HÍGADO PATOLÓGICO
(Patología Hepática)
• Agenesia hepática.
• Anomalía de la posición.
• Fisuras accesorias.
• Anomalías vasculares.
Anomalías Del Desarrollo
Patología Benigna Hepática
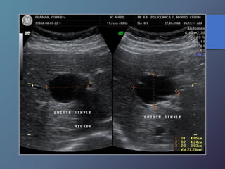
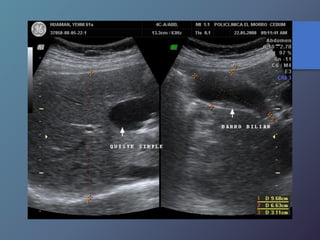
Lesiones Quísticas Simples y Complejas
• Defectos congénitos de ductos bil.
• 5ta. A 7ma. Década de la vida.
• Únicos o múltiples.
• Espacio definido lleno de liquido
con recubrimiento epitelial.
• Asintomáticos salvo complicación.
• Raramente septados y con
calcificaciones en sus paredes.
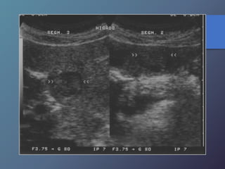
Quistes Simples
Características Ecográficas
• Imágenes anecoicas.
• Pared fina bien delimitada.
• Reforzamiento posterior.
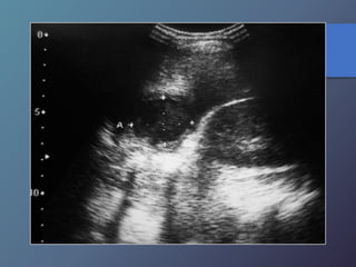
Quistes Complejos
Características Ecográficas
• Imágenes anecoicas con ecos
internos.
• Presencia de tabiques.
• Pared adelgazada.
• Puede parecer solido.
Enfermedad Poliquística
del Adulto
• Es autosómica dominante.
• Pruebas de función hepática normales.
• No se acompaña de fibrosis hepática ni
hipertensión portal.
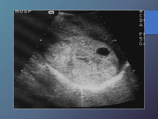
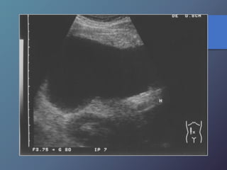
Abscesos Hepáticos Bacterianos
• Extensión directa por vía biliar-portal o
traumática.
• Características ecográficas variables
hipoecoicas.
• Artefactos de reverberación por
presencia de gas.
• Tabiques internos.
• Pared variable desde bien definida a
irregular y gruesa.
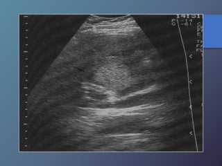
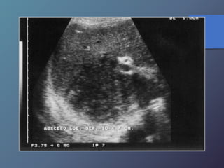
Abscesos Hepáticos Parasitarios
La infección hepática por entamoeba histolytica
es la manifestación más frecuente de amibiasis
extraintestinal
• Alrededor del 15% de los pacientes presentan diarrea
en el momento del DX.
• Son redondas u ovales.
• Ausencia de pared, hipoecogenicos en relación al
hígado.
• Ecos internos de nivel bajo, finos y continuidad con el
diafragma.
• Ubicados a nivel del lóbulo derecho
Abscesos Hepáticos
Parasitarios Hidatidosis
• Infestación por echinococcus granulosus.
• Ecográficamente son redondas u ovales, anecogénicas.
• Pared de 1mm de grosor que puede calcificarse.
• Se presentan como:
• Quistes simples sin arquitectura interna.
• Quistes con endoquistes desprendidos.
• Quistes con quistes hijos en su interior.
• Masas muy calcificadas.
Infección Hepática Por
Pneumocistis Carinii
Es el microorganismo causal de
infección oportunista a pacientes con
inmunodeficiencia adquirida.
Van desde focos ecogénicos sin
sombras de pequeño tamaño hasta una
sustitución extensa del Parénquima
hepático.
Enfermedades Micoticas
Hepáticas
• Infección secundaria hepática por diseminación
Hematógena de micosis sistémicas (cándidas).
• Inmunosuprimidos.
• Ecográficamente lesión en forma de ojo de toro
(Centro hiperecoico Y anillo hipoecoico), diámetro
De 1-4cm.
• Uniformemente hipoecoica (frecuente por fibrosis
Progresiva).
• Ecogena: calcificación variable por formación de
Cicatriz.
LESION EN DIANA (CANDIDIASIS)
Bolas Micoticas
Masas Hiperecoicas
• Tumores benigno más frecuente en hígado.
• Más frecuente en sexo femenino.
• Incidencia: 1 a 2 %.
• Clínicamente silentes.
• Canales vasculares con endotelio en
estroma fibroso.
• Solitarios.
• Periféricos.
Hemangiomas
Hiperplasia Nodular Focal
• 2a. Causa de neop. Hepática benigna
• 8% de masas hepáticas primarias Mas frecuente en
sexo F
• Respuesta hiperplásica a malformación arterial
• Ecográficamente: oval, solitaria, bordes bien def.,
hipoecoicas, homogéneas, aprox. 5 cm de diámetro.
Características Ecográficas
Adenoma Hepático
• Poco frecuentes.
• Frecuentes en sexo femenino.
• Relación con ao.
• Generalmente asintomático.
• Solitario, bien encapsulado, entre 8-15cm.
• Pueden ser hiperecoicas-hipo-iso o mixtos.
Características Ecográficas
Trastornos Del Metabolismo
Hígado Graso
• Es un trastorno reversible del metabolismo.
• Acumulo de triglicéridos dentro del hepatocito.
• Causas: Obesidad, alcohol, hiperlipidemia mal
controlada, diabetes corticosteroides, etc.
• La infiltración grasa varia según la cantidad de grasa.
• Los depósitos pueden ser difusos o focales.
Difusos:
• Leve: Aumento mínimo de la ecogenicidad.
Visualización normal del diafragma.
• Moderada: Aumento moderado de la ecogenicidad
perdida ligera de la visualización del diafragma.
• Grave: Aumento acentuado de la ecogenicidad,
mala visualización o ninguna del diafragma.
Focales:
• Pueden parecer afectación neoplásica.
• Suelen ser redondas con bordes geométricos.
Tumores Grasos del Hígado
• No son frecuentes.
• Asintomáticos.
• Masas ecogénicas bien definidas.
• Indistinguible de grasa focal o mt ecógenas.
• Dx se confirma mediante tc.
Lipomas y Angiomiolipomas
Enfermedades Infecciosas
Hepatitis Víricas
• Frecuente a nivel mundial.
• Necrosis hepática aguda o hepatitis crónica.
• Hipertensión portal-cirrosis carcinoma
hepatocelular.
• Seis virus de hepatitis diferentes.
• Parénquima hepático de menor ecogenicidad.
• Aumento de los diámetros hepáticos en relación
a hepatomegalia.
• Engrosamiento de la pared vesicular.
• Casos de hepatitis crónica tienen aspecto
ecográfico normal.
Enfermedades Infecciosas
Hepatitis Víricas
Características Ecográficas
Cirrosis Hepática
Proceso difuso hepático caracterizado
por fibrosis y la conversión de la
arquitectura normal del hígado en
nódulos estructuralmente anormales.
• Redistribución de volumen. Índice
caudado/lob. Der. 0.65.
• Ecoestructura grosera.
• Superficie nodular.
• Nódulos de regeneración.
• Nódulos displásicos.
• Hipertensión portal: Ascitis, esple-
nomegalia, varices.
Características Ecográficas
Cirrosis Hepática
Neoplasias Hepáticas Malignas
Carcinoma Hepatocelular
• Antecedente de hígado cirrótico
• Relación 5:1
• Puede aparecer solitario, nódulos
múltiples o infiltración difusa.
• Ecograf. Similar a mt, infiltr. Grasa focal
hemangioma cavernoso
• Invasión a vena porta
• Alfa feto proteína elevada
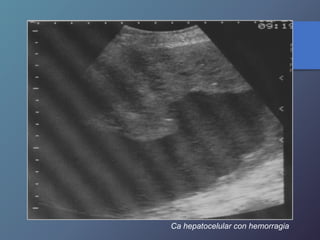
Carcinoma Hepatocelular
• Variable desde mas hipoecoicas hasta complejas o
Hiperecogénicas.
• Los chc pequeños son hipoecoicos, con halo periférico
fino que Corresponde a la capsula.
• Los chc de mayor diámetro, tienden a ser Heterogéneas,
complejas.
• Son hipervasculares, con vasos dismórficos.
Características Ecográficas
Ca hepatocelular con hemorragia
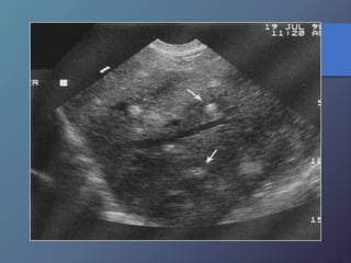
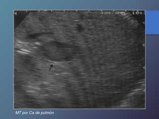
Metástasis
• Su incidencia depende del tipo de tumor.
• Localizaciones mas frecuentes del TU primario:
vesícula biliar, colon, estomago, páncreas, mama y
pulmón.
• Pueden presentar una sola lesión hepática, aunque
suelen tener múltiples masas focales.
Mt Hiperecoicas
• Ecográficamente se presentan las lesiones
de tamaño variable con presencia de un
halo hipoecoico.
• Diferenciar lesiones malignas de benignas
por presencia de halo hipoecoico.
• Se describen como lesiones ecógenas,
hipoecoicas, en diana, calcificadas,
quísticas y difusas.
Clasificación de las Metástasis
MT ecogenas:
• origen digestivo o chc.
MT hipoecoicas:
• Son hipovasculares.
• Origen CA de mamas, pulmón, páncreas y esófago.
• Los linfomas hepáticos pueden manifestarse en masas
hipoecoicas, o difusas difíciles de diferenciar por ecografía
o TC.
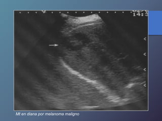
MT en diana:
• Presentan una zona hipoecoica periférica, con centro
hiperecoico.
• Frecuente en carcinomas broncogenos.
MT calcificadas:
• Presentan una ecogenicidad acentuada y
marcada sombra Acústica
• Frecuentes en adenocarcinoma de colon,
gástricos, TU. Pancreaticos, leiomiosarcomas,
neuroblastomas, cistadenocarcinomas,
teratocarcinoma ováricos.
MT quísticas:
• Son poco frecuentes
• Son de paredes muy gruesas, presencia de
tabiques internos, ecos de nivel bajo.
• Pueden observarse en el cistadenocarcinoma
del ovario y del páncreas y en el carcinoma
mucinoso de colon.
• Se observa una infiltración
parenquimatosa sutil.
• Afecta la triadas portales.
Colangiocarcinoma
Linfoma No H.
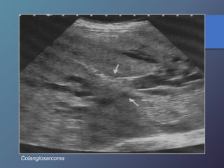
Colangiosarcoma
Mt en diana por melanoma maligno
Mt calcificada en Ca de colon
MT por Ca de pulmón
Ca de cuello por células escamosas
MT por leiomiosarcoma gástrico.
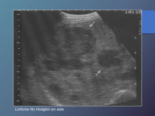
Linfoma No Hodgkin en sida
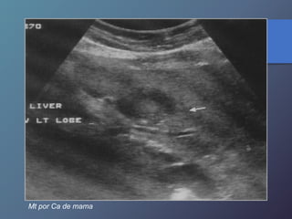
Mt por Ca de mama
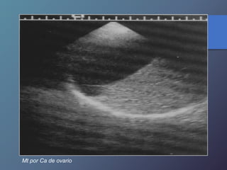
Mt por Ca de ovario
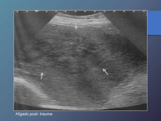
Traumatismo Hepático
• La lesión hepática es a predominio del lóbulo derecho.
• Mayor particularidad en segmento posterior.
• Mayor frecuencia por laceración peri vascular.
• Se producen hematomas subcapsulares,
pericapsulares o aislados.
• La hemorragia en las primeras 24 horas es ecogénica y
posteriormente se hace mas hipoecogénica.
• Entre las dos o tres semanas se puede observar gran
cantidad tejido de granulación.
Hígado post- trauma
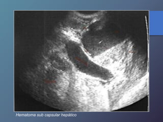
Hematoma sub capsular hepático
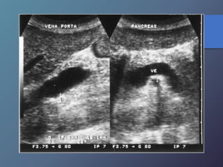
Anomalías Vasculares
• Presión normal de la porta: 5-10mmhg (14cm de agua).
• Se define como presión directa de la vena porta superior a
10mmhg.
• Puede dividirse en pre sinusoidal cuya causa mas frecuente
es la trombosis de la vena porta o esplénica.
• La cirrosis es la causa mas frecuente de hipertensión portal
intrahepatica.
• Características ecográficas: signos secundarios de
esplenomegalia, ascitis, colaterales venosas porto sistémicas.
• Se produce un aumento igual o mayor a 1.3cm.
Hipertensión Portal:
Trombosis de Lav Ena Porta
• Asociadas a neoplasias malignas como el chc, metástasis
hepáticas, carcinoma de páncreas y leiomiosarcoma.
• Otras causas: Pancreatitis crónica, hepatitis, septicemia,
traumatismos, esplenectomías y estados de
hipercoagulabilidad.
• Características ecográficas: Trombo ecógeno dentro de la
luz de la vena, expansión del calibre de la vena.
• Presencia de numerosos vasos a nivel del hilio hepático,
representando circulación colateral.
• El trombo agudo es anecoico por lo tanto debe realizarse
un estudio Doppler.
Aneurisma de la Vena Porta
• Son poco frecuentes, generalmente presentan un origen
congénito.
• Sin embargo puede ser adquirido por hipertensión
portal.
• Ecográficamente se observan en los tercios proximales
de las venas mesentérica superior y esplénica.
• Ecográficamente se observa como una masa quística
anecoica que se conecta con e sistema venoso portal.
• Al doppler pulsado muestran flujos venosos turbulentos.
Aneurisma y Pseudoaneurisma
de la Arteria Hepática
• Es la cuarta zona mas frecuente de aneurismas intra
abdominales.
• Puede estar en relación con cuadros de pancreatitis
crónica.
• Al doppler dúplex muestra flujo turbulento dentro de
una masa Ecolucida.
Síndrome de Budd-chiari
• Se caracteriza por la oclusión de las venas hepáticas.
• Esta relacionado con anomalías en la coagulación (policitemia
vera, leucemia crónica, traumatismos, carcinoma renal, chc
primario, embarazo).
• Clínica: Ascitis, dolor en hipocondrio derecho, hepatomegalia y
esplenomegalia.
• Ecográficamente: presencia de liquido (ascitis), aumento en los
diámetros hepáticos y esplénicos, infarto hemorrágico
hepático, aumento de la ecogenicidad en las aéreas infartadas.
• Al Doppler se aprecia aumento del flujo a nivel del lóbulo
caudado e hipertrofia del mismo, incapacidad para visualizar
las venas hepáticas.
Peliosis Hepática
• Se caracteriza por cavidades llenas de sangre con un
tamaño variable desde 0.1cm hasta 10 cm.
• Se distingue del hemangioma por presencia de vías
portales dentro del estroma fibroso.
• Puede ser muy agresiva y mortal.
• Ecográficamente pueden verse masas únicas o
múltiples de ecogenicidad heterogénea, presencia de
calcificaciones.
Enfermedad de Caroli
• Enfermedad autosómica recesiva.
• Dilatación sacular de árbol biliar intrahepático.
• Alta incidencia de litiasis y colan-gitis debido a
estasis biliar.
• US: imágenes quísticas que comuni-can con ramas
de árbol biliar. Cal-culos en la dilataciones saculares.
GRACIAS
Dr. Arturo Martí P
Ginecólogo - Obstetra
Endocrinología Reproductiva
Ecografía Diagnostica

Higado Patologico (6).pdf

  • 1.
  • 2.
    • Agenesia hepática. •Anomalía de la posición. • Fisuras accesorias. • Anomalías vasculares. Anomalías Del Desarrollo
  • 3.
    Patología Benigna Hepática LesionesQuísticas Simples y Complejas • Defectos congénitos de ductos bil. • 5ta. A 7ma. Década de la vida. • Únicos o múltiples. • Espacio definido lleno de liquido con recubrimiento epitelial. • Asintomáticos salvo complicación. • Raramente septados y con calcificaciones en sus paredes.
  • 4.
    Quistes Simples Características Ecográficas •Imágenes anecoicas. • Pared fina bien delimitada. • Reforzamiento posterior.
  • 5.
    Quistes Complejos Características Ecográficas •Imágenes anecoicas con ecos internos. • Presencia de tabiques. • Pared adelgazada. • Puede parecer solido.
  • 13.
    Enfermedad Poliquística del Adulto •Es autosómica dominante. • Pruebas de función hepática normales. • No se acompaña de fibrosis hepática ni hipertensión portal.
  • 18.
    Abscesos Hepáticos Bacterianos •Extensión directa por vía biliar-portal o traumática. • Características ecográficas variables hipoecoicas. • Artefactos de reverberación por presencia de gas. • Tabiques internos. • Pared variable desde bien definida a irregular y gruesa.
  • 24.
    Abscesos Hepáticos Parasitarios Lainfección hepática por entamoeba histolytica es la manifestación más frecuente de amibiasis extraintestinal • Alrededor del 15% de los pacientes presentan diarrea en el momento del DX. • Son redondas u ovales. • Ausencia de pared, hipoecogenicos en relación al hígado. • Ecos internos de nivel bajo, finos y continuidad con el diafragma. • Ubicados a nivel del lóbulo derecho
  • 29.
    Abscesos Hepáticos Parasitarios Hidatidosis •Infestación por echinococcus granulosus. • Ecográficamente son redondas u ovales, anecogénicas. • Pared de 1mm de grosor que puede calcificarse. • Se presentan como: • Quistes simples sin arquitectura interna. • Quistes con endoquistes desprendidos. • Quistes con quistes hijos en su interior. • Masas muy calcificadas.
  • 31.
    Infección Hepática Por PneumocistisCarinii Es el microorganismo causal de infección oportunista a pacientes con inmunodeficiencia adquirida. Van desde focos ecogénicos sin sombras de pequeño tamaño hasta una sustitución extensa del Parénquima hepático.
  • 33.
    Enfermedades Micoticas Hepáticas • Infecciónsecundaria hepática por diseminación Hematógena de micosis sistémicas (cándidas). • Inmunosuprimidos. • Ecográficamente lesión en forma de ojo de toro (Centro hiperecoico Y anillo hipoecoico), diámetro De 1-4cm. • Uniformemente hipoecoica (frecuente por fibrosis Progresiva). • Ecogena: calcificación variable por formación de Cicatriz.
  • 35.
    LESION EN DIANA(CANDIDIASIS)
  • 36.
  • 37.
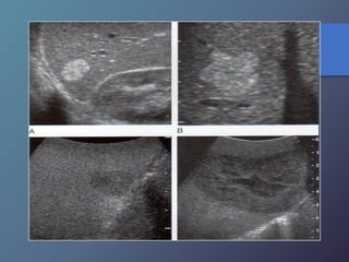
    Masas Hiperecoicas • Tumoresbenigno más frecuente en hígado. • Más frecuente en sexo femenino. • Incidencia: 1 a 2 %. • Clínicamente silentes. • Canales vasculares con endotelio en estroma fibroso. • Solitarios. • Periféricos. Hemangiomas
  • 39.
    Hiperplasia Nodular Focal •2a. Causa de neop. Hepática benigna • 8% de masas hepáticas primarias Mas frecuente en sexo F • Respuesta hiperplásica a malformación arterial • Ecográficamente: oval, solitaria, bordes bien def., hipoecoicas, homogéneas, aprox. 5 cm de diámetro. Características Ecográficas
  • 42.
    Adenoma Hepático • Pocofrecuentes. • Frecuentes en sexo femenino. • Relación con ao. • Generalmente asintomático. • Solitario, bien encapsulado, entre 8-15cm. • Pueden ser hiperecoicas-hipo-iso o mixtos. Características Ecográficas
  • 45.
    Trastornos Del Metabolismo HígadoGraso • Es un trastorno reversible del metabolismo. • Acumulo de triglicéridos dentro del hepatocito. • Causas: Obesidad, alcohol, hiperlipidemia mal controlada, diabetes corticosteroides, etc. • La infiltración grasa varia según la cantidad de grasa. • Los depósitos pueden ser difusos o focales.
  • 46.
    Difusos: • Leve: Aumentomínimo de la ecogenicidad. Visualización normal del diafragma. • Moderada: Aumento moderado de la ecogenicidad perdida ligera de la visualización del diafragma. • Grave: Aumento acentuado de la ecogenicidad, mala visualización o ninguna del diafragma.
  • 48.
    Focales: • Pueden parecerafectación neoplásica. • Suelen ser redondas con bordes geométricos.
  • 50.
    Tumores Grasos delHígado • No son frecuentes. • Asintomáticos. • Masas ecogénicas bien definidas. • Indistinguible de grasa focal o mt ecógenas. • Dx se confirma mediante tc. Lipomas y Angiomiolipomas
  • 52.
    Enfermedades Infecciosas Hepatitis Víricas •Frecuente a nivel mundial. • Necrosis hepática aguda o hepatitis crónica. • Hipertensión portal-cirrosis carcinoma hepatocelular. • Seis virus de hepatitis diferentes.
  • 53.
    • Parénquima hepáticode menor ecogenicidad. • Aumento de los diámetros hepáticos en relación a hepatomegalia. • Engrosamiento de la pared vesicular. • Casos de hepatitis crónica tienen aspecto ecográfico normal. Enfermedades Infecciosas Hepatitis Víricas Características Ecográficas
  • 54.
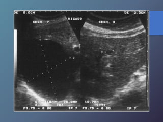
    Cirrosis Hepática Proceso difusohepático caracterizado por fibrosis y la conversión de la arquitectura normal del hígado en nódulos estructuralmente anormales.
  • 55.
    • Redistribución devolumen. Índice caudado/lob. Der. 0.65. • Ecoestructura grosera. • Superficie nodular. • Nódulos de regeneración. • Nódulos displásicos. • Hipertensión portal: Ascitis, esple- nomegalia, varices. Características Ecográficas Cirrosis Hepática
  • 63.
    Neoplasias Hepáticas Malignas CarcinomaHepatocelular • Antecedente de hígado cirrótico • Relación 5:1 • Puede aparecer solitario, nódulos múltiples o infiltración difusa. • Ecograf. Similar a mt, infiltr. Grasa focal hemangioma cavernoso • Invasión a vena porta • Alfa feto proteína elevada
  • 64.
    Carcinoma Hepatocelular • Variabledesde mas hipoecoicas hasta complejas o Hiperecogénicas. • Los chc pequeños son hipoecoicos, con halo periférico fino que Corresponde a la capsula. • Los chc de mayor diámetro, tienden a ser Heterogéneas, complejas. • Son hipervasculares, con vasos dismórficos. Características Ecográficas
  • 69.
  • 70.
    Metástasis • Su incidenciadepende del tipo de tumor. • Localizaciones mas frecuentes del TU primario: vesícula biliar, colon, estomago, páncreas, mama y pulmón. • Pueden presentar una sola lesión hepática, aunque suelen tener múltiples masas focales. Mt Hiperecoicas
  • 71.
    • Ecográficamente sepresentan las lesiones de tamaño variable con presencia de un halo hipoecoico. • Diferenciar lesiones malignas de benignas por presencia de halo hipoecoico. • Se describen como lesiones ecógenas, hipoecoicas, en diana, calcificadas, quísticas y difusas.
  • 72.
    Clasificación de lasMetástasis MT ecogenas: • origen digestivo o chc. MT hipoecoicas: • Son hipovasculares. • Origen CA de mamas, pulmón, páncreas y esófago. • Los linfomas hepáticos pueden manifestarse en masas hipoecoicas, o difusas difíciles de diferenciar por ecografía o TC. MT en diana: • Presentan una zona hipoecoica periférica, con centro hiperecoico. • Frecuente en carcinomas broncogenos.
  • 73.
    MT calcificadas: • Presentanuna ecogenicidad acentuada y marcada sombra Acústica • Frecuentes en adenocarcinoma de colon, gástricos, TU. Pancreaticos, leiomiosarcomas, neuroblastomas, cistadenocarcinomas, teratocarcinoma ováricos. MT quísticas: • Son poco frecuentes • Son de paredes muy gruesas, presencia de tabiques internos, ecos de nivel bajo. • Pueden observarse en el cistadenocarcinoma del ovario y del páncreas y en el carcinoma mucinoso de colon.
  • 76.
    • Se observauna infiltración parenquimatosa sutil. • Afecta la triadas portales. Colangiocarcinoma
  • 77.
  • 78.
  • 80.
    Mt en dianapor melanoma maligno
  • 81.
    Mt calcificada enCa de colon
  • 82.
    MT por Cade pulmón
  • 83.
    Ca de cuellopor células escamosas
  • 89.
  • 90.
  • 91.
    Mt por Cade mama
  • 92.
    Mt por Cade ovario
  • 93.
    Traumatismo Hepático • Lalesión hepática es a predominio del lóbulo derecho. • Mayor particularidad en segmento posterior. • Mayor frecuencia por laceración peri vascular. • Se producen hematomas subcapsulares, pericapsulares o aislados. • La hemorragia en las primeras 24 horas es ecogénica y posteriormente se hace mas hipoecogénica. • Entre las dos o tres semanas se puede observar gran cantidad tejido de granulación.
  • 95.
  • 96.
  • 97.
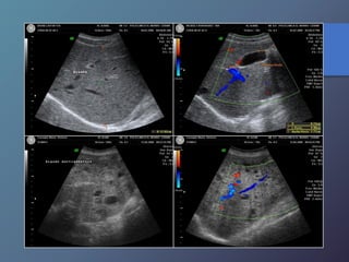
    Anomalías Vasculares • Presiónnormal de la porta: 5-10mmhg (14cm de agua). • Se define como presión directa de la vena porta superior a 10mmhg. • Puede dividirse en pre sinusoidal cuya causa mas frecuente es la trombosis de la vena porta o esplénica. • La cirrosis es la causa mas frecuente de hipertensión portal intrahepatica. • Características ecográficas: signos secundarios de esplenomegalia, ascitis, colaterales venosas porto sistémicas. • Se produce un aumento igual o mayor a 1.3cm. Hipertensión Portal:
  • 98.
    Trombosis de LavEna Porta • Asociadas a neoplasias malignas como el chc, metástasis hepáticas, carcinoma de páncreas y leiomiosarcoma. • Otras causas: Pancreatitis crónica, hepatitis, septicemia, traumatismos, esplenectomías y estados de hipercoagulabilidad. • Características ecográficas: Trombo ecógeno dentro de la luz de la vena, expansión del calibre de la vena. • Presencia de numerosos vasos a nivel del hilio hepático, representando circulación colateral. • El trombo agudo es anecoico por lo tanto debe realizarse un estudio Doppler.
  • 99.
    Aneurisma de laVena Porta • Son poco frecuentes, generalmente presentan un origen congénito. • Sin embargo puede ser adquirido por hipertensión portal. • Ecográficamente se observan en los tercios proximales de las venas mesentérica superior y esplénica. • Ecográficamente se observa como una masa quística anecoica que se conecta con e sistema venoso portal. • Al doppler pulsado muestran flujos venosos turbulentos.
  • 102.
    Aneurisma y Pseudoaneurisma dela Arteria Hepática • Es la cuarta zona mas frecuente de aneurismas intra abdominales. • Puede estar en relación con cuadros de pancreatitis crónica. • Al doppler dúplex muestra flujo turbulento dentro de una masa Ecolucida.
  • 103.
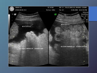
    Síndrome de Budd-chiari •Se caracteriza por la oclusión de las venas hepáticas. • Esta relacionado con anomalías en la coagulación (policitemia vera, leucemia crónica, traumatismos, carcinoma renal, chc primario, embarazo). • Clínica: Ascitis, dolor en hipocondrio derecho, hepatomegalia y esplenomegalia. • Ecográficamente: presencia de liquido (ascitis), aumento en los diámetros hepáticos y esplénicos, infarto hemorrágico hepático, aumento de la ecogenicidad en las aéreas infartadas. • Al Doppler se aprecia aumento del flujo a nivel del lóbulo caudado e hipertrofia del mismo, incapacidad para visualizar las venas hepáticas.
  • 104.
    Peliosis Hepática • Secaracteriza por cavidades llenas de sangre con un tamaño variable desde 0.1cm hasta 10 cm. • Se distingue del hemangioma por presencia de vías portales dentro del estroma fibroso. • Puede ser muy agresiva y mortal. • Ecográficamente pueden verse masas únicas o múltiples de ecogenicidad heterogénea, presencia de calcificaciones.
  • 107.
    Enfermedad de Caroli •Enfermedad autosómica recesiva. • Dilatación sacular de árbol biliar intrahepático. • Alta incidencia de litiasis y colan-gitis debido a estasis biliar. • US: imágenes quísticas que comuni-can con ramas de árbol biliar. Cal-culos en la dilataciones saculares.
  • 109.
    GRACIAS Dr. Arturo MartíP Ginecólogo - Obstetra Endocrinología Reproductiva Ecografía Diagnostica