UNIVERSIDAD DEL SINU
• HISTOLOGIA I
• Curso 2018
• Dra. Lizette Acosta Ulloa
Conferencia 3 Matriz extracelular. Membrana
basal. Concepto.
Tejidos Básicos Epitelial , Conectivo, Muscular
, Nervioso
Tejido epitelial . Introducción al tejido
Conectivo
Nunca consideres el estudio como una
obligación, sino como una oportunidad
para penetrar en el bello y maravilloso
mundo del saber
Si buscas resultados distintos, no hagas
siempre lo mismo.
¡Triste época la nuestra! Es más fácil
desintegrar un átomo que un prejuicio.
MATRIZ
EXTRACELULAR
TEJIDOS BÁSICOS
TEJIDO EPITELIAL
Contenidos
Matriz extracelular. Concepto. Funciones.
Características. Componentes.
Membrana basal. Concepto. Características.
Funciones
Tejido. Concepto Componentes.
Tejidos Básicos Epitelial , Conectivo,
Muscular , Nervioso
Tejido epitelial . Introducción al tejido
Conectivo
Escorbuto • Patología
molecular
de la matriz
extracelular
Debilitamiento del
colágeno de vasos
sanguíneos y
ligamentos dentales
hemorragias y
perdidas dentales.
Hay déficit de
Vitamina C, que es un
cofactor indispensable
para la síntesis de
colágeno
Osteogénesis
imperfecta
• Patología
molecular
de la matriz
extracelular
Malformaciones de los
huesos,
baja estatura y cuerpo
pequeño,
músculos débiles,
caja torácica en forma
de barril, columna
vertebral curva
Deficiencia en la
síntesis de Colágeno
Matriz extracelular
(MEC)
Es el conjunto de
materiales
extracelulares que
forman parte de un
tejido.
Formado por una
red compleja de
macromoléculas, de
tipo proteínas o
polisacáridos.
La matriz extracelular
La matriz
extracelular
Esta está representada por una
parte con estructura microscópica
definida, las fibras
y por la sustancia fundamental
amorfa, llamada así porque no
presenta una estructura visible al
microscopio óptico
Matriz extracelular.
1- SUSTANCIA
FUNDAMENTAL
AMORFA
2-FIBRAS
Matriz Extracelular
Las fibras pueden ser de tres tipos:
colágenas, elásticas y reticulares
La sustancia fundamental amorfa,
como su nombre indica, no presenta
ninguna estructura especial al M/O.
Existe en forma de gel o de sol,
variando desde sustancias gelatinosas
,sustancias muy duras a líquidos de
viscosidad variable.
SUSTANCIA
FUNDAMENTAL AMORFA
La sustancia intercelular amorfa está constituida
principalmente por agua, sales minerales y
complejos de mucopolisacáridos y proteínas
por su composición química , presenta el estado
físico coloidal (sol gel) que contribuye con sus
funciones.
Glucosaminóglucanos
Proteoglicanos
Proteínas
Las características
principales de la sustancia
amorfa
Es un factor importante en el control de la difusión
de los nutrientes y sustancias de desecho a través
de los líquidos tisulares.
Puede colaborar a la retención de agua, con lo
que mantienen la turgencia de los tejidos.
Por su viscosidad, tiene una importante función de
lubricación.
Puede inhibir o regular la actividad de ciertas
enzimas.
Constituye parte de una barrera a la entrada de
partículas extrañas.
Matriz extracelular (MEC).
Características
. Es característica del tejido conjuntivo, el cual constituye el
esqueleto arquitectónico del cuerpo.
Su cantidad es variable. Muy abundante en la dermis de la piel
y el hueso y escasa en el cerebro, la médula espinal y los
tejidos epiteliales
Matriz extracelular
(MEC)Características:
• Su composición varia según el tejidos y esto determina su
consistencia y propiedades. Ej. Calcificada en hueso y dientes,
transparente en la córnea, con gran resistencia a la fuerza de
tracción en los tendones.
• Sus componentes son secretados por las células (osteoblastos,
condroblastos, fibroblastos, )
Matriz extracelular (MEC)
Funciones:
1-Rellenar los intersticios o espacios
entre las células
2-Conferir resistencia mecánica a los
tejidos (a la compresión, estiramiento,
etc.). Modifica la morfología de las
células = Forma
3-Constituir el medio homeostático,
nutritivo y metabólico para las células.
Modula la supervivencia celular
Matriz extracelular (MEC)
4-Proveer fijación para el anclaje celular.
Establece relaciones de unión con las
células
5- Constituir el medio para el tránsito
celular . Regula la Migración celular.
6-Comunicación celular.
7-Proliferación celular. Dirige la actividad
mitótica celular
8-Barrera protectora contra
microorganismos
Matriz Extracelular
Las fibras son responsables de la
resistencia a la tracción y la
elasticidad del tejido.
La sustancia amorfa constituye un
medio de difusión de los nutrientes y
de los materiales de desechos
Matriz Extracelular
LA MATRIZ EXTRACELULAR.
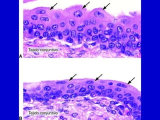
Membrana basal
Membrana basal
Concepto:
Es un tipo de matriz
extracelular
especializada que se
organiza en capas
delgadas (40-120nm).
Es una capa intermedia
entre el tejido epitelial y
el tejido conjuntivo
Membrana basal
Localización
• Células musculares.
• Células adiposas.
• Células de Schwann.
• Capilares sanguíneos.
• Capilares linfáticos.
• Glomérulo renal.
• Alvéolos pulmonares.
Membrana basal
Formada por LAMINA BASAL
Producida por las células
epiteliales
LAMINA RETICULAR
Producida por las células de tejido
conectivo
Membrana basal
Importancia Funcional
1 Sostén y adhesión del epitelio a la matriz
extracelular.
2 Impiden el paso de células patológicas.
Mientras las células cancerosas no atraviesan
la membrana basal , ( carcinoma in situ )
Guía para regeneración axonal , migración
celular
¿Componentes
de los Tejidos ?
Componentes de los
tejidos
• Células: Varían en forma, tamaño y
proporción, según la función que realiza cada
tejido.
• Matriz extracelular Macromoléculas
,elaboradas por las células y exportadas al
espacio intercelular
• Líquido tisular: Contiene los componentes
solubles del plasma que atraviesan los
capilares sanguíneos y difunde a través de la
matriz extracelular.
EPITELIAL
EPI Sobre
Telio
membrana
Forman membranas que
cubren otros tejidos //Cubren una superficie
Revisten órganos tubulares.
EPITELIAL
Glandulas
TEJIDO EPITELIAL
Se caracteriza por la cohesión de sus
células presenta escasa sustancia
intercelular.
Se deriva de las tres hojas embrionarias
Por la función y organización de sus
células se clasifica en:
Epitelios de cubierta o revestimiento
Epitelios glandulares
En cuanto a su función, este
tejido reviste o cubre las
superficies internas y externas
del organismo, por tanto actúa a
manera de "barrera" entre el
medio externo y el interno.
Realiza también funciones de
secreción y absorción.
Funciones de los epitelios
•Protección de los tejidos subyacentes del cuerpo
contra las abrasiones y las lesiones traumáticas.
Disminución de la fricción
•Transporte transcelular de moléculas a través de
las membranas epiteliales.
•Secreción de moco, hormonas, enzimas,
•Absorción de material desde la luz de los órganos.
•Por medio de la permeabilidad selectiva controlan
el paso de materiales entre los compartimientos
del cuerpo.
Tejido
conectivo
Es el tejido que forma una continuidad con los
otros tejidos, conservando de esta forma la
integridad del cuerpo desde el punto de vista
funcional.
Se deriva del mesodermo. El tejido conectivo
maduro se divide en:
•Tejido conectivo EMBRIONARIO
•TEJIDO CONECTIVO DEL ADULTO.
GENERAL O PROPIAMENTE DICHO. TEJIDO CONECTIVO DE PROPIEDADES ESPECIALES
TEJIDO CONECTIVO DE SOSTEN pág. 32 folleto
Funciones del tejido
Conectivo
Soporte estructural
Medio de Intercambio
Defensa y Protección
Deposito de Grasa
Tejido Conectivo
El tejido conectivo tiene un papel
preponderante en las funciones
de
relación celular y tisular
DEFENSA
Tejido muscular
Es responsable de los movimientos corporales.
Está formado por células alargadas con elevada
cantidad de filamentos citoplasmáticos
responsables de la contracción. Tiene origen
mesodérmico. Existen tres tipos de músculos:
•Músculo liso.
•Músculo estriado esquelético.
•Músculo estriado cardíaco.
Funciones
•El músculo liso interviene en las contracciones
débiles, involuntarias y lentas en las vísceras.
•El músculo esquelético participa en las
contracciones fuertes, voluntarias, discontinuas
y rápidas.
•El músculo cardiaco realiza contracciones
fuertes, involuntarias y rápidas.
Tejido nervioso
Es el tejido que conforma al sistema nervioso. Deriva del
ectodermo. Esta constituido por dos tipos de células con
escasa sustancia intercelular:
•Neuronas: Células especializadas en la
conductibilidad e irritabilidad, que presentan
largas prolongaciones mediante las que se
relaciona entre sí y con células de otros tejidos.
•Neuroglias: Células que sostienen a las neuronas,
participan en su nutrición y en los procesos de
protección y defensa del tejido nervioso.
NEURONAS
La función de las
neuronas está
basada en el
desarrollo de dos
propiedades
fundamentales del
protoplasma,
excitabilidad y
conductividad
Las neuronas :
1 Reciben los estímulos
del medio.
2 Los transforman en
excitaciones nerviosas
3 Los trasmiten a los
centros nerviosos, en los
que se organizan para
dar una respuesta.
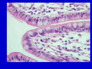
Figura 6. Epitelio simple cilíndrico sostenido por un tejido conectivo areolar
laxo.
¿Disposición de las
células epiteliales ?
TEJIDO EPITELIAL
DISPOSICIÓN DE LAS CÉLULAS EPITELIALES
FORMANDO CAPAS QUE
CUBREN O REVISTEN
CAVIDADES
AGRUPADAS EN MASAS
CON FUNCIONES
SECRETORAS
MEMBRANAS
EPITELIALES
EPITELIO
GLANDULAR
EPITELIO GLANDULAR
• Las glándulas multicelulares, se forman por
invaginación del epitelio y posterior
diferenciación en funciones de secreción
específicas.
• Si hay conducto para verter los productos de
secreción hacia la superficie del epitelio de
revestimiento, la glándula se denomina de
secreción externa o exocrina. Si no lo hay, la
glándula se conoce como de secreción interna o
endocrina y sus productos de secreción llegan a
la sangre.
GLANDULAS EXOCRINAS
GLANDULAS EXOCRINAS
CONDUCTO EXCERTOR
No ramificado
Simples
Ramificado
Compuestas
Adenomero
• Porción que sintetiza y
secreta el producto
Adenomero
no ramificado –
Ramificado
Forma del Adenomero
Tubular , acinar,
alveolar
ACINOS MUCOSOS Y
SEROSOS
Folleto pág. 25
Forma de secreción
¿ Cuales son los
criterios de
clasificación de las
MEMBRANAS
EPITELIALES ?
 NÚMERO DE CAPAS DE CÉLULAS QUE LAS FORMAN
FORMA DE LAS CÉLULAS MÁS
SUPERFICIALES
 POR LA PRESENCIA DE ESPECIALIZACIONES EN SU
SUPERFICIE O CÉLULAS ESPECIALIZADAS
Clasificación
POR LA PRESENCIA DE ESTRUCTURAS
ESPECIALIZADAS U OTRAS CÉLULAS
 ESPECIALIZACIONES EN LA SUPERFICIE APICAL
(Microvellosidades, cilios)
 CELULAS ACOMPAÑANTES (Caliciformes)
 PRESENCIA O NO DE QUERATINA
(Queratinizado y no queratinizado)
Tejido Epitelial
ESPECIALIZACIONES DE LA
SUPERFICIE
CELULAR DE LAS CÉLULAS
EPITELIALES

SUPERFICIE APICAL
SUPERFICIE LATERAL
 SUPERFICIE BASAL
I.SUPERFICIE APICAL
 MICROVELLOSIDADES
 CILIOS
 ESTEREOCILIOS
Microvellosidades:
Prolongaciones citoplasmáticas que se
extienden desde la superficie apical
celular para aumentar la extensión de la
misma (absorción). La cantidad y la forma
de las mismas en un tipo celular dado se
correlaciona con su capacidad absortiva.
Especializaciones de la
superficie apical (libre)
Estereocilios (estereovellosidades):
Microvellosidades inmóviles de
gran longitud.
Limitadas al epidídimo, conducto
deferente (segmento proximal)
y a las células sensoriales del oído
(Función: absorción y receptor
sensorial respectivamente).
M.O.: cerdas de una brocha
ESTEREOCILIOS
Cilios:
Prolongaciones citoplasmáticas
móviles capaces de mover líquido
y partículas sobre las superficies
epiteliales.
M.O: pelitos cortos y delgados
(“corte de cabello militar”) con fina
banda oscura en la base.
Árbol traqueobronquial y trompas
uterinas.
Especializaciones de la
superficie Apical
• MICROVELLOSIDADES Absorción
• CILIOS Movimiento de líquidos
• ESTEREOCILIOS Concentración
liquido seminal
• FLAGELOS Movimiento
espermatozoides
LOCALIZACION DE LAS
ESPECIALIZACIONES
Microvellosidades –
Epitelio intestinal
• ESTEREOCILIOS Limitadas al
epidídimo, conducto deferente
(segmento proximal) y a las
células sensoriales del oído
(Función: absorción y receptor
sensorial respectivamente).
CILIOS Árbol traqueobronquial y
trompas uterinas
•Flagelos – Espermatozoides
Son prolongaciones delgadas, cilíndricas y revestidas
por membrana
IMPORTANCIA CLINICA
La inmovilidad de los
cilios
Infecciones Pulmonares
Esterilidad Masculina
II. ESPECIALIZACIONES DE LA
SUPERFICIE LATERAL DE LAS
CÉLULAS EPITELIALES
 UNIONES IMPERMEABLES: ZÓNULA OCLUYENTE
 UNIONES DE ADHESIÓN: ZÓNULA ADHERENTE
MÁCULA ADHERENTE
(DESMOSOMA)
 UNIONES COMUNICANTES: UNIONES DE HENDIDURA
(NEXOS)
 INTERDIGITACIONES
Especializaciones de la
superficie de contacto (lateral).
En la superficie adyacente de células
vecinas de muchos tipos celulares
(epiteliales, musculares, nerviosas,
etc.), se observan distintas estructuras
que contribuyen a la adherencia y al
mantenimiento de cierta
impermeabilidad
Especializaciones de la superficie
de contacto
ZÓNULA OCLUYENTE
Uniones estrechas. Forman
una unión que circunda toda
la célula.
En el extremo apical de la
superficie lateral, próxima al
borde libre.
Son impermeables no
permiten paso de
sustancias. Las membranas
celulares se fusionan
Especializaciones de la superficie
de contacto
ZÓNULA
ADHERENTE
Posición basal con
respecto a la zónula
de oclusión
Unión de las proteínas
extracelulares caderinas fija
Las membranas celulares y
Fibras del citoesqueleto une
el citoplasma
Especializaciones de la superficie
de contacto
DESMOSOMAS ( Maculas
adherentes )
no forman una estructura de
cinturón alrededor de la
célula, sino que se disponen
en forma de soldaduras.
Tienen forma de pequeños
discos
Placa de adhesión
condensación de material
fibrilar
Especializaciones de la superficie
de contacto
UNIONES DE
HENDIDURA
Permiten la comunicación
La unión entre dos células.
Puede ser una unión
temporal. Nexos
ESPECIALIZACIONES DE MEMBRANA A NIVEL LATERAL
Especializaciones de la
superficie lateral
La estrecha cohesión celular
(contactos celulares) es una
propiedad fundamental del tejido
epitelial que permite permeabilidad
selectiva y función de barrera
mecánica.
UNIONES
INTERCELULARES
III. SUPERFICIE BASAL
 UNIONES DE ADHESIÓN:
HEMIDESMOSOMAS
 INVAGINACIONES
CORRELACIÓN
HISTOFISIOLÓGICA
EN EL TEJIDO EPITELIAL
INTRODUCCIÓN A
TEJIDO CONECTIVO
Funciones de los epitelios
•Protección de los tejidos subyacentes del cuerpo
contra las abrasiones y las lesiones traumáticas.
•Transporte transcelular de moléculas a través de
las membranas epiteliales.
•Secreción de moco, hormonas, enzimas, etc..
•Absorción de material desde la luz de los órganos.
•Por medio de la permeabilidad selectiva controlan
el paso de materiales entre los compartimientos
del cuerpo.
TEJIDO EPITELIAL
Las membranas de cubierta y
revestimiento por la
organización que tienen sus
células son tejidos limitantes,
ya que pueden formar
verdaderas barreras
celulares
Membranas epiteliales
 Variaciones en el número de capas
 formas celulares
Especializaciones
Se corresponden con la función
FUNCIONES
PRINCIPALES
FUNCIONES
PROTECCIÓN
ABSORCION
SECRECIÓN
INTERCAMBIO
FUNCION DE PROTECCION
Epitelios estratificados
Órganos sometidos a erosión, desgaste
PIEL , estratificado plano queratinizado.
ESOFAGO - VAGINA estratificado plano
NO queratinizado
PROTECCION
función protectora, se requiere un
epitelio que presente varias capas, o sea, un epitelio
estratificado, ya que esos son epitelios
difíciles de atravesar por gérmenes patógenos y también
son más resistentes al desgaste. LA PIEL
 Primera barrera de defensa de nuestro organismo
 Órgano tan expuesto al medio externo
EPITELIO ESTRATIFICADO
PLANO QUERATINIZADO.
PROTECCION
Epitelio
Estratificado
plano
no queratinizado
Esófago
Epitelio estratificado
Epidermis el epitelio es seco, ya que las células superficiales se
transforman en una capa inerte y resistente, denominada queratina y por
presentar estas características se le denomina
epitelio estratificado plano queratinizado
cavidad bucal
esófago
vagina
ano. la superficie epitelial es húmeda y no posee
queratina, por lo cual se plantea que es un epitelio
estratificado plano húmedo no queratinizado
En general cumple funciones de protección, por su
resistencia a la erosión y en alguna medida evita el
intercambio de agua
PROTECCION
¿ Tipo de epitelios ?
¿ LOCA LIZACION ?
INTERCAMBIO
Los epitelios adaptados
para el intercambio,
tanto de líquido como de
gases, son epitelios
simples planos
Células con poco citoplasma
INTERCAMBIO
• ALVEOLOS PULMONARES se lleva a
cabo un rápido intercambio de O2 y CO2
• ASA DE HENLE EN EL RIÑÓN,
donde se efectúa la reabsorción de líquido del
filtrado. Actúan como membranas de diálisis que
permiten el paso del agua e iones, pero no así el
de macromoléculas
• CAPSULA DE BOWMAN RIÑON
• CAPILARES SAGUINEOS
.
EPITELIOS PLANOS
SIMPLES
•mesotelio revestimiento de las
cavidades serosas, que facilita el
movimiento de las vísceras
• endotelio al que reviste los vasos
sanguíneos y linfáticos, que permite la
difusión de agua e iones y el transporte
activo por pinocitosis.
INTERCAMBIO
¿Tipo de epitelio ?
¿ LOCA LIZACION ?
FUNCIONES DE PROTECCIÓN,
LUBRICACIÓN, DIGESTIÓN Y
ABSORCIÓN
Epitelio simple
cilíndrico (prismático)
reviste la superficie interna del tubo digestivo desde
el cardias hasta el recto. En este tipo de epitelio
suele haber también células caliciformes secretoras
de mucus; además, puede presentar cilios en las
trompas de Falopio del útero y Microvellosidades,
como en la porción del intestino delgado del tubo
digestivo.
ABSORCION
La absorción, las células ,
presentan Microvellosidades, que
aumentan la superficie de la
membrana plasmática y la altura
de la célula, generalmente los
epitelios con función de absorción
como el del intestino delgado, son
de tipo cilíndrico
FUNCIONES DE PROTECCIÓN,
HUMECTACIÓN Y TRANSPORTE DE
PARTÍCULAS EXTRAÑAS HACIA EL
EXTERIOR
Epitelio
seudoestratificado
cilíndrico (prismático ) con
células caliciformes
revestimiento de las vías
respiratorias superiores( tráquea)
SECRECION
La función secretora implica un mayor
desarrollo de los organitos citoplasmáticos,
lo cual se corresponde con un incremento
en la masa protoplasmática de las células.
Las células secretoras de proteína, por
ejemplo, presentan abundante RER,
aparato de Golgi y gránulos secretores; son
células cúbicas y en ocasiones cilíndricas.
Relación EPITELIO TEJIDO
CONECTIVO
Los tejidos Conectivos están íntimamente
relacionados con los tejidos epiteliales
TEJIDOS CONECTIVOS le dan a los
epitelios soporte, sostén, nutrición,
irrigación, drenaje y defensa
Reciben de los epitelios Protección .
Entre ambos tejidos se encuentra la
membrana basal.
MATRIZ EXTRACELULAR
Relación EPITELIO TEJIDO
CONECTIVO
Las membranas epiteliales y glándulas
independientes descansan sobre una
capa de tejido conjuntivo vascularizado
que recibe el nombre de lámina propia
o corion, que junto con el tejido epitelial
forma las mucosas en los órganos
tubulares, que se relacionan con el
exterior
EPITELIOS
Simple plano UBICACIÓN
1-ALVEOLOS PULMONARES
2-ASA DE HENLE EN EL RIÑÓN,
3- CAPSULA DE BOWMAN RIÑON
4- CAPILARES SANGUINEOS
mesotelio revestimiento de las
cavidades serosas, que facilita el movimiento
de las vísceras
endotelio al que reviste los vasos
sanguíneos y linfáticos, que permite la
difusión de agua e iones y el transporte activo
por pinocitosis.
EPITELIOS
Simple Cubico UBICACIÓN
Túbulos renales, folículos
tiroideos, cubre el ovario,
Conductos de glándulas
Funciones de secreción,
protección absorción
EPITELIOS
Simple Cilíndrico UBICACIÓN
Tubo digestivo estomago,
intestino.
trompas de Falopio
LUBRICACIÓN,
DIGESTIÓN Y
ABSORCIÓN
Relación EPITELIO TEJIDO
CONECTIVO
Los epitelios en general no
presentan vasos sanguíneos,
nutriéndose por la difusión de
las sustancias nutritivas
provenientes del tejido
conjuntivo que atraviesan la
membrana basal.
Tejido conectivo
Es el tejido que forma una continuidad con los
otros tejidos, conservando de esta forma la
integridad del cuerpo desde el punto de vista
funcional. Se deriva del mesodermo. El tejido
conectivo maduro se divide en:
• Tejido conectivo general.
• Tejido conectivo especializado.
Elementos constituyentes
Fibroblastos
Adipocitos
Macrófagos
Macrófagos
Leucocitos
Células
plasmáticas
Células
cebadas
Móviles
Células
Fijas
Elementos constituyentes
Matriz
extracelular
Sustancia
amorfa
Fibras
Colágenas
Reticulares
Elásticas
Glucosaminoglucanos
Proteoglucanos
Glucoproteínas
TEJIDO CONECTIVO
EMBRIONARIO 1. TEJIDO CONECTIVO
MESENQUIMATOSO
2. TEJIDO CONECTIVO MUCOSO
TEJIDO
CONECTIVO
DEL
ADULTO
1-TEJIDO CONECTIVO
GENERAL O PROPIAMENTE
DICHO.
A- LAXO
B – DENSO 1
REGULAR (
MODELADO)
2 IRREGULAR (
NO MODELADO)
2-TEJIDO
CONECTIVO DE
PROPIEDADES
ESPECIALES
A- ADIPOSO
B- ELASTICO
C - RETICULAR LINFOIDE
D-RETICULAR
HEMATOPOYETICO
MIELOIDE
E- TEJIDO SANGUÍNEO
TEJIDO
CONECTIVO DEL
ADULTO
3- TEJIDO CONECTIVO
DE SOSTEN
A-TEJIDO
CARTILAGINOSO
B- TEJIDO ÓSEO
Bibliografía
Ross . Pawlina Histología. Texto y Atlas 6ta Edición Cap.5
pág. 105 Cap.6 Matriz extracelular Folleto de CP
GARTNER LESLIE. Atlas De Histología. 2ª Edición.
Buenos Aires. Panamericana.1995
Capitulo 6 Tejido Conjuntivo pág. Matriz extracelular
Capitulo 5 Epitelios y glándulas
Revisar cuadro pág. 86
Folleto de clase practica PPT imágenes de
CP slideshare.com
PROXIMAS ACTIVIDADES
AUTOEVALUACION
1)Compare los tejidos epiteliales y conjuntivos considerando sus componentes,
organización y función.
2) Explique la clasificación de las membranas epiteliales.
3) Exponga las bases estructurales que permiten la cohesión entre las células
epiteliales.
4) Describa el modelo de célula absortiva. Explique la importancia de la
relación espacial que se establece entre las membranas epiteliales y el tejido
conjuntivo.
5) Defina y exponga la importancia de la membrana basal
6) Defina el concepto de Matriz extracelular
7) Explique las funciones de la matriz extracelular
8) Describa los tipos de glándulas
GRACIAS

Conferencia 3 2018 2

  • 1.
    UNIVERSIDAD DEL SINU •HISTOLOGIA I • Curso 2018 • Dra. Lizette Acosta Ulloa Conferencia 3 Matriz extracelular. Membrana basal. Concepto. Tejidos Básicos Epitelial , Conectivo, Muscular , Nervioso Tejido epitelial . Introducción al tejido Conectivo
  • 2.
    Nunca consideres elestudio como una obligación, sino como una oportunidad para penetrar en el bello y maravilloso mundo del saber Si buscas resultados distintos, no hagas siempre lo mismo. ¡Triste época la nuestra! Es más fácil desintegrar un átomo que un prejuicio.
  • 3.
  • 4.
    Contenidos Matriz extracelular. Concepto.Funciones. Características. Componentes. Membrana basal. Concepto. Características. Funciones Tejido. Concepto Componentes. Tejidos Básicos Epitelial , Conectivo, Muscular , Nervioso Tejido epitelial . Introducción al tejido Conectivo
  • 5.
    Escorbuto • Patología molecular dela matriz extracelular Debilitamiento del colágeno de vasos sanguíneos y ligamentos dentales hemorragias y perdidas dentales. Hay déficit de Vitamina C, que es un cofactor indispensable para la síntesis de colágeno
  • 6.
    Osteogénesis imperfecta • Patología molecular de lamatriz extracelular Malformaciones de los huesos, baja estatura y cuerpo pequeño, músculos débiles, caja torácica en forma de barril, columna vertebral curva Deficiencia en la síntesis de Colágeno
  • 7.
    Matriz extracelular (MEC) Es elconjunto de materiales extracelulares que forman parte de un tejido. Formado por una red compleja de macromoléculas, de tipo proteínas o polisacáridos.
  • 8.
  • 10.
    La matriz extracelular Esta estárepresentada por una parte con estructura microscópica definida, las fibras y por la sustancia fundamental amorfa, llamada así porque no presenta una estructura visible al microscopio óptico
  • 11.
  • 12.
    Matriz Extracelular Las fibraspueden ser de tres tipos: colágenas, elásticas y reticulares La sustancia fundamental amorfa, como su nombre indica, no presenta ninguna estructura especial al M/O. Existe en forma de gel o de sol, variando desde sustancias gelatinosas ,sustancias muy duras a líquidos de viscosidad variable.
  • 13.
    SUSTANCIA FUNDAMENTAL AMORFA La sustanciaintercelular amorfa está constituida principalmente por agua, sales minerales y complejos de mucopolisacáridos y proteínas por su composición química , presenta el estado físico coloidal (sol gel) que contribuye con sus funciones. Glucosaminóglucanos Proteoglicanos Proteínas
  • 14.
    Las características principales dela sustancia amorfa Es un factor importante en el control de la difusión de los nutrientes y sustancias de desecho a través de los líquidos tisulares. Puede colaborar a la retención de agua, con lo que mantienen la turgencia de los tejidos. Por su viscosidad, tiene una importante función de lubricación. Puede inhibir o regular la actividad de ciertas enzimas. Constituye parte de una barrera a la entrada de partículas extrañas.
  • 15.
    Matriz extracelular (MEC). Características .Es característica del tejido conjuntivo, el cual constituye el esqueleto arquitectónico del cuerpo. Su cantidad es variable. Muy abundante en la dermis de la piel y el hueso y escasa en el cerebro, la médula espinal y los tejidos epiteliales
  • 16.
    Matriz extracelular (MEC)Características: • Sucomposición varia según el tejidos y esto determina su consistencia y propiedades. Ej. Calcificada en hueso y dientes, transparente en la córnea, con gran resistencia a la fuerza de tracción en los tendones. • Sus componentes son secretados por las células (osteoblastos, condroblastos, fibroblastos, )
  • 17.
    Matriz extracelular (MEC) Funciones: 1-Rellenarlos intersticios o espacios entre las células 2-Conferir resistencia mecánica a los tejidos (a la compresión, estiramiento, etc.). Modifica la morfología de las células = Forma 3-Constituir el medio homeostático, nutritivo y metabólico para las células. Modula la supervivencia celular
  • 18.
    Matriz extracelular (MEC) 4-Proveerfijación para el anclaje celular. Establece relaciones de unión con las células 5- Constituir el medio para el tránsito celular . Regula la Migración celular. 6-Comunicación celular. 7-Proliferación celular. Dirige la actividad mitótica celular 8-Barrera protectora contra microorganismos
  • 19.
    Matriz Extracelular Las fibrasson responsables de la resistencia a la tracción y la elasticidad del tejido. La sustancia amorfa constituye un medio de difusión de los nutrientes y de los materiales de desechos
  • 20.
  • 21.
  • 22.
    Membrana basal Concepto: Es untipo de matriz extracelular especializada que se organiza en capas delgadas (40-120nm). Es una capa intermedia entre el tejido epitelial y el tejido conjuntivo
  • 23.
    Membrana basal Localización • Célulasmusculares. • Células adiposas. • Células de Schwann. • Capilares sanguíneos. • Capilares linfáticos. • Glomérulo renal. • Alvéolos pulmonares.
  • 25.
    Membrana basal Formada porLAMINA BASAL Producida por las células epiteliales LAMINA RETICULAR Producida por las células de tejido conectivo
  • 26.
    Membrana basal Importancia Funcional 1Sostén y adhesión del epitelio a la matriz extracelular. 2 Impiden el paso de células patológicas. Mientras las células cancerosas no atraviesan la membrana basal , ( carcinoma in situ ) Guía para regeneración axonal , migración celular
  • 28.
  • 29.
    Componentes de los tejidos •Células: Varían en forma, tamaño y proporción, según la función que realiza cada tejido. • Matriz extracelular Macromoléculas ,elaboradas por las células y exportadas al espacio intercelular • Líquido tisular: Contiene los componentes solubles del plasma que atraviesan los capilares sanguíneos y difunde a través de la matriz extracelular.
  • 31.
    EPITELIAL EPI Sobre Telio membrana Forman membranasque cubren otros tejidos //Cubren una superficie Revisten órganos tubulares.
  • 32.
  • 33.
    TEJIDO EPITELIAL Se caracterizapor la cohesión de sus células presenta escasa sustancia intercelular. Se deriva de las tres hojas embrionarias Por la función y organización de sus células se clasifica en: Epitelios de cubierta o revestimiento Epitelios glandulares
  • 38.
    En cuanto asu función, este tejido reviste o cubre las superficies internas y externas del organismo, por tanto actúa a manera de "barrera" entre el medio externo y el interno. Realiza también funciones de secreción y absorción.
  • 39.
    Funciones de losepitelios •Protección de los tejidos subyacentes del cuerpo contra las abrasiones y las lesiones traumáticas. Disminución de la fricción •Transporte transcelular de moléculas a través de las membranas epiteliales. •Secreción de moco, hormonas, enzimas, •Absorción de material desde la luz de los órganos. •Por medio de la permeabilidad selectiva controlan el paso de materiales entre los compartimientos del cuerpo.
  • 40.
    Tejido conectivo Es el tejidoque forma una continuidad con los otros tejidos, conservando de esta forma la integridad del cuerpo desde el punto de vista funcional. Se deriva del mesodermo. El tejido conectivo maduro se divide en: •Tejido conectivo EMBRIONARIO •TEJIDO CONECTIVO DEL ADULTO. GENERAL O PROPIAMENTE DICHO. TEJIDO CONECTIVO DE PROPIEDADES ESPECIALES TEJIDO CONECTIVO DE SOSTEN pág. 32 folleto
  • 43.
    Funciones del tejido Conectivo Soporteestructural Medio de Intercambio Defensa y Protección Deposito de Grasa
  • 44.
    Tejido Conectivo El tejidoconectivo tiene un papel preponderante en las funciones de relación celular y tisular DEFENSA
  • 47.
    Tejido muscular Es responsablede los movimientos corporales. Está formado por células alargadas con elevada cantidad de filamentos citoplasmáticos responsables de la contracción. Tiene origen mesodérmico. Existen tres tipos de músculos: •Músculo liso. •Músculo estriado esquelético. •Músculo estriado cardíaco.
  • 49.
    Funciones •El músculo lisointerviene en las contracciones débiles, involuntarias y lentas en las vísceras. •El músculo esquelético participa en las contracciones fuertes, voluntarias, discontinuas y rápidas. •El músculo cardiaco realiza contracciones fuertes, involuntarias y rápidas.
  • 50.
    Tejido nervioso Es eltejido que conforma al sistema nervioso. Deriva del ectodermo. Esta constituido por dos tipos de células con escasa sustancia intercelular: •Neuronas: Células especializadas en la conductibilidad e irritabilidad, que presentan largas prolongaciones mediante las que se relaciona entre sí y con células de otros tejidos. •Neuroglias: Células que sostienen a las neuronas, participan en su nutrición y en los procesos de protección y defensa del tejido nervioso.
  • 51.
    NEURONAS La función delas neuronas está basada en el desarrollo de dos propiedades fundamentales del protoplasma, excitabilidad y conductividad Las neuronas : 1 Reciben los estímulos del medio. 2 Los transforman en excitaciones nerviosas 3 Los trasmiten a los centros nerviosos, en los que se organizan para dar una respuesta.
  • 61.
    Figura 6. Epiteliosimple cilíndrico sostenido por un tejido conectivo areolar laxo.
  • 64.
  • 65.
    TEJIDO EPITELIAL DISPOSICIÓN DELAS CÉLULAS EPITELIALES FORMANDO CAPAS QUE CUBREN O REVISTEN CAVIDADES AGRUPADAS EN MASAS CON FUNCIONES SECRETORAS MEMBRANAS EPITELIALES EPITELIO GLANDULAR
  • 66.
    EPITELIO GLANDULAR • Lasglándulas multicelulares, se forman por invaginación del epitelio y posterior diferenciación en funciones de secreción específicas. • Si hay conducto para verter los productos de secreción hacia la superficie del epitelio de revestimiento, la glándula se denomina de secreción externa o exocrina. Si no lo hay, la glándula se conoce como de secreción interna o endocrina y sus productos de secreción llegan a la sangre.
  • 67.
  • 68.
    GLANDULAS EXOCRINAS CONDUCTO EXCERTOR Noramificado Simples Ramificado Compuestas Adenomero • Porción que sintetiza y secreta el producto Adenomero no ramificado – Ramificado Forma del Adenomero Tubular , acinar, alveolar
  • 70.
  • 71.
  • 74.
    ¿ Cuales sonlos criterios de clasificación de las MEMBRANAS EPITELIALES ?
  • 75.
     NÚMERO DECAPAS DE CÉLULAS QUE LAS FORMAN FORMA DE LAS CÉLULAS MÁS SUPERFICIALES  POR LA PRESENCIA DE ESPECIALIZACIONES EN SU SUPERFICIE O CÉLULAS ESPECIALIZADAS Clasificación
  • 76.
    POR LA PRESENCIADE ESTRUCTURAS ESPECIALIZADAS U OTRAS CÉLULAS  ESPECIALIZACIONES EN LA SUPERFICIE APICAL (Microvellosidades, cilios)  CELULAS ACOMPAÑANTES (Caliciformes)  PRESENCIA O NO DE QUERATINA (Queratinizado y no queratinizado)
  • 89.
  • 91.
    ESPECIALIZACIONES DE LA SUPERFICIE CELULARDE LAS CÉLULAS EPITELIALES  SUPERFICIE APICAL SUPERFICIE LATERAL  SUPERFICIE BASAL
  • 92.
  • 93.
    Microvellosidades: Prolongaciones citoplasmáticas quese extienden desde la superficie apical celular para aumentar la extensión de la misma (absorción). La cantidad y la forma de las mismas en un tipo celular dado se correlaciona con su capacidad absortiva. Especializaciones de la superficie apical (libre)
  • 94.
    Estereocilios (estereovellosidades): Microvellosidades inmóvilesde gran longitud. Limitadas al epidídimo, conducto deferente (segmento proximal) y a las células sensoriales del oído (Función: absorción y receptor sensorial respectivamente). M.O.: cerdas de una brocha
  • 95.
  • 97.
    Cilios: Prolongaciones citoplasmáticas móviles capacesde mover líquido y partículas sobre las superficies epiteliales. M.O: pelitos cortos y delgados (“corte de cabello militar”) con fina banda oscura en la base. Árbol traqueobronquial y trompas uterinas.
  • 99.
    Especializaciones de la superficieApical • MICROVELLOSIDADES Absorción • CILIOS Movimiento de líquidos • ESTEREOCILIOS Concentración liquido seminal • FLAGELOS Movimiento espermatozoides
  • 100.
  • 101.
    Microvellosidades – Epitelio intestinal •ESTEREOCILIOS Limitadas al epidídimo, conducto deferente (segmento proximal) y a las células sensoriales del oído (Función: absorción y receptor sensorial respectivamente).
  • 102.
    CILIOS Árbol traqueobronquialy trompas uterinas •Flagelos – Espermatozoides
  • 103.
    Son prolongaciones delgadas,cilíndricas y revestidas por membrana
  • 105.
    IMPORTANCIA CLINICA La inmovilidadde los cilios Infecciones Pulmonares Esterilidad Masculina
  • 106.
    II. ESPECIALIZACIONES DELA SUPERFICIE LATERAL DE LAS CÉLULAS EPITELIALES  UNIONES IMPERMEABLES: ZÓNULA OCLUYENTE  UNIONES DE ADHESIÓN: ZÓNULA ADHERENTE MÁCULA ADHERENTE (DESMOSOMA)  UNIONES COMUNICANTES: UNIONES DE HENDIDURA (NEXOS)  INTERDIGITACIONES
  • 107.
    Especializaciones de la superficiede contacto (lateral). En la superficie adyacente de células vecinas de muchos tipos celulares (epiteliales, musculares, nerviosas, etc.), se observan distintas estructuras que contribuyen a la adherencia y al mantenimiento de cierta impermeabilidad
  • 109.
    Especializaciones de lasuperficie de contacto ZÓNULA OCLUYENTE Uniones estrechas. Forman una unión que circunda toda la célula. En el extremo apical de la superficie lateral, próxima al borde libre. Son impermeables no permiten paso de sustancias. Las membranas celulares se fusionan
  • 110.
    Especializaciones de lasuperficie de contacto ZÓNULA ADHERENTE Posición basal con respecto a la zónula de oclusión Unión de las proteínas extracelulares caderinas fija Las membranas celulares y Fibras del citoesqueleto une el citoplasma
  • 111.
    Especializaciones de lasuperficie de contacto DESMOSOMAS ( Maculas adherentes ) no forman una estructura de cinturón alrededor de la célula, sino que se disponen en forma de soldaduras. Tienen forma de pequeños discos Placa de adhesión condensación de material fibrilar
  • 112.
    Especializaciones de lasuperficie de contacto UNIONES DE HENDIDURA Permiten la comunicación La unión entre dos células. Puede ser una unión temporal. Nexos
  • 113.
  • 114.
    Especializaciones de la superficielateral La estrecha cohesión celular (contactos celulares) es una propiedad fundamental del tejido epitelial que permite permeabilidad selectiva y función de barrera mecánica.
  • 115.
  • 119.
    III. SUPERFICIE BASAL UNIONES DE ADHESIÓN: HEMIDESMOSOMAS  INVAGINACIONES
  • 121.
    CORRELACIÓN HISTOFISIOLÓGICA EN EL TEJIDOEPITELIAL INTRODUCCIÓN A TEJIDO CONECTIVO
  • 122.
    Funciones de losepitelios •Protección de los tejidos subyacentes del cuerpo contra las abrasiones y las lesiones traumáticas. •Transporte transcelular de moléculas a través de las membranas epiteliales. •Secreción de moco, hormonas, enzimas, etc.. •Absorción de material desde la luz de los órganos. •Por medio de la permeabilidad selectiva controlan el paso de materiales entre los compartimientos del cuerpo.
  • 124.
    TEJIDO EPITELIAL Las membranasde cubierta y revestimiento por la organización que tienen sus células son tejidos limitantes, ya que pueden formar verdaderas barreras celulares
  • 125.
    Membranas epiteliales  Variacionesen el número de capas  formas celulares Especializaciones Se corresponden con la función FUNCIONES PRINCIPALES
  • 126.
  • 127.
    FUNCION DE PROTECCION Epiteliosestratificados Órganos sometidos a erosión, desgaste PIEL , estratificado plano queratinizado. ESOFAGO - VAGINA estratificado plano NO queratinizado
  • 128.
    PROTECCION función protectora, serequiere un epitelio que presente varias capas, o sea, un epitelio estratificado, ya que esos son epitelios difíciles de atravesar por gérmenes patógenos y también son más resistentes al desgaste. LA PIEL  Primera barrera de defensa de nuestro organismo  Órgano tan expuesto al medio externo EPITELIO ESTRATIFICADO PLANO QUERATINIZADO.
  • 130.
  • 132.
    Epitelio estratificado Epidermis elepitelio es seco, ya que las células superficiales se transforman en una capa inerte y resistente, denominada queratina y por presentar estas características se le denomina epitelio estratificado plano queratinizado cavidad bucal esófago vagina ano. la superficie epitelial es húmeda y no posee queratina, por lo cual se plantea que es un epitelio estratificado plano húmedo no queratinizado En general cumple funciones de protección, por su resistencia a la erosión y en alguna medida evita el intercambio de agua
  • 133.
    PROTECCION ¿ Tipo deepitelios ? ¿ LOCA LIZACION ?
  • 134.
    INTERCAMBIO Los epitelios adaptados parael intercambio, tanto de líquido como de gases, son epitelios simples planos Células con poco citoplasma
  • 135.
    INTERCAMBIO • ALVEOLOS PULMONARESse lleva a cabo un rápido intercambio de O2 y CO2 • ASA DE HENLE EN EL RIÑÓN, donde se efectúa la reabsorción de líquido del filtrado. Actúan como membranas de diálisis que permiten el paso del agua e iones, pero no así el de macromoléculas • CAPSULA DE BOWMAN RIÑON • CAPILARES SAGUINEOS .
  • 140.
    EPITELIOS PLANOS SIMPLES •mesotelio revestimientode las cavidades serosas, que facilita el movimiento de las vísceras • endotelio al que reviste los vasos sanguíneos y linfáticos, que permite la difusión de agua e iones y el transporte activo por pinocitosis.
  • 144.
    INTERCAMBIO ¿Tipo de epitelio? ¿ LOCA LIZACION ?
  • 145.
    FUNCIONES DE PROTECCIÓN, LUBRICACIÓN,DIGESTIÓN Y ABSORCIÓN Epitelio simple cilíndrico (prismático) reviste la superficie interna del tubo digestivo desde el cardias hasta el recto. En este tipo de epitelio suele haber también células caliciformes secretoras de mucus; además, puede presentar cilios en las trompas de Falopio del útero y Microvellosidades, como en la porción del intestino delgado del tubo digestivo.
  • 152.
    ABSORCION La absorción, lascélulas , presentan Microvellosidades, que aumentan la superficie de la membrana plasmática y la altura de la célula, generalmente los epitelios con función de absorción como el del intestino delgado, son de tipo cilíndrico
  • 153.
    FUNCIONES DE PROTECCIÓN, HUMECTACIÓNY TRANSPORTE DE PARTÍCULAS EXTRAÑAS HACIA EL EXTERIOR Epitelio seudoestratificado cilíndrico (prismático ) con células caliciformes revestimiento de las vías respiratorias superiores( tráquea)
  • 155.
    SECRECION La función secretoraimplica un mayor desarrollo de los organitos citoplasmáticos, lo cual se corresponde con un incremento en la masa protoplasmática de las células. Las células secretoras de proteína, por ejemplo, presentan abundante RER, aparato de Golgi y gránulos secretores; son células cúbicas y en ocasiones cilíndricas.
  • 156.
    Relación EPITELIO TEJIDO CONECTIVO Lostejidos Conectivos están íntimamente relacionados con los tejidos epiteliales TEJIDOS CONECTIVOS le dan a los epitelios soporte, sostén, nutrición, irrigación, drenaje y defensa Reciben de los epitelios Protección . Entre ambos tejidos se encuentra la membrana basal.
  • 157.
  • 158.
    Relación EPITELIO TEJIDO CONECTIVO Lasmembranas epiteliales y glándulas independientes descansan sobre una capa de tejido conjuntivo vascularizado que recibe el nombre de lámina propia o corion, que junto con el tejido epitelial forma las mucosas en los órganos tubulares, que se relacionan con el exterior
  • 164.
    EPITELIOS Simple plano UBICACIÓN 1-ALVEOLOSPULMONARES 2-ASA DE HENLE EN EL RIÑÓN, 3- CAPSULA DE BOWMAN RIÑON 4- CAPILARES SANGUINEOS mesotelio revestimiento de las cavidades serosas, que facilita el movimiento de las vísceras endotelio al que reviste los vasos sanguíneos y linfáticos, que permite la difusión de agua e iones y el transporte activo por pinocitosis.
  • 165.
    EPITELIOS Simple Cubico UBICACIÓN Túbulosrenales, folículos tiroideos, cubre el ovario, Conductos de glándulas Funciones de secreción, protección absorción
  • 166.
    EPITELIOS Simple Cilíndrico UBICACIÓN Tubodigestivo estomago, intestino. trompas de Falopio LUBRICACIÓN, DIGESTIÓN Y ABSORCIÓN
  • 168.
    Relación EPITELIO TEJIDO CONECTIVO Losepitelios en general no presentan vasos sanguíneos, nutriéndose por la difusión de las sustancias nutritivas provenientes del tejido conjuntivo que atraviesan la membrana basal.
  • 169.
    Tejido conectivo Es eltejido que forma una continuidad con los otros tejidos, conservando de esta forma la integridad del cuerpo desde el punto de vista funcional. Se deriva del mesodermo. El tejido conectivo maduro se divide en: • Tejido conectivo general. • Tejido conectivo especializado.
  • 172.
  • 173.
  • 174.
    TEJIDO CONECTIVO EMBRIONARIO 1.TEJIDO CONECTIVO MESENQUIMATOSO 2. TEJIDO CONECTIVO MUCOSO TEJIDO CONECTIVO DEL ADULTO 1-TEJIDO CONECTIVO GENERAL O PROPIAMENTE DICHO. A- LAXO B – DENSO 1 REGULAR ( MODELADO) 2 IRREGULAR ( NO MODELADO) 2-TEJIDO CONECTIVO DE PROPIEDADES ESPECIALES A- ADIPOSO B- ELASTICO C - RETICULAR LINFOIDE D-RETICULAR HEMATOPOYETICO MIELOIDE E- TEJIDO SANGUÍNEO TEJIDO CONECTIVO DEL ADULTO 3- TEJIDO CONECTIVO DE SOSTEN A-TEJIDO CARTILAGINOSO B- TEJIDO ÓSEO
  • 175.
    Bibliografía Ross . PawlinaHistología. Texto y Atlas 6ta Edición Cap.5 pág. 105 Cap.6 Matriz extracelular Folleto de CP GARTNER LESLIE. Atlas De Histología. 2ª Edición. Buenos Aires. Panamericana.1995 Capitulo 6 Tejido Conjuntivo pág. Matriz extracelular Capitulo 5 Epitelios y glándulas Revisar cuadro pág. 86 Folleto de clase practica PPT imágenes de CP slideshare.com
  • 176.
  • 177.
    AUTOEVALUACION 1)Compare los tejidosepiteliales y conjuntivos considerando sus componentes, organización y función. 2) Explique la clasificación de las membranas epiteliales. 3) Exponga las bases estructurales que permiten la cohesión entre las células epiteliales. 4) Describa el modelo de célula absortiva. Explique la importancia de la relación espacial que se establece entre las membranas epiteliales y el tejido conjuntivo. 5) Defina y exponga la importancia de la membrana basal 6) Defina el concepto de Matriz extracelular 7) Explique las funciones de la matriz extracelular 8) Describa los tipos de glándulas
  • 178.