Dr. José Luis Foronda Rios
IMAGENOLOGIA
HEPATICA
Higado
ANATOMÍA NORMAL
• División clásica: 3 lóbulos
• DERECHO: A la derecha de la Cisura Lobar Principal o Interlobar (línea que
une la fosa vesicular con la vena cava inferior). Dividido en segmentos
Anterior y Posterior por la cisura intersegmentaria derecha.
• IZQUIERDO: A la izquierda de la Cisura Lobar Principal.
Dividido en segmentos Medial y Lateral por la cisura
• CAUDADO: En sector posterior del hígado, su límite posterior en la vena
cava inferior y el anterior la cisura lobar principal.
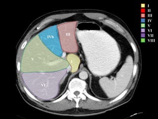
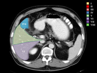
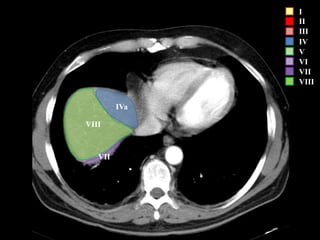
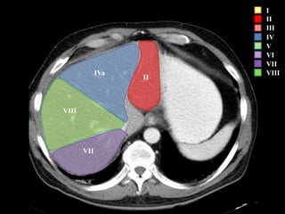
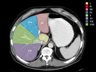
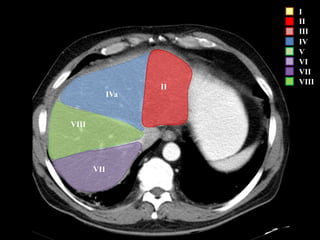
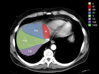
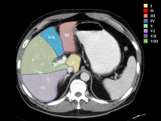
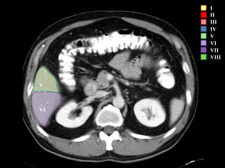
COUINAUD asignó un sistema de numeración para definir la segmentación
hepática.
VASCULARIZACION HEPATICA
TRES SISTEMAS
VASCULARES:
• ARTERIA
HEPATICA
• VENAS
SUPRAHEPATICAS
• VENA PORTA
VENA PORTA
FORMA LA TRIADA
PORTAL QUE VA
ENVUELTO EN UNA
VAINA DE
COLAGENO SE VE EN
ECOGRAFIA DE
PAREDES HIPER
ECOGENICAS
Valoración básica hepática
– Forma: contornos, distribución volumétrica
– Tamaño:
• Distribución volumétrica
– Longitudes
– Ángulos
– Ecogenicidad:
• Normal:
– Homogénea, ecos finos
• Hipoecoica respecto al bazo
• Hiper – Isoecoico respecto a la corteza renal
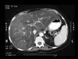
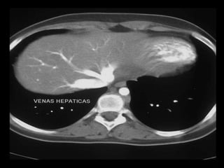
HIGADO NORMAL
HIGADO NORMAL
HIGADO NORMAL
I
II
III
IV
V
VI
VII
VIII
IVa
VIII
VII
I
II
III
IV
V
VI
VII
VIII
IVa
VIII
VII
I
II
III
IV
V
VI
VII
VIII
VII
VIII
IVa II
I
II
III
IV
V
VI
VII
VIII
VII
VIII
IVa
II
I
II
III
IV
V
VI
VII
VIII
VII
VIII
IVa
II
I
II
III
IV
V
VI
VII
VIII
VII
VIII
IVa
II
VII
VIII
IVa
II
I
II
III
IV
V
VI
VII
VIII
I
II
III
IV
V
VI
VII
VIII
VII
VIII
IVa III
I
II
III
IV
V
VI
VII
VIII
VII
V
IVIII
IVb III
I
II
III
IV
V
VI
VII
VIII
VI
V
I
IVb
III
I
II
III
IV
V
VI
VII
VIII
VI
V
I
IVb
III
I
II
III
IV
V
VI
VII
VIII
VI
V
IVb
I
II
III
IV
V
VI
VII
VIII
VI
V
IVb
I
II
III
IV
V
VI
VII
VIII
VI
V
IVb
I
II
III
IV
V
VI
VII
VIII
VI
V
I
II
III
IV
V
VI
VII
VIII
VI
V
I
II
III
IV
V
VI
VII
VIII
VI
V
I
II
III
IV
V
VI
VII
VIII
VI
V
I
II
III
IV
V
VI
VII
VIII
VI
V
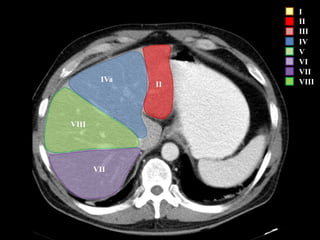
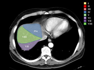
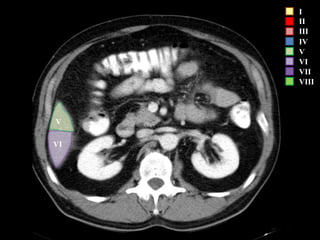
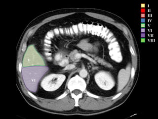
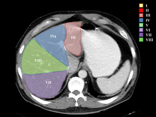
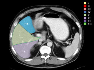
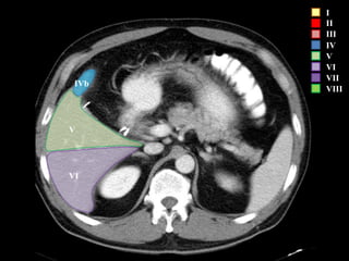
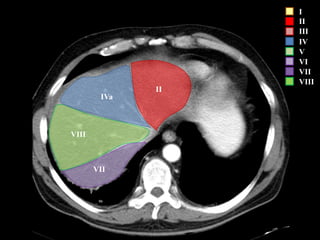
I – Entre cava y porta
II – el más superior de los izquierdos
III – Por debajo del II
IV – por delante de la vesícula
V – por detrás de la vesícula
VI – relación con riñón derecho
VII – el más posterior de los segmentos superiores
VIII – domo hepático
Las claves de la segm. Hepática
HEPATOPATIAS
PATOLOGÍA HEPATICA
• Proceso congénitos:
• Lesiones difusas.
• Procesos :Infecciosos:
• Tumores: - Benignos
- Malignos
PATOLOGIA HEPATICA
PROCESOS CONGENITOS
• Quiste simple.
• Poliquistosis.
• Síndrome de Budd-Chiari.
PROCESO CONGENITO: QUISTE
HEPÁTICO
• Quiste simple
• Circular
• Membrana periférica
• Contenido econegativo.
• Refuerzo posterior.
US QUISTE HEPATICO
QUISTE HEPATICO: TC SIN CONTRASTE
QUISTE HEPATICO: TC CON CONTRASTE
POLIQUISTOSIS HEPATICA
ANOMALIAS VASCULARES SINDROME
BUDD CHIARI
• Obstrucción o agenesia de
las venas supra hepáticas
• El hígado por intermedio
de venas colaterales
permite el flujo hacia la
vena cava inferior.
Sd Budd Chiari
• Ausencia congenita VSH
• Venas colaterales de VCI permiten
el drenaje
LESIONES PARENQUIMALES DIFUSAS
• HIGADO CONGESTIVO: por ICC,
Estenosis tricuspidea o trombosis
de la VCI
• ESTEATOSIS: Infiltracion grasa en
el parenquima
• CIRROSIS: Necrosis y fibrosis del
parenquima
HIGADO CONGESTIVO
• Hepatomegalia
• Parenquima hipoecoico (inicio)
• VSH dilatadas, inversion de flujo
• VCI dilatada
LESIONES PARENQUIMALES DIFUSAS : HÍGADO
CONGESTIVO
• Hepatomegalia:
• Parénquima
hipoecoico (1)
• Dilatación de las venas
supra hepáticas (2)
• Dilatación de la vena
cava inferior.(3)
1
2
2 3
HIGADO CONGESTIVO
• 1.-Vena suprahepática dilatada.
• 2.-Vena cava inferior dilatada.
1
1 2
ESTEATOSIS HEPATICA
• Hepatomegalia, bordes regulares
• Parénquima hiperecogenico con atenuación posterior
• Aparente anecogenisidad de las paredes de las venas portales
por falta de contraste, posteriormente no se visualizan.
• Disminución del diámetro de las venas suprahepáticas.
• Vena cava inferior con latido trasmitido
• No se visualizan signos de hipertensión portal.
ESTEATOSIS HEPATICA
ESTEATOSIS HEPÁTICA:LOBULACION
GRASA
CIRROSIS HEPATICA
• Volumen hepático disminuido, bordes ondulados
• Parénquima con hiperecogenico, formado por ecos gruesos y
con atenuación posterior.
• VP incremento de diámetro, por encima de 14mm.
• VSH disminuidas de diámetro.
• VCI sin latido trasmitido
• Hipertrofia del segmento I, con hipoecogenisidad
• Ascitis
• Esplenomegalia
CIRROSIS HEPATICA
Ascitis
Bordes ondularos
irregulares
Lobulo hepatico
derecho diminuido
de tamaño
CIRROSIS HEPATICA:ASCITIS
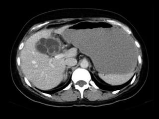
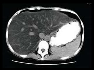
TUMORES HEPATICOS BENIGNOS
• Angioma
• Adenoma
• Hamartoma
• Cistoadenoma
ANGIOMA CAPILAR
• Masa pequeña, oval o circular.
• Hiperecogenico.
• Crecimiento lento.
ANGIOMA
ADENOMAS HEPATICOS
• Masa Benigna
• Pobremente
vascularizada
• Crecimiento lento
HAMARTOMA
• Masa única
• Tamaño: Variable desde pocos centímetros a mas de
10cm.
• Bordes definidos, polilobulados.
• Si es voluminosa origina aumento de diámetro del
tronco celiaco y de la aorta.
• Ecorrefringencia:
• Irregular por presencia de tejido vascular, muscular y graso
Compuesto en proporciones variables por tejido mixomatoso,
mesenquimático y conductos biliares anormales
CISTOADENOMA
• Masa multiquistica, membrana periferica
• Voluminosa
• Escazo tejido solido.
• Bordes ondulados definidos.
• Hipovascularizado.
• No adenopatías, no metástasis, no trombosis
de venas.
CISTOADENOMA
CISTOADENOMA
TUMORES HEPATICOS MALIGNOS:
HEPATOCARCINOMA
• Masa compleja: Ecorrefrigencia irregular.
• Áreas de necrosis y calcificaciones.
• Estrías lineales dentro de las venas, luego trombosis
• Invade los conductos intrahepaticos, originando dilataciones
dístales
• Dilatación de la vena cava inferior y de la arteria hepática
• Hipervascularizado.
• Ganglios regionales
• Metástasis a distancia
CARCINOMA HEPATOCELULAR
HEPATOCARCINOMA
BIOPSIA DIRIGIDA
METÁSTASIS HEPATICAS
• Nódulos de distintas características, múltiples
secundarias a tumor maligno de otro órgano.
METASTASIS
METASTASIS
01/05/2017
INFECCIOSAS
HEPATITIS
–AUMENTO DE VOLUMEN
–AUMENTO DE LA DENSIDAD
–RIESGO H-B PARA
HEPATOCARCINOMA
–H-C PARA CIRROSIS 10 A 20%
HEPATITIS
ABSCESO HEPATICO
• LESIÓN POR LO GENERAL BIEN DELIMITADA
• DENSIDAD SUELE SER ALGO SUPERIOR A LA DEL
AGUA (20-30 UH).
• TRAS LA INYECCIÓN DE CONTRASTE INTRAVENOSO
MUESTRA UNA INTENSA CAPTACIÓN ANULAR QUE ES
MUY CARACTERÍSTICA AUNQUE NO
PATOGNOMÓNICA
• UN BAJO PORCENTAJE DE ABSCESOS HEPÁTICOS
CONTIENEN GAS EN SU INTERIOR.
ABSCESO HEPATICO
• ABSCESO BACTERIANO:
– BACILOS GRAM NEGATIVOS FACULTATIVOS.
– E. COLI ( EN ADULTOS)
– ESTAFILOCOCO EN PEDIÁTRICOS.
– DE LAS INFECCIONES LA MAS FRECUENTE.
ABSCESO HEPATICO
• SIGNOS
– HEPATOMEGALIA
– FIEBRE
– MALESTAR GENERAL
– ESCALOIFRIOS
– BAJA DE PESO
– NAUSEAS
– VOMITOS
• LEUCOCITOSIS.
• ALTA DE LA FOSFATASA
ALCALINA.
• BAJA DE ALBUMINA EN
SANGRE.
• PEDEN SER LAS MULTIPLES.
• AFECTA AMNBOS LOBULOS.
ABSCESO HEPATICO
• EN TC
– SENSIBLE 90 %
– MASAS REDONDEADAS
– BAJA ATENUACIÒN C/S CONTRASTE
– ATENUACIÒN ENTRE 0 Y 45 UH.
– COALECER.
– NIVELES HIDROAEREOS. (INTESTINO/ABSCESO)
ABSCESO HEPATICO: US
ABSCESO HEPATICO
6
ABSCESO HEPATICO
ABSCESO HEPATICO
POR HONGOS: CANDIDIASIS
• ABCESOS MICOTICOS:
– INMUNODEPRIMIDO
– CANDIASIS HEPATOESPLENICA
– 70 % LEUCEMIAS AGUDAS
– 50 % LEUCEMIAS
– MICROABSCESOS.
POR HONGOS: CANDIDIASIS
• TC:
– MULTIPLES AREAS PEQUEÑAS Y
REDONDAS E HIPODENSAS
– CONTRASTE MEJORA LA
VISUALIZACION DE
CALCIFICACIONES.
• RM:
– T1 HIPERINTENSO
– T2 HIPOINTENSO
POR HONGOS: CANDIDIASIS
POR HONGOS: CANDIDIASIS
POR HONGOS: CANDIDIASIS
ABSCESO AMEBIANO
– PARASITO: ENTAMOEBA HISTOLITICA.
– MANIFESTACION EXTRAINTESTINAL DE LA
AMEBIASIS (ATRAVIESA EL COLON Y PENETRA
LA CIRCULACIÒN PORTAL O POR LINFATICOS).
– COMPLICACION: RUPTURA HEPATICA DEL
ABSCESO A TRAVES DEL DIAFRAGMA.
ABSCESO AMEBIANO
• TC:
– LESIONES HIPODENSAS.
– SIMILITUD A TUMORES SÓLIDOS.
– ABSCESO ANTIGUO DE ASPECTO QUISTICO.
– PUEDE PRESENTAR REBORDES DE BAJA
ATENUACIÒN.
– PRESENCIA DE TABIQUES.
– EN RM T1 Y T2 BIEN DEFINIDOS
ABSCESO AMEBIANO
01/05/2017
HIDATIDOSIS
CAUSADO POR LARVA DE TENIA.
LOS HUEVOS INCUBAN EL INTERIOR DEL
INTESTINO. ATRAVIESAN LA MUCOSA Y
ALCANZAN EL SISTEMA PORTA Y
LINFATICO.
QUISTES UNICOS O MULTIPLES.
ASINTOMATICA.
01/05/2017
QUISTE HIDATIDICO
LESION BIEN DELIMITADA
PAREDES GRUESAS, CON
CALCIFICACIONES
CONTENIDO INTERNO DENSO.
A VECES UNILOCULADO
FRECUENTE MULTILOCULADO Y CON
VESICULAS HIJAS INTERNAS.
QUISTE HIDATIDICO
QUISTES HIDATIDICOS SIMPLES
QUISTE HIDATIDICO CON MULTIPLES
QUISTES SATELITES DE MENOR TAMAÑO
QUISTE HIDATIDICO CON VESICULAS
HIJAS INTERNAS
QUISTE HIDATIDICO
01/05/2017
METABOLICAS
ESTEATOSIS HEPATICA
CIRROSIS HEPATICA
– EXISTE UNA DESTRUCCION MASIVA DE LOS
HEPATOCITOS , POR TANTO HAY UNA PERDIDA
DE LA ARQUITECTURA DE LA FORMA HEPATICA.
– TIPOS LAENNEC
– POSNECRÒTICA
– BILIAR ( SECUNDARIA A LA COLECISTITIS
INTRAHEPATICA CRONICA)
CIRROSIS HEPATICA
– INFILTRACION GRASA
– HEPATOMEGALIA
– FIBROSIS
– HIPERTENSIÒN PÒRTAL
– CONTORNOS LOBULADOS E IRREGULARES .
– ATROFIA DEL LOBULO DERECHO E HIPERTROFIA
DEL IZQUIERDO.(AL)
– ASCITIS.
CIRROSIS HEPATICA
CIRROSIS HEPATICA
CIRROSIS HEPATICA
01/05/2017
TRAUMATISMOS
TRAUMATISMOS
• LA TOMOGRAFIA TIENE EL MAYOR EFECTO.
• DETECCION EXELENTE PARA PACIENTES
POLITRAUMATIZADOS HEMODINAMICAMENTE
ESTABLE
• VALORACIÒN INICIAL.
• VER LOCALZACIÒN Y EXTENSIÒN
TRAUMATISMOS
• LAS LESIONES TRAUMATICAS PUEDEN SER :
– CONTUSIONES
– DESGARROS
– HEMATOMAS
– ROTURAS
– LACERACIONES
TRAUMATISMOS
• EN TC :
CONTUSION SIN ROTURA SE MANIFIESTA COMO
IMAGEN HIPODENSA EN CONTRASTADA ESTO
PUEDE SER POR EDEMAS Y HEMORRAGIAS
MICROSCÒPICAS
DESGARRO HEPATICO
TRAUMATISMO: INJURIA HEPATICA
TRAUMATISMOS
TRAUMATISMOS
01/05/2017
NEOPLASIAS HEPATICAS
HIPERPLASIA NODULAR FOCAL
HIPERPLASIA NODULAR FOCAL
HIPERPLASIA NODULAR FOCAL
ADENOMA HEPATICO
• SUELEN SER LESIONES
REDONDEADAS
• SÓLIDAS GENERALMENTE ÚNICAS
• BIEN DELIMITADAS.
• OSCILA ENTRE 6 A 15 CM
ADENOMA HEPATICO
ADENOMA HEPATICO
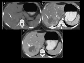
HEMANGIOMA HEPATICO
– EL MÁS FRECUENTE ES EL ANGIOMA.
SE TRATA DE UNA LESIÓN
ASINTOMÁTICO CUYA TOPOGRAFÍA
MÁS CARACTERÍSTICA ES EL
SEGMENTO POSTERIOR DEL LÓBULO
DERECHO HEPÁTICO.
.
HEMANGIOMA HEPATICO
– ES UNA TUMORACIÓN VASCULAR CON UNA
CIRCULACIÓN ENLENTECIDA, HIPODENSA
CON RESPECTO AL HÍGADO EN LA TC BASAL,
QUE MUESTRA UNA INTENSA CAPTACIÓN
PERIFÉRICA INICIAL TRAS LA
ADMINISTRACIÓN DE UN BOLO DE
CONTRASTE (INYECCIÓN RÁPIDA DE
CONTRASTE YO DADO A TRAVÉS DE UNA
VENA PERIFÉRICA).
HEMANGIOMA HEPATICO
• MUJERES MAS FRECUENTE
• HALLAZGOS:
– MASA HIPODENSA
– HIPERCAPTACIÒN DEL CONTRASTE 20 A 30
MINUTOS
– TRAS LA ADMINISTTRACIÒN RAPIDA DE
CONTRASTE APARECEN AREAS
NODULATRES HIPERCAPTANTES
HEMANGIOMA HEPATICO
HEMANGIOMA HEPATICO
HEMANGIOMA HEPATICO
HEMANGIOMA HEPATICO
HEMANGIOMA HEPATICO
HEMANGIOMA HEPATICO
NEOPLASIAS HEPATICAS
METASTASICAS
• Pueden ser únicas o múltiples.
• Lesiones hipodensas a no ser que contengan
calcio, (lesiones secundarias a osteosarcoma o
cistoadenocarcinoma, o hayan sufrido un
sangrado intratumoral reciente : hiperdensas con
respecto al hígado )
NEOPLASIAS HEPATICAS
METASTASICAS
NEOPLASIAS HEPATICAS
METASTASICAS
NEOPLASIAS HEPATICAS
METASTASICAS
METASTASIS HIPERDENSAS POR CA
COLON
NEOPLASIAS HEPATICAS
• - La más frecuente es el hepatocarcinoma,
que suele asentar sobre un hígado con una
hepatopatía de base.
• - Puede infiltrar e! hígado de forma difusa,
o bien presentarse como una lesión focal.
NEOPLASIAS HEPATICAS
Imagen hipodensa en la TC en la
mayor parte de los casos aunque un
pequeño porcentaje son isodensos,
lo que conlleva serios problemas
diagnósticos.
NEOPLASIAS HEPATICAS
Son tumores que se vascularizan a partir de la
arteria hepática, por lo que en los primeros
segundos que siguen a la inyección rápida (en
forma de bolo) de contraste intravenoso
suelen captar intensamente .
NEOPLASIAS HEPATICAS
Con frecuencia producen infiltración
vascular (trombosis portal tumoral) y
dan metástasis en otras localizaciones
hepáticas.
NEOPLASIAS HEPATICAS
HEPATOCARCINOMA EN FONDO
CIRROTICO
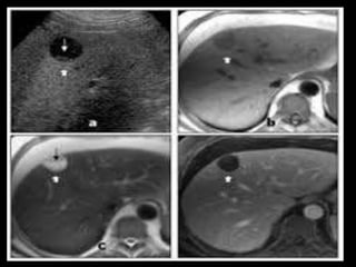
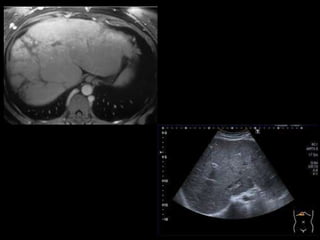
HEPATOCARCINOMA : RM
LINFOMA HEPATICO
Higado

Higado

Notas del editor

  • #2 http://residenciarx.blogspot.com.ar/2009/11/clase-de-segmentacion-hepatica-evaluada.html