CITOESQUELETO
Dr Gerardo Corradi
Dr. Manuel Rey Funes
10µm
Fibroblasto en cultivo teñido con
Azul de Coomasie,
colorante específico de proteínas
El Citoesqueleto
El citoesqueleto es una red compleja de filamentos
proteicos que se extienden a través del citoplasma,
FUNCIONES:
1- Es la maquinaria de los movimientos intracelulares
§ Traslado de organelas
§ Segregación de cromosomas
3- Permite el movimiento celular y la modificación de
zonas superficiales
2- Proporciona resistencia mecánica a las células
Soporte estructural
1- Filamentos intermedios
2- Microtúbulos
3- Filamentos de actina
El Citoesqueleto
Hay tres clases de filamentos
Estas tres clases de filamentos tienen en común
características importantes para el funcionamiento
celular
Filamentos
de actina o
microfilamentos
Determinan la forma de la superficie celular y son necesarios
para la locomoción.
Son polímeros helicoidales de la proteína actina.
Son estructuras flexibles, de pequeño diámetro 5-9 nm,
organizados en una gran variedad de haces, redes
bidimensionales y geles tridimensionales.
Se ubican en todo el citoplasma, pero se concentran en la región
cortical de la membrana plasmática, justo por debajo de ella.
Microtúbulos
Son filamentos rígidos formados por polímeros de tubulina
organizados en cilindros largos, huecos y rectos. Están
adaptados para soportar la compresión mecánica.
Se disponen normalmente a partir de un extremo unido a un
centro organizador de microtúbulos que es el centrosoma.
Su diámetro es de 25 nm.
Forman el huso mitótico durante la división celular y participan
como soporte para el trafico vesicular.
Filamentos
intermedios
Son filamentos superenrrollados. Tienen 10 nm de diámetro. Están
formados por distintos tipos de proteínas.
Forman una red en el citoplasma que se extiende desde un anillo
que rodea al núcleo hasta la membrana plasmática. Están asociados
con la envoltura nuclear y con otros componentes del citoesqueleto.
Su función es conferir resistencia mecánica a las tensiones que
sufre la célula dentro de un tejido.
Se clasifican en 5 grupos según en que tipo celular se expresen. Por
ejemplo: queratinas en células epiteliales; vimentina en fibroblastos
y células musculares lisas; neurofilamentos en neuronas.
El Citoesqueleto
Estas tres clases de filamentos tienen en común
importantes características
» Son polímeros de subunidades
proteicas, unidas por
interacciones no covalentes
» Las subunidades se
ensamblan y desensamblan
espontáneamente en solución
acuosa
» Están constituídos por
múltiples protofilamentos
Esto los hace estructuras
dinámicas y adaptables
Hace estructuras resistentes
Los componentes del
citoesqueleto son móviles,
flexibles y adaptables
Los componentes del
citoesqueleto también
proporcionan estructuras
altamente estables para
células con morfología
estable y diferenciada
Polaridad celular
La formación de filamentos a partir
de subunidades mas pequeñas
permite un ensamblado y
desensamblado Regulado
La formación de polímeros a partir de múltiples
protofilamentos permite combinar adaptabilidad y resistencia
I- FILAMENTOS INTERMEDIOS
Filamentos intermedios
Reciben el nombre de intermedios, porque en las micrografías
electrónicas, su tamaño aparente (8-10 nm) se encuentra entre
los finos filamentos de actina y los gruesos microtúbulos.
Están formados por proteinas filamentosas que poseen una
porción central alfa hélice conservada y dos extremos variables
característicos de cada tipo de proteina.
Filamentos intermedios: nucleares (todas las células
nucleadas)
citoplasmáticos (característicos de
distintos tipos celulares)
Clasificación de las proteinas que
forman filamentos intermedios
Tipo I: queratinas ácidas……..….epitelios Grupo de ensamble 1
Tipo II: queratinas neutras y básicas..epitelios
Tipo III: vimentina..células de origen mesenquimático
desmina, paranemina, sinemina…..músculo
GFAP……..astrocitos
periferina…neuronas del SNP Grupo de ensamble 2
Tipo IV neurofilamentos l, m, p, alfa internexina….neuronas
nestina………células neuroepiteliales del SNC
sincoilina…….músculo
Tipo V láminas nucleares A, B y C Grupo de ensamble 3
Tipo VI Bfsp1 y 2 ….células del cristalino
Filamentos intermedios
Unidad de ensamblaje: tetrámeros
Los tetrámeros se ensamblan formando un protofilamento
8 protofilamentos asociados paralelamente forman un
filamento intermedio.
Filamentos intermedios: Funciones
Las láminas nucleares mantienen la estructura de la envoltura
nuclear.
Los filamentos intermedios citoplasmáticos proporcionan
resistencia mecánica a las células (son abundantes en células
sometidas a grandes tensiones mecánicas).
Las láminas nucleares se asocian indirectamente con los
filamentos intermedios citosólicos.
Filamentos intermedios citoplasmáticos
Epidermólisis ampollosa simple
Está provocada por una mutación en un gen que codifica un
tipo de queratina.
II- MICROTÚBULOS
Microtúbulos
Son filamentos largos, huecos y rígidos que se extienden a
través del citoplasma. Su diámetro es de 25 nm
Pueden presentar distintas localizaciones
En interfase forman los microtúbulos interfásicos que se
organizan a partir del centrosoma
Son el componente principal de cilias y flagelos que se forman a
partir de los cuerpos basales.
En la división celular forman el huso mitótico.
Microtúbulos
Están formados por de 11 a 13 protofilamentos asociados paralelamente
Se forman por la polimerización de heterodímeros de alfa y beta tubulina
Dinámica de los microtúbulos
Hay reacciones de polimerización y de despolimerización en los
extremos del filamento
La velocidad de estas reacciones depende de la concentración de
tubulina libre
Además, la velocidad depende del “tipo de extremo” del filamento
Crecimiento preferencial de los extremos “+” en una reacción de
polimerización ‘in vitro’
La orientación de los microtúbulos en las células.
Los extremos menos de microtúbulos son
generalmente incorporados en un centro
organizador de microtúbulos, mientras que los
extremos más a menudo se encuentran cerca de la
membrana plasmática.
A partir de la gama tubulina del centrosoma.
El centrosoma es el “centro organizador de microtúbulos”
Nucleación de los microtúbulos
Inestabilidad dinámica de microtúbulos a partir de sus extremos
Puede explicarse por la hidrólisis de GTP
PROTEÍNAS QUE SE UNEN LATERALMENTE A FILAMENTOS
PROTEÍNAS QUE SE UNEN LATERALMENTE A microtubulos
Proteínas asociadas a los microtúbulos
Motoras: transportan cargas a lo largo de los microtúbulos
Kinesinas (hacia extremo +)
Dineinas (hacia extremo -)
No motoras:
MAP 2
Tau
MAP1B (estabilizan microtúbulos)
Dirigen la localización de organelas delimitadas por
membranas y de otros componentes celulares
CILIOS Y FLAGELOS
Cilios y flagelos son apéndices celulares móviles, que poseen una
estructura común, formada por microtúbulos y dineínas (axonema).
El huso mitótico participa en la segregación de los cromosomas
durante la división celular y está formado por los centrosomas y tres
tipos de microtúbulos (de los ásteres, polares y cinetocóricos).
III- FILAMENTOS DE ACTINA
(MICROFILAMENTOS)
Filamentos de Actina
Son estructuras flexibles, con un diámetro de 5-9 nm
Pueden formar haces lineales, redes bidimensionales o geles
tridimensionales
Si bien se encuentran por todo el citoplasma, se encuentran en
mayor concentración en el cortex, justo debajo de la membrana
plasmática
Las estructuras que forman pueden ser lábiles o estables
(fibras de estrés, lamelipodios, filopodios, anillo contráctil,
uniones de anclaje, microvellosidades)
Distintas formas de organización de
los filamentos de actina
Formación de redes (corteza celular, lamelipodios).
Bandas paralelas (filopodios, microvellosidades)
Bandas contráctiles (anillo contráctil, sarcómero)
Ej. migración celular.
Nucleación
de actina
PROTEÍNAS QUE SE UNEN A SUBUNIDADES LIBRES
PROTEÍNAS QUE SE UNEN LATERALMENTE A FILAMENTOS
Las proteínas ERM interactúan con la actina y la MP facilitando los
procesos de endo y exocitosis
Miosina II
Unión a la actina
e hidrólisis de
ATP
MOTORES MOLECULARES
Dineína y kinesina
Proteinas asociadas a los microfilamentos de actina
Proteinas que regulan el proceso de polimerización/despolimerización
y la estructura de los microfilamentos.
Nucleación: Factores promotores de la nucleación (NPFs), Arp2/3,
forminas. Elongación: Eva/VASP.
Unen monómeros: profilina (favorecen polimerización), timosina
(inhiben polimerización)
Degradan filamentos: cofilina, gelsolina (degradan organización en
red y facilitan despolimerizació Estabilizan filamentos: tropomiosina.
Proteinas que regulan la forma de asociación de los microfilamentos
Filamina: formación de redes (corteza celular).
Fimbrina: bandas paralelas (filopodios, microvellosidades)
Alfa actinina: bandas contráctiles (anillo contractil, sarcómero)
Proteinas motoras : miosinas (transporte vesicular, de membrana , de
microfilamentos; bandas contráctiles como anillo contráctil de la
Los tres componentes del citoesqueleto se encuentran
interrelacionados entre si a través de proteinas intermediarias
Filamentos de Actina
•Faloidina: une y estabiliza a los filamentos de actina.
•Citocalasina B: une los extremos + de los filamentos de actina
inhibiendo su polimerización.
•Colchicina, colcemid, vinblastina, vincristina, nocodazole:
unen a las subunidades y previenen la polimerización.
• Taxol: une a los microtúbulos y los estabiliza.
Drogas que afectan a los microtúbulos y a
los filamentos de actina
Microtúbulos
Tejido Muscular
FUNCIÓN
• Contracción
CONTRACCIÓN
ACTINA -
MIOSIN
A
CALCIO ATP
Clasificación
• Estriados
- Esquelético
- Cardíaco
• Liso
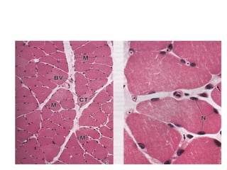
Músculo Estriado Esquelético
Músculo Estriado Esquelético - MO
Músculo Estriado Esquelético - ME
• Sarcolema
• Túbulos T
• Sarcosomas
• Retículo Sarcoplásmico
• Golgi
• Glucógeno
• Citoesqueleto
- Filamentos Intermedios
- Sarcómeros
Microfilamento de Actina
Sarcómero
Banda
H
Banda
A
Línea M
Hemi I Hemi I
Músculo Estriado Esquelético ME
Tríada
Tríada y Sarcómero
Contracción:
Músculo Estriado Esquelético
• Acción Acetilcolina (Ach) sobre el receptor nicotínico de la
placa neuromuscular.
• Descarga del potencial de acción y transmisión a través de
túbulos T
• Liberación al citoplasma del calcio almacenado en el REL
• Unión de los iones de Ca2+ a Troponina C
• Desplazamiento de troponina I con interacción actina-miosina
• Desplazamiento del filamento de actina hacia el centro del
sarcómero Mecanismo ATP dependiente
Contracción Muscular
La neurotransmisión química
La SINAPSIS NEUROMUSCULAR pertenece al tipo de
sinapsis químicas
El receptor de Acetilcolina
(Ach)
Explicar la
estructura del
receptor de
acetilcolina
Base molecular de la contracción muscular. VIDEO
https://www.youtube.com/watch?v=nTZnBdeIb5c
El ciclo actina-miosina
VIDEO: La placa neuromuscular
Importancia Médica: Miastenia Gravis

Citoesqueleto.pdf

  • 1.
  • 2.
    10µm Fibroblasto en cultivoteñido con Azul de Coomasie, colorante específico de proteínas El Citoesqueleto El citoesqueleto es una red compleja de filamentos proteicos que se extienden a través del citoplasma, FUNCIONES: 1- Es la maquinaria de los movimientos intracelulares § Traslado de organelas § Segregación de cromosomas 3- Permite el movimiento celular y la modificación de zonas superficiales 2- Proporciona resistencia mecánica a las células Soporte estructural
  • 3.
    1- Filamentos intermedios 2-Microtúbulos 3- Filamentos de actina El Citoesqueleto Hay tres clases de filamentos Estas tres clases de filamentos tienen en común características importantes para el funcionamiento celular
  • 4.
    Filamentos de actina o microfilamentos Determinanla forma de la superficie celular y son necesarios para la locomoción. Son polímeros helicoidales de la proteína actina. Son estructuras flexibles, de pequeño diámetro 5-9 nm, organizados en una gran variedad de haces, redes bidimensionales y geles tridimensionales. Se ubican en todo el citoplasma, pero se concentran en la región cortical de la membrana plasmática, justo por debajo de ella.
  • 5.
    Microtúbulos Son filamentos rígidosformados por polímeros de tubulina organizados en cilindros largos, huecos y rectos. Están adaptados para soportar la compresión mecánica. Se disponen normalmente a partir de un extremo unido a un centro organizador de microtúbulos que es el centrosoma. Su diámetro es de 25 nm. Forman el huso mitótico durante la división celular y participan como soporte para el trafico vesicular.
  • 6.
    Filamentos intermedios Son filamentos superenrrollados.Tienen 10 nm de diámetro. Están formados por distintos tipos de proteínas. Forman una red en el citoplasma que se extiende desde un anillo que rodea al núcleo hasta la membrana plasmática. Están asociados con la envoltura nuclear y con otros componentes del citoesqueleto. Su función es conferir resistencia mecánica a las tensiones que sufre la célula dentro de un tejido. Se clasifican en 5 grupos según en que tipo celular se expresen. Por ejemplo: queratinas en células epiteliales; vimentina en fibroblastos y células musculares lisas; neurofilamentos en neuronas.
  • 7.
    El Citoesqueleto Estas tresclases de filamentos tienen en común importantes características » Son polímeros de subunidades proteicas, unidas por interacciones no covalentes » Las subunidades se ensamblan y desensamblan espontáneamente en solución acuosa » Están constituídos por múltiples protofilamentos Esto los hace estructuras dinámicas y adaptables Hace estructuras resistentes
  • 8.
    Los componentes del citoesqueletoson móviles, flexibles y adaptables Los componentes del citoesqueleto también proporcionan estructuras altamente estables para células con morfología estable y diferenciada Polaridad celular
  • 9.
    La formación defilamentos a partir de subunidades mas pequeñas permite un ensamblado y desensamblado Regulado
  • 16.
    La formación depolímeros a partir de múltiples protofilamentos permite combinar adaptabilidad y resistencia
  • 17.
  • 18.
    Filamentos intermedios Reciben elnombre de intermedios, porque en las micrografías electrónicas, su tamaño aparente (8-10 nm) se encuentra entre los finos filamentos de actina y los gruesos microtúbulos. Están formados por proteinas filamentosas que poseen una porción central alfa hélice conservada y dos extremos variables característicos de cada tipo de proteina. Filamentos intermedios: nucleares (todas las células nucleadas) citoplasmáticos (característicos de distintos tipos celulares)
  • 20.
    Clasificación de lasproteinas que forman filamentos intermedios Tipo I: queratinas ácidas……..….epitelios Grupo de ensamble 1 Tipo II: queratinas neutras y básicas..epitelios Tipo III: vimentina..células de origen mesenquimático desmina, paranemina, sinemina…..músculo GFAP……..astrocitos periferina…neuronas del SNP Grupo de ensamble 2 Tipo IV neurofilamentos l, m, p, alfa internexina….neuronas nestina………células neuroepiteliales del SNC sincoilina…….músculo Tipo V láminas nucleares A, B y C Grupo de ensamble 3 Tipo VI Bfsp1 y 2 ….células del cristalino
  • 21.
    Filamentos intermedios Unidad deensamblaje: tetrámeros Los tetrámeros se ensamblan formando un protofilamento 8 protofilamentos asociados paralelamente forman un filamento intermedio.
  • 23.
    Filamentos intermedios: Funciones Lasláminas nucleares mantienen la estructura de la envoltura nuclear. Los filamentos intermedios citoplasmáticos proporcionan resistencia mecánica a las células (son abundantes en células sometidas a grandes tensiones mecánicas). Las láminas nucleares se asocian indirectamente con los filamentos intermedios citosólicos.
  • 24.
    Filamentos intermedios citoplasmáticos Epidermólisisampollosa simple Está provocada por una mutación en un gen que codifica un tipo de queratina.
  • 25.
  • 26.
    Microtúbulos Son filamentos largos,huecos y rígidos que se extienden a través del citoplasma. Su diámetro es de 25 nm Pueden presentar distintas localizaciones En interfase forman los microtúbulos interfásicos que se organizan a partir del centrosoma Son el componente principal de cilias y flagelos que se forman a partir de los cuerpos basales. En la división celular forman el huso mitótico.
  • 27.
    Microtúbulos Están formados porde 11 a 13 protofilamentos asociados paralelamente Se forman por la polimerización de heterodímeros de alfa y beta tubulina
  • 28.
    Dinámica de losmicrotúbulos Hay reacciones de polimerización y de despolimerización en los extremos del filamento La velocidad de estas reacciones depende de la concentración de tubulina libre Además, la velocidad depende del “tipo de extremo” del filamento Crecimiento preferencial de los extremos “+” en una reacción de polimerización ‘in vitro’
  • 29.
    La orientación delos microtúbulos en las células. Los extremos menos de microtúbulos son generalmente incorporados en un centro organizador de microtúbulos, mientras que los extremos más a menudo se encuentran cerca de la membrana plasmática.
  • 30.
    A partir dela gama tubulina del centrosoma. El centrosoma es el “centro organizador de microtúbulos” Nucleación de los microtúbulos
  • 31.
    Inestabilidad dinámica demicrotúbulos a partir de sus extremos Puede explicarse por la hidrólisis de GTP
  • 32.
    PROTEÍNAS QUE SEUNEN LATERALMENTE A FILAMENTOS
  • 33.
    PROTEÍNAS QUE SEUNEN LATERALMENTE A microtubulos
  • 34.
    Proteínas asociadas alos microtúbulos Motoras: transportan cargas a lo largo de los microtúbulos Kinesinas (hacia extremo +) Dineinas (hacia extremo -) No motoras: MAP 2 Tau MAP1B (estabilizan microtúbulos) Dirigen la localización de organelas delimitadas por membranas y de otros componentes celulares
  • 35.
    CILIOS Y FLAGELOS Ciliosy flagelos son apéndices celulares móviles, que poseen una estructura común, formada por microtúbulos y dineínas (axonema). El huso mitótico participa en la segregación de los cromosomas durante la división celular y está formado por los centrosomas y tres tipos de microtúbulos (de los ásteres, polares y cinetocóricos).
  • 36.
    III- FILAMENTOS DEACTINA (MICROFILAMENTOS)
  • 37.
    Filamentos de Actina Sonestructuras flexibles, con un diámetro de 5-9 nm Pueden formar haces lineales, redes bidimensionales o geles tridimensionales Si bien se encuentran por todo el citoplasma, se encuentran en mayor concentración en el cortex, justo debajo de la membrana plasmática Las estructuras que forman pueden ser lábiles o estables (fibras de estrés, lamelipodios, filopodios, anillo contráctil, uniones de anclaje, microvellosidades)
  • 40.
    Distintas formas deorganización de los filamentos de actina Formación de redes (corteza celular, lamelipodios). Bandas paralelas (filopodios, microvellosidades) Bandas contráctiles (anillo contráctil, sarcómero) Ej. migración celular.
  • 42.
  • 44.
    PROTEÍNAS QUE SEUNEN A SUBUNIDADES LIBRES
  • 45.
    PROTEÍNAS QUE SEUNEN LATERALMENTE A FILAMENTOS
  • 46.
    Las proteínas ERMinteractúan con la actina y la MP facilitando los procesos de endo y exocitosis
  • 49.
    Miosina II Unión ala actina e hidrólisis de ATP MOTORES MOLECULARES
  • 52.
  • 53.
    Proteinas asociadas alos microfilamentos de actina Proteinas que regulan el proceso de polimerización/despolimerización y la estructura de los microfilamentos. Nucleación: Factores promotores de la nucleación (NPFs), Arp2/3, forminas. Elongación: Eva/VASP. Unen monómeros: profilina (favorecen polimerización), timosina (inhiben polimerización) Degradan filamentos: cofilina, gelsolina (degradan organización en red y facilitan despolimerizació Estabilizan filamentos: tropomiosina. Proteinas que regulan la forma de asociación de los microfilamentos Filamina: formación de redes (corteza celular). Fimbrina: bandas paralelas (filopodios, microvellosidades) Alfa actinina: bandas contráctiles (anillo contractil, sarcómero) Proteinas motoras : miosinas (transporte vesicular, de membrana , de microfilamentos; bandas contráctiles como anillo contráctil de la
  • 54.
    Los tres componentesdel citoesqueleto se encuentran interrelacionados entre si a través de proteinas intermediarias
  • 55.
    Filamentos de Actina •Faloidina:une y estabiliza a los filamentos de actina. •Citocalasina B: une los extremos + de los filamentos de actina inhibiendo su polimerización. •Colchicina, colcemid, vinblastina, vincristina, nocodazole: unen a las subunidades y previenen la polimerización. • Taxol: une a los microtúbulos y los estabiliza. Drogas que afectan a los microtúbulos y a los filamentos de actina Microtúbulos
  • 56.
  • 57.
  • 58.
  • 59.
  • 60.
    Músculo Estriado Esquelético- ME • Sarcolema • Túbulos T • Sarcosomas • Retículo Sarcoplásmico • Golgi • Glucógeno • Citoesqueleto - Filamentos Intermedios - Sarcómeros
  • 61.
  • 63.
  • 64.
  • 66.
  • 67.
  • 70.
    Contracción: Músculo Estriado Esquelético •Acción Acetilcolina (Ach) sobre el receptor nicotínico de la placa neuromuscular. • Descarga del potencial de acción y transmisión a través de túbulos T • Liberación al citoplasma del calcio almacenado en el REL • Unión de los iones de Ca2+ a Troponina C • Desplazamiento de troponina I con interacción actina-miosina • Desplazamiento del filamento de actina hacia el centro del sarcómero Mecanismo ATP dependiente
  • 71.
  • 72.
    La neurotransmisión química LaSINAPSIS NEUROMUSCULAR pertenece al tipo de sinapsis químicas
  • 73.
    El receptor deAcetilcolina (Ach) Explicar la estructura del receptor de acetilcolina
  • 75.
    Base molecular dela contracción muscular. VIDEO https://www.youtube.com/watch?v=nTZnBdeIb5c
  • 76.
  • 77.
    VIDEO: La placaneuromuscular
  • 78.