EQUIPO 5
 Escobedo Chávez Alejandro
 García A. Juan Roberto
 Santana Rodríguez Martha Gabriela
 Se define como
litiasis urinaria a la
presencia de cálculos
en el sistema
excretor urinario,
desde los cálices
renales hasta la
uretra.
EPIDEMIOLOGÍA E INCIDENCIA
 10 -12 % de la población.
 Relación hombre mujer 3:1
 Recurrencia:
 Mayor en población caucásica
10% a 1
años
35% a 5
años
50% a
10 años
40-50 años
FACTORES DE RIESGO
 Cristaluria
 Factores socioeconómicos
 Dieta
 Ocupación
 Clima
 Antecedentes familiares
 Medicamentos
ETIOLOGÍA
Sales de calcio Estrurita Ácido urico Cistina
70-80%
20%
15%
CUADRO CLÍNICO
 Asintomático
 Sintomático: Dolor de intensidad variable, de
tipo cólico y se le conoce como “cólico nefrítico”
 Es frecuente que se acompañe de nauseas,
vómitos, sudoración, palidez y en ocasiones
íleo paralitico, así como hematuria
macroscópica o microscópica.
CÓLICO NEFRÍTICO
 Localización, tamaño y capacidad
obstructiva del cálculo.
 Aumenta rápidamente, hasta ser intolerable.
 Pacientes en movimiento constante
CALCULO URETERO PELVICO
Dolor fuerte en el ángulo costovertebral
debido a una distención capsular y
pélvica.
Dolor renal y ureteral agudo con
hiperperistalsis del musculo liso de los
cálices, pelvis y uréter.
Dolor que irradia a lo largo del uréter ( y
en el testículo)
CALCULO URETERAL MEDIO
Con mas dolor en cuadrante abdominal
inferior.
CALCULO URETERAL BAJO
Con dolor que irradia a la
vejiga, vulva o escroto
Urgencia urinaria y poliaquiuria
ANAMNESIS
 Dieta (ingesta de sodio, calcio y proteínas).
 Antecedentes personales y familiares.
 Edad de comienzo.
 Numero de recidivas y necesidad de atención.
 Tratamientos previos.
 Enfermedades concomitantes.
 Presencia de alteraciones de las vías urinarias.
 Cirugía urológica previa e ingesta de fármacos.
EXPLORACION FÍSICA
 INSPECCION:
Piel pálida y sudorosa, actitud inquieta,
deambulan y mantienen posiciones retorcidas
PALPACIÒN
En ocasiones masa palpable
Puño percusión positiva
del lado afectado
DIAGNÓSTICO DIFERENCIAL
Abdomen
agudo
Embarazo
ectópico
Obstrucción
intestinal
Cálculos
biliares
Enfermedad
diverticular.
“ESTUDIOS DE LABORATORIO”
(EGO)
 Presencia de hematuria: micro o
macro hematuria, así como
cilindros eritrocitarios
(infecciones, neoplasias, entre
otros).
 Cristaluria:
 Oxalato cálcico, fosfato cálcico
y ácido úrico: Sin significado
patológico.
 Cristales de cistina o fosfato
amónico-magnésico: Predicen
enfermedad litiasica.
Hernando Nefrología Clínica Autro P. Ajima, J Egido Editorial panamericana edición 4ª pG 177-194
“ESTUDIOS DE IMAGEN”
 Tomografía computarizada.
 Pielografía intravenosa.
 Radiografía KUB y ecografía dirigida.
 Pielografía retrograda.
 Resonancia magnética nuclear.
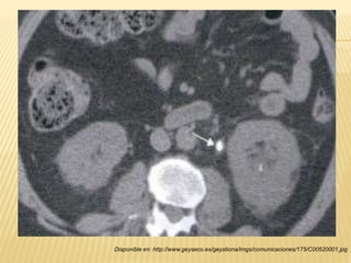
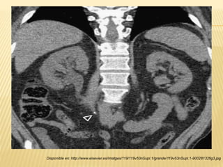
“TOMOGRAFÍA COMPUTARIZADA”
 Visualización del riñón y las vías de excreción
(uréteres) en un plano coronal.
 Estructuras peritoneales y retroperitoneales.
 Pacientes con cólico renal agudo.
 Sin contraste intravenoso.
 Distinguir cálculos uretrales distales de
“flebolitos”
Smith y Tanagho, "Urología general", Ed. Mc Graw Hill, ed. 18a, impreso cd. de México, 2008, pág. 265
Disponible en: http://www.elsevier.es/imatges/119/119v53nSupl.1/grande/119v53nSupl.1-90028132fig3.jpg
Disponible en: http://www.intramed.net/userfiles/2014/images/litiasis11.png
Disponible en: http://www.geyseco.es/geystiona/imgs/comunicaciones/175/C00520001.jpg
“Lito de oxalato de calcio” “Flebolito”
Disponible en: http://www.ehowenespanol.com/son-flebolitos-pelvicos-sobre_75243/
-Localización: Cálices renales,
pelvis renal y ensanchamientos
uretrales.
-Tamaño: 1-8 cm de diámetro.
-Composición: 100% de calcio.
-Localización: Venas pélvicas,
vejiga, genitales, próstata y otros
órganos del abdomen bajo.
-Tamaño: ½ pulgada (1.25 cm)
-Composición: Coagulo de
fibrina incrustado de sales
calcaceas, con centro traslucido.
 Predecir el tipo de calculo, así como su
dureza.
Smith y Tanagho, "Urología general", Ed. Mc Graw Hill, ed. 18a, impreso cd. de México, 2008, pág. 265
Oxalato de
calcio
•HU > 1000
Ácido úrico •HU < 500
- Proceso rutinario
de diagnostico.
- Vigilancia
Smith y Tanagho, "Urología general", Ed. Mc Graw Hill, ed. 18a, impreso cd. de México, 2008, pág. 266.
- Duda en el diagnostico
(diagnósticos diferenciales).
- Cálculos de o pacificación
deficiente.
- Difícil de apreciar secundario a
gas abdominal.
- Obesidad mórbida.
“PIELOGRAFÍA INTRAVENOSA”
Disponible en: https://www.nlm.nih.gov/medlineplus/spanish/ency/images/ency/fullsize/19245.jpg
Disponible en: https://espanol.kaiserpermanente.org/static/health-encyclopedia/es-us/kb/media/medical/hw/s_h9991213.jpg
Disponible en: https://ciardullosf.files.wordpress.com/2014/03/litiasis_multiple_6.jpg
“RADIOGRAFÍA Y ECOGRAFÍA DIRIGIDA”
 80-90% de los cálculos
son visibles.
 Imágenes radiopacas.
Se valora:
- Forma (circulares,
ovoides, amorfos).
- Tamaño (1-8 cm de
diámetro).
- Número
 Procedimiento no
invasivo.
 Ondas sonoras de
mínima frecuencia
 Cálculos >4 mm.
 Uniones pielo-
ureteral o uretero-
vesical.
 Presencia de
“sombra acústica”.
Hernando Nefrología Clínica Autro P. Ajima, J Egido Editorial panamericana edición 4ª pG 177-194
“PIELOGRAFÍA RETROGRADA”
 Procedimiento muy poco invasivo.
 Cistoscopia y placa de abdomen.
 Medio de contraste radiopaco a través de sondas
uretrales.
 Utilización de anestesia (lidocaína al 10%).
 Posterior al estudio:
- IVU
- Reacciones de hipersensibilidad al contraste.
Smith y Tanagho, "Urología general", Ed. Mc Graw Hill, ed. 18a, impreso cd. de México, 2008, pág. 66
Disponible en: https://upload.wikimedia.org/wikipedia/commons/thumb/f/f5/Ivu_1.jpg/200px-Ivu_1.jpg
TRATAMIENTO
Cólico
renoureteral
Diclofenaco 75
mg IV
Metamizol 1-2
gr en infusión
lenta
Ketorolaco 30
mg IV
Lito
TX médico
expulsivo
Litotricia
extracorpórea
Ureteroscópia.
Cirugía abierta.
TRATAMIENTO MÉDICO EXPULSIVO
 50-68% de los litos <5mm
 71% de los localizados en uréter distal
 AINE+ ALFA BLOQUEADOR (Tamsulosina)
LITOTRICIA EXTRACORPÓREA
 Litos >5 mm
 Localizados en uréteres superiores y medios
 Alcanza una resolutividad de 63-86%
 Presenta complicaciones en <1%
URETEROSCÓPIA.
 Litos > 5mm
 Localizados en uréter próxima, medio y distal
 Alcanza una resolutividad de 63-92%
 Presenta complicaciones en <1%
CIRUGÍA ABIERTA
 Litos que no tienen resolución con LEOC o
URS
 Litos colariformes.

Litiasis renal