ENFERMEDADES DEL
     SISTEMA
 GENITOURINARIO
  Dr. Lincoln Maylle Antaurco
     Hospital Nacional Dos de Mayo
    Asistente del Servicio de Urología
ETIOLOGÍA
Etiología en Medicina
La etiología en el campo de la medicina se refiere principalmente al
estudio de las causas de las enfermedades
Los tres elementos necesarios para que se desarrolle una
enfermedad son:
El medio ambiente.
El agente.
El huésped.
Estos tres "elementos" por si solos no "causan" un problema. Es la
concurrencia de los tres, en tiempo y espacio, lo que da como
resultado una enfermedad. Cuando se conoce la causa o causas de
una enfermedad, facilita la investigación de un tratamiento
específico, o en su defecto un tratamiento para mejorar la calidad
de vida del paciente.
TIPOS DE ENFERMEDADES
Según su etiopatogenia (según la causa y la fisiopatología consecuente)
las enfermedades se pueden clasificar en:

  Enfermedades endógenas (atribuibles a alteración del huésped):
-Genéticas- Congénitas- Nutricionales- Metabólicas- Degenerativas- Autoinmunes-
Inflamatorias- Endocrinas- Mentales

  Enfermedades exógenas (atribuibles al efecto de la acción directa del agente sobre el
huésped):
-Infecciosas- Parasitarias- Venéreas- Tóxicas- Traumáticas- Alérgicas- Iatrógenas.

 Enfermedades ambientales (atribuibles a los efectos del ambiente y del agente -en
conjunto- sobre el huésped):
          - Ambientales- Profesionales- Mecanoposturales- Por causa externa

 Enfermedades de etiología multifactorial:
        - Neoplásicas- Del desarrollo- Idiopáticas- Psicosomáticas
SISTEMA GENITOURINARIO
Dr. Lincoln Maylle Antaurco


Correo:
             lincolnmaylle@hotmail.com


Página Web:

              curso: negligencia medica
¿QUÉ ES LA UROLOGÍA?

La urología, según la Sociedad Peruana
de Urología, es la especialidad que se
ocupa del estudio y tratamiento médico-
quirúrgico de las alteraciones y
enfermedades del riñón, las vías urinarias
y las glándulas suprarrenales de ambos
sexos, así como del aparato reproductor
masculino.
UROLOGÍA GENERAL
         SUBESPECIALIDADES

  Litiasis del tracto urinario.
  Transplante renal.
  Urología femenina.
  Oncología en urología.
  Andrología,
  Neurourología.
  Urología pediátrica.
  Ingeniería genética.
El Sistema Genitourinario
   Comprende el conjunto de órganos encargados de dos importantes
                                funciones
                          urinaria y genital.

Los órganos urinarios son
El riñón: glándula que secreta la orina.
El uréter: conducto excretorio.
La vejiga: receptáculo.
La uretra: que comunica la vejiga con el exterior.

Los órganos genitales son:

En el hombre:        El testículo: encargado de producir el esperma
                     El pene:      órgano copulador
                     Las glándulas sexuales accesorias

En la Mujer:                   El ovario
                               Trompa de falopio
                               El útero
                               La vagina
Anatomía del Sistema Genitourinario



Espacio retroperitoneal

Tracto urinario superior :
           Anatomía renal     Anatomía ureteral

Tracto urinario inferior:
           Vejiga urinaria     Uretra

Glándulas sexuales accesorias en el hombre
   Gl. Prostática Vesículas seminales Gl. Bulbouretrales

Órganos genitales en el hombre:
         Testículo           Pene
El espacio retroperitoneal
En este espacio encuentran el riñón, uréter, vejiga y las glándulas
       suprarrenales. Pertenece al dominio del cirujano urólogo .

 Límites anatómicos:
      Límite superior:     Músculo diafragma.
      Límite posterior:    Columna vertebral
                           Músculo psoas
                           Músculo cuadrado lumbar
      Límites laterales:   M. transversos del abdomen
      Límite anterior:     Peritoneo

En el área lumbar correspondiente se conforma el triángulo de Petit
( bordes del m. oblicuo mayor, m. dorsal ancho y la cresta ilíaca) Tiene como
piso a la aponeurosis del oblicuo mayor. Cuando el m. Dorsal ancho no
cubre completamente al oblicuo mayor esta área torna en débil pared
muscular por donde se pueden presentar las hernias del triángulo de Petit o
los abscesos perinéfrico o retroperitoneales.
Glándula suprarrenal
Compuesta por: Corteza         Médula
Peso: 7 a 12 gr.                Medida: 2.5 a 3 cm.
Ubicación: Antero interna y superior con respecto al riñón en el interior de la fascia
de Gerota.

Irrigación: Irrigación arterial difusa que tiene 3 orígenes:
        Arteria frénica inferior     Arteria suprarrenal superior
        Arteria Aorta                Arteria suprarrenal media
        Arteria renal                Arteria suprarrenal inferior

Drenaje venoso:      Vena suprarrenal derecha a la vena cava
                     V. S. izquierda a la vena renal izquierda

Linfáticos: a los ganglios linfáticos lumbares derecho e izquierdo que luego
desaguan a la cisterna magna.

Inervación: proviene de los nervios esplácnicos inferiores y del plexo celiaco
EVALUACIÓN ECOGRÁFICA
La evaluación de las glándulas adrenales
consiste en describir:
La posición,
La forma,
La ecogenicidad,
La arquitectura y
El tamaño de cada glándula adrenal.
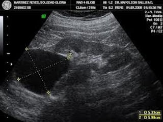
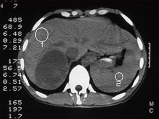
FEOCROMOCITOMA
El feocromocitoma se encuentra vinculado a la "regla de los 10" debido a
que estos tumores, en un 10%, son bilaterales, extraabdominales, malignos
(generalmente metastatizan a hígado, pulmón, retroperitoneo y ganglios
linfáticos mediastinales).
Los pacientes con feocromocitoma pueden presentar síntomas de inicio
paroxístico, como palpitaciones, diaforesis y cefalea. En un 90% de los
casos demuestran hipertensión arterial secundaria a un aumento de
producción de catecolaminas. En estos casos, el estudio de orina
recolectado en 24 horas demuestra niveles elevados de catecolamina y sus
metabolitos, como la metanefrina y ácido vainillín-mandélico. Incluso
pueden determinarse niveles elevados de catecolaminas en sangre.
Las catecolaminas son neurotransmisores que se vierten al torrente
sanguíneo. Son un grupo de sustancias que incluyen la adrenalina,
la noradrenalina y la dopamina, las cuales son sintetizadas a partir del
aminoácido tirosina.
FEOCROMOCITOMA
QUISTE SUPRARENAL
ANGIOMIOLIPOMA
  SUPRARENAL
CÁNCER SUPRARENAL
MIELOLIPOMA ADRENAL (D)
MIELOLIPOMA ADRENAL (TAC)
MIELOLIPOMA ADRENAL (RM)
MIELOLIPOMA ADRENAL (RM)
Densidad compatible con tejido graso
Anatomía Renal
Situación: Entre la XII vértebra torácica y la III lumbar. El riñón derecho
    está entre 1 y 2 cm. más bajo que el izquierdo.

Forma: oval     Peso: 150 gr en el hombre, 135 gr. en la mujer.
Medida:         12x7x3 cm.        2 Caras: anterior y posterior.

2 extremidades: superior e inferior.
2 bordes: Externo convexo
           Interno ( hilio renal: por donde transcurren las arterias y venas renales,
           los nervios, los linfáticos y una porción de la pelvis renal).

Interrelación de la estructura hiliar:
                   Vena renal (adelante)
                   Arteria renal (intermedia)
                   Pelvis renal (atrás)
Elementos de sostén: 1. Sus vasos 2. El peritoneo 3. La fascia renal.
Parenquima renal:         Se subdivide en sustancia medular interna y sustancia cortical
    externa
Capsula Renal.- Membrana fibroelástica que se extiende en el interior del
seno renal. Puede ser separada fácilmente de la superficie renal, excepto
cuando hay cicatrización. Actúa como una barrera que separa los procesos
intrarrenales de los extrarrenales (abscesos, hemorragias). Permite al
cirujano la sutura del riñón, lo que sin ella sería un parénquima friable.

Fascia perirrenal de Gerota.- Rodea y cubre la el riñón y la glándula
suprarrenal mediante sus hojas anterior y posterior. Por dentro existe un
panículo adiposos abundante conocido como grasa perirrenal. Hacia abajo
sus dos hojas se extienden hasta la pelvis y encierran en todo su trayecto al
uréter.

Importancia clínica de la Fascia de Gerota: La extravasación urinaria, los
tumores, los abscesos o las hemorragias renales que filtran a través de la
cápsula renal rota, quedan confinados en este espacio; así como los
procesos neoplásicos del riñón. Cuando se destruye esta fascia la infección
se propaga hacia la musculatura del tronco. Mientras que las soluciones
líquidas como sangre, orina o pus (abscesos perinéfricos) pueden
extenderse en dirección superior hacia el diafragma y en dirección inferior a
lo largo del uréter.
Arterias renales e importancia clínica
     - Ramas directas de la aorta.

      - Luego de ingresar por el hilio renal se dividen en 5 ramas
segmentarias terminales que son: arterias segmentarias apical, superior,
medio, inferior y posterior. ¿Porqué segmentarias terminales? Porque
cada segmento no se interconecta con los segmentos vecinos, esto hace
que la interrupción del flujo sanguíneo de una arteria renal segmentaria
da por resultado el infarto de ese segmento vascular.

        - La rica red capilar distribuida alrededor de la cápsula renal
aportan una cantidad significativa de sangre arterial a los glomérulos de la
corteza externa en situaciones en que se ha producido una estenosis
gradual de la arteria renal. (ej. Arterioescleroris).

        - Plano o Línea de clivaje relativamente avascular: entre las
porciones anterior y posterior del riñón. Zona útil para realizar las
pielotomías extendidas. La incisión se efectúa a lo largo del borde inferior
de la pelvis renal y extenderse hacia atrás.
Venas renales.-      La vena renal derecha es más corta que la izquierda.
                     En la vena renal izquierda desemboca en forma
perpendicular la vena espermática izquierda, da origen a los varicoceles.

                       Importancia clínica: La extensión de un tumor renal
en el interior de la vena cava es mucho más frecuente del lado derecho
como resultado de la menor distancia recorrida por la vena renal.
                       Ante un varicocele derecho se debe sospechar la
posibilidad de una obstrucción de la vena renal o de la cava (ej. por un
tumor).


Drenaje Linfático renal.- Tres plexos linfáticos que son: 1) Plexo que
drena del parénquima renal los que finalmente drenan a los ganglios
aorticos laterales. 2) Plexo subcapsular. 3)Plexo perinéfrico.
Importancia clínica:       En casos de cáncer metastásico del riñón, los
ganglios comprometidos principalmente son los aórticos laterales.


Inervación:         Plexo renal, ganglio celíaco, plexo aortico, nervios
esplácnicos, torácico inferior y primera lumbar.
REPORTE ECOGRÁFICO
 FORMA
 TAMAÑO
 PARÉNQUIMA
 SUPERFICIE
 ECOGENICIDAD A LOS CORTES
 TUMORACIONES SÓLIDAS
 TUMORACIONES QUÍSTICAS
 SISTEMA PIELOCALICIAL
 DIFERENCIACIÓN CORTICOMEDULAR
CONCLUSIONES:…
El riñón muestra importante pérdida de su diferenciación
estructural, marcado adelgazamiento cortical y calcificaciones
                  parenquimatosas renales.
HIDRONEFROSIS
HIDRONEFROSIS
HIDRONEFROSIS
CAUSAS DE
         HIDRONEFROSIS
Uropatía obstructiva unilateral aguda
Bloqueo de un uréter debido a cicatrización,
tumor, cálculos urinarios
Uropatía obstructiva unilateral crónica
Reflujo vesicoureteral (reflujo de la orina de la
vejiga al riñón)
Nefrolitiasis (cálculos renales)
Hidronefrosis que ocurre sin una causa
conocida durante el embarazo
CÁNCER RENAL
CÁNCER RENAL
TUMOR RENAL
QUISTE RENAL
POLIQUISTES
QUISTE ÚNICO
QUISTE ÚNICO
QUISTE ÚNICO
LITIASIS RENAL
LITIASIS RENAL
LITIASIS RENAL
CÁLCULO CORALIFORME
CÁLCULO CORALIFORME
CÁLCULO CORALIFORME
 Nefrolitotomía anatrófica
CÁLCULO CORALIFORME
 Nefrolitotomía anatrófica
RIÑÓN PÉLVICO
RIÑÓN PÉLVICO
El Uréter
Es un tubo muscular retroperitoneal cuyas contracciones peristálticas
llevan la orina del riñón hacia la vejiga.
Trayecto; hacia abajo y adentro sobre la cara anterior del Psoas.
Longitud: 30 cm.
4 Porciones:      Abdominal (11 cm)          Ilíaca (4cm)
                  Pelviana (13 cm)            Vesical (1.5 cm).
En la mujer el uréter pelviano está cruzado hacia delante por la arteria
uterina a 15 mm del cuello, es el lugar de las ligaduras accidentales del
uréter en las histerectomías.

3 capas:    - mucosa       - muscular     - fibrosa.

La mucosa está formada por un epitelio de transición que se continúa con
la vejiga. Arriba se fusiona con el epitelio cúbico que tapiza la superficie de
las papilas renales.
La capa muscular está constituida por fibras circulares y longitudinales que
varían en cuanto a la localización y predominio según el nivel del sistema
colector. Las fibras circulares predominan en la porción superior a nivel de
las papilas renales. Las fibras longitudinales prevalecen en la porción
intravesical del uréter.
Calibres.-    Tres zonas de estrechamiento fisiológico:
              Unión urétero pélvico:        2 mm
              Cruce con la arteria Ilíaca: 4mm
              Unión urétero vesical:       1-5 mm

Importancia clínica:   Son las zonas donde quedan enclavados los
cálculos ureterales.

El diámetro menor corresponde a la zona urétero vesical, donde
con más frecuencia quedan atrapados los cálculos ureterales. Esta
zona puede ser dilatada hasta el punto de permitir el pasaje de
instrumentos (ureteroscopías) y para la expulsión de los cálculos.

Las hipertrofias prostáticas grandes elevan tanto el piso vesical que
el uréter intramural se desvía hacia arriba dando el signo del “palo
de hockey” en la urografía excretora.
Zonas de estrechamiento fisiológico del uréter
Irrigación ureteral: Nacen de las ramas arteriales renales, aortico
abdominal, gonadal, hipogástricos, vesical y uterina. Existe una rica
red anastomótica de pequeños vasos que rodean el uréter en toda
su longitud y que aseguran su nutrición y viabilidad.

Drenaje venoso: Es multiforme tiende a seguir un modelo de la
distribución arterial.

Drenaje linfático:
El tercio superior del uréter drena a los ganglios aórticos laterales.
El tercio medio desemboca en la cadena ganglionar ilíaca primitiva.
El tercio inferior al grupo ganglionar hipogástrico, presacro y
obturador.

Importancia Clínica: Según el nivel de neoplasia ureteral drenarán a
los plexos ganglionares correspondientes.
ESTRECHEZ
PIELOURETERAL
Estrechez Pieloureteral
URÉTEROHIDRONEFROSIS
URÉTER RETROCAVO
URÉTEROCELE
URÉTEROCELE
Vejiga
Órgano muscular hueco distensible de función principal de reservorio.

Situación:  Órgano pélvico, detrás de la sínfisis púbica.
Posee:       Un vértice, una cara superior, dos caras antero laterales,
             una base o cara posterior y un cuello.
Pared vesical: tres túnicas: - Serosa - Muscular - Mucosa.

La mucosa es un epitelio de transición de varias capas de espesor que con
el tejido conectivo laxo subyacente permite un considerable estiramiento.
Consta de tres capas musculares lisas: - interior - media y - exterior.
Estos haces musculares se entrecruzan al azar y no poseen una
orientación definida, con una disposición circular o longitudinal que en
conjunto forman un tejido entrelazado hacia fuera y adentro, cambiando de
planos, de dirección y de niveles.(Excepto a nivel del cuello de la vejiga
donde sí se identifica tres capas musculares) .

En las obstrucciones urinarias crónicas estos haces se engruesan dando
lugar a una vejiga traveculada.
Anatomía funcional de la
          Unión urétero vesical


La función de esta unión es la de permitir el libre flujo de la orina
  desde el uréter hacia la vejiga y evitar el reflujo de orina de la
                       vejiga hacia el uréter.

A medida que la vejiga se llena y se distiende gradualmente, el
    trígono sufre un progresivo estiramiento, lo que produce
  aumento de la resistencia a nivel del uréter intravesical lo que
                       protege del reflujo.
Anatomía funcional de la Unión
       urétero vesical
Irrigación arterial vesical: Arteria vesical superior, media e inferior ramas
de la arteria hipogástrica.
Venas: Plexos venosos dispuesto entre la pared vesical y la capa
adventicia, plexo venoso vesical que se comunica con el plexo retropúbico
o de Santorini que recibe sangre del pene.que drenan finalmente a las
venas hipogástricas.

Inervación: Abundante inervación autonómica. Simpática (T11-T12) fibras
adrenérgicas motoras del trígono. La parasimpática (S2-S4) fibras
colinérgicas motoras del músculo detrusor que proviene principalmente del
plexo parasimpático pelviano.

Las fibras adrenérgicas simpáticas son tanto alfa como beta, con un
predominio de los alfa-adrenérgica en la base vesical, suello y uretra
proximal que mantienen la tonicidad y contracción. Con el uso de
bloqueadores alfa se logra su relajación y el mejoramiento del flujo urinario
en procesos obstructivos.

Hay un predominio de los beta-adrenérgicos en la cúpula y en las paredes
laterales de la vejiga.
REFLUJO VESICOURETERAL
LITIASIS VESICAL
CÁNCER DE VEJIGA
CÁNCER DE VEJIGA
DIVERTÍCULO DE VEJIGA
DIVERTÍCULO DE VEJIGA




Pólipo
TERATOMA
FÍSTULAS VÉSICO VAGINAL
Uretra masculina
Conducto para la evacuación de la orina y del esperma

Extensión: del cuello de la vejiga hasta el meato externo del pene.
Longitud: 20 cm.

3 segmentos.- Uretra prostática (3 cm) : se observa la elevación del
verumontanum y la vesícula seminal.
                 Uretra membranosa (2 cm) : Contiene musculatura lisa y
estriada que representa al esfinter urinario externo o voluntario, forma un
anillo casi completo alrededor de la uretra, pero es incompleto en la línea
media posterior configurando la letra omega.
A cada lado contiene a las glándulas bulbouretrales cuyo conducto se
dirige caudalmente para abrirse en el bulbo de la uretra.
                 Uretra esponjosa (15 cm) situado en el centro de la uretra
esponjosa. Dividido en: la porción bulbar, que constituye el segmento más
ancho y muestra una expansión fusiforme. Y la uretra peneana.
El punto más estrecho de la uretra es el meato externo al terminar la fosa
navicula donde quedan enclavados los cálculos.
Epitelio uretral :De transición como continuidad de la vejiga hasta el nivel
del verumontanum. Distalmente de este punto torna a epitelio columnar
pseudoestratificado y estratificado.


Paredes de la uretra: -mucosa -vascular -muscular: constituido por
fibras longitudinales internas y fibras circulares externas.


Irrigación: - Arteria prostática que irriga la uretra y la próstata
            - A. Hemorroidal inferior y vesical inferior irriga la uretra
membranosa.
            - A. Bulbouretral, cavernosa y dorsal del pene que irriga la
uretra esponjosa.


Inervación: plexo hipogástrico,pudendo interno.
ESTRECHEZ URETRAL
Uretra femenina
Longitud :    4 cm          Diámetro: 6 mm
2 túnicas:   - mucosa      - muscular

Capa mucosa: Es un epitelio de transición que se transforma en escamoso
estratificado a medida que se acerca al meato externo.
Pared muscular: compuesta por dos capas:
                   Longitudinal interna, que se continúa con la capa longitudinal
interna del detrusor.
                   Capa semicircular externa, que se continúa con la capa
longitudinal externa del detrusor.

Representan la totalidad del mecanismo esfinteriano de la vejiga. A nivel del tercio
medio se observa una condensación de fibras musculares estriadas.

Inervación: Los elementos musculares de la uretra masculina y femenina reciben
inervación del S.N. Autónomo y somático. Es posible terminaciones nerviosas
especialmente alfa adrenérgicas en toda la longitud de la uretra.
El esfinter estriado externo es inervado por las ramas somáticas del nervio pudendo.
Anatomía de la Próstata
Es una estructura músculo glandular. El 30% de su peso consiste en masa
muscular localizada principalmente en la parte anterior de la próstata. El
70% de su peso es dado por los elementos epiteliales glandulares se
encuentra principalmente en la parte posterior y lateral.
Medidas: 3x 3.5x 2.5 cm        peso: 20 gr.

Zonas anatómica (Mc Neal 1970).- 5 zonas
Z. transicional: Origen frecuente del adenoma prostático.
Z. de esfinter preprostático : interviene en el mecanismo esfinteriano.
Z. periférica: Origen frecuente el cáncer de próstata.
Z. central
Z. del estroma fibromuscular anterior

Irrigación: Por la arteria prostática que proviene de la arteria vesical
inferior rama de la división anterior de l arteria hipogástrica, penetra a la
próstata a nivel de la unión prostático vesical. Se divide en una rama central
y otra periférica. La rama central irriga la pared uretral y las glándulas
periuretrales. La periférica irriga la mayor parte de la próstata.
Zonas Anatómicas
Zonas Anatómicas
HIPERPLASIA BENIGNA DE
   LA PRÓSTATA (HPB)
HIPERPLASIA BENIGNA DE
   LA PRÓSTATA (HPB)
HIPERPLASIA BENIGNA DE
   LA PRÓSTATA (HPB)
HIPERPLASIA BENIGNA DE
   LA PRÓSTATA (HPB)
TRATAMIENTO MÉDICO
  DEL ADENOMA DE
     PRÓSTATA
       (HPB)
“...Evitando todo daño voluntario y toda corrupción…”



   “Que tu alimento sea tu medicina”



“...No extraeré cálculo manifiesto. Dejaré esta
operación a quienes saben practicar la cirugía...”
“Porque en la ley del progreso de la cirugía
está establecido que los discípulos
superan a los maestros siempre” G.G.E.
“…El sistema es responsabilidad de los médicos y de los dirigentes de
                        los hospitales…”


               “…el secreto de la calidad es el amor…”

1966 “… Evaluación de la calidad. Análisis de la estructura, procesos y
                           resultados…”
LIBERARNOS
          DE
MITOS, TABUES, PREJUICIOS
“USTED SE TIENE QUE
     OPERAR”
“OPÉRESE RÁPIDO ANTES
QUE EL TUMOR SE VUELVA
       MALIGNO”
“EL TUMOR QUE TIENE DE
  TODAS MANERAS VA
      TERMINAR EN
      OPERACIÓN”
“LA ÚNICA CURA
DEFINITIVA DEL TUMOR ES
      LA CIRUGÍA”
         RIESGOS?
“OPÉRESE, NO SE
 PREOCUPE QUE NO VA
    HABER NINGÚN
PROBLEMA, QUE TODO VA
     SALIR BIEN”
“EL TUMOR ESTÁ MUY
CRECIDO USTED TIENE
  QUE OPERARSE”
“ES MEJOR OPERARLO
AHORA ANTES QUE SE
   PRESENTEN LAS
  COMPLICACIONES”
DEFINICIÓN DEL ADENOMA DE
         PRÓSTATA

    Hiperplasia consistente en el
   aumento en el numero de células
   epiteliales, del músculo liso y del
         tejido conectivo (HPB)
Normalmente la relación Estroma/Glandular es de 2/1, en la HPB hay cinco veces más
estroma que epitelio: 5/1. Lo que quiere decir que el agrandamiento de la glándula es
  principalmente a expensas del tejido muscular de las zonas que rodean la uretra
                                      prostática.
ETIOLOGÍA

Sinergismo entre
andrógenos/estrógenos
Interacción epitelio/estroma
Expansión clonal de la célula madre
Dihidrotestosterona (DHT)
CUADRO CLÍNICO
     SÍNTOMAS IRRITATIVOS       SÍNTOMAS OBSTRUCTIVOS


Urgencia urinaria           Chorro urinario débil
Polaquiuria                 Intermitencia miccional
Disuria                     Vaciado vesical
Tenesmo                     incompleto
Nicturia                    Goteo post miccional
Incontinencia de            Hesitación
urgencia                    Incontinencia por
                            rebosamiento
GRADOS DEL ADENOMA


Grado I       : Adenoma del 20 a 30 g
Grado II : Adenoma de 30 a 50 g
Grado III : Adenoma de 50 a 80 g
Grado IV : Adenoma más de 80 g
COMPLICACIONES
– Hipertrofia o traveculación de la vejiga.
– Divertículos vesicales
– Hidronefrosis
– Infección urinaria recidivante.
– Urolitiasis
– Retención urinaria aguda
– Insuficiencia renal crónica
– Inestabilidad del detrusor
DIAGNÓSTICO DIFERENCIAL
        CLÍNICO
–   Hiperactividad uretral productora de disinergia.
–   Estrechez uretral.
–   Contractura y estrechez del cuello vesical.
–   Vejiga neurogénica (diabetes, enfermedad neurológica, etc).
–   Vejiga inestable.
–   Trastornos cerebrovasculares subclínicos.
–   Infección urinaria.
–   Cálculos vesicales.
–   Diabetes mellitus.
–   Cáncer de próstata.
–   Prostatitis.
DIAGNÓSTICO DIFERENCIAL
     HISTOLÓGICO
  – Cáncer prostático.
  – Hiperplasia adenomatosa atípica.
  – Neoplasia intraepitelial prostática.
  – Prostatitis crónica.
  – Prostatitis abscedada o no.
  – Infartos antiguos.
  – Celulitis por infección ductal ascendente.
  – Cálculos prostáticos.
  – Dilatación acinar.
EXÁMENES AUXILIARES
  Orina completa
  Urea
  Creatinina
  Antígeno Prostático Específico
  (PSA)
  Ecografía Reno-vésico- prostático
  Uretrocistoscopia
CRITERIO DE ELECCIÓN DEL
     TRATAMIENTO
 Indicaciones absolutas de cirugía de la
 hiperplasia prostática benigna son:
  –   Retención urinaria refractaria.
  –   Hematuria macroscópica.
  –   Litiasis vesical.
  –   Hidronefrosis.
  –   Insuficiencia renal.
  –   Glándula de tamaño mayor de 60 gramos.
  –   Presencia de lóbulo medio excesivo.
  –   Divertículos de vejiga.
 Se considera que cuando estos criterios no están
 presentes, las alternativas de tratamiento son
 variadas (tratamiento médico).
PILARES DEL
TRATAMIENTO MÉDICO

1.- Régimen higiénico dietético.
2.- Alfabloqueadores.
3.- Fitoterapia.
4.- Inhibidores de la 5 alfa-
  reductasa.
5.- Seguimiento y control del
  paciente.
1.- Régimen higiénico dietético.
 Evitar
 - Alcohol –Cigarrillo –Frituras -Condimentos
 - Picantes –Colorantes –Saborizantes

 Realizar
 - Actividad física- Ejercicios

 Evitar
 - Actividades promiscuas
2.- Alfabloqueadores.

  Doxazosina (Cardura),
  Terazosina (Hytrin, Adenex),

  Tamsulosina (Secotex, Omnium,
  omnic)
  Alfuzosina (Uroxatral, Xantral).
3.- Fitoterapia.

Sitosterina (Harzol),
Pygeum Africanum (Tadenan)
Serenoa Repens (Serpens,
permixon).


Su acción a nivel de la 5-alfa-reductasa y/o bloqueando
los factores de crecimiento.
4.- Inhibidores de la 5 alfa-
         reductasa.

  Finasteride (Proscar)


  Puede producirse una disfunción eréctil.
5.- Seguimiento y control del
            paciente.
            Mediante evoluciones clínicas

 S (Lo que dice el paciente)
 O ( Lo que verificamos en el examen y
 análisis)
 A
 P

En el periodo necesario: cada semana, cada mes, cada tres meses, cada año.
Deber objetivo de cuidado
El Tumor extraido completamente es prueba de la
             diligencia en este caso.
PRUEBA OBJETIVA DE
    DILIGENCIA
CÁNCER DE PRÓSTATA
CÁNCER DE PRÓSTATA
    TACTO RECTAL

        PSA

     ECOGRAFÍA

      BIOPSIA
Anatomía de la Bolsa Escrotal
Dividido en dos partes por un tabique medio.
6 capas:       1.- Piel
               2.-Músculo dartos: reemplaza a la grasa superficial y a la
fascia de colles.
               3.- Fascia espermática externa: continuación de la
aponeurosis del oblicuo mayor.
               4.- Bandas del músculo cremaster
               5.- Fascia espermática interna: continuación de la fascia
transversalis.
               6.- Túnica vaginal.

Irrigación: El escroto anterior por la A. pudenda externa rama anterior de
            la arteria femoral.
            La parte posterior es por la A. pudenda interna.
            Otras arterias: Cremastérica externa y testicular.

Inervación:   Nervio ilioinguial y genitocrural inervan la pared anterior.
              El nervio pudendo inerva la pared posterior.
              Contribuyen a la inervación los femorocutáneos posteriores.
Drenaje linfático: Se dirige hacia los ganglios inguinales superficiales.
Anatomía del testículo
Son los órganos reproductores masculinos.
Medida: 4x3 cm
Túnica vaginal: recubre los testículos en toda su extensión excepto en la
unión con el epidídimo y con el cordón espermático.

Muchos tabiques dividen al testículo en diversos compartimentos (hasta
400 lobulillos), convergen en el cuerpo de Highmore, el cual contiene la rete
testis.Cada lobulillo tiene dos o más túbulos seminíferos contorneados (si
cada túbulo fuera alargado mediría más de 60 cm). En el epitelio de estos
túbulos se forman los espermatozoides.

Las células de Sertoli revisten los túbulos rectos que se unen para
desembocar en la cabeza del epidídimo.
ECOGRAFÍA (t.n.)
Irrigación del testículo

Arterias:
Por la Arteria espermática rama de la aorta, abajo transcurre por el cordón
espermático, en el polo superior del testículo se divide en Espermática
interna para la cara interna del testículo y Espermática externa para la cara
externa. Se anastomosa con las arterias cremastéricas y del conducto
deferente que provienen de la hipogástrica.

Venas:
 Las V. procedentes del testículo convergen a nivel del anillo inguinal
interno formando el plexo Pampiniforme del cordón espermático, formando
en adelante las venas espermáticas. La vena espermática derecha drena a
la vena cava. La vena espermática izquierda desemboca a la vena renal
izquierda.
ORQUITIS
HIDROCELE
HIDROCELE
HIDROCELE
MICROLITIASIS TESTICULAR
QUISTE TESTICULAR
CÁNCER TESTICULAR
Es la neoplasia más frecuente entre los varones de 15 a 35 años

Testículo normal: está conformado por túbulos seminiferos
  dispuestos en 200 a 300 lóbulos y túbulos rectos colectores,
  envuelta por la túnica albugínea. Los túbulos rectos forman la
  rete testis que desembocan en los conductos eferentes: estos
  conectan al testículo con el deferente.
Los túbulos seminíferos contienen dos poblaciones celulares : las
  células de Sertoli y las células germinales (espermatozoides).
En el intersticio testicular se encuentran dispuestos en racimos las
  células (intersticiales) de Leydig productora de andrógenos.



     Las neoplasias primarias surgen de cualquier
                  componente celular
Tumor de células germinales
                        Histogénesis
                            Célula germinal
                             (totipotencial)

    Carcinoma embrionario                              Seminoma
  T. de células totipotenciales         ?             (germinoma)



 Diferenciación extraembrionaria       Diferenciación intraembrionaria
 Trofoblasto          Saco vitelino              Teratoma
Coriocarcinoma       Tumor de saco vitelino          (ectodermo
 (placenta)                                           mesodermo
                                                      endodermo)
Producen HCG          producen AFP
CÁNCER TESTICULAR
CÁNCER TESTICULAR
CÁNCER TESTICULAR
QUISTE EPIDÍDIMO
El Epidídimo
3 Segmentos:       Cabeza         Cuerpo        Cola
La cabeza está situada en el polo superior del testículo y el cuerpo en la
parte posterior. La cola se halla unida a la extremidad inferior.

10 a 20 conductillos eferentes atraviesan la túnica vaginal y comunican el
testículo con el epidídimo. Conforman los lobulillos del epidídimo los cuales
en conjunto forman la cabeza. Cada lobulillo consta de un túbulo
contorneado único de aprox. 15 a 20 cm. de longitud. Todos los conductos
desembocan en el conducto del epidídimo que se enrrolla muchas veces
sobre sí mismo, que si se extiende mediría 6 metros de longitud.

Irrigación del epidídimo:
Arterias epididimarias anterior y posterior ramas de la espermática. La
arteria deferencial rama de la vesical inferior envía ramas a la parte
posterior del testículo que al anastomosarse con la epididimaria posterior
forma el arco supraepididimario.
Cordón espermático
Suspende al testículo en el escroto y se extiende desde al anillo inguinal profundo
hasta el borde posterior del testículo.

Contenido :     - Conducto deferente
                 - Arteria espermática interna
                 - Arteria espermática externa
                 - Vena testicular: plexo pampiniforme
                 - Venas linfáticas testiculares
                 - Nervios: genitocruaral, plexo testicular y
                   simpático hipogástrico, plexo pélvico.
                 - Cubiertas provenientes de las capas de la pared
                   abdominal: de los músculos oblicuo mayor, menor y transverso.

Conducto deferente: Tubo muscular de pared gruesa. De diámetro de 2-3 mm, y
una longitud de 45 cm. Irrigación: arteria deferencial rama de la arteria vesical
inferior.
Conducto eyaculador: resulta de la unión del conducto deferente con el conducto
de la vesícula seminal. Atraviesa la glándula prostática y desemboca a cada lado en
el utrículo prostático.
HERNIA ESCROTAL
VARICOCELE
Pene
Porciones: Raíz            cuerpo         pene
La raíz: Localizada en el espacio perineal proporciona fijación y estabilidad.
Cuerpo: Corte transversal: Dos cuerpos cavernosos, Separados por el tabique
peneano. Rodeados por una doble capa de tejido conectivo denso llamada túnica
(fascia de Buck).
          Cuerpo esponjoso: rodea la uretra.
Elementos de suspensión: Sostenido y suspendido por dos ligamentos: El
ligamento fundiforme se inserta en la línea blanca. El ligamento suspensorio se
inserta en la sínfisis pubiana.
Irrigación: El aporte sanguíneo proviene de la arteria pudenda interna rama de la
hipogástrica, que proporciona las siguientes ramas para los órganos eréctiles:
              1.-La arteria profunda del pene (arteria cavernosa) que recorre e irriga
todo el cuerpo cavernoso
              2.- La arteria uretral envía ramas al cuerpo esponjoso.
              3.- La arteria bulbar: irriga la zona bulbar esponjosa.
              4.- La arteria dorsal profunda del pene que continúa su trayectoria
dorsal para irrigar el glande.
Venas: a través de dos sistemas venosos, superficial y profundo:
venas cavernosas, vena dorsal profunda y vena dorsal superficial.
La vena dorsal drena también el glande, desemboca en el plexo
prostático.

Inervación: Proviene del plexo pélvico formado por un componente
parasimpático (S2-S4) y de una contribución simpática del plexo
hipogástrico. El plexo pélvico discurre por la parte dorso lateral de
la próstata para entrar en la raíces del cuerpo cavernoso dando
lugar a los nervios cavernosos se presume que son los
responsables del proceso de erección.

Drenaje linfático: Hacia los ganglios inguinales superficiales y
profundos y estos a los ganglios ilíacos externos y primitivos
PREGUNTAS
    DE
EVALUACIÓN
Enfermedades del Sistema Urinario
Enfermedades del Sistema Urinario
Enfermedades del Sistema Urinario
Enfermedades del Sistema Urinario
Enfermedades del Sistema Urinario
Enfermedades del Sistema Urinario
Enfermedades del Sistema Urinario

Enfermedades del Sistema Urinario

  • 1.
    ENFERMEDADES DEL SISTEMA GENITOURINARIO Dr. Lincoln Maylle Antaurco Hospital Nacional Dos de Mayo Asistente del Servicio de Urología
  • 2.
    ETIOLOGÍA Etiología en Medicina Laetiología en el campo de la medicina se refiere principalmente al estudio de las causas de las enfermedades Los tres elementos necesarios para que se desarrolle una enfermedad son: El medio ambiente. El agente. El huésped. Estos tres "elementos" por si solos no "causan" un problema. Es la concurrencia de los tres, en tiempo y espacio, lo que da como resultado una enfermedad. Cuando se conoce la causa o causas de una enfermedad, facilita la investigación de un tratamiento específico, o en su defecto un tratamiento para mejorar la calidad de vida del paciente.
  • 3.
    TIPOS DE ENFERMEDADES Segúnsu etiopatogenia (según la causa y la fisiopatología consecuente) las enfermedades se pueden clasificar en: Enfermedades endógenas (atribuibles a alteración del huésped): -Genéticas- Congénitas- Nutricionales- Metabólicas- Degenerativas- Autoinmunes- Inflamatorias- Endocrinas- Mentales Enfermedades exógenas (atribuibles al efecto de la acción directa del agente sobre el huésped): -Infecciosas- Parasitarias- Venéreas- Tóxicas- Traumáticas- Alérgicas- Iatrógenas. Enfermedades ambientales (atribuibles a los efectos del ambiente y del agente -en conjunto- sobre el huésped): - Ambientales- Profesionales- Mecanoposturales- Por causa externa Enfermedades de etiología multifactorial: - Neoplásicas- Del desarrollo- Idiopáticas- Psicosomáticas
  • 4.
  • 5.
    Dr. Lincoln MaylleAntaurco Correo: lincolnmaylle@hotmail.com Página Web: curso: negligencia medica
  • 6.
    ¿QUÉ ES LAUROLOGÍA? La urología, según la Sociedad Peruana de Urología, es la especialidad que se ocupa del estudio y tratamiento médico- quirúrgico de las alteraciones y enfermedades del riñón, las vías urinarias y las glándulas suprarrenales de ambos sexos, así como del aparato reproductor masculino.
  • 7.
    UROLOGÍA GENERAL SUBESPECIALIDADES Litiasis del tracto urinario. Transplante renal. Urología femenina. Oncología en urología. Andrología, Neurourología. Urología pediátrica. Ingeniería genética.
  • 8.
    El Sistema Genitourinario Comprende el conjunto de órganos encargados de dos importantes funciones urinaria y genital. Los órganos urinarios son El riñón: glándula que secreta la orina. El uréter: conducto excretorio. La vejiga: receptáculo. La uretra: que comunica la vejiga con el exterior. Los órganos genitales son: En el hombre: El testículo: encargado de producir el esperma El pene: órgano copulador Las glándulas sexuales accesorias En la Mujer: El ovario Trompa de falopio El útero La vagina
  • 9.
    Anatomía del SistemaGenitourinario Espacio retroperitoneal Tracto urinario superior : Anatomía renal Anatomía ureteral Tracto urinario inferior: Vejiga urinaria Uretra Glándulas sexuales accesorias en el hombre Gl. Prostática Vesículas seminales Gl. Bulbouretrales Órganos genitales en el hombre: Testículo Pene
  • 11.
    El espacio retroperitoneal Eneste espacio encuentran el riñón, uréter, vejiga y las glándulas suprarrenales. Pertenece al dominio del cirujano urólogo . Límites anatómicos: Límite superior: Músculo diafragma. Límite posterior: Columna vertebral Músculo psoas Músculo cuadrado lumbar Límites laterales: M. transversos del abdomen Límite anterior: Peritoneo En el área lumbar correspondiente se conforma el triángulo de Petit ( bordes del m. oblicuo mayor, m. dorsal ancho y la cresta ilíaca) Tiene como piso a la aponeurosis del oblicuo mayor. Cuando el m. Dorsal ancho no cubre completamente al oblicuo mayor esta área torna en débil pared muscular por donde se pueden presentar las hernias del triángulo de Petit o los abscesos perinéfrico o retroperitoneales.
  • 13.
    Glándula suprarrenal Compuesta por:Corteza Médula Peso: 7 a 12 gr. Medida: 2.5 a 3 cm. Ubicación: Antero interna y superior con respecto al riñón en el interior de la fascia de Gerota. Irrigación: Irrigación arterial difusa que tiene 3 orígenes: Arteria frénica inferior Arteria suprarrenal superior Arteria Aorta Arteria suprarrenal media Arteria renal Arteria suprarrenal inferior Drenaje venoso: Vena suprarrenal derecha a la vena cava V. S. izquierda a la vena renal izquierda Linfáticos: a los ganglios linfáticos lumbares derecho e izquierdo que luego desaguan a la cisterna magna. Inervación: proviene de los nervios esplácnicos inferiores y del plexo celiaco
  • 15.
    EVALUACIÓN ECOGRÁFICA La evaluaciónde las glándulas adrenales consiste en describir: La posición, La forma, La ecogenicidad, La arquitectura y El tamaño de cada glándula adrenal.
  • 21.
    FEOCROMOCITOMA El feocromocitoma seencuentra vinculado a la "regla de los 10" debido a que estos tumores, en un 10%, son bilaterales, extraabdominales, malignos (generalmente metastatizan a hígado, pulmón, retroperitoneo y ganglios linfáticos mediastinales). Los pacientes con feocromocitoma pueden presentar síntomas de inicio paroxístico, como palpitaciones, diaforesis y cefalea. En un 90% de los casos demuestran hipertensión arterial secundaria a un aumento de producción de catecolaminas. En estos casos, el estudio de orina recolectado en 24 horas demuestra niveles elevados de catecolamina y sus metabolitos, como la metanefrina y ácido vainillín-mandélico. Incluso pueden determinarse niveles elevados de catecolaminas en sangre. Las catecolaminas son neurotransmisores que se vierten al torrente sanguíneo. Son un grupo de sustancias que incluyen la adrenalina, la noradrenalina y la dopamina, las cuales son sintetizadas a partir del aminoácido tirosina.
  • 22.
  • 23.
  • 24.
  • 25.
  • 26.
  • 27.
  • 28.
  • 29.
  • 30.
  • 31.
    Anatomía Renal Situación: Entrela XII vértebra torácica y la III lumbar. El riñón derecho está entre 1 y 2 cm. más bajo que el izquierdo. Forma: oval Peso: 150 gr en el hombre, 135 gr. en la mujer. Medida: 12x7x3 cm. 2 Caras: anterior y posterior. 2 extremidades: superior e inferior. 2 bordes: Externo convexo Interno ( hilio renal: por donde transcurren las arterias y venas renales, los nervios, los linfáticos y una porción de la pelvis renal). Interrelación de la estructura hiliar: Vena renal (adelante) Arteria renal (intermedia) Pelvis renal (atrás) Elementos de sostén: 1. Sus vasos 2. El peritoneo 3. La fascia renal. Parenquima renal: Se subdivide en sustancia medular interna y sustancia cortical externa
  • 33.
    Capsula Renal.- Membranafibroelástica que se extiende en el interior del seno renal. Puede ser separada fácilmente de la superficie renal, excepto cuando hay cicatrización. Actúa como una barrera que separa los procesos intrarrenales de los extrarrenales (abscesos, hemorragias). Permite al cirujano la sutura del riñón, lo que sin ella sería un parénquima friable. Fascia perirrenal de Gerota.- Rodea y cubre la el riñón y la glándula suprarrenal mediante sus hojas anterior y posterior. Por dentro existe un panículo adiposos abundante conocido como grasa perirrenal. Hacia abajo sus dos hojas se extienden hasta la pelvis y encierran en todo su trayecto al uréter. Importancia clínica de la Fascia de Gerota: La extravasación urinaria, los tumores, los abscesos o las hemorragias renales que filtran a través de la cápsula renal rota, quedan confinados en este espacio; así como los procesos neoplásicos del riñón. Cuando se destruye esta fascia la infección se propaga hacia la musculatura del tronco. Mientras que las soluciones líquidas como sangre, orina o pus (abscesos perinéfricos) pueden extenderse en dirección superior hacia el diafragma y en dirección inferior a lo largo del uréter.
  • 34.
    Arterias renales eimportancia clínica - Ramas directas de la aorta. - Luego de ingresar por el hilio renal se dividen en 5 ramas segmentarias terminales que son: arterias segmentarias apical, superior, medio, inferior y posterior. ¿Porqué segmentarias terminales? Porque cada segmento no se interconecta con los segmentos vecinos, esto hace que la interrupción del flujo sanguíneo de una arteria renal segmentaria da por resultado el infarto de ese segmento vascular. - La rica red capilar distribuida alrededor de la cápsula renal aportan una cantidad significativa de sangre arterial a los glomérulos de la corteza externa en situaciones en que se ha producido una estenosis gradual de la arteria renal. (ej. Arterioescleroris). - Plano o Línea de clivaje relativamente avascular: entre las porciones anterior y posterior del riñón. Zona útil para realizar las pielotomías extendidas. La incisión se efectúa a lo largo del borde inferior de la pelvis renal y extenderse hacia atrás.
  • 35.
    Venas renales.- La vena renal derecha es más corta que la izquierda. En la vena renal izquierda desemboca en forma perpendicular la vena espermática izquierda, da origen a los varicoceles. Importancia clínica: La extensión de un tumor renal en el interior de la vena cava es mucho más frecuente del lado derecho como resultado de la menor distancia recorrida por la vena renal. Ante un varicocele derecho se debe sospechar la posibilidad de una obstrucción de la vena renal o de la cava (ej. por un tumor). Drenaje Linfático renal.- Tres plexos linfáticos que son: 1) Plexo que drena del parénquima renal los que finalmente drenan a los ganglios aorticos laterales. 2) Plexo subcapsular. 3)Plexo perinéfrico. Importancia clínica: En casos de cáncer metastásico del riñón, los ganglios comprometidos principalmente son los aórticos laterales. Inervación: Plexo renal, ganglio celíaco, plexo aortico, nervios esplácnicos, torácico inferior y primera lumbar.
  • 37.
    REPORTE ECOGRÁFICO FORMA TAMAÑO PARÉNQUIMA SUPERFICIE ECOGENICIDAD A LOS CORTES TUMORACIONES SÓLIDAS TUMORACIONES QUÍSTICAS SISTEMA PIELOCALICIAL DIFERENCIACIÓN CORTICOMEDULAR CONCLUSIONES:…
  • 39.
    El riñón muestraimportante pérdida de su diferenciación estructural, marcado adelgazamiento cortical y calcificaciones parenquimatosas renales.
  • 40.
  • 41.
  • 42.
  • 43.
    CAUSAS DE HIDRONEFROSIS Uropatía obstructiva unilateral aguda Bloqueo de un uréter debido a cicatrización, tumor, cálculos urinarios Uropatía obstructiva unilateral crónica Reflujo vesicoureteral (reflujo de la orina de la vejiga al riñón) Nefrolitiasis (cálculos renales) Hidronefrosis que ocurre sin una causa conocida durante el embarazo
  • 44.
  • 45.
  • 46.
  • 47.
  • 48.
  • 49.
  • 50.
  • 51.
  • 52.
  • 53.
  • 54.
  • 55.
  • 56.
  • 57.
  • 58.
  • 59.
  • 60.
  • 61.
    El Uréter Es untubo muscular retroperitoneal cuyas contracciones peristálticas llevan la orina del riñón hacia la vejiga. Trayecto; hacia abajo y adentro sobre la cara anterior del Psoas. Longitud: 30 cm. 4 Porciones: Abdominal (11 cm) Ilíaca (4cm) Pelviana (13 cm) Vesical (1.5 cm). En la mujer el uréter pelviano está cruzado hacia delante por la arteria uterina a 15 mm del cuello, es el lugar de las ligaduras accidentales del uréter en las histerectomías. 3 capas: - mucosa - muscular - fibrosa. La mucosa está formada por un epitelio de transición que se continúa con la vejiga. Arriba se fusiona con el epitelio cúbico que tapiza la superficie de las papilas renales. La capa muscular está constituida por fibras circulares y longitudinales que varían en cuanto a la localización y predominio según el nivel del sistema colector. Las fibras circulares predominan en la porción superior a nivel de las papilas renales. Las fibras longitudinales prevalecen en la porción intravesical del uréter.
  • 63.
    Calibres.- Tres zonas de estrechamiento fisiológico: Unión urétero pélvico: 2 mm Cruce con la arteria Ilíaca: 4mm Unión urétero vesical: 1-5 mm Importancia clínica: Son las zonas donde quedan enclavados los cálculos ureterales. El diámetro menor corresponde a la zona urétero vesical, donde con más frecuencia quedan atrapados los cálculos ureterales. Esta zona puede ser dilatada hasta el punto de permitir el pasaje de instrumentos (ureteroscopías) y para la expulsión de los cálculos. Las hipertrofias prostáticas grandes elevan tanto el piso vesical que el uréter intramural se desvía hacia arriba dando el signo del “palo de hockey” en la urografía excretora.
  • 64.
    Zonas de estrechamientofisiológico del uréter
  • 65.
    Irrigación ureteral: Nacende las ramas arteriales renales, aortico abdominal, gonadal, hipogástricos, vesical y uterina. Existe una rica red anastomótica de pequeños vasos que rodean el uréter en toda su longitud y que aseguran su nutrición y viabilidad. Drenaje venoso: Es multiforme tiende a seguir un modelo de la distribución arterial. Drenaje linfático: El tercio superior del uréter drena a los ganglios aórticos laterales. El tercio medio desemboca en la cadena ganglionar ilíaca primitiva. El tercio inferior al grupo ganglionar hipogástrico, presacro y obturador. Importancia Clínica: Según el nivel de neoplasia ureteral drenarán a los plexos ganglionares correspondientes.
  • 66.
  • 67.
  • 69.
  • 70.
  • 71.
  • 72.
  • 73.
    Vejiga Órgano muscular huecodistensible de función principal de reservorio. Situación: Órgano pélvico, detrás de la sínfisis púbica. Posee: Un vértice, una cara superior, dos caras antero laterales, una base o cara posterior y un cuello. Pared vesical: tres túnicas: - Serosa - Muscular - Mucosa. La mucosa es un epitelio de transición de varias capas de espesor que con el tejido conectivo laxo subyacente permite un considerable estiramiento. Consta de tres capas musculares lisas: - interior - media y - exterior. Estos haces musculares se entrecruzan al azar y no poseen una orientación definida, con una disposición circular o longitudinal que en conjunto forman un tejido entrelazado hacia fuera y adentro, cambiando de planos, de dirección y de niveles.(Excepto a nivel del cuello de la vejiga donde sí se identifica tres capas musculares) . En las obstrucciones urinarias crónicas estos haces se engruesan dando lugar a una vejiga traveculada.
  • 75.
    Anatomía funcional dela Unión urétero vesical La función de esta unión es la de permitir el libre flujo de la orina desde el uréter hacia la vejiga y evitar el reflujo de orina de la vejiga hacia el uréter. A medida que la vejiga se llena y se distiende gradualmente, el trígono sufre un progresivo estiramiento, lo que produce aumento de la resistencia a nivel del uréter intravesical lo que protege del reflujo.
  • 76.
    Anatomía funcional dela Unión urétero vesical
  • 77.
    Irrigación arterial vesical:Arteria vesical superior, media e inferior ramas de la arteria hipogástrica. Venas: Plexos venosos dispuesto entre la pared vesical y la capa adventicia, plexo venoso vesical que se comunica con el plexo retropúbico o de Santorini que recibe sangre del pene.que drenan finalmente a las venas hipogástricas. Inervación: Abundante inervación autonómica. Simpática (T11-T12) fibras adrenérgicas motoras del trígono. La parasimpática (S2-S4) fibras colinérgicas motoras del músculo detrusor que proviene principalmente del plexo parasimpático pelviano. Las fibras adrenérgicas simpáticas son tanto alfa como beta, con un predominio de los alfa-adrenérgica en la base vesical, suello y uretra proximal que mantienen la tonicidad y contracción. Con el uso de bloqueadores alfa se logra su relajación y el mejoramiento del flujo urinario en procesos obstructivos. Hay un predominio de los beta-adrenérgicos en la cúpula y en las paredes laterales de la vejiga.
  • 78.
  • 79.
  • 81.
  • 82.
  • 83.
  • 84.
  • 85.
  • 86.
  • 87.
    Uretra masculina Conducto parala evacuación de la orina y del esperma Extensión: del cuello de la vejiga hasta el meato externo del pene. Longitud: 20 cm. 3 segmentos.- Uretra prostática (3 cm) : se observa la elevación del verumontanum y la vesícula seminal. Uretra membranosa (2 cm) : Contiene musculatura lisa y estriada que representa al esfinter urinario externo o voluntario, forma un anillo casi completo alrededor de la uretra, pero es incompleto en la línea media posterior configurando la letra omega. A cada lado contiene a las glándulas bulbouretrales cuyo conducto se dirige caudalmente para abrirse en el bulbo de la uretra. Uretra esponjosa (15 cm) situado en el centro de la uretra esponjosa. Dividido en: la porción bulbar, que constituye el segmento más ancho y muestra una expansión fusiforme. Y la uretra peneana. El punto más estrecho de la uretra es el meato externo al terminar la fosa navicula donde quedan enclavados los cálculos.
  • 88.
    Epitelio uretral :Detransición como continuidad de la vejiga hasta el nivel del verumontanum. Distalmente de este punto torna a epitelio columnar pseudoestratificado y estratificado. Paredes de la uretra: -mucosa -vascular -muscular: constituido por fibras longitudinales internas y fibras circulares externas. Irrigación: - Arteria prostática que irriga la uretra y la próstata - A. Hemorroidal inferior y vesical inferior irriga la uretra membranosa. - A. Bulbouretral, cavernosa y dorsal del pene que irriga la uretra esponjosa. Inervación: plexo hipogástrico,pudendo interno.
  • 90.
  • 91.
    Uretra femenina Longitud : 4 cm Diámetro: 6 mm 2 túnicas: - mucosa - muscular Capa mucosa: Es un epitelio de transición que se transforma en escamoso estratificado a medida que se acerca al meato externo. Pared muscular: compuesta por dos capas: Longitudinal interna, que se continúa con la capa longitudinal interna del detrusor. Capa semicircular externa, que se continúa con la capa longitudinal externa del detrusor. Representan la totalidad del mecanismo esfinteriano de la vejiga. A nivel del tercio medio se observa una condensación de fibras musculares estriadas. Inervación: Los elementos musculares de la uretra masculina y femenina reciben inervación del S.N. Autónomo y somático. Es posible terminaciones nerviosas especialmente alfa adrenérgicas en toda la longitud de la uretra. El esfinter estriado externo es inervado por las ramas somáticas del nervio pudendo.
  • 92.
    Anatomía de laPróstata Es una estructura músculo glandular. El 30% de su peso consiste en masa muscular localizada principalmente en la parte anterior de la próstata. El 70% de su peso es dado por los elementos epiteliales glandulares se encuentra principalmente en la parte posterior y lateral. Medidas: 3x 3.5x 2.5 cm peso: 20 gr. Zonas anatómica (Mc Neal 1970).- 5 zonas Z. transicional: Origen frecuente del adenoma prostático. Z. de esfinter preprostático : interviene en el mecanismo esfinteriano. Z. periférica: Origen frecuente el cáncer de próstata. Z. central Z. del estroma fibromuscular anterior Irrigación: Por la arteria prostática que proviene de la arteria vesical inferior rama de la división anterior de l arteria hipogástrica, penetra a la próstata a nivel de la unión prostático vesical. Se divide en una rama central y otra periférica. La rama central irriga la pared uretral y las glándulas periuretrales. La periférica irriga la mayor parte de la próstata.
  • 95.
  • 96.
  • 97.
    HIPERPLASIA BENIGNA DE LA PRÓSTATA (HPB)
  • 98.
    HIPERPLASIA BENIGNA DE LA PRÓSTATA (HPB)
  • 99.
    HIPERPLASIA BENIGNA DE LA PRÓSTATA (HPB)
  • 101.
    HIPERPLASIA BENIGNA DE LA PRÓSTATA (HPB)
  • 102.
    TRATAMIENTO MÉDICO DEL ADENOMA DE PRÓSTATA (HPB)
  • 105.
    “...Evitando todo dañovoluntario y toda corrupción…” “Que tu alimento sea tu medicina” “...No extraeré cálculo manifiesto. Dejaré esta operación a quienes saben practicar la cirugía...”
  • 106.
    “Porque en laley del progreso de la cirugía está establecido que los discípulos superan a los maestros siempre” G.G.E.
  • 107.
    “…El sistema esresponsabilidad de los médicos y de los dirigentes de los hospitales…” “…el secreto de la calidad es el amor…” 1966 “… Evaluación de la calidad. Análisis de la estructura, procesos y resultados…”
  • 108.
    LIBERARNOS DE MITOS, TABUES, PREJUICIOS
  • 109.
    “USTED SE TIENEQUE OPERAR”
  • 110.
    “OPÉRESE RÁPIDO ANTES QUEEL TUMOR SE VUELVA MALIGNO”
  • 111.
    “EL TUMOR QUETIENE DE TODAS MANERAS VA TERMINAR EN OPERACIÓN”
  • 112.
    “LA ÚNICA CURA DEFINITIVADEL TUMOR ES LA CIRUGÍA” RIESGOS?
  • 113.
    “OPÉRESE, NO SE PREOCUPE QUE NO VA HABER NINGÚN PROBLEMA, QUE TODO VA SALIR BIEN”
  • 114.
    “EL TUMOR ESTÁMUY CRECIDO USTED TIENE QUE OPERARSE”
  • 115.
    “ES MEJOR OPERARLO AHORAANTES QUE SE PRESENTEN LAS COMPLICACIONES”
  • 116.
    DEFINICIÓN DEL ADENOMADE PRÓSTATA Hiperplasia consistente en el aumento en el numero de células epiteliales, del músculo liso y del tejido conectivo (HPB) Normalmente la relación Estroma/Glandular es de 2/1, en la HPB hay cinco veces más estroma que epitelio: 5/1. Lo que quiere decir que el agrandamiento de la glándula es principalmente a expensas del tejido muscular de las zonas que rodean la uretra prostática.
  • 117.
  • 118.
    CUADRO CLÍNICO SÍNTOMAS IRRITATIVOS SÍNTOMAS OBSTRUCTIVOS Urgencia urinaria Chorro urinario débil Polaquiuria Intermitencia miccional Disuria Vaciado vesical Tenesmo incompleto Nicturia Goteo post miccional Incontinencia de Hesitación urgencia Incontinencia por rebosamiento
  • 119.
    GRADOS DEL ADENOMA GradoI : Adenoma del 20 a 30 g Grado II : Adenoma de 30 a 50 g Grado III : Adenoma de 50 a 80 g Grado IV : Adenoma más de 80 g
  • 120.
    COMPLICACIONES – Hipertrofia otraveculación de la vejiga. – Divertículos vesicales – Hidronefrosis – Infección urinaria recidivante. – Urolitiasis – Retención urinaria aguda – Insuficiencia renal crónica – Inestabilidad del detrusor
  • 121.
    DIAGNÓSTICO DIFERENCIAL CLÍNICO – Hiperactividad uretral productora de disinergia. – Estrechez uretral. – Contractura y estrechez del cuello vesical. – Vejiga neurogénica (diabetes, enfermedad neurológica, etc). – Vejiga inestable. – Trastornos cerebrovasculares subclínicos. – Infección urinaria. – Cálculos vesicales. – Diabetes mellitus. – Cáncer de próstata. – Prostatitis.
  • 122.
    DIAGNÓSTICO DIFERENCIAL HISTOLÓGICO – Cáncer prostático. – Hiperplasia adenomatosa atípica. – Neoplasia intraepitelial prostática. – Prostatitis crónica. – Prostatitis abscedada o no. – Infartos antiguos. – Celulitis por infección ductal ascendente. – Cálculos prostáticos. – Dilatación acinar.
  • 123.
    EXÁMENES AUXILIARES Orina completa Urea Creatinina Antígeno Prostático Específico (PSA) Ecografía Reno-vésico- prostático Uretrocistoscopia
  • 124.
    CRITERIO DE ELECCIÓNDEL TRATAMIENTO Indicaciones absolutas de cirugía de la hiperplasia prostática benigna son: – Retención urinaria refractaria. – Hematuria macroscópica. – Litiasis vesical. – Hidronefrosis. – Insuficiencia renal. – Glándula de tamaño mayor de 60 gramos. – Presencia de lóbulo medio excesivo. – Divertículos de vejiga. Se considera que cuando estos criterios no están presentes, las alternativas de tratamiento son variadas (tratamiento médico).
  • 125.
    PILARES DEL TRATAMIENTO MÉDICO 1.-Régimen higiénico dietético. 2.- Alfabloqueadores. 3.- Fitoterapia. 4.- Inhibidores de la 5 alfa- reductasa. 5.- Seguimiento y control del paciente.
  • 126.
    1.- Régimen higiénicodietético. Evitar - Alcohol –Cigarrillo –Frituras -Condimentos - Picantes –Colorantes –Saborizantes Realizar - Actividad física- Ejercicios Evitar - Actividades promiscuas
  • 128.
    2.- Alfabloqueadores. Doxazosina (Cardura), Terazosina (Hytrin, Adenex), Tamsulosina (Secotex, Omnium, omnic) Alfuzosina (Uroxatral, Xantral).
  • 129.
    3.- Fitoterapia. Sitosterina (Harzol), PygeumAfricanum (Tadenan) Serenoa Repens (Serpens, permixon). Su acción a nivel de la 5-alfa-reductasa y/o bloqueando los factores de crecimiento.
  • 130.
    4.- Inhibidores dela 5 alfa- reductasa. Finasteride (Proscar) Puede producirse una disfunción eréctil.
  • 131.
    5.- Seguimiento ycontrol del paciente. Mediante evoluciones clínicas S (Lo que dice el paciente) O ( Lo que verificamos en el examen y análisis) A P En el periodo necesario: cada semana, cada mes, cada tres meses, cada año.
  • 139.
  • 141.
    El Tumor extraidocompletamente es prueba de la diligencia en este caso.
  • 142.
  • 144.
  • 145.
    CÁNCER DE PRÓSTATA TACTO RECTAL PSA ECOGRAFÍA BIOPSIA
  • 147.
    Anatomía de laBolsa Escrotal Dividido en dos partes por un tabique medio. 6 capas: 1.- Piel 2.-Músculo dartos: reemplaza a la grasa superficial y a la fascia de colles. 3.- Fascia espermática externa: continuación de la aponeurosis del oblicuo mayor. 4.- Bandas del músculo cremaster 5.- Fascia espermática interna: continuación de la fascia transversalis. 6.- Túnica vaginal. Irrigación: El escroto anterior por la A. pudenda externa rama anterior de la arteria femoral. La parte posterior es por la A. pudenda interna. Otras arterias: Cremastérica externa y testicular. Inervación: Nervio ilioinguial y genitocrural inervan la pared anterior. El nervio pudendo inerva la pared posterior. Contribuyen a la inervación los femorocutáneos posteriores. Drenaje linfático: Se dirige hacia los ganglios inguinales superficiales.
  • 148.
    Anatomía del testículo Sonlos órganos reproductores masculinos. Medida: 4x3 cm Túnica vaginal: recubre los testículos en toda su extensión excepto en la unión con el epidídimo y con el cordón espermático. Muchos tabiques dividen al testículo en diversos compartimentos (hasta 400 lobulillos), convergen en el cuerpo de Highmore, el cual contiene la rete testis.Cada lobulillo tiene dos o más túbulos seminíferos contorneados (si cada túbulo fuera alargado mediría más de 60 cm). En el epitelio de estos túbulos se forman los espermatozoides. Las células de Sertoli revisten los túbulos rectos que se unen para desembocar en la cabeza del epidídimo.
  • 149.
  • 150.
    Irrigación del testículo Arterias: Porla Arteria espermática rama de la aorta, abajo transcurre por el cordón espermático, en el polo superior del testículo se divide en Espermática interna para la cara interna del testículo y Espermática externa para la cara externa. Se anastomosa con las arterias cremastéricas y del conducto deferente que provienen de la hipogástrica. Venas: Las V. procedentes del testículo convergen a nivel del anillo inguinal interno formando el plexo Pampiniforme del cordón espermático, formando en adelante las venas espermáticas. La vena espermática derecha drena a la vena cava. La vena espermática izquierda desemboca a la vena renal izquierda.
  • 152.
  • 153.
  • 154.
  • 155.
  • 157.
  • 158.
  • 159.
    CÁNCER TESTICULAR Es laneoplasia más frecuente entre los varones de 15 a 35 años Testículo normal: está conformado por túbulos seminiferos dispuestos en 200 a 300 lóbulos y túbulos rectos colectores, envuelta por la túnica albugínea. Los túbulos rectos forman la rete testis que desembocan en los conductos eferentes: estos conectan al testículo con el deferente. Los túbulos seminíferos contienen dos poblaciones celulares : las células de Sertoli y las células germinales (espermatozoides). En el intersticio testicular se encuentran dispuestos en racimos las células (intersticiales) de Leydig productora de andrógenos. Las neoplasias primarias surgen de cualquier componente celular
  • 160.
    Tumor de célulasgerminales Histogénesis Célula germinal (totipotencial) Carcinoma embrionario Seminoma T. de células totipotenciales ? (germinoma) Diferenciación extraembrionaria Diferenciación intraembrionaria Trofoblasto Saco vitelino Teratoma Coriocarcinoma Tumor de saco vitelino (ectodermo (placenta) mesodermo endodermo) Producen HCG producen AFP
  • 161.
  • 162.
  • 163.
  • 164.
  • 165.
    El Epidídimo 3 Segmentos: Cabeza Cuerpo Cola La cabeza está situada en el polo superior del testículo y el cuerpo en la parte posterior. La cola se halla unida a la extremidad inferior. 10 a 20 conductillos eferentes atraviesan la túnica vaginal y comunican el testículo con el epidídimo. Conforman los lobulillos del epidídimo los cuales en conjunto forman la cabeza. Cada lobulillo consta de un túbulo contorneado único de aprox. 15 a 20 cm. de longitud. Todos los conductos desembocan en el conducto del epidídimo que se enrrolla muchas veces sobre sí mismo, que si se extiende mediría 6 metros de longitud. Irrigación del epidídimo: Arterias epididimarias anterior y posterior ramas de la espermática. La arteria deferencial rama de la vesical inferior envía ramas a la parte posterior del testículo que al anastomosarse con la epididimaria posterior forma el arco supraepididimario.
  • 167.
    Cordón espermático Suspende altestículo en el escroto y se extiende desde al anillo inguinal profundo hasta el borde posterior del testículo. Contenido : - Conducto deferente - Arteria espermática interna - Arteria espermática externa - Vena testicular: plexo pampiniforme - Venas linfáticas testiculares - Nervios: genitocruaral, plexo testicular y simpático hipogástrico, plexo pélvico. - Cubiertas provenientes de las capas de la pared abdominal: de los músculos oblicuo mayor, menor y transverso. Conducto deferente: Tubo muscular de pared gruesa. De diámetro de 2-3 mm, y una longitud de 45 cm. Irrigación: arteria deferencial rama de la arteria vesical inferior. Conducto eyaculador: resulta de la unión del conducto deferente con el conducto de la vesícula seminal. Atraviesa la glándula prostática y desemboca a cada lado en el utrículo prostático.
  • 168.
  • 169.
  • 170.
    Pene Porciones: Raíz cuerpo pene La raíz: Localizada en el espacio perineal proporciona fijación y estabilidad. Cuerpo: Corte transversal: Dos cuerpos cavernosos, Separados por el tabique peneano. Rodeados por una doble capa de tejido conectivo denso llamada túnica (fascia de Buck). Cuerpo esponjoso: rodea la uretra. Elementos de suspensión: Sostenido y suspendido por dos ligamentos: El ligamento fundiforme se inserta en la línea blanca. El ligamento suspensorio se inserta en la sínfisis pubiana. Irrigación: El aporte sanguíneo proviene de la arteria pudenda interna rama de la hipogástrica, que proporciona las siguientes ramas para los órganos eréctiles: 1.-La arteria profunda del pene (arteria cavernosa) que recorre e irriga todo el cuerpo cavernoso 2.- La arteria uretral envía ramas al cuerpo esponjoso. 3.- La arteria bulbar: irriga la zona bulbar esponjosa. 4.- La arteria dorsal profunda del pene que continúa su trayectoria dorsal para irrigar el glande.
  • 174.
    Venas: a travésde dos sistemas venosos, superficial y profundo: venas cavernosas, vena dorsal profunda y vena dorsal superficial. La vena dorsal drena también el glande, desemboca en el plexo prostático. Inervación: Proviene del plexo pélvico formado por un componente parasimpático (S2-S4) y de una contribución simpática del plexo hipogástrico. El plexo pélvico discurre por la parte dorso lateral de la próstata para entrar en la raíces del cuerpo cavernoso dando lugar a los nervios cavernosos se presume que son los responsables del proceso de erección. Drenaje linfático: Hacia los ganglios inguinales superficiales y profundos y estos a los ganglios ilíacos externos y primitivos
  • 175.
    PREGUNTAS DE EVALUACIÓN