REUNIÓN DE CASUÍSTICA

   26 DE JULIO DE 2012

CENTRO Dr. LÁZARO LANGER
Datos Filiatorios

• Hombre de 54 años. Rio Tercero.
  Trabajador en pozos petroleros
  (preparación de suelos). C.Rivadavia.



• Consulta en Consultorio (19.12.11).
MC / AEA

• Disnea progresiva (actualmente GII): 2
  años de evolución.
• Esputo hemoptoico y pérdida de peso de
  5 kgs: 2 meses de evolución.
Antecedentes Personales
• APP
    • Esteatosis hepática
    • Bajo tratamiento con diuréticos y AAS por ICC
      - cardiomegalia -?.
• AP Tox:
    • Niega
• Exposición ocupacional: pinturas (10
  años previos. 4-6 hs/día. 6 años. Sin
  protección)
Ex. Físico
• 98 kgs. 176 cm
• 76 lat/min. 16 resp/min. 126/78 mmHg. SaO2
  98 % AA.
• AR: MV conservado. VV conservada, sin
  ruidos sobreagregados.
• ACV: R1R2 NF. Sin soplos. Edemas en
  MMII ++.
Disnea de esfuerzo.
    Hemoptisis




19.12.11




 Lab: VSG 100. Citol normal.
    Uremia, creatininemia
  normal. Glucemia normal.
   BAAR – en 3 muestras.
 Perfil lipídico normal. Orina
             normal.
          Rx Tórax: No
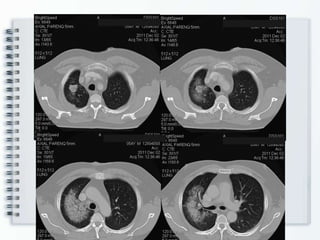
   TAC tórax c/cte (2.12.11)
Imágenes
Impresión Diagnóstica
   Procedimientos
BFC
• LB / LBA / BTB
• Microbiología / Citología /
  histopatología
Sin tratamiento hasta resultados
Se solicita nuevo lab, con
colagenograma
(FR, ANA, AntiDNA,      P-Anca, C-
ANCA, AMBA, C3, C4).
BFC
• GC (–)
• Directo BAAR / Hongos (–)
• Pendiente cultivo para BAAR y hongos
• BTB: 3 fragmentos. Pulmón: Infiltrado
  linfocitario difuso.
• LBA / LB / Esputo post BFC: Cambios
  inflamatorios. Hemosiderófagos.
Impresión Diagnóstica
   Procedimientos
Disnea de esfuerzo.
    Hemoptisis




19.12.11




 Lab: VSG 100. Citol normal.
    Uremia, creatininemia
  normal. Glucemia normal.
   BAAR – en 3 muestras.
 Perfil lipidico normal.Orina
             normal.
          Rx Tórax: No
   TAC tórax c/cte (2.12.11)
Disnea de esfuerzo.
    Hemoptisis

                                Esputo hemoptoico no
                                cotidiano. Disnea variable.
                                Dolor torácico retroesternal
                                atípico.




19.12.11


                                    13.1.12

                                    Radiólogos desestiman Bx
 Lab: VSG 100. Citol normal.        transtorácica y se repite
    Uremia, creatininemia           BFC, mismos
  normal. Glucemia normal.          resultados, citología
   BAAR – en 3 muestras.            diferencial:
 Perfil lipidico normal.Orina       NS46%,Eo8%, Linf8%, Mac
             normal.                rof 38%.
          Rx Tórax: No              Indicación de BX a cielo
   TAC tórax c/cte (2.12.11)        abierto pero antes
                                    reevaluación de lab y
                                    nueva TAC.
                                    Espiro: CVF: 61% teórico.
                                    Rx Tórax: Extensión al LID
Disnea de esfuerzo.
    Hemoptisis
                                                                          SIN TRATAMIENTO. 20 días
                                                                          sin hemoptisis.
                                Esputo hemoptoico no
                                                                          Recuperó peso (98 a 104)
                                cotidiano. Disnea variable.
                                                                          Incremento de edemas en
                                Dolor torácico retroesternal
                                                                          MMII.
                                atípico.




19.12.11                                                         6.2.12


                                    13.1.12
                                                                   Lab. normal excepto VSG
                                    Radiólogos desestiman Bx
                                                                     43, Orina: hematuria.
 Lab: VSG 100. Citol normal.        transtorácica y se repite
                                                                      FR, ANA, ADNA, P-
    Uremia, creatininemia           BFC, mismos
                                                                    ANCA, C- ANCA, AMBA
  normal. Glucemia normal.          resultados, citología
                                                                          negativos.
   BAAR – en 3 muestras.            diferencial:
                                                                     Rx Tórax sin cambios
 Perfil lipidico normal.Orina       NS46%,Eo8%, Linf8%, Mac
                                                                     Demoras para nueva
             normal.                rof 38%.
                                                                            TACAR
          Rx Tórax: No              Indicación de BX a cielo
   TAC tórax c/cte (2.12.11)        abierto pero antes
                                    reevaluación de lab y
                                    nueva TAC.
                                    Espiro: CVF: 61% teórico.
                                    Rx Tórax: Extensión al LID
Semanas siguientes:
Mejoría de la disnea y
hemoptisis. Dolor torácico
(evaluación cardiológica
normal).
Semanas siguientes:
Mejoría de la disnea y
hemoptisis. Dolor torácico       15.3.12
(evaluación cardiológica
normal).




         Mejoría espirométrica: CVF
         61%(13.1.12) a 74% (15.3.12)
         Conducta expectante.
Estabilidad clínica. Peso estable.
                                           Episodios aislados de hemoptisis y
                                           disnea de esfuerzo, no cotidiana.
                                           Mejoró dolor torácico. Edemas en MMII
                                           en aumento.
                                           Lab: Hb 11,7gr%, VSG 61mm. Cr
                                           1,66g%, Orina:
                                           proteinuria, hematuria, cilindruria, leuc
Semanas siguientes:                        ocituria.
Mejoría de la                              TACAR
disnea, hemoptisis. Dolor        15.3.12
torácico con evaluación
cardiológica normal.
                                                              19.4.12



         Mejoría espirométrica: CVF
         61%(13.1.12) a 74% (15.3.12)
         Conducta expectante.
Impresión Diagnóstica
   Procedimientos
Síndrome nefrótico.
              Biopsia renal.
Glomerulonefritis membrano-proliferativa
   Depósito de IgG y C3 en mesangio y
            membrana basal

  SINDROME RIÑÓN-PULMÓN
Síndrome de Hemorragia Alveolar
           Mecanismos Inmunológicos                           Mecanismos No Inmunológicos

Tipo I     ABMA ( Linear )     GoodPasture                  I. diopáticos
                                                                              Hemosiderosis primaria
Tipo II    IC   ( Granular )   LES                                            Idiopática
                               IgA Disease
                               Crioglobulinemia mixta       II.Tóxicos
                               Síndrome R-P                                   D-penicilamina
                               Enf. De Bechet                                 Anhidrido trimetílico
                                                                              Cocaína
Tipo III   ANCA ( Negativa o                                                  Isocianatos
                Paucinmune )   Wegener
                               PAN                          III.Infecciosos
                               Síndrome R-P                                   HantaVirus
                               Poliarteritis microscópica                     FHA
                                                                              Legionella
                                                                              HIV
                                                                              Leptospira
                                                                              Enf. Lyme

                                                            IV.Alteraciones Coagulación
                                                                              Trombocitosis
                                                                              Leucosis
                                                                              Trombofilias
                                                                              Trombolisis
                                                                              Embolización

                                                            V.Asociadas a Neoplasias
                                                                            Kaposi
                                                                            Angiosarcoma

                                                            VI.Transtorno 1º del colágeno
                                                                              Amiloidosis pulmonar
                                                                              Tx médula ósea

                                                            VII.Alteraciones circulatorias
                                                                              Estenosis mitral
Casuistica soneco  26.7.12
Casuistica soneco  26.7.12

Casuistica soneco 26.7.12

  • 1.
    REUNIÓN DE CASUÍSTICA 26 DE JULIO DE 2012 CENTRO Dr. LÁZARO LANGER
  • 2.
    Datos Filiatorios • Hombrede 54 años. Rio Tercero. Trabajador en pozos petroleros (preparación de suelos). C.Rivadavia. • Consulta en Consultorio (19.12.11).
  • 3.
    MC / AEA •Disnea progresiva (actualmente GII): 2 años de evolución. • Esputo hemoptoico y pérdida de peso de 5 kgs: 2 meses de evolución.
  • 4.
    Antecedentes Personales • APP • Esteatosis hepática • Bajo tratamiento con diuréticos y AAS por ICC - cardiomegalia -?. • AP Tox: • Niega • Exposición ocupacional: pinturas (10 años previos. 4-6 hs/día. 6 años. Sin protección)
  • 5.
    Ex. Físico • 98kgs. 176 cm • 76 lat/min. 16 resp/min. 126/78 mmHg. SaO2 98 % AA. • AR: MV conservado. VV conservada, sin ruidos sobreagregados. • ACV: R1R2 NF. Sin soplos. Edemas en MMII ++.
  • 6.
    Disnea de esfuerzo. Hemoptisis 19.12.11 Lab: VSG 100. Citol normal. Uremia, creatininemia normal. Glucemia normal. BAAR – en 3 muestras. Perfil lipídico normal. Orina normal. Rx Tórax: No TAC tórax c/cte (2.12.11)
  • 11.
  • 12.
    BFC • LB /LBA / BTB • Microbiología / Citología / histopatología Sin tratamiento hasta resultados Se solicita nuevo lab, con colagenograma (FR, ANA, AntiDNA, P-Anca, C- ANCA, AMBA, C3, C4).
  • 13.
    BFC • GC (–) •Directo BAAR / Hongos (–) • Pendiente cultivo para BAAR y hongos • BTB: 3 fragmentos. Pulmón: Infiltrado linfocitario difuso. • LBA / LB / Esputo post BFC: Cambios inflamatorios. Hemosiderófagos.
  • 14.
  • 15.
    Disnea de esfuerzo. Hemoptisis 19.12.11 Lab: VSG 100. Citol normal. Uremia, creatininemia normal. Glucemia normal. BAAR – en 3 muestras. Perfil lipidico normal.Orina normal. Rx Tórax: No TAC tórax c/cte (2.12.11)
  • 16.
    Disnea de esfuerzo. Hemoptisis Esputo hemoptoico no cotidiano. Disnea variable. Dolor torácico retroesternal atípico. 19.12.11 13.1.12 Radiólogos desestiman Bx Lab: VSG 100. Citol normal. transtorácica y se repite Uremia, creatininemia BFC, mismos normal. Glucemia normal. resultados, citología BAAR – en 3 muestras. diferencial: Perfil lipidico normal.Orina NS46%,Eo8%, Linf8%, Mac normal. rof 38%. Rx Tórax: No Indicación de BX a cielo TAC tórax c/cte (2.12.11) abierto pero antes reevaluación de lab y nueva TAC. Espiro: CVF: 61% teórico. Rx Tórax: Extensión al LID
  • 17.
    Disnea de esfuerzo. Hemoptisis SIN TRATAMIENTO. 20 días sin hemoptisis. Esputo hemoptoico no Recuperó peso (98 a 104) cotidiano. Disnea variable. Incremento de edemas en Dolor torácico retroesternal MMII. atípico. 19.12.11 6.2.12 13.1.12 Lab. normal excepto VSG Radiólogos desestiman Bx 43, Orina: hematuria. Lab: VSG 100. Citol normal. transtorácica y se repite FR, ANA, ADNA, P- Uremia, creatininemia BFC, mismos ANCA, C- ANCA, AMBA normal. Glucemia normal. resultados, citología negativos. BAAR – en 3 muestras. diferencial: Rx Tórax sin cambios Perfil lipidico normal.Orina NS46%,Eo8%, Linf8%, Mac Demoras para nueva normal. rof 38%. TACAR Rx Tórax: No Indicación de BX a cielo TAC tórax c/cte (2.12.11) abierto pero antes reevaluación de lab y nueva TAC. Espiro: CVF: 61% teórico. Rx Tórax: Extensión al LID
  • 19.
    Semanas siguientes: Mejoría dela disnea y hemoptisis. Dolor torácico (evaluación cardiológica normal).
  • 20.
    Semanas siguientes: Mejoría dela disnea y hemoptisis. Dolor torácico 15.3.12 (evaluación cardiológica normal). Mejoría espirométrica: CVF 61%(13.1.12) a 74% (15.3.12) Conducta expectante.
  • 21.
    Estabilidad clínica. Pesoestable. Episodios aislados de hemoptisis y disnea de esfuerzo, no cotidiana. Mejoró dolor torácico. Edemas en MMII en aumento. Lab: Hb 11,7gr%, VSG 61mm. Cr 1,66g%, Orina: proteinuria, hematuria, cilindruria, leuc Semanas siguientes: ocituria. Mejoría de la TACAR disnea, hemoptisis. Dolor 15.3.12 torácico con evaluación cardiológica normal. 19.4.12 Mejoría espirométrica: CVF 61%(13.1.12) a 74% (15.3.12) Conducta expectante.
  • 23.
  • 24.
    Síndrome nefrótico. Biopsia renal. Glomerulonefritis membrano-proliferativa Depósito de IgG y C3 en mesangio y membrana basal SINDROME RIÑÓN-PULMÓN
  • 25.
    Síndrome de HemorragiaAlveolar Mecanismos Inmunológicos Mecanismos No Inmunológicos Tipo I ABMA ( Linear ) GoodPasture I. diopáticos Hemosiderosis primaria Tipo II IC ( Granular ) LES Idiopática IgA Disease Crioglobulinemia mixta II.Tóxicos Síndrome R-P D-penicilamina Enf. De Bechet Anhidrido trimetílico Cocaína Tipo III ANCA ( Negativa o Isocianatos Paucinmune ) Wegener PAN III.Infecciosos Síndrome R-P HantaVirus Poliarteritis microscópica FHA Legionella HIV Leptospira Enf. Lyme IV.Alteraciones Coagulación Trombocitosis Leucosis Trombofilias Trombolisis Embolización V.Asociadas a Neoplasias Kaposi Angiosarcoma VI.Transtorno 1º del colágeno Amiloidosis pulmonar Tx médula ósea VII.Alteraciones circulatorias Estenosis mitral