Generalidades
de sistema
inmunitario
Academia de Histología
Dra Angela Becerril Delgado
La inmunología es la
ciencia que estudia los
procesos moleculares y
celulares propios del
sistema inmune en su
acción defensiva.
El sistema inmune se
ubica en los órganos
linfoides entre los
que destacan el
timo, médula ósea,
bazo, ganglios
linfáticos y tejidos
linfoides asociados a
mucosas
En estos órganos es
donde se agrupan
las células
inmunocompetentes,
La acción defensiva del organismo se
articula a través de la respuesta inmune
que es la manera de responder ante
agresiones tanto externas como internas.
El principal objetivo del sistema inmune es
el reconocimiento del propio organismo lo
que le permite la identificación selectiva de
lo extraño con el fin de neutralizarlo
mediante una estrategia de defensa
1. Hematopoyesis
 2da semana
 saco vitelino.
 6ta semana Hígado
 3er y 5to mes Bazo
 Después nacimiento
Médula Osea
ONTOGENIA DEL SISTEMA INMUNE
Antígenos
se entiende por
extraño todo aquello
que no es
reconocido como
propio por el sistema
inmune. Comienza
durante el desarrollo
fetal y dura toda la
vida
todas las sustancias
que tienen la
capacidad de
estimular al sistema
inmune y generar
una respuesta
inmune, se conocen
como antígenos.
Anticuerpo
Los anticuerpos son
proteínas producidas
por el sistema
inmunológico para
identificar y
neutralizar las
sustancias dañinas y
extrañas al cuerpo,
llamadas antígenos
Los anticuerpos los
sintetizan un tipo de
leucocito o glóbulo
blanco llamado
linfocito B.
Tipos de respuesta
inmune
La defensa activa del organismo se lleva a cabo a
través de la respuesta inmune, la cual puede
realizarse de dos formas distintas pero relacionadas:
la respuesta innata y la respuesta adaptativa.
La respuesta inmune innata
 interviene de manera inmediata, como
primera línea de defensa inmune, frente
a una gran variedad de agresiones.
 No requiere de un aprendizaje previo y
en ella intervienen diversas moléculas
tales como el complemento, citocinas
A su vez entre las
células de la
respuesta inmune
innata, muchas de
ellas presentes en
la piel y mucosas,
destacan los
fibroblastos, las
células dendríticas,
monocitos,
neutrófilos,
macrófagos y
células NK
Estas células, se
caracterizan por su
capacidad para
actuar de manera
inmediata sin requerir
de un aprendizaje
previo siempre que
cualquier patógeno
sobrepase las barreras
naturales.
Respuesta inmune adaptativa
Se desarrolla frente a las sustancias extrañas que no
han sido eliminadas por la respuesta innata.
Los linfocitos que participan en esta respuesta
son de dos tipos: linfocitos y linfocitos B, de ahí
que existan dos modalidades de respuesta
adaptativa, de tipo celular y de tipo humoral
En la primera
intervienen los
linfocitos T , y
en la segunda
los linfocitos B
Respuesta inmune celular
En este tipo de respuesta intervienen los linfocitos T,
que reconocen a los antígenos a través de sus
receptores T cuando son presentados por células
que exponen sus determinantes antigénicos
Respuesta inmune humoral
En ésta respuesta
intervienen, los linfocitos B,
que reconocen el
antígeno a través de las
inmunoglobulinas
presentes en su
membrana y con ayuda
de citocinas producidas
por los linfocitos T
Sólo cuando confluyen
estos estímulos, se
produce la activación,
proliferación y
diferenciación de los
linfocitos B hasta la
formación de células
plasmáticas,
productoras por
excelencia de Igs y las
células memoria,
preparadas para actuar
ente un estímulo igual
en el futuro
¿Qué caracteriza la respuesta
inmune adaptativa?
 Especificidad. Es
el fenómeno
mediante el
cual los
péptidos de
cada antígeno
son reconocidos
exclusivamente
por un solo tipo
de receptor
 Clonalidad. Proceso de selección, activación y
maduración de linfocitos para un antígeno
determinado
 Memoria
inmunológica. La
repuesta inmune
adaptativa
mantiene memoria
de los estímulos
recibidos. Esto se
debe a la
permanencia de
células memoria
(linfocitos),
sensibilizados de
larga vida después
de un estímulo
antigénico
 Autorregulación. Mecanismos internos de
control que regulan el tipo y la intensidad
de la respuesta inmune
Organos linfoides
TIMO
 Función: Producción y maduración de linfocitos T
 Estructura: dos lóbulos, con corteza y médula.
 Red de células epiteliales, células dendríticas y
macrófagos
 Factores hormonales: Alfa 1 timosina, Beta 4 timosina,
timopoyetina y timulina. Atraen células germinales y
poseen papel importante en la maduración y
diferenciación de los linfocitos T.
 El timo es un órgano formado por lóbulos
que a su vez se dividen en lobulillos, tanto
lobulillos como lóbulos están separados
entre sí por tabiques de tejido conectivo
y todo el órgano está recubierto por una
cápsula del mismo tejido
 En cada lobulillo se puede distinguir una
corteza externa y una médula central
médula del timo-: corpúsculo de Hassal.
Estructura en forma de láminas concéntricas
producto de la degeneración de las células epitelio-
reticulares y crece con la edad
Función:
 Facilitan el trabajo de los
linfocitos
 Sitios de encuentro entre
células presentadoras de
antígeno (APC) y linfocitos
 Proveen el microambiente
adecuado para la
expansión de linfocitos T
 Optimizan la activación
de linfocitos B
Órganos Linfoides secundarios
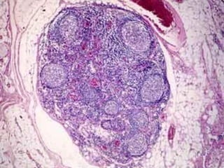
Ganglios Linfáticos
 Primera estructura linfoide en contacto con
Ag.
 Morfología:
- Red reticular: linfocitos, macrófagos y céls.
dendríticas.
- Regiones:
a. Corteza: Linfocitos B y macrófagos
b. Paracorteza: Linfocitos T y céls. dendríticas
c. Médula: Céls. Plasmatica productora de
Abs.
CENTRO GERMINAL
BAZO
 Función: Defensa y filtro
 Estructura:
- Arteria: Arteriolas pequeñas---rodeada por
vainas linfoides periarteriolares (linf.T)----unida
a foliculos linfoides (linf. B)---ambos rodeado
por zona marginal (linf. Y macróf)-----Pulpa
blanca.
- Arteriolas terminan---sinusoides vasculares
(eritrocitos, macrof., cél.dendríticas, escasos
linfocitos y cél plasmática) -------Pulpa roja.
Tejido Lindoide Asociado con Mucosas
Distribuidos regiones submucosas del
cuerpo
Función: Secretar Anticuerpos
Agregados nodulares de macrófagos y
tej. Lindoide situado epitelio escamoso
estratificado de la nasofaringe y del
paladar blando.
Función: Detectar y responder a
patógenos.
Ejercicios
Identifica;
( )la corteza
( )la médula de
un lobulillo tímico
Localiza:
 ( ) la cápsula
esplénica
 ( )trabéculas del
bazo
Gracias!

9. generalidades de sistema inmunitario

  • 1.
    Generalidades de sistema inmunitario Academia deHistología Dra Angela Becerril Delgado
  • 2.
    La inmunología esla ciencia que estudia los procesos moleculares y celulares propios del sistema inmune en su acción defensiva.
  • 3.
    El sistema inmunese ubica en los órganos linfoides entre los que destacan el timo, médula ósea, bazo, ganglios linfáticos y tejidos linfoides asociados a mucosas En estos órganos es donde se agrupan las células inmunocompetentes,
  • 4.
    La acción defensivadel organismo se articula a través de la respuesta inmune que es la manera de responder ante agresiones tanto externas como internas.
  • 5.
    El principal objetivodel sistema inmune es el reconocimiento del propio organismo lo que le permite la identificación selectiva de lo extraño con el fin de neutralizarlo mediante una estrategia de defensa
  • 6.
    1. Hematopoyesis  2dasemana  saco vitelino.  6ta semana Hígado  3er y 5to mes Bazo  Después nacimiento Médula Osea ONTOGENIA DEL SISTEMA INMUNE
  • 8.
    Antígenos se entiende por extrañotodo aquello que no es reconocido como propio por el sistema inmune. Comienza durante el desarrollo fetal y dura toda la vida todas las sustancias que tienen la capacidad de estimular al sistema inmune y generar una respuesta inmune, se conocen como antígenos.
  • 10.
    Anticuerpo Los anticuerpos son proteínasproducidas por el sistema inmunológico para identificar y neutralizar las sustancias dañinas y extrañas al cuerpo, llamadas antígenos Los anticuerpos los sintetizan un tipo de leucocito o glóbulo blanco llamado linfocito B.
  • 12.
    Tipos de respuesta inmune Ladefensa activa del organismo se lleva a cabo a través de la respuesta inmune, la cual puede realizarse de dos formas distintas pero relacionadas: la respuesta innata y la respuesta adaptativa.
  • 13.
    La respuesta inmuneinnata  interviene de manera inmediata, como primera línea de defensa inmune, frente a una gran variedad de agresiones.  No requiere de un aprendizaje previo y en ella intervienen diversas moléculas tales como el complemento, citocinas
  • 14.
    A su vezentre las células de la respuesta inmune innata, muchas de ellas presentes en la piel y mucosas, destacan los fibroblastos, las células dendríticas, monocitos, neutrófilos, macrófagos y células NK
  • 15.
    Estas células, se caracterizanpor su capacidad para actuar de manera inmediata sin requerir de un aprendizaje previo siempre que cualquier patógeno sobrepase las barreras naturales.
  • 16.
    Respuesta inmune adaptativa Sedesarrolla frente a las sustancias extrañas que no han sido eliminadas por la respuesta innata. Los linfocitos que participan en esta respuesta son de dos tipos: linfocitos y linfocitos B, de ahí que existan dos modalidades de respuesta adaptativa, de tipo celular y de tipo humoral
  • 18.
    En la primera intervienenlos linfocitos T , y en la segunda los linfocitos B
  • 20.
    Respuesta inmune celular Eneste tipo de respuesta intervienen los linfocitos T, que reconocen a los antígenos a través de sus receptores T cuando son presentados por células que exponen sus determinantes antigénicos
  • 21.
    Respuesta inmune humoral Enésta respuesta intervienen, los linfocitos B, que reconocen el antígeno a través de las inmunoglobulinas presentes en su membrana y con ayuda de citocinas producidas por los linfocitos T
  • 22.
    Sólo cuando confluyen estosestímulos, se produce la activación, proliferación y diferenciación de los linfocitos B hasta la formación de células plasmáticas, productoras por excelencia de Igs y las células memoria, preparadas para actuar ente un estímulo igual en el futuro
  • 23.
    ¿Qué caracteriza larespuesta inmune adaptativa?  Especificidad. Es el fenómeno mediante el cual los péptidos de cada antígeno son reconocidos exclusivamente por un solo tipo de receptor
  • 24.
     Clonalidad. Procesode selección, activación y maduración de linfocitos para un antígeno determinado
  • 25.
     Memoria inmunológica. La repuestainmune adaptativa mantiene memoria de los estímulos recibidos. Esto se debe a la permanencia de células memoria (linfocitos), sensibilizados de larga vida después de un estímulo antigénico
  • 26.
     Autorregulación. Mecanismosinternos de control que regulan el tipo y la intensidad de la respuesta inmune
  • 27.
  • 30.
    TIMO  Función: Produccióny maduración de linfocitos T  Estructura: dos lóbulos, con corteza y médula.  Red de células epiteliales, células dendríticas y macrófagos  Factores hormonales: Alfa 1 timosina, Beta 4 timosina, timopoyetina y timulina. Atraen células germinales y poseen papel importante en la maduración y diferenciación de los linfocitos T.
  • 32.
     El timoes un órgano formado por lóbulos que a su vez se dividen en lobulillos, tanto lobulillos como lóbulos están separados entre sí por tabiques de tejido conectivo y todo el órgano está recubierto por una cápsula del mismo tejido  En cada lobulillo se puede distinguir una corteza externa y una médula central
  • 33.
    médula del timo-:corpúsculo de Hassal. Estructura en forma de láminas concéntricas producto de la degeneración de las células epitelio- reticulares y crece con la edad
  • 34.
    Función:  Facilitan eltrabajo de los linfocitos  Sitios de encuentro entre células presentadoras de antígeno (APC) y linfocitos  Proveen el microambiente adecuado para la expansión de linfocitos T  Optimizan la activación de linfocitos B Órganos Linfoides secundarios
  • 35.
    Ganglios Linfáticos  Primeraestructura linfoide en contacto con Ag.  Morfología: - Red reticular: linfocitos, macrófagos y céls. dendríticas. - Regiones: a. Corteza: Linfocitos B y macrófagos b. Paracorteza: Linfocitos T y céls. dendríticas c. Médula: Céls. Plasmatica productora de Abs.
  • 38.
  • 39.
    BAZO  Función: Defensay filtro  Estructura: - Arteria: Arteriolas pequeñas---rodeada por vainas linfoides periarteriolares (linf.T)----unida a foliculos linfoides (linf. B)---ambos rodeado por zona marginal (linf. Y macróf)-----Pulpa blanca. - Arteriolas terminan---sinusoides vasculares (eritrocitos, macrof., cél.dendríticas, escasos linfocitos y cél plasmática) -------Pulpa roja.
  • 42.
    Tejido Lindoide Asociadocon Mucosas Distribuidos regiones submucosas del cuerpo Función: Secretar Anticuerpos Agregados nodulares de macrófagos y tej. Lindoide situado epitelio escamoso estratificado de la nasofaringe y del paladar blando. Función: Detectar y responder a patógenos.
  • 44.
  • 45.
    Identifica; ( )la corteza ()la médula de un lobulillo tímico
  • 46.
    Localiza:  ( )la cápsula esplénica  ( )trabéculas del bazo
  • 47.