Hospital Córdoba Servicio de Neumonología y Cirugía  de Tórax y CV Dra Quercia- Dr Luengo
MC :  tos con expectoración mucopurulenta- hemoptoica y fiebre AEA :  Pte. sexo femenino de 21 años, oriunda de Perú, vive en Cruz del Eje desde hace 2 años, refiere que hace más de 3 meses presenta cuadro gripal, con tos y expectoración mucopurulenta,  hemoptoicas en 2 oportuniudades; fiebre de 39 a 40 º C, dolor osteomioarticular, escalofríos, sudoración profusa, astenia y anorexia, con pérdida de peso de 4 kg en 3 meses.  En el mes de mayo de 2011 consulta con facultativo ,quien indica tto ATB con Amoxicilina-Ac. Clavulánico  por 21 días, ante la persistencia de la síntomatología , le realizan Rx de tórax y le indican Levofloxacina 750 mg / día, que  abandona al tercer día  por reacción alérgica(urticaria).Además refiere que desde hace 15 días presenta mareos , disnea de esfuerzo , mayor decaimiento y taquicardia.
Antecedentes Personales: Fumadora de 15 cig / día desde hace 3 años. Realiza tareas domésticas, aunque actualmente está desocupada. Casada, con 2 hijos sanos, parto normal. Consume anticonceptivos. Refiere frecuentes episodios alérgicos: rinitis, urticaria.
Ex Fco: Pte de contextura delgada Talla: 1,55 m  Peso :41 kg  IMC: 17 Febril  37,8 ºC  TA: 90/60  mmHg  FC: 110 lat/ min  Sat O2 : 92% Mucosas pálidas Dolor a la palpación de senos maxilares y frontales. Adenopatías submaxilares bilaterales Faringe congestiva SNP positiva, MP Ap CV: R1 y R2 hipofonéticos Ap Resp: Roncus bilaterales. Rales subcrepitantes en campo pulmonar derecho. Resto del Ex Fco : s/p
Rx de tórax:12/05/11
Dx Presuntivo: NEUMOPATÍA CRÓNICA SINUSITIS BILATERAL MAXILAR –MAXILOFRONTAL ANEMIA PROBABLE
Dx Diferenciales: Proceso Infeccioso: TBC Pulmonar Histoplasmosis Blastomicosis Coccidoidomicosis-Paracoccidoidomicosis Nocardia Paragonimosis Neumonía Necrotizante-Klebsiella
Vasculitis Granulomatosis de Wegener
Neoplasias: Primaria:  Ca epidermoide Metastásicas  que se cavitan: Cuello de útero Ovario Cabeza y cuello  Melanoma
Estudios Complementarios: Laboratorio:  Eritrocitos:  3201078  Hb : 10,2 g/dl  Hto: 31%  GB  8230  ( Ns 65 % , Eo 3%  , Linf 25 %  , Monoc  7% )  Plaq  : 257000  VSG : 60 mm / h  Prot  C reactiva positiva:  1,20 mg/ml Glucemia: 0,80  Urea: 30  Creatinina : 1.00 GOT: 30  GPT :29  Orina completa normal Proteinograma total : 7,40  Albumina: 3  Glob: 4,40  IgE: 270
ANCA negativo  Serología HIV , Histoplamosis,Coccidiodomicosis negativa PPD  5 mm Gasometria Arterial   PO2 65 mmHg  PCO2 40  SAT O2 94%
Espirometría: Moderada  enfermedad  Obstructiva con respuesta a Broncodilatadores Teórico ABD % PBD % CVF 3662 2855 78 3460 94 VEF 1 2476 1570 63 2768 111 CVF/VEF1 75 % 55 % 80 % FEF 25-75 3314 2583 77 3131 94
Estudios por imagen:   ECOGRAFIA ABDOMINAL Y TOCOGINECOLOGICA : sin alteraciones TAC  DE  TÓRAX c/c :
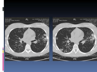
TAC de Tórax (13/06/11):
 
 
TAC de tórax: 15/06/11
 
Estudios de Esputo:  Micológico Baciloscopía directa y Cultivo :  Positivo ( Informe de Hptal Tránsito Cáceres de Allende ): >10 bacilos /campo Con cultivo en marcha. BFC:  no se realizó
Dx Definitivo TBC PULMONAR
Se inició el tratamiento con 4 drogas, esquema por 6 meses ( Tratamiento Supervisado- Directamente Observado) Polivitamínicos Control de focos
Rx control del 20/07/11:
Rx control del 10/08/11:
Conceptos para llevar a la casa: La TBC sigue siendo una enfermedad prevalente. Hay que tenerla en cuenta en el Dx de toda neumopatía crónica Se están viendo formas avanzadas que denotan lamentables demoras diagnósticas. Hay que insistir en la educación del Equipo de Salud para pensar en TBC y llegar al Dx y Tto precoz
MUCHAS GRACIAS!!
 
PARAGONIMOSIS Distomatosis pulmonar: Zoonosis parasitaria causada por trematodes del género Paragonimus
Radiología Lesiones infiltrativas Cavidades pequeñas o grandes , semejantes a panal de abejas Se ubican con mayor frecuencia en la base de los pulmones o en el tercio medio
Paragonimosis-TAC
Granulomatosis de Wegener Clínica: Tríada clásica: Alteraciones del tracto resp sup Alteraciones del tracto resp inf Alteraciones  renales
 
TAC de Tx de alta resolución:
HIDATIDOSIS
Rx de Tórax: Quiste hialino gigante Múltiples quiste bilaterales
Rx de Tórax: Signo del menisco(flecha blanca) y del camalote(flecha roja) Signo de la serpiente

Neumonología 2011 - Hptal. Córdoba

  • 1.
    Hospital Córdoba Serviciode Neumonología y Cirugía de Tórax y CV Dra Quercia- Dr Luengo
  • 2.
    MC : tos con expectoración mucopurulenta- hemoptoica y fiebre AEA : Pte. sexo femenino de 21 años, oriunda de Perú, vive en Cruz del Eje desde hace 2 años, refiere que hace más de 3 meses presenta cuadro gripal, con tos y expectoración mucopurulenta, hemoptoicas en 2 oportuniudades; fiebre de 39 a 40 º C, dolor osteomioarticular, escalofríos, sudoración profusa, astenia y anorexia, con pérdida de peso de 4 kg en 3 meses. En el mes de mayo de 2011 consulta con facultativo ,quien indica tto ATB con Amoxicilina-Ac. Clavulánico por 21 días, ante la persistencia de la síntomatología , le realizan Rx de tórax y le indican Levofloxacina 750 mg / día, que abandona al tercer día por reacción alérgica(urticaria).Además refiere que desde hace 15 días presenta mareos , disnea de esfuerzo , mayor decaimiento y taquicardia.
  • 3.
    Antecedentes Personales: Fumadorade 15 cig / día desde hace 3 años. Realiza tareas domésticas, aunque actualmente está desocupada. Casada, con 2 hijos sanos, parto normal. Consume anticonceptivos. Refiere frecuentes episodios alérgicos: rinitis, urticaria.
  • 4.
    Ex Fco: Ptede contextura delgada Talla: 1,55 m Peso :41 kg IMC: 17 Febril 37,8 ºC TA: 90/60 mmHg FC: 110 lat/ min Sat O2 : 92% Mucosas pálidas Dolor a la palpación de senos maxilares y frontales. Adenopatías submaxilares bilaterales Faringe congestiva SNP positiva, MP Ap CV: R1 y R2 hipofonéticos Ap Resp: Roncus bilaterales. Rales subcrepitantes en campo pulmonar derecho. Resto del Ex Fco : s/p
  • 5.
  • 6.
    Dx Presuntivo: NEUMOPATÍACRÓNICA SINUSITIS BILATERAL MAXILAR –MAXILOFRONTAL ANEMIA PROBABLE
  • 7.
    Dx Diferenciales: ProcesoInfeccioso: TBC Pulmonar Histoplasmosis Blastomicosis Coccidoidomicosis-Paracoccidoidomicosis Nocardia Paragonimosis Neumonía Necrotizante-Klebsiella
  • 8.
  • 9.
    Neoplasias: Primaria: Ca epidermoide Metastásicas que se cavitan: Cuello de útero Ovario Cabeza y cuello Melanoma
  • 10.
    Estudios Complementarios: Laboratorio: Eritrocitos: 3201078 Hb : 10,2 g/dl Hto: 31% GB 8230 ( Ns 65 % , Eo 3% , Linf 25 % , Monoc 7% ) Plaq : 257000 VSG : 60 mm / h Prot C reactiva positiva: 1,20 mg/ml Glucemia: 0,80 Urea: 30 Creatinina : 1.00 GOT: 30 GPT :29 Orina completa normal Proteinograma total : 7,40 Albumina: 3 Glob: 4,40 IgE: 270
  • 11.
    ANCA negativo Serología HIV , Histoplamosis,Coccidiodomicosis negativa PPD 5 mm Gasometria Arterial PO2 65 mmHg PCO2 40 SAT O2 94%
  • 12.
    Espirometría: Moderada enfermedad Obstructiva con respuesta a Broncodilatadores Teórico ABD % PBD % CVF 3662 2855 78 3460 94 VEF 1 2476 1570 63 2768 111 CVF/VEF1 75 % 55 % 80 % FEF 25-75 3314 2583 77 3131 94
  • 13.
    Estudios por imagen:  ECOGRAFIA ABDOMINAL Y TOCOGINECOLOGICA : sin alteraciones TAC DE TÓRAX c/c :
  • 14.
    TAC de Tórax(13/06/11):
  • 15.
  • 16.
  • 17.
  • 18.
  • 19.
    Estudios de Esputo: Micológico Baciloscopía directa y Cultivo : Positivo ( Informe de Hptal Tránsito Cáceres de Allende ): >10 bacilos /campo Con cultivo en marcha. BFC: no se realizó
  • 20.
  • 21.
    Se inició eltratamiento con 4 drogas, esquema por 6 meses ( Tratamiento Supervisado- Directamente Observado) Polivitamínicos Control de focos
  • 22.
    Rx control del20/07/11:
  • 23.
    Rx control del10/08/11:
  • 24.
    Conceptos para llevara la casa: La TBC sigue siendo una enfermedad prevalente. Hay que tenerla en cuenta en el Dx de toda neumopatía crónica Se están viendo formas avanzadas que denotan lamentables demoras diagnósticas. Hay que insistir en la educación del Equipo de Salud para pensar en TBC y llegar al Dx y Tto precoz
  • 25.
  • 26.
  • 27.
    PARAGONIMOSIS Distomatosis pulmonar:Zoonosis parasitaria causada por trematodes del género Paragonimus
  • 28.
    Radiología Lesiones infiltrativasCavidades pequeñas o grandes , semejantes a panal de abejas Se ubican con mayor frecuencia en la base de los pulmones o en el tercio medio
  • 29.
  • 30.
    Granulomatosis de WegenerClínica: Tríada clásica: Alteraciones del tracto resp sup Alteraciones del tracto resp inf Alteraciones renales
  • 31.
  • 32.
    TAC de Txde alta resolución:
  • 33.
  • 34.
    Rx de Tórax:Quiste hialino gigante Múltiples quiste bilaterales
  • 35.
    Rx de Tórax:Signo del menisco(flecha blanca) y del camalote(flecha roja) Signo de la serpiente