TEMA: Síndromes pleurales
Dra Nancy Del Valle Garcia
Sumario
Concepto
Clasificacion
Semiogénesis
Elementos semiológicos e semiográficos
Exames complementarios
• Cualquier afección inflamatoria, irritativa o mecánica que afecte las
pleuras o comprometa la circulación de retorno es capaz de provocar un
derrame pleural.
• Cabe señalar que los derrames en los adultos, menores de 400 mL, y
en el niño, de 120 mL no se exteriorizan por signo clínico alguno.
• Síndrome de interposición liquida o derrame
pleural.
• Es la acumulación de líquidos en el espacio
pleural.
•
CONCEPTO
La acumulación de líquido en el
espacio pleural es consecuencia de un
trastorno en el normal equilibrio entre la
trasudación y la reabsorción, que puede
ser originado por diversos procesos
Sindromogénesis o
fisiopatología
-El aumento de la presión hidrostática microvascular,
-La alteración y obstrucción del drenaje linfático,
-La reducción de la presión osmótica,
-El aporte de líquido desde el espacio peritoneal.
-El aumento de la permeabilidad de la microcirculación,
-Por inflamación o invasión tumoral de la pleura
Sindromogénesis o fisiopatología
Pueden originar un derrame pleural.
CLASIFICACION
En dependencia de la cuantía del derrame
Derrames de pequeño volumen 500 -1000ml
Derrames de mediano volumen mas de
1500ml
Derrames de gran volumen (más
de 3 000 ml)
Sindromografía o diagnóstico
positivo
• El cuadro clínico suele iniciarse por la denominada
“pleuresía seca” con dolor sordo, respiración
superficial, tos no productiva y molesta. No son
raros los escalofríos y el malestar general
febricular o fiebre alta.
• Una vez que se instala el derrame, el cuadro
adquiere mayor intensidad, presentando punta de
costado a veces de tipo abdominal.
• Disnea de acuerdo con la abundancia de líquido y
la presencia o no de lesiones parenquimatosas.
• La tos persiste seca pero molesta y
continua.
• Si el líquido continúa en aumento el
cuadro se agrava extraordinariamente
siendo entonces el síntoma primordial una
disnea intensa con cianosis y anoxia
marcadas.
PERCUSIÓN DEL DERRAME PLEURAL
• Pequeños derrames: línea horizontal.
• Medianos derrames: curva parabólica.
• Grandes derrames: línea horizontal.
• En los derrames de mediano volumen
hemos señalado que el límite superior de
matidez describe una curva parabólica
llamada parábola de Damoiseau o línea
de Ellis.
• Los signos físicos varían con la cantidad del derrame:
a) En los derrames de pequeño volumen (500-1 000 mL)
- Inspección: normal.
- Palpación: disminución de la expansión respiratoria.
Vibraciones vocales disminuidas en el plano posterior
basal, no así en el plano axilar y posterior alto.
- Percusión: matidez por detrás que no sobrepasa la línea
axilar posterior.
- Auscultación: disminución del murmullo vesicular y de la
broncofonía en el área de matidez.
• En los derrames de mediano volumen, más de 1
500 mL.
• Inspección: abovedamiento discreto del tórax.
Disminución de la expansión torácica.
• Palpación: se comprueba la distensión del
hemitórax y la disminución de la expansión.
• Vibraciones vocales abolidas; si se aprecian es
que existe conjuntamente condensación del
parénquima por debajo del derrame. Por encima
del derrame hay aumento de las vibraciones
vocales.
• Percusión: matidez, resistencia al dedo que
percute.
• La matidez forma una parábola, que va desde la
columna por detrás, al esternón por delante,
siendo su punto más alto a nivel de la línea axilar
media (curva de Damoiseau).
• En el lado opuesto al derrame existe una zona
triangular de matidez en la parte interna de la
base que corresponde al denominado triángulo de
Grocco.
• En el lado del derrame, en su límite superior, se forma
una zona triangular de submatidez, que tiene por límite
interno la columna vertebral y por límite externo la
curva ascendente del derrame y que se denomina
triángulo de Garland.
• Por encima del derrame hay hipersonoridad o
timpanismo (escodismo) por función de suplencia del
parénquima no colapsado por el líquido.
• Si el derrame es en el lado izquierdo, puede desaparecer
la sonoridad del estómago (espacio semilunar de
Traube).
• En los derrames de gran volumen, más de 3 000 mL.
• Inspección: abovedamiento del tórax. Espacios intercostales
distendidos. Inmovilidad del hemitórax.
• Palpación: ausencia del movimiento expansivo.Vibraciones
vocales abolidas.
• Percusión: matidez en toda la altura del hemitórax. Se
comprueba también la desviación de la matidez del
mediastino hacia el lado opuesto al derrame.
• Auscultación: Abolición del murmullo vesicular. Auscultación
de la voz negativo o ausente. Signo de la moneda.
- RADIOGRAFIA DE TORAX.
-ECOGRAFIA
- ESTUDIO DEL LIQUIDO PLEURAL a través de
la toracocentesis o punción pleural
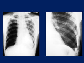
EXAMENES COMPLEMENTARIOS
Derrame pleural
masivo izquierdo
Tipos de líquidos pleurales.
1- Trasudado: color acuoso o amarrillo claro , la causa mas frecuente es la
insuficiencia cardiaca.
2- Exudado: color ambarino o amarrillo oscuro , ligeramente turbio, el mas
frecuente es el derrame paraneumonico.
3- Empiema : liquido purulento en el espacio pleural.
4- Hemotórax : liquido netamente hemorrágico en el espacio pleural .las
causas mas frecuentes son los traumatismos y las heridas penetrantes en el
torax.
5- Quilotórax : Liquido de aspecto lechoso producido por traumatismo y
obstrucción del conducto torácico.
6- Otros aspectos del liquidos tenemos :
-Achocolatado: como es el caso de los Abscesos amebianos y los derrames
antiguos de colesterol.
- Serosanguinolento : como en las neoplasias , TB, Pancreatitis hemorrágicas
etc.
Diferencias
Exudado
• Rivalta positivo
• Turbio o amarillo oscuro
• Proteínas superior a 3g/dl
• Glucosa Baja
• Deshidrogenasa láctica
(LDH) mayor de 200UI
• Las células están
aumentadas a expensas
de polimorfo.Linfocitos y
células tumorales
• Etiologia infecciosas
tumorales.
Trasudado
• Rivalta negativo
• Amarillo claro
• Proteínas inferior a 3g/dl
• Glucosa normal
• Deshidrogenasa láctica
(LDH) menor de 200UI
• Las células pueden estar
normales o linfocitos
• Etiologia Aumento de la
presión hidrostatica IC.
ETIOLOGIA DEL DERRAME PLEURAL.
A. Trasudados.
• 1. Por presión hidrostática aumentada:
• Insuficiencia cardiaca congestiva.
• Pericarditis constrictiva.
• Síndrome de la vena cava superior.
• 2. Por presión oncótica disminuida, por hipoalbuminemia:
• Cirrosis hepática.
• Síndrome nefrótico.
• 3. Asociada con ascitis (comunicaciones transdiafragmáticas):
• Cirrosis hepática.
• Diálisis peritoneal.
B. Exudados.
• 1. Infecciones:
• Neumonía bacteriana o vírica (derrame paraneumónico).
• Tuberculosis.
• 2. Neoplasias:
• Cáncer del pulmón.
• Metástasis pleuropulmonares.
• Linfomas. Leucemias.
• Mesotelioma.
• 3. Enfermedades intraabdominales:
• Pancreatitis.
• Absceso subfrénico.
• 4. Enfermedades del tejido conectivo:
• Artritis reumatoidea.
• Lupus eritematoso sistémico.
• 5. Otros:
• Embolia e infarto pulmonar.
C. Empiema.
• Neumonía bacteriana por gérmenes anaerobios,
• Staphylococcus aureus, Pseudomonas y Escherichia coli.
• Traumatismo torácico.
• Cirugía torácica.
• Mediastinitis.
• Absceso subfrénico roto.
• Absceso pulmonar.
D. Quilotórax.
• Traumatismo torácico.
• Linfomas.
• Complicación posquirúrgica.
E. Pseudoquilotórax.
• Tuberculosis.
• Artritis reumatoide.
• Idiopático.
F. Hemotórax (no derrame serohemático).
• Traumatismo penetrante o cerrado.
• Iatrógeno.
• Enfermedad pleural metastásica.
• Complicación del tratamiento anticoagulante.
SÍNDROME DE INTERPOSICIÓN AÉREA
O NEUMOTÓRAX
• Sindromogénesis o fisiopatología . Consiste
en la interposición de una masa de gas
(aire) entre la pleura visceral y la parietal.
• Súbita
• Ruptura de una bula de enfisema o
ruptura de una caverna tuberculosa
• Traumas perforan la cavidad torácica y
permiten la entrada de aire del exterior.
ETIOLOGIA
1. Neumotórax espontáneo:
• a) Primario.
• b) Secundario a una neumopatía de base asociada:
- Enfermedad pulmonar obstructiva crónica (más frecuente).
- Enfermedades granulomatosas (tuberculosis, sarcoidosis).
- Carcinoma broncógeno.
- Fibrosis pulmonar.
- Neumotórax catamenial (asociado a la menstruación).
2. Neumotórax traumático:
- a) Iatrógeno.
- b) A consecuencia de lesiones penetrantes o cerradas.
Sindromografía o diagnóstico positivo
Cuadro clínico del sindrome de interposicion
gaseosa o neumotorax
- Suele ser dramático, dolor intenso en punta de
costado que aumenta con la inspiracion.
- Disnea angustiosa y progresiva.
- Cianosis.
- Cuando se instaura lentamente puede solo
presentarse con el cuadro doloroso y una disnea
ligera
.
EXAMEN FISICO
• Inspección:Abovedamiento y disminución de la
expansión del lado comprometido.
Palpación: disminución de la expansión torácica.
Vibraciones vocales abolidas.
Percusión: hipersonoridad, timpanismo y si es
muy extenso el neumotórax, sonido metálico.
Auscultación: disminución o ausencia del
murmullo vesicular. Soplo anfórico si la
perforación es de suficiente tamaño. Disminución
o abolición de la broncofonía.
EXAMENES COMPLEMENTARIOS
• Radiografía de tórax.
Se aprecia un aumento de la transparencia del lado
correspondiente al neumotórax, con el pulmón retraído
hacia el hilio, dando una forma de muñón característico.
FIN

C-4 SINDROME PLEURAL................................ES.ppt

  • 1.
    TEMA: Síndromes pleurales DraNancy Del Valle Garcia
  • 2.
  • 3.
    • Cualquier afeccióninflamatoria, irritativa o mecánica que afecte las pleuras o comprometa la circulación de retorno es capaz de provocar un derrame pleural. • Cabe señalar que los derrames en los adultos, menores de 400 mL, y en el niño, de 120 mL no se exteriorizan por signo clínico alguno. • Síndrome de interposición liquida o derrame pleural. • Es la acumulación de líquidos en el espacio pleural. • CONCEPTO
  • 4.
    La acumulación delíquido en el espacio pleural es consecuencia de un trastorno en el normal equilibrio entre la trasudación y la reabsorción, que puede ser originado por diversos procesos Sindromogénesis o fisiopatología
  • 5.
    -El aumento dela presión hidrostática microvascular, -La alteración y obstrucción del drenaje linfático, -La reducción de la presión osmótica, -El aporte de líquido desde el espacio peritoneal. -El aumento de la permeabilidad de la microcirculación, -Por inflamación o invasión tumoral de la pleura Sindromogénesis o fisiopatología Pueden originar un derrame pleural.
  • 6.
    CLASIFICACION En dependencia dela cuantía del derrame Derrames de pequeño volumen 500 -1000ml Derrames de mediano volumen mas de 1500ml Derrames de gran volumen (más de 3 000 ml)
  • 7.
    Sindromografía o diagnóstico positivo •El cuadro clínico suele iniciarse por la denominada “pleuresía seca” con dolor sordo, respiración superficial, tos no productiva y molesta. No son raros los escalofríos y el malestar general febricular o fiebre alta. • Una vez que se instala el derrame, el cuadro adquiere mayor intensidad, presentando punta de costado a veces de tipo abdominal. • Disnea de acuerdo con la abundancia de líquido y la presencia o no de lesiones parenquimatosas.
  • 8.
    • La tospersiste seca pero molesta y continua. • Si el líquido continúa en aumento el cuadro se agrava extraordinariamente siendo entonces el síntoma primordial una disnea intensa con cianosis y anoxia marcadas.
  • 9.
    PERCUSIÓN DEL DERRAMEPLEURAL • Pequeños derrames: línea horizontal. • Medianos derrames: curva parabólica. • Grandes derrames: línea horizontal. • En los derrames de mediano volumen hemos señalado que el límite superior de matidez describe una curva parabólica llamada parábola de Damoiseau o línea de Ellis.
  • 10.
    • Los signosfísicos varían con la cantidad del derrame: a) En los derrames de pequeño volumen (500-1 000 mL) - Inspección: normal. - Palpación: disminución de la expansión respiratoria. Vibraciones vocales disminuidas en el plano posterior basal, no así en el plano axilar y posterior alto. - Percusión: matidez por detrás que no sobrepasa la línea axilar posterior. - Auscultación: disminución del murmullo vesicular y de la broncofonía en el área de matidez.
  • 11.
    • En losderrames de mediano volumen, más de 1 500 mL. • Inspección: abovedamiento discreto del tórax. Disminución de la expansión torácica. • Palpación: se comprueba la distensión del hemitórax y la disminución de la expansión. • Vibraciones vocales abolidas; si se aprecian es que existe conjuntamente condensación del parénquima por debajo del derrame. Por encima del derrame hay aumento de las vibraciones vocales.
  • 12.
    • Percusión: matidez,resistencia al dedo que percute. • La matidez forma una parábola, que va desde la columna por detrás, al esternón por delante, siendo su punto más alto a nivel de la línea axilar media (curva de Damoiseau). • En el lado opuesto al derrame existe una zona triangular de matidez en la parte interna de la base que corresponde al denominado triángulo de Grocco.
  • 13.
    • En ellado del derrame, en su límite superior, se forma una zona triangular de submatidez, que tiene por límite interno la columna vertebral y por límite externo la curva ascendente del derrame y que se denomina triángulo de Garland. • Por encima del derrame hay hipersonoridad o timpanismo (escodismo) por función de suplencia del parénquima no colapsado por el líquido. • Si el derrame es en el lado izquierdo, puede desaparecer la sonoridad del estómago (espacio semilunar de Traube).
  • 14.
    • En losderrames de gran volumen, más de 3 000 mL. • Inspección: abovedamiento del tórax. Espacios intercostales distendidos. Inmovilidad del hemitórax. • Palpación: ausencia del movimiento expansivo.Vibraciones vocales abolidas. • Percusión: matidez en toda la altura del hemitórax. Se comprueba también la desviación de la matidez del mediastino hacia el lado opuesto al derrame. • Auscultación: Abolición del murmullo vesicular. Auscultación de la voz negativo o ausente. Signo de la moneda.
  • 16.
    - RADIOGRAFIA DETORAX. -ECOGRAFIA - ESTUDIO DEL LIQUIDO PLEURAL a través de la toracocentesis o punción pleural EXAMENES COMPLEMENTARIOS
  • 18.
  • 20.
    Tipos de líquidospleurales. 1- Trasudado: color acuoso o amarrillo claro , la causa mas frecuente es la insuficiencia cardiaca. 2- Exudado: color ambarino o amarrillo oscuro , ligeramente turbio, el mas frecuente es el derrame paraneumonico. 3- Empiema : liquido purulento en el espacio pleural. 4- Hemotórax : liquido netamente hemorrágico en el espacio pleural .las causas mas frecuentes son los traumatismos y las heridas penetrantes en el torax. 5- Quilotórax : Liquido de aspecto lechoso producido por traumatismo y obstrucción del conducto torácico. 6- Otros aspectos del liquidos tenemos : -Achocolatado: como es el caso de los Abscesos amebianos y los derrames antiguos de colesterol. - Serosanguinolento : como en las neoplasias , TB, Pancreatitis hemorrágicas etc.
  • 21.
    Diferencias Exudado • Rivalta positivo •Turbio o amarillo oscuro • Proteínas superior a 3g/dl • Glucosa Baja • Deshidrogenasa láctica (LDH) mayor de 200UI • Las células están aumentadas a expensas de polimorfo.Linfocitos y células tumorales • Etiologia infecciosas tumorales. Trasudado • Rivalta negativo • Amarillo claro • Proteínas inferior a 3g/dl • Glucosa normal • Deshidrogenasa láctica (LDH) menor de 200UI • Las células pueden estar normales o linfocitos • Etiologia Aumento de la presión hidrostatica IC.
  • 22.
    ETIOLOGIA DEL DERRAMEPLEURAL. A. Trasudados. • 1. Por presión hidrostática aumentada: • Insuficiencia cardiaca congestiva. • Pericarditis constrictiva. • Síndrome de la vena cava superior. • 2. Por presión oncótica disminuida, por hipoalbuminemia: • Cirrosis hepática. • Síndrome nefrótico. • 3. Asociada con ascitis (comunicaciones transdiafragmáticas): • Cirrosis hepática. • Diálisis peritoneal. B. Exudados. • 1. Infecciones: • Neumonía bacteriana o vírica (derrame paraneumónico). • Tuberculosis. • 2. Neoplasias: • Cáncer del pulmón. • Metástasis pleuropulmonares. • Linfomas. Leucemias. • Mesotelioma.
  • 23.
    • 3. Enfermedadesintraabdominales: • Pancreatitis. • Absceso subfrénico. • 4. Enfermedades del tejido conectivo: • Artritis reumatoidea. • Lupus eritematoso sistémico. • 5. Otros: • Embolia e infarto pulmonar. C. Empiema. • Neumonía bacteriana por gérmenes anaerobios, • Staphylococcus aureus, Pseudomonas y Escherichia coli. • Traumatismo torácico. • Cirugía torácica. • Mediastinitis. • Absceso subfrénico roto. • Absceso pulmonar. D. Quilotórax. • Traumatismo torácico. • Linfomas. • Complicación posquirúrgica.
  • 24.
    E. Pseudoquilotórax. • Tuberculosis. •Artritis reumatoide. • Idiopático. F. Hemotórax (no derrame serohemático). • Traumatismo penetrante o cerrado. • Iatrógeno. • Enfermedad pleural metastásica. • Complicación del tratamiento anticoagulante.
  • 25.
    SÍNDROME DE INTERPOSICIÓNAÉREA O NEUMOTÓRAX • Sindromogénesis o fisiopatología . Consiste en la interposición de una masa de gas (aire) entre la pleura visceral y la parietal. • Súbita • Ruptura de una bula de enfisema o ruptura de una caverna tuberculosa • Traumas perforan la cavidad torácica y permiten la entrada de aire del exterior.
  • 26.
    ETIOLOGIA 1. Neumotórax espontáneo: •a) Primario. • b) Secundario a una neumopatía de base asociada: - Enfermedad pulmonar obstructiva crónica (más frecuente). - Enfermedades granulomatosas (tuberculosis, sarcoidosis). - Carcinoma broncógeno. - Fibrosis pulmonar. - Neumotórax catamenial (asociado a la menstruación). 2. Neumotórax traumático: - a) Iatrógeno. - b) A consecuencia de lesiones penetrantes o cerradas.
  • 27.
    Sindromografía o diagnósticopositivo Cuadro clínico del sindrome de interposicion gaseosa o neumotorax - Suele ser dramático, dolor intenso en punta de costado que aumenta con la inspiracion. - Disnea angustiosa y progresiva. - Cianosis. - Cuando se instaura lentamente puede solo presentarse con el cuadro doloroso y una disnea ligera
  • 28.
    . EXAMEN FISICO • Inspección:Abovedamientoy disminución de la expansión del lado comprometido. Palpación: disminución de la expansión torácica. Vibraciones vocales abolidas. Percusión: hipersonoridad, timpanismo y si es muy extenso el neumotórax, sonido metálico. Auscultación: disminución o ausencia del murmullo vesicular. Soplo anfórico si la perforación es de suficiente tamaño. Disminución o abolición de la broncofonía.
  • 29.
    EXAMENES COMPLEMENTARIOS • Radiografíade tórax. Se aprecia un aumento de la transparencia del lado correspondiente al neumotórax, con el pulmón retraído hacia el hilio, dando una forma de muñón característico.
  • 32.