Incrustar presentación
Descargado 95 veces












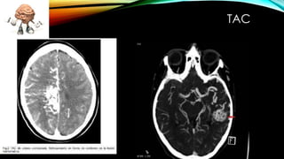
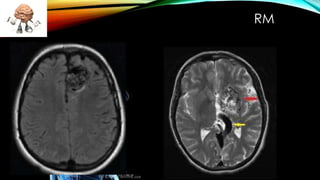
Este documento describe las malformaciones arteriovenosas, una patología vascular congénita poco común que ocurre en menos del 1% de la población. Se caracteriza por una masa retorcida y de color grisáceo que se atribuye al desarrollo anómalo del sistema venoso cerebral. Puede causar una variedad de síntomas como dolores de cabeza, convulsiones, debilitamiento muscular y problemas de visión u oído. Su diagnóstico requiere exámenes de angiografía, tomografía computarizada o resonancia magnética










