CCIITTOOLLOOGGIIAA CCEERRVVIICCAALL 
LILIANA MARIA AGRESOTT BELTRAN 
BACTERIOLOGA
CCIITTOOLLOOGGIIAA CCEERRVVIICCAALL 
 El carcinoma de cuello uterino es la segunda causa de muerte por 
neoplasia maligna en todo el mundo y el más común en países en 
desarrollo.
HHIISSTTOORRIIAA 
 1838 Johannes Muller 
editó una monografía 
sobre células tumorales 
malignas. 
 A principios del siglo 
XIX Joseph Récamier 
inventó el espéculo 
vaginal. 
 En 1942 George N. 
Papanicolaou publicó la 
técnica de tinción. 
 1943 junto al 
ginecólogo Traut 
publicó su trabajo, 
“Diagnóstico de cáncer 
uterino mediante frotis 
vaginal”. 
George N.Papanicolaou
PPRROOCCEEDDIIMMIIEENNTTOO 
SOLICITUD DEL EXAMEN 
Se diligencia un formato con 
todos los datos requeridos. 
TOMA DE MUESTRA 
1) Rotulación de la lámina. 
2) Visualización del cuello 
uterino 
3) Recolección de la muestra 
4) Realización del extendido 
5) Envío a Laboratorios de 
Citología
PROCESAMIENTO E INTERPRETACIÓN DE LAS UNIDADES DE 
ESTUDIO 
La Tinción de Papanicolau es un método de tinción policrómico con el 
que se busca obtener contraste entre el núcleo y el citoplasma de las 
células.
TTiinncciióónn ddee PPaappaanniiccoollaauu 
FIJACION 
La acción de detener el funcionamiento metabólico de la 
célula, conservando su estructura e impidiendo su 
putrefacción.
Colorantes 
Hematoxilina de Harris 
Se usa para teñir el núcleo (básico). 
La membrana nuclear y la cromatina se tiñe de color azul oscuro o rojizo 
purpura y el nucléolo de color rojo, rosado o naranja.
Orange G (OG6) 
Tiñe el citoplasma (acido). 
Tiñe la queratina. 
Tiñe el citoplasma de color naranja. Solución de alcohol
Eosina Amarillenta (EA- 50) 
Tiñe citoplasma 
Tiñe el citoplasma de las células escamosas cianofílas, 
Nucléolos. Colorante acido.
Procedimiento 
1. Fijar las laminas en alcohol del 96° mínimo 15 min 
2. Lavar en agua corriente 
3. Sumergir en hematoxilina durante 15 seg 
4. Lavar con agua corriente 
5. Introducir en alcohol del 95°. HIDRATAR. 3 cajas, 10 baños en cada 
caja. 
6. Pasar en colorante OG (50 seg) 
7. Alcohol de 96° HIDRATAR 
8. Se pasa por el colorante EA 50 (50 seg) 
9. Se sumergen en alcohol etílico absoluto. HIDRATAR. 4 cajas, 10 baños 
en cada caja. 
10. 10. Se pasa por el Xilol. ACLARAR. 4 cajas, 10 baños en cada caja 
11. Agregar una gota de resina. MONTAR
INFORME DE RESULTADOS 
a) Calidad de la muestra 
b) Categorización de los resultados 
c) Interpretación y diagnostico descriptivo de los 
hallazgos. 
Calidad de la Muestra 
Satisfactoria 
Insatisfactoria
Categorización de los resultados 
 No útil o frotis inadecuado: cuando la muestra es insatisfactoria. 
 Negativo por malignidad: el frotis no presenta alteraciones 
morfológicas de neoplasia maligna o de lesión premaligna (displasia). 
 Sospechosa por malignidad. Existen alteraciones morfologicas pero no 
son concluyentes 
 Positivo por malignidad: el frotis presenta alteraciones morfológicas 
en células epiteliales escamosas o glandulares, incluye: 
◦ Neoplasia Intraepitelial Cervical Grado I (NIC I) (Displasia Leve) 
◦ Neoplasia Intraepitelial Cervical Grado II (NIC II) (Displasia 
Moderada) 
◦ Neoplasia Intraepitelial Cervical Grado III (NIC III) (Displasia 
Severa)/carcinoma in Situ 
◦ Carcinoma de Células Escamosas 
◦ Adenocarcinoma
Negativo por Malignidad 
Células escamosas anucleadas entre un grupo de células 
superficiales normales
Los criterios histológicos de una lesión escamosa 
intraepitelial: 
 Sustitución del epitelio normal por células atípicas con 
alteraciones nucleares : 
◦ Agrandamiento (cariomegalia) 
◦ Irregularidades de la forma y tamaño (pleomorfismo-anisonucleosis) 
◦ Aumento de la cromaticidad (hipercromatismo). 
Crecimiento desorganizado con pérdida de la polaridad 
celular. 
Alteraciones de la actividad mitótica, observándose 
divisiones celulares en otros estratos.
Carcinoma de Células Escamosas 
Criterios nucleares de malignidad 
Tamaño Forma
Membrana Nuclear Cromatina y Nucleolo 
Orangofilia
Anillos citoplasmáticos Acúmulos eosinofílicos 
Perlas Corneas Canibalismo
Células alargadas 
Adenocarcinoma
SSIISSTTEEMMAA BBEETTHHEESSDDAA 
1. Negativo para Lesión Intraepitelial o Malignidad: cuando no existe 
ninguna anomalía de las células epiteliales. 
2. Anomalía en Células Epiteliales: cuando se identifica alteraciones 
celulares de lesiones premalignas o malignas en las células escamosas o 
en las células glandulares. dos categorías son: 
◦ Lesión Intraepitelial Escamosa de Bajo grado (LIEBG) que incluye 
infección por HPV y NIC I (displasia leve) y 
◦ Lesión Intraepitelial Escamosa de Alto Grado (LIEAG) que incluye NIC 
II y NIC III (displasia moderada, displasia severa y carcinoma in situ). 
 Células Escamosas Atípicas que utiliza el término ASC-US (células 
escamosas atípicas con significado indeterminado). 
 Carcinoma Escamoso es definida como un tumor maligno invasor que 
presenta diferenciación escamosa de las células. 
 Células glandulares atípicas, involucra el riesgo de que exista una 
entidad neoplasia maligna.
Alteración de células glandulares
AATTIIPPIIAA EESSCCAAMMOOSSAA 
En esta categoría de la clasificación de Bethesda 2001 se incluyen los 
dos apartados: 
De significado indeterminado (ASC-US) 
Células escamosas atípicas de significado indeterminado o incierto. 
Los cambios observados podían deberse a un proceso benigno, 
pero intenso, o a una lesión potencialmente grave.
No puede excluirse LIP-AG / H-SIL (ASC-H) 
Las alteraciones celulares son bastante marcadas mas bien 
por las características que presenta (inflamación, 
hemorragia); pero por la escasez de estas células, no 
pueden considerarse totalmente conclusivas. Son cambios 
anormales y pueden ser lesión intraepitelial de alto grado 
(LIEAG).
CCiittoollooggííaa ddee llaa mmeennooppaauussiiaa
MMIICCRROOOORRGGAANNIISSMMOOSS
Citologia cervical
Citologia cervical
Citologia cervical
Citologia cervical
Citologia cervical

Citologia cervical

  • 1.
    CCIITTOOLLOOGGIIAA CCEERRVVIICCAALL LILIANAMARIA AGRESOTT BELTRAN BACTERIOLOGA
  • 2.
    CCIITTOOLLOOGGIIAA CCEERRVVIICCAALL El carcinoma de cuello uterino es la segunda causa de muerte por neoplasia maligna en todo el mundo y el más común en países en desarrollo.
  • 3.
    HHIISSTTOORRIIAA  1838Johannes Muller editó una monografía sobre células tumorales malignas.  A principios del siglo XIX Joseph Récamier inventó el espéculo vaginal.  En 1942 George N. Papanicolaou publicó la técnica de tinción.  1943 junto al ginecólogo Traut publicó su trabajo, “Diagnóstico de cáncer uterino mediante frotis vaginal”. George N.Papanicolaou
  • 4.
    PPRROOCCEEDDIIMMIIEENNTTOO SOLICITUD DELEXAMEN Se diligencia un formato con todos los datos requeridos. TOMA DE MUESTRA 1) Rotulación de la lámina. 2) Visualización del cuello uterino 3) Recolección de la muestra 4) Realización del extendido 5) Envío a Laboratorios de Citología
  • 5.
    PROCESAMIENTO E INTERPRETACIÓNDE LAS UNIDADES DE ESTUDIO La Tinción de Papanicolau es un método de tinción policrómico con el que se busca obtener contraste entre el núcleo y el citoplasma de las células.
  • 6.
    TTiinncciióónn ddee PPaappaanniiccoollaauu FIJACION La acción de detener el funcionamiento metabólico de la célula, conservando su estructura e impidiendo su putrefacción.
  • 7.
    Colorantes Hematoxilina deHarris Se usa para teñir el núcleo (básico). La membrana nuclear y la cromatina se tiñe de color azul oscuro o rojizo purpura y el nucléolo de color rojo, rosado o naranja.
  • 8.
    Orange G (OG6) Tiñe el citoplasma (acido). Tiñe la queratina. Tiñe el citoplasma de color naranja. Solución de alcohol
  • 9.
    Eosina Amarillenta (EA-50) Tiñe citoplasma Tiñe el citoplasma de las células escamosas cianofílas, Nucléolos. Colorante acido.
  • 10.
    Procedimiento 1. Fijarlas laminas en alcohol del 96° mínimo 15 min 2. Lavar en agua corriente 3. Sumergir en hematoxilina durante 15 seg 4. Lavar con agua corriente 5. Introducir en alcohol del 95°. HIDRATAR. 3 cajas, 10 baños en cada caja. 6. Pasar en colorante OG (50 seg) 7. Alcohol de 96° HIDRATAR 8. Se pasa por el colorante EA 50 (50 seg) 9. Se sumergen en alcohol etílico absoluto. HIDRATAR. 4 cajas, 10 baños en cada caja. 10. 10. Se pasa por el Xilol. ACLARAR. 4 cajas, 10 baños en cada caja 11. Agregar una gota de resina. MONTAR
  • 11.
    INFORME DE RESULTADOS a) Calidad de la muestra b) Categorización de los resultados c) Interpretación y diagnostico descriptivo de los hallazgos. Calidad de la Muestra Satisfactoria Insatisfactoria
  • 12.
    Categorización de losresultados  No útil o frotis inadecuado: cuando la muestra es insatisfactoria.  Negativo por malignidad: el frotis no presenta alteraciones morfológicas de neoplasia maligna o de lesión premaligna (displasia).  Sospechosa por malignidad. Existen alteraciones morfologicas pero no son concluyentes  Positivo por malignidad: el frotis presenta alteraciones morfológicas en células epiteliales escamosas o glandulares, incluye: ◦ Neoplasia Intraepitelial Cervical Grado I (NIC I) (Displasia Leve) ◦ Neoplasia Intraepitelial Cervical Grado II (NIC II) (Displasia Moderada) ◦ Neoplasia Intraepitelial Cervical Grado III (NIC III) (Displasia Severa)/carcinoma in Situ ◦ Carcinoma de Células Escamosas ◦ Adenocarcinoma
  • 13.
    Negativo por Malignidad Células escamosas anucleadas entre un grupo de células superficiales normales
  • 14.
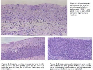
    Los criterios histológicosde una lesión escamosa intraepitelial:  Sustitución del epitelio normal por células atípicas con alteraciones nucleares : ◦ Agrandamiento (cariomegalia) ◦ Irregularidades de la forma y tamaño (pleomorfismo-anisonucleosis) ◦ Aumento de la cromaticidad (hipercromatismo). Crecimiento desorganizado con pérdida de la polaridad celular. Alteraciones de la actividad mitótica, observándose divisiones celulares en otros estratos.
  • 17.
    Carcinoma de CélulasEscamosas Criterios nucleares de malignidad Tamaño Forma
  • 18.
    Membrana Nuclear Cromatinay Nucleolo Orangofilia
  • 19.
    Anillos citoplasmáticos Acúmuloseosinofílicos Perlas Corneas Canibalismo
  • 20.
  • 21.
    SSIISSTTEEMMAA BBEETTHHEESSDDAA 1.Negativo para Lesión Intraepitelial o Malignidad: cuando no existe ninguna anomalía de las células epiteliales. 2. Anomalía en Células Epiteliales: cuando se identifica alteraciones celulares de lesiones premalignas o malignas en las células escamosas o en las células glandulares. dos categorías son: ◦ Lesión Intraepitelial Escamosa de Bajo grado (LIEBG) que incluye infección por HPV y NIC I (displasia leve) y ◦ Lesión Intraepitelial Escamosa de Alto Grado (LIEAG) que incluye NIC II y NIC III (displasia moderada, displasia severa y carcinoma in situ).  Células Escamosas Atípicas que utiliza el término ASC-US (células escamosas atípicas con significado indeterminado).  Carcinoma Escamoso es definida como un tumor maligno invasor que presenta diferenciación escamosa de las células.  Células glandulares atípicas, involucra el riesgo de que exista una entidad neoplasia maligna.
  • 22.
  • 23.
    AATTIIPPIIAA EESSCCAAMMOOSSAA Enesta categoría de la clasificación de Bethesda 2001 se incluyen los dos apartados: De significado indeterminado (ASC-US) Células escamosas atípicas de significado indeterminado o incierto. Los cambios observados podían deberse a un proceso benigno, pero intenso, o a una lesión potencialmente grave.
  • 24.
    No puede excluirseLIP-AG / H-SIL (ASC-H) Las alteraciones celulares son bastante marcadas mas bien por las características que presenta (inflamación, hemorragia); pero por la escasez de estas células, no pueden considerarse totalmente conclusivas. Son cambios anormales y pueden ser lesión intraepitelial de alto grado (LIEAG).
  • 25.
    CCiittoollooggííaa ddee llaammeennooppaauussiiaa
  • 26.