BIOLOGIA MOLECULAR
BQF. Luiggi O. Solano Maza, Mg, Sc.
losolano@utmachala.edu.ec
UNIDAD III: Regulación de la
expresión génica
Indicar los procesos de regulación génica desde la
transcripción de ADN a ARN hasta la modificación
postraduccional de la proteína para la comprensión de las
alteraciones intracelulares.
- Alteraciones intracelulares
TEMA 9
• Alteraciones intracelulares, introducción
• Alteraciones celulares físicas y químicas
• Apoptosis
OBJETIVO: Describir los conceptos y términos relacionados a las
alteraciones intracelulares, a través del análisis bibliográfico, para
conocimiento del estudiante.
Definición y tipos
Las células pueden acumular sustancias de forma anormal. Estas sustancias pueden causar
daños a las células, o no provocar ningún tipo de problema. Suelen acumularse en el
citoplasma, aunque también las podemos encontrar en el núcleo o en los organelos.
Además pueden ser endógenas, o exógenas. Hay tres tipos de acumulaciones:
 Degeneraciones: se producen por una acumulación de los componentes normales de la
célula (lípidos, proteínas, e hidratos de carbono) debido a problemas con su eliminación o
aumento de su producción. Pueden ocurrir por un metabolismo anormal intracelular.
 Tesaurosmosis: enfermedades formadas por la acumulación de sustancias anormales en
la célula. Suelen ser congénitas y debidas a la falta de alguna enzima. –
 Pigmentaciones: Acumulación de pigmentos, son sustancias no digeribles, de diferentes
colores, orígenes y de significación patológica variable.
Acumulaciones intracelulares
•
•
•
1.-constituyentes celulares normales
2.-sustancias
3.-pigmentos
anomalas
LIPIDOS
Esteatosis (cambio graso): Acumulaciones de
•
trigliceridos dentro de cell parenquimatosas
Se da en distintos organos:higado, corazon,
•
musculo y riñon
Causas: toxicas, malnutricion proteica,DM,
•
obesidad y anoxia
El alcohol es una hepatotoxina que altera las
•
funciones mitocondrial y microsomal
La malnutricion proteica actuan
•
disminuyendo la sintesis de apoproteinas
La anoxia inhibe la oxidacion de acidos grasos
•
Document shared on www.docsity.com
Downloaded by: luiggi-solano (luiggi_solano@hotmail.es)
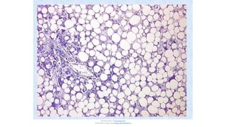
soffron livor: cholestosls ond steotosls (normalliver on lhe
left)
Document shared on www.docsity.com
Downloaded by: luiggi-solano (luiggi_solano@hotmail.es)
Colesterol y esteres de colesterol
• Ateroesclerosis:Las celulas musculares
lisas y macrofagos de la capa intima de la
aorta y grandes arterias estan llenos de
vacuolas lipidicas
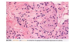
Xantomas:Acumulo intracell de colesterol
dentro de macrofagos
Colesterolosis:Acumulos focales de
macrofagos cargados de colesterol en la
lamina propia de la vesicula biliar
•
•
Aterosclerosis: progresión de la placa de
ateroma (sección transversal)
PROTEINAS
Las cadenas de polipeptidos de las proteinas, que se
elaboran en los ribosomas, se disponen en helices α o
en laminas β
Las chaperonas facilitan el plegamiento apropiado y el
transporte a traves del RE, complejo de golgi y mas alla
Si el proceso de plegamiento no tiene éxito, las
chaperonas facilitam la degradacion de la proteina
anomala
•
•
•
• Este proceso de degradacion implica habitualmente
ubicuitina (una proteina del golpe de calor), que se
añade a la proteina anomala y la señala para su
degradacion por el complejo proteasoma
a la
• Alteraciones en el transporte intracelular y la
proteinas cruciales: Deficit de α1-
quistica
las proteinas agregadas y con
secresion de
AT->Fibrosis
Toxicidad de
•
plegamiento anomalo: La agregacion o
acumulacion de proteinas con plegamiento
anomalo , secundaria a mutaciones geneticas,
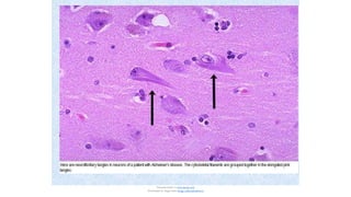
envejecimiento o factores ambientales
desconocidos se considera en la actualidad
caracteristica importante de diversas
enfermedades neurodegenerativas: Enf
Alzheimer, Huntington y Parkinson y ciertas
formas de amiloidosis
una
Document shared on www.docsity.com
Downloaded by: luiggi-solano (luiggi_solano@hotmail.es)
PIGMENTOS
Pigmentos exogenos: carbon. La acumulacion
de este pigmento ennnegrecen los tejidos en los
pulmones (antracosis) y los ganglios linfaticos
afectados.
Si es grave puede ocasionar Neumocosis del
trabajador del carbon
El tatuaje es una forma de pigmentacion
exogena localizada en la piel. Los pigmentos
inoculados son fagocitados por macrofagos
dermicos sin ocasionar ninguna respuesta
inflamatoria
•
•
•
GLUCOGENO
Se puede ver en la Diabetes Mellitus, en
los tubulos contorneados distales y en el
interior de cell hepaticas
•
• Enf por almacenamiento de glucogeno
Pigmentos endogenos
Lipofucsina (lipocromo) (“pigemto de desgaste
natural”). Se observa en cell que experimentan
cambios regresivos lentos y es especialmente
notable en el higado y el corazon de pacientes
ancianos
Melanina:Pigmento no derivado de la
hemoglobina, de color pardo negruzco.
Ocronosis: Acumulo de acido homogentisico
que se da en pacientes con alcaptonuria y que
se deposita en la piel, tejido conjuntivo y
cartilago
•
•
•
• La hemosiderina: Pigmento derivado de la
hemoglobina, en cuya forma se almacena
el hierro en las celulas. El pigmento de
hemosiderina representa agregados de
micelas de ferritina.
La hemosiderosis es en una entidad
sistemica en la que la hemosiderina se
•
deposita en muchos organos y tejidos y
observa en:1)↑absorcion de hierro en la
dieta 2)Utilizacion incorrecta de hierro
3)anemias hemoliticas 4)transfusiones
sanguineas
se
MUERTE
CELULAR
NECROSIS
Corresponde a la muerte de la célula NO
programada.
Se rompe la membrana celular , se derrama
del contenido celular en el espacio
intersticial. Los organelos se degeneran.
Esto provoca una respuesta inflamatoria
aguda en el área.
•
•
•
APOPTOSIS
APOPTOSIS
Corresponde a la muerte celular
programada o suicidio celular. La
parte activa en su propia muerte.
Proceso Activo y Necesario.
•
célula es
•
• Es controlado por un complejo llamado
Caspasas.
En esta muerte se pueden visualizar tres
fases.
•
Fase Inicial
La célula individual, siendo parte del tejido,
pierde el contacto con las células que la
rodean, la cromatina nuclear se condensa y
fragmenta, permaneciendo la envoltura
nuclear. El volumen citoplasmático disminuye
por perdida de agua y condensación de las
proteínas, pero la mayoría de los orgánulos
celulares permanecen intactos.
•
Fase Intermedia
Se deforma la membrana
plasmática, que acaba
fragmentándose y englobando
material nuclear y/o
citoplasmático
•
morfológicamente intacto,
los llamados cuerpos
apoptóticos. Análisis
son
bioquímicos de estos cuerpos
ponen de manifiesto su alto
contenido en proteínas.
alteraciones intracelulares
alteraciones intracelulares

alteraciones intracelulares

  • 1.
    BIOLOGIA MOLECULAR BQF. LuiggiO. Solano Maza, Mg, Sc. losolano@utmachala.edu.ec
  • 2.
    UNIDAD III: Regulaciónde la expresión génica Indicar los procesos de regulación génica desde la transcripción de ADN a ARN hasta la modificación postraduccional de la proteína para la comprensión de las alteraciones intracelulares.
  • 3.
    - Alteraciones intracelulares TEMA9 • Alteraciones intracelulares, introducción • Alteraciones celulares físicas y químicas • Apoptosis OBJETIVO: Describir los conceptos y términos relacionados a las alteraciones intracelulares, a través del análisis bibliográfico, para conocimiento del estudiante.
  • 4.
    Definición y tipos Lascélulas pueden acumular sustancias de forma anormal. Estas sustancias pueden causar daños a las células, o no provocar ningún tipo de problema. Suelen acumularse en el citoplasma, aunque también las podemos encontrar en el núcleo o en los organelos. Además pueden ser endógenas, o exógenas. Hay tres tipos de acumulaciones:  Degeneraciones: se producen por una acumulación de los componentes normales de la célula (lípidos, proteínas, e hidratos de carbono) debido a problemas con su eliminación o aumento de su producción. Pueden ocurrir por un metabolismo anormal intracelular.  Tesaurosmosis: enfermedades formadas por la acumulación de sustancias anormales en la célula. Suelen ser congénitas y debidas a la falta de alguna enzima. –  Pigmentaciones: Acumulación de pigmentos, son sustancias no digeribles, de diferentes colores, orígenes y de significación patológica variable.
  • 5.
  • 6.
    LIPIDOS Esteatosis (cambio graso):Acumulaciones de • trigliceridos dentro de cell parenquimatosas Se da en distintos organos:higado, corazon, • musculo y riñon Causas: toxicas, malnutricion proteica,DM, • obesidad y anoxia El alcohol es una hepatotoxina que altera las • funciones mitocondrial y microsomal La malnutricion proteica actuan • disminuyendo la sintesis de apoproteinas La anoxia inhibe la oxidacion de acidos grasos •
  • 7.
    Document shared onwww.docsity.com Downloaded by: luiggi-solano (luiggi_solano@hotmail.es)
  • 8.
    soffron livor: cholestoslsond steotosls (normalliver on lhe left) Document shared on www.docsity.com Downloaded by: luiggi-solano (luiggi_solano@hotmail.es)
  • 9.
    Colesterol y esteresde colesterol • Ateroesclerosis:Las celulas musculares lisas y macrofagos de la capa intima de la aorta y grandes arterias estan llenos de vacuolas lipidicas Xantomas:Acumulo intracell de colesterol dentro de macrofagos Colesterolosis:Acumulos focales de macrofagos cargados de colesterol en la lamina propia de la vesicula biliar • •
  • 10.
    Aterosclerosis: progresión dela placa de ateroma (sección transversal)
  • 13.
    PROTEINAS Las cadenas depolipeptidos de las proteinas, que se elaboran en los ribosomas, se disponen en helices α o en laminas β Las chaperonas facilitan el plegamiento apropiado y el transporte a traves del RE, complejo de golgi y mas alla Si el proceso de plegamiento no tiene éxito, las chaperonas facilitam la degradacion de la proteina anomala • • • • Este proceso de degradacion implica habitualmente ubicuitina (una proteina del golpe de calor), que se añade a la proteina anomala y la señala para su degradacion por el complejo proteasoma a la
  • 14.
    • Alteraciones enel transporte intracelular y la proteinas cruciales: Deficit de α1- quistica las proteinas agregadas y con secresion de AT->Fibrosis Toxicidad de • plegamiento anomalo: La agregacion o acumulacion de proteinas con plegamiento anomalo , secundaria a mutaciones geneticas, envejecimiento o factores ambientales desconocidos se considera en la actualidad caracteristica importante de diversas enfermedades neurodegenerativas: Enf Alzheimer, Huntington y Parkinson y ciertas formas de amiloidosis una
  • 15.
    Document shared onwww.docsity.com Downloaded by: luiggi-solano (luiggi_solano@hotmail.es)
  • 16.
    PIGMENTOS Pigmentos exogenos: carbon.La acumulacion de este pigmento ennnegrecen los tejidos en los pulmones (antracosis) y los ganglios linfaticos afectados. Si es grave puede ocasionar Neumocosis del trabajador del carbon El tatuaje es una forma de pigmentacion exogena localizada en la piel. Los pigmentos inoculados son fagocitados por macrofagos dermicos sin ocasionar ninguna respuesta inflamatoria • • •
  • 17.
    GLUCOGENO Se puede veren la Diabetes Mellitus, en los tubulos contorneados distales y en el interior de cell hepaticas • • Enf por almacenamiento de glucogeno
  • 18.
    Pigmentos endogenos Lipofucsina (lipocromo)(“pigemto de desgaste natural”). Se observa en cell que experimentan cambios regresivos lentos y es especialmente notable en el higado y el corazon de pacientes ancianos Melanina:Pigmento no derivado de la hemoglobina, de color pardo negruzco. Ocronosis: Acumulo de acido homogentisico que se da en pacientes con alcaptonuria y que se deposita en la piel, tejido conjuntivo y cartilago • • •
  • 19.
    • La hemosiderina:Pigmento derivado de la hemoglobina, en cuya forma se almacena el hierro en las celulas. El pigmento de hemosiderina representa agregados de micelas de ferritina. La hemosiderosis es en una entidad sistemica en la que la hemosiderina se • deposita en muchos organos y tejidos y observa en:1)↑absorcion de hierro en la dieta 2)Utilizacion incorrecta de hierro 3)anemias hemoliticas 4)transfusiones sanguineas se
  • 20.
  • 21.
    NECROSIS Corresponde a lamuerte de la célula NO programada. Se rompe la membrana celular , se derrama del contenido celular en el espacio intersticial. Los organelos se degeneran. Esto provoca una respuesta inflamatoria aguda en el área. • • •
  • 22.
  • 23.
    APOPTOSIS Corresponde a lamuerte celular programada o suicidio celular. La parte activa en su propia muerte. Proceso Activo y Necesario. • célula es • • Es controlado por un complejo llamado Caspasas. En esta muerte se pueden visualizar tres fases. •
  • 24.
    Fase Inicial La célulaindividual, siendo parte del tejido, pierde el contacto con las células que la rodean, la cromatina nuclear se condensa y fragmenta, permaneciendo la envoltura nuclear. El volumen citoplasmático disminuye por perdida de agua y condensación de las proteínas, pero la mayoría de los orgánulos celulares permanecen intactos. •
  • 25.
    Fase Intermedia Se deformala membrana plasmática, que acaba fragmentándose y englobando material nuclear y/o citoplasmático • morfológicamente intacto, los llamados cuerpos apoptóticos. Análisis son bioquímicos de estos cuerpos ponen de manifiesto su alto contenido en proteínas.