MIP. JOSÉ ARMANDO OCHOA PRIEGO
HGZMF T21
ROTACIÓN 3
Fractura.
Solución de
continuidad en
un hueso o
cartílago,
generalmente
secundaria a
traumatismo.
Luxación.
Desplazamiento local y permanente
de los extremos óseos de una
articulación, que origina perdida de
contacto entre los mismos.
Causas
Las fracturas ocurren cuando se ejerce sobre el
hueso una fuerza mayor de la que éste puede
absorber.
Los huesos son más débiles cuando se tuercen.
Las rupturas de los huesos pueden ser producto de
caídas, traumatismos, golpes o patadas al
cuerpo.
 La capacidad de un hueso de resistir las
fuerzas que se aplican sobre el depende
de muchos factores como:
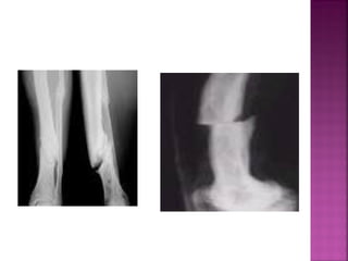
FRACTURA
ABIERTA
• el hueso atraviesa la
piel y es visible, o donde
una herida profunda a
través de la piel lo deja
a la vista.
el hueso se rompe,
pero la piel
permanece intacta
FRACTURA
CERRADA
Tipo ITipo I
- Herida cutánea causada desde adentro hacia- Herida cutánea causada desde adentro hacia
afueraafuera
- Herida cutánea- Herida cutánea menormenor de 1 cm sin mayor dañode 1 cm sin mayor daño
tejidos blandos y sin contaminacion.tejidos blandos y sin contaminacion.
- Fractura de trazo simple, transversa u oblicua- Fractura de trazo simple, transversa u oblicua
Tipo IITipo II
- Herida cutánea- Herida cutánea mayormayor de 1 cm sin destruccion dede 1 cm sin destruccion de
tejido o mayor contaminacion.tejido o mayor contaminacion.
-Fractura conminuta moderada, mecanismo de-Fractura conminuta moderada, mecanismo de
lesión inversolesión inverso
Tipo III
- Herida con grandes perdidas de tejido blando y
gran contaminación
III-A: Asociada con grave pérdida ósea, con
pérdida muscular, lesión de un nervio o un
tendón pero que conserva la cobertura del foco
óseo.
III-B: Compromiso severo de partes blandas,
pérdida de tejidos, sin capacidad de cobertura
del foco óseo
III-C: Lesión arterial y nerviosa,
independientemente del compromiso de partes
blandas.
III-D: Amputación traumática
SEGÚN SU LOCALIZACIÓN
F. EPIFISIARIAS
Si afectan a la superficie
articular, se denominan
fracturas articulares.
si aquélla no se ve afectada
por el trazo de fractura, se
denominan extraarticulares.
Cuando la fractura epifisaria
se produce en un niño e
involucra al cartílago de
crecimiento, recibe el
nombre de epifisiólisis.
F. DIAFISIARIAS
Pueden
afectar a los
tercios
superior,
medio o
inferior.
F. METAFISIARIAS
Pueden
afectar a las
metáfisis
superior o
inferior del
hueso.
F. TRANSVERSALES
la línea de
fractura es
perpendicular
al eje
longitudinal del
hueso.
F. OBLICUAS
la línea de fractura
forma un ángulo
mayor o menor de 90
grados con el eje
longitudinal del
hueso.
Existen dos líneas de
fractura oblicuas, que
forman ángulo entre si y
delimitan un fragmento
de forma triangular.
Hay múltiples líneas
de fractura, con
formación de
numerosos
fragmentos óseos.
COMPRESION
En los niños, debido a la gran
elasticidad de sus huesos,
se producen dos tipos
especiales de fractura:
 Incurvación diafisaria: no
se evidencia ninguna
fractura lineal, ya que lo
que se ha producido es un
aplastamiento de las
pequeñas trabéculas óseas
que conforman el hueso,
dando como resultado una
incurvación de la diafisis
del mismo.
EN TALLO VERDE
(incompleta)
•El hueso está
incurvado y en su
parte convexa se
observa una línea
de fractura que no
llega a afectar todo
el espesor del
hueso.
Según la desviación de los
fragmentos
 Anguladas: los dos
fragmentos en que ha
quedado dividido el hueso
a causa de la fractura
forman un ángulo.
Con desplazamiento
lateral
Las dos superficies correspondientes a la línea de
fractura no quedan confrontadas entre si, por
haberse desplazado lateralmente uno o los dos
fragmentos.
 Cabalgadas: uno de los fragmentos queda
situado sobre el otro, con lo cual se produce un
acortamiento del hueso afectado.
 Engranadas: uno de los fragmentos ha quedado
empotrado en el otro.
 Traumatismo directo. La fractura se produce en
el punto sobre el cual ha actuado el agente
traumático. Por ejemplo: fractura de cúbito por
un golpe fuerte en el brazo.
 Traumatismo indirecto. La fractura se produce
a distancia del lugar donde ha actuado el agente
traumático. Por ejemplo: fractura del codo por
una caída sobre las palmas de las manos.
 Fractura patológica.
 Causa local (carcinoma metastásico), suelen ocurrir
a nivel de los cuerpos vertebrales, 1/3 proximal del
fémur y ½ proximal del húmero.
 Causa generalizada (osteoporosis senil), con
afectación en cuerpos vertebrales dorsales y
lumbares, así como el cuello del fémur.
 LOS TEJIDOS OSEOS CORTICAL Y ESPONJOSO POSEEN
PROPIEDADES MECANICAS DISTINTAS.
 SIN EMBARGO AMBOS MUESTRAN MAYOR RESISTENCIA
CUANDO LA FUERZA QUE SE APLICA SOBRE ELLOS ES
DE COMPRESION MAS QUE DE TENSION.
 LA CURACION DE UN HUESO ES UN PROCESO
BIOLOGICO COMPLEJO.
 GENERALMENTE ADECUADO CUYO RESULTADO
ESPECIFICO ES LA REGENERACION COMPLETA
DEL TEJIDO DE SOPORTE.
 MAS QUE UNA SIMPLE FORMACION DE TEJIDO
CICATRIZAL COMO OCURRE EN OTROS
ORGANOS.
 LA REPARACION DE LAS FRACTURAS SE PUEDE
CLASIFICAR EN CUATRO ETAPAS
HISTOLOGICAS:
 INFLAMACION.
 CALLO BLANDO.
 CALLO DURO.
 REMODELACION.
 INICIA INMEDIATAMENTE DESPUES DEL
TRAUMA.
 SE CARACTERIZA POR :
-DOLOR
-AUMENTO DE TEMPERATURA
-HIPERSENSIBILIDAD
-INESTABILIDAD
-OCASIONALMENTE FIEBRE.
 LA HEMORRAGIA PROCEDENTE DEL HUESO FRACTURADO Y DE LA
LESION ACOMPAÑANTE DEL TEJIDO BLANDO CAUSAN:
 PRESENTA UN ENSANCHAMIENTO PROGRESIVO
CON AUMENTO DE SU RIGIDEZ.
 AL FINAL DE ESTA ETAPA LOS EXTREMOS
OSEOS YA NO TIENE MOVILIDAD.
 EL CALLO ESTA CONSTITUIDO INICIALMENTE
POR COLAGENO.
 POSTERIROMENTE SE FORMAN EL CARTILAGO
Y EL OSTOIDE.
 Esta etapa lleva a la calcificacion del
fibrocartilago y su conversion de hueso
entretejido.
 A lo largo de este proceso se observan
intensidades variables de osificacion
encondral.
 Formacion intramembranosa de hueso.
 Las proporciones de cada uno de estos
procesos dependen del grado de
desplazamiento y el de fijacion.
 El osteoide y el
cartilago del callo
blando externo,
periostico y medular
presenta
mineralizacion.
 Esta etapa puede desarrollarse durante
meses o años.
 Esta conlleva la conversion del hueso
entretejido debil en hueso laminar mas
resistente por efecto de la funcion
sincronizada de los osteoclastos y los
osteoblastos.
 La remodelacion tambien responde a las
fuerzas biomecanicas de manera que en
zonas de mayor estrés mecanico se produce
una cantidad de hueso mayor.
HISTORIA CLINICA
Rayos X
Se utiliza para medir y evaluar la curva.
Imágenes por resonancia magnética
permite la visualización de los tendones,
ligamentos, vasos sanguíneos y nervios de la
mano.
Tomografía computarizada
Muestra imágenes detalladas de cualquier parte
Del cuerpo, incluyendo los huesos, los músculos,
la grasa y los órganos; muestra más detalles que
los rayos X regulares.
 Es el proceso de curacion que no ha
evolucionado según lo esperado durante los 6
a 9meses posteriores al traumatismo.
 Algunos de estos cuadros finalmente
presentan curacion.
 En otros la evolucion es hacia una situacion
de falta de consolidacion (pseudoartrosis)
 En ocasiones el proceso de curacion de las
fracturas falla y el resultado es un cuadro de
falta de consolidacion.
 Se define como una fractura en la cual no se
produce union de los extremos oseos.
 No se observa ningun progreso de la curacion
2 a 3 meses despues del periodo esperado de
curacion.
 Se atribuye con mayor
frecuencia a alguna
alteracion de la
vascularizacion o a
una inadecuada
estabilizacion.
 Otros factores
contribuyentes son el
incumplimiento de las
indicaciones
terapeuticas por el
paciente,
alcoholismo,
tabaquismo.
 En toda extremidad que haya sufrido un
traumatismo es necesaria una evaluacion
neurologia y vascular detallada.
 Cuando se detecta algun deficit, deben ser
documentados cuidadosamente antes de
iniciar cualquier manipulacion.
 A continuacion se realizan con cuidado la
reduccion y estabilizacion.
 El tratamiento necesario puede consistir en
una fijacion externa temporal mientras se
repara la lesion vascular.
 Los deficits neurologicos deben ser
documentados y en terminos generales
detectados antes de la recuperacion final.
 Los que aparecen durante la manipulacion de
una fractura obligan a realizar una evalucion
detalla que puede requerir la exploracion
quirurgica.
 El sindrome es un cuadro de gravedad
extrema que aparece cuando la presion
existente en el interior de un espacio fascial
cerrado aumenta lo suficiente como para
ocluir el flujo sanguineo capilar con isquemia
de los musculos y nervios contenidos en el
compartimento.
 Cuando el paciente es
capaz de comunicarse
el signo mas temprano,
constante y fiable es la
apricion de DOLOR
profundo, progresivo,
continuo.
 El dolor esta
exacerbado por el
estiramiento pasivo de
los musculos afectados.
 Una formula util es
considerar que existe
un sindrome cuando
la presion diastolica
menos la presion del
compartimento es
inferior o igual a
30mmhg
 Cuando se sospecha un sindrome
compartimental, el miembro se debe colocar
a nivel del corazon y hay que retirar todo
tipo de ferulas o vendajes.
 Tras establecer el diagnostico se debe
trasladar urgente al paciente al quirofano
para realilzar fasciotomia por
descompresion.
 Es necesario lilberar todos y cada uno de los
compartimentos en cuestion.
“ Estructura de unión entre dos o
más huesos”
- Posibilitan su desplazamiento
espacial. Manteniendo
estabilidad.
56
◦ Pérdida completa y estable de la congruencia
de las superficies óseas que forman una
articulación.
Signos y síntomas :
•Dolor intenso en el área
del hombro.
•Deformidad visible.
•Cabeza del humero
palpable.
•Incapacidad para mover el
brazo o tocar la oreja del
lado opuesto.
NO ESTA NADA
NO ESTA NADA
NO ESTA NADA
NO ESTA NADA
NO ESTA NADA
NO ESTA NADA
NO ESTA NADA
NO ESTA NADA

NO ESTA NADA

  • 1.
    MIP. JOSÉ ARMANDOOCHOA PRIEGO HGZMF T21 ROTACIÓN 3
  • 2.
    Fractura. Solución de continuidad en unhueso o cartílago, generalmente secundaria a traumatismo.
  • 3.
    Luxación. Desplazamiento local ypermanente de los extremos óseos de una articulación, que origina perdida de contacto entre los mismos.
  • 4.
    Causas Las fracturas ocurrencuando se ejerce sobre el hueso una fuerza mayor de la que éste puede absorber. Los huesos son más débiles cuando se tuercen. Las rupturas de los huesos pueden ser producto de caídas, traumatismos, golpes o patadas al cuerpo.
  • 5.
     La capacidadde un hueso de resistir las fuerzas que se aplican sobre el depende de muchos factores como:
  • 6.
    FRACTURA ABIERTA • el huesoatraviesa la piel y es visible, o donde una herida profunda a través de la piel lo deja a la vista. el hueso se rompe, pero la piel permanece intacta FRACTURA CERRADA
  • 7.
    Tipo ITipo I -Herida cutánea causada desde adentro hacia- Herida cutánea causada desde adentro hacia afueraafuera - Herida cutánea- Herida cutánea menormenor de 1 cm sin mayor dañode 1 cm sin mayor daño tejidos blandos y sin contaminacion.tejidos blandos y sin contaminacion. - Fractura de trazo simple, transversa u oblicua- Fractura de trazo simple, transversa u oblicua Tipo IITipo II - Herida cutánea- Herida cutánea mayormayor de 1 cm sin destruccion dede 1 cm sin destruccion de tejido o mayor contaminacion.tejido o mayor contaminacion. -Fractura conminuta moderada, mecanismo de-Fractura conminuta moderada, mecanismo de lesión inversolesión inverso
  • 8.
    Tipo III - Heridacon grandes perdidas de tejido blando y gran contaminación III-A: Asociada con grave pérdida ósea, con pérdida muscular, lesión de un nervio o un tendón pero que conserva la cobertura del foco óseo. III-B: Compromiso severo de partes blandas, pérdida de tejidos, sin capacidad de cobertura del foco óseo III-C: Lesión arterial y nerviosa, independientemente del compromiso de partes blandas. III-D: Amputación traumática
  • 9.
  • 10.
    F. EPIFISIARIAS Si afectana la superficie articular, se denominan fracturas articulares. si aquélla no se ve afectada por el trazo de fractura, se denominan extraarticulares. Cuando la fractura epifisaria se produce en un niño e involucra al cartílago de crecimiento, recibe el nombre de epifisiólisis.
  • 11.
    F. DIAFISIARIAS Pueden afectar alos tercios superior, medio o inferior.
  • 12.
    F. METAFISIARIAS Pueden afectar alas metáfisis superior o inferior del hueso.
  • 13.
    F. TRANSVERSALES la líneade fractura es perpendicular al eje longitudinal del hueso.
  • 14.
    F. OBLICUAS la líneade fractura forma un ángulo mayor o menor de 90 grados con el eje longitudinal del hueso.
  • 15.
    Existen dos líneasde fractura oblicuas, que forman ángulo entre si y delimitan un fragmento de forma triangular.
  • 16.
    Hay múltiples líneas defractura, con formación de numerosos fragmentos óseos.
  • 17.
  • 18.
    En los niños,debido a la gran elasticidad de sus huesos, se producen dos tipos especiales de fractura:  Incurvación diafisaria: no se evidencia ninguna fractura lineal, ya que lo que se ha producido es un aplastamiento de las pequeñas trabéculas óseas que conforman el hueso, dando como resultado una incurvación de la diafisis del mismo.
  • 19.
    EN TALLO VERDE (incompleta) •Elhueso está incurvado y en su parte convexa se observa una línea de fractura que no llega a afectar todo el espesor del hueso.
  • 20.
    Según la desviaciónde los fragmentos  Anguladas: los dos fragmentos en que ha quedado dividido el hueso a causa de la fractura forman un ángulo.
  • 21.
    Con desplazamiento lateral Las dossuperficies correspondientes a la línea de fractura no quedan confrontadas entre si, por haberse desplazado lateralmente uno o los dos fragmentos.
  • 23.
     Cabalgadas: unode los fragmentos queda situado sobre el otro, con lo cual se produce un acortamiento del hueso afectado.  Engranadas: uno de los fragmentos ha quedado empotrado en el otro.  Traumatismo directo. La fractura se produce en el punto sobre el cual ha actuado el agente traumático. Por ejemplo: fractura de cúbito por un golpe fuerte en el brazo.  Traumatismo indirecto. La fractura se produce a distancia del lugar donde ha actuado el agente traumático. Por ejemplo: fractura del codo por una caída sobre las palmas de las manos.
  • 24.
     Fractura patológica. Causa local (carcinoma metastásico), suelen ocurrir a nivel de los cuerpos vertebrales, 1/3 proximal del fémur y ½ proximal del húmero.  Causa generalizada (osteoporosis senil), con afectación en cuerpos vertebrales dorsales y lumbares, así como el cuello del fémur.
  • 25.
     LOS TEJIDOSOSEOS CORTICAL Y ESPONJOSO POSEEN PROPIEDADES MECANICAS DISTINTAS.  SIN EMBARGO AMBOS MUESTRAN MAYOR RESISTENCIA CUANDO LA FUERZA QUE SE APLICA SOBRE ELLOS ES DE COMPRESION MAS QUE DE TENSION.
  • 26.
     LA CURACIONDE UN HUESO ES UN PROCESO BIOLOGICO COMPLEJO.  GENERALMENTE ADECUADO CUYO RESULTADO ESPECIFICO ES LA REGENERACION COMPLETA DEL TEJIDO DE SOPORTE.  MAS QUE UNA SIMPLE FORMACION DE TEJIDO CICATRIZAL COMO OCURRE EN OTROS ORGANOS.
  • 27.
     LA REPARACIONDE LAS FRACTURAS SE PUEDE CLASIFICAR EN CUATRO ETAPAS HISTOLOGICAS:  INFLAMACION.  CALLO BLANDO.  CALLO DURO.  REMODELACION.
  • 28.
     INICIA INMEDIATAMENTEDESPUES DEL TRAUMA.  SE CARACTERIZA POR : -DOLOR -AUMENTO DE TEMPERATURA -HIPERSENSIBILIDAD -INESTABILIDAD -OCASIONALMENTE FIEBRE.
  • 29.
     LA HEMORRAGIAPROCEDENTE DEL HUESO FRACTURADO Y DE LA LESION ACOMPAÑANTE DEL TEJIDO BLANDO CAUSAN:
  • 31.
     PRESENTA UNENSANCHAMIENTO PROGRESIVO CON AUMENTO DE SU RIGIDEZ.  AL FINAL DE ESTA ETAPA LOS EXTREMOS OSEOS YA NO TIENE MOVILIDAD.  EL CALLO ESTA CONSTITUIDO INICIALMENTE POR COLAGENO.  POSTERIROMENTE SE FORMAN EL CARTILAGO Y EL OSTOIDE.
  • 33.
     Esta etapalleva a la calcificacion del fibrocartilago y su conversion de hueso entretejido.  A lo largo de este proceso se observan intensidades variables de osificacion encondral.  Formacion intramembranosa de hueso.  Las proporciones de cada uno de estos procesos dependen del grado de desplazamiento y el de fijacion.
  • 34.
     El osteoidey el cartilago del callo blando externo, periostico y medular presenta mineralizacion.
  • 35.
     Esta etapapuede desarrollarse durante meses o años.  Esta conlleva la conversion del hueso entretejido debil en hueso laminar mas resistente por efecto de la funcion sincronizada de los osteoclastos y los osteoblastos.  La remodelacion tambien responde a las fuerzas biomecanicas de manera que en zonas de mayor estrés mecanico se produce una cantidad de hueso mayor.
  • 37.
    HISTORIA CLINICA Rayos X Seutiliza para medir y evaluar la curva. Imágenes por resonancia magnética permite la visualización de los tendones, ligamentos, vasos sanguíneos y nervios de la mano. Tomografía computarizada Muestra imágenes detalladas de cualquier parte Del cuerpo, incluyendo los huesos, los músculos, la grasa y los órganos; muestra más detalles que los rayos X regulares.
  • 38.
     Es elproceso de curacion que no ha evolucionado según lo esperado durante los 6 a 9meses posteriores al traumatismo.  Algunos de estos cuadros finalmente presentan curacion.  En otros la evolucion es hacia una situacion de falta de consolidacion (pseudoartrosis)
  • 40.
     En ocasionesel proceso de curacion de las fracturas falla y el resultado es un cuadro de falta de consolidacion.  Se define como una fractura en la cual no se produce union de los extremos oseos.  No se observa ningun progreso de la curacion 2 a 3 meses despues del periodo esperado de curacion.
  • 42.
     Se atribuyecon mayor frecuencia a alguna alteracion de la vascularizacion o a una inadecuada estabilizacion.  Otros factores contribuyentes son el incumplimiento de las indicaciones terapeuticas por el paciente, alcoholismo, tabaquismo.
  • 44.
     En todaextremidad que haya sufrido un traumatismo es necesaria una evaluacion neurologia y vascular detallada.  Cuando se detecta algun deficit, deben ser documentados cuidadosamente antes de iniciar cualquier manipulacion.  A continuacion se realizan con cuidado la reduccion y estabilizacion.
  • 45.
     El tratamientonecesario puede consistir en una fijacion externa temporal mientras se repara la lesion vascular.  Los deficits neurologicos deben ser documentados y en terminos generales detectados antes de la recuperacion final.  Los que aparecen durante la manipulacion de una fractura obligan a realizar una evalucion detalla que puede requerir la exploracion quirurgica.
  • 48.
     El sindromees un cuadro de gravedad extrema que aparece cuando la presion existente en el interior de un espacio fascial cerrado aumenta lo suficiente como para ocluir el flujo sanguineo capilar con isquemia de los musculos y nervios contenidos en el compartimento.
  • 51.
     Cuando elpaciente es capaz de comunicarse el signo mas temprano, constante y fiable es la apricion de DOLOR profundo, progresivo, continuo.  El dolor esta exacerbado por el estiramiento pasivo de los musculos afectados.
  • 53.
     Una formulautil es considerar que existe un sindrome cuando la presion diastolica menos la presion del compartimento es inferior o igual a 30mmhg
  • 54.
     Cuando sesospecha un sindrome compartimental, el miembro se debe colocar a nivel del corazon y hay que retirar todo tipo de ferulas o vendajes.  Tras establecer el diagnostico se debe trasladar urgente al paciente al quirofano para realilzar fasciotomia por descompresion.  Es necesario lilberar todos y cada uno de los compartimentos en cuestion.
  • 55.
    “ Estructura deunión entre dos o más huesos” - Posibilitan su desplazamiento espacial. Manteniendo estabilidad.
  • 56.
    56 ◦ Pérdida completay estable de la congruencia de las superficies óseas que forman una articulación.
  • 60.
    Signos y síntomas: •Dolor intenso en el área del hombro. •Deformidad visible. •Cabeza del humero palpable. •Incapacidad para mover el brazo o tocar la oreja del lado opuesto.

Notas del editor

  • #56 Lesión traumática de una articulación Hay una descoaptación total y estable de las superficies articulares. Sub–luxación Descoaptación traumática incompleta