centra-
do en cada uno de los maxilares, por lo general las
líneas medias dentarias no coincidirán entre sí.
Cuando la asimetría es sólo mandibular, la línea
media dentaria superior debe coincidir con la línea
media facial, y la inferior tener el mismo desvío que
el mentón. Lateralmente se deberá observar tam-
bién una mordida cruzada del lado del desvío al
finalizar la preparación ortodóncica.
Cuando la asimetría es bimaxilar, al centrar la
línea media dentaria superior en su basal, no coin-
cidirá perfectamente con la línea media facial. Al
estar el plano oclusal inclinado, se encontrará lige-
ramente desviada hacia el lado donde el plano
B
Fig. 22.38 A y B: Paciente con asimetría maxilomandibulary Clase III. En la cefalometría frontal se observan torquescom-
pensatorios y desvío de la línea media inferior con respecto a su base ósea.
VTO ortodóncico-quirúrgico 539
Fig. 22.38: Continuación.
C y D: Las fotografías axiales corroboran la asimetría.
E y F: La preparación ortodóncica prequirúrgica descom-
pensa transversal y sagitalmente el caso, además de cen-
trar la línea media inferior en su basal.
G y H: El resultado posquirúrgico confirma que la prepa-
ración ortodóncica fue adecuada, con un buen resultado
oclusal y facial (Cirujano: Dr. José Crestanello)
540 Tratamiento ortodóncico-quirúrgico
Fig. 22.39: Arco facial que no reproduce la horizontal, en un paciente con asimetía que involucra los conductos auditi-
vos externos, y su corrección.
oclusal está más alto. La horizontalización del
plano oclusal con la cirugía, le dará la coincidencia
con la línea media facial.
La línea media inferior, centrada en su basal,
por lo general no coincide con la superior, y hay
una relación de mordida cruzada lateral del mismo
lado que su desvío.
En algunos casos estas asimetrías bimaxilares
tienen una relación transversal esqueletal armónica
por lo que las líneas medias prácticamente coinci-
dirán entre sí previo a la cirugía, y no se expresará
tampoco una mordida cruzada.
Planificación del plano oclusal en sentido trans-
versal
Cuando el maxilar superior presenta una asime-
tría en su desarrollo vertical, el plano oclusal se
encuentra inclinado y su corrección deberá ser cui-
dadosamente planificada mediante la impactación
o descenso asimétrico del maxilar en la cirugía de
LeFort.
Estos movimientos se podrán dimensionar con
exactitud una vez finalizada la ortodoncia. Con la
ayuda de la cefalometría frontal y del montaje en
articulador que se realiza previo a la cirugía, en
ambos se podrá medir la diferente distancia que
existe entre un punto determinado en el plano
oclusal en el lado derecho e izquierdo y una refe-
rencia horizontal estable.
Para poder hacerlo en el montaje en articulador,
deberemos asegurar que el arco facial que registró
la posición del plano oclusal superior haya estado
ubicado totalmente horizontal.
En casos de asimetría, pueden estar comprome-
tidos los conductos auditivos externos, y si los
extremos del arco facial se introdujeron en ellos,
también este arco facial resultará inclinado. Se
debe entonces retirar un extremo del conducto
auditivo correspondiente, y subirlo o bajarlo hasta
ubicar el arco facial totalmente horizontal (Fig.
22.39). Esta maniobra se realizará con el paciente
de pie, y controlando que la posición de la cabeza
esté correcta, con su plano medio sagital vertical.
Si se tienen estas precauciones, el montaje que
se realice del modelo superior reproducirá la incli-
nación del plano oclusal que presenta el paciente.
Este montaje permitirá medir la diferencia ver-
tical entre el lado derecho e izquierdo del plano
oclusal.
Con estas medidas se simulará su corrección
para poder construir un splint intermedio que guíe
en la cirugía la corrección necesaria del plano oclu-
sal en sentido transversal, indispensable para obte-
ner un buen resultado en la simetría final del caso.
C A P I T U L O 23
Cambios en los tejidos blandos asociados a la
cirugía ortognática
INTRODUCCIÓN
Las alteraciones posicionales dentoesqueléticas
inducidas por las osteotomías/ostectomías, en la
cirugía ortognática. no siempre tienen una traduc-
ción idéntica desde el punto de vista dimensional, a
nivel de los tejidos blandos. Por lo tanto, hay que
ponderar las relaciones proporcionales entre las
modificaciones de los tejidos duros y las respuestas
asociadas a nivel de los tejidos blandos.
De otra forma será imposible hacer una predic-
ción del perfil cutáneo real posquirúrgico.
No se trata, sin embargo, de una tarea fácil.
Desde luego, son grandes las variaciones de las res-
puestas individuales a procedimientos idénticos,
particularmente en lo que se refiere a los labios.
Esta variabilidad se relaciona con la diversidad en
el espesor de varios tejidos (piel, tejido subcutáneo,
tejido adiposo, músculos, vasos y nervios,glándulas
salivales), los respectivos tonos y las técnicas qui-
rúrgicas a las que se recurre.
Por otra parte, si el análisis cefalométrico del
perfil blando nos brinda datos fundamentales sobre
la forma y proporciones de la cara, debe estar basa-
do en un estudio radiológico efectuado con mucho
criterio, bajo el riesgo de realizar un análisis basa-
do en datos posicionales falsos.
Es indispensable que la telerradiografía sea hecha
con los tejidos blandos relajados.La postura relajada
de los labios es especialmente difícil de conseguir en
la incompetencia labial por la tendencia a la contrac-
ción del músculo mentoniano durante el cierre labial.
Si los labios no estuviesen relajados, la planificación
estará comprometida desde el principio.
A veces es necesario la toma de dos radiogra-
fías, una en oclusión y otra en inoclusión, o sea en
posición de reposo mandibular, para lograr la lon-
gitud labial.
El cefalograma preoperatorio deberá efectuarse
sobre una radiografía obtenida pocos días antes de
la intervención, dentro de un período que no debe-
rá exceder las dos semanas, para que las alteracio-
nes ortodóncicas producidas en el ínterin sean
mínimas.
Durante el estudio, es fundamental para la com-
paración, que el paciente se mantenga siempre con
aparatología ortodóncica o siempre sin ella. La pre-
sencia o ausencia de aparatos determinará, eviden-
temente, alteraciones de la protrusión labial,
alterando el perfil blando, lo cual se refleja en los
valores cefalométricos de un mismo paciente con y
sin aparatología.
Consideraciones sobre los tejidos blan-
dos
La predicción de las alteraciones de los tejidos
duros y blandos en cirugía ortognática constituye el
centro de toda la planificación terapéutica.
En lo que respecta a los tejidos duros, el perfec-
cionamiento progresivo de las técnicas quirúrgicas
y la implementación de métodos de fijación rígida,
permiten al cirujano alcanzar resultados práctica-
mente coincidentes con las metas propuestas en la
predicción.
No podemos decir lo mismo en relación a los
tejidos blandos, cuya respuesta, al ser multifactorial
es más difícil de controlar y prever.
Entre los factores que tienen influencia sobre el
comportamiento de los tejidos blandos, se deben
señalar: el procedimiento quirúrgico (tipo de osteo-
tomía/ostectomía), los métodos de acceso y de
sutura, la nueva disposición espacial de toda la
estructura dentoesquelética, la capacidad indivi-
dual de adaptación de los tejidos blandos, el estadio
de crecimiento, la dirección de los movimientos
ortodóncicos, el espesor, tono, área y presión del
contacto labial como así también la dimensión del
espacio interlabial, el volumen del tejido adiposo y
muscular y el edema posquirúrgico.
Este último varía de acuerdo a la adaptación
tisular y se relaciona con todos los factores nom-
brados. Son necesarios aproximadamente 6 meses
de postoperatorio para poder evaluar los resulta-
dos obtenidos. Algunos autores, en cambio, prego-
nan la necesidad de un plazo de 12 meses para que
los tejidos blandos se "estabilicen".
541
542 Tratamiento ortdóncico-quirúrgico
El tipo de procedimiento quirúrgico y de sutura
afectan significativamente su comportamiento.
Tomamos como ejemplo, la osteotomía de Le Fort
I: la incisión vestibular horizontal, comúnmente
utilizada para el acceso al maxilar superior, se aso-
cia a la pérdida dimensional del vermilion, con
acortamiento y disminución del espesor labial. El
ensanche de la base alar que también suele ocurrir
es resultado del decolamiento muscular, perióstico
y pericondral, del edema postoperatorio y de las
alteraciones de posición del soporte esquelético de
las estructuras nasales.
Este ensanche, contribuye también al acorta-
miento del labio superior como así también a su
adelgazamiento.
La pérdida de dimensión del vermilion expuesto
del labio superior es muy antiestética sobre todo en
individuos que ya tenían los labios finos y suele ser
pronunciada en la impactación del maxilar. Estos
efectos deben tratar de disminuirse, recurriendo a
diversos procedimientos destinados a controlar la
estética labial y el ancho de la base alar.
Así, cuanto más alta es la incisión en el vestíbu-
lo, mayor será el acortamiento del labio. Una in-
cisión más baja, disminuye ese efecto.
El ensanche de la base alar puede evitarse
mediante una sutura en forma de 8, intraoral, apo-
yada bilateralmente en el tejido fibroadiposo adya-
cente a la prolongación lateral del cartílago alar o
en el músculo transversal de la nariz,aproximándo-
las, estrechando de esta manera la base alar, dismi-
nuyendo el acortamiento labial, manteniendo su
espesor y contribuyendo a una mejoría estética.
La reducción de la espina nasal anterior, está
indicada en grandes avances o en la impactación
del maxilar, en pacientes con buena proyección de
la punta de la nariz. Está contraindicada cuando se
realiza un retroceso del maxilar o cuando la pro-
yección de la punta es insuficiente. Su reducción en
estos casos, produce una deformación del dorso
nasal, tipo polybeak o de la columela ("columela en
gota").
Cuando la impactación del maxilar sobrepasa 3
mm, el cartílago del septum debe ser reducido, bajo
el riesgo de inducirse un desvío septal postoperato-
rio. La magnitud de la reducción es habitualmente
igual a la de la impactación prevista. Esta reducción
del cartílago puede estar asociada a la reducción de
la cresta nasal del maxilar.
La sutura de la mucosa en forma de V-Y o W-Y,
contribuye también a disminuir el acortamiento
labial, además de aumentar su espesor y preservar
el vermilion.
Durante la predicción quirúrgica, debemos,
pues, tener en cuenta estos procedimientos comple-
mentarios y elegir los que mejor se adaptan al caso.
Respecto de los tejidos blandos, las alteraciones
de posición en el plano horizontal se pueden pre-
decir, pero en el vertical,las predicciones no tienen
la misma exactitud.
El comportamiento labial, por ejemplo, es espe-
cialmente complejo.
Se sabe también, que las alteraciones inducidas,
son más previsibles en los labios finos que en los
labios gruesos.
En la retrusión del incisivo superior, el labio
superior sufre una rotación posterior, tomando
como centro el punto subnasal, determinando una
menor prominencia de los labios en relación a los
surcos adyacentes.
En el plano horizontal, una retrusión de 2 mm
del incisivo superior, induce una retrusión de 1mm
del labio superior (relación 2:1).
Por otra parte, por cada 3 mm de retrusión del
incisivo superior, el espesor de ese mismo labio
aumentará 1 mm.
El movimiento del incisivo superior tiene con
respecto al del labio inferior una relación, en el
plano horizontal, de 1:1.
La posición del labio superior varía también con
las alteraciones posicionales del incisivo inferior,
con la rotación de la mandíbula y con alteraciones
del propio labio inferior.
La relación entre el labio superior y el labio
inferior es recíproca y siempre significativa, culmi-
nando en la complejidad de la postura, forma y
contorno de los labios.
CIRUGÍA MAXILAR
Avance maxilar
El avance del maxilar, determina un avance
simultáneo del labio superior, del punto subnasal y
de la punta de la nariz.
Induce un ligero acortamiento, con adelgaza-
miento del labio, acompañado del ensanche de la
base alar y profundización de la depresión del
supratip, en los casos en que la espina nasal ante-
rior se mantuviera íntegra.
Cambios en los tejidos blandos asociados a la cirugía ortognática 543
En ese caso, además, el desplazamiento anterior
del labio superior y, especialmente, el desplaza-
miento anterior de la base de la nariz (subnasal),
serán favorablementeinfluenciados.
El labio superior sufre un avance que represen-
ta el 50% del avance dentoesquelético, en tanto
que la punta de la nariz no avanzará más del 30%
de éste.
El ángulo nasolabial disminuye 1,2° por cada
milímetro de avance.
La relación labio superior-incisivo superior, pue-
de ser mejorada durante el procedimiento quirúrgi-
co, recurriéndose a la sutura de la base alar y a la
sutura V-Y (reconstrucción muscular nasolabial).
Cuanto mayor sea el avance del maxilar, menor
será el porcentaje del movimiento anteroposterior
del labio superior. La asociación con las técnicas qui-
rúrgicas complementarias indicadas, aumenta estos
porcentajes (valores indicados entre paréntesis).
Retroceso segmentario anterior
o total del maxilar
Las alteraciones inducidas son: aumento del
ángulo nasolabial (por rotación posterior del labio
superior alrededor del subnasal), aumento de la
longitud del labio superior, disminución del espacio
interlabial con descenso y retracción del labio infe-
rior acompañado de una disminución de la profun-
didad del surco mentolabial.
El retroceso induce pérdida de soporte de la
punta de la nariz por movimiento posterior de la
espina nasal anterior y de la base piriforme.
El labio rota hacia atrás sobre el subnasal,
aumentando el ángulo nasolabial y aumentando
ligeramente su espesor. Recurriendo a la sutura
alar y V-Y, se disminuirá el efecto de retrusión
labial.
30%
50%
Fig. 23.1: Avance maxilar. Cambios cutáneos. Fig. 23.2: Retroceso anterior o total del maxilar. Cambios
estéticos.
Relaciones en el plano horizontal (Fig.23.1)
Punta:
Labio superior:
Ángulo nasolabial:
30% (35%)
50% (70 - 90%)
Relaciones en el plano vertical (Fig. 23.2)
Subnasal:
Punto A cutáneo:
Labio superior:
Ángulo nasolabial:
30% (10-20%)
30% (15%)
65% (40 - 50%)
-1,2°/ 1mm
544 Tratamiento ortdóncico-quirúrgico
Impactación
Las alteraciones posicionales anteroposteriores
del labio superior, dependerán de su nuevo sopor-
te y del rigor puesto en el abordaje quirúrgico de
las partes blandas.
La impactación determina un acortamiento del
labio superior, elevación de la punta de la nariz,
ensanche de las bases alares (2 a 4 mm) y disminu-
ción del ángulo nasolabial.
El labio superior acompaña el movimiento del
incisivo superior en el plano horizontal.
Si el incisivo superior es desplazado en sentido
vertical, soportará al labio en una posición más
anterior en relación al soporte alveolodentario pre-
vio, debido a su angulación. Así, si el maxilar se
reposicionara en una posición ligeramente supe-
rior, el soporte del labio será más anterior, deter-
minando su avance.
Si ese avance no fuera deseable, hay que preve-
nirlo mediante un retroceso simultáneo delmaxilar.
El labio superior traducirá, en una proporción
del 20%, la modificación esquelética vertical. Este
acortamiento del labio superior puede ser reducido
hasta aproximadamente el 10% del movimiento
dentoesquelético, recurriéndose a una incisión ves-
tibular baja, plegado de la base alar y sutura en
forma de V-Y.
Si el maxilar fuera simultáneamente avanzado,
el acortamiento del labio se acentuará. Las altera-
ciones serán progresivamente más significativas
desde la nariz hacia el stomion superior.
La no utilización de suturas V-Y, como ya fue
comentado, puede provocar pérdida dimensional
del vermilion.
Downgraft-Reposicionamiento
inferior del maxilar
El downgraft induce pérdida de soporte de la
punta de la nariz, con eventual deformación tipo
polybeak, posicionamiento inferior de la colu-
mela y bases alares, afinamiento y elongación
del labio superior, con aumento del ángulo naso-
labial.
La elongación del labio superior, representa el
15% del movimiento dentoesquelético.
Fig. 23.3: Impactación del mentón. Alteraciones estéti-
cas.
Relaciones en el plano vertical (Fig. 23.3)
Pronasal:
Subnasal:
Labio superior:
Stomion superior
20%
20%
20%
20%
15%
Fig. 23.4: Downgraft. Cambios en el labio superior.
Relación en el plano vertical (Fig. 23.4)
Stomion superior: 15%
Cambios en los tejidos blandos asociados a la cirugía ortognática 545
Cuanto más cercana a la encía fuera la incisión,
mayor será la elongación del labio superior, que
también puede ser incrementada con la sutura de la
base alar. De forma semejante a lo que sucede con
la impactación, también aquí las alteraciones posi-
cionales anteroposteriores del labio superior de-
penderán de su nuevo soporte.
Cuando el maxilar es recolocado en una posi-
ción más inferior, la nueva área de soporte labial
dentoalveolar será más superior y posterior. Si el
maxilar fuera reposicionado sólo verticalmente, sin
alteraciones en el sentido anteroposterior, el labio
superior adopta una posición más retruida.
Vectores combinados
La mayoría de los procedimientos quirúrgicos
involucran desplazamientos en más de un plano.
Raras veces se hacen desplazamientos en un solo
plano.
Las alteraciones de los tejidos blandos, cuando
se realizan movimientos combinados (avance e
impactación, retroceso e impactación, etc.) equiva-
len a vectores resultantes de los que representan
los movimientos puros.
CIRUGÍA MANDIBULAR
En la cirugía mandibular, el contorno de los teji-
dos blandos traduce, en forma directa, el reposicio-
namiento óseo, desplazándose en el mismo sentido.
El comportamiento del labio inferior constituye,
sin embargo, una excepción a esta regla. Su rela-
ción con el incisivo superior por una parte y con el
labio superior por la otra, determina una granvaria-
ción en el resultado final, lo cual lo hace imprevisi-
ble.
Retroceso subapical
El retroceso mandibular subapical, ya sea seg-
mentario anterior o total, no tiene traducción a
nivel de los tejidos blandos del mentón.
El labio inferior, en cambio, acompaña el movi-
miento posterior del incisivo inferior, provocando
una menor profundidad del surco labiomentoniano.
El labio inferior sufrirá un desplazamiento pos-
terior de un 75% del desplazamiento posterior del
incisivo inferior.
Avance subapical
Tal como sucede con el retroceso subapical, el
avance no altera la posición del mentón cutáneo.
Sin embargo, el surco labiomentoniano se hace
más profundo en tanto que el labio inferior se ade-
lanta el 60% del avance del incisivo inferior.
Avance mandibular-osteotomía sagital
El avance mandibular provoca alteraciones
exclusivamente a nivel de los tejidos blandos situa-
dos por debajo del surco labial superior.
El labio inferior, sufrirá un avance variable,
como variable será también el alargamiento que se
le asocia.
Fig. 23.5: Cambios estéticos por avance mandibular.
Relaciones en el plano horizontal (Fig. 23.5)
Labio inferior:
Surco labial:
Mentón cutáneo:
75%
100%
100%
546 Tratamiento ortdóncico-quirúrgico
El labio superior se mantiene sin alteraciones,
así como las estructuras que están por encima de él.
El surco labial y el mentón cutáneo traducirán el
100% del avance mandibular,mientras que el labio
inferior se adelantará el 75 % del avance del incisi-
vo inferior. La asociación de los dos movimientos
determinará, en consecuencia, una mayor abertura
del surco labiomentoniano.
Por el contrario, las alteraciones verticales son
muy variables. Es de gran importancia en los casos
de mala relación del labio inferior con el incisivo
superior o con el labio superior, que la planifica-
ción se base en telerradiografías obtenidas con el
paciente en posición de reposo mandibular.
Autorrotación de la mandíbula
Los tejidos blandos traducen al 100% la auto-
rrotación de la mandíbula, pero el labio inferior
revela un comportamiento distinto.
Por una parte, la disminución de la dimensión
vertical lo hace de mayor espesor, por otra, la auto-
rrotación le permite una discreta linguoversión.
Retroceso mandibular - Osteotomía sagi-
tal o vertical de la rama
La región subnasal y las estructurassuprayacen-
tes no sufren alteraciones con el retroceso mandi-
bular.
Los restantes tejidos blandos acompañan el
retroceso, sufriendo desplazamientos porcentual-
mente más importantes.
En orden decreciente, mentón cutáneo, surco
labio mentoniano y labio inferior.
El desplazamiento posterior del labio superior
produce su elongación con apertura del ángulo
nasolabial. El retroceso asociado del labio inferior,
produce su acortamiento, volviéndose más saliente,
en tanto que el surco labiomentoniano se profun-
diza.
El mentón cutáneo y el surco labiomentoniano
sufrirán una retrusión del 90% de la retrusión man-
dibular, en tanto que el labio inferior sólo retroce-
derá el 75 % de éste. El desplazamiento del labio
superior no pasa del 20%.
Se piensa que la retrusión mandibular median-
te osteotomías del cuerpo, se acompaña de mo-
vimientos porcentualmente semejantes.
90%
Fig. 23.6: Alteraciones del perfil por retrusión mandibular.
Relaciones en el plano horizontal: (Fig. 23.6)
Labio inferior:
Surco labial:
Mentón cutáneo:
Labio superior:
75%
90%
90%
20%
CIRUGÍA DEL MENTÓN
La cirugía del mentón altera la posición antero-
posterior de los tejidos blandos mentonianos y del
labio inferior. El espesor habitual de los tejidos que
revisten el mentón es aproximadamente de 10-12
mm.
La genioplastia se realiza habitualmente por vía
intraoral, mediante una incisión vestibular. Durante
Cambios en los tejidos blandos asociados a la cirugía ortognática 547
las osteotomías, la conservación de la integridad
del pedículo músculo-perióstico del fragmento
inferior, libre, reduce la reabsorción ósea, tam-
bién en casos de avance superior a 10 mm. Este
cuidado permitirá una menor variación en los
resultados, disminuyendo la reabsorción posqui-
rúrgica.
Es primordial la preservación de la integridad
del nervio mentoniano, que, sin disección, deberá
continuar adherido al periostio, bien expuesto,
para el constante control visual intraoperatorio.
La osteotomía se realiza 5 mm por debajo del
agujero mentoniano, pudiendo extenderse, en el
área molar, hasta la escotadura antegonial, de
forma que permita un aumento lateral adecuado y
un contorno basal liso y continuo.
El nivel de la osteotomía dependerá de las lon-
gitudes dentarias.
Nos interesa conocer, además de las distancias
de los bordes incisales al borde basal, la longitud de
los dientes mandibulares anteriores. Su vitalidad
sólo podrá ser asegurada si la osteotomía horizon-
tal fuera efectuada por lo menos 4 a 5 mm por
debajo de los ápices.
Debemos recordar que la longitud media del
incisivo central inferior es de 21,5 mm, la del lateral
23 mm y la del canino 26,5 mm (Berkovitz).La dis-
tancia entre los ápices y el borde basal constituye
un área quirúrgica útil, debiendo respetarse las dis-
tancias de los pedículos vasculonerviosos.
Cuanto más posterior fuere el límite de la osteo-
tomía, más baja deberá ser realizada a nivel de la
sínfisis.
La asociación de estas consideraciones y valores
nos permiten realizar la predicción quirúrgica,
teniendo en cuenta las necesidades específicas del
caso clínico en estudio.
La predicción debe tener en cuenta que la posi-
ción anteroposterior del mentón se determina por
la conjugación del NB-Po, A-Po y la perpendicular
a subnasal. Estos tres parámetros cefalométricos
nos permiten discernir sobre la mejor relación del
mentón con el incisivo inferior, con el incisivo supe-
rior y con los labios.
El mentón óseo no deberá avanzar más allá de
la proyección anterior del incisivo inferior por
razones estéticas obvias, aunque los datos cefalo-
métricos sugieran eso.
Se debe tener en cuenta que decolaciones
excesivas implican reabsorción ósea significativa.
Además, la sutura no deberá ser sólo mucosa sino
también muscular para evitar ptosis del labio
inferior y exposición excesiva de los incisivos
inferiores.
Genioplastia de aumento
El espesor máximo de la mandíbula, a nivel de
la línea media de la sínfisis varía entre 10 y 20 mm
y determina el límite máximo alcanzable por una
genioplastia de aumento.
El aumento anterior o vertical, se obtiene por
osteotomía y reposicionamiento, pudiendo o no,
recurrirse a materiales aloplásticos. En cualquiera
de los casos, el espesor del revestimiento cutáneo
disminuye.
Al no ser elástico el periostio, los grandes avan-
ces exigen incisiones "de descarga" en el periostio
decolado, no siendo posible de otra manera aco-
modar el segmento avanzado ni proceder a un
correcto cierre muscular y mucoso. Siendo indis-
pensables, estas incisiones determinan menor pro-
yección de los tejidos blandos y consecuentemente,
menor porcentaje de avance.
Aumento anteroposterior
Oseo
El avance óseo se logra habitualmente median-
te una osteotomía horizontal del borde anterior del
mentón.
En esta osteotomía son indispensables también
los cuidados mencionados en cuanto a la decola-
ción perióstica y muscular y a la sutura.
Con procedimientos correctos se estima en un
80% el porcentaje máximo de avance de los tejidos
blandos en relación al avance óseo (Fig. 23.7).
En los grandes avances mentonianos (10-15
mm) puede ser necesaria la desinserción del vien-
tre anterior del digástrico en la cara posterior del
fragmento óseo para poder movilizarlo.
No obstante, será sólo la indispensable, tratando
de mantener al mismo tiempo la máxima superficie
de inserción de los genioglosos y geniohioideos.
Si la sínfisis sufre un decolado total, quedará sin
irrigación y el avance se comportará como un injer-
to libre, sufriendo una reabsorción posquirúrgica
que alcanza al 50% de su masa total.
Por esto, un injerto óseo libre para el avance
mentoniano, tiene resultados imprevisibles a largo
548 Tratamiento ortdóncico-quirúrgico
80%
Fig. 23.7: Genioplastia de aumento. Osteotomía de avance.
plazo, pudiendo la reabsorción ser completa como
consecuencia de la compresión del injerto contra la
sínfisis.
Aloplástico
Los materiales aloplásticos implican condicio-
namientos que deben ser del dominio de quien pla-
nifica el tratamiento de los casos quirúrgicos.
Su colocación requiere un área amplia de deco-
lado perióstico (prácticamente toda la superficie
anterior e inferior del mentón).
En función del tipo de material utilizado siem-
pre habrá reabsorción del hueso mentoniano en
contacto con el implante porque el injerto "pene-
trará" en el hueso perdiendo proyección.
Aun con técnicas muy cuidadosas el resultado a
largo plazo de estos injertos es imprevisible, esti-
mándose que a los seis meses apenas se conserva el
80% de la masa total (Fig. 23.8).
A corto plazo, provocan una mayor prominen-
cia del mentón asociada a una menor protrusión
del labio inferior con una mejor relación de éste
con el incisivo inferior.
80%
Fig. 23.8: Injerto aloplástico. Cambios a corto plazo.
Cambios en los tejidos blandos asociados a la cirugía ortognática 549
Fig. 23.9: Aumento vertical. Osteotomía de injerto.
Aumento vertical
Los déficit mantórnanos verticales aislados son
raros ya que habitualmente coexisten con altera-
ciones anteroposteriores.
El examen clínico y el análisis vertical de los
tejidos blandos permiten identificar si una deficien-
cia del 1/3 inferior de la cara se debe al maxilar o al
mentón.
Se corrige mediante un injerto en "sandwich"
destinado a respetar el borde inferior.
Se evita el acortamiento del labio decolando
todo el periostio del borde inferior del mentón.
El aumento vertical de los tejidos blandos es de
aproximadamente el 100%del aumento óseo. El
surco labiomentoniano se aplana (Fig. 23.9).
Genioplastía de reducción
Reducción sagital
La reducción anteroposterior alcanza, como
máximo, 5 a 6 mm, no debiendo colocarse el pogo-
nión por detrás de la proyección anterior del incisi-
vo inferior.
La prominencia del mentón puede ser corregida
mediante la ostectomía de la porción anterior de la
sínfisis o por osteotomía horizontal con reposicio-
namiento del borde inferior hacia atrás.
Este último método permite un desplazamiento
posterior de los tejidos blandos equivalente al 90%
del óseo (Fig. 23.10).
90%
Fig. 23.10: Reducción sagital. Ostectomía con resposicionamiento del borde inferior de la sínfisis.
550 Tratamiento ortdóncico-quirúrgico
25%
Fig. 23.9: Aumento vertical. Osteotomía de injerto.
La ostectomía, en cambio, sólo permite una
modificación del 25% (Fig. 23.11).
Es indispensable, en la planificación sobre
modelos, prever la ostectomía de manera que el
segmento inferior no provoque un saliente, estéti-
camente inadmisible, del reborde basal. Nunca uti-
lizamos métodos que no preserven el segmento
sinfisario basal.
Reducción vertical
El exceso vertical del maxilar, determina tam-
bién un aumento de la altura del tercio inferior de
la cara, pudiendo interpretarse erróneamente
como un exceso vertical del mentón.
Utilizamos como criterios de presunción de
exceso vertical del mentón la siguiente asociación:
1. Relación G-Sn / Sn-Mc inferior a 1
(exceso vertical relativo del tercio inferior)
2. Relación Sn-Sts / Sts-Mc inferior a 0,5
(exceso de los dos tercios inferiores de la cara)
3. Relación Sn-Liv / Liv-Mc inferior a 0,9
El exceso verticalpuede ser corregido por ostec-
tomía horizontal con remoción del borde mento-
niano inferior (Fig. 23.12 A) o por dos osteotomías
horizontales con remoción del fragmento óseo
25%
Fig. 23.10: Reducción sagital. Ostectomía con resposicionamiento del borde inferior de la sínfisis.
Cambios en los tejidos blandos asociados a la cirugía ortognática 551
Fig. 23.12: Reducción sagital. Ostectomía con remoción de un fragmento intermedio.
intermedio, conservándose el hueso basal, recoló- Este último método es el único que utilizamos,
cado por osteosíntesis en posición superior (Fig. La reducción verticalen los tejidosblandos es cerca
23.12 B). del 90% de la reducción ósea (Fig. 23.13).
80% 90%
90%
1 25% 80%
Fig. 23.13: Síntesis de los cambios estéticos producidos por las diferentes técnicas de genioplastia.
552 Tratamiento ortdóncico-quirúrgico
ALTERACIONES ESTÉTICAS PRODUCIDAS
POR LAS DISTINTAS MANIOBRAS QUIRÚRGICAS
MANIOBRA EFECTO
Avance maxilar Ensancha la base nasal
Resalta áreas paranasales
Reduce promlnecla de la nariz
Eleva la punta de la nariz
Resalta el labio superior
Disimula el mentón
Retroceso maxilar Retruye áreas paranasales
Aumenta longitud labio superior
Disminuye el espacio interlabial
Desciende la punta de la nariz
Resalta el mentón
Impactación maxilar Ensancha la base nasal
Resalta las áreas paranasales
Eleva la punta de la nariz
Reduce exposición dentaria superior
Produce acortamiento labial y reducción
vertical del 1/3 inferior.
Aumenta prominencia del mentón
Downgraft Desciende la punta de la nariz,
columela y bases alares
Alarga el labio superior
Retruye el labio superior y
áreas paranasales
Aumenta el ángulo nasolabial
Avance mandibular Aumenta la altura del 1/3 inferior
Aumenta la proyección del mentón
Reduce eversión labio inferior
Aumenta protrusión labio inferior
Disminuye ángulo cervicomentoniano
Aumenta definición cervicomentoniano
Retrusión mandibular Aumenta exposición labio inferior
Reduce altura del 1/3 inferior
Reduce prominencia del mentón
Reduce eversión labio inferior
Reduce protrusión labio inferior
Resalta áreas paranasales
CAPITULO 24
Planificación quirúrgica
cefalométrica y de modelos
INTRODUCCIÓN
Cuando se hayan alcanzado los objetivos referi-
dos a la posición de los incisivos, transversalmente
se lograron los torques normales y las superficies
oclusales enfrentadas en la relación posquirúrgica
ofrecen estabilidad oclusal, se considera que la pre-
paración ortodóncica está finalizada, y se puede
planificar la cirugía.
Normalmente se habrá llegado a los arcos de
mayor calibre, para la expresión de los torques y se
habrá chequeado la superficie oclusal con modelos
articulados manualmente. Muchas veces es necesa-
rio realizar varios controles con modelos, para eva-
luar la necesidad de determinados cambios en posi-
ciones de brackets, utilización de barras palatinas
para control del torque posterior, etc. Pueden pos-
tergarse para la etapa posquirúrgicas maniobras de
mesialización de sectores posteriores, no siendo
esto motivado por una premura para llegar a la
cirugía sino para realizar estas maniobras en mejo-
res condiciones y con menores riesgos. Un ejemplo
de esta indicación es la mesialización de molares
superiores en casos de clase III con extracciones.
Esta maniobra antes de la cirugía, compromete la
posición sagital y la inclinación de los incisivos
superiores, porque se realiza sin la contención que
ofrece la arcada inferior a causa de que el overjet
está invertido. En la etapa posquirúrgica el overjet
se habrá normalizado y dicha mesialización será
más segura.
Es importante que se hayan buscado con el tra-
tamiento los mecanismos de compensación para el
caso de discrepancias en el índice de Bolton, por-
que de no ser así, se presentará en este momento la
imposibilidad de obtener la Clase I canina de
ambos lados con la relación correcta de overjet.
Si no se ha diagnosticado oportunamente la dis-
crepancia que pudiese existir entre los tamaños
mesiodistales de los dientes superiores e inferiores,
es en esta etapa, al realizar el control de modelos
en la oclusión posquirúrgica, cuando aparece el
error.
Por ejemplo, es bastante frecuente observar en
pacientes de Clase III un menor tamaño de incisi-
vos superiores en relación a los inferiores. Cuando
el caso está perfectamente alineado y con puntos
de contacto consolidados entre todas las piezas del
sector anterior, se observará en los modelos enfren-
tados con el overjet normal y las líneas medias coin-
cidentes una relación canina de Clase II.
Cuando esto ocurre, se deberá prolongar el tra-
tamiento y abrir los diastemas en la arcada superior
para lograr la compensación, pudiendo quedar
para después de la cirugía la remodelación corona-
ria que otorgue un mayor tamaño a los incisivos
superiores, generalmente los laterales.
En casos donde se planifica la segmentación
para compensar los diámetros transversos expan-
diendo el maxilar superior, no será útil este che-
queo con el modelo íntegro porque la desarmonía
transversal no permite el asentamiento oclusal,
razón por la cual será conveniente seccionar el
modelo.
Planificación Quirúrgica
Una vez alcanzados los objetivos de la prepara-
ción ortodóncica prequirúrgica, se reúnen los ele-
mentos para la planificación final: ortopantomo-
grafía, telerradiografía cefalométrica de perfil,
modelos en yeso de las arcadas dentarias y fotogra-
fías intraorales y de la cara. Si existiera una asime-
tría facial manifiesta, se hace un nuevo análisis
frontal, a partir de una radiografía cefalométrica
posteroanterior.
La ortopantomografía aporta una información
general sobre la anatomía de los maxilares, la res-
puesta periodontal a la mecánica ortodóncica, el
estado de los senos maxilares, forma y posición de
los cóndilos mandibulares y detecta además la pre-
sencia de patologías recientes. Es también posible
visualizar la forma, dimensión y posiciones de las
raíces de los dientes involucrados en las osteotomí-
as interdentarias.
553
554 Tratamiento ortodóncico-quirúrgico.
La ortopantomografía puede ser complementa-
da con radiografías periapicales para una mejor
definición de los espacios interdentarios, previendo
las osteotomías u ostectomías subsiguientes.
Los exámenes cefalométricos de frente y de per-
fil se utilizan para las predicciones quirúrgica y de
laboratorio (sobre modelos).
La predicción cefalométrica quirúrgica (VTO
quirúrgico) debe ser realizada en primer término
para obtener la información necesaria para la pla-
nificación quirúrgica en los modelos montados en
articulador.
La decisión en cuanto al procedimiento adecua-
do para la corrección de la anomalía dentofacialdel
paciente, que se fundamenta en parámetros de
estética facial, fue definida en el VTO ortodóncico-
quirúrgico al comienzo del tratamiento.
En esta instancia previa a la cirugía, se corrobo-
ra dicho plan o se realizan pequeños ajustes si no se
hubiesen obtenido exactamente las posiciones
ortodóncicas planificadas.
VTO quirúrgico
Una vez finalizada la preparación ortodóncica
prequirúrgica, se efectúa una telerradiografía y su
respectivo trazado.
El trazado de la telerradiografía permitirá:
• Verificar si existe concordancia entre el
resultado del tratamiento ortodóncico pre-
quirúrgico y las modificaciones ortodóncicas
propuestas en el VTO ortodóncico-quirúrgi-
co.
• Servir de base a la predicción quirúrgica.
La finalidad del VTO quirúrgico es:
• Confirmar si el plan quirúrgico elegido al
realizar el VTO ortodóncico-quirúrgico es el
que mejor se adapta a la situación.
• Cuantificar la magnitud de las osteotomías,
ostectomías o injertos necesarios.
• Servir como base de datos para la predicción
del trabajo de laboratorio con los modelos.
• Obtener un trazado que simule las alteracio-
nes del perfil dentoesquelético y del nuevo
perfil cutáneo.
El VTO quirúrgico consiste en repetir el proce-
dimiento inicial de planificación, el VTO ortodón-
cico-quirúrgico, pero sin realizar ningún cambio en
las posiciones dentarias y cuantificando con exacti-
tud los movimientos quirúrgicos.
Las posiciones de los incisivos logradas por la
preparación ortodóncica pueden no ajustarse total-
mente a lo planificado; estas diferencias también
pueden observarse en el o los planos oclusales. La
nivelación de las arcadas determina el plano oclusal
y puede tener alguna variante con el plano oclusal
que se estimó sobre el trazado inicial.
Este segundo VTO ajusta la planificación qui-
rúrgica a los resultados obtenidos por el tratamien-
to ortodóncico y se utiliza para tomar medidas que
permitirán reproducir esta planificación sobre los
modelos montados en articulador, para simular en
ellos la cirugía y construir los splints quirúrgicos.
Líneas de referencia quirúrgicas
Para poder realizar las mediciones deben utili-
zarse líneas de referencia, que se trazan estratégi-
camente en la predicción de manera que se pueda
realizar la cuantificación de las alteraciones posi-
cionales esqueléticas resultantes de laplanificación
quirúrgica.
Estas líneas representan las osteotomías que se
realizarán en ambos maxilares con las diferentes
técnicas quirúrgicas.
Referencias mandibulares
En las osteotomías sagitales, se traza una línea
de referencia vertical en la región del 2.° molar que
corresponde al trazo vestibular de la osteotomía.
En las osteotomías del cuerpo mandibular, con
extracción de premolares, la línea de referencia se
inicia en la punta de la cúspide del diente a extraer,
pasa por el ápice y se prolonga hasta el reborde basal.
En las osteotomías subapicales anteriores, sin
extracción, la línea de referencia vertical se sitúa en
el espacio interdentario y se prolonga hasta el
reborde basal. La línea horizontal se ubica 5 mm
debajo de los ápices.
Planificación quirúrgica cefalométrica de modelos 555
En esta cirugía, se usa además otra referencia,
que consiste en un punto que corresponde a la
nueva posición del borde incisal del incisivo infe-
rior, que fue determinado a partir del análisis cefa-
lométrico.
Referencias maxilares
En la osteotomía de LeFort I, se diseña una
línea de osteotomía horizontal, paralela a la hori-
zontal verdadera, a 5 mm del ápice del canino, que
se extiende desde la abertura piriforme hasta el
nivel de la cúspide mesial del primer molar.
En este punto, la línea hace un escalón de 5 mm
hacia abajo que se continúa con una nueva hori-
zontal que se prolonga hasta la región pterigoidea.
Se trazan además, intersectando las líneas hori-
zontales, dos pequeñas líneas verticales (stops) a
nivel de la cúspide del canino más fácilmente iden-
tificable y de la cúspide distal del segundo molar, o
en su ausencia, en cúspides vecinas.
Cuando se realiza la segmentación simultánea a
la Lefort, se debe trazar una línea de referencia que
bisecta un premolar, en casos con extracciones.
En los casos sin extracciones, la línea pasa por el
espacio interdentario involucrado.
Otra referencia en el maxilar es el trazado de la
espina nasal anterior. Sirve para revelar la nueva
posición de esta estructura, dada la importancia
que tiene en la predicción y en la estrategia quirúr-
gica.
En las osteotomías segmentarias anteriores, con
extracción de premolares, se recurre a dos líneas de
referencia. Una, situada a 5 mm del ápice del cani-
no, va desde la abertura piriforme al ápice del dien-
te vecino ubicado hacia distal del diente a extraer;
esta línea tiene un stop a nivel del ápice del canino.
La otra línea de osteotomía vertical, bisecta el pre-
molar e intersecta la línea horizontal.
TRAZADO DE VTO QUIRÚRGICO
Es indispensable obtener la telerradiografía en
relación céntrica, con contacto dentario, con labios
en reposo y en posición natural de la cabeza.
Si no se tiene certeza sobre esta última, se reali-
zarán los procedimientos para corroborar esta
posición en relación a una fotografía tomada con
una correcta orientación de la cabeza del paciente.
1- Al realizar el calco de la radiografía prequi-
rúrgica se calcan, además de los incisivos
Fig. 24.1: Trazado inicial para el VTO quirúrgico:
- en PNC
-en RC
- Con labios en reposo
Se trazan las líneas quirúrgicas del maxilar y la mandíbu-
la y la vertical del punto A planificado.
556 Tratamiento ortodóncico-quirúrgico.
centrales y primeros molares superiores e
inferiores, el canino superior.
Del maxilar superior se calca solo la espina
nasal anterior y el contorno del punto
A(Fig.24.1)
Si se planifica una segmentación se deben
calcar también las piezas dentarias adyacen-
tes a las líneas de osteotomía previstas.
2- Se traza la horizontal verdadera y las líneas
de referencia quirúrgicadel maxilar superior,
todo en color negro. Si se trata de una cirugía
sólo de maxilar superior de tipo Le Fort,
para realizar un cambio vertical o un avance,
se marca también el Eje de bisagra arbitrario
(E.B.A)
Confección de plantillas (color rojo)(Fig. 24.2):
3- En una hoja de papel vegetal se calcan por
separado el maxilar y la mandíbula, cada una
con las piezas dentarias y con el plano oclu-
sal. En el maxilar superior se calcan también
las líneas de referencia quirúrgica, reprodu-
ciendo exactamente en rojo las realizadas en
color negro sobre el calco radiográfico.
4- En la mandíbula se calca el E.B.A. si ha sido
marcado previamente en el calco, y se trazan
las líneas de referencia en la mandíbula y el
mentón correspondientes a las osteotomías
que se deban realizar.
5- Se recortan ambas plantillas.
Luego se realiza el mismo procedimiento del
VTO ortodóncico-quirúrgico, detallado en el capí-
tulo 22, teniendo en cuenta que ahora no es posible
realizar ningún tipo de modificación a los incisivos
(Fig. 24.3).
6- Se realizan las mediciones a nivel de las líne-
as de referencia quirúrgica, dimensionando
los desplazamientos verticales y sagitales que
se observan en el maxilar superior, la mandí-
bula y el mentón(Fig. 24.5).
Fig. 24.3: Simulación de la cirugía con las plantillas
Fig. 24.2: Confección de plantillas
Planificación quirúrgica cefalométrica de modelos 557
Fig. 24.4: Trazado del VTO quirúrgicofinalizado. Fig. 24.5: Mediciones de los desplazamientos óseos.
Planificación sobre modelos y confec-
ción de splints
La planificación en modelos va a simular la
magnitud y dirección de los movimientos esquele-
tales, permitiendo la confección de splints de acríli-
co que reproducirán, durante la cirugía, las relacio-
nes oclusales que se deben establecer en distintos
tiempos de la intervención para guiar al cirujano en
el momento de la fijación de cada uno de los maxi-
lares.
Además, es útil para verificar si es posible esta-
blecer una relación tridimensional adecuada para
una oclusión satisfactoria.
Mediante los splints quirúrgicos es posible
reproducir en el quirófano la planificación realiza-
da primero en la cefalometría (VTO quirúrgico) y
luego en los modelos.
El resultado final de la planificación en los
modelos servirá también para comparar con los
resultados postoperatorios.
Montaje en articulador
El recurso de fijación interna rígida plantea la
necesidad de realizar un planeamiento terapéutico
más riguroso teniendo en cuenta que este tipo de
fijación no permite al ortodoncista corregir con
fuerzas elásticas las posibles malposiciones esque-
léticas creadas por el cirujano.
Esta necesidad de planificación rigurosa, tiene
respuesta en la planificación de laboratorio, en la
que se recurre habitualmente a articuladores
semiajustables. Se concibieron en los últimos años,
articuladores especialmente desarrollados para
cirugía ortognática e instrumentos de medida cada
vez más sofisticados.
No tendría sentido no acompañar la evolución
de los articuladores con instrumentos de medida
más exactos, porque se perdería en los errores de
las medidas, aquello que se intenta ganar con el
perfeccionamiento del articulador.
Los registros de mordida, la utilización del arco
558 Tratamiento ortodóncico-quirúrgico.
facial y el montaje de los modelos son semejantes a
los que se utilizan en la práctica clínica general.
El arco facial registra y transfiere al articulador la
ubicación tridimensional del maxilar superior en el
espacio, y para que esto pueda ser lo más exacto po-
sible, el arco facial debe mantener una horizontali-
dad total en el momento del ajuste de la horquilla.
Por eso, cuando por causas anatómicas del paciente
no fuera así, se deberá recurrir a modificar la posi-
ción del arco facial para asegurar esta horizontalidad.
Es conveniente en los casos quirúrgicos:
- Ajustar el arco facial con el paciente de pie o
sentado, pero siempre con la cabeza en posi-
ción postural.
- Que el arco facial cuente con mecanismos de
control de horizontalidad ("nivel").
- En casos de que las alteraciones esqueletales
no permitan reproducir esta horizontalidad
con el arco facial adaptado sobre el paciente
de la forma habitual, habrá que modificar es-
ta adaptación para lograr la horizontalidad
(Ver página 540).
Los modelos montados con estos recaudos
simulan la ubicación tridimensional de la estructu-
ra dentomaxilar en el espacio.
El montaje se realiza en relación céntrica, con
contacto dentario, en la misma posición que se rea-
liza la toma radiográfica para la confección del
VTO quirúrgico.
Verificación del montaje en articulador
Con esta comprobación se pretende asegurar
que los modelos montados en el articulador y el tra-
zado cefalométrico estén orientados de acuerdo
con un mismo plano común de referencia (horizon-
tal verdadera).
1.En el modelo del maxilar se miden y registran
las medidas dentarias verticales del incisivo central
más erupcionado y de la cúspide distovestibular o
distopalatina del segundo molar de más fácil iden-
tificación en la radiografía, hasta el borde superior
de la platina. Para registrar estas medidas se utiliza
la mesa de calibración.
2. Utilizando un compás, dibujar en el trazado la
parte superior de dos arcos cuyos radios son las
medidas dentarias verticales registradas en elincisivo
y en el segundo molar, anteriormente determinadas,
usando para ello el compás apoyado en el borde inci-
sal del incisivoy en la punta de la cúspide distovesti-
bular o distopalatina del segundo molar (Fig. 24.6).
3.Trazar una línea tangente a los dos arcos. Esta
línea representa la Horizontal del montaje (HM).
Fig. 24.6: Verificación del montaje en articulador
Planificación quirúrgica cefalométrica de modelos 559
4. Si los modelos han sido bien orientados en su
montaje en el articulador, esta línea será paralela a
la horizontal verdadera (HV) y el resultado de la
predicción en los modelos será muy semejante al de
la predicción cefalométrica. Si HM se aleja más de
5° de HV, debe optarse por la repetición de la
transferencia con el arco facial y del montaje.
La misma técnica puede ser usada en un trazado
cefalométrico frontal, recurriendo a las medidas
dentarias verticales de los caninos derecho e
izquierdo.
Instrumentos para las mediciones
El tamaño de las medidas utilizadas en cirugía
ortognática es milimétrico.
Considerando los modelos correctamente mon-
tados, son frecuentes dos tipos de errores en rela-
ción a estas medidas: inherentes a la falta de preci-
sión de los instrumentos de medida y de
perspectiva.
La falta de precisión de las reglas milimétricas,
tanto mayor cuanto menor sea la distancia a medir,
induce a errores que se reflejan en problemas de
orden clínico. El uso de compases y calibres que
miden décimas de milímetro, reduce las posibilida-
des de error.
Otra limitación que tiene el uso de reglas son los
errores de paralaje.
Con la intención de superar estos obstáculos,
usamos como instrumentos para el trabajo en labo-
ratorio una mesa de calibración y un bloque para
modelos (Torre de Erickson). Son instrumentos de
precisión, de muy cuidada elaboración, destinados
a la prevención de los errores mencionados.
Una mesa pulida, de mármol o granito, dispone
de un instrumento de precisión, un calibrador digi-
tal, fijado a su base con una angulación de 90°para
el registro milimétrico de las medidas (Fig. 24.7).
La rama fija del calibrador está representada por la
superficie de la mesa donde éste se inserta. La rama
móvil se mueve únicamente en el plano vertical y su
punta aguda se usa para marcar los trazos de refe-
rencia en el modelo de yeso.
Las medidas se leen en el visor electrónico del
calibrador.
El calibre se usa de la siguiente manera: se lleva
su punta móvil hasta la superficie de la plataforma
y se acciona el interruptor del dispositivo electróni-
co que coloca el visor en cero. Se levanta la punta
móvil hasta el punto a medir y se hace la lectura en
el visor digital.
Cuando es necesario marcar un trazo de refe-
rencia en el modelo de yeso se eleva la punta hasta
el nivel deseado, se fija con un tornillo de ajuste y
se hace el trazo.
Un bloque de aluminio macizo o acero inoxida-
Fig. 24.7: Esquema de los instrumentos utilizados para las mediciones.
560 Tratamiento ortodóncico-quirúrgico.
ble, permite la fijación estable de la base del mode-
lo a una de sus caras y su manipulación, de manera
que las medidas puedan ser registradas en ese
modelo, siempre en las mismas condiciones.
El bloque permite la fijación de la platina del
modelo mediante un sistema que consta de un tor-
nillo de ajuste y dos pines, similar al del articulador.
Las medidas se hacen en décimas de milímetro.
Estos instrumentos permiten determinar medi-
das en los tres planos. Para ello, sólo es necesario
variar la orientación del modelo fijado al bloque en
relación al calibrador.
Con el bloque apoyado sobre su base, se anotan
las medidas verticales del modelo; cuando se apoya
lateralmente, se registran las medidas transversales.
Si se apoya en su superficie posterior, podemos
obtener las medidas anteroposteriores.
Durante la cirugía, no es posible respetar con
absoluta exactitud las medidas obtenidas en la pre-
dicción del laboratorio. Sin embargo, debemos
saber que cuanto más rigurosa sea la predicción y
su aplicación en el acto quirúrgico, menos se apar-
tará el resultado obtenido del objetivo fijado.
La planificación,además, nos impone una forma
de razonamiento y un rigor en la ejecución, que por
sí solos aumentan la posibilidad de éxito quirúrgico.
Las medidas de los modelos
Las medidas de las posiciones dentarias y esque-
léticas se determinan en los planos vertical, antero-
posterior y transversal.
Se describen separadamente las medidas denta-
rias y las medidas óseas, porque los movimientos
dentarios no reflejan necesariamente los movi-
mientos óseos y viceversa.
Las medidas interdentarias utilizan referencias
dentarias en la cuantificación de los espacios óseos.
Son, por ello, descritas también separadamente.
Medidas dentarias verticales
Se usa el dispositivo de medida digital, con el
bloque apoyado sobre su base y se mide la distan-
cia desde el punto dentario de referencia, hasta la
superficie de la mesa.
Estas medidas dentarias verticales se obtienen,
en todos los casos, en el modelo superior.
Los dientes de referencia son: los incisivos cen-
trales (borde incisal), caninos (punta de la cúspide)
y segundos molares (punta de la cúspide distopala-
tina o distovestibular). En ausencia del canino, se
usa el primer premolar.
Determinadas en el modelo superior, antes y
después de la simulación, estas medidas van a per-
mitir medir las alteraciones de la relación labio-
diente (incisivo), de la inclinación del maxilar
(caninos) y del plano oclusal (incisivos y segundos
molares).
Las medidas dentarias verticales mandibulares
sólo son determinadas y registradas cuando la man-
díbula también es sometida a corrección quirúrgica.
Se usan los mismos dientes de referencia que en el
modelo superior.
Estas medidas son muy importantes por la rela-
ción que tienen con el trazado de predicción. Per-
miten verificar si el montaje en el articulador está
correctamente orientado y cuantificar la posición
vertical pre y posquirúrgica de los dientes utiliza-
dos como referencia durante la simulación y en la
intervenciónquirúrgica.
El plano oclusal (segundo molar-incisivo) del
modelo, se usa para la determinación de un plano
horizontal de los modelos montados (HM), que es
reproducido en la radiografía cefalométrica del
perfil del paciente y que permite verificar si los
modelos están bien montados. Se eligen el incisivo
más erupcionado y el segundo molar mejor visuali-
zado en la radiografía cefalométrica.
Medidas óseas verticales (maxilar)
Con el modelo montado en el bloque y éste a su
vez apoyado sobre su base, se marca, rotándolo,
Fig. 24.8: Obtención de medidas óseas verticales.
Planificación quirúrgica cefalométrica de modelos 561
con la punta móvil del instrumento, una línea alre-
dedor del modelo, paralela a la base de éste, a una
distancia de 30 mm de la punta de la cúspide del
canino, hacia apical y que representa la osteotomía
de LeFort I. Esta línea es, en la práctica, una refe-
rencia de las medidas verticales.
Las medidas se toman desde la superficie de la
mesa hasta esta línea y se registran en la hoja de
trabajo (Fig.24.8).
Esta línea puede variar de acuerdo con las nece-
sidades del paciente, dejando de ser paralela a la
base del modelo, pero manteniendo igualdistancia
a la cúspide del canino. Las medidas verticales son,
en estos casos, determinadas a partir de las puntas
de las cúspides, usadas también como referencias
anteroposteriores (canino, segundo premolar y dis-
tal del segundo molar).
Alteraciones subsiguientes en la posición de
esta línea horizontal, reflejan modificaciones en el
plano vertical.
Habitualmente, la osteotomía de LeFort I, sigue
una línea continua o en escalón inclinada hacia
atrás y abajo que se extiende desde el reborde piri-
forme hasta las tuberosidades. Esta osteotomía es
en rampa, por el hecho de que las raíces de los
dientes anteriores (sobre todo los caninos) son sus-
tancialmente más largas que las de los molares y,
por eso, éstas se encuentran en una posición relati-
vamente más baja.
Si, durante un procedimiento destinado a colo-
car el maxilar en una posición más anterior, se
usara esta orientación para la osteotomía, el "efec-
to de rampa" llevará a que el deslizamiento del
maxilar se haga siguiendo un vector en sentido
anterior y superior. Esto es, el maxilar además de
avanzar, también se eleva, disminuyendo la altura
del tercio inferior de la cara pudiendo producir un
efecto indeseado.
Atendiendo a este "efecto de rampa", si, por
ejemplo, planificamos un avance aislado del maxi-
lar, la autorrotación de la mandíbula, al acompañar
este movimiento anterior y superior del maxilar, va
a obligar a que la posición de éste sea más anterior
de lo previsto, para alcanzar la oclusión correcta.
El concepto inverso se aplica cuando se preten-
de retroceder el maxilar.
Podemos, también, modificar la rampa, orien-
tándola hacia atrás y arriba.
En ciertos casos, por ejemplo de déficit vertical
y anteroposterior del maxilar, las osteotomías de la
región posterior deben ser realizadas muy alto, en
las áreas de las apófisis cigomáticas.
Así, planificando en los modelos la angulación
apropiada, podemos aprovechar este efecto cuando
se pretende, por ejemplo, mejorar la relación anor-
mal diente-labio, en un paciente que presente un
exceso vertical y retrusión simultánea del maxilar.
Debe, por lo tanto, ser extremo el cuidado que
debemos tener al planificar individualmente los
trazados de las osteotomías y las simulaciones
hechas en los modelos, de forma que, para cada
situación particular, podamos decidir la técnica qui-
rúrgica más ventajosa.
Medidas óseas verticales (mandibular)
Medidas de la rama mandibular
Se determinan dos puntos que representan los
límites anterosuperior y anteroinferior del seg-
mento proximal. Estos puntos se ubican debajo del
segundo molar en la cara lateral del modelo man-
dibular, a una distancia entre sí de 15 mm (Fig.
24.9) y corresponden a la línea de referencia verti-
cal de la predicción.
Queremos, a través de estos puntos de referen-
cia, cuantificar los movimientos del segmento dis-
tal, en la cirugía de la rama.
Se registran sus medidas en sentido vertical
(bloque apoyado en la base) y en sentido horizon-
tal (bloque apoyado en la superficie posterior).
Se comparan las medidas con las obtenidas des-
pués de lasimulación.
Fig. 24.9: Obtención de medidas óseas mandibulares
562 Tratamiento ortodóncico-quirúrgico.
Medidas del mentón
Es necesario transferir al modelo la posición ori-
ginal del pogonión (ver "la escultura anatómica de
los modelos").
Se compara su posición antes y después de la
simulación.
Alteraciones del plano oclusal pueden provo-
car cambios en la proyección vertical, anteroposte-
rior y transversal del mentón (pogonión).
Medidas mandibulares subapicales
Se miden como si se tratase de segmentos. Ade-
más de las medidas interdentarias, se determina la
posición en los tres planos del primero y del último
diente del segmento.
Medidas dentarias anteroposteriores
Con el bloque apoyado en la superficie poste-
rior, se miden y registran las distancias desde la
base de la mesa a los puntos reproducibles del
borde incisal de los dos incisivos centrales y de la
superficie mesial de los caninos (Fig. 24.10).
La diferencia anteroposterior de los incisivos
medirá el desplazamiento anteroposterior de la
arcada. El de los caninos definirá la rotación.
Se aplica el mismo principio a la mandíbula.
Medidas óseas anteroposteriores
Con el bloque apoyado en la superficie poste-
rior, se marcan, con la punta móvil del calibrador,
una serie de líneas paralelas, perpendiculares a la
base del modelo.
Acostumbramos marcarlas bilateralmente a
nivel de la punta de la cúspide del canino, del pri-
mer molar y de la cúspide distal del segundo molar.
No es importante su localización sino su coinciden-
cia con las referencias utilizadas en la predicción
quirúrgica.
Después de simuladas las osteotomías y a su nivel,
se miden y registran los desplazamientos, en relación
a las posiciones originales de las líneas de referencia.
En el maxilar,se puede evaluar de esta forma, la
necesidad de un injerto, su dimensión y su forma.
No tiene interés práctico realizar este procedi-
miento en la mandíbula, debido a que no se refleja
en la planificación. La única medida anteroposte-
rior que se registra se hace bilateralmente a nivel
del segundo molar, y nos habla sobre las ramas de
la mandíbula, ya descrito.
Existen también dos medidas de gran interés: la
medida en relación a la posición del punto A en el
maxilar y la medida relativa a la posición del pogo-
nión en la mandíbula, por su importancia en el con-
torno final de los tejidos blandos (Fig. 24.11).
El punto A y el reborde piriforme avanzan más
que los incisivos en la corrección de una mordida
Fig. 24.10: Obtención de medidas dentarias anteroposte-
riores.
Fig. 24.11: Obtención de medidas óseas anteroposterio-
res
Planificación quirúrgica cefalométríca de modelos 563
abierta. Con la impactación de la superficie poste-
rior del maxilar, el punto A generalmente avanza,
con consecuencias estéticas en la región nasal.
Basado en la información de la simulación, el ciru-
jano decide si debe reducir la dimensión de la espi-
na nasal durante la intervención.
En cuanto al mentón, su corrección se planifica
en el trazado de predicción quirúrgica y se comple-
menta con la transferencia del pogonion al modelo
mandibular.
Medidas dentarias transversales
Con el bloque apoyado en la parte lateral dere-
cha, se miden y registran las distancias a las líneas
medias maxilar y mandibular (Fig. 24.12).
En casos de segmentación maxilar múltiple, se
miden y registran las distancias al primero y último
diente de cada segmento.
Medidas óseas transversales
Con el bloque apoyado en la parte lateral dere-
cha (siempre es el mismo lado de las medidas den-
tarias), se trazan dos líneas paralelas en la superfi-
cie posterior del modelo, perpendiculares a su base.
Corresponden, en los lados derecho e izquierdo de
los modelos superior e inferior respectivamente, a
las tuberosidades y a las ramas ascendentes.
En la superficie anterior de los modelos se traza
la línea media ósea (Fig. 24.13).
Estas referencias no son medidas. Sirven para
cuantificar las alteraciones transversales al finalizar
la simulación. Esta diferencia debe ser registrada.
Medidas interdentarias
Estas medidas, determinadas a partir de referen-
cias dentarias en las radiografías periapicales, se
refieren al espacio óseo disponible entre las raíces,
en las zonas de osteotomía. Las medidas se obtienen
con un compás o un calibrador manual en el espacio
interproximal, entre los ápices de los dientes y la
cresta alveolar y son transferidas a los modelos.
En la radiografía periapical
Medir, en el área interproximal, el espacio dis-
ponible entre los ápices y a nivel de la cresta alveo-
lar. Registrar en la hoja de trabajo.
En el modelo
1. Trazar el eje mayor y la cara proximal de las
raíces de los dientes adyacentes a la osteotomía /
ostectomía, basándose en la forma y en las medidas
Fig. 24.12: Medición transversal de la línea media denta-
ria.
Fig. 24.13 : Medición transversal de la línea media ósea
564 Tratamiento ortodóncico-quirúrgico.
registradas a partir de la radiografía periapical
(método paralelo).
2. Marcar, en las caras vestibular y lingual del
modelo, la posición de cada ápice y de las superfi-
cies proximales de los cuellos de cada uno de los
dientes a nivel de la cresta alveolar, mediante el
trazado de pequeñas cruces.
3. Registrar, en la hoja de trabajo, las distancias
entre estas marcas.
4. Seccionar los modelos y proceder al montaje
final. Registrar las medidas.
5. Registrar la diferencia entre las medidas, en la
hoja del quirófano.
REFERENCIA OPERATORIA
VERTICAL INTRAORAL
Esta referencia se usa en los casos en que la pre-
dicción indica la necesidad de modificar la posición
vertical del maxilar.
Se realiza con el propósito de registrar bilateral-
mente, a partir del modelo superior, la distancia
entre dos puntos de referencia, uno dentario y otro
óseo, antes y después de la corrección vertical pla-
nificada, posibilitando de esta forma la reproduc-
ción en la intervención de las medidas verticales
registradas.
Se talla anatómicamente el modelo.
Se mide bilateralmente la distancia desde el cen-
tro del bracket del canino hasta un punto de refe-
rencia situado en la parte lateral del reborde piri-
forme, por encima del trazo de la osteotomía
planeada.
Se realiza la modificación deseada. Al final de la
predicción, se mide nuevamente la distancia.
Estas medidas, la inicial y la final, son utilizadas
en la intervención quirúrgica.
Al principio de la intervención, el cirujano, des-
pués de hacer la exposición de las paredes óseas del
maxilar, transfiere con un compás la primera medi-
da obtenida con el modelo intacto.
Apoya una punta del compás en el centro o en
una zona retentiva del bracket, siempre que sea la
misma de la predicción y, con la otra punta, marca
en el hueso un punto.
Esa marca ósea es sustituida por un pequeño
tornillo, tipo Leibinger, cuya cabeza tiene un bajo
relieve en el centro y, por eso, es retentiva.
Se verifica nuevamente la medida inicial. Se
hace lo mismo en el lado contrario.
Se realizan las osteotomías / ostectomías por
debajo del nivel del tornillo.
Se hacen repetidas mediciones de la distancia
bracket-tornillo, corrigiendo las osteotomías /
ostectomías, hasta haber cumplido con la predic-
ción, ya se trate de un aumento o una reducción.
Éste es un método de medida intraoral muy
práctico, eficaz y de fácil ejecución.
ESCULTURA ANATÓMICA
DE LOS MODELOS
Con el objeto de simular zonas anatómicas de
los maxilares del paciente, se recurre a la reproduc-
ción en los modelos, de puntos y áreas del examen
cefalométrico con interés particular en la predic-
ción en los modelos, por la repercusión estética que
tendrán algunos procedimientos quirúrgicos.
Los puntos de mayor interés son: el punto A, la
espina nasal anterior, el reborde piriforme y el
pogonion.
Ejemplificamos a continuación la forma de
Fig. 24.14: Transferencia del punto A al modelo.
Planificación quirúrgica cefalométrica de modelos 565
transferir desde el trazado al modelo el punto A
(Fig. 24.14).
Se calcula la posición anteroposterior y vertical
del punto A, a partir del trazado cefalométrico:
• Se trazan dos líneas paralelas entre sí y per-
pendiculares a HV; una anterior, que pasa
por el borde incisal del incisivo superior y
otra posterior, que pasa por el punto A.
• La distancia, medida en la perpendicular más
anterior, desde el borde incisal del incisivo
superior hasta el punto A, determina la altu-
ra de este punto. Su profundidad es la dis-
tancia entre las dos perpendiculares.
Las medidas se transfieren a los modelos,
teniendo en cuenta la amplificación de la imagen
radiográfica, que puede ser cuantificada a partir de
la amplificaciónverificada en la imagen de las esfe-
ras de la cadena vertical de referencia.
El mismo principio se utiliza para calcular la
posición anteroposterior y vertical de otras zonas
de interés en la planificación, como la espina nasal
anterior, el reborde piriforme y el pogonion, en
este caso se usa el incisivo inferior (Fig. 24.15).
A partir de estas medidas, el modelo es,
entonces, tallado anatómicamente.
Fig. 24.15: Transferencia del pogonion al modelo.
ESQUEMAS DE PLANIFICACIÓN
SOBRE LOS MODELOS
La cirugía ortognática se ha dividido tradicio-
nalmente en cirugía monomaxilar y cirugía bimaxi-
lar.
Sin embargo, esta división es poco pragmática: en
el ámbito de la cirugía bimaxilar comprendería pro-
cedimientos quirúrgicos que, si bien involucran ana-
tómicamente a ambos maxilares, no tienen ninguna
semejanza desde el punto de vista de laplanificación
sobre los modelos y de la ejecución operatoria. Por
razones de orden práctico, teniendo en cuenta que la
secuencia del trabajo de laboratorio debe ser repro-
ducida en la intervención quirúrgica,preferimos reu-
nir los procedimientos quirúrgicos dentro del con-
cepto de esquemas de tratamiento.
Preferimos este concepto, diferente de lo tradi-
cional, y consideramos que sólo se debe hablar de
cirugía bimaxilar en las circunstancias en que el
maxilar pierde totalmente la relación tridimensio-
nal que tenía con su base y al mismo tiempo, la
mandíbula es "fraccionada", con la consiguiente
separación de los dos cóndilos.
Si estas condiciones no se dieran aunque los dos
maxilares hayan sido intervenidos, no hablaremos
de cirugía bimaxilar. Designaremos el tipo de inter-
vención por el esquema de tratamiento utilizado.
No hablaremos, por ejemplo, de cirugía bima-
xilar en casos que involucren una o varias osteoto-
mías segmentarias, manteniéndose, mientras tanto,
un área intacta del maxilar o no existiendo "sepa-
ración" de los cóndilos.
En todas las situaciones en que los maxilares
son simultáneamente operados, la arcada mandibu-
lar se utiliza siempre como referencia para la adap-
tación de la arcada maxilar.
En la práctica, basándonos en los conceptos
anteriores, podemos dividir a la terapia quirúrgica
en tres esquemas básicos.
Esquema de tratamiento I
Cirugíamandibular
Los esquemas más simples, son aquellos en que
sólo la mandíbula o el maxilar son intervenidos,
manteniendo al otro intacto.
En la cirugía mandibular el maxilar sirve de base
566 Tratamiento ortodóncico-quirúrgico.
fija; la mandíbula se recoloca según la predicción.
Mientras tanto, podemos asociar a la cirugía
mandibular cualquier forma de cirugía segmentaria
del maxilar, siempre que al menos una parte de éste
se mantenga intacta.
Por ejemplo, en el avance mandibular asociado
a la segmentación anterior del maxilar, se mantiene
intacta su zona posterior. Esta parte no alterada del
maxilar es la que establecerá la posición tridimen-
sional (anteroposterior, vertical y transversal) final
de la mandíbula. La perspectiva tradicional consi-
deraría esto como abordaje bimaxilar.
En esta situación, los segmentos del modelo del
maxilar, separados, se fijan con cera en sus nuevas
posiciones de acuerdo con la arcada mandibular
previamente establecida.
Cuando se planifican además osteotomías inter-
dentarias en la mandíbula, éstas se ejecutan prime-
ro definiendo la nueva arcada mandibular, y sólo
después, se moviliza el modelo inferior como un
todo, hacia su nueva posición.
Se miden y registran las medidas dentarias ver-
ticales, que permiten verificar si el modelo y la pre-
dicción están orientados según el mismo plano.
La posición anteroposterior y vertical del pogo-
nion se calcula a partir del trazado de la predicción
y se transfiere al modelo mandibular.
Se registran las medidas dentarias y óseas verti-
cales, así como las medidas dentarias y óseas ante-
roposteriores mandibulares y la posición de la línea
media (bloque apoyado sobre su lado derecho).
Se marca en la parte anterior del modelo, la
línea de referencia ósea transversal, perpendicular
a la base del modelo, coincidente con la línea media
dentaria y, en la parte posterior del modelo, dos
líneas paralelas, también perpendiculares a la base,
que representan las ramas de la mandíbula.
Una vez registradas en la hoja de trabajo las
medidas de interés, el modelo es seccionado con
una sierra o un disco, paralelamente a su base de
fijación en el articulador, preservando las líneas de
referencia.
El modelo es colocado en la posición planifica-
da y fijado con cera a su base. Como la cera al
endurecer puede sufrir distorsiones, es conveniente
verificar nuevamente la oclusión de los modelos.
Las medidas verticales y anteroposteriores de
los incisivos y las medidas verticales de los molares,
deben ser semejantes a las correspondientes medi-
das obtenidas a partir del trazado de la predicción
quirúrgica.
Si la nueva posición de la mandíbula fuera acep-
table, el modelo se fija definitivamente con yeso. Se
procede entonces al registro de las nuevas medidas
y se verifican las diferencias.
Finalmente, se construye el splint quirúrgico,
registrando los datos en la ficha operatoria.
Esquema de tratamiento II
Cirugía maxilar
La mandíbula establece la posición anteroposte-
rior y transversal (ancho y línea media) del maxilar,
correspondiendo al cirujano la determinación de su
posición vertical.
La cirugía puede involucrar una segmentación
parcial (osteotomía subapical anterior) y será la
mandíbula la que determinará la arcada.
Esquema de tratamiento III
Cirugía bimaxilar
En estos casos, se debe definir tridimensional-
mente la deformidad dentofacial, teniendo en
cuenta que ni el maxilar ni la mandíbula, están en
posiciones aceptables.
La plataforma y el bloque de aluminio permiten
medir los modelos montados en el articulador, en
los tres planos del espacio.
El cirujano decide el posicionamiento tridimen-
sional del modelo maxilar y "le adapta" la mandí-
bula.
Cuando se hace la segmentación de los modelos,
se deberá establecer primeramente, en todos los
casos, la arcada mandibular, fijando los segmentos
con cera y después adaptarle los segmentos de la
arcada maxilar.
El ancho del maxilar será determinado por la
mandíbula. Sólo entonces las arcadas serán trata-
das como un todo, es decir, como si no hubieran
sido segmentadas, siguiendo las normas del proce-
dimiento de la predicción sobre los modelos de la
cirugía bimaxilar.
Teniendo en cuenta que es la arcada mandibular
la que sirve de base al montaje, el cirujano debe
decidir:
Planificación quirúrgica cefalométrica de modelos 567
• La colocación vertical de la parte anterior del
maxilar (relación labio-diente).
• La colocación vertical de la parte posterior del
maxilar (alturaverticalde lossegundos molares)
• La colocación vertical de los lados derecho e
izquierdo del maxilar (inclinación del maxi-
lar medida en los caninos).
• La posición anteroposterior del maxilar
(alteración anteroposterior medida en los
incisivos superiores).
• La posición anteroposterior del lado derecho
e izquierdo del maxilar (rotación de la arca-
da, medida por la alteración anteroposterior
de los caninos).
• Colocación transversal de la línea media del
maxilar.
Siempre deben correlacionarse las medidas de
la predicción de los modelos con las medidas del
trazado de predicción.
Preparación del splint simple para
cirugía ortognática
Una de las finalidades del trabajo de la predic-
ción sobre los modelos, es la confección de los
splints que serán utilizadas durante la cirugía. Estos
splints son obligatorias en todos los tipos de esque-
mas de tratamiento; su número y tipo dependerán
de varios factores, debidamente ponderados.
Si el caso se encuadra en el "Esquema de trata-
miento II" -Cirugía maxilar-, no necesitaremos
sino de un splint, correspondiente a la relación
oclusal final de los maxilares. En el caso de que se
haya ejecutado simultáneamente una osteotomía
segmentada en la mandíbula, como no se separan
los cóndilos, la posición final de éstos dependerá
exclusivamente de la nueva posición vertical del
maxilar (autorrotación).
En el "Esquema de tratamiento I" -Cirugía
mandibular-, la posición final de los cóndilos varia-
rá de acuerdo a la habilidad del cirujano, o al recur-
so de "posicionadores de cóndilos" en las osteoto-
mías sagitales.
Como "posicionadores de cóndilos", se emplean
placas de osteosíntesis adaptadas o, idealmente,
placas especialmente confeccionadas para esta
finalidad (Leibinger).
Su empleo obliga al uso de un primer splint que
reproduzca la relación intermaxilar primitiva, o
mejor dicho, la existente al final de la preparación
ortodóncica, confeccionándose entonces dos
splints, uno inicial y otro final.
Después de estar expuestas las ramas de la man-
díbula, en las que se realizará la osteotomía sagital,
se coloca el splint y se procede a la fijación inter-
mandibulomaxilar temporaria, con hilos de acero.
Se fija una extremidad del posicionador en la
cara externa de la rama ascendente y la otra en una
zona del maxilar que no sufrirá alteraciones posi-
cionales, sirviendo de punto de referencia fijo.
En la cirugía mandibular, este punto fijo se con-
sigue colocando, bilateralmente, en la región molar
superior, un bloque de plástico, utilizando acrílico
autopolimerizable. Este bloque tiene dos orificios
destinados a recibir los tornillos de fijación de la
extremidad correspondiente del posicionador.
Fijado bilateralmente y endurecido el acrílico,
se remueven los posicionadores y el splint, inicián-
dose las osteotomías.
Complementadas las osteotomías sagitales, se
coloca el splint final.
Se procede a la fijación intermandibulomaxilar
y se colocan de nuevo los posicionadores de los
cóndilos, fijando sus tornillos de soporte a los orifi-
cios previamente hechos en la rama ascendente y
en los orificios de los bloques de plástico que están
adheridos con acrílico, en las regiones molares.
Se procede, entonces, a la fijación interna rígida
de los segmentos proximal y distal de la mandíbula.
Una vez finalizada la fijación rígida, se remueven
los posicionadores.
La fijación intermaxilar es removida, pero el
splint se puede mantener ligado a través de alam-
bre de acero fino al aparato de ortodoncia supe-
rior.
En el "Esquema de tratamiento III" -Cirugía
bimaxilar-, se usan dos o tres splints, según se recu-
rra o no a los posicionadores de cóndilo.
Si fueren usados posicionadores de cóndilo,
necesitaremos de tres splints, destinándose el pri-
mero a facilitar su colocación.
En la cirugía bimaxilar, el punto de fijación
maxilar de los posicionadores se encuentra, obvia-
mente, situado hacia arriba del trazo de la osteoto-
mía planeada.
568 Tratamiento ortodóncico-quirúrgico.
El segundo spiint corresponderá a la nueva posi-
ción del maxilar o de la mandíbula, según la cirugía
comience por uno u otro hueso y el tercer spiint a
la posición final de los maxilares.
Técnica de preparación de los tres
splints:
Spiint inicial
Con los modelos montados en el articulador y
en su posición original:
1. Se preparan las superficies dentarias de los
modelos con líquido separador de acrílico.
2. Se prepara el acrílico autopolimerizable (si
es posible color blanco).
3. Con el articulador abierto, se coloca un rodete
hecho con el acrílico, sobre las superficiesincisa-
les y oclusales del modelo inferior, hasta la
mitad de la cara oclusalde lossegundos molares.
4. Se cierra el articulador, ejerciendo una presión
moderada y se moldea el acrílico en las superfi-
cies bucalylingualde los dientes de los modelos.
5. Mientras el acrílico está blando, se cortan los
excesos bucales usando los brackets como
referencia vertical.
6. En la cara lingual, el margen cervical palati-
no sirve de límite superior al spiint, que no
debe contactar con la mucosa.
7. Se retiran los excesos y se reduce el espesor
del spiint hasta una dimensión adecuada.
8. Se pulen las superficies.
Spiint intermedio
Inicio de la cirugía por el maxilar (Fig 24.16):
Con los modelos montados en el articulador en la
nueva posición del maxilar:
1. Igual que en la anterior se comienza colocan-
do el separador de acrílico.
2. Se prepara el acrílico (si es posible color
rosa).
3. Se siguen los pasos 3 a 8 previamente descri-
tos para el spiint inicial.
Fig. 24.16: Cirugía bimaxilar. Confección del spiint intermedio para un caso de inicio de cirugía por el maxilar.
Planificación quirúrgica cefalométrica de modelos 569
Inicio de la cirugía por la mandíbula:
Cuando hay que modificar la posición vertical
del maxilar en la parte posterior, especialmente
cuando se debe realizar un descenso, o cuando hay
que corregir una asimetría mandibular muy impor-
tante, se indica comenzar la cirugía bimaxilar por la
mandíbula.
Para ello hay que hacer un duplicado del mode-
lo superior montado. Se procede de la siguiente
manera:
1. Se realiza la simulación quirúrgica en un
modelo superior.
2. Se simula la cirugía mandibular.
3. Se reemplaza el modelo superior por el dupli-
cado.
4. Con la nueva posición mandibular y la mandí-
bula intacta se confecciona el spiint de la
misma manera que en el caso anterior.
Spiint final
Con los modelos montados en el articulador y
en la posición final (Fig. 24.17):
1. Se preparan las superficies de los modelos
con separador.
2. Se prepara el acrílico (si fuera posible trans-
parente).
3. Con el articulador abierto, se coloca el rode-
te de acrílico sobre las superficies incisales y
oclusales del modelo mandibular, hasta la
mitad de la cara oclusal de los segundos
molares.
Si el maxilar hubiera sido segmentado, se
extiende el acrílico a toda la superficie de los
segundos molares.
4. 5. 6. y 7. Seguir los pasos de 4 a 7 descritos
para el spiint inicial.
8. En el reborde vestibular del spiint, se hacen
pequeños orificios (tres en cada cuadrante),
destinados a fijarla al aparato de ortodoncia.
9. Se hace el pulido de rutina.
Fig. 24.17: Cirugía bimaxilar. Confección del spiint final
Bibliografía 571
Bibliografía
Arnett G W , Jelic J S et al 1999 Soft tissue cepha-
lometric analysis:diagnosis and treatment planning
of dentofacial deformity. American Journal of
Orthodontics and Dentofacial Orthopedics 116:
239-253.
Athanasiou, A. E.: Morphologic and functional
implications of the surgical-orthodontic manage-
ment of mandibular prognathism: A comprehensi-
ve review. Am. J. Orthod. Dentofacial Orthop.
103(5):439, 1993
Bell, W. H.: Correction of the contour deficient
chin. J. Oral Surg. 27: 110-114, 1969
Bell, W. H., Fonseca, R. J., et al: Bone healing and
revascularization after total maxillary osteotomy. J.
Oral Surg. 33: 253, 1975
Bell, W. H.: LeFort I osteotomy for correction of
maxillary deformities. J. Oral Surg. 33: 412-426,
1975
Bell, W. H.: Modern practice in orthognathic and
reconstructive surgery. W. B. Saunders Co. 1992
Bursture CJ Lip posture and its significante in tre-
atment planning Am J Orthod 1967;53: 262-284.
Burstone CJ, James RB, James RB, Legan H,
Murphy GA, Norton LA Cephalometrics for ort-
hognathic surgery. J Oral Surg 1978; 36:269-277.
Epker, B. N., Wolford, L. M.: Middle third face
ostectomies: their use in the correction of congeni-
tal dentofacial and craniofacial deformities. J. Oral
Surg. 34:324,342, 1976
Epker, B. N.: Modifications in the sagital osteo-
tomy of the mandible. J. Oral Surg. 35:157,159,
1977
Epker, B. N. Wolford, L. M., Fish, L. C.:
Mandibular deficiency syndrome II. Surgical consi-
derations for mandibular advancement. Oral Surg.
45:349,363,1978
Epker, B. N., Fish, L. C., et al: The surgical-ortho-
dontic correction of maxillary deficiency. Oral
Surg. 46:171,205, 1978
Epker, B. N., Fish, L. C.: The surgical-orthodontic
correction of class III skeletal open bite. Am. J.
Orthod. 73:601,618,1978
Epker, N. B., Fish, L. C.: Surgical-orthodontic
correction of open-bite deformity. Am. J. Orthod.
71:278,299, 1979
Epker BN, Fish LC Dentofacial Deformities:
Integrated Orthodontic and Surgical Correction,
vol 1 St Louis Mosby, 1986.
Epker BN, Stella JP, Systematic aesthetic evalua-
tion of the neck for cosmetic surgery.Atlas Oral
Maxillofac Surg Clin North Am 1990; (3): 217.
Epker, B. N.: Esthetic maxilofacial surgery. Lea &
Febiger, 1994
Farkas, L. G., Kolar, J. C.: Anthropometrics and
art in aesthetics of women's faces. Clin. Plast. Surg.
14:599, 1987
Fish, L. C., Wolford, L. M., Epker, B. N.: Surgical
orthodontic correction of vertical maxillary excess.
Am. J. Orthod. 73:241,257, 1978
Gonzalez-Ulloa, M., Stevens, E.: The role of chin
correction in profileplasty. Plast. Reconstr. Surg.
41:477-486
Guyuron, B.: Precisión rynoplasty. Part I: The role
of life-sized photographs and soft-tissue cephalome-
tric analysis. Plast. Reconstr. Surg. 66: 346,1988
572 Tratamiento ortodóncico-quirúrgico
Guyuron, B.: Precisión rynoplasty. Part II:
Prediction. Plast. Reconstr. Surg. 81:500,1988
Henderson, D., et al: A colour atlas and textbook
of orthognathic surgery. The surgery of facial ske-
letal deformity. Wolfe Medical Pub. Ltd. 1985
Hinds, E. C., Kent, J. N.: Surgical treatment of
development jaw deformities. St. Louis, The C. V.
Mosby Co. 1972
Jost, G.: Atlas of aesthetic plástic surgery. Paris,
Masson eds. 22, 1973
Koury, M. E., Epker, B. N.: Maxillofacialesthetics:
anthropometrics of the maxillofacialregión. J. Oral
Max. Surg. 50:806,820, 1992
Legan, H. L., Burstone, C. J., et al: Soft tissue cep-
halometric analysis for orthognathic surgery. J.
Oral Surgery. Vol 38, 744- 751. Oct. 1980
Lévignac, J.: Le mentón. Masson S. A. 1988
Melsen, B.: Current Controversies in orthodontics.
Quintessence Pub. Co, Inc. 1991
Obwegeser, H.: The surgical correction of mandi-
bular prognathism and retrognathia with conside-
ration of genioplasty. Part I. Oral Surg. 10:677-689,
1957
Obwegeser, H.: Indications for surgical correction
of mandibular deformity by sagital splitting techni-
que. Br. J. Oral Surg. 1:157,168, 1964
Park Y C, Burstone C J 1986 Soft tissue profile -
fallacies of hard tissue standards in treatment plan-
ning. American Journal of Orthodontics and
Dentofacial Orthopedics 90 (1): 52-62.
Powell, N., Humphreys, M. D.: Proportions of the
aesthetic face. Thieme-Stratton Inc. New York.
1984
Proffit WR, White RP Jr. Surgical orthodontic tre-
atment St Louis, Mosby, 1990: 96-140.
Proffit, W. R., White, R. P. Jr.: Surgical-orthodon-
tic treatment. St. Louis. Mosby - Year Book, Inc.,
1991
Rakosi, T.: An atlas and manual of cephalometric
radiography. Wolfe Medical Pub. Ltd. 1982
Reyneke JP, Tsakiris P, Kienler F.A. simple classi-
fication for surgical treatment planning of maxillo-
mandibular asymmetryBr J Oral Maxillofac Surg
1997;35: 349-351**
Reyneke, J. P., et al: Introduction to orthognathic
surgery. Ishiyaku EuroAmerica Inc. St. Louis.
Tokio, 1991
Ricketts, R. H.: Cephalometric analysis and synt-
hesis. Angle Orthod. 31:141,156, 1961
Riedel, R. A.: An analysisof dentofacial relations-
hips. Am. J. Orthod 43:103,119,1957
Steinhauser, E. W.: Advancement of the mandible
by sagittal ramus split and suprahyoid myotomy. J.
Oral Surg. 31:516,521,1973
Trauner, R., Obwegeser, H.: Surgical correction of
mandibular prognathism and retrognathia with
consideration of genioplasty. Oral Surg. 10:677-
681,1957
Wolford, K. M., et al: Surgical treatment objective.
A systematic approach to the prediction tracing.
Mosby Co. 1985
SECCIÓN
EJEMPLOS DE
PLANIFICACIÓN
Casos clínicos
Datos personales
C A P I T U L O 25
Casos clínicos
Motivo de la consulta
Paciente: V.B.
Edad: 22 años.
Sexo:Femenino.
Sintomatologia articular y cefaleas frecuentes,
asociadas a períodos de stress.
Fig. 25.1: V. B. Fotografías iniciales de cara.
575
576 Ejemplos de planificación
Fig. 25.2: V.B. Fotografías iniciales de boca.
ESTUDIO CLÍNICO
ANÁLISIS FRONTAL
Observaciones: No presenta alteraciones
transversales faciales. Las líneas medias den-
tarias se encuentran centradas.
Fig. 25.3: Análisis frontal.
Casos clínicos 577
ESTUDIO VERTICAL
Fig. 25.4:Estudio vertical del perfil.
Estudio vertical
Medida
Tercio medio - Tercio inf.
A: Gl - Sn
B: Sn - Me
Norma
Labio sup.- Tercio medio
C: Sn - St Sup.
A: Gl - Sn
Labio Sup. - Labio inf.
C: Sn - St Sup
D: St Inf - Me
Espacio I nterlabial
E = StSup- St Inf
Exposición del 1_
F: StSup-1
Paciente
Conclusión: No se detectan problemas
Objetivo Terapéutico
578 Ejemplos de planificación
ESTUDIO SAGITAL
Fig. 25.5: Medidas del estudio sagital del perfil.
Estudio sagital J
X*
Medida
Vertical Gl - Sn
Vertical Gl - PoC
Ángulo nasolabial
Ángulo nasolabial inf.
Vertical de Sn - Labio sup.
Vertical de Sn - Labio 1 nf.
Vertical de Sn - PoC
Reí. cervical facial inferior
Sn - Gnc
Gnc - C
V
Norma Paciente
6 mm± 3 +5 mm
0 mm± 4 -2 mm
102° ± 8 ]
85° ± 5 ]
105"
83°
2 mm + 2 ) +2 mm
0 mm ± 2 +2 mm
- 2 mm ± 2 1 -6 mm
i g i 1.26
N
/
/• ^v
Conclusión: .. Las. meOHtaS.del .estudio, sagj:
tal no manifiestan alteraciones ae consi
aeración. La vertical ae Sn y el ángulo
nasolabial inferior inaican que los labios
están ligeramente jjrotruiaos.
Objetivo Terapéutico: Retruir los labios.
. y
Casos clínicos 579
CEFALOGRAMA LATERAL BÁSICO
Fig. 25.6: Cefalograma inicial, a partir de la telerradiogra-
fía en MIC.
C E F A L O G R A M A L A T E R A L
J
Clase esqueletal Normal
01- Convexidad facial ( + 2 ± 2mm J
02- DistanciaA-B [ + 4 ± 2 m m ]
V
f Maxilar Inferior Normal
03- Eje Facial [ yu ± i )
04- Prof. Facial ( 87°± 3° ]
05- Ang.plano mandibular [ 26° ± 4° J
06- Altura facial inferior ( 47°± 4° ]
07- Arco mandibular ( 26° ± 4° J
V
Maxilar Superior Normal
08- Profundidad maxilar ( 90° ± 3° J
V
 nicial
í 5,1 mm }
í 4 mm J
J
N
1 nicial
í 89,7' 1
( 87,5° ]
[ 26,2° J
í 46,8° ]
[ 23,9° ]
J
• nicial
[ 92,5° J
J
Dientes
09- 1 - A-Po [_
10- 1 - Plano Oclusal [_
11-1 - Plano mandibular _
fil
12- 1 - Plano BaNa [«
^
s
Estética
13- Exposición del 1 [+
14- Labioinf. Plano E [_
15- Ángulo nasolabialInf. [_
V
Biotipo facial
VERI [-0,1 ] mesofacial
V
^l 1 nicial
+ 1 ± 2mm] ( Smm }
+ 1 ± 1 mm ] ( -lmm }
90° ± 5° J ( 104,2
c e c 1 í 93° }
E. Fac. -5° J [ J
J
Normal 1 nicial
2.5a+3mm] ( +3 mm ]
- 2 ± 2mm) ( '^ "« ]
85° ± 5° ] [ 83'8° }
J
Paciente grupo:
dD
Descripción cefalométrica: Paciente de sexo femenino, sin crecimiento, biotipo mesofacial. Clase II esqueletal leve,
con Clase I alveolar. Maxilar superior avanzado, mandíbula en normoposición. Buena relación de los maxilares en sentido
vertical. Clase I dentaria con biprotrusión incisivay falta de overbite. Perfil ligeramente protruido.
580 Ejemplos de planificación
ESTUDIO GNATOLÓGICO
ffi
•
k. 1 v^
U
Fig. 25.7: Modelos seccionados. Montaje en RC. Se observa un cambio en la relación vertical, sagital y transversal
entre ambas arcadas, con los primeros contactos interoclusales a nivel de los segundos molares superiores.
Fig. 25.8: Estudio de los modelos eliminando los sectores posteriores por distal del canino, se establece una relación
canina de Clase I y un overbite similar al de MIC
_
Fig. 25.9: El agregado de los premolares abre la mordida y disminuye el overbite.
Casos clínicos 581
B^j
Fig. 25.10: La inclusión de los primeros molares y posteriormente, de los segundos molares, aumenta progresivamente
la mordida abierta, haciendo notoria la influencia de los sectores posteriores en el problema vertical anterior.
Z: +3,5 mm
Izquierda
X: -1,5 mm
Z: ±á mm
Promedio X (horizontal)
Promedio Z (vertical)
Transversal
mm
mm
mm I
Fig. 25.11: Registros de posición condilar inicial Fig. 25.12: Conversión cefalométrica manteniendo el
overbite inicial.
Se observa una marcada superposición a nivel de los
molares, causada por el movimiento vertical del cóndilo
desde la MIC a la RC.
582 Ejemplos de planificación
Fig. 25.13: Simulación en el montaje de las posibilidades ortodóncicas de control de los contractos prematuros posterio-
res.
Fig. 25.14: Conversión cefalométrica con el overbite resul-
tante de la simulación en el montaje (Fig. 25.13).
Disminuye la zona de superposición a nivel de los mola-
res.
Fig. 25.15: Cefalograma del trazado de conversión cefa-
lométrica de la figura 25.14.
2 mm
Casos clínicos 583
C E F A L O G R A M A L A T E R A L
Clase esqueletal Normal Inicial
01-Convexidad facial [ +2± 2mmJ [ 6,8 mm
02- Distancia A-B + 4± 2mm ] [ 7,1 mm ]
Maxilar Inferior Normal Inicial
03-Eje Facial ( 90°± 3° ] [ 88>2° }
04- Prof. Facial [ 87°± 3° J [ 85,6" J
05- Ang. plano mandibular ( 26°± 4° J [ 30° J
06-Altura facial inferior [ 47° ± 4° J [ ^J° J
07-Arco mandibular [ 26° ± 4° J [ 23>9° }
Normal I nicial
± 2mm 8mm
Dientes
09- 1 - A-Po ,
10-1 - Plano Oclusal 1 + 1 ± Imm . ,
11-1-Plano mandibular [ 90° ± 5° ] [ 1W'Z°
12-1-Plano BaNa (// E. Fac.-5°
-3 mm
93°
Estética Normal I nicial
13-Exposición del 1 [+2.5a+3mm] ( +3 mm ]
14- Labio inf.Plano E [ - 2 ± 2 mm~) [ *2 mm ~)
15- Ángulo nasolabial Inf. [ 85° ±5° ] | 83°
Maxilar Superior Normal
08-Profundidad maxilar [ 90°± 3°
I nicial
92,5" ]
Biotipo facial
VERTÍ-0,5 
Paciente grupo:
OD
Descripción cefalométrica: ídem a descripción en MIC, sólo hay un ligero aumento de la Clase II esqueletalpor una
retrusión leve de la mandíbula.
Discrepancias
Arcada dentaria inferior X Planificación del VTO
/•
1-APo
1. Discrepancia dentaria
2. Discrepancia de Bolton
3. Verticalización molar
4. Expansión
5. Curva de Spee
6. Extracciones
TJíEQtEtíetérr7 Retrusión del 1
8. Mesializadón molar
Total
V
N
8 mm
+
15
15
-
10
5
15
J
Discrepancia dentaria [ O mm]
Discrepancia cefalométrica [ 14 mm]
Discrepancia Total ( in mm]
VTO: 9É> S/crec. O C/crec. O S/ext. <<) C/ext.
Eje facial "ovaría.
Convexidad .."ovaría
I-APo...íJ IMPA ..#?!
2,5 mm 5 mm
Mov. requeridos:
584 Ejemplos de planificación
PLANIFICACIÓN VTO ORTDÓNCICO-QUIRÚRGICO
Fig. 25.16: VTO a partir de la conversión cefalométrica.
Fig. 25.17: Áreas de superposición. En color negro: trazado inicial en MIC. En color rojo: VTO a partir de la conversión
cefalométrica.
Casos clínicos 585
. 25.18: V. B. Fotografías finale
Fig. 25.19: V. B. Fotografías finales de boca.
586 Ejemplos de planificación
Fig. 25.20: Montaje en articulador al finalizar el tratamiento.
Fig. 25.21: Desgaste selectivo.
Casos clínicos 587
Derecha
(-)
P ^íf^-o^
¡,
(-) % K+)
~w
X: +0,5 mm
Z: mm
Promedio X (horizontal)
Promedio Z (vertical)
Izquierda
(-)
- ~~l
«i
"l~/ 9 yt 
^isr JL, -I
(+)
X: +0,5 mm
Z: ...+0.,.5... mm
+0,5 mm
+0,75 mm
Transversal
( D m
^ 0,1
TI I ^|
Fig. 25.22: Registros finales de posición condilar. Fig. 25.23: Radiografía panorámica final.
Fig. 25.24: Telerradiografía y trazado cefalometrico final.
588 Ejemplos de planificación
Fig. 25.25: Áreas de superposición. En color negro: trazado inicial en MIC. En color azul: trazado final.
Fig. 25.26: Visualización total en la primer área de super-
posición, donde se observa el reposicionamiento que
tuvo la mandíbula con el tratamiento.
Casos clínicos 589
Datos personales Motivo de la consulta
Paciente: 5.5.
Edad: 20 años
Sexo: Femenino
No acetJta la estética üe su cara, está moti-
vadla para un tratamiento quirúrgico.
Fig. 25.27: S. S. Fotografías iniciales de cara.
590 Ejemplos de planificación
I
Fig. 25.28: Fotografías iniciales de boca.
ESTUDIO CLÍNICO
ANÁLISIS FRONTAL
Observaciones:
En el análisis transversal, no se detectan asi-
mentrías. Las líneas medias dentarias coinci-
den con la línea media facial.
Si bien el estudio vertical se realiza en elper-
fil, en la observación frontal de la sonrisa se
evidencia el exceso vertical del maxilar supe-
rior. Lasonrisa gingival es más marcada en
la parte anterior que en la posterior.
Fig. 25.29: Análisis frontal.
Casos clínicos 591
ESTUDIO VERTICAL
Fig. 25.30: Medidas del estudio vertical del
perfil.
Estudio vertical
Conclusión: Buena relación de los tercios.
Hay exceso vertical del maxilar superior en el sector
anterior, que Produce una exagerada exposición del
'"fjsiyo. y.flwweMtp.de/espacio Jnterlgbiql.
Objetivo Terapéutico: __
Reducir exposición del ly espacio interlabial
......... Jmpactacjón.del maxilar.(5.-.6mm) ........
•_£n el procedimiento de.mentop/qstttj, considerar un
aumento vertical para no acortar el tercio inferior.
592 Ejemplos de planificación
ESTUDIO SAGITAL
Fig. 25.31: Medidas del estudio sagital del perfil.
Estudio sagital
Medida Norma Paciente
6 mm ± 3
[ O mm ± 4 ] f
Vertical Gl-Sn
Vertical Gl - PoC
Ángulo nasolabial
Ángulo nasolabial inf. 85° ± 5
Vertical de Sn- Labio sup. 2 mm ± 2
mm
mm
c 102° ± 8 94°
O mm ± 2
Vertical de Sn - Labio Inf.
Vertical de Sn - PoC - 2 mm ± 2 1
Reí. cervical facial inferior
S n - G n c
Gnc - C
1,2
Conclusión' ^-a. mandíbula se encuentra sumamente
retraída (P_or_las_medi_d_a_s_ de Vert. de Gly.Sn)^ lo.que..
Br.Qv.o.c.g_una_re,l_a_c_i0n_ cerMicaJ-.fqciaJ .inferior de.¿Jft..
4<? relación del. labio, inferior, normal con respecto a S.n
contrasta.con la.medida delPoC^ indicandQ.la necesi-..
dad.de .una.re.modelación.de.la.zona,ímentoplastia. de.
avance)..
Objetivo Terapéutico:
Avanz_a/_ el mentón
:i:
'.Mentopja.stiq _d_e avance.
Casos clínicos 593
CEFALOGRAMA LATERAL BÁSICO
8 mm
Fig. 25.32: Cefalometría inicial.
C E F A L O G R A M A L A T E R A L
Clase esqueletal Normal I nidal
01-Convexidad facial ( + 2± 2mm J [ * 12 mm J
02- Distancia A-B 4± 2mm 20 mm
Maxilar I nferior Normal
03- Eje Facial
04-Prof. Facial í 87° ±3°
I nicial
( 90° ±3° ] [ 75.8"
C
76A°
05- Ang. plano mandibular [ 26° ± 4°
06- Altura facial inferior [ 47° ±4°
07- Arco mandibular
42°
26,Q±4° J [ 30.2° )
Dientes Normal I nicial
09- 1 - A-Po [ + 1± 2mm ] [ +13.5mm }
+ 1 ± 1mm ]
+ 1 mm
10- 1 - PlanoOclusal
11- 1 - Plano mandibular [ 90° ± 5° J [ 111A°
12- 1 - Plano BaNa (// E. Fac. -5° ) [ 85' }
Estética
13- Exposición del ]_
14- Labio inf. Plano E
Normal
2.5a+3mm
- 2 ± 2 m m
nicial
+ 9 mm
15-Ángulo nasolabia 1 1 nf. [ 85° ±5° ]
+ 8 mm
80°
Maxilar Superior Normal Inicial
08- Profundidad maxilar [ 90°± 3° J [ 87°
Biotipo facial Paciente grupo:
VERT -3.5 1 dólico severo f~3 1
Descripción cefalométrica: Paciente de sexo femenino, sin crecimiento, aue presenta una Clase II esaueletal severa
debida a una posición sumamente retruida de la mandíbula, como resultado del micrognatismo y la posterorrotación
mandibular. Clase I dentaria, con biprotrusión incisiva, overbite normal y overjet aumentado
594 Ejemplos de planificación
PLANIFICACIÓN VTO ORTODÓNCICO-QUIRÚRGICO
í A r c a d a dentaria
Anq. 1 - Plano oclusal
Discrepancia dentaria
Extracción
Desgaste interproximal
Verticalización molar
Expansión
Curva de Spee
J2j«trasl5"ñ~T"- Retrusión T
Total
Espacio remanente:
Por hemiarcada:
infei
{
+
15 mm
15 mm
'ior J
•R" '
-
10 mm
5 mm
15 mm
J
Norma Ang. 1 - Pl. oclusal: 64°
Movimiento deseable: Retrusión. (*l)
I P l a n i f i c a c i ó n O r t o d ó n c i c a J
/" N
VTO- S/ext (C/ext)
53° * *
Ang. 1 - Pl. oclusal final
Mov. requeridos: "*~/>'5 """
( 1 /)
In
(W u
^s _/ Ls
^ J
A r c a d a dentaria superior J Norma Ang.1 - Pl. oclusal: 57°
s~
Ang. 1- Plano oclusal
Discrepancia dentaria
Extracción
Desgaste interproximal
Verticalización molar
Expansión
Curva de Spee
JipetraSTÓñT- Retrusión T
Total
Espacio remanente:
Por hemiarcada:
5
+
15 mm
15 mm
5 mm
2,5 mm
r A
-
5 mm
5 mm
10 mm
J
Movimiento deseable:
2,5 mm abren 5° el ángulo y lo llevan a la norma.
P l a n i f i c a c i ó n O r t o d ó n c i c a
VTO: S/ext. (C/ext;
Ang. 1_- Pl. oclusal final ..
Mov. requeridos:
57°
2}5 mm - »-
C*l): Elgran apiñamientqjmpide una mayor retrusión que hubiese sido conveniente para mejorar el ángulo extremadamente
cerrado que presenta el 1 con respecto al plano oclusal.
Casos clínicos 595
Fig. 25.33: Planificación ortodóncica prequirúrgica.
Tratamiento con 4 extracciones. Arcada superior: 2,5 mm
de retrusión - 2,5 mm de mesialización molar.
Arcada inferior: 2,5 mm de retrusión - anclaje máximo
Fig. 25.34: VTO ortodóncico-quirúrgico. Cirugía bimaxilar.
Impactación anterior del maxilar (6 mm), sin impactación
posterior. Avance mandibular, rotación antihoraria y men-
toplastia de avance.
Fig. 25.35: Nemoceph - VTO ortodóncico-quirúrgico y morphing fotográfico.
596 Ejemplos de planificación
Fig. 25.36: Telerradiografía lateral prequirúrgica
Fig. 25.37: VTO quirúrgico, plantillas. Fig. 25.38: VTO quirúrgico finalizado. Mediciones quirúr-
gicas.
Casos clínicos 597
Fig. 25.39: S. S. Fotografías finales de cara.
Fig. 25.40: S. S. Fotografías finales de boca.
598 Ejemplos de planificación
Fig. 25.41: S. S. Fotografías finales de boca, oclusales.
,
,
Fig. 25.42: Telerradiografía post-quirúrgica. En la comparación con la radiografía pre-quirúrgica se observa el cambio en
la inclinación del plano oclusal por el movimiento de rotación antihoraria.
Casos clínicos 599
Fig. 25.43: Comparaciones del caso S. S. A: Inicial, B: prequirúrgica.
Fig. 25.44: Comparaciones del caso S. S. C: 60 días después de la cirugía. D: 8 meses después de la cirugía.
600 Ejemplos de planificación
Fig. 25.45: Comparaciones del caso S. S. A: Inicial, B: prequirúrgica.
Fig. 25.46: Comparaciones del caso S. S. C: 60 días después de la cirugía. D: 8 meses después de la cirugía.
:
ORTODONCIA
Y CIRUGÍA
EDICIÓN
M
i

1_5154459151794962819.pdf

  • 1.
    ORTODONCIA Y CIRUGÍA ORTOGfNATICA DIAGNOSTICOY PLANIFICACIÓN 2a EDICIÓN JORGE GREGORET ELISA TUBER HORACIO ESCOBAR A. MATOS DA FONSECA
  • 4.
    ORTODONCIA Y CIRUGÍA ORTOGNATICA diagnósticoy planificación JORGE GREGORET Presidente de la Fundación GNATHOS Director del curso de especialización en Ortodoncia de la Universidad de Belgrano - Buenos Aires, Argentina Ex-Profesor invitado en el Master de Ortodoncia de la Facultad de Odontología - Universidad de Barcelona, España. ELISA TUBER Vicepresidente de la Fundación GNATHOS Co-Directora del curso de especialización en Ortodoncia de la Universidad de Belgrano - Buenos Aires, Argentina Ex-Docente de la Facultad de Odontología - UNR - Argentina LUIS HORACIO ESCOBAR P. Director de GNATHOS, centro de Estudios de Ortodoncia - Madrid, España Docente del curso de especialización en Ortodoncia de la Universidad de Belgrano - Buenos Aires, Argentina ANTONIO MATOS DA FONSECA Cirujano Maxilofacial Director de la Clínica da Face - Lisboa, Portugal Fellow of the European Board of Maxillofacial Surgery. e d i c i o n e i
  • 5.
    Prólogo En la primeraedición de este libro desarro- llamos una metodología destinada a la transmisión de conceptos referidos al diagnóstico y la planifi- cación del tratamiento ortodóncico, que facilitara el aprendizaje al estudiante. Pretendimos crear una sistematización lógica con la finalidad de ordenar los conocimientos que el lector poseía y los que habría de adquirir en el futuro, creando un esquema sólidamente estruc- turado, capaz de evitar que los procedimientos te- rapéuticos se convirtieran en un conjunto de ma- niobras azarosas sin orientación ni objetivos precisos. Diez años después, los avances tecnológicos han generado cambios en las metodologías diag- nósticas y terapéuticas. Pero además surgieron otras modificaciones de naturaleza social y cultu- ral que llevan al paciente a requerir terapias específicas que, si bien existían en aquella época, estaban circunscriptas a una población minori- taria. Estos requerimientos son fundamentalmente de índole estética y ese es uno de los motivos por los que hoy el ortodoncista se ve involucrado en procedimientos que años atrás, en cierto modo, le eran ajenos. Al ganar importancia el aspecto estético, resul- ta necesario implementar una rutina de estudios más amplios que incluyan los problemas alveolo- dentarios en un campo mucho más complejo, como es el de la estética facial. En la cadena de procedimientos que involucraese enfoque holístico, el ortodoncista adquiere un papel relevante y hasta en algunoscasos, prioritario. Esto se debe a que los problemas de estética facial, muchas veces son vistos por el paciente como problemas ubicados en la región dentoalve- olar, probablemente porque esta porción de la cara quizás sea la más perceptible por personas carentes de un conocimiento que les permita dilu- cidar la verdadera causa del problema. Muchas veces el paciente no puede imaginar la naturaleza de su trastorno estético y consulta en primera instancia al ortodoncista, porque piensa que es la persona idónea que dará solución a su problema. Así, este profesional se convierte en el depositario de las dudas del paciente en un aspec- to muy trascendente, que hace a la propia identi- dad del sujeto: su cara. En una primera instancia, quien padece un problema de estética facial no piensa en el ciru- jano. Y por eso con frecuencia el ortodoncista aparece como el eslabón inicial de la cadena de procedimientos destinados a tratarlo con un crite- rio integral. La estética facial es algo que puede recono- cerse o apreciarse intuitiva o subjetivamente, pero tiene la dificultad de que sus componentes no pueden ser definidos con objetividad mediante una observación superficial. Para ello, primero se debe encontrar un método de diagnóstico que per- mita analizar la compleja interrelación de los múltiples y variados factores que se conjugan en un rostro, dando un resultado final que se aparta o no de lo que es percibido como bello. Sólo un análisis profundo puede hacernos conocer la intimidad del problema y, a partir de este conocimiento, planificar los procedimientos desti- nados a restablecer el equilibrio y la armonía per- didos. Es por eso que resulta imprescindible valemos de un protocolo que permita un abordaje siste- matizado del diagnóstico, para luego planificar los cambios ortodóncicos y quirúrgicos y definir te- rapias que puedan ser aplicadas en todos los nive- les de complejidad que presentan los casos. El libro está estructurado en siete secciones que secuencialmente abordan los siguientes temas: Estudio Clínico del Paciente, dentro del cual ocu- pan un papel preponderante los métodos de análi- sis de la estética facial; Estudio Gnatológico con los modelos montados en articulador semia- justable, que nos dará precisión para el diseño del tratamiento, teniendo en cuenta la oclusión fun- cional y las ATM; Cefalometría Estática, su Interpretación; y como paso siguiente, la Síntesis del Diagnóstico y Planificación. En ella se desar- rollan técnicas de VTO para casos ortodóncicos, además de las áreas de superposición que consti- tuyen unaherramienta imprescindible no sólo para la planificación del tratamiento, sino también para la eva-luación de los casos tratados. La sección seis aborda los mecanismos para el diagnóstico y la planificación del tratamiento ortodóncico-quirúrgico, incluyendo los proce- dimientos cefalométricos estáticos y dinámicos, y de laboratorio.
  • 6.
    6 Prólogo En estasección se destina un capítulo a la motivación del paciente, tema generalmente tratado de manera superficial, pero que nosotros consideramos de suma importancia, ya que en nuestras primeras experiencias pudimos observar situaciones que en algunos casos fueron descon- certantes. Este capítulo intenta advertir al profe- sional, que este tipo de procedimientos, al provo- car una profunda transformación del rostro, afecta al paciente no sólo en su fisonomía sino también en su subjetividad y además influye en su entorno social, provocando situaciones de consideración. El lector encontrará en este capítulo algunas re- ferencias psicoanalíticas que obrarán a modo de herramientas para comprender los fundamentos de los fenómenos desencadenados por esta metodología terapéutica que toca en profundidad toda la estructura del sujeto. En la última sección se ejemplifica con casos clí- nicos el contenido de las seis secciones anteriores. También se muestra la utilización de tec- nología informática mediante la aplicación de soft- ware para diagnóstico y planificación, y para la creación de imágenes de morphing que se utilizan para la motivación y ajustes de las planificaciones. En nuestra práctica clínica nos valemos desde hace casi dos décadas del sistema digital Nemoceph, pero hemos preferido desarrollar en este texto los métodos manuales por dos razones: la primera de ellas apunta a no afectar la motivación de aquellos que por diversas circunstancias no acceden ruti- nariamente a la tecnología digital; y la otra, a que el método manual es más efectivo en el proceso de enseñanza-aprendizaje, y le permitirá al iniciado ingresar con suma facilidad a los procedimientos informáticos en el corto plazo. Pensamos que con la actualización de concep- tos que hemos incorporado a esta nueva edición saldamos una deuda con nuestros lectores de la primera, transmitiéndoles los conocimientos y las experiencias que recogimos en estos últimos años. Nuestro propósito, como siempre, es el de con- tribuir a la búsqueda de la excelencia en la forma- ción de profesionales en esta especialidad, que al ampliar sus objetivos, alcanzó niveles mucho más altos que los tradicionales y que en el futuro seguirá apuntando a metas cada vez más evolu- cionadas. Los autores
  • 7.
    AGRADECIMIENTOS A los integrantesdel cuerpo docente de la Fundación Gnathos, Doctores: Jorgelina Leanza, Patricio Soto Payva, José Barros, Gustavo Gregoret, Guillermo Leanza, Fernando Perrero. Imazul Agustyniak, Lucía Bolasco, Patricia Tarquini, Francisca Chuliá Z., Mayka Rodríguez E. y Rui Barracha. A los cirujanos, Doctores: Gabriel Girotti y José Crestanello. Al personal no docente, Señoras: Luisa Lofiego, Daniela Moreno, Nancy Zulaica, Beatriz Barros y Rita Rocha. Por su permanente colaboración y estímulo para la concreción de esta obra.
  • 8.
    índice SECCIÓN 1 ESTUDIO CLÍNICODEL PACIENTE Introducción 15 Capítulo 1- Estética facial 19 Metodología para el examen facial 19 Obtención de la PNC 19 Procedimientos para la evaluación facial 23 Examen facial de frente 24 Examen facial de perfil 36 Posiciones complementarias 45 Auxiliares del diagnóstico clínico 46 La fotografía en ortodoncia 48 Capítulo 2 - Examen bucodental 57 Examen clínico 57 Exámenes complementarios 63 Localización de caninos retenidos 66 Análisis de las arcadas dentarias 73 Las seis llaves de la oclusión 81 Análisis de la longitud de la arcada 88 Capítulo 3 - Examen funcional 101 Respiración 101 Deglución 107 Fonación 111 Hábitos de succión 111 Bibliografía de la Sección 1 115 Capítulo 5 - Placa de reposicionamiento man- dibular 131 Construcción 131 Adaptación 133 Capítulo 6 - Montaje en articulador 135 Articulador SAM 135 Obtención de registros 139 Montaje de modelos 143 Registros de posicionamiento condilar 145 Capítulo 7 - Estudio de modelos articulados 151 Análisis transversal 151 Análisis vertical 155 Análisis sagital 158 Modelos segmentados 158 Análisis de un caso clínico 160 Capítulo 8 - Conversión cefalométrica 165 Procedimiento para el trazado 166 Variante del método de conversión cefalométrica 169 Bibliografía de la Sección 2 175 SECCIÓN 3 CEFALOMETRÍA DENTOESQUELETAL SECCIÓN 2 ESTUDIO GNATOLÓGICO Capítulo 4 - Conceptos gnatológicos 119 Introducción 121 Relación céntrica 122 Objetivos funcionales oclusales 124 Capítulo 9 - Telerradiografía 177 Introducción 179 Tipos de telerradiografías 180 Posicionamiento de la cabeza 183 Obtención de la telerradiografía en PNC 185 Aplicación de la Horizontal Verdadera o el plano de Frankfort para el estudio cefalométrico 190
  • 9.
    10 índice Técnica decalco y trazado cefalométrico 192 Técnica de calco y trazado cefalométrico lateral 193 SECCIÓN 5 SÍNTESIS DEL DIAGNÓSTICO Y PLANIFICACIÓN Capítulo 10 - Cefalometría lateral 201 Introducción 201 Puntos 202 Planos 206 Medidas e interpretación 213 Análisis cefalométrico lateral básico 228 Análisis de Bjórk-Jarabak 241 Trazado 243 Medidas e interpretación 244 Caso clínico 262 Método de McNamara 267 Normas compuestas 272 Capítulo 14 - Selección de elementos de diag- nóstico y metodología de planificación 327 Proceso de planificación 327 Pasos del proceso de planificación 330 Planificación para pacientes con denti- ción primaria 331 Planificación para pacientes con denti- ción mixta 334 Planificación para pacientes con denti- ción pemanente 335 Planificación para pacientes adultos 336 Definición del tratamiento en los pacien- tes con discrepancias básales 336 Capítulo 11 - Cefalometría frontal Introducción Trazado Bibliografía de la Sección 3 279 279 279 285 Capítulo 15 - Crecimiento y predicción arquial 339 Introducción 339 Predicción arquial de crecimiento a largo plazo sin tratamiento 340 Método de trazado 345 SECCIÓN 4 INTERPRETACIÓN CEFALOMÉTRICA Capítulo 12 - Biotipo facial Introducción Biotipo facial Determinación del vert 289 289 289 291 Capítulo 13 - Interpretación de la cefalometría lateral 297 Estudio esqueletal de los maxilares 297 Factores estéticos asociados 304 Problema dentoalveolar 312 Campo estético del cefalogramabásico 319 Bibliografía de la Sección 4 323 Capítulo 16 - Síntesis del diagnóstico 355 Análisis de la arcada dentaria inferior 355 Procedimientos para crear espacios 363 Procedimientos para cerrar espacios 375 Determinación de la posición definitiva del incisivo inferior 376 Planificación de la arcada superior 386 Planificación de casos con clases denta- rias asimétricas 393 Planificación de los cambios ortopédicos 407 Capítulo 17 - Visualización de objetivos de tratamiento 413 Métodos para el trazado de VTO 414 VTO resumido con crecimiento 418 VTO resumido sin crecimiento 430 Mini VTO 432
  • 10.
    Introducción 11 Capítulo 18- Áreas de superposición Incrementos de crecimiento anual promedio Cantidad relativa de crecimiento Direcciones generales de crecimiento Trazado e interpretación de las áreas Bibliografía de la Sección 5 433 Capítulo 22 - VTO ortodóncico-quirúrgico 521 434 436 437 438 453 SECCIÓN 6 TRATAMIENTO ORTODÓNCICO- QUIRÚRGICO 1a Etapa: Planificación ortodóncica 521 2 Etapa: Planificación quirúrgica 525 VTO ortodóncico-quirúrgico 525 Perfil cutáneo 531 Procedimientos de mentoplastia 533 Capítulo 23 - Cambios en los tejidos blandos asociados a la cirugía ortognática 541 Introducción Cirugía maxilar Cirugía mandibular Cirugía del mentón 541 542 544 546 Capítulo 19 - Motivación del paciente para elTOQ 455 Capítulo 20 - Estética y diagnóstico en el paciente quirúrgico 469 Diagnóstico 476 Examen facial clínico y fotográfico 480 Estudios cefalométricos utilizados en los pacientes quirúrgicos 484 Análisis sagital del perfil 494 Capítulo 21 - Bases para la planificación 507 Objetivos verticales 507 Objetivos sagitales 513 Cambios en la inclinación del plano oclusal 518 Capítulo 24 - Planificación Introducción Planificación quirúrgica Trazado de VTO quirúrgico Técnica de preparación de los splints Bibliografía de la Sección 6 SECCIÓN 7 EJEMPLOS DE PLANIFICACIÓN Capítulo 25 - Casos clínicos 553 553 553 555 557 571 575
  • 11.
    SECCIÓN ESTUDIO CLÍNICO DELPACIENTE Introducción Estética facial Examen bucodental Examen funcional
  • 12.
    INTRODUCCIÓN La ortodoncia tradicionalpriorizaba el proble- ma dentario del paciente y la relación con el reducido contexto de las bases alveolares. Así,los estudios estaban enfocados a las posiciones y rela- ciones dentoalveolares (apiñamientos, desniveles, inclinaciones) y su efecto sobre los labios y lason- risa. Con el paso del tiempo, fue ganando importan- cia el aspecto estético y con ello la necesidad de un estudio más amplio y profundo, que permitiera incluir esos problemas alveodentarios en un campo mucho más amplio, como lo es la estética facial. Hoy el ortodoncista se ha convertido, en mu- chos casos, en el primer eslabón de la cadena que involucra una serie de procedimientos destinados a diagnosticar, evaluar, planificar y ejecutar ma- niobras destinadas a tratar el problema con uncri- terio integral. ¿Por qué decimos que el ortodoncista se ha convertido en el primer eslabón de la cadena? Esto se debe a que,en primera instancia, el pa- ciente atribuye su problema estético a un posi- cionamiento dentario incorrecto, aunque ésto, en un gran número de casos, sea sólo la punta del ice- berg. Lo que sucede en realidad es que probable- mente la relación dento-alveolo-labial sea la más perceptible para personas que no tienen el conocimiento necesario para observar con mayor profundidad y percibir el problema real. Por ejemplo, es muy frecuente que el paciente nos consulte preocupado por el aspecto de sus dientes "hacia adelante", cuando en realidad lo que causa su problema es un micrognatismo. En muchas Clases III el paciente lo único que ve es la mordida invertida de sus incisivos, no pudiendo percibir y menos aún evaluar que su problema es una Clase III esqueletal motivada por una despro- porción en las dimensiones maxilomandibulares que sólo puede tener una solución ortodóncico- quirúrgica. Otro caso notablemente frecuente es aquel en que el paciente relata que su problema es la imposibilidad de cortar los alimentos con sus inci- sivos. No comprende, y en muchos casos ni puede imaginar, que su problema es un trastorno vertical debido a alteraciones estructurales que,igual que los anteriores, no tendrá una solución ortodóncica. Esto nos lleva a la necesidad de profundizar el estudio del paciente en relación a su configuración facial total, con el propósito de lograr una gran precisión en la evaluación de las estructuras involucradas y reunir los elementos necesarios para, posteriormente, hacer una correcta planifi- cación. Dentro de la gran variedad de pacientes que acuden al ortodoncista podemos distinguir tres grupos: Grupo 1 Son pacientes sin discrepancias esqueletales, llamados pacientes ortodóncicos, cuyo problema asienta en la región dentoalveolar y no ofrecen dificultades para su tratamiento. Generalmente no presentan más alteraciones estéticas que aquellas provocadas por malposiciones dentarias que tienen repercusión en la zona labial o peribucal. En su mayoría, las alternativas consisten en el posicionamiento retruido o protruido de la región labial; este último caso suele acompañarse de un cierre labial con esfuerzo. Hay que tener en cuenta que la estética de los labios no solamente se relaciona con la posición de los incisivos, sino que también se involucran carac- terísticas intrínsecas como espesor, tono y longitud labial. Las modificaciones dentarias del tratamiento tendrán como objetivo contribuir al logro de una mejoría estética de los labios y de la sonrisa,ade- cuando nuestra planificación a estos requerimien- tos más que a parámetros dentarios cefalométri- cos. Grupo 2 Este grupo muestra falta de equilibrio entre los componentes de la cara provocada por discrepan- cias básales moderadas. El tratamiento ideal para este tipo de ano- malías indudablemente será el ortodóncico- quirúrgico porque si bien estos casos pueden ser tratados mediante maniobras ortodóncicas de camuflaje, también llamados tratamientos 15
  • 13.
    16 Estudio clínicodel paciente ortodóncicos de compensación o de compromiso, éstos no alcanzarán a eliminar las secuelas estéti- cas de esas discrepancias. Estos tratamientos de compensación ofrecen más dificultad que los del grupo 1 y susresultados, sin alcanzar los niveles óptimos de los casos ortodóncicos puros, serán satisfactorios en los aspectos de estética dentaria y oclusión funcional. No obstante se debe tener en cuenta que para realizar las compensaciones de las alteraciones sagitales o transversales de las básales, general- mente se deberán realizar inclinaciones dentarias que si bien no traspasan los límites biológicos, se apartan de las normas. El caso del grupo 2 es el que se "puede" com- pensar. Aquí cabe la pregunta: ¿Se debe compen- sar siempre? El profesional debe en estos casos: -Saber qué objetivos se podrán alcanzar y cuá- les no. -Tener claro cuál será el resultado estético del tratamiento de compensación y del tratamiento ortodóncico-quirúrgico. En esta decisión entre el tratamientoortodón- cico de compensación y el tratamiento ortodónci- co quirúrgico, también interviene el paciente, que podrá evaluar en el VTO o en el morphing digital hecho a partir de él, si su deseo de cambio estético queda satisfecho o no mediante una compensación dentaria, o podrá visualizar también algún cambio facial que aumenta aun más su problema haciendo que esta vía terapéutica sea inaceptable. Dependerá de la motivación que tenga el paciente la aceptación de la cirugía como parte de su tratamiento. Es necesario utilizar los medios a nuestro alcance que le posibiliten ver con claridad su pro- blema, sus posibles soluciones y ser partícipe de la elección de la opción más apropiada, porque algu- nas veces el deseo del paciente suele ser un tanto difuso. Algunos son sumamente exigentes y buscan la perfección. Otros, enfocan sus objetivos en la den- tición y no son tan exigentes con ciertos detalles de estética facial. De todos modos, la elección de la metodología terapéutica en los pacientes con discrepancias esqueletales, también estará influida por el or- todoncista, ya que puede tener diferentesactitudes en cuanto a la cirugía ortognática, debido al mayor o menor conocimiento de este campo. Otros no cuentan con un equipo interdisciplinario adecuado y en otros casos pueden haber tenido malas expe- riencias. El factor económico también incide, creando en algunos casos impedimentos insalvables. Ante todas estas situaciones, el clínico deberá ser objetivo y tratar de proporcionarle al paciente las alternativas posibles, desde lo ideal hasta lo meramente paliativo, pero nunca realizar tratamientos que puedan empeorar el caso, o que impidan o dificulten posibles tratamientos futuros. GrupoS Pacientes con discrepancias esqueletales se- veras, cuyo tratamiento exclusivamente ortodónci- co no puede ser realizado sin provocar la aparición de problemas adicionales como inclinaciones den- tarias sumamente anormales, problemas en los tejidos de soporte, deficiencias oclusales, disfun- ción de ATM. aumento de los problemas estéticos, etc. Al operador con escasa experiencia se le crea un problema para encasillar correctamente el caso en uno u otro de estos dos últimos grupos, es decir, tiene dificultad para contestar a la pregunta "¿puedo o no compensar este caso?" Para ello se debe utilizar un criterio objetivo que permitirá resolver con claridad esta duda, ya que existen dos herramientas excelentes para este propósito: - El montaje de los modelos en relación céntri- ca - El VTO ortodóncico Estos procedimientos pondrán en evidencia la factibilidad biológica de los movimientos denta- rios necesarios para alcanzar los siguientes obje- tivos: - inclinaciones axiales aceptables - relaciones dentolabiales estéticamente satis- factorias - una oclusión mutuamente protegida con los cóndilos correctamente asentados en lascavidades glenoideas - ausencia de un deslizamiento céntrico consi- derable - estabilidad de los resultados - estética facial aceptable
  • 14.
    Introducción 17 Grupo 1 PlanificaciónOrtodóncica Grupo 2 Grupo 3 Planificación Ortodóncico-Quirúrgica
  • 15.
    18 Estudio clínicodel paciente Estos dos estudios rutinarios, trazarán un límite cionalizar los métodos de diagnóstico y planifi- nítido a través de esa frontera difusa que puede cación. Esta racionalización va dirigida, por una presentarse entre ambos grupos. parte, a evitar un enfoque excesivo en los protoco- Cuando no se puedan alcanzar estos objetivos, los de diagnóstico y planificación en los casos el paciente pertenece al grupo 3, para el cual la puramente ortodóncicos; y por otra, a desarrollar indicación es únicamente el tratamiento ortodón- métodos más completos y detallados, que hacen cico-quirúrgico. posible el estudio con precisión de los casos de En este libro tenemos el propósito de ra- mayor complejidad.
  • 16.
    C A PI T U L O 1 Estética facial METODOLOGÍA PARA EL EXAMEN FACIAL DEL PACIENTE El diagnóstico clínico del paciente comenzará siempre por el examen facial, que se realizará con distinto énfasis dependiendo del tipo de paciente que se deba evaluar. Los pacientes del grupo 1 requieren una obser- vación clínica dirigida más hacia el examen buco- dental y funcional que al facial, ya que como diji- mos, tienen su problema ubicado en la región dentoalveolar, donde pueden existir discrepancias que se traducen en apiñamientos, desniveles, giro- versiones, mordidas cruzadas dentoalveolares, mordidas abiertas funcionales, dientes retenidos o impactados, sobremordidas, protrusión o retrusión incisiva, etc. La repercusión en la estética facial de estas alte- raciones ortodóncicas se focaliza en la región labial y en las relaciones labiodentales. Aquellos pacientes que presentan discrepancias básales (grupos 2 y 3) tendrán alteraciones estéticas consecuentes y por lo tanto requerirán un examen facial muy exhaustivo. En todos los casos, el examen facial se realiza con el paciente de pie, estudiándolo de frente y de perfil, en distintas posiciones estáticas y dinámicas. Condiciones para el examen facial La primera consideración en la metodología del examen facial es la utilización de lo que se denomi- na posición natural de la cabeza (PNC) y la refe- rencia horizontal denominada "Horizontal Verda- dera". Ambas serán indispensables tanto para la observación clínica como para la obtención de foto- grafías y telerradiografías (Fig. 1.2). OBTENCIÓN DE LA POSICIÓN NATU- RAL DE LA CABEZA (PNC) El paciente deberá estar relajado con la mirada hacia el horizonte (Fig. 1.3). Fig. 1.2: El examen facial de frente y de perfil, se realiza en PNC. La utilización de líneas que dividen los tercios facia- les permite comprobar que en ambas vistas la posición es la misma. 19
  • 17.
    20 Estudio clínicodel paciente En la sala de examen resulta útil un espejo ubi- cado a una distancia mínima de 2 metros del paciente, pero es aconsejable siempre que sea posi- ble, una distancia mayor. El paciente deberá estar parado frente al espejo y mirarse a los ojos. Se logra así una posición natural de la cabeza, que a su vez es repetible. Es impotante destacar que esta posición debe ser lograda por el paciente, el operador no debe ejercer ninguna influencia para provocar ese posi- cionamiento dado que la PNC está influida por múltiples factores tales como la forma de pararse, que a su vez depende de la morfología y posición de pies y piernas, caderas, columna vertebral, lumbar, dorsal y cervical. También influyen en esta posición los inputs visuales, el peso corporal, etc. Es aconsejable que el paciente, antes de mirar sus ojos en el espejo, realice oscilaciones de su cabeza en sentido anteroposterior y lateral con el objeto de lograr una mayor relajación, ya que la tensión originada por la situación de examen clíni- co puede provocar posiciones no habituales de la cabeza. ' Esta PNC se deberá tener en cuenta para el estudio de frente y de perfil. Si bien las diferencias entre esta posición o un giro de la cabeza hacia arriba o hacia abajo son más evidentes en el perfil, Fig. 1.3: La PNC obtenida simulando la mirada al horizonte permite obtener la Horizontal Verdadera a partir de una referencia vertical. también se producirán alteraciones en la interpre- tación de proporciones en la posición de frente. Obtención de la Horizontal Verdadera (HV) Con la PNC se puede determinar la Horizontal Verdadera. Esto requiere previamente una refe- rencia vertical exacta, que se puede obtener mediante una cuerda o cadena de la que pende un peso , y en forma perpendicular a ella, se obtiene la HV(Fig. 1.3). Introducir este concepto de horizontal verdade- ra puede crear alguna confusión, porque si habla- mos desde la física o la geometría, el término "ver- dadera" parecería un adjetivo innecesario para una horizontal, porque ésta tiene una única posición. Si no tiene esa posición pierde su esencia, no se pue- de hablar de una "falsa horizontal", porque simple- mente no sería horizontal. Lo que en realidad sucede, es que se denomina así para diferenciarla del Plano de Frankfort (Ver capítulo 10). Dicho plano, utilizado en la cefalome- tría dentoesqueletal, es un plano antropométrico, llamado también "Horizontal de Frankfort", deno- minación que tiene cierta lógica, porque su posi- ción es bastante aproximada y a veces hasta coinci-
  • 18.
    Estética facial 21 Fig.1.4: El plano de Frankfort es un plano antropométrico utilizado para la orientación del cráneo en el espacio y con- secuentemente, para la orientación de las telerradiografías laterales. dente con un plano horizontal en el cráneo ubicado en posición postural (Fig. 1.4). Sin embargo, existen divergencias angulares entre Frankfort y Horizontal que si bien no son en general de gran magnitud, la sola existencia de una mínima divergencia entre ambas, invalida al Plano de Frankfort para su utilización en los casos en que están en juego decisiones que pueden afectar la estética facial de un sujeto. En algunos casos las diferencias angulares entre los planos mencionados son de una magnitud tal, que provocan interpretaciones muy diferentes acerca de la posición sagital de ciertas estructuras del perfil y con ello, graves errores de diagnóstico. En la figura 1.5 A puede observarse la cefalo- metría de Ricketts de una paciente de clase III, con la utilización del plano de Frankfort. Por las medi- das de profundidad maxilar y facial, se interpreta que la Clase III se debe a una mandíbula adelanta- da. O Prof. maxilar:92 Prof.facial: 96,4' Fig. 1.5 A: Cefalograma de Ricketts de una paciente con Clase III esqueletal.
  • 19.
    22 Estudio clínicodel paciente Fig. 1.5 B En la figura 1.5 B la misma paciente orientada en PNC. Al observar la posición sagital del tejido blando relacionado con la posición sagital del men- tón y del maxilar, es evidente que clínicamente la mandíbula no se encuentra en una posición avan- zada. Al superponer la cefalometría en el perfil en PNC, se observa que el plano de Frankfort resulta con una marcada inclinación (Fig. 1.5 C). La discrepancia de 14 grados entre la HV y el plano de Frankfort (Fig. 1.5 D) es el origen de la diferencia en la interpretación que observamos entre el cefalograma y la fotografía en PNC. Estas apreciaciones no tienen la finalidad de desacreditar el plano de Frankfort como referencia en la cefalometría, pero sí advertir sobre la necesi- dad de tomar otro parámetro para los estudios de la estética facial, sobre todo cuando éstos conducen a decisiones quirúrgicas. Fig. 1.5 C Fig. 1.5 D
  • 20.
    Estética facial 23 Acontinuación describiremos los procedimien- tos destinados a realizar el examen clínico, fotográ- fico y radiográfico de los pacientes que presentan problemas de estética facial relacionados a la posi- ción, forma y tamaño de los maxilares. Es imprescindible que todos ellos sean realiza- dos en posición natural de la cabeza (PNC). Procedimientos utilizados para el exa- men facial: • Examen facial clínico. • Fotografías de frente, de perfil y sectoriza- das. Son útiles para complementar el estudio clínico y fotográfico: • Telerradiografía lateral. • Telerradiografía frontal. • Radiografía panorámica. El examen facial debe hacerse con un criterio tridimensional, es decir, observando la cara desde diversos ángulos. Las fotografías, no nos dan muchos detalles por ser bi-dimensionales, pero son auxiliares muy útiles cuando deseamos obtener algunas mediciones o para confirmar ciertos datos mediante el procesa- mientos de ellas con software, como se verá mas adelante al referirnos al estudio fotográfico. Al examen de frente y de perfil ya mencionado agregaremos la palpación, con el objeto de analizar la consistencia y el espesor de los tejidos blandos. El habla y lo gestual indudablemente son dos factores imprescindibles del examen debido a que ambos provocan desplazamientos de las estructuras cutáneas que nos darán una percepción aun mayor y más detallada de los problemas de los tejidos blandos faciales. Posiciones para el examen facial • Frente musculatura en reposo. • Frente con sonrisa. • Frente con sonrisa forzada. • Perfil y 3/4perfil en la mismas posiciones que en el examen de frente. • Axial superior - Axial inferior. En todas las posiciones mencionadas se deben tener en cuenta los siguientes parámetros: • Posición natural de la cabeza. • Mandíbula en relación céntrica. • Arcadas dentarias relacionadas conel primer contacto dentario. • Musculatura facial relajada. Definición de los puntos de referencia cutáneos utilizados para el examen facial (Fig. 1.6) Trichion (Tr) Nacimiento del cabello en la línea media. Glabela (Gl) Punto más anterior de la región frontal. Nasion cutáneo (NaC) Punto más profundo de la curvaturanasofrontal. Fig. 1.6: Puntos cutáneos utilizados en el examen facial.
  • 21.
    24 Estudio clínicodel paciente Pronasal (Pn) Punto más anterior de la pirámide nasal. Columela (Cl) Punto más anterior de la columela. Subnasal (Sn) Punto más profundo de la curvatura nasolabial. Labio superior (L sup) Punto más anterior del vermilion del labio superior. Stomion superior (St sup) Punto más inferior del labio superior. Stomion inferior (St inf) Punto más superior del labio inferior. Labio inferior (L inf) Punto más anterior del vermilion del labio inferior. Pogonion cutáneo (PoC) Punto más anterior del mentón cutáneo. Mentón cutáneo (MeC) Punto más inferior del mentón cutáneo. Cervical (C) Punto más profundo de la curva formada entre la región cervical anterior y la región submaxilar. Gnation cutáneo (GnC) Punto localizado en la intersección de dos líneas, una trazada desde el punto subnasal hacia abajo, tangente al pogonion cutáneo y la otra desde el punto cervical hacia adelante, tangente al men- tón cutáneo. EXAMEN FACIAL DE FRENTE En el examen facial de frente se hacen las siguientes observaciones: • Contorno facial. • Proporción ancho-altura. • Línea media. • Simetría. • Niveles. • Proporciones verticales. • Relaciones labiodentales. 1- Contorno facial (Fig. 1.7) Las referencias para el análisis del contorno de la cara son, desde arriba hacia abajo: • Perfil de los parietales. • Arcos zigomáticos. • Ramas ascendentes. • Ángulos goníacos. • Cuerpo mandibular. • Mentón. Fig. 1.7: Contorno facial.
  • 22.
    Estética facial 25 Cadauna de estas porciones del contorno debe relacionarse comparativamente con sus homologas del otro lado. En caso de alteraciones muy peque- ñas de la simetría, algunas veces no resulta fácil su detección visual. En esos casos, recurriremos a otras observaciones clínicas como las posiciones axiales y también al análisis de las fotografías y telerradio- grafías frontales. La observación del contorno nos da una idea de la forma general y podemos hablar de una cara ovoide, alargada o redondeada. 2- Proporción ancho-altura Se obtiene relacionando la distanciabicigomáti- ca (ancho) con la distancia trichion-mentón cutá- neo (altura). En caras normales el ancho es 30% menor que la altura. Estas proporciones varían según el biotipo facial del paciente y definen una cara corta, normal o larga (Fig. 1.8). 3- Línea Media Para estudiar la línea media la mandíbula debe estar posicionada en RC, es decir, con los cóndilos centrados. La ubicación mandibular en RC, es una manio- bra que nos aporta elementos de juicio para la identificación de la naturaleza del desplazamiento lateral de algunas estructuras, permitiéndonos dife- renciar las alteraciones estructurales de las funcio- nales (Fig. 1.13). La línea media se determina trazando una línea imaginaria que pasa por el centro del puente nasal y por el centro de la parte más superior del filtrum (Fig. 1.9). Para identificar el primero de ellos debemos determinar un punto equidistante de los cantos oculares internos. Luego la observación debe diri- girse a la posición de los siguientes puntos que en condiciones normales deben estar ubicados en la línea media: Con musculatura en reposo -Trichion -Glabela -Base nasal -Dorso nasal -Punta nasal -Base del filtrum AZ Me Fig. 1.8: Proporción ancho-altura. Fig. 1.9: Determinación de la línea media facial.
  • 23.
    26 Estudio clínicodel paciente -Extremo inferior del filtrum -Línea media labio inferior -Línea media mentón Con sonrisa y/o sonrisa forzada -Línea media dentaria superior -Línea media dentaria inferior Como ya hemos visto, el centro de la base del filtrum es un punto que se usa junto con el centro de la base nasal, para trazar la línea media facial. En la observación con sonrisa, evaluamos las líneas medias dentarias en relación a la línea media facial. La línea media dentaria superior constituye fre- cuentemente motivo de consulta, al ser un punto sumamente importante de la estética de la sonrisa. El paciente la observa, y cualquier desplazamiento será detectado inmediatamente. Fig. 1.10: Puntos mediales. Fig. 1.11: Paciente con asimetría mandibular, con desvíos de líneas medias. La línea media superior se encuentra desviada hacia la izquierda con respecto a la línea media facial. La observa- ción oclusal corrobora este desvío, ocasionado por la pér- dida de una pieza dentaria en dicha hemiarcada. La línea media inferior, desviada hacia la derecha, no coin- cide con la línea media del mentón, sino que también pre- senta una desviación en la arcada debida a la extracción del primer molar inferior derecho.
  • 24.
    Estética facial 27 Laevaluación de la línea media inferior serea- liza en relación a la línea media facial y en el caso de pacientes con asimetría mandibular se evaluará también en relación al punto medio del mentón. Debemos recordar que estas observaciones se realizan con la mandíbula en posición de RC por lo que se descarta cualquier factor funcional en una desviación de la línea media inferior. Este examen de las líneas medias dentarias refe- rido a la línea media facial se complementa con un minucioso estudio de las arcadas por oclusal (ver estudio bucodental, Pag. 73 y Fig 2.15A y B) para detectar posibles desviaciones de origen dentario. Estas desviaciones que se deben frecuentemente a la falta unilateral de piezas, pueden presentarse en pacientes con o sin asimetría esqueletal (Fig.1.11). 4- Simetría Respetando los mismos parámetros de posicio- namiento (cóndilos centrados y primer contacto dentario), el examen consiste en la observación de la equidistancia o la falta de ella con respecto a la línea media, de las siguientes estructuras (Fig. 1.12): - Eminencias frontales laterales - Ángulo externo del ojo - Pómulos - Pabellones auriculares - Alas nasales - Comisuras. - Ángulos goníacos - Puntos laterales del mentón Los casos que presenten asimetrías de escasa magnitud crean algunas dificultades para su detec- ción. Recurriremos a las fotografías ycefalometrías frontales con el propósito de analizar con mayor exactitud la magnitud de la alteración, ya que sobre ellas podemos hacer mediciones. En las laterodesviaciones funcionales de la man- díbula, el paciente presenta asimetría en su posi- ción de máxima intercuspidación, y ésta desapare- ce al llevar la mandíbula a relación céntrica (Fig. 1.13). Por ello, en esta posición, todas las asimetrí- as que se observen obedecen a un factor etiológico estructural, generalmente esqueletal. Fig. 1.12: Puntos bilaterales para el estudio de la sime- tría. Las asimetrías se estudian de manera "ascen- dente", siendo las más leves las que involucran la forma del mentón solamente, siguiendo las origina- das por asimetrías en el cuerpo y la rama de la man- díbula, que comprometen el contorno facial lateral, y si son marcadas, pueden llegar a desviar la comi- sura labial. Aumentando el grado de complejidad, encon- tramos las asimetrías máxilo-mandibulares (involu- cran mandíbula y maxilar superior). Éstas podrán ser mejor evaluadas en sonrisa, con el estudio de los planos oclusales (punto 6). Las asimetrías más complejas comprometen también las órbitas y el contorno craneal en diver- sa magnitud, pudiendo ser leves, apenas percepti- bles, o de una magnitud mayor, tratándose estos casos generalmente de microsomías hemifaciales. Existen también asimetrías en la forma nasal, desviaciones del dorso y de la punta, que pueden presentarse solas o combinadas con una asimetría más compleja.
  • 25.
    28 Estudio clínicodel paciente ' B Fig. 1.13 A: Asimetríafacial producida por una desviaciónfuncional de la mandíbula. B: La posición de relacióncéntrica corrige la asimetríafacial. En las fotos de boca se observa el comportamientode las líneas medias antes y después de la expansión que logra el centradomandibular. Es importante destacar que los pacientes asimé- tricos generalmente presentan una posición postu- ral de compensación de la asimetría, es decir, tien- den a mantener centrada la posición del mentón con una lateroinclinación de la cabeza. Esta posi- ción enmascara la asimetría y puede en una prime- ra observación, crear confusión acerca de la línea media del paciente y de cuáles son las estructuras desviadas. Se deberá corregir la posición de la cabeza basándonos en obtener una línea media vertical que pase, como dijimos anteriormente, por el cen- tro de la distancia entre ambos cantos oculares internos y por el centro de la parte alta del filtrum labial. Una vez corregida la línea media, se podrá lograr una correcta interpretación de la asimetría (Fig. 1.16). 5- Niveles (musculatura en reposo) El estudio de los niveles es muy importante por- que su alteración es la manifestación de asimetrías verticales de las estructuras esqueletales. En el punto referido a teleradiografías frontales tratare- mos nuevamente este tema con más detalle. Para el examen clínico de los niveles, el operador deberá observar la posición de estructuras laterales
  • 26.
    Estética facial 29 Fig.1.14: Niveles en reposo. Fig. 1.15: Niveles en sonrisa. uniéndolas mediante líneas que "traza" de manera imaginaria. Estas estructuras son: (Fig. 1.14) - Arcos superciliares - Línea interpupilar - Pabellones auriculares - Base nasal. - Comisuras - Ángulos goníacos - Mentón Para mayor precisión en esta observación resul- ta muy útil disponer de fotografías donde las líneas podrán ser trazadas con exactitud. En pacientes simétricos estas líneas son hori- zontales y paralelas entre sí; la alteración de ese paralelismo es indicio de asimetría de origen verti- cal. Recordamos que, como en todas las asimetrías, en la observación de los niveles se deberá partir de obtener un plano medio sagital vertical para poder interpretar correctamente cuáles y en qué forma se encuentran alterados estos niveles (Fig. 1.16). 6- Niveles (en sonrisa y en sonrisa forzada) Este estudio posibilita la observación de altera- ciones de las porciones gingival, dentaria y labial que no son visibles con los labios en reposo. La utilización de la sonrisa forzada muestra con mayor claridad la porción gingival de los sectores posteriores y el plano oclusal, que a veces no es posible ver con una sonrisa natural. Además, muchos pacientes no pueden realizar una sonrisa espontánea, probablemente debido a la circunstan- cia de sentirse observados. En estos casos es muy útil valemos de la sonrisa forzada, donde observaremos (Fig. 1.15): - Comisuras labiales derecha e izquierda - Exposición gingival derecha e izquierda - Plano oclusal superior e inferior La inclinación del plano oclusal superior es un indicativo de una asimetría del maxilar superior. Donde el plano oclusal asciende, el maxilar tiene un menor desarrollo vertical y por lo general, la exposición gingival es menor a la del lado opuesto.
  • 27.
    30 Estudio clínicodel paciente Fig. 1.16: Paciente con asimetría maxilomandibular. A La izquierda, postura habitual, donde la lateralización de la cabe- za tiende a mantener el mentón centrado. En el centro, la posición corregida verticalizando la línea media facial pone en evidencia el desvío de las estructuras facia- les y la asimetría. A la derecha, en sonrisa, se observa la inclinación del plano oclusal superior propia del compromiso del maxilar superior en la asimetría. Al observar la exposición gingivaldeberá tener- se en cuenta el comportamiento de los labios y las comisuras en la sonrisa, que puede estar afectado por una desviación del mentón o por causas propias de la motricidad labial. Proporciones verticales Es un estudio de las proporciones entre y dentro de los tercios faciales. Desde hace siglos se dividió la cara en tres ter- cios. Artistas de todas las épocas (dibujantes, pin- tores, escultores) utilizaban estas medidas para ela- borar sus obras, y si bien pueden haber sufrido algunas modificaciones producto de diferentes parámetros de belleza que se utilizaron en distintas etapas de la historia, puede considerarse que se mantienen sin variantes hasta la actualidad La cara quedaba así dividida en (Fig. 1.17): - tercio superior: trichion-glabela - tercio medio: glabela-punto subnasal - tercio inferior: subnasal-mentón cutáneo La igualdad de estos tercios es considerada como relación vertical armónica del rostro. Sin embargo es frecuente que en caras con buena esté- tica, los tercios medio e inferior tengan una ligera desproporción. Si bien es importante la proporción existente entre los tercios, las alteraciones que pue- den existir dentro del tercio inferior producen efec- tos más evidentes. Este tercio inferior se divide en 3 partes: - Labio superior - Espacio interlabial - Labio inferior y mentón Se considera normal un espacio interlabial deO a 3 mm. A la longitud del labio superior (Sn- St Sup) se la relaciona con las siguientes áreas faciales (Fig. 1.18): - Tercio medio de la cara - Altura del labio inferior + mentón Idealmente la longitud del labio superior debe ser la tercera parte del tercio medio.
  • 28.
    Estética facial 31 Fig.1.17: Los tercios faciales de frente y perfil. Fig. 1.18: Estudio del tercio inferior. La medida del labio superior está comprendida 3 veces en el tercio medio y 2 veces en el labio inferior y mentón.
  • 29.
    32 Estudio clínicodel paciente En base a esta relación podemos definir un labio superior corto, normal o largo. A su vez, debe ser la mitad de la longitud del área labio inferior + men- tón. La incidencia en la estética de una alteración de estas proporciones es mayor cuando se estable- ce dentro del tercio inferior, que cuando la altera- ción se produce en la relación del labio superior con el tercio medio. Relaciones labiodentales La estética de la sonrisa debe considerarse un objetivo sumamente importante, por ello es necesa- rio un pormenorizado estudio de los teijos cutáneos en reposo y en la dinámica gestual. Un paciente puede tener al final de un tratamiento ortodóncico una perfecta relación de las bases esqueletales entre sí y con el resto del macizo craneofacial, y una per- fecta oclusión funcional, y a pesar de ello, puede no tener una sonrisa agradable, con toda la influencia negativa que ello implica. Un objetivo importante de un tratamiento orto- dóncico u ortodóncico-quirúrgico es armonizar la exposición de los dientes anteriores durante el habla y la sonrisa. Se deberá obtener el posiciona- miento adecuado de los dientes anteriores no sólo en los tres planos del espacio, vertical, transversal y anteroposterior, sino también lograr una orienta- ción del plano oclusal en sentido transversal y sagi- tal que permita una relación estéticamente satisfac- toria de las estructuras involucradas: dientes, labios y encía. En la estética de una sonrisa, un factor indiscu- tible es la apreciación subjetiva de quien la percibe, que tendrá influencias culturales y sociales propias. También habrá factores que son inherentes a la calidad de los tejidos blandos, como la forma, el espesor y la dinámica de los labios, que son inmo- dificables. Sin embargo, es importante parametri- zar todos los aspectos posibles de estas relaciones labiodentales, estáticas y dinámicas, para que del análisis de los mismos surjan los objetivos de trata- miento que permitan lograr como resultado la mejor estética posible de la sonrisa. Exposición del incisivo superior La exposición del incisivo superior con los labios en reposo, será de 2,5 a 4 mm, según la edad y sexo del paciente. Si bien tradicionalmente se establece que el rango de normalidad en la exposición del incisivo superior se extiende desde 1 a 5 mm. consideramos que los valores extremos sólo serán aceptables en escasas oportunidades. Por lo general, en pacientes jóvenes se planifica una exposición mayor, ya que se producirá con la edad una disminución,porque más allá de un posi- ble desgaste de los bordes incisales, se produce un alargamiento del labio por pérdida de tensión de los tejidos subcutáneos. A su vez, en los varones, se considera nomal una exposición es más baja. En sonrisa plena, la exposición normal oscila entre las tres cuartas partes de la corona de los inci- sivos, y 2 mm de exposición gingival anterior (Fig. 1.19). Cuando la exposición es mayor a 2 mm, se deno- mina "sonrisa gingival", y está originada por un exceso vertical del maxilar en la parte anterior, o en algunos casos, por un labio superior corto (Fig. 1.20). Fig. 1.19: Exposición normal de incisivos, en reposo y sonrisa.
  • 30.
    Estética facial 33 Fig.1.20: Exposiciónaumentada,en reposo y sonrisa, ("sonrisa gingival") I Fig. 1.21: Exposición disminuida, en reposo y sonrisa. Una exposición en sonrisa menor al 75% de la corona de los incisivos es debida a un maxilar de escaso desarrollo vertical (Fig. 1.21). Por lo general, tanto el aumento como la dismi- nución de la exposición gingival en sonrisa se co- rresponden con un aumento o disminución en la exposición de los incisivos en reposo. En los sectores posteriores, la exposición en sonrisa plena debe ser ligeramente menor a la ante- rior. La exposición gingival aumentada en el sector posterior se debe a un exceso vertical posterior, y puede acompañarse o no de sonrisa gingival ante- rior. En casos de mordida abierta esqueletal es fre- cuente observar que la exposición gingival está aumentada en el sector posterior, y es normal o menor en el sector anterior (Fig. 1.22). Lo inverso, es decir, el aumento de exposición gingival sólo en el sector anterior, suele acompañar Clases II esqueletales severas (Fig. 1.23). Fig. 1.22: Sonrisa gingival posterior. Fig. 1.23: Sonrisa gingivalanterior.
  • 31.
    34 Estudio clínicodel paciente Curvatura de la sonrisa Otro aspecto que se evaluará en la estética de la sonrisa de frente, es la línea que sigue los bordes incisales de los dientes superiores y se continúa hacia atrás con el contorno oclusal de las caras ves- tibulares de premolares. Esta línea se denomina también arco de la son- risa. En condiciones ideales, debe ser paralela a la curvatura del labio inferior durante la sonrisa; es decir, presentar una concavidad superior que puede ser más o menos marcada según la forma de los labios (Fig. 1.24 A). En la vista frontal, los bordes incisales aparecen más bajos en los incisivos centrales, y van ascen- diendo en laterales, caninos y premolares. Para que este efecto se produzca, no solamente deberá exis- tir un correcto posicionamiento vertical de cada una de las piezas dentarias, sino que se deben ana- lizar una serie de factores tridimensionales. Si observamos la arcada superior desde oclusal. la curvatura anterior debe ser lo suficientemente marcada, con una posición adelantada de losincisi- vos centrales, intermedia de los laterales y más pos- terior de los caninos. Además, el plano oclusal debe tener una inclinación normal, ascendente hacia atrás, con un ángulo de 7 ° a 10 ° con respec- to a la HV. Si el paciente presenta una arcada muy plana en el sector anterior, con una distancia inter- canina aumentada, y un plano oclusal que tiende a ser horizontal, seguramente esta línea de la sonrisa tendrá un aspecto más plano (Fig. 1.24 B). Un arco de sonrisa de concavidad hacia abajo (curvatura invertida) es generalmente consecuen- cia de una mordida abierta y se acompaña de una menor exposición de los incisivos superiores, de un exceso gingival posterior, o de ambos problemas combinados en los casos más severos (Fig. 1.24 C). Una línea plana de la sonrisa o de concavidad invertida, tiene un efecto negativo en la estética de la sonrisa, dando un aspecto de envejecimiento. Por el contrario, una sonrisa juvenil es aquella donde no sólo hay una exposición normal de los incisivos, sino también una adecuada curvatura. Fig. 1.24 A: Curvatura de la sonrisanormal. B: Línea de sonrisarecta. C: Curvatura de sonrisa invertida.
  • 32.
    Estética facial 35 Exposiciónde incisivos inferiores En reposo labial, la exposición del incisivo infe- rior debe ser de O mm. Su exposición en reposo puede deberse a una extrusión de los mismos, o a una eversión del labio inferior. Esta eversión es fre- cuente en pacientes con escaso desarrollo mandi- bular o del mentón (Fig. 1.25 A y B). Corredores bucales Es el espacio que existe entre el contorno lateral de los primeros premolares de la arcada superior y el borde interno de la comisura en una vista frontal de la sonrisa plena (Fig. 1.26). Se visualiza como un triángulo de sombra con base en la cara vestibular de los premolares y vérti- ce en la comisura. Este término fue agregado al glosario dental por los prostodoncistas al final de la década del 50. Cuando rehabilitaban, estos clínicos querían recre- ar una dentición natural desde el punto de vista transversal, y observaron que la presencia de corre- dores bucales amplios producía un efecto estético negativo y antinatural. Cuando una rehabilitación bucal tenía una forma de arco del tipo triangular, se obtenía una sonrisa "de molar a molar" que desde el punto de vista estético era consideradaincorrecta. Frecuentemente se lo representa con una propor- ción entre el ancho intercomisural y la distancia entre las caras vestibulares de ambos primeros premolares. La dimensión del corredor bucal está íntima- mente relacionada a la forma y el ancho de la arca- da e influenciada además por la posición sagital del maxilar. Además se deberán tener en cuenta las características de los labios en la sonrisa, ya que se encuentran variables en este aspecto referidas a la extensión de la distancia intercomisural que influ- yen en la estética de los corredores bucales. Los procedimientos ortopédicos como la dis- yunción rápida de maxilar superior, la expansión dentoalveolar con métodos ortodóncicos, además de procedimientos quirúrgicos de avance y expan- sión del maxilar, logran disminuir los corredores bucales favoreciendo la estética de la sonrisa. Fig. 1.25 A: Exposición aumentadadel incisivoinferior provocada por el aumentodel espacio interlabialy la eversión del labio inferior. Fig. 1.25 B: Perfil de la paciente que muestra la posición retruida del mentón. Fig. 1.26: Corredores bucales en una paciente con un maxilar ligeramente estrecho y retruido.
  • 33.
    36 Estudio clínicodel paciente EXAMEN FACIAL DE PERFIL Igual que para el estudio frontal se deben tener en cuenta los parámetros ya descriptos (PNC, mandíbu- la en RC, arcadas relacionadas con el primer contac- to dentario, labios y musculatura en reposo). Evaluación vertical El examen vertical del perfil es idéntico a lo des- cripto para el examen vertical de frente, pero es más utilizado en el perfil debido a que se realiza a partir de la telerradiografía lateral de cabeza, que permite obtener el trazado de las estructuras del paciente en escala 1a 1,incluido el perfil cutáneo, y sobre este tra- zado se hacen las mediciones. Evaluación sagital Aquí las observaciones clínicas son sólo estima- ciones iniciales, todas estas medidas deberán ser rea- lizadas sobre el perfil de fotografías o sobre el traza- do del perfil blando de la telerradiografía lateral. Es sumamente importante realizar este estudio en una correcta PNC, ya que las alteraciones de dicha Fig. 1.27: Evaluación sagital del perfil. Posición de estu- dio. Fig. 1.28: Importancia de la evaluación en PNC. Las medidas sagitales que toman como referencia la HV se distorsio- nan notablemente con las rotaciones de la cabeza sobre el eje transversal.
  • 34.
    Estética facial 37 posicióndistorsionan notablemente la mayoría de las observaciones (Fig. 1.27 y 1.28). Si bien en la bibliografía existe un gran número de análisis cefalométricos de los tejidos blandos, con un criterio de selección que evite la obtención de datos redundantes, utilizaremos las siguientes medidas para la evaluación sagital: -Vertical de glabela -Curvatura nasogeniana -Vertical de Sn -Ángulo nasolabial -Proporción cervical-facial inferior Vertical de Glabela Se traza una línea perpendicular a la horizontal verdadera desde la glabela cutánea (Fig.1.29). Se miden las distancias desde el punto subnasal (Sn) y desde el pogonion cutáneo (PoC) a esa línea. Las normas son: Sn-VertGl: 6mm+-3 PoC- Vert. Gl: Omm +-4 Estas medidas describen el contorno del perfil total. Un perfil recto, tendrá los valores en la norma o desviados dentro de las mismas hacia el mismo signo, sea positivo o negativo. Aunque estas medidas se encuentren dentro de las normas, la desviación en un punto en sentido contrario a la desviación del otro punto medido significará una alteración en el perfil. Por ejemplo, un perfil que presenta el punto Sn ubicado 9mm por delante de la Vert. Gl y el punto PoC en -4mm, indican un perfil de Clase II a pesar de que ambas medidas están dentro de las normas. Curvatura Nasogeniana En caras normales, la curvatura nasogeniana que corresponde al área paranasal, describe una línea ligeramente convexa hacia delante (Fig. 1.30). Si fuera plana, o presentara una concavidad anterior, expresa una posición retruida del maxilar superior. Además de esta observación, un tercio medio hundido se acompaña de una nariz aparentemente larga y un reborde orbitario y contorno malar apla- nado, como se observa en la figura 1.31. Fig. 1.29: Vertical de glabela. Fig. 1.30: Curvatura nasogeniana.
  • 35.
    38 Estudio clínicodel paciente Fig. 1.31.A: Paciente de Clase III con una curvatura nasogeniana prácticamenteinexistentedebido a la retrusión del maxilar superior. B: El avance del maxilar mejora el aspecto del tercio medio. Ángulo Nasolabial El ángulo nasolabial total está conformado por la columela nasal y el labio superior, tomando co- mo vértice el punto subnasal. El valor normal para el ángulo total está entre 102° +- 8°. El ángulo está influenciado por 2 variables, la inclinación de la base de la nariz y la posición ante- roposterior del labio superior, por lo que es conve- niente analizar separadamente ambas variables y de esta manera poder identificar cuál de ellas es la responsable de su eventual alteración. Por ello, dividiremos al ángulo nasolabial total en 2 partes: una superior y otra inferior, con una línea paralela a la Horizontal Verdadera que pasa por el punto subnasal (Figs. 1.32 y 1.33). Las variantes de la inclinación de la base nasal, propias de la forma de cada nariz, pueden no tener una significación estética, por lo que resulta difícil hablar de normas para la parte superior del ángulo nasolabial, cuyo promedio oscila entre los 15°y 20°. Sí destacaremos el estudio del ángulo nasolabial inferior, que tiene relación con la posición del labio superior y por consiguiente, con la posición sagital del maxilar superior y los incisivos superiores (Figs. 1.34 y 1.35). El valor normal del ángulo nasolabial inferior es de 85° +- 5°. Su alteración, especialmente un aumento del ángulo por una retrusión del maxilar y/o del grupo incisivo superior, tiene una gravitación muy negati- va en la estética del perfil (Fig. 1.35). 5 Fig. 1.32: Ángulo nasolabialtotal y su división en superior e inferior.
  • 36.
    Estética facial 39 Fig.1.33: Un mismo valor del ángulo nasolabial total puede corresponder a pacientes con características morfológicas total- mente dispares, que se describen acertadamente a través de las medidas de los ángulos nasolabial superior e inferior. Fig. 1.34: Cambio favorable del ángulo nasolabial inferior en un paciente ortodóncico portador de una biprotrusión den- taria, donde se han realizado 4 extracciones y una gran retrusión de inicisivos.
  • 37.
    40 Estudio clínicodel paciente Fig. 1.35: Paciente con biprotrusión dentaria, donde la retrusión realizada durante el tratamiento ortodóncico modificó el ángulo nasolabial inferior en forma desfavorable. Vertical de Sn Es una perpendicular a la Horizontal Verdade- ra que pasa, como su nombre lo indica, por el punto subnasal y permite analizar los componentes del tercio inferior de la cara en sentido sagital, median- te 3 medidas lineales. Se evalúan: (Fig. 1.36) -Labio superior - Vert. Sn: 2mm +-2 -Labio inferior - Vert. Sn : Omm +-2 -Poc - Vert. Sn : -2mm +-2 Igual que en el caso de las medidas de la Verti- cal de Gl, las desviaciones dentro de las normas deberán ser cuidadosamente analizadas, porque de ocurrir en distinto sentido pueden alterar la armo- nía estética del tercio inferior (Fig. 1.37). Al estar referida exclusivamente al tercio infe- rior de la cara, la vertical de Sn es muy utilizada para el estudio de casos ortodóncicos y ortodónci- co-quirúrgicos. í> * Fig. 1.36: Vertical de Sn.
  • 38.
    Estética facial 41 Susmedidas involucran la descripción de estructuras cutáneas, óseas y dentarias. Por ello estarán influenciadas por factores que atañen a estas tres estructuras, como son (Fig. 1.39): - Volumen, tonicidad muscular y posiciones pos- turales de los tejidos blandos. - Posiciones sagitales del maxilar superior y el mentón. - Forma y volumen del pogonion óseo. - La posición de rotación de la mandíbula, que se expresará en la sínfísis proyectando en mayor o menor grado el pogonion. - Posiciones sagitales e inclinaciones de los inci- sivos. La medida del labio superior a la vertical de Sn indica si el labio se encuentra en una posición nor- mal, protruido o retruido. Tiene relación con la inclinación y posición sagital del incisivo supe- rior, con la posición sagital del maxilar superior y con el espesor y postura del labio superior. En la mandíbula, mediante la vertical de Sn ana- lizamos: - La posición sagital del labio inferior. - La posición sagital del pogonion. También se evaluará la forma del surco labio- mentoniano, cuyo punto más profundo se encuen- tra ubicado en sentido sagital aproximadamente 2 o 3 mm por detrás del pogonion. Fig. 1.37: Valores dentro de las normas perodesviados en sentidosopuestos pueden no corresponderse a un balance óptimo, como en esta paciente de Clase III. Las variaciones en las posiciones de los incisivos que se planifiquen en el tratamiento ortodóncico afectarán la posición sagital del labio superior e inferior. En la posición del Po, serán muy esca- sas las posibilidades de cambio que podrá obtener un tratamiento ortodóncico. También es útil para evaluar los cambios que el crecimiento produce en el tercio inferior, sobre todo en la posición sagital del pogonion en los pacientes braquifaciales. Fig. 1.38: Vertical de Sn en pacientes ortodóncicos de Clase I, II y III esqueletal.
  • 39.
    42 Estudio clínicodel paciente Fig. 1.39: Factores que intervienen en la definición de la posición sagital del mentón. La diferente forma y rotación de la mandíbula y el mentón óseo, y las disímiles características del tejido blando influyen en la proyección que logra el pogo- nion cutáneo en el perfil.
  • 40.
    Estética facial 43 Relacióncervical-facial inferior Evalúa la proporción que existe entre el perfil del tercio inferior de la cara y la porción submental. Se trazan 2 líneas, una desde Sn tangente a PoC; y otra desde el punto cervical (C) tangente al punto mentoniano cutáneo (MeC). La intersección de ambas líneas determina el punto gnation cutáneo (GnC). Se relaciona Sn-GnC , la relación normal es 1,2 C-GnC (Fig. 1.40) Esta relación varía con la diferente proyección del mentón, un mentón retruido tiende a aumentar el valor, un mentón prognático, por el contrario, lo disminuye (Fig. 1.41). Pero hay que tener en cuenta que una altura anormal del tercio inferior de la cara también ten- drá incidencia en el resultado. Cuando está aumen- tado, aún con una posición normal del mentón, el resultado dará un valor mayor a 1,2. Por el contra- rio, si el tercio inferior de la cara está disminuido, el resultado tiende a disminuir también. Fig. 1.40: Relación cervical-facial inferior. Fig. 1.41: Relación cervical-facial inferior en pacientes con diferente patrón esqueletal. Ala izquierda, un paciente de Clase I con una relación en la norma, en el centro un paciente de Clase II muestra una relación con un valor aumenta- do, y a la derecha se observa una relación disminuida en un paciente de Clase III.
  • 41.
    44 Estudio clínicodel paciente Inclinación del filtrum labial En el perfil del paciente, también se hará la observación del labio superior en sonrisa, especial- mente del filtrum labial (Fig. 1.42). Esto permite tener una apreciación clínica de la posición sagital del maxilar y de los incisivos supe- riores, que con labios relajados puede estar enmas- carada por características propias de los tejidos blandos. Por ejemplo, en pacientes de escaso desa- rrollo vertical y sagital del maxilar, el labio superior se presenta evertido por falta de soporte y esta situación puede dar una apariencia normal del ángulo nasolabial inferior cuando el paciente está con labios en reposo. Pero en la sonrisa se hace evidente esta retru- sión porque a causa de la contracción provocada por la sonrisa, el labio superior se apoya firmemen- te en los incisivos y la parte anterior del reborde alveolar superior. Como consecuencia de esto, el filtrum labial asume una inclinación muy marcada hacia atrás, desfavoreciendo la estética de la sonrisa (Fig. 1.43). Fig. 1.42: Inclinación normal del filtrum labial en reposo y en sonrisa. Fig. 1.43: Paciente de Clase III con hipodesarrollo del maxilar superior. La observación del perfil en sonrisa pone en evidencia la necesidad de un avance maxilar.
  • 42.
    Estética facial 45 POSICIONESCOMPLEMENTARIAS Axial superior Para esta evaluación el paciente deberá estar ubicado en posición reclinada, de manera que per- mita al operador observar desde la parte superior de la cabeza, el contorno de los tercios superior y medio (Fig. 1.44 A y 1.45 A). Este examen pone en evidencia la existencia o no de asimetrías frontales, malares y la posición del dorso y la punta nasal en sentido transversal Axial inferior Requiere que el paciente esté en la misma posi- ción que la descripta para el examen axial superior, pero debe girar la cabeza hacia atrás para que el operador pueda observar la mandíbula desde abajo (Fig.1.44 B y 1.45 B). Esta posición muestra con mucha claridad las asimetrías de los pómulos, nariz (en forma y posi- ción) y mandíbula, que muchas veces no son evi- dentes utilizando otros ángulos de observación. Fig. 1.44: Posiciones axial superior e inferior en una paciente simétrica. Fig. 1.45: Posiciones axiales en una paciente con asimetría facial leve.
  • 43.
    46 Estudio clínicodel paciente AUXILIARES DEL DIAGNÓSTICO CLÍ- NICO Escapa al propósito de este capítulo hablar de técnica de trazado cefalométrico y cefalometría dentoalveolar, tema que será desarrollado en la sección 3. Sin embargo, al realizar el estudio clínico del paciente, las telerradiografías lateral y frontal, y la radiografía panorámica, nos aportarán datos que complementarán y profundizaránel diagnóstico. Utilización de la telerradiografía lateral en el diagnóstico clínico. - Permite realizar el trazado del perfil blando, donde se realizarán mediciones correspondientes al estudio vertical y sagital del perfil. Las medidas obtenidas son reales, porque la escala de tamaño en la telerradiografía es prácticamente 1 a 1 con res- pecto a la cabeza del paciente. - Distingue en determinados puntos del perfil (mentón, labios) la posición de las estructuras óseas o dentarias, que puede estar enmascarada o poten- ciada por el espesor de los tejidos blandos. - En los casos de cierre labial con esfuerzo, nos brinda el detalle del cambio de disposición de los tejidos blandos entre el cierre y el reposo labial. - Permite visualizar las vías aéreas y la posición de la lengua, de importancia en el diagnóstico fun- cional. - En los casos de asimetría, el desdoblamiento de imágenes es un elemento que ayuda aldiagnós- tico; pero serán más útiles en este aspecto las eva- luaciones realizadas en la telerradiografía frontal y en la radiografía panorámica. Utilización de la telerradiografía frontal en el diagnóstico clínico La telerradiografía frontal es un elemento indis- pensable para el estudio de las asimetrías verticales y transversales. Además, cuando esas asimetrías son de pequeña magnitud, pueden no ser percibidas en el examen clínico porque asientan sobre estructuras profun- das y en muchos casos los tegumentos enmascaran el problema, especialmente cuando el operador no tiene gran experiencia. Se hace necesaria en estos casos una observa- ción muy minuciosa con el propósito de detectar signos mínimos que evidencien pequeñas alteracio- nes en cualquier sentido del espacio. Como se obtienen en RC, queda descartado el factor funcional en cualquier laterodesviación de la mandíbula que se observe, interpretándose así de etiología esqueletal. La radiografía frontal obtenida con la boca entreabierta permite visualizar el plano oclusal superior e inferior y evaluarlos por separado, per- mitiendo corroborar alteraciones de los niveles que se hubieran detectado clínicamente. Son muy útiles los datos que aporta sobre las líneas medias dentarias, en pacientes simétricos o asimétricos. También nos permite realizar mediciones de precisión, convirtiéndose así en una indispensable herramienta de planificaciónen los casos de cirugía ortognática, ya que con ellos podemos determinar los movimientos necesarios de los planos oclusales en sentido transversal, estructuras que juegan el papel más relevante cuando se planifica la correc- ción con cirugía en los casos de asimetrías vertica- les y transversales de los maxilares. Remitimos al lector al capítulo 11. donde se desarrolla la técnica de calco y trazado de cefalo- metría frontal, indispensable en el diagnóstico de las asimetrías. Radiografía panorámica como comple- mento del estudio de las asimetrías Más allá de la gran utilidad de este tipo de radiografías en el estudio dentoalveolar del pacien- te de todas las edades, la radiografía panorámica brinda una imagen de la anatomía del maxilar y la mandíbula útil para complementar el diagnóstico clínico en los casos de asimetría (Fig. 1.46). La comparación de las estructuras óseas del lado derecho e izquierdo y la observación del comporta- miento de los planos oclusales aportan datos rele- vantes en estos casos. Resulta útil realizar mediciones de estructuras homologas del lado derecho e izquierdo para reali- zar comparaciones, por ejemplo: En las ramas mandibulares, medir la altura desde el punto gonion al centro de la escotadura sigmoidea, o desde la escotadura antegonial a la cara superior del cóndilo. Medidas desiguales expresarán una diferencia en el crecimiento vertical de la rama y/o cóndilo mandibular.
  • 44.
    Estética facial 47 Fig.1.46: Asimetría mandibular. La observación clínica se corrobora en las radiografías panorámica y frontal, donde se visualizan aspectos anatómicos que definen la asime- tría. En la radiografía panorámica se observa la diferencia de altura entre una rama mandibular y otra, medida de esco- tadura antegonial a cóndilo. La radiografía frontal comple- menta además el estudio de las líneas medias dentarias y esqueletales de ambos maxilares y la apreciación de los tonques posteriores. En este caso ambas líneas medias están centradas en su base esqueletal y se observan tor- ques compensatorios en los sectores posteriores que enmascaran en la oclusión la magnitud de la asimetría esqueletal.
  • 45.
    48 Estudio clínicodel paciente También se podrá medir el ancho de las ramas, la longitud y ancho de los cuellos condíleos, obser- var el tamaño de los cóndilos, comparar la anatomía de los mismos, el espaciointerarticular. Muchas asimetrías se limitan a una diferencia anatómica de los cóndilos, por hiperdesarrollo de uno de ellos, o hipodesarrollo o reabsorción en otros casos. En el cuerpo mandibular, se podrá tomar la medida desde el centro del borde inferior del men- tón a ambos puntos goníacos, y evaluar la altura del cuerpo en los sectores laterales de uno y otro lado, a la altura de premolares y molares. En el mentón, se observarán las eminencias mentonianas laterales derecha e izquierda en el contorno del borde inferior del mentón. No es extraño encontrar asimetrías esqueletales del men- tón, solas o combinadas con otros componentes esqueletales asimétricos. Las asimetrías maxilomandibulares muestran diferencias en los planos oclusales.y la asimetría de la mandíbula se acompaña también de un creci- miento vertical asimétrico del maxilar superior que se pone de manifiestoen la radiografía panorámica. LA FOTOGRAFÍA EN ORTODONCIA El uso de la fotografía es especialmente impor- tante en la práctica clínica. No sólo es uno de los elementos auxiliaresque intervienen en laelabora- ción de un correcto diagnóstico, sino que además permite monitorear la evolución del tratamiento y, una vez finalizado, controlar la estabilidad de los resultados, registrando posibles cambios en las posiciones dentarias que pueden producirse como consecuencia de una falta de estabilidad o por la natural evolución con el tiempo del aparato esto- matognático. Más allá de estos fines clínicos, los registros fotográficos son indispensables para la documenta- ción legal del caso y para la creación de material utilizado en publicaciones científicas o con fines didácticos. Es necesario contar con un equipamiento y entrenamiento adecuados, que permitan imple- mentar una rutina de baja complejidad, que no requiera la destreza de un profesional en la mate- ria. La cámara En la actualidad existen un sinnúmero de cáma- ras aptas para el trabajo en ortodoncia. Las digita- les presentan una serie de ventajas en relación a las cámaras convencionales, que por otra parte están prácticamente en desuso. Estas ventajas se pueden resumir en: • Las fotos pueden visualizarseen elmomento. Esto permite eliminar las incorrectas y repe- tir la toma sin tener que esperar alrevelado. • Se pueden hacer infinidad de copias sin pér- dida de calidad de la imagen original. • Amplísima capacidad de almacenamiento (esto depende de la tarjeta de memoriaadi- cionada). • La imagen digital es rápidamente llevada a la computadora para ser utilizada enaplicacio- nes informáticas, fichaje de pacientes, pro- gramas de cefalometrías o interconsultas, procesadores de texto, e-mail. etc. • Permiten utilizar algún programa de retoque fotográfico posibilitando la mejora de la cali- dad de la imagen en los aspectos de brillo, color, enfoque, contraste, ampliación, reduc- ción, etc, pero cabe destacar en este punto que esta edición de la fotografía no debe prestarse al fraude. • La fotografía digital es inalterable con el tiempo ya que el formatodigital se basa en el almacenamiento de la imagen mediante pixeles que se mantendrán inmutables a lo largo del tiempo. • Las cámaras pueden grabar además peque- ños clips de vídeo. • Economía debida al bajo gasto en consumi- bles (películas de fotografía, revelado) y aho- rro de tiempo del profesional. Funcionamiento de la cámara digital El elemento principal común a todas estas cámaras es un chip semiconductor sensible a la luz llamado CCD (Charge Coupled Device dispositivo de carga acoplada) o CMOS (Complementary Metal Oxide Semiconductor). La película es susti- tuida por este dispositivo sensor que después de fil- trar los colores transforma la luz en una señal eléc- trica y la almacena en la memoria de la cámara.
  • 46.
    Estética facial 49 Cuantosmás valores sea capaz de recibir este sen- sor mejor será la calidad de las fotografías obteni- das con la cámara. El funcionamiento de una cámara de estas características se basa en el siguiente proceso: • Se activa la cámara, se ajusta el dispositivo de resolución, el flash y los demás paráme- tros. Se enfoca el objeto a fotografiar y se pulsa el botón disparador • La luz reflejada por el objeto entra a través de la lente de la cámara. • La luz incide sobre el sensor que contiene múltiples elementos sensibles a la luz y la descompone en rojo, verde y azul. La canti- dad de luz reflejada se convierte en una señal eléctrica analógica y se transfiere a la elec- trónica de la cámara. • Mediante el software interno de la cámara la imagen obtenida se comprime y se almacena sobre la memoria de tipo flash, PCMCIA, disco duro o disquete. • Por último, al conectar la cámara a la PC, pueden transferirse las imágenes. Elementos auxiliares permitan visualizar mejor el campo a fotografiar (Fig. 1.47 y 1.48). Existen para tal fin separadores de tejidos blandos con diferentes formas y funcio- nes, espejos, fondos de diversos colores que desta- quen el objeto fotografiado. Para las tomas extrao- rales, se puede recurrir a elementos accesorios que sirven como referencias horizontales y verticales. El más común es el uso de un hilo con una ploma- da que constituye una referencia exacta de la verti- cal, a partir de la cual se podrán determinar líneas paralelas o perpendiculares a ella, de acuerdo al estudio que se deba realizar. Conjuntamente con la cámara fotográfica es necesario utilizar algunos elementos auxiliares que Fig. 1.47: Espejos bucales utilizados para la tomas late- rales de boca (A y B) y para las fotos oclusales (C). Fig. 1.48: Separadores de tejidos blandos. A: Para labios y carrillos, en las tomas de frente y laterales. B: Retractores labiales para fotografíasoclusales.
  • 47.
    50 Estudio clínicodel paciente Fig. 1.49: Serie básica de fotografías para ortodoncia.
  • 48.
    Estética facial 51 Tipode fotografías La serie básica de fotografías está compuesta por 8 tomas: 3 extraorales y 5 intraorales (Fig. 1.49). Serie básica: Extrabucales: • fotografía de la cara de frente en reposo, • de frente en sonrisa • del perfil derecho en reposo. Intrabucales: • frente, lateral derecha, lateral izquierda, todas con dientes en contacto • oclusal superior y oclusal inferior. Existen además otras fotografías adicionales que serán utilizadas en casos donde es necesario realizar un estudio más profundo del paciente. Éstas son: Extrabucales: • En pacientes con cierre bucal forzado, las fotografías de frente y perfil se toman con labios en reposo y en contacto (Fig. 1.50). • En pacientes quirúrgicos, se toman además fotografías de perfil en sonrisa y toda la serie de tres cuartos de perfil, es decir con labios en contacto, en reposo y en sonrisa (ver fig. 20.25, capítulo 20). El perfil en sonrisa puede brindar información acerca de posibles retru- siones del maxilar superior en casos de Clase III, que no se manifiestan tan claramente con labios en reposo (ver Fig. 1.43). • Se debe registrar también la exposición del incisivo superior, para lo cual se realiza una toma con boca ligeramente entreabierta en los casos en que el espacio interlabial es insu- ficiente para poder visualizar dicha exposi- ción (Fig. 1.55). • En casos de asimetría: ambos perfiles, en reposo y sonrisa; y toma axial superior e infe- rior (ver Fig. 1.45). Intrabucales: • Imagen lateral o frontal inferior del overjet (Fig. 1.52). • De frente con boca entreabierta en los casos de sobre mordida profunda para visualizarla curva de Spee (Fig. 1.53). • Laterales y overjet en RC, cuando exista una diferencia clínica apreciable con la MIC (Fig. 1.54). Fig. 1.50: Paciente con espacio interlabial aumentado: en la toma de frente, se registra con labios en contacto y en reposo.
  • 49.
    52 Estudio clínicodel paciente Fig. 1.51: Perfil de la paciente de la figura 1.50, también con cierre forzado y en reposo. Fig. 1.52: Toma del overjet frontal y lateral. Fig. 1.53: Paciente con sobremordida: Frente con boca cerrada y entreabierta. "* "*-•' 'I'/í ' H , '' í Fig. 1.54: Fotografías en RC y MIC, en un paciente con diferencias apreciables entre ambas posiciones.
  • 50.
    Estética facial 53 Fig.1.55: Para registrar la exposicióndel insicivo supe- rior, resulta útil una toma con boca entreabierta. Condiciones para las fotografías Para todas las fotografías son importantes la posición del paciente y del operador, este último por la relación que tiene en la incidencia de la toma la posición que guarda la cámara fotográfica en relación al campo a fotografiar. Alteraciones en alguna de ellas pueden inducir a errores de interpretación y diagnóstico. Tomas extraorales. Posición del pacien- te y del operador. Para la toma extraoral, la cabeza debe orientar- se en posición natural y sin rotaciones en los tres sentidos del espacio (ver Pag. 20, Fig. 1.3). Para la fotografías de frente la cabeza debe posi- cionarse con el plano bipupilar paralelo al piso y el pelo recogido detrás de las orejas para poder con- firmar que se observa la misma cantidad de hemi- facie derecha e izquierda y sin inclinaciones hacia arriba o hacia abajo (Fig. 1.57). El operador debe ubicarse con la cámara per- pendicular a la cara del paciente y a la altura de un punto medio de la cabeza (Fig. 1.56 A). Encuadre: 2 o 3 cm por fuera de las orejas y por encima de la cabeza y unos 5 cm por debajo del mentón, registrando hasta la base del cuello (Fig. 1.56 B). Las fotografías de frente con boca entreabierta y con sonrisa plena se toman en las mismas condi- ciones. Para las fotografías laterales, el perfil que se registra habitualmente es el derecho, el izquierdo puede utilizarse en casos de pacientes con severas asimetrías. La cabeza debe estar en posición relaja- Fig. 1.56: Fotografíade frente: Posición del operador y encuadre de la toma.
  • 51.
    54 Estudio clínicodel paciente Fig. 1.57: Errores en la orientación de la cabeza para la toma frontal. A: Rotación que se manifiestaen la diferente posición de las orejas. B: Lateroinclinación,donde el plano bipupilar pierde el paralelismocon el piso. Fig. 1.58: Errores de la orientación de la cabeza para la toma lateral.A: Giro sobre el eje vertical. B y C: Giro sobre el eje transversal. da con la mirada fija en un punto lejano del hori- zonte. Es fundamental para esta toma que la cabe- za no tenga rotaciones a lo largo de un eje trans- versal, es decir, que el paciente no esté mirando hacia abajo o hacia arriba porque podría inducir a errores en la valoración sagital del caso (Fig. 1.58). Las posiciones de 3/4 perfil son posiciones inter- medias de la cabeza del paciente entre la toma de frente y la del perfil. En todas las posiciones, cuando no haya con- tacto labial en reposo, se realizarán dos tomas: con labios en reposo y en contacto (esta imagen puede ser útil para realizar morphings fotográficos ya que estos softwares no trabajan bien cuando existe espacio interlabial). Para las fotografías axiales el paciente debe estar reclinado en el sillón y el operador se ubica: - por detrás del paciente con el lente por encima de la cabeza para la toma axial superior - por delante del paciente, con el lente por debajo del mentón para la toma axial inferior (en este caso el cuello del paciente deberá estar en hiperextensión).
  • 52.
    Estética facial 55 Tomasintraorales. Posición del pacien- te y del operador. Para las fotografías intraorales, el paciente se reclina en el sillón dental y el operador se ubica hacia la derecha o hacia la izquierda y, con ayuda de su asistente, posiciona la cabeza para facilitar la toma. Es necesaria la utilización de separadores de tejidos blandos y espejos. Para la fotografía de frente, el lente de la cáma- ra se ubica paralelo al plano oclusal y de frente a ambas arcadas de manera de representar la bisec- triz del ángulo formado por la dirección general de los procesos alveolares. De esta manera, el reborde alveolar derecho se mostrará en la misma medida que el izquierdo. En la imagen, el plano oclusal debe dividir a la fotografía en 2 partes iguales, una superior y otra inferior, debe ser paralelo al borde inferior de la fotografía y la línea media dentaria en la imagen debe reflejar la misma desviación que presenta el paciente en el examen de modelos. El encuadre de la imagen en sentido lateral debe permitir visualizar totalmente hasta el último molar derecho e izquierdo y en sentido vertical, hasta el fondo de surco superior e inferior. Para las fotografías laterales, el lente de la cámara debe estar a la altura del plano oclusal y la incidencia debe ser lo más perpendicular posible a la zona de premolares (Fig. 1.59). El plano oclusal debe dividir la imagen en dos mitades iguales y debe quedar ubicado paralelo al borde inferior de la fotografía. Un encuadre correcto requiere: en la parte ante- rior, una distancia de aproximadamente 5 mm de la cara vestibular de los incisivos al borde de la foto, en la zona posterior debe registrar la clase molar. En sentido vertical, debe abarcar hasta el fondo de los surcos vestibulares superior e inferior. En las fotografías de frente y laterales deben utilizarse separadores como se muestra en la figura 1.48 y se pueden visualizar en boca en la serie de la figura 1.49. Para las fotografías oclusales, la incidencia de la toma debe aproximarse lo máximo posible a la per- pendicularidad con el plano oclusal y para lograrlo es necesario utilizarespejos y separadores de tejidos. El campo deberá comprender desde 2 o 3 mm por delante de los incisivos hasta vestibular y distal de los últimos molares embandados. B Fig. 1.59: Fotografía lateral de boca. A: Incidencia correcta. B: Una incidencia anterior varía la percepción de la rela- ción interdentaria. En las imágenes del overjet, ya sea fotografiado de perfil o desde abajo, obtenemos información acerca de la funcionalidadde la guía anterior. En caso de incluir fotografías de los modelos montados en articulador, éstas serán de similares características a las intraorales.
  • 53.
    CAPITULO 2 Examen bucodental Comprendedos aspectosprincipales: • Examen clínico • Exámenes complementarios (radiografías, modelos y fotografías intraorales) Ambos están íntimamente relacionados porque un completo examen clínico no puede prescindir de los datos aportados por los diferentes tipos de radiografías. Los modelos, por su parte, complementan y amplían este examen. EXAMEN CLÍNICO Se consideran tres áreas: 1.Examen de los tejidos blandos. 2. Examen periodontal. 3. Examen de la dentición. Antes de iniciar el estudio del problema orto- dóncico, el examen clínico deberá dirigirse a valo- rar la salud de los tejidos duros y blandos. No es propósito de este libro desarrollar los innumerables temas referidos a las patologías en estas tres áreas. En los casos en que se detecten problemas pato- lógicos de etiología local o general, éstos deberán ser controlados antes del inicio del tratamiento por los especialistas en las distintas disciplinasinvolu- cradas. Sólo nos referiremos en este capítulo a los aspectos que tienen relación con la etiología del problema ortodóncico. Tejidos blandos Labios En este examen se evalúa el grado de flaccidez o tensión, es decir, el tonismo del músculo orbicular de los labios, su espesor, humedad o sequedad, color, elasticidad, existencia de cicatrices o bridas yfisuras. Mucosa bucal Se examina para detectar modificaciones de forma y volumen localizados, que pueden tener relación con dientes retenidos o malposicionados. Las sobremordidas profundas pueden provocar impresiones o ulceraciones de los dientes inferio- res en la mucosa palatina. Un estudio profundo del espacio oro-faríngeo, que comprenderá amígdalas, paladar blando y úvula, deberá hacerse en casos de pacientes respi- radores bucales o con trastornos funcionales en la fonación y deglución. Este examen deberá estar a Fig. 2.1. Diastemas producidos por frenillos con inserción en la papila interincisiva. A. Entre incisivos centrales superiores. B. Entre incisivos centrales inferiores. 57
  • 54.
    58 Estudio clínicodel paciente cargo del otorrinolaringólogo, y aportará datos de valor para los tratamientos que sean necesarios, en el área de la fonoaudiología o la ortodoncia. Frenillos El frenillo labial superior puede provocar un diastema interincisivo cuando su inserción en la papila incisiva es a nivel palatino (Fig. 2.1). Los frenillos vestibulares inferiores tienen a veces inserciones que traccionan la encía libre y la adherida provocando retraccionesgingivales. Estos casos requieren una intervención precoz con cirugía periodontal para evitar lesiones muco- gingivales mayores. El frenillo lingual, cuando su inserción llega a la punta de la lengua, limita sus movimientos. Estos pacientes suelen presentar una lengua baja, disla- lias y falta de estímulo en el maxilar superior. Lengua Debe considerarse su volumen, su forma, color, posición y motilidad. El diagnóstico de macroglosia, requiere un exa- men más profundo que la sola observación de su tamaño, porque deberá relacionar la posición y motilidad de la lengua dentro de su continente alvéolo dentario. Indudablemente el aspecto más importante del estudio clínico de la lengua es el funcional. Nos referiremos a él en el capítulo 3. Encías Este tema será desarrollado a continuación en el tópico examen periodontal. Examen periodontal La práctica de la Ortodoncia estuvo dirigida durante años al tratamiento de pacientes en perío- do de crecimiento o en sus estadios finales, por lo que el especialista estaba habituado a trabajar en un campo periodontalmente sano o con tejidos con gran capacidad de regeneración. En la actualidad, el número de pacientes adultos ha mostrado un gran aumento. Hoy, el adulto soli- cita el tratamiento ortodóncico por razones estéti- cas que van desde pequeñas malformacionesden- tarias hasta el tratamiento ortodóncico-quirúrgico, por alteraciones funcionales más complejas con compromiso de la dinámica mandibular,alteracio- nes de las ATM o por indicación de otros especia- listas para preparaciones pre-protéticas, etc. Estos pacientes, con cierta frecuencia son porta- dores de cuadros periodontales activos o tienen alguna experiencia periodontal que modifica, con- diciona y a veces impide la instalación de la apara- tología ortodóncica. Fig. 2.2: Gingivitis por mala higiene. Se observan las diferentes características (coloración, tamaño, textura,presencia de placa, etc.) con respecto a encías sanas.
  • 55.
    Examen bucodental 59 Eltratamiento de ortodoncia tiene como carac- terística principal el ser prolongado, lo que nos obliga a mantener una constante atención sobre este tipo de alteraciones. Si bien el tratamiento en sí no aumenta la pre- disposición para que se instale un cuadro periodon- tal, algunos tipos de movimientosdentarios pueden transformar la placa supragingivalen subgingivaly esto puede causar una pérdida de inserción. En ausencia de inflamación, las fuerzas orto- dóncicas mantenidas dentro de límites fisiológicos no inducen a una pérdida de inserción,pero ésta sí podrá aparecer cuando exista un cuadro inflamato- rio previo, aunque las fuerzas estén aplicadas den- tro de rangos correctos. Todo esto nos lleva a comprender que no podre- mos colocar aparatos de ortodoncia en pacientes con problemas periodontales activos.Toda terapia mecánica sólo podrá ser iniciada cuando se ha eli- minado la inflamación y logrado un alto grado de higiene. No es nuestro propósito profundizar en el diag- nóstico periodontal y menos aún en la planificación de estos tratamientos, ya que eso corresponde al especialista; pero el ortodoncista debe saber anali- zar las condiciones periodontales del paciente y realizar un diagnóstico correcto que le permita conocer si está ante un paciente sano o con un com- promiso leve o si por el contrario éste padece una patología periodontal más severa. Ante la presencia de un problema periodontal siempre se estima pertinente recurrir a la colabo- ración de un periodoncista. En el examen periodontal consideraremos: a) Examen clínico b) Examenradiográfico c) Examen de laboratorio a) Examen clínico periodontal Comprende los siguientes aspectos: • Evaluación de la higiene oral • Profundidad de sondaje • Nivel de inserción Fig. 2.3: La profundidaddel surco aumenta por hipertro- fia gingival o pérdida de inserción. • Inserción de frenillos • Evaluación de la movilidad dentaria • Evaluación del sangrado • Presencia de exudadoinflamatorio Evaluación de la higiene oral Cambios en la coloración así como en la textura de la encía, la presencia de tártaro supra o sub- gingival o depósitos de materia alba son fácil- mente detectables clínicamente y orientan al operador sobre los hábitos de higiene del paciente (Fig. 2.2). Otras veces, para poner de manifiestola presen- cia de placa, se puede recurrir a soluciones reve- ladoras como la fucsina o tinturas a base de fluo- resceína, expuestas a la luzultravioleta. Para el registro de la cantidad de placa bacteria- na, se utilizan diferentes índices, como el de O'Leary.
  • 56.
    60 Estudio clínicodel paciente Estos registros tienen un gran valor diagnóstico porque nos permiten evaluar los hábitos de higiene de cada paciente, así como seleccionar la metodología preventiva más adecuada para eliminar la placa bacteriana y mantener el esta- do de salud. Profundidad de sondaje: El aumento de la profundidad del surco gingi- val, que origina la bolsa, puede ser causado por hipertrofia gingival o por pérdida de inserción (Fig.2.3). Introduciendo una sonda milimetrada en el surco gingival o bolsa periodontal se mide la distancia desde el margen libre de la encía hasta donde penetra el extremo de la sonda (Fig. 2.4 A). Se habla de profundidad de sondaje y no de pro- fundidad de bolsa ya que cuando los tejidos están inflamados no ofrecen resistencia a la sonda y ésta puede atravesar el fondo de la bolsa. La profundidad real de ésta sólo puede medirse por medio de un corte histológico. Los resultados de las mediciones de profundi- dad de sondaje sólo en raras situaciones (cuan- do el margen libre de la encía coincide con el límite amelocementario) dan información apro- piada referente a la extensión de la pérdida de inserción. Factores que pueden producir errores en el sondaje: - grosor de la sonda (sondas muy agudas sonmás penetrantes), - mala ubicación de la sonda debido a rasgos ana- tómicos (aquellos dientes como los incisivos ofrecen menos dificultad que otros), - grado de infiltración celular (la sonda penetra más en zonas de mayor inflamación), - presión aplicada al instrumento durante el son- deo. La presión indicada es de 20 gr. lo que lógi- camente exige un cierto grado de entrenamien- to. Para obviar esto, actualmente se encuentran en el mercado sondas que al llegar a la presión adecuada para la medición, avisan al operador mediante un sonido. - Nivel de inserción: Según Lindhe los niveles de inserción pueden ser evaluados mediante la sonda graduada y ex- presados como la distancia en milímetros desde el límite cementoadamantino hasta el fondo de la bolsa gingival (Fig. 2.4 B). Se registra la distancia mayor para cada superfi- cie dentaria y se la incluye en la ficha periodon- tal. Este método de diagnóstico es muy importante y proporciona datos acerca de la historia de la lesión o evolución de la enfermedad. Fig. 2.4. A: Profundidad de sondaje: Se mide desde el margen libre de la encía hasta donde penetra el extremo de la sonda. Fig. 2.4 B: Nivel de inserción. Distancia entre el límite cemento adamantino y el fondo de la bolsa gingival.
  • 57.
    Examen bucodental 61 Inserciónde frenillos: La tracción de los labios y la separación de las mejillas, permiten observar la actividad de los frenillos labiales y vestibulares sobre la encía libre, que en algunos casos puede provocar su separación, abriendo el surco gingival. La sola presencia de isquemia delata una hiper- actividad muscular o una inserción alta que afec- tará la integridad del periodonto vestibular. Se observa esto con cierta frecuencia en el freni- llo labial inferior, que puede provocar exposi- ción radicular en algún incisivo. Otras veces el frenillo lingual tracciona la encía por encima de las apófisis geni, provocando isquemia y separa- ción entre la encía libre y la superficie dentaria. Estas maniobras, en algunos casos determinan la necesidad de realizar una cirugía mucogingival. Evaluación de la movilidad dentaria: La pérdida continua de tejidos de sostén en la enfermedad periodontal progresiva puede pro- vocar un aumento en la movilidad dentaria. Clinicamente, esta movilidad puede clasificarse de la siguiente manera: Grado O movilidad fisiológica, Grado 1 movilidad en sentido vestibulolin- gual, Grado 2 movilidad en sentido vestibulolin- gual y mesiodistal, Grado 3 se suma a las anteriores la intrusión Evaluación del sangrado: Nos permite determinar siuna bolsa es activa o no. Se introduce tres veces una sonda en el interior de la bolsa. Con esta maniobra, se provocará el sangrado de las bolsas activas. Otra técnica utilizada es el paso repetido (tres veces) de un palillo interdentario a través del espacio proximal. Presencia de exudado: El exudado purulento está presente en la enfer- medad periodontal activa y se detecta mediante la presión digital sobre la superficie gingival. Este signo y el del sangrado son los que mejor reflejan la presencia de enfermedad periodontal activa. b) Examen radiográfico periodontal El examen radiográfico es complementario al estudio clínico. Nos informa sobre el nivel de la cresta marginal, hueso interdentario, septum inter- radicular, presencia de defectos óseos, compromiso de la enfermedad, tipo y grado de ésta. Esta información se obtiene mediante un set de radiografías periapicales y bite wing. La radiografía panorámica no es de utilidad porque no da detalles precisos y está sujeta a distorsiones mayores. 1. Aplicaciones: Las radiografías son muy útiles para determinar: • el nivel óseo; • tipo de pérdida ósea: horizontal y vertical, localizada o generalizada; • caries, cálculos, obturaciones desbordantes o restauraciones protésicas con falta de ajuste; • número y forma de las raíces; • lesiones de furcación. Actualmente, para ver el hueso se utiliza un nuevo método: radiografías por sustracción digital computarizada, que permiten ver una lesión antes de que se haya perdido el 5% del material mineral. 2. Limitaciones de las radiografías en periodoncia: • no permiten diferenciar una gingivitis de una periodontitis; • no son de ayuda para el diagnóstico precoz de la enfermedad periodontal; • las lesiones sólo se visualizan en la radiografía cuando ya se ha perdido 40% del mineral del hueso; • en el 60% de los casos se pierden 4 mm de in- serción antes de que esa pérdida aparezca en las radiografías;
  • 58.
    62 Estudio clínicodel paciente Fig. 2.5: Paciente con enfermedad periodontal Fig. 2.6: La radiografía panorámica permite sólo una evaluación superficial del estado periodontal. Con las tomas peria- picales se obtiene una mejor definición del problema.
  • 59.
    Examen bucodental 63 •no se observa la movilidad; • no se detecta enfermedad de las caras libres; • no permiten distinguir entre un caso tratado o no, muestran siempre un cuadro más leve que la realidad clínica; • no reflejan la diferencia entre cuadro activoy pasivo. c) Exámenes bacteriológicos Se utilizan en casos de persistencia de la enfer- medad a pesar del control de hábitos, de la elimi- nación mecánica del cálculo subgingival y de la remoción quirúrgica del tejido de granulación. Examen de la dentición En el examen de la dentición debemos distin- guir dos aspectos: Uno es el referido a las patologías que pueden afectar a las piezas dentarias, y el otro es el estudio que, con criterio ortodóncico, deberá contemplar: • Número de piezas dentarias. • Tamaño y forma. • Posiciones (apiñamientos, giroversiones, vestí- bulo o linguo versiones, posiciones ectópicas.etc.). • Relaciones interoclusales de incisivos,caninos y molares. Este examen requiere la utilización de algunos auxiliares de diagnóstico. EXÁMENES COMPLEMENTARIOS Radiografías Panorámicas La radiografía panorámica es un método de exa- men auxiliar de suma utilidad en el diagnóstico clí- nico para estudiar las variaciones en la topogénesis y estructuras dentomaxilares y patologías de tejidos duros y blandos. En odontopediatría y ortodoncia esta técnica aporta una valiosa información de los detalles mor- fológicos y de la cronología del desarrollo de la dentición y sustituyó a las tomas seriadas que en el niño presentan una dificultad adicional. Permiten una valoración global bastante satis- factoria. Los detalles que no pueden ser observados con precisión en ellas, se limitan a ciertas situacio- nes y áreas que necesitarán el complemento de otras tomas. Es también útil para el estudio de la simetría, comparando el lado derecho con el izquierdo. A este respecto debemos señalar que las posibilidades de distorsión son mayores en el sentido horizontal que en el vertical, por la posibilidad de un giro de la cabeza del paciente alrededor de su eje vertical. Algunos autores aconsejan dividir laradiografía panorámica en cinco zonas: 1- Nasomaxilar. 2- Mandibular. 3- ATM. 4- Dentición superior. 5- Dentición inferior. 1 - Nasomaxilar Comprende la parte central y superior de la radiografía. Se pueden visualizar en ella: arcos cigomáticos, fosas pterigomaxilares, senos maxi- lares, abertura piriforme, tabique y cornetes nasales, paladar duro, paladar blando y espina nasal anterior. 2 - Mandibular Comprende el cuerpo y la rama mandibular, y los tejidos que lo rodean. Se observa el contor- no mandibular, ángulo goníaco y escotadura antegonial, sínfisis, apófisis geni (importantes para la determinación de la línea media mandi- bular), orificios mentonianos, conductos denta- rios inferiores. A veces se visualiza el hueso hioides. 3 -ATM Zona de la articulación, cóndilo mandibular, cavidad glenoidea, apófisis coronoides, zona de la tuberosidad maxilar. En esta región se pueden apreciar alteraciones morfológicas de los cóndilos. Es importante recordar que una rotación de la cabeza del paciente alrededor de su eje vertical puede oca- sionar distorsiones en sentido horizontal que no deben atribuirse a malformacionesestructurales.
  • 60.
    64 Estudio clínicodel paciente La panorámica no es adecuada para el análisis de las disfunciones temporomandibulares ni para el estudio de las relaciones entre cóndilo y cavidad glenoidea. 4- Dentición superior 5- Dentición inferior En estas dos zonas estudiamos: • el estado de desarrollo de la dentición, • presencia de supernumerarios, • agenesias, • posiciones preeruptivas, • transposiciones y posiciones ectópicas, • dientes retenidos, • quistes foliculares, • malformaciones coronarias de los gérmenes, • dirección axial de los dientes, • anatomía radicular (dilaceraciones), • anquilosis, • presencia de caries y estado de las restaura- ciones existentes, • naturaleza de algunas desviaciones de línea media. La panorámica también brinda unainformación superficial concerniente al estado periodontal. Todos estos factores tienen gravitación en la oportunidad y planificación del tratamiento. Estas radiografías constituyen también una herramienta para el control de las posiciones radi- culares obtenidas con el tratamiento ortodóncico. Fig. 2.7: Trasposición de incisivo lateral inferior izquierdo, que erupcionó pordistal del canino primario. En la radiografía panorámica se observa la ubicación del canino permanente por mesial del incisivo lateral.
  • 61.
    Examen bucodental 65 Fig.2.8. A: La observación de la forma y dirección radicular es imprescindible antes de la colocación de la aparatología en boca. En casos de dilaceraciones, la anatomía coronaria no podrá ser la referencia para la ubicación del bracket, ya que provocaría una posición radicular muy comprometida para ese diente y los vecinos. En la panorámica se observa una marcada dilaceración en el segundo premolar inferior izquierdo, presentando una dirección vertical de su corona clí- nica que no deberá ser modificada. Fig. 2.8 B: En una preparación anatómica puede obser- varse una marcada dilaceración en un canino inferior. ,r*~,m * Fig. 2.8 C: En dentición mixta, la radiografía panorámica es de utilidad en la planificación del tratamiento por los datos que aporta sobre presencia y estado de desarrollo de los gérmenes. En este caso, se observan agenesias de segundos premolares inferiores.
  • 62.
    66 Estudio clínicodel paciente Periapicales Si bien el campo de evaluación es más restringi- do, estas radiografías dan la misma información que las anteriores, agregando mayor definición para la evaluación radiográfica periodontal y tam- bién para el estudio del estado radicular, y la inte- gridad de los tejidos dentarios. Como se verá más adelante, están indicadas para la técnica radiográfica de localización de dien- tes retenidos y en la técnica de Huckaba para la predicción individualizada del espacio libre de Nance. Oclusales Su uso es limitado; complementan a las anterio- res en la localización de los dientes retenidos y se indican también para la observación de la sutura media palatina. Localización radiográfica de caninos retenidos La retención de caninos puede ser profunda (intraósea) o superficial(subgingival). También puede ser uni o bilateral y consideran- do la posición en relación al reborde alveolar, pala- tina o vestibular. El diagnósticorequiere la inspección, palpación y el examen radiográfico. Inspección Mediante ella visualizamos la ausencia del canino permanente en la arcada que puede acompañarse con la persistencia o no del homólogo temporario. En ocasiones se visualiza además una elevación o relieve en el paladar o en la zona vestibular (Fig.2.9). Palpación Por medio de ella se investiga la consistencia de esa elevación. En el caso de corresponder a la retención dentaria, su consistencia es dura. Por el contrario, una consistencia fluctuante puede indi- car un proceso infeccioso o quístico. Examen radiográfico Mediante las radiografías panorámicas, oclusa- les y periapicales, se obtendrán datos acerca de: • Posición del canino retenido en sentido ante- roposterior o vertical. • Ubicación de la corona. • Presencia de sacopericoronario. • Relacionescon órganos y dientes vecinos. • Existenciade procesos quísticos. óseos, peri- coronarios. etc. Es muy importante verificar radiográficamente la posición en sentido vestíbulo-palatino del canino retenido con el fin de planificar la vía de abordaje. Se utilizapara ello la radiografía oclusal y lastomas periapicales con distinta incidencia del rayo,aplicando la "ley del objeto bucal" (Ley de Ennisy Bern. 1959). .2.9. A: Relieve palatino en el sector izquierdo producido por una retención de sos por vestibular correspondientes a caninos retenidos en ambas hemiarcadas
  • 63.
    Examen bucodental 67 Latoma oclusal se realiza sosteniendo la pelícu- la entre los dientes en oclusión debiendo conservar una posición horizontal. La incidencia del rayo debe ser paralela al eje mayor de los incisivos para lo cual, el cono del apa- rato radiográfico se coloca sobre la cabeza del paciente a nivel del hueso frontal, 2 a 3 mm por encima de la glabela. Con esta incidencia los incisivos aparecen como si hubieran sido cortados en su ecuador, es decir, de forma elíptica, no visualizándose la proyección de sus raíces. El diente retenido aparece hacia vestibular o palatino de los dientes del sector anterior. En general los caninos en posición horizontal se encuentran en palatino. En vestibular la conformación anatómica de esta región del maxilar superior entre el incisivo lateral y el primer premolar no permite la retención de un canino horizontal, por ello las retenciones vestibulares se presentan generalmente en posición vertical. Esto es de cierta ayuda para un diagnósti- co inicial. Cuando la incidencia del rayo para la toma oclu- sal se hace a nivel de los huesos nasales, o bien su dirección no es correcta, puede aparecer una ima- gen que no se ajusta a la realidad. Por ejemplo, en algunos casos en que el canino retenido está en ves- tibular, su imagen puede aparecer en la región palatina. Por lo tanto, no es aconsejable el uso de una radiografía oclusal solamente. La localización es mucho más exacta con el méto- do de las tres películas periapicales (anterior, media y posterior), aplicando la ley del objeto bucal. Por un principio de óptica aplicado a la toma radiográfica, si se colocan dos objetos sobre un mismo plano y se proyecta un haz de rayos sobre una película, se obtiene una imagen en la que ambos cuerpos se superponen. Sin modificar la posición de la película y de los objetos, si se desplaza la fuente de rayos hacia ade- lante, los objetos ya no aparecerán superpuestos, sino movilizados en el sentido del rayo emitido pero con las siguientes diferencias: • el objeto más próximo al aparato se desplaza en mayor grado en sentido contrario al que se desplazó la fuente; • el objeto más alejado de la fuente, o sea el más cercano a la película, se desplaza en el mismo sentido pero en menor grado; • relacionando ambos objetos entre sí, al dejar de superponerse podemos decir que se han des- plazado. El que se desplaza hacia el lado contra- rio al movimiento de la fuente está más próximo a ella. El que se desplaza hacia el mismo lado está más alejado de la fuente. En el estudio de la posición vestíbulo-palatina del canino retenido, este principio óptico se aplica de la siguiente manera: Los dos objetos a comparar son: • raíz de dientes próximos al canino (incisivo lateral, generalmente), • canino retenido. La película se coloca por palatino, y la fuente de rayos incide desde vestibular. Si la retención es palatina (Figs. 2.10 A y 2.11 A) el canino se desplaza en la imagen radiográfica hacia el mismo lado que la fuente de rayos. Esto puede comprobarse comparando su posición con respecto al incisivo lateral: • En la toma anterior aparece mesializado. • En la posterior, con una ubicación más distal. Cuando la retención es vestibular, es a la inver- sa (Fig. 2.10 B). El canino es el objeto próximo a la fuente de rayos y se desplazará, con respecto de la raíz del lateral, en el sentido contrario al que se despla- zó la fuente de rayos. Caninos inferiores La retención de caninos inferiores es menos fre- cuente que la de los superiores. Dada la diferente topografía del terreno su loca- lización es más simple. La palpación complementada con un examen radiográfico, con panorámica y oclusal, general- mente es suficiente para un correcto diagnóstico (Fig. 2.11 B).
  • 64.
    68 Estudio clínicodel paciente Fig. 2 10 A: Canino retenido en la zona palatina. Se observa en las tres películas que el movimiento del canino con res- pecto a los dientes vecinos es en la misma dirección del desplazamiento de la fuente de rayos. B Fig. 2.10 B: Localización de caninos retenidos. Comparando las tres tromas se observa un desplazamiento del canino en sentido contrario al de la fuente de rayos. Esto indica una retención vestibular.
  • 65.
    Examen bucodental 69 Fig.2.11 A: Retención del canino superior derecho. Las radiografías panorámica y oclusal no definen su ubicación en sen- tido vestíbulo-palatina. En las tres radiografías periapicales se observa que el canino se desplaza hacia adelante en la toma anterior y hacia atrás en la posterior, es decir, en la misma dirección que la fuente de rayos, lo que confirma su ubi- cación por palatino. Fig. 2.11 B: Retención de canino inferior. La toma de dos radiografías, panorámica y oclusal inferior, define su ubicación con exactitud. La radiografía periapical es sólo un complemento.
  • 66.
    70 Estudio clínicodel paciente Fig. 2.12: Tomografía helicoidal de maxilar superior en un caso de canino superior retenido. Cortes en los planos oblicuo, panorámico y 3D. Mediante las imá- genes se diagnostica una posición que compromete vestibular y palatino. La pieza retenida atraviesa el reborde alveolar por mesial del primer premolar, estando su corona por palatino de los incisivos supe- riores y el ápice por vestibular, a la altura del premo- lar. En su trayecto no afectó la integridad de las piezas vecinas.
  • 67.
    Examen bucodental 71 Utilizaciónde Tomografía Computada en el diagnóstico de caninos retenidos Los métodos mencionados anteriormente para la localización de caninos, si bien pueden ubicarlo con bastante certeza, no siempre logran diagnosti- car si existe daño en las raíces que se relacionan con el diente retenido. El diente que sufre reabsorción radicular con mayor frecuencia es el incisivo lateral; el incisivo central y los premolares también suelen estar afec- tados , dependiendo de la posición del canino rete- nido. Si la reabsorción involucra la parte apical completa, o las caras proximales de la raíz, será visi- ble en las radiografías de rutina, periapicales y panorámica. La radiografía oclusal generalmente no aporta datos en este aspecto. Pero en algunos casos, cuando la incidencia de la pieza retenida afecta solamente la cara palatina o vestibular de la raíz, pueden existir reabsorciones que no son perci- bidas en las tomas radiogáficas mencionadas. En estos casos, el estudio podrá ser profundizado con la tomografía axial computada que en los cortes horizontales muestra la relación que se establece entre el diente retenido y las raíces contiguas, cual- quiera sea la relación espacial que se establezca entre ellas, pudiendo así ser evaluadas (Fig. 2.13). Este estudio será útil en todos los casos en que se observe contacto del diente retenido con raíces próximas, en los casos donde ya se observa reab- sorción, para evaluar mejor el grado de compromi- so, y en los casos donde no se observa, para descar- tar totalmente la lesión. Además define con gran exactitud la posición del canino, aunque general- mente no sea éste el motivo de su prescripción. La tomografía computada helicoidal amplía las posibilidades de visualizaciónde dientes retenidos, y con el complemento de procesador de imágenes en estación de trabajo independiente se logran imá- genes de 3D de alta resolución (Fig. 2.12). Fig. 2.13: Retención de ambos caninos superiores. Imágenes de la radiografía panorámica y de los cortes de la TAC, donde se visualiza el compromiso de las raíces próximas.
  • 68.
    72 Estudio clínicodel paciente n ANÁLISIS TRANSVERSAL ESTUDIO DE MODELOS ARTICULADOS h ANÁLISIS SAGITAL ANÁLISIS VERTICAL — INDIVIDUALES ESTUDIO DE LONGITUD DE ARCADA ÍNDICE DE BOLTOh SEIS LLAVES DÉLA OCLUSIÓN DE ANDREWS
  • 69.
    Examen bucodental 73 ANÁLISISDE LAS ARCADAS DENTA- RIAS El estudio de las arcadas dentarias con un crite- rio ortodóncico, involucra varios aspectos del diag- nóstico: -Evaluación clínica, mediante la observación de la boca del paciente o las fotografías -Estudio de los modelos montados en articula- dor. A su vez en ambos se considera cada arcada independientemente o en la relación oclusal. En este capítulo se describirá el estudio de las arcadas en los tres planos del espacio: transversal, anteroposterior o sagital, y vertical, que permite conformar una base de datos indispensable para el proceso de planificación. Para la descripción de la relación interoclusal, los datos que aporta el estudio clínico son limita- dos, por lo que debemos recurrir al análisis de los modelos montados en articulador en RC, porque, si bien clínicamente se puede observar la oclusión en RC cuando el paciente está debidamente despro- gramado, es muy difícil que éste se pueda abstraer del comportamiento neuromuscular habitual que lo conduce a la posición de máxima intercuspidación, lo cual dificulta un estudio minucioso. Por otra parte, la visualización desde distintos ángulos que permite estudiar en profundidad el problema, es imposible clínicamente. Para el abordaje de este tema, remitimos al lec- tor al capítulo 7 referido al análisis de los modelos montados en articulador. A- Análisis transversal: El plano de referencia utilizado para la determi- nación de las desviaciones transversales (com- presiones uni o bilaterales de las arcadas, sime- tría, mordidas cruzadas laterales) es el plano medio sagital. B- Análisis anteroposterior o sagital: El análisis de los problemas sagitales (overjet, relación canina y molar y las posiciones denta- rias en sentido mesiodistal de los sectores late- rales) toma como plano de referencia el plano transversal. sentido vertical (overbite o sobremordida, infra o supra erupción de uno o de un grupo de dien- tes), se utiliza el plano oclusal, al que se lo con- sidera como plano horizontal. Análisis transversal de las arcadas den- tarias Se utiliza como referencia el plano medio sagital para evaluar: (Fig. 2.14) 1. La coincidencia o no de la línea media denta- ria con línea media del maxilar superior o mandi- bular. 2. La simetría transversal de ambas arcadas. 3. La relación transversal interarcadas. Las líneas medias del maxilar y la mandíbula son una referencia para el estudio de las líneas medias dentarias, que se definen como el punto de contacto mesial de los incisivos centrales (Fig. 2.15). Estos dientes pueden sufrir migraciones que desplazan la línea media. Debe hacerse un análisis intramaxilar de cada una de ellas para luego rela- cionarlas entre sí. 1. En el maxilar superior la línea media está repre- C- Análisis vertical: Para el estudio de las posiciones dentarias en Fig. 2.14: El análisis transversal utiliza el plano medio sagital como referencia.
  • 70.
    74 Estudio clínicodel paciente sentada por el rafe palatino. Se toma en consi- deración su parte posterior porque no está influenciada por desviaciones dentarias que pueden desplazarlo lateralmente. La determinación de la línea media mandibular ofrece más dificultad.Se ubica en el sector ante- rior en el punto de inserción del frenillo lingual y en la parte posterior, en los pacientes simétri- cos, corresponde a la proyección vertical del plano del rafe. Esta localización de la línea media inferior es más exacta si se realiza con los modelos monta- dos en articulador, reproduciendo la relación céntrica del paciente, de modo que la mandíbu- la esté correctamente centrada. Para corroborar este estudio en los modelos, se Fig. 2.15: Falta de coincidencia de líneas medias denta- rias superior e inferior. A: Desviación de línea media den- taria superior, que se corrobora con la observación por palatino. B: Caso de desviaciónde línea mediadentaria inferior.
  • 71.
    Examen bucodental 75 recurrea las radiografías panorámicas y telerra- diografías frontales, en las que la línea media del maxilar está representada por el plano que pasa por la espina nasal anterior (plano medio sagi- tal). En la mandíbula, la referencia central está dada por las apófisis geni. La integración de los datos obtenidos en los exá- menes clínico, radiográfico y de los modelos nos permitirá determinar con precisión las desvia- ciones de línea media. 2. Con las líneas medias de los maxilares como referencia se pueden medir la simetría transver- sal de la arcada, frecuentemente alterada en casos de mordidas cruzadas uni o bilaterales. Para estas mediciones se utilizan reglas milime- tradas comunes y compás de punta seca o un simetroscopio, que consiste en una placa de material transparente que lleva impreso un reti- culado milimetrado. Se coloca sobre las superfi- cies oclusales de los modelos centrado en la línea media, facilitando la observación del com- portamiento transversal de una y otra hemiar- cada. 3. La relación transversal entre ambas arcadas puede establecerse en forma: (Fig. 2.16) • normal • mordida cruzada • mordida en tijera Estas anomalías pueden ser uni o bilaterales y a su vez afectar una o varias piezas de cada sector. Para su evaluación es indispensable el estudio de los modelos en posición de oclusión habitual y en posición de relación céntrica, para lo cual se recurre al montaje en articulador. Éste permite observar las variaciones en la relación transver- sal intermaxilar entre una posición y otra, como por ejemplo en las mordidas cruzadas unilatera- les causadas por desviaciones funcionales de la B Fig. 2.16: Relación transversal interarcadas: A: Normal, B: Mordida cruzada, C: Mordida en tijera.
  • 72.
    76 Estudio clínicodel paciente mandíbula, que se manifiestan sólo en la oclu- sión habitual.Al reposicionarse la mandíbula en céntrica esta relación se modifica y adopta una posición cúspide a cúspide de ambos lados. En los casos de una alteración de la relación interoclusal transversal, se estudiarán los tor- ques de los sectores laterales y el comporta- miento de las básales óseas de dichas zonas, para poder diferenciar si la anomalía es de natu- raleza dentaria (por alteración de los torques) o esqueletal. En casos de asimetrías esqueletales, se realizará esta observación aún cuando no exista una mor- dida cruzada o en tijera, dado que pueden exis- tir torques compensatorios que impiden que se exprese en la oclusión la discrepancia transver- sal de las básales. Un complemento importante del estudio clínico y de los modelos en sentido transversal, lo cons- tituyen las radiografías frontales. Fig. 2.17. Análisis sagital: utiliza como referencia el plano transversal. Análisis sagital de las arcadas La referencia utilizada para este estudio es el plano transversal (Fig. 2.17). Para la descripción de la relación anteroposte- rior entre arcadas superior e inferior se utiliza la clasificación de Angle: Clase I, II y III, y se la con- sidera a nivel molar y canino. Además, se analiza el overjet o resalte incisivo. Relación molar: Clase I: la cúspide mesiobucal del 1er molar superior ocluye en el surco bucal del 1er molar inferior (Fig. 2.18 A). Clase II: el surco vestibular del 1er molar inferior está en posición distal con respecto a la cúspide mesiovestibular del 1er molar superior. Dentro de la Clase II se distinguen dos variedades: Clase II, División 1: Cuando los incisivos superiores están pro- truidos, con overjet aumentado (Fig. 2.18 B). B Fig. 2.18: A: Clase I molar y canina. B: Clase II división primera. C: Clase II división segunda.
  • 73.
    Examen bucodental 11 ClaseII, División 2: Cuando los incisivos centrales superiores tienen una posición de retroinclinación coronaria, con los incisivos laterales en ves- tibuloversión (Fig. 2.18 C). Son casos con overjet disminuido y sobremordida profun- da en el sector anterior. Según la magnitud de la anomalía, se la cla- sifica en: Clase II completa: Cuando la cúspide mesiovestibular superior ocluye en el espacio interdentario entre el 1er molar inferior y el diente que le antece- de. Clase II incompleta: Cuando existe una relación cúspide a cúspi- de en el sentido sagital, por lo que las caras mesiales de ambos primeros molares (supe- rior e inferior) están en un mismo plano. Estas Clases II en general son debidas a rotaciones mesiales de los primeros molares superiores (Fig. 2.19 y 2.20). Cuando la Clase II molar se observa unila- teralmente se habla de Clase II subdivisión (derecha o izquierda). B Fig. 2.19: Clase II incompleta. A: Se observa por vestibu- lar una relación cúspide a cúspide. B: Por palatino la rela- ción es de Clase I (cúspide palatina superior en fosa central inferior). Fig. 2.20: La foto oclusal muestra la rotación mesial de los primeros molares superiores. Cuando la proyección de una línea que une las cúspides distovestibular y mesiopa- latina del primer molar superior cae por distal del canino del lado opuesto, dicho molar se encuentra en posición de mesiorrotación.
  • 74.
    78 Estudio clínicodel paciente Clase III: Son aquellas en las que el surco vestibular del primer molar inferior está ubicado por mesial de la cúspide mesioves- tibular del primer molar superior. En el caso de ser unilateral, también se la deno- mina subdivisión (Fig. 2.21). Relación canina: Clase I: El canino superior se sitúa por detrás del inferior quedando sus cúspides a una distancia de 3 mm (Fig. 2.18 A). Clase II: Esta distancia es menor o bien el canino superior está ubicado por delante del inferior (Fig. 2.18 B y C). Clase III: Cuando la cúspide del canino superior está a más de 3 mm por detrás de la cúspide del inferior (Fig. 2.21). Overjet o resalte incisivo Es la distancia entre la cara labial del incisivo central inferior y el borde incisal del incisivo supe- rior, medida en dirección paralela al plano oclusal. Es positivo cuando el incisivo superior se halla delante del inferior. Cuando las caras vestibulares Fig. 2.21: Clase III, molar y canina. de ambos dientes están en un mismo plano, se con- sidera overjet O,es negativo en las mordidas inver- tidas anteriores. La norma es de +2 mm (Fig. 2.22). El resalte incisivo se observa en los exámenes clínicos, cefalométrico y en el de los modelos. Fig. 2.22: A: Overjet normal. B: Overjet aumentado. C: Overjet negativo.
  • 75.
    Examen bucodental 79 Sualteración puede deberse a múltiples factores: • Relación molar: la relación molar de Clase II o Clase III, con dientes totalmente alineados y de tamaños armónicos, producirán un overjet aumentado o negativo respectivamente. • Presencia de apiñamientos y/o diastemas: Aún con una relación molar de Clase I la presencia de apiñamientos inferiores y/o diastemas supe- riores provocan un aumento del overjet. Lo inverso, es decir apiñamientos superiores y dias- temas inferiores, favorecen un resalte negativo. • Tamaño dentario: La macrodoncia de un sector incisivo tiene un efecto directo en la alteración del overjet. • Rotaciones en dientes del sector lateral: Cuando los dientes del sector lateral están rotados, ocu- pan un espacio mayor en la arcada, provocando desplazamientos del sector incisivo en sentido anterior. Muchas veces la alteración del overjet es un pro- blema multifactorial, por lo que la elaboración de un diagnóstico diferencial requerirá, como ya se ha dicho, el estudio cefalométrico que aportará datos precisos en lo referente a torque incisivo, anomalí- as horizontales, verticales y dentoesqueletales que pueden ser causa de alteración en el resalte incisi- vo. Análisis vertical de las arcadas dentarias En este análisis el plano de referencia utilizado es el horizontal que corresponde al plano oclusal (Fig. 2.23). Overbite o sobremordida Es la distancia en sentido vertical entre los bor- des incisales de los incisivos centrales superior e inferior. Se proyecta el borde incisal superior sobre la cara vestibular del inferior en forma paralela al plano oclusal y se mide la distancia desde esta marca al borde incisal del incisivo inferior. Se considera positivo cuando el borde incisal del superior está por debajo del inferior. En los casos de mordida abierta los valores son negativos. La norma es de + 2,5 a 3 mm y presenta variaciones de acuerdo con las inclinaciones de las vertientes cus- pídeas de los sectores posteriores y la guía condílea con las cuales debe armonizar. Desde un punto de vista funcional, el overbite normal para un caso dado, es aquel que permita la desoclusión de los premolares y molares cuando los incisivos realicen un movimiento protrusivo. La magnitud del overbite está en relación a las características de la curva de Spee (Fig. 2.24). Ésta se mide en el modelo inferior. Su profundidad es la distancia desde un plano que va desde la cúspide distovestibular del segundo molar al borde incisal del incisivo, hasta la parte más profunda de la línea curva descrita por las cúspides vestibulares de los premolares y molares. Cuando esta curva es plana existe un overbite normal. Las curvas profundas están indicando una supraerupción incisiva y pro- ducen un entrecruzamiento excesivo. Las inverti- das se presentan en las mordidas abiertas. La evaluación vertical visual del modelo supe- rior puede hacerse mediante un plano que pase por las cúspides vestibulares de premolares y primeros molares, que en condiciones normales pasa tam- bién por los bordes incisales de los incisivos supe- riores. Se puede evaluar así, la supra o infraerup- ción de los sectores anteriores. Fig 2.23: Análisis vertical: utiliza como referencia el plano horizontal.
  • 76.
    80 Estudio clínicodel paciente Fig. 2.24: Las características de la curva de Spee definen el overbite. A: Overbite normal. Curva de Spee casi plana. B: Ovrbite aumentado. Hay profundización de ambas curvas. C: Overbite negativo. Las curvas de Spee están invertidas.
  • 77.
    Examen bucodental 81 Lasseis llaves de la oclusión normal de Andrews Analizar un caso clínico implica hacer un estu- dio comparativo entre las condiciones que presenta ese paciente con los parámetros considerados nor- males. En este capítulo se incluyen los conceptos de Andrews sobre la oclusión normal, por dos razo- nes: 1. Porque están basados en análisis de modelos sobre los que este autor formuló nuevos con- ceptos para definir una oclusión óptima. 2. Comparando los modelos del paciente con estos parámetros se podrán valorar fácilmente las condiciones del caso y con ello realizar un diag- nóstico más exacto. En el trabajo titulado "Seis claves para la oclu- sión normal", Andrews describe los seis factores que consideró comunes a ciento veinte oclusiones normales no tratadas ortodóncicamente. Eran modelos pertenecientes a pacientes con oclusiones perfectas desde el punto de vista anatómico y fun- cional que no podían ser mejoradas con terapia ortodóncica. Estas características comunes se refieren a: 1. Relación molar. 2. Angulación o tip de la corona (mesiodistal). 3. Inclinación coronaria o torque (labiolingual). 4. Rotaciones. 5. Espacios o diastemas. 6. Plano oclusal (curva de Spee). Es necesario antes de desarrollar las "Seis llaves de la oclusión normal", hacer referencia a la termi- nología que se menciona en ellas: Plano de Andrews: Es un plano que divide las coronas de los dientes en oclusión normal a la altura de sus puntos EM, o en el caso de un diente aislado, separa la porción oclusal de la gingival a la altura de EM (Fig.2.25). EMMC EM Fig. 2.25: Plano deAndrews. Corona clínica Corona clínica de un diente es la cantidad de corona visible intraoralmente o en modelos de estudio. En las llaves de Andrews, este concepto se aplica para la dentición mixta tardía o la perma- nente (es decir, cuando los dientes se encuentran erupcionados en su totalidad), y donde el estado gingival es saludable. En caso de existir recesiones o hipertrofias gin- givales, se deberá considerar, siguiendo el criterio de Orban, que la longitud de la corona clínica es1,8 mm menos que la longitud de la corona anatómica.
  • 78.
    82 Estudio clínicodel paciente Eje mayor de ¡a corona clínica: EMCC (llamado por Andrews FACC: facial axis of the clinical crown). En todos los dientes, es la porción más promi- nente del lóbulo central de cada cara vestibular con excepción de los molares, en los que sigue el surco que separa las cúspides vestibulares. Este eje puede ser determinado apoyando de lado la mina de un lápiz desde gingivalhasta incisal u oclusal, y se visualiza en cada corona como una línea recta. Punto EM: Punto medio del eje mayor de la corona clínica (Fig. 2.26). Fig. 2.26: Eje mayor de la corona clínica (EMCC) y punto EM. Llave 1: RELACIÓN MOLAR • La cúspide mesiovestibular del primer molar superior ocluye en el surco entre las cúspides vestibulares mesial y media del primer molar inferior. • La cúspide mesiopalatina del primer molar supe- rior asienta en la fosa central del primer molar inferior. La corona del primer molar superior debe tener una inclinación de manera que la vertiente dis- tal del reborde marginal distal ocluya sobre la vertiente mesial del reborde marginal mesial del segundo molar inferior. B Fig. 2.27: La relación molar descrita por Andrews requie- re que el molar superior presente un mayor grado de inclinación (Fig. D)
  • 79.
    Examen bucodental 83 Elprimer punto de esta definición se ajusta a la definición de Clase I de Angle. Los dos restantes se refieren a dos aspectos que no sólo definen una correcta relación entre ellos, sino que además posibilitan la interdigitación normal de los dientes ubicados hacia mesial, hasta el canino (Fig. 2.27 D). En la figura 2.27 A, B y C se observa que la falta de una inclinación adecuada del molar provoca una alteración de la relación de Clase I canina que será mayor cuanto más vertical sea la posición del molar. Llave 2: ANGULACIÓN MESIODISTAL DE LAS CORONAS (TIP) • La porción gingival del eje mayor de la corona clínica debe estar ubicada en una posición más distal que la porción oclusal (Fig. 2.28). En la figura 2.29 se observan los distintos grados de inclinación de las coronas dentarias. PL. ANDREWS Fig. 2.28: La inclinación coronaria se mide entre el eje mayor de la corona clínica (EMCC) y una perpendicular al plano de Andrews que pasa por el punto EM (punto medio del eje mayor de la corona clínica). Fig. 2.29: Valores de angulación de cada una de las piezas dentarias.
  • 80.
    84 Estudio clínicodel paciente B PL. ANDREWS Fig. 2.30: A: La inclinación coronaria adecuada requiere un espacio mesiodistal mayor. B: Se observa el canino en posición vertical. Fig. 2.31: El torque coronario está medido en grados entre una perpendicular al plano de Andrews que pasa por el punto EM y una tangente a la cara vestibular del diente que, pasando por el mismo punto, tiene sus extremos a igual distancia de la posición incisal y gingival de la coro- na. Llave 3: INCLINACIÓN LABIOLINGUAL DE LAS CORONAS (TORQUE) • La tangente que pasa por el centro del eje mayor de las coronas clínicas de los incisivos centrales y laterales superiores tiene una inclinación desde gingival y palatino hacia incisal y vestibu- lar (torque positivo). • En los restantes dientes del maxilar superior yen todos los del maxilar inferior, la dirección de esta tangente es desde vestibular y gingival hacia incisal (u oclusal) y lingual. Esto es deno- minado torque negativo. Fig. 2.32: Diferencias entre las mediciones de torque coronario y de torque dentario en una misma pieza den- taria.
  • 81.
    Examen bucodental 85 _70 _ 70 _ 70 , 3 0 , 7 0 -9° -35 -22° -17° -11° -1 Fig. 2.33: Valores de torque coronario para cada una de las piezas dentarias. Los incisivos centrales y laterales superio- res son los únicos que poseen torque positivo. Fig. 2.34: Influencia del torque en la relación interocusal. A: Torque normal. B: Ante una falta de torque en el sec- tor anterior se pueden producir diastemas. C: La falta de torque origina una relación de Clase II.
  • 82.
    86 Estudio clínicodel paciente Fig. 2.35: Inclinación y torque adecuados. Obsérvese el torque negativo progresivo de los sectores posteriores, espe- cialmente del inferior. Llave 4 Llave 5 ROTACIONES ESPACIOS O DIASTEMAS En una oclusión normal no deben existir rota- ciones dentarias (Fig. 2.36 A). Los molares y premolares rotados ocupan más espacio del normal en la arcada. Los incisivos rotados necesitan menos espacio que los correctamente alineados (Fig. 2.36 B). Los caninos rotados generan problemas estéti- cos y funcionales. Los dientes están ubicados con sus puntos de contacto perfectamente relacionados, sin espa- cios entre sí. Esto requiere que no existan malformaciones dentarias ni discrepancias en el ancho mesiodis- tal de los dientes de ambos maxilares (ver índi- ce de Bolton). B Fig. 2.36 A: Rotaciones dentarias en el sector posterior. B: Rotaciones dentarias en el sector anterior.
  • 83.
    Examen bucodental 87 Llave6 CURVA DE SPEE • La curva de Spee en la oclusión normal debe ser prácticamente plana. En la mandíbulano debe tener una profundidad mayor de 1,5mm (Fig. 2.37 A). • Una curva de Spee profunda producirá un con- finamiento de las raíces de los dientes del maxilar superior. Esta situación provoca alte- raciones en el plano oclusal impidiendo una correcta intercuspidación, generando una oclusión traumática (Fig. 2.37 B). La curva de Spee invertida determina un exceso de espacio en los dientes del maxilar superior provocando alteraciones similares a las señala- das en el punto anterior y falta de guía incisiva (Fig. 2.37 C). B Fig. 2.37: A: La curva plana favorece una óptima relación intercuspal. B: Una curva profunda genera un espacio restrin- gido para los dientes del maxilar superior provocando alteración del plano oclusal. C: La curva invertida provoca altera- ciones del plano oclusal, falta la guía incisiva y mayor espacio disponible en el maxilar superior.
  • 84.
    88 Estudio clínicodel paciente Análisis de la longitud de la arcada Análisis de la relación entre el espacio disponi- ble en la arcada dentaría y el espacio requerido para el correcto posicionamiento de los dientes. Discrepancia dentaria. Cuando realizamos un análisis intramaxilar de la posición de los dientes en sus arcadas podemos encontrar tres situaciones diferentes (Fig. 2.38). 1. Los dientes están perfectamente alineados, con sus puntos de contacto correctamente estableci- dos. 2. Se observan diastemas. 3. Existen apiñamientos. En el primer caso no existe discrepancia entre el material dentario y la longitud de la arcada. En el segundo, el espacio disponible es mayor que el requerido, por lo que se denomina discre- pancia dentaria positiva. En el último, por el contrario, el espacio reque- rido es mayor que el disponible en la arcada. Se habla en este caso de una discrepancia dentaria negativa. El estudio de esta discrepancia se hace en la dentición permanente o en la dentición mixta. Es necesario cuantificarla con la mayor exacti- tud posible debido a que es uno de los datos funda- mentales que utilizaremos en la planificación del tratamiento. La longitud real de la arcada (espacio disponi- ble), es la longitud de una línea que va desde la cara mesial de un primer molar permanente a la cara mesial de su homólogo del lado opuesto, pasando a través de los puntos de contacto de premolares y caninos y los bordes incisales de los incisivos. El espacio requerido está dado por la suma de los anchos mesiodistales de los dientes mesiales a los primeros molares. Como estos dientes pueden estar erupcionados o no, distinguiremos métodos diferentes para el análisis de la dentición perma- nente y de la dentición mixta. Fig. 2.38: Discrepancia dentaria. A: Arcada sin discrepancia. B: Arcada con discrepancia negativa (apiñamientos). C: Arcada con discrepancia positiva (diastemas)
  • 85.
    Examen bucodental 89 Sehan descrito innumerables métodos para el estudio de la discrepancia dentaria, entre los que se cuentan el método visual, la medición con compás balustrín, la utilización del alambre de latón, mediciones individualesy por sectores, métodos computarizados, set-up, etc. Describiremos los que usamos corrientemente: 1. Método visual Este método requiere cierto entrenamiento. Se observan cuidadosamente los modelos y se evalúa mentalmente el espacio, los apiñamien- tos, los dientes en correcta posición, los diaste- mas y las magnitudes de las giroversiones si exis- tieran. Es un método muy difundido, que presenta variaciones de un operador a otro pero cuando se ha logrado una cierta experiencia su grado de exactitud es similar al de otros méto- dos. En los casos más dificultosos podemos utilizar el método de mediciones con compás balustrín. 2. Mediciones realizadas con compás balustrín Se divide la arcada dentaria en segmentos. Dos segmentos correspondientes a los premola- res, dos al área de caninos y dos segmentos para el sector incisivo. Se mide el ancho mesiodistal de esos segmentos (Fig.2.39). La suma de ellos constituye el espacio disponi- ble (la longitud de la arcada). Se suman los anchos mesiodistales de los diez dientes anteriores, también medidos con com- pás balustrín (espacio requerido). La diferencia entre ambas medidas es la discre- pancia dentaria (Cuadro 2.1). 3. Método computarízado En muchas ocasiones utilizamos el ordenador, para lo cual obtenemos una fotocopia del mode- lo que luego se utiliza para digitalizar con lápiz óptico los puntos de referencia para mediciones de espacios y anchos dentarios. PM Fig. 2.39:Método para hallar la discrepancia dentaria, con el uso del compás balustrín. Se miden seis segmentos en total (espacio disponible) y los anchos mesiodistales de los dientes de cada segmento (espacio requerido). Cuadro 2.1: Ficha para la obtención de la discrepancia dentaria utilizando mediciones por segmentos. SEGMENTOS Ancho M-D dientes Ancho M-D segmentos Diferencia PMder. Cder. I der. I izq. C izq. PM izq. DISCREPANCIA
  • 86.
    90 Estudio clínicodel paciente Arcada en dentición mixta El estudio de la discrepancia en este período consiste en relacionar la longitud del arco (que se considera de la misma forma que en la arcada per- manente) con los diámetros mesiodistales de los permanentes erupcionados (generalmente los inci- sivos) y los que aún no lo están (premolares y cani- nos). Por ello debemos contar con métodos que nos permitan evaluar los diámetros mesiodistales de estos dientes subyacentes. Se pueden utilizar dos métodos que se describen a continuación, aunque el más utilizado es el de Moyers A. Predicción matemática mediante la utilización de ¡as tablas de Moyers. 1. Se mide con un calibre de puntas finas o un com- pás balustrín el mayor diámetro mesiodistal de los cuatro incisivosinferiores (Fig. 2.41). 2. Se determina la cantidad de espacio necesario para el correcto alineamiento de estos dientes: Se coloca el calibre en una medida igual al diá- metro mesiodistal del incisivo central y lateral de uno de los lados. Se apoya una de las puntas del calibre en el punto de contacto o cresta alveolar entre los incisivos centrales y la otra hacia distal sobre el arco dentario del mismo lado. Se hace una marca en este punto que corresponderá a la cara distal del incisivo lateral cuando haya sido ali- neado (Fig. 2.42). Se hace lo mismo en el lado opuesto de la arcada. Si el incisivo central estuviese muy desplazado hacia labial o lingual,la punta del calibre corres- pondiente a la línea media se coloca simulando una correcta posición. Para esta maniobra pode- mos valemos de los datos de la cefalometría con respecto a este diente. Fig 2.40: Modelo en dentición mixta sobre el que se obten- drá el valor de la DD utilizando las tablas de Moyers. Fig. 2.41. Fig. 2.42.
  • 87.
    Examen bucodental 91 3.Se mide la cantidad de espacio disponible rema- nente, después del alineamiento de los incisivos, desde la cara mesial del primer molar hasta el punto marcado sobre el arco en el paso 2 (Fig. 2.43). Se repite el procedimiento en el lado opuesto 4. Usando tablas de probabilidad, se predice el tamaño mesiodistal del canino y los dos premo- lares (Cuadro 2.2). La tabla se usa del modo siguiente: En la parte superior se busca la cifra correspon- diente a la suma de los diámetros mesiodistales de los cuatro incisivos inferiores. Debajo de estas cifras están encolumnados los valores del ancho esperado del canino y premolares corres- pondientes a varios niveles de probabilidad (desde 95% a 5%), Moyers aconseja utilizar el nivel 75% porque lo encontró práctico desde el punto de vista clínico. El método tiene algunas imprecisiones porque diferentes pacientes con el mismo ancho mesio- distal de incisivos tienen distintos diámetros mediodistales de canino y premolares. No obs- tante, lo consideramos útil porque nos da una idea bastante aproximada a la realidad. Fig. 2.43. 5. Se relaciona el espacio disponible en ambos sec- tores laterales (obtenido en el punto 3) con el requerido para caninos y premolares que surge de la utilización de las tablas. Se obtiene de esta manera la discrepancia dentaria. Suma anchos M - D 2 -1 1 -2 = 24 mm. Espacio necesario para 3 - 4 - 5 = 22,8 mm. (ver tablas) Espacio presente: Lado derecho = 19 mm Dif.: -3,8 mm Lado izquierdo = 23 mm Dif.: 0,2 mm Discrepancia dentaria: -3,6 mm Fig. 2.44: Ejemplo de la utilización de las tablas de Moyers. Discrepancia dentaria en una arcada en dentición mixta, obtenida mediante las tablas.
  • 88.
    92 Estudio clínicodel paciente Cuadro 2.2: Tablas de Moyers. Tabla de probabilidad para predecir la suma de los anchos de 345 a partir de 21 ¡12 21/12 = 95% 85% 75% 65% 50% 35% 25% 15% 5% 19,5 21,6 21,0 20,6 20,4 20,0 19,6 19,4 19,0 18,5 20,0 21,8 21,3 20,9 20,6 20,3 19,9 19,7 19,3 18,8 20,5 22,1 21,5 21,2 20,9 20,6 20,2 19,9 19,6 19,0 21,0 22,4 21,8 21,5 21,2 20,8 20,5 20,2 19,9 19,3 21,5 22,7 22,1 21,8 21,5 21,1 20,8 20,5 20,2 19,6 22,0 22,9 22,4 22,0 21,8 21,4 21,0 20,8 20,4 19,9 22,5 23,2 22,6 22,3 22,0 21,7 21,3 21,0 20,7 20,1 23,0 23,5 22,9 22,6 22,3 21,9 21,6 21,3 21,0 20,4 23,5 23,8 23,2 22,9 22,6 22,2 21,9 21,6 21,3 20,7 24,0 24,0 23,5 23,1 22,8 22,5 22,1 21,9 21,5 21,0 24,5 24,3 23,7 23,4 23,1 22,8 22,4 22,1 21,8 21,2 25,0 24,6 24,0 23,7 23,4 23,0 22,7 22,4 22,1 21,5 Tabla de probabilidad para predecir la suma de los anchos de 345 a partir de 21 112 21/12 = 95% 85% 75% 65% 50% 35% 25% 15% 5% 19,5 21,1 20,5 20,1 19,8 19,4 19,0 18,7 18,4 17,7 20,0 21,4 20,8 20,4 20,1 19,7 19,3 19,0 18,7 18,0 20,5 22,7 21,1 20,7 20,4 20,0 19,6 19,3 19,0 18,3 21,0 22,0 21,4 21,0 20,7 20,3 19,9 19,6 19,3 18,6 21,5 22,3 21,7 21,3 21,0 20,6 20,2 19,9 19,6 18,9 22,0 22,6 22,0 21,6 21,3 20,9 20,5 20,2 19,8 19,2 22,5 22,9 22,3 21,9 21,6 21,2 20,8 20,5 20,1 19,5 23,0 23,2 22,6 22,2 21,9 21,5 21,1 20,8 20,4 19,8 23,5 23,5 22,9 22,5 22,2 21,8 21,4 21,1 20,7 20,1 24,0 23,8 23,2 22,8 22,5 22,1 21,7 21,4 21,0 20,4 24,5 24,0 23,5 23,1 22,8 22,4 22,0 21,7 21,3 20,7 25,0 24,4 23,8 23,4 23,1 22,7 22,3 22,0 21,6 21,0 También es posible conocer con este método, el espacio que queda para el ajuste de la oclusión molar. En una arcada en dentición mixta con todas las piezas dentarias y donde no existan apiñamien- tos, el resultado de las tablas de Moyers es posi- tivo, es decir, sobrará espacio para la ubicación correcta de todos los permanentes. Ese remanente de espacio, proviene de la caída del segundo molar primario, que tiene un ancho mesiodistal mayor que el segundo premolar per- manente de aproximadamente 1,7 a 2 mm. Se conoce como espacio libre de Nance. Cuando el desarrollo de la erupción es normal, ese espacio está destinado a la mesialización espontánea del primer molar permanente. Es un movimiento natural destinado al ajuste de la relación molar en Clase I (Fig. 2.45). En los casos en que ese movimiento fuera nece- sario para dicho ajuste no debe ser tenido en cuenta como discrepancia positiva. Para los dientes del sector lateral del maxilar superior se usa también la suma de los anchos de los incisivos inferiores y el procedimiento es similar al descrito. El uso de radiografías periapicales le confiere mayor exactitud a este método, ya que si se observa en ellas un tamaño mayor del que puede esperarse según las tablas, se usa un valor de predicción mayor (85% a 95%). Este método puede ser utilizado tanto en la arcada inferior como en la superior (ver tablas).
  • 89.
    Examen bucodental 93 Fig.2.45: Espacio libre en ambas arcadas. Al ser mayor en la mandíbula,permite la mesialización del molar inferior y el ajuste de laoclusión. B. Método radiográfico de G. H. Huckaba Es un procedimiento que permite predecir el ancho mediodistal de premolares y caninos no erupcionados utilizando radiografíaspericapica- les tomadas con cono largo. Se parte de la pre- misa de que el grado de magnificación radiográ- fica qe sufre un diente primario que está presente en la arcada será el mismo que el del permanente subyacente. El procedimiento con- siste en medir el ancho mesiodistal del diente primario en la película radiográfica. Esta medi- ción se llama (Y') y el ancho de su sucesor per- manente (X'). Luego se mide el diente primario en el modelo (Y). Por regla de tres simple se calcula el ancho del diente permantente no erupcionado (X). X = Y por lo tanto: X = X' x Y En nuestra esperiencia, el método no es de gran utilidad porque frecuentemente los gérmenes de los premiares aparecen girados en la radiografíay, en consecuencia, su imagen essignificativamente mayor que el tamaño real del diente. Esta distor- sión lo hace inaplicable en la mayoría de los casos. Cuando no se presenta este incoveniente, es de mayor exactitud que el anterior, debido a que el resultado no indica una probabilidad sino una medida real del paciente.
  • 90.
    94 Estudio clínicodel paciente índice de So/fon El tamaño de los dientes de ambas arcadas debe guardar una proporción armónica. El desequilibrio en esta relación suele manifes- tarse en las fases finales del tratamiento, imposibi- li-tando el logro de una correcta relación interocm- sal, especialmente la relación canina, así como también la corrección del overjet y/o del overbite, según los casos. El índice de Bolton es un procedimiento que determina la proporción existente entre la suma de los diámetros mesiodistales de los doce dientes anteriores inferiores (de primer molar a primer molar) y la suma de esos mismos diámetros de los homólogos superiores. Se denomina relación total. También permite obtener la proporción entre la suma de los anchos de los seis anteriores inferiores y superiores (relación anterior) mediante la cual podemos conocer si la anomalía asienta en el sector anterior o en los segmentos laterales. La utilización de este método permite detectar antes del comienzo del tratamiento desarmonías entre los tamaños dentarios de la arcada superior e inferior, con la finalidad de anticipar las alteracio- nes de las relaciones interdentarias que se observa- rán a su finalización. También sirve para evaluar el efecto de las extracciones, para hacer una correcta elección de las piezas a extraer y para diseñar pro- cedimientos terapéuticos destinados a compensar las dificultades originadas por lasincompatibilida- des entre las dimensiones de los dientes antagonis- tas. Relación total (Fig. 2.46): El procedimiento es el siguiente: 1. Con un compás de punta fina o balustrín se mide el diámetro mesiodistal de los doce dientes anterio- res de ambos maxilares. 2. La relación total se obtiene dividiendo la suma de los anchos de los doce dientes inferiores por la suma de los doce dientes superiores y se multiplica por 100. SUMA MAND. 12 x 100 = 91,3% ±0,26 SUMA MAX. SUP. 12 Fig. 2.46: índice de Bolton. Relación total. Este resultado de 91,3% ±0,26 indica una pro- porción normal entre los diámetros mesiodistales de ambas arcadas que dará las condiciones para una relación "overbite-overjet" normal como así también para una correcta relación canina y una oclusión normal de los sectores posteriores. Si el índice supera ese porcentaje, los dientes inferiores son excesivamente grandes en relación a los superiores. Una cifra inferior a 91,3% nos indica que hay un exceso de tamaño de los superiores en relación a los inferiores. El exceso de material dentario tanto en una arcada como en otra, debe interpretarse siempre como exceso en relación a la arcada antagonista. El índice no nos aclara si es exceso en esa arcada o defecto en la antagonista. Por ejemplo: Una arcada superior con incisivos laterales conoides y una arcada inferior con dientes de tamaño normal se reflejará en una alteración del índice de Bolton como un exceso de material den- tario inferior, cuando en realidad es un déficit de tamaño superior.
  • 91.
    Examen bucodental 95 3.Uso de las tablas de Bolton para cuantificar las discrepancias de tamaño. a) Cuando el porcentaje es superior a 91,3% existe un exceso de material dentario inferior en propor- ción al superior. Se busca en la tabla la cifra correspondiente a la suma de los dientes superiores y en la columna vecina se obtiene la medida que corresponde al valor teórico de los dientes mandibulares.La dife- rencia entre esta medida y la medida inferior real es el exceso de material dentario inferior. b) Cuando el porcentaje es inferior a 91.3% hay exceso de material dentario superior. Se busca en la tabla la cifra obtenida de la suma de los dientes infe- riores y se obtiene el valor teórico de los dientes superiores que le corresponde. La diferencia entre esta medida y el valor superior real es el exceso de material dentario superior en relación al inferior. Cuadro 2.3: Relación ideal del ancho mesiodistalde los doce dientes anteriores superiores con sus homólogosinferio- res. Relación total Max. 12 85 86 87 88 89 90 91 92 93 Mand. 12 77,6 78,5 79,4 80,3 81,3 82,1 83,1 84,0 84,9 Max. 12 94 95 96 97 98 99 100 101 102 Mand. 12 85,8 86,7 87,6 88,6 89,5 90,4 91,3 92,2 93,1 Max. 12 103 104 105 106 107 108 109 110 Mand. 12 94,0 95,0 95,9 96,8 97,8 98,6 99,5 100,4 Cuadro 2.4: Ficha para el cálculo del índice de Bolton (doce dientesanteriores). Ancho mesiodistal 12 anteriores: Relación total- Suma 12 mand. mm Y 1QQ = 0/0 Suma 12 Max. mm Relación total > 91,3% Max 12 pac corresp mand 12 ideal Mand. 12 pac. Mand. 12 ideal Exceso inferior Relación total < 91,3% Mand 12 pac corresp max 12 ideal Max. 12 pac. Max. 12 ideal Exceso superior
  • 92.
    96 Estudio clínicodel paciente Relación anterior (Fig. 2.47): 4. La relación anterior se obtiene con la siguiente fórmula: SUMA MAND. 6 x 100 = 77,2% ±0,22 SUMA MAX. SUP. 6 Una cifra mayor a 77,2% indica que la causa de la discrepancia debe ser atribuida a un tamaño excesivo de los dientes anteroinferiores. En cam- bio, si el índice es inferior a 77,2% se debe a un mayor tamaño de los superiores. Para cuantificar la alteración se procede como en el paso 3. Como se señaló anteriormente, el análisis de la proporción anterior nos permite individualizar el sector en que asienta la discrepancia. Es necesario conocer esto con certeza, porque la finalización del caso exigirá, algunas veces, la reducción del ancho de algún diente mediante des- gaste interproximal del esmalte y otras la recons- trucción mesial y/o distal de los dientes cuyo tama- ño sea proporcionalmente reducido. Fig. 2.47: índice de Bolton: Relación anterior. Una proporción armónica entre tamaños superiores e inferiores permite establecer una correcta relación interarcada. Cuadro 2.5: Relación ideal del ancho mesiodistal de los seis dientes anteriores superiores y sus homólogos inferiores. Relación anterior Max. 6 40,0 40,5 41,0 41,5 42,0 42,5 43,0 43,5 44,0 44,5 45,0 Mand. 6 30,9 31,3 31,7 32,0 32,4 32,8 33,2 33,6 34,0 34,4 34,7 Max. 6 45,5 46,0 46,5 47,0 47,5 48,0 48,5 49,0 49,5 50,0 Mand. 6 35,1 35,5 35,9 36,3 36,7 37,1 37,4 37,8 38,2 38,6 Max. 6 50,5 51,0 51,5 52,0 52,5 53,0 53,5 54,0 54,5 55,0 Mand. 6 39,0 39,4 39,8 40,1 40,5 40,9 41,3 41,7 42,1 42,5
  • 93.
    Examen bucodental 97 Cuadro2.6: Ficha para el cálculo del índice de Bolton (seis dientesanteriores). Ancho mesiodistal 6 anteriores: D 1 Relación total: Suma 6 mand. mm x 100 = Suma 6 Max. mm Relación total > 77,2 % Max. 6 pac corresp mand. 6 ideal Mand. 6 pac. Mand. 6 ideal Exceso inferior Relación totaK 77,2% Mand. 6 pac corresp max. 6 ideal Max. 6 pac. Max.6 ideal Exceso superior Ejemplos: Para la formulación de los siguientes ejemplos, se toman como referencia los 6 anterio- res ya que allí se presentan las discrepancias de tamaño con mayor frecuencia. • Caso de incisivos laterales conoides (Fig. 2.48). Suma de 6 superiores = 40,5 mm. Suma de 6 inferiores = 37,1 mm. SUMA MAND. 6x100 = 37,1 mm x 100 = 92% SUMA MAX. 6 40,5 mm Según las tablas de Bolton: Para 40,5 mm de material dentario superior co- rresponderían 31,3 mm de material dentario inferior. La diferencia entre 37,1 mm (material dentario inferior real) y 31,3 mm (material dentario infe- rior teórico) es de 5,8 mm. Hay un exceso de 5,8 mm de material dentario inferior con respecto al superior. Por ser un caso de laterales superiores conoides debe interpre- tarse como déficit superior. Desde el punto de vista clínico, esta desarmonía afectará el correcto ajuste de la clase canina al final del tratamiento. El canino superior ocupa- rá una posición más hacia mesial originando una ligera Clase II (Fig. 2.49). Fig. 2.48: Incisivos laterales conoides. El índice de Bolton determina exceso de material dentario inferior en relación al superior.
  • 94.
    98 Estudio clínicodel paciente Fig. 2.49: Efecto de la desarmonía de tamaños entre dientes superiores e inferiores. Se establece una relación lateral de Clase II. De esta manera sabemos que si nuestro objetivo es una perfecta Clase I canina estaremos obliga- dos a dejar diastemas en el sector anterosupe- rior (Fig. 2.50 A), lo cual provoca un problema estético que puede no ser aceptado por el paciente. Es conveniente que éste conozca con anticipa- ción la necesidad de una remodelación corona- ria (en este caso por adición) de los incisivos laterales superiores al finalizar el tratamiento ortodóncico (Fig. 2.50 B). Fig. 2.50 A: Exceso de material dentario inferior con respecto al superior. Para mantener una relación canina de Clase I, será necesario dejar diastemas superiores.
  • 95.
    Examen bucodental 99 Fig.2.50 B: La reconstrucción de los incisivos laterales permite armonizar los tamaños y eliminar los diastemas. Se logrará de este modo armonizar los tamaños dentarios superiores con los inferioresalcanzan- do objetivos estéticos y funcionales. Caso de macrodoncia de incisivos superiores Suma 6 dientes superiores = 54.5 mm. Suma 6 dientes inferiores = 38,2 mm. SUMA MAND. 6 x 100 = 38,2 x 100 = 70% SUMA MAX. 6 54,5 Según las tablas de Bolton: Para 38,2 mm. de material dentario inferior corresponderían 49,5 mm. de material dentario superior. Por lo tanto, si el material dentario superior real es de 54,5 mm y el teórico es de 49,5 mm hay un exceso de 5 mm de material dentario superior. Para hacer la relación total se utiliza el mismo procedimiento. En este caso, se debe prever que al finalizar el tratamiento será necesario dejar un overjet mayor que la norma. La opción de normalizar el resalte tendría que contemplar una remodelación coronaria por sus- tracción (desgastes proximales, coronas, etc.). Una cifra de alrededor de 1 mm de diferencia entre el tamaño real y el teórico no será tenida en cuenta porque puede deberse a errores de medi- ción. Si esa cifra fuera correcta, por su escasa mag- nitud, no tendrá consecuencias en el resultado del tratamiento. Cuando esta diferencia supere los 2 mm debe- mos prever los mecanismos de compensación que permitan conseguir una correcta relación interden- taria. Fig. 2.51: La macrodoncia de incisivos superiores determina un exceso de material dentario superior y es la causa del mayor overjet al finalizar el tratamiento.
  • 96.
    C A PÍ T U L O 3 Examen funcional Además del análisis estético y descriptivo facial y bucodental, el examen clínico comprende tam- bién el estudio funcional del sistema estomatogná- tico. Este concepto de examen funcional o diagnósti- co funcional, en la ortodoncia clásica involucraba solamente el estudio de la respiración, la deglución, la fonación y los hábitos. No incluía sistemática- mente las ATM, la función neuromuscular y la dinámica oclusal porque no se contemplaban obje- tivos gnatológicos dentro de las metas del trata- miento. La consecuencia de esto, eran las recidivas aun en pacientes sin alteraciones de las funciones estu- diadas, y tratados de acuerdo a objetivos tradicio- nales, es decir, oclusión en Clase I canina con correcto alineamiento dentario, en posiciones cefa- lométricas consideradas normales y con buenos resultados estéticos. Por ello, el estudio funcional de la oclusión y las ATM debe ocupar un lugar primordial y ser el punto de partida de cualquier procedimiento que se realice con fines diagnósticos. Se hace necesario entonces, que el examen fun- cional del paciente incluya: Función oclusal y articular Respiración Deglución Fonación Hábitos Succión (digital, labial, carrillos, persistencia del uso del chupete). La consideración de estas distintas áreas funcio- nales en el diagnóstico será decisiva para detectar la etiología de muchas anomalías, instaurar meto- dologías terapéuticas más racionales y efectivas y conseguir estabilidad de los resultados. FUNCIÓN OCLUSAL Y ARTICULAR Dada la importancia que le asignamos será desarrollado en la Sección 2. En este capítulo nos referiremos a los restantes. RESPIRACIÓN La respiración normal, también llamada respira- ción nasal, es aquella en la que el aire ingresa por la nariz sin esfuerzo con un cierre simultáneo de la cavidad bucal. Se crea así una presión negativa entre la lengua y el paladar duro en el momento de la inspiración. La lengua se eleva y, al apoyarse íntimamente con- tra el paladar, ejerce un estímulo positivo para su desarrollo (Fig. 3.1). En los casos en que la respiración se realiza por la boca, la lengua adopta una posición descendida para permitir el paso del flujo de aire. Este fenó- meno acarrea dos consecuencias (Fig. 3.2): l.Por una parte, provoca una falta de creci- miento transversal del maxilar superior al quedar sometido a las fuerzas centrípetas de la musculatu- ra mímica, especialmente del músculo buccinador. Esto se manifiesta clínicamente con un maxilar superior estrecho, elevación de la bóveda palatina y apiñamientos y/o protrusión de los dientes ante- riores. 2. La lengua descendida está asociada con un crecimiento rotacional posterior de la mandíbula, con apertura del eje facial y aumento de la altura facial inferior. Este tipo de crecimiento se ve favo- recido también por la mayor apertura bucal que tienen estos pacientes en la posición de reposo mandibular. Las causas de la respiración bucal están relacio- nadas con la poca permeabilidad de la vía aérea superior, ya sea por hipertrofia de las adenoides, amígdalas palatinas, rinitis alérgicas, desviaciones del tabique nasal y cavidad nasal estrecha con 101
  • 97.
    102 Estudio clínicodel paciente Fig. 3.1: Gráfico del flujo de aire en un paciente con res- piración nasal, con un normal desarrollo de lasestructu- rascráneo-maxilocervicales. Fig. 3.2: Gráfico de un paciente con respirador bucal, que provoca cambios morfológicos y posturales. hipertrofia de cornetes. Se hace necesario el diag- nóstico diferencial entre respiradores bucales con causa determinada y los respiradores bucales por hábito, donde ninguno de los factores citados ante- riormente estarían presentes. El examen respiratorio debe hacerse en seis áreas: • Historia clínica • Evaluación de la respiración • Estructura facial • Examen bucal • Estudio postural • Estudios radiográficosy cefalométricos La historia clínica del paciente puede alertarnos sobre la existencia de alguna enfermedad causante de la respiración bucal. Evaluación de la respiración: La respiración nasal puede ser controlada por distintos métodos que van desde la simple colocación de una loseta de vidrio o espejo nasal debajo de las narinas, obser- vándose la condensación producida sobre él, hasta el empleo de espirómetros que miden el flujo de aire nasal. Estructura facial: El típico respirador bucal exhibe falta de competencia e hipotonicidad labial, con un labio superior corto que deja muy expuestos los incisivos superiores y un labio inferior grueso y evertido, debilitamiento en los músculos faciales, aumento del tercio inferior de la cara y retrusión del mentón. La deficiente oxigenación da al paciente un aspecto poco saludable, frecuentemente con ojeras. Todas estas características son las que le otorgan el nombre de "fascie adenoidea" (Fig. 3.3). Examen bucal: Es característica de estos pacien- tes la falta de desarrollo del maxilar superior que crea en la mayoría de los casos mordidas cruzadas
  • 98.
    Examen funcional 103 Fig.3.3: Caso R.P., 11 años. Respirador bucal con la típica "fascie adenoidea". Clase II esqueletal, con arcada superior estrecha y protrusión dentoalveolar superior. El tercio inferior está aumentado, el cierre labial se realiza con esfuerzo y el mentón se encuentra sumamente retruido. La inflamación gingival es producida por el hábito.
  • 99.
    104 Estudio clínicodel paciente Fig. 3.3: Paciente R.P. Telerradiografía lateral y cefalograma
  • 100.
    Examen funcional 105 laterales,con incisivos superiores protruidos y/o apiñados y tendencia a la mordida abierta. La arca- da dentaria superior es de forma triangular. Las encías son hipertróficas y sangrantes debido a la sequedad a la que se ven sometidas por la falta de cierre bucal y el paso del aire (Fig. 3.3). Como consecuencia de la posición baja de la lengua y la hiperdivergencia bucal se asocia fre- cuentemente el hábito de interposición lingual en deglución. Estudio postural: La postura corporal en estos pacientes debe ser motivo de especial considera- ción por su influencia en la génesis de esta disfun- ción (Fig. 3.4). Estudios radiográficos y cefalométricos: Permi- ten obtener datos sobre el grado de obstrucción que presenta la vía aérea superior por medio de una serie de mediciones de la nasofaringe en las telerradiografías laterales. Distintos autores han realizado estudios sobre este tema: • Pruzansky y Handelman realizaron estudios comparativos entre medida de las adenoides y porcentaje de área ocupada en la nasofaringe. La conclusión fue que el mayor tamaño relativo de las adenoides se encuentra entre los 4 y 6 años de edad. • Linder-Aronson estudió el efecto de las ade- noides en el flujo de aire y su influencia en el desa- rrollo facial y la dentición. • Ricketts presentó mediciones de la profundi- dad nasofaríngea que determinan su grado de per- meabilidad. • McNamara realiza un estudio del estado de la vía aérea basado en dos medidas (Fig. 3.5): 1. Diámetro faríngeo superior: Es la menor dis- tancia desde la pared posterior de la faringe a la mitad anterior del velo del paladar. La norma en adultos es de 17,4 mm. con una desviación estándar de ± 4 mm. Una disminución marcada de esta medida es un indicador de un posible deterioro de la vía aérea superior. Fig. 3.4: Postura típica del paciente respirador bucal. 2.Diámetro faríngeo inferior: Se mide sobre el plano mandibular desde el perfil de la pared ante- rior (base de la lengua) a la pared posterior de la faringe. La norma es de 11,3 mm. para mujeres y 13,5 mm. para varones con una desviación estándar de ± 4 mm. Un ancho faríngeo inferior de más de 15 mm sugiere una posición adelantada de la lengua, como resultado de una postura habitual o como conse- cuencia de un agrandamiento de las amígdalas. En el primer caso, esta posición lingual se aso- cia a ciertas anomalías como prognatismo mandi- bular, mordida cruzada dentoalveolar anterior o biprotrusión dentoalveolar.
  • 101.
    106 Estudio clínicodel paciente Fig. 3.5: Diámetros faríngeos superior e inferior A: en un paciente con respiración nasal. B: en un paciente con respira- ción bucal. El segundo caso, cuando existe agrandamiento de amígdalas, es el que se presenta en el respira- dor bucal, casi siempre acompañado de un patrón dolicofacial, con eje facial abierto y un plano man- dibular muy inclinado. Todos estos estudios son útiles para determi- nar el grado de bloqueo nasofaríngeo y por lo tanto complementan el estudio clínico de las amígdalas y adenoides. La cefalometría del paciente respirador bucal, detecta casi siempre un patrón dolicofacial, muchas veces severo (Fig. 3.3). Se considera que éste es un patrón morfoge- nético predisponente, y que a su vez es agravado por este tipo de respiración. Ricketts cita casos de respiradores bucales con bloqueo total de la vía aérea superior producido como secuela de manio- bras quirúrgicas a quienes se les constató apertu- ras de eje facial de hasta 6 grados durante el cre- cimiento. El diagnóstico y tratamiento del respirador bucal es tarea de un equipo multidisciplinario, por- que esta anomalía suele estar asociada con proce- sos infecciosos crónicos de las vías aéreas, asmas, alergias, problemas cardiopulmonares, inmunoló- gicos, trastornos del crecimiento craneofacial, mor- fología maxilar y dentoalveolar alterados y proble- mas posturales generales. Por todo esto, sólo una historia clínica muy completa aumentará las posibilidades de éxito del tratamiento de esta afección. El requerimiento terapéutico puede ser muy variado e incluye: • Extirpación quirúrgica de amígdalas y tejido adenoideo. • Medicación en casos de rinitis alérgicas, asmas, procesos infecciosos, etc. • Tratamiento fonoaudiológico que comprende la reeducación mediante gimnasia respiratoria para la creación de nuevos esquemas neuromotores.
  • 102.
    Examen funcional 107 •Tratamiento ortopédico-ortodóncico para aumentar el ancho nasal por medio de la disyun- ción palatina, y corregir protrusiones que impidan el cierre labial. El papel del ortodoncista es importante en las áreas diagnóstica y terapéutica. En la primera, tendrá a su cargo, además del estudio clínico, los estudios cefalométricos latera- les y frontales; y en el área terapéutica, los proce- dimientos ortopédicos y ortodóncicos destinados a la corrección de la morfología de las estructuras maxilares y dentoalveolares, que al armonizarse posibilitarán una función normalizada. DEGLUCIÓN Está definida como el tránsito del bolo alimenti- cio o la saliva desde la cavidad bucal al estómago. Se distinguen dos fases principales: a) fase oral o voluntaria b) fase faríngea o involuntaria o refleja La primera se caracteriza por: • Detención de la respiración. • Cierre labial. Fig. 3.6: Deglución normal. A: corte sagital. B: cortetransversal. Fig. 3.7: Interposición lingual en deglución. A: corte sagital. B: cortetransversal.
  • 103.
    108 Estudio clínicodel paciente • Relajación de la musculatura perioral. • Contracción de los músculos maseteros y temporales que colocan a los dientes superiores e inferiores en contacto. • Movimiento peristáltico lingual que se inicia en la punta de la lengua, la cual está en contacto con el paladar duro detrás de los incisivos, y llega hasta su base. • Elevación del velo del paladar. • Ascenso del hioides. Cuando el bolo alimenticio pasa los pilares anteriores del velo del paladar, comienza la segun- da fase, faríngea o refleja, que conduce este bolo o saliva hasta el esófago, mediante la continuación de la onda peristáltica. La deglución descrita es la llamada "adulta" o "madura" (Fig. 3.6). Se denomina "deglución in- fantil" a la que existe desde el nacimiento hasta aproximadamente los 2 años de edad. Se realiza de la siguiente manera: • Los maxilares se separan. • Con la lengua interpuesta entre ellos, el movimiento es guiado por un intercambio senso- rial entre los labios y la lengua. El cambio al patrón de deglución adulta se va estableciendo gradualmente debido a la aparición de la dentición, al menor tamaño proporcional de la lengua con respecto a la cavidad bucal (dado que crece mucho menos que las dimensiones generales orofaciales), a la maduración neuromus- cular y al cambio en la alimentación al comenzar la ingestión de alimentos sólidos. Así comienza un período de transición que se extiende desde los 8 a los 16 meses aproximada- mente, edad en que ya se observan las caracterís- ticas de la deglución adulta. Deglución atípica Si persiste el patrón de deglución de los prime- ros meses de vida, la lengua se apoyará entre ambos grupos incisivos, originando generalmente una mordida abierta anterior y protrusión de estos dientes, creando también una disfunción muscular en la deglución porque la actividad no será ya de maseteros y temporales sino de la musculatura perioral, exactamente lo contrario que en la deglución adulta. Esto es debido a la necesidad de crear un cierre bucal anterior (Figs. 3.7 y 3.8). La deglución es un mecanismo que se repite entre 800 y 1.000 veces por día generando fuerzas suficientes para provocar modificaciones denta- rias o dentoalveolares, sin llegar a ser responsable de alteraciones esqueletales. Con el aumento de la protrusión de los incisivos y la creación de una mordida abierta anterior, aumenta aún más la actividad de la musculatura perioral, que debe compensar la falta de cierre bucal. En el examen clínico, la deglución infantil se detecta fácilmente porque el paciente realiza una mueca característica que consiste en una contrac- ción labial en el momento de deglutir y además por la mordida abierta anterior que acompaña a esta disfunción. Ésta se caracteriza por ser simétrica y alargada involucrando algunas veces la zona de caninos. En el diagnostico se deberá evaluar el patrón esqueletal del paciente: en patrones con tendencia braqui el efecto negativo de la deglución atípica será menor (Fig. 3.9). Cuando se acompañe de un patrón de modida abierta el pronóstico es más desfavorable Fig 3.10). Fig. 3.8: Deglución atípica. Posición anterior de la lengua en la primera etapa de la deglución.
  • 104.
    Examen funcional 109 Fig.3.9: Paciente N.M. Mordida abierta por hábito de deglución atípica, en una paciente sin alteraciones esqueletales. El pronóstico de tratamiento es favorable en cuanto a la evolución de la mordida abierta una vez eliminado el hábito.
  • 105.
    110 Estudio clínicodel paciente Fig. 3.10: Paciente V.T., hábito de deglución atípica en un patrón esqueletal de mordida abierta. Habrá más difi- cultad para el cierre de la mordida, no dependerá sólo de la eliminación del hábito.
  • 106.
    Examen funcional 111 FONACIÓN Esuna función que requiere la coparticipación de varios órganos. La laringe es el órgano emisor; el tórax, tráquea y faringe, velo del paladar, pala- dar duro y mandíbula constituyen la caja de reso- nancia. Otros elementos son modificadores de los sonidos; entre ellos la lengua, cuya gran movilidad le permite modificar su posición en función del sonido a emitir, además de los labios y carrillos y las arcadas dentarias, sobre todo los dientes ante- riores. Un examen clínico debe tener en cuenta los problemas de fonación, que pueden ser: retardos del lenguaje o fonación anormal. Para solucionar los primeros se necesitará un equipomultidiscipli- nario. La fonación anormal nos está indicando problemas motores o estructurales. La pronuncia- ción de algunas consonantes, como la F (labioden- tal) o la S (dentodental) requieren una armoniza- ción de las estructuras involucradas en esta función (Fig. 3.11). No obstante, no siempre una alteración de la relación de estas estructuras causa una fonación anormal. Esto se debe a la singular capacidad de adaptación que tienen fundamentalmente los labios y la lengua, que permite que algunas veces pueda coexistir una correcta fonación con una maloclusión de cierta severidad. Fig. 3.11: Posición de labios y dientes para la pronuncia- ción de las consontantes S y F. HÁBITOS DE SUCCIÓN Los hábitos orales como la interposición lin- gual o deglución atípica, interposición o succión labial, succión de carrillos, succión digital o uso del chupete y la respiración bucal, pueden incidir directamente en la génesis de problemas ortopédi- cos y ortodóncicos. Al interferir en el normal desarrollo de los procesos alveolares, estimulando o modificando la dirección del crecimiento en ciertas estructuras, pueden generar: • protrusiones dentarias • protrusiones dentoalveolares • mordidas abiertas anteriores y/o laterales • mordidas cruzadas anteriores o laterales • inhibición de la erupción de uno o más dientes • vestíbulo o linguoversiones, etc. El grado de la alteración producida dependerá de la duración, intensidad y frecuencia del hábito, como así también de las características biotipoló- gicas del paciente. En el estudio clínico resulta muy fácil detectar la relación causa-efecto de un hábito ya que ellos dejan la impronta de su acción; por lo que, en la mayoría de los casos, la simple observación de la alteración nos permite deducir el hábito oral que la causó. Esto se corrobora fácilmente mediante la anamnesis y el estudio de las funciones orales. En algunos casos es necesario realizar un diagnóstico diferencial que incluya estudios cefalométricos, de modelos, etc. El área de las alteraciones producidas por hábitos en general se limita a la región dentoal- veolar. Entre las anomalías que producen se encuentran las mordidas abiertas llamadas funcio- nales por su origen. Cefalométricamente en estos casos no se observan alteraciones estructurales. Una mordida abierta con aumento de la altura facial inferior estará indicando un componente esqueletal aunque algunas veces pueda estar aso- ciada a un hábito. En este caso, éste no es la causa de la mordida abierta, por lo que su eliminación no corregirá totalmente la anomalía.
  • 107.
    112 Estudio clínicodel paciente En cambio, las mordidas abiertas funcionales prácticamente se autocorrigen al desaparecer el hábito que las originó. Succión Succión digital Es un hábito muy común en los niños. Se presen- ta muy precozmente; generalmente su aparición coincide con algún hecho capaz de provocar una alte- ración emocional del paciente, como el nacimiento de un hermano, problemas familiares, comienzo de escolaridad, etc. y luego persiste como hábito. Otras veces no hay causa aparente. En nuestra práctica clínica, hemos visto imágenes ecográficas que muestran la existencia de este hábito desde la etapa intrauterina. Al igual que el uso del chupete, está ligado a la sensación placentera que experimenta el niño con la succión. La succión de dedos se presenta en una gran variedad de formas en cuanto a intensidad, fre- cuencia, etc. pero además en cuanto al número de dedos involucrados, siendo el más frecuente el pulgar. Éste es presionado sobre la parte anterior del paladar provocando mordida abierta anterior con protrusión dentoalveolar superior y retrusión Fig. 3.12: Mordida abierta irregular provocada por la suc- ción del pulgar. El hábito ha generado un ligero avance de la premaxila, el resto de las medidas esqueletales se encuentra dentro de las normas.
  • 108.
    Examen funcional 113 Fig.3.13:Paciente de la figura 3.12, una vez eliminado el hábito. Ante un patrón esqueletal favorable, la corrección fue espontánea y estable en el tiempo. del sector incisivo inferior, causando a veces giro- versiones en estos dientes (Fig.3.12). La intensidad también es muy variable. Hay niños que succionan fuertemente produciendo una callosidad en el dorso del pulgar, otros en cambio lo colocan de manera pasiva o realizan succiones muy suaves. En el primer caso, además del efecto mencio- nado en el sector anterior puede generarse una mordida cruzada uni o bilateral, debida a una compresión transversal del maxilar superior pro- vocada por la presión de la musculatura perioral como resultado del vacío intrabucal generado por la succión. Los pacientes con biotipo dolicofacial con patrón de crecimiento rotacional posterior y mus- culatura débil serán propensos a padecer una deformidad mayor que aquellos con patrones bra- quifaciales (Fig.3.12). La característica de esta mordida abierta es su asimetría y su forma más circunferencial que la producida por interposición lingual, que es más alargada y simétrica. La reducción total de estas anomalías es muy frecuente siempre que se haya eliminado el hábi- to en edad temprana, 6 o 7 años, o menos. Succión labial Generalmente se presenta en casos con marcado overjet. El labio inferior se coloca detrás de los incisivos superiores manteniendo o agravando esta situación, provocando inclinaciones linguales de los incisivos inferiores o retrusiones dentoalveolares de ese mismo sector (Fig.3.14). Esta malformación labial se asocia con hiperto- nía del músculo mentoniano. Fig. 3.14:Succión de labio inferior en un paciente con overjet
  • 109.
    114 Estudio clínicodel paciente Fig. 3.15: Paciente LB, con hábito de succión labial. En la cefalometría se observa la retrusión dentoalveolarinferior que provocó el hábito. Succión de carrillos Persistencia del uso del chupete La mucosa de la cara interna de los carrillos se interpone entre ambas arcadas en los sectores laterales provocando mordidas abiertas en estas zonas. Puede considerarse el uso del chupete como un hecho normal cuando no excede los 2 años de edad. Cuando se prolonga por más tiempo provo- ca alteraciones semejantes a las descritas en suc- ción del pulgar. Al eliminarse el hábito la autoco- rrección es muy frecuente debido a la corta edad del paciente.
  • 110.
    115 Bibliografía Ackerman, J. L.,Proffít, W. R.: The characteristics of maloclusion: a modern approach to classifica- tion and diagnosis. Am. J. Orthod. 56:443, 1969 Ackerman, J. L., Proffit, W. R.: Treatment respon- se as an aid in diagnosis and treatment planning. Am. J. Orthod 57:490-496, 1970 Andrews, L. F 1972 The six keys to normal occlu- sion. American Journal of Orthodontics. 62:296- 307. Arnett G W, Bergman R T 1993 Facial keys to ort- hodontic diagnosis and treatment planning - part I. American Journal of Orthodontics and Dentofacial Orthopedics 103: 299-312. Arnett G W, Bergman R T 1993 Facial keys to ort- hodontic diagnosis and treatment planning - part II. American Journal of Orthodontics and Dentofacial Orthopedics 103: 393-411. Arnett G W, Macdonald Worley C 1999 The treat- ment motivation survery: defining patient motiva- tion for treatment. American Journal of Orthodontics and Dentofacial Orthopedic 115:233-238. Barbosa AL, Marcantonio E, Barbosa CE, Gabrielli MF, Gabrielli MA Psychological evalua- tion of patients scheduled for orthognathic sur- gery. J Nihon Univ Sch Dent 1993; 35:1-9 Baume, L. J.: Principies of cephalofacial develop- ment revealed by experimental biology. Am. J. Orthod. 47:881-901, 1961 Bister D, Edler R J, Tomm B D M et al 2002 Natural head posture - considerations of reprodu- cibility. European Journal of Orthodontics 24:457- 470 Bolton, W. A.: Desarmonía en el tamaño dentario y su relación con el análisis y el tratamiento de las maloclusiones. Angle Orthodont. 28:113-130,1958. Bolton, W. A.: The clinical application of a tooth size analysis. A.J.O. 48:504-529, 1962. Brodie, A. G.: On the growth pattern of the human head. Am. J. Anat. 68:209-262, 1941. Brodie, A. G.: The fourth dimensión in orthodon- tics. Angle Orthod. 24:15-30, 1954. Canut Brusela, J. A.: Ortodoncia Clínica. Salvat. Barcelona, 1988 Carranza, F. A., Carraro, J. J.: Periodoncia - Patología y Diagnóstico de las enfermedades periodontales. Ed. Mundi. Buenos Aires, 1978 Cooke M S, Wei S h y 1988 The reproducibility of natural head posture: a methodological study. American Journal of Orthodontics and Dental Orthopedics 93:280-288. Cozzani, G., Giannelly, A.: Ortodonzia concetti Pratici. Instituto per la Comunicazione Audiovisiva. Milán. 1985 Duterloo, H. S.: Atlas de la Dentición infantil. Diagnóstico ortodóncico y radiología panorámica. Mosby-Wolfe. London. England. Farkas, L. G., Munro, I. R.: Anthropometric facial proportions in medicine. Springfield III. Charles C. Thomas. 1987 Glickman, L: Clinical periodontology. 4a Edición. W.B. Saunders Co. Philadelphia. 1972 Graber, T. M., Swain, B.: Ortodoncia. Principios generales y técnicas. Panamericana. Buenos Aires, 1988 Haas, A. J.: Rapid expansión of the maxillary den- tal arch and nasal cavity by opening the mid-pala-
  • 111.
    116 tal suture. AngleOrthod. 31: 73-90, 1961 Haas, A. J.: Palatal expansión: just the beginning of dento-facial orthopedics. Am. J. Orthod. 57:219-255, 1970. Helm, S., Kreiborg, S., Solow, B.: Psychosocial implications of malocclusion: a 15 year follow-up study in 30-year-old Danés. Am. J. Orthod. 87:110- 118,1985 Howe, R. P., McNamara, J. A., et al: An examina- tion of dental crowding and its relationship to tooth size and arch dimensión. Am. J. Orthod. 83:363-373, 1983 Huckaba, G. W.: Arch size analysis and tooth size prediction. D. CLin. North America. July 1964 431:440 Langlade, M.: Diagnostic Orthodontique. Maloine S.A. Editeur. París, 1981 Laskin J.L. Clinical history and physical examina- tion. In: Laskin DM (ed) Oral and Maxillofacial Surgery, vol I St Louis: Mosby, 1980: 399 American Journal of Orthodontics Dentofacial Orthopedics 101 (3): 244-247. and McNamara, J. A.: Influence of respiratory pattern on craniofacial growth. Angle Orthod. 51:269-300, 1981 Moorrees, C. F. A., Thomson, S. O. et al: Mesiodistal crown diameters of the deciduous and permanent teeth in individuáisJ. Dent. Res. 36:39- 47, 1957. Moyers, R.: Manual de Ortodoncia. Ed. Mundi. Buenos Aires. 3a Edición. Petrelli, E., et al: Ortodontia contemporánea. Sarvier. Sao Paulo (Brasil), 1988 Powell, N., Humphreys, B.: Proportions of the aes- tetics face. Thime-Stratton Inc. New Yorks. 1984 Proffit, W. R.: Ortodoncia, teoría y práctica. Mosby. Doyma. Madrid, 1994 Rakosi, T., Joñas, L: Atlas de Ortopedia Maxilar. Masson-Salvat (Odontología). Barcelona,1992 Linder-Aronson, S.: Adenoids: their effect on mode of breathing and nasal airflow and their rela- tioship to characteristics of the facial skeleton and the dentition: acta oto-laryngologica. Supp. 265,1970. Linder-Aronson, S.: Effects of adenoidectomy on the dentition and facial skeleton over a period of five years. Europ. Orthod. Soc. 1973. Richards. A. G.: The buccal object rule. Dental Radiography and photography. Vol 53 N° 3 37:56, 1980 Ricketts, R. M.: Respiratory obstruction syndro- me. Am. J. Orthod. 54:495,1968 Schulhof, R.: Consideration of airway in ortho- dontics. J.C.O. Vol.12, N° 6, p.p. 440. 444, 1978 Lindhe, J.: Periodontología Clínica. 2a Edición Ed. Panamericana. Bs. As. 1992 Lundstrom, A.: Introduction to Orthodontics. New York, 1960. Me Graw. Hill Book Lundstrom F, Lundstrom A 1992 Natural head position as a basis for cephalometric analysis. Shah, S. M., Joshi, M. R.: An assesment of asy- metry in the normal cranio facial complex. Angle Orthodont. 48:141-148. 1978 Steele, C. N., Fairchild, R. C., Ricketts, R. M.: Forum on the tonsil and adenoid problem in ort- hodontics. Am. J. Orthod. 54:485-514. 1968
  • 112.
    117 Sutton, P. R.N.: Lateral facial asymetry methods Thurow, R. C: Atlas de Principios Ortodóncicos. of assessment. Angle Orthodont. 38:82,92.1968 Intermédica. Buenos Aires (Argentina), 1979.
  • 113.
    SECCIÓN ESTUDIO GNATOLOGICO Conceptos gnatológicosaplicados al diagnóstico y la planificación Placa de reposicionamiento mandibular Montaje en articulador Estudio de modelos articulados Conversión cefalométrica
  • 114.
    CAPITULO 4 Conceptos Gnatológícos INTRODUCCIÓN Lamotivación fundamental que lleva al pacien- te al ortodoncista es el problema estético, por esto la palabra "ortodoncia" fue desde siempre sinóni- mo de estética dentaria. A esta lógica respondía el esfuerzo del ortodon- cista, que creaba diversos procedimientos de diag- nóstico y tratamiento, todos ellos destinados al abordaje de esos problemas que se le planteaban con un criterio eminentemente estético. Transcurrieron muchos años y la especialidad continuó con este criterio generando progresos en muchos aspectos, a la vez que se alejaba de la odon- tología básica y sus conceptos. Pero con el paso del tiempo, se observaba con frecuencia que muchos tratamientos cuyos resultados podrían haberse cali- ficado a su finalización como excelentes desde la perspectiva de objetivos como alineación dentaria correcta, arcadas morfológicamente normalizadas y parámetros cefalométricos respetados, padecían un mal generalizado: la recidiva. A este problema, que indudablemente era el más importante ya que tenía una gran trascenden- cia en la relación ortodoncista-paciente, porque la estabilidad de los resultados o la falta de ella era la medida del éxito o del fracaso profesional, se aña- dían otros de mucha importancia clínica como abrasiones cuspídeas, algunas veces localizadas y otras generalizadas, desgastes de dientes anterio- res, movilidad en algunas piezas, y en algunos casos y a distancia en el tiempo, trastornos de ATM. Se comenzó entonces a pensar que el alinea- miento dentario de acuerdo con estándares cefalo- métricos y estéticos clásicos, no normalizaba la fun- ción del sistema estomatognático. Surge así la necesidad de un cambio que consi- derara la ortodoncia una verdadera rehabilitación de todo el sistema al igual que otras ramas de la odontología. Pero en esos momentos, la rehabilitación oclusal pertenecía, en cierto modo, a otras áreas de la odontología. Eran los prostodoncistas, quienes uti- lizaban otros conceptos, recursos y materiales, con- siderando el fisiologismomandibular y oclusal, para devolverle al sistema su integridad física y funcio- nal. Su punto de partida era la relación céntrica del paciente, algo que el ortodoncista no tenía en con- sideración en sus diagnósticos y sus tratamientos. Actualmente nuestra especialidad debe asumir la responsabilidad de devolverle la normalidad al sistema con métodos no tradicionales que se valen no ya de dientes y caras oclusales fabricadas con materiales artificiales sino mediante dientes natu- rales en perfecto estado de salud. Este cambio radi- cal de concepto del tratamiento ortodóncico, cons- tituyó un gran desafío que implica un giro en el abordaje diagnóstico, en los objetivos de trata- miento, en su planificación y en su ejecución. Tradicionalmente el ortodoncista realizaba sus estudios tomando en consideración la información ofrecida por modelos relacionados mediante ceras en máxima intercuspidación que representaban una posición de la mandíbula impuesta por las con- diciones oclusales del paciente. A la luz de estos nuevos criterios ya no resulta- ría razonable hacer este tipo de evaluación de la o- clusión, porque no es posible establecer ninguna re- lación con las articulaciones temporomandibulares. Los patrones de cierre y los movimientos man- dibulares son impuestos en gran parte por la oclu- sión existente. El mecanismo neuromuscular pro- tector del paciente evita el cierre sobre los contactos prematuros, desplazando la mandíbula para eludir dichos contactos, buscando una posi- ción de estabilidad oclusal (Fig. 4.1). Este cambio de posición genera habitualmente un avance mandibular, con algún componente de laterodesviación. Esta es la denominada Posición de Máxima Intercuspidación (PMI ), en la cual la posición de la mandíbula se establece mediante la musculatura, a expensas de las ATM, con el objeto de lograr una mejor interdigitación de los dientes. Entre esta posición, que era la posición interoclusal que el ortodoncista utilizaba como punto de parti- da, constituyendo el mayor error conceptual para el diagnóstico y la planificación del tratamiento, y aquella en la que la musculatura está relajada y los cóndilos situados correctamente, es decir, la Rela- ción Céntrica (RC), existe indudablemente una desarmonía de grado variable (Fig. 4.2). 121
  • 115.
    122 Estudio gnatológico B Fig.4.1 A: Esquema de la relación céntrica mandibular,determinada por la posición condilar sin dependenciade la oclusión. B: Posición de máxima intercuspidación donde, la estabilidad oclusal se logra a expensas de ladistracción del cóndilo. Relación Céntrica Durante muchos años se generó bastante confu- sión alrededor de este concepto, por ello conside- ramos necesario hacer una breve reseña histórica con el objeto de aclararlo. La primera definición denominaba relación cén- trica a "la posición no forzada más posterior en la cavidad glenoidea, a partir de la cual pueden reali- zarse movimientos de lateralidad". Esta definición respondía a la idea que había surgido a principios del siglo XX acerca de que los cóndilos debían estar en una posición relajada y estable dentro de las cavidades glenoideas. Con el transcurso del tiempo estos conceptos fueron cambiando y las diferentes escuelas adopta- ban algunos de estos cambios, que a su vez eran cri- ticados y rechazados por otras. Los gnatólogos, por ejemplo, definían la RC como la posición condilar más alta y posterior en la cavidad glenoidea, pero esta posición no se adap- taba a las necesidades del paciente. Para registrar esta relación la mandíbula era llevada mediante varios procedimientos a una posición de retrusión forzada y como consecuencia de ésto las bocas rehabilitadas en esta posición provocaron numero- sos problemas articulares, musculares y dentarios. Posselt, un clínico e investigador perteneciente a la escuela escandinava,observó que la mayoría de los pacientes sin trastornos de ATM presentaban un pequeño deslizamiento entre la posición de RC y la de MIC, concepto en el que se apoyó la escue- la de Pankey y Mann, que desde al punto de vista de la relación oclusal del sistema, utilizó la que denominaron "céntrica larga", que consistía en un pequeño deslizamientoentre las mencionadas posi- ciones. Ricketts, apoyado en estudios laminográficos, encontró que la mayoría de los pacientes sanos desde el punto de vista de las ATM, tenía una posi- ción centrada del cóndilo en la cavidad. Estadísti- camente, en 100casos normales, estableció normas para la ubicación del cóndilo: a 1.5 mm +- O.Smm de la eminencia articular, a 2.5 mm +- Imm de la parte superior de la cavidad glenoidea y a 7.5 mm del centro del conducto auditivo externo. A pesar de las críticas, el concepto de que la RC se localizaba en la parte más superior y posterior, se mantuvo aproximadamente 50 años. Cuando este concepto perdió sustentación, se definió la RC como la más superior y adelantada. Esto también provocó numerosos errores clínicos y se adoptó el concepto actual de que la posición con- dilar debe estar determinada por la musculatura y
  • 116.
    Conceptos gnatológicos 123 Fig.4.2: Caso clínico. La serie superior muestra la oclusión lateral y el ovejet en PMI. En las fotografías inferiores se registra la RC, observándose que la relación interoclusal varia notablemente. la anatomía de los componentes articulares. En realidad, los cóndilos se encuentran en una posi- ción superior y adelantada pero de ninguna mane- ra esta posición debe ser lograda mediante manio- bras que lo sitúen allí de manera forzada. La RC puede definirse como: ¡a posición mandi- bular en la cual el complejo cóndilo-disco, correc- tamente relacionado, se sitúa en unaposición supe- rior y anterior de la cavidad glenoidea, indepen- dientemente de la posición de los dientes o de la dimensión vertical, y como requisito fundamental debe requerir una actividad neuromuscular míni- ma (Fig.4.3). Lo importante en la definición que hemos adop- tado es el concepto de armonía fisiológica que surge de ella, porque permite una función neuro- muscular normal, sin esfuerzo. Es una posición estable y repetible, y cuando no existen factores que la desvíen, se dan las mejores condiciones para la salud de todo el sistema. Por ello, la oclusión del paciente no debe consti- tuir un factor de desadaptación de esa posición con- dilar óptima, es decir que lo ideal sería situar la mandíbula en una posición estable con una RC coincidente o muy próxima a la MIC que no impli- que un esfuerzo muscular excesivo ni alteraciones de los otros componentes del sistema. Fig. 4.3: Complejo cóndilo-disco en la posición de RC.
  • 117.
    124 Estudio gnatológico Objetivosfuncionales oclusales Con una concepción gnatológica del caso orto- dóncico, uno de los objetivos es el correcto posicio- namiento dentario con una oclusión en armonía con la fisiología y la dinámica de las ATM, es decir, una nueva oclusión que requiera una mínima adap- tación neuromuscular. Se hace necesario por ésto, tener información sobre la dinámica mandibular del paciente, es decir, reconocer y definir la postura adoptada por la mandíbula como resultado de su máxima inter- cuspidación para, mediante el tratamiento orto- dóncico, ubicarla en una posición más estable y favorable para su función. Un paciente puede sufrir alteraciones oclusales por distintas y variadas razones. Las erupciones ectópicas, la pérdida de longitud de arcada, la expresión de los hábitos y un sinfín de factores crean alteraciones oclusales de diversa magnitud. Sin olvidar también a la propia práctica odontoló- gica como un posible factor generador de alteracio- nes oclusales. En definitiva el paciente que acude a nuestra consulta ha tenido que adaptarse a su alteración oclusal generando una reposición mandibular que puede ser de mayor o menor magnitud. Esto se hace mediante la participación del mecanismo pro- pioceptivo neuromuscular que adapta la oclusión a expensas de las ATM, llevando los cóndilos fuera de la posición de RC. Por ejemplo, la presencia de un contacto prematuro en el segmento posterior de la oclusión puede actuar, inicialmente, como un ful- crum y ser responsable de una inestabilidad orto- pédica mandibular, con una distracción del cóndilo en el momento de la máxima intercuspidación (Fig. 4.4 A y B). Al estar fuera de su posición de RC, la mandí- bula podrá estar con la musculatura contracturada, será difícil de manipular y tendrá limitación en sus , U B Fig. 4.4 A: Montaje en articulador en RC. El contacto interoclusal se establece sólo a nivel de los segundos molares que actúan como fulcrum para llegar a la PMI. B: en PMI se cierra la mordida, provocando la distracción del complejo cóndilo-disco, como se observa en el gráfico de la derecha.
  • 118.
    Conceptos gnatológicos 125 movimientosfuncionales que en algunos pacientes puede manifestarse como espasmos dolorosos. Esta situación debe ser diagnosticada. De no ser así puede llevar a un error en la valoración del caso, al considerar a esa relación intermaxilar, como una relación estable y válida para la rehabilitación oclu- sal. Por lo tanto, deberá llevarse la mandíbula a RC, para lo cual es necesaria la relajación de la muscu- latura, para luego realizar el diagnóstico a partir de una posición músculo-esquelética estable, con los discos articulares interpuestos adecuadamente, con independencia de la oclusión dentaria. Esta posi- ción articular será el punto de partida para el diag- nostico dentoesqueletal y las decisiones del trata- miento. En muchos casos, cuando las diferencias entre la posición de MIC y RC son considerables, la planificación del tratamiento puede variar notable- mente al considerar la posición de RC (Figs. 4.5 y 4.6). Nuestro tratamiento tendrá como objetivo fun- damental evitar la adaptación neuromuscular y el reposicionamiento mandibular en la nueva oclu- sión, o si ésta se produjera debería ser de la menor magnitud posible. De esta manera: • se evitarán deslizamientos céntricos que pro- voquen movilizaciones dentarias; • se asegurará el fisiologismo neuromuscular normal; • se protegerán los componentes articulares, al favorecer una posición discocondilar adecuada No sólo constituirá un objetivo ante la presencia de signos patológicos, para su eliminación, sino que lo será también en los casos de ausencia de estos síntomas, con la finalidad de no agregar un factor que eventualmente los produzca. En una posición estática, el objetivo será lograr una oclusión en RC, que como lo hace J. Okeson, puede definirse así: En cierre, los cóndilos se encuentran en suposi- ción músculo-esquelética más estable con los discos interpuestos adecuadamente. En esta posición con- tactan, de manera uniforme y simultánea, todas las piezas posteriores. El contacto de las piezas ante- riores es menor, pero también contactan. Es decir, en MIC existirá el denominado "aco- ple" entre los dientes anteriores y durante cual- quier movimiento, los dientes posteriores se encon- trarán en desoclusión, conceptos que basan la denominación de "oclusión mutuamente protegi- da": la lateralidad se hará con guía canina y en pro- trusiva tendremos guía incisiva. Esta dinámica se hace más factible con las posiciones dentarias des- critas por Andrews en sus "Seis llaves de la oclu- sión normal". Estos objetivo gnatológicos, comunes en las diferentes áreas de la odontología, son alcanzados de diferentes maneras según la vía terapéutica uti- lizada. Por ejemplo, un prostodoncista, en su reha- bilitación, establece un punto de partida en el sec- tor anterior, con una óptima relación de overjet y overbite de incisivos y caninos en Clase I. Así determina una relación intermaxilar con garantías de guía incisiva y canina en protrusión y laterali- dad, permitiendo el asentamiento de los cóndilos en la posición de RC. Luego, diseña los segmentos posteriores creando un plano oclusal sin curva de Spee o bien con una mínima profundidad de la curva, evitando generar contactos prematuros en el cierre o interferencias en los movimientos mandi- bulares. De esta manera la rehabilitación estará en con- diciones de cumplir con los conceptos de una oclu- sión mutuamente protegida. En ortodoncia se deben cumplir estas mismas premisas para poder crear una oclusión que sea funcional, estable y que favorezca la salud y la fun- ción articular. A diferencia del rehabilitador, el ortodoncista debe trabajar bajo condiciones de limitación mucho mayores ya que no cuenta con la libertad de diseñar la anatomía de las caras oclusa- les ni puede determinar las alturas de las coronas clínicas para un caso determinado. El ortodoncista debe, con su aparatología, direccionar los movi- mientos de cada una de las piezas dentarias en los tres planos del espacio para poder compatibilizar las variables anatómicas de las coronas antagónicas y lograr un engranaje oclusal lo más favorable posi- ble (Fig. 4.6).
  • 119.
    126 Estudio gnatológico A1 Fig.4.5: El tratamiento ortodóncico en un paciente con distracción condilar inicial, puede efectuarse sin tener en cuenta las ATM (A1), realizando un tratamiento en PMI, en este caso sin extracciones (A2) que está expuesto a un cambio oclu- sal de producirse la desprogramación mandibular (A3). En la serie B, la reposición condilar en RC realizada en la etapa diagnóstica (B1) produce un cambio en la relación oclu- sal que modifica la anomalía de forma considerable, transformándola en una Clase II que requiere extracciones superio- res (B2). En B3 se gráfica el objetivo de MIC en coincidencia con RC al finalizar el tratamiento.
  • 120.
    Conceptos gnatológicos 127 .4.6 A: Serie perteneciente a un paciente de Clase I, con sintomatología muscular asociada al deslizamiento cén co. En el montaje en el articulador en RC se observa el cambio en la relación molar, que se transforma en Clase II. B: el tratamiento ortodóncico se realiza con extracciones de los primeros premolares superiores, obteniendo al finalizar una relación de clase I canina y Clase II molar. C: vista del acople anterior, indispensable para la funcionalidad oclusal.
  • 121.
    128 Estudio gnatológico Ennuestro ejercicio clínico el abordaje del pro- blema oclusal debe ser distinto al del rehabilitador y debemos tener como punto de partida para nues- tra rehabilitación oclusal, el abordaje de ese pro- blema desde atrás hacia adelante, trabajando pri- mero el factor vertical del sector posterior. Es una metodología opuesta a la de un rehabilitador, pero persigue el mismo fin. Esta diferencia en el aborda- je del problema se basa en las limitaciones de los movimientos verticales del segmento posterior y la posibilidad de la compensación que podemos hacer en el segmento anterior. En el sector posterior se realizarán modificacio- nes del torque que afectan la posición vertical de las cúspides fundamentales (torque negativo) para la disminución de los contactos prematuros (Fig. 4.7). La capacidad de intrusión a nivel de molares es bastante limitada con técnicas convencionales, sí aumentan con la aplicación de fuerzas aplicadas a un anclaje esqueletal como son los microtornillos y ésta puede ser una de las posibilidades para poder eliminar contactos prematuros que sean responsa- bles de una inestabilidad ortopédica mandibular Movimientos en sentido sagital como la mesiali- zación de los molares, o bien en sentido transversal como la expansión o contracción de la arcada supe- rior, pueden mejorar la relación oclusal posterior, aceptando, por último, la posibilidad de realizar al- gún tipo de tallado o remodelación coronaria que permita finalmente el asentamiento oclusal. Es una práctica común en ortodoncia, la utiliza- ción de elásticos intermaxilares para conseguir un adecuado entrecruzamiento anterior, reconociendo de esta manera, las limitaciones del control del seg- mento posterior. Si no se logra el overbite necesa- rio es porque existe un obstáculo en el sector poste- rior que impide el cierre anterior. Las limitaciones del control posterior nos inducen a "compensar" con movimientos de extrusión anterior. Esta com- B Fig 4.7 A: El inadecuado torque de los molares (torque positivo) provoca un problema vertical que se traduce en insufi- ciente overtbite. B: Cuando se realiza el torque negativo de los molares, se produce el asentamientooclusal posterior con el consiguiente aumento del overbite.
  • 122.
    Conceptos gnatológicos 129 pensaciónno debe ser una práctica habitual sino un recurso en casos extremos. Estas consideraciones mecánicas se deberán tener en cuenta para realizar una planificación del tratamiento orientada hacia la función oclusal que, a su vez, debe favorecer la función y estabilidad de las ATM. En algunos casos, no podrán cumplirse la totalidad de los objetivos, y esto deberá evaluarse ya desde la etapa de diagnóstico, para poder esta- blecer las limitaciones de un tratamiento sólo orto- dóncico, o la necesidad de terapias combinadas con prótesis o cirugía ortognática por ejemplo, para mejorar los resultados oclusales funcionales. Elementos que intervienen en el diagnóstico gna- tológico Junto con los objetivos gnatológicos, se incor- pora el articulador en la rutina de trabajo del orto- doncista. Los modelos articulados en RC ofrecen una información de gran importancia en el diagnóstico del caso, porque en ellos podremos analizar los contactos prematuros responsables de la reposi- ción mandibular, valorar desde diferentes perspec- tivas la posibilidad de eliminar estos contactos para lograr el asentamiento del cóndilo y determinar el grado de dificultad del tratamiento para alcanzar los objetivos funcionales oclusales (Fig. 4.8). En muchos casos está indicada la utilización de placas de desprogramación con el objeto de facili- tar el registro de la relación céntrica del paciente El procedimiento de laboratorio de medir, por medio del Indicador de Posición condilar, el com- portamiento del cóndilo desde la Relación Céntri- ca (RC) a la Máxima Intercuspidación (MIC) per- mite evaluar la dirección de ese desplazamiento y medir su magnitud. Será utilizado como método de registro y control de esta posición condilar antes, durante y después del tratamiento, y también para realizar la conversióncefalométrica La cefalometría, que provee datos sobre posi- ciones dentarias, relación de bases esqueléticas y proporciones faciales, se realiza habitualmente a partir de una telerradiografía obtenida en máxima intercuspidación. Por ello es necesario afectar los valores obtenidos a una posición de RC en aquellos casos en que exista una marcada disparidad entre ambas posiciones. Este procedimiento se denomi- na conversión cefalométrica. Después de esta introducción, los próximos capítulos tratarán extensamente estos temas, deta- llando los procedimientos y materiales necesarios para su implementación y su utilidad en el diagnós- tico y la planificación. Fig. 4.8
  • 123.
    CAPITULO 5 Placa dereposicionamiento mandibular CONSTRUCCIÓN El uso de placas de reposicionamiento mandi- bular en forma rutinaria para el diagnóstico orto- dóncico, es la expresión práctica de los conceptos gnatológicos vertidos en este nuevo enfoque. Por esto, es frecuente encontrar en los libros de texto diferentes modalidades para la construcción de estas placas. En nuestro criterio, no es tan importante el modo de construcción sino el compromiso con una serie de objetivos a lograr, cualquiera que sea la técnica para construirla. El uso cada vez más extendido de las máquinas de estampado al vacío, ha permitido un acerca- miento del profesional a la fase de construcción de las placas, obviando el uso del laboratorio, con el consiguiente beneficio de costo y tiempo. Muchos especialistasrecomiendan lautilización de este tipo de aparatos que, sin duda, cuentan con grandes ventajas. Nosotros hemos comprobado que son de gran utilidad en aquellos casos en que es posible conse- guir el resultado deseado en períodos de tiempo relativamente breves, porque su superficie oclusal suele ser muy delgada, y a pesar de la adición de resinas acrílicas de autopolimerización, se rompe con relativa facilidad. Creemos preferible el uso de placas de despro- gramación construidas con resinas de termopolime- rización, porque permiten absorber errores del clí- nico en el proceso de ajuste, debido al mayor espesor y dureza de la resina. Por esta misma razón su duración en boca es mayor. El profesional podrá elegir el material en fun- ción de su habilidad para el ajuste de estas placas y del tiempo que pretenda utilizarla. Esto último dependerá del cuadro clínico que presente el paciente. Describiremos brevemente la construcción de las placas de reposicionamiento con resinas de ter- mopolimerización, a partir de modelos montados en articulador con registros de RC presuntiva, ob- tenidos con maniobras manuales de desprogra- mación (Fig. 5.1). Se marcan los límites de la placa sobre las super- ficies vestibulares y linguales de los dientes del modelo con lápiz de grafito (Fig. 5.2). Luego, con dos capas de cera rosa reblandecidas en el baño tér- mico, se cubren las caras oclusales, vestibulares, Fig. 5.1. Fig. 5.2. 131
  • 124.
    132 Estudio gnatológico Fig.5.3. Fig. 5.4. palatinas y parte de la mucosa palatina o lingual según sea el caso, intentando adaptar la cera lo más íntimamente posible a la superficie del modelo, con la finalidad de obtener una retención aceptable (Fig. 5.3). Se recortan los excesos, dejando cera sobre la mucosa con el fin de darle más resistencia en las maniobras iniciales. Luego se recorta hasta los lími- tes prefijados en las superficies linguales. Se alisa la superficie oclusal, evitando todo tipo de irregularidades que provoquen interferencias en los movimientos. El contacto oclusal de las piezas antagonistas, debe ser sólo a través de las cúspides de soporte o fundamentales, en forma puntiforme sobre la cera, que representará sólo una mesa de apoyo, sinrelie- ves oclusales (Fig. 5.4). Utilizando los movimientos permitidos por el articulador, tanto en protrusiva como en laterali- dad, se talla en la zona palatina de los incisivos, una suave rampa que permita la desoclusión posterior al menor movimiento mandibular protrusivo (Fig. 5.5). Debe construirse también una guía canina suave y sin interrupciones, que desocluya el lado de ba- lance y el resto de las piezas del lado de trabajo, en los movimientos de lateralidad derecha e iz- quierda (Fig. 5.6). Fig. 5.5. Fig. 5.6.
  • 125.
    Placa de reposicionamientomandibular 133 Fig. 5.7. Fig. 5.8. Una vez logradas estas condiciones, se reempla- za la cera por la resina acrílica mediante el enmu- flado (Fig. 5.7). ADAPTACIÓN Una vez instalada la placa en boca, se deberá constatar que reúna los siguientes requisitos: • Contactos puntiformes de las cúspides funda- mentales antagonistas en los sectores laterales. • Acople incisivo con una separación que permita el pasaje de un papel shimstock de 0,0005". • Guía anterior que permita la desoclusión de los sectores posteriores durante el movimiento pro- trusivo, y en la cual deben participar los incisi- vos y/o los caninos. • Guías caninas que permitan la desoclusión en los lados de trabajo y no trabajo, durante las excur- siones de lateralidad izquierda y derecha. El uso de esta placa debe ser permanente duran- te la desprogramación. Se debe controlar periódi- camente al paciente para reajustarla a los cambios de posición mandibular que ocurran durante ese período, procurando mantener siempre, o mejorar ' ' ' • !| • • • Fig. 5.9: Placa terminada. si fuese posible, las condiciones iniciales de contac- to y protección de las guías (Fig. 5.8). Después de un período de tiempo, que variará según el grado de alteración que presente el paciente, cuando ya no se perciban cambios en la posición mandibular y se compruebe su libre mani- pulación, así como el control del paciente sobre los diferentes tipos de movimientos mandibulares, podremos estar en condiciones de realizar los registros pertinentes para el montaje definitivo, que nos permitirá realizar un correcto análisis de las relaciones esqueléticas y dentarias del caso a tratar.
  • 126.
    CAPITULO 6 Montaje enarticulador ARTICULADOR SAM El articulador "SAM" es un articulador semia- justable tipo ARCON, de uso en odontología res- tauradora, que por sus características se ha trans- formado en uno de los aparatos de elección para el diagnóstico y planificación del tratamiento de orto- doncia. En este capítulo haremos una descripción de este aparato y de su manejo, con el propósito de facilitar al clínico su utilización. Como ya se ha dicho, hoy no es posible hablar de diagnóstico ortodóncico considerando sólo la relación dentaria intermaxilar observada clínica- mente o en modelos de estudio tradicionales, sin considerar la articulación temporomandibular. Éste es probablemente uno de los temas más importantes que debemos considerar para definir adecuadamente nuestro cuadro clínico. Ignorar o minusvalorar la importancia de la ATM puede alte- rar o falsear la relación interarcada y, en conse- cuencia, inducirnos a un error diagnóstico. El conocimiento de la ATM y de su mecánica de trabajo, así como también su comportamiento en estado de salud o de alteración, ayudará al clínico a elaborar un plan de tratamiento correcto. Éste po- drá verse en muchos casos condicionado olimitado por las características de esta articulación, cuyos aspectos funcionales serán determinantes en el pronóstico del caso. El tratamiento ortodóncico correctamente planificado deberá alcanzar como resultado ideal un perfecto engranaje oclusal, teniendo a los cóndilos en relación céntrica (RC). En consecuencia, todos los casos clínicos some- tidos a estudio ortodóncico deberán ser montados en un articulador semiajustable en posición de RC (Fig. 6.2). Además se deberá definir y medir la posición condilar en RC y MIC. Para ello el articulador debe proveer un dispositivo denominado Indicador de Posición Mandibular o más precisamente Indicador de Posición Condilar. Aun cuando presentan dife- rencias significativas en su diseño y en su construc- ción, la aplicación clínica de los distintos modelos de articulador es la misma. Este aparato ha sido diseñado ante la evidencia de las diferentes posiciones que asume la mandíbu- la como resultado de la respuesta de la neuromus- culatura ante la presencia de interferencias o con- tactos prematuros, que desplaza los cóndilos de su relación con el medio articular. Tomando como punto de partida la RC, el des- plazamiento mandibular hasta la MIC se realiza Fig. 6.1: Articulador SAM 3 135
  • 127.
    136 Estudio gnatológico Fig.6.2: Montaje de modelos en RC. Se reproduce la posición de ambas arcadas dentarias en los tres sentidos del espacio y el eje de bisagra arbitrario, representado por el eje condíleo del articulador. hacia adelante y puede tener un componente de lateralidad. A nivel condilar, se manifiesta de dife- rente manera. Por razones de anatomía, en todos los casos los cóndilos que salen de su posición de céntrica sufren además un desplazamiento hacia abajo. El articulador SAM, tiene el ya mencionado Indicador de Posición Mandibular (MPI). Es una segunda rama superior que permite la representa- ción gráfica de la posición del cóndilo en el espacio de la cavidad glenoidea durante la posición de máxima intercuspidación (MIC). El operador puede, así, conocer el comportamiento de la articu- lación desde la posición de relación céntrica a máxima intercuspidación (Figs. 6.1 y 6.2). Posee dos bases: una superior y otra inferior, y como ya dijimos una segunda base superior, llama- da MPI. • Base superior: para la colocación del modelo superior, presenta en su extremo posterior dos cajas articulares que representan a las cavidades glenoideas; en el sector anterior, esta base superior puede alojar indistintamente el pin o la mesa inci- sal. • Base inferior: para la colocación del modelo homólogo. Lleva incorporados en su extremo pos- terior dos pilares con sus correspondientes cóndi- los. Al igual que en la superior, en el sector anterior puede colocarse el pin o la mesa incisal. • MPI: permite la colocación del modelo supe- rior. En sus extremos laterales las cajas glenoideas están reemplazadas por unos cubos que servirán de base de registro para la representación gráfica de la posición de los cóndilos. Base o rama superior La base superior presenta en su extremo ante- rior una ranura, destinada a incorporar en ella un Fig. 6.3: Ramasuperior.
  • 128.
    Montaje en articulador137 tope de plástico amarillo (mesa incisal) o un vasta- go o pin milimetrado (vastago incisal) (Fig. 6.3). En el centro de la rama superior se encuentra el tornillo de sujeción de platinas, que por su cara inferior presenta dos pequeñas salientes que son las guías que impiden la rotación de los modelos. En el extremo posterior de la rama y colocados lateralmente, se encuentran las cajas glenoideas, dos semihesferas metálicas que representan a las cavidades del mismo nombre. Estas cajas derecha e izquierda (figuras 6.4 y 6.5), pueden ser ajustadas en su inclinación (torni- llo posterosuperior de la base), para dar la inclina- ción a la cavidad glenoidea en una escala de 5°a65° y permitir así su ajuste según la inclinación que pueda presentar cada pared anterior de las cavida- des glenoideas del paciente. Ésta es la guía condi- lea. A su vez, las cajas presentan un tornillo en su cara superior, para ajustar la angulación de su pared medial, en una escala de 0° a 35° y fijar así el ángulo de Bennet. En la parte lateral, tiene una ani- lla que se mueve lateralmente para asegurar la posición del cóndilo en el fondo de la cavidad durante el montaje. Fig. 6.4: Cajas glenoideas.Vistasuperior. Fig. 6.5: Cajas glenoideas.Vistainferior. Base o rama inferior La rama inferior posee en su extremo anterior una ranura similar a las descritas para la rama supe- rior y con el mismo objetivo: permitir alojar en ella la mesa o el vastago incisal milimetrado. En el centro de la rama inferior, encontramos un tornillo de sujeción para las platinas de montaje y por su cara superior los topes que impedirán la rotación de los modelos. En el extremo distal, dos columnas laterales soportan en su extremo superior los cóndilos dere- cho e izquierdo (Fig. 6.6). Fig. 6.6: Ramainferior.
  • 129.
    138 Estudio gnatológico Indicadorde posición mandibular (MPI) El indicador de posición mandibular (MPI), es una segunda base superior, intercambiable con la base superior ya mencionada. Presenta en el sector anterior una ranura igual a las bases superior e inferior y con la misma finali- dad. En el centro tiene un tornillo central y las guías para la fijación de la platina de montaje del mode- lo superior. En el sector posterior y lateral se observan dos cubos de plástico negro, uno en cada lado, que tie- nen movilidad en sentido transversal y un pequeño pin que perfora el centro de su cara externa, sobre la que se adhieren unas láminas autoadhesivas de papel milimetrado para el registro de la posición condilar. En la porción posterosuperior, una esfera con dos cuadrantes, el menor graduado en milímetros y el mayor en décimas de milímetros, está destinada a la medición de la desviación transversal de la mandíbula (Fig. 6.7). Arco facial El arco facial es un elemento que registra la posición del maxilar superior respecto a la base del cráneo, y la transfiere al articulador en el momen- to del montaje del modelo superior. El tornillo cen- tral en su cara superior es para impedir el movi- miento de apertura o cierre del arco cuando está en posición. En su cara inferior lleva un aditamento para posicionar la horquilla. En sus extremos distales se encuentran las oli- vas, que se insertan en los conductos auditivos ex- ternos. Tiene además: - Un apoyo nasal desmontable y ajustable. - Una pieza de transferencia articulada, desmonta- ble y ajustable en los tres planos del espacio. - Una horquilla para el registro del plano oclusal superior (Fig. 6.8). Secuencia de montaje Se describirá el montaje en el modelo SAM 3. Como ya hemos dicho, este montaje relaciona los modelos de estudio en las mismas condiciones espaciales en que se encuentran los maxilares en el macizo facial, mediante una serie de registros que permiten trasladar estas condiciones al articulador. Fig. 6.7: Indicador de posición mandibular (MPI). Fig. 6.8: Arco facial y accesorios En el caso que aquí ejemplificamos no hay coin- cidencia entre la relación céntrica y la máxima intercuspidación, situación frecuente en casos con maloclusión (Fig. 6.9). Para ajustar nuestro diagnóstico, debemos con- siderar: - la posición del cóndilo en relación céntrica, que presenta una determinada relación interoclusal - la posición del cóndilo en máxima intercuspi- dación, en la que se observará una relación intero- clusal diferente.
  • 130.
    Montaje en articulador139 Por esta razón, los registros necesarios para hacer nuestro montaje en articulador serán dos: los que obtengamos mediante las ceras de relación céntrica y aquellas obtenidas en máxima intercus- pidación. La planificación y la ejecución de nuestro trata- miento deben estar orientadas a disminuir la dis- tancia que existe entre la posición del cóndilo en relación céntrica (RC) y máxima intercuspidación (PMI) o lo que es igual, corregir la oclusión que presenta el paciente cuando sus cóndilos se encuen- tran en RC. El resultado final será lograr la coinci- dencia en dichas posiciones o al menos aproximar- las lo máximo posible. OBTENCIÓN DE REGISTROS CLÍNICOS PARA EL MONTAJE Relación céntrica (RC) Para el registro de la relación céntrica se utiliza la cera azulDelar, que debe ser reblandecida en un baño térmico hasta obtener una textura lo suficientemente dúctil como para hacer con ella un registro de las caras oclusales de los molares superiores e inferiores y de los incisivos, sin que el grado de dureza de la cera represente un obstáculo u oposición al movimiento mandibular de cierre que pueda alterar el registro. El registro de la relación céntrica se obtiene tras lograr la máxima relajación mandibular, con amplia libertad de movimientos y en las mejores condicio- nes de manipulación, para llevar los cóndilos a la zona de relación céntrica. En ocasiones, el pacien- te deberá ser preparado previamente mediante el uso de placas tipo Michigan para eliminar contrac- turas que puedan impedir o dificultarlas maniobras destinadas a registrar esta posición. Deberá estar cómodamente sentado, con el apo- yacabeza colocado de tal forma que su cuello no se encuentre en sobreextensión ni en deflexión. El sillón debe estar reclinado en un ángulo aproxi- mado a los 45° en relación al piso y con la cabeza a la altura del codo del operador para favorecer las maniobras de manipulación mandibular. Antes de tomar los registros se hace una mani- Fig. 6.9. A: Posición mandibular en RC; registrada con cera azul Delar. B: Desplazamientomandibular en la MIC, regis- trada con cera Moyco rosa.
  • 131.
    140 Estudio gnatológico pulaciónde la mandíbula, utilizando para ello algún método de inducción que el operador mane- je habitualmente, con el fin de determinar el con- tacto prematuro. Este contacto frecuentemente se encuentra en el sector posterior y es necesario loca- lizarlo para realizar el registro sin llegar a él. En otras ocasiones, este primer contacto puede manifestarse en el sector anterior por erupciones ectópicas de los incisivos o en aquellos casos de moderadas Clases III dentarias. Cuando se localiza en el segmento posterior uti- lizaremos la técnica de doble registro de cera (figu- ras 6.10 y 6.11). El primero corresponde al segmen- to anterior y se extiende de canino a canino, re- gistrando la relación de entrecruzamiento horizon- tal (overjet). En un segundo tiempo, se hace el re- gistro de cera del segmento posterior. El primer registro se debe hacer controlando visualmente el sector dentario posterior, que no debe ocluir durante esta maniobra. El contacto pre- maturo debe quedar en inoclusión y con una sepa- ración máxima de 2 mm o algo menos. El registro del sector anterior se hace con un espesor de cera variable en función del grado de overbite que presente el caso. Si el paciente tiene una sobremordida, dos capas de cera serán sufi- cientes para hacerlo, pero si el paciente presenta una disminución del overbite o incluso una mordi- da abierta, deberemos aumentar las capas de cera para obtenerlo sin contacto posterior. Teniendo en cuenta la relación anterior, prepa- raremos el bloque de cera del menor tamaño posi- ble. En sentido transversal no debe superar el diá- metro intercanino y en sentido anteroposterior podrá ser más o menos ancho en función del over- jet del paciente, para asegurar la impronta de los incisivos inferiores. Para realizar los registros las ceras se tratan tér- micamente en un baño de agua a una temperatura próxima a los cincuenta y cinco grados centígrados. Se posiciona la cera anterior presionándola sobre los bordes incisales superiores para darle una mínima estabilidad y se procede a la maniobra de inducción manipulando la mandíbulaen cierre hasta llegar casial primer contacto oclusal (Fig. 6.12). En esta posición se procede a enfriar la cera con agua para endurecerla y retirarla sin deformación, y se introduce inmediata- mente en un recipiente con agua fría. Fig. 6.10: Cera para registro RC. Fig. 6.11: Vista lateral. Durante este procedimiento el operador debe evitar cualquier movimiento mandibular de avance que pueda provocar un error en el registro. Esta precaución es de destacar porque todo paciente cuando se le coloca algo entre los incisivos, respon- de con un reflejo de movimiento de corte, que implica normalmente un avance.
  • 132.
    Montaje en articulador141 A continuación se recoloca la cera anterior ya enfriada y se repite la maniobra de cierre para che- quear el registro y también, familiarizar al paciente con esta cera que le servirá de tope de cierre y de guía en el registro posterior. La cera posterior debe tener un ancho igual a la suma de los diámetros mesiodistales de un premolar y un molar (alrede- dor de 12 milímetros), el espesor será siempre de dos capas de cera y transversalmenteno debe supe- rar las caras vestibulares de los molares inferiores. Colocada la cera anterior se posiciona la poste- rior en la arcada superior y se le pide al paciente que cierre lentamente guiado por la anterior, que le impedirá llegar al contacto interoclusal. En este momento la musculatura elevadora utiliza la cera anterior como un fulcrum, propulsando los cóndi- los hacia arriba y adelante para llegar a la posición de Relación Céntrica. En este registro no se practi- ca ninguna maniobra de inducción.No se debe per- forar la cera posterior (Fig. 6.13) Es crítica en esta maniobra la resistencia que pudiera hacer la cera posterior, que si no está sufi- centemente blanda será un obstáculo para que el cóndilo ascienda en la cavidad articular. En aquellos casos en que el contacto dentario es anterior será necesario hacer este registro con el uso de una sola cera. Se preparará una cera de forma trapezoidal que comprometa una amplia zo- na oclusal, habitualmente desde el primer molar hasta las proximidades del canino. El ancho tam- bién debe respetar el límite vestibular de las piezas de la arcada inferior y el espesor será el necesario para evitar el primer contacto anterior. En este caso se coloca la cera y se hace la induc- ción, manipulando la mandíbula para captar la posición de RC en un solo registro, En el montaje,los modelos superior e inferior se relacionan entre sí a través de esta cera azul. Por las características de esta cera, que le otorgan una gran estabilidad en frío, estos registros formarán un trí- pode que dará estabilidad a los modelos impidien- do que alteren su relación durante este procedi- miento (Fig. 6.14). De esta forma se relacionan los modelos en el articulador a través de la relación condilar de RC en ausencia de contactos oclusales. Fig. 6.12: Registro anterior. Fig. 6.13: Registroposterior. Fig. 6.14: Modelos relacionados en RC.
  • 133.
    142 Estudio gnatológico Máximaintercuspidación (MIC) Este registro se realiza con cera rosa "Moyco" y relaciona los maxilaresentre sí, a través de la mayor cantidad de puntos de contacto oclusales (MIC). Se denomina también oclusión habitual. Se recorta una lámina de cera rosa, teniendo como referencia la forma de la arcada inferior y cuyo tamaño no exceda las cúspides vestibulares de los sectores posteriores. Este registro se hace sin necesidad de manipular la mandíbula, el paciente deberá morder la cera en forma habitual hasta per- forarla (Figuras. 6.15 y 6.16). Esta cera sólo sirve como un elemento estabili- zador entre el modelo superior e inferior y debe estar perforada para no añadir un problema verti- cal inexistente. En aquellos casos en que el paciente presenta una mordida abierta con escaso contacto interoclu- sal la cera deberá ser construida de diferente espe- sor para lograr el objetivo de estabilización de los modelos. Estas ceras serán de utilidad solo durante la colocación de los modelos en el lector de posición mandibular (MPI). Una vez obtenidos estos registros, tendremos la posibilidad de relacionarlos entre sí de dos mane- ras: a través de los contactos oclusales (MIC) o a través de la relación cóndilo/cavidad glenoidea (RC). Registro con arco facial En primer lugar, es necesario hacer el registro de las caras oclusales de la arcada superior, colo- cando en la superficie de la horquilla tres puntos de godiva, dos en los sectores laterales y uno en el sec- tor anterior, que captarán la superficie oclusal de los molares y de los incisivos, formando un trípode para el apoyo del modelo superior. Éste, deberá quedar completamente estable sobre las improntas de godiva para evitar movimientos durante su mon- taje en el articulador. Las huellas de las superficies oclusales no deben ser profundas ni perforar la godiva hasta la superficie metálica de la horquilla. Los dientes restantes tampoco deberán contactar con ésta. Se calienta la godiva y se lleva a posición, teniendo como referencia el vastago anterior de la horquilla, que debe ser colocado mirando al frente y centrado en la línea media del paciente. En esa • Fig. 6.15: Registro de MIC. Fig. 6.16: Cera de la MIC, con las perforaciones del con- tacto interoclusal. posición, se impresiona la superficie oclusal de la arcada superior (Fig. 6.17). Se enfría la godiva con agua y posteriormente se retira. Es preciso com- probar, una vez enfriado el material de impresión, que el modelo superior asiente perfectamente en las huellas oclusales de la horquilla. Colocaremos el arco facial al paciente con el apoyo nasal, sin la pieza de transferencia y sin la horquilla. Se ajustan las olivas en el conducto audi- tivo externo y se coloca el apoyo nasal en su sitio presionándolo ligeramente, como si fuese el émbo- lo de una jeringa, contra el puente nasal. Se ajus- tan el tornillo central del arco facial para fijarlo en sentido transversal, y el tornillo del apoyo nasal, que lo fija en sentido anteroposterior. En estas con- diciones, deberá quedar sustentado por sí mismo y paralelo al plano de Frankfort. En esta posición, se le pide al paciente que abra la boca y se colocan
  • 134.
    Montaje en articulador143 unidas la horquilla y la pieza de transferencia con todos los componentes de fijación flojos, para per- mitir el libre movimiento de todas sus partes. Los elementos de fijación deben ser colocados mirando al operador. Se fija la pieza de transferen- cia al arco facial, y se recoloca la horquilla utilizan- do las huellas oclusales impresas en ella. Una vez posicionada, debemos comprobar que los componentes de la pieza de transferencia se encuentren firmemente ajustados para evitar des- plazamientos indeseados (Fig. 6.18). Se ajustan los elementos de unión y se retira de la boca. Ya fuera de la boca se separa la pieza de trans- ferencia del arco facial y se lleva al articulador para ubicar el modelo superior. MONTAJE DE MODELOS Montaje del modelo superior El articulador será ajustado con valores pro- medios de inclinación sagito-condilar y ángulo de Bennet para realizar el estudio del caso. Nos inte- resa la evaluación de la oclusión en estática. Su valoración desde el punto de vista transversal, ver- tical y sagital se hace con los modelos en la oclusión en RC, por esta razón no se busca laindividualiza- ción en el ajuste dinámico del articulador. Se fijan en la rama superior los parámetros de trayectoria sagital condílea en 30°y ángulo de Ben- net en 15°. Según el tipo de pieza de transferencia que uti- licemos colocaremos el aditamento adecuado para su fijación sobre la rama inferior del articulador. Existen en este tipo de articuladores diferentes piezas de transferencia para el montaje del modelo superior. Algunas utilizan una pequeña mesa de montaje que se adiciona en la rama inferior del arti- culador. Otras más nuevas tienen una columna cen- tral que también se fija en la rama inferior La pieza de transferencia quedará vinculada a la rama inferior y la horquilla en condiciones de reci- bir el modelo superior. Este modelo tendrá su pe- so, que aumentará de forma significativa cuando se le agregue el material de cementado (en este caso Fig. 6.17: Registro de la arcada superior con la horquilla. Fig. 6.18: Arco facial totalmenteajustado. escayola rápida) resultando crítico cuando se pro- cede al cierre de la rama superior del articulador. Para evitar cualquier movimiento del conjunto horquilla-modelo superior e impedir su descenso por el peso, situación que también modificaría la inclinación del plano oclusal, será necesario colocar algún elemento que estabilice la horquilla antes de la colocación de la escayola. El articulador tiene un aditamento diseñado pa- ra este fin, que consiste en una torreta telescópica que apoyándose en la platina de la rama inferior da sustento a la horquilla evitando cualquier movi- miento indeseado. También es común colocar de- bajo de ella una pieza de acrílico que le sirva de apoyo; si fuese necesario, esta pieza se ajustará en altura con escayola hasta hacer contacto con la hor- quilla.
  • 135.
    144 Estudio gnatológico Lapieza de transferencia y la horquilla así esta- bilizada permiten reproducir en el articulador la ubicación espacial que se registró con el arco facial, transfiriendo la inclinación del plano oclusal del paciente. Una vez posicionada la pieza de transferenciay la horquilla estabilizada, se ubica sobre la horquilla el modelo superior, asegurando un perfecto asenta- miento en la impronta de la godiva. El operador deberá comprobar, cerrando la rama superior del articulador, que exista espacio suficiente por enci- ma del modelo superior para la colocación de la escayola rápida (Fig. 6.19). Con este material se prepara una pequeña columna que sirva de unión entre la platina y el modelo superior. Se prepara sólo una pequeña can- tidad para evitar (o minimizar) las distorsiones que provoca su fraguado. El articulador con su rama superior horizontal al apoyar en la pieza de transferencia, evita la dis- torsión de la posición espacial de los modelos y la inclinación del plano oclusal. En un segundo tiempo y con yeso común hace- mos la terminación del montaje del modelo supe- rior (Fig. 6.20). Montaje del modelo inferior El cementado del modelo inferior se hace rela- cionando ambos modelos, superior e inferior, a tra- vés de las ceras de relación céntrica (registro de cera azul). Es necesario recortar las ceras azules para poder observar que las cúspides vestibulares de ambas arcadas asienten perfectamente. Es conveniente eliminar en las ceras azules cualquier contacto con los tejidos blandos, especialmente aquellos en rela- ción con la papila retroincisiva. De esta manera las ceras adaptarán sólo en los tejidos dentarios, y para poder visualizar ésto se recortarán excesos tanto en la cera anterior como en la posterior. Una vez perfectamente asentados en las ceras azules se fijan mediante un elástico para evitar cualquier desplazamiento durante la colocación del material que fijará el modelo inferior. (Fig. 6.21) El cóndilo de la rama inferior del articulador debe estar colocado en el fondo de la cavidad arti- cular (posición de RC) permitiendo sólo el movi- miento de apertura y cierre, para lo cual se ajustan hacia adentro las anillas de céntrica que en esta posición bloquean los movimientos de lateralidad Fig. 6.19: Instalación de la pieza de transferencia con la horquilla estabilizada para el montaje del modelo superior. Fig. 6.20: Modelo superior montado. Fig. 6.21: Modelo inferior relacionadocon las ceras de RC y el articulador invertido para procedera su montaje.
  • 136.
    Montaje en articulador145 Fig. 6.22 A y B: Montaje terminado. para evitar algún desplazamiento en el momento del cementado del modelo inferior. Para compensar el espesor de las ceras de rela- ción céntrica, que relacionan el modelo superior con el inferior, deberemos aumentar la altura del pin incisal dos a cuatro milímetros en función del espesor de las ceras. Se coloca una pequeña colum- na de escayola rápida sobre el modelo inferior y se fijan también las ramas del articulador con una banda elástica a fin de disminuir o minimizar las posibilidades de variación de tamaño con la expan- sión de fraguado de la escayola. Es muy importante conocer las variaciones de la posición mandibular entre RC y MIC. El diagnósti- co del caso se basará en la posición de relación cén- trica, pero es necesario el registro de ambas posi- ciones por varias razones: 1. Para comprender con más profundidad el pro- blema oclusal. 2. El registro inicial será la referencia para el permanente control del caso. Debe recordarse que el tratamiento tendrá como objetivo reducir el rango de diferencia entre ambas posiciones. 3. En los casos en que ese rango sea de cierta consideración, deberá estar reflejado en la cefalo- metría inicial, modificándola con el procedimiento de conversión cefalométrica. REGISTROS DE POSICIÓN CONDILAR Con el articulador: Una vez realizado el montaje de los modelos, se toman los registros para determinar el desplaza- miento de la mandíbula desde RC a MIC. Se hacen dos registros con el articulador: 1. Altura del pin incisal en RC: La medición del contacto prematuro es el pri- mer registro que realizamos. En la ficha se registra de la siguiente manera: Altura PIN en RC: mm. Altura PIN en MIC: mm. Diferencia PIN RC-MIC: mm. Con los cóndilos firmemente asegurados en RC, se retira la cera azul, se suelta el tornillo de fijación del pin incisal y se permite el cierre bucal del arti- culador en busca del primer contacto interoclusal. En este momento se realiza la lectura de la escala del pin. Ésta es la altura en milímetros de la oclu- sión en RC, es decir la que corresponde al primer contacto oclusal (Fig. 6.23 A). La altura del pin en MIC se obtendrá con el modelo superior colocado en el MPI. Se mide la altura del pin incisal en relación de máxima inter- cuspidación (cera rosa) (Fig. 6.23 B). La diferencia
  • 137.
    146 Estudio gnatológico Fig.6.23 A: Altura del pin incisal en RC. B: la misma medición en MIC. entre ambas mediciones es la altura del contacto prematuro. Este registro es orientativo y no representa, en rigor, la altura real del contacto prematuro. Las medidas se hacen en el pin incisal que se encuentra muy alejado de la zona del contacto prematuro y esto genera una distorsión. El pin incisal puede estar a más de cincuenta milímetros del contacto prematuro y esto hace que la medida sufra un au- mentosignificativo. Esta medición sólo sirve de orientación, para evaluar, por ejemplo, la influencia de un contacto prematuro en el overbite, o la magnitud de los des- gastes selectivos necesarios para la corrección. 2. Registro en la platina incisal: El segundo registro se realiza sobre la mesa inci- sal con el articulador en las mismas condiciones que las descritas para el primer registro. Sobre la mesa incisal se adhiere un papel mili- metrado e interponiendo un papel de articular, se presiona con el pin incisal sobre la mesa, registran- do así la posición sagital y transversal de la mandí- bula en el plano horizontal. Los registros mantienen un código de colores; los de RC se hacen en azul y los de MIC en rojo (Fig. 6.24). Este registro se repetirá en la mesa incisal del MPI y evaluamos así la dirección del desplaza- miento mandibular desde la posición de RC a MIC. Siempre el desplazamiento es en sentido anterior, y puede o no tener un componente de lateralidad.La lectura se hará en ambos sentidos. En el sentido an- teroposterior, observaremos la magnitud; en senti- do lateral, sólo la dirección ya que el rango de des- plazamiento estará magnificadocon respecto al del sector incisivo, debido a la posición alejada del pin que es el que determina el registro. Este registro debe relacionarse con el contacto que se establece entre los incisivos inferiores y los superiores con el desplazamiento de la mandíbula. Explica en muchos casos la presencia de apiña- mientos en los incisivos inferiores, y la aparición de diastemas o vestíbulo inclinación en los superiores, dependiendo de la dirección del desplazamiento mandibular en MIC. Fig. 6.24: Registro en la platina incisal.
  • 138.
    Montaje en articulador147 Con el MPI Debemos ahora registrar la posición de los cón- dilos en sus respectivas cavidades glenoideas, cuan- do las arcadas están en máxima intercuspidación. • Se retira el modelo superior desmontándolo de la rama homologa junto a su platina y se fija mediante ella al MPI (Fig. 6.25). • Se lo relaciona con el modelo inferior inter- poniendo entre ambos la cera rosa de MIC. En este momento, ambas ramas (rama inferior y MPI) con sus respectivos modelos, están vinculadas solamen- te mediante la oclusión (Fig. 6.26). El MPI es una rama superior que en la zona de las cajas articulares tiene un cubo, cuya cara externa sirve de base para adherir una lámina autoadhesiva Fig. 6.25: Modelo superior fijado al MPI. El centro de los cubos de MPI reproduce la posición del cóndilo en RC, y con una aguja perfora la lámina autoadhesiva para hacer el registro. Fig. 6.26: Cuando se relacionan los modelos en MIC, el desplazamiento del cóndilo podrá ser registrado en la grilla de la lámina auto- adhesiva, a través de la impronta de la esfe- ra condilar.
  • 139.
    148 Estudio gnatológico depapel milimetrado. Se adhieren dos, uno a la cara exterior del cubo derecho y el otro a la homo- loga del izquierdo. Los cubos tienen en el centro una pequeña aguja que perfora la lámina de papel (Fig 6.27). Presentados así, indicador de posición mandibu- lar (MPI) con el modelo superior, cera de máxima intercuspidación y rama inferior con su correspon- diente modelo inferior, se registra la posición man- dibular en MIC. 1. Altura del PIN incisal en MIC: Este registro, ya mencionado, mide en el pin incisal la altura de la oclusión en MIC y comple- menta la medición hecha previamente en el articu- lador con los modelos en RC. 2. Registro de la platina incisal en MIC: El segundo registro en la platina incisal consiste en marcar en su lámina autoadhesiva, con papel rojo, la posición mandibular en MIC (Fig. 6.28) 3. Registros de la posición condilar: El tercer registro a realizar es el registro del cóndilo en MIC en el plano sagital. Este registro se hace sobre las caras externas de los cubos que han reemplazado a las cavidades glenoideas en el arti- culador. Se coloca papel articular rojo (MIC) entre el cóndilo y los cubos. Estos tienen movilidad en sen- tido transversal para perforar, en su movimiento en sentido medial, la lámina autoadhesiva con la aguja central (RC) y en el de expansión, contactar contra el cóndilo de la rama inferior (MIC) . De esta manera, marcaremos dos puntos en la lámina. Uno de ellos corresponde a la perforación hecha por la aguja (RC) y el otro al marcado por el papel de articular al presionar el cubo sobre el cón- dilo (MIC) (Figs. 6.25 y 6.26). Estos puntos podrán coincidir o no y represen- tan el desplazamiento del cóndilo desde la relación céntrica a la máxima intercuspidación, en sentido anteroposterior y vertical. 4. Registro del desplazamiento condilar transversal: Será necesario también, registrar posibles cam- bios de la posición condilar en sentido transversal Fig. 6.27: Láminas autoadhesivas para el registro de posi- ción condilar. Fig. 6.28: Registros de la platina incisal en MIC y RC. ya que la interdigitación de las superficies oclusales con sus planos inclinados puede provocar, a veces, un desplazamiento condilar en sentido transversal a lo largo del eje bicondileo. Este movimiento se mide con la esfera del MPI ya mencionada, que expresará en décimas de milí- metros la desviación de los cóndilos hacia el lado derecho o izquierdo según la naturaleza de los con- tactos. En MIC los cóndilos pueden desplazarse late- ralmente hacia la derecha o hacia la izquierda en función de la orientación que impongan los planos inclinados de las caras oclusales.
  • 140.
    Montaje en articulador149 Este movimiento en sentido transversal, será registrado por la esfera graduada del MPI, que se activa al colocar su brazo gatillo en la ranura del cubo. El brazo empuja la caja hacia el exterior has- ta que entra en contacto con el cóndilo y registra la distancia recorrida por éste en sentido transversal desde la RC a MIC (Fig. 6.27). Por razones anatómicas, es fácil comprender que las desviaciones en sentido transversal estarán limitadas por el espacio existente entre el cóndilo y la pared medial de la cavidad glenoidea.Por ello las desviaciones que se registran en esta esfera son de pequeña magnitud En la esfera del MPI. destinada a la medición de este desvío, se encuentra una pequeña semiesfera con una escala de cero a dos milímetros, en color rojo hacia abajo y en color negro hacia arriba que marca la dirección del desvío condilar en milíme- tros. Si la aguja pequeña se mueve desde el punto cero hacia la numeración negra significa que los cóndilos se desviaron hacia la izquierda y si se mueve hacia la numeración roja significa que la desviación es hacia la derecha. La esfera mayor que marca las décimas de milí- metro de la desviación, presenta en las distintas divisiones números en color rojo y en color negro. Se leerá el número que corresponde al color im- puesto en la semiesfera que marca los milímetros (Fig. 6.29) Interpretación de los Registros del MPI Una vez obtenidos los registros, será necesaria una interpretación correcta de estos datos, para poder utilizar esta información en el caso a tratar. Como ya fue dicho, se debe tener como objetivo ideal lograr que en la máxima intercuspidación los cóndilos estén en RC, o muy próximos a ella. Se deberá realizar una planificación orientada a tal fin, así como implementar los recursos mecánicos nece- sarios para su obtención. Esta situación ideal, no siempre será posible de alcanzar con métodos ortodóncicos, por depurados que sean. Se evaluará en cada caso la posibilidad de recurrir a otros procedimientos terapéuticos, reha- bilitación protética, quirúrgica o combinados. En los casos en que el profesional deba optar por una solución de compromiso, aceptando la imposibilidad de conseguir lo óptimo, es decir, MIC = RC, el tratamiento deberá estar orientado a disminuir la diferencia entre ambos puntos, o al Fig. 6.29: Registro transversal del MPI. La esfera pequeña señala el sentido de la desviación, la esfera mayor mide en décimas de milímetros el desvío, en el color definido por la esfera menor. menos, mantener la situación inicial, pero nunca aumentar la discrepancia ya existente. Si la posición mandibular está regida por la oclusión y nuestro tratamiento ortodóncico provo- ca movilización dentaria, y por lo tanto cambios en las relaciones oclusales, es lógico pensar que puede modificar la relación cóndilo / fosa. Esta nueva relación oclusal podría ser beneficiosa o a veces provocar una alteración en la articulación Se ha obtenido el registro de la posición de cada uno de los cóndilos en dos situaciones: RC y MIC. A pesar de ser una articulación bicondilar, que constituye en su dinámica una unidad, los registros deberán interpretarse independientemente. Es posible, por ejemplo, encontrar un desplaza- miento hacia adelante en el cóndilo derecho y el cóndilo izquierdo permanecer en la misma posición o desplazarse hacia atrás. El cóndilo puede sufrir desplazamiento desde su posición de RC en los tres sentidos del espacio. En las grillas milimetradas del MPI, se miden los desplazamientos en sentido anteroposterior (utili- zando el plano X) y en el vertical (plano Z). En general, las distracciones condilares se hacen hacia abajo, combinándose la mayoría de las veces con un componente de dirección anteroposterior, dependiendo de la magnitud, número y ubicación de las interferencias oclusales que las generen.
  • 141.
    150 Estudio gnatológico Fig.6.30: Interpretación de los registros del MPI. A: El registro de RC es automático, por la perforación de la láminaautoadhesiva. B: Desplazamiento en MIC hacia abajo y atrás. C: Desplazamiento vertical. D: Desplazamiento hacia abajo y adelante En la figura 6.30 se grafican diferentes posibili- dades de desplazamientos verticales y sagitales, en el campo en el que se pueden producir. Un registro más alto de MIC que de RC no es un registro a considerar, puede deberse a un error en el montaje o los registros, o bien a un estado de contractura muscular que impide el posicionamien- to del cóndilo en RC. En estos casos, la manipula- ción de la mandíbula en la toma de los registros se habrá hecho con dificultad y se indicará la terapia de placa de reposicionamiento mandibular. Duran- te este tratamiento se observará en sucesivos regis- tros una ubicación más alta del punto correspon- diente a la RC hasta que, lógicamente, supere el nivel del registro de MIC. En desplazamientos transversales, hacia la dere- cha por ejemplo, el cóndilo derecho se moverá hacia afuera y el cóndilo izquierdo hacia la pared medial. En un movimiento hacia la izquierda, ocu- rre lo inverso. Este movimiento tiene un rango muy limitado debido a que el desplazamiento medial del cóndilo está condicionado por la conformación anatómica de las cavidades glenoideas, no pudiendo superar los 0,5 mm. Es causado generalmente por el asen- tamiento de la oclusión en piezas cuyas vertientes vestibulares o linguales no coinciden transversal- mente. Valores superiores, nos obligan a pensar en un error de montaje o en una reabsorción del cón- dilo.
  • 142.
    CAPITULO 7 Estudio demodelos articulados INTRODUCCIÓN El estudio de modelos articulados se hace una vez montados en relación céntrica. Esta relación es guiada por los cóndilos, los ligamentos y la neuro- musculatura y no por los contactos dentarios. Es un estudio auxiliar que complementa a otros, como el clínico y el cefalométrico, ofreciendo una información insustituible para el diagnóstico del paciente y la planificación tridimensional del caso. Permite hacer un análisis de las relaciones exis- tentes entre ambas arcadas en sentido transversal, vertical y sagital, en estática y en dinámica. Este estudio está enfocado a analizar el problema inicial, evaluando la factibilidad del logro de objeti- vos fundamentales, como son la obtención de un correcto overjet y overbite y Clase I canina. Desde el punto de vista gnatológico, para la finalización del tratamiento se acepta tanto la relación molar de Clase I como la de Clase II, siempre que exista una relación de Clase I canina y un adecuado entrecru- zamiento vertical y sagital del grupo incisivo que aseguren una oclusión mutuamente protegida. Análisis transversal Para el análisis transversal se deben observar los modelos de frente y se evalúan las relaciones inter- maxilares de las básales y de la dentición, con el objeto de identificar la presencia de alteraciones esqueléticas, dentarias, o ambas. Los desvíos laterales de la mandíbula de origen funcional, no se ponen de manifiesto en este estu- dio porque los modelos se montan en relación cén- trica. En estos casos habrá una diferencia notable en la relación intermaxilar transversal que se esta- blece en una y otra posición. (Fig. 7.1) En el montaje en relación céntrica se estudiará la causa del desvío. Es muy frecuente en mordidas cruzadas unilaterales en MIC, encontrar en RC una relación transversal cúspide a cúspide, que general- mente se acompaña de una alteración mayor de los torques en el lado de la mordida cruzada. Es importante que los modelos reflejen fielmente la anatomía de los rebordes alveolares porque este análisis intenta también determinar la relación trans- versal de estos rebordes, descartando o confirmando anomalías transversales de origen esquelético. Fig. 7.1: Discrepancia transversal de origen funcional. A: En la MIC se observa desvío de la línea media inferior y una mordida cruzada del lado izquierdo. B: En RC se produce la coordinación transversal y se ponen de manifiesto los contactos prematuros del incisivo lateral superior izquierdo y del primer molar superior izquierdo, que provocan el desplazamiento mandibular. 151
  • 143.
    152 Estudio gnatológico Problematransversal de origen esque- lético Las alteraciones transversales de las básales pueden ser de 2 tipos: -Alteraciones simétricas -Alteraciones asimétricas En las primeras, se incluye la falta o el exceso de desarrollo transversal del maxilar superior, pero con una relación de simetría. Las segundas corresponden a las asimetrías, que se pueden combinar con un diferente desarrollo transversal entre el maxilar y la mandíbula. Con frecuencia el paciente puede presentar alte- raciones transversales a nivel de rebordes alveola- res, pero esta alteración podría no llegar a tener una manifestación clínica evidente por la presencia de compensaciones dentarias que ocultan el pro- blema y que inducen a errores en la valoración transversal del caso. Estas compensaciones denta- rias se expresan con exceso de torque negativo en la arcada inferior y de torque positivo en la supe- rior, minimizando o en muchas ocasiones compen- sando totalmente, el problema transversal del paciente. La expresión de la aparatología durante el tratamiento de ortodoncia, elimina las compen- saciones y evidencia el problema transversal en forma tardía. La identificación de estos problemas es de gran importancia ya que la vía terapéutica a utilizar será completamente diferente según donde asiente. Si es esquelético, la vía elegida deberá estar enfocada hacia este sector. Recordemos que estos problemas sólo pueden ser resueltos durante la fase de creci- miento, por medio de un tratamiento de tipo orto- pédico. En el adulto se deberá abordar el problema con la asistencia de la cirugía. En cambio si asienta únicamente en la denti- ción, la solución se puede alcanzar mediante el tra- tamiento ortodóncico. - Alteraciones simétricas (Fig 7.2) La alteración del desarrollo transversal por exceso o por defecto puede afectar al maxilar supe- rior, al maxilar inferior o a ambos, pero como el tratamiento de estas alteraciones esqueléticas es siempre abordado en el maxilar superior se clasifi- can en función de éste, independientemente del maxilar en que asiente. Por lo tanto este problema esqueletal se divide en: - Exceso transversal del maxilar superior. - Falta de desarrollo transversal del maxilar superior. El primero de ellos, es una alteración que se observa con poca frecuencia a nivel de las bases esqueléticas y su expresión clínica es la presencia de mordida en tijera. Esta situación genera una gran inestabilidad vertical en las piezas dentarias del segmento posterior que presentan como conse- cuencia de ello una gran extrusión. Este tipo de alteraciones requiere para su solución el recurso quirúrgico. La falta de desarrollo transversal del maxilar superior es una alteración más frecuente y se pre- senta con variada magnitud, desde muy leves hasta muy severas. Estas alteraciones afectan principalmente al maxilar superior, pero suelen involucrar a modo de compensación la forma del reborde alveolar infe- rior. La solución a este problema transversal sólo se puede abordar en el maxilar superior por medio de un tratamiento ortopédico como es la disyunción. Este procedimiento está limitado al estadio de cre- cimiento del paciente, no pudiendo ser utilizada en el adulto. En éstos sólo podríamos solucionar este tipo de problemas con la asistencia quirúrgica. Es necesario señalar que los pacientes con seve- ras alteraciones sagitales, como los casos de Clase II o de Clase III, pueden mostrar alteraciones transversales asociadas, aunque podría tratarse de maxilares perfectamente armónicos si se normaliza la relación sagital. Es decir, no resultan compati- bles transversalmente como consecuencia de su desplazamiento sagital. Estos casos generalmente son quirúrgicos. Ade- más del montaje en articulador, se deberán relacio- nar los modelos en mano y observar así la compati- bilidad transversal. - Alteraciones asimétricas (Fig. 7.3) Recordamos que estas asimetrías serán conside- radas de etiología esqueletal, una vez descartado en el montaje en RC el factor funcional.
  • 144.
    Estudio de modelosarticulados 153 B Fig. 7.2: Alteraciones transversales simétricas. Evaluación en RC. A: Falta de desarrollo transversal del maxilar superior. B: Exceso transversal del maxilar superior. B Fig. 7.3: Alteraciones transversales asimétricas. Evaluación en RC A: Asimetría esqueletal, sin compensaciones dentarias. B: Asimetría esqueletal, con compensaciones dentarias que enmascaran a nivel oclusal el problema esqueletal. Fig. 7.4: Alteración transversal asimétrica con compensación dentaria. A: Asimetría esqueletal mandibular, desvío hacia la derecha que se manifiesta a nivel de las básales y en el frenillo inferior. B: En apertura se pueden observar más claramente los torques compensatorios que enmascaran el problema esqueletal: En la arcada inferior, un excesivo torque negativo del sector derecho, y torque positivo en el sector izquierdo. En la arcada superior, torque positivo en el sector derecho.
  • 145.
    154 Estudio gnatológico Fig.7.5: Asimetría esqueletal. A: Las compensaciones dentarias transversales evitan su manifestación a nivel oclusal. B: La aparatologfa totalmente programada, al normalizar los torques, logrará la expresión del problema transversal en la relación interdentaria, requisito indispensable en la preparación prequirúrgica. En la mayoría de los casos se observa un desfa- saje transversal bilateral entre la base esqueletal superior e inferior. En una hemiarcada, la basal in- ferior se encuentra hacia vestibular, en la otra, ha- cia lingual. Es menos frecuente encontrar una asimetría esqueletal que involucra a una sola hemiarcada. En ambos casos, pueden existir compensacio- nes dentarias que enmascaran el problema, dificul- tando su diagnóstico, por lo que deben ser cuida- dosamente evaluados los torques de los sectores laterales (Fig. 7.3 B). Por ejemplo, la presencia de torques anormales y de sentido opuesto del lado derecho e izquierdo en un paciente que tiene una relación transversal normal entre la arcada supe- rior e inferior, puede ser un indicio de este tipo de compensaciones (Fig. 7.4). Este tipo de torques compensatorios es una contraindicación para el uso de aparatología totalmente programada en aque- llos casos en que no se planifique una solución qui- rúrgica del problema transversal (Fig. 7.5). En los casos de asimetría, este estudio de los modelos montados será sólo una parte de los que se deberán realizar para llegar a un correcto diagnós- tico, complementándose siempre con el estudio clí- nico, radiográfico, y fundamentalmente con la cefa- lometría frontal que también se realiza en RC. Problema transversal de origen dentario A diferencia de lo que se estima comúnmente, las alteraciones transversales de origen dentario son menos frecuentes que las de origen esquelético. Los problemas transversales de origen dentario son aquellos en los que está comprometida la rela- ción dentaria pero con bases esqueletales compati- bles transversalmente (Fig 7.6 y 7.7). Son provocados por una alteración en la posi- ción de las piezas dentarias y esta malposición afec- ta el torque de las piezas comprometidas. En con- diciones normales la arcada inferior presenta un torque negativo que progresa hacia distal. En la arcada superior, el torque también es negativo pero de menor grado. Esta condición se debe respetar y es una limitación a la hora de hacer expansiones con la intención de corregir una anomalía transver- sal dentaria.
  • 146.
    Estudio de modelosarticulados 155 Fig. 7.6: Mordida cruzada de origen dentario. Lasbásales son compatibles transversalmente,pero hay un excesivo torque negativo en la arcada superior. Fig. 7.7: Alteración transversal de origen dentario. Mor- dida en tijera en un sector de la oclusiónlateral. La alteración transversal de origen dentario puede comprometer a un número variable de pie- zas y suele expresarse de forma asimétrica, es decir que sólo afecta a uno de los lados de la oclusión. Puede verse afectada una sola arcada, o involucrar también la antagonista, lo que crea la sensación de un problema mayor. Su corrección consiste en movimientos de expansión en la arcada superior y la recuperación del torque o contracción en la arcada inferior. Nor- malmente se alcanza este objetivo mediante la expresión del torque incorporada en la propia apa- ratología y en otras ocasiones puede utilizarse apa- ratología auxiliarcomo el quadhelix,el expansor de NiTi o un arco lingual. Análisis vertical Una correcta oclusión debe tener contactos bila- terales y simultáneos de todas las piezas de los seg- mentos posteriores y una relación de contacto de los bordes incisales inferiores con las caras palati- nas superiores, llamado acople anterior, que es de menor intensidad que el de los posteriores (tiene una separación de 8 micrones). Este contacto vir- tual se transforma en real ante cualquier movi- miento mandibular dando lugar así a la disclusión inmediata de los sectores posteriores, evitando la aparición de interferencias. Es la denominada guía anterior. Recordando el concepto: "La mejor oclusión es la que tiene la mejor disclusión", adquieren suma importancia los factores que la producen. Los conceptos de oclusión funcional destacan la relevancia de la guía anterior, y ésta está directa- mente relacionada con la curva de Spee del plano oclusal. Ante una curva de Spee profunda va a ser necesaria una guía incisiva profunda para que se produzca la disclusión del segmento posterior. En cambio, una curva de Spee poco profunda o bien, un plano oclusal sin curva de Spee, permite la dis- clusión con una mínima guía incisiva (Fig 7.8). De la misma manera la presencia de una curva de Wil- son condiciona la profundidaddel entrecruzamien- to vertical del canino, que podrá ser mayor o menor en función del torque que presenten los sectores posterosuperiores. La guía canina deberá ser más pronunciada en aquellos casos con curva de Wilson acentuada y podrá ser de menor profundidad en aquellos que presenten una curva más plana. (Figs. 7.9 y 7.10) Esto hace necesario un minucioso examen de los sectores anterior (canino a canino) y posterior (del canino hacia atrás). El entrecruzamiento vertical de los sectores anteriores debe ser personalizado para cada caso particular, y dependerá de las posibilidades mecá- nicas de corrección de la curva de Spee. Es un obje- tivo primordial del tratamiento ya que es el res- ponsable de la guía que protegerá la oclusión durante los movimientos mandibulares excéntricos.
  • 147.
    156 Estudio gnatológico B Fig.7.8 A: Curva de Spee pronunciada y escaso overbite. En protrusiva, se generan contactos prematurosen el sector posterior. B: Con curva de Spee plana, el mismo overbite produce la disclusión posterioren el movimiento protrusivo. En sentido vertical, las relaciones incisivas y canina inicial pueden presentarse con overbite nor- mal, aumentado o disminuido. En los casos en que no se produzca disclusión en los sectores posteriores el diagnóstico debe dirigir- se a determinar si la alteración asienta en el sector anterior o en el posterior. Generalmente existe una concordancia natural entre profundidad de la guía anterior y la altura cús- pide de los posteriores. Este grupo de dientes a su vez debe tener contactos Ínteroclusales simultáneos. Si existiese algún contacto prematuro, es nece- sario individualizar la pieza que lo ocasiona, su magnitud y el tipo de relación que mantiene con el antagonista, porque cuando sea mayor que la guía incisiva, impedirá la disclusión total de los sectores posteriores durante los movimientos excéntricos mandibulares, favoreciendo el desarrollo de posi- bles parafunciones. El estudio del overbite de incisivos se relaciona siempre con un análisis de los sectores posteriores, porque las relaciones interoclusales de éstos tienen una gran repercusión en el entrecruzamiento ante- rior. Si las piezas del segmento posterior tienen una relación de cúspide a cúspide, el movimiento orto- dóncico de estas piezas propiciará un cambio en su relación oclusal a cúspide-fosa. Esta nueva relación tendrá una gran repercusión en el entrecruzamien- to anterior (Fig. 7.11). Si por el contrario esta rela- ción es de cúspide-fosa, el movimiento dentario provocado por la ortodoncia no creará, por si mismo, un cambio significativo. El movimiento dentario en sentido vertical, en particular el que se
  • 148.
    Estudio de modelosarticulados 157 Fig. 7.9 A: Curva de Wilson pronunciada. El torque negativo aumentado en el arco inferior y disminuido en el superior aumenta la altura de las cúspides fundamentales. B: En los movimientos de lateralidad, la medida del overbite de los cani- nos debe ser suficiente para salvar las cúspides y evitar contactos posteriores. Fig. 7.10 A: Curva de Wilson poco pronunciada. Hay una menor altura de las cúspides fundamentales. B: En la laterali- dad, para evitar los contactos prematuros será suficiente un menor overbite de los caninos. B Fig. 7.11: Incidencia de la relación oclusal posterior en el overbite. A: Una relación cúspide a cúspide disminuye el over- bite. B: Una relación cúspide-fosa lo aumenta.
  • 149.
    158 Estudio gnatológico refierea la intrusión de los segmentos posteriores es de muy pequeña magnitud y por lo tanto, de una escasa expresión en el segmento anterior. Es necesario considerar también la incidencia que puede tener la migración mesial de los segmentos pos- teriores en el entrecruzamiento anterior. Por lo gene- ral estas migraciones producen un cambio poco signi- ficativo desde el punto de vista vertical anterior, ya que sólo pueden tener un efecto de cierre cuando no exista un contacto oclusalpor delante de laspiezas que se mesializan, que actúa como estabilizador de la rela- ción vertical de ambas arcadas. Para hacer un análisis de modelos más detallado desde el punto de vista vertical, se aconseja realizar un montaje en articulador de modelos segmentados como veremos más adelante en el análisis de algu- nos casos clínicos. Análisis sagital El estudio sagital de los modelos articulados es determinante del tipo de tratamiento que recibirá el paciente y complementa la información del estu- dio cefalométrico. Con este estudio se define el tipo de relación sagital de la dentición, siendo tres las posibilidades: Clase molar I, II o III. Por su parte, la Clase II molar podrá ser completa o incompleta siendo esta última subclasificada en verdadera o falsa Clase II que es aquella en la que existe una rotación mesial del molar superior y la cúspide mesiopalatina de éste ocluye en la fosa central del primer molar inferior. Este análisis solo puede ha- cerse en modelos articulados observándolos desde atrás para poder ver la oclusión por palatino. Además se debe analizar el grado de overjet que tiene el paciente. Cuando es normal están acopla- dos el borde incisal del incisivo inferior con la cara palatina del incisivo superior. En otros casos puede estar aumentado o disminuido. Se estudian en este punto las alteraciones del índice de Bolton, dada la incidencia que las discre- pancias de tamaño tienen sobre la obtención de un correcto overjet simultáneamente con una relación de Clase I canina. Modelos segmentados Para realizar este tipo de estudio es necesario preparar los modelos de manera tal que puedan ser removidos los sectores posteriores con el objeto de evaluar la relación anterior que se obtiene sin la distorsión vertical provocada por los contactos oclusales de molares y premolares. En oclusión, los contactos de las piezas poste- riores al incorporar un componente verticalinducen también a errores en la evaluación sagital anterior. Este contacto posterior abre la mordida provocan- do una retrusión relativa de la mandíbula que nos puede llevar a percibir una relación de Clase I como una de Clase II. Este efecto vertical también puede ser responsable de un error en la valoración sagital a nivel de caninos, en los que puede evidenciar una Clase II o bien acentuar este efecto. Fig. 7.12: Caso clínico. Fotografíasde la MIC, con una relación de Clase I molar y canina y overjet levementeaumentado.
  • 150.
    Estudio de modelosarticulados 159 Fig. 7.13 A: Montaje en RC. Se observa un cambio en la relación sagital, con una relación canina y molar de Clase II, y un aumento vertical producido por los contactos prematuros posteriores. Fig. 7.13 B: El reposicionamiento de la mandíbula hacia atrás crea un problema transversal. f Fig. 7.14: En el modelo superior, se comprueba una mesiorrotación de los primeros molares superiores. En la observa- ción del montaje en RC por palatino se puede ver la relación de la cúspide mesiopalatina del primer molar superior en la fosa central del primer molar inferior, complementando el diagnóstico de una "falsa Clase II".
  • 151.
    160 Estudio gnatológico Paraobtener el máximo de información de las relaciones oclusales existentes será necesario pre- parar los modelos de modo que permitan la mani- pulación de los segmentos superiores y la observa- ción de las relaciones oclusales en diferentes situaciones. En función del tipo de alteración oclusal que se observe, uno de los modelos, de preferencia el superior, se segmentará y se individualizarán los dientes con pines en toda la arcada o bien en un sector de la misma. En aquellas situaciones en que el paciente no presenta mordida cruzada anterior bastará, para ha- cer un estudio detallado, la utilización de pines sólo en los sectores posteriores y en una de las arcadas. Los modelos que no son preparados con esta técnica, al ser articulados, presentan una rigidez impuesta por el propio articulador que impide ana- lizar la relación oclusal más allá del primer contac- to. En estas condiciones el clínico se vería obligado a desgastar ese primer contacto para observar la nueva relación oclusal, perdiendo de esta manera la integridad del modelo de estudio e inutilizándolo para una segunda observación. Análisis de un caso clínico. A continuación se desarrolla un ejemplo de aná- lisis en el que se determinan las posiciones denta- rias en forma individual dentro de cada arcada, su relación de conjunto dentro de cada reborde alveo- lar y por último las relaciones interoclusales exis- tentes desde el punto de vista transversal, vertical y sagital. Se trata de una paciente mujer de 15 años y el motivo de la consulta es un dolor periarticular re- currente y relacionado con periodos de estrés. Clí- nicamente se observa mordida cruzada de la pieza 17, Clase I dentaria sin alteraciones significativas (Figs. 7.15 y 7.16). Al análisis cefalométrico en máxima intercuspi- dación se observa una Clase I esquelética y una moderada biprotrusión dentaria. Caso clínico Fig. 7.15: Fotos de frente y perfil.
  • 152.
    Estudio de modelosarticulados 161 Fig. 7.16: Fotos de boca en MIC. Fig. 7.17: Montaje en RC. ..
  • 153.
    162 Estudio gnatológico i • Fig.7.18: Vista oclusal de los modelos con la marca del primer contactointeroclusal. Se montó el caso en articulador después de un período de estabilización mandibular con una féru- la de tipo Michigan con el resultado que se observa en la foto de los modelos articulados (Fig. 7.17). En ellos se aprecia una relación de Clase II dentaria de una magnitud aproximada al ancho mesiodistal de medio premolar. En la observación frontal se observa un marcado desajuste transversal. En la relación interoclusal se observa un único contacto entre las piezas 17 y 47 señalado por el papel de articular en las cúspides palatina superior y lingual inferior (Fig. 7.18). En las fotos de boca, es decir en máxima inter- cuspidación, la relación oclusal es de Clase I. Un diagnóstico que no tuviera en cuenta el estudio gnatológico del caso y estuviese basado en MIC lle- varía a una planificación de Clase I. Pero en la rela- ción intermaxilar de los modelos montados se apre- cia una marcada Clase II dentaria. Esto quiere decir que la terapia indicada por la observación clí- nica en máxima intercuspidación no se ajusta al cuadro que presenta el paciente en RC. Este error de diagnóstico está inducido por la valoración del caso bajo los criterios de un examen clínico que no tiene en cuenta la variación que pueda provocar el reposicionamiento mandibular que, en este caso particular, es de una magnitudsig- nificativa. En la imagen obtenida en ausencia de contactos posteriores, podemos observar que el canino necesi- ta ser retruido 3.5 milímetros (Fig. 7.20) y en la mis- ma proporción deberán ser retruidos los incisivos. Fig. 7.19: Modelo de estudio con técnica de muñones individualizado con pines.
  • 154.
    Estudio de modelosarticulados 163 Fig. 7.20: Estudio de los modelos con los seis dientes anteriores en oclusión. •EK3F Fig. 7.21: Con el agregado de los primeros premolares. • Fig. 7.22: Incluyendo hasta los segundos premolares H Fig. 7.23: Hasta los primeros molares. Fig. 7.24: Oclusión con las arcadas completas.
  • 155.
    164 Estudio gnatológico Pararealizar el análisis vertical se incorporan sucesivamente al modelo superior cada una de las piezas desde mesial a distal y se hace una evalua- ción de su ingerencia en el problema vertical, observando que éste aumenta a medida que se van posicionando de adelante hacia atrás los dientes de los sectores laterales (Figs. 7.20 a 7.24). Analizando la relación interoclusal en sentido transversal, si el contacto oclusal es de cúspide a cúspide cualquier movimiento dentario que modifi- que esta relación oclusal va a tener una gran reper- cusión en sentido vertical. Pero si la relación oclu- sal es de cúspide a fosa la modificación de la posición dentaria no tendrá prácticamente repercu- sión vertical. En este caso los sectores laterales superiores presentan un exceso de torque positivo, esto es, un aumento de la curva de Wilson y es objetivo del tra- tamiento disminuir esta curva para evitar las inter- ferencias en el lado de balance. Desde el punto de vista transversal, los contactos intermaxilares son cúspide a cúspide. La expresión del torque incor- porado en la información de la aparatología dismi- nuirá la curva de Wilson, lo cual favorecerá la rela- ción intermaxilar y la corrección vertical del caso. También es importante analizar la posición sagi- tal de cada una de las piezas del segmento posterior. La relación interoclusal final debe ser cúspide reborde marginal. Si el paciente presentaba una re- lación de antagonismo de cúspide-fosa,la solución pasa por el desplazamiento sagital de las piezas, hasta lograr la relación cúspide-reborde marginal. Este caso, desde el punto de vista sagital, tiene una relación aproximada a lo que se considera una relación de cúspide-fosa. Está prevista una pérdida de anclaje de 3.5 milímetros, lo que llevará a una relación de cúspide reborde marginal. El resultado del control del torque superior, así como la mesialización de los molares superares permitirán la solución del problema vertical. Estudiando de esta manera las relaciones oclu- sales intermaxilares, podremos planificar movi- Derecha Izquierda L (+) X: -1.5 mm Z: *45 Promedio X(horizontal) -1 mm mm Promedio Z (vertical) mm Transversal Fig. 7.25: Registro de posición condilar. mientes dentarios con el objeto de mejorar su rela- ción intermaxilar y lograr una oclusión funcional. Si se observa la imagen de la relación oclusal intermaxilar y se la relaciona con la imagen del MPT (Fig. 7.25) se comprende fácilmente la vincu- lación directa que hay entre la oclusión y el com- portamiento del cóndilo. Como se aprecia en la imagen del registro de posición mandibular, el cón- dilo se distrae varios milímetros cuando la paciente ocluye en máxima intercuspidación. Si se logran los movimientos ortodóncicos nece- sarios para la normalización de las posiciones ana- lizadas anteriormente, el paciente podrá realizar una vez terminado el tratamiento, una máxima intercuspidación sin la distracción condilar o al menos será de menor magnitud que la inicial.
  • 156.
    C A PI T U L O 8 Conversión cefalométrica Los pacientes con maloclusión suelen presentar una adaptación de tipo funcional de las ATM, debi- do a la posición mandibular impuesta por la máxi- ma intercuspidación (MIC). Esta situación es la responsable de la descoordinación que sufre la musculatura que participa directamente en los movimientos mandibulares,la que a su vez desen- cadena una serie de alteraciones en el sistema neu- romuscular de la región. Además, es causal de un importante porcentaje de lesiones articulares. Los pacientes que sufren estas alteraciones y requieren un tratamiento, deben ser sometidos a una desprogramación muscular, y algunas veces a un período de desinflamación de la articulación, para luego estabilizar su oclusión en relación cén- trica (RC) mediante una rehabilitación. Los métodos tradicionales de rehabilitación han sido los protéticos que, mediante coronas y puentes, han intentado reconstruir planos oclusales que se ajusten mejor a los requerimientos de la articula- ción. Hoy el profesional debe evaluar la posibilidad de conseguir estos objetivosmediante un tratamien- to ortodóncico que garantice un buen resultado, con el consiguiente beneficio estético, y con un mejor pronóstico. Las radiografías cefalométricas se obtienen con el paciente en máxima intercuspidación,por lo que el trazado se realiza con los cóndilos en una posi- ción que depende de esa oclusión en MIC. En muchos casos, estarán con un grado de distracción importante desde la posición de RC. Un diagnóstico que partiera de esa posición habitual, podría llevarnos a cometer errores de diagnóstico y planificación. Un ejemplo claro de esto es una Clase I, que sin una evaluación gnatoló- gica previa, se planifica con cuatro extracciones. El paciente, en realidad, presentaba una oclu- sión habitual de Clase I y, al ser desprogramado, la mandíbula sufría una importante modificación en su posición, convirtiéndose en una relación de Clase II. Esto cambia totalmente los valores cefalo- métricos del caso. Es un paciente con una convexidad mayor, más dolicofacial, la posición del 1 al A-Po varía de tal manera que no necesita ser retruido, haciendo innecesarias las extracciones inferiores. Se transformó en un caso de Clase II que requiere extracciones superiores solamente. La no consideración de la cefalometría inicial en posición de RC, podría habernos llevado a un diag- nóstico erróneo. Pensar que es posible tratar el caso en oclusión habitual, posición en la que habría sido diagnosti- cado erróneamente, no es aceptable por dos moti- vos: 1. No estamos respetando el objetivo de rehabili- tar esa oclusión en RC con un tratamiento de ortodoncia. 2. Es muy probable que el sólo hecho de instalar la aparatología en boca y producir cambios oclusa- les, actúe como un desprogramador muscular y la mandíbula llegue espontáneamente a la RC, por lo que el tratamiento deberá encaminarse a solucionar el problema en esa nueva posición. Tomando como base el ejemplo anterior, si esto ocurriera después de realizadas las extracciones inferiores, el error sería muy difícil o aun impo- sible de reparar. Queda claro entonces, que el diagnóstico debe partir de RC, por lo que deberá ajustarse la cefalo- metría obtenida en MIC, mediante un procedi- miento denominado conversión cefalométrica, que utiliza como base los datos aportados por los regis- tros condilares del articulador. No sería correcto realizar la telerradiografía con el paciente en RC, porque las interferencias provo- cadas por los contactos prematuros distorsionarían la dimensión vertical del caso, alterando una gran cantidad de medidas. La conversión cefalométrica, en cambio, coloca la mandíbula en RC evitando los efectos de dichas interferencias. Debe aclararse que este procedimiento está reservado sólo para casos de discrepancia impor- tante entre la RC y MIC. Hacerlo en casos de pequeñas diferencias no es necesario, porque las variaciones del cefalograma serían mínimas. 165
  • 157.
    166 Estudio gnatológico Procedimientopara el trazado de la conversión cefalométrica 1. Se colocan las láminas adhesivas con los regis- tros condilares derecho e izquierdo en la ficha de registros. 2. Se miden los milímetros de diferencia entre RC y MIC, en el sentido horizontal (X) y vertical (Z), teniendo en cuenta lossignos+ y- queindi- can el sentido del desplazamiento. 3. Se promedian los valores del desplazamiento de los cóndilos derecho e izquierdo en ambos senti- dos (horizontal: promedio X, vertical: promedio Z), (Fig. 8.1). 4. Con estos promedios se marca el eje de bisagra en RC en la grilla correspondiente de la ficha (Fig. 8.2). 5. Obsérvese que en la grilla, los signos están inver- tidos en relación a las láminas adhesivasde regis- tro. En la grilla, el punto central corresponde a la MIC, mientras que en las láminas adhesivas el punto que tiene una posición más centralizadaes el que indica la RC. Fecha:..../..../. POSICIÓN CONDILAR INICIAL ...... Z: ........ +.3 mm IZQUIERDA +3 X: Z: +2 mm mm PROMEDIO X (Horizontal): +3,25. mm PROMEDIO Z (Vertical): +2,5 mm Fig. 8.1: Parte de la ficha que utilizamos para los distin- tos registros. Eje de bisagra en RC © © Fig. 8.2: Grilla para marcar el eje de bisagra en RC. 6. Se coloca sobre la mesa de trabajo el calco de la telerradiografía inicial obtenida en posición de máxima intercuspidación (MIC). Este calco se realiza en color negro y debe tener trazado el plano oclusal (Fig. 8.3). 7. Utilizando como punto de referencia los bordes incisales de los incisivos superior e inferior, se hacen dos pequeños trazos paralelos al plano oclusal. Registramos así el overbite (Fig. 8.3).
  • 158.
    Conversión cefalométríca 167 8.Se traza el plano de Frankfort (Fig. 8.3). 9. Se construye el plano axio-orbitario trazando una línea que partiendo del punto orbitario tiene una angulación de 6,5° con respecto al plano de Frankfort (Fig. 8.3). 10. El tramo del plano axio-orbitario comprendi- do dentro de los límites del cuello del cóndilo se divide en tres partes iguales mediante dos marcas. La marca más anterior corresponde al eje de bisagra arbitrario (Fig. 8.3). 11. En la ficha de registros donde previamente ubi- camos el eje de bisagra en RC, señalándolo en color rojo, superponemos el trazado en MIC de la siguiente manera: • se superpone el plano axio-orbitario con la línea horizontal, haciendo coincidir el eje de bisagra arbitrario con el punto central de la grilla; • en esta posición, calcar en rojo el eje de bisa- gra en RC en el trazado de MIC (Fig. 8.4). Eje de bisagra arbitrario Fig. 8.3 Fig. 8.4
  • 159.
    168 Estudio gnatológico 12.Se retira la ficha de registros. 13. En un papel vegetal, se calcan en color rojo: mandíbula, dientes inferiores, labio inferior, mentón y las marcas del overbite realizadas en el paso 2 (Fig. 8.5). 14. Calcar en color negro el punto correspondien- te al eje de bisagra arbitrario (Fig. 8.5). 15. Se superpone este punto con el eje de bisagra en RC del trazado en MIC (Fig. 8.6). 16. Manteniendo esta superposición, se rota el tra- zado hasta que coincidan las marcas del over- bite (Fig. 8.6). 17. En esta posición se calcan también en color rojo el resto de las estructuras que completan el trazado, incluyendo el perfil blando desde la glabela hasta la comisura (Fig. 8.7). Éste es el trazado en RC, sobre el que se reali- zarán los estudios cefalométricos. Fig. 8.5. Fig. 8.6. Fig. 8.7.
  • 160.
    Conversión cefalométríca 169 VARIANTEDEL MÉTODO DE CONVER- SIÓN CEFALOMÉTRÍCA El procedimiento clásico de conversión cefalo- métrica que se describió, se basa en reubicar la mandíbula en RC manteniendo el overbite que presenta el paciente en la MIC. Por lo general, se observa una superposición de los molares que correspondería a la magnitud de los contactos posteriores que están generando la distracción del cóndilo e impiden que se ubique en la posición de RC. Obtener la intrusión de los sectores posteriores en la magnitud que requiere lograr ese overbite, convalidaría esta conversión para ser la base del diagnóstico y la planificación del caso. Pero en muchos casos, dada la magnitud del problema vertical posterior, los métodos ortodón- cicos son insuficientes para realizar al control total de dicho problema. Las posibilidades en este caso son: -Recurir a un tratamiento ortodóncico-quirúrgi- co, donde la impactación quirúrgica de la parte posterior del maxilar corregirá el problema verti- cal. -Realizar una conversión ajustada a las posibili- dades ortodóncicas de corrección vertical poste- rior, para luego, a partir de ella, planificar el trata- miento ortodóncico. Conversión con overbite individualizado l-En el montaje en articulador, se simula en el sector posterior de los modelos el "asentamiento de la oclusión" esperable con el tratamiento orto- dóncico: -Desgastando los contactos hasta lograr una relación cúspide-fosa en los casos en que hay ini- cialmente una oclusión cúspide a cúspide -Desgastando las cúspides en la medida que podrán ser intruidas al corregir torques 2-Se mide el overbite resultante después del tra- bajo de simulación 3-Se realizan todos los pasos de la conversión cefalométrica de la misma manera que se detalló en el procedimiento anterior, solo que en el punto 7, los trazos paralelos al plano oclusal responden a la medida del overbite del articulador después del tra- bajo de simulación. Se modifica la marca que corresponde al borde incisal del incisivo inferior. De esta forma, la mandíbula se ubica en RC pero adaptando su posición vertical a las caracte- rísticas y posibilidades de cada caso. Esto no sólo incide en la relación vertical de los maxilares y de las arcadas dentarias, sino también en la relación sagital de los mismos. Esta conversión individuali- zada permitirá un punto de partida más realista para el diagnóstico y la planificación del caso. Ejemplo de conversión con overbite individualizado - caso clínico Fig. 8.8: Paciente MFD.
  • 161.
    170 Estudio gnatológico Fig.8.9: Oclusión en MIC. Fig. 8.10: Overjet en MIC y RC
  • 162.
    Conversión cefalométrica 171 Derecha X:-2.5 mm Z: +3 mm Izquierda X: -4,5 mm Z: ,..,..±3 mm Promedio X (horizontal) -3,5 mm Promedio Z (vertical) mm . . . Fig. 8.11: Montaje de modelos en RC. Se observan los contactos de cúspides palatinas superiores con cúspides vestibu- lares inferiores por falta de torque en los sectores superiores. El problema posterior crea una mordida abierta en RC, el desplazamiento de los cóndilos es muy marcado en sentido vertical, existiendo también un desplazamiento sagital.
  • 163.
    172 Estudio gnatológico Fig.8.12: Conversión cefalométrica realizada con el método clásico. Se reproduce el overbite de la máxima intercuspi- dación y se observa una superposición considerable de los molares. Fig. 8.13: Se desgastan las cúspides palatinas superiores para simular el trabajo de torque de las barras palatinas. Cerrando el articulador se observa en el sector anterior que la mordida abierta ha disminuido, se mide un overbite de -1 mm.
  • 164.
    Conversión cefalométrica 173 Fig.8.14: Se traslada una marca horizontal a 1 mm por debajo del borde incisal del incisivo superior, que será referen- cia para la ubicación del punto incisivo inferior al realizar la conversión con overbite individualizado. 2.8 mrr Fig. 8.15: Cefalometría y planificación del tratamiento basada en la conversión de la figura 8.14.
  • 165.
    175 Bibliografía Dawson, P.: EvaluaciónDiagnóstico y Tratamiento de los Problemas Oclusales. Salvat Editores S. A. Barcelona, España, 1991. Echeverri Guzmán, E., Sencherman Kovalski, G: Neurofiiología De la Oclusión. Ediciones Monserrate Ltda. Colombia 1991. Parrar, W., Me Carthy, W.: A clinical outline of temporomandibular joint diagnosis and treatment. Walker Printing Co. 7° Ed. 1983. Greene, C. S.: Orthodontics and the temporoman- dibular joint. Angle Orthod 52:166,172, 1982. Gugino, C. F.: Sam 2 system MPI with cephalo- gram CO-CR conversión. Tonawanda. N.Y.:Great Lakes Orthodontics, 1983. Guichet, N.: Occlusion - The Denar Corporation - Second Edition, 1977. Ismail, Y. H., Rokni, A.: Radiographic Study of condylar position in centric relation and centric occlusion. J. Prosthet. Dent. 43:327-30,1980. Lauritzen, A.: Atlas de Análisis Oclusal. H. F. Martines de Murgía Editores. Madrid, España, 1977. Manns, A., Díaz, G.: Sistema Estomatognático. Fac. de Odontología. Univ. de Chile. McHorris, W.: The condyle-disc dilema. The Journal of Gnathology. Vol 3 N° 1, p.p. 3,16, 1984. Okeson J P ed 1996 Orofacial pain: Guidelines for assessment, diagnosis and management. The Academt of Orofacial Pain. Quintessence Publishing Co. Okeson, J. P.: Management of temporomandibular disorders and occlusion. St. Louis. C. V. Mosby. 109,453-78, 1989. Parker, W. S.: Centric relation and centric occlu- sion an orthodontic responsibility. Am. J. Orthod. 74:481-500,1978. Posselt, U.: An analyzer for mandibular positions. J. Prosthet Dent. 7:365-74,1957. Ricketts, R. M.: Occlusion. The médium of den- tistry. J. Prosth Dentistry 21. Jan 1969. Ricketts, R. M.: Pathologic occlusion. Proceedings of the foundation for orthodontics research. 1974. Roth R H 1970 Gnathologic concepts and ortho- dontic treatment goals. In: Jarabak J R (ed) Technique and treatment with light wire applian- ces. C V Mosby, St Louis, pp 1160-1223. Roth, R. H.: Temporomandibular pain-dysfunc- tion and occlusal relationships. Angle Orthod. 43:136-53, 1973. Roth, R. H.: The maintenance system and occlusal dynamics. Dent Clin North Am. 20:761-88, 1976. Roth, R. H., Ware, W.: Orthognathic treatment in patients with temporomandibular joint pain-dys- function. J.C.O. Vol. 14 N° 2. Feb. 1980. Roth, R. H. and Rolfs: Functional occlusion for the orthodontist. Fabrication of a repositioning splint. J.C.O. Vol. 15 N° 2. Feb. 1981. Roth, R. H.: Functional occlusion for the Ortho- dontist, Part I. J. Clin Orthod. 15:parts 1to 4, 1981. Roth, R. H.: Point/Counterpoint. Am. J. Orthod. 107:318, 1995. S.A.M.-M.P.I.: 200 Mandibular Position Indicator (Instruction manual) Tonawanda, New York: Great Lakes Orthodontics. Ltd. SAM Articulator and Model Block, Great Lakes
  • 166.
    176 Orthodontics Ltd, 200Cooper Ave, Tonawanda, Williamson, E. H., Caves, S.A., Edenfield, R. J., NY 14150 800-828-7626, e-mail: info@greatlake- Morse, P. K.: Cephalometric analysis: comparison sortho.com between máximum intercuspation and centric relation. Am. J. Orthod., 74:672-7, 1978. Slavicek, R.: Part IV. Instrumental analysis of mandibular casts using the mandibular position Williamson, E. H.: Centric relation: a comparison indicator. J. Clin. Orthod. 22:566-75, 1988. of muscle determined position and operator gui- dance. A.J.O. and Dentofac. Orthop. 77:133-45, Tuverson, D. L.: Anterior occlusal relations. Am. 1980. J. Orthod. 78:361-370, 1980.
  • 167.
    SECCIÓN CEFALOMETRIA DENTOESQUELETAL Telerradiografía (lateraly frontal) Cefalometría lateral Cefalometría frontal
  • 168.
    CAPITULO 9 Telerradiografía INTRODUCCIÓN La telerradiografíaes el instrumento básico para la elaboración de diferentes estudios cefalo- métricos. De su nitidez, de la precisión de su enfo- que y del criterio utilizado para obtenerla depen- derá su aptitud para las diferentes situaciones clínicas que se presenten. En pacientes ortodóncicos, la utilización de la cefalometría dinámica para la visualización de los objetivos del tratamiento requiere un posiciona- miento de los labios y dientes en contacto indis- pensable para el trazado del VTO En pacientes con discrepancias básales en los que se realizará el VTO de un tratamiento orto- dóncico de compensación, este requisito de labios en contacto puede llevar a un cierre forzado que no es habitual.En estos pacientes, se observará en el perfil radiográfico una modificaciónsustancial de la morfología facial, sobre todo del tercio infe- rior. En la actualidad el enfoque del tratamiento está dirigido a la estética facial y esto hace necesario estudiar detalladamente la forma, tamaño, posi- ción, proporciones e interrelación de estructuras esqueletales y cutáneas. Está destinado además, a la visualización de objetivos más complejos como son los que se pretenden alcanzar mediante el tra- tamiento ortodóncico quirúrgico. Esto obliga a nuevos criterios de posicionamiento del paciente, más acordes con el enfoque terapéutico elegido. La posición de labios y dientes en contacto será útil en los pacientes en los que desde el punto de vista postural exista esta relación, pero indudable- mente estará muy lejos de reflejar una situación real en aquellos pacientes con alteraciones estruc- turales como modidas abiertas esqueletales, incom- petencia labial, etc. Lo dicho anteriormente, obliga al clínico a ana- lizar cuidadosamente al paciente para personalizar las tomas telerradiográficas. Así, en algunos casos se indicará la toma con dientes y labios en contacto y en otros con la mus- culatura relajada y en posición de relación céntrica. Fig. 9.1: Posicionamiento de la cabeza del paciente A: para la telerradiografíalateral. B: para la telerradiografíafrontal. 179
  • 169.
    180 Cefalometría dentoesqueletal Eneste capítulo se describirán los requisitos para las tomas radiográficas en los diferentes casos, además de la técnica de calco y trazado cefalomé- trico que constituye la base de los procedimientos de cefalometría de tejidos blandos y duros que se desarrollan en los próximos capítulos. TIPOS DE TELERRADIOGRAFÍAS Telerradiografía lateral El haz de rayos incide perpendicularmente al plano medio sagital de la cabeza del paciente (Fig. 9.1 A). Fig. 9.2: Cambios de la disposición del tejido blando del perfil en una paciente con alteraciones esqueletales. A: labios en contacto. B: labios en reposo. Al superponer el contorno del perfil de la foto A, se pueden observar los cambios entre ambas posturas. Fig. 9.3: Caso quirúrgico. En un paciente con aumento del espacio interlabial, el perfil que se obtiene en la telerradiogra- fía con labios en contacto no permite obtener una apreciación real de los problemas de los tejidos del tercio inferior de la cara, por lo que es indispensable la toma con labios en reposo.
  • 170.
    Telerradiografía (lateral yfrontal) 181 Describiremos las condiciones que debe reunir la telerradiografía lateral para ser utilizada con diferentes propósitos. 1- Para pacientes ortodóncicos 2- Para pacientes quirúrgicos 1- Para pacientes ortodóncicos La telerradiografía lateral se toma en posición de máxima intercuspidación (MIC), con labios y dientes en contacto y en posición natural de la cabeza (PNC). Esta última condición no sería indispensable en los pacientes ortodóncicos puros porque en estos casos sólo realizaremosuna evaluación cefalométrica den- toesqueletal que toma como referencia al plano de Frankfort y no la Horizontal Verdadera. Por ello, dichas medidasno sufrirán variaciones con rotaciones de la cabeza hacia arriba o hacia abajo (sobre el eje transversal), como se explica más adelante (Fig. 9.13). Sin embargo, siempre es conveniente utilizar la PNC, así se podrá obtener un perfil facial con una ubicación espacial y disposición de los tejidos de las distintas estructuras blandas sin distorsiones. En los pacientes con discrepancias básales pue- den ser necesarias algunas veces dos tomas, cuando en estado de relajación exista un espacio interlabial importante. Esta situación hace que los tejidos blandos se deformen para lograr el cierre bucal y ésto puede provocar confusiones en el diagnóstico, especialmente al evaluar las estructuras blandas del mentón y labio inferior (Fig. 9.2 y 9.3). Por ello, se hace necesaria la obtención de una imagen radiográfica con los labios en contacto y otra con labios relajados. La primera, permitirá confeccionar el VTO ortodóncico y la segunda a- portará datos sobre los tejidos blandos que también serán útiles para trazar algunas estructuras del VTO, como son el mentón y el surco labiomento- niano (Fig. 9.4). Las dos tomas antes mencionadas Fig. 9.4: Paciente con discrepancias básales, donde se planificarán dos opciones de tratamiento. A: la radiografía tomada con labios en contacto será utilizada para la planificación ortodoncica (VTO ortodóncico). B: para la confección del VTO ortodóncico quirúrgico la toma realizada con labios en reposo permite tener un contorno real de los tejidos blandos del tercio inferior.
  • 171.
    182 Cefalometría dentoesqueletal Fig.9.5: Telerradiografía frontal y lateral en un paciente quirúrgico, con mordida abierta, exceso vertical inferior y asime- tría. Ambas en relación céntrica. La ortogonalidad de ambas tomas se puede verificar al comprobar la equidistancia entre el borde incisal de incisivo superior y el punto infraorbitario. en los casos que así lo requieran, permiten obtener una noción de la longitud real de los labios, de su posición en relación al plano oclusal y también la forma, tamaño y el estado de la musculatura perio- ral y mentón. 2- Para pacientes quirúrgicos La telerradiografía será realizada siempre con labios en reposo y en PNC. A diferencia de la radiografía con fines orto- dóncicos, que se toma en MIC, en los pacientes qui- rúrgicos se obtiene en la relación interoclusal que logra el primer contacto dentario en RC. En los casos donde se observe clínicamente una diferencia entre la MIC y la RC, es aconsejable tomar, previamente a la obtención de la telerradio- grafía lateral, una mordida de cera que registre la posición de RC en el primer contacto dentario. Este registro será colocado en boca en el momento de la toma radiográfica. Telerradiografía frontal: Para esta incidencia,el paciente está orientado de espalda al tubo de rayos, es decir mirando hacia el chasis (Fig. 9.1 B). Al posicionarse de esta mane- ra, las estructuras faciales quedan más alejadas del centro de emisión de rayos y sufren menos distor- sión de tamaño. En la posición frontal es suficiente una sola toma, pero para su obtención debe interponerse entre las arcadas un trozo de cera previamente pre- parado, con el objeto de lograr la posición de RC y una falta de contacto en los planos oclusales ya que deberán ser estudiados siempre independiente- mente. La toma en RC hace que se elimine la posibili- dad de que un contacto prematuro, o una o más piezas dentarias mal posicionadas provoquen un desplazamiento lateral de la mandíbula y con ello una asimetría funcional, que sería muy dificultoso diferenciar de una esqueletal.
  • 172.
    Telerradiografía (lateral yfrontal) 183 POSICIONAMIENTO DE LA CABEZA DEL PACIENTE A pesar de la correcta colocación del paciente mediante la ayuda del cefalostato, hay algunos fac- tores que influyen negativamente en la correcta superposición de estructuras: • Asimetrías faciales de diferentes grados • Asimetría mandibular • Asimetría maxilomandibular • Distinta altura de los conductos auditivos • Anomalías morfológicas de distinta naturale- za (malformaciones, traumas, etc.) • Asimetrías craneofaciales completas (micro- somía hemifacial) A su vez, en las asimetrías hay que distinguir si son de origen vertical (alteración de los niveles) o de origen transversal Otras veces la mala orientación de la cabeza se debe a problemas del operador, en casos de: • Un paciente inestable, temeroso, que presen- ta mucha movilidad • Niños con trastornos de conducta • Incorrecto ajuste del cefalostato Fig. 9.6: Una cabeza mal posiciona- da causa distorsiones en la telerra- diografía. Giro sobre el eje transversal: A. Eje de giro. B. Malposición. Fig. 9.7: Giro sobre el eje vertical: A. Eje de giro. B. Malposición.
  • 173.
    184 Cefalometría dentoesqueletal Fig.9.8: Giro sobre el eje sagital: A. Eje de giro. B. Malposición. La cabeza del paciente se orienta en el espacio como un cuerpo sólido, es decir, mediante 3 planos o ejes que confluyen en el centro, que son: el verti- cal, el sagital y el transversal. Las malposiciones influyen de manera variable sobre las tomas latera- les o frontales provocando distorsiones que a veces inutilizan la radiografía (Fig. 9.6, 9.7 y 9.8). Para constatar la correcta orientación del paciente, Fie- rre Vion aconseja observar ciertos detalles: 1- En las telerradiografías laterales: Las olivas deben estar perfectamente super- puestas y no mostrar una doble imagen en sentido vertical ni sagital. Si un desfase del conducto audi- tivo externo se acompaña de un desdoblamiento de los bordes mandibulares, se debe a que el paciente está mal centrado y tiene una rotación en el eje ver- tical, sagital o en ambos. Las imágenes, en cual- quiera de los casos, estarán afectadas en propor- ción a la rotación que haya existido. Según este mismo autor, las consecuencias de estas rotaciones indeseadas son distintas según el eje alrededor del cual se hayan realizado. • Sila rotación se produjo alrededor del eje ver- tical, se observarán: Distorsiones, asimetrías y desdoblamiento de imágenes en el plano vertical (por ejemplo: borde posterior de la rama mandibular). • Sobre el eje sagital o anteroposterior: Desdoblamiento de imágenes en el plano horizontal (por ejemplo: doble borde inferior man- dibular). • Sobre el eje transversal: En este caso no existirá desdoblamiento de imágenes, pero sí una mala orientación de la cabe- za y posiciones anormales de estructuras cervicales, que crearán dificultad para la interpretación de los tejidos blandos del perfil. Desde luego, la combinación de estas rotaciones multiplicará los efectos negativos. 2-En las telerradiografías frontales: Al igual que en las laterales, un incorrecto posi- cionamiento puede involucrar: Giro sobre el eje transversal Giro sobre el eje vertical Giro sobre el eje sagital Giro sobre el eje transversal (Fig. 9.6.) Como el plano de Frankfort es horizontal, ambos pisos de órbita están sobre la línea que une el centro de las imágenes radiológicas de los arcos cigomáticos izquierdo y derecho. El foramen mag- nun, situado en la línea media, se encuentra inme- diatamente debajo de esta línea. En esta incidencia el giro de la cabeza sobre su eje transversal puede
  • 174.
    Telerradiografía (lateral yfrontal) 185 dar una imagen acortada o alargada de la cara. Es fácil detectar la alteración de la posición en este sentido por la no coincidencia del plano de Frank- fort con la línea bicigomática. Como en la cefalo- metría frontal no realizaremos ningún tipo de medición vertical, pequeñas variaciones en este sentido carecen de importancia. Sin embargo, un giro sobre el eje transversal de mayor magnitud puede no permitir una buena visualización de los planos oclusales superior e inferior que, como men- cionamos anteriormente, estarán ligeramente sepa- rados para la toma frontal para poder ser estudia- dos independientemente. Giro sobre el eje vertical (Fig. 9.7) Si existiera un giro alrededor del eje vertical, aparecerán distorsionadaslas mediciones transver- sales, pudiéndose interpretar erróneamente que el paciente presenta una asimetría. Este error de posi- ción provoca desplazamientos transversales de las estructuras bilaterales provocando un arbitrario acercamiento o alejamiento de ellas con respecto a la línea media, generando asimetrías inexistentes , otras veces agudizando las que existen y otras enmascarando asimetrías transversales. Por ejemplo: un giro de la cabeza sobre el eje vertical hacia la izquierda, provocará el acerca- miento hacia la línea media de estructuras laterales del mismo lado como ángulo goníaco, procesos zigomatomalares, etc. Simultáneamente estará au- mentando las distancias de las estructuras laterales del lado derecho a la línea media sagital con lo cual perdemos toda noción de la magnitud real de la simetría o de la asimetría. En la radiografía frontal, un mal ajuste de las olivas en los conductos auditivos del paciente puede permitir un giro sobre el eje vertical o una inclinación lateral (giro sobre el eje sagital). Giro sobre el eje sagital (Fig. 9.8) Una inclinación lateral de la cabeza distorsiona- rá la imagen de la columna vertebral, y podría, en una observación superficial, interpretarse como una asimetía. Pero al determinar el plano medio sagital en las estructuras óseas y realizar las medi- ciones con ese parámetro, la asimetría quedará des- cartada si sólo era atribuible a una malposición de la cabeza en la toma de la radiografía. Sobre el plano medio sagital se deben observar las siguientes estructuras (de arriba hacia abajo): • Apófisis Crista Galli • Lámina vertical del etmoides (constituye el tabique nasal y puede presentar algunadesviación). • Espina nasal anterior • Sutura medio palatina Estas estructuras son generalmente constantes en su ubicación coincidente con el plano medio sagital, y a partir de éste se verifica la existencia o no de des- viaciones en líneas medias dentarias y en línea media mandibular. Si se desea verificar la ortogonalidad de las tele- rradiogradiografías frontal y lateral, se debe com- probar la equidistancia entre el punto orbitario y el borde incisal del incisivo superior de ambas tomas (Fig. 9.5). Las distancias de la punta de la apófisis odontoides a la sutura medio palatina también de- ben ser iguales. OBTENCIÓN DE LA TELERRADIOGRA- FÍA EN PNC El método tradicional posiciona la cabeza con el cefalostato,mediante la inserción de las olivas en los conductos auditivos externos y la utilización del apoyo frontal, siendo éstos los únicos referentes para el posicionamiento de la cabeza del paciente. Este método no garantiza la ubicación de la cabeza en su posición postural, las telerradiografías así realizadas por lo general presentan giroversio- nes sobre el eje transversal. Para la obtención de la telerradiografía en PNC, Moorees y Kean (1958) aconsejan un proce- dimiento que nosotros hemos adoptado (Fig. 9.9): -Paciente ubicado en el cefalostato mirando sus ojos en un espejo. -El operador debe verificar que la pupila está en el centro del ojo. Cuando la pupila se desplaza hacia arriba indica una rotación de la cabeza hacia abajo y viceversa si se desplaza hacia abajo.
  • 175.
    186 Cefalometría dentoesqueletal Fig.9.9: Método para obtener la telerradiografía en PNC. Se utiliza el cefalostato sin ajuste del posicionador frontal y se simula la mirada al horizonte mediante la utilización de un espejo. Se adhiere al chasis una cadena de esferas metálicas para obtener el registro de una línea vertical exacta, a partir de la cual se traza la HV. - Las olivas no deben introducirse en los conduc- tos auditivos. Sólo deben estar apoyadas suavemen- te, sin ejercer presión sobre la piel. El paciente debe estar relajado, con sus brazos colocados a los costa- dos de su cuerpo y los pies ligeramente separados. - Controlar las rotaciones e inclinaciones de la cabeza. - Observar al paciente de frente, confirmar la posición correcta de la cabeza. Es aconsejable no colocar el apoyo frontal debido a que puede provo- car un estímulo que lleve la cabeza hacia atrás. - No debe prolongarse este procedimiento más allá de los 2 o 3 minutos, debido a que el cansancio puede provocar alguna alteración a la posición deseada. Con el objeto de obtener una correcta orienta- ción de las telerradiografías se utiliza una cadena metálica o un hilo metálico pendiente del borde superior del chasis y alejada del perfil blando para que no provoque superposiciones con estructuras involucradas en la evaluación. Este procedimiento asegura obtener un registro exacto de la vertical, mas confiable que la ortogonalidad del cefalostato y/o del chasis. Obtenemos así una referencia vertical total- mente segura para trazar la horizontal y todas las paralelas o perpendiculares a ella que sean necesa- rias en el trazado. Esta horizontal, llamada horizontal verdadera (HV) constituye una referencia muy precisa para el estudio de las estructuras del perfil. En la práctica utilizamos un software para el tra- zado del cefalograma de tejidos blandos. Este procedimiento se inicia en el scanner, con el auxiliar de una escuadra que se apoya en el mar- gen del mismo en el lado que corresponda y se gira la Rx hasta que la imagen del hilo metálico coinci- da con una de los lados de la escuadra. Muchas veces, los procedimientos para la obten- ción de la tele en PNC, son ejecutados por otros operadores que pueden cometer errores o no res- petar cuidadosamente las maniobras.
  • 176.
    Telerradiografía (lateral yfrontal) 187 Esto crea la necesidad de utilizar algunos méto- dos destinados a verificar tales procedimientos. Para ello utilizamos una fotografía del paciente obtenida en PNC que incluya una vertical que se obtiene mediante la utilización de un hilo delante del telón de fondo. La utilización de la fotografía para la verifica- ción se debe a que, comparativamente, la obten- ción de la tele en PNC por muchas razones ofrece más dificultades que la fotografía. Métodos para trasladar la posición de la fotografía a la telerradiografía lateral. La colocación del paciente en el aparato en Rx, la aplicación de los apoyos sobre la piel de la región auricular y algunas otras maniobras, pueden intro- ducir algunas distorsiones en la posición de la cabe- za y con ello, la radiografía obtenida no garantiza una correcta orientación (Fig. 9.10.). La fotografía, al no exigir tantos requisitos, se obtiene con mayor facilidad, en menor tiempo y con menor margen de error en su orientación dado que generalmente está realizada por el ortodoncista. Por otra parte las estructuras faciales se obser- van con mayor claridad debido a los colores que le dan una naturalidad que no existe en la tele que tiene su imagen limitada por los tonos en blanco negros y grises. Esto convierte a las fotografías en PNC en regis- tros fundamentales para confirmar o corregir la orien- tación de la telerradiografía lateral antes de realizar el trazado de los planos y de las mediciones del perfil blando, donde es imprescindible trabajar con una correcta orientación del trazado del perfil blando. Podemos realizar este trabajo de verificación, y en el caso que sea necesario, de ajuste de la posi- ción de la telerradiografía a la posición de la foto- grafía, mediante dos procedimientos: uno manual, y el otro con la utilización de herramientas de un software específico. El procedimiento manual para la orientación de la tele a partir de una fotografía es el siguiente (Fig. 9.11.): 1- Se toma una fotografía de perfil, posicionando al paciente en PNC, registrando una vertical mediante un hilo pendiente del telón o de una pared. Fig. 9.10: Fotografía de una paciente, tomada con una correcta orientación en PNC, y radiografía de la misma paciente con una orientación dudosa.
  • 177.
    188 Cefalometria dentoesqueletal Fig.9.11: Pasos a realizar manualmente para corregir la posición de la telerradiografía, ajusfándola a la foto obtenida en PNC 2- Se traza el plano estético de la fotografía, y se mide el ángulo que forma con la línea vertical 3- En la telerradiografía, se traza el plano estéti- co, y reproduciendo la angulación tomada en la fotografía, se traza una línea que reproduce la ver- tical de la fotografía. A partir de esa vertical, en forma perpendicular se obtiene la HV. La misma verificación puede realizarse también mediante la implementación de herramientas de software. Ejemplificaremos esto con imágenes obtenidas de un software de cefalometría que incluye las mencionadas herramientas, como es el caso del Nemoceph. El procedimiento es el siguiente:
  • 178.
    Telerradiografía (lateral yfrontal) 189 Fig. 9.12: Método para corregir la posición de la telerradiografía a través de un software específico, en este caso Ne- moceph. A: superponiendo el trazado de la telerradiografía sobre la foto. B: Utilizando la herramienta "giro respecto a la foto". 1- Se realiza el trazado cefalométrico sobre la radiografía en la posición obtenida. 2- Se superpone dicho trazado sobre la fotografía. 3- Trabajando sobre 2 puntos de referencia (Po y Na ) se adapta el tejido blando del trazado sobre el de la foto hasta lograr una perfecta superposi- ción. Si la posición de la cabeza no era coincidente en ambas, se deberá realizar la rotación necesaria del trazado para lograr el ajuste del perfil. Para lograr la impresión del trazado en la nueva posi- ción, se utiliza una herramienta denominada "rota- ción de la radiografía", eligiendo la opción "giro respecto a la foto" 4- Este proceso logra entonces la impresión del tra- zado en PNC, manteniendo la relación de tamaño 1/1.
  • 179.
    190 Cefalometría dentoesqueletal Algunosautores sugieren trazar un plano para- lelo a la vertical que pase por el punto subnasal y se extienda desde la glabela cutánea hasta la parte inferior del mentón en la foto y en la Rx. Mediante la comparación de las distancias entre esta línea y los puntos glabela y Po cutáneo en ambas imágenes (fotográfica y radiográfica) y la observación de la relación de los distintos segmen- tos, su coincidencia o no, se evalúa el grado en que la telerradiografía reproduce la PNC y se realizan ajustes de la posición si fuera necesario, variando la rotación de la radiografía. APLICACIÓN DE LA HORIZONTAL VER- DADERA O EL PLANO DE FRANKFORT PARA EL ESTUDIO CEFALOMÉTRICO Utilización del plano de Frankfort En la figura 9.13 se observa una telerradiografía lateral tomada con cefalostato, donde se evidencia una posición de la cabeza inclinada hacia arriba (A), y luego la toma en posición natural de la cabeza (B). En ambas se realizó el mismo trazado cefalométrico. La diferencia en la posición no provoca ningún cambio angular ni lineal en el cefalograma, ya que las medidas están tomadas en referencia al plano de Frankfort. Esto es lo que permite su utilización en casos de anomalías dentarias o dentolveolares que no presenten alteraciones estéticas que deban ser modificadas. En el primer grupo, pueden ser utilizadas tele- rradiografías tomadas con cefalostato, siguiendo métodos tradicionales. Las teles así obtenidas cum- plen perfectamente su cometido como una herra- mienta de diagnóstico que dará más precisión a nuestras observaciones clínicas y como elemento indispensable de planificación. La utilización de la horizontal verdadera para orientar las telerradiografías, ha traído cierta con- fusión en cuanto a la fiabilidad de loscefalogramas trazados en relación al plano de Frankfort y a las medidas angulares y lineales obtenidas en relación a él para evaluar el tamaño, la ubicación y la inte- rrelación de las estructuras alveolodentarias y esqueléticas de la cara. Esta confusión puede llevar a cuestionar la vali- dez de la cefalometría convencional. Fig. 9.13: Cefalogramas obtenidos en dos radiografías de un mismo paciente, con distinta orientación de la cabeza. Al uti- lizar el plano de Frankfort como referencia horizontal, no se observan variaciones en las medidas.
  • 180.
    Telerradiografía (lateral yfrontal) 191 Para evitar esto, debemos simplemente pensar cuál es el campo que se hace necesario estudiar, que puede ser el dentoesqueletal o los tejidos cutáneos y la estética facial. El primero de ellos es un reducido campo de aná- lisis que puede ser perfectamente estudiado con cefalometría convencional utilizando como referen- cia el plano de Frankfort. Por ejemplo, si estudiamos un paciente del grupo 1, ortodóncico puro, o del grupo 2, con una altera- ción esqueletal que por ser leve será tratado sólo con ortodoncia, no será necesario un estudio profundo de la estética facial. Por otro lado, los cambios del tratamiento ortodóncico se limitarán al campo den- toalveolar, sin afectar aquellos puntos que pueden tener una diferente interpretación de su posición si el plano de Frankfort no está coincidente con la Horizontal verdadera, por ejemplo: el mentón. Otro aspecto a tener en cuenta en relación a la utilización del Pl. de Frankfort o la horizontal ver- dadera, está referido a la constancia en la ubicación. La horizontal verdadera se traza a partir de la PNC, que si bien es una posición repetible, está influencia- da por factores inherentes a la subjetividad y per- cepción del operador que pueden provocar peque- ñas variaciones en ella. Cuando se requiere gran precisión, como ocurre en la evaluación cefalométri- ca de los casos tratados donde se compara el pre y postratamiento, una diferencia mínima puede afec- tar dicha evaluación, por lo que es aconsejable superponer parcial o totalmente cefalometrías reali- zadas a partir del plano de Frankfort, que es cons- tante en su ubicación. Utilización de la Horizontal Verdadera En la cefalometría dentoesqueletal del paciente de la Fig. 9.14 se observa una profundidad facial aumentada que puede ser interpretada como una posición adelantada del mentón; pero al corroborar la orientación de la tele con la fotografía en PNC, nos encontramos con una falta de horizontalidad en el plano de Frankfort. Si este paciente es tratado sólo con ortodoncia, no se podrán realizar cambios en la posición sagital del mentón, o serán muy pequeños, por lo que carece de importancia clínica dicha interpretación. En cambio, si se realizara un tratamiento orto- dóncico-quirúrgico, en el cual deberemos planificar cambios esqueletales, hacerlo en base a la interpre- tación de las medidas tomadas en referencia al Frankfort nos daría un resultado totalmente fuera de parámetros de estética. Se planificaría errónea- mente llevar el mentón hacia atrás, lo que desme- joraría la relación cervical-facial inferior y la medi- da del PoC a la vertical de Sn. Fig. 9.14: Paciente con falta de horizontalidad del plano de Frankfort. La interpretación de medidas esqueleta- les basadas en este plano, no concuerdan con las determinaciones basadas en el estudio estético del perfil.
  • 181.
    192 Cefalometría dentoesqueletal Laplanificación de los cambios quirúrgicos se hace a partir de la estética del paciente, por lo que resulta imprescindible obtener la telerradiografía en PNC en todos los pacientes quirúrgicos. Esta- mos refiriéndonos entonces a los pacientes del grupo 3, y también a los del grupo 2 donde se con- temple la cirugía corno posibilidad terapéutica. En la sección 6 describiremos los procedimientos destinados a realizar el diagnóstico y la planifica- ción del tratamiento en aquellos pacientes que requieren la solución de problemas de estética facial por lo que será imprescindible que todos ellos sean realizados en posición natural de la cabe- za (PNC). A continuación se desarrolla la técnica de calco y trazado cefalométrico para la telerradiografía la- teral, base para la posterior realización de los dis- tintos cefalogramas. Técnica de calco y trazado cefalométrico Una de las mayores dificultades que enfrenta el estudiante de ortodoncia en su proceso de aprendi- zaje es el calco radiográfico. Este aprendizaje puede resultar sumamente lento, tedioso y plantea un sinnúmero de dificultades si no se observa una metodología coherente y estricta. 1.Las imágenes radiográficasson muy variables, por lo que el trazado cefalométrico debe hacerse, al comienzo, bajo la observación y la supervisión de un técnico experimentado. Por su parte, el estu- diante debe saber que deberá trazar y evaluar un gran número de placas, comparando sus trazados antes de lograr una verdadera destreza. De la intensidad de su entrenamiento depen- derá el tiempo necesario para aprender esta técni- ca. 2. Sugerimos repetir varias veces y siempre con intervalos de tiempo, el trazado de la misma radio- grafía para constatar la fiabilidad de su calco. Se debe tener en cuenta que las estructuras sevisuali- zan cada vez con más precisión mediante la repeti- ción de los calcos y trazados. 3. La calidad de la radiografía debe ser eva- luada desde varios puntos de vista: posición, toma, revelado, etc. y cualquier otro factor que pueda afectar sus condiciones de nitidez, clari- dad, contraste, etc. antes de intentar un calco que resultará frustrado de antemano. 4. Detectar si las imágenes dobles se deben a incorrecta posición o a problemas inherentes a la estructura cráneo-maxilo-facialdel paciente. 5. El trazado del cefalograma sobre un calco hecho con precisión no ofrecerá ningunadificultad. No obstante, se requiere entrenamiento para trazar con exactitud y realizar correctamente las medicio- nes angulares y lineales. Si bien la cefalometría no es ni pretende ser un procedimiento exacto, no debemos ser nosotros los que mediante malas maniobras en el calco, inco- rrecta ubicación de los puntos durante el trazado y mediciones apresuradas, agreguemos al método una suma de errores que provoquen una impreci- sión tal que pueda desvirtuarlo. Materiales necesarios para calcos y trazados 1. Un negatoscopio de luz fría para evitar el calentamiento y la deformación de la película radiográfica con el calor, con reóstato para regular su intensidad, imprescindible algunas veces para visualizar ciertas estructuras. 2. Un portaminas de 0 0.5 mm con minas de grafito Hb de color negro. Diámetros superiores quitan exactitud al calco y al trazado. 3. Goma para borrar. 4. Cartulina negra. 5. Regla de Ricketts o similar. 6. Compás de punta seca o balustrín. 7. Cinta adhesiva transparente. 8. Film poliéster, lámina de acetato o papel vegetal de buena transparencia, de 18 x 24 cm. 9. Modelos del paciente. 10. Radiografías panorámicas o periapicales. 11. Fotografías. 12. Para los trazados cefalométricos interme- dios, hechos con la finalidad de controlar la evolu- ción del tratamiento, se necesitan los trazados cefalométricos del status inicial. Cuando el trazado corresponda al final del tratamiento se deben tener además de los trazados iniciales, los realizados durante el control del tratamiento. Para distinguir estos diferentes trazados se usan los siguientes colores:
  • 182.
    Telerradiografía (lateral yfrontal) 193 • Trazado inicial: negro • Predicción de crecimiento: verde • Visualización de objetivos terapéuticos (VTO) con o sin crecimiento: rojo • Durante el tratamiento: marrón • Trazado final: azul • Postcontención: violeta Montaje del papel o film de trazado sobre la radiografía La telerradiografía lateral se coloca sobre el negatoscopio con el perfil orientado hacia la dere- cha. La toma frontal se coloca de manera que los lados derecho e izquierdo del paciente coincidan con los del operador. Orientar la radiografía de manera que el plano de Frankfort quede paralelo a uno de los bordes del papel, y perpendicular al otro. Si se obtiene la horizontal verdadera (HV), ésta será tomada como referencia en vez de Frankfort. El papel se coloca 2 o 3 cm por encima del na- sión y 2 o 3 cm por delante de la punta de la nariz y se fija a la radiografía mediante 2 pequeños trozos de cinta adhesiva transparente (Fig. 9.15). De esta manera evitamos su basculamiento y al mismo tiempo facilitamos una acción de bisagra para lev- antarlo repetidas veces durante las maniobras de calco con el propósito de observar directamente la placa radiográfica. Es aconsejable no fijar la radiografía sobre el negatoscopio para permitir su desplazamiento durante el calco y facilitar el trazado, dándole co- modidad a la mano del operador, aumentando de esta manera la precisión del dibujo. Visualización de las distintas áreas Algunas veces, el contraste entre las zonas radiolúcidas y radiopacas puede crear alguna difi- cultad para distinguir ciertas estructuras. Se puede mejorar la Visualización de estas áreas accionando el reóstato del negatoscopio y así con- trolar el flujo lumínico a través de la película o uti- lizando cartulina negra para cubrir las áreas muy luminosas que a veces provocan deslumbramiento, impidiendo ver con claridad. También puede redu- cirse el exceso de luz haciendo un tubo con cartuli- na negra para enfocar como con una lente distintas zonas de la radiografía. Fig. 9.15: Correcta colocación del papel de trazado sobre la telerradiografía. Las estructuras que están en la línea media no presentan problemas, por ejemplo la silla turca. A medida que las imágenes correspondan a estructuras más alejadas de ese plano, existe mayor posibilidad de desdoblamiento. No nos referimos a la asimetría por posición incorrecta, sino al desdoblamiento de imágenes por asimetrías craneofaciales o por magni- ficación de las estructuras periféricas debido a su mayor distancia del film. En estas circunstancias aconsejamos promediar las imágenes dobles. Trazado cefalométrico lateral. Calco de estructuras Seguiremos el procedimiento aconsejado por Ricketts. a) Trazado de los tejidos blandos: Se comienza más arriba del seno frontal y se traza hasta debajo del área del mentón. Los cefa- lostatos con apoyo nasal comprimen los tejidos
  • 183.
    194 Cefalometría dentoesqueletal Fig.9.16:Estructuras del cráneo y su imagen en la telerradiografíalateral. • Silla turca • Frontal y huesos nasales • Maxilar superior y dientes superiores Fig. 9.17: • Conducto auditivo externo. • Cavidad glenoidea y cóndilo del temporal. • Fosa ptérigo-maxilar.
  • 184.
    Telerradiografía (lateral yfrontal) 195 I Fig. 9.18: • Reborde orbitario. • Mandíbula y dientes inferiores. blandos de la nariz. En ese caso se corrige esta pequeña deformación. Se traza el contorno palpe- bral, la curvatura de la pupila, y el contorno del ala de la nariz (en forma de S itálica). Luego, parte del contorno de la lengua, paladar blando y faringe. b) Trazado de los tejidos duros: 1.Nasion: la zona del nasion está formada por el contorno externo de los huesos nasales y el frontal. Se calca la unión de ambos en la sutura frontonasal. En los casos en que ésta no se visualiza, el punto nasion se ubica en el vértice de la V formada por la unión de ambos huesos. 2.Fosa pterigomaxilar: imagen radiolúcida de contornos radiopacos bien definidos, de forma triangular con base superior, forma que también se describe como de gota invertida debido al redon- deamiento que presentan sus vértices superiores. En la unión del borde superior con la pared poste- rior se ubica la desembocadura del agujero redon- do mayor, que corresponde al punto Pt. En reali- dad, el agujero redondo mayor es un conducto de pequeña longitud que a veces se visualiza.El punto Pt se ubica en la posición de las 11hs. en la fosa pte- rigomaxilar. 3.Maxilar superior: se dibuja todo el contorno del maxilar determinando con exactitud la espina nasal anterior y el borde anterior de este hueso, o sea la pared alveolar, donde se ubica el punto A. Es necesario tener la mayor precisión posible al calcar esta zona que suele presentar algunas difi- cultades debido a la superposición del tejido celular subcutáneo de la mejilla que, al tener buen espesor, se visualiza como una franja radiopaca. La diferencia entre este tejido y el contorno an- terior del maxilar consiste en que el primero pre- senta un borde recto o ligeramente convexo, en cambio el contorno anterior del maxilar siempre es cóncavo. La zona de la espina nasal posterior en pacientes jóvenes, generalmente se superpone con molares no erupcionados (2.°, 3er molar) por lo que a veces su exacta ubicación no puede ser determinada.
  • 185.
    196 Cefalometría dentoesqueletal B Fig.9.19 A y B: Imágenes que se obtienen al procesar la telerradiografía lateral de cabeza con diferentes filtros, permi- tiendo la visualización de los tejidos duros y blandos con diferentes efectos (Nemoceph). C y D: A partir de una tomografía helicoidal se reconstruyen imágenes que permiten una clara visualización de las estruc- turas óseas craneales.
  • 186.
    Telerradiografía (lateral yfrontal) 197 Cuando esto suceda, debe tenerse en cuenta que lo importante es que el trazado debe seguir la inclina- ción del hueso palatino, sin tener mayor importan- cia su exacto límite posterior. Cuando se traza el borde superior del contorno del maxilar superior se debe seguir la línea radio- paca bien definida sin excederse hacia arriba, siguiendo una imagen que corresponde a la base del tabique nasal, que nos lleva a dibujar un maxi- lar muy voluminoso. 4. Órbitas: se traza el borde posterior y el infe- rior de las cavidades orbitarias . Estas estructuras son bilaterales, por lo tanto cuando no existe una superposición perfecta deben ser promediadas. En realidad esto es frecuente debido a que los malares son las estructuras más alejadas del plano medio sagital, por lo que es muy difícil obtener una ima- gen única aun en radiografías perfectamente toma- das. Aquí es justamente donde se manifiesta el fenómeno de magnificación de las estructuras ale- jadas de la placa, que fue mencionado anterior- mente. Lo importante de las cavidades orbitarias es su borde inferior, donde se determinará el punto infraorbitario. Este borde suele ser difícil de visua- lizar porque se superpone con las celdas etmoida- les; puede ser de ayuda ubicar el orificio suborbita- rio que está 3 mm aproximadamente por debajo de dicho borde. Otra estructura que suele superponer- se provocando alguna confusión es el techo del seno maxilar debido a la anatomía del maxilar superior, que hace que el seno en su parte interna, se eleve más arriba del borde inferior de la órbita (Fig. 9.20). 5. Mandíbula: generalmente el contorno mandi- bular es de muy fácil visualización. Las dificultades se presentan en la cabeza del cóndilo a causa de la superposición con la porción petrosa del hueso temporal, y en la escotadura sig- moidea y apófisis coronoides. Para facilitar el calco de estas estructuras se aconseja tener en cuenta las relaciones entre conducto auditivo externo y cóndi- lo, que suelen presentar su borde superior a la misma altura. La apófisis coronoides se superpone de manera prácticamente constante con la parte inferior de la fosa pterigomaxilar, y la escotadura sigmoidea puede trazarse con relativa facilidad des- pués de haber identificado las estructuras anterio- res. También podemos ayudarnos en esta difícil zo- na con el uso del reóstato, cubriendo con cartulina negra las zonas vecinas o utilizando el tubo hecho con el mismo material. Fig. 9.20: Relaciones del borde inferior de la órbita: A: Con el agujero infraorbitario..En línea de puntos, el contorno del seno maxilar B: Detrás del seno, se observan células etmoidales. C: Imagen de la zona en la telerradiografía lateral.
  • 187.
    198 Cefalometría dentoesqueletal B Fig.9.21: Relaciones constantes útiles para la identificación radiográfica de ciertas estructuras. A: Apófisis odontoides- basion-conducto auditivo externo. B: Variación con la edad. C: relación conducto auditivo interno-conducto auditivo exter- no. D: conducto auditivo externo y cóndilo mandibular. Los bordes inferior y posterior pueden presentar una doble imagen. En este caso aconsejamos prome- diar ambos en el momento de calcar, haciendo un solo trazo. No creemos conveniente el calco de la duplica- ción de estructuras porque no agrega exactitud al tra- zado y en cambio lo hace más confuso al aumentar el número de líneas. 6. Silla turca - Basion: constituyen una estructura que se determina con mucha facilidad y al estar ubica- da en la línea media no suele presentar doble imagen. Se calca todo el cuerpo del esfenoides, relacionando su borde inferior con la fosa pterigomaxilar que se encuentra inmediatamente por debajo. El borde supe- rior se encuentra excavado por la silla turca . El cuer- po del esfenoides se encuentra ocupado por el seno esfenoidal, que comúnmente está tabicado, y se conti- núa hacia atrás y abajo con la porción basilar del occi- pital, al que se halla unido por la sutura esfeno-occipi- tal. Debemos diferenciar la zona del basion del extre- mo de la apófisis estiloides, con cuya imagen suele superponerse dando la ilusión de un basion ubicado más hacia abajo. Se la puede identificar por ser una estructura delgada, radiopaca y frecuentemente cón- cava hacia adelante. Una forma de localizar correcta- mente el basion es observar el ángulo de vértice infe- rior formado por las corticales de la apófisis basilar del occipital. La apófisis odontoides también contribuye a su localización porque, generalmente, prolongando su eje hacia arriba encontraremos el basion (Fig. 9.21). 7. Conducto auditivo extemo: ubicado en la zona temporal, presenta una forma ovalada con una incli- nación de su diámetro mayor en 45°. En su borde superior ubicamos el punto porion. Debido a que no es un conducto rectilíneo, el orifi- cio suele verse radiolúcido solamente en su parte pos- teroinferior, en forma de media luna. Debido a la superposición con la zona petrosa del temporal y dada la gran importancia que tiene su correcta ubicación,debemos tener en cuenta una serie de referencias que nos ayudan a ubicarlo con la mayor precisión posible.
  • 188.
    Telerradiografía (lateral yfrontal) 199 Éstas son: (Fig. 9.21) • Con respecto al cóndilo mandibular: como se mencionó anteriormente, el conduc- to auditivo externo se ubica por detrás, estando ambos bordes superiores a la misma altura. • Con respecto al conducto auditivo interno: este último es mucho más pequeño y general- mente más nítido en las radiografías. Está por detrás y por arriba del conducto auditivo externo. Es útil el esquema de la figura 7.15C para aclarar la relación que presentan ambos orificios. • Con respecto al basion y apófisis odontoides: el conducto auditivo externo se ubica en la misma línea vertical que pasa por ambas estructu- ras. En el caso de tener una doble imagen del con- ducto auditivo externo se calcan los dos, y para ubi- car el porion se promedian los dos bordes superio- res. 8. Dientes superiores e inferiores: se trazan con la plantilla no solamente por estética sino para faci- litar la construcción del VTO. El diseño con plantilla suele no coincidir en forma y tamaño con los dientes del paciente, pero debe respetar ciertas normas para que sea posible realizar mediciones correctas. • Incisivos superior e inferior: debe colocarse la plantilla de modo tal que los bordes incisales, caras vestibulares y dirección del eje mayor del diente se correspondan con la estructura dentaria localizada. Cuando la zona apical no está bien definida, es de ayuda visualizarla cámara y el conducto radi- cular que indican el eje mayor del diente. • Molares: debe colocarse la plantilla de modo tal que las superficies oclusales, caras distales y eje mayor del diente coincidan con los de la radiogra- fía. En los casos que lo requieran, el diámetro mesiodistal del molar se puede transferir al trazado cefalométrico con la ayuda de un compás a partir del modelo. También la utilización de radiografías periapicales puede ayudar en casos donde restaura- ciones proximales están enmascarando los contor- nos del molar. El modelo generalmente es imprescindible para determinar con certeza la clase molar. Fig. 9.22: Modelo de calco radiográfico. Estructuras necesarias para el trazadocefalométrico.
  • 189.
    CAPITULO 10 Cefalometría lateral INTRODUCCIÓN Eneste capítulo desarrollaremos todo lo refe- rente a cefalometría lateral dentoesqueletal. Se describirán los cefalogramas que usamos de rutina en la clínica por su practicidad y su funcio- nalidad. Cefalograma lateral completo de Ricketts Análisis cefalométrico lateral básico Cefalograma de Bjórk-Jarabak Análisis de McNamara El estudio vertical y sagital del perfil, constituye cefalometría exclusivamentede tejidos blandos por lo que no forma parte de este capítulo, y se desa- rrolla en los capítulos referidos a estética facial: capítulo 1 y capítulo 20. 1- Cefalograma lateral completo de Ricketts Este Cefalograma no es utilizado de rutina por- que consideramos que carece de practicidad. No obstante, al ser tan amplio se convierte en una va- liosa fuente de información. En algunos casos sirve de apoyo a la cefalome- tría básica, aportando datos sobre la etiología del caso y además es útil para trabajos de investigación. 2- Análisis cefalométrico lateral básico Este Cefalograma, que utilizamos de rutina en la clínica, es un Cefalograma dentó esqueletal basado en el resumido de Ricketts al que le hemos agrega- do algunos factores referidos a la estética del tercio inferior de la cara. Aporta datos sobre a los aspec- tos morfológicos del paciente, dirección de creci- miento y respuesta al tratamiento. Además, los fac- tores estéticos incorporados son aquellos sobre los cuales los resultados del tratamiento ortodóncico ejercen algunainfluencia. Constituye además un instrumento insustituible para la construcción del VTO y el trazado de las áreas de superposición, útiles para diseñar el tratamiento y seleccionar la secuencia aparatológica. También es una herramienta imprescindible para la evaluación del caso tratado. Las modificaciones que hemos realizado al cefa- lograma resumido original de Ricketts de 10 facto- res consisten en la eliminación de algunos de ellos, la incorporación de otros pertenecientes al cefalo- grama completo o a otros estudios cefalométricos, sumando en total 15 factores. 3- Cefalograma de Bjórk-Jarabak La cefalometría lateral mencionada anterior- mente nos permite estudiar la morfologíacraneofa- cial del paciente, además de las posiciones e inte- rrelaciones de las estructuras dentomaxilofaciales. La incorporación del análisis de Bjórk-Jarabak resulta de suma utilidad para determinar las carac- teristicas del crecimiento en sus aspectos cualitati- vos y cuantitativos. Por ello, es nuestro método de elección para el estudio del crecimiento remanente. 4- Análisis de McNamara Utilizamos de este método cefalométrico sola- mente el análisis de la relación intermaxilar, donde se integran el problema vertical con el sagital, por lo que es útil para el estudio esqueletal del caso. Si bien la cefalometría lateral básica evalúa estos dos aspectos, el análisis de McNamara lo aborda de una manera muy simple, utilizando exclusivamente me- didas lineales que se interrelacionan. También realiza una evaluación superficial de las vías aéreas, que apota informanción en el estu- dio funcional del paciente. 201
  • 190.
    202 Cefalometría dentoesqueletal PUNTOS Algunosde estos puntos se encuentran en las estructuras anatómicas y otros, para su determina- ción, necesitan del trazado de algunos planos en cuya intersección se localizan. A los primeros los llamamos puntos anatómicos y a los segundos punios definidos por planos. Puntos craneales anatómicos (Fig. 10.1). • Nasion (Na): Punto anterior de la sutura frontonasal. • Basion (Ba): Punto posteroinferior del hueso occipital en el margen anterior del foramen magnum. • Porion (Pr): Punto más superior del orificio del conducto auditivo externo. • Orbitario (Or): Punto más inferior del reborde orbitario. • Pterigoideo (Pt): Intersección de las paredes posterior y supe- rior de la fisura pterigomaxilar.Allí se locali- za el agujero redondo mayor. Fig. 10.2. Puntos craneales definidos por planos • CF (Centro facial) (Fig. 10.2): Punto ubicado en la intersección del plano de Frankfort (Pr-Or) y la perpendicular a éste que pasa tangente a la pared posterior de la fisura pterigomaxilar (línea PTV). • CC (Centro del cráneo) (Fig. 10.3): Punto cefalométricoformado por la intersec- ción de la línea Ba-Na y Pt-Gn (eje facial). Ba Fig. 10.1. Fig. 10.3.
  • 191.
    Cefalometría lateral 203 PuntosmaxilarBS (todos los puntos maxilares son anatómicos) (Fig. 10.4). • Espina nasal anterior (ANS): Extremo anterior de la espina nasal anterior. • Espina nasal posterior (PNS): Extremo posterior de la espina nasal posterior. • Punto A: Punto más profundo de la curva del maxilar entre la espina nasal anterior y el borde del alvéolo dental. Fig. 10.4. Puntos mandibulares anatómicos (Fig. 10.5). • Pm (protuberancia rnenti o suprapogonion): Punto donde la curvatura del borde anterior de la sínfisis pasa de cóncava a convexa. • Pogonion (Po): Punto más anterior de la sínfisis en el plano medio sagital. • Mentoniano (Me): Punto más inferior del contorno de la sínfisis. Fig. 10.5.
  • 192.
    204 Cefalometría dentoesqueletal Puntosmandibulares definidos por pla- nos • Xi (Fig. 10.6 A, B y C): Es el punto localizado en el centro de la rama ascendente mandibular. Se ubica geométrica- mente con respecto al plano de Frankfort y la PTV de acuerdo al siguiente procedimiento: 1. Se trazan planos perpendiculares a Fr y PTV; que forman un rectángulo. 2. Estos planos deben ser tangentes a los puntos Rl - R2 - R3 y R4 que están ubicados en los bor- des anterior, posterior, superior e inferior de la rama. Pto Rl: Es el punto más profundo del borde anterior de la rama. Pto R2: Es la proyección horizontal (paralela a Fr) del punto Rl sobre el borde posterior de la rama. Pto R3: Localizado en la porción más inferior de la escotadura sigmoidea. Pto R4: Es la proyección vertical (perpendicular a Fr) del punto R3 sobre el borde inferior de la rama. 3. Se trazan las diagonales del paralelogramo for- mado. 4. En la intersección de estas diagonales se ubica el punto Xi. B Fig. 10.6.
  • 193.
    Cefalometría lateral 205 •De (Fig. 10.7): Punto cefalométrico que representa el centro del cóndilo sobre el plano Ba-Na. • Gnation (Gn) (Fig. 10.7): Punto formado por la intersección de la tan- gente al punto mentoniano y al punto más inferior de la rama (Plano mandibular) con el plano Na-Po (Plano facial). • Gonion (Go) (Fig. 10.7): Punto formado por la intersección del plano mandibular con una tangente al borde poste- rior de la rama. Fig. 10.7. (Fig. 10.8) (estos puntos son anatómicos) Al Incisivo: Borde incisal del incisivo superior. Ar Incisivo: Ápice radicular del incisivo superior. Bl Incisivo: Borde incisal del incisivo inferior. Br Incisivo: Ápice radicular del incisivo inferior. A6 Molar superior: Punto sobre el plano oclusal determinado por una perpendicular tangente a la cara dis- tal del primer molar superior. B6 Molar inferior: Punto sobre el plano oclusal determinado por una perpendicular tangente a la cara dis- tal del primer molar inferior. Fig. 10.8.
  • 194.
    206 Cefalometría dentoesqueletal Puntosdel tejido blando (son puntos anatómicos) (Fig. 10.9). • En (Nasal): Punto más anterior del tejido blando de la nariz. • Dt (Mentón): Punto más anterior del tejido blando del mentón. • UL (Labio superior): Punto más anterior del labio superior. • LL (Labio inferior): Punto más anterior del labio inferior. • Em (Comisura): Punto donde se encuentran el labio superior e inferior. Fig. 10.9. PLANOS Para quien realiza manualmente este cefalogra- ma, recomendamos respetar el siguiente orden en el trazado de los planos. La lógica de esta secuen- cia es sólo didáctica, porque contempla las dificul- tades del operador para trazar ciertos puntos como el Xi. Si éste se traza en los pasos iniciales, se evita que los demás planos del trazado provoquen algu- na confusión a quien no tiene suficiente entrena- miento. 1. Al concluir el calco de las estructuras anatómi- cas, se traza con la radiografía aún colocada sobre el negatoscopio, el plano oclusal funcio- nal, que por definición necesita de la visualiza- ción de todos o de algunos dientes del sector lateral. El plano oclusal funcional es la línea que pasa por el punto de contacto interoclusal más distal de los l.os molares y por el punto medio del over- bite de los caninos. En ausencia de éstos, a tra- vés del entrecruzamiento de los premolares; en casos de dentición mixta se deberán tener en cuenta los molares primarios. Este plano pasa próximo al punto Xi, constitu- yendo una bisectriz aproximada del ángulo de la altura facial inferior (Fig. 10.10). Es bastante paralelo al plano de Frankfort y al plano palatal. Su prolongación hacia adelante suele pasar 3 mm por debajo de la comisura. Fig. 10.10.
  • 195.
    Cefalometría lateral 207 2.Plano de Frankfort: Se traza desde el punto podón al punto orbitario. Es la línea horizontal básica de referencia en el trazado cefalométrico (Fig. 10.11). 3. Vertical pterlgoidea: Se construye trazando una línea perpendicular al plano de Frankfort tan- gente al borde posterior de la fisura pterigo- maxilar. La intersección de estos planos (punto Cf) es muy estable, es decir, el cambio en la ubi- cación de este punto como resultado del creci- miento es mínimo, por consiguiente, los traza- dos cefalométricos seriados de un paciente pueden superponerse en este punto para obte- ner un panorama general de su crecimiento (Fig. 10.12). 4. Punto Xi: Utilizando el plano de Frankfort y la PTV se traza el punto Xi como fue indicado an- teriormente (Fig. 10.13). Fig. 10.11. Fig. 10.12. Fig. 10.13.
  • 196.
    208 Cefalometría dentoesqueletal Fig.10.14. 5. Ba-Na: Este plano constituye el límite entre la cara y el cráneo. Es el mejor plano para evaluar el comportamiento del mentón. Constituye una referencia para el estudio de la posición, rota- ción y crecimiento mandibular (Fig. 10.14). 6. Planofacial: Une el punto Na con Po, y debe pro- longarse unos milímetros para facilitar su entre- cruzamiento con el plano mandibular. El ángulo que forma con el plano de Frankfort indica la posición del mentón en sentido sagital. Es de uti- lidad para definir el biotipo facial (Fig. 10.15). 7. Plano mandibular. Es una tangente al borde inferior mandibular que une el punto Me con el punto más inferior de la rama mandibular. Es una referencia que nos describe la morfología y/o posición mandibular. En la unión de su extremo anterior con el plano facial forma el punto gnation cefalométrico (Fig. 10.16). Fig. 10.15. Fig. 10.16.
  • 197.
    Cefalometría lateral 209 8.Eje facial: Se traza desde el punto Pt al Gn cefa- lométrico. Describe la dirección de crecimiento del mentón. En la cara promedio, forma un ángulo recto con el plano Ba-Na (Fig. 10.17). 9. Eje del cuerpo mandibular: Se determina trazan- do una línea desde Xi al punto Pm. Línea de referencia para evaluar los cambios de la denta- dura inferior, tamaño y morfología mandibular (Fig. 10.18). 10. Eje del cóndilo (Xi-Dc): Se utiliza este plano para describir la morfología de la mandíbula. En relación con el eje del cuerpo mandibular forma el ángulo llamado arco mandibular (Fig. 10.19). Fig. 10.17. Fig. 10.18. Fig. 10.19.
  • 198.
    210 Cefalometría dentoesqueletal 11.Xi-ANS.: Une ambos puntos. Con el eje del cuerpo de la mandíbula, forman el ángulo de la altura facial inferior (Fig. 10.20). 12. Plano A-Po: Relaciona las bases dentarias superior e inferior, por lo que se lo denomina también, plano de las dentaduras. Constituye la referencia más usada para determinar la posición de los dientes anteriores en sentido sagital. Se prolonga 20 mm aproximadamente por debajo del borde inferior mandibular para diferenciarlo del plano facial y facilitar de este modo las mediciones (Fig. 10.21). 13. Eje del incisivo superior: Une los puntos Al y Ar y se prolonga hasta el plano de Frankfort. Describe la inclinación del incisivo superior (Fig. 10.22). Fig. 10.20. Fig. 10.21. Fig. 10.22.
  • 199.
    Cefalometría lateral 211 14.Eje del incisivo inferior: Une los puntos Bl y Br. Se prolonga al igual que el plano A-Po más o menos 20 mm por debajo del plano mandi- bular, y por arriba hasta encontrar al eje del incisivo superior. Estas prolongaciones facili- tan también la toma de medidas (Fig. 10.23). 15. Plano estético: Se traza desde el punto En al punto Dt. Describe la armonía estética de los labios en relación a la nariz y el mentón (Fig. 10.24). 16. Na - A: Se estudia el ángulo que forma esta línea con el plano de Frankfort. Preferimos no trazarlo con la finalidad de evitar superposi- ción con otros planos que pueden confundir en la toma de mediciones (Fig. 10.25). Fig. 10.23. Fig. 10.24. Fig. 10.25.
  • 200.
    212 Cefalometría dentoesqueletal Fig.10.26. Los planos mencionados hasta aquí son losutili- zados en el trazado del cefalograma de Ricketts resumido. No obstante, el cefalograma completo utiliza mediciones que requieren el trazado o considera- ción de otros planos. Ellos son: CF-Na/CF-A (Fig. 10.26): Se utilizan para determinar la altura maxilar (factor 24). Plano palatal (ANS - PNS) (Fig. 10.27): Se utiliza para medir su inclinación con respecto a Frankfort (factor 25). CF - Go (Fig. 10.27): Para determinar la altura facial posterior (fac- tor 28). Xi-CF (Fig. 10.28): Para estudiar la posición de la rama mandibular. Útil en la predicción del patrón de Clase III (factor 29). Go Fig. 10.27. Fig. 10.28.
  • 201.
    Cefalometría lateral 213 MEDIDASE INTERPRETACIÓN DEL CEFALOGRAMA LATERAL COMPLETO DE RICKETTS 32 Factores agrupados en 6 campos 1. PROBLEMA DENTARIO 2. RELACIÓN MAXILOMANDIBULAR 3. DENTOESQUELETAL 4. PROBLEMA ESTÉTICO 5. RELACIÓN CRANEOFACIAL 6. ESTRUCTURAL INTERNO Campo I Problema dentario 1. Relación molar: Es la distancia entre las caras distales del primer molar superior y su homólogo inferior medida sobre el plano oclusal. Valor normal: Clase 1-3 mm. Clase II mayor de Omm. Clase III menos de-6 mm. D.S.: ± 3 mm. Interpretación: Define la clase molar. Un número negativo indica que la cara distal del molar inferior está ubicada en una posición mesial con respecto a la del molar superior. 2. Relación canina: Es la distancia existente entre el centro de lascús- pides de los caninos superior e inferior, medida al igual que la anterior sobre el plano oclusal. Valor normal: Clase I - 2 mm. Clase II +1 mm ymás. Clase III menos de -5 mm. CU Fig. 10.29. CU CIII cini Jj5=£=±S^V CIII CIIII D.S.: ± 3 mm. Fig. 10.30.
  • 202.
    214 Cefalometría dentoesqueletal Interpretación:Define la clase canina. Un número negativo indica que la cúspide del canino inferior está ubicada hacia mesial con respecto a la del su- perior. 3. Overjet incisivo: Es la distancia entre los bordes incisales superior e inferior medida a la altura del plano oclusal. Valor normal: 2,5 mm. D.S.: ± 2,5 mm. Interpretación: Describe la anomalía del sector anterior en sentido sagital (normal, borde a borde, positivo o negativo). Normal Positivo Negativo Fig. 10.31. Normal Aumentado Disminuido 4. Overbite incisivo: Es la distancia entre los bordes incisales inferior y superior. Se mide perpendicular al plano oclusal. Valor normal: 2,5 mm. D.S.: ± 2,0 mm. Interpretación: Define la oclusión del sector incisi- vo en el plano vertical (mordida normal, abierta, sobremordida profunda). Fig. 10.32. 5. Extrusión del incisivo inferior: Es la distancia entre el borde incisal del incisivo inferior y el plano oclusal. Valor normal: + 1,25 mm. D.S.:± 2,0 mm. Interpretación: La observación de esta medida nos dice si la alteración del overbite se debe al incisivo inferior, superior o a ambos. Normal Extruido Intruido Fig. 10.33.
  • 203.
    Cefalometría lateral 215 6.Ángulo interincisivo: Es el ángulo formado por los ejes de los incisivos centrales superior e inferior. Valor normal: 130° D.S.: ± 10° Interpretación: En los casos de protrusión dentaria este ángulo es menor. Ángulos de valores grandes corresponden generalmente a sobremordidas pro- fundas. En condiciones normales, en los biotipos dólicos este ángulo tiene medidas mayores que en los bra- quifaciales, esto se debe a la diferente conforma- ción estructural de ambos biotipos. Normal Aumentado Disminuido Fig. 10.34. Campo II Relación maxilomandibular 7. Convexidad: Es la distancia entre el punto A y el plano facial. Valor normal: 2 mm a la edad de 8^/2 años. Disminuye 0,2 mm por año. D.S.: ± 2 mm. Interpretación: Define el patrón esqueletal. Como es una medida relativa (relaciona punto A con pla- no facial), tiene dos variables: la posición del pun- to A y la posición del plano facial. Valores mayores que la norma definen un patrón de Clase II, medidas menores, un patrón de Clase III. Para un diagnóstico más profundo de la ano- malía habría que evaluar la posición del punto A y del Po independientemente, con las medidas de la profundidad maxilar y facial. La medida de la convexidad puede ser modificada por crecimiento o por efectos del tratamiento. Na Pto. Po Cl II CIIII Fig. 10.35.
  • 204.
    216 Cefalometría dentoesqueletal 8.Altura facial inferior: Ángulo formado por los planos Xi-ANS y Xi-Pm. Valor normal: 47°. Permanece constante con la edad. D.S.: ± 4° Interpretación: Valores altos corresponden a pa- trones dolicofaciales, además pueden indicar mor- dida abierta. Valores menores corresponden a un patrón braqui y a una sobremordida profunda. Debe ser tenido en cuenta para el diagnóstico dife- rencial de los patrones de Clase II esqueletal. Tam- bién es útil para el diagnóstico diferencial de las mordidas abiertas. ANS Pm Campo III Dentoesqueletal Fig. 10.36. 9. Posición del molar superior: Es la distancia desde la cara distal del primer molar superior permanente hasta la vertical pterigoidea (PTV), medida en forma perpendicular a esta últi- ma. Valor normal: Edad del paciente en años +3 mm. D.S.: ± 3 mm. Interpretación: La vertical pterigoidea indica el límite posterior del maxilar superior. Esta medida determina si la relación molar alterada es debida a la posición del molar superior o del inferior. Nos alerta también sobre la posibilidad de impactación de los terceros molares superiores y puede ayudar en la decisión de extracciones. PTV. Fig. 10.37.
  • 205.
    Cefalometría lateral 217 10.Protrusión del incisivo inferior: Es la distancia entre el borde incisal del incisivo inferior y el plano A-Po medida paralelamente al plano oclusal. Valor normal: +1 mm. D.S.: ± 2 mm. Interpretación: Indica el límite anterior de la ar- cada dentaria inferior. Define además la posición de esta arcada en relación a ambos maxilares. Es de suma importancia para la planificación del trata- miento. 11. Protrusión del incisivo superior: Es la distancia desde el borde incisal del incisivo su- perior al plano A-Po. Valor normal: + 3,5 mm. D.S.: ± 2 mm. Interpretación: Define la posición del incisivosupe- rior en relación a los maxilares. Es uno de los prin- cipales motivos de consulta y de indicación del tra- tamiento ortodóncico. Po Fig. 10.38. Po Fig. 10.39. 12. Inclinación del incisivo inferior: Es el ángulo formado por el eje del incisivo infe- rior y el plano A-Po. Valor normal: 22° D.S.: ± 4° Interpretación: Esta medida está relacionada con la estabilidad del incisivo inferior. Nos indica las limi- taciones del tratamiento en lo referente al cambio de posición de este diente Fig. 10.40.
  • 206.
    218 Cefalometría dentoesqueletal 13.Inclinacióndel incisivo superior: Es el ángulo formado por el eje del incisivo supe- rior y el plano A-Po. Valor normal: 28° D.S.: ± 4° Interpretación: Indica la inclinación del incisivo superior con respecto al plano A-Po. En nuestra práctica clínica el parámetro que tenemos en cuen- ta en lo referente a estabilidad de este incisivo, es su paralelismo con el eje facial (se aconseja una posición 5° más vertical que el eje facial). 14. Plano oclusal a la rama mandibular: Es la distancia entre el plano oclusal y el centro de la rama mandibular (Xi). Una cifra positiva indica que el plano oclusal está hacia arriba del punto Xi, una cifra negativa indica que el plano oclusal está por debajo de Xi. Valor normal: O mm a la edad de 91/2 años. El plano oclusal desciende 0,5 mm por año respec- to del punto Xi. D.S.: ± 3 mm. Interpretación: Un plano oclusal alto en relación al punto Xi nos indica extrusión de molares inferio- res. A la inversa,un plano oclusal descendido, indi- ca extrusión de los molares superiores. 15. Inclinación del plano oclusal: Es el ángulo formado por el eje del cuerpo y el pla- no oclusal. Valor normal: 22° a la edad de 8 años. Aumenta 0,5° por año. D.S.: ± 4° Interpretación: Mediante las dos medidas prece- dentes, podemos localizar el plano oclusal en re- lación a la mandíbula. Po Fig. 10.41. Fig. 10.42. Fig. 10.43.
  • 207.
    Cefalometría lateral 219 CampoIV Problema estético (Relación labial) 16. Protrusión labial: Es la distancia desde la parte más anterior del labio inferior al plano estético. Valor normal: - 2 mm a la edad de 8^2 años y disminuye 0,2° mm por año. D.S.: ± 2 mm. Interpretación: Indica la relación entre los labios por una parte y la nariz y el mentón por la otra. El labio inferior se apoya sobre la cara vestibular del incisivo. Por lo tanto, la protrusión de este diente, producirá un labio inferiorprotrusivo. Valores negativos indican que el labio está por detrás del plano E. 17. Longitud del labio superior: Es la distancia entre la espina nasal anterior (ANS) y el stomion superior. Valor normal: 24 mm para la medida promedio de un paciente de 8^/2 años de edad. D.S.: ± 2 mm. Interpretación: Es útil para estudiar la causa de una sonrisa gingivalo una insuficienteexposición de los incisivos superiores. Un labio corto, puede ser la causa de una muscula- tura perilabial contracturada. Fig. 10.44. sup. 18. Comisura labial - Plano oclusal: Es la distancia entre la comisura de los labios y el plano oclusal. Valor normal: -3,5 mm a los 8^/2 años. Se eleva 0,1 mm por año. Los valores negativos indican que el plano oclusal está debajo de la comisura labial. Fig. 10.45.
  • 208.
    220 Cefalometría dentoesqueletal Interpretación:Un plano más bajo indica general- mente un labio superior corto y una sonrisa gingi- val.Cuando la distancia se inclina hacia cero o valo- res positivos significa que el plano oclusal está ubicado hacia arriba o el labio superior es largo. Esta medida debe ser tenida en cuenta cuando construimos el VTO, para realizar las modificacio- nes necesarias en el plano, y llevarlo a medidas que permitan lograr una estética correcta en la relación labio-incisal. Fig. 10.46. Campo V Relación craneofacial 19. Profundidad facial: Es el ángulo formado por el plano facial y el plano de Frankfort (ángulo facial de Downs). Valor normal: 87° a los 9 años. Aumenta 0,33° por año. D.S.: ± 3° Interpretación: Localiza el mentón en sentido sagi- tal. Determina si la Clase II o Clase III esqueletal se deben a la mandíbula. Es útil estudiar esta medi- da en conjunto con la convexidad facial, la profun- didad maxilar y la altura facial inferior para com- pletar el diagnóstico esqueletal. 20. Eje facial: Es el ángulo formado por el eje facial y el plano basion-nasion. Valor normal: 90° D.S.: ± 3° Interpretación: Indica la dirección del crecimiento del mentón. Es de importancia en la determinación del biotipo facial. Pl. Fr. Fig. 10.47. Ba Fig. 10.48.
  • 209.
    Cefalometría lateral 221 21.Cono facial: Ángulo formado por el plano facial y por el plano mandibular. Valor normal: 68° D.S.: ± 3,5° Interpretación: Los valores altos se observan en los patrones braquifaciales. Valores menores que la norma corresponden a biotipos dólicos. 22. Ángulo del plano mandibular: Está formado por el plano mandibular y el plano horizontal de Frankort. Valor normal: 26° a los 9 años. Disminuye 0,3° por año. D.S.: ± 4° Interpretación: Valores bajos corresponden a los pacientes braquifaciales, con mandíbula cuadrada. Un valor alto corresponde a un biotipo dolicofacial, y está indicando una morfología mandibular con ángulo muy obtuso, una implantación mandibular rotada en el sentido de las agujas del reloj o a una combinación de ambas cosas. Na Fig. 10.49. Fig. 10.50. 23. Profundidad maxilar: Es el ángulo formadopor el plano de Frankforty la línea Na-A. Valor normal: 90° D.S.: ± 3° Interpretación: Indica la posición del maxilar supe- rior en sentido sagital. Útil para hacer el diagnósti- co de Clase II o III esqueletal en conjunto con la convexidad, la profundidad facial y la altura facial inferior. Valores altos se presentan muchas veces como secuela de succión del pulgar. Pl. Fr. Fig. 10.51.
  • 210.
    222 Cefalometría dentoesqueletal 24.Altura maxilar: Es el ángulo formado por los puntos Na, CF (la intersección del plano de Frankfort y PTV) y el punto A. Valor normal: 53°. Aumenta 0,4° por año. Interpretación: Indica la posición del maxilar su- perior en el plano vertical. Al igual que el plano mandibular, es útil para el diagnóstico de las mor- didas abiertas esqueletales. En este caso el ángulo tendrá valores bajos. 25. Plano palatal: Es el ángulo formado por el plano de Frankfort y el plano palatal (ANS - PNS). Valor normal: 1° D.S.: ± 3,5° Interpretación: Indica la inclinación del plano pala- tal. Un valor positivo indica una inclinación desde atrás y abajo hacia adelante y arriba y se asocia gene- ralmente a los patrones esqueletales de Clase III. Na Fig. 10.52. Pl. Fr. Campo VI Estructural interno Fig. 10.53. 26. Deflexión craneal: Es el ángulo formado por el plano Na-Ba y el plano de Frankfort. Valor normal: 27° D.S.: ± 3° Interpretación: Un ángulo alto indica una posición adelantada de la cavidad glenoidea, por lo tanto, una implantación adelantada de la mandíbula. Útil para la predicción de patrones de crecimiento de Clase III. Fig. 10.54.
  • 211.
    Cefalometría lateral 223 27.Longitud craneal anterior: Es la distancia entre el punto CC y Na. Valor normal: 55 mm para un paciente de medida promedio a la edad de 8^/2 años. Debe ser corregido según la edad del paciente; aumenta 0,8 mm por año. D.S.: ± 2,5 mm. Interpretación: Nos dice si el patrón esqueletal de Clase II es debido a una base craneal anterior lar- ga o si el patrón de Clase III tiene su origen en una corta. Fig. 10.55. 28. Altura facial posterior: Es la distancia entre el gonion y el punto CF. Valor normal: 55 mm para un paciente de medida promedio a la edad de 8V2 años. Debe ser corregido según la edad del paciente. Aumenta 1mm por año. D.S.: ± 3,3 mm. Interpretación: Indica la altura de la rama. Ramas cortas corresponden a patrones dolicofaciales con un crecimiento rotacional posterior de la mandíbu- la. Por el contrario, valores mayores indican ra- mas largas, pertenecientes a patrones braquifacia- les y crecimiento de la mandíbula hacia adelante. Go Fig. 10.56. 29. Posición de la rama: Es el ángulo formado por la PTV y el plano CF-Xi. Valor normal: 76° D.S.: ± 3° Interpretación: Los patrones de Clase II pueden deberse a la localización posterior de la rama (ángulo pequeño), los de la Clase III pueden ser causados por la posición avanzada de la rama (ángulo grande). La posición avanzada está asocia- da con patrones de Clase III latente, siendo útil para su detección. PTV! Fig. 10.57.
  • 212.
    224 Cefalometría dentoesqueletal 30.Localización del porion Es la distancia entre el porion y PTV. Valor normal: - 39mm para pacientes normales a la edad de 9 años. Debe ser corregido según la edad (0,8 mm por año). Se usa signo negativo para indicar un porion distal a PTV. D.S.: ± 2,2 mm. Interpretación: Esta medida indica la posición de la cavidad glenoidea y por lo tanto el lugar de im- plantación del cóndilo mandibular. Una localiza- ción adelantada del porion está asociada con un crecimiento latente de Clase III. También se lo uti- liza para la detección precoz de esta anomalía. PTV Fig. 10.58. 31. Arco mandibular: Es el ángulo formado entre el eje del cuerpo y el eje condilar. Valor normal: 26° a la edad de 8l/2 años. Aumenta 0,5° por año. D.S.-: ± 4° Interpretación: Es un indicador de las características musculares del paciente. Ángulos grandes corres- ponden a mandíbulas cuadradas, mordidas profun- das y patrones braquifaciales. Ángulos de bajo valor indican mordidas abiertas, patrones dolicofaciales y débil musculatura. Fig. 10.59. 32. Longitud del cuerpo: Es la medida del eje del cuerpo mandibular (Xi- Pm) prolongado hasta el plano A-Po. (Suele to- marse erróneamente hasta Pm.) Valor normal: 65 mm para un paciente normal de 8^/2 años de edad. Aumenta 1,6 mm por año y debe corregirse de acuerdo con la edad del paciente. D.S.>: ± 2,7 mm. Interpretación: Evalúa la longitud del cuerpo man- dibular y es útil en el diagnóstico diferencial del prognatismo o retrognatismo mandibular. Fig. 10.60.
  • 213.
    Cefalometría lateral 225 ANÁLISISLATERAL DE RICKETTS - 32 FACTORES CAMPO 1 - PROBLEMA DENTARIO 1 2 3 4 5 6 - Relación molar - Relación canina - Overjet incisivo - Overbite incisivo - Extrusión incisivo inferior - Ángulo interincisivo Valor normal 81/2 años - 9 años - 3 mm ± 3 mm - 2 mm ± 3 mm 2,5 mm ± 2,5 mm 2,5 mm ± 2 mm + 1,25 mm ± 2 mm 130° ± 10° CAMPO II - MAXILOMANDIBULAR 7 - Convexidad 2 mm + 2 mm 8 - Altura facial inferior 47° ± 4° CAMPO III - DENTOESQUELETAL 9- 10- 11 - 12- 13- 14- 15- Posición molar superior Protrusión incisivo inferior Protrusión incisivo superior Inclinación incisivo inferior Inclinación incisivo superior Plano oclusal a rama mandibular Inclinación plano oclusal Edad + 3 mm ± 3 mm + 1 mm ± 2 mm + 3,5 mm ± 2 mm 22° ± 4° 28° ± 4° 0 mm ± 3 mm 22° ± 4° CAMPO IV - PROBLEMA ESTÉTICO 16 - Protrusión labial 17 - Longitud labio superior 18 - Comisura labial - Plano oclusal - 2 mm ± 2 mm 24 mm ± 2 mm - 3,5 mm CAMPO V - RELACIÓN CRANEOFACIAL 19 - Profundidad facial 20 - Eje facial 21 - Cono facial 22 - Ángulo plano mandibular 23 - Profundidad maxilar 24 - Altura maxilar 25 - Plano palatal 87° ± 3° 90° ± 3° 68° ± 3,5° 26° ± 4° 90° ± 3° 53° ± 3° 1°±3,5° CAMPO VI - ESTRUCTURAL INTERNO 26 - Deflexión craneal 27 - Longitud craneal anterior 28 - Altura facial posterior 29 - Posición de la rama 30 - Localización del porion 31 -Arco mandibular 32 - Longitud cuerpo mandibular 27° ± 3° 55 mm ± 2,5 mm 55 mm ± 3 mm 76° ± 3° - 39 mm+ 2 mm 26° ± 4° 65 mm ± 2,7 mm
  • 214.
    226 Cefalometría dentoesqueletal ANÁLISISi COMPLETO: I. PROBLEMA DENTARIO - RELACIÓN MOLAR - RELACIÓN CANINA - OVERJET INCISIVO - OVERBITE INCISIVO - EXTRUSIÓN INCISIVO INFERIOR -ÁNGULO INTERINCISIVO II. RELACIÓN MAXILOMANDIBULAR -CONVEXIDAD ~*^ -ALTURA FACIAL INFERIOR -*— III. DENTOESQUELETAL - POSICIÓN DEL MOLAR SUPERIOR - PROTRUSIÓN DEL INCISIVO INFERIOR - PROTRUSIÓN DEL INCISIVO SUPERIOR - INCLINACIÓN DEL INCISIVO INFERIOR - INCLINACIÓN DEL INCISIVO SUPERIOR - PL. OCLUSAL A LA RAMA MANDIBULAR - INCLINACIÓN DEL PLANO OCLUSAL IV. PROBLEMA ESTÉTICO - PROTRUSIÓN LABIAL-» - LONGITUD DEL LABIO SUPERIOR - COMISURA LABIAL - PLANO OCLUSAL V. RELACIÓN CRANEOFACIAL - PROFUNDIDAD FACIAL ~* -EJE FACÍALA - CONO FACIAL - ÁNGULO DEL PLANO MANDIBULAR - PROFUNDIDAD MAXILAR^*^ -ALTURA MAXILAR - PLANO PALATAL VI. ESTRUCTURAL INTERNO - DEFLEXIÓN CRANEAL - LONGITUD CRANEAL ANTERIOR - ALTURA FACIAL POSTERIOR - POSICIÓN DE LA RAMA - LOCALIZACIÓN DEL PORION -ARCO MANDIBULAR -< J CEFALOGRAMA BÁSICO FACTORES AGREGADOS - DISTANCIA A-B. - INCISIVO INF. - PLANO MANDIBULAR. - INCISIVO SUPERIOR - PLANO BA-NA. - EXPOSICIÓN DEL INCISIVO SUP. - ÁNGULO NASOLABIAL INFERIOR. - LONGITUD DEL CUERPO MANDIBULAR
  • 215.
    Cefalometría lateral 227 ANÁLISISCEFALOMETRICO LATERAL BÁSICO Clase esqueletal 01 - Convexidad facial 02 - Distancia A-B Normal +2 ± 2 mm +4 ± 2 mm Maxilar inferior 03 04 05 06 07 - Eje facial - Prof. facial -Ang. plano mandibular - Altura facial inferior -Arco mandibular Normal 90° ± 3° 87° ± 3° 26° ± 4° 47° ± 4° 26° ± 4° Maxilar superior 08 - Profundidad maxilar Normal 90° ± 3° Fig 10.61: Cefalograma lateral básico. Dientes 09 10 11 12 - 1 - A-Po - 1 - Plano Oclusal - 1 - Plano Mandibular -1- Plano BaNa Normal +1 ± 2 mm +1 ± 1 mm 90° ± 5° // E. Fac. -5° Estética 13 14 15 - Exposición del 1_ - Labio inf.- Plano E - Ángulo nasolabial Inf. Normal +2.5 a +3 mm -2 ± 2 mm 85° ± 5°
  • 216.
    228 Cefalometría dentoesqueletal ANÁLISISCEFALOMÉTRICO LATERAL BÁSICO Llamamos Análisis Cefalométrico Lateral Bási- co al que utilizamos de rutina en nuestra práctica clínica. Está basado en el Cefalograma Resumido de Ricketts, al que le hemos realizado algunas modificaciones, eliminando algunos factores y agregando otros, pertenecientes al cefalograma completo o a otros cefalogramas. Analiza las siguientes áreas: Clase esqueletal Maxilar inferior Maxilar superior Dientes Estética Con las medidas inherentes al maxilar inferior se determina el biotipo facial, cuya definición apor- ta datos acerca de la dirección de crecimiento y la respuesta del paciente a la mecánica ortodóncica. Estos datos son de suma importancia a la hora de hacer laplanificación. Cuando los datos proporcionados por este cefa- lograma sean insuficientes, o se requiera una eva- luación de otro aspecto, como puede ser un estudio estético profundo, o del potencial del crecimiento del paciente, completaremos el estudio con otras medidas del cefalograma completo u otros análisis. 1- Clase Esqueletal • Convexidad facial • Distancia A-B* 2- Maxilar inferior (Biotipo Facial) • Eje facial • Profundidad facial • Ángulo del plano mandibular • Altura facial inferior • Arco mandibular 3- Maxilar Superior • Profundidad maxilar 4- Dientes • Incisivo inferior a A- Po • Incisivo inferior - plano oclusal • Incisivo inferior - plano mandibular * • Incisivo superior- plano Ba-Na * 5- Estética • Exposición del incisivo superior * • Labio inferior - plano E • Ángulo nasolabial inferior * *Los factores señalados con asterisco son las medidas cefalométricas complementarias agrega- das al cefalograma resumido y no pertenecen a Ric- ketts. Clase Esqueletal 1- Convexidad facial: Es el factor número 7 del cefalograma completo (campo II). Es la distancia en milímetros medida desde el punto A al plano facial (Na-Po). La norma clínica es +2 mm a los 9 años con una desviación clínica de ± 2 mm. Como en la mayoría de los casos la mandíbula crece hacia adelante más que el maxilar, esta medi- da disminuyecon la edad 0,2 mm por año en la cara promedio (Fig. 10.64). Debido a que el crecimiento en los braquifaciales proyecta el mentón más hacia adelante, esta disminución de la convexidad será en ellos mayor que 0,2 mm por año. En los dolicofaciales, por el contrario, debido al crecimiento vertical de la sínfisis se producirá una menor disminución de la convexidad, pudiendo lle- gar en patrones dólicos severos a mantenerse sin variación hasta la edad adulta. Esta medida descri- be la relación de ambos maxilares en sentido sagi- tal (Fig. 10.62). Una convexidad mayor que la norma indica un patrón esqueletal de Clase II, una convexidad negativa, por el contrario, un patrón de Clase III. La alteración de esta medida, nos habla solamente de una mala relación entre losmaxilares, sin aclararnos cuál es el responsable del problema ya que una convexidad aumentada puede deberse a:
  • 217.
    Cefalometría lateral 229 AB C Fig 10.62: La medida de la convexidad define el patrón esqueletal. A: Clase I, convexidad normal. B: Clase II, convexi- dad aumentada. C: Clase III, convexidad disminuida. a) Una retrusión mandibular con un maxilar superior normal. b) Una mandíbula normal y un maxilar protrui- do. c) Una combinación de A y B. d) Una birretrusión esqueletal pero de mayor grado en la mandíbula. e) Una biprotrusión pero mayor en el maxilar. Por ello, se hace necesario el estudio de la pro- fundidad facial y de la profundidad maxilar para conocer la verdadera situación del punto A y del Po en el plano sagital (Fig. 10.63). La convexidad facial también puede ser modifi- cada por el tratamiento ortopédico u ortodóncico por cambios a nivel del punto A o por la apertura o cierre del eje facial, como será explicado en la sec- ción planificación del tratamiento. Fig 10.63: Una alteración en la medida de la convexidad requiere el diagnóstico diferencial entre la profundidad facial y maxilar.
  • 218.
    230 Cefalometría dentoesqueletal 76° ADOLICO B MESO 90C C BRAQUI 96° Fig. 10.64: Cambio de la convexidad con el crecimiento. En estos ejemplos, se ha medido a los 8 y 16 años. En el pa- ciente A, dolicofacial, la convexidad se mantiene en el mismo valor. En el paciente B, mesofacial, ha disminuido 2 mm. En el paciente C, braquifacial, la disminución fue mayor (4 mm).
  • 219.
    Cefalometría lateral 231 2-Distancia A-B Es la distancia medida en milímetros entre la proyección perpendicular de los puntos A y B so- bre el plano de Frankfort (Fig 10.65). Define con claridad la relación sagital entre las bases alveolares superior e inferior. La norma para esta medida es de 4mm con una desviación de + - 2mm. Es un complemento a la medida de la convexi- dad. Como ya hemos visto, esta última utiliza como referencia al plano facial, que se apoya en estructu- ras distantes del campo dentoalveolar (base crane- al y sínfisis). Estas estructuras pueden sufrir variaciones posi- cionales y/o morfológicas que algunas veces enmas- caran el problema sagital real de las bases apicales induciendo a errores de diagnóstico (Fig 10.66 y 10.67) Po Fig 10.65: Distancia A-B Fig 10.66 A: Una diferente proyección anterior del nasion hace variar el valor de la convexidad. Un punto Na más ade- lantado tiende a disminuir su medida. B: La variable anatomía de la sínfisis incide en la lectura de la convexidad. Un pogo- nion más prominente tiende a disminuirla.
  • 220.
    232 Cefalometría dentoesqueletal +4,5 mm Fig 10.67: Paciente con una convexidad negativa que podría interpretarse como una Clase III esqueletal. Sin embargo la distancia A-B es de 4,5 mm, de Clase I. La convexidad se encuentra disminuida por un pogonion pro- minente y una base craneal anterior larga. Maxilar inferior: Comprende 5 medidas que además de definir forma, tamaño y posición mandibular y la relación intermaxilar vertical, son útiles para la obtención del biotipo facial del paciente (Fig. 10.68). 3- Eje facial: Es el factor número 20 del cefalogramacomple- to. Es el ángulo formado por la intersección del plano Ba-Na con la línea Pt-Gn. Se mide el ángulo posterior. La norma clínica es de 90° ± 3°. El eje facial expresa la dirección de crecimiento del mentón y no cambia prácticamente con la edad en los casos de crecimiento normal, por lo tanto, si hubiera un cambio significativo éste debe ser atri- buido al tratamiento. Su valor depende tanto de la forma mandibular como de la posición de ésta en el complejo cráneo- facial. Cuando la medida es menor de 90°(o sea ángu- lo más cerrado que la norma), se habla de un "eje facial abierto", y se corresponde con un biotipo dólico. Al medirse como ya se dijo el ángulo poste- rior, la expresión "apertura" está referida a una apertura de la mordida y descenso del mentón. Fig 10.68: 1- Eje facial. 2- Profundidad facial. 3- Ángulo del plano mandibular. 4-Altura facial inferior. 5-Arco man- dibular. Los cinco primeros factores estudian forma, tama- ño y posición mandibular y definen el biotipo facial del paciente.
  • 221.
    Cefalometría lateral 233 Porel contrario, "eje facial cerrado" significa que el ángulo aumenta su valor. A diferencia de la apertura, está describiendo un cierre de la mordida, un ascenso del mentón. Corresponde a un patrón braquifacial (Fig. 10.69). También se utiliza la expresión "abrir o cerrar" el eje cuando, partiendo de cualquier medida del ángulo, ésta disminuya o aumente respectivamente. Por ejemplo, decir que un eje "se abrió" con el tratamiento, implica que al finalizar éste, el valor del ángulo es menor que en la cefalometría inicial. Un ángulo mayor de 90°indica que la dirección de crecimiento será más hacia adelante. Cuando es menor de esa medida, se habla de un crecimiento de dirección más vertical. Pueden existir factores funcionales o patológi- cos capaces de modificarlo, pero esto se considera fuera de los parámetros de crecimiento normal. En cuanto a su longitud (medido de Pt a gna- tion) estadísticamente aumenta 2,5 mm por año. Modificación del eje facial con el tratamiento a) Apertura: Las maniobras mecánicas que abren el eje facial son las siguientes: • Distalamiento de molares • Extrusión de los dientes del sector posterior b) Cierre: El eje facial puede cerrarse mediante: • Intrusión de los molares • Mesialización de los sectores posteriores En la sección de Planificación del tratamiento se analizarán estos conceptos con mayor profundidad. 4- Profundidad facial: Es el factor número 19del cefalograma completo. Es el ángulo formado por la intersección del pla- no facial y el plano de Frankfort. Indica la posición del Po en el plano sagital. Norma clínica: 87° ± 3°. Este ángulo aumenta con el crecimiento 1° cada 3 años. El cambio con la edad se debe a la diferen- te magnitud de crecimiento de la base craneal ante- rior en comparación con el del cuerpo mandibular. La primera crece 0,8mm por año (medida desde CC a Na), mientras que el cuerpo mandibular (Xi- Pm) lo hace 1,6 mm por año. Por lo tanto, en el n Fig 10.69: Eje facial "abierto"'en un biotipo dolicofacial y "cerrado" en un braquifacial. Fig 10.70: La norma para la profundidad facial a los 81/2 - 9 años es de 87°. Por crecimiento diferencial esta norma en la edad adulta será de 90°.
  • 222.
    234 Cefalometría dentoesqueletal O" Fig10.71: La profundidad facial aumentada, indica una posición adelantada del Po, característica braquifacial. Su dis- minución implica una retrusión, que se asocia a un patrón dolicofacial. adulto, la norma es de aproximadamente 90° (Fig. 10.70). Medidas inferiores a la norma indican un bioti- po dolicofacial. Medidas mayores corresponden a un patrón braquifacial (Fig. 10.71). 5- Ángulo del plano mandibular: Es el factor número 22 del cefalograma completo. Es el ángulo formado por la tangente al borde inferior de la mandíbula y el plano horizontal de Frankfort. La norma es 26° ± 4°. Indica la inclina- ción del cuerpo mandibular. Su valor depende de la forma y de la posición mandibular en el complejo craneofacial. Cuando este ángulo es mayor que la norma, estamos en presencia de un paciente doli- cofacial con musculatura débil y tendencia a la mordida abierta. Los tipos braquifaciales con mus- culatura potente y mordida profunda, tienen valo- res menores (Fig. 10.72). Esta medida disminuye1° cada tres años hasta la edad adulta, como resultado del crecimiento arquial de la mandíbula (Fig. 10.75 A y B). Fig 10.72: Relación del ángulo del plano mandibular con el biotipo facial, ángulo mayor que la norma en un dolico y disminuido en un braqui.
  • 223.
    Cefalometría lateral 235 6-Altura facial inferior: Esta medida es el factor número 8 del cefalo- grama de 32factores. Es el ángulo que forma la línea Xi-ANS (espina nasal anterior) con el eje del cuerpo mandibular (Xi-Pm). La norma es de 47°con una desviación clí- nica de ± 4°. Es una medida gnómica, por lo tanto no cambia con la edad. Variaciones en su valor deben atribuirse al tra- tamiento. Todas aquellas maniobras que tienden a abrir el eje facial harán lo mismo con la altura facial inferior y viceversa. Un ángulo mayor que la norma, indica diver- gencia entre la mandíbula y el maxilar superior. Corresponde a un patrón dolicofacial con muscula- tura débil y tendencia a mordida abierta esqueletal. A la inversa, valores menores indican patrones braquifaciales, con musculatura fuerte, y general- mente con sobremordida profunda (Fig. 10.73). Fig 10.73: Altura facial inferior en un patrón dolico y bra- qui. 7- Arco mandibular: Es el factor número 31 del cefalogramacomple- to. Es el único factor del campo VI (estructural interno) que se incorpora al cefalogramaresumido. Está formado por la intersección del eje condi- lar (Dc-Xi) con la prolongación distal del eje del cuerpo mandibular (Xi-Pm). Describe la forma de la mandíbula. Un ángulo grande indica una mandíbula fuerte y cuadrada, característica del patrón braquifacial. Un ángulo menor representa una mandíbula con rama corta, forma obtusa y un patrón de crecimiento vertical (dolicofacial) (Fig. 10.74). La norma es 26°± 4°,aumenta 0,5° por año. Este aumento debe atribuirse a un leve cambio en la morfología mandibular como consecuencia del cre- cimiento arquial (Fig. 10.75 A y B). Fig 10.74: Arco mandibular aumentado en una mandíbu- la braqui, y disminuido en una dolicofacial.
  • 224.
    236 Cefalometría dentoesqueletal Fig10.75 A y B: El crecimiento mandibular hace variar el arco y el ángulo del plano mandibular, desviando sus medidas hacia patrones más braquifaciales. Maxilar superior Esta medida, junto con la convexidad y la pro- fundidad facial, completan el análisis del patrón esqueletal en sentido sagital 8- Profundidad maxilar: Es el factor 23 del campo V. Es el ángulo formado por el plano de Frankfort y la línea Na-A. Tiene una norma clínica de 90°±3°. Indica la localización del maxilar superior en sentido anteroposterior, valores superiores expre- san una protrusión esqueletal del maxilar. Un ángulo menor de 90°, por el contrario, nos habla de una retrusión esqueletal del maxilar superior (Fig. 10.76). Esta medida no varía con el crecimiento normal. Un cambio, sólo puede deberse a la mecá- nica del tratamiento o estar asociada a un hábito como succión del pulgar, etc. Fig 10.76: Profundidad maxilar normal, disminuida y aumentada.
  • 225.
    Cefalometría lateral 237 Dientes: Estaárea define las posiciones de los incisivos superiores e inferiores en el plano vertical, sagital, y su inclinación. 9- Incisivo inferior a A - Po: Es el factor número 10 del campo III (dento- esqueletal). Es la distancia desde el punto incisivoinferior al plano A-Po, medida perpendicularmente a este plano. Describe la posición del incisivo inferior en el plano sagital Tiene una norma clínica de + 1mm con una des- viación estándar de ± 2 mm y permanece constante con la edad. Es una medida clave para el estudio de la arcada inferior (Fig 10.77). D. C. - D. C. + Fig 10.77: La posición sagital del punto incisivo inferior define la discrepancia cefalométrica, que será negativa cuando el incisivo se encuentre por delante de la norma, y positiva cuando esté por detrás. Normal Extruido Intruido 10- Incisivo inferior al plano oclusal: Factor número 5 del campo I, (dentario). Este factor es llamado también extrusión del incisivo inferior. Es la distancia entre el borde inci- sal del incisivo inferior y el plano oclusal. Tiene una norma de +1,25 mm con una DS de ±2 mm. Es una medida de suma utilidad para el análisis de la sobremordida o de la mordida abierta dentaria. Mediante su observación se determina fácilmente el responsable de un overbite anormal. Al evaluar la posición del incisivo inferior con respecto al plano oclusal, es importante observar previamente la posición de este plano en su parte anterior. Debe pasar 3 mm por debajo de la comi- sura labial. En los casos en que el plano oclusal esté ubica- do a una distancia significativamente mayor o menor, la planificación de la posición del incisivo inferior requerirá la "normalización" de este plano para armonizar la relación de los dientes anteriores con el labio superior (Fig. 10.78). Fig 10.78 A: Posición del 1 con respecto al plano oclusal B: Incisivos ubicados correctamente en relación a un plano oclusal bajo (aumento de la distancia plano oclusal - comisura labial) tienen un exceso de exposición del incisi- vo superior.
  • 226.
    238 Cefalometría dentoesqueletal 11-Incisivo inferior al plano mandibular: Esta medida, también llamada por Tweed IMPA, es una guía a tener en cuenta para planificar el avance o retroceso del grupo incisivo inferior. La estrecha forma del reborde alveolar inferior en esta zona y la proximidad de las corticales vestibular y lingual con las raíces dentarias, obran a modo de "corsé" sobre ellas, permitiendo solamente un mo- vimiento ortodóncico de inclinación. En la varia- ción que provocará sobre este ángulo la protrusión o la retrusión, se podrá encontrar el límite a estos desplazamientos con la finalidad de evitar llevarlos a posiciones deventajosas, en las que estarán some- tidos a fuerzas oclusales tangenciales. La norma es de 90a +- 5a. Debemos tener en cuenta que en el movimien- to del incisivo, 1mm hacia adelante o hacia atrás el modifica el ángulo en +2° y en -2° respectivamente (Fig. 10.79). Fig 10.79: Inclinación del incisivo inferior, medida con res- pecto al plano mandibular. 12- Incisivo superior al plano Ba-Na Este factor permite analizar el grado de parale- lismo existente entre el eje del incisivo superior y el eje facial. Estadísticamente se comprobó que la inclina- ción ideal del incisivo superior, corresponde a una angulación de su eje 5 ° más vertical que el eje facial. En realidad este ángulo no tiene una norma fija en grados debido a la variabilidad de la relación del eje facial con el plano Ba-Na en los distintos bioti- pos. La norma se individualiza para cada paciente restándole 5° al ángulo del eje facial. Al igual que el factor anteriormente descrito, indica la situación de estabilidad o no a la que nues- tro tratamiento puede llevar al grupo incisivo supe- rior. También es un indicador del torque necesario para llegar o aproximarnos a esa situación de para- lelismo mencionada (Fig. 10.80). Fig 10.80: Inclinación del incisivo superior, medida con respecto al eje facial.
  • 227.
    Cefalometría lateral 239 Estética: Enlos cefalogramas convencionales, la estética del perfil está considerada de manera muy superfi- cial. Si bien no es precisamente un cefalograma dentoesqueletal el medio que utilizaremos para estudiar la estética, porque para ello existen los cefalogramas específicos de tejidos blandos, es importante que el análisis de rutina del caso estudie aquellas áreas del tercio inferior de la cara que podrán ser influenciadas por el tratamiento orto- dóncico. 13- Exposición del incisivo superior Es la medida que existe entre el borde incisal del incisivo superior y el borde libre del labio superior. La norma es de 2.5 a 4 mm, dentro de esta norma, los pacientes más jóvenes deben tener una exposición mayor. Para medirlo en el calco radiográfico, es conve- niente utilizar una radiografía con labios en reposo. Si el paciente tiene un cierre labial forzado, puede haber algún efecto en el labio superior que distor- sione dicha medida. Los movimientos de intrusión o extrusiónde los incisivos superiores modifican su exposición, y hay que tener en cuenta que éste es un factor muy importante en la estética, inclusive en lo gestual (Fig. 10.81). 14- Labio inferior - plano E : Factor número 16, del campo IV (estético). Es la distancia desde el labio inferior al plano E (punta de la nariz a la parte más anterior del men- tón blando). Norma clínica: -2 mm a los 8 1/2 años. Disminuye 0,2 mm por año. Desviación estándar: + 2 mm. Es muy importante para determinar el equili- brio entre los elementos del perfil (labios, nariz y mentón). Los cambios en esta medida se deberán no sólo al movimiento de los dientes anteriores sino también al crecimiento de las estructuras que se utilizan para trazar el plano estético (Fig. 10.82). Fig 10.81: Exposición del incisivo superior. 13 Fig 10.82: El factor número 14 evalúa la protrusión labial.
  • 228.
    240 Cefalometría dentoesqueletal 15-Ángulo nasolabial inferior Está formado por una línea paralela a la H.V. que pasa por el punto Sn blando y una línea que partiendo de este mismo punto es tangente al punto más anterior del labio superior. La norma para este ángulo es de 85° +-5°. Un ángulo menor indica protrusión del labio superior, uno mayor se deberá probablemente a una retrusión de incisivos y/o del maxilar superior. Los movimientos sagitales del incisivo superior modifican este ángulo. Su observación en relación al movimiento dentario requerido para la correc- ción del caso nos alerta sobre consecuencias favo- rables o desfavorables del tratamiento en el perfil del paciente (Fig 10.83). Aclaración: Para trazar el cefalograma básico y para su interpretación utilizamos el plano de Frankfort como referencia horizontal. El ángulo nasolabial inferior es el único factor que toma como referencia la H.V. por lo que. ante la falta de certeza en la posición de la cabeza en la telerradiografía, se prefiere medirlo en una foto- grafía de perfil tomada en P.N.C. Fig. 10.83: Ángulo nasolabial y su división en superior e inferior.
  • 229.
    Cefalometría lateral 241 ANÁLISISDE BJÓRK - JARABAK La cefalometría estática propuesta por Ricketts nos permite un minucioso estudio de: • la morfología craneofacial del paciente y con ello la determinación del biotipo facial, • lasposiciones e interrelaciones de los distintos componentes de las estructuras dentomaxilo- faciales en varios campos. Este estudio estático es el punto de partida para la cefalometría dinámica, que nos permite prever: • los cambios que se producirán con el creci- miento, • los cambios que se producirán con el trata- miento, • la conjunción de ambos (VTO), y con estos elementos, cefalometría estáticay di- námica, confeccionar las áreas de superposición imprescindibles para la planificación del caso y su posterior evaluación. Ésta es nuestra base para el diagnóstico y pen- samos que lo ideal es obtener la mejor visión del caso con la menor cantidad posible de medidas cefalométricas. Esta misma conducta es propuesta por Ricketts quien, para los estudios de rutina, creo un análisis resumido donde el número de factores no excede la docena. En nuestra práctica clínica, hemos constatado la efectividad del uso de este análisis resumido. No obstante, preferimos la utilización de un set de medidas, modificando este análisis de Ricketts resumido e incorporando el polígono de Bjórk- Jarabak. La incorporación de este último, resulta de suma utilidad para determinar las características del crecimiento en sus aspectos cualitativos y cuan- titativos, es decir, dirección y potencial. Además contribuye a una mejor definición de la biotipología facial. Consideramos que el análisis de Bjórk-Jarabak hace un valioso aporte en ambos aspectos. Cuando el ortodoncista analiza clínicamente a un paciente de corta edad que requiere tratamien- to ortodóncico, ortopédico o ambos, se ve en la necesidad de conocer, con la mayor precisión posi- ble, las características del crecimiento de ese pa- ciente. La predeterminación de éstas, es particular- mente útil en los problemas esqueletales donde el crecimiento puede actuar en forma favorable para la corrección, cooperando de esta manera con la mecánica de tratamiento o, en caso contrario, agra- vando aún más la anomalía. Esto último nos permi- tirá adaptar nuestra mecánica a esa situación yfun- damentalmente establecer objetivos acordes con las posibilidades que el caso nos ofrece yenunciar pronósticos más acertados. En casos extremos, se corre el peligro de instau- rar terapéuticas totalmente estériles, dado que la expresión de un potencial de crecimiento muy anormal requerirá la intervención de la cirugía al final de las etapas del desarrollo. Esto se podía observar con cierta frecuencia en las Clases III tratadas desde los primeros estadios de la anomalía. A pesar de la utilización de diver- sas metodologías biomecánicas aplicadas en las dis- tintas etapas del crecimiento, era necesaria una cirugía ortognática al final del desarrollo. Ello crea- ba en el paciente la sensación de un fracaso tera- péutico que, en realidad, no existió. El verdadero fracaso consistió en no haber detectado precoz- mente los potenciales anormales que tenía el caso, y hacérselo conocer oportunamente al paciente o a sus padres. En otro aspecto, aun cuando Ricketts describe muy bien los biotipos faciales, encontramos que el polígono es eficaz también para detectar la reac- ción que tendrán frente a los procedimientos tera- péuticos aquellos pacientes pertenecientes a bioti- pos no muy definidos,como son los que están cerca del VERT O. Esto será explicado más adelante cuando se desarrollen en este capítulo los factores del polígono que tienen una estrecha relación con la biotipología facial. Bjórk tuvo una actuación muy destacada como investigador en el campo de la cefalometría. En una serie de trabajos publicados entre los años 1947 y 1963 estudió el comportamiento de las estruc- turas craneofaciales durante el crecimiento. Sus investigaciones se basan en un estudio de aproxi- madamente 300 niños de 12 años y de un número aproximado de soldados de 21 a 23 años en los que tomó cerca de 90 mediciones.
  • 230.
    242 Cefalometría dentoesque/etal Eneste capítulo nos referiremos al polígono de Bjork, analizando las medidas que consideramos más importantes para el estudio de los dos aspectos mencionados anteriormente: • dirección y magnitud de crecimiento rema- nente, • complemento del estudio del biotipo facial. El tema será desarrollado en el siguiente orden: 1. Trazado del polígono - Planos y ángulos. 2. Interpretación de las mediciones angulares. 3. Relaciones de las medidas angulares entre sí. Suma total. 4. Mediciones lineales. 5. Relaciones entre las medidas lineales. 6. Relación entre altura facial posterior / altura facial anterior. Go Fig. 10.84: Puntos de referencia para trazar el polígono de Bjórk-Jarabak. Puntos de referencia: (Fig. 10.84) Na (Nasion): punto en el límite anterior de la sutura frontonasal. S (Silla turca): centro geométrico de la silla turca. Ar (Articular): punto donde el borde posterior del cuello del cóndilo intersecta el borde inferior del macizo esfeno occipital. Go (Gonion): intersección de la tangente al borde posterior de la rama y la tangente al borde inferior del cuerpo mandibular. Me (Mentoniano): punto más inferior de la sín- fisis mandibular.
  • 231.
    Cefalometría lateral 243 TRAZADODEL POLÍGONO: (Fig. 10.85) Planos: 1. S - Na. Base craneal anterior. 2. S - Ar. Base craneal posterior. 3. Ar - Go. Altura de la rama. 4. Go - Me. Longitud del cuerpo mandibular. 5. Na - Me. Altura facial anterior. 6. S - Go. Altura facial posterior. 7. Go - Na. Divide el ángulo goníaco en dos mitades, una superior y una inferior. Las líneas Na-Po y S-Gn que muestran los tra- zados clásicos, han sido omitidas por no conside- rarlas de utilidad en el enfoque que damos al polí- gono de Bjórk. Fig. 10.85: Polígono trazado. Ángulos del polígono: (Fig. 10.86) 1- Ángulo de la silla 2- Ángulo articular 3- Ángulo goníaco Na -S - Ar S - Ar - Go Ar - Go- Me 4- Ángulo goníaco superior Ar - Go - Na 5- Ángulo goníaco inferior Na - Go - Me Fig. 10.86: Ángulos del polígono.
  • 232.
    244 Cefalometría dentoesqueletal MEDIDASE INTERPRETACIÓN Interpretación de las medidas angulares Ángulo de la silla: Llamado también ángulo en silla de montar. Es la unión de la base craneal anterior con la poste- rior. La base craneal anterior está representada por la línea que va desde el punto nasion (punto más anterior de la fisura nasofrontal) al punto S (cen- tro geométrico de la silla turca). La base craneal posterior, por la línea trazada desde el punto S al punto Ar. Este punto se localiza en la intersección del con- torno radiográfico inferior del macizo esfenoocci- pital y el borde posterior del cuello del cóndilo. Representa a la articulación temporomandibular ya que está situado donde el cóndilo emerge de la cavidad glenoidea. La base craneal posterior se completa lateral- mente con los huesos temporales. Para interpretar las medidas del ángulo de la silla, es necesario tener en cuenta la existencia de un centro de crecimiento endocondral constituido por la sincondrosis esfenooccipital. Al estar ubica- das las cavidades glenoideas en el hueso temporal, serán influenciadas por ese centro de crecimiento, como así también otros huesos que completan esta porción de la base craneal (Fig. 10.87). Fig. 10.87: La sincondrosis esfenooccipi- tal. Centro de crecimiento endocondral. Fig. 10.88: Relación entre el ángulo de la silla y la ubicación de la cavidad glenoidea y el cóndilo.
  • 233.
    Cefalometría lateral 245 SegúnEnlow, las sincondrosis basicraneales deben considerarse como unidades autónomas de crecimiento que se desarrollan en forma conjunta con el cerebro pero independiente de él, respon- diendo a un "tipo filogenético" que relacionará la forma y tamaño de la base con el cerebro que sos- tiene. Cabe señalar que existe una capacidad gené- tica propia de estas sincondrosis, es decir no depen- den del estímulo del crecimiento cerebral, por lo cual pueden funcionar aun en caso de agenesia de cerebro. En cuanto a su actividad, debemos recordar que el crecimiento de la sincondrosis esfenooccipital terminará cerca de los 15 años y la fusión se com- pleta alrededor de los 20 años (Fig. 10.87). La norma para este ángulo de la silla es de 122°. Un ángulo mayor, nos indica una línea S-Ar más horizontal; y un ángulo menor, mayor vertica- lidad de esta línea. Con esta variación se producirá también una distinta ubicación de la cavidad gle- noidea, por lo que influirá en la posición de la man- díbula en sentido anteroposterior (Fig. 10.88). Si consideramos el crecimiento, veremos en los casos de ángulos más pequeños que la norma, un desplazamiento de la cavidad articular hacia abajo y levemente hacia atrás, que resultará en una implantación más adelantada de la mandíbula (Fig. 10.89 A). En cambio, cuando el ángulo está más abierto que la norma, la fosa articular con el crecimiento se ubicará hacia abajo y más hacia atrás, provocando una implantación más distal de la mandíbula (Fig. 10.89 B). Dicho de otro modo, una mandíbula implantada más distalmente que la norma, deberá crecer más para alcanzar un perfil ortognático; por el contra- rio, una implantación adelantada del cóndilo, Fig. 10.89: Comparación de los desplazamientos del cón- dilo con el crecimiento, en casos de diferentes ángulos de la silla. A: Ángulo de la silla menor que la norma. B: Ángulo de la silla mayor que la norma. podrá provocar, aun con un crecimiento normal de la mandíbula, un perfil esqueletal de Clase III (Figs. 10.90 A y B). Este ángulo puede tener medidas mayores o menores que la norma en los tres biotipos faciales. En general los ángulos más abiertos son más fre- cuentes en los dolicofaciales, mientras que los más cerrados lo son en los braqui y mesofaciales. El ángulo de la silla, es un factor estructural que deberá ser tenido en cuenta en los pronósticos de crecimiento, por la proyección mandibular que puede resultar de las distintas variantes de su angu- lación. B • -
  • 234.
    246 Cefalometría dentoesqueleta! B Fig.10.90 A y B: Efecto del tamaño del ángulo de la silla sobre el perfil facial. Siendo las mandíbulas de iguales dimen- siones, en A (ángulo de la silla disminuido), la sínfisis se proyecta más hacia adelante que en la figura B (ángulo de la silla aumentado). Ángulo articular: Es una relación angular formada por la base cra- neal posterior (S-Ar) y la tangente al borde poste- rior de la rama ascendente mandibular (Ar-Go). La norma establecida por Bjork es de 143° (Fig. 10.91). La posición de la rama está afectada durante su crecimiento y desarrollo por el entorno muscular y el crecimiento dentoalveolar. Ángulos articulares aumentados se encontrarán en pacientes con ramas de dirección vertical.Ángu- los de menor valor se corresponden con ramas inclinadas desde atrás y arriba hacia adelante y abajo. Un valor disminuido tiende a favorecer el prog- natismo mandibular, por el contrario, un ángulo de mayor valor favorecerá el retrognatismo (Fig. 10.92). Este ángulo debe ser tenido en cuenta no sólo en los pronósticos de crecimiento, sino también en el estudio biotipológico del pacientey, por lo tanto, en la planificación de la mecánica del tratamiento. Refiriendo este ángulo al crecimiento, podemos decir que cuanto más hacia adelante esté orientada la línea Ar-Go, cerrando el ángulo articular, el cre- cimiento favorecerá la proyección sagital de la sín- fisis. Nos indica además un tipo muscular fuerte. Ángulos articulares abiertos se observan en patrones dolicofaciales con ramas de dirección ver- tical que con el crecimiento no proyectarán las sín- fisis hacia adelante. Advierten, asimismo, acerca de la posibilidad de extrusiones del sector posterior, apertura de mordida y cambios en la posición del cóndilo durante un tratamiento de ortodoncia. Como veremos más adelante, esto nos obligará a incluir en la planificaciónde la mecánica, el control vertical de los sectores posteriores. Éste es uno de los dos ángulos del polígono que puede ser modificado por el tratamiento.
  • 235.
    Cefalometría lateral 247 Go Fig.10.91: Ángulo articular. Fig. 10.92: Efecto del ángulo articular sobre el perfil facial. Fig. 10.93: Cambios del ángulo articular con la apertura del eje facial. Fig. 10.94: Una distracción condilar durante el tratamiento cierra el ángulo articular y el eje facial.
  • 236.
    248 Cefalometría dentoesqueletal Cuandose han producido cambios en la angu- lación del eje facial, se habrá rotado la mandíbu- la y por lo tanto se modifica también el ángulo articular. En los patrones musculares débiles, pueden pro- ducirse extrusiones de dientes posteriores, con la consecuente apertura del eje facial y por lo tanto también apertura del ángulo articular porque la mandíbula ha rotado hacia abajo y atrás quedando la rama más vertical (Fig. 10.93). Pero también estas extrusiones pueden provo- car un cambio de posición condilar, sin apertura de la mordida y con un cierre aparentemente favo- rable del ángulo articular, y del eje facial. Esto sólo es el enmascaramiento de una distracción condilar, al haber descendido el cóndilo como consecuencia de la acción muscular sobre un con- tacto dentario posterior que acciona como ful- crum (Fig. 10.94). Existe sí la posibilidad de un cierre del eje y por lo tanto del ángulo articular que puede consi- derarse real, porque no está provocado por un cambio de la posición condílea. Esto ocurre en casos de mesialización de los molares y en los que mediante un efectivo control vertical de la erup- ción de los sectores posteriores, o hasta intrusión de los mismos, se consigue un cierre del eje (Fig. 10.95). En nuestra práctica lo hemos comprobado en casos de uso de fuerzas extraorales altas con barras transpalatinas bajas, en los que se obtienen estos resultados aun en patrones no muy favora- bles desde el punto de vista muscular. Ángulo goníaco: Está formado por las tangentes al borde poste- rior de la rama ascendente de la mandíbula (Ar- Go) y al borde inferior del cuerpo de la misma (Go-Me). La norma para este ángulo según Bjórk es de 130°. Se lo analiza de dos formas: - La primera es considerar su medida total y luego relacionarlo con los dos ángulos ante- riormente estudiados haciendo la suma de los tres. Esto será explicado más adelante. - La otra forma de analizarlo es dividirlo en dos partes, una superior y otra inferior. Fig. 10.95: Cambios del ángulo articular con el cierre del eje. goníaco 55° superior, Fig.10.96: Ángulo goníaco superior.
  • 237.
    Cefalometría lateral 249 goniaco inferior Fig.10.97: Ángulo goníaco inferior. El ángulo goníaco superior está formado por la tangente al borde posterior de la rama (Ar-Go) y por una línea trazada desde el ángulo goníaco hasta el punto nasion (Go-Na). Se llama también Ar-Go- Na (Fig. 10.96). El inferior está constituido por la unión de la línea Go-Na con la tangente al borde inferior del cuerpo (Go-Me), el ángulo se denomina Na-Go- Me (Fig. 10.97). La norma para el ángulo goníaco superior es: 52° a 55° y para el goníaco inferior: 70° a 75°. El ángulo goníaco total describe la morfología mandibular. Esta estructura puede ser considerada como el centro alrededor del cual el resto de la cara realiza un crecimiento adaptativo; además, es la determinante de la dirección de crecimiento de la parte inferior de ésta. Cuando este ángulo es menor que la norma, estamos en presencia de una mandíbula cuadrada, escotadura antegonial poco marcada, con arco mandibular de valor alto, que se corresponde en general a biotipos braquifaciales y perfiles ortogná- ticos (Fig. 10.98). Fig. 10.98: Ángulo goníaco cerrado. Perfil ortognático. Patrón braquifacial. Fig. 10.99: Ángulo goníaco abierto. Perfil retrognático. Patrón dolicofacial.
  • 238.
    250 Cefalometría dentoesqueletal B 126126 Fig. 10.100 A y B: Estos dos pacientes tienen un ángulo goníaco total de igual valor. Obsérvese la diferente implantación de las mandíbulas, y cómo esto determina valores diferentes de la mitad superior e inferior de este ángulo. Fig. 10.101 A y B: Mitad superior aumentada (A). Mitad superior disminuida (B). Con el crecimiento en A hay mayor pro- yección del mentón hacia adelante que en B. NOTA: Las figuras 10.101 a 10.106 no pertenecen a calcos radiográficos. Son diseños realizados con la finalidad de facilitar la comprensión. Se confeccionaron haciendo variar los valores de los ángulos goníacos superior e inferior manteniendo cons- tante la inclinación de la línea Go-Na en las figuras que se comparan entre sí, y adicionando módulos iguales de crecimiento en el cuerpo y en la rama mandibular.
  • 239.
    Cefalometría lateral 251 Medidasmayores que la norma, indican una mandíbula dolicofacial, con arco mandibular pe- queño y una marcada escotadura antegonial, perfil convexo y eje facial abierto (Fig. 10.99). El valor aislado del ángulo goníaco totaldescri- be cómo se relacionan el cuerpo y la rama entre sí. En las figuras 10.100 A y B podemos observar dos mandíbulas que tienen un ángulo goníaco de 126°, pero si consideramos la mitad superior e infe- rior por separado veremos las distintas medidas que presentan debido a que la mandíbula asume diferentes relaciones con el macizo craneofacialsin variar su forma total. Indudablemente, estas dos mandíbulas influirán de distinta manera sobre el crecimiento y la estruc- tura facial. En la figura 10.100 A, la inclinación de la rama es hacia abajo y hacia adelante; muestra una mitad superior del ángulo goníaco grande y una mitad inferior disminuida. En este caso hay una mayor proyección de la sínfisis hacia adelante y el creci- miento remanente se manifestará siguiendo esa dirección. En la figura 10.100 B, la rama tiene una direc- ción más vertical; la mitad superior del ángulo goní- aco se reduce y la mitad inferior tiene un mayor valor angular, hay una menor proyección de la sín- fisis y el crecimiento no se expresará hacia adelan- te como en el caso A sino que lo hará en dirección más hacia abajo. En resumen, la mitad superior del ángulo gonía- co describe la oblicuidad de la rama y su aumento indicará una mayor proyección de la sínfisis hacia adelante (Fig. 10.101 A). A la inversa, una mitad superior disminuida pronostica poco avance del mentón (Fig. 10.101 B). Fig. 10.102 A y B: Mitad inferior aumentada (A). Mitad inferior disminuida (B). En A hay mayor crecimiento vertical que en B.
  • 240.
    252 Cefalometría dentoesqueletal Fig.10.103 A y B: Este esquema resume las diferencias en la posición y en la proyección del mentón con el crecimien- to, relacionadas a distintos valores del ángulo goníaco superior e inferior. A. En rojo: ángulo goníaco superior aumenta- do. En azul: ángulo goníaco superior disminuido. B. En rojo: ángulo goníaco inferior aumentado. En azul: ángulo goníaco inferior disminuido. La línea de puntos indica la expresión del crecimiento en cada caso. La mitad inferior describe la oblicuidad del cuerpo. Su aumento indicará mayor inclinación del cuerpo hacia abajo. El crecimiento se manifiestará proyectando la sínfisis en ese sentido, es decir con tendencia a la mordida abierta (Fig. 10.102 A). Por el contrario, la mitad inferior disminuida nos muestra un cuerpo mandibular más horizontal. El crecimiento vertical será escaso, con tendencia a la sobremordida (Fig. 10.102 B). En las figuras 10.103 A y B se puede observar el efecto del cierre o la apertura de estos ángulos, en la proyección de la sínfisis. A continuación se ilustran algunas de las varia- ciones que pueden presentar estos ángulos en sus medidas, y su influencia en la dirección de creci- miento. • Un aumento en la medida del ángulo superior debe interpretarse como una posibilidad de crecimiento hacia adelante de la sínfisis siem- pre y cuando la mitad inferior esté disminuida (Fig. 10.104). Fig. 10.104: Ángulo goníaco superior aumentado e inferior disminuido. Obsérvese la proyección del mentón hacia adelante con el crecimiento.
  • 241.
    Cefalometría lateral 253 Estasituación se considera favorable en los casos de Clase II (que generalmente presentan una disminución del ángulo de la profundidad facial). El crecimiento favorecerá su corrección esqueletal. Por el contrario, este mismo caso sería sumamente desfavorable en la Clase III. Para los pacientes que presentan estos valores del ángulo goníaco (mitad superior grande, mitad inferior de menor valor que la norma), Jarabak plantea la necesidad de dejar un "overjet" mayor que el normal al finalizar el tratamiento, dejando una zona de libertad para el crecimiento mandibu- lar, evitando con esta maniobra un posible api- ñamiento del sector anteroinferior o una mordida invertida en el sector anterior cuando el crecimien- to remanente se manifieste. • Un aumento de ambas partes del ángulo goní- aco como se observa en la figura 10.105 pro- ducirá la aparición o el incremento de una mordida abierta, como lo está indicando la mitad inferior aumentada y al mismo tiempo con características de Clase III como nos lo advierte el ángulo goníaco superior. Fig. 10.106: Mitad superior del ángulo goníaco disminuido y mitad inferior normal. El crecimiento se expresa más en sentido vertical. Fig. 10.105: Características del crecimiento cuando ambas mitades del ángulo goníaco están aumentadas. Haciendo la comparación con la figura 10.103, se observa un crecimiento vertical mayor. Fig. 10.107: Cuando la mitad superior del ángulo goníaco está disminuida y la inferior aumentada, hay una marcada tendencia al crecimiento vertical.
  • 242.
    254 Cefalometría dentoesqueletal Otraposibilidad es la representada en la figu- ra 10.106 donde vemos un ángulo goníaco superior disminuido con respecto a la norma y un ángulo inferior normal. Esta rama de dirección vertical nos muestra que las posibi- lidades de crecimiento remanente hacia ade- lante son menores. El incremento se manifestará más hacia abajo. La variante de la figura 10.107 donde se observa un considerable aumento del ángulo goníaco inferior en presencia de una mitad superior disminuida, nos indica una tendencia de crecimiento mandibular en sentido verti- cal. Esto es muy desfavorable en perfiles retrognáticos, porque el crecimiento no pro- ducirá el avance de la sínfisis y por el contra- rio tenderá a la creación o al agravamiento de una mordida abierta anterior. Ar° Fig. 10.108: Distinta inclinación de la línea S-Ar. Efecto sobre el ángulo de la silla y articular. Suma total en A - B y C: 396' Fig. 10.109: La suma total en A, B y C de los ángulos de la silla, articular y goníaco es igual, pero los ángulos individual- mente presentan variaciones. La resultante de crecimiento es similar en los tres casos.
  • 243.
    Cefalometría lateral 255 Relacionesde las mediciones angula- res entre sí. Suma total Todos los ángulos a los que nos hemos referido en el punto 2 se interrelacionan íntimamente debi- do a que tienen lados en común. Un ejemplo de esto es la línea S-Ar que forma parte del ángulo de la silla y del ángulo articular. Cuando esta línea se hace más vertical cierra el án- gulo de la silla pero abre el articular (Fig. 10.108). Analizando esto se comprende la necesidad de un estudio en conjunto, ya que a veces se establecen mecanismos de compensación que hacen que un valor aislado se interprete de diferente manera al haberse compensado o potenciado con el valor del ángulo con el que tiene una directa interdependencia. Una forma práctica de relacionarlos es la suma de los tres ángulos descritos (ángulo de la silla, arti- cular y goníaco total). Al sumarse los valores, se anulan las compensaciones que pudieran existir en- tre ellos y se obtiene una "resultante" de la direc- ción de crecimiento (Fig. 10.109). Esta suma tiene una norma de 396°± 6°. Cuando esa cifra disminuyenos indica un crecimiento de la sínfisis en sentido anterior (Fig. 10.110 A). Por el con-trario, cuando es mayor, el crecimiento se manifestará en sentido más vertical, es decir, con poco avance del mentón (Fig. 10.110 B). B Suma: 380° Suma: 409° Fig. 10.110: A: Suma menor de 396°. B: Suma mayor de 396°.
  • 244.
    256 Cefalometría dentoesqueletal Medicioneslineales Son las medidas de las líneas que forman los 5 lados del polígono: • Base craneal anterior (S - Na) • Base craneal posterior (S - Ar) • Altura de la rama (Ar - Go) • Longitud del cuerpo mandibular (Go - Me) • Altura facial anterior (Na - Me) A las que se agrega la: • Altura facial posterior (S - Go) En la figura 10.111 están las normas para estas medidas a los 11 años y el incremento anual para varones y mujeres. En nuestra práctica diaria no utilizamos sólo las normas de las medidas lineales, sino también cier- tas proporciones que ellas mantienen entre sí, como se verá a continuación. 71 mm ± 3 1 mm/a 0,7 mm/a 32 mm ± 3 0,5 mm/a 0,4 mm/a 44 mm ± 5 1 mm/a 0,7 mm/a 71 mm ± 5 1,1 mm/a 0,7 mm/a Fig. 10.111: Normas e incrementos anuales para varón y mujer según Jarabak. Relaciones entre las medidas lineales Base craneal anterior - Longitud del cuerpo mandibular La relación normal es de 1 a 1. Si ése es el valor observado o uno muy cercano, indica que la longi- tud del cuerpo mandibular aumentará término medio 1 a 1,5 mm por cada mm de crecimiento de la base craneal anterior. En los casos en los que la longitud del cuerpo mandibular sea de 3 a 5 mm mayor que la longitud de la base craneal anterior, el incremento de creci- miento mandibular es mayor que el que se produ- ce anualmente en los casos que tienen una relación l a l . Esto nos estaría indicando un crecimiento con tendencia a Clase III Base craneal posterior - Altura de la rama Según Jarabak, una relación base craneal pos- terior-altura de la rama 3 a 4 ó 3 a más de 4, indi- ca que habrá un buen crecimiento vertical de la altura facial posterior. Por el contrario, con rela- ciones de base craneal posterior-altura de la rama 1 a 1 o cercanas a esto la parte posterior de la cara no alcanza una buena altura, haciéndose más retrognática. Una relación 3 a 4, favorable para elcrecimien- to, puede darse con valores mayores o menores que las normas. Estas normas son: base craneal poste- rior 32 mm, altura de la rama 44 mm. Por ejemplo, los varones de 11 a 12 años tienen una longitud de base craneal posterior de 30 a 34
  • 245.
    Cefalometría lateral 257 mm,y una altura de la rama de 40 a 46 mm. En las niñas, estas mismasmedidas son de 28 a 30mm y de 38 a 40 mm respectivamente. Cuando la relación 3 a 4 se da en pacientes con medidas mayores que la norma, el incremento de longitud de la altura facial posterior es mayor que en los casos en que esa proporción 3 a 4 se da con medidas menores que la norma. Lo mismo sucede con la altura de la rama. En el esquema de la figu- ra 10.111 observamos que la cantidad del incre- mento vertical será mayor en los varones que en las niñas. Estas proporciones e incrementos ya menciona- dos son una aproximación al conocimiento de la predicción de crecimiento de la parte posterior de la cara. El aumento de la altura facial posterior posibilita una mayor proyección del mentón hacia adelante. A veces, una sínfisis que avanza con el 43 mm Inicial Superposición Fig. 10.112: Paciente C.F. La paciente tenía una buena proporción entre la base craneal posterior y altura de la rama. Al finalizar el tratamiento el buen crecimiento de la rama favoreció el incremento de la altura facial posterior y la proyección de la sínfisis.
  • 246.
    258 Cefalometría dentoesqueletal crecimiento,no se debe tanto a un incremento en la longitud del cuerpo como a un aumento de la altu- ra de la rama (Fig. 10.112). Un buen crecimiento vertical de la parte poste- rior de la cara, es también un factor favorable al tratamiento, porque disminuye las posibilidades de subluxación condilar en casos de mecánica de dis- talamiento o extrusiones de los dientes del sector posterior. Con el cefalograma de Ricketts podemos definir el biotipo facial del paciente. Calculando el valor de varios factores, se obtiene un coeficiente de variación (VERT) que nos indica mediante un va- lor numérico, el biotipo facial del paciente. Cuando este valor numérico es de O o valores muy cercanos, estamos frente a un paciente meso- facial. Podríamos comparar esta situación con la de la balanza que tiene sus platillos perfectamente equi- librados. Si en uno de ellos colocamos un peso de un valor insignificante,el fiel de la balanza se incli- nará inmediatamente hacia ese lado. En nuestra experiencia clínica hemos podido observar que pacientes considerados mesofaciales reaccionaban al tratamiento como dólicos, otros, mesofaciales con leve tendencia dolicofacial, lo hacían como dólicos severos. ¿ A qué se debe esa reacción inesperada? Indudablemente, algunos pacientes mesofacia- les, suelen presentar características pertenecientes a los tres biotipos faciales. Un paciente puede ser meso porque tiene todos los factores que se utilizan para obtener el VERT dentro del rango de la norma (medidas mesofacia- les), otras veces se obtiene un coeficiente mesofa- cial al promediar factores inclinados unos hacia dólico y otros hacia braqui, pudiendo existir ade- más algún factor mesofacial. Este cocktail de medidas podrá dar un resultado O o cercano al Oy de esta manera, entonces, puede pensarse que el paciente es meso, y hacemos nues- tra planificación con este criterio. Son éstos los casos que pueden tener caracterís- ticas que no hayan sido correctamente detectadas en el diagnóstico. En estas situaciones la medida del ángulo articular y la proporción base craneal posterior - altura de la rama pueden ser de gran uti- lidad en la definición del biotipo. Resumiendo, en los casos que tengan un VERT con valor O o muy próximo a él, es aconsejable observar las dos medidas antes mencionadas del polígono, que nos advertirán acerca de una res- puesta dolicofacial en aquellos pacientes clasifica- dos como meso, cuando tengan un ángulo articular muy abierto o una proporción base craneal vertical - altura de la rama 1 a 1 o valores próximos. Un ángulo articular cerrado o proporción base craneal vertical - altura de la rama 3 a 4 ó 3 a más de 4, nos indicará una respuesta braquifacial. Relación entre la altura facial posterior/altura facial anterior Para la mejor comprensión de este tópico hare- mos algunas consideraciones básicas sobre el creci- miento y desarrollo facial. El eje facial indica la dirección del desplaza- miento de la sínfisis como consecuencia de ciertos procesos de crecimiento. Podría considerarse como la resultante de mecanismos cuya dirección estaría dada por el equilibrio entre el descenso de las cavidades glenoideas y el crecimiento vertical de los cóndilos (parte posterior de la cara) en con- traposición con el desplazamiento vertical hacia abajo del maxilar superior y el crecimiento hacia arriba del proceso alveolar mandibular (parte anterior). Los trabajos de Bjork y Skieller, Luder, Teu- cher y otros, citados por Stóckli son sumamente útiles para comprender cómo se realiza el creci- miento en la parte anterior y posterior de la cara y los desplazamientos que este crecimiento origina en las distintas estructuras faciales en sentido ver- tical y sagital. Según estos estudios, en un patrón promedio, el crecimiento de la cara anterior se realiza por el incremento vertical que tiene el complejo maxilar superior, que desciende 0,7 mm por año, el aumen- to de altura dentoalveolar superior que es de apro- ximadamente 0,9 mm por año y el aumento dento- alveolar inferior que es de 0,7 mm por año. Sumando los tres valores obtenemos que el incre- mento vertical anterior esperado en un año sería aproximadamente de 2,3 mm. Para equilibrarlo, en la parte posterior de la cara hay un descenso de la cavidad glenoidea cercano a los 0,3 mm por año y un crecimiento condilar que está en un promedio de aproximadamente 2,6 mm por año. Sumados hacen un promedio de 2,9 mm anuales, lo que supera en una pequeña magnitud al crecimiento de la cara anterior (Fig. 10.113).
  • 247.
    Cefalometría lateral 259 Fig.10.113: Valores anuales promedio para el crecimiento de las distintas estructuras en la parte anterior y poste- rior de la cara. Tomado de Stóckli. 2,6 mm/á Como hemos dicho, son valores promedio donde se comprueba que al ser algo mayor el incre- mento vertical posterior con respecto al anterior, la expresión de ese crecimiento resultará en el senti- do de horizontalizar el plano mandibular y adelan- tar la sínfisis. Estas conclusiones respecto del creci- miento facial, son similares al criterio sustentado por Ricketts, cuando propone la modificación por la edad de las normas para los ángulos del plano mandibular, de la profundidad facial y del arco mandibular, que con el crecimiento promedio se hacen más braquifaciales.Esto además está demos- trado en su teoría de crecimiento arquial de la man- díbula. Jarabak señala que aunque es posible pre- decir la dirección de crecimiento en ciertas áreas del complejo craneomaxilofacial, no es posible hacerlo con exactitud en lo referente a las magnitu- des del mismo. No obstante, conociendo las direcciones en las que el crecimiento se va a realizar, es factible utili- zar esta información para el diseño del plan de tra- tamiento. Es así que con propósitos descriptivos, señala tres tipos de crecimiento de acuerdo a su dirección general (Fig. 10.114 A, B y C). A. En sentido contrario a las agujas del reloj. B. En el sentido de las agujas del reloj. C. Directo hacia abajo. El crecimientonormal, de acuerdo a lo expues- to, se encuadraría como "en sentido contrario a las agujas del reloj", porque el desarrollo vertical an- terior es menor que el crecimiento de la cavidad glenoidea y el cóndilo, y por lo tanto la sínfisis se desplaza hacia adelante. En pacientes braquifaciales este desequilibrio entre crecimiento posterior / crecimiento anterior, estaría más marcado aún, resultando en un aumen- to de la altura facial posterior y un mayor avance de la sínfisis, porque hay un marcado crecimiento en sentido contrario a las agujas del reloj (Fig. 10.114 A). Ya se mencionó anteriormente la direc- ta relación existente entre crecimientoverticalpos- terior y avance del mentón.
  • 248.
    260 Cefalometría dentoesqueletal B Fig.10.114: A. Crecimiento en sentido contrario a las agujas del reloj. B. Crecimiento en sentido de las agujas del reloj. C. Crecimiento directo hacia abajo.
  • 249.
    Cefalometría lateral 261 Porel contrario, si el crecimiento vertical del maxilar superior y los procesos alveolares superior e inferior son mayores que el de la zona posterior, el desplazamiento de la sínfísis se hará hacia abajo. Éste sería el crecimiento "en el sentido de las agujas del reloj", característico de los dolicofaciales (Fig. 10.114 B). El crecimiento "directo hacia abajo" sólo será posible cuando exista un equilibrio de los incre- mentos en ambas zonas, es decir, cuando sean exac- tamente iguales (Fig. 10.114 C). La planificación del caso tiene como uno de sus objetivos básicos adaptar el tratamiento alcrecimien- to de ese paciente. Es en la relación porcentual entre la altura facial posterior / altura facial anterior donde encontraremos respuestas bastante precisas para rea- lizar un estudio prospectivo sobre el tipo de creci- miento que se manifestará en el paciente. De esta manera, podremos conocer una de las facetas de la respuesta al tratamiento, para poder realizar una planificación que nos permita visualizar con mayor exactitud los objetivos terapéuticos a alcanzar. Cuando la altura facial posterior (S - Go) tiene una medida equivalente entre el 54 y el 58 % de la altura facial anterior (Na - Me), la cara será de tipo retrognático. El crecimiento será menor en el sector poste- rior que en una cara ortognática, por lo que se habla de un crecimiento en el sentido de las agujas del reloj, también llamado crecimiento rotacional posterior. Cuando la relación altura facial posterior / ante- rior es del 64 al 80 %, el crecimiento de la mandí- bula tendrá una rotación en sentido anterior, tam- bién llamado "en sentido contrario a las agujas del reloj", debido a que el incremento de la altura de la parte posterior de la cara es mayor que en la parte anterior. Esto influye favorablemente para el avan- ce de la sínfisis. Se corresponde al biotipo braquifa- cial de Ricketts. Entre ambos extremos de relaciones porcentua- les, es decir 54 a 58 % y 64 a 80% existe un rango que va desde el 59% al 63%; este porcentaje co- rrespondería a un crecimiento neutral, o sea casos que crecen directamente hacia abajo, sin rotación en ninguno de los 2 sentidos. Roth explica esto con las esferas direccionales de crecimiento craneofacial (Fig. 10.115). Fig. 10.115: Esferas rotacionales.
  • 250.
    262 Cefalometría dentoesqueletal Lospacientes ubicados en las esferas A y C ten- drán características de crecimiento bien definidas; es decir, no existirán dudas de su tendencia dolico- facial o braquifacial. Pero los pacientes de la esfera B si bien tienen un porcentaje que correspondería a lo que Jarabak llama un crecimiento directamen- te hacia abajo, pueden reaccionar de diferentes maneras. Este comportamiento estaría determina- do por la musculatura. Para una mejor interpretación, se consideran dentro de esta esfera intermedia dos áreas denomi- nadas "zonas grises". La primera de ellas corres- pondería a los valores más bajos de la esfera neu- tral (59 a 61 %). En mujeres y en pacientes de musculatura débil, se suele observar una inclina- ción hacia la esfera A (crecimiento rotacional pos- terior) mientras que pacientes de esta zona gris con mejor musculatura, en general varones, manten- drían un crecimiento neutro. En la segunda de las zonas grises (61 - 63%) pueden producirse desviaciones hacia la esfera C (crecimiento en sentido contrario a las agujas del reloj) cuando el paciente tenga buena musculatura, pero los que con esta relación porcentual tengan musculatura débil, podrán mantenerse en la esfera neutra. Pensamos que ésta es una forma muy sencilla de definir de qué manera va a crecer nuestro paciente ya que este análisis se hace mediante el estudio de medidas muy fáciles de obtener. En este capítulo se ha expuesto la forma en que se utilizan las medidas de Bjork-Jarabak como com- plemento del análisis cefalométrico de Ricketts. Su uso es muy práctico debido a la facilidad de su trazado y su interpretación es muy sencilla una vez que se ha comprendido el significado de las medidas. La utilización de un gran número de cefalogra- mas, mediciones, etc es importante para trabajos de investigación; no obstante, las metodologías de diag- nóstico deberían ser siempre racionalizadas cuando se les da una aplicación exclusivamente clínica, es decir, no utilizar mediciones repetitivas que dificul- tan la tarea del profesional. Siguiendo este criterio, recomendamos su uso de la siguiente manera. 1. En pacientes en crecimiento: • Para aumentar la precisión en la predicción del crecimiento remanente. • Como complemento del estudio del biotipo facial cuando el paciente tenga un Vert cerca- no al O y haya que definir alternativas de tra- tamiento. 2.En pacientes adultos: Al haber finalizado los procesos de crecimiento y desarrollo sólo tiene aplicación la segunda de las indicaciones anteriormente citadas. No obstante, debe tenerse en cuenta, que si bien las alternativas de tratamiento son menores en el adulto, la elección de procedimientos terapéuticos inadecuados puede implicar serios riesgos, por lo que la planificación debe acompañarse siempre de un profundo estudio biotipológico que nos indique la respuesta muscular. Si ésta no fuera apropiada se pueden producir serios problemas oclusales, y a causa de esto, disturbios en las ATM que suelen ser de muy difícil solución. El cuadro de la página siguiente es el resumen de todas las medidas lineales estudiadas en el aná- lisis de Bjórk-Jarabak. CASO CLÍNICO La figura 10.116 ilustra la evolución de un pa- ciente que accede a la consulta a los 9 años, por la presencia de una mordida cruzada anterior y un aspecto facial ligeramente prognático. En la anamnesis se constata la existencia de antecedentes familiares de clase III. Se realiza el estudio cefalométrico de Bjork- Jarabak, con la finalidad de estudiar el crecimiento remanente, siendo en este caso sumamente impor- tante definir si existe un potencial anormal de cre- cimiento mandibular. Se realizan las siguientes observaciones (Fig. 10.116 A): 1- La relación entre la base craneal posterior y la altura de la rama es de 3 a 5. La norma para dicha relación es 3 a 4, por lo que en el paciente se manifiesta un predominio del cre- cimiento de la rama mandibular sobre la base cra- neal posterior. 2- La relación base craneal anterior-longitud del cuerpo mandibular también se encuentra alterada. A esta edad la relación entre ambas debería ser 1a 1, y las medidas que se obtuvieron indican un exce- so mandibular de 6 mm.
  • 251.
    Cefalometría lateral 263 A9 anos B 10 anos C 13anos D 17anos 37 O Fig. 10.116: Evolución del crecimiento en un paciente de Clase III. El análisis de Bjork-Jarabak permitía establecer, ya a los 9 años, un pronóstico de Clase III quirúrgica.
  • 252.
    264 Cefalometría dentoesqueletal Serealiza un tratamiento ortopédico, con pro- nóstico reservado dado el potencial de crecimiento desfavorable que se evidencia en el análisis de Bjork-Jarabak. El tratamiento promovió, al establecer un over- jet normal, un cambio en la inclinación de los inci- sivos superiores e inferiores que mejoró la relación anterior. Se finaliza el tratamiento y se hacen los contro- les cefalométricos (Fig. 10.116 B). En ellos se observa que, a pesar de la mejoría clínica, el crecimiento mandibular fue importante, con un incremento de 5 mm, mientras que la base craneal anterior se mantuvo constante. En un control dos años después de finalizado el tratamiento, la relación interincisiva se muestra borde a borde, y en el análisis de Bjork-Jarabak la prevalencia del crecimiento del cuerpo mandibular con respecto a la base craneal anterior se sigue manifestando en las medidas, que muestran un exceso mandibular de 15 mm (Fig. 10.116 C). A esta edad se mantiene una conducta expec- tante, sin iniciar el tratamiento de problemas den- tarios leves que aun restaban resolver, dado lo des- favorable del pronóstico de crecimiento y la posibilidad de requerir un tratamiento ortodónci- co-quirúrgico en el futuro. En estos pacientes, cuyo pronóstico de creci- miento remanente indica la posibilidad de un trata- miento combinado con cirugía, las maniobras orto- dóncicas que compensan la relación dentaria ante- rior están totalmente contraindicadas por varias razones: -El problema esqueletal a los 13 años puede ser apto para una compensación, pero el crecimiento que resta aumentara la discrepancia sagital de losmaxila- res y expondrá al fracaso el tratamiento iniciado. -El sentido de los movimientos dentarios de compensación, es decir, la retroinclinación exage- rada de los incisivos inferiores o la protrusión mar- cada de los superiores, es generalmente inverso al indicado para el tratamiento prequirúrgico, don-de los incisivos deberán ser llevados a inclinaciones normales con respecto a parámetros propios de cada uno de los maxilares, independientemente de la relación que se establezca entre ellos. Por ello, el intento de una compensación dentaria complica en gran medida la preparación ortodóncica prequirúr- gica. Si bien el método de Bjork Jarabak para el pro- nóstico de crecimiento no es de una total exactitud, nos alerta sobre la posibilidad de realizar trata- mientos decepcionantes para el paciente y para el profesional. En el paciente que describimos se observa a los 17 años, la expresión de ese potencial de creci- miento anormal, con una diferencia de 20 mm entre la longitud del cuerpo mandibular y la base craneal anterior que llevó la anomalía al terreno quirúrgico (Fig. 10.116 D).
  • 253.
    Cefalometría lateral 265 Factoresdel polígono BJORK-JARABAK, utilizados para el estudio del crecimiento. MEDIDA LINEAL NORMA A LOS 11 AÑOS ÍNDICE ANUAL DE CRECIMIENTO VARONES MUJERES - Base craneal anterior (S - Na) - Longitud cuerpo mandibular (Go - Me) - Base craneal posterior (S-Ar) •Altura rama mandibular (Ar - Go) 71 mm ± 3 71 mm + 5 32 mm ± 3 44 mm ± 5 + 1mm + 1,1 mm + 0,5 mm + 1 mm + 0,7 mm + 0,7 mm + 0,4 mm + 0,7 mm Base craneal anterior (BCA) Long. cuerpo mandibular (LCM) i BCA > LCM = Bajo potencial de crecimiento mandibular. BCA < LCM = Alto potencial de crecimiento mandibular. R . ., Base craneal posterior (BCP) 3 Altura rama (HR) 4 I Tendencia 3/5=Alto potencial de crecimiento de la rama mandibular. Tendencia 3/3 = Bajo potencial de crecimiento de la rama mandibular. Altura facial anterior Altura facial posterior (Na . Me) (S . Go) No se consideran normas longitudinales de estas medidas sino sus relaciones porcentuales. „ , ., Altura facial posterior x 100 Relación Altura facial anterior 54 a 58 % crecimiento en sentido de las agujas del reloj. 64 a 80 % crecimiento en sentido contrario a las agujas del reloj. 59 a 63 % crecimiento directo hacia abajo (zonas grises).
  • 254.
    266 Cefalometría dentoesqueletal Fichamodelo para el Análisis de Bjórk-Jarabak Potencial de crecimiento Norma 01 02 03 04 - Base Craneal posterior, S-Ar - Altura de la rama, Ar-Go - Base craneal anterior, S-Na - Longitud del cuerpo mandibular, Go-Me 29 39 68 66 a a a a 35 49 74 76 mm mm mm mm Dirección de crecimiento Norma 05 06 07 08 09 10 11 12 13 - Ángulo de la silla, Na-S-Ar - Ángulo articular, S-Ar-Go - Ángulo goniaco, Ar-Go-Me - Suma total 5-6-7 - Mitad superior ángulo goniaco, Ar-Go-Na - Mitad inferior ángulo goniaco, Na-Go-Me - Altura facial posterior, S-Go - Altura facial anterior, Na-Me - Altura facial posterior/anterior, S-Go/Na-Me 123° ± 5° 143° ± 6° 130° ±7° 396° ± 6° 52° a 55° 70° a 75° 70 a 85 mm 105 a 120 mm 62 a 65% Respuesta a la mecánica Favorable Desfavorable 14 - Ángulo articular 15 -Altura facial posterior/anterior, S-Go/Na-Me 16 - Relación base craneal posterior/altura de la rama, Ar-Go < norma > 65% >=3/4 > norma < 62% <3/4
  • 255.
    Cefalometría lateral 267 MÉTODODE EVALUACIÓN CEFALOMÉ- TRICA DE McNAMARA Introducción Esta metodología, desarrollada por el Dr. James McNamara en la Universidad de Michigan, deriva en gran parte de los análisis de Ricketts y Harvold y, además, introduce algunos aspectos originales. En este método, McNamara propone la construc- ción de una línea que, partiendo del nasion, es per- pendicular a Frankfort (nasion perpendicular). Según su autor, la creación de este método se debe a que la mayoría de los análisis hasta hoy uti- lizados fueron desarrollados entre 1940 y 1970, cuando ciertas modificaciones en las relaciones de las estructuras craneomaxilofaciales eran conside- radas difíciles o imposibles. Sin embargo, durante los últimos 20 años la ortodoncia ha visto la apari- ción de numerosos procedimientos de cirugía ortognática que permiten reposicionar casi toda la estructura ósea de la región maxilofacial. Por otra parte, se utilizan también procedimientos ortopédi- cos sumamente efectivos en el tratamiento de las discrepancias esqueletales. A partir de estos avan- ces, el autor lo presenta como un análisis que pro- fundiza en el estudio de las relaciones de los maxi- lares y las estructuras craneales. En síntesis, relaciona dientes con dientes, dientes con los maxi- lares, los maxilares entre sí y ambos con la base cra- neal. Las ventajas de este método se podrían resumir así: 1. Depende principalmente de medidas lineales más que de medidas angulares. Esto facilita por una parte el estudio ortopédico y por otra la comunicación con el paciente y/o sus padres. 2. Analiza la relación intermaxilarno sólo en sen- tido sagital sino que le agrega el estudio de los cambios o alteraciones en sentido vertical. Otros métodos como el de Steiner, Ricketts, etc. evalúan también horizontal y verticalmente la posición de los maxilares, pero McNamara cuantifica la incidencia de los cambios verticales en la relación sagital; es decir, los integra de tal manera que forman una unidad de análisis y hace que la consideración de estos factores por separado pierda valor diagnóstico. 3. Es útil para estudiar superficialmente el estado de la vía aérea. En definitiva, es un elemento que nos ayuda en el diagnóstico, planificación y evaluación del trata- miento. Su desarrollo se basó en estudios de: 1. Valuacionesesqueletales derivadas de los están- dares de Bolton. 2. Valores seleccionados de un grupo de niños nor- males del Centro de Investigaciones Ortodónci- cas de Burlington. 3. Una muestra de Ann Arbor que considera 111 adultos jóvenes con una configuración facial de buena a excelente. Los estándares normativos compuestos presen- tados por McNamara, fueron determinados por valores promedio de las muestras de Bolton, Bur- lington y Ann Arbor. Dijimos al comienzo del capítulo que el cefalo- grama de McNamara se basaba fundamentalmente en el de Ricketts y en el de Harvold. En nuestra práctica, como ya hemos visto, basamos el estudio del caso en el análisis de Ricketts, al cual conside- ramos sumamente completo, preciso y eficaz para el diagnóstico, la planificación y también, debido a sus aspectos dinámicos, de gran utilidad para el monitoreo del tratamiento y la evaluación de los resultados. Por ello, sólo utilizaremos medidas del cefalograma de McNamara que no impliquen nin- guna redundancia, circunscribiéndonos a las que son de utilidad para el estudio esqueletal en los siguientes casos: • Pacientes en crecimiento cuya observación clínica nos alerta sobre posibles problemas ortopédicos. • Pacientes adultos en los que los problemas esqueletales plantean la posibilidad de una búsqueda de soluciones quirúrgicas.
  • 256.
    268 Cefalometría dentoesqueletal PLANOSY MEDIDAS UTIZADAS a) Estudio esqueletal 1. Nasion perpendicular (conocida también como línea o vertical de McNamara). 2. Distancia lineal punto A a nasion perpendicular. 3. Distancia lineal punto Po a nasion perpendicular. 4. Longitud maxilar. 5. Longitud mandibular. 6. Altura facial anteroinferior. b) Análisis de la vía aérea 7. Diámetro faríngeo superior. 8. Diámetro faríngeo inferior. Estudioesqueletal 1. Nasion perpendicular (línea o vertical de Mc- Namara): Perpendicular al plano de Frankfort trazada desde el punto nasion. Llega hasta la altura del mentón (Fig. 10.117). 2. Punto A a nasion perpendicular:Medida lineal entre estas dos referencias. Relaciona el maxilar superior con la base craneal. Fig. 10.117: La línea o vertical de McNamara es la referencia para el estudio sagital de los maxilares (Punto A-Pogonion).
  • 257.
    Cefalometría lateral 269 Lanorma para pacientes en dentición mixta es O mm. Significa que la vertical pasa por el punto A. Si éste se encuentra por delante de la vertical la medida tendrá un valor positivo. Los valores negativos corresponden a los casos en los que el punto A se sitúa por detrás. Esta norma, se mantiene prácticamente sin va- riaciones en el adulto. McNamara considera que la norma en el adulto es de +1 mm, aceptando que el ángulo SNA tiene un incremento de 1°entre los 6 y los 18 años. 3. Punto pogonion a nasion perpendicular: También es la distancia lineal entre estas dos referencias. Relaciona la sínfisis mandibular con la base craneal. Cuando el Po está por delante de la vertical se le da a la medida un valor positivo. Cuando está por detrás, negativo. Esta medida no admite una norma constante debido al crecimiento mandibular cuyo incre- mento anual tiene algunas diferencias con los incrementos de la base del cráneo. McNamara encontró que en un paciente de dentición mixta con buen balance del perfil, el Po está ubicado - 8 a - 6 mmde la vertical. Con el crecimiento promedio el Po se acerca a la vertical, por lo que en el adulto se establecen normas de - 4 a O en la mujer y de - 2 a + 2mm en el hombre (Fig. 10.118). Pto A - Vertical Po - Vertical DENTICIÓN MIXTA 0 mm -8 a -6 mm ADULTO + 1 mm -4 a 0mm (hasta +2 mm en ) i anos 17 años Vert-Pto A O mm Vert-Po: -7 mm Vert-Pto A O mm Vert-Po: -2 mm Fig. 10.118: La norma vertical-punto A permanece prácticamente estable con el crecimiento. La norma vertical-Po varía, ya que el crecimiento promedio tiende a avanzar más el mentón que el resto de las estructuras faciales.
  • 258.
    270 Cefalometría dentoesque/etal PtoA: O mm Pto A: -7 mm Fig. 10.119: Diagnóstico diferencial de Clase III realizado con la vertical de McNamara: En A, es debida a la mandíbula (Pto. A = Omm,Po = + 8 mm). En B, al maxilar superior (Pto. A = -7 mm, Po = -2 mm). Pto. A: + 6 mm Pto. A: O mm Po: -14mm Fig. 10.120: Clases II de similar valor de convexidad, reconocen distinta causa al ser analizadas con la vertical de McNamara: En A, es debida a la ubicación del maxilar superior (Pto. A = + 6 mm, Po = Omm). En B, la causa es una retru- sión mandibular (Pto. A = Omm, Po = - 14mm)
  • 259.
    Cefalometría lateral 271 Fig.10.121: Medidas de lon- gitud maxilar y longitud man- dibular. Gn 4. Longitud maxilar: Es la distancia desde el punto condilion (punto más posterosuperior en el contorno del cóndilo mandibular) al punto A. Se llama también longitud mediofacial (Fig. 10.121). 5. Longitud mandibular: Se mide desde el pun- to condilion hasta el gnation anatómico (Fig. 10.121). Esta medida y la anterior se utilizan para es- tablecer una relación geométrica entre el largo de la cara media y el de la mandíbula. Es decir, para una longitud de la cara media dada corres- ponde una determinada longitud mandibular. Puede pensarse que el uso del punto condilion resta exactitud al procedimiento, porque a veces es difícil de localizar debido a que el cóndilo se encuentra en una zona crítica de la telerradio- grafía por su superposición con la zona petrosa del temporal. Esto se soluciona en gran parte usando un filtro para tejidos blandos ypantallas intensificadoras. Además, como el punto condilion es usado para medir las dos longitudes (maxilar y mandi- bular), un mínimo error en su localización prác- ticamente no afectará la relación geométrica entre ambas medidas. 6. Altura facial anteroinferior: Se mide desde la espina nasal anterior (ANS) al punto mentonia- no (Me) (Fig. 10.122). Un aumento o disminución en esta medida puede tener un profundo efecto en la relación sagital del maxilarsuperior y la mandíbula como veremos más adelante. Esta medición lineal au- menta con la edad y tiene correlación con la lon- gitud maxilar. Estas últimas tres medidas no se utilizan aisla- damente sino en conjunto. En los estudios longitudinales, sobre los que se basa este cefalograma, se hallaron promedios por edad y sexo para cada una de ellas. A partir de estos promedios se extrapolaron normas compuestas que representan una relación geo- métrica entre las medidas de longitud maxilar, longitud mandibular y altura facial anteroinfe- rior. No están relacionadas directamente con la edad y sexo del sujeto.
  • 260.
    272 Cefalometría dentoesqueletal NORMASCOMPUESTAS 3- Longitud maxilar 4- Longitud mandibular 5- Altura facial anteroinferior Una vez que se conoce la longitud maxilar, puede estimarse la longitud mandibular correspon- diente. Veamos un ejemplo: Para una longitud maxilar de 85 mm corresponde una longitud mandibular de 105 a 108 mm. La concordancia de estas dos longi- tudes no significa una correcta posición de la sínfi- sis en el plano sagital, porque su ubicación está afectada por la altura facial anteroinferior. Por lo tanto, las normas compuestas se completan con los valores de esta última que correspondan a los valo- res de las dos primeras. Un incremento o disminución de la altura facial anteroinferior, tiene un efecto muy evidente sobre la relación sagital maxilomandibular. El gráfico de la figura 10.123, perteneciente a Mc- Namara, muestra la relación entre la altura facial ante- roinferior y la posición de la sínfisis en sentido sagital. Un aumento de la dimensión vertical de 15 mm produce una retrusión mandibular de 13mm. Por el contrario, una reducción de 15mm en la altura pro- duce una protrusión mandibular de 15 mm. Como conclusión podemos decir que la protru- sión o retrusión mandibular se realiza en una pro- porción de 1 a 1 en relación al aumento o disminu- ción de la altura facial anteroinferior. Fig. 10.122: La medida de la altura facial anteroinferior complementa a las dos longitudes, maxilar y man- dibular, para el estudio proporcional que se realiza con las normas com- puestas.
  • 261.
    Cefalometría lateral 273 NORMASCOMPUESTAS - ANÁLISIS McNamara LONGITUD MAXILAR (mm) 80 81 82 83 84 85 86 87 88 89 90 91 92 93 94 95 96 97 98 99 100 101 102 103 104 105 LONGITUD MANDIBULAR (mm) 97-100 99-102 101-104 103-106 104-107 105-108 107-110 109-112 111-114 112-115 113-116 115-118 117-120 119-122 121-124 122-125 124-127 126-129 128-131 129-132 130-133 132-135 134-137 136-139 137-140 138-141 ALTURA FACIAL ANTEROINFERIOR (mm) 57-58 57-58 58-59 58-59 59-60 60-62 60-62 61-63 61-63 62-64 63-64 63-64 64-65 65-66 66-67 67-69 67-69 68-70 68-70 69-71 70-74 71-75 72-76 73-77 74-78 75-79 Longitud maxilar Longitud mandibular Altura facial anteroinferior Medida paciente Normas compuestas
  • 262.
    274 Cefalometría dentoesqueletal Fig.10.123: Relación de la altura facial anteroinferior con la posición sagital del Po. En A: Un aumento de 15 mm (de 70 mm a 85 mm) produce un retroceso del Po de 13 mm. En B: Una disminución de 15 mm (de 70 mm a 55 mm) avanza el Po 15 mm. Fig. 10.124: Paciente EM. Cefalograma de Ricketts.
  • 263.
    Cefalometría lateral 275 Veamosen estos dos ejemplos, la interpretación de las normascompuestas: Ejemplo N°l: (Figs. 10.124 y 10.125) El paciente EM., sexo masculino, de 13 años y medio, es un dolicofacial severo con una relación esqueletal de Clase II. En el cefalograma de Ricketts se observa una convexidad aumentada (+6 mm): la profundidad maxilar está disminuida (86°) y la profundidad facial más disminuida aún (80°). Es un caso de Clase II con birretrusión esquele- tal, pero el mayor retroceso del pogonion provoca el aumento de la convexidad. La medida de la alturafacial inferiormuestra un exceso vertical que incide sobre la posición del mentón. Utilizando las normas compuestas, vemos lo siguiente: La longitud maxilar es de 84 mm. La medida de la mandíbula correspondiente para esa longitud maxilar es de 104 a 107 mm. En el paciente la mandíbula mide 108mm. - 19 mm Fig. 10.125: Paciente EM. Medidas de McNamara. LONGITUD MAXILAR LONGITUD MANDIBULAR ALTURA FACIALANTEROINFERIOR VALOR PACIENTE 84 mm 108 mm 73 mm NORMAS COMPUESTAS 84 mm 104 - 107 mm 59 - 60 mm Esto describe una longitud armónica de ambos maxilares. Analizando la altura facial anteroinferior, en- contramos una medida de 73 mm, pero las normas compuestas le asignan en este caso 59 a 60 mm. Por lo tanto, el paciente tiene un exceso vertical de 13mm que como ya vimos provoca una retrusión de la sín- fisis de igual magnitud. Con respecto a la vertical, el punto A y el Po están a - 4 y -19 mm respectivamente. Si la altura fuera normal el Po estaría 13 mm más adelante o sea a -6 mm, con lo que se lograría el equilibrio del perfil esqueletal; se evidencia así con claridad la naturaleza de la anomalía. Este estudio nos orienta además sobre el pro- nóstico y la metodología terapéutica. Por ejemplo, en este caso, el tratamiento orto- dóncico sólo constituirá un paliativo que modifica- rá posiciones dentarías logrando una mejoría esté- tica parcial (solución de compromiso). El tratamiento ortopédico que podría intentarse dada la edad del paciente, deberá dirigirse a corre- gir el problema vertical, y probablemente tenga un pequeño efecto beneficioso (cierre del eje), pero estará lejos de lograr la solución completa del pro- blema. Esta alteración por lo tanto, exige un trata- miento ortodóncico quirúrgico. Ejemplo N°2: (Figs. 10.126 y 10.127) La paciente BB, de 11 años de edad tiene un perfil esqueletal de Clase III. La cefalometría de Ricketts muestra una convexidad de -4 mm. Al
  • 264.
    276 Cefalometría dentoesqueletal -8mm Fig.10.126: Paciente BB. Cefalograma de Ricketts. Fig. 10.127: Paciente BB. Medidas de McNamara. LONGITUD MAXILAR LONGITUD MANDIBULAR ALTURA FACIAL ANTEROINFERIOR VALOR PACIENTE 83 mm 107 mm 54 mm NORMAS COMPUESTAS 83 mm 103 - 106 mm 58 - 59 mm analizar la ubicación sagital de los maxilares ob- servamos que existe una birretrusión, pero en mayor grado del maxilar superior. La profundidad facial es de 85°, y la maxilar de 82°. La altura facial inferior está disminuida, su medida es de 38°, lo que induce a pensar que está favoreciendo el prognatismo del perfil. Comenzamos el análisis de McNamara compa- rando la longitud maxilar con la mandibular. La primera es de 83 mm, en las normas compuestas observamos que corresponden 103 a 106 mm de longitud mandibular. En el paciente esta medida es de 107mm, por lo que, también en este caso vemos que la relación de ambas longitudes es bastante buena, sólo existe un pequeño exceso en el tamaño mandibular. Analizamos la tercer medida corres- pondiente a las normas compuestas, es decir, la altura facial anteroinferior. Corresponde una medi- da de 58-59 mm y en la paciente es de 54 mm. Los 4-5 mm de disminución de la altura han pro- vocado la relación sagital de Clase III, podemos decir que si esta altura se normalizara, el Po retro- cedería 4 a 5 mm. La medida de punto A a la vertical es de -9 mm, y el Po está a - 8 mm.El aumento de altura hasta su normalización lo dejaría a -12, -13mm. Esto, si bien no corresponde a una buena po- sición con respecto a la vertical de McNamara, haría que el punto A estuviese más cerca de ella que el Po y el perfil esqueletal sería de Clase I.
  • 265.
    Cefalometría lateral 277 Análisisde la vía aérea McNamara realiza un estudio superficial del estado de la vía aérea basado en dos medidas: (Fig. 10.128) 7. Diámetro faríngeo superior: Es la menor distan- cia desde la pared posterior de la faringe a la mitad anterior del velo del paladar. La norma en adultos es de 17,4 mm con una des- viación estándar de ± 4 mm. Una disminución marcada de esta medida se utiliza sólo como un indicador de un posible deterioro de la vía aérea superior. Un diagnóstico más preciso deberá ser hecho por un otorrinolaringólogo en un examen clínico más profundo. 8. Diámetro faríngeo inferior: Se mide sobre el plano mandibular desde el perfil de la pared anterior (base de la lengua) a la pared posterior de la faringe. La norma es de 11,3 mm para mujeres y 13,5 mm para varones con una desviación estándar de ± 4 mm. Un ancho faríngeo inferior de más de 15 mm su- giere una posición adelantada de la lengua, como resultado de una postura habitual o como conse- cuencia de un agrandamiento de las amígdalas. En el primer caso, esta posición lingual se asocia a ciertas anomalías como prognatismo mandibu- lar, mordida cruzada dentoalveolar anterior o biprotrusión dentoalveolar. El segundo caso, cuando existe agrandamiento de amígdalas, es el que se presenta en el respi- rador bucal, casi siempre acompañado de un patrón dolicofacial, con eje facial abierto y un plano mandibular muy inclinado (Fig. 10.129). Resumiendo, estas dos medidas nos dan una idea aproximada del estado de la vía aérea, pero en caso de detectarse alguna anormalidad, deberán realizarse estudios más profundos. Fig. 10.128: Paciente con estado normal de la vía aérea. Fig. 10.129: Paciente con respiración bucal. Obsérvese la disminución de la vía aérea superior y el agrandamiento del ancho faríngeo inferior.
  • 266.
    278 Cefalometría dentoesqueletal ANÁLISISDE McNamara SAGITAL MAXILAR MANDIBULAR PtoA Po Na PERPENDICULAR LONGITUD MEDIOFACIAL DIÁMETRO FARÍNGEO SUPERIOR DIÁMETRO FARÍNGEO INFERIOR ANÁLISIS VÍA AÉREA
  • 267.
    C A PI T U L O 11 Cefalometría frontal INTRODUCCIÓN Esta cefalometría es utilizada por nosotros como apoyo del estudio clínico y o fotográfico fron- tal, especialmente en los casos de asimetría con el propósito de dimensionar con exactitud las magni- tudes de las alteraciones verticales y transversales. La cefalometría frontal es una importante herramienta para: • el estudio de la simetría de los componentes del complejodentomaxilofacial; • el diagnóstico diferencial en los casos de asime- trías y desviaciones de líneas medias dentarias; • la evaluación de tratamientos de expansión dentoalveolar o disyunción del maxilar superior; • el diagnóstico de malformaciones que puedan afectar distintas estructuras; • la determinación del espesor de las ramas ascendentes mandibulares, dato de suma utili- dad en los casos quirúrgicos, que no se puede obtener en las radiografíaslaterales. • la planificación quirúrgica sobre modelos, y la posterior construcción de los splintsquirúrgicos, aportando datos en sentido transversal. El análisis cefalométrico frontal ha sido poco valorado en ortodoncia, porque la mayoría de los análisis descriptos no tienen utilidad práctica. El que utilizamos es importante para el diagnós- tico, especialmente de los casos quirúrgicos. Es un excelente auxiliar para corroborar y mensurar datos del examen facial frontal, referidos a asime- trías y desplazamientos de línea media dentaria. En los casos de asimetría esqueletal, se utiliza- rá este procedimiento en la etapa de diagnóstico previa a la ortodoncia prequirúrgica, donde ade- más de definir las características de la asimetría, facilita la visualización de torques posteriores com- pensatorios y desvíos de línea media de origen den- tario, que deberán ser corregidos en la preparación ortodóncica prequirúrgica. Una vez finalizada ésta, se repetirá el procedi- miento con el objeto de obtener medidas precisas destinadas a equilibrar los planos oclusales,y lograr el correcto centrado esqueletal, que serán traslada- das a la predicción de laboratorio. En el método que describimos empleamos como referencia estructuras fácilmente identificables y que sufren poca distorsión. La toma radiográfica tiene la particularidad de ser efectuada en posición de relación céntrica man- dibular, sin contacto oclusal, con el objeto de: - eliminar la visualización de una asimetría de tipo funcional, originada por un contacto oclusal que desvía la mandíbula; - aislar dos planos oclusales distintos. Para la toma radiográfica, resulta útil emplear una cera de R C con una altura de 3 a 4 mm a nivel del primer contacto dentario, que permita visuali- zar individualmenteambos planos oclusales Podemos definir este método como: Cefalome- tría frontal en R.C. con arcadas sin contacto oclu- sal. Este examen radiográficoposteroanterior no es- tá exento de dificultadesy quizás la más importan- te se relaciona con la determinación de la línea me- dia facial. La estructura más confiable que pueda repre- sentar una referencia medial fidedigna es la apófi- sis crista galli, y que a pesar de las dificultades que presenta su visualización como consecuencia de la calidad radiográfica o la malformación del pacien- te, es generalmente la más fácilmenteidentificable. TRAZADO DEL CEFALOGRAMA 1- Se traza el contorno craneal y las apófisis mastoides. 279
  • 268.
    280 Cefalometría dentoesqueletal 2-Se trazan las órbitas derecha e izquierda. Se localizan las intersecciones de la línea innominada en ambos rebordes orbitarios externos, que están aproximadamente en la ubicación de 10 hs. en la órbita izquierda y 2 hs. en la órbita derecha. 3- Se calca las apófisis Crista Galli del etmoides, que es útil para la determinación del plano medio sagital; por debajo de ella el septum nasal y se com- pletan las cavidades nasales derecha e izquierda. Por debajo del septum nasal se localiza la espina nasal anterior, también en el plano medio sagital. 4- Para completar la cara media se calca el con- torno externo del maxilar superior por encima de los molares, continuando por el malar hasta la apó- fisis cigomática. 5- Se traza la mandíbula incluyendo el contorno interno de las ramas ascendentes, las apófisis coro- noides y los cóndilos, cuidando en señalar bien los ángulos goníacos . En la parte anterior se ubican la prominencia del mentón y las apófisis geni, que nos indicarán la línea media mandibular. 6- Para completar el trazado frontal se dibujan, a mano o con plantilla, los incisivos centrales supe- riores, incisivos centrales inferiores, y los primeros molares superiores e inferiores. Se marcan en el trazado los puntos de referen- cia. Puntos de referencia mediales Punto M Punto medio de la línea que une los puntos orbi- tarios externos (plano interorbitario). Punto interradicularsuperior (Rs) Punto medio situado entre los ápices de los inci- sivos superiores. Go Fig. 11.1: Cefalograma frontal. En los casos simétricos los puntos mediales deben coincidir con la línea media. Los pun- tos laterales se evalúan con respecto a dos planos paralelos al plano medio situados a 33 mm de este.
  • 269.
    Cefalometría frontal 281 Puntoincisivo superior (Is) Punto medio superior, situado en la cresta al- veolar interincisiva. Punto incisivo inferior (li) Punto medio inferior, situado en la cresta alveo- lar interincisiva. Punto interradicular inferior (Ri) Punto medio situado entre los ápices de los inci- sivos inferiores. Punto mentoniano (Me) Punto situado en el reborde inferior de la sínfi- sis, debajo de la protuberancia mentoniana. Es el punto medial de dicho borde, cuya proyec- ción coincide con las apófisis Geni. Puntos de referencia laterales Punto O (orbitario externo). Punto de intersección de la línea innominada con el reborde externo del trazado de la órbita Punto jugal (J) En la intersección de la tuberosidad del maxilar con el contorno inferoexterno del malar. Punto molar superior (Ms) Punta de la cúspide vestibular más saliente del primer molar superior. Punto molar inferior (Mi) Punta de la cúspide vestibular más saliente del primer molar inferior. Fig. 11.2: Trazado cefalométrico frontal. Los planos horizontales deben ser paralelos entre sí y perpendiculares a la línea media.
  • 270.
    282 Cefalometría dentoesqueletal Puntogoníaco (Go) Punto más saliente de la protuberancia goníaca en el plano frontal. El punto de partida para el análisis es la correcta ubicación de la línea media facial. • Se unen los puntos O con una línea y sobre ella se marca el punto medio de la distancia inter- orbitaria interna (M). • A partir del punto M se traza una perpendi- cular a la línea que une ambos puntos O. Esta per- pendicular constituye la línea media de la cara. Verificar que pase por la base de la apófisis Crista Galli y por la espina nasal anterior. En pacientes con asimetrías que involucran las órbitas y la bóveda craneana, hemos encontrado dificultad para usar la línea que une ambos puntos O como referencia horizontal, siendo más estable la ubicación medial de la apófisis crista galli y la espina nasal anterior .En estos casos, nos limitare- mos a trazar la línea media facial utilizando sola- mente estas dos estructuras como referencia , pro- longando hacia abajo la línea que une ambos puntos. Se verifica clínicamente si esta línea media puede ser utilizada como línea media del trazado o si es necesario realizar algún ajuste. Este análisis define, a partir de un plano de refe- rencia medial, las asimetrías craneofaciales A una distancia de 33mm a cada lado de la línea media, se trazan dos paralelas a ésta que se pro- longan hasta el nivel del mentón. A partir de los puntos bilaterales se definen los planos horizontales, jugal (Jd-Ji), oclusal superior (Msd-Msi), oclusal inferior (Mid-Mii) y goníaco (God-Goi). Utilizamos además un plano horizontal,perpen- dicular a la línea media, que pasa por el punto men- toniano (plano mentoniano). Como es obvio este plano nunca sufre inclinaciones y se utiliza para analizar la simetría del mentón. Para ello se deben comparar las zonas triangulares formadas a ambos lados de la linea media y delimitadas en la parte superior por el contorno mandibular y por debajo por el plano mentoniano (Fig. 11.3). Fig. 11.3: La comparaciónde las zonas triangulares nos permite determinar la simetría o asimetría del cuerpo mandibular. Los puntos interradiculares e interdentarios definen los respectivos planos interdentarios supe- rior e inferior; en condiciones normales, estos pla- nos se confunden con el plano medio sagital. Normalmente, los puntos mediales se encuen- tran todos sobre la línea media. Los puntos latera- les se unen entre sí con líneas, que resultan parale- las entre sí y perpendiculares a la línea media El objetivo del tratamiento quirúrgico es colo- car los puntos medios sobre la línea media facial, alineando simultáneamente los puntos bilaterales correspondientes en un mismo plano horizontal. En una laterogenia, por ejemplo, se mide la dis- tancia del punto mentoniano a la línea media facial, y también la distancia de este punto al plano oclu- sal definiendo así su desvío lateral y su posición vertical. Cuando sólo las líneas inferiores (oclusal y goní- aca) son oblicuas, la asimetría es mandibular. La inclinación del plano oclusal superior, dependerá de la existencia o no de compensaciones dentoal- veolares que originaron una asimetría también en el maxilar superior. Si los puntos bilaterales correspondientes se encontraran "desnivelados", es decir, no ubicados sobre líneas horizontales, sino sobre líneas obli- cuas, sus posiciones verticales serán determinadas por las distancias de estos puntos al plano interor- bitario (entre ambos puntos O). En el caso de que la asimetría involucre las órbitas y la bóveda era-
  • 271.
    Cefalometría frontal 283 Fig.11.4: Paciente con asimetría maxilomandibular. En el estudio cefalométrico frontal se corrobora el desvío de la línea media superior y torques compensatorios en los sectores laterales. En la arcada inferior la línea media está cen- trada con respecto a su base esqueletal. Obsérvense las zonas triangulares desiguales que permiten determinar la asi- metría del cuerpo mandibular. neal, este plano no se puede considerar como refe- rencia horizontal, habrá que corregirlo trazando una perpendicular a la línea media que pase por el punto M. En la microsomía facial, todas las líneas trans- versales se encontrarán alteradas y serán conver- gentes hacia un mismo punto. Cuanto más cerca del plano medio se encuentre el punto de convergencia,mayor será la deformidad. En el trazado frontal inicial, tienen especial interés las posiciones de los planos interdentarios superior e inferior en relación a la línea media facial, ya que, en los pacientes asimétricos existen habitualmente compensaciones dentarias laterales con inclinaciones o desvíos de los planos interden- tarios (Fig. 11.4). La planificación ortodóncica frontal, tendrá en cuenta el establecimiento de arcadas simétricas, con planos interdentarios perpendiculares a los res- pectivos planos oclusales, donde la línea media dentaria coincida con la línea media del maxilar correspondiente. En el final de la preparación ortodóncica pre- quirúrgica cuando el maxilar y la mandíbula son asi- métricos, los planos oclusales se encuentran obli- cuos y el plano interdentario en cada uno de ellos no coincide ni es paralelo al plano medio sagital. Para la corrección se deberá tener en cuenta la hori- zontalización del plano oclusal y además se deberá eliminar la inclinación del plano interdentario. En la predicción en modelos, una vez considera- das las inclinaciones de los planos interdentarios en relación a los planos oclusales respectivos, se colo- ca la línea interincisiva superior en la línea media facial y se nivela el plano oclusal superior teniendo como referencia la norma clínica de la relación inci- sivo superior-labio superior. Las medidas de nive- lamiento de los molares, hechas en el trazado fron- tal, son transferidas directamente a los modelos. Si la preparación ortodóncica prequirúrgica de la mandíbula está realizada con los mismos princi- pios, las arcadas se adaptarán, restando solamente la corrección de las anomalías estructurales de las regiones goníaca y mentoniana si existieran. El estudio radiográfico de una asimetría puede
  • 272.
    284 Cefalometría dentoesqueletal sercomplementado con la incidencia vertex-men- tón que, adicionando otra dimensión al estudio, ayuda a esclarecer el origen de la deformidad, en particular cuando se trate de anomalías de las ramas mandibulares. La combinación de los exámenes laterales, pos- teroanterior y vertex-mentón, permite una recons- trucción tridimensional, importante para el estudio de las ramas mandibulares y de las tuberosidades del maxilar. En la búsqueda de la verdadera causa de la asi- metría, con el propósito de su corrección, es útil el recurso del examen tomográfico frontal, con varios cortes anteroposteriores, que permiten obtener informaciones más precisas, caracterizando con mayor exactitud la localización anteroposterior de las zonas afectadas. A partir de los tomogramas obtenidos en los cortes se diseñan los respectivos trazados, que se reúnen en un trazado final de reconstrucción. Finalmente, la reconstrucción tridimensional a partir del estudio tomodensitométrico, además de permitir una visualización más esclarecedora del esqueleto craneofacial, permite confeccionar modelos tridimensionales, verdaderos dimensiona- dores del problema. Fig. 11.5: La reconstrucción tridimensional helicoidal permite apreciar con mayor precisión las estructuras craneofaciales, y es especialmente útil para el estu- dio de las asimetrías.
  • 273.
    285 Bibliografía Holdaway RA Asoft tissue cephalometric, analy- sis and its use in orthodontic treatment planning, Part II Am J Orthod 1984; 85:279-293. 1956: 26 (4): 191-211. Benvenga, M. N.: Comunicación personal. Sao- Paulo, Brasil, 1980 Bjórk, A: La naturaleza del prognatismo facial y su relación con la oclusión normal de los dientes. A.J.O. 37:106-124, 1951 Bjórk, A: Cranial base development. Am. J. Orthod. 41:198,1955 Bjórk, A: Facial growth in man, studied with the aid of metalic in implants, acta Odonto Scand. 13:9-34. 1955. Bjórk, A: Crecimiento facial en el hombre estudia- do con la ayuda de implantes metálicos. A.J.O. 42:62, 1956 Bjórk, A: Prediction of mandibular growth rota- tion. Amer. J. Orthodont. 55:585,1969 Damerell, J. M.: Cephalometric objetives for the maxilary central incisors. Masters thesis. Loma Linda University. 1977. Downs, W. B.: Variations in facial raltionships: their significance in treatment and prognosis. Am. J. Orthod. 38:812 y 812-840, 1948 Downs, W. B.: The role of cephalometrics in ort- hodontic case analysis and diagnosis. Am. J. ort- hod. 38: 162-182, 1952 Downs, W. B 1956 Analysis of the dentofacial pro- file. Angle Orthodontist 26:191-212. Ellis, E., McNamara J. A.: A cephalometric eva- luation of incisor position. Angle Orthod. 56:324- 344,1986 Enlow, D. H., Moyers, R. E., et al: Procedure for the analysis of intrinsic facial form and growth. Am. J. Orthod. 56:6-23,1969. Enlow, D. H.: Manual sobre Crecimiento Facial. Intermédica. Buenos Aires (Argentina), 1982 Holdaway RA A soft tissue cephalometricanalysis and its use in orthodontic treatment planning, Part I Am J Orthod 1983; 84; 1-28. Jarabak, J. R., Fizzell, J.: Aparatología del arco de canto con alambres delgados. Técnica y tratamien- to. Ed. Mundi. Buenos Aires (Argentina) Langlade, M.: Cefalometrie Orthodontique. Maloine S.A. Editeur. París, 1978 Langlade, M.: Diagnostic Orthodontique. Maloine S.A. Editeur. París, 1981 Luder, H. V.: Effects of activator treatment - Evidence for the occurrence of two different types of reaction. Eur. J. Orthod. 3:205, 1981 Lundstrons, F., Lundstrons, A.: Natural head posi- tions as a basis for cephalometric analysis. Am. J. Orthos Dentofacial Orthop 101:244-247,1992 McNamara, J. A.: Functional determinants of cra- niofacial size and shape. Eur. J. Orthodontics. 2:131, 1980 McNamara, J. A.: Components of Class II malo- clussion in children, 8-10 years of age. Angle Orthod. 51:177-202, 1981 McNamara, J. A.: A method of cephalometric eva-
  • 274.
    286 luation. Am. J.Orthod. Vol. 86 N° 6. p.p. 449-468. Dec. 1984 McNamara J, Brudon WL Orthodontic Treatment in the Mixed Dentition Ann Arbor, MI: Needham Press, 1993. Ricketts, R. M.:New perspectives on orientation and their benefit to clinical orthodontics. Part I and II. Angle Orthod. 45:238,248,1975. 46:26,36,1976 Ricketts, R. M.: Perspectives in the clinical appli- cation of cephalometrics. Angle Orthod. 57:115- 150,1981 Ricketts, R. M., Roth, R. M., et al: Orthodontic diagnosis and treatment planning. Rocky Mountain Data System Ricketts, R. M.: A cephalometric syntesis. Am. J. Orthod. 46:647,673, 1960 Ricketts, R. M.: A foundation for cephalometric communication. Am. J. Orthod. 46:330,357. May 1960 Ricketts, R. M.: The influence of Orthodontic tre- atment on facial growth and development. Angle Orthodont. 30:103,133, 1960 Ricketts, RM Cephalometric analysis and synthe- sis Angle Orthod 1961; 31: 141-156 Ricketts, R. M.: Esthetics, environment and the law of lip relation. Am. J. Orthod. 54,4:272,289. April 1968 Ricketts, R. M.: The evolution of diagnosis to computerized cephalometrics. Am. J. Orthod. 55,6: 795,803. June 1969 Ricketts, R. M.: Analysis - The Interim. The Angle Orthod. Vol. 40 N° 2. April 1970 Ricketts, R. M.: The valué of cephalometrics and computerized technology. Angle Orthod. 42,3: 179,199. July 1972 Ricketts, R. M.: Perspectives in the clinical appli- cation of cephalometrics. (The first fifty years) Angle Orthod. Vol. 51 N° 2. April 1981 Ricketts, R. M., et al: Técnica Bioprogresiva. Panamericana. Buenos Aires (Argentina), 1983 Steiner, C. C: Cephalometrics for you and me. Am. J. Orthod. 39:729-755, 1953 Steiner, C.C.: Cephalometrics in clinical practice. Angle Orthod. 29:8-29,1959 Steiner, C. C.: The use of cephalometrics as an aid to planning and assessing Orthodontic treatment. Am. J. Orthod. 46: 721-735,1960 Tweed, C. H 1954 Frankfort mandibular incisor angles in diagnosis:treatment planning and prog- nosis. Angle Orthodontist 24:121-169 Steele, C. N., Fairchild, R. C., Ricketts, R. M.: Forum on the tonsil and adenoid problem in ort- hodontics. Am. J. Orthod. 54:485-514. 1968 Sutton, P. R. N.: Lateral facial asymetry methods of assessment. Angle Orthodont. 38:82,92. 1968 Thurow, R. C.: Atlas de Principios Ortodóncicos. Intermédica. Buenos Aires (Argentina).
  • 275.
  • 276.
    C A PÍ T U L O 12 Biotipo facial INTRODUCCIÓN En esta sección nos referiremos al manejo de los diferentes métodos cefalométricos utilizados para el diagnóstico de las anomalíasy la planificación de su tratamiento. La tendencia actual de la ortodon- cia apunta a un concepto integrador de la estética facial con los métodos tradicionales de diagnóstico. Por ello cada uno de los temas de cefalometría den- toesqueletal desarrollados en esta sección estará relacionado con otros referidos al examen clínicoy cefalométrico de los tejidos blandos. La relación entre el problema dentoalveolar y las consecuencias estéticas del mismo no es siem- pre constante, sin embargo, en la mayoría de los casos existe cierto grado de correlación. El hecho de que en algunos pacientes no existe esa correla- ción, nos obliga a considerar siempre aquellos fac- tores intrínsecos de los tejidos blandos y posturales craneocervicales que tienen incidencia en esta dis- paridad. En esta sección de interpretación cefalométrica se incluyen dos capítulos. 1- Biotipo facial 2- Interpretación de los datos de la cefalometría laeral BIOTIPO FACIAL Es el primer dato a obtener a partir del cefalo- grama básico. Es de suma importancia para el estudio de pacientes en crecimiento porque a partir de su determinación podremos adaptar la planificación acorde a las características faciales que tendrá el paciente una vez expresado el crecimiento. Ade- más, señala conductas mecánicas a seguir y alerta sobre la utilización de procedimientos que resulta- rán inadecuados para cada patrón, en pacientes con o sin crecimiento. En resumen, sugiere una direc- ción inicial para la planificación. Pensamos que en el pasado, el desconocimiento de la biotipología era una importante fuente de errores en la planifica- ción del tratamiento ortodóncico. Existen tres patrones faciales: • Dolicofacial (dirección de crecimiento verti- cal) • Mesofacial (crecimiento promedio) • Braquifacial (crecimiento horizontal) Es necesario identificarlos correctamente para planificar el tratamiento de los problemas existen- tes y hacer el pronóstico de los resultados. Si bien diferentes anomalías pueden asentar en un mismo biotipo facial, ciertas maloclusiones están asociadas con biotipos específicos, o dicho de otra manera, se presentan con mayor frecuencia en un determinado patrón facial. Lo importante es tener en cuenta que la res- puesta a la mecánica de tratamiento está indisolu- blemente ligada a la tipología del paciente. Patrón dolicofacial En estos pacientes la cara es larga y estrecha , el perfil convexo y generalmente el tercio inferior de la cara está aumentado. La posición del mentón está retruída, con un acortamiento de la distancia cérvico-mentoniana. Poseen musculatura débil, ángulo del plano mandibular muy inclinado con una tendencia a la mordida abierta anterior, debido a la dirección de crecimiento vertical de la mandí- bula (Fig. 12.1). Este patrón suele estar asociado con maloclu- siones de Clase II División 1. 289
  • 277.
    290 Interpretación cefalométrica I Fig.12.1: Paciente dolicofacial con tendencia al aumentodel tercio inferior de la cara y a una posición retruída del men- tón. En boca se observa una anomalía de mordida abierta. El pronóstico frecuentemente es desfavorable porque las características mencionadas pueden causar dificultades durante el tratamiento. Los labios generalmente están tensos debido al exceso en la altura facial inferior y a la protrusión de los dientes anterosuperiores. Además, la confi- guración estrecha de las cavidades nasales hace propensos a estos pacientes a la respiración bucal. Ésto, en pacientes en crecimiento, produce un agravamiento notable del patrón facial. En este biotipo, la tendencia vertical del creci- miento del mentón, no favorece un avance de la sínfisis y el mejoramiento de la convexidad por cre- cimiento diferencialcon respecto a la base craneal. Patrón mesofacial En este biotipo la cara suele tener proporciona- dos sus diámetros vertical y transverso, con maxila- res y arcadas dentarias de configuraciónsimilar. La anomalía asociada con este patrón es la Clase I, con una relación maxilomandibular normal y perfil blando armónico (Fig. 12.2). El crecimiento se realiza con una dirección hacia abajo y hacia adelante (eje facial alrededor de 90°). Además, la musculatura tiene característi- cas más favorables que el biotipo anteriormente mencionado, por lo que el pronóstico para el trata- miento es favorable.
  • 278.
    Biotipo facial 291 Fig.12.2: Paciente mesofacial con una anomalía dentaria de Clase I con relaciones intermaxilaresnormales. Patrón braquifacial Corresponde a caras cortas y anchas con mandí- bula fuerte y cuadrada. Las arcadas dentarias son amplias en comparación con las ovoides de los meso y las triangulares y estrechas de los dolicofaciales. Este patrón es característico de las anomalías de Clase II División 2 con sobremordida profunda y generalmente de origen esqueletal (Fig. 12.3). El vector de crecimiento se dirige más hacia ade- lante que hacia abajo. Por esta razón, los pacientes en crecimiento con patrones braquifaciales cuya anomalía consiste en una biprotrusión leve y sin apiñamientos, frecuentemente evolucionan hacia la autocorrección. Además, la mayoría de las oclusio- nes ideales sin tratamiento que se hallan en la población, exhiben tendencias braquifaciales como consecuencia de que el patrón muscular es muy favorable al normal desarrollo de las arcadas den- tarias. Determinación del biotipo facial (obtención del Vert) En algunos pacientes, las características biotipo- lógicas son muy marcadas pudiendo detectarse su patrón ya desde el examen clínico. En estos casos, todas o casi todas las medidas están desviadas hacia el biotipo correspondiente.
  • 279.
    292 Interpretación cefalométrica Fig.12.3: Paciente braquifacialcon tendencia a la disminución del tercio inferior de la cara y una posición avanzada del mentón. Presenta una anomalía de Clase II con mordida profunda. Sin embargo, otros pacientes no evidencian con tanta claridad su patrón, y podemos observar en sus medidas cefalómetricas desviaciones en distintas direcciones que nos crean ciertas dudas sobre la naturaleza de su biotipo. En ambas situaciones, es decir, con medidas más definidas o menos definidas, resulta útil obtener un índice denominado VERT, que nos define no sólo el patrón facial del paciente, sino que también lo clasifica por el grado de severidad dentro del bioti- po correspondiente. Se procede de la siguiente manera: 1. Se observan las primeras cinco medidas del cefalograma resumido: Eje facial Profundidad facial Ángulo del plano mandibular Altura facial inferior Arco mandibular 2. Para cada una de ellas calculamos la desvia- ción a partir de la norma. 3.Las desviaciones hacia patrón dolico llevan signo negativo (-), y las desviaciones en sentido braqui, positivo (+). Las que se mantienen en la norma (0). 4. Se promedian las cinco desviaciones con su correspondiente signo.
  • 280.
    Biotipo facial 293 ••2 Fig.12.4: Comparación cefalométrica de los pacientesde las figuras 12.1, 12.2 y 12.3. Se manifiestan las diferencias estructurales en las medidas esqueletales que determinan el biotipo facial. Ricketts llama VERT a este coeficiente de variación. Si el VERT es negativo el paciente es dolicofacial y cuanto más alto el valor negativo más dolicofacial será el paciente. Del mismo modo, un número positivo indica un paciente braquifacial y cuanto mayor sea ese número positivo indicará un patrón más severo. Ricketts ha elaborado una tabla para laidentifi- cación biotipológica del paciente de acuerdo al resultado del VERT. Veamos a continuación un ejemplo (Cuadro 12.6): 1. En la primera columna están enumerados los cinco factores necesarios para la obtención del VERT. 2. En la segunda, las normas. En la tercera la desviación estándar para cada una de ellas. En la cuarta columna se colocan las medidas del pacien- te. 3. En la quinta columna se opera del modo siguiente: • Comparar la medida del paciente con la norma y colocar: a) cuando la medida está desviada hacia dolico: signo negativo (-), b) hacia braqui: signo positivo (+), c) en la norma: cero (0). • Calcular la diferencia entre la norma y la medida del paciente, a esta cifra la acompaña el signo correspondiente. DOLICO SEVERO -2 DOLICO -1 DOLICO SUAVE -0,5 MESO 0 BRAQUI +0,5 BRAQUI SEVERO + 1 Cuadro 12.5: Tabla de Ricketts. Es una guía útil para la interpretación del VERT.
  • 281.
    294 Interpretación cefalométrica FACTORES Ejefacial Profundidad facial Ángulo del plano mandibular Altura facial inferior Arco mandibular NORMA 90° 87° 26° 47° 26° DESV. EST. ±3° ±3° ±4° ±4° ±4° MEDIDA PAC. 90° 83° 25° 43° 35° DIFERENCIA DESV. EST. 0 + 3 -4 +3 + 1 +4 + 4 - 4 + 9 - 4 DESV. PAC. 0 -1,3 + 0,2 + 1 + 2,2 SUMA ALGEBRAICA: + 2,1 * 5 = + 0,4 BRAQUI Cuadro 12.6 MEDIDA Eje facial Profundidad facial Ángulo del plano mandibular Altura facial inferior Arco mandibular NORMA A LOS 9 AÑOS 90° 87° 26° 47° 26° AJUSTE EDAD no varía +0,3° x año -0,3° x año no varía +0,5° x año NORMA A LOS 14 AÑOS 90° 88,5° 24,5° 47° 28,5° Cuadro 12.7 FACTORES Eje facial Profundidad facial Ángulo del plano mandibular Altura facial inferior Arco mandibular NORMA INDIV. 90° 88,5° 24,5° 47° 28,5° DESV. EST. + 3° ±3° ±4° ±4° ±4° MEDIDA PAC. 90° 83° 25° 43° 35° DIFERENCIA DESV. EST. 0 + 3 -5,5 + 3 + 0,5-4 + 4 + 4 + 6,5 + 4 DESV. PAC. 0 - 1,8 + 0,1 + 1 + 1,6 SUMA ALGEBRAICA: + 0,7 •*• 5 = + 0,1 MESO Cuadro 12.8 Observación: Con el crecimiento, las normas tienden a ser más braquifaciales, por lo que el mismo paciente relacionado a esas nor- mas individualizadas tiene un VERT menos braqui que con el cálculo anterior (normas para 9 años).
  • 282.
    Biotipo facial 295 •Dividir esta cifra por la desviación estándar de la medida analizada. 4. En la sexta columna se coloca el resultado de la división, conservando siempre el mismo signo (Cuadro 12.6). 5. Por último, se realiza la suma algebraica de los valores obtenidos y se obtiene el promedio divi- diendo por 5 (cinco) que es el número de factores estudiados. Este resultado es el VERT del pacien- te y se compara con las cifras dadas por Ricketts (Cuadro 12.5). Este cálculo del VERT se puede hacer con la norma para los 9 años, o si se quiere mayor exacti- tud se individualizan las normas para la edad del paciente. Esto se realiza con aquellas medidas del biotipo que cambian con el crecimiento por lo que las normas sufren pequeñas variantes. Recordemos que: • La profundidad facial aumenta 0,3° por año; • El ángulo del plano mandibular disminuye 0,3° por año; • El arco mandibular aumenta 0,5° por año. El eje facial y la altura facial inferior son medi- das gnómicas por lo que sus normas no varían con el crecimiento. Si el paciente del ejemplo anterior tuviese 14 años, es decir, 5 años más que la edad de las normas consideradas (normas para 9 años) la modificación consistiría en lo siguiente: ver cuadro 12.7. En el ejemplo anterior el VERT fue +0,4. Calculando el VERT con las normas modifica- das por la edad, el resultado será +0,1 (Cuadro 12.8) La tabla para obtener el VERT con ajuste por edad del paciente contiene las normas individuali- zadas año a año. En las mujeres, éstas variarán hasta los 14 años y en los varones hasta los 16 años, edad en que se considera prácticamente finalizado el crecimiento (Cuadro 12.9). Edad Eje facial Profundidad facial (áng. facial) Ángulo plano mandibular Altura facial inferior Arco mandibular Normas individualizadas para cada edad 9 90° 87° 26° 47° 26° 10 90° 87,3° 25,7" 47° 26,5° 11 90° 87,6° 25,4° 47° 27° 12 90° 87,9° 25,1° 47° 27,5° 13 90° 88,2° 24,8° 47° 28° 14 90° 88,5° 24,5° 47° 28,5° VARONES Y MUJERES 15 90° 88,8° 24,2° 47° 29° 16 90° 89,1° 23,9° 47° 29,5° VARONES Cuadro 12.9: Tabla con las normas de los factores del VERT ajustadas con la edad.
  • 283.
    C A PI T U L O 13 Interpretación de la cefalometría lateral Estudio esqueletal de los maxilares: Cuando el paciente presenta problemas esque- letales sagitales y/o verticales, será necesario com- plementar la cefalometría dentoesqueletal con una evaluación estética más completa, que incluya el cefalograma de tejidos blandos. La repercusión de un problema esqueletal sagi- tal, por ejemplo una clase II, variará según la etio- logía del mismo. Yendo a casos extremos, la signi- ficación en el perfil será muy distinta si se debe a que el maxilar está protruido, o es la mandíbula la que está retruida (Fig. 13.1). Es importante aclarar que no existe una relación constante entre anomalía esqueletal o posiciones óseas, y anomalías o posiciones de los tejidos cutá- neos. Estas últimas estarán sustentadas no sólo por el componente esqueletal subyacente, sino que par- ticipan otros factores, como son el espesor de los tejidos blandos, el tono muscular, la postura del paciente, etc. La anomalía esqueletal pone en evidencia la necesidad de evaluar la estética mediante la cefalo- metría de tejidos blandos. Estos pacientes podrán tener generalmente dos alternativas de tratamiento: Una es el tratamiento ortodóncico-quirúrgico,y la otra es el tratamiento de compensación o camuflaje. Para ambas alternativas es imprescindible el es- tudio de la estética facial. En el tratamiento ortodóncico quirúrgico,direc- cionará las modificaciones esqueléticas necesarias buscando lograr un balance óptimo de los tejidos blandos. El tratamiento de compensación es mucho más limitado en cuanto a las posibilidades de mejorar la estética; los movimientos dentarios que se planifi- can obedecen más a posibilidades biológicas que a requerimientos estéticos. Sin embargo, en la evaluación de la alternativa de los tratamientos de compensación el cefalograma de tejidos blandos es un elemento que permite hacer un planteo real de las posibilidadesdel tratamiento, seña- lando en muchos casos los objetivos o necesidades estéticas que no podrán ser satisfechaspor esta vía. En todos los pacientes con discrepancias bása- les se indica el cefalograma vertical y sagital de los tejidos blandos. A partir de su integración en el Fig. 13.1: Perfiles de clase II. A: Clase II por retrusión mandibular. B: Clase II por protrusión maxilar. 297
  • 284.
    298 Interpretación cefalométríca diagnósticose podrán determinar y dimensionar las consecuencias estéticas del problema esqueletal; y será un elemento decisivo para determinar la vía terapéutica. Problema esqueletal de los maxilares Se estudia a) En sentido sagital (Fig.13.2) 1- Convexidad 2- Profundidad maxilar 3- Profundidad facial Factores estéticos asociados: 4- Vertical de Gl 5- Ángulo nasolabial inferior 6- Vertical de Sn 7- Relación cervical- facial inferior Esta correlación planteada entre problema es- queletal sagital- repercusión estética es válida para los casos donde el plano de Frankfort no presenta una diferencia apreciable con la Horizontal Verda- dera (ver capítulo 1, pág 21). Fig. 13.2. b) En sentido vertical (Fig.13.3) 1- Altura facial inferior Factores estéticos asociados: 2- Análisis vertical del perfil Fig. 13.3.
  • 285.
    Interpretación de lacefalometría lateral 299 En sentido sagital Convexidad El estudio esqueletal debe comenzar por la me- dida de la convexidad que describe la relación in- termaxilar en sentido sagital. Cuando su valor es cercano a la norma (+2 mm con una DS de ± 2) esta relación está equilibrada. Cuando escapa a la desviación estándar, es de- cir, es mayor de +4 mm o menor de O, nos indicará un patrón de Clase II o III respectivamente. Un valor alterado de la convexidad señala la existencia de un problema esqueletal pero no defi- ne la causa que lo provoca. Ésta debe buscarse ana- lizando la profundidad facial y la profundidad ma- xilar, medidas que describen la posición sagital de cada uno de los maxilares. Si analizamos separadamente estas dos medi- das, podemos encontrarnos con una serie de alter- nativas: 1. Convexidad aumentada Debido a: (Fig. 13.4) • Profundidad facial disminuida acompañada de una profundidad maxilar: a) normal b) aumentada c) disminuida, pero en menor grado que la profundidad facial. Esta última variante del patrón esqueletal de Clase II corresponde a las llamadas birretrusiones y es frecuente en las anomalías de Clase II División 1. A pesar del aumento de la convexidad ambos maxilares están retruidos con respecto a la base de cráneo. • Profundidad facial normal con profundidad maxilar aumentada Esto suele observarse como secuela del hábito de succión del pulgar. 2. Convexidad disminuida La disminución de la medida de la convexidad (patrón esqueletal de Clase III), puede deberse a distintas causas: (Fig. 13.5) • Profundidad facial aumentada acompañada de una profundidad maxilar: B Fig. 13.4: Clase II esqueletal (convexidad aumentada). Diferentes variantes: A, B y C: Profundidad facial disminuida, con profundidad maxilar normal (A), aumentada (B) o disminuida (C). D: Profundidadfacial normal y profundidad facial aumen- tada
  • 286.
    300 Interpretación cefalométrica A, B . C or^. 13.5:Clase III esqueletal (convexidad disminuida). Diferentes variantes: A, B y C: Profundidad facial a profundidad maxilar normal (A), disminuida (B) o aumentada (C). D: Profundidad facial normal y profundidad maxilar dis- minuida. Fig. 13.6: Un patrón esqueletal de Clase I (convexidad normal) puede presentar: A: Ambos maxilares en la norma. B: Birretrusión. C: Biprotrusión.
  • 287.
    Interpretación de lacefalometría lateral 301 a) normal b) disminuida c) excepcionalmente podrá estar aumentada, pero en menor grado que la profundidad facial. • Profundidad facial normal con profundidad maxilar disminuida 3. Convexidad normal (Fig. 13.6) Indica que los maxilares están en normoposi- ción (profundidad facial y maxilar normales), o que ambos están alterados en igual proporción por lo que conservan una relación armónica entre ambos, como puede suceder en una biprotrusión o en una birretrusión esqueletal. Profundidad maxilar Es una medida imprescindible para el estudio de la convexidad, como ya fue visto en el punto anterior. El aumento de esta medida se asocia general- mente a factores funcionales que provocan el estí- mulo del crecimiento de la premaxila,como succión digital, labial, persistencia del uso del chupete, etc. La disminución está ligada a patrones de Clase III. Profundidad facial Se analiza conjuntamente con la anterior para el diagnóstico de la convexidad. Define la posición sagital del pogonion. Una disminución o aumento de la profundidad facial in- dica sólo una posición retruida o avanzada del mentón, pero no nos aclara el porqué de esa situa- ción. El diagnóstico diferencial debe considerar factores que pueden dividirse en mandibulares y craneales. • Factores Mandibulares: (Fig. 13.7) Tamaño mandibular Implantación sagital de la mandíbula Altura facial inferior • Craneales: Base craneal anterior Analizaremos la forma de realizar el diagnósti- co diferencial, considerando una disminución de la profundidad facial. Factores mandibulares Se deberán considerar: 1. Tamaño mandibular Para determinar con exactitud el tamaño man- dibular del caso debemos recurrir a dos medidas del cefalograma completo de Ricketts. • Longitud del cuerpo mandibular (factor 32 del campo VI - estructural interno) • Altura facial posterior (factor 28 - campo VI- estructural interno) Fig. 13.7: Profundidad facial: ante una medida alterada, el diagnóstico diferencial debe incluir los siguientes aspec- tos: a) Tamaño mandibular, b) Implantación sagital de la mandíbula, c) Altura facial inferior.
  • 288.
    302 Interpretación cefalométrica Cuandouna o ambas medidas están disminuidas se puede inferir que el desarrollo mandibular es escaso, siendo éste el causante de la posición retrui- da de la sínfisis. Como análisis complementario pueden utilizar- se dos medidas del análisis de Bjórk-Jarabak: • Longitud del cuerpo mandibular y su relación con la base craneal horizontal. La norma para esta proporción es 1 a 1. • Altura de la rama Se evalúa no sólo la medida en milímetros de la altura de la rama sino su proporción con respec- to a la base craneal posterior (base craneal pos- terior 3 - altura de la rama 4). 2. Implantación sagital de la mandíbula Una mandíbula de tamaño normal, puede alcan- zar una mayor o menor proyección anterior, según su lugar de implantación en la base del cráneo. Algunas medidas cefalométricas permiten eva- luar la posición de las cavidades glenoideas en sen- tido sagital: • Deflexión craneal (factor 26 - campo VI- estructural interno) • Localización del porion (factor 30 - campo VI • estructural interno) Una disminución en el ángulo de la deflexión craneal o un aumento de la distancia Po-PTV indi- can una posición distal de la mandíbula. Se puede hacer un estudio complementario ana- lizando el ángulo de la silla del polígono de Bjórk- Jarabak. Un ángulo de mayor medida que la norma indi- ca una ubicación retruida de la fosa glenoidea. 3. Altura facial inferior Una alteración en la altura facial inferior, tendrá incidencia en la localización sagital del pogonion. Puede decirse que por cada grado de aumento en la altura facial inferior, la sínfisis retrocede apro- ximadamente 1 mm. Lo inverso sucede con la dis- minución. El aumento de la altura facial inferior puede atribuirse a: Fig. 13.8: Aumento de la altura facial inferior causada por una mandíbula de ángulo goníaco aumentado. Fig. 13.9: Aumento de la altura facial inferior causada por una mandíbula rotada distalmente.
  • 289.
    Interpretación de lacefalometría lateral 303 a) Forma mandibular: (Fig. 13.8) Un arco mandibular disminuido indica una mor- fología mandibular con ángulo goníaco obtuso. Co- mo consecuencia de esta forma el ángulo del plano mandibular generalmente está aumentado. b) Rotación distal de la mandíbula: (Fig. 13.9) Cuando una mandíbula tiene un arco mandibu- lar dentro de la norma pero el ángulo del plano mandibular está aumentado, estamos en presencia de una mandíbula ubicada en rotación distal. En los patrones esqueletales de Clase II dolico- faciales, las dos características antes mencionadas: forma obtusa y rotación distal suelen encontrarse asociadas. Nos hemos referido solamente a la disminución de la profundidad facial, pero en el aumento de esta medida también inciden los mismos factores. Factores Craneales • Base craneal anterior Si bien estadísticamente se ha comprobado que es una estructura prácticamente inalterable en pacientes normales, ligeros cambios dimensionales pueden tener influencia en el patrón esqueletal. Al determinar la posición sagital del nasion, influye en la medida de la convexidad facial. Un aumento de la longitud de la base craneal anterior (medida 27 - campo VI estructural inter- no) puede indicar un aumento del crecimiento sagi- tal del tercio medio de la cara, acompañando a un patrón esqueletal de Clase II (Fig. 13.10 A). Por el contrario, una medida más corta expresa- ría un hipodesarrollo del tercio medio y puede aso- ciarse a un patrón de Clase III (Fig. 13.10 B). B Fig. 13.10: A: Patrón esqueletal de Clase II con una base craneal anterior larga. B: Paciente de Clase III esqueletal, con hipodesarrollo del maxilar superior asociado con una base craneal anterior disminuida.
  • 290.
    304 Interpretación cefalométrica Factoresestéticos asociados Vertical de Gl El perfil blando refleja en su contorno total las alteraciones de la convexidad. Así, encontramos contornos faciales convexos, rectos o cóncavos. La relación de los puntos Sn y PoC con respec- to a la vertical de Gl describe este contorno. Las normas, son: Vert. Gl - Sn : 6mm -+ 3 mm Vert. Gl - PoC: Omm +- 4 mm. En los casos de convexidad esqueletal aumenta- da el Po C se ubica generalmente por detrás de la norma, con un Sn dentro de valores normales o a- delantado. Un perfil convexo puede también tener una normoposición del PoC, en asociación con un Sn avanzado. (Fig. 13.11) A la inversa, los casos de convexidad disminui- da presentan el punto Sn en una ubicación normal o retruida, y la posición del PoC avanzada. La glabela es una estructura que puede presen- tar variaciones en su proyección, dependiendo de la anatomía del hueso frontal y del desarrollo de la base craneal anterior. Esa proyección suele estar disminuida, lo que determina una posición poste- rior de la línea vertical que se traza tangente a ella, con la consiguiente distorsión de las medidas que se toman en relación a esta línea. En estos casos, con- siderar las desviaciones que presentan las medidas de Sn y PoC entre sí nos brindará una información útil. Ángulo nasolabial inferior Si bien el ángulo nasolabial inferior está influen- ciado primordialmente por la inclinación del incisi- vo superior, los pacientes con convexidad aumenta- da debido a una mayor proyección sagital del maxilar presentan generalmente un ángulo nasola- bial inferior disminuido (Fig. 13.12). Sin embargo, estadísticamente el aumento de la convexidad se debe más a un déficit en la profundi- dad facial, estando la profundidad maxilar normal o también disminuida (clase II con birretrusión de los maxilares).En estos casos, es frecuente encon- trar una angulación normal del ángulo nasolabial inferior (Fig. 13.13). Gl Gl Poc Poc Fig. 13.11: Vertical de glabela. A: Valores normales. B: En un caso de clase II. C: En un caso de clase
  • 291.
    Interpretación de lacefalometría lateral 305 B Fig. 13.12: A: Ángulo nasolabial inferior cerrado en una paciente con incisivos superiores protruidos. La retrusión de los incisivos abrirá el ángulo, llevándolo a valores más cercanos a la norma de 85°. B: El aumento de la medida del labio superior a la vertical de Sn tiene la misma interpretación. En ellos, la compensación ortodóncica tiene co- mo objetivo la reducción del overjet a través de la retrusión de los incisivos superiores. Esta maniobra provocará el retroceso del labio superior creando un efecto negativo en la estética del perfil por la apertura del ángulo nasolabial inferior, como se observa en el paciente de la figura 13.13. Esta situa- ción se agrava cuando el labio superior es delgado. En los casos de clase III, la repercusión del hipo- desarrollo del maxilar superior en la medida del ángulo nasolabial inferior dependerá de las carac- terísticas anatómicas y posturales del labio supe- rior. Si el labio es de buen espesor, o si se encuen- tra evertido por el déficit de desarrollo del maxilar, se enmascara el problema sagital esqueletal. Este camuflaje del labio desaparece si observa- mos el perfil del paciente en sonrisa, donde la incli- nación del filtrum hacia atrás es un signo clínico que pone de manifiesto la retrusión del maxilar. En los casos de clase III donde la etiología del problema sagital es exclusivamente mandibular, las características del ángulo nasolabial en reposo y en sonrisa no están alteradas. Vertical de Sn Las observaciones realizadas en el ángulo naso- labial referidas a la posición del labio superior son válidas y deberán tenerse en cuenta también al eva- luar la posición de dicho labio con respecto a la ver- tical de Sn (Fig. 13.12). La medida del PoC a la vertical de Sn está aumentada en los pacientes de Clase II, y está dis- minuida o es positiva , en las Clases III. Relación cervical-facial inferior La profundidad facial indica la posición sagital del pogonion óseo, siendo una de las variables de la proporción de la relación cervical-facial inferior. Una posición retruida del pogonion (Clase II) tiende a aumentar el valor, mientras que un avance del mentón se traduce en una disminución en la proporción. No siempre una posición sagital alterada del po- gonion óseo tiene una influencia directa en la estéti- ca del perfil. Ello se debe a la variabilidad del volu-
  • 292.
    306 Interpretación cefalométrica Fig.13.13: Comparación de dos pacientes con Clase II esqueletal, de similares características en la anomalía dentaria (Clase II , con overjet aumentado y sobremordida), pero con diferente posición sagital de los maxilares. El paciente de la izquierda presenta una birretrusión esqueletal, la paciente de la derecha tiene una protrusión del maxilar y mandíbula en normoposición. En la estética del perfil, ambas anomalías se expresan de diferente manera.
  • 293.
    Interpretación de lacefalometrla lateral 307 Fig. 13.14: El tratamiento ortodóncico realizó en ambos la retrusión de los incisivos, abriendo el ángulo nasolabial inferior. Este efecto fue crítico en el primer paciente, y tolerado por la segunda, que presentaba antes del tratamiento una posi- ción sagital del labio más favorable. Además, la posición sagital del mentón, que no se modifica en ninguno de los dos por ser un tratamiento ortodóncico, ejerce una marcada influencia en la estética final del caso.
  • 294.
    308 Interpretación cefalométrica mende los tejidos blandos de la sínfisis, que pueden enmascarar o potenciar el problema esqueletal. Esta situación es válida también para aquellas medidas estéticas que describen la posición sagital de los tejidos blandos del mentón (Vert. de Gl y Vert. de Sn). En sentido vertical Altura facial inferior En el estudio de la profundidad facial nos he- mos referido a la incidencia que tiene la variación de la altura facial inferior en el problema sagital del paciente. En cuanto a la descripción esqueletal en sentido vertical, hablaremos de dos patrones: • Patrón esqueletal de mordida abierta • Patrón esqueletal de sobremordida profunda. Patrón esqueletal de mordida abierta Es el que presenta un aumento de la altura fa- cial inferior. Este aumento puede obedecer a cau- sas maxilares o mandibulares. Causas maxilares. Se deberán observar: (Figs 13.15 y 13.18) • Altura maxilar • Plano palatino Cuando la altura maxilar esté disminuida o el plano palatino presente una inclinación hacia arri- ba y adelante, el aumento de la altura facial inferior obedecerá a una causa maxilar. Causas mandibulares. Este patrón esqueletal de mordida abierta será atribuible a la mandíbula cuando: (Figs 13.16 y 13.17) • El ángulo del plano mandibular esté aumen- tado. El plano mandibular está muy inclinado, debido a la forma (mandíbula obtusa) o posi- ción (implantación en posterorrotación) Fig. 13.15:Aumento de la altura facial inferior debido al maxilar. Fig. 13.16: Aumento de la altura facial inferior de origen mandibular.
  • 295.
    Interpretación de lacefalometría lateral 309 Fig. 13.17: Paciente con tercio inferior aumentado. En la cefalometría se observa una altura facial inferior aumentada, por un exceso vertical del maxilar y una forma obtusa de la mandíbula, que se expresa por un arco mandibular dismi- nuido y un ángulo de plano mandibular aumentado. Fig. 13.18: Paciente con tercio inferior aumentado en relación al tercio medio de la cara. La altura maxilar está disminui- da, generando un aumento de la altura facial inferior. En la estética de la cara, se observa una nariz corta que tiene rela- ción con la altura maxilar escasa.
  • 296.
    310 Interpretación cefalométrica •El arco mandibular esté disminuido. Esto re- vela una forma obtusa del ángulo goníaco. A veces en un mismo caso, el aumento de la altura facial inferior puede deberse a la combina- ción de factores maxilares y mandibulares. Gene- ralmente este patrón esqueletal de mordida abierta se observa en pacientes dolicofaciales y se asocia también a una mordida abierta dentaria. En estos casos debe hacerse un diagnóstico diferencial con aquellas de origen funcional, en los que la anoma- lía asienta solamente en la porción dentoalveolar. Sin embargo este aumento de la altura facial in- ferior en algunos casos se acompaña de un overbi- te normal, presentando entonces un excesovertical del maxilar superior en la parte anterior. Un exceso vertical del mentón no podrá ser eva- luado claramente a través de la altura facial infe- rior, dado que ésta toma como referencia el punto Pm, dejando de lado la estructura que está por debajo de él, es decir, la basal de la sínfisis, que interviene en la alteración. Patrón esqueletal de sobremordida profunda (Fig. 13.20). Se definen así, aquellos casos que tienen la altu- ra facial inferior disminuida más allá de la desvia- ción estándar. Se caracterizan por un ángulo del plano mandi- bular muy pequeño (tendencia al paralelismo con el plano de Frankfort) y arco mandibular de valo- res grandes que indican una configuración mandi- bular más cuadrada y con una rotación en sentido anterior. Generalmente se corresponde con patro- nes braquifaciales. Este patrón esqueletal se asocia generalmente a una sobremordida dentaria, pero en casos de un dé- ficit vertical del maxilar superior puede coexistir con una relación de overbite normal. Como en el caso del anterior, un escaso desarro- llo vertical de la sínfisis, no podrá tener una reper- cusión en la altura facial inferior muy evidente. Factores estéticos asociados Para el estudio vertical del tercio inferior de la cara, el análisis cefalométrico vertical de los tejidos blandos es más completo y preciso que el estudio esqueletal. Esto se debe a varias razones: 1- Se basa en medidas lineales y no angulares como la altura facial inferior de Ricketts. Esta últi- ma, al ser angular, no interpreta con certeza el pro- blema vertical del paciente porque no tiene en cuenta la variable sagital. (Fig. 13.19) Fig. 13.19: Una misma medida de altura facial inferior, al ser una medida angular, puede estar referida a distintas longi- tudes del tercio inferior.
  • 297.
    Interpretación de lacefalometría lateral 311 Fig. 13.20: Tercio inferior disminuido en una paciente con patrón esqueletal de sobremordida profunda. Fig. 13.21: Tercio inferior aumentado en un paciente con patrón esqueletal de mordida abierta.
  • 298.
    312 Interpretación cefalométríca Porlo tanto, un mismo valor angular puede corresponder a diferentes dimensiones verticales según la longitud que tenga el ángulo que estamos midiendo. 2- Integra la porción basal de la sínfisisy el espe- sor de los tejidos blandos. 3-Las relaciones que describe dentro del tercio inferior, como el estudio de los labios, del espacio interlabial y de la relación labiodental vertical no son contempladas en las medidas esqueletales y son de mucha importancia en las planificaciones or- todóncicas y ortodóncico-quirúrgicas. La relación que se establece entre el aumento o disminución de la altura facial inferior en la estéti- ca del perfil debe buscarse en el aumento o la dis- minución del tercio inferior. Por lo general, el aumento de la altura facial inferior se manifiesta también en un espacio inter- labial aumentado, ya se trate de una mordida abier- ta o de un exceso vertical del maxilar. En este últi- mo caso, se observa también un aumento en la exposición del incisivo superior. En la disminución de la altura facial inferior, nor- malmente el tercio inferior es menor que el tercio medio de la cara, el espacio interlabial es de Omm, pudiendo existir redundancia labial, y la exposición de los incisivos superiores tiende a estar disminuida. La altura del mentón óseo se expresa claramen- te en el estudio vertical del perfil en la medida D, es decir, St inf-Me C, y puede potenciar odisminuir la expresión clínica de un aumento o disminución de la altura facial inferior. Problema dentoalveolar Distancia A-B Es la distancia medida en milímetros entre la proyección perpendicular de los puntos A y B so- bre el plano de Frankfort. Define con claridad la relación sagital entre las bases alveolares superior e inferior, que constituyen el campo esqueletal del tratamiento ortodóncico. La norma para esta medida es de 4mm con una desviación de ± 2mm. Puede ser equivalente al valor de la convexidad, pero en pacientes con determinadas características morfológicas del mentón o de la base craneal ante- rior, la interpretación de ambas medidas es dispar. Como ya hemos visto, esta última utiliza como referencia al plano facial, que se apoya en estructu- ras distantes del campo dentoalveolar (base crane- al anterior y sínfisis). Estas estructuras pueden sufrir variaciones posi- cionales y/o morfológicas que afectan el valor de la convexidad. Por ejemplo: Una base craneal corta, enmascara en la medida de la convexidad la relación de clase III que existe entre el maxilar y la mandíbula. Por el contrario, una base craneal anterior larga tiende a magnificar el problema de clase III en la medida de la conve- xidad. (Fig. 13.23) La forma de la sínfisis es otro factor que puede ocasionar confusiones.Por ejemplo, un caso con un pogonion muy prominente, que presenta un valor normal de convexidad, puede ser portador de una relación de clase II significativa a nivel de los pun- tos A y B. (Fig.13.22) Esta relación entre el punto A y B es la que des- cribe el campo ortodóncico y nos revela la necesi- dad de realizar o no compensaciones dentariaspara solucionar un problema sagital. Fig. 13.22: Convexidad normal, con distancia A-B aumen- tada por una posición adelantada del Na y una marcada forma de la sínfisis ósea.
  • 299.
    Interpretación de lacefalometría lateral 313 O B Fig. 13.23: A: Paciente de Clase III con una convexidad de -2 mm, y una distancia A-B de -7 mm. B: Paciente de Clase III, con una mayor convexidad negativa debido a la forma de la sínfisis y a una mayor longitud de base craneal, pero con una distancia A-B de -1 mm. Si bien un análisis superficial basado en el valor de la convexidad podría hacer pensar que el caso A es más favorable para un tratamiento de compensación ortodóncica, la distancia A-B revela que, por el contrario es mucho menos factible la compensación que en el caso B.
  • 300.
    314 Interpretación cefalométrica Problemadentario Incisivo inferior a A-Po Iniciamos el estudio del problema dentario, mi- diendo la distancia lineal desde el borde incisal del incisivo inferior hasta el plano A-Po. Esta medida define la posición sagital de la arca- da inferior con respecto al límite anterior de ambos maxilares. El valor obtenido determina cuántos milímetros por delante o por detrás del plano A-Po está ubica- da la arcada dentaria inferior. Relacionando esta medida con la norma (que tiene un valor de +lmm) se obtiene la discrepancia cefalométrica del caso, dato fundamental para la planificación . La posición del incisivo inferior en sentido ante- roposterior es uno de los objetivos que se definen con el proceso de planificación. Constituye la clave de la estética labial, porque es la que dicta la posi- ción sagital del incisivo superior, y éste es en defi- nitiva el soporte de los labios. En el estudio inicial del caso, deberán ser estudiadas y relacionadas la posición sagital de los incisivos y la posición sagital de los labios, evaluando la medida del labio inferior al plano E, el ángulo nasolabial y el contacto labial. Por lo tanto, la decisión sobre la posición ade- cuada para el incisivo inferior no debe estar basada solamente en parámetros cefalométricos, porque no siempre la medida de +lmm resultará la más adecuada para la estética de los labios y el perfil. (Fig. 13.24) Overjet o resalte incisivo La medida del resalte es de muy fácil aprecia- ción, ya que consiste en la distancia lineal entre el borde incisal de ambos incisivos medida en forma paralela al plano oclusal. La norma es de 2,5 mm. Cuando se relacionan los incisivos inferiores con sus homólogos superiores, se determina la natura- leza del overjet, es decir, se define si un overjet aumentado o disminuido se debe a una posición incorrecta del incisivo inferior, del superior o de ambos. Partiendo de la norma de -i-lmm del 1 al A-Po, se puede comprender en caso de alteración del overjet, en qué medida es responsable cada uno de los incisivos. Observemos los ejemplos de la figura 12.25. Los tres dibujos muestran un overjet anormal, en este caso, aumentado. Fig. 13.24: Pacientes con los incisivos en la norma cefalométrica con respecto al plano A-Po. En A, por lascaracterísti- cas braquifaciales y del perfil se podría recurrir a una protrusión mayor. En B, al tratarse de un paciente dolicofacial, con un perfil en el límite de la protrusión labial y con cierre labial forzado, está contraindicado un avance de los incisivos.
  • 301.
    Interpretación de lacefalometría lateral 315 Fig. 13.25: Estudio del overjet. Casos A, B y C. En A, el incisivo inferior está en una posición normal, es decir, a +1 mm con respecto al plano A- Po. En este caso la alteración del overjet debe ser atribuida exclusivamente al incisivo superior. B, nos muestra el caso contrario, el overjet aumentado se debe a una posición retruida del inci- sivo inferior. En C existe una combinación de los dos anterio- res, es decir, ambos incisivos son responsables del aumento del resalte. Inclinación del incisivo inferior. Se evalúa mediante el ángulo que forma el eje del incisivo con el plano mandibular. La norma es de 90a +- 5°,cuando el ángulo está aumentado, con- sideramos a ese incisivo proinclinado, y cuando es- tá disminuido, retroinclinado Esta medida es una guía a tener en cuenta al planificar el avance o retroceso del grupo incisivo inferior, movimientos que se pueden realizar sólo en base a inclinación, dada la estrecha forma del reborde alveolar inferior en esta zona y la proximi- dad de las corticales vestibular y lingual con las raí- ces dentarias. En la variación que provocará sobre este ángulo la protrusión o la retrusión, se podrá encontrar el límite a estos desplazamientos con la finalidad de evitar llevarlos a posiciones deventa- josas, en las que estarán sometidos a fuerzas oclu- sales tangenciales. Debemos tener en cuenta que en el movimien- to del incisivo, 1 mm de movimiento hacia adelan- te o hacia atrás modifica este ángulo en +2° y en -2° respectivamente (Fig. 13.26). Al estudiar el caso, relacionamos la posición sa- gital del incisivo inferior con su inclinación. Si el incisivo está protruido, es favorable encon- trar aumentado este ángulo, porque la retrusión que deberemos realizar favorecerá su normaliza- ción. Por el contrario, si el valor del ánguloes normal, el movimiento de retrusión creará una retroinclinación. Estas situaciones son frecuentes en pacientes con discrepancias básales, donde se optará por la posición más conveniente para el caso, sabiendo que nunca podrá ser óptima en ambos sentidos, en posición sagital e inclinación. Generalmente se pri- vilegia la posición del 1 al A-Po por su relación con el objetivo estético.
  • 302.
    316 Interpretación cefalométrica Fig.13.26: El movimiento sagital del incisivo inferior se planifica sin torque, por lo que la modificación del ángulo que forma con el plano mandibular puede calcularse en 2 grados por cada mm de movimiento sagital del borde incisal, abrien- do el ángulo la protrusión y cerrándolo la retrusión. Inclinación del incisivo superior Para analizar la inclinación del incisivo superior adoptamos el concepto de J. M. Damerell quepro- pone utilizar como referencia al eje facial e indivi- dualizar la posición del incisivo central superior con su eje 5° más vertical que el eje facial (Fig. 13.27). Esto es coincidente con la mayor verticalidadde los incisivos superiores en los dolicofaciales y lo inverso en los patrones braqui. Cuando es paralelo, o más horizontal que eleje, el incisivo superior se halla proinclinado. A la in- versa, cuando se encuentra más vertical, el incisivo se encuentra retroinclinado. Una vez evaluada la inclinación de este incisivo con respecto al parámetro mencionado, se la rela- ciona con su posición en sentido sagital, es decir, la medida del overjet y la necesidad de movimiento en sentido anterior o posterior que requiera para su corrección. Al igual que el factor anteriormente descripto, indica si la inclinación actual del incisivo es favora- ble o no para corregir su posición sagital. Sin embargo, en los casos de discrepancias bása- les, la necesidad de comprometer la inclinación del incisivo superior al corregir su posición sagital es menor que en el incisivo inferior, porque en elsec- Fig. 13.27: Inclinación ideal del incisivo superior
  • 303.
    Interpretación de lacefalometría lateral 317 Fig. 13.28: Por las características del eje facial en los distintos biotipos, el eje del incisivo superior idealmente tendrá una posición más vertical en los dólicos que en los braquifaciales. tor anterosuperior, dado el volumen del reborde alveolar, se podrán realizar movimientos de torque. En general, en los casos de patrón esqueletal de clase I, incisivos superiores protruidos tienen su eje más horizontal en relación al eje facial mientras que los retruidos lo tendrán más vertical. Al igual que la inclinación del incisivo inferior, no se puede sustraer del contexto esqueletal, por- que un patrón de Clase II podrá presentar un inci- sivo superior con una inclinación normal con res- pecto al eje facial y, sin embargo, ser la causa del overjet y requerir una retrusión importante. En el caso contrario, es decir en patrones de Clase III, un incisivo normalmente inclinado, pue- de necesitar un movimiento de protrusión. Proba- blemente en ninguno de los dos casos antes men- cionados se logrará una inclinación ideal del incisivo superior (Fig. 13.29). B Fig. 13.29: A: Para compensar una Clase II esqueletal se requiere generalmente una posición más vertical del incisivo superior que la ideal. B: En una Clase III esqueletal, lo inverso.
  • 304.
    318 Interpretación cefalométrica Fig13.30: Medida del incisivo inferior con respecto al plano oclusal. En ambos casos de sobremordida está aumentada. En A, observamos un plano oclusal más bajo en el sector anterior, evidenciado por su relación con la comisura. En este caso, esta medida no tiene validez, porque no habrá que planificar una intrusión de los incisivos inferiores sino de los superiores, para lograr una buena exposición de estos dientes. El caso B presenta una posición normal del plano oclusal con respecto a la comisura, por lo que es correcto planificar la intrusión del incisivo inferior. Incisivo inferior al plano oclusal y overbite La corrección de un overbite alterado debe pla- nificarse teniendo en cuenta: • La medida de +1 al plano oclusal. • La ubicación del plano oclusal en relación a la comisura. • El grado de exposición del incisivo superior. Si bien existe una norma para la posición del 1 con respecto al plano oclusal, es necesario verificar la correcta posición de este plano en relación a la comisura labial, que es de 3 mm por debajo de ésta (Fig. 13.30). Sólo así tiene validez la norma citada para el 1. En los casos en que la relación plano oclusal- comisura no esté dentro de límites normales, debe- rá trazarse un nuevo plano oclusal (normalizado) con el objetivo de establecer una relación labio- diente armónica, es decir, lograr una exposición estética de los incisivos superiores. En el capítulo 17 nos referimos a lamodificación del planooclusalen el momento del trazadodel VTO. La modificación del plano oclusal que se puede realizar con un tratamiento ortodóncico, obvia- mente tiene limitaciones que no siempre podrán sa- tisfacer los requerimientos estéticos del paciente. En estos casos se optará por una solución de com- promiso y cuando ésta sea insuficiente, se deberá recurrir a procedimientos quirúrgicos. Clase molar Evaluar la clase molar es el punto de partida pa- ra la planificaciónde la arcada superior, que se rea- liza después de haber planificado la inferior. En algunas radiografías, la relación molar no puede visualizarsecon claridad porque no existe una perfecta superposición de las imágenes de los mola- res izquierdos y derechos. Esto puede deberse: • a asimetrías esqueletales, • a migraciones molares unilaterales, obilatera- les de distinto grado.
  • 305.
    Interpretación de lacefalometría lateral 319 • a que por ser una imagen bidimensional de un problema tridimensional, no puede reflejar en una imagen plana las rotaciones de los molares. Estas rotaciones, se manifiestan en la telerra- diografía como si hubiera existido un desplaza- miento del molar en sentido sagital. Si a todo esto agregamos que las rotaciones pue- den ser de distinto grado en ambas hemiarcadas, o existir de un solo lado, se comprenden aún más los motivos de la doble imagen. En estos casos se debe- rá promediar la doble imagen de los molares. Con el objeto de dar mayor exactitud al calco, se aconseja realizarlo observando la posición de los molares en los modelos. No es propósito de la cefalometría el estudio de la clase molar, en muchos casos no es igual del lado derecho que del izquierdo y esta situación no se puede volcar en el trazado, que representará sólo una de las dos hemiarcadas , o bien, un promedio de ambas que no se ajusta a la posición de ninguna de ellas. Por otra parte, como se describe en el cap 7, el estudio de la relación molar se hace sobre los modelos montados en articulador en posición de relación céntrica y se tienen en cuenta los concep- tos de Andrews de la primer llave de la oclusión. CAMPO ESTÉTICO DEL CEFALOGRA- MA BÁSICO El cefalograma lateral básico incluye un mínimo campo estético que consiste en evaluar aquellas áreas que pueden ser afectadas por el tratamiento ortodóncico. Al referirnos al estudio esqueletal, se planteó la necesidad de evaluar la estética más profundamen- te en aquellos pacientes que presentan alteraciones esqueletales. En ellos se realizará el estudio vertical y sagital del perfil, que se encuentra desarrollado en este texto en los capítulo 1 y 20, ambos referidos a la estética facial. El campo estético básico será suficiente para aquellos pacientes del Grupo I, donde la anomalía se limita al terreno dentoalveolar, y lo integran 3 factores: Fig 13.31:Cuando el labio superiores corto, en el cierre el labio inferior se apoya en el incisivo superior, y por consi- guiente, con el tratamiento ortodóncico responderá a las modificaciones posicionalesde dicho diente. -Labio inferior al plano E -Ángulo nasolabial inferior -Exposición del incisivo superior Labio inferior al plano E La distancia del labio inferior al plano estético es el factor que define la posición de los labios en rela- ción a otras estructuras del perfil: la nariz y el men- tón. Nos da una idea del grado de equilibrio que existe entre el labio y los dos puntos más salientes del perfil, y permite analizar cómo influirán los movimientos que requieren los incisivos en dicho balance. La posición de los labios dependerá de: l.La ubicación de las estructuras que le sirven de soporte: incisivos superior e inferior. La posición del labio superior depende exclusi- vamente de la ubicación del incisivo superior. El labio inferior, en general debe su posición a un balance de la ubicación en sentido sagital de am- bos dientes de soporte (incisivo superior e inferior). Esto tiene excepciones, por ejemplo los pacientes
  • 306.
    320 Interpretación cefalométrica Fig.13.32: A: Paciente con un ángulo nasolabial inferior cerrado , pero con una buena posición de los labios con respecto al plano estético (-2mm).La decisión sobre la posición deseable de los incisivos debe contemplar ambos parámetros, por lo que se indica sólo una leve retrusión. B: Caso con overjet y protrusión de incisivos superiores, con un ángulo nasola- bial inferior abierto y un perfil labial muy retruído (-8mm).La retrusión del incisivo superior es sumamente desfavorable. con labio superior corto y falta de cierre bucal, sus- tentan el labio inferior en el incisivo superior al contactar los labios (Fig. 13.31). 2. La configuración muscular y mucocutánea, es decir, espesor, tono, etc. Existen variaciones individualesasociadas algu- nas veces al tipo constitucional y otras a caracterís- ticas raciales. 3. El estado de contracción o relajación de la musculatura perioral. La toma radiográfica se hace con dientes y labios en contacto, únicamente con la finalidad de poder construir la predicción de crecimiento y el VTO. Cuando por la protrusión dentaria o por una escasa longitud del labio superior este contacto requiere un esfuerzo, se observarán modificaciones de su posición y su espesor, como así también en los tejidos blandos del mentón. En este último caso, es necesario realizar dos tomas radiográficas. Una, con labios en contacto, permitirá trazar el VTO y la otra, con labios en posición relajada, servirá para evaluar la disposi- ción normal de los tejidos blandos. Ángulo nasolabial inferior Este ángulo fue descripto en la sección de exa- men clínico y también entre los factores del cefalo- grama básico. Como está afectado por la posición e inclinación del incisivo superior, al interpretar los datos de la cefalometría lateral se evalúa el efecto del movi- miento dentario requerido sobre este ángulo Así, cuando es necesaria la retrusión del incisi- vo superior, la presencia de un ángulo cerrado es favorable para la obtención de un buen resultado estético, mientras que si está en la norma, o más abierto, dicha retrusión resultará desfavorable. (Fig. 13.32) El movimiento de protrusión del incisivo, que se indica con menos frecuencia, produce el avance del
  • 307.
    Interpretación de lacefalometría lateral 321 labio superior y consecuentemente el cierre del án- gulo nasolabial inferior. Por lo tanto, mejorará un ángulo abierto, y puede ser tolerado ante un ángu- lo en la norma. Sólo es desfavorable esta indicación ortodóncica ante la presencia de un ángulo muy cerrado. Exposición del incisivo superior La exposición del incisivo superior puede ser modificada por movimientos ortodóncicos, sólo en pequeña magnitud, mediante la intrusión o extru- sión del sector anterosuperior. A su vez, la retru- sión tiende a aumentar la exposición de los incisi- vos, por el efecto de extrusión aparente que tiene dicho movimiento, y la protrusión, a disminuirla por el efecto inverso. Cuando, por ejemplo, incisivos superiores muy expuestos necesitan ser retroinclinados, se deberán aplicar los recursos mecánicos para evitar un mayor aumento, y en la medida que sea posible, dismi- nuirla con la intrusión previa al movimiento sagital. Otras veces, el movimiento sagital requerido puede ser favorable para mejorar un problema de exposición de incisivos, por ejemplo, si en el caso de necesitar retroinclinación, la exposición está dis- minuida. Estos conceptos, tenidos en cuenta en la etapa de diagnóstico, permitirán evaluar la complejidad del caso. Cuando alcanzar una exposición normal supere los límites ortodóncicos, la indicación es quirúrgica.
  • 308.
    323 Bibliografía Bench, R. W.,Gugino, C. F., Hilgers, J. J.: Bio-pro- gresive therapy III. Visual treatment objective (VTO). J. Clin Orthod 11:744-763, 1977 Benvenga, M. N.: Comunicación personal. Sao Paulo, Brasil, 1982, 1983 Bjórk, A:Timing of interceptive orthodontic mea- sures based on stages of maturation. Trans. Europ. Orthod. Soc. 62:1972 Brodie, A. G.: On the growth pattern of the human head. Am. J. Anat. 68:209-262, 1941b Burstone, C.: Process of maduration and growth prediction. Am. J. Orthod. 49:907,919. 1963 Cristie, T. E.: Cephalometric patterns of adults with normal occlusion. Angle Orthod. 47:2. April 1977 Engel, G., Cornforth, G., Damerell, J. M., et al: Treatment of deep-bite cases. Am J. of Orthod. Vol. 77 N° 1 pag. 1,13. Jan. 1980 Graber, T. M., Swain, B.: Ortodoncia. Principios generales y técnicas. Panamericana. Buenos Aires, 1988 Gugino, C. F.: An orthodontic philosophy. Rocky Mountain Ed. USA. 1970 Isaacson, R. J., et al: Effects of rotational jaw growth on the occlusion and profile. A.J.O. 72- 276,1977 Langlade, M.: Cefalometrie Orthodontique. Maloine S.A. Editeur. París, 1978 López Velarde, G.: Comunicación personal. Córdoba, Argentina, 1988 Mauchamp, O., Sassouni, V.: Growth and predic- tion of the skeletal and soft tissue profiles. Am. J. Orthod. 64:83,94, 1973 McNamara, J. A., Ellis, E.: Cephalometric analy- sis of untreated adults with ideal facial and occlu- sal relationships. Int. J. Adult Orthodont. Oral Surg. 3:221-231, 1988 McNamara, J. A., Brudon, W. L.: Tratamiento Ortodóncico y Ortopédico en la Dentición Mixta. Needham Press. Ann. Arbor, 1995 Moore, A.: Observation on facial growth and its significance. Am. J. Orthod. 45:399,423. 1959 Moss, M. L.: Vertical growth of the human face. Am. J. Orthod. 50:359,376, 1964 Moss, M. L.: Space and space. Time in cranial facial growth. Am. J. Orthod. 77:591,612. 1980 Petrelli, E., et al: Ortodontia contemporánea. Sarvier. Sao Paulo (Brasil), 1988 Ricketts, R. M.: The influence of orthodontic tre- atment on facial growth and development. Angle Orthod. 30,3:103,133. July 1960 Ricketts, R. M.: Philosophies and methods of facial growth prediction. Foundation for ortho- dontic research. Proc. 4 p.p. 11,30. 1971 Ricketts, R. M.: A principie of arcial growth of the mandible. Angle Orthod. 42. p.p. 368,386. Oct. 1972 Ricketts, R. M.: Review of methods of prediction. Proceedings of the foundation for orthodontic research, 1971, James Mulick, Ed. Canoga Park (USA) 1972 Ricketts, R. M.: The discovery of a law of arcial growth of the mandible. Proceedings of the foun-
  • 309.
    324 dation for orthodonticresearch 1971, James Mulick, Ed. Canoga Park (USA) 1972 Ricketts, R. M.: On growth prediction. Journal C. Orthod. Vol. 9 N° 6 p.p. 340,362. June 1975 Ricketts, R. M., Roth, R, et al: Orthodontic Diagnosis and Planning. Rocky Mountain Data Systems, 1982 Ricketts, R. M., et al: Técnica Bioprogresiva. Panamericana. Buenos Aires (Argentina), 1983 Tweed, C. H.: The Frankfort-mandibular incisor angle (FMIA) in orthodontic diagnosis, treatment planning and prognosis. Angle Orthod 24:121-169, 1954 Weislander, L.: The effect of orthodontic treat- ment on the concurrent development of the cra- niofacial complex. Am. J. Orthod 49:15-27,1963 Steele, C. N., Fairchild, R. C., Ricketts, R. M.: Forum on the tonsil and adenoid problem in ort- hodontics. Am. J. Orthod. 54:485-514. 1968 Sutton, P. R. N.: Lateral facial asymetry methods of assessment. Angle Orthodont. 38:82,92. 1968 Thurow, R. C.: Atlas de Principios Ortodóncicos. Intermédica. Buenos Aires (Argéntea).
  • 310.
    SECCIÓN SÍNTESIS DEL DIAGNÓSTICO YPLANIFICACIÓN Selección de elementos de diagnóstico y metodologías de planificación Crecimiento. Predicción arquial Síntesis del diagnóstico Visualización de objetivos del tratamiento Áreas de superposición
  • 311.
  • 312.
    C A PÍ T U L O 14 Selección de elementos de diagnóstico y metodologías de planificación. GENERALIDADES Un correcto y completo diagnóstico de un pro- blema ortodóncico, es fundamental para la planifi- cación del tratamiento y la implementación de los procedimientos terapéuticos necesarios para com- pletar la corrección del caso. En los capítulos precedentes hemos descrito la metodología que utilizamos para elaborarlo. Existe una gran diversidad de métodos para el diagnóstico. Sus diferencias están referidas a su grado de complejidad, a los aspectos que analizan, etc., pero a pesar de estas diferencias sus conclusio- nes nunca podrán ser dispares y menos aún opuestas. Es decir, el diagnóstico es un proceso científico y, como tal, debe ser objetivo. Pero cuando entramos en el terreno de la plani- ficación, aparecen elementos subjetivos. El diag- nóstico debe ser único pero la planificación puede tener alternativas que se deberán a causas inheren- tes al profesional, al paciente, o a otras. Inherentes alprofesional: • Su criterio sobre lo que puede o debe hacer- se y sus conocimientos acerca de métodos terapéuticos. • La forma de jerarquizar los problemas clíni- cos. Inherentes al paciente: • La valoración personal de su problema. • Susprioridades. • Sumotivación. • Susposibilidades socioeconómicas. • Su disponibilidad de tiempo. • Grado de cooperación previsible. Inherentes a otras causas: • La consideración de los riesgos en relación a los beneficios. Todos estos condicionamientos pueden llevar- nos a valorar distintas alternativas de tratamiento para un mismo caso. PROCESO DE PLANIFICACIÓN Paso previo al inicio de laplanificación: Elección de los métodos de diagnóstico Antes de iniciar el proceso de planificación, se deben seleccionar los métodos de diagnóstico, con el objeto de evitar, por una parte, aquellos que no resultarán de utilidad para el paciente en estudio; y por otra, no caer en excesos que aportarán datos no pertinentes o redundantes que pueden generar confusión en el operador, además de someter al pa- ciente a procedimientos que insumen tiempo, mo- lestias y recursos económicos. Para poder hacer esta selección de los métodos de diagnósticoindicados,se deberán tener en cuen- ta dos aspectos: 1) tipo de anomalía 2) edad del paciente 1) Tipo de anomalía Consiste en ubicar al paciente en uno de los tres grupos principales, ya definidos en la Introduc- ción de la Sección 1: Grupo 1: Este grupo está constituido por pacientes con las siguientes características: No tienen discrepancias básales transversales, verticales o sagitales Su problema asienta en la región dentoalveolar Generalmente no presentan más alteraciones estéticas que aquellas provocadas por malposicio- nes dentarias que tienen repercusión en la zona labial o peribucal. La alteración de la estética facial está limitada a la posición retruida o protruida de los dientes del sector anterior Las anomalías dentarias que pueden presentar afectan la estética dentaria (apiñamientos, girover- siones, desnivelamientos, impactaciones, diaste- mas, sobremordidas, etc) y la función oclusal. 327
  • 313.
    328 Síntesis deldiagnóstico y planificación Son los llamados pacientes de Clase I esquele- tal, en cuyos rebordes alveolares pueden asentar anomalías de Clase I o Clase II dentaria, y algunas veces de Clase III. En general, no ofrecen dificultades para su tra- tamiento. Las modificaciones dentarias del tratamiento tendrán como objetivo corregir la anomalía denta- ria, la función oclusal y además contribuir al logro de una mejoría estética de los labios y de la sonrisa, adecuando nuestra planificación a estos requeri- mientos más que a parámetros dentarios cefalomé- tricos. Grupo 2: Este grupo muestra falta de equilibrio entre los componentes de la cara provocada por discrepan- cias básales moderadas. Pueden ser tratados mediante maniobras orto- dóncicas de camouflage, también llamados trata- mientos ortodóncicos de compensación o de com- promiso. Se deberán realizar inclinaciones dentarias que si bien no traspasan los límites biológicos, se apar- tan de las normas. Estos tratamientos de compensación ofrecen más dificultad que los del grupo 1. Sus resultados serán medianamente satisfacto- rios en los aspectos de estética dentaria y oclusión funcional, pero no alcanzarán a eliminar las secue- las de esas discrepancias en la estética facial Para estos pacientes, el tratamiento con resulta- dos óptimos es el tratamiento ortodóncico-quirúr- gico. Grupo 3: Pacientes con discrepancias esqueletales severas, de una importante repercusión en la estética facial. Por la magnitud de la anomalía, exceden a lasposi- bilidades de los tratamientos ortodóncicos de com- pensación porque provocarían múltiples problemas: inclinaciones axiales sumamente anormales, pro- blemas en los tejidos de soporte, deficiencias oclu- sales, disfunción de ATM, aumento de los proble- mas estéticos, etc. El único tratamiento indicado es el tratamiento ortodóncio-quirúrgico. otros pacientes, dentro de los cuales podemos encontrar: • Malformaciones craneofaciales originadas por síndromes genéticos, como la disostosis cleidocraneal, displasia ectodérmica, síndro- me de Treacher Collins, síndrome de Crou- zon, etc. • Malformacionesmaxilofaciales provocadas por enfermedades sistémicas de origen endocrino. • Malformaciones congénitas por embriopatías causadas por virus, tóxicos, radiaciones, etc. En este grupo se ubican los fisurados labio- alvéolo-palatinos, que probablemente sea la más frecuente de este tipo de anomalías. • Deformaciones ocasionadas por traumatis- mos o infecciones, como el síndrome de Wolf, inducido por la anquilosis bilateral de las ATM a una edad temprana. Todos estos síndromes y malformaciones, requerirán un abordaje terapéuticomultidisciplina- rio que comprende equipos de especialistas como cirujanos craneofaciales y generales, endocrinólo- gos, nutricionistas, psicólogos, médicos clínicos generales, kinesiólogos,fonoaudiólogos, etc. Si bien el ortodoncistaparticipa en las terapias y muchas veces jugando un papel muy importante, no es propósito de este capítulo profundizar en este tema. Esto requiere una bibliografía especializada debido a su gran amplitud y especificidad. 2) Edad del paciente De acuerdo al estadio de desarrollo del pacien- te, podremos dividirlos en: 1. Paciente con dentición primaria. 2. Paciente con dentición mixta. 3. Paciente con dentición permanente (en cre- cimiento). 4. Paciente con dentición permanente (sin cre- cimiento), o sea paciente adulto. Además de los tres grupos mencionados, existen En una primera lectura, esta división puede pare-
  • 314.
    Selección de elementosde diagnóstico metodologías de planificación 329 cer arbitraria, pero si nos remitimos al concepto de tratamiento ortodóncico encontraremos su lógica. "Comprende las maniobras mecánicas,dirigidas al logro de objetivos de alineación y correcto posi- cionamiento dentario, mejoramiento facial y del perfil, y una oclusión en armonía con las articula- ciones temporomandibulares, que se deberá apro- ximar a los siguientes requisitos: 1. Debe ser eficaz para la masticación y apta para la correcta fonación y deglución. 2. Debe requerir una adaptación neuromuscu- lar mínima. 3. Ser confortable para el paciente. 4. Que evite factores que exacerben el bruxis- mo de origen oclusal (contactos prematuros, fulcrum, falta de guías caninas) etc. 5. Ofrecer resistencia eficiente y suficiente a las fuerzas actuantes sobre los tejidos de soporte. 6. Ausencia de disfunción de ATM y neuro- muscular. 7. Ausencia de enfermedad periodontal. 8. Debe cumplir con los requisitos de una oclu- sión "mutuamente protegida". De la lectura de la definición y de los requisitos de una oclusión ideal se desprende la idea de que el tratamiento ortodóncico debe ser realizado cuando el paciente tiene erupcionados los segundos molares, ya que deben ser incluidos en él y una vez finalizado no habrá necesidad de un tratamiento posterior. Por definición, el tratamiento ortodóncico com- prende maniobras que se realizarán cuando sehaya completado la dentición permanente. El tratamiento que se realice a pacientes que estén en etapas de desarrollo anteriores a ésa, es decir en dentición primaria o mixta, lo denomina- mos: Pretratamiento, que comprende las manio- bras ortodóncicas, ortopédicas o clínicas en gene- ral, que se realizan previamente al tratamiento y tienen por finalidad: • Eliminar hábitos • Hacer modificaciones esqueléticas que serán más dificultosas o imposibles de realizar en etapas más avanzadas. • Evitar daños a los dientes y tejidos de sopor- te. • Conservar los espacios destinados a la correcta erupción de los permanentes. • Proveer los espacios requeridos por la nueva dentición mediante extracciones seriadas, ensanche o protrusión. • Establecer una correcta guía anterior con una posición cefalométrica aceptable de los cuatro incisivos superiores e inferiores. • Mejoramiento facial y del perfil. A su vez, el pretratamiento debe ser divididoen: 1. Pretratamiento en dentición primaria. 2. Pretratamiento en dentición mixta, Debido a que estas dos etapas del desarrollo tie- nen diferentes objetivos de tratamiento requieren distintas metodologías diagnósticas y como conse- cuencia, diferentes planificacionesdel tratamiento. Por ejemplo: los objetivos en dentición primaria son más limitados que en los pacientes de estadios posteriores. En consecuencia, realizaremos todo lo concerniente a estudio clínico y de los modelos, pres- cindiendo del estudio gnatológico y de la cefalome- tría, que no se utiliza porque para la edad de estos pacientes (inferior a los 7 años) no contamos con parámetros cefalométricos. Las normas se establecen a partir de los 81/2-9 años. En cambio, en otras eta- pas pasan a ser herramientas muy importantes. Teniendo en cuenta los dos aspectos: tipo de anomalía y edad del paciente; y siguiendo el con- cepto de optimización de los métodos de diagnósti- co, podemos diseñar el siguiente esquema para su selección:
  • 315.
    330 Síntesis deldiagnóstico y planificación Cuadro 14.1: Elección de los métodos de diagnóstico en los distintos estadios del crecimiento. ESTADIO DENTICIÓN PRIMARIA DENTICIÓN MIXTA DENTICIÓN PERMANENTE PACIENTE EN CRECIMIENTO ADULTO ESTUDIO CLÍNICO * * * * MODELOS * * * * MODELOS ARTICULADOS * * RADIOG TELE * * * RAFIAS PAÑO * * * * CEFALOMETRÍA f Lateral básico A J Jarabak 1 McNamara *• Análisis de tej. blandos B | Lateral básico { Lateral básico Jarabak McNamara Análisis de tej, blandos B { Lateral básico í Lateral básico A < McNamara 1 Análisis de tej. blandos B { Lateral básico A: Paciente con problemaesqueletal B: Paciente sin problema esqueletal PASOS DEL PROCESO DE PLANIFICA- CIÓN El proceso de planificación involucra los siguientes pasos: 1- Recopilación de la información y clasifica- ción de los problemas por grado de prioridad. Es la reunión de los elementos de juicio obte- nidos con los diferentes procedimientos de diag- nóstico, para la creación de una base de datos que nos permita obtener la información pertinente, en cada uno de los campos estudiados. Es imprescin- dible para el proceso de planificación. Con estos datos se hará un listado de problemas que deberán ser ordenados en una lista de priori- dades. Este orden estará dado, por una parte, por el profesional, pero por la otra, estarán las priorida- des del paciente, que muchas veces no serán coinci- dentes con las de aquel. Dentro de un margen lógico y razonable, deberán tenerse en consideración, en primer lugar. las expectativas delpaciente. 2- Evaluación de las posibilidades terapéuticas. La evaluación de las posibilidades terapéuticas está relacionada con el tipo de anomalía y la vía que se considere apropiada para su corrección. Los pacientes de los grupos 1 y 3 tendrán una vía definida: en el grupo 1 será ortodóncica, en el grupo 3, ortodóncico-quirúrgica. En los pacientes del grupo 2, como ya mencio- namos, se tendrán en cuenta en muchos casos ambas alternativas. En ellos debemos aceptar que no todos los pro- blemas enunciados en nuestra lista de prioridades tienen solución con el tratamiento ortodóncico. Por ejemplo: una sonrisa gingival en un pacien- te adulto, que acompañe a una Clase I con fuertes apiñamientos superiores e inferiores, a pesar de su
  • 316.
    Selección de elementosde diagnóstico metodologías de planificación 331 PROCESO DE PLANIFICACIÓN | • Elección y examen de los métodos de diagnóstico BASE de DATOS LISTA de PRIORIDADES Evaluación y elección de una probable vía terapéutica ORTOPÉDICA ORTODÓNCICA QUIRÚRGICA Formulación de objetivos preliminares SÍNTESIS DIAGNÓSTICA • Estéticos - faciales - bucodentales • Cefaiométricos « Gnatológicos Objetivos definitivos VTO NO satisfactorio Áreas de superposición i1 • Posición 1 - A-Po • Posición del 6 • Posición del 6 • Posición del 1 • Eje facial • Punto A Diseño de tratamiento
  • 317.
    332 Síntesis deldiagnóstico y planificación relevancia estética, deberá dejarse de lado y no se incluirá en la planificaciónde un tratamiento exclu- sivamente ortodóncico, porque las posibilidades terapéuticas por esa vía son prácticamente nulas. Pero, en cambio, si ese problema fuese plantea- do por el paciente como una prioridad, se deberá optar por un tratamiento ortodóncico-quirúrgico, en cuya planificación sí se incluirá la corrección de esa sonrisa gingival. Como no todas las vías terapéuticas nos brindan las mismas posibilidades para la corrección de cier- tos problemas, es necesario informar al paciente sobre ellas, sus características, alcances, relación riesgos-beneficios, tiempo de tratamiento, costos, etc., y de esta manera se optará por una de ellas y se enfocará, consecuentemente, la planificación. 3.- Formulación de objetivos preliminares. Teniendo en cuenta el listado de problemas, las prioridades del paciente y la opción terapéutica elegida se podrán formular los objetivos prelimina- res con el propósito de darle una dirección al estu- dio más profundo del caso, tema que será desarro- llado en el próximo punto. Pueden abarcar, siempre con un criterio inicial, los siguientes aspectos: - Estéticos: - Faciales: mejoramiento del balance facial y cierre bucal sin esfuerzo. El alcance de los objetivos estéticos variará según la vía terapéutica elegida, siendo mucho más amplios en el tratamiento orto- dóncico-quirúrgico. - Bucodentales: perfecto alineamiento dentario. - Cefalométricos: - Posibles cambios ortopédicos queseconside- ren necesarios. - Armonización de lasposiciones dentarias de acuerdo a normas cefalométricas. - Gnatológicos: - Obtener unaPMI (posición demáxima inter- cuspidación) coincidente o cercana a la RC (relación céntrica) y una oclusión funcional en armonía con las ATM. Todos estos objetivos preliminares, deberán ser considerados en este paso del proceso de planifica- ción como "intenciones" de tratamiento en las dis- tintas áreas, pero recordemos que sólo cuando hayamos concluido la síntesis diagnóstica del caso, podremos verificar su factibilidad. 4.- Síntesis diagnóstica y formulación de objeti- vos definitivos. Consiste en interrelacionar y articular en un orden lógico los elementos estructurales y funciona- les del caso, agregando el factor crecimiento cuan- do existiese. -Datos clínicos bucodentales y faciales Observación clínica Estudio de fotografías Radiografías panorámicas eintrabucales Evaluación periodontal -Datos cefalométricos Cefalometría dentoesqueletal Cefalometría de tejidos blandos - Estudio de modelos montados en articulador Análisis de la relación intra e interarcadas Estudio de la función oclusal - Estudio de la musculatura y las ATM - Consideraciones sobre el crecimiento Biotipo facial Análisis de Bjork-Jarabak De esta síntesis surgirán los objetivos definiti- vos del tratamiento, que determinan: - Las estructuras que deberán ser modificadas. - Los límites biológicos de esas modificacio- nes, considerando: a) características morfológicasy estructurales b) el estado de salud dentario y/o periodontal c) la oclusión en relación a sus ATM,
  • 318.
    Selección de elementosde diagnóstico metodologías de planificación 333 d) la estética facial e) la estabilidad de los resultados • La influencia positiva o negativa del creci- miento residual. • Posibilidades de los medios terapéuticos a nuestro alcance. En este momento se formularán los objetivos definitivos del tratamiento en las mismas áreas que las señaladas para los objetivos preliminares, pero no como una "intención" de tratamiento, sino como una propuesta concreta que nos permita la elaboración del VTO. 7.- Diseño del tratamiento y secuencia aparato- lógica. Ésta es la meta de todo proceso de planificación. Son pasos lógicos que nos van llevando desde el principio hasta llegar a una organización del trata- miento que consiste en: • Elección, secuencia y manejo de la aparato- logía. • Duración aproximada de cada una de las eta- pas y del total del tratamiento. • Tipo de contención a utilizar. 5.- Visualización de objetivos de tratamiento. Los conceptos fundamentales y el procedimien- to para la construcción del VTO en los casos orto- dóncicos están desarrollados en el capítulo 17, y en el 22 los referentes al VTO ortodóncico-quirúrgico. En aquellos casos,que ofrezcan diferentes alter- nativas de tratamiento, será necesario realizar la planificación completa con las opciones que se con- templen. La visualización de objetivos terapéuticos (VTO) de las diferentes opciones de tratamiento, será de gran valor a la hora de definir el procedi- miento a utilizar. Ejemplo: En un paciente con una Clase II den- toesqueletal, será conveniente la construcción de un VTO que contemple una corrección dentaria (tratamiento de compensación), y otro que muestre los resultados de un tratamiento ortodóncico-qui- rúrgico. Indudablemente, la comparación de ambos resultados, puede facilitar la opción y definir el camino terapéutico. Debemos señalar que estos trazados se cons- truyen basados en los objetivos definitivos del tra- tamiento. Permiten la visualización anticipada de los resultados y hacen evidente, en algunos casos, la necesidad de sumodificación. 6.- Trazado de las áreas de superposición. Remitimos al lector al capítulo 18. PLANIFICACIÓN PARA PACIENTES CON DENTICIÓN PRIMARIA 1.- Recopilación de la información y clasifica- ción de los problemas por grado de prioridad. • Estudio clínico facial y bucodental: Se realiza mediante maniobras clínicas ma- nuales e instrumentales, fotografías, mode- los (análisis de la simetría transversal y rela- ción intermaxilar). • Examen funcional: Respiración, fonación, deglución y hábitos. • Estudio radiográfico: Generalmente se hace necesaria sólo una radiografía panorámica, y algunas veces periapicales o bite-wing. 2.- Evaluación de las posibilidades terapéuticas. La terapia en esta etapa estará destinada funda- mentalmente a la normalización de la función y a la armonización esqueletal. Es importante la motivación del paciente y sus padres, ya que ésta condicionará el tratamiento ele- gido y la oportunidad de su inicio.
  • 319.
    334 Síntesis deldiagnóstico y planificación 3.- Formulación de objetivos preliminares. Estos objetivos están basados en los métodos citados en el punto anterior, y como no agregamos a ellos ningún estudio adicional que pueda modifi- car nuestro diagnóstico, como por ejemplo el estu- dio gnatológico o cefalométrico, estos objetivos preliminares pasan a ser definitivos. 4.- Síntesis diagnóstica y formulación de objeti- vos definitivos. Este tema, tan extenso en estadios posteriores, en los pacientes de dentición primaria se reduce a hacer un ordenamiento lógico de los siguientes pro- cedimientos: a) La conservación de los espacios necesarios para la correcta erupción y ubicación de los dientes permanentes. b) Corrección de hábitos, y con ello corrección de mordidas abiertas funcionales. c) Derivación al especialista por problemas de respiración, fonación, etc. d) Desgaste de los dientes que provoquen inter- ferencias en los casos de desviaciones funcio- nales de la mandíbula. e) Corrección de mordidas cruzadas uni o bila- terales y anteriores. 5.- Visualización de objetivos de tratamiento En esta etapa del desarrollo no se hacen estu- dios cefalométricos ya que no existen normas para edades menores de 8 años. Por consiguiente, no se realizará el VTO ni áreas de superposición Por otra parte, las características de las correc- ciones que se realizan no requieren estos estudios. PLANIFICACIÓN PARA PACIENTES CON DENTICIÓN MIXTA 1.- Recopilación de la información y clasificación de los problemas por grado de prioridad. • Estudio clínico facial y bucodental: ídem al anterior, pero se acompaña del aná- lisis de los modelos en los 3 planos del espa- cio, evaluando: - Análisis transversal:líneas medias, simetría y relación transversal interarcada. - Análisis sagital: overjet, relación canina y molar. - Análisis vertical: overbite, curva de Spee. Se realiza también el estudio de la longitud de la arcada y del espacio disponible mediante el uso de las tablas de Moyers. - Examen funcional: ídem al anterior. - Estudio radiográfico: - De rutina: radiografía panorámica y telerra- diografía lateral. - Complementarios: radiografías oclusales, pe- riapicales, telerradiografíasfrontales. - Estudio cefalométrico: - Cefalograma lateralBásico - Análisis de Bjórk-Jarabak, - Cefalogramade tejidos blandos - Medidas de McNamara - En algunos casos, medidas delcefalograma completo de Ricketts En los pacientes del grupo 1(paciente sin dis- crepancias básales) sólo utilizaremos el Cefalogra- ma Básico, en los pacientes de los Grupos 2 y 3 (pacientes con discrepancias básales) por lo general se adicionarán los otros métodos. 2.- Evaluación de las posibilidades terapéuticas Como se vio en el punto anterior, en esta etapa del desarrollo se hace un diagnóstico más profundo que para la dentición primaria, abarcando los aspectos esqueletal y dentario.
  • 320.
    Selección de elementosde diagnóstico metodologías de planificación 335 En este estadio, las modificaciones ortopédicas constituirán siempre un objetivo prioritario e impostergable, ya que serán difíciles o imposibles de alcanzar en edades más avanzadas, una vez ago- tado el crecimiento remanente. Si bien el diagnóstico habrá definido también el problema dentario, la terapia no siempre lo enfoca- rá, debido a que los objetivos en este campo se reducen a la conservación de los espacios destina- dos a la erupción de los permanentes, creación de los mismos mediante extracción seriada, ensanche o protrusión, evitar daño a los dientes y tejidos de soporte y a establecer una correcta guía anterior con una posición cefalométrica aceptable de los sectores incisivos. Por la amplitud de sus objetivos el tratamiento ortodóncico sólo puede ser realizado cuando han erupcionado todas las piezas dentarias, hasta los segundos molares, que deben ser incluidos en el tratamiento. Estos conceptos inciden en la evaluación de las posibilidades clínicas y en la elección de una pro- bable vía terapéutica en el período de la dentición mixta, teniendo como principio que en esta etapa del desarrollo deberemos hacer la elección del mejor y más efectivo tratamiento ortopédico y la menor terapia ortodóncica posible, dado que este aspecto será abordado con posterioridad en etapas más oportunas. 3.- Formulación de objetivos preliminares. Como fue visto en el punto anterior, los objeti- vos preliminares se orientarán hacia la corrección ortopédica y las modificaciones ortodóncicas estric- tamente necesarias para cumplir los objetivos enunciados para esta etapa. 4.- La Síntesis diagnóstica, así como también la Visualización de objetivos de tratamiento, las Áreas de superposición y el Diseño del trata- miento y la secuencia aparatológica, serán desa- rrollados en los respectivos capítulos. PLANIFICACIÓN PARAPACIENTES EN CRECIMIENTO CON DENTICIÓN PERMANENTE 1.- Recopilación de la información y clasifica- ción de los problemas por grado de prioridad. • Estudio clínico facial y bucodental: ídem al anterior, con la diferencia que el estudio de la longitud del arco no requerirá los métodos utilizados en dentición mixta, siendo aconsejable hallar la discrepancia dentaria por el método visual. Se evalúa además la relación de tamaños dentarios entre arcada superior e inferior, con la utilización del índice de Bolton. • Estudio funcional: Igual a los anteriores. • Estudio gnatológico: Se realiza con modelos montados en RC en articulador semiajustabley registros de posi- ción condilar. En algunos casos puede ser necesario el uso de placas de reposiciona- miento mandibular. • Estudio radiográfico: ídem al anterior. • Estudio cefalométrico: ídem al anterior, con la salvedad que, en los casos que requieran conversión cefalométri- ca, las mediciones se realizarán sobre el tra- zado en RC. 2.- Evaluación de las posibilidades terapéuticas. Debe hacerse con una óptica diferente, porque a los objetivos clásicos de alineación, mejoramien- to estético y normalización cefalométrica, debemos agregar los de oclusión funcional en armonía con las ATM y el sistema neuromuscular, que induda- blemente influirán en la elección de la vía terapéu- tica. Este punto es particularmente relevante para los pacientes del Grupo dos, que presentan discre- pancias básales moderadas, porque se podrán con- templar generalmente dos vías terapéuticas:
  • 321.
    336 Síntesis deldiagnóstico y planificación El tratamiento ortodóncico de compensación y el tratamiento ortodóncico-quirúrgico. 3.- Formulación de objetivos preliminares. • Corrección ortopédica posible. • Modificaciones ortodóncicas. • Control de la posición y dinámicamandibular. • Mejoramiento de la estética facial. En el grupo 2, los objetivos mencionados, serán muy diferentes según la opción de tratamiento que se proponga, sobre todo en lo que respecta a la estética facial. Cuando se realiza el proceso de planificación en pacientes en crecimiento pertenecientes a los gru- pos 2 o 3, que presentan discrepancias básales, hay que tener en cuenta que el tratamiento ortodónci- co quirúrgico podrá ser planificadocon cierta apro- ximación, pero no podrá ser definido con exactitud ni llevado a cabo hasta la finalización del creci- miento, edad en que se indica la cirugía. Por lo tanto, los objetivos para esta etapa, esta- rán limitados a correcciones dentoalveolares que no se contrapongan con los movimientos dentarios indicados para la preparación ortodóncica prequi- rúrgica. PLANIFICACIÓN PARA PACIENTES ADULTOS ídem a la anterior, pero como no existe creci- miento remanente, no se indicará el Análisis de Bjórk-Jarabak ni se evaluarán posibilidades orto- pédicas. En el caso de pacientes con discrepancias básales (grupos 2 y 3), el tratamiento ortodóncico- quirúrgico podrá ser planificadodefinitivamente. DEFINICIÓN DEL TRATAMIENTO EN LOS PACIENTES CON DISCREPANCIAS BÁSALES Al operador con escasa experiencia se le crea un problema para encasillar correctamente el caso con discrepancias básales en uno u otro de los dos últimos grupos, es decir tiene dificultad para con- testar a la pregunta "¿puedo o no compensar este caso?" Para ello se debe utilizar un criterio objetivo que permitirá resolver con claridad esta duda, ya que existen dos herramientas excelentes para este propósito: - El montaje de los modelos en relación cén- trica. - El VTO ortodóncico Estos procedimientos pondrán en evidencia la factibilidad biológica de los movimientos dentarios necesarios para alcanzar los siguientes objetivos: - inclinaciones axiales aceptables - relaciones dentolabiales estéticamente satis- factorias - una oclusión mutuamente protegida con los cóndilos correctamente asentados en las cavidades glenoideas - ausencia de un deslizamientocéntrico consi- derable - estabilidad de los resultados - estética facial aceptable Cuando el caso pertenece al Grupo 2, es decir, es un caso que se "puede" compensar, cabe otra pregunta: "¿Se debe compensar siempre?" El pro- fesional necesita reconocer: - Cuáles objetivos se podrán alcanzar y cuáles no. - Cómo será el resultado estético del trata- miento de compensación y del tratamiento ortodóncico-quirúrgico. En esta decisión entre el tratamiento ortodónci- co de compensación y el tratamiento ortodóncico quirúrgico, también interviene el paciente, que podrá evaluar en el VTO o en el morphing digital hecho a partir de él, si su deseo de cambio estético queda satisfecho o no mediante una compensación
  • 322.
    Selección de elementosde diagnóstico metodologías de planificación 337 dentaria, o podrá visualizar también algún cambio facial que aumenta aun más su problema haciendo que este tratamiento sea inaceptable. Dependerá de la motivación del paciente la aceptación de la cirugía como parte de su tratamiento. Es necesario utilizar los medios a nuestro alcan- ce que le posibiliten ver con claridad su problema, sus posibles soluciones y ser partícipe de la elección de la opción mas apropiada, porque algunas veces el deseo del paciente suele ser un tanto difuso. Algunos son sumamente exigentes y buscan la perfección. Otros, enfocan sus objetivos en la den- tición y no son tan exigentes con ciertos detalles de estética facial. De todos modos, la elección de la metodología terapéutica en los pacientes con discrepancias esqueletales, también estará influida por el orto- doncista, ya que puede tener diferentes actitudes en cuanto a la cirugía ortognática, debido al mayor o menor conocimiento de este campo. Otros no cuentan con un equipo interdisciplinario adecuado y en otros casos pueden haber tenido malas expe- riencias. El factor económico también incide, creando en algunos casos impedimentos insalvables. Ante todas estas situaciones, el clínico deberá ser objetivo y tratar de proporcionarle al paciente las alternativas posibles, desde lo ideal hasta lo meramente paliativo, pero nunca realizar trata- mientos que puedan empeorar el caso, dificulten o impidan posibles tratamientos futuros. Estos dos estudios rutinarios, trazarán un límite nítido a través de esa frontera poco definida que puede presentarse entre ambos grupos. Cuando no se puedan alcanzar estos objetivos, el paciente pertenece al grupo 3, para el cual la indicación es únicamente el tratamiento ortodónci- co-quirúrgico.
  • 323.
    C A PI T U L O 15 Crecimiento. Predicción arquial. INTRODUCCIÓN La cefalometría debe ser considerada una herra- mienta tanto para el diagnóstico como para la pla- nificación. El análisis cefalométrico básico es un sistema estático que mediante medidas angulares y lineales describe separadamente y en conjunto los factores constitutivos del complejo craneofacial, evaluando solamente el estado actual del paciente. No con- templa los procesos de crecimiento. Un gran número de tratamientos se realiza en pacientes que aún no han completado su desarrollo y, en ellos, los objetivos deben apuntar a obtener resultados óptimos para la cara que tendrá el paciente al finalizar el crecimiento. Por esta razón, el uso de la cefalometría estática únicamente, no nos permite determinar con exacti- tud los procedimientos que se deben instrumentar para lograr esos resultados. No debemos analizar solamente con un criterio estático el problema den- toesqueletal, porque todo el terreno que es objeto de nuestro análisis es influenciado por el creci- miento, que resulta ser un factor determinante en los resultados del tratamiento. En el niño en crecimiento, las características craneofaciales y dentarias cambian constantemen- te hasta llegar a la edad adulta, y estos cambios muestran variaciones de un sujeto a otro. Se pre- sentan tales variaciones en la dirección y en la magnitud, que el proceso de crecimiento algunas veces se torna un coadyuvante que facilitará las maniobras terapéuticas y en otras un factor de inhi- bición o de interferencia para el progreso del trata- miento. Si bien la cefalometría estática de Ricketts con- tribuyó de manera decisiva a clarificar el conoci- miento de la reacción que tendría un paciente fren- te al tratamiento mediante la identificación de los biotipos faciales, la incorporación de su cefalome- tría dinámica es la que abre un horizonte totalmen- te nuevo en el tema del diagnóstico y la planifica- ción en ortodoncia. Permite la aplicación de conceptos de crecimiento que antes ya habían sido estudiados minuciosamente pero permanecían totalmente aislados de la práctica clínica. Com- prende una serie de procedimientos de diseño rea- lizados a partir de la cefalometría estática, que con- sisten en incorporar: - Las expectativas de crecimiento del paciente. - Las modificaciones que se realizarán con el tra- tamiento. - La combinación de ambas. De esta manera, se reorienta el objetivo del tra- tamiento ortodóncico que como hemos dicho, no se dirige ya a intentar obtener una relación dento- maxilar y labial para la cara que tiene el paciente al comenzar el tratamiento, sino tratar de obtener los resultados deseados para la cara que tendrá al fina- lizar el crecimiento. Tendremos así mayores posibilidades de apro- vechar sus aspectos beneficiosos y minimizar los indeseables. Resumiendo, la cefalometría dinámica es una metodología que permite: - Pronosticar conbastante exactitud elcrecimien- to del paciente. - Evaluar la respuesta a los procedimientos tera- péuticos. - Predecir y visualizar la modificación de áreas que pueden ser influenciadas por el tratamiento. - Hacer una selección más racional de los recur- sos mecánicos a utilizar. - Medir y controlar el progreso del tratamiento, mediante la superposición de trazados interme- dios con el trazado original y las metas estable- cidas en la predicción. - Clarificar lasnecesidades delpaciente, evitando emprender caminos erróneos que deberán ser cambiados en el transcurso del tratamiento. - Es muyútil para la motivación del paciente. 339
  • 324.
    340 Síntesis deldiagnóstico y planificación - Influye positivamente en la relación ortodoncis- ta paciente - Es un medio excelente para la evaluación delos resultados utilizando las superposiciones. - Lo señalado en el punto anterior produce, a su vez, un efecto de feed-back, que mejorará per- manentemente la labor del clínico. Los procedimientos de cefalometría dinámica se podrían clasificar de la siguiente forma: 1. Predicción de crecimiento exclusivamente; que tiene dos variantes: a) A largo plazo (predicción arquial). b) A dos años. 2. Predicción de tratamiento (VTO). a) Con crecimiento. • A largo plazo. • A 2 años. b) Sin crecimiento 3. Áreas de superposición. En este capítulo se desarrollarán algunos de estos métodos que son aquéllos a los cuales asigna- mos utilidad desde el punto de vista clínico. • Predicción de crecimiento a largo plazo (método arquial) • Visualización de objetivos terapéuticos (VTO) con crecimiento para 2 años de tratamiento. • Visualización de objetivos terapéuticos (VTO) sin crecimiento. PREDICCIÓN ARQUIAL DE CRECIMIENTO A LARGO PLAZO SIN TRATAMIENTO En el año 1970, y tras más de 20 años de investi- gación, Robert M. Ricketts publicó su teoría ar- quial de crecimiento mandibular. Entre las observaciones previas que hicieron posible su teoría, es importante destacar las reali- zadas sobre cráneos de incas en los que la cortical de la mandíbula había desaparecido. Ricketts observó en esos huesos la existencia de líneas de fuerza paralelas que formaban curvas cóncavas que convergían en una línea bastante marcada en el cóndilo. Otras líneas iban desde la apófisis coronoi- des hasta el punto Xi y continuaban a lo largo del cuerpo de la mandíbula hasta la sínfisis. Esto le hizo pensar que el crecimiento mandibular no se hacía siguiendo una línea recta sino describiendo un arco. Para verificar su hipótesis trabajó con una mues- tra de 40 individuos en los que mediante controles radiográficos conocía su crecimiento hasta el final. Sus hallazgos fueron los siguientes (Fig. 15.1): • Cuando el arco utilizado para la predicción pasa- ba por Pm y el cóndilo, el crecimiento tenía una tendencia dolicofacial de Clase III con apertura del eje facial (Fig. 15.1 A). • En los casos en que el arco pasaba por Pm y la apófisis coronoides, el crecimiento mostraba una tendencia braquifacial de Clase II con cierre del eje facial (Fig. 15.1 B). Estos hallazgos lo llevaron a la conclusión de que el arco para los patrones de crecimiento pro- medio, no pasaba ni por el cóndilo ni por la apófi- sis coronoides, aunque después constató que esas situaciones correspondían a los casos extremos. Siguiendo sus investigaciones, situó el arco man- dibular en una zona intermedia, describiendo una curva que pasa por Pm y un punto situado en el cua- drante anterosuperior de la rama. A este hallazgo lo
  • 325.
    Crecimiento. Predicción arquial341C B Pm Fig. 15.1: Determinación del arco de crecimientomandi- bular. A: A través del cóndilo. B: A través de la apófisis coronoides. C: Hallazgo del arco de crecimiento prome- dio, que pasa por el punto EVA. denominó punto EVA en recuerdo al nombre de su madre (Fig. 15.1 C). La prolongación hacia arriba de este arco, pa- sa por la parte anterior de la escotadura sigmoi- dea, cerca de su parte media. En este lugar seña- ló el punto MURRAY (nombre de su padre). Este arco sería el que rige el crecimiento promedio ya que a él obedece más del 85 % de la población y en él se encuadra la gran mayoría de nuestros pa- cientes. El pequeño porcentaje restante debe conside- rarse como excepción y comprende los casos que crecen siguiendo uno u otro de los arcos descritos anteriormente por Ricketts. Es importante agregar que esta teoría arquial de crecimiento mandibular fue confirmada posterior- mente por los trabajos de Moss, Woodside y otros y más tarde por Donald Enlow. Ventajas de la utilización de la predicción de crecimiento a largo plazo sin tratamiento 1. Muestra con alto grado de exactitud el perfil del paciente al finalizar el crecimiento, permitién- donos evaluar la estética y el equilibrio de sus componentes. 2. Posibilita observar con claridad el efecto del crecimiento normal en ciertas áreas del perfil; por ejemplo, la convexidad en los distintos bio- tipos faciales. 3. Orienta sobre el tipo de tratamiento necesario ya sea ortodóncico u ortopédico y la aparatolo- gía más conveniente para la corrección del caso. 4. Permite formular pronósticos más acertados.
  • 326.
    342 Síntesis deldiagnóstico y planificación 5. A veces, advierte sobre tratamientos que serían innecesarios ya que los procesos de crecimiento y desarrollo producirán autocorrecciones fisio- lógicas o naturales. 6. Ayuda a adoptar procedimientos racionales evitando extracciones u otras maniobras tera- péuticas que desde el punto de vista del estado actual del paciente podrían considerarse correc- tas, pero vistas en prospectiva resultarán deleté- reas. 7. Es útil para la motivación del paciente. 8. Es un excelente elemento didáctico para el que se inicia en el estudio del diagnóstico y la plani- ficación, porque facilita la interpretación de los fenómenos de crecimiento. Si bien ninguna predicción biológica tiene una exactitud del 100%, Ricketts sostiene que es co- rrecto esperar resultados acertados dentro de un rango del 90%. La técnica a largo plazo (para predicciones más allá de 3 años), se basa en 2 conceptos: 1. La mandíbula se predice como una variable in- dependiente (Fig. 15.2). 2. La base de cráneo y el maxilar superior se cons- truyen a partir de la mandíbula ya pronosticada (Fig. 15.3). Esto responde a que el tamaño y la forma de la mandíbula son un factor dominante en la morfolo- gía facial. Por lo tanto, una vez trazada la predic- ción mandibular, el cráneo y la cara se adicionan como pasos secundarios. La cara, la base craneal y los arcos dentarios se orientan de acuerdo a un fenómeno biológico des- crito como comportamiento gnómico. Por lo tanto, el orden de construcción será el siguiente: 1. Predicción arquial de la mandíbula. 2. Altura facial inferior. Plano oclusal. Fig. 15.2: Crecimiento mandibular siguiendo el arco des- cripto por Ricketts. Constituye el primer paso en la predic- ción de crecimiento a largo plazo.
  • 327.
    Crecimiento. Predicción arquial343° 3. Base de cráneo, representada por el plano Ba- Na. Su ubicación tiene en cuenta una de las 3 medidas gnómicas que es el ángulo del eje facial. 4. Maxilar superior. Se ubica tomando como refe- rencia las dos medidas gnómicas restantes que son: la altura facial inferior, que relaciona verti- calmente el maxilar superior con la mandíbula, y el ángulo Ba-Na-A que lo ubica en sentido sagital (Fig. 15.3). 5. Estructuras dentarias, con el siguiente orden: incisivo inferior, molar inferior, molar superior e incisivo superior. 6. Perfil blando, comenzando en la zona frontal y finalizando en el mentón. Durante todo el procedimiento se van adicio- nando los incrementos promedio de crecimiento, establecidos estadísticamente para cada una de las estructuras craneofaciales. Estos incrementos se denominan módulos de crecimiento o factores K, estableciéndose en mm por año. Por ejemplo: el factor K para el crecimiento de la base craneal anterior (CC-Na) es de 0,8 mm por año (Fig. 15.4). Se debe tener presente que se considera fin de crecimiento para las mujeres la edad de 15 años y para los varones 18 años aproximadamente. A continuación desarrollaremos el procedi- miento para la construcción de la predicción de cre- cimiento a largo plazo sin tratamiento. Es la que Ricketts denomina Long Range Forecast (L R F). Con la finalidad de facilitar la tarea del opera- dor, se ha simplificado el procedimiento de predic- ción original, eliminando los pasos de remodelación de ciertas estructuras óseas (como la apófisis coro- noides, huesos propios de la nariz, sínfisis, zona goníaca) que son determinadas por apreciaciones 9 años 15 años Fig. 15.3: Después de predecir la forma y tamaño mandibular, se completan el resto de las estructuras óseascraneo- faciales. Obsérvese el comportamiento gnómico de los ángulos del eje facial, de la altura facial inferior y del Ba-Na-A.
  • 328.
    344 Síntesis deldiagnóstico y planificación bastante subjetivas, y cuya omisión según nuestra experiencia, no altera el resultado global de la pre- dicción ni varía conceptos de aplicación clínica. Para su mejor comprensión se ilustrará cada paso con figuras en tres colores: • En negro el trazado original. • En gris claro, el trazado original cuando tiene su- perpuesto el papel vegetal en el que se construye la predicción. • En verde lospasos ya realizados de la predicción. • En azul el trazo de la predicción que se realiza en ese paso. Las etapas del procedimiento son lassiguientes: A. En trazado original: 1. Determinación del punto EVA y del arco de crecimiento mandibular (pasos 1 al 5, Figs. 15.5 y 15.6). B. En papel vegetal: 2. Mandíbula (pasos 6 al 10,Figs. 15.7 a 15.11). 3. Altura facial inferior, plano oclusal (paso 11, Fig. 15.11). 4. Base de cráneo (pasos 12 a 14,Figs. 15.12 a 15.16). 5. Maxilar superior (pasos 15 a 17, Figs. 15.17 a 15.20). 6. Dientes (paso 18, Fig. 15.21). 7. Tejido blando (pasos 19 a 23, Figs. 15.22 a 15.30). No es necesario que la predicción sea de pre- cisión absoluta sobre todo en lo que a dimensiones se refiere. Nuestro mayor interés está centrado en prever los cambios que producirá el crecimiento en las interrelaciones de las distintas estructuras y en las modificaciones que estos cambiosproducirán en el perfil facial. El crecimiento es un proceso sumamente com- plejo, no obstante, la predicción arquial nos hace comprender y visualizar algunos aspectos de sus mecanismos con bastante certeza. A pesar de que existe un porcentaje de ex- cepciones que no se ajustan a los parámetros ya mencionados, pensamos que es un hallazgo extraor- dinario que gravitará decisivamente en la formula- ción de los objetivos y planificación del tratamiento. Fig. 15.4: La cantidad de crecimiento por año de cada una de las estructuras se determina a través de los factores K.
  • 329.
    Crecimiento. Predicción arquial345° MÉTODO DE TRAZADO En trazado original Punto EVA y arco de crecimiento mandibular 1. Se hace una marca 0,5 mm por año por detrás del cóndilo y se traza una perpendicular a Frankfort que pase por este punto (Fig. 15.5). 2. Desde Xi se traza una línea perpendicular a Frankfort hasta la escotadura sigmoidea. Aquí se marca el punto R3 (Fig. 15.5). 3. Se hace una marca en la mitad de esta línea y desde allí se traza una paralela a Frankfort hasta el borde anterior de la rama. Aquí se marca el punto RR (Fig. 15.5). 4. Se traza una línea desde RR a R3, y en la mitad de esta línea se marca el punto EVA (Fig. 15.5). 5. Con el compás, haciendo centro en EVA, llega- mos hasta PM. Con esa medida del compás se hacen dos trazos: uno tomando centro en EVA y el otro en PM. En la intersección de estos dos trazos (que está aproximadamente en la nariz del trazado) se marca un punto que sirve de cen- tro para trazar el arco mandibular. Donde éste corte a la escotadura, se determina el punto Murray (Fig. 15.6). Mujeres: crecimiento máximo: 15 años Varones: crecimiento máximo: 18 años Fig. 15.5.
  • 330.
    346 Síntesis deldiagnóstico y planificación En papel vegetal Mandíbula 6. Se traza un arco igual al anterior, con la misma medida del compás. Estando superpuestos ambos arcos, se calca la sínfisis (Fig. 15.7). 7. Para dar crecimiento a la nueva mandíbula, dejando siempre las sínfisis y los arcos super- puestos, a nivel de la escotadura hacemos una marca sobre el arco 2,5 mm por año más arriba del punto Murray. Este es el punto Murray 1 y hacemos otra marca en la mitad de la distancia entre Murray y Murray 1 que se llama 1/2 Murray (Fig. 15.7). Fig. 15.6. Fig. 15.7.
  • 331.
    Crecimiento. Predicción arquial347° 0,2 mm/a Fig. 15.8. 8. Teniendo siempre superpuestos los arcos, se hace coincidir Murray 1con el punto Murray del trazado original y se calca la punta de la apófisis coronoides, la escotadura sigmoidea y el borde superior del cóndilo hasta unos mm por debajo del punto articular. Se lo dibuja aumentando 0,2 mm por año en la parte superior (Fig. 15.8). 9. Se hace coincidir 1/2 Mu con Mu original y se calca la zona del gonion, se la une al cóndilo y se hace una marca 0,3 mm por año adelante del punto RR. Este es el punto RR' (Fig. 15.9). Se lleva el trazado hacia atrás hasta que coinci- dan RR y RR' y se calca el borde anterior de la rama. Se calca el borde inferior de la mandíbula hasta cerca de la sínfisis. Se traza el plano man- dibular (Fig. 15.10). Fig. 15.9. Fig. 15.10.
  • 332.
    348 Síntesis deldiagnóstico y planificación Fig. 15.11. 10.Para localizar el nuevo punto Xi, se superponen ambas ramas repartiendo uniformemente el cre- cimiento en sus bordes superior e inferior y anterior y posterior. Se calca el punto Xi (Fig. 15.11). Altura facial inferior 11.Se traza Xi - PM. Superponiendo este plano en Xi, se calca Xi - ANS prolongándolo hacia ade- lante unos milímetros. Se calca además el pla- no oclusal (Fig. 15.11). Base de cráneo 12.Se superponen ambos cóndilos haciéndolos coincidir en su borde superior. Llevar el cóndilo nuevo hasta la línea de puntos trazada detrás del cóndilo original. Manteniéndolos a la misma altura, girar hasta que queden paralelos los ejes del cuerpo man- dibular. Se calca el plano Ba - Na (Fig. 15.12). Fig. 15.12.
  • 333.
    Crecimiento. Predicción arquial349° 0,5 mm/a 4f CC' Fig. 15.13. Fig. 15.14. 0,8 mm/a 13.Para ubicar CC, se hacen coincidir los planos Ba-Na en la intersección con el borde posterior del cóndilo, y se hace una marca 0,5 mm por año por delante del CC original. Este punto es el nuevo CC y se denomina CC' (Fig. 15.13). 14.Para ubicar Na, se hacen coincidir CC y CC' y se marca 0,8 mm por año por delante del Na origi- nal (Fig. 15.14). Desde este punto trazar el plano facial, y desde CC' el nuevo eje facial (Fig. 15.15). Aquí se puede constatar, superponiendo Ba-Na en CC', que los ejes coinciden (Fig. 15.16). Fig. 15.15. Fig. 15.16.
  • 334.
    350 Síntesis deldiagnóstico y planificación Fig. 15.17. Maxilar superior 15. Superponiendo Ba - Na en nasion, se traza la línea Na-A prolongándola unos milímetros hacia abajo (Fig. 15.17). 16.Para trazar el maxilar se superponen los planos Xi - ANS en Xi (Fig. 15.18). Se desliza el traza- do hacia atrás manteniendo superpuestos estos planos, hasta que la línea Na-A caiga sobre el punto A del trazado original. Se calca el contor- no del maxilar superior (Fig. 15.19). Fig. 15.18 Fig. 15.19.
  • 335.
    Crecimiento. Predicción arquial351C 17. Se traza el nuevo plano A - Po (Fig. 15.20). Fig. 15.21. Po Fig. 15.20. Dientes 18.Calcar el incisivo inferior, superponiendo los planos oclusales en la intersección con el plano A-Po. Mantener así y calcar los molares supe- riores e inferiores y el incisivo superior. En los casos de Clase II división 1, el incisivo superior va a supraerupcionar a lo largo de su eje, intro- duciéndose entre los labios. En las Clases II división 2 supra-erupciona a medida que se des- liza en el vestíbulo entre el labio inferior y el incisivo inferior (Fig. 15.21). Tejido blando 19. Superponer los planos faciales en Na y calcar el puente de la nariz (Fig. 15.22). Fig. 15.22.
  • 336.
    352 Síntesis deldiagnóstico y planificación 20.Superponer ambos maxilares, llevar el trazado hacia atrás a lo largo del plano palatal 1mm por año y calcar la punta de la nariz (Fig. 15.23). 21.Manteniendo superpuestos los maxilares supe- riores, se hace una marca 0,5 mm por año hacia abajo y adelante, para dar crecimiento al punto subnasal (Fig. 15.24). Se desliza el trazado hacia arriba y atrás hasta que coincida la marca con el punto subnasal ori- ginal y se calca la base de la nariz hasta el punto A inclusive (Fig. 15.25). 22.Para trazar los labios: se superponen ambos incisivos superiores. Se hace una marca 0,3 mm por año por delante del labio superior, para aumentar su espesor (Fig. 15.26). Fig. 15.23. Fig. 15.25. Fig. 15.24 0,3 mm/a Fig. 15.26.
  • 337.
    Crecimiento. Predicción arquial353° Fig. 15.27. Desplazamos nuestra predicción hacia atrás, siempre manteniendo paralelos los planos Ba- Na, hasta que la marca coincida con el labio superior original (Fig. 15.27). En esta posición se calcan el labio superior e inferior. 23.Se superponen las sínfisis y se calca el tejido blando del mentón dándole un crecimiento de 0,3 mm por año. Por último, se lo une al labio inferior (Figs. 15.28 y 15.29). 24.Se traza el plano estético (Fig. 15.30). Fig. 15.28. Fig. 15.29. Fig. 15.30.
  • 338.
    C A PI T U L O 16 Síntesis del diagnóstico Síntesis del diagnóstico La información obtenida con los métodos selec- cionados para el caso está referida a la estética facial, a las relaciones esqueletales, a las posiciones dentarias , al biotipo facial y a la cantidad y direc- ción de crecimiento remanente .También involucra la función oclusal y la salud articular y periodontal. Al procesamiento de toda esta información la denominamos Síntesis del diagnóstico, y llevará a la elaboración de los objetivos de tratamiento, es decir, modificaciones ortopédicas y/o movimientos dentarios propuesto. La confección del VTO y la evaluación del posible resultado estético final puede condicionar a su vez el plan preliminar esco- gido. Este proceso de síntesis sigue un orden secuen- cial estudiando cada uno de los problemas y plan- teando su solución dentro del contexto que lo con- diciona. Comienza con el estudio de la arcada dentaria inferior, sobre la cual tomaremos las primeras deci- siones de tratamiento. Elaboraremos así una "nueva" arcada inferior que obrará a manera de infraestructura sobre la que se relacionará la arcada superior. ¿Por qué comenzar por la arcada inferior? Porque la posición del incisivo inferior, en rela- ción al plano A-Po, es la primera posición que se debe definir debido a su condición de llave estética y de objetivo primordial de tratamiento. De él dependerá la posición que deberá tener el incisivo superior con el tratamiento, y por consiguiente la de los labios, ya que los incisivos constituyen su soporte. ANÁLISIS DE LA ARCADA DENTARIA INFERIOR El caso se analiza desde dos perspectivas: Una de ellas, tridimensional, consiste en el estu- dio de los modelos en los tres planos del espacio: • Plano sagital: es la referencia para estudiar las desviaciones transversales. • Plano transversal: para las desviaciones ante- roposteriores. • Plano horizontal: para las desviaciones en sentido vertical. Por otra parte, en el modelo inferior se observan las posiciones dentarias, apiñamientos, giroversio- nes, diastemas, inclinacionesy el espacio disponible en la arcada. El resumen de toda esta observación será la medida de la discrepancia dentaria (DD), que cuantificará el problema del espacio inferior, sin tener en cuenta la relación de esa arcada con las estructuras del perfil. La otra perspectiva, bidimensional, correspon- diente al estudio cefalométrico, aporta los datos indispensables para la ubicación espacial de esa arcada dentaria en el macizo craneofacial. El parámetro que indica dicha armonía en la posición de la arcada inferior es la medida de la dis- tancia del 1 al plano A-Po de +1 mm. Si esta distancia lineal estuviera disminuida o aumentada, significa que la dentadura de ese paciente estará atrasada o adelantada con respecto a los maxilares y al perfil. Existe en este caso una discrepancia entre la ubicación del incisivo y la norma de +1 mm, que llamamos: discrepancia cefa- lométrica (DC). Discrepancia dentaria (DD) Para obtener la discrepancia dentaria de una arcada, debemos relacionar la longitud de arcada, medida de mesial a mesial de los segundos molares (espacio disponible) con la suma de los diámetros mesiodistales de los 12 dientes anteriores (espacio requerido) Como dijimos anteriormente la discrepancia dentaria puede ser: Discrepancia O : Cuando el espacio disponible en la arcada es igual al necesario para alinear todos los dientes. 355
  • 339.
    356 Síntesis deldiagnóstico y planificación Fig. 16.1. Fig. 16.2. Esta discrepancia Ose puede presentar con dis- tintas variantes. • Cuando no existen diastemas ni apiñamien- tos, es decir, cuando hay un perfecto alineamiento de todos los dientes con sus puntos de contacto bien ajustados (Fig. 16.1). • Cuando existiendo apiñamientos dentarios la corrección de las giroversiones de los dientes pos- teriores, provean el espacio necesario para su correcta alineación (Fig. 16.2). • Cuando falta espacio para la erupción de alguna pieza dentaria, pero existe en la arcada la manera de proveerlo (diastemas, giroversiones del sector lateral, etc.) (Fig. 16.3). Fig. 16.3. • En casos de dentición mixta cuando un api- ñamiento o falta de espacio para un diente aún no erupcionado en el sector anterior, pueda resolverse mediante el espacio que dejarán los molares prima- rios al ser reemplazados por sus sucesorios perma- nentes. Puede predecirse utilizando las tablas de Moyers (Fig. 16.4). Fig. 16.4.
  • 340.
    Síntesis del diagnóstico357 Discrepancia negativa: Cuando el espacio disponible en la arcada no es suficiente para el correcto alineamiento de todas las piezas dentarias. Pueden, por esta razón, existir apiñamientos o falta de erupción total o parcial de algunos dientes (Fig. 16.5). Fig. 16.5. Discrepancia positiva: Cuando el espacio disponible es mayor que el necesario para lograr correctas posiciones denta- rias. Se manifiesta en la presencia de diastemas, giro- versiones de los dientes del sector lateral o un espa- cio libre de Nance en una arcada en la que el sector anterior está correctamente alineado. Los métodos para estimar la DD fueron expli- cados anteriormente (Fig. 16.6). Fig. 16.6.
  • 341.
    358 Síntesis deldiagnóstico y planificación Discrepancia cefalométrica (DC): Este valor también puede ser O, positivo o nega- tivo y estará determinado por la posición del incisi- vo inferior con respecto al plano A-Po. Cuando el incisivo esté ubicado en la norma, la DC será O(Fig. 16.7). Fig. 16.7. Cuando esté por delante de la norma será nega- tiva porque llevarlo a la norma implica una retru- sión y por lo tanto se pierde longitud de arcada (Fig. 16.8). Fig. 16.8. Una posición por detrás de la norma se conside- ra una DC positiva, porque llevar el incisivo a + 1 mm significa adelantarlo, con lo que se gana longi- tud de arcada (Fig. 16.9). Fig. 16.9.
  • 342.
    Síntesis del diagnóstico359 El valor de la DC, se obtiene multiplicando por dos la cantidad de milímetros existentes entre el incisivo y la norma. La necesidad de multiplicar por dos se debe a que la telerradiografía es una imagen bidimensional, de una estructura tridimensional, por lo que visualizamos sólo una hemiarcada. Ejemplos: a) Incisivo inferior a A-Po = +4 mm DC = -6 mm b) Incisivo inferior a A-Po = Omm DC = +2 mm En este paso de la planificación, debemos unir DD y DC. Como resultado de esta fusión, ambas discre- pancias podrán: • Compensarse totalmente • Compensarse parcialmente • Potenciarse El resultado que obtenemos al relacionar ambas discrepancias es lo que llamamos discrepancia total (DT). Éste es un concepto clave para el proceso de planificación. Discrepancia total es la cantidad de espacio necesario para el correcto alineamiento de los dien- tes, con una posición del incisivo inferior ajustada a la norma cefalométrica, es decir su borde incisal 1 mm por delante del plano A-Po. A-Po 1 al A-Po = - 2 mm DD = - 6 mm DC = + 6 mm Fig. 16.10. DT = 0 En este caso faltan 6 mm para un alineamiento correcto, pero la posición del incisivo debe ser normaliza- da mediante un avance que permitirá ganar la misma cantidad de espacio. Es decir, que ambas discrepan- cias se compensan y la DT es O(Fig. 16.10).
  • 343.
    360 Síntesis deldiagnóstico y planificación A-Po 1 al A-Po = + 3 mm DD = + 4mm Fig. 16.11. DT = O mm DC = - 4mm La posición adelantada del incisivo (1 al A-Po: +3 mm) podrá ser corregida cerrando los diastemas que nos dan un espacio igual al necesario para posicionar el incisivo en la norma. Esta compensación es total (DT:0) (Fig. 16.11) A-Po 1 al A-Po = + O mm DD = - 6 mm DC = + 2 mm Fig. 16.12. DT = - 4mm Un apiñamiento de 6 mm puede resolverse por una DC positiva, pero al ser ésta de +2 mm no llega a compensarlo totalmente, por lo que la DT es -4 mm (Fig .16.12).
  • 344.
    Síntesis del diagnóstico361 DD = + 4 mm Fig. 16.13. DT = - 2 mm 1 al A-Po = + 4 mm DC = - 6 mm Los diastemas que existen en la arcada suman 4 mm. Serán utilizados para retruir un incisivo inferior adelantado, pero no será suficiente para que éste puede ser ubicado en la norma (DT:-2 mm) (Fig. 16.13). A-Po DD = - 6 mm Fig. 16.14. DT = - 14 mm 1 al A-Po = + 5 mm DC = - 8 mm Al apiñamiento inferior de 6 mm se adiciona la necesidad de una retrusión de 4 mm del incisivo inferior (DC:-8 mm). Hacen una discrepancia total de -14 mm (Fig. 16.14).
  • 345.
    362 Síntesis deldiagnóstico y planificación 1 al A-Po = - 1 mm DD = + 2 mm DC = + 4mm Fig. 16.15. DT = + 6 mm En esta arcada hay un remanente de 2 mm de espacio, y a su vez el incisivo debe ser protruido para alcanzar la norma. Ambas discrepancias son positivas (Fig. 16.15). La DT define el problema de la arcada dentaria inferior. Cuando es Osignifica que no existen proble- mas para alinear todos los dientes ajustados a la norma cefalométrica. Un número negativo nos indica que para solucionar el problema se deberá crear espacio. Por el contra- rio, una DT positiva significa que si queremos colocar los dientes en la norma cefalométrica sobrarán espa- cios. De estas dos posibilidades, la primera es la más frecuente y nos lleva a evaluar los procedimientos que permitan crear espacios en la arcada. MODELOS DISCREP. DENTARIA DISCREP. CEFALOMÉTRICA CEFALOMETRÍA DISCREP. TOTAL + (Positiva) O (Sin discrep.) - (Negativa)—
  • 346.
    Síntesis del diagnóstico363 PROCEDIMIENTOS PARA CREAR ESPACIOS Éstos consisten en: (Fig.16.16). 1. Protrusión 2. Verticalización molar * 3. Expansión lateral o verticalización en sentido lateral * 4. Desgastes proximales * 5. Las extracciones 1-2-3 y 4 Son los denominados procedimientos conservadores. Los señalados con asteriscos * sólo podrán ser planificados cuando las condiciones ini- ciales de la arcada permitan recurrir a éstos. 0 Fig. 16.16: Procedimientos para crear espacios en la arcada inferior.
  • 347.
    364 Síntesis deldiagnóstico y planificación 1- Protrusión También se la denomina expansión anterior. Deben distinguirse en este punto, dos aspectos: • uno es el movimiento dentario de protrusión que genera 2 mm de espacio en la arcada por cada milímetro de avance del incisivo (Fig. 16.17); • el otro es protruir el incisivo más allá de la norma para compensar una discrepancia total negativa. Este es el aspecto que estamos consi- derando. Para explicar esto, daremos dos ejemplos: 1.Posición del incisivo con respecto al A-Po = -1 mm, por lo que la DC es de +4mm. DD = -4 mm. Aquí la DT es O mm. Los incisivos, mediante un movimiento de protrusión, pueden ser llevados de la posición -1 mm a +1 mm con respecto a A-Po. 2. La misma posición inicial del 1 al A-Po = -1 mm, pero con una DD de -8 mm resulta en una DT de -4 mm. Para alinear los incisivos, tendríamos que lle- varlos a una posición final de +3 mm con res- pecto a A-Po. En este caso consideramos la pro- trusión del incisivo más allá de la norma como un recurso para ganar espacio cuando la DT es negativa. ¿Cuál es el límite para esa posición adelantada del incisivo? La respuesta la obtendremos a partir del estudio de los factores que debemos considerar al modifi- car la posición del incisivoinferior. Estos factores pueden ser: a) Funcionales - Musculares - Gnatológicos b) Cefalométrícos c) Estéticos d) Periodontales Debemos partir de la siguiente idea: El paciente llega a nosotros con sus incisivos apiñados, apiñados y protruidos, apiñados y retrui- dos, alineados y protruidos o retruidos; es decir, en diversas posiciones que pueden estar más o menos alejadas de los parámetros normales. Pero sin embargo, a pesar de la desarmonía de su implantación en el reborde alveolar, muchas veces son estables. Nuestro tratamiento corregirá la anomalía colo- cándolos en otra posición y, al hacerlo, puede crear condiciones de inestabilidad. Dicho en otras palabras, el tratamiento puede transformar malposiciones estables en correcciones inestables. Una planificación adecuada debe minimizar este riesgo, para lo cual debe tomar en cuenta los factores que afectan la estabilidad de losincisivos. 1 mm 1 mm T 1 mm Fig. 16.17: Cada milímetro de protrusiónde los incisivosgenera 2 mm de espacio en la longitud del arco (1 mm por cada hemiarcada).
  • 348.
    Síntesis del diagnóstico365 a) Funcionales MUSCULARES (Fig. 16.18): La estructura muscular tiene características diferentes en los distintos biotipos. En los dolicofaciales el perfil de la sínfisis se caracteriza por ser alargado, con un pogonion muy poco prominente. El reborde suele ser muy alto y las tablas vesti- bular y lingual muy delgadas. La dirección del orbicular de los labios, que desde su inserción en la sínfisis asciende hasta el labio inferior, es en estos casos sumamente vertical. Esta dirección no sólo se debe a las característi- cas anatómicas de la sínfisis sino también al aumen- to de la altura del tercio inferior de la cara, que obliga a los labios a una tensión exagerada para lograr el cierre bucal. Si nuestro tratamiento llevara los incisivos a posiciones muy adelantadas, quedarían sometidos a una presión constante en sentido anteroposterior y la recidiva sería inevitable. Muy diferente es el caso del braquifacial, que tiene generalmente una sínfisis más voluminosa con un pogonion prominente asociado a una altura facial inferior corta. Esto permite a los labios adop- tar una postura más relajada. La dirección de las fibras musculares será ascendente pero con una inclinación de atrás y abajo hacia adelante y arriba, permitiendo de esta manera una mayor protrusión del grupo incisivo. Ésta es una de las razones por las que puede pla- nificarse una posición más adelantada de los incisi- vos en los braquifaciales. GNATOLÓGICOS Los requisitos de una oclusión mutuamente pro- tegida imponen una ubicación de los incisivos, de manera tal que permitan una guía anterior inme- diata para los movimientos de protrusión, evitando los contactos en sectores posteriores, para lo cual, deberán tener una relación de overbite acorde con la profundidad de las cúspides de molares y premo- lares y la inclinación de la guía condílea. El ángulo inciso condilar de McHorris (Fig. 16.19) es una importante referencia para la inclina- Fig. 16.18: Una posición estable del incisivo inferior deba planificarse al resguardo de las fuerzas musculares.
  • 349.
    366 Síntesis deldiagnóstico y planificación ción del incisivo. Está formado por una línea trazada desde el centro del cóndilo hasta el borde incisal del incisivo inferior, y el eje mayor de este diente. Fig. 16.19: Ángulo de McHorris. Tiene una norma de 88,5° con una DS de 5,5°. McHorris encontró variaciones en el tamaño de este ángulo que van desde 77° a 101°. Esta medida contempla un aspecto dinámico. Los incisivos que tengan una angulación dentro de la norma no recibirán durante la masticación fuer- zas tangenciales que tenderán a desplazarlo, sino en dirección a su eje mayor. b) Cefalométricos Los factores cefalométricos que se deben consi- derar para la colocación del incisivo inferior son: (Fig. 16.20) • La distancia en milímetros con respecto al plano A-Po. Nos permite lograr un balance óptimo entre la posición del incisivo inferior y las bases esquele- tales superior e inferior. • Relación plano E-labio inferior. • Relación del plano oclusal con la longitud labial. Ambos factores, si bien se basan en observacio- nes cefalométricas, serán considerados dentro de los factores estéticos. • Inclinación del 1 con respecto alplano mandi- bular. Este ángulo fue estudiado por Downs y Tweed entre otros. El primero encontró un rango de 82° a 97°. Tweed llamó a este ángulo IMPA y le dio un valor promedio de 87°. Por lo tanto, se puede considerar como norma una medida de alrede- dor de los 90°. Es una guía que nos permitirá evaluar la posi- bilidad de protruir o no un incisivo inferior, sin poner en peligro la estabilidad. Los factores mencionados tienen relación con la Fig.J6.20: Factores cefalométricos para lacolocación deM. 1- Distancia 1 al A-Po. 2- Labio inferior-plano estético. 3- Plano oclusal-comisura. 4-Angulación 1- plano mandibular (Tweed).
  • 350.
    Síntesis del diagnóstico367 estabilidad del grupo incisivo inferior. Pero ade- más, existen factores estéticos y periodontales que también limitan el posicionamiento hacia adelante de estos dientes. c) Estéticos El incisivo inferior es el que dicta la posición del incisivo superior. Un movimiento de protrusión implica un avance de los labios, por lo que subalan- ce estético deberá ser evaluado antes de tomar la decisión. El estadio de crecimiento del paciente merece una consideración especial en este momento, por- que gracias a los procedimientos de cefalometría dinámica, podemos elaborar en esta etapa un pro- yecto de la cara que tendrá el paciente al finalizar el crecimiento. El balance de las estructuras del perfil (los labios, respecto de nariz y mentón, convexidad, etc.) tendrá variantes de acuerdo al biotipo facial. Un tratamiento que se realice cuando aún queda una cantidad considerable de crecimiento remanente, debe considerar estos cambios y buscar posiciones dentarias que permitan armonizar las estructuras del futuro perfil del paciente. Este cambio es muy evidente en losbraquifacia- les, en los cuales el crecimiento suele provocar con- siderables modificaciones del perfil, cuyo común denominador es la retrusión labial. A los 9 ó 10 años, una protrusión no muy mar- cada del sector incisivo y labial se convertirá en un balance óptimo del 1/3inferior de la cara en la edad adulta. Por lo tanto, una planificación hecha para una edad temprana en pacientes braquifaciales, puede contemplar una posición más adelantada de las arcadas (Fig. 16.21). Otro factor estético a considerar al definir la posición sagital de los incisivos es la competencia labial. Avanzar los dientes en casos de labios lige- ramente cortos puede provocar una dificultad para el cierre bucal anterior lo que genera tensiones labiales indeseadas y alteraciones del perfil. Fig.16.21: Una posición más protruida del incisivo inferior a la edad de 9-10 años producirá una posición adelantada del labio inferior, pero el crecimiento del patrón braquifacial, de dirección anterior, reducirá la protrusión en la edad adulta.
  • 351.
    368 Síntesis deldiagnóstico y planificación Por otra parte, es muy importante el balance estético de los incisivos con respecto a los labios en sentido vertical. La referencia para la ubicación de ambos incisivos en este plano, es el plano oclusal funcional (1 al plano oclusal: +1 mm). En condiciones normales el plano oclusal fun- cional pasa, en el sector anterior, 3 mm por debajo de la comisura labial. En esos casos, los incisivos que tengan una normal relación con ese plano, estarán ubicados armónicamente con respecto a los labios. Cuando la relación plano oclusal-comisura está alterada, se debe modificar el plano oclusal en la planificación (VTO) como veremos más adelante, con el objeto de lograr un óptimo balance labio- diente (fig.16.22). N.F. 9A3 m. Fig.16.22: Paciente N.F.: fotos de frente y perfil, donde se observa aumento de exposición del incisivo debido a un labio superior corto. En la cefalometría la medida plano oclusal-comisura, se encuentra aumentada. Deberá planificarse una corrección del plano oclusal e intruir el incisivo superior para mejorar la estética labio- dental.
  • 352.
    Síntesis del diagnóstico369 d) Periodontales Las malposiciones de los incisivos, apiñamien- tos, giroversiones, etc., traen aparejadas como secuela reabsorciones de los tejidos de soporte del diente. Una protrusión en estos casos debe ser cui- dadosamente programada, evitando crear proble- mas periodontales al grupo incisivo. Las tablas alveolares vestibular y lingual tam- bién son de diferente espesor según las característi- cas esqueletales del paciente (Fig. 16.23). Esto será estudiado en la telerradiografía lateral y también clínicamente por medio de la palpación. Si un caso con excesivo apiñamiento y tablas ves- tibulares delgadas puede ser compensado parcial- mente por una DC positiva, no es aconsejable pen- sar en una protrusión más allá de la norma para solucionar totalmente el problema. Se deberán eva- luar otros recursos, generalmente las extracciones, para disminuir el riesgo de mayor daño periodontal. Fig.16.23: Las tablas alveolares muy delgadas son un factor limitante de la protrusión del sector anterior. 2- Verticalización molar La verticalización del molar inferior consiste en un enderezamiento de su eje mayor en el supuesto caso de hallarse en mesioinclinación. Este procedimiento permite ganar aproximada- mente 0,5a 1mm por lado, dependiendo de la mag- nitud de la inclinación del molar hacia mesial. La verticalización molar no podrá ir más allá de la obtención de una correcta inclinación de este diente. Un exceso en su verticalización provocará una elevación de sus cúspides mesiales generando interferencias en el sector posterior (Fig. 16.24). El movimiento de distalamiento de esta pieza, entendiéndose como tal el desplazamiento del molar hacia distal manteniendo la misma inclina- ción de su eje, no es aconsejable debido a la topo- grafía ósea de la zona. Fig.16.24: Puede realizarse una verticalización del molar a partir de una mesioinclinación del mismo (A). Si se realiza a partir de una correcta inclinación del molar, ocurrirá una excesiva verticalización con elevación de las cúspides mesiales (B).
  • 353.
    370 Síntesis deldiagnóstico y planificación 3- Expansión lateral o verticalizaciónen sentido lateral Al igual que el anterior, este movimiento será factible cuando exista una inclinación anormal del eje de los dientes del sector lateral, en este caso una linguoinclinación. Por esto, es más apropiado hablar de una verticalización en sentido lateral que de una verdadera expansión (Fig. 16.25). Este movimiento deberá respetar también las inclinaciones de los ejes de los dientes de este sec- tor en sentido bucolingual, dado que una excesiva verticalización traerá como consecuencia la altera- ción de la curva de Wilson, cuyo mantenimiento es necesario para evitar interferencias en las excursio- nes laterales. La magnitud de espacio que permite obtener responde a la siguiente escala: • 1 mm de "expansión" a nivel de caninos, genera 1 mm de espacio en la arcada • 1 mm a nivel de premolares, 0,5 mm. • 1 mm a nivel de molares, 0,25mm. Por lo tanto, si una arcada inferior es ensancha- da 1 mm desde caninos a molares, ganaremos 1,75 mm (Fig. 16.26). Tanto este recurso, como el precedente, no admiten excesos. No podemos, con el propósito de conseguir más espacio, ir más allá de las posiciones naturales de los dientes. El tratamiento con aparatología preajustada facilita esta tarea porque por las características de su concepción pone límites a estos movimientos. Las aparatologías que no tienen esa condición, pueden llevar al profesional a exagerar estos recur- sos con el consiguiente efecto negativo en cuanto a: • Estabilidad • Relaciones interoclusales • Función libre de interferencias • Armonía de lasATM • Agravamiento del patrón facial (apertura del eje facial en dolicofaciales). B Fig.16.25: La expansión o verticalización lateral podrá realizarse cuando los sectores laterales presenten una excesiva lingualización (A). Realizarla cuando la inclina- ción vestibulolinguales la adecuada, puede originar con- tactos prematuros(B). TOTAL: 1,75 mm Fig.16.26: Magnitud de espacio producido por 1 mm de expansión en la arcada inferior.
  • 354.
    Síntesis del diagnóstico371 4- Desgaste proximal (stripping) Se realiza en las caras proximales de los cuatro incisivos inferiores, a veces puede incluir los cani- nos y los premolares. Permite obtener hasta 2 mm de espacio. Se realiza manualmente con tiras de acero dia- mantado. El stripping debe ir acompañado de una observación previa del índice de Bolton para evitar un desbalance de las relaciones dentarias interarca- das, con la consecuente pérdida de la correcta rela- ción canina. Otras veces es una maniobra necesaria para normalizar o armonizar diámetros mesiodista- les. Este tipo de desgaste requiere también una eva- luación anatómica del diente y sus tejidos de sopor- te (Fig. 16.27). Los dientes deben tener una diferencia entre el diámetro mesiodistal medido a nivel del punto de contacto y el mismo diámetro a nivel cervical. Si así no fuera, el desgaste provocaría una exce- siva aproximación y hasta contacto de las raíces, provocando la atrofia del septum interdentario. Por ejemplo: Una relación canina alterada puede deberse a una macrodoncia localizada de algunos dientes, que podrá solucionarse mediante este recurso (Fig. 16.28). Fig.16.27: La diferente anatomía coronaria define las características del septum interdentarioy con ello, la posi- bilidad de realizar desgastesproximales. B Fig.16.28: El stripping como recurso para normalizar una discrepancia entre los diámetros mesiodístales superior e infe- rior. En este caso, el stripping inferior permite el establecimientode una correcta clase canina. A: antes del stripping. B: después de realizado.
  • 355.
    372 Síntesis deldiagnóstico y planificación 5- Las extracciones El estudio de la arcada dentaria inferior des- cripta hasta este momento consistió en determinar la discrepancia total, concepto que resume la canti- dad de milímetros necesarios para que la arcada dentaria sea correctamente alineada respetando parámetros cefalométricos. Se describieron cuatro recursos clínicos y los límites de cada uno de ellos para ganar espacio en los casos en que la discrepancia total tenga valores negativos. Estos recursos son conocidos también como métodos conservadores. Cuando la cifra de la discrepancia total exceda las posibilidades de los métodos conservadores se requerirá la creación del espacio mediante la extracción de piezas dentarias. Este recurso ha planteado y plantea en la actua- lidad la gran disyuntiva:extraer o no extraer. Es un tema de gran preocupación para el estu- diante. Es frecuente que éste quiera una "receta" precisa de la cifra de la discrepancia total que sepa- ra el tratamiento conservador del tratamiento con extracciones. Es factible encontrar en los textos ciertas nor- mas para la decisión de extracciones, referidas a la "discrepancia de espacio", y podemos leer aprecia- ciones como: "hasta 4 mm de discrepancia de espacio se resuelven sin extracciones". "de 5 a 8 pueden a veces tratarse sin extraccio- nes". "9, 10 o más casi siempre requieren extraccio- nes". La crítica a esto, consiste en que no puede pre- cisarse la necesidad o no de extracciones como recurso terapéutico, con la sola cuantificación del problema de espacio. Creemos que la única manera de clarificar este concepto es integrar varios aspectos diferentes: • La discrepancia dentaria. • La discrepancia cefalométrica. • El biotipo facial. • La información del estudio gnatológico (que puede condicionar la utilización de métodos de verticalización molar, expansión transversal, las extracciones, etc.) • Morfología dentaria (posibilidad de stripping) • Características del perfil blando. • Tipo de crecimiento remanente. Un apiñamiento de -4 mm tendrá distinto signi- ficado si está considerado en una arcada cuyo inci- sivo está colocado a +4 mm del plano A-Po que un apiñamiento igual al anterior en una arcada cuyo incisivo está a -1 mm con respecto al mismo plano (Fig. 16.29). Si a esto agregamos que el primer caso está referido a un paciente dolico y el segundo ejemplo a un braqui, el problema será muy diferen- te a pesar de que las discrepancias dentarias son iguales. Al integrar dos datos del diagnóstico: discrepan- cia dentaria y discrepancia cefalométrica, aparece un tercero, discrepancia total, que involucra los dos problemas que puede presentar una arcada: los espacios insuficientes o sobrantes para la correcta ubicación de los dientes en los rebordes alveolares y los espacios insuficientes o excesivos para su correcto posicionamiento dentro del contexto facial. Hemos repetido nuevamente estos conceptos para que el lector no pierda el itinerario del proce- dimiento de planificación. De todo lo visto, surge que la discrepancia total es un dato de suma importancia que nos orienta sobre la manera de resolver el problema. En el primero de los ejemplos dados, ambas dis- crepancias son negativas: DD DC DT -4mm -6 mm -10 mm Estos -10 mm de DT, hablan claramente de la necesidad de hacer extracciones para obtener el espacio (Fig. 16.29 A). En cambio, en el segundo ejemplo: DD = -4 mm DC = +4 mm DT = O mm
  • 356.
    Síntesis del diagnóstico373 La DT = O,expresa que no existe falta de espa- cio (Fig. 16.29 B). Aun teniendo en cuenta los valores de la DT, no podemos dar normas precisas sobre cuando extraer o no, porque restan evaluar posibilidades de pro- trusión más allá de la norma, verticalización molar, expansión transversal y stripping, procedimientos éstos que no se atan a parámetros rígidos sino que, como ya se vio, son opciones según el biotipo facial, etapa del desarrollo, condición gnatológica (oclu- sión, ATM y función neuromuscular), característi- cas esqueletales y del perfil blando, morfología dentaria, etc. Resumiendo, se recurrirá a las extracciones, cuando los métodos conservadores no sean sufi- cientes para solucionar una DT negativa, porque 1 - A-Po = + 4 mm DD = - 4mm DC = - 6 mm DT = -10 mm (extracciones) Fig.16..29: El mismo problema en la arcada dentaria inferior (DD: -4 mm) con diferentes posiciones cefalométricas del incisivo. En A: para lograr un correcto alineamiento dentario dentro de parámetros cefalométricos aceptables, se deberá recurrir a las extracciones.En B: la DT Oplantea una solución sin extracciones (página siguiente).
  • 357.
    374 Síntesis deldiagnóstico y planificación B 1 - A-Po = - 1 mm DD = - 4 mm DC = + 4 mm DT = Omm (sin extracciones) A-Po Fig.16.29: (Continuación) no son aplicables en el caso o porque siéndolo, el valor negativo de la DT exceda a sus posibilidades. Los dientes de elección para las extracciones son los primeros premolares. En algunos casos, cuando es necesario una gran pérdida de anclaje, se extraen los segundos premolares. Se calcula que proveen 15 mm de espacio, pero a veces será con- veniente corroborar esta medida en los modelos de estudio con la finalidad de ajustar nuestro cálculo.
  • 358.
    Síntesis del diagnóstico375 PROCEDIMENTOS PARA CERRAR ESPACIOS La DT positiva significa que hay exceso de espa- cio en la arcada ubicando el incisivo en la norma cefalométrica (+1 mm con respecto al plano A-Po). Existen varias alternativas para cerrar los espa- cios (Fig. 16.30): • Dejar los incisivos por detrás de la norma. • Colocar los incisivos en la norma ymesializar los sectores posteriores. • Dejar diastemas. La combinación de algunas de estas alternati- vas. En estos casos se debe evaluar el compromiso estético que implica dejar los incisivos por detrás de la norma como así también la conveniencia de mesializar los sectores posteriores. Esto último puede traer aparejado un cierre del eje facial. En patrones braquifaciales severos pueden estar contraindicadas estas maniobras, por lo que suele optarse por dejar diastemas que, lógicamente esta- rán ubicados en lugares que no afecten la estética, la fonación o las relaciones intercuspales. Otras veces, se requerirá el auxilio de la odontología res- tauradora. Los casos de DT positiva suelen corresponder a microdonciasgeneralizadas. Fig.16.30: Una DT positiva puede solucionarse de 2 maneras: A: Llevando los incisivos por detrás de la norma. B: Mesializando los sectoresposteriores.
  • 359.
    376 Síntesis deldiagnóstico y planificación Determinación de la posición definitiva del incisivo inferior La posición del incisivo inferior con respecto al plano A-Po es uno de los objetivos definitivos del tratamiento y además requisito indispensable para la construcción del VTO. El estudio de la arcada dentaria inferior nos per- mite cuantificar el problema de espacio por medio de las discrepancias (DD, DC y finalmente DT). De acuerdo a la magnitud del problema y a las características del caso se formula una posible vía terapéutica para esa arcada inferior. La Discrepancia Total será útil para aproximar- nos a la forma de solucionar el problema de la arcada inferior, esto es, con extracciones o no, pero no siempre podemos o debemos ajustamos a su valor al planificar la posición del incisivo;dicho en otras palabras, no siempre planificaremos colocar el incisivo inferior en +1. 1 - A-Po 1. Discrepanciadentaria 2. Discrepanciade Bolton 3. Verticalización molar 4. Expansión 5. Curva de Spee 6.Extracciones 7. Protrusión - Retrusión del! 8. Mesializaciónmolar Total + Esta posición de +lmm es una norma a la que no pueden ajustarse todos los casos, porque las modificaciones dentarias del tratamiento tendrán como objetivo contribuir al logro de una mejoría estética de los labios y del perfil, adecuando nues- tra planificación a estos requerimientos más que a parámetros cefalométricos. En esta estética de los labios intervienen otros factores propios, no sólo la posición sagital de los incisivos, como son la longitud, el espesor, el tono muscular. Habrá que planificar la posición ideal teniendo en cuenta estas características, y esa posición ideal puede no ajustarse estrictamente a la norma de + Imm. De todas maneras, la posición del incisivo resul- tante de nuestro cálculo de la arcada inferior,algu- nas veces será la óptima, y otras la más adecuada de acuerdo a las posibilidades que el caso ofrezca. Si bien puede haberse llegado a la decisión de extracciones o, por el contrario, a la utilización de métodos conservadores, no tenemos aún los ele- mentos de juicio que nos permitan determinar la posición definitiva de ese diente. Esos elementos están reunidos en un cuadro que a modo de guía nos permite hacer los cálculos necesarios para determinarla (Cuadro 16.1). Este cuadro tiene ordenados en una columna una serie de maniobras clínicas y algunos factores que influyen o condicionan la planificación de la arcada. El procedimiento consiste en seleccionar entre todos ellos los que deban considerarse para el caso particular y asignarles un valor numérico + o - que nos permita hacer un cálculo que tendrá como fin la solución del problema de espacio. Describiremos estos factores en el mismo orden en el que deberán ser considerados. En la parte superior se coloca la medida de la distancia del1 al A-Po, obtenida en lacefalometría inicial. Esto nos da la medida de la DC. Cuadro 16.1: Cuadro-guía para realizar los cálculos de la arcada dentaria inferior.
  • 360.
    Síntesis del diagnóstico377 1. Discrepancia dentaria Junto con la medida del 1 al A-Po constituirá la DT, que representa la magnitud del problema a resolver. Puede ser positiva o negativa. En los casos de dentición mixta se utilizarán las tablas de Moyers para la obtención de la discre- pancia dentaria. En este cálculo se incorpora el valor positivo del espacio libre de Nance, corres- pondiente al menor tamaño de los segundos pre- molares en relación a los molares primarios que reemplaza. En los casos en que el primer molar permanen- te será mantenido en su posición para lautilización de dicho espacio, la utilización del resultado de las tablas Moyers en el cálculo de la discrepancia den- taria del caso es correcta. Pero si en cambio, se planifica lograr el ajuste de la Clase I con la mesialización del primer molar inferior, no podrá considerarse ese espacio de Nance en el cálculo de la discrepancia. 2. Discrepancia de Bolton Es importante evaluar el índice de Bolton por- que indicará la posibilidad de realizar desgaste interproximal inferior cuando haya un déficit de tamaño de estos dientes respecto de los superiores. Dicho valor se consignará como positivo en la tabla de cálculo de discrepancia. Sin embargo debemos tener en cuenta en estas situaciones, que por razones estéticas muchas veces la armonización del índice de Bolton requiere el aumento de tamaño de los insicivos laterales supe- riores que suelen presentar una anomalía en su anatomía. En estos casos se limita la posibilidad de stripping inferior. Ante un índice de Bolton que evidencie un menor tamaño de los dientes inferior en relación con los superiores podrá ser necesario recurrir a métodos alternativos que aumenten los diámetros mesiodistales inferiores. En este caso se consigna en la columna de los valores negativos el valor correspondiente a dicha compensación. 3. Verticalización molar Fue descripto entre los cinco métodos para ganar espacio. 4. Expansión Fue visto en este capítulo. 5. Curva de Spee Una curva de Spee normal debe tener una pro- fundidad no mayor de 1,5 mm. Esta medida se toma desde la parte más profunda de la línea curva descrita por las cúspides vestibulares de molares y B Fig.16.31: Dos mecanismosdiferentes para aplanar la curva de Spee. A: protrusión de incisivos. B: intrusiónanterior.
  • 361.
    378 Síntesis deldiagnóstico y planificación + 4 mm + 2,5 mm Fig.16.32: En este ejemplo, la posición del 1 al plano oclusal se corrige mediante protrusión e intrusión. premolares hasta un plano que va desde la cúspide distovestibular del 2°molar inferior al borde incisal del incisivo. Curvas más profundas indican supraerupción de los incisivos y pueden producir un overbite excesi- vo. Además pueden provocar alteraciones en el plano oclusal que impiden una correcta intercuspi- dación. Por estas razones debe ser normalizada, lo que trae aparejado una mayor necesidad de espacio para el grupo incisivo y por consiguiente un aumen- to negativo de la discrepanciacefalométrica. Por cada milímetro de aplanamiento de la curva (por intrusión de los incisivos) es necesario aproxi- madamente 0,5 mm de aumento en la longitud del arco. Ante una curva que necesite ser normalizada, debemos hacer algunas observaciones previas a la estimación del aumento negativode ladiscrepancia que esta corrección provocará. Se debe verificar previamente que el plano oclu- sal tenga una ubicación normal (-3 mm con respec- to a la comisura). Una distancia mayor puede anu- lar la necesidad de intruir los incisivos. La protrusión de los incisivos, permite aplanar una curva sin necesidad de intrusión. Por cada milí- metro de protrusión habrá 0,5mm de nivelamiento. Lo inverso también es válido. Por lo tanto, el valor negativo por corrección de la curva, sólo podrá ser evaluado después de haber hecho una estimación más o menos precisa del movimiento sagital planificadopara el incisivo infe- rior. Por ejemplo: (Fig. 16.32) Incisivo inferior al plano oclusal +4 mm. Supongamos que este incisivo debe ser protrui- do 3 mm, lo que significa 1,5 mm de nivelación de la curva. Esto hace que el incisivo quede a una distancia del plano oclusal de +2,5 mm por lo que resta ni- velar 1,5 mm. Debemos colocar un valor de 0,75 mm en la columna negativa. Si este mismo caso no requiriera protrusión, se deberá colocar en dicha columna: 1,5 mm. 6. Extracciones Mediante la extracción de premolaresinferiores puede obtenerse en promedio 15 mm de espacio. La medida puede ser individualizada midiendo con un calibre el ancho mesiodistal de los dientes a extraer. 7. Protrusión o retrusión del1 El conocimiento de la DC nos permite formular un objetivo preliminar acerca de la posición desea- da para el incisivoinferior. Este objetivo preliminar es sólo una idea aproximada acerca de lo que debe- ríamos hacer con este diente (mantener en la misma posición, avanzar o retruir). El estudio de los factores listados en el cuadro, permitirá prever una recolocación del incisivo ajus- tada a los requerimientos y posibilidades del caso. Cuando en la arcada inferior no se planifican extracciones, la protrusión o retrusión del incisivo debe lograr el equilibrio entre los valores de la columna positiva y negativa. Suponiendo que el caso presente una discrepan- cia dentaria negativa y cefalométrica positiva, la protrusión del incisivo deberá compensar total- mente la discrepancia dentaria. Si esto resulta en una posición no conveniente de dicho incisivo exis- tirá la posibilidad de aplicar otros métodos conser- vadores, como la verticalización del molar, expan-
  • 362.
    Síntesis del diagnóstico379 sión, desgaste interproximal, que proveen espacios para evitar así la necesidad de una excesiva protru- sión del incisivo. De no ser aplicables estos proce- dimiento conservadores, o resultar insuficientes se deberá recurrir a las extracciones. Si el problema de la arcada inferior debe resol- verse con extracciones, se planifica (siempre con el criterio de objetivo preliminar) una posición del incisivo inferior adecuada para el caso. Si bien el espacio obtenido por extracciones nos da un rango de posibilidades bastante amplio para la recolocación del 1,esta nueva posición deberá deter- minarse teniendo en cuenta múltiples factores clíni- cos y cefalométricos. Por lo tanto, cada caso plantea- rá una diferente utilización de estos espacios. 8. Mesialización del 6 En los casos de extracciones, el balance entre las columnas positivas y negativas hasta el punto 7 puede ser cero (caso de anclaje máximo) o positivo (con pérdida de anclaje). En este último caso, se debe asignar un valor negativo_equivalente en el último ítem: "mesialización del 6", lo que significa que cada molar deberá mesializarse la mitad de ese valor, porque estamos planificando arcadas simé- tricas. La forma de utilización del cuadro se explica con más detalles en los dos ejemplossiguientes: Ejemplo I: Paciente: M. V. C. - 10 años - Sexo femenino Fig. 16.33.
  • 363.
    380 Síntesis deldiagnóstico y planificación Fig. 16.34. El estudio de la discrepancia dentaria inferior utilizando las tablas de Moyers da como resultado un défi- cit de espacio de 6 mm. DD = -6 mm 1 al A-Po = -1mm DC = +4 mm DT = -2 mm
  • 364.
    Síntesis del diagnóstico381 15° -3 mm Fig. 16.35: Cefalograma del caso M. V. C. Estudiadas las características del caso y la magnitud de la DT la solución se plantea SIN EXTRAC- CIONES. Se hará protrusión y verticalización molar. 1 - A-Po 1. Discrepancia dentaria 2. Discrepancia de Bolton 3. Verticalización molar 4. Expansión 5. Curva de Spee 6. Extracciones 7. Protrusión - Retrusión del 1 8. Mesialización molar Total -1 mm + - 1 - - - 6 - 7 6 - - - 1 - - - 7 Cuadro 16.2: Análisis de la arcada dentaria inferior• Caso M. V. C.
  • 365.
    382 Síntesis deldiagnóstico y planificación Estudio de la arcada dentaria inferior: (Cuadro 16.2) 1. Discrepancia dentaria: - 6 mm. 2. Discrepancia de Bolton No es aplicable en dentición mixta. 3. Verticalización molar: Dada la inclinación mesial del eje del molar (observar la cefalometría) asignaremos +1 mm (0.5 mm por lado). 4. Expansión: La observación de los modelos indica que no es posible realizarla. 5. Curva de Spee: El incisivo está en +4 mm con respecto a un plano oclusal bien ubicado en relación a la comisura. La posición del incisivo en -1 mm, crea la necesidad de su protrusión. Se calcula en aproximadamente 2 mm lo que producirá 1 mm de nivelamiento, quedando solamente 2 mm para terminar la nivelación de la curva. Por ello se asigna un valor de -1 mm en la tabla. 6. Extracciones: No son aplicables en el caso. 7. Protrusión-Retrusión del 1: La columna de los negativos muestra, a esta altura del análisis, una cifra de - 7 mm, sólo compensada hasta el momento por +1 mm de verticalización molar. Falta compensar -6 mm. Para solucionar esa cifra de -6 sería necesaria una protrusión de 3 mm, lo que llevaría el incisivo de -1 mm a +2mm. La posición de +2 mm resulta apropiada para el caso. 8. Mesialización molar: No es aplicable en el caso. Conclusión: La diferencia de -6 mm entre los valores positivos y negativos requirieron una recolocación del 1 para lograr un equilibrio. Si bien este avance era un objetivo preliminar, fue necesario cuantificar las distintas maniobras para determinar con mayor exactitud la futura posición del ly con ello su angulación. Posición definitiva del 1: +2 mm. Angulación T-P1mandibular: 93°
  • 366.
    Síntesis del diagnóstico383 Fig. 16.36 Ejemplo II: Paciente: M. V. B. - 20 años - Sexo femenino
  • 367.
    384 Síntesis deldiagnóstico y planificación • m DD 1 al A-Po DC DT = -6 mm = +4 mm = -6 mm = -12 mm +1 mm Fig. 16.37: Cefalograma del caso M. V. B.
  • 368.
    Síntesis del diagnóstico385 1 - A-Po 1. Discrepancia dentaria 2. Discrepancia de Bolton 3. Verticalización molar 4. Expansión 5. Curva de Spee 6. Extracciones 7. Protrusión - Retrusión del 1 8. Mesialización molar Total +4 mm + - - - - 15 - - 15 6 - - - - - 6 3 15 Cuadro 16.3: Análisis de la arcada dentaria inferior • Caso MVB. Estudio de la arcada dentaria inferior (Cuadro 16.3) 1. Discrepancia dentaria: - 6 mm. 2. Discrepancia de Bolton, 3. Verticalización del molar, 4. Expansión, 5. Curva de Spee: No son aplicables en el caso. 6. Extracciones: Por la magnitud de la discrepancia total se hace necesario indicar extracciones de premolares inferiores. Generan un espacio de 15 mm en la arcada que corresponde a los valores positivos. 7. Protrusión - Retrusión del T: Por las características del perfil y el valor de la discrepancia cefalométrica se indica en este caso llevar el incisivo a la norma con respecto al A-Po. El movimiento hacia atrás de 3 mm insume 6 mm de longitud de arcada que serán consignados en la columna negativa. 8. Mesialización del molar: Hasta este punto, la suma de los valores negativos es de 12 mm: 6 mm son necesarios para solucionar el apiñamiento y 6 mm para llevar el incisivo a la norma. Las extracciones proveen 15 mm, por lo que hay un remanente de 3 mm que requerirá de la mesialización de los molares inferiores (1,5 mm por hemiarcada). Conclusión: El estudio de la arcada inferior permite prever una posición del incisivo ajustada a la norma cefalomé- trica con una correcta inclinación con respecto al plano mandibular. Se necesitará una mesialización de 1,5 mm de cada molar con el objeto de cerrar espacios remanentes. Posición definitiva del 1: +2 mm. Angulación 1-P1 mandibular: 91°
  • 369.
    386 Síntesis deldiagnóstico y planificación PLANIFICACIÓN DE LA ARCADA SUPE- RIOR La planificación de la arcada superior se hará teniendo en cuenta los siguientes parámetros: • Clase molar • Planificaciónrealizada en la arcada inferior Clase I: El problema planteado por las discrepancias de ambas arcadas será de magnitudsimilar. En estos casos, la arcada superior requerirá una solución igual a la inferior por las siguientes razo- nes (Fig. 16.38): • La relación molar es de Clase I y se debe man- tener. • Para que la relación canina y el overjet pue- dan establecerse normalmente, se requiere que el material dentario superior sea proporcional- mente armónico con el inferior, por lo tanto: 1- Casos sin extracciones en la arcada dentaria inferior se resuelven del mismo modo en la superior. 2- Los casos con extracciones en la arcada infe- rior, requerirán también extracciones en la superior. B Fig.16.38: Esquemas de corrección de Clase I. A: sin extracciones. B: Con 4extracciones.
  • 370.
    Síntesis del diagnóstico387 Clase II: En estos casos, la DT plantea diferentes proble- mas en ambas arcadas. • En la arcada dentaria inferior la DT puede estar cercana al O, por lo que en general puede resolverse sin extracciones. • La arcada superior, por el contrario, plantea problemas de DT negativa, porque puede estar protruida, tener apiñamientos o ambas cosas a la vez. La solución de esta DT negativa superior debe ser buscada entre (Fig. 16.39): 1-Los métodos conservadores que permiten ganar espacio en la arcada superior, (rotación distal de los molares, expansión, distalamiento) y la posi- bilidad de un efecto ortopédico (FEO anteroposte- rior) en casos de pacientes en crecimiento con el objeto de producir una corrección de la clase molar por crecimiento diferencial. 2-Recurriendo a las extracciones superiores con el fin de obtener el espacio necesario. l.La mecánica de Clase II sin extracciones puede realizarse mediante: a) Procedimientos ortodóncicos: • rotación distal del molar • distalamiento del molar superior • mesialización de la arcada inferior b) Procedimientos ortopédicos: • inhibición de crecimiento del maxilar supe- rior con el fin de que el crecimiento mandibular equilibre las bases en sentido sagital Fig.16.39: Esquemas de corrección de Clase II. A: sin extracciones. B: con dos extracciones superiores.
  • 371.
    388 Síntesis deldiagnóstico y planificación a) Procedimientos ortodóncicos: - La rotación distal de los molares superiores se utiliza cuando la posición inicial del molar muestra una rotación mesial. Para determinar esto, se reali- zan las siguientes observaciones en el modelo supe- rior: - Se traza una línea que uniendo las cúspides distovestibular y mesiopalatina del primer molar superior se prolongue hasta la hemiarcada opuesta. Cuando el molar tiene una rotación normal, la prolongación de la línea debe pasar por la vertien- te distal del canino opuesto (Fig. 16.40 A). En los casos de rotación mesial lo hará a la altura de premolares, y en casos severos hasta en la zona de los molares (Fig. 16.40 B). - También se observan lastroneras mesialesdel primer molar: Cuando exista rotación mesial, la tronera palatina se verá mucho más amplia que la vestibu- lar, siendo prácticamente iguales cuando la posi- ción es correcta. La aparatología preajustada es muy eficaz para la corrección de estas malposiciones, más aún si se adicionan ciertos auxiliares (barra transpalati- na, quad-hélix, palatal expander, etc.). Si se evalúan las posiciones previa y posterior a la rotación del molar desde la perspectiva lateral, veremos que la rotación distal produce el efecto de un distalamiento. Se observará con claridad un retroceso de su cara mesial (Fig. 16.41). B Fig.16.40: A: Molares con correcta rotación. B: rotación mesial. Fig.16.41: La rotación distal del molar permite ganar espacio y corregir la relación de Clase II de los sectores laterales.
  • 372.
    Síntesis del diagnóstico389 • Entendemos por distalamiento molar, al movimiento de traslación del molar superior en sentido posterior, con métodos mecánicos. Si con esta maniobra no se logra una inclinación axial ade- cuada (lera llave de oclusión normal de Andrews), se habrá realizado solamente una inclinación distal. Esta posición además de ser inestable, puede pro- vocar contactos prematuros (Fig. 16.42). Consideramos al distalamiento molar un movimiento difícil e inconveniente. Con la finalidad de no provocar trastornos oclusales, debe evitarse la inclinación del eje del diente como así también su extrusión. Este movimiento de distalamiento, es aceptable sólo si se realiza con la finalidad de recuperar la dirección axial del molar cuando ha sufrido una mesialización debida a pérdida prematura de dien- tes vecinos ubicados por mesial. • La mesialización de la arcada inferior está referida a la posibilidad de avanzarla íntegramente, incluyendo los molares. Sólo podría planificarse si las condiciones ana- tómicas del sector anterior lo permiten. Los elásticos de Clase II fueron utilizados en mu- chas técnicas buscando este efecto, pero fuerzas exce- sivas provocaban un desplazamiento mandibular. Si bien este desplazamiento aparenta clínica- mente ser una "corrección", constituye un efecto indeseado, debido a que se realiza a expensas de una alteración de la relación cóndilo-disco. Lograr la migración mesial de toda una arcada por otros procedimientos mecánicos es bastante complejo, porque la mesialización de los molares es una maniobra que, al utilizar el sector anterior como anclaje puede producir su colapso. B Fig. 16.42: A: Distalamiento molar. B: Inclinacióndistal.
  • 373.
    390 Síntesis deldiagnóstico y planificación Actualmente estos conceptos están variando, debido a la utilización de dispositivos de anclaje intraóseos (microimplantes) que modifican los esquemas de fuerzas tradicionales y las posibilida- des mecánicas de la terapia ortodóncica. b) Procedimientos ortopédicos • La inhibición del crecimiento del maxilar superior se logra con la utilización de fuerzas extra- orales de dirección anteroposterior y de una inten- sidad cercana a los 1.000 gr. El grado de efectividad de mayor a menor es el siguiente: - Fuerza cervical (baja) - Fuerza combinada (horizontal) - Fuerza parietal Lógicamente, el resultado se manifestará de manera diferente en los distintos biotipos. Debemos recordar que la corrección de la clase molar se hace por crecimiento diferencial, por lo tanto un patrón de crecimiento hacia adelante (braquifacial) será el más favorable (Fig. 16.43). 2. La planificaciónde extracciones de dos premo- lares superiores en las Clases II, es un procedimien- to terapéutico que permite establecer una oclusión de Clase I canina y Clase II molar que escompatible con los requisitos de la oclusión funcional. La elección entre una planificación sin extrac- ciones o con extracciones de premolares superiores dependerá de diversos factores: a)Magnitud de la anomalía b)Factores gnatológicos c)Biotipo facial del paciente d)Etapa del desarrollo e) Condiciones estéticas f) Grado de cooperación previsible Fig. 16.43: Disminución de la convexidad por efecto orto- pédico. a) Magnitud de la anomalía: La clase molar debe ser observada por vestibu- lar y por palatino, con los modelos relacionados y montados en RC. En los casos que, observados desde vestibular muestran una ligera relación de Clase II molar, la inspección de los modelos por palatino nos permite ver a veces la cúspide mesiopalatina del molar superior ocluyendo en la fosa principal del inferior. Estas no son verdaderas Clases II sino que son rela- ciones de Clase I con mesiorrotación del molar superior. Su corrección es fácil porque consistirá en devolver al molar su posición normal. Esta rotación en sentido distal, por una parte restaura la relación molar y por la otra genera espacio para la correcta interdigitación de los sectores laterales. Exceptúan-
  • 374.
    Síntesis del diagnóstico391 do estos casos, podemos dividir las Clases II según su magnitud en: • Clase II cúspide a cúspide • Clase II de una cúspide completa La observación de la relación molar es un factor orientador de la decisión terapéutica en lo referido a posibles extracciones. b) Factores gnatológicos: El uso de elásticos de Clase II que se indican en los casos sin extracciones, pueden generar interfe- rencias o fulcrum que alteran la dinámica oclusal provocando deslizamiento céntrico, distracciones y hasta subluxaciones condilares y con ello una serie de problemas de ATM. Estos riesgos aumentan en los pacientes sin cre- cimiento o con escaso crecimiento vertical de la rama. La presencia de interferencias detectadas en el diagnóstico, nos impone una planificación que per- mita eliminarlas (extracciones de premolares con pérdida de anclaje, control vertical, etc.). c) Biotipo facial del paciente: En los dolicofaciales, el uso de elásticos de Clase II abrirá el eje facial con desmejoramiento del per- fil por aumento de la altura facial inferior y retro- ceso del pogonión. Además, estos biotipos son muy propensos a las extrusiones de los sectores posteriores que a su vez crearán problemas gnatológicos. En los braquifaciales se pueden utilizar métodos conservadores porque la utilización de la FEO so- bre el maxilar superior es mas efectiva que en el dó- lico. Debido a la dirección de crecimiento mandi- bular, el efecto de crecimiento diferencial se consigue con relativa facilidad. Sin embargo, no están exentos de que la FEO provoque inclinación y extrusión de los molares y con ello alteraciones oclusales funcionales. Sin embargo, Clases II muy marcadas y Clases II en adultos, generalmente requieren extracciones superiores, cualquiera que sea el biotipo facial del paciente. d) Etapa del desarrollo: La mecánica para Clase II sin extracciones es más efectiva en pacientes con crecimiento por las posibilidades ortopédicas. En el adulto las limitaciones son mayores. e) Condiciones estéticas: Se deberá relacionar el grado de modificación estética deseable con la forma de corregir el over- jet. Existen posibilidades de obtener un perfil den- tario más adelantado en los casos sin extracciones, cuando se realice la migración mesial completa de la arcada inferior para corregir el overjet y la Clase II. Como lo mencionamos anteriormente, no sólo es una mecánica bastante dificultosa, sino que ade- más no podrá planificarse si las condiciones alveo- lares inferiores no lo permiten. f) Grado de cooperación previsible: La mecánica para la corrección de estas anoma- lías, requiere una gran cooperación del paciente para el uso de elásticos intermaxilares, o de FEO con arcos tipo Kloehn. Una falta de cooperación variará el curso del tratamiento y a veces deberemos, por este motivo, recurrir a las extracciones. El tratamiento conservador presenta muchas limitaciones en el paciente adulto donde sólo podría implementarse ante un gran compromiso estético (perfil retruido), cuando se pueda recurrir al avance de la arcada dentaria inferior y la rota- ción distal del molar. En los pacientes en crecimiento si bien es más factible, puede comprometer el resultado del trata- miento desde el punto de vista oclusal funcional. Planificación de cuatro extracciones en Clases II Dadas las limitaciones de los métodos conserva- dores, la mayoría de los casos de clase II requieren extracciones de premolares superiores para su corrección. En algunos casos se presentará la necesidad de extracciones también en la arcada dentaria inferior.
  • 375.
    392 Síntesis deldiagnóstico y planificación Podríamos denominar a éstos "casos de Clase II con 4 extracciones". El propósito de las extracciones inferiores apun- ta a alcanzar una mayor retrusión del sector ante- rior. Indudablemente estos casos terminarán con Clase I molar, aunque no sea éste en realidad el propósito de las extracciones inferiores. Para planificar cuatro extracciones en un caso de Clase II debe analizarse cuidadosamente la cla- se molar, teniendo en cuenta que todo caso tratado con cuatro extracciones debe finalizar en Clase I. Si inicialmente presenta una Clase II de cúspide completa, alcanzar la Clase I molar habiendo reali- zado las cuatro extracciones requerirá una mesiali- zación del molar inferior prácticamente igual al espacio creado con la extracción del premolar y no se podrá retruir el incisivo.Por lo tanto, pasa a ser una maniobra que complica el tratamiento La terapia de cuatro extracciones sólo estaría indicada en casos de Clase II cuando presenten una relación molar cúspide a cúspide, y con apiñamien- tos inferiores o con una posición avanzada del 1 al A-Po y se indique una recolocación que requiera un espacio que sólo las extracciones pueden gene- rar. Pero siempre deberemos tener la precaución de planificar una mesialización de los molares infe- riores que permita establecer la Clase I molar al final del tratamiento (Fig. 16.44). A-Po Fig. 16.44: Planificación de cuatro extracciones en una Clase II cúspide a cúspide. Las extraccionesinferiores son necesarias para retruir el incisivo inferior, pero deben per- mitir la mesialización de los molares inferiores para esta- blecer una Clase I molar al finalizar eltratamiento. A-Po A-Po A-Po
  • 376.
    Síntesis del diagnóstico393 Planificación de casos con clases den- tarias asimétricas Cuando un paciente presenta clases dentarias asimétricas, la planificación debe hacerse después de un minucioso estudio, que en muchos casos arri- bará a una decisión terapéutica diferente del lado derecho e izquierdo. La primera observación que debemos hacer en estos casos, es definir si existe una asimetría man- dibular que provoque esa diferencia entre ambas clases molares. Si ambas arcadas tienen todas sus piezas dentarias alineadas, las probabilidades de que la causa sea una asimetría esqueletal son mayo- res y como en todo caso de discrepancia esqueletal, la solución óptima será quirúrgica. Cuando esa asimetría de clases molares no es originada por una asimetría esqueletal mandibular, la causa debe buscarse en la posición de los mola- res dentro de cada una de las arcadas. Probable- mente se produjo un desplazamiento unilateral de alguno de ellos hacia mesial, en la arcada superior o inferior. Esto puede estar provocado por varias razones: la pérdida temprana de piezas primarias, o pér- dida del tamaño mesiodistal, sin mantenimiento de los espacios, la extracción o agenesia de alguna pieza primaria o permanente, la guía de erupción desviada del primer, molar, que produjo una reab- sorción indebida del segundo molar primario y una ubicación más adelantada de uno de los molares en la arcada. En primer lugar deberá individualizarsela arca- da asimétrica, mediante la determinación de su línea media y la confección de oclusogramas, como se desarrollará a continuación en este capítulo. Cuando la asimetría es de la arcada inferior, ésta deberá planificarsepor hemiarcadas. Basados en la clase molar que presenta el caso del lado derecho e izquierdo, y de acuerdo a la planificación que se realizó en cada una de las hemiarcadas inferiores, se decide la terapéutica a implementar en cada hemiarcada superior, siguiendo los lineamientos ya descriptos en el ítem "Planificación de la arcada superior" de este mismo capítulo, arribando a una decisión similar del lado derecho y del lado izquierdo. Fig. 16.45 A: Ejemplo de clase dentaria asimétrica. Clase II molar del lado derecho; y Clase I molar del lado izquierdo. En la arcada inferior el molar derechose encuentraen una posición más distal que el izquierdo.
  • 377.
    394 Síntesis deldiagnóstico y planificación Fig. 16.45 B: Ejemplo de asimetría de arcada superior. El molar derecho se ubica más hacia mesial que el izquierdo, generando una Clase II molar. Cuando la asimetría se localiza en la arcada superior, debido a una diferente posición mesiodis- tal de los molares superiores, y la arcada inferior es simétrica, la individualización por hemiarcadas se realizará en la planificación de la arcada superior. Ocasionalmente, podemos observar un caso donde las clases molares son simétricas y ambas arcadas presentan una similar asimetría de la posi- ción sagital de los molares. Esto hace necesario rea- lizar el estudio por hemiarcadas en ambos maxila- res. Estudio de la simetría de las arcadas dentarias Es conveniente realizar este estudio mediante un oclusograma realizado sobre el escaneado oclu- sal de los modelos. 1- Se determina la línea media de la arcada En el maxilar superior: es la proyección de la parte posterior del rafe sobre el reborde alveolar. Para facilitar esta maniobra, previamente al esca- neado se traza dicha referencia en el modelo. En el inferior, su obtención es más difícil, la referencia del frenillo lingual es un indicativo pero no suficientemente determinante. Por lo tanto, es aconsejable buscar una referencia más confiable. Para ello realizamos sobre la imagen escaneada el trazado de dos líneas tangentes a la tabla interna de los rebordes alveolares. Estas líneas interceptan la parte anterior en dos puntos, en la mitad de la dis- tancia entre ambos se determina la línea media. Hacia atrás, se proyecta hasta un punto equidistan- te de las tablas internas a la altura de los segundos molares. 2- Se trazan dos perpendiculares a la línea me- dia que pasan por el punto medio de las caras dis- tales de los primeros molares. En las arcadas simétricas, estas perpendiculares constituyen una sola línea; si no coincidieran, la dis- tancia entre ellas medida sobre la línea media nos da la magnitud de la asimetría en la posición de los molares. Los datos de este oclusograma se vuelcan a un gráfico de la relación interarcada
  • 378.
    Síntesis del diagnóstico395 Fig. 16.46: Oclusograma superior. A: Referencia de la parte posterior del rafe medio. B: Línea media de la arcada y estu- dio de la posición mesiodistal de los primeros molares. Fig. 16.47: Oclusograma inferior. A: Referencia de la tabla interna de los rebordes alveolares. B y C: Determinación de la línea media de la arcada. D: Estudio de la posición mesiodistal de los molares.
  • 379.
    396 Síntesis deldiagnóstico y planificación Lado derecho Línea Media Lado izquierdo Clase I Clase I 3 mm Fig. 16.48: Gráfico de relación interarcada, en este caso correspondiente a la anomalía de la figura 16.45 A. Se señala la clase molar derecha e izquierda, y cuando una arcada es asimétrica, se indica la pieza dentaria que esté ubicada en una posición más mesial mediante una flecha en el lugar correspon- diente. También con una flecha, se señalan y cuantifican los desvíos de la línea media dentaria, teniendo en cuenta que la referencia vertical marcada corres- ponde a la línea media de las arcadas dentarias. Planificación de la arcada inferior asimétrica En la planificación de la arcada inferior se ha desarrollado el procedimiento destinado a las arca- das simétricas. Las arcadas asimétricas requieren un procedi- miento diferente que básicamente consiste en la planificación independiente de cada una de las hemiarcadas inferiores. Al igual que en el caso de las arcadas simétricas debemos reunir diversos elementos en dos cuadros que a modo de guía, permitan hacer los cálculos necesarios para programar cada hemiarcada. Estos cuadros son similares al ya visto, con una columna que detalla la serie de maniobras clínicas y factores que influyen en la planificación de la arcada, pero aquí se incorpora un factor más: Dis- crepancia por corrección de línea media. Cuando la línea media dentaria está desviada con respecto a la línea media de la arcada, la canti- dad de milímetros de ese desvío constituye una dis- crepancia positiva para la hemiarcada hacia donde se desvía, y negativa en la hemiarcada opuesta. Esto se basa en el concepto de que la corrección de la línea media "creará" espacio en una hemiarcada y "consumirá" espacio en la otra. Para una mejor comprensión de este tema, lo explicaremos con un ejemplo (Fig. 16.49). Al finalizar un tratamiento siempre se deberá obtener una línea media centrada y una posición simétrica de caninos. Si no se realizan extracciones, o se extrae en ambas hemiarcadas, los molares tam- bién estarán en una posición sagital simétrica. Cuando se resuelve una extracción unilateral, la arcada debe conservar la simetría de canino a cani- no, pero del lado de la extracción el molar estará de 7 a 7,5 mm más adelante que el del lado opuesto. Cuando una arcada inferior presenta desviada su línea media pero existe una posición simétrica de los molares, no es necesario considerarla asimé- trica para la planificación. El desvío de línea media se deberá a algún problema de discrepancia (apiña- miento mayor en una hemiarcada, falta de espacio unilateral para la erupción de una pieza dentaria, ausencia de algún diente, alteración del tamaño mesiodistal de alguna pieza, etc). Este problema de discrepancia habrá sido diagnosticado y al planifi- car su solución, se logrará centrar la línea media. ¿Por qué esnecesario planificar por hemiarcadas? Porque si no lo hiciéramos, y tratáramos esa arca- da en forma simétrica, el resultado sería una arcada totalmente alineada y con la línea media desviada. Por ejemplo: Si en una arcada inferior con todas sus piezas dentarias con tamaño normal , existe una posición más adelantada del molar derecho, y no se realizan extracciones, al finalizar el tratamiento la línea media de esa arcada estará desviada hacia la izquierda.
  • 380.
    Síntesis del diagnóstico397 En el mismo caso, si se realizaran extracciones y el movimiento de cierre de los espacios es igual del lado derecho que del lado izquierdo, obtendríamos el mismo resultado. Quiere decir que, para que obtengamos una línea media correctamente centrada cuando en una arcada las posiciones sagitales de los molares son asimétricas, la planificación de una hemiarcada necesariamente será diferente a la de la otra. Caso clínico Paciente: A. M. - 27 años - Sexo masculino Fig. 16.49: PacienteA.M. Fotografías de cara y boca.
  • 381.
    398 Síntesis deldiagnóstico y planificación LADO DERECHO ,————e I V/-^y LÍNEA MEDIA LADO IZQUIERDO Clase I 3 mm O —— Fig. 16.50: Paciente A.M.Fotografías oclusales con estudio de asimetría y gráfico de relación interarcada. / -4 mm Fig. 16.51: Paciente A.M.Cefalograma inicial.
  • 382.
    Síntesis del diagnóstico399 Arcada dentaria inferior asimétrica 1 - A-Po 1. Discrepancia dentaria 2. Discrepancia de Bolton 3. Corrección de la línea media 4. Verticalización molar 5. Expansión 6. Curva de Spee 7. Extracciones 8. Protrusión 1 - Retrusión del 1 9. Mesialización molar Total 0 mm + - - - - - 7,5 2 - 9,5 3 - 3 - - - - - 3,5 9,5 1 - A-Po 1. Discrepancia dentaria 2. Discrepancia de Bolton 3. Corrección de la línea media 4. Verticalización molar 5. Expansión 6. Curva de Spee 7. Extracciones 8. Protrusión 1 - Retrusión del 1 9. Mesialización molar Total 0 mm + - 3 - - - - 2 - 5 5 - - - - - - - - 5 Cuadro 16.4: Paciente A.M. Análisis de arcada dentaria inferior asimétrica. • La discrepancia dentaria se considera por hemiarcadas a partir de la línea media de la arcada. • La discrepancia por corrección de línea media considera el desvío de la línea media dentaria en rela- ción a la línea media de la arcada, siendo un valor positivo para la hemiarcada hacia donde se desvió y el mismo valor pero negativo para la hemiarcada opuesta. • El valor protrusión I - retrusión T debe ser el mismo y de igual signo en ambas hemiarcadas. • La magnitud de las discrepancias puede indicar la necesidad de extracciones en una hemiarcada y no en la otra. En el caso que analizamos por el desvío de línea media y el apiñamiento se hace necesaria la extracción de un premolar del lado derecho. En la hemiarcada izquierda, el apiñamiento se resuelve con la corrección de línea media y una ligera protrusión del incisivo. Dicho valor de protrusión debe trasladarse también a la tabla de la hemiarcada derecha, aumentando la necesidad de la mesialización del 6. Planificación de la arcada inferior (Fig. 16.52): • Extracción del primer premolar derecho. • Centrado de la línea media dentaria. • 1mm de protrusión del 1. • 3.5mm de mesialización del molar inferior derecho. Fig. 16.52. 3 mm mm
  • 383.
    400 Síntesis deldiagnóstico y planificación Planificación de la arcada superior (Fig. 16.53). Fig. 16.53. Lado derecho: Clase I. Al decidir la extracción del premolar inferior, se realizara también la extracción del primer premo- lar superior. Lado izquierdo: Clase II molar. Se decide la extracción del primer premolar superior. Fotos Finales Fig. 16.54 A: PacienteA.M. Fotografías finales.
  • 384.
    Síntesis del diagnóstico401 Fig. 16.54 B: Paciente A.M. Fotografías finales. En las imágenes oclusales el estudio de simetría de la arcada muestra las líneas medias centradas y posiciones mesiodistales simétricas en los molares superiores. En la arcada inferior se observa la posición mesializada del primer molar derecho, debida a la extracción del primer premolar. f-5 mm Fig. 16.55: Paciente A.M. Cefalograma final.
  • 385.
    402 Síntesis deldiagnóstico y planificación Planificación de la arcada superior asimétrica Cuando la arcada inferior es simétrica y la dife- rente clase molar del lado derecho e izquierdo obe- dece a una alteración en la posición mesiodistal de los primeros molares superiores, la meto- dología de planificación varía sólo al conside- rar la arcada superior. Por consiguiente, se analiza la arcada infe- rior en forma rutinaria, y luego, al planificar la arcada superior, se estudiarán las hemiarca- das por separado, con la relación molar que corresponde a cada lado, variando consecuen- temente la planificación. Esta diferencia puede consistir en una dis- tinta mesialización molar de un lado y de otro, y en algunos casos, en la realización de una extracción unilateral superior. Cuando seplani- fique esta segunda opción, el caso finalizará con clases molares asimétricas. Caso clínico Paciente: M.B.P. -17 años - Sexo femenino Fig. 16.56: Paciente M.B.P. Fotografías iniciales.
  • 386.
    Síntesis del diagnóstico403 LADO DERECHO Clase I LADO IZQUIERDO 1 mm Clase I Fig. 16.57: Paciente M.B.P. Fotografías oclusales con estudio de simetría y gráfico de relaciones interarcadas. -4 mm Fig. 16.58: Cefalograma inicial M.B.P.
  • 387.
    404 Síntesis deldiagnóstico y planificación Arcada dentaria inferior 1 - A-Po 1. Discrepanciadentaria 2. Discrepanciade Bolton 3. Verticalización molar 4. Expansión 5. Curva de Spee 6. Extracciones 7. Protrusión - Retrusióndel 1 8. Mesializaciónmolar Total +1 mm + - - - - - 4 - 4 4 - - - - - - - 4 Cuadro 16.5: Paciente M.B.P. Análisis de arcada denta- ria inferior. El estudio de la arcada inferior determina que la discrepancia dentaria puede resolverse con protrusión del incisivo inferior y permite prever una posición de dicho diente de +3 mm con respecto al plano A-Po, movimiento tolerable por la estética de los labios. No se indica desgaste interproximal ya que el índice de Bolton está en valores normales. Planificación de la arcada superior (Fig. 16.59). Fig. 16.59 Lado derecho: Clase I molar. En la arcada inferior no se planifican extraccio- nes, por consiguiente no se realizarán tampoco en la arcada superior. Lado izquierdo: Clase II molar. Se decide la extracción del primer premolar superior.
  • 388.
    Síntesis del diagnóstico405 Fotos finales :,::- Fig. 16.60 A: Paciente M.B.P. Fotografías finales.
  • 389.
    406 Síntesis deldiagnóstico y planificación Fig. 16.60 B: Paciente M.B.P. Fotografías oclusales finales, con estudio de simetría. En la arcada superior se observa la línea media centrada y una posición sagital asimétrica de los molares, con el primer molar izquierdo mesializado el espacio completo del premolar que se extrajo en dicha hemiarcada. -1 mm Fig. 16.61: Paciente M.B.P. Cefalograma final.
  • 390.
    Síntesis del diagnóstico407 PLANIFICACIÓN DE LOS CAMBIOS ORTOPÉDICOS ¿Qué entendemos por cambios ortopédicos con el tratamiento ortodóncico? Modificación del Eje Facial Modificación del punto A Con una lógica clínica, nuestro tratamiento pre- tenderá "corregir" los problemas ortopédicos que presente el paciente. Desde esta perspectiva, ejes muy abiertos requerirían su cierre y viceversa, con la finalidad de acercarnos a la norma cefalométrica. Una convexidad aumentada debería reducirse, y por el contrario, una convexidad disminuida reque- riría el avance del punto A para su normalización. Sin embargo, debemos tener presente que el tra- tamiento ortodóncico tiene generalmente alcances muy limitados en el campo de estas modificaciones. En el proceso de planificacióndel tratamiento el ortodoncista deberá analizar diversos factores que lleguen a responder: ¿Es posible esa modificación? ¿El tratamiento que proponemos es útil para lograr esa modificación? ¿De qué magnitud pueden esperarse esos cam bios ortopédicos? Cuando se formulan los objetivos preliminares, se hace un planteamiento inicial de lasmodificacio- nes posibles del eje facial y del punto A. Cambios en el eje facial El eje facial es un concepto cefalométrico que tiene una lectura oclusal. Hablar de cierre o aper- tura del eje es hablar de cierre o apertura de la mordida. B Fig. 16.62: Apertura del eje facial. A: Como consecuenciade maniobras que extruyeno distalan los molares superiores. B: Por maniobras que extruyen o verticalizan los molares inferiores.
  • 391.
    408 Síntesis deldiagnóstico y planificación Con nuestro tratamiento, el eje se puede abrir, cerrar o mantener en la misma angulación. Esto depende de: a) Los procedimientos terapéuticos que se pla- nifiquen. b) Tipo facial del paciente. Maniobras que abren el eje facial: la extrusión o el distalamiento de los sectores posteriores (Fig. 16.62). Maniobras que cierran el eje facial: la intrusión, y en algunos casos, la mesialización de los molares (Fig. 16.63). Paradojamiente, tanto la apertura como el cie- rre del eje son más fáciles de realizar en los biotipos en que deben ser evitados por sus consecuencias indeseadas. Por ejemplo, ante un mismo procedi- miento mecánico capaz de abrir el eje, esta apertu- ra será mayor en un dolico que en mesos o braqui- faciales. Apertura del eje facial Una apertura del eje que resultaría favorable en los braquifaciales,es difícil de obtener en estos bio- tipos debido a las características musculoesqueleta- les de este patrón facial. A su vez, desde el punto de vista gnatológico, se deberá tener en cuenta que la extrusión de los sec- tores posteriores puede crear contactos prematuros o fulcrum. En pacientes de musculatura fuerte, este ful- crum puede producir una distracción condilar y trastornos en las ATM. Cuando esto ocurre, observaremos en un primer momento una apertura del eje . Pero en un control posterior se comprueba que el eje volvió a su valor original. Una observación superficial puede hacer- nos pensar en una autocorrección de esaextrusión, pero un control gnatológico con previa desprogra- mación demostrará que ese cierre debe ser atribui- do a la rotación de la mandíbula sobre ese fulcrum. Considerando las dos perspectivas, el grado de modificación planificado en el sentido de apertura o cierre, deberá ser pequeño. Es eventual planificar más de un grado de cambio. Además, en muchos casos el eje tenderá a permanecer constante con nuestro tratamiento. Cierre del eje facial Es consecuencia de maniobras ortodóncicas difíciles de lograr, como es la intrusión de los sec- tores posteriores. Esta intrusión se hace posible casi exclusivamente en la dentición mixta, cuando una FEO vertical en los primeros molares se acom- paña de desgaste oclusal de los dientes primarios para permitir el cierre de la mordida. En la actuali- dad podemos lograr mejorar los resultados en otras edades debido a la utilización de anclajes óseos en los procedimientos de intrusión. A su vez, este cierre siempre estaráinfluenciado por el patrón muscular del paciente; en un braqui- facial de musculatura fuerte, será mayor que en un dolico. Y aquí se cumple también la paradoja de que estas maniobras resultan más fáciles donde no las requerimos. Fig. 16.63: Cierre del eje facial. Es factible mediante pro- cedimientos que intruyan o mesialicen los molares.
  • 392.
    Síntesis del diagnóstico409 B Fig. 16.64: Modificación de laconvexidad. A: Caso de Clase II. B: La apertura del eje facial y la retrusión del pogonion por rotación mandibular,aumentan laconvexidad. C: El cierre del eje facial y el cambio de posición mandi- bular producen el avance del pogoniony la disminuciónde laconvexidad. Otra maniobra que permite el cierre del eje es la mesialización de los molares, pero sólo cuando por mesial de ellos no exista un contacto interoclusal bien establecido, que mantenga la dimensión vertical. Cambios en el Punto A Los cambios del punto A producen cambios en el valor de la convexidad facial, y sólo se pueden producir cuando el paciente se encuentra en el período de crecimiento. Modificaciones delpunto A El ángulo Ba-Na-A, que con el crecimiento tiene un comportamiento gnómico, puede variar con el tratamiento. Toda maniobra que inhiba o estimule el creci- miento a nivel del punto A, modifica la relación de éste con respecto al plano Ba-Na . Éstas son: modi- ficaciones de la convexidad por cambios del punto A, y deberán ser contemplados en nuestra planifi- cación.
  • 393.
    410 Síntesis deldiagnóstico y planificación Se logran mediante: a) Inhibición del crecimiento (Fig. 16.65). Se utilizan: • Fuerzas extraorales anteroposteriores de efec- to ortopédico (1.000 gr). • Extracciones superiores con retrusión del sec- tor anterior. • Torque radículo-palatino del sector incisivo (en casos de Clase II, división 2). Hemos mencionado las maniobras destinadas a modificar el punto A en orden de efectividad. Cuantificar con exactitud la modificacióndel punto A, nos parece una tarea muy difícil. Sólo se pueden hacer estimaciones, basadas en el tipo de maniobra utilizada, la edad, biotipo y motivación del pacien- te. Los mejores resultados en períodos relativa- mente cortos, se obtendrán en pacientes con mayor potencial de crecimiento remanente, con un patrón de crecimiento en sentido anterior (braquifaciales, con ejes mayores de 90°) y que además sean cola- boradores ante el requerimiento de uso de fuerzas extraorales. En patrones más verticales, la fuerzas extraora- les deberán ser más altas y por lo tanto, menos efectivas que las cervicales utilizadas en los braqui y mesofaciales. Por este motivo se deberán usar durante períodos más largos y complementadas con otras maniobras reductoras de la convexidad. En un paciente cuyo crecimiento ha finalizado, prácticamente es imposible realizar un cambio de la convexidad a excepción de que sea originado por una apertura o cierre del eje. El ángulo Ba-Na-A, tiende a permanecer constante ante cualquier ma- niobra ortodóncica. Sólo en casos de Clase II, divi- sión 2, cuando se hace un torque radicular de mu- cha magnitud, puede provocarse una ligera remodelación del punto A. b) Estímulo del crecimiento (Fig. 16.66): • Máscara de tracción posteroanterior El punto A podrá ser avanzado en edades tem- pranas, de manera limitada, con la utilización de Fig. 16.65: Efecto ortopédico sobre el punto A por inhibi- ción del crecimiento. Hay un cierre del ángulo Ba-Na-A. Fig. 16.66: Avance del punto a con apertura del ángulo Ba-Na-A producido por maniobras ortopédicas que esti- mulan el crecimiento del maxilar superior.
  • 394.
    Síntesis del diagnóstico411 máscara de tracción posteroanterior, preferente- mente después de realizar una disyunción transver- sal del maxilar. Modificaciones de la convexidad por cambios en el eje facial Debemos aclarar que la convexidad no sólo se modifica por un efecto ortopédico sobre el punto A, también sufre modificaciones por cambios de posición del plano facial (Na-Po). La convexidad facial es una medida que relacio- na el punto A con el plano facial, por lo tanto, un "movimiento" de este plano afectará su medida. Este cambio en la posición del plano facial puede deberse a: • Apertura o cierre del eje facial durante el tra- tamiento. • Crecimiento anterior de la sínfisis. En nuestra planificación, estos cambios serán llevados al VTO en el momento de trazar el eje facial cuando damos crecimiento o cuando preve- mos una apertura o cierre. De esta manera, esta- mos introduciendo en el diseño una modificación de la convexidad independientemente de la modifi- cación o no del punto A. La apertura o cierre del eje facial durante el tra- tamiento pueden producirse en repuesta a cambios posicionales de la mandíbula de diferente naturale- za: por rotación o por desplazamientomandibular. En la figura 16.64 se ilustran ejemplos de los cam- bios posicionales mencionados y su efecto en el valor de la convexidad. Debemos destacar que la disminución de la con- vexidad por desplazamiento mandibular es una situación inestable que nos aleja del objetivo de lograr una MIC coincidente con la RC, por lo que deben evitarse aquellas maniobras ortodóncicas u ortopédicas que puedan inducirla. En cambio, si esta posición se presenta en el ini- cio , será objetivo del tratamiento reposicionar la mandíbula en RC, y como consecuencia de este movimiento el pogonion por lo general retrocede, con el consiguiente aumento de la convexidad.
  • 395.
    C A PI T U L O 17 Visualización de objetivos del tratamiento En el capítulo 14 se desarrolló el procedimiento para la construcción de la predicción de crecimien- to a largo plazo sin tratamiento a partir de la cefa- lometría estática. En este, nos referiremos a la visualización de objetivos de tratamiento con y sin crecimiento, también llamada visualización de objetivos terapéuticos o simplemente VTO. La predicción de crecimiento con tratamiento a largo plazo, llamada por Ricketts Forecast Long Range Optimized (FLO), no será desarrollada aquí, porque en nuestra experiencia, el VTO a corto plazo llena los requisitos requeridos para una correcta planificación. Hemos reducido algunos pasos, que, sin restarle precisión al método, lo hace más simple aún y faci- lita su uso como procedimiento de rutina para las planificaciones. Considerarnos necesaria su utilización porque permite un mejor conocimiento del caso y crea la base para la comprensión de conceptos más com- plejos sobre crecimiento y tratamiento. Su efecto de "feed-back" se manifiesta a muy corto plazo, produciendo estímulos sumamente positivos en el proceso del aprendizaje, crean- do condiciones para comprender con mayor fa- cilidad aspectos del diagnóstico, planificación, pro- nóstico y desarrollo de la mecánica de tratamiento. La ortodoncia contemporánea tiene objetivos que van más allá de las metas clásicas. La visualización de objetivos de tratamiento, es un plano dibujado, que nos permite combinar las expectativas de crecimiento del paciente y su influencia sobre los procedimientos terapéuti- cos, con las modificaciones previstas con el trata- miento. Su realización requiere previamente: • Un cuidadoso examen clínico. • Un examen radiológico: - Radiografías panorámicas, oclusales y/o pe- riapicales. - Telerradiografías laterales y algunas veces también frontales. • Estudio de los modelos montados en articulador semiajustable. • Registros de posición condilar. • Análisis cefalométricos laterales y en algunos casos se agregan análisis frontales. • Conversión cefalométrica del trazado lateral de PMI (posición de máxima intercuspidación) a RC (relación céntrica) en los casos que lo re- quieran. • Determinación del biotipo facial. Mediante estos elementos se determinarán los objetivos preliminares de tratamiento, opciones posibles, tipos de mecánicas ortodóncicas y / u orto- pédicas requeridas y las posibles reacciones del caso frente a ellas. Se deben distinguir dos aspectos totalmente diferentes referidos al VTO: Uno de ellos, del que nos ocupamos en este capítulo, es la mecánica de su construcción; es decir, la secuencia de pasos que hay que realizar para su trazado. Consiste en una rutina de trabajo en la que no se requiere ninguna elaboración per- sonal, sino solamente haber adquirido entrena- miento para su diseño manual. El otro, que es la clave para la realización de un correcto VTO, consiste en haber determinado con fundamento, cuáles serán los cambios que produci- rá el tratamiento para lo cual hay que tener pre- sente no solamente los objetivos sino además las posibilidades del caso. Esto significa que no podemos pretender que nuestro VTO "normalice" en todos los casos todas las estructuras alteradas que son factibles de modi- ficar con un tratamiento, como la convexidad, posi- ciones dentarias, eje facial. Sí se deben conocer los conceptos que permitan comprender que muchas modificaciones deseables, no serán posibles por razones biológicas. Sólo así podremos aceptar solu- ciones que no serán las ideales, pero sí más ajusta- das a la realidad. 413
  • 396.
    414 Síntesis deldiagnóstico y planificación Por ejemplo: una convexidad de 7 mm en un paciente que está finalizando su período de cre- cimiento no podrá ser reducida a parámetros nor- males con ninguna alternativa de tratamiento. Al construir el VTO se deberá mantener esta estruc- tura con poca o ningunamodificación. Por otra parte, las modificaciones programadas deben tener coherencia con el plan básico de tra- tamiento elaborado a partir de un profundo estudio del caso. Ventajas de la utilización del VTO • Permite visualizar las modificaciones que sufri- rán las estructuras dentoesqueletales con el cre- cimiento y el tratamiento y anticipar la estética de los tejidos blandos del perfil. • Distingue con precisión la parte del tratamiento que será efectuada por nosotros de la que será realizada por influencia del crecimiento. • Define las dificultades que presentará el caso, facilitando las determinaciones de las posibilida- des terapéuticas, como así también las respuestas a la mecánica. • Fija límites racionales en la formulación de obje- tivos, llevándonos, muchas veces, a introducir modificaciones al plan original. Estas modificaciones que surgen de la visualiza- ción anticipada de los cambios estéticos, no sólo pueden inducirnos a variar la planificación de una mecánica ortodóncica, sino que en algunos casos nos evidenciará la necesidad de recurrir a procedimientos quirúrgicos como vía terapéu- tica. • Es de gran ayuda para determinar la factibilidad de los objetivos propuestos y su ordenamiento jerárquico. • Mediante la superposición con el trazado origi- nal, podremos evaluar en distintas zonas el efec- to de nuestro tratamiento. • Haciendo la superposición del VTO con un tra- zado cefalométrico del caso en tratamiento, podremos monitoriar su evolución y de este modo, introducir las correcciones pertinentes. Dicho de otra forma, posibilita realizar un estric- to y permanente control del desarrollo del trata- miento. Mediante la superposición con el trazado final, se pueden comparar los objetivos fijados anticipa- damente con los resultados obtenidos al finalizar el tratamiento. Se produce así un efecto de retroalimentación que elevará el nivel de conocimiento del opera- dor al permitirle capitalizar permanentemente la experiencia adquirida en cada caso tratado. Es un factor importantísimo para la motivación del paciente. Desde el punto de vista del aprendizaje, conside- ramos a este procedimiento indispensable para la formación del especialista. MÉTODOS PARA LA CONSTRUCCIÓN DEL VTO Existen varios métodos de construcción: 1. El método original de Ricketts, cuya secuencia está desarrollada en el libro "Técnica Bioprogresi- va de Ricketts". Las estimaciones se hacen en varias zonas en el siguiente orden: 1. Base de cráneo. 2. Mandíbula. 3. Maxilar superior. 4. Plano oclusal. 5. Dentadura. 6. Tejidos blandos del perfil. El crecimiento mandibular se determina por aumento en la longitud de los planos XI - DC y XI -PM. La ubicación del maxilar superior no se realiza mediante la utilización del ángulo gnómico Ba-Na- A sino teniendo como única referencia sagital el plano facial. Esto hace que no se visualicen las modificaciones de convexidad debidas al creci- miento o a los cambios del eje facial (apertura o cierre). En el proceso de diseño del maxilar supe-
  • 397.
    Visualización de objetivosde tratamiento 415 B 28' 2,5 Fig. 17.1: A: Cefalograma inicial. B: Visualización de los objetivos terapéuticos (VTO). C: Áreas de superposición (Ini- cial - VTO).
  • 398.
    416 Síntesis deldiagnóstico y planificación rior, se realiza la modificación prevista para el punto A de acuerdo al razonamiento previo del operador. 2. El Procedimiento arquial realizado a 2 años, con el agregado de las modificaciones previstas con el tratamiento. Para su trazado se sigue la misma secuencia que en la predicción de crecimiento a largo plazo sin tratamiento introduciendo cambios en el eje facial, punto A, posiciones dentarias y perfil blando. Éste es, sin duda, el método que nos hace alcan- zar la mayor precisión en la predicción mandibular porque se diseña siguiendo el arco de crecimiento. Además, para ubicar el maxilar superior se utiliza el ángulo Ba-Na-A por lo que aparecen espontáne- amente los cambios del punto A atribuidos al cre- cimiento y a la apertura o cierre del eje facial. La construcción de este procedimiento tiene mayor cantidad de pasos, y por tanto, su trazado manual requiere más laboriosidad y tiempo. Como la finalidad principal de un VTO es ob- tener áreas de superposición correctas para evaluar modificaciones dentomaxilares y del perfil blando, este método no ofrece ventajas respecto a otros más sencillos, por lo cual no recomendamos su elección. 3. VTO resumido con crecimiento a corto plazo. En este procedimiento se eliminan varios pasos referidos a la construcción de la mandíbula. Directamente se proyecta la sínfisis aumentan- do la longitud del eje facial para un crecimiento a 2 años. El maxilar superior se ubica con los mismos pa- rámetros del procedimiento arquial, reflejando, como ya vimos, las modificaciones del punto A debidas al crecimiento o al cierre o apertura del eje facial. Éste es nuestro procedimiento de elección por su facilidad y rapidez de trazado y por ser su exac- titud similar a los otros procedimientos citados. 4. La predicción de crecimiento a largo plazo con tratamiento (F.L.O) cumple objetivos diferentes de los anteriores. Al sufrir grandes modificaciones debido a la in- corporación de un número mayor de módulos de crecimiento, las áreas de superposición logradas a partir del trazado original no serán un marco de referencia útil para nuestro trabajo ya que éste se realizará en un plazo estimado en sólo dos años. No obstante, este procedimiento nos brinda la verda- dera proyección de la estética final del caso, pues ésta se alcanzará recién finalizados los procesos de crecimiento y desarrollo. No creemos que deba ser considerado como un método de rutina para nuestras planificaciones. 5. VTO resumido sin crecimiento. En los procedimientos de VTO con crecimiento, las alternativas se presentan en el modo de graficar el crecimiento de las distintas estructuras. La construcción del VTO sin crecimiento, al no tener en cuenta esas variables, se simplifica no- tablemente. 6. Mini VTO. Es la máxima simplificación de los procedimien- tos de VTO, en el que solamente se diseñan los cambios dentarios y permite obtener al mismo tiempo áreas de superposición circunscriptas a esta zona. No obstante, muestra con claridad las manio- bras mecánicas y el anclaje necesario con lo que resulta útil para la planificación de la mecánica a aplicar. En casos sin crecimiento y cuando no se hace necesaria una evaluación de la estética del perfil, este método ofrece seguridad y bastante rapidez. Desarrollaremos a continuación los siguientes procedimientos: • VTO resumido con crecimiento a corto plazo. • VTO resumido sin crecimiento. • Mini VTO.
  • 399.
    Visualizado/! de objetivosde tratamiento 417 D 29' Fig. 17.2: D: Cefalograma final. E: Áreas de superposi- ción (inicial - VTO - final) Aclaración: Los gráficos se realizaron de la siguiente ma- nera: • Trazo negro: corresponde al calco original. • Trazo rojo: corresponde al VTO. • Trazo azul: corresponde al paso del VTO que se está describiendo; en el paso subsiguiente, ese mismo trazo estará en color rojo. • Trazo gris: se eligió este color para mostrar con mayor claridad el momento en que se está super- poniendo la hoja del VTO con el trazado original.
  • 400.
    418 Síntesis deldiagnóstico y planificación VTO RESUMIDO CON CRECIMIENTO Fig. 17.3. CEFALOGRAMA BÁSICO Clase esqueletal 01 - Convexidad facial 02 - Distancia A-B Normal +2 ± 2 mm +4 ± 2 mm Paciente +9 mm -13 mm Maxilar inferior 03 - Eje facial 04 - Prof. facial 05 - Áng. pl. mandibular 06 - Altura facial inferior 07 - Arco mandibular Normal 90° ± 3° 87° ± 3° 26° ± 4° 47° ± 4° 26° ± 4° Paciente 85° 85° 34° 47° 26° Maxilar superior 08 - Prof. maxilar Normal 90° ± 3° Paciente 94° Dientes 09 - T - A-Po 10 - 1 - Plano oclusal 11 - 1 - Pl. mandibular 12-1- Plano BaNa Normal +1 ± 2 mm +1 ± 1 mm 90° ± 5° // E. Fac. -5° Paciente +7,5 mm +1 mm 103° 90° VTO Con crecimiento a 2 años (resumido). Estética 13 - Exposición del 1_ 14 - Labio inf. - Plano E 15 - Áng. nasolabial Inf. Normal +2.5 a +3 mm -2 ± 2 mm 85° ± 5° Paciente +3,5 mm +4 mm 82° 1 - Eje facial 2 - Convexidad 3 - T-A-Po 4-T-PI. mandibular Se mantiene Disminuye 2 mm Queda en +3,5 mm Queda en 95°
  • 401.
    Visualización de objetivosde tratamiento 419 MÉTODO DE TRAZADO: En papel vegetal 1. Calcar el plano Ba - Na desde CC a Na prolon- gándolo 0,8 mm por año por delante del Na ori- ginal (Fig. 17.4). 2. Desde CC trazar el eje facial, prolongándolo 2,5 mm por año a partir del gnation óseo. 0,8 mm/a Na Se calca directamente si no varía con el trata- miento (Fig. 17.5). Si el eje se abre, dejar superpuestos los puntos CC y girar el punto Na hacia arriba 1 mm por cada grado de apertura y calcar el eje facial (Fig. 17.6). Si el eje se cierra, dejar superpuestos los puntos CC y girar el punto Na hacia abajo 1 mm por cada grado de cierre. En esta posición calcar el eje facial (Fig. 17.7). Apertura Fig. 17.4. Fig. 17.6. Cierre CC Fig. 17.5. 2,5 mm/a Fig. 17.7.
  • 402.
    420 Síntesis deldiagnóstico y planificación 3. Se sube el trazado del VTO a lo largo del eje facial, hasta que coincidan el extremo del eje tra- zado con el borde de la sínfisis original (gnation óseo). Calcar la sínfisis, el punto apical del incisivo infe- rior y el extremo anterior del eje del cuerpo man- dibular (Fig. 17.8). 4. Trazar el plano facial (Fig. 17.9). 5. Superponiendo Ba -Na en Na, trazar la línea Na- A prolongándola unos milímetros (Fig. 17.10). Fig. 17.8. Na Po Fig. 17.9. Fig. 17.10.
  • 403.
    Visualización de objetivosde tratamiento 421 6. Superponiendo los planos faciales en Na, dividir la distancia entre los puntos mentonianos viejo y nuevo en tres partes mediante dos marcas (Fig. 17.11). Modif PtoA Fig. 17.12. Fig. 17.11. 7. Para ubicar el maxilar superior, manteniendo los planos faciales superpuestos, subir el trazado hasta que la marca superior se superponga con el punto mentoniano original. Mover el trazado horizontalmente hasta que la línea Na-A caiga sobre el punto A, y paralelizar los planos Ba-Na. En esta posición se calca el maxilar superior, manteniendo o modificando el punto A según nuestra planificación (Fig. 17.12). 8. Con los planos faciales superpuestos, subir el tra- zado hasta que la marca inferior coincida con el punto mentoniano original y calcar el plano oclu- sal (Fig. 17.13). Fig. 17.13.
  • 404.
    422 Síntesis deldiagnóstico y planificación 9. Trazar el plano A - Po (Fig. 17.14). Fig. 17.14. 10. Colocación del incisivo inferior: El incisivo inferior se coloca en relación a la sínfisis man- dibular, al plano oclusal y al plano A-Po. La norma para su ubicación es: 1 mm por delan- te del plano A-Po y 1 mm por encima del plano oclusal. Las exigencias de longitud de la arcada infe- rior y los resultados que buscamos con nues- tro tra-tamiento, son los parámetros que dic- tarán su localización para el caso en particular. Se debe tener en cuenta que por cada milímetro de avance o retroceso del inci- sivo, habrá 2° de aumento o disminución rspectivamente en el ángulo 1-P1. mandibular. Usando como modelo el dibujo original del incisivo inferior de nuestro paciente o una plantilla de Ricketts, se traza el incisivo infe- rior en la posición planificada para el caso. Fig. 17.15. Se procede del siguiente modo: • Colocar el punto incisivo inferior en la posición deseada (Fig. 17.15).
  • 405.
    Visualización de objetivosde tratamiento 423 Trazar el eje del diente uniendo el punto inci- sivo con el punto apical marcado en el paso 3. (Fig. 17.16). Trazar el incisivo inferior (Fig. 17.17). Fig. 17.17. Fig. 17.16. 11. Colocación del molar inferior: De acuerdo con el plan de tratamiento, el l.er molar inferior podrá permanecer en el mismo lugar, erupcionando en dirección al nuevo plano oclusal o moviéndose mesialmente en los casos de extracciones con pérdida de anclaje, o cuando se utilizan elásticos de Clase II. Para trazar el primer molar inferior se super ponen los ejes del cuerpo en Pm. Se hace una marca desde mesial del l.er molar al nuevo plano oclusal. Luego se traza el l.er molar de acuerdo con el cálculo hecho para la longitud del arco inferior. Se usa el molar original como plantilla y se corrige su posición si estu- viera inclinado (Fig. 17.18 A y B). Las flechas de la figura 17.18 B indican la dire- cción del desplazamiento del papel vegetal. B Fig. 17.18.
  • 406.
    424 Síntesis deldiagnóstico y planificación 12. Trace el l.er molar superior en relación de Clase I con el inferior. En aquellos casos en que se planifiquen extracciones superiores solamente, se traza en relación de Clase II (Fig. 17.19). 13. A continuación se coloca el incisivo central superior en posición correcta de overbite- overjet (2,5 mm de overbite y 2,5 mm de over- jet) considerando que su eje debe tener una inclinación aproximada a la del eje facial (5° más vertical). Fig. 17.19. • Se ubica el punto incisivo superior (Fig. 17.20). • Se traza su eje con la ayuda del semicír- culo de la plantilla, dándole una inclina- ción 5° más vertical que el eje facial (lo que significa trazarlo con un ángulo con respecto al plano Ba-Na 5°menor que el ángulo del eje facial) (Fig. 17.21). • Trazar el incisivo superior con la planti- lla (Fig. 17.22). Tejido blando 14. Superponer los planos faciales en Na y calcar el puente de la nariz (Fig. 17.23). 15. Superponer ambos maxilares, llevar el traza- do hacia atrás (a lo largo del plano palatal) 1 mm por año y calcar la punta de la nariz (Fig. 17.24). 16. Manteniendo superpuestos los maxilares superiores, se hace una marca 0,5 mm por año Fig. 17.20. Fig. 17.21.
  • 407.
    Visualización de objetivosde tratamiento 425 Fig. 17.23. Fig. 17.22. (hacia abajo y adelante) para dar crecimiento al punto subnasal (Fig. 17.25). Se desliza el trazado hacia arriba y atrás hasta que coincida la marca con el punto subnasal original, y se calca la base de la nariz hasta el punto A en los casos en que el punto A óseo no ha sido modificado. En caso contrario, si se modificó la convexi- dad, al punto A lo vamos a retroceder igual cantidad de mm que el punto A óseo (Fig. 17.26). Fig. 17.24.
  • 408.
    426 Síntesis deldiagnóstico y planificación 17. Labio superior Superponer ambos planos oclusales en el en- tre cruzamiento con el plano facial, y dividir el overjet entre incisivo superior original y nuevo en tres partes mediante dos trazos (Fig. 17.27). Estos puntos deben ser proyectados sobre el plano oclusal del VTO. Manteniendo los planos oclusales superpues- 0,5 mm/a Fig. 17.25. tos, llevar la marca más cercana al VTO a nivel del borde incisal del incisivo superior original. En esta posición se calca el labio superior (Fig. 17.28). Fig. 17.26. Fig. 17.27.
  • 409.
    Visualizado/! de objetivosde tratamiento 427 18. Labio inferior Determinar el punto medio de overjet y over- bite en ambos trazados. (Fig. 17.29) Se super- ponen los 2 puntos marcados y se mueve ver- ticalmente el trazado hasta que los planos oclusales coincidan. Calcar el labio inferior (Fig. 17.30). Fig. 17.29. Fig. 17.28. Fig. 17.30. 19. Se superponen las sínfisis y se calca el tejido blando del mentón, uniéndolo al labio inferior (Fig. 17.31). Fig. 17.31.
  • 410.
    428 Síntesis deldiagnóstico y planificación B Fig. 17.32. A: Trazado inicial. B: VTO resumido. Observaciones: 1. Cuando realizamos un VTO, el parámetro utili- zado para la colocación de los incisivos en sentido vertical es el plano oclusal. La norma para la ubicación de este plano en el sector anterior es de 3 mm por debajo de la comi- sura labial (a los 8 1/2años). Esta medida es muy constante, pero en algunos pacientes está aumentada. Son, en general, casos donde se comprueba un labio superior corto. La norma para la longitud del labio superior es 24 mm a los 9 años. Sin embargo, el diagnóstico de la longitud de este labio, no debe basarse sólo en la apreciación aislada de esta medida, sino que debe ser considerada comparativamente con la altura de los rebordes alveolares y el grado de erupción de los incisivos. Cuando la longitud del labio superior resulta insuficiente, el paciente presenta: • En reposo: aumento del espacio interlabial (más de 3 mm).Mayor exposición del incisivo superior (más del tercio medio). • En sonrisa: mayor exposición gingival (sonrisa gingival). Esto, configura una alteración estética que en los casos severos no podrá ser resuelta ortodónci- camente, porque el único recurso del que dispone- mos será la intrusión de los incisivos. Mediante esta maniobra se solucionarán los ca- sos leves y mejorarán los severos, teniendo en cuenta que para su corrección completa se debe recurrir a la cirugía del maxilar superior.
  • 411.
    Visualización de objetivosde tratamiento 429 Los pacientes con sonrisa gingival, suelen tener el plano oclusal más alejado de la comisura labial, llegando a veces hasta 7 u 8 mm o más hacia abajo. Si mantuviéramos en estos casos esta ubicación del plano oclusal en la construcción del VTO, y colocamos el incisivo inferior en una posición estándar; es decir, 1mm por encima del plano oclu- sal y el incisivo superior 1 mm por debajo de él, el resultado estético de la sonrisa no será el adecuado, porque no corregirá el aumento de la exposición del incisivo y la sonrisa gingival. Por ello, debemos modificar la posición del plano oclusal, elevándolo en su parte anterior con el fin de acercarlo a la norma y, con ello, lograr que la posición de los inci- sivos (que como dijimos anteriormente, depende de él) sea más adecuada para la estética del paciente. Por ejemplo, en el caso N.C. (ver Fig. 17.33) la sobremordida de la paciente debe ser atribuida a una supraerupción del incisivo inferior, que está a + 5 mm del plano oclusal. La corrección, si mantuviéramos este plano en la posición en que se encuentra, debería hacerse con intrusión de los incisivos inferiores exclusiva- mente. Pero esto no beneficiará la estética de la paciente, que, como se aprecia en la fotografía, requiere una intrusión de los incisivos superiores para la solución de su sonrisa gingival. Corrigiendo el plano oclusal, colocándolo a 3 mm por debajo de la comisura, la interpretación de la sobremordida cambia radicalmente; el incisivo inferior quedaría en posición normal y el incisivo superior es el que está extruido. Por lo tanto, al ubi- carlos en el VTO con respecto a este nuevo plano oclusal, veremos que deberá intruirse el incisivo superior, y esta posición será mucho más armonio- sa en relación con los labios y disminuirá la exposi- ción gingival durante la sonrisa. La posición del plano oclusal se corrige en el trazado original con lápiz rojo, modificando su inclinación hasta un máximo de 5°; para esto se Fig. 17.33: Caso N.C. Planificación de cambio de inclinación del plano oclusal.
  • 412.
    430 Síntesis deldiagnóstico y planificación mantiene estable el punto distal del plano oclusal (punto de contacto oclusal más distal de los prime- ros molares) y se sube o baja el trazo en el sector anterior para acercarlo a la norma que es de 3 mm por debajo de la comisura. El plano oclusal modificado es el que deberá tomarse como referencia para la construcción del VTO. Fig. 17.34: VTO del caso N.C. Cambios en los tejidos blandos del mentón al ser normalizado el cierre labial. 2. Este procedimiento de VTO brinda automática- mente los cambios de la convexidad debido al cre- cimiento y a la apertura o cierre del eje facial, por- que la referencia para la ubicación del maxilar superior es la línea Ba-Na-A de igual manera que en la predicción arquial. 3. Si la radiografía fue tomada con una posición forzada de los labios, los tejidos blandos del tercio inferior de la cara están alterados en su distribu- ción. Esto debe modificarse en el VTO pues el retroceso de los incisivos consigue su normaliza- ción. El tejido blando del mentón, por lo tanto, debe aumentar su espesor en la parte inferior ydisminuir a nivel del surco labiomentoniano. El superior, al cesar la contracción, generalmente aumenta de espesor (Fig. 17.34). Es de gran ayuda la observación clínica del pacien- te, la toma de otra placa radiográfica lateral con labios en reposo, o la toma de fotografías de perfil con labios en contacto y relajados. 4. En los casos donde el labio inferior se apoya francamente en el incisivo superior, su trazado en el VTO debe hacerse conjuntamente con el labio superior. 5. El trazado de los incisivosen el VTO debe hacer- se siempre respetando la porción alveolar de los maxilares, especialmente en la sínfisis, donde el espacio entre las corticales bucal y lingual es más estrecho, es decir, se debe corroborar que las posi- ciones e inclinaciones programadas para los incisi- vos estén acordes con la factibilidad estructural que nos ofrezca el caso. VTO RESUMIDO SIN CRECIMIENTO Es un procedimiento más simple porque no se consideran las modificaciones producidas por el crecimiento. Se puede utilizar en pacientes adultos o para simplificar más aún el VTO en pacientes con crecimiento. En la mayoría de los casos, se calcan directa- mente del trazado original y con las mismas dimen- siones todas las estructuras y planos que se descri- ben para el VTO anteriormente desarrollado, haciendo modificaciones de convexidad, dentarias y del perfil labial (Fig. 17.35). En los casos donde se prevea un cambio en el eje facial, se procede de igual forma que en el VTO con crecimiento. A continuación damos una guía para su trazado. 1. Calcar el plano Ba-Na desde CC a Na. 2. Desde CC trazar el eje facial, calcándolo directa- mente si no varía con el tratamiento, o modifi- cándolo en casos de apertura o cierre. 3. Si el eje se abre: dejar superpuestos los puntos
  • 413.
    Visualización de objetivosde tratamiento 431 CC y girar el punto Na hacia arriba 1 mm por cada grado de apertura. Si el eje se cierra: dejar superpuestos los puntos CC y girar el punto Na hacia abajo 1 mm por cada grado de cierre. Desde esta posición calcar el eje facial, la sínfisis y el extremo anterior del eje del cuerpo mandi- bular. 4. Trazar el plano facial. 5. Superponer Ba-Na en Na y calcar el maxilar superior modificando el punto A de acuerdo a nuestra planificación. Trazar el plano A-Po. 6. Para calcar el plano oclusal superponemos los planos faciales. Si hubo modificación del eje, el maxilar superior y la sínfisis de ambos tra- zados no coinciden, se distribuye esta distan- cia en partes iguales a nivel de ANS y mento- niano y se calca el plano oclusal. 7. Ubicamos el punto incisivo inferior 1 mm por encima del plano oclusal y a la distancia del plano A-Po que hayamos previsto en nuestro cálculo. Utilizando la plantilla damos la angu- lación al incisivo previamente determinada para el caso y se calca el incisivo inferior. 8. Superponiendo el eje del cuerpo en Pm se co- loca el molar inferior en la posición deseada. 9. El molar superior se traza en relación de Clase I con el inferior. En los casos de extrac- ciones superiores se traza en Clase II. 10. Se traza el incisivo superior en posición correcta de overbite y overjet colocando su eje 5° más vertical que el eje facial. Tejido blando 11. Superponiendo los planos faciales y la ENA, se calca la nariz hasta su base. El punto A blando se modifica de las misma manera que el punto A óseo. 12. Para calcar el labio superior se superponen los planos oclusales en la intersección con el plano facial. Dividimos la distancia entre los puntos incisales de ambos incisivos superiores en 3 partes iguales mediante 2 trazos hechos sobre el plano oclusal. Superponiendo siem- pre los planos oclusales se desliza el trazado hasta que la marca más cercana al incisivo nuevo quede a la altura del punto incisal del incisivo original. En esta posición se calca el labio superior. 13. Para trazar el labio inferior se determina el punto medio del overbite y overjet en ambos trazados. Se superponen ambos puntos. Si los planos oclusales no están superpuestos, se mueve el trazado sólo verticalmente hasta que éstos coincidan. Se calca el labio inferior. 14. Se superponen las sínfisis y se calca el tejido blando del mentón, uniéndolo al labio infe- rior. 15. Trazar el plano estético. Fig. 17.35: VTO Resumido sin crecimiento.
  • 414.
    432 Síntesis deldiagnóstico y planificación MINI VTO Con lápiz negro 1. Se calcan maxilar superior, parte anterior de la mandíbula, incisivos y molares superiores e in- feriores, eje facial y plano oclusal. Con lápiz rojo 2. Se modifica el punto A de acuerdo a nuestra pla- nificación y se traza el nuevo plano A-Po. 3. Se coloca el incisivo inferior en la posición de- seada con respecto al plano A-Po y 1 mm por encima del plano oclusal. 4. Se traza el molar inferior de acuerdo a la planifi- cación. 5. Se dibuja el molar superior en relación de Clase I. En los casos de extracciones superiores sola- mente, se los ubica en Clase II. 6. Se traza el incisivo superior en posición correcta de overbite y overjet colocando su eje 5°más ver- tical que el eje facial. Este procedimiento nos permite obtener simul- táneamente las áreas de superposición dentarias, pero es menos preciso porque no muestra las modi- ficaciones del eje facial ni del perfil blando (Fig. 17.36 A y B). B Fig. 17.36: A: Caso inicial. B: Mini VTO.
  • 415.
    C A PI T U L O 18 Áreas de superposición Las áreas de superposición constituyen la vincu- lación entre la cefalometría estática y la dinámica, es decir: • entre el estado inicial del paciente y las modifi- caciones que sufrirá debidas al crecimiento, (ce- falograma inicial y predicción de crecimiento sin tratamiento); • entre el estado inicial y la predicción de las modi- ficaciones del crecimiento y el tratamiento (cefa- lograma inicial y VTO); • entre el VTO y el cefalograma intermedio (para control de la evolución del tratamiento); • entre el cefalograma inicial, el VTO y el cefalo- grama final (control de los resultados y evalua- ción del tratamiento); • entre los anteriores y un cefalograma postrata- miento (evaluación de los resultados a distacia). Hacen posible, así, la individualizaciónde la natu- raleza de los cambios y separan los que fueron pro- ducidos por el crecimiento y el desarrollo de aquellos inducidos por nuestras maniobras terapéuticas. También posibilitan la evaluación del caso tra- tado por lo que se convierte en un auxiliar del clí- nico que, mediante este efecto de retroalimenta- ción, podrá mejorar constantemente la calidad de su trabajo. Las áreas reflejan gráficamente: • El crecimiento en distintas zonasmaxilofaciales. • Modificaciones del crecimiento inducidas por el tratamiento. • Cambios de la posición mandibular producidas por la mecánica. • Tipo, cantidad y dirección del movimiento den- tario requerido para el caso particular. - Tipo de anclaje necesario. Estas informaciones son de gran importancia para el clínico porque: - facilitan la elección de la aparatología, - permiten definir la secuencia de lamisma, - orientan al operador antes y durante el trata- miento evitando movimientos de ida y vuelta, - son imprescindibles para el control del trata- miento y la evaluación de los resultados, - producen un efecto defeed-back. A pesar de que históricamente se describen in- tentos de evaluaciones del tratamiento atribuidos a autores conocidos, mediante algunas superposicio- nes, creemos que el ortodoncista nunca había teni- do a su alcance una metodología cefalométrica que separara estos cambios de tan distinta naturaleza, con el grado de claridad, certeza y precisión con que lo hacen las áreas de superposición de Ricketts. Son éstas, en nuestra opinión, uno de los más importantes aportes que hizo este genial maestro e investigador a nuestra especialidad. Para facilitar la comprensión de este tema cree- mos necesario referirnos al crecimiento de las dis- tintas estructuras maxilofaciales y dentarias, te- niendo en cuenta 3 perspectivas diferentes. 1. Incrementos de crecimiento promedio por año: se considera la cantidad de crecimiento de cada estructura en forma independiente 2. Cantidad relativa de crecimiento: Las estructuras se consideran como parte de un contexto mayor, estudiando comparativamente el crecimiento de una con respecto a otras. 3. Direcciones generales de crecimiento: Evalúa el crecimiento a través de vectores constantes con la edad. 433
  • 416.
    434 Síntesis deldiagnóstico y planificación Incrementos de crecimiento promedio por año Base craneal (Fig. 18.1) La dividimos en 2 partes: base craneal posterior (Ba - Ce) y base craneal anterior (Ce - Na). Ambas tienen un crecimiento de aproximadamente 0,8 a 1 mm por año. Maxüar (Fig. 18.3) El maxilar desciende en forma paralela al plano de Frankfort 0,8 a 1 mm por año. Fig. 18.1. Fig. 18.3. Mentón (Fig. 18.2) Mandíbula (Fig. 18.4) El eje facial tiene un crecimiento anual entre 2,5 El eje del cuerpo de la mandíbula Xi - Pm crece y 3 mm por año. aproximadamente 1,6mm por año. Fig. 18.2. Fig. 18.4.
  • 417.
    /Áreas de superposición435 Dientes (Fig. 18.5) Arcada superior: Se produce un crecimiento alveolar, que provoca un incremento anual de 0,9 mm aproximadamente, de la distancia tomada desde la implantación de la base cigomática al plano oclusal en mesial del primer molar. Arcada inferior: el proceso alveolar inferior tiene un crecimiento de 0,8 mm por año aproxima- damente, medido desde el plano Xi-Pm al plano oclusal en mesial del primer molar. Fig. 18.5. Tejidos blandos (Fig. 18.6) a)Nariz: crece aproximadamente 1 mm por año. b)Punto subnasal: crece aproximadamente 0,5 mm por año. c) Labio superior e inferior: 0,3 mm por año. d)Mentón: 0,25 mm por año. Fig. 18.6.
  • 418.
    436 Síntesis deldiagnóstico y planificación Cantidad relativa de crecimiento En la evaluación del crecimiento se debe tener presente que lo más importante es su cantidad rela- tiva, no la absoluta. Ejemplo: los incrementos de la base craneal y el eje del cuerpo mandibular son com- parativamente iguales. Esto permite una relación ar- mónica en el crecimiento de ambos maxilares. Si el crecimiento de una de esas dos estructuras se desvía en una proporción de más del 50% se pro- ducirá una marcada alteración del perfil esqueletal (Fig. 18.7). Sólo pueden ser toleradas desviaciones de hasta un 20% aproximadamente, un porcentaje mayor se considera ya un crecimiento anormal. Fig, 18.7: Paciente MC. Comparación del crecimiento de la base craneal anterior y el cuerpo mandibular en 6 años. A: Trazado a los 9 años. B: Trazado a los 15 años. El crecimiento mandibular fue aproximadamente el doble de lo espera- do y produjo un perfil de Clase III. C: Superposición de ambos trazados.
  • 419.
    Áreas de superposición437 Direcciones generales del crecimiento (Fig. 18.8) Los ángulos del eje facial, Ba - Na - A y la altu- ra facial inferior (ángulo ANS - Xi - Pm) no cam- bian durante largos períodos de tiempo y por lo tanto deben considerarse como los vectores gene- rales de crecimiento (crecimiento gnómico). Fig. 18.8: Las medidas del eje facial, profundidad maxilar y altura facial inferior no varían con el crecimiento(medidas gnómicas.)
  • 420.
    438 Síntesis deldiagnóstico y planificación TRAZADO E INTERPRETACIÓN DE LAS ÁREAS DE SUPERPOSICIÓN Se emplean 5 áreas de superposición mediante las cuales se pueden evaluar 7 zonas distintas. Estas 5 áreas son: (Fig. 18.9) l.Ba-NaenCc 2. Ba - Na en Na 3. Eje del cuerpo mandibular en Pm 4. Paladar en ANS 5. Plano estético en comisura Para su trazado se fija sobre la mesa de trabajo el calco original. Sobre un papel vegetal se calcan en color negro las áreas como se puede observar en la figura 18.9. En ella puede observarse la distribu- ción más apropiada para las áreas en el papel de 18 x 24 cm. Se retira el calco original y se fija sobre la mesa de trabajo el trazado a superponer. Éste puede corresponder: • a la predicción de crecimiento sin tratamiento (color verde); • al VTO, con o sin crecimiento (color rojo); • a un cefalograma intermedio para monitoreo del tratamiento (color marrón); • al cefalograma final (color azul); • a un cefalograma postratamiento (color violeta). • a otro cefalograma de un paciente habiendo me- diado entre ellos solo crecimiento (color verde); Con el color que corresponda, se calcan las mis- mas áreas superponiendo en los planos y puntos de registro ya citados. Esta variación en los colores permite superponer 2 o más trazados a la vez. Fig. 18.9: Trazado de las áreas de superposición.
  • 421.
    Áreas de superposición439 1.er Área de superposición Ba - Na en Ce l.er Área de evaluación: MENTÓN La finalidad de esta l.er área de superposición es evaluar los cambios posicionales del mentón. Al ser el plano Ba-Na una referencia de esta- bilidad comprobada en la base del cráneo, se puede estudiar el comportamiento del eje facial cuya angulación es considerada constante con el creci- miento (Fig. 18.10). En varios estudios longitudinales, realizados en pacientes sin tratamiento, se comprobó que el pro- medio de cambio del ángulo del eje facial es prácti- camente 0°. Ricketts y McNamara comprobaron en 50 casos que el promedio anual de cambio en 10 años era de - 0,22° (mínimo cierre del eje). Esto significa quela norma de 90° para los 8 1/2 años, sigue teniendo vigencia en el adulto. Pero, sin embargo, existen ca- sos en los que se comprueban cambios de diferente magnitud con el crecimiento, que estudiados estadís- ticamente presentaron los siguientes resultados: Si bien el promedio de cambio es de 0; existe una desviación estándar de cambio que varía según el período estudiado: Para 10 años ± 2,2°. Para 5 años ± 1,5°. Para 2 años ± 1°. Para 1 año ± 0,7°. Como puede observarse, la cantidad de varia- ción en el tiempo no es una medida lineal. Si lo fuera, al cambio de 0,7° en 1 año correspondería un cambio de 7° en 10 años. Al no darse esto, es un modelo que se encua- draría dentro de lo que en estadística se llama "caminata al azar". Fig. 18.10: El eje facial como vector de crecimiento. A: El paciente braquifacial. B: Paciente dolicofacial.
  • 422.
    440 Síntesis deldiagnóstico y planificación Cualquiera de estas variaciones estándar de cambio, ya sea para 1, 2, 5 ó 10 años, incluye el 70% de los pacientes por estar comprendido dentro del rango de la l.er desviación. Al evaluar el resultado de un tratamiento, en un período de 2 años, es posible esperar con el creci- miento una variación de sólo 1° de apertura o de cierre en el 70% de los casos. Pero como la proba- bilidad promedio es de 0° de cambio, se llega a la conclusión de que el ángulo del eje facial no varía con el crecimiento, por lo tanto cualquier modifica- ción observada debe ser atribuida al tratamiento, más aún si supera el rango de 1°. De ser así, ante una apertura o cierre de 1° a 2° con el crecimiento estaríamos en la 2.da desviación, que comprende una minoría del 25% por lo que estadísticamente no tiene peso como para inferir que ese cambio pueda ser natural y no debido al tratamiento. Excepcionalmente (5% de los casos) podemos encontrar variaciones del eje en más de 2°en 2 años con el crecimiento (3.ra desviación estándar). VARIACIONES ESTÁNDAR DE CAMBIO 2 años 5 10 1° 1,5° 2,5° Ésta es la razón por la cual, el eje facial debe ser considerado una medida gnómica y cualquier cam- bio en su dirección debe considerarse un efecto de la mecánica (Fig. 18.11). Vimos anteriormente, que el incremento anual en la longitud del eje facial es de 2,5 a 3 mm y como este eje es el vector que indica la dirección de cre- cimiento del mentón, de su angulación dependerá el grado de avance y/o descenso de esta estructura. Así, en los patrones braquifaciales con ángulos mayores de 90°, el Po se adelanta notablemente y en menor grado desciende (Fig. 18.11 A). En los patrones dolicofaciales en los que el ángulo es menor de 90°el desplazamiento más evi- dente es en dirección hacia abajo (Fig. 18.11 B). Esto es lo que hace que la dirección del eje jue- gue un importante papel en la conformación del perfil facial. .' B Fig. 18.11: Cambios del eje facial. A: Apertura. B: Cierre. 2.da Área de superposición fia - Na en Na 2.a* Área de Evaluación: PUNTO A El ángulo Ba-Na-A es casi una constante abso- luta durante el crecimiento. Su medida promedio es de 66° y estudiado en una población sin tratamien- to, su variación estándar de cambio fue solamente de ± 1° en 5 años. Esto significa que el punto A, en sentido sagi- tal, se comporta en forma similar al punto Na du- rante el crecimiento, es decir, se adelanta aproxi- madamente 1 mm por año. Cualquier modificación en el ángulo Ba-Na-A se debe a efectos del tratamiento sobre el punto A. Estos pueden ser:
  • 423.
    /Áreas de superposición441 1. Cambios en el punto A por remodelación ósea, es decir, cambios en la base alveolar única- mente. Pueden producirse cuando se realizan mo- vimientos de torque sobre los incisivos superiores. Esta remodelación es siempre de poca magni- tud, 1 a 2 mm, y puede producirse aun sin creci- miento (Fig. 18.12). 2. Efectos ortopédicos sobre el maxilar superior. El ángulo Ba-Na-A se reduce por un efecto ortopédico que básicamente se obtiene deteniendo el crecimiento del maxilar superior, mientras el Na sigue con su incremento normal de 1 mm por año. Este mecanismo ortopédico logra mayores efectos que el cambio por remodelación ya citado, y se consigue mediante una variedad de recursos tera- péuticos aplicados a pacientes en crecimiento (FEO, extracciones, elásticos de Cl. II, etc.). En la 2.da área de superposición se visualiza un aparente retroceso del punto A. Esto no es real, sino que es sólo la manifestación de la detención del crecimiento del maxilar superior al haber superpuesto los planos Ba-Na en Na. Esto ha sido explicado gráficamente en la figura 18.13. Fig. 18.12: Cambios del punto A por remodelación. (Torque incisivo). Fig. 18.13: Cambios ortopédicos del punto A. En A: crecimiento solamente. Superponiendo Ba-Na en CC, observamos crecimiento a nivel del Na y del punto A. En B: si se detiene el crecimiento del maxilar superior; al superponer Ba-Na en CC se visualiza el crecimiento en Na y detención del crecimiento en el maxilar superior. En C: el mismo efecto que en B; visualizado en la 2a área de superposición: Ba-Na en Na. Al estar superpuestos los Na; se observa un aparente retroce- so del punto A.
  • 424.
    442 Síntesis deldiagnóstico y planificación Consideramos necesario diferenciar 2 concep- tos que suelen provocar confusiones: a) Modificación del punto A: Como se dijo, es la modificación del ángulo Ba- Na-A: • Por remodelación, mediante torque de los incisi- vos superiores. • Por detención del crecimiento del maxilar supe- rior. b) Modificación de la convexidad La convexidad facial es la distancia lineal desde el punto A al plano facial. Un cambio en su medi- da depende de 2 variables (Fig. 18.14): • Las modificaciones inducidas al punto A • El desplazamiento del plano facial, que estará dado sobre todo por la proyección que tiene la sínfisis con el crecimiento o con los cambios del eje facial. Con la lectura de esta 2.da área, podremos de- terminar a qué se debe una reducción de convexi- dad, ya que puede ser discriminado el comporta- miento del punto A. Sin embargo, puede suceder que ante dos mo- dificaciones iguales del punto A, la convexidad varíe en distinta magnitud, debido a que el cre- cimiento del mentón hacia adelante en un caso, fue mayor que en el otro (Fig. 18.15). Por lo tanto, los biotipos faciales tienen una marcada influencia. Además, el cambio de posición del mentón, puede deberse a efectos del tratamiento (apertura o cierre del eje). El aumento del valor del ángulo Ba-Na-A se produce también por un efecto ortopédico median- te el uso de tracción posteroanterior del maxilar superior con máscara de Delaire. Fig. 18.14: Modificación de la medida de la convexidad. En A: por cambios del punto A. En B: por cambios del plano facial, en este caso, avance del Po.
  • 425.
    Áreas de superposición443 Fig. 18.15: El mismo efecto ortopédico sobre el maxilar superior reduce más la convexidad en B que en A, debido al mayor avance del mentón por el crecimiento. 3.er Área de superposición Eje del cuerpo mandibular en Pm 3.er Evaluación: INCISIVO INFERIOR 4ta. Evaluación: MOLAR INFERIOR Anteriormente, para evaluar el comportamien- to de los dientes inferiores, se utilizaba como refe- rencia la superposición sobre el plano mandibular; pero como este plano sufre normalmente reabsor- ciones y remodelaciones (Bjork), no sería confiable debido a su inestabilidad durante el crecimiento. Ricketts eligió el eje del cuerpo mandibular: Xi- Pm por considerarlo un plano más estable para ser usado como referencia en sentido vertical, para el estudio de la erupción dentaria natural y de los cambios debidos al tratamiento. La referencia sagital estará dada por el punto de registro Pm. Con respecto a este punto, diremos que Ricketts lo escogió porque se ubica en una zona de poco cambio, en la que no parecen realizarse procesos de aposición o reabsorción. Resumiendo: La referencia para esta 3.er área será el eje del cuerpo mandibular (Xi - Pm) en Pm. El molar inferior erupciona alrededor de 0,8 mm por año en dirección hacia arriba, sin realizar movimientos en sentido mesial o distal. De la misma manera, el incisivo inferior se mueve tam- bién directamente hacia arriba, por lo cual no se observan cambios en la longitud del arco con el cre- cimiento (Fig. 18.16 A). Teniendo en claro estos conceptos, podremos evaluar los cambios en ambos (incisivo y molar inferior). Gráficamente podremos observar cam- bios en sentido vertical y anteroposterior (Fig. 18.16 B y C).
  • 426.
    444 Síntesis deldiagnóstico y planificación B INTRUSIÓN INCISIVA Paciente en crecimiento Paciente sin crecimiento EXTRUSIÓN INICISIVA Paciente en crecimiento Paciente sin crecimiento Protruir I/ Mantener Retruir =W/ Sin crecimiento Con crecimiento Mantener Mesializar Verticalizar Fig. 18.16: 3a área de superposición. A: Crecimiento solamente. B: Cambios en sentido vertical. C: Cambios en sentido anteroposterior.
  • 427.
    Áreas de superposición445 4.a Área de superposición Paladar en ANS 5.a Evaluación: MOLAR SUPERIOR 6.a Evaluación: INCISIVO SUPERIOR Se superponen los planos espina nasal anterior (ANS)-espina nasal posterior (ENP). El punto de registro es ANS. La superposición de los planos palatinos es la referencia en sentido vertical. Con ella se verifica la erupción por crecimiento y se la distingue de los cambios realizados por el tratamiento. La referencia sagital está dada por el punto de registro ANS. La arcada dentaria superior erupciona siguien- do la dirección de los ejes mayores de los dien- tes, en una cantidad similar a la inferior (0,8 mm por año); pero hace una ligera migración mesial de aproximadamente 0,2 a 0,3 mm por año, es decir que describe una trayectoria similar a la del eje facial (Fig. 18.17 A). Cabe aclarar, que cuando hablamos de cantidad y dirección de la erupción dentaria tanto en maxi- lar superior como en mandíbula, esto está referido únicamente a procesos naturalesy no se consideran las interferencias generadas por trastornos funcio- B Con crecimiento Sin crecimiento Intrusión incisiva Intrusión incisiva Fig. 18.17: 4.ta área de superposición. A: Crecimiento solamente. B: Cambios en sentido vertical. C: Cambios en sentido anteroposterior (pág. siguiente). Intrusión molar Extrusión incisiva
  • 428.
    446 Síntesis deldiagnóstico y planificación Sin crecimiento Mantener Mesializar Distalar Con crecimiento Mantener Mesializar Distalar Retrusión sin torque Retrusión con torque Protrusión nales (respiración, deglución, hábitos, etc.), pérdi- das prematuras o ausencias congénitas, que produ- cirán una amplia gama de variaciones en este pro- ceso. La 5.ta evaluación corresponde a los molares superiores (Fig. 18.17 B y C). Mediante su observa- ción se podrá determinar el tipo de movimiento necesario para estos dientes, los que podrán ser mantenidos en su lugar, (anclaje máximo), distala- dos, mesializados (casos de anclaje moderado y/o mínimo), intruidos (control vertical) o extruidos. En la 6.ta se evalúan los incisivos (Fig. 18.17 B y C). Se visualiza el movimiento a realizar (superpo- siciones con el VTO) o realizado (evaluación con trazado final). En el primer caso, la visualización del mo- vimiento requerido, nos permitirá la selección de la aparatología apta para realizar ese tipo de mo- vimiento. En las superposiciones con el trazado final, se evaluarán los resultados obtenidos. Fig. 18.17:Continuación. Paciente en crecimiento Mesialización anclaje mínimo) Retrusión e intrusión Paciente en crecimiento Sin modificación Retrusión B Paciente sin crecimiento Sin modificación Retrusión con torque D Paciente sin crecimiento Verticalización Protrusión e intrusión Fig. 18.18: 4a área de superposición. Interpretación de diferentes variantes.
  • 429.
    /Áreas de superposición447 5.a Área de superposición Plano estético en comisura 7.a Evaluación: PERFIL BLANDO En el crecimiento normal, el perfil se hace me- nos protrusivo con respecto al plano estético en los patrones braquifaciales. En menor grado, sucede lo mismo en los mesofaciales. En los patrones de crecimiento vertical (dolico- faciales) al no producirse un avance significativo del mentón con el desarrollo, el perfil labial no su- fre prácticamente ninguna modificación. Al superponer los perfiles pre y postratamiento, se debe tener en cuenta que los cambios debidos al crecimiento en aproximadamente 2 años son míni- mos, por lo cual las modificaciones observadas, deberán ser atribuidas exclusivamente al efecto del tratamiento (Fig. 18.19). Por lo tanto, sólo podre- mos evaluar los cambios del perfil con el creci- miento, recurriendo a una predicción a largo plazo. Cuando las superposiciones se realizan entre tra- zado inicial y VTO (colores negro y rojo), son utili- zadas para evaluar el tipo de anclaje, movimientos ortodóncicos o fuerzas ortopédicas requeridas para seleccionar la aparatología y planificarlas maniobras necesarias para el logro de los objetivos. La superposición de trazado inicial con uno inter- medio, es decir durante el tratamiento (colores negro y marrón), permitirá monitorizar su desarrollo para decidir la continuación o modificación de las manio- bras terapéuticas realizadas hasta ese momento. Las áreas de superposición entre los trazados inicial y final (colores negro y azul) se utilizan para evaluar los resultados obtenidos y para distinguir los cambios debidos al crecimiento de los provoca- dos por el tratamiento. La superposición al final del tratamiento de los 3 trazados: inicial - VTO y final es de suma utilidad para evaluar en qué medida se han alcanzado los objetivos propuestos, dónde no pudieron ser logra- dos y hasta también, conocer si nuestro error radi- có en el diagnóstico, en la planificación o en la eje- cución de las maniobras mecánicas. El uso de esta metodología y la puesta en prác- tica de las áreas de superposición, le da un mayor alcance al uso de la cefalometría y nos lleva a com- prender con mayor profundidad el tratamiento. Nos permite conocer con exactitud los efectos de nuestra terapéutica, cosa imposible si sólo nos limi- táramos a evaluar los resultados clínicamente o con un simple trazado cefalométrico final. Fig. 18.19: Superposición del perfil blando. Paciente en crecimiento.A: Perfil pretratamiento. B: Perfil postratamiento. Al superponer los planosesté- ticos a la altura de la comisura labial se puedendife- renciar los cambios de las distintas estructuras: labios, mentón, nariz, punto A blando, surco labio- mentoniano, punto subnasal.
  • 430.
    448 Síntesis deldiagnóstico y planificación Un ejemplo de esto es el caso de la figura 18.20. El paciente PG ha sido tratado entre los 12y 14 años de edad. Se realizaron 4 extracciones de pri- meros premolares para corregir su marcada bipro- trusión y mejorar el perfil (Fig. 18.21). En la Cefalometría del inicio se observa una convexidad de 5mm (Fig. 18.22). Al finalizar, la convexidad mide O mm (Fig. 18.23). ¿Puede ser Fig. 18.20: Paciente P.G. 12 años. Fotografíasiniciales.
  • 431.
    /Áreas de superposición449 atribuido este cambio a un trabajo ortopédico sobre el punto A?. Analizaremos las áreas de superposición (Fig. 18.24). En la primer área, BA-Na en CC, observamos un excesivo crecimiento mandibular, que duplica los valores estadísticos de proyección del eje facial para un periodo de dos años y medio, que fue el tiempo de tratamiento y el Fig. 18.21: Paciente P.G. 15 años. Fotografías finales.
  • 432.
    450 Síntesis deldiagnóstico y planificación 4mm Fig. 18.22: Radigrafía y cefalometría inicial. Fig. 18.23: Radiografía y cefalometría final.
  • 433.
    /Áreas de superposición451 Fig. 18.24: Paciente P.G. Áreas de superposición. Negro: cefalometría inicial.Azul: cefalometría final. lapso entre una y otra radiografía. Si bien la direc- ción del eje facial (88°) no contribuye demasiado a la proyección anterior del mentón, la magnitud del crecimiento ha logrado un considerable avance, provocando un ligero cierre del eje facial. Por otro lado en esta área también podemos observar que el crecimiento de la base craneal anterior ha sido mínimo, el Na se ha proyectado menos de 1 mm hacia delante. Esto implica pocas posibilidades de cambio en el ángulo BA-Na -A. Sólo si hay crecimiento en la base craneal anterior podemos tener un efecto ortopédico a nivel del punto A. Observamos entonces que la segunda área de superposición, Ba-Na en Na expresa un importante crecimiento vertical y el punto A aparece sólo leve- mente retrocedido, indicando un pequeño efecto ortopédico atribuible a la terapia de extracciones en un paciente de escaso crecimiento en la base cra- neal. La conclusión en este caso es que los cambios ortopédicos son generados en el crecimiento man- dibular y no por el tratamiento con extracciones (Fig. 18.25). Este exceso de crecimiento mandibular ha oca- sionado que, para poder finalizar el caso en clase I, Fig. 18.25: Paciente P.G. Visualizacióntotal en la primer área de superposición, donde se observa la magnitud del crecimiento mandibular en contraposición con el escaso crecimiento craneal.
  • 434.
    452 Síntesis deldiagnóstico y planificación el cierre de espacio se haya realizado en la mandí- bula con predominio de la retrusión y en el maxilar superior con mayor pérdida de anclaje y escasa retrusión. Cabe aclarar que esto no responde al VTO y áreas realizado para el caso, donde se estimaba un crecimiento normal y correspondía una retrusión y pérdida de anclaje similar en ambas arcadas para seguir manteniendo la clase I molar y la relación interincisiva normal. Al conocer la naturaleza y la intimidad de todos los cambios, podremos hacer nuestra planificación dentro de límites más racionales, hacer pronósticos más acertados y aprovechar mejor nuestros recur- sos terapéuticos. De este modo podemos dar al crecimiento la verdadera dimensión que le corresponde en un tra- tamiento de ortodoncia. Toda esta metodología de planificación, moni- torización y evaluación, por último, producirá tam- bién un efecto de feed back que incidirá favorable- mente en la formación del ortodoncista.
  • 435.
    453 Bibliografía Benvenga, M. N.:Comunicación personal. Sao Paulo, Brasil, 1982, 1983 Burstone, C. J.: Lip posture and its signifícance in treatment planning. Am. J. O. 53,1967 Case, C. S.: The question of extraction in ortho- dontics, reprinted in Am J. Orthod 50:658-691, 1964 Damerell, J. M.: Cephalometric objetives for the maxillary central incisors, Masters thesis. Loma Linda University. 1977 Engel, G., Cornforth, G., Damerell, J. M., et al: Treatment of deep-bite cases. Am. J. of Orthod. Vol. 77 N° 1 pag. 1,13. Jan. 1980 Gardner, R. B.: A comparison of four methods of predincting arch lengh. AJO pp.387-398,1979 Graber, T. M.: Ortodoncia. Teoría y práctica, ínter-americana. México, 1972 Graber, T. M., Swain, B.: Ortodoncia. Principios generales y técnicas. Panamericana. Buenos Aires, 1988 Holdaway, R. A.: Changes in relation of points A and B during orthodontic treatment. Am. J. Orthod. 42:176-193,1956 Jarabak, J. R.: Desarrollo de un plan de tratamien- to a la luz de los conceptos propios sobre objetivos de tratamiento. Amer. J. Orth. 46:481-514, 1960 Kloehn, S. J.: Guiding alveolar growth and erup- tion of teeth to reduce treatment time and produce a more balanced denture and face. Angle Orthod. 17:33, 1947 Langlade, M.: Diagnostic Orthodontique. Maloine S.A. Editeur. París, 1981 Little, R. M.: Stability and relapse of dental arch aligment. Brit. J. Orthod. 17:235-241, 1990 López Velarde, G.: Comunicación personal. Córdoba, Argentina, 1988. México, 1995 McNamara, J. A., Ellis, E.: Cephalometric analy- sis of untreated adults with ideal facial and occlu- sal relationships. Int. J. Adult Orthodont. Oral Surg. 3:221-231, 1988 McNamara, J. A., Brudon, W. L.: Tratamiento Ortodóncico y Ortopédico en la Dentición Mixta. Needham Press. Ann. Arbor, 1995 Moore, A. W.: Observations on facial growth an its clinical significance. Am.J.Orthod. 45:(6) 399- 423,1959. Nance, H. N.: The limitations of orthodontic treat- ment I. Mixed dentition diagnosis and treatment. Am. J. Orthod. 33:177, 223, 1947 Nance H. N.: The limitations of orthodontic treat- ment II. Diagnosis an treatment in the permanent dentition. Am. J. Orthod. 33:253,1957 Proffit, W. R., White, R. P. Jr.: Surgical-orthodon- tic treatment. St. Louis. Mosby - Year Book, Inc., 1991 Ricketts, R. M.: Planning treatment on the basis of the facial pattern and estimate of its growth. Angle Orthod. Vol. 27 N° 1. Jan. 1957 Ricketts, R. M.: Cephalometric synthesis. An exercise in stating objectives and planning treat- ment with tracings of the head roentgenogram. Am. J. Orthod. 46:647-673,1960
  • 436.
    454 Ricketts, R. M.:The influence of orthodontic tre- atment on facial growth and development. Angle Orthod. 30:103-151, 1960 Ricketts, R. M.: The keystone triad I - Anatomy, phylogenetics and clinical significance. Am. J. Orthod. 50:4, 244,264.April 1964 Ricketts, R. M.: The keystone triad II - Growth, treatment and clinical significance.Am. J. Orthod. 50:10, 728,750. Oct. 1964 Ricketts, R. M.: A four-step method to distinguish orthodontic changes from natural growth. J. C. O. 9:4,208,228. April 1975 Ricketts, R. M.: News perspectives on orientation and their benefits to clinical orthodontic - Part I and II. The Angle Orthod. Vol. 45 N° 4, Oct. 1975. Vol. 46 N° 1. Jan. 1976 Ricketts, R. M.: On early treatment. J. C. O. Interviews. Part I, Vol. 13 N° 1, Jan 1979. Part II, Vol. 13 N° 2, Feb. 1979. Part III, Vol. 13 N° 3, March 1979 Ricketts, R. M., Roth, R, et al: Orthodontic Diagnosis and Planning. Rocky Mountain Data Systems, 1982 Ricketts, R. M., et al: Técnica Bioprogresiva. Panamericana. Buenos Aires (Argentina), 1983 Sheridan, J. J.: Air-rotor stripping update. J. Clin Orthod. 21:781-788,1987 Slavicek, R.: Part IV. Instrumental analysis of mandibular casts using the mandibular position indicator. J. Clin. Orthod. 22:566-75,1988 Stockli, P. W., Teuscher, U.M.: Combined activa- tor headgear orthopedics. In Graber TM, Subtelny, J. D.: The soft tissue profile growth and treatment changes.Angle Orthod. Vol.31, pp. 105- 122,1961 Swain, B. F. editors: Current orthodontic princi- pies and techniques. St. Louis. Mosby- Year Book, 1985 Tweed, C. M.: A philosophy of orthodontic treat- ment. Am. J. Orthod. 31:74-103, 1945 Tweed, C. M.: Clinical orthodontics. St. Louis, C. V. Mosby Company, vols. I and II Tweed, C. M.: The Frankfort-mandibular incisor angle (FMIA) in orthodontic diagnosis, treatment planning and prognosis. Angle Orthod 24:121-169, 1954 Weislander, L.: The effect of orthodontic treat- ment on the concurrent development of the cra- niofacial complex. Am. J. Orthod 49:15-27, 1963 Wylie, W. L.: The mandibular incisor, its role in facial esthetics. Angle Orthod. 25:32,41,1955
  • 437.
    SECCIÓN TRATAMIENTO ORTODÓNCICO-QUIRÚRGICO Motivación del pacientepara el tratamiento ortodóncico-quirúrgico Estética y diagnóstico en el paciente quirúrgico Bases para la planificación VTO ortodóncico-quirúrgico Cambios en los tejidos blandos asociados a la cirugía ortognática Planificación quirúrgica cefalométrica y de modelos
  • 438.
    C A PI T U L O 19 Motivación del paciente para el tratamiento ortodóncico-quirúrgico Nora Marina Ménendez * En el capítulo referido al estudio del paciente, señalamos que dentro de la cadena de procedimien- tos destinados al diagnóstico, la evaluación, la pla- nificación y el tratamiento de los problemas de esté- tica facial, el ortodoncista muchas veces es el primer eslabón y que esto sucede por varios motivos. Uno de ellos reside en el hecho de que la mayo- ría de esos problemas, tienen manifestacionesmuy evidentes en la región dentoalveolar y labial. Como el paciente no tiene los conocimientos necesarios para evaluarlos y definirlos, considera que ellos se deben a problemas que están radicados exclusivamente en esta región. Otras veces la consulta inicial la hace con el odontólogo, quien sin tener el entrenamiento espe- cífico, necesario para definir el problema estético, lo deriva al ortodoncista. Lo primero que debe comprender el ortodoncis- ta es que estos pacientes padecen una situación que toca su más profunda intimidad, un problema que atañe a su identidad, y a partir de ésta deberá esta- blecer un trato sumamente prudente y delicado que implica una motivación que contemple situaciones pre y post-quirúrgicas, que informe, contenga y prepare al paciente. Quien no ha tenido experiencia en lo que deno- minamos "tratamiento ortodóncico-quirúrgico" puede suponer que sólo se trata de resolver un pro- blema de índole dentaria, esqueletal y estética y que lógicamente, una vez resueltos, todos los pro- blemas emocionales, psicológicos y sociales del paciente relacionados con su estética, encontrarán rápida y fácilmente un cauce satisfactorio. Pero los que hemos observado repetidamente la transformación que implica esta cirugía, hemos constatado que ella produce verdaderamente un corte, que es un acontecimiento, es decir, que tiene un antes y un después, y que esto acarrea conse- cuencias muy variadas que a veces alcanzan niveles muy preocupantes. Dado que el tratamiento ortodóncico-quirúrgi- co es un conjunto de procedimientos que provoca en el paciente una profunda transformación en su estética facial, afecta muchas veces no sólo al paciente sino a su entorno familiar, social y laboral, desencadenando situaciones de consideración. Durante nuestras primeras experiencias en este tipo de tratamientos pudimos observar estas situa- ciones, que algunas veces fueron muy desconcer- tantes. La literatura que trata este tema generalmente se limita a la descripción de todos los pasos clínicos y/o de laboratorio que basados en un protocolo cui- dadosamente elaborado, posibilite el logro de los objetivos propuestos, pero es sumamente escasa en lo relacionado a la esfera psicológica del paciente, a su comprensión, su manejo, etc., razón por la cual decidimos abordar la escritura de este capítulo. Pensamos que si estamos convencidos de que lo realmente importante es el paciente, debemos tener presente en primera instancia el cuidado de todo lo referente a su esfera emocional y afectiva, es decir, tener presente que es un sujeto que pien- sa, siente, sufre, etc. Los profesionales que interactúan en estos tra- tamientos son tradicionalmente el ortodoncista y el cirujano. El ortodoncista, por el hecho mismo de ser el mediador, no puede estar desinformado de una serie de pasos, maniobras e intermediaciones que serán necesarias realizar en relación al paciente y su entorno y a lo pre y post-quirúrgico. La cirugía ortognática no es una cirugía menor, es una cirugía de alta complejidad y que además toca al sujeto en su ser, toca su más profunda inti- midad. Aún cuando uno supone que resuelve un problema estético o funcional, en realidad atañe a la identidad de un sujeto. En nuestra experiencia personal, a partir de nuestro trabajo interdisciplinario, hemos sido advertidos desde el Psicoanálisis, sobre una serie de cuestiones respecto de las cuales el profesional debe tener algún grado de conocimiento para poder escuchar, interrogar, informar, aclarar y 457
  • 439.
    458 Tratamiento ortodóncico-quirúrgico hacersaber al paciente que esta cirugía va más allá de la corrección estética y/o funcional. Es por esta razón que el lector se va a encontrar con una serie de referencias psicoanalíticas que esperamos les sean útiles como herramientas para este fin, de todos modos hemos trabajado cuidado- samente este capítulo en una labor interdisciplina- ria de ortodoncistas, psicoanalistas y cirujanos con la finalidad de encontrar un lenguaje llano que faci- lite la comprensión de quien no está familiarizado con el lenguaje específico que se utiliza en este capítulo, por lo que deberá ser leída detenidamen- te para poder comprender los fundamentos de estos fenómenos y su lógica. Analizaremos ahora las cuestiones que mues- tran cómo la especificidad de esta cirugía toca toda la estructura del sujeto. Cuerpo y estructurasubjetiva La nueva cara es un nuevo real que irrumpe y avanza sobre la imagen corporal anterior. Mientras que el proceso de generación de la malformación es progresivo y lento ya que su ritmo está impuesto por el crecimiento, la cirugía es un corte abrupto. Esto ya es algo de consideración en tanto incide en el cuerpo y en la subjetividad. Imaginario Real Simbólico Nuestra estructura subjetiva es un anudamiento entre tres elementos heterogéneos: lo real del cuer- po, la imagen corporal y la nominación simbólica. El cuerpo de los animales es un puro organismo, pero el cuerpo humano no es sólo un organismo, porque el lenguaje ejerce una influenciafundamen- tal sobre él, que a pesar de ser inadvertida, consti- tuye nuestra imagen corporal y también la posibili- dad de identificar ese cuerpo como propio a partir de un nombre. Estos elementos: Real, Simbólico e Imaginario se anudan en un proceso identificatorio con la ima- gen y la palabra del Otro. Con esta cirugía este nudo se desarma y tiene que volver a anudarse. Este proceso llevará tiempo y elaboración. Hay un trastocamiento, el sujeto queda cuestio- nado en su identidad y debe hacer algo con esa nueva cara, con ese nuevo real, con esa diferencia que se le presentifica visiblemente; con ese pasaje abrupto del antes al después. Es imposible responder a la exigencia inmedia- ta que esta nueva imagen implica. La respuesta en los pacientes no es unívoca, porque lo propio de cada sujeto humano es su singularidad. Por lo tanto debemos estar preparados para evitar o asumir los problemas que en relación a esto, aparecerán a veces de manera totalmente inesperada. Ciencia y Psicoanálisis Para facilitar la comprensión de estos problemas, se debe tener en cuenta que cada disciplina recorta su propio objeto de estudio y tiene por lo tanto su propio enfoque. Todo lo que atañe a la subjetividad del paciente y su singularidad, es de interés primor- dial para el Psicoanálisis, que no tiene la especifici- dad del discurso médico-científico. La Ciencia no ha producido ningún elemento que pueda dar alivio al sufrimiento psíquico salvo el paliativo "ortopédico" de los psicofármacos, a los que si bien no hay que desmerecer, deben ser ubicados en su justo lugar, debido a que no contri- buyen a la elaboración, a la tramitación de dicho sufrimiento. La presencia humana, la palabra, la mirada, el gesto o la caricia mantienen su plena vigencia en este punto. Existe una diferencia muy grande entre el campo científico y el campo psicoanalítico. Este último per- tenece a las disciplinas conjeturalesy obedece a otra
  • 440.
    Motivación del pacientepara el tratamiento ortodóncico quirúrgico 459 epistemología. El psicoanálisisno es científicojusta- mente porque puede no serlo. Tiene parámetros diferentes porque su objeto de estudio no es con- vencional, y está apoyado en un sólido cuerpo teó- rico conceptual y en una disciplina de casos. El discurso científico delimita un campo. Marca necesariamente una exclusión, un resto: es decir, lo subjetivo, lo confuso, lo contradictorio, lo ambiguo, lo emocional, lo singular de cada uno. Esto es pre- cisamente lo que el Psicoanálisis toma como su objeto de estudio. Mientras la Ciencia señala rigurosamente las pautas de la causalidad en lo observable, cuantifi- cable y verificable; el Psicoanálisis considera a la subjetividad como un orden de causalidad posible y no exclusivo ni excluyente. El sufrimiento tiene coordenadas diferentes de la biología. Cada sujeto habla desde sus significa- ciones singulares,propias, específicas de su historia individual y social, en relación a los dictámenes de la cultura. Esto hace que los síntomas y los padeci- mientos sean inaccesibles a una generalización, salvo en su nivel más amplio. Esta disciplina en cambio, articula en cada caso lo particular. Por esta razón en este capítulo plantearemos cómo se constituye la idea de "cuerpo" desde una perspectiva que nos permita articular "cuerpo" y subjetividad; dado que acerca del cuerpo biológico, cuerpo fisiológico, el odontólogo y el médico, tie- nen un saber indiscutible. Debemos tratar de ubicar el valor, no de lo racio- nal, sino de lo aparentemente irracional del sujeto, porque, por ejemplo, si fuéramos completamente racionales sería impensable que un paciente cuya estética ha mejorado drásticamente mediante un tra- tamiento ortodóncico - quirúrgico sesienta angustia- do ante el cambio, tanto él como su entorno afectivo. Estos conceptos nos servirán para poder dimen- sionar el impacto de la cirugía en algunos pacientes. Este fino trabajo de entramado que es la constitu- ción de la propia imagen, se realiza en el tiempo y requiere un reacomodamiento en cada etapa de la vida. Pensemos cuánto tiempo se pasan los adoles- centes frente el espejo cuando advierten sus cam- bios corporales. Pensemos cómo nos impactan las primeras marcas del paso del tiempo. En algunos casos de cirugías ortognáticas se evi- dencia en lo que dicen los pacientes acerca de este trastocamiento de la imagen corporal y el trabajo de elaboración que este cambio les impone: esto indica la conmoción que se produce en susubjetividad. La incorporación del lenguaje transforma el orga- nismo en cuerpo Existe una relación entre el cuerpo y las pala- bras, porque el cuerpo se constituye mediante la inscripción de palabras que lo marcan. El cuerpo se construye, se escribe, con imágenes y palabras. El lenguaje está presente antes de nacer el niño: en las estructuras sociales que operan en la familia, en las relaciones de parentesco, en la historia, en los ideales y objetivos de los padres que serán los transmisores. Aun antes de nacer el niño, los padres ya hablan de él, le han elegido un nombre y hasta le han imaginado un futuro. Y aunque el recién nacido apenas pueda captar este mundo sig- nificante, éste le afectará su existencia. Este singular encuentro entre las palabras y el cuerpo nos lleva a pensar la constitución de la sub- jetividad humana, no como el resultado de la vieja dicotomía: cuerpo-mente, o su versión religiosa, cuerpo-alma; sino como el resultado del anuda- miento de los tres registros mencionados: Real, Simbólico e Imaginario. Todo lo que atañe a lo humano es una compleja articulación de estos tres registros, por lo tanto el cuerpo también lo es. Tres elementos heterogéneos que hacen uno: Lo Real: el puro organismo como maquinaria homeostática. Lo Imaginario: el esquema corporal, la imagen del cuerpo. Lo Simbólico: lo que atañe al lenguaje, a la nominación. Muchos casos de cirugías ortognáticas conclu- yen en la necesidad de obtener un nuevo documen- to de identidad, lo cual no es un dato anecdótico simplemente, es la síntesis de la modificación estructural de un rostro, del esquema corporal y por ende de la identidad. Esta cirugía es ejemplar para poder pensar sus efectos en los tres registros. Se corta lo real del cuerpo (Real), se altera la ima- gen (Imaginario) y también son modificados algu- nos rasgos distintivos, que son aquellos que señalan el nombre, la filiación (Simbólico).
  • 441.
    460 Tratamiento ortodóncico-quirúrgico 1)Cuerpo real El animal trae un esquema corporal innato, trae una integración y coordinación de los datos corpo- rales tal que a poco de nacer el ternero se pone en pie y se dirige al seno de la madre a los fines de su autoconservación. Ante una necesidad el animal se dirige al obje- to, porque está dotado de instinto. El instinto es un saber innato, sin aprendizaje, que le dice cuál es el objeto que le conviene. Se satisface y se vuelve a repetir el ciclo. La vaca no duda, no necesita un menú para orientar su deseo, va al pasto sin más. Un ser humano, en cambio, no se puede autoa- bastecer al igual que un ser de la naturaleza porque las palabras le anulan el instinto. Hay un desarrai- go instintivo. El sujeto no se encuentra sino con palabras, el Otro le dirá qué le pasa y qué necesita: "Tienes hambre, ¡quieres el biberón!" o bien "Tie- nes frío, ¡te pondré un abrigo!". El objeto que causa al ser humano es un objeto singular, tramado por el discurso familiar y social. La madre hace ingresar al bebé en el campo del lenguaje cuando interpreta el llanto como hambre, o frío, o dolor, o sueño; es decir lo escucha como un pedido. Más que interpretar lo que el niño quiere, sea correcto o no, lo que hace es nombrar, significar su llanto, es decir, le busca el motivo o le inventa el sig- nificado de su llanto. Porque entre el bebé y el obje- to está la mediación del Otro, las palabras del Otro. Entonces, con lo real del cuerpo solamente, no hacemos un ser humano. Veamos brevemente ahora como se anuda lo Imaginario. 2) Cuerpo imaginario Lo imaginario es el registro de las representa- ciones que hacen sentido. Es el dominio de la ima- gen y también allí donde la palabra hace una ima- gen cristalizada. Las palabras son verdaderos espejos. Constituimos nuestra propia imagen a partir de la imagen del Otro. Antes de "vernos" nos vemos en el Otro. Esto es verificable en lo que dicen los pacientes, que relatan, por ejemplo, que comienzan a ver sus propios problemas al observar un aspecto similar en alguien conocido. He ahí la función de espejo que tiene la imagen del semejante: es allí donde ellos ven: en el espejo del otro. Un paciente tendrá de sí una imagen corporal buena o mala, según el mensaje que le llegue del Otro, es decir que el ser humano se espeja en las palabras del Otro. Por ejemplo, pacientes portadores de un micrognatismo, piensan que el problema lo consti- tuyen sus dientes superiores adelantados, así perci- ben ellos y los demás su problema, muchas veces son apodados "dientudos" y reciben desde niños alusiones al respecto. Este es un buen ejemplo para constatar clara- mente cómo la percepción humana está trabajada por el lenguaje: tienen esa percepción a partir del discurso del entorno. He aquí la influencia de lo imaginario, de la palabra del Otro, que le impide al paciente ver la verdadera alteración estructural, que en estos casos no asientan sobre el maxilar superior sino sobre la mandíbula. Vemos entonces que para hacer un cuerpo es necesario en primer lugar, un organismo (Real) vivo más una imagen (Imaginario), es decir, un organismo animado por una imagen. 3) Cuerpo simbólico Siguiendo con el ejemplo de los pacientes con micrognatismo, a pesar de estar convencidos inicial- mente de que tienen un problema exclusivamente dentario, llegan a plantearse la necesidad de una cirugía recién a partir de la intervención del orto- doncista, comprendiendo que, en lugar de la retru- sión de los dientes superiores, necesita el avance de la mandíbula para solucionar su problema. El ortodoncista al transmitirle parámetros esté- ticos y funcionales definiendo cómo es una cara armónica, utilizando parámetros cefalométricos u otros, le permite realizar operaciones simbólicas: discriminar, categorizar, evaluar, nombrar, es decir, anudar lo simbólico. Esto rompe con el concepto que tenía anteriormente sobre su imagen. Los pacientes encuentran que hay algo deforme pero no pueden precisar qué. Es el discurso médico el que opera este trabajo de hacer conocer, nom- brar, medir, diagnosticar. En otros casos no han percibido ningún tipo de problema estético en su rostro. Recién a partir de la intervención del profesional comienzan a verlo. Lo simbólico articula lo siguiente: establece una diferencia, por ejemplo, el nombre, si es "Pedro" no es "Juan". Sin esta nominación simbólica los cuerpos harían masa. Si logramos diferenciar las cosas es porque podemos nombrarlas.
  • 442.
    Motivación del pacientepara el tratamiento ortodóncico quirúrgico 461 Lo simbólico es todo lo que atañe a la cultura transmitida a través del lenguaje. Implica la posi- ción de los sujetos en la cultura, los significantes que lo determinan, el conjunto de redes sociales, de parentesco, culturales y lingüísticas en las que nace un niño. Según el discurso que lo habita así se ima- ginará el mundo y construirá su realidad. El len- guaje nos organiza el mundo y nuestra percepción del mundo. Es un operador estructural que nos per- mite diferenciar entre Imaginario y Real. Estos ejemplos nos permiten comprender lo que sucede cuando se produce el "desanudamiento" de estos tres registros a partir de la irrupción de la nueva cara y justificar la conmoción, el shock, que puede llegar a padecer el paciente, a pesar de haber recuperado una apariencia estética satisfactoria. Es frecuente en el post-operatorio que el paciente esté muy shockeado, y se mire constante- mente en el espejo, teniendo la sensación de "no encontrarse" en él. ¿Qué es este ir al espejo reite- radamente, sino la búsqueda de un reacomoda- miento de su imagen? Otra experiencia que relatan es el no ser reco- nocidos en la calle, al punto de dudar en saludar. En algunos casos sienten que han afectado rela- ciones familiares que tienen que ver con los pareci- dos físicos que se perdieron por causa de la cirugía, o por el contrario, encontrar ahora rasgos que lo identifican más con su padre, madre o hermanos. Lo que impacta es lo perdido, lo que no está más, la singular significación que portaba eso perdido: la nariz del padre, el mentón de la madre o lo que fuere. La significación está más allá de lo estético. Nos miramos en el espejo para confirmar nues- tra identidad, pero terminamos construyendo nues- tra identidad sobre la imagen en el espejo. No hay más imagen que la que se construye. Este acto de construcción se convierte, para nosotros, en un acto de autoconstrucción y autoconciencia, complejo, pero necesario. A continuación describiremos el más allá de los cambios producidos por la cirugía en lo real del cuerpo. ¿Qué pasa cuando alguien deja de ser visto o de verse como era? El motivo de consulta Veamos en primer lugar cómo llegan a cirugía estos pacientes. Salvo los pacientes portadores de malformaciones severas, que muchas veces consul- tan directamente al cirujano, generalmente el pri- mer interlocutor es el ortodoncista. En muchos casos no hay una demanda espontánea de cirugía de parte del paciente y no podrá ser de otro modo si éste desconoce las verdaderas causas y conse- cuencias del problema que presenta. El motivo de consulta muchas veces manifiesta una preocupación que evidencia una malinterpre- tación de la realidad, o una visión muy parcial o focalizada del problema global. Es necesario ins- truir al paciente sobre todos los aspectos de éste, para seguir adelante en el camino de su motivación que es fundamental para la aceptación de este tipo de tratamiento (Fig. 19.2). Si no hay saber no hay posibilidad de interrogar. No es tan simple que puedan preguntarse dónde está verdaderamente el problema, qué alternativas hay para el tratamiento, cuáles son las posibilidades de cada una de ellas,etc. Es por lo tanto fundamental dar tiempo y lugar a la construcción de cada pregunta. La demanda de cirugía Ejemplificaremos los diferentes modos en que esta demanda puede ser formulada con los tres casos siguientes: 1) No quiero ser así, quiero cambiar. Este es sin dudas el caso más sencillo ya que la demanda expresa un deseo de cambio fundamen- talmente estético, contundentemente visible. El impacto del cambio será menor, pues es anhelado y la respuesta post-quirúrgica será más favorable. Es importante precisar el momento en que apa- rece el deseo de cambiar. En muchas oportunidades este deseo aparece como consecuencia del fracaso de una relación sen- timental y esto hace evidente que las personas tie- nen, en la mirada del ser querido, una especie de pantalla, nos vemos según cómo somos mirados por el otro. Al desaparecer esta pantalla, aparece lo real de su cara y la necesidad de cambio. A través de estas experiencias se percibe en qué medida el cuerpo femenino se sostiene de la mira- da del varón, y viceversa, Sabemos bien que en muchos casos la exigencia de belleza o aun de delgadez, por ejemplo,pone en juego una demanda estética tal que en muchos casos frena a aspiraciones válidas de un cambio social o laboral.
  • 443.
    462 Tratamiento ortodóncico-quirúrgico Fig.19.2: El paciente debe conocer las verdaderas causas y consecuencias de su problemas. En este proceso se utili- zarán recursos como la medición y comparación de los perfiles. A: Perfil con medidas ideales. B: Perfil y medidas del paciente a tratar. C: El resultado obtenido con el tratamiento ortodóncico-quirúrgico de la paciente B son similares a las ideales de la paciente A. En cuanto al post-operatorio, si el paciente se encuentra con lo que efectivamente buscaba, el grado de aceptación será mayor. La cirugía queda- rá inscripta en el registro del deseo planteado por el paciente y no como una imposición del ortodon- cista o del cirujano. 2) No hay una demanda explícita de cambio. En otros pacientes no hay un cuestionamiento estético, o no hay un deseo expreso de cambio o bien este cambio es resistido. Recién comienzan a adver- tir ciertos problemas en su cara a través del discurso médico y de los parámetros estéticos. Ello sucede porque la percepción, tramada en el lenguaje, nos permite ver según el discurso que nos atraviesa. Éste es generalmente el motivo por el cual no hay una demanda explícita de cambio, es más bien difusa, justificando la necesidad de una cirugía el aspecto funcional, el mejoramiento de la calidad de vida, de lo necesario desde el punto de vista médi- co. Es decir que este argumento hace marco y fun- ciona como paliativo a lo que para cada sujeto representa el punto de mayor dificultad: donde pueda aparecer lo traumático. Entiéndase por "traumático", término muchas veces connotado negativamente, una irrupción de estímulos para la cual el aparato psíquico no está preparado para asi- milarlos. Se trata de un exceso que sorprende. El entender que es necesaria una cirugía es un hecho traumático y requerirá un tiempo de elaboración. 3) Quiero seguir siendo como soy, pero acato la decisión del profesional. Esta posición muestra claramente que estamos ante una gran dificultad. El sujeto no se implica y se posiciona como objeto de experimentación. Se
  • 444.
    Motivación del pacientepara el tratamiento ortodóncico quirúrgico 463 trata de una posición de sometimiento del sujeto a un supuesto poder médico y a lo que otros esperan como respuesta. La experiencia clínica permite advertir que es diferente, a veces, lo que se enuncia como pedido, de lo que verdaderamente se desea. No es recomendable proceder al tratamiento hasta que no se produzca del lado del paciente una demanda manifiesta. Veremos, en referencia a los pacientes del grupo 2 y 3, algunas razones por las cuales puede surgir esta resistencia al cambio. A - El temor a no ser reconocido. Estos pacientes relatan que lo que más le preo- cupa de la cirugía no es el acto quirúrgico en sí;acu- san el mayor impacto en el punto de no ser recono- cidos y más aun, de no reconocerse. Este es sin duda el acontecimientotraumático. Toda cirugía lo es. Pero no toda cirugía toca un punto tan crucial como nuestra identidad, nuestra imagen corporal, esa que construimos a lo largo de nuestra vida. Que sea traumático no quiere decir que no deba hacerse. Pero hay que tener cierta idea del tiempo y la energía que necesita la metabolización de lo traumático. Es una etapa a atravesar, y el ortodon- cista deberá anticiparlo para dar tiempo a su elabo- ración porque esta cirugía tiene las características del accidente, del shock, de lo sorpresivo Hay dos tiempos: trauma y olvido del trauma. Cuando se elabora, se olvida el trauma. Hemos constatado en el decir de estos pacientes que lo más frecuente es que al tiempo, ellos olvidan su vieja cara. Esto quiere decir que ha habido allí una ree- laboración, una resignifícación y una apropiación del nuevo rostro. Queda claro que se trata de un trabajo de elaboración que requiere tiempo. También es muy ilustrativo en estos pacientes el trabajo de elaboración de su imagen. De noche, de día, aun para comer se miran en el espejo una y otra vez, y una y otra vez necesitan que le confir- men quiénes son. El espejo real y el espejo como metáfora del Otro son fundamentales aquí para reestructurar la subjetividad. B - El cambio percibido como desafiliación. A veces expresan que la causa de su verdadero temor es la pérdida del parecido físico que le pro- porcionan sus rasgos actuales con alguno de sus progenitores. Sabemos que en algunos casos los cambios son verdaderamente notables. A veces, esa sensación de extrañeza inicial respecto de su propio rostro, habla de una modificación profunda en relación a los puntos de anclaje identificatorios. De tener los rasgos filiatorios del lado paterno, súbitamente el paciente pasa a ser parecido a la madre o a la inver- sa. Es necesario estar bien parado en múltiples soportes imaginarios y simbólicos para sortear la conmoción estructural que esto implica. Algunas veces, un detalle como por ejemplo, un diastema interincisivo insignificante en sí pero que al ser un rasgo de familia, tienen que ver con la filiación, son valorados por el paciente y conviene resguardarlos, si no afectan los resultados (Fig. 19.3). El cambio percibido como desafiliación es vivi- do como una pérdida. Tenga fealdad o no, el suje- to valora los rasgos del otro porque además consti- tuyen lo propio. Cada uno de nosotros recortamos del Otro nuestros rasgos de identificacióny de filia- ción, o tomamos una posición de fidelidad a deter- minadas figuras familiares. C - El temor al acto quirúrgico en sí. En la fantasía del paciente surge la idea de que su cara va a ser "desarmada y vuelta a armar", hay temor de sufrir dolores, grandes incomodidades, problemas en la alimentación, etc. Es necesario hacer un trabajo en conjunto con el cirujano para disipar los fantasmas que rodean al acto quirúrgico en sí, con un enfoque que no se aleje de la realidad pero sin exagerar en detalles técnicos que puedan infundir temores exagerados en el paciente. Una de las principales causas de rechazo de la cirugía es la creencia por parte del paciente de la necesidad de someterse a un período de inmovili- zación maxilomandibular posquirúrgico, de una duración de 6 a 8 semanas. Esta inmovilización, exigida por la osteosíntesis con hilos de acero ino- xidable que se hacía antiguamente, se asociaba a pérdida de peso, debilidad física, aislamiento social y ausentismo laboral prolongado. Estas experien- cias, vividas por pacientes sometidos a cirugía ortognática en décadas pasadas, suelen llegar a oídos de pacientes en la actualidad y lograr un efec-
  • 445.
    464 Tratamiento ortodóncico-quirúrgico Fig.19.3: Paciente de Clase tencia del mismo. con un importante diastema interincisivo. En las fotografías finales se observa la persis- to esperable de resistencia a la cirugía. Es necesaria la explicación por parte del profesional de los métodos actuales de osteosíntesis con placas y tor- nillos de titanio, y también de material reabsorbi- ble, con todas las ventajas que significan en cuanto a confort posquirúrgico al no requerir de un blo- queo intermaxilar. Vías que facilitan la aceptación de la cirugía. 1). El énfasis en lo reparatorio. En el decir de algunos de estos pacientes donde el deseo de cambio se combina con la resistencia, aparece mucho más el énfasis en lo reparatorio de esta cirugía, en la posibilidad de recuperar funcio- nes fisiológicas alteradas: masticar mejor, respirar mejor, deglutir mejor, etc. Es decir, tratar esta ciru- gía como una cuestión de salud. Consideramos que ésta es la mejor vía para fun- damentar la necesidad de cirugía. A pesar de no tener caras armónicas, a muchos de estos pacientes, el Otro les ofreció una buena mirada y si no hay una buena razón, hay algo de sacrilego en tocar lo que a uno le fue dado: sea Dios, la Naturaleza o los propios padres. Convengamos que se modifica un real. No sólo es lo fisiológicoy funcional una buena razón, más allá de lo estético, que a veces puede objetarse como banal, sino que también este argu-
  • 446.
    Motivación del pacientepara el tratamiento ortodóncico quirúrgico 465 mentó le hace marco a lo traumático que pueda resultarle este cambio a algunos pacientes y le da pie al ortodoncista para que les pueda dar lugar al paciente en la decisión. 2). El acto de justicia. Además del apoyo sobre lo correctivo de esta cirugía para dar un soporte a las inquietudes del paciente, hay otra vía sumamente eficaz para apa- ciguar la incertidumbre en relación a las identifica- ciones y además justa, auténtica. Las madres suelen referir que después de la cirugía encuentran nuevamente a sus hijos como cuando eran pequeños, antes de que comenzara el proceso de deformación. Este es el acto de justicia, recuperar un rasgo perdido no es lo mismo que la extrañeza ante un rasgo nuevo. La cirugía se encargara, en cierto modo, de corregir los "errores" del crecimiento de la cara, que alejaron a los rasgos de los parámetros de normalidad. Suele ser útil para reforzar esta vía de acepta- ción de la cirugía, recomendar al paciente y sus padres que observen fotos de edades tempranas, previas a la manifestación del crecimiento que pro- vocó la anomalía. La intermediación del ortodoncista. Este trabajo es por lo tanto el terreno del caso por caso, lo que no quiere decir que no se puedan extraer conclusiones de temas paradigmáticos que puedan ser instrumentadas como referentes y como herramientas por el ortodoncista. Este último es quien, por lo general, está en el lugar de interme- diación entre el paciente y el cirujano. Dado que lo específico del cirujano es efectivi- zar el acto quirúrgico, es función de quien propone esta solución hacer de intermediador. Consideramos que el ortodoncista está mejor posicionado para intermediar no solamente la rela- ción del paciente con el cirujano, sino para inter- mediar ese pasaje a veces difícil entre ese antes y ese después. Es generalmente el ortodoncista quien detecta- rá y considerará la necesidad de cirugía. Es el orto- doncista quien recibe la demanda más o menos velada, o bien quien debe propiciar que esa deman- da se formule. En esto es crucial que se entienda la importan- cia del "decir", del valor de las palabras, que pue- dan funcionar como puente para que quien consul- ta se ubique en el lugar de un paciente para cirugía. Mientras "se habla" de esa posibilidad se transita hacía la idea de que el cambio es posible y se le da al paciente la perspectiva de que la cirugía tiene un "costo emocional" tramitable. Si bien una cirugía ortognática no se impone al modo de la urgencia que suponen ciertas enferme- dades, el apoyo en lo funcional permite aclararle bien al paciente de qué se trata lo que se debe repa- rar y los riesgos o dificultades que tendrá por no operarse. Es sabido que más allá de lo funcional será necesario también armonizar sus rasgos. La primera función será informar, interrogar, aclarar, develar cuestiones, y también ayudar a que el paciente advierta qué quiere, qué quiere cambiar y qué otros cambios conlleva esta cirugía. Un factor que produce un gran monto de angustia es el des- conocimiento e incide negativamente en el estado de ánimo del paciente. Lo que queda claro es que el ortodoncista que intermedie este proceso, no debe invertir la deman- da, porque el paciente inmediatamente se pondrá en posición de objeto; de ser un objeto de investi- gación, o un objeto para satisfacer el deseo de otro. Esto no es culpa del ortodoncista, sino que se trata de una pendiente estructural por la que nos desli- zamos todos, a veces, propio de nuestros largos años de dependencia del Otro. Es el modo de eva- dir nuestra responsabilidad en las decisiones de la vida. Por ejemplo, hay que hacerle saber en primer lugar que el problema es suyo, que vino a consultar por eso, que no es un problema de ortodoncia sola- mente, sino de exceso de crecimiento o falta de cre- cimiento óseo, o aun de deformación, y que enton- ces el tratamiento será sobre lo esqueletal. Hay que dar tiempo hasta que el paciente deci- da, hasta que haya una elección claramente enun- ciada. El pago de los honorarios profesionales rea- firmará la decisión del sujeto y pondrá freno a que éste tome una posición pasiva como objeto de manipulación. La elección y la decisión es responsabilidad del paciente. La intermediación del ortodoncista y/o del terapeuta es hacer lugar desde la construcción de las preguntas hasta la construcción de la deman- da manifiesta. Es necesario brindarle argumentos
  • 447.
    466 Tratamiento ortodóncico-quirúrgico alpaciente sin lo cual no hay posibilidad de inter- venir. Por supuesto que esto llevará el tiempo y las entrevistas que necesariamente acompañan el pro- ceso de avances y resistencias. Los ortodoncistas y los médicos saben que el paciente va a quedar mejor, lo que no se sabe es cómo va a ser el proce- so de adaptación a la nueva cara en cada caso sin- gular. La cautela y el sentido común son herramientas que pueden ser muy apropiadas en estos casos. El ortodoncista tiene aquí una función de bisa- gra, de balancín entre la malformación o disfunción y la subjetividaddel paciente. En algunos casos es también el ortodoncista quien evaluará la necesidad o no y si es viable una derivación para una psicoprofilaxis pre-quirúrgica con un terapeuta. ¿Cómo hacer la derivación a lo psicoprofiláctico pre-quirúrgico? La primera pregunta que surgirá en el paciente, enunciada o no, será sin dudas: ¿porqué me man- dan a un/a psicólogo/a? Esto, es todo un trabajo para el ortodoncista. Es necesario ser claro y adver- tirle que en algunas personas, al despertar de la anestesia y ver su nuevo rostro puede tener un efec- to de shock, de desconocimiento y angustia duran- te el período post-quirúrgico, y esto es del orden de lo inexorable. Se trata de paliar el impacto del cambio antici- pándoles efectos posibles. Decirle que recuperará funciones y su rostro se verá mejor, pero que a veces durante el período post-quirúrgico se puede llegar a sentir mal. Se trata de una intervención paradojal de difícil manejo, pero es una manera de producir una res- puesta de mayor compromiso: me comprometo a esto aun sabiendo. Es necesario evitar que el paciente se refugie en una posición de "inocencia". La disponibilidad de un terapeuta en el equipo permite también la posibilidad de hacer algunas entrevistas conjuntas con el ortodoncista. La entre- vista la lleva adelante el ortodoncista pero el psicó- logo, escucha y/o interviene especialmente ayudan- do a que el paciente pueda ir formulando sus preguntas e inquietudes. La situación previa a una cirugía desencadena, a veces, algunas "urgencias" y es de gran alivio y con- tención para el paciente saber que tiene a quién recurrir. También esto genera alivio en el equipo médico pues quedan protegidos de estas demandas y advertidos por el terapeuta de la situación perso- nal de cada paciente. Los ortodoncistas, a quienes el terapeuta les comenta algunas conclusiones, se asombran de que los pacientes se muestren contentos con la cirugía ante ellos, mientras que, a veces, con el psicólogo lloran angustiados. Hay que tener presente que uno habla según quien nos escucha. Mientras la especificidad del cirujano y del ortodoncista está en lo estético yfun- cional, la del terapeuta está en la escucha, en dejar que asome la subjetividad conflictiva que no ha sido puesta en palabras, y ahoga. Es un proceso de subjetivación favorecido sin dudas por encontrarse en un lugar donde pueden tomar la palabra. Tomar la palabra es un primer paso en relación a tomar las riendas de sus vidas. Siempre hay dos niveles del discurso: el nivel manifiesto de lo que se dice y el nivel latente que se entredice; donde podemos escuchar lo paradojal,la contradicción, el equívoco, la duda, la incertidum- bre, la enunciación, el tono. Tengamos en cuenta que un nivel no borra ni desdice al otro, sino que conviven. Somos sujetos divididos entre lo que decimos y lo que se escucha más allá de lo dicho. Desimplicar al cirujano Entendemos que el cirujano no está para "escu- char" lo que sucede con la subjetividad del pacien- te, más allá de sus buenas intenciones y su disposi- ción a tal fin, "opera" de otra manera. Y ése es su hacer específico. La disociación instrumental de la que se sirve el cirujano es vital para el acto quirúrgico, cuya espe- cificidad está muy lejos de la consideración de la subjetividad de su paciente. Si así lo hiciera, le resultaría más difícil ser eficaz en el acto quirúrgico. Es de destacar que además de la reparación fun- cional y estética, la cirugía corta un discurso que en algunos pacientes ha sido sumamente pesado de sobrellevar. En esos casos donde su existencia ha estado abrumada por marcas tan pesadas como: "soy fea", "soy dientuda", "tengo cara de tonto","muerdes mal", "cierra la boca que se te ven las encías" etc, etc. Allí es donde a lo funcional y estético se le suma algo del orden de lo moral: "hay algo mal en mí o hago algo mal". ¡Es aquí donde es mucho más eficaz el bisturí que cualquier terapia para producir el corte!
  • 448.
    Motivación del pacientepara el tratamiento ortodóncico quirúrgico 467 El acto médico Los tres registros anudados, son tres que hacen uno. No se pueden pensar por separado, cada uno tiene su función. No se puede pensar la experiencia analítica ni ninguna otra experiencia humana por fuera de estos tres registros. Pensemos, por ejemplo, en el encuentro del médico con su paciente. El médico en tanto discrimina y diagnostica, da nombre a la enfermedad, y traza líneas de trata- miento. Es una intervención en lo simbólico. Todo lo que hace a la relación médico-paciente, la empatia, el lazo que se establece, de confianza o desconfianza, de colaboración o rechazo, es el terreno de los afectos, dimensión de las interven- ciones en lo imaginario. Tener en cuenta los procesos hormonales o fisiológicos específicos del paciente, la medicación, la ortodoncia o la cirugía, es una intervención en lo real del cuerpo. La integración de estos tres registros es propia de todo acto médico. Si el cuerpo es un anudamiento de tres registros, el acto médico necesariamente también los abarca, ya que si se toma en cuenta sólo lo psicológico se niega lo real del cuerpo y si se centra en lo biológi- co no se toma en cuenta la subjetividad y los efec- tos que ésta tiene sobre el cuerpo, es decir, la mane- ra singular con que cada sujeto puede responder ante determinado padecimiento. Son dos aspectos que se implican y oponen en la práctica: el "arte médico" es atender a lo singular, a la vez que a lo general. La interdisciplina La interdisciplina sólo puede implementarse cuando los que la realizan son expertos en su pro- pia disciplina, al modo de los integrantes de una orquesta. Lo fundamental es mantener la identidad y la especificidad de cada uno. Cada disciplina desempeña su función individualmente, pero no independientemente. Un equipo construye una trama interdiscursiva de puntos de contacto, de divergencia, de cuestio- namiento, de ampliación, de complementación, etc. Lugar donde se configura una suerte de lenguaje común que conlleva un efecto fundamental: una verdadera acción preventiva. No se trata de construir un saber único ni lograr una suma de saberes. Sí lograr que el cruce de las diferentes disciplinas y su mutua interrogación sean el estímulo fundamental. Esto permite a cada uno de los participantes reflexionar y apuntar las cues- tiones de su práctica que encuentren respuesta en esos puntos de intersección. El saber no se cierra sobre sí;no hay quien lo abarque todo, es necesario el cada uno del equipo. Estar advertido de esto, permite sin dudas escu- char mejor y maniobrar más eficazmente con la complejidad que esta labor implica. Conclusión A la luz de estas complicaciones ¿entonces no habría que operar?, ¿No habría que armonizar los rasgos según parámetros propios de la estética facial? De ninguna manera. Su valor esincuestiona- ble. Es innegable la eficacia de esta cirugía para otorgar una mejor calidad de vida por sus múltiples efectos estéticos, funcionales,psicológicos y sociales. Debemos tener presente que allí donde la efica- cia de la cirugía tiene la inmediatez del corte, la ela- boración psíquica de lo perdido y lo ganado necesita tiempo, reflexión y trabajo a lo largo del proceso de aprehensión del cambio. No hay cambio sin duelo, ni reacomodamiento. Hay una tarea ineludible: sortear el destiempo entre el acto quirúrgico y la capacidad de adaptación subjetiva al cambio. No siempre hay una correlación directa e inme- diata entre la mejoría a nivel del organismo y la mejoría a nivel de la subjetividad.Los tiempos sub- jetivos implican pasos lógicos: el tiempo de ver, el tiempo de comprender y el tiempo de concluir. El pasaje inmediato: ver-concluir, no es sino una exi- gencia propia de nuestros tiempos y que debemos evitar. En ese tiempo el paciente constatará que si la fisiología mejoró y si su cara está ahora más armó- nica, todo eso no fue sin pagar el precio de un cam- bio de cara: es ésto, por esto otro.
  • 449.
    468 Tratamiento ortodóncico-quirúrgico Bibliografíay notas. - "El primer año de vida del niño". Rene Spitz. Editorial Fondo de Cultura. El síndrome de hospitalismo, de depresión ana- clítica y marasmo fue descrito por el Dr. Rene Spitz, Profesor de Psiquiatría de la Universidad de Colorado, U.S.A. Las observaciones de este sín- drome fueron realizadas por Spitz en más de 170 niños estudiados en un orfanato durante casi 3 años donde constató los efectos de la carencia afectiva. - Jacques Lacan. Seminario XXII "R.S.I.". Iné- dito. - "Clínica de la subjetividad en territorio médi- co". Benjamín Usorskis. Editorial Letra Viva. - "La palabra amenazada". Dra. Ivonne Borde- lois. Editorial El Zorzal. Buenos Aires 2003. - "El estadio del espejo como formador de la función del yo". Jacques Lacan. Escritos 1. Edito- rial Siglo XXI - "El tiempo lógico y el aserto de certidumbre anticipada". Jacques Lacan. Escritos 1, Siglo XXI, México, 1981. - "Introducción del narcisismo". Sigmund Freud. Tomo XIV. Amorrortu Editores. - "El lazo especular". Guy Le Gaufey. - "Clínica de los fracasos del fantasma". Silvia Amigo. Homo Sapiens Ediciones. ^Psicoanalista Ex-docente de la Facultad de Psicología de Rosario, Argentina. Ex-miembro de la Escuela de Psicoanálisis Sig- mund Freud de Rosario, Argentina Autora del libro: "Escenarios del cuerpo". Edi- ciones Homo Sapiens-Serie Psicoanálisis. Argenti- na-1996.
  • 450.
    C A PÍ T U L O 20 Estética y diagnóstico en el paciente quirúrgico En el capítulo referido al estudio clínico del paciente, hemos mencionado la importancia que en los últimos años adquirió el aspecto estético y la posición del ortodoncista frente a esta demanda, que aumento exponencialmente en un periodo de tiempo muy breve y que aun continúa creciendo con el mismo ritmo. Por ello, con el paso del tiempo esta demanda se hizo rutinaria hasta el punto que hoy el ortodoncis- ta ocupa en un porcentaje muy alto el primer lugar como profesional de consulta entre aquellos que están involucrados en los procesos destinados a corregir los diversos problemas que presenta la estética facial. Indudablemente, esto se debe a que la mayoría de estas alteraciones están en íntima relación con la región dentoalveolar y labial que es la mas fácil- mente percibida por el paciente, que frecuente- mente atribuye su problema a la influencia de las posiciones dentarias. Esto lo lleva a pensar que probablemente su problema tenga una solución ortodóncica. Sin embargo, los problemas de estéti- ca facial responden a causas de mayor complejidad. Por esta razón el ortodoncista deberá profundi- zar el estudio de la configuración facial total para lograr una gran precisión en la evaluación de las estructuras profundas involucradas y su repercu- sión en la zona cutánea que permitirá elaborar un completo diagnóstico, a partir del cual se podrá diseñar una planificación apropiada para el caso. Históricamente, el ortodoncista se limitaba a alinear los dientes en cada uno de los maxilares y luego enviaba al paciente al cirujano, para que éste, reposicionando las básales quirúrgicamente corri- giera el overjet aumentado o invertido, la mordida abierta o la laterodesviación mandibular, etc. Esta forma de "compartir" el paciente, genera- ba resultados frecuentemente poco satisfactorios. La causa principal de que esto sucediera, era la ine- xistencia de pautas claras y precisas referidas a la incumbencia de cada uno de ellos en el conjunto de maniobras requeridas por este tipo de tratamiento. Al no existir una definición de los objetivos a alcanzar, los resultados se evaluaban con diferentes criterios. Por ejemplo, cuando se utilizaba un crite- rio estético podía suceder que esos resultados no fueran satisfactorios porque el tratamiento se había realizado teniendo como objetivo la corrección oclusal del caso. Ante estos resultados deficientes, los profesio- nales intervinientes no podían identificar los erro- res que ocasionaban esos fracasos, que podían ser de naturaleza ortodóncica o quirúrgica. Si actualmente asumimos el criterio de que el tratamiento ortodóncico-quirúrgico es un proceso de integración de dos disciplinas, totalmente plani- ficado desde el principio al fin, previo a la realiza- ción de cualquier maniobra ortodóncica pre quirúr- gica , surge la necesidad de lograr un conocimiento integrado de ortodoncia y cirugía y de los procedi- mientos de diagnóstico y planificación que les per- mitirá hablar un "mismo idioma", intercambiar ideas, y mantener una constante comunicación desde el comienzo hasta el final de tratamiento. Para desarrollar el tema, comenzaremos deline- ando los pasos que requiere un TOQ: 1- Diagnóstico 2- Planificación : VTO ortodóncico-quirúrgico 3- Tratamiento ortodóncico prequirúrgico 4- VTO quirúrgico 5- Montaje en articulador y confección de splints quirúrgicos 6- Cirugía 7- Finalización ortodóncica 8- Contención ortodóncica En este libro se tratarán los puntos correspon- dientes a Diagnóstico y Planificación, incluyendo los procedimientos de Cefalometría Estática y Dinámica (VTO), y los procedimientos de labora- torio (Montaje en articulador y confección de splints quirúrgicos). 469
  • 451.
    470 Tratamiento ortodóncico-quirúrgico Fig.20.1 a 20.5: Paciente quirúrgica de Clase III. Fotografías iniciales.
  • 452.
    Estética y diagnósticoen el paciente quirúrgico 471 Fig. 20.6: Telerradiografía inicial. Fig. 20.7: Planificación ortodóncica. Fig. 20.8: VTO ortodóncico quirúrgico. "• Fig. 20.9: Tratamiento ortodóncico prequirúrgico.
  • 453.
    472 Tratamiento ortodóncico-quirúrgico Fig.20.10: Telerradiografía prequirúrgica. Fig. 20.11 y 20.12: Montaje en articulador y confección de splints quirúrgicos. Fig. 20.13 y 20.14: Elementos de fijación rigída (placas y tornillos de titanio) imagen intraoperatoria y radiografía post- quirúrgica.
  • 454.
    Estética y diagnósticoen el paciente quirúrgico 473 Fig. 20.15 a 20.19: Fotografías finales del caso.
  • 455.
    474 Tratamiento ortodóncico-quirúrgico DIAGNÓSTICO Sibien existen gran cantidad de medidas dento- esqueletales que tradicionalmente se utilizaron en cirugía ortognática, nos limitaremos a describir los procedimientos de diagnóstico que aplicamos en nuestra práctica diaria en los pacientes quirúrgicos, sin hacer mención a todos aquellos procedimientos que, si bien son confiables, no permiten lograr con- clusiones diagnósticas adecuadas a los objetivos del tratamiento ortodóncico-quirúrgico en la actuali- dad. Por ello, lo primero que debemos mencionar es que este tratamiento tendrá, como objetivo globali- zador, la Estética de la cara. Este objetivo direccionará las maniobras que permitirán el logro de los objetivos de: Oclusión Función Estabilidad Comprendemos entonces que si buscamos estéti- ca de la cara, las decisiones de tratamiento se basarán en el estudio de la estética facial. En los casos quirúrgicos, como es de rutina para todos los pacientes, obtendremos una cefa- lometría básica dentoesqueletal, que permitirá cuantificar el problema esqueletal. También podremos realizar el cefalograma completo de Ricketts, y el polígono de Bjork Jarabak, para investigar sobre los factores etiológicos de la anomalía esqueletal; todos nos aportarán datos que profundizan el estudio de los aspectos mor- fológicos del macizo craneofacial Pero será indispensable realizar un minucioso estudio de la estética facial de frente y de perfil para definir en qué sentido y magnitud deberán realizarse los cambios quirúrgicos. El análisis cefa- lométrico dentoesqueletal dimensiona los proble- mas de los tejidos duros, revela la naturaleza de una eventual discrepancia esqueletal, pero para indicar la vía terapéutica más acertada es necesario un análisis cefalométrico de tejidos blandos. Fig. 20.20 A y B: El terreno de las modificacionesde la cirugía ortognática es el tercio inferior de la cara.A través de estas modificaciones se buscará armonizar el perfiltotal. C: Comparaciones pre y posquirúrgicasdel perfil de un paciente, con modificacionesverticales y sagitales de su tercio inferior.
  • 456.
    Estética y diagnósticoen el paciente quirúrgico 475 No se pueden planificar cambios quirúrgicos a partir de medidas esqueletales, porque el objetivo será armonizar tejidos blandos, equilibrar un perfil, independientemente de las medidas del cefalogra- ma dentoesqueletal. Si bien lo que se deberá modi- ficar para buscar el resultado estético deseado es el sostén óseo, la magnitud y dirección de los movi- mientos necesarios serán determinados por los requerimientos estéticos del paciente. Y éstos no tienen una repercusión exacta en las medidas del cefalograma, ¿por qué? Porque en los tejidos blan- dos intervienen otros componentes que no partici- pan en el análisis dentoesqueletal. Éstos son: -Condiciones posturales. -Espesor de los tejidos blandos. -Relaciones cervicofaciales. Fig. 20.20 D y E: La armonización del perfil observada en las fotos 20 A y B, requirió de cambios esqueletales tridimen- sionales, que se realizaron en el maxilar superior, la mandíbula y el mentón: avance y tipping en sentido horario del maxi- lar superior, retroceso mandibular, y mentoplastia de avance. En la cirugía de ambos maxilares se realizó simultáneamente la corrección de su asimetría.
  • 457.
    476 Tratamiento ortodóncico-quirúrgico Fig.20.21. En esta Clase III, la profundidad facial aumentada que observamos en la cefalometría indica una posición ade- lantada del pogonion. La evaluación de la posición del mentón en el perfil no coincide con la observación cefalométrica. La causa de la diferente interpretación se debe a la falta de horizontalidad del plano de Frankfort en la posición postural. - Condiciones posturales En el capítulo 1 se detalló la necesidad de diag- nosticar la estética a partir de la PNC, utilizando como referencia horizontal la HV, descartando las interpretaciones que puedan hacerse en el cefalo- grama de tejidos duros que utiliza el plano de Frankfort para analizar las posiciones sagitales de los maxilares, porque existen divergencias angula- res entre Frankfort y Horizontal Verdadera que si bien no son en general de gran magnitud, la sola existencia de una mínima diferencia entre ambas invalida al Plano de Frankfort para su utilización en casos en que están en juego decisiones que afec- tar la estética facial de un sujeto (Fig. 20.21). En algunos casos las diferencias angulares entre los planos mencionados son de una magnitud tal, que provocan interpretaciones muy diferentes acerca de la posición sagital de ciertas estructuras del perfil y con ello, graves errores de diagnóstico. - Espesor de los tejidos blandos La gran variación individual en el espesor de los tejidos blandos que cubren las estructuras dentoes- queletales, puede llevar a que las medidas relacio- nadas con los tejidos duros se encuentren conside- rablemente desviadas del contorno facial que presenta el paciente (Fig. 20.22). Analizando las imágenes de los tejidos blandos en las telerradiografías de perfil, observamos que los tejidos blandos del área labiomentoniana tienen diferente disposición y espesor, haciendo muchas veces que se enmascare o se potencie un problema esqueletal (Fig. 20.23). Un ejemplo muy ilustrativo de ésto, es el pacien- te que presenta un mentón muy prominente por hiperdesarrollo muscular, con gran espesor de los tejidos blandos en esa zona y una sínfisis ósea con forma poco marcada. El resultado estético será una
  • 458.
    Estética y diagnósticoen el paciente quirúrgico 477 Fig. 20.22: En esta paciente, la profundidad maxilar aumentada de la cefalometría nos induce a pensar en retruir el punto A blando y el labio superior, sin embargo el ángulo nasolabial que se observa clínicamente contraindica dicho retroceso. proyección importante del mentón que contrasta con la anatomía ósea, donde quizás se observe hasta una profundidad facial disminuida. De la misma forma, con el mismo soporte, la posición anteroposterior de los labios, varía tam- bién con su mayor o menor espesor. Las estructu- ras blandas submentonianas y cervicales anteriores presentan también la misma variabilidad. - Relaciones cervicofaciales. La relación que existe entre el tercio inferior de la cara y la porción submental, definida como rela- ción cervical-facial inferior o profundidad de cue- llo, es una importante llave de la estética facial y no existe ninguna medición análoga en los cefalogra- mas dentoesqueletales. Fig. 20.23: Distintas variantes en la disposición de los tejidos blandos del mentón en relación al soporte óseo subyacen- te. En las telerradiografías se observa que el espesor en el borde inferior, en el pogonion y en el surco labiomentoniano puede ser muy variable.
  • 459.
    478 Tratamiento ortodóncico-quirúrgico Lostres componentes que intervienen en la estética facial, son. Simetría Forma Proporciones o equilibrio de las masas faciales No todos ellos gravitan de la misma manera en la estética de la cara, siendo a nuestro juicio las asi- metrías las que menos efectos negativos producen. Son motivo de consulta del paciente sólo cuando son de una magnitud muy importante o bien se acompañan de problemas verticales o sagitales. La expresión de las formas en un rostro tiene su mejor exponente en la nariz; suele ser una forma curva del dorso, o la punta descendida, lo que moti- ve una rinoplastia. La desproporción o desequilibrio de las masas faciales es el problema estético donde actúa princi- palmente la cirugía ortognática, que corrige exce- sos y mejora los déficits, buscando el equilibrio vertical y sagital del rostro. En el rostro, la manifestación de la despropor- ción en sentido vertical se observa de frente y de perfil, la desarmonía sagital en el perfil. En posi- ciones complementarias como son la vista de 3/4 del perfil, se tiene una visión de ambas, es decir , de los problemas sagitales y verticales. El estudio de la simetría se realiza de frente y en las posiciones complementarias axial superior e inferior. En casos de asimetrías muy severas, se diferencian también los perfiles derecho e izquier- do. Los problemas se evalúan tridimensionalmente, y las decisiones para la planificación de la ortodon- cia prequirúrgica y de la cirugía, también se reali- zan en los tres sentidos del espacio. Se hará en estos pacientes un minucioso examen facial, por medio de la observación clínica directa y las fotografías; complementado por las telerradio- grafías (de frente y de perfil) y radiografía panorá- mica. Otros métodos de diagnóstico muy útiles son: - Tomografía axial computada con reconstruc- ción 3D. - Stereolitografía En casos de asimetrías complejas, la stereolito- grafía aportará datos que facilitarán una mejor comprensión de la anomalía tridimensionalmente, y facilita los procedimientos quirúrgicos. EXAMEN FACIAL CLÍNICO Y FOTOGRÁFICO Se utilizan para diagnosticar los problemas esté- ticos. Es imposible disociarlos, porque las fotogra- fías son sólo un registro nítido, perdurable y siem- pre disponible del objeto del estudio clínico: el rostro del paciente. El cefalograma de tejidos blandos realizado sobre el trazado del perfil de la telerradiografía lateral permitirá corroborar y cuantificar las obser- vaciones del estudio clínico y fotográfico. Por todo esto es que quizás no es exagerado afirmar que, en los pacientes quirúrgicos, la obser- vación clínica es el principal elemento de diagnósti- co, para determinar los problemas estéticos yplani- ficar los cambios quirúrgicos que lograrán solucionarlos. La evaluación de los problemas estéticos se sis- tematiza de la siguiente manera: 1-Transversal 2-Vertical 3-Sagital Los objetivos quirúrgicos que surgen del estudio de la estética facial también se consideran en ese orden, que no significa un orden de prioridades, sino un ordenamiento en la planificación quirúrgi- ca. Por ejemplo, si el paciente en el análisistransversal evidencia una asimetría bimaxilar, tendremos que planificar un procedimiento quirúrgico bimaxilar. Los problemas verticales y sagitales serán resueltos teniendo en cuenta que estamos en presencia de un paciente que necesitará de un doble procedimiento, por consiguiente, aunque requiera de un mínimo cambio en uno de los maxilares para corregir el pro- blema vertical o sagital que presenta, éste podrá ser planificado. Si en cambio, la asimetría se soluciona sólo con una cirugía mandibular, puede obviarse planificar un cambio quirúrgico mínimo en sentido
  • 460.
    Estética y diagnósticoen el paciente quirúrgico 479 Fig. 20.24: La evaluación clínica de frente permite detectar problemas verticales y transversales, en este caso, un tercio inferior aumentado por exceso vertical del mentón y asimetría mandibular. En el perfil se evidencia nuevamente el problema vertical del mentón y se identifican las alteraciones sagitales: labio supe- rior retruido, labio inferior ligeramente avanzado en relación al mentón y una posición sagital del pogonion cutáneo que se debe mantener con la cirugía. Una planificación quirúrgica basada en el estudio de la cara de frente y de perfil logrará un resultado que satisfaga los requerimientos de la estética del paciente.
  • 461.
    480 Tratamiento ortodóncico-quirúrgico Fig.20.25: Serie de fotografías en una paciente quirúrgica, de frente, de perfil y de 3/4.
  • 462.
    Estética y diagnósticoenel paciente quirúrgico 481 Fig. 20.26 A: Fotografía axial superior. Fig. 20.26 A: Fotografía sectorizada inferior. vertical o sagital del maxilar superior y buscar un efecto compensatorio en la mandíbula, evitando así la cirugía del maxilar superior. Al abordar el examen facial es necesario referir- nos a conceptos del capítulo 1, donde se trató extensamente el estudio clínico, y a las condicio- nes en que debe realizarse. - En PNC - Con labios y musculatura en reposo - En posición de Relación Céntrica mandibular - Con contacto dentario. Estos pacientes requieren también registros fotográficos completos, en las mismas condicio- nes que las detalladas para el estudio clínico (Fig. 20.25). Cuando se observe una discrepancia entre la MIC y la RC, para asegurar la posición de relación céntica en las fotografías se recomienda colocar una cera de registro de RC tomado en el primer contacto den- tario, convenientemente recortada para no distorsio- nar la disposición de los tejidos blandos peribucales. - Frente: Con labios en reposo Con cierre labial Con sonrisa plena Perfil: Con labios en reposo Con cierre labial Con sonrisa plena 3/4 perfil: Con labios en reposo Con cierre labial Con sonrisa plena En pacientes asimétricos además, pueden regis- trarse ambos perfiles y ambos 3/4 del perfil, y tam- bién son de mucha utilidad las tomas axiales (Fig. 20.26 A): Axial superior Axial inferior Fotografías sectorizadas: Las fotografías sectorizadas del tercio inferior permiten un mejor estudio de las relaciones labioden- tales y de las líneas medias. Se registran con labios en reposo y en sonrisa, y cuando no hay espacio interla- bial en reposo o éste es mínimo, se toman con una apertura bucal de 3 a 5 mm. Para estudiar mejor las líneas medias dntarias y los planos oclusales, se puede fotografiar una apertura mayor (Fig. 20.26 B).
  • 463.
    482 Tratamiento ortodóncico-quirúrgico ESTUDIOSCEFALOMÉTRICOS UTILI- ZADOS EN LOS PACIENTES QUIRÚRGI- COS Al estudiar el perfil blando del paciente, podre- mos determinar las alteraciones existentes y plani- ficar las modificaciones dentoesqueletales necesa- rias para alcanzar la armonía estética y funcional deseada. El estudio cefalométrico de los tejidos blandos se realiza a partir de una radiografía tomada en PNC, con labios relajados y en contacto dentario. En el trazado estudiamos el perfil facial recu- rriendo a un análisis sagital y vertical del mismo. Ambos fueron desarrollados en el capítulo 1. En este capítulo, relacionaremos las conclusio- nes de estos estudios con los OBJETIVOS QUIRÚRGICOS, por lo que estos temas se desa- rrollarán con una amplitud mayor. Análisis frontal El estudio clínico de frente fue extensamente tratado en el capítulo 1. Para su profundización en los casos de asimetría se utiliza el cefalograma fron- tal descripto en el capítulo 11. Remitimos al lector a ambos capítulos. Análisis vertical del perfil blando El análisis vertical del perfil blando resulta indispensable para la elección de la estrategia qui- rúrgica más indicada para la resolución de un pro- blema ortognático, teniendo en cuenta siempre que el objetivo debe ser alcanzar el mejor equilibrio estético y funcional. Para delinear este conjunto integrado, se utili- zan las siguientes medidas, tomadas sobre la per- pendicular al plano horizontal (Fig. 20.27): Fig. 20.27: Estudio vertical del perfil.
  • 464.
    Estética y diagnósticoen el paciente quirúrgico 483 Medida A Distancia del punto glabela al punto subnasal. Medida B Distancia del punto subnasal al punto mentón cutáneo. Medida C Distancia del punto subnasal al punto stomion superior. Medida D Distancia del punto stomion inferior al punto mentón cutáneo. Medida E (Espacio interlabial) Distancia del punto stomion superior al punto stomion inferior Medida F (Exposición del incisivo superior) Distancia del punto stomion superior al borde incisal del incisivo superior. Una vez determinadas estas medidas, se estu- dian las siguientes proporciones: 1. Altura del tercio medio de la cara / Altura del tercio inferior Medida A / Medida B Norma A = B En caucásicos, el valor medio de esta relación, en una cara armónica, es de 1 : 1, aceptándose des- viaciones del orden del 5%. El aumento de la altura del tercio inferior de la cara es frecuente en los casos de exceso vertical del maxilar, en los de exceso vertical del mentón, en la mayoría de las Clases III con aumento de la dimen- sión vertical, y en las mordidas abiertas esqueleta- les (Fig. 20.28). La disminución de la altura del tercio inferior de la cara, se asocia a déficit vertical del maxilar, a retrusión mandibular con mordida profunda y a déficit vertical del mentón (Fig. 20.29). B Fig. 20.28: Aumento del tercio inferior de la cara. A: Aumento del espacio interlabial por exceso vertical del maxilar superior. B: Aumento del tercio inferior por exceso vertical del mentón. C: Aumento del espacio interlabial por mordida abierta.
  • 465.
    484 Tratamiento ortodóncico-quirúrgico B Fig.20.29: Tercio inferior dis- minuido. A: Por déficit vertical del maxilar superior. B: Por déficit vertical del mentón. Fig. 20.30: Tercio inferior aumentado en un paciente de Clase II. Aumento del espacio interlabial por mordida abierta y aumento vertical del mentón. Fig. 20.31: Tercio inferior aumentado en un paciente de Clase III, aumento del espacio interlabial por mordida abierta.
  • 466.
    Estética y diagnósticoen el paciente quirúrgico 485 Fig. 20.32: Paciente de Clase II esqueletal con tercio infe- rior disminuido con sobremordida, redundancia labial y escaso desarrollo vertical del mentón. Fig. 20.33: Paciente de Clase III esqueletal con tercio infe- rior disminuido, hipodesarrollo vertical del maxilar y del mentón. Las figuras 20.30 a 20.33 grafican diferentes anomalias verticales del tercio inferior, combinadas con problemas sagitales. 2. Longitud del labio superior Medida C / Medida A Norma A = 3C. La longitud del labio superior debe ser aproxi- madamente 1/3 de la altura del tercio medio de la cara. Cuando es mayor que la tercera parte, se determina un labio largo y cuando es menor, un labio corto (Fig. 20.34). El análisis de la longitud del labio superior es muy importante en la determinación de la altura deseable del mentón. A un labio superior anatómicamente corto se asocia un aumento de la distancia interlabial y un exceso de exposición del incisivo superior, aun en presencia de un tercio inferior de altura normal. No puede, esta circunstancia, confundirse con situaciones de exceso vertical del maxilar, que pre- sentan un aumento del espacio interlabial asociado a un aumento de la exposición del incisivo superior B Fig. 20.34 A: Labio superior largo. B: Labio superior corto.
  • 467.
    486 Tratamiento ortodóncico-quirúrgico ya un aumento de la altura del tercio inferior de la cara. Si la longitud del labio superior fuera mayor que la normal, la altura del mentón podrá también ser mayor que la normal, para que se pueda mantener un balance vertical adecuado del tercio inferior de la cara (Fig. 20.35). Si el labio superior fuera largo y la distancia sto- mion inferior-mentón cutáneo (medida D) fuera normal, no existirá un balance satisfactorio. Por el contrario, si el labio superior fuera corto, puede ser deseable acortar la dimensión vertical del mentón, para mantener el equilibrio vertical, teniendo en cuenta las dimensiones del tercio facial medio. 3. Longitud del labio superior / Altura del mentón Medida C / Medida D Norma D = 2C Es la relación entre la longitud del labio supe- rior y la distancia stomion inferior a mentón cutá- neo. Cuando la medida D es más del doble de la medida C indica que el labio superior es corto, o que el mentón es excesivo. Cuando D es menos del doble de C el paciente presenta un déficit vertical del mentón, o un labio superior largo. El labio inferior corto anatómico, se asocia con frecuencia a las Clases II; por el contrario el labio inferior largo anatómico a las Clases III. Las alteraciones secundarias y posturales no deben ser confundidas con las alteraciones anató- micas. Por ejemplo, en una Clase II con mordida profunda y altura dentaria mandibular anterior normal, la interferencia de los incisivos superiores, da al labio la apariencia de corto. Esta apariencia podrá ser corregida, por ejemplo, con un avance mandibular. El labio inferior puede presentar también una disminución en su altura cuando se encuentra ever- tido, a causa de una posición retruida del mentón. Esto es corregidos mediante genioplastia de avan- ce, que mejora el soporte labial y produce una efec- to de ascenso del labio inferior (Fig. 20.36). Cuando no es posible medir la longitud del labio al existir interferencias posturales, se debe abrir la mordida hasta que los labios se separen. Son los casos de un contacto labial excesivo, que se produ- ce generalmente por la presencia de un maxilar Fig. 20.35: Caso donde el labio superior es largo con respecto al tercio medio, pero proporcionado dentro del tercio inferior. El labio superior mide 24 mm; es la 1/2 de la medi- da D (labio inferior y mentón: 48 mm). La desproporción con el tercio medio se debe a que éste tiene un escaso desarrollo vertical. No podría planificarse en este caso igualar los ter- cios medio e inferior.
  • 468.
    Estética y diagnósticoen el paciente quirúrgico 487 Fig. 20.36: Paciente con el labio inferior evertido, por falta de soporte, debido a una retrusión del mentón. Esto afecta la altura del labio inferior, que aparece disminuida. Ala derecha se puede observar el cambio producido por la mentoplastia de avance, y la recuperación de la abertura del labio. Además se ha realizado la impactación del maxilar superior para disminuir la exposición del incisivo superior, lo que pro- voca una autorrotación mandibular y competa así el cierre del espacio interlabial. corto. Éste se puede acompañar de un mentón de las mismas características y/o sobremordida ante- rior, agravando el problema. Teniendo en cuenta las características del labio superior, cuando la altura del mentón es más del doble de la longitud del labio superior, la altura vertical relativa del mentón resulta excesiva, debiendo considerarse la necesidad de una genio- plastia de reducción vertical. Cuando es menos del doble de la longitud del labio superior, la altura relativa del mentón será insuficiente, debiendo planificarse una genioplastia de aumento vertical. 4. Distancia Interlabial La distancia normal entre el stomion del labio superior y el stomion del labio inferior (medida E distancia interlabial), en reposo, es de O -3 mm. Valores elevados indican incompetencia labial. Pacientes con exceso vertical del maxilar presen- tan, con frecuencia, incompetencia labial. Al con- trario aquellos que tienen déficit vertical del maxi- lar presentan redundancia labial. En pacientes con interferencias posturales de los labios (por ejemplo: casos de Clase II o Clase III con mordida profunda y casos de déficit vertica- les del maxilar), se deberá tomar una segunda radiografía cefalométrica, en posición de reposo, con una distancia interlabial normal, a partir de la cual evaluamos la longitud del labio superior y la exposición del incisivo superior. La distancia interlabial puede aparecer aumen- tada, ya sea por falta de soporte esquelético del labio inferior o por un labio inferior corto.
  • 469.
    488 Tratamiento ortodóncico-quirúrgico B Fig.20.37: Causas de un espacio interlabial aumentado. A: Exceso vertical del maxilar superior. B: Mordida abierta anterior. C: Labio superior corto y eversión del labio inferior. 5. Exposición del incisivo superior Es la distancia entre el stomion superior y el borde del incisivo superior (Medida F). En reposo, son deseables 2,5 a 4 mm de exposi- ción de la corona del incisivo superior debajo del borde inferior del labio superior, para que exista una sonrisa armónica. Esta distancia es la llave de la determinación de la posición del maxilar en sen- tido vertical. Existe, generalmente, menor exposición de los incisivos superiores en los hombres que en las mujeres. Pacientes con exceso vertical anterior del maxi- lar, presentan en reposo una exposición excesiva de los incisivos superiores y una sonrisa que no es armónica, habitualmente llamada "gingival". No obstante, debemos estar atentos a la longi- tud de la corona clínica que puede ser corta en rela- ción a la corona anatómica y se traduce en un exce- so gingival. En estos casos, está indicada la corrección quirúrgica por gingivectomía / gingivo- plastia. También la exposición excesiva de los incisivos puede deberse a un labio superior corto. En estos casos, podemos planificar una exposi- ción de 4 o 5 mm especialmente si se trata de una mujer joven. Pacientes con déficit vertical del maxilar presen- tan muchas veces el aspecto facial tipico del pacien- te desdentado. En estos pacientes, es preferible la solución quirúrgica (descenso quirúrgico del maxi- lar) a la solución ortodóncica (extrusión dentaria), por la mejoría global de la armonía facial que se asocia al aumento de su dimensión vertical. Dos medidas fundamentales del análisis vertical son la exposición del incisivo superior y la distancia interlabial. Son las primeras que analizamos, ya que nos revelan cuáles serán los objetivos quirúrgi- cos verticales de nuestra planificación: -Un aumento en la exposición del incisivo indi- ca necesidad de impactación anterior del maxilar -Un aumento de la distancia interlabial, o bien coexiste con lo anterior, o el paciente presenta mordida abierta. Este cierre de la mordida consti-
  • 470.
    Estética y diagnósticoen el paciente quirúrgico 489 tuye un objetivo quirúrgico, que se logrará por impactación posterior del maxilar, por rotación antihoraria mandibular, o por una combinación de ambos efectos. Para determinar esto, será necesa- rio evaluar otro tipo de condiciones independientes del análisis vertical de tejidos blandos, (inclinación del plano oclusal resultante para cada opción, grado de exposición gingival en sector anterior y posterior, etc.) y la definición siempre será dada por el VTO ortodóncico-quirúrgico. La altura del mentón puede ser también deter- minante de un objetivo quirúrgico vertical, requi- riendo una disminución o su aumento a través de una mentoplastia. En conjunto, las decisiones que afecten al espa- cio interlabial y a la altura del mentón, serán las que incidiendo en la altura total del tercio inferior, deben lograr el equilibrio de este tercio en relación al tercio medio y a la totalidad de la cara. Recordamos que la longitud del labio superior es prácticamente inmodificable por los procedi- mientos quirúrgicos ortognáticos o de tejidos blan- dos. Fig. 20.38: La exposición del incisivo superior es determinante de la posición vertical del maxilar en la planificación qui- rúrgica. A: Caso con exposición disminuida donde se planifica un descenso anterior, (pre y post-quirúrgico). B: Caso con exposición aumentada asimétrica. Se realiza para su corrección la impactación asimétrica del maxilar superior, (pre y post- quirúrgico).
  • 471.
    490 Tratamiento ortodóncico-quirúrgico ANÁLISISVERTICAL - Ejemplo L.L. Cabeza en posición natural Labios en reposo Me A: Gl - Sn B:Sn - Me Norma: A = B Medida paciente: A: 75 mm. B: 84 mm. C: Sn - St sup. A:GI-Sn Norma: A = 3C Medida paciente: C: 24 mm. A: 75 mm. INTERPRETACIÓN Exceso vertical del tercio inferior: 9 mm. Espacio interlabial o Sínfisis PASO 2 INTERPRETACIÓN Labio superior ligeramente corto en relación con el tercio medio. (Tendría que medir 25 mm). PASOS
  • 472.
    Estética y diagnósticoen el paciente quirúrgico 491 Exposición Inc. Sup. F: St. Sup - Pto. Inc. sup. Norma: 3 mm. Medida paciente: 7 mm. 7> INTERPRETACIÓN Aumento en la exposición del incisivo. Exceso vertical del maxilar sup. (4 mm) 4 PASO 4 C: Sn - St sup. D:St. inf- Me Norma: D = 2C Medida paciente: C: 24 mm. D: 53 mm. INTERPRETACIÓN Exceso del labio inferior y el mentón (5 mm) en relación al labio superior. PASOS Espacio interlabial E: St. sup - St. inf. Norma: Oa 3 mm. Medida paciente: 7 mm. CONCLUSIÓN INTERPRETACIÓN Espacio interlabial aumentado en 4 - 7 mm. Está en relación con la exposición aumen- tada del incisivo. Aumento del tercio inferior de aproximadamente 9 mm, atribui- ble a un exceso vertical del maxilar superior, con aumento del espacio interlabial y leve exceso vertical del mentón. OBJETIVO TERAPÉUTICO 1.- Reducir el espacio interlabial » - Impactación maxilar de la parte anterior (4 mm.) 4 mm. 2.- Mentoplastía de reducción vertical 5 mm.
  • 473.
    492 Tratamiento ortodóncico-quirúrgico ANÁLISISSAGITAL DEL PERFIL Si bien existe numerosas medidas que referidas al perfil facial en sentido sagital, hemos selecciona- do aquellas que nos permiten, con la menor canti- dad de datos posible arribar a una descripción ade- cuada de los cambios estéticos necesarios en el perfil.. Nuestra evaluación de rutina consiste en estas medidas: 1- Vertical de Glabela 2- Vertical de Sn 3- Ángulo Nasolabial 4- Ángulo y Relación cervical-facial inferior 5- Evaluación Nasal Se recurre eventualmente a mediciones esquele- tales, que están referidas en los ítems correspon- dientes, y destacamos también el estudio detallado del área del mentón, que se describe en el siguien- te capítulo bajo el título "Cambios en la relación sagital establecida entre el labio inferior, el surco labiomentoniano y el pogonion cutáneo". I-Vertical de Glabela (Fig. 20.39) Se valoran las distancias lineales desde los pun- tos Sn y Poc a la perpendicular de la glabela. Estos dos puntos, Sn y PoC, representan la posición sagi- tal del maxilar y la mandíbula respectivamente, y determinan si las áreas a las que los puntos se refie- ren, están protruidas o retruidas. Al evaluarse en relación a la parte superior de la cara, determinan la forma global del contorno facial. • Perp Gl-Punto Sn (6 ± 3 mm) • Perp Gl- Punto PoC (O± 4 mm) Si la posición anteroposterior de la glabela no fuese aceptable, la localización de la vertical debe ser corregida en el trazado previamente a la medi- ción. En condiciones ideales, el nasion cutáneo se localiza aproximadamente 9 a 13 mm en posición anterior a la proyección de la córnea (R. Daniel) A su vez, la distancia horizontal entre nasion cutáneo y la glabela, es de 4 a 6 mm (Fig. 20.40). Una posición retruida del punto Sn implica la necesidad de avance del maxilar superior (Fig. 20.42). Lo inverso, generalmente está ocasionado por una glabela en posición posterior, pero si esta posición fuese corregida, y persiste esa interpreta- ción, habrá que observar la posición sagital del men- tón y evaluar la posibilidad de lograr un balance en una posición sagital más avanzada. La retrusión del maxilar superior a través de una cirugía tipo Lefort I, que llevaría hacia atrás el punto Sn, es un procedi- miento sumamente dificultoso y generalmente con- traindicado. La distancia del pogonion cutáneo a la perpen- dicular de la glabela sólo revela la prominencia de los tejidos blandos del mentón. Por sí sola, no per- mite discernir si esta relación, positiva o negativa, se debe a una anomalía de la forma del mentón óseo, que se modificará mediante una genioplastia, o si la forma del mentón es normal y se debe plani- ficar un cambio sagital en la mandíbula. También - Gl PoC Fig. 20.39: Vertical de Glabela.
  • 474.
    Estética y diagnósticoen el paciente quirúrgico 493 Fig. 20.40: Cuando la glabela tiene una ubicación posterior (A), deberá ser corregida para poder evaluar sagitalmente el punto Sn y el pogonion (B). Fig. 20.41 A: Al evaluar la posición de Sn y pogonion con respecto a la vertical de subnasal, valores dentro de las nor- mas, pero en extremos opuestos, manifiestan una alteración estética, en este caso un perfil de Clase II. B: En estos casos la vertical de subnasal resulta más indicada para la descripción sagital del tercio inferior.
  • 475.
    494 Tratamiento ortodóncico-quirúrgico hayque considerar que los cambios rotacionales (por autorrotación mandibular, o rotación antiho- raria) modifican la posición sagital del PoC. Esta medida, al basarse en una referencia aleja- da de los puntos que son evaluados (como es la Gl del Sn y Po), desvirtúa un poco su valor en cuanto a describir un balance estético. Además, las desvia- ciones standard de las normas son muy amplias. Cuando las medidas están dentro de las normas, pero en extremos opuestos de las desviaciones standard, la estética resultante del perfil no es satis- factoria, por lo que estas medidas deben estudiarse cuidadosamente (Fig. 20.41). 2-Vertical de Sn (Fig. 20.43) Al análisis de las relaciones posicionales de Sn y PoC con la perpendicular de la glabela, debemos adicionar otra perspectiva: la relación horizontal con la perpendicular a la horizontal verdadera, que pasa por subnasal. - Punto labial superior-Vert. Sn (2 ± 2 mm) - Punto labial inferior-Vert. Sn (O ± 2 mm) - Punto pogonion cutáneo-Vert. Sn (-2± 2 mm) Estas medidas permiten evaluar la expresión clí- nica de las anomalías sagitales esqueletales (Fig. 20.44) y con el complemento de la relación cervical- facial inferior, resulta decisiva para la planificación sagital del mentón. Ambas toman los parámetros para las mediciones dentro del tercio inferior, por lo que definen de manera más apropiada el proble- ma estético que la referencia trazada desde la gla- bela. La medida labio superior-Vert. Sn se afecta con los cambios dentarios (protrusión o retrusión de los incisivos) y esqueletales (avance o retroceso del punto A). En realidad, con estos últimos lavariación es menor, porque se acompaña de un cambio sagital del Sn en el mismo sentido. Sin embargo, esta medi- da se utiliza para la indicación de cambios sagitales del maxilar cuando las inclinaciones de los incisivos son adecuadas, o cuando las necesidades del caso exceden las posibilidades de movimientos sagitales de estos dientes. En promedio, el labio superior Fig 20.43: Vertical de Sn. Fig. 20.42: Paciente de Clase III con una posición retrui- da del punto Sn, y un pogonion bien ubicado con respec- to a la vertical de glabela. PoC
  • 476.
    Estética y diagnósticoen el paciente quirúrgico 495 avanza el 50 % del movimiento realizado por el inci- sivo y/o el maxilar. Es importante analizar la contextura del labio, porque muchos casos de Clase III presentan un engrosamiento y eversión del labio superior que acompaña a un maxilar de escaso desarrollo sagital y vertical. Esa característica del labio puede dar una lectura normal de la medida del labio superior a la Vert de Sn y enmascarar la necesidad del avan- ce del maxilar superior. La observación del labio superior en el perfil del paciente cuando sonríe pondrá en evidencia la retrusión del maxilar en estos casos, ya que desaparecerá el efecto de engrosamiento por eversión, y por otro lado, el fil- trum labial se inclina marcadamente hacia abajo y atrás con un efecto muy antiestético (Fig. 20.47 y 20.48). La medida del labio inferior a Sn también está influida por cambios dentarios (protrusión o retru- sión del incisivo inferior) y esqueletales (avance o retroceso mandibular). El efecto de una posible eversión también debe ser considerado, ésta ocurre en casos donde falta soporte al labio inferior por un mentón retruído. La medida del Po cutáneo a la vertical de Sn indica la necesidad de avance o retroceso del Po, que podrá hacerse por una cirugía sagital mandibu- lar o una mentoplastia. En general, al relacionar las dos últimas medi- das entre sí, surge la necesidad de un procedimien- to adicional en el mentón. Por ejemplo, cuando el labio inferior está normal o adelantado, y el men- tón está atrás, habrá que realizar una mentoplastia de avance (Fig. 20.45). Pero habrá que tener en cuenta también posibles cambios posicionales de la sínfisis que puedan ser necesarios para el caso y que producen vaciaciones en la relación sagital de estos dos componentes. De esta manera, una auto- rrotación mandibular avanza más el mentón que el labio, y en el caso de la rotación antihoraria, este efecto es mayor, es decir, disminuye una diferencia sagital entre el labio y el mentón, al proyectar este último hacia delante. Fig. 20.44 A: Vertical de Sn en un paciente de Clase I. B: Clase II con retrusión mandibular. C: Clase III con una posición normal del labio superior y un mentón avanzado.
  • 477.
    496 Tratamiento ortodóncico-quirúrgico Fig.20.45: Tercio inferior de un paciente de Clase III, con retrusión del labio superior y del mentón. La posición sagital del labio inferior es aceptable. Esta desarmonía que se produce en el sector labio inferior-mentón es debida a una forma de sínfisis muy plana y una posición de posterorrotación mandibular. Se planificó el avance del maxilar, leve retroceso mandibular y mentoplastia de avance. Esta última permite armonizar sagitalmente la posición del labio y del mentón. 3-Angulo Nasolabial (Fig. 20.46) El ángulo nasolabial está formado por la inter- sección de las líneas Cl-Sn y Sn-Ls. Tiene un valor promedio de 102°, con una DS de 8°. Su importancia en cirugía ortognática siempre fue cuestionable, porque su valor depende tanto de la posición anteroposterior del labio superior, como de la posición de la columela nasal. En cirugía ortognática se puede modificar, simultáneamente o aisladamente, la posición del labio superior y/o la posición de la columela. No se puede, por esto, hacer depender un avance o retro- ceso del maxilar, de la medida del ángulo nasola- bial. En este sentido, desarrollamos un abordaje dife- rente de este ángulo, dividiéndolo en dos compo- nentes, uno superior y otro inferior. La línea que divide al ángulo es una paralela a la horizontal ver- dadera que pasa por el punto Sn. De esta forma, en el diagnóstico de los casos quirúrgicos, analizamos separadamente el ángulo nasolabial superior y el ángulo nasolabial inferior, lo que nos permite identificar cuál de los compo- nentes es el responsable de su eventual alteración, y así determinar la solución quirúrgica adecuada. El ángulo nasolabial inferior tiene un valor nor- mal de 85 ° +- 5°. Es coincidente con la descripción sagital que hace la medida Vert Sn- labio superior, donde la norma es de 2mm. Está tomando en consideración los mismos elementos, pero los mide de diferente manera, siendo coincidente ambas en cuanto a la norma, sólo que una lo mide en mms y la otra en grados. En forma similar su valor se modifica con los cambios sagitales de los incisivos (Fig. 20.49) y del maxilar (Fig. 20.50). También son válidas las observaciones realiza- das cuando se describió la medida de la vert de Sn al labio superior, referidas a una posible eversión del mismo en los pacientes de Clase III (Fig. 20.47 y 20.48) Fig. 20.46: Ángulo nasolabial
  • 478.
    Estética y diagnósticoen el paciente quirúrgico 497 Fig. 20.47: Perfil de una paciente de Clase III con el labio superior evertido. El ángulo nasolabial inferior y la medida del labio superior a la vertical de Sn. están normales, pero la inclinación del filtrum en la sonrisa pone de manifiesto la nece- sidad de avance del maxilar superior. Fig. 20.48: Post-quirúrgico de la paciente de la fig. 47, donde se ha realizado un avance del maxilar superior de 6 mm. además del retroceso mandibular. Obsérvese que dicho avance no ha afectado tanto las medidas del ángulo nasolabial y del labio superior con respecto a la vertical de Sn, pero es notorio en la observación del perfil con sonrisa.
  • 479.
    498 Tratamiento ortodóncico-quirúrgico Fig.20.49: Paciente con un ángulo nasolabial dentro de la noma y un overjet aumentado. La corrección del overjet mediante el tratamiento ortodóncico de dos extracciones superiores ha afectado negativamente la posición sagital del labio y la medida del ángulo nasolabial.
  • 480.
    Estética y diagnósticoen el paciente quirúrgico 499 Fig. 20.50: Ángulo nasolabial inferior aumentado en una paciente de Clase ángulo, que se encuentra ahora dentro de las normas. I. El avance del maxilar superior cierra dicho Ángulo y Relación cervical-facial inferior(Fig. 20.51) El ángulo cervical-facial inferior está formado por la intersección de la línea Sn-Gnc con la línea Gnc-C. El valor promedio de Sn-Gnc-C es de 100°, con una DS de 7°. Un ángulo mayor contraindica un retroceso de la mandíbula, sugiriendo si el paciente tiene una Clase III, recurrir a un procedimiento que preserve la posición sagital del mentón, como puede ser el avance del maxilar superior o, en todo caso, el retroceso mandibular combinado con una mento- plastia de avance. Si se trata de una Clase II indica la necesidad de avance, mandibular y/o del mentón. En nuestra práctica clínica preferimos la utiliza- ción de una proporción que relaciona la altura facial inferior con la profundidad del cuello, por considerarla más útil para las elecciones terapéuti- cas relacionadas a la corrección quirúrgica de las anomalías sagitales. =1,2 GnC Fig. 20.51: Ángulo y relación cervical-facial inferior.
  • 481.
    500 Tratamiento ortodóncico-quirúrgico J Fig.20.52: Relación cervical-facial inferior aumentada, en un paciente de Clase II. Fig. 20.53: Relación cervical-facial inferior disminuida, en un paciente de Clase III. Es la relación de las medidas lineales de Sn-Gnc / C-Gnc. La relación normal es de 1,2. Es decir, la altura del tercio inferior de la cara debe ser un 20% más que la medida submental (profundidad del cuello). Valores superiores a 1.2 indican que la profun- didad de cuello es corta y que la proyección ante- rior del mentón debe ser aumentada, y si la rela- ción es menor, un retroceso del mentón es favorable. Esta medida es muy utilizada en los pacientes de Clase III, porque es decisiva para la indicación del retroceso mandibular. Cuando la relación en estos casos es mayor a 1.2, no se aconseja este movimiento de retroceso, a menos que se planifi- que también una mentoplastia de avance que com- pense dicho movimiento hacia atrás. La lectura de esta relación debe ser interpretada con certeza cuando el paciente presenta un tercio inferior que no debe modificarse en altura. Por esto, siempre debemos evaluar primero la altura del tercio inferior (mediante el análisis verti- cal del perfil) porque cuando está alterada, la pro- porción resultante con respecto a la profundidad del cuello no será útil para discernir los cambios sagitales del mentón. Por ejemplo, un paciente que presenta un tercio inferior aumentado 10 mm y tiene una relación cervi- cal-facial inferior de 1.2 ¿Podría interpretarse que tiene una posición sagital aceptable, que se debe man- tener en la planificación ortodóncico-quirúrgica? En realidad no, porque cuando se planifique la reducción vertical y el tercio inferior mida 10 mm menos, esa profundidad de cuello resultará excesi- va. Se puede entonces corregir la medida del tercio inferior, restando los milímetros que se planifica disminuir la altura, y luego relacionarlo a la medi- da de la profundidad de cuello. Así podremos eva- luar si se deberá planificar dejar el mentón en esa posición, más adelante o más atrás.
  • 482.
    Estética y diagnósticoen el paciente quirúrgico 501 72 Fig. 20.54: Relación cervical-facial inferior nor- mal en una paciente de Clase III (87/72 = 1,2). Se observa un exceso de su tercio inferior de 7mm. Si eliminamos a la medida vertical dicho exceso, la relación resultante varía (80/72 = 1,1) y esta nueva relación indica que deberá planifi- carse una posición más retruida del mentón des- pués de la cirugía. Fig. 20.55: Comparaciones pre y posquirúrgicas donde se evidencia el cambio vertical y sagital del mentón (Cirujano: Dr. Roberto Blanco).
  • 483.
    502 Tratamiento ortodóncico-quirúrgico Evaluacióndel tercio medio La observación de la zona paranasal permite valorar la posición anteroposterior del maxilar superior. Además se realiza la exploración clínica del reborde orbitario, el área subpupilar,el contor- no alar y la curvatura nasogeniana(Fig. 20.56). En el perfil, la zona nasogeniana describe una línea ligeramente convexa hacia delante. Una línea plana, o con concavidad anterior, expresa una posi- ción retruida del maxilar superior. Se observa también la relación sagital que se establece entre el contorno anterior del globo ocu- lar y el punto más posterior de las alas nasales. Cuando el maxilar superior tiene un desarrollo normal, este punto se sitúa 7 u 8 mm por delante de una línea vertical tangente al globo ocular. La evaluación de estas zonas tiene por finalidad planificación sagital del maxilar superior con un criterio estético, pero en esta decisión suele ser útil también una medida esqueletal: la posición del punto A óseo con respecto a la vertical del Na óseo. La norma es que el punto A coincida o se ubique ligeramente por delante de dicha línea. Si está por detrás, se corrobora la indicación del avance (Fig. 20.57). Fig. 20.56: Tercio medio con relación sagital armónica de sus estructuras, que se expresan en la curvatura nasoge- niana, el ángulo nasolabial y la relación sagital óculo-alar. Fig. 20.57 A: Paciente de Clase III, donde por la evaluación clínica del tercio medio y la posición retruida del punto A con respecto a la vertical del Na, se planifica el avance del maxilar superior. B: Resultado de la cirugía, que se combinó con rinoplastia.
  • 484.
    Estética y diagnósticoen el paciente quirúrgico 503 Evaluación Nasal La predicción nasal deberá ser hecha al final de la predicción quirúrgica,después de establecida la posición del labio superior. El nasion cutáneo (Nc), también llamado Sellion, es el punto cutáneo más profundo de la curvatura nasofrontal Este punto es el vértice del ángulo nasofrontal, formado por la intersección de dos líneas: una tangente a la glabela (Gl-Nc), la otra tangente a pronasal (Pn-Nc), que en presencia de un dorso prominente lo intersecta. El valor normal de este ángulo, se sitúa entre 120° y 135°. La posición anteroposterior y vertical del vérti- ce del ángulo nasofrontal (nasion cutáneo) es de extrema importancia en la planificación. En condiciones ideales, el nasion cutáneo se localiza cerca de 6 mm por encima del cantus, entre el pliegue supratarsal y el margen del párpado superior, con los ojos abiertos, aproximadamente 9 a 13 mm en posición anterior a la proyección de la córnea (R. Daniel) (Fig. 20.58). La distancia, proyectada en la horizontal, entre nasion cutáneo y la glabela, es en condiciones idea- les, de 4 a 6 mm (Guyuron). El reconocimiento de la importancia posicional del nasion cutáneo altera no sólo los objetivos de la planificación prequirúrgica, sino también la secuencia operatoria. La determinación del nasion cutáneo ideal (Nci), permite la definición del ángulo naso-facial, el cual establece la línea dorsal ideal (Pn-Nc) y con- tribuye a la nueva proyección de la punta. La línea dorsal ideal, es rectilínea en los hom- bres, pudiendo en las mujeres presentar una ligera concavidad, 1 a 2 mm por detrás de ésta. El ángulo nasofacial resulta de la intersección de la línea dorsal con la perpendicular del nasion cutáneo: su valor es de 34° para mujeres y 36° para hombres (Fig. 20.59). Métodos complementarios de evaluaciónnasal: En los casos donde se indican cambios en la proyección nasal, se considera conveniente corro- borarlos mediante métodos que evalúan la propor- ción entre la longitud y la base de la nariz (métodos de Baum y de Goode) y entre la proyección nasal y la longitud del labio superior (método de Simons). Fig. 20.58: Punto nasion cutáneo. Se lo analiza en rela- ción a los párpados,globo ocular y glabela. Fig. 20.59: Ángulo nasofrontaly nasofacial.
  • 485.
    504 Tratamiento ortodóncico-quirúrgico -Método deBaum (Fig. 20.60): Se traza una línea desde nasion a subnasal (llamada línea vertical).La línea llamada horizontal es una perpendi- cular a la anterior que pasa por la punta de la nariz. Se considera "punta de la nariz" al punto del perfil nasal más elejado de la línea ver- tical. La relación de ambas líneas (dorso-base o línea vertical-horizontal respectivamente) es 2 a 1. Esta relación daría como resultante una proyec- ción de la punta de la nariz considerable, por lo que actualmente, y sobre todo en el sexo femenino se utiliza una relación dorso-base 2,8 a 1, lo que daría una proyección menor. - Método deGoode (Fig. 20.61): Es similar al anterior, pero la línea vertical que parte de nasion pasa por el canal alar. El dorso se mide desde nasion a la punta. La proporción entre ala-punta (horizontal) y nasion-punta (vertical) es 0,55 a 0,60. - Método deSimons: Establece una proporción de 1 a 1 entre la longitud del labio superior y la base de la nariz. El labio superior se mide desde subnasal al borde mucocutáneo del labio superior (Vermilion superior), la base de la nariz desde subnasal a la punta de la nariz. La limitación de este método consiste en la variedad de la longitud labial, que no permite ajus- tar la proyección nasal tomando esta proporción como referencia. La correlación de estas mediciones con el ángu- lo nasolabial superior, permite planificar la correc- ción del perfil nasal que se asociará al tratamiento ortodóncico- quirúrgico. Fig. 20.60: Método de Baum Fig. 20.61: Método de Goode.
  • 486.
    Estética y diagnósticoen el paciente quirúrgico 505 Fig. 20.63: Paciente donde se realizó una cirugía ortognática, con impactación y avance del maxilar superior, retroceso mandibular y mentoplastia de avance y reducción vertical. Se complementó con una rinoplastia para mejorar el resulta- do estético (Cirujano: Dr. Gabriel Girotti).
  • 487.
    C A PI T U L O 21 Bases para la planificación Una vez finalizada la etapa de diagnóstico, se habrán definido los objetivos quirúrgicos, es decir, los cambios esqueletales que posibilitarán armonizar en los tres sentidos del espacio los componentes del tercio inferior de la cara, con el agregado de algún otro procedimiento que pueda planificarse por fuera del terreno ortognático, con el fin de mejorar el resul- tado estético final, por ejemplo una rinoplastia. Se han definido OBJETIVOS, pero esto no impli- ca necesariamente haber definido procedimientos qui- rúrgicos. Estos objetivos quirúrgicos se refieren a los cambios necesarios en el maxilar superior y la mandí- bula, respondiendo a las siguientesposibilidades: - Punto subnasal y área paranasal (necesidad de avance) - Labio superior (en sentido anteroposterior, avance o retroceso y prácticamente sin posibilidad de modificaciones en sentido vertical) - Exposición de incisivos superiores (disminu- ción o aumento) - Espacio interlabial (disminución o aumento) - Mentón (avance, retroceso, aumento o dismi- nución vertical) Estos objetivos nos orientan sobre cuáles son los procedimientos quirúrgicos que será necesario apli- car. En algunos casos las define con certeza, en otros esta definición sólo podrá hacerse a través de la planificación (VTO ortodóncico-quirúrgico) Por ejemplo: Si se necesita disminuir la exposi- ción del incisivo superior, se requerirá de una im- pactación de la parte anterior del maxilar superior ; no existe otra posibilidad quirúrgica de lograr ese objetivo. Pero si el objetivo es, por ejemplo, avanzar el mentón, habrá que evaluar si se logra a través de un avance mandibular, una mentoplastia de avance, o ambos procedimientos a la vez. Los objetivos quirúrgicos que surgieron del diagnóstico, se clasifican en verticales, sagitales y transversales. Los objetivos verticales y sagitales se formula- ron a partir del estudio clínico de frente y de perfil, y del análisis cefalométrico del perfil blando. Los objetivos transversales surgen del estudio clínico de frente y de la cefalometría frontal Los objetivos verticales están orientados a aumentar o disminuir: • La exposición del incisivo superior • El espacio interlabial. • La altura del mentón Los objetivos sagitales consisten en: • Avance o retroceso del labio superior • Avance o retroceso del mentón • Cambios en la relación sagital establecida entre el labio inferior, el surco labiomentoniano y el pogonion cutáneo. Los objetivos transversales consisten en: • Centrar el maxilar superior y el mentón • Armonizar transversalmente las básales óseas • Lograr simetría en el contorno facial. A continuación se detallan los procedimientos quirúrgicos del maxilar superior, la mandíbula y el mentón, destinados a alcanzar los objetivos pro- puestos. Teniendo en cuenta cuáles de estos proce- dimientos deberán ser considerados, se podrá reali- zar el VTO ortodóncico-quirúrgico. OBJETIVOS VERTICALES - Aumentar la exposición del incisivo superior (Fig. 21.1): Se logra con el descenso del maxilar en la parte anterior a través de la cirugía de Le Fort I. Puede ser necesario el descenso completo, o sólo de la parte anterior. En algunos casos de mordidas abier- tas, cuando presentan un doble plano oclusal, se agrega la segmentación y se realiza el descenso del segmento anterior. 507
  • 488.
    508 Tratamiento ortodóncico-quirúrgico Fig.21.1: Aumentar la exposición del incisivo. A: con un descenso completo del maxilar, B: con el descenso sólo ante- rior y C: con la segmentación del maxilar y el descenso sólo del segmento anterior. B Fig. 21.2: Disminuir la exposición del incisivo. A: con la impactación completa del maxilar. B: con la impactación sólo anterior. - Disminuir la exposición del incisivo superior (Fig 21.2): Se obtiene con la impactación anterior del maxi- lar , a través de un procedimiento de Le Fort I, en algunos casos con el agregado de segmentación cuando existe un doble plano oclusal superior. En ambos casos, ya se trate de aumentar o dis- minuir la exposición del incisivo superior, al reali- zar el movimiento vertical del maxilar, hacerlo en forma completa o sólo en el sector anterior, será decidido por la inclinación del plano oclusal que re- sulte conveniente planificar, tema tratado en la página 523 de este mismo capítulo.
  • 489.
    Bases para laplanificación 509 Fig. 21.3 A: Espacio interlabial aumentado con exceso vertical del maxilar y overbite normal. B: la impactación del maxi- lar( ya sea completa o sólo anterior) disminuye el espacio interlabial y el tercio inferior, al inducir una posición más supe- rior en el incisivo inferior y la sínfisis. -Disminuir el espacio interlabial: La disminución del espacio interlabial se podrá realizar en diferentes situaciones: 1- Casos de overbite normal y aumento de expo- sición del incisivo (Fig. 21.3): La impactación anterior del maxilar se acompa- ñará necesariamente de una ubicación más supe- rior de los incisivos inferiores, por autorrotación mandibular o cualquier procedimiento que se indi- que en la mandíbula. Como resultado se obtiene una disminución del espacio interlabial directa- mente proporcional a la impactación realizada. 2- Casos de mordida abierta (Fig. 21.4): Cerrar una mordida abierta quirúrgicamente implicará la disminución del espacio interlabial.Se pueden planificar dos mecanismos diferentes: - Por autorrotación mandibular, que se produce como consecuencia de la impactación del maxilar superior en la parte posterior. Esta autorrotación mandibular cierra la mordida, acortando el tercio inferior y avanzando el mentón (Fig. 21.5) También el avance del maxilar, que obedece a objetivos sagitales, genera una ligera autorrotación. Fig. 21.4: Mordida abierta de tipo divergente, en la planifi- cación se trabaja con un plano oclusal superior y otro infe- rior.
  • 490.
    510 Tratamiento ortodóncico-quirúrgico Fig.21.5: Autorrotación mandibular, por la impactación posterior del maxilar. La forma de la mandíbula no cambia, pero sí su posición, al haber rotado sobre su eje de bisagra. En el perfil se observa el cierre del espacio interlabial, disminu- ción del tercio inferior y avance del mentón. Fig. 21.6: Rotación antihoraria para el cierre de una mordida abierta a través de una cirugía sagital de mandíbula. Se obtiene un cierre del ángulo goníaco, el plano mandibular tiende a una mayor horizontalidad que en el caso anterior y no disminuye la altura facial posterior. Se logra también cierre del espacio interlabial, disminución del tercio inferior y avance del mentón.
  • 491.
    Bases para laplanificación 511 - Por rotación antihoraria, cuando a través de una cirugía sagital de mandíbula, se realiza un ascenso de la parte anterior del segmento distal para cerrar la mordida. Se produce un verdadero cambio en la forma de la mandíbula, que tiende a ser más cuadrada, disminuyendo su ángulo gonía- co. En este caso se acorta el tercio inferior de la cara, pero no disminuye la altura facial posterior. También se proyecta el mentón hacia delante, y el incisivo inferior resulta más verticalizado que con la autorrotación (Fig. 21.6) - Por la combinación de ambos efectos: en los casos de cirugía bimaxilar, pueden combinarse am- bos mecanismos, es decir, el cierre de la mordida se logra en parte por autorrotación y en parte por rotación antihoraria. - "Aumentar" el Espaciointerlabial: Si bien el espacio interlabial no puede ser nunca menos de O mm, lo que está dentro de la norma, nos referimos aquí a los casos de colapso del tercio inferior de la cara donde se presenta una redun- dancia labial que necesita un mejor posicionamien- to de los mismos. Esto lo referimos como "aumen- to" del espacio interlabial, aunque resulte una medida de O mm. En casos de overbite normal y disminución de exposición del incisivo: El descenso anterior del maxilar superior se acompaña de una posición más inferior de los inci- sivos inferiores, con lo que mejora la redundancia labial y aumenta el tercio inferior de la cara(Fig. 21.7). En casos de Clase II: El avance de la mandíbula logra un efecto de aumento vertical, mayor cuanto más inclinado esté el plano oclusal. Fig. 21.7: El descensodel maxilar en un caso de overbi- te normal, mejora la exposicióndel incisivo y aumenta el tercio inferior. - Aumentar la alturadel mentón (alargar el mentón): Se logra a través de una mentoplastia con injerto (Fig. 21.9 A y B). Fig. 21.8: El avance mandibular en casos de Clase II con sobremordida profunda,tiene un efecto de aumentoverti- cal del tercioinferior.
  • 492.
    512 Tratamiento ortodóncico-quirúrgico Sien el caso es necesario realizar un avance o retroceso y aumentar ligeramente la altura del mentón, la proyección hacia abajo del mentón al realizar el cambio sagital produce un efecto de aumento vertical (Fig. 21.9 C). Fig. 21.9 A y B: Mentoplastia con injerto. C: Mentoplastia de avance con efecto de aumen- to vertical - Disminuir la altura del mentón: Para acortar el mentón se indica una mentoplas- tia con ostectomía intermedia (Fig. 21.10 A y B). Si es necesario también un avance o retroceso, la proyección hacia arriba del mentón al realizar el cambio sagital produce un efecto de acortamiento (Fig. 21.10 C). Fig. 21.10 A y B: Mentoplas- tia con ostectomía vertical. B
  • 493.
    Bases para laplanificación 513 Fig. 21.10 C: Mentoplastia de avance con efecto de acortamiento del mentón. OBJETIVOS SAGITALES - Avanzar el punto Sn y área paranasal (Fig. 21.11): Este objetivo, requerido en un gran porcentaje de los casos de Clase III,se alcanza con el avance del maxilar superior, a través de una cirugía de Le Fort. El Sn responderá avanzando el 30% de la magnitud del avance del maxilar. Fig. 21.11: El avance del maxilar modifica el punto Sn, punto A blando y labio superior. - Avanzar el labio superior (Fig. 21.11): El avance del maxilar superior mediante la ciru- gía de LeFort permitirá la protrusión del labio su- perior conjuntamente con el avance del punto Sn y el área paranasal. La respuesta del tejido blando a nivel del punto A cutáneo y labio superior es del 50% del cambio del tejido duro subyacente (ya sea por movimiento del maxilar o del incisivo). Se debe contemplar, al analizar el caso, la nece- sidad de protrusión de los incisivos superiores en la ortodoncia prequirúrgica, que también tiene un efecto de avance del labio superior (Fig. 21.12).. Fig. 21.12 : La protrusión de los incisivos incide solamen- te en la posición sagital del labio superior.
  • 494.
    514 Tratamiento ortodóncico-quirúrgico -Retruir el labio superior (Fig. 21.13): El retroceso quirúrgico del maxilar superior se puede realizar a través de una técnica de segmen- tación, donde se retruye solamente el sector ante- rior, pero esta técnica puede ser indicada excepcio- nalmente (Técnica de Wassmund). Por lo general se tiene en cuenta la posibilidad de provocar el retroceso del labio mediante la re- trusión ortodóncica de los incisivos superiores, con o sin torque radicular, según la inclinación del eje longitudinal que presenten inicialmente. Por sus li- mitaciones, el retroceso del maxilar superior com- pleto a través de la técnica de LeFort es realizado sólo en casos muy puntuales. - Avance del mentón: Una mayor proyección del mentón en el perfil se puede obtener con de un avance mandibular (Fig. 21.14) o del mentón (Fig. 21.15). La aplicación de uno u otro procedimiento depen- derá de varios factores. Para el avance mandibular, el caso debe tener overjet o bien lo tendría que obtener la ortodoncia prequirúrgica. Se debe tener en cuenta también el contorno anterior del mentón, dado que el avance mandibular no modifica sustancialmente dicho contorno, mientras que la mentoplastia de avan- ce sí lo hace. En casos severos de micrognatismo se pueden combinar los dos procedimientos. Fig. 21.13: La retrusión del labio superior a través de la retrusión de los incisivos produce el cambio del ángulo nasolabial y de la posición del labio a la vertical de Sn. Fig. 21.14: Planificación de un avance del mentón utilizando un procedimiento de osteotomía sagital mandibular.
  • 495.
    Bases para laplanificación 515 Fig. 21.15: Mentoplastia para avanzar el mentón. - Retroceso del mentón (Fig. 21.16): El pogonion cutáneo es llevado hacia atrás qui- rúrgicamente mediante dos procedimientos: el retro- ceso mandibular y la mentoplastia de retroceso. Generalmente se planificará un retroceso man- dibular a través del procedimiento sagital de man- díbula. Sólo se puede realizar una mentoplastia de retroceso cuando la sínfisis presente características anatómicas que pongan de manifiesto una gran protuberancia basal (Fig. 21.17). En la planificación de los cambios del mentón se debe considerar que su contorno es una de las llaves estéticas del perfil de los tejidos blandos. Fig. 21.16: Planificación de un retroceso del mentón a través de un procedimiento de osteotomía sagital mandibular.
  • 496.
    516 Tratamiento ortodóncico-quirúrgico Fig.21.17: La mentoplastia de retroceso se indica en casos de sínfisis con un contorno anterior excesivamente marca- do - Cambios en la relación sagital establecida entre el labio inferior, el surco labiomentoniano y el pogonion cutáneo. El balance del contorno anterior del perfil des- de el stomion inferior al punto mentoniano, es muy importante en la estética total del perfil, y es un punto que debe ser estudiado y planificadocuida- dosamente. Bajo parámetros ideales, el pogonion blando estará situado 2 o 3 mm por delante del punto más deprimido del surco labiomentoniano (punto B blando), y 2 o 3 mm por detrás del punto más ante- rior del labio inferior (Fig. 21.18). De los tres componentes que determinan este contorno, es decir, pogonion cutáneo, surco labio- mentoniano y labio inferior, este último también está afectado por la posición de los dientes ante- roinferiores. Cuando se evalúa el caso inicial, se deberá con- siderar la posibilidad de que el labio inferior sufra modificaciones por los cambios que se realizarán en los incisivos con la preparación ortodóncica pre- quirúrgica, que tendrá consecuencias en la posición sagital del labio. Otra situación que modifica la posición sagital del labio inferior es la eversión que presenta ante la falta de soporte cuando el mentón se encuentra retruído.En estos casos deberemos tener en cuenta que el avance del mentón corregirá en parte esa protrusión del labio. Fig. 21.18: Una línea vertical tangente al pogonion permi- te evaluar la relación sagital entre este punto, el labio infe- rior y el surco labiomentoniano, que en este caso es armó- nica.
  • 497.
    Bases para laplanificación 517 Independientemente de los cambios que pueda sufrir el labio inferior por las dos alternativas men- cionadas, se deben considerar cuáles son los proce- dimientos quirúrgicos que afectan el contorno del mentón. Tanto la autorrotación mandibular como la rotación antihoraria tienen un efecto de avance del mentón, variando la relación espacial entre el mentón, el punto B blando y el labio inferior, sien- do la segunda opción la que consigue un efecto mayor de proyección del mentón en relación al labio inferior (Fig. 21.20). Pero sin dudas, cuando es necesario un cambio importante en ese sentido, se recurrirá a la men- toplastia de avance. Cuanto mayor sea la magnitud del avance del mentón con la mentoplastia, más se marcará el surco labiomentoniano y menor resulta- rá la proyección del labio inferior, como se observa al trazar una línea tangente al pogonion cutáneo (Fig. 21.19). Cuando el surco labiomentoniano es muy pro- fundo, se puede requerir de un movimiento inverso del mentón, es decir, una mentoplastia de retroce- so. Pero también puede indicarse un aumento ver- tical del mentón para lograr dicho efecto, si el estu- dio vertical así lo determina. Otra alternativa quirúrgica en estos casos de surco labiomentoniano profundo, cuando el pa- ciente presenta overjet, es planificar una cirugía segmentaria de avance alveolar inferior. Fig. 21.19: Cambios en el contorno del mentón provoca- dos por una mentoplastia de avance B Fig. 21.20: Cambios en la proyección sagital de las estructuras blandas del mentón A: Con la autorrotación mandibular B: Con la rotación antihoraria.
  • 498.
    518 Tratamiento ortodóncico-quirúrgico Cambiosen la inclinación del plano oclusal. Su inci- dencia en la posición sagital del mentón. En los casos de cirugía bimaxilar, la inclinación del plano oclusal es uno de los puntos a planificar, por lo que haremos un análisis de las consecuencias que se obtienen con los posibles cambios del mismo. Estas consecuencias incumben a los resultados estéticos y funcionales del caso, por lo que es una decisión que no puede tomarse al azar, sino que debe contemplar una serie de factores, que, consi- derados en conjunto, permitirán acercarnos a la inclinación ideal para el caso que planificamos. Para explicar las consecuencias de los cambios del plano oclusal, recurrimos a gráficos que repre- sentan la estructura bimaxilar, una referencia sagi- tal y una referencia horizontal. A esta estructura bimaxilar, que incluye un plano oclusal con una determinada inclinación,le generare- mos una rotación horaria (mayor inclinación del plano oclusal), haciendo fulcrum en el punto A. Dado que la posición vertical y sagital del punto A está completamente definida en el comienzo de la planificación, es un punto que no se debe alterar y por ello es tomado como centro de rotación. Con la rotación en sentido horario de la estruc- tura bimaxilar se produce una mayor inclinación del plano oclusal y se observan las siguientes con- secuencias (Fig. 21.21 A y B). - Disminuye la proyección del mentón - El incisivo superior queda más vertical y re- truido. - El incisivo inferior queda más adelante que el pogonion, en la relación sagital que se establece entre ambas estructuras. - El plano mandibular resulta con una inclina- ción mayor. Con la rotación inversa, en sentido antihorario, se produce una horizontalización del plano oclusal, con el siguiente resultado (Fig. 21.21 A y C): - Aumenta la proyección del mentón. - El incisivo superior queda más inclinado y protruido. - En la relación sagital que se establece entre ambas estructuras, el incisivo inferior queda más atrás que el pogonion. - El plano mandibular resulta más horizontal. B Fig. 21.21: Cambios producidos por la diferente inclinación del plano oclusal. A: Inicial B: Plano oclusal más inclinado C: Plano oclusal más horizontal
  • 499.
    Bases para laplanificación 519 También se observa, en el primer caso, un ligero descenso del incisivo superior, como así también en la segunda alternativa el incisivo resulta con un pequeño efecto de intrusión. Esto no se tiene en cuenta porque cuando se rea- liza el procedimiento de planificación se harán los ajustes en la ubicación vertical del maxilar para com- pensar ambos efectos. Todos los efectos mencionados tienen su deriva- ción en el resultado estético, siendo el más notable la mayor o menor proyección del mentón. En este campo, debemos agregar que, a igual exposición del incisivo superior, se logra una menor exposición gin- gival posterior cuando se inclina el plano oclusal, y cuando se horizontaliza, la exposición posterior tien- de a aumentar. Conociendo las implicancias de una mayor o menor inclinación del plano oclusal, habrá que plani- ficar dicha inclinación en cada caso, siempre buscando el mejor resultado en aquellos factoresque están invo- lucrados con su cambio. Factores que se deben considerar: - Inclinación del plano oclusal: teniendo en cuen- ta que la angulación ideal con respecto a la HV es entre los 7 y 10°, con una D.S. de 3°. - Posición sagital deseable del mentón. - Necesidad de mayor o menor proyección de los incisivos. - Inclinación del plano mandibular, cuya norma es de 26° +-3°. - Como la inclinación del plano oclusal varía la relación entre exposición gingival anterior y posterior en sonrisa, también deberá considerarse en el caso inicial el grado de exposición gingival que presenta la sonrisa del paciente en el sector incisivo y molar. Los cambios de inclinación del plano oclusal im- plican siempre un procedimiento bimaxilar. La deci- sión que se tome con respecto a esta inclinación inci- dirá en los movimientos quirúrgicos a aplicar en el maxilar superior y la mandíbula: Mayor inclinación del plano oclusal: cuando en la cirugía Le Fort se realiza: - Impactación posterior. - Descenso anterior. - La combinación de ambos efectos. En la mandíbula, conlleva un movimiento en sen- tido horario del segmento distal, mediante un proce- dimiento de osteotomía sagital. Horízontalización del plano oclusal: la cirugía del maxilar superior debe considerar: - Impactación anterior. - Descenso posterior. - La combinación de ambos efectos. En la mandíbula, donde se realiza una osteotomía sagital, ésta se acompaña de rotación antihoraria del segmento distal. OBJETIVOS TRANSVERSALES Cabe aclarar que a estos objetivos en sentido ver- tical y sagital, se agregan los objetivos quirúrgicos transversales. Éstos incluyen fundamentalmente dos aspectos: -La armonización de las bases esqueletales, que se realiza a expensas del maxilar superior, a través de la disyunción quirúrgica o la segmentación del maxilar para expansión o contracción. -La corrección de asimetrías. Estos objetivos no se podrán volcar en el VTO ortodóncio- quirúrgico, pero se deben considerar en conjunto porque muchas veces definen que un pro- cedimiento sea bimaxilar, mientras que los objetivos verticales y sagitales podrían haber sido alcanzados por una cirugía monomaxilar. Por ejemplo, si un caso de Clase III presenta asi- metría mandibular, nunca puede ser resuelto sólo con avance del maxilar superior. A su vez, cuando una asimetría involucra el maxilar y la mandíbula, requerirá siempre de una cirugía bimaxilar.
  • 500.
    C A PÍ T U L O 22 VTO ortodóncico-quirúrgico Después de tener en cuenta objetivos y proba- bles alternativasquirúrgicas, será necesario realizar el VTO ortodóncico quirúrgico, que definirá los procedimientos a aplicar. El VTO ortodóncico quirúrgico es un procedi- miento cefalométrico de planificación del trata- miento que se realiza a partir del trazado originaly por lo tanto involucra el sentido vertical y sagital del problema. Consta de 2 etapas: 1-Planificación ortodóncica 2-Planificación quirúrgica para la propuesta ortodóncica definida en el punto 1. Permite corroborar que se cumplan los objetivos que surgieron del estudio vertical y sagital del perfil, o en algunos casos, llevará a modificar la plani- ficación ortodóncica para mejorar los resulta- dos. Mediante su implementación es posible: - Visualizar el resultado del perfil cutáneo con la planificación propuesta. - Poner de manifiesto la necesidad de procedi- mientos complementarios, como puede ser una mentoplastia. - Determinar los requisitos del tratamiento ortodóncico para obtener como resultado una correcta oclusión cuando las básales hayan sido corregidas. De él surge entonces una propuesta ortodóncica y quirúrgica que, en conjunto, logran el resultado esperado en el aspecto funcional y estético. 1a Etapa: Planificación ortodóncica En forma general, los objetivos del tratamiento ortodóncico prequirúrgico consisten en : 1) Alinear los dientes 2) Nivelar la curva de Spee 3) Ubicar los dientes en correcta relación con sus bases, tanto en sentido sagital como transversal, es decir "descompensar" el caso. 4- Coincidir la línea media dentaria con la línea media esqueletal en cada uno de los maxila- res. 5- Nivelar superficies oclusales en ambas arca- das para conseguir una oclusión estable en la posición posquirúrgica. En el VTO. la planificaciónortodóncica definirá: - La necesidad o no de extracciones. - La posición e inclinación de los incisivos superiores e inferiores. - La posición de los molares. Las arcadas se estudian por separado, evaluan- do el problema de discrepancia dentaria en cada una de ellas y la inclinación de los incisivos. Estas inclinaciones pueden ser analizadas utili- zando diferentes parámetros. Estos son: el plano basal, o el plano oclusal Tienen las siguientes normas (Fig. 22.1): Maxilar superior: Incisivo Superior - plano palatal (ENAnt- ENPost.): 112° Incisivo Superior - Plano oclusal: 57° +-3°. Fig. 22.1: Normas para la angulación de los incisivos superiores e inferiores. 521
  • 501.
    522 Tratamiento ortodóncico-quirúrgíco Mandíbula: IncisivoInferior- plano mandibular:90° Incisivo Inferior-Plano oclusal: 64° +- 3° Si bien se pueden aplicar cualquiera de estos dos parámetros, preferimos utilizar la referencia del plano oclusal. Partiendo de la inclinación inicial del incisivo,se establece la necesidad de protrusión o retrusión del mismo, basándonos en lo siguiente: - Con el movimiento de protrusión el ángulo se cierra (Fig. 22.2). - Con la retrusión, se abre (Fig.22.3) Consideramos que ambos movimientos se reali- zan sin control del torque, teniendo como centro un punto situado en el tercio apical de la raíz, y que cada milímetro de movimiento hacia adelante o atrás del incisivo modifica el ángulo en 2°. Para la etapa de ortodoncia prequirúrgica se planificará darle a los incisivos una adecuada incli- nación con el plano oclusal, teniendo en cuenta la discrepancia dentaria de cada una de las arcadas y la inclinación actual con el plano oclusal. De acuerdo a las características de cada caso, se realizarán o no extracciones, y se estimará la posi- ción del molar. Fig. 22.2: La protrusión cierra el ángulo que forma el inci- sivo con el plano oclusal. Fig. 22.3: La retrusión del incisivo abre el ángulo que forma su eje con el plano oclusal. Ejemplo de planificación ortodóncica i Fig. 22.4 A: Caso M.C. Fotografías de boca del caso a analizar. i-
  • 502.
    VTO ortodóncico-quirúrgico 523 Fig.22.5: El estudio de los incisivos señala que el supe- rior se encuentra con una angulación en la norma, mien- tras que el incisivo inferior está sumamente verticalizado, estando indicada su protrusión para cerrar el ángulo. Fig. 22.4 B: Fotografías oclusales. Se han realizado las extracciones de los primeros premolares superiores para que el canino pueda erupcionar. En la arcada inferior hay una discrepancia dentaria de 7 mm. Ambas arcadas pre- sentan la línea media centrada. Arcada dentaria inferior 1 - A-Po 1. Discrepancia dentaria 2. Discrepancia de Bollón 3. Verticalización molar 4. Expansión 5. Curva de Spee 6. Extracciones 7. Protrusión - Retrusión del 1 8. Mesialización molar Total 95° + - - - - - 7 - 7 7 - - - - - - - 7 Cuadro 22.1: El incisivo inferior se encuentra con una angulación de 95°. La discrepancia dentaria podrá ser compensada con protrusión, que cerrará el ángulo acer- cándolo a la norma. El incisivo se debe protruir 3,5 mm, resultando una inclinación de 88°.
  • 503.
    524 Tratamiento ortodóncico-quirúrgico Arcadadentaria superior 1 - A-Po 1. Discrepancia dentaria 2. Discrepancia de Bolton 3. Verticalización molar 4. Expansión 5. Curva de Spee 6. Extracciones 7. Protrusión - Retrusión del 1 8. Mesialización molar Total 57° + 2* - - - - - - - 2 - - - - - - - 2* 2 Cuadro 22.2: El caso presenta una buena inclinación del incisivo superior, por lo que se planifica no modificarlo. El espacio positivo de 2 mm señalado como discrepancia dentaria corresponde a la hemiarcada izquierda, por lo que se deberá mesializar sólo el molar de ese lado. Fig. 22.6: Se realizan las modificaciones dentarias que se planificaron en los cuadros 22.1 y 22.2: - protrusión 3,5 mm del incisivo inferior. - mesialización del molar superior (corresponde solo a la hemiarcada izquierda). Al realizarlas sobre el trazado inicial se podrá observar cuál es el resultado que se puede espe- rar al finalizar la ortodoncia prequirúrgica en el overjet y la relación molar.
  • 504.
    VTO ortodóncico-quirúrgico 525 Laplanificación ortodóncica llevará a solucio- nar la discrepancia dentaria con la mejor inclina- ción posible de los incisivos con respecto al plano oclusal. El caso podrá planificarse: 1- Sin extracciones de premolares en ambas arcadas. 2- Con extracciones de premolares en ambas arcadas 3- Con extracciones de premolares en la arcada superior solamente. De acuerdo a esto, el resultado posquirúrgico será de Clase I molar en las opciones 1 y 2, y de Clase II molar en la opción 3. Se debe evitar plani- ficar extracciones sólo de premolares inferiores, porque se llegará a un resultado posquirúrgico de Clase III molar, que, igual que en un caso sólo orto- dóncico, no es óptimo funcionalmente. En todas las opciones se deberá crear una correcta relación de incisivos y caninos en Clase I, las extracciones que se realicen modifican sólo la clase molar. En la necesidad de descompensación y buscan- do acercarnos a los parámetros de inclinación ideal de los incisivos, las extracciones dentarias que re- quieren los casos quirúrgicos son inversas a las que se realizan en las compensaciones ortodóncicas, tanto se trate de una Clase II o Clase III esqueletal. Así por ejemplo, en una Clase III pueden indi- carse extracciones de premolares superiores sola- mente, o si se realizan 4 extracciones, por los movi- mientos dentarios requeridos se extraen gene- ralmente los primeros premolares superiores y se- gundos premolares inferiores. En las Clases II, cuando son necesarias 4 extrac- ciones, la indicación será extraer lros premolares inferiores y 2dos premolares superiores. En ambos casos, es decir, Clase II o Clase III, esta decisión de extracciones permitirá llegar a la cirugía con el overjet necesario para poder realizar la modificación quirúrgica planificada. Este overjet (positivo en las Clases II, negativo en las Clases III) es el denominado Espacio libre quirúrgico. Consideración del índice de Bolton en los pacientes quirúrgicos Es muy importante tener en cuenta el índice de Bolton, porque las desarmonías entre el tamaño mesiodistal de los dientes superiores e inferiores pueden impedir lograr la relación posquirúrgica de Clase I canina. En esos casos, en el análisis de ambas arcadas se consignarán los mm de compen- sación, ya sea por adición o por desgaste, que son necesarios para armonizar dicho índice. Es muy frecuente encontrar en pacientes de Clase III una disminución del tamaño de los incisi- vos laterales, que de no ser tenida en cuenta en la preparación ortodóncica, llevará a una finalización del caso en Clase II canina después de la cirugía. 2da Etapa: Planificación quirúrgica Una vez realizada la planificación ortodóncica, se realizan los cambios en las posiciones de los inci- sivos y los molares, y se procede a realizar la simu- lación de la cirugía a partir de una línea guía de pla- nificación que es la Vertical del nuevo punto A. Se toma la decisión de ubicar convenientemente este punto después del estudio esqueletal y de teji- dos blandos y se traza a partir de este nuevo punto A una línea perpendicular a la horizontal verdade- ra, que servirá de guía para la planificación. Se describe a continuación todo el procedimiento. VTO ORTODÓNCICO QUIRÚRGICO Sobre el calco inicial 1- Se trabaja sobre un trazado en posición pos- tural de la cabeza, con labios en reposo y oclusión enRC. 2- Se trazan: la HV y el plano oclusal. Determinación del plano oclusal: se debe locali- zar un plano oclusal, o más de uno, de acuerdo a las características oclusales de cada caso. Teniendo en cuenta las modificaciones que provocará la nivela- ción de la curva de Spee durante el tratamiento ortodóncico prequirúrgico (Fig 22.7). En mordidas abiertas se marcan dos planos oclusales, uno superior y uno inferior. En algunos casos, una arcada puede presentar más de un plano oclusal (Fig 22.8). En ellos se planifica una orto- doncia con arcos seccionados que crea un plano oclusal para el sector posterior y otro para el sector anterior. Este tipo de trabajo ortodóncico se reali- za en aquellas mordidas abiertas que presentan al inicio del tratamiento un escalón en la arcada gene-
  • 505.
    526 Tratamiento ortodóncico-quirúrgico Fig.22.7: Trazado inicial de M.C: - En posición postural y labios en reposo. Se traza la HV y el plano oclusal. De acuerdo a los secto- res posteriores y previendo que se realizará la protrusión de los incisivos inferiores y ésto disminuirá el overbite, se trazan sobre la radiografía dos planos oclusales que luego se transfieren al calco. raímente adyacente a los caninos, donde la nivela- ción con arcos continuos generaría una extrusión de los incisivos que puede resultar inestable y ori- ginar una recidiva de la mordida abierta. Estos casos que se trabajan con arcos secciona- dos necesitarán una segmentación del maxilar para poder establecer con la cirugía un plano oclusal único. 3- Cuando cabe la posibilidad de planificar una autorrotación mandibular, marcar el eje de bisagra arbitrario (E.B.A.). Este procedimiento se describe en los puntos 8, 9 y 10 de Conversión cefalométri- ca, en la página 167 (Fig. 22.9). La autorrotación será necesaria en casos donde se considere la alternativa de una cirugía sólo del maxilar superior y a su vez se deba realizar la impactación del mismo por la presencia de mordi- da abierta o por aumento de exposición del incisivo B Fig. 22.8 A: Mordida abierta que se prepara ortodóncica- mente con arcos continuos. B: Mordida abierta con doble plano oclusal superior, que se trabaja con arcos secciona- dos.
  • 506.
    VTO ortodóncico-quirúrgico 527 superior.El caso también deberá reunir otras con- diciones: - El mentón debe encontrarse retruido, porque la autorrotación lo avanzará. Si se encuentra en una posición normal o protruida, será necesario el retroceso a través de la cirugía mandibular. - No debe presentar asimetría, porque de existir ésta se deberá realizar también la cirugía mandibu- lar. Fig. 22.9 Confección de plantillas (Fig. 22.10) En papel vegetal se calcan del trazado original, por separado, el maxilar superior y la mandíbula: 4- El maxilar y el plano oclusal superior en color rojo. El incisivo y el molar superior en línea de pun- tos, en color negro. ídem con la mandíbula. Calcar E.B.A., realizar los trazos de osteotomía sagital y mentoplastia si estuviesen considerados como posibilidad quirúrgi- ca. Se puede incluir también un pequeño trazo del contorno anteroinferior del mentón cutáneo, que permitirá ir chequeando la posición sagital del mentón cutáneo al ir realizando el VTO. 5- En estas plantillas se realizan, en color rojo, las modificaciones dentarias que resultaron de la planificación ortodóncica 6- Recortar las plantillas del maxilar y la mandí- bula. Fig. 22.10. - Sobre el trazado inicial 7- Se trazan las líneas de referencia sagitales del maxilar superior y de los tejidos blandos: - De acuerdo a lo planificado para el cambio
  • 507.
    528 Tratamiento ortodóncico-quirúrgico sagitaldel maxilar sup. Se traza una línea perpen- dicular a la HV desde el nuevo punto A. - Se puede trazar también una línea perpendicu- lar a la HV desde el punto Sn, calculando que su posición responderá en un 30 % al cambio del punto A óseo. Esta línea permitirá, en los próximos pasos del VTO, ir evaluando la posición del men- tón blando representado por el trazo realizado en la plantilla inferior. Fig. 22.11. 8- Cuando es posible intentar la corrección con autorrotación mandibular, realizando sólo la cirugía del maxilar superior, proceder de la siguientemanera: - Unir las plantillas maxilar y mandibularcoinci- diendo los planos oclusales y con correcto overjet Superponer la mandíbula y realizar la autorrota- ción en el E.B.A hasta que el incisivo superior quede con una exposición normal. - Observar si la posición resultante del punto A y de los incisivos es adecuada o no. - Si no resulta adecuada se puede ajustar algo la posición de los incisivos para mejorar el resultado, dentro de las posibilidades ortodóncicas del caso. - Por ejemplo: si se desea una posición algo más avanzada del punto A, se podrán potruir los incisi- vos inferiores para poder ubicar el maxilarsuperior más adelante. Si por el contrario, resulta una posi- ción adelantada del punto A, se podrán retruir algo los incisivos inferiores. Estos cambios dentarios se pueden planificar sin alejar demasiado los incisivos de las normas de inclinación con respecto al plano oclusal, y teniendo en cuenta las posibilidades orto- dóncicas de lograrlos. - Cuando la posición resultante del Punto A y de los incisivos sea adecuada, pero el mentón no llega a una posición óptima, se puede planificar una mento- plastia de avance. Fig. 22.12. - Sino se puede alcanzar un resultado apropiado en lo que respecta a posiciones dentarias y del punto A y Po, se elimina la posibilidad de una cirugía monoma- xilar y se planificará una cirugía bimaxilar.
  • 508.
    VTO ortodóncico-quirúrgico 529 9-En los casos donde se deba realizar cirugía bimaxilar, cortar la plantilla mandibular por la línea de osteotomía realizada a la altura del segun- do molar. Unir el segmento distal mandibular con la plantilla superior haciendo coincidir los planos oclusales en correcta relación de overbite y overjet (Fig 22.13). Fig. 22.13 10- Llevar las plantillas al trazado manejando los siguientes parámetros para su ubicación (Fig. 22.14): En sentido sagital: hacer coincidir el pto. A sobre la vertical del pto. A planificada en el calco inicial. En sentido vertical: lograr una correcta exposi- ción del incisivo superior (3mm). Inclinación del plano oclusal o "rotación" de las plantillas: Dentro de los parámetros normales para la inclinación del plano oclusal, que es de 7 a 10° con respecto a la HV, se rotarán las plantillas (haciendo fulcrum en el punto A) para lograr una posición del Po coincidente con la Vertical del punto A. Cuando se eleva el sector posterior del plano oclusal, la proyección del mentón disminuye (Fig. 22.16). Cuando desciende el sector posterior, es decir, cuando se horizontaliza el plano oclusal, el mentón se proyecta hacia delante (Fig. 22.15).A su vez, estos cambios inciden en la posición e inclina- ción de los incisivos, por lo que se deberá observar también que se obtenga: - Un incisivo inferior coincidente, o unos mm por delante de la vertical del punto A. - Una inclinación adecuada de los incisivos. Fig. 22.14
  • 509.
    530 Tratamiento ortodóncico-quirúrgico Fig.22.15. Fig. 22.16. 11- Cuando NO se logre una buena posición del mentón con una conveniente inclinación del plano oclusal, se planificará una mentoplastia de desliza- miento, de avance o retroceso según el caso. En este punto debemos tener en cuenta que para conseguir un buen resultado estético del con- torno del mentón, siempre el punto B debe estar ubicado sagitalmente por detrás del Po, por lo que el retroceso del mentón sólo podrá planificarse en casos de una anatomía de sínfisis donde el Po sea muy prominente. También debe considerarse la altura del men- tón, y realizar las correcciones de ser necesarias. Esto se hace en forma aislada, cuando no se debe modificar sagitalmente el mentón, o combinándolo con el deslizamiento sagital. La planificación de los diferentes tipos de men- toplastia se encuentran detallados en la página 533. 12- Fijar las plantillas al trazado inicial. 13- En una nueva hoja de papel vegetal, calcar en color rojo (Fig. 22.17): Base de cráneo, HV, maxilar sup. y mandíbula de las plantillas (con los dientes del VTO). En la mandíbula, calcar todos los trazos quirúr- gicos, de cuerpo y mentón si hubiera. Por último, en color negro, calcar del trazado inicial espina nasal anterior y posterior. Fig. 22.17.
  • 510.
    VTO ortodóncico-quirúrgico 531 PERFILCUTÁNEO Volver a trabajar superponiendo con el trazado inicial, sin adherir: Perfil superior 14- Superponiendo las estructuras de base de cráneo, se calca el dorso de la nariz y perfil cervical hasta el punto C (Fig. 22.18). Fig. 22.18. 15-Realizar las modificaciones de la punta de la nariz, punto subnasal y punto A que deban prever- se, siguiendo los valores dados en los esquemas "Cambios de tejidos blandos - Cirugía Maxilar Superior": - El Sn se modifica el 30% de la magnitud del cambio sagital del maxilar superior. - El punto A responde en un 50% al cambio del punto A óseo. 16- Para la modificación del labio superior hay que tener en cuenta los cambios quirúrgicos del maxilar superior y los cambios ortodóncicos del incisivo superior (que pueden afectar la modifica- ción planificada por el cambio esqueletal). Por este motivo se procede de la siguiente manera: - Teniendo superpuestos los trazados en la base de cráneo medir la distancia entre la cara vestibular del incisivo del VTO y del original. Dividir por 2 dicha medida - Con el valor obtenido, hacer una marca por delante del labio superior. Fig. 22.19.
  • 511.
    532 Tratamiento ortodóncico-quirúrgico Hacerlas marcas respectivas a nivel del punto Sn, A blando y labio superior (Fig. 22.19) y desli- zando horizontalmente el trazado hacia atrás, lle- varlas a que se superpongan con la estructura correspondiente del trazado original y calcarlas (Fig. 22.20). Perfil inferior: 17- Superponiendo las sínfisis (inicial y trazo rojo del VTO), manteniendo paralelas las HV, cal- car el contorno anteroinferior de la sínfisis y unirlo al punto C (Fig. 22.21). 18-Para calcar el labio inferior se marca la inter- sección del plano oclusal y la cara vestibular de los incisivos inferiores en ambos trazados. Se superpo- nen estos puntos y se rota el trazado hasta que las HV queden paralelas entre sí. Se calca el labio infe- rior y se une luego con el tejido del mentón (Fig. 22.22). Fig. 22.20 Fig. 22.21 Fig. 22.22
  • 512.
    VTO ortodóncico-quirúrgico 533 Fig.22.23: VTO ortodóncico-quirúrgico finalizado PROCEDIMIENTOS DE MENTOPLASTIA Mentoplastia de avance: En la plantilla mandibular: Dibujar el trazo mentoplastia de acuerdo a los requerimientos del caso: • Si se desea mantener la altura del mentón el trazo debe ser horizontal (Fig. 22.24). Fig. 22.24 • Cuando deseamos aumentar levemente la altura, la línea debe trazarse inclinada desde atrás y arriba hacia delante y abajo (Fig. 22.25). Fig. 22.25
  • 513.
    534 Tratamiento ortodóncico-quirúrgico •Para disminuir ligeramente la altura, la incli- nación del trazo debe ser desde atrás y abajo hacia adelante y arriba (Fig. 22.26). • Un aumento vertical importante del mentón se planificará con «injerto en sandwich», que requiere un trazo horizontal, por debajo del cual se adicionará dicho injerto (Fig. 22.27). Fig. 22.26. Fig. 22.27. • Los casos que requieran una disminución ver- tical considerable deben ser planificados realizando una ostectomía intermedia, para lo cual se realizan dos trazos que están separados en la parte anterior la cantidad de mm que se desee disminuir, y se unen por detrás a nivel del borde inferior mandi- bular (Fig. 22.28). Fig. 22.28. Trazado del mentón blando en un caso con mentoplastia 18- Si se realizó mentoplastia, se realizarán las modificaciones del perfil cutáneo según las estima- ciones de los gráficos referidos a los cambios de tejidos blandos con mentoplastia. Cuando se realiza una mentoplastia de avance, el mentón blando que rodea al borde anteroinfe- rior del mentón responde en un 100% a los cam- bios del mentón óseo (Fig. 22.29). El tejido blando a nivel del punto Pm refleja un avance del 50% del avance del mentón. Para ello, hacer una marca en la mitad de avance, y luego hacer coincidir dicha marca con el contorno anterior de la sínfisis origi- nal (Fig. 22.30). En esa posición, hacer un trazo pequeño de referencia calcando el tejido blando a la altura del punto B, y luego unir con el contorno inferior del mentón ya trazado (Fig. 22.31). Fig. 22.29.
  • 514.
    VTO ortodóncico-quirúrgico 535 Fig.22.30. Fig. 22.31. Planificación ortodóncico-quirúrgica en casos con intentos de compensación previos Muchas veces, cuando se hace el análisis del problema de discrepancia dentaria y se busca su solución acercando la inclinación del incisivo a la norma con respecto al plano oclusal, el resultado que obtenemos se aleja considerablemente de los parámetros normales de dicha inclinación. Esto suele ocurrir en pacientes que han tenido intentos previos de compensación ortodóncica. En ellos, aproximarnos más a la norma implica realizar mo- vimientos ortodóncicos que, por ejemplo, abran es- pacios en una arcada. Nuestra propuesta para esos casos es la siguien- te: Intentar un VTO ortodóncico-quirúrgico con las posiciones dentarias que se lograrían solucionando la discrepancia. En estos casos, por lo general la discrepancia es cercana a O y existe una marcada retroinclinación del incisivo superior, si se ha com- pensado una Clase II o del incisivo inferior, .si se trata de una Clase III. Si en la compensación de la Clase II se encuen- tra proinclinado el incisivo inferior, esta posición sí podrá ser mejorada con las extracciones de los pre- molares inferiores que permitan retroinclinar el incisivo. Lo opuesto puede ser necesario en una Clase III, es decir, realizar extracciones de premolares superiores para retroinclinar un incisivo superior protruido en un intento de compensación. Estas extracciones para retruir los incisivos generan el espacio libre quirúrgico que es necesario para la corrección de las básales. Luego de la planificación ortodóncica, se traza el VTO considerando alternativas para llegar a un buen resultado, como: cambios en la inclinación del plano oclusal o procedimientos de mentoplastia aplicables según la anatomía del caso. Ejemplo: Si en el caso anterior (paciente M.C. Figs 22.4 a 22.23), donde el incisivo inferior se encuentra muy retroinclinado, se hubiesen realizado las extraccio- nes de premolares inferiores para intentar una compensación, no existiría el apiñamiento que nos da la posibilidad de protruir el incisivo inferior. La planificación se podría intentar manteniendo dicha posición del incisivo. Solamente se podría realizar una ligera proinclinación que generaría el efecto de la aparatología preajustada (Figs. 22.32 y 22.33). Al llevar las plantillas sobre el trazado original se observa que:
  • 515.
    536 Tratamiento ortodóncico-quirúrgico Fig.22.33. Fig. 22.32. • Si se mantiene para la planificación un plano oclusal de similar inclinación que el plano oclusal superior original, el pogonion resulta demasiado avanzado (Fig. 22.34). Fig. 22.34. • Si se rota el plano oclusal, subiéndolo en la parte posterior hasta que el mentón se ubique sobre la vertical del punto A, los incisivos resultan muy retruidos (Fig. 22.35). Cuando como en este caso no se obtuviera un buen resultado, habrá que modificar la planifica- ción ortodóncica para mejorar las posiciones de los incisivos, acercándolos razonablemente a la norma de inclinacióndel plano oclusal, y repetir el proce- dimiento del VTO. Al decir "razonablemente" se debe entender que se planificará un movimiento (generalmente de protrusión del incisivo) dentro de límites biológicos. Fig. 22.35.
  • 516.
    VTO ortodóncico-quirúrgico 537 Estamodificación hará que el resultado entre discrepancia dentaria y modificación del incisivo por protrusión-retrusión no dé como resultado O, sino que sea positivo e implique realizar un trata- miento ortodóncico más complejo (por ej, mesiali- zar los sectores posteriores, para en definitiva lograr un movimimeto de protrusión de toda la arcada) o dejar diastemas que necesitarán de reha- bilitación con implantes, prótesis o restauraciones. PLANIFICACIÓN TRANSVERSAL El problema transversal requiere una considera- ción independiente, dado que el VTO no puede reflejar los requerimientos ortodóncicos ni quirúr- gicos en este sentido. Para su estudio, se recurre al análisis clínico, fotográfico y de modelos. En los pacientes asimé- tricos, será indispensable la utilización de telerra- diografía y trazado cefalométrico frontal, y radio- grafía panorámica además de los elementos ante- riormente mencionados Coordinación de los diámetros transversos El primer paso es evaluar la relación transversal que tienen entre sí ambas arcadas. Si el paciente presenta una anomalía sagital, la observación de la boca o de los modelos iniciales montados en articu- lador, no nos determinará si hay compatibilidad o no de los diámetros transversos, por lo que se debe- rán relacionar los modelos en la posición posqui- rúrgica para poder evaluarlo. Es común observar en un paciente de Clase III una mordida cruzada posterior, y al relacionar los modelos en Clase I ésta desaparece, lo cual indica que no se deberá planificar ningún cambio trans- versal en la parte posterior. Lo contrario, es decir, Fig. 22.36 : Oclusión de Clase III, en un paciente que recibió tratamiento de expansión superior y se observa una rela- ción transversal normal. Fig. 22.37 : Los modelos del paciente de la fig. 22.36, al ser llevados a la relación posquirúrgica, muestran una clara discrepancia transversal, se expresa una sobreexpansión del maxilar superior
  • 517.
    538 Tratamiento ortodóndco-quirúrgico observaruna relación normal, generalmente indi- ca una desarmonía (Figs. 22.36 y 22.37). Si en la posición posquirúrgica se observamor- dida cruzada, deberemos planificar la manera de solucionar esta falta de coordinación basándonos en los siguientes principios: - Corregir con ortodoncia el componente denta- rio que pueda existir en la mordida cruzada, tanto en la arcada superior como en la inferior. Es decir, realizar la expansión dentaria en casos donde las piezas superiores presentan un excesivo torque negativo, o corregir un torque positivo de las infe- riores con la aparatología preajustada o un arcolin- gual. - Si el problema es esqueletal, se tratará la desarmonía en el maxilar superior: - en pacientes donde aún hay crecimiento, se puede realizar la disyunción ortodóncica. - cuando ha finalizado el crecimiento, se plani- ficará la disyunción asistida con cirugía o una segmentación para expansión del maxilar. - En ningún caso es conveniente realizar una expansión dentaria si los torques laterales sonnor- males, porque alterará dichos torques y esto puede recidivar después de la cirugía, creando problemas oclusales. Línea Media dentaria y torques laterales (Fig. 22.38) El centrado de la línea media dentaria en cada uno de los maxilares es otro de los objetivos de la planificación transversal. El estudio de estas líneas medias se hará independientemente en cada uno de los maxilares de la misma manera que en los casos ortodóncicos (verpágina394). También la ortodoncia prequirúrgica deberá lo- grar un torque normal en los sectores laterales, re- virtiendo las posibles compensaciones que natural- mente suelen presentar los pacientes asimétricos. En pacientes asimétricos, con el correcto centra- do en cada uno de los maxilares, por lo general las líneas medias dentarias no coincidirán entre sí. Cuando la asimetría es sólo mandibular, la línea media dentaria superior debe coincidir con la línea media facial, y la inferior tener el mismo desvío que el mentón. Lateralmente se deberá observar tam- bién una mordida cruzada del lado del desvío al finalizar la preparación ortodóncica. Cuando la asimetría es bimaxilar, al centrar la línea media dentaria superior en su basal, no coin- cidirá perfectamente con la línea media facial. Al estar el plano oclusal inclinado, se encontrará lige- ramente desviada hacia el lado donde el plano B Fig. 22.38 A y B: Paciente con asimetría maxilomandibulary Clase III. En la cefalometría frontal se observan torquescom- pensatorios y desvío de la línea media inferior con respecto a su base ósea.
  • 518.
    VTO ortodóncico-quirúrgico 539 Fig.22.38: Continuación. C y D: Las fotografías axiales corroboran la asimetría. E y F: La preparación ortodóncica prequirúrgica descom- pensa transversal y sagitalmente el caso, además de cen- trar la línea media inferior en su basal. G y H: El resultado posquirúrgico confirma que la prepa- ración ortodóncica fue adecuada, con un buen resultado oclusal y facial (Cirujano: Dr. José Crestanello)
  • 519.
    540 Tratamiento ortodóncico-quirúrgico Fig.22.39: Arco facial que no reproduce la horizontal, en un paciente con asimetía que involucra los conductos auditi- vos externos, y su corrección. oclusal está más alto. La horizontalización del plano oclusal con la cirugía, le dará la coincidencia con la línea media facial. La línea media inferior, centrada en su basal, por lo general no coincide con la superior, y hay una relación de mordida cruzada lateral del mismo lado que su desvío. En algunos casos estas asimetrías bimaxilares tienen una relación transversal esqueletal armónica por lo que las líneas medias prácticamente coinci- dirán entre sí previo a la cirugía, y no se expresará tampoco una mordida cruzada. Planificación del plano oclusal en sentido trans- versal Cuando el maxilar superior presenta una asime- tría en su desarrollo vertical, el plano oclusal se encuentra inclinado y su corrección deberá ser cui- dadosamente planificada mediante la impactación o descenso asimétrico del maxilar en la cirugía de LeFort. Estos movimientos se podrán dimensionar con exactitud una vez finalizada la ortodoncia. Con la ayuda de la cefalometría frontal y del montaje en articulador que se realiza previo a la cirugía, en ambos se podrá medir la diferente distancia que existe entre un punto determinado en el plano oclusal en el lado derecho e izquierdo y una refe- rencia horizontal estable. Para poder hacerlo en el montaje en articulador, deberemos asegurar que el arco facial que registró la posición del plano oclusal superior haya estado ubicado totalmente horizontal. En casos de asimetría, pueden estar comprome- tidos los conductos auditivos externos, y si los extremos del arco facial se introdujeron en ellos, también este arco facial resultará inclinado. Se debe entonces retirar un extremo del conducto auditivo correspondiente, y subirlo o bajarlo hasta ubicar el arco facial totalmente horizontal (Fig. 22.39). Esta maniobra se realizará con el paciente de pie, y controlando que la posición de la cabeza esté correcta, con su plano medio sagital vertical. Si se tienen estas precauciones, el montaje que se realice del modelo superior reproducirá la incli- nación del plano oclusal que presenta el paciente. Este montaje permitirá medir la diferencia ver- tical entre el lado derecho e izquierdo del plano oclusal. Con estas medidas se simulará su corrección para poder construir un splint intermedio que guíe en la cirugía la corrección necesaria del plano oclu- sal en sentido transversal, indispensable para obte- ner un buen resultado en la simetría final del caso.
  • 520.
    C A PI T U L O 23 Cambios en los tejidos blandos asociados a la cirugía ortognática INTRODUCCIÓN Las alteraciones posicionales dentoesqueléticas inducidas por las osteotomías/ostectomías, en la cirugía ortognática. no siempre tienen una traduc- ción idéntica desde el punto de vista dimensional, a nivel de los tejidos blandos. Por lo tanto, hay que ponderar las relaciones proporcionales entre las modificaciones de los tejidos duros y las respuestas asociadas a nivel de los tejidos blandos. De otra forma será imposible hacer una predic- ción del perfil cutáneo real posquirúrgico. No se trata, sin embargo, de una tarea fácil. Desde luego, son grandes las variaciones de las res- puestas individuales a procedimientos idénticos, particularmente en lo que se refiere a los labios. Esta variabilidad se relaciona con la diversidad en el espesor de varios tejidos (piel, tejido subcutáneo, tejido adiposo, músculos, vasos y nervios,glándulas salivales), los respectivos tonos y las técnicas qui- rúrgicas a las que se recurre. Por otra parte, si el análisis cefalométrico del perfil blando nos brinda datos fundamentales sobre la forma y proporciones de la cara, debe estar basa- do en un estudio radiológico efectuado con mucho criterio, bajo el riesgo de realizar un análisis basa- do en datos posicionales falsos. Es indispensable que la telerradiografía sea hecha con los tejidos blandos relajados.La postura relajada de los labios es especialmente difícil de conseguir en la incompetencia labial por la tendencia a la contrac- ción del músculo mentoniano durante el cierre labial. Si los labios no estuviesen relajados, la planificación estará comprometida desde el principio. A veces es necesario la toma de dos radiogra- fías, una en oclusión y otra en inoclusión, o sea en posición de reposo mandibular, para lograr la lon- gitud labial. El cefalograma preoperatorio deberá efectuarse sobre una radiografía obtenida pocos días antes de la intervención, dentro de un período que no debe- rá exceder las dos semanas, para que las alteracio- nes ortodóncicas producidas en el ínterin sean mínimas. Durante el estudio, es fundamental para la com- paración, que el paciente se mantenga siempre con aparatología ortodóncica o siempre sin ella. La pre- sencia o ausencia de aparatos determinará, eviden- temente, alteraciones de la protrusión labial, alterando el perfil blando, lo cual se refleja en los valores cefalométricos de un mismo paciente con y sin aparatología. Consideraciones sobre los tejidos blan- dos La predicción de las alteraciones de los tejidos duros y blandos en cirugía ortognática constituye el centro de toda la planificación terapéutica. En lo que respecta a los tejidos duros, el perfec- cionamiento progresivo de las técnicas quirúrgicas y la implementación de métodos de fijación rígida, permiten al cirujano alcanzar resultados práctica- mente coincidentes con las metas propuestas en la predicción. No podemos decir lo mismo en relación a los tejidos blandos, cuya respuesta, al ser multifactorial es más difícil de controlar y prever. Entre los factores que tienen influencia sobre el comportamiento de los tejidos blandos, se deben señalar: el procedimiento quirúrgico (tipo de osteo- tomía/ostectomía), los métodos de acceso y de sutura, la nueva disposición espacial de toda la estructura dentoesquelética, la capacidad indivi- dual de adaptación de los tejidos blandos, el estadio de crecimiento, la dirección de los movimientos ortodóncicos, el espesor, tono, área y presión del contacto labial como así también la dimensión del espacio interlabial, el volumen del tejido adiposo y muscular y el edema posquirúrgico. Este último varía de acuerdo a la adaptación tisular y se relaciona con todos los factores nom- brados. Son necesarios aproximadamente 6 meses de postoperatorio para poder evaluar los resulta- dos obtenidos. Algunos autores, en cambio, prego- nan la necesidad de un plazo de 12 meses para que los tejidos blandos se "estabilicen". 541
  • 521.
    542 Tratamiento ortdóncico-quirúrgico Eltipo de procedimiento quirúrgico y de sutura afectan significativamente su comportamiento. Tomamos como ejemplo, la osteotomía de Le Fort I: la incisión vestibular horizontal, comúnmente utilizada para el acceso al maxilar superior, se aso- cia a la pérdida dimensional del vermilion, con acortamiento y disminución del espesor labial. El ensanche de la base alar que también suele ocurrir es resultado del decolamiento muscular, perióstico y pericondral, del edema postoperatorio y de las alteraciones de posición del soporte esquelético de las estructuras nasales. Este ensanche, contribuye también al acorta- miento del labio superior como así también a su adelgazamiento. La pérdida de dimensión del vermilion expuesto del labio superior es muy antiestética sobre todo en individuos que ya tenían los labios finos y suele ser pronunciada en la impactación del maxilar. Estos efectos deben tratar de disminuirse, recurriendo a diversos procedimientos destinados a controlar la estética labial y el ancho de la base alar. Así, cuanto más alta es la incisión en el vestíbu- lo, mayor será el acortamiento del labio. Una in- cisión más baja, disminuye ese efecto. El ensanche de la base alar puede evitarse mediante una sutura en forma de 8, intraoral, apo- yada bilateralmente en el tejido fibroadiposo adya- cente a la prolongación lateral del cartílago alar o en el músculo transversal de la nariz,aproximándo- las, estrechando de esta manera la base alar, dismi- nuyendo el acortamiento labial, manteniendo su espesor y contribuyendo a una mejoría estética. La reducción de la espina nasal anterior, está indicada en grandes avances o en la impactación del maxilar, en pacientes con buena proyección de la punta de la nariz. Está contraindicada cuando se realiza un retroceso del maxilar o cuando la pro- yección de la punta es insuficiente. Su reducción en estos casos, produce una deformación del dorso nasal, tipo polybeak o de la columela ("columela en gota"). Cuando la impactación del maxilar sobrepasa 3 mm, el cartílago del septum debe ser reducido, bajo el riesgo de inducirse un desvío septal postoperato- rio. La magnitud de la reducción es habitualmente igual a la de la impactación prevista. Esta reducción del cartílago puede estar asociada a la reducción de la cresta nasal del maxilar. La sutura de la mucosa en forma de V-Y o W-Y, contribuye también a disminuir el acortamiento labial, además de aumentar su espesor y preservar el vermilion. Durante la predicción quirúrgica, debemos, pues, tener en cuenta estos procedimientos comple- mentarios y elegir los que mejor se adaptan al caso. Respecto de los tejidos blandos, las alteraciones de posición en el plano horizontal se pueden pre- decir, pero en el vertical,las predicciones no tienen la misma exactitud. El comportamiento labial, por ejemplo, es espe- cialmente complejo. Se sabe también, que las alteraciones inducidas, son más previsibles en los labios finos que en los labios gruesos. En la retrusión del incisivo superior, el labio superior sufre una rotación posterior, tomando como centro el punto subnasal, determinando una menor prominencia de los labios en relación a los surcos adyacentes. En el plano horizontal, una retrusión de 2 mm del incisivo superior, induce una retrusión de 1mm del labio superior (relación 2:1). Por otra parte, por cada 3 mm de retrusión del incisivo superior, el espesor de ese mismo labio aumentará 1 mm. El movimiento del incisivo superior tiene con respecto al del labio inferior una relación, en el plano horizontal, de 1:1. La posición del labio superior varía también con las alteraciones posicionales del incisivo inferior, con la rotación de la mandíbula y con alteraciones del propio labio inferior. La relación entre el labio superior y el labio inferior es recíproca y siempre significativa, culmi- nando en la complejidad de la postura, forma y contorno de los labios. CIRUGÍA MAXILAR Avance maxilar El avance del maxilar, determina un avance simultáneo del labio superior, del punto subnasal y de la punta de la nariz. Induce un ligero acortamiento, con adelgaza- miento del labio, acompañado del ensanche de la base alar y profundización de la depresión del supratip, en los casos en que la espina nasal ante- rior se mantuviera íntegra.
  • 522.
    Cambios en lostejidos blandos asociados a la cirugía ortognática 543 En ese caso, además, el desplazamiento anterior del labio superior y, especialmente, el desplaza- miento anterior de la base de la nariz (subnasal), serán favorablementeinfluenciados. El labio superior sufre un avance que represen- ta el 50% del avance dentoesquelético, en tanto que la punta de la nariz no avanzará más del 30% de éste. El ángulo nasolabial disminuye 1,2° por cada milímetro de avance. La relación labio superior-incisivo superior, pue- de ser mejorada durante el procedimiento quirúrgi- co, recurriéndose a la sutura de la base alar y a la sutura V-Y (reconstrucción muscular nasolabial). Cuanto mayor sea el avance del maxilar, menor será el porcentaje del movimiento anteroposterior del labio superior. La asociación con las técnicas qui- rúrgicas complementarias indicadas, aumenta estos porcentajes (valores indicados entre paréntesis). Retroceso segmentario anterior o total del maxilar Las alteraciones inducidas son: aumento del ángulo nasolabial (por rotación posterior del labio superior alrededor del subnasal), aumento de la longitud del labio superior, disminución del espacio interlabial con descenso y retracción del labio infe- rior acompañado de una disminución de la profun- didad del surco mentolabial. El retroceso induce pérdida de soporte de la punta de la nariz por movimiento posterior de la espina nasal anterior y de la base piriforme. El labio rota hacia atrás sobre el subnasal, aumentando el ángulo nasolabial y aumentando ligeramente su espesor. Recurriendo a la sutura alar y V-Y, se disminuirá el efecto de retrusión labial. 30% 50% Fig. 23.1: Avance maxilar. Cambios cutáneos. Fig. 23.2: Retroceso anterior o total del maxilar. Cambios estéticos. Relaciones en el plano horizontal (Fig.23.1) Punta: Labio superior: Ángulo nasolabial: 30% (35%) 50% (70 - 90%) Relaciones en el plano vertical (Fig. 23.2) Subnasal: Punto A cutáneo: Labio superior: Ángulo nasolabial: 30% (10-20%) 30% (15%) 65% (40 - 50%) -1,2°/ 1mm
  • 523.
    544 Tratamiento ortdóncico-quirúrgico Impactación Lasalteraciones posicionales anteroposteriores del labio superior, dependerán de su nuevo sopor- te y del rigor puesto en el abordaje quirúrgico de las partes blandas. La impactación determina un acortamiento del labio superior, elevación de la punta de la nariz, ensanche de las bases alares (2 a 4 mm) y disminu- ción del ángulo nasolabial. El labio superior acompaña el movimiento del incisivo superior en el plano horizontal. Si el incisivo superior es desplazado en sentido vertical, soportará al labio en una posición más anterior en relación al soporte alveolodentario pre- vio, debido a su angulación. Así, si el maxilar se reposicionara en una posición ligeramente supe- rior, el soporte del labio será más anterior, deter- minando su avance. Si ese avance no fuera deseable, hay que preve- nirlo mediante un retroceso simultáneo delmaxilar. El labio superior traducirá, en una proporción del 20%, la modificación esquelética vertical. Este acortamiento del labio superior puede ser reducido hasta aproximadamente el 10% del movimiento dentoesquelético, recurriéndose a una incisión ves- tibular baja, plegado de la base alar y sutura en forma de V-Y. Si el maxilar fuera simultáneamente avanzado, el acortamiento del labio se acentuará. Las altera- ciones serán progresivamente más significativas desde la nariz hacia el stomion superior. La no utilización de suturas V-Y, como ya fue comentado, puede provocar pérdida dimensional del vermilion. Downgraft-Reposicionamiento inferior del maxilar El downgraft induce pérdida de soporte de la punta de la nariz, con eventual deformación tipo polybeak, posicionamiento inferior de la colu- mela y bases alares, afinamiento y elongación del labio superior, con aumento del ángulo naso- labial. La elongación del labio superior, representa el 15% del movimiento dentoesquelético. Fig. 23.3: Impactación del mentón. Alteraciones estéti- cas. Relaciones en el plano vertical (Fig. 23.3) Pronasal: Subnasal: Labio superior: Stomion superior 20% 20% 20% 20% 15% Fig. 23.4: Downgraft. Cambios en el labio superior. Relación en el plano vertical (Fig. 23.4) Stomion superior: 15%
  • 524.
    Cambios en lostejidos blandos asociados a la cirugía ortognática 545 Cuanto más cercana a la encía fuera la incisión, mayor será la elongación del labio superior, que también puede ser incrementada con la sutura de la base alar. De forma semejante a lo que sucede con la impactación, también aquí las alteraciones posi- cionales anteroposteriores del labio superior de- penderán de su nuevo soporte. Cuando el maxilar es recolocado en una posi- ción más inferior, la nueva área de soporte labial dentoalveolar será más superior y posterior. Si el maxilar fuera reposicionado sólo verticalmente, sin alteraciones en el sentido anteroposterior, el labio superior adopta una posición más retruida. Vectores combinados La mayoría de los procedimientos quirúrgicos involucran desplazamientos en más de un plano. Raras veces se hacen desplazamientos en un solo plano. Las alteraciones de los tejidos blandos, cuando se realizan movimientos combinados (avance e impactación, retroceso e impactación, etc.) equiva- len a vectores resultantes de los que representan los movimientos puros. CIRUGÍA MANDIBULAR En la cirugía mandibular, el contorno de los teji- dos blandos traduce, en forma directa, el reposicio- namiento óseo, desplazándose en el mismo sentido. El comportamiento del labio inferior constituye, sin embargo, una excepción a esta regla. Su rela- ción con el incisivo superior por una parte y con el labio superior por la otra, determina una granvaria- ción en el resultado final, lo cual lo hace imprevisi- ble. Retroceso subapical El retroceso mandibular subapical, ya sea seg- mentario anterior o total, no tiene traducción a nivel de los tejidos blandos del mentón. El labio inferior, en cambio, acompaña el movi- miento posterior del incisivo inferior, provocando una menor profundidad del surco labiomentoniano. El labio inferior sufrirá un desplazamiento pos- terior de un 75% del desplazamiento posterior del incisivo inferior. Avance subapical Tal como sucede con el retroceso subapical, el avance no altera la posición del mentón cutáneo. Sin embargo, el surco labiomentoniano se hace más profundo en tanto que el labio inferior se ade- lanta el 60% del avance del incisivo inferior. Avance mandibular-osteotomía sagital El avance mandibular provoca alteraciones exclusivamente a nivel de los tejidos blandos situa- dos por debajo del surco labial superior. El labio inferior, sufrirá un avance variable, como variable será también el alargamiento que se le asocia. Fig. 23.5: Cambios estéticos por avance mandibular. Relaciones en el plano horizontal (Fig. 23.5) Labio inferior: Surco labial: Mentón cutáneo: 75% 100% 100%
  • 525.
    546 Tratamiento ortdóncico-quirúrgico Ellabio superior se mantiene sin alteraciones, así como las estructuras que están por encima de él. El surco labial y el mentón cutáneo traducirán el 100% del avance mandibular,mientras que el labio inferior se adelantará el 75 % del avance del incisi- vo inferior. La asociación de los dos movimientos determinará, en consecuencia, una mayor abertura del surco labiomentoniano. Por el contrario, las alteraciones verticales son muy variables. Es de gran importancia en los casos de mala relación del labio inferior con el incisivo superior o con el labio superior, que la planifica- ción se base en telerradiografías obtenidas con el paciente en posición de reposo mandibular. Autorrotación de la mandíbula Los tejidos blandos traducen al 100% la auto- rrotación de la mandíbula, pero el labio inferior revela un comportamiento distinto. Por una parte, la disminución de la dimensión vertical lo hace de mayor espesor, por otra, la auto- rrotación le permite una discreta linguoversión. Retroceso mandibular - Osteotomía sagi- tal o vertical de la rama La región subnasal y las estructurassuprayacen- tes no sufren alteraciones con el retroceso mandi- bular. Los restantes tejidos blandos acompañan el retroceso, sufriendo desplazamientos porcentual- mente más importantes. En orden decreciente, mentón cutáneo, surco labio mentoniano y labio inferior. El desplazamiento posterior del labio superior produce su elongación con apertura del ángulo nasolabial. El retroceso asociado del labio inferior, produce su acortamiento, volviéndose más saliente, en tanto que el surco labiomentoniano se profun- diza. El mentón cutáneo y el surco labiomentoniano sufrirán una retrusión del 90% de la retrusión man- dibular, en tanto que el labio inferior sólo retroce- derá el 75 % de éste. El desplazamiento del labio superior no pasa del 20%. Se piensa que la retrusión mandibular median- te osteotomías del cuerpo, se acompaña de mo- vimientos porcentualmente semejantes. 90% Fig. 23.6: Alteraciones del perfil por retrusión mandibular. Relaciones en el plano horizontal: (Fig. 23.6) Labio inferior: Surco labial: Mentón cutáneo: Labio superior: 75% 90% 90% 20% CIRUGÍA DEL MENTÓN La cirugía del mentón altera la posición antero- posterior de los tejidos blandos mentonianos y del labio inferior. El espesor habitual de los tejidos que revisten el mentón es aproximadamente de 10-12 mm. La genioplastia se realiza habitualmente por vía intraoral, mediante una incisión vestibular. Durante
  • 526.
    Cambios en lostejidos blandos asociados a la cirugía ortognática 547 las osteotomías, la conservación de la integridad del pedículo músculo-perióstico del fragmento inferior, libre, reduce la reabsorción ósea, tam- bién en casos de avance superior a 10 mm. Este cuidado permitirá una menor variación en los resultados, disminuyendo la reabsorción posqui- rúrgica. Es primordial la preservación de la integridad del nervio mentoniano, que, sin disección, deberá continuar adherido al periostio, bien expuesto, para el constante control visual intraoperatorio. La osteotomía se realiza 5 mm por debajo del agujero mentoniano, pudiendo extenderse, en el área molar, hasta la escotadura antegonial, de forma que permita un aumento lateral adecuado y un contorno basal liso y continuo. El nivel de la osteotomía dependerá de las lon- gitudes dentarias. Nos interesa conocer, además de las distancias de los bordes incisales al borde basal, la longitud de los dientes mandibulares anteriores. Su vitalidad sólo podrá ser asegurada si la osteotomía horizon- tal fuera efectuada por lo menos 4 a 5 mm por debajo de los ápices. Debemos recordar que la longitud media del incisivo central inferior es de 21,5 mm, la del lateral 23 mm y la del canino 26,5 mm (Berkovitz).La dis- tancia entre los ápices y el borde basal constituye un área quirúrgica útil, debiendo respetarse las dis- tancias de los pedículos vasculonerviosos. Cuanto más posterior fuere el límite de la osteo- tomía, más baja deberá ser realizada a nivel de la sínfisis. La asociación de estas consideraciones y valores nos permiten realizar la predicción quirúrgica, teniendo en cuenta las necesidades específicas del caso clínico en estudio. La predicción debe tener en cuenta que la posi- ción anteroposterior del mentón se determina por la conjugación del NB-Po, A-Po y la perpendicular a subnasal. Estos tres parámetros cefalométricos nos permiten discernir sobre la mejor relación del mentón con el incisivo inferior, con el incisivo supe- rior y con los labios. El mentón óseo no deberá avanzar más allá de la proyección anterior del incisivo inferior por razones estéticas obvias, aunque los datos cefalo- métricos sugieran eso. Se debe tener en cuenta que decolaciones excesivas implican reabsorción ósea significativa. Además, la sutura no deberá ser sólo mucosa sino también muscular para evitar ptosis del labio inferior y exposición excesiva de los incisivos inferiores. Genioplastia de aumento El espesor máximo de la mandíbula, a nivel de la línea media de la sínfisis varía entre 10 y 20 mm y determina el límite máximo alcanzable por una genioplastia de aumento. El aumento anterior o vertical, se obtiene por osteotomía y reposicionamiento, pudiendo o no, recurrirse a materiales aloplásticos. En cualquiera de los casos, el espesor del revestimiento cutáneo disminuye. Al no ser elástico el periostio, los grandes avan- ces exigen incisiones "de descarga" en el periostio decolado, no siendo posible de otra manera aco- modar el segmento avanzado ni proceder a un correcto cierre muscular y mucoso. Siendo indis- pensables, estas incisiones determinan menor pro- yección de los tejidos blandos y consecuentemente, menor porcentaje de avance. Aumento anteroposterior Oseo El avance óseo se logra habitualmente median- te una osteotomía horizontal del borde anterior del mentón. En esta osteotomía son indispensables también los cuidados mencionados en cuanto a la decola- ción perióstica y muscular y a la sutura. Con procedimientos correctos se estima en un 80% el porcentaje máximo de avance de los tejidos blandos en relación al avance óseo (Fig. 23.7). En los grandes avances mentonianos (10-15 mm) puede ser necesaria la desinserción del vien- tre anterior del digástrico en la cara posterior del fragmento óseo para poder movilizarlo. No obstante, será sólo la indispensable, tratando de mantener al mismo tiempo la máxima superficie de inserción de los genioglosos y geniohioideos. Si la sínfisis sufre un decolado total, quedará sin irrigación y el avance se comportará como un injer- to libre, sufriendo una reabsorción posquirúrgica que alcanza al 50% de su masa total. Por esto, un injerto óseo libre para el avance mentoniano, tiene resultados imprevisibles a largo
  • 527.
    548 Tratamiento ortdóncico-quirúrgico 80% Fig.23.7: Genioplastia de aumento. Osteotomía de avance. plazo, pudiendo la reabsorción ser completa como consecuencia de la compresión del injerto contra la sínfisis. Aloplástico Los materiales aloplásticos implican condicio- namientos que deben ser del dominio de quien pla- nifica el tratamiento de los casos quirúrgicos. Su colocación requiere un área amplia de deco- lado perióstico (prácticamente toda la superficie anterior e inferior del mentón). En función del tipo de material utilizado siem- pre habrá reabsorción del hueso mentoniano en contacto con el implante porque el injerto "pene- trará" en el hueso perdiendo proyección. Aun con técnicas muy cuidadosas el resultado a largo plazo de estos injertos es imprevisible, esti- mándose que a los seis meses apenas se conserva el 80% de la masa total (Fig. 23.8). A corto plazo, provocan una mayor prominen- cia del mentón asociada a una menor protrusión del labio inferior con una mejor relación de éste con el incisivo inferior. 80% Fig. 23.8: Injerto aloplástico. Cambios a corto plazo.
  • 528.
    Cambios en lostejidos blandos asociados a la cirugía ortognática 549 Fig. 23.9: Aumento vertical. Osteotomía de injerto. Aumento vertical Los déficit mantórnanos verticales aislados son raros ya que habitualmente coexisten con altera- ciones anteroposteriores. El examen clínico y el análisis vertical de los tejidos blandos permiten identificar si una deficien- cia del 1/3 inferior de la cara se debe al maxilar o al mentón. Se corrige mediante un injerto en "sandwich" destinado a respetar el borde inferior. Se evita el acortamiento del labio decolando todo el periostio del borde inferior del mentón. El aumento vertical de los tejidos blandos es de aproximadamente el 100%del aumento óseo. El surco labiomentoniano se aplana (Fig. 23.9). Genioplastía de reducción Reducción sagital La reducción anteroposterior alcanza, como máximo, 5 a 6 mm, no debiendo colocarse el pogo- nión por detrás de la proyección anterior del incisi- vo inferior. La prominencia del mentón puede ser corregida mediante la ostectomía de la porción anterior de la sínfisis o por osteotomía horizontal con reposicio- namiento del borde inferior hacia atrás. Este último método permite un desplazamiento posterior de los tejidos blandos equivalente al 90% del óseo (Fig. 23.10). 90% Fig. 23.10: Reducción sagital. Ostectomía con resposicionamiento del borde inferior de la sínfisis.
  • 529.
    550 Tratamiento ortdóncico-quirúrgico 25% Fig.23.9: Aumento vertical. Osteotomía de injerto. La ostectomía, en cambio, sólo permite una modificación del 25% (Fig. 23.11). Es indispensable, en la planificación sobre modelos, prever la ostectomía de manera que el segmento inferior no provoque un saliente, estéti- camente inadmisible, del reborde basal. Nunca uti- lizamos métodos que no preserven el segmento sinfisario basal. Reducción vertical El exceso vertical del maxilar, determina tam- bién un aumento de la altura del tercio inferior de la cara, pudiendo interpretarse erróneamente como un exceso vertical del mentón. Utilizamos como criterios de presunción de exceso vertical del mentón la siguiente asociación: 1. Relación G-Sn / Sn-Mc inferior a 1 (exceso vertical relativo del tercio inferior) 2. Relación Sn-Sts / Sts-Mc inferior a 0,5 (exceso de los dos tercios inferiores de la cara) 3. Relación Sn-Liv / Liv-Mc inferior a 0,9 El exceso verticalpuede ser corregido por ostec- tomía horizontal con remoción del borde mento- niano inferior (Fig. 23.12 A) o por dos osteotomías horizontales con remoción del fragmento óseo 25% Fig. 23.10: Reducción sagital. Ostectomía con resposicionamiento del borde inferior de la sínfisis.
  • 530.
    Cambios en lostejidos blandos asociados a la cirugía ortognática 551 Fig. 23.12: Reducción sagital. Ostectomía con remoción de un fragmento intermedio. intermedio, conservándose el hueso basal, recoló- Este último método es el único que utilizamos, cado por osteosíntesis en posición superior (Fig. La reducción verticalen los tejidosblandos es cerca 23.12 B). del 90% de la reducción ósea (Fig. 23.13). 80% 90% 90% 1 25% 80% Fig. 23.13: Síntesis de los cambios estéticos producidos por las diferentes técnicas de genioplastia.
  • 531.
    552 Tratamiento ortdóncico-quirúrgico ALTERACIONESESTÉTICAS PRODUCIDAS POR LAS DISTINTAS MANIOBRAS QUIRÚRGICAS MANIOBRA EFECTO Avance maxilar Ensancha la base nasal Resalta áreas paranasales Reduce promlnecla de la nariz Eleva la punta de la nariz Resalta el labio superior Disimula el mentón Retroceso maxilar Retruye áreas paranasales Aumenta longitud labio superior Disminuye el espacio interlabial Desciende la punta de la nariz Resalta el mentón Impactación maxilar Ensancha la base nasal Resalta las áreas paranasales Eleva la punta de la nariz Reduce exposición dentaria superior Produce acortamiento labial y reducción vertical del 1/3 inferior. Aumenta prominencia del mentón Downgraft Desciende la punta de la nariz, columela y bases alares Alarga el labio superior Retruye el labio superior y áreas paranasales Aumenta el ángulo nasolabial Avance mandibular Aumenta la altura del 1/3 inferior Aumenta la proyección del mentón Reduce eversión labio inferior Aumenta protrusión labio inferior Disminuye ángulo cervicomentoniano Aumenta definición cervicomentoniano Retrusión mandibular Aumenta exposición labio inferior Reduce altura del 1/3 inferior Reduce prominencia del mentón Reduce eversión labio inferior Reduce protrusión labio inferior Resalta áreas paranasales
  • 532.
    CAPITULO 24 Planificación quirúrgica cefalométricay de modelos INTRODUCCIÓN Cuando se hayan alcanzado los objetivos referi- dos a la posición de los incisivos, transversalmente se lograron los torques normales y las superficies oclusales enfrentadas en la relación posquirúrgica ofrecen estabilidad oclusal, se considera que la pre- paración ortodóncica está finalizada, y se puede planificar la cirugía. Normalmente se habrá llegado a los arcos de mayor calibre, para la expresión de los torques y se habrá chequeado la superficie oclusal con modelos articulados manualmente. Muchas veces es necesa- rio realizar varios controles con modelos, para eva- luar la necesidad de determinados cambios en posi- ciones de brackets, utilización de barras palatinas para control del torque posterior, etc. Pueden pos- tergarse para la etapa posquirúrgicas maniobras de mesialización de sectores posteriores, no siendo esto motivado por una premura para llegar a la cirugía sino para realizar estas maniobras en mejo- res condiciones y con menores riesgos. Un ejemplo de esta indicación es la mesialización de molares superiores en casos de clase III con extracciones. Esta maniobra antes de la cirugía, compromete la posición sagital y la inclinación de los incisivos superiores, porque se realiza sin la contención que ofrece la arcada inferior a causa de que el overjet está invertido. En la etapa posquirúrgica el overjet se habrá normalizado y dicha mesialización será más segura. Es importante que se hayan buscado con el tra- tamiento los mecanismos de compensación para el caso de discrepancias en el índice de Bolton, por- que de no ser así, se presentará en este momento la imposibilidad de obtener la Clase I canina de ambos lados con la relación correcta de overjet. Si no se ha diagnosticado oportunamente la dis- crepancia que pudiese existir entre los tamaños mesiodistales de los dientes superiores e inferiores, es en esta etapa, al realizar el control de modelos en la oclusión posquirúrgica, cuando aparece el error. Por ejemplo, es bastante frecuente observar en pacientes de Clase III un menor tamaño de incisi- vos superiores en relación a los inferiores. Cuando el caso está perfectamente alineado y con puntos de contacto consolidados entre todas las piezas del sector anterior, se observará en los modelos enfren- tados con el overjet normal y las líneas medias coin- cidentes una relación canina de Clase II. Cuando esto ocurre, se deberá prolongar el tra- tamiento y abrir los diastemas en la arcada superior para lograr la compensación, pudiendo quedar para después de la cirugía la remodelación corona- ria que otorgue un mayor tamaño a los incisivos superiores, generalmente los laterales. En casos donde se planifica la segmentación para compensar los diámetros transversos expan- diendo el maxilar superior, no será útil este che- queo con el modelo íntegro porque la desarmonía transversal no permite el asentamiento oclusal, razón por la cual será conveniente seccionar el modelo. Planificación Quirúrgica Una vez alcanzados los objetivos de la prepara- ción ortodóncica prequirúrgica, se reúnen los ele- mentos para la planificación final: ortopantomo- grafía, telerradiografía cefalométrica de perfil, modelos en yeso de las arcadas dentarias y fotogra- fías intraorales y de la cara. Si existiera una asime- tría facial manifiesta, se hace un nuevo análisis frontal, a partir de una radiografía cefalométrica posteroanterior. La ortopantomografía aporta una información general sobre la anatomía de los maxilares, la res- puesta periodontal a la mecánica ortodóncica, el estado de los senos maxilares, forma y posición de los cóndilos mandibulares y detecta además la pre- sencia de patologías recientes. Es también posible visualizar la forma, dimensión y posiciones de las raíces de los dientes involucrados en las osteotomí- as interdentarias. 553
  • 533.
    554 Tratamiento ortodóncico-quirúrgico. Laortopantomografía puede ser complementa- da con radiografías periapicales para una mejor definición de los espacios interdentarios, previendo las osteotomías u ostectomías subsiguientes. Los exámenes cefalométricos de frente y de per- fil se utilizan para las predicciones quirúrgica y de laboratorio (sobre modelos). La predicción cefalométrica quirúrgica (VTO quirúrgico) debe ser realizada en primer término para obtener la información necesaria para la pla- nificación quirúrgica en los modelos montados en articulador. La decisión en cuanto al procedimiento adecua- do para la corrección de la anomalía dentofacialdel paciente, que se fundamenta en parámetros de estética facial, fue definida en el VTO ortodóncico- quirúrgico al comienzo del tratamiento. En esta instancia previa a la cirugía, se corrobo- ra dicho plan o se realizan pequeños ajustes si no se hubiesen obtenido exactamente las posiciones ortodóncicas planificadas. VTO quirúrgico Una vez finalizada la preparación ortodóncica prequirúrgica, se efectúa una telerradiografía y su respectivo trazado. El trazado de la telerradiografía permitirá: • Verificar si existe concordancia entre el resultado del tratamiento ortodóncico pre- quirúrgico y las modificaciones ortodóncicas propuestas en el VTO ortodóncico-quirúrgi- co. • Servir de base a la predicción quirúrgica. La finalidad del VTO quirúrgico es: • Confirmar si el plan quirúrgico elegido al realizar el VTO ortodóncico-quirúrgico es el que mejor se adapta a la situación. • Cuantificar la magnitud de las osteotomías, ostectomías o injertos necesarios. • Servir como base de datos para la predicción del trabajo de laboratorio con los modelos. • Obtener un trazado que simule las alteracio- nes del perfil dentoesquelético y del nuevo perfil cutáneo. El VTO quirúrgico consiste en repetir el proce- dimiento inicial de planificación, el VTO ortodón- cico-quirúrgico, pero sin realizar ningún cambio en las posiciones dentarias y cuantificando con exacti- tud los movimientos quirúrgicos. Las posiciones de los incisivos logradas por la preparación ortodóncica pueden no ajustarse total- mente a lo planificado; estas diferencias también pueden observarse en el o los planos oclusales. La nivelación de las arcadas determina el plano oclusal y puede tener alguna variante con el plano oclusal que se estimó sobre el trazado inicial. Este segundo VTO ajusta la planificación qui- rúrgica a los resultados obtenidos por el tratamien- to ortodóncico y se utiliza para tomar medidas que permitirán reproducir esta planificación sobre los modelos montados en articulador, para simular en ellos la cirugía y construir los splints quirúrgicos. Líneas de referencia quirúrgicas Para poder realizar las mediciones deben utili- zarse líneas de referencia, que se trazan estratégi- camente en la predicción de manera que se pueda realizar la cuantificación de las alteraciones posi- cionales esqueléticas resultantes de laplanificación quirúrgica. Estas líneas representan las osteotomías que se realizarán en ambos maxilares con las diferentes técnicas quirúrgicas. Referencias mandibulares En las osteotomías sagitales, se traza una línea de referencia vertical en la región del 2.° molar que corresponde al trazo vestibular de la osteotomía. En las osteotomías del cuerpo mandibular, con extracción de premolares, la línea de referencia se inicia en la punta de la cúspide del diente a extraer, pasa por el ápice y se prolonga hasta el reborde basal. En las osteotomías subapicales anteriores, sin extracción, la línea de referencia vertical se sitúa en el espacio interdentario y se prolonga hasta el reborde basal. La línea horizontal se ubica 5 mm debajo de los ápices.
  • 534.
    Planificación quirúrgica cefalométricade modelos 555 En esta cirugía, se usa además otra referencia, que consiste en un punto que corresponde a la nueva posición del borde incisal del incisivo infe- rior, que fue determinado a partir del análisis cefa- lométrico. Referencias maxilares En la osteotomía de LeFort I, se diseña una línea de osteotomía horizontal, paralela a la hori- zontal verdadera, a 5 mm del ápice del canino, que se extiende desde la abertura piriforme hasta el nivel de la cúspide mesial del primer molar. En este punto, la línea hace un escalón de 5 mm hacia abajo que se continúa con una nueva hori- zontal que se prolonga hasta la región pterigoidea. Se trazan además, intersectando las líneas hori- zontales, dos pequeñas líneas verticales (stops) a nivel de la cúspide del canino más fácilmente iden- tificable y de la cúspide distal del segundo molar, o en su ausencia, en cúspides vecinas. Cuando se realiza la segmentación simultánea a la Lefort, se debe trazar una línea de referencia que bisecta un premolar, en casos con extracciones. En los casos sin extracciones, la línea pasa por el espacio interdentario involucrado. Otra referencia en el maxilar es el trazado de la espina nasal anterior. Sirve para revelar la nueva posición de esta estructura, dada la importancia que tiene en la predicción y en la estrategia quirúr- gica. En las osteotomías segmentarias anteriores, con extracción de premolares, se recurre a dos líneas de referencia. Una, situada a 5 mm del ápice del cani- no, va desde la abertura piriforme al ápice del dien- te vecino ubicado hacia distal del diente a extraer; esta línea tiene un stop a nivel del ápice del canino. La otra línea de osteotomía vertical, bisecta el pre- molar e intersecta la línea horizontal. TRAZADO DE VTO QUIRÚRGICO Es indispensable obtener la telerradiografía en relación céntrica, con contacto dentario, con labios en reposo y en posición natural de la cabeza. Si no se tiene certeza sobre esta última, se reali- zarán los procedimientos para corroborar esta posición en relación a una fotografía tomada con una correcta orientación de la cabeza del paciente. 1- Al realizar el calco de la radiografía prequi- rúrgica se calcan, además de los incisivos Fig. 24.1: Trazado inicial para el VTO quirúrgico: - en PNC -en RC - Con labios en reposo Se trazan las líneas quirúrgicas del maxilar y la mandíbu- la y la vertical del punto A planificado.
  • 535.
    556 Tratamiento ortodóncico-quirúrgico. centralesy primeros molares superiores e inferiores, el canino superior. Del maxilar superior se calca solo la espina nasal anterior y el contorno del punto A(Fig.24.1) Si se planifica una segmentación se deben calcar también las piezas dentarias adyacen- tes a las líneas de osteotomía previstas. 2- Se traza la horizontal verdadera y las líneas de referencia quirúrgicadel maxilar superior, todo en color negro. Si se trata de una cirugía sólo de maxilar superior de tipo Le Fort, para realizar un cambio vertical o un avance, se marca también el Eje de bisagra arbitrario (E.B.A) Confección de plantillas (color rojo)(Fig. 24.2): 3- En una hoja de papel vegetal se calcan por separado el maxilar y la mandíbula, cada una con las piezas dentarias y con el plano oclu- sal. En el maxilar superior se calcan también las líneas de referencia quirúrgica, reprodu- ciendo exactamente en rojo las realizadas en color negro sobre el calco radiográfico. 4- En la mandíbula se calca el E.B.A. si ha sido marcado previamente en el calco, y se trazan las líneas de referencia en la mandíbula y el mentón correspondientes a las osteotomías que se deban realizar. 5- Se recortan ambas plantillas. Luego se realiza el mismo procedimiento del VTO ortodóncico-quirúrgico, detallado en el capí- tulo 22, teniendo en cuenta que ahora no es posible realizar ningún tipo de modificación a los incisivos (Fig. 24.3). 6- Se realizan las mediciones a nivel de las líne- as de referencia quirúrgica, dimensionando los desplazamientos verticales y sagitales que se observan en el maxilar superior, la mandí- bula y el mentón(Fig. 24.5). Fig. 24.3: Simulación de la cirugía con las plantillas Fig. 24.2: Confección de plantillas
  • 536.
    Planificación quirúrgica cefalométricade modelos 557 Fig. 24.4: Trazado del VTO quirúrgicofinalizado. Fig. 24.5: Mediciones de los desplazamientos óseos. Planificación sobre modelos y confec- ción de splints La planificación en modelos va a simular la magnitud y dirección de los movimientos esquele- tales, permitiendo la confección de splints de acríli- co que reproducirán, durante la cirugía, las relacio- nes oclusales que se deben establecer en distintos tiempos de la intervención para guiar al cirujano en el momento de la fijación de cada uno de los maxi- lares. Además, es útil para verificar si es posible esta- blecer una relación tridimensional adecuada para una oclusión satisfactoria. Mediante los splints quirúrgicos es posible reproducir en el quirófano la planificación realiza- da primero en la cefalometría (VTO quirúrgico) y luego en los modelos. El resultado final de la planificación en los modelos servirá también para comparar con los resultados postoperatorios. Montaje en articulador El recurso de fijación interna rígida plantea la necesidad de realizar un planeamiento terapéutico más riguroso teniendo en cuenta que este tipo de fijación no permite al ortodoncista corregir con fuerzas elásticas las posibles malposiciones esque- léticas creadas por el cirujano. Esta necesidad de planificación rigurosa, tiene respuesta en la planificación de laboratorio, en la que se recurre habitualmente a articuladores semiajustables. Se concibieron en los últimos años, articuladores especialmente desarrollados para cirugía ortognática e instrumentos de medida cada vez más sofisticados. No tendría sentido no acompañar la evolución de los articuladores con instrumentos de medida más exactos, porque se perdería en los errores de las medidas, aquello que se intenta ganar con el perfeccionamiento del articulador. Los registros de mordida, la utilización del arco
  • 537.
    558 Tratamiento ortodóncico-quirúrgico. facialy el montaje de los modelos son semejantes a los que se utilizan en la práctica clínica general. El arco facial registra y transfiere al articulador la ubicación tridimensional del maxilar superior en el espacio, y para que esto pueda ser lo más exacto po- sible, el arco facial debe mantener una horizontali- dad total en el momento del ajuste de la horquilla. Por eso, cuando por causas anatómicas del paciente no fuera así, se deberá recurrir a modificar la posi- ción del arco facial para asegurar esta horizontalidad. Es conveniente en los casos quirúrgicos: - Ajustar el arco facial con el paciente de pie o sentado, pero siempre con la cabeza en posi- ción postural. - Que el arco facial cuente con mecanismos de control de horizontalidad ("nivel"). - En casos de que las alteraciones esqueletales no permitan reproducir esta horizontalidad con el arco facial adaptado sobre el paciente de la forma habitual, habrá que modificar es- ta adaptación para lograr la horizontalidad (Ver página 540). Los modelos montados con estos recaudos simulan la ubicación tridimensional de la estructu- ra dentomaxilar en el espacio. El montaje se realiza en relación céntrica, con contacto dentario, en la misma posición que se rea- liza la toma radiográfica para la confección del VTO quirúrgico. Verificación del montaje en articulador Con esta comprobación se pretende asegurar que los modelos montados en el articulador y el tra- zado cefalométrico estén orientados de acuerdo con un mismo plano común de referencia (horizon- tal verdadera). 1.En el modelo del maxilar se miden y registran las medidas dentarias verticales del incisivo central más erupcionado y de la cúspide distovestibular o distopalatina del segundo molar de más fácil iden- tificación en la radiografía, hasta el borde superior de la platina. Para registrar estas medidas se utiliza la mesa de calibración. 2. Utilizando un compás, dibujar en el trazado la parte superior de dos arcos cuyos radios son las medidas dentarias verticales registradas en elincisivo y en el segundo molar, anteriormente determinadas, usando para ello el compás apoyado en el borde inci- sal del incisivoy en la punta de la cúspide distovesti- bular o distopalatina del segundo molar (Fig. 24.6). 3.Trazar una línea tangente a los dos arcos. Esta línea representa la Horizontal del montaje (HM). Fig. 24.6: Verificación del montaje en articulador
  • 538.
    Planificación quirúrgica cefalométricade modelos 559 4. Si los modelos han sido bien orientados en su montaje en el articulador, esta línea será paralela a la horizontal verdadera (HV) y el resultado de la predicción en los modelos será muy semejante al de la predicción cefalométrica. Si HM se aleja más de 5° de HV, debe optarse por la repetición de la transferencia con el arco facial y del montaje. La misma técnica puede ser usada en un trazado cefalométrico frontal, recurriendo a las medidas dentarias verticales de los caninos derecho e izquierdo. Instrumentos para las mediciones El tamaño de las medidas utilizadas en cirugía ortognática es milimétrico. Considerando los modelos correctamente mon- tados, son frecuentes dos tipos de errores en rela- ción a estas medidas: inherentes a la falta de preci- sión de los instrumentos de medida y de perspectiva. La falta de precisión de las reglas milimétricas, tanto mayor cuanto menor sea la distancia a medir, induce a errores que se reflejan en problemas de orden clínico. El uso de compases y calibres que miden décimas de milímetro, reduce las posibilida- des de error. Otra limitación que tiene el uso de reglas son los errores de paralaje. Con la intención de superar estos obstáculos, usamos como instrumentos para el trabajo en labo- ratorio una mesa de calibración y un bloque para modelos (Torre de Erickson). Son instrumentos de precisión, de muy cuidada elaboración, destinados a la prevención de los errores mencionados. Una mesa pulida, de mármol o granito, dispone de un instrumento de precisión, un calibrador digi- tal, fijado a su base con una angulación de 90°para el registro milimétrico de las medidas (Fig. 24.7). La rama fija del calibrador está representada por la superficie de la mesa donde éste se inserta. La rama móvil se mueve únicamente en el plano vertical y su punta aguda se usa para marcar los trazos de refe- rencia en el modelo de yeso. Las medidas se leen en el visor electrónico del calibrador. El calibre se usa de la siguiente manera: se lleva su punta móvil hasta la superficie de la plataforma y se acciona el interruptor del dispositivo electróni- co que coloca el visor en cero. Se levanta la punta móvil hasta el punto a medir y se hace la lectura en el visor digital. Cuando es necesario marcar un trazo de refe- rencia en el modelo de yeso se eleva la punta hasta el nivel deseado, se fija con un tornillo de ajuste y se hace el trazo. Un bloque de aluminio macizo o acero inoxida- Fig. 24.7: Esquema de los instrumentos utilizados para las mediciones.
  • 539.
    560 Tratamiento ortodóncico-quirúrgico. ble,permite la fijación estable de la base del mode- lo a una de sus caras y su manipulación, de manera que las medidas puedan ser registradas en ese modelo, siempre en las mismas condiciones. El bloque permite la fijación de la platina del modelo mediante un sistema que consta de un tor- nillo de ajuste y dos pines, similar al del articulador. Las medidas se hacen en décimas de milímetro. Estos instrumentos permiten determinar medi- das en los tres planos. Para ello, sólo es necesario variar la orientación del modelo fijado al bloque en relación al calibrador. Con el bloque apoyado sobre su base, se anotan las medidas verticales del modelo; cuando se apoya lateralmente, se registran las medidas transversales. Si se apoya en su superficie posterior, podemos obtener las medidas anteroposteriores. Durante la cirugía, no es posible respetar con absoluta exactitud las medidas obtenidas en la pre- dicción del laboratorio. Sin embargo, debemos saber que cuanto más rigurosa sea la predicción y su aplicación en el acto quirúrgico, menos se apar- tará el resultado obtenido del objetivo fijado. La planificación,además, nos impone una forma de razonamiento y un rigor en la ejecución, que por sí solos aumentan la posibilidad de éxito quirúrgico. Las medidas de los modelos Las medidas de las posiciones dentarias y esque- léticas se determinan en los planos vertical, antero- posterior y transversal. Se describen separadamente las medidas denta- rias y las medidas óseas, porque los movimientos dentarios no reflejan necesariamente los movi- mientos óseos y viceversa. Las medidas interdentarias utilizan referencias dentarias en la cuantificación de los espacios óseos. Son, por ello, descritas también separadamente. Medidas dentarias verticales Se usa el dispositivo de medida digital, con el bloque apoyado sobre su base y se mide la distan- cia desde el punto dentario de referencia, hasta la superficie de la mesa. Estas medidas dentarias verticales se obtienen, en todos los casos, en el modelo superior. Los dientes de referencia son: los incisivos cen- trales (borde incisal), caninos (punta de la cúspide) y segundos molares (punta de la cúspide distopala- tina o distovestibular). En ausencia del canino, se usa el primer premolar. Determinadas en el modelo superior, antes y después de la simulación, estas medidas van a per- mitir medir las alteraciones de la relación labio- diente (incisivo), de la inclinación del maxilar (caninos) y del plano oclusal (incisivos y segundos molares). Las medidas dentarias verticales mandibulares sólo son determinadas y registradas cuando la man- díbula también es sometida a corrección quirúrgica. Se usan los mismos dientes de referencia que en el modelo superior. Estas medidas son muy importantes por la rela- ción que tienen con el trazado de predicción. Per- miten verificar si el montaje en el articulador está correctamente orientado y cuantificar la posición vertical pre y posquirúrgica de los dientes utiliza- dos como referencia durante la simulación y en la intervenciónquirúrgica. El plano oclusal (segundo molar-incisivo) del modelo, se usa para la determinación de un plano horizontal de los modelos montados (HM), que es reproducido en la radiografía cefalométrica del perfil del paciente y que permite verificar si los modelos están bien montados. Se eligen el incisivo más erupcionado y el segundo molar mejor visuali- zado en la radiografía cefalométrica. Medidas óseas verticales (maxilar) Con el modelo montado en el bloque y éste a su vez apoyado sobre su base, se marca, rotándolo, Fig. 24.8: Obtención de medidas óseas verticales.
  • 540.
    Planificación quirúrgica cefalométricade modelos 561 con la punta móvil del instrumento, una línea alre- dedor del modelo, paralela a la base de éste, a una distancia de 30 mm de la punta de la cúspide del canino, hacia apical y que representa la osteotomía de LeFort I. Esta línea es, en la práctica, una refe- rencia de las medidas verticales. Las medidas se toman desde la superficie de la mesa hasta esta línea y se registran en la hoja de trabajo (Fig.24.8). Esta línea puede variar de acuerdo con las nece- sidades del paciente, dejando de ser paralela a la base del modelo, pero manteniendo igualdistancia a la cúspide del canino. Las medidas verticales son, en estos casos, determinadas a partir de las puntas de las cúspides, usadas también como referencias anteroposteriores (canino, segundo premolar y dis- tal del segundo molar). Alteraciones subsiguientes en la posición de esta línea horizontal, reflejan modificaciones en el plano vertical. Habitualmente, la osteotomía de LeFort I, sigue una línea continua o en escalón inclinada hacia atrás y abajo que se extiende desde el reborde piri- forme hasta las tuberosidades. Esta osteotomía es en rampa, por el hecho de que las raíces de los dientes anteriores (sobre todo los caninos) son sus- tancialmente más largas que las de los molares y, por eso, éstas se encuentran en una posición relati- vamente más baja. Si, durante un procedimiento destinado a colo- car el maxilar en una posición más anterior, se usara esta orientación para la osteotomía, el "efec- to de rampa" llevará a que el deslizamiento del maxilar se haga siguiendo un vector en sentido anterior y superior. Esto es, el maxilar además de avanzar, también se eleva, disminuyendo la altura del tercio inferior de la cara pudiendo producir un efecto indeseado. Atendiendo a este "efecto de rampa", si, por ejemplo, planificamos un avance aislado del maxi- lar, la autorrotación de la mandíbula, al acompañar este movimiento anterior y superior del maxilar, va a obligar a que la posición de éste sea más anterior de lo previsto, para alcanzar la oclusión correcta. El concepto inverso se aplica cuando se preten- de retroceder el maxilar. Podemos, también, modificar la rampa, orien- tándola hacia atrás y arriba. En ciertos casos, por ejemplo de déficit vertical y anteroposterior del maxilar, las osteotomías de la región posterior deben ser realizadas muy alto, en las áreas de las apófisis cigomáticas. Así, planificando en los modelos la angulación apropiada, podemos aprovechar este efecto cuando se pretende, por ejemplo, mejorar la relación anor- mal diente-labio, en un paciente que presente un exceso vertical y retrusión simultánea del maxilar. Debe, por lo tanto, ser extremo el cuidado que debemos tener al planificar individualmente los trazados de las osteotomías y las simulaciones hechas en los modelos, de forma que, para cada situación particular, podamos decidir la técnica qui- rúrgica más ventajosa. Medidas óseas verticales (mandibular) Medidas de la rama mandibular Se determinan dos puntos que representan los límites anterosuperior y anteroinferior del seg- mento proximal. Estos puntos se ubican debajo del segundo molar en la cara lateral del modelo man- dibular, a una distancia entre sí de 15 mm (Fig. 24.9) y corresponden a la línea de referencia verti- cal de la predicción. Queremos, a través de estos puntos de referen- cia, cuantificar los movimientos del segmento dis- tal, en la cirugía de la rama. Se registran sus medidas en sentido vertical (bloque apoyado en la base) y en sentido horizon- tal (bloque apoyado en la superficie posterior). Se comparan las medidas con las obtenidas des- pués de lasimulación. Fig. 24.9: Obtención de medidas óseas mandibulares
  • 541.
    562 Tratamiento ortodóncico-quirúrgico. Medidasdel mentón Es necesario transferir al modelo la posición ori- ginal del pogonión (ver "la escultura anatómica de los modelos"). Se compara su posición antes y después de la simulación. Alteraciones del plano oclusal pueden provo- car cambios en la proyección vertical, anteroposte- rior y transversal del mentón (pogonión). Medidas mandibulares subapicales Se miden como si se tratase de segmentos. Ade- más de las medidas interdentarias, se determina la posición en los tres planos del primero y del último diente del segmento. Medidas dentarias anteroposteriores Con el bloque apoyado en la superficie poste- rior, se miden y registran las distancias desde la base de la mesa a los puntos reproducibles del borde incisal de los dos incisivos centrales y de la superficie mesial de los caninos (Fig. 24.10). La diferencia anteroposterior de los incisivos medirá el desplazamiento anteroposterior de la arcada. El de los caninos definirá la rotación. Se aplica el mismo principio a la mandíbula. Medidas óseas anteroposteriores Con el bloque apoyado en la superficie poste- rior, se marcan, con la punta móvil del calibrador, una serie de líneas paralelas, perpendiculares a la base del modelo. Acostumbramos marcarlas bilateralmente a nivel de la punta de la cúspide del canino, del pri- mer molar y de la cúspide distal del segundo molar. No es importante su localización sino su coinciden- cia con las referencias utilizadas en la predicción quirúrgica. Después de simuladas las osteotomías y a su nivel, se miden y registran los desplazamientos, en relación a las posiciones originales de las líneas de referencia. En el maxilar,se puede evaluar de esta forma, la necesidad de un injerto, su dimensión y su forma. No tiene interés práctico realizar este procedi- miento en la mandíbula, debido a que no se refleja en la planificación. La única medida anteroposte- rior que se registra se hace bilateralmente a nivel del segundo molar, y nos habla sobre las ramas de la mandíbula, ya descrito. Existen también dos medidas de gran interés: la medida en relación a la posición del punto A en el maxilar y la medida relativa a la posición del pogo- nión en la mandíbula, por su importancia en el con- torno final de los tejidos blandos (Fig. 24.11). El punto A y el reborde piriforme avanzan más que los incisivos en la corrección de una mordida Fig. 24.10: Obtención de medidas dentarias anteroposte- riores. Fig. 24.11: Obtención de medidas óseas anteroposterio- res
  • 542.
    Planificación quirúrgica cefalométrícade modelos 563 abierta. Con la impactación de la superficie poste- rior del maxilar, el punto A generalmente avanza, con consecuencias estéticas en la región nasal. Basado en la información de la simulación, el ciru- jano decide si debe reducir la dimensión de la espi- na nasal durante la intervención. En cuanto al mentón, su corrección se planifica en el trazado de predicción quirúrgica y se comple- menta con la transferencia del pogonion al modelo mandibular. Medidas dentarias transversales Con el bloque apoyado en la parte lateral dere- cha, se miden y registran las distancias a las líneas medias maxilar y mandibular (Fig. 24.12). En casos de segmentación maxilar múltiple, se miden y registran las distancias al primero y último diente de cada segmento. Medidas óseas transversales Con el bloque apoyado en la parte lateral dere- cha (siempre es el mismo lado de las medidas den- tarias), se trazan dos líneas paralelas en la superfi- cie posterior del modelo, perpendiculares a su base. Corresponden, en los lados derecho e izquierdo de los modelos superior e inferior respectivamente, a las tuberosidades y a las ramas ascendentes. En la superficie anterior de los modelos se traza la línea media ósea (Fig. 24.13). Estas referencias no son medidas. Sirven para cuantificar las alteraciones transversales al finalizar la simulación. Esta diferencia debe ser registrada. Medidas interdentarias Estas medidas, determinadas a partir de referen- cias dentarias en las radiografías periapicales, se refieren al espacio óseo disponible entre las raíces, en las zonas de osteotomía. Las medidas se obtienen con un compás o un calibrador manual en el espacio interproximal, entre los ápices de los dientes y la cresta alveolar y son transferidas a los modelos. En la radiografía periapical Medir, en el área interproximal, el espacio dis- ponible entre los ápices y a nivel de la cresta alveo- lar. Registrar en la hoja de trabajo. En el modelo 1. Trazar el eje mayor y la cara proximal de las raíces de los dientes adyacentes a la osteotomía / ostectomía, basándose en la forma y en las medidas Fig. 24.12: Medición transversal de la línea media denta- ria. Fig. 24.13 : Medición transversal de la línea media ósea
  • 543.
    564 Tratamiento ortodóncico-quirúrgico. registradasa partir de la radiografía periapical (método paralelo). 2. Marcar, en las caras vestibular y lingual del modelo, la posición de cada ápice y de las superfi- cies proximales de los cuellos de cada uno de los dientes a nivel de la cresta alveolar, mediante el trazado de pequeñas cruces. 3. Registrar, en la hoja de trabajo, las distancias entre estas marcas. 4. Seccionar los modelos y proceder al montaje final. Registrar las medidas. 5. Registrar la diferencia entre las medidas, en la hoja del quirófano. REFERENCIA OPERATORIA VERTICAL INTRAORAL Esta referencia se usa en los casos en que la pre- dicción indica la necesidad de modificar la posición vertical del maxilar. Se realiza con el propósito de registrar bilateral- mente, a partir del modelo superior, la distancia entre dos puntos de referencia, uno dentario y otro óseo, antes y después de la corrección vertical pla- nificada, posibilitando de esta forma la reproduc- ción en la intervención de las medidas verticales registradas. Se talla anatómicamente el modelo. Se mide bilateralmente la distancia desde el cen- tro del bracket del canino hasta un punto de refe- rencia situado en la parte lateral del reborde piri- forme, por encima del trazo de la osteotomía planeada. Se realiza la modificación deseada. Al final de la predicción, se mide nuevamente la distancia. Estas medidas, la inicial y la final, son utilizadas en la intervención quirúrgica. Al principio de la intervención, el cirujano, des- pués de hacer la exposición de las paredes óseas del maxilar, transfiere con un compás la primera medi- da obtenida con el modelo intacto. Apoya una punta del compás en el centro o en una zona retentiva del bracket, siempre que sea la misma de la predicción y, con la otra punta, marca en el hueso un punto. Esa marca ósea es sustituida por un pequeño tornillo, tipo Leibinger, cuya cabeza tiene un bajo relieve en el centro y, por eso, es retentiva. Se verifica nuevamente la medida inicial. Se hace lo mismo en el lado contrario. Se realizan las osteotomías / ostectomías por debajo del nivel del tornillo. Se hacen repetidas mediciones de la distancia bracket-tornillo, corrigiendo las osteotomías / ostectomías, hasta haber cumplido con la predic- ción, ya se trate de un aumento o una reducción. Éste es un método de medida intraoral muy práctico, eficaz y de fácil ejecución. ESCULTURA ANATÓMICA DE LOS MODELOS Con el objeto de simular zonas anatómicas de los maxilares del paciente, se recurre a la reproduc- ción en los modelos, de puntos y áreas del examen cefalométrico con interés particular en la predic- ción en los modelos, por la repercusión estética que tendrán algunos procedimientos quirúrgicos. Los puntos de mayor interés son: el punto A, la espina nasal anterior, el reborde piriforme y el pogonion. Ejemplificamos a continuación la forma de Fig. 24.14: Transferencia del punto A al modelo.
  • 544.
    Planificación quirúrgica cefalométricade modelos 565 transferir desde el trazado al modelo el punto A (Fig. 24.14). Se calcula la posición anteroposterior y vertical del punto A, a partir del trazado cefalométrico: • Se trazan dos líneas paralelas entre sí y per- pendiculares a HV; una anterior, que pasa por el borde incisal del incisivo superior y otra posterior, que pasa por el punto A. • La distancia, medida en la perpendicular más anterior, desde el borde incisal del incisivo superior hasta el punto A, determina la altu- ra de este punto. Su profundidad es la dis- tancia entre las dos perpendiculares. Las medidas se transfieren a los modelos, teniendo en cuenta la amplificación de la imagen radiográfica, que puede ser cuantificada a partir de la amplificaciónverificada en la imagen de las esfe- ras de la cadena vertical de referencia. El mismo principio se utiliza para calcular la posición anteroposterior y vertical de otras zonas de interés en la planificación, como la espina nasal anterior, el reborde piriforme y el pogonion, en este caso se usa el incisivo inferior (Fig. 24.15). A partir de estas medidas, el modelo es, entonces, tallado anatómicamente. Fig. 24.15: Transferencia del pogonion al modelo. ESQUEMAS DE PLANIFICACIÓN SOBRE LOS MODELOS La cirugía ortognática se ha dividido tradicio- nalmente en cirugía monomaxilar y cirugía bimaxi- lar. Sin embargo, esta división es poco pragmática: en el ámbito de la cirugía bimaxilar comprendería pro- cedimientos quirúrgicos que, si bien involucran ana- tómicamente a ambos maxilares, no tienen ninguna semejanza desde el punto de vista de laplanificación sobre los modelos y de la ejecución operatoria. Por razones de orden práctico, teniendo en cuenta que la secuencia del trabajo de laboratorio debe ser repro- ducida en la intervención quirúrgica,preferimos reu- nir los procedimientos quirúrgicos dentro del con- cepto de esquemas de tratamiento. Preferimos este concepto, diferente de lo tradi- cional, y consideramos que sólo se debe hablar de cirugía bimaxilar en las circunstancias en que el maxilar pierde totalmente la relación tridimensio- nal que tenía con su base y al mismo tiempo, la mandíbula es "fraccionada", con la consiguiente separación de los dos cóndilos. Si estas condiciones no se dieran aunque los dos maxilares hayan sido intervenidos, no hablaremos de cirugía bimaxilar. Designaremos el tipo de inter- vención por el esquema de tratamiento utilizado. No hablaremos, por ejemplo, de cirugía bima- xilar en casos que involucren una o varias osteoto- mías segmentarias, manteniéndose, mientras tanto, un área intacta del maxilar o no existiendo "sepa- ración" de los cóndilos. En todas las situaciones en que los maxilares son simultáneamente operados, la arcada mandibu- lar se utiliza siempre como referencia para la adap- tación de la arcada maxilar. En la práctica, basándonos en los conceptos anteriores, podemos dividir a la terapia quirúrgica en tres esquemas básicos. Esquema de tratamiento I Cirugíamandibular Los esquemas más simples, son aquellos en que sólo la mandíbula o el maxilar son intervenidos, manteniendo al otro intacto. En la cirugía mandibular el maxilar sirve de base
  • 545.
    566 Tratamiento ortodóncico-quirúrgico. fija;la mandíbula se recoloca según la predicción. Mientras tanto, podemos asociar a la cirugía mandibular cualquier forma de cirugía segmentaria del maxilar, siempre que al menos una parte de éste se mantenga intacta. Por ejemplo, en el avance mandibular asociado a la segmentación anterior del maxilar, se mantiene intacta su zona posterior. Esta parte no alterada del maxilar es la que establecerá la posición tridimen- sional (anteroposterior, vertical y transversal) final de la mandíbula. La perspectiva tradicional consi- deraría esto como abordaje bimaxilar. En esta situación, los segmentos del modelo del maxilar, separados, se fijan con cera en sus nuevas posiciones de acuerdo con la arcada mandibular previamente establecida. Cuando se planifican además osteotomías inter- dentarias en la mandíbula, éstas se ejecutan prime- ro definiendo la nueva arcada mandibular, y sólo después, se moviliza el modelo inferior como un todo, hacia su nueva posición. Se miden y registran las medidas dentarias ver- ticales, que permiten verificar si el modelo y la pre- dicción están orientados según el mismo plano. La posición anteroposterior y vertical del pogo- nion se calcula a partir del trazado de la predicción y se transfiere al modelo mandibular. Se registran las medidas dentarias y óseas verti- cales, así como las medidas dentarias y óseas ante- roposteriores mandibulares y la posición de la línea media (bloque apoyado sobre su lado derecho). Se marca en la parte anterior del modelo, la línea de referencia ósea transversal, perpendicular a la base del modelo, coincidente con la línea media dentaria y, en la parte posterior del modelo, dos líneas paralelas, también perpendiculares a la base, que representan las ramas de la mandíbula. Una vez registradas en la hoja de trabajo las medidas de interés, el modelo es seccionado con una sierra o un disco, paralelamente a su base de fijación en el articulador, preservando las líneas de referencia. El modelo es colocado en la posición planifica- da y fijado con cera a su base. Como la cera al endurecer puede sufrir distorsiones, es conveniente verificar nuevamente la oclusión de los modelos. Las medidas verticales y anteroposteriores de los incisivos y las medidas verticales de los molares, deben ser semejantes a las correspondientes medi- das obtenidas a partir del trazado de la predicción quirúrgica. Si la nueva posición de la mandíbula fuera acep- table, el modelo se fija definitivamente con yeso. Se procede entonces al registro de las nuevas medidas y se verifican las diferencias. Finalmente, se construye el splint quirúrgico, registrando los datos en la ficha operatoria. Esquema de tratamiento II Cirugía maxilar La mandíbula establece la posición anteroposte- rior y transversal (ancho y línea media) del maxilar, correspondiendo al cirujano la determinación de su posición vertical. La cirugía puede involucrar una segmentación parcial (osteotomía subapical anterior) y será la mandíbula la que determinará la arcada. Esquema de tratamiento III Cirugía bimaxilar En estos casos, se debe definir tridimensional- mente la deformidad dentofacial, teniendo en cuenta que ni el maxilar ni la mandíbula, están en posiciones aceptables. La plataforma y el bloque de aluminio permiten medir los modelos montados en el articulador, en los tres planos del espacio. El cirujano decide el posicionamiento tridimen- sional del modelo maxilar y "le adapta" la mandí- bula. Cuando se hace la segmentación de los modelos, se deberá establecer primeramente, en todos los casos, la arcada mandibular, fijando los segmentos con cera y después adaptarle los segmentos de la arcada maxilar. El ancho del maxilar será determinado por la mandíbula. Sólo entonces las arcadas serán trata- das como un todo, es decir, como si no hubieran sido segmentadas, siguiendo las normas del proce- dimiento de la predicción sobre los modelos de la cirugía bimaxilar. Teniendo en cuenta que es la arcada mandibular la que sirve de base al montaje, el cirujano debe decidir:
  • 546.
    Planificación quirúrgica cefalométricade modelos 567 • La colocación vertical de la parte anterior del maxilar (relación labio-diente). • La colocación vertical de la parte posterior del maxilar (alturaverticalde lossegundos molares) • La colocación vertical de los lados derecho e izquierdo del maxilar (inclinación del maxi- lar medida en los caninos). • La posición anteroposterior del maxilar (alteración anteroposterior medida en los incisivos superiores). • La posición anteroposterior del lado derecho e izquierdo del maxilar (rotación de la arca- da, medida por la alteración anteroposterior de los caninos). • Colocación transversal de la línea media del maxilar. Siempre deben correlacionarse las medidas de la predicción de los modelos con las medidas del trazado de predicción. Preparación del splint simple para cirugía ortognática Una de las finalidades del trabajo de la predic- ción sobre los modelos, es la confección de los splints que serán utilizadas durante la cirugía. Estos splints son obligatorias en todos los tipos de esque- mas de tratamiento; su número y tipo dependerán de varios factores, debidamente ponderados. Si el caso se encuadra en el "Esquema de trata- miento II" -Cirugía maxilar-, no necesitaremos sino de un splint, correspondiente a la relación oclusal final de los maxilares. En el caso de que se haya ejecutado simultáneamente una osteotomía segmentada en la mandíbula, como no se separan los cóndilos, la posición final de éstos dependerá exclusivamente de la nueva posición vertical del maxilar (autorrotación). En el "Esquema de tratamiento I" -Cirugía mandibular-, la posición final de los cóndilos varia- rá de acuerdo a la habilidad del cirujano, o al recur- so de "posicionadores de cóndilos" en las osteoto- mías sagitales. Como "posicionadores de cóndilos", se emplean placas de osteosíntesis adaptadas o, idealmente, placas especialmente confeccionadas para esta finalidad (Leibinger). Su empleo obliga al uso de un primer splint que reproduzca la relación intermaxilar primitiva, o mejor dicho, la existente al final de la preparación ortodóncica, confeccionándose entonces dos splints, uno inicial y otro final. Después de estar expuestas las ramas de la man- díbula, en las que se realizará la osteotomía sagital, se coloca el splint y se procede a la fijación inter- mandibulomaxilar temporaria, con hilos de acero. Se fija una extremidad del posicionador en la cara externa de la rama ascendente y la otra en una zona del maxilar que no sufrirá alteraciones posi- cionales, sirviendo de punto de referencia fijo. En la cirugía mandibular, este punto fijo se con- sigue colocando, bilateralmente, en la región molar superior, un bloque de plástico, utilizando acrílico autopolimerizable. Este bloque tiene dos orificios destinados a recibir los tornillos de fijación de la extremidad correspondiente del posicionador. Fijado bilateralmente y endurecido el acrílico, se remueven los posicionadores y el splint, inicián- dose las osteotomías. Complementadas las osteotomías sagitales, se coloca el splint final. Se procede a la fijación intermandibulomaxilar y se colocan de nuevo los posicionadores de los cóndilos, fijando sus tornillos de soporte a los orifi- cios previamente hechos en la rama ascendente y en los orificios de los bloques de plástico que están adheridos con acrílico, en las regiones molares. Se procede, entonces, a la fijación interna rígida de los segmentos proximal y distal de la mandíbula. Una vez finalizada la fijación rígida, se remueven los posicionadores. La fijación intermaxilar es removida, pero el splint se puede mantener ligado a través de alam- bre de acero fino al aparato de ortodoncia supe- rior. En el "Esquema de tratamiento III" -Cirugía bimaxilar-, se usan dos o tres splints, según se recu- rra o no a los posicionadores de cóndilo. Si fueren usados posicionadores de cóndilo, necesitaremos de tres splints, destinándose el pri- mero a facilitar su colocación. En la cirugía bimaxilar, el punto de fijación maxilar de los posicionadores se encuentra, obvia- mente, situado hacia arriba del trazo de la osteoto- mía planeada.
  • 547.
    568 Tratamiento ortodóncico-quirúrgico. Elsegundo spiint corresponderá a la nueva posi- ción del maxilar o de la mandíbula, según la cirugía comience por uno u otro hueso y el tercer spiint a la posición final de los maxilares. Técnica de preparación de los tres splints: Spiint inicial Con los modelos montados en el articulador y en su posición original: 1. Se preparan las superficies dentarias de los modelos con líquido separador de acrílico. 2. Se prepara el acrílico autopolimerizable (si es posible color blanco). 3. Con el articulador abierto, se coloca un rodete hecho con el acrílico, sobre las superficiesincisa- les y oclusales del modelo inferior, hasta la mitad de la cara oclusalde lossegundos molares. 4. Se cierra el articulador, ejerciendo una presión moderada y se moldea el acrílico en las superfi- cies bucalylingualde los dientes de los modelos. 5. Mientras el acrílico está blando, se cortan los excesos bucales usando los brackets como referencia vertical. 6. En la cara lingual, el margen cervical palati- no sirve de límite superior al spiint, que no debe contactar con la mucosa. 7. Se retiran los excesos y se reduce el espesor del spiint hasta una dimensión adecuada. 8. Se pulen las superficies. Spiint intermedio Inicio de la cirugía por el maxilar (Fig 24.16): Con los modelos montados en el articulador en la nueva posición del maxilar: 1. Igual que en la anterior se comienza colocan- do el separador de acrílico. 2. Se prepara el acrílico (si es posible color rosa). 3. Se siguen los pasos 3 a 8 previamente descri- tos para el spiint inicial. Fig. 24.16: Cirugía bimaxilar. Confección del spiint intermedio para un caso de inicio de cirugía por el maxilar.
  • 548.
    Planificación quirúrgica cefalométricade modelos 569 Inicio de la cirugía por la mandíbula: Cuando hay que modificar la posición vertical del maxilar en la parte posterior, especialmente cuando se debe realizar un descenso, o cuando hay que corregir una asimetría mandibular muy impor- tante, se indica comenzar la cirugía bimaxilar por la mandíbula. Para ello hay que hacer un duplicado del mode- lo superior montado. Se procede de la siguiente manera: 1. Se realiza la simulación quirúrgica en un modelo superior. 2. Se simula la cirugía mandibular. 3. Se reemplaza el modelo superior por el dupli- cado. 4. Con la nueva posición mandibular y la mandí- bula intacta se confecciona el spiint de la misma manera que en el caso anterior. Spiint final Con los modelos montados en el articulador y en la posición final (Fig. 24.17): 1. Se preparan las superficies de los modelos con separador. 2. Se prepara el acrílico (si fuera posible trans- parente). 3. Con el articulador abierto, se coloca el rode- te de acrílico sobre las superficies incisales y oclusales del modelo mandibular, hasta la mitad de la cara oclusal de los segundos molares. Si el maxilar hubiera sido segmentado, se extiende el acrílico a toda la superficie de los segundos molares. 4. 5. 6. y 7. Seguir los pasos de 4 a 7 descritos para el spiint inicial. 8. En el reborde vestibular del spiint, se hacen pequeños orificios (tres en cada cuadrante), destinados a fijarla al aparato de ortodoncia. 9. Se hace el pulido de rutina. Fig. 24.17: Cirugía bimaxilar. Confección del spiint final
  • 549.
    Bibliografía 571 Bibliografía Arnett GW , Jelic J S et al 1999 Soft tissue cepha- lometric analysis:diagnosis and treatment planning of dentofacial deformity. American Journal of Orthodontics and Dentofacial Orthopedics 116: 239-253. Athanasiou, A. E.: Morphologic and functional implications of the surgical-orthodontic manage- ment of mandibular prognathism: A comprehensi- ve review. Am. J. Orthod. Dentofacial Orthop. 103(5):439, 1993 Bell, W. H.: Correction of the contour deficient chin. J. Oral Surg. 27: 110-114, 1969 Bell, W. H., Fonseca, R. J., et al: Bone healing and revascularization after total maxillary osteotomy. J. Oral Surg. 33: 253, 1975 Bell, W. H.: LeFort I osteotomy for correction of maxillary deformities. J. Oral Surg. 33: 412-426, 1975 Bell, W. H.: Modern practice in orthognathic and reconstructive surgery. W. B. Saunders Co. 1992 Bursture CJ Lip posture and its significante in tre- atment planning Am J Orthod 1967;53: 262-284. Burstone CJ, James RB, James RB, Legan H, Murphy GA, Norton LA Cephalometrics for ort- hognathic surgery. J Oral Surg 1978; 36:269-277. Epker, B. N., Wolford, L. M.: Middle third face ostectomies: their use in the correction of congeni- tal dentofacial and craniofacial deformities. J. Oral Surg. 34:324,342, 1976 Epker, B. N.: Modifications in the sagital osteo- tomy of the mandible. J. Oral Surg. 35:157,159, 1977 Epker, B. N. Wolford, L. M., Fish, L. C.: Mandibular deficiency syndrome II. Surgical consi- derations for mandibular advancement. Oral Surg. 45:349,363,1978 Epker, B. N., Fish, L. C., et al: The surgical-ortho- dontic correction of maxillary deficiency. Oral Surg. 46:171,205, 1978 Epker, B. N., Fish, L. C.: The surgical-orthodontic correction of class III skeletal open bite. Am. J. Orthod. 73:601,618,1978 Epker, N. B., Fish, L. C.: Surgical-orthodontic correction of open-bite deformity. Am. J. Orthod. 71:278,299, 1979 Epker BN, Fish LC Dentofacial Deformities: Integrated Orthodontic and Surgical Correction, vol 1 St Louis Mosby, 1986. Epker BN, Stella JP, Systematic aesthetic evalua- tion of the neck for cosmetic surgery.Atlas Oral Maxillofac Surg Clin North Am 1990; (3): 217. Epker, B. N.: Esthetic maxilofacial surgery. Lea & Febiger, 1994 Farkas, L. G., Kolar, J. C.: Anthropometrics and art in aesthetics of women's faces. Clin. Plast. Surg. 14:599, 1987 Fish, L. C., Wolford, L. M., Epker, B. N.: Surgical orthodontic correction of vertical maxillary excess. Am. J. Orthod. 73:241,257, 1978 Gonzalez-Ulloa, M., Stevens, E.: The role of chin correction in profileplasty. Plast. Reconstr. Surg. 41:477-486 Guyuron, B.: Precisión rynoplasty. Part I: The role of life-sized photographs and soft-tissue cephalome- tric analysis. Plast. Reconstr. Surg. 66: 346,1988
  • 550.
    572 Tratamiento ortodóncico-quirúrgico Guyuron,B.: Precisión rynoplasty. Part II: Prediction. Plast. Reconstr. Surg. 81:500,1988 Henderson, D., et al: A colour atlas and textbook of orthognathic surgery. The surgery of facial ske- letal deformity. Wolfe Medical Pub. Ltd. 1985 Hinds, E. C., Kent, J. N.: Surgical treatment of development jaw deformities. St. Louis, The C. V. Mosby Co. 1972 Jost, G.: Atlas of aesthetic plástic surgery. Paris, Masson eds. 22, 1973 Koury, M. E., Epker, B. N.: Maxillofacialesthetics: anthropometrics of the maxillofacialregión. J. Oral Max. Surg. 50:806,820, 1992 Legan, H. L., Burstone, C. J., et al: Soft tissue cep- halometric analysis for orthognathic surgery. J. Oral Surgery. Vol 38, 744- 751. Oct. 1980 Lévignac, J.: Le mentón. Masson S. A. 1988 Melsen, B.: Current Controversies in orthodontics. Quintessence Pub. Co, Inc. 1991 Obwegeser, H.: The surgical correction of mandi- bular prognathism and retrognathia with conside- ration of genioplasty. Part I. Oral Surg. 10:677-689, 1957 Obwegeser, H.: Indications for surgical correction of mandibular deformity by sagital splitting techni- que. Br. J. Oral Surg. 1:157,168, 1964 Park Y C, Burstone C J 1986 Soft tissue profile - fallacies of hard tissue standards in treatment plan- ning. American Journal of Orthodontics and Dentofacial Orthopedics 90 (1): 52-62. Powell, N., Humphreys, M. D.: Proportions of the aesthetic face. Thieme-Stratton Inc. New York. 1984 Proffit WR, White RP Jr. Surgical orthodontic tre- atment St Louis, Mosby, 1990: 96-140. Proffit, W. R., White, R. P. Jr.: Surgical-orthodon- tic treatment. St. Louis. Mosby - Year Book, Inc., 1991 Rakosi, T.: An atlas and manual of cephalometric radiography. Wolfe Medical Pub. Ltd. 1982 Reyneke JP, Tsakiris P, Kienler F.A. simple classi- fication for surgical treatment planning of maxillo- mandibular asymmetryBr J Oral Maxillofac Surg 1997;35: 349-351** Reyneke, J. P., et al: Introduction to orthognathic surgery. Ishiyaku EuroAmerica Inc. St. Louis. Tokio, 1991 Ricketts, R. H.: Cephalometric analysis and synt- hesis. Angle Orthod. 31:141,156, 1961 Riedel, R. A.: An analysisof dentofacial relations- hips. Am. J. Orthod 43:103,119,1957 Steinhauser, E. W.: Advancement of the mandible by sagittal ramus split and suprahyoid myotomy. J. Oral Surg. 31:516,521,1973 Trauner, R., Obwegeser, H.: Surgical correction of mandibular prognathism and retrognathia with consideration of genioplasty. Oral Surg. 10:677- 681,1957 Wolford, K. M., et al: Surgical treatment objective. A systematic approach to the prediction tracing. Mosby Co. 1985
  • 551.
  • 552.
    Datos personales C AP I T U L O 25 Casos clínicos Motivo de la consulta Paciente: V.B. Edad: 22 años. Sexo:Femenino. Sintomatologia articular y cefaleas frecuentes, asociadas a períodos de stress. Fig. 25.1: V. B. Fotografías iniciales de cara. 575
  • 553.
    576 Ejemplos deplanificación Fig. 25.2: V.B. Fotografías iniciales de boca. ESTUDIO CLÍNICO ANÁLISIS FRONTAL Observaciones: No presenta alteraciones transversales faciales. Las líneas medias den- tarias se encuentran centradas. Fig. 25.3: Análisis frontal.
  • 554.
    Casos clínicos 577 ESTUDIOVERTICAL Fig. 25.4:Estudio vertical del perfil. Estudio vertical Medida Tercio medio - Tercio inf. A: Gl - Sn B: Sn - Me Norma Labio sup.- Tercio medio C: Sn - St Sup. A: Gl - Sn Labio Sup. - Labio inf. C: Sn - St Sup D: St Inf - Me Espacio I nterlabial E = StSup- St Inf Exposición del 1_ F: StSup-1 Paciente Conclusión: No se detectan problemas Objetivo Terapéutico
  • 555.
    578 Ejemplos deplanificación ESTUDIO SAGITAL Fig. 25.5: Medidas del estudio sagital del perfil. Estudio sagital J X* Medida Vertical Gl - Sn Vertical Gl - PoC Ángulo nasolabial Ángulo nasolabial inf. Vertical de Sn - Labio sup. Vertical de Sn - Labio 1 nf. Vertical de Sn - PoC Reí. cervical facial inferior Sn - Gnc Gnc - C V Norma Paciente 6 mm± 3 +5 mm 0 mm± 4 -2 mm 102° ± 8 ] 85° ± 5 ] 105" 83° 2 mm + 2 ) +2 mm 0 mm ± 2 +2 mm - 2 mm ± 2 1 -6 mm i g i 1.26 N / /• ^v Conclusión: .. Las. meOHtaS.del .estudio, sagj: tal no manifiestan alteraciones ae consi aeración. La vertical ae Sn y el ángulo nasolabial inferior inaican que los labios están ligeramente jjrotruiaos. Objetivo Terapéutico: Retruir los labios. . y
  • 556.
    Casos clínicos 579 CEFALOGRAMALATERAL BÁSICO Fig. 25.6: Cefalograma inicial, a partir de la telerradiogra- fía en MIC. C E F A L O G R A M A L A T E R A L J Clase esqueletal Normal 01- Convexidad facial ( + 2 ± 2mm J 02- DistanciaA-B [ + 4 ± 2 m m ] V f Maxilar Inferior Normal 03- Eje Facial [ yu ± i ) 04- Prof. Facial ( 87°± 3° ] 05- Ang.plano mandibular [ 26° ± 4° J 06- Altura facial inferior ( 47°± 4° ] 07- Arco mandibular ( 26° ± 4° J V Maxilar Superior Normal 08- Profundidad maxilar ( 90° ± 3° J V nicial í 5,1 mm } í 4 mm J J N 1 nicial í 89,7' 1 ( 87,5° ] [ 26,2° J í 46,8° ] [ 23,9° ] J • nicial [ 92,5° J J Dientes 09- 1 - A-Po [_ 10- 1 - Plano Oclusal [_ 11-1 - Plano mandibular _ fil 12- 1 - Plano BaNa [« ^ s Estética 13- Exposición del 1 [+ 14- Labioinf. Plano E [_ 15- Ángulo nasolabialInf. [_ V Biotipo facial VERI [-0,1 ] mesofacial V ^l 1 nicial + 1 ± 2mm] ( Smm } + 1 ± 1 mm ] ( -lmm } 90° ± 5° J ( 104,2 c e c 1 í 93° } E. Fac. -5° J [ J J Normal 1 nicial 2.5a+3mm] ( +3 mm ] - 2 ± 2mm) ( '^ "« ] 85° ± 5° ] [ 83'8° } J Paciente grupo: dD Descripción cefalométrica: Paciente de sexo femenino, sin crecimiento, biotipo mesofacial. Clase II esqueletal leve, con Clase I alveolar. Maxilar superior avanzado, mandíbula en normoposición. Buena relación de los maxilares en sentido vertical. Clase I dentaria con biprotrusión incisivay falta de overbite. Perfil ligeramente protruido.
  • 557.
    580 Ejemplos deplanificación ESTUDIO GNATOLÓGICO ffi • k. 1 v^ U Fig. 25.7: Modelos seccionados. Montaje en RC. Se observa un cambio en la relación vertical, sagital y transversal entre ambas arcadas, con los primeros contactos interoclusales a nivel de los segundos molares superiores. Fig. 25.8: Estudio de los modelos eliminando los sectores posteriores por distal del canino, se establece una relación canina de Clase I y un overbite similar al de MIC _ Fig. 25.9: El agregado de los premolares abre la mordida y disminuye el overbite.
  • 558.
    Casos clínicos 581 B^j Fig.25.10: La inclusión de los primeros molares y posteriormente, de los segundos molares, aumenta progresivamente la mordida abierta, haciendo notoria la influencia de los sectores posteriores en el problema vertical anterior. Z: +3,5 mm Izquierda X: -1,5 mm Z: ±á mm Promedio X (horizontal) Promedio Z (vertical) Transversal mm mm mm I Fig. 25.11: Registros de posición condilar inicial Fig. 25.12: Conversión cefalométrica manteniendo el overbite inicial. Se observa una marcada superposición a nivel de los molares, causada por el movimiento vertical del cóndilo desde la MIC a la RC.
  • 559.
    582 Ejemplos deplanificación Fig. 25.13: Simulación en el montaje de las posibilidades ortodóncicas de control de los contractos prematuros posterio- res. Fig. 25.14: Conversión cefalométrica con el overbite resul- tante de la simulación en el montaje (Fig. 25.13). Disminuye la zona de superposición a nivel de los mola- res. Fig. 25.15: Cefalograma del trazado de conversión cefa- lométrica de la figura 25.14. 2 mm
  • 560.
    Casos clínicos 583 CE F A L O G R A M A L A T E R A L Clase esqueletal Normal Inicial 01-Convexidad facial [ +2± 2mmJ [ 6,8 mm 02- Distancia A-B + 4± 2mm ] [ 7,1 mm ] Maxilar Inferior Normal Inicial 03-Eje Facial ( 90°± 3° ] [ 88>2° } 04- Prof. Facial [ 87°± 3° J [ 85,6" J 05- Ang. plano mandibular ( 26°± 4° J [ 30° J 06-Altura facial inferior [ 47° ± 4° J [ ^J° J 07-Arco mandibular [ 26° ± 4° J [ 23>9° } Normal I nicial ± 2mm 8mm Dientes 09- 1 - A-Po , 10-1 - Plano Oclusal 1 + 1 ± Imm . , 11-1-Plano mandibular [ 90° ± 5° ] [ 1W'Z° 12-1-Plano BaNa (// E. Fac.-5° -3 mm 93° Estética Normal I nicial 13-Exposición del 1 [+2.5a+3mm] ( +3 mm ] 14- Labio inf.Plano E [ - 2 ± 2 mm~) [ *2 mm ~) 15- Ángulo nasolabial Inf. [ 85° ±5° ] | 83° Maxilar Superior Normal 08-Profundidad maxilar [ 90°± 3° I nicial 92,5" ] Biotipo facial VERTÍ-0,5 Paciente grupo: OD Descripción cefalométrica: ídem a descripción en MIC, sólo hay un ligero aumento de la Clase II esqueletalpor una retrusión leve de la mandíbula. Discrepancias Arcada dentaria inferior X Planificación del VTO /• 1-APo 1. Discrepancia dentaria 2. Discrepancia de Bolton 3. Verticalización molar 4. Expansión 5. Curva de Spee 6. Extracciones TJíEQtEtíetérr7 Retrusión del 1 8. Mesializadón molar Total V N 8 mm + 15 15 - 10 5 15 J Discrepancia dentaria [ O mm] Discrepancia cefalométrica [ 14 mm] Discrepancia Total ( in mm] VTO: 9É> S/crec. O C/crec. O S/ext. <<) C/ext. Eje facial "ovaría. Convexidad .."ovaría I-APo...íJ IMPA ..#?! 2,5 mm 5 mm Mov. requeridos:
  • 561.
    584 Ejemplos deplanificación PLANIFICACIÓN VTO ORTDÓNCICO-QUIRÚRGICO Fig. 25.16: VTO a partir de la conversión cefalométrica. Fig. 25.17: Áreas de superposición. En color negro: trazado inicial en MIC. En color rojo: VTO a partir de la conversión cefalométrica.
  • 562.
    Casos clínicos 585 .25.18: V. B. Fotografías finale Fig. 25.19: V. B. Fotografías finales de boca.
  • 563.
    586 Ejemplos deplanificación Fig. 25.20: Montaje en articulador al finalizar el tratamiento. Fig. 25.21: Desgaste selectivo.
  • 564.
    Casos clínicos 587 Derecha (-) P^íf^-o^ ¡, (-) % K+) ~w X: +0,5 mm Z: mm Promedio X (horizontal) Promedio Z (vertical) Izquierda (-) - ~~l «i "l~/ 9 yt ^isr JL, -I (+) X: +0,5 mm Z: ...+0.,.5... mm +0,5 mm +0,75 mm Transversal ( D m ^ 0,1 TI I ^| Fig. 25.22: Registros finales de posición condilar. Fig. 25.23: Radiografía panorámica final. Fig. 25.24: Telerradiografía y trazado cefalometrico final.
  • 565.
    588 Ejemplos deplanificación Fig. 25.25: Áreas de superposición. En color negro: trazado inicial en MIC. En color azul: trazado final. Fig. 25.26: Visualización total en la primer área de super- posición, donde se observa el reposicionamiento que tuvo la mandíbula con el tratamiento.
  • 566.
    Casos clínicos 589 Datospersonales Motivo de la consulta Paciente: 5.5. Edad: 20 años Sexo: Femenino No acetJta la estética üe su cara, está moti- vadla para un tratamiento quirúrgico. Fig. 25.27: S. S. Fotografías iniciales de cara.
  • 567.
    590 Ejemplos deplanificación I Fig. 25.28: Fotografías iniciales de boca. ESTUDIO CLÍNICO ANÁLISIS FRONTAL Observaciones: En el análisis transversal, no se detectan asi- mentrías. Las líneas medias dentarias coinci- den con la línea media facial. Si bien el estudio vertical se realiza en elper- fil, en la observación frontal de la sonrisa se evidencia el exceso vertical del maxilar supe- rior. Lasonrisa gingival es más marcada en la parte anterior que en la posterior. Fig. 25.29: Análisis frontal.
  • 568.
    Casos clínicos 591 ESTUDIOVERTICAL Fig. 25.30: Medidas del estudio vertical del perfil. Estudio vertical Conclusión: Buena relación de los tercios. Hay exceso vertical del maxilar superior en el sector anterior, que Produce una exagerada exposición del '"fjsiyo. y.flwweMtp.de/espacio Jnterlgbiql. Objetivo Terapéutico: __ Reducir exposición del ly espacio interlabial ......... Jmpactacjón.del maxilar.(5.-.6mm) ........ •_£n el procedimiento de.mentop/qstttj, considerar un aumento vertical para no acortar el tercio inferior.
  • 569.
    592 Ejemplos deplanificación ESTUDIO SAGITAL Fig. 25.31: Medidas del estudio sagital del perfil. Estudio sagital Medida Norma Paciente 6 mm ± 3 [ O mm ± 4 ] f Vertical Gl-Sn Vertical Gl - PoC Ángulo nasolabial Ángulo nasolabial inf. 85° ± 5 Vertical de Sn- Labio sup. 2 mm ± 2 mm mm c 102° ± 8 94° O mm ± 2 Vertical de Sn - Labio Inf. Vertical de Sn - PoC - 2 mm ± 2 1 Reí. cervical facial inferior S n - G n c Gnc - C 1,2 Conclusión' ^-a. mandíbula se encuentra sumamente retraída (P_or_las_medi_d_a_s_ de Vert. de Gly.Sn)^ lo.que.. Br.Qv.o.c.g_una_re,l_a_c_i0n_ cerMicaJ-.fqciaJ .inferior de.¿Jft.. 4<? relación del. labio, inferior, normal con respecto a S.n contrasta.con la.medida delPoC^ indicandQ.la necesi-.. dad.de .una.re.modelación.de.la.zona,ímentoplastia. de. avance).. Objetivo Terapéutico: Avanz_a/_ el mentón :i: '.Mentopja.stiq _d_e avance.
  • 570.
    Casos clínicos 593 CEFALOGRAMALATERAL BÁSICO 8 mm Fig. 25.32: Cefalometría inicial. C E F A L O G R A M A L A T E R A L Clase esqueletal Normal I nidal 01-Convexidad facial ( + 2± 2mm J [ * 12 mm J 02- Distancia A-B 4± 2mm 20 mm Maxilar I nferior Normal 03- Eje Facial 04-Prof. Facial í 87° ±3° I nicial ( 90° ±3° ] [ 75.8" C 76A° 05- Ang. plano mandibular [ 26° ± 4° 06- Altura facial inferior [ 47° ±4° 07- Arco mandibular 42° 26,Q±4° J [ 30.2° ) Dientes Normal I nicial 09- 1 - A-Po [ + 1± 2mm ] [ +13.5mm } + 1 ± 1mm ] + 1 mm 10- 1 - PlanoOclusal 11- 1 - Plano mandibular [ 90° ± 5° J [ 111A° 12- 1 - Plano BaNa (// E. Fac. -5° ) [ 85' } Estética 13- Exposición del ]_ 14- Labio inf. Plano E Normal 2.5a+3mm - 2 ± 2 m m nicial + 9 mm 15-Ángulo nasolabia 1 1 nf. [ 85° ±5° ] + 8 mm 80° Maxilar Superior Normal Inicial 08- Profundidad maxilar [ 90°± 3° J [ 87° Biotipo facial Paciente grupo: VERT -3.5 1 dólico severo f~3 1 Descripción cefalométrica: Paciente de sexo femenino, sin crecimiento, aue presenta una Clase II esaueletal severa debida a una posición sumamente retruida de la mandíbula, como resultado del micrognatismo y la posterorrotación mandibular. Clase I dentaria, con biprotrusión incisiva, overbite normal y overjet aumentado
  • 571.
    594 Ejemplos deplanificación PLANIFICACIÓN VTO ORTODÓNCICO-QUIRÚRGICO í A r c a d a dentaria Anq. 1 - Plano oclusal Discrepancia dentaria Extracción Desgaste interproximal Verticalización molar Expansión Curva de Spee J2j«trasl5"ñ~T"- Retrusión T Total Espacio remanente: Por hemiarcada: infei { + 15 mm 15 mm 'ior J •R" ' - 10 mm 5 mm 15 mm J Norma Ang. 1 - Pl. oclusal: 64° Movimiento deseable: Retrusión. (*l) I P l a n i f i c a c i ó n O r t o d ó n c i c a J /" N VTO- S/ext (C/ext) 53° * * Ang. 1 - Pl. oclusal final Mov. requeridos: "*~/>'5 """ ( 1 /) In (W u ^s _/ Ls ^ J A r c a d a dentaria superior J Norma Ang.1 - Pl. oclusal: 57° s~ Ang. 1- Plano oclusal Discrepancia dentaria Extracción Desgaste interproximal Verticalización molar Expansión Curva de Spee JipetraSTÓñT- Retrusión T Total Espacio remanente: Por hemiarcada: 5 + 15 mm 15 mm 5 mm 2,5 mm r A - 5 mm 5 mm 10 mm J Movimiento deseable: 2,5 mm abren 5° el ángulo y lo llevan a la norma. P l a n i f i c a c i ó n O r t o d ó n c i c a VTO: S/ext. (C/ext; Ang. 1_- Pl. oclusal final .. Mov. requeridos: 57° 2}5 mm - »- C*l): Elgran apiñamientqjmpide una mayor retrusión que hubiese sido conveniente para mejorar el ángulo extremadamente cerrado que presenta el 1 con respecto al plano oclusal.
  • 572.
    Casos clínicos 595 Fig.25.33: Planificación ortodóncica prequirúrgica. Tratamiento con 4 extracciones. Arcada superior: 2,5 mm de retrusión - 2,5 mm de mesialización molar. Arcada inferior: 2,5 mm de retrusión - anclaje máximo Fig. 25.34: VTO ortodóncico-quirúrgico. Cirugía bimaxilar. Impactación anterior del maxilar (6 mm), sin impactación posterior. Avance mandibular, rotación antihoraria y men- toplastia de avance. Fig. 25.35: Nemoceph - VTO ortodóncico-quirúrgico y morphing fotográfico.
  • 573.
    596 Ejemplos deplanificación Fig. 25.36: Telerradiografía lateral prequirúrgica Fig. 25.37: VTO quirúrgico, plantillas. Fig. 25.38: VTO quirúrgico finalizado. Mediciones quirúr- gicas.
  • 574.
    Casos clínicos 597 Fig.25.39: S. S. Fotografías finales de cara. Fig. 25.40: S. S. Fotografías finales de boca.
  • 575.
    598 Ejemplos deplanificación Fig. 25.41: S. S. Fotografías finales de boca, oclusales. , , Fig. 25.42: Telerradiografía post-quirúrgica. En la comparación con la radiografía pre-quirúrgica se observa el cambio en la inclinación del plano oclusal por el movimiento de rotación antihoraria.
  • 576.
    Casos clínicos 599 Fig.25.43: Comparaciones del caso S. S. A: Inicial, B: prequirúrgica. Fig. 25.44: Comparaciones del caso S. S. C: 60 días después de la cirugía. D: 8 meses después de la cirugía.
  • 577.
    600 Ejemplos deplanificación Fig. 25.45: Comparaciones del caso S. S. A: Inicial, B: prequirúrgica. Fig. 25.46: Comparaciones del caso S. S. C: 60 días después de la cirugía. D: 8 meses después de la cirugía.
  • 580.