Patología quirúrgica
de la pared
abdominal
• JUAN LUIS SANDOVAL ORTIZ
Topografía del abdomen
Las 2 líneas verticales atraviesan por la mitad de
cada arco crural o femoral (pliegue de la ingle: entre
la espina iliaca anterosuperior y la espina del pubis).
Línea subcostal.
Línea transversal inferior, o línea inter tubercular
entre los tuberculos de las crestas iliacas.
● Limite superior: m. Diafragma (separa la cavidad
abdominal de la torácica)
● Limite inferior: Estrecho pélvico superior ( el abdomen se
continúa con la caviada pélvica)
● Pared anterior y lateral: m. recto del abdomen, oblicuo
externo, oblicuo interno y transverso del abdomen así
como sus fascias.
● Pared posterior: 5 vértebras lumbares y sus discos
Intervertebrales, lateralmente las 12 costillas,, en la parte
superior de la pelvis ósea , el m. psoas, el m cuadrado
lumbar o cuadrado de los lomos y las Aponeurosis de
origen de los m. transversos del Abdomen.
M. Recto del Abdomen
m. Oblicuo externo
m. Oblicuo interno
m. Transverso del abdomen
m. Piramidal
Fascias:
*superficial
*profunda
Musculo oblicuo mayor
Se origina en las 8 costillas inferiores.
Se inserta en la línea alba y la cresta iliaca.
Forma la aponeurosis del oblicuo mayor y esta
el ligamento inguinal y los pilares del anillo
inguinal superficial.
Inervado por los nervios abdominogenitales e intercostales inf.
Oblicuo menor
Se origina en la aponeurosis toracolumbar y la cresta iliaca.
Se inserta en las 3 costillas inferiores, la vaina del recto y la cresta
del pubis.
Esta inervado por los nervios intercostales y el abdominogenital.
Transverso del abdomen
Es el mas profundo de los músculos anchos del abdomen.
Se origina en la cresta iliaca, la aponeurosis toracolumbar y
los 6 cartílagos costales inferiores.
Se inserta en la línea alba y forma la hoz inguinal que se
inserta el la cresta pectinea.
Esta inervado por los 4 últimos nervios intercostales y los
nervios iliohipogastrico e ilioinguinal.
Recto abdominal
Se origina en la sínfisis del pubis.
Se inserta en la apófisis xifoides y los cartílagos costales 5-
7.
Interrumpido por 4 inserciones aponeuróticas y dividido
por la línea alba.
Contenidos en la vaina de los rectos.
Capas de la pared abdominal.
Enfermedades
quirúrgicas de la pared
abdominal
DIASTASIS DE LOS
RECTOS
DIASTASIS DE RECTOS
Definida como separación mayor de 2 cms de los
rectos anteriores.
Constituye una entidad distinta de las hernias
No tiene anillo y la posibilidad que ocurra un
evento obstructivo, atascamiento o
estrangulación es poco probable
Es un particular defecto de la pared que produce
más bien problemas de tipo estéticos.
Luce como una cresta que baja por la mitad del área ventral; se estira desde el fondo
del esternón hasta el ombligo y se incrementa con la tensión muscular.
Causas
•Envejecimiento, la obesidad o después del embarazo
•Recién nacidos: afección común y normal en que se observa con
más frecuencia en bebés prematuros y de raza negra.
•Mujeres embarazadas: el aumento de la tensión en la pared
abdominal puede llevar a que se presente dicha diástasis de
rectos y el riesgo se incrementa con los partos múltiples o los
embarazos repetitivos.
Las mujeres que tengan 12 o más semanas de embarazo deben evitar los
ejercicios abdominales agresivos, los cuales pueden empeorar el
problema.
Signos y Síntomas
En los bebés: se observa más fácilmente cuando el bebé intenta
sentarse y es posible que no se note cuando el bebé está acostado
boca arriba y relajado.
Cuando el bebé está relajado, a menudo se pueden sentir los
bordes de los músculos rectos.
Mujeres embarazadas:
piel y tejido blando sobrante en la parte frontal de la pared
abdominal en algunos casos graves, es posible ver un contorno de
partes del feto.
dolor de espalda, constipación, debilidad abdominal, y muchas
veces coexiste con una hernia umbilical.
Pruebas y exámenes
Tratamiento
No se necesita tratamiento para mujeres embarazadas que presenten
este trastorno.
En los bebés, los músculos rectos mayores del abdomen siguen
creciendo y la diástasis de dichos músculos desaparece gradualmente.
Es posible que se necesite una cirugía si el bebé presenta una hernia
que queda atrapada en el espacio entre los músculos.
Técnica quirúrgica
Se realiza mediante un acceso a través de
una pequeña incisión en la cicatriz umbilical
(cuando es de hasta de 3 cm de ancho).
Los defectos mayores por su parte requieren
de un acceso directo a través de una incisión
cutánea realizada en la línea media
supraumbilical, sobre el defecto.
Anestesia
Se recomienda anestesia regional, que incluya desde el
apéndice xifoides hacia abajo.
La anestesia general tiene el inconveniente que el paciente no
puede colaborar con la maniobra de válsala, procedimiento
útil para ayudar a fijar la malla y evaluar de inmediato el
resultado del procedimiento.
Descripción de la técnica
Se realiza una incisión arciforme en el reborde superior del ombligo, una
disección del ombligo y la liberación del mismo, mediante la sección de
sus adherencias a la aponeurosis.
En oportunidades se puede encontrar una hernia umbilical, y en tal caso
se abre el saco, se diseca y libera del anillo y se reduce el contenido, que
habitualmente es grasa preperitoneal o epiplón.
En caso de haber abierto el peritoneo, se cierra con puntos continuos de
Vicryl 3/0. Para realizar correctamente ésta técnica, aún cuando no
exista una hernia, debe liberarse el ombligo
Preparación de la malla Se corta un trozo de malla de polipropileno
de 22 cm de largo por 5 cm de ancho.
En uno de sus extremos se hacen orificios
de 3 mm de diámetro, luego se dobla este
extremo en una extensión de 2 cm y se
sutura el doblez con dos puntos de Vicryl
3/0, uno en cada lado, de manera de formar
un bolsillo.
Los orificios van a permitir que durante el
proceso de cicatrización, éstos sean
atravesados por verdaderos "clavos" de
fibrosis, ayudando a fijar la malla
Preparación del túnel preperitoneal
Se efectúa una apertura en sentido transversal de la línea media aponeurótica, de más o menos 30 mm.
Con una pinza Kocher se toma el labio superior de la aponeurosis abierta y se introduce por la brecha una
gasa larga húmeda en el espacio preperitoneal, con la finalidad de separar la fascia transversalis y el
peritoneo de la cara posterior de la aponeurosis, tanto hacia caudal como hacia lateral, y especialmente
hacia cefálico.
La gasa debe entrar fácilmente, de lo contrario no se está en el lugar correcto.
Luego de retirada la gasa húmeda, se introduce por el mismo lugar una valva maleable cuyo extremo se
inserta curvado, de manera tal que, una vez introducido, éste quede enfrentado hacia la pared y no hacia la
cavidad peritoneal.
Suavemente, se introduce éste elemento hasta llegar a nivel del xifoides, o sea, unos 15 a 16 cm; ésta
maniobra también debe resultar fácil
Introducción de la malla
Introducción de la malla
Se le solicita al paciente que haga una
maniobra como si se fuera a sentar,
con lo cual se logran dos objetivos, el
primero fijar la malla a la pared
posterior, y el segundo, visualizar si se
corrigió el defecto.
Se retira la aguja, y se introduce el
resto de la malla por la misma brecha
aponeurótica hacia el espacio
preperitoneal y dirigida hacia caudal,
desplegándola con la parte posterior
de una pinza anatómica o quirúrgica.
Luego se cierra la brecha aponeurótica
en sentido transversal, con una sutura
continua de Prolene 2/0, incluyendo
en una o dos de sus pasadas la malla y
tomando la precaución de no incluir la
pared posterior, porque se corre el
riesgo de incluir accidentalmente un
asa intestinal.
También este paso se puede realizar a
puntos separados.
Una vez completado el cierre de la
brecha aponeurótica se sutura con
Vicryl 3/0 el ombligo a la malla, y
luego se realiza una sutura
intradérmica del ombligo, con
Monocryl 4/0
El paciente generalmente se recupera sin problema y, en la mayoría de los casos, la diástasis de
rectos por lo general sana de manera espontánea.
La diástasis de rectos relacionada con el embarazo generalmente persiste por mucho tiempo
después de que la mujer da a luz y el ejercicio puede ayudar a mejorar la afección.
En algunos casos, se puede presentar una hernia umbilical. Si se presenta dolor, puede ser
necesario practicar una cirugía.
Hernias
Concepto
PROTRUSIÓN O SALIDA INTERMITENTE O PERMANENTE DEL CONTENIDO NORMAL DE UNA
CAVIDAD A TRAVÉS DE LAS CAPAS MUSCULARES O APONEURÓTICAS QUE FORMAN LA PARED DE
DICHA CAVIDAD
LA SALIDA SE PRODUCE A TRAVÉS DE UN ORIFICIO O DEFECTO ANATÓMICO NATURAL O
ARTIFICIAL
EN EL CASO DE LAS HERNIAS ABDOMINALES SALEN O PROTRUYEN VISCERAS y/o TEJIDOS DE
DICHA CAVIDAD
Hernia de la pared abdominal
Protrusión del contenido de la cavidad abdominal a través de defectos, bien sean congénitos o
adquiridos de la pared abdominal.
El contenido herniado siempre se acompaña del peritoneo parietal que constituye el saco herniario.
Los elementos protruidos con mayor frecuencia son las asas intestinales, epiplón y colon.
CLÍNICA: muy variable, desde malestar intestinal inespecífico hasta la obstrucción intestinal, como
síntoma agudo más frecuente.
Factores etiológicos
Sexo ( H. Umbilical, inguinal, crural, etc. )
Descenso de testículos ( inguinal, escrotal e inguinoescrotal )
Trastorno desarrollo pared abdominal ( Gastroquisis )
Variaciones de estructura pared abdominal ( Edad )
Perforación aponeurosis paquete vasculonervioso( Hernias
epi e hipogástricas )
Factores Coadyuvantes
Edad
Enf. Cardiaca
Embarazo
Ascitis Desnutrición Diabetes
Oper . Anteriores Inmunodeprimidos
Clasificación
 POR SU PRESENTACIÓN CLÍNICA…
REDUCTIBLE: suele protruir con esfuerzos (tos, Valsalva) y se reintroduce con facilidad.
INCOERCIBLE: aquella que se puede reducir, aunque vuelve a salir con facilidad por el
orificio de herniación.
IRREDUCTIBLE: el contenido herniado no puede reintroducirse en la cavidad abdominal
(por su gran volumen, adherencias…). Se trata de un diagnóstico clínico.
INCARCERADA: hernia irreductible que se acompaña de trastorno del tránsito intestinal,
lo más habitual cierto grado de obstrucción intestinal. Se debe intervenir quirúrgicamente
con carácter urgente.
ESTRANGULADA: aquella en que existe compromiso vascular e isquemia del contenido
herniado, con riesgo de necrosis. Habitualmente es la evolución de la hernia incarcerada,
pero no siempre es así.
Clasificación
POR SU LOCALIZACIÓN…
Internas
• Mesentericas
• Diafragmaticas
Externas
• H . inguinales
• H. umbilicales
• H . crurales, femorales
• H. de la línea alba
(epihipogástricas)
• H . Pararrectales (Spiegel)
• H . de Littré
• H. Richter
• H . de Lepetit
• H . de Grynfelt
• Gastroquisis
• Otras formas de Hernias
H. Incisionales
Internas
Mesentéricas
• 1 Transepiploicas
• 2 Transmesocólicas
• 3 Transmesentéricas
• 4 H. hiato Winslow
• 5 H. duodenales : Izq.Der.
• 6 H. pericecales
• 7 H. intersigmoideas.
• 8 H. Treitz
Diafragmáticas
• 1. Hiatal (H.del hiato esofágico)
• H. por deslizamiento
• H. parahiatales
• H. mixtas
• H. hiatal esóf. corto y estómago torácico
• 2 Defectos congénitos del diafragma
• 3 H. lumbocostal (Trígono de Bochdalek )
• 4 H. Morgagni (der) y H.. Larrey ( izq).
• 5 H. agujero de la vena cava.
• 6 H. de origen traumático.
• 7 Otras formas de hernia.
Clasificación de hernias incisionales
a b c
De la pared anterior
De la línea media
◦ Umbilical
◦ De la línea media: epigástrica,
hipogástrica
De la pared lateral
◦ De Spiegel
◦ Inguinales
◦ Inguinales: Directa
Indirecta
◦ Crurales
Incidencia
Inguinal
80 - 90 %
Crural 2 - 5
%
Umbilical
2 %
Incisional
1,5 %
Epigástrica
1 %
Otros1%
Hernia umbilical
Embriología
Entre la sexta y la décima semana de desarrollo, el
tubo gastroentérico es desplazable hacia la cavidad
celómica.
Las vísceras regresan al interior de la cavidad
abdominal en la décima semana, cuando se inicia la
rotación intestinal.
Los músculos rectos anteriores completan su
desarrollo y aproximación hacia la línea media.
El orificio de comunicación fetoplacentario se
transforma en el orificio de comunicación vascular a
través del cordón umbilical.
Cuando la cicatriz umbilical se forma, constituye un
punto débil en la línea alba.
Esta constituido por un anillo fibroso y un tapon fibroso
estrechados en la parte inferior por el nodulo de las
arterias umbilicales y el uraco.
Generalidades
Constituye una de las patologías mas comunes de la región umbilical. Representando entre el 6-
14% de hernias abdominales en adultos.
Se dividen en hernias congénitas, adquiridas y paraumbilicales.
En el adulto es secundaria a un debilitamiento de la fascia en el área umbilical.
En niños es producida por un defecto en el cierre del anillo umbilical y se presenta en 1 de cada
6 recién nacidos.
La obesidad, multipariedad, presencia de ascitis, tumores abdominales o esfuerzos intensos, son
factores de riesgo.
En los niños con bajo peso, prematuros y que sufren de enfermedades como Sx. de Down, se
presenta mas frecuentemente.
Es mas frecuente en mujeres y en edades avanzadas.
Síntomas
Entre otros los síntomas pueden ir desde:
Molestia y / o dolor en la zona.
Bulto reducible o no en reposo.
Vómitos y náusea.
Retención del tránsito intestinal.
Hernia umbilical en el niño
Son resultado de un cierre defectuoso del anillo umbilical.
Tienden a resolverse solas a los 12 meses de edad.
Se presentan como un bulto en el ombligo, con frecuencia son
reductibles y tienen contenido visceral.
La mayoría de las hernias son primarias.
Tratamiento
Se emplea presión en la masa umbilical por medio de microporo, tratando de
que la hernia se arregle por si sola.
Se lleva a cabo la herniorrafia:
 Se hace una incisión infraumbilical (smile incision))
 Se rodea el cuello de la hernia con una pinza hemostática y se libera de las
adherencias a la cicatriz umbilical.
 Se reduce el espacio preperitoneal y se liga el cuello del saco.
 Se cierra la aponeurosis y se fija a la cicatriz umbilical.
Se sutura la piel.
Hernia umbilical del adulto.
Son hernias adquiridas.
Se pueden generar por numerosos factores predisponentes:
 Disposición defectuosa de las fibras colágenas.
 Debilidad de la fascia umbilical que cubre a la cicatriz umbilical
Defecto en la implantación del ligamento redondo en la cicatriz
umbilical.
Son afectadas por varios factores desencadenantes.
Diagnostico
Practicar la exploración para la hernia en todas las personas con factores de riesgo.
Aumento de masa umbilical con los esfuerzos.
Pueden tomarse estudios de imagen (TAC, placa lateral de abdomen con contraste).
Tratamiento
Diferenciar el tamaño de la hernia que presenta el paciente:
 Hernia pequeña: <0.5cm (buscar otras causas a los síntomas).
 Hernias de tamaño moderado o grande: >1 cm. Mayor peligro de encarcelación.
Tratamiento quirúrgico
Se lleva a cabo la hernioplastia umbilical.
Pasos:
1. Hacer la incisión sobre e pliegue umbilical, desde las 3 a las 9 horas.
2. Se separa el saco de la grasa con bisturí o tijeras.
3. Se recorta el saco hasta el anillo umbilical y se ligan los puntos sangrantes.
4. Se cierra el defecto en dirección transversal.
5. Se fija la cicatriz umbilical a la vaina anterior del recto.
6. Se cierra la piel con puntos separados o subcutáneos.
Encarcelación de la hernia
Puede ser aguda o crónica.
Las hernias encarceladas son susceptibles a cambios inflamatorios y
edematosos, así como a riesgo de estrangulación.
La estrangulación de la hernia provoca isquemia del contenido
encarcelado.
Cuando la estrangulación no se corrige a tiempo, ocurre gangrena.
Se conoce como hernia de Richter a la encarcelación de una sola pared
de la viscera.
Hernia insicional
DEFINICIÓN
Perdida e continuidad de la pared abdominal, después de un cierre quirúrgico, con la formación de
un saco peritoneal y la protrusión de diferentes estructuras de la cavidad.
Se denomina, hernia incisional o eventración a la salida de peritoneo acompañado o no de vísceras
abdominales por una zona u orificio de la pared abdominal debilitada quirúrgica o traumáticamente,
distinta a los orificios naturales por donde emergen las hernias ventrales primarias.
Soluciones de continuidad musculo aponeuróticas secundarias a una incisión quirúrgica o a una
herida penetrante del abdomen.
Hernia insicional
Cada año se practican cerca de cuatro millones
de operaciones abdominales y se calcula que
hasta 10 a 20% de estos pacientes desarrolla
hernias en el sitio de la incisión.
Falla en la cicatrización
0.5 a 13% tanto en cirugía programada y de urgencia.
Riesgo de evisceracion posterior a una laparotomia es de 0.24 a 5.8%
La frecuencia de hernias incisionales se ha calculado entre 10 a 12% (rango de 3 a 19%)
3 a 8% a travez de puertos laparoscopicos
Su frecuencia aumenta hasta el 23 a 40% si existió infección de la herida quirúrgica.
80% de estas hernias aparecen dentro del primer año postoperatorio.
Factores sistemicos
Anemia Hipoproteinemia Desnutricion
Ictericia
Insuficiencia renal
cronica
EPOC
Obesidad
Edad avanzada (>60
años)
Cirugias urgentes por
traumatismos o
problemas septicos
Tabaquismo Corticoterapia
Radiaciones o
quimioterapia
Factores locales
Incluyen todo lo que abarca el area quirurgica:
Incisiones mayores de 18 cm
Incisiones efectuadas con uso excesivo de electrocauterio (altos voltajes)
Infecciones de la herida
Drenajes u ostomias a traves de la incision
Mala calidad de los tejidos
Aumento de la presion intrabominal
Factores tecnicos
Son los relacionados con los defectos o fallas del cirujano
al realizar la incision y su cierre
Se asocian con el sitio y el tipo de incision, la eleccion del
material de sutura y la tecnica empleada para el cierre de
la herida
Las incisiones verticales forman hernias incisionales 3-5
veces más frecuentes que los transversales.
Consideraciones tacticas y tecnicas
Es mejor y biologicamente suturar bordes cruentos que bordes
cicatrizados
Se prefiere el uso de suturas continuas para disminuir la cantidad
de material heterologo, incrementado por los nudos
La norma es pasar los puntos al menos 0.5 a 1 cm del borde del
defecto con una distancia entre uno y otro de 0.7 a 1 cm
Clasificacion
Sus posibilidades de localizacion son infinitas
No existe un consenso universal en cuanto a la
nomenclatura o clasificación del tamaño de las
hernias
Las clasificaciones conocidas hoy en dia datan de
dos o tres decadas atras
Hernias de la linea media
• Supraumbilicales
• Infraumbilicales
• Subxifoideas
• Suprapubicas
Ventrolaterales
• Subcostales
• De las fosas iliacas
Laterales: lumbares
De puertos laparoscopicos
Clasificaciones basadas en:
El tamaño del
defecto herniario
La localizacion del
defecto y su tamaño
La relacion entre el
defecto herniario y la
pared abdominal
El tamaño del saco
herniario y la pared
abdominal
El tamaño del saco
herniario en relacion
con la capacidad de
la cavidad abdominal
Herzage clasifica las hernias ventrales
e incisionales de acuerdo con el
diametro mayor del defecto herniario
Pequeñas: hasta de 3 cm
Moderadas: de 3 a 6 cm
Grandes: de 6 a 10 cm
Gigantes: 10 a 20 cm
Monstruosas. Mayores de 20 cm
Un defecto herniario de determinado tamaño puede coexistir con un saco herniario pequeño o de poca
capacidad o convertirse en un saco de grandes dimensiones
Cuando el tamaño y el contenido del saco exceden la capacidad de la cavidad abdominal para recibir de nuevo
las asas intestinales herniadas se convierte en una hernia con “perdida de dominio” o “perdida de domicilio”
Reparacion
Las diferencias más importantes para
describir el manejo quirúrgico de las
hernias incisionales son la reparación
primaria frente a la reparación con
malla, y la reparación abierta frente a
la laparoscópica.
1.Edad.
2.Tabaquismo.
3.Sitio de la hernia.
4.Herníoplastía previa.
5.Antecedente de infección dela herida en cualquiera de las cirugías previas.
6.Tamaño del anillo herniario.
7.Patología agregada.
8.Presencia de restricciones ventilatorías preoperatorias o posibilidades que se presenten en el
postoperatorio.
Pacientes con anillos grandes, gran contenido de asas intestinales y restricciones respiratorias se
benefician con sesiones de terapia ventilatoria (NUS, mucoliticos y broncodilatadores) durante 1 o
2 semanas antes de la Cirugía.
Métodos de reparación primaria
Cierre simple con sutura y la separación de
componentes, y ambos son procedimientos
abiertos
Se acompaña de índices altos de recurrencia.
Estos autores concluyeron que la reparación con
malla fue superior a la primaria
CIERRE PRIMARIO
• El cierre simple con sutura continua produce excelentes resultados en las eventraciones pequeñas o
moderadas
• Es mejor y biologicamente diferente suturar bordes cruentos que bordes cicatrizados
• Los materiales no absorvibles se usan en todos los cierres de la pared separados de las visceras por una
capa biologica del paciente
• Se prefiere el uso de suturas continuas
• Se respeta la norma de pasar los puntos al menos de 0.5 a 1 cm del borde del defecto, con una distancia
entre uno y otro de 0.7 a 1 cm
• En las grandes eventraciones es indispensable considerar laaplicacion de metodos auxiliares
En 1973 Jean Rives y
Rene Stoppa, en
francia
Lichtenstein, Amid y
Shulman en EUA,
describieron los
lineamientos basicos
de plastias sin
tension para las
hernias de pared
Lograron un indice
de recidivas
sorprendentemente
bajos en hernias
inguinales (<1%) y
en incisionales (2-
5%)
Basandose en
colocacion de
grandes fragmentos
de material
protesico en el
espacio
preperitoneal o
retromuscular
Logrando un efecto
de tapon en lugar de
un simple parche se
endurece el
peritoneo para que
no sea distendible
la presión ejercida por un fluido incompresible y en equilibrio dentro de
un recipiente de paredes indeformables se transmite con igual intensidad
en todas las direcciones y en todos los puntos del fluido
Tecnica de separación de componentes
Disminuir la tensión en la línea de
sutura derivada de la reparación
primaria
Riesgo elevado de infección (20%) y
un índice de recurrencia de 18.2% al
primer año.
a) evitar el uso de materiales
Protésicos
b) lograr una reparación definitiva.
C) en campo contaminado
creación de grandes
colgajos subcutáneos
laterales al defecto
aponeurótico
incisión de los músculos
oblicuos mayores
incisión de la vaina
posterior del recto a
ambos lados.
permiten la aposición
primaria de la aponeurosis
con mucha menor tensión
que en la reparación
primaria simple
Reparaciones con malla
pueden clasificarse según la forma en que se coloca la
malla, así como su relación con la aponeurosis de la
pared abdominal.
capa subyacente, más profunda que el defecto
aponeurótico (intraperitoneal o preperitoneal)
Capa interna, ya sea como puente para cerrar el
espacio entre los bordes del defecto o dentro de las
capas musculoaponeuróticas de la pared abdominal
(intraparietal),
capa externa (superficial al defecto aponeurótico).
Mallas
◦ tejidos porcinos, bovinos o humanos ricos en colágena
◦ tratamiento químico
◦ incorporarse en el tejido
◦ los índices de recurrencia de las hernias son excesivos
con esta aplicación
◦ son útiles en caso de campos contaminados o
potencialmente contaminados
◦ pero son muy costosas
◦ no ofrecen la durabilidad
Material
• Densidad
• porosidad
• Fuerza
Tipo
• protésicas
• biológicas
Tiempo
• Absorbibles
• Permanentes
Las principales ventajas de las mallas protésicas son
la facilidad para usarlas, el costo relativamente bajo
y su durabilidad
• Supraaponeurótica (Onlay).
• Anclado directamente en el defecto herniario en
bordes del defecto (Inlay).
• Recidiva hasta 11%.
Mallas absorbibles
sutura absorbible sintética derivada de un polisacárido
representan soluciones relativamentebaratas para el soporte temporal
deja hernias ventrales recurrentes que pueden repararse de manera definitiva cuando mejoren
las condiciones locales de la herida
crecimiento de tejido
La adherencia del contenido
peritoneal a la malla causa
dolor crónico, obstrucción
intestinal y formación de
fístula al intestino
Politetrafluoroetileno (PTFE)
se usa para aplicaciones
intraperitoneales
Reparacion abierta con malla
requiere incisión o escisión
de una cicatriz de
laparotomía previa
con cuidado para evitar
lesionar el contenido
abdominal subyacente.
disecan el peritoneo y el
saco herniario para
separarlos de la aponeurosis
de la pared abdominal
de manera que se expongan
3 a 4 cm circunferenciales de
aponeurosis.
la malla puede suturarse en
su sitio con método de capa
subyacente, superficial,
interpuesta o “en
emparedado” (subyacente y
superficial).
El método más exitoso es
desarrollar un amplio
espacio preperitoneal para
acomodar una hoja grande
de malla de polipropileno o
poliéster tejido.
La malla se fija luego a los
tejidos
musculoaponeuróticos con
puntos separados de sutura
no absorbible.
Técnica de rives
Incision igual o mayor al defecto herniario
El saco herniario se diseca con cuidado
hasta llegar a la aponeurosis sana, la cual
se diseca 1 o 2 cm de los bordes del anillo
Con bisturi o electrocauterio a baja
intensidad se inicia la diseccion del anillo
hasta la transicion a saco herniario
Se incide con cuidado para entrar al
espacio preperitoneal
• En los pacientes con multiples cirugias es
imposible acceder al espacio preperitoneal y lo
mejor es localizar el espacio retromuscular
• Con cuidado de no lesionar las ramas de la
epigastrica o los nervios que penetran la
aponeurosis posterior
• La continuacion de la diseccion del espacio
retroperitoneal se hace mediante forma roma
digital o con ayuda de una gasa humeda
• Es necesario completar la diseccion hasta un
minimo de 6 a 8 cm de los bordes del anillo
Se puede abrir el saco herniario para revisar
asas intestinales si el paciente ha tenido
cuadros suboclusivos y liberar adherencias de
no ser asi se recomienda no abrirlo
Los orificios aislados en el peritoneo deberan
cerrarse de manera individual con material
absorvible 3-0
Cuando se deja una zona importante sin
peritoneo se cuenta con dos opciones:
• Suturar coronalmente el defecto al epiplon
subyacentea manera de parche
• Colocar un parche de malla de material
absorbible (poliglactina)
Disminuye la posibilidad de
desarrollar:
1.seromas.
2.Hematomas.
3.Infección.
4.Menos molestias postoperatorias.
Poco estético.
Requiere dispositivos especiales para
pasar los hilos.
No se realizan colgajos extras.VENTAJAS
• Menos posibilidad de:
• Seromas.
• Hematoma.
• Infección.
• No deja cicatrices.
Requiere de grapadoras.DESVENTAJAS
• Costo alto.
VENTAJAS
No se realizan
colgajos extras.
Menos
posibilidad de:
Seromas.
Hematoma.
Infección.
No deja
cicatrices.
DESVENTAJAS
La malla se
puede desplazar
cuando no esta
fija a estructuras
firmes.
FIJACIÓN CON ADHESIVOS
Sintéticos
(cianocrilatos).
Derivados
naturales (sellos
de fibrina).
Se aplican con
dispositivos de
jeringa por gotas o
por aspersión para
cubrir una mayor
área de malla.
VENTAJAS
No requiere fijaciones con
grapas
o suturas lo que evita que se
atrape
un nervio o tejido que produzca
dolor
postoperatorio.
2. Favorecen un proceso de
cicatrización casi parecido al
normal.
DESVENTAJAS
• Costo alto.
Reparación laparoscópica
Indice de recurrencia de sólo 3.4% después de un seguimiento
medio >2 años
Errores técnicos
Menos complicaciones de la herida, menos complicaciones
generales y menor índice de recurrencia que el uso de la
técnica abierta
Eliminar una gran incisión abdominal en un sitio donde antes ya
se había alterado la irrigación sanguínea.
Puede examinarse toda la superficie interna de la pared
abdominal
colocación de puertos en
ambos lados para los defectos
de la línea media y en el área
contralateral en defectos
laterales.
Se separan todas las
adherencias de la pared
anterior del abdomen
Se reduce por completo el
contenido herniario pero se
deja el saco in situ.
Una vez que se define el área
que incluye todos los defectos
de la fascia, se corta una malla
que permita una cobertura
suficiente (3 a 4 cm) bajo la
pared sana del abdomen.
la malla se fija con suturas
transfasciales colocadas de
modo circunferencial a la
misma y tachuelas espirales
COMPLICACIONES
SEROMA
Más frecuente en el postoperatorio
temprano.
Incidencia 5-20% (12%).
Factores:
1.Más frecuente cuando se levantan
grandes colgajos de TCS y piel.
2.Uso de cauterio a un alto voltaje.
3.Cantidad de material protésico que se
deja en contacto con TCS.
Diagnóstico:
• Exploración física.
• USG o TAC (obesos).
Tratamiento:
• Conservador.
• Extirpación total (seroma
quístico).
HEMATOMA O EQUIMOSIS
Frecuencia 1-5%.
Hemostasia deficiente.
Grandes disecciones.
Trastornos hemorragicos del paciente.
Diagnóstico: clínico.
Tratamiento:
• conservador.
• Colocar drenaje en caso de ser necesario.
Frecuencia 8-14%.
Presenta 5-12 días de postoperatorio.
Factores predisponentes:
1.Antecedente de infección previa en el
área que se operará.
2.Tiempos quirúrgicos prolongados.
3.Propios del paciente (obesidad, DM,
desnutrición, inmunodeprimidos).
Diagnóstico:
• Clínico.
Tratamiento:
• Drenaje, lavado (solución fisiológica),
desbridación.
• La prótesis se revisa y si tiene una
adecuada fijación no se retira.
• Malla polipropileno puede dejarse en su
lugar en la mayoría de los casos,
presenta buen control de la infección y
granulación.
• Malla de multifilamento si no hay buena
integración de toda o en algún
segmento, se considera su retiro total o
parcial, sin realizar intento de plastia.
RESTRICCIÓN DE LA MOVILIDAD ABDOMINAL
Restricción del
50%.
Dolor.
Las mallas
ligeras con
mayor
elasticidad,
menor
porcentaje de
contracción y la
formación de
menos tejido
fibroso han
disminuido el
porcentaje de
restricción.
EROSIÓN Y FISTULIZACIÓN DE LA PIEL
Frecuencia menor 0.5%.
Se presenta cuando la malla se deja en
contacto con un colgajo de piel con poco o
nada de TCS.
Integración deficiente del segmento de
malla expuesta.
La granulación es lente y en ocasiones
nunca se produce.
FISTULIZACIÓN INTESTINAL
Frecuencia 0.3 – 1.7%.
Factores:
1.Perforaciones del peritoneo no reconocidas durante la
cirugía.
2.Cierre a tensión del peritoneo o aponeurosis posterior que
se abre cuando el paciente realiza un esfuerzo físico (malla
en contacto con las asas intestinales).
Tratamiento:
1.Resección intestinal simple o múltiple.
FISTULIZACIÓN INTESTINAL
.
De la Pared Posterior
Hernia de
Grynfelt
Hernia de
Petit
Se denominan hernias lumbares a las que se desarrollan en la región
comprendida entre la XII costilla y la cresta ilíaca, más específicamente a
través de los espacios de:
•Petit, en 1783, describió una hernia a través de la región lumbar baja y todas las
hernias lumbares fueron conocidas como “hernia de Petit”
•hasta 1866 cuando Grynfelt describe «un triángulo lumbar superior: triángulo de
Grynfelt o rombo de Lesshaft.
•Estas son por lo general hernias raras
Hernia de Grynfelt –
Lesshaft
Hernia de Grynfelt –Lesshaft (lumbar)
El espacio de Grynfelt-Lesshaft puede ser triangular o
más frecuentemente en forma de cuadrilátero
Limites: por arriba y detrás por el músculo serrato
postero-inferior; por arriba y delante por la duodécima
costilla, por debajo y delante por el músculo oblicuo
menor y por debajo y medialmente por el músculo
cuadrado lumbar.
Hernia de Grynfelt –Lesshaft (lumbar)
Etiología
Congénita: anomalías
musculares (doble)
Adquiridas: (posquirúrgicas,
postraumáticas, espontáneas,
iatrogenias, etc)
Edad: debilidad y atrofias
musculares
Esfuerzos: (constipación,
partos, tos, etc)
Ejercicios violentos: (levantar
pesos, caídas, etc.)
*Mayor frecuencia en el sexo masculino, en proporción de 3:1
Signos y síntomas
•Se presentan invariablemente como un
abombamiento en el área afectada,
habitualmente blando y reductible
•Síntomas: dolor en la espalda, digestivos
reflejos, dispepsia, náuseas, constipación y
otros.
• En ocasiones pueden presentarse como un cuadro de oclusión intestinal mecánica.
Contenido
•Las hernias de Grynfelt-Lesshaft suelen estar constituidas por anillos
herniarios pequeños, cuyo contenido suele ser la grasa properitoneal
(lipoma preherniario)
•Aunque se ha descrito que en las grandes hernias puede existir saco
peritoneal, por lo general de cuello amplio, lo cual hace poco frecuente
la estrangulación en este tipo de hernia.
Hernia de Grynfelt –Lesshaft (lumbar)
Suele aparecer con más frecuencia que las que se producen a través del triángulo de Petit
TRATAMIENTO
Hernia de Grynfelt o parietolumbar superior. (Duodécima
costilla, músculo supraespinal y músculo oblícuo interno).
El bulto preocupa a los familiares pero no ocasiona
molestias.
Hernia de Grynfelt. Acercamiento y vista
lateral. Son hernias con saco pero sin
cuello, por lo que su volumen aumenta
con el pujido o llanto intenso.
Caso clínico
Paciente masculino, de 69 años de edad, negro y de
procedencia rural.
APP y APF negativos.
Hábitos tóxicos: café-tabaco.
Actividad física moderada, sin grandes esfuerzos.
Aumento de volumen en lado izquierdo de la espalda,
por debajo de las costillas, la cual se hace más
evidente con los esfuerzos físicos. No se queja de
dolor.
EF: Presenta tumor de ± 2 cm en la región lumbar
izquierda, en su parte superior, blando, depresible,
reductible, que aumenta de volumen con maniobra
de Valsalva, no adherido a planos, no dolorosos
Caso clínico
Se plantea el diagnóstico de hernia lumbar (de Grynfelt-Lesshaft).
El chequeo preoperatorio fue normal. Fue visto en consulta de riesgo
quirúrgico y no se le encontraron alteraciones.
Se interviene quirúrgicamente, con anestesia general orotraqueal; se
práctica incisión de lumbotomía transversal sobre el tumor, y se le
detecta pequeño anillo herniario (1,5 cm) por el cual protruye tumor
herniario formado por grasa properitoneal No se encontró saco
herniario.
Después de reducir el contenido, se cerró el defecto fascial con
puntos independientes de Dexón No. 1 y también se reforzó con un
segundo plano al suturar el músculo oblicuo menor al músculo
serrado posteroinferior (por detrás) y al periostio de la duodecima
costilla (por delante).
Se cerró la piel con poliamide 3/0, sin dejar drenaje.
La evolución posoperatoria fue buena, y el enfermo egresó a los 4
días. Ha sido seguido durante 5 años, sin reportarse recidiva.
HERNIA DE PETIT
Hernia de petit
Es una hernia a través del triangulo lumbar
inferior (de Petit) por debilidad del músculo
oblicuo menor.
Sus límites son: el borde medial del musculo
oblicuo externo del abdomen lateralmente; el
borde lateral del musculo dorsal ancho
medialmente y la cresta iliaca como limite
inferior.
Definición
Se define como la protrusión de grasa preperitoneal o saco, con o sin contenido visceral, a través del
área lumbar justo por arriba de la cresta iliaca
Características
Si es pequeña en anillo lo forma la fascia
toracolumbar y las fibras del oblicuo interno
Si es grande puede incluir todo el triangulo
La base del triangulo puede variar de 0 a 6 cm
Altura de 1 a 8 cm
Tratamiento
Características de los triángulos
Triángulo superior Triángulo inferior
Triangulo invertido (vértice hacia abajo) Triangulo vertical (vértice hacia arriba)
Muy largo Mas pequeño
Más constante Poco constante
Frecuente sitio de hernias Infrecuente sitio de herniación
12 nervio torácico No nervios
Primer nervio lumbar No nervios
Avascular Vascular
Cubierto por el dorsal ancho Cubierto por fascia superficial y piel
Suelo: unión de las capas de la fascia toracolumbar
para formar la aponeurosis del músculo transverso
Suelo: fascia toracolumbar, músculo oblicuo interno
y parcialmente el transverso
Bibliografía
Diástasis de los rectos. Técnica quirúrgica original, Drs. JORGE BEZAMA M.1,2, ANÍBAL
DEBANDI L.1, MARÍA M. HADDAD A.1, PABLO BEZAMA U.1, Rev. Chilena de Cirugía. Vol 61 - Nº
1, Febrero 2009; pág. 97-100
HERNIA LUMBAR DE GRYNFELT-LESSHAFT. A PROPÓSITO DE 2 CASOS, Dr. Jesús Alberto Rondón
Espino,1 Dr. Ramón Fernández Larrea Silva,2 Dra. Alina Gómez Trinchet3 y Dr. Luis Carlos Aguilar
Domínguez3, Rev Cubana Cir 2002;41(2):124-8
SCHWARTZ PRINCIPIOS DE CIRUGÍA Novena edición

Diastasis de los rectos

  • 1.
    Patología quirúrgica de lapared abdominal • JUAN LUIS SANDOVAL ORTIZ
  • 2.
    Topografía del abdomen Las2 líneas verticales atraviesan por la mitad de cada arco crural o femoral (pliegue de la ingle: entre la espina iliaca anterosuperior y la espina del pubis). Línea subcostal. Línea transversal inferior, o línea inter tubercular entre los tuberculos de las crestas iliacas.
  • 4.
    ● Limite superior:m. Diafragma (separa la cavidad abdominal de la torácica) ● Limite inferior: Estrecho pélvico superior ( el abdomen se continúa con la caviada pélvica) ● Pared anterior y lateral: m. recto del abdomen, oblicuo externo, oblicuo interno y transverso del abdomen así como sus fascias. ● Pared posterior: 5 vértebras lumbares y sus discos Intervertebrales, lateralmente las 12 costillas,, en la parte superior de la pelvis ósea , el m. psoas, el m cuadrado lumbar o cuadrado de los lomos y las Aponeurosis de origen de los m. transversos del Abdomen.
  • 5.
    M. Recto delAbdomen m. Oblicuo externo m. Oblicuo interno m. Transverso del abdomen m. Piramidal Fascias: *superficial *profunda
  • 6.
    Musculo oblicuo mayor Seorigina en las 8 costillas inferiores. Se inserta en la línea alba y la cresta iliaca. Forma la aponeurosis del oblicuo mayor y esta el ligamento inguinal y los pilares del anillo inguinal superficial. Inervado por los nervios abdominogenitales e intercostales inf.
  • 7.
    Oblicuo menor Se originaen la aponeurosis toracolumbar y la cresta iliaca. Se inserta en las 3 costillas inferiores, la vaina del recto y la cresta del pubis. Esta inervado por los nervios intercostales y el abdominogenital.
  • 8.
    Transverso del abdomen Esel mas profundo de los músculos anchos del abdomen. Se origina en la cresta iliaca, la aponeurosis toracolumbar y los 6 cartílagos costales inferiores. Se inserta en la línea alba y forma la hoz inguinal que se inserta el la cresta pectinea. Esta inervado por los 4 últimos nervios intercostales y los nervios iliohipogastrico e ilioinguinal.
  • 9.
    Recto abdominal Se originaen la sínfisis del pubis. Se inserta en la apófisis xifoides y los cartílagos costales 5- 7. Interrumpido por 4 inserciones aponeuróticas y dividido por la línea alba. Contenidos en la vaina de los rectos.
  • 10.
    Capas de lapared abdominal.
  • 11.
  • 12.
  • 13.
    DIASTASIS DE RECTOS Definidacomo separación mayor de 2 cms de los rectos anteriores. Constituye una entidad distinta de las hernias No tiene anillo y la posibilidad que ocurra un evento obstructivo, atascamiento o estrangulación es poco probable Es un particular defecto de la pared que produce más bien problemas de tipo estéticos. Luce como una cresta que baja por la mitad del área ventral; se estira desde el fondo del esternón hasta el ombligo y se incrementa con la tensión muscular.
  • 14.
    Causas •Envejecimiento, la obesidado después del embarazo •Recién nacidos: afección común y normal en que se observa con más frecuencia en bebés prematuros y de raza negra. •Mujeres embarazadas: el aumento de la tensión en la pared abdominal puede llevar a que se presente dicha diástasis de rectos y el riesgo se incrementa con los partos múltiples o los embarazos repetitivos. Las mujeres que tengan 12 o más semanas de embarazo deben evitar los ejercicios abdominales agresivos, los cuales pueden empeorar el problema.
  • 15.
    Signos y Síntomas Enlos bebés: se observa más fácilmente cuando el bebé intenta sentarse y es posible que no se note cuando el bebé está acostado boca arriba y relajado. Cuando el bebé está relajado, a menudo se pueden sentir los bordes de los músculos rectos. Mujeres embarazadas: piel y tejido blando sobrante en la parte frontal de la pared abdominal en algunos casos graves, es posible ver un contorno de partes del feto. dolor de espalda, constipación, debilidad abdominal, y muchas veces coexiste con una hernia umbilical.
  • 16.
  • 18.
  • 19.
    No se necesitatratamiento para mujeres embarazadas que presenten este trastorno. En los bebés, los músculos rectos mayores del abdomen siguen creciendo y la diástasis de dichos músculos desaparece gradualmente. Es posible que se necesite una cirugía si el bebé presenta una hernia que queda atrapada en el espacio entre los músculos.
  • 20.
    Técnica quirúrgica Se realizamediante un acceso a través de una pequeña incisión en la cicatriz umbilical (cuando es de hasta de 3 cm de ancho). Los defectos mayores por su parte requieren de un acceso directo a través de una incisión cutánea realizada en la línea media supraumbilical, sobre el defecto.
  • 21.
    Anestesia Se recomienda anestesiaregional, que incluya desde el apéndice xifoides hacia abajo. La anestesia general tiene el inconveniente que el paciente no puede colaborar con la maniobra de válsala, procedimiento útil para ayudar a fijar la malla y evaluar de inmediato el resultado del procedimiento.
  • 22.
    Descripción de latécnica Se realiza una incisión arciforme en el reborde superior del ombligo, una disección del ombligo y la liberación del mismo, mediante la sección de sus adherencias a la aponeurosis. En oportunidades se puede encontrar una hernia umbilical, y en tal caso se abre el saco, se diseca y libera del anillo y se reduce el contenido, que habitualmente es grasa preperitoneal o epiplón. En caso de haber abierto el peritoneo, se cierra con puntos continuos de Vicryl 3/0. Para realizar correctamente ésta técnica, aún cuando no exista una hernia, debe liberarse el ombligo
  • 23.
    Preparación de lamalla Se corta un trozo de malla de polipropileno de 22 cm de largo por 5 cm de ancho. En uno de sus extremos se hacen orificios de 3 mm de diámetro, luego se dobla este extremo en una extensión de 2 cm y se sutura el doblez con dos puntos de Vicryl 3/0, uno en cada lado, de manera de formar un bolsillo. Los orificios van a permitir que durante el proceso de cicatrización, éstos sean atravesados por verdaderos "clavos" de fibrosis, ayudando a fijar la malla
  • 24.
    Preparación del túnelpreperitoneal Se efectúa una apertura en sentido transversal de la línea media aponeurótica, de más o menos 30 mm. Con una pinza Kocher se toma el labio superior de la aponeurosis abierta y se introduce por la brecha una gasa larga húmeda en el espacio preperitoneal, con la finalidad de separar la fascia transversalis y el peritoneo de la cara posterior de la aponeurosis, tanto hacia caudal como hacia lateral, y especialmente hacia cefálico. La gasa debe entrar fácilmente, de lo contrario no se está en el lugar correcto. Luego de retirada la gasa húmeda, se introduce por el mismo lugar una valva maleable cuyo extremo se inserta curvado, de manera tal que, una vez introducido, éste quede enfrentado hacia la pared y no hacia la cavidad peritoneal. Suavemente, se introduce éste elemento hasta llegar a nivel del xifoides, o sea, unos 15 a 16 cm; ésta maniobra también debe resultar fácil
  • 25.
  • 26.
    Introducción de lamalla Se le solicita al paciente que haga una maniobra como si se fuera a sentar, con lo cual se logran dos objetivos, el primero fijar la malla a la pared posterior, y el segundo, visualizar si se corrigió el defecto. Se retira la aguja, y se introduce el resto de la malla por la misma brecha aponeurótica hacia el espacio preperitoneal y dirigida hacia caudal, desplegándola con la parte posterior de una pinza anatómica o quirúrgica. Luego se cierra la brecha aponeurótica en sentido transversal, con una sutura continua de Prolene 2/0, incluyendo en una o dos de sus pasadas la malla y tomando la precaución de no incluir la pared posterior, porque se corre el riesgo de incluir accidentalmente un asa intestinal. También este paso se puede realizar a puntos separados. Una vez completado el cierre de la brecha aponeurótica se sutura con Vicryl 3/0 el ombligo a la malla, y luego se realiza una sutura intradérmica del ombligo, con Monocryl 4/0
  • 27.
    El paciente generalmentese recupera sin problema y, en la mayoría de los casos, la diástasis de rectos por lo general sana de manera espontánea. La diástasis de rectos relacionada con el embarazo generalmente persiste por mucho tiempo después de que la mujer da a luz y el ejercicio puede ayudar a mejorar la afección. En algunos casos, se puede presentar una hernia umbilical. Si se presenta dolor, puede ser necesario practicar una cirugía.
  • 28.
  • 29.
    Concepto PROTRUSIÓN O SALIDAINTERMITENTE O PERMANENTE DEL CONTENIDO NORMAL DE UNA CAVIDAD A TRAVÉS DE LAS CAPAS MUSCULARES O APONEURÓTICAS QUE FORMAN LA PARED DE DICHA CAVIDAD LA SALIDA SE PRODUCE A TRAVÉS DE UN ORIFICIO O DEFECTO ANATÓMICO NATURAL O ARTIFICIAL EN EL CASO DE LAS HERNIAS ABDOMINALES SALEN O PROTRUYEN VISCERAS y/o TEJIDOS DE DICHA CAVIDAD
  • 30.
    Hernia de lapared abdominal Protrusión del contenido de la cavidad abdominal a través de defectos, bien sean congénitos o adquiridos de la pared abdominal. El contenido herniado siempre se acompaña del peritoneo parietal que constituye el saco herniario. Los elementos protruidos con mayor frecuencia son las asas intestinales, epiplón y colon. CLÍNICA: muy variable, desde malestar intestinal inespecífico hasta la obstrucción intestinal, como síntoma agudo más frecuente.
  • 31.
    Factores etiológicos Sexo (H. Umbilical, inguinal, crural, etc. ) Descenso de testículos ( inguinal, escrotal e inguinoescrotal ) Trastorno desarrollo pared abdominal ( Gastroquisis ) Variaciones de estructura pared abdominal ( Edad ) Perforación aponeurosis paquete vasculonervioso( Hernias epi e hipogástricas )
  • 32.
    Factores Coadyuvantes Edad Enf. Cardiaca Embarazo AscitisDesnutrición Diabetes Oper . Anteriores Inmunodeprimidos
  • 33.
    Clasificación  POR SUPRESENTACIÓN CLÍNICA… REDUCTIBLE: suele protruir con esfuerzos (tos, Valsalva) y se reintroduce con facilidad. INCOERCIBLE: aquella que se puede reducir, aunque vuelve a salir con facilidad por el orificio de herniación. IRREDUCTIBLE: el contenido herniado no puede reintroducirse en la cavidad abdominal (por su gran volumen, adherencias…). Se trata de un diagnóstico clínico. INCARCERADA: hernia irreductible que se acompaña de trastorno del tránsito intestinal, lo más habitual cierto grado de obstrucción intestinal. Se debe intervenir quirúrgicamente con carácter urgente. ESTRANGULADA: aquella en que existe compromiso vascular e isquemia del contenido herniado, con riesgo de necrosis. Habitualmente es la evolución de la hernia incarcerada, pero no siempre es así.
  • 34.
    Clasificación POR SU LOCALIZACIÓN… Internas •Mesentericas • Diafragmaticas Externas • H . inguinales • H. umbilicales • H . crurales, femorales • H. de la línea alba (epihipogástricas) • H . Pararrectales (Spiegel) • H . de Littré • H. Richter • H . de Lepetit • H . de Grynfelt • Gastroquisis • Otras formas de Hernias H. Incisionales
  • 35.
    Internas Mesentéricas • 1 Transepiploicas •2 Transmesocólicas • 3 Transmesentéricas • 4 H. hiato Winslow • 5 H. duodenales : Izq.Der. • 6 H. pericecales • 7 H. intersigmoideas. • 8 H. Treitz Diafragmáticas • 1. Hiatal (H.del hiato esofágico) • H. por deslizamiento • H. parahiatales • H. mixtas • H. hiatal esóf. corto y estómago torácico • 2 Defectos congénitos del diafragma • 3 H. lumbocostal (Trígono de Bochdalek ) • 4 H. Morgagni (der) y H.. Larrey ( izq). • 5 H. agujero de la vena cava. • 6 H. de origen traumático. • 7 Otras formas de hernia.
  • 36.
    Clasificación de herniasincisionales a b c
  • 37.
    De la paredanterior De la línea media ◦ Umbilical ◦ De la línea media: epigástrica, hipogástrica De la pared lateral ◦ De Spiegel ◦ Inguinales ◦ Inguinales: Directa Indirecta ◦ Crurales
  • 38.
    Incidencia Inguinal 80 - 90% Crural 2 - 5 % Umbilical 2 % Incisional 1,5 % Epigástrica 1 % Otros1%
  • 39.
  • 40.
    Embriología Entre la sextay la décima semana de desarrollo, el tubo gastroentérico es desplazable hacia la cavidad celómica. Las vísceras regresan al interior de la cavidad abdominal en la décima semana, cuando se inicia la rotación intestinal. Los músculos rectos anteriores completan su desarrollo y aproximación hacia la línea media.
  • 41.
    El orificio decomunicación fetoplacentario se transforma en el orificio de comunicación vascular a través del cordón umbilical. Cuando la cicatriz umbilical se forma, constituye un punto débil en la línea alba. Esta constituido por un anillo fibroso y un tapon fibroso estrechados en la parte inferior por el nodulo de las arterias umbilicales y el uraco.
  • 42.
    Generalidades Constituye una delas patologías mas comunes de la región umbilical. Representando entre el 6- 14% de hernias abdominales en adultos. Se dividen en hernias congénitas, adquiridas y paraumbilicales. En el adulto es secundaria a un debilitamiento de la fascia en el área umbilical. En niños es producida por un defecto en el cierre del anillo umbilical y se presenta en 1 de cada 6 recién nacidos.
  • 43.
    La obesidad, multipariedad,presencia de ascitis, tumores abdominales o esfuerzos intensos, son factores de riesgo. En los niños con bajo peso, prematuros y que sufren de enfermedades como Sx. de Down, se presenta mas frecuentemente. Es mas frecuente en mujeres y en edades avanzadas.
  • 44.
    Síntomas Entre otros lossíntomas pueden ir desde: Molestia y / o dolor en la zona. Bulto reducible o no en reposo. Vómitos y náusea. Retención del tránsito intestinal.
  • 45.
    Hernia umbilical enel niño Son resultado de un cierre defectuoso del anillo umbilical. Tienden a resolverse solas a los 12 meses de edad. Se presentan como un bulto en el ombligo, con frecuencia son reductibles y tienen contenido visceral. La mayoría de las hernias son primarias.
  • 46.
    Tratamiento Se emplea presiónen la masa umbilical por medio de microporo, tratando de que la hernia se arregle por si sola. Se lleva a cabo la herniorrafia:  Se hace una incisión infraumbilical (smile incision))  Se rodea el cuello de la hernia con una pinza hemostática y se libera de las adherencias a la cicatriz umbilical.  Se reduce el espacio preperitoneal y se liga el cuello del saco.  Se cierra la aponeurosis y se fija a la cicatriz umbilical. Se sutura la piel.
  • 47.
    Hernia umbilical deladulto. Son hernias adquiridas. Se pueden generar por numerosos factores predisponentes:  Disposición defectuosa de las fibras colágenas.  Debilidad de la fascia umbilical que cubre a la cicatriz umbilical Defecto en la implantación del ligamento redondo en la cicatriz umbilical. Son afectadas por varios factores desencadenantes.
  • 48.
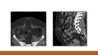
    Diagnostico Practicar la exploraciónpara la hernia en todas las personas con factores de riesgo. Aumento de masa umbilical con los esfuerzos. Pueden tomarse estudios de imagen (TAC, placa lateral de abdomen con contraste).
  • 50.
    Tratamiento Diferenciar el tamañode la hernia que presenta el paciente:  Hernia pequeña: <0.5cm (buscar otras causas a los síntomas).  Hernias de tamaño moderado o grande: >1 cm. Mayor peligro de encarcelación.
  • 51.
    Tratamiento quirúrgico Se llevaa cabo la hernioplastia umbilical. Pasos: 1. Hacer la incisión sobre e pliegue umbilical, desde las 3 a las 9 horas. 2. Se separa el saco de la grasa con bisturí o tijeras. 3. Se recorta el saco hasta el anillo umbilical y se ligan los puntos sangrantes. 4. Se cierra el defecto en dirección transversal.
  • 52.
    5. Se fijala cicatriz umbilical a la vaina anterior del recto. 6. Se cierra la piel con puntos separados o subcutáneos.
  • 53.
    Encarcelación de lahernia Puede ser aguda o crónica. Las hernias encarceladas son susceptibles a cambios inflamatorios y edematosos, así como a riesgo de estrangulación. La estrangulación de la hernia provoca isquemia del contenido encarcelado. Cuando la estrangulación no se corrige a tiempo, ocurre gangrena. Se conoce como hernia de Richter a la encarcelación de una sola pared de la viscera.
  • 54.
  • 55.
    DEFINICIÓN Perdida e continuidadde la pared abdominal, después de un cierre quirúrgico, con la formación de un saco peritoneal y la protrusión de diferentes estructuras de la cavidad. Se denomina, hernia incisional o eventración a la salida de peritoneo acompañado o no de vísceras abdominales por una zona u orificio de la pared abdominal debilitada quirúrgica o traumáticamente, distinta a los orificios naturales por donde emergen las hernias ventrales primarias. Soluciones de continuidad musculo aponeuróticas secundarias a una incisión quirúrgica o a una herida penetrante del abdomen.
  • 56.
    Hernia insicional Cada añose practican cerca de cuatro millones de operaciones abdominales y se calcula que hasta 10 a 20% de estos pacientes desarrolla hernias en el sitio de la incisión. Falla en la cicatrización
  • 57.
    0.5 a 13%tanto en cirugía programada y de urgencia. Riesgo de evisceracion posterior a una laparotomia es de 0.24 a 5.8% La frecuencia de hernias incisionales se ha calculado entre 10 a 12% (rango de 3 a 19%) 3 a 8% a travez de puertos laparoscopicos Su frecuencia aumenta hasta el 23 a 40% si existió infección de la herida quirúrgica. 80% de estas hernias aparecen dentro del primer año postoperatorio.
  • 58.
    Factores sistemicos Anemia HipoproteinemiaDesnutricion Ictericia Insuficiencia renal cronica EPOC Obesidad Edad avanzada (>60 años) Cirugias urgentes por traumatismos o problemas septicos Tabaquismo Corticoterapia Radiaciones o quimioterapia
  • 59.
    Factores locales Incluyen todolo que abarca el area quirurgica: Incisiones mayores de 18 cm Incisiones efectuadas con uso excesivo de electrocauterio (altos voltajes) Infecciones de la herida Drenajes u ostomias a traves de la incision Mala calidad de los tejidos Aumento de la presion intrabominal
  • 60.
    Factores tecnicos Son losrelacionados con los defectos o fallas del cirujano al realizar la incision y su cierre Se asocian con el sitio y el tipo de incision, la eleccion del material de sutura y la tecnica empleada para el cierre de la herida Las incisiones verticales forman hernias incisionales 3-5 veces más frecuentes que los transversales.
  • 61.
    Consideraciones tacticas ytecnicas Es mejor y biologicamente suturar bordes cruentos que bordes cicatrizados Se prefiere el uso de suturas continuas para disminuir la cantidad de material heterologo, incrementado por los nudos La norma es pasar los puntos al menos 0.5 a 1 cm del borde del defecto con una distancia entre uno y otro de 0.7 a 1 cm
  • 62.
    Clasificacion Sus posibilidades delocalizacion son infinitas No existe un consenso universal en cuanto a la nomenclatura o clasificación del tamaño de las hernias Las clasificaciones conocidas hoy en dia datan de dos o tres decadas atras
  • 63.
    Hernias de lalinea media • Supraumbilicales • Infraumbilicales • Subxifoideas • Suprapubicas Ventrolaterales • Subcostales • De las fosas iliacas Laterales: lumbares De puertos laparoscopicos
  • 64.
    Clasificaciones basadas en: Eltamaño del defecto herniario La localizacion del defecto y su tamaño La relacion entre el defecto herniario y la pared abdominal El tamaño del saco herniario y la pared abdominal El tamaño del saco herniario en relacion con la capacidad de la cavidad abdominal
  • 65.
    Herzage clasifica lashernias ventrales e incisionales de acuerdo con el diametro mayor del defecto herniario Pequeñas: hasta de 3 cm Moderadas: de 3 a 6 cm Grandes: de 6 a 10 cm Gigantes: 10 a 20 cm Monstruosas. Mayores de 20 cm
  • 66.
    Un defecto herniariode determinado tamaño puede coexistir con un saco herniario pequeño o de poca capacidad o convertirse en un saco de grandes dimensiones Cuando el tamaño y el contenido del saco exceden la capacidad de la cavidad abdominal para recibir de nuevo las asas intestinales herniadas se convierte en una hernia con “perdida de dominio” o “perdida de domicilio”
  • 67.
    Reparacion Las diferencias másimportantes para describir el manejo quirúrgico de las hernias incisionales son la reparación primaria frente a la reparación con malla, y la reparación abierta frente a la laparoscópica.
  • 68.
    1.Edad. 2.Tabaquismo. 3.Sitio de lahernia. 4.Herníoplastía previa. 5.Antecedente de infección dela herida en cualquiera de las cirugías previas. 6.Tamaño del anillo herniario. 7.Patología agregada. 8.Presencia de restricciones ventilatorías preoperatorias o posibilidades que se presenten en el postoperatorio. Pacientes con anillos grandes, gran contenido de asas intestinales y restricciones respiratorias se benefician con sesiones de terapia ventilatoria (NUS, mucoliticos y broncodilatadores) durante 1 o 2 semanas antes de la Cirugía.
  • 69.
    Métodos de reparaciónprimaria Cierre simple con sutura y la separación de componentes, y ambos son procedimientos abiertos Se acompaña de índices altos de recurrencia. Estos autores concluyeron que la reparación con malla fue superior a la primaria
  • 70.
    CIERRE PRIMARIO • Elcierre simple con sutura continua produce excelentes resultados en las eventraciones pequeñas o moderadas • Es mejor y biologicamente diferente suturar bordes cruentos que bordes cicatrizados • Los materiales no absorvibles se usan en todos los cierres de la pared separados de las visceras por una capa biologica del paciente • Se prefiere el uso de suturas continuas • Se respeta la norma de pasar los puntos al menos de 0.5 a 1 cm del borde del defecto, con una distancia entre uno y otro de 0.7 a 1 cm • En las grandes eventraciones es indispensable considerar laaplicacion de metodos auxiliares
  • 71.
    En 1973 JeanRives y Rene Stoppa, en francia Lichtenstein, Amid y Shulman en EUA, describieron los lineamientos basicos de plastias sin tension para las hernias de pared Lograron un indice de recidivas sorprendentemente bajos en hernias inguinales (<1%) y en incisionales (2- 5%) Basandose en colocacion de grandes fragmentos de material protesico en el espacio preperitoneal o retromuscular Logrando un efecto de tapon en lugar de un simple parche se endurece el peritoneo para que no sea distendible la presión ejercida por un fluido incompresible y en equilibrio dentro de un recipiente de paredes indeformables se transmite con igual intensidad en todas las direcciones y en todos los puntos del fluido
  • 72.
    Tecnica de separaciónde componentes Disminuir la tensión en la línea de sutura derivada de la reparación primaria Riesgo elevado de infección (20%) y un índice de recurrencia de 18.2% al primer año. a) evitar el uso de materiales Protésicos b) lograr una reparación definitiva. C) en campo contaminado creación de grandes colgajos subcutáneos laterales al defecto aponeurótico incisión de los músculos oblicuos mayores incisión de la vaina posterior del recto a ambos lados. permiten la aposición primaria de la aponeurosis con mucha menor tensión que en la reparación primaria simple
  • 73.
    Reparaciones con malla puedenclasificarse según la forma en que se coloca la malla, así como su relación con la aponeurosis de la pared abdominal. capa subyacente, más profunda que el defecto aponeurótico (intraperitoneal o preperitoneal) Capa interna, ya sea como puente para cerrar el espacio entre los bordes del defecto o dentro de las capas musculoaponeuróticas de la pared abdominal (intraparietal), capa externa (superficial al defecto aponeurótico).
  • 74.
    Mallas ◦ tejidos porcinos,bovinos o humanos ricos en colágena ◦ tratamiento químico ◦ incorporarse en el tejido ◦ los índices de recurrencia de las hernias son excesivos con esta aplicación ◦ son útiles en caso de campos contaminados o potencialmente contaminados ◦ pero son muy costosas ◦ no ofrecen la durabilidad Material • Densidad • porosidad • Fuerza Tipo • protésicas • biológicas Tiempo • Absorbibles • Permanentes
  • 75.
    Las principales ventajasde las mallas protésicas son la facilidad para usarlas, el costo relativamente bajo y su durabilidad • Supraaponeurótica (Onlay). • Anclado directamente en el defecto herniario en bordes del defecto (Inlay). • Recidiva hasta 11%.
  • 77.
    Mallas absorbibles sutura absorbiblesintética derivada de un polisacárido representan soluciones relativamentebaratas para el soporte temporal deja hernias ventrales recurrentes que pueden repararse de manera definitiva cuando mejoren las condiciones locales de la herida crecimiento de tejido La adherencia del contenido peritoneal a la malla causa dolor crónico, obstrucción intestinal y formación de fístula al intestino Politetrafluoroetileno (PTFE) se usa para aplicaciones intraperitoneales
  • 78.
    Reparacion abierta conmalla requiere incisión o escisión de una cicatriz de laparotomía previa con cuidado para evitar lesionar el contenido abdominal subyacente. disecan el peritoneo y el saco herniario para separarlos de la aponeurosis de la pared abdominal de manera que se expongan 3 a 4 cm circunferenciales de aponeurosis. la malla puede suturarse en su sitio con método de capa subyacente, superficial, interpuesta o “en emparedado” (subyacente y superficial). El método más exitoso es desarrollar un amplio espacio preperitoneal para acomodar una hoja grande de malla de polipropileno o poliéster tejido. La malla se fija luego a los tejidos musculoaponeuróticos con puntos separados de sutura no absorbible.
  • 79.
    Técnica de rives Incisionigual o mayor al defecto herniario El saco herniario se diseca con cuidado hasta llegar a la aponeurosis sana, la cual se diseca 1 o 2 cm de los bordes del anillo Con bisturi o electrocauterio a baja intensidad se inicia la diseccion del anillo hasta la transicion a saco herniario Se incide con cuidado para entrar al espacio preperitoneal
  • 80.
    • En lospacientes con multiples cirugias es imposible acceder al espacio preperitoneal y lo mejor es localizar el espacio retromuscular • Con cuidado de no lesionar las ramas de la epigastrica o los nervios que penetran la aponeurosis posterior • La continuacion de la diseccion del espacio retroperitoneal se hace mediante forma roma digital o con ayuda de una gasa humeda • Es necesario completar la diseccion hasta un minimo de 6 a 8 cm de los bordes del anillo
  • 81.
    Se puede abrirel saco herniario para revisar asas intestinales si el paciente ha tenido cuadros suboclusivos y liberar adherencias de no ser asi se recomienda no abrirlo Los orificios aislados en el peritoneo deberan cerrarse de manera individual con material absorvible 3-0 Cuando se deja una zona importante sin peritoneo se cuenta con dos opciones: • Suturar coronalmente el defecto al epiplon subyacentea manera de parche • Colocar un parche de malla de material absorbible (poliglactina)
  • 86.
    Disminuye la posibilidadde desarrollar: 1.seromas. 2.Hematomas. 3.Infección. 4.Menos molestias postoperatorias. Poco estético. Requiere dispositivos especiales para pasar los hilos.
  • 89.
    No se realizancolgajos extras.VENTAJAS • Menos posibilidad de: • Seromas. • Hematoma. • Infección. • No deja cicatrices. Requiere de grapadoras.DESVENTAJAS • Costo alto.
  • 90.
    VENTAJAS No se realizan colgajosextras. Menos posibilidad de: Seromas. Hematoma. Infección. No deja cicatrices. DESVENTAJAS La malla se puede desplazar cuando no esta fija a estructuras firmes.
  • 91.
    FIJACIÓN CON ADHESIVOS Sintéticos (cianocrilatos). Derivados naturales(sellos de fibrina). Se aplican con dispositivos de jeringa por gotas o por aspersión para cubrir una mayor área de malla.
  • 92.
    VENTAJAS No requiere fijacionescon grapas o suturas lo que evita que se atrape un nervio o tejido que produzca dolor postoperatorio. 2. Favorecen un proceso de cicatrización casi parecido al normal. DESVENTAJAS • Costo alto.
  • 93.
    Reparación laparoscópica Indice derecurrencia de sólo 3.4% después de un seguimiento medio >2 años Errores técnicos Menos complicaciones de la herida, menos complicaciones generales y menor índice de recurrencia que el uso de la técnica abierta Eliminar una gran incisión abdominal en un sitio donde antes ya se había alterado la irrigación sanguínea. Puede examinarse toda la superficie interna de la pared abdominal
  • 94.
    colocación de puertosen ambos lados para los defectos de la línea media y en el área contralateral en defectos laterales. Se separan todas las adherencias de la pared anterior del abdomen Se reduce por completo el contenido herniario pero se deja el saco in situ. Una vez que se define el área que incluye todos los defectos de la fascia, se corta una malla que permita una cobertura suficiente (3 a 4 cm) bajo la pared sana del abdomen. la malla se fija con suturas transfasciales colocadas de modo circunferencial a la misma y tachuelas espirales
  • 95.
  • 96.
    SEROMA Más frecuente enel postoperatorio temprano. Incidencia 5-20% (12%). Factores: 1.Más frecuente cuando se levantan grandes colgajos de TCS y piel. 2.Uso de cauterio a un alto voltaje. 3.Cantidad de material protésico que se deja en contacto con TCS. Diagnóstico: • Exploración física. • USG o TAC (obesos). Tratamiento: • Conservador. • Extirpación total (seroma quístico).
  • 97.
    HEMATOMA O EQUIMOSIS Frecuencia1-5%. Hemostasia deficiente. Grandes disecciones. Trastornos hemorragicos del paciente. Diagnóstico: clínico. Tratamiento: • conservador. • Colocar drenaje en caso de ser necesario.
  • 98.
    Frecuencia 8-14%. Presenta 5-12días de postoperatorio. Factores predisponentes: 1.Antecedente de infección previa en el área que se operará. 2.Tiempos quirúrgicos prolongados. 3.Propios del paciente (obesidad, DM, desnutrición, inmunodeprimidos).
  • 99.
    Diagnóstico: • Clínico. Tratamiento: • Drenaje,lavado (solución fisiológica), desbridación. • La prótesis se revisa y si tiene una adecuada fijación no se retira. • Malla polipropileno puede dejarse en su lugar en la mayoría de los casos, presenta buen control de la infección y granulación. • Malla de multifilamento si no hay buena integración de toda o en algún segmento, se considera su retiro total o parcial, sin realizar intento de plastia.
  • 100.
    RESTRICCIÓN DE LAMOVILIDAD ABDOMINAL Restricción del 50%. Dolor. Las mallas ligeras con mayor elasticidad, menor porcentaje de contracción y la formación de menos tejido fibroso han disminuido el porcentaje de restricción.
  • 101.
    EROSIÓN Y FISTULIZACIÓNDE LA PIEL Frecuencia menor 0.5%. Se presenta cuando la malla se deja en contacto con un colgajo de piel con poco o nada de TCS. Integración deficiente del segmento de malla expuesta. La granulación es lente y en ocasiones nunca se produce.
  • 102.
    FISTULIZACIÓN INTESTINAL Frecuencia 0.3– 1.7%. Factores: 1.Perforaciones del peritoneo no reconocidas durante la cirugía. 2.Cierre a tensión del peritoneo o aponeurosis posterior que se abre cuando el paciente realiza un esfuerzo físico (malla en contacto con las asas intestinales). Tratamiento: 1.Resección intestinal simple o múltiple.
  • 103.
  • 104.
    De la ParedPosterior Hernia de Grynfelt Hernia de Petit Se denominan hernias lumbares a las que se desarrollan en la región comprendida entre la XII costilla y la cresta ilíaca, más específicamente a través de los espacios de:
  • 105.
    •Petit, en 1783,describió una hernia a través de la región lumbar baja y todas las hernias lumbares fueron conocidas como “hernia de Petit” •hasta 1866 cuando Grynfelt describe «un triángulo lumbar superior: triángulo de Grynfelt o rombo de Lesshaft. •Estas son por lo general hernias raras
  • 106.
    Hernia de Grynfelt– Lesshaft
  • 107.
    Hernia de Grynfelt–Lesshaft (lumbar) El espacio de Grynfelt-Lesshaft puede ser triangular o más frecuentemente en forma de cuadrilátero Limites: por arriba y detrás por el músculo serrato postero-inferior; por arriba y delante por la duodécima costilla, por debajo y delante por el músculo oblicuo menor y por debajo y medialmente por el músculo cuadrado lumbar.
  • 108.
    Hernia de Grynfelt–Lesshaft (lumbar) Etiología Congénita: anomalías musculares (doble) Adquiridas: (posquirúrgicas, postraumáticas, espontáneas, iatrogenias, etc) Edad: debilidad y atrofias musculares Esfuerzos: (constipación, partos, tos, etc) Ejercicios violentos: (levantar pesos, caídas, etc.) *Mayor frecuencia en el sexo masculino, en proporción de 3:1
  • 109.
    Signos y síntomas •Sepresentan invariablemente como un abombamiento en el área afectada, habitualmente blando y reductible •Síntomas: dolor en la espalda, digestivos reflejos, dispepsia, náuseas, constipación y otros. • En ocasiones pueden presentarse como un cuadro de oclusión intestinal mecánica.
  • 110.
    Contenido •Las hernias deGrynfelt-Lesshaft suelen estar constituidas por anillos herniarios pequeños, cuyo contenido suele ser la grasa properitoneal (lipoma preherniario) •Aunque se ha descrito que en las grandes hernias puede existir saco peritoneal, por lo general de cuello amplio, lo cual hace poco frecuente la estrangulación en este tipo de hernia.
  • 111.
    Hernia de Grynfelt–Lesshaft (lumbar) Suele aparecer con más frecuencia que las que se producen a través del triángulo de Petit TRATAMIENTO
  • 112.
    Hernia de Grynfelto parietolumbar superior. (Duodécima costilla, músculo supraespinal y músculo oblícuo interno). El bulto preocupa a los familiares pero no ocasiona molestias.
  • 113.
    Hernia de Grynfelt.Acercamiento y vista lateral. Son hernias con saco pero sin cuello, por lo que su volumen aumenta con el pujido o llanto intenso.
  • 114.
    Caso clínico Paciente masculino,de 69 años de edad, negro y de procedencia rural. APP y APF negativos. Hábitos tóxicos: café-tabaco. Actividad física moderada, sin grandes esfuerzos. Aumento de volumen en lado izquierdo de la espalda, por debajo de las costillas, la cual se hace más evidente con los esfuerzos físicos. No se queja de dolor. EF: Presenta tumor de ± 2 cm en la región lumbar izquierda, en su parte superior, blando, depresible, reductible, que aumenta de volumen con maniobra de Valsalva, no adherido a planos, no dolorosos
  • 115.
    Caso clínico Se planteael diagnóstico de hernia lumbar (de Grynfelt-Lesshaft). El chequeo preoperatorio fue normal. Fue visto en consulta de riesgo quirúrgico y no se le encontraron alteraciones. Se interviene quirúrgicamente, con anestesia general orotraqueal; se práctica incisión de lumbotomía transversal sobre el tumor, y se le detecta pequeño anillo herniario (1,5 cm) por el cual protruye tumor herniario formado por grasa properitoneal No se encontró saco herniario. Después de reducir el contenido, se cerró el defecto fascial con puntos independientes de Dexón No. 1 y también se reforzó con un segundo plano al suturar el músculo oblicuo menor al músculo serrado posteroinferior (por detrás) y al periostio de la duodecima costilla (por delante). Se cerró la piel con poliamide 3/0, sin dejar drenaje. La evolución posoperatoria fue buena, y el enfermo egresó a los 4 días. Ha sido seguido durante 5 años, sin reportarse recidiva.
  • 116.
  • 117.
    Hernia de petit Esuna hernia a través del triangulo lumbar inferior (de Petit) por debilidad del músculo oblicuo menor. Sus límites son: el borde medial del musculo oblicuo externo del abdomen lateralmente; el borde lateral del musculo dorsal ancho medialmente y la cresta iliaca como limite inferior.
  • 118.
    Definición Se define comola protrusión de grasa preperitoneal o saco, con o sin contenido visceral, a través del área lumbar justo por arriba de la cresta iliaca
  • 119.
    Características Si es pequeñaen anillo lo forma la fascia toracolumbar y las fibras del oblicuo interno Si es grande puede incluir todo el triangulo La base del triangulo puede variar de 0 a 6 cm Altura de 1 a 8 cm
  • 120.
  • 121.
    Características de lostriángulos Triángulo superior Triángulo inferior Triangulo invertido (vértice hacia abajo) Triangulo vertical (vértice hacia arriba) Muy largo Mas pequeño Más constante Poco constante Frecuente sitio de hernias Infrecuente sitio de herniación 12 nervio torácico No nervios Primer nervio lumbar No nervios Avascular Vascular Cubierto por el dorsal ancho Cubierto por fascia superficial y piel Suelo: unión de las capas de la fascia toracolumbar para formar la aponeurosis del músculo transverso Suelo: fascia toracolumbar, músculo oblicuo interno y parcialmente el transverso
  • 122.
    Bibliografía Diástasis de losrectos. Técnica quirúrgica original, Drs. JORGE BEZAMA M.1,2, ANÍBAL DEBANDI L.1, MARÍA M. HADDAD A.1, PABLO BEZAMA U.1, Rev. Chilena de Cirugía. Vol 61 - Nº 1, Febrero 2009; pág. 97-100 HERNIA LUMBAR DE GRYNFELT-LESSHAFT. A PROPÓSITO DE 2 CASOS, Dr. Jesús Alberto Rondón Espino,1 Dr. Ramón Fernández Larrea Silva,2 Dra. Alina Gómez Trinchet3 y Dr. Luis Carlos Aguilar Domínguez3, Rev Cubana Cir 2002;41(2):124-8 SCHWARTZ PRINCIPIOS DE CIRUGÍA Novena edición