PREPARACIÓN
DE LOS
TEJIDOS
MÉTODOS DE PREPARACIÓN
DE TEJIDOS
SE DIVIDEN EN :
1. MÉTODO PARA OBSERVACIÓN
DIRECTA DE CÉLULAS VIVAS
2. MÉTODO PARA OBSERVACIÓN DE
CÉLULAS MUERTAS
OBSERVACIÓN
DE TEJIDOS VIVOS
➢ Se pueden observar organismos unicelulares, y a
veces células libres de un organismo completo
➢ Las células libres son incoloras y sus estructuras
carecen de contraste (útil el microscopio de
contraste de fases)
➢ Las células de la sangre se pueden observar en su
medio natural, el plasma (ej. movimiento ameboide
de los leucocitos)
➢ Se pueden observar membranas delgadas
(mesenterios)
OBSERVACIÓN
DE TEJIDOS VIVOS
EL CULTIVO DE TEJIDOS:
➢ Es un método que sirve para la observación prolongada de
células vivas
➢ Se extirpa fragmentos de tejido vivo, y se coloca en un
medio fisiológico con una temperatura normal, esto en un
portaobjetos cóncavo
➢ Sirve para observar el crecimiento, multiplicación, y
diferenciación celular
➢ Muy valioso en el estudio de cáncer y de la actividad vírica
OBSERVACIÓN
DE TEJIDOS VIVOS
LA MICRODISECCION:
➢ Un método que sirve para retirar componentes de una
célula
➢ Se puede retirar el núcleo y observar el efecto
resultante
➢ Esto se logra con un instrumento especial que maneja
con precisión unas agujas delgadas de vidrio bajo un
microscopio
OBSERVACIÓN
DE TEJIDOS VIVOS
LA TINCIÓN VITAL:
➢ Método en el cual se inyectan colorantes inocuos al
organismo vivo para observar su reacción
➢ Un ejemplo de esto es la tinción de macrófagos con
azul de tripano (ya que se conoce que estas células
se caracterizan por fagocitar partículas extrañas)
OBSERVACIÓN
DE TEJIDOS VIVOS
TINCIÓN SUPRAVITAL:
➢ Se aplica un colorante a células vivas extraídas de un
organismo
➢ Un ejemplo es la tinción de mitocondrias de células
vivas con el Verde Janus
➢ Otro ejemplo la tinción de lisosomas con Rojo Neutro
➢ La tinción de células y fibras nerviosas con Azul de
Metileno
PREPARACION
DE TEJIDOS MUERTOS
➢ Es la manera mas práctica de estudiar
histología
➢ Se sigue una serie de pasos en un orden
específico para lograr una buena muestra
MÉTODO DE PREPARACIÓN DE UN
CORTE DE TEJIDO MUERTO
➢ OBTENCIÓN DE LA MUESTRA
➢ FIJACIÓN
➢ INCLUSIÓN
➢ CORTE
➢ TINCIÓN
➢ MONTAJE
MÉTODO DE PREPARACIÓN DE UN
DE TEJIDO MUERTO PARA
MICROSCOPIO OPTICO
OBTENCIÓN DE LA MUESTRA
➢ El material debe obtenerse de un
organismo anestesiado
➢ O inmediatamente después de la muerte
de dicho organismo
FIJACIÓN
➢ El objetivo es conservar el protoplasma
y por tanto es importante hacerlo lo mas
pronto (evitar la autolisis).
➢ Los fijadores coagulan el protoplasma y
endurecen los tejidos para facilitar el
corte.
➢ También aumentan la afinidad del
protoplasma para los colorantes.
FIJACIÓN
➢ Los fijadores mas utilizados son:
formalina, alcohol, bicloruro de mercurio, y
los ácidos pícrico, acético, ósmico
➢ También se utilizan combinaciones
ej. liquido de bouin: ac. pícrico, ac. acético,
formalina
*debido a que ningún fijador tiene todas las características deseables
INCLUSIÓN
➢ El objetivo es proporcionar un soporte rígido al bloque
de tejido para poder hacer cortes delgados
➢ Antes de la inclusión se lava el exceso de fijador y
luego se deshidrata (con un agente deshidratante
como alcohol etílico)
➢ Luego se aclara (con un agente aclarador como xilol
cloroformo, benceno, o aceite de cedro)
➢ Finalmente se infiltra un medio de inclusión como la
parafina o celoidina se deja solidificar para obtener
una masa homogénea
CORTE
➢ Se monta el bloque duro de parafina en un
micrótomo (con hoja de acero)
➢ Se obtiene cortes de 3 a 10 micras
➢ Se pasan estos cortes a un portaobjetos luego de
extender albúmina de huevo
➢ Se pasa agua debajo del corte
➢ Se deja evaporar el agua y queda pegado el corte
al portaobjetos
TINCIÓN
➢ El objetivo es hacer mas evidentes los diversos
componentes celulares y tisulares
➢ Si se ha utilizado parafina se necesita eliminar el
exceso (ya que los colorantes se emplean en
solución acuosa) con un aclarador solvente para la
parafina como el xilol o toluol
➢ Luego se deshidrata con alcohol
➢ Finalmente se aplica el colorante deseado
MONTAJE
➢Se utiliza un medio de montaje como
el Bálsamo de Canadá (que tiene un
índice de refracción similar al vidrio)
➢Se coloca un cubreobjetos y se deja
secar.
PREPARACIÓN PARA
MICROSCOPÍA ELECTRÓNICA
Considerar las diferencias en la
preparación.
➢ Los fragmentos de tejido son mas
pequeños, y el tejido debe ser fresco
PREPARACIÓN PARA
MICROSCOPÍA ELECTRONICA
➢ Se realiza un procedimiento de fijación doble:
1. Solución amortiguada de glutaraldehido (esto
retiene los componentes proteicos)
2. Tetraoxido de osmio amortiguado (esto conserva
los componentes lipidicos, y ya que es un metal
pesado también juega un papel importante en la
desviación de electrones para la imagen)
➢ Se sustituye la parafina por un material mas firme,
generalmente de plástico (epon o araldita)
PREPARACIÓN PARA
MICROSCOPIO ELECTRONICO
➢ Los cortes son hechos con un micrótomo
especial, con cuchilla de vidrio o diamante para
lograr cortes muy finos
➢ Para la tinción los cortes se montan sobre rejillas
de cobre perforadas
➢ Los colorantes son sales de metales pesados
(como citrato de plomo, acetato de urano) que
poseen una alta capacidad de dispersión y
absorción de electrones
TINCIONES
TINCIONES
➢ Los colorantes que se utilizan para las
tinciones pueden ser:
1. De uso general- para teñir núcleo y
citoplasma
2. De uso especifico- para teñir estructuras
especificas
COLORANTES
DE USO GENERAL
PUEDEN SER:
1. Ácidos- con carga (-) tiñen estructuras
básicas o acidofilas
2. Bases- con carga (+) tiñen estructuras
ácidas o basófilas
COLORANTES BASICOS
➢ El mas usado es la hematoxilina (colorea el núcleo de azul)
➢ La hematoxilina ferrica tiñe de azul oscuro o negro
➢ Otros colorantes básicos
*azur A
*azul de toluidina
*azul de metileno
útiles para distinguir estructuras metacromicas (se tiñen de un
color diferente al del colorante)
➢ Otros colorantes básicos útiles en tinciones vitales
*azul brillante de crecilo
*rojo neutro
*verde de janus
*son inocuos,
COLORANTES ÁCIDOS
➢ El mas usado eosina (tiñe el citoplasma
de color rosa)
➢ Otros colorantes ácidos:
*ácido pícrico
*cromotropo
*azul de tripano sirven para
*rojo de tripano tinción vital
TINCIONES
➢ Por lo general los cortes histológicos se tiñen
con un colorante ácido y básico (H y E)
➢ Así se logran ver los componentes nucleares
de color azul o púrpura y los del citoplasma y
extracelulares, de color rosa
➢ Las tinciones tricromicas se usan en algunos
casos para identificar otras estructuras (ej. de
Mallory o de Masson)
EXAMEN E INTERPRETACIÓN DE
LOS CORTES
➢ Siempre iniciar el examen con el objetivo de menor
aumento ya que así es posible analizar una zona
mayor y mas rápido
➢ Recordar que lo que se esta examinando no esta solo
en 2 dimensiones (se debe intentar reconstruir la
estructura mentalmente en 3-d)
➢ Recordar que algunas estructuras son tubulares como
vasos sanguíneos, conductos glandulares etc.
ARTEFACTOS
➢ Son alteraciones producidas por la manipulación
durante la preparación de los cortes
➢ Pueden ser:
*Encogimientos
*Precipitados
*Pliegues o arrugas
*Defectos de cuchilla o micrótomo
*Degeneración postmortem
*Por manejo poco cuidadoso
ENCOJIMIENTOS
➢ Producidos por sustancias químicas
principalmente los fijadores
➢ Por el calor de la parafina derretida
➢ Se ve como espacios vacíos causado por
la separación de los tejidos
PRECIPITADOS
➢ Se producen cuando no se realiza el
aclaramiento del exceso de fijadores
➢ Los cristales de los químicos precipitan y
permanecen en los cortes
PLIEGUES Y ARRUGAS
➢ Ya que los cortes son muy delgados se
pueden plegar o arrugar al cortar o al
colocar en las laminas
➢ Esto se observa con una coloración mas
oscura
DEFECTOS DE CUCHILLA
➢ Esto puede suceder cuando el filo de la
cuchilla del micrótomo esta mellado
➢ Se observa como líneas rectas de color
pálido a través del corte
DEGENERACIÓN POSTMORTEM
➢ No es directamente un artefacto pero si
determina que sea una placa de baja
calidad
➢ Esto sucede cuando no se fija la muestra
con rapidez, ya que se da una autolisis de
los tejidos (destrucción por sus propias
enzimas)
MANEJO POCO CUIDADOSO
➢ Sobre todo al extirpar el tejido fresco de un
organismo vivo
➢ Algunos ejemplos son el pelliscamiento por
pinzas
➢ Aplastamiento por tijeras desafiladas
➢ El resultado es la mutilación del tejido
TEJIDO
EPITELIAL
TEJIDO EPITELIAL
Se presenta en dos formas:
*Tejido epitelial de revestimiento
o membranas epiteliales
*Tejido epitelial glandular
TEJIDO EPITELIAL
➢ En ambos tejidos epiteliales las células descansan
sobre tejido conectivo
➢ Se encuentra separado del tejido conectivo por la
lamina basal
➢ El tejido conectivo tiene vasos sanguíneos y nervios
➢ El epitelio mismo no posee vasos y depende de la
difusión del oxigeno y metabolitos de los vasos del
tejido conectivo
MEMBRANAS
EPITELIALES
MEMBRANAS EPITELIALES
➢ Son laminas de células que cubren:
*Una superficie externa
o
*Revisten una interna
➢ Participan en las funciones de:
*protección
*absorción
*secreción
*excreción
*digestión
*sensibilidad
MEMBRANAS EPITELIALES
➢ Todas las sustancias que entran y salen del
cuerpo lo hacen a través de una membrana
epitelial
➢ Actúan como una barrera selectiva entre el
exterior y el tejido conectivo de sostén, o una
cavidad internamente y el tejido conectivo
CLASIFICACIÓN DE LAS
MEMBRANAS EPITELIALES
➢ Depende de la combinación de dos
factores:
*la forma de las células epiteliales
*la disposición de las células epiteliales en
capas o estratos
SEGÚN LA FORMA CELULAR
➢ Planas- altura menor a la anchura
➢ Cúbicas- altura igual a la anchura
➢ Cilíndricas- altura mayor a la anchura
SEGÚN LA DISPOSICION DE
LAS CELULAS EN CAPAS
➢ Simple- las células dispuestas en una solo
capa
➢ Estratificado- las células dispuestas en mas
de una capa
➢ Pseudoestratificado- las células dispuestas
en una sola capa pero aparente mas de una
por los núcleos que están a diferentes niveles
CLASIFICACIÓN DE LAS
MEMBRANAS EPITELIALES
➢ La clasificación describe la forma de las células de la
superficie y la disposición de estas en capas
➢ Algunos epitelios tienen nombre especial:
*Endotelio- reviste el sistema vascular
*Mesotelio- reviste las paredes y cubre los órganos
de las cavidades pleurales, pericárdica, y peritoneal
PLANO SIMPLE
SIMPLE CUBICO SIMPLE
CILINDRICO SIMPLE
MEMBRANAS PSUEDO
ESTRATIFICADO
EPITELIALES CILINDRICO
PLANO ESTRATIFICADO
ESTRATIFICADO CUBICO ESTRATIFICADO
CILINDRICO ESTRATIFICADO
DE TRANSICIÓN
CILIADO
NO CILIADO
MEMBRANAS EPITELIALES
➢ La mayoría de las membranas epiteliales tienen la
capacidad de regenerarse por mitosis
➢ la velocidad de renovación depende de la localización
➢ Al describir las membranas epiteliales:
⚫ se refiere a la superficie que esta cerca de la luz como
cara apical
⚫ lo que se acerca a la lamina basal como cara basal
EPITELIO PLANO SIMPLE
➢ Una sola capa de células planas y deltadas
➢ De contorno irregular y se ajustan muy bien
entre si
➢ Visto desde la superficie un aspecto de
embaldosado
➢ Citoplasma claro
➢ Núcleo basófilo
EPITELIO PLANO SIMPLE
MESOTELIO
EPITELIO PLANO SIMPLE
➢ Los ejemplos de este tipo de epitelio son:
*capa parietal de la cápsula de Bowman
*asa de Henle del riñón
*alvéolos pulmonares
*oído interno y medio
*endotelio
*mesotelio
MESOTELIO
EPITELIO PLANO SIMPLE DE LA
CAPSULA DE BOWMAN
EPITELIO PLANO SIMPLE DE
OIDO INTERNO
OIDO INTERNO
EPITELIO CÚBICO SIMPLE
➢ Visto desde la superficie las células tienen forma
poligonal
➢ En cortes perpendiculares se ven células en
forma de cubos o cajas
➢ Los núcleos son esféricos, y centrales
EPITELIO CUBICO SIMPLE
EPITELIO CUBICO SIMPLE
➢ Ejemplos de este:
*En los conductos glandulares
*En la superficie de los ovarios
*Túbulos renales
EPITELIO CUBICO SIMPLE
RENAL
EPITELIO CUBICO SIMPLE DE
FOLICULO TIROIDEO
EPITELIO CILINDRICO SIMPLE
➢ Visto desde la superficie tienen aspecto
poligonal
➢ En un corte perpendicular se ven células
altas
➢ Núcleo ovoide, generalmente todos al mismo
nivel, mas cerca a la cara basal que a la
apical
EPITELIO CILINDRICO SIMPLE
➢ Los ejemplos de este epitelio son:
*revestimiento del tubo digestivo
*revestimiento de conductos mayores
*trompas de Falopio (es ciliado en los que siguen)
*conductillos eferentes del testículo
*bronquios pequeños
EPITELIO CILINDRICO SIMPLE
DE YEYUNO
EPITELIO CILINDRICO SIMPLE
DE ESTOMAGO
ESTOMAGO CON PAS
CILINDRICO SIMPLE DE
TROMPAS UTERINAS
(cels ciliadas y secretorias)
EPITELIO CILINDRICO SIMPLE
DE REGION PILORICA
EPITELIOS
PSEUDOESTRATIFICADOS
➢ Una sola capa de células cilíndricas
➢ Todas en contacto con la lamina basal
➢ Los núcleos se encuentran a diferentes
niveles
➢ En corte perpendicular tiene aspecto de varias
capas de células
EPITELIO
PSEUDOESTRATIFICADO
➢ Los ejemplos de este tejido son:
*conductos secretorios mayores
*partes de la uretra masculina
*vías respiratorias (ciliado + células caliciformes)
*conductos excretores del apto reproductor
masculino
EPITELIO CILINDRICO CILIADO
PSEUDOESTRATIFICADO CON CELULAS
CALICIFORMES- TRAQUEAL
EPITELIO TRAQUEL
EPITELIO PSEUDOESTRATIFICADO
CILINDRICO ALTO CON
ESTEREOCILIOS-EPIDIDIMO
EPITELIO CILINDRICO CILIADO
PSEUDOESTRATIFICADO DE EPIDIDIMO
HEM-FERRICA
EPITELIOS ESTRATIFICADOS
➢ Todos son más resistentes
➢ Por su grosor no son membranas a través
de las cuales se logra con facilidad la
absorción
EPITELIO PLANO
ESTRATIFICADO
➢ Las células más superficiales son planas
➢ Puede ser no queratinizado, y húmedo
(mucosas)
➢ Puede ser queratinizado y seco (la piel,
resistente a la fricción e impermeable al agua
y bacterias)
EPITELIO PLANO ESTRATIFICADO NO
QUERATINIZADO DE ESOFAGO
EPITELIO PLANO ESTRATIFICADO
NO QUERATINIZADO DE ESOFAGO
EPITELIO PLANO ESTRATIFICADO NO
QUERATINIZADO DE CARA INFERIOR DE
LENGUA
EPITELIO PLANO ESTRATIFICADO
NO QUERATINIZADO DE CORNEA
EPITELIO PLANO
ESTRATIFICADO DE PIEL FINA
EPITELIO PLANO ESTRATIFICADO
CON QUERATINA DE PIEL GRUESA
EPITELIO CÚBICO
ESTRATIFICADO
➢ Son dos capas de células cúbicas
➢ Es raro
➢ Se ve en los conductos de la glándulas
sudoríparas
EPITELIO CILÍNDRICO
ESTRATIFICADO
➢ Células de la superficie son cilíndricas, las básales
son poliédricas bajas
➢ También muy raro
➢ Se observa en partes de la uretra masculina
➢ En la conjuntiva del ojo
➢ También en conductos excretores mayores de
glándulas salivales sublinguales
EPITELIO CILÍNDRICO ESTRATIFICADO
DE CONDUCTO DE GLANDULA
SUBMAXIAR
EPITELIO DE TRANSICIÓN
➢ Se llama así ya que en un principio se pensó que
representaba una transición entre los epitelios plano
estratificado y cilíndrico estratificado
➢ Se encuentra en las vías urinarias, desde la pelvis renal
hasta la uretra
➢ Su aspecto varia según el grado de distensión
➢ Capa basal es cúbica o cilíndrica
➢ Capas intermedias son cúbicas a poliédricas
➢ Capa superficial son cúbicas y con la distensión se tornan
planas (con frecuencia son binucleadas)
EPITELIO DE TRANSICION DE
MUCOSA DE VEJIGA CONTRAIDA
TRANSICION DE PLANO ESTRATIFICADO
A CUBICO SIMPLE DE CARDIAS
CARDIAS
TEJIDO
EPITELIAL
GLANDULAR
CLASIFICACIÓN DEL EPITELIO
GLANDULAR
◼ Basado en el lugar donde vierten su contenido:
*Exocrina- tienen conducto(s) y vierten su
secreción hacia una superficie
*Endocrina- no hay conducto, y vierten su
secreción directo al torrente sanguíneo, o la linfa
CLASIFICACIÓN DE LAS
GLÁNDULAS EXOCRINAS
◼ Depende de la manera en que elaboran su
secreción, y su manera de eliminarlo:
*holocrinas
*apócrinas
*merócrinas
GLÁNDULAS EXOCRINAS
HOLOCRINAS
◼ Elaboran y almacenan su producto de
secreción en el citoplasma
◼ Mueren y su contenido es expulsado como
secreción
◼ Ejemplos: glándulas sebáceas
GLANDULAS EXOCRINAS
APOCRINAS
◼ El producto de secreción se acumula en el
citoplasma apical
◼ Este se exprime hacia fuera, perdiendo
parte de su citoplasma
◼ Ejemplo: glándulas mamarias, sudoríparas
GLANDULAS EXOCRINAS
APOCRINAS- SUDORIPARA
GLÁNDULAS EXOCRINAS
MEROCRINAS
◼ El producto de secreción se forma en la célula,
y se almacena en forma de vesículas
◼ Es expulsado su secreción por exocitosis sin
perdida de su citoplasma
◼ Ejemplo: glándulas salivales, páncreas y la
mayoría de glándulas exocrinas
GLÁNDULAS EXOCRINAS
MEROCRINAS- ACINOS PANCREATICOS
Acinos pancreáticos
GLÁNDULAS EXOCRINAS
◼ Otra clasificación: según el numero de
células que conforman la glándula
*Unicelulares
*Multicelulares
GLÁNDULAS EXOCRINAS
UNICELULARES
◼ Son células individuales
◼ Son las células caliciformes que se encuentran en el
epitelio cilíndrico simple (tubo digestivo) o
pseudoestratifico (respiratorio)
◼ Son células productoras de moco
◼ Tienen núcleo basal, y en su citoplasma apical
contienen gotitas de mucígeno
CÉLULAS CALICIFORMES- MUCOSA
ID PRODUCTORAS DE MUCÍNA
CÉLULAS CALICIFORMES- ID
EPITELIO SUPERFICIAL SECRETOR
DE MOCO ESTOMAGO
GLANDULAS EXOCRINAS
MULTICELULARES
◼ Se clasifican según la presencia o ausencia de
ramificaciones en el sistema de conductos.
*Simples- el conducto no se ramifica, y puede o
no estar enrollado
*Compuesta- el conducto es ramificado
CRIPTAS DE LIBERKUNN
GLÁNDULAS EXOCRINAS
HOLOCRINAS-SEBACEAS
GLÁNDULAS EXOCRINAS
MULTICELULARES
◼ Su clasificación se basa también en la forma de la
células de la unidad secretoria.
*Tubular- la unidad secretoria se encuentra en la
terminación del conducto
*Alveolar- o acinar, se presenta en forma de matraz, o
mora
*Tubuloalveolar- mixta
*Sacular- como el alveolar, pero mas grande
GLÁNDULAS EXOCRINAS
MULTICELULARES
◼ Otro factor para su clasificación es la
naturaleza de la secreción.
*Mucosa- viscosa
*Serosa- acuosa
*Mixta- combinación
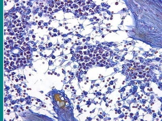
ESTRUCTURA DE LA GLÁNDULA
EXOCRINA COMPUESTA
◼ Tiene tres elementos:
*Tejido Conectivo
*Conductos
*Unidades Secretorias
TEJIDO CONECTIVO- GLÁNDULA
EXOCRINA COMPUESTA
◼ Cápsula- de tejido conectivo se invagina formando los
tabiques
◼ Tabiques principales- le dividen en lóbulos, lobulillos,
finalmente unidades secretorias con sus conductos
◼ En el tejido conectivo hay vasos sanguíneos, linfáticos,
y nervios, que entran por la cápsula y siguen el
trayecto de los tabiques
SISTEMA DE CONDUCTOS – GLÁNDULA
EXOCRINA COMPUESTA
◼ Conducto principal- drena toda la glándula
◼ Conducto lobular- en el vértice de un lóbulo
◼ Conducto interlobulillar- en los tabiques interlobulillar
◼ Conducto lobulillar mayor- entre las unidades secretorias
◼ Conductos intralobulillares- en el lobulillo
◼ Conductos intercalares- entre las unidades secretorias y los
conductos intralobulillares (comunican estos)
ESTRUCTURA GLANDULAR
COMPUESTA
UNIDADES SECRETORIAS
◼ Serosas- células con citoplasma apical con
gránulos, núcleo basal ovoide, luz pequeña
bien definida
◼ Mucosas- citoplasma mas claro con aspecto
espumoso, núcleo aplanado basal, luz pequeña
irregular
◼ Mixtas- serosas y mucosas
CÉLULAS MIOEPITELIALES
◼ Se encuentran por debajo de las células acinares, entre estas y
la lamina basal, algunas se encuentran alrededor de los
conductos menores
◼ Se llaman también células en canasta, y se ven como núcleos
oscuros pequeños rodeados por poco citoplasma
◼ Estas células emiten prolongaciones de su citoplasma que
rodean al acino, estas prolongaciones tienen características de
células de músculo liso
◼ Su función es de ayudar a expulsar la secreción de la glándula
GLÁNDULAS ENDOCRINAS
◼ Son mas sencillas que las exocrinas
◼ Tienen una cápsula de tejido conectivo, con tabiques
incompletos que dividen a la glándula en lóbulos
◼ En su interior la glándula tiene tejido conectivo delgado y
escaso, que contiene una red abundante de capilares o
sinusoides sanguíneos
◼ Entre esta red se encuentran células epiteliales secretorias
◼ Cada célula cerca de un vaso hacia donde vierte su contenido
(secreción hormonal)
GLÁNDULAS ENDOCRINAS
◼ Se clasifican según:
*El agrupamiento de células
*El modo de almacenamiento hormonal
◼ De tal manera pueden ser:
*Cordones o cúmulos en cordones
*Folicular o vesicular
GLÁNDULAS ENDOCRINAS EN
CORDONES
◼ Las células epiteliales se disponen en
cordones entre los capilares sanguíneos
◼ Almacenan las hormonas dentro de la
misma célula
GLÁNDULAS ENDOCRINAS
FOLICULARES
◼ Un grupo de células forman una vesícula con
una cavidad central, en la cual vierten su
secreción
◼ El almacenamiento de su contenido se da en
esta cavidad vesicular
◼ Para la secreción la hormona regresa a la célula
y de aquí sale hacia los vasos sanguíneos
FOLICULO TIROIDEO
ISLOTE DE LANGERHANS
CUERPO LUTEO DEL OVARIO
CELULAS DE LEYDIG
GLANDULAS MIXTAS
◼ Son tanto endocrinas como exocrinas
◼ Algunos ejemplos son:
*hígado
*páncreas
*testículo
*ovarios
GLANDULAS SALIVALES
SECRECION SEROSA
G SUDORIPARA
G SALIVAL
G SEBACEA
G DE BRUNNER
GLANDULAS DE LITTRE
CRIPTAS DE LIBERKUNN IG
GLANDULAS SALIVALES
TEJIDO
CONECTIVO
INTRODUCCIÓN
• Se divide en:
*Tejido Conectivo Propiamente Dicho
*Tejido Conectivo Especializado
ORIGEN
• Todos los tejidos conectivos derivan del
mesenquima, o tejido mesenquimal
• De la capa germinativa embrionaria
mesodérmica
ORIGEN
El mesenquima es un tejido laxo esponjoso
formado por:
• Células estrelladas y fusiformes, pluripotenciales,
dispuestos en una red (por esto varios tejidos tienen
un mismo origen)
• Liquido tisular amorfo
• y algunos elementos fibrosos
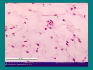
TEJIDO MESENQUIMAL
CELULAS MESENQUIMALES EN
MATRIZ MESENQUIMAL
CARACTERISTICAS
• Los tejidos conectivos se diferencian de los
demás tejidos primarios por tener abundante
material intercelular- matriz
• Para el estudio de este tejido se debe considerar
tres elementos:
*sustancia fundamental amorfa
*fibras
*células
• Estos elementos son cubiertos por el liquido
tisular
LIQUIDO TISULAR
• Es un liquido acuoso, contiene:
*oxigeno disuelto
*cristaloides
*sustancias alimenticias
• Se forma por simple difusión de la sangre a través
del endotelio capilar arterial
• Este liquido regresa al torrente sanguíneo por
osmosis directamente al capilar sanguíneo o
indirectamente por los vasos linfáticos y venas
(finalmente aurícula derecha)
LIQUIDO TISULAR
Su función es de ayudar en el intercambio
de sustancias necesarias para el
metabolismo celular.
LIQUIDO TISULAR PATOLOGICO
EDEMA
• Es el aumento patológico del liquido tisular
• Histológicamente se ven espacios
aumentados de tamaño en los tejidos por
el aumento de volumen de este liquido
SUSTANCIAS INTERCELULARES
• Son sustancias inertes, que forman la matriz donde
viven las células
• Pueden ser:
*amorfas- sustancia fundamental amorfa
*formes- las fibras
• sus funciones:
*proporcionan sostén
*son un medio de comunicación para el metabolismo
celular
SUSTANCIA FUNDAMENTAL
• Llamada también sustancia intercelular amorfa
• Es transparente, homogéneo, e incoloro
• Se encuentra entre las células y fibras de este
tejido
• Su función es de participar como medio de
difusión para el liquido tisular (con sustancias
nutritivas y de desecho)
SUSTANCIA FUNDAMENTAL
AMORFA
GLUCOSAMINOGLUCANOS
*AC. HIALURONICO
*CONDROITINSULFATO
*DERMATANSULFATO
*QUERATANSULFATO
*HEPARANSULFATO
GLUCOPROTEINAS
*FIBRONECTINA
*CONDRONECTINA
*LAMININA
ÁCIDO HIALURONICO
• Es el mas abundante
• Se encuentra en la mayoría de tejidos conectivos
• Es el componente principal en algunos tejidos,
como:
*el liquido sinovial,
*cuerpo vítreo del ojo,
*Gelatina de Wharton
CONDROITINSULFATO
• Predomina en:
*cartílago
*hueso
*discos intervertebrales
*vasos sanguíneos mayores
DERMATANSULFATO
• Se encuentra en:
*piel
*tendones
*válvulas cardiacas
QUERATANSULFATO
• De dos tipos:
*Tipo I- exclusivo de la cornea
*Tipo II- en cartílago y discos
intervertebrales
HEPARANSULFATO
• Se encuentra en:
*Las superficies celulares
*En las laminas básales
FIBRONECTINA
• Es una glucoproteina que juega un papel
importante en la unión de células, colágena
y glucosaminoglucanos
• Se encuentra en:
*la superficie de los fibroblastos
*dermis
*plasma (fibronectina plasmática)
*plaquetas
CONDRONECTINA
• Esta glucoproteina favorece la adherencia
de células cartilaginosas maduras a la
colágena
• Se encuentra en el tejido cartilaginoso
LAMININA
• La laminina participa en la unión de las
laminas epiteliales con las laminas propias
subyacentes.
SUSTANCIAS INTERCELULARES
FORMES- FIBRAS
• Son de tres tipos:
*colágenas
*reticulares
*elásticas
• Su función en general
*es de proporcionar resistencia a la tensión
*y brindar sostén a los tejidos
FIBRAS
• Son proteínas complejas, de cadenas
polipeptídicas de amino ácidos
• Son insolubles en el medio liquido interno
del cuerpo
FIBRAS COLAGENAS
• También llamadas fibras blancas
• Formadas por la proteína colágena (muy
resistentes)
• En fresco aparecen blancas
ej. tendones y aponeurosis
PROPIEDADES FISICAS DE LAS
FIBRAS COLAGENAS
• Trayecto recto o ligeramente ondulado
• Se agrupan en haces laxos o densos (según la función y
localización)
• En estado fresco son flexibles, poco elásticos, con
alta resistencia a la tensión
• En las placas son acidofilas
• Son birrefringentes con luz polarizada
• Su estructura son microfibrillas – fibrillas - fibra
FIBRAS COLAGENAS SUSTANCIA
FUNDAMENTAL TEJIDO CONECTIVO DE
GLANDULA MAMARIA
FIBRAS COLAGENAS
SON 5 TIPOS DE COLAGENA:
TIPO I
• Más abundante, de un 90% de las fibras colágenas del
cuerpo
• Forman haces gruesas, fibrillas, y fibras
• Se encuentran en la dermis, tendones, hueso, dientes, y
casi todos los tejidos conectivos
• Las células productoras son los fibroblastos, osteoblastos, y
odontoblastos
FIBRAS COLAGENAS DE
TENDON Y FIBROBLASTOS
FIBRAS COLAGENAS
TIPO II
• El principal componente del tejido
cartilaginoso
• Son fibrillas no forman fibras
• Las células productoras son los
fibroblastos
FIBRAS COLAGENAS
TIPO III
• Se encuentran en las primeras etapas del
desarrollo de tejidos conectivos luego es
remplazado por el Tipo I
• En el adulto persisten en las redes reticulares
de la piel, vasos, útero, apto gastrointestinal
• Células productoras son fibroblastos de la piel, y
las células del músculo liso (de los demás)
FIBRAS COLAGENAS
• TIPO IV- en las laminas básales, sus
células productoras son las células
epiteliales y endoteliales
• TIPO V- en las membranas fetales,
y en los vasos sanguíneos
FIBRAS RETICULARES
• Son fibras colágenas muy delgadas
• Principalmente colágena Tipo III
• Forman un armazón reticular de sostén
• Son redes finas alrededor de algunas estructuras:
*fibras musculares
*fibras nerviosas
*células de grasa
*vasos sanguíneos pequeños
*limites de tej. conectivo con otros tejs.
FIBRAS RETICULARES CELS RETICULARES
DE GANGLIO LINFATICO
FIBRAS RETICULARES GANGLIO
LINFATICO
FIBRAS ELASTICAS
• Son como filamentos cilíndricos o aplanados, largos,
refringentes, se ramifican y forman ramas
• Son mas delgadas que las fibras colágenas
• En fresco son de color amarillento
• Compuestos por albuminoide elastina
• No son afectadas con agua caliente ni fría
• Se tiñen con eosina y orceina
FIBRAS ELASTICA DE LA AORTA
FIBRAS COLAGENAS DE
TENDON Y FIBROBLASTOS
CÉLULAS DEL TEJIDO
CONECTIVO
CÉLULAS DEL TEJIDO
CONECTIVO
• Fibroblastos
• Adipocitos
• Histiocitos o Macrófagos
• Mastocitos o células cebadas
• Células Mesenquimatosas
• Linfocitos
• Eosinófilos
• Células Plasmáticas
• Células de pigmento o cromatoforos
FIBROBLASTOS
• Son las células mas abundantes del tejido
• Son células grandes, planas, fusiformes,
ramificadas, con núcleo ovalado, con 1 o 2
nucleolos, y poca cromatina
• Son los encargados de formar las fibras de la
matriz: colágenas, reticulares, elásticas
• También forman sustancia fundamental:
glucosaminoglucanos, glucoproteinas
FIBROBLASTOS
Se encuentran de dos formas:
*Fibroblastos Jóvenes
*Fibroblastos Viejos o Fibrocitos
FIBROBLASTOS JOVENES
• Es la forma activa
• Se encargan de la síntesis de proteínas
• Se ve el citoplasma teñido de azul, por el
exceso de RER y ribosomas
• Se ve gran cantidad de mitocondrias
alrededor del núcleo
FIBROCITOS
• Son relativamente inactivos
• El citoplasma es débilmente basófilo
• Al ser estimulado se ve que puede
retomar su función de fibroblasto
(ej. una herida en cicatrización)
FIBROBLASTOS
FIBROBLASTO
ADIPOCITOS
• Son células de grasa
• Son grandes, esféricas, con núcleo aplanado
(generalmente)
• Pueden estar solas (forma esférica) o en pequeños
cúmulos (forma poliédrica)
*(en gran cantidad se convierte en el tejido adiposo)
• En fresco se ven como gotitas de aceite, son
birrefringentes
ADIPOCITOS
• Son células totalmente diferenciadas, (no pueden
dividirse por mitosis)
• Parecen originarse de células primitivas
• Las células primitivas inician englobando gotas de
grasa, hasta que se forma una sola gota grande, el
núcleo queda aplanado y comprimido
• Función: como reserva de energía
• Cuando se necesita sale de la célula como ácidos
grasos libres y glicerol
TEJIDO ADIPOSO
MACROFAGOS
• También se llaman histiocitos
• Son màs grandes que los fibroblastos
• Tienen forma irregular, con prolongaciones cortas, romas,
pseudópodos ( para su movimiento ameboidea)
• Tienen un núcleo ovoide, a veces dentado, mas pequeño
que del fibroblasto
• En el citoplasma se ven vacuolas con material ingerido
(aquí enzimas proteolíticas de los lisosomas)
MACROFAGOS
• PUEDEN SER:
*FIJOS- unidos a las fibras
*ERRANTES- libres en la matriz
MACROFAGOS
LA FUNCIÓN ES DE DEFENSA:
*SON FAGOCITARIAS- se pueden fusionar
formando células gigantes multinucleadas para
fagocitar sustancias grandes
*ACTUAN EN LAS REACCIONES
INMUNOLOGICAS (ingieren, procesan, y
almacenan anfígenos)
*PASAN INFORMACIÓN a las células
inmunológicas (ej. linfocitos, células plasmáticas)
CÉLULAS CEBADAS
• También se llaman mastocitos
• Son de forma oval, irregular a veces se ven con
pseudópodos cortos (tienen movimiento lento)
• En su interior contienen gránulos basófilos
(contienen varias sustancias activas)
• Su núcleo es pequeño (a veces no se logra
distinguir por tanto granulo)
CÉLULAS CEBADAS
• SUS FUNCIONES:
*Producen sustancia anticoagulante- heparina
*Parece ser que producen otras sustancias como
- histamina (vasodilatación)
- serotonina (vasoconstricción)
*actúan en las respuestas alérgicas
CÉLULAS MESENQUIMATOSAS
• Tienen forma estrellada
• Núcleo ovalado, alargado
• Son células embrionarias que persisten en el adulto
• Se encuentran a lo largo de vasos sanguíneos pequeños
(capilares) donde se conocen como pericitos
• Son células indiferenciadas pluripotenciales
CÉLULAS MESENQUIMATOSAS
• Función- como células precursoras
*de células musculares lisas
*de células adiposas
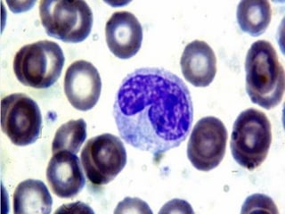
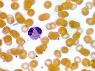
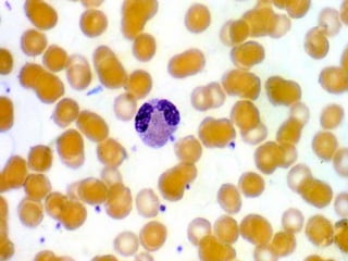
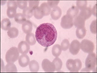
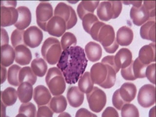
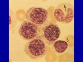
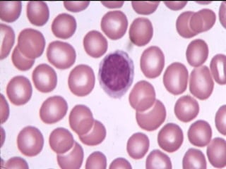
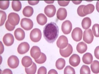
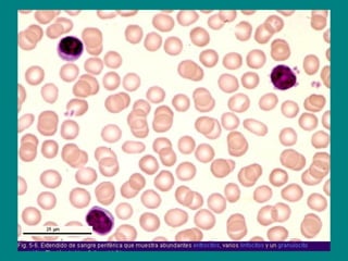
LINFOCITOS
• Son leucocitos, los mas pequeños
• Con núcleo esférico que ocupa la mayor parte
del citoplasma
• Citoplasma delgado y basófilo
• Se encuentran mas en sitios de inflamación
LINFOCITOS
• Son de dos tipos:
*T- vida larga, inician las respuestas
inmunitarias
*B- vida corta, forman células plasmáticas
que sintetizan anticuerpos contra el
antígeno estimulante
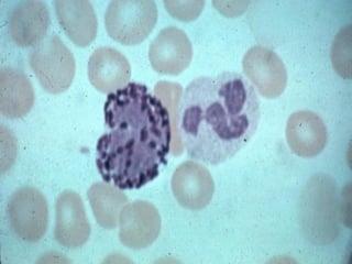
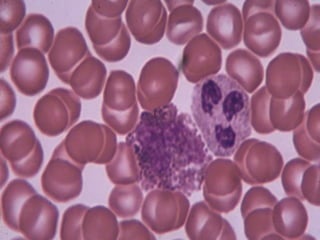
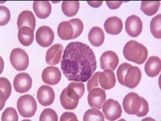
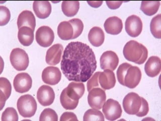
EOSINOFILOS
• Son leucocitos
• Con núcleo bilobulado o reniforme
• Citoplasma con gránulos esféricos acidofilos
• Se acumulan en los tejidos en:
*estados alérgicos
*inflamatorios
*enfermedades parasitarias
GRANULOCITOS EOSINOFILOS
CÈLULAS PLASMATICAS
• Son parecidas a los linfocitos pero mas grandes
• Se derivan de los Linfocitos-B
• Tienen mas citoplasma, y es basófilo
• Núcleo excéntrico, con su cromatina dispuesto como
rayos de rueda
• Abundante cantidad de RER
CÈLULAS PLASMATICAS
• Son raras en el tejido conectivo
• Pero se pueden encontrar en las
membranas serosas, tejido linfoide, lamina
propia del tubo digestivo, y sitios de
inflamación crónica
• Su función principal es de producir
anticuerpos
CELS PLASMATICAS
CÈLULAS DE PIGMENTO
• Son células que se encuentran rara vez en
este tejido
• Se ven en:
* el tejido conectivo denso de la piel
* en la piamadre
* en coroides del ojo
* en la dermis (como melanocitos, o
melanoforos)
TEJIDO MESENQUIMAL
CELULAS MESENQUIMALES EN
MATRIZ MESENQUIMAL
FIBRAS COLAGENAS SUSTANCIA
FUNDAMENTAL TEJIDO CONECTIVO DE
GLANDULA MAMARIA
FIBRAS COLAGENAS DE
TENDON Y FIBROBLASTOS
FIBROBLASTO
TIPOS DE
TEJIDO
CONECTIVO
CLASIFICACIÓN DEL TEJIDO CONECTIVO
➢ DEPENDE DE:
1. LA CONCENTRACIÓN DE SUS FIBRAS
*LAXO- menos fibras, relativamente más células
*DENSO- fibras abundantes y compactas menos
células
2. SU UBICACIÓN
*SOLO EN EL EMBRION
* LOS DEL ADULTO
TEJIDOS CONECTIVOS LAXOS
➢ EMBRIONARIOS: MESENQUIMAL
MUCOSO
➢ DEL ADULTO: TEJ. CONECT. AREOLAR LAXO
TEJ. ADIPOSO
TEJ. RETICULAR
TEJIDOS CONECTIVOS DENSOS
➢ Irregular- hay tensión ejercida en todas direcciones
➢ Regular- la tensión se ejerce en una sola dirección
➢ Elásticos- las fibras dispuestas de manera regular
*la dirección de las fibras depende de la tensión
ejercida en estos tejidos
**sus componentes principales son las fibras colágenas,
pero en las ultimas son las fibras elásticas
C
L
A
S
I
F
I
C
A
C
I
O
N
D
E
L
T
E
J
I
D
O
C
O
N
E
C
T
I
V
O
TEJIDO CONECTIVO
LAXO
TEJIDO CONECTIVO
DENSO
EMBRIONARIO
DEL ADULTO
MESENQUIMAL
MUCOSO
AREOLAR LAXO
RETICULAR
ADIPOSO
BLANCO
PARDO
IRREGULAR
REGULAR
ELASTICO
TEJIDOS
CONECTIVOS LAXOS
TEJIDO MESENQUIMAL
➢ Es el tejido conectivo típico, no diferenciado,
embrionario
➢ Contiene:
- sustancia fundamental,
- células mesenquimales,
- líquido en las primeras etapas
- fibras reticulares, luego sustituidas por
fibras colágenas
➢ Eventualmente el mesenquima se desarrolla y se
diferencia en los tejidos conectivos del adulto
TEJIDO MESENQUIMAL
CELULAS MESENQUIMALES EN
MATRIZ MESENQUIMAL
TEJIDO MUCOSO
➢ Es un tejido transitorio en el desarrollo de los tejidos
conectivos
➢ También se puede encontrar totalmente diferenciado
en la Gelatina de Wharton
➢ Contiene:
- sustancia fundamental abundante y
gelatinosa
- fibroblastos, macrófagos, linfocitos errantes
- red delicada de fibras colágenas
TEJIDO CONECTIVO MUCOSO
TEJIDO CONECTIVO LAXO
AREOLAR
➢ Se forma por diferenciación directa del
mesenquima
➢ Es un tejido conectivo fibroelastico,
dispuesto de manera laxa
➢ Se encuentra en casi todo el cuerpo
TEJIDO C. LAXO AREOLAR
➢ Funciona como material de empaque, fijación, y
como medio de inclusión de estructuras
*une otros tejidos
*une los componentes de los órganos
*une órganos entre si
➢ Es flexible y por tanto permite movilidad entre estos
elementos
➢ Es un tejido muy vascularizado que ocupa zonas
pequeñas- areolas
TEJIDO C. AREOLAR LAXO
➢ Sustancia Fundamental: semilíquida
➢ Células:
*Fibroblastos
*Macrófagos
*Adipocitos (individuales)
➢ Fibras:
*colágenas
*elásticas (pocas)
*reticulares (solo en los limites)
TEJIDO CONECTIVO LAXO
AREOLAR
TEJIDO CONECTIVO LAXO Y
DENSO DE PIEL
DERMIS PAPILAR-RETICULAR,
LAXO-DENSO
TEJIDO ADIPOSO BLANCO
➢ Se forma del tejido conectivo laxo areolar en el cual las
células mas abundantes son los adipocitos
➢ Se conoce también como tejido adiposo unilocular (por la gota
de grasa)
➢ Incluye las siguientes células:
*adipocitos abundantes
*fibroblastos
*linfocitos
*eosinófilos
*macrófagos
*células cebadas
TEJIDO ADIPOSO BLANCO
La grasa de este tejido puede originarse de tres
fuentes:
1. A partir de carbohidratos (por acción de la
insulina)
2. De ácidos grasos de la degradación de la grasa
de la dieta (quilomicrones del ID)
3. De la glucosa del hígado (transportados como
lipoproteínas)
TEJIDO ADIPOSO BLANCO
➢ Los lugares mas comunes de acumulación
de grasa son:
*tejido subcutáneo (panículo adiposo)
*mesenterios y epiplones
*médula ósea
*alrededor de los riñones
TEJIDO ADIPOSO BLANCO
➢ La distribución y densidad de los depósitos de
grasa subcutánea varían según el sexo:
*mujer- mamas, región glútea, y muslos
*hombre- hombros, brazos, nuca, glúteos, y
región lumbosacra
TEJIDO ADIPOSO BLANCO
➢ Funciones del tejido adiposo:
*Principal, almacenamiento y metabolismo de
grasa neutra
*Amortiguador de golpes
*Aislante para impedir el enfriamiento o
calentamiento excesivo de la piel
TEJIDO ADIPOSO BLANCO
F. COLAGENAS Y FIBROBASTOS
TEJIDO ADIPOSO BLANCO
TEJIDO ADIPOSO PARDO
➢ Las células de grasa son más pequeñas
➢ El citoplasma contiene gotitas de grasa
que no se fusionan (es multilocular)
➢ Con abundante riego sanguíneo (le da su
color típico)
TEJIDO ADIPOSO PARDO
➢ En el ser humano:
*el feto, y niños pequeños
*en el adulto solo en el cuello, y rodea la
aorta abdominal y los riñones
➢ En los animales: los que hibernan (las
células de grasa generan calor)
TEJIDO ADIPOSO PARDO
TEJIDO ADIPOSO PARDO CON
AZUL DE TOLUIDINA
TEJIDO RETICULAR
➢ Las células:
*células reticulares (núcleo grande, citoplasma basófilo, con
prolongaciones, de forma estrellada)
*linfocitos
*eosinófilos
*macrófagos
➢ Consta de fibras reticulares
➢ Forman el armazón de:
*ganglios linfáticos
*medula ósea
*hígado
TEJIDO CONECTIVO RETICULAR
FIBRAS RETICULARES GANGLIO
LINFATICO
FIBRAS RETICULARES CELS RETICULARES
DE GANGLIO LINFATICO
TEJIDO
CONECTIVO DENSO
TEJIDO C. DENSO IRREGULAR
➢ Las fibras se disponen como hojas, se
entrelazan formando un tipo de fieltro grueso
y resistente
➢ Tejido principal de:
*facias
*dermis de la piel
*cápsula fibrosa de órganos (testiculos,
hígado etc.)
TEJIDO C. DENSO IRREGULAR
➢ Sustancia Fundamental escasa
➢ Células:
*fibroblastos (principalmente)
➢ Consta de fibras:
*colágenas (principalmente)
*reticulares
*elásticas
DERMIS PAPILAR-RETICULAR,
LAXO-DENSO
TEJIDO C. DENSO REGULAR
➢ Fibras agrupadas paralelas formando
estructuras de gran resistencia a la
tensión
➢ Fibras colágenas
➢ Células fibroblastos en poca cantidad
TEJIDO C. DENSO REGULAR
➢ Forma:
*tendones
*ligamentos
*aponeurosis
➢ Tendón: haz primario - endotendón
fascículo secundario - peritendón
tendón - epitendón
FIBRAS COLAGENAS DE
TENDON Y FIBROBLASTOS
TEJIDO C. DENSO ELASTICO
➢ Células fibroblastos
➢ Fibras:
*elásticas
*reticulares (finas rodean las anteriores)
➢ Las fibras agrupadas de manera paralela
TEJIDO C. DENSO ELÁSTICO
➢ En los ligamentos elásticos amarillos
*L. amarillo de las vértebras
*L. suspensor del pene
*Cuerdas vocales verdaderas
TEJIDO MESENQUIMAL
CELULAS MESENQUIMALES EN
MATRIZ MESENQUIMAL
FIBRAS COLAGENAS SUSTANCIA
FUNDAMENTAL TEJIDO CONECTIVO DE
GLANDULA MAMARIA
FIBRAS COLAGENAS DE
TENDON Y FIBROBLASTOS
FIBROBLASTO
TEJIDO ADIPOSO PARDO CON
AZUL DE TOLUIDINA
FIBRAS RETICULARES CELS RETICULARES
DE GANGLIO LINFATICO
TEJIDO
CONECTIVO
ESPECIALIZADO
TEJIDO CONECTIVO
ESPECIALIZADO
Tejido Cartilaginoso
Tejido Óseo
Tejido Hematopoyetico
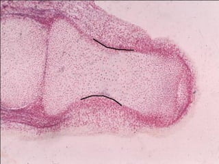
CARTÍLAGO
TEJIDO CARTÍLAGINOSO
Se desarrolla del mesenquima.
Las células mesenquimales se tornan
redondas, se diferencian en condroblastos y
se agrupan de manera compacta.
Estas células depositan fibrillas en la
sustancia intercelular.
CONDROBLASTOS EN
DIFERENCIACICION- CONDROCITOS
CARTÍLAGO
Conforme aumenta la producción de fibras y
sustancia intercelular las células se alejan unas de
otras.
Cada célula que queda aislada en un pequeño
espacio de matriz- o laguna, se conoce ya como
condrocito.
Los condrocitos contiene vacuolas de grasa y de
glucogeno.
CONDROBLASTOS EN
DIFERENCIACICIÓN- CONDROCITOS
CARTÍLAGO
La matriz intercelular es avascular
El riego sanguíneo proviene del pericondrio
(al pericondrio le llega sangre del tejido
conectivo vecino)
CARTÍLAGO HIALINO
PARED BRONQUIAL - PERICONDRIO
CARTÍLAGO
La nutrición de los condroblastos se da por
difusión de sustancias nutritivas a través de la
matriz:
*provienen de la sangre del pericondrio
*y del liquido sinovial (en las articulaciones)
Las sustancias de desecho igualmente, a los
capilares del pericondrio.
CARTÍLAGO
El crecimiento se da de dos formas:
1. C. Intersticial o Endógeno; por división de
condroblastos y producción de matriz
intercelular
2. C. por Aposición o Exógeno; en la capa
interna del pericondrio se encuentran
fibroblastos que se transforman en
condroblastos, y de estos se forma nuevas
capas de matriz
CARTÍLAGO DE CRECIMIENTO
CARTÍLAGO HIALINO CON
TRICROM- MALLORY
PERICONDRIO
Tejido conectivo que envuelve al cartílago
Contiene fibras colágenas tipo I, fibras elásticas, y
fibroblastos
Se fusiona con el tejido conectivo circundante
Responsable de:
la nutrición
el crecimiento
la regeneración del tejido cartil.
CARTÍLAGO HIALINO
PARED BRONQUIAL - PERICONDRIO
Cartílago
elástico
meato auditivo
externo
H y E
fibroblastos en
el pericondrio
condroblastos
condrocitos
CLASIFICACION DEL TEJIDO
CARTILAGINOSO
Se basa en el tipo y la abundancia de fibras
Hay 3 variedades de cartílago
humano:
1. Cartílago hialino
2. Cartílago elástico
3. Fibrocartílago
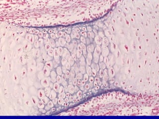
CARTÍLAGO HIALINO
El más prevalente, y de amplia distribución
Hialino de hyalos en griego significa vidrio
En fresco tiene aspecto traslucido, blanco
azulado
CARTÍLAGO HIALINO
Su ubicación:
*El feto formando el esqueleto
*En las superficies articulares
*En cartílagos costales, y nasales
*En la pared de las vías respiratorias
CARTÍLAGO HIALINO
Células:
Condrocitos
*células grandes redondas
*núcleo ovoide con 1-2 nucleolos
*citoplasma: basófilo con RER, aparato de golgi,
mitocondrias, vacuolas, gotas de grasa y
glucogeno, pigmentos
Condroblastos
*células aplanadas
*menos basófilas
*más en la periferia del tejido
CONDROBLASTOS EN
DIFERENCIACICION- CONDROCITOS
Cartílago
hialino costal
HyE
condroblastos
condrocitos
CARTÍLAGO HIALINO
Matriz Intercelular:
Sustancia Fundamental- gelatinosa y rígida
Fibras- colágenas formando una red
*Este cartílago sufre osificación
CARTÍILAGO HIALINO - PARED TRAQUEAL
TEJIDO CONECTIVO DE MUCOSA
PERICONDRIO Y MATRIZ CARTIAGINOSA
CARTÍLAGO HIALINO TOLUIDINA
CARTÍLAGO ARTICULAR UNION DE
CARTÍLAGO CON HUESO
CARTILAGO HIALINO CON
TRICROM- MALLORY
CARTILAGO HIALINO
PARED BRONQUIAL - PERICONDRIO
Cartílago
Hialino
H y E
condrocitos
condroblastos
fibroblastos
C. Hialino
con
Mallory
CARTÍLAGO ELÁSTICO
CARTÍLAGO ELÁSTICO
Similar al cartílago hialino tiene fibras colágenas
pero estas son muy delgadas y hay abundantes
fibras elásticas
En fresco la matriz es amarillenta, y mas opaca
El citoplasma de las células contiene menos
acumulación de grasa y glucogeno
Brinda sostén y flexibilidad
CARTÍLAGO ELÁSTICO
Su ubicación:
*oído externo
*trompa faringotimpanica
*epiglotis
*cartílagos laríngeos (aritenoides)
La calcificación es menos frecuente en
este tejido
Cartílago
elástico meato
auditivo
externo
H y E
fibroblastos
condroblastos
condrocitos
CARTÍLOAGO ELÁSTICO PABELLON
AURICULAR- FIBRAS ELÁSTICAS
CARTÍLAGO ELÁSTICO- OREJA
FIBRAS ELÁSTICAS EOSINOFILAS
FONDO MATRIZ BASÓFILO
Cartílago
elástico
epiglotis
verhoeff
fibras elásticas
Cartílago
elástico
verhoeff
fibras
elásticas
condroblastos
condrocitos
CARTÍLAGO ELÁSTICO PABELLON AURICULAR
CONDROCITOS- FIBRAS ELASTICAS (ORCEINA)
Cartílago
elástico
FIBROCARTÍLAGO
FIBROCARTÍLAGO
Nunca se presenta solo
Se encuentra gradualmente fusionado con:
*el cartílago hialino vecino
*tejido fibroso denso (tendón)
aparenta ser un tejido transicional entre el
tejido fibroso denso y el cartílago hialino
Brinda un apoyo firme o buena fuerza tensil
FIBROCARTILAGO
Matriz y Células:
Fibroblastos (inicialmente) rodeados por fibras
colágenas
Condroblastos ( diferenciados de fibroblastos)
rodeados por cápsulas de matriz cartilaginosa
Condrocitos (posteriormente) la densidad de su
matriz aumenta con la edad
FIBROCARTÍLAGO
Se encuentra en:
discos intervertebrales
cartílago de fosa glenoidea
cartílago del acetábulo
discos interarticulares (externoclavicular,
acromioclavicular, temporomaxilar, sinfisis del pubis)
DISCO INTERVERTEBRAL
CONDROCITOS-CÉLULAS SANGUÍNEAS
Fibrocartílago
inserción de
tendón
H y E
fibras
colágenas
condrocitos
Fibro-
cartílago
TEJIDO OSEO
TEJIDO ÓSEO
• Tejido rígido que constituye la mayor parte del
esqueleto
• Formado por células y matriz ósea
• Existen dos tipos de Hueso
*Hueso Compacto o Denso
*Hueso Esponjoso o Trabecular
TEJIDO ÓSEO COMPACTO
TEJIDO ÓSEO ESPONJOSO
TEJIDO ÓSEO
En un hueso largo se ve:
*Diafisis o cuerpo- h. compacto que rodea la
cavidad medular
*Epífisis o extremidad- h. esponjoso cubierto
por una capa delgada de h. compacto
TEJIDO OSEO
• Periostio: tejido conectivo que cubre al hueso
compacto por fuera, excepto en las superficies
articulares
• Endostio: tejido conectivo que reviste la
cavidad medular, y cubre al hueso esponjoso
*Estas capas de tejido conectivo tienen la capacidad
histogenética de formar hueso
TEJIDO ÓSEO
• Células:
*células osteoprogenitoras
*osteoblastos
*osteocitos
*osteoclastos
• Matriz:
*porción orgánica
*porción inorgánica
CÉLULAS
OSTEOPROGENITORAS
• Una población de células madre derivadas del mesenquima
• Tienen la capacidad de dividirse y diferenciarse en células
óseas ( dos tipos- preosteoblastos, preosteoclastos)
• Son fusiformes, con núcleo oval y alargado, con escaso
citoplasma
• Su ubicación : *en la porción interna del periostio y endostio
*en conductos vasculares del h. compacto
OSTEOBLASTOS
• Tienen muchas prolongaciones citoplasmáticas
digitiformes con microfilamentos, que se
extienden a la matriz ósea (se comunican con los
de osteoblastos vecinos)
• Su núcleo es grande, generalmente en la
región basal, con un nucléolo muy notable
• Citoplasma basófilo con RER, aparato de golgi,
mitocondrias etc
OSTEOBLASTOS
• Contienen la enzima fosfatasa alcalina
que degrada los inhibidores de la
calcificación
• Su función es de producir la matriz ósea
(osteoide- no calcificada) y permitir la
consiguiente calcificación
OSTEOCITOS
• Cuando el osteoblasto se queda atrapado en la
matriz (dura), ya no se divide ni secreta matriz
• Su citoplasma ligeramente basófilo, poco RER
etc, con gotas de grasa y poco glucogeno
• El núcleo con su cromatina nuclear
condensada
OSTEOCITOS
• Se encuentra cada osteocito en una laguna pero no
aislado, como el cartílago, ya que sus
prolongaciones se comunican.
• En el tejido óseo completamente maduro se pierden
las prolongaciones pero persisten los conductos a
través de los cuales se comunican las células para
su metabolismo.
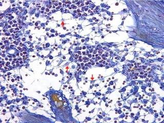
OSTEOCLASTOS
• Células grandes, multinucleadas, tipo macrófagos
• Se fijan a las superficies de la matriz ósea y lo corroen
• Tienen borde irregular rizado (facilita la resorción
ósea)
• El citoplasma es ligeramente basófilo, espumoso, con
gránulos de colagenasa
OSTEOCLASTOS- MATRIZ ÓSEA
OSTEOCLASTOS
• Su función es de erosión del tejido óseo por
acción de la colagenasa y otras enzimas
proteolíticas
• Cuando se termina la resorción ósea parece
que los osteoclastos se degeneran o regresan
a su forma anterior
MATRIZ OSEA
• Sus dos componentes son:
*la matriz orgánica
*las sales inorgánicas
• La matriz se dispone en capas o laminillas
• Las fibras se disponen de manera radiada
LAMINILLAS
PORCIÓN ORGÁNICA
• Es el 35%
• Fibras osteocolagenas (tipo I) dispuestas en haces
unidas por glucosaminoglucanos
• Sustancia fundamental con:
*sialoproteinas
*fosfoproteinas
*proteínas ácidas
*condroitinsulfato (poco)
PORCIÓN INORGÁNICA
• Se encuentra en el cemento entre las fibras
• Son cristales óseos como el fosfato de calcio-
hidroxiapatita
• Los cristales pueden contener
*carbonato
*citrato
*Na y Mg
*oligoelementos
ARQUITECTURA DEL
HUESO COMPACTO
ARQUITECTURA DEL
HUESO COMPACTO
Sistema de Havers u Osteonas
1. Matriz Ósea: dispuesta como laminillas
concéntricas (5-20 laminillas de matriz ósea)
2. Conductos vasculares: (conductos de Havers)
pasan vasos sanguíneos y nervios
3. Ramificaciones de conductos vasculares:
(conductos de Volkman) comunican con medula
ósea y periostio
4. Osteocitos
LAGUNAS Y CANALICULOS
ARQUITECTURA H. COMPACTO
• Los vasos sanguíneos del sistema siguen un trayecto
recto longitudinal
• Se comunican con los vasos sanguíneos de la cavidad
medular
• También con los vasos del periostio
• Esto logran mediante ramas colaterales los conductos
de Volkman o conductos nutricios (siguen un trayecto
perpendicular a los c. de Havers)
CONDUCTO DE VOLKMANN
ARQITECTURA H. COMPACTO
• Entre los sistemas de Havers se encuentran
las laminillas intersticiales
• Son de disposición angular, de diferentes
tamaños y formas
• Corresponden a los vestigios de los S. de
Havers destruidos durante la remodelación
interna del hueso
TEJIDO OSEO COMPACTO
ARQITECTURA H. COMPACTO
• Además de las fibras osteocolagenas de las
laminillas existen haces gruesas de fibras
colágenas llamadas fibras de Sharpey
• Se originan del periostio y terminan entre los
sistemas de Havers y laminillas intersticiales
• Sirven para fijar el periostio al hueso
ARQUITECTURA DEL
HUESO ESPONJOSO
ARQUITECTURA DEL
HUESO ESPONJOSO
• Las trabeculas carecen de sistemas de
laminillas
• Estas no son penetradas por los vasos
sanguíneos
• Son mas bien rodeadas por espacios
medulares vasculares
ARQUITECTURA H. ESPONJOSO
• Las laminillas del hueso esponjoso contienen
lagunas con osteocitos
• También un sistema de conductillos
intercomunicantes
TEJIDO ÓSEO ESPONJOSO
DESARROLLO
Y
CRECIMIENTO DEL HUESO
DESARROLLO Y CRECIMIENTO
DEL HUESO
Cuatro factores de consideración:
1. Sistema de conductillos óseos
2. La vascularizacion ósea
3. El crecimiento óseo
4. La arquitectura ósea
SISTEMA DE CONDUCTILLOS
• En las superficies óseas los conductillos se
abren en los espacios tisulares permitiendo el
paso del líquido tisular por los conductillos
• Así los osteocitos son capaces de
intercambiar sustancias con la sangre por
difusión a través del liquido tisular dentro de
los conductillos
VASCULARIZACIÓN DEL HUESO
• Los vasos sanguíneos pasan a través de los
sistemas de conductos
• Las células óseas reciben abundante riego
sanguíneo de los vasos medulares (al
endostio) y los vasos periosticos
• Estos vasos se ramifican en arteriolas que
llegan a los conductos vasculares y nutricios
CRECIMIENTO ÓSEO
• Exclusivamente se da por aposición
• Se debe a los depósitos de sales
inorgánicas en la matriz que evitan la
expansión en el interior
ARQUITECTURA OSEA
• No es estática
• Se moldea y recupera su forma de manera constante
para adaptarse a cambios ocasionados por:
*fuerzas externas
*envejecimiento
*desequilibrios hormonales
• Es decir existe un proceso continuo de
reconstrucción ósea
OSIFIACIÓN
OSIFICACIÓN
Dos tipos, según la manera de desarrollo
del hueso y su origen embrionario
• O. Intramembranosa- tejido óseo de
origen directo del mesenquima
• O. Endocondral- tejido óseo de origen del
tejido cartilaginoso
OSIFICACIÓN
INTRAMEMBRANOSA
• Las células del mesenquima se agrupan en cúmulos alargados
• Se unen entre si por sus prolongaciones y se diferencian en
osteoblastos
• Primero se forma la matriz orgánica: las fibrillas colágenas se
hinchan, se encuentran rodeadas por sustancia fundamental,
esta matriz aun sin calcificarse se conoce como osteoide
• Posteriormente se forma la matriz inorgánica: los osteoblastos
depositan sales inorgánicas entre las fibras colágenas
O. INTRAMEMBRANOSA
• La osificación inicial se observa como la formación de
espículas óseas en el tejido conectivo
• Se depositan capas sucesivas de matriz ósea por aposición
• Parte del hueso esponjoso es remplazado por hueso
compacto formando las tablas interna y externa
• El tejido conectivo entre las trabeculas se transforma en tejido
mieloide
• El tejido conectivo que no se osifica da origen al periostio y
endostio
O. INTRAMEMBRANOSA
Los ejemplos típicos de esta:
• h. frontal
• h. parietal
• h. occipital
OSIFICACIÓN ENDOCONDRAL
• Se inicia con la transformación del pericondrio
en periostio con acumulación de osteoblastos
• Así el cartílago de la diafisis queda rodeado por
un anillo o collar óseo periostico de h.
compacto que crece longitudinalmente en
ambas direcciones
OSIFICACIÓN ENDOCONDRAL
• En el centro de la diafisis, las células
cartilaginosas se hipertrofian.
• Se forma el botón periostico,
• Se origina un conducto a través del collar
óseo y su cartílago, por destrucción de las
lagunas- forman los espacios medulares.
O. ENDOCONDRAL
• Los osteoblastos se disponen a lo largo del tejido
cartilaginoso y depositan hueso- estos son los puntos
de osificación
• Este proceso de erosión se da en ambas direcciones
junto con la extensión del collar óseo
• El collar se hace mas grueso y se ensancha en las
epífisis
• Con la calcificación del cartílago se forman otros
espacios medulares que al unirse forman la cavidad
medular
O. ENDOCONDRAL
Se pueden distinguir 7 zonas del proceso de
osificación endocondral
• zona de reposo o reserva
• zona de proliferación
• zona de maduración
• zona de calcificación
• zona de regresión
• zona de osificación
• zona de resorción
Z. PROLIFERACIÓN
Z. MADURACIÓN
Z. CALCIFICACIÓN
Z. DE CALCIFICACIÓN
Z. REGRESIÓN
O. ENDOCONDRAL
• Las epífisis mantiene su estado
cartilaginoso hasta el nacimiento cuando
se forman los puntos secundarios de
osificación (crecimiento óseo en todas
direcciones)
• Se conserva el cartílago articular y el
disco epifisiario (de crecimiento)
O. ENDOCONDRAL
El crecimiento longitudinal del hueso se asegura
por:
• La formación de columnas cartilaginosas
• Calcificación de este cartílago
• Deposito continuo de hueso
*la proliferación de cartílago y su remplazo por hueso se da casi de
manera simultanea hasta la osificación epifisiaria
REMODELACIÓN
DEL HUESO
REMODELACIÓN OSEA
• Es el resultado de la resorción en ciertas áreas y el
deposito de hueso nuevo en otras
• La resorción dada por acción de los osteoclastos
• En el h. compacto se destruyen los sistemas de
Havers primarios
• El resultado de la remodelación es una masa de
hueso formado por s. de Havers secundarios y
terciarios, mas laminillas intersticiales
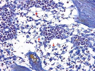
Osteoclasto (H&E).
Célula multinucleada encargada de la resorción ósea.
En la imagen observamos al osteoclasto actuando
sobre la matriz ósea adyacente
Osteoclasto, hueso esponjoso (H-E), 1000X
Grupo de osteoclastos reabsorbiendo hueso. Obsérvese, la
multinucleación de estas células y el aspecto ondulado que, por
acción de los osteoclastos, adquiere la superficie ósea adyacente
(Tricrómico de Goldner x 500).
REPARACIÓN DEL HUESO
1. Hemorragia por rotura de los vasos sanguíneos
2. Formación del coagulo
3. Migración de fibroblastos y capilares al coagulo
4. Formación de tejido de Granulación- procallo
5. El procallo se transforma en cartílago- callo
6. Del endostio y periostio los osteoblastos forman h. esponjoso
que remplaza al callo
7. Resorción del h. esponjoso- remodelación
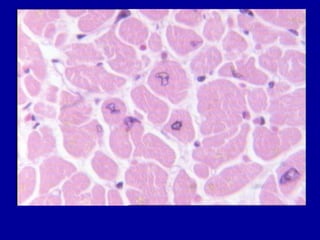
TEJIDO MUSCULAR
TEJIDO MUSCULAR
Consta de tres elementos básicos:
• Fibras musculares- son las células musculares
alargadas, fusiformes, cilíndricas (por esto se
llaman fibras)
• Red de capilares- abundantes proporcionan o2 y
sustancias nutritivas, y de desecho
• Tejido conectivo de sostén- areolar laxo con
fibroblastos, fibras colágenas y elásticas, vasos
sanguíneos y nervios
NOMENCLATURA PROPIA
• protoplasma-sarcoplasma
• mitocondrias- sarcosomas
• REL- retículo sarcoplasmico
• plasmalema-sarcolema
• célula muscular- míofibrilla
• filamentos- míofilamentos
• sarcomera: es la unidad contráctil lineal,
comprende un segmento de una míofibrilla,
producida por la disposición especifica de los
míofilamentos en esta míofibrilla
TIPOS DE TEJIDO MUSCULAR
• M. estriado voluntario o esquelético:
insertado en huesos, aponeurosis
• M. estriado involuntario o cardiaco: forma
paredes de corazón y vasos principales
• M. liso involuntario: en paredes de vísceras
huecas y en la mayor parte de los vasos
sanguíneas
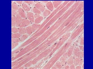
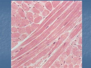
MÚSCULO ESTRIADO
VOLUNTARIO
MÚSCULO ESQUELETICO
• En estado fresco de color rosa por su propio
pigmento y abundante vascularizacion
• Sus capilares dispuestos paralelamente a las
fibras musculares, con anastomosis
transversales
• Recibe abundante innervación
M. ESQUELÉTICO
• Las fibras musculares largas se disponen
en haces y fascículos
*la potencia de un músculo no depende de su
longitud sino del numero total de fibras
musculares (células)
• El aspecto de estas células es de un
citoplasma estriado, con varios núcleos
en la periferia
EL TEJIDO CONECTIVO
DEL M. ESQUELETICO
• Endomisio- tejido conectivo fino se encuentra
rodeando las fibras musculares individuales
• Perimisio- rodea las fibras musculares
reunidas en haces
• Epimisio- una vaina blanca gruesa que rodea
los haces reunidas en fascículo
MIOFIBRILLA
• Al microscopio óptico la fibra muscular en un corte
longitudinal muestra bandas alternas oscuras y
claras (por la disposición de míofilamentos)
• La sarcomera es la unidad contráctil
compuesto por:
dos ½ bandas I
dos líneas Z
una banda A
una banda H
una línea M
MÍOFILAMENTOS
• De miosina: gruesos, ocupan la banda A
• De actina: delgados, ocupan la banda I, y parte de la banda A
en su parte periférica (se interdigitan con filamentos de
miosina)
• La banda H: es la parte central de la banda A donde no hay
filamentos delgados (este varia con la contracción)
• La línea M: la unión de los filamentos de miosina por fibras
radiales (para mantener un espaciamiento regular entre
filamentos
• La línea Z: la unión de filamentos de actina
Z Z
SARCOMERA
H-band
M
SISTEMA DE MEMBRANAS
• Sarcoplasma- cubre por fuera la míofibrilla
• Retículo sarcoplasmico- sistema
membranoso intracelular
SISTEMAS DE MEMBRANAS
• Dentro de la fibra
muscular hay un sistema
extenso de REL el –
reticulo sarcoplasmico
• Es un sistema continuo de
túbulos y cisternas
alrededor de cada
míofibrilla
• Los túbulos son
longitudinales con
abundantes conexiones
transversales en la región
de la banda h
SISTEMA DE MEMBRANAS
• En las uniones A-I hay túbulos delgados
llamados túbulo T estos se comunican con
conductos mayores que son las cisternas
terminales
• Estas cisternas se ubican a cada lado del
túbulo T, un par en cada unión A-I
• Las dos cisternas mas el túbulo T forman la
triada (hay 2 triadas en cada sarcomera)
SISTEMA DE MEMBRANAS
• Función: una rápida propagación de excitación y
despolarización de la membrana de superficie
en toda la míofibrlla
• Túbulos T: liberación de iones de Ca para
desencadenar la contracción de las míofibrillas
(gracias al ATP mitocondrial)
al terminarse la contracción el Ca regresan al
retículo sarcoplasmico donde es almacenado
TEJIDO MUSCULAR ESTRIADO
INVOLUNTARIO
CARDIACO
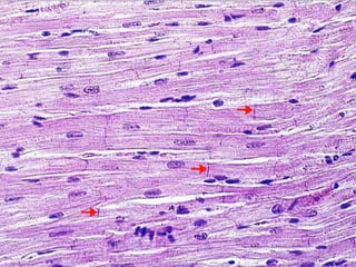
MUSCULO CARDIACO
◼ Es estriado, involuntario
◼ Se contrae de manera rítmica y
automática
◼ Forma el miocardio, y las paredes de los
vasos principales unidos al corazón
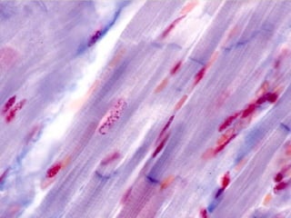
MUSCULO CARDIACO
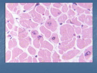
Cada célula:
◼ Tiene un solo núcleo, alargado, central, inmerso en el
citoplasma con abundantes sarcosomas
◼ Los míofibrillas dispuestos longitudinalmente
separados por abundante sarcoplasma lo que le da el
aspecto estriado
◼ Existen bandas A, I, H, líneas Z, M pero no de manera
completa
◼ A menudo las células se dividen en uno o ambos
extremos y se unen a una célula vecina por los discos
intercalados.
MUSCULO CARDIACO
Cada fibra muscular:
◼ Compuesta por varias células musculares
unidas por los discos intercalados
◼ Las discos intercalados son zonas de
adherencia celular que cruzan las fibras en las
líneas Z con un trayecto en zig-zag
◼ Entre las fibras existe tejido conectivo fino
endomisio por donde pasan vasos
sanguineos, linfaticos y nervios
ESTRUCTURA FINA DEL
MUSCULO CARDIACO
◼ Míofilamentos iguales que del M. Esquelético pero se
agrupan de manera incompleta (alrededor del núcleo, y
por las ramificaciones y discos intercalares)
◼ Túbulos T diámetro mayor localizados en línea Z
◼ Retículo sarcoplasmico alrededor de los túbulos T, sin
cisternas terminales
◼ Existen discos intercalados en las líneas Z
MUSCULO CARDIACO
Contracción muscular:
◼ Son contracciones espontáneas
◼ Mecanismo igual que el del M. Esquelético
Regeneracion:
◼ Se repara por tejido fibroconectivo cicatrizal
MUSCULO LISO
INVOLUNTARIO
MUSCULO LISO
◼ No tiene estrías transversales, es involuntario
◼ Se encuentra en:
*vísceras huecas
*aparato respiratorio
*aparato urinario
*aparato genital
*vasos sanguíneos, y linfáticos
*dermis
*iris y cuerpo ciliar del ojo
ORGANIZACIÓN DEL
MUSCULO LISO
◼ Células aisladas o en pequeños grupos y muy unidas
◼ Se disponen en capas de manera paralelas y en capas
(puede ser una longitudinal otra circunferencial) o de
manera entrelazadas
◼ Entre las células fibras reticulares y elásticas finas
(producidas por las mismas células musculares)
MUSCULO LISO
La célula
◼ Alargada, fusiforme, tamaño variable
◼ Sarcoplasma acidófilo
◼ Núcleo alargado, central
◼ Tiene míofilamentos pero estos no tienen disposición
especifica
◼ Pueden verse estriaciones longitudinales pero no
transversales
ESTRUCTURA FINA DEL
MUSCULO LISO
◼ Sarcosomas alrededor del núcleo, RER, ribosomas,
Apto. de Golgi, gotas de lípido y glucogeno
◼ Los míofilamentos principalmente delgados pocos
gruesos, con disposición longitudinal
◼ No hay triadas
◼ Si hay retículo sarcoplasmico mas vesículas
pinocitoticas (estas se encargan de liberar el Ca para
la contracción)
MUSCULO LISO
Contracción:
◼ La unidad contráctil es la célula, no existe
sarcomera
◼ El mecanismo parece ser dado por el
deslizamiento de los míofilamentos para el
acortamiento de la célula
TEJIDO NERVIOSO
TEJIDO NERVIOSO
• Este tejido constituye el sistema de comunicación del
cuerpo
• Recibe los estímulos
• Transforma estos en estímulos electrónicos
• luego envía estos a una gran zona organizada de
recepción y correlación (el SNC)
• En el SNC se interpreta y se elaboran las respuestas
adecuadas
TEJIDO NERVIOSO
• Las funciones del tejido nervioso se llevan
a cabo por sus células especializadas- las
neuronas
• Son células que tienen muy desarrolladas
dos propiedades la irritabilidad, y
conductividad
SISTEMA
NERVIOSO
DIVISION
ANATOMICA
DIVISION
FUNCIONAL
SNC
SNP
SISTEMA
NERVIOSO
SOMATICO
SISTEMA
NERVIOSO
AUTONOMO
ENCEFALO
MEDULA ESPINAL
GANGLIOS NEURONALES
FIBRAS NERVIOSAS
DIVISION ANATOMICA DEL SISTEMA
NERVIOSO
SNC
• Encéfalo (en el cráneo)
médula espinal ( en el conducto raquídeo)
• Sus células de sostén son las células de neuroglia
• Funciona como un centro integrador, recibiendo estímulos
*exteroceptivos: origen del exterior del cuerpo
*interoceptivos: origen de órganos internos
*propioceptivos: de las articulaciones, músculos, y tendones
• aquí se encuentran la mayor parte de los cuerpos neuronales
• se pueden ver prolongaciones o estas pueden extenderse
fuera o estar fuera del SNC
DIVISION ANATOMICA DEL
SISTEMA NERVIOSO
SNP
• incluye el resto del sistema nervioso
• sus celulas de sosten son las celulas de schwann
y las celulas satelite
• este funciona conectando los demas tejidos y
organos con el snc
DIVISION FUNCIONAL DEL SISTEMA
NERVIOSO
SN SOMÁTICO:
Se relaciona con la elaboración de respuestas
motoras adecuadas que son voluntarias (bajo control
de la mente
AUTÓNOMO:
auto= propio, nomos= control
Este regula las respuestas que están fuera de control
de la mente
incluye- inervación de glándulas exocrinas
- de músculo liso, y cardíaco
- y de viseras
ORGANIZACIÓN DEL
TEJIDO NERVIOSO
EN EL SNC
• Los cuerpos neuronales se encuentran en la sustancia gris
• Las prolongaciones y células de sostén se encuentran en la
sustancia blanca
EN EL SNP
• Los cuerpos neuronales se encuentran en cúmulos llamados
ganglios neuronales, y también en regiones sensoriales
especializadas como la retina, y mucosa olfatoria
GANGLIO NEURONAL
FIBRAS NERVIOSAS Y CUERPOS
NEURONALES EN EL GANGLIO
ORGANIZACIÓN DEL
TEJIDO NERVIOSO
EL SISTEMA NERVIOSO INCLUYE:
• Neuronas
• Células de sostén
• Tejido conectivo (con vasos sanguíneos)
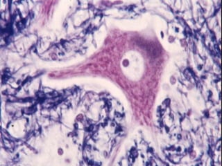
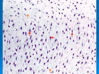
NEURONA
• Soma o Pericarión- es el cuerpo neuronal
• Fibras Nerviosas- incluyen las prolongaciones
citoplásmicas
dendritas y axón
• Soma y Dendritas- zona principal para la recepción de
estímulos
• Axón- recepta los impulsos del soma y los conduce a otras
células
REPRESENTACION ESQUEMATICA DE LA NEURONA
SOMA O PERICARIÓN
• Citoplasma abundante con mitocondrias pequeñas, gran
aparato de Golgi, y RER, lisosomas primarios, y secundarios,
con la edad se pueden ver gránulos de lipofucsina, y gránulos
de melanina, gotitas de grasa, no glucógeno
• Cuerpos de Nissel- son RER y ribosomas se ven en el soma, y
las dendritas, no hay en el axón (reaccionan frente a lesiones o
estimulo prolongado)
• Neurofilamentos- forman el citoesqueleto
• Neurotúbulos- parte del citoesqueleto, y participan en el
transporte de proteínas y otras sustancias del soma al axón y
dendritas
APARATO DE GOLGI
Fragmento de un pequeño soma
neural
CELS SATELITES
SOMA O PERICARIÓN
• El núcleo es grande, con nucléolo
prominente (aspecto de ojo de buho)
• Función del soma- receptor de estímulos,
y también centro trófico (de nutrición)
NISSEL
DENDRITAS
• Prolongaciones citoplásmicas anchas en su base, y
se adelgazan en sus ramas terminales
• En la mayoría de neuronas son múltiples y cortas
• Pueden estar como collar de monedas por sus
prolongaciones pequeñas como espinas dendríticas
(especializadas para el contacto sináptico)
• Función de receptor de estímulos
ESPINAS DENDRITICAS
AXON
• Es una prolongación cilíndrica recta y única, mas delgada y
larga que las dendritas
• Se origina del soma neuronal en el cono axónico o en la base
de una dendrita principal
• Tiene axolema, axoplasma
• Puede o no presentar ramificaciones- las telodendritas, pueden
tener dilataciones que son los botones terminales
• Pueden ser mielinicos (aislados por una vaina de mielina) o
amielinicos
TIPOS DE
NEURONAS
ESTRUCTURALMENTE
FUNCIONALMENTE
MULTIPOLARES
BIPOLARES
UNIPOLARES
MOTORAS
SENSITIVAS
INTERNUNCIALES
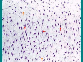
TIPOS DE NEURONAS
Estructuralmente
• Multipolares: las mas abundantes, tienen un axón y
varias dendritas
• Bipolares: no muy frecuentes, tienen un axón y una
dendrita (ej. en retina, epitelio olfatorio)
• Unipolares: muy raras, con una sola prolongación
(en embrión, y fotoreceptores del ojo)
TIPOS DE NEURONAS
GOLGI II
TIPOS DE NEURONAS
Funcionalmente
• Motoras: controlan los órganos efectores (ej. musculo,
glándulas)
• Sensitivas: reciben estímulos exteroceptivos,
interoceptivos, y propiosecptivos
• Internunciales: conectan las dos anteriores para
establecer circuitos funcionales complejos o vías
nerviosas
ARCO REFLEJO
• En el hombre la mayoría de acciones incluyen
arcos reflejos
• Los mas sencillos formados por dos neuronas –
una vía bineuronal (ej. reflejo rotuliano)
• Las neuronas que participan son la
sensitiva- aferente
motora- eferente
neurona aferente
su dendrita en el tendón del cuádriceps
su cuerpo en un ganglio serca de la medula espinal
pasa al axón que esta en la sustancia gris de medula
espinal
hace sinapsis con el cuerpo de una neurona eferente
el axón de esta n. eferente pasa a un nervio periférico
que inerva el musculo cuádriceps
ARCO REFLEJO
• Puede existir una tercera neurona en
algunos reflejos, estas son las neuronas
comunicantes o internunciales
SINAPSIS NEURONAL
• quimica: la mas frequente, se transmite un
impulso nervioso mediante una sustancia
neurotrasmisora
• electrica: la transmision se da de manera
directa de una neurona a otra por una
union de baja resistencia, es rara
SINAPSIS
PUEDEN SER:
*AXODENDRITICA
*AXOSOMATICA
*AXOAXONICA
*DENDRODENDRITICA
DISTINTOS TIPOS DE
SINAPSIS NERVIOSAS
ELEMENTOS SINAPTICOS
elemento presinaptico:
• o boton presinaptico
• aqi exsiten vesiculas sinapticas con sustancia
neurotrasmisora
• hay mitocondrias, rel, neurotubulos,
neurofilamentos
ELEMENTOS SINAPTICOS
hendidura sinaptica:
• un espacio estrecho extracelular que separa las dos
neuronas
• ubicada entre 2 membranas pre y post sinaptica
• se encuentra cruzada por filamentos finos que
conectan las dos membranas
ELEMENTOS SINAPTICOS
elemento postsinaptico:
• generalmente es una dendrita,
pero puede tambien ser el soma y
a veces un axon
SINAPSIS QUIMICA
• llega un estimulo al axon (como potencial de accion)
• se despolariza la membrana, y entra ca+
• las vesiculas se aproximan a la membrana
presinaptica
• se fusionan con esta membrana, y liberan su
neurotrasmisor a la hendidura sinaptica
SINAPSIS QUIMICA
SINAPSIS QUIMICA
• El neurotransmisor cruza la hendidura y se
pega a los receptores de la membrana
postsinaptica
• Se abren los canales y se inicia la
despolarización de la membrana
postsinaptica.
SINAPSIS QUIMICA
CÉLULAS
DE
NEUROGLIA
MACROGLIA
CÉLULAS
DEL
EPENDIMO
ASTROCITOS
OLIGODENDROCITOS
A. PROTOPLASMATICOS
A. FIBROSOS
MICROGLIA
GANGLIO
CELS SATELITES
VISTA
TRIDIMENSIONAL
DE LAS MENINGES
NERVIO PERIFERICO. CUBIERTO DE TEJIDO CONECTIVO
DEL NERVIO
ULTRA ESTRUCTURA DE LA VAINA DE MIELINA
FORMACION DE LA VAINA DE MIELINA (C. SCHWANN)
TEJIDO CONECTIVO
ESPECIALIZADO
SANGRE
SANGRE
• Se forma en los espacios vasculares del tejido
mesenquimal
• Es un tejido circulante que integra una región
del cuerpo con otro y actúa como un medio de
transporte para sustancias metabólicas
• El volumen sanguíneo en el adulto es de 5 lt y
es un 8% del peso corporal
SANGRE
Consta de:
• Elementos formes de la sangre o células
*GR o eritrocitos
*GB o leucocitos
*Plaquetas o trombocitos
• Sustancia intercelular liquida o plasma
sanguíneo
ERITROCITOS
• Son células discoides, aplanadas, y bicóncavas
• No tienen núcleo (se les llama también corpúsculos)
• En frotis delgado de sangre fresca se ven de color
amarillo verdoso pálido, al agruparse se ven mas de
color rojizo
• Son muy elásticas pueden sufrir distorsión
considerable (así pasar por vasos muy pequeños)
ERITROCITOS
• Son las células mas abundantes en sangre
4.5 – 5 millones/mm3
• 1% de los GR en sangre periférica son inmaduros,
llamados reticulocitos, (debido a la velocidad de
sustitución GR/ día en medula ósea)
• Tienen tendencia a adherirse entre si por su superficie
cóncava formando columnas o hileras – formación de
pilas (se ve en sangre extraída)
• Su aumento- eritrocitosis
• Disminución- anemia
ERITROCITOS
• Contienen Hb, que es una proteína transportadora de
O2, y es la que determina su color y en parte su forma
• La Hb se combina de la siguiente manera:
*Hb + o2 oxi-Hb reversible
*Hb + co2 carbamino-Hb no reversible
• Su Función es de llevar O2 de los pulmones a los
tejidos y CO2 en dirección contraria
LEUCOCITOS
• No presentan una forma constante por su movimiento
ameboide
• Son capaces de separar las células endoteliales de
los vasos para atravesarlos
• Su función en general es de defensa
• En sangre periférica de 5 000 a 10 000 /mm3
• Su aumento- leucocitosis
• Su disminución- leucopenia
CLASIFICACIÓN DE LOS
LEUCOCITOS
• L. AGRANULOSOS- LINFOCITOS
MONOCITOS
• L. GRANULOSOS- NEUTROFILOS
BASOFILOS
EOSINOFILOS
LINFOCITOS
• Células esféricas, pequeñas, con núcleo esférico
grande, puede presentar una muesca
• Citoplasma basófilo por los ribosomas
• Son de dos tipos, T y B (los b se transforman en c.
plasmáticas)
• En sangre periférica 20 - 35 % de leucos. totales
MONOCITOS
• Células mas grandes, núcleo excéntrico ovoide o
reniforme
• Citoplasma mayor al de los linfocitos con punteado
asurófilo (por lisosomas primarios) en la superficie
microvellosidades y vesículas pinocitoticas
• Tienen seudópodos para su transporte
• Al llegar al tejido conectivo se transforman en
macrófagos
• En sangre periférica de 3 - 8%
LEUCOCITOS GRANULOSOS
• Todos poseen gránulos
• Todos presentan núcleos con 2 o mas
lobulaciones
• Se llaman también polimorfonucleares
NEUTROFILOS
• Las células mas abundantes de los leucocitos
65 - 75%
• Son grandes con gran actividad ameboide y
fagocitaría
• Núcleo presenta de 3-5 lobulaciones
• El citoplasma contiene gránulos finos que se
tiñen de color púrpura azulado
NEUTROFILOS
Los gránulos pueden ser:
*Específicos- cilíndricos o esféricos con enzimas
(fosfatasa alcalina, colagenasa, lactoferrina,
lisozima)
*Asurófilos- son lisosomas primarios con enzimas
que son liberadas luego de que fagocitan (fosfatasa
ácida, catepsina, elastasa, colagenasa, otras)
EOSINOFILOS
• o acidofilos
• Núcleo bilobulado, o con 3 lóbulos , sin nucléolos
• Gránulos gruesos acidofilos (son lisosomas primarios
llenos de enzimas)
• En sangre periférica de 2 - 4% niños 6%
BASÓFILOS
• Tienen movimiento lento
• Su núcleo es de contorno irregular parcialmente
estrechado formando dos lóbulos
• Citoplasma con gránulos esféricos, gruesos, basófilos
(contienen heparina, histamina, serotonina) no son
tipo lisosomas
• En el tejido conectivo se llaman células cebadas
• En sangre periférica son de 0.5-1 % de leucos total
MONOCITO, BASOFILO,
NEUTROFILO
PLAQUETAS
• Son pequeños discos protoplásmicos, incoloros, y sin núcleo
• Son difícil de contar ya que se adhieren en seguida de extraer
la sangre
• En las tinciones se pueden distinguir dos zonas:
1. Granulómera- zona central, intensamente basófila, con
gránulos
2. Hialomera- zona periférica, pálida y
homogénea
• Los gránulos de dos tipos:
1. G. de centro denso- serotonina, adp, atp, ca+
2. G. alfa- de tipo lisosomicos, con sustancias
relacionadas a la coagulación
PLAQUETAS
• Se origina como fragmentos citoplásmicos de células gigantes
llamadas megacariocitos
• Se adhieren a las superficies de zonas dañadas de los vasos
sanguíneos produciendo el trombo blanco (cubre la superficie
taponando la abertura)
• producen la enzima tromboplastina importante para la
coagulación
TROMBOPLASTINA
PROTROMBINA TROMBINA
TROMBINA
FIBRINOGENO FIBRINA
PLAQUETAS
• En sangre periférica lo normal 200 000 -
300 000/mm3
• La disminución de lo normal se llama
trombocitopenia
Desarrollo
de los
elementos
mieloides
FACULTAD DE MEDICINA
UNIDAD ACADÉMICA DE SALUD Y BIENESTAR
www.ucacue.edu.ec
Ciclo Ovárico
▶︎La mujer pasa por ciclos menstruales regulares, los cuales inician desde la
pubertad, y se encuentran bajo el control del hipotálamo, la cual secreta la
hormona de gonadotropina(gnrh), la cual actúa a su vez sobre las células del
lóbulo anterior (adenohipófisis) de la glándula hipófisis, las cuales segregan
gonadotropinas. Estas hormonas junto con la hormona estimulante de los folículos
(fsh) y la hormona luteinizante(lh) estimulan y controlan los cambios cíclicos en el
ovario.
Ciclo Ovárico
 Al inicio de cada ciclo ovárico, entre 15 y 20 folículos de la fase primaria o
preantral, son estimulados para madurar bajo la hormona estimulante de los
folículos (FSH) la cual es necesaria para promover folículos primordiales, en la
fase de los folículos primarios; cuando no son estimulados estos folículos
mueren, y se vuelven atrofiados.
 En condiciones normales solo uno de los folículos alcanzan plena madurez y
solo uno se libera; el resto se degenera y se atrofian como consecuencia de
esto, la mayoría de los folículos se degeneran sin alcanzar su plena madurez,
al momento en que un folículo se vuelve atrofiado, el ovocito y las células
circundantes se degeneran y son remplazadas por tejido conectivo, lo que
da origen a un cuerpo atrésico.
Ciclo Ovárico
 La hormona estimulante de los folículos(FSH), estimula la maduración de las
células foliculares granulosas, que rodean al ovocito, su multiplicación, está
medida por el factor 9 de diferenciación de crecimiento el cual cumple el
papel de la maduración de las células foliculares, miembro de la familia de
transformación del crecimiento B(TGF-B).
 Junto a la teca interna (estructura celular que rodea al antro folicular del
folículo maduro) y a las células granulosas, producen estrógenos: las células
de la teca interna producen androstenediona y testosterona: las células
granulosas se convierten ambas en estrona y estradiol 17B; a raíz de esta
producción de estrógenos:
Ciclo Ovárico
 El endometrio uterino entra en la fase folicular o proliferativa.
 El modo cervical se adelgaza para que pase el espermatozoide.
 El lóbulo anterior de la hipófisis es estimulado para que segregué la
hormona LH.
A mitad del ciclo ocurre una descarga de LH la cual:
 Eleva las concentraciones del factor promotor de maduración, lo que
hace que los ovocitos completen la meiosis fase 1 e inicio de la meiosis
fase 2.
 Estimula la producción de progesterona por las células foliculares del
estroma (luteinización).
 Produce la rotura folicular y la ovulación.
Ovulación
 En los días anteriores a la ovulación y con el cambio dado por las
hormonas estimuladoras de los folículos (FSH) y luteinizante (LH); los folículos
se desarrollan rápido y alcanzan un diámetro de 25mm, para convertirse
en un folículo vesicular maduro (de Graaf).
 En el desarrollo final de este folículo existe un aumento abrupto de la
hormona luteinizante (LH), que hace que el ovocito primario alcance la
miosis 1 y que el folículo, entre en la fase preovulatorio del folículo vesicular
maduro, también entre en la meiosis fase 2; solo que el ovocito se detiene
en la metafase, unas 3 horas antes de la ovulación.
Ovulación
 Mientras tanto en la superficie del ovario, comienza a crecer un bulto y
aparece en el ápice, una mancha avascular: el estigma (orificio que se
genera en la capa fibrosa del ovario), con una alta concentración de LH,
aumenta la actividad de la colagenasa que termina con la digestión de las
fibras colágenas que cubren al folículo, los niveles de prostaglandina se eleva
en respuesta de a la descarga de LH, lo que provoca contracciones en el
ovario, estos a su vez empujan al ovocito hasta quedar libre (ovulación), junto
con las células granulosas de la región del cumulo ovóforo y sale flotando del
ovario.
Ovulación
 Una de las células del cúmulo se reorganizará después contorneando la zona
pelúcida para constituir la corona radiada.
Cuerpo Lúteo
 Posterior a la ovulación, los vasos sanguíneos, vascularizan
las células granulosas que permanecen en la pared del
folículo roto, junto con las procedentes de la teca interna.
 Bajo el cambio de la hormona luteinizante (LH), las células
producen un pigmento amarillento, y se transforman en
células lúteas, que dan lugar al cuerpo lúteo y segregan
estrógenos como progesterona, estos hacen que la mucosa
uterina entre en fase progestional o secretoria es decir en
preparación para la implantación del embrión.
Cuerpo Albicans
Al no producirse la fecundación
➢ El cuerpo lúteo alcanza su desarrollo completo a los 9 días.
➢ Se reconoce como una proteccion amarillenta sobre la superficie del
ovario.
➢ Luego se contrae a causa de la degeneracion de las células a este
proceso se le llama luteólisis.
➢ Simultáneamente, desminuye la fabricación de progesterona, lo que
causa la mestruacion.
 La degradación del cuerpo lúteo es impedida por la hormona
gonadotropina coriónica humana, esta hormona es segregada por el
sincitiotrofoblasto del embrión en desarrollo.
 El cuerpo lúteo sigue creciendo y forma el cuerpo lúteo del embarazo.
 Al concluir el tercer mes, esta estructura puede formar un tercio o una
mitad del tamaño del ovario.
 Las células lúteas continuan secretando progesterona hasta la conclusión
del cuarto mes.
 Luego regresan lentamente conforme la secreción de progesterona, por el
componente trofoblástico de la placenta va siendo adecuada para
mantener el embarazo.
 La eliminación del cuarto mes suele provocar el aborto.
Fecundación
 Es un proceso en el cual se fusionan los gametos
masculinos y femeninos.
 Se da en la región ampular de la trompa de falopio, esta
parte es la mas ancha de la trompa y esta cerca del
ovario.
 Los espermatozoides pueden permanecer vivos varios días
en el aparato reproductor femenino.
 Solo el 1% de los espermatozides depositados en la vagina
entran al cuello uterino, donde pueden sobrevivir varias
horas.
 El movimiento de los espermatozoides se efectúa por
contracciones del utero, de la trompa y muy poco por su
propia propulsión.
 El viaje desde el cuello uterino hasta el oviducto puede durar de 30
minutos o hasta 6 días, los espermatozoides cuando llegan al itsmo
pierden motilidad y terminan su migración.
 Durante la ovulación los espermatozoides recobran su motilidad y nadan
hacia la ampolla donde suele ocurrir la fecundación.
 Los espermatozoides no pueden fecundar al ovocito inmediatamente
después de llegar al aparato genital femenino donde experimenta:
1. Captación.
2. Reacción Acrosómica.
Captación
 Es un periodo de acoplamiento del tracto reproductor de la mujer dura
alrededor de 7 horas.
 Acortar el tiempo en la ampolla no ofrece ninguna ventaja, porque
todavía no se puede efectúa la captación y los espermatozoides no
pueden fecundar al ovocito.
 Gran parte de esta etapa durante la capacitación se lleva a cabo en la
trompa de falopio; en ella se dan interacciones epiteliales entre los
espermatozoides y la superficie mucosa de la trompa.
 Únicamente los espermatozoides capacitados pueden cruzar las células
de la corona y experimentar la reacción acrosómica.
Reacción Acrosómica
 Tiene lugar tras la unión con la zona pelúcida. La reacción culmina en la
liberación de las enzimas necesarias para penetrar la zona pelúcida.
 Esta reaccion tiene 2 fases:
- Fase 1: penetración de la corona radiada.
- Fase 2: penetración de la zona pelúcida.
- Fase 3: fusión entre las membranas celulares del ovocito y del
espermatozoide.
Fase1: penetración de la
corona radiada
 Aproximadamente de 200 a 300 millones de espermatozoides que
se insertan en el aparato reproductor femenino, solo entre 300 y 500
llegan donde se produce la fecundación y solo uno de fencundará
al ovocito.
 Se cree que los demás ayudaran al espermatozoide fecundador a
penetrar la barrera que protege al gameto femenino.
 El espermatozoide con mejor condición es el que entrará al ovulo.
Fase 2: penetración de la zona
pelúcida
 La zona es una cubierta de glucoproteínas que rodean al ovocito para
ayudar y mantener la unión del espermatozoide e inducir la reacción
acrosómica.
 La liberación de las enzimas acrosómica permite a los espermatozoides
penetrar en la zona, entra en contacto con la membrana plásmatica del
ovocito.
 La permeabilidad de la zona pelúcida cambia cuando la cabeza del
espermatozoide hace contacto con la superficie del ovocito.
 Con el contacto se liberan enzimas lisosómicas en los gránulos
corticales que revisten la membrana plasmática de ovocito,
sucesivamente estas enzimas cambian las propiedades de la zona
pelúcida, a esto se le llama reacción de zona, para evitar la
penetración de otros espermatozoides.
 Se han descubierto otros espermatozoides sumergidos en la zona
pelúcida, pero al parecer únicamente uno es capaz de penetrar el
ovocito.
Fase 3: fusión entre las
membranas celulares del
ovocito y del espermatozoide
 La adherencia inicial del espermatozoide al ovocito, es facilitada debido a
la interacción de integrinas en el ovocito y sus ligandos, y también de
desintegrinas en los espermatozoide.
 Se fusionan las membranas plasmáticas del espermatozoide y del ovocito.
 La fusión se efectúa entre la membrana que recubre la región posterior de
la cabeza del espermatozoide y la del ovocito.
Respuesta del ovocito a la
entrada del espermatozoide.
1. Reacciones corticales y de zona.
2. Reanudación de la segunda división meiótica.
3. Activación metabólica del ovocito.
1. Reacciones corticales y de
zona.
 Después de la liberación de los gránulos corticales del ovocito integrados
por enzimas lisosómicas:
1: La membrana del ovocito se convierte en impenetrable hacia otros
espermatozoides.
2: La zona pelúcida cambia su estructura, así como también su
composición para impedir la unión y penetración de otros espermatozoides.
Estas reacciones impiden la poliespermia (ingreso de más de un esper-
matozoide en el ovocito).
2. Reanudación de la segunda
división meiótica.
 El ovocito al concluir la segunda división meiótica inmediatamente
después que entra el espermatozoide. Se conoce con el nombre de
segundo corpúsculo polar a una de las células hijas, que recibe muy poco
citoplasma; la otra es el ovocito definitivo. Sus cromosomas se disponen en
un núcleo vesicular llamado pronúcleo femenino.
3. Activación metabólica del
ovocito.
 El espermatozoide avanza hasta que se halla cerca del pronúcleo
femenino.
 Este se dilata y da origen al pronúcleo masculino; la cola se separa y
degrada.
 Desde el punto de vista morfológico, los pronúcleos masculinos y
femeninos son indistinguibles.
 Con el tiempo entran en contacto estrecho y pierden sus envoltorios
nucleares.
 Durante el crecimiento de los dos pronúcleos (haploides), cada uno
debe replicar su ADN.
 Inmediatamente después de sintetizar el ADN, los cromosomas se
organizan en el huso preparándose para una división mitótica normal.
 Los 23 cromosomas maternos y los 23 paternos, se dividen en forma
longitudinal en el centrómero.
 Las cromátidas hermanas se dirigen a polos opuestos proporcionando
a cada célula del cigoto un número diploide normal de cromosomas y
de ADN.
Los objetivos principales de la fecundación:
 Restablecimiento del número diploide de
cromosomas.
 Determinación del sexo del nuevo individuo.
 Inicio de la segmentación.
Segmentación
 Ocurre una sucesión de divisiones mitóticas que provocan el aumento de
número de células, al llegar el cigoto a la fase bicelular.
 Estas células con cada sucesión se vuelven mas pequeñas, esto se
conoce como blastómeros.
 Cuando está en la fase de ocho células, estas forman un grupo laxo, pero
después de una tercera segmentación se compactan entre sí a través de
uniones ocluyentes, este proceso toma el nombre de compactación.
 A través de la compactación se dividen las células internas de las células
externas, que se mantienen unidas a través de uniones GAP.
 Al tercer día posterior a la fecundación las células que se encuentran
compactas se vuleven a dividir para formar una mórula, integrado por 16
células.
 Las células que se encuentran en la estructura interna componen la
masa celular celular interna, que esta a su vez dará origen a los tejidos
del embrión.
 Las células circundantes constituyen las masa celular externa y dará
origen al trofoblasto, que este a su vez formará la placenta.
Formación del blastocito
 Con la ayuda de la zona pelúcida, la mórula
entra en la cavidad uterina.
 Empieza a ingresar un líquido entre los
espacios intercelulares de la masa celular
interna.
 Con el ingreso los espacios intercelulares
convergen y se origina una cavidad
denominada blastocele. Se denomina el
embrión como blastocito.
 Las células de la masa interna se denominan en esta etapa
embrioblasto, estas se sitúan en un polo, mientras que las células de la
masa externa denominado trofoblasto parecen planas para dar origen
a la pared epitelial del blastocito.
 La implantación comienza cuando desaparece la zona pelúcida,
alrededor del sexto día las células trofoblásticas que se ubican en el
polo embrionario comienzan a ingresar entre las células epiteliales de la
mucosa uterina.
 Las células trofoblásticas contienen L-selectina (conocida también
como CD62L o SELL) es una molécula de adhesión celular (MAC) y
junto con los receptores de carbohidratos del epitelio uterino
colaboran para la adherencia incial del blastócito al endometrio.
 Los receptores de integrina usa la laminina que induce la adherencia,
en tanto que la fibronectina estimula la migración.
 La implantación es gracias al trabajo conjunto del trofoblasto y el
endometrio, que sucede al final de la primera semana del cigoto en
desarrollo.
 Al cabo del desarrollo en la primera semana, el cigoto transcurrió por
las etapas de mórula y de blastocito. Tambien se inició la implantación
en la mucosa uterina.
El útero en el momento de la
implantación.
La pared uterina está compuesta en tres
capas:
 Endometrio: es una mucosa que cubre
la pared interna.
 Miometrio o miocito uterino: capa
intermedia gruesa de tejido muscular
liso. Situada entre el perimetrio y el
endometrio.
 Perimetrio: capa peritoneal que recubre
la pared externa.
- Endometrio: es una mucosa que cubre la pared interna. Esta capa
experimenta cambios desde la menarquía hasta la menopausia, se
pueden distinguir tres capas en el endometrio:
- Una capa compacta superficial.
- Una capa esponjosa intermedia.
- Una capa basal delgada.
 En el transcurso del ciclo menstrual el endometrio pasa por tres procesos:
- Fase proliferactiva.
- Fase secretora o progestional.
- Fase menstrual.
 Fase proliferactiva.
Ocurre al final del ciclo menstruación, permanece bajo la influencia de la
hormona estrógeno, en donde también está a la par con el crecimiento de
los folículos ováricos.
El endometrio aumenta de espesor, debido al creciente número de células
estromales y al crecimiento progresivo de las glándulas endometriales.
 Fase secretora o progestional.
Incia a los días 2 0 3 después de la ovulación, esto es en respuesta
porque el cuerpo lúteo produce progesterona y en menor
concentración los estrógenos.
Los estrógenos sólo producen una ligera proliferación celular adicional
del endometrio, en tanto que la progesterona actúa sobre células
secretoras del endometrio que acumulan elementos nutritivos.
 Fase menstrual.
Se produce el desprendimiento del endometrio, al no producirse la
fecundación. El ovocito, las vénulas y los espacios sinusoidales se
compactan poco a poco con las células sanguíneas, lo cual se
manifiesta una diapédesis de la sangre en el tejido.
La sangre sale de de las arterias, se rompen en fragmentos los estromas y
las glándulas. Los días posteriores aproximadamente tres o cuatro días,
tanto las capas compacta y esponjosa se expulsan del útero,
conservándose solamente la capa basal del endometrio.
A: Fase proliferactiva del ciclo.
B: Fase secretora del ciclo.
C: Fase menstrual del ciclo.
 La capa basal tiene irrigación a través de las arterias basales, la cual
funciona como una capa regenerativa para la reconstrucción de las
glándulas y arterias, ocurre durante la fase proliferactiva.
 En cambio, si ocurre la fecundación, el endometrio interviene en la
función de implantación y formación de la placenta, que esta a su
vez en el embarazo produce hormonas.
 En el proceso de implantación la mucosa del útero está en fase
secretora por lo tanto las arterias como las glándulas se enrollan y el
tejido está muy nutrido.
 La implantación del blastocito sucede en el endometrio, a nivel de la
pared anterior o posterior del cuerpo del útero, entre las aberturas de
las glándulas.
Patologías
Infertilidad
 La infertilidad es un problema que afecta de 15 a 30% de las parejas.
 La infertilidad del varón puede deberse a un número insuficiente de
espermatozoides y a poca movilidad.
 En condiciones normales, el volumen del semen fluctúa entre 2 y 6ml,
alcanzando hasta 100 millones de espermatozoides por ml.
 Los varones con 20 o 50 millones de espermatozoides por ml del volumen total
suelen ser fértiles.
 En las mujeres, la infertilidad puede deberse a muchas causas:
- Oclusión de las trompas de Falopio (casi siempre provocada por
enfermedad inflamatoria pélvica).
- Moco cervical hostil, inmunidad a los espermatozoides.
- Ausencia de la ovulación.
Cigotos anómalos
 Se desconoce el número exacto de cigotos anómalos porque por lo normal
se pierden entre 2 y 3 semanas después de la fecundación, antes que la
mujer descubra que está embarazada.
 Por ello es que pasan inadvertidos.
 Según los porcentajes, hasta 50% de los embarazos termina en aborto
espontáneos y la mitad de ellos provienen de anomalías cromosómicas.
 El aborto es un mecanismo natural para eliminar los embriones defectuosos,
lo cual reduce la incidencia de malformaciones congénitas.
 Sin este mecanismo, aproximadamente 12% en vez de 2% a 3% de los bebés
tendría defectos congénitos.
SEGUNDA SEMANA
DE DESARROLLO
EMBRIONARIO
DISCOGERMINATIVOBILAMINAR
DÍA OCHO
SEGUNDA SEMANA DE DESARROLLO EMBRIONARIO
DÍA 8
• EL BLASTOCISTO FORMA PARCIALMENTE PARTE DEL ESTROMA ENDOMETRIAL
(PASANDO POR LAS ETAPAS DE IMPLANTACION )
• ETAPA DE APOSICION
• ETAPA DE ADHESION
• ETAPA DE INVASION
DÍA 8
• ETAPA DE APOSICION
DÍA 8
• ETAPA DE ADHESION
DÍA 8
• ETAPA DE INVASION
DÍA 8
• EL BLASTOCISTO ESTA FORMADO POR: UNA MASA CELULAR INTERNA O
EMBRIOBLASTO (DA ORIGEN AL EMBRIÓN) Y UNA PERIFÉRICA O TROFOBLASTO
(DA ORIGEN A LA PLACENTA); SOBRE EL EMBRIOBLASTO EL TROFOBLASTO,
ELEMENTO FUNDAMENTAL PARA EL APORTE DE SUSTANCIAS NUTRITIVAS.
DÍA 8
EL TROFOBLASTO SE DIFERENCIA EN DOS CAPAS:
• EL CITOTROFOBLASTO(CAPA INTERNA) CON CÉLULAS MONONUCLEADAS.
• Y EL SINCITIOTROFOBLASTO (ZONA EXTERNA)CON CÉLULAS MULTINUCLEADAS, SIN
LÍMITECELULARQUE DETERMINEUN MEDIO EXTERNO E INTERNO.
EL CITOTROFOBLASTO POSEECAPACIDAD MITÓTICA DONDE LAS CÉLULAS SE DIVIDEN EN SU
INTERIOR PARA EMIGRARAL SINCITIOTROFOBLASTO DONDE SE FUSIONANY FINALMENTE
PIERDEN SU MEMBRANA CELULAR INDIVIDUAL.
DÍA 8
DÍA 8
EN LA MASA INTERNA TAMBIÉN HAY UNA DIVISIÓN EN CAPAS:
• LA CAPA HIPOBLASTICA/ENDODERMO EMBRIONARIO O ENDOBLASTO EN LA SUPERFICIE
INTERNA DEL EMBRIOBLASTOQUE CONSTA DE UNA CAPA SIMPLE DE CÉLULASCUBICAS
FORMANDO ELTECHO DEL SACOVITELINO PRIMITIVO O CAVIDAD EXOCELOMICA.
DÍA 8
• Y LA CAPA EPIBLASTICA /ECTODERMO O ECTOBLASTO EMBRIONARIO SITUADA
EXTERNAMENTE,CONFORMADA POR UNA GRUESACAPA DE CÉLULASGRANDES DISPUESTAS
IRREGULARMENTE.
DÍA 8
• EL CONJUNTO DE CÉLULAS DEAMBAS CAPAS CONFORMA UN DISCO PLANO DENOMINADO
DISCO GERMINATIVO BILAMINAR.
DISCO
GERMINATIVO
BILAMINAR
DÍA 8
• DESPUESCOMIENZAA ACUMULARSE LÍQUIDO ENTRE LAS CÉLULAS DEL EPIBLASTO
DESPLAZANDOA LOS AMNIOBLASTOS (CÉLULAS EPIBLASTICASADYACENTES AL
CITOTROBLASTO )Y AL RESTO DE CÉLULAS EPIBLASTICAS HACIA EL POLO EMBRIONARIO
CONSTITUYENDO UNA FINA MEMBRANA DE REVESTIMIENTO DE LA NUEVA CAVIDAD
AMNIÓTICA DENOMINADA MEMBRANAAMNIÓTICA
POLO EMBRIONARIO
MEMBRANA
AMNIOTICA
DÍA 8
• A PARTIR DE ESTO EL ESTROMA ENDOMETRIAL SE TORNA EDEMATOSA Y MUY
VASCULARIZADA CUYAS GLÁNDULAS TORTUOSAS Y VOLUMINOSAS SECRETAN GLUCÓGENO
(GLÚCIDO DE RESERVA ENERGÉTICA)Y MOCO EN ABUNDANCIA.
DÍA NUEVE
SEGUNDA SEMANA DE DESARROLLO EMBRIONARIO
DÍA 9
• EL BLASTOCISTO PENETRA DE MANERA MAS PROFUNDA EL ENDOMETRIO.
• UN COÁGULO DE FIBRINA RECUBRE EL ESPACIO POR MEDIO DEL CUAL SE
IMPLANTÓ EN UN PRINCIPIO EL BLASTOCISTO.
DÍA 9
• EN EL CINCITIOTROFOBLASTO DEL POLO EMBRIONARIO APARECEN
VACUOLAS AISLADAS.
DÍA 9
• LAS VACUOLAS AL UNIRSE FORMAN LAGUNAS TROFOBLÁSTICAS.
• LAS LAGUNAS TROFOBLÁSTICAS,CONFORMAN LA FASE DE DESARROLLO
DELTROFOBLASTO DENOMINADO PERIODO LACUNAR.
DÍA 9
• EN EL POLO ABEMBRIONARIO LAS CÉLULAS APLANADAS FORMAN UNA
DELGADA MEMBRANA, LA MEMBRANA DE HEUSER.
DÍA 9
• MEMBRANA DE HEUSER REVISTE INTERNAMENTE LA SUPERFICIE DEL
CITOTROFOBLASTO EN CONJUNTO CON LAS CÉLULAS HIPOBLASTICAS LAS CUALES
CUBREN LA SUPERFICIE INTERNA DEL BLASTOCELEY FORMAN EL ENDODERMO EXTRA
EMBRIONARIO DENOMINADO: SACOVITELINO PRIMITIVO (CAVIDAD EXOCELÓMICA)
DÍAS ONCEY DOCE
SEGUNDA SEMANA DE DESARROLLO EMBRIONARIO
DÍA 11Y 12
• El blastocito se encuentra adherido completamente al estroma endometrial y
produce una protrusión hacia la cavidad uterina.
DÍA 11Y 12
• Se forman lagunas trofoblásticas intercomunicadas, más notorias en el polo
embrionario.
Lagunas trofoblásticas
DÍA 11Y 12
• Las células sincitiales erosionan los capilares maternos, formando sinusoides
maternos, los cuales se comunican con las lagunas trofoblásticas para conformar
la circulación uteroplacentaria.
Sinusoides maternos
DÍA 11Y 12
• Se crea una nueva población de células que produce tejido conectivo laxo delgado,
formando el mesodermo extraembrionario.
Mesodermo
extraembrionario
DÍA 11Y 12
• Se crea una nueva población de células que produce tejido conectivo laxo delgado,
formando el mesodermo extraembrionario.
Mesodermo
extraembrionario
DÍA 11Y 12
• El mesodermo extraembrionario se divide en dos capas: el mesodermo
somatopléurico extraembrionario y el mesodermo esplacnopléurico
extraembrionario.
Mesodermo
somatopléurico
extraembrionario
Mesodermo
esplacnopléurico
extraembrionario
DÍATRECE
SEGUNDA SEMANA DE DESARROLLO EMBRIONARIO
DÍA 13
• En el trascurso del decimotercer día la superficie de la implantación suele haber
cicatrizado, sin embargo, a veces hay hemorragia (sangrado de implantación).
DÍA 13
• ELTROFOBLASTO SE CARACTERIZA POR PRESENTAR ESTRUCTURAS
VELLOSAS. LAS CÉLULAS DEL CITOTROFOBLASTO PROLIFERANY SE
INTRODUCEN EN EL CINCITOTROFOBLASTO, FORMANDO COLUMNAS
CELULARES RODEADAS DE SINCITIO. ESTAS COLUMNAS RECIBEN EL
NOMBRE DEVELLOSIDADES PRIMARIAS; LASVELLOSIDADES
PRIMARIAS REPRESENTAN PRIMERA FASE DE LASVELLOSIDADES
CORIÓNICAS
DÍA 13
• EL HIPOBLASTO PRODUCE UNA NUEVA POBLACIÓN DE CÉLULASY RECUBRE
LA SUPERFICIE INTERNA DE LA CAVIDAD EXOCELÓMICA.
• PRODUCIENDO UNA NUEVA CAVIDAD QUE SE CONOCE COMO SACO
VITELINO SECUNDARIO; ESTE ES MENOR QUE LA CAVIDAD EXOCELÓMICA
ORIGINAL.
• LOS RESTOS DEL SACOVITELINO PRIMITIVO QUEDAN COMO UN QUISTE
EXOCELÓMICO, QUE SE ADVIERTEN A MENUDO EN LA CAVIDAD CORIÓNICA.
DÍA 13
• EL MESODERMO EXTRA EMBRIONARIO SOMÁTICO QUE RECUBRE EL
CITOTROFOBLASTO, CAMBIA DE NOMBREY SE CONOCE COMO PLACA
CORIÓNICA, ESTA PLACA MÁS EL SINCITIOTROFOBLASTOY EL
CITOTROFOBLASTIO, SE CONOCEN COMO CORION.(ESTÉ FORMA LA PARED
DEL SACO CORIÓNICO).
• LOS RESTOS DEL SACOVITELINO PRIMITIVO QUEDAN COMO UN QUISTE
EXOCELÓMICO, QUE SE ADVIERTEN A MENUDO EN LA CAVIDAD CORIÓNICA
(CELOMA EXTRAEMBRIONARIO).
corion
DÍA 13
• EL CORION; FORMA LA PARED DEL SACO CORIÓNICO,
• DONDE EL SACOVITELINO SECUNDARIOY LA CAVIDAD AMNIÓTICA QUEDAN
SUSPENDIDOS MEDIANTE EL PEDÍCULO DE FIJACIÓN, ESTE PEDÍCULO DE
FIJACIÓN CON EL POSTERIOR DESARROLLO DEVASOS SANGUÍNEOS, SE
CONVERTIRÁ EN EL FUTURO CORDÓN UMBILICAL
• HACIA EL FINAL DE LA SEGUNDA SEMANA EL DISCO GERMINATIVO
BILAMINAR, FORMADO POR DOS DISCOS CELULARES EN APOSICIÓN LOS
CUALES SON: EL EPIBLASTO; QUE FORMA EL PISO DE LA CAVIDAD
AMNIÓTICA, EN CONTINUA EXPANSIÓNY EL HIPOBLASTO PRESENTA UN
PEQUEÑO ENGROSAMIENTO.
• LA MEMBRANA BUCOFARÍNGEA. ESTA ES UNA ZONA DE CÉLULAS
CILÍNDRICAS FIRMEMENTE UNIDAS AL DISCO EPIBLÁSTICO SUPRAYACENTE.
PATOLOGÍAS
POR ENFERMEDADAUTOINMUNE
PLACENTA PREVIA
PLACENTA
NORMAL
PLACENTA
PREVIA
EMBARAZO EXTRAUTERINO/ECTÓPICO
EMBARAZO OVÁRICO PRIMARIO
MOLA HIDATIDIFORME
PARCIAL COMPLETA
IMPRONTA GENÓMICA
SÍNDROME DE PRADER-WILLI
SÍNDROME DE ANGELMAN
Mandíbula
subdesarrollada
TERCERA SEMANA DEL
DESARROLLO EMBRIONARIO:
El desarrollo germinativo
trilaminar.
GASTRULACIÓN:
Formación del mesodermo y
el endodermo embrionarios.
• La gastrulación, proceso formativo de las tres capas
germinativas:
Ectodermo
Mesodermo
Endodermo
• Da inicio con la formación de una línea primitiva en la
superficie del epiblasto, la cual aún no se encuentra
definida
• El extremo cefálico de la línea llamado nódulo primitivo,
rodea una fosita primitiva
• Las células del epiblasto son dirigidas hacia la línea y
adoptan forma de matraz describiendo un movimiento de
invaginación
• Y son controlados por el Factor de crecimiento de los
fibroblastos 8 (FGF-8)
▪ Algunas células desplazan el hipoblasto y crean el
endodermo embrionario
▪ Otras se sitúan entre el epiblasto y el endodermo y
forman el mesodermo
▪ Las células que quedan en el epiblasto forman el
ectodermo
• Luego de la invaginación:
• El epiblasto genera todas las capas germinativas y las
células darán origen a los tejidos y órganos del embrión
FORMACIÓN DE LA
NOTOCORDA
• Las células prenotocordales invaginadas en el nódulo
primitivo se desplazan hasta alcanzar la placa precordal,
y se intercalan en el hipoblasto
• Cuando el hipoblasto es reemplazado por las células
endodérmicas, las células de la placa notocordal se
separan del endodermo, formando la notocorda definitiva
• Las células notocordales y prenotocordales se extienden
cranealmente hacia la placa precordal y caudalmente
hacia la fosita primitiva
• El conducto neuroentérico conecta temporalmente la
cavidad amniótica y el saco vitelino
• La membrana cloacal se forma en el extremo caudal del
disco embrionario
• Esta formada por células ectodérmicas y endodérmicas
• Se forma el divertículo alantoentérico o alantoides
• Induce la formación de los vasos umbilicales en el
pedículo de fijación (el cordón umbilical)
MEMBRANA CLOACAL
ESTABLECIMIENTO DEL
MAPA DE DESTINOS
CELULARES DURANTE LA
GASTRULACIÓN
▪ Regiones craneales del nódulo se transforman en
la placa precondral y la notocorda.
▪ Márgenes laterales del nódulo forman el
mesodermo paraxial .
• Se ha trazado el mapa de regiones del epiblasto que
penetran a través de la línea primitiva y determina su
destino final.
• Células que entran o migran por:
▪ La parte media de la línea primitiva se
transforma en mesodermo intermedio
▪ Una región un poco más caudal de la línea
primitiva forma el mesodermo de la placa lateral
▪ La región mas caudal de la línea primitiva
forman el mesodermo extraembrionario.
CRECIMIENTO DEL DISCO
EMBRIONARIO
• En un inicio tiene un aspecto plano y casi redondo,
alargándose progresivamente
• Expansión se da principalmente en la región cefálica,
resultado de la migración continua de células que
proviene de la región de la línea primitiva.
• La línea primitiva disminuye su tamaño.
• El embrión se desarrolla en sentido cefalocaudal:
–Porción cefálica: diferenciación en la mitad de la
tercera semana
–Porción Caudal: diferenciación al termino de la cuarta
semana
CONTINUACIÓN DEL
DESARROLLO DEL
TROFOBLASTO
• Vellosidades primarias: son columnas celulares
formadas por un núcleo citotrofoblasto rodeado de
sincitio. Esto se da debido a que las células
proliferan el citotrofoblásto, penetrando en el
sincitiotrofoblasto.
• Vellosidades secundarias: son las vellosidades
primarias penetradas por células mesodérmicas,
esta crecerán hacia la decidua.
Al inicio de la tercera semana
• Vellosidades terciarias o vellosidad placentaria
definitiva: las células de las vellosidades
secundarias se diferencian en células sanguíneas
y pequeños vasos sanguíneos formando el
sistema capilar velloso. Estos capilares van a
estar en contacto con los capilares de del
mesodermo
Al finalizar la tercera semana
• Estos vasos a su vez van a estar en contacto con el
Sistema circulatorio intraembrionario, uniendo la
placenta con el embrión.
• Células citotrofoblásticas van penetrando el sincitio
hasta llegar al endometrio materno, formando una
cubierta citotrofoblástica externa.
• Vellosidades de anclaje o de troncales: va desde la
placa coriónica hasta la decidua basal (parte del
endometrio que formará la placenta)
• Vellosidades libres (terminales): terminaciones de
las vellosidades de anclaje, las cuales permiten el
intercambio de nutrientes y otros productos.
• Día 19 y 20: cavidad coriónica se agranda y el
embrión queda anclado a la cubierta trofoblástica por
medio del pedículo de fijación (cordón umbilical)
CONSIDERACIONES CLÍNICAS
Teratogénesis asociada a la
gastrulación
Holoprosencefalia
• Anomalía congénita que incluye de malformaciones
cerebrales o faciales, resultado de la división incompleta
del prosencéfalo. Es decir, el cerebro del feto no se
divide como debería en dos hemisferios cerebrales y en
los ventrículos laterales.
• Según su gravedad se clasifica:
Alobar
Semi-lobar
Lobar
Variante media inter-hemisférica.
Disgenesia caudal (Sirenomelia)
• Síndrome en el cual la formación del mesodermo (el cual
contribuye a la formación de las extremidades inferiores,
sistema urogenital y vertebras lumbosacras) es
insuficiente en la región mas caudal del embrión. Dando
como resultado la fusión de las extremidades inferiores e
hipoplasia, anomalías vertebrales y de los órganos
genitales. La afección se asocia con diabetes materna y
otras causas.
Situs inversus
• Es una afección en la que se produce una alineación
errónea de los órganos (vísceras del tórax y el abdomen)
dentro del cuerpo, colocándolos del lado opuesto. Se da
debido a los defectos de lateralidad (patrón izquierda-
derecha)
• Pacientes con situs inversus completo padecen además
de bronquiectasia y sinusitis crónica debido a los cilios
anormales (síndrome de Kartagener)
Teratomas sacrococcígeos
• Son tumores formados por la proliferación de células
pluripotentes que quedaron como restos de la línea
primitiva en al región sacrococcígea.
• Puede originarse también a partir de las células
germinales primordiales que no lograron mirar hacia las
crestas gonadales.
• Este tipo de tumor es el mas común en recién nacidos.
UNIDAD ACADÉMICA DE SALUDY BIENESTAR
CARRERA DE MEDICINA
EMBRIOLOGÍA
TERCERA A OCTAVA SEMANA DE
EMBARAZO
FASES DEL DESARROLLO EMBRIONARIO
❖ Crecimiento: implica divisiones celulares y elaboración de productos celulares
❖ Morfogenia: se basa en un proceso complicado durante el cual se dan
diversas interacciones complejas en una secuencia ordenada. El movimiento
de células les permite interaccionar entre si durante la formación de tejidos y
órganos.
❖ Diferenciación: maduración de los procesos fisiológicos. Al finalizar este
proceso los órganos y tejidos tienen funciones específicas.
PLEGAMIENTO O TUBULACIÓN DEL EMBRIÓN
El embrión que tenía forma plana o discoidal hasta la etapa de gastrulación;
por medio de este mecanismo adopta una forma tubular. Al finalizar el proceso
de los pliegues embrionarios se podrá decir que el cuerpo embrionario queda
dentro de la cavidad amniótica.
PLEGAMIENTO DEL EMBRIÓN EN EL PLANO MEDIO:
• Plegamiento cefálico: Al inicio de la cuarta semana los pliegues neurales
aumentan de grosor formando así el esbozo del encéfalo. Durante este
proceso de plegamiento, parte del endodermo de la vesícula umbilical
queda integrada en el embrión en forma del intestino primitivo anterior. Luego
del plegamiento, el celoma pericárdico queda situado ventralmente respecto
al corazón y cranealmente respecto al septo transversal.
• Plegamiento caudal: Durante el plegamiento, parte de la capa germinativa
endodérmica queda incorporada en el embrión formando el intestino primitivo
posterior (primordio del colon descendente y el recto).
• Plegamiento del embrión en plano horizontal: Los pliegues laterales
derecho e izquierdo se forman en los bordes laterales del disco embrionario
con las paredes de la cavidad amniótica y el saco vitelino. Estrechará la
conexión del saco vitelino con el embrión, haciendo que la continuidad de
estos quede reducida a un estrecho tallo o pedículo vitelino
DERIVADOS DE LA CAPA GERMINATIVA
ECTODÉRMICA
En esta capa aparecen la notocorda y la placa precordal, y provocan que el ectodermo que
las recubre aumente el grosor y forme la placa neural. Las placas de la célula representan el
neuroectodemo y su inducción representa el inicio del proceso de Neurulación.
Esta capa da lugar al:
• Sistema nervioso central y el sistema nervioso periférico.
• El epitelio sensitivo de los ojos, los oídos y la nariz.
• La epidermis, pelo y uñas.
• Las glándulas mamarias.
• La hipófisis.
• Las glándulas subcutáneas y el esmalte dentario.
NEURULACIÓN
• Una vez que se ha producido la inducción; la placa neural se extiende
progresivamente hacia la línea primitiva. Al finalizar la tercera semana las partes
laterales de la placa neural se elevan y forman los pliegues neurales y la porción
media deprimida constituye el surco neural.
• En los extremos cefálico y caudal el tubo queda en comunicación con la
cavidad amniótica por medio de los neuroporos craneal y caudal hasta que se
complete la fusión
• El proceso de neurulación ya se ha completado y el sistema nervioso se
encuentra como una estructura tubular cerrada con una porción caudal
estrecha, la medula espinal y una porción cefálica mucho mas ancha
caracterizada por varias dilataciones, vesículas cerebrales.
DERIVADOS DE LA CAPA GERMINATIVA
MESODÉRMICA
El mesodermo, además de disponerse
como mesénquima, también forma
numerosos tejidos.
En las primeras fases del desarrollo las
células forman dos tipos de tejidos:
• Epitelios: las células se unen mediante
uniones fuertes formando láminas.
• Mesénquima: las células se disponen
con amplios espacios intercelulares de
tal forma que constituyen un tejido de
relleno.
Mesodermo axial
Es una estructura con forma de cordón que se sitúa a lo largo de la línea media
en la región dorsal del embrión y se denomina notocorda.
La notocorda despliega una amplia gama de señales inductivas que controlan el
desarrollo temprano del embrión.
Mesodermo paraxial
Los somitas son estructuras transitorias que derivan del mesodermo paraxial. Son
esenciales para la primera disposición segmentaria que es discernible en la
etapa embrionaria temprana. Con el desarrollo del cuerpo desaparece la mayor
parte de este aspecto segmentario, pero algunas estructuras, como la columna
vertebral y los nervios espinales, mantienen siempre este patrón metamérico.
La evolución de cada par de somitas da lugar a tres poblaciones de células:
• Esclerotomos: la parte ventro-media de cada par de somitas emigra alrededor
de la notocorda formando una nueva estructural mesenquimal llamada
esclerotomo que se dispone metamericamente en la línea del embrión.
• Miotomos: son la porción de los somitas que da lugar a los músculos estriados.
• Dermatomos: en cada metámero lo dermatomos emigran latero ventralmente
bajo el ectodermo para formar los tejidos conectivos de la piel. Esta migración
arrastra las ramas cutáneas de los nervios y vasos que mantienen el patrón
metamérico original.
Mesodermo lateral: El mesodermo se expande lateralmente como una doble
capa que se conoce como mesodermo lateral. El espacio existente entre la
hoja lateral y la hoja medial se denomina celoma o cavidad celómicas.
DERIVADOS DE LA CAPA GERMINATIVA
ENDODÉRMICA
• Esta hoja germinativa es la que recubre la superficie ventral de embrión, además
de formar el techo del saco vitelino. Este al desarrollarse las vesículas cerebrales
empiezan a crecer y el disco embrionario comienza a sobresalir de la cavidad
amniótica y a crecer en sentido cefalocaudal.
• El endodermo en la región anterior es el que forma el intestino anterior, mientras
que en la región posterior se forma el intestino posterior, lo que se encuentra entre
el intestino anterior y posterior es denominada intestino medio. Este se comunica
con el saco vitelino por medio de un pedículo, denominado conducto
onfalomesenterico o vitelino.
• El intestino anterior está limitado por una membrana ectodérmica y endodérmica
la cual se llama membrana bucofaríngea, permite la comunicación entre la
cavidad amniótica y el intestino primitivo.
El intestino posterior termina en una membrana ectodérmica y
endodérmica denominada membrana cloacal, crea la abertura del ano.
La hoja germinativa endodérmica forma el revestimiento epitelial del
intestino primitivo y las porciones de la alantoides y del conducto vitelino.
Ésta, en etapas más evolucionadas del desarrollo dan origen a:
• El revestimiento epitelial del aparato respiratorio.
• Al parénquima de la glándula tiroides, paratiroides, el hígado y el
páncreas.
• El estroma reticular de las amígdalas y el timo.
• El revestimiento epitelial de la vejiga y de la uretra.
• El revestimiento epitelial de la cavidad timpánica y de la trompa de
Eustaquio.
TERCERA SEMANA
Al momento de que la línea primitiva comienza a producir líneas mesenquimales, el
epiblasto se denomina ectodermo embrionario. Algunas células del epiblasto
desplazan el hipoblasto y forman el endodermo embrionario, las células
mesenquimales se organizan al poco tiempo formando una tercera capa germinal
denominada mesodermo intraembrionario o embrionario.
Las células mesenquimales formaran el proceso notocordal, en el suelo del canal
notocordal aparecen una serie de aberturas que tiempo después presentaran la
placa notocordal y los pliegues de esta dará paso a la formación de la notocorda
que representa el eje primordial del embrión alrededor del cual se formara el
esqueleto axial.
CUARTA SEMANA
Durante esta semana, el embrión ya finaliza la tubulación, cerrando ventralmente el intestino primitivo y
quedando un estrecho pedículo el cual queda conectado al saco vitelino, alojando al alantoides y da lugar a los
vasos vitelinos y umbilicales.
• Estadio 10 (22-23 días)
Al inicio el embrión tiene una forma casi recta, curvándose levemente al final a causa del crecimiento en los
extremos cefálico y caudal. Los pliegues neurales empiezan a fusionarse para iniciar el proceso de cierre del
tubo neural, también aparecen los dos primeros arcos faríngeos y se insinúa entre ellos la boca primitiva o
estomodeo.
• Estadio 11 (24-25 días)
El primer arco faríngeo es el arco mandibular y el segundo arco faríngeo es el hioideo. En este estadio se
acentúa más la incurvación del embrión y se pueden observar las vesículas ópticas y las placodas óticas a
ambos lados del extremo cefálico del embrión. El corazón produce una gran prominencia ventral y bombea
sangre.
• Estadio 12 (26-27 días)
El neuroporo ya se encuentra cerrado y las vesículas ópticas son más evidentes. Durante estos días ya se
pueden reconocer las yemas de las extremidades superiores con forma de pequeñas tumefacciones. Los
engrosamientos ectodérmicos que serían los futuros cristalinos de los ojos llamados placodas de los
cristalinos son visibles a ambos lados de la cabeza.
QUINTA SEMANA
• Se comienzan a desarrollar los principales sistemas del embrión como el cerebro, el
tubo neural del embrión, la médula espinal, el corazón o el tracto gastrointestinal.
• Las células comienzan a adquirir funciones específicas durante esta semana, y entre las
que se desarrollan se pueden encontrar las células sanguíneas, del riñón y las neuronas.
• Esta semana es una de las que cuenta con mayores riesgos para el correcto desarrollo
del feto, pues hay un alto riesgo de producirse anomalías genéticas por la ingesta de
medicamentos, alcohol, drogas o por infecciones como la rubeola.
• Se forma la notocorda, un cuerpo flexible con forma de vara que se ha formado a
partir de células del mesodermo, una de las tres hojas embrionarias formadas en la
semana anterior.
SEXTA SEMANA
• El desarrollo de la región cefálica iniciada en la quinta semana del embarazo
ha originado que ésta destaque notablemente comparándola con el resto del
embrión, la cabeza se muestra encorvada y próxima al primitivo corazón. Los
ojos son más notorios a causa de la formación del pigmento.
• El cerebro del futuro bebé se va a desarrollar rápidamente desde este
momento y su corazón ya late de manera regular, pudiéndose observar su
bombeo mediante una ecografía.
• También comienza a desarrollarse el labio superior, el ápex o apéndice nasal y
los pabellones auriculares, poco a poco se va formando la carita del embrión.
Con respecto a las extremidades, las superiores son las que más se desarrollan y
definen, iniciándose la configuración de los brazos.
SÉPTIMA SEMANA SEMANA
• El embrión aumenta considerablemente sus dimensiones
• Se forma un boceto remarcado del parpado y los pabellones auriculares
rudimentarios
• Las extremidades Sup. E Inf. Aumentan su longitud y parecen surcos entre los
rayos digitales de las placas de las manos y los pies
• El intestino se introduce en el celoma extraembrionario en la parte proximal del
cordón umbilical.
• La cola del embrión es muy corta pero aun visible
OCTAVA SEMANA
• La cabeza toma forma redonda, empezando a tomar un tamaño
proporcional con respecto al tamaño del cuerpo, el cuello se alarga y
endereza, se notan todas las zonas de la extremidades
• Los parpados cubren totalmente la zona ocular y los pabellones auriculares
alcanzan su altura definitiva al nivel de los ojos
• Ocurren los primeros movimientos intencionados siendo estos de flexión y
estiramiento, pro no son percibidos por la madre
• La osificación comienza en las extremidades inferiores a lo largo de la octava
semana y se reconoce primero el fémur. A finales de esta semana desaparece
todo el vestigio de la cola
TERCER MES DE
GESTACIÓN AL
NACIMIENTO
ETAPA FETAL
• El embrión pasa a llamarse feto.
• El cuerpo cambia y su crecimiento es progresivo y
mayor que en la etapa
embrionaria.
• La movilidad fetal es perceptible para la madre.
• Responde a estímulos.
• El sistema nervioso continúa su desarrollo.
SEMANA 9 A LA 12
Semana 9 Semana 12
La longitud de la cabeza es la mitad en
relación al cuerpo.
La longitud del cuerpo es el doble.
Ojos separados, orejas más debajo de lo
normal y párpados fusionados.
Aparece el centro de osificación primaria.
Extremidades inferiores pequeñas. Extremidades superiores casi alcanzan su
longitud final.
Genitales similares Se pueden distinguir los genitales
Semana 10: En el cordón umbilical puede
observar asas intestinales.
Semana 11: Las asas intestinales ya han
vuelto al abdomen.
SEMANA 13 A LA 16
Semana 14
• Movimientos coordinados pero débiles de las extremidades.
• Movimientos oculares lentos.
Semana 16
• La cabeza es pequeña en relación a la de la semana 12.
• Se diferencian los ovarios.
• Los ojos se van centrando y las orejas se dirigen a su posición
definitiva.
El crecimiento es más rápido.
Miembros inferiores han incrementado su longitud.
Aparece el lanugo.
SEMANA 17 A LA 20
Crecimiento lento
La madre ya percibe movimientos fetales
La piel está cubierta por el vérnix caseoso.
Semana 18
• Se forma el útero fetal.
Semana 20
• Son visibles las cejas y el cabello.
• El feto está cubierto de lanugo.
• Inicia el descenso de los testículos que se encontraban en la
pared abdominal posterior.
SEMANA 21 A LA 25
Semana 21
• Inician los movimientos oculares centrales rápidos
Semana 22
• Se observa un sobresalto con parpadeos.
Semana 24
• Aparecen las uñas.
• Alveolos pulmonares están en desarrollo.
Incrementa el peso corporal y el feto está
mejor proporcionado, la piel suele estar
arrugada y es más translucida especialmente
en la primera parte de este periodo. Tiene un
color rosado o rojo por la sangre que se
discurre a través de los capilares
El feto puede nacer y sobrevivir en este período si recibe cuidados
intensivos debido a la inmadurez del sistema respiratorio.
SEMANAS 26 A LA 29
Semana 26
• Se abren los párpados.
Semana 28
• La medula ósea se ha convertido en el órgano principal de
la eritropoyesis.
Los dedos y uñas de los pies son visibles.
Existe una cantidad de tejido adiposo subcutáneo, hace desaparecer
muchas arrugas cutáneas.
Aumenta la cantidad de tejido adiposo blanco y puede constituir el 3,5%
del peso corporal.
El bazo fetal es un órgano muy importante para la eritropoyesis.
SEMANA 30 A LA 34
Semana 30
• Se presenta el reflejo pupilar.
Semana 34
• La piel tiene una coloración rosada y es lisa, las extremidades
superiores e inferiores son mas regordetas, el tejido adiposo
blanco representa un 8% del peso corporal total.
• Madurez pulmonar.
Fetos de 32 semanas
sobreviven en los casos de
parto prematuro.
SEMANA 35 A LA 38
Semana 35
• El feto ejerce fuerza en el puño.
• Muestran reflejos a la luz.
Semana 36
• Los perímetros de la cabeza y del abdomen son similares.
• El lanugo comienza a desaparecer.
El sistema nervioso adquiere el grado de madurez
suficiente como para realizar funciones de integración.
El crecimiento es lento a medida que se aproxima el
parto.
La longitud vértice – talón de 360 mm y el peso
corporal es de aproximadamente 3.400g.
FACTORES QUE INFLUYEN EN EL CRECIMIENTO FETAL
• Enfermedades vasculares materna
• Infección intrauterina
• Consumo de cigarros y alcohol
causan la restricción del crecimiento
intrauterino o hacer que lactante sea
pequeño respecto a su edad
gestacional.
Hay distintos
factores que
influyen en el
crecimiento
prenatal:
maternos,
fetales y
ambientales.
MEMBRANAS FETALES Y PLACENTA
Placenta
Órgano que facilita el intercambio de nutrientes y gases
entre los compartimentos materno fetal y cuando comienza
la 9na semana de desarrollo se incrementa los
requerimientos de nutrientes y otros factores, lo que
produce cambios importantes en la placenta, entre ellos el
más importante es el aumento del área de superficie de los
componentes materno y fetal, las membranas fetales se
modifican con el incremento del líquido amniótico.
Las membranas fetales y la placenta cumplen funciones: protección, nutrición,
nutrición, respiración, excreción y producción de hormonas. Después del parto la
placenta y membranas fetales son expulsadas del útero, durante el puerperio.
Membranas fetales
Son estructuras compuestas por tejidos
extrafetales que separan la sangre materna
de la sangre fetal.A medida que avanza el
embarazo, esta membrana va a presentar
adelgazamiento progresivo hasta que la
sangre que existe en varios capilares fetales
puedan llegar a encontrarse cerca de la
sangre materna del espacio intervelloso.
CAMBIOS EN EL TROFOBLASTO
Al segundo mes de gestación:
Gran número de vellosidades secundarias y terciarias ancladas al mesodermo
Vellosidades troncales en contacto con capilares de la lámina coriónica, originando el sistema vascular extraembrionario
La superficie de las vellosidades está formada por el sincitio, que descansa sobre una capa de células citotrofoblásticas, las
cuales, a su vez, cubren la parte central del mesodermo vascularizado.
En los meses siguientes:
De las vellosidades de anclaje salen abundantes prolongaciones que se dirigen hacia los espacios intervelIosos o lacunares
circundantes.
Desaparecen los citotrofoblásticas y algunas células de tejido conectivo.
Entonces, las únicas capas que separan las circulaciones materna y fetal son el sincitio y la pared endotelial de los vasos
sanguíneos
ESTRUCTURA DE LA PLACENTA
Inicio del cuarto mes
Parte materna: Formada por la
decidua basal, placenta rodeada
por la decidua basal.
Parte fetal: Formada por el corion
frondoso, la placenta está
bordeada por la placa coriónica.
Células trofoblasticas y deciduas.
La mayoría de células citotrofoblasticas están degeneradas.
Entre las placas corionica y
decidual: espacios intervellosos,
recubiertas con sincitio de origen
fetal.
Placenta a término
Forma discoide, diámetro de 15 a 20 cm , 3 cm de grosor y pesa 500 a 600g.En el parto se desprende de la pared uterina y
se expulsa aproximadamente unos 30 minutos después del nacimiento del niño.
Cuando la placenta se ve del lado materno se diferencian con claridad entre 15 y 20 areas abultadas estos son los
cotiledones, están cubiertos por una capa delgada de decidua basal.
La superficie fetal de la placenta esta cubierta en su totalidad por la placa coriónica. Varias arterias , venas grandes y vasos
coriónicos convergen hacia el cordón umbilical.
Casi siempre la unión del cordón umbilical es excéntrica, es muy raro que se inserte en las membranas corionicas fuera de la
placenta.
FUNCIONES DE LA PLACENTA
Metabolismo Transporte de
gases y nutrientes
Secreción endócrina
Al inicio sintetiza glucógeno,
colesterol y ácidos grasos que
actúan como fuentes de
nutrientes y energía para el
embrión y el feto.
Lo hace mediante: Difusión
simple, difusión facilitada,
Transporte activo y
Pinocitosis
El sincitiotrofoblasto de la placenta
sintetiza hormonas proteicas y
esteroideas.
Tales como: Somatomamotropina
coriónica humana, tirotropina
coriónica humana y corticotropina
coriónica humana.
CORDÓN UMBILICAL
Es una estructura tubular alargada que une al feto con la placenta. Se desarrolla a partir del pedículo de fijación: la
alantoides y el tallo vitelino, estas estructuras se engloban por el amnios durante el proceso de plegamiento del embrión
en la cuarta semana. El pedículo de fijación empieza a estrecharse en lo que corresponde la base y se alarga para
formar el cordón umbilical que aloja los vasos umbilicales: dos arterias umbilicales, que llevan la sangre del feto a la
placenta, y una vena umbilical, que cumple la función de regresar la sangre nuevamente al feto. Estos vasos se
desarrollan del mesodermo de la alantoides, están rodeados conectivo laxo o mucoide denominado gelatina de
Wharton. El amnios recubre el tejido conectivo formando la cubierta externa del cordón.
Al final del noveno mes el cordón umbilical mide de 30 a 80 cm de largo y de 1 a 2cm de diámetro. Los vasos
umbilicales son más largos que el cordón, por eso suelen doblarse adoptando una forma de espiral o tirabuzón.
MEMBRANAS FETALES EN LOS GEMELOS
Se deben al desprendimiento simultáneo de dos ovocitos y a la
fecundación por espermatozoides diferentes.
Pueden ser del mismo o diferente sexo.
Los cigotos se implantan individualmente en el útero, desarrollan casi
siempre su placenta, amnios y saco coriónico propios. Pero a veces las
placentas están tan juntas que se fusionan. Asimismo, las paredes de
los sacos coriónicos pueden aproximarse entre sí y fusionarse. Algunas
veces cada gemelo dicigótico posee eritrocitos de diverso tipo
(mosaicismo eritrocitario), lo cual indica que la fusión de las dos
placentas fue tan estrecha que se intercambiaron los eritrocitos.
Gemelos dicigóticos
Gemelos monocigóticos
Provienen de un solo óvulo fecundado, por ello son idénticos.
Por ello pueden o no crecer en el mismo saco amniótico.
Disposición de las membranas se parece a la de los gemelos
dicigóticos.
Se los identifica por gran semejanza de los grupos
sanguíneos, las huellas dactilares, el sexo y el aspecto físico.
La división del cigoto suele ocurrir al inicio de la fase
blastocística.
Histoembriología Diapositivas.pdf

Histoembriología Diapositivas.pdf

  • 1.
  • 2.
    MÉTODOS DE PREPARACIÓN DETEJIDOS SE DIVIDEN EN : 1. MÉTODO PARA OBSERVACIÓN DIRECTA DE CÉLULAS VIVAS 2. MÉTODO PARA OBSERVACIÓN DE CÉLULAS MUERTAS
  • 3.
    OBSERVACIÓN DE TEJIDOS VIVOS ➢Se pueden observar organismos unicelulares, y a veces células libres de un organismo completo ➢ Las células libres son incoloras y sus estructuras carecen de contraste (útil el microscopio de contraste de fases) ➢ Las células de la sangre se pueden observar en su medio natural, el plasma (ej. movimiento ameboide de los leucocitos) ➢ Se pueden observar membranas delgadas (mesenterios)
  • 4.
    OBSERVACIÓN DE TEJIDOS VIVOS ELCULTIVO DE TEJIDOS: ➢ Es un método que sirve para la observación prolongada de células vivas ➢ Se extirpa fragmentos de tejido vivo, y se coloca en un medio fisiológico con una temperatura normal, esto en un portaobjetos cóncavo ➢ Sirve para observar el crecimiento, multiplicación, y diferenciación celular ➢ Muy valioso en el estudio de cáncer y de la actividad vírica
  • 5.
    OBSERVACIÓN DE TEJIDOS VIVOS LAMICRODISECCION: ➢ Un método que sirve para retirar componentes de una célula ➢ Se puede retirar el núcleo y observar el efecto resultante ➢ Esto se logra con un instrumento especial que maneja con precisión unas agujas delgadas de vidrio bajo un microscopio
  • 6.
    OBSERVACIÓN DE TEJIDOS VIVOS LATINCIÓN VITAL: ➢ Método en el cual se inyectan colorantes inocuos al organismo vivo para observar su reacción ➢ Un ejemplo de esto es la tinción de macrófagos con azul de tripano (ya que se conoce que estas células se caracterizan por fagocitar partículas extrañas)
  • 7.
    OBSERVACIÓN DE TEJIDOS VIVOS TINCIÓNSUPRAVITAL: ➢ Se aplica un colorante a células vivas extraídas de un organismo ➢ Un ejemplo es la tinción de mitocondrias de células vivas con el Verde Janus ➢ Otro ejemplo la tinción de lisosomas con Rojo Neutro ➢ La tinción de células y fibras nerviosas con Azul de Metileno
  • 8.
    PREPARACION DE TEJIDOS MUERTOS ➢Es la manera mas práctica de estudiar histología ➢ Se sigue una serie de pasos en un orden específico para lograr una buena muestra
  • 9.
    MÉTODO DE PREPARACIÓNDE UN CORTE DE TEJIDO MUERTO ➢ OBTENCIÓN DE LA MUESTRA ➢ FIJACIÓN ➢ INCLUSIÓN ➢ CORTE ➢ TINCIÓN ➢ MONTAJE
  • 10.
    MÉTODO DE PREPARACIÓNDE UN DE TEJIDO MUERTO PARA MICROSCOPIO OPTICO
  • 11.
    OBTENCIÓN DE LAMUESTRA ➢ El material debe obtenerse de un organismo anestesiado ➢ O inmediatamente después de la muerte de dicho organismo
  • 12.
    FIJACIÓN ➢ El objetivoes conservar el protoplasma y por tanto es importante hacerlo lo mas pronto (evitar la autolisis). ➢ Los fijadores coagulan el protoplasma y endurecen los tejidos para facilitar el corte. ➢ También aumentan la afinidad del protoplasma para los colorantes.
  • 13.
    FIJACIÓN ➢ Los fijadoresmas utilizados son: formalina, alcohol, bicloruro de mercurio, y los ácidos pícrico, acético, ósmico ➢ También se utilizan combinaciones ej. liquido de bouin: ac. pícrico, ac. acético, formalina *debido a que ningún fijador tiene todas las características deseables
  • 14.
    INCLUSIÓN ➢ El objetivoes proporcionar un soporte rígido al bloque de tejido para poder hacer cortes delgados ➢ Antes de la inclusión se lava el exceso de fijador y luego se deshidrata (con un agente deshidratante como alcohol etílico) ➢ Luego se aclara (con un agente aclarador como xilol cloroformo, benceno, o aceite de cedro) ➢ Finalmente se infiltra un medio de inclusión como la parafina o celoidina se deja solidificar para obtener una masa homogénea
  • 15.
    CORTE ➢ Se montael bloque duro de parafina en un micrótomo (con hoja de acero) ➢ Se obtiene cortes de 3 a 10 micras ➢ Se pasan estos cortes a un portaobjetos luego de extender albúmina de huevo ➢ Se pasa agua debajo del corte ➢ Se deja evaporar el agua y queda pegado el corte al portaobjetos
  • 16.
    TINCIÓN ➢ El objetivoes hacer mas evidentes los diversos componentes celulares y tisulares ➢ Si se ha utilizado parafina se necesita eliminar el exceso (ya que los colorantes se emplean en solución acuosa) con un aclarador solvente para la parafina como el xilol o toluol ➢ Luego se deshidrata con alcohol ➢ Finalmente se aplica el colorante deseado
  • 17.
    MONTAJE ➢Se utiliza unmedio de montaje como el Bálsamo de Canadá (que tiene un índice de refracción similar al vidrio) ➢Se coloca un cubreobjetos y se deja secar.
  • 18.
    PREPARACIÓN PARA MICROSCOPÍA ELECTRÓNICA Considerarlas diferencias en la preparación. ➢ Los fragmentos de tejido son mas pequeños, y el tejido debe ser fresco
  • 19.
    PREPARACIÓN PARA MICROSCOPÍA ELECTRONICA ➢Se realiza un procedimiento de fijación doble: 1. Solución amortiguada de glutaraldehido (esto retiene los componentes proteicos) 2. Tetraoxido de osmio amortiguado (esto conserva los componentes lipidicos, y ya que es un metal pesado también juega un papel importante en la desviación de electrones para la imagen) ➢ Se sustituye la parafina por un material mas firme, generalmente de plástico (epon o araldita)
  • 20.
    PREPARACIÓN PARA MICROSCOPIO ELECTRONICO ➢Los cortes son hechos con un micrótomo especial, con cuchilla de vidrio o diamante para lograr cortes muy finos ➢ Para la tinción los cortes se montan sobre rejillas de cobre perforadas ➢ Los colorantes son sales de metales pesados (como citrato de plomo, acetato de urano) que poseen una alta capacidad de dispersión y absorción de electrones
  • 23.
  • 24.
    TINCIONES ➢ Los colorantesque se utilizan para las tinciones pueden ser: 1. De uso general- para teñir núcleo y citoplasma 2. De uso especifico- para teñir estructuras especificas
  • 25.
    COLORANTES DE USO GENERAL PUEDENSER: 1. Ácidos- con carga (-) tiñen estructuras básicas o acidofilas 2. Bases- con carga (+) tiñen estructuras ácidas o basófilas
  • 26.
    COLORANTES BASICOS ➢ Elmas usado es la hematoxilina (colorea el núcleo de azul) ➢ La hematoxilina ferrica tiñe de azul oscuro o negro ➢ Otros colorantes básicos *azur A *azul de toluidina *azul de metileno útiles para distinguir estructuras metacromicas (se tiñen de un color diferente al del colorante) ➢ Otros colorantes básicos útiles en tinciones vitales *azul brillante de crecilo *rojo neutro *verde de janus *son inocuos,
  • 29.
    COLORANTES ÁCIDOS ➢ Elmas usado eosina (tiñe el citoplasma de color rosa) ➢ Otros colorantes ácidos: *ácido pícrico *cromotropo *azul de tripano sirven para *rojo de tripano tinción vital
  • 30.
    TINCIONES ➢ Por logeneral los cortes histológicos se tiñen con un colorante ácido y básico (H y E) ➢ Así se logran ver los componentes nucleares de color azul o púrpura y los del citoplasma y extracelulares, de color rosa ➢ Las tinciones tricromicas se usan en algunos casos para identificar otras estructuras (ej. de Mallory o de Masson)
  • 33.
    EXAMEN E INTERPRETACIÓNDE LOS CORTES ➢ Siempre iniciar el examen con el objetivo de menor aumento ya que así es posible analizar una zona mayor y mas rápido ➢ Recordar que lo que se esta examinando no esta solo en 2 dimensiones (se debe intentar reconstruir la estructura mentalmente en 3-d) ➢ Recordar que algunas estructuras son tubulares como vasos sanguíneos, conductos glandulares etc.
  • 37.
    ARTEFACTOS ➢ Son alteracionesproducidas por la manipulación durante la preparación de los cortes ➢ Pueden ser: *Encogimientos *Precipitados *Pliegues o arrugas *Defectos de cuchilla o micrótomo *Degeneración postmortem *Por manejo poco cuidadoso
  • 38.
    ENCOJIMIENTOS ➢ Producidos porsustancias químicas principalmente los fijadores ➢ Por el calor de la parafina derretida ➢ Se ve como espacios vacíos causado por la separación de los tejidos
  • 39.
    PRECIPITADOS ➢ Se producencuando no se realiza el aclaramiento del exceso de fijadores ➢ Los cristales de los químicos precipitan y permanecen en los cortes
  • 40.
    PLIEGUES Y ARRUGAS ➢Ya que los cortes son muy delgados se pueden plegar o arrugar al cortar o al colocar en las laminas ➢ Esto se observa con una coloración mas oscura
  • 41.
    DEFECTOS DE CUCHILLA ➢Esto puede suceder cuando el filo de la cuchilla del micrótomo esta mellado ➢ Se observa como líneas rectas de color pálido a través del corte
  • 42.
    DEGENERACIÓN POSTMORTEM ➢ Noes directamente un artefacto pero si determina que sea una placa de baja calidad ➢ Esto sucede cuando no se fija la muestra con rapidez, ya que se da una autolisis de los tejidos (destrucción por sus propias enzimas)
  • 43.
    MANEJO POCO CUIDADOSO ➢Sobre todo al extirpar el tejido fresco de un organismo vivo ➢ Algunos ejemplos son el pelliscamiento por pinzas ➢ Aplastamiento por tijeras desafiladas ➢ El resultado es la mutilación del tejido
  • 45.
  • 46.
    TEJIDO EPITELIAL Se presentaen dos formas: *Tejido epitelial de revestimiento o membranas epiteliales *Tejido epitelial glandular
  • 47.
    TEJIDO EPITELIAL ➢ Enambos tejidos epiteliales las células descansan sobre tejido conectivo ➢ Se encuentra separado del tejido conectivo por la lamina basal ➢ El tejido conectivo tiene vasos sanguíneos y nervios ➢ El epitelio mismo no posee vasos y depende de la difusión del oxigeno y metabolitos de los vasos del tejido conectivo
  • 48.
  • 49.
    MEMBRANAS EPITELIALES ➢ Sonlaminas de células que cubren: *Una superficie externa o *Revisten una interna ➢ Participan en las funciones de: *protección *absorción *secreción *excreción *digestión *sensibilidad
  • 50.
    MEMBRANAS EPITELIALES ➢ Todaslas sustancias que entran y salen del cuerpo lo hacen a través de una membrana epitelial ➢ Actúan como una barrera selectiva entre el exterior y el tejido conectivo de sostén, o una cavidad internamente y el tejido conectivo
  • 51.
    CLASIFICACIÓN DE LAS MEMBRANASEPITELIALES ➢ Depende de la combinación de dos factores: *la forma de las células epiteliales *la disposición de las células epiteliales en capas o estratos
  • 52.
    SEGÚN LA FORMACELULAR ➢ Planas- altura menor a la anchura ➢ Cúbicas- altura igual a la anchura ➢ Cilíndricas- altura mayor a la anchura
  • 54.
    SEGÚN LA DISPOSICIONDE LAS CELULAS EN CAPAS ➢ Simple- las células dispuestas en una solo capa ➢ Estratificado- las células dispuestas en mas de una capa ➢ Pseudoestratificado- las células dispuestas en una sola capa pero aparente mas de una por los núcleos que están a diferentes niveles
  • 56.
    CLASIFICACIÓN DE LAS MEMBRANASEPITELIALES ➢ La clasificación describe la forma de las células de la superficie y la disposición de estas en capas ➢ Algunos epitelios tienen nombre especial: *Endotelio- reviste el sistema vascular *Mesotelio- reviste las paredes y cubre los órganos de las cavidades pleurales, pericárdica, y peritoneal
  • 58.
    PLANO SIMPLE SIMPLE CUBICOSIMPLE CILINDRICO SIMPLE MEMBRANAS PSUEDO ESTRATIFICADO EPITELIALES CILINDRICO PLANO ESTRATIFICADO ESTRATIFICADO CUBICO ESTRATIFICADO CILINDRICO ESTRATIFICADO DE TRANSICIÓN CILIADO NO CILIADO
  • 59.
    MEMBRANAS EPITELIALES ➢ Lamayoría de las membranas epiteliales tienen la capacidad de regenerarse por mitosis ➢ la velocidad de renovación depende de la localización ➢ Al describir las membranas epiteliales: ⚫ se refiere a la superficie que esta cerca de la luz como cara apical ⚫ lo que se acerca a la lamina basal como cara basal
  • 60.
    EPITELIO PLANO SIMPLE ➢Una sola capa de células planas y deltadas ➢ De contorno irregular y se ajustan muy bien entre si ➢ Visto desde la superficie un aspecto de embaldosado ➢ Citoplasma claro ➢ Núcleo basófilo
  • 61.
  • 62.
    EPITELIO PLANO SIMPLE ➢Los ejemplos de este tipo de epitelio son: *capa parietal de la cápsula de Bowman *asa de Henle del riñón *alvéolos pulmonares *oído interno y medio *endotelio *mesotelio
  • 63.
  • 64.
    EPITELIO PLANO SIMPLEDE LA CAPSULA DE BOWMAN
  • 65.
    EPITELIO PLANO SIMPLEDE OIDO INTERNO
  • 66.
  • 67.
    EPITELIO CÚBICO SIMPLE ➢Visto desde la superficie las células tienen forma poligonal ➢ En cortes perpendiculares se ven células en forma de cubos o cajas ➢ Los núcleos son esféricos, y centrales
  • 68.
  • 69.
    EPITELIO CUBICO SIMPLE ➢Ejemplos de este: *En los conductos glandulares *En la superficie de los ovarios *Túbulos renales
  • 70.
  • 71.
    EPITELIO CUBICO SIMPLEDE FOLICULO TIROIDEO
  • 73.
    EPITELIO CILINDRICO SIMPLE ➢Visto desde la superficie tienen aspecto poligonal ➢ En un corte perpendicular se ven células altas ➢ Núcleo ovoide, generalmente todos al mismo nivel, mas cerca a la cara basal que a la apical
  • 75.
    EPITELIO CILINDRICO SIMPLE ➢Los ejemplos de este epitelio son: *revestimiento del tubo digestivo *revestimiento de conductos mayores *trompas de Falopio (es ciliado en los que siguen) *conductillos eferentes del testículo *bronquios pequeños
  • 76.
  • 77.
  • 78.
  • 79.
    CILINDRICO SIMPLE DE TROMPASUTERINAS (cels ciliadas y secretorias)
  • 80.
  • 81.
    EPITELIOS PSEUDOESTRATIFICADOS ➢ Una solacapa de células cilíndricas ➢ Todas en contacto con la lamina basal ➢ Los núcleos se encuentran a diferentes niveles ➢ En corte perpendicular tiene aspecto de varias capas de células
  • 83.
    EPITELIO PSEUDOESTRATIFICADO ➢ Los ejemplosde este tejido son: *conductos secretorios mayores *partes de la uretra masculina *vías respiratorias (ciliado + células caliciformes) *conductos excretores del apto reproductor masculino
  • 84.
    EPITELIO CILINDRICO CILIADO PSEUDOESTRATIFICADOCON CELULAS CALICIFORMES- TRAQUEAL
  • 85.
  • 86.
  • 87.
  • 88.
    EPITELIOS ESTRATIFICADOS ➢ Todosson más resistentes ➢ Por su grosor no son membranas a través de las cuales se logra con facilidad la absorción
  • 89.
    EPITELIO PLANO ESTRATIFICADO ➢ Lascélulas más superficiales son planas ➢ Puede ser no queratinizado, y húmedo (mucosas) ➢ Puede ser queratinizado y seco (la piel, resistente a la fricción e impermeable al agua y bacterias)
  • 90.
    EPITELIO PLANO ESTRATIFICADONO QUERATINIZADO DE ESOFAGO
  • 91.
    EPITELIO PLANO ESTRATIFICADO NOQUERATINIZADO DE ESOFAGO
  • 92.
    EPITELIO PLANO ESTRATIFICADONO QUERATINIZADO DE CARA INFERIOR DE LENGUA
  • 93.
    EPITELIO PLANO ESTRATIFICADO NOQUERATINIZADO DE CORNEA
  • 94.
  • 95.
    EPITELIO PLANO ESTRATIFICADO CONQUERATINA DE PIEL GRUESA
  • 96.
    EPITELIO CÚBICO ESTRATIFICADO ➢ Sondos capas de células cúbicas ➢ Es raro ➢ Se ve en los conductos de la glándulas sudoríparas
  • 98.
    EPITELIO CILÍNDRICO ESTRATIFICADO ➢ Célulasde la superficie son cilíndricas, las básales son poliédricas bajas ➢ También muy raro ➢ Se observa en partes de la uretra masculina ➢ En la conjuntiva del ojo ➢ También en conductos excretores mayores de glándulas salivales sublinguales
  • 99.
    EPITELIO CILÍNDRICO ESTRATIFICADO DECONDUCTO DE GLANDULA SUBMAXIAR
  • 100.
    EPITELIO DE TRANSICIÓN ➢Se llama así ya que en un principio se pensó que representaba una transición entre los epitelios plano estratificado y cilíndrico estratificado ➢ Se encuentra en las vías urinarias, desde la pelvis renal hasta la uretra ➢ Su aspecto varia según el grado de distensión ➢ Capa basal es cúbica o cilíndrica ➢ Capas intermedias son cúbicas a poliédricas ➢ Capa superficial son cúbicas y con la distensión se tornan planas (con frecuencia son binucleadas)
  • 101.
    EPITELIO DE TRANSICIONDE MUCOSA DE VEJIGA CONTRAIDA
  • 106.
    TRANSICION DE PLANOESTRATIFICADO A CUBICO SIMPLE DE CARDIAS
  • 107.
  • 108.
  • 109.
    CLASIFICACIÓN DEL EPITELIO GLANDULAR ◼Basado en el lugar donde vierten su contenido: *Exocrina- tienen conducto(s) y vierten su secreción hacia una superficie *Endocrina- no hay conducto, y vierten su secreción directo al torrente sanguíneo, o la linfa
  • 110.
    CLASIFICACIÓN DE LAS GLÁNDULASEXOCRINAS ◼ Depende de la manera en que elaboran su secreción, y su manera de eliminarlo: *holocrinas *apócrinas *merócrinas
  • 111.
    GLÁNDULAS EXOCRINAS HOLOCRINAS ◼ Elaborany almacenan su producto de secreción en el citoplasma ◼ Mueren y su contenido es expulsado como secreción ◼ Ejemplos: glándulas sebáceas
  • 113.
    GLANDULAS EXOCRINAS APOCRINAS ◼ Elproducto de secreción se acumula en el citoplasma apical ◼ Este se exprime hacia fuera, perdiendo parte de su citoplasma ◼ Ejemplo: glándulas mamarias, sudoríparas
  • 114.
  • 115.
    GLÁNDULAS EXOCRINAS MEROCRINAS ◼ Elproducto de secreción se forma en la célula, y se almacena en forma de vesículas ◼ Es expulsado su secreción por exocitosis sin perdida de su citoplasma ◼ Ejemplo: glándulas salivales, páncreas y la mayoría de glándulas exocrinas
  • 116.
  • 117.
  • 118.
    GLÁNDULAS EXOCRINAS ◼ Otraclasificación: según el numero de células que conforman la glándula *Unicelulares *Multicelulares
  • 119.
    GLÁNDULAS EXOCRINAS UNICELULARES ◼ Soncélulas individuales ◼ Son las células caliciformes que se encuentran en el epitelio cilíndrico simple (tubo digestivo) o pseudoestratifico (respiratorio) ◼ Son células productoras de moco ◼ Tienen núcleo basal, y en su citoplasma apical contienen gotitas de mucígeno
  • 120.
    CÉLULAS CALICIFORMES- MUCOSA IDPRODUCTORAS DE MUCÍNA
  • 121.
  • 122.
  • 123.
    GLANDULAS EXOCRINAS MULTICELULARES ◼ Seclasifican según la presencia o ausencia de ramificaciones en el sistema de conductos. *Simples- el conducto no se ramifica, y puede o no estar enrollado *Compuesta- el conducto es ramificado
  • 125.
  • 126.
  • 127.
    GLÁNDULAS EXOCRINAS MULTICELULARES ◼ Suclasificación se basa también en la forma de la células de la unidad secretoria. *Tubular- la unidad secretoria se encuentra en la terminación del conducto *Alveolar- o acinar, se presenta en forma de matraz, o mora *Tubuloalveolar- mixta *Sacular- como el alveolar, pero mas grande
  • 129.
    GLÁNDULAS EXOCRINAS MULTICELULARES ◼ Otrofactor para su clasificación es la naturaleza de la secreción. *Mucosa- viscosa *Serosa- acuosa *Mixta- combinación
  • 131.
    ESTRUCTURA DE LAGLÁNDULA EXOCRINA COMPUESTA ◼ Tiene tres elementos: *Tejido Conectivo *Conductos *Unidades Secretorias
  • 132.
    TEJIDO CONECTIVO- GLÁNDULA EXOCRINACOMPUESTA ◼ Cápsula- de tejido conectivo se invagina formando los tabiques ◼ Tabiques principales- le dividen en lóbulos, lobulillos, finalmente unidades secretorias con sus conductos ◼ En el tejido conectivo hay vasos sanguíneos, linfáticos, y nervios, que entran por la cápsula y siguen el trayecto de los tabiques
  • 135.
    SISTEMA DE CONDUCTOS– GLÁNDULA EXOCRINA COMPUESTA ◼ Conducto principal- drena toda la glándula ◼ Conducto lobular- en el vértice de un lóbulo ◼ Conducto interlobulillar- en los tabiques interlobulillar ◼ Conducto lobulillar mayor- entre las unidades secretorias ◼ Conductos intralobulillares- en el lobulillo ◼ Conductos intercalares- entre las unidades secretorias y los conductos intralobulillares (comunican estos)
  • 137.
  • 138.
    UNIDADES SECRETORIAS ◼ Serosas-células con citoplasma apical con gránulos, núcleo basal ovoide, luz pequeña bien definida ◼ Mucosas- citoplasma mas claro con aspecto espumoso, núcleo aplanado basal, luz pequeña irregular ◼ Mixtas- serosas y mucosas
  • 140.
    CÉLULAS MIOEPITELIALES ◼ Seencuentran por debajo de las células acinares, entre estas y la lamina basal, algunas se encuentran alrededor de los conductos menores ◼ Se llaman también células en canasta, y se ven como núcleos oscuros pequeños rodeados por poco citoplasma ◼ Estas células emiten prolongaciones de su citoplasma que rodean al acino, estas prolongaciones tienen características de células de músculo liso ◼ Su función es de ayudar a expulsar la secreción de la glándula
  • 141.
    GLÁNDULAS ENDOCRINAS ◼ Sonmas sencillas que las exocrinas ◼ Tienen una cápsula de tejido conectivo, con tabiques incompletos que dividen a la glándula en lóbulos ◼ En su interior la glándula tiene tejido conectivo delgado y escaso, que contiene una red abundante de capilares o sinusoides sanguíneos ◼ Entre esta red se encuentran células epiteliales secretorias ◼ Cada célula cerca de un vaso hacia donde vierte su contenido (secreción hormonal)
  • 142.
    GLÁNDULAS ENDOCRINAS ◼ Seclasifican según: *El agrupamiento de células *El modo de almacenamiento hormonal ◼ De tal manera pueden ser: *Cordones o cúmulos en cordones *Folicular o vesicular
  • 143.
    GLÁNDULAS ENDOCRINAS EN CORDONES ◼Las células epiteliales se disponen en cordones entre los capilares sanguíneos ◼ Almacenan las hormonas dentro de la misma célula
  • 144.
    GLÁNDULAS ENDOCRINAS FOLICULARES ◼ Ungrupo de células forman una vesícula con una cavidad central, en la cual vierten su secreción ◼ El almacenamiento de su contenido se da en esta cavidad vesicular ◼ Para la secreción la hormona regresa a la célula y de aquí sale hacia los vasos sanguíneos
  • 145.
  • 146.
  • 147.
  • 148.
  • 149.
    GLANDULAS MIXTAS ◼ Sontanto endocrinas como exocrinas ◼ Algunos ejemplos son: *hígado *páncreas *testículo *ovarios
  • 151.
  • 152.
  • 153.
  • 154.
  • 155.
  • 156.
  • 157.
  • 158.
  • 159.
  • 160.
    INTRODUCCIÓN • Se divideen: *Tejido Conectivo Propiamente Dicho *Tejido Conectivo Especializado
  • 161.
    ORIGEN • Todos lostejidos conectivos derivan del mesenquima, o tejido mesenquimal • De la capa germinativa embrionaria mesodérmica
  • 163.
    ORIGEN El mesenquima esun tejido laxo esponjoso formado por: • Células estrelladas y fusiformes, pluripotenciales, dispuestos en una red (por esto varios tejidos tienen un mismo origen) • Liquido tisular amorfo • y algunos elementos fibrosos
  • 164.
  • 165.
    CARACTERISTICAS • Los tejidosconectivos se diferencian de los demás tejidos primarios por tener abundante material intercelular- matriz • Para el estudio de este tejido se debe considerar tres elementos: *sustancia fundamental amorfa *fibras *células • Estos elementos son cubiertos por el liquido tisular
  • 166.
    LIQUIDO TISULAR • Esun liquido acuoso, contiene: *oxigeno disuelto *cristaloides *sustancias alimenticias • Se forma por simple difusión de la sangre a través del endotelio capilar arterial • Este liquido regresa al torrente sanguíneo por osmosis directamente al capilar sanguíneo o indirectamente por los vasos linfáticos y venas (finalmente aurícula derecha)
  • 167.
    LIQUIDO TISULAR Su funciónes de ayudar en el intercambio de sustancias necesarias para el metabolismo celular.
  • 168.
    LIQUIDO TISULAR PATOLOGICO EDEMA •Es el aumento patológico del liquido tisular • Histológicamente se ven espacios aumentados de tamaño en los tejidos por el aumento de volumen de este liquido
  • 169.
    SUSTANCIAS INTERCELULARES • Sonsustancias inertes, que forman la matriz donde viven las células • Pueden ser: *amorfas- sustancia fundamental amorfa *formes- las fibras • sus funciones: *proporcionan sostén *son un medio de comunicación para el metabolismo celular
  • 171.
    SUSTANCIA FUNDAMENTAL • Llamadatambién sustancia intercelular amorfa • Es transparente, homogéneo, e incoloro • Se encuentra entre las células y fibras de este tejido • Su función es de participar como medio de difusión para el liquido tisular (con sustancias nutritivas y de desecho)
  • 172.
  • 173.
    ÁCIDO HIALURONICO • Esel mas abundante • Se encuentra en la mayoría de tejidos conectivos • Es el componente principal en algunos tejidos, como: *el liquido sinovial, *cuerpo vítreo del ojo, *Gelatina de Wharton
  • 174.
    CONDROITINSULFATO • Predomina en: *cartílago *hueso *discosintervertebrales *vasos sanguíneos mayores
  • 175.
    DERMATANSULFATO • Se encuentraen: *piel *tendones *válvulas cardiacas
  • 176.
    QUERATANSULFATO • De dostipos: *Tipo I- exclusivo de la cornea *Tipo II- en cartílago y discos intervertebrales
  • 177.
    HEPARANSULFATO • Se encuentraen: *Las superficies celulares *En las laminas básales
  • 178.
    FIBRONECTINA • Es unaglucoproteina que juega un papel importante en la unión de células, colágena y glucosaminoglucanos • Se encuentra en: *la superficie de los fibroblastos *dermis *plasma (fibronectina plasmática) *plaquetas
  • 179.
    CONDRONECTINA • Esta glucoproteinafavorece la adherencia de células cartilaginosas maduras a la colágena • Se encuentra en el tejido cartilaginoso
  • 180.
    LAMININA • La lamininaparticipa en la unión de las laminas epiteliales con las laminas propias subyacentes.
  • 181.
    SUSTANCIAS INTERCELULARES FORMES- FIBRAS •Son de tres tipos: *colágenas *reticulares *elásticas • Su función en general *es de proporcionar resistencia a la tensión *y brindar sostén a los tejidos
  • 182.
    FIBRAS • Son proteínascomplejas, de cadenas polipeptídicas de amino ácidos • Son insolubles en el medio liquido interno del cuerpo
  • 184.
    FIBRAS COLAGENAS • Tambiénllamadas fibras blancas • Formadas por la proteína colágena (muy resistentes) • En fresco aparecen blancas ej. tendones y aponeurosis
  • 185.
    PROPIEDADES FISICAS DELAS FIBRAS COLAGENAS • Trayecto recto o ligeramente ondulado • Se agrupan en haces laxos o densos (según la función y localización) • En estado fresco son flexibles, poco elásticos, con alta resistencia a la tensión • En las placas son acidofilas • Son birrefringentes con luz polarizada • Su estructura son microfibrillas – fibrillas - fibra
  • 187.
    FIBRAS COLAGENAS SUSTANCIA FUNDAMENTALTEJIDO CONECTIVO DE GLANDULA MAMARIA
  • 188.
    FIBRAS COLAGENAS SON 5TIPOS DE COLAGENA: TIPO I • Más abundante, de un 90% de las fibras colágenas del cuerpo • Forman haces gruesas, fibrillas, y fibras • Se encuentran en la dermis, tendones, hueso, dientes, y casi todos los tejidos conectivos • Las células productoras son los fibroblastos, osteoblastos, y odontoblastos
  • 189.
  • 190.
    FIBRAS COLAGENAS TIPO II •El principal componente del tejido cartilaginoso • Son fibrillas no forman fibras • Las células productoras son los fibroblastos
  • 191.
    FIBRAS COLAGENAS TIPO III •Se encuentran en las primeras etapas del desarrollo de tejidos conectivos luego es remplazado por el Tipo I • En el adulto persisten en las redes reticulares de la piel, vasos, útero, apto gastrointestinal • Células productoras son fibroblastos de la piel, y las células del músculo liso (de los demás)
  • 192.
    FIBRAS COLAGENAS • TIPOIV- en las laminas básales, sus células productoras son las células epiteliales y endoteliales • TIPO V- en las membranas fetales, y en los vasos sanguíneos
  • 193.
    FIBRAS RETICULARES • Sonfibras colágenas muy delgadas • Principalmente colágena Tipo III • Forman un armazón reticular de sostén • Son redes finas alrededor de algunas estructuras: *fibras musculares *fibras nerviosas *células de grasa *vasos sanguíneos pequeños *limites de tej. conectivo con otros tejs.
  • 194.
    FIBRAS RETICULARES CELSRETICULARES DE GANGLIO LINFATICO
  • 195.
  • 196.
    FIBRAS ELASTICAS • Soncomo filamentos cilíndricos o aplanados, largos, refringentes, se ramifican y forman ramas • Son mas delgadas que las fibras colágenas • En fresco son de color amarillento • Compuestos por albuminoide elastina • No son afectadas con agua caliente ni fría • Se tiñen con eosina y orceina
  • 197.
  • 200.
  • 201.
  • 202.
    CÉLULAS DEL TEJIDO CONECTIVO •Fibroblastos • Adipocitos • Histiocitos o Macrófagos • Mastocitos o células cebadas • Células Mesenquimatosas • Linfocitos • Eosinófilos • Células Plasmáticas • Células de pigmento o cromatoforos
  • 203.
    FIBROBLASTOS • Son lascélulas mas abundantes del tejido • Son células grandes, planas, fusiformes, ramificadas, con núcleo ovalado, con 1 o 2 nucleolos, y poca cromatina • Son los encargados de formar las fibras de la matriz: colágenas, reticulares, elásticas • También forman sustancia fundamental: glucosaminoglucanos, glucoproteinas
  • 204.
    FIBROBLASTOS Se encuentran dedos formas: *Fibroblastos Jóvenes *Fibroblastos Viejos o Fibrocitos
  • 205.
    FIBROBLASTOS JOVENES • Esla forma activa • Se encargan de la síntesis de proteínas • Se ve el citoplasma teñido de azul, por el exceso de RER y ribosomas • Se ve gran cantidad de mitocondrias alrededor del núcleo
  • 206.
    FIBROCITOS • Son relativamenteinactivos • El citoplasma es débilmente basófilo • Al ser estimulado se ve que puede retomar su función de fibroblasto (ej. una herida en cicatrización)
  • 207.
  • 208.
  • 210.
    ADIPOCITOS • Son célulasde grasa • Son grandes, esféricas, con núcleo aplanado (generalmente) • Pueden estar solas (forma esférica) o en pequeños cúmulos (forma poliédrica) *(en gran cantidad se convierte en el tejido adiposo) • En fresco se ven como gotitas de aceite, son birrefringentes
  • 211.
    ADIPOCITOS • Son célulastotalmente diferenciadas, (no pueden dividirse por mitosis) • Parecen originarse de células primitivas • Las células primitivas inician englobando gotas de grasa, hasta que se forma una sola gota grande, el núcleo queda aplanado y comprimido • Función: como reserva de energía • Cuando se necesita sale de la célula como ácidos grasos libres y glicerol
  • 213.
  • 214.
    MACROFAGOS • También sellaman histiocitos • Son màs grandes que los fibroblastos • Tienen forma irregular, con prolongaciones cortas, romas, pseudópodos ( para su movimiento ameboidea) • Tienen un núcleo ovoide, a veces dentado, mas pequeño que del fibroblasto • En el citoplasma se ven vacuolas con material ingerido (aquí enzimas proteolíticas de los lisosomas)
  • 215.
    MACROFAGOS • PUEDEN SER: *FIJOS-unidos a las fibras *ERRANTES- libres en la matriz
  • 216.
    MACROFAGOS LA FUNCIÓN ESDE DEFENSA: *SON FAGOCITARIAS- se pueden fusionar formando células gigantes multinucleadas para fagocitar sustancias grandes *ACTUAN EN LAS REACCIONES INMUNOLOGICAS (ingieren, procesan, y almacenan anfígenos) *PASAN INFORMACIÓN a las células inmunológicas (ej. linfocitos, células plasmáticas)
  • 219.
    CÉLULAS CEBADAS • Tambiénse llaman mastocitos • Son de forma oval, irregular a veces se ven con pseudópodos cortos (tienen movimiento lento) • En su interior contienen gránulos basófilos (contienen varias sustancias activas) • Su núcleo es pequeño (a veces no se logra distinguir por tanto granulo)
  • 220.
    CÉLULAS CEBADAS • SUSFUNCIONES: *Producen sustancia anticoagulante- heparina *Parece ser que producen otras sustancias como - histamina (vasodilatación) - serotonina (vasoconstricción) *actúan en las respuestas alérgicas
  • 223.
    CÉLULAS MESENQUIMATOSAS • Tienenforma estrellada • Núcleo ovalado, alargado • Son células embrionarias que persisten en el adulto • Se encuentran a lo largo de vasos sanguíneos pequeños (capilares) donde se conocen como pericitos • Son células indiferenciadas pluripotenciales
  • 224.
    CÉLULAS MESENQUIMATOSAS • Función-como células precursoras *de células musculares lisas *de células adiposas
  • 226.
    LINFOCITOS • Son leucocitos,los mas pequeños • Con núcleo esférico que ocupa la mayor parte del citoplasma • Citoplasma delgado y basófilo • Se encuentran mas en sitios de inflamación
  • 227.
    LINFOCITOS • Son dedos tipos: *T- vida larga, inician las respuestas inmunitarias *B- vida corta, forman células plasmáticas que sintetizan anticuerpos contra el antígeno estimulante
  • 229.
    EOSINOFILOS • Son leucocitos •Con núcleo bilobulado o reniforme • Citoplasma con gránulos esféricos acidofilos • Se acumulan en los tejidos en: *estados alérgicos *inflamatorios *enfermedades parasitarias
  • 230.
  • 231.
    CÈLULAS PLASMATICAS • Sonparecidas a los linfocitos pero mas grandes • Se derivan de los Linfocitos-B • Tienen mas citoplasma, y es basófilo • Núcleo excéntrico, con su cromatina dispuesto como rayos de rueda • Abundante cantidad de RER
  • 232.
    CÈLULAS PLASMATICAS • Sonraras en el tejido conectivo • Pero se pueden encontrar en las membranas serosas, tejido linfoide, lamina propia del tubo digestivo, y sitios de inflamación crónica • Su función principal es de producir anticuerpos
  • 233.
  • 234.
    CÈLULAS DE PIGMENTO •Son células que se encuentran rara vez en este tejido • Se ven en: * el tejido conectivo denso de la piel * en la piamadre * en coroides del ojo * en la dermis (como melanocitos, o melanoforos)
  • 236.
  • 237.
    FIBRAS COLAGENAS SUSTANCIA FUNDAMENTALTEJIDO CONECTIVO DE GLANDULA MAMARIA
  • 240.
  • 241.
  • 249.
  • 250.
    CLASIFICACIÓN DEL TEJIDOCONECTIVO ➢ DEPENDE DE: 1. LA CONCENTRACIÓN DE SUS FIBRAS *LAXO- menos fibras, relativamente más células *DENSO- fibras abundantes y compactas menos células 2. SU UBICACIÓN *SOLO EN EL EMBRION * LOS DEL ADULTO
  • 251.
    TEJIDOS CONECTIVOS LAXOS ➢EMBRIONARIOS: MESENQUIMAL MUCOSO ➢ DEL ADULTO: TEJ. CONECT. AREOLAR LAXO TEJ. ADIPOSO TEJ. RETICULAR
  • 252.
    TEJIDOS CONECTIVOS DENSOS ➢Irregular- hay tensión ejercida en todas direcciones ➢ Regular- la tensión se ejerce en una sola dirección ➢ Elásticos- las fibras dispuestas de manera regular *la dirección de las fibras depende de la tensión ejercida en estos tejidos **sus componentes principales son las fibras colágenas, pero en las ultimas son las fibras elásticas
  • 253.
    C L A S I F I C A C I O N D E L T E J I D O C O N E C T I V O TEJIDO CONECTIVO LAXO TEJIDO CONECTIVO DENSO EMBRIONARIO DELADULTO MESENQUIMAL MUCOSO AREOLAR LAXO RETICULAR ADIPOSO BLANCO PARDO IRREGULAR REGULAR ELASTICO
  • 254.
  • 255.
    TEJIDO MESENQUIMAL ➢ Esel tejido conectivo típico, no diferenciado, embrionario ➢ Contiene: - sustancia fundamental, - células mesenquimales, - líquido en las primeras etapas - fibras reticulares, luego sustituidas por fibras colágenas ➢ Eventualmente el mesenquima se desarrolla y se diferencia en los tejidos conectivos del adulto
  • 256.
  • 258.
    TEJIDO MUCOSO ➢ Esun tejido transitorio en el desarrollo de los tejidos conectivos ➢ También se puede encontrar totalmente diferenciado en la Gelatina de Wharton ➢ Contiene: - sustancia fundamental abundante y gelatinosa - fibroblastos, macrófagos, linfocitos errantes - red delicada de fibras colágenas
  • 259.
  • 260.
    TEJIDO CONECTIVO LAXO AREOLAR ➢Se forma por diferenciación directa del mesenquima ➢ Es un tejido conectivo fibroelastico, dispuesto de manera laxa ➢ Se encuentra en casi todo el cuerpo
  • 261.
    TEJIDO C. LAXOAREOLAR ➢ Funciona como material de empaque, fijación, y como medio de inclusión de estructuras *une otros tejidos *une los componentes de los órganos *une órganos entre si ➢ Es flexible y por tanto permite movilidad entre estos elementos ➢ Es un tejido muy vascularizado que ocupa zonas pequeñas- areolas
  • 262.
    TEJIDO C. AREOLARLAXO ➢ Sustancia Fundamental: semilíquida ➢ Células: *Fibroblastos *Macrófagos *Adipocitos (individuales) ➢ Fibras: *colágenas *elásticas (pocas) *reticulares (solo en los limites)
  • 263.
  • 264.
    TEJIDO CONECTIVO LAXOY DENSO DE PIEL
  • 265.
  • 266.
    TEJIDO ADIPOSO BLANCO ➢Se forma del tejido conectivo laxo areolar en el cual las células mas abundantes son los adipocitos ➢ Se conoce también como tejido adiposo unilocular (por la gota de grasa) ➢ Incluye las siguientes células: *adipocitos abundantes *fibroblastos *linfocitos *eosinófilos *macrófagos *células cebadas
  • 267.
    TEJIDO ADIPOSO BLANCO Lagrasa de este tejido puede originarse de tres fuentes: 1. A partir de carbohidratos (por acción de la insulina) 2. De ácidos grasos de la degradación de la grasa de la dieta (quilomicrones del ID) 3. De la glucosa del hígado (transportados como lipoproteínas)
  • 268.
    TEJIDO ADIPOSO BLANCO ➢Los lugares mas comunes de acumulación de grasa son: *tejido subcutáneo (panículo adiposo) *mesenterios y epiplones *médula ósea *alrededor de los riñones
  • 269.
    TEJIDO ADIPOSO BLANCO ➢La distribución y densidad de los depósitos de grasa subcutánea varían según el sexo: *mujer- mamas, región glútea, y muslos *hombre- hombros, brazos, nuca, glúteos, y región lumbosacra
  • 270.
    TEJIDO ADIPOSO BLANCO ➢Funciones del tejido adiposo: *Principal, almacenamiento y metabolismo de grasa neutra *Amortiguador de golpes *Aislante para impedir el enfriamiento o calentamiento excesivo de la piel
  • 271.
    TEJIDO ADIPOSO BLANCO F.COLAGENAS Y FIBROBASTOS
  • 272.
  • 273.
    TEJIDO ADIPOSO PARDO ➢Las células de grasa son más pequeñas ➢ El citoplasma contiene gotitas de grasa que no se fusionan (es multilocular) ➢ Con abundante riego sanguíneo (le da su color típico)
  • 274.
    TEJIDO ADIPOSO PARDO ➢En el ser humano: *el feto, y niños pequeños *en el adulto solo en el cuello, y rodea la aorta abdominal y los riñones ➢ En los animales: los que hibernan (las células de grasa generan calor)
  • 275.
  • 276.
    TEJIDO ADIPOSO PARDOCON AZUL DE TOLUIDINA
  • 277.
    TEJIDO RETICULAR ➢ Lascélulas: *células reticulares (núcleo grande, citoplasma basófilo, con prolongaciones, de forma estrellada) *linfocitos *eosinófilos *macrófagos ➢ Consta de fibras reticulares ➢ Forman el armazón de: *ganglios linfáticos *medula ósea *hígado
  • 278.
  • 279.
  • 280.
    FIBRAS RETICULARES CELSRETICULARES DE GANGLIO LINFATICO
  • 281.
  • 282.
    TEJIDO C. DENSOIRREGULAR ➢ Las fibras se disponen como hojas, se entrelazan formando un tipo de fieltro grueso y resistente ➢ Tejido principal de: *facias *dermis de la piel *cápsula fibrosa de órganos (testiculos, hígado etc.)
  • 283.
    TEJIDO C. DENSOIRREGULAR ➢ Sustancia Fundamental escasa ➢ Células: *fibroblastos (principalmente) ➢ Consta de fibras: *colágenas (principalmente) *reticulares *elásticas
  • 284.
  • 286.
    TEJIDO C. DENSOREGULAR ➢ Fibras agrupadas paralelas formando estructuras de gran resistencia a la tensión ➢ Fibras colágenas ➢ Células fibroblastos en poca cantidad
  • 287.
    TEJIDO C. DENSOREGULAR ➢ Forma: *tendones *ligamentos *aponeurosis ➢ Tendón: haz primario - endotendón fascículo secundario - peritendón tendón - epitendón
  • 288.
  • 290.
    TEJIDO C. DENSOELASTICO ➢ Células fibroblastos ➢ Fibras: *elásticas *reticulares (finas rodean las anteriores) ➢ Las fibras agrupadas de manera paralela
  • 291.
    TEJIDO C. DENSOELÁSTICO ➢ En los ligamentos elásticos amarillos *L. amarillo de las vértebras *L. suspensor del pene *Cuerdas vocales verdaderas
  • 293.
  • 294.
    FIBRAS COLAGENAS SUSTANCIA FUNDAMENTALTEJIDO CONECTIVO DE GLANDULA MAMARIA
  • 297.
  • 298.
  • 303.
    TEJIDO ADIPOSO PARDOCON AZUL DE TOLUIDINA
  • 307.
    FIBRAS RETICULARES CELSRETICULARES DE GANGLIO LINFATICO
  • 308.
  • 309.
  • 310.
  • 311.
    TEJIDO CARTÍLAGINOSO Se desarrolladel mesenquima. Las células mesenquimales se tornan redondas, se diferencian en condroblastos y se agrupan de manera compacta. Estas células depositan fibrillas en la sustancia intercelular.
  • 312.
  • 313.
    CARTÍLAGO Conforme aumenta laproducción de fibras y sustancia intercelular las células se alejan unas de otras. Cada célula que queda aislada en un pequeño espacio de matriz- o laguna, se conoce ya como condrocito. Los condrocitos contiene vacuolas de grasa y de glucogeno.
  • 315.
  • 316.
    CARTÍLAGO La matriz intercelulares avascular El riego sanguíneo proviene del pericondrio (al pericondrio le llega sangre del tejido conectivo vecino)
  • 317.
  • 318.
    CARTÍLAGO La nutrición delos condroblastos se da por difusión de sustancias nutritivas a través de la matriz: *provienen de la sangre del pericondrio *y del liquido sinovial (en las articulaciones) Las sustancias de desecho igualmente, a los capilares del pericondrio.
  • 319.
    CARTÍLAGO El crecimiento seda de dos formas: 1. C. Intersticial o Endógeno; por división de condroblastos y producción de matriz intercelular 2. C. por Aposición o Exógeno; en la capa interna del pericondrio se encuentran fibroblastos que se transforman en condroblastos, y de estos se forma nuevas capas de matriz
  • 320.
  • 321.
  • 322.
    PERICONDRIO Tejido conectivo queenvuelve al cartílago Contiene fibras colágenas tipo I, fibras elásticas, y fibroblastos Se fusiona con el tejido conectivo circundante Responsable de: la nutrición el crecimiento la regeneración del tejido cartil.
  • 323.
  • 324.
    Cartílago elástico meato auditivo externo H yE fibroblastos en el pericondrio condroblastos condrocitos
  • 325.
    CLASIFICACION DEL TEJIDO CARTILAGINOSO Sebasa en el tipo y la abundancia de fibras Hay 3 variedades de cartílago humano: 1. Cartílago hialino 2. Cartílago elástico 3. Fibrocartílago
  • 326.
    CARTÍLAGO HIALINO El másprevalente, y de amplia distribución Hialino de hyalos en griego significa vidrio En fresco tiene aspecto traslucido, blanco azulado
  • 327.
    CARTÍLAGO HIALINO Su ubicación: *Elfeto formando el esqueleto *En las superficies articulares *En cartílagos costales, y nasales *En la pared de las vías respiratorias
  • 328.
    CARTÍLAGO HIALINO Células: Condrocitos *células grandesredondas *núcleo ovoide con 1-2 nucleolos *citoplasma: basófilo con RER, aparato de golgi, mitocondrias, vacuolas, gotas de grasa y glucogeno, pigmentos Condroblastos *células aplanadas *menos basófilas *más en la periferia del tejido
  • 329.
  • 330.
  • 331.
    CARTÍLAGO HIALINO Matriz Intercelular: SustanciaFundamental- gelatinosa y rígida Fibras- colágenas formando una red *Este cartílago sufre osificación
  • 332.
    CARTÍILAGO HIALINO -PARED TRAQUEAL TEJIDO CONECTIVO DE MUCOSA PERICONDRIO Y MATRIZ CARTIAGINOSA
  • 333.
  • 334.
    CARTÍLAGO ARTICULAR UNIONDE CARTÍLAGO CON HUESO
  • 335.
  • 336.
  • 337.
  • 338.
  • 340.
  • 341.
    CARTÍLAGO ELÁSTICO Similar alcartílago hialino tiene fibras colágenas pero estas son muy delgadas y hay abundantes fibras elásticas En fresco la matriz es amarillenta, y mas opaca El citoplasma de las células contiene menos acumulación de grasa y glucogeno Brinda sostén y flexibilidad
  • 342.
    CARTÍLAGO ELÁSTICO Su ubicación: *oídoexterno *trompa faringotimpanica *epiglotis *cartílagos laríngeos (aritenoides) La calcificación es menos frecuente en este tejido
  • 343.
    Cartílago elástico meato auditivo externo H yE fibroblastos condroblastos condrocitos
  • 344.
  • 345.
    CARTÍLAGO ELÁSTICO- OREJA FIBRASELÁSTICAS EOSINOFILAS FONDO MATRIZ BASÓFILO
  • 346.
  • 347.
  • 348.
    CARTÍLAGO ELÁSTICO PABELLONAURICULAR CONDROCITOS- FIBRAS ELASTICAS (ORCEINA)
  • 349.
  • 350.
  • 351.
    FIBROCARTÍLAGO Nunca se presentasolo Se encuentra gradualmente fusionado con: *el cartílago hialino vecino *tejido fibroso denso (tendón) aparenta ser un tejido transicional entre el tejido fibroso denso y el cartílago hialino Brinda un apoyo firme o buena fuerza tensil
  • 352.
    FIBROCARTILAGO Matriz y Células: Fibroblastos(inicialmente) rodeados por fibras colágenas Condroblastos ( diferenciados de fibroblastos) rodeados por cápsulas de matriz cartilaginosa Condrocitos (posteriormente) la densidad de su matriz aumenta con la edad
  • 353.
    FIBROCARTÍLAGO Se encuentra en: discosintervertebrales cartílago de fosa glenoidea cartílago del acetábulo discos interarticulares (externoclavicular, acromioclavicular, temporomaxilar, sinfisis del pubis)
  • 354.
  • 355.
    Fibrocartílago inserción de tendón H yE fibras colágenas condrocitos
  • 356.
  • 357.
  • 358.
    TEJIDO ÓSEO • Tejidorígido que constituye la mayor parte del esqueleto • Formado por células y matriz ósea • Existen dos tipos de Hueso *Hueso Compacto o Denso *Hueso Esponjoso o Trabecular
  • 359.
  • 360.
  • 363.
    TEJIDO ÓSEO En unhueso largo se ve: *Diafisis o cuerpo- h. compacto que rodea la cavidad medular *Epífisis o extremidad- h. esponjoso cubierto por una capa delgada de h. compacto
  • 365.
    TEJIDO OSEO • Periostio:tejido conectivo que cubre al hueso compacto por fuera, excepto en las superficies articulares • Endostio: tejido conectivo que reviste la cavidad medular, y cubre al hueso esponjoso *Estas capas de tejido conectivo tienen la capacidad histogenética de formar hueso
  • 367.
    TEJIDO ÓSEO • Células: *célulasosteoprogenitoras *osteoblastos *osteocitos *osteoclastos • Matriz: *porción orgánica *porción inorgánica
  • 368.
    CÉLULAS OSTEOPROGENITORAS • Una poblaciónde células madre derivadas del mesenquima • Tienen la capacidad de dividirse y diferenciarse en células óseas ( dos tipos- preosteoblastos, preosteoclastos) • Son fusiformes, con núcleo oval y alargado, con escaso citoplasma • Su ubicación : *en la porción interna del periostio y endostio *en conductos vasculares del h. compacto
  • 370.
    OSTEOBLASTOS • Tienen muchasprolongaciones citoplasmáticas digitiformes con microfilamentos, que se extienden a la matriz ósea (se comunican con los de osteoblastos vecinos) • Su núcleo es grande, generalmente en la región basal, con un nucléolo muy notable • Citoplasma basófilo con RER, aparato de golgi, mitocondrias etc
  • 371.
    OSTEOBLASTOS • Contienen laenzima fosfatasa alcalina que degrada los inhibidores de la calcificación • Su función es de producir la matriz ósea (osteoide- no calcificada) y permitir la consiguiente calcificación
  • 373.
    OSTEOCITOS • Cuando elosteoblasto se queda atrapado en la matriz (dura), ya no se divide ni secreta matriz • Su citoplasma ligeramente basófilo, poco RER etc, con gotas de grasa y poco glucogeno • El núcleo con su cromatina nuclear condensada
  • 374.
    OSTEOCITOS • Se encuentracada osteocito en una laguna pero no aislado, como el cartílago, ya que sus prolongaciones se comunican. • En el tejido óseo completamente maduro se pierden las prolongaciones pero persisten los conductos a través de los cuales se comunican las células para su metabolismo.
  • 376.
    OSTEOCLASTOS • Células grandes,multinucleadas, tipo macrófagos • Se fijan a las superficies de la matriz ósea y lo corroen • Tienen borde irregular rizado (facilita la resorción ósea) • El citoplasma es ligeramente basófilo, espumoso, con gránulos de colagenasa
  • 377.
  • 378.
    OSTEOCLASTOS • Su funciónes de erosión del tejido óseo por acción de la colagenasa y otras enzimas proteolíticas • Cuando se termina la resorción ósea parece que los osteoclastos se degeneran o regresan a su forma anterior
  • 379.
    MATRIZ OSEA • Susdos componentes son: *la matriz orgánica *las sales inorgánicas • La matriz se dispone en capas o laminillas • Las fibras se disponen de manera radiada
  • 380.
  • 383.
    PORCIÓN ORGÁNICA • Esel 35% • Fibras osteocolagenas (tipo I) dispuestas en haces unidas por glucosaminoglucanos • Sustancia fundamental con: *sialoproteinas *fosfoproteinas *proteínas ácidas *condroitinsulfato (poco)
  • 384.
    PORCIÓN INORGÁNICA • Seencuentra en el cemento entre las fibras • Son cristales óseos como el fosfato de calcio- hidroxiapatita • Los cristales pueden contener *carbonato *citrato *Na y Mg *oligoelementos
  • 385.
  • 389.
    ARQUITECTURA DEL HUESO COMPACTO Sistemade Havers u Osteonas 1. Matriz Ósea: dispuesta como laminillas concéntricas (5-20 laminillas de matriz ósea) 2. Conductos vasculares: (conductos de Havers) pasan vasos sanguíneos y nervios 3. Ramificaciones de conductos vasculares: (conductos de Volkman) comunican con medula ósea y periostio 4. Osteocitos
  • 393.
  • 394.
    ARQUITECTURA H. COMPACTO •Los vasos sanguíneos del sistema siguen un trayecto recto longitudinal • Se comunican con los vasos sanguíneos de la cavidad medular • También con los vasos del periostio • Esto logran mediante ramas colaterales los conductos de Volkman o conductos nutricios (siguen un trayecto perpendicular a los c. de Havers)
  • 398.
  • 399.
    ARQITECTURA H. COMPACTO •Entre los sistemas de Havers se encuentran las laminillas intersticiales • Son de disposición angular, de diferentes tamaños y formas • Corresponden a los vestigios de los S. de Havers destruidos durante la remodelación interna del hueso
  • 400.
  • 402.
    ARQITECTURA H. COMPACTO •Además de las fibras osteocolagenas de las laminillas existen haces gruesas de fibras colágenas llamadas fibras de Sharpey • Se originan del periostio y terminan entre los sistemas de Havers y laminillas intersticiales • Sirven para fijar el periostio al hueso
  • 404.
  • 405.
    ARQUITECTURA DEL HUESO ESPONJOSO •Las trabeculas carecen de sistemas de laminillas • Estas no son penetradas por los vasos sanguíneos • Son mas bien rodeadas por espacios medulares vasculares
  • 408.
    ARQUITECTURA H. ESPONJOSO •Las laminillas del hueso esponjoso contienen lagunas con osteocitos • También un sistema de conductillos intercomunicantes
  • 409.
  • 410.
  • 411.
    DESARROLLO Y CRECIMIENTO DELHUESO Cuatro factores de consideración: 1. Sistema de conductillos óseos 2. La vascularizacion ósea 3. El crecimiento óseo 4. La arquitectura ósea
  • 412.
    SISTEMA DE CONDUCTILLOS •En las superficies óseas los conductillos se abren en los espacios tisulares permitiendo el paso del líquido tisular por los conductillos • Así los osteocitos son capaces de intercambiar sustancias con la sangre por difusión a través del liquido tisular dentro de los conductillos
  • 414.
    VASCULARIZACIÓN DEL HUESO •Los vasos sanguíneos pasan a través de los sistemas de conductos • Las células óseas reciben abundante riego sanguíneo de los vasos medulares (al endostio) y los vasos periosticos • Estos vasos se ramifican en arteriolas que llegan a los conductos vasculares y nutricios
  • 416.
    CRECIMIENTO ÓSEO • Exclusivamentese da por aposición • Se debe a los depósitos de sales inorgánicas en la matriz que evitan la expansión en el interior
  • 417.
    ARQUITECTURA OSEA • Noes estática • Se moldea y recupera su forma de manera constante para adaptarse a cambios ocasionados por: *fuerzas externas *envejecimiento *desequilibrios hormonales • Es decir existe un proceso continuo de reconstrucción ósea
  • 419.
  • 420.
    OSIFICACIÓN Dos tipos, segúnla manera de desarrollo del hueso y su origen embrionario • O. Intramembranosa- tejido óseo de origen directo del mesenquima • O. Endocondral- tejido óseo de origen del tejido cartilaginoso
  • 423.
    OSIFICACIÓN INTRAMEMBRANOSA • Las célulasdel mesenquima se agrupan en cúmulos alargados • Se unen entre si por sus prolongaciones y se diferencian en osteoblastos • Primero se forma la matriz orgánica: las fibrillas colágenas se hinchan, se encuentran rodeadas por sustancia fundamental, esta matriz aun sin calcificarse se conoce como osteoide • Posteriormente se forma la matriz inorgánica: los osteoblastos depositan sales inorgánicas entre las fibras colágenas
  • 427.
    O. INTRAMEMBRANOSA • Laosificación inicial se observa como la formación de espículas óseas en el tejido conectivo • Se depositan capas sucesivas de matriz ósea por aposición • Parte del hueso esponjoso es remplazado por hueso compacto formando las tablas interna y externa • El tejido conectivo entre las trabeculas se transforma en tejido mieloide • El tejido conectivo que no se osifica da origen al periostio y endostio
  • 428.
    O. INTRAMEMBRANOSA Los ejemplostípicos de esta: • h. frontal • h. parietal • h. occipital
  • 429.
    OSIFICACIÓN ENDOCONDRAL • Seinicia con la transformación del pericondrio en periostio con acumulación de osteoblastos • Así el cartílago de la diafisis queda rodeado por un anillo o collar óseo periostico de h. compacto que crece longitudinalmente en ambas direcciones
  • 431.
    OSIFICACIÓN ENDOCONDRAL • Enel centro de la diafisis, las células cartilaginosas se hipertrofian. • Se forma el botón periostico, • Se origina un conducto a través del collar óseo y su cartílago, por destrucción de las lagunas- forman los espacios medulares.
  • 435.
    O. ENDOCONDRAL • Lososteoblastos se disponen a lo largo del tejido cartilaginoso y depositan hueso- estos son los puntos de osificación • Este proceso de erosión se da en ambas direcciones junto con la extensión del collar óseo • El collar se hace mas grueso y se ensancha en las epífisis • Con la calcificación del cartílago se forman otros espacios medulares que al unirse forman la cavidad medular
  • 437.
    O. ENDOCONDRAL Se puedendistinguir 7 zonas del proceso de osificación endocondral • zona de reposo o reserva • zona de proliferación • zona de maduración • zona de calcificación • zona de regresión • zona de osificación • zona de resorción
  • 438.
  • 439.
  • 440.
  • 441.
  • 442.
  • 443.
    O. ENDOCONDRAL • Lasepífisis mantiene su estado cartilaginoso hasta el nacimiento cuando se forman los puntos secundarios de osificación (crecimiento óseo en todas direcciones) • Se conserva el cartílago articular y el disco epifisiario (de crecimiento)
  • 447.
    O. ENDOCONDRAL El crecimientolongitudinal del hueso se asegura por: • La formación de columnas cartilaginosas • Calcificación de este cartílago • Deposito continuo de hueso *la proliferación de cartílago y su remplazo por hueso se da casi de manera simultanea hasta la osificación epifisiaria
  • 449.
  • 450.
    REMODELACIÓN OSEA • Esel resultado de la resorción en ciertas áreas y el deposito de hueso nuevo en otras • La resorción dada por acción de los osteoclastos • En el h. compacto se destruyen los sistemas de Havers primarios • El resultado de la remodelación es una masa de hueso formado por s. de Havers secundarios y terciarios, mas laminillas intersticiales
  • 451.
    Osteoclasto (H&E). Célula multinucleadaencargada de la resorción ósea. En la imagen observamos al osteoclasto actuando sobre la matriz ósea adyacente
  • 452.
  • 453.
    Grupo de osteoclastosreabsorbiendo hueso. Obsérvese, la multinucleación de estas células y el aspecto ondulado que, por acción de los osteoclastos, adquiere la superficie ósea adyacente (Tricrómico de Goldner x 500).
  • 454.
    REPARACIÓN DEL HUESO 1.Hemorragia por rotura de los vasos sanguíneos 2. Formación del coagulo 3. Migración de fibroblastos y capilares al coagulo 4. Formación de tejido de Granulación- procallo 5. El procallo se transforma en cartílago- callo 6. Del endostio y periostio los osteoblastos forman h. esponjoso que remplaza al callo 7. Resorción del h. esponjoso- remodelación
  • 455.
  • 456.
    TEJIDO MUSCULAR Consta detres elementos básicos: • Fibras musculares- son las células musculares alargadas, fusiformes, cilíndricas (por esto se llaman fibras) • Red de capilares- abundantes proporcionan o2 y sustancias nutritivas, y de desecho • Tejido conectivo de sostén- areolar laxo con fibroblastos, fibras colágenas y elásticas, vasos sanguíneos y nervios
  • 460.
    NOMENCLATURA PROPIA • protoplasma-sarcoplasma •mitocondrias- sarcosomas • REL- retículo sarcoplasmico • plasmalema-sarcolema • célula muscular- míofibrilla • filamentos- míofilamentos • sarcomera: es la unidad contráctil lineal, comprende un segmento de una míofibrilla, producida por la disposición especifica de los míofilamentos en esta míofibrilla
  • 461.
    TIPOS DE TEJIDOMUSCULAR • M. estriado voluntario o esquelético: insertado en huesos, aponeurosis • M. estriado involuntario o cardiaco: forma paredes de corazón y vasos principales • M. liso involuntario: en paredes de vísceras huecas y en la mayor parte de los vasos sanguíneas
  • 465.
  • 466.
    MÚSCULO ESQUELETICO • Enestado fresco de color rosa por su propio pigmento y abundante vascularizacion • Sus capilares dispuestos paralelamente a las fibras musculares, con anastomosis transversales • Recibe abundante innervación
  • 468.
    M. ESQUELÉTICO • Lasfibras musculares largas se disponen en haces y fascículos *la potencia de un músculo no depende de su longitud sino del numero total de fibras musculares (células) • El aspecto de estas células es de un citoplasma estriado, con varios núcleos en la periferia
  • 474.
    EL TEJIDO CONECTIVO DELM. ESQUELETICO • Endomisio- tejido conectivo fino se encuentra rodeando las fibras musculares individuales • Perimisio- rodea las fibras musculares reunidas en haces • Epimisio- una vaina blanca gruesa que rodea los haces reunidas en fascículo
  • 477.
    MIOFIBRILLA • Al microscopioóptico la fibra muscular en un corte longitudinal muestra bandas alternas oscuras y claras (por la disposición de míofilamentos) • La sarcomera es la unidad contráctil compuesto por: dos ½ bandas I dos líneas Z una banda A una banda H una línea M
  • 482.
    MÍOFILAMENTOS • De miosina:gruesos, ocupan la banda A • De actina: delgados, ocupan la banda I, y parte de la banda A en su parte periférica (se interdigitan con filamentos de miosina) • La banda H: es la parte central de la banda A donde no hay filamentos delgados (este varia con la contracción) • La línea M: la unión de los filamentos de miosina por fibras radiales (para mantener un espaciamiento regular entre filamentos • La línea Z: la unión de filamentos de actina
  • 483.
  • 485.
    SISTEMA DE MEMBRANAS •Sarcoplasma- cubre por fuera la míofibrilla • Retículo sarcoplasmico- sistema membranoso intracelular
  • 486.
    SISTEMAS DE MEMBRANAS •Dentro de la fibra muscular hay un sistema extenso de REL el – reticulo sarcoplasmico • Es un sistema continuo de túbulos y cisternas alrededor de cada míofibrilla • Los túbulos son longitudinales con abundantes conexiones transversales en la región de la banda h
  • 487.
    SISTEMA DE MEMBRANAS •En las uniones A-I hay túbulos delgados llamados túbulo T estos se comunican con conductos mayores que son las cisternas terminales • Estas cisternas se ubican a cada lado del túbulo T, un par en cada unión A-I • Las dos cisternas mas el túbulo T forman la triada (hay 2 triadas en cada sarcomera)
  • 489.
    SISTEMA DE MEMBRANAS •Función: una rápida propagación de excitación y despolarización de la membrana de superficie en toda la míofibrlla • Túbulos T: liberación de iones de Ca para desencadenar la contracción de las míofibrillas (gracias al ATP mitocondrial) al terminarse la contracción el Ca regresan al retículo sarcoplasmico donde es almacenado
  • 503.
  • 504.
    MUSCULO CARDIACO ◼ Esestriado, involuntario ◼ Se contrae de manera rítmica y automática ◼ Forma el miocardio, y las paredes de los vasos principales unidos al corazón
  • 506.
    MUSCULO CARDIACO Cada célula: ◼Tiene un solo núcleo, alargado, central, inmerso en el citoplasma con abundantes sarcosomas ◼ Los míofibrillas dispuestos longitudinalmente separados por abundante sarcoplasma lo que le da el aspecto estriado ◼ Existen bandas A, I, H, líneas Z, M pero no de manera completa ◼ A menudo las células se dividen en uno o ambos extremos y se unen a una célula vecina por los discos intercalados.
  • 510.
    MUSCULO CARDIACO Cada fibramuscular: ◼ Compuesta por varias células musculares unidas por los discos intercalados ◼ Las discos intercalados son zonas de adherencia celular que cruzan las fibras en las líneas Z con un trayecto en zig-zag ◼ Entre las fibras existe tejido conectivo fino endomisio por donde pasan vasos sanguineos, linfaticos y nervios
  • 514.
    ESTRUCTURA FINA DEL MUSCULOCARDIACO ◼ Míofilamentos iguales que del M. Esquelético pero se agrupan de manera incompleta (alrededor del núcleo, y por las ramificaciones y discos intercalares) ◼ Túbulos T diámetro mayor localizados en línea Z ◼ Retículo sarcoplasmico alrededor de los túbulos T, sin cisternas terminales ◼ Existen discos intercalados en las líneas Z
  • 517.
    MUSCULO CARDIACO Contracción muscular: ◼Son contracciones espontáneas ◼ Mecanismo igual que el del M. Esquelético Regeneracion: ◼ Se repara por tejido fibroconectivo cicatrizal
  • 519.
  • 520.
    MUSCULO LISO ◼ Notiene estrías transversales, es involuntario ◼ Se encuentra en: *vísceras huecas *aparato respiratorio *aparato urinario *aparato genital *vasos sanguíneos, y linfáticos *dermis *iris y cuerpo ciliar del ojo
  • 523.
    ORGANIZACIÓN DEL MUSCULO LISO ◼Células aisladas o en pequeños grupos y muy unidas ◼ Se disponen en capas de manera paralelas y en capas (puede ser una longitudinal otra circunferencial) o de manera entrelazadas ◼ Entre las células fibras reticulares y elásticas finas (producidas por las mismas células musculares)
  • 526.
    MUSCULO LISO La célula ◼Alargada, fusiforme, tamaño variable ◼ Sarcoplasma acidófilo ◼ Núcleo alargado, central ◼ Tiene míofilamentos pero estos no tienen disposición especifica ◼ Pueden verse estriaciones longitudinales pero no transversales
  • 529.
    ESTRUCTURA FINA DEL MUSCULOLISO ◼ Sarcosomas alrededor del núcleo, RER, ribosomas, Apto. de Golgi, gotas de lípido y glucogeno ◼ Los míofilamentos principalmente delgados pocos gruesos, con disposición longitudinal ◼ No hay triadas ◼ Si hay retículo sarcoplasmico mas vesículas pinocitoticas (estas se encargan de liberar el Ca para la contracción)
  • 532.
    MUSCULO LISO Contracción: ◼ Launidad contráctil es la célula, no existe sarcomera ◼ El mecanismo parece ser dado por el deslizamiento de los míofilamentos para el acortamiento de la célula
  • 556.
  • 557.
    TEJIDO NERVIOSO • Estetejido constituye el sistema de comunicación del cuerpo • Recibe los estímulos • Transforma estos en estímulos electrónicos • luego envía estos a una gran zona organizada de recepción y correlación (el SNC) • En el SNC se interpreta y se elaboran las respuestas adecuadas
  • 558.
    TEJIDO NERVIOSO • Lasfunciones del tejido nervioso se llevan a cabo por sus células especializadas- las neuronas • Son células que tienen muy desarrolladas dos propiedades la irritabilidad, y conductividad
  • 560.
  • 561.
    DIVISION ANATOMICA DELSISTEMA NERVIOSO SNC • Encéfalo (en el cráneo) médula espinal ( en el conducto raquídeo) • Sus células de sostén son las células de neuroglia • Funciona como un centro integrador, recibiendo estímulos *exteroceptivos: origen del exterior del cuerpo *interoceptivos: origen de órganos internos *propioceptivos: de las articulaciones, músculos, y tendones • aquí se encuentran la mayor parte de los cuerpos neuronales • se pueden ver prolongaciones o estas pueden extenderse fuera o estar fuera del SNC
  • 562.
    DIVISION ANATOMICA DEL SISTEMANERVIOSO SNP • incluye el resto del sistema nervioso • sus celulas de sosten son las celulas de schwann y las celulas satelite • este funciona conectando los demas tejidos y organos con el snc
  • 563.
    DIVISION FUNCIONAL DELSISTEMA NERVIOSO SN SOMÁTICO: Se relaciona con la elaboración de respuestas motoras adecuadas que son voluntarias (bajo control de la mente AUTÓNOMO: auto= propio, nomos= control Este regula las respuestas que están fuera de control de la mente incluye- inervación de glándulas exocrinas - de músculo liso, y cardíaco - y de viseras
  • 564.
    ORGANIZACIÓN DEL TEJIDO NERVIOSO ENEL SNC • Los cuerpos neuronales se encuentran en la sustancia gris • Las prolongaciones y células de sostén se encuentran en la sustancia blanca EN EL SNP • Los cuerpos neuronales se encuentran en cúmulos llamados ganglios neuronales, y también en regiones sensoriales especializadas como la retina, y mucosa olfatoria
  • 565.
  • 566.
    FIBRAS NERVIOSAS YCUERPOS NEURONALES EN EL GANGLIO
  • 567.
    ORGANIZACIÓN DEL TEJIDO NERVIOSO ELSISTEMA NERVIOSO INCLUYE: • Neuronas • Células de sostén • Tejido conectivo (con vasos sanguíneos)
  • 568.
    NEURONA • Soma oPericarión- es el cuerpo neuronal • Fibras Nerviosas- incluyen las prolongaciones citoplásmicas dendritas y axón • Soma y Dendritas- zona principal para la recepción de estímulos • Axón- recepta los impulsos del soma y los conduce a otras células
  • 569.
  • 572.
    SOMA O PERICARIÓN •Citoplasma abundante con mitocondrias pequeñas, gran aparato de Golgi, y RER, lisosomas primarios, y secundarios, con la edad se pueden ver gránulos de lipofucsina, y gránulos de melanina, gotitas de grasa, no glucógeno • Cuerpos de Nissel- son RER y ribosomas se ven en el soma, y las dendritas, no hay en el axón (reaccionan frente a lesiones o estimulo prolongado) • Neurofilamentos- forman el citoesqueleto • Neurotúbulos- parte del citoesqueleto, y participan en el transporte de proteínas y otras sustancias del soma al axón y dendritas
  • 573.
  • 574.
    Fragmento de unpequeño soma neural
  • 575.
  • 577.
    SOMA O PERICARIÓN •El núcleo es grande, con nucléolo prominente (aspecto de ojo de buho) • Función del soma- receptor de estímulos, y también centro trófico (de nutrición)
  • 578.
  • 579.
    DENDRITAS • Prolongaciones citoplásmicasanchas en su base, y se adelgazan en sus ramas terminales • En la mayoría de neuronas son múltiples y cortas • Pueden estar como collar de monedas por sus prolongaciones pequeñas como espinas dendríticas (especializadas para el contacto sináptico) • Función de receptor de estímulos
  • 580.
  • 582.
    AXON • Es unaprolongación cilíndrica recta y única, mas delgada y larga que las dendritas • Se origina del soma neuronal en el cono axónico o en la base de una dendrita principal • Tiene axolema, axoplasma • Puede o no presentar ramificaciones- las telodendritas, pueden tener dilataciones que son los botones terminales • Pueden ser mielinicos (aislados por una vaina de mielina) o amielinicos
  • 583.
  • 584.
    TIPOS DE NEURONAS Estructuralmente •Multipolares: las mas abundantes, tienen un axón y varias dendritas • Bipolares: no muy frecuentes, tienen un axón y una dendrita (ej. en retina, epitelio olfatorio) • Unipolares: muy raras, con una sola prolongación (en embrión, y fotoreceptores del ojo)
  • 585.
  • 587.
  • 589.
    TIPOS DE NEURONAS Funcionalmente •Motoras: controlan los órganos efectores (ej. musculo, glándulas) • Sensitivas: reciben estímulos exteroceptivos, interoceptivos, y propiosecptivos • Internunciales: conectan las dos anteriores para establecer circuitos funcionales complejos o vías nerviosas
  • 590.
    ARCO REFLEJO • Enel hombre la mayoría de acciones incluyen arcos reflejos • Los mas sencillos formados por dos neuronas – una vía bineuronal (ej. reflejo rotuliano) • Las neuronas que participan son la sensitiva- aferente motora- eferente
  • 591.
    neurona aferente su dendritaen el tendón del cuádriceps su cuerpo en un ganglio serca de la medula espinal pasa al axón que esta en la sustancia gris de medula espinal hace sinapsis con el cuerpo de una neurona eferente el axón de esta n. eferente pasa a un nervio periférico que inerva el musculo cuádriceps
  • 592.
    ARCO REFLEJO • Puedeexistir una tercera neurona en algunos reflejos, estas son las neuronas comunicantes o internunciales
  • 593.
    SINAPSIS NEURONAL • quimica:la mas frequente, se transmite un impulso nervioso mediante una sustancia neurotrasmisora • electrica: la transmision se da de manera directa de una neurona a otra por una union de baja resistencia, es rara
  • 594.
  • 595.
  • 596.
    ELEMENTOS SINAPTICOS elemento presinaptico: •o boton presinaptico • aqi exsiten vesiculas sinapticas con sustancia neurotrasmisora • hay mitocondrias, rel, neurotubulos, neurofilamentos
  • 598.
    ELEMENTOS SINAPTICOS hendidura sinaptica: •un espacio estrecho extracelular que separa las dos neuronas • ubicada entre 2 membranas pre y post sinaptica • se encuentra cruzada por filamentos finos que conectan las dos membranas
  • 600.
    ELEMENTOS SINAPTICOS elemento postsinaptico: •generalmente es una dendrita, pero puede tambien ser el soma y a veces un axon
  • 602.
    SINAPSIS QUIMICA • llegaun estimulo al axon (como potencial de accion) • se despolariza la membrana, y entra ca+ • las vesiculas se aproximan a la membrana presinaptica • se fusionan con esta membrana, y liberan su neurotrasmisor a la hendidura sinaptica
  • 603.
  • 604.
    SINAPSIS QUIMICA • Elneurotransmisor cruza la hendidura y se pega a los receptores de la membrana postsinaptica • Se abren los canales y se inicia la despolarización de la membrana postsinaptica.
  • 605.
  • 606.
  • 608.
  • 609.
  • 610.
  • 611.
    NERVIO PERIFERICO. CUBIERTODE TEJIDO CONECTIVO DEL NERVIO
  • 612.
    ULTRA ESTRUCTURA DELA VAINA DE MIELINA
  • 613.
    FORMACION DE LAVAINA DE MIELINA (C. SCHWANN)
  • 614.
  • 615.
    SANGRE • Se formaen los espacios vasculares del tejido mesenquimal • Es un tejido circulante que integra una región del cuerpo con otro y actúa como un medio de transporte para sustancias metabólicas • El volumen sanguíneo en el adulto es de 5 lt y es un 8% del peso corporal
  • 616.
    SANGRE Consta de: • Elementosformes de la sangre o células *GR o eritrocitos *GB o leucocitos *Plaquetas o trombocitos • Sustancia intercelular liquida o plasma sanguíneo
  • 617.
    ERITROCITOS • Son célulasdiscoides, aplanadas, y bicóncavas • No tienen núcleo (se les llama también corpúsculos) • En frotis delgado de sangre fresca se ven de color amarillo verdoso pálido, al agruparse se ven mas de color rojizo • Son muy elásticas pueden sufrir distorsión considerable (así pasar por vasos muy pequeños)
  • 619.
    ERITROCITOS • Son lascélulas mas abundantes en sangre 4.5 – 5 millones/mm3 • 1% de los GR en sangre periférica son inmaduros, llamados reticulocitos, (debido a la velocidad de sustitución GR/ día en medula ósea) • Tienen tendencia a adherirse entre si por su superficie cóncava formando columnas o hileras – formación de pilas (se ve en sangre extraída) • Su aumento- eritrocitosis • Disminución- anemia
  • 621.
    ERITROCITOS • Contienen Hb,que es una proteína transportadora de O2, y es la que determina su color y en parte su forma • La Hb se combina de la siguiente manera: *Hb + o2 oxi-Hb reversible *Hb + co2 carbamino-Hb no reversible • Su Función es de llevar O2 de los pulmones a los tejidos y CO2 en dirección contraria
  • 623.
    LEUCOCITOS • No presentanuna forma constante por su movimiento ameboide • Son capaces de separar las células endoteliales de los vasos para atravesarlos • Su función en general es de defensa • En sangre periférica de 5 000 a 10 000 /mm3 • Su aumento- leucocitosis • Su disminución- leucopenia
  • 624.
    CLASIFICACIÓN DE LOS LEUCOCITOS •L. AGRANULOSOS- LINFOCITOS MONOCITOS • L. GRANULOSOS- NEUTROFILOS BASOFILOS EOSINOFILOS
  • 625.
    LINFOCITOS • Células esféricas,pequeñas, con núcleo esférico grande, puede presentar una muesca • Citoplasma basófilo por los ribosomas • Son de dos tipos, T y B (los b se transforman en c. plasmáticas) • En sangre periférica 20 - 35 % de leucos. totales
  • 628.
    MONOCITOS • Células masgrandes, núcleo excéntrico ovoide o reniforme • Citoplasma mayor al de los linfocitos con punteado asurófilo (por lisosomas primarios) en la superficie microvellosidades y vesículas pinocitoticas • Tienen seudópodos para su transporte • Al llegar al tejido conectivo se transforman en macrófagos • En sangre periférica de 3 - 8%
  • 632.
    LEUCOCITOS GRANULOSOS • Todosposeen gránulos • Todos presentan núcleos con 2 o mas lobulaciones • Se llaman también polimorfonucleares
  • 633.
    NEUTROFILOS • Las célulasmas abundantes de los leucocitos 65 - 75% • Son grandes con gran actividad ameboide y fagocitaría • Núcleo presenta de 3-5 lobulaciones • El citoplasma contiene gránulos finos que se tiñen de color púrpura azulado
  • 635.
    NEUTROFILOS Los gránulos puedenser: *Específicos- cilíndricos o esféricos con enzimas (fosfatasa alcalina, colagenasa, lactoferrina, lisozima) *Asurófilos- son lisosomas primarios con enzimas que son liberadas luego de que fagocitan (fosfatasa ácida, catepsina, elastasa, colagenasa, otras)
  • 637.
    EOSINOFILOS • o acidofilos •Núcleo bilobulado, o con 3 lóbulos , sin nucléolos • Gránulos gruesos acidofilos (son lisosomas primarios llenos de enzimas) • En sangre periférica de 2 - 4% niños 6%
  • 643.
    BASÓFILOS • Tienen movimientolento • Su núcleo es de contorno irregular parcialmente estrechado formando dos lóbulos • Citoplasma con gránulos esféricos, gruesos, basófilos (contienen heparina, histamina, serotonina) no son tipo lisosomas • En el tejido conectivo se llaman células cebadas • En sangre periférica son de 0.5-1 % de leucos total
  • 648.
  • 650.
    PLAQUETAS • Son pequeñosdiscos protoplásmicos, incoloros, y sin núcleo • Son difícil de contar ya que se adhieren en seguida de extraer la sangre • En las tinciones se pueden distinguir dos zonas: 1. Granulómera- zona central, intensamente basófila, con gránulos 2. Hialomera- zona periférica, pálida y homogénea • Los gránulos de dos tipos: 1. G. de centro denso- serotonina, adp, atp, ca+ 2. G. alfa- de tipo lisosomicos, con sustancias relacionadas a la coagulación
  • 651.
    PLAQUETAS • Se originacomo fragmentos citoplásmicos de células gigantes llamadas megacariocitos • Se adhieren a las superficies de zonas dañadas de los vasos sanguíneos produciendo el trombo blanco (cubre la superficie taponando la abertura) • producen la enzima tromboplastina importante para la coagulación TROMBOPLASTINA PROTROMBINA TROMBINA TROMBINA FIBRINOGENO FIBRINA
  • 652.
    PLAQUETAS • En sangreperiférica lo normal 200 000 - 300 000/mm3 • La disminución de lo normal se llama trombocitopenia
  • 672.
  • 673.
    FACULTAD DE MEDICINA UNIDADACADÉMICA DE SALUD Y BIENESTAR www.ucacue.edu.ec
  • 674.
    Ciclo Ovárico ▶︎La mujerpasa por ciclos menstruales regulares, los cuales inician desde la pubertad, y se encuentran bajo el control del hipotálamo, la cual secreta la hormona de gonadotropina(gnrh), la cual actúa a su vez sobre las células del lóbulo anterior (adenohipófisis) de la glándula hipófisis, las cuales segregan gonadotropinas. Estas hormonas junto con la hormona estimulante de los folículos (fsh) y la hormona luteinizante(lh) estimulan y controlan los cambios cíclicos en el ovario.
  • 675.
    Ciclo Ovárico  Alinicio de cada ciclo ovárico, entre 15 y 20 folículos de la fase primaria o preantral, son estimulados para madurar bajo la hormona estimulante de los folículos (FSH) la cual es necesaria para promover folículos primordiales, en la fase de los folículos primarios; cuando no son estimulados estos folículos mueren, y se vuelven atrofiados.  En condiciones normales solo uno de los folículos alcanzan plena madurez y solo uno se libera; el resto se degenera y se atrofian como consecuencia de esto, la mayoría de los folículos se degeneran sin alcanzar su plena madurez, al momento en que un folículo se vuelve atrofiado, el ovocito y las células circundantes se degeneran y son remplazadas por tejido conectivo, lo que da origen a un cuerpo atrésico.
  • 676.
    Ciclo Ovárico  Lahormona estimulante de los folículos(FSH), estimula la maduración de las células foliculares granulosas, que rodean al ovocito, su multiplicación, está medida por el factor 9 de diferenciación de crecimiento el cual cumple el papel de la maduración de las células foliculares, miembro de la familia de transformación del crecimiento B(TGF-B).  Junto a la teca interna (estructura celular que rodea al antro folicular del folículo maduro) y a las células granulosas, producen estrógenos: las células de la teca interna producen androstenediona y testosterona: las células granulosas se convierten ambas en estrona y estradiol 17B; a raíz de esta producción de estrógenos:
  • 677.
    Ciclo Ovárico  Elendometrio uterino entra en la fase folicular o proliferativa.  El modo cervical se adelgaza para que pase el espermatozoide.  El lóbulo anterior de la hipófisis es estimulado para que segregué la hormona LH. A mitad del ciclo ocurre una descarga de LH la cual:  Eleva las concentraciones del factor promotor de maduración, lo que hace que los ovocitos completen la meiosis fase 1 e inicio de la meiosis fase 2.  Estimula la producción de progesterona por las células foliculares del estroma (luteinización).  Produce la rotura folicular y la ovulación.
  • 679.
    Ovulación  En losdías anteriores a la ovulación y con el cambio dado por las hormonas estimuladoras de los folículos (FSH) y luteinizante (LH); los folículos se desarrollan rápido y alcanzan un diámetro de 25mm, para convertirse en un folículo vesicular maduro (de Graaf).  En el desarrollo final de este folículo existe un aumento abrupto de la hormona luteinizante (LH), que hace que el ovocito primario alcance la miosis 1 y que el folículo, entre en la fase preovulatorio del folículo vesicular maduro, también entre en la meiosis fase 2; solo que el ovocito se detiene en la metafase, unas 3 horas antes de la ovulación.
  • 680.
    Ovulación  Mientras tantoen la superficie del ovario, comienza a crecer un bulto y aparece en el ápice, una mancha avascular: el estigma (orificio que se genera en la capa fibrosa del ovario), con una alta concentración de LH, aumenta la actividad de la colagenasa que termina con la digestión de las fibras colágenas que cubren al folículo, los niveles de prostaglandina se eleva en respuesta de a la descarga de LH, lo que provoca contracciones en el ovario, estos a su vez empujan al ovocito hasta quedar libre (ovulación), junto con las células granulosas de la región del cumulo ovóforo y sale flotando del ovario.
  • 681.
    Ovulación  Una delas células del cúmulo se reorganizará después contorneando la zona pelúcida para constituir la corona radiada.
  • 682.
    Cuerpo Lúteo  Posteriora la ovulación, los vasos sanguíneos, vascularizan las células granulosas que permanecen en la pared del folículo roto, junto con las procedentes de la teca interna.  Bajo el cambio de la hormona luteinizante (LH), las células producen un pigmento amarillento, y se transforman en células lúteas, que dan lugar al cuerpo lúteo y segregan estrógenos como progesterona, estos hacen que la mucosa uterina entre en fase progestional o secretoria es decir en preparación para la implantación del embrión.
  • 683.
    Cuerpo Albicans Al noproducirse la fecundación ➢ El cuerpo lúteo alcanza su desarrollo completo a los 9 días. ➢ Se reconoce como una proteccion amarillenta sobre la superficie del ovario. ➢ Luego se contrae a causa de la degeneracion de las células a este proceso se le llama luteólisis. ➢ Simultáneamente, desminuye la fabricación de progesterona, lo que causa la mestruacion.
  • 684.
     La degradacióndel cuerpo lúteo es impedida por la hormona gonadotropina coriónica humana, esta hormona es segregada por el sincitiotrofoblasto del embrión en desarrollo.  El cuerpo lúteo sigue creciendo y forma el cuerpo lúteo del embarazo.  Al concluir el tercer mes, esta estructura puede formar un tercio o una mitad del tamaño del ovario.  Las células lúteas continuan secretando progesterona hasta la conclusión del cuarto mes.  Luego regresan lentamente conforme la secreción de progesterona, por el componente trofoblástico de la placenta va siendo adecuada para mantener el embarazo.  La eliminación del cuarto mes suele provocar el aborto.
  • 686.
    Fecundación  Es unproceso en el cual se fusionan los gametos masculinos y femeninos.  Se da en la región ampular de la trompa de falopio, esta parte es la mas ancha de la trompa y esta cerca del ovario.  Los espermatozoides pueden permanecer vivos varios días en el aparato reproductor femenino.  Solo el 1% de los espermatozides depositados en la vagina entran al cuello uterino, donde pueden sobrevivir varias horas.  El movimiento de los espermatozoides se efectúa por contracciones del utero, de la trompa y muy poco por su propia propulsión.
  • 687.
     El viajedesde el cuello uterino hasta el oviducto puede durar de 30 minutos o hasta 6 días, los espermatozoides cuando llegan al itsmo pierden motilidad y terminan su migración.  Durante la ovulación los espermatozoides recobran su motilidad y nadan hacia la ampolla donde suele ocurrir la fecundación.  Los espermatozoides no pueden fecundar al ovocito inmediatamente después de llegar al aparato genital femenino donde experimenta: 1. Captación. 2. Reacción Acrosómica.
  • 688.
    Captación  Es unperiodo de acoplamiento del tracto reproductor de la mujer dura alrededor de 7 horas.  Acortar el tiempo en la ampolla no ofrece ninguna ventaja, porque todavía no se puede efectúa la captación y los espermatozoides no pueden fecundar al ovocito.  Gran parte de esta etapa durante la capacitación se lleva a cabo en la trompa de falopio; en ella se dan interacciones epiteliales entre los espermatozoides y la superficie mucosa de la trompa.  Únicamente los espermatozoides capacitados pueden cruzar las células de la corona y experimentar la reacción acrosómica.
  • 689.
    Reacción Acrosómica  Tienelugar tras la unión con la zona pelúcida. La reacción culmina en la liberación de las enzimas necesarias para penetrar la zona pelúcida.  Esta reaccion tiene 2 fases: - Fase 1: penetración de la corona radiada. - Fase 2: penetración de la zona pelúcida. - Fase 3: fusión entre las membranas celulares del ovocito y del espermatozoide.
  • 690.
    Fase1: penetración dela corona radiada  Aproximadamente de 200 a 300 millones de espermatozoides que se insertan en el aparato reproductor femenino, solo entre 300 y 500 llegan donde se produce la fecundación y solo uno de fencundará al ovocito.  Se cree que los demás ayudaran al espermatozoide fecundador a penetrar la barrera que protege al gameto femenino.  El espermatozoide con mejor condición es el que entrará al ovulo.
  • 691.
    Fase 2: penetraciónde la zona pelúcida  La zona es una cubierta de glucoproteínas que rodean al ovocito para ayudar y mantener la unión del espermatozoide e inducir la reacción acrosómica.  La liberación de las enzimas acrosómica permite a los espermatozoides penetrar en la zona, entra en contacto con la membrana plásmatica del ovocito.  La permeabilidad de la zona pelúcida cambia cuando la cabeza del espermatozoide hace contacto con la superficie del ovocito.
  • 692.
     Con elcontacto se liberan enzimas lisosómicas en los gránulos corticales que revisten la membrana plasmática de ovocito, sucesivamente estas enzimas cambian las propiedades de la zona pelúcida, a esto se le llama reacción de zona, para evitar la penetración de otros espermatozoides.  Se han descubierto otros espermatozoides sumergidos en la zona pelúcida, pero al parecer únicamente uno es capaz de penetrar el ovocito.
  • 693.
    Fase 3: fusiónentre las membranas celulares del ovocito y del espermatozoide  La adherencia inicial del espermatozoide al ovocito, es facilitada debido a la interacción de integrinas en el ovocito y sus ligandos, y también de desintegrinas en los espermatozoide.  Se fusionan las membranas plasmáticas del espermatozoide y del ovocito.  La fusión se efectúa entre la membrana que recubre la región posterior de la cabeza del espermatozoide y la del ovocito.
  • 695.
    Respuesta del ovocitoa la entrada del espermatozoide. 1. Reacciones corticales y de zona. 2. Reanudación de la segunda división meiótica. 3. Activación metabólica del ovocito.
  • 697.
    1. Reacciones corticalesy de zona.  Después de la liberación de los gránulos corticales del ovocito integrados por enzimas lisosómicas: 1: La membrana del ovocito se convierte en impenetrable hacia otros espermatozoides. 2: La zona pelúcida cambia su estructura, así como también su composición para impedir la unión y penetración de otros espermatozoides. Estas reacciones impiden la poliespermia (ingreso de más de un esper- matozoide en el ovocito).
  • 698.
    2. Reanudación dela segunda división meiótica.  El ovocito al concluir la segunda división meiótica inmediatamente después que entra el espermatozoide. Se conoce con el nombre de segundo corpúsculo polar a una de las células hijas, que recibe muy poco citoplasma; la otra es el ovocito definitivo. Sus cromosomas se disponen en un núcleo vesicular llamado pronúcleo femenino.
  • 699.
    3. Activación metabólicadel ovocito.  El espermatozoide avanza hasta que se halla cerca del pronúcleo femenino.  Este se dilata y da origen al pronúcleo masculino; la cola se separa y degrada.  Desde el punto de vista morfológico, los pronúcleos masculinos y femeninos son indistinguibles.  Con el tiempo entran en contacto estrecho y pierden sus envoltorios nucleares.
  • 701.
     Durante elcrecimiento de los dos pronúcleos (haploides), cada uno debe replicar su ADN.  Inmediatamente después de sintetizar el ADN, los cromosomas se organizan en el huso preparándose para una división mitótica normal.  Los 23 cromosomas maternos y los 23 paternos, se dividen en forma longitudinal en el centrómero.  Las cromátidas hermanas se dirigen a polos opuestos proporcionando a cada célula del cigoto un número diploide normal de cromosomas y de ADN.
  • 703.
    Los objetivos principalesde la fecundación:  Restablecimiento del número diploide de cromosomas.  Determinación del sexo del nuevo individuo.  Inicio de la segmentación.
  • 704.
    Segmentación  Ocurre unasucesión de divisiones mitóticas que provocan el aumento de número de células, al llegar el cigoto a la fase bicelular.  Estas células con cada sucesión se vuelven mas pequeñas, esto se conoce como blastómeros.  Cuando está en la fase de ocho células, estas forman un grupo laxo, pero después de una tercera segmentación se compactan entre sí a través de uniones ocluyentes, este proceso toma el nombre de compactación.
  • 705.
     A travésde la compactación se dividen las células internas de las células externas, que se mantienen unidas a través de uniones GAP.  Al tercer día posterior a la fecundación las células que se encuentran compactas se vuleven a dividir para formar una mórula, integrado por 16 células.
  • 706.
     Las célulasque se encuentran en la estructura interna componen la masa celular celular interna, que esta a su vez dará origen a los tejidos del embrión.  Las células circundantes constituyen las masa celular externa y dará origen al trofoblasto, que este a su vez formará la placenta.
  • 707.
    Formación del blastocito Con la ayuda de la zona pelúcida, la mórula entra en la cavidad uterina.  Empieza a ingresar un líquido entre los espacios intercelulares de la masa celular interna.  Con el ingreso los espacios intercelulares convergen y se origina una cavidad denominada blastocele. Se denomina el embrión como blastocito.
  • 708.
     Las célulasde la masa interna se denominan en esta etapa embrioblasto, estas se sitúan en un polo, mientras que las células de la masa externa denominado trofoblasto parecen planas para dar origen a la pared epitelial del blastocito.  La implantación comienza cuando desaparece la zona pelúcida, alrededor del sexto día las células trofoblásticas que se ubican en el polo embrionario comienzan a ingresar entre las células epiteliales de la mucosa uterina.
  • 709.
     Las célulastrofoblásticas contienen L-selectina (conocida también como CD62L o SELL) es una molécula de adhesión celular (MAC) y junto con los receptores de carbohidratos del epitelio uterino colaboran para la adherencia incial del blastócito al endometrio.  Los receptores de integrina usa la laminina que induce la adherencia, en tanto que la fibronectina estimula la migración.
  • 710.
     La implantaciónes gracias al trabajo conjunto del trofoblasto y el endometrio, que sucede al final de la primera semana del cigoto en desarrollo.  Al cabo del desarrollo en la primera semana, el cigoto transcurrió por las etapas de mórula y de blastocito. Tambien se inició la implantación en la mucosa uterina.
  • 711.
    El útero enel momento de la implantación. La pared uterina está compuesta en tres capas:  Endometrio: es una mucosa que cubre la pared interna.  Miometrio o miocito uterino: capa intermedia gruesa de tejido muscular liso. Situada entre el perimetrio y el endometrio.  Perimetrio: capa peritoneal que recubre la pared externa.
  • 712.
    - Endometrio: esuna mucosa que cubre la pared interna. Esta capa experimenta cambios desde la menarquía hasta la menopausia, se pueden distinguir tres capas en el endometrio: - Una capa compacta superficial. - Una capa esponjosa intermedia. - Una capa basal delgada.
  • 713.
     En eltranscurso del ciclo menstrual el endometrio pasa por tres procesos: - Fase proliferactiva. - Fase secretora o progestional. - Fase menstrual.
  • 714.
     Fase proliferactiva. Ocurreal final del ciclo menstruación, permanece bajo la influencia de la hormona estrógeno, en donde también está a la par con el crecimiento de los folículos ováricos. El endometrio aumenta de espesor, debido al creciente número de células estromales y al crecimiento progresivo de las glándulas endometriales.
  • 715.
     Fase secretorao progestional. Incia a los días 2 0 3 después de la ovulación, esto es en respuesta porque el cuerpo lúteo produce progesterona y en menor concentración los estrógenos. Los estrógenos sólo producen una ligera proliferación celular adicional del endometrio, en tanto que la progesterona actúa sobre células secretoras del endometrio que acumulan elementos nutritivos.
  • 716.
     Fase menstrual. Seproduce el desprendimiento del endometrio, al no producirse la fecundación. El ovocito, las vénulas y los espacios sinusoidales se compactan poco a poco con las células sanguíneas, lo cual se manifiesta una diapédesis de la sangre en el tejido. La sangre sale de de las arterias, se rompen en fragmentos los estromas y las glándulas. Los días posteriores aproximadamente tres o cuatro días, tanto las capas compacta y esponjosa se expulsan del útero, conservándose solamente la capa basal del endometrio.
  • 719.
    A: Fase proliferactivadel ciclo. B: Fase secretora del ciclo. C: Fase menstrual del ciclo.
  • 720.
     La capabasal tiene irrigación a través de las arterias basales, la cual funciona como una capa regenerativa para la reconstrucción de las glándulas y arterias, ocurre durante la fase proliferactiva.
  • 721.
     En cambio,si ocurre la fecundación, el endometrio interviene en la función de implantación y formación de la placenta, que esta a su vez en el embarazo produce hormonas.  En el proceso de implantación la mucosa del útero está en fase secretora por lo tanto las arterias como las glándulas se enrollan y el tejido está muy nutrido.  La implantación del blastocito sucede en el endometrio, a nivel de la pared anterior o posterior del cuerpo del útero, entre las aberturas de las glándulas.
  • 722.
  • 723.
    Infertilidad  La infertilidades un problema que afecta de 15 a 30% de las parejas.  La infertilidad del varón puede deberse a un número insuficiente de espermatozoides y a poca movilidad.  En condiciones normales, el volumen del semen fluctúa entre 2 y 6ml, alcanzando hasta 100 millones de espermatozoides por ml.  Los varones con 20 o 50 millones de espermatozoides por ml del volumen total suelen ser fértiles.  En las mujeres, la infertilidad puede deberse a muchas causas: - Oclusión de las trompas de Falopio (casi siempre provocada por enfermedad inflamatoria pélvica). - Moco cervical hostil, inmunidad a los espermatozoides. - Ausencia de la ovulación.
  • 724.
    Cigotos anómalos  Sedesconoce el número exacto de cigotos anómalos porque por lo normal se pierden entre 2 y 3 semanas después de la fecundación, antes que la mujer descubra que está embarazada.  Por ello es que pasan inadvertidos.  Según los porcentajes, hasta 50% de los embarazos termina en aborto espontáneos y la mitad de ellos provienen de anomalías cromosómicas.  El aborto es un mecanismo natural para eliminar los embriones defectuosos, lo cual reduce la incidencia de malformaciones congénitas.  Sin este mecanismo, aproximadamente 12% en vez de 2% a 3% de los bebés tendría defectos congénitos.
  • 725.
  • 726.
    DÍA OCHO SEGUNDA SEMANADE DESARROLLO EMBRIONARIO
  • 727.
    DÍA 8 • ELBLASTOCISTO FORMA PARCIALMENTE PARTE DEL ESTROMA ENDOMETRIAL (PASANDO POR LAS ETAPAS DE IMPLANTACION ) • ETAPA DE APOSICION • ETAPA DE ADHESION • ETAPA DE INVASION
  • 728.
    DÍA 8 • ETAPADE APOSICION
  • 729.
    DÍA 8 • ETAPADE ADHESION
  • 730.
    DÍA 8 • ETAPADE INVASION
  • 731.
    DÍA 8 • ELBLASTOCISTO ESTA FORMADO POR: UNA MASA CELULAR INTERNA O EMBRIOBLASTO (DA ORIGEN AL EMBRIÓN) Y UNA PERIFÉRICA O TROFOBLASTO (DA ORIGEN A LA PLACENTA); SOBRE EL EMBRIOBLASTO EL TROFOBLASTO, ELEMENTO FUNDAMENTAL PARA EL APORTE DE SUSTANCIAS NUTRITIVAS.
  • 732.
    DÍA 8 EL TROFOBLASTOSE DIFERENCIA EN DOS CAPAS: • EL CITOTROFOBLASTO(CAPA INTERNA) CON CÉLULAS MONONUCLEADAS. • Y EL SINCITIOTROFOBLASTO (ZONA EXTERNA)CON CÉLULAS MULTINUCLEADAS, SIN LÍMITECELULARQUE DETERMINEUN MEDIO EXTERNO E INTERNO. EL CITOTROFOBLASTO POSEECAPACIDAD MITÓTICA DONDE LAS CÉLULAS SE DIVIDEN EN SU INTERIOR PARA EMIGRARAL SINCITIOTROFOBLASTO DONDE SE FUSIONANY FINALMENTE PIERDEN SU MEMBRANA CELULAR INDIVIDUAL.
  • 733.
  • 734.
    DÍA 8 EN LAMASA INTERNA TAMBIÉN HAY UNA DIVISIÓN EN CAPAS: • LA CAPA HIPOBLASTICA/ENDODERMO EMBRIONARIO O ENDOBLASTO EN LA SUPERFICIE INTERNA DEL EMBRIOBLASTOQUE CONSTA DE UNA CAPA SIMPLE DE CÉLULASCUBICAS FORMANDO ELTECHO DEL SACOVITELINO PRIMITIVO O CAVIDAD EXOCELOMICA.
  • 735.
    DÍA 8 • YLA CAPA EPIBLASTICA /ECTODERMO O ECTOBLASTO EMBRIONARIO SITUADA EXTERNAMENTE,CONFORMADA POR UNA GRUESACAPA DE CÉLULASGRANDES DISPUESTAS IRREGULARMENTE.
  • 736.
    DÍA 8 • ELCONJUNTO DE CÉLULAS DEAMBAS CAPAS CONFORMA UN DISCO PLANO DENOMINADO DISCO GERMINATIVO BILAMINAR. DISCO GERMINATIVO BILAMINAR
  • 737.
    DÍA 8 • DESPUESCOMIENZAAACUMULARSE LÍQUIDO ENTRE LAS CÉLULAS DEL EPIBLASTO DESPLAZANDOA LOS AMNIOBLASTOS (CÉLULAS EPIBLASTICASADYACENTES AL CITOTROBLASTO )Y AL RESTO DE CÉLULAS EPIBLASTICAS HACIA EL POLO EMBRIONARIO CONSTITUYENDO UNA FINA MEMBRANA DE REVESTIMIENTO DE LA NUEVA CAVIDAD AMNIÓTICA DENOMINADA MEMBRANAAMNIÓTICA POLO EMBRIONARIO MEMBRANA AMNIOTICA
  • 738.
    DÍA 8 • APARTIR DE ESTO EL ESTROMA ENDOMETRIAL SE TORNA EDEMATOSA Y MUY VASCULARIZADA CUYAS GLÁNDULAS TORTUOSAS Y VOLUMINOSAS SECRETAN GLUCÓGENO (GLÚCIDO DE RESERVA ENERGÉTICA)Y MOCO EN ABUNDANCIA.
  • 739.
    DÍA NUEVE SEGUNDA SEMANADE DESARROLLO EMBRIONARIO
  • 740.
    DÍA 9 • ELBLASTOCISTO PENETRA DE MANERA MAS PROFUNDA EL ENDOMETRIO. • UN COÁGULO DE FIBRINA RECUBRE EL ESPACIO POR MEDIO DEL CUAL SE IMPLANTÓ EN UN PRINCIPIO EL BLASTOCISTO.
  • 741.
    DÍA 9 • ENEL CINCITIOTROFOBLASTO DEL POLO EMBRIONARIO APARECEN VACUOLAS AISLADAS.
  • 742.
    DÍA 9 • LASVACUOLAS AL UNIRSE FORMAN LAGUNAS TROFOBLÁSTICAS. • LAS LAGUNAS TROFOBLÁSTICAS,CONFORMAN LA FASE DE DESARROLLO DELTROFOBLASTO DENOMINADO PERIODO LACUNAR.
  • 743.
    DÍA 9 • ENEL POLO ABEMBRIONARIO LAS CÉLULAS APLANADAS FORMAN UNA DELGADA MEMBRANA, LA MEMBRANA DE HEUSER.
  • 744.
    DÍA 9 • MEMBRANADE HEUSER REVISTE INTERNAMENTE LA SUPERFICIE DEL CITOTROFOBLASTO EN CONJUNTO CON LAS CÉLULAS HIPOBLASTICAS LAS CUALES CUBREN LA SUPERFICIE INTERNA DEL BLASTOCELEY FORMAN EL ENDODERMO EXTRA EMBRIONARIO DENOMINADO: SACOVITELINO PRIMITIVO (CAVIDAD EXOCELÓMICA)
  • 745.
    DÍAS ONCEY DOCE SEGUNDASEMANA DE DESARROLLO EMBRIONARIO
  • 746.
    DÍA 11Y 12 •El blastocito se encuentra adherido completamente al estroma endometrial y produce una protrusión hacia la cavidad uterina.
  • 747.
    DÍA 11Y 12 •Se forman lagunas trofoblásticas intercomunicadas, más notorias en el polo embrionario. Lagunas trofoblásticas
  • 748.
    DÍA 11Y 12 •Las células sincitiales erosionan los capilares maternos, formando sinusoides maternos, los cuales se comunican con las lagunas trofoblásticas para conformar la circulación uteroplacentaria. Sinusoides maternos
  • 749.
    DÍA 11Y 12 •Se crea una nueva población de células que produce tejido conectivo laxo delgado, formando el mesodermo extraembrionario. Mesodermo extraembrionario
  • 750.
    DÍA 11Y 12 •Se crea una nueva población de células que produce tejido conectivo laxo delgado, formando el mesodermo extraembrionario. Mesodermo extraembrionario
  • 751.
    DÍA 11Y 12 •El mesodermo extraembrionario se divide en dos capas: el mesodermo somatopléurico extraembrionario y el mesodermo esplacnopléurico extraembrionario. Mesodermo somatopléurico extraembrionario Mesodermo esplacnopléurico extraembrionario
  • 752.
    DÍATRECE SEGUNDA SEMANA DEDESARROLLO EMBRIONARIO
  • 753.
    DÍA 13 • Enel trascurso del decimotercer día la superficie de la implantación suele haber cicatrizado, sin embargo, a veces hay hemorragia (sangrado de implantación).
  • 754.
    DÍA 13 • ELTROFOBLASTOSE CARACTERIZA POR PRESENTAR ESTRUCTURAS VELLOSAS. LAS CÉLULAS DEL CITOTROFOBLASTO PROLIFERANY SE INTRODUCEN EN EL CINCITOTROFOBLASTO, FORMANDO COLUMNAS CELULARES RODEADAS DE SINCITIO. ESTAS COLUMNAS RECIBEN EL NOMBRE DEVELLOSIDADES PRIMARIAS; LASVELLOSIDADES PRIMARIAS REPRESENTAN PRIMERA FASE DE LASVELLOSIDADES CORIÓNICAS
  • 756.
    DÍA 13 • ELHIPOBLASTO PRODUCE UNA NUEVA POBLACIÓN DE CÉLULASY RECUBRE LA SUPERFICIE INTERNA DE LA CAVIDAD EXOCELÓMICA. • PRODUCIENDO UNA NUEVA CAVIDAD QUE SE CONOCE COMO SACO VITELINO SECUNDARIO; ESTE ES MENOR QUE LA CAVIDAD EXOCELÓMICA ORIGINAL. • LOS RESTOS DEL SACOVITELINO PRIMITIVO QUEDAN COMO UN QUISTE EXOCELÓMICO, QUE SE ADVIERTEN A MENUDO EN LA CAVIDAD CORIÓNICA.
  • 758.
    DÍA 13 • ELMESODERMO EXTRA EMBRIONARIO SOMÁTICO QUE RECUBRE EL CITOTROFOBLASTO, CAMBIA DE NOMBREY SE CONOCE COMO PLACA CORIÓNICA, ESTA PLACA MÁS EL SINCITIOTROFOBLASTOY EL CITOTROFOBLASTIO, SE CONOCEN COMO CORION.(ESTÉ FORMA LA PARED DEL SACO CORIÓNICO). • LOS RESTOS DEL SACOVITELINO PRIMITIVO QUEDAN COMO UN QUISTE EXOCELÓMICO, QUE SE ADVIERTEN A MENUDO EN LA CAVIDAD CORIÓNICA (CELOMA EXTRAEMBRIONARIO).
  • 759.
  • 760.
    DÍA 13 • ELCORION; FORMA LA PARED DEL SACO CORIÓNICO, • DONDE EL SACOVITELINO SECUNDARIOY LA CAVIDAD AMNIÓTICA QUEDAN SUSPENDIDOS MEDIANTE EL PEDÍCULO DE FIJACIÓN, ESTE PEDÍCULO DE FIJACIÓN CON EL POSTERIOR DESARROLLO DEVASOS SANGUÍNEOS, SE CONVERTIRÁ EN EL FUTURO CORDÓN UMBILICAL
  • 762.
    • HACIA ELFINAL DE LA SEGUNDA SEMANA EL DISCO GERMINATIVO BILAMINAR, FORMADO POR DOS DISCOS CELULARES EN APOSICIÓN LOS CUALES SON: EL EPIBLASTO; QUE FORMA EL PISO DE LA CAVIDAD AMNIÓTICA, EN CONTINUA EXPANSIÓNY EL HIPOBLASTO PRESENTA UN PEQUEÑO ENGROSAMIENTO. • LA MEMBRANA BUCOFARÍNGEA. ESTA ES UNA ZONA DE CÉLULAS CILÍNDRICAS FIRMEMENTE UNIDAS AL DISCO EPIBLÁSTICO SUPRAYACENTE.
  • 765.
  • 766.
  • 767.
  • 768.
  • 769.
  • 770.
  • 771.
  • 772.
  • 773.
  • 775.
    TERCERA SEMANA DEL DESARROLLOEMBRIONARIO: El desarrollo germinativo trilaminar.
  • 776.
    GASTRULACIÓN: Formación del mesodermoy el endodermo embrionarios.
  • 777.
    • La gastrulación,proceso formativo de las tres capas germinativas: Ectodermo Mesodermo Endodermo • Da inicio con la formación de una línea primitiva en la superficie del epiblasto, la cual aún no se encuentra definida
  • 778.
    • El extremocefálico de la línea llamado nódulo primitivo, rodea una fosita primitiva • Las células del epiblasto son dirigidas hacia la línea y adoptan forma de matraz describiendo un movimiento de invaginación • Y son controlados por el Factor de crecimiento de los fibroblastos 8 (FGF-8)
  • 779.
    ▪ Algunas célulasdesplazan el hipoblasto y crean el endodermo embrionario ▪ Otras se sitúan entre el epiblasto y el endodermo y forman el mesodermo ▪ Las células que quedan en el epiblasto forman el ectodermo • Luego de la invaginación: • El epiblasto genera todas las capas germinativas y las células darán origen a los tejidos y órganos del embrión
  • 780.
  • 781.
    • Las célulasprenotocordales invaginadas en el nódulo primitivo se desplazan hasta alcanzar la placa precordal, y se intercalan en el hipoblasto
  • 782.
    • Cuando elhipoblasto es reemplazado por las células endodérmicas, las células de la placa notocordal se separan del endodermo, formando la notocorda definitiva
  • 783.
    • Las célulasnotocordales y prenotocordales se extienden cranealmente hacia la placa precordal y caudalmente hacia la fosita primitiva • El conducto neuroentérico conecta temporalmente la cavidad amniótica y el saco vitelino
  • 784.
    • La membranacloacal se forma en el extremo caudal del disco embrionario • Esta formada por células ectodérmicas y endodérmicas • Se forma el divertículo alantoentérico o alantoides • Induce la formación de los vasos umbilicales en el pedículo de fijación (el cordón umbilical) MEMBRANA CLOACAL
  • 785.
    ESTABLECIMIENTO DEL MAPA DEDESTINOS CELULARES DURANTE LA GASTRULACIÓN
  • 786.
    ▪ Regiones cranealesdel nódulo se transforman en la placa precondral y la notocorda. ▪ Márgenes laterales del nódulo forman el mesodermo paraxial . • Se ha trazado el mapa de regiones del epiblasto que penetran a través de la línea primitiva y determina su destino final. • Células que entran o migran por:
  • 787.
    ▪ La partemedia de la línea primitiva se transforma en mesodermo intermedio ▪ Una región un poco más caudal de la línea primitiva forma el mesodermo de la placa lateral ▪ La región mas caudal de la línea primitiva forman el mesodermo extraembrionario.
  • 790.
  • 791.
    • En uninicio tiene un aspecto plano y casi redondo, alargándose progresivamente • Expansión se da principalmente en la región cefálica, resultado de la migración continua de células que proviene de la región de la línea primitiva. • La línea primitiva disminuye su tamaño. • El embrión se desarrolla en sentido cefalocaudal: –Porción cefálica: diferenciación en la mitad de la tercera semana –Porción Caudal: diferenciación al termino de la cuarta semana
  • 795.
  • 796.
    • Vellosidades primarias:son columnas celulares formadas por un núcleo citotrofoblasto rodeado de sincitio. Esto se da debido a que las células proliferan el citotrofoblásto, penetrando en el sincitiotrofoblasto. • Vellosidades secundarias: son las vellosidades primarias penetradas por células mesodérmicas, esta crecerán hacia la decidua. Al inicio de la tercera semana
  • 797.
    • Vellosidades terciariaso vellosidad placentaria definitiva: las células de las vellosidades secundarias se diferencian en células sanguíneas y pequeños vasos sanguíneos formando el sistema capilar velloso. Estos capilares van a estar en contacto con los capilares de del mesodermo Al finalizar la tercera semana
  • 800.
    • Estos vasosa su vez van a estar en contacto con el Sistema circulatorio intraembrionario, uniendo la placenta con el embrión. • Células citotrofoblásticas van penetrando el sincitio hasta llegar al endometrio materno, formando una cubierta citotrofoblástica externa.
  • 802.
    • Vellosidades deanclaje o de troncales: va desde la placa coriónica hasta la decidua basal (parte del endometrio que formará la placenta) • Vellosidades libres (terminales): terminaciones de las vellosidades de anclaje, las cuales permiten el intercambio de nutrientes y otros productos. • Día 19 y 20: cavidad coriónica se agranda y el embrión queda anclado a la cubierta trofoblástica por medio del pedículo de fijación (cordón umbilical)
  • 804.
  • 805.
    Holoprosencefalia • Anomalía congénitaque incluye de malformaciones cerebrales o faciales, resultado de la división incompleta del prosencéfalo. Es decir, el cerebro del feto no se divide como debería en dos hemisferios cerebrales y en los ventrículos laterales. • Según su gravedad se clasifica: Alobar Semi-lobar Lobar Variante media inter-hemisférica.
  • 807.
    Disgenesia caudal (Sirenomelia) •Síndrome en el cual la formación del mesodermo (el cual contribuye a la formación de las extremidades inferiores, sistema urogenital y vertebras lumbosacras) es insuficiente en la región mas caudal del embrión. Dando como resultado la fusión de las extremidades inferiores e hipoplasia, anomalías vertebrales y de los órganos genitales. La afección se asocia con diabetes materna y otras causas.
  • 809.
    Situs inversus • Esuna afección en la que se produce una alineación errónea de los órganos (vísceras del tórax y el abdomen) dentro del cuerpo, colocándolos del lado opuesto. Se da debido a los defectos de lateralidad (patrón izquierda- derecha) • Pacientes con situs inversus completo padecen además de bronquiectasia y sinusitis crónica debido a los cilios anormales (síndrome de Kartagener)
  • 811.
    Teratomas sacrococcígeos • Sontumores formados por la proliferación de células pluripotentes que quedaron como restos de la línea primitiva en al región sacrococcígea. • Puede originarse también a partir de las células germinales primordiales que no lograron mirar hacia las crestas gonadales. • Este tipo de tumor es el mas común en recién nacidos.
  • 813.
    UNIDAD ACADÉMICA DESALUDY BIENESTAR CARRERA DE MEDICINA
  • 814.
  • 815.
    FASES DEL DESARROLLOEMBRIONARIO ❖ Crecimiento: implica divisiones celulares y elaboración de productos celulares ❖ Morfogenia: se basa en un proceso complicado durante el cual se dan diversas interacciones complejas en una secuencia ordenada. El movimiento de células les permite interaccionar entre si durante la formación de tejidos y órganos. ❖ Diferenciación: maduración de los procesos fisiológicos. Al finalizar este proceso los órganos y tejidos tienen funciones específicas.
  • 816.
    PLEGAMIENTO O TUBULACIÓNDEL EMBRIÓN El embrión que tenía forma plana o discoidal hasta la etapa de gastrulación; por medio de este mecanismo adopta una forma tubular. Al finalizar el proceso de los pliegues embrionarios se podrá decir que el cuerpo embrionario queda dentro de la cavidad amniótica. PLEGAMIENTO DEL EMBRIÓN EN EL PLANO MEDIO: • Plegamiento cefálico: Al inicio de la cuarta semana los pliegues neurales aumentan de grosor formando así el esbozo del encéfalo. Durante este proceso de plegamiento, parte del endodermo de la vesícula umbilical queda integrada en el embrión en forma del intestino primitivo anterior. Luego del plegamiento, el celoma pericárdico queda situado ventralmente respecto al corazón y cranealmente respecto al septo transversal.
  • 817.
    • Plegamiento caudal:Durante el plegamiento, parte de la capa germinativa endodérmica queda incorporada en el embrión formando el intestino primitivo posterior (primordio del colon descendente y el recto). • Plegamiento del embrión en plano horizontal: Los pliegues laterales derecho e izquierdo se forman en los bordes laterales del disco embrionario con las paredes de la cavidad amniótica y el saco vitelino. Estrechará la conexión del saco vitelino con el embrión, haciendo que la continuidad de estos quede reducida a un estrecho tallo o pedículo vitelino
  • 819.
    DERIVADOS DE LACAPA GERMINATIVA ECTODÉRMICA En esta capa aparecen la notocorda y la placa precordal, y provocan que el ectodermo que las recubre aumente el grosor y forme la placa neural. Las placas de la célula representan el neuroectodemo y su inducción representa el inicio del proceso de Neurulación. Esta capa da lugar al: • Sistema nervioso central y el sistema nervioso periférico. • El epitelio sensitivo de los ojos, los oídos y la nariz. • La epidermis, pelo y uñas. • Las glándulas mamarias. • La hipófisis. • Las glándulas subcutáneas y el esmalte dentario.
  • 821.
    NEURULACIÓN • Una vezque se ha producido la inducción; la placa neural se extiende progresivamente hacia la línea primitiva. Al finalizar la tercera semana las partes laterales de la placa neural se elevan y forman los pliegues neurales y la porción media deprimida constituye el surco neural. • En los extremos cefálico y caudal el tubo queda en comunicación con la cavidad amniótica por medio de los neuroporos craneal y caudal hasta que se complete la fusión • El proceso de neurulación ya se ha completado y el sistema nervioso se encuentra como una estructura tubular cerrada con una porción caudal estrecha, la medula espinal y una porción cefálica mucho mas ancha caracterizada por varias dilataciones, vesículas cerebrales.
  • 822.
    DERIVADOS DE LACAPA GERMINATIVA MESODÉRMICA El mesodermo, además de disponerse como mesénquima, también forma numerosos tejidos. En las primeras fases del desarrollo las células forman dos tipos de tejidos: • Epitelios: las células se unen mediante uniones fuertes formando láminas. • Mesénquima: las células se disponen con amplios espacios intercelulares de tal forma que constituyen un tejido de relleno.
  • 823.
    Mesodermo axial Es unaestructura con forma de cordón que se sitúa a lo largo de la línea media en la región dorsal del embrión y se denomina notocorda. La notocorda despliega una amplia gama de señales inductivas que controlan el desarrollo temprano del embrión. Mesodermo paraxial Los somitas son estructuras transitorias que derivan del mesodermo paraxial. Son esenciales para la primera disposición segmentaria que es discernible en la etapa embrionaria temprana. Con el desarrollo del cuerpo desaparece la mayor parte de este aspecto segmentario, pero algunas estructuras, como la columna vertebral y los nervios espinales, mantienen siempre este patrón metamérico.
  • 824.
    La evolución decada par de somitas da lugar a tres poblaciones de células: • Esclerotomos: la parte ventro-media de cada par de somitas emigra alrededor de la notocorda formando una nueva estructural mesenquimal llamada esclerotomo que se dispone metamericamente en la línea del embrión. • Miotomos: son la porción de los somitas que da lugar a los músculos estriados. • Dermatomos: en cada metámero lo dermatomos emigran latero ventralmente bajo el ectodermo para formar los tejidos conectivos de la piel. Esta migración arrastra las ramas cutáneas de los nervios y vasos que mantienen el patrón metamérico original. Mesodermo lateral: El mesodermo se expande lateralmente como una doble capa que se conoce como mesodermo lateral. El espacio existente entre la hoja lateral y la hoja medial se denomina celoma o cavidad celómicas.
  • 825.
    DERIVADOS DE LACAPA GERMINATIVA ENDODÉRMICA • Esta hoja germinativa es la que recubre la superficie ventral de embrión, además de formar el techo del saco vitelino. Este al desarrollarse las vesículas cerebrales empiezan a crecer y el disco embrionario comienza a sobresalir de la cavidad amniótica y a crecer en sentido cefalocaudal. • El endodermo en la región anterior es el que forma el intestino anterior, mientras que en la región posterior se forma el intestino posterior, lo que se encuentra entre el intestino anterior y posterior es denominada intestino medio. Este se comunica con el saco vitelino por medio de un pedículo, denominado conducto onfalomesenterico o vitelino. • El intestino anterior está limitado por una membrana ectodérmica y endodérmica la cual se llama membrana bucofaríngea, permite la comunicación entre la cavidad amniótica y el intestino primitivo.
  • 826.
    El intestino posteriortermina en una membrana ectodérmica y endodérmica denominada membrana cloacal, crea la abertura del ano. La hoja germinativa endodérmica forma el revestimiento epitelial del intestino primitivo y las porciones de la alantoides y del conducto vitelino. Ésta, en etapas más evolucionadas del desarrollo dan origen a: • El revestimiento epitelial del aparato respiratorio. • Al parénquima de la glándula tiroides, paratiroides, el hígado y el páncreas. • El estroma reticular de las amígdalas y el timo. • El revestimiento epitelial de la vejiga y de la uretra. • El revestimiento epitelial de la cavidad timpánica y de la trompa de Eustaquio.
  • 827.
    TERCERA SEMANA Al momentode que la línea primitiva comienza a producir líneas mesenquimales, el epiblasto se denomina ectodermo embrionario. Algunas células del epiblasto desplazan el hipoblasto y forman el endodermo embrionario, las células mesenquimales se organizan al poco tiempo formando una tercera capa germinal denominada mesodermo intraembrionario o embrionario. Las células mesenquimales formaran el proceso notocordal, en el suelo del canal notocordal aparecen una serie de aberturas que tiempo después presentaran la placa notocordal y los pliegues de esta dará paso a la formación de la notocorda que representa el eje primordial del embrión alrededor del cual se formara el esqueleto axial.
  • 828.
    CUARTA SEMANA Durante estasemana, el embrión ya finaliza la tubulación, cerrando ventralmente el intestino primitivo y quedando un estrecho pedículo el cual queda conectado al saco vitelino, alojando al alantoides y da lugar a los vasos vitelinos y umbilicales. • Estadio 10 (22-23 días) Al inicio el embrión tiene una forma casi recta, curvándose levemente al final a causa del crecimiento en los extremos cefálico y caudal. Los pliegues neurales empiezan a fusionarse para iniciar el proceso de cierre del tubo neural, también aparecen los dos primeros arcos faríngeos y se insinúa entre ellos la boca primitiva o estomodeo. • Estadio 11 (24-25 días) El primer arco faríngeo es el arco mandibular y el segundo arco faríngeo es el hioideo. En este estadio se acentúa más la incurvación del embrión y se pueden observar las vesículas ópticas y las placodas óticas a ambos lados del extremo cefálico del embrión. El corazón produce una gran prominencia ventral y bombea sangre. • Estadio 12 (26-27 días) El neuroporo ya se encuentra cerrado y las vesículas ópticas son más evidentes. Durante estos días ya se pueden reconocer las yemas de las extremidades superiores con forma de pequeñas tumefacciones. Los engrosamientos ectodérmicos que serían los futuros cristalinos de los ojos llamados placodas de los cristalinos son visibles a ambos lados de la cabeza.
  • 829.
    QUINTA SEMANA • Secomienzan a desarrollar los principales sistemas del embrión como el cerebro, el tubo neural del embrión, la médula espinal, el corazón o el tracto gastrointestinal. • Las células comienzan a adquirir funciones específicas durante esta semana, y entre las que se desarrollan se pueden encontrar las células sanguíneas, del riñón y las neuronas. • Esta semana es una de las que cuenta con mayores riesgos para el correcto desarrollo del feto, pues hay un alto riesgo de producirse anomalías genéticas por la ingesta de medicamentos, alcohol, drogas o por infecciones como la rubeola. • Se forma la notocorda, un cuerpo flexible con forma de vara que se ha formado a partir de células del mesodermo, una de las tres hojas embrionarias formadas en la semana anterior.
  • 830.
    SEXTA SEMANA • Eldesarrollo de la región cefálica iniciada en la quinta semana del embarazo ha originado que ésta destaque notablemente comparándola con el resto del embrión, la cabeza se muestra encorvada y próxima al primitivo corazón. Los ojos son más notorios a causa de la formación del pigmento. • El cerebro del futuro bebé se va a desarrollar rápidamente desde este momento y su corazón ya late de manera regular, pudiéndose observar su bombeo mediante una ecografía. • También comienza a desarrollarse el labio superior, el ápex o apéndice nasal y los pabellones auriculares, poco a poco se va formando la carita del embrión. Con respecto a las extremidades, las superiores son las que más se desarrollan y definen, iniciándose la configuración de los brazos.
  • 831.
    SÉPTIMA SEMANA SEMANA •El embrión aumenta considerablemente sus dimensiones • Se forma un boceto remarcado del parpado y los pabellones auriculares rudimentarios • Las extremidades Sup. E Inf. Aumentan su longitud y parecen surcos entre los rayos digitales de las placas de las manos y los pies • El intestino se introduce en el celoma extraembrionario en la parte proximal del cordón umbilical. • La cola del embrión es muy corta pero aun visible
  • 832.
    OCTAVA SEMANA • Lacabeza toma forma redonda, empezando a tomar un tamaño proporcional con respecto al tamaño del cuerpo, el cuello se alarga y endereza, se notan todas las zonas de la extremidades • Los parpados cubren totalmente la zona ocular y los pabellones auriculares alcanzan su altura definitiva al nivel de los ojos • Ocurren los primeros movimientos intencionados siendo estos de flexión y estiramiento, pro no son percibidos por la madre • La osificación comienza en las extremidades inferiores a lo largo de la octava semana y se reconoce primero el fémur. A finales de esta semana desaparece todo el vestigio de la cola
  • 835.
  • 836.
    ETAPA FETAL • Elembrión pasa a llamarse feto. • El cuerpo cambia y su crecimiento es progresivo y mayor que en la etapa embrionaria. • La movilidad fetal es perceptible para la madre. • Responde a estímulos. • El sistema nervioso continúa su desarrollo.
  • 837.
    SEMANA 9 ALA 12 Semana 9 Semana 12 La longitud de la cabeza es la mitad en relación al cuerpo. La longitud del cuerpo es el doble. Ojos separados, orejas más debajo de lo normal y párpados fusionados. Aparece el centro de osificación primaria. Extremidades inferiores pequeñas. Extremidades superiores casi alcanzan su longitud final. Genitales similares Se pueden distinguir los genitales Semana 10: En el cordón umbilical puede observar asas intestinales. Semana 11: Las asas intestinales ya han vuelto al abdomen.
  • 838.
    SEMANA 13 ALA 16 Semana 14 • Movimientos coordinados pero débiles de las extremidades. • Movimientos oculares lentos. Semana 16 • La cabeza es pequeña en relación a la de la semana 12. • Se diferencian los ovarios. • Los ojos se van centrando y las orejas se dirigen a su posición definitiva. El crecimiento es más rápido. Miembros inferiores han incrementado su longitud. Aparece el lanugo.
  • 840.
    SEMANA 17 ALA 20 Crecimiento lento La madre ya percibe movimientos fetales La piel está cubierta por el vérnix caseoso. Semana 18 • Se forma el útero fetal. Semana 20 • Son visibles las cejas y el cabello. • El feto está cubierto de lanugo. • Inicia el descenso de los testículos que se encontraban en la pared abdominal posterior.
  • 841.
    SEMANA 21 ALA 25 Semana 21 • Inician los movimientos oculares centrales rápidos Semana 22 • Se observa un sobresalto con parpadeos. Semana 24 • Aparecen las uñas. • Alveolos pulmonares están en desarrollo. Incrementa el peso corporal y el feto está mejor proporcionado, la piel suele estar arrugada y es más translucida especialmente en la primera parte de este periodo. Tiene un color rosado o rojo por la sangre que se discurre a través de los capilares El feto puede nacer y sobrevivir en este período si recibe cuidados intensivos debido a la inmadurez del sistema respiratorio.
  • 843.
    SEMANAS 26 ALA 29 Semana 26 • Se abren los párpados. Semana 28 • La medula ósea se ha convertido en el órgano principal de la eritropoyesis. Los dedos y uñas de los pies son visibles. Existe una cantidad de tejido adiposo subcutáneo, hace desaparecer muchas arrugas cutáneas. Aumenta la cantidad de tejido adiposo blanco y puede constituir el 3,5% del peso corporal. El bazo fetal es un órgano muy importante para la eritropoyesis.
  • 844.
    SEMANA 30 ALA 34 Semana 30 • Se presenta el reflejo pupilar. Semana 34 • La piel tiene una coloración rosada y es lisa, las extremidades superiores e inferiores son mas regordetas, el tejido adiposo blanco representa un 8% del peso corporal total. • Madurez pulmonar. Fetos de 32 semanas sobreviven en los casos de parto prematuro.
  • 845.
    SEMANA 35 ALA 38 Semana 35 • El feto ejerce fuerza en el puño. • Muestran reflejos a la luz. Semana 36 • Los perímetros de la cabeza y del abdomen son similares. • El lanugo comienza a desaparecer. El sistema nervioso adquiere el grado de madurez suficiente como para realizar funciones de integración. El crecimiento es lento a medida que se aproxima el parto. La longitud vértice – talón de 360 mm y el peso corporal es de aproximadamente 3.400g.
  • 846.
    FACTORES QUE INFLUYENEN EL CRECIMIENTO FETAL • Enfermedades vasculares materna • Infección intrauterina • Consumo de cigarros y alcohol causan la restricción del crecimiento intrauterino o hacer que lactante sea pequeño respecto a su edad gestacional. Hay distintos factores que influyen en el crecimiento prenatal: maternos, fetales y ambientales.
  • 847.
    MEMBRANAS FETALES YPLACENTA Placenta Órgano que facilita el intercambio de nutrientes y gases entre los compartimentos materno fetal y cuando comienza la 9na semana de desarrollo se incrementa los requerimientos de nutrientes y otros factores, lo que produce cambios importantes en la placenta, entre ellos el más importante es el aumento del área de superficie de los componentes materno y fetal, las membranas fetales se modifican con el incremento del líquido amniótico. Las membranas fetales y la placenta cumplen funciones: protección, nutrición, nutrición, respiración, excreción y producción de hormonas. Después del parto la placenta y membranas fetales son expulsadas del útero, durante el puerperio. Membranas fetales Son estructuras compuestas por tejidos extrafetales que separan la sangre materna de la sangre fetal.A medida que avanza el embarazo, esta membrana va a presentar adelgazamiento progresivo hasta que la sangre que existe en varios capilares fetales puedan llegar a encontrarse cerca de la sangre materna del espacio intervelloso.
  • 848.
    CAMBIOS EN ELTROFOBLASTO Al segundo mes de gestación: Gran número de vellosidades secundarias y terciarias ancladas al mesodermo Vellosidades troncales en contacto con capilares de la lámina coriónica, originando el sistema vascular extraembrionario La superficie de las vellosidades está formada por el sincitio, que descansa sobre una capa de células citotrofoblásticas, las cuales, a su vez, cubren la parte central del mesodermo vascularizado. En los meses siguientes: De las vellosidades de anclaje salen abundantes prolongaciones que se dirigen hacia los espacios intervelIosos o lacunares circundantes. Desaparecen los citotrofoblásticas y algunas células de tejido conectivo. Entonces, las únicas capas que separan las circulaciones materna y fetal son el sincitio y la pared endotelial de los vasos sanguíneos
  • 850.
    ESTRUCTURA DE LAPLACENTA Inicio del cuarto mes Parte materna: Formada por la decidua basal, placenta rodeada por la decidua basal. Parte fetal: Formada por el corion frondoso, la placenta está bordeada por la placa coriónica. Células trofoblasticas y deciduas. La mayoría de células citotrofoblasticas están degeneradas. Entre las placas corionica y decidual: espacios intervellosos, recubiertas con sincitio de origen fetal.
  • 852.
    Placenta a término Formadiscoide, diámetro de 15 a 20 cm , 3 cm de grosor y pesa 500 a 600g.En el parto se desprende de la pared uterina y se expulsa aproximadamente unos 30 minutos después del nacimiento del niño. Cuando la placenta se ve del lado materno se diferencian con claridad entre 15 y 20 areas abultadas estos son los cotiledones, están cubiertos por una capa delgada de decidua basal. La superficie fetal de la placenta esta cubierta en su totalidad por la placa coriónica. Varias arterias , venas grandes y vasos coriónicos convergen hacia el cordón umbilical. Casi siempre la unión del cordón umbilical es excéntrica, es muy raro que se inserte en las membranas corionicas fuera de la placenta.
  • 853.
    FUNCIONES DE LAPLACENTA Metabolismo Transporte de gases y nutrientes Secreción endócrina Al inicio sintetiza glucógeno, colesterol y ácidos grasos que actúan como fuentes de nutrientes y energía para el embrión y el feto. Lo hace mediante: Difusión simple, difusión facilitada, Transporte activo y Pinocitosis El sincitiotrofoblasto de la placenta sintetiza hormonas proteicas y esteroideas. Tales como: Somatomamotropina coriónica humana, tirotropina coriónica humana y corticotropina coriónica humana.
  • 854.
    CORDÓN UMBILICAL Es unaestructura tubular alargada que une al feto con la placenta. Se desarrolla a partir del pedículo de fijación: la alantoides y el tallo vitelino, estas estructuras se engloban por el amnios durante el proceso de plegamiento del embrión en la cuarta semana. El pedículo de fijación empieza a estrecharse en lo que corresponde la base y se alarga para formar el cordón umbilical que aloja los vasos umbilicales: dos arterias umbilicales, que llevan la sangre del feto a la placenta, y una vena umbilical, que cumple la función de regresar la sangre nuevamente al feto. Estos vasos se desarrollan del mesodermo de la alantoides, están rodeados conectivo laxo o mucoide denominado gelatina de Wharton. El amnios recubre el tejido conectivo formando la cubierta externa del cordón. Al final del noveno mes el cordón umbilical mide de 30 a 80 cm de largo y de 1 a 2cm de diámetro. Los vasos umbilicales son más largos que el cordón, por eso suelen doblarse adoptando una forma de espiral o tirabuzón.
  • 855.
    MEMBRANAS FETALES ENLOS GEMELOS Se deben al desprendimiento simultáneo de dos ovocitos y a la fecundación por espermatozoides diferentes. Pueden ser del mismo o diferente sexo. Los cigotos se implantan individualmente en el útero, desarrollan casi siempre su placenta, amnios y saco coriónico propios. Pero a veces las placentas están tan juntas que se fusionan. Asimismo, las paredes de los sacos coriónicos pueden aproximarse entre sí y fusionarse. Algunas veces cada gemelo dicigótico posee eritrocitos de diverso tipo (mosaicismo eritrocitario), lo cual indica que la fusión de las dos placentas fue tan estrecha que se intercambiaron los eritrocitos. Gemelos dicigóticos
  • 857.
    Gemelos monocigóticos Provienen deun solo óvulo fecundado, por ello son idénticos. Por ello pueden o no crecer en el mismo saco amniótico. Disposición de las membranas se parece a la de los gemelos dicigóticos. Se los identifica por gran semejanza de los grupos sanguíneos, las huellas dactilares, el sexo y el aspecto físico. La división del cigoto suele ocurrir al inicio de la fase blastocística.