PATOLOGIA DE MAMA
DRA. XENIA AIMEE GARCIA MARTINEZ
PATOLOGA
• La mama se distingue de otros órganos por tres importantes
características.
1- Su principal función es proporcionar el apoyo nutritivo y la
supervivencia de otro individuo, el lactante.
2- Experimenta cambios estructurales dinámicos a lo largo de la
vida: expansión del sistema lobulillar después de la menarquia;
remodelación periódica durante la edad adulta, especialmente
durante y después del embarazo, y, finalmente, involución y
regresión.
3. Símbolos de la feminidad, las mamas tienen una
importancia social, cultural y personal que es distintiva de
otros órganos.
• Todas estas características influyen en el origen, la
presentación y el tratamiento de la mastopatía.
• Comprender las enfermedades de la mama requiere conocer
su anatomía normal.
• Componentes celulares, de los que forman parte dos
estructuras principales (conductos y lobulillos)
• Tipos de células epiteliales (luminal y mioepitelial)
• Tipos de estroma (interlobulillar e intralobulillar).
• Cada uno de estos elementos puede dar origen a lesiones
tanto benignas como malignas
• En los humanos, la pareja de glándulas mamarias
descansan sobre el músculo pectoral en la parte superior de
la pared torácica.
• Las mamas se componen de epitelio especializado y
estroma que puede originar lesiones tanto benignas como
malignas.
• La mama humana contiene entre seis y diez sistemas
ductales principales.
• El epitelio escamoso queratinizado de la piel
supraadyacente se hunde en los orificios del pezón y
después se transforma bruscamente en un epitelio cúbico
de doble capa que tapiza los conductos.
• La ramificación sucesiva de los conductos grandes
acaba conduciendo a la unidad lobulillar de los
conductos terminales.
• En las mujeres adultas el conducto terminal se ramifica
en un grupo de ácinos pequeños similar a un racimo de
uvas para formar un lobulillo.
La densidad de las mamas de las mujeres jóvenes
procede del predominio de estroma interlobulillar
fibroso y la escasez de tejido adiposo.
UNIDAD
LOBULILLAR
TERMINAL
CONDUCTOS
SENOS
GALACTOFOROS
• La mama sufre ciclos de crecimiento y reducción del
tamaño, igual que el endometrio durante el ciclo
menstrual.
• Durante la primera mitad del ciclo menstrual los lobulillos
son relativamente quiescentes.
• Después de la ovulación, bajo la influencia de los
estrógenos y las concentraciones crecientes de
progesterona, aumentan la proliferación de células y el
número de ácinos por lobulillo.
• El estroma intralobulillar también se vuelve
marcadamente edematoso.
• Al llegar la menstruación, la reducción de las
concentraciones de estrógenos y progesterona induce la
regresión de los lobulillos y desaparición del edema
estromal.
• En la pubertad se acelera el desarrollo de la mama , los
conductos de tamaño grande y mediano y el estroma
formado por tejido conjuntivo proliferan bajo influencia de
la producción creciente de estrógenos.
• La progesterona es necesaria para la
diferenciación de los lóbulos y alvéolos.
• Aunque la mama no madura
completamente hasta la primera
gestación y lactancia existen algunos
cambios cíclicos que son apreciables
durante las distintas fases del ciclo.
• Sólo con el comienzo del embarazo la mama llega a
ser completamente madura y funcional.
• Los lobulillos aumentan de forma progresiva en
número y tamaño. En consecuencia, al final del
embarazo la mama se compone casi por completo
de lobulillos separados por estroma relativamente
escaso.
• Inmediatamente después del parto, las células luminales
de los lobulillos producen calostro (rico en proteínas), que
cambia a leche (con más grasas y calorías) durante los
10 días siguientes, conforme disminuyen las
concentraciones de progesterona.
Durante el embarazo, la ramificación de conductos
terminales produce lobulillos más grandes y
numerosos.
• Al cesar la lactancia, el epitelio y el estroma de la mama
experimentan remodelación extensa. Las células
epiteliales sufren apoptosis, los lobulillos regresan y se
atrofian y disminuye el tamaño total de la mama.
• Después de la tercera década, mucho antes de la
menopausia, los lobulillos y su estroma especializado
comienzan a involucionar. La atrofia lobulillar puede ser
casi completa en las mujeres ancianas.
Al aumentar la edad disminuyen el tamaño y el número de lobulillos y
el estroma interlobulillar es sustituido por tejido adiposo. Los
mamogramas se convierten en más radiotransparentes con la edad
como resultado del aumento del tejido adiposo, lo que facilita la
detección de lesiones formadoras de masas y calcificaciones
radiodensas.
Ciclo menstrual
Dias
ESTROGENOS
ALTOS ESTROGENOS
BAJOS
PROLIFERACIÓN DE
CELULAS MAMARIAS
MUERTE DE
CELULAS
MAMARIAS
• El conjunto de los
conductos ramificados
está formado por unos
15 a 20 lóbulos
dispuestos radialmente
alrededor del pezón.
• Estos lóbulos se dividen
en unidades terminales
ductolobulillares.
• El pezón está cubierto por epitelio escamoso estratificado que no
está pigmentado en la mama prepuberal.
• La pigmentación con melanina se desarrolla después de la
menarquía.
• La areola es un anillo de piel que contiene las glándulas de
Montgomery, que son glándulas sebáceas modificadas, se abren
a la superficie a través de los tubérculos de Morgagni.
Trastornos del desarrollo
• Restos de la cresta mamaria: Las mamas o los
pezones supernumerarios se deben a la persistencia de
engrosamientos epidérmicos a lo largo de la cresta
mamaria, que se extiende desde la axila hasta el periné.
• Los trastornos que afectan a la mama en su situación
normal pueden afectar rara vez a esos focos
heterotópicos con respuesta a las hormonas, que suelen
diagnosticarse porque sufren un agrandamiento
premenstrual doloroso.
• Inversión congénita del pezón: La falta de eversión del
pezón durante el desarrollo es común y puede tener
carácter unilateral.
• La inversión congénita del pezón se suele corregir de
modo espontáneo durante el embarazo, o a veces puede
ser corregida mediante tracción simple.
Tejido mamario axilar accesorio
• En algunas mujeres, el sistema de conductos normal se
extiende al tejido subcutáneo de la pared torácica o la
fosa axilar («cola axilar de Spence»), fuera del área
identificada clínicamente como tejido mamario.
• Como es posible que no se extirpe el tejido mamario de
estas áreas, las mastectomías profilácticas reducen
notablemente el riesgo de cáncer de mama, pero no lo
eliminan por completo.
Manifestaciones clínicas de
enfermedad mamaria
• Los síntomas más referidos por las mujeres con
trastornos de la mama son dolor, masa palpable,
«nodularidad difusa» (sin una masa definida) o secreción
por el pezón.
• Todos ellos son inespecíficos, pero deben evaluarse por
la posibilidad de que exista una neoplasia maligna.
• Los síntomas mas comunes son : dolor, masa palpable,
nodularidad o exudado por el pezón.
• El 95 % de las masas dolorosas son benignas.
• Las lesiones palpables más comunes son carcinomas
invasivos, fibroadenomas y quistes.
• El dolor (mastalgia o mastodinia) es un síntoma común
que puede tener carácter cíclico, con la menstruación, o
no cíclico.
• El dolor no cíclico se suele localizar en un área de la
mama. Las causas incluyen quistes rotos, lesión física e
infecciones, pero con más frecuencia no se identifican
lesiones específicas.
• Las masas palpables definidas también son comunes y
se deben diferenciar de la nodularidad normal de la
mama. Las lesiones palpables más comunes son
carcinomas invasivos, fibroadenomas y quistes.
• En general, una masa llega a ser palpable cuando mide
por lo menos 2 cm de tamaño. Las masas palpables son
más frecuentes en las mujeres premenopáusicas, pero la
probabilidad de que una masa palpable sea maligna
aumenta con la edad.
• 50 % de los carcinomas afectan al cuadrante
superoexterno, probablemente debido a que contiene las
tres cuartas partes del volumen parenquimatoso de la
misma.
• El 10 % en cada uno de los cuadrantes restantes y
alrededor del 20 % en la región central o subareolar.
• El exudado por el pezón (telorrea) es un signo menos
común, pero más preocupante cuando tiene carácter
espontáneo y unilateral, dada la posibilidad de un carcinoma
subyacente.
• La salida de leche (galactorrea) guarda relación con
concentraciones altas de prolactina (p. ej., por un adenoma
hipofisiario), hipotiroidismo o síndromes anovulatorios
endocrinos, y se puede encontrar también en pacientes que
toman anticonceptivos orales, antidepresivos tricíclicos,
metildopa o fenotiacinas.
• Densidades . Las densidades mamográficas son
producidas la mayoría de las veces por carcinomas
invasivos, fibroadenomas o quistes.
• La mayor parte de las neoplasias son radiológicamente
más densas que el tejido mamario normal
entremezclado.
• La mamografía en las mamas densas pueden tener una
menor eficacia debido a la elevada cantidad de tejido
fibroso y escasez de tejido graso, ya que en estos
casos pueden quedar ocultos nódulos o tumoraciones al
ser unas mamas menos transparentes para los RX.
4 tipos de patrones monográficos normales:
1. Grasas
2. Densidad media,
3. Heterogéneamente densa
4. Patrón denso
• El valor de la mamografía radica en su capacidad para
identificar cánceres no palpables pequeños. Por ejemplo,
el tamaño medio de un carcinoma invasivo detectado por
mamografía (1,1 cm) es inferior a la mitad de los
detectados por palpación (2,4 cm).
• Las calcificaciones se forman en secreciones, restos
necróticos o estroma hialinizado. Las calcificaciones
benignas se asocian muchas veces a grupos de quistes
apocrinos, fibroadenomas hialinizados y adenosis
esclerosante.
• Las calcificaciones asociadas a procesos
malignos suelen ser pequeñas irregulares,
numerosas y agrupadas.
Trastornos inflamatorios
• MASTITIS AGUDA: son frecuentes en el primer mes de la
lactancia.
• El mas frecuente Staphylococcus aueus.
• Mama eritematosa y dolorosa, fiebre.
• Se una zona de inflamación aguda, puede progresa al
formación de abscesos.
• La mastitis bacteriana aguda se produce típicamente en
el primer mes de lactancia y está causada por una
infección bacteriana local cuando la mama es más
vulnerable debido a las grietas y fisuras de los pezones.
• Desde esta puerta de entrada, Staphylococcus aureus o,
con menos frecuencia, los estreptococos invaden el tejido
mamario.
• La mama está eritematosa y dolorosa, y a menudo
aparece fiebre.
• Al principio solo se afecta un sistema ductal o sector de la
mama.
• Sin tratamiento, la infección puede extenderse a toda
ella. Los abscesos estafilocócicos son únicos o múltiples,
mientras que los estreptococos causan una infección
diseminada en forma de celulitis.
• Morfología Las infecciones estafilocócicas suelen
producir un área localizada de inflamación aguda que
puede progresar a la formación de uno o múltiples
abscesos.
ECTASIA DUCTAL MAMARIA
• Este trastorno tiende a ocurrir en la quinta o la sexta
décadas de la vida, usualmente en mujeres multíparas.
• Las pacientes se presentan con una masa periaerolar
palpable poco definida, muchas veces asociada a
secreción blanca espesa por el pezón y en ocasiones a
retracción cutánea.
• El dolor y el eritema son infrecuentes.
• Morfología La lesión se caracteriza principalmente por
dilatación de los conductos, espesamiento de las
secreciones mamarias y una marcada reacción
inflamatoria granulomatosa crónica periductal e
intersticial.
• Los conductos dilatados están llenos de detritos
granulosos que contienen infiltrados densos de
linfocitos y macrófagos y un número variable de células
plasmáticas.
• En ocasiones se forma inflamación granulomatosa
alrededor de lo depósitos de colesterol.
• La fibrosis puede acabar produciendo retracción de la
piel y el pezón.
Necrosis grasa
• Las presentaciones de la necrosis grasa son muy
variadas y pueden parecerse mucho a las del cáncer –
como masa palpable no dolorosa, engrosamiento o
retracción de la piel, y densidades y calcificaciones
mamográficas
• Cerca de la mitad de las mujeres afectadas tienen
antecedentes de traumatismo o cirugía en las mamas.
• MORFOLOGÍA:
• Las lesiones agudas pueden ser hemorrágicas y contener
áreas centrales de necrosis grasa licuefactiva con
neutrófilos y macrófagos. En los días siguientes, los
fibroblastos proliferativos y células inflamatorias crónicas
rodean el área lesionada.
• Posteriormente, aparecen células gigantes,
calcificaciones y hemosiderina, y en último término, el
foco es reemplazado por tejido cicatricial o bien queda
rodeado y aislado por tejido fibroso.
• A simple vista se aprecian nódulos mal definidos, firmes,
de color gris blanquecino, que contienen pequeños focos
blancos calizos.
Mastitis granulomatosa
• La inflamación granulomatosa de la mama puede
ser una manifestación de enfermedades
granulomatosas sistémicas (p. ej., granulomatosis
con polivasculitis, sarcoidosis, tuberculosis) o de
trastornos localizados en la mama (mastitis
lobulillar granulomatosa, infecciones infrecuentes).
• . La mastitis lobulillar granulomatosa es una enfermedad
poco común que solo aparece en mujeres que han tenido
hijos. Los granulomas están asociados estrechamente
con los lobulillos, indicando que la enfermedad podría
estar causada por una reacción de hipersensibilidad
frente a antígenos expresados durante la lactancia.
• El tratamiento con corticoesteroides resulta eficaz a
veces. Se observa un patrón histológico similar en la
mastitis granulomatosa neutrófila quística causada
por Corynebacteria.
• Las infecciones localizadas por hongos o
micobacterias son excepcionales y aparecen con
más frecuencia en pacientes inmunodeprimidas o
adyacentes a cuerpos extraños, como prótesis
mamarias o piercings del pezón.
Lesiones epiteliales benignas
• Las lesiones epiteliales benignas se clasifican en tres
grupos, según el riesgo de desarrollar posteriormente un
cáncer de mama:
1) alteraciones mamarias no proliferativas
2) enfermedad mamaria proliferativa
3) hiperplasia atípica.
• La mayoría es motivo de consulta cuando se detecta por
mamografía o como hallazgos accidentales en piezas
quirúrgicas.
Alteraciones mamarias no
proliferativas (alteraciones
fibroquísticas)
• Este conjunto abarca alteraciones
morfológicas frecuentes que a menudo se
agrupan bajo el nombre de alteraciones
fibroquísticas.
• Para el clínico, este término podría
significar mamas «aterronadas
irregulares» a la palpación; al radiólogo le
sugiere mama densa con quistes, y al
anatomopatólogo, hallazgos histológicos
benignos.
• Estas lesiones se denominan no proliferativas con el fin
de indicar que no se asocian a un mayor riesgo de cáncer
de mama.
• Existen 3 cambios morfológicos
principales:
• 1. cambio quistico, muchas veces con
metaplasia apócrina.
• 2. fibrosis
• 3. adenosis
QUISTES
• Se forman por dilatación y estiramiento de los lobulillos y
pueden confluir para formar quistes mayores.
• Contienen líquido turbio semitraslúcido que produce un
color pardo azulado.
• Los quistes están revestidos de epitelio atrófico plano o
por células apócrinas metaplásicas.
• Los productos de secreción que se acumulan en ellos
pueden calcificarse y en las mamografías aparecen como
microcalcificaciones.
• FIBROSIS: los quistes se rompen con frecuencia y
liberan el material segregado hacia el estroma adyacente.
• La inflamación crónica y la fibrosis resultante contribuyen
a la firmeza palpable de la mama.
• ADENOSIS: es el aumento en el numero de acinos por
lobulillo.
• En la adenosis esclerosante los acinos están
distorcionados.
• Los acinos están tapizados por células cilíndricas,
benignas o atípicas.
Enfermedad mamaria proliferante sin atipia
• Las lesiones se caracterizan por proliferación del epitelio
ductal y/o estroma sin características citológicas o
arquitecturales sugestivas de carcinoma in situ.
• MORFOLOGIA:
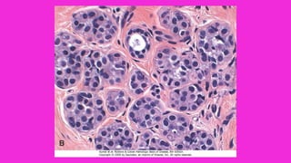
• Hiperplasia epitelial: los conductos y
lobulillos mamarios normales están
tapizados por una capa doble de
células mioepiteliales y células
luminales.
• La hiperplasia epitelial se define por
presencia de más de dos capas
celulares.
NORMAL
• La luz está llena por una población mixta
heterogénea de tipos celulares luminales y
mioepiteliales.
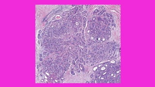
• ADENOSIS ESCLEROSANTE: el
número de ácinos por conducto
terminal esta aumentado al menos al
doble en comparación con los lobulillos
no afectados.
• Se conserva la disposición lobulillar
normal.
• Los ácinos están comprimidos y
distorsionados en el centro y dilatados
en la periferia.
• Lesión esclerosante compleja Esta lesión
tiene componentes de adenosis
esclerosante, papilomas e hiperplasia
epitelial.
• Un miembro de este grupo, la lesión
esclerosante radial («cicatriz radial»), es la
única lesión benigna frecuente que forma
masas irregulares y puede imitar en gran
medida al carcinoma invasivo en la
mamografía, en la inspección macroscópica
y en el estudio histológico.
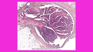
• PAPILOMAS: se componen de múltiples ejes
fibrovasculares ramificados, cada uno de ellos con un
área central de tejido conjuntivo, tapizado por células
luminales y mioepiteliales.
• El crecimiento se produce dentro de un conducto
dilatado.
ENFERMEDAD MAMARIA
PROLIFERATIVA CON ATIPIA
a. Hiperplasia ductal atípica
b. Hiperplasia lobulillar atípica
• MORFOLOGIA:
• La hiperplasia atípica es una proliferación celular que
recuerda al carcinoma in situ, pero no cumple todos los
criterios.
SIGNIFICADO CLÍNICO DE
LOS CAMBIOS
EPITELIALES BENIGNOS
• Múltiples estudios epidemiológicos han clasificado los
cambios histológicos benignos de la mama y determinado
su relación con el desarrollo posterior de cáncer invasivo.
• Los cambios no proliferativos no aumentan el riesgo de
cáncer.
• La enfermedad proliferativa se asocia a un aumento
ligero del riesgo, mientras que la enfermedad proliferativa
con atipia confi ere un aumento moderado del riesgo.
• Significación pronóstica:
- El hallazgo de cambios fibroquisticos no proliferativos
no indica que haya más riesgos de cáncer de mama
invasor.
- Cambios fibroquisticos proliferantes en una biopsia
deja expuesta a la mujer aun riesgo 1.5 a 2 veces
mayor de padecer un cáncer.
- La hiperplasia atipica aumenta 4 a 5 veces el riesgo
de desarrollo de cáncer.
MAMA  I 2022.pptx

MAMA I 2022.pptx

  • 1.
    PATOLOGIA DE MAMA DRA.XENIA AIMEE GARCIA MARTINEZ PATOLOGA
  • 2.
    • La mamase distingue de otros órganos por tres importantes características. 1- Su principal función es proporcionar el apoyo nutritivo y la supervivencia de otro individuo, el lactante. 2- Experimenta cambios estructurales dinámicos a lo largo de la vida: expansión del sistema lobulillar después de la menarquia; remodelación periódica durante la edad adulta, especialmente durante y después del embarazo, y, finalmente, involución y regresión.
  • 3.
    3. Símbolos dela feminidad, las mamas tienen una importancia social, cultural y personal que es distintiva de otros órganos. • Todas estas características influyen en el origen, la presentación y el tratamiento de la mastopatía.
  • 4.
    • Comprender lasenfermedades de la mama requiere conocer su anatomía normal. • Componentes celulares, de los que forman parte dos estructuras principales (conductos y lobulillos) • Tipos de células epiteliales (luminal y mioepitelial) • Tipos de estroma (interlobulillar e intralobulillar).
  • 5.
    • Cada unode estos elementos puede dar origen a lesiones tanto benignas como malignas
  • 6.
    • En loshumanos, la pareja de glándulas mamarias descansan sobre el músculo pectoral en la parte superior de la pared torácica. • Las mamas se componen de epitelio especializado y estroma que puede originar lesiones tanto benignas como malignas.
  • 8.
    • La mamahumana contiene entre seis y diez sistemas ductales principales. • El epitelio escamoso queratinizado de la piel supraadyacente se hunde en los orificios del pezón y después se transforma bruscamente en un epitelio cúbico de doble capa que tapiza los conductos.
  • 9.
    • La ramificaciónsucesiva de los conductos grandes acaba conduciendo a la unidad lobulillar de los conductos terminales. • En las mujeres adultas el conducto terminal se ramifica en un grupo de ácinos pequeños similar a un racimo de uvas para formar un lobulillo.
  • 12.
    La densidad delas mamas de las mujeres jóvenes procede del predominio de estroma interlobulillar fibroso y la escasez de tejido adiposo.
  • 13.
  • 18.
    • La mamasufre ciclos de crecimiento y reducción del tamaño, igual que el endometrio durante el ciclo menstrual. • Durante la primera mitad del ciclo menstrual los lobulillos son relativamente quiescentes.
  • 19.
    • Después dela ovulación, bajo la influencia de los estrógenos y las concentraciones crecientes de progesterona, aumentan la proliferación de células y el número de ácinos por lobulillo. • El estroma intralobulillar también se vuelve marcadamente edematoso.
  • 20.
    • Al llegarla menstruación, la reducción de las concentraciones de estrógenos y progesterona induce la regresión de los lobulillos y desaparición del edema estromal.
  • 21.
    • En lapubertad se acelera el desarrollo de la mama , los conductos de tamaño grande y mediano y el estroma formado por tejido conjuntivo proliferan bajo influencia de la producción creciente de estrógenos.
  • 22.
    • La progesteronaes necesaria para la diferenciación de los lóbulos y alvéolos. • Aunque la mama no madura completamente hasta la primera gestación y lactancia existen algunos cambios cíclicos que son apreciables durante las distintas fases del ciclo.
  • 23.
    • Sólo conel comienzo del embarazo la mama llega a ser completamente madura y funcional. • Los lobulillos aumentan de forma progresiva en número y tamaño. En consecuencia, al final del embarazo la mama se compone casi por completo de lobulillos separados por estroma relativamente escaso.
  • 24.
    • Inmediatamente despuésdel parto, las células luminales de los lobulillos producen calostro (rico en proteínas), que cambia a leche (con más grasas y calorías) durante los 10 días siguientes, conforme disminuyen las concentraciones de progesterona.
  • 25.
    Durante el embarazo,la ramificación de conductos terminales produce lobulillos más grandes y numerosos.
  • 26.
    • Al cesarla lactancia, el epitelio y el estroma de la mama experimentan remodelación extensa. Las células epiteliales sufren apoptosis, los lobulillos regresan y se atrofian y disminuye el tamaño total de la mama.
  • 27.
    • Después dela tercera década, mucho antes de la menopausia, los lobulillos y su estroma especializado comienzan a involucionar. La atrofia lobulillar puede ser casi completa en las mujeres ancianas.
  • 28.
    Al aumentar laedad disminuyen el tamaño y el número de lobulillos y el estroma interlobulillar es sustituido por tejido adiposo. Los mamogramas se convierten en más radiotransparentes con la edad como resultado del aumento del tejido adiposo, lo que facilita la detección de lesiones formadoras de masas y calcificaciones radiodensas.
  • 29.
    Ciclo menstrual Dias ESTROGENOS ALTOS ESTROGENOS BAJOS PROLIFERACIÓNDE CELULAS MAMARIAS MUERTE DE CELULAS MAMARIAS
  • 30.
    • El conjuntode los conductos ramificados está formado por unos 15 a 20 lóbulos dispuestos radialmente alrededor del pezón. • Estos lóbulos se dividen en unidades terminales ductolobulillares.
  • 31.
    • El pezónestá cubierto por epitelio escamoso estratificado que no está pigmentado en la mama prepuberal. • La pigmentación con melanina se desarrolla después de la menarquía. • La areola es un anillo de piel que contiene las glándulas de Montgomery, que son glándulas sebáceas modificadas, se abren a la superficie a través de los tubérculos de Morgagni.
  • 32.
  • 33.
    • Restos dela cresta mamaria: Las mamas o los pezones supernumerarios se deben a la persistencia de engrosamientos epidérmicos a lo largo de la cresta mamaria, que se extiende desde la axila hasta el periné.
  • 34.
    • Los trastornosque afectan a la mama en su situación normal pueden afectar rara vez a esos focos heterotópicos con respuesta a las hormonas, que suelen diagnosticarse porque sufren un agrandamiento premenstrual doloroso.
  • 36.
    • Inversión congénitadel pezón: La falta de eversión del pezón durante el desarrollo es común y puede tener carácter unilateral. • La inversión congénita del pezón se suele corregir de modo espontáneo durante el embarazo, o a veces puede ser corregida mediante tracción simple.
  • 39.
    Tejido mamario axilaraccesorio • En algunas mujeres, el sistema de conductos normal se extiende al tejido subcutáneo de la pared torácica o la fosa axilar («cola axilar de Spence»), fuera del área identificada clínicamente como tejido mamario.
  • 40.
    • Como esposible que no se extirpe el tejido mamario de estas áreas, las mastectomías profilácticas reducen notablemente el riesgo de cáncer de mama, pero no lo eliminan por completo.
  • 43.
  • 44.
    • Los síntomasmás referidos por las mujeres con trastornos de la mama son dolor, masa palpable, «nodularidad difusa» (sin una masa definida) o secreción por el pezón. • Todos ellos son inespecíficos, pero deben evaluarse por la posibilidad de que exista una neoplasia maligna.
  • 46.
    • Los síntomasmas comunes son : dolor, masa palpable, nodularidad o exudado por el pezón. • El 95 % de las masas dolorosas son benignas. • Las lesiones palpables más comunes son carcinomas invasivos, fibroadenomas y quistes.
  • 47.
    • El dolor(mastalgia o mastodinia) es un síntoma común que puede tener carácter cíclico, con la menstruación, o no cíclico. • El dolor no cíclico se suele localizar en un área de la mama. Las causas incluyen quistes rotos, lesión física e infecciones, pero con más frecuencia no se identifican lesiones específicas.
  • 49.
    • Las masaspalpables definidas también son comunes y se deben diferenciar de la nodularidad normal de la mama. Las lesiones palpables más comunes son carcinomas invasivos, fibroadenomas y quistes.
  • 50.
    • En general,una masa llega a ser palpable cuando mide por lo menos 2 cm de tamaño. Las masas palpables son más frecuentes en las mujeres premenopáusicas, pero la probabilidad de que una masa palpable sea maligna aumenta con la edad.
  • 52.
    • 50 %de los carcinomas afectan al cuadrante superoexterno, probablemente debido a que contiene las tres cuartas partes del volumen parenquimatoso de la misma. • El 10 % en cada uno de los cuadrantes restantes y alrededor del 20 % en la región central o subareolar.
  • 53.
    • El exudadopor el pezón (telorrea) es un signo menos común, pero más preocupante cuando tiene carácter espontáneo y unilateral, dada la posibilidad de un carcinoma subyacente.
  • 54.
    • La salidade leche (galactorrea) guarda relación con concentraciones altas de prolactina (p. ej., por un adenoma hipofisiario), hipotiroidismo o síndromes anovulatorios endocrinos, y se puede encontrar también en pacientes que toman anticonceptivos orales, antidepresivos tricíclicos, metildopa o fenotiacinas.
  • 55.
    • Densidades .Las densidades mamográficas son producidas la mayoría de las veces por carcinomas invasivos, fibroadenomas o quistes. • La mayor parte de las neoplasias son radiológicamente más densas que el tejido mamario normal entremezclado.
  • 58.
    • La mamografíaen las mamas densas pueden tener una menor eficacia debido a la elevada cantidad de tejido fibroso y escasez de tejido graso, ya que en estos casos pueden quedar ocultos nódulos o tumoraciones al ser unas mamas menos transparentes para los RX.
  • 59.
    4 tipos depatrones monográficos normales: 1. Grasas 2. Densidad media, 3. Heterogéneamente densa 4. Patrón denso
  • 60.
    • El valorde la mamografía radica en su capacidad para identificar cánceres no palpables pequeños. Por ejemplo, el tamaño medio de un carcinoma invasivo detectado por mamografía (1,1 cm) es inferior a la mitad de los detectados por palpación (2,4 cm).
  • 61.
    • Las calcificacionesse forman en secreciones, restos necróticos o estroma hialinizado. Las calcificaciones benignas se asocian muchas veces a grupos de quistes apocrinos, fibroadenomas hialinizados y adenosis esclerosante.
  • 62.
    • Las calcificacionesasociadas a procesos malignos suelen ser pequeñas irregulares, numerosas y agrupadas.
  • 64.
    Trastornos inflamatorios • MASTITISAGUDA: son frecuentes en el primer mes de la lactancia. • El mas frecuente Staphylococcus aueus. • Mama eritematosa y dolorosa, fiebre. • Se una zona de inflamación aguda, puede progresa al formación de abscesos.
  • 65.
    • La mastitisbacteriana aguda se produce típicamente en el primer mes de lactancia y está causada por una infección bacteriana local cuando la mama es más vulnerable debido a las grietas y fisuras de los pezones.
  • 66.
    • Desde estapuerta de entrada, Staphylococcus aureus o, con menos frecuencia, los estreptococos invaden el tejido mamario. • La mama está eritematosa y dolorosa, y a menudo aparece fiebre.
  • 67.
    • Al principiosolo se afecta un sistema ductal o sector de la mama. • Sin tratamiento, la infección puede extenderse a toda ella. Los abscesos estafilocócicos son únicos o múltiples, mientras que los estreptococos causan una infección diseminada en forma de celulitis.
  • 71.
    • Morfología Lasinfecciones estafilocócicas suelen producir un área localizada de inflamación aguda que puede progresar a la formación de uno o múltiples abscesos.
  • 72.
    ECTASIA DUCTAL MAMARIA •Este trastorno tiende a ocurrir en la quinta o la sexta décadas de la vida, usualmente en mujeres multíparas. • Las pacientes se presentan con una masa periaerolar palpable poco definida, muchas veces asociada a secreción blanca espesa por el pezón y en ocasiones a retracción cutánea. • El dolor y el eritema son infrecuentes.
  • 73.
    • Morfología Lalesión se caracteriza principalmente por dilatación de los conductos, espesamiento de las secreciones mamarias y una marcada reacción inflamatoria granulomatosa crónica periductal e intersticial.
  • 74.
    • Los conductosdilatados están llenos de detritos granulosos que contienen infiltrados densos de linfocitos y macrófagos y un número variable de células plasmáticas. • En ocasiones se forma inflamación granulomatosa alrededor de lo depósitos de colesterol. • La fibrosis puede acabar produciendo retracción de la piel y el pezón.
  • 78.
    Necrosis grasa • Laspresentaciones de la necrosis grasa son muy variadas y pueden parecerse mucho a las del cáncer – como masa palpable no dolorosa, engrosamiento o retracción de la piel, y densidades y calcificaciones mamográficas
  • 79.
    • Cerca dela mitad de las mujeres afectadas tienen antecedentes de traumatismo o cirugía en las mamas. • MORFOLOGÍA: • Las lesiones agudas pueden ser hemorrágicas y contener áreas centrales de necrosis grasa licuefactiva con neutrófilos y macrófagos. En los días siguientes, los fibroblastos proliferativos y células inflamatorias crónicas rodean el área lesionada.
  • 80.
    • Posteriormente, aparecencélulas gigantes, calcificaciones y hemosiderina, y en último término, el foco es reemplazado por tejido cicatricial o bien queda rodeado y aislado por tejido fibroso. • A simple vista se aprecian nódulos mal definidos, firmes, de color gris blanquecino, que contienen pequeños focos blancos calizos.
  • 83.
    Mastitis granulomatosa • Lainflamación granulomatosa de la mama puede ser una manifestación de enfermedades granulomatosas sistémicas (p. ej., granulomatosis con polivasculitis, sarcoidosis, tuberculosis) o de trastornos localizados en la mama (mastitis lobulillar granulomatosa, infecciones infrecuentes).
  • 84.
    • . Lamastitis lobulillar granulomatosa es una enfermedad poco común que solo aparece en mujeres que han tenido hijos. Los granulomas están asociados estrechamente con los lobulillos, indicando que la enfermedad podría estar causada por una reacción de hipersensibilidad frente a antígenos expresados durante la lactancia.
  • 85.
    • El tratamientocon corticoesteroides resulta eficaz a veces. Se observa un patrón histológico similar en la mastitis granulomatosa neutrófila quística causada por Corynebacteria. • Las infecciones localizadas por hongos o micobacterias son excepcionales y aparecen con más frecuencia en pacientes inmunodeprimidas o adyacentes a cuerpos extraños, como prótesis mamarias o piercings del pezón.
  • 88.
  • 89.
    • Las lesionesepiteliales benignas se clasifican en tres grupos, según el riesgo de desarrollar posteriormente un cáncer de mama: 1) alteraciones mamarias no proliferativas 2) enfermedad mamaria proliferativa 3) hiperplasia atípica.
  • 90.
    • La mayoríaes motivo de consulta cuando se detecta por mamografía o como hallazgos accidentales en piezas quirúrgicas.
  • 91.
    Alteraciones mamarias no proliferativas(alteraciones fibroquísticas)
  • 92.
    • Este conjuntoabarca alteraciones morfológicas frecuentes que a menudo se agrupan bajo el nombre de alteraciones fibroquísticas. • Para el clínico, este término podría significar mamas «aterronadas irregulares» a la palpación; al radiólogo le sugiere mama densa con quistes, y al anatomopatólogo, hallazgos histológicos benignos.
  • 93.
    • Estas lesionesse denominan no proliferativas con el fin de indicar que no se asocian a un mayor riesgo de cáncer de mama.
  • 94.
    • Existen 3cambios morfológicos principales: • 1. cambio quistico, muchas veces con metaplasia apócrina. • 2. fibrosis • 3. adenosis
  • 95.
    QUISTES • Se formanpor dilatación y estiramiento de los lobulillos y pueden confluir para formar quistes mayores. • Contienen líquido turbio semitraslúcido que produce un color pardo azulado. • Los quistes están revestidos de epitelio atrófico plano o por células apócrinas metaplásicas.
  • 96.
    • Los productosde secreción que se acumulan en ellos pueden calcificarse y en las mamografías aparecen como microcalcificaciones.
  • 100.
    • FIBROSIS: losquistes se rompen con frecuencia y liberan el material segregado hacia el estroma adyacente. • La inflamación crónica y la fibrosis resultante contribuyen a la firmeza palpable de la mama.
  • 102.
    • ADENOSIS: esel aumento en el numero de acinos por lobulillo. • En la adenosis esclerosante los acinos están distorcionados. • Los acinos están tapizados por células cilíndricas, benignas o atípicas.
  • 104.
    Enfermedad mamaria proliferantesin atipia • Las lesiones se caracterizan por proliferación del epitelio ductal y/o estroma sin características citológicas o arquitecturales sugestivas de carcinoma in situ.
  • 105.
    • MORFOLOGIA: • Hiperplasiaepitelial: los conductos y lobulillos mamarios normales están tapizados por una capa doble de células mioepiteliales y células luminales. • La hiperplasia epitelial se define por presencia de más de dos capas celulares.
  • 106.
  • 107.
    • La luzestá llena por una población mixta heterogénea de tipos celulares luminales y mioepiteliales.
  • 109.
    • ADENOSIS ESCLEROSANTE:el número de ácinos por conducto terminal esta aumentado al menos al doble en comparación con los lobulillos no afectados. • Se conserva la disposición lobulillar normal. • Los ácinos están comprimidos y distorsionados en el centro y dilatados en la periferia.
  • 111.
    • Lesión esclerosantecompleja Esta lesión tiene componentes de adenosis esclerosante, papilomas e hiperplasia epitelial. • Un miembro de este grupo, la lesión esclerosante radial («cicatriz radial»), es la única lesión benigna frecuente que forma masas irregulares y puede imitar en gran medida al carcinoma invasivo en la mamografía, en la inspección macroscópica y en el estudio histológico.
  • 113.
    • PAPILOMAS: secomponen de múltiples ejes fibrovasculares ramificados, cada uno de ellos con un área central de tejido conjuntivo, tapizado por células luminales y mioepiteliales. • El crecimiento se produce dentro de un conducto dilatado.
  • 116.
    ENFERMEDAD MAMARIA PROLIFERATIVA CONATIPIA a. Hiperplasia ductal atípica b. Hiperplasia lobulillar atípica
  • 117.
    • MORFOLOGIA: • Lahiperplasia atípica es una proliferación celular que recuerda al carcinoma in situ, pero no cumple todos los criterios.
  • 120.
    SIGNIFICADO CLÍNICO DE LOSCAMBIOS EPITELIALES BENIGNOS
  • 121.
    • Múltiples estudiosepidemiológicos han clasificado los cambios histológicos benignos de la mama y determinado su relación con el desarrollo posterior de cáncer invasivo.
  • 122.
    • Los cambiosno proliferativos no aumentan el riesgo de cáncer. • La enfermedad proliferativa se asocia a un aumento ligero del riesgo, mientras que la enfermedad proliferativa con atipia confi ere un aumento moderado del riesgo.
  • 123.
    • Significación pronóstica: -El hallazgo de cambios fibroquisticos no proliferativos no indica que haya más riesgos de cáncer de mama invasor. - Cambios fibroquisticos proliferantes en una biopsia deja expuesta a la mujer aun riesgo 1.5 a 2 veces mayor de padecer un cáncer. - La hiperplasia atipica aumenta 4 a 5 veces el riesgo de desarrollo de cáncer.