APARATO
RESPIRATORIO
APARATO RESPIRATORIO
 Es el conjunto de órganos encargados de la respiración
externa.
 DIVISIÓN
- Pulmones
Nariz
Fosas Nasales
Senos Paranasales
- Vías Respiratorias
Faringe
Laringe
Tráquea
Bronquios
 NARIZ
Es una prominencia piramidal que cubre la entrada de las fosas nasales.
Porciones:
* Superior, de naturaleza ósea
* Inferior, de naturaleza cartilaginosa (alas de la nariz.)
 FOSAS NASALES
a) Paredes:
- P. Interna o tabique nasal (cornetes)
- P. Superior, presenta los orificios de los senos
etmoidales y esfenoidales.
- P. Inferior en contacto con el paladar óseo
- P. Externa
b) Regiones:
- R. Respiratoria, ocupa los 2/3 inferiores de la fosa Nasal
- R. Olfatoria
SENOS PARANASALES
Son cavidades aéreas que están en comunicación con las
fosas nasales y situadas en los huesos colindantes.
La mucosa que lo reviste se continua con la de las fosas
nasales a través de los orificios de drenaje de los senos
en la cavidad nasal.
* S. Frontales situados en el hueso frontal
* S. Etmoidales
* S. Esfenoidal
* S. Maxilares
 LARINGE
 Es un órgano complejo de forma tubular que conduce el aire que presenta unas
paredes muy organizadas para la emisión del sonido laríngeo.
 LARINGE
Constitución:
Principales
Cartílagos
(Soporte)
Accesorios
Ligamentos:
Cricoides
Tiroides
Artenoides
Epiglotico
Corniculado
Cuneiforme
Sesamoideos
Cricotiroideo medio
Membrana fibroelástica
Membrana Cuadrangular
Cono elástico
 TRAQUEA
Es un tubo cartílago membranoso, que se extiende desde la laringe hasta su
división en bronquios.
Estructura: Constituido por 16 a 30 anillos superpuestos, unidos por ligamentos y
musculatura lisa.
 BRONQUIOS PRINCIPALES
Resultan de la bifurcación de la tráquea, al separarse de Carina forman un ángulo
agudo de aprox. 70º
Su trayecto es extrapulmonar.
El Bronquio Principal Derecho, es más corto, más ancho y más vertical que el
izquierdo.
El Bronquio Principal Izquierdo es más horizontal y largo que el derecho.
PULMONES
 Son órganos pares en los que se realiza la hematosis
 FORMA: Semicónica
- Vértice, sobresale por el orificio superior del tórax y ocupa la base del cuello.
- Base, es cóncava y semilunar, se apoya en el diafragma. La base derecha es algo más
elevada que la base izquierda.
- Cara medial, se encuentra el Hilio Pulmonar.
- Cisuras, son hendiduras que separan porciones del pulmón de forma parcial. Ambos
pulmones presentan una cisura oblícua y del derecho presenta una cisura horizontal.
Dividen al pulmón en lóbulos. El pulmón derecho presenta 3 lóbulos y el izquierdo 2.
ARBORIZACIÓN BRONQUIAL
Cuando penetran los bronquios principales al pulmón se dividen sucesivamente como las ramas
de un árbol.
Bronquios Secundarios o Lobares
Bronquios Terciarios o Segmentarios
Bronquiolos carecen de cartílagos y de glándulas.
LOBULILLO PULMONAR
Una de las últimas generaciones de los Bronquiolos es el Bronquiolo Lobulillar que ventila un
territorio pulmonar que es el Lobulillo Pulmonar. Cada bronquio Lobulillar se sigue dividiendo y
termina en los Bronquiolos Terminales que ventila un territorio pulmonar Acino Respiratorio
que consta de Bronquiolos respiratorios, conductos alveolares, sacos alveolares y
alveolos
PLEURA
Es una membrana serosa que envuelve a los
pulmones y le permite su desplazamiento. La pleura
derecha e izquierda son independientes.
Está formada por 2 hojas Parietal y Visceral entre las
que delimita una cavidad virtual que contiene una
pequeña cantidad de líquido.
NARIZ
 LOCALIZADO EN EL MACIZO FACIAL SUPERIOR.
 PRESENTA 2 CARAS LATERALES Y 1 CARA POSTERIOR
 LA PARTE SUPERIOR ES FIJA
 LA PARTE INFERIOR ES MOVIL
 PRESENTA 1 BORDE ANTERIOR DORSO
 TERMINA EN UNA EMINENCIA LOBULO
 SURCOS LATERALES:
 NASOGENIANO
 NASOLABIAL
COMPRENDE:
1. PIRAMIDE NASAL:
2. CAVIDAD NASAL
 PRESENTA 4 ABERTURAS:
2 ANTERIORES NARINAS o VENTANAS VESTIBULO
2 POSTERIORES COANAS FARINGE
 ESTA DIVIDIDO EN 2: - DERECHA
- IZQUIERDA
X EL TABIQUE NASAL.
 COMPRENDE 2 REGIONES:
a) REGION OLFATORIA: localizado en el techo, contiene celulas bipolares.
b) REGION RESPIRATORIA: tapizada por la mucosa pituitaria o de schneider, region con gran
cantidad de vasos sanguineos lo cual forma la mancha de la EPIXTASIS o KIESSENBACH.
 LAS PAREDES LATERALES PRESENTA A LOS CORNETES, TURBINAS o CONCHAS Y
SON :
- SUPERIOR
- MEDIO
- INFERIOR
 SENOS o ESPACIOS COMPRENDIDOS ENTRE CORNETE Y PARED
MEATOS
CORNETE SUPERIOR
CORNETE MEDIO
CORNETE INFERIOR
SENO ESFENOPALATINO
SENO FRONTAL , MAXILAR SUP.
SENOS LACRIMONASALES
LARINGE
 ORGANO IMPAR, HUECO, AERIFERO, FONACION.
 SITUADO EN LA PARTE ½ DEL CUELLO, DEBAJO DE LA LENGUA O HIODES.
 A NIVEL DE C5, C6, C7.
 MIDE 6 cm.
 FORMADO POR 9 CARTILAGOS:
- EPIGLOTIS
- TIROIDES IMPARES
- CRICOIDES
- ARITENOIDES
- CORNICULADO PARES
- CUNEIFORME
TRAQUEA
 CONDUCTO FIBROCARTILAGINOSO.
 SE EXTIENDE DE C6 HASTA D4.
 SE DIRIGE HACIA ABAJO Y ATRÁS.
 MIDE 12 cm.
 ESTA FORMADA POR LA SUPERPOSICION DE 15 A 20 ANILLOS CARTILAGINOSOS,
ABIERTOS HACIA ATRAS Y CERRADOS POR EL MUSCULO TRAQUEAL.
 ESTAN UNIDOS ENTRE SI POR LA MEMBRANA TRAQUEAL.
 LA DIVICION DE LA TRAQUEA SE LLAMA ESPOLON TRAQUEAL Y POR DENTRO SE
DENOMINA KARINA
BRONQUIOS
 LOS BRONQUIOS SON ASIMETRICOS Y SE DIRIGEN AL HILIO DEL PULMON
CORRESPONDIENTE.
 EL BRONQUIO DERECHO ES CORTO, GRUESO Y OBLICUO.
 EL BRONQUIO IZQUIERDO ES LARGO, DELGADO Y HORIZONTAL.
PULMONES
 DERECHO E IZQUIERDO SITUADOS EN EL TORAX A AMBOS LADOS DEL MEDIASTINO.
 PESO PD DE 600 grs. Y EL PI DE 500 grs.
 COLR OSCURO ANTES DE NACER, ROSADO EN LOS NIÑOS Y AZULADO EN LOS
ADULTOS.
 CONSISTENCIA ES BLANDA, POSEE UNA GRAN ELASTICIDAD.
CONFIGURACION EXTERNA
 CADA PULMON TIENEN UNA BASE INFERIOR Y UN VERTICE SUPERIOR.
 CARAS: a) INTERNA ……hilio pulmonar.
b) EXTERNA…… cisuras
c) INFERIOR……. diafragma
 BORDES: a) ANTERIOR……….esternon
b) POSTERIOR…….. columna vertebral.
c) INFERIOR ………. diafragma.
 CISURAS: PULMON DERECHO: - oblicua
- horizontal
PULMON IZQUIERDO: - oblicua
SEGMENTACION BRONCOPULMONAR DERECHA
A)LOBULO DERECHO: 1. APICAL
2. POSTERIOR APA
3. ANTERIOR
B) LOBULO MEDIO: 4. LATERAL o EXTERNO LI
5. INTERNO o MEDIAL
C) LOBULO INFERIOR:
6. APICO BASAL
7. INTERNO BASAL
8. ANTERO BASAL ALPIS
9. LATERO BASAL
10. POSTERO BASAL
SEGMENTACION BRONCOPULMONAR IZQUIERDO
 A) LOBULO SUPERIOR: 1y 2. APICO POSTERIOR
3. ANTERIOR
4. LINGULAR SUPERIOR
5. LINGULAR INFERIOR
 B) LOBULO INFERIOR: 6. APICO BASAL
7 y 8. ANTERO INTERNO BASAL
9. LATERO BASAL.
10. POSTERO BASAL
RADIOGRAFIA TORAX
Rx Torax
2 proyecciones
1) Anteroposterior
2) Lateral : Derecha , Izquierda
TUBO
Máxima
inspiración
Generalidades: Rx de tórax
Examen radiológico básico
Frente PA y Perfil
Examen radiológico básico Frente PA y Perfil
TUBO
Máxima
inspiración
Generalidades: Rx de tórax
Examen radiológico básico
Frente PA y Perfil
Examen radiológico básico Frente PA y Perfil
RADIOLOGIA DE TORAX
 Un estudio radiográfico de tórax que carece de calidad, confunde
al clínico y puede conducirlo a tomar decisiones erróneas.
 Correcta exposición
 Correcta posición
 Numero adecuado de proyecciones
Inspiración
Rx Mal inspirada
Rx Bien inspirada
RADIOLOGIA DE TORAX
 Las estructuras evaluadas en Rx de tórax son:
 Cavidad torácica (piel, vértebras, costillas, esternón)
 Tráquea
 Diafragma
 Espacio pleural
 Silueta cardiaca
 Pulmones y vasculatura pulmonar
Radiología de tórax normal
Es muy importante realizar una
evaluación sistemática
Se puede seguir cualquier orden
1- Pared torácica
2- Diafragma
3- Pleura
4- Mediastino
5- Hilios y vía aérea
6- Parénquima
Vista panorámica
Radiología de tórax normal
1- Pared torácica
a- esqueleto torácico
Claviculas
Costillas
Escápula
Columna vertebral
Esternón
Radiología de tórax normal
1- Pared torácica
a- esqueleto torácico
Costillas
Escápula
Columna vertebral
Esternón
Radiología de tórax normal
1- Pared torácica
Pectorales
b- partes blandas
Radiología de tórax normal
1- Pared torácica
Pectorales
Sombras mamarias
Pezones
Pliegues cutáneos
Pliegues axilares
b- partes blandas
Radiología de tórax normal
2- Diafragma
Límite inferior del tx
Ángulo costofrénico
Ángulo cardiofrénico
Excur.diafragm.3-7 cm
Derecho + ↑ izquierdo
Radiología de tórax normal
2- Diafragma
Ángulo costofrénico
Derecho + anterior
que el izquierdo
Izquierdo se continúa
pared anterior
TVBI ASI
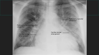
4- Mediastino
- Región situada centralmente
- Límites son:
opérculo torácico (sup.)
diafragma (inf.)
esternón (ant.)
columna vertebral (post.)
BORDE DERECHO
TVBD
VCS
Ao ascendente
VCS
TVBDAo ascendente
Aurícula derecha
Aurícula derecha
BORDE IZQUIERDO
TVBI Art.
Subclavia
Botón aórticoTronco de la arteria
pulmonar
Cayado
aórtico
Tronco de la
art. pulmonar
Orejuela de la
aurícula izquierda
Orejuela
aurícula
izquierda
Ventrículo izquierdo
Ventrículo
izquierdo
Radiología de tórax normal
CORRELACIÓN TOPOGRAFICA
MEDIASTINAL / RX TORAX
4- Mediastino
Radiología de tórax normal
BORDE ANTERIOR
Ventrículo derechoTronco de la arteria
pulmonar
AortaAurícula izquierdaVCI
BORDE POSTERIOR
4- Mediastino
Radiología de tórax normal
ÍNDICE
CARDIOTORÁCICO
Ǿ transverso > tórax
Ǿ transverso > corazón
Normal = < 0,5
PROMINENCIA BOTÓN
AÓRTICO
< 3 cm
Rx Torax A/P
0,5
DIAMETRO TRANVERSO
MAXIMO CORAZON
DIAMETRO
TRANSVERSO MAXIMO
TORAX
Radiología de tórax normal
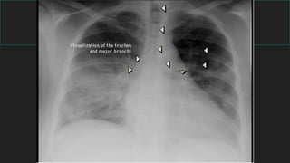
5- Hilios y vía aérea
Tráquea
- Región central mediastino superior
- Indentación borde aórtico (frente)
Bifurcación traqueal
- Ángulo de bifurcación: 55º - 70º
- Bronquio derecho tiene una
dirección más vertical que el izquierdo
Radiología de tórax normal
6- Parénquima
pulmonar
Densidad del parénquima
Está dada por:
- Aire
- Sangre
- Tejidos
Trama broncovascular
Troncos broncovasculares
SON VISIBLES HASTA 1-
2 cm de la superficie
visceral de la pleura
Radiología de tórax normal
6- Parénquima
pulmonar
División topográfica Frente
Apical
Superior
Media
Inferior
Hiliar
Perihiliar
Periférica
CLAVÍCULA
Borde superior
HILIO
Borde inferior
HILIO
H H
4 cm
4 cm
Radiología de tórax normal
6- Parénquima
pulmonar
División topográfica Perfil
Lóbulo Superior
Lóbulo Medio
Lóbulo Inferior
Pulmón derecho
Pulmón izquierdo
Lóbulo Superior
Lóbulo Inferior
Signos radiológicos principales
Enfermedad pulmonar difusa
PATRONES
RADIOLÓGICOS
LINEAL
RETICULAR
NODULAR
RETICULONODULAR
Signos radiológicos principales
Enfermedad pulmonar
difusa
LINEAL
Líneas de Kerley
Edema intersticial
Signos radiológicos principales
Enfermedad pulmonar
difusa
LINEAL
Líneas de Kerley
ICC
INSUFICIENCIA CARDIACA
Recuerde los 4 signos radiológicos:
 1) Lineas B Kerley
 2) Congestión peribronquial
 3) Liquido en las cisuras
 4) Derrame pleural
 CARDIOMEGALIA
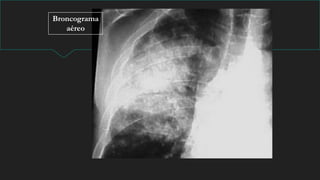
NEUMONIA
Signos Radiológicos:
 Condensación
 Broncograma aereo.
Broncograma
aéreo
NEUMONIA LOBULO MEDIO
DERECHO
Condensación basal izquierda retrocardíaca
Signos radiológicos principales
Enfermedad pulmonar
difusa
RETICULAR
Fina red de
opacidades
lineales
Engrosamiento
inter e
intralobulillar
Colagenopatías
Neumonitis intersticiales
Neumoconiosis
Colagenopatía
Signos radiológicos principales
Enfermedad pulmonar
difusa
NODULAR
Pequeños
nódulos < 3 mm
Nódulos inter,
intralobulillares o
centrolobulillares
TBC miliar
Enfermedades granulomatosas
MTS
Neumoconiosis
Signos radiológicos principales
Enfermedad pulmonar
difusa
RETICULONODULAR
Imágenes
nodulares y
engrosamientos
septales
Neumoconiosis
Sarcoidosis
Linfangitis carcinomatosa
Sarcoidosis
Signos radiológicos principales
Reticulonoduiillar
Reticular
Nodulillar
normal
Signos radiológicos principales
Nódulos pulmonares
DEFINICIÓN
Son opacidades redondeadas,
homogénas, con márgenes bien
delimitados que pueden ser regulares o
irregulares
Edad y antecedentes del paciente
Número
Tamaño/Tasa de crecimiento
Bordes
Presencia o no de calcificaciones
Presencia de cavitación
A tener en
cuenta
Signos radiológicos principales
CAUSAS
Nódulos pulmonares
ENFERMEDADES INFLAMATORIAS/INFECCIOSAS (51%)
TUMORES MALIGNOS
TUMORES BENIGNOS
MISCELÁNEAS
Signos radiológicos principales
Tumor de pulmón
Signos radiológicos principales
MTS cáncer de colon
Signos radiológicos principales
MTS cáncer de mama
Signos radiológicos principales
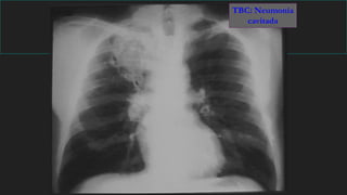
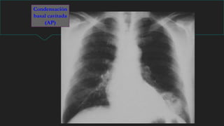
Absceso
Condensación
basal cavitada
(AP)
TBC: Neumonía
cavitada
ENFISEMA: Signos radiológicos
• Atrapamiento aéreo:
1. Hiperclaridad
parenquimatosa no
homogénea
2. Descenso,
aplanamiento o
inversión del
diafragma
• Cambios en la caja
torácica
3. Horizontalización de
costillas
4 Tórax campaniforme
1
2
4
3
Signos radiológicos principales
Enfisema
vicariante
Signos radiológicos principales
Enfisema bulloso
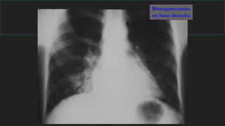
Semiología de las bronquiectasias
A
A. Normal
B
C
D
E
A. Normal
B. Quistes de pared fina
A. Normal
B. Quistes de pared fina
C. Quistes de pared
gruesa
A. Normal
B. Quistes de pared fina
C. Quistes de pared
gruesa
D. Ocupación parcial:
“Nidos de golondrina”
A. Normal
B. Quistes de pared fina
C. Quistes de pared
gruesa
D. Ocupación parcial:
“Nidos de golondrina”
E. Ocupación completa:
Nódulos
Bronquiectasias
en base derecha
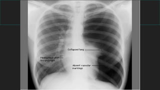
Signos radiológicos principales
Neumotórax
Signos radiológicos principales
Neumotórax a
tensión
DERRAME PLEURAL

Aparato respiratorio

  • 1.
  • 2.
    APARATO RESPIRATORIO  Esel conjunto de órganos encargados de la respiración externa.  DIVISIÓN - Pulmones Nariz Fosas Nasales Senos Paranasales - Vías Respiratorias Faringe Laringe Tráquea Bronquios
  • 3.
     NARIZ Es unaprominencia piramidal que cubre la entrada de las fosas nasales. Porciones: * Superior, de naturaleza ósea * Inferior, de naturaleza cartilaginosa (alas de la nariz.)  FOSAS NASALES a) Paredes: - P. Interna o tabique nasal (cornetes) - P. Superior, presenta los orificios de los senos etmoidales y esfenoidales. - P. Inferior en contacto con el paladar óseo - P. Externa b) Regiones: - R. Respiratoria, ocupa los 2/3 inferiores de la fosa Nasal - R. Olfatoria
  • 8.
    SENOS PARANASALES Son cavidadesaéreas que están en comunicación con las fosas nasales y situadas en los huesos colindantes. La mucosa que lo reviste se continua con la de las fosas nasales a través de los orificios de drenaje de los senos en la cavidad nasal. * S. Frontales situados en el hueso frontal * S. Etmoidales * S. Esfenoidal * S. Maxilares
  • 10.
     LARINGE  Esun órgano complejo de forma tubular que conduce el aire que presenta unas paredes muy organizadas para la emisión del sonido laríngeo.
  • 11.
  • 13.
     TRAQUEA Es untubo cartílago membranoso, que se extiende desde la laringe hasta su división en bronquios. Estructura: Constituido por 16 a 30 anillos superpuestos, unidos por ligamentos y musculatura lisa.  BRONQUIOS PRINCIPALES Resultan de la bifurcación de la tráquea, al separarse de Carina forman un ángulo agudo de aprox. 70º Su trayecto es extrapulmonar. El Bronquio Principal Derecho, es más corto, más ancho y más vertical que el izquierdo. El Bronquio Principal Izquierdo es más horizontal y largo que el derecho.
  • 17.
    PULMONES  Son órganospares en los que se realiza la hematosis  FORMA: Semicónica - Vértice, sobresale por el orificio superior del tórax y ocupa la base del cuello. - Base, es cóncava y semilunar, se apoya en el diafragma. La base derecha es algo más elevada que la base izquierda. - Cara medial, se encuentra el Hilio Pulmonar. - Cisuras, son hendiduras que separan porciones del pulmón de forma parcial. Ambos pulmones presentan una cisura oblícua y del derecho presenta una cisura horizontal. Dividen al pulmón en lóbulos. El pulmón derecho presenta 3 lóbulos y el izquierdo 2.
  • 19.
    ARBORIZACIÓN BRONQUIAL Cuando penetranlos bronquios principales al pulmón se dividen sucesivamente como las ramas de un árbol. Bronquios Secundarios o Lobares Bronquios Terciarios o Segmentarios Bronquiolos carecen de cartílagos y de glándulas. LOBULILLO PULMONAR Una de las últimas generaciones de los Bronquiolos es el Bronquiolo Lobulillar que ventila un territorio pulmonar que es el Lobulillo Pulmonar. Cada bronquio Lobulillar se sigue dividiendo y termina en los Bronquiolos Terminales que ventila un territorio pulmonar Acino Respiratorio que consta de Bronquiolos respiratorios, conductos alveolares, sacos alveolares y alveolos
  • 20.
    PLEURA Es una membranaserosa que envuelve a los pulmones y le permite su desplazamiento. La pleura derecha e izquierda son independientes. Está formada por 2 hojas Parietal y Visceral entre las que delimita una cavidad virtual que contiene una pequeña cantidad de líquido.
  • 21.
    NARIZ  LOCALIZADO ENEL MACIZO FACIAL SUPERIOR.  PRESENTA 2 CARAS LATERALES Y 1 CARA POSTERIOR  LA PARTE SUPERIOR ES FIJA  LA PARTE INFERIOR ES MOVIL  PRESENTA 1 BORDE ANTERIOR DORSO  TERMINA EN UNA EMINENCIA LOBULO  SURCOS LATERALES:  NASOGENIANO  NASOLABIAL
  • 22.
  • 23.
    2. CAVIDAD NASAL PRESENTA 4 ABERTURAS: 2 ANTERIORES NARINAS o VENTANAS VESTIBULO 2 POSTERIORES COANAS FARINGE  ESTA DIVIDIDO EN 2: - DERECHA - IZQUIERDA X EL TABIQUE NASAL.  COMPRENDE 2 REGIONES: a) REGION OLFATORIA: localizado en el techo, contiene celulas bipolares. b) REGION RESPIRATORIA: tapizada por la mucosa pituitaria o de schneider, region con gran cantidad de vasos sanguineos lo cual forma la mancha de la EPIXTASIS o KIESSENBACH.
  • 25.
     LAS PAREDESLATERALES PRESENTA A LOS CORNETES, TURBINAS o CONCHAS Y SON : - SUPERIOR - MEDIO - INFERIOR  SENOS o ESPACIOS COMPRENDIDOS ENTRE CORNETE Y PARED MEATOS
  • 27.
    CORNETE SUPERIOR CORNETE MEDIO CORNETEINFERIOR SENO ESFENOPALATINO SENO FRONTAL , MAXILAR SUP. SENOS LACRIMONASALES
  • 29.
    LARINGE  ORGANO IMPAR,HUECO, AERIFERO, FONACION.  SITUADO EN LA PARTE ½ DEL CUELLO, DEBAJO DE LA LENGUA O HIODES.  A NIVEL DE C5, C6, C7.  MIDE 6 cm.  FORMADO POR 9 CARTILAGOS: - EPIGLOTIS - TIROIDES IMPARES - CRICOIDES - ARITENOIDES - CORNICULADO PARES - CUNEIFORME
  • 33.
    TRAQUEA  CONDUCTO FIBROCARTILAGINOSO. SE EXTIENDE DE C6 HASTA D4.  SE DIRIGE HACIA ABAJO Y ATRÁS.  MIDE 12 cm.  ESTA FORMADA POR LA SUPERPOSICION DE 15 A 20 ANILLOS CARTILAGINOSOS, ABIERTOS HACIA ATRAS Y CERRADOS POR EL MUSCULO TRAQUEAL.  ESTAN UNIDOS ENTRE SI POR LA MEMBRANA TRAQUEAL.  LA DIVICION DE LA TRAQUEA SE LLAMA ESPOLON TRAQUEAL Y POR DENTRO SE DENOMINA KARINA
  • 37.
    BRONQUIOS  LOS BRONQUIOSSON ASIMETRICOS Y SE DIRIGEN AL HILIO DEL PULMON CORRESPONDIENTE.  EL BRONQUIO DERECHO ES CORTO, GRUESO Y OBLICUO.  EL BRONQUIO IZQUIERDO ES LARGO, DELGADO Y HORIZONTAL.
  • 40.
    PULMONES  DERECHO EIZQUIERDO SITUADOS EN EL TORAX A AMBOS LADOS DEL MEDIASTINO.  PESO PD DE 600 grs. Y EL PI DE 500 grs.  COLR OSCURO ANTES DE NACER, ROSADO EN LOS NIÑOS Y AZULADO EN LOS ADULTOS.  CONSISTENCIA ES BLANDA, POSEE UNA GRAN ELASTICIDAD.
  • 41.
    CONFIGURACION EXTERNA  CADAPULMON TIENEN UNA BASE INFERIOR Y UN VERTICE SUPERIOR.  CARAS: a) INTERNA ……hilio pulmonar. b) EXTERNA…… cisuras c) INFERIOR……. diafragma  BORDES: a) ANTERIOR……….esternon b) POSTERIOR…….. columna vertebral. c) INFERIOR ………. diafragma.  CISURAS: PULMON DERECHO: - oblicua - horizontal PULMON IZQUIERDO: - oblicua
  • 47.
    SEGMENTACION BRONCOPULMONAR DERECHA A)LOBULODERECHO: 1. APICAL 2. POSTERIOR APA 3. ANTERIOR B) LOBULO MEDIO: 4. LATERAL o EXTERNO LI 5. INTERNO o MEDIAL C) LOBULO INFERIOR: 6. APICO BASAL 7. INTERNO BASAL 8. ANTERO BASAL ALPIS 9. LATERO BASAL 10. POSTERO BASAL
  • 49.
    SEGMENTACION BRONCOPULMONAR IZQUIERDO A) LOBULO SUPERIOR: 1y 2. APICO POSTERIOR 3. ANTERIOR 4. LINGULAR SUPERIOR 5. LINGULAR INFERIOR  B) LOBULO INFERIOR: 6. APICO BASAL 7 y 8. ANTERO INTERNO BASAL 9. LATERO BASAL. 10. POSTERO BASAL
  • 54.
  • 55.
    Rx Torax 2 proyecciones 1)Anteroposterior 2) Lateral : Derecha , Izquierda
  • 56.
    TUBO Máxima inspiración Generalidades: Rx detórax Examen radiológico básico Frente PA y Perfil Examen radiológico básico Frente PA y Perfil
  • 57.
    TUBO Máxima inspiración Generalidades: Rx detórax Examen radiológico básico Frente PA y Perfil Examen radiológico básico Frente PA y Perfil
  • 58.
    RADIOLOGIA DE TORAX Un estudio radiográfico de tórax que carece de calidad, confunde al clínico y puede conducirlo a tomar decisiones erróneas.  Correcta exposición  Correcta posición  Numero adecuado de proyecciones
  • 59.
  • 60.
  • 61.
  • 62.
    RADIOLOGIA DE TORAX Las estructuras evaluadas en Rx de tórax son:  Cavidad torácica (piel, vértebras, costillas, esternón)  Tráquea  Diafragma  Espacio pleural  Silueta cardiaca  Pulmones y vasculatura pulmonar
  • 64.
    Radiología de tóraxnormal Es muy importante realizar una evaluación sistemática Se puede seguir cualquier orden 1- Pared torácica 2- Diafragma 3- Pleura 4- Mediastino 5- Hilios y vía aérea 6- Parénquima Vista panorámica
  • 65.
    Radiología de tóraxnormal 1- Pared torácica a- esqueleto torácico Claviculas Costillas Escápula Columna vertebral Esternón
  • 66.
    Radiología de tóraxnormal 1- Pared torácica a- esqueleto torácico Costillas Escápula Columna vertebral Esternón
  • 67.
    Radiología de tóraxnormal 1- Pared torácica Pectorales b- partes blandas
  • 68.
    Radiología de tóraxnormal 1- Pared torácica Pectorales Sombras mamarias Pezones Pliegues cutáneos Pliegues axilares b- partes blandas
  • 69.
    Radiología de tóraxnormal 2- Diafragma Límite inferior del tx Ángulo costofrénico Ángulo cardiofrénico Excur.diafragm.3-7 cm Derecho + ↑ izquierdo
  • 70.
    Radiología de tóraxnormal 2- Diafragma Ángulo costofrénico Derecho + anterior que el izquierdo Izquierdo se continúa pared anterior
  • 71.
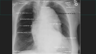
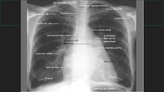
    TVBI ASI 4- Mediastino -Región situada centralmente - Límites son: opérculo torácico (sup.) diafragma (inf.) esternón (ant.) columna vertebral (post.) BORDE DERECHO TVBD VCS Ao ascendente VCS TVBDAo ascendente Aurícula derecha Aurícula derecha BORDE IZQUIERDO TVBI Art. Subclavia Botón aórticoTronco de la arteria pulmonar Cayado aórtico Tronco de la art. pulmonar Orejuela de la aurícula izquierda Orejuela aurícula izquierda Ventrículo izquierdo Ventrículo izquierdo Radiología de tórax normal
  • 73.
  • 74.
    4- Mediastino Radiología detórax normal BORDE ANTERIOR Ventrículo derechoTronco de la arteria pulmonar AortaAurícula izquierdaVCI BORDE POSTERIOR
  • 75.
    4- Mediastino Radiología detórax normal ÍNDICE CARDIOTORÁCICO Ǿ transverso > tórax Ǿ transverso > corazón Normal = < 0,5 PROMINENCIA BOTÓN AÓRTICO < 3 cm Rx Torax A/P 0,5 DIAMETRO TRANVERSO MAXIMO CORAZON DIAMETRO TRANSVERSO MAXIMO TORAX
  • 76.
    Radiología de tóraxnormal 5- Hilios y vía aérea Tráquea - Región central mediastino superior - Indentación borde aórtico (frente) Bifurcación traqueal - Ángulo de bifurcación: 55º - 70º - Bronquio derecho tiene una dirección más vertical que el izquierdo
  • 78.
    Radiología de tóraxnormal 6- Parénquima pulmonar Densidad del parénquima Está dada por: - Aire - Sangre - Tejidos Trama broncovascular Troncos broncovasculares SON VISIBLES HASTA 1- 2 cm de la superficie visceral de la pleura
  • 79.
    Radiología de tóraxnormal 6- Parénquima pulmonar División topográfica Frente Apical Superior Media Inferior Hiliar Perihiliar Periférica CLAVÍCULA Borde superior HILIO Borde inferior HILIO H H 4 cm 4 cm
  • 80.
    Radiología de tóraxnormal 6- Parénquima pulmonar División topográfica Perfil Lóbulo Superior Lóbulo Medio Lóbulo Inferior Pulmón derecho Pulmón izquierdo Lóbulo Superior Lóbulo Inferior
  • 81.
    Signos radiológicos principales Enfermedadpulmonar difusa PATRONES RADIOLÓGICOS LINEAL RETICULAR NODULAR RETICULONODULAR
  • 82.
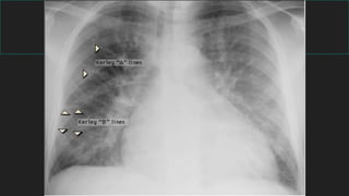
    Signos radiológicos principales Enfermedadpulmonar difusa LINEAL Líneas de Kerley Edema intersticial
  • 83.
    Signos radiológicos principales Enfermedadpulmonar difusa LINEAL Líneas de Kerley ICC
  • 84.
    INSUFICIENCIA CARDIACA Recuerde los4 signos radiológicos:  1) Lineas B Kerley  2) Congestión peribronquial  3) Liquido en las cisuras  4) Derrame pleural  CARDIOMEGALIA
  • 91.
  • 92.
  • 93.
  • 94.
  • 95.
    Signos radiológicos principales Enfermedadpulmonar difusa RETICULAR Fina red de opacidades lineales Engrosamiento inter e intralobulillar Colagenopatías Neumonitis intersticiales Neumoconiosis Colagenopatía
  • 96.
    Signos radiológicos principales Enfermedadpulmonar difusa NODULAR Pequeños nódulos < 3 mm Nódulos inter, intralobulillares o centrolobulillares TBC miliar Enfermedades granulomatosas MTS Neumoconiosis
  • 97.
    Signos radiológicos principales Enfermedadpulmonar difusa RETICULONODULAR Imágenes nodulares y engrosamientos septales Neumoconiosis Sarcoidosis Linfangitis carcinomatosa Sarcoidosis
  • 98.
  • 99.
    Signos radiológicos principales Nódulospulmonares DEFINICIÓN Son opacidades redondeadas, homogénas, con márgenes bien delimitados que pueden ser regulares o irregulares Edad y antecedentes del paciente Número Tamaño/Tasa de crecimiento Bordes Presencia o no de calcificaciones Presencia de cavitación A tener en cuenta
  • 100.
    Signos radiológicos principales CAUSAS Nódulospulmonares ENFERMEDADES INFLAMATORIAS/INFECCIOSAS (51%) TUMORES MALIGNOS TUMORES BENIGNOS MISCELÁNEAS
  • 101.
  • 102.
  • 103.
  • 104.
  • 105.
  • 106.
  • 107.
    ENFISEMA: Signos radiológicos •Atrapamiento aéreo: 1. Hiperclaridad parenquimatosa no homogénea 2. Descenso, aplanamiento o inversión del diafragma • Cambios en la caja torácica 3. Horizontalización de costillas 4 Tórax campaniforme 1 2 4 3
  • 108.
  • 109.
  • 110.
    Semiología de lasbronquiectasias A A. Normal B C D E A. Normal B. Quistes de pared fina A. Normal B. Quistes de pared fina C. Quistes de pared gruesa A. Normal B. Quistes de pared fina C. Quistes de pared gruesa D. Ocupación parcial: “Nidos de golondrina” A. Normal B. Quistes de pared fina C. Quistes de pared gruesa D. Ocupación parcial: “Nidos de golondrina” E. Ocupación completa: Nódulos
  • 111.
  • 112.
  • 113.
  • 115.