Citología de cuello uterino
          Gustavo Olivares
            Felipe Osorio
         5º año de Medicina

       Tutor: Dr. Vittorio Zaffiri
Introducción



      • En Chile:
             – 2002 el cáncer de cuello ocupa el cuarto lugar entre las muertes por
               cáncer en la mujer
             – 2008 2002 el cáncer de cuello ocupa el sexto lugar entre las muertes
               por cáncer en la mujer

      • 1º lugar en AVPP

      • 5% de todas las muertes por cáncer en la mujer en el mundo

      • La causa subyacente primaria es la infección por VPH
MINISTERIO DE SALUD. Guía Clínica CÁNCER CERVICOUTERINO. Santiago: Minsal, 2010.
MINISTERIO DE SALUD. Guía Clínica CÁNCER CERVICOUTERINO. Santiago: Minsal, 2010.
Relaciones
                 sexuales a
               temprana edad




                 Factores
                 de riesgo


Compañeros                     Compañeros
sexuales de                      sexuales
 alto riesgo                    múltiples
Patogenia
Infección clínica
• Exofíticas
  – Condilomas acuminados
  – Sin atipia
  – ADN libre no integrado al ADN celular

• Planas
  – Asociadas a atipia
  – Sugiere NIE
  – ADN integrado al ADN celular
Infección subclínica
• Forma más frecuente de infección por VPH

• Se evidencian sólo procesos de magnificación:
  – Microscopio
  – Colposcopio
Infección latente
• Ausencia de lesiones macro o micro

• Se detecta a través de exámenes virológicos
  que evidencia secuencias de HPV-DNA
Clínica
• Asintomático
• Síntomas más frecuentes
  – Sangrado vaginal anormal
  – Leucorrea
  – Dolor pélvico*
  – Síntomas urinarios / rectales*
• Signos más frecuentes
  – Desde cuello normal con PAP alterado hasta
    tumor exofítico o aspecto crateriforme
Prevención   • Educación a la población
 primaria    • Vacunación contra el VPH

Prevención   • Prueba de Papanicolau PAP
secundaria
PAP
    • En honor a Georgios Nicholas Papanikolaou
      (Γεώργιος Παπανικολάου) (1893 - 1962)

    • Citología exfoliativa del cervix

    • Sensibilidad y especificidad variable
            – Sensibilidad 62% / 44-86%
            – Especificidad 95% / 62-98%

MINISTERIO DE SALUD. Guía Clínica CÁNCER CERVICOUTERINO. Santiago: Minsal, 2010.
MINISTERIO DE SALUD. Guía Clínica Cancer Cervicouterino 2. 1st Ed. Santiago: Minsal, 2005.
PAP en Chile

• Grupo objetivo  mujeres entre 25 – 64 años

• Periodicidad es cada 3 años
Técnica
La sensibilidad depende de 3 factores:

• Condiciones de la paciente previas al examen

• Extracción de la muestra en sitio correcto

• Técnica adecuada de extracción, extensión,
  fijación y tinción del extendido
Técnica – Condiciones de la paciente

• No debe estar menstruando

• Abstinencia sexual por 2 días

• Evitar lavado 2 días

• Evitar medicación 2 días

• No realizar TV
Técnica – Toma de la muestra
Técnica – Fijación de la muestra
Sistema Bethesda
• Objetivo  Establecer una nomenclatura uniforme y aclaratoria que
  facilita la comunicación entre el clínico y el citólogo

• Workshop 1988, 1991 y 2001

• 45 sociedades de 20 países

• Las mas utilizada por diferentes países, es el sistema utilizado en Chile

• Permite evaluar:
    – Calidad de la muestra
    – Descripción general (positivo o negativo para células neoplásicas)
    – Características específicas

• Incluye una descripción detallada para el grupo de citologías atípicas, que
  corresponden a aquellas que no impresionan al examen como
  absolutamente normales, pero no presentan elementos específicos de
  anormalidad.
Sistema Bethesda 2001
•   Tipo de muestra
•   Calidad de la muestra
     –   Satisfactoria para la evaluación
     –   Insatisfactoria para la evaluación
•   Clasificación general (opcional)
     –   Negativo para lesión intraepitelial o malignidad
     –   Anomalías de células epiteliales
     –   Otras categorías
•   Interpretación/resultado
     –   Negativo para lesión intraepitelial o malignidad
           •   Microorganismos
           •   Otros hallazgos no neoplásicos
     –   Otros hallazgos
           •   Células endometriales
     –   Anomalías de células epiteliales
           •   Células escamosas
           •   Células glandulares
     –   Otras neoplasias malignas
•   Pruebas auxiliares
•   Evaluación automatizada
•   Sugerencias y notas didácticas
Calidad de la muestra
• Satisfactoria para la evaluación
   – Describir la presencia o ausencia de componente endocervical o de
     zona de transformación
   – Factores que afecten parcialmente a la calidad de la muestra:
       • < 75% hemorragia, inflamación, artefactos, etc

• Insatisfactoria para la evaluación
   – Muestra no procesada (especificar razón)
       • Falta de identificación, preparación rota, etc
   – Muestra procesada y examinada pero insatisfactoria para evaluar
     anomalías de la celularidad epitelial (especificar razón)
       • > 75% hemorragia, inflamación intensa, mala fijación;   insuficiente
         celularidad escamosa, etc
   *SIEMPRE que no veamos células anómalas

“La muestra ha de tener un mínimo estimado de aproximadamente 8.000-12.000
células epiteliales escamosas bien preservadas”
Hemorragia        Agrupamiento




Defecto de fijación   Inflamación
Interpretación/resultado
• Negativo para LI o malignidad
  – Microorganismos:
     •   Tricomonas vaginalis
     •   Hongos como: Candida
     •   Vaginosis Bacteriana
     •   Bacterias compatibles con Actinomyces
     •   Cambios celulares compatibles con Herpes simple
Organismos
Hongos-candida            Vaginosis bacteriana
Organismos
Tricomonas                Herpes simplex
• Negativo para LI o malignidad
  – Otros hallazgos no neoplasicos:
     • Cambios celulares reactivos asociados a:
        – Inflamación (reparación típica)
        – Radiación
        – DIU
     • Células glandulares posthisterectomía
     • Atrofia
Cambios celulares reactivos
           Reparación típica
Cambios celulares reactivos
            Radioterapia
Cambios celulares reactivos
             Inflamación
• Otros hallazgos
  – Células endometriales
     • En una mujer >40 años
     • “Especificar si el resultado es “negativo para lesiones
       escamosas intraepiteliales”



  “La citología cervicovaginal no es una prueba adecuada
   para la detección de lesiones endometriales y no debe
          ser utilizada para tal fin si se sospechan”
Células endometriales
Células Escamosas Atípicas
• Células escamosas atípicas (ASC):

 De significado indeterminado (ASC-US)

 No puede ser excluida una lesión
  escamosa de alto grado (ASC-H)
Células Escamosas Atípicas

     “Cambios citológicos
      sugestivos de lesión
 intraepitelial escamosa que
       son cuantitativa o
cualtitativamente insuficientes
   para una interpretación
           definitiva”
                                  Características esenciales:
                                  Diferenciación escamosa
                                  Aumento relación N:C
                                  Hipercromasia nuclear mínima,
                                  cromatina irregular granular/
                                   condensada o multinucleación
Células Escamosas Atípicas
• ASC-US (significado indeterminado)

   Hipertrofia nuclear leve
   Leve aumento de relación N:C
   Paraqueratosis atípica
   Hipercromasia mínima e irregular distribución cromática


• 90 - 95% de los ASC

• 10 – 15 % de NIE II o más grado
Células Escamosas Atípicas
• ASC-H (no puede excluirse una LIAG)

 Cantidad escasa, agrupadas de 10 células
 Núcleo 1,5-2,5 veces lo normal, irregulares o hipercromáticos
 Relación N:C similar a HSIL

• 5-10% de los ASC
• Al valor predictivo para NIE II y III (30 - 40% NIE II o más grado)
• Realizar comprobación histopatológica
Lesiones premalignas
LIE/NIE
• Lesiones del epitelio escamoso caracterizadas por atipias
  nucleares, en un epitelio con diferente grado de
  diferenciación.
• Se consideran lesiones premalignas, constituyen grado de
  progresión hacia el desarrollo del Ca invasor
• Citología tiene por objetivo pesquisar lesiones en estos
  estadios (en que hay mejor respuesta a tratamiento/
  pronóstico)
NIE
LIE/NIE
HPV (coilocitos)

• Células superficiales con
  perdida de la relación
  núcleo/citoplasma
• Hipercromasia nuclear
• Halos perinucleares
NIE I (citología)
• Células superficiales, poligonales con citoplasma
  abundante y núcleo agrandado y atípico.
• HPV: citoplasma vacío, formando gran vacuola
  perinuclear (coilocito).
NIE II (citología)
• Células intermedias con discariosis.
• Núcleo 2 a 3 veces más grande que lo normal, con
  cromatina granular.
NIE III/ CIS (citología)
• Células parabasales con núcleo aspecto florido con
  membrana nuclear engrosada y multilobular.
• Núcleos en “grano de café”. Raro encontrar nucléolo.
NIE (histología)




NIE I Pérdida de la         NIE II Pérdida de la
                                                          NIE III Epitelio
maduración en el 1/3        maduración en los 2/3
                                                          indiferenciado.
inferior.                   basales. Mayor número
                                                          Mitosis anormales
Mitosis escasas             de mitosis


                       • El diagnóstico se basa en aneuploidia nuclear, figuras
                       mitóticas anormales y pérdida de la maduración
                       normal del epitelio.
Neoplasias intraepiteliales de bajo grado
• Considera:
   – Displasia leve
   – NIE I
   – Coilocitos


• NIE I progresa a cancer en el 1 % de los casos.
Neoplasias intraepiteliales de alto grado
• Considera:
   –   NIE II Y NIE III
   –   Displasia moderada severa
   –   Carcinoma in situ
   –   Sospecha de invasion (carcinoma escamoso infiltrante)


• NIE III progresa a cáncer en el 15 - 50 % de los casos.
• Transición de epitelio normal a lesión de alto grado
  es de 5 años en promedio.
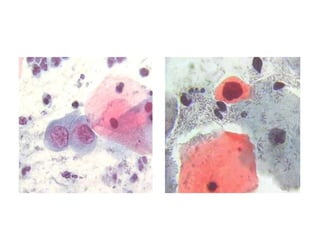
Carcinoma Espinocelular
Carcinoma Espinocelular Invasor
•   85 - 90% son Ca escamosos
•   Aspecto necrótico/hemorrágico.
•   Límite celular impreciso.
•   Anisocitosis
•   Forma: redonda, ovalada elongada o caudada.
•   Núcleo: Ovalados, redondos o irregulares
•   Citoplasma: anaranjado- brillante


• Carcinoma Escamoso         No queratinizante
                             Queratinizante
Microinvasión
• Ia:   Invasión microscópica
          - Ia1 Invasión estromal hasta 3 mm y < de
               7 mm de ancho
          - Ia2 Invasión estromal de 3-5 mm y < de
                7 mm de ancho
Anomalías epiteliales glandulares
Anomalías epiteliales glandulares
•   Atípicas:
     – C. endocervicales:
          • Sin especificar (NOS)
                                                Células Glandulares
          • Sugerentes de neoplasia
                                                      atípicas
     – C. endometriales
     – C. glandulares:
          • Sin especificar (NOS)
          • Sugerentes de neoplasia

•   Adenocarcinoma endocervical in situ (AIS)

•   Adenocarcinoma:
     – Endocervical
     – Endometrial
     – Extrauterino
     – Sin especificar (NOS)
Anomalías epiteliales glandulares
Morfología:
— Núcleo 3-5 veces, Relación N:C alta
— Hipercromasia leve
— Mb nucleares irregulares
— Citoplasmas escasos
Adenoma endocervical in situ
“Lesión glandular endocervical de alto grado
con ausencia de invasión que tiene como
características principales la hipertrofia del
núcleo, la hipercromasia, la estratificación y la
actividad mitótica”
Conducta
Conducta

PAP
 (+)
Informe de la muestra
   Claves diagnosticas

Citología y pap

  • 1.
    Citología de cuellouterino Gustavo Olivares Felipe Osorio 5º año de Medicina Tutor: Dr. Vittorio Zaffiri
  • 3.
    Introducción • En Chile: – 2002 el cáncer de cuello ocupa el cuarto lugar entre las muertes por cáncer en la mujer – 2008 2002 el cáncer de cuello ocupa el sexto lugar entre las muertes por cáncer en la mujer • 1º lugar en AVPP • 5% de todas las muertes por cáncer en la mujer en el mundo • La causa subyacente primaria es la infección por VPH MINISTERIO DE SALUD. Guía Clínica CÁNCER CERVICOUTERINO. Santiago: Minsal, 2010.
  • 4.
    MINISTERIO DE SALUD.Guía Clínica CÁNCER CERVICOUTERINO. Santiago: Minsal, 2010.
  • 5.
    Relaciones sexuales a temprana edad Factores de riesgo Compañeros Compañeros sexuales de sexuales alto riesgo múltiples
  • 6.
  • 10.
    Infección clínica • Exofíticas – Condilomas acuminados – Sin atipia – ADN libre no integrado al ADN celular • Planas – Asociadas a atipia – Sugiere NIE – ADN integrado al ADN celular
  • 11.
    Infección subclínica • Formamás frecuente de infección por VPH • Se evidencian sólo procesos de magnificación: – Microscopio – Colposcopio
  • 12.
    Infección latente • Ausenciade lesiones macro o micro • Se detecta a través de exámenes virológicos que evidencia secuencias de HPV-DNA
  • 13.
    Clínica • Asintomático • Síntomasmás frecuentes – Sangrado vaginal anormal – Leucorrea – Dolor pélvico* – Síntomas urinarios / rectales* • Signos más frecuentes – Desde cuello normal con PAP alterado hasta tumor exofítico o aspecto crateriforme
  • 14.
    Prevención • Educación a la población primaria • Vacunación contra el VPH Prevención • Prueba de Papanicolau PAP secundaria
  • 15.
    PAP • En honor a Georgios Nicholas Papanikolaou (Γεώργιος Παπανικολάου) (1893 - 1962) • Citología exfoliativa del cervix • Sensibilidad y especificidad variable – Sensibilidad 62% / 44-86% – Especificidad 95% / 62-98% MINISTERIO DE SALUD. Guía Clínica CÁNCER CERVICOUTERINO. Santiago: Minsal, 2010.
  • 16.
    MINISTERIO DE SALUD.Guía Clínica Cancer Cervicouterino 2. 1st Ed. Santiago: Minsal, 2005.
  • 17.
    PAP en Chile •Grupo objetivo  mujeres entre 25 – 64 años • Periodicidad es cada 3 años
  • 18.
    Técnica La sensibilidad dependede 3 factores: • Condiciones de la paciente previas al examen • Extracción de la muestra en sitio correcto • Técnica adecuada de extracción, extensión, fijación y tinción del extendido
  • 19.
    Técnica – Condicionesde la paciente • No debe estar menstruando • Abstinencia sexual por 2 días • Evitar lavado 2 días • Evitar medicación 2 días • No realizar TV
  • 20.
    Técnica – Tomade la muestra
  • 21.
  • 22.
    Sistema Bethesda • Objetivo Establecer una nomenclatura uniforme y aclaratoria que facilita la comunicación entre el clínico y el citólogo • Workshop 1988, 1991 y 2001 • 45 sociedades de 20 países • Las mas utilizada por diferentes países, es el sistema utilizado en Chile • Permite evaluar: – Calidad de la muestra – Descripción general (positivo o negativo para células neoplásicas) – Características específicas • Incluye una descripción detallada para el grupo de citologías atípicas, que corresponden a aquellas que no impresionan al examen como absolutamente normales, pero no presentan elementos específicos de anormalidad.
  • 23.
    Sistema Bethesda 2001 • Tipo de muestra • Calidad de la muestra – Satisfactoria para la evaluación – Insatisfactoria para la evaluación • Clasificación general (opcional) – Negativo para lesión intraepitelial o malignidad – Anomalías de células epiteliales – Otras categorías • Interpretación/resultado – Negativo para lesión intraepitelial o malignidad • Microorganismos • Otros hallazgos no neoplásicos – Otros hallazgos • Células endometriales – Anomalías de células epiteliales • Células escamosas • Células glandulares – Otras neoplasias malignas • Pruebas auxiliares • Evaluación automatizada • Sugerencias y notas didácticas
  • 24.
    Calidad de lamuestra • Satisfactoria para la evaluación – Describir la presencia o ausencia de componente endocervical o de zona de transformación – Factores que afecten parcialmente a la calidad de la muestra: • < 75% hemorragia, inflamación, artefactos, etc • Insatisfactoria para la evaluación – Muestra no procesada (especificar razón) • Falta de identificación, preparación rota, etc – Muestra procesada y examinada pero insatisfactoria para evaluar anomalías de la celularidad epitelial (especificar razón) • > 75% hemorragia, inflamación intensa, mala fijación; insuficiente celularidad escamosa, etc *SIEMPRE que no veamos células anómalas “La muestra ha de tener un mínimo estimado de aproximadamente 8.000-12.000 células epiteliales escamosas bien preservadas”
  • 25.
    Hemorragia Agrupamiento Defecto de fijación Inflamación
  • 26.
    Interpretación/resultado • Negativo paraLI o malignidad – Microorganismos: • Tricomonas vaginalis • Hongos como: Candida • Vaginosis Bacteriana • Bacterias compatibles con Actinomyces • Cambios celulares compatibles con Herpes simple
  • 27.
    Organismos Hongos-candida Vaginosis bacteriana
  • 28.
    Organismos Tricomonas Herpes simplex
  • 29.
    • Negativo paraLI o malignidad – Otros hallazgos no neoplasicos: • Cambios celulares reactivos asociados a: – Inflamación (reparación típica) – Radiación – DIU • Células glandulares posthisterectomía • Atrofia
  • 30.
    Cambios celulares reactivos Reparación típica
  • 31.
  • 32.
  • 33.
    • Otros hallazgos – Células endometriales • En una mujer >40 años • “Especificar si el resultado es “negativo para lesiones escamosas intraepiteliales” “La citología cervicovaginal no es una prueba adecuada para la detección de lesiones endometriales y no debe ser utilizada para tal fin si se sospechan”
  • 34.
  • 35.
    Células Escamosas Atípicas •Células escamosas atípicas (ASC):  De significado indeterminado (ASC-US)  No puede ser excluida una lesión escamosa de alto grado (ASC-H)
  • 36.
    Células Escamosas Atípicas “Cambios citológicos sugestivos de lesión intraepitelial escamosa que son cuantitativa o cualtitativamente insuficientes para una interpretación definitiva” Características esenciales: Diferenciación escamosa Aumento relación N:C Hipercromasia nuclear mínima, cromatina irregular granular/ condensada o multinucleación
  • 37.
    Células Escamosas Atípicas •ASC-US (significado indeterminado)  Hipertrofia nuclear leve  Leve aumento de relación N:C  Paraqueratosis atípica  Hipercromasia mínima e irregular distribución cromática • 90 - 95% de los ASC • 10 – 15 % de NIE II o más grado
  • 39.
    Células Escamosas Atípicas •ASC-H (no puede excluirse una LIAG)  Cantidad escasa, agrupadas de 10 células  Núcleo 1,5-2,5 veces lo normal, irregulares o hipercromáticos  Relación N:C similar a HSIL • 5-10% de los ASC • Al valor predictivo para NIE II y III (30 - 40% NIE II o más grado) • Realizar comprobación histopatológica
  • 41.
  • 42.
    LIE/NIE • Lesiones delepitelio escamoso caracterizadas por atipias nucleares, en un epitelio con diferente grado de diferenciación. • Se consideran lesiones premalignas, constituyen grado de progresión hacia el desarrollo del Ca invasor • Citología tiene por objetivo pesquisar lesiones en estos estadios (en que hay mejor respuesta a tratamiento/ pronóstico)
  • 43.
  • 44.
  • 45.
    HPV (coilocitos) • Célulassuperficiales con perdida de la relación núcleo/citoplasma • Hipercromasia nuclear • Halos perinucleares
  • 46.
    NIE I (citología) •Células superficiales, poligonales con citoplasma abundante y núcleo agrandado y atípico. • HPV: citoplasma vacío, formando gran vacuola perinuclear (coilocito).
  • 47.
    NIE II (citología) •Células intermedias con discariosis. • Núcleo 2 a 3 veces más grande que lo normal, con cromatina granular.
  • 48.
    NIE III/ CIS(citología) • Células parabasales con núcleo aspecto florido con membrana nuclear engrosada y multilobular. • Núcleos en “grano de café”. Raro encontrar nucléolo.
  • 49.
    NIE (histología) NIE IPérdida de la NIE II Pérdida de la NIE III Epitelio maduración en el 1/3 maduración en los 2/3 indiferenciado. inferior. basales. Mayor número Mitosis anormales Mitosis escasas de mitosis • El diagnóstico se basa en aneuploidia nuclear, figuras mitóticas anormales y pérdida de la maduración normal del epitelio.
  • 50.
    Neoplasias intraepiteliales debajo grado • Considera: – Displasia leve – NIE I – Coilocitos • NIE I progresa a cancer en el 1 % de los casos.
  • 51.
    Neoplasias intraepiteliales dealto grado • Considera: – NIE II Y NIE III – Displasia moderada severa – Carcinoma in situ – Sospecha de invasion (carcinoma escamoso infiltrante) • NIE III progresa a cáncer en el 15 - 50 % de los casos. • Transición de epitelio normal a lesión de alto grado es de 5 años en promedio.
  • 52.
  • 53.
    Carcinoma Espinocelular Invasor • 85 - 90% son Ca escamosos • Aspecto necrótico/hemorrágico. • Límite celular impreciso. • Anisocitosis • Forma: redonda, ovalada elongada o caudada. • Núcleo: Ovalados, redondos o irregulares • Citoplasma: anaranjado- brillante • Carcinoma Escamoso No queratinizante Queratinizante
  • 55.
    Microinvasión • Ia: Invasión microscópica - Ia1 Invasión estromal hasta 3 mm y < de 7 mm de ancho - Ia2 Invasión estromal de 3-5 mm y < de 7 mm de ancho
  • 56.
  • 57.
    Anomalías epiteliales glandulares • Atípicas: – C. endocervicales: • Sin especificar (NOS) Células Glandulares • Sugerentes de neoplasia atípicas – C. endometriales – C. glandulares: • Sin especificar (NOS) • Sugerentes de neoplasia • Adenocarcinoma endocervical in situ (AIS) • Adenocarcinoma: – Endocervical – Endometrial – Extrauterino – Sin especificar (NOS)
  • 58.
    Anomalías epiteliales glandulares Morfología: —Núcleo 3-5 veces, Relación N:C alta — Hipercromasia leve — Mb nucleares irregulares — Citoplasmas escasos
  • 59.
    Adenoma endocervical insitu “Lesión glandular endocervical de alto grado con ausencia de invasión que tiene como características principales la hipertrofia del núcleo, la hipercromasia, la estratificación y la actividad mitótica”
  • 60.
  • 61.
  • 64.
    Informe de lamuestra Claves diagnosticas

Notas del editor