ANATOMÌA PATOLÒGICA
UNIVERSIDAD DE CARABOBO
MEDICINA
TOCCI NAPOLEÒN
ANATOMÌA PATOLÒGICA
UNIVERSIDAD DE CARABOBO
MEDICINA
TOCCI NAPOLEÒN
ANATOMÌA PATOLÒGICA
UNIVERSIDAD DE CARABOBO
MEDICINA
ANATOMÌA PATOLÒGICA
UNIVERSIDAD DE CARABOBO
MEDICINA
HEMOS APRENDIDO Y A CONTINUACIÒN SE LO VAMOS
A DEMOSTRAR
AUTOPSIA
BIOPSIA
CITOLOGÌA
PATOLOGÌA
GENERAL
PATOLOGÌA
ESPECIAL
ETIOLOGÌA
PATOGENIA
CAMBIOS ESTRUCTURALES
SIGNOS Y SÌNTOMAS
FÌSICA
QUÌMICA
BIOLOGÌA
BIOANÀLISIS
MOLECULAR
AUTOPSIA
HOSPITALARIA
FORENSE
DIFERENCIA ENTRE UNA AUTOPSIA CLÌNICA Y UNA HOSPITALARIA
DIFERENCIA ENTRE UNA AUTOPSIA CLÌNICA Y UNA FORENSE
AUTOPSIA CLÌNICA AUTOPSIA FORENSE
Es realizada por Patólogo Es realizada por Patólogo
Clínico Adscrito al CICPC
No es obligatoria hacerla Es mandato de Ley COPP
El informe va a historia El informe va al Expediente
Clínica CICPC
Debe ser solicitada por No se necesita solicitud
Médico tratante
SOLICITUD DE AUTOPSIA
1.DATOS FILIATIVOS: NOMBRE Y
APELLIDOS COMPLETOS, EDAD ,CI, SEXO
DIRECCIÒN, PROCEDENCIA
2.DATOS CLINICOS DE INTERES
3.RESUMEN PARACLINICO DE INTERES
4.DIAGNÒSTICOS PRESENTIVOS
5.AUTORIZACIÒN POR FAMILIAR CERCANO
CONSANGUÌNEO.
NOTA: La solicitud debe ir acompañada de la Historia
Clínica y de ser posible asistirá el médico solicitante
DR TOCCI NAPOLEÓN
ANATOMOPATÓLOGO
ANATOMÌA PATOLÒGICA
MEDICINA UC
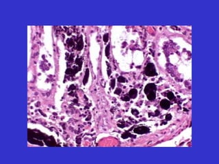
BIOPSIA
El tèrmino Biopsia puede definirse como un procedimiento
médico realizado por una persona especialista en Anatomía
Patológica, el cual consiste en el estudio tanto macroscòpico
como microscópico de los tejidos del cuerpo humano, a fin de
emitir un Diagnóstico
BIOPSIA. Concepto.
• Pequeño Fragmento de un ser vivo que se prelava o
remueve para estudiarlo.
• Remoción quirúrgica de parte o la totalidad de una
lesión de un tejido vivo con el propósito de realizar el
examen microscópico y el diagnóstico.
• Calanche, 2001.
BIOPSIA. Concepto.
• Procedimiento quirúrgico que abarca la remoción y
examen de un tejido u otro material, desde un cuerpo
vivo con la finalidad de realizar su examen
microscópico para determinar un diagnóstico”
Lobos, N. (1995). Patología de la Mucosa Oral
TIPOS DE BIOPSIA:
• EXCISIONAL:
BIOPSIA
BIOPSIA EXCISIONAL:
También se llama exéresis biopsia. Es la extirpación completa
de un órgano o un tumor, generalmente sin márgenes, que se
realiza normalmente en quirófano bajo anestesia general o local
y con cirugía mayor o menor respectivamente.
La biopsia excisional se realiza, por ejemplo en:
•La extirpación de una adenopatía aislada.
* En los tumores de mama pequeños: Si es un tumor benigno, la
misma biopsia es terapéutica, pero si es maligno hay que volver a
reintervenir, ampliar márgenes y realizar una linfadenectomía o
vaciamiento axilar homolateral.
BIOPSIA EXCISIONAL:
BIOPSIA
BIOPSIA EXCISIONAL:
*En las lesiones cutáneas sospechosas, sobre todo melánicas:
Si son benignas, no se realiza más tratamiento quirúrgico y si
es maligna como un melanoma, hay que ampliar márgenes y
realizar la prueba del ganglio centinela.
*El bazo, no se puede biopsiar, en caso de linfoma, tomando
una muestra por el riesgo de hemorragia, por lo que se extirpa
completamente (esplenectomía).
TIPOS DE BIOPSIA:
• INCISIONAL:
BIOPSIA
BIOPSIA INCISIONAL:
Es la biopsia en la que se corta o se extirpa
quirúrgicamente sólo un trozo de tejido, masa o
tumor. Este tipo de biopsia se utiliza más a menudo
en los tumores de tejidos blandos como el músculo,
cerebro, hígado, pulmón, para distinguir patología
benigna de la maligna, porque estos órganos no se
pueden extirpar, o porque la lesión es muy grande o
difusa.
TIPOS DE BIOPSIA:
Extemporànea o
Intraoperatoria:
BIOPSIA
BIOPSIA INTRAOPERATORIA:
Biopsia intraoperatoria: Es la que se obtiene durante
una laparatomía exploradora por ejemplo en un
cáncer de ovario. La muestra se obtiene en el mismo
instante de la operación, y es enviada al Laboratorio
de Patología, para ser analizada rápidamente en un
lapso de 5-10 minutos, y emitir un diagnóstico de
positividad o Negatividad para células malignas. Y a
veces se difiere el diagnóstico
BIOPSIA
BIOPSIA POR ASPIRACIÒN CON AGUJA FINA :
La biopsia de aspiración por medio de una aguja fina (su sigla
en inglés es FNA )
Este tipo de biopsia incluye el uso de una aguja fina para
extirpar partes muy pequeñas de un tumor. Algunas veces se
utilizan analgésicos locales para adormecer el área, pero el
examen raramente causa incomodidad y no deja cicatrices.
BIOPSIA
BIOPSIA POR ASPIRACIÒN CON AGUJA FINA :
La FNA no se utiliza para diagnosticar un lunar sospechoso,
pero puede utilizarse para realizar biopsias de los nódulos
linfáticos grandes cercanos al melanoma para saber si éste se
ha extendido por metástasis (propagado). Puede usarse una
tomografía computarizada (su sigla en inglés es CT o CAT) -
un procedimiento que produce imágenes de cortes
transversales del cuerpo - para guiar la aguja dentro del tumor
en un órgano interno como el pulmón o el hígado.
Biopsia por punción tipo tru-cut
Permite obtener varios cilindros de tejido para su estudio, pero requiere
anestesia local y una pequeña incisión. Con el material obtenido se
puede determinar si el tumor es maligno y el tipo de tumor. Se suele
utilizar en tumores fácilmente palpables y con aspecto sospechoso de
ser cancerosos.
BIOPSIA
BIOPSIA POR PUNCIÒN :
Biopsia por punción con aguja gruesa
También se llama core biopsia o tru-cut que se realiza
mediante la obtención de biopsia con pistolas automáticas,
que reduce las molestias en el paciente. Una vez que se
coloca la aguja en posición de predisparo, guiada por
palpación o prueba de imagen, se presiona el disparador y la
parte interior de la aguja, que es la que succiona el tejido, se
proyecta atravesando la lesión y saliendo de ella con la
muestra muy rápidamente. Precisa de anestesia local.
BIOPSIA
BIOPSIA POR SACABOCADOS :
Biopsia por sacabocados
Consiste en tomar una muestra profunda de piel
mediante un instrumento quirúrgico que extrae un
pequeño cilindro de tejido o "corazón de manzana".
Después de administrar anestesia local, se hace girar el
instrumento sobre la superficie de la piel hasta que
perfore todas las capas, incluyendo la dermis, la
epidermis y las partes más superficiales (grasa) de la
capa subcutánea.
BIOPSIA
BIOPSIA LEGRADO :
Es una tècnica que consiste en obtener material o tejido
del endometrio o cavidad endometrial, para posteriormente
ser analizado en un laboratorio de Anatomía Patológica
a fin de estudiar y establecer un diagnóstico certero
Un instrumento con forma de pala llamado "curette" se inserta y se
usa para raspar el revestimiento del útero y sacar una muestra del
tejido a través de la vagina. Después de tomar las muestras del
endometrio, se retira el instrumento de la cervix, asegurándose que
no haya sangrado.
BIOPSIA
BIOPSIA POR TREPANACIÒN :
La biopsia por trepanación es una escisión mediante
cirugía de un fragmento de hueso del cráneo en forma de
disco, para llegar al interior de la cavidad craneal.
BIOPSIA
Son un conjunto de biopsias obtenidas y guiadas por
pruebas de imagen que indican las coordenadas del
espacio donde se encuentra la lesión, como por ejemplo
lesiones de mama no palpables que se marcan con arpón
en una mamografía, o con ABBI (Advanced Breast Biopsy
Instrumentation). Las biopsias cerebrales suelen ser
biopsias estereotáxicas.
BIOPSIA ESTEREOTÀXICA:
BIOPSIAS ENDOSCÒPICAS
Consideraciones…
1. Evitar tomar material del centro necrótico de la
lesión
2. Evitar manipularlo innecesariamente
3. Evitar la limpieza con sustancias químicas y/o
bruscamente.
4. Evitar áreas con infección secundaria
5. La anestesia locas debe colocarse en la periferia y
no en el centro de la lesión
Técnica y Procesamiento:
PROCEDIMIENTOS FISICOS Y QUÍMICOS:
• FIJACIÓN: FORMOL AL 10% O ALCOHOL AL 70%
Conservar las células estructuralmente en un estadío lo
más parecido posible a las que tenían en vida. Inhibir
la autólisis, la heterólisis y la invasión bacteriana.
Técnica y Procesamiento:
PROCEDIMIENTOS FISICOS Y QUÍMICOS:
• DESHIDRATACIÓN: Alcohol en concentraciones
crecientes, hasta alcohol absoluto.
Técnica y Procesamiento:
PROCEDIMIENTOS FISICOS Y QUÍMICOS:
• ACLARAMIENTO INICIAL: Xilol.
Permite eliminar excesos de Alcohol y permitir la
inclusion.
Técnica y Procesamiento:
PROCEDIMIENTOS FISICOS Y QUÍMICOS:
• INCLUSIÓN: Para formar masas duras que
permitan el corte de la muestra.
• Medios Acuosos: Jabón y Gelatina (Poco utilizados)
• Anhidros: Celoidina y Parafina
“TACO, MASA O BLOQUE”
Técnica y Procesamiento:
PROCEDIMIENTOS FISICOS Y QUÍMICOS:
• CORTES: También llamado sección de la
muestra. Realizado por aparatos especiales:
Microtomos.
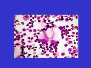
¿Qué es la citología?
La citología es el estudio de células
individuales para detectar células anormales.
Usada extensamente para el diagnóstico del
cáncer, la citología también se usa para
evaluar la presencia de anormalidades
fetales y para diagnosticar organismos
infecciosos.
Las células que van a examinarse pueden obtenerse por medio de los
siguientes métodos:
•Raspar la superficie de los tejidos.
•Los fluidos corporales.
•Aspiraciones por medio de una aguja fina (sacar células por medio
de una aguja fina).
La citología difiere de la histología, que es el estudio de los grupos de
células que forman los tejidos.
GINECOLÓGICAS NO GINECOLÓGICAS
CÉRVICO-VAGINALES
GLÁNDULA MAMARIA
ORINA
LCR
ESPUTO
PUNCIONES TIROIDES Y
OTROS ÓRGANOS.
LÍQUIDO PLEURAL
LÍQUIDO ASCÍTICO
LIQUIDO ARTICULAR
ERRORES COMUNES DE OBTENCIÓN
1.-MALA TÉCNICA
2.-MATERIAL INSUFICIENTE
3.-MATERIAL HEMORRÁGICO
4.-INEXPERIENCIA DEL MÉDICO
5.-ERROR AL IDENTIFICAR LA MUESTRA
6.-NO BUENA CONSERVACIÓN
COMPLICACIONES:
1.-HEMORRAGIA
2.-INFECCIÓN
3.-DISEMINACIÓN TUMORAL
4.-DAÑO A ESTRUCTURAS VECINAS
LO IDEAL ES PROCESAR EL LÍQUIDO
UNA VEZ TOMADA LA MUESTRA
PARA LA CONSERVACIÓN DE LOS LÍQUIDOS
SE RECOMIENDA 1gota DE FORMOL POR CADA 9CC DE LÍQUIDO
YA QUE EL FORMOL EN EXCESO PUEDE CAUSAR ALTERACIONES
CELULARES… QUE PUEDEN CONFUNDIR
O ENFRIAMIENTO EN NEVERA Y PROCESAMIENTO RÁPIDO
O SE USA CITO SPRAY…O LACA COMÚN PARA LAS CITOLOGÍAS
CERVICO VAGINALES Y POR PUNCIÓN
SE PUEDE USAR ALCOHOL 70% PARA FIJAR LÁMINAS CON CÉLULAS
Biopsia y citologia
Biopsia y citologia
Biopsia y citologia
Biopsia y citologia
Biopsia y citologia
Biopsia y citologia
Biopsia y citologia
Biopsia y citologia
Biopsia y citologia
Biopsia y citologia
Biopsia y citologia
Biopsia y citologia
Biopsia y citologia
Biopsia y citologia
Biopsia y citologia
Biopsia y citologia
Biopsia y citologia
Biopsia y citologia
Biopsia y citologia
Biopsia y citologia
Biopsia y citologia
Biopsia y citologia
Biopsia y citologia
Biopsia y citologia
Biopsia y citologia

Biopsia y citologia

  • 1.
    ANATOMÌA PATOLÒGICA UNIVERSIDAD DECARABOBO MEDICINA TOCCI NAPOLEÒN
  • 2.
    ANATOMÌA PATOLÒGICA UNIVERSIDAD DECARABOBO MEDICINA TOCCI NAPOLEÒN
  • 3.
  • 4.
    ANATOMÌA PATOLÒGICA UNIVERSIDAD DECARABOBO MEDICINA HEMOS APRENDIDO Y A CONTINUACIÒN SE LO VAMOS A DEMOSTRAR
  • 5.
  • 6.
  • 7.
    DIFERENCIA ENTRE UNAAUTOPSIA CLÌNICA Y UNA HOSPITALARIA
  • 8.
    DIFERENCIA ENTRE UNAAUTOPSIA CLÌNICA Y UNA FORENSE
  • 9.
    AUTOPSIA CLÌNICA AUTOPSIAFORENSE Es realizada por Patólogo Es realizada por Patólogo Clínico Adscrito al CICPC No es obligatoria hacerla Es mandato de Ley COPP El informe va a historia El informe va al Expediente Clínica CICPC Debe ser solicitada por No se necesita solicitud Médico tratante
  • 10.
  • 11.
    1.DATOS FILIATIVOS: NOMBREY APELLIDOS COMPLETOS, EDAD ,CI, SEXO DIRECCIÒN, PROCEDENCIA 2.DATOS CLINICOS DE INTERES 3.RESUMEN PARACLINICO DE INTERES 4.DIAGNÒSTICOS PRESENTIVOS 5.AUTORIZACIÒN POR FAMILIAR CERCANO CONSANGUÌNEO. NOTA: La solicitud debe ir acompañada de la Historia Clínica y de ser posible asistirá el médico solicitante
  • 13.
  • 15.
    BIOPSIA El tèrmino Biopsiapuede definirse como un procedimiento médico realizado por una persona especialista en Anatomía Patológica, el cual consiste en el estudio tanto macroscòpico como microscópico de los tejidos del cuerpo humano, a fin de emitir un Diagnóstico
  • 16.
    BIOPSIA. Concepto. • PequeñoFragmento de un ser vivo que se prelava o remueve para estudiarlo. • Remoción quirúrgica de parte o la totalidad de una lesión de un tejido vivo con el propósito de realizar el examen microscópico y el diagnóstico. • Calanche, 2001.
  • 17.
    BIOPSIA. Concepto. • Procedimientoquirúrgico que abarca la remoción y examen de un tejido u otro material, desde un cuerpo vivo con la finalidad de realizar su examen microscópico para determinar un diagnóstico” Lobos, N. (1995). Patología de la Mucosa Oral
  • 19.
  • 20.
    BIOPSIA BIOPSIA EXCISIONAL: También sellama exéresis biopsia. Es la extirpación completa de un órgano o un tumor, generalmente sin márgenes, que se realiza normalmente en quirófano bajo anestesia general o local y con cirugía mayor o menor respectivamente.
  • 21.
    La biopsia excisionalse realiza, por ejemplo en: •La extirpación de una adenopatía aislada. * En los tumores de mama pequeños: Si es un tumor benigno, la misma biopsia es terapéutica, pero si es maligno hay que volver a reintervenir, ampliar márgenes y realizar una linfadenectomía o vaciamiento axilar homolateral. BIOPSIA EXCISIONAL:
  • 22.
    BIOPSIA BIOPSIA EXCISIONAL: *En laslesiones cutáneas sospechosas, sobre todo melánicas: Si son benignas, no se realiza más tratamiento quirúrgico y si es maligna como un melanoma, hay que ampliar márgenes y realizar la prueba del ganglio centinela. *El bazo, no se puede biopsiar, en caso de linfoma, tomando una muestra por el riesgo de hemorragia, por lo que se extirpa completamente (esplenectomía).
  • 23.
  • 24.
    BIOPSIA BIOPSIA INCISIONAL: Es labiopsia en la que se corta o se extirpa quirúrgicamente sólo un trozo de tejido, masa o tumor. Este tipo de biopsia se utiliza más a menudo en los tumores de tejidos blandos como el músculo, cerebro, hígado, pulmón, para distinguir patología benigna de la maligna, porque estos órganos no se pueden extirpar, o porque la lesión es muy grande o difusa.
  • 25.
  • 26.
    BIOPSIA BIOPSIA INTRAOPERATORIA: Biopsia intraoperatoria:Es la que se obtiene durante una laparatomía exploradora por ejemplo en un cáncer de ovario. La muestra se obtiene en el mismo instante de la operación, y es enviada al Laboratorio de Patología, para ser analizada rápidamente en un lapso de 5-10 minutos, y emitir un diagnóstico de positividad o Negatividad para células malignas. Y a veces se difiere el diagnóstico
  • 27.
    BIOPSIA BIOPSIA POR ASPIRACIÒNCON AGUJA FINA : La biopsia de aspiración por medio de una aguja fina (su sigla en inglés es FNA ) Este tipo de biopsia incluye el uso de una aguja fina para extirpar partes muy pequeñas de un tumor. Algunas veces se utilizan analgésicos locales para adormecer el área, pero el examen raramente causa incomodidad y no deja cicatrices.
  • 28.
    BIOPSIA BIOPSIA POR ASPIRACIÒNCON AGUJA FINA : La FNA no se utiliza para diagnosticar un lunar sospechoso, pero puede utilizarse para realizar biopsias de los nódulos linfáticos grandes cercanos al melanoma para saber si éste se ha extendido por metástasis (propagado). Puede usarse una tomografía computarizada (su sigla en inglés es CT o CAT) - un procedimiento que produce imágenes de cortes transversales del cuerpo - para guiar la aguja dentro del tumor en un órgano interno como el pulmón o el hígado.
  • 29.
    Biopsia por puncióntipo tru-cut Permite obtener varios cilindros de tejido para su estudio, pero requiere anestesia local y una pequeña incisión. Con el material obtenido se puede determinar si el tumor es maligno y el tipo de tumor. Se suele utilizar en tumores fácilmente palpables y con aspecto sospechoso de ser cancerosos.
  • 30.
    BIOPSIA BIOPSIA POR PUNCIÒN: Biopsia por punción con aguja gruesa También se llama core biopsia o tru-cut que se realiza mediante la obtención de biopsia con pistolas automáticas, que reduce las molestias en el paciente. Una vez que se coloca la aguja en posición de predisparo, guiada por palpación o prueba de imagen, se presiona el disparador y la parte interior de la aguja, que es la que succiona el tejido, se proyecta atravesando la lesión y saliendo de ella con la muestra muy rápidamente. Precisa de anestesia local.
  • 31.
    BIOPSIA BIOPSIA POR SACABOCADOS: Biopsia por sacabocados Consiste en tomar una muestra profunda de piel mediante un instrumento quirúrgico que extrae un pequeño cilindro de tejido o "corazón de manzana". Después de administrar anestesia local, se hace girar el instrumento sobre la superficie de la piel hasta que perfore todas las capas, incluyendo la dermis, la epidermis y las partes más superficiales (grasa) de la capa subcutánea.
  • 32.
    BIOPSIA BIOPSIA LEGRADO : Esuna tècnica que consiste en obtener material o tejido del endometrio o cavidad endometrial, para posteriormente ser analizado en un laboratorio de Anatomía Patológica a fin de estudiar y establecer un diagnóstico certero
  • 33.
    Un instrumento conforma de pala llamado "curette" se inserta y se usa para raspar el revestimiento del útero y sacar una muestra del tejido a través de la vagina. Después de tomar las muestras del endometrio, se retira el instrumento de la cervix, asegurándose que no haya sangrado.
  • 34.
    BIOPSIA BIOPSIA POR TREPANACIÒN: La biopsia por trepanación es una escisión mediante cirugía de un fragmento de hueso del cráneo en forma de disco, para llegar al interior de la cavidad craneal.
  • 35.
    BIOPSIA Son un conjuntode biopsias obtenidas y guiadas por pruebas de imagen que indican las coordenadas del espacio donde se encuentra la lesión, como por ejemplo lesiones de mama no palpables que se marcan con arpón en una mamografía, o con ABBI (Advanced Breast Biopsy Instrumentation). Las biopsias cerebrales suelen ser biopsias estereotáxicas. BIOPSIA ESTEREOTÀXICA:
  • 36.
  • 41.
    Consideraciones… 1. Evitar tomarmaterial del centro necrótico de la lesión 2. Evitar manipularlo innecesariamente 3. Evitar la limpieza con sustancias químicas y/o bruscamente. 4. Evitar áreas con infección secundaria 5. La anestesia locas debe colocarse en la periferia y no en el centro de la lesión
  • 49.
    Técnica y Procesamiento: PROCEDIMIENTOSFISICOS Y QUÍMICOS: • FIJACIÓN: FORMOL AL 10% O ALCOHOL AL 70% Conservar las células estructuralmente en un estadío lo más parecido posible a las que tenían en vida. Inhibir la autólisis, la heterólisis y la invasión bacteriana.
  • 50.
    Técnica y Procesamiento: PROCEDIMIENTOSFISICOS Y QUÍMICOS: • DESHIDRATACIÓN: Alcohol en concentraciones crecientes, hasta alcohol absoluto.
  • 51.
    Técnica y Procesamiento: PROCEDIMIENTOSFISICOS Y QUÍMICOS: • ACLARAMIENTO INICIAL: Xilol. Permite eliminar excesos de Alcohol y permitir la inclusion.
  • 52.
    Técnica y Procesamiento: PROCEDIMIENTOSFISICOS Y QUÍMICOS: • INCLUSIÓN: Para formar masas duras que permitan el corte de la muestra. • Medios Acuosos: Jabón y Gelatina (Poco utilizados) • Anhidros: Celoidina y Parafina “TACO, MASA O BLOQUE”
  • 53.
    Técnica y Procesamiento: PROCEDIMIENTOSFISICOS Y QUÍMICOS: • CORTES: También llamado sección de la muestra. Realizado por aparatos especiales: Microtomos.
  • 78.
    ¿Qué es lacitología? La citología es el estudio de células individuales para detectar células anormales. Usada extensamente para el diagnóstico del cáncer, la citología también se usa para evaluar la presencia de anormalidades fetales y para diagnosticar organismos infecciosos.
  • 79.
    Las células quevan a examinarse pueden obtenerse por medio de los siguientes métodos: •Raspar la superficie de los tejidos. •Los fluidos corporales. •Aspiraciones por medio de una aguja fina (sacar células por medio de una aguja fina). La citología difiere de la histología, que es el estudio de los grupos de células que forman los tejidos.
  • 80.
    GINECOLÓGICAS NO GINECOLÓGICAS CÉRVICO-VAGINALES GLÁNDULAMAMARIA ORINA LCR ESPUTO PUNCIONES TIROIDES Y OTROS ÓRGANOS. LÍQUIDO PLEURAL LÍQUIDO ASCÍTICO LIQUIDO ARTICULAR
  • 81.
    ERRORES COMUNES DEOBTENCIÓN 1.-MALA TÉCNICA 2.-MATERIAL INSUFICIENTE 3.-MATERIAL HEMORRÁGICO 4.-INEXPERIENCIA DEL MÉDICO 5.-ERROR AL IDENTIFICAR LA MUESTRA 6.-NO BUENA CONSERVACIÓN
  • 82.
  • 83.
    LO IDEAL ESPROCESAR EL LÍQUIDO UNA VEZ TOMADA LA MUESTRA
  • 91.
    PARA LA CONSERVACIÓNDE LOS LÍQUIDOS SE RECOMIENDA 1gota DE FORMOL POR CADA 9CC DE LÍQUIDO YA QUE EL FORMOL EN EXCESO PUEDE CAUSAR ALTERACIONES CELULARES… QUE PUEDEN CONFUNDIR O ENFRIAMIENTO EN NEVERA Y PROCESAMIENTO RÁPIDO O SE USA CITO SPRAY…O LACA COMÚN PARA LAS CITOLOGÍAS CERVICO VAGINALES Y POR PUNCIÓN SE PUEDE USAR ALCOHOL 70% PARA FIJAR LÁMINAS CON CÉLULAS